Intro Protocol Workflow Tik Tok, Rebsamen Slide Deck 2024

Page 1


How Fast Can I Go?

I have nothing to disclose…

Look into the Neuroradiology Imaging Toolbox

• Goals:

• Review Available Accelerated Imaging Protocols

• Review the advantages and disadvantage of the Accelerated Techniques

• Emphasis on Stroke and Trauma

How Fast Can I Go? CT

CT: No sedation. Quick. Great for acute blood.

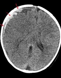
EPIDURAL HEMATOMA SUBDURAL HEMATOMA = AHT?

Fall, nondisplaced fracture, soft tissue scalp swelling "impact injury"

Unwitnessed fall from couch, no impact injury, scalp contusion

CT Great for Vascular Assessment (CTA/CTV) and metallic foreign bodies (precludes MRI)

Fall while playing, “foreign body”

CTA/CTV: No vascular injury.

CT: Signs of Ischemic/Anoxic Injury

Loss of grey white juncture

White cerebellar sign

Pseudo Subarachnoid Hemorrhage Reversal of Basal Ganglia

Normal 2-year-old

CT: Signs of Ischemic/Anoxic Injury

Loss of grey white juncture

White cerebellar sign

Normal 2-year-old

Pseudo Subarachnoid Hemorrhage Reversal of Basal Ganglia

CT: Signs of Ischemic/Anoxic Injury

Loss of grey white juncture

White cerebellar sign

Normal 2-year-old

Pseudo Subarachnoid Hemorrhage Reversal of Basal Ganglia

CT: Signs of Ischemic/Anoxic Injury

Loss of grey white juncture

White cerebellar sign

Normal 2-year-old

Pseudo Subarachnoid Hemorrhage Reversal of Basal Ganglia

8-yearold, encephalopa thy:

Reversal of Basal Ganglia density

Day 1 Admittance

Day 3, Progressive encephalopathy with seizures

How Fast Can I Go? MRI

How do I capture Motion?

Use of strobes in “high speed flash photography”

1957

“Edgerton’s Coronet”

Harold Doc Edgerton

“Father of High-Speed Flash Photography” MIT professor E. Engineering Created the “stroboscope”

TOOLBox: QUICK BRAIN

ssfse - “single shot fast spin echo”

Heavily T2 weighted image acquired in seconds 6-20 sec per sequence

• HASTE Siemans

• ssfse GE

Good for large masses, mass effects, hydrocephalus

QUICK BRAIN with DL Deep Learning

Trauma Post Decompression , Neurosurgery

Quick Brain with (GE) EpiMix

Quick

Brain with (GE) EpiMix = Quick Mix

QuickMix: Surveillance Cavernoma with DVA Developmental Venous Anomaly

Ssfse T2 Pseudoswan
Ssfse T2 Pseudoswan
DWI

QuickMix: Surveillance Cavernoma with DVA Developmental Venous Anomaly

First attempt: Remember, chasing moving targets!

Ssfse T2 Pseudoswan
Ssfse T2 Pseudoswan
DWI

PEDS MRI Tool Box

ACC Techniques:

ARC...undersampling K space

ASSET...undersampling Image space

DL...Deep Learning, AI

HyperSense...Compressed Sensing

Quick : No Sedation

FAST: No Sedation

Accelerated Comprehensive

FAST Brain:

Stroke in Adults, neg CTA/perfusion, 5 minutes w/o contrast

Brain 1 or 3 views

FAST Stroke in both Adults & Pediatrics

• FAST:

• "face, arm, speech, time"

• Hesitancy to sedate children in the acute setting

• Stroke often presents with HA or Seizure

Addition of Perfusion after contrast Core versus Penumbra

PEDS FAST Stroke MRI/MRA Brain 10 mins

Addition of Contrast, COW MRA, Black Blood T1 VASC

FAST "Black Blood" Imaging ACC T1 COR VASC 2 minutes

Focal Cerebral Arteriopathy of Childhood FCA-i

Mechanism unknown

Inflammation/Infection leading to Endothelial disruption, vasculopathy/vasculitis

In children, Moya Moya?

Black Blood Imaging (T1 VASC) vs Vessel Wall Imaging (VWI)

BB T1 COR VASC .8 mm resolution

Pick up collateral enhancement

• High Res VWI

• 3T (double the signal)

• .5 mm slice thickness

• Isotrophic

• When to image: 5-10 window after contrast administration

• 7-9 minutes sequence acquisition time

Hemorrhagic

Stroke:

Hemorrhagic Venous Infarction

Thanks to H. Rowley

PEDS MRI ToolBox

ACC Lesional Brain: Surveillance Exams for Tumor, NF I, or in children where No sedation +/AV Distraction or Limited Sedation is being considered. The total exam time (30 min) is not necessarily shorter (COMP Brain 35 mins) but each sequence is "faster" and tolerates more motion.

Quick : No Sedation

FAST: No Sedation

Accelerated Comprehensive

Acc Lesional Protocol: Surveillance Scans

OP/IP

Subpackages:  Post Fossa, Chiasm, Seizure

Gilardi et al, Radiographics, 2019

Subfalcine

oMidline Shift Transtentorial Descending

oUnilateral or bilateral Uncal Transtentorial Ascending Tonsillar Extracranial

https://pubs.rsna.org/doi/epdf/10.1148/rg.2019190018

Impending

Herniation, its all about the cisterns!

Brainstem mass identified

COMP Brain for progressive vomiting and tumor staging, new hemorrhage!

Impending ASCENDING

transtentorial herniation… look at the interpeduncular cistern.

Why do we Care? Complications of Herniation

Vascular compression leading to stroke.

Subfacine Cmpression of the ACA

Uncal or Transtentorial

Compression of the PCS

Cerebellar Tonsiller Herniation

Compression of Vert-Basilar system

https://pubs.rsna.org/doi/epdf/10.1148/rg.2019190018

Trauma: Impending Uncal Herniation

look for effacement of the left ambient cistern potential compression of left posterior cerebral artery PCA…

Why not do EVERYTHING FAST?

What do we give up for speed?

Power of Resolution

3D Hi RES FIESTA 4 mins

Complex Arachnoid Cyst/Blake’s Pouch cyst in PF

Need to see the inferior membrane for surgery.

What do we give up for speed?

Power of Reconstructabili ty

What do we give up for speed?

Power of Signal

ACC Lesional 2D

AX T2 FLAIR

Hi Res 3D

T2 FLAIR CUBE

o Stage/Grade 1:

 Supratentorial white matter

o Stage/Grade 2:

 Corpus Callosum

o Stage/Grade 3:

 Brainstem

• Midbrain/Brainstem

• Cerebellum

DAI comes in three imaging flavors…

Edema on T2 Flair

Susceptibility/ microhemorrhage on GRE sequences

Restriction on DWI

CT underestimate s DAI

MVA, GCS 3:

CT:  Grade I?

ADD HiB DWI in Trauma

Now a Grade III, worse prognosis

B1000
Hi B2500

What do you give up for speed?

•History Seizure, low grade glioma resection

ACC Lesional Protocol, 30 mins, no sedation..."no tumor recurrence"

What do you give up for Powers of Signal & Resolution & Reconstructabilit

ACC Lesional

30 min, non-sedated

HiRES Epilepsy

90 min, Sedated

QUICK Nonsedated Neurosurgery

PEDS MRI Tool Box SEDATION WORKFLOW

Start with the most COMPrehensive exam but work your way backwards depending on motion!

Quick Vents

Quick ETV

Quick Mix

FAST Nonsedated ED

ACC Accelerated Sedated or Nonsedated OP

COMP Comprehensive Comp or FULL Sedated depending on age OP/IP

FAST Stroke

FAST Brain

ACC Lesional Brain

Comp Brain

Moving, crying, AVD Hysterical!

6-9 yr cooperative/AVD

Quiet 12 yr old

Always feel free to call/discuss with your friendly Pediatric Neuroradiologist which protocol is best for the circumferences...

Turn static files into dynamic content formats.

Create a flipbook
Issuu converts static files into: digital portfolios, online yearbooks, online catalogs, digital photo albums and more. Sign up and create your flipbook.
Intro Protocol Workflow Tik Tok, Rebsamen Slide Deck 2024 by UW Department of Radiology - Issuu