Leukodystrophies, Field, PP Slide Deck

Page 1


Pediatric Leukodystrophies Pediatric Leukodystrophies

(Inherited Disorders of White Matter) (Inherited Disorders of White Matter)

Aaron Field, MD PhD

Aaron Field, MD PhD

afield@uwhealth.org afield@uwhealth.org

Learning Objectives Learning Objectives

Review the most “commonly encountered” leukodystrophies

• Review the most “commonly encountered” leukodystrophies

• Learn broad categories of underlying mechanisms Learn broad categories of underlying mechanisms

• Learn what imaging features are most relevant to ddx Learn what imaging features are most relevant to ddx

White Matter Microstructure White Matter Microstructure

High lipids High lipids 

T1-bright T1-bright

Low free water

Low free water 

T2-dark T2-dark

Laule et al, Neurotherapeutics 2007;4:460-484

Myelin Myelin

• Sensory before motor Sensory before motor

• Back to front Back to front

• Central to peripheral Central to peripheral

Normal Myelination by MRI Normal Myelination by MRI

Medulla Medulla

Dorsal pons

Dorsal pons

Cerebellar peduncles

Cerebellar peduncles

PLIC PLIC

Perirolandic WM Perirolandic WM

Normal Myelination by MRI Normal Myelination by MRI

Peri-atrial / subcortical “terminal zones” may persist into adulthood

JA Phelan and LH Lowe, Univ. of Missouri - KC

Obstacles to Learning and Obstacles to Learning and Recognizing Leukodystrophies Recognizing Leukodystrophies

Various forms of a given disease

• Various forms of a given disease

e.g. single vs. multiple enzyme defects

e.g. single vs. multiple enzyme defects

Various and non-specific clinical presentations

• Various and non-specific clinical presentations

e.g. infantile, juvenile, adult forms

e.g. infantile, juvenile, adult forms

• White matter MR signal changes with age White matter MR signal changes with age

• Overlapping imaging features (especially Overlapping imaging features (especially late late) )

• 60% never get specific diagnosis 60% never get specific diagnosis

JA Phelan and LH Lowe, Univ. of Missouri - KC

Delayed vs. Hypo-/Dys-/De-myelination

Delayed vs. Hypo-/Dys-/De-myelination

• Delayed myelination Delayed myelination

• Non-specific feature observed in almost all children with Non-specific feature observed in almost all children with delayed development of any cause – the myelin ultimately delayed development of any cause – the myelin ultimately formed often formed often normal normal

• Dysmyelination Dysmyelination

• Myelin formation is fundamentally disordered Myelin formation is fundamentally disordered

• Hypomyelination Hypomyelination

• Myelin is more Myelin is more deficient deficient than than disordered disordered

• Demyelination Demyelination

• Myelin is formed (sometimes normally) but breaks down Myelin is formed (sometimes normally) but breaks down

• There is overlap! There is overlap!

• Disordered myelin ( Disordered myelin (dysdysmyelination) more apt to break down myelination) more apt to break down ((dedemyelinate) than normal myelin myelinate) than normal myelin

Delayed vs. Hypo-/Dys-/De-myelination

Delayed vs. Hypo-/Dys-/De-myelination

• Delayed myelination Delayed myelination

• Non-specific feature observed in almost all children with Non-specific feature observed in almost all children with delayed development of any cause – the myelin ultimately delayed development of any cause – the myelin ultimately formed often formed often normal normal

• Dysmyelination Dysmyelination

• Myelin formation is fundamentally disordered Myelin formation is fundamentally disordered

• Hypomyelination Hypomyelination

• Myelin is more Myelin is more deficient deficient than than disordered disordered

• Hard to diagnose before 1 year (paucity of myelin is normal) Hard to diagnose before 1 year (paucity of myelin is normal)

• Rule of thumb: Rule of thumb:

Deficient myelin unchanged over 6 mos in child > 1 y/o

Deficient myelin unchanged over 6 mos in child > 1 y/o

Oligodendrocytes and Key Organelles

Oligodendrocytes and Key Organelles

Lysosome Lysosome waste disposal waste disposal

Peroxisome Peroxisome fatty acid catabolism fatty acid catabolism

Mitochondrion Mitochondrion chemical energy chemical energy

JA Phelan and LH Lowe, Univ. of Missouri - KC

Leukodystrophies by Mechanism Leukodystrophies by Mechanism

Lysosomal Disorders Lysosomal Disorders

• Metachromatic leukodystrophy Metachromatic leukodystrophy

• Krabbe disease Krabbe disease

• Mucopolysaccharidoses Mucopolysaccharidoses

• Gangliosidoses Gangliosidoses Peroxisomal Disorders Peroxisomal Disorders

• X-Linked Adrenoleukodystrophy X-Linked Adrenoleukodystrophy

• Zellweger syndrome Zellweger syndrome

Aminoacidopathies Aminoacidopathies

• Phenylketonuria Phenylketonuria

• Maple syrup urine disease Maple syrup urine disease

• Glutaric aciduria Glutaric aciduria Mitochondrial Disorders (++GM) Mitochondrial Disorders (++GM)

• Leigh disease Leigh disease

• MELAS MELAS

• Kearns-Sayre syndrome Kearns-Sayre syndrome

Other Other

• Alexander disease Alexander disease

• Canavan disease Canavan disease

• Pelizaeus-Merzbacher disease Pelizaeus-Merzbacher disease

• Galactosemia Galactosemia

JA Phelan and LH Lowe, Univ. of Missouri - KC

Patterned Approach Patterned Approach

Other Things to Look For Other Things to Look For

• Subcortical U-fibers: Involved or spared? Subcortical U-fibers: Involved or spared?

• Gray matter involved? Gray matter involved?

• Brainstem involved? Brainstem involved?

• Macrocephaly? Macrocephaly?

• Leading edge of enhancement? Leading edge of enhancement?

Abnormal MR spectroscopy (e.g. NAA, lactate)?

Abnormal MR spectroscopy (e.g. NAA, lactate)?

U-Fibers: Involved or Spared? U-Fibers: Involved or Spared?

JA Phelan and LH Lowe, Univ. of Missouri - KC

Subcortical U-Fibers Involved Subcortical U-Fibers Involved

• Macrocephaly? Macrocephaly? YES YES

• Frontal predominance: Frontal predominance: Alexander Alexander

• Diffuse: Diffuse: Canavan Canavan

• Macrocephaly? Macrocephaly? NO NO

• Liver disease: Liver disease: Galactosemia Galactosemia

• Ophthalmoplegia, retinitis: Ophthalmoplegia, retinitis: Kearns-Sayre Kearns-Sayre

Alexander Disease Alexander Disease

• aka aka fibrinoid leukodystrophy fibrinoid leukodystrophy

• glial fibrillary acidic protein (GFAP) gene mutation glial fibrillary acidic protein (GFAP) gene mutation

• Rosenthal fibers (astrocytic cytoplasmic inclusions) Rosenthal fibers (astrocytic cytoplasmic inclusions)

• Myelin breakdown Myelin breakdown

JA Phelan and LH Lowe, Univ. of Missouri - KC

Alexander Disease Alexander Disease

• Infantile most common, then juvenile / adult Infantile most common, then juvenile / adult

• Macrocephaly 1st year, developmental delay, failure to thrive

Macrocephaly 1st year, developmental delay, failure to thrive

Early death (2-3 yrs) w/ infantile form

• Early death (2-3 yrs) w/ infantile form

Alexander Disease Alexander Disease

• Frontal predominance, U-fibers involved early Frontal predominance, U-fibers involved early

• Basal ganglia and thalami often involved Basal ganglia and thalami often involved

• Enhancement near frontal horns Enhancement near frontal horns

JA Phelan and LH Lowe, Univ. of Missouri - KC Barkovich JE. Pediatric Neuroimaging 2005

Subcortical U-Fibers Involved Subcortical U-Fibers Involved

• Macrocephaly? Macrocephaly? YES YES

• Frontal predominance: Frontal predominance: Alexander Alexander

• Diffuse: Diffuse: Canavan Canavan

• Macrocephaly? Macrocephaly? NO NO

• Liver disease: Liver disease: Galactosemia Galactosemia

• Ophthalmoplegia, retinitis: Ophthalmoplegia, retinitis: Kearns-Sayre Kearns-Sayre

Canavan Disease Canavan Disease

• aka aka spongiform leukodystrophy spongiform leukodystrophy

• AR mutation AR mutation   deficient aspartoacylase (myelin synthesis) deficient aspartoacylase (myelin synthesis)

• N-acetyl-aspartate accumulates N-acetyl-aspartate accumulates

c/o H. Rowley, UW-Madison

JA Phelan and LH Lowe Univ. of Missouri - KC

Canavan Disease Canavan Disease

• Common in Ashkenazi Jews Common in Ashkenazi Jews

• Hypotonia 1st weeks of life, macrocephaly, seizures, spacticity Hypotonia 1st weeks of life, macrocephaly, seizures, spacticity

• Rapid progression Rapid progression   death 2nd year death 2nd year

c/o H. Rowley, UW-Madison

JA Phelan and LH Lowe Univ. of Missouri - KC

Canavan Disease Canavan Disease

• Diffuse, subcortical WM + globi pallidi / thalami (not putamina) Diffuse, subcortical WM + globi pallidi / thalami (not putamina)

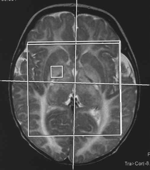
• Spectroscopy: High NAA peak (diagnostic!) Spectroscopy: High NAA peak (diagnostic!)

• Mnemonic: Ca Mnemonic: CaNAANAAvan van

JA Phelan and LH Lowe, Univ. of Missouri - KC

Subcortical U-Fibers Involved Subcortical U-Fibers Involved

• Macrocephaly? Macrocephaly? YES YES

• Frontal predominance: Frontal predominance: Alexander Alexander

• Diffuse: Diffuse: Canavan Canavan

• Macrocephaly? Macrocephaly? NO NO

• Liver disease: Liver disease: Galactosemia Galactosemia

• Ophthalmoplegia, retinitis: Ophthalmoplegia, retinitis: Kearns-Sayre Kearns-Sayre

• AR mutation AR mutation   deficient conversion of deficient conversion of galactose to glucose galactose to glucose

• Newborn / infant w/ Newborn / infant w/   intracranial pressure, liver dysfunction intracranial pressure, liver dysfunction

• Non-specific subcortical WM involvement Non-specific subcortical WM involvement

Barkovich JE. Pediatric Neuroimaging 2005

Subcortical U-Fibers Involved Subcortical U-Fibers Involved

• Macrocephaly? Macrocephaly? YES YES

• Frontal predominance: Frontal predominance: Alexander Alexander

• Diffuse: Diffuse: Canavan Canavan

• Macrocephaly? Macrocephaly? NO NO

• Liver disease: Liver disease: Galactosemia Galactosemia

• Ophthalmoplegia, retinitis: Ophthalmoplegia, retinitis: Kearns-Sayre Kearns-Sayre

Kearns-Sayre Kearns-Sayre

• Mitochondrial disorder Mitochondrial disorder

External ophthalmoplegia, retinitis pigmentosa, onset <20 yrs

• External ophthalmoplegia, retinitis pigmentosa, onset <20 yrs

• Non-specific subcortical WM, periventricular sparing

Non-specific subcortical WM, periventricular sparing + globi pallidi / thalami + globi pallidi / thalami

• Lactate peak on MRS (typical of mitochondrial disorders)

Lactate peak on MRS (typical of mitochondrial disorders)

Deep WM Predominant Deep WM Predominant (Subcortical U-Fibers Spared) (Subcortical

U-Fibers Spared)

• Thalami involved? Thalami involved? YES YES

• Lysosomal storage disorder Lysosomal storage disorder

• Krabbe Krabbe

• Gangliosidosis (GM-1, GM-2) Gangliosidosis (GM-1, GM-2)

• Thalami involved? Thalami involved? NO NO

• Brainstem involved? Brainstem involved? YES YES

• X-linked adrenoleukodystrophy (ALD) X-linked adrenoleukodystrophy (ALD)

• Brainstem involved? Brainstem involved? NO NO

• Metachromatic leukodystrophy Metachromatic leukodystrophy

• Mucopolysaccharidoses (e.g. Hunter’s, Hurler’s) Mucopolysaccharidoses (e.g. Hunter’s, Hurler’s)

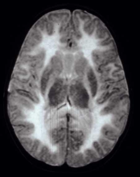
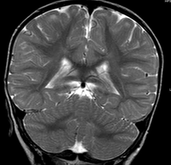
Krabbe Krabbe

• aka aka globoid cell leukodystrophy globoid cell leukodystrophy

• AR lysosomal deficiency in galactocerebroside AR lysosomal deficiency in galactocerebroside ββ-galactosidase galactosidase

• Presents 3-6 mos w/ irritability, episodic fever, increased muscle Presents 3-6 mos w/ irritability, episodic fever, increased muscle tone and developmental delay tone and developmental delay

• Eventually hyperacusis, myoclonus, optic atrophy, early death Eventually hyperacusis, myoclonus, optic atrophy, early death

Barkovich JE. Pediatric

Neuroimaging 2005

JA Phelan and LH Lowe

Univ. of Missouri - KC

Cheon JE et al. Radiographics

2002;22:461-476

Krabbe Krabbe

• CT: CT: Hyperdense thalami Hyperdense thalami

• MR: Deep WM, cerebellar WM, eventually thalami MR: Deep WM, cerebellar WM, eventually thalami

Barkovich JE. Pediatric Neuroimaging 2005

JA Phelan and LH Lowe Univ. of Missouri - KC

Deep WM Predominant Deep WM Predominant (Subcortical U-Fibers Spared) (Subcortical

U-Fibers Spared)

• Thalami involved? Thalami involved? YES YES

• Lysosomal storage disorder Lysosomal storage disorder

• Krabbe Krabbe

• Gangliosidosis (GM-1, GM-2) Gangliosidosis (GM-1, GM-2)

• Thalami involved? Thalami involved? NO NO

• Brainstem involved? Brainstem involved? YES YES

• X-linked adrenoleukodystrophy (ALD) X-linked adrenoleukodystrophy (ALD)

• Brainstem involved? Brainstem involved? NO NO

• Metachromatic leukodystrophy Metachromatic leukodystrophy

• Mucopolysaccharidoses (e.g. Hunter’s, Hurler’s) Mucopolysaccharidoses (e.g. Hunter’s, Hurler’s)

Gangliosidoses (GM-1, GM-2) Gangliosidoses (GM-1, GM-2)

Lysosomal storage disorders

• Lysosomal storage disorders

• GM-1: GM-1:

• Deficient Deficient ββ-galactosidase galactosidase

• Dysmorphic facies, osseous dysplasias, hepatosplenomegaly, Dysmorphic facies, osseous dysplasias, hepatosplenomegaly, hypotonia, mental retardation early (1-5 years), seizures, hypotonia, mental retardation early (1-5 years), seizures, spasticity spasticity

• GM-2 (Tay-Sachs, Sandhoff): GM-2 (Tay-Sachs, Sandhoff):

• Deficient hexosaminidase Deficient hexosaminidase

• Infant with hypotonia, psychomotor retardation Infant with hypotonia, psychomotor retardation

• Late first year: spasticity, weakness, dystonia, ataxia, then Late first year: spasticity, weakness, dystonia, ataxia, then macrocephaly, seizures macrocephaly, seizures

• Imaging similar to Krabbe Imaging similar to Krabbe

Deep WM Predominant Deep WM Predominant (Subcortical U-Fibers Spared) (Subcortical

U-Fibers Spared)

• Thalami involved? Thalami involved? YES YES

• Lysosomal storage disorder Lysosomal storage disorder

• Krabbe Krabbe

• Gangliosidosis (GM-1, GM-2) Gangliosidosis (GM-1, GM-2)

• Thalami involved? Thalami involved? NO NO

• Brainstem involved? Brainstem involved? YES YES

• X-linked adrenoleukodystrophy (ALD) X-linked adrenoleukodystrophy (ALD)

• Brainstem involved? Brainstem involved? NO NO

• Metachromatic leukodystrophy Metachromatic leukodystrophy

• Mucopolysaccharidoses (e.g. Hunter’s, Hurler’s) Mucopolysaccharidoses (e.g. Hunter’s, Hurler’s)

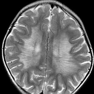
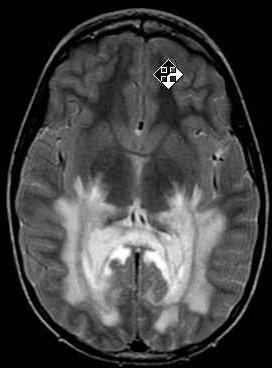
Adrenoleukodystrophy Adrenoleukodystrophy

• Mutation in ABCD1 gene – encodes peroxisomal membrane Mutation in ABCD1 gene – encodes peroxisomal membrane protein protein

• Prevents long chain fatty acid breakdown Prevents long chain fatty acid breakdown

• Multiple forms - most commonly Multiple forms - most commonly classic X-linked ALD classic X-linked ALD

JA Phelan and LH Lowe, Univ. of Missouri - KC

• Boys 5-12 y/o, learning difficulties, impaired vision, gait or hearing Boys 5-12 y/o, learning difficulties, impaired vision, gait or hearing

• Abnormal skin pigmentation (adrenal insufficiency) Abnormal skin pigmentation (adrenal insufficiency)

• 10% seizures, adrenal crisis, coma 10% seizures, adrenal crisis, coma

• Rapid progression Rapid progression

JA Phelan and LH Lowe, Univ. of Missouri - KC

• Confluent, symmetric deep WM w/ Confluent, symmetric deep WM w/ leading edge enhancement leading edge enhancement

• Posterior in 80% Posterior in 80%

• Pons and medulla Pons and medulla

JA Phelan and LH Lowe, Univ. of Missouri - KC

• Confluent, symmetric deep WM w/ Confluent, symmetric deep WM w/ leading edge enhancement leading edge enhancement

• Posterior in 80% Posterior in 80%

• Pons and medulla Pons and medulla

• Confluent, symmetric deep WM w/ Confluent, symmetric deep WM w/ leading edge enhancement leading edge enhancement

• Posterior in 80% Posterior in 80%

• Pons and medulla Pons and medulla

JA Phelan and LH Lowe, Univ. of Missouri - KC

• Confluent, symmetric deep WM w/ Confluent, symmetric deep WM w/ leading edge enhancement leading edge enhancement

• Posterior in 80% Posterior in 80%

• Pons and medulla Pons and medulla

JA Phelan and LH Lowe, Univ. of Missouri - KC

X-Linked Adrenoleukodystrophy X-Linked Adrenoleukodystrophy

Deep WM Predominant Deep WM Predominant (Subcortical U-Fibers Spared) (Subcortical

U-Fibers Spared)

• Thalami involved? Thalami involved? YES YES

• Lysosomal storage disorder Lysosomal storage disorder

• Krabbe Krabbe

• Gangliosidosis (GM-1, GM-2) Gangliosidosis (GM-1, GM-2)

• Thalami involved? Thalami involved? NO NO

• Brainstem involved? Brainstem involved? YES YES

• X-linked adrenoleukodystrophy (ALD) X-linked adrenoleukodystrophy (ALD)

• Brainstem involved? Brainstem involved? NO NO

• Metachromatic leukodystrophy Metachromatic leukodystrophy

• Mucopolysaccharidoses (e.g. Hunter’s, Hurler’s) Mucopolysaccharidoses (e.g. Hunter’s, Hurler’s)

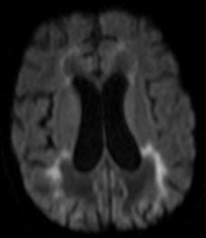
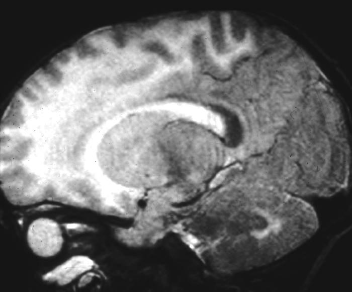
• Most common Most common inherited leukodystrophy! inherited leukodystrophy!

• AR lysosomal disorder – arylsulfatase deficiency AR lysosomal disorder – arylsulfatase deficiency

• Sulfatides accumulate in brain, kidneys, liver, GB, peripheral Sulfatides accumulate in brain, kidneys, liver, GB, peripheral nerve nerve

• 12-18 mos: Early motor signs of peripheral neuropathy 12-18 mos: Early motor signs of peripheral neuropathy

• Later: Decreased intelligence, speech, coordination; early death Later: Decreased intelligence, speech, coordination; early death c/o T. Kennedy, UW-Madison

• Symmetric, confluent, deep WM (spares U-fibers) Symmetric, confluent, deep WM (spares U-fibers)

• “ “TigroidTigroid” or “ ” or “leopardleopard” pattern of WM sparing along PV spaces ” pattern of WM sparing along PV spaces

• No enhancement No enhancement

Deep WM Predominant Deep WM Predominant (Subcortical U-Fibers Spared) (Subcortical

U-Fibers Spared)

• Thalami involved? Thalami involved? YES YES

• Lysosomal storage disorder Lysosomal storage disorder

• Krabbe Krabbe

• Gangliosidosis (GM-1, GM-2) Gangliosidosis (GM-1, GM-2)

• Thalami involved? Thalami involved? NO NO

• Brainstem involved? Brainstem involved? YES YES

• X-linked adrenoleukodystrophy (ALD) X-linked adrenoleukodystrophy (ALD)

• Brainstem involved? Brainstem involved? NO NO

• Metachromatic leukodystrophy Metachromatic leukodystrophy

• Mucopolysaccharidoses (e.g. Hunter’s, Hurler’s) Mucopolysaccharidoses (e.g. Hunter’s, Hurler’s)

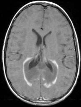
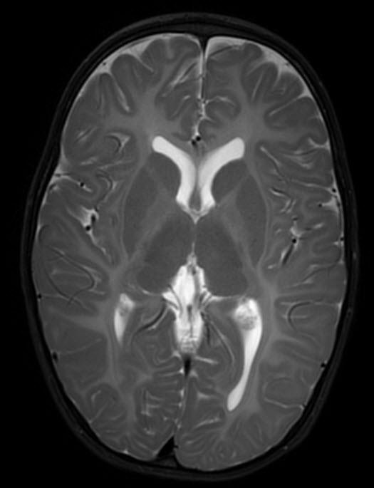
Mucopolysaccharidoses Mucopolysaccharidoses

• Group of lysosomal enzyme deficiency disorders Group of lysosomal enzyme deficiency disorders

• All involve metabolism of glycosaminoglycans All involve metabolism of glycosaminoglycans

• Most common is Most common is Hurler’s Hurler’s

• Delayed myelination, atrophy, hydrocephalus

Delayed myelination, atrophy, hydrocephalus

Periventricular WM “cysts” – actually enlarged PV spaces

• Periventricular WM “cysts” – actually enlarged PV spaces

JA Phelan and LH Lowe, Univ. of Missouri - KC

Leukodystrophies by Mechanism Leukodystrophies by Mechanism

Lysosomal Disorders Lysosomal Disorders

• Metachromatic leukodystrophy Metachromatic leukodystrophy

• Krabbe disease Krabbe disease

• Mucopolysaccharidoses Mucopolysaccharidoses

• Gangliosidoses Gangliosidoses Peroxisomal Disorders Peroxisomal Disorders

• X-Linked Adrenoleukodystrophy X-Linked Adrenoleukodystrophy

• Zellweger syndrome Zellweger syndrome

Aminoacidopathies Aminoacidopathies

• Phenylketonuria Phenylketonuria

• Maple syrup urine disease Maple syrup urine disease

• Glutaric aciduria Glutaric aciduria Mitochondrial Disorders (++GM) Mitochondrial Disorders (++GM)

• Leigh disease Leigh disease

• MELAS MELAS

• Kearns-Sayre syndrome Kearns-Sayre syndrome

Other Other

• Alexander disease Alexander disease

• Canavan disease Canavan disease

• Pelizaeus-Merzbacher disease Pelizaeus-Merzbacher disease

• Galactosemia Galactosemia

JA Phelan and LH Lowe, Univ. of Missouri - KC

Pelizaeus-Merzbacher Pelizaeus-Merzbacher

• Protypical Protypical hypo hypomyelinating disease myelinating disease

• X-linked or AR defect in proteo-lipid protein X-linked or AR defect in proteo-lipid protein   paucity of myelin paucity of myelin

• Classic form: late infancy, more common, less severe Classic form: late infancy, more common, less severe

• Connatal form: birth / early infancy, rarer, more severe Connatal form: birth / early infancy, rarer, more severe

Pelizaeus-Merzbacher Pelizaeus-Merzbacher

• Nystagmus, extrapyramidal hyperkinesias, spasticity Nystagmus, extrapyramidal hyperkinesias, spasticity

• Slow psychomotor development Slow psychomotor development

• Diffuse hypomyelination (deep and subcortical) Diffuse hypomyelination (deep and subcortical)

• May see “tigroid” sparing (as in MLD) May see “tigroid” sparing (as in MLD)

Oligodendrocytes and Key Organelles

Oligodendrocytes and Key Organelles

Lysosome Lysosome waste disposal waste disposal

Peroxisome Peroxisome fatty acid catabolism fatty acid catabolism

Mitochondrion Mitochondrion chemical energy chemical energy

JA Phelan and LH Lowe, Univ. of Missouri - KC

Patterned Approach Patterned Approach

Other Things to Look For Other Things to Look For

• Subcortical U-fibers: Involved or spared? Subcortical U-fibers: Involved or spared?

• Gray matter involved? Gray matter involved?

• Brainstem involved? Brainstem involved?

• Macrocephaly? Macrocephaly?

• Leading edge of enhancement? Leading edge of enhancement?

Abnormal MR spectroscopy (e.g. NAA, lactate)?

Abnormal MR spectroscopy (e.g. NAA, lactate)?

Pediatric Leukodystrophies Pediatric Leukodystrophies

(Inherited Disorders of White Matter) (Inherited Disorders of White Matter)

Aaron Field, MD PhD

Aaron Field, MD PhD

afield@uwhealth.org afield@uwhealth.org

Turn static files into dynamic content formats.

Create a flipbook
Issuu converts static files into: digital portfolios, online yearbooks, online catalogs, digital photo albums and more. Sign up and create your flipbook.
Leukodystrophies, Field, PP Slide Deck by UW Department of Radiology - Issuu