AHT, NAT, Slide Deck, Rebsamen, FC Deck 2025

Page 1


Short History of American Child Protection Agency (Myers,2009)

 1642: earliest legal actions

 1869: IL Supreme Court overturns defense

 “Parents should raise their children as they see fit”

 1875: rescue of Mary Ellen Wilson

 Civil War orphan, placed in home in NYC’s Hell’s Kitchen

 Discovered by Etta Wheeler, medical missionary

 No law or court to turn to for her removal from the home…

 Approached Henry Bergh, founder of ASPCA

 American Society for the Prevention of Cruelty to Animals

 Removed Mary Ellen under this habeas corpus

 Founded the NYSPCC

 NY Society for the Prevention of Cruelty to Children

 1875-1930’s

 Non-governmental child protection societies

 Great Depression: Roosevelt’s New Deal

 1935 Social Security Act: mandated formation of state child welfare service agencies

You are part of a TEAM!

“ShakingBaby”Triad…Caffey,1946-70s…Pushbacksasearlyas1987…LegalDenialism1990…

 Medical History

 Whenwasthechildlastnormal?

 Doesthestoryfit?

 Caregiver’sresponsetotrauma?

 Physical Exam

 Sentinel Injury

Petechial hemorrhages

Psychosocial HX

 Single or young parents

 Unstable home in transition

 Race

 Lower socioeconomic status

 Other forms of abuse or violence in the house

 Multiple births

Birth, Developmental status

 Prematurity

 Delayed or handicapped

“Raccoon Eyes”

Subgaleal Hematoma, delayed 1-3 days post injury

 Bleeding between periosteum & fibrous galea aponeurotica of the scalp in the setting of trauma

 Fracture of base of anterior skull base

 Often spares the subcutaneous fat

 Often no skin bruising over vertex

 Racoon eyes delayed 1-3 days post injury

 NAT HINT: Abusive:fragmentedhairswith split ends of different lengths

“raccoon eyes”

DDX: skull base metastatic neuroblastoma

Classic AHT “TRIAD”…

Subdural Hematoma, Encephalopathy, Retinal Hemorrhage (ThetermTRIADisnolongerused…changedtoAbusiveHeadtrauma,2009)

“Thebabyfelloffthe couch…outofmyarms…”

 No history or conflicting/changing story

 Fall from low heights (4-6 ft)

 Multiple poorly constructed biomechanical studies in prior to 2008, looking at “falls”, animal models, computer modeling…

 “noproof!”

 Plunkett,2001,ForensicMedicine.FatalPediatric headinjuriescausedbyshortdistancefalls:75,000 playgroundinjuries,18deaths,

 BUTno infants

 “Outcomes literature”…severe intracranial injury is rare from short fall.

 EPIC: 6 deaths under 5 yrs per 2.5 million

 Chadwick et al, 2008: day care injuries: 2 deaths/6 million

 2017: 24Newbornsin hospital fall from 2m: single linear skull fracture, no other significant injury

 Imaging findings in “Fall from Low Height”

 Impact Injury

 3% linear skull Fracture

 Associated Venous Subdural

 NO parenchymal hemorrhage

 uncommon, seen in intermediate 6-15 ft falls

 SDH thin and focal without neurological changes/HIE

 Subpial or SAH focal

 Brain contusions rare, asymptomatic

 No Ischemia

AHT Finding?

Classic Arterial Epidural Hematoma

 Most often with blunt impact force

 Accidental > AHT

 Laceration of the middle meningeal artery

 In Infants

 With or Without Fracture

 flexible skull

 non fused meningeal arteries

 Can see arterial injury without fracture

Fractures: Most common fracture in both AHT and Acc Trauma is single Linear Fracture.

“Egg Shell” Fracture: Increasing complexity of fractures correlated with AHT “Ping Pong” Fracture, seen at birth/newborn

On CT, DDX fracture versus suture… Plain film can be helpful.

Bilateral Parietal skull fractures…

If fracture crosses TWO sutures, increases predictive value for AHT.

 SuturalVariant?Inforensiclit…

 Mechanism of Injury

 AHT/NAT

 Accidental

 High Speed MVA

 Multiple impact trauma

 Falling down stairs

 “Crush”

 TV cabinet falls on toddler

 Adult fall with infant in arms

 Frontal or occipital single impact trauma

 Neonatalskullismalleable,bendsandreturns tonormalwithimpacttransmittingforces

 Fall forward or backwards off monkey bars

Normal 2 year old

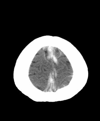
Timing of Injury: Can we use Cerebral Edema on CT?

 Loss of grey white juncture

 White cerebellar sign

 Pseudo Subarachnoid Hemorrhage

 Reversal of Basal Ganglia Sign

Timing of Injury on CT: EDEMA?

Bradburyetal,2013,SerialNeurimagingofAHT Postemaetal,2014,AgedeterminationSDH:surveyofradiologists…

 Edema: first see in 1.2-2 hrs

Evident by 24 hours post injury

100%  Evolution over time helpful 1.5 hours 6 hours

Do NOT age blood on CT by “density”…

Do not connect timing of event with age of blood on MRI… Bradford, Choudhary, et al 2013

 On CT:

 If SDH/homo variant: 1st hypodense component appear between .3 and 16 days

 Last hyperdense component disappears between 2-40 days

 If SDHHy, Hete: most common type at presentation

 Last hyperdense component seen at 181 days

 ?rebleeding

MRI: Aging of Subdural Hematomas Vezina,2009 (referencetoexpectedevolutionofparenchymalhematomas,Bradley1993)

Hyperacute/Acute IC OxyHb <12-24 hr Iso - Dark Iso-Bright

Acute IC DeoxyHb 1-3 days Iso-Dark

Early Subacute IC MetHb 3 d to 1-2 wks

Late Subacute EC MetHB 1-2 wks to 1-2 mos

Chronic Hemosiderin Few wks – mos/yrs

SDH more unpredictable May not show hemosiderin deposition

Use the layering sedimentation debris for aging the blood

Age determination of SDH: A systematic review

Sieswerda-Hoogendoorn, 2014

“MRI:Too much overlap between early stages and “pattern types” to predict age”

 Overlap between

 HyperAcute T1 Iso/T2Hyper Acute blood

 and

 T1 Hyper/T2Hypo Early Subacute Intracellular MetHb

 1dayminimumto 13(-39) max indeterminant for timing of injury event

“Understanding subdural collections in Pediatric AHT.”

Wittschieber et all, AJNR 2019, Institute of Legal Medicine

Wittschieber et al, AJNR 2024, …

Classification of “SDC” Subdural Collections

Hahnemannetal,2023,CharacterizationofSDC… Wittschieberetal;.2024,SDH,ForensicImplications…

 A. SDH: Subdural Hematoma, Homogeneous (Isodense, thin on CT)

 B. SDHy: Subdural Hygroma, simple, no neomembranes, no fluid-fluid levels,

 C. SDHHy Homo: Subdural hematohygroma, homogeneous variant; simple CSF, No neomembranes/flui-fluid levels, can have slight T2 hypointense signal

 D. SDHHy, Hete: Subdural hematohygroma, heterogeneous variant, often with dependent blood products

 E. cSDH: SDC with neomembranes, loculated fluid fluid levels

Do Not “AGE” Blood or correlate with timing of AHT Injury. Use Terms such as “Staging” or “Minimum Time to Appearance”

Do Not “AGE” Blood or correlate with timing of AHT Injury.

Use Terms such as “Staging” or “Age Estimation” Application of “minimum age concept”

A. SDH, Acute, Minimum 0 hour to 9 days

Do Not “AGE” Blood or correlate with timing of AHT Injury.

Use Terms such as “Staging” or “Age Estimation”

Application of “minimum age concept”

A. SDH, Acute

B. SDHy, Homogeneous subtype

Do Not “AGE” Blood or correlate with timing of AHT Injury.

Use Terms such as “Staging” or “Age Estimation” Application of “minimum age concept”

A. SDH, Acute

B. SDHy, Homogeneous

C. SDHy, Homogeneous

Do Not “AGE” Blood or correlate with timing of AHT Injury.

Use Terms such as “Staging” or “Age Estimation”

Application of “minimum age concept”

A. SDH, Acute

B. SDHy, Homogeneous

C. SDHy, Homogeneous

D. SDHHy, arrow?

Do Not “AGE” Blood or correlate with timing of AHT Injury.

Use Terms such as “Staging” or “Age Estimation”

Application of “minimum age concept”

A. SDH, Acute

B. SDHy, CT

C. SDHy, MRI

D. SDHHy, Homo, crossing normal veins

E. SDHHy, Hetero, CT “mixed density”

Do Not “AGE” Blood or correlate with timing of AHT Injury.

Use Terms such as “Staging” or “Age Estimation”

Application of “minimum age concept”

A. SDH, Acute

B. SDHy, CT

C. SDHy, MRI

D. SDHHy, Homo, MRI

E. SDHHy, Hetero, CT “mixed density”

F. SDHHy, Hetero, MR

Do Not “AGE” Blood or correlate with timing of AHT Injury.

Use Terms such as “Staging” or “Age Estimation”

Application of “minimum age concept”  A. SDH, Acute

B. SDHy, CT

C. SDHy, MRI  D. SDHHy, Homo, MRI  E. SDHHy, Hetero, CT “mixed density”  F. SDHHy, Hetero, MR

G. ?cSDH, CT, arrow?

Do Not “AGE” Blood or correlate with timing of AHT Injury.

Use Terms such as “Staging” or “Age Estimation”

Application of “minimum age concept”

 A. SDH, Acute

B. SDHy, CT 

C. SDHy, MRI

 D. SDHHy, Homo, normal vein

E. SDHHy, Hetero, CT “mixed density”

 F. SDHHy, Hetero, MR

 G. ?cSDH, CT, ?neomembrane

 H. cSDH, confirm with MR+, neomembrane with “enriched corners”  I.

Do Not “AGE” Blood or correlate with timing of AHT Injury.

Use Terms such as “Staging” or “Age Estimation”

Application of “minimum age concept”

 A. SDH, Acute  B. SDHy, CT  C. SDHy, MRI

 D. SDHHy, Homo, MRI

 E. SDHHy, Hetero, CT “mixed density”

 F. SDHHy, Hetero, MR

 G. cSDH, CT

 H. cSDH, MR+, neomembrane with “enriched enhancement at corners”

 I. cSDH, MR+, neomembranes, f-f levels

Application of “Minimum Age Concept” in Reporting, and

For Example, cSDH:  “cSDH is identified, accordingly to available study data, a minimum time Y=2 weeks has elapsed since the causative trauma has occurred”…mayseenewhemorrhagewith notrauma,minimaltrauma,orrepeatAHT.

Hahnemann et al, 2023, Characterization of SDC…

Encourage repeat Imaging, Consider high resolution imaging and/or contrast for neomembrane (Min day formation 9-10 days)

Hahnemann et al, 2023

Normal anatomy of the Dura

Squireetal,2009

Mack,2009

 Intradural venous plexus prominence in infants up to 2 yrs then regresses, no muscular layer

 Border cell zone = loose multilayer “flaky” cells adherent to the arachnoid membrane

 “SDH”=intradural hemorrhageatthedura bordercelllayer

Added High Profile AHT Findings:

Bridging vein rupture/thrombosis seen in up to 95% AHT at autopsy.

 Yamashima,1984:

 Vein 50-200 micrometers in subarachnoid space, narrows to 20 micrometers at dural cuff

 9-11 large bridging veins

 Smooth muscle cuff at dural entry zone, weak

Hanneman, 2015 “tadpole sign”

 Choudharyetal, 2015

 “lollipop” sign

Literature began to question whether the “AHT” shaking scenario had enough “force” to rupture these veins…

 Nakagawa,2014PHDThesis:

 “DetailedstructureoftheVenous Drainage….relevancetoNAT….”

 Multiple accessory smaller veins draining directly into the dura… 

Use of T1 COR Vasc to confirm rupture of bridging vein…

 Bridging vein injuries in shaken baby syndrome : Forensicradiological metaanalysis with special focus on the tadpole sign].

 Wittschieber et al, 2021

 No full rupture but often just “injured”…most literature now looks at high resolution gradient imaging

“Venous Injury” on MRI… using high resolution gradient imaging in AX and COR planes

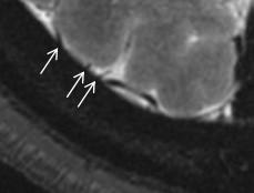
Neomembranes:

form 9-21 days or longer,

 corner“enriched enhancement”

 Seenatcornerof membrane(whitearrows)

 May, or more often may not, be associated with hemosiderin deposition

Be cautious!

Normal 9-12 major (50 total) bridging veins will traverse the hygromas, along with additional smaller veins…

If see “susceptibility” along the vein, may be acute or chronic injury.

SDH Rebleeding: nontraumatic (re)bleeding along the neomembrane…

 Should be:

 Small volume

 asstd with old SDH and/or neomembranes

 Asymptomatic

 macrocephaly

 Should not be associated with:

 New neurological deterioration

 New parenchymal brain injury

 New subarachnoid hemorrhage

 New subdural blood away from original SDH

 “Rebleeding” 15% of priorAHT victimswithSDH, without acute neurological symptoms.

 Bradfordetal2013

 Feldman et al, 2015

 Wright et al 2019

AHT “Triad”: Parenchymal Injury :

“Hypoxic

Ischemic Injury”

 Pathophysiology:

 Ischemic injury based on immunoreactivity to certain HIE mediated proteins rather than DAI or shear injury

 Brainstem Injury, leads to Apnea

 CPG: Central Pattern Generator

 Not found in SIDS

Diffuse Global Watershed Partial Prolonged Unilateral Underlying the thin SDH

ASL in AHT HIE: useful?

Mixed pattern of hyperperfusion/reperfusion injury and hypoperfusion

(Wong et al, J: ASL in AHT, J Neuroradiology 2017)

Normal ASL in 5 week old infant

1 mo old, AHT

5 mo old, post AHT, with resuscitation

Now must use other tools:

 The Team!

 Eye findings

 Other “High Impact” Imaging Findings

 HIE, aging of DWI

 Bridging Vein Injury

 Contusional Lacerations

 Spinal Injury

 Eye Findings 85% of AHT

 Hallmark of AHT:

 Macular Retinoschisis:  Acc-Dec vitreoretinal traction

Added “High Profile” AHT Findings: Parenchymal Lacerations,

 Suggestive of AHT

 Also, High speed mva

 Infants under 6 months

 Frontal and temporal

 Layering blood products > sedimentation levels

 Often at the subcortical white matter-cortex juncture

 Likely rotational shear forces in the white matter

also called contusionalclefts

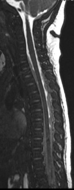
NAT: Spine MRI Cervical or Total, without contrast ½ to 2/3 of AHT have unsuspected spinal injury only .3-2.7% have bony abnormality on C spine

Brain swelling and herniation

Cord edema/ischemia Kadom et al, 2014, >75%

“Soft tissue or ligamentous injury” in the Cervical Spine

 Posterior soft tissue edema 50%

 Interspinous ligamentous edema/injury

 In cervical region, as high as 71% <1 year of age

Chaudhary, Kadom, Rabbitt 2019 Colombari, 2021

Craniocervical Dissociation Injury

AHT

High Impact MVA

Posterior occipital impact injury with fall backwards

Spinal Injury patterns in AHT: SDH, compression fxs

[Choudharyetal,2014][Colombarietal,2021]

Nuchal ligament tear

Interspinous edema

Prevertebral fluid

Anterior vertebral body fracture T12 75% spine MRI: Extensive subdural/epidural hemorrhage, thecal sac tapering

Look for crowding and anterior displacement of the nerve roots

Age Differences: Cervical ST Injury <1 yrs

T-L Fx/Heme older 1-2 yrs

T-L juncture prevalence, ?rib cage stability?

Source of Blood?

 Extension from intracranial SDH

 Ok if large volume SDH or PF SDH

 If SDH small, will not have enough pressure/volume to extend below the foramen magnum

 Primary Spine Injury:

 Spine cord surrounded by meninges

 Dura mata is single sheet in close contact with arachnoid layer

 Artery/veins run between arachnoid and pia

 Spinal nerve roots are site of CSF absorption

 Surrounded by high density venous network, prone to bleeding

Post Mortem Studies:

Injury Patterns

 Cord injury: 20-70% with B-APP Pos axons…

 Meningeal hemorrhage

 Nerve root avulsion/dorsal root ganglion heme

 Source?

 Laceration of radicular veins at weak point passing from subdural to subarachnoid space

 Supported by damage to dorsal nerve root avulsion, dorsal root ganglion hemorrhages

Spinal cord injury as Indicator of Abuse in Forensic Assessment of AHT, Colombari, International Journal of Legal Medicine, 2021

SDH is related to Birth Related Trauma… PotentialDelayed“Rebleeding”phenomenon?

Subtemoporal hematoma: subpial variant with or without venous ischemia

 Birth

 Up to 68% associated with SDH

 Asymptomatic

 Thin <3mm

 Posterior fossa, associated with tentorium/falx

 Resolved within the first postnatal month without sequelae

Canyouspontaneously“bleed”intoBESSI?

< 2-6% of BESSI associated with SD Collections (1.7% hemorrhagic)

HINT: Check head growth charts to see if BESSI was even evident prior…

 Expansion of the subarachnoid space can happen rapidly in the setting of acute trauma with arachnoid disruption

HINT: If see rebleed in prior BESSI, Recommend evaluation for abuse under 2 years of age.

Remember your Mimics:

Glutaric Aciduria type I

 Metabolic/Genetic

 Menkes syndrome

 Glutaric Aciduria type I

 Rare, Aut Recessive

 Macrocephaly

 Widened sylvian fissures and arachnoid spaces

 SDH or SDHyromas

 Rare RH

 Rupture of arachnoid cyts

General High Predictive Value Rules for Imaging: AHT versus Non AHT

 AHT: Seen with Angular Deceleration forces without or with impact

 RH

 Particularly in combination with rib fractures

 Spine Injury Pattern

 Brain Injury

 Lacerations  SDH

 Convexity (unilateral) or interhemispheric

 No Impact Injry

 HIE: Unilateral

 Skull fractures

 Complex, crosses two sutures

Non AHT: Seen in Translational forces from “short fall” history

 Isolated Skull fracture

 Epidural hematoma

 Scalp swelling, impact injury

 No predictive value:

 Subarachnoid hemorrhage

 Focal contusion

DAI

HINT: Pay attention to subcortical collections of blood in frontal regions…

“Certainty” index of AHT by mechanism of injury using Clinical Features

 Maguire et al, EstimatingtheProbability ofAHT:Apooledanalysis, Pediatrics 2011, 2017.

 Meta review, confirmed AHT Under 3 years

 Bruising

 Seizures

 Apnea

 Long Bone Fractures

 Retinal Hemorrhage

 Rib Fractures

 Kelly et al, 2015

 Under 2 yrs

 No history of trauma (90%)

 No external evidence of impact (90%)

 Complex skull fractures (79%)

 SDH (89%)

 HIE (97%)

2 mo old, normal vaginal delivery, no history, new onset irritability, scalp swelling

Start and End with the Imaging: Infantnotedtobeirritableatdaycare,presentedtoER…

The Triad … stayawayfromthisterm…it

isalegalconvention

 There is no single imaging finding that is pathognomonic for AHT.

 HIE in the setting of SDH, RH, and/or Cervicomedullary injury predictive of AHT.

 Use the Minimum Age Principle, try not to age blood

 KEY: Child Protection TEAM

 Arriving at a consensus, looking at all available data.

 CT:

 Edema by 1-2 hours

 Hyperdensity 0-9 days (181???)

MRI:

 (Hyper)Acute Blood T1 iso, T2 Dark: 0-2 days

 Early Subacute Blood is T1 Bright: Day 2 (1?) Min

 Enhancing membranes: Day 9 Min

 Added Predictive Injury patterns:

 HIE unilateral under SDH

 Bridging Vein Injury “Tadpole”

 Contusional Clefts

 Craniocervical or Spinal Injury

Use your consensus statements in court.

U.S.vsDuran,2019:precedentusingthisconsensusstatementtodispute “expertmedicalwitness”testimony

 Often time the Judges are the “gatekeeper” and heavily uses consensus statements and peer review literature.

 See the evidence-based ACR Appropriateness Criteria for Suspected Child Physical Abuse (2016) at htps://acsearch.acr.org/docs/ 69443/NarraGve/

Legal Controversy…

Check all your “lifelines” before you leap!

Check all your “lifelines” before you leap!

Check all your “lifelines” before you leap!

Understanding the Medical Literature

Understand the LegaL Literature

Refer to the ASPR Consensus Statement and Biblio Abbreviated

AHT Biblio

1. Nixon et al. ImagingofAbusiveHeadTrauma:AReviewandUpdate. Curr Radiol Rep. 2016.

2. Knox et al. SubduralHematomaRebleedinginRelationtoAbusiveHead Trauma.J Fam Viol. 2016.

3. Choudhary et al.Imagingofspinalinjuryinabusiveheadtrauma:a retrospectivestudy.Pediatr. Radiol. 2014.

4. Kadom et al. UsefulnessofMRIdetectionofcervicalspineandbrain injuriesintheevaluationofabusiveheadtrauma. Pediatr Radiol. 2014.

5. Vinchon et al. Subduralhematomaininfants:canitoccurspontaneously? Datafromaprospectiveseriesandcriticalreviewoftheliterature.Child Nerv Syst. 2010.

Abbreviated AHT Biblio

 6. Piteau et al. Clinicalandradiographiccharacteristicsassociatedwith abusiveandnonabusiveheadtrauma:asystematicreview.Pediatrics, 2012.

 7. Kemp et al. Neuroimaging:whatneuroradiologicalfeaturesdistinguish abusivefromnon-abusiveheadtrauma?Asystematicreview. Arch Dis Child, 2011.

 8. Squier et al. Theneuropathologyofinfantsubduralhaemorrhage. Forensic Sci Int, 2009.

 9. Sieswerda-Hoogendoorn et al. Agedeterminationofsubduralhematomas withcTandMRI:asystematicreview.Eur J Radio, 2014.

 10. Wittschieber et al. Subduralhygromasinabusiveheadtrauma: pathogenesis,diagnosis,andforensicimplications. AJNR, 2015.

Abbreviated AHT Biblio

 11. McLean et al. Doesintracranialvenousthrombosiscausesubdural hemorrhageinthepediatricpopulation?AJNR, 2012.

 12. Palifka et al. Parenchymalbrainlacerationsinabusiveheadtrauma. ASNRmeeting.May 2014.

 13. Adamsbaum et al. Datingtheabusiveheadtraumaepisodeand perpetratorstatements:keypointsforimaging. Pediatr Radiol, 2014.

 14. Hahnemann et al. Imagingofbridingveinthrombosisininfantswith abusiveheadtrauma:the“TadpoleSign”.Eur Radiol. 2015.

 15. Feldman et al. Initialclinicalpresentationofchildrenwithacuteand chronicversusacutesubduralhemorrahgeresultingfromabusivehead trauma. J Neursurg Pediatr. 2015.

Abbreviated AHT Biblio

 16. Hsieh et al. RevisitingNeuroimagingofAbusiveHeadTraumain InfantsandYoungChildren. AJR. 2015.

 17. Bradbury et al. Serialneuroimagingafterabusiveheadtrauma. J Neurosurg: Pediatrics. 2013.

 18. Hedlund et al. NeuroimagingofAbusiveHeadTrauma. Forensic Sci Med Pathol. 2009.

 19. Adamsbaum et al, commentary. Abusiveheadtrauma:don’toverlook bridgingveinthrombosis.Pediatr Radiol. 2012.

 20. Yilmaz et al. MultifocalSignalLossatBridgingveinson Susceptibility-WeightedImaginginAbusiveHeadTrauma. Clin Neuroradiol. 2015.

Abbreviated AHT Biblio

 21. Choudhary et al. Venousinjuryinabusiveheadtrauma. Pediatr Radiol. 2015.

 22. Vezina. Assessmentofthenatureandageofsubduralcollectionsin nonaccidentalheadinjurywithCTandMRI.Pediatr Radiol. 2009.

 23. McKeag et al. Subduralhemorrhageinpediatricpatientswith enlargementofthesubarachnoidspaces.J Neurosurg Pediatrics. 2013.

 24. Matschke et al. Encephalopathyanddeathininfantswithabusivehead traumaisduetohypoxic-ischemicinjuryfollowinglocalbraintraumato vitalbrainstemcenters.Int J Legal Med. 2015.

 25. Kadom et al. UsefulnessofMRIdetectionofcervicalspineandbrain injuriesintheevaluationofabusiveheadtrauma.Pediatr Radiol. 2014.

 26. Choudhary et al. Imaging of spinal injury in abusive head trauma: a retrospective study. Pediatr Radiol. 2014.

 27. Ronning et al, ParasagittalvertexclotsonheadCTinfantswith subduralhemorrhageasapredictorforabusiveheadtrauma.Pediatric Radiology, 2018.

 28. Choudhary, Understandingtheimportanceofspinalinjuryinabusive headtrauma(AHT).Pediatric Radiology, 2020.

 29. Rabbitt et al, Characteristicsassociatedwithspineinjuryonmagnetic resonanceimaginginchildrenevaluatedforabusiveheadtrauma. Pediatr Radiol.

 30. Lenoe, 2017.

 31. Choudhary et al, Consensusstatementonabusiveheadtraumain infantsandyoungchildren. Pediatric Radiology, 2018.

“Thebabyfelloffthecouch…bunkbed…outofmyarms…”

 Suspicious HISTORY:

 No history or conflicting/changing story

 Fall from low heights (4-6 ft)

 Multiple poorly constructed biomechanical studies in prior to 2008, looking at “falls”, animal models, computer modeling…

 “noproof!”

 Plunkett,2001,ForensicMedicine.FatalPediatrichead injuriescausedbyshortdistancefalls:75,000 playgroundinjuries,18deaths,

 BUTno infants

 “Outcomes literature”…severe intracranial injury is rare from short fall.

 EPIC: 6 deaths under 5 yrs per 2.5 million

 Chadwick et al, 2008: day care injuries: 2 deaths/6 million

 2017: 24Newbornsin hospital fall from 2m: single linear skull fracture, no other significant injury

 Imaging findings in “Fall from Low Height”

 3% linear skull Fracture

 Associated Venous Subdural

 Intracranial Hemorrhage uncommon, seen in intermediate 6-15 ft falls

 DH thin and focal without neurological changes/HIE

 Subpial or SAH focal

 Brain contusions rare, asymptomatic

 No Ischemia

 Impact Injury

SDHisrelatedtoBirthRelatedTrauma… PotentialDelayed“Rebleeding”phenomenon…

Subtemporal hematoma: may be large, subpial Can resolve with no intervention

 Birth

 Up to 68% associated with SDH

 Looney/2007, Rooks/2008, Whitby/2004

 No vertex parasagittal clots, Ronning, 2018

 Bridging vein rupture at birth? Found1.5%births, Bartoli, 2022

 Asymptomatic

 Increased incidence with forceps and vacuum, or C-section during labor, but also in normal vaginal deliveries

 Thin <3mm

 Posterior fossa, associated with tentorium/falx

 Resolved within the first postnatal month

 Rarely up to 3 months, but no rebleeding reported

 NOevidencefordelayedonsetofacute collapse/coma/deathduetoexpandinghematomaor rebleedingintoabirthrelatedSDH

Canyouspontaneously“bleed”intoBESSI?

Rule: < 2-6% of BESSI associated with SD Collections (1.7% hemorrhagic)

 HINT: Check head growth charts to see if BESSI was even evident prior…

 Expansion of the subarachnoid space can happen rapidly in the setting of acute trauma with arachnoid disruption

 Tucker,Choudharyetall,2016:

 538 macrocephaly

 21 SDC (2.9%)

 18 w/ BESS

 3 evaluated for AHT

 1 confirmed

 Greineretal,2013

 108 Children with BESSI

 6 (5.6%) Asymptomatic SDH

 2 reported for abuse due to complexity

 HansenetalOverall,2018:

Over50%hadothersuspicious injuries  Clinicalpresentationcannotbe usedtoexcludeAHTinBESS

HINT: If see rebleed in prior BESSI, Recommend evaluation for abuse under 2 years of age.

Other controversies SDHiscausedby…DVT

 Deep Venous Thrombosis occurs first from other causes such as dehydration

 Raises intracranial pressure

 Leads to bridging vein rupture

 Leads to ischemia (venous), RH, and SDH

 Extravasation of blood into the subdural compartment

 Pattern of brain injury (ischemia) is different with DVST, in all age groups

 Rebuttals:

 Anderstetal(2021): IPSS:

 216CSVT(>69Heme,>20(9.3%)w/SDH)

 Youngerpatients,under2years

 2 evaluated for AHT from other findings

 McLean(2012)

 36infants/youngchildrenwithDVST,found noSDH

Hypoxic Ischemic Injury

Why Unilateral pattern?

 No unilateral vascular injury

 Why?

 Seizure injury?

 Excitotoxicity or altered metabolism triggered by superimposed subdural hemorrhage?

 “Second impact syndrome”

 TBI in adolescents

 Similar SDH with unilateral HIE

WM restriction

Secondary Energy Fairlure & Apoptosis

Infantile traumatic brain injury with biphasic course & late reduced diffusion (TBIRD)

Acute (infectious) encephalopathy with biphasic seizures and late reduced diffusion (AESD)

 Takase et al, Journal of Neurological Sciences, 2018.

 “Bright tree appearance”

 Starts in the subcortical white matter, pattern corresponding to the last unmyelinated white matter under 2 yrs age

 Often “spares” the rolandic fissures

 Immaturity of the brain

 Inflammatory response to TBI

 Altered cytokines

Neuroexcitotoxity due to excess Glutamine

Controversy: DoesSpontaneousSDHexistinInfants?

“SSDHI”totheNeurosurgeons…

 Vinchon, 2010:

 Prospective, admitted for “apparent head injury” found to have SD collection (n=164)

 10% cases SSDHI (n=14)

 Diagnosis of exclusion

 Factors leading to SSDHI?

 Dehydration?

 Prior trauma?

 Infection?

Turn static files into dynamic content formats.

Create a flipbook
Issuu converts static files into: digital portfolios, online yearbooks, online catalogs, digital photo albums and more. Sign up and create your flipbook.
AHT, NAT, Slide Deck, Rebsamen, FC Deck 2025 by UW Department of Radiology - Issuu