Quaderni acp 2025_32(6)

Page 1


Editoriale

241 “Io esco a giocare”: una ricetta per la salute Francesco Tonucci, Marica Notte, Lorena Morachimo, Federico Marolla

242 Public health literacy per una sanità equa e partecipata

Claudio Maffei, Maurizio Bonati, Eva Benelli

Formazione a distanza

244 Lo stroke in età pediatrica: è davvero un evento raro? Cause, sintomi, esiti Elena Laghi

Infogenitori

252 Papillomavirus: proteggi te stesso, proteggi chi ami

Antonella Brunelli, Stefania Manetti, Antonella Salvati, Paola Menga

Ricerca

253 Il pediatra nella rete delle cure palliative pediatriche dell’Emilia Romagna Lisa Melandri, Simonetta Campana, Alice Tappi

Osservatorio internazionale

255 Informazione, imparzialità e trasparenza. I casi giudiziari del sistema sanitario britannico visti dal BMJ

Enrico Valletta

Salute mentale

258 Autismo e tecnologia: rischi e buone prassi per l’uso dei device in età evolutiva

Valentina Bianchi, Eleonora Rosi, Ilaria Baù, Giulia Crespi, Massimo Molteni, Paola Colombo

261 Sul bisogno di avere una diagnosi. Il caso di Umaru

Marta Bezzetto, Giovanni Giulio Valtolina

Il caso che insegna

264 Microematuria e proteinuria: non solo questione di rene

Martina Carucci, Barbara Brunetti, Shadì Rizzo, Marta Giovengo, Oriana De Marco, Luigi Annicchiarico Petruzzelli, Gabriele Malgieri, Claudia Mandato

Il punto su

268 Le Iniziative Baby- Friendly in Italia: vivaci e in espansione

Angela Giusti, Francesca Zambri

272 III indagine sul maltrattamento dei bambini e degli adolescenti in Italia

Monia Gennari, Giovanna La Fauci

Ambiente e salute

273 Verde nei luoghi di vita: i benefici per lo sviluppo

Laura Todesco, Annamaria Sapuppo, Giacomo Toffol

Esperienze

276 Strategie di promozione della salute e di contrasto alle traiettorie evolutive nei disturbi dello spettro dell’autismo

Stefano Berloffa

Educazione in medicina

278 Il coraggio di “non fare”. La sfida etica del medico contemporaneo

Maurizio Aricò, Daniela Trotta, Desiree Caselli, Melodie O. Aricò, Enrico Valletta

280 Info

Film

282 Invelle. Ma in che senso?

Libri

283 Sergio Conti Nibali, Da zero a 12 mesi: un anno da genitori

283 Vittorio Gallese, Stefano Moriggi, Pier Cesare Rivoltella, Oltre la tecnofobia

284 Gianna Milano, Gianni Tognoni, La cura in cammino

Lettere

285 Risposta all’editoriale del dottor Sergio Conti Nibali

286 Indice delle rubriche 2025

rivista bimestrale dell’associazione culturale pediatri

Norme redazionali per gli autori

I testi vanno inviati alla redazione via e-mail (redazione@quaderniacp.it) unitamente alla dichiarazione che il lavoro non è stato inviato contemporaneamente ad altra rivista.

Per il testo, utilizzare carta non intestata e carattere Times New Roman corpo 12 senza corsivi; il grassetto va usato solo per i titoli. Le pagine vanno numerate. Il titolo (in italiano e inglese) deve essere coerente rispetto al contenuto del testo, informativo e sintetico. Può essere modificato dalla redazione. Vanno indicati l’istituto/ente di appartenenza e un indirizzo di posta elettronica per la corrispondenza. Gli articoli vanno corredati da un riassunto (abstract) in italiano e in inglese, ciascuno di non più di 1000 caratteri (spazi inclusi). La traduzione di titolo e abstract può essere fatta, su richiesta, dalla redazione. Non occorre indicare parole chiave.

Negli articoli di ricerca, testo e riassunto vanno strutturati in “Obiettivi”, “Metodi”, “Risultati”, “Conclusioni”.

I casi clinici per la rubrica Il caso che insegna vanno strutturati in: “La storia”, “Il percorso diagnostico”, “La diagnosi”, “Il decorso”, “Commento”, “Cosa abbiamo imparato”.

Tabelle e figure vanno poste in pagine separate, una per pagina. Ciascun elemento deve presentare una didascalia numerata progressivamente; i richiami nel testo vanno inseriti in parentesi quadre, secondo l’ordine di citazione.

Casi clinici ed esperienze non devono superare i 12.000 caratteri (spazi inclusi), riassunti compresi, tabelle e figure escluse. Gli altri contributi non devono superare i 18.000 caratteri (spazi inclusi), compresi abstract e bibliografia (casi particolari vanno discussi con la redazione). Le lettere non devono superare i 2500 caratteri (spazi inclusi); se di lunghezza superiore, possono essere ridotte d’ufficio dalla redazione.

Le voci bibliografiche non devono superare il numero di 12, vanno indicate nel testo fra parentesi quadre e numerate seguendo l’ordine di citazione. Negli articoli della FAD la bibliografia va elencata in ordine alfabetico, senza numerazione. Esempio: Corchia C, Scarpelli G. La mortalità infantile nel 1997. Quaderni acp 2000;5:10-4. Nel caso di un numero di autori superiore a tre, dopo il terzo va inserita la dicitura “et al.” Per i libri vanno citati gli autori (secondo l’indicazione di cui sopra), il titolo, l’editore e l’anno di pubblicazione.

Gli articoli vengono sottoposti in maniera anonima alla valutazione di due o più revisori. La redazione trasmetterà agli autori il risultato della valutazione. In caso di non accettazione del parere dei revisori, gli autori possono controdedurre.

È obbligatorio dichiarare la presenza di un conflitto d’interesse. La sua eventuale esistenza non comporta necessariamente il rifiuto alla pubblicazione dell’articolo.

direttore

Michele Gangemi

direttore responsabile

Franco Dessì

presidente acp

Stefania Manetti

comitato editoriale

Melodie O. Aricò, Antonella Brunelli, Sergio Conti Nibali, Daniele De Brasi, Luciano de Seta, Martina Fornaro, Stefania Manetti, Luigi Memo, Laura Reali, Paolo Siani, Maria Francesca Siracusano, Maria Luisa Tortorella, Enrico Valletta, Federica Zanetto comitato editoriale pagine elettroniche

Giacomo Toffol (coordinatore), Laura Brusadin, Claudia Mandato, Maddalena Marchesi, Laura Reali, Patrizia Rogari, Chiara Roncarà collaboratori

Fabio Capello, Rosario Cavallo, Francesco Ciotti, Antonio Clavenna, Massimo Farneti, Claudio Mangialavori, Italo Spada, Angelo Spataro, Augusta Tognoni progetto grafico ed editing Oltrepagina s.r.l., Verona programmazione web Gianni Piras stampa

Cierre Grafica, Caselle di Sommacampagna (VR), www.cierrenet.it

Quaderni acp aderisce agli obiettivi di diffusione gratuita online della letteratura medica ed è disponibile integralmente all’indirizzo www.quaderniacp.it

Pubblicazione iscritta nel registro nazionale della stampa n. 8949 © Associazione Culturale Pediatri ACP

Edizioni No Profit

redazione redazione@quaderniacp.it

amministrazione segreteria@acp.it

in copertina

Giovanna Benzi, Bagliore (2017), olio su tela, 70x100

direzione direttore@quaderniacp.it

ufficio soci ufficiosoci@acp.it

Quaderni acp è stampato su carta Lenza Top 100% riciclata. L’etichetta FSC® su questo prodotto garantisce un uso responsabile delle risorse forestali del mondo.

“Io esco a giocare”: una ricetta per la salute

1 Progetto internazionale “La Città delle Bambine e dei Bambini”, Istituto di Scienze e Tecnologie della Cognizione (ISTC) del CNR, Roma

2 Pediatra di Famiglia ASL RM3, Associazione Culturale

Pediatri Lazio

Mi aveva colpito la “ricetta” con la quale il professor Masera dimetteva i suoi piccoli pazienti guariti dalla leucemia infantile: “A integrazione dei farmaci prescritti è fortemente consigliata, come terapia di supporto, la somministrazione di fiabe o favole secondo la seguente prescrizione. Per (nome del bambino). Pr/ 1 o 2 fiabe (o favole) al giorno lette (e commentate) da uno dei due genitori (preferibilmente il padre). Il dosaggio e i tempi verranno decisi da (nome del bambino). Si consiglia di evitare iperdosaggio (non più di due fiabe/favole al dì) considerato che si tratta di una terapia prolungata”. Mi aveva colpito perché non era una raccomandazione, un suggerimento, ma una ricetta. Da allora ho pensato che i pediatri potrebbero scrivere anche “altre” ricette per schierarsi dalla parte dei bambini e aiutarli a riconquistare spazi, tempi e occasioni, naturalmente se li riterranno utili o necessari ai bambini stessi.

Così cominciava su questa rivista nel 2005 la presentazione della vignetta che proponeva di lasciare andare i bambini a scuola con gli amici, senza essere accompagnati dagli adulti, fin dalla primaria.

Le motivazioni erano fin da allora molto chiare: il bambino passava troppo tempo in casa davanti alla televisione, che aveva assunto il ruolo improprio di babysitter, e qui restava lunghi periodi, mangiucchiando continuamente e bevendo prodotti spesso non salutari. Questa abitudine produceva pigrizia fisica e cognitiva, riduceva la socializzazione, affaticava la vista, favoriva l’obesità infantile.

Stando in casa per tempi troppo lunghi si produceva facilmente la condizione di noia e per uscirne, cercando novità e interessi, era facile per il bambino incontrare pericoli difficilmente controllabili: la corrente elettrica, il gas, le medicine, gli alcolici, lo sporgersi dal terrazzo.

Tutto questo è una situazione reale per le bambine e i bambini di oggi, tanto che le prime cause di un loro ingresso al pronto soccorso sono gli incidenti domestici, come dimostrano anche i dati Eurispes [1], dove si legge un aumento del 15% dal 2022 al 2023. In Italia, inoltre, gli incidenti domestici [2] sono la seconda causa di morte dopo i tumori, seguiti da quelli d’auto. Per tutto questo possiamo affermare che i luoghi più pericolosi dove far stare un bambino sono la sua casa e l’auto dei suoi genitori. Senza contare che anche le violenze e gli abusi più gravi contro l’infanzia avvengono quasi esclusivamente dentro le loro case.

Ma forse la perdita più grave che ha sofferto l’infanzia negli ultimi decenni è quella del gioco [3]. Avendo perso il suo tempo libero (tutto occupato da più ore di scuola, compiti per casa, attività pomeridiane di sport, attività artistiche o

studio di lingue), il bambino vive come esperienza di gioco o il poco tempo nel quale viene accompagnato dai genitori in un parco giochi del suo quartiere o quello che passa davanti a uno schermo. Non occorre ricordare ai pediatri che il gioco è l’esperienza più importante della vita di una persona, come anche Einstein affermava: “Il gioco è la forma più alta di ricerca”. Il diritto al gioco, inoltre, è riconosciuto e garantito dall’art. 31 della Convenzione ONU sui Diritti dell’Infanzia e dell’Adolescenza che afferma che i bambini hanno diritto al riposo, al tempo libero e a dedicarsi al gioco. Il problema è che il gioco ha bisogno della totale autonomia dei bambini. Il verbo giocare non si può coniugare con i verbi accompagnare, controllare, vigilare, ma solo con il verbo “lasciare”.

Oggi, a tutte le ragioni di preoccupazione sopra indicate, che erano valide anche venti anni fa, si aggiunge probabilmente la più preoccupante: i rischi e pericoli legati a un uso precoce dei dispositivi digitali. La letteratura scientifica ogni giorno si arricchisce di dati che associano l’esposizione e l’uso dei dispositivi digitali [4] a conseguenze sul piano cognitivo, fisico, comportamentale, sociale e di apprendimento dei bambini e, in adolescenza, a disturbo d’ansia, depressione, isolamento sociale, dipendenza da droghe e gioco d’azzardo, autolesionismo e suicidio.

Si stanno studiando consigli alle famiglie e proibizioni di uso dei cellulari (per esempio il divieto nelle scuole in riferimento alla recente circolare ministeriale n. 3392 del 16 giugno), ma riteniamo che l’unica proposta che possa portare a risultati significativi sia quella di offrire alle bambine e ai bambini, fin da molto piccoli, da prima dell’inizio della scuola, qualcosa che piaccia loro più di un monitor. Pensiamo che possano esserlo solo amiche e amici reali, da frequentare tutti i giorni, per giocare fuori di casa, senza un controllo diretto dei familiari. Avere amicizie reali potrà essere il vero antidoto, la efficace medicina contro il fascino di un mondo virtuale troppo ricco e troppo facile per bambini che invece debbono ancora conquistare il mondo vicino per costruire le basi sicure per vivere una vita felice.

Nel gioco libero quotidiano, regolato da norme che le famiglie correttamente daranno, i bambini imparano a conoscersi, a rispettare le regole consapevoli delle conseguenze connesse alla loro trasgressione, a conoscere i rischi e i pericoli e ad affrontarli, a litigare e a fare la pace, a vivere insieme agli altri e a conoscere e controllare le proprie emozioni [5].

Per raggiungere questo scopo il progetto internazionale “La città delle bambine e dei bambini” ha lanciato la Campagna “Io esco a giocare” [6].

Consapevoli che il pediatra sia oggi una delle poche figure sociali e professionali in cui i genitori ripongono grande stima e fiducia, vi chiediamo di dare ai genitori la prescrizione di un’esperienza autonoma quotidiana come ricetta medica per la salute dei loro figli, fisica e psichica.

Vi invitiamo a esporre nelle sale d’attesa dei vostri studi la vignettaricetta del QR code che poi potrete spiegare e motivare ai genitori dei vostri piccoli pazienti.

La bibliografia di questo articolo è consultabile online.

Public health literacy per una sanità equa e partecipata

Essere alfabeta significa possedere l’alfabeto (o almeno le prime due lettere di quello greco) cioè lo strumento essenziale per leggere, scrivere e far di conto. Quanto lo si possegga e quale sia la maestria nell’utilizzo implica esercizio, costante e intenso, intrapreso precocemente. È uno strumento di comunicazione, che caratterizza la qualità e intensità di una relazione, è il risultato della conoscenza, consapevolezza e comprensione acquisite con abilità e competenze ulteriormente ampliabili.

L’OCSE (Organizzazione per la cooperazione e lo sviluppo economico) a fine 2024 ha riportato che il 35% degli adulti italiani, tra i 16 e 65 anni di età, può essere definito come “analfabeta funzionale”, mentre la media OCSE è del 26%. Quindi oltre un terzo degli italiani sa leggere, ed esprimersi in modo sostanzialmente corretto, ma non è in grado di raggiungere un adeguato livello di comprensione e analisi di un discorso complesso, di articoli di giornale, regolamenti o bollette. Si trova in difficoltà nell’esecuzione di calcoli matematici semplici, come gli sconti in un negozio, la tenuta della contabilità casalinga, o nell’utilizzo degli strumenti informatici. Sconta una conoscenza superficiale degli eventi storici, politici, scientifici, sociali ed economici. Il fenomeno è trasversale e interessa l’intera popolazione italiana (e non solo) seppur con distribuzione diversa per età, profilo socioeconomico, regione di residenza. Situazione preoccupante pensando alla creazione, la circolazione e la disponibilità a credere a notizie false in un’epoca di potere dei social network, in particolare, alla disinformazione legata ai temi medico-sanitari in una popolazione già analfabeta in tema di salute.

Certo, “non è mai troppo tardi” per migliorare, come ha dimostrato l’attività del maestro Alberto Manzi, che in televisione agli inizi degli anni ’60 insegnava al 10% di italiani analfabeti a comprendere lettere e numeri, a comporre parole e frasi, a fare i conti della spesa o della retribuzione delle ore lavorate, a leggere. Si stima che circa un milione e mezzo di italiani e italiane siano riusciti a prendere la licenza elementare grazie alla trasmissione. Trent’anni più tardi, l’autorevole linguista Tullio De Mauro si adoperò per il recupero e il contenimento dell’analfabetismo funzionale, purtroppo dimenticato presto dai responsabili della cultura e delle politiche educative italiane.

Cominciamo dalla literacy

Oggi però più che sostenere l’alfabetismo o al contrario contrastare l’analfabetismo funzionale (visto che tutti, più o meno, vanno a scuola), dovremmo garantire e potenziare lo sviluppo della literacy, ossia “l’insieme di competenze che utilizzano le capacità di identificare, comprendere, interpretare, creare, comunicare e computare utilizzando materiale scritto derivante da vari contesti. Literacy identifica un apprendimento continuo nelle persone quando tendono ai loro traguardi, allo sviluppo della loro conoscenza e delle loro potenzialità e alla piena partecipazione alla

vita delle comunità e delle società” secondo la definizione dell’UNESCO.

Così intesa, l’alfabetizzazione non è un processo passivo ma attivo, l’esito, anche inconsapevole quando si è esposti, di un’azione programmata, continua, appropriata, di relazione. È per esempio nell’ambito della genitorialità lo strumento della lettura ad alta voce ancor prima della nascita, perché leggere con una certa continuità ai bambini ha una positiva influenza sul loro sviluppo intellettivo, linguistico, emotivo e relazionale, con effetti significativi per tutta la vita adulta. È dare spazio alla tanto osteggiata educazione all’affettività e alla sessualità (Comprehensive Sexuality Education) a partire dal nido per prevenire la disinformazione (anche dei genitori ed educatori) e contrastare fenomeni come la violenza di genere e il cyberbullismo. È combattere l’illiteracy.

Nasce la health literacy

Negli anni ’70, relativamente alla capacità delle persone di leggere e comprendere materiale scritto di tipo sanitario, è emerso il concetto di “health literacy” (alfabetizzazione sanitaria). Ovviamente non solo in Italia, sebbene da noi in ritardo rispetto ad altri Paesi. Una buona idea di cosa voglia dire per la realtà italiana la health literacy ce la danno due progetti dedicati: quello del Centro di Documentazione per la Promozione della Salute della Regione Piemonte e quello dell’Azienda Unità Sanitaria Locale di Parma. Da entrambe queste fonti si ricava che in fondo la health literacy è in estrema sintesi un aggiornamento della vecchia educazione sanitaria ed è finalizzata ad aiutare le persone a fare le migliori scelte personali, in tema sia di prevenzione e promozione della salute sia di coinvolgimento quando pazienti (engagement) nella gestione del percorso di cura. Il concetto di health literacy è naturalmente evoluto verso una dimensione non più solo individuale, come si ricava anche da questa recente definizione dell’Organizzazione Mondiale della Sanità: “l’insieme delle conoscenze e delle competenze personali che si accumulano attraverso le attività quotidiane, le interazioni sociali e attraverso le generazioni. Le conoscenze e le competenze personali sono mediate dalle strutture organizzative e dalla disponibilità di risorse che consentono alle persone di accedere, comprendere, valutare e utilizzare informazioni e servizi in modo da promuovere e mantenere una buona salute e un buon benessere per sé e per chi le circonda”.

Ma il concetto di health literacy è andato via via ulteriormente ampliandosi nella definizione e nei contenuti in virtù della complessità delle conoscenze acquisite, anche in campo sanitario, e dell’aumento dei diritti negati per la salute ovunque nel mondo: le disuguaglianze della salute in termini di deprivazione socioeconomica, livelli educazionali e standard di vita materiale. È il concetto della “public health literacy”, imposto drammaticamente dalla illiteracy, non solo nazionale, smascherata dalla pandemia di Covid-19. È la condizione attraverso la quale persone e gruppi possono ottenere, processare, comprendere, valutare e mettere in pratica le informazioni necessarie per rendere le decisioni di sanità pubblica utili per la comunità. Quella condizione a cui non eravamo preparati – e non lo siamo neppure ora.

Infine, la public health literacy

Con la public health literacy si fa, quindi, un ulteriore passo avanti da quelle che sono le prestazioni aderendo alle quali si presume migliori lo stato di salute delle singole persone (quello della health literacy) per arrivare ad assumere attitudini e obiettivi di salute collettivi nell’ambito di una comunità. È quindi un coinvolgimento, un allargamento anche delle responsabilità nell’ambito di un modello sociale

di salute: la comunità deve essere consapevole che ci sono determinanti sociali che influenzano il benessere e lo stato di salute e deve agire di conseguenza. Il sistema sanitario per essere adeguato dovrebbe essere in grado di ridurre le disuguaglianze sociali e le relative cause anche in tema di salute. Serve, quindi, una comunità alfabetizzata in grado di monitorare e tutelare il proprio stato di salute. La salute, in quanto bene comune, è indivisibile: la salute degli uni dipende da quella di tutti gli altri (e il concetto di “one health”, parola d’ordine oggi di moda, ma non per questo meno vera, lo estende all’intero pianeta e a tutte le relazioni tra ogni forma di vivente). Quindi, in questo senso la public health literacy va intesa come uno dei livelli di garanzia della sanità pubblica del servizio sanitario universalistico. Accanto alla dimensione sociale della salute la public health literacy deve includere anche la dimensione programmatoria e organizzativa dei processi di tutela della salute. Nel mondo reale le risorse per questi processi sono limitate, a partire dal personale di cui si può disporre. La loro gestione deve mantenere in equilibrio i tre macrolivelli assistenziali: la assistenza ospedaliera, la assistenza territoriale e le attività di prevenzione e promozione della salute. Storicamente esiste uno sbilanciamento a favore del ruolo degli ospedali, spesso sviluppati in modo ipertrofico e dispersivo benché si sappia che le risposte ai problemi della cronicità stanno altrove. In sostanza, come la health literacy dovrebbe aiutare le migliori scelte individuali, così la public health literacy dovrebbe aiutare a fare le migliori scelte di politica sanitaria.

Una tenera utopia?

Purtroppo tutto questo è una tenera utopia, ma essenziale per proseguire e perorare la causa. La casa della comunità, la casa del bene comune, che potrebbe essere la sede ideale e privilegiata della scuola sul campo di public health (di tutti gli ordini da quella d’infanzia a quella degli studi superiori in public health) trova difficoltà a operare. Eppure, già dal 23 maggio 2022 un decreto ministeriale prevede che ogni quaranta-cinquantamila abitanti sia costituita una casa della comunità, cioè un “luogo fisico di facile individuazione al quale i cittadini possono accedere per bisogni di assistenza sanitaria e socio-sanitaria”. E nel PNRR sono previste risorse per edificarle laddove non esistano (un po’ meno per dotarle del personale necessario).

Per far funzionare le case della comunità serve, però, una politica matura, una cultura di sanità pubblica che fiorisca, diffusa, libera e indipendente da vincoli politici o di categoria (quindi anche da università, ordini professionali, rappresentanze ristrette) e che sia condivisa coi cittadini e le cittadine. Una cultura che dovrebbe mirare sia a riequilibrare i livelli di salute tra i vari gruppi sociali sia a riequilibrare il peso tra servizi territoriali (distretti e dipartimenti di prevenzione) e servizi ospedalieri. Dove queste condizioni non esistono, e quindi nella grande maggioranza delle Regioni, vanno create progressivamente, anche attraverso decreti come quello sulla assistenza ospedaliera (il D.M. 70 del 2015) e quello sulla assistenza territoriale (D.M. 77 del 2022) che però vanno contestualizzati e applicati con il sostegno di iniziative che aumentino la public health literacy e quindi la competenza sui temi della sanità pubblica a tutti i livelli e in tutti gli ambienti (politica e media compresi).

Questo tema della literacy ricorre anche in alcuni dei documenti e appelli per il rilancio del servizio sanitario nazionale che periodicamente si affacciano alla ribalta dell’attenzione pubblica e che anche Scienza in rete ha segnalato. Al punto 10 di quello degli scienziati ci si domanda retoricamente se i cittadini siano consapevoli della complessità del tema salute e abbiano gli strumenti

per essere protagonisti. A questa domanda il documento risponde che: “rendere i cittadini protagonisti in ambito sanitario necessita di un grande investimento – di portata strategica, e prevalentemente culturale – per aumentare le loro conoscenze scientifiche e la consapevolezza di come tutelare la loro salute. Questo potrebbe consentire ai cittadini di comprendere come le politiche ambientali, urbane, industriali, del territorio, sono determinanti fondamentali nella tutela e nella promozione della loro salute, e uscire dalla diade fideismo-negazionismo. Per il punto precedente e per questo, il Servizio Sanitario Nazionale può essere uno straordinario promotore di cultura e di iniziative intersettoriali, se tutti lo sosteniamo come patrimonio condiviso”.

Invece al punto 5 dei principi di rilancio del SSN proposti con una forte impronta aziendalista da un gruppo di esperti del settore, di istituti e università nazionali, si afferma che: “la partecipazione intesa come capacità dei cittadini singoli e/o organizzati, di orientare il sistema in modo che soddisfi i loro bisogni, rimane fondamentale per sviluppare ownership collettiva e per mantenerne la natura di fattore di coesione sociale. L’empowerment del cittadino sano e del paziente inizia con un lavoro attivo: a) sulla sua literacy sanitaria; b) sulla sua conoscenza del SSN, inteso come bene collettivo che offre vantaggi, ma dentro regole e perimetri che la comunità si è data; c) sul sostegno alla elaborazione dei lutti nei passaggi di stadi di salute nel corso della vita, per generare aspettative adulte, fondamentali per l’aderenza alle terapie e ai corretti stili di vita”.

L’ultimo in ordine di tempo, il documento della SCOSSA (la Società Civile Sostiene il Servizio Sanitario nazionale) non fa esplicito riferimento alla public health literacy, ma alle priorità espresse dalla popolazione, alla salute come bene comune, alle evidenze scientifiche come base di conoscenza. Un approccio più avanzato, dunque, che mira attraverso la literacy a un “community health empowerment”, cioè al miglioramento del benessere di salute delle comunità attraverso una crescita della consapevolezza nelle scelte.

A chi tocca?

La cerimonia di apertura delle Olimpiadi di Londra, nel luglio 2012, ha scelto di includere tra i valori fondanti della società inglese il servizio sanitario nazionale, rappresentato dal personale sanitario impegnato in un balletto insieme ai pazienti tra le corsie di un ospedale. Cerimonia kitsch, d’accordo, ma con una forza che finora è mancata al nostro sistema sanitario, che non ha mai dedicato competenze e risorse per portare a tutte le persone che vivono in questo Paese la consapevolezza dei suoi principi universalistici. Una mancanza che scontiamo ogni giorno di più.

Tuttavia, se siamo d’accordo sul ruolo fondamentale della health literacy e della public health literacy rimane a questo punto aperta una domanda fondamentale: chi, dove e come deve impegnarsi a diffonderle e migliorarle?

Lo stroke in età pediatrica: è davvero un evento raro?

Cause,

sintomi, esiti

Introduzione

In età pediatrica la patologia cerebrovascolare, seppur numericamente inferiore rispetto all’età adulta, costituisce una delle prime dieci cause di morte e presenta un importante impatto sulla qualità di vita del paziente e della sua famiglia. Nei soggetti colpiti sono infatti frequenti sia esiti neurologici sia ripercussioni emotive, sociali e assistenziali. Negli ultimi anni le peculiarità eziopatogenetiche e fisiopatologiche dello stroke pediatrico hanno indotto la realizzazione di studi multicentrici e registri nazionali specifici, dopo che per lungo tempo le indicazioni per la gestione clinico-terapeutica si sono fondate sui dati disponibili sulla popolazione adulta.

Definizione e classificazione

Con il termine “stroke”, come definito dalla American Heart Association – American Stroke Association si intende la comparsa di segni neurologici acuti dovuti a un danno focale o globale del sistema nervoso centrale riconducibile a una causa vascolare, che persistano per più di 24 ore o che conducano a exitus.

Lo stroke che occorre in età pediatrica può essere classificato in diversi modi. Il primo riguarda l’età del soggetto: si parla di stroke perinatale quando l’evento occorre prima dei 28 giorni di vita, e di stroke pediatrico quando occorre dai 28 giorni di vita ai 18 anni. In secondo luogo, sulla base dell’origine vascolare dell’evento, lo stroke può essere suddiviso in ischemico o emorragico.

Lo stroke ischemico sulla base del distretto interessato può essere arterioso (Arterial Ischemic Stroke, AIS) o venoso (Cerebral Venous Sinus Thrombosis, CVST) e va differenziato dall’attacco ischemico transitorio (TIA). Quest’ultimo, pur caratterizzandosi per un deficit neurologico acuto riferibile a un territorio vascolare, si manifesta con sintomi transitori in assenza di lesioni all’imaging.

Lo stroke emorragico comprende invece l’emorragia cerebrale intraparenchimale (Intracerebral Hemorrhage, ICH) e intraventricolare (Intraventricular Haemorrage, IVH) spontanee e l’ematoma subaracnoideo non traumatico (Subaracnoid Hemorrange, SAH). Non vi rientrano l’emorragia subdurale ed extradurale, raccolte ematiche extracerebrali di origine traumatica, e le emorragie intraventricolari e della matrice germinale tipiche del prematuro che rappresentano un’entità nosologica a sé stante.

Tabella 1. Classificazione stroke perinatale

Stroke perinatale

Sulla base del timing di esordio, della tipologia dei sintomi e dei reperti di neuroimaging, è possibile una suddivisione dello stroke perinatale in sei tipi [Tabella 1].

La modalità di presentazione consente di distinguere due sottocategorie principali: lo “stroke perinatale sintomatico acuto” e lo “stroke perinatale probabile”. Il primo si presenta con manifestazioni cliniche acute come crisi epilettiche o encefalopatia già in epoca neonatale; il secondo fa invece riferimento a quelle condizioni in cui segni clinici tardivi, come la preferenza manuale precoce, indagati con imaging consentono l’identificazione di lesioni cerebrali remote che si presume siano occorse nel periodo perinatale. Le due sottocategorie fanno quindi riferimento a una stessa condizione diagnosticata in due momenti diversi.

Stroke pediatrico

Nell’età adulta l’AIS viene suddiviso in tre sottocategorie: aterotrombotico, cardioembolico e da malattia dei piccoli vasi. In età evolutiva, tuttavia, le peculiarità cliniche ed epidemiologiche rendono inadeguata questa classificazione e vengono distinti sette tipi di AIS sulla base dell’eziologia come definito dai criteri CASCADE (Childhood AIS Standardized Classification and Diagnostic Evaluation):

1. arteriopatia infantile dei piccoli vasi caratterizzata da restringimento multifocale dei vasi arteriosi cerebrali di piccolo calibro;

2. arteriopatia cerebrale focale unilaterale dell’infanzia (Focal Cerebral Arteriopathy, FCA): stenosi o irregolarità di un singolo vaso arterioso cerebrale di grosso calibro;

3. arteriopatia cerebrale focale bilaterale dell’infanzia, uguale alla precedente ma bilaterale;

4. arteriopatia aorto-cervicale che comprende dissezione carotidea e vertebrale, arterite di Takayasu e displasia fibromuscolare;

5. cardio-embolismo;

6. altre forme non classificate altrove;

7. multifattoriale.

Epiedemiologia

Lo stroke in età pediatrica mostra un’incidenza, una prevalenza e una mortalità minori rispetto all’età adulta ma rappresenta ugualmente un importante problema di salute pubblica: i suoi esiti si ripercuotono su molti decenni di vita ed è presente un rischio di danno cerebrale cumulativo in caso di ricorrenza. Gli eventi cerebrovascolari in età pediatrica colpiscono complessivamente dai 2,5 ai 13 bambini su 100.000 all’anno, con incidenza variabile sulla base delle casistiche selezionate. Il dato certo è che l’epoca perinatale costituisce il periodo di massimo rischio di stroke, con un’incidenza di circa 6 volte superiore. Gli eventi ischemici sono nel complesso più frequenti di quelli emorragici e in epoca perinatale il NAIS rappresenta l’80% degli stroke. In tutte le fasce d’età lo stroke ischemico mostra una netta prevalenza nel sesso maschile. Questa differenza di genere resta ancora priva di una spiegazione univoca; si ipotizza che fattori ormonali possano predisporre i soggetti di sesso maschile a eventi trombotici precoci, ma sono necessari ulteriori studi. L’incidenza risulta inoltre maggiore nei bambini di etnia africana o asiatica; tale aspetto

Sintomatico acuto perinatale Perinatale probabile

Ischemico arterioso Neonatal Arterial Ischemic Stroke (NAIS) Arterial Presumed Perinatal Ischemic Stroke (AAPIS)

Ischemico venoso Neonatal Cerebral Veno-Sinous Thrombosis (NCVST) Periventricular Venous Infarction (PVI)

Emorragico Neonatal Hemorrhagic Stroke (NHS) Presumed Perinatal Hemorrhagic Stroke (PPHS)

può essere spiegato dalla maggior presenza di anemia falciforme in queste popolazioni che da sola aumenta il rischio di AIS di circa 200 volte.

Eziologia e fattori di rischio

Se nell’adulto i principali fattori di rischio di stroke vedono un ruolo centrale dell’aterosclerosi e delle comorbidità vascolari croniche (ipertensione arteriosa, dislipidemia, diabete, obesità e fumo), nella popolazione pediatrica questi elementi sono marcatamente meno rilevanti. Nei bambini l’evento ha spesso un’eziologia multifattoriale data da una combinazione di fattori congeniti e acquisiti. Anche dopo il riscontro di un primo fattore di rischio, è importante quindi proseguire l’iter valutativo per giungere a una diagnosi eziologica accurata e completa che può avere ripercussioni terapeutiche e prognostiche.

Fattori di rischio stroke perinatale

L’eziologia dello stroke perinatale in una buona parte di casi rimane sconosciuta e si presume che diversi fattori, sia materni sia fe-

2. Angiografia nella malattia di Moyamoya; appare evidente un restringimento significativo della carotide interna e la presenza caratteristica dei collaterali “a nuvola di fumo” con perfusione corticale ridotta.

tali/neonatali, agiscono simultaneamente o in successione. I principali fattori di rischio per stroke ischemico perinatale sono stati proposti dal National Institute of Child Health and Human Development and the National Institute of Neurological Disorders and Stroke [Figura 1].

Nuove evidenze si concentrano sul ruolo tromboembolico della placenta (in alcuni studi lesioni trombotiche nella circolazione placentare è sembrata correlata all’esito neurologico nel neonato) e sulle mutazioni del gene di COL4A1, subunità del collagene di tipo IV coinvolto nell’angiogenesi, descritte sia in associazione a stroke intrauterino che emorragico. Relativamente a quest’ultimo va invece considerato che rappresenta ancora un problema sanitario rilevante in quei Paesi in cui la vitamina K non è somministrata come profilassi post-natale; gli altri fattori di rischio comprendono coagulopatie, trombocitopenia, traumi e più raramente le malformazioni vascolari.

Fattori di rischio AIS pediatrico

Un ruolo centrale nell’eziopatogenesi dell’AIS pediatrico è svolto dalle arteriopatie, suddivise in intra ed extra craniche sulla base della sede del vaso coinvolto, e dalle cardiopatie.

Arteriopatie intracraniche

Le affezioni morbose di uno o più vasi intracranici rappresentano il fattore di rischio più comunemente associato ad AIS e si configurano come il principale fattore prognostico di recidiva. Sono riscontrabili nel 45-50% dei pazienti pediatrici affetti da AIS e possono essere suddivise in:

• infiammatorie. La forma più frequente sono le arteriopatie cerebrali focali (Focal Cerebral Arteriopathy, FCA) infiammatorie (FCA-i) ovvero stenosi/irregolarità unifocali delle grandi arterie intracraniche del circolo anteriore in cui si presuppone che un’infiammazione localizzata della parete del vaso sia responsabile della formazione di un trombo. Alla base dell’infiammazione sono state riconosciute eziologie infettive, parainfettive o autoimmuni ma tra le più note risultano quelle da Varicella Zoster Virus ed Herpes Simplex Virus. Altra condizione infiammatoria è invece la Primary Angitis of the Central Nervous System (PACNS) che coinvolge selettivamente i vasi di piccolo/medio calibro e determina un interessamento cerebrale multifocale. I sintomi correlano al tipo e alla sede vasi cerebrali coinvolti: declino cognitivo, crisi epilettiche e anomalie comportamentali sono più frequenti in caso di vasculite dei piccoli vasi, cefalea, emiparesi o deficit neurologici focali sono più tipici di una vasculite dei vasi di medio calibro.

• Non infiammatorie. La dissezione arteriosa intracranica consegue spesso eventi traumatici ma può manifestarsi anche spontaneamente nei soggetti affetti da patologie del collagene (sindrome di Marfan, sindrome di Ehlers-Danlos ecc.). Altra condizione non infiammatoria è la malattia di Moyamoya (6-10% degli AIS), patologia cerebrovascolare occlusiva progressiva e idiopatica che coinvolge il tratto distale dell’arteria carotide interna e dei suoi rami. La stenosi progressiva del lume vascolare determina la creazione di una fitta rete di vasi collaterali alla base del cranio, che all’angiografia determinano l’immagine suggestiva “a nuvo-

Figura 1. Fattori di rischio per stroke ischemico perinatale.
Figura

la di fumo” [Figura 2]. È una condizione più frequente in giovani ragazze di etnia asiatica e nei soggetti affetti da sindrome di Down, neurofibromatosi di tipo 1 e anemia a cellule falciformi. Infine, la displasia fibromuscolare si caratterizza per displasia fibrosa e conseguente stenosi a carico dei vasi di medio calibro con possibile interessamento sia intra che extra-cerebrale.

• Associate a disordini sistemici come le sindromi neurocutanee (neurofibromatosi tipo 1, sindrome di Sturge-Weber, PHACE), le malattie autoimmuni sistemiche (arterite di Takayasu e sindrome da anticorpi anti-fosfolipidi) e la malattia di Fabry.

Arteriopatie extracraniche

Le arteriopatie extracraniche sono solitamente causate da una dissezione delle arterie cranio-cervicali (CCAD) che favorisce la deposizione piastrinica e l’attivazione secondaria della cascata coagulativa. La CCAD determina circa il 7,5% degli AIS pediatrici ed è associata a un elevato rischio di recidiva. I fattori di rischio includono: sesso maschile, traumi craniocervicali, radioterapia dei distretti testa-collo e i già citati disordini del tessuto connettivo.

Cardiopatie

La prevalenza di cardiopatia nei bambini colpiti da AIS varia dal 2 al 32% a seconda delle casistiche considerate. I bambini con cardiopatie congenite hanno un rischio di stroke 19 volte superiore rispetto alla popolazione generale; il miglioramento della sopravvivenza dei pazienti cardiologici sta probabilmente incrementando l’incidenza. Il meccanismo è di tipo cardioembolico e, poiché gli emboli di origine cardiaca sono spesso multipli, conseguono lesioni cerebrali multifocali. Sia le cardiopatie congenite sia quelle acquisite (es. miocarditi, endocardite batterica, malattia reumatica) sia quelle iatrogene (es. device cardiaci, ossigenazione extracorporea, arteriografia) possono associarsi ad AIS. Il ruolo del forame ovale pervio (PFO) rimane incerto: sebbene alcuni studi abbiano mostrato una maggiore prevalenza di PFO con shunt destro-sinistro nei bambini con stroke criptogenetico rispetto ai controlli sani, non è sempre chiaro quando un PFO sia realmente patogenico. Tale anomalia è dunque da considerare quale causa di stroke solo dopo aver escluso altre diagnosi.

Diatesi trombotica

Tutte le condizioni di trombofilia che conducono a stati di ipercoagulabilità, risultanti da affezioni ereditarie o acquisite, possono associarsi all’AIS pediatrico e una diatesi trombotica si riscontra in una percentuale compresa tra 20 e 50% dei casi. Tra i fattori congeniti sono da considerare il deficit di proteina C, proteina S o di antitrombina, il fattore V Leiden e i polimorfismi del gene MTHFR. Svariate condizioni ematologiche (anemia falciforme, porpora trombotica trombocitopenica, porpora trombocitopenica autoimmune, neoplasie ematologiche, trombocitosi e policitemia) si associano inoltre a un maggior rischio di eventi trombotici. Nella raccolta anamnestica è inoltre fondamentale indagare la presenza di tutte quelle condizioni acquisite che possano favorire una diatesi trombotica sia in acuto (febbre, sepsi/infezioni, disidratazione ecc.) sia in cronico (contraccettivi orali, sindrome nefrosica, sindrome da anticorpi antifosfolipidi, terapia steroide, comorbilità oncologiche).

Altre condizioni sistemiche

• Infezioni sistemiche: è descritto che queste possono sia rappresentare un fattore scatenante in pazienti predisposti, che agire fattori di rischio indipendenti per stroke.

• Condizioni genetiche come le mutazioni di COL4A1, già descritte per lo stroke perinatale, e la sindrome ACTA2 causa-

ta da mutazione della proteina del muscolo liscio alpha-actina 2 e caratterizzata da manifestazioni cliniche da disfunzione della muscolatura liscia.

• Condizioni metaboliche come i difetti del metabolismo dell’omocisteina, le dislipidemie ereditarie severe e le glicogenosi che possono determinare attraverso aterosclerosi precoce. Infine, le malattie mitocondriali, come la sindrome MELAS possono determinare eventi “stroke like”, legati a disfunzione energetica neuronale e vascolare, che possono essere distinti dall’AIS in quanto le lesioni radiografiche non seguono un territorio arterioso.

Fattori di rischio CVST pediatrica Grandi studi di coorte pediatrici hanno dimostrato che la CSVT spesso risulta dalla convergenza di molteplici fattori di rischio in gran parte modificabili. I fattori che aumentano il rischio di sviluppare eventi trombotici a livello del sistema venoso cerebrale possono essere sinteticamente ricondotti alla classica triade di Virchow che comprende: stasi ematica (data per lo più da problematiche cardiologiche), stato ipercoagulativo (discusso pocanzi) e danno della parete vasale. Lo stato proinfiammatorio locale, determinato da infezioni della regione testa-collo come mastoiditi o sinusiti, l’anemia sideropenica e la disidratazione sono i fattori più comunemente associati alla CVST.

Fattori di rischio per stroke emorragico pediatrico

La causa più frequente di emorragia cerebrale in età pediatrica, riscontrabile nel 75% dei casi, è la rottura di una malformazione vascolare (malformazione artero-venosa MAV, cavernoma o un aneurisma); le MAV sono quelle più frequenti. Meno di frequente è possibile identificare fattori di rischio per diatesi emorragica e nel 10% dei casi il quadro viene considerato idiopatico in quanto non è possibile individuare fattori scatenanti.

Topografia e clinica

I segni e sintomi di presentazione clinica dello stroke variano in relazione a eziologia, territorio coinvolto, dominanza emisferica ed età del paziente (da cui dipendono sia il grado di maturità del sistema nervoso centrale che la capacità di descrivere la propria sintomatologia).

Le manifestazioni cliniche possono essere:

• Generalizzate: più frequenti in epoca neonatale o in caso di insorgenza precoce dello stroke. In età pediatrica sono generalmente correlate al danno di ampie aree di parenchima (come nel caso di eventi acuti emorragici o lesioni estese) o all’ interessamento della regione sottotentoriale. Comprendono per esempio alterazioni dello stato di coscienza, vomito, cefalea.

• Focali: più frequenti in eventi ischemici di piccole dimensioni e in pazienti di età scolare o adolescenziale. I segni focali sono differenti in relazione alla regione cerebrale coinvolta e anche nei bambini è possibile distinguere la sindrome del circolo anteriore/carotideo da quella del circolo posteriore/ vertebro-basilare [Figura 3; Tabella 2]. In caso di coinvolgimento di territori arteriosi multipli (eventi embolici, trombofilie, vasculopatie o meningiti) possono evidenziarsi segni multifocali.

Stroke perinatale

Le manifestazioni dello stroke perinatale rappresentano una sfida diagnostica in quanto sono spesso aspecifiche, soprattutto nei neonati pretermine, e caratterizzate da difficoltà respiratorie e alimentari, alterazioni del tono muscolare e dello stato di coscienza. In quest’epoca le crisi epilettiche sono più frequenti che nelle successive, verosimilmente per uno squilibrio di neurotrasmettitori e recettori durante la maturazione cerebrale.

Figura 3. Territori vascolarizzati dalle arterie cerebrali anteriore, media e posteriore. (A) veduta laterale dell’encefalo, (B) veduta mediale dell’encefalo, (C) veduta inferiore.

Rispetto al NAIS in circa il 60% dei casi sono evidenti sintomi acuti nel periodo neonatale:

• Nei neonati a termine le crisi epilettiche focali costituiscono la manifestazione clinica più comune, evidenti nel 6990% dei casi. Si presentano generalmente tra le 12 e le 72 ore dalla nascita; se più precoci devono invece far sospettare un’encefalopatia ipossico-ischemica. A queste si associano frequentemente i segni generalizzati sopradescritti. Le asimmetrie motorie sono più rare.

• Nei neonati pretermine la presentazione clinica può essere ancora più sfumata e i sintomi più frequenti sono apnee e distress respiratorio. Le convulsioni sono meno frequenti che nei neonati a termine. È possibile, inoltre, che il qua-

dro sia asintomatico e il sospetto di stroke emerga accidentalmente durante l’esecuzione delle ecografie cerebrali di routine.

Nei casi di presunto PAIS l’età media di presentazione delle prime manifestazioni è 6 mesi. Nell’80% dei casi i sintomi d’esordio sono la preferenza per l’uso di una mano o una postura in flessione persistente del pugno (“fisting”); i restanti casi si manifestano con crisi epilettiche o preferenza di sguardo. Il territorio più frequentemente coinvolto è quello dell’arteria cerebrale media (MCA).

Negli stroke con componente emorragica, ai segni aspecifici sopradescritti, possono associarsi bombatura della fontanella o crescita eccessiva della circonferenza cranica.

Tabella 2. Arterie cerebrali con relativi territori vascolarizzati e manifestazioni cliniche in caso di coinvolgimento

Circolo Arteria Zone vascolarizzate

Arteria cerebrale anteriore (ACA) Vascolarizza la maggior parte delle superfici mediali e superiori dell’encefalo e il polo frontale.

Segni e sintomi principali

– Emiparesi e ipoestesia controlaterali prevalente agli arti inferiori

– Emianopsia omonima – Apatia

Abulia (mutismo acinetico) – Afasia tattile, alessia, agrafia (se emisfero dominante)

Carotideo (anteriore)

Arteria cerebrale media (MCA)

Vascolarizza la superficie laterale dell’encefalo e il polo temporale.

Aprassia – Anosognosia

– Emiparesi ed emianestesia controlaterale (più a volto e arto superiore)

– Afasia (emisfero dominante)

– Neglect spaziale (emisfero non dominante)

– Emianopsia omonima – Agrafoestesia – Astereoagnosia

Vertebro-basilare (posteriore)

Arteria cerebrale posteriore (PCA)

Vascolarizza la superficie inferiore dell’encefalo e il polo occipitale.

– Emianopsia omonima controlaterale ± allucinazioni visive

– Cecità corticale – Agnosia visiva – Alessia

Afasia Anomica

– Amnesia (coinvolgimento temporale mediale)

Arterie vertebrali e basilari

Vascolarizzano il cervelletto e il tronco encefalico. – Atassia e segni cerebellari

– Disturbi del respiro e del sensorio – Nistagmo – Opistotono

Tremori

Vertigini – Cefalea

Stroke pediatrico

Le manifestazioni più frequenti dell’AIS pediatrico sono i segni o sintomi neurologici focali che in un terzo dei casi rappresentano l’unica manifestazione clinica all’esordio. Nell’80% dei casi è coinvolto il circolo carotideo e al suo interno il vaso più colpito è l’ACM con un quadro clinico caratterizzato da emideficit motorio/sensitivo, afasia e emianopsia omonima. Il coinvolgimento del circolo vertebro-basilare, che avviene nel 20% dei casi circa, determina invece la comparsa di sintomi cerebellari eventualmente associati ad alterazioni del sensorio se coinvolto anche il tronco encefalico. Edemi perilesionali in questa zona sono molto pericolosi in quanto, visto che la fossa cranica posteriore è delimitata da strutture indeformabili, espongono al rischio di erniazione delle tonsille cerebellari. Vista l’elevata frequenza dei segni neurologici focali, sono state promosse varie campagne di sensibilizzazione rivolte a genitori, insegnanti e operatori sanitari per l’identificazione precoce degli stessi. Queste sfruttano il protocollo FAST (Faece, Arm, Speech, Time) che rappresenta uno strumento semeplice e immediato per identificare i sintomi di stroke. In Figura 4 è riportato come esempio il poster pubblicato sul sito del St. Louis Children’s Hospital nel 2019.

Oltre ai segni neurologici focali, in oltre la metà dei pazienti sono presenti anche manifestazioni generalizzate e, nel 1525%, dei casi le crisi epilettiche. Queste, quando presenti, precedono quasi invariabilmente gli altri segni neurologici e la loro comparsa precoce deve sempre far sospettare un insulto ischemico, in particolare nei lattanti.

Nei bambini con CSVT invece i sintomi iniziali sono variabili, spesso poco specifici e si sovrappongono a quelli di condizioni comorbide che confondono ulteriormente la diagnosi. Qualora sia presente una componente emorragica possono evidenziarsi segni da aumento della pressione intracranica a comparsa graduale. I segni focali sono meno frequenti rispetto all’AIS. Negli stroke emorragici infine il sintomo più frequente è la cefalea, presente nel 60-80% dei casi, conseguente all’aumento della pressione intracranica.

Diagnosi

La diagnosi tempestiva di stroke è fondamentale per migliorare l’outcome e ridurre il rischio di danni neurologici permanenti. Nel sospetto di stroke l’anamnesi svolge un ruolo cruciale nella determinazione di eventuali fattori di rischio che possano indirizzare le indagini eziologiche di primo e secondo livello. L’esame obiettivo, oltre all’identificazione della possibile sede del danno, ha lo scopo di ricercare tutti i possibili segni/sintomi che possano indirizzare verso una diagnosi eziologica specifica [Tabella 3].

La valutazione di primo livello si basa sullo screening delle cause più comuni di stroke e comprende la valutazione dei vasi cerebrali intra ed extracranici, della struttura e funzione cardiaca, l’analisi sierologica dei marker infiammatori e i test di trombofilia. Nei casi di stroke ricorrente o a eziologia sconosciuta è necessaria una valutazione di secondo livello tramite indagini metaboliche, genetiche o reumatologiche. Per una trattazione approfondita delle indagini diagnostiche si rimanda alle linee guida: SIP-SIMEUP-SINP “Diagnosi e terapia dello stroke ischemico pediatrico in fase acuta”, RCPCH “Stroke in childhood – Clinical guideline for diagnosis, management and rehabilitation” e AHA/ASA “Management of Stroke in Neonates and Children”.

Imaging cerebrale

Gli studi di imaging cerebrale sono fondamentali per confermare la diagnosi e caratterizzare la tipologia, la sede e l’estensione dell’evento vascolare. La risonanza magnetica nucleare (RMN) è considerata il gold standard diagnostico anche in epoca neonatale. Questo esame consente infatti di rilevare le lesioni ischemiche già dalla prima ora dopo l’evento (affinché siano visualizzabili con la tomografia computerizzata TC sono necessarie varie ore in più), risparmia da radiazioni ionizzanti e identifica lesioni emorragiche con sensibilità solo lievemente inferiore alla TC. Tra i contro dell’indagine va considerata la frequente necessità di sedazione periprocedurale, la disponibilità ridotta e i tempi relativamente lunghi richiesti che non rendono candidabili i pazienti instabili. In questi casi, la RMN può essere sostituita dalla TC cerebrale che rimane l’indagine di imaging raccomandata anche in caso di sintomatologia ingravescente (spesso da emorragia) in vista della sua rapida esecuzione.

Una recente dichiarazione basata sul consenso dei membri dell’IPSS (International Paediatric Stroke Study) ha fornito un protocollo delle sequenze di RMN in caso stroke che prevede:

• Sequenze in diffusione (DWI) e mappe (apparent diffusion coefficient (ADC): consentono di rilevare il core ischemico precocemente, già 30 minuti dopo l’evento, quando compare edema citotossico che si caratterizza per restrizione in diffusione (iperintensità in DWI) e riduzione dell’ADC.

• Sequenze T1 e T2: lesioni iperintense in T2 appaiono evidenti dopo circa 6 ore dall’evento acuto, in seguito alla comparsa di edema vasogenico, parallelamente a un aumento del segnale in ADC.

• Sequenze Gradient Echo (GRE) o Susceptibility-Weighted Imaging (SWI): le sequenze GRE consentono di identificare la presenza di emorragia sovrapposta al danno ischemico con sensibilità solo di poco inferiore alla TC. La sequenza SWI è invece particolarmente adatta a visualizzare il sangue venoso ed è più sensibile della GRE nel rilevare la trombosi dei seni venosi.

• Sequenza FLAIR: nella fase iperacuta dello stroke ischemico può mettere in luce la sede dell’occlusione, vista l’assenza di segnale in corrispondenza del lume vasale per rapido transito del flusso ematico.

• Magnetic Resonance Angiography (MRA) del distretto vascolare della testa e del collo: consente di individuare la sede di ostruzione del circolo ematico arterioso, la presenza di

Figura 4. Poster educativo per il riconoscimento precoce dei segni di stroke pediatrico tramite l’acronimo FAST. St. Louis Children’s Hospital, Washington University School of Medicine, St. Louis, Missouri (USA).

Tabella 3. Principali elementi da valutare all’esame obiettivo generale e neurologico in caso di sospetto stroke e relativo significato clinico

Aspetti da valutare/ricercare

Alterazione e stato di coscienza

Instabilità cardiorespiratoria

Possibile significato clinico

Esame obiettivo generale

– Ampio interessamento del parenchima

– Lesioni in aree specifiche (tronco encefalico, talamo)

– Aumento della pressione intracranica

– Ampio interessamento del parenchima

Lesioni in aree specifiche (tronco encefalico)

– Crisi epilettiche neonatali (possono presentarsi con apnee)

Rumori all’auscultazione di testa e collo – Presenza di una malformazione artero-venosa

Valutazione di testa e del collo

Alterazioni cutanee

– Aumento della circonferenza cranica, bombatura delle fontanelle, allargamento delle suture (neonati): aumento della pressione endocranica

Tumefazione dello scalpo: trauma cranico

– Rigidità nucale: meningite

Pallore cutaneo: anemia

– Ecchimosi/petecchie: deficit di fattori della coagulazione

Malformazioni vascolari cutanee: vasculopatie

– Discromie cutanee: malattie neurocutanee

Soffi cardiaci e/o alterazioni dei polsi periferici – Cardiopatie congenite o vasculopatie predisponenti

Segni di infezione sistemica o localizzata – Possibile eziologia infettiva-parainfettiva

Lassità articolare

Asimmetria nei movimenti

– Patologie del tessuto connettivo

Esame obiettivo neurologico neonatale

Riduzione dei movimenti spontanei in un emicorpo o predilezione manuale precoce suggeriscono un coinvolgimento cerebrale controlaterale al lato deficitario

Alterazioni del tono – Diffuse o focali

Segni di ipertensione endocranica

Riflessi neonatali asimmetrici

Asimmetrie del volto

Alterazioni del linguaggio

Alterazioni del comportamento

Alterazioni della memoria

Alterazioni della forza muscolare

Alterazioni della sensibilità

Alterazioni della marcia e segni cerebellari

– Ipotono o ipertono

Encefalopatia, fontanella tesa, suture allargate, apnea, bradicardia

Grasp plantare/palmare e/o riflesso di Moro asimmetrici suggeriscono coinvolgimento cerebrale controlaterale al lato deficitario

Possono indicare coinvolgimento dei nervi cranici

Esame obiettivo neurologico pediatrico

– Afasia: coinvolgimento dell’area del linguaggio (emisfero dominante)

– Disartria/parola scandita: lesioni cerebellari

Possono suggerire coinvolgimento del lobo frontale

Possono suggerire coinvolgimento del lobo temporale

Emiparesi o deficit focali orientano verso lesioni delle vie motorie controlaterali

Orientano verso lesioni talamiche o parietali controlaterali

Atassia eventualmente associata a dismetria, nistagmo ed incoordinazione orienta verso lesioni cerebellari o delle connessioni tronco-cerebellari

Deficit dei nervi cranici – Lesioni tronco-encefaliche o ischemie localizzate

– Deficit del VI nervo cranico possono suggerire ipertensione endocranica (con conseguente alterazione del campo visivo)

arteriopatie cervicali/intracraniche e di malformazioni vascolari. In presenza di stroke emorragico se la MRA dovesse mostrare reperti normali è indicata l’esecuzione di un’angiografia.

• Magnetic Resonance Venrography (MRV): da utilizzare nel sospetto di CSVT in quanto in grado di evidenziare assenza/rallentamento del flusso venoso. La diagnosi radiologica di CSVT è complessa: gli infarti venosi hanno lesioni parenchimali atipiche, che non rispettano i confini arteriosi, talora bilaterali e con componente emorragica associata. Nel neonato sono consigliate le medesime sequenze RMN a eccezione delle FLAIR in cui l’immaturità cerebrale rende scarso il contrasto.

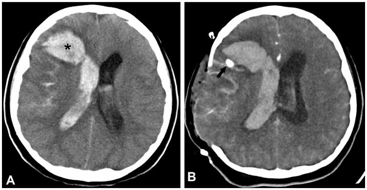
Alla TC invece le lesioni ischemiche sono visibili dopo circa 24 ore sottoforma di zone ipointense; i trombi risultano evidenti come aree iperdense così come il versamento ematico, che

generalmente presenta una forma irregolare e un effetto compressivo sui tessuti circostanti [Figure 5,6].

Valutazione cardiologica

Comprende tipicamente un ecocardiogramma transtoracico con test con microbolle e monitoraggio per aritmie. In caso di recidive o storia suggestiva, si possono considerare ecocardiogramma transesofageo e Holter. Nei casi di ictus criptogenetico con PFO, può essere utile un doppler agli arti per ricercare trombosi venosa profonda come fonte di embolo paradosso.

Esami ematochimici

Tra gli esami ematici di primo livello sono indicati l’emocromo completo, la glicemia, l’assetto marziale, gli elettroliti, gli indici di flogosi ed eventuali ricerche di patogeni (ematici, urinari, respiratori ecc.) sulla base della clinica. Lo scree-

Figura 5. Immagine 1: RMN di stroke ischemico arterioso. A: ampia regione iperintensa in DWI compatibile con un infarto nel territorio dell’MCA sinistra (frecce nere). B: assenza del normale segnale di flusso a carico del medesimo territorio vascolare in angiografia (asterisco bianco). Immagine 2: RMN di trombosi venosa cerebrale. A: segnale iperintenso in T1 nel seno sagittale superiore (frecce bianche). B: segno del delta vuoto del seno sagittale superiore che delinea un trombo triangolare in una sequenza T1 con contrasto (frecce bianche).

ning trombofilico è indicato nei casi di stroke pediatrico ma non in quello neonatale. Nei neonati infatti i livelli di proteina C, proteina S, antitrombina e fattore XI sono normalmente ridotti del 30% rispetto alle epoche successive: una loro rilevazione potrebbe essere fuorviante e andrebbe ripetuta per conferma.

Altre valutazioni

Altre valutazioni più specifiche vanno considerate caso per caso. Può essere utile la valutazione del profilo immunitario e autoanticorpale, lo screening metabolico e quello tossicologico. Nei bambini con stroke da dissezione dovrebbero essere considerati test genetici per i disordini del tessuto connettivo, specialmente in caso di caratteristiche fenotipiche tipiche (ipermobilità articolare, volto triangolare, facilità ai lividi, pelle traslucida, familiarità per aneurismi aortici o rottura uterina).

Diagnosi differenziale

Identificare precocemente uno stroke è fondamentale per una corretta gestione dello stesso e per garantire un outcome migliore. È noto tuttavia che il tempo medio per la conferma diagnostica radiologica è di 15-24 ore, con ritardi determinati sia dal sospetto diagnostico tardivo sia da ritardi nell’accesso alla RMN. Rispetto al mancato sospetto diagnostico va considerato che oltre la metà dei bambini che accedono in PS con una sindrome neurologica acuta, presentano in realtà condizioni diverse dallo stroke definite “stroke mimics”. Tra queste le più comuni sono: aura emicranica, paralisi di Bell e crisi epilettiche con paresi di Todd. Altre meno frequenti includono tumore cerebrale, malattie demielinizzanti, cerebellite, encefalite, ascesso epidurale, trauma cranico, sincope, intossicazione, malattie metaboliche e disturbi psicogeni.

Trattamento

Il primo step del trattamento dello stroke è la stabilizzazione del paziente. In fase iperacuta, il bambino deve essere ricoverato in letti di degenza che assicurino un’attenta sorveglianza clinica e un monitoraggio continuo dei parametri vitali; il trasferimento in terapia intensiva va riservato ai casi instabili. La Glasgow Coma Scale (GCS) e la Pediatric National Institute of Health Stroke Scale (PedNIHSS) sono utili strumenti di monitoraggio dello stato di coscienza e neurologico. Nella prima fase di stabilizzazione devono essere avviate le terapie di supporto mirate a mantenere una corretta omeostasi idro-glucoelettrolitica, una saturazione emoglobinica arteriosa maggiore del 92% e un adeguato equilibrio pressorio. Sulla base delle manifestazioni cliniche possono essere poi somministrate terapie sintomatiche come quella analgesica o anticrisi e, se presenti segni di ipertensione endocranica, possono essere messe in atto manovre di neuroprotezione. Una volta stabilizzato il paziente e accertato lo stroke va avviata una terapia mirata, finalizzata a limitare il più possibile l’estensione dell’infarto, a preservare la “penombra ischemica” (area periferica al core ischemico che mantiene una perfusione parziale) e a evitare recidive.

Trattamento stroke neonatale

Per i neonati con un primo stroke, visto il basso rischio di recidiva, la terapia indicata è generalmente quella di supporto. A fronte di un primo stroke la terapia anticoagulante deve essere considerata solo in caso di CVST o di alto rischio di recidiva determinato da trombofilia documentata o cardiopatie congenite complesse (escluso il PFO). Né le tecniche di riperfusione arteriosa in caso di NAIS, né l’evacuazione chirurgica in caso di stroke emorragico trovano indicazione.

Trattamento stroke pediatrico

Trattamento AIS pediatrico

Le terapie riperfusive (terapia trombolitica sistemica o intraarteriosa e trombectomia meccanica) sono metodiche non ancora validate nella popolazione pediatrica e pertanto non raccomandate: non esistono studi clinici randomizzati, le evidenze disponibili derivano da limitate casistiche di elevata gravità clinica e il profilo di sicurezza è poco noto. È invece indicata una terapia di profilassi secondaria che sfrutta anticoagulanti e antiaggreganti visto che il tasso di recidiva è elevato (1 bambino su 10). I farmaci validati in età pediatrica per sicurezza ed efficacia sono l’acido acetil-salicilico (ASA) come antiaggregante e l’eparina a basso peso molecolare (LMWH) o l’eparina non frazionata (UFH) come anticoagulanti. A seconda delle linee guida considerate viene consigliato di avviare, entro 24 ore, terapia antiaggregante o anticoagulante ma non vi è consenso unanime su quale sia il miglior trattamento iniziale. Terminata la pri-

Figura 6. Immagine TC (veduta assiale) di aneurisma rotto. A: ematoma intraparenchimale frontale destro (asterisco nero) con estensione di sangue nel ventricolo laterale destro e presenza di emorragia subaracnoidea. B: la somministrazione di mezzo di contrasto evidenzia un aneurisma (freccia nera) immediatamente posteriore all’ematoma. Si noti l’esecuzione di una craniotomia decompressiva.

ma settimana dall’evento, o non appena sia stata identificata la causa dello stroke, è poi raccomandata una terapia di mantenimento. Tale fase prevede generalmente la somministrazione di ASA a dosaggi inferiori rispetto alla fase acuta, a eccezione degli AIS secondari a cardioembolismo o trombofilia in cui è indicata terapia anticoagulante. Anche rispetto alla durata della terapia non ci sono raccomandazioni specifiche: il trattamento dovrebbe essere mantenuto per almeno 3-6 mesi ma per casi selezionati può essere più prolungato.

Nei pazienti con anemia falciforme è raccomandata una exanguinotrasfusione entro 4 ore dall’evento; per le altre eziologie specifiche le strategie di prevenzione secondaria (corticosteroidi per FCA-i, chirurgia vascolare per Moyamoya, chiusura PFO ecc.) restano controverse.

Trattamento CSVT pediatrico

La terapia anticoagulante rappresenta il cardine del trattamento della CSVT pediatrica a eccezione delle CSVT settiche in cui la terapia indicata è quella antibiotica e/o chirurgica. In assenza di emorragia la terapia anticoagulante va intrapresa immediatamente; in caso fosse presente una componente emorragica invece l’inizio del trattamento può essere posticipato di 5-7 giorni ovvero finché non sia evidente la propagazione del trombo dai controlli di imaging. Vista la rapida reversibilità, come trattamento iniziale è preferita l’UFH, sostituibile con altro anticoagulante in assenza di emorragia o di estensione di un’emorragia già esistente agli imaging di controllo. Anche in questo caso ci sono poche indicazioni rispetto alla durata della terapia; l’approccio più comune è mantenere il trattamento per 3-6 mesi, prolungando in caso di trombofilia ereditaria o di fattori di rischio non eliminati. In casi selezionati (es. deterioramento clinico improvviso nonostante l’anticoagulazione) è descritta la possibilità di ricorrere alla trombolisi o alla trombectomia. Mancano in ogni caso trial clinici randomizzati sull’argomento.

Trattamento stroke emorragico

Dopo la stabilizzazione del paziente, il trattamento mira a ridurre il rischio di ulteriori sanguinamenti e a limitare l’emorragia stessa. Se è noto un disordine della coagulazione preesistente è indicato correggere il difetto nel più breve tempo possibile (es. fattori della coagulazione per l’emofilia, trasfusione piastrinica in caso di trombocitopenia o difetti di funzione piastrinica), in alternativa devono essere eseguiti tutti gli esami ematici necessari per escluderne uno non noto. L’aumento della pressione intracranica è una complicanza comune che può essere gestita con elevazione del capo, iperventilazione per indurre vasocostrizione, terapia iperosmolare e sedazione. Nei casi più gravi può rendersi necessaria la decompressione chirurgica come l’emicraniectomia decompressiva, l’evacuazione o il drenaggio. Eventuali malformazioni vascolari cerebrali vanno sempre ricercate al fine di ridurre il rischio di nuovi sanguinamenti; è possibile una loro correzione per via endovascolare o con tecniche di radiochirurgia.

Esiti

Gli esiti dello stroke pediatrico, seppur gravati da una minor mortalità e gravità rispetto all’adulto, hanno un impatto sproporzionato sulla vita del bambino e della sua famiglia, con effetti che si estendono per decenni. Poco si conosce su quali interventi migliorino gli esiti nel periodo subacuto e cronico post-stroke; per gli outcome motori alcune evidenze mostrano un promettente ruolo nella constraint therapy che consiste nel limitare l’utilizzo dell’arto sano a favore di quello paretico nei bambini con disfunzione unilaterale della mano. Una valutazione precoce delle disabilità fisiche e cognitive è essenziale per prevenire complicanze evitabili e pianificare gli interventi riabilitativi che dovrebbero avere un setting multidisciplina-

re. È necessaria una presa in carico integrata del bambino e della sua famiglia per monitorare l’andamento e garantire il miglior outcome possibile anche in termini di qualità di vita.

Esiti stroke perinatale

Lo stroke neonatale rappresenta la principale causa di paralisi cerebrale infantile monolaterale. Le forme a esordio acuto perinatale sono spesso più lievi mentre quelle a esordio probabile perinatale, con diagnosi tardiva, mostrano esiti motori peggiori. I dati pubblicati sono pochi e relativi per lo più al NAIS: la mortalità riportata è del 2,5% e un outcome neurologico avverso è descritto in oltre la metà dei casi. Sul piano motorio l’emiparesi rappresenta la causa principale di disabilità, interessante il 25-35% dei neonati, con maggior impatto sulla deambulazione in caso di CSVT (i NAIS coinvolgono più spesso l’emivolto e l’arto superiore). Deficit cognitivi sono descritti in oltre la metà dei pazienti e l’epilessia nel 15-40% dei casi. Fattori predittivi di esiti neurologici peggiori sono: grande dimensione dell’infarto o infarti multipli, coinvolgimento dei gangli della base e del braccio posteriore della capsula interna e iperglicemia nella fase acuta post-stroke. I tassi di ricorrenza sono fortunatamente inferiori rispetto a quelli nelle epoche successive (1% contro 12%).

Esiti stroke pediatrico L’outcome dell’AIS pediatrico è molto variabile e la mortalità pare essersi ridotta nel tempo, dal 20% degli studi più datati, al 4-5% di quelli più recenti. Anche in questo contesto i dati disponibili sono limitati a pochi studi, in cui è documentato che la maggior parte (70%) dei bambini colpiti da AIS presenta deficit neurologici persistenti. L’epilessia in cronico è descritta nel 10% dei pazienti circa. L’outcome cognitivo è stato valutato solo in piccole popolazioni; è descritto che i bambini con stroke hanno competenze cognitive e qualità di vita inferiori alla media per età. Tra i fattori prognostici negativi sono indicati l’alterazione dello stato di coscienza, la presenza di infarti estesi e l’aumento della pressione intracranica. Rispetto alla CSVT l’outcome si può considerare peggiore in età pediatrica rispetto a quella adulta e i tassi di esiti avversi variano ampiamente, dal 25% al 74%, a causa dell’eterogeneità degli strumenti di valutazione. Lo stroke emorragico infine, pur essendo meno frequente, presenta tassi di mortalità e morbidità più elevati, da 6 a 7 volte superiori rispetto alle forme ischemiche. Esiti peggiori sono associati a volume emorragico maggiore, localizzazione infratentoriale, GCS ≤7 al ricovero, età inferiore a 3 anni e presenza di patologie ematologiche o aneurisma. L’epilessia si presenta dal 4 al 13% ed il principale fattore di rischio è il trattamento chirurgico.

Conclusioni

Nonostante lo stroke in età pediatrica sia meno frequente rispetto all’età adulta rappresenta ugualmente un importante problema di salute pubblica; i suoi esiti infatti si ripercuotono su molti decenni di vita ed è presente un rischio di danno cerebrale cumulativo in caso di ricorrenza. La diagnosi precoce, il trattamento tempestivo e una presa in carico multidisciplinare sono fondamentali per migliorare l’outcome a breve e lungo termine. La gestione terapeutica inoltre è ancora gravata da indicazioni disomogenee; ulteriori studi prospettici e trial multicentrici di ampie dimensioni saranno utili in un prossimo futuro per validare i trattamenti correnti, svilupparne di nuovi e per dare al paziente ed alla sua famiglia più precise indicazioni prognostiche.

La bibliografia di questo articolo è consultabile online.

elena.laghi2@auslromagna.it

Papillomavirus: proteggi te stesso, proteggi chi ami

Il pediatra nella rete delle cure palliative pediatriche dell’Emilia Romagna

Lisa Melandri1 , Simonetta Campana2 , Alice Tappi3

1 Pediatra di Comunità, AUSL Reggio Emilia

2 Pediatra di libera scelta, AUSL Reggio Emilia

3 Infermiera AUSL della Romagna, per conto del Gruppo di Lavoro Dolore e CPP dell’ACP

Negli ultimi anni è aumentata in Italia la necessità di cure palliative pediatriche (CPP), per seguire bambino e famiglia durante l’intero percorso di malattia. Tuttavia la gestione delle CPP presenta ancora sfide significative, soprattutto nella costruzione di una rete interdisciplinare di assistenza. Lo studio ha analizzato il ruolo dei pediatri di libera scelta (PLS), il loro coinvolgimento, le difficoltà organizzative e il vissuto emotivo. I risultati mostrano un crescente impegno nella gestione di casi complessi, ma anche carenze di risorse e coordinamento. Le sfide emotive includono la gestione della sofferenza di bambini e famiglie senza un adeguato supporto psicologico. Serve potenziare la rete, promuovendo formazione continua e integrazione tra ospedale e territorio.

In recent years, the need for Pediatric Palliative Care (PPC) in Italy has increased, supporting both child and family throughout the illness. However, PPC management still faces major challenges, especially in building an integrated interdisciplinary care network. The study examined the role of primary care paediatricians, their involvement, organizational difficulties, and emotional experiences. Results show a growing commitment to complex cases, but also a lack of resources and coordination. Emotional challenges include coping with the suffering of children and families without adequate psychological support. The network needs to be strengthened through continuous training and integration between hospital and community professionals.

Introduzione e presupposti Il presente lavoro è esito di una tesi del master “Complessità e integrazione in rete in cure palliative pediatriche” dell’Accademia delle scienze di medicina palliativa della Fondazione Seragnoli, presso l’Università degli Studi di Bologna. Negli ultimi anni i progressi medici hanno generato un incremento di prevalenza di bambini con malattie ad alta complessità, che rientrano nei criteri di inclusione per le cure palliative pediatriche (CPP). L’obiettivo delle CPP è la qualità di vita del bambino che cresce in condizioni di patologia inguaribile: il suo benessere è interdipendente da quello della famiglia e risente positivamente della domiciliazione di cura, tanto che la legge italiana prevede che la gestione di tale complessità sia affidata alla rete CPP [1]. Tale rete ha come cardine il concetto di “interdisciplinarità”, con assistenza integrata che non si limiti al fine vita, ma inizi fin dalla diagnosi. Si stima che la mediana del tempo di presa in carico sia di 27-30 giorni nell’adulto contro gli oltre 44 mesi del bambino [2]. In Italia oltre

20.000 bambini sarebbero eleggibili alle CPP, con una differenziazione relativa al punteggio ACCAPED che individua tre diversi gradi di assistenza [3]: un dato recente dell’Emilia-Romagna, riconosce per esempio le percentuali di bassa (22%), media (27%) e alta complessità (48%) [4]. In Italia i pediatri di libera scelta (PLS) si prendono già cura di patologie croniche complesse nella rete integrata prevista dalla legge, in quanto accessibilità, prossimità, continuità e rapporto di fiducia rappresentano qualità principali del sistema di cure primarie pediatriche. Nonostante ciò, questa figura viene trascurata, dal momento che questo ruolo non è ben definito nella letteratura, nelle direttive nazionali e nelle procedure locali. Nel 2015, a 4 anni dall’entrata in vigore della legge 38/2010, in Quaderni ACP veniva pubblicato uno studio sulle conoscenze dei PLS sul tema, che documentava lacune e ridotta consapevolezza per una problematica percepita ancora distante dalla pratica dei PLS [5]. A oggi la situazione generale non sembra essere molto diversa: la rete nazionale è disomogenea, il raccordo tra ospedali e territorio è ancora in molti casi carente, come pure l’interdisciplinarietà nell’équipe di cura per molte Regioni italiane. Inoltre esiste un’evidente discrepanza tra l’accordo Stato-Regioni/Province Autonome TN-BZ del 2021 [6] (“tra gli elementi essenziali della rete ci sono le Unità di cure primarie, i PLS”) e l’ultimo accordo nazionale firmato il 21 maggio 2024 [7] dai rappresentanti sindacali dei PLS. In esso il tema delle CPP non viene esplicitato (c’è un probabile riferimento nel comma 7, art. 21 e nell’allegato 8 , ma si parla sempre e solo di “assistenza domiciliare integrata” e di “assistenza al bambino complesso ai fini assistenziali/riabilitativi”). In letteratura iniziano a comparire studi sull’integrazione tra CPP e cure primarie che forniscono spunti sulla declinazione del ruolo del PLS all’interno della rete [8-9]. L’impressione che il coinvolgimento e l’interesse dei PLS nelle CPP sia ancora abbastanza limitato ci ha fatto ipotizzare che possano esistere anche ostacoli di natura emotiva, come senso di inadeguatezza e solitudine, frustrazione, timore del carico emotivo che dovrebbe affiancarsi alla grande abituale mole di lavoro per le attività di base. Da tale riflessione è nata una domanda di ricerca, che sonda un terreno inesplorato, ma determinante nella scelta del PLS nell’accettare di essere o non essere coinvolto: come si sono sentiti i PLS nella gestione dei loro pazienti all’interno della nascente rete CPP in Emilia-Romagna?

Obiettivi dello studio

L’obiettivo principale di questo studio è stato analizzare l’impatto delle CPP sui PLS, nei territori compresi in due AUSL dell’Emilia-Romagna, negli ultimi 5 anni (2018-2023), periodo nel quale la rete regionale ha iniziato a configurarsi con maggiore capillarità. Si è cercato di far emergere, in particolare, le esperienze emotive professionali nel fornire assistenza a bambini con malattie inguaribili, provando a individuare le principali sfide affrontate all’interno della rete di CPP.

Metodologia utilizzata/materiali e metodi

Si tratta di uno studio qualitativo osservazionale prospettico, mediante questionario con domande aperte, inviato a 119 PLS operanti nelle AUSL di Reggio Emilia e Forlì/Cesena sotto forma di survey online. Le due realtà territoriali sono molto simili in termini di organizzazione dei nodi della rete, numerosità dei PLS e riferimento allo stesso hospice pediatrico Regionale di Bologna. Trattandosi di una service evaluation non è stato necessario fare richiesta al comitato etico per il suo svolgimento con compilazione anonima. Le 3 principali domande della survey sono state costruite sulla base della tecnica dell’incidente critico (CIT) [10], ovvero chiedendo agli intervistati di ripensare all’esperienza evidenziando un evento positivo e un evento negativo verificatisi nel contesto, e fornendo suggerimenti per cambiamenti migliorativi.

Risultati e discussione

L’adesione al questionario è stata del 24% (37 risposte su 119), mentre l’analisi delle risposte è stata possibile per il 62% dei casi (23 su 37): potevano proseguire il questionario solo i PLS coinvolti direttamente nella rete CPP. Le risposte sono state analizzate mediante codifica tematica, costruendo un file generale e cercando di individuare temi ricorrenti, punti di forza e problematiche comuni riscontrate. In una ricerca di tipo qualitativo, per la discussione dei risultati, è utile mostrare le parole utilizzate dagli intervistati per favorire la riflessione sull’argomento.

Il “sentire” del PLS si è dimostrato complessivamente positivo nei confronti delle potenzialità della rete dove si sia realizzata una “sintonia di linguaggi e di intenti”, “garantendo collaborazione e sostegno reciproco”. Uno degli intervistati si è definito “felice per la sensazione di aver fatto assieme ai colleghi un buon lavoro di rete”. Il tema saliente resta quello della condivisione degli obiettivi di cura: “condividere il caso con colleghi competenti ha rappresentato una condivisione di responsabilità che ha alleggerito il mio carico emotivo”.

Il PLS diventa una risorsa di fiducia per la famiglia che vive la diagnosi di una patologia inguaribile del proprio figlio se è in grado di intercettarne i bisogni: “eravamo riusciti a prendere il loro punto di vista (dei genitori) senza banalizzarlo come un non-problema, e un piccolo intervento era stato efficace nel migliorare il benessere”. Quando il pediatra e l’équipe non riescono a realizzare questa mediazione “non si riesce a renderli complianti alle cure (i genitori) ed essi sfuggono alla rete pur volendo rimanerci.” Il valore aggiunto “dell’integrazione” positiva tra i PLS e i professionisti della rete è derivato dalla “frequente possibilità di interagire con i vari specialisti coinvolti mediante frequenti Unità di Valutazione Multidimensionale Pediatrica (UVMP)”, e grazie alla loro disponibilità e facilità al confronto. L’efficacia dell’integrazione multidisciplinare è riportata da uno degli intervistati: “prima che venisse istituita la Rete era difficile far unire tutti gli specialisti”. In entrambe le AUSL questo bisogno di confronto tra i professionisti attraverso un ascolto attivo e non giudicante risulta particolarmente significativo dalle testimonianze in cui è mancato; talvolta già a partire dalla dimissione dall’ospedale: “il bambino è stato dimesso senza dimissione protetta”. Alcuni pediatri “non si sentono parte di una équipe centrata sul paziente, ognuno segue il suo pezzettino e rischia di perdere la visione di insieme”, e questo contribuisce a rafforzare il senso di solitudine che molti hanno riportato: “il palliativista ha deciso senza coinvolgermi”, “la sensazione che spesso ho provato è quella di sentirmi sola ad affrontare situazioni complesse” andando a “bussare con pazienza a molte porte sperando di trovare qualcuno disponibile a giocare nella mia squadra per aiutare quel bambino”. Da questo si evince che la comunicazione tra professionisti di diversi nodi della rete, ovvero il lavoro di squadra, spesso non è percepito come un valore di cura: “è molto faticoso dal territorio interfacciarsi con i diversi specialisti”. La consapevolezza dei propri limiti emerge da parte del PLS, quando si sente “inadeguata, in alcuni momenti, e priva di tempo da dedicare a un caso così tanto complesso”, o quando non sente di essere “formato per la gestione di situazioni cliniche a rischio evolutivo rapido e a terapie così complesse”. Quando invece la relazione con gli altri professionisti risulta efficace il PLS sente la partecipazione alla rete come un “arricchimento dal punto di vista emotivo e clinico”; ne deriva un bisogno formativo che viene soddisfatto in parte dal confronto su campo con gli specialisti, in una modalità “train to trainer”, e in parte dalla gestione in prima persona del paziente al domicilio. La disomogeneità organizzativa territoriale emerge spesso: “da noi mancano infermieri territoriali con competenze pediatriche, il servizio infermieristico domiciliare non ha un’ organizzazione sufficientemente flessibile per rispon-

dere a un problema acuto”, oppure viene segnalata l’assenza in alcuni casi di professionisti dedicati, per esempio la “mancanza di un medico palliativista pediatrico disponibile per il territorio”. Viene evidenziata inoltre la “mancanza di sostegno psicologico degli operatori” e anche “per le famiglie dei bambini”.

A volte le mancanze di tipo pratico hanno un grande impatto sulla qualità di vita del bambino come la “difficoltà nell’ottenere i presidi per frequentare centro diurno/scuola e nell’ottenere l’educativa domiciliare”. Queste riferite mancanze potrebbero essere ricondotte al fatto che si tratta di una Rete ancora in costruzione con differenze territoriali per quanto riguarda le risorse disponibili e/o al funzionamento dei percorsi già esistenti, oppure a un sistema troppo macchinoso per rendere i servizi fruibili con le tempistiche necessarie all’utente. Inoltre all’interno dello stesso contesto sono riportate situazioni diverse dai pediatri che hanno gestito i loro casi in momenti differenti nel corso dell’evoluzione della rete.

Riflessioni finali/conclusioni

In conclusione, i PLS hanno riportato un coinvolgimento crescente nella gestione di casi complessi, ma anche la difficoltà nell’operare in assenza di una rete strutturata e con risorse limitate: essi lamentano una mancanza di coordinamento tra le strutture e una discrepanza di intenti e modalità tra professionisti ospedalieri e territoriali.

Molti hanno descritto come le situazioni di bambini affetti da malattie terminali rappresentino un’esperienza emotivamente molto coinvolgente. Il legame con le famiglie è molto stretto e la gestione della sofferenza richiede una notevole forza interiore. I PLS si trovano a dover bilanciare l’empatia e il supporto emotivo con la necessità di mantenere un atteggiamento professionale. Alcuni riferiscono un senso di solitudine nell’affrontare tali situazioni, accentuato dalla mancanza di quella che dovrebbe essere un’équipe di cura centrata sul paziente, e dalla totale assenza di un supporto psicologico che possa prendere in carico anche gli operatori. Le principali difficoltà riscontrate riguardano la mancanza di comunicazione efficace tra i vari attori coinvolti (ospedali, specialisti, servizi territoriali) che dovrebbe trasformarsi da multidisciplinare a interdisciplinare. I PLS sentono spesso il peso della responsabilità nel coordinare le cure senza avere strumenti adeguati, e questo contribuisce a un senso di frustrazione e impotenza. Ci siamo chieste se chi ha risposto alla nostra indagine lo abbia fatto perché già sensibile e coinvolto nel processo per esperienza diretta, e questo potrebbe essere in qualche modo ritenuto un bias: sarebbe stato forse altrettanto utile avere l’opinione di chi ancora ha un’idea teorica dell’argomento? Un’ulteriore riflessione emersa dallo studio riguarda anche il “non detto”: chi non ha risposto al questionario lo ha fatto forse per una volontà di allontanare emotivamente un argomento fonte di difficoltà, per il quale ci si sente ancora non adeguati e nel quale non si vorrebbe essere coinvolti? Questa ipotesi darebbe conferma della necessità di una maggiore considerazione per i PLS, che parte dal chiarimento in merito alla loro integrazione all’interno dei tre livelli di CPP, passa attraverso una formazione tecnica su scenari clinici che non sono abituati a gestire nella quotidianità ed è imprescindibile da un approccio interdisciplinare tra professionisti non abituati al confronto ospedale-territorio. Questi passaggi rafforzerebbero la rete di CPP e a ciò andrebbe affiancato il supporto psicologico del PLS e dell’intera équipe di cura, necessario a evitare il burnout degli operatori.

La bibliografia di questo articolo è consultabile online.

lisa.melandri@ausl.re.it

Informazione, imparzialità e trasparenza. I casi giudiziari del sistema sanitario britannico visti dal BMJ

I media anglosassoni, tra cui il British Medical Journal (BMJ), sono noti per pubblicare notizie dettagliate e ben documentate riguardanti azioni legali e casi giudiziari, anche quando questi riguardano istituzioni pubbliche come il National Health Service (NHS). Le informazioni vengono spesso presentate in modo da mantenere l’imparzialità e la rigorosità giornalistica per garantire che i lettori abbiano una visione chiara e completa della situazione. Attraverso alcuni esempi di vicende sanitarie affrontate sulle pagine del BMJ possiamo meglio apprezzare l’impegno e la trasparenza della rivista nell’affrontare casi di indubbia delicatezza sanitaria e sociale.

British media, including the British Medical Journal (BMJ), are known for publishing detailed and well-documented reports on legal actions and judicial cases, also when they involve public institutions such as the National Health Service (NHS). However, information is often presented in a manner that upholds impartiality and journalistic rigor to ensure that readers receive a clear and comprehensive view of the situation. Through several examples of health matters discussed in the BMJ pages, we can better appreciate the journal’s commitment and transparency in addressing cases of undeniably sensitive health and social significance.

La consuetudine anglosassone nel trattare eventi di carattere giudiziario riguardanti il servizio sanitario nazionale (National Health Service, NHS) e gli operatori sanitari segue alcune regole giornalistiche consolidate che trovano nei commentari del British Medical Journal (BMJ ) un esempio illuminante e di riferimento. Rigore, imparzialità, trasparenza ed equilibrio tra dovere di informazione degli utenti del NHS e diritto alla privacy degli operatori e dei pazienti coinvolti hanno la loro origine in un approccio profondamente radicato nella tradizione legale e giornalistica del Regno Unito. Alcuni esempi tratti dalla lettura del BMJ valgono meglio di ogni altra descrizione e possono suggerire qualche riflessione nel confronto con la realtà italiana.

Il caso di Lucy Letby e dei neonati deceduti nel Countess of Chester Hospital Trust I fatti dei quali è accusata l’infermiera neonatale Lucy Letby si verificano negli anni 2015-2016 e vengono resi pubblici ed estesamente riportati dal BMJ in una serie di almeno dieci articoli pubblicati tra il 2023 e il 2025 [1].

È un periodo difficile, quello di dieci anni fa, nella neonatologia dell’ospedale della Contea di Chester: alcuni neonati muoiono per motivi non chiari e altri subiscono gravi danni. L’ospedale avvia una prima indagine interna, durante la quale l’attenzione dei consulenti medici si focalizza sulle presunte responsabilità di un’infermiera. L’8 giugno 2015 Letby è sospettata di avere ucciso il primo neonato iniettando dell’aria nel circolo sanguigno. Nello stesso mese è accusata di avere ucciso altri tre bambini. Tra agosto e ottobre 2015 è sospettata di avere ucciso altri due neonati e di aver tentato di ucciderne altri. Tra aprile e giugno 2016 si pensa che possa avere ucciso altri due bambini e tentato di ucciderne altri due. Le indicazioni dei consulenti sono inizialmente sottovalutate dalla direzione ospedaliera e Ravi Jayaram – pediatra la cui testimonianza sarà poi fondamentale per stabilire la colpevolezza di Letby – dichiarerà successivamente di avere rimpianto di non essere andato direttamente alla polizia invece di aspettare il permesso dei dirigenti dell’ospedale. Nel 2016, a seguito di altre morti inspiegate, si avvia una seconda verifica interna e Lucy Letby viene rimossa dal reparto neonatale in cui lavorava. La serie di decessi e di gravi incidenti si arresta. A questo punto, la direzione sanitaria denuncia i fatti all’autorità giudiziaria che, tra il 2018 e il 2020, arresta l’infermiera per tre volte e per tre volte la rilascia su cauzione. Nel 2020, ulteriore incriminazione e arresto per otto omicidi e dieci tentati omicidi e, questa volta, seza concessione della libertà provvisoria.

Il processo, iniziato nel 2022, riconosce Letby colpevole di 14 dei 22 capi d’accusa e la condanna a 14 ergastoli. Il giudice della Corte Suprema James Goss affermerà che le sue azioni erano “completamente contrarie ai normali istinti umani di accudire e prendersi cura dei neonati” e che nelle sue azioni c’era una “profonda malvagità al limite del sadismo”. Nel 2024, viene incolpata del tentato omicidio di un’altra neonata e gli ergastoli salgono a 15.

A questo punto, il governo britannico decide di intervenire nella vicenda e annuncia un’inchiesta pubblica per omicidio colposo contro lo staff direzionale del Trust (l’equivalente di una nostra azienda sanitaria) al quale afferisce l’ospedale. Durante l’inchiesta, il pediatra John Gibbs, esprime “rimpianto e vergogna” per non essere riuscito a proteggere i bambini da Letby e un altro medico, identificato come Dr. U, ammette di essere stato “ingannato e forse manipolato” da Letby.

Ma la vicenda non può dirsi ancora conclusa e il BMJ, che continua a seguire il caso, ci informa che un panel di 14 medici internazionali ha depositato la propria relazione sui fatti affermando che “non ci sono prove cliniche a sostegno di un atto illecito” e che le morti e i danni sono stati causati da “cause naturali o da una cattiva assistenza medica”. Allo stato attuale, la questione giudiziaria appare in divenire e l’avvocato di Letby ha presentato ricorso alla Criminal Cases Review Commission chiedendo che il caso venga riaperto.

Commento

La copertura del caso di Lucy Letby da parte del BMJ si distingue per la sua adesione ai principi di trasparenza e imparzialità, essenziali per una rivista medica di alto profilo. Esaminando gli articoli pubblicati, si nota come la testata abbia seguito l’intera vicenda in modo meticoloso, offrendo ai lettori un quadro completo che va oltre la semplice cronaca del processo e della sentenza. L’estrema sintesi con la quale abbiamo descritto l’evolversi dei fatti non rende giustizia al rigore e all’equilibrio con il quale il BMJ ha informato i lettori (e trattandosi del BMJ, non solo i lettori britannici, ma quelli di tutto il mondo) dei drammatici eventi che hanno coinvolto un’importante struttura pubblica del NHS, i suoi operatori, i suoi dirigenti e, soprattutto, i cittadini che si erano loro affidati con comprensibile fiducia. Fatti e persone sono riportati nella loro oggettività e nel rispetto – quando dovuto – della privacy, ma senza che vi sia mai la sensazione che qualcosa venga taciuto, sottinteso o mistificato. Non mancano, altresì, passaggi di profonda riflessione etica su quanto acclarato e giustificati interrogativi sul contesto manageriale e clinico che ha consentito il verificarsi di tutto questo. Il BMJ non si è limitato a essere una mera cassa di risonanza della sentenza, ma ha svolto un ruolo proattivo nell’esplorare le cause sistemiche e le implicazioni più ampie del caso Letby. Mantenendo un tono rigoroso ed equilibrato, ha fornito un servizio prezioso alla comunità medica e al pubblico, dimostrando che la trasparenza e l’imparzialità sono pratiche irrinunciabili, anche di fronte a una vicenda così difficile e complessa. Un’operazione di grande trasparenza e di assunzione di responsabilità del mondo sanitario nei confronti di sé stesso e del ruolo, non negoziabile, di servizio pubblico verso il quale i cittadini devono poter continuare a guardare con rinnovata fiducia.

Il Nottingham Trust e le tragiche conseguenze della sua scarsa efficienza

La vicenda che ha coinvolto il Nottingham University Hospitals NHS Trust è stata documentata dal BMJ nell’arco di diversi anni [2].

Nel settembre 2019, Wynter Andrews muore 23 minuti dopo la nascita avvenuta con taglio cesareo. Inizialmente il Trust aveva classificato l’incidente come “prevedibile”, ma un’inchiesta medico-legale ha stabilito che la morte è stata “un caso chiaro e palese di negligenza” conseguente a passaggi di consegne inadeguati, carenza di personale e a una scarsa cultura interna della sicurezza. A un anno di distanza, la Care Quality Commission (CQC) – organo indipendente che ha il compito di monitorare l’efficienza dei servizi sanitari e sociali britannici – ha classificato i servizi materno-infantili del Trust come “inadeguati”. Gli ispettori hanno rilevato carenze culturali “profondamente radicate” e un’insufficiente dotazione di per-

sonale, chiedendo formalmente una revisione dell’organizzazione interna entro tre mesi.

Nel 2021 viene avviata un’indagine indipendente per esaminare i servizi di maternità del Trust, partendo dalla casistica raccolta dal 2006 in poi. L’inchiesta è affidata a un’ostetrica senior, Donna Ockenden, che già si stava occupando di un’analoga vicenda nella quale era coinvolto lo Shrewsbury and Telford NHS Hospital Trust. L’indagine si prospetta come la più grande nella storia del NHS e riguarda circa 2.500 casi. Nel gennaio 2023, il Trust è condannato a pagare 800.000 sterline per non aver fornito cure adeguate a Wynter Andrews e a sua madre. Nel settembre dello stesso anno, la polizia del Nottinghamshire avvia un’indagine penale sui decessi e gli infortuni verificatisi nell’ospedale. L’inchiesta si conclude nel febbraio 2025, quando il trust è riconosciuto responsabile della morte di tre neonati nel 2021 e condannato a pagare 1,6 milioni di sterline. Il Trust ammette di essere stato responsabile di un “rischio significativo di danno evitabile” e, a giugno dello stesso anno, la polizia apre un’indagine per omicidio colposo aziendale, per accertare se i decessi siano stati causati da “negligenza grave” da parte del Trust.

Commento

Gli articoli del BMJ, scritti principalmente da Clare Dyer, hanno svolto un ruolo importante nel tenere costantemente informato il pubblico e la comunità medica su questa complessa e prolungata vicenda.

La copertura del BMJ non si è limitata a riportare gli eventi, ma li ha seguiti in progressione cronologica, documentando ogni fase della vicenda, dalle prime indagini sulla morte di Wynter Andrews, al declassamento dei servizi da parte del CQC, all’avvio dell’inchiesta Ockenden, fino alle successive sanzioni e all’avvio delle indagini penali per omicidio colposo. Come consuetudine, il BMJ ha fornito una prospettiva bilanciata, citando regolarmente le dichiarazioni di tutte le parti coinvolte: i dirigenti del Trust, la polizia, le famiglie delle vittime e i giudici che hanno emesso le sentenze. Questa completezza ha permesso ai lettori di comprendere le diverse sfaccettature della vicenda, incluse le scuse formali e gli impegni di miglioramento espressi dal Trust. L’autorevolezza accademica della testata ha consentito di distinguerla da un semplice resoconto giornalistico, contribuendo a mantenere alta l’attenzione sul percorso di accertamento e di riparazione.

Il fine vita e l’uso degli oppioidi presso il Gosport War Memorial Hospital

La vicenda, che riguarda centinaia di morti presso questo ospedale nel Hampshire, si è sviluppata nel corso di decenni, con indagini e procedimenti legali che hanno portato una nuova luce sulle pratiche organizzative interne di questa delicata struttura sanitaria [3].

Nel 2009, le prime indagini prendono le mosse dall’audizione di un medico di medicina generale presso il General Medical Council (GMC), in relazione alla morte di 12 pazienti avvenute tra il 1996 e il 1998. Ma è solo nel 2014 che il governo britannico annuncia un’inchiesta formale sui decessi verificatisi tra il 1998 e il 2000 tra le mura dell’ospedale. Il sospetto era che l’uso “quasi routinario” di oppiacei avesse “quasi certamente” abbreviato la vita di alcuni pazienti.

Nel 2018 l’inchiesta si conclude accertando che la morte di almeno 456 pazienti era stata anticipata a causa della somministrazione di alte dosi di oppiacei non giustificate da ragioni mediche. L’indagine ha identificato una “pratica istituzionalizzata di accorciamento delle vite” attraverso l’inappropriata prescrizione e la somministrazione di oppioidi. Sulla base dei registri mancanti, si stima che almeno altri 200 pazienti abbiano subito la medesima sorte a causa di una pratica prescrittiva entrata ormai nella consuetudine dell’ospedale. In

“una delle più grandi e complesse inchieste della storia della polizia del Regno Unito” sono stati esaminati 15.000 certificati di morte per fare luce su circa 700 decessi meritevoli di attenzione.

A distanza di 15 anni dal suo primo articolo sui decessi al Gosport Hospital, nel 2024 il BMJ aggiorna il dossier sulla vicenda e i suoi lettori: 21 persone sono sospettate di omicidio colposo per grave negligenza e alte tre per reati ai sensi dell’Health and Safety at Work Act (legge sulla sicurezza e la salute sul lavoro).

Commento

Il caso del Gosport Hospital non riguarda il mondo pediatrico, ma affronta a viso aperto il delicatissimo tema del fine vita e della pratica pervasiva e istituzionalizzata di favorire il decesso con un uso quantomeno inappropriato, o addirittura francamente colpevole, dei farmaci oppioidi. Consueta attenzione ai dettagli, da parte del BMJ, e alle posizioni di tutte le parti coinvolte, nel momento in cui le indagini affrontano la possibilità che centinaia di vite siano state in certa misura abbreviate da operatori di una struttura pubblica del NHS. Nulla della vicenda viene consegnato all’oblio degli anni che passano e anche questo è un segno del senso di responsabilità nei confronti del servizio pubblico e della comunità di cui si fa carico il BMJ

Qualche considerazione

Le vicende qui sommariamente riassunte sono servite come esempio, certamente non per la loro indiscutibile gravità sulla quale sarebbe fuori luogo soffermarsi, quanto per indurre una riflessione sul ruolo che una rivista medica di grande tradizione può (e, forse, deve) assumersi nei confronti della comunità scientifica e laica, senza distinzioni. Non sembra di intravvedere, nel panorama editoriale scientifico italiano nulla che assomigli all’impegno di informazione e di “accountability” che responsabilmente è dovuto dal servizio pubblico nei confronti dei propri utenti e di cui il BMJ si fa portatore e tramite. Nella nostra realtà, situazioni analoghe sono giornalisticamente gestite in maniera episodica, spesso sensazionalistica, talora scandalistica, oggetto di grande attenzione per brevi periodi e presto disperse nelle pieghe del tempo e della memoria degli organi di informazione e di noi stessi. Raramente veniamo a conoscenza dell’esito di queste vicende – genericamente classificate alla voce “malasanità” –, delle responsabilità individuali o, ancora meno, di quelle istituzionali e organizzative [4]. Naturalmente, anche i media e la stampa generalista britannici hanno dato ampia copertura dei casi che sono stati descritti e, tuttavia, è da ritenere che gli articoli del BMJ abbiano autorevolmente contribuito a trasmettere la voce della comunità scientifica e delle istituzioni pubbliche – sanitarie, giudiziarie, governative e amministrative – più in generale. Nell’assolve-

re questo compito, il BMJ ci dà un prezioso insegnamento e sembra indicarci che la credibilità del mondo scientifico e del servizio sanitario pubblico risieda anche nella volontà di mostrarsi ai cittadini non solo nelle sue eccellenze, ma anche nelle sue manchevolezze e nella capacità di correggersi e di riguadagnare la fiducia della comunità.

Un ultimo dettaglio non trascurabile: il BMJ è letto in tutto il mondo e tutto il mondo può farsi un’opinione su quanto accade all’interno del NHS. Come dimostrazione di fiducia in sé stessi, non è niente male.

Bibliografia

1. Il caso del Countess of Chester Hospital NHS Trust

y BMJ. 2023;382:p1966.

y BMJ. 2023;383:p2299.

y BMJ. 2024;386:q1487.

y BMJ. 2024;387:q2112.

y BMJ. 2024;387:q2165.

y BMJ. 2024;387:q2215.

y BMJ. 2024;387:q2540.

y BMJ. 2024;387:q2689.

y BMJ. 2025;388:r250.

y BMJ. 2025;389:r300.

2. Il caso del Nottingham University Hospitals NHS Trust

y BMJ. 2023;382:p2056.

y BMJ. 2021;375:n2749.

y BMJ. 2020;371:m4726.

y BMJ. 2025;389:r1141.

y BMJ. 2023;380:p226.

y BMJ. 2025;388:r308.

3. Il caso del Hampshire Gosport War Memorial Hospital y BMJ. 2009;338:b2187. y BMJ. 2014;349:g4610.

y BMJ. 2018;361:k2706. y BMJ. 2019;365:l1991.

y BMJ. 2021;372:n745.

y BMJ. 2023;381:p1495. y BMJ. 2024;387:q2245.

4. Toraldo DM, Vergari U, Toraldo M. Medical malpractice, defensive medicine and role of the “media” in Italy. Multidiscip Respir Med. 2015 Mar 26;10(1):12.

Autismo e tecnologia: rischi e buone prassi per l’uso dei device in età evolutiva

IRCCS Eugenio Medea, Child Psychopathology Unit-Smart Lab, Bosisio Parini

L’impiego di dispositivi digitali è in costante aumento anche tra i bambini con disturbo dello spettro autistico (ASD). Numerosi studi segnalano un utilizzo precoce, spesso in solitudine e per tempi prolungati, con possibili effetti negativi su comunicazione, linguaggio, regolazione emotiva e sviluppo sensomotorio. Alla luce dell’assenza di linee guida ufficiali rivolte a questa specifica popolazione, il presente lavoro analizza i principali rischi e propone strategie pratiche e buone prassi a sostegno delle famiglie. Viene inoltre sottolineato il ruolo chiave del pediatra nel promuovere un uso consapevole e regolato dei device, sin dai primi anni di vita.

The use of digital devices is steadily increasing among children with Autism Spectrum Disorder (ASD). Several studies report early, prolonged, and often solitary screen exposure, with potential negative impacts on communication, emotional regulation, language, and sensorimotor development. In the absence of specific official guidelines for this population, the present article reviews the main associated risks and offers practical strategies and best practices to support families. The role of the pediatrician is also emphasized, particularly in promoting healthy digital habits from early childhood.

Introduzione

Il disturbo dello spettro autistico (ASD) è un disturbo del neurosviluppo caratterizzato da difficoltà sociocomunicative e comportamenti, attività e interessi ristretti e ripetitivi [1]. È una condizione complessa dell’età evolutiva, che accompagna il soggetto in modo permanente, sebbene con espressività variabile nel tempo e una costante limitazione nella partecipazione sociale.

I bambini con autismo, al pari degli altri, si trovano a oggi sempre di più immersi in una realtà fatta di strumenti digitali, che sono parte della quotidianità e il cui utilizzo appare indispensabile. Tra tutti questi strumenti, tablet e smartphone sono quelli più diffusi nelle famiglie italiane, in particolare a partire dal 2007, con il rilascio e la proliferazione dei sistemi operativi iOS e Android [2].

In base al report We Are Social del 2023 [3], 5,44 miliardi di persone usano telefoni cellulari, ovvero il 68% della popolazione. Il 57° rapporto sulla situazione sociale del Paese del Censis [4] riporta come in Italia ci siano circa 48 milioni di smartphone, con una crescita di 6 milioni di cellulari rispetto a cinque anni prima, usati dall’88% della popolazione. Per quanto riguarda i tablet, il 1° rapporto Auditel-Censis [5] del 2018 indica che il 36% dei bambini e ragazzi tra i 4 e i 17 anni usa il tablet familiare e il 9,2% di loro ne ha una fruizione esclusiva. Lo stesso docu-

mento riporta che il 54,6% dei ragazzi tra i 4 e i 17 anni dispone di un telefono cellulare, a uso personale per il 47,9% (il 10,8% tra i 4-10 anni e l’84,3% tra gli 11-17enni).

In aggiunta a questi dati, da un’indagine conoscitiva da noi condotta su un campione di 201 famiglie di bambini autistici tra i 3 e i 14 anni seguiti dall’IRCCS “E. Medea” [6], emerge che il 94,5% utilizzi un dispositivo touchscreen (il 27,6% uno smartphone, il 17,2% un tablet e il 55,2% entrambi i dispositivi), il 65,3% esclusivamente per attività solitarie e nel 63,7% dei casi in completa autonomia.

Le famiglie sembrano quindi essere sempre più connesse e la gestione dei device, in particolare da parte di bambini e adolescenti, è oggetto di interesse e preoccupazione crescente.

Potenziali rischi legati all’utilizzo dei device

Diversi studi hanno evidenziato le problematiche connesse all’uso dei device da parte di bambini e adolescenti, con focus sui soggetti con ASD [6]. Gli elementi sistematicamente segnalati sono:

• esposizione precoce ai device;

• uso prevalentemente solitario dello strumento;

• tendenza a trascorrere molto tempo davanti agli schermi (anche rispetto ai coetanei);

• conseguente riduzione del coinvolgimento in attività che rappresentano forme di apprendimento alternative e maggiormente sociali, fondamentali per lo sviluppo di linguaggio, comunicazione e competenze socioemotive;

• ossessione rispetto a una specifica applicazione o nei confronti del dispositivo stesso, fino a forme di dipendenza;

• maggiore compromissione di alcune competenze relazionali (quali contatto visivo, analisi del linguaggio corporeo ecc.) per la riduzione delle interazioni reali dal vivo;

• aumentato rischio di imbattersi in predatori o di essere vittime di bullismo;

• difficoltà di autoregolazione e di processamento delle informazioni sensoriali fornite, a causa di un’esposizione maggiore a sovraccarichi sensoriali (e.g. luci intermittenti, rumori forti ecc.), che potrebbero indurre reazioni negative nel bambino autistico;

• più sintomi ansiosi e depressivi;

• disturbi del sonno;

• compromissione delle capacità attentive;

• rallentamento nello sviluppo linguistico per la minore interazione faccia a faccia;

• ritardi nello sviluppo sensomotorio e minori competenze di processamento sensoriale;

• maggiore sedentarietà, conseguente riduzione della forza muscolare e dello stato di salute.

In aggiunta a questi dati, l’indagine da noi condotta precedentemente citata [6] fa emergere alcune problematiche di frequente riscontro relative all’utilizzo dei device da parte di minori autistici. In particolare, vengono riferite:

• difficoltà nel regolare e far rispettare i tempi di utilizzo, con richiesta di prolungamento e comportamenti problema all’interruzione;

• difficoltà nel tollerare i tempi di attesa per accedere al device e nel corso dell’utilizzo;

• propensione verso un uso esclusivo del dispositivo, a discapito di altre attività ludiche, didattiche e domestiche;

• disattenzione (soprattutto rispetto al contesto nel momento del gioco) e iperattività;

• utilizzo del dispositivo per l’autostimolazione sensoriale;

• aumento del nervosismo;

• comparsa di ecolalia con ripetizione decontestualizzata di frasi ascoltate nel gioco;

• emulazione di comportamenti inadeguati osservati nel gioco;

• interessi sempre più ristretti, rigidi e ripetitivi, fino ad arrivare a una vera e propria ossessione per un gioco;

• dispositivo che diventa l’unico rinforzatore efficace per il bambino;

• frequente rottura e/o danneggiamento dello strumento; Considerando quanto riportato, appare evidente l’importanza di affiancare all’utilizzo dei device un’adeguata consapevolezza delle potenzialità e dei rischi a esso legati, nonché la conoscenza delle strategie necessarie per prevenire e gestire le eventuali problematicità.

Linee guida esistenti

L’uso dei device da parte di soggetti in età scolare è stato oggetto di interesse per la comunità medico-scientifica internazionale. A oggi esistono alcune linee guida pubblicate al fine di fornire indicazioni ai genitori di soggetti a sviluppo tipico. In particolare, l’OMS indica un tempo massimo di permanenza davanti agli schermi inferiore all’ora per bambini in età prescolare a partire dai 2 anni [7]. Anche la Società Italiana di Pediatria si è espressa in merito, entrando ancor di più nel dettaglio. Fino ai 2 anni è sconsigliato l’utilizzo dei device; dai 2 ai 5 anni solo per un’ora e fino agli 8 anni per due ore al massimo. [8]. In adolescenza l’utilizzo è consentito ma con monitoraggio di tempi e contenuti da parte dell’adulto, rendendo i ragazzi consapevoli dei pericoli che potrebbero incontrare online e a esclusione di alcuni momenti della giornata [9]. Infine, alcune indicazioni più dettagliate provengono dall’American Acaidemy of Pediatrics [10], che fornisce suggerimenti sia rispetto ai tempi di utilizzo in relazione all’età del bambino, sia rispetto al tipo di uso (per quali attività) e ai contesti e momenti in cui risulta appropriato o meno tale uso.

A oggi non esistono linee guida per l’uso dei media da parte di bambini con ASD. Alcune pagine internet offrono spunti e suggerimenti ai genitori ma senza che vi sia una fonte ufficiale a promuovere tali indicazioni. Alcune buone prassi valide per i soggetti a sviluppo normotipico hanno senso di essere utilizzate con tutti i soggetti, a prescindere dalla presenza o meno di una diagnosi, ma le peculiari caratteristiche dei bambini con autismo rendono necessaria l’elaborazione di indicazioni più puntuali e precise.

Buone prassi per l’utilizzo dei device da parte dei bambini con autismo

Considerata questa panoramica, di seguito proponiamo alcune indicazioni, sintetizzando quanto di utile già presente in letteratura e includendo consigli pratici per la gestione delle problematiche di più frequente riscontro.

Tempi e momenti di utilizzo

• I genitori non devono avere fretta nell’introdurre l’uso dei dispositivi: i moderni device sono intuitivi e pertanto, quando diverranno necessari, i bambini sapranno usarli rapidamente;

• tempi e momenti d’uso devono essere definiti e condivisi da subito: dando al bambino un iniziale accesso illimitato, risulterà difficile contenerne l’uso in un secondo momento;

• è fortemente sconsigliato l’uso di device con bambini di età inferiore ai 24 mesi. Dai 2 ai 5 anni l’esposizione agli schermi non dovrebbe superare i 60 minuti al giorno e con la partecipazione del caregiver, per aiutare il bambino a comprendere i contenuti fruiti e le attività proposte, nonché a traslarli nella vita reale con attività e esperienze concrete. Dai 5 agli 8 anni si suggerisce un utilizzo massimo di 2 ore al giorno, estendibili in caso di utilizzo per l’attività didattica;

• Alcuni momenti della giornata devono essere device-free (per esempio, i pasti, brevi viaggi in macchina, durante le attività condivise della famiglia, a scuola o durante lo svolgimento dei compiti a meno che non sia espressamente richiesto e/o necessario in quanto ausilio allo studio);

• tutti i tipi di device dovrebbero essere spenti a partire da un’ora prima di andare a letto;

• è consigliabile definire con il bambino quali attività potrà svolgere quando il tempo di utilizzo del device sarà terminato: offrendo al bambino la possibilità di prevedere cosa farà dopo, si limita la comparsa di comportamenti problema;

• anticipare al bambino il momento dell’interruzione dell’uso del device o utilizzare dei timer visivi per aiutarlo ad autoregolarsi rispetto ai tempi di utilizzo, a prevederne la fine e a gestire il tempo rimanente con attività che non ne richiedono di ulteriore, in modo da non doverle interrompere;

• quando i dispositivi non vengono utilizzati, devono essere spenti e riposti in un luogo definito. Se un dispositivo è al di fuori del campo visivo è più difficile che venga richiesto dal bambino.

Scelta di dispositivi e software/app/contenuti

• Per software, applicazioni e contenuti online, fare una prova d’uso (eventualmente attraverso le versioni lite o demo) e renderli accessibili al bambino solo se adeguati in termini di contenuti e modalità di presentazione degli stimoli (caratteristiche audio-video e possibilità di personalizzazione delle stesse).

• Definire chiaramente e condividere con il bambino quali attività può svolgere con il dispositivo e quali non gli sono permesse.

• Se possibile, verificare se un’applicazione, un software o un contenuto sono stati sviluppati sotto la supervisione di specialisti esperti in autismo o sperimentati su gruppi di bambini con questa diagnosi o della fascia di età per la quale vengono dichiarati.

• Non limitarsi alla fruizione di contenuti e software pensati specificatamente per bambini con autismo. Molti contenuti (come forme, colori, lettere e numeri ecc.) possono essere appresi attraverso applicazioni educative pensate per tutti i bambini.

• Evitare l’esposizione a contenuti che offrono una stimolazione troppo rapida, con molti elementi di distrazione o contenuti violenti.

• Selezionare software e contenuti in base alle abilità e competenze che si desidera potenziare nel bambino.

Ruolo dell’adulto

• Monitorare i contenuti fruiti dal minore per verificare che siano appropriati alla sua età e/o livello di sviluppo cognitivo.

• Definire, condividere e monitorare i tempi e i luoghi di utilizzo dei device.

• Spiegare i concetti di privacy e sicurezza affinché il bambino non condivida informazioni e dati privati.

• Rendere l’adolescente consapevole dei potenziali pericoli che si possono incontrare online e condividere come gestirli.

• Promuovere la partecipazione ad attività che non prevedono l’utilizzo di schermi (sport, musica e hobby, individuali o da condividere con altri bambini).

• Favorire la generalizzazione dei contenuti appresi riproponendoli in attività concrete, da svolgere senza device.

• Promuovere una adeguata igiene del sonno.

• Imparare a utilizzare sistemi di parental control così da monitorare l’uso che il bambino fa del dispositivo e limitarlo laddove necessario, sia rispetto ai tempi, sia rispetto alle tipologie di attività svolte.

• Non utilizzare i device come unico strumento per calmare i capricci del bambino, tenerlo tranquillo o intrattenerlo per lunghi periodi di tempo in cui non è possibile dargli attenzione. Questo comportamento potrebbe interferire con le possibilità del bambino di imparare ad autoregolarsi.

• Condividere con il bambino un piano familiare di utilizzo dei dispositivi, che indichi per ciascun membro del nucleo famigliare, tempi, luoghi e scopi di utilizzo.

• Incoraggiare utilizzi dei device che siano condivisi con altri (adulti o bambini) e creativi.

• Essere un buon esempio avendo sane abitudini di utilizzo dei dispositivi.

• Condividere le regole relative all’utilizzo dei device con gli altri caregiver così che possano essere sempre e costantemente rispettate.

Scelta del dispositivo

• Nei bambini più piccoli o con un ritardo nello sviluppo cognitivo, la scelta di un dispositivo di tipo touchscreen (rispetto, per esempio, a un pc con tastiera) può risultare facilitante in quanto all’azione diretta sullo schermo corrisponde una reazione del dispositivo e dell’attività.

• Scegliere un dispositivo in base agli scopi per cui lo si vuole utilizzare: supporta il software che mi interessa? Voglio che il bambino possa utilizzarlo fuori casa (e quindi necessità che sia facilmente trasportabile)? È possibile installare un parental control?

• Scegliere una custodia che risponda ai bisogni del bambino, in base al tipo di utilizzo del device. Questa deve offrire una protezione da graffi, urti o cadute e eventualmente includere una pellicola protettiva per lo schermo; deve rialzare il dispositivo rispetto alla superficie d’appoggio e permettere di inclinarlo per favorire visualizzazione e digitazione. Infine, deve permettere al bambino di trasportare in autonomia lo strumento.

Conclusioni

Il ruolo del pediatra, in quanto riferimento per la famiglia dalla nascita del bambino, può essere cruciale nella promozione di un uso sano dei device. Fin dai primi contatti, è importante avviare una chiara comunicazione in merito alle abitudini familiari (non solo dei bambini), ai benefici e ai rischi legati all’utilizzo di questi strumenti. Il pediatra dovrebbe promuovere interventi psicoeducativi che, da un lato, spieghino al genitore l’importanza delle attività pratiche, non strutturate e sociali per lo sviluppo linguistico, cognitivo, emotivo e sociale dei bambini; dall’altro, che li istruiscano con linee guida che includano, se necessario, riferimenti specifici per bambini con diagnosi di ASD.

Bibliografia

1. Diagnostic and statistical manual of mental disorders. 5th ed. American Psychiatric Association, 2013.

2. Balbi G, Magaudda P. Storia dei media digitali: rivoluzioni e continuità. Laterza, 2014.

3. We Are Social. Digital 2023. I dati globali. 2023, https://wearesoDcial.com/it/blog/2023/01/digital-2023-i-dati-globali

4. Censis. 57° Rapporto sulla situazione sociale del Paese. Franco Angeli, 2023.

5. Censis, 1° Rapporto Auditel-Censis: Convivenze, relazioni e stili di vita delle famiglie italiane. 2018, https://www.censis.it/comunicazi1one/1%C2%B0-rapporto-auditel-censis

6. Bianchi V, Rosi E, Baù I, et al. Utilizzo di dispositivi digitali in bambini con autismo: stato dell’arte e indagine conoscitiva. Ricerche di Psicologia. 2025 (in press).

7. World Health Organization. WHO guidelines on physical activity, sedentary behaviour and sleep for children under 5 years of age. WHO, 2019, https://www.who.int/publications/i/ item/9789241550536

8. Bozzola E, Spina G, Ruggiero M, et al. Media devices in pre-school children: the recommendations of the Italian Pediatric Society. Ital J Pediatr. 2018 Jun 14;44(1):69.

9. Bozzola E, Spina G, Ruggiero M, et al. Media use during adolescence: the recommendations of the Italian Pediatric Society. Ital J Pediatr. 2019 Nov 27;45(1):149.

10. American Academy of Child and Adolescent Psychiatry. Screen time and children. AACAP’s Facts for Families, No. 54. 2024, https://www.aacap.org/AACAP/Families_and_Youth/Facts_for_ Families/FFF-Guide/Children-And-Watching-TV-054.aspx

valentina.bianchi@lanostrafamiglia.it

Sul bisogno di avere una diagnosi. Il caso di Umaru

Marta Bezzetto1 , Giovanni Giulio Valtolina2,3

1 Specializzanda, Scuola di Specializzazione in Psicologia Clinica, Università Cattolica del Sacro Cuore, Brescia

2 Dipartimento di Psicologia, Università Cattolica del Sacro Cuore, Milano

3 Società Italiana di Psicologia Pediatrica

Umaru, un bambino di tre anni, nato in Germania da genitori nigeriani, viene segnalato dalla scuola dell’infanzia come alunno con probabile BES. Viene attivata la UONPIA, che effettua una valutazione osservativa, in situazione di gioco spontaneo. L’ipotesi diagnostica formulata inizialmente è di disturbo del neurosviluppo non specificato, con indicazione di eseguire approfondimenti neuropsicologici. Tali approfondimenti, però, non evidenziano alcun deficit. I ritardi segnalati rispetto allo sviluppo motorio, linguistico e la disregolazione comportamentale vengono quindi rivalutati dall’équipe alla luce del suo background migratorio, caratterizzato da metodologie educative derivanti da teorie etnoparentali molto differenti da quelle europee.

Umaru, a three-year-old boy born in Germany to Nigerian parents, is reported by his nursery school as a pupil with likely special educational needs (SEN). The Child and Adolescent Neuropsychiatry Public Service carries out an observational assessment during spontaneous play. The initial diagnostic hypothesis is unspecified neurodevelopmental disorder, with a recommendation for further neuropsychological testing. However, these tests do not reveal any deficits. The team then re-evaluated the reported delays in motor and language development and behavioural dysregulation, considering the family migrant background, characterised by educational methods derived from ethnoparental theories very unlike from those reported in Europe.

Introduzione

Secondo Valsiner [1], nell’incontrare un bambino con background migratorio occorre necessariamente osservare e analizzare il suo comportamento, tenendo in considerazione i comportamenti tipici di una specifica cultura, la storia personale e familiare del bambino e l’intero contesto in cui è inserito. Lo sviluppo di un bambino è, infatti, “definito” culturalmente [2]. L’evento migratorio dei genitori e la perdita dei riferimenti della propria cultura d’origine implica per il bambino vivere un processo dinamico e creativo, in cui tutto è precario e tutto resta possibile [3]. Queste riflessioni risultano fondamentali da tenere presenti quando viene attivato un processo diagnostico, poiché questo processo passa attraverso l’anamnesi, intesa come la raccolta della storia clinica del soggetto, che comprende quindi anche le notizie sulla storia e la cultura familiare. Raccogliere la storia di una famiglia con background migratorio significa avere a che fare con un microcosmo caratterizzato da legami e storie uniche [4], significa incontrare famiglie in cui la genitorialità prende forma attraverso un processo che si sviluppa lontano dalle proprie reti

familiari d’origine, nella ricerca di nuove forme di relazione, che nascono dalla ridefinizione dei ruoli e delle dinamiche [5]. Numerose ricerche mostrano, infatti, come l’impatto della migrazione familiare sull’accudimento dei figli ridefinisca comportamenti e ruoli e modifichi le dinamiche intergenerazionali, secondo modalità uniche rispetto a una famiglia non migrante [6]. Per comprendere meglio i processi e le traiettorie di questi nuclei familiari, occorre analizzare e approfondire vari aspetti della vita familiare, ad esempio individuando quando si è creata la famiglia rispetto ai tempi della migrazione [7], oppure considerando le difficoltà di adattamento nel Paese d’accoglienza [8]. Quindi, nel processo che porta alla diagnosi, è importante valutare il percorso migratorio e l’adattamento al contesto d’emigrazione, poiché essi determinano cambiamenti significativi nelle dinamiche e nei ruoli familiari [9]. Inoltre, diversi studi hanno mostrato come la condizione psichica dei genitori e le tensioni che essa subisce durante la migrazione vadano a determinare l’organizzazione familiare e le modalità di cura dei figli [10]. I ruoli genitoriali modificati nel processo di adattamento al nuovo contesto influenzano anche il modo in cui i figli interagiscono con l’ambiente circostante. Considerare tutti questi elementi è da ritenersi determinante nella definizione di una diagnosi.

La storia di Umaru Umaru è un bambino di 3 anni al momento della consultazione. È nato in Germania, nel 2021, da genitori nigeriani. Al momento della sua nascita, la famiglia è composta dal padre, dalla madre e dalla sorella. Il padre è nato nel 1990 in Nigeria, operaio, non scolarizzato, ma con alcune minime competenze di base, come leggere e scrivere il suo nome, apprese grazie alla compagna. La madre, nata nel 1995, anch’essa in Nigeria, non lavora ma è scolarizzata; in particolare, risulta molto fluente nella lingua inglese. La sorella di Umaru è nata nel 2018, in Germania e, al momento della consultazione, è inserita nella prima classe della scuola primaria; per lei, attraverso il progetto del SAI1 e il servizio sociale del territorio, durante il fine settimana sono stati attivati dei laboratori che la coinvolgono in attività con altri bambini.

La madre racconta di un’infanzia e di un’adolescenza segnate dalla violenza domestica che l’hanno portata a lasciare il suo Paese d’origine. Anche il viaggio per l’Italia è stato un’esperienza particolarmente dolorosa, caratterizzata da due anni passati a prostituirsi in Libia. Il padre, invece, riporta di aver dovuto lasciare il Paese d’origine a seguito di un conflitto con un gruppo locale e anche per lui il viaggio migratorio è stato segnato da sofferenze e umiliazioni, con anni di duro lavoro come schiavo in Libia, in attesa del pagamento del riscatto.

La coppia si è conosciuta in Italia, all’interno del servizio di prima accoglienza di Taranto, nel 2017. Dopo circa tre mesi di frequentazione, la madre di Umaru scopre di essere incinta e con il compagno decide di cercare di migliorare le proprie condizioni di vita, trasferendosi in Germania. Qui nasce la sorella di Umaru. Rispetto a quel periodo, la signora riporta: “ero molto depressa, continuavo a pensare al suicidio, lanciandomi dal balcone. Avevo smesso di mangiare, non riuscivo a prendermi cura né di me, né della mia bambina. Continuavo a pensare a tutta la violenza che avevo subito”. A pochi mesi dal parto, viene ricoverata per circa un mese per depressione post partum; al termine del ricovero, la signora viene dimessa con una terapia farmacologica da seguire. Nel frattempo, il padre trova un lavoro. Nel 2019, la coppia decide di avere un altro bambino. L’arrivo di Umaru è però preceduto da due aborti spontanei. Nel 2021, quando Umaru è nato da poco, la madre riceve la comunicazione di aver ottenuto lo status di rifugiato in Italia. Il nucleo familiare decide, quindi, di rientrare in Italia e viene preso in carico dai servizi sociali. Nel 2022, i servizi

rilevano la necessità di un supporto quotidiano alla genitorialità per la coppia e il nucleo viene quindi inserito in un progetto del SAI del territorio in cui vivono. Al padre viene trovato un lavoro, i due figli vengono inseriti a scuola e la madre viene iscritta a un corso di italiano, che però non riesce quasi mai a frequentare perché le maestre chiedono che Umaru abbia un orario scolastico ridotto, con uscita alle 11:30. Umaru è inserito, come anticipatario, all’interno di una sezione mista, in cui altri 5 bambini hanno la sua stessa età, mentre altri 19 hanno invece già compiuto tre anni.

Le insegnanti descrivono Umaru come un bambino dinamico, forte fisicamente ma non coordinato, caratterizzato da una forza non controllata, che corre sempre e distrugge giochi, con una più marcata energia in prima mattina, che si affievolisce molto velocemente andando via via scemando nel giro di un paio d’ore, tanto che Umaru si addormenta in braccio prima di uscire. Nelle attività deve essere spesso fermato e corretto dalle insegnanti. Sembra provare benessere soprattutto negli spazi aperti e nel gioco libero in autonomia. La relazione con i compagni non è sempre positiva, a causa di alcuni suoi atteggiamenti aggressivi (soprattutto, morsi e botte), dell’incapacità di rispettare le principali regole di comportamento, come per esempio lo stare seduto, aspettare il proprio turno, non fare del male ai compagni. La relazione con gli adulti è positiva, Umaru non è diffidente, ma bisogna evitare di entrare in contrasto con lui. Parla inglese e sa rendere i suoi bisogni primari comprensibili, nonostante la sua difficoltà nel comunicare. Le maestre evidenziano di aver quindi attivato con lui – anche in assenza di certificazione – le strategie didattiche utilizzate per gli alunni con ADHD o con DOP (disturbo da comportamento oppositivo provocatorio); ne è un esempio l’orario di frequenza ridotto, dalle 8:00 alle 11:30.

La mamma riporta che anche la figlia più grande era così all’età di Umaru e che poi le cose “si sono sistemate da sole” e che ora la bambina è calma e ben educata. Le sue maestre non riportano particolari difficoltà in classe, se non la sensazione che i genitori si curino poco di lei.

Umaru viene presentato al consiglio di classe come un alunno con probabile BES. Viene quindi predisposto un piano educativo individualizzato, in cui viene segnalato per le seguenti problematiche: “svantaggio socio-relazionale, svantaggio culturale, svantaggio linguistico, rilevanti difficoltà scolastiche, rilevanti difficoltà comportamentali (non legate a BES certificati)”.

Alla luce di quanto rilevato a scuola, viene quindi richiesto agli operatori del progetto del SAI, in cui è inserito il nucleo familiare di Umaru, un invio all’UONPIA, con l’obiettivo di ottenere una diagnosi precisa e una certificazione di disabilità.

Il percorso diagnostico

Dopo la segnalazione effettuata dalle insegnanti della scuola dell’infanzia nell’autunno, il bambino viene preso in carico dalla UONPIA con una prima visita ad agosto dell’anno successivo e una seconda a novembre.

Durante la prima visita specialistica all’UONPIA, viene effettuata la raccolta anamnestica rispetto alle tappe dello sviluppo psicomotorio, che mette in luce un ritardo a livello motorio e linguistico: posizione seduta dopo i 6 mesi, gattonamento dopo i 12 mesi, deambulazione autonoma a 24 mesi. Anche le prime parole sono comparse a 24 mesi. All’età della prima visita comprende e produce solo semplici e brevi enunciati in lingua inglese – che per lui è L1 – con intonazione tipica della lingua americana, forse appresa dalla televisione. Il gioco è perlopiù solitario, non presenta attività di tipo simbolico, nemmeno per imitazione quando gioca con la sorella maggiore; gioca soprattutto con macchinine, che fa strisciare su diverse superfici. Non sono presenti interessi ristretti o ripetitivi, sono negati comportamenti problematici a casa e reazioni

di bassa soglia alla frustrazione o disfunzionali, quando viene richiamato.

La neuropsichiatra ha valutato non ci fossero le condizioni per la somministrazione di scale strutturate per la valutazione dell’efficienza cognitiva a causa dell’insufficiente collaborazione e tenuta di Umaru. E per questo motivo ha deciso di procedere con l’osservazione del bambino in situazione di gioco spontaneo, alla presenza della madre del bambino, dell’operatrice del progetto del SAI, del mediatore culturale, in seduta congiunta con la psicologa e la neuromotricista. Durante la prima osservazione, il bambino entra nella stanza e si dirige subito verso i giochi, ripetendo più volte domande come “what is this?” “it’s a frog?” Non viene evidenziata esplorazione preliminare dell’ambiente, mentre si rileva un passaggio rapido da un oggetto all’altro, con una maggiore attrazione per le macchinine che fa muovere a lungo, anche sedendosi, accompagnando il gesto con espressioni ripetute come “the motorcycle is running”. Il gioco spontaneo è caratterizzato da brevi sequenze scarsamente strutturate. Sembra sensibile al richiamo verbale e soprattutto fisico del papà, ma rapidamente torna a reiterare l’azione da cui è stato richiamato. Il contatto oculare appare poco sostenuto, non sempre si gira quando è chiamato per nome. Interagisce con i genitori, mostrando loro l’oggetto d’interesse, ma non presenta aperture sociali verso gli altri presenti; non accetta il gioco di scambio. Comprende semplici consegne in inglese e risponde solo con brevi enunciati ai genitori. Occasionalmente si esprime parlando di sé in terza persona. Si evidenzia impaccio grosso e fino motorio. Durante la seconda visita a novembre dello stesso anno, Umaru è descritto come “energico e motorio”. Si allontana spontaneamente dalla madre per esplorare lo spazio e talvolta si volta a cercarla con lo sguardo. Non ricerca attivamente lo sguardo di altri e lo sostiene per tempi molto ridotti, anche se accetta il contatto fisico e appare coinvolto nella relazione. Ha ridotta e coartata mimica facciale espressiva, mentre i tratti prosodici sono enfatizzati, a sottolineare le emozioni sottostanti. Se chiamato per nome, a volte si gira. Si riferisce poco a sé stesso nel raccontare cosa gli piace. In questa seconda visita esplora lo spazio con curiosità, risulta molto attratto anche da più giochi e stimoli contemporaneamente, denota ipercinesia e impulsività nell’approccio, ma si lascia guidare verbalmente a inibire la risposta motoria, evidenziando tolleranza alla frustrazione. Si esprime solo in inglese, all’inizio con vocalizzi di compiacimento, per lasciare successivamente posto alle parole. Conosce il nome degli animali, anche quelli meno frequenti e li abbina ai loro versi e colori. Mostra buone competenze nel gioco simbolico (per esempio, fa parlare alcuni pupazzetti). Comprende l’utilizzo degli oggetti, sa fare generalizzazioni, anticipa causa ed effetto. Mostra buone capacità imitative, adeguate abilità di problem solving, buone competenze in relazione alla sperimentazione, uno sviluppo sufficiente del linguaggio. Nell’interazione si mostra collaborante. Ha raggiunto il controllo sfinterico.

La diagnosi

La neuropsichiatra infantile al termine della prima visita aveva formulato un’ipotesi diagnostica di “disturbo del neurosviluppo, da approfondire”. Al termine della seconda visita, riporta, invece, una diagnosi di “disturbo del neurosviluppo non specificato (ICD 10 F89), caratterizzato da storia di ritardo dello sviluppo motorio e linguistico e disregolazione comportamentale”.

Dopo la valutazione dell’équipe che ha incontrato Umaru nella seconda visita, sono stati richiesti i seguenti approfondimenti: valutazione del livello di sviluppo globale con le scale Griffiths III e, per diagnosi di esclusione, valutazione logopedica, visita ORL ed esame audiometrico. È stato inoltre richiesto un trattamento di tipo neuropsicomotorio.

Gli esami effettuati per la diagnosi di esclusione non hanno fatto rilevare alcun deficit nel bambino. L’approfondimento del livello di sviluppo globale e il trattamento neuropsicomotorio, purtroppo, non hanno potuto essere effettuati, in quanto la famiglia non è mai stata ricontattata dal servizio.

Il post diagnosi

Gli approfondimenti suggeriti dall’UONPIA non hanno quindi fornito ulteriori elementi per precisare una diagnosi, anzi sono sembrati indicare che non esistevano specifici deficit nel bambino, per quanto riguarda un disturbo del neurosviluppo. Tali esiti hanno quindi stimolato l’équipe di lavoro, costituita dalla psicologa, dagli educatori e dagli assistenti sociali del progetto SAI, a considerare con più attenzione la storia di Umaru, della sua famiglia e del loro percorso migratorio, al fine di comprendere le cause delle problematiche evidenziate dal bambino nello sviluppo motorio e linguistico e le radici della disregolazione comportamentale. Fondamentale a questo riguardo è stato fare riferimento alle etnoteorie parentali della tradizione culturale nigeriana. Le etnoteorie parentali [11] sono i modelli culturali che rappresentano le idee dei genitori sui propri figli, sul loro sviluppo, su cosa sia importante fare o non fare per essere dei buoni genitori. Nel momento in cui diverse etnoteorie parentali si trovano a incrociarsi all’interno di uno stesso sistema sociale, come accade con la presenza di famiglie immigrate, la sfida che i genitori si trovano a fronteggiare è quella di riuscire a rielaborare il proprio modello originario senza perdere di vista l’obiettivo primario del processo di parenting : lo sviluppo fisico e psicologico del proprio figlio. La letteratura internazionale suggerisce che i genitori appartenenti a minoranze etniche hanno credenze, atteggiamenti, valori e comportamenti che da un lato si sovrappongono a quelli del gruppo maggioritario e dall’altro si differenziano invece notevolmente [12]. Utilizzando il modello ecologico-culturale di Ogbu [13], si potrebbe affermare che i genitori migranti sviluppino atteggiamenti e comportamenti del tutto peculiari, che potrebbero essere definiti come formule culturalmente standardizzate, che hanno l’obiettivo di promuovere nel bambino particolari competenze e comportamenti, socialmente adeguati ai canoni culturali del Paese che li ospita. In questa prospettiva, lo studio delle etnoteorie parentali dei genitori migranti risulta un utile strumento per una migliore comprensione dei vissuti di questi genitori e per la definizione di efficaci strategie di supporto, non soltanto emergenziali. I genitori, dunque, all’interno di società e di culture differenti sviluppano differenti strategie per educare i propri figli e per concretizzare le loro credenze rispetto ai compiti parentali. Stante la profonda influenza che la cultura ha sul processo di parenting e, di conseguenza, sullo sviluppo stesso del bambino [14], potremmo dire che nel caso dei genitori di Umaru non si sia innescato quel processo di integrazione tra diverse pratiche genitoriali – quella nigeriana e quella italiana – che gli studiosi rilevano in molte famiglie migranti. Per questi genitori, anche in conseguenza dei loro molteplici spostamenti tra Italia e Germania, le pratiche di accudimento dei figli sono rimaste quelle della loro cultura d’origine, senza “contaminarsi” con quelle autoctone. In questa prospettiva, il ritardo nello sviluppo motorio di Umaru è da attribuirsi ai molti mesi in cui la mamma ha tenuto il figlio sulle spalle, secondo la nota pratica del “babywearing”, determinando così una modifica nelle tappe dello sviluppo motorio tipiche nella società occidentale. È da rilevare che la madre, nei colloqui con gli specialisti, si reputa una “brava mamma” proprio perché ha portato Umaru con sé ovunque, sulla schiena, finché non è diventato troppo grande e pesante per continuare con questa modalità di parenting. E ancora, nel valutare la disregolazione comportamentale, occorre tenere presente che i genitori nigeriani, per tradizione

culturale, ritengono che fino al terzo anno di vita il bambino è troppo piccolo per essere educato e quindi viene lasciato libero di muoversi e di fare tutto quello che vuole. E che, in Nigeria, le punizioni – spesso anche fisiche [15] – cominciano a essere utilizzate solo verso i quattro anni. Tenendo conto di questa specifica etnoteoria parentale, i comportamenti di Umaru, che vengono definiti “disregolati” dagli specialisti autoctoni, potrebbero quindi essere, invece, le conseguenze di una pratica educativa diversa da quella occidentale, che tende a “educare” il bambino solo a partire dal quarto anno di vita. E anche per quanto riguarda il ritardo nell’apprendimento linguistico, ciò può essere considerato una conseguenza della particolare situazione in cui Umaru si è trovato a vivere, caratterizzata da una grande quantità di tempo trascorso in solitudine e dall’esposizione, per tre anni, al solo linguaggio utilizzato in famiglia: l’inglese e il dialetto della zona d’origine dei genitori. Con l’improvvisa esposizione a un nuovo linguaggio, l’italiano utilizzato nella scuola dell’infanzia, con cui Umaru è venuto a contatto solo dopo i tre anni, al momento del suo primo inserimento nella scuola italiana, la sua produzione linguistica, probabilmente già limitata, ha avuto un blocco.

Commento

Il caso di Umaru evidenzia come la valutazione di un bambino con background migratorio implica la necessità di tenere in considerazione – nell’analisi del suo comportamento – le etnoteorie parentali della cultura d’origine dei genitori, la sua storia migratoria e il contesto in cui è inserito al momento della valutazione. Implica essere consapevoli che la rappresentazione dello sviluppo del bambino è mediata dalla cultura d’appartenenza e la perdita del contesto culturale d’origine porta i genitori a trasmettere al bambino una percezione caleidoscopica del mondo e a offrirgli un sostegno instabile in un contesto instabile [16]. Non è possibile ignorare questi elementi nella valutazione diagnostica.

Note 1. Per SAI si intende “Sistema di accoglienza e integrazione”, progetto del Ministero dell’Interno costituito da una rete di enti locali con l’obiettivo di realizzare progetti di accoglienza integrata. A livello territoriale gli enti locali, con il supporto delle realtà del terzo settore, garantiscono interventi di accoglienza integrata, che assicurano servizi di vitto e alloggio e misure di informazione, accompagnamento, assistenza e orientamento, attraverso la costruzione di percorsi individuali di inserimento socioeconomico dei migranti inclusi nel progetto.

La bibliografia di questo articolo è consultabile online.

Microematuria e proteinuria: non solo questione di rene

Martina Carucci1 , Barbara Brunetti1 , Shadì Rizzo2 , Marta Giovengo1 , Oriana De Marco2 , Luigi Annicchiarico Petruzzelli3 , Gabriele Malgieri3 , Claudia Mandato4

1 Scuola di Specializzazione in Pediatria, Dipartimento di Medicina, Chirurgia e Odontoiatria “Scuola Medica Salernitana”, Università degli Studi di Salerno, Baronissi (SA)

2 Scuola di Specializzazione in Nefrologia, Dipartimento di Sanità Pubblica, Università degli studi “Federico II”, Napoli (NA)

3 UOC Centro trapianti rene, nefrologia pediatrica e dialisi, AORN Santobono-Pausilipon, Napoli (NA)

4 Dipartimento di Medicina, Chirurgia e Odontoiatria, Università degli Studi di Salerno “Scuola Medica Salernitana”, Baronissi (SA)

Il caso di una bambina che si presenta con microematuria e proteinuria rappresenta il punto di partenza per approfondire le alterazioni dell’esame urine (EU). Sebbene spesso vengano riscontrate condizioni transitorie e benigne, in alcune occasioni è necessario proseguire nell’iter diagnostico avvalendosi anche di biopsia renale e valutazione genetica. In particolare, la sindrome di Alport (SA) è una malattia ereditaria multisistemica coinvolgente rene, apparato visivo e uditivo. La diagnosi precoce e il corretto follow-up sono essenziali per migliorare l’outcome e prevenire le complicanze a lungo termine.

The case of a child with microhematuria and proteinuria is the starting point to investigate abnormalities in urine examination. Although transient and benign conditions are frequently encountered, in some cases, it’s necessary to proceed with the diagnostic process, employing renal biopsy and genetic evaluation. In particular, Alport syndrome is a multisystemic hereditary disease involving kidneys, visual and auditory system. Early diagnosis and proper follow-up are essential to improve outcomes and prevent long-term complications.

La storia

E., 9 anni, accedeva in pronto soccorso per dolore addominale associato a vomito e febbricola. Venivano effettuati esami ematochimici, nella norma, ed EU, con riscontro di microematuria e proteinuria in assenza di nitriti ed esterasi leucocitaria. All’esame obiettivo (EO) solo una lieve dolenzia alla palpazione profonda dell’addome e all’ecografia point of care nessuna urgenza chirurgica o urologica. Veniva dimessa a domicilio con diagnosi di gastroenterite acuta in assenza di disidratazione severa, terapia reidratante orale e indicazione a ripetere EU alla risoluzione del quadro acuto.

Il percorso diagnostico

Di fronte a un’alterazione aspecifica dell’EU, in assenza di sintomi o segni d’urgenza (edemi, ipertensione arteriosa, artralgie, porpora cutanea, anemia emolitica non autoimmune) l’approccio più adeguato è procedere step-by-step analizzando 3 campioni a distanza di almeno 2-4 settimane l’uno dall’altro e lontano da un eventuale evento acuto. Infatti, l’alterazione di

un singolo EU può essere legata sia a falsi positivi (urine molto concentrate, piuria, uso di antisettici, assunzione di farmaci), sia a infezioni intercorrenti o sforzo fisico [1].

Nel caso di E., gli esami seriati delle urine confermavano la microematuria e proteinuria configurando un quadro di microematuria asintomatica persistente associata a proteinuria. Si decideva, quindi, di intraprendere approfondimento diagnostico valutando emocromo, indici di flogosi, elettroliti sierici, creatinina, azotemia; complementemia, immunoglobuline sieriche e autoimmunità per escludere glomerulonefrite acute/croniche (es. nefropatia IgA, C3 nephropathy, glomerulonefrite acuta post-infettiva) o patologie autoimmuni con coinvolgimento renale (es. vasculiti ANCA-associate, lupus eritematoso sistemico); proteinuria nelle 24 h, risultata pari a circa 1000 mg/die in più determinazioni con rapporto proteinuria/creatininuria (PrU/CrU) tra 0,5 e 1,6 mg/mg; analisi del sedimento urinario con evidenza di acantociti in numero superiore a 5/pcm e circa il 60% di emazie dismorfiche, definendo un quadro di microematuria di origine glomerulare [Figura 1]. L’anamnesi risultava non contributiva.

Commento

L’ematuria e la proteinuria in età pediatrica possono essere espressione di disfunzioni renali transitorie e benigne o di patologie renali e sistemiche di maggiore rilevanza clinica e prognostica.

Urine rosse o scure non significano necessariamente ematuria in quanto ci sono diverse condizioni che determinano urine colorate [Figura 2]. Il dipstick urinario per la sua capacità di reagire nei confronti del gruppo eme permette di selezionare emoglobinuria e mioglobinuria, non presente all’analisi microscopica. L’esame del sedimento urinario è fondamentale per distinguere l’ematuria glomerulare, caratterizza-

Figura 1. Emazie dismorfiche ed acantociti. La freccia indica le tipiche emazie “a ciucciotto”.
Figura 2. Cause di urine rosse.

ta da emazie dismorfiche (> 40% del totale) e acantociti, da quella non glomerulare, in cui le emazie sono eumorfiche [Figura 3] [2]. Viene eseguito su urine fresche escludendo la prima minzione del mattino, in quanto la stasi urinaria nelle ore notturne può alterare la forma delle emazie. Quando il sangue è visibile a occhio nudo con un colore dal rosso vivo al marsala o coca-cola, si parla di macroematuria ; microematuria in caso di > 3 emazie pcm in un campione di 10 ml di urine centrifugato a 1500 rpm per 5 minuti. Nella Tabella 1 sono riassunte le principali cause di ematuria persistente in età pediatrica [2,3].

Tabella 1. Principali cause di ematuria persistente

Glomerulare Non glomerulare

Cause primarie:

– Glomerulosclerosi focale segmentale

– Nefropatia membranosa

– Glomerulonefrite rapidamente progressiva

– Sindrome di Alport

– Glomerulonefrite post infettiva

– Nefrite da IgA

Glomerulopatie secondarie:

– Nefrite lupica

– Porpora di HenochSchonlein

– Nefropatia da HBV, HCV, HIV

– Sindrome uremico-emolitica

– Vasculiti ANCA-associate

sintomatica, con edemi palpebrali, pretibiali, scrotali e possibile evoluzione in anasarca, asintomatica ; transitoria, se scompare alla cessazione della causa scatenante (sforzo fisico intenso, febbre, disidratazione o stress) e molto frequentemente, persistente, riscontrata su più campioni, meritevole di approfondimento [Tabella 2] [4] La proteinuria ortostatica è causata da un aumento dell’escrezione delle proteine in posizione eretta. La diagnosi viene posta mediante la raccolta delle urine differenziale notte-giorno, con un aumento dell’escrezione diurna delle proteine [4].

Tabella 2. Principali cause di proteinuria persistente

Glomerulare

– A lesioni minime

– Glomerulosclerosi focale segmentale

– Glomerulonefrite mesangiocapillare

– Nefropatia membranosa

– Glomerulonefrite rapidamente progressiva

– Sindrome nefrosica congenita

– Glomerulonefrite post infettiva

– Nefrite lupica

– Nefrite da IgA

– Nefrite di Henoch-Schonlein

– Sindrome di Alport

– Nefropatia da HBV, HCV, HIV

– Amiloidosi

– Sindrome emolitico-uremica

– Diabete mellito

– Ipertensione

– Nefropatia da reflusso

Cause renali:

– Ipercalciuria – Nefrolitiasi

– Emangiomi – Trombosi arteria o vena renale

– Rene policistico autosomico dominante

– Tumore di Wilms, angiomiolipomi

Cause extrarenali: – Sindrome di Nutcracker – Esercizio fisico

Il dipstick permette di effettuare anche una stima qualitativa/semiquantitativa della proteinuria, ma ha scarsa sensibilità per le proteine tubulari e possibilità di falsi positivi (urine concentrate, pH > 8, piuria, batteriuria, antisettici, cefalosporine o sulfamidici) o falsi negativi (urine poco concentrate, pH < 4,5). Il gold standard per la misurazione quantitativa delle proteine urinarie è la raccolta delle urine delle 24h. È patologica una proteinuria > 100 mg/1,73m 2/die (> 4 mg/1,73m 2/h). Nei bambini che non hanno raggiunto il controllo della minzione, una valida alternativa è il calcolo di PrU/CrU su singolo campione (vn < 0,5 < 2 anni; < 0,2 > 2 anni). La proteinuria può essere glomerulare (> 69 kDa), tubulare (< 69 kDa);

Tubulare

Ereditaria:

– Acidosi tubulare prossimale

– Cistinosi

– Galattosemia

– Tirosinemia tipo I

– Malattia di Wilson

– Sindrome di Lowe

– Sindrome di Dent

– Sindrome di Imerslund Graesback

Acquisita:

– Pielonefrite

– Nefrite interstiziale

– Necrosi tubulare acuta

– Tossicità da farmaci

– Metalli pesanti

– Intossicazione da vitamina D

Nella maggior parte dei casi, un’anamnesi dettagliata e un attento EO, supportati da esami laboratoristici e strumentali [Tabella 3], possono indirizzare verso una diagnosi; tuttavia, in alcuni casi selezionati, è invece necessario ricorrere ad indagini di terzo livello, quali la biopsia renale e l’approfondimento genetico [Tabella 4].

Tabella 3. Esami da effettuare in caso di proteinuria/ematuria glomerulare in assenza di sintomi

Primo livello – UPr/UCr su campione estemporaneo

– Esame del sedimento urinario

– Creatinina, urea, albumina

– Emocromo, elettroliti sierici

– VES, PCR

– Assetto lipidico

– Urinocoltura

– Ecografia di reni e vie urinarie

Secondo livello – Proteinuria delle 24h

– Proteinuria differenziata giorno/notte su tre campioni

– B2 microglobulina urinaria, microalbuminuria

– C3, C4

– Titolo anti-streptolisinico, anti-DNAsi

– Screening autoimmunitario (ANA, AntidsDNA, ANCA)

– Immunoglobuline sieriche

– Sierologia per HCV, HBV, Varicella, pneumococco

– Ecocolordoooler dei vasi renali

Terzo livello – Pannello NGS per nefropatie ereditarie

– Bioosia renale

Figura 3. Esame del sedimento urinario. Dall’alto in basso: emazie dismorfiche, acantociti, emazie eumorfiche.

Tabella 4. Indicazioni alla biopsia renale in corso di ematuria/proteinuria [AKI= Acute kidney injury]

Condizione Indicazione alla biopsia

Proteinuria – Ematuria associata

– Insufficienza renale e/o ipertensione (con o senza ematuria)

– Glomerulonefrite acuta post-infettiva attiva oltre le 8 settimane

– Proteinuria isolata non ortostatica con uPr/ uCr > 0,5 g/g o proteinuria > 1g/24h

– Sindrome nefrosica idiopatica corticoresistente

– Diminuzione del filtrato glomerulare sotto gli 80 ml/min/m2 (tranne AKI)

Ematuria – Macroematuria recidivante

– Microematuria persistente

– Familiarità per ematuria, insufficienza renale, ipoacusia, alterazioni oculari

– Proteinuria associata

– Evidenza di danni vascolari di tipo autoimmune

Diminuzione del filtrato glomerulare sotto gli 80 ml/min/m2 (tranne AKI)

– C3 basso per oltre 3 mesi

Diagnosi

Nel caso di E., in considerazione della persistenza di microematuria associata a proteinuria (circa 1 g/24h), si procedeva con biopsia renale percutanea prelevando tre frustoli per microscopia ottica (MO), immunofluorescenza (IF) e microscopia elettronica (ME). Il referto mostrava:

• MO: “lieve ipercellularità mesangiale e restrizione del calibro degli spazi capillari; un paio di glomeruli risultano piccoli ed interamente sclerotici, un altro paio sono sede di sclerosi segmentaria. Non si evidenzia proliferazione endocapillare ed extracapillare. L’interstizio è caratterizzato dalla presenza di lieve fibrosi. Non significative alterazioni tubulari e vascolari”;

• IF: “assenza di depositi di IgA, IgM, IgG, C3, C4 C1q, catene leggere kappa, lambda, fibrinogeno, albumina”;

• ME: “aree di ispessimento delle membrane basali (MBG) dei capillari glomerulari, focali aree di assottigliamento delle stesse e coalescenze dei podociti che in alcune aree appaiono appiattiti”.

Si definiva quindi un quadro compatibile, ma non esclusivo, di SA. Si avviava indagine genetica molecolare mediante Next Generation Sequencing (NGS) per SA che mostrava la presenza della variante de novo c.268G > T del gene COL4A5, localizzato sul cromosoma X, in eterozigosi; variante potenzialmente patogenetica, che assume significato patogenetico quando associata a un quadro clinico suggestivo di SA.

Discussione

La SA è una glomerulopatia ereditaria causata da un difetto genetico delle membrane basali glomerulari. Esistono quattro forme di SA: X-linked (80%), autosomica recessiva (AR, 5-15%), autosomica dominante (AD, 5%). Il 10% delle forme X-linked è de novo [6]. I geni responsabili sono COL4A3, COL4A4 E COL4A5 che codificano rispettivamente per le catene alfa-3, alfa-4 e alfa-5 del collagene IV. Il trimero alfa-3/alfa-4/alfa-5 è il componente principale delle membrane ba-

sali glomerulari, dei tessuti oculari e uditivi. Mutazioni nei geni COL4A3 e COL4A4 determinano le forme AD e AR, mentre mutazioni nel gene COL4A5 causano la forma X-linked. Forme di eterozigosi composta simulano una trasmissione autosomica recessiva [6].

Il quadro clinico comprende:

• manifestazioni renali: microematuria asintomatica persistente già nell’infanzia, spesso misconosciuta fino a quando il paziente non effettua un EU per altre ragioni. La macroematuria generalmente compare in corso di infezione delle alte vie respiratorie, ma non è un riscontro comune in età pediatrica. Frequente è il riscontro di proteinuria asintomatica persistente in range non nefrosico. Pressione arteriosa e creatinina sierica sono generalmente normali nell’infanzia: il declino della funzionalità renale avviene generalmente tra i 16 e i 35 anni nei pazienti affetti da SA X-linked e AR, più tardivamente nelle forme AD [6];

• manifestazioni uditive: sordità neurosensoriale bilaterale, mai congenita, che compare intorno ai 6 anni;

• manifestazioni oculari: lenticono anteriore (patognomonico nei maschi affetti da SA X-linked), retinopatia e distrofia corneale polimorfa posteriore tra le manifestazioni più comuni;

• manifestazioni rare: leiomiomi del tratto gastrointestinale, respiratorio e dell’utero nei pazienti con delezione COL4A5-COL4A6; rari casi di aneurismi dell’aorta toracica e addominale [6].

I soggetti con SA-AR e i maschi con SA X-linked presentano un quadro clinico completo con microematuria glomerulare, proteinuria con evoluzione a malattia renale terminale, anomalie oculari e sordità neurosensoriale; nelle femmine con SA X-linked il fenotipo può variare da grave a mild a causa del fenomeno della lyonizzazione, in base al grado di inattivazione della X affetta. I soggetti con SA-AD manifestano più raramente anomalie oculari e uditive e presentano una più lenta progressione della malattia renale [4].

Considerata l’aspecificità degli esami ematochimici e urinari e la non sempre suggestiva anamnesi familiare, la diagnosi di SA è posta sulla base della genetica o della biopsia renale completa di MO, IF, ME e se possibile, di immunoistochimica per le catene alfa-3, alfa-4 e alfa-5 del collagene IV [Figura 4].

Alla MO il quadro istologico può essere totalmente negativo o, talvolta, presentare glomerulosclerosi focale e segmentale; l’IF è sempre negatività per depositi; alla ME si osservano le

Figura 4. Immunoistochimica per catene alfa-3 e alfa-5 del collagene IV in un rene sano (a sinistra dell’immagine) e in un rene di paziente affetto da SA (a destra dell’immagine). Nel rene sano, le catene alfa-3 e alfa-5 del collagene IV sono presenti nella membrana basale glomerulare; nella SA sono assenti [8].

Figura 5. ME: le frecce indicano aree di assottigliamento alternate ad aree di ispessimento della MBG.

alterazioni tipiche: ispessimento della MBG alternato ad aree di assottigliamento, slaminamento della lamina densa fino alla totale deformazione a “basket-wave” [Figura 5] [7].

Una diagnosi precoce ci permette di iniziare tempestivamente il monitoraggio della funzionalità renale intraprendendo eventuale terapia con ACE-inibitori o sartani, farmaci in grado di ridurre la proteinuria e rallentare la progressione della malattia renale, e di inserire il paziente in un programma di follow-up audiologico e oculistico [6].

E. ha iniziato terapia con telmisartan, un sartano, unico approccio terapeutico attualmente dimostrato efficace nel rallentare significativamente la progressione della malattia renale. Allo stato attuale non è stato riscontrato coinvolgimento oculare e uditivo.

Cosa abbiamo imparato

Il riscontro di proteinuria ed ematuria asintomatica è relativamente frequente nella pratica clinica pediatrica. Risulta fondamentale, quindi, discriminare le forme transitorie e benigne dalle forme persistenti che richiedono un consulto nefrologico pediatrico e l’esecuzione di ulteriori indagini. Il nostro suggerimento è quello di procedere gradualmente, soprattutto se non emergono da una prima valutazione situazioni emergenziali che richiedono terapia immediata, e di effettuare un’accurata diagnosi differenziale per individuare quelle condizioni patologiche per cui è necessario ricorrere a indagini invasive, quali biopsia renale e genetica.

Bibliografia

1. Dodge WF, West EF, Smith EH, et al. Proteinuria and hematuria in schoolchildren: epidemiology and early natural history. J Pediatr. 1976 Feb;88(2):327-347.

2. Diven SC, Travis LB. A practical primary care approach to hematuria in children. Pediatr Nephrol. 2000 Jan;14(1):65-72.

3. Vehaskari VM, Rapola J, Koskimies O, et al. Microscopic hematuria in school children: epidemiology and clinicopathologic evaluation. J Pediatr. 1979 Nov;95(5 Pt 1):676-684.

4. Marsciani M, Pasini A, Montini G. Proteinuria asintomatica nel bambino. Giornale italiano di nefrologia. 2011;28:489-498.

5. Jais JP, Knebelmann B, Giatras I, et al. X-linked Alport syndrome: natural history and genotype-phenotype cor-relations in girls and women belonging to 195 families: a “European Community Alport Syndrome Concerted Action” study. J Am Soc Nephrol. 2003 Oct;14(10):2603-2610.

6. Savige J, Lipska-Zietkiewicz BS, Watson E, et al. Guidelines for Genetic Testing and Management of Alport Syndrome. Clin J Am Soc Nephrol. 2022 Jan;17(1):143-154.

7. Lee YM, Baek SY, Kim JH, et al. Analysis of renal biopsies performed in children with abnormal findings in urinary mass screening. Acta Paediatr. 2006 Jul;95(7):849-853.

8. Emma F, Goldstein SL, Bagga A, et al. Inherited Diseases of the Glomerular Basement Membrane. In Emma F, Goldstein SL, Bagga A, et al. Pediatric Nephrology, Springer Nature Switzerland AG, 2022:339.

carucci.martina@gmail.com

39° Congresso Nazionale dell’Associazione Culturale Pediatri (ACP) Roma, Istituto Superiore di Sanità – Aula Pocchiari

5–6 novembre 2026 www.acp.it

Care Socie e Cari Soci,

l’Associazione Culturale Pediatri è lieta di annunciare le date del 39° Congresso Nazionale, che si svolgerà a Roma presso la prestigiosa sede dell’ Istituto Superiore di Sanità

Il cambio di sede rispetto a Lecce, individuata in precedenza durante il congresso di Jesolo, è stato concordato a seguito dell’invito ricevuto dall’Istituto Superiore di Sanità a ospitare le nostre giornate congressuali.

Un riconoscimento di grande valore, che testimonia la stima e l’attenzione verso l’impegno culturale e scientifico che da sempre caratterizza l’ACP.

Seguiranno a breve il programma dettagliato, insieme alle informazioni logistiche e scientifiche.

Le Iniziative BabyFriendly in Italia: vivaci e in espansione

1 Prima ricercatrice, PhD, IBCLC, Istituto Superiore di Sanità. Task leader 6.5 – Baby-Friendly Community & Health Services, Joint Action PreventNCD

2 Ricercatrice, PhD, Istituto Superiore di Sanità. Task leader 6.5 – Baby-Friendly Community & Health Services, Joint Action PreventNCD

L’allattamento è un determinante primario di salute pubblica, con effetti documentati sulla prevenzione delle malattie croniche non trasmissibili per madri, bambine e bambini. In Italia, tuttavia, i tassi di allattamento esclusivo rimangono bassi e disomogenei, mentre le politiche di sostegno sono ancora poco integrate. La Baby-Friendly Initiative (BFI), promossa da OMS e UNICEF, rappresenta il gold standard per protezione, promozione e sostegno dell’allattamento, attraverso i 10 Passi e l’applicazione del Codice internazionale sulla commercializzazione dei sostituti del latte materno. Il presente contributo descrive lo stato e lo sviluppo della BFI in Italia, evidenziando il ruolo dell’Istituto Superiore di Sanità e di UNICEF Italia nell’ambito della Joint Action PreventNCD. Sono analizzate le sfide legate all’implementazione, i determinanti sociali e commerciali che influenzano i contesti locali, e le prospettive di consolidamento della BFI come parte integrante delle politiche nazionali di promozione della salute e prevenzione.

Breastfeeding is a key public health determinant, with documented effects on the prevention of noncommunicable diseases for mothers, infants, and children. In Italy, however, exclusive breastfeeding rates remain low and uneven, while supportive policies are still insufficiently integrated. The BabyFriendly Initiative (BFI), promoted by WHO and UNICEF, represents the gold standard for protecting, promoting, and supporting breastfeeding through the Ten Steps and the International Code of Marketing of Breast-milk Substitutes. This article outlines the status and development of BFI in Italy, highlighting the role of the Italian National Instite of Health and UNICEF Italy within the Joint Action PreventNCD. It examines implementation challenges, the influence of social and commercial determinants in local contexts, and future perspectives for consolidating BFI as an integral component of national health promotion and prevention policies.

L’allattamento: un diritto di salute non valorizzato nella sua giusta dimensione

L’allattamento è il modo fisiologico di nutrire le bambine e i bambini. È inoltre ampiamente documentato, qualora ce ne fosse ancora bisogno, che esso attiva una fine modulazione sinergica della diade madre-bambino, con effetti unici e insostituibili sui sistemi biologici coinvolti. Tale interazione è alla base di standard ottimali di sviluppo, salute e benessere, e colloca l’allattamento e l’uso del latte materno tra i determinanti primari di salute pubblica [1].

Dalla prospettiva individuale, sappiamo che ogni donna, ogni diade, ogni coppia di genitori, ogni famiglia, sceglie come alimentare il proprio bambino o bambina in base a fattori legati al contesto in cui si trova, e che questa scelta è fortemente in-

fluenzata da determinanti sociali, educativi, politici, economici e di politica del welfare [1,2]. Queste scelte, pur diverse, non dovrebbero mai essere oggetto di giudizio di valore [3]. Piuttosto, esse costituiscono un parametro utile per l’analisi di sistema: la prevalenza dell’allattamento riflette infatti la misura in cui i contesti di vita e lavoro consentono e facilitano l’adozione di comportamenti salutari. L’allattamento è spesso presentato come scontato, superato o antifemminista [4], una percezione che può contribuire a ridurne priorità e investimenti. Ciò che sappiamo dalla produzione scientifica è che si tratta di un ambito in continua espansione: dalla neurobiologia all’epigenetica, dallo studio del microbioma alla medicina rigenerativa. A questi si aggiungono settori in rapida crescita, quali la metabolomica e la proteomica del latte umano, lo studio dei microRNA e degli esosomi, la relazione tra allattamento e riduzione del rischio di alcune patologie oncologiche e metaboliche della madre e del bambino/bambina. Sono inoltre analizzati con crescente attenzione l’impatto economico e ambientale delle pratiche di alimentazione infantile e le disuguaglianze sociali generate dal mancato accesso al sostegno per l’allattamento [5-9].

L’Organizzazione Mondiale della Sanità (OMS) e l’UNICEF raccomandano l’allattamento esclusivo nei primi 6 mesi di vita e la prosecuzione fino ai 2 anni e oltre, introducendo responsivamente alimenti complementari a partire dai 6 mesi. In realtà, a livello globale, solo un lattante su due di età inferiore ai sei mesi è allattato in maniera esclusiva (48%) [10]. In Italia, la prevalenza dell’allattamento esclusivo a 4-5 mesi è del 35,8% al nord e del 19,6% al sud [11].

Il fatto che le politiche per l’allattamento siano ancora scarsamente rappresentate nell’agenda politica europea e nazionale può essere ricondotto a diversi fattori. In estrema sintesi, i bambini e le bambine costituiscono oggi una quota demografica sempre più ridotta rispetto a una popolazione anziana in continua crescita, non dispongono di rappresentanza politica diretta né della capacità di voto e, a differenza di altre categorie sociali ed economiche, non esercitano forme di pressione politica diretta. Pur esistendo gruppi e reti di advocacy impegnati nella tutela dei loro diritti, la loro influenza rimane meno strutturata e meno incisiva rispetto a quella esercitata da lobby consolidate, con il risultato che le esigenze dell’infanzia risultano spesso sottorappresentate nei processi decisionali.

I primi 1000 giorni di vita nella strategia europea di prevenzione delle patologie croniche non trasmissibili L’allattamento ha un ruolo chiave nella prevenzione delle malattie croniche non trasmissibili (MCNT) per la diade. Per le donne, è associato a una riduzione del rischio di tumori della mammella e dell’ovaio, diabete di tipo 2 e patologie cardiovascolari [1,12]. Per le bambine e i bambini, l’allattamento favorisce lo sviluppo neurocognitivo e contribuisce a prevenire il triple burden della malnutrizione, le malattie infettive e la mortalità precoce, oltre a ridurre il rischio di obesità e di patologie croniche in età adulta, indipendentemente dal contesto socioeconomico [1]. Il sistema di sorveglianza COSI ha recentemente confermato l’effetto protettivo dell’allattamento nei confronti dell’obesità in età scolare, evidenziando un rischio significativamente maggiore nei soggetti mai allattati o allattati per periodi brevi [13].

La crescente incidenza e prevalenza delle MCNT ha determinato, negli ultimi decenni, una maggiore attenzione e allocazione di risorse destinate alla loro prevenzione e gestione. In questo contesto, anche la Commissione europea ha sollecitato gli stati membri a sviluppare azioni congiunte di contrasto, con l’obiettivo, fra i tanti, di trasferire pratiche evidence-based nei contesti locali. La Joint Action (JA) PreventNCD (co-funded by EU, GA-101128023) rappresenta un’iniziativa cardine che mira a ridurre la frammentazione e la duplicazione degli sforzi e

promuove un approccio coordinato per affrontare le cause alla base dei fattori di rischio individuali, sociali e commerciali lungo tutto il corso della vita. Particolare attenzione è rivolta al contrasto delle disuguaglianze sociali, alla co-costruzione di ambienti salutogenici, all’azione di advocacy e regolatoria, allo sviluppo di sistemi di monitoraggio condivisi e alla valutazione, in linea con le indicazioni OMS ed europee [14,15]. Nell’ambito della Joint Action, l’Istituto Superiore di Sanità (ISS), insieme al Norwegian Directorate of Health, coordina un Task che prevede l’attuazione della buona pratica BabyFriendly Community Health Services (BFCHS) in sette Paesi (Italia, Norvegia, Spagna, Grecia, Slovenia, Lituania e Ucraina). La BFCHS, basata sul modello OMS/UNICEF della BabyFriendly Hospital Initiative (BFHI) e supportata da evidenze di efficacia, è stata selezionata come best practice dalla Commissione europea. La sua implementazione consente ai Paesi che dispongono già di un programma Baby-Friendly (ospedale e/o comunità) di consolidare ed estendere i risultati raggiunti. Per i Paesi senza esperienze precedenti, rappresenta invece un’opportunità per sviluppare un approccio integrato ospedale-territorio con la partecipazione attiva della comunità e dei diversi stakeholder. L’azione congiunta su obiettivi e strategie comuni in contesti differenti favorisce inoltre un processo virtuoso di mutual learning, in cui le sfide legate alla trasferibilità vengono affrontate collettivamente, insieme alle soluzioni individuate da ciascun Paese.

L’ISS e il Comitato italiano per l’UNICEF Fondazione ETS (di seguito UNICEF Italia) hanno una lunga tradizione di collaborazione tecnico-scientifica sui temi della promozione della salute nei primi 1000 giorni. L’implementazione italiana della BFCHS all’interno della JA avviene sotto la guida congiunta di ISS e UNICEF Italia secondo le modalità previste dall’iniziativa nazionale “Insieme per l’allattamento” [16], in contesti caratterizzati per l’alta prevalenza di obesità infantile, la bassa prevalenza di allattamento e la presenza di forti disuguaglianze di salute [17].

La Baby-Friendly Initiative e il suo sviluppo in Italia

Fin dagli anni ’90, l’OMS e l’UNICEF hanno indicato tre pilastri indissociabili per garantire il successo dell’allattamento. Nell’ordine, sono: la protezione dalle pressioni del marketing, la promozione attraverso politiche pubbliche coerenti, il sostegno concreto alle famiglie, nei servizi sanitari e nella comunità. La BFHI, spesso nota come “i dieci passi per il successo dell’allattamento” (di seguito 10 Passi), rappresenta il gold standard per integrare questi tre livelli di azione [18]. La BFHI costituisce un riferimento internazionale per la protezione, promozione e sostegno dell’allattamento. Nel 2018, una revisione operativa evidence-based dei 10 Passi ha reso esplicita, con un passo dedicato, l’applicazione del Codice internazionale sulla commercializzazione dei sostituti del latte materno [19] (di seguito Codice), che era sempre stato un elemento fondante della BFHI ma non figurava tra i 10 Passi originali. È stato inoltre introdotto il monitoraggio interno dei processi, una maggiore enfasi sulla valutazione delle competenze del personale e l’integrazione con programmi tra-

sversali per la qualità dell’assistenza materno-infantile. Questa visione integrata rafforza l’efficacia della strategia, rendendola parte di un approccio sistemico volto a migliorare gli esiti di salute alle bambine e ai bambini, alle madri, ai padri, alle figure caregiver e alle famiglie [18].

L’efficacia della strategia Baby-Friendly dipende dall’applicazione sinergica e completa di tutti i 10 Passi, che ha un effetto positivo sull’avvio, sull’esclusività e sulla durata dell’allattamento, in una relazione dose-risposta: maggiore è il numero di Passi implementati con successo, maggiori sono le probabilità di ottenere esiti favorevoli [20-22]. Gli interventi che combinano azioni a livello ospedaliero e comunitario sono significativamente più efficaci [18]. I 10 Passi, costituiti da azioni inizialmente centrate sulle strutture ospedaliere, hanno progressivamente spostato il focus anche sulla comunità; questi percorsi integrati ospedale-territorio sono presenti anche nei modelli di policy, come quello prodotto dall’Academy of Breeastfeeding Medicine [23].

UNICEF Italia insieme al proprio comitato scientifico e alla rete di tutor/valutatori-valutatrici, dopo aver sperimentato un approccio specifico per la comunità [24], nel 2022 ha messo a punto una strategia comune, sinergica, che prevede la continuità assistenziale, in un continuum di offerta, accompagnamento e sostegno al percorso nascita, all’allattamento e, più in generale, alla genitorialità, nella visione olistica di promozione della salute del Nurturing Care Framework [16,25]. La Baby-Friendly non è solo una strategia evidence-based molto strutturata, ma anche una comunità di pratica nazionale fatta di professioniste e professionisti di alto livello, provenienti da ambiti multiprofessionali e multisettoriali. Il gruppo si incontra, riflette e apprende dall’esperienza, adattando di volta in volta le strategie di implementazione. Mantiene rigore scientifico e metodologico, ma al tempo stesso rende i processi flessibili e adattabili ai diversi contesti.

I 10 Passi promossi nel nostro Paese (Figura) fanno quindi riferimento a questo continuum e costituiscono un approccio innovativo e in linea con le indicazioni derivate dalle politiche nazionali [26]. Esistono altre iniziative analoghe, tra cui quelle rivolte al personale in formazione che vedono la parte-

cipazione delle università, come i corsi di laurea amici dell’allattamento [27], e collaborazioni in corso con alcune scuole di specializzazione in pediatria, nell’ambito della Joint Action PreventNCD.

Le sfide dell’implementazione: aspetti interni dell’iniziativa Baby-Friendly Nel tempo, anche alla luce dell’esperienza maturata, le strategie BF sono state riviste; nella loro forma attuale presentano ancora elementi sfidanti.

Uno di questi riguarda la complessità dell’implementazione. Come altri sistemi nazionali e internazionali, la designazione di Ospedale/Comunità Amica delle Bambine e dei Bambini prevede diversi standard e un accurato processo di valutazione. Analogamente, ad esempio, al sistema di Joint Commission International, l’iniziativa Baby-Friendly (di seguito BFI) prevede “un processo di valutazione obiettiva, che può aiutare le organizzazioni sanitarie a misurare, valutare e migliorare le prestazioni al fine di fornire cure sicure e di alta qualità” [28]. È prevista l’assegnazione di un/una tutor, che accompagna la struttura nel proprio percorso, rinforzando quanto fatto e costruendo insieme strategie per proseguire. Inoltre, sono previste visite di valutazione esterna. Le fasi dell’implementazione comportano una revisione delle procedure, la cui complessità varia in base al livello di partenza della struttura coinvolta. L’esperienza recente con la Regione Calabria, tra i siti di implementazione della BFI nell’ambito della JA PreventNCD, sta mostrando che spesso le pratiche ci sono e lo sforzo del gruppo multidisciplinare consiste soprattutto nel mettere a sistema in forma di procedure e di politica e successivamente rendere visibile e accessibile quanto già in essere, integrando laddove necessario. È indubbio che l’implementazione è tanto più fluida e facilitata quanto più le direzioni strategiche, il personale e la comunità stessa si sentono motivate e coinvolte. La valutazione esterna, per quanto organizzativamente impegnativa, è uno dei capisaldi del sistema di designazione della BFI [18]. Nel percorso di implementazione sono previsti anche diversi momenti di autovalutazione, realizzati in autonomia o insieme al/la tutor, che costituiscono strumenti preziosi per orientare il processo e monitorare i progressi compiuti. Tuttavia, un modello che si basi esclusivamente sull’autovalutazione si espone a numerosi bias. La discrepanza tra valutazioni interne ed esterne è un fenomeno noto: le autovalutazioni tendono infatti a sovrastimare i livelli di adempimento a causa di fattori cognitivi (come il bias di conferma), organizzativi (come la pressione a mostrare risultati positivi) e metodologici. Evidenze nell’implementazione dei 10 Passi confermano questa tendenza, con livelli di aderenza significativamente più elevati rispetto alle valutazioni esterne per la maggior parte dei criteri [29].

Analogamente ad altri sistemi di accreditamento nazionali e internazionali, anche la designazione e la ri-designazione periodica della BFI comporta un costo, destinato a sostenere le spese per le attività di tutoraggio, le visite in loco e la valutazione esterna. Le aziende sanitarie che inseriscono la BFI tra i propri obiettivi strategici prevedono un budget specifico per ottenere la designazione delle proprie strutture come Ospedali e/o Comunità Amiche dell’Allattamento. Nonostante l’OMS e l’UNICEF raccomandino ai governi di avanzare verso una piena implementazione e una copertura universale della BFHI [18], le iniziative Baby-Friendly mancano di forme di incentivazione strutturali. Allo stato attuale, solo alcune Regioni o aziende hanno inserito la BFI nell’ambito del proprio piano di prevenzione (PNP). Nella maggior parte dei casi si tratta invece di implementazioni che dipendono dalla volontà delle singole direzioni, spesso stimolate dal personale. Il PNP 2019-2025 ha previsto il programma libero 1000 giorni, all’interno del quale alcune realtà hanno potuto prevedere la

BFI, ma lo sforzo appare ancora insufficiente. Inserire l’implementazione della BFI all’interno delle politiche nazionali finanziate, come il Piano Nazionale della Prevenzione, ne garantirebbe lo scaling up e la sostenibilità a lungo termine. Va ricordato che la “Promozione, protezione e sostegno dell’allattamento al seno e di una corretta alimentazione complementare” dal 2017 è inclusa nei livelli essenziali di assistenza (LEA), nell’ambito della prevenzione collettiva e sanità pubblica [30].

La formazione del personale e la costruzione di un linguaggio comune tra diversi servizi (ospedalieri e territoriali) e settori (salute, educazione, sociale, enti locali, terzo settore) è uno degli aspetti rilevanti della BFI. L’evoluzione verso la verifica delle competenze consente di attivare le diverse forme virtuose di apprendimento previste all’interno del sistema sanitario. Oltre alla classica formazione in presenza, sul campo, elearning o blended, la formazione sull’allattamento può essere fatta attraverso momenti già previsti dalla struttura, come gli audit e feedback, tutoraggio, partecipazione ad attività di implementazione e ricerca, autoformazione, prevedendone l’accreditamento ECM. I momenti di incontro in presenza rimangono preziosi per il consolidamento delle relazioni del gruppo e la co-costruzione dei percorsi e dei contenuti e possono essere efficacemente integrati da altri momenti, in percorsi coerenti che prevedano non solo l’aggiornamento continuo ma anche la partecipazione del personale neo-assunto. Esistono diverse formazioni online offerte gratuitamente dal sistema pubblico (ISS, Regioni, ordini professionali) che possono essere integrate nel proprio sistema formativo, capitalizzando l’offerta a vantaggio di tutto il personale.

Le sfide dell’implementazione: barriere e opportunità di contesto Il successo della BFI è connesso al contesto in cui si inserisce. I determinanti sociali e commerciali sono tra gli aspetti da considerare al momento dell’implementazione, perché possono agire da barriere o da facilitatori.

Rispetto ai determinanti sociali, analizzando la distribuzione della BFI in Italia è evidente un analogo gradiente nord sud. I dati del sistema di sorveglianza 0-2 anni sui principali determinanti di salute del bambino evidenziano che un livello più basso di istruzione materna si associa a esiti meno favorevoli in diversi ambiti: non solo l’esclusività e la durata dell’allattamento, ma anche la posizione in culla, il fumo in gravidanza e dopo il parto, l’esposizione a schermi, la lettura ad alta voce, la sicurezza in casa e in auto e l’assunzione di acido folico preconcezionale [31]. I recenti dati dell’indagine PIAAC mostrano un quadro sconfortante in cui le regioni del sud e isole presentano tra i valori più bassi nei Paesi OCSE in literacy, numeracy e adaptive problem solving [32]. Questo significa che i sistemi di salute, per quanto attivi, capillari e integrati nel territorio, operano in contesti a maggiore svantaggio, con una popolazione più vulnerabile agli effetti negativi dei determinanti sociali e commerciali della salute.

L’OMS definisce i determinanti commerciali della salute come “le attività del settore privato che incidono sulla salute pubblica, in senso positivo o negativo, e i sistemi e le norme politico-economiche che le rendono possibili” [9], sottolineando la necessità di un’azione strutturale e vincolante. Considerare i loro effetti nella prima infanzia è di cruciale importanza per la definizione delle traiettorie di salute per le famiglie e per la futura popolazione adulta [33].

I sistemi sanitari e il personale della salute svolgono un ruolo chiave in questo senso. Le strategie di marketing dell’industria di formule sostitutive per lattanti e alimenti per la prima infanzia, comparabili a quelle di settori come tabacco, alcol e cibi ultraprocessati, mirano non solo alle famiglie ma anche al personale sanitario, sfruttando la sua funzione di punto d’ingresso e la relazione fiduciaria con le famiglie per condizio-

narne le scelte [34]. Non si parla, quindi, della produzione e della vendita, che sono azioni soggette alla regolamentazione europea e nazionale, ma di pratiche di marketing aggressivo che arrivano direttamente alle famiglie con meccanismi sempre più sofisticati e difficilmente controllabili, come il marketing digitale [4,34,35]. Se da un lato esistono situazioni in cui l’alimentazione con formula può essere necessaria, il problema è che il marketing tende a espandere l’uso delle formule anche a bambini e bambine che non ne avrebbero bisogno e che avrebbero potuto essere allattati [36].

L’aderenza della BFI al Codice internazionale è stata criticata a più riprese. Nel corso degli anni l’OMS ha subito pressioni relative alla durata e all’esclusività dell’allattamento, all’introduzione di alimenti complementari, all’applicazione del Codice e altre misure di controllo del marketing aggressivo [2]. Anche in Italia, della BFI è stata criticata l’inderogabilità dell’aderenza al Codice rispetto ad altre iniziative che mantengono la collaborazione tra personale sanitario e industria produttrice di alimenti per l’infanzia in quanto accettabile e compatibile. [37]

La protezione dal marketing commerciale attraverso l’adozione del Codice è una condizione imprescindibile: senza misure strutturali e vincolanti, comprese quelle volte a prevenire conflitti di interesse nella ricerca e nella formazione, ogni politica di sostegno all’allattamento rimane fragile, soprattutto nei Paesi in cui l’adozione è parziale, come l’Italia, o i meccanismi di sorveglianza e sanzione risultano deboli [1,2,4,36,38]. In questo quadro, i determinanti commerciali della salute interagiscono strettamente con i determinanti sociali, amplificando le disuguaglianze nell’accesso al sostegno e alle opportunità di allattamento. Le famiglie più svantaggiate sono infatti più esposte agli effetti del marketing aggressivo e hanno minori risorse per accedere a informazioni indipendenti e a reti di supporto comunitarie, con conseguente aumento del rischio di pratiche subottimali di alimentazione infantile [2,18]. Un sistema pubblico universalistico non può competere, in termini di risorse, con gli ingenti investimenti in marketing dell’industria che ha come target i genitori e le famiglie nei primi 1000 giorni di vita. Alcuni casi, tuttavia, dimostrano che l’aderenza al Codice e la prevenzione dei conflitti di interesse possono tradursi in buone pratiche replicabili. A seguito della risoluzione 69.9 della World Health Assembly “Porre fine alla promozione inappropriata degli alimenti per lattanti e bambini piccoli” [39], un rapporto tecnico dell’OMS ha presentato quattro case study di successo di società scientifiche e ordini professionali che hanno posto fine alle sponsorizzazioni, analizzandone i costi e i benefici. A livello italiano, troviamo tra queste l’Associazione Culturale Pediatri, che dal 2013 non accetta sponsorizzazioni da parte di aziende farmaceutiche o di prodotti alimentari per la prima infanzia o che rientrano nell’ambito di applicazione del Codice [40]. Altri esempi italiani sono la Federazione nazionale degli ordini della professione ostetrica, che lo ha inserito all’interno del proprio codice deontologico, e l’Associazione italiana di epidemiologia. Diverse azioni sono possibili, in grado di preservare al contempo il legittimo interesse dell’industria e il diritto alla salute delle persone [38]. Come evidenziato nei rapporti dell’OMS e di EuroHealthNet sui determinanti commerciali e sulle disuguaglianze di salute, è necessaria anche a livello europeo e degli stati membri una volontà politica forte che attribuisca priorità alle misure capaci di affrontare in modo più efficace i determinanti strutturali e sociali della salute. Tuttavia, gli interessi commerciali prevalgono frequentemente sulle preoccupazioni per la salute e l’equità, mentre le strategie di marketing continuano ad aumentare l’esposizione ai fattori di rischio per le malattie croniche non trasmissibili, aggravandone il peso sulla salute pubblica [41]. Un recente studio sulle politiche e i programmi esistenti in 12 Paesi europei ha mostrato che le pratiche evidence-based rela-

tive ad alcuni dei Passi chiave della BFI, quali il contatto pelle a pelle alla nascita e l’avvio, l’esclusività e la durata dell’allattamento secondo quanto raccomandato risultano ancora sottorappresentate nei piani e programmi nazionali, con un tasso di piena inclusione pari al 28%, mentre le azioni di contrasto alle strategie di marketing dei sostituti del latte materno raggiungono appena il 17% [42].

Sono tempi in cui il benessere e la salute delle bambine e dei bambini non sembrano al centro del dibattito politico e, al contrario, i loro diritti appaiono minacciati in forme più o meno evidenti. In questo contesto, iniziative come la Baby-Friendly, sostenuta da politiche nazionali, possono contribuire concretamente a ridurre le disuguaglianze e a rafforzare la tutela della salute delle nuove generazioni e delle loro famiglie.

Prospettive di consolidamento della Baby-Friendly Initiative in Italia

Il successo dell’allattamento rappresenta un contributo essenziale per il diritto alla salute di donne, bambine e bambini e delle famiglie, compreso il diritto al più alto standard possibile di salute e nutrizione.

Affinché le BFI mantengano la propria efficacia, è necessario agire sulle condizioni abilitanti e sulle leve di sistema. La BFI dovrebbe essere integrata stabilmente nelle politiche nazionali di prevenzione della cronicità e di promozione della salute, con finanziamenti dedicati e indicatori che consentano a Regioni e Aziende Sanitarie di adattarne l’implementazione in tempi e modi sostenibili, senza comprometterne l’integrità. L’adesione ai 10 Passi e alla BFI dovrebbe rappresentare il requisito minimo per tutte le strutture che erogano servizi materno-infantili, mentre l’inserimento degli standard clinici della BFI nei processi di certificazione può contribuire a istituzionalizzare pratiche di qualità e a ridurre i costi complessivi del programma.

Sarebbe auspicabile esplorare la possibilità di mettere in dialogo le diverse iniziative già presenti nel nostro Paese, così da valorizzare e capitalizzare gli sforzi in corso. Permangono tuttavia questioni di fondo legate all’applicazione delle migliori prove di efficacia e dei relativi standard, in connessione con le misure di tutela e protezione della salute.

L’esperienza italiana mostra come i determinanti sociali e commerciali possano agire da potenti barriere, amplificando le disuguaglianze nell’accesso al sostegno e nelle opportunità di allattamento. La piena applicazione del Codice e la prevenzione dei conflitti di interesse nella formazione, nella ricerca e nelle pratiche cliniche rappresentano condizioni imprescindibili per garantire un ambiente favorevole. In questo processo, tutti i gruppi d’interesse – istituzioni, personale della salute, ordini professionali, società scientifiche, comunità e organizzazioni della società civile – hanno un ruolo da svolgere attraverso advocacy, dialogo politico e contributo alla formulazione e attuazione delle politiche.

In questa prospettiva, l’ISS, in collaborazione con UNICEF Italia, sostiene l’implementazione dell’iniziativa, con particolare attenzione ai contesti nei quali si concentrano disuguaglianze di salute considerate inaccettabili. Il futuro della BFI in Italia dipenderà dalla capacità di consolidarne il radicamento istituzionale e di rafforzarne la sostenibilità: un percorso non privo di sfide, ma che può contribuire in modo significativo alla tutela della salute delle nuove generazioni.

Dichiarazione di conflitto d’interesse: nessuno.

La bibliografia di questo articolo è consultabile online. angela.giusti@iss.it

III indagine sul maltrattamento dei bambini e degli adolescenti in Italia

L’11 giugno 2025 a Roma, presso la sala polifunzionale della Presidenza del Consiglio dei Ministri, si è tenuta la conferenza di presentazione della III indagine sul maltrattamento dei bambini e degli adolescenti in Italia. Tale indagine, realizzata da CISMAI (Coordinamento Italiano dei Servizi contro il Maltrattamento e l’Abuso all’Infanzia) e TDH (Terres des Hommes) con il supporto di Istat e dell’Autorità Garante per l’Infanzia e l’Adolescenza, segue le precedenti realizzate nel 2015 e 2021 ma con un ulteriore sforzo per ampliare il bacino di rilevazione (coinvolti 450 comuni vs i 247 della precedente indagine con un bacino effettivo di 2.733.645 minorenni), al fine di produrre dati statisticamente significativi dell’intera popolazione minorile italiana. Questa indagine è stata effettuata seguendo la metodologia indicata dall’OMS, cosa che ha consentito una raccolta più corretta ai fini statistici e ha permesso all’Italia di rispondere ai requisiti richiesti dal Comitato ONU sui Diritti dell’Infanzia rispetto al tema del maltrattamento in Italia. La finalità sarà quella, finalmente, di poter entrare a fare parte di un gruppo di lavoro tecnico-scientifico internazionale diretto dall’ ISPCAN (International Society for the Prevention of Child Abuse & Neglect) Working Group on Child Maltreatment Data, con l’obiettivo di sviluppare, promuovere e monitorare strategie globali contro il maltrattamento minorile, attraverso raccolte dati metodologicamente corrette (si veda anche INSPIRE Handbook). La finalità di costruire una metodologia scientificamente fondata ha portato ad alcune scelte di base da parte di TDH e CISMAI: rigore nella classificazione delle forme di maltrattamento adottando quella dell’OMS, coinvolgimento di Istat, partecipazione dei comuni. Sono state introdotte nuove domande e la modalità di somministrazione del questionario si è svolta attraverso una piattaforma online. La novità più significativa del questionario è stata la introduzione del neglect/trascuratezza (come nelle definizioni internazionali), scorporandolo definitivamente dalla patologia delle cure (più usata nelle classificazioni italiane: ipercura e discuria) e declinandolo nelle sue dimensioni fondamentali (neglect fisico, educativo ed emozionale). Altre novità importanti sono state: la disaggregazione di dati per genere (per ogni tipologia di maltrattamento), l’introduzione di ulteriori fonti di origine della segnalazione (per esempio l’ambito sportivo, extrascolastico, ecc.) e l’aggiunta di una domanda finale che indaga rispetto alla tipologia di servizio a cui hanno avuto accesso i minori in carico, introducendo la voce “non hanno avuto accesso a nessun servizio”.

I dati rilevati mostrano preoccupanti aspetti del fenomeno: Il numero di minori maltrattati è 113.892 (su 374.310 minorenni in carico ai servizi sociali), 304 ogni 1000 minori in carico ai servizi sociali, con un aumento del 58% rispetto alla precedente indagine. C’è una leggera differenza per quanto riguarda il genere con prevalenza dei maschi rispetto alle femmine (51% vs 49%).

L’analisi della distribuzione per fascia d’età rileva che il 18% dei minori in carico risulta avere tra 0 e 5 anni, il 32% tra 6 e 10 anni e il 50% tra 11 e 17 anni; la percentuale più bassa di minorenni in carico per maltrattamento rispetto alla rispettiva popolazione di riferimento si registra nella fascia nella fascia 0-5 anni, con incidenza di 8 minori su 1000 residenti, mentre quella più rappresentata è la fascia 6-10 anni con 15 minori su 1000 residenti (14/1000 nella fascia 11-17 anni).

Sulla base della cittadinanza il 28% sono stranieri, 31 ogni 1000 minorenni stranieri residenti rispetto ai 10 ogni 1000 italiani.

Rispetto al 2018, si registra un aumento generalizzato in ogni macroarea (Nord, Centro, Sud e isole), del 45% al Nord e Centro e del 100% al Sud, dove si è passati da una media di 5 a 10 minorenni ogni 1000 residenti di pari età. Inoltre, a prescindere da dove vivono, i minorenni stranieri sono circa 3 volte più presi in carico rispetto ai minorenni italiani.

Per quanto riguarda la tipologia di maltrattamento, la percentuale maggiore si riferisce al neglect/trascuratezza con il 37% (neglect educativo 17%, neglect emozionale 10% e neglect fisico 10%), seguita da violenza assistita per il 34%, violenza psicologica 12%, maltrattamento fisico 11%, abuso sessuale 2%. Il neglect educativo risulta meno frequente nelle metropoli rispetto alle altre parti d’Italia, mentre la violenza assistita e l’abuso sessuale vengono rilevati con maggior incidenza nelle grandi città. L’analisi per genere mostra che, per alcune forme di maltrattamento, la distribuzione risulta bilanciata o solo parzialmente squilibrata; al contrario, l’abuso sessuale evidenzia un marcato divario con il 77% delle prese in carico delle bambine o ragazze contro il 23% dei maschi.

Si riconferma che, nella stragrande maggioranza dei casi (87%), il maltrattante è un membro della famiglia.

La maggior parte delle segnalazioni risulta provenire dall’autorità giudiziaria (52%), seguite dalla scuola (14%) e dalla famiglia (12%). Le strutture sanitarie segnalano solo il 4% dei casi, i medici di base e i pediatri solo per 1%.

L’aumento delle situazioni di minorenni maltrattati, rilevata dai dati raccolti, impone un rafforzamento strutturale del sistema di prevenzione, protezione e cura.

La scarsa percentuale riguardante i bambini in età prescolare evidenzia la necessità di ampliare e rafforzare l’accesso ai servizi per tale fascia, potenziare la formazione degli operatori, coinvolgere in modo più appropriato i pediatri di libera scelta in quanto figure chiave per l’osservazione e la segnalazione precoce. Da prevedere inoltre, in ogni regione, presidi ospedalieri dedicati alla diagnosi di maltrattamento.

Le politiche sociali ed educative devono essere sensibili alle disparità rilevate e agire implementando interventi specifici per le famiglie di origine straniera, includendo il miglioramento dell’accesso ai servizi di supporto, l’offerta di programmi di integrazione culturale e il rafforzamento delle reti di supporto sociale.

È noto e condiviso che l’intervento precoce non solo aumenta la possibilità di protezione ma riduce i costi sociali e le conseguenze traumatiche legate al protrarsi di situazioni di maltrattamento non rilevate e questo deve essere un obiettivo fondamentale.

L’indagine raccomanda inoltre di istituire un sistema nazionale permanente di raccolta dati sul maltrattamento (è infatti attraverso l’analisi statistica che si può ottenere una fotografia puntuale del fenomeno e soprattutto capire se e come le strategie adottate vadano modificate), adottare un piano nazionale di prevenzione e contrasto della violenza sui minorenni e favorire la formazione professionale.

moniagennari@yahoo.com

Verde nei luoghi di vita: i benefici per lo sviluppo

Pediatri per un mondo possibile ACP

Numerosi studi dimostrano che il contatto con la natura influisce positivamente sulla salute in ogni fase della vita. Durante la gravidanza, il verde urbano è associato a migliori esiti neonatali, mentre nell’infanzia favorisce lo sviluppo cognitivo, comportamentale e la salute mentale, con effetti protettivi anche nei disturbi del neurosviluppo. La frequentazione degli spazi verdi scolastici sembra migliorare apprendimento, creatività e benessere emotivo, anche durante l’adolescenza, contribuendo a ridurre il “burnout” da studio e i sintomi depressivi. Inoltre, la biodiversità degli ambienti naturali promuove la salute visiva, respiratoria e cardiovascolare e rafforza il sistema immunitario attraverso il microbioma, confermando l’importanza della presenza di spazi verdi nelle nostre città.

At every stage of life, being in nature has a favourable effect on health. Urban greenery is linked to improved neonatal outcomes during pregnancy and promotes the development of cognitive, behavioural, and mental health in children, even in cases of neurodevelopmental disorders. Time spent in green school settings seems to improve learning, creativity, and mental health, even in adolescents, which helps to lessen depressive symptoms and study-related burnout. The value of green spaces in modern cities is further supported by the evidence that the biodiversity of natural habitats enhances the immune system through the microbiota and supports cardiovascular, pulmonary, and visual health.

Introduzione

Non è mai mancato il consiglio pediatrico di svolgere attività fisica e di trascorrere tempo all’aperto, ma soltanto negli ultimi 25 anni una quantità sorprendente di studi ha dimostrato quanto questo sia rilevante per la salute. Le evidenze derivano in buona parte da studi longitudinali, di coorti di gravidanza o coorti nascita, nei quali il rilievo del verde nei luoghi di vita si avvale della misurazione dell’attività fotosintetica della vegetazione. Il rilevamento generalmente è effettuato da satellite, l’entità di verde attivo e la sua distanza dai luoghi di vita, residenziale e/o scolastica sono messi in relazione a specifici esiti di salute [1]. In questo articolo presentiamo i principali benefici derivanti dall’esposizione alla natura nelle diverse età della vita.

Gravidanza. Effetti sul peso alla nascita e sull’incidenza di aborto

L’esposizione al verde durante la gravidanza, in particolare in ambiente urbano, è associata a importanti benefici per la salute dei nascituri. Maggiore peso alla nascita e minor incidenza di nati piccoli per l’età gestazionale sono riportati da una revisione sistematica in presenza di aree verdi a 250 metri dalla residenza materna [2]. L’esposizione fin dal primo trimestre di gravidanza è stata anche associata a significati-

va riduzione della prevalenza di aborto spontaneo [3]. I meccanismi che sostengono il possibile beneficio del verde sulla salute in gravidanza, oltre la riduzione dell’inquinamento atmosferico e delle temperature, comprendono la maggiore possibilità di esercitare attività fisica e la riduzione dello stress [2,3]

Infanzia e neurosviluppo: effetti su comportamento, capacità attentiva, apprendimento Il contatto con la natura durante la prima infanzia può avere un impatto significativo sulla salute mentale ed emotiva dei bambini. La valutazione comportamentale e cognitiva effettuata su bambini di 4 e 6 anni di una coorte nascita belga costituita da 456 coppie madre/bambino ha rilevato una probabilità inferiore al 38% di presenza di iperattività per incremento interquartile (IQR, interquartile range) dello spazio verde entro 50 metri dalla residenza; l’incremento INQ a distanze comprese fra 50 e 1000 metri dalla residenza si associava a miglioramento del riconoscimento visivo e della memoria di lavoro e all’influenza benefica su attenzione e velocità psicomotoria [4]. Anche per i bambini affetti da ADHD stare nel verde comporta benefici: una passeggiata di 20 minuti in un parco cittadino, ma non in centro o nel quartiere, migliora l’attenzione in modo analogo al trattamento con metilfenidato [5]. Risultati protettivi vengono forniti anche da uno studio di coorte nascita spagnolo che evidenzia un significativo miglioramento dell’attenzione per la presenza di verde a 300 e 500 metri dall’abitazione [6]. Sempre in Spagna, a Barcellona, Dadvand ha ipotizzato che vivere costantemente vicino a spazi verdi influenzi addirittura la morfologia del cervello. Con risonanza magnetica tridimensionale ha valutato 253 scolari per identificare eventuali differenze regionali nel volume cerebrale associate a presenza del verde a 100 metri dalla residenza della nascita. I bambini sono stati inoltre valutati per memoria di lavoro, disattenzione e funzione cognitiva. L’esposizione permanente al verde era positivamente associata al volume di materia grigia e materia bianca di specifiche regioni cerebrali e cerebellari. Alcune di queste regioni si sovrapponevano alle regioni associate ai punteggi dei test cognitivi e i volumi di picco di queste ultime prevedevano miglior memoria di lavoro e ridotta disattenzione [7].

Secondo l’Attention Restoration Theory prendersi delle pause negli ambienti naturali aiuta a mantenere un buon livello di attenzione. Se l’ambiente è sufficientemente esteso e i suoi elementi sono coerenti, il fascino della bellezza, la sensazione di evasione e di piacere evocati dalla natura attivano un tipo di attenzione spontanea che non richiede sforzo, che non implica fatica. Questo permette al cervello di rilassarsi, di recuperare la fatica mentale, di migliorare la concentrazione, di avere una sensazione di benessere generale e di serenità [6].

Infanzia e neurosviluppo: autismo, ansia, depressione L’esposizione al verde residenziale in gravidanza e nei primi 3 anni di vita si associa alla riduzione della prevalenza di disturbo dello spettro autistico (DSA), come dimostrato da vari studi [9,10]. Un meccanismo sottostante potrebbe essere dovuto al fatto che trascorrere del tempo nella natura potrebbe attivare il sistema parasimpatico riducendo lo stress. Gli spazi verdi potrebbero anche aiutare bambini e adolescenti offrendo opportunità per attività fisiche divertenti e rischiose con miglioramento del l’autonomia , dell’autostima e conseguente riduzione dell’ansia e stimolando i bambini a interagire tra loro. La libertà di esplorare e giocare in natura facilita la comunicazione tra pari e riduce il tempo trascorso davanti allo schermo, promuovendo così la qualità delle relazioni sociali, il senso di comunità e la capacità di stabilire relazioni affettive

Il verde scolastico facilita il gioco, l’apprendimento, l’attività fisica e la salute Il rifacimento dei cortili scolastici con sostanziale incremento della presenza di verde di 5 scuole primarie dei Paesi Bassi ha comportato: la riduzione dei comportamenti passivi, l’aumento del gioco attivo, dei giochi con regole, del comportamento esplorativo e costruttivo nei bambini. La presenza di verde e di elementi naturali si associa a maggior creatività, rilassamento e può inoltre facilitare l’apprendimento [11]. In Australia sono state messe in relazione le esposizioni ad aree verdi scolastiche di alunni di 3745 scuole primarie situate in contesto urbano con i rispettivi risultati scolastici in alfabetizzazione e matematica. Le associazioni erano positive e significative tra vegetazione e lettura, matematica, scrittura e convenzioni linguistiche [12]. Il verde dei cortili scolastici ha un impatto positivo sia sull’attività fisica che sui risultati di salute socio emotiva degli studenti, suggerendo che la presenza di verde nei cortili scolastici può ridurre i divari di equità sanitaria e migliorare la salute dei bambini [13].

Vivere nel verde previene le patologie organiche? È ben documentata l’associazione dell’intensità della luce degli ambienti esterni e del tempo trascorso all’aperto nella prevenzione della miopia e nel proteggere la funzione visiva [14] e indiscutibilmente gli spazi verdi residenziali favoriscono l’attività fisica e le sue positive implicazioni. Non mancano evidenze anche riguardo la funzione del verde nel promuovere lo sviluppo respiratorio. Una metanalisi effettuata sui dati individuali di 35.000 bambini arruolati da 10 coorti nascita europee ha rilevato che vivere in aree più verdi durante l’infanzia si associa a FEV1 e FVC più elevati in età scolare. Gli spazi verdi possono anche esporre i bambini a un microbiota benefico, contribuendo allo sviluppo del sistema immunitario, che a sua volta potrebbe influenzare lo sviluppo della funzione polmonare. Infine, gli spazi verdi vicino a casa facilitando l’attività fisica, migliorano la resistenza dei muscoli respiratori e proemuovono la crescita del volume polmonare [14].

Con uno studio di 4 anni di un’ampia coorte di bambini di scuola primaria, nella regione di Guangzou (Cina), è stata valutata l’associazione fra esposizione al verde residenziale e scolastico e livelli di pressione arteriosa (PA). Un aumento dell’intervallo interquartile di NDVI (Normalized Difference Vegetation Index, un indicatore della densità della vegetazione) a 100 metri da casa, scuola e casa-scuola è stato significativamente associato a rischio ridotto di pre-ipertensione e ipertensione. Verde scolastico e PA sono mediati dall’inquinamento atmosferico, verde domestico e PA da attività fisica e BMI [15].

Adolescenza, l’importanza della connessione con la natura

Gli adolescenti attraversano una fase cruciale del loro sviluppo cognitivo e, proprio in questo periodo, lo stress scolastico può trasformarsi facilmente in un senso di “esaurimento” Questo fenomeno, noto come “burnout da apprendimento” (“learning burnout”), è diffuso soprattutto in Asia per via della peculiare organizzazione scolastica, ma anche in Europa, ed è caratterizzato da uno stato di stanchezza psicologica derivante dalle pressioni accademiche [16]. Il burnout da apprendimento si accompagna spesso ad altri disturbi di natura neuro-psicologica: si osservano livelli più alti di ansia e depressione, sintomi fisici di malessere, rischi di dipendenza da internet e, nei casi più gravi, un aumento del rischio di abbandono scolastico).

Negli ultimi anni si è ipotizzato che esista un legame significativo fra il grado di “connessione con la natura”, i sintomi depressivi e il burnout negli adolescenti. Con “connessione con la natura” si intende quel senso di affinità ed esperienza

emotiva che un individuo avverte nei confronti dell’ambiente naturale che lo circonda. A oggi è stato evidenziato che un rapporto saldo con il mondo naturale può ridurre il rischio di burnout da studio, agendo come vero e proprio fattore protettivo di recupero e benessere [17].

I benefici derivanti dal contatto con la natura si manifestano su più livelli: da un lato migliorano la salute fisica e mentale, contribuendo a rafforzare le funzioni cognitive, attenuare sintomi di depressione e ansia e favorire un senso di maggiore soddisfazione generale della vita; dall’altro influiscono positivamente sulle prestazioni scolastiche. [18]

Ulset et al. hanno ulteriormente illustrato l’impatto della natura sul rendimento scolastico. Il loro studio con follow-up decennale, condotto su 555 bambini di età compresa tra i 12 e i 78 mesi, ha concluso che l’esposizione alla natura può influenzare indirettamente le prestazioni accademiche future in almeno due modi. In primo luogo, attraverso la sfera cognitiva: favorisce lo sviluppo delle strutture cerebrali, migliora la memoria di lavoro e riduce i fenomeni di disattenzione. In secondo luogo, attraverso la vita sociale: potenzia i comportamenti pro-sociali e facilita le interazioni interpersonali nei più giovani [19].

Nello studio di Dong e Geng del 2023 si propone che la connessione con l’ambiente naturale possa a tutti gli effetti essere considerata una vera e propria risorsa. Secondo la teoria della conservazione delle risorse (COR), il possesso e il mantenimento di diverse risorse – come tempo, denaro, salute mentale, ottimismo, supporto sociale, ambiente di lavoro e altre caratteristiche fisiche, condizionali e individuali – determinano il livello di stress e la capacità di funzionare al meglio. Quando una persona sperimenta una perdita o un disequilibrio di tali risorse, non riesce ad adattarsi efficacemente alla vita, andando incontro a uno stato negativo simile al burnout. Gli autori hanno sottolineato che l’assenza di risorse naturali può avere effetti dannosi su altre risorse, influenzando negativamente la salute mentale degli adolescenti [20]. Questi studi suggeriscono che la connessione con l’ambiente naturale può quindi costituire una risorsa positiva per alleviare i sintomi depressivi negli adolescenti e, di conseguenza, ridurre il burnout da apprendimento, con effetti benefici sullo sviluppo socio-emotivo di ragazzi e ragazze, contribuendo alla costruzione di una coscienza e di un’identità ecologica [21].

Biodiversità

Gli spazi verdi però non sono tutti uguali, e non offrono tutti gli stessi vantaggi per la salute di bambini e adolescenti. Uno dei parametri essenziali che giustifica i vantaggi connessi alla frequentazione di spazi verdi è infatti dato dalla loro biodiversità, termine con cui si intende la variabilità di tutti gli organismi viventi inclusi negli ecosistemi acquatici, terrestri e marini e nei complessi ecologici di cui essi sono parte. È la biodiversità degli ecosistemi che garantisce l’erogazione dei loro servizi, raggruppati in servizi di regolazione, di approvvigionamento e culturali, tra i quali vengono appunto inclusi i valori estetici, ricreativi ed educativi [22]. E già da questo fatto si comprende come siano gli ambienti maggiormente dotati di biodiversità ad assicurare i maggiori benefici.

Ma quello che maggiormente incide su questi benefici è la correlazione con il mondo microscopico dei batteri. Ricordiamo infatti che la biodiversità comprende anche i microrganismi, che costituiscono la maggior parte della materia vivente sulla nostra Terra [23]. L’uomo convive abitualmente con una grande varietà di microrganismi, batteri, virus e funghi, presenti sia nell’ ambiente esterno sia all’interno del proprio corpo. Pensiamo solo a tutti i batteri che si trovano all’ esterno e che vengono continuamente a contatto con noi, e a tutti quelli che colonizzano i nostri tessuti, sia la cute sia le vie respiratorie e l’apparato intestinale. Solo a livello enterico sono state iden-

tificate più di 1000 specie batteriche, e centinaia sono le specie ospitate sulla nostra pelle [24]. I batteri che colonizzano il nostro corpo, e con i quali noi viviamo in simbiosi, complessivamente raggruppati nel termine microbioma, sono in diretta correlazione con quelli che si trovano nell’ambiente, come è stato dimostrato da diversi studi sperimentali [25]. Un interessante studio svolto in Finlandia ha dimostrato inequivocabilmente questa correlazione, evidenziando come il microbioma presente sulla cute di bambini che frequentavano degli asili con cortili arricchiti artificialmente di zolle di terra e sottobosco per ricreare un ambiente ad alta biodiversità era più ricco e variegato rispetto a quello dei loro coetanei che giocavano in cortili di ghiaia, e questo dato corrispondeva ad una migliore attività del loro sistema immunitario [26]. Numerosi studi scientifici hanno dimostrato che l’ambiente in cui una persona vive può modulare la funzione immunitaria, rendendola a volte meno efficace e aprendo la strada allo sviluppo di numerose patologie croniche. Le cellule immunitarie devono infatti interagire con i microbi per assicurare la loro normale funzione. Gli esseri umani si sono evoluti con questi microrganismi e una riduzione del contatto con gli ambienti naturali e della conseguente interazione con il microbiota esterno può portare ad una disfunzione del sistema immunitario e all’insorgenza di malattie autoimmuni, infezioni croniche, neoplasie [27]. È quindi importante poter usufruire di spazi verdi ad alto livello di biodiversità, e per ottenere ciò, sia per una questione di praticità sia per tutelare le sempre più rare aree naturali incontaminate, sarà necessario promuovere le iniziative di rinaturalizzazione urbana, ripristinando gli habitat naturali nei contesti urbani. [28].

Bibliografia

1. Fyfe-Johnson AL, Hazlehurst MF, Perrins SP, et al. Nature and Children’s Health: A Systematic Review. Pediatrics. 2021 Oct;148(4):e2020049155.

2. Ahmer Z, Atif M, Zaheer S, et al. Association between residential green spaces and pregnancy outcome: a systematic review and meta-analysis. Int J Environ Health Res. 2024 Sep;34(9):3188-3205.

3. Cui Y, Gao S, Yang B et al. Associations of residential greenness exposure during early pregnancy with the risk of spontaneous abortion: the China Birth Cohort Study. Environ Sci Eur. 2024;36:33.

4. Dockx Y, Bijnens EM, Luyten L, et al. Early life exposure to residential green space impacts cognitive functioning in children aged 4 to 6 years. Environ Int. 2022 Mar:161:107094.

5. Taylor AF, Kuo FE. Children with attention deficits concentrate better after walk in the park. J Atten Disord. 2009 Mar;12(5):402409.

6. Anabitarte A, Ibarluzea J, García-Baquero G, el al. Effects of residential greenness on attention in a longitudinal study at 8 and 11-13 years. Environ Res. 2022 Jul:210:112994.

7. Dadvand P, Pujol J, Macià D, et al. The Association between Lifelong Greenspace Exposure and 3-Dimensional Brain Magnetic resonance Imaging in Barcelona Schoolchildren. Environ Health Perspect. 2018 Feb 23;126(2):027012.

8. Chen Y, Chen G, Liu Y, et al. Exposure to greenness during pregnancy and the first three years after birth and autism spectrum disorder: A matched case-control study in Shanghai, China. Environ Pollut. 2024 Jan 1;340(Pt 1):122677.

9. De la Osa N, Navarro JB. Long-term exposure to greenspace and anxiety from preschool and primary school children. Journal of Environmental Psychology. 2024;102207.

10. van Dijk-Wesselius JE, Maas J. A comparison of children’s play and non-play behavior before and after schoolyard greening monitored by video observations. Journal of Environmental Psychology. 2022;80:101760.

11. Carver A, Molina MA, Claesen JLA , et al. Vegetation and vehicle emissions around primary schools across urban Australia: associations with academic performance. Environ Res. 2022 Sep;212(Pt B):113256.

12. Bikomeye JC, Balza J, Beyer KM. The Impact of Schoolyard Greening on Children’s Physical Activity and Socioemotional Health: A Systematic Review of Experimental Studies. Int J Environ Res Public Health. 2021 Jan 11;18(2):535.

13. Sapuppo A, Uga E. L’ambiente può prevenire i disturbi della vista? Quaderni acp. 2025;2:80-82.

14. Fernandes A, Avraam D, Cadman T, et al. Green spaces and respiratory, cardiometabolic, and neurodevelopmental outcomes: An individual-participant data meta-analysis of >35.000 European children. Environ Int. 2024 Aug:190:108853.

15. Bao W, Jiang N, Zhao Y, et al. Urban greenspaces and child blood pressure in China: Evidence from a large population-based cohort study. Environ Res. 2024 Mar 1:244:117943.

16. Gao X. Academic stress and academic burnout in adolescents: a moderated mediating model. Front Psychol. 2023 Jun 5:14:1133706.

17. Wang W, Chen S, Wang S, et al. Parental Burnout and Adolescents’ Development: Family Environment, Academic Performance, and Social Adaptation. Int J Environ Res Public Health. 2023 Feb 4;20(4):2774.

18. Gutiérrez-Pérez BM, Ruedas-Caletrio J, Caballero Franco D, et al. La conexión con la naturaleza como factor clave en la formación de las identidades infantiles: Una revisión sistemática. Teor. educ. 2024;36:31-52.

19. Ulset VS, Borge AI, Vitaro F, et al. Link of outdoor exposure in daycare with attentional control and academic achievement in adolescence: Examining cognitive and social pathways. Journal of Environmental Psychology. 2023;85:101942.

20. Dong X, Geng L. Nature deficit and mental health among adolescents: A perspectives of conservation of resources theory. Journal of Environmental Psychology. 2023;87:101995.

21. Zhang R, Chen H, Liu L, et al. Unraveling the longitudinal relationships between connectedness to nature, depressive symptoms, and learning burnout in adolescents. J Adolesc. 2024 Aug;96(6):12121223.

22. Global assessment report on biodiversity and ecosystem services of the Intergovernmental Science-Policy Platform on Biodiversity and Ecosystem Services. IPBES, 2019:1148.

23. Seshasayee ASN. Bacterial Genomes: Trees and Networks. 2025. https://library.oapen.org/handle/20.500.12657/99203

24. Qin J, Li R, Raes J, et al. A human gut microbial gene cataloque established by metagenomic sequencing. Nature. 2010 Mar 4;464(7285):59-65.

25. Saarenpää M, Roslund MI, Nurminen N, et al. Urban indoor gardening enhances immune regulation and diversifies skin microbiota - A placebo-controlled double-blinded intervention study. Environ Int. 2024 May:187:108705.

26. Roslund MI, Puhakka R, Grönroos M, et al. Biodiversity intervention enhances immune regulation and health-associated commensal microbiota among daycare children. Sci Adv. 2020 Oct 14;6(42):eaba2578.

27. Haahtela T, Holgate S, Pawankar R, et al. The biodiversity hypothesis and allergic disease: world allergy organization position statement. World Allergy Organ J. 2013 Jan 31;6(1):3.

28. Evans M. Rewilding European urban spaces. European Journal of Public Health. 2021; 31.Supplement3: ckab165. 217.

Strategie di promozione della salute e di contrasto alle traiettorie

evolutive nei disturbi dello spettro dell’autismo

Introduzione

Il nuovo sistema diagnostico DSM-5 [1], pur mantenendo un approccio categoriale alla diagnosi, lo ha integrato in un modello ibrido con l’approccio dimensionale [2] (definizione dei disturbi sulla base di dimensioni psicopatologiche lungo un continuum di gravità o intensità), aprendo la strada all’introduzione del concetto di spettro [3] e alla definizione di “tratto sottosoglia”. L’analisi dimensionale ha favorito un approccio diagnostico per cui varie diagnosi possono non solo trovarsi in comorbidità, ma anche avvicendarsi per importanza nel corso dello sviluppo dell’individuo, tracciando possibili traiettorie evolutive.

La teoria della neurodiversità [4] propone che le divergenze dal funzionamento atteso dell’individuo costituiscano variazioni naturali della mente umana, e che le persone che si discostano dalla norma (neurominoranze) abbiano uguale dignità e diritti [5].

I disturbi dello spettro dell’autismo (ASD) hanno ottenuto recentemente grande rilevanza a seguito del drammatico incremento della loro incidenza in tutto il mondo occidentale (che tocca nel survey statunitense del 2023 il picco di 1 ogni 36 nuovi nati). Contribuiscono allo sviluppo di ASD vari fattori: riproduttivi, immunologici e dietetici [7,8].

Il DSM-5 ha consentito di porre particolare attenzione alle forme minori, quelle in cui sia i deficit persistenti della comunicazione sociale e dell’interazione sia i pattern ristretti di comportamenti e interessi risultino inapparenti o non pienamente manifestati prima che le esigenze sociali eccedano le limitate capacità relazionali dell’individuo, oppure perché mascherati da strategie apprese. La persona con ASD, infatti, affronta sfide sociali giornaliere che la pongono in dissonanza tra la percezione di sé come socialmente inadeguato e la volontà di omologarsi in maniera inautentica, spesso utilizzando la strategia di “camuffare” le proprie difficoltà, strategia più frequente e pervasiva nei soggetti di sesso femminile [9], attraverso meccanismi di autocontrollo estremo.

Le difficoltà di comprensione dei segnali sociali e delle criticità nella gestione delle relazioni interpersonali, le difficoltà a interiorizzare ed esprimere i vissuti e la tendenza al pensiero ruminativo (re-experiencing dell’evento, sostenuto da vividezza sensoriale) rendono gli individui con ASD (e anche quelli con tratti autistici sottosoglia, la cosiddetta neuroatipia

o neurodivergenza) particolarmente vulnerabili a esiti post traumatici anche per eventi traumatici minori [10]. Accade pertanto che forme lievi di ASD nell’infanzia sfuggano alla diagnosi, giungendo all’attenzione medica in età adulta con sintomi pertinenti ad altre categorie diagnostiche, con sintomi d’ansia, depressione, fobia sociale [11]. L’ASD rappresenta cioè una matrice di vulnerabilità da cui è possibile sviluppare diversi disturbi tra cui il disturbo borderline di personalità (BPD), il disturbo post traumatico da stress complesso (cPTSD), il PTSD [12].

Il cPTSD è caratterizzato da tutti i sintomi principali del PTSD (re-experiencing, evitamento, continuo senso di minaccia), cui risultano associati disturbi dell’auto-organizzazione (problemi gravi e persistenti nell’autoregolazione delle emozioni; credenze sul sé come sminuito, sconfitto e senza valore; difficoltà a sostenere le relazioni e a sentirsi vicini agli altri) [13].

Tale corteo sintomatologico apre la strada allo sviluppo di disturbi di personalità e dell’umore. Anche il breakdown psicotico appare spesso associato a casi con diagnosi di ASD.

In anni recenti, l’evidenza fattuale dell’urgenza dei bisogni di salute psichica dei minori ha determinato la nascita di nuovi progetti di prevenzione e intercettazione precoce dei disturbi.

Progetti di prevenzione e di intercettazione precoce I “Corsi di accompagnamento alla nascita” rappresentano il momento di massima recettività delle famiglie al counselling sulle più idonee dinamiche relazionali dei primi due anni di vita. Tali percorsi sono stati promossi in Valdichiana aretina fin dagli anni Novanta, con lo specifico scopo di allearsi alle competenze emergenti dei genitori e potenziarle, promuovendo le conoscenze sui bisogni affettivi del nascituro e sulle risposte genitoriali più efficaci.

Oltre ai normali canali di diagnosi, counselling e cura messi in atto dai servizi della salute mentale, risulta estremamente importante garantire la possibilità di interventi di osservazione e counselling anche nel contesto domiciliare, soprattutto nel periodo immediatamente successivo alla prima consultazione e alla diagnosi. L’esempio più significativo di utilizzo della domiciliarità è il programma “Psicoeducazione familiare ed autismo”, attivo in tutta la provincia di Arezzo dal 2016, che ha reso possibili cicli di intervento a domicilio da parte di personale formato (psicologa e logopedista) immediatamente successivi alla diagnosi, oltre a percorsi di counselling per genitori e insegnanti.

Dal 2023 è stato inoltre implementato un programma denominato “PAROLEPRIME”, uno spazio ludico di osservazione e di orientamento dei genitori nelle dinamiche di relazione con il bambino 0-5 anni, realizzato nel contesto del Centro infanzia adolescenza e famiglia di Terranuova Bracciolini, dedicato ad attività educative extrascolastiche a supporto della famiglia. Tale iniziativa si è dimostrata valida nel fornire indicazioni ai genitori, prendendo le mosse dalle interazioni di gioco. Il connotato non sanitario del contesto ha reso possibile l’avvicinamento progressivo ai servizi di diagnosi e cura da parte di una grande fetta di caregiver, inizialmente resistenti a riconoscere le problematiche presentate dai bambini. Proposta simile sono state le “ludoteche sensoriali” di Sansepolcro e di Cortona, nate dalla collaborazione del servizio di salute mentale dell’età evolutiva e del Comune di Cortona, che hanno permesso l’ampliamento delle possibilità di gioco per i bambini autistici e ha aumentato l’attenzione dei genitori verso le attività ludiche più capaci di migliorare la loro partecipazione sociale.

Progetti di orientamento per genitori e insegnanti

Dal 2018 a oggi in Valdarno sono stati realizzati periodici cicli di incontri con gruppi di genitori (parent training) e corsi

per operatori della scuola, centrati sulle più comuni strategie di approccio alle difficoltà comunicative, relazionali e dei pattern di attività presentati dai bambini con ASD, ma anche su tecniche specifiche di comunicazione alternativa aumentativa e intorno a sessualità e affettività.

Progetti di inclusione lavorativa e sociale

L’isolamento sociale della pandemia da SARS-CoV-2 e l’invadenza dell’utilizzo dei media hanno certamente contribuito a peggiorare ulteriormente il quadro delle difficoltà comunicative e relazionali presentate dalle persone neurodivergenti. A fronte della considerazione dell’aumento esponenziale dei giovani ritirati sociali, che non studiano né lavorano e che difficilmente si riferiscono ai servizi d’aiuto, nel 2023 è nato “RICONNESSI”, un progetto di interventi di sostegno a domicilio dei giovani ritirati 14-25 anni. Il progetto è stato reso possibile dagli sforzi congiunti di Regione Toscana, ASL e Conferenza dei sindaci dei Comuni del Valdarno. Sono state implementate attività di formazione, inserimento lavorativo, servizio civile, socializzazione, gruppi di auto-aiuto. Il progetto si è concluso con l’85% di reinserimenti in percorsi scolastici per i minori e con il 73% di inserimenti in percorsi di formazione, lavoro o in attività socioriabilitative per gli adulti. Dai colloqui con le famiglie, sono emersi apprezzamenti in merito alla riduzione del sovraccarico emotivo dei familiari della percezione di un potenziamento della rete sociale di supporto.

Un altro progetto sperimentale attivato dall’Unità Funzionale di Salute Mentale Infanzia Adolescenza (UFSMIA) Valdarno ha contemplato dal 2023 a oggi la possibilità di integrare il gioco di ruolo nei percorsi di riabilitazione per giovani con disturbi del neurosviluppo: il contesto immaginario e non giudicante del gioco ha di fatto contribuito a ridurre la percezione negativa legata al frequentare un servizio di salute mentale, trasformando il percorso terapeutico in un’opportunità avvincente.

Il fondo per l’inclusione delle persone con disturbi dello spettro autistico (DM 29/7/2022) ha reso possibile per il periodo 2023-2025 lo sviluppo di progettualità di assistenza alla socializzazione dedicati ai minori e all’età di transizione fino ai 21 anni e progetti volti alla formazione e all’inclusione lavorativa. In Valdarno aretino il progetto è stato denominato “NEL MONDO DI TUTTI”.

I percorsi di socializzazione, mediati da facilitatori/educatori, organizzati sulla base degli interessi personali e con espliciti obiettivi di inclusione nei contesti individuati, hanno permesso il potenziamento delle abilità personali e sociali, la promozione del benessere e delle capacità di autodeterminazione, l’implementazione delle autonomie, la riduzione di comportamenti-problema.

Le persone con autismo dimostrano spesso maggiori difficoltà di adattamento a ritmi e contesti sociali lavorativi, determinandone l’insuccesso.

I progetti sperimentali volti alla formazione e all’inclusione lavorativa si sono articolati attraverso la partecipazione a percorsi di formazione e di pratica, facilitati e strutturati, intesi come esperienza “protetta” di avvicinamento al lavoro, condotti presso l’Istituto Statale di Istruzione Superiore (ISIS) Valdarno. Sono stati attivati tre laboratori (informatica, elettrotecnica e moda), che hanno unito all’intento formativo quello di promuovere percorsi di inserimento lavorativo e di incrementare tirocini pratici successivi.

Conclusioni

In anni recenti, a fronte di un incremento drammatico dell’incidenza degli ASD, è sorta la necessità di articolare, a fianco dei più tradizionali programmi di riabilitazione, programmi di prevenzione e di intercettazione precoce, di orientamento per familiari e insegnanti, progetti di psicoeducazione, di in-

clusione sociale e lavorativa. Una tale articolazione degli interventi permette di intercettare dinamiche di sviluppo patologiche e di ridurre l’intensità della sofferenza e i costi delle cure, migliorando l’outcome a lungo termine. Le ricadute nel territorio di questi progetti ed esperienze risultano evidenti anche nel breve termine, con la costruzione di collaborazioni e alleanze con i diversi soggetti coinvolti e quindi di capacità di generare cambiamenti strutturali e duraturi nell’organizzazione dei servizi e nella presa in carico.

Bibliografia

1. American Psychiatric Association (APA). Diagnostic and statistical manual for mental disorders. 5th ed. American Psychiatric Association, 2013.

2. Kupfer DJ, Kuhl EA, Regier DA. DSM-5 – the future arrived. JAMA. 2013 Apr 24;309(16):1691-1692.

3. Narrow WE, Kuhl EA. Dimensional approaches to psychiatric diagnosis in DSM-5. J Ment Health Policy Econ. 2011 Dec;14(4):197-200.

4. Singer J. Can’t you be Normal for once in your life? In: M Corker, S French, editors. Disability discourse. Open University Press, 1999.

5. Sonuga-Barke E, Thapar A. The neurodiversity concept: is it helpful for clinicians and scientists? Lancet Psychiatry. 2021 Jul;8(7):559561.

6. Centers for Disease Control and Prevention. Autism and Developmental Disabilities Monitoring (ADDM) Network. 23 Mar 2023. Disponibile su: https://www.cdc.gov/ncbddd/autism/addm.html.

7. Lyall et al. The Changing Epidemiology of Autism Spectrum Disorders. Annu Rev Public Health. 2017 Mar 20:38:81-102.

8. Kubota T, Mochizuki K. Epigenetic Effect of Environmental Factors on Autism Spectrum Disorders. Int J Environ Res Public Health. 2016 May;13(5):504.

9. Carpita B, Nardi B, Pronestì C, et al. May Female Autism Spectrum Be Masked by Eating Disorders, Borderline Personality Disorder, or Complex PTSD Symptoms? A Case Series. Brain Sci. 2023 Dec 30;14(1):37.

10. Dell’Osso L, Amatori G, Giovannoni F, et al. Rumination and altered reactivity to sensory input as vulnerability factors for developing post-traumatic stress symptoms among adults with autistic traits. CNS Spectr. 2024 Apr;29(2):119-125.

11. Dell’Osso L, Lorenzi P, Carpita B. Autistic Traits and Illness Trajectories. Clin Pract Epidemiol Ment Health. 2019 Aug 30:15:94-98.

12. Carpita B, Bonelli C, Schifanella V, et al. Autistic traits as predictors of post-traumatic stress symptoms among patients with borderline personality disorder. Front Psychiatry. 2024 Sep 2:15:1443365.

13. World Health Organization. Clinical descriptions and diagnostic requirements for ICD-11 mental, behavioural and neurodevelopmental disorders. World Health Organization, 2024. stefano.berloffa@uslsudest.toscana.it

Il coraggio di “non fare”

La sfida etica del medico contemporaneo

Maurizio Aricò1 , Daniela Trotta1 , Desiree Caselli2 , Melodie O. Aricò3 , Enrico Valletta3

1 Pediatria, Ospedale S. Spirito, ASL Pescara

2 Malattie Infettive, PO Ospedale Pediatrico Giovanni XXIII, AOUC Policlinico di Bari

3 UOC Pediatria, Ospedale G.B. Morgagni – L. Pierantoni, AUSL della Romagna, Forlì

La formazione del medico nella complessità contemporanea

La crescita culturale e professionale di un medico è un processo lungo, che si estende per più di dieci anni. Questo periodo coinvolge principalmente l’acquisizione di competenze tecniche, permettendo ai futuri/giovani medici di sapere cosa fare e “come farlo”. Ciò significa apprendere la fisiologia e la fisiopatologia come passo preliminare per comprendere e riconoscere le caratteristiche principali di innumerevoli malattie umane, con l’obiettivo di prendersi cura di tutti e, si spera, guarire la maggioranza dei pazienti [1,2].

Comprendere le nuove procedure diagnostiche a un ritmo sempre più accelerato, procedure che troppo spesso si accumulano accanto alle tecniche tradizionali invece di sostituirle, rappresenta una sfida quotidiana, non solo per gli apprendisti ma anche, e forse ancora di più, per i medici esperti. Questa stratificazione di conoscenze crea un paradosso: maggiori informazioni possono portare a maggiore incertezza decisionale, soprattutto quando i dati generati dalle nuove tecnologie producono risultati di difficile interpretazione clinica [3].

La trasformazione del ruolo sociale del medico

Nel secolo scorso, la figura del medico godeva di uno status quasi oracolare. Era considerato l’autorità indiscussa nella lotta contro la malattia, il detentore del sapere scientifico, la cui parola era raramente messa in discussione. Oggi, questo paradigma si è profondamente trasformato. L’accesso diffuso alle informazioni sanitarie tramite internet ha generato un paziente più informato ma anche più vulnerabile al rischio di disinformazione [4,5]. Il cosiddetto empowerment del paziente ha reso il rapporto medico-paziente più equilibrato, ma anche più complesso da gestire.

L’interazione quotidiana con persone che cercano rassicurazione o che affrontano diagnosi temute richiede una grande abilità comunicativa. In questo nuovo scenario, il medico non è più solo un esperto tecnico, ma deve saper essere anche un interprete e mediatore della complessità. Tuttavia, la figura storica del medico di famiglia, capace di seguire il paziente nel tempo e nel suo contesto di vita, si è in parte dissolta sotto il peso della crescente specializzazione e frammentazione della medicina. Anche la fiducia, elemento imprescindibile della relazione di cura, risente di questa frammentazione e deve essere ogni volta ricostruita, alimentata e consolidata nel tempo.

Il mito del superspecialista e le aspettative irrealistiche L’immagine di un “clinico generale” in grado di navigare in un mare di conoscenze mediche è ormai perduta, sostituita dall’i-

dea di “medici superspecialisti”. Questo è vero particolarmente nel contesto della medicina dell’adulto: va riconosciuto invece che la pediatria ha difeso a lungo una sua prospettiva “internistica” generale, per cui questo effetto è stato a lungo molto attenuato anche se oggi è insidiata dall’approccio “superspecialistico” di molti pediatri.

Le aspettative dei pazienti sono ora che i superspecialisti siano in grado di risolvere (quasi) tutto rapidamente e facilmente. Così, se la febbre (soprattutto nei bambini) non passa, se il dolore non è alleviato e se la malattia non è essenzialmente curata all’istante, la percezione è che qualcosa nel servizio sanitario abbia funzionato male.

L’aspettativa immediata è che tu, come superspecialista, sia una sorta di “mago” che può sempre evocare una procedura diagnostica definitiva o un farmaco all’avanguardia (solitamente costoso) appropriato per il problema, e che questo sarà risolto. I media e l’industria farmaceutica giocano un ruolo non secondario in questa dinamica, alimentando il mito del progresso continuo, spesso enfatizzando le novità terapeutiche come rivoluzionarie, anche quando il beneficio reale è modesto [6]. Questa narrazione alimenta una visione consumistica della salute e una pressione crescente sui professionisti della salute. Il risultato è un sistema nel quale il medico rischia di diventare un esecutore passivo di richieste, piuttosto che un consulente critico e attento.

La pressione verso l’ipermedicalizzazione

Nel contesto clinico contemporaneo, emerge con crescente urgenza la questione dell’ipermedicalizzazione. In molte situazioni, la scelta più appropriata sarebbe l’attesa vigile, fondata su una valutazione clinica solida e aggiornata. Tuttavia, la pressione implicita o esplicita a “fare qualcosa” può condurre alla prescrizione non necessaria di farmaci – inclusi antibiotici o antivirali – anche quando si prevede ragionevolmente una risoluzione spontanea del quadro clinico, come nel caso di molte infezioni virali autolimitanti [7,8].

Questa tendenza è spesso alimentata da fattori extraclinici: il timore di apparire incompetenti agli occhi dei pazienti o dei loro familiari, la necessità di proteggersi da potenziali contenziosi legali e l’esigenza di aderire ai ritmi imposti da sistemi sanitari orientati alla produttività più che alla personalizzazione delle cure. In tale contesto la prescrizione farmacologica diviene una scorciatoia: più rapida che instaurare un dialogo approfondito, più semplice che investire tempo nell’educazione del paziente o nella condivisione delle opzioni terapeutiche [9,10].

Il tempo a disposizione per una visita medica è spesso rigidamente definito da protocolli assicurativi o direttive gestionali, che impongono limiti – spesso non superiori ai venti minuti –considerati “standard” o persino “efficienti” [11]. Trascendere questi limiti può essere percepito come un comportamento anacronistico o inadeguato. In questo scenario, spiegare perché un antibiotico non è indicato per una sindrome influenzale richiede più tempo e impegno rispetto a emettere una prescrizione – nonostante le raccomandazioni delle linee guida sull’uso prudente degli antimicrobici [12].

La responsabilità nella gestione degli antibiotici (antimicrobial stewardship) si scontra con la realtà operativa di molte strutture sanitarie. Sebbene la minaccia degli organismi multiresistenti rappresenti una priorità globale [13], nel quotidiano clinico essa viene spesso trascurata in favore di decisioni rapide e rassicuranti nell’immediato, ma potenzialmente dannose nel lungo termine [14].

Questa dinamica riflette una profonda frattura tra la medicina basata sull’evidenza e le pratiche indotte da pressioni sistemiche e culturali. Occorre pertanto interrogarsi su come ripristinare lo spazio per una cura appropriata, in cui il “non fare” – quando clinicamente giustificato – sia riconosciuto come un

atto medico responsabile, e non come una mancanza di intervento.

Medicina difensiva e sue conseguenze

Questa deriva conduce a una crescente pratica della medicina difensiva: prescrizioni, esami e trattamenti vengono effettuati non tanto per il bene del paziente, quanto per ridurre il rischio di contenziosi legali. È stato stimato che fino al 30% delle procedure mediche siano motivate principalmente da questi aspetti [15]. Le conseguenze del fenomeno sono molteplici: l’aumento dei costi sanitari, l’esposizione dei pazienti a rischi inutili e l’erosione del rapporto fiduciario tra medico e paziente.

Il ciclo è vizioso: quanto più i medici si proteggono con azioni preventive inappropriate, tanto più i pazienti si aspettano che quella sia la norma. In questo modo, lo standard percepito di cura si alza artificialmente, rendendo ancora più difficile spiegare e giustificare scelte prudenti e meno interventistiche. Il medico si ritrova così incastrato in una rete di aspettative e timori che rischia di allontanarlo dalla propria missione principale: curare nel rispetto dell’etica e dell’evidenza.

Il valore terapeutico del tempo e dell’ascolto Eppure, la ricerca dimostra che il tempo dedicato all’ascolto e alla comunicazione ha un valore terapeutico intrinseco. Uno studio del 2019 ha evidenziato come i pazienti che si sentivano ascoltati dai propri medici riportavano esiti clinici migliori, indipendentemente dal trattamento ricevuto [16]. La narrazione del paziente (anamnesi) rimane uno strumento diagnostico fondamentale, con una sensibilità superiore a molti test strumentali per numerose condizioni. Tuttavia, raccogliere un’anamnesi accurata richiede tempo, empatia e competenze comunicative che rischiano di essere sacrificate sull’altare dell’efficienza.

Il tempo per comunicare, spiegare e costruire una relazione di fiducia è un atto terapeutico in sé. Tuttavia, questa dimensione viene sistematicamente compressa, ridotta a favore della produttività. La medicina orientata alla quantità finisce così per indebolire la qualità dell’interazione clinica e, in ultima analisi, la qualità della cura. La cura autentica, infatti, non può prescindere dalla dimensione relazionale e dalla centralità del paziente come persona.

L’arte del “non fare”: verso una medicina ad alto valore Il medico che sceglie di “non fare” – di non prescrivere un antibiotico non necessario, di non richiedere un esame strumentale superfluo – sta in realtà facendo molto: sta praticando una medicina basata sulle evidenze, sta rispettando il principio di non maleficenza ( primum non nocere), sta promuovendo un uso responsabile delle risorse sanitarie e sta educando il paziente a una visione più realistica e sostenibile della salute. Il concetto di “medicina ad alto valore” – high-value care –implica l’erogazione di interventi clinici che massimizzino i benefici, minimizzino i danni e siano compatibili con un uso responsabile delle risorse. Questo approccio è al centro dell’iniziativa “Choosing Wisely”, lanciata nel 2012 dall’American Board of Internal Medicine e ora diffusa a livello globale [17]. La campagna promuove il dialogo tra medici e pazienti sulle cure necessarie e appropriate, evitando test e procedure inutili. L’adesione a queste linee guida richiede formazione, consapevolezza e coraggio.

La riflessione in ambito pediatrico

Anche la pediatria ha dato un contributo importante a questa riflessione. Giancarlo Biasini, già nel 2013, scriveva su Quaderni acp a proposito del fare meglio con meno, sottolineando come le cure primarie siano il luogo naturale per valutare strategie di attesa vigile, soprattutto nelle patologie pediatri-

che comuni [18]. Studi su otiti medie acute trattate senza antibiotico, se non in casi selezionati, hanno dimostrato l’efficacia di questo approccio nella riduzione del consumo di farmaci. Altri contributi, come quelli di Valletta e La Fauci [19], hanno chiarito il concetto di “rendimento marginale decrescente” in medicina: dopo un certo punto, fare di più non produce risultati migliori, ma solo spreco e danno. Cartabellotta [20], infine, ha ribadito che la sostenibilità del sistema sanitario passa anche per la capacità di ridurre l’offerta eccessiva, evitando prestazioni inappropriate che aumentano le diseguaglianze e svuotano di significato il concetto di universalismo.

Il coraggio della prudenza clinica

In conclusione, quanto carismatico e convincente devi essere per permetterti il peso del “non fare” [21]? In un sistema che valorizza l’azione sulla riflessione, la quantità sulla qualità e la velocità sulla profondità, scegliere di “non fare” rappresenta un atto di coraggio professionale e di integrità etica. È un ritorno ai fondamenti della medicina ippocratica, che riconosceva la capacità di guarigione intrinseca dell’organismo, il concetto di vis naturae sanatrix attribuito a Ippocrate e il ruolo del medico come facilitatore di questo processo naturale piuttosto che come dominatore della natura [22].

La prudenza clinica — il discernimento tra ciò che è utile e ciò che non lo è — rappresenta oggi una delle virtù più preziose del medico. Essa si nutre di conoscenza, esperienza, empatia e senso del limite. In un contesto sempre più industrializzato e tecnologico, il ritorno all’essenza umanistica della medicina può rappresentare non una regressione, ma la più autentica innovazione. Promuovere una medicina della misura, dell’ascolto e della consapevolezza è oggi un imperativo etico, culturale e sanitario, che interpella l’intera comunità medica e scientifica.

La bibliografia di questo articolo è consultabile online.

Morbillo & Rosolia News: i dati al 30 giugno 2025

Dal 1° gennaio al 30 giugno 2025, in Italia, al sistema nazionale di sorveglianza integrata morbillo e rosolia sono stati segnalati 391 casi di morbillo, di cui il 93,4% confermati in laboratorio. Sono 20 le Regioni/PPAA che hanno segnalato casi nel periodo considerato, ma il 48,8% è stato segnalato da sole tre Regioni. L’età mediana dei casi è pari a 31 anni, tuttavia, l’incidenza più elevata è stata osservata nei bambini e nelle bambine sotto i 5 anni. Lo stato vaccinale è noto per il 94,6% dei casi e l’86,5% risultava non vaccinato al momento del contagio. Nello stesso periodo sono stati segnalati 2 casi possibili di rosolia. È quanto emerge dal numero di luglio 2025 del bollettino periodico Morbillo & Rosolia News, che mostra anche l’andamento dei casi di morbillo segnalati in Italia da gennaio 2023 a giugno 2025.

“Torni la cultura educativa”: l’appello urgente delle associazioni sulla giustizia minorile

La giustizia minorile italiana sta vivendo una fase di regressione drammatica. Un sistema un tempo all’avanguardia in Europa sta oggi rinnegando i suoi stessi principi fondativi, virando verso una logica esclusivamente punitiva e abbandonando il suo approccio educativo. L’Associazione Antigone, Defence for Children Italia e Libera, hanno lanciato un appello urgente per fermare la deriva repressiva e riaffermare il ruolo della giustizia minorile come spazio di accompagnamento, reinserimento e tutela. Dal 2022 a oggi, il numero di giovani detenuti negli istituti penali per minorenni (Ipm) è aumentato del 55%, passando da 392 a 611 presenze. Un’impennata dovuta in larga parte al cosiddetto “Decreto Caivano” che, entrato in vigore nel settembre 2023, ha ampliato la possibilità di custodia cautelare per i minorenni e ridotto l’utilizzo delle misure alternative al carcere. Numeri che sarebbero ben superiori se non fosse che molti giovani anche quando hanno compiuto il reato da minorenni e che potevano permanere in Ipm fino ai 25 anni sono invece stati trasferiti in carceri per adulti al compimento della maggiore età, pratica che il “Decreto Caivano” ha grandemente facilitato in chiave punitiva nel totale disinteresse per il percorso educativo del giovane. Tutto questo, nonostante nel 2023 le segnalazioni a carico di minorenni siano diminuite del 4,15%. Oggi 9 Ipm su 17 soffrono di sovraffollamento. A Treviso si sfiora il doppio delle presenze rispetto ai posti disponibili, mentre a Milano e Cagliari il tasso di affollamento tocca il 150%. Ragazzi costretti a dormire su materassi gettati a terra, privati di percorsi educativi, lasciati per ore in cella senza attività. Un quadro che non si era mai registrato prima nel sistema della giustizia minorile. Per ovviare al sovraffollamento si è scelto di trasformare in Ipm una sezione del carcere bolognese per adulti della Dozza, transitata repentinamente sotto la gestione del Dipartimento giustizia minorile e di comunità con un atto amministrativo che non ne muta tuttavia le caratteristiche strutturali: un carcere minorile imprigionato in un carcere per adulti che rompe in maniera plastica il principio internazionalmente riconosciuto della netta distinzione che sempre deve esserci tra la risposta penale destinata agli adulti e quella destinata ai ragazzi.

Sempre di più, al contrario, la nostra giustizia minorile va assomigliando a quella degli adulti tradendo principi e impegni internazionali assunti dalle nostre istituzioni in relazione alle persone minorenni e alla loro relazione con il sistema di giustizia. “Le carceri minorili si stanno trasformando in luoghi di abbandono. La risposta dello Stato è la punizione, la repressione, l’isolamento – affermano i promotori dell’appello – ma così si viola la Costituzione, si tradiscono gli impegni internazionali e si spezzano vite in crescita” In linea con i principi e le norme della Convenzione ONU sui diritti dell’infanzia e dell’adolescenza, in particolare gli artt. 37 e 40, ulteriormente specificati dal Comitato ONU CRC nel suo Commento Generale n. 10 del 2007 e n. 24 del 2019, tenendo presente le linee guida del Consiglio d’Europa per una giustizia a misura di minorenne, alla luce della Direttiva UE 2016/800 sulle garanzie procedurali per i minori indagati o imputati nei procedimenti penali nell’appello sono state avanzate diverse richieste:

• l’abolizione del “Decreto Caivano”;

• l’assunzione di educatori e assistenti sociali adeguatamente formati anche in relazione ai diritti dell’infanzia e dell’adolescenza e alle loro specifiche vulnerabilità;

• la formazione adeguata, costante e verificata della polizia penitenziaria basata sui principi e le norme relative ai diritti dell’infanzia e dell’adolescenza;

• la realizzazione di una valutazione individuale per ogni minorenne che entra in Ipm e di un piano educativo integrato che renda efficace il percorso rieducativo;

• la presenza costante in Ipm di competenze e risorse per la mediazione culturale;

• la chiusura immediata della sezione Ipm nel carcere per adulti di Bologna;

• la costituzione di sezioni a custodia attenuata, come previsto dal D.Lgs. n. 121/2018;

• l’effettiva possibilità di far usufruire i giovani in Ipm delle visite prolungate previste dal D.Lgs. n. 121/2018;

• l’applicazione della sentenza della Corte Costituzionale n. 10/2024 sull’affettività in carcere;

• l’abolizione della sanzione disciplinare dell’isolamento penitenziario, come previsto dalla Regola 45 delle Mandela Rules delle Nazioni Unite;

• il raccordo degli Ipm con le scuole e i servizi del territorio anche prevedendo la frequentazione di scuole esterne da parte dei ragazzi;

• il maggiore impegno da parte delle Regioni nell’offerta di formazione professionale per i ragazzi nel circuito penale;

• il potenziamento del sostegno alle comunità che ospitano ragazzi del circuito penale, garantendo reale integrazione socio sanitaria;

• il monitoraggio della salute psicofisica e l’adeguata presa in carico per garantire sempre il superiore interesse delle persone minorenni;

• il supporto e il rinforzo di meccanismi per il monitoraggio indipendente di tutti i luoghi di detenzione dove sono presenti persone minorenni.

“È tempo di tornare a una giustizia che accompagna, non che punisce. Una giustizia che crede nei ragazzi, nelle loro possibilità, nel loro futuro”, concludono i promotori dell’appello.

Fonte: Gruppo CRC

La situazione dei minori palestinesi

Nei primi sei mesi del 2025, il numero di minori sfollati in Cisgiordania a causa delle demolizioni delle loro case, ordinate dalle autorità israeliane, ha raggiunto livelli record: il numero più alto mai registrato nello stesso periodo degli anni precedenti. Ciò fa parte di una politica sistematica e di lunga data volta ad annettere parti della Cisgiordania. Le autorità israreliane stanno ricorrendo a demolizioni, sequestri di terreni e

modifiche legislative per costringere i palestinesi ad abbandonare le loro case ed espandere così gli insediamenti. Secondo una nostra analisi, basata sui dati delle demolizioni e degli sfollamenti raccolti dall’Ufficio delle Nazioni Unite per il Coordinamento degli Affari Umanitari (OCHA), sarebbero 607 i minori coinvolti tra le oltre 1200 persone sfollate nella prima metà del 2025 in Cisgiordania, compresa Gerusalemme Est. Questo dato è in crescita rispetto ai 542 registrati nello stesso periodo del 2024, e ancor più rispetto ai 328 della prima metà del 2023. Dall’analisi emerge, inoltre, che dal 7 ottobre 2023 si è registrato un forte aumento degli sfollamenti di famiglie palestinesi a causa della distruzione delle abitazioni da parte delle autorità israeliane, che ha colpito oltre 2850 minori. Migliaia di loro sono stati costretti a fuggire a causa di incursioni militari israeliane su larga scala nella Cisgiordania settentrionale. Stando ai dati raccolti dall’OCHA, dal 2009 – anno in cui è cominciato il monitoraggio del fenomeno –più di 10.300 bambini sono rimasti senza casa a seguito delle demolizioni in Cisgiordania. Tra questi, 8200 minori, ovvero circa l’80%, hanno perso la propria casa perché priva delle autorizzazioni rilasciate da Israele, permessi che risultano quasi irraggiungibili per la popolazione palestinese. Le demolizioni di case sono state una delle cause principali dello sfollamento di oltre 38.000 palestinesi in Cisgiordania dall’ottobre 2023. Tuttavia, circa il 75% degli sfollati è stato costretto a fuggire a causa di incursioni militari israeliane su larga scala nella Cisgiordania settentrionale. Parliamo di oltre 29.000 persone, tra cui migliaia di bambini. Le politiche e le pratiche delle autorità israeliane stanno soffocando ogni aspetto della vita quotidiana dei palestinesi in Cisgiordania. Le abitazioni dei minori vengono demolite, il loro avvenire spezzato, le loro esistenze sconvolte. Nessun bambino dovrebbe crescere con la minaccia costante di violenza, sfollamento forzato o detenzione militare. Questa è un’emergenza legata ai diritti dei minori, spesso messa in ombra dall’escalation ancora più brutale nella Striscia di Gaza. Ma l’enormità e la gravità della tragedia a Gaza non possono giustificare le violenze altrove, né cancellare gli obblighi imposti dal diritto internazionale. Le violazioni restano tali. I bambini restano bambini. “Per decenni, le forze armate e i coloni israeliani hanno terrorizzato le famiglie palestinesi pressoché impunemente. Dall’inizio della guerra a Gaza, la violenza in Cisgiordania è aumentata. Non c’è guerra in Cisgiordania, eppure un numero record di minori viene sfollato, aggredito, imprigionato e ucciso. La comunità internazionale non può più voltarsi dall’altra parte. Il suo silenzio sta rendendo possibili questi attacchi contro i bambini. Tutto questo deve finire” ha dichiarato Ahmad Alhendawi, direttore regionale di Save the Children per il Medio Oriente, il Nord Africa e l’Europa Orientale. Riportiamo le parole di Mona, una bambina di 12 anni, che vive nella zona rurale di Hebron. Questa zona è sotto costante minaccia di violenza da parte dei coloni. Mona ci racconta quello che ha vissuto: “Le ultime notti di Ramadan ho preparato i miei vestiti per l’Eid, li ho sistemati e li ho riposti nell’armadio. Anche se l’Eid è quasi inesistente qui a causa dell’occupazione e potrebbero entrare nel villaggio in qualsiasi momento e distruggere la nostra gioia, non ero pronta a quello che è successo. I coloni sono entrati nel villaggio, lo hanno distrutto e [le forze israeliane] hanno portato mio padre in prigione, insieme a tutti gli uomini del villaggio. È scomparso per ore. Ricordo molto bene quel giorno in cui abbiamo rotto il digiuno dopo una lunga giornata senza mio padre. Ma le molestie non sono finite lì. Sono tornati di

notte, hanno distrutto la casa e tutto ciò che vedevano. I miei vestiti per l’Eid sono caduti a terra, e con essi, la mia gioia.”

Fonte: Save the Children

Il Codice violato

IBFAN Italia ha pubblicato oggi l’ottava edizione del Codice violato, la pubblicazione che, periodicamente dal 2001, fa il punto sull’applicazione del Codice internazionale sulla commercializzazione dei sostituti del latte materno, nel nostro Paese e non solo.

Dal comunicato stampa che ne accompagna la pubblicazione: “Il Codice Violato 2025 intende stimolare lo spirito critico e mantenere viva l’attenzione sui diritti delle bambine e dei bambini di tutto il Pianeta, soprattutto in quei contesti in cui guerra e povertà trasformano la fame in emergenza quotidiana, prima ancora che la nutrizione infantile. Ne Il Codice Violato 2025 le problematiche legate alla promozione e alla protezione dell’allattamento vengono affrontate da diversi punti di vista: ambientale, legale, del marketing digitale, dell’intelligenza artificiale… e ancora l’applicazione della WBTi, i casi Medela e del progetto PAA; per raccontare poi casi esemplari di violazioni: l’uso delle ostetriche pagate dalla Danone per dare consigli nei supermercati della Gran Bretagna, oppure le sponsorizzazioni alle scuole del Regno Unito da parte dell’industria degli alimenti… Importante è il capitolo dedicato a come e a chi segnalare le possibili violazioni del Codice e della legge. Diverse notizie di buone pratiche e due rapporti: quello del 2024 sullo stato di applicazione nazionale del Codice internazionale e quello sul mercato delle formule dell’Autorità britannica per la concorrenza e il mercato, completano la pubblicazione”.

Reazioni avverse ai farmaci nei neonati allattati

Il tasso di segnalazione di sospette reazioni avverse ai farmaci nei neonati allattati in Europa rimane estremamente basso. Lo rileva uno studio condotto sul database di farmacovigilanza EudraVigilance che ha preso in esame 922 reazioni avverse da farmaci in neonati allattati al seno, raccolte in Europa dal 2013 al 2023. L’obiettivo era descrivere in modo sistematico le sospette reazioni nei neonati esposti a farmaci trasferiti attraverso il latte materno. Le reazioni avverse gravi hanno rappresentato 133 casi (14%), tra cui 15 decessi, principalmente associati a metadone (n=11) e diamorfina (n=3). I vaccini anti-Covid-19 sono stati implicati nella metà delle segnalazioni (n=479, 52%), mentre le reazioni gravi sono risultate principalmente associate a farmaci per il sistema nervoso (n=73, 43%), in particolare anticonvulsivanti come levetiracetam, lamotrigina, acido valproico e topiramato, nonché oppioidi come metadone e diamorfina. La maggior parte dei casi (n=511, 55%) si è verificata in neonati di età compresa tra 1 mese e 1 anno. Considerando i milioni di neonati potenzialmente esposti annualmente a farmaci attraverso il latte materno, le 922 segnalazioni documentate in un decennio indicano un tasso di segnalazione particolarmente basso. Questi risultati mettono in luce le criticità della sorveglianza post marketing e suggeriscono che la sottosegnalazione rappresenti ancora una sfida rilevante nella farmacovigilanza pediatrica. Il quadro emerso sottolinea inoltre la necessità di implementare strategie mirate per superare i limiti della segnalazione spontanea e migliorare la sicurezza d’uso dei farmaci durante l’allattamento. Fonte: newsletter Farmacovigilanza

Invelle

Ma in che senso?

Rubrica a cura di Italo Spada

Comitato per la Cinematografia dei Ragazzi di Roma

Invelle

Regia: Simone Massi

Con la partecipazione di: M. Baliani, A. Celestini, M. Cuticchio, L. Lo Cascio, N. Marcorè, G. Marini, A. Massi, G. Massi, T. Servillo, F. Timi

Italia-Svizzera, 2023

Una curiosità: perché Simone Massi, regista e illustratore, ha scelto questo titolo per la sua opera prima di lungometraggio animato, premio Carlo Lizzani a Venezia 2023?

È noto quanto, a volte, sia complicato decidere come presentare a estranei ciò che abbiamo scritto. Che sia racconto, fiaba, romanzo, canzone, poesia, film o altro, non riusciamo facilmente a prendere una decisione: è meglio riassumere, incuriosire, affascinare, indirizzare, convincere?

In dialetto marchigiano, invelle significa “in nessun posto”. Sarebbe lecito, pertanto, chiedere all’autore: in che senso? Come precisazione che si tratta solo di un film dove vediamo cose che non accadono in nessun posto? Come invito a evitare errori e a rifiutare la violenza? Oppure, come augurio di non vedere in nessun posto quello che ci viene raccontato?

Ma che cosa ci viene narrato?

C’era una volta…

C’era un cinema orale. Piccola sala con braciere nelle fredde serate invernali, fresco cortile nelle calde serate estive; un solo regista, attore, proiezionista che si chiamava nonno/a; schermo personalizzato, spettatori non paganti e sogni a occhi aperti. I film? Racconti come quelli intrecciati in questo Invelle. Fiabe solo in apparenza; in realtà, storie d’Italia finalizzate a scolpire in chi guarda lezioni di vita impartite da una maestra che si chiama Storia. È lo stesso regista a precisare che si tratta di “un non luogo da cui la Storia con la maiuscola ha preso e preteso tutto quello che voleva e poteva. In cambio abbiamo avuto le storie con la minuscola, quelle che, o le tramandi a voce, oppure si perdono”.

varla, o se è lei che li ha raggiunti nell’aldilà. Eppure, tanto le basta per illuminarle il volto.

Un sottile file rouge lega Zelinda ad Assunta, altra contadinella che, pur stentando a rimanere in equilibrio con l’unico piede che le è rimasto, non smette di guardare il cielo. Vorrebbe indossare il vestito colorato che ha pazientemente cucito, ma non le è permesso. I tempi sono bui e, per coronare il suo sogno, deve aspettare la fine della violenza nazista e della seconda guerra mondiale. Solo allora riuscirà a respirare un po’ di pace, ma è passato troppo tempo e lei non è più una bambina. Anche Icaro, il terzo bimbo contadino, vorrebbe (nomen omen) spiccare il volo ed evadere dagli anni di piombo in cui vive. La follia, ora, si chiama Brigate Rosse, gli attentati si susseguono, l’onorevole Aldo Moro viene sequestrato e ucciso, la sua scorta trucidata. Troppo sangue e Icaro ripiomba nel labirinto dei suoi sogni.

Accantonate le riserve di chi è abituato a porsi troppe domande sul come si raccontano le storie, focalizziamo l’attenzione su quello che ci viene raccontato. Più dei dialoghi, Simone Massi si serve del linguaggio delle immagini, definito da Chaplin “arte del silenzio”, per invitarci a riflettere. Lo fa con 40.000 disegni ricalcati da riprese dal vero e animati a mano con la tecnica di stop motion, affidando a voci di adulti commenti che si chiamano filastrocche, ninne nanne, storie cantate, lettere, brani di Pavese e di García Lorca. Impossibile vedere questo film e non pensare che le vicende di Assunta, Zelinda e Icaro non sono fiabe, ma lezioni di una saggia Maestra. Troppi asini (con tante scuse a quelli con quattro zampe) popolano le aule dove si decidono i destini di innocenti. A troppi bambini e in troppe aree del mondo viene negata l’infanzia. Per questo, non sarebbe stato fuori luogo se Simone Massi avesse concluso il suo film con un’altra animazione: la Maestra che lascia la cattedra e bacchetta chi non ha ancora capito che guerra e violenza non portano da nessuna parte.

Un film noir con qualche baluginio di luce che richiama Schindler’s List di Spielberg. I particolari colorati che, a tratti, squarciano il grigiore delle inquadrature, fanno pensare alla bambina dal cappottino rosso che si aggirava nel ghetto di Varsavia che, a suo tempo (1993), fu vista come ambasciatrice del messaggio del regista: non perdere mai la speranza.

Storie da lasciare in eredità come quelle dei tre bambini protagonisti (Zelinda, Assunta e Icaro) che, in tre diversi anni (1918, 1943 e 1978), vivono lo stesso incubo (la violenza) e desiderano la stessa cosa (vivere in pace).

Ma conosciamoli meglio.

Zelinda vive in campagna. Orfana di madre, con suo padre impegnato nelle operazioni belliche del primo conflitto mondiale, i fratellini da sfamare, la stalla e le bestie da accudire, non ha tempo per assaporare la sua infanzia. Il mondo, quel mondo di distruzione e di morte che la circonda, non è fatto per lei e non le resta altro che cercare e trovare rifugio nella fantasia. Quando, alla fiera del paese, rivede i suoi genitori, non capisce se si tratta di una illusione, se sono loro che sono venuti a tro-

Un film didattico che la Maestra Storia, in un periodo come quello che stiamo attraversando, potrebbe utilizzare come fece a suo tempo Esopo, con Il leone va alla guerra. Vale la pena rileggere quella favola per capire che, oggi come ieri, i potenti, quando dichiarano guerra, non si servono solo di elefanti, volpi e orsi, ma anche di asini “perché hanno una voce più forte degli altri e sono un’ottima tromba per chiamare a raccolta i soldati”.

Libri

Occasioni per una buona lettura

Da zero a 12 mesi: un anno da genitori. Capire e accompagnare la crescita di bambine e bambini nel primo anno di vita di Sergio Conti Nibali Uppa Edizioni, 2025, pp. 129, € 18

Il libro di Sergio Conti Nibali è stato scritto per i genitori, ma sarà utilissima lettura e offrirà arricchimento culturale anche per figure professionali e non che si prendono cura delle bambine e dei bambini: i nonni, le ostetriche che operano nei servizi territoriali, le educatrici/ori dei nidi, i pediatri e gli specializzandi in pediatria. Il motivo conduttore del libro è il concetto di responsività; un concetto che nasce dall’assunto di sensitivity di Bowlby e della sua collaboratrice Mary Ainsworth (1913-1999), arricchito dai contributi della Infant Research. Essere responsivi significa non solo comprendere l’altro e i suoi bisogni, ma anche entrare in una risonanza emozionale con colui/ei di cui ci prendiamo cura, farlo sentire capito e così aiutarlo a capire meglio le sue azioni e i suoi bisogni. Un atteggiamento responsivo verso coloro di cui ci si prende cura, che va bene per tutte le età, è fondamentale nei primi tre anni di vita proprio per l’estrema plasticità delle strutture biologiche e per le sue ricadute nelle età successive. Il libro di Sergio è responsivo perché nasce da una lunga esperienza e collaborazione con i genitori e con i loro piccoli, nonché da una profonda e rigorosa cultura medica, basata sempre su evidenze scientifiche. Questo libro non si allinea alle troppe pubblicazioni e guide scritte e ai social, che hanno la presunzione di indicare ai genitori cosa fare e cosa non fare, ma offre loro informazioni e conoscenze per prendere decisioni appropriate per accudire e allevare non un bambino ideale ma il loro piccolo/a. Punto di partenza e di riferimento culturale è il documento della Nurturing care, le cure che nutrono – progetto lanciato in Italia nel 2022 dal Comitato Italiano per l’Unicef e Save The Children Italia –, che ha l’obiettivo di promuovere il Nurturing Care Framework for Early Child Development (NCF), sostenuto da varie associazioni tra cui l’ACP. Un modello per l’azione basato su prove d’efficacia per proteggere, promuovere e sostenere il migliore sviluppo possibile per tutte le bambine e i bambini nei primi 1000 giorni, che indica quale dovrebbe essere la strada da percorrere per chi si occupa di bambini/e piccolissimi, per tentare di ridurre al massimo quelle disuguaglianze che, purtroppo già presenti alla nascita, rischiano di aumentare sempre di più nel corso del tempo. Nel libro, vengono affrontati i temi principali di interesse, per i genitori e altri caregiver, nel primo anno di vita dei piccoli: le tappe dello sviluppo, l’alimentazione (allattamento e alimentazione complementare), l’ambiente in cui il bambino viene accolto, il sonno, la sicurezza, le malattie. Tutti gli argomenti vengono trattati con chiarezza, linguaggio semplice ed accessibile ma sempre con rigore scientifico. Come affermato precedentemente, questo libro sarà utilissimo per i nonni che

spesso hanno un sincero desiderio di rimettersi in discussione rispetto alle convinzioni maturate quando 30-40 anni fa erano stati loro stessi genitori alle prime armi, ma sarà utile (se naturalmente vorranno mettersi in discussione) anche a pediatri, specializzandi in pediatria, non sempre in linea, anche a causa di una formazione accademica spesso arretrata sui temi della promozione della salute, rispetto alle attuali conoscenze e alle indicazioni delle società scientifiche nazionali e internazionali. Consiglio il libro anche agli educatori degli asili nido che, spesso basandosi su pregiudizi culturali, non corretti durante la formazione, insistono, per esempio, ad affermare con i genitori l’inutilità e addirittura dannosità dell’allattamento prolungato. Tutte queste figure professionali che affiancano i neogenitori, se aggiornate e responsive (e questo libro può aiutarle a esserlo), possono essere di grande aiuto per i genitori ma che, se non lo sono e non vogliono esserlo, rappresentare un ostacolo a una crescita libera e sicura dei piccolissimi. Per queste ragioni, mi sento di affermare che il libro di Sergio sarebbe apprezzato da Maria Montessori perché aiuterà, informandoli correttamente, molti genitori a fare da soli e gli operatori a essere meno direttivi e più responsivi.

Franco De Luca

Oltre la tecnofobia di Vittorio Gallese, Stefano Moriggi, Pier Cesare Rivoltella Raffaello Cortina, 2025, pp. 204, € 10,99

Il sottotitolo chiarisce bene il tema del libro: Il digitale dalle neuroscienze all’educazione. Gli autori sono autorevoli ed esperti nella materia: Vittorio Gallese è un noto neuroscienziato dell’Università di Parma, Stefano Moriggi insegna a Modena nel corso di laurea in Digital Education e Pier Cesare Rivoltella è professore di Didattica e tecnologie dell’educazione a Bologna. Il tema trattato è di grande rilevanza e interesse per chi si occupa di età evolutiva, educazione e benessere delle nuove generazioni. Già nell’introduzione gli autori chiariscono che il loro intento è di affrontare l’argomento “con sguardo critico e aperto, evitando sia la tecnofilia ingenua sia la tecnofobia sterile”. L’approccio all’argomento è decisamente scientifico e pratico; sempre in premessa viene dichiarato: “il digitale sta cambiando radicalmente il nostro modo di vivere, pensare e interagire, ma non siamo condannati a subirne gli effetti passivamente. Comprendere come funzionano gli strumenti digitali, come contribuiscono a plasmare il nostro pensiero e come possiamo usarli a nostro vantaggio è essenziale per affrontare il futuro con maggiore consapevolezza”. Nella prima parte si analizza il ruolo del corpo e della mente nelle rappresentazioni della realtà fisica e di quella virtuale, e gli effetti degli schermi sul nostro modo di comunicare e pensare. Vengono citati molti studi, evidenziando in particolare che “l’uso dei social media può avere sia effetti positivi che negativi sul benessere degli adolescenti, a seconda di vari fattori contestuali e individuali”. Gli autori criticano alcune semplificazioni (come la comune valutazione vantaggi/svantaggi), e dichiarano che la tecnologia è, fin dai tempi di Platone, per sua natura ambigua sia buona che cattiva. La parte del libro che ritengo maggiormente interessante per noi pediatri è quella che tratta dell’educazione al digitale. La posizione degli autori è molto chiara ed esplicita, per loro la soluzione non è il controllo assoluto e il divieto (che ritengono “illusorio e ineffica-

ce”); la strada proposta è quella dell’educazione, che prevede di fornire dosi di libertà sufficienti a raggiungere un uso critico e responsabile, con l’obiettivo finale dell’autoregolazione, che però riguarda gli adolescenti come gli adulti. Gli autori in conclusione sposano la posizione di Serge Tisseron, che propone a genitori e educatori di impegnarsi sulle famose 3A: Alternanza, Autoregolazione, Accompagnamento; quindi attuare una “pedagogia del contratto”, ascolto attivo e attenzione focalizzata, e in base all’età anche consumo condiviso, utilizzando le stesse efficaci tecniche applicate nella lettura dialogica e responsiva. L’ultimo capitolo del libro si intitola Contro i bei tempi andati, un chiaro rifiuto a come si viveva un tempo, con la convinzione che “l’ultima parola non deve essere la nostalgia, ma la speranza”.

La cura in cammino. Il potere dell’alleanza terapeutica di Gianna Milano, Gianni Tognoni Il Pensiero Scientifico Editore, 2025, pp. 214, € 18

La storia che ci viene raccontata in La cura in cammino è quella di un percorso incessante avviato da Giuseppe Masera già negli anni della sua formazione e che ha reso l’emato-oncologia pediatrica un riferimento per l’attenzione costante ai bisogni dei bambini e delle loro famiglie, per la capacità di creare una vera “cultura della cura”, di ricercare collaborazioni significative, di attivare protocolli comuni di studio, di realizzare un modello di assistenza integrato in cui cure mediche, approccio psico-sociale, grande attenzione agli aspetti comunicativi, considerazione dei contesti di vita, ruolo dell’alleanza pubblico-privato si integrano in un processo unitario e armonico.

Il libro ripercorre le molte, significative tappe del cammino: la ricerca, da subito, da parte di Masera di figure di riferimento nella pediatria italiana e nella ematologia pediatrica italiana e internazionale; il passaggio dalla rassegnazione alla consapevolezza che i bambini con malattia oncoematologica possono e devono essere curati; il gruppo di professionisti attivi nel centro di ematologia pediatrica a Milano e poi a Monza, consapevoli della necessità di “mettere insieme competenze e saperi disparati che si estendono ben al di là dell’ospedale”; l’importanza dell’ascolto e della comunicazione con il bambino e con il bambino insieme alla sua famiglia; l’approccio globale alla cura con la presa in carico medica, educativa, psicologica, sociale; la nascita e la crescita e del Comitato Maria Letizia Verga per lo studio e la cura delle leucemie del bambino e della Fondazione Tettamanti, con i loro importanti e indispensabili contributi in tutte le tappe del percorso; la centralità della ricerca clinica, anche come espressione di responsabilità collettiva “capace di coinvolgere anche le strutture non accademiche del Servizio Sanitario Nazionale”; la rete collaborativa nazionale e internazionale, con il coordinamento di commissio-

ni dedicate e l’elaborazione di raccomandazioni, documenti e pubblicazioni a partire dall’esperienza dei maggiori centri di cura nazionali e internazionali; le storie di “guarigione, di coraggio e di cambiamento “, di crescita positiva dopo il trauma della malattia e delle cure; lo sguardo oltre, che allarga tempi e spazi del diritto alla vita anche ai bambini affetti da malattie oncologiche ed ematologiche nei Paesi a più basso reddito.

Alcune parole chiave (anche oggetto di capitoli o paragrafi dedicati) attraversano il testo, si rincorrono e si ripropongono più volte, quasi un invito insistente a continuare a riflettere su strategie possibili, domande da aggiornare, sperimentazioni da proseguire per “ampliare l’ambito dell’accessibilità ai diritti di salute-vita” in emato-oncologia pediatrica, ma non solo: ascolto dei bambini e poi delle famiglie, degli operatori coinvolti, dei ricercatori come primo “atto di cura” e di presenza umana reale che diventa disponibilità a offrire un tempo per capire meglio e condividere un pezzo di strada, fatiche, speranze; comunicazione consapevole, che vuol dire utilizzo attento e sensibile delle parole che, pensate, “cucite” insieme, riempite di significati attivano speranze ma anche devono comunicare criticità e incertezze in storie complesse o terapie che non funzionano; alleanza terapeutica come “relazione circolare” che si crea tra il medico, i genitori e il bambino malato, ma anche “patto di solidarietà” alla ricerca insieme di soluzioni alle diverse problematicità di volta in volta presenti; condivisione multidisciplinare di competenze e progettualità che diventa comunità di obiettivi, di ricerca e di valori testimoniabili; gioco di squadra, dove, per procedere nel percorso, è stato ed è determinante il contributo di ciascuno, presente a diverso titolo o anche per un tempo limitato; resilienza, come “possibilità di ristrutturare in modo positivo la quotidianità minata dal trauma della malattia” e di dare un senso a quanto accaduto, grazie “a un’interazione virtuosa fra il bimbo malato, la sua famiglia e il contesto sociale”; poesia dei bambini, sperimentata ormai da tempo in laboratori dedicati avviati con Ernesto Cardenal a Managua e successivamente anche a Monza come nuova componente che arricchisce la strategia terapeutica in oncologia pediatrica.

La lettura del libro, preziosa anche per i medici in formazione, è arricchita in ogni capitolo da riflessioni e testimonianze di Masera e di alcuni dei protagonisti delle diverse tappe del percorso, oltre che dai rimandi a evidenze e dati di letteratura prodotti sin dall’inizio di un cammino che certamente rappresenta un passaggio culturale e metodologico importante nella storia della cura in pediatria e in medicina.

Federica Zanetto

Lettere

Risposta all’editoriale del dottor Sergio

Conti Nibali

Non posso che concordare sul fatto che per una maggior diffusione dell’allattamento in Italia serva un più incisivo supporto politico e governativo, coniugando promozione e protezione; lo sostengono la logica, la letteratura scientifica, le buone pratiche e le raccomandazioni degli enti di salute pubblica. Annoto però allo stesso tempo che gli ambiti sociali e culturali che giudicano questa impostazione come irrinunciabile, di fatto siano portati a delineare una linea di demarcazione troppo netta, direi manichea, e alla fine autolesiva fra chi segue pienamente il Codice e chi non lo intende come scontata premessa alla promozione dell’allattamento. Bisogna uscire dalla comfort zone del consenso unanime fra attivisti dell’allattamento e avere il coraggio di confrontarsi con la complessità dell’imperfetto contesto scientifico-sanitario del nostro Paese cercando e accettando punti di incontro e mediazione. Il progetto PAA è riuscito a riattivare l’interesse sul tema allattamento nell’ambito societario, non solo della SIN. Lo ha fatto partendo dall’interno del sistema, dando credito alla motivazione di chi sta al front office attraverso il coinvolgimento dei direttori delle UUOO e focalizzandosi su alcuni rilevanti aspetti medico-sanitari, che nessun’altra Iniziativa aveva finora sviluppato. Lo testimoniano i nuovi documenti della SIN su alcuni storici topic quali la prevenzione del collasso neonatale [1], l’ittero [2] e la gestione del rischio ipoglicemico e dell’ipoglicemia [3]. Si tratta di concreti prodotti assistenziali finalizzati in maniera diretta o indiretta alla promozione pratica dell’allattamento e non dell’ennesimo stereotipato richiamo etico, proposto con modalità tali da non aiutare di certo a raccogliere la sfida, fornendo viceversa ai meno motivati un alibi per il disimpegno. Insomma, invito a riflettere tutte/i sul fatto che per passare dalla teoria alla pratica ci vogliono una visione non scotomizzata e una strategia appropriata. dott. Riccardo Davanzo Presidente Com.A.SIN, Trieste

1. https://a2x6c0.emailsp.com/assets/2/MANUALE_SUPC_21_4.pdf

2. Davanzo R, Cavicchioli P, Agosti M, Dani C. Mother infant zero separation for neonatal jaundice: we are getting closer. Ital J Pediatr. 2025 Aug 15;51(1):254.

3. Cresi F, Maggio L, Paviotti G. Raccomandazioni per lo screening e il trattamento dell’ipoglicemia neonatale nelle prime 48 ore di vita di vita nei neonati > 34 settimane di età gestazionale. GdS di Nutrizione SIN. In corso di pubblicazione sul sito della SIN.

Ringrazio il dott. Davanzo per la sua risposta, che riconosce la necessità di un maggiore supporto politico per la diffusione dell’allattamento in Italia. Concordo anche sul fatto che promozione e protezione debbano viaggiare di pari passo. Tuttavia, la sua replica rivela un’incoerenza che mina la credibilità del progetto PAA e delle associazioni professionali che lo sostengono: la scelta di definire chi esige l’applicazione del Codice internazionale dell’OMS come “attivisti dell’allattamento” che si muovono in una “comfort zone” di consenso unanime non è solo una semplificazione: è un tentativo di spostare il focus dal problema reale. La questione non è un’opposizione ideologica tra “estremisti” e “pragmatici,” ma una scelta di campo basata su prove scientifiche inconfutabili. Non sono gli “attivisti” a chiedere la protezione dell’allattamento, ma

le massime autorità sanitarie globali: l’Organizzazione Mondiale della Sanità (OMS) e l’UNICEF. Il Codice internazionale OMS e le successive risoluzioni dell’Assemblea Mondiale della Sanità non sono un’astratta linea etica per pochi “puristi,” ma un quadro normativo basato su decenni di ricerca. La Lancet Breastfeeding Series 2023 [1] ha ribadito in modo inequivocabile che il marketing aggressivo dei sostituti del latte materno rappresenta una minaccia globale per la salute pubblica, influenzando direttamente operatori sanitari, decisori politici e, di conseguenza, i tassi di allattamento. Sostenere la necessità di “uscire dalla comfort zone” e “cercare punti di incontro e mediazione” con un sistema permeato dai conflitti di interessi dell’industria è un’accettazione di fatto di un compromesso che indebolisce la salute pubblica. Il dott. Davanzo cita gli sforzi della SIN per produrre nuovi documenti e manuali su temi clinici come l’ittero e l’ipoglicemia; sebbene questi siano indubbiamente importanti, essi non affrontano la radice del problema. Si tratta di un’ipocrisia di fondo: si lavora per risolvere gli effetti (complicazioni cliniche) senza affrontare la causa sistemica (l’influenza commerciale e il marketing incontrollato). È come tentare di vuotare una barca che imbarca acqua, senza tappare il buco. La promozione dell’allattamento non può essere efficace se il terreno su cui poggia è minato dai conflitti di interessi. Il vero problema in Italia non è la mancanza di “coraggio di confrontarsi con la complessità,” ma la mancanza di coerenza istituzionale.

Mentre Paesi come la Slovenia, la Croazia e il Regno Unito (ma anche gli USA dove, pur senza una legge sul Codice, più del 20% dei neonati nascono in oltre 500 BFH) [2] hanno dimostrato che è possibile superare gli ostacoli politici e implementare la BFHI su larga scala, in Italia le principali associazioni pediatriche continuano a beneficiare del supporto economico dell’industria [3,4]. Affermare che il PAA ha “riattivato l’interesse” sul tema è una magra consolazione se i risultati clinici sono irrilevanti e se il progetto non affronta i principi etici e metodologici che sono alla base del successo di iniziative come la BFHI. La sfida non è inventare alternative semplificate, ma avere la volontà politica di applicare le raccomandazioni esistenti che hanno dimostrato di funzionare. L’OMS e l’UNICEF non sono organizzazioni di “attivisti,” ma di esperti che hanno messo in luce, con prove scientifiche, un legame sistemico tra marketing dei sostituti del latte e fallimento dell’allattamento. L’invito a “riflettere” del dott. Davanzo deve essere rivolto in primis alle associazioni professionali che, pur dichiarandosi a favore dell’allattamento, continuano a operare in una cornice di ambiguità e compromesso. Il vero coraggio non sta nel cercare la mediazione con chi ha un interesse commerciale, ma nel recidere quei legami, come ha fatto il Royal College of Paediatrics and Child Health in Gran Bretagna [5], e sposare pienamente le strategie che proteggono la salute delle madri e dei bambini e dell’intera società. Solo quando imiterà il Royal College britannico, e si unirà a UNICEF, ACP e società civile in un’azione di advocacy su politica e governi per la protezione dell’allattamento, la SIN diventerà credibile.

1. Rollins N, Piwoz E, Baker P, et al. Marketing of commercial milk formula: a system to capture parents, communities and science. Lancet. 2023 Feb 11;401(10375):486-502.

2. https://www.cdc.gov/breastfeeding-data/breastfeeding-reportcard/index.html#:~:text=In%202021%2C%20more%20than%20 1,care%20setting%20continues%20t o%20improve

3. Marketing of breast-milk substitutes: National implementation of the International Code. WHO, 2022. https://www.who.int/publica,tions/i/item/99240048799

4. Scope and impact of digital marketing strategies for promoting breast-milk substitutes. WHO, 2022. https://www.who.int/publicaOtions/i/item/9789240046085

5. https://www.bmj.com/content/364/bmj.l743

Indice delle rubriche

Vol. 32, anno 2025

Aggiornamento avanzato

1 18 L’approccio Touchpoints di Brazelton per gli interventi di sostegno alla genitoralità

Luca Migliaccio, Fabia Eleonora Banella, Gherardo Rapisardi/Roberto Buzzetti

Ambiente e salute

2 80 L’ambiente può prevenire i disturbi della vista?

Annamaria Sapuppo, Elena Uga

5 222 Mestruazioni sostenibili e dintorni

Federica Bartolini, Francesca Lucchi, Paola Menga, Antonella Brunelli

6 274 Verde nei luoghi di vita: i benefici per lo sviluppo

Laura Todesco, Annamaria Sapuppo, Giacomo Toffol

Congressi in controluce

1 47 I primi 1000 giorni di vita per costruire il suo futuro Macerata, 29-30 novembre 2024

Martina Fornaro, Maria Sellitti

4 190 Diventare grandi con disabilit à gravi. Età, luogo di cura e bisogno di assistenza: affrontiamo le transizioni insieme

Patrizia Elli

5 240 Pediatria e neurosviluppo. Innovazione clinica e telemedicina per la diagnosi precoce del disturbo dello spettro autistico

Noemi Buo, Paola Colombo, Massimo Molteni

Editoriale

1 1 Una rivista corale

Michele Gangemi

1 2 Cure primarie pediatriche: passato e futuro

Arianna Turriziani Colonna, Laura Reali

2 49 Tutela della salute: da diritto per tutti a privilegio per pochi? Nino Cartabellotta

2 50 I bambini del Sud sempre più poveri, senza servizi e senza più il Fondo per il contrasto alla povert à educativa minorile Paolo Siani

3 97 Numero chiuso a medicina Paolo Siani

3 98 Le giornate di Fiesole 2025 Edoardo Corsi Decenti

4 145 Italia e Trattato pandemico: una scelta ideologica che isola Mario De Curtis

4 146 Iniziative di miglioramento delle prescrizioni antibiotiche in pediatria. Le raccomandazioni di AIFA e l’App Firstline per le cure territoriali

Elena Carrara, Evelina Tacconelli, Michele Gangemi

5 193 Relazione della presidente 2025

Stefania Manetti

5 195 Promuovere senza proteggere: un equivoco dannoso per l’allattamento

Sergio Conti Nibali

6 241 “Io esco a giocare”: una ricetta per la salute

Francesco Tonucci, Marica Notte, Lorena Morachimo, Federico Marolla

6 243 Public health literacy per una sanit à equa e partecipata

Claudio Maffei, Maurizio Bonati, Eva Benelli

Educazione in medicina

6 277 Il coraggio di “non fare”. La sfida etica del medico contemporaneo

Maurizio Aric ò, Daniela Trotta, Desiree Caselli, Melodie O. Aric ò, Enrico Valletta

Endocrinologa pratica

3 115 La sindrome di Kallmann nel maschio

Brunetto Boscherini, Daniela Galeazzi, Piera Torre

Epiquaderni

1 41 Dalla rivista Epidemiologia & Prevenzione, un invito alla lettura per i pediatri ACP Numero 4-5-2024

Giacomo Toffol

2 90 Dalla rivista Epidemiologia & Prevenzione, un invito alla lettura per i pediatri ACP. Numero 6-2024

Giacomo Toffol

3 136 Dalla rivista Epidemiologia & Prevenzione, un invito alla lettura per i pediatri ACP. Numero 1-2025

Giacomo Toffol

5 234 Dalla rivista Epidemiologia & Prevenzione, un invito alla lettura per i pediatri ACP. Numero 3-2024

Giacomo Toffol

Esperienze

5 226 La pediatria tutta intera: l’esperienza della Repubblica di San Marino

Elisabetta Muccioli

Farmacipì

3 134 Terapie con estrogeni/progestinici e corea di Sydenham. Riflessioni da una mapping review sulla prescrizione e sull’informazione ai pazienti

Emanuela Ferrarin, Lorenza Driul, Nadine Mushet, Adrian Sie, Imogen Stephens, Michael Morton

4 184 Farmaci agonisti del recettore del GLP-1. Quale ruolo per il trattamento dell’obesit à in et à pediatrica

Antonio Clavenna

Film

1 44 Scavare per recuperare, trarre, non dimenticare

3 139 Il treno dei bambini. Chi ti ama, non ti trattiene

4 187 Il sottile veleno del bullismo

6 281 Invelle. Ma in che senso?

Formazione a distanza

2 51 È abuso sessuale? I dubbi nell’ambulatorio pediatrico

Alessandra Paglino, Maria Grazia Apollonio

4 151 Il pediatra e il dermatologo in ambulatorio: una collaborazione utile per la salute del bambino

May El Hachem

6 245 Lo stroke in et à pediatrica: è davvero un evento raro? Cause, sintomi, esiti

Elena Laghi

Genetica per non genetisti

3 118 Test genetici in pediatria: tra innovazione, sfide e opportunit à Silvia Cali, Francesca Faravelli

I primi mille

1 35 Lo “spazio perinatale di cure”. Ma quanto è necessario!

Giorgio Tamburlini, Elena Iannelli

4 177 E se dalla crisi climatica emergesse una generazione che si prende cura? Una faccenda per professionisti dello sviluppo

Beatrice De Censi, Sarah Nazzari, Livio Provenzi

Il caso che insegna

1 23 Quando la diagnosi è “scritta in faccia”: buona la prima

Margherita Rosa, Michele Biccardi, Giuseppina Bernardo, Irma Di Filippo, Andrea Spagnuolo, Virginia Mirra, Marco Sarno, Alida Casale, Filippo Iaccarino, Valeria Pellino, Daniela Cioffi, Daniele De Brasi, Paolo Siani

1 27 Ittero e feci ipocoliche: allarme atresia delle vie biliari

Annalisa Morelli, Marta Giovengo, Francesca Cocomero, Annamaria Compagnone, Diletta Iannaccone, Annalaura Milano, Claudia Mandato

2 67 Cefalea... occhi aperti

Giuseppe Paviglianiti, Elisa Costantini, Gianluca Coscia, Floriana Di Marco, Vittorio Messina, Domenico Cipolla, Angelo Spataro

3 105 Quando la collaborazione fa la differenza. La sinergia tra pediatria territoriale e specialistica nella diagnosi e nella gestione delle malattie rare permette cure personalizzate. Un caso da ricordare: la sindrome di Aicardi-Goutières

Laura Andaloro, Francesca Sciorio

4 166 La sindrome diencefalica: una causa spesso misconosciuta di Failure to Thrive

Nicola Improda, Gyusy Ambrosio, Carmen Campanile, Giusy Franzese, Valeria Crisci, Claudia Mandato, Maria Rosaria Licenziati

4 169 Dermatite streptococcica perianale con interessamento vulvovaginale

Francesco Accomando, Melodie O. Aric ò, Filomena Grimolizzi, Luca Savelli, Enrico Valletta

5 209 La rachicentesi che risolve i sintomi: riflessioni su due casi di meningite asettica

Giulia Pederzani, Francesco Accomando, Enrico Valletta

6 265 Microematuria e proteinuria: non solo questione di rene Martina Carucci, Barbara Brunetti, Shad ì Rizzo, Marta Giovengo, Oriana De Marco, Luigi Annicchiarico Petruzzelli, Gabriele Malgieri, Claudia Mandato

Il pediatra e le sfide educative

2 87 Il bambino non “mi” mangia Silvana Quadrino

5 228 Mio figlio è capriccioso Chiara Borgia

Il punto su

1 32 Ma dottore/dottoressa, il mio bambino è sempre malato... Giulia Biffi

2 70 Un position paper EAP-ECPCP sulle sigarette elettroniche e i rischi per i giovani

Laura Reali, Lorenza Onorati

2 72 Snus e nicotine pouches: nuove forme di assunzione di nicotina tra i giovani

Francesco Accomando, Enrico Valletta

3 108 La sindrome di Alagille: un pleiotropismo fenotipico

Carmen Campanile, Claudia Mandato

3 112 Impatto del nirsevimab sui ricoveri per bronchiolite da VRS. Primi dati “a colpo d’occhio”

Melodie O. Aric ò, Francesco Accomando, Claudio Cafagno, Claudia Rossini, Anthea Mariani, Daniela Trotta, Maurizio Aric ò, Desiree Caselli, Enrico Valletta

4 148 Un nuovo strumento per migliorare le pratiche di prescrizione degli antibiotici

Melodie O. Aric ò

4 172 Adolescenti di oggi, genitori di domani. Un motivo in più per prendercene cura

Enrico Valletta, Antonella Liverani

4 174 Update sul progetto policy aziendale per l’allattamento

Riccardo Davanzo

5 219 Affido dei figli e alienazione parentale: le conseguenze sul benessere dei bambini

Maria Grazia Apollonio, Mariachiara Feresin, Michela Nacca, Patrizia Romito

6 269 Le iniziative Baby-Friendly in Italia: vivaci e in espansione

Angela Giusti, Francesca Zambri

6 273 III indagine sul maltrattamento dei bambini e degli adolescenti in Italia

Monia Gennari, Giovanna La Fauci

Imparare con i giovani

2 74 p50: un aiuto per capire una pulsossimetria che non convince Melodie O. Aric ò, Benedetta Mainetti, Francesco Accomando, Maurizio Aric ò, Enrico Valletta

5 212 Una porpora, tante sfumature: approccio alla vasculite da immunoglobuline A (IgAV)

Claudia Brusadelli, Anna Cogliardi, Leonardina De Santis, Daniela Zanta, Alessandra Tozzo

1 43 Adolescenti in Italia: che cosa pensano gli under 18 e cosa dicono gli adulti. L’indagine di Con i bambini

1 43 Il nuovo presidente della Societ à Italiana di Pediatria

3 137 Il Centro Fibrosi Cistica di Verona intitolato al prof. Mastella

3 137 Marketing delle formule in Australia (e in Italia...)

3 137 Proteggere i giovani medici dalle influenze commerciali

3 138 Rapporto Cedap 2023

4 185 L’OMS rafforza la regolamentazione del marketing digitale dei sostituti del latte materno per proteggere la salute infantile

4 185 “Le Equilibriste: la maternit à in Italia nel 2025”, online la pubblicazione di Save the Children Italia

4 185 Rapporto OCSE sul digitale nei bambini

4 186 L’offerta di impianti e servizi sportivi nelle regioni italiane

6 279 Morbillo & Rosolia News: i dati al 30 giugno 2025

6 279 “Torni la cultura educativa”: l’appello urgente delle associazioni sulla giustizia minorile

6 279 La situazione dei minori palestinesi

Infogenitori

1 3 A tavola insieme

Antonella Brunelli, Antonella Salvati, Stefania Manetti

2 61 La piramide dello stile di vita per adolescenti. Approccio mentale

Antonella Brunelli, Antonella Salvati, Stefania Manetti

3 99 La piramide dello stile di vita per adolescenti. Movimento

Antonella Brunelli, Antonella Salvati, Stefania Manetti

4 157 La piramide dello stile di vita per adolescenti. Alimentazione

Antonella Brunelli, Antonella Salvati, Stefania Manetti

5 197 Parliamo di sesso (senza tabù)

Antonella Brunelli, Stefania Manetti, Antonella Salvati, Paola Menga

6 253 Papillomavirus: proteggi te stesso, proteggi chi ami

Antonella Brunelli, Stefania Manetti, Antonella Salvati, Paola Menga

Lettere

2 95 Ritardi del disturbo del linguaggio ed esposizione agli schermi

3 142 Casette Giralibro

3 142 La Casa della Gioia di Yuşa Yalcıntaş

5 237 Osservazioni in merito alla progetto policy aziendale per l’allattamento

5 237 Per una formazione in loco, indipendente e a costi contenuti, per l’allattamento

5 238 Risposta alle lettere sul progetto PAA

6 284 Risposta all’Editoriale del dottor Sergio Conti Nibali

Libri

1 45 Leo Venturelli, Pediatria al telefono: primo passo verso la telemedicina

1 45 L. Travan, M.V. Sola, L. Ronfani, S.Q. Romero, M. Milinco, S. Marocco, S. Di Mario, A. Cattaneo, Io allatto

1 45 Comprendere la disabilità intellettiva, a cura di Margherita Orsolini, Ciro Ruggerini

1 46 Roberto Esposito, I volti dell’Avversario

2 93 Premio Strega ragazze e ragazzi. 9a edizione

3 140 Nati per Leggere. Una guida per genitori e futuri lettori, a cura di Nives Benati, Angela Dal Gobbo e l’Osservatorio editoriale Nati per Leggere

3 140 Gustavo Zagrebelsky, Il dubbio e il dialogo. Il labirinto di Norberto Bobbio

3 141 Riccardo Bosi, Le mille e una infanzia. Bambini, culture, migrazioni

3 141 Jonathan Coe, La prova della mia innocenza

4 188 Silvana Quadrino, Narrazione, comunicazione e counselling negli interventi di cura

4 188 Paola Zannoner, La casa del pane. Una storia dall’Etiopia

4 189 Adriana Cavarero, Donne che allattano cuccioli di lupo. Icone dell’ipermaterno

4 189 Silvia Vecchin, I bambini si rompono facilmente

5 235 Mario De Curtis, Silvio Garattini, La salute dei bambini. Migliorarla si può

5 235 Ginevra Bompiani, Sarantis Thanopulos, Il pensiero affettivo

5 235 Michail Bulgakov, Il Maestro e Margherita

6 282 Sergio Conti Nibali, Da zero a 12 mesi: un anno da genitori. Capire e accompagnare la crescita di bambine e bambini nel primo anno di vita

6 282 Vittorio Gallese, Stefano Moriggi, Pier Cesare Rivoltella, Oltre la tecnofobia

6 283 Annie Ernaux, Gli Anni

Narrativa e dintorni

Info

1 42 Manca poco per l’entrata in vigore della sugar tax italiana

1 42 La condizione dell’infanzia nel mondo 2024. Il futuro dell’infanzia in un mondo in trasformazione: il rapporto Unicef

1 43 Il grande potenziale dell’investimento in istruzione: un approfondimento di Openpolis

1 37 Il modello del lavoro integrato inclusivo tra vecchie questioni e nuove ipotesi

Elisabetta Bertagnolli, Antonio Carollo, Barbara De Vito, Vincenzo Domenichelli, Aurora Donzelli, Gloria Gleijeses, Francesco Italiano, Giovanna Perricone, Concetta Polizzi, Carmelo Romeo, Debora M.L. Simonetti

3 123 Quasi mamma, quasi pediatra. La gravidanza vista dagli occhi di una specializzanda in Pediatria

Arianna Turriziani Colonna

3 124 Il pediatra è un mestiere difficile. La storia: can che abbaia morde (e ha paura)

Catherine Hamon, Francesco Ciotti, Micaela Bucci, Giancarlo Cerasoli, Mila Degli Angeli, Nadia Foschi, Marna Mambelli, Antonella Stazzoni, Francesca Vaienti, Isabella Penazzi, Chiara Bussetti

4 183 La vita a volte è strana. Storia di un cammino nel mondo dei trapianti pediatrici

Serena Ferretti

5 231 Il peso del sentire. L’esperienza emotiva e relazionale del bambino e del ragazzo in cure palliative pediatriche

Anna Santini

Osservatorio internazionale

1 12 L’uso della realtà virtuale (VR) in età pediatrica: opportunità e sfide

Fabio Capello, Andrea E. Naimoli

2 65 Il morbillo, Samoa e RFK Jr

Enrico Valletta

3 103 Le sofferenze dei bambini dovute alle modifiche del sistema sanitario USA

Stefania Manetti, Laura Reali

4 164 Ricerca spaziale e salute umana: un’opportunit à inattesa per la pediatria?

Fabio Capello

5 207 Pietas o cinismo? L’Europa e l’eutanasia nel bambino

Mario Renato Rossi, Patrizia Elli, Francesco Morandi

6 256 Informazione, imparzialit à e trasparenza. I casi giudiziari del sistema sanitario britannico visti dal BMJ

Enrico Valletta

Research Letter

1 8 Parmagiovani 2024 A cura di M.F. Siracusano

4 161 Figli di detenuti nell’ambulatorio del pediatra di famiglia

Maurizio Bonati, Paolo Siani

Ricerca

1 4 Pianificazione di uno studio caso-controllo multicentrico: un esempio

Chiara Peila, Elena Spada, Lorenzo Riboldi, Roberto Bellù, Giancarlo Gargano, Alessandra Coscia

2 62 Stile parentale materno nell’anoressia nervosa di tipo restrittivo in et à evolutiva

Maria Pia Cerrone, Anna Bernardo, Maria Gloria Gleijeses, Filomena Salerno, Marella Solimeno, Ludovica Miragliuolo, Francesca Panico, Marco Carotenuto

3 100 NASCITA (NAscere e creSCere in ITAlia): uno sguardo per un avvenire migliore

Antonio Clavenna, Maria Grazia Calati, Rita Campi, Massimo Cartabia, Chiara Pandolfini, Claudia Pansieri, Elisa Roberti, Francesca Scarpellini, Giulia Segre, Michele Zanetti, Maurizio Bonati

4 158 Gestione multidisciplinare nella disfagia pediatrica: l’esperienza di Padova

Tiziana Mondello, Annalisa Salerno, Anna Agostinelli, Giusy Melcarne, Franca Benini, Francesco Fantin, Irene Maghini, Francesca Rusalen, Silvia Montino, Rosario Marchese Ragona

5 197 Studio della Griffonia Simplicifolia per il miglioramento del sonno nei bambini con disturbo dello spettro autistico: risultati preliminari

Gaia Di Fiore, Giuditta Bargiacchi, Marco Carotenuto

5 199 Le competenze digitali dei bambini: sostenere il benessere dei bambini e un uso sicuro e positivo delle tecnologie digitali

Mattia Messena, Marina Everri

5 202 Allattamento: comprendere il vissuto per sostenere le scelte delle madri

Giulia Bagnacani, Sara Lo Scocco, Linda Debbi, Laura Bonvicini, Costantino Panza, Luca Ghirotto, Paolo Giorgi Rossi

6 254 Il pediatra nella Rete delle cure palliative pediatriche dell’Emilia Romagna

Lisa Melandri, Simonetta Campana, Alice Tappi

Salute mentale

1 14 Promozione della salute mentale in età evolutiva: i primi risultati di WIN4ASD

Massimo Molteni

2 79 La LEGO® Terapia per l’autismo

Intervista di Angelo Spataro a Antonio Narzisi

6 259 Autismo e tecnologia: rischi e buone prassi per l’uso dei device in et à evolutiva

Valentina Bianchi, Eleonora Rosi, Ilaria Baù , Giulia Crespi, Massimo Molteni, Paola Colombo

6 262 Sul bisogno di avere una diagnosi. Il caso di Umaru

Marta Bezzetto, Giovanni Giulio Valtolina

Storia ed etica della medicina

2 83 Dalla pediatria “disciplina scientifica” nasce l’endocrinologia pediatrica

Salvatore Di Maio

3 127 La pratica della fasciatura nelle cure pediatriche. Evoluzione storica e aspetti etici

Giancarlo Cerasoli, Nicolò Nicoli Aldini, Sara Patuzzo Manzati

Traiettorie e orizzonti familiari

4 180 Navigare la complessit à del ruolo dei media digitali nelle vite di bambini e adolescenti. Una prospettiva psico-sociale

Marina Everri, Mattia Messena

Vaccinacipì

2 91 Nuovo calendario vaccinale per la vita 2025: molte luci e qualche ombra

Massimo Farneti

3 132 Accettare o non accettare? Questo è il problema

Patrizia Elli

Ringraziamento ai revisori e ai commentatori

Ringraziamo per il loro prezioso contributo come referee esterni o commentatori della rivista cartacea e delle Pagine elettroniche per l’anno 2025 i seguenti colleghi: Francesco Baggiani, Dante Baronciani, Maria Enrica Bettinelli, Guido Caggese, Antonio Clavenna, Vincenza Briscioli, Guido Caggese, Adriano Cattaneo, Angela Cazzuffi, Sergio Conti Nibali, Anna Maria Davoli, Patrizia Elli, Massimo Farneti, Martina Fornaro, Riccardo Lera, Luciana Nicoli, Angela Pasinato, Laura Reali, Maria Letizia Rabbone, Gherardo Rapisardi, Leonardo Speri, Rita Tanas, Giacomo Toffol, Mara Tommasi, Maria Luisa Tortorella, Elena Uga, Enrico Valletta, Federica Zanetto.

La redazione augura ai lettori e alle loro famiglie

Buon Natale e felice 2026

DIAGNOSI E TERAPIA DELLE

PATOLOGIE NELL’AREA PEDIATRICA IN AMBITO TERRITORIALE E OSPEDALIERO

XIII EDIZIONE

MODULO 1: 14 MARZO 2025 - 20 DICEMBRE 2025 È ABUSO SESSUALE?

I DUBBI NELL'AMBULATORIO PEDIATRICO

Maria Grazia Apollonio, Alessandra Paglino

MODULO 2: 1 LUGLIO 2025 - 20 DICEMBRE 2025 IL PEDIATRA E IL DERMATOLOGO IN AMBULATORIO: UNA COLLABORAZIONE UTILE PER LA SALUTE DEL BAMBINO

May El Hachem

MODULO 3: 1 NOVEMBRE 2025 - 20 DICEMBRE 2025

LO STROKE IN ETÀ PEDIATRICA: È DAVVERO UN EVENTO RARO? CAUSE, SINTOMI, ESITI

Elena Laghi

Fad Asincrona

Quote di iscrizione

€ 25 per singoli moduli (SOCI ACP)

€. 60 per intero corso (SOCI ACP)

€. 30 per singoli moduli (NON SOCI)

€ 80 per intero corso (NON SOCI)

Il pagamento è da effettuarsi tramite bonifico bancario alle seguenti coordinate: IBAN: IT56P0344017211000035017181

Banca: Banco DESIO

Intestazione: Associazione Culturale Pediatri - via Montiferru, 6 - 09070 Narbolia (OR)

Causale: QUADERNI ACP 2025 + NOME E COGNOME

Inviare distinta di bonifico

Bimonthly magazine of Associazione Culturale Pediatri xxxii, 6, November-December 2025 redazione@quaderniacp.it

Editorial

241 “I’m going out to play”: a recipe for health Francesco Tonucci, Marica Notte, Lorena Morachimo, Federico Marolla

242 Public health literacy for equitable and participatory healthcare

Claudio Maffei, Maurizio Bonati, Eva Benelli

Distance learning

244 Stroke in paediatric age: is it really a rare event? Causes, symptoms, outcomes Elena Laghi

Info parents

252 Papillomavirus: protect yourself, protect those you love Antonella Brunelli, Stefania Manetti, Antonella Salvati, Paola Menga

Research

253 The pediatrician’s perspective in the PPCs network in Emilia Romagna Lisa Melandri, Simonetta Campana, Alice Tappi

A window on the world

255 Information, impartiality and transparency: the British healthcare system’s legal cases as seen by the BMJ Enrico Valletta

Mental health

258 Autism and technology: risks and best practices for device use in childhood

Valentina Bianchi, Eleonora Rosi, Ilaria Baù, Giulia Crespi, Massimo Molteni, Paola Colombo

261 On the need for a diagnosis. The case of Umaru Marta Bezzetto, Giovanni Giulio Valtolina

Learning from a case

264 Microhematuria and proteinuria: not just a kidney issue

Martina Carucci, Barbara Brunetti, Shadì Rizzo, Marta Giovengo, Oriana De Marco, Luigi Annicchiarico Petruzzelli, Gabriele Malgieri, Claudia Mandato

Via Filippo Garavetti 12 07100 Sassari (SS) www.acp.it

Appraisals

268 Baby-Friendly initiatives in Italy: vibrant and expanding Angela Giusti, Francesca Zambri

272 III survey on maltreatment of children and adolescents in Italy

Monia Gennari, Giovanna La Fauci

Environment and health

273 Green spaces in living environments: benefits for development Laura Todesco, Annamaria Sapuppo, Giacomo Toffol

Personal accounts

276 Strategies for promoting health and counteracting the evolutionary trajectories of autism spectrum disorders Stefano Berloffa

Education in medicine

278 The courage to “do nothing”: the ethical challenge of the contemporary doctor Maurizio Aricò, Daniela Trotta, Desiree Caselli, Melodie O. Aricò, Enrico Valletta

280 Info

282 Movies

283 Books

285 Letters

286 Index 2025

Come iscriversi o rinnovare l’iscrizione all’ACP

La quota d’iscrizione per l’anno 2025 è di 130 euro per i medici, 30 euro per gli specializzandi, 30 euro per il personale sanitario non medico e per i non sanitari. Il versamento può essere effettuato attraverso una delle modalità indicate sul sito www.acp.it alla pagina «Come iscriversi». Se ci si iscrive per la prima volta occorre compilare il modulo per la richiesta di adesione e seguire le istruzioni in esso contenute, oltre a effettuare il versamento della quota come sopra indicato. Gli iscritti all’ACP hanno diritto a ricevere la rivista bimestrale Quaderni acp, le pagine elettroniche di Quaderni acp e la newsletter mensile Appunti di viaggio. Hanno anche diritto a uno sconto sull’iscrizione alla FAD di Quaderni acp; a uno sconto sulla quota di abbonamento a Medico e Bambino; a uno sconto del 50% per l’abbonamento alla rivista Epidemiologia & Prevenzione; a uno sconto sull’abbonamento a Uppa (se il pagamento viene effettuato contestualmente all’iscrizione all’ACP); a uno sconto sulla quota di iscrizione al Congresso nazionale ACP. Gli iscritti possono usufruire di iniziative di aggiornamento e formazione a quota agevolata. Potranno anche partecipare ai gruppi di lavoro dell’Associazione. Maggiori informazioni sono disponibili sul sito www.acp.it.

Turn static files into dynamic content formats.

Create a flipbook
Issuu converts static files into: digital portfolios, online yearbooks, online catalogs, digital photo albums and more. Sign up and create your flipbook.