TandhygienistTidningen nr 4.2022

Page 1

Yrkesforum, nyheter, forskning och fackliga frågor FRÅN SVERIGES TANDHYGIENISTFÖRENING # 4/2022 påmåsteTandvårdensynasuteskolorna anser Malin Ingvarsson, Folktandvården Kronoberg. SID 6–8 foto : camilla adolfsson Vad händer i tandvården i händelse av kris i samhället? SID TREFERATFLER34–35frånandhygienist-DagarnaiLinköping!

Välj din W&H autoklav efter klinikens behov:

PREMIUMSTANDARDBASIC

Klass ProgramtidB från 13 minuter.

Klass ProgramtidB

2kg last på 28 minuter. Överskådlig touch-display. Har snabbprogram för t.ex. automatisktKanefterochAvanceradevinkelstycken.spårbarhetsfunktionerEcoDry+somanpassarkörtidlasten.köravakuum-ochhelixtestvarjemorgon.Samtliga

från 18 minuter.

2kg last på 38 minuter. Överskådlig touch-display. Kan uppgraderas med snabbprogram för t.ex. vinkelstycken. Kan även uppgraderas med spårbarhetsfunktioner och EcoDry som anpassar programmet efter lasten.

Klass ProgramtidB

från 20 minuter. 2kg last på 45 minuter. Enkel hantering. Kan uppgraderas med snabbprogram för t.ex. vinkelstycken. Kan även uppgraderas med spårbarhetsfunktioner

autoklaver lagrar all data på USB. Kräver inte årlig service - serviceintervall 4.000 körningar - det är bra ekonomi!

W&H Nordic AB, t: 08-445 88 30, office@whnordic.se,

wh.com :whnordic

UTGIVARE

Sveriges Tandhygienistförening Box 1419, 111 84 STOCKHOLM. Besöksadress: Oxtorgsgatan 9–11. 08-442 44 60. www.tandhygienistforening.seinfo@tandhygienistforening.se

UPPLAGA 3 500 ex. ISSN 1102-6146

NÄSTA UTGIVNING 11 november.

Att hoppas på det bästa men förbereda sig för det värsta

När denna text skrivs har vi haft krig i Europa under ett drygt halvår. Det är ett fasansfullt konstaterande efter att det varit fred i Europa i över 70 år. Statsmakterna rustar upp vårt försvar igen och tar steg mot nya säkerhetsallianser. Civil beredskap och totalförsvarsplikt för alla vuxna är något vi hör talas om mer och mer och vi vet att vi ska vara rustade att klara oss i hemmen utan el och vat ten under minst en vecka.

Men vad gäller för tandvården i händelse av kris eller krig? Tandhy gienistTidningen har talat med flera myndigheter och i denna tidning kan du läsa om den krisorganisation som finns, åtminstone för den offent liga tandvården. Vilka krav på att till exempel krigsplacera personal i pri vata tandvårdsföretag är inte klara ännu, men samtal pågår.

sid 30–32

Unikt samarbete ska gynna forskning Läs om den akademiska FTV-kliniken vid Karlstad Universitet.

PRENUMERERA Årsprenumerera på tryckt tidning! Beställ via e-post: info@tandhygienistforening.se. Priser inklu sive porto. Företag i Sverige: 525 kr. Företag inom Norden: 735 kr. Icke medlem och företag utanför Norden: 1 260 kr.

CHEFREDAKTÖR PRODUKTIONSANSVARIGOCH

Lena Munck, 070-971 84 redaktion@tandhygienistforening.se91

ANSVARIG UTGIVARE Yvonne yvonne.nyblom@tandhygienistforening.seNyblom

ANNONSER, MATERIAL

OCH BOKNING Christer Johansson, 070-574 55 annons@tandhygienistforening.se82

TIDNINGSLAYOUT Stina layout@tandhygienistforening.seOldmark Hållbarhet

Ett annat orosmoln är kompetens försörjningen inom tandvården, då det är svårt att rekrytera personal till mindre orter och många tandhy gienister kommer att gå i pension de närmaste åren. I denna tidning får du träffa några tandhygieniststude rande som praktiserade inom Folk tandvården Norrbotten i somras. De berättar att de lärde sig massor och absolut vill återvända till Norrbotten efter avslutad utbildning.Vikan bara fort sätta att hoppas på det

LENA MUNCK / REDAKTÖR

TRYCK

Trycks av Ljungbergs Tryckeri AB på G-Print från Grycksbo pappersbruk.

STHF – EN DEL AV SRAT

Sveriges Tandhygienistförening (STHF), är en förening inom SRAT, fackförbundet för akademiker inom hälsa, kommunikation och förvaltning. SRAT är ett av 23 medlemsför bund inom Saco.

3Tandhygienisttidningen / nr4 / 2022
Trevligbästa.läsning!
SVANENMÄRKETTrycksak30410116
är ett begrepp som det varje dag finns anledning att förhålla sig till. ORDFÖRANDE HAR ORDET Innehåll #4 Vad gäller för tandvården i händelse av kris eller krig? sid 34–35 sid 10–29 TandhygienistDagarna 2022 Ta del av referat och abstrakt. Praktik i norr Hör om två tandhygienisters intryck av sommarpraktik. sid 41–42 sid 4

hållbarhet är ett begrepp som det varje dag finns anledning att förhålla sig till. Sommarmånaderna har på olika sätt präglats av hur våra handlingar påverkar klimatet. Torka, översvämningar och alla de enskilda beslut vi tar både i privatlivet och i arbetslivet måste sättas i relation till långsiktig hållbarhet. Att jag som ordförande flugit till två olika konferenser under sommaren kan kännas tveksamt ur ett hållbarhetsperspektiv, jag är mycket medveten om det. Samtidigt kan vi inte helt avstå från att mötas, utvecklas, inspireras och lära av varandra. De två flygresorna jag gjort har gått till Dublin i Irland för International Symposium of Dental Hygiene och till Palma på Mallorca där Association of Dental Education in Europe samlades.

Vid samtliga arrangemang har hållbarhetsfrågor belysts ur flera perspektiv. Tandvården runt om i världen har vaknat upp och försöker bidra till en hållbar framtid. Det finns många både små och stora steg vi kan ta. Tandhygienistens arbete med att minska tobaksbruket är ett område som minskar efterfrågan på tobaksprodukter. Det minskar påverkan på miljön där tobaken odlas och förbättrar

hälsan för människor där tobak brukas.Tandvården har i enlighet med WHO:s mål i Agenda 2030 på de flesta håll infört återvinning, cirkulära system och minskat användningen av engångsmaterial, något som är helt nödvändigt och egentligen inte särskilt svårt. Vi har alla ett ansvar att skapa en strategi som omfattar hela tandvårdens försörjningskedja. Från producenten av material, till hur vi använder och hanterar utrustning och material. Att fråga och ställa krav på de produkter vi använder är en viktig faktor. Vi måste även samverka för att minska tandvårdens miljöpåverkan genom att se hur patienterna tar sig till mottagningen, liksom hur effektivt vi planerar och nyttjar den tid vi reserverar för våra åtgärder.Menkanske viktigast av allt: vi måste kunna erbjuda god, hälsofrämjande och förebyggande vård. Att inte behöva laga sina tänder ger en minimal miljöpåverkan jämfört med återkommande restaurerande tandvård. God oral hälsa ger färre interventioner och nöjdare patienter med bättre livskvalitet. God oral hälsa minskar användningen av material, minskar

kostnaderna för tandvård, minskar resandet och ger dessutom behandlaren en tillfredställande känsla. Den här utvecklingen måste börja redan under utbildningen för att sedan fortsätta prägla hur vi arbetar. Ett livslångt lärande innebär att vi behöver vidareutbildning inom vårt yrkesområde, men också att samverkan med andra professioner stärks och utvecklas så vi tillsammans kan bidra till en god hälsa.

WHO:s resolution WHA 74.5 rekommenderar tandvården att stärka forskning som syftar till folkhälsostrategier, teamarbete, minimal invasiv tandvård, alternativa fyllningsmaterial, en hållbar yrkesutveckling och analyser av hur en kostnadseffektiv tandvård kan utformas. Det låter i mina öron som en rekommenklokdation.

4 Tandhygienisttidningen / nr4 / 2022
2314 följer oss på Facebook. 1043 följer oss på Instagram. #sverigestandhygienister ORDFÖRANDE HAR ORDET MEDARBETARE I DETTA NUMMER / TIPSA OSS GÄRNA! CHEFREDAKTÖR lena munck redaktion@tandhygienistforening.se REDAKTÖRVETENSKAPLIG katarina konradsson Universitetslektor Umeå katarina.a.konradsson@umu.seUniversitet SKRIBENT lina gassner kanters linakanters@gmail.com SKRIBENT marie skoglund skoglundreportage@gmail.com SKRIBENT camilla adolfsson camilla.adolfsson@pratminus.se FOTOGRAF gunilla lundström gunilla.nu@icloud.com TIDNINGSLAYOUT stina oldmark layout@tandhygienistforening.se ANNONSANSVARIG christer johansson annons@tandhygienistforening.se KORREKTUR marinette ask shantibalans@gmail.com YVONNE NYBLOM / ORDFÖRANDE SVERIGES TANDHYGIENISTFÖRENING
Bio line Genom att tillverka i Grön PE, en fossilfri biobaserad polyeten producerad av sockerrör, minskar vi koldioxidhalten i atmosfären och hjälper till att rädda vår planet för framtida generationer. by Orsing Produkter i biobaserad fossilfri Grön PE. För en hållbar framtid www.orsing.se
Malin Ingvarsson , pratar matvanor, droger och tobak med sjunde klassare i skolan.

– Det är bara genom samverkan med andra samhällsaktörer som munnen kan fångas upp som en självklar del av kroppen

Tandvården måste synas ute på skolorna. Det anser Malin Ingvarsson, tandhygienist inom Folktandvården Kronoberg. Efter bara fem år i yrket är hon redan involverad i två projekt om munhälsa och levnadsvanor, direkt riktade till regionens högstadieelever.

vardagen som tandhygienist delar Malin Ingvarsson mellan Folktandvården Kronobergs kli niker i Braås, där hon är en dag i veckan, och Rottne, som är den större av de två. Snart ska hon dessutom börja som kliniksam ordnare – på bägge ställena.

Ändå vill hon gärna hinna med de projekt som engagerar henne. Ett började för flera år sedan och heter »Fimpar du, fimpar jag«. Det andra är ett just nu pågående informationsprojekt som vänder sig till sjundeklassare och handlar om hur de kan ta hand om sina munnar – och därmed även resten av kroppen – genom att lära sig mer om matvanor, droger och tobak. Tillsammans med en tandsköterska åker Malin Ingvarsson runt till de skolor som ingår i projektet och träffar sjuorna i deras klassrum.

− Det viktiga är att vi i tandvården blir synliga på skolorna, att vi möter elever i den miljö där de är dagligen och inte bara i behandlingsstolen, säger Malin Ingvarsson och fortsätter:

Fimpar du, fimpar jag är en metod för tobaksavvänjning som används i Region Kronoberg. Den vänder sig till ungdomar på högstadier, gymnasier och högskolor och innebär att man tillsammans med en kompis får hjälp och stöd att sluta röka eller snusa. I projektet medverkar tandvården, kon taktpersoner inom skola och på fritidsgårdar samt skolsköterskor.

− När vi är på plats träffar vi även lärare och fritidspersonal, och får också en inblick i skolans kafeteria och kan ge råd om vad de kan sälja mer än söta drycker och delicatobollar.

Svårt att få högstadie- och gymnasieskolor att nappa I Kronoberg finns redan »Simsalabim«, ett liknande projekt där yngre elever, bland annat barn i förskoleklass och femteklassare, är målgruppen. Uppdraget

att börja skissa på något motsvarande för högstadie- och gymnasieklasser kom när det blev uppenbart att det fanns riskområden med oroväckande hög kariesfrekvens bland ungdomarna. Men när skolorna fick ett första erbjudande om att medverka i projektet var det inte många som nappade.−Viinsåg att vi måste vara tydliga med att skolan är utvald just på grund av områdets höga kariesfrekvens, säger Malin Ingvarsson.Värdetav att skapa dialog med lärarna inför besöket kan inte nog understrykas.

− Genom att ge en bra förklaring till varför vi vill komma till deras skola får vi lärarna att vilja samarbeta med oss. De ser ofta att det finns problem, även om de inte är tandvårdspersonal, och förstår att det är viktigt att vi kommer dit, säger hon.

Väl på plats i klassrummet informerar hon om allt från tand vila till tobak och frätskador.

− Det finns mycket att prata om

7Tandhygienisttidningen / nr4 / 2022
LEVNADSVANOR

Information till sjundeklassare Genomförs som projekt på fem orter i Region Kronoberg: Alstermo, Alvesta, Lammhult, Lessebo och Åseda. Målgruppen är högstadieelever på skolor i områden med ökande kariesfrekvens bland ungdomar. Tandhy gienist och tandsköterska åker till skolorna och träffar eleverna där. Informationen omfattar allt från kariesprevention till tobak och droger. Under besöket görs även olika värderingsövningar och en dialog förs med eleverna.

som berör sjuorna. Dels är kunskapen om tandvila ganska låg. De flesta borstar sina tänder varje dag och äter inte särskilt mycket godis, men i stället äter de frukt med jämna mellanrum. Samtidigt måste vi prata tobak och nikotin. Vitt snus ökar jättemycket och det är samma sak med vejpandet, alltså e-cigaretterna, säger hon.

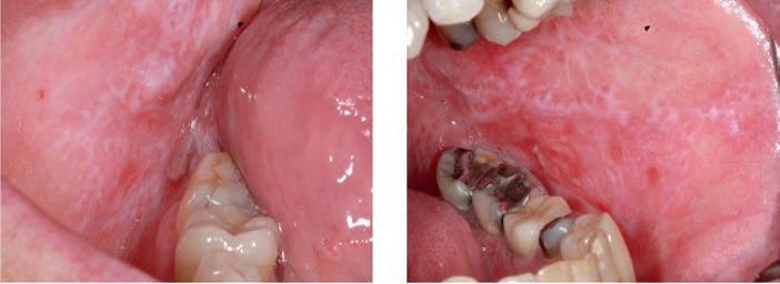
Hon brukar även komma in på sådant som att cannabis kan orsa-

ka svamp i munnen och att det går att se »andra saker som spökar« genom att undersöka munhälsan. − Bland annat visar vi bilder på frätskador som kan uppstå vid bulimi. Det är inte många som känner till att det är så det funkar, hur sammankopplad munnen är med resten av kroppen.

ochSkolsköterskorlärareärdelaktiga

Malin Ingvarsson skulle gärna se att samarbetet mellan tandvård och skolpersonal som kuratorer och skolsköterskor kunde utökas ytterligare. I projektet »Fimpar du, fimpar jag« har även skolsköterskorna varit delaktiga i arbetet med att få ungdomarna att sluta röka.−Bara att vi träffar varandra gör skillnad! Som det är nu kan vi enbart hänvisa till kurator och skolsköterska, om vi till exempel snappar upp att en elev mår psykiskt dåligt. Vi kan lyfta att vi ser, och försöka hjälpa genom att hänvisa till annan hjälp. Men det bästa vore om vi alltid hade en dialog med andra yrkesgrupper som finns runt den enskilda individen, så att

patienterna inte behöver känna att de slussas runt hela tiden, säger hon.

Efterlyser rutiner Malin Ingvarsson konstaterar att det bara är genom samverkan med andra samhällsaktörer som munnen kan fångas upp som en självklar del av kroppen. I en drömvärld skulle det finnas ett tvärprofessionellt team runt varje patient.−Inom till exempel sjukhusvård finns nätverksträffar och samverkan med psykologer och dietister, medan tandvården ofta kommer lite i skymundan, säger hon och fortsätter:−Viärtydliga mot eleverna med att vi inte bara kollar munnen och dess sjukdomar, utan också kan vara en väg in i andra sjukvårdskontakter. Själva vägen måste vi däremot jobba på. Vi har rutiner för hur vi ska göra om vi upptäcker att ett barn far illa. Men inte om vi misstänker att en tonåring har psykiska besvär, ätstörningar eller använder droger.

– Vi har rutiner för hur vi ska göra om vi upptäcker att ett barn far illa. Men inte om vi misstänker att en tonåring har psykiska besvär, ätstörningar eller droger.använder
TEXT OCH FOTO: CAMILLA ADOLFSSON
8 Tandhygienisttidningen / nr4 / 2022

A choice that matters – hjälp oss i kampen mot cancer

På TePe arbetar vi med hållbarhet och hälsa för människor världen över. Därför engagerar vi oss i Cancerfondens Rosa Bandet-kampanj. Varje köpt produkt bidrar till cancerforskning – alla bidrag räknas.

#tillsammansmotcancer

AD6081SE

Orala slemhinnesjukdomar och immunsystemet – vad vet vi? Vad ser jag? Vad gör jag?

TandhygienistDagarnas andra föreläsningsdag inleddes med ett mycket intressant föredrag om slemhinneförändringar med ursprung i immunologiska reaktioner. Bengt Hasséus, professor vid avdelningen för oral medicin och patologi på Sahlgrenska akademin vid Göteborgs universitet inledde sitt anförande med en snabblektion i immunsystemets olika delar och funktion.

immunsystemet består av olika typer av celler i hela kroppen, men de kraftsamlar i hög koncentration i till exempel tonsiller, thymus och lymfknutor. Huvuddelen av vårt immunförsvar, 70 procent, finns i mag-tarmkanalen. Immuncellerna är utbildade i att känna igen kroppsegna celler, men ibland går det fel och i stället för att reagera på främmande celler ger de sig på kroppens egna vävnader och vi får en så kallad autoimmun reaktion.

autoimmuna sjukdomar kännetecknas av att :

• K roppens egna vävnader misstol kas som främmande och immunsystemet ger sig på dem.

• I mmunsvaret vanligen orsakar en inflammation någonstans i kroppen.

• Vanliga symtom är trötthet, feber, smärta i muskler och leder, svullna leder eller körtlar, buksmärtor eller matsmältningsproblem, hudproblem.

• Symtomen kan vara milda eller svåra, kommer ofta växelvis i perioder med symtom respektive symtomfrihet/milda symtom.

• Det finns många olika sorters autoimmuna sjukdomar.

• Det vanligen är kvinnor som

insjuknar, flera i samma familj kan vara drabbade.

immunologiskt medierade sjukdomar som manifesteras i munhålan :

• Orala lichenoida lesioner - oral lichen planus, olp - lichenoida kontaktreaktioner - lichenoida läkemedelsreationer

- Graft versus Host Disease, gvdh

• Systemisk Lupus Erythematosus, sle

• Pemfigus

• Pemfigoid

• Sjögrens syndrom

olp drabbar cirka 1 procent av befolkningen och klassificeras efter utseende – de icke symtomgivande retikulära, papillära eller plaque liknande samt de symtomgivande erytematösa, ulcerösa eller bullösa. I mikroskop ses en ansamling av inflammationsceller och tillståndet innebär en kronisk inflammation. Behandling kan ske med lokal applicering av kortisonpreparat (Klobetasol munhålegel APL) och i svåra fall per oral systemisk behandling med cytostatika i lågdos (Metotrexate). Det senare sker alltid i samverkan med hudklinik och patienten måste följas med

regelbundna kontroller av blodvärden. (Metotrexate har ATC-kod L04 och patienten är berättigad till Särskilt tandvårdsbidrag, förf. anm.) Om symtomgivande OLP även involverar gingivan behöver patienten instrueras anpassade skonsamma munhygientekniker och bör följas med regelbundna stödbehandlingar. OLP är potentiellt malign och auditoriet fick se exempel på patientfall där OLP utvecklats till skivepitelcancer.

lichenoida kontaktreaktioner uppstår som lan,tillvårdenföranvisningarmånader.utläkningkontaktellerBehandlingenfaktornDenitandfyllningsmaterialelallergi.IV)överkänslighetsreaktionerfördröjda(typochkanjämförasmednick-Lesionernaorsakasavsomliggerkontaktmedmunslemhinnan.isärklassvanligasteutlösandeäramalgamfyllningar.beståribyteavdendefyllningarsomliggerimedslemhinnanochgeravlesioneninomsex(Patientenärefterlokalaberättigadtilltandvårdavgiftersomihälso-ochsjuk-kategoriS11,förf.anm.)Ävenläkemedelkangeupphovlichenoidareaktionerimunhå-relativtomgåendeellerefter

TANDHYGIENISTDAGARNA 2022
Tandhygienisttidningen / nr4 / 202210

BengtHasséus

Oral lichen planus. Bilateralt ses i buccalslemhinnorna typiska retikulära vita strieringar med ett underliggande erythem.

lång tids användning. Behandling sker i kontakt med behandlande läkare, eftersom den innebär att det orsakande läkemedlet behöver bytas eller sättas ut. Vi fick se ett patientfall med en reaktion utlöst av Salazopyrin, för behandling av psoriasisartrit.Medanledning av att fler patienter behandlas med stamcellstransplantation (»benmärgstransplanta tion«) och att överlevnaden förbättras ser vi fler fall av GVHD, även i allmäntandvården. Vissa specifika cancersjukdomar eller autoimmuna sjukdomar kan medföra behandling med stamcellstransplantation, antingen med egna stamceller (autolog) eller donerade (allogen). Enbart allogen transplantation kan ge upphov till den allvarliga komplikationen GVDH, då det transplanterade immunsystemet uppfattar mottagarens vävnadstyp som främmande och attackerar mottagarens organ. Behandling sker med systemiskt och lokalt verkande stödbehandlingsbesök.munhygieninstruktionerkangingivankanläkemedel.immunosupprimerandeGVHDimunhålanvaramycketsmärtsamochomärdrabbadavreaktionenpatientenbehövaanpassadeochtäta(Patienten

är berättigad till STB eller kan efter lokala anvisningar vara berättigad till tandvård för avgifter som i hälso- och sjukvården, förf.anm.)

sle är en kronisk reumatologisk sjukdom som är vanligare bland kvinnor än bland män. (Patienten är efter lokala anvisningar berättigad till tandvård för avgifter som i hälso- och sjukvården kategori F6, förf. anm.) Sjukdomsdebut sker ofta redan vid 20–30 års ålder och den kan drabba olika organ såsom hud, slemhinnor eller inre organ, mellan 30 och 40 procent av patienterna har även orala läsioner. Ett vanligt hudsymtom är så kallat fjärilsexantem, röda hudföränd ringar som fjärilsvingelikt breder ut sig från näsryggen ut över kinderna. Behandling sker med lokal och systemisk immunosuppression och även vid detta tillstånd kan anpassade munhygieninstruktioner och stödbehandlingar vara indicerade.

pemfigoid är ett tillstånd där immunförsvarets antikroppar angriper hemidesmosomerna som fäster epitelet mot bindväven och resulterar i att hela epitelet släpper från basalcellslagret och yttrar sig som blåsbildning. Sjukdomen kate

goriseras i slemhinne-, bullös och graviditets-pemfigoid. Munhålan är den vanligaste lokalisationen för slemhinnepemfigoid och ett klassiskt fynd är »Nikolskys tecken«, då hela ytskiktet släpper vid lätt belastning och ficksonden kan löpa under slemhinneepitelet. Sjukdomen behandlas med lokal immunosuppression genom att munhålan sköljs med Klobetasol. I svårare fall ordinerar behandlande hudläkare immunosuppression.systemiskOfta är

gingivan drabbad och patienten behöver munhygieninstruktion och stödbehandlingar.Vidpemfigusangriper immunsys temets antikroppar desmosomerna, som fäster epitelets keratocyter vid varandra, så epitelet spricker upp i sår. Pemfigus vulgaris är den vanligaste formen och debuterar ofta i munhålan. (Patienten är enligt lokala anvisningar berättigad till tandvård för avgifter som i hälsooch sjukvården kategori F11, förf. anm.) Varningstecken kan vara ospecifika sår och blåsbildningar under lång tid. Munslemhinnan kan även se vitaktig ut av vätska som ansamlas mellan epitelets celler (intraepitelialt ödem). Till ståndet behandlas med systemisk

foto : bengt hasséus
Tandhygienisttidningen / nr4 / 2022 11

(hudklinik) och lokal immunosupp ression (sköljning med Klobetasol). Anpassade munhygientekniker och stödbehandlingar behövs om gingivan är involverad.

sjögrens syndrom , ss , är en reumatologisk sjukdom som involverar exokrina (utsöndrande) körtlar och kategoriseras i primär SS alternativt sekundär SS. Båda tillstånden innebär mun- och ögontorrhet. Vid sekundär SS har patienten även ytterligare reumatologisk sjukdom såsom reumatoid artrit eller SLE. SS är en multifaktoriell inflammatorisk sjukdom som drabbar cirka 0,5 procent av befolkningen. Det kan finnas predisponerande gene tiska faktorer, men även triggande exogena faktorer, såsom virus, har diskuterats. Var tjugonde person med SS riskerar dessutom lymfom. Patientens muntorrhet medför en ökad risk för karies och oral svampinfektion. (Patienten är berättigad till STB, förf. anm.)

slutligen fick vi en uppdatering om aftös stomatit, afte, som inte räknas som en autoimmun sjukdom. Vad som orsakar afte är okänt, men immunologiska mekanismer är involverade. Ungefär 2 procent av den vuxna befolkningen har erfarenhet av afte. Afte kännetecknas av återkommande lesioner och kategoriseras i minor (<1 mm), major (>1 mm) och hepetiforma (multipla). Vissa systemsjukdomar är förknippade med afte, såsom Mb Chron, ulcerös colit och Celiaki, vilka också är lokaliserade till mag-tarmkanalen. Vanligen härdar den drabbade ut tills läsionen/ läsionerna har läkt. Om lesionerna är mycket utbredda eller smärtsamma, såsom major afte på gombågarna, kan behandling sättas in. Sköljning eller pasta med kortison eller sköljning med klortetracyklin är exempel på lokal behandling. För lokal smärtlindring kan Lidocainhydroklorid i Oral Cleaner APL förskrivas.

bengt hasséus avslutade sin innehållsrika föreläsning med någ ra budskap att ta med hem:

• I mmunologiskt medierade sjukdomar manifesterar sig ofta i munnen.

• Kunskap om immunologiska orsaker till sjukdomar ger oss bättre förutsättningar för diag nos, behandling och information till patienten.

• I mmunologiskt baserade medicinska behandlingsmetoder ökar, till exempel vid cancer och reumatiska sjukdomar.

• Tandvården är den del av hälsooch sjukvården som har bäst kunskap om munnen – vi är en viktig del vid omhändertagandet av patienten.

12 Tandhygienisttidningen / nr4 / 202212Tandhygienisttidningen / nr2 / 2022

Agneta Lagercrantz, författare och journalist, var en av de uppskattade föreläsarna under TandhygienistDagarna i Linköping. Läs hennes

sammanfattning av sin föreläsning om självmedkänsla, empatitrötthet och vad du själv kan göra för att må bra på lång sikt.

Världens bästa knep för att må bra

» av alla knep för att bli mer tillfreds är det allra viktigaste just att ha självmedkänsla, att se på sig själv med välvilja och omtanke.«Såbrukar en professor i USA sammanfatta sin »lyckokurs« som hon håller för sina stressade psykologistudenter på Yale-universitetet. Att acceptera sig själv som man är har i forskning visat sig vara den enskilt viktigaste faktorn för psykiskt välmående. Omvänt har självkritik starka samband med psykisk ohälsa.

Skilj mellan sak och person

Jamen då så! Då är det väl bara att börja älska sig själv? Nja. Älska är ett stort ord som de flesta förknippar med känslor för någon annan. Att i stället närma sig djup självacceptans och minskad självkritik genom medkänsla med sig själv är betydligt lättare att praktisera.Självmedkänsla är kort och gott att vara lika vänlig mot sig själv när man gjort fel som man är mot andra i liknande situation. Inte låta den inre rösten väsa »Skärp

dig!« för att man inte är perfekt eller inte gör rätt från början. För sådan självkritik är mer förödande än man kanske tror. Många kan beskriva hur den inre kritikern låter, vilket tonfall den har, till och med ansiktsuttrycken. Och det

kan gå fort från »Jag har gjort fel« (sak) till »Jag är fel« (person). Då skäms vi och går undan, hackar på oss själva eller fastnar i en ängslig vaksamhet: »DugerForskarejag?«som utvecklat

kurser i självmedkänsla har kunnat slå fast att vi reagerar på vår inre kritiska röst på precis samma sätt som på yttre faror. överleverHotsituationervijugenom att antingen gå till attack, springa därifrån eller »spela död« sättsutsöndrassammasjälvkritikpåDessaständigdenochosshotmänskligavifrys-responsen).(kamp-flykt-Omupplevervårainre,bristersomettgörvilikadant:slårpåsjälva(kamp),skämsvillsjunkagenomjor-(flykt)ellerfastnariutvärdering(frys).nedärvdaresponserhotaktiverasävenavvilketgörattstresshormonersomnärviut-förfarautifrån.

Gör så här

Träning i självmedkänsla innebär att möta alla dessa tre responser med dess respektive motvikt. I stället för att hacka på sig själv –

Agneta Lagercrantz
13Tandhygienisttidningen / nr4 / 2022 TANDHYGIENISTDAGARNA 2022

prata vänligt. I stället för att gå och gömma sig i tron att man är den enda i världen som inte är perfekt – tänk på att alla människor har fel och brister, du är inte ensam. Och i stället för att fastna i självupptaget ältande om att man inte duger – lyft blicken, rikta uppmärksamheten mot vad som händer här och nu. Den här sortens lugnande, tröstande och förstående inställning sätter nämligen igång vårt nedärvda trygghetssystem som hjälper oss med anknytning, samarbete och återhämtning. När detta system aktiveras, utsöndras lugn- och ro-hormoner som blockerar stresshormonerna. Det sker främst genom kroppskontakt och stöttande bemötande. Man kan också sätta i gång lugnet i kroppen genom att lägga en hand på bröstet eller stryka sig över armen eller kinden. Låt sedan din inre kritiker ha snälla ögon, en lugnande röst och säga vänliga saker. Prova! Förändringen sker direkt.

Medel mot utbrändhet Självomsorg har också visat sig vara ett medel mot utbrändhet inom vård- och omsorgsyrken. I roller där det ingår att mildra andras lidande uppstår ofta något som har kallats emotionellvårtattförvirrande,hjälpatiskapersonermedstressgörasinattmyntatforskaresåallaDennaneransträngande,empatin,Inlevelseförmåganempatitrötthet.iandraskänslor,ärmedföddmenkanblieftersommankän-andraslidandesomsitteget.»empatiskasmärta«finnsivårdrelationer.Denkanslitahårtpåpersonalenattomsorgs-vidUmeåuniversitetharbegreppetsamvetsstress;alltföroftabehövaageramotempatiochsittsamveteförattjobbet.Ettskyddmotdennaärattstängaav,ochtillochupplevameningslöshet.Försomsersigsomempa-ochharvaltsittyrkeförattandrakanreaktionenblimenärettuttryckförarbetsbelastningenhardrabbatempatiskasystemochletttillutmattning.Nästasteg

är vad Umeå-forskarna kallar för samvetsstress. Personer med empatitrötthet eller samvetsstress är i betydligt högre grad sjukskrivna för utbrändhet än andra.

En mätning i Umeå 2012 visade att nästan fyra av tio vårdanställda stänger av sitt samvete för att kunna jobba kvar, nästan en fördubbling jämfört med motsvarande studie 2004.

Kan man göra något för att inte hamna i samvetsstress och empatitrötthet?

Forskare som har studerat hur hjärnans respons fungerar på lidande och självkritik menar att man kan lära sig att inte fastna i att »känna andras lidande i sig själv«, vilket upplevs som en negativ, stressande känsla. I stället kan man gå in i en mer kognitiv empati, full av förståelse och sympati för den andra, och öva på en närvarande medkänsla. Personer som gör det upplever jobbet mer positivt, blir mindre sjuka, samarbetar mer med sina kolleger och blir inte »uppätna« av andras känslor. Vetskapen om att man vill göra allt för att hjälpa och att man gör så gott man kan bär dem långt. Då är det också vanligare att det empatiska flödet går i bägge riktningarna och bidrar till en känsla av ömsesidighet. Det ger kraft, mening och energi åt den som ger vård.

Att anställda inom vård, hälsa och omsorg lämnar yrket är en tendens i många västländer. En amerikansk psykolog menar att en del av problemen kan handla om vår västerländska »hjältemyt« – att vi tror att vi måste klara allt själva, vara perfekta från början och att det är ett tecken på svaghet och egoism att be andra om hjälp. Hon lär ut självomsorg som skydd mot utbrändhet, och börjar från de ofta försummade grundläggande behoven. Eget välmående, som att äta, sova och röra på sig, måste tillgodoses först. Sedan behöver vi fyllas på genom att ta emot andras omsorg. Därefter är vi rustade att

utvidga vår omsorg till att också kunna ge till och hjälpa andra.

Självomsorg är en del av självmedkänslan

Alla kan lära sig självmedkänsla, men de som har lättast att öva på vänlighet, stöd och förståelse för sig själva har oftast fått den omsorgen under uppväxten. Genom att knyta an till känslan av tröst och tillit, till exempel minnas hur det var att tröstas och bli omhändertagen som liten, kan vi lugna det stressade tillstånd vi hamnar i av vår egen självkritik. så här: Rikta känslan av omsorg till dig själv. Lägg en hand på bröstet. Känn hjärtat slå och andetagen lugna sig. Säg något vänligt, tala med lugn röst, påminn dig om att alla människor har fel och brister.

glöm inte att öva ! Man behöver inte lyckas eller uppnå något »må bra en gång för alla«-tillstånd. Intentionen, andemeningen i att vilja sig själv väl, räcker längre än du anar. Kanske kan du be den inre, tillrättavisande rösten att backa lite, för nu har du hittat ett nytt sätt att bli trygg och må bra. Som professorn på Yale säger: »Av alla knep för att bli mer tillfreds är det allra viktigaste att se på sig själv med välvilja och omtanke.«

Lycka till med din självmedkänsla!

14 Tandhygienisttidningen / nr4 / 2022

BATTERITANDBORSTE med soniska vibrationer

DAILY SENSITIVE

12 000 soniska vibrationer per minut.

Masserar tandköttet tack vare mjuka borststrån och soniska vibrationer

Utbytbart borsthuvud & batteri

Når 50% mer effektivt in mellan tänderna* och tar bort 47 gånger mer plack under tandköttskanten* +50%

GUM® SONIC SENSITIVE för känsliga tänder och tandkött

* vs. vanliga tandborstarmanuella(internrapport)

I samarbete med Sveriges Tandläkarförbund

Djupare rengöring Når 88 % djupare mellan tänderna och 121 % djupare under tandköttskanten*

* vs. en manuell tandborste för känsliga tänder

För ytterligare information eller prover, kontakta: professional.sunstargum.com/se

MALIN ÖSTEDT

Södra Stockholm, Karlskoga, Sörmland, Östergötland, Dalarna samt 0733-01malin.ostedt@se.sunstar.comGotland0820

JENNY BJÖRKÉN

Centrala Stockholm (n:a Stockholm & Gamla stan), Uppland, Västmanland samt Norrland 0709-20jenny.bjorken@se.sunstar.com1688

PERNILLA BOOK Västra Götaland, Värmland, Halland, Jönköping samt 0709-10pernilla.book@se.sunstar.comVästervik6202

SHILAN MADJID

Skåne, Blekinge, Kronobergs län samt Kalmar 0709-26shilan.madjid@se.sunstar.comlän7001

NYHET!

Munhålan tillhör kroppen –den parodontala hälsans betydelse för allmänhälsan

Munhålan tillhör kroppen och parodontologi är spännande och roligt, fastslogs på TandhygienistDagarna i Linköping av auditoriet och den engagerade föreläsaren Anna Bogren, lektor och övertandläkare vid Umeå universitet. Anna Bogren är även ordförande i Svensk förening för parodontologi och implantologi.

ingen inom tandvården kan ha missat de senaste decenniernas forskningsrön som visar på ett tydligt samband mellan parodontit och olika allmänsjukdomar, men teorin om att parodontal hälsa är viktig är inte ny. Redan på de gamla grekernas tid, för mer än två tusen år sedan, ordinerade läkaren Diocles från Carystus daglig rengöring av tändernas alla ytor genom att gnugga bort fastsittande partiklar med fingrarna som doppats i pulveriserad mynta.

I början av 1900-talet presente rades teorin om fokalinfektion, det vill säga att infektioner i munhålan skulle kunna orsaka allmänsjuk domar (Miller, 1911). År 1960 publicerades den första studien som visade att parodontal behandling minskade behovet av insulin hos patienter med diabetes (Williams & Mahan). År 1989 kom banbrytande forskningsresultat där man såg en association mellan oral hälsa och akut hjärtinfarkt (Mattila et al.). Den första artikeln om en koppling mellan barns låga födelsevikt och parodontit hos modern publicerad es 1996 (Offenbacher et al.).

På 2000-talet kom studierna som visade på ett samband mellan förtida död och parodontit (Soikkonen et al. 2000, Söder et al. 2007, Linden et al. 2012). Numer

LÄKEMEDEL SOM PÅVERKAR BLÖDNINGSTID

finns evidens för att parodontit kan kopplas till sjukdomar i många olika organ såsom lungor, hjärna, tjocktarm, lever, njurar eller leder förutom redan etablerad kunskap gällande hjärt- och kärlsjukdom och diabetes (Hajishengallis, 2022). Viktigt att komma ihåg är att det som redovisas är associationssam band och inte orsakssamband.

till dags dato finns mer än 53 000 vetenskapliga artiklar i

ämnet och den som vill hålla sig uppdaterad om det senaste inom forskningen får svårt att hålla jämn takt med de studier som publiceras. På några få dagar identifierade föreläsaren nästan fyrtio nya artiklar på Pub Med för sökorden »periodontal medicine«.

hjärt - och kärlsjukdom och diabetes står för en mycket stor del av sjukdomsbördan i världen. Hjärt- och kärlsjukdom drabbar över två miljoner personer i Sverige, det är den vanligaste dödsorsaken i Sverige och globalt. En halv miljon svenskar har diabetes, varav var tionde typ 1. Diabetes typ 2 ökar med stigande ålder och mellan 10 och 20 procent av befolkningen som är äldre än 65 har sjukdomen. Men mörkertalet är stort, man räknar med att var tredje fall kan vara odiagnosticerat.

kronisk inflammation tycks vara den gemensamma nämnaren för parodontit och de systemiska sjukdomar den kan kopplas till såsom, stroke, hjärtinfarkt, nedsatt insulinkänslighet eller cancer. Inflammation är en komplex biologisk reaktion som svar på infektion eller vävnadsskada. Det frisätts ett antal olika ämnen som ska aktivera immunsystemet, till exempel

16 Tandhygienisttidningen / nr4 / 2022 TANDHYGIENISTDAGARNA 2022
Primär (trombocyternashemostas funktion):
Acetylsalicylsyra (ASA) • Cox-hämmare (NSAID) • K lopidogrel, Plavix, Brilique, Efient
Naturläkemedel ex Ginko biloba, vitlök, Omega-3 Sekundär (koagulation):hemostas
Warfarin (Waran)
NOAK (Non-vitamin K Orala AntiKoagulantia)
P radaxa, Xarelto, Eliquis, Lixiana

cytokinen IL-6 eller C-reaktivt protein (CRP, »snabbsänka«). Vid kronisk inflammation sker processen kontinuerligt. Personer med parodontit har signifikant högre nivåer av CRP och IL-6 jämfört med parodontalt friska. Behandling av parodontit ger sänkta nivåer av både IL-6 och CRP. Personer som har både parodontit och hjärt- och kärlsjukdom har signifikant högre nivåer av CRP än vad som ses hos personer med enbart den ena av sjukdomarna.

risken för bakteriemi – att förattharförkalkadeboserharactinomycetemcomitansP.parodontalalångtimikrofloranprodukterBakterierpatienteravökaretttändernaaktiviteterkaninflammerad.ökarspridsmunhålebakterieriblodbanorna,omgingivanärProcessenutlösasavvardagligasomattborstaellertuggapåäpple,menriskenbetydligtvidscalingfördjupadefickorhosmedparodontit.ochbakterie-fråndenoralakanhittasblodkärlochvävnaderifrånmunhålan.DepatogenernagingivalisochA.hittatsiaterotrom-(blodpropparikärl)ochidjurförsökmantillochmedkunnatpåvisaP.gingivalisaktiverarprocessenateroskleros(Sanzetal.2020).

då inställer sig genast frågan om behandling av parodontit skulle kunna förebygga hjärt- och kärlsjukdom? Av förklarliga etiska skäl är det inte möjligt att genomföra prospektiva RCT interventions studier (försökspersonerna delas slumpmässigt in i grupper som får

behandling respektive blir utan), men observationsstudier presenterade i en Cochranerapport 2020 visade att parodontal behandling minskade incidensen av hjärt- och kärlsjukdom.Förekomsten av parodontit är vanligare hos personer med diabetes och prediabetes än hos personer

en grundlig allmän anamnes är viktig att ta upp inför behandling av en patient med parodontit. Är patienten fullt frisk? Läkemedel som påverkar blödningstiden? Kom ihåg naturläkemedel! Allergier? Rökning? Diabetes – i så fall sedan hur lång tid och är den välkontrollerad?Undvik scaling första tiden efter hjärtinfarkt eller stroke. Om patienten tar läkemedel som påverkar blödningstiden bör

domavellerfeberOmOrlandi(Grazianiscalingnågotinflammationveckolång24påbesökbettetprimärapron,AnvändinomskaPatienterfördelasbehandlingenuppsektionsvisbättrekontroll.somtarWaranhaettINR-värdegränsvärdena2–3.gärnaCyklokasomförlängerdenhemostasen.Närscalingavhelaskervidettlängreelleruppdelatflerabesökinomtimmartriggasensystemiskigång,somintesesomskersektionsvisetal.2015,etal.2019).patientenbrukarfåefterdepurationompatientenliderhjärt-ochkärlsjuk-kandetfinnas

med normala blodsockernivåer (Genco 2020). Framför allt dåligt kontrollerad diabetes kan förvärra parodontal inflammation och medföra försämrad läkningsförmåga (Nascimento 2018). Forskningsläget är fortfarande oklart om lyckad behandling av diabetes leder till förbättrat parodontalt status eller vice versa – om parodontal behandling har effekt på HbA1c (»långtidsblodsocker«) hos personer med diabetes.

anledning att överväga att dela upp behandlingen i kortare pass över en längre period.

vi kan inte längre blunda för att inflammation i tändernas stödjevävnader påverkar andra delar av kroppen och med anledning av detta har den healthyskrifternamedparodontologföreningeneuropeiska(EFP)samarbetspartnerspublicerat»Healthygumsforaheart«,»Takecareofyour

Anna Bogren
17Tandhygienisttidningen / nr4 / 2022

gums, control diabetes« och »Time to take gum disease seriously« riktade till allmänheten. Grav parodontit är den sjätte största icke smittsamma sjukdomen globalt, cirka 11 procent är behandla,medelsjukdomkahälftenmensexfaldigatsparodontaltGlädjandesvenskaärningarnaJönköpingsundersökdrabbade.visarattsiffranjämförbarävenförförhållanden.nogharandelenfriskanästansedan1973,fortfarandeärfleränavsvenskarnasju-(Norderydetal.2015).Parodontalärfördetmestamedenklafulltmöjligattförebyggaochsåmankanställasigfrå-

gan hur länge vi kan acceptera att av alla 50-åringar i Sverige som besöker tandvården har 60 procent lokal eller generell stödjevävnadsförlust i bettet. För var femte av dem omfattar stöd-

jevävnadsförlusten mer än en tredjedel av rotlängden på en majoritet av tänderna (SKaPa årsrapport 2020).

anna bogren avslutade sitt mycket intressanta föredrag med en fram tidsspaning som inkluderade bättre samverkan mellan tandvården och hälso- och flammatoriskakanskediabetesrutinmässigsjukvården,screeningföritandvårdenochriktadeantiinläkemedel vid parodontit.

18 Tandhygienisttidningen / nr4 / 2022
Du som har en dröm ... att starta egen verksamhet. Här är din chans, centralt belägen praktik i Helsingborg till salu. För mer info kontakta leg. Tandhyg. Kerstin Graneli Tfn: 070-3030650 eller info@kreadentum.se t KUMLATANDLÄKARNA t KUMLATANDLÄKARNA TANDHYGIENISTER SÖKES Nu söker vi drivna och glada tandhygienister till våra privata kliniker i Kumla och Handen. Även nyutexaminerade är välkomna att söka. 50-100% info@handentandlakarna.seinfo@kumlatandlakarna.seKONTAKTtjänst. Untitled-1 1/1/70 4:47:17 AM foto : anna bogren Parodontit i ett bett med omfattande rehabilitering.protetisk Anmäld till IVO? Som medlem kan du ta hjälp av etiskaTandhygienistersSverigesråd. tandhygienistforening.se
Upp till 90 % * av dina patienter har problem med tandköttet. Zendium kan hjälpa friskare tandkött för denna målgrupp. ** Dessutom lämplig för patienter med återkommande aftösa sår. (RAU) *** 0% SLS FSKONSAMORMULA *ww w.internetodontologi.se/parodontologi/gingivit **Baserat på resultatet för 113 personer som använde Zendium i en klinisk studie av tandköttshälsa , Storbritannien 2017. *** Green et al JDent 80 (2019)S33-S39 STÄRKER MUNNENS NATURLIGA FÖRSVAR EN EFFEKTIV MEN MILD TANDKRÄM VISSTE DU ATT ZENDIUM ÄR DEN MEST REKOMMENDERADE TANDKRÄMEN AV DANSKA TANDLÄKARE?

Låt oss tandköttsproblembehandlatillsammans

Ett steg längre för ditt tandkött www.gskhealthpartner.com Varumärken ägs av eller licensieras till GSK-koncernen. ©2021 GSK-koncernen eller dess licensgivare. PM-GL-PAD-20-00090 Scanna QR koden ifall ni önskar varuprover eller material på parodontax

Under TandhygienistDagarna hölls även ett vetenskapligt program med tre forskningsrapporter och fyra posterpresentationer. Tandhygienistprofessionens nya forskare har verkligen spännande saker att berätta. Mer om dem kan du läsa i de abstrakt du hittar i denna tidning och i utgåva nummer tre som kom ut i juni. Samtliga deltagare på TandhygienistDagarna 2022 har fått en videoinspelning av det vetenskapliga programmet. Det var en extra bonus i år.

Spännande ny forskning inom oral hälsa

annica almståhl , universitetslektor Sahlgrenska akademin vid Göteborgs Universitet, samordnade och presenterade det vetenskapliga programmet under TandhygienistDagarna 2022. De vetenskapliga presentationerna spelades in och skickades till anmälda deltagare efter TandhygienistDagarna.

MUNTLIGA PRESENTATIONER susanne lindqvist, odont. dr. Oral health, experiences of oral care, associated factors, and mortality among people in short-term care.

kristina edman, med. dr. Är tandhygienister och tandläkare en del av lösningen för att minska muncancer?

sara henricsson, doktorand. Självupplevd oral hälsa och orofacialt utseende hos äldre vuxna.

POSTERPRESENTATIONER

sandra lod dimenäs , doktorand. En teoribaserad undervisningsmodell för förbättrad munhygien hos ungdomar – en behandlingsstudie

ann - catrin andré kramer , odont. dr. Obstruktiv sömnapné i utbildning för tandhygienister – ett internationellt utvecklingsprojekt.

charlotte johansson, doktorand. Att stärka individens egen förmåga till munhälsa vid psykisk ohälsa.

amela fisic , doktorand Tandhy gienisters och tandläkares rutiner kring personer med muntorrhet.

kristina edman sara henricsson susanne lindqvist

sandra lod dimenäs amela fisic

charlotte johansson ann catrin andré kramer
21Tandhygienisttidningen / nr4 / 2022 KLINIK & FORSKNING
annica almståhl foton denna sida : gunilla lundström

Obstruktiv sömnapné i utbildning för tandhygienister – ett internationellt

tecken på obstruktiv sömnapné (OSA). Studier har visat att OSA även har samband med orala sjukdomar, såsom parodontit. Många symptom på OSA kan också härledas till munnen. Syftet med projektet är att utveckla och utvärdera metoder för att implementera kunskap om och träning av OSA inom tandhygienistutbildningen.

och mindre än var femte student (17,3 %) kände sig trygga med att kunna identifiera patienter med OSA. Efter interventionen (n=42) var motsvarande andel 59,5 %, respektive 35,7 % (p>0.05 resp. p=0.036). Studenterna hade signifikant bättre kunskap om prevalensen (p=0.006) samt diagnosmetod för OSA (p=0.045) efter interventionen.

André Kramer, Ann-Catrin*1), Lindmark, Ulrika1), Berggren, Kristina2), Erovic Ademovski, Seida3), Hopkins, Karelle4), Lunds bakken, Linda5), Wright, Bridget6)

1) Institutionen för hälsoveten skaper, Karlstads universitet, 2) Avdelning för Naturvetenskap och Biomedicin, Hälsohögskolan i Jönköping 3) Avdelning för Oral hälsa Högskolan i Kristianstad 4) Division of Dental Hygiene, Hocking College, USA 5) Sektionen för Folkhälsa, Högskolan i Innlandet, Norge 6) Division of Dental Hygiene, Ohio State University, USA

Syfte

Många personer lider av sömnproblem och har även regelbundna andningsuppehåll , vilket kan vara

Material och metod Samtliga studenter som går sin tredje termin på tandhygienistprogram i Sverige (tre lärosäten), Norge (ett lärosäte) samt USA (två lärosäten) bjöds in att delta (cirka 30 studenter/lärosäte). Fyra av dessa lärosäten deltar i en intervention bestående av både teori (före läsning, workshop) om OSA samt vid klinisk patientverksamhet. En validerad enkät om OSA (OSAKA, 23 frågor) används löpande vid sex tillfällen under utbildningen med start innan interventionen (baseli ne) till slutet av termin 6. Data från Sverige och Norge har studerats genom deskriptiva och univariata analyser (p<0.05).

Resultat

Preliminära resultat från baseline (n=81) visade att hälften av studenterna ansåg att OSA var en viktig klinisk avvikelse (49,4 %)

Slutsats

Slutsatser från preliminära analyser visar att de studenter som genomgått interventionen hade bättre kunskap om förekomsten och diagnosmetod av OSA samt kände större trygghet i förmågan att identifiera patienter med OSA jämfört med innan.

studien genomförs inom ramen för ordinarie forskningskompetensutvecklingstid.och

22 Tandhygienisttidningen / nr4 / 2022
KLINIK & FORSKNING foto : gunilla lundström
Ann-CatrinutvecklingsprojektAndréKramer , Institutionen för hälsovetenskaper, Karlstads universitet

SÄTTA LJUSET PÅ ILNINGAR

Forskning har visat att det är vätskan som rör sig i dentinkanalerna som är den främsta orsaken till ilningar 1-3. Genom att blockera dentinkanalerna kan vi minska vätskeflödet och därmed förhindra nervpåverkan. Men, fram till idag, har vi inte lyckats visualisera hur tandkräm

ocklusioner.bildarGSKConsumerHealthcareharendrivkraftattständigtutvecklaforskningeninomilningarförattkontinuerligtförbättravåraSensodynetandkrämer.Detharlettosstill

European Synchrotron Radiation Facility (ESRF) i Grenoble för att ta reda på hur vi bättre kan förstå tandkrämsteknologi.

Synkrotronen på ESRF är en maskin motsvarande åtta fotbollsplaner i storlek som producerar ljus som är hundra miljarder gånger starkare än sjukhusröntgen. Det gör det möjligt för forskarna att visualisera ända ner till atomnivå4 Genom att använda denna teknologi har vi kunnat se djupt in i tanden och hur tandkrämsformuleringar påverkar dentinocklusionerna över tid. Vi anser att det här är banbrytande forskning, säger Dr Christabel Fowler, Innovation Lead, Oral Health R&D, GSK Consumer Healthcare.

”Vi försöker ständigt förbättra våra tandkräms-formuleringar och genom forskning erbjuda det bästa skyddet och lindringen för personer som lider av ilningar. Om vi kan visualisera bättre hur våra tandkrämer fungerar är det lättare för tandvårdspersonalen att förstå vetenskapen bakom dem – och på så vis kunna hjälpa sina patienter att välja en tandkräm som förhindrar ilningar i tänderna”.

Vi har nu jobbat med Sensodyne Repair & Protect i omkring ett årtionde och ville visualisera verkningsmekanismen av den nya formuleringen som vi har utvecklat de senaste fyra åren: Sensodyne Repair & Protect Deep Repair, som är kliniskt bevisad att lindra ilningar och ge

skyddlångtidsverkandeettmotilningar5-7Menvivillegådjupareochseiännumerdetaljhurdetfungerar.Medanmanitidigarestudierharanväntelektronmikroskop

och bara kunnat analysera 30-40 dentinkanaler åt gången, kan man i synkrotronen scanna tusentals kanaler på bara ett par minuter. Vi kan nu se hur djupt ocklusionerna går och hur länge de stannar kvar. Eftersom visualiseringen med hjälp av synkrotronen är icke-destruktiv, kan man vi titta på samma dentinkanaler om och om igen under olika tidpunkter och följa effekten av Sensodyne Repair & Protect Deep Repair på ocklusionerna över tid.

Dr Madi, som leder studien på ESRF säger: ”Det kommer hända mycket mer, men den här spännande tekniken kommer kunna öppna nya dörrar vad det gäller att optimera

Vetenskaptandkrämsformuleringar.”försmå,speciella

stunder.

Livet är for kort för ilningar i tänderna.

Så mycket som en tredjedel av den vuxna befolkningen lider av ilningar – men bara omkring hälften av dessa tar aktivt upp problemet med sin tandläkare eller tandhygienist1. Det här är förvånande med tanke på att det finns en så enkel lösning på problemet som valet av tandkräm. Nu, tack vare ett banbrytande forskningssamarbete, kan vi börja se i detaljerade 3D bilder hur det fungerar. doi:10.1002/j.1875-595X.2002.tb00936.x. Sensory Mechanisms in Dentine, D. J. Anderson, Ed., pp. 73–79, Pergamon Press, Oxford, UK, 1963. 4 ESRF (2020) Synchrotron science, https://www.esrf.eu/about/synchrotron-science (Last accessed September 2019).

5 Hall C et al; ”Exploratory randomised controlled clinical study to evaluate the comparative efficacy of two occluding toothpastes - a 5% calcium sodium phosphosilicate toothpaste and an 8% arginine/calcium carbonate toothpaste - for the longer-term relief of dentine hypersensitivity”; J Dent 2017; 60: 36–43. 6 Clinical Study number RH01748, An Exploratory Study to evaluate the efficacy of two occlusion technology dentifrices in the relief of dential hypersensitivity, 2013. 7 Hall, C et al; ”Reducing Dentinal Hypersensitivity Improves Oral Health-Related Quality of Life”; J Dent Res, 2017; 96 B:062 BSODR. 8 In vitro report number G7322/014; Occlusion depth measurements and visualisation of Sensodyne Repair and Protect Deep Repair using Synchrotron X-ray Tomography and Focused Ion-Beam Scanning Electron Microscopy; 2020 Varumärken ägs av eller licensieras till GSK-koncernen. ©2021 GSK-koncernen eller dess licensgivare. PM-SE-SENO-21-00058

GSK Consumer Healthcare samarbetar med European Synchrotron Radiation Facility: Annons från Sensodyne
1 Addy, M. (2002), Dentine hypersensitivity: New perspectives on an old problem. International Dental Journal, 52: 367-375.
2 D. G. Gillam, Management of dentin hypersensitivity, Current Oral Health Reports, vol. 2, no. 2, pp. 87–94, 2015. 3 M. Brännström, “A hydrodynamic mechanism in the transmission of pain producing stimuli through the dentine,” in
ILNINGAR i tänderna? SensiVital®+ GUM® SENSIVITAL®+ tandkräm ger en DUBBELVERKANDE och hållbar SMÄRTLINDRING - omedelbart! • BLOCKERAR öppna små kanaler med hjälp av hydroxylapatit • FÖRSEGLAR öppningen på de små kanalerna med ytterligare ett skyddande lager av copolymer • FÖRSTÄRKER emaljen och exponerat dentin genom att främja remineralisering med hjälp av fluor och isomalt • LINDRAR nervändarna med kaliumnitrat ACTIONDUAL FÖRSTÄRKER LINDRAR PROUDBLOCKERARFÖRSEGLARTO CARE professional.sunstargum.com/se MALIN ÖSTEDT Södra Stockholm, Karlskoga, Sörmland, Östergötland, Dalarna samt 0733-01malin.ostedt@se.sunstar.comGotland0820 PERNILLA BOOK Västra Götaland, Värmland, Halland, Jönköping samt 0709-10pernilla.book@se.sunstar.comVästervik6202 JENNY BJÖRKÉN Centrala Stockholm (n:a Stockholm & Gamla stan), Uppland, Västmanland samt Norrland 0709-20jenny.bjorken@se.sunstar.com1688 SHILAN MADJID Skåne, Blekinge, Kronobergs län samt Kalmar 0709-26shilan.madjid@se.sunstar.comlän7001 PROVER? Kontakta gärna din lokala GUM®-representant för en GRATIS provbox med SensiVital®+ tandkrämsprover

Att stärka individens egen förmåga till munhälsa vid psykisk ohälsa

Charlotte Johansson , Institutionen för hälsovetenskaper, Karlstads universitet

som ett strukturerat behandlingsprogram, bygger på att individen själv sätter upp återhämtningsmål för ett mer meningsfullt liv.

Utifrån ett salutogent perspektiv avser projektet att utveckla, intervenera och utvärdera en oral hälsomodul som ett komplement till IMR-programmet. Den nya modulen, OH-IMR, har syfte att främja förutsättningar till goda munhälsovanor hos vuxna med svår psykisk ohälsa.

Charlotte Johansson*, Doktorand Folkhälsovetenskap, Leg. Tandhy gienist, Karlstads universitet Ann-Catrin André Kramer, Odont Dr, Leg. Tandhygienist, Karlstads universitet; Linda Beckman, Docent Folkhälsovetenskap, Folkhäl sovetenskap Karlstads universitet; Ingrid Rystedt, PhD Folkhälsovetenskap, Leg. Läkare, Linköpings universitet; Ulrika Lindmark, Docent Oral hälsovetenskap, Leg. Tandhygienist, Karlstads universitet

Bakgrund och syfte Det befintliga psykopedagogiska programmet, the Illness Mana gement and Recovery (IMR), rekommenderad i Socialstyrelsens nationella riktlinjer inom psykiatri

Metod Projektet innefattar fyra delstudier: 1) Intervjuer med psykiatripersonal (20 –25 personal) med kunskap om IMR-modellen, och deras erfarenhet av patienters orala hälsobehov; 2) Intervjuer med vuxna 20– 25 personer, ålder 18–30 år, med svår psykisk ohälsa (severe mental illness, SMI), om deras erfarenheter kring behov av och förhållningssätt till oral hälsa; 3) I samarbete med psykiatripersonal, utveckla en standardiserad modul för oral hälsa, OH-IMR, för vuxna personer med SMI som matchar och kompletterar IMR-modellen; 4) Genom intervention utvärdera genomförbarheten och betydelsen av OH-IMR-programmet bland personer med SMI. Data planeras analyseras med dels kvalitativ innehållsanalys

(delstudier 1, 2) samt statistiska deskriptiva och multivariata analyser (delstudier 3, 4).

Resultat

Projektet, som ligger till grund för ett avhandlingsarbete är i initieringsfasen. Resultatet förväntas visa på djupare förståelse om oral hälsa hos personer med SMI, både utifrån personal- och patientperspektiv. Vidare kan resultatet bidra till ny psykopedagogisk modul för bättre förutsättningar till personer med svår SMI att stärka sin egen förmåga att främja sin orala hälsa. Inga slutsatser kan dras i dagsläget.

projektet finansieras av Karlstads universitetet inom ramen för doktorandtjänst.

25Tandhygienisttidningen / nr4 / 2022
KLINIK & FORSKNING foto : gunilla lundström

En teoribaserad undervisningsmodell för förbättrad munhygien hos ungdomar – en behandlingsstudie

Sandra Lod Dimenäs, Institutionen för Odontologi, Sahlgrenska Akademin, Göteborgs Universitet

Syfte

Att pröva en personcentrerad och teoribaserad undervisningsmodell för förbättrat munhygienbeteende hos ungdomar, det vill säga ökat egenansvar i den infektionskontrollen.parodontala

Material och metod

Författare: Sandra L Dimenäs*1, 2, Birgitta Jönsson1, 3, Jessica S Andersson1,2, Jesper Lundgren4, Max Petzold5, Ingemar Abrahamsson1, 2, Kajsa H Abrahamsson1, 2

1) Avdelningen för Parodontologi, Institutionen för Odontologi, Sahlgrenska Akademin, Göteborgs Universitet, Sverige. 2) Specia listkliniken för Parodontologi, Göteborg, Folktandvården, Västra Götaland, Sverige. 3) Tannhelsetje nestens Kompetansesenter for Nord Norge (TkNN), Tromsø, Norge. 4) Psykologiska GöteborgsSamhällsvetenskapligaInstitutionen,Fakulteten,Universitet,Sverige.

5) Avdelningen för Samhällsmedicin och Folkhälsa, Institutionen för Medicin, Göteborgs Universitet, Sverige.

Data kom från en randomiserad klinisk fältstudie genomförd i Folktandvården, Västra Götaland, där 30 tandhygienister utförde behandlingarna. Studiedeltagarna rekryte rades bland 16–17 åringar som vid revisionsundersökning uppvisade dålig munhygienstatus, hög grad av plack och/eller gingivit, och därmed i behov av behandling för förbättrad munhygien. Den personcentrerade, teoribaserade, undervisningsmodellen (test) baserades på hälsopsykologiska principer och tandhygienisterna använde en kommunikationsmetod inspirerad av motiverande samtal. Testinterventionen bestod av tre besök under en tremånadersperiod innehållande bland annat att sätta egna mål för sin munhälsa och munhygienbete ende, samt planering och självmonitorering av munhygienbeteende. Den konventionella behandlingen (kontroll) utfördes i enlighet med tandhygienistens bedömning och gängse rutiner. Kliniska data (blödnings- och plackindex) och självrapporterade munhygienbeteenden utvärderades vid 6 månader.

Resultat

I studien inkluderades 312 ungdomar, varav 274 (88 %) ungdomar deltog till 6 månader. Utvärderingen vid 6 månader visade att blödnings- och plackindex förbätt rats statistiskt signifikant mer för testgruppen i jämförelse med kontrollgruppen. Ungdomar i testgrup pen rapporterade att de borstade tänderna och använde approximala hjälpmedel mer frekvent i jämförelse med kontrollgruppen.

Slutsats

En personcentrerad och teoribaserad behandling.iinfektionskontrollengienbeteendeförbättradeundervisningsmodellungdomarnasmunhyochdenparodontalamereffektivtjämförelsemedkonventionell

studien är godkänd av (NCT02906098).(Dnr:prövningsnämnd/myndighetEtik284-15).ClinicalTrials.gov

studien har genomförts med stöd från Forte (Forskningsrådet för hälsa, arbetsliv & samhälle), Regionala FoU-medel inom Västra Götaland, TUA-forskningsmedel från Västra tandvården,giskPatentmedelsfondenGötalandsregionen,förodontoloprofylaxforskningochFolk-VästraGötaland.

26 Tandhygienisttidningen / nr4 / 2022
KLINIK & FORSKNING foto : gunilla lundström
»Hållbar munhälsa – hållbar tandhygienist«
Vill presenteradu din forskning Tandhygienist-påDagarna2023? Anmäl ditt abstrakt Merinfo@tandhygienistforening.setillsenastden1februari.informationfinnspåhemsidan,www.tandhygienistforening.se

Tandhygienisters och tandläkares rutiner kring personer med muntorrhet

och innebär en ökad risk för oral ohälsa. Muntorrhet kan även påverka livskvaliteten och välbefinnandet negativt stördsmakförändringar,(sväljsvårigheter,svårtatttala,nattsömn).

Syfte

Att undersöka tandhygienisters och tandläkares rutiner kring personer med muntorrhet och/eller nedsatt salivsekretion samt deras kunskap om saliv.

Material och metod

Amela Fisic, doktorand*1, Ulrica Almhöjd, odont dr2, Hülya Cevik-Aras, docent3,4, Annica Almståhl, docent1,5

1) Sektion 4- Oral hälsa, Odontologiska fakulteten, Malmö universitet, 2) Avd för Cariologi, Institutionen för Odontologi, Göteborgs universitet, 3) Avd för Oral medicin, Institutionen för Odontologi, Göteborgs universitet, 4) Sjukhustandvården, Västra Gö talandsregionen, 5) Avd för Oral mikrobiologi och immunologi, Institutionen för Odontologi, Göteborgs universitet

Bakgrund Muntorrhet drabbar 20–25% av befolkningen

En digital enkät med 32 frågor har utvecklats i Sunet Survey och skickats till tandhygienister och tandläkare inom allmäntandvårds kliniker i Region Stockholm och Region Skåne. Enkäten kommer att skickas ut i Västra Götalandsregionen i februari.

Preliminära resultat Hittills har 202 personer besvarat enkäten, 112 tandläkare och 90 tandhygienister. Medelåldern var

42±12 år, 77% var kvinnor och 23% män. 94,6% uppgav att de fått utbildning kring saliv och muntorrhet i sin grundutbildning och 73,8% att de utfört mätning av salivsekretionen under sin yrkesverksamma tid. De ålders grupper som vanligast tillfrågades om muntorrhet var 41–65 år (82 %) och 65+ (85%). Av behandlarna uppgav 68 % att de träffar patienter med muntorrhet 1 g/v eller oftare. 99,5% informerade patienterna muntligt om muntorrhet och/ eller nedsatt salivsekretion, 29, 4% lämnade ofta eller alltid ut en informationsbroschyr. Salivstimu lerade produkter rekommenderas ofta eller alltid av 94 % och sali versättningsprodukter av 72,9%. Identifiering av individer med upplevd muntorrhet/nedsatt salivsekretion gjordes genom att ställa frågor om patientens tidigare och nuvarande läkemedelsanvändning, uppgav 90,5% av behandlarna. Av behandlarna ansåg 80,7 % att deras kunskap kring konsekvenser av muntorrhet och/eller nedsatt salivsekretion var bra eller mycket bra och 71,3% att deras kunskaper om omhändertagande av individer med muntorrhet och/eller nedsatt salivsekretion var bra eller mycket bra.

KLINIK & FORSKNING foto : gunilla lundström 29Tandhygienisttidningen / nr4 / 2022

Vi strävar efter att hela nomsyrasKronoparkenFolktandvårdenskage-avattdetärenakademiskklinik.

Unikt samarbete ska gynna forskning

Tandhygieniststudenterna får undervisning och patienterna vård till en lägre avgift. På många sätt liknar Akademisk Folktandvårdsklinik, AFK, i Karlstad landets övriga utbildningskliniker. Samtidigt är kliniken den första och enda i Sverige av sitt slag.

väntrummet är ett och samma. Oavsett om patienterna ska besöka sin ordinarie tandvårdspersonal på Folktandvården Kronoparken eller någon av studenterna på den akademiska folktandvårdskliniken i korridoren intill, är det här de sitter och väntar. Men de gemensamma lokalerna är bara en del av det numera täta samarbetet mellan Karlstads universitet och Region Värmland.Detinleddes för några år sedan och kom relativt raskt att utmynna i Sveriges första akademiska folktandvårdsklinik, AFK. En klinik som både liknar och skiljer sig från Sveriges andra utbildningskliniker.

– Det vi har, och som är unikt för oss, är att vi finns mitt i folktandvården. Vi har till exempel samma patientunderlag som Kronoparkens

folktandvårdsklinik och vi har två handledare som till vardags jobbar som tandhygienister inom folktandvården i regionen. De har med sig sin kliniska kompetens därifrån när de handleder våra studenter, säger Janna Lindroos, som är kliniskt utbildningsansvarig på AFK.

Forskning i samverkan. Karlstads universitet har i dagsläget två forskningsprojekt inom AFK:

• S ocioekonomiska och psykosociala faktorers påverkan på oral hälsa. Fokus på 6-åringar i socioekonomiskt utsatta områden.

• O ral hälsa och livskvalitet hos vuxna personer med sömnapné.

janna lindroos har rollen som kliniskt utbildningsansvarig på Akademisk Folktandvårdsklinik i Karlstad.
30 Tandhygienisttidningen / nr4 / 2022 TANDHYGIENISTUTBILDNING

Dessutom finns Kronoparkens tandläkare till hands för AFK enligt ett särskilt jourschema.

− Vid behov kan en tandläkare komma in och bedöma på plats, vilket är ett jättebra lärtillfälle för våra studenter. Oftast är det inget akut, och då bokar vi in att ansvarig tandläkare är med när patienten kommer till oss en andra gång, säger Janna Lindroos och konstaterar att det är en fördel att ha patienternas ansvariga vårdgiva re i samma hus:

− På de flesta utbildningskliniker finns de någon annanstans, på annat håll i folktandvården eller på en privat klinik. Här delar vi patienternas journaler med allmäntandvården och den patient som behöver fortsatt vård hos sin tandläkare kan lätt få det.

en konsekvens av upplägget blir att tandhygienistprogrammets stu denter – som i och med att det är en distansutbildning kommer från Sveriges alla hörn – slussas direkt in i Folktandvården Värmlands arbetssätt och regionala riktlinjer. Janna Lindroos påpekar att det är något de medvetet får förhålla sig till.

– Vi måste så klart följa de riktlinjer och rutiner som finns för

Folktandvården Värmland, men inte binda studenterna till just Värmland. Vi är tydliga med att så här gör vi här, men att det kan skilja sig åt från region till region. Det handlar om att kunna resonera kring vad som är lagar och regler som alla måste följa och vad som är regionala riktlinjer. När studenterna kommer ut på sin VFU kan det vara helt andra rutiner som gäller, säger hon.

rent geografiskt ligger Kro noparkens folktandvård bara ett stenkast från universitetets campus. Det har även tidigare funnits ett visst samarbete mellan Karlstads universitet och kliniken. Att det skulle återupptas och samtidigt fördjupas blev aktuellt 2018, när det stod klart att det sedan några år nedlagda tandhygienistprogram met skulle få en ny chans.

Examenstillstånd söktes och grönt ljus kom i april 2020. Den första kullen togs emot redan samma höst. Då hade även Folktandvården Kronoparken fått sitt tilläggsuppdrag som akademisk tandvårdsklinik och AFK kunde dra igång. Men på grund av pandemin fick den officiella invigningen av både tandhygienistprogrammet och AFK vänta till den 18 maj i år.

ann catrin andré kramer , tandhygienistprogrammets programledare, var nöjd med invigningsdagen den 18 maj då det bjöds på presentationer, mingel och musik. studierektor anita boström har haft en nyckelroll i att skapa samverkan mellan de tre områdena utbildning, forskning och klinik. Här syns hon på invigningsdagen den 18 maj.
31Tandhygienisttidningen / nr4 / 2022

helene wadensjö är prefekt på fakulteten för hälsovetenskaper vid Karlstads universitet.

en av alla talare på invigningsdagen var Helene Wadensjö, prefekt på institutionen för hälsovetenska per vid Karlstads universitet. Hon beskrev resan fram till i dag och den nya pedagogiska modellen som att »utmana det etablerade och utforska det okända«.

− Vi hade de här tankarna på att hitta ett mervärde för att stärka den evidensbaserade kliniska forskningen i Värmland ganska tidigt i processen. Eftersom vi är ett mindre universitet, inte en medicinsk fakultet, fick vi söka nya vägar, säger Helene Wadensjö.Vadinnebär då en akademisk

men,hygienistertandhygienisterihälsovetenskapkoppladeningsämneunderifrån.detditutbildningsämne.oral2023.ytterligareinomfinnsundersomdetenFokusfolktandvårdsklinik?påforskningärförståsviktigdel,ochpådetområ-ärverksamhetenochklinikenforskningsmiljöfortfarandeuppbyggnad.FörtillfälletiKarlstadtvådoktoranderoralhälsovetenskapochtvåskaanställasunderDenlångsiktigavisionenäratthälsaskabliettegetforskar-Menförattnåkrävsarbeteiflerastegochendaalternativetärattbygga−Förattfåbliforskarutbild-krävstvåprofessorertillämnet.MenoralärenungdisciplinSverige.Detfinnsfådisputeradeochävenfåtand-somharenmasterexa-sägerHeleneWadensjö.

hon hoppas att den akademiska tandvårdskliniken ska få fler studenter att få upp ögonen för den akademiska banan. Att fler ska se forskning som en karriärväg inom tandhygienistyrket.−Somdetseruti dag har vi inte många tandhygienister som ens är behöriga att söka doktorandtjäns ter. Vi håller därför på att bygga ut på utbildningssidan och har gjort

det möjligt att som tandhygienist ta en master i hälsovetenskap. Till hösten startar vi en kurs i oral hälsa på masternivå, med inriktning på den åldrande patienten. Och vi jobbar med att lite längre fram kunna erbjuda ett masterprogram för tandhygienister, säger hon.

utbildning och forskning är två av grundbultarna i samarbetet mellan regionen och universitetet. Den tredje är kliniken. I slutänden ska förstås både tandhygienisternas utbildning och den forskning som bedrivs komma patienterna till godo.Hittills har pandemin satt vissa käppar i hjulet för vardaglig sam-

verkan mellan AFK och personalen på Kronoparkens folktandvård. Men på sikt ska gränserna luckras upp.Janna Lindroos säger att målet med samverkan är att den ska vara givande åt båda håll.

− Vi har successivt lärt känna varandra över korridorsgränserna. Under pandemin var vi tvungna att hålla oss lite var för sig, men vi strävar efter att hela Folktandvården Kronoparken ska genomsyras av att det är en akademisk klinik, säger Janna Lindroos.

32 Tandhygienisttidningen / nr4 / 2022
TEXT OCH BILD: CAMILLA ADOLFSSON

V rengöringeniktigaste är mellan tänderna

EKULF pH professional är en komplett serie som passar alla tandmellanrum. Mellanrumstandborsten ger en effektiv rengöring mellan tänderna och tar skonsamt bort matrester och plack. Borsten kan också användas till implantat, broar, tandställningar, delproteser och dylikt.

Hela EKULF pH professional-serien är framtagen för den svenska apoteks marknaden och har färg- och storlekspositionering enligt svensk standard.

EKULFs mellanrumstandborstar har högsta tänkbara kvalité. Med 18 borstar i varje förpackning är den också en av marknadens mest konkurrenskraftiga sett till pris.

• Svensk färgkodning för respektive storlek

• Komplett serie mellanrumstandborstar 0,4 mm - 1,5 mm

• Cylindriska borsthuvuden 0,4 mm - 1,5 mm

• Koniska borsthuvuden 0,7 mm och 0,8 mm

• Serien har flest antal storlekar på den svenska marknaden för att anpassa sig till varje unikt tandmellanrum.

Läs gärna mer om EKULF och om våra produkter på www.ekulf.com Önskar ni mer information mejla order@ekulf.se eller ring 011-14

Scanna QR-koden pH Mellanrumsborstarprofessional EKULF pH professional mellanrumstandborste
för mer info
40 30. @ekulfab

Vad gäller för tandvården i händelse av kris eller krig?

I oroliga tider är det viktigt att veta vad som gäller. Även i krissituationer måste samhället fungera och medborgarna skyddas på bästa sätt. Inte minst sjuk- och tandvård har en viktig funktion. De flesta ska gå till jobbet som vanligt.

Det nya säkerhetsläget i Europa gör att det jobbas intensivt vid landets kommuner och regioner. Hur ser organisationen ut? Fungerar bemanningen och vilken personal ska krigsplaceras? Hur ska vi få samhället att fungera även under svåra förhållanden? Alla delar är viktiga. Vatten och el, läkemedelstransporter och datasäkerhet, sjukhus och kollektivtrafik, allt behöver fungera på en rimlig nivå.

Det svenska försvaret bygger på ett system med både frivillighet och tvång. Är Sverige i krigsfara eller om krig utanför landet skapar exceptionella förhållanden beslutar regeringen om så kallad höjd beredskap. Då införs totalförsvarsplikt för alla i landet som är mellan 16 och 70 år. Det innebär att alla som behövs är skyldiga att tjänstgöra.Detfinns tre delar inom totalförsvaret; allmän tjänsteplikt, värnplikt och civilplikt. Allmän tjänsteplikt innebär att man tjänstgör inom verksamheter som måste fungera även vid krigsfara och krig. Med den allmänna tjänsteplikten kan du exempelvis vara skyldig att gå till jobbet som vanligt, men kanske med andra uppgifter. Arbetsförmedlingen kan också anvisa arbete, så att man får hjälpa till med sådant som behövs i samhället.Civilplikt råder inom verksamheter som sjukvård, barnomsorg

Den 1 oktober 2022 införs en ny myndighetsstruktur för kris beredskap och civilt försvar.

Tio beredskapssektorer bildas, där Hälsa, vård och omsorg är en. För varje sektor utses en an svarig myndighet som ska leda arbetet med att samordna åt gärder både inför och vid freds tida krissituationer och höjd beredskap. Socialstyrelsen är sektorsansvarig för Hälsa, vård och omsorg, som också består av Folkhälsomyndigheten, Läke medelsverket och E-hälsomyn Ävendigheten.enhögre

regional nivå in rättas där landets 21 länsstyrel ser delas in i sex civilområden med geografiskt områdesan svar. Ett informationsmöte om den nya strukturen för krisbe redskap och civilt försvar hålls i dagarna.

svarsmakten. När beslutet är fattat är den anställde skyldig att acceptera. Att inte gå till jobbet räknas som arbetsvägran och det går inte heller att säga upp sig för att slippa en krigsplacering, som i vissa fall innebär att arbeta på annan ort.

Regionerna har huvudansvar då det gäller den offentligt finansierade tand- och sjukvården och dess personal. En översyn sker just nu av den del av tandvården som drivs av privata företag.

och räddningstjänst. Hit räknas verksamhet som sköts av statliga myndigheter, kommuner, landsting, privata företag och frivilligor ganisationer som Röda Korset och Svenska lottakåren. Den som är civilpliktig ska tjänstgöra där hon eller han gör störst nytta. Statliga Plikt- och prövningsverket sköter administrationen, och beslut om placering fattas tillsammans med individen, arbetsplatsen och för-

– Samhällsviktiga verksamheter har alltid ett ansvar att aktivt jobba med robusthet. De ska kunna bedriva verksamhet även vid olika typer av påfrestningar eller störningar i infrastrukturen, säger Maria Carlund, utredare vid Socialstyrelsen.–Detpågårett brett arbete med att se över hur man ska förhålla sig till tandvårdens privata aktörer. Regionerna har ansvar för att bedöma behovet så att allt fungerar, och MSB – Myndigheten för samhällsberedskap – håller just nu på att ta fram en vägledning vad gäller privata företag. Vi är i ett nytt säkerhetspolitiskt läge där försvaret inom alla sektorer håller på att byggas upp igen. I uppbyggnaden finns mycket att göra på regional och statlig nivå, det måste hänga ihop.

– Tanken är att man ska vara där man gör mest nytta, säger tidigare säkerhetssamordnare Håkan

KRISBEREDSKAP
34 Tandhygienisttidningen / nr4 / 2022

Söderberg vid Folktandvården Västra Götaland.

– Har vi tandhygienister som är kopplade till försvarsmakten, exempelvis till hemvärnet, fält sjukhusverksamheten, lottakåren, bilkårister eller liknande så har försvarsmakten vanligtvis dragningsrätt. Även om jag är säkerhetssamordnare på Folktandvården Västra Götaland så innebär det inte att jag per automatik krigsplaceras i den befattningen om min kompetens gör bättre nytta någon annanstans. Folktand vården i Västra Götaland är inte klassad som samhällsviktig verk samhet, så vi har inte har samma krav som sådana verksamheter när det gäller personalkompetenser.

Inte heller Folktandvården Skåne är i dagsläget säkerhetsklassad, men en process pågår där det kan

bli aktuellt för hela eller delar av organisationen.–HosFolktandvården Skåne ingår alla nödvändigtvisskadetärkvalifikationceringStockholm,säkerhetschefHR-chefområde,förasinfinns.ingenkrigsplaceradekrigsorganisationmedarbetaretillsvidareanställdaiRegionSkånesochärigrundeniRegionSkåneomannanöverenskommelseMedarbetarenskatasigtillordinariearbetsplatsförattut-arbeteinomvårtkompetens-sägerMatsGottschalk,påFolktandvårdenSkåne.ÄvenDimitarMitanoski,Folktandvårdenunderstrykerattpla-ärberoendepåpersonensochnytta.–Omvihartandhygienistersomkoppladetillförsvarsmaktenärdesombestämmervardessaplaceras.Detbehöverintevarapågrundav

odontologisk indikation utan kan vara kopplat till tjänst i militären.

Vid kris eller krig ska medarbetare inställa sig på sin vanliga arbetsplats och sköta jobbet som vanligt i största möjliga mån. Kravet för civiltjänstgöring omfattar alla.

När gäller allmän tjänsteplikt? – Det ska råda höjd beredskap.

– Regeringen ska ha föreskrivit allmän tjänsteplikt.

– A rbetsgivaren (statliga myndigheter) eller Arbetsförmedlingen (övriga) beslutar vilka arbetsta gare som ska omfattas av den allmänna tjänsteplikten.

TEXT: MARIE SKOGLUND
35Tandhygienisttidningen / nr4 / 2022

Nygammal i gamet DEL 3

i mina två tidigare krönikor tog jag upp mina utmaningar med sadelstol, daganteckningar och bedövning. Nu vill jag ta upp en annan stor utmaning för mig, nämligen diagnos – och åtgärdskoderna. Dessa har reviderats under tiden jag inte arbetat kliniskt och åtskilliga gånger har jag nu försökt para ihop olika koder bara för att få svaret från datorn att nej, de där kan du inte kombinera. Nähä. Det var inte förrän jag lusläste vad som faktiskt ingick i vilka åtgärder som jag började koppla vilka jag kunde använda när. Jag tycker fortfarande inte att systemet är helt optimalt. Jag tar åtgärd 311 som exempel och frågar mig varför det står »Information eller instruktion vid munhälso relaterade sjukdomar eller problem«. Varför måste jag välja? I princip kan jag då bara ta betalt för antingen information eller instruktion – men att bara informera utan instruktion är ju oftast inte värdefullt för Nuordning.göradessutomParodbehandlingenpatienten.blirjubättreomvikansakerirättochlogiskstickerjaguthakanlite, men jag har en del funderingar kring hur ofta en patient bedöms ha parodontit men kanske egentligen bara har gingivit, bara för att man ska kunna debitera åtgärd 342 och

komma upp i »tillräckligt« med intäkter. Vissa gingivitpatienter är mycket tidskrävande och ibland är det tyvärr svårt att ta betalt för information och instruktion.

kräver det att vi frågar oss varför det är så.

Detta tar mig vidare till att jag har insett hur viktigt det är att reflektera över vad vi gör. Det är inte alla som kan ta en paus från det kliniska arbetet och läsa en kurs, testa ett annat arbete eller på andra sätt få nya insikter. För dig som kämpar på dagligen i det kliniska arbetet är det viktigt att se till att du hinner stanna upp och reflektera. Jag har haft gott om tid att reflektera kring patientkommunikation, läst några kurser inom ämnet och föreläst en del om detta. När jag kom tillbaka till det kliniska arbetet var det med en helt annan strategi kring kommunikation än vad jag tidigare haft. Kommunikationen fungerar betydligt bättre nu, vill jag

tillägga.Denorala

Istället för att då kombinera åtgärder är det kanske lättare att ta betalt för »behandling av parodontal sjukdom«? Jag har absolut ingen evidens för detta, men har hört talas om det. Om det stämmer

sjukdomsbördan är fortsatt stor och för att få en friskare befolkning behöver vi tandhygienister få tid till att reflektera, inhämta nya kunskaper och lära oss nya metoder. Annars är risken stor att vi bara harvar på i samma gamla mönster. Jag avslutar med ett tips: kom till träffarna som anordnas av din lokalförening! Ett enkelt samtal och en tänkvärd föreläsning kan vara det där lilla extra som behövs för att du ska kunna stanna upp, reflektera och gå vidare med ny energi.

KRÖNIKA
36 Tandhygienisttidningen / nr4 / 2022
tandhalsar?avdinBesväraspatientkänsliga ProphyCare® HAp innehåller hydroxylapatit som bidrar till att lindra besvär från ilande tandhalsar. NY PRODUKT Läs mer om ProphyCare HAp genom att skanna QR koden Video: ProphyCare HAp Polishing with ProphyCare HAp

Parodontologiolympiad

kanske inspirerad av TandhygienistDa garna men framför allt svältfödd på spännande möten och givande kurser »in real life« bestämde jag mig sent omsider att anmäla mig till Europerio 10 som gick av stapeln i Köpenhamn 15–18 juni. Europerio arrangeras vart tredje år av European Federation of Periodontology (EFP), en organisation som startades 1991. Till följd av coronapandemin blev 2021 års konferens uppskjuten till i år. Dagarna bjöd på ett rikt smörgåsbord av givande föredrag vid åtta till nio parallella sessioner. Den digitala posterutställningen erbjöd dessutom möjlighet att fördjupa sig i alldeles färsk forskning. I utställningshallen deltog ett stort antal företag med sina väl etablerade produkter såväl som rykande färska nyheter. Slående var alla olika implantatsystem som finns att välja emellan, i de fall vi misslyckats med vår behandling av parodontit.Dettavar

andra gången, i min drygt trettioåriga tandhygienistkarriär, som jag deltagit i Europerio. Förra gången var Europerio 6 i Stockholm 2009. Den stora skillnaden jag upplevde är att det nu fanns ett mycket större utbud i programmet att välja på även för mig – jag var till och med tvungen att välja bort intressanta föredrag som gick parallellt. En annan skillnad var att de nu mindre pratade om medelvärde av fördjupade fickor före och efter behandling och mer om uppnått behandlingsresultat i termerna av antal ytor som gått från fördjupade fickor till normala fickdjup (pocket closure). Många talade den här gången om markörer för systemisk inflammation vid parodontit och att behandling mot sjukdomen minskar dessa inflammationsmarkörer och förbättrar den vaskulära funktionen. Till min stora glädje hade även forskarutbildade tandhygienistkollegor fram trädande positioner i programmet, både som föredragshållare, forskningspresentatörer och moderatorer.

Flera föreläsare berörde kostens betydelse för parodontal hälsa. D-vitaminbrist nämndes vid ett flertal tillfällen, dels som ett samband med parodontit, dels som en faktor som medför sämre behandlingsresultat efter parodontal kirurgi.

Att det finns ett samband mellan parodontit och andra icke smittsamma sjukdomar (NCD, non-communicable diseases) och att rökning är den främsta gemensamma riskfaktorn är knappast en nyhet för oss. Men att ökad fysisk aktivitet kan kopplas till minskad risk för parodontit var åtminstone nytt för mig. Fysisk aktivitet till en viss gräns, vill säga. Elitidrottare har tyvärr ofta bristande munhygien, mer karies, mer parodontal ohälsa och mer erosioner än andra.

EFP publicerade 2019 riktlinjer för behandling av parodontit stadium I-III på sin webbsida och lagom till Europerio 10 publicerades riktlinjerna för behandling av stadium IV. En föreläsare ansåg att det är dags att skippa benämningen initial parodontal behandling när vi pratar om icke kirurgisk, behandling. »The treatment of periodontitis« består av den orsaksinriktade behandlingen och tre fjärdedelar av alla fördjupade fickor läker ut. Här hos oss är det i princip uteslutande tandhygienister som utför den icke-kirurgiska behandlingen, men i många andra länder är det fortfarande en uppgift för tandläkare.

Evidensen är tydlig – parodontal hälsa för med sig så mycket gott, inte bara i munhålan. Tidningen The Economist lyfte även den ekonomiska aspekten av parodontal hälsa i artikeln »Time to take gum disease seriously«. En föreläsare frågade sig – vad vi väntar på?

En föredragshållare utnämnde Europerio till »The Olympics of periodontology«. Nästa gång blir i Wien 2025 – åk dit om du kan!

EUROPERIO 10
39Tandhygienisttidningen / nr4 / 2022

TORR MUN?

Flux har en serie produkter som kan hjälpa en torr mun. Serien innehåller en munskölj, en gel samt hårda sugtabletter. Produkterna kan efter behov kombineras under dygnets 24 timmar. Man kan t.ex. skölja innan man går och lägger sig, använda gel på natten om man vaknar med en torr mun och ha de hårda sugtabletterna tillgängliga under dagen. Produkterna finns att köpa på Apotek och finns även hos dentaldepåerna. Om du önskar kostnadsfritt rekommendationsmaterial finns detta att beställa på www.fluxfluor.se, under fliken ”För Tandvården”.

Flux är utvecklad i samarbete med svensk tandvård.

SE_Flu_553_Jan2022*ABPharmaKaro

Praktik i norr

Under sommaren har 43 tandvårdsstudenter arbetat för

RebeckaArnellatandhygienisternadeTvåNorrbotten.denFolktandvår-iRegionavdemärkommandeSherieva&Persson.

– Vi är så glada att vi kunnat ta emot tandvårdsstudenterna i år. Vad jag hört har det fungerat bra, både utifrån studenternas och våra Norrbotten.behövsbörjaattochförflermarjobbenexamen,lättastlänetformdelarfrånvårdenhetsområdeschefperspektiv,verksamheterssägerverksam-FolktandMariaPettersson.AnsökningarkombådeNorrbottenochandraavlandet.–Studentermednågonavanknytningtillärdesomviharattrekryteraeftermengenomsomhoppasviattfåruppögonenbådeosssomarbetsgivareförvårtvackralänochdeframöverväljerattarbetahososs.DeiFolktandvården

Var utbildar du dig?

REBECKA PERSSON,

– Vid Umeå Universitet, jag har gått tre terminer. När jag sökte in så var tandhygienist mitt första val. Jag är uppväxt här i Luleå, men bor i Umeå under tiden jag studerar.

Hur fick du reda på att det gick att söka jobbet?

– Jag hörde talas om det från bland annat andra studenter. Vi var några stycken från klassen som valde att sommarjobba inom tandvården, men vi har varit på olika kliniker då många valt att åka till sin hemort och jobba där.

Hur ser du på chansen att få sommarjobba?

– Jag tycker det är jättebra att få jobba inom tandvården redan som student. Det är väldigt lärorikt, eftersom man får vara med och se så mycket. Jag kommer att ha med mig jättemycket ny kunskap och erfarenhet efter dessa veckor!

Har du fått den hjälp du behöver för att komma in i uppgifterna?

– Absolut, jag tycker jag har fått jättebra hjälp. Alla på kliniken var så trevliga och hjälpsamma så om det var något jag undrade över var det bara att fråga.

Märkte du av bristen på vårdspersonal?tand-

– Ja, till exempel upplever många patienter att det svårt att få en tid just nu.

Hur har du tagits emot av patienterna?

– Väldigt väl, jag upplever inte att det har varit något problem att jag har varit med i behandlingsrummet. Många patienter har varit nyfikna på mina studier, vilket är kul.

Vad har varit det bästa/sämsta?

– Det bästa har varit allt nytt jag lärt mig. Jag har fått vara med och träffa många olika patientgrupper och fått se undersökningar och olika behandlingar. Jag har även fått lära mig hur sterilarbetet går till och fått assistera både tandhygienister och tandläkare. Jag tar med mig massor av erfarenhet som jag kommer att ha användning för i framtiden.

Kommer du att söka dig till regionen efter avslutad utbildning?

– Ja, jag tror absolut att jag kommer att söka mig till Region Norrbotten. Om det blir direkt efter examen vet jag inte, men jag vill tillbaka till Norrbotten.

TEXT: MARIE SKOGLUND
41Tandhygienisttidningen / nr4 / 2022 KOMPETENSFÖRSÖRJNING
FOLKTANDVÅRDEN PORSUDDEN I LULEÅ:

Var utbildar du dig?

– Jag går på Umeå universitet och har läst i 1,5 år. Tandhygienistutbildningen var mitt första val. Jag var väldigt orolig att jag inte skulle komma in, eftersom pandemin pågick och det var många som sökte utbildningar det året. Jag hamnade som reserv, men hade tur att komma in ändå.

Hur fick du reda på att det gick att söka jobbet?

– Jag såg affischer från Region Norrbotten om att det fanns möjlighet att få sommarjobba hos FTV. Jag gick in på nätet och sökte mig fram till ansökan via Region Norr bottens hemsi da. Jag och två andra i min klass som också sommarjobb.Norrbottenligenursprungärfrånsökte

Hur ser du på chansen att sommarjobba?få

– Det är väldigt lärorikt och intressant. Eftersom möjligheten att sommarjobba finns redan när man endast har läst termin 1 och främst haft teori, så får man chansen att känna av den praktiska delen på kliniken. Det tycker jag är oerhört kul.

Har du fått den hjälp du behöver för att komma in i uppgifterna?

– Det har jag definitivt. De uppgifter du får beror på hur

långt du kommit i utbildningen. Eftersom jag ännu inte får ta emot egna patienter så spenderade jag mycket tid på sterilen tillsammans med en annan studerande. Hon hade sommarjobbat lite längre och kunde mer så hon fick agera »minichef«. När det var lugnt på sterilen fick vi chans att assistera under patientbesöken.

Hur har du tagits emot av patienterna?

– Jag tycker att jag har tagits emot väl. Många har varit förstående och låtit mig närvara under behandlingar, vilket jag uppskattar.

Vad har varit bästa/sämsta?det

– Det bästa måste vara arbetsmiljön och kollegorna. Jag tycker om den kliniska miljön, men det var kollegorna som bidrog till att jag trivdes så bra. Dessutom fick jag en ny vän, studenten i sterilen.  Om jag måste välja något som ska stå för det sämsta så är det nog de morgnarna.tidigaJagärverkligeningenmorgonmänniska,haha.

Kommer du att söka dig till regionen efter avslutad utbildning? – Definitivt.

Märker du av bristen på tandvårdspersonal?

– Ja, det gör man. Särskilt under sommaren då folk går på semester och de endast tar in akutpatienter. Dock tycker jag att de hanterar det på ett så bra sätt som möjligt genom att arbeta i team.

42 Tandhygienisttidningen / nr4 / 2022
ARNELLA KOMPETENSFÖRSÖRJNINGFOLKTANDVÅRDENSHERIEVA,BODEN:

Arbeta ensam kan vara svårt för hygienister— Umbrella™ tung-, läpp och kindretraktor hjälper till!

En användarrapport av leg. tandhygienist Lene Holm

Som tandhygienist arbetar jag vanligen ensam utan assistans vid stolen.

Efter att ha provat Umbrella retraktor från Ultradent Products – en helt ny variant av den traditionella läpp- och kindretraktorn som även håller undan tungan från arbetsområdet – har många av mina arbetsuppgifter blivit enklare att utföra. Umbrella retraktor ger mig ett större och mer överskådligt arbetsområde i munnen utan att det blir obekvämt för

Upatienten.mbrella

Många av mina arbetsuppgifter har blivit enklare att utföra

retraktor är mycket lätt att sätta på plats i patientens mun.

Den är mycket flexibel och lätt att sätta in utan att man behöver dra i patientens munvinklar eller kinder. Patientens tunga hålls tillbaka bakom tunghållaren. Därmed blir det mycket lättare att hålla torrt och speciellt att hålla tungan bekvämt på plats, vilket ju ofta är en rejäl utmaning eftersom den gång på gång hamnar i arbetsområdet och hygienisten måste använda spegel för att trycka undan den. Att arbeta ensam är svårt för hygienisterna eftersom vi inte har en tredje hand som assisterar oss – Umbrella retraktor fyller den rollen!

Lene Holm arbetar som tandhygienist i privatpraktiken Beringhus Tandlægerne i Horsens och Vamdrup, Danmark. Hon föreläser dessutom inom odontologi om koncept för estetiska behandlingar, tandblekning, mikroabrasiva tekniker och professionell tandrengöring.

Den ger mig också bättre överblick, till exempel när jag tar tandsten lingualt i underkäksfronten med kyrett. Nu kan jag slippa saliv, använda spegeln bara för att titta i och inte längre behöva kämpa med tungan om plats genom att ständigt behöva tvinga bort den från underkäksincisiverna med spegeln. Det är tidsbesparande och förenklar mitt arbete, helt enkelt därför att jag kan se mitt salivfria arbetsområde bättre. Alltså är arbete med Umbrella retraktor vid borttagning av tandsten en mer positiv och behaglig upplevelse för patienten.

Kort sammanfattning av fördelarna för hygienisten: Lätt att använda och ger mig en god överblick av arbetsområdet. Jag kan hålla arbetsområdet torrt. Jag behöver inte kämpa med tungan om utrymmet. Jag behöver inte dra så mycket i patientens kinder. Patienten är lugnare under behandlingen, vilket ofta betyder att det går fortare – vilket i sin tur sänker stressnivån för oss båda när jag kan se att jag arbetar med en helt avslappnad patient.

Kort sammanfattning av fördelarna för patienten: Umbrella retraktor fördelar arbetsområdet mellan läppar, kinder och tunga på ett behagligt sätt. Avslappnande för käkarna när bitkloss inte används och eftersom man inte behöver dra och slita i munvinklar, läppar, kinder eller tunga. Hos många patienter hämmar Umbrella retraktor kräkreflexen – till stor del eftersom tungan förblir på plats då den ligger mot tunghållaren.

Umbrella retraktor är så flexibel och väldesignad att den kan användas för praktiskt taget alla munnar, oavsett form och storlek. Och därmed kan den användas med framgång redan den första gången på nästan alla patienter. För en del patienter krävs tillvänjning av Umbrella retraktor. Umbrella retraktor tillverkas av flexibelt material med rundade hörn. Därmed undviks skador på mjukvävnaden när den sätts in och tas ut. Umbrella retraktor är hygienisk därför att det är en engångsprodukt som även kan användas tillsammans med kofferdam.

Patienten slappnar av när jag använder Umbrella retraktor. Det blir lättare att hålla munnen öppen. Jag behöver inte använda bitkloss, något som ofta är obekvämt för patienten och klumpigt för tandhygienisten eftersom vi måste flytta den från sida till sida för att få ett arbetsområde som är lättillgängligt och överskådligt. Eftersom Umbrella retraktor är så flexibel är det möjligt för patienten att stänga munnen om jag tex. behöver kontrollera bitningen på en ocklusal kompositfyllning. Det sänker behandlingstiden. På det hela taget är det mer bekvämt för patienten om jag använder

Jag är mycket nöjd med att använda Umbrella retraktor vid parodontal behandling, vid vanlig borttagning av tandsten och vid mikroabrasion av emalj. Jag kan bara rekommendera andra tandhygienister att prova Umbrella retraktor – det kan mycket väl vara den „tredje hand“ vi så länge önskat oss.

SKANNA QR-KODEN OCH LÄS MER OM UMBRELLA

Umbrella retraktor istället för att tvinga undan tungan med en spegel, till exempel när jag gör rotplaning på molarer.
Tandhygienister har inte tre händer
ULTRADENT.EU © 2022 Ultradent Products, Inc. All rights reserved.
annons från ultradent

Nätverka med STHF!

Visste du att det finns sju yrkesnätverk inom Sveriges Tandhygienistförening?

Allt ifrån forskarutbildade och kliniska handledare till sjukhustandhygienister? Värt att vara en del av. tandhygienistforening.se

Hur munvårdsprodukterpåverkar salivfilmen?

salivfilm hjälper till att upprätthål la munhälsa, men mycket är okänt om hur den fungerar. En ny avhandling av Hannah Boyd vid Malmö universitet har undersökt filmens egenskaper och testat hur den påverkas av munvårdsprodukter. Förhoppningen är att forskningen kan leda till att produkter blir mindre irriterande för munnen.

avhandlingen undersökte bland annat hur tensider, vanligt i till exempel tandkräm, interagerar med salivpel liklar och påverkar salivens skydds effekt.

avhandlingen visade att nonjoniska ytaktiva ämnen interagerade mindre aggressivt än mer vanligt använda jo niska ytaktiva ämnen. Mekanismen för interaktionen med salivpellikeln va rierade mellan dessa typer av ytaktiva ämnen – kunskap som kan påverka utvecklingen av framtida munhygien produkter.–Många munhygienprodukter innehåller ytaktiva ämnen som stabiliserar deras aktiva ingredienser. Men det har visat sig att de kan leda till ett antal sjukdomar. Att förstå orsaken till varför, och om det beror på deras interaktion med salivfilmen, är ett steg mot att bättre förstå filmens vitala roll i att upprätthålla oral hälsa, säger Hannah Boyd.

källa : malmö universitet

Ny studie kostnadseffektivitetom

i en nyligen publicerad hälsoekonomisk långtidsstudie an vändes en prognostisk modell för att utvärdera kostnadseffektiviteten av Folktandvården Västra Götalands preventionsprogram FRAMM.

det som analyserades i studien var de insatser som görs i skolan för 12-15-åringar, som erbjuds skolbaserade fluorlack ningar var sjätte månad, i kombination med temasamtal och munhälsolektioner.

syftet med analysen var att uppskatta den långsiktiga kostnadseffektiviteten tills deltagarna var 23 år gamla. Beräkningarna gjordes på fyra års verifierade data och sju års prognos. Resultatet visade att dessa insatser i skolan inom FRAMM ansågs dominerande jämfört med kontrollerna i tre alternativa scenarier, vilket innebar att programmet förväntas vara kostnads effektivt i ett längre perspektiv. studien heter »Long-Term Cost-Effectiveness through the Dental-Health FRAMM Guideline for Caries Prevention«

44 Tandhygienisttidningen / nr4 / 2022 NOTISER

Nya filmer om levnadsvanor och pri mär cancerprevention

varje år får över 15 000 människor i Sverige en cancerdiagnos till följd av påverkbara riskfaktorer som till stor del handlar om våra levnadsvanor. De här korta filmerna ger dig som arbetar inom vården en kort introduktion till Miniutbildningenkodexenpåochlevnadsvanorcancer,baseraddenEuropeiskamotcancer.

innehåller filmer om rökning, alkohol, fysisk aktivitet, matvanor, hälsosam vikt och

solvanor. Miniutbild ningen riktar sig till vårdpersonal och har tagits fram i samarbete med bland webbinariervardpersonal/www.cancerfonden.se/tillutbildningenSocialstyrelsen.föreningSvenskLäkarsällskapetandraochSjuksköterskemedstödfrånMiniriktarsigvårdpersonal.

orofacialTandhygienistmedicin

Välkommen till kliniken för orofacial medicin på Lasarettet i Enköping. Hos oss gör du stor skillnad för patienter med särskilda behov, både externt och på kliniken. Vi erbjuder dig ett mycket omväxlande arbete med goda utvecklingsmöjligheter och gott arbetsklimat.

Mindre ont med ny tandställning

barn har mindre ont med en ny typ av tandställning jämfört med en konventionell. Det visar en forskningsstudie vid Malmö universitet som jämfört upple velser av smärta under den första veckan av tandreglering.

– Det är en signifikant skillnad i deras upplevelse av smärta, säger Liselotte Paulsson, do cent i Studienortodonti.omfattar 132

barn och ungdomar i åldrarna 12-17 med för trångt sittande tänder, där tänderna behand lades genom att vidga tandbågarna. Av ungdomarna har 70 haft en konventionell tandställ ning där metallbågen fästs med en gummiring till brickorna som klistras på tänderna, medan 62 haft en ny självligerande sort där

bågen fästs med en metallucka. Ungdomarna har svarat på smär ta i början, under och i slutet av den 2-åriga behandlingen med fast tandställning.

Barnen med den konventionel la tandställningen hade mer ont

än barnen som fått den nya varianten. För smärta i framtänderna rappor terades ett medel värde på 7,18 från den

kvinnordiervisatsdetpojkar,mindreattFörvånandepenimedan10gruppenkonventionellapåengradigskala,resultatetdenandragrup-blev5,96.varflickorkändesmärtaäneftersomgenerellthariandrastu-attflickorochharlägre

smärttröskel.Studiengår vidare med att jämföra aspekter kring livskvalitet, bieffekter och hälsoekonomi för respektive tandställning.

källa : malmö universitet

ftvuppsala.seVälkommenattsökaviasenast16okt
45Tandhygienisttidningen / nr4 / 2022
tel. 08-676 54 10 e-post: order@plandent.se LM-Instruments Oy I Norrbyn rantatie 8 I FI-21600 Parainen, Finland I info@lm-dental.com I SLIPFRISharpDiamondwww.lm-dental.com™BELÄGGNINGETT SKARPT VAL. Hårdheten bidrar till instrumentets hållbarhet. LM Sharp Diamond™ uppnår en hårdhet på över 63 på Rockwellskalan. Referensstudier: *(1) Sormunen E., Nevala N: Evaluation of ergonomics and usability of dental scaling instru ments; Dental scaling simulation and Field study, part III. Finnish Institute of Occupational Health, LM-Instru ments Oy. (2) Nevala N, Sormunen E, Remes J, Suomalainen K: Ergonomic and productivity evaluation of scaling instruments in dentistry. The Ergonomics Open Journal 2013; 6, 6-12. ** Leppäniemi J. et all: The influence of PVD coatings on the wear performance of steel dental currettes. Key Engineering Materials Vol. 674 (2016), 289-295. utomordentligLångvarigskärpaBättreproduktivitetochkliniskaresultatBesparingar i tid och Ergonomipengarav högsta klass med ett sensationellt grepp* SLIPFRI MIKROBELÄGGNING SlipfriÖverlägsen skärpa Ergonomi av högsta klass Minimalt underhåll DIAMANTLIKA EGENSKAPER HÅRDHET SLITSTYRKA** H63HRCÅRDHETÖVER sominstrumentanvändsitandvården. ning)(medKonkurrentbelägg tandvårdsinstrument,Vanligt stål (utan beläggning) LM Sharp Diamond™-kyrettens egg och förstoring av eggen efter testet. Egg på en vanlig kyrett utan beläggning och förstoring av eggen efter testet. LM Diamond™Sharp Utmärkt slitstyrka Grund- läggandeslitstyrka LMSharpDiamond™ Du får full kontroll och förbättrad taktil känsla samtidigt som du effektivt avlägsnar tandstenen.

Tandvården i norr slår larm

Tandvårdschefer i norra Sverige slår larm om att tandvårdssystemet snart kan komma att kollapsa.  långa väntetider för patienter, brist på cirkaa 90 tandläkare och nyexaminerade tandläkare som väljer en privat arbetsgivare

Återbruk av plastförkläden

johanna albert, läkare vid Dan deryds sjukhus, såg mängden skyddsförkläden som slängdes under pandemin och initierade ett pilotprojekt för återvinning. Ett cirkulärt flöde infördes, där de använda förklädena pressas till balar för att sedan tvättas, smältas ned och bli till nya plastförkläden istället för att brännas. Folktandvården Stockholm deltar i projektet.

– Vi kan inte stå vid sidlinjen och kräva att andra ska komma med lösningar åt oss, utan vi alla måste vara med stitutet.EastmaninvårdenFolktandklinikchefAlitill,ocharmarnakavlaochupphjälpasägerKashani, källa : plast forum

framför folktandvården ligger bakom problemet.

– Konsekvenserna är att vi kan få en försämrad tandhälsa bland befolkningen i Västerbotten. Att vuxna som borde få vård inte får vård. Det svenska tandvårdssys-

temet måste ses över för att få en jämlik tandvård i Sverige, säger Anna-Maria Stenlund Berggren, områdeschef på Folktandvården i Västerbotten.

Bättre kontroll över tandvårdssektorn

det statliga tandvårdsstödet missbrukas. En utredare ska där för lämna förslag som bidrar till ökad kontroll över tandvårdssek torn.

i rapporten »Läc kaget i varnasfeltänktorsakastvåochtigtfelaklasbetatandvårdsstödet5,5uppskattassystemen«välfärds-attprocentavutattungefärtredjedelaravmiss-avsiktligafrånvårdgi-sida,framför

allt genom felaktiga uppgifter i ansökan eller ändrade förhållanden som inte anmäls. Enligt Försäkrings kassans årsredovisning för 2021 stängde myndigheten under året av tre vårdgivare och 13 nekades anslutning.

kraven på vårdgivare som ska anslutas till tandvårdsstödelektroniskaFörsäkringskassanssystemförstatligtärbegränsade.Därförövervägsattinföratillståndspliktochenägar-ochledningsprövningförprivatavårdgivareidetstatligatandvårdsstödet.

utredaren ska undersökahurkontrollerochstoppför

utbetalningar till vårdgivaren kan förbättras samt analysera hur myndigheternas möjlighet att kontrollera vem som utfört vården kan stärkas.

källa : regeringen

47Tandhygienisttidningen / nr4 / 2022
källa : tv4
NOTISER

Chefsrådets

Save-the-dates

6

Samtalsforum kl. 15.00–16.00 medarbetar- och lönesamtal

3 Sverker Jutvik, förhandlare

17

Odontologisk Göteborg –STHF:s monter och

1 15.00–16.00

en ny analys från Socialstyrelsen visar på försämrad munhälsa bland barn i förskoleålder. Nästan var fjärde sexåring hade karies 2019, vilket är en ökning jämfört med 2013.

– År 2019 hade 23 procent av alla sexåringar i undersökningen karies, att jämföra med 21 procent 2013. Något fler pojkar än flickor drabbas, säger Álfheidur Ástvaldsdóttir, odontologiskt sakkunnig på Socialstyrelsen. De senaste åren verkar kariesutvecklingen dock ha stannat av och 2020 och 2021 visar mätningarna på vissa förbättringar. Resultat måste samtidigt tolkas med försiktighet, eftersom pandemin har haft effekter på tandvårdsbesöken.

Socialstyrelsens analys visar också att vissa grupper drabbas hårdare än andra. Bland faktorer na som påverkar tandhälsan finns föräldrarnas och barnens födel seland, socioekonomiska fakto rer, föräldrarnas munhälsa samt föräldrarnas tandvårdskontakt. Rapporten visar också att antalet procent.der.10sexåringarna,vuxit.gruppenochlanregionerna.frekvensenminskattandvårdsundersökningarnågotövertidochattskiljersigåtmellanÄvenskillnadenmeldesexåringarsomharbästsämstmunhälsaharökatochmedsämstmunhälsa2019hade1,2procentaveller1200barn,ellerflerkariesskadadetän-År2013lågsiffranpå0,8

Stärkt stöd till våldsutsatta

Tandvården har en viktig roll i att upptäcka våld i nära relationer och utsatta perso ner. En utredare ska se över stärkt tillgång till tandvård för våldsutsatta och lämna förslag som stärker deras rätt till ersättning vid tandskador, efter en överenskommelse mellan regeringen och sådantpersonerfrånanalyserakumentationupptäckt,tandvårdensUtredarenMiljöpartiet.skautvärderaförmågatilltidigbehandlingochdo-avskadorsamthurbemötandetandvårdenpåverkarsomutsattsförvåld.Utredarenska

också undersöka om tandvår dens personal har tillräcklig kunskap om sitt ansvar och agerar och stöder utsatta personerDelbettillräckligt.änkande lä m 2023.februaridensenastnas28

källa : riksdagen

48 Tandhygienisttidningen / nr4 / 2022
källa : socialstyrelsen
OKTOBER
Tema:
NOVEMBER Facklig frukost med
SRAT
NOVEMBER
riksstämma
möt oss i
AW
DECEMBER Samtalsforum kl.
Försämrad munhälsa hos sexåringar
NOTISER

Svensk forskning har på senare år redovisat oroande resultat vad gäller en försämrad parodontal hälsa i befolkningen samt en för tandhygienisterna förändrad arbetssituation. Dessa förändringar väcker många frågor. Behöver svensk parodontalvård förbättras?

Moderator: Björn Klinge

Talare: Anna Bogren, Anna Lizz, Ann-Marie Roos Jansåker och Kristina

Kost och oral hälsa

Att kosten påverkar vår hälsa är väl känt idag men tyvärr förekommer det även en hel del myter och tankevurpor inom området. Under föreläsningen kommer vi att titta närmre på de faktorer i kosten som faktiskt påverkar vår hälsa och vårt välmående.

Talare: Kristina Andersson

www.tandlakarforbundet.se/riksstamman • www.swedental.se
AnmälanEdman är öppenboka din biljett idag! ETT AXPLOCK UR RIKSSTÄMMANS PROGRAM: Ta del av det vetenskapliga programmet under Riksstämman och möt över 150 ledande leverantörer i branschen på Swedental. Vi behöver skapa bättre parodontalvård - tillsammansFöranmälan och fullständigt program, scanna QR-koden eller www.swedental.se/valj-biljetterbesök: Riksstämman & Swedental på Svenska Mässan i Göteborg 16-18 november

STHFALMEDALEN i Almedalen

Efter två års uppehåll var det åter dags för Almedalsveckan, Sveriges största öppna mötesplats för samhällsfrågor som kännetecknas av möten, debatter och samtal inom ett stort antal ämnesområden. Sveriges Tandhygienistförening, STHF, var på plats.

almedalsveckan innebär för STHF:s del möjligheter till spännande och viktiga möten med allmänhet, politiker och besluts fattare samt en samverkan med andra yrkesförbund/föreningar och organisationer med gemensamma arbetsmål.

för sthf inleddes Almedals veckan med att ordförande Yvonne Nyblom deltog i den paneldebatt om kompetensförsörjning inom tandvården som arrangerades av Praktikertjänst, med anledning av den rapport de nyligen publicerat: »Hur mår egentligen den svenska tandvården?«. Rapporten bygger på en enkätundersökning bland 380 tandläkare i Praktikertjänst samt på en rad rapporter från såväl myndigheter som enkompetensbristmötapanelenbranschorganisationer.Utifrånrapportendiskuteradehursvensktandvårdkandagensochmorgondagensförattsäkerställajämliktillgångtilltandvården i hela landet. Nyblom lyfte speciellt behovet av en bredare övergripande analys av de framtida behoven av tandvård. Hur ser behoven ut och vilken kompetens behövs för att möta behoven? Att både tandläkar- och tandhygienistut bildningarna måste förstärkas är tydligt, inte minst med tanke på att det idag årligen utfärdas 4 procent färre tandhygienistlegiti mationer än tidigare. Dessutom går en grupp om drygt 20 procent av kåren i pension inom de kommande tio åren. Samordning av befintliga resurser på lärosätena, stimulera forskar- och magister-

program är andra åtgärder som måste till. Specialistutbildningar för tandläkare och möjlighet också för tandhygienister att specialisera sig är andra avgörande faktorer för att säkra kompetens och upprätthålla attraktivitet.tandvårdsutbildningarnas

en återkommande programpunkt under Almedalsveckan är det Tobaksseminarium som Tandvård mot Tobak arrangerar och STHF medverkar i. »Tackla Tobak i tandvården, vi har nycklarna till ett nikotinfritt Sverige« löd årets rubrik på seminariet.

Yvonne Nyblom beskrev tandhygienistens och tandvårdens roll i det viktiga tobakspreventiva arbetet. Tandhygienist Johanna Reuterving Smajic, tandhygienist och samordnare av Tobaksfri duo i Kalmar, talade om de nya nikotinprodukter som lanseras främst tillUnderunga.de senaste åren har det så kallade tobaksfria – vita – snuset etablerats på marknaden i Sverige. Snuset innehåller nikotin och består vanligen av något växtfibermaterial på vilket smakaromer och nikotin har tillförts. Det marknadsförs som ett tobaksfritt, fräschare alternativ till traditionellt snus och finns att köpa i en mängd olika smaker.

Det är omdiskuterat om det verkligen går att kalla snuset tobaksfritt, eftersom det innehåller nikotin och utvinns ur tobaksplantan (SOU 2021:22). I och med att snuset framhålls som tobaksfritt hamnade det utanför bestämmelserna i tobakslagen (SFS

2018:2088), och marknadsföringen av vitt snus har varit mycket intensiv och riktad mot tonåringar. Från och med den 1 augusti 2022 är det 18-årsgräns vid köp av vitt snus och viss reglering av marknadsföring till personer under 25 år införs.

» hur behåller vi och vårdar hälso- och sjukvårdens medarbetare?« var rubriken på det frukostmingel som Saco Hälso- och sjukvård arrangerade. Det bjöd på en paneldiskussion om hur olika politiska företrädare vill arbeta för att skapa en attraktiv arbetsplats och säkra vårdens kompetensförsörjning. Samtalet tog avstamp i hur kraven på fortbildning och kompetensutveckling ställs i relation till en budget i balans och en hälsosam arbetsmiljö. Saco Hälso- och sjukvård utgörs av tio Saco-förbund i ochinomakademikerHälso-Tillsammansochbund,karförbund,SverigesSverigesNaturvetarna,Akademikerförbundetsamverkan:SSR,Fysioterapeuterna,Arbetsterapeuter,SRAT,Farmaceuter,SverigesLä-SverigesPsykologför-SverigesTandläkarförbundSverigesVeterinärförbund.representerarSacoochsjukvårdcirka200000somärverksammaellermedkopplingtillhälso-sjukvården.

» tandvårdens detektiver upptäcker barn som far illa« va r rubriken på ett seminarium som leddes av Eva-Karin Bergström, tandhygienist och enhetschef för Hälsoodontologiska enheten Folktandvården Västra Götaland

50 Tandhygienisttidningen / nr4 / 2022 STHF I

samt Peter Engstrand, arbetsledare för EAB-gruppen, Folktandvården VästraTandvårdenGötaland.har goda möjligheter att upptäcka barn som far illa, men det förutsätter att barnen kommer på undersökning, något som många av de mest utsatta inte gör. Barn ombudsmannnen slog larm 2010: Tandvården var en bortglömd aktör och brast i att upptäcka barn som far illa. Mycket har hänt sedan dess. Numera ingår kunskap om våld i nära relationer, och särskilt om barn som far illa, i tandläkaroch Folktandvårdentandhygienistprogrammet.VästraGötaland

har skapat en struktur för att sä kerställa att barn får den tandvård de har rätt till och att utsatta barn upptäcks samt får stöd.

EAB-gruppen är ett team som aktivt söker upp vårdnadshavarna till Ej Avhörda Barn, de barn som inte kommer till sin bokade tid. Med drygt en tjänst når man 4700 barn per år. En tydlig struktur, engagemang och den relativt begränsade tidsinsatsen gör att man kan hjälpa familjer i stress och kris att se till att barnen ändå får tandvård. Ibland behövs något mer – cirka 20 procent av insatserna leder till att en orosanmälan görs.

almedalsveckan inbjuder till kommunikation, debatt och delta gande i diskussioner. Med det öppna och positiva samhällsklimatet som råder förvandlas Visby från en sommaridyll till Sveriges största demokratiska mötesplats.

Årets upplaga avslutades dock med sorg och chock efter det fruktansvärda knivmordet i centrala Visby. Ett hemskt våldsdåd som påminner oss om hur skört livet och demokratin är.

TEXT OCH BILD: INGELA JÄGESTRAND Moderato r var Anders Jonsson,PraktikertjänstchefstandläkareAB. Från vänster; Kerstin Tham, ledamot i Nationella Vårdkompetensrådet, Gunilla Swanholm, ordf. Sveriges Folktandvårdsför ening, Chaim Zlotnik, ordf. Sveriges Tandlä karförbund, Yvonne Nyblom, ordf. Sveriges
51Tandhygienisttidningen / nr4 / 2022
ochberg,Universitet,sitetslektorSharielTandhygienistförening,Sayardoust,univervidJönköpingsAckoAnkarriksdagsledamotKDordf.Socialutskottet.
NYA PerioGard® – effektiva lösningar för tandköttet – framtagna för att öka följsamheten NYA PerioGard® Gum Protection: effektivt för dina patienters dagliga rutin PerioGard ® Gum Protection NYA PerioGard® Soft Tandborste Mikrofin a bor ststrån + Effektiva antibakteriella produkter Motivation för daglig borstning Koniska strån *Vs 0,12 % CHX utan antifläcksystem. **VS baseline efter 4 veckor 1. Data on file. Colgate-Palmolive Company, 2022. 2. In vitro-studie, schweizisk universitetsrapport 2001. 3. Fine D, et al. (2019). (CRO-2018-05-CHX-ED).

NYA PerioGard® 0,12% Klorhexidin: En effektiv antibakteriell lösning för korttidsanvändning

Med systemantifläck-unikt

Kliniskt bevisad att minska bakteriell plack 3 Bevisad att minska bildningen av klorhexidinrelaterade fläckar3 42% mindre missfärgning 3* 22,5% minskning av plack 3** 67,7% minskning av tandköttsproblem 3** Används i upp till 4 veckor

PerioGard® CHX 0.12 % munskölj med unikt antifläcksystem

PerioGard CHX 0.12% kombinerar CHX-molekyler med STPP, SLS och en poloxamer. SLS och poloxameren stabiliserar och fördelar effektivt CHX till alla munnens ytor.

STTP i formulan attraheras huvudsakligen av tandens yta och fungerar som en sköld mot pigment. Detta minskar missfärgning och gör det möjligt för CHX att utöva sin antibakteriella effekt.

Rekommendera PerioGard till patienter med tandköttsproblem, för att uppmuntra följsamhet och skapa positiva kliniska resultat.

Scanna här för att lära dig mer om NYA PerioGard ® eller gå in colgateprofessional.sepå

CHX: Klorhexidin. STPP: Natriumtripolyhosfat. SLS: Sodium laureth sulfate.

Ta del av förmåner och service

För att du som medlem ska få bra hjälp och service av oss på SRAT krävs ett gott samarbete mellan förtroendevalda, kansli och medlemmar. Ett viktigt uppdrag på SRAT:s kansli har de som arbetar med medlemsservice. Det är viktigt att som förtroendevald känna till de lokala frågorna, men också att kunna hjälpa en medlem till rätt kontakt när det behövs. Många medlemmar kontaktar kansliet via e-post eller telefon. När du som medlem skriver till kansliet är det viktigt att du förmedlar vem du är genom födelsedata (ååmmdd) eller medlemsnummer samt hur vi får kontakt med dig på ett bra och snabbt sätt. Det hjälper oss att hjälpa dig.

Med ditt medlemskap följer många förmåner som du gärna får sätta dig in i. Det finns mycket information på www.srat.se

kring dessa. Det är bland annat erbjudanden om privata försäkringar eller bostadslån, där du som medlem har bra villkor genom ditt medlemskap. Det är ett personligt medlemskap där du själv får ta ställning till de förmåner och erbjudanden som medföljer medlemskapet, men det kan vara värt att jämföra med dina befintliga försäkringar och banklån. På vår hemsida kan du också läsa om privatjuridisk rådgivning som du får till ett mer förmånligt pris eller hitta några av våra framtida webbinarier som blivit så populära.

I ditt medlemskap har du en inkomstförsäkring som täcker inkomstdelar över den högsta nivå som a-kassan möjliggör. Denna försäkring ligger inte hos a-kassan, men har som krav att man är med i både Akademikernas a-kassa och SRAT för att kunna åtnjuta den

vid eventuell arbetslöshet. Den hjälper dig förhoppningsvis när du behöver den som mest.

För att du som medlem ska kunna få snabb hjälp måste dina personuppgifter stämma i medlemsregistret. Vi behöver bland annat kunna kontakta dig på privata kontaktuppgifter samt kunna se vilken arbetsgivare du har. Ett bra sätt är att ange organisationsnummer för arbetsgivaren. Dina uppgifter uppdateras av dig själv och det finns ingen automatik i förändrad status gällande dig som privatperson. Ska du vara föräldraledig, blir arbetslös eller startar eget behöver du kontakta kansliet och medlemsservice för att justera detta. Det kan ge dig en lägre medlemskostnad, men går inte att anmäla i efterhand. JUTVIK

54 Tandhygienisttidningen / nr4 / 2022
SRAT
SRAT/SVERKER

Du tar avtrycken och vi sköter resten!

Tandläkare Karla Reigo och Tove Haglund Healthy

Vi använder Healthy Smile!

Superfina resultat! Smidig arbetsgång och väldigt exklusiva och professionella förpackningar som innehåller allt man behöver. Dessutom otroligt bra passform på

Vadskenorna.merkanman begära?

Nybrokliniken i Stockholm

Erbjudanden!

• Köp 5 fp Healthy Smile och få ytterligare 1 fp på köpet! (valfri styrka 10% eller 16%)

• Köp 3x12 tuber Opalescence Whitening tandkräm och få ytterligare 12 tuber extra på köpet!

Valfri smak, Sensitive eller Original. Varje tub innehåller 100 ml.

Nu tar vi emot digitala avtryck! Beställ dina blekskenor digitalt! (Inga avtalspriser gäller)

Digitala

Kampanjerna gäller t.o.m 30 oktober 2022.

Frågor? Kontakta någon av våra representanter!

Annica Henning, 0709 -14 50 64 Annie Mark, 0709 -14 50 61

ULTRADENT.EU © 2022 Ultradent Products, Inc. All rights reserved. eu.ultradent.blogFöljoss! Fantastisk åtkomst och praktisk torrläggning på ett bekvämt sätt! • Bekvämt för patienten: Stöder munöppning på ett naturligt och skonsamt sätt, inget dragande eller slitande i läpparna Kan hållas på plats vid kontroll av bettet och öppnar upp utrymmet vid läppar och kinder vilket håller saliven borta från tänderna, och ger bättre åtkomst för sugen Lämplig för många olika behandlingar som fissurförseglingar, bonding av ortodontiska brackets, tandblekning i behandlingsstolen etc. Finns nu även i Large Gör som många av dina kollegor ... Gör blekningsbehandlingar med Healthy Smile! Nöjda patienter Lätt och smidigt Exklusiv förpackning Spar tid och pengar Åhrén Dental kundtjänst: 08-646 11 02
Nyhet!DuPROVAavtryck?OSS!får50%rabattpådinförstaorder!
5+1Smile

Grattis studerandepristagare 2022

Även i år har STHF:s och Tepe Munhygienprodukters studerandepris delats ut till tandhygieniststuderande som utmärkt sig under utbildningen. Priset berättar att man gjort något extra eller har särskilda egenskaper som är särskilt värdefulla i tandhygienistyrket. Studerandepriset har delats ut en gång per år sedan 2013, till en student per lärosäte efter sex fullbordade terminer.

lärosätet nominerar en pristagare utifrån väl genomförda studieinsatser, bästa student på klinik eller bästa examensuppsats och STHF:s styrelse fattar beslutet och bestämmer prissumman. Årets pristagare har förutom goda resultat i både kliniska och teoretiska studier uppvisat både mognad och ansvarstagande som personer och kliniker. Prisen delades ut under de avslutningsceremonier som hölls på utbildningarna. Här kan du läsa vilka 2022 års studerandepristagare är och motiveringarna till att de fick priset:

Tandhygienistprogrammet vid Hälsohögskolan i Jönköping: pristagare : Karin Magnusson motivering: Karin har under hela utbildningen varit ambitiös och målinriktad på ett positivt sätt. Vid diskussioner bidrar Karin alltid med väl genomtänkta konstruktiva, analyserande och relevanta reflektioner. Karin har vuxit in i sin professionella yrkesroll och visar stor självständig förmåga. Hon är en engagerad studiekamrat och har bidragit till utveckling av tandhygienistprogrammet genom ett studentperspektiv bland annat som kursutvecklare.

påTandhygienistprogrammetHögskolanKristianstad:

pristagare : Laura Ahlin motivering: Laura har på ett föredömligt sätt visat ett seriöst och målmedvetet arbete under hela studietiden.

Huddinge:vidTandhygienistprogrammetKarolinskaInstitutet,

pristagare : Marika Örned motivering: Marika har på ett föredömligt sätt visat på mycket goda teoretiska kunskaper med ett särskilt kritiskt förhållningssätt och analyserande förmåga i flera arbeten såväl som examensarbetet.

vidTandhygienistprogrammetGöteborgsuniversitet:

pristagare : Elin Hellström Sjöblom motivering: Årets pristagare har presterat väl under hela utbildningen, såväl kliniskt som teoretiskt. Med sitt kompetenta och pedagogiska sätt känner sig patienterna trygga och sedda. Patienten och dennes orala hälsa är alltid i fokus – precis så som det ska vara för en tandhygienist.

vinner du priset nästa år?

STUDERANDEPRISET 2022
56 Tandhygienisttidningen / nr4 / 2022

ÖRNEDMARIKA

SJÖBLOMHELLSTRÖMELIN

MAGNUSSONKARIN AHLINLAURA Med på bilden är Marie Henningson från Tepe Nordic.
57Tandhygienisttidningen / nr4 / 2022

Hallå där Helen Östholm Thusab

Var jobbar du och vilken roll har du där?

Efter tio år som anställd inom Praktikertjänst i Vaxholm fick jag under 2021 möjlighet att återigen starta eget företag som tandhygienist i Vaxholm. Jag arbetar främst med vuxna patienter som ofta har stora behov av tandhygienist, vilket är givande och utmanande. Att arbeta i ett litet team med tandläkare och tandsköterska där kommunikationen och beslutsvägarna är korta och påverkansmöjligheterna är stora är något jag uppskattar och värdesätter högt efter nästan 30 år i tandhygienistyrket.

Vad är mest aktuellt i dina uppdrag just nu? I mitt företag är jag i en uppbyggnadsfas. Det handlar mycket om att skapa goda relationer och förtroende hos de patienter som besöker mig och arbeta för patienters egen insikt om vikten av att komma på regelbundna besök utifrån behov.ISTHF

är jag bland mycket annat delaktig i NCD-nätverket (Non Communicable Diseases) där ett tiotal organisationer arbetar tillsammans för att påverka och synliggöra olika aspekter av folkhälsofrågorna som rör bland annat tobaksbruk. Jag bevakar och deltar i tobakspreventionsarbetet inom STHF för Tandvård mot Tobak. Jag ser även fram emot att arbeta i THUSAB:s (Tandhygienisternas Service och Utbildning AB) styrelse där jag nyligen blivit invald som ledamot.

Hur ser du på ditt uppdrag inom STHF?

Jag ser det som en förmån att vara en länk inom STHF – det finns

en stolthet i att företräda Sveriges tandhygienister! Uppdraget är utmanade, oerhört viktigt och ansvarsfullt. Jämfört med mina kollegor i styrelsen är jag den som har minst erfarenhet av föreningsarbete inom STHF och jag vill passa på att nämna mina fantastiska kollegors kompetens, professionalitet

få ett helhetsperspektiv vad gäller arbetsvillkor, arbetsmiljö, lön och utvecklingsmöjligheter för att tandhygienister ska klara av att arbeta heltid. Jag är övertygad om att ledarskapet inom tandvården behöver utvecklas.

Vi får inte heller glömma bort den enskilde tandhygienistens eget ansvar för sin arbetssituation. Du kan själv göra mycket och där är STHF:s arbete ett bra stöd.Vibehöver även arbeta för att fler tandhygienister utbildas och för att tandhygienister stannar kvar i yrket. Vi behöver arbeta för goda villkor och för att fler ska attraheras av tandhygienistyrket.

och engagemang. Jag är enormt stolt att vara en del av detta team! STHF:s existens är avgörande för vårt yrkes utveckling. Tillsammans blir vi starkare och kan påverka på alla fronter. Jag vill öka dialogen med er medlemmar och påverka vårt yrke i riktade insatser och att vi tillsammans kan synliggöra vårt viktiga arbete.

Vad är viktigast för Sveriges Tandhygienister just nu? Att stärka tandhygienister i att ta makten över sin egen arbetssituation är viktigt för tandhygienisters utveckling. Vi behöver

Vilken bakgrund har du? Jag utbildade mig till tandsköterska i slutet på 1980-talet, men efter cirka tre år valde jag att utbilda mig till tandhygienist på Gävle Vårdhögskola och tog examen 1994. Jag startade eget företag, vilket jag drev under sex år innan jag tog anställning i Folktandvården. Där arbetade jag i nio år varav tre år i en arbetsledande roll. Senare läste jag arbetsrätt, organisation och ledarskap samt pedagogik under två år på Stockholms universitet. Efter det arbetade jag som tandhygienist med stort fokus på barntandvård inom Praktikertjänst.

Dold talang?

Koka soppa på en spik! Jag älskar att utmana mig själv i matlagning genom att bara göra en riktigt god måltid av det som finns hemma.

58 Tandhygienisttidningen / nr4 / 2022
styrelseledamot i STHF och
HALLÅ DÄR

Nytt hos TePe

Återfuktande fluorskölj för torr och känslig mun

Proxident fluorskölj är speciellt utvecklad för torra och känsliga munnar. Den behagliga konsistensen fuktar munslemhinnan och ger en fräsch känsla i munnen. Finns in två varianter – salivstimulerande med äpple/pepparmintsmak samt fuktgivande utan smak.

Nu ingår Proxident i TePe-familjen och vi är glada att bredda vårt sortiment högkvalitativa munhälsoprodukter med produkter för muntorrhet. info.nordic@tepe.com | 040-670 11 05

AD5784SE

STYRELSEN för

YvonneOrdförandeTandhygienistföreningSverigesNyblom

073-366yvonne.nyblom@tandhygienistforening.se6399

Vice FouziehordförandeEliassy fouzieh.eliassy@tandhygienistforening.se

IngelaEkonomiansvarigJägestrand

070-144ingela.jagestrand@tandhygienistforening.se3274

MonicaLedamöterRingdahl

monica.ringdahl@tandhygienistforening.se Marie Sand marie.sand@tandhygienistforening.se Ulrika Lindmark ulrika.lindmark@tandhygienistforening.se Helen Östholm helen.ostholm@tandhygienistforening.se

STHF:s Lokalföreningar

Från Norrbotten till Skåne

BLEKINGE Linda linda.holtne@regionblekinge.seHoltne

BOHUS ÄLVSBORG

Sofia sofia.e.bertilsson@vgregion.seBertilsson

DALARNA Ellen ellen.paulfors@regiondalarna.sePaulfors

GOTLAND Agneta Rahm agnetharn@gmail.comNordén

GÄVLEBORG

Christin christin.wahlberg@regiongavleborg.seWahlberg

GÖTEBORG

Patricia Carlsson, 031-43 06 80 gbgtandhyg@gmail.com

HALLAND Birgitta birgitta.kollar@regionhalland.seKollar

JÄMTLAND/HÄRJEDALEN Linda linda.hallqvist@ptj.seHallqvist

JÖNKÖPING

Sanela sanela.ee@hotmail.comSkripac

KALMAR Susanne susanne.svensson4@regionkalmar.seSvensson

KRONOBERG Ulrika Tegsved ulrika.lindroth@outlook.comLindroth

NORRBOTTEN Christina christina.bjorling@norrbotten.seBjörling

SKARABORG

Åsa asahfriberg@outlook.comFriberg

SKÅNE

Lina Gassner tandhygienisternaiskane@gmail.comKanters

STOCKHOLM

Drandafile drandafile.rrecaj@smile.seRrecaj

SÖDERMANLAND

Lisbeth lisbeth.eriksson@regionsormland.seEriksson

UPPLAND

Annelie annelie.mattsson@regionuppsala.seMattsson

VÄRMLAND

Anna Filipsson anna.filipsson@regionvarmland.se

VÄSTERBOTTEN

Emelie emelie.larsson@regionvasterbotten.seLarsson

VÄSTERNORRLAND

Marie englundlindberg@hotmail.seEnglund

VÄSTMANLAND

Pia pia.abrahamsson@regionvastmanland.sAbrahamssone

ÖREBRO

Charlotte charlotte_holmgr@hotmail.comHolmgren

ÖSTERGÖTLAND

Anneli info@tandhygienistforening.sewww.tandhygienistforeninganneli.backman@regionostergotland.seBackman.se

60 Tandhygienisttidningen / nr4 / 2022
KONTAKT

STHF:s Nätverk

Nätverk Doktorander Nätverk

KontaktNätverkNätverkNätverkNätverkNätverktandhygienisterForskarutbildadeKliniskahandledareLedarskapLokalaförhandlareSjukhustandhygienisterÄldre

Monica Ringdahl @tandhygienistforening.semonica.ringdahl

STHF:s Chefsråd

STHF:s Chefsråd inom chefsnätverket bidrar bland annat med chefsstöd tandhygienistkollegor emellan. Ordförande Janna janna.lindroos@rjl.seLindroos

Ledamot Anna annaedvardsson@hotmail.comEdvardsson

Ledamot Catarina catarina.eldh@oralcare.seEldh

STHF:s Vetenskapliga råd

STHF:s Vetenskapliga råd har till uppgift att vara sakkunnigt i vetenskapliga Ordförandefrågor.

Kajsa H @odontologi.gu.sekajsa.henning.abrahamssonAbrahamsson

OrdförandeTandhygienistföretagareSveriges

Carina tandhygienistforetagarna@gmail.comThuresson

Medlemsfrågor Olga tandhygienistforetagarna@gmail.comTagner

STHF:s Etiska råd

STHF:s Etiska råd har till uppgift att vara rådgivande till enskilda tandhygienister och egna företagare som är medlemmar i STHF samt till lokalföreningar.

Om du i din yrkesutövning blir anmäld till Inspektionen för vård och omsorg, kan Etiska rådet fungera som stöd och hjälp. Rådet kan också hjälpa till att formulera svar till myndigheten. Etiska rådet har också till uppgift att revidera och hålla de yrkesetiska riktlinjerna aktuella.

Ordförande Christina c.prestgaard@gmail.comPrestgaard

Ledamot Marie marie.jansson@rlj.seJansson

Ledamot Stina stina.u.svensson@vgregion.seSvensson

SRATKansli

Sveriges Tandhygienistförening Box 1419.

E-post:Tfn:111OxtorgsgatanBesöksadress:9–1184Stockholm08-4424460info@tandhygienistforening.se Förhandlare Sverker sverker.jutvik@srat.seJutvik

Medlemsservice Marie jessica.carlberg@srat.seJessicamarie.samuels@srat.seSamuelsCarlberg

Förbundsjurist Sophie sophie.silverryd@srat.seSilverryd

Kommunikatör STHF Lena lena.munck@tandhygienistforening.seMunck

STHF:s Valberedning Anna anna.magnusson@rjl.seMagnusson

Tandhygienisttidningen / nr4 / 2022
International Federation of Dental Hygienist’s ifdh www.ifdh.org European Dental Hygienist´s Federation edhf www.edhf.eu STHF:s representanter yvonne nyblom yvonne.nyblom @tandhygienistforening.se fouzieh eliassy fouzieh.eliassy@tandhygienistforening.se Internationellt: STHF ingår i två internationella info@tandhygienistforening.sewww.tandhygienistforeningtandhygienistorganisationer.se

GÖR SÅ HÄR:

När du löst korsordet hämtar du in bokstäverna (1-11) till den vågräta blå raden nedan. Skicka in ditt svar se nast den 14 oktober kl. 24.00 till

62 Tandhygienisttidningen / nr4 / 2022 GER TANDRÅD var rätt svar på krysset i nr 3. Bland många inskicka de svar drogs vinnarna Lena Knutas Wells, Karlstad och Carola Svensson, Göteborg. GRATTIS!
tvåpostsvaren.Viredaktion@tandhygienistforening.se.drartvåvinnareblandderättaVinnarnameddelasviae-senastden23septemberochfårbiobiljettervar.
DENBLEKAMJUKSISÅ-DÄROCHLENPYSAIVÄGPOM-PÖSTÄRRÄTTOVAN KREATURRUNTJAKT-HUNDEN SKENAAGENELLERLÅGTKORTVIKTHARTERBEDRAPARA-DOX RYGGENLÄGGABENENPÅ DIMRIDÅINNE-BÄRSKÄRLIMMATASOMNÄSTSISTIRADENBLOMMARIGULTSTÅRFÖROKÄNDBASARÖVERMASARLANDOCHFLODÖVER-GÅNG STRECKVARU-RÖJDEBRATTVIN PLAGGSAME-HARSNABLARFÖR-SLAGNOTABENETÄTA GAGNARBOTTENRIKTIGTDEMIPAN-PÅSÄGANEJHARSVÅRTATTVARASTILLA JAKTERSKÄRP-TATVÄRAGULL-UNGEHOLKSTICK-PROVVARODEN BÖNDERFIXERADSAND-HAVKÄRLHADEKLASS! MANYTMÅTTÄLDREKORTKANUTEINNEKRYSS-KRYPLIVGARDETSMINKAHARBÅGELITENRYMD STATIONFRANSKSEJDELTEMASARVLEDERÖVAHAND-TAG ÄR BURNABIL-FÖR-SÄKRA BENSONX©BENGTCARLSON Sara Hed Rann 10 4 7 11 2 8 5 6 3 9 1 1 2 3 4 5 6 7 8 9 10 11 * Huvudverk-stämpeln betyder att korsordet är gjort hantverksmässigt. Detta till skillnad från datorgenererade kryss där stora block av lösningen och/eller nycklarna skapats via en *databank.
SWISS DENTAL ACADEMY VÄLKOMNAR TILL KURS I GUIDED BIOFILM THERAPY Guided Biofilm Therapy (GBT) är ett vetenskapligt och evidensbaserat profylaxkoncept som skonsamt, smidigt, effektivt och näst intill smärtfritt avlägsnar skadlig biofilm. Kursen innehåller: • GBT-protokollet steg för steg • Biofilm och vetenskap • Aerosolkontroll • Ergonomi • EMS instrument och rätt teknik • AIRFLOW®-teknik • PERIOFLOW®-teknik • PIEZON® ‘No Pain’-teknik (ultraljud) • Hygien och underhåll Förbered dig på en lärorik och spännande kurs där teori varvas med praktik. För att få ut det mesta möjliga av ditt deltagande får du prova på alla tekniker som lärs ut. Kursen riktar sig till både tandhygienister och tandläkare. MER INFORMATION: emsdent.com/kurs

WP-64M

Sveriges Tandhygienistförening Box 1419 111 84 STOCKHOLM W&H Nordic AB, t: 08-445 88 30, office@whnordic.se, wh.com :whnordic
WP-64MTrippelsealPutsvinkelstyckePuts4:1meduniktrippeltätning.AnvändYounggummikopparmedW&HputsvinkestyckeWP-64MTrippelseal.Dennakombinationmedförenuniktätning(sitterivarjekopp)mellankoppochhuvudsomutestängerblod,salivochputspastavilketresulterarilånglivslängdpåintrumentetsamtbästahygien.100%HYGIEN=Samtliga gummikoppar på marknaden är engångs 2 * Trådlöst putsvinkelstycke

Turn static files into dynamic content formats.

Create a flipbook
Issuu converts static files into: digital portfolios, online yearbooks, online catalogs, digital photo albums and more. Sign up and create your flipbook.