Vitalis - Das regionale Gesundheitsmagazin Januar 2023

Page 1

DR. MED. FRANK GENSKE

KOSTENLOS ZUM MITNEHMEN GEWUSST WIE: ERSTE HILFE DAS DEUTSCHE VICHY WIE ENTSTEHT ARTHROSE? ANDREAS BICKELHAUPT SPRICHT MIT
ÜBER DIE VERÄNDERUNGEN IN DER DEUTSCHEN ÄRZTELANDSCHAFT

Eine von vielen Ideen der

tell yours tory Erzählen Sie Ihre Geschichte. Zeigen Sie Ihre Kompetenz. Erhöhen Sie Ihre Reichweite. In Form einer redaktionellen Textanzeige im Vitalis machen wir Sie sichtbar! Telefon (0 71 61) 96 58 50 www.vitalis-magazin.de anzeigen@vitalis-magazin.de

SCHON WIEDER EIN NEUES MAGAZIN? IST DAS WIRKLICH NÖTIG?

Ja, wir denken schon! Denn: seriöse, wissenschaftlich–fachlich begleitete, für jedermann verständliche Informationen aus und über alle Bereiche der Gesundheit in der Region sind durchaus sinnvoll.

Im Landkreis sind viele Menschen in der Gesundheitsbranche beschäftigt, allein in der Stadt Göppingen sind es ca. 4.200. Daraus ergibt sich ein hohes Maß an Know-how und eine vielfältige Kompetenz. Dabei handelt es sich nicht nur um Zahn- und Humanmediziner in den niedergelassenen Praxen und Krankenhäusern. Auch medizinische Fachangestellte, Gesundheits-, Kranken- sowie Altenpfleger, ambulante und stationäre Pflegedienste, Wundmananger und -spezialisten gehören dazu. Einen wichtigen Baustein im Gesundheitsnetz Göppingen bilden die Gesundheitshandwerke wie Sanitätshäuser, orthopädische Schuhmachermeister, Hörakustiker, Optiker, Zahntechniker und Krankengymnasten. Aber auch gut geführte Fitnessstudios, ambulante und stationäre Reha-Einrichtungen, Apotheken und Drogerien sind lokal präsent und versorgen uns mit vielfältigen Angeboten.

Der Gesundheitsmarkt ist in einem stetigen, schnellen Wandel. Das Halbwertwissen in der Medizin beträgt ca. 5 Jahre, Tendenz fallend. Nicht zuletzt aufgrund der demografischen Entwicklung, der verbesserten diagnostischen und therapeutischen Möglichkeiten, aber auch durch bislang nicht geplante und unterschätzte (virale) Risiken ist es auch ein Wachstumsmarkt, an dem man als Anbieter oder Nutzer teilhaben kann –und über den man gut informiert sein sollte. Denn nur durch das richtige Verständnis kann ich das höchste Gut – die Gesundheit – schützen und pflegen.

In diesem neuen Magazin werden die Anbieter im Landkreis ihre Arbeit im Sektor Gesundheit in einem redaktionellen Beitrag darstellen. Ebenso werden unterschiedliche Themen aus der Medizin von unabhängigen Experten referiert.

Wir möchten mit dieser Plattform ausschließlich regionalen Leistungserbringern und Dienstleistern 4x im Jahr die Möglichkeit geben, ihre Fachkompetenz und ihr Leistungsangebot zu präsentieren, gleichwohl jedoch nicht den Blick über den „Tellerrand hinaus“ verlieren und fachliche Expertise auf ein hohes Niveau stellen und halten.

Ich wünsche Ihnen eine interessante, informative und gleichzeitig unterhaltsame Lektüre.

4 das Gesundheitsmagazin
Ihr
VORWORT

Wer steckt hinter Vitalis? 12

Alles rundum das Thema Gesundheit

Die häufigste Gelenkerkrankung der Welt im Fokus 32

Dr.Med.Frank Genske 38

Experten klären auf!

DAS DEUTSCHE VICHY

58

DEINE KARRIERE

WIR STELLEN VOR:

Was steckt hinter dem Beruf Medizinische Fachangestellte/ Medizinischer Fachangestellter?

70

Wir stellen Berufe in der Gesundheitsbranche vor

Wer sucht was in Göppingen

Wussten Sie schon?

Was passiert in Göppingen?

5 das Gesundheitsmagazin 01 - 2023
EDITORIAL
06
08 TEAMVORSTELLUNG
INFORMATIV
22 MEIN KÖRPER
ARTHROSE
Den Körper richtig verstehen 28
INTERVIEW
HISTORISCH
KOMPETENZ
Das deutsche Vichy 42
58 BERUFE
68 STELLENMARKT
69 GESUNDHEITSFAKTEN
KALENDER
DR. MED. FRANK GENSKE
IM INTERVIEW MIT ANDREAS BICKELHAUPT 32 38
I N HALT

#01 EDITORIAL

GESUNDHEIT IN GÖPPINGEN

Liebe Leserinnen, Liebe Leser, dem einen oder anderen dürfte der Name unseres Magazins bekannt vorkommen – und zwar nicht nur von der Müsli-Packung auf dem morgendlichen Frühstückstisch.

Göppingen ist eine Gesundheitsregion. Aus diesem Grund wurde 2001 die Messe dem Namen „Vitalis“ ins Leben gerufen. Ziel war es, das große Gesundheitsangebot in unserem Landkreis für alle sichtbar zu machen. Die positive Resonanz in der Bevölkerung und bei den Ausstellern damals bestätigte das Konzept und den darauf basierenden Erfolg über viele Jahre hinweg.

Hippocrates

REDAKTIONSLEITUNG

Julia Fahsold (jf)

STELLV. REDAKTIONSLEITUNG

Wolf-Rüdiger Schmauder (wrs)

Patrick Schmauder (ps)

Dejan Vasic (dv)

Dirk Biniek (db)

REDAKTION

Andreas Bickelhaupt (ab)

Margit Haas (mh)

Marieta Plischke (mp)

Lars Tielesch (lt)

Die Grund-Idee, das Leistungsspektrum in und um Göppingen im Bereich Gesundheit transparent zu machen, haben wir jetzt wieder aufgegriffen, überarbeitet und modernisiert. Heraus kam dieses schöne Heft, das Sie nun in den Händen halten. Hinter Vitalis stehen dabei nicht nur einer der Initiatoren der ursprünglichen Vitalis-Messe, sondern auch die Macher des Stadtmagazins „pig“, das jedem waschechten Göppinger natürlich ein Begriff sein dürfte.

Neben Informationen rund um das Thema „Gesundheit“ geben bei uns Experten wie z.B. Ärzte und Dienstleister aus dem Landkreis Tipps, erklären medizinische Sachverhalte oder stellen ihre Gesundheitsleistungen vor. Unsere Vision war, ein Magazin zu erschaffen, das mit seriösen Beiträgen die Leser und Leserinnen im Kreis Göppingen informiert und unterhält. Dabei ist es uns wichtig, auch komplexe Themen einfach, verständlich und ohne medizinisches Kauderwelsch darzustellen.

VITALIS – Das Gesundheitsmagazin wird ab jetzt 4x im Jahr erscheinen – jeweils im Frühjahr, Sommer, Herbst und Winter. Wir haben uns viele Gedanken über die Themen gemacht, die Sie, liebe Leserin, lieber Leser, interessieren könnte und hoffen, wir haben mit unserer Auswahl ins Schwarze getroffen. Sie sehen also: Der Name „VITALIS“ ist kein Zufall, denn Gesundheit ist regional und basiert auf Vertrauen.

Lorcherstraße 61

73033 Göppingen

Website: www.vitalis-magazin.de

Mail: info@vitalis-magazin.de

Viel Spaß beim Lesen, Informieren und Schmökern wünscht Ihnen

Ihre Julia Fahsold

6 das Gesundheitsmagazin
„Ein weiser Mann betrachtet Gesundheit als seinen größten Segen und lernt durch seine eigenen Gedanken wie er von seinen Krankheiten profitieren kann.“
Jetzt besser GESEHEN WERDEN ZEIGEN SIE IHR KNOW-HOW UND LEISTUNGSANGEBOT Telefon (0 71 61) 96 58 50 www.vitalis-magazin.de anzeigen@vitalis-magazin.de vitalis_magazin

TEAMVORSTELLUNG:

Wer steckt eigentlich hinter VITALIS?

NICE TO MEET YOU!

Ein neues Gesundheitsmagazin für den Landkreis Göppingen? Wie kam es dazu? Welche Inhalte wird es geben?

Und wer ist alles dabei?

WARUM GERADE EIN GESUNDHEITSMAGAZIN?

Warum nicht? Göppingen ist eine Gesundheitsregion. Wir haben hier medizinische Hersteller, Kliniken, Arztpraxen, Rehabilitationseinrichtungen und Dienstleister aus diesem Sektor. Außerdem bietet der Landkreis Bäder, Erholungsgebiete und einiges an Freizeit- und Sportangeboten. Natürlich gibt es schon diverse Magazine im Gesundheits- und Pflegebereich. Allerdings sind diese entweder eher für die ältere Generation gedacht oder situativ zu einzelnen Themen, Messen oder Events. Mit VITALIS sind wir generationsübergreifend und haben einen bunten Blumenstrauß an Themen. Es ist also für jeden etwas dabei.

WOHER KOMMT DER NAME VITALIS?

In den Jahren 2000 bis 2006 gab es in Göppingen bereits die regionale Messe für Gesundheit mit diesem Namen. Ziel der VITALIS war es damals, das Leistungsangebot im Landkreis bekannt zu machen – durch seriöse Aussteller und Referenten mit fachkundiger Information und Beratung. Genau dieses Konzept verfolgen wir auch im VITALIS-Gesundheitsmagazin. Der Name bürgt für Qualität.

WER STECKT HINTER DIESER IDEE?

Wir wollen kein medizinisches Fachbuch herausbringen, sondern ein leicht lesbares, interessantes und informatives Magazin. Deshalb auch die Kooperation zwischen Dejan Vasic vom PIG Stadtmagazin und Rüdiger Schmauder von Medical Direkt. Medical Direkt liefert als Brancheninsider den fachlichen Inhalt und das PIG die Gestaltung und Aufmachung. Von beiden Seiten also das Beste.

/ DAS TEAM

WAS IST DAS KONZEPT? UND WAS DAS BESONDERE?

Natürlich fängt man so ein Projekt nicht an, ohne sich davor Gedanken gemacht zu haben. Unsere Analyse hat gezeigt, dass dafür ein Markt besteht. Vielen Menschen im Kreis Göppingen ist das große Leistungsspektrum in der Gegend gar nicht bekannt. Gleichzeitig können Anbieter von Gesundheitsleistungen nicht davon ausgehen, dass ist Leistungsangebot der gesamten Bevölkerung bekannt ist. Oft wissen nicht einmal die eigenen Kunden, was der Anbieter eigentlich alles im Angebot hat.

Das Besondere ist dabei, dass VITALIS kein „Werbemagazin“ ist. Vielmehr stehen informative Berichte im Vordergrund. Inserenten buchen Textanzeigen, also Platz für ihren Beitrag. Sie entscheiden über das Thema, den Umfang und die Form der Darstellung. Es freut uns, dass wir bereits im Vorfeld mit unserer Idee auf so viel Zustimmung gestoßen sind.

WELCHE INHALTE ERWARTEN UNS?

Es wird viele interessante Themen geben, wie z.B. „Gesundheit in Göppingen“, „Gesundheitshistorisches aus Göppingen“ oder „Mein Körper und was steckt dahinter?“ Außerdem werden wir Diagnosen für Laien verständlich erklären, Berufe im Gesundheitswesen vorstellen und interessante Artikel, Infos und Tipps rund um das Thema Gesundheit bieten.

Darüber hinaus ist es unser Ziel, den Leserinnen und Lesern das überragende Gesundheitsangebot im Landkreis transparent zu machen. Was wird in welchem Bereich angeboten? Wer macht was? Welche Gesundheitsexperten und Spezialisten haben wir?

9 das Gesundheitsmagazin
DEJAN VASIC Organisation & Vertrieb RÜDIGER SCHMAUDER Betreuung & Innovation DIRK BINIEK Organisation & Vertrieb

WIE KANN MAN MITMACHEN?

Wir wollen ausschließlich regionalen Leistungserbringern und Dienstleistern die Möglichkeit geben, ihre Fachkompetenz und ihr Leistungsangebot der Öffentlichkeit zu präsentieren. VITALIS ist offen für Inserenten aus dem Landkreis Göppingen, deren Geschäftszweck, Sortiment oder Dienstleistung aus dem Bereich Gesundheit kommt. Inserenten außerhalb des Landkreises und Unternehmen, die nichts mit Gesundheit zu tun haben, werden nicht berücksichtigt.

Sie möchten bei VITALIS dabei sein? Dann einfach auf unserer Homepage das Kontaktformular ausfüllen und die Mediadaten und Arbeitshilfen einsehen. Über das persönliche Log-in wird das Format ausgewählt, der Text und die Bilder eingestellt. Man hat die Möglichkeit, für eine Ausgabe einen Bericht zu buchen oder direkt ein Jahres-Abo für vier ausgaben abzuschließen – natürlich mit dementsprechend preislichen Vorteilen. Aber Inserenten haben noch weiteren Nutzen: Sie können ihre Events, Veranstaltungen und Aktionen im Kalender, aber auch Stellengesuche in unserer Jobbörs kostenlos einstellen.

WIE OFT WIRD VITALIS ERSCHEINEN?

VITALIS wird es 4x im Jahr geben, jeweils im Frühjahr-, Sommer- , Herbst und Winter-Ausgabe. Die redaktionellen Beiträge werden natürlich auf die jeweiligen Jahreszeiten ausgerichtet.

WO KANN MAN DAS VITALIS BEKOMMEN?

VITALIS ist kostenlos zum Mitnehmen und man erhält es an vielen bekannten PIG-Auslagestellen. Aber auch an i-Punkten, in Kliniken und Praxen, Fitness-Studios, Gesundheitseinrichtungen, Lebensmittelgeschäften, Tankstellen, Apotheken, usw. – und natürlich auch in unserer Geschäftsstelle in der Lorcherstraße 61 in Göppingen.

TEXT: Julia Fahsold

FOTO: Heiko Herrmann

/ DAS TEAM
JULIA FAHSOLD Redaktion PATRICK SCHMAUDER Layout & Gestaltung MARGIT HAAS Rubrik „Gesundheitshistorie“ MARIETA PLISCHKE Organisation DR. MED. FRANK GENSKE Medizinische Betreuung DR. ANDREAS BICKELHAUPT Redaktion & Interviews

FACHBEGRIFFE ERSCHWEREN DIE KOMMUNIKATION MIT DEM ARZT

Ob Kardiologen-Kauderwelsch, Chirurgie-Chinesisch oder Frauenarzt-Fachjargon: wenn Ärzte über Diagnosen oder Behandlungsmethoden sprechen, haben 30 Prozent der Patienten Verständnisschwierigkeiten. Das zeigt eine Forsa-Umfrage im Auftrag der KKH-Kaufmännische Krankenkasse. Hauptgrund ist laut Umfrage die Verwendung von Fachbegriffen. Aber auch Mangel an Zeit und das Ignorieren von Fragen waren Gründe für die Kommunikationsschwierigkeiten.

Sehr zufrieden mit dem Praxisbesuch

Patientinnen und Patienten sind mit ihren Haus- und Fachärzten sehr zufrieden. Das belegen die Ergebnisse der Versichertenbefragung der Kassenärztlichen Bundesvereinigung KVB. 91% der Befragten stufen die fachliche Kompetenz ihrer Ärztinnen und Ärzte mit gut oder sehr gut ein. Auch das Vertrauensverhältnis lag mit 90% auf einem sehr hohen Niveau.

TEXT: Julia Fahsold

Foto: Shutterstock

12 das Gesundheitsmagazin / INFORMATIV

CAPTAIN FUTURE

„Neuromobility“ war eines der Fokusthemen auf der diesjährigen RehaCare-Messe in Düsseldorf. Menschen mit neurologischen Indikationen wie Schlaganfall, Multiple Sklerose, Zerebralparese und inkompletter Querschnittslähmung benötigen Produkte und Leistungen für mehr Mobilität, Lebensqualität und Teilhabe am Alltag. Der neue „Exopuls Mollii Suit“ – der weltweit erste Neuromodulationsanzug – kann Menschen mit neurologischen Erkrankungen einen aktiveren Alltag ermöglichen. Dafür senden 58 im Anzug integrierte Elektroden elektrische Signale aus, die die Muskeln entspannen. So können Spastiken und Schmerzen gemindert und Muskelpartien aktiviert werden –bei nur 1 Stunde Stimulationszeit am Tag.

GRIPPEIMPFUNG - ALLE JAHRE WIEDER

Im Winter lauern die Grippeviren fast überall: auf Münzen, Türklinken, in ö entlichen Verkehrsmitteln sowie in der Atemluft. Sie verbreiten sich durch Tröpfcheninfektion, z.B. durch Niesen oder Husten sowie durch die direkte Berührung. Eine Impfung gegen In uenza schützt vor einer Infektion, allerdings sind die Erreger sehr wandlungsfähig, sodass der Grippeimpfsto jährlich erneuert werden muss.

Eine echte Grippe dauert in der Regel nur einige Tage, doch sie kann insbesondere bei Menschen mit einem schwachen Immunsystem oder bei Senioren einen schweren Verlauf nehmen und im schlimmsten Fall lebensbedrohlich sein. Typisch für eine In uenza sind urplötzlich auftretende Symptome wie Husten, Fieber, Kopf- und Gliederschmerzen.

Bei den meisten Menschen bekämpft das körpereigene, gut funktionierende Immunsystem die Viren, sodass die Erkrankung nach etwa einer Woche Bettruhe überstanden ist. Allerdings funktioniert die Abwehr nicht immer so gut, sodass bei bestimmten Personengruppen eine Impfung

durchaus sinnvoll sein kann. Die Ständige Impfkommission (STIKO) des Robert-Koch-Instituts emp ehlt die Immunisierung für alle Personen ab 60 Jahren, für Schwangere ab dem 3. Monat, für Menschen mit einem erhöhten beru ichen Risiko, für Patienten mit erhöhter gesundheitlicher Gefährdung infolge eines Grundleidens sowie für Bewohner von Alten- und P egeheimen. Durch die Impfung bauen sich körpereigene Abwehrmechanismen auf, indem abgeschwächte oder inaktivierte Krankheitserreger verabreicht werden. Der Organismus produziert sogenannte Antikörper, die die Viren bei einem erneuten Kontakt vernichten. Jedes Jahr passt die Weltgesundheitsorganisation (WHO) die Stammzusammensetzung des Impfsto s an die aktuelle epidemiologische Situation an, da die zirkulierenden Viren sich permanent verändern. Grundlage dafür sind die Daten von Millionen Patienten, die in einem globalen Netzwerk weltweit erfasst werden. Im Anschluss werden die neuen Vakzine in einem Verfahren zur Änderung der Zulassung geprüft, vom Paul-Ehrlich-Institut chargenweise kontrolliert, freigestellt und in den Handel gegeben.

13 das Gesundheitsmagazin

BEWEGUNGSMANGEL DURCH HOMEOFFICE

Nach dem Aufstehen direkt an den Schreibtisch, dazwischen kurz die Spülmaschine anstellen und in der Mittagspause eine Folge der Lieblingsserie gucken. Was einst ein seltener Luxus war und nur für die wenigsten Beschäftigen zum Alltag gehörte, ist seit der Corona-Pandemie für viele inzwischen ganz normal. Doch auch wenn das Home O ce in Punkto Flexibilität und Work-Life-Balance ganz groß punktet, kann das Arbeiten von zu Hause aus auch gesundheitliche Nachteile mit sich bringen.

Unsere Vorfahren waren Jäger und Sammler. Kein Wunder, dass ein Arbeitsalltag, der zu einer überwiegend sitzenden Lebensweise zwingt, an sich schon ein Risiko für die Gesunderhaltung ist. Im Home Office fallen dann zusätzlich noch der tägliche Arbeitsweg oder der Gang zu Meetings, zum Drucker oder in die Kaffeeküche weg. Klar, das spart zwar Zeit, aber auch Bewegungseinheiten. Mindestens 150 Minuten aerobe körperliche Aktivität mittlerer Intensität pro Woche empfiehlt die Gesundheitsorganisation WHO. „Aerobe körperliche Aktivität“, das bedeutet Bewegungsaktivität, bei der Kohlehydrate und Fette unter Verbrauch von Sauerstoff verbrannt werden. Alternativ können die 2,5 Stunden mittlerer Aktivität auch durch 75 Minuten mit hoher Intensität ersetzt werden. Wer also viel sitzt, kann diese Defizite mit gezielten Sporteinheiten ausgleichen. So jedenfalls die Theorie.

Doch die COVID-19-Beschränkungen haben zu einer Abnahme körperlicher Aktivität geführt, die es jetzt wieder aufzuholen gilt. Im Idealfall unterbricht man die täglichen Sitzzeiten von im Durchschnitt 5-8 Stunden bei der Heimarbeit mit Bewegungseinheiten. Das kann ein Spaziergang am Nachmittag sein oder ein kleines Workout im Wohnzimmer statt dem Griff zur Fernbedienung.

Viele, die in den eigenen vier Wänden arbeiten, klagen aber auch über verspannte Muskeln im Schulter- und Nackenbereich. Ausgelöst werden diese Beschwerden oft durch improvisiertes Büromobiliar zu Hause, wie z.B. das Arbeiten am Küchentisch in unphysiologischer Körperhaltung, schlechten Sitzmöbeln und ungenügender Beleuchtung. Untersuchungen zeigen, dass eine einfache Verspannung bei längerer Fehlbelastung zu sogenannten myofaszialen Triggerpunkten, das sind mikroskopisch kleine Verkrampfungen einzelner Muskelfasern, in der Muskulatur führen kann. Außerdem verlangsamt Bewegungsmangel den Stoffwechsel und gilt als Mitauslöser für Zivilisationskrankheiten wie Herz-Kreislauf-Erkrankungen, Diabetes oder Fettstoffwechselstörungen.

Sollten die Home Office Regelungen jetzt im Winter wieder neu in Kraft treten, gibt es also ein großes ToDo, das zwischen all den täglichen Aufgaben nicht zu vernachlässigen ist: Bewegung. Und zwar am besten mehr als die paar Meter vom Bett zum Bad, in die Küche und zum Schreibtisch.

TEXT: Julia Fahsold

Foto: Shutterstock

14 das Gesundheitsmagazin / INFORMATIV

RETURN TO SPORT

Sie hatten eine Verletzung im Bereich Sprunggelenk, Knie oder Schulter? Sie sind sich unsicher, ob Sie nach einer Verletzung, OP oder Reha schon wieder für Ihren Sport belastbar sind? Sie möchten vor Trainingsbeginn eine Aussage über die Belastbarkeit Ihres verletzten Gelenks?

Das Ziel eines jeden Sportlers nach einer Verletzung

Sogenannte Return to Sport-Assessments haben das Ziel, den aktuellen und individuellen Status des Rehabilitationsverlaufs zu bestimmen. In verschiedenen Testreihen werden Ihre Beweglichkeit, Kraft, Stabilität und sportartspezifische Belastungsfähigkeit beurteilt und anschließend ausgewertet. Das ist die entscheidende Basis für die Wiederaufnahme eines Mannschafts- bzw. Individualtrainings.

Das Assessment beinhaltet

 Anamnese

 Beweglichkeitsmessung

 Funktionelle Tests (je nach Gelenk)

 Verschiedene Stabilitäts- und Koordinationstests

 Ausgewählte sportartspezifische Testverfahren

 Auswertung und Empfehlung

Wir unterstützen Sie damit auf dem Weg zurück in den Breiten- oder Leistungssport.

RESPOAKTIV GmbH | Manfred-Wörner-Str. 143 | 73037 Göppingen Tel. 07161 965757 | rezeption@respoaktiv.de www.respoaktiv.de
Schnelle und gründliche Desinfektion von Groß ächen in nur wenigen Minuten Come back stronger

AKTUELL:

ÄRZTEMANGEL SPITZT SICH ZU

Wer einen Hausarzt hat, es in die Patientenkartei einer Facharztpraxis gescha t und dann auch noch einen Termin bekommen hat, kann sich glücklich schätzen. Der in vergangenen Jahren bereits eingesetzte Ärztemangel hat mittlerweile dramatische Ausmaße angenommen. Entsprechend häufen sich Klagen über lange Wartezeiten oder aus Kostengründen vorenthaltene Behandlungen sowie Schwachstellen, die von der Corona-Pandemie o engelegt oder verstärkt wurden.

Die aktuelle Gesundheitsversorgung in Deutschland wird weiterhin von einer großen Mehrheit sowohl der Bevölkerung (81 Prozent) als auch der Ärzte (89 Prozent) positiv bewertet. Trotz des insgesamt guten Urteils über die Gesundheitsversorgung nimmt die Bevölkerung tendenziell eine Verschlechterung wahr (29 Prozent).

Aus Sicht der niedergelassenen Ärzte zeigt sich der Ärztemangel noch ausgeprägter: Der Anteil derer, die diesen in der eigenen Region wahrnehmen, ist von 41 Prozent im Jahr 2019 auf aktuell 52 Prozent deutlich angestiegen. Überdurchschnittlich groß ist dieser Anteil mit 76 Prozent in strukturschwächeren Regionen. Insgesamt registrieren 46 Prozent der niedergelassenen Ärzte persönliche Auswirkungen des Ärztemangels, d. h. sie müssen deshalb mehr Patienten versorgen. Fast drei Viertel der Ärzte in Städten und Regionen mit unter 100.000 Einwohnern berichten von einer dadurch steigenden Arbeitsbelastung, wobei Hausärzte insgesamt deutlich häufiger betroffen sind als Fachärzte. In den kommenden Jahren ist mit einer weiteren Verschärfung des Ärztemangels zu rechnen. Denn auch die Schwierigkeiten niedergelassener Ärzte, Nachfolger für die eigene Praxis zu finden, haben zugenommen. Derzeit schätzen es 68 Prozent der niedergelas-

senen Ärzte als schwierig ein, einen Nachfolger zu finden. Hausärzte sehen sich dabei sehr viel häufiger mit Problemen konfrontiert als Fachärzte und Ärzte in strukturschwächeren Regionen deutlich häufiger als Ärzte in urbanen Zentren.

Gleichzeitig ist der Anteil der Krankenhausärzte, für die eine Niederlassung infrage käme, im Vergleich zu früher wieder angestiegen. Dies würde den Ärztemangel jedoch nur verlagern, denn: Auch in den Krankenhäusern hat sich das Problem weiter verstärkt.

Aktuell geben 57 Prozent der Krankenhausärzte an, dass in der eigenen Klinik ein Ärztemangel herrscht.

Personelle Engpässe im Gesundheitssystem sind aber nicht nur bei Ärzten festzustellen, sondern auch beim medizinischen Fachpersonal in Arztpraxen und im pflegerischen Bereich in den Krankenhäusern. Mehr als jede fünfte Arztpraxis ist unterbesetzt; hinzu kommen Probleme, offene Stellen zu besetzen. Dramatischer ist die Situation in Krankenhäusern: Vier von fünf Ärzten berichten, dass im eigenen Krankenhaus Pflegepersonal fehlt.

Während der Corona-Pandemie hat sich die Personalsituation bei den Pflegekräften durch Kündigungen in 32 Prozent der Krankenhäuser stark verschlechtert. Dass sich die Situation nach Ende der Pandemie wieder verbessern wird, erwarten weder niedergelassene Ärzte noch Krankenhausärzte. Im Gegenteil: Beide Gruppen gehen eher von einer weiteren Verschärfung der Situation aus.

/ INFORMATIV 16 das Gesundheitsmagazin

HANDTASCHEN-STRESS

EINE FALSCHE HALTUNG PLAGT DEN RÜCKEN

Die Handtasche ist für Frauen weltweit das Accessoire Nummer 1. Allein in Deutschland besitzen Frauen rund 20 Stück. Doch die ständigen Begleiter sind nicht gerade gesundheitsfördernd. Sie können Rückenbeschwerden verursachen, bieten einen perfekten Hort für Bakterien und lösen unter Umständen Stress aus. Handtaschen sind Chaos in schickster Verpackung. Alle Utensilien schlummern meist bunt durcheinandergewürfelt im Inneren. Die Folge: Eine Frau verbringt durchschnittlich 76 Tage ihres Lebens damit, in der Tasche nach Gegenständen zu suchen. Doch damit nicht genug. Wer beim Kramen nach Autoschlüsseln, Geldbörse und Co. nicht sofort fündig wird, kann in Panik geraten. In dieser Situation steigen Herzleistung, Muskeldurchblutung und Blutzuckerspiegel, die Atmung wird schneller und die Verdauung ist gestört. Kurz gesagt, die Frau steht unter Stress.

In der Regel hängen Taschenbesitzerinnen diese über die Schulter oder diagonal über den Körper. Dabei ist immer eine Körperhälfte stärker belastet als die andere. Entsprechend können Muskelschmerzen und langfristig sogar Haltungsschäden entstehen. Gerade trendige Taschen in Übergröße – in die auch immer öfter noch das Notebook verstaut wird – belasten die Wirbelsäule und bringen den Körper in Schieflage.

TEXT: Julia Fahsold

Foto: Shutterstock

3 TIPPS GEGEN HANDTASCHEN STRESS

>TIPP 1: Als Faustregel gilt: keine Taschen oder Rucksäcke tragen, die mehr als 10 Prozent des eigenen Körpergewichts wiegen. Wer mehr schleppen muss, sollte die Last auf beide Schultern verteilen, oder regelmäßig auf die andere Körperseite wechseln.

>TIPP 2: Die Tasche regelmäßig entrümpeln.

>TIPP 3: Die Innenseite regelmäßig mit Desinfektionsspray aussprühen und darauf achten, dass Kosmetika nicht monatelang in der Tasche verbleiben. Auch offene Lebensmittel haben nichts in der Tasche zu suchen.

FUN FACT

Im Schnitt kommt jede Frau auf ca. 7-12 Handtaschen. Heutzutage haben viele Frauen eine Handtasche für jeden Anlass.

18 das Gesundheitsmagazin
/ INFORMATIV
>

SCHLAF UND GESUNDHEIT

EIN KOMPLIZIERTES WECHSELSPIEL

Wer sich schon einmal eine ganze Nacht im Bett gewälzt hat, ohne ein Auge zutun zu können, und sich am anderen Tag übermüdet, verspannt, unkonzentriert und unausgeglichen fühlt, hat eine Vorstellung davon, wie wichtig erholsamer Schlaf für unser Wohlbe nden ist.

Rund ein Drittel unseres Lebens verschlafen wir. Es wäre allerdings abwegig, die so verbrachte Zeit als nutzlos und vergeudet einzustufen. Denn für unsere Gesundheit ist ausreichend erholsamer Schlaf unerlässlich. Während wir ruhen, können sich unsere Muskeln regenerieren, das Immunsystem sich stärken und das Gehirn Erlerntes abspeichern. Schlechter Schlaf wirkt sich eben nicht nur auf unseren körperlichen Zustand, sondern auch auf unsere mentale Befindlichkeit aus. Der Schlaf ist eine Art „Spülprogramm“ für das Gehirn. Fehlt die Nachtruhe, kann sich in den Nervenzellen Abfall des Gehirnstoffwechsels anhäufen. Schlafmangel kann sich unter Umständen auch auf die schlanke Linie auswirken, indem er das Sättigungsgefühl beeinträchtigt. Wer zu wenig schläft, verspürt einen größeren Drang, Süßes zu naschen.

Allgemein verbindliche Grundsätze, wie man „richtig“ zu schlafen hat, lassen sich nur bedingt formulieren. Die optimale Schlafdauer ist für jeden Menschen anders. Auch die Frage, wann man abends zu Bett gehen und morgens aufstehen sollte, lässt sich nicht pauschal beantworten.

Es kann allerdings nicht schaden, einige grundlegende Regeln zu beachten:

> Achten Sie auf einen regelmäßigen Schlaf- und Nachtrhythmus

> Verzichten Sie möglichst auf schweres, scharf gewürztes Essen, Alkohol und Nikotin kurz vor dem zu Bett gehen

> Ein Mittagsschläfchen kann für manche Menschen sinnvoll sein, sollte aber nicht länger als eine Stunde dauern

> Vermeiden Sie belastende Aktivitäten kurz vor der Nachtruhe. Auch Fernsehen und Arbeiten vor dem Computerbildschirm sind nicht zu empfehlen

> Sollten Sie allzu „aufgedreht“ und „aufgeladen“ sein, können Entspan nungsübungen helfen

STUDIEN SAGEN AUCH:
Nur zwei Tage Schlafmangel lassen uns um einiges weniger attraktiv wirken – und wer kann sich das schon leisten?
19 das Gesundheitsmagazin
Setzen Sie also auf Selfcare anstelle von durchwachten Nächten.

GEWUSST WIE:

ERSTE HILFE

Erste Hilfe – das ist ein feststehender Begri . Die meisten belegen spätestens dann einen Kurs, wenn es an den Führerschein geht, um dort lebensrettende Maßnahmen zu lernen. Doch Hand aufs Herz:

Wer erinnert sich noch an das, was er beim Erste-Hilfe-Kurs gelernt hat?

Stabile Seitenlage, Mund-zu-Mund-Beatmung, Wundversorgung … wie leistet man auch als Laie professionelle Hilfe, bis z.B. der Rettungswagen eintrifft? Egal ob bei Verkehrsunfällen, Verletzungen im Haushalt oder bei allgemeinen Notsituationen wie allergischen Reaktionen oder Vergiftungen: Es ist wichtig, zu wissen wie man sich im Ernstfall zu verhalten hat. Dabei ist man nicht nur moralisch dazu verpflichtet, zu helfen, sondern auch rechtlich. Aus reiner Unsicherheit oder Unwissen werden oftmals lebenswichtige Hilfeleistungen unterlassen. Ein fundierter Informationshintergrund zum Thema hilft, im Notfall einen kühlen Kopf zu bewahren. Bereits ein sicheres und bestimmtes Auftreten kann die Betroffenen sehr unterstützen und andere dazu animieren, auch Hilfe zu leisten.

Hauptsäulen der Ersten Hilfe sind der Notruf, die Betreuung der Verletzten sowie die Sicherung der Unfallstelle. Das Alarmieren von professioneller Hilfe sollte in den allermeisten Fällen so zeitnah wie möglich erfolgen. Der Notruf - die Nummer 112ist im Übrigen auch mit gesperrter Handy-Simkarte oder bei Prepaid-Karten ohne Guthaben möglich.

Natürlich geht es bei der Ersten Hilfe nicht immer gleich um Leben und Tod. So lernt man in den Kursen z.B. auch, wie man einen Verband anlegt. Allerdings sind die Übergänge oft fließend: Die gleiche Verbandstechnik, mit der eine leichte Wunde versorgt wird, kann bei der Verletzung einer wichtigen Arterie lebenswichtig sein.

20 das Gesundheitsmagazin
/ INFORMATIV

Situationen, in denen die Betroffenen keine Aussage mehr machen können, stellen für den Ersthelfer eine besondere Herausforderung dar. Unter den sogenannten lebensrettenden Sofortmaßnahmen versteht man unter anderem die stabile Seitenlage, Wiederbelebung und Blutstillung. Weitere mögliche Maßnahmen sind nach Stabilisierung der lebensbedrohlichen Situation die Versorgung von Wunden oder die stützende Lagerung von Knochenfrakturen.

Ist der Verletzte nicht bei vollem Bewusstsein, das heißt, er kann einfache Fragen, wie nach seinem Namen nicht beantworten und zeigt keine Reaktion auf Reize, muss der (Erst-) Helfer versuchen, festzustellen, ob seine vitalen Funktionen wie die Atmung noch in Ordnung sind. Ist die Funktion noch gegeben, sollte der Verletzte in die sogenannte stabile Seitenlage gebracht werden. Diese Position verhindert, dass Blut oder Erbrochenes in die Atemwege gelangt.

Besteht die Möglichkeit, dass an der Stelle des Unfalls dem bereits Verletzten oder dem Helfer weitere Gefahr droht, ist es zunächst angebracht, die Unfallstelle zu verlassen oder entsprechend zu kennzeichnen. So sind auch Vorbeifahrende rechtzeitig gewarnt. Wenn es nicht als dringend notwendig erscheint, sollte der Verletzte nicht wegbewegt werden. Durch die Lageveränderung können Verletzungen wie z.B. Knochenbrüche ungünstig beeinflusst werden.

Im äußersten Notfall müssen Ersthelfer eine Wiederbelebung mittels Beatmung und / oder Herz-Lungen-Massage durchführen. Auch diese Anwendungen sind Teil von Erste-Hilfe-Kursen, die fortwährend von Hilfsorganisationen oder privaten Institutionen angeboten werden. Hier kann neben den verschiedenen Zielgruppen der einzelnen Kurse, wie Führerscheinerwerbern, Betriebshelfern, Kinderbetreuern und Pflegepersonal, auch jeder teilnehmen, der sein Wissen zu Ersten Hilfe auffrischen will.

TEXT: Julia Fahsold

Foto: Shutterstock

WICHTIG!

MIT DER 112 KANN MAN ÜBERALL IN DEUTSCHLAND DEN NOTARZT RUFEN!

> www.drk-goeppingen.de

> www.erstehilfe-gp.de

> www.erstehilfe-gp.de

21 das Gesundheitsmagazin
HIER KANN MAN IN GÖPPINGEN ERSTE-HILFE-KURSE BELEGEN:

Aufrecht gehen ohne unsere Hüfte wäre nicht möglich. Vor etwa zwei bis vier Millionen Jahren stellten sich unsere Vorfahren hin und streiften ab da auf zwei Beinen durch die Savanne. Das Hüftgelenk, als Verbindung zwischen dem Rumpf und den Beinen, hatte dabei eine wichtige Rolle für die Kraftübertragung.

Nach dem Kniegelenk ist das Hüftgelenk das zweitgrößte Gelenk des Körpers, das ebenso wie die Schulter ein Kugelgelenk mit dreidimensionaler Beweglichkeit, also mit Bewegungen nach vorne, hinten und zur Seite, ist. Damit die Gelenkteile in der richtigen Position bleiben, werden sie von Muskeln und Bändern gestärkt und fixiert. Das Hüftgelenk stellt anatomisch die Verbindung von Becken und Oberschenkelknochen dar. Das Ende des Oberschenkelknochens ist kugelförmig und wird auch als Hüftkopf bezeichnet. Als Gegenstück zum Hüftkopf ist die sogenannte Hüftpfanne zu sehen, die sich im Becken befindet. Sie ist eine dem Hüftkopf entsprechende Aushöhlung, in welcher der Hüftkopf Halt findet. Diesem Umstand ist der umfangreiche Bewegungsspielraum zu verdanken. Um eine Reibung von „Knochen an Knochen“ zu vermeiden, sind Hüftkopf und auch Hüftpfanne mit einer Knorpelschicht versehen. Das Hüftgelenk ist von einer Gelenkkapsel, die mit einer Gelenkflüssigkeit als Schmiermittel gefüllt ist, umgeben. Knorpel und Gelenkschmiere funktionieren wie Stoßdämpfer und schützen den Knochen vor Abrieb. Durch ihre vielfältigen Aufgaben und zusätzliche Beanspruchungen durch z.B. Fehlstellungen, Fehlbelastungen, Verletzungen oder Erkrankungen, wie z.B. Rheuma, ist die Hüfte oft besonders von Verschleißerscheinungen betroffen.

Bei Hüfterkrankungen wie der Arthrose, ist die Funktion zwischen den beiden Knochenteilen durch Verschleiß beeinträchtigt. Ist der Knorpel ganz oder teilweise nicht mehr vorhanden, können Schmerzen und Bewegungseinschränkungen die Folge sein.

Bereits früh im Mutterleib werden wichtige Voraussetzungen für das spätere Wachstum aufgestellt. Vererbte Hüfterkrankungen, wie z.B. die Hüftdysplasie oder Fehlstellungen durch eine falsche Lage des Babys im Bauch, können sich in der Schwangerschaft einstellen. Nach der Geburt sollten Ärzte und Eltern prüfen, ob der Säugling eine normale gebeugte Stellung der Beine vornehmen und einhalten kann. Ein verrenktes Hüftgelenk oder eine vorliegende Hüftdysplasie sind umso besser zu behandeln, je früher sie erkannt werden. Eine Ultraschalluntersuchung des Neugeborenen, bei der eine Hüftfehlstellung erkannt werden kann, wird mittlerweile standardmäßig durchgeführt.

Etwa ein Drittel aller Menschen über 65 Jahre stürzt mindestens einmal pro Jahr. Mögliche Folgen eines Sturzes können Brüche der Oberschenkelhalsknochen sein. Besonders sind Menschen gefährdet, die an Osteoporose erkrankt sind, da bei dieser Erkrankung die Knochensubstanz bereits an Stabilität eingebüßt hat. Hüftprotektoren können bei Stürzen Knochenbrüche vermeiden.

TEXT: Rüdiger Schmauder

/ INFORMATIV

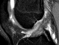
Dein Kniegelenk

In der Alltagssprache wird das Kniegelenk häu g nur als „Knie“ bezeichnet. Es ist das größte Gelenk des menschlichen Körpers mit einer ausgeklügelten Anatomie. Es wird den ganzen Tag teilweise mit dem Sechsfachen des Körpergewichts belastet. Laufen, Treppensteigen, Sitzen – in jeder Bewegung und sogar in Ruhephasen belasten wir das Kniegelenk mehr oder weniger stark.

Im Knie verbinden sich der Oberschenkel und der Unterschenkel miteinander. Genau genommen ist das Kniegelenk ein zusammengesetztes Gelenk aus zwei Einzelgelenken: dem Kniescheibengelenk zwischen dem Oberschenkelknochen und der Kniescheibe und dem Kniekehlgelenk zwischen dem Oberschenkelknochen und dem Schienbein. Das Zusammenspiel aus Knochen, Knorpeln, Muskeln, Sehnen und Bändern ergibt zusammen ein Dreh-Scharnier-Gelenk. Durch diesen Aufbau ermöglicht uns das Kniegelenk die Beugung und Streckung des Beins. Dabei gleitet die

Kniescheibe in einer speziellen schmalen Rinne über den Oberschenkelknochen. Die an ihr befestigten Sehnen des Oberschenkelmuskels werden durch diese „Zwischenlagerung“ auf Abstand zu den anderen umliegenden Knochen gehalten und scheuern so nicht direkt über das Gelenk. Außerdem wird damit eine Art Hebelmechanismus erzeugt, der die Kraftwirkung der Muskelaktivität verstärkt. Ob Inlineskater, Hockeyspieler oder früher Ritter in ihren Rüstungen – ein Kniegelenkschutz hat immer vorne ein rundes „Schutzschild“ für den obersten Teil des Kniegelenks, die Kniescheibe, die direkt unter der Haut liegt. Verschiedene Bänder oder auch Sehnen sorgen für die notwendige Stabilität und Beweglichkeit. Das vordere und hintere Kreuzband verläuft im Inneren des Kniegelenks zwischen den Enden des Oberschenkel- und Unterschenkelknochens. Sie sind permanent gespannt und stabilisieren das Kniegelenk bei Bewegungen des Beins, sodass es sich nicht nach vorne oder hinten verschiebt. Zwei Seitenbänder verlaufen an der Innen- und Außenseite des Knies und stabilisieren es

24 das Gesundheitsmagazin
/ INFORMATIV

bei seitlichen Bewegungen. Die Gelenkkapsel umhüllt alle Gelenkflächen und die Gelenkflüssigkeit im Innern stellt die Ernährung der Knorpelschicht sicher. Ohne Gelenkknorpel würde jede Bewegung des Knies sehr schmerzhaft sein, denn diese Schicht verhindert, dass die Knochen direkt aufeinander liegen und sich reiben. Überall, wo sich die Kniegelenksknochen berühren, sind diese Kontaktflächen mit einer mehreren Millimeter dicken, sehr glatten und elastischen Knorpelschicht überzogen, die als Puffer und Stoßdämpfer dient. Die halbmondförmigen Menisken zwischen Ober- und Unterschenkelknochen verteilen den Druck auf die Gelenkflächen optimal und gleichen die Unterschiede zwischen Oberschenkelknochen und Schienbein aus. Schwere Einkaufstaschen in die Dachgeschosswohnung tragen, in High-Heels stundenlang durch die Stadt flanieren, etliche Kilo zu viel auf den Rippen haben, lange Strecken bergab gehen, Fußball spielen - unsere Kniegelenke sind täglich hohen Belastungen ausgesetzt. Solange das Knie funktioniert wie geschmiert, macht sich darüber kaum jemand Gedanken. Doch das größte und komplizierteste Gelenk des Körpers ist besonders anfällig für Störungen, Verletzungen, entzündlichen Erkrankungen oder Knorpelschäden.

Je höher die mechanische Belastung, die auf ein Gelenk wirkt, desto anfälliger ist es für die Verschleißerkrankung Arthrose. Gonarthrose, der medizinische Fachbegriff für die Verschleißerkrankung des Kniegelenks, kann jeden treffen. Bei etwa der Hälfte aller Menschen setzt der Knorpelverschleiß bereits ab dem 35. Lebensjahr

ein. Spätestens ab dem 60. Lebensjahr bleibt kaum noch jemand davon verschont. Arthrose im Kniegelenk muss nicht zwangsläufig die Folge altersbedingten Verschleißes sein. Auch durch Verletzungen (z.B. Kreuzbandriss), Übergewicht, Überbelastungen oder Fehlstellungen (z.B. Xoder O-Beine) und die damit verbundene Fehl-belastungen kann ein Gelenk im Lauf der Zeit Schaden nehmen.

TEXT: Rüdiger Schmauder

FOTO: Shutterstock

“Bei etwa der Hälfte aller Menschen setzt der Knorpelverschleiß bereits ab dem 35. Lebensjahr ein”

DEIN SPRUNGGELENK

Das Sprunggelenk verbindet die Unterschenkelknochen mit den Fußknochen. Es besteht aus zwei Teilen: dem oberen und dem unteren Sprunggelenk. Das obere Sprunggelenk ermöglicht es, den Fuß nach oben und unten, ein wenig auch zur Seite zu bewegen. Es wird von drei Knochen gebildet: dem Schienbein und dem Wadenbein des Unterschenkels, sowie dem Sprungbein des Fußes. Das untere Sprunggelenk verbindet das Sprungbein mit den Knochen der Fußwurzel und dem Fersenbein. Es ist weniger beweglich als das obere Sprunggelenk und erlaubt ein leichtes seitliches Kippen des Fußes sowie ein Schwenken nach innen und außen. Die Enden der Knochen sind mit Knorpel überzogen. Diese fängt Stöße auf und verringert die Reibung. Sehnen, Bänder und die Gelenkkapsel halten das Gelenk zusammen, stabilisieren und unterstützen seine Beweglichkeit.

Das Sprunggelenk muss starke Belastungen aushalten: Beim Laufen und Springen können Kräfte auftreten, die dem Mehrfachen des Körpergewichts entsprechen. Bei zu starker Belastung können die Bänder aber überdehnt werden oder reißen.

Bänderdehnungen und -risse im Sprunggelenk gehören zu den häufigsten Verletzungen.

Die meisten Ballsportarten erfordern häufiges Springen, schnelle Schrittabfolgen und abruptes Starten und Stoppen.

Bei solchen Bewegungen werden die Sprunggelenke stark beansprucht. Ein falsches Aufkommen oder ein Fehltritt – schon knickt der Knöchel schmerzhaft um. Doch auch im Alltag kann es passieren, dass man mit dem Fuß ungünstig aufkommt oder das Gelenk versehentlich verdreht.

Was kann man tun, wenn das Sprunggelenk weh tut?

Als wichtigste Sofortmaßnahme sollte man das Fußgelenk auf keinen Fall weiter belasten. Am besten kühlt man es mit Kühlpads oder Eis. Kompression durch einen Verband oder eine Bandage

26 das Gesundheitsmagazin
/ INFORMATIV

lindert die Schmerzen im Sprunggelenk und verhindert, dass der Knöchel übermäßig anschwillt. Die meisten Verstauchungen ohne Bänderriss sind nach zwei Wochen größtenteils überstanden: Auch wenn der Fuß noch nicht wieder voll belastet werden kann, schmerzt er meist kaum noch. Sind die Bänder angerissen oder gerissen, kann es Wochen dauern, bis das Sprunggelenk keine Probleme mehr macht.

MIT DIESEN ÜBUNGEN KANN

MAN DAS SPRUNGGELENK STÄRKEN

Die Gelenkwippe

Setzen Sie sich in gerader Haltung auf einen Stuhl, sodass Gesäß, Knie und Fußknöchel je im 90°-Winkel zueinander stehen. Nun beginnen Sie damit, die Gelenke auf und ab zu bewegen, sodass Sie mal auf den Fersen, mal auf den Zehen stehen. Sie können diese Übung auch im Liegen, zum Beispiel auf einer Yogamatte, durchführen, indem Sie die Fußspitzen abwechselnd strecken und zu sich heranziehen. Wiederholen Sie die Bewegung 15 Mal. Sie können diese Übung mit beiden Füßen parallel durchführen.

Das Fußkreisen

Auch diese Übung können Sie im Sitzen oder Liegen machen: Kreisen Sie die Füße gleichmäßig, sodass das Gelenk in alle Richtungen mobilisiert wird. Nach 10-15 Umdrehungen wechseln Sie die Richtung. Wiederholen Sie das Ganze weitere 10-15 Mal.

Der Einbeinstand

Mit dieser Übung trainieren Sie Ihr Gleichgewicht direkt mit! Stellen Sie sich aufrecht hin und fixieren Sie mit den Augen einen festen Punkt. Beugen Sie die Knie leicht und verlageren das Gewicht auf ein Bein. Lösen Sie das andere Bein vom Boden und winkeln es nach hinten an. Halten Sie diese Position für etwa 30 Sekunden und wechselen anschließend das Standbein. Wiederholen Sie die Übung fünf Mal pro Bein.

TEXT: Rüdiger Schmauder

Foto: Shutterstock

27 das Gesundheitsmagazin

ARTH ROSE

FOTO: Shutterstock

Arthrose gilt als die häufigste Gelenkerkrankung weltweit. Die Faktoren Alter, Bewegung und Ernährung spielen dabei eine Rolle. Fünf Millionen Arthrose-Betroffene in Deutschland soll es insgesamt geben. Arthrose wird durch Verschleiß verursacht. Dieser nimmt mit der Lebenszeit zu. Zwischen 45 und 65 Jahren sind bereits ca. ein Drittel der Frauen und ein Viertel der Männer betroffen.

Unseren Gelenken verdanken wir vielfältige Bewegungsmöglichkeiten. Um dies zu gewährleisten, bestehen sie dort, wo die verschiedenen Knochen aufeinandertreffen, aus Knorpel. Dazwischen, in dem sogenannten Gelenkspalt, befindet sich die Synovia (Gelenkflüssigkeit), die als Schmierung eine reibungslose Bewegung ermöglicht. Bei einer Arthrose wird der Knorpel - schneller als es durch normale körperliche Alterungsprozesse natürlich ist - abgebaut. Er wird rissig, franst aus, nimmt immer weiter ab und kann seine schützende und stoßdämpfende Funktion nicht mehr erfüllen. Knorpel ist nämlich, im Gegensatz zu Knochen, nur sehr geringfügig regenerationsfähig.

Gesamt gesehen bewegen wir uns immer weniger. Die Zahl der Möglichkeiten Wegstrecken zurückzulegen hat sich im Laufe der Zeit erheblich reduziert. Außerdem hat sich die Arbeitswelt gewandelt. Durch Technisierung und Fortschritt werden viele Bewegungsabläufe eingespart und der Trend geht hin zu vermehrt sitzender Tätigkeit. Weniger Bewegung

TEXT: Julia Fahsold
/ INFORMATIV

bedeutet hinsichtlich der Arthrose schwächere Muskeln und Bänder und zu wenig Reize zur Produktion von Gelenkflüssigkeit.

Auch wenn an der Entstehung einer Arthrose oft eine erbliche Veranlagung mit beteiligt ist, heißt das nicht, dass man deren Entwicklung hilflos ausgeliefert ist. Im Gegenteil. Durch richtiges Verhalten und gezielte Maßnahmen lassen sich Schmerzhaftigkeit und der Verlauf bei einer Arthrose durchaus beeinflussen. Dabei hat sich die Kombination von verschiedenen Faktoren bewährt. Oberste Priorität hat Bewegung, egal welches Gelenk betroffen ist. Nur wenn die Gelenke bewegt werden, kann der Knorpel überhaupt ernährt werden. Nichts ist daher schlimmer als absolute Schonung und Ruhigstellung.

Auch die die Gelenke umgebende Muskulatur, die in ihrer gelenkstützenden Wirkung nicht hoch genug eingeschätzt werden kann, braucht regelmäßiges Training, damit sie ihre wichtige Aufgabe erfüllen kann. Das heißt, so lange wie möglich bewegenallerdings möglichst ohne zu hohe Belastung. So entlastet bei Hüft- und Kniearthrose eine Gehhilfe die Gelenke und Radfahren, Nordic Walking, Schwimmen und Aquagymnastik sind ideale Sportarten. Mitunter ist dies nur mit entsprechenden Schmerzmitteln möglich. Dabei haben sich entzündungshemmende und schmerzstillende Salben und Cremes sehr bewährt.

Neben ausreichender Bewegung spielt auch die Ernährung eine wichtige Rolle. Mit der Zufuhr der richtigen Nährstoffe lassen sich entzündliche Prozesse durchaus in Schach halten. Zu einer ganzheitlichen Therapie bei Arthrose gehört auch die Anwendung von physikalischen Maßnahmen. Das heißt, im akuten, entzündlichen Schub wirkt die Anwendung von Kälte schmerzlindernd. Ansonsten sprechen arthrotische Gelenke sehr gut auf Wärme an. Vor

allem vor einer Übungsbehandlung tut Wärme gut und erleichtert die Bewegung.

Zur Entstehung von Arthrose können auch Unfälle oder Überbelastung führen. Oftmals liegen Fehlstellungen der Gelenke vor. Bei einer ausgeprägten X-Bein-Stellung beispielsweise kommt es zu einem innenseitigen Belastungsschwerpunkt und damit zu vorzeitigem Knorpelverschleiß der Kniegelenke.

29 das Gesundheitsmagazin

Auswirkungen kann das auch auf das Hüftgelenk haben, da der Hüftkopf dann nicht korrekt in der Hüftpfanne liegt. So wird eine Stelle des Hüftkopfes immer besonders belastet. Häufig sind auch unfallbedingte Verletzungen, wie Frakturen mit Gelenkbeteiligung, bei denen ein Knochen unphysiologisch wieder zusammenwächst und durch die Fehlstellung ein Knorpelschaden verursacht wird. Überbelastet werden Gelenke auch, wenn sie schlichtweg zu viel zu tragen haben. Gemeint ist das für viele andere Erkrankungen auch mitverantwortliche Übergewicht.

Außer den großen Gelenken, wie z.B. Knie oder Hüfte, können auch kleine Gelenke betroffen sein, hauptsächlich die der Finger und Zehen. Typisch bei der Fingergelenkarthrose ist eine tast- und meist sichtbare Knötchenbildung. Meist sind es hier die Endgelenke oder, weniger häufig, die Mittelgelenke. Die Rhiz- oder Sattelgelenkarthrose betrifft das Daumensattelgelenk. Es ist besonders bei allen Greifbewegungen beteiligt, was ein größeres Risiko für Verschleiß birgt. Daneben ist die Gelenkverbindung zwischen Hand und Unterarm häufig von Arthrose betroffen. Auch in den Füßen befinden sich viele kleine Gelenke. Davon häufig an Arthrose erkrankt ist das Großzehengrundgelenk (Hallux Rigidus), das vor allem am Abrollvorgang des Fußes beteiligt ist.

Rheuma und Arthrose werden häufig gleichgesetzt. Dabei handelt es sich um zwei Krankheitsbilder, die sich in manchem zwar ähneln, aber in anderer Hinsicht auch wieder deutlich unterscheiden. Unter dem Begriff Rheuma fasst man eine Gruppe von mehr als 400 verschiedenen Krankheiten zusammen. Sie zeichnen sich durch einen ziehenden und reißenden Schmerz aus und können Gelenke, Sehnen, Muskeln und Nerven betreffen. Umgangssprachlich bezeichnet man als Rheuma vor allem die entzündlich-rheumatischen Erkrankungen, insbesondere die rheumatoide Arthritis. Man nimmt an, dass genetische Faktoren bei der Entstehung dieser Krankheiten, die vor allem die Gelenke befallen, eine Rolle spielen. Als Ursache werden Störungen im Immunsystem vermutet.

30 das Gesundheitsmagazin
/ INFORMATIV

DR. MED. FRANK GENSKE

Facharzt für Innere Medizin/Nephrologie, Hypertensiologe DHL®/Lipidologe DGFF® sowie Vorsitzender der Kreisärzteschaft Göppingen

/ INTERVIEW
TEXT: Dr. Andreas Bickelhaupt FOTO: Heiko Herrmann

DIE „MEDIZINISCHE LANDSCHAFT“ IN DEUTSCHLAND ERFÄHRT SEIT EIN

PAAR JAHREN DRASTISCHE VERÄNDERUNGEN, DIE ALLERDINGS VON GROSSEN TEILEN DER BEVÖLKERUNG NOCH GAR NICHT WIRKLICH WAHRGENOMMEN WERDEN.

VITALIS HAT MIT DR. FRANK GENSKE, DEM VORSITZENDEN DER KREISÄRZTESCHAFT, ÜBER DIESES THEMA GESPROCHEN.

HERR DR. GENSKE, WIE SEHEN SIE DIE ZUKUNFT DER HAUSÄRZTLICHEN UND FACHÄRZTLICHEN VERSORGUNG?

Ehrlich gesagt: katastrophal. Über 30 % der niedergelassenen Kolleginnen und Kollegen sind älter als 60 Jahre und gehen altershalber in den Ruhestand. Beim verbleibenden Rest sind mehr als 50 % über 50 Jahre alt. Nachfolge zu finden, ist extrem schwer. Das ist unverständlich und traurig, denn der Arztberuf ist nach wie vor einer der schönsten, verantwortungsvollsten und erfülltesten Berufe überhaupt.

Nein. Die heutige Generation sucht sich ihren Arbeitsplatz mit einer definierten Arbeitszeit und einem guten Gehalt. Teilzeit wird zunehmend wichtiger. Ich werde z.B sehr oft mit dem Wunsch nach einer 3 ½ Tage Woche konfrontiert.

DAS BEDEUTET ABER DOCH - WENN DIE ZAHL DER PRAXEN ERHALTEN BLEIBEN SOLL - DASS DANN MEHR MEDIZINER AUSGEBILDET WERDEN MÜSSEN. IST DER NUMERUS-CLAUSUS IN DER ANGEWANDTEN FORM NOCH ZUKUNFTSGEEIGNET?

Einer der ausschlaggebendsten Gründe hierfür ist, dass junge Ärzte und Ärztinnen nicht mehr alleine arbeiten und praktisch eine 24-stündige Bereitschaft ableisten wollen. Auch möchten sie nicht, zusätzlich zur medizinischen Versorgung, komplett das unternehmerische Risiko, die Mehrarbeit an Bürokratie, Personal, Vertragswesen und eine nicht mehr zu durchschauende Abrechnungspolitik tragen. Daher ist das Führen einer ärztlichen Praxis für die meisten der jüngeren Kolleginnen und Kollegen keine Option mehr. Das ist Fakt. Dem müssen wir uns stellen.

DAS MOMENTUM WORK – LIFE – BALANCE STAND FRÜHER SELTEN IM VORDERGRUND. BEI DER JÜNGEREN GENERATION HAT ES ABER EINEN HOHEN STELLENWERT. IST DAS ERKANNT WORDEN?

Natürlich muss hier dringend eine Änderung erfolgen. Die Vergabe der Studienplätze allein aufgrund der Abiturnote war noch nie gut und ist mittlerweile antiquiert und kontraproduktiv. Die Politik hat es über viele Jahre versäumt, dies zu ändern und eine sinnvolle Vergabe der Studienplätze auch unter Berücksichtigung der sozialen Kompetenzen der Bewerber zu gestalten. Daraus resultierend geht studierwilliger Nachwuchs ins Ausland. Die junge Generation ist offen, mobil und ohne Berührungsängste. Viele bleiben nach einem Studium und dem Aufbau von privaten sozialen Strukturen im Ausland. Sie kehren als ausgebildete Mediziner nicht unbedingt nach Deutschland zurück und sind damit für unsere medizinische Versorgung verloren.

33 das Gesundheitsmagazin

ODER SIE GEHEN NACH DEM STUDIUM UND DEN ERSTEN BERUFSERFAHRUNGEN INS AUSLAND. HIER FINDEN SIE DEUTLICH BESSERE RAHMENBEDINGUNGEN VOR. DIE BEWERBER UND BEWERBERINNEN FÜR

ASSISTENTENSTELLEN IN DEN KLINIKEN KOMMEN INZWISCHEN GRÖSSTENTEILS NICHT MEHR AUS DEUTSCHLAND, ÖSTERREICH ODER DER SCHWEIZ.

Wir müssen unser System überdenken. Grundlegend. Wir leisten uns in Deutschland eine überbordende, lähmende Bürokratie. Diese muss von Pflegekräften und Medizinern gestemmt werden. Es ist keine Motivation für Menschen, deren Berufsziel es ist zu pflegen, zu helfen oder zu heilen, am Ende des Tages frustriert nach zu Hause gehen, weil sie mehr als 50 % ihrer Zeit mit bürokratischen Aufgaben verbracht haben. Dazu kommt noch das schlechte Gefühl, dass ihre Patienten zu kurz gekommen sind.

Die Menschen müssen das umsetzen dürfen, was sie gelernt haben. Hierin haben sie ihre Profession, ihre Kompetenz und ihre Stärken. Diese Fähigkeiten dürfen nicht durch fachfremde Aufgaben vergeudet werden. Abgesehen davon, dass dies wirtschaftlicher Nonsens ist. Der überwiegende Anteil der Dokumentationen und der bürokratischen Verwaltungsaufgaben sollte durch nicht medizinisches Personal erfolgen.

34 das Gesundheitsmagazin
/ INTERVIEW
WAS IST IHRE MEINUNG ZUR MEDIZINISCHEN

ES IST KEINE MOTIVATION FÜR MENSCHEN, DEREN

BERUFSZIEL ES IST ZU PFLEGEN, ZU HELFEN ODER

ZU HEILEN, AM ENDE DES TAGES FRUSTIERT NACH

HAUSE ZU GEHEN, WEIL SIE MEHR ALS 50% IHRER

ZEIT MIT BÜROKRATISCHEN AUFGABEN VERBRACHT HABEN.

WAS IST IHRE MEINUNG ZUR MEDIZINISCHEN VERSORGUNG DER ZUKUNFT?

Wir brauchen dringend Reformen, d.h. weg von der Politik, dass Leistungserbringer, Ärztinnen und Ärzte, Praxen und Kliniken als Kostenverursacher gesehen werden. Die Krankenversicherung ist von Bismarck eingeführt worden, um existentielle Risiken abzudecken. Heute bieten die Krankenkassen eine Menge Dinge an, die medizinisch nicht evidenzbasiert sind und eher eine Korrektur der oftmals ungesunden Wohlstandsgesellschaft darstellen. Hier ist die Eigenverantwortung der Menschen gefordert, die ja auch in vielen anderen Dingen auf ihre Selbstbestimmung pochen. Der Krankenkassenbeitrag wird als „Flatrate“ verstanden, mit der ich 24/7 alle Leistungen abrufen kann. Wir brauchen ein Mehr an Eigenverantwortlichkeit und an Eigenbeteiligung, wenn wir auf Dauer die wirklich notwendigen medizinischen Leistungen auf hohem Niveau anbieten wollen. Die Medizin

der Zukunft wird teurer, neue Krebstherapien werden entwickelt. Denken Sie an die Zunahme der Notwendigkeit künstlicher Gelenke oder die Kosten für die Pandemie. Die Menschen werden älter und bedürfen mehr an Leistungen. Pflegefälle werden deutlich zunehmen. Wenn wir aber immer nur an den Menschen sparen, die dieses Gesundheits-System aufrechterhalten, dann muss man sich nicht wundern, wenn immer weniger Menschen im ärztlichen oder pflegerischen Bereich arbeiten wollen. Die Arbeitsbedingungen müssen sich ändern. Die medizinischen Berufe müssen wieder attraktiv gestaltet werden. Das ist nicht nur eine monetäre Verdienstfrage, sondern auch eine Frage der Anerkennung und des Respektes der geleisteten Arbeit – aber nicht mit politisch motivierten Wordhülsen, wie es aktuell praktiziert wird.

” ”

Leider hat hier die Politik noch kein Rückgrat gezeigt, um Veränderungen, die vielleicht unpopulär, aber notwendig sind, auch durchzusetzen.

DA HABEN SIE RECHT, BEDAUERLICHERWEISE IST DAS SO. WAS NICHT POPULÄR IST, WIRD UNTER DEN TISCH GEKEHRT. DASS DIESER ABER ZWISCHENZEITLICH ZU KLEIN IST, WILL NIEMAND FESTSTELLEN. WARUM DAS SO IST, WESHALB ES EINEN PFLEGENOTSTAND GIBT, WODURCH EIN EKLATANTER MANGEL AN ÄRZTEN UND ÄRZTINNEN BESTEHT - DIESE FRAGEN WERDEN VON DER POLITIK NICHT GESTELLT.

Nach über 30 Jahren als praktizierender Facharzt tritt Dr. Andreas Bickelhaupt seit 2017 etwas kürzer. Durch den neu gewonnenen zeitlichen Freiraum widmet er sich verstärkt seiner journalistischen Leidenschaften und ist für das PIG Stadtmagazin und das Vitalis tätig.

VIELEN DANK HERR DR. GENSKE, DASS SIE SICH DIE ZEIT GENOMMEN HABEN, MIT UNS ZU SPRECHEN.

/ INTERVIEW
medicaldirekt

DAS DEUTSCHE VICHY!

GÖPPINGEN EIN MONDÄNER KURORT? TATSÄCHLICH

ENTWICKELTE SICH DER „SWALBRUNNEN“ ZUM

GEFRAGTEN BAD – UND DIES ÜBER JAHRHUNDERTE

HINWEG. GLEICHZEITIG WAR DAS MINERALWASSER EIN

WICHTIGER WIRTSCHAFTSZWEIG.

TEXT: Margit Haas

REDAKTION: Margit Haas

FOTOS: Stadtartchiv Göppingen

FOTO: Heiko Herrmann

„Aqua viva“ - lebendiges Wasser - nannte Seneca, römischer Philosoph, Dramatiker, Naturforscher und Politiker im ersten nachchristlichen Jahrhundert das Mineralwasser. In Göppingen wird das „Sauerwasser“ mindestens seit 1404 im „Swalbrunnen“ angewandt. Wann in Göppingen die erste Sauerbrunnenquelle entdeckt und gefasst und wann hier der Badebetrieb aufgenommen wurde, lässt sich anhand schriftlicher Zeugnisse nicht belegen. Hinweise lassen aber darauf schließen, dass das Wasser lange vor der ersten urkundlichen Erwähnung bereits genutzt wurde. Ein Merowinger-Gräberfeld südlich der Fils könnte drauf ein Hinweis sein.

Den ersten schriftlichen Hinweis auf die Existenz des Göppinger Sauerbrunnens liefert eine Urkunde im Hauptstaatsarchiv aus dem Jahr 1404. Damals hatte Graf Eberhard III. dem Ritter Sefried von Zillenhart den „Swalbrunnen zu Gepingen“ als Lehen gegeben. „Swalbrunnen“ – der Name verweist wohl

darauf, dass die Quellen kräftig gesprudelt haben. Aus dieser Quelle entstand das „Bad“. Schnell sprach sich herum, dass das Wasser wahre Wunder vollbringen könne. Getrunken oder darin gebadet – es soll gegen nahezu alle Zipperlein geholfen haben, gar die Melancholie vertrieben und auch ein gutes Gedächtnis gemacht haben. Kein Wunder, dass das Bad schnell zum Anziehungspunkt der Prominenz wurde, sich die Gästelisten wie das „who is who“ Württembergs lasen. Auch der Astronom und Mathematiker Johannes Kepler stärkte sich bei einer Trink- und Badekuren.

Aber insbesondere der regelmäßige Aufenthalt von Herzog Christoph von Württemberg trug zur Erfolgsgeschichte des Göppinger Wassers bei. „Nachdem Christoph, Herzog zu Württemberg, sich eine ziemliche Zeit an dem Königlichen Hof in Frankreich aufgehalten und sich bei dem König hochmeridiert hatte, ist ihme von seinen Missgönnern ein tödliches Güfft beigebracht worden, welches den Leib und endlich das

38 das Gesundheitsmagazin
/ HISTORISCH

Leben gemächlich verzehren und töten sollen“, überliefert

Johann Jakob Gabelkover, der Chronist des Stuttgarter Hofes, zur Mitte des 16. Jahrhunderts. Und fährt fort: „Als nun ihre fürstliche Gnaden diese vortreffliche Wirkung des edlen Sauerbrunnens zu Göppingen verspürt und an seinem eigenen Leib experimentiert“ habe, habe sich der Herzog entschlossen, als standesgemäße Unterkunft für sich und seinen Hofstaat „in die Stadt Göppingen ein fürstliches Schloss und Lusthaus zu bauen …“.

Mit dem Wasser ließen sich also gute Geschäfte machen. Das Bad wurde als ein „vielbesuchtes, vornehmes und darum auch einträgliches Bad“ beschrieben. Das heilbringende Göppinger Sauerwasser wurde nämlich auch Tonkrüge abgefüllt und versandt. Hundertausende dieser versiegelten Krüge wurden jährlich verschickt – 1888 war gar die Millionengrenze überschritten. Zu Beginn des 20. Jahrhunderts dann wurde eine erste Flaschenabfüllanlage in Betrieb genommen.

Das Christophsbad war 1852 von Dr. Heinrich Landerer zur „Heil- und Pflegeanstalt für Gemüths- und Geisterkranke“ umgewandelt worden. Der Mineralbrunnen blieb aber ein sehr wichtiges zweites wirtschaftliches Standbein. Für lange Zeit setzte der Landerersche Brunnenbetrieb auf das traditionsreiche Produkt „natürliches“ Mineralwasser. Erst 1922 wurde dem „Göppinger Sauerbrunn“ ein „Göppinger Sprudel“ zur Seite gestellt. Der natürlich prickelnde Sauerbrunn wurde dafür mit zusätzlicher Kohlensäure versetzt. 1928 kam die „Hohenstaufenperle“ als süße Limonade hinzu. Das Göppinger Sauerwasser wurde bis Anfang der 1990er Jahre hier beim ehemaligen Bad abgefüllt. Dann wurde im Stadtbezirk Jebenhausen ein neuer Abfüllbetrieb für das Göppinger und Jebenhäuser Sauerwasser errichtet. Der Göppinger Bodenschatz wird dazu von den Quellen an der Fils und am Freihof nach Jebenhausen geleitet. Besser gesagt: wurde. Denn Ende 2019 endete eine über 600-jährige Tradition. „Aqua Römer“, das sich zwischenzeitlich verstärkt im Schwäbischen Wald engagierte, schloss sein Jebenhäuser Werk. Angeblich schütteten die Quellen nicht mehr genug Wasser aus.

Jahrmillionen alter Reichtum

Warum gibt es in der Stadt, in der Region so viele Quellen, zählt der Landkreis neben Budapest und Bad Cannstatt gar zu den mineralwasserreichsten Gebieten Europas? Vor etwa 350 Millionen lag die Region unterhalb eines tropischen Meeres mit Korallenriffe mit Fischsauriern und Ammoniten. Die bildeten den Angulatensandstein, eine Muschelkalkschicht. Weitere Voraussetzung war die rege Vulkantätigkeit vor rund 20 Millionen Jahren. 350 zum Glück erkaltete Schlote finden sich – zum Beispiel am Aichelberg, der Limburg oder in Randeck. Die Kohlensäure, die sich daraus entwickelt hat, unterstützt die Lösung der natürlichen Mineralstoffe. Der Angulatensandstein verläuft schräg und bildete zudem eine „Kohlensäurefalle“. Deshalb müssen die Wasservorkommen teilweise in sehr großen Tiefen angezapft werden. Sind es am Christophsbad in Göppingen nur acht Meter, sind es in Eislingen schon knapp 60 und in Bad Überkingen fast tausend Meter. Entsprechend sind auch die Zusammensetzung und damit der Geschmack der Wässer höchst unterschiedlich.

MARGIT HAAS – GÄSTEFÜHRERIN

AUS

LEIDENSCHAFT!

Geschichte ist faszinierend! Sie können sich das nicht vorstellen, denken mit Grausen an langweiligen Geschichtsunterricht in der Schule zurück? Lassen Sie sich von mir mitnehmen in die reiche Geschichte unsere Stadt mit ihren vielen interessanten Begebenheiten, lernen Sie Frauen und Männer kennen, die ihre Geschicke geprägt haben und die mit ihrem besonderen Engagement für uns Alle Vorbild sind.

39 das Gesundheitsmagazin

ZUM KOCHEN GEEIGNET

„In des Bademeisters Küche zog ich Erkundigung ein, ob man das Sauerwasser auch zum Kochen gebrauchte und bekam zur Antwort, dass alles, was von Mehl zubereitet wird, also Knöpflin, Nudeln, Spatzen usw. schmackhafter und lukkerer vom Sauberbrunnen als von süßen Waser werden; die Hülsen-Gemüser aber sich nicht wohl damit kochen ließen.“ Lentilius Rosinus: „Neue Badbeschreibung des in Göppingen im Löblichen Herzogtume Württemberg gelegenen edlen/ berühmt und uralten Sauerbrunnen …“ von 1725!

NICHT ALLE ERHOLTEN SICH BEI DER BADEKUR …

Im Frühjahr 1417 hielt sich Graf Eberhard III. zum wiederholten Male in Göppingen auf. Ein „hitziges Fieber“ plagte ihn. Dieses Mal half das Wasser nichts. Der Graf starb während seiner Kur im Alter von nur 55 Jahren.

WICHTIGE NACHRICHT FÜR SPARSAME SCHWABEN!

Bis heute kann das Sauerwasser an Brunnen in mehreren Kreisgemeinden kostenlos abgefüllt werden.

40 das Gesundheitsmagazin
/ HISTORISCH

LIEBENSTEINSCHES BAD

Auch in Jebenhausen sprudelt eine Quelle. Auch dort war ein Heilbad eingerichtet worden. Es wird im 15.Jahrhundert zum ersten Mal erwähnt. Auch hier gab es Trink- und Badekuren. Der Arzt Johann Georg Brebiß war voll des Lobes über die unterschiedlichen Quellen. Von ihm stammt auch eine anschauliche Beschreibung der Badeeinrichtungen. Demnach hatte sich die älteste Quelle unterhalb der Kirche befunden. Insgesamt soll das Wunderwasser gegen mindestens 64 Leiden geholfen haben. Dank seiner inneren und äußeren Anwendung half es unter anderem bei Augen-Blödigkeit, Bauchschmerzen, „Bluten aus Nasen und Mund“, gegen Blut im Urin, „Engbrüstigkeit“, gegen „Schwachheit der Blasen“, wurde aber auch bei Hühneraugen und bei „Leibes-Verstopfung“ verabreicht und vertrieb gar die Melancholie, „Sprachlosigkeit von gelähmter Zungen“ und nicht zuletzt Würmer und Zahnschmerzen. Am besten kurte man von Mai bis September und im Alter von 18 bis 50 Jahren, „Krayse“ sollten besser zu Hause bleiben. Bei einer Trinkkur sollten innerhalb von drei Wochen 70 Liter Wasser getrunken werden. Aber nicht zum Essen. Denn „Arzney und Speiß und Trank gehören nicht zusammen.

Das Jebenhäuser Sauerwasser war ebenfalls nicht nur vor Ort konsumiert worden. Bereits im 17. Jahrhundert wurde es gegen einen geringen Obolus abgefüllt und verkauft. Mitte des 19. Jahrhunderts dann hatten die Liebensteiner ordentliche Einnahmen aus einem regelmäßigen Versandhandel mit dem Wasser. In Krügen wurde das Wasser abgefüllt und verschickt. Ab dem Jahr 1919 ist das Sauerwasser gewerbsmäßig genutzt und vertrieben worden. Am 12. Oktober 1919 schloss die Liebensteinsche Herrschaft dazu mit der „Süddeutschen Genossenschaft für alkoholfreie Industrie“ einen entsprechenden Vertrag ab. 1972 schlossen sich mehrere Mineralbrunnen zusammen, die seit 1981 als Brunnenunion firmieren. Aber auch das ist ja schon wieder Geschichte. Etwa 200 Jahre suchten Badegäste Linderung von ihren Beschwerten. Ende des 18. Jahrhunderts war Schluss damit. Die Quelle war verschüttet worden und damit versiegten auch die Einnahmen der Freiherren von Liebenstein. An einen florierenden Kurbetrieb erinnert in Jebenhausen heute nur noch das ehemalige „Kurhotel“, die Badherberge „Zum großen Christophel“. Seit den siebziger Jahren des vergangenen Jahrhunderts präsentiert die Stadt in dem repräsentativen Fachwerkbaue im Naturkundlichen Museum verschiedene Sammlungen und Sonderausstellungen.

Aktuell wird das Museums neu konzipiert und auch das denkmalgeschützte Gebäude komplett renoviert.

41 das Gesundheitsmagazin

Schmerzen beim Laufen?

/ KOMPETENZ Redaktionelle Werbeanzeige

Der Fuß ist in seiner Konstruktion ein kleines Wunder. Knochen, Muskeln, Sehen und Bänder sind so beschaffen, dass unsere Füße große Belastungen problemlos aushalten können. Falsches Schuhwerk, die Gene, das Alter, Fehlbelastungen, aber auch Verletzungen sind der Grund dafür, dass sie sich ein Leben lang verändern. Folgen davon können im schlimmsten Fall Knieprobleme, Rücken- oder Hüftschmerzen sowie Sehnenentzündungen sein. Hier können orthopädische Schuheinlagen

Abhilfe schaffen und kleinere und größere Beschwerden lindern oder sogar komplett verschwinden lassen - denn gesunde Füße sind ein wichtiger Bestandteil unseres Bewegungsapparates.

konstruktionen auch die Voraussetzungen schaffen, dass sich unsere Kunden und Kundinnen wieder ein gesundes Bewegungsmuster aneignen.“ Hier kommt die footpower-Einlage ins Spiel, eine Aktiv-Variante der orthopädischen Schuheinlage. Die footpower-Einlagen arbeiten nach dem sogenannten sensomotorischen Prinzip. Sie beeinflussen gezielt die Muskelsteuerung, die für die verschiedenen Fehlstellungen der Füße verantwortlich ist, indem sie gezielten Druck auf die entsprechenden Stellen am Sehnenverlauf ausüben. Natürlich schmerzfrei. Auf diese Weise greift sie in die Steuerung der Bewegungsabläufe ein.

Einfacher ausgedrückt: Sie gibt Hilfe zur Selbsthilfe. Ausschlaggebend ist hier die Fähigkeit des menschlichen Gehirns, sich Abläufe anzutrainieren, die im Laufe der Zeit zu einem Automatismus werden. Allerdings kann unser Gehirn nicht zwischen „richtigen“ und „falschen“ Bewegungsabläufen unterscheiden. Verfügt man zum Beispiel über Plattfüße und zu viel Sportswillen in Kombination mit dem falschen Schuhwerk, bewegt man sich falsch. Durch unseren eingebauten Lernmechanismus trainiert sich der Körper ein Bewegungsmuster an, das für den Bewegungsapparat schädlich und letztendlich schmerzhaft sein kann

Einlagenversorgungen sind so individuell wie der Mensch selbst. Deshalb gibt es verschiedene Ausführungen. Präventiv-Einlagen beugen Überbelastungen und Verletzungen vor, dämpfen Stöße ab und unterstützen die Körperstatik. Therapie-Einlagen betten, entlasten oder korrigieren. „Allerdings haben wir festgestellt, dass klassische Schuheinlagen oftmals zu statisch sind“, berichtet Michael Nonnengäßer, Orthopädietechnik-Meister und Geschäftsführer der Nonnengäßer Orthopädietechnik in Donzdorf. „Das Augenmerk bei den von unseren geschulten Experten angefertigten Einlagen liegt daher weniger auf der Stützfunktion als auf der muskulären Stimulation. Unsere Einlagen üben zwei Funktionen aus“, erklärt Nonnengäßer, „Zum einen wollen wir natürlich zunächst die akuten Beschwerden unserer Patienten und Patientinnen lindern. Darüber hinaus wollen wir aber mit unseren speziellen Einlagen-

43 das Gesundheitsmagazin

Wer sich bei Nonnengäßer Orthopädietechnik für sensomotorische Schuheinlagen entscheidet, wird im Gang- und Bewegungslabor mit modernster Technik von Kopf bis Fuß durchleuchtet. In der statischen Untersuchung/Palpation wird das Ausmaß der Fehlstellung, die Beweglichkeit des Fußes und der Gelenke erfasst. Eine 3 D Scan Fußvermessung gibt Aufschluss über die Druckverteilung am Fuß bei Belastung. Anschließend werden in der Gehbahn oder auf dem Laufband der Gang und Laufstil beurteilt um weitere Informationen über die Beweglichkeit des Fußes und der Gelenke unter Belastung zu erhalten.

Auch Alter, Gewicht, Größe und eventuelle Beschwerden fließen in die Beurteilung mit ein. Anhand der erfassten Daten lässt sich für jeden die individuell für ihn passende Einlage anfertigen. Nach einer Eingewöhnungsphase beim Tragen in den Schuhen werden die Einlagen erneut nachkontrolliert. Dann sollte die footpower-Einlage perfekt sitzen. „Im Idealfall werden das Gangbild und der Laufstil durch die sensomotorische Wirkung der Einlage so verbessert, dass die Schmerzen gänzlich verschwinden können und ein gesundes Bewegungsmuster entsteht.“, erklärt Michael Nonnengäßer abschließend. Gesunde Füße sind nämlich die Basis unseres Körpers.

44 das Gesundheitsmagazin
GmbH
1
73072 Donzdorf
+49 (0) 7162 940950
Michael
Orthopädietechniker-Meister
Nonnengäßer Orthopädietechnik
Carl-Benz-Straße
|
Tel.:
www.nonnengaesser.com
Nonnengäßer
Geschäftsführung

Besonderheiten der Behandlung von Knieverletzungen bei Kindern und Jugendlichen

Im Normalfall erholen sich Kinder von Schmerzen und Schwellungen nach einer Knieverletzung relativ schnell wieder. Allerdings sollten Eltern es absolut ernst nehmen, wenn das Knie ihres Sprösslings „nachgibt“ und solch eine Verletzung unbedingt ärztlich untersuchen lassen. Auch wenn man es sich als Laie schwer vorstellen kann, aber die Folgen eines instabilen Kniegelenks sind deutlich gravierender als eines Knochenbruches. Ein Bruch wird mit hoher Wahrscheinlichkeit folgenlos verheilen, während ein Riss des vorderen Kreuzbandes eine bleibende Instabilität zur Folge haben kann. Auch eine frühzeitige Arthrose kann sich nach solch einer Verletzung entwickeln, ebenso wie das Ansammeln von Eiter und Gelenkflüssigkeit in der Gelenkhöhle – ein sogenannter „Gelenkserguss“ - was die Beweglichkeit enorm einschränkt.

Über die letzten Jahrzehnte hat der Anteil von Kreuzbandrissen bei Kindern und Jugendlichen stetig zugenommen. Gründe hierfür können einseitiges Training und die frühzeitige Fokussierung der Kinder auf eine bestimmte Sportart sein. Anderseits haben sich aber auch die Diagnosemöglichkeiten im Laufe der Jahre soweit verändert, dass solche Verletzungen schneller und früher erkannt werden. Doch die Risikofaktoren, die eine Verletzung des vorderen Kreuzbandes bedingen, sind mindestens ebenso unklar wie die im Erwachsenenalter. Man weiß nur, dass in der frühen Kindheit Jungen ein etwas höheres Risiko haben, während in und unmittelbar nach der Pubertät Mädchen gefährdeter sind.

/ KOMPETENZ
Redaktionelle Werbeanzeige

Man nimmt an, dass sich in Deutschland 50 von 100.000 sportlich aktiven Kinder einmal das Kreuzband reißen. Das stellt die Mediziner vor ein Dilemma: Operieren oder nicht operieren? Denn die Wachstumsfugen im kindlichen Knie sind noch offen, eine Verletzung im Zuge des Eingriffs kann also zu Wachstumsstörungen führen. Deshalb wurden früher und werden auch heute noch Operationen mit der Empfehlung, Risikosportarten zu meiden, lange Zeit hinausgezögert. Aber kann man einem Kind sagen, dass schnelle Richtungswechsel, Kontaktsport und Stop-and-Go-Bewegungen tabu sind?

Man kann, aber das würde für das Kind weit mehr bedeuten als „nur“ der Verzicht auf die Lieblingssportart: den Ausschluss vom Turnunterricht in der Schule, ein Verbot von vielen Pausenaktivitäten im Schulhof … und auch in der Freizeit wäre nahezu alles verboten, was zu einer normalen Bewegung von Kindern dazugehört. Alle Risiken auf eine derart radikale Weise zu minimieren, würde unsere Jüngsten unausweichlich in die soziale Isolation führen. Wer möchte so etwas schon für sein Kind?

erfordert eine engmaschige Überwachung und viel Disziplin, um Folgeschäden zu vermeiden, was bei jungen Energiebündeln nicht immer ganz einfach ist. Aus diesem Grund geht die Tendenz aktuell eher zu einer frühzeitigen Operation. Doch ein Kind kann nicht auf dieselbe Weise operiert werden wie ein Erwachsener. Heute haben wir speziell entwickelte Methoden und Instrumente zur minimal invasiven arthroskopischen Wiederherstellung der Kreuzbänder, Menisken und teilweise Knorpel. So werden die Wachstumsfugen geschont und die Kniegelenkstabilität wiederhergestellt.

Bei Kindern ist das Risiko eines erneuten Reißens von Bändern oder Muskeln nach der Heilung (Reruptur) größer als bei Erwachsenen. Nach einer Verletzung des vorderen Kreuzbandes sollte die Rückführung in den Sport also langsamer, behutsamer und später stattfinden. Spezielle Kräftigungsübungen für die Muskulatur und gezieltes Training in der Aufwärmphase sind hier der Schlüssel für die Vermeidung weiterer Verletzungen.

Also heißt es weiter Fußballspielen, Inlineskaten und über die Wiese toben. Die Folge können Meniskus- und Knorpelschäden bereits in jungen Jahren sein.

Natürlich besteht die Möglichkeit einer konservativen Therapie mit Physiotherapie und Ruhe, doch diese

für Orthopädie und Unfallchirurgie

SportTrauma-Center

Praxis für Orthopädie und Unfallchirurgie

Ulmerstr 123 | 73037 Göppingen

Tel.: +49 (0) 07161 99810

E-Mail: info@sporttrauma-center.de

47 das Gesundheitsmagazin
Dr. med. Ivan Vassilev Facharzt

Das Thema Strom- und Gasversorgungssicherheit ist in diesen Tagen viel diskutiert. Gerade im Gesundheitsbereich ist es wichtig, dass alle Patientendaten und vor allem auch die zur Versorgung und Behandlung notwendigen Geräte und Systeme, ausreichend vor den Risiken geschützt sind. Doch welche Risiken gibt es und wie kann man sich davor schützen?

Wir haben in Europa eine sehr zuverlässige Stromversorgung. Weltweit betrachtet sind Stromausfälle allerdings

nicht unüblich. Elektronische Geräte können damit meist gut umgehen. Sie sollten einen Ausfall im Normalfall auch unbeschadet überstehen.

Bei Stromschwankungen, wie z.B. Spannungsspitzen, kann es vereinzelt zu Beschädigungen kommen. Dieses Szenario kennen wir auch von Blitzeinschlägen.

Geräte mit Akku, wie z.B. Laptops oder Handys sind weitestgehend autonom und sollten bei keinem der erwartbaren Szenarien ein Problem bekommen.

48 das Gesundheitsmagazin
Redaktionelle Werbeanzeige / KOMPETENZ

Da wir nach aktueller Studienlage des Stresstest des Bundeswirtschaftsministeriums nicht mit stundenlangen Ausfällen rechnen müssen, sollte in den bestehenden Akkus genug Energie stecken, um den Ausfall überbrücken zu können. Wer sich hier zusätzlich absichern möchte, besorgt sich eine Powerbank. Die Kapazität sollte so gewählt sein, dass mindestens zwei Akkuladungen damit möglich sind.

Stromversorgung im Gesundheitswesen

Im Gesundheitsbereich gibt es in der häuslichen Versorgung teilweise Geräte, die auf Strom angewiesen sind und nicht über einen Akku verfügen. Was passiert, wenn das Sauerstoffgerät oder der Pflegenotruf aussetzt. Hier sollte man sich rückversichern, ob ein Ausfall droht oder wie ein sicherer Weiterbetrieb gewährleistet werden kann. Vielleicht gibt es ja auch Notfall-Alternativen, die nicht von einer Stromversorgung abhängig sind.

In Praxen, medizinischen Einrichtungen und bei Gesundheitsdienstleistern wird technische Vorsorge betrieben, so dass Ihre Gesundheitsdaten sicher sind. Server- und

Speichersysteme werden idealerweise an eine unterbrechungsfreie Stromversorgung (USV) angeschlossen. Diese sorgt dafür, dass kurzzeitige Schwankungen im Stromnetz überbrückt werden können. Sollte der Stromausfall länger dauern, werden die Systeme sicher abgeschaltet, so dass kein Datenverlust droht. Sollte doch einmal eine Komponente zu Schaden gekommen sein, helfen Backups für die Sicherheit zum Weiterbetrieb. So kann zügig, gegebenenfalls auch über Cloud Rechenzentren, ein Praxisbetrieb wieder hergestellt werden.

Man sieht, dass nur wenige Maßnahmen bereits helfen, die verbleibenden Restrisiken zu reduzieren.

49 das Gesundheitsmagazin
50 das Gesundheitsmagazin IT-Kompass GmbH Hagenbucher Mühle 1 | 73072 Donzdorf Tel.: +49 (0) 7162 - 14 505 - 80 E-Mail: info@it-kompass.com | www.it-kompass.com / KOMPETENZ Gehen Sie auf Nummer Sicher und prüfen Sie folgende Schritte:

Ihr echtes Sehpotential:

Wie Sie es zu 100% nutzen

Optik Horn –Augenoptiker und Optometristen

Augengesundheit absolut im Fokus der Spezialisten für das entspannte Sehen in jedem Alter

Optometrie kann man auf verschiedene Arten leben. Bei Optik Horn in Göppingen steht der Mensch im Mittelpunkt, mit all seinen Sehbedürfnissen in jedem Alter und Beruf. Die leidenschaftlichen Optometristen Stefan und Janette Horn verfolgen eine Philosophie, die anders ist als bei vielen Kollegen und insbesondere Filialisten. Was Sie davon haben, lesen Sie hier:

Stefan Horn erläutert seine Arbeitsweise: „Wir beginnen bei jeder Sehanalyse mit dem Seh-Alltag unserer Kunden. Denn was nützt Ihnen die schönste Brille, wenn die Gläser darin gar nicht alle Facetten der Augenoptik ausschöpfen und man am Ende Kopfschmerzen hat oder einfach nicht so leistungsfähig ist, wie man sein könnte. Unser Ziel ist es, entspanntes Sehen im immer digitaleren Alltag zu ermöglichen, und das in jedem Alter.“

Sehlösungen für den Marathon des Lebens Entspanntes Sehen gelingt mit Gläsern oder Kontaktlinsen, die für verschiedene Seh-Situationen ganz unterschiedlich sein können. Wer mit dem Allrounder Gleitsichtbrille gut zurecht kommt, den überreden die Optometristen bei Horn nicht zu einem Zusatzprodukt. Aber die Erfahrung zeigt, dass Menschen, die stundenlang am Bildschirm oder im Auto sitzen, für diese speziellen Anforderungen

auch Spezialbrillen benötigen. Janette Horn erläutert: „Neulich hatten wir einen Kunden, der bei der Arbeit gleich drei Bildschirme im Blick haben muss. Der Marathon des Lebens ist für die Augen extrem anspruchsvoll, dafür braucht es auch das beste Seh-Equipment.“

Gutes Sehen ist komplex

Vielen ist nicht klar, dass Optometristen die Fachleute sind, die sich um das gesunde Auge und die optimale Wahrnehmung kümmern. Die meisten Sehteste erfassen nur die Sehschärfe und ob jemand kurz- oder weitsichtig ist oder eine Hornhautverkrümmung hat. Stefan Horn: „Wir betrachten und betreuen auch das Ausrichten der Augen (Phorie), die Fähigkeit, auf Nahes zu zielen (Konvergenz) und dieses dann auch zu fokussieren (Akkommodation). Erst zusammen ergibt sich gutes Sehen!“

Optometristen sind Gesundheitsdienstleister Optometristen wie die Horns sind dafür ausgebildet, sich um den Gesundheitsstatus des Auges und des visuellen Systems zu kümmern. Dazu gehört neben der bekannten Refraktion und Anpassung von Sehhilfen auch die Abgrenzung von Augenkrankheiten und die Wiederherstellung normaler Zustände des visuellen Systems. Anders als bei vielen Kollegen wird bei Optik Horn intensiv auf

52 das Gesundheitsmagazin

der muss.

mögliche Auffälligkeiten der Augen gescreent, um diese einer weiteren Behandlung zuzuführen. Beide sind seit Jahren gewohnt, Testergebnisse und Bilder zu interpretieren. Am Ende verordnen die Horns und ihr Team klassische Sehhilfen (Brille, Linse, Lupenbrillen) oder empfehlen zur weiteren Abklärung und Behandlung den Besuch beim Augenarzt!

Erweitertes Augenscreening mit OCT Genauere Informationen zur Augengesundheit liefert das erweiterte Screening per OCT (optische Kohärenztomographie), bei dem einzelne und sogar tiefere Schichten der Netzhautstruktur überprüft

Besondere Empfehlung: Die 14-Stufen-Sehanalyse inklusive Netzhaut-Screening

werden. Das Gerät liefert gestochen scharfe Bilder der Netzhaut, die Aufschluss über die Netzhautdicke oder mögliche Veränderungen geben, was gerade im Anfangsstadium von Augenerkrankungen oft der Fall ist. In ihrer Ganzheit betrachtet sind diese Scans eine zuverlässige Quelle zur Früherkennung und Verlaufskontrolle von Augenerkrankungen und -veränderungen, zum Beispiel bei einem Glaukom (Grüner Star), Altersbedingter Makuladegeneration (AMD) oder diabetischen Veränderungen. Das gilt ebenfalls für Erkrankungen und Veränderungen der Hornhaut.

Hornhaut(Pho(Konvergenz) (Akkommodaund

Sehen in jedem Alter: Optik Horn kümmert sich! Sie leiden unter Anstrengungsbeschwerden? Ihr Sehen ist mit keiner Brille so, wie Sie es wünschen? Ihre (Enkel-)Kinder tun sich mit dem Lesen und Schreiben schwer? Sie merken beim Sport, dass Sie sich nicht immer auf Ihre Augen verlassen können? Sie wollen wissen, wie leistungsfähig Ihre Augen auch in extremen Sehsituationen sind?

Vereinbaren Sie Ihren exklusiven Vitalis-Termin ganz einfach online: QR-Code scannen oder auf optik-horn.de/vitalis.html

Sehpotential:

Vom Smartphone kurzsichtig?

Das Sehverhalten vieler Kinder hat sich verändert: Sie verbringen weniger Zeit im Freien, dafür vermehrt an Smartphone und Co. Durch das Sehen auf kurze Distanz kann aber die Augenlänge und somit oft auch die Kurzsichtigkeit steigen – erst recht, wenn schon die Eltern stark kurzsichtig sind.

Die Optometristen Janette und Stefan Horn bieten ein umfassendes Konzept, um die fortschreitende Kurzsichtigkeit bei Kindern gezielt zu beobachten und gegebenenfalls mit Brille oder Kontaktlinsen zu verlangsamen.

54 das Gesundheitsmagazin
Haben Sie das Sehen der Kinder im Blick! Kurzsichtigkeit bremsen per Myopie-Management: Termine bei Optik Horn in Göppingen unter 07161 304 826 8 oder optik-horn.de
Das Neue Gesundheitsmagazin aus der Region für die Region Informationen, wissenswertes und aktuelles aus allen gesundheitsbereichen im Landkreis Göppingen Telefon (0 71 61) 96 58 50 www.vitalis-magazin.de anzeigen@vitalis-magazin.de

Behandlung von Rückenund Nackenschmerzen mit der Medizinischen Kräftigungstherapie MedX

Rücken- und Nackenschmerzen sind Volkskrankheiten. Hervorgerufen werden sie vor allem durch Bewegungsmangel, aber auch falsche oder einseitige Belastungen am Arbeitsplatz oder Übergewicht können Auslöser sein. Pro Jahr suchen im Schnitt 20 Millionen Deutsche wegen Rückenschmerzen oder einem steifen Nacken einen Arzt auf – das macht diese Diagnose zur Hauptursache für Krankschreibungen. Die erfolgreiche Behandlung von Betroffenen liegt im therapeutischen Schwerpunkt der Orthopädischen Privatpraxis MUDr./Univ. Brünn Jan Sklepek und Dirk Trappmann, der die Praxis in wenigen Monaten übernehmen wird. Die beiden Mediziner sind Fachärzte für Orthopädie und Unfallchirurgie.

Studien belegen, dass es einen eindeutigen Zusammenhang zwischen chronischen Rücken- und Nackenschmerzen und einer schwachen Rückenmuskulatur gibt. Sind die tiefliegenden Rückenstrecker zu schwach, werden nicht nur die einzelnen Wirbel, sondern auch die Bandscheiben ungleichmäßig belastet, was zu einer Überlastung und letztendlich großen Schmerzen führen kann.

Ein wichtiger Pfeiler bei der Behandlung von Schmerzpatienten in der Orthopädischen Privatpraxis, die sich auf dem Gelände des Christophsbads in der Faurndauer Stra-

ße befindet, ist deshalb die Medizinische Kräftigungstherapie MedX. Dieses innovative Behandlungskonzept steht für ein diagnostisches Verfahren, mit dessen Hilfe man Funktionsdefizite an der Wirbelsäule nach streng wissenschaftlichen Kriterien nachweisen kann. Zum Einsatz kommt eine hoch spezialisierte, computergestützte Testund Therapietechnologie, mit der es erstmals möglich ist, das Becken vollständig zu fixieren.

Nur so kann man die starken Gesäß- und Beinmuskeln ausschalten und die kleinen, tiefliegenden Wirbelsäulenmuskeln trainieren.

56 das Gesundheitsmagazin
/ KOMPETENZ
Redaktionelle Werbeanzeige

Zu Beginn und am Ende einer Therapie werden Muskelfunktionsanalysen durchgeführt. Aus den Testwerten errechnet der Computer die Kraftkurve des Patienten und vergleicht diese mit alters-, gewichts-, und geschlechtsspezifischen Normdaten. Sie geben Aufschluss über muskuläre Defizite, Dysbalancen, Beweglichkeitseinschränkungen und Kraftniveau. Im Vergleich zu den Normdaten der gesunden Bevölkerung erlauben sie die Bewertung eines Patienten und sind ein objektiver Maßstab für die Beurteilung des Therapieerfolges. Nach eingehender klinischer Untersuchung und der Auswertung der Muskelfunktionsanalyse besprechen Jan Sklepek oder Dirk Trappmann mit ihren Patienten die beste Vorgehensweise.

Ist auf Grund der Untersuchung und Testergebnisse die Therapie angezeigt, erstellen sie mit ihnen zusammen das Therapieprogramm. Die gesamte Therapie erstreckt sich über 18-25 Sitzungen, ein- bis zweimal pro Woche. Sie erfolgt in Einzelbehandlung durch speziell ausgebildete und zertifizierte Therapeuten.

In der ersten Therapiesitzung werden die Schmerzgeplagten erst einmal in die Medizinische Kräftigungstherapie MedX eingeführt. Das Therapiegerät wird individuell auf jeden einzelnen eingestellt, die schmerzfreie Beweglichkeit der Wirbelsäule wird registriert und die tiefe Wirbelsäulenmuskulatur isoliert. Anschließend wird eine Kraftkurve über die tatsächliche Belastbarkeit der Rückenstreckmuskeln erstellt und vom Computer aufgezeichnet. In den folgenden Therapiesitzungen wird die Muskulatur gezielt gekräftigt und die Beweglichkeit und Belastbarkeit schrittweise verbessert. Das Ziel der Therapie ist, dass die Kraftkurve am Ende der Therapie auf dem Durchschnittsniveau eines gesunden Menschen ist und eine volle Alltagsbelastung wieder möglich ist. Neben dem spezifischen Training der tiefen Rückenmuskeln wird zusätzlich die umliegende Muskulatur gestärkt.

Mit dem MedX-Therapiekonzept konnten die beiden Fachärzte bereits sehr gute Erfahrungen sammeln und besonders bei chronischen Schmerzpatienten langfristige Therapieerfolge erzielen. Rund 60% der therapierten Betroffenen sind 18 Einheiten mit dem modernen Therapiegerät nahezu schmerzfrei.

57 das Gesundheitsmagazin
Im Areal des Christophsbades Göppingen Faurndauer Straße 6-28 | 73035 Göppingen Tel.: +49 (0) 7161 - 60 19 606 E-Mail: info@sklepek.de

WIR STELLEN VOR

MEDIZINISCHE FACHANGESTELLTE /MEDIZINISCHER FACHANGESTELLTER

MEDIZINISCHE FACHANGESTELLTE (MFA), umgangssprachlich Sprechstundenhilfe oder Arzthelferin, arbeiten überwiegend in Arztpraxen zur Unterstützung der Ärzte. Als Arbeitgeber kommen darüber hinaus fast alle Behörden, Organisationen, Institutionen und Unternehmen in Betracht, die über einen eigenen ärztlichen Dienst verfügen oder als medizinische Dienstleister mit ärztlichem Personal oder auch Pflegefachkräften für andere tätig sind. Auch die Bundeswehr beschäftigt zivile medizinische Fachangestellte und bildet sie aus, ebenso manche Berufsförderungswerke.

Der Beruf Arzthelferin entstand in Deutschland in den 1950er Jahren. 1965 wurde der Beruf Lehrberuf mit zweijähriger Lehrzeit und 1968 durch eine Ausbildungsordnung nach dem Berufsbildungsgesetz für eine zweijährige duale Ausbildung ergänzt.

In diesem Beruf in Deutschland sind über 98 Prozent Frauen beschäftigt. Nach Neuabschlüssen für Ausbildungsberufe in Deutschland lagen medizinische Fachangestellten auf Rang 7.

58 das Gesundheitsmagazin
/ BERUFE

AUFGABEN

Der Beruf wird traditionell als typischer Mischberuf beschrieben und ist eigentlich Laborant, Sekretär, technischer und persönlicher Assistent in einem. Labortätigkeiten sind durch die Konzentration der Leistungen in spezialisierten Großpraxen (Laborgemeinschaften, Gemeinschaftslabore, neuerdings auch in der Form von Medizinischen Versorgungszentren) schon lange in den Hintergrund gerückt, während das Bedienen moderner Bürokommunikationstechnik und das Durchführen von – mitunter sehr hochwertiger und komplexer – apparativer Diagnostik und Therapie mit Vor- und Nachbereitung oftmals einen großen Teil der Tätigkeit einnimmt. Auch Blutentnahmen und Injektionen fallen in das Tätigkeitsfeld.

Medizinische Fachangestellte haben eine Vielzahl an Aufgaben, die je nach Fachrichtung, Größe und Schwerpunkt der Arztpraxis oder dem betrieblichen Arbeitsgebiet und der innerbetrieblicher Arbeitsteilung stark variieren können.

VORAUSSETZUNGEN

Für die Ausbildung zum Medizinischen Fachangestellten kann ein Realschulabschluss gefordert werden. Die Ausbildung wird aber auch für Schüler mit Hauptschulabschluss angeboten.

Der Beruf erfordert gute kommunikative Fähigkeiten, Empathie, Belastbarkeit, Verschwiegenheit, Loyalität und exaktes, gewissenhaftes Arbeiten.

AUSBILDUNG

Die Ausbildung zum Medizinischen Fachangestellten dauert in Deutschland drei Jahre. Sie kann auf zweieinhalb oder sogar zwei Jahre verkürzt werden. Die Ausbildung erfolgt als duale Ausbildung parallel in einer Arztpraxis und der Berufsschule (1 bis 2 Tage pro Woche).

+ Patientenbetreuung und -beratung

+ Gesundheitsschutz und Maßnahmen der Arbeitsund Praxishygiene

+ Gesetzliche und vertragliche Bestimmungen der medizinischen Versorgung

+ Assistenz bei ärztlicher Diagnostik und Therapie

+ Umgang mit Arzneimitteln, Sera und Impfsto en sowie Heil- und Hilfsmitteln

+ Grundlagen der Prävention und Rehabilitation

+ Betriebsorganisation, Verwaltung und Abrechnung

+ Schriftverkehr

FACHWIRT

Die Weiterbildung zum Fachwirt für ambulante medizinische Versorgung ist nach zweijähriger Berufstätigkeit, durch Teilnahme an einem Grundmodul (300 Stunden) und Wahlpflichtmodulen verschiedener Fachrichtungen (120 Stunden), sowie Bestehen der anschließenden Prüfungen möglich. Als Fachwirt für ambulante medizinische Versorgung übernimmt man eine leitende Position im Team des niedergelassenen Arztes oder in anderen ambulanten medizinischen Einrichtungen. Dabei erledigt man anspruchsvolle Aufgaben in den Bereichen Medizin, Patientenbegleitung, Koordination und Praxisführung.

VERAH

Die Ausbildung soll auf die Arbeit in Hausarzt- und Facharztpraxen, Krankenhäusern sowie anderen medizinischen Versorgungseinrichtungen vorbereiten. Zu den Inhalten gehören unter anderem:

VERAH (Versorgungsassistentin in der Hausarztpraxis) ist eine Initiative zur Qualifizierung von medizinischen Fachangestellten oder Angehörigen anderer medizinischer Fachberufe mit beruflicher Erfahrung in der Hausarztpraxis. Die Fortbildung zur VERAH wurde vom Institut für hausärztliche Fortbildung im Deutschen Hausärzteverband in Zusammenarbeit mit dem Verband medizinischer Fachberufe entwickelt und ausgestaltet. Das VERAH-Konzept wird bundesweit von den Ärztekammern und den Kassenärztlichen Vereinigungen als Qualifikationsabschluss in der ambulanten Versorgung anerkannt.

59 das Gesundheitsmagazin

Eine sportmedizinische Untersuchung ist für jeden wichtig, der mit einer neuen Sportart beginnen oder das Training intensivieren möchte. Dabei werden Herz, Kreislauf und Bewegungsapparat untersucht. So können gesundheitliche Risiken, die mit dem Sport zusammenhängen, vermindert werden.

Wann ist eine medizinische Untersuchung sinnvoll?

Sport beugt nicht nur Herz-Kreislauf-Erkrankungen und Beschwerden des Haltungsapparates vor, sondern hat auch einen präventiven Charakter, wenn man sich vor Diabetes und Übergewicht schützen möchte. Menschen,

die eine Pause von mindestens einem Jahr bei ihrem Sport eingelegt haben, sollten sich vor dem erneuten Einstieg untersuchen lassen. Das Risiko dabei sollte man nicht unterschätzen. Auch bei scheinbar gesunden Sportlern kommt es immer wieder zu plötzlichen Todesfällen. Häufig liegt die Ursache in akut auftretenden schweren Herzrhythmusstörungen (Kammerflimmern).

Solche Risiken lassen sich durch eine sportmedizinische Untersuchung minimieren und Sie erfahren mehr über das richtige Trainingsmaß und Belastungsniveau. Bei der sportmedizinischen Untersuchung wird nicht nur Ihr Gesundheitszustand überprüft. Der Arzt berät Sie auch , welche Sportarten für Sie besonders geeignet sind und wie Sie am besten trainieren.

1 das Gesundheitsmagazin
/ KOMPETENZ
60
Redaktionelle Werbeanzeige

Was beinhaltet die sportmedizinische Untersuchung in der Regel?

+ Anamnese

+ Erhebung des Ganzkörperstatus

+ Ruhe-EKG

+ abschließende Beratung

Sollten zusätzliche Untersuchungen medizinisch erforderlich sein, kann die erweiterte Untersuchung wahrgenommen werden. Diese beinhaltet zusätzlich:

+ ein Belastungs-EKG

+ eine Lungenfunktionsprüfung

+ eine Laktatbestimmung

Was kostet die sportmedizinische Untersuchung?

Das ist ganz davon abhängig, wie umfangreich die Untersuchung durchgeführt wird. Im Normalfall entstehen Kosten zwischen 70 und 150 Euro. Die sportmedizinische Untersuchung ist keine Kassenleistung, wird von der WMF BKK jedoch im Rahmen einer Satzungsmehrleistung, alle 2 Jahre mit bis zu 130 Euro bezuschusst.

Die sportmedizinische Untersuchung muss ein zugelassener Vertragsarzt mit der Zusatzbezeichnung „Sportmedizin“ durchführen. Eine Übersicht der Vertragsärzte in der Region finden Sie beispielsweise auf der Homepage der WMF BKK unter: www.wmf-bkk.de/sportmedizinische-untersuchung

Mit der sportmedizinischen Untersuchung und dem Zuschuss WMF BKK starten Sie gesund ins Training oder erfahren, wie Sie dieses optimieren können. Versicherte der WMF Betriebskrankenkasse unterstützen wir hierbei mit bis zu 130 Euro. Zudem können sportlich aktive Menschen eine jährliche Bonuszahlung erhalten. Die WMF BKK ist in der Region ein starker Gesundheitspartner und bietet zahlreiche Anreize und umfassende Angebote für eine gesundheitsbewusste Lebensführung in jeder Lebenssituation und zwar heute. morgen. immer.

Tel.: +49 (0) 7331 - 9334 - 689

E-Mail: pschneider@wmf-bkk.de www.wmf-bkk.de

WMF Betriebskrankenkasse
„ “
WMF Betriebskrankenkasse Fabrikstraße 48 | 73312 Geislingen

Im Schlaf die eigene Leistung optimieren

Während wir schlummern, regeneriert und repariert sich der Körper, der Organismus erholt sich und die Leistungen des Gehirns werden verstärkt. Schlaf ist also alles andere als Zeitverschwendung. Doch sportliche Leistung zu steigern, während man im Reich der Träume weilt, geht das?

„Die Bedeutung des Schlafes für die sportliche Leistung gewinnt in den letzten Jahren im Spitzensport immer mehr Beachtung“, sagte Gerhard Oechsle, Geschäftsführer von Respofit, einem Reha-Sport und Fitnesspark in Geislingen. Dort wird seit Jahren mit einem HRV-Auswerteprogramm gearbeitet. „Damit können wir den exakten Prozentsatz errechnen, in denen sich der Proband im Tiefschlaf befindet“, erläutert Oechsle, einst selbst als Bob-Bremser Vize-Weltmeister und Europameister.

Die Schlafforschung, so Oechsle, fokussiere sich laut neuesten Studien auf die Tiefschlafphase, die am Anfang der Nachtruhe stattfinde. Mindestens drei der elementar wichtigsten Regenerationsprozesse, nämlich die Ausschüttung des Wachstumshormons, die neuronale Entgiftung und der Informationstransfer vom Hippocampus zum Cortex, laufen in diesem Zeitraum ab. Alle drei Vorgänge tragen kurz-, mittel- und langfristig zur Sicherung der Gesundheit und der Leistungsfähigkeit bei.

„Für Hochleistungssportler ist eine optimale Tiefschlafphase eine elementare Bedingung für den Erfolg“, sagte Oechsle. „Die besten Athleten sind auch die besten Tiefschläfer.“

Respofit kann mit dem Analyseprogramm diese Schlafqualität quantifizieren. „Um die für den Tiefschlaf notwendigen Prozesse anzuregen, setzen wir im nächsten Schritt verschiedene Tools ein, die das autonome Nervensystem unterstützen. Der Einfluss der Ernährung und der Nahrungsergänzungsmittel sind neben der Schlafhygiene wichtige Bestandteile dieser Strategie.“Respofit unterstützte in der Saison 2018/19 die U19 des VfB Stuttgart mit Schlafscreening und coachte Spieler mit Perspektive. Nach dem erfolgreichen Abschluss der Saison (Pokalsieg und Vizemeisterschaft) wurde die Schlafanalyse in der folgenden Saison bei der U17 und U21 fortgesetzt. Doch nicht nur für Sportler – egal ob im Leistungs- oder Hobbybereich - auch für Otto Normalverbraucher ist eine Schlafanalyse interessant. Laut einer Studie der DAK wird die Schlafqualität der Bevölkerung immer schlechter. Oechsle: „Auch für Firmen könnte das Thema Schlafoptimierung interessant sein, denn wenn die Mitarbeiter durch bessere Schlafqualität gesünder, leistungsfähiger und aufmerksamer würden, hätten alle Beteiligten einen Benefit.“

62 das Gesundheitsmagazin
/ KOMPETENZ
Redaktionelle Werbeanzeige
63 das Gesundheitsmagazin

Physiotherapie im Christophsbad

Kein seltenes und doch ein überraschendes Bild im wunderschönen Park des Klinikums Christophsbad: Patienten versuchen auf einer Slackline die Balance zu halten oder eine Gruppe von Patienten, die unter einer schattenspendenden Rotbuche im Grünen gymnastische Übungen bei flotter Musik durchführen. Doch wie kommt es, dass Menschen, die in ihren Alltagsaktivitäten, ihren Körperfunktionen und ihrer Teilhabe am gesellschaftlichen Leben beeinträchtigt sind, diese Herausforderung annehmen? Die befund- und zielorientierte Physiotherapie bringt Patienten wieder dazu, sich solchen Anforderungen an Körperwahrnehmung, Koordination,

Muskelkraft und Konzentration zu stellen und Selbstvertrauen aufzubauen. Wie Physiotherapie wirken kann und wie die Tätigkeit der Physiotherapeuten im Klinikum Christophsbad konkret aussieht, berichten die Mitarbeitenden aus erster Hand.

Physiotherapeuten behandeln vornehmlich Menschen, deren Bewegungsmöglichkeiten durch eine Erkrankung eingeschränkt sind oder Menschen, bei denen eine solche Einschränkung zu erwarten ist. Sie untersuchen die Patienten auf Grundlage der ärztlichen Verordnung, erstellen einen physiotherapeutischen Befund und

64 das Gesundheitsmagazin
/ KOMPETENZ
Redaktionelle Werbeanzeige

Therapieplan mit Therapiezielen und Behandlungsmaßnahmen. Die beschwerdeauslösenden Körperstrukturen werden mit unterschiedlichen aktiven und unterstützenden passiven Techniken sowie mit Maßnahmen der physikalischen Therapie behandelt. Darauf aufbauend werden die Körperfunktionen der Patienten anhand von Übungen verbessert – dazu zählen die Körperwahrnehmung, Ansteuerung, Koordination, Kräftigung und Elastizität der Muskulatur. Alltagsaktivitäten wie zum Beispiel das Gehen werden in Einzel- und Gruppenbehandlungen geübt. Abhängig von der aktuellen Mobilität der Patienten findet die Arbeit im Patientenzimmer, im Behandlungsraum mit Therapiebänken und Geräten wie Laufband, Kletterwand und Slackline, im Bewegungsbad oder im Außenbereich statt. Das Ziel ist immer, den Patienten ein möglichst selbstständiges und beschwerdefreies Leben zu ermöglichen, weshalb die Therapie permanent evaluiert und angepasst wird.

betreut werden. „Uns bieten sich hier im Christophsbad zahlreiche Vorteile mit großem Alleinstellungsmerkmal“, weiß Physiotherapeut Tassilo Klein. Er erklärt: „Durch unsere großzügigen Räumlichkeiten, das Bewegungsbad und den sehr gepflegten ca. 50.000 qm großen Park können wir mit unseren Patienten vielfältige Therapieflächen nutzen. Selbstverständlich stehen uns neueste Trainingsgeräte zur Verfügung: Vom Therapie-Laufband und der Kletterwand über ein Galileo (Vibrationstrainingsgerät im Bereich Muskeltraining) bis hin zur Laufkatze sind wir hier sehr gut ausgestattet.“ Ein extrem wichtiger Punkt für die Fortschritte der Patienten sind zudem die zeitlichen Ressourcen:

für die Behandlung, Beratung und Begleitung eines Patienten,“ bestätigt der Physiotherapeut.

In der Abteilung für Physiotherapie im Klinikum Christophsbad, die von Angela Rauser geleitet wird, arbeiten Physiotherapeuten, Sporttherapeuten und Masseure. Sie befinden sich in ständigem Dialog mit den Vertretern der Logopädie, Ergotherapie, Pflege und Ärzteschaft. Dieser interdisziplinäre Austausch gewährleistet eine optimale Therapieausrichtung für die Patienten. Im stationären Bereich werden intensivpflichtige Patienten, Patienten der Neurologie, der neurologischen Frührehabilitation, der geriatrischen Rehabilitation sowie der Psychiatrie und Psychotherapie behandelt.

Nach ihrer Entlassung können die Patienten in der physiotherapeutischen Ambulanz weiter

Besonders entscheidend sind die zeitlichen Ressourcen in der Behandlung der betagten Patienten in der Geriatrischen Rehaklinik, wie Physiotherapeutin Esra Wittmann erklärt: „Bei der Gangschulung, einer Therapiemaßnahme, die besonders bei sturzgefährdeten Senioren zum Einsatz kommt, ist es wichtig, sich Zeit zu nehmen. Das wissen unsere Patienten besonders zu schätzen und das gibt ihnen Sicherheit.“ Angela Rauser betont noch weitere Vorteile des Christophsbads als Arbeitgeber für Physiotherapeuten: „Jeder Physiotherapeut kann sich seinen Interessen und Stärken entsprechend für einen fachlichen Schwerpunkt spezialisieren oder im Laufe seiner Tätigkeit den Fachbereich wechseln. Zudem bieten wir allen Physiotherapeuten einen attraktiven und unbefristeten Arbeitsplatz in

Die Christophsbad Klinikgruppe

DAS KLINIKUM CHRISTOPHSBAD IN GÖPPINGEN IST EIN MODERNES

AKUTPLANKRANKENHAUS FÜR NEUROLOGIE EINSCHLIESSLICH REGIONALER

STROKE UNIT, FRÜHREHABILITATION UND SCHLAFLABOR, FÜR PSYCHIATRIE UND PSYCHOTHERAPIE, GERONTOPSYCHIATRIE, PSYCHOSOMATIK UND FÜR KINDER- UND JUGENDPSYCHIATRIE MIT EINER 170-JÄHRIGEN TRADITION.

Es besteht, zusammen mit der geriatrischen Rehabilitationsklinik in Göppingen und der orthopädischen Rehaklinik Bad Boll, aus 8 Kliniken mit ambulanten, teilund vollstationären Bereichen. Angegliedert an das Klinikum ist das Christophsheim, ein spezialisiertes Wohnheim für psychisch u./od. neurologisch kranke

Erwachsene. Die vier Standorte des Unternehmens befinden sich in Göppingen, Geislingen und Bad Boll sowie mit MentaCare, unserem Zentrum für Psychische Gesundheit, in Stuttgart. Die Christophsbad Klinikgruppe ist mit rund 1.050 Betten/Plätzen Arbeitgeber für rund 1.700 Mitarbeiter.

Christophsbad GmbH & Co.

Fachkrankenhaus KG

Faurndauer Straße 6-28

73035 Göppingen

Tel.: +49 (0) 7161 601-0 (Info & Service)

Fax: +49 (0) 7161 601-9332

E-Mail: info@christophsbad.de

66 das Gesundheitsmagazin
/ KOMPETENZ

DEINE KARRIERE

Nonnengäßer Orthopädietechnik ORTHOPÄDIETECHNIK-MECHANIKER (M/W/D) VOLLZEIT

Planung,Herstellung , Anprobe, Anpassung und Fertigstellung von Prothesen /oder Orthesen.

BEWERBUNGEN AN:

bewerbung@nonnengaesser. com oder schriftlich an Nonnengäßer Orthopädietechnik Carl Benz Str. 1 | 73072 Donzdorf

ANSPRECHPARTNER:

Michael Nonnengäßer

Tel. 07162 - 940 950

JETZT IHRE OFFENEN STELLEN IM VITALIS SICHTBAR MACHEN!

Klinikum Christophsbad PHYSIOTHERAPEUT (M/W/D)

VOLL- UND TEILZEIT (50%)

Befunderhebung und Therapie bei sämtlichen Krankheitsbildern im stat. und amb. Bereich, Einzel- und Gruppentherapien, Planung, Durchführung und Dokumentation, Angehörigenschulung, Hilfsmittelberatung und -versorgung

MASSEUR UND MEDIZINISCHER BADEMEISTER(M/W/D)

VOLLZEIT

Unterstützung des Teams der physikalischen Abteilung, Bindegewebsmassage, Elektrotherapie, Heißluft, klassische Massage, Kryotherapie, manuelle Lymphdrainage, Naturmoor, Stangerbad, Ultraschall, Vierzellenbad.

MEHR INFORMATIONEN UNTER:

www.karriere-mit-perspektive.de/klinikum-christophsbad/

BEWERBUNGEN AN: bewerbung@christophsbad.de

ANSPRECHPARTNER:

Christian Graziosa

Tel. 07161 - 601 9387

68 das Gesundheitsmagazin
/ KARRIERE

WHAT THE FACT?!

WUSSTEN SIE SCHON, DASS...

48% DER DEUTSCHEN der Digitalisierung grundsätzlich positiv gegenüberstehen?

80% DER 65-74-JÄHRIGEN

39% DER DEUTSCHEN Bevölkerung sich mehr Investitionen in die MedizintechnologieForschung wünschen?

während der CoronaPandemie im Durchschnitt 5,6 Kilogramm zugenommen haben?

60% DER BÜRGERINNEN UND BÜRGER

glauben, dass der digitale Austausch von Daten die Gesundheitsversorgung verbessert?

91% DER PATIENTEN UND PATIENTINNEN

die fachliche Kompetenz ihrer Haus- und Fachärzte mit gut bis sehr gut bewerten?

90% DER BEFRAGTEN

zu ihren Ärzten und Ärztinnen großes Vertrauen haben?

30% DER PATIENTEN UND PATIENTINNEN

Verständnisprobleme mit Fachbegriffen ihrer Behandler haben?

69 das Gesundheitsmagazin
GESUNDHEITSFACTS /

KALENDER

MESSEN, EVENTS UND WAS SONST NOCH IN GÖPPINGEN PASSIERT

DEZEMBER

FREITAG 16. DEZEMBER

Meditatives Tanzen

Der Tanztreff ist eine offene Gruppe. Die Abende sind thematisch an den Jahreskreis bzw. das Kirchenjahr angelehnt. Neue Mittänzerinnen und Mittänzer sind jederzeit herzlich willkommen, 4 Euro pro Treffen, Anmeldzung unter Tel. 07161 6933620

PAVILLION DER STADTKIRCHE HAUPTSTRASSE GÖPPINGEN

DIENSTAG 20. DEZEMBER

Ladies Day in der Barbarossa Therme

Saunawelt und Wellnessoase gehören ganz dem Damen, der Ladies Day kostet keinen Aufpreis zum normalen Eintrittspreis.

BARBAROSSA THERME GÖPPINGEN, LORCHER STRASSE 44

JANUAR

SAMSTAG 14. JANUAR

Workshop: BalanceHIIT - Pilates Flow

10.00 -12.30 Uhr, Gebühr 18,30 Euro, Dieses Trainingskonzept verbindet Gleichgewicht, Kraft & Ausdauer, Beweglichkeit und Entspannung. Nach einer kurzen Pause mit Detoxgetränk und Obst, kommt

das Faszien Training und Dehnen, zur Regeneration der Faszien und Muskeln, Anmeldung unter: www.hdf-gp.deAufpreis zum normalen Eintrittspreis.

HAUS DER FAMILIE, VILLA BUTZ, MÖRIKESTR.17, GÖPPINGEN

DIENSTAG 17. JANUAR

Ladies Day in der Barbarossa Therme

Saunawelt und Wellnessoase gehören ganz dem Damen, der Ladies Day kostet keinen Aufpreis zum normalen Eintrittspreis.

BARBAROSSA THERME GÖPPINGEN, LORCHER STRASSE 44

DONNERSTAG 19. JANUAR

Alter als Lebenschance

Vortrag von Hr. Dr. med. Hans-Peter Maier, in Kooperation mit der Wilhelmshilfe Bartenbach, keine Anmeldung erforderlich, Eintritt frei, 15.00-16.00 Uhr

WILHELMSHILFE BARTENBACH, WICHERNWEG 1

SAMSTAG 21. JANUAR

Bachblüten - Blütenweisheit aus der Natur

Grundlagen der Bachblütenselbstbehandlung, 13.00 -16.00 Uhr, Teilnahmegebühr 15 Euro, Anmeldung unter www.hdf-gp.de

HAUS DER FAMILIE, VILLA BUTZ, MÖRIKESTR.17, GÖPPINGEN

SAMSTAG 21. JANUAR

Wechseljahrberatung: Gut informiert durch die Wechseljahre

18.00-21.00 Uhr, Teilnahmegebühr 79 Euro, Alles rund um Hormone, ihre Aufgaben und wie sie den Körper beeinflussen von einer ausgebildeten Wechseljahrberaterin, Anmeldung unter www.hdf-gp.de

HAUS DER FAMILIE, VILLA BUTZ, MÖRIKESTR.17, GÖPPINGEN

DIENSTAG 24. JANUAR

Ohrenkrankheiten -

Was ist mit meinen Ohren los?

Vortrag von Hr. Dr. med. Hans-Peter Maier, in Kooperation mit der Wilhelmshilfe Ursenwang, keine Anmeldung erforderlich, Eintritt frei, 15.00-16.00 Uhr

WILHELMSHILFE URSENWANG, ULMENWEG 8

DONNERSTAG 26. JANUAR

Unsere Leber - Fit und Gesund in den Frühling!

19.00 - 21.30 Uhr, Teilnahmegebühr 15 Euro, Vortrag über die vielfältigen Funktionen sowie deren Störungen des wichtigsten Entgiftungsorgans, Anmeldung unter www.hdf-gp.de

HAUS DER FAMILIE, VILLA BUTZ, MÖRIKESTR.17, GÖPPINGEN

70 das Gesundheitsmagazin
/ KALENDER

FREITAG 27. DEZEMBER

Faszien-Yin-Yoga Workshop

17.00 - 19.00 Uhr, Teilnahmegebühr

22,00 Euro, Yin Yoga wird sanft und passiv ausgeführt und dehnt die tiefen Schichten des Körpers (Faszien) sanft und nachhaltig, der perfekte Ausgleich zu einer anstrengenden Woche. Yogakenntnisse sind nicht erforderlich. HAUS DER FAMILIE, VILLA BUTZ, MÖRIKESTR.17, GÖPPINGEN

FEBRUAR

MITTWOCH 1. FEBRUAR

Pflegende Angehörige und ihre zu Pflegenden - ein ganz besonderes Duo!

Für Angehörige von Demenzkranken, Schlaganfalllbetrofenen oder Menschen die kurzfristig odere dauerhauftt auf

Pflege angewisen sind, kostenfrei, Anmelkdung bis 30.01.23 unter www.keb-goeppingen.de

ONLINE-VORTRAG, KATH. ERWACHSENENBILDUNG GÖPPINGEN E.V.

DIENSTAG 7. FEBRUAR

Herzerkrankungen im Alter und ihre Therapie

Vortrag von Hr. Dr. med. Hans-Peter Maier, in Kooperation mit der Wilhelmshilfe Göppingen, keine Anmeldung erforderlich, Eintritt frei, 15.00-16.00 Uhr

WILHELMSHILFE GÖPPINGEN, POSTSTRASSE 3

MITTWOCH 8. FEBRUAR

Unterstützungsmöglichkeiten bei Pflegebedürftigkeit

Für Angehörige von Demenzkranken, Schlaganfalllbetrofenen oder Menschen die kurzfristig odere dauerhauftt auf Pflege angewisen sind, kostenfrei, Anmelkdung bis 06.02.23 unter www.keb-goeppingen.de

ONLINE-VORTRAG, KATH. ERWACHSENENBILDUNG GÖPPINGEN E.V.

MITTWOCH 8. FEBRUAR

Darmgesundheit: Wie kann die Ernährung dabei helfen, die eigene Darmgesundheit zu unterstützen?

Die ganzheitliche Ernährungsberaterin Christiane Nötzel greift genau diese Fragen auf, und gibt in einem sehr praxisnahen Vortrag einen Einblick in die Zusammenhänge von Darmgesundheit und dem eigenen Wohlbefinden, Teilnahmegebühr 10 Euro, 17.30-19.30 Uhr

HAUS DER FAMILIE, VILLA BUTZ, MÖRIKESTR.17, GÖPPINGEN

SAMSTAG 11. FEBRUAR

Gesundheitsmesse Vitawell

SA. 10 - 17 UHR, SO. 11 - 17 UHR

Die regionale Gesundheitsmesse für den Landkreis Göppingen, Tageskarte 4 Euro (ermäßigt 2 Euro)

WERFTHALLE GÖPPINGEN

SONNTAG 12. FEBRUAR

Gesundheitsmesse Vitawell

SA. 10 - 17 UHR, SO. 11 - 17 UHR, freien Eintritt erhalten Menschen mit Handicap und Schwerbehindertenausweis inkl. Begleitperson, Kinder bis 12 Jahre. WERFTHALLE GÖPPINGEN

DIENSTAG 21. FEBRUAR

Ladies Day in der Barbarossa Therme

Saunawelt und Wellnessoase gehören ganz dem Damen, der Ladies Day kostet keinen Aufpreis zum normalen Eintrittspreis. BARBAROSSA THERME GÖPPINGEN, LORCHER STRASSE 44

besser GESEHEN WERDEN

71 das Gesundheitsmagazin
ZEIGEN SIE IHR KNOW-HOW UND LEISTUNGSANGEBOT Für mehr Informationen, folge uns auf Facebook, Instagram und ISSUU Telefon (0 71 61) 96 58 50 anzeigen@vitalis-magazin.de www.vitalis-magazin.de
Jetzt

Turn static files into dynamic content formats.

Create a flipbook
Issuu converts static files into: digital portfolios, online yearbooks, online catalogs, digital photo albums and more. Sign up and create your flipbook.
Vitalis - Das regionale Gesundheitsmagazin Januar 2023 by Vitalis Magazin - Issuu