Hyvä Selkä 2/2025

Page 1


Paras selälle ja unelle

Original -tyynyn ostajalle

kaupan päälle!

arvo 35 €

2798 € (norm. 3624 €)

Varaa aika yksityiseen nukkumisergonomian kartoitukseen lähimmästä Brand Storesta www.tempurbrandstore.fi/varaa-aika/

Varauskoodi: SELKÄLIITTO

Kaikille ajanvaraajille lahja. Voimme tehdä kartoituksen sinulle sopivista tuotteista myös verkkosivujemme chatin välityksellä!

Tempur Brand Store

*Perustuu vuosilta 2021 ja 2022 tehtyyn kuluttajatutkimukseen yli 1300 patjanomistajan kanssa Suomessa, laskettu vertaamalla TEMPUR®-patjan omistajien yleisiä unenlaadun huippupisteitä lähimmän kilpailijan huippupisteisiin. Lähin kilpailija tarkoittaa lähintä kilpailijaa vain haastattelupisteiden perusteella. ** Perustuu sisäisiin testeihin, joissa TEMPUR® Original -materiaalia verrattiin TEMPUR® Advanced -materiaaliin (Dan-Foam ApS 02-07.2021)

Pääkirjoitus Marjo Rinne

Konkreettista hyväntekeväisyyttä –testamenttirahastosta tukea selkätutkimukseen

Elämässä on hetkiä, jolloin omat päätökset ja teot vaikuttavat laajemmin kuin osaa kuvitellakaan. Testamenttilahjoituksia eri organisaatioille on pidetty merkittävänä tapana jättää oma jälki maailmaan ja vaikuttaa myönteisesti yhteisöön.

Lahjoitukset ja testamentit ovat hyväntekeväisyyttä, joilla välitetään omia arvoja ja perinteitä. Samalla ne luovat pysyvän vaikutuksen yhteisöön. Testamenttilahjoitus on keino kohdentaa varat itselle tärkeisiin asioihin. Voittoa tuottamattomille järjestöille kohdennetuilla testamenttivaroilla voidaan esimerkiksi tukea niiden toimintaa, jolloin edistetään suuremman joukon hyvinvointia ja vähennetään yhteiskunnallisia ongelmia.

Selkäliiton hiljattain saama määrätestamenttilahjoitus on lahjoittajan osoitus yhteisöllisyydestä ja myötätunnosta muita kohtaan, ei pelkästään taloudellista tukea liitolle. Testamentin lahjoittaja, Sirpa Ritala, nimesi Selkäliiton varojen hallinnoijaksi ja määräsi omaisuutensa käytettäväksi tutkimustyöhön, jolla edistetään selkäsairaiden paranemista. Tätä varten Selkäliitto perusti Sirpa Ritalan rahaston, jonka varoista voidaan vuosittain myöntää tieteellisiä apurahoja, opiskelijastipendejä ja toiminnallisia avustuksia tutkimustyöhön edistämään selkätervettä. Rahaston yksityiskohtaisemmat säännöt löytyvät Selkäkanava-sivustolta.

Testamenttirahaston apurahoja voivat hakea sekä yksityishenkilöt että organisaatiot. Selkäliiton hallitus määrittelee apurahojen jakoperusteet ja hakumenettelyn sekä päättää kulloinkin myönnettävän apurahan suuruuden tapauskohtaisesti. Selkäliiton

hallitus haluaa tukea Sirpa Ritalan rahastosta myönnetyillä avustuksilla uusia, innovatiivisia ideoita ja hankkeita, jotka edistävät ja parantavat väestön selkäterveyttä Suomessa. Tarkemmat hakuohjeet ja -ajat ovat Selkäkanavalla.

Selkäliiton oma toiminta jatkuu edelleen STEArahoitteisesti yleishyödyllisenä. Liiton toiminnan tarkoituksena on väestön selkäterveyden edistäminen ja selkävaivojen ehkäiseminen lisäämällä tietoisuutta selkäterveyteen liittyvistä asioista sekä tarjoamalla käytännön ratkaisuja, jotka auttavat ihmisiä elämään terveellisemmin ja aktiivisemmin.

Sirpa Ritalan lahjoitus vahvistaa osaltaan tätä työtä, mahdollistaa uusia hankkeita ja tarjoaa tukea niille, jotka kamppailevat selkäongelmien kanssa. Se on myös muistutus siitä, että jokainen meistä voi jättää jälkensä maailmaan.

Selkäliitto kunnioittaa Sirpa Ritalan muistoa, ja sitoutuu käyttämään hänen lahjoituksensa parhaalla mahdollisella tavalla tutkimustyöhön, joka edistää selkäterveyttä.

Marjo Rinne puheenjohtaja

Pääkirjoitus

- SELKÄLIITTO RY:N JÄSENLEHTI 3 6 10 12 16 18 20 22

Kikka kolmonen auttaa selkäkipuun

Mikä ihmeen olisteesi?

Miksi joku nauttii liikkumisesta ja toiselle se on pakkopullaa?

Paranna liikkumistasi jalkajumpalla

Tutkimustietoa

Terveet jalat, hyvinvoiva selkä – tärkeä yhteys

Tules-etäkuntoutuskurssi – miksipä ei?

Julkaisija Selkäliitto ry

Toimitus päätoimittaja Marjo Rinne toimituspäällikkö Kirsi Töyrylä-Aapio toimitussihteeri Pia Bilund hyvaselka@selkaliitto.fi

36. vuosikerta, ISSN 2323-9484 Aikakausmedian jäsen

Taitto

Eepinen Oy

Jauri Varvikko

Paino

PunaMusta

Kannen kuva

Juha Uusitorppa

Vuosikerta 35 €

24

27

9

Viisi kysymystä asiantuntijalle: Lisäävätkö vaihdevuodet selkäkipua?

Selkäyhdistysten toimintakalenteri

Ilmestymispäivät 2025 1/2025 24.1. 2/2025 2.5. 3/2025 29.8. 4/2025 28.11.

Tilaukset ja jäsenasiat selkaliitto@selkaliitto.fi puh. 09 605 918 (ti ja to klo 10-14) www.selkaliitto.fi

Kirjoittajien mielipiteet eivät välttämättä edusta Hyvä Selkä -lehden tai Selkäliiton kantaa. Aineistot seuraavaan lehteen 1.8.2025 mennessä lehden toimitukseen hyvaselka@selkaliitto.fi.

Eerikinkatu 16 A 2, 00100 Helsinki www.selkaliitto.fi

Hallitus 2025

Marjo Rinne (pj)

Arvo Autio

Kaarina Frosterus

Sirpa Heikkinen (varapj)

Sinikka Kilpikoski

Olli Kyläkangas

Leena Kämppi

Jan-Erik Nikkola

Sari-Anna Pekuri

Aino Ranta

Leila Tarna

Toiminnanjohtaja

Kirsi Töyrylä-Aapio 040 730 2150 kirsi.toyryla@selkaliitto.fi

Tiedottaja

Pia Bilund 045 121 8920 pia.bilund@selkaliitto.fi

Liikuntatoiminnan koordinaattori

Hanna Kääriäinen 040 553 1941 hanna.kaariainen@selkaliitto.fi

Selkäneuvonnan koordinaattori

Satu Nieminen 050 465 7884 satu.nieminen@selkaliitto.fi

Hankekoordinaattori

Yhdessä menoksi

Riina Kaartamo 050 310 1997 riina.kaartamo@selkaliitto.fi

Toimistosihteeri

Marjo-Riitta Marttunen 09 605 918 (ti ja to klo 10-14) selkaliitto@selkaliitto.fi

Vahva suositus

Selkäliiton tekemän jäsenkyselyn mukaan jopa 95 prosenttia selkäyhdistysten jäsenistä olisi valmis suosittelemaan jäsenyyttä ystävilleen.

Lue jäsenkyselyn tuloksista sivulta 28.

95 % suosittelee jäsenyyttä.

Selkäliiton jäsenkysely 2024

Äänestä lehden kiinnostavin juttu

Mikä on mielestäsi tämän lehden kiinnostavin juttu? Lähetä jutun otsikko tai sivunumero ja yhteystietosi sähköpostilla hyvaselka@ selkaliitto.fi tai täytä lomake nettisivuillamme selkakanava. fi/lehden-paras-juttu 1.6.2025 mennessä. Kerro halutessasi myös mahdolliset perustelut, miksi valitsit kyseisen jutun. Arvomme vastaajien kesken 3 kpl Omronin E3 Intense -kivunlievittäjiä. Yhden palkinnon arvo on noin 90 €. Onnea arvontaan!

Edellisen lehden (Hyvä Selkä 1/2025) suosituin juttu oli Virpi Hämeen-Anttilan haastattelu ”Selkäkipu on kirous ja siunaus”. Arvontapalkinnot on postitettu voittajille. Lämmin kiitos kaikille äänestykseen osallistuneille!

Anna palautetta

Mitä tykkäsit lehdestä? Onko sinulla juttutoiveita? Anna palautetta sähköpostitse, nettisivujen lomakkeella tai sosiaalisessa mediassa. Somessa merkitse palautteesi #hyväselkä.

Uni on ensisijaisen

tärkeää.”

maattisesti. Kesällä en voi pitää ilmastointia hirveän kylmällä. Se on säädettävä niin, että tulee sekä lämmintä että viileää, ettei ilma käy kurkun ja äänen päälle. On tärkeää, että pääsen laulamaan.

Hyvinvointia unesta ja ulkoilusta

Kake toteaa, että keikka on kuin urheilusuoritus, ja kaloreita lavalla esiintyessä palaa varmaan saman verran kuin urheillessa. Kesäaikaan keikkoja on viikonloppujen lisäksi viikollakin. Kake muistuttaa, että ihminen ei ole kone: täytyy saada ensin unta alle ennen kuin voi alkaa tehdä mitään muuta.

Palautumisessa Kake suosii ulkona liikkumista.

– Pienet kävelyt ulkona tekevät hyvää. Ulkona liikkuessa ja voimistellessa hapenottokyky paranee. Koko elimistö, niin lihakset kuin selkä, saa happea ja verenkierto paranee. Meillä täällä Suomessa on hyvä, puhdas ilma verrattuna moneen muuhun maahan.

Tärkeintä on kuitenkin uni, että koko paletti pysyy kasassa. Sitä Kake painottaa bändilleenkin.

– Olen aina sanonut, että uni on ensisijaisen tärkeää, etenkin kun ollaan pitkillä reissuilla. Myös ulkoilu ja hapenotto raittiissa ilmassa on tärkeää. Ja se me kaikki tiedetään, että ei voi syödä mitään raskasta ruokaa ennen keikkaa. Muutoin tulee aika nopeasti noutaja.

Maalausta ja rallia

Toisenlaista luovuutta ja vastapainoa keikkailulle tarjoaa kuvataide. Maalaaminen on Kaken mukaan jo äidinmaidossa saatu ja alkanut lapsena koulussa. Rakas harrastus on säilynyt mukana siitä asti. Kake on pitänyt näyttelyitäkin. Hän maalaa mielellään suomalaista maisemaa, metsiä ja kallioita. Esikuvina artistilla ovat suomalaiset huipputaiteilijat, kuten esimerkiksi Pekka Halonen, Helene Schjerfbeck ja Akseli Gallen-Kallela. Parin tunnin takia maalauspuuhiin ei

Kake Randelin, 70

• Iskelmälaulaja.

• Julkaissut yli 20 albumia.

• Tunnettuja hittejä mm. Kirje kotiin, Avaa hakas, Tarja, Tilipäivä koittaa, Pakko painaa pitkää päivää ja Juhannusyö.

• Levyttänyt viime vuosina esimerkiksi JVG:n ja Portion Boys -yhteen kanssa.

• Tänä vuonna 70-vuotisjuhlakiertue.

• Harrastaa mm. moottoriurheilua, maalaamista ja luonnossa liikkumista.

kannata ryhtyä, värien levitys, alustojen laittaminen ja aiheeseen syventyminen vievät oman aikansa. Kaken mielestä kaikkinensa aikaa olisi hyvä olla 24 tuntia. Maalausaihioita voi tehdä pienemmälläkin ajalla.

– Yleensä menee niin, että inspiraatio tulee tiettyihin kokonaisuuksiin. Pitäisi saada siitä tehtyä hahmotelma aika nopeasti. Jos välissä on muutamia päiviä tai viikkoja, saattaa mielenkiinto haihtua kyseisestä aiheesta.

Jos elämä olisi mennyt toisin, Kake voisi olla eri ammatissa. Hänen taiteelliset lahjansa huomattiin jo kouluaikoina.

– Yhteiskoulussa meidän piti kaverini kanssa päästä Dresdeniin taidekouluun, mutta koska siihen ei ollut rahaa, se jäi

minun osaltani. Se olisi mielenkiintoista, jos en nyt olisi tässä ammatissa, niin ehkä olisin taidemaalari.

Aivan toisenlainen henkireikä ja pitkäaikainen harrastus on ralliautoilu. Kake on ajanut rallia jo 1980-luvulta ja osallistuu yhä kisoihin. Rallissa tulee kolauksia ja rysäyksiä, joten selkäkin saa kyytiä. Erikoiskokeet ovat yleensä 5–25 kilometrin mittaisia, joten siinä ajassa ei kovin kauaa ehdi paikallaan istua.

Kake kertoo, että autot ovat hyvin turvallisia, jousitus on huippuluokkaa ja kuuspistevyö takaa penkissä pysymisen.

– Nykypäivän kilpa-autojen jousitus on loistava, et edes tunne 10 metrin hyppyä. Se tulee alas kuin gepardi hyppäisi

puusta. Kuuspistevyö pitää kuskin tiukasti kiinni penkissä, vain pää, kädet ja jalat liikkuvat, olet kuin yhtä penkin kanssa. Lisäksi niskatuki pitää kaularangan turvassa.

Musiikki kuuluu kaikille

Kaken menestyksekäs musiikkiura on kestänyt jo yli 50 vuotta. Hänen ensimmäinen julkinen esiintymisensä oli 15-vuotiaana kuorossa, joka esitti hengellistä musiikkia kirkossa Helsingissä. Ja sillä tiellä mies yhä on, tosin musiikkilaji on vaihtunut.

Suureen tietoisuuteen Kake nousi vuoden 1979 Syksyn sävelen myötä. Kappale karsiutui kisasta, mutta Finnlevyn tuottaja kiinnostui Kakesta ja kiinnitti hänet levy-yhtiöön.

– Ensimmäinen sinkkulevy meni jukeboxiin, ja vinyylejä porukat ostivat siihen aikaan. Sitten heti ekan sinkun

Metsässä ulkoilu on myös mielen voimistelua. ”

jälkeen ruvettiin tekemään pitkää levyä. Siitä se sitten lähti, ja tässä ollaan, Kake muistelee uransa alkutaivalta.

Pitkän uran varrelle on mahtunut lukuisia hittejä. Viime vuosina Kake on saanut uutta kuulijakuntaa, kun rapduo JVG sämpläsi Pakko painaa pitkää päivää -biisiä hittiinsä Amatimies. Viime kesänä julkaistiin Kaken ja Portion Boysin yhteistyönä tekemä versio Juhannusyö-biisistä.

Kysytäänpä Kakelta urheilutermein, miltä nyt tuntuu?

– Suomalainen vastaus: parhaani yritin, Kake sanoo ja naurahtaa.

– Mutta siis mukavalle tuntuu. Nuorempia faneja meillä on ollut jo pidemmän aikaa ja suurin ikäryhmä on alle 35-vuotiaat.

Aiemmin joskus 1960- ja 1970-luvuilla musiikki oli hyvin jaoteltua, silloin ei voinut loikkia osa-alueesta toiseen.

– Vaikka oli hyvä hyppäämään, oli lii-

an korkeat aidat, siis kuvaannollisesti. Nykypäivänä on hyvä asia, että uudemmat ja vanhemmat artistit voivat tehdä yhdessä, koska musiikin perusidea on universaali. Musiikki kuuluu kaikille. Entä mikä on Kaken suosion salaisuus, mitä mies itse arvelee?

– Olen ihan tavallinen ihminen. Jos olet menestyvä, niin pitää aina koivet maan tasalla ja nenä tasaviistoon tai alaviistoon, ei yläviistoon. Ja se, että on aikaa ihmisille, oli nuori tai vanha tai vammainen tai muu, niin kohtelee kaikkia tasapuolisesti.

Kakella on ollut tiivis keikkatahti tänä vuonna. Kevään aikana laulaja on ilahduttanut kuulijoitaan 70-vuotisjuhlakiertueellaan eri puolilla Suomea. Tulevana kesänä keikkakilometrejä kertyy taas lisää. Rallikansa voi ilokseen nähdä Kaken myös ratin takana, kun Länsirannikon ralli ajetaan Turussa toukokuussa.

Kaken

liikuntavinkki:

Ulkoile luonnossa

Kaupungissa voi ulkoilla puistossa tai voi ajaa polkupyörällä tai autolla hieman syrjemmälle metsään, missä on luontopolkuja. Siellä on hyvä kävellä tai lenkkeillä sekä voimistella ja venytellä. Esimerkiksi kissahan venyttelee itseään, kun se lähtee liikkeelle. Metsässä voi venytellä kiviä, kantoja ja puita vasten. Metsässä ulkoilu on myös mielen voimistelua. Luonnossa sitä antaa itselleen vähän enemmän aikaa, ja näin keväällä voi katsella, kun kasvit heräilevät ja muuttolinnut palailevat. Luonto ruokkii kaikkia aisteja.

Selkäpatsas Tage Oreniukselle

SELKÄLIITON SELKÄPATSAS ansiokkaasta toiminnasta selkäterveyden hyväksi on myönnetty erikoispsykologi, kipututkija Tage Oreniukselle. Tunnustus luovutettiin Oreniukselle Selkäliiton järjestöpäivässä lauantaina 12.4. Helsingissä.

– Tage Orenius on toiminut Selkäliiton asiantuntijaryhmän jäsenenä vuodesta 2014. Hän on vuosien varrella kirjoittanut lukuisia artikkeleita Hyvä Selkä -lehteen sekä luennoi -

nut useita kertoja liiton tilaisuuksissa muun muassa aivojen kivunsäätelystä ja tunne-elämän tekijöistä selkäkivun pitkittymisessä, toiminnanjohtaja Kirsi Töyrylä-Aapio kertoo Oreniuksen ansioista.

– Lämpimät kiitokset tunnustuksesta! Kylläpä riemastuin saadessani tästä tiedon. Olen tässä vuosien varrella ehtinyt pohtia selkäkipua eri näkökulmista, auttaa selkäkivuliaita ja tutkia selkäkipuun liittyviä ilmiöitä. Hienoa on ollut saada olla myös Selkäliiton moniammatillisessa asiantuntijaryhmässä, jossa pohdimme nimenomaan tiedon ja auttamistyön rajapinnassa olevia kysymyksiä, Tage Orenius kertoo.

Orenius työskentelee tällä hetkellä Ortonissa ja pitää yksityisvastaanottoa myös Terveystalossa. Hän toimii kouluttajana kipuun liittyvässä psykologiassa sekä hypnoosissa.

Selkäliiton järjestöpäivä pidettiin hybridikokouksena. Päivään osallistui 26 henkilöä 17 selkäyhdistyksestä sekä liiton henkilökuntaa. Järjestöpäivässä kuultiin liiton ja järjestökentän kohtaisista asioista, Sivis-tuesta selkäryhmien toteutuksessa sekä Tage Oreniuksen luento kivusta ja tunteista. Järjestöpäivän yhteydessä pidetyssä liiton kevätkokouksessa käsiteltiin sääntömääräiset asiat.

Lämpimät kiitokset kaikille päivään osallistuneille!

Selkäliiton syksyn järjestöpäivät ja syyskokous pidetään 15.–16. marraskuuta Lahdessa.

Selkäviikolla satsataan selkään

SELKÄVIIKKOA VIETETÄÄN perinteisesti maailman selkäpäivän (16.10.) yhteydessä eli tänä vuonna 13.–19. lokakuuta. Kansainvälisen selkäpäivän teema on ”Invest in Your Spine”, ja meillä Suomessa selkäviikon teemana on ”Satsaa selkääsi”.

Selkäviikon aikana nostetaan esiin selän hyvinvointiin vaikuttavia tekijöitä ja rohkaistaan ihmisiä pitämään huolta selän toimintakyvystä pysymällä aktiivisena arjessa ja huolehtimalla terveellisistä elintavoista.

Selkäviikolla Selkäliitto ja paikalliset selkäyhdistykset järjestävät kaikille avoimia ja maksuttomia tapahtumia. Niistä voi lukea lisää syksyn Hyvä Selkä -lehdestä ja Selkäliiton Selkäviikko-sivulta.

Paussin aika?

Pelaa uutta taukopeliä!

Skannaa QR-koodi!

VÄSYNYT VAI TÄYNNÄ ENERGIAA? Päivän paussi -pelistä löydät muuvit tämänhetkiseen energiatasoosi. Pidä paussi ja pelaa taukopeliä veikeän karhuhahmomme Tauko-Tapsan kanssa. Päivän paussi -peli on osa Selkäliiton Taukoliikuntakokeilu pelillisin keinoin -hanketta. Hanketta rahoitetaan hallitusohjelman Suomi liikkeelle -ohjelmasta, jonka tavoitteena on kääntää liikkuminen kasvuun jokaisessa ikäryhmässä. Päivän paussi on toinen hankkeessa julkaistu peli. Aiemmin on julkaistu liikuntapyörä, ja tulossa on vielä kaksi muuta peliä tämän vuoden aikana. Pidä paussi ja pelaa taukoliikuntapeliä Selkäkanavalla: selkakanava.fi/paivan-taukojumppa

Mikä ihmeen olisteesi?

Nikamasiirtymä lannerangassa syntyy joko lannerangan kuluman tai rasitusmurtuman pohjalta. Siirtymä on usein vähäoireinen ja harmiton, mutta joskus siirtymään liittyvä selkäkipu tai hermopinne vaatii kirurgista hoitoa. Eri siirtymätyyppeihin ja niiden hoitoon liittyy omat erityispiirteensä, jotka vaikuttavat hoitopäätöksiin.

LANNERANGAN RYHTI on normaalisti edestä suora ja sivulta katsoen loivasti kaareva. Kaarevuuden eli lannenotkon suuruus vaihtelee, mutta kaikki lannerangan nikamat sijaitsevat normaalisti notkon muodostamalla jatkuvalla linjalla, jolloin ryhti on ehjä ja harmoninen. Nikamasiirtymä syntyy, kun joku nikamista siirtyy eteenpäin suhteessa alla olevaan nikamaan ja notkon harmonia häiriytyy. Siirtymästä käytetään kreikkalaisperäistä diagnoositermiä spondylolisteesi, jossa termin alkuosa spondylos viittaa nikamaan ja olisthesis siirtymään tai liukumaan.

Nikamasiirtymä on käytännössä aina sairausperäinen muutos. Suurin osa siirtymistä syntyy osana lannerangan kulumasairautta. Kuluma johtaa nikamien välisen rustoisen välilevyn madaltumiseen ja nikamien välisten pikkunivelten nivelrikkoon. Edelleenkään ei tarkoin ymmärretä, miksi tämä kehitys johtaa joskus nikaman siirtymiseen eteenpäin ja joskus vain nikamavälin madaltumiseen ilman siirtymää.

Tyypillinen paikka kulumaperäiselle siirtymälle on lannerangan toiseksi alin L4/5-väli, ja on ajateltu joidenkin paikallisten anatomiaan liittyvien tekijöiden voivan selittää siirtymän syntyä (kuva 1A). Tiedetään myös, että kulumaperäinen siirtymä on naisilla yleisempi kuin miehillä eli jokin sukupuoleen liittyvä selittävä tekijäkin on olemassa.

Lannerangan kulumasairaus kehittyy iän myötä ja vastaavasti kulumaperäistä siirtymää tavataan vanhemmalla väestöllä. Yli 65-vuotiailla siirtymän esiintyvyys on jopa 25 prosenttia eli joka neljännellä tämän ikäisellä ihmisellä on nikamasiirtymä.

Nikamasiirtymä voi syntyä myös kasvukauden aikana, jolloin sen taustalla on

”Suurin osa nikamasiirtymistä syntyy osana lannerangan kulumasairautta.”

tavallisesti nikamakaaren rasitusmurtuma. Kasvavan selän luusto ei kestä toistuvaa liiallista kuormitusta, mikä johtaa lannerangan alimman eli L5-nikaman takakaaren rasitusmurtumaan. Tämän seurauksena lannerangan alin L5/S1-nikamaväli jää epätukevaksi, mistä seuraa välilevyn tavallista nopeampi kuluma ja nikamasiirtymän kehittyminen alimpaan

väliin (kuva 1B). Ylirasitus on siten tavallisin syy tämän tyyppiselle nikamasiirtymälle, jota tavataan usein nuorilla urheilijoilla ja tanssijoilla. Siirtymän syntyyn vaikuttaa kuitenkin myös huonosti ymmärretty perimän kautta välittyvä alttius eli joskus siirtymä voi syntyä vaikka minkäänlaista ylirasitushistoriaa ei olisikaan. Siirtymä ei kuitenkaan ole perinnöllinen sairaus eikä sitä ole koskaan kuvattu vastasyntyneellä.

Suomalaisessa aikuisväestössä rasitusmurtumapohjaisen nikamasiirtymän esiintyvyys on 6 prosenttia eli tämäkin muutos on varsin yleinen. Perimän merkitystä korostaa se, että tietyissä etnisesti eriytyneissä ihmisryhmissä (kuten inuiiteilla) on kuvattu paljon suurempia, jopa 30–50 prosentin esiintyvyyksiä.

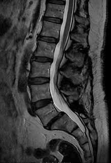
Kuva 1. Magneettikuvat lannerangasta seisovassa asennossa sivusuunnasta katsottuna. Kuvassa A näkyy L4-nikaman kulumaperäinen siirtymä eteenpäin (nuoli). Välilevy nikamasiirtymän kohdalla on madaltunut kulumamuutoksena. Kuvassa B näkyy rasitusmurtuman pohjalta syntynyt nikamasiirtymä L5-nikamassa (nuoli). Myös tässä siirtymävälin välilevy on madaltunut kuluman seurauksena.

Siirtymätyypin vaikutus oireisiin

Kulumaperäisessä siirtymässä koko nikama siirtyy eteenpäin, jolloin nikaman takakaaret herkästi ahtauttavat selkäydinkanavaa (kuva 2). Siirtymä on useimmiten kooltaan pieni, mutta pienikin muutos voi aiheuttaa selkäydinkanavan ahtautumista ja siitä syntyviä alaraajoihin säteileviä ahtaumaoireita, kuten kipua, katkokävelyä, tunnon ja lihasvoiman heikentymistä. Kooltaan suurempia siirtymiä tavataan harvemmin. Niihin liittyy usein paitsi ahtaumaoireita, myös selän epätukevuusoireita, kuten säväyttelevää puukoniskumaista selkäkipua.

Rasitusmurtumaperäisessä nikamasiirtymässä vain nikaman runko-osa siirtyy eteenpäin, mutta nikamasta rasitusmurtuman seurauksena irti jääneet takakaaret jäävät paikoilleen. Keskeinen selkäydinkanava ei tässä tilanteessa ahtaudu ja ahtaumaoireiden ilmestyminen on epätavallista (kuva 2). Oireilu onkin tyypillisesti siirtymävälin epätukevuuteen palautuvaa selkäkipua ja selän epätukevuusoireilua. Siirtymävälin kuluessa välilevy madaltuu ja tässäkin siirtymätyypissä usein tavataan hermopinneoireilua, joka syntyy L5-hermojuuren jäädessä pinteeseen ahtaassa hermojuurikanavassa.

”Siirtymän aiheuttama oireilu sanelee vaadittavan hoidon. ”

Rasitusmurtumaan liittyvä nikamasiirtymä voi suurentua niin kauan kuin lapsen tai nuoren pituuskasvu jatkuu. Ääritilanteessa siirtyvä nikama voi jopa liukua kokonaan alla olevan nikaman etupuolelle. Tämän tilanteen välttämiseksi joudutaan nuorellekin ihmiselle joskus tekemään ennakoiva luudutusleikkaus siirtymäväliin. Siirtymän kasvumahdollisuuden vuoksi rasitusperäistä siirtymää on hyvä seurata koko kasvukauden ajan. Kasvun loputtua siirtymän suureneminen on harvinaista eikä rutiinimaista seurantaa enää aikuisiällä suositella.

Nikamasiirtymän hoito

Siirtymän aiheuttama oireilu sanelee vaadittavan hoidon. Oireinen selkäydinkanavan ahtaus on tavallisin hoidon aihe kulumaperäisen siirtymän potilailla. Hoito

on tuolloin hermovapautusleikkaus, jossa pinteessä olevat hermot selkäydinkanavassa vapautetaan. Siirtynyttä nikamaa ei tässä tilanteessa yritetäkään palauttaa paikalleen, hermovapautus on riittävä toimenpide. Jos potilaalla on ollut paljon epätukevuusoireita tai nikamasiirtymä on poikkeuksellisen suuri, tehdään hermovapautuksen yhteydessä myös siirtymävälin luudutusleikkaus. Luudutus tekee toimenpiteestä heti merkittävästi suuremman ja siitä toipuminen on työläämpää ja kestää pidempään. Siinä missä hermovapautuksen jälkeinen toipuminen vie pari kuukautta, kestää luudutuksen toipuminen minimissään 5–6 kuukautta. Rasitusmurtumaperäisen nikamasiirtymän oireilu syntyy siirtymävälin epätukevuudesta ja vastaavasti hoitona on luudutusleikkaus. Luudutus tukevoittaa

Kuva 2. Magneettikuvat poikkileikkeinä selällään makaavasta henkilöstä. Selkäydinkanavan pinta-ala on merkitty kuviin läpikuultavalla varjostuksella punaisen ääriviivan sisällä. Kuvassa A nähdään voimakasasteinen selkäydinkanavan ahtaus L4/5-välissä. Kyse on samasta henkilöstä kuin kuvassa 1A. Kuvassa B näkyy nuoren henkilön normaalilaajuinen selkäydinkanava L4/5-välissä.

Kuvassa C nähdään normaalilaajuinen selkäydinkanava rasitusmurtumaperäisen siirtymän kohdalla välissä L5/S1. Kyse on samasta henkilöstä kuin kuvassa 1B.

nikamavälin ja toisaalta vain luudutusleikkauksella saadaan avarrettua ahtautuneita hermojuurikanavia ja helpotettua mahdollista hermopinneoiretta. Tavanomainen hermovapautusleikkaus ei riitä väljentämään juurikanavan ahtautta eikä sillä siten ole paljon sijaa rasitusmurtumaperäisen siirtymän hoidossa.

Nikamasiirtymään liittyvä hermopinne voi joskus helpottua hermojuuren viereen asetetulla kortisoni- /puuduteinjektiolla. Tämä hoito sopii kokeiltavaksi, jos jalkaan säteilevä kipu on selkeästi toispuolinen ja tarkasti kuvattavissa alueella tuntuva. Magneettikuvassa tulee myös olla todettavissa kipualueeseen sopivan hermojuuren pinne. Kortisoni voi rauhoittaa oireilua pidemmäksikin aikaa ja se on usein kokeilemisen arvoinen hoito, varsinkin, jos syystä tai toisesta ei haluta ryhtyä varsinaiseen leikkaushoitoon. Toimenpide vaatii röntgenohjauksen, eikä sitä voi tehdä sormituntumalla.

Lopuksi

Erityyppisten nikamasiirtymien hoito perustuu hyvin tutkittuun tietoon leikkaushoitojen vaikuttavuudesta ja hoito on tutkimusnäyttöön perustuvaa. Hermovapautusleikkaus on yleensä riittävä toimenpide, jonka voi lähes aina tehdä mikroskooppisella säästävällä tekniikalla. Päätös tarpeellisesta luudutusleikkauksesta ja tarpeettoman luudutusleikkauksen välttämisestä vaatii huolellista harkintaa ja monipuolista perehtyneisyyttä selkäkirurgiaan.

Heikki Österman selkäkirurgian osastonlääkäri, Orton

Miksi joku nauttii liikkumisesta ja toiselle se

on pakkopullaa?

Persoonallisuuden merkitys fyysiselle aktiivisuudelle

Persoonallisuus kuvastaa meille tyypillistä tapaa käyttäytyä, tuntea ja ajatella eri tilanteissa.

Persoonallisuudella on merkitystä myös sille, kuinka paljon ja millä tavoin olemme fyysisesti aktiivisia.

PERSOONALLISUUS KÄSITTÄÄ monenlaisia asioita, joita voi hahmottaa eri tasojen kautta. Perustan persoonallisuudelle luovat temperamentti ja persoonallisuuden piirteet, jotka ovat suhteellisen pysyviä ominaisuuksia. Toiseen tasoon kuuluvat esimerkiksi motivaatio, arvot ja selviytymiskeinot. Kattona näille tasoille on yksilön itsestään elämän aikana luoma tarinamuotoinen identiteetti. Tässä kirjoituksessa keskitytään erityisesti persoonallisuuden piirteisiin ja käsitellään niiden merkitystä fyysiselle aktiivisuudelle tutkimusten valossa.

Mitä persoonallisuuden piirteet ovat?

Persoonallisuuden piirteet kehittyvät synnynnäisen temperamentin pohjalta vuorovaikutuksessa ympäristön kanssa. Aikuisuudessa ne ovat melko pysyviä. Yleisimmin erotetaan viisi piirrettä: ulospäinsuuntautuneisuus eli ekstraversio, neuroottisuus eli tunne-elämän epätasapainoisuus, tunnollisuus, avoimuus kokemuksille ja ystävällisyys.

Persoonallisuuden piirteet voidaan nähdä jatkumoina, joille jokainen meistä sijoittuu johonkin kohtaan. Useimmat meistä ovat melko keskellä. Kun tutkimuksissa puhutaan vaikkapa korkeasta tunnollisuudesta, tarkoitetaan henkilöitä, jotka saavat korkeita pisteitä tunnollisuudessa verrattuna toisiin. Ei ole olemassa tarkkoja rajoja, joiden perusteella voisi luokitella ihmisiä esimerkiksi tunnollisiksi tai neuroottisiksi.

neisuutta ja epävarmuutta. Neuroottisuus voi näkyä ulkoisina motivaation lähteinä: liikunta koetaan ”pakkopullana” tai keinona pudottaa painoa eikä liikkumisesta saada nautintoa. Myös ulkoiset motivaation lähteet voivat auttaa liikkumaan, mutta harvemmin johtavat pysyvään liikunnalliseen elämäntapaan. Korkeita neuroottisuuspistemääriä saavat henkilöt kokevat myös enemmän esteitä liikunnalle, kuten aikatauluhaas-

”Ulkoiset motivaation lähteet voivat auttaa liikkumaan, mutta harvemmin johtavat pysyvään liikunnalliseen elämäntapaan.”

Miten

persoonallisuuden piirteet kytkeytyvät fyysiseen aktiivisuuteen?

Ulospäinsuuntautuneisuus on yhteydessä runsaampaan fyysiseen aktiivisuuteen. Ulospäinsuuntautuneisuus sisältää sekä ihmissuhteisiin liittyviä taipumuksia, kuten seurallisuutta, mutta myös yksilön aktiivisuutta ja jännityshakuisuutta kuvaavia puolia. Tämä aktiivisuuteen liittyvä puoli voi näkyä halukkuutena olla jatkuvasti menossa ja täyttää vapaa-aika erilaisilla aktiviteeteilla, kuten liikuntaharrastuksilla. Ulospäinsuuntautuneisuuden ihmissuhteisiin liittyvä puoli voi näkyä mieltymyksenä ryhmäliikuntaan tai muuhun sosiaaliseen kanssakäymiseen liikunnan aikana.

Neuroottisuus on yhteydessä vähäisempään fyysiseen aktiivisuuteen. Neuroottisuutta luonnehtii taipumus kokea kielteisiä tuntemuksia, kuten ahdistu-

”Ulospäinsuuntautuneisuus on yhteydessä runsaampaan fyysiseen aktiivisuuteen.”

teita, innostuksen puutetta tai epävarmuutta omasta kyvystään liikkua.

Tunnollisuus on yhteydessä runsaampaan fyysiseen aktiivisuuteen. Korkeaa tunnollisuutta kuvastavat esimerkiksi hyvä itsekuri ja suunnitelmallisuus. Tunnollisuus voikin auttaa asettamaan tavoitteita, toteuttamaan liikuntasuunnitelmia pitkäjänteisesti ja ylläpitämään liikunnallista elämäntapaa. Tunnollisuus auttaa erityisesti silloin, kun arjen esteet vaikeuttavat tai aiheuttavat muutoksia liikuntasuunnitelmiin.

Avoimuus kokemuksille ei ole yhtä selkeästi yhteydessä fyysiseen aktiivisuuteen, mutta se voi näkyä halukkuutena kokeilla uusia liikuntamuotoja ja laajempana lajivalikoimana. Viidestä piirteestä ihmissuhteissa toimimiseen liittyvä ystävällisyys ei ole selkeästi yhteydessä fyysiseen aktiivisuuteen.

Tutkimuksissa fyysistä aktiivisuutta on tarkasteltu erityisesti liikunnan kautta, joka on suunnitelmallista ja tavoitteellista fyysistä aktiivisuutta. Fyysinen aktiivisuus voi kuitenkin olla paljon muutakin kuin liikuntaa, kuten kevyttä liikuskelua arkiaskareiden lomassa ja taukoja paikallaanolosta. Puettavia liikemittareita hyödyntävillä tutkimuk -

”Fyysinen aktiivisuus voi olla paljon muutakin kuin liikuntaa, kuten kevyttä liikuskelua arkiaskareiden lomassa ja taukoja paikallaanolosta.”

silla on päästy kiinni myös tähän puoleen fyysistä aktiivisuutta. Tulokset ovat pääosin linjassa liikunnan harrastamisen kanssa. Esimerkiksi korkea ulospäinsuuntautuneisuus ja tunnollisuus ovat yhteydessä myös yleisesti runsaampaan liikkumiseen arjessa. Toisaalta persoonallisuuden piirteillä näyttäisi olevan enemmän merkitystä liikunnan harrastamisen kuin arkielämän kevyemmän liikuskelun taustalla.

Miten tätä tietoa voisi hyödyntää?

Ammattilaisille ymmärrys yksilöllisistä eroista fyysisen aktiivisuuden taustalla voi auttaa sekä liikuntaneuvonnan ja -ohjelmien suunnittelussa että liikunnan ohjaamisessa. Samat ohjeet ja keinot lisätä liikkumista tai samanlainen kannustus ja motivointi liikuntasuorituksen aikana eivät toimi kaikille sa-

malla tavalla. Persoonallisuuden piirteet voidaan huomioida yhtenä osatekijänä esimerkiksi terveydentilan, elämäntilanteen ja tavoitteiden rinnalla yksilöityä liikuntaneuvontaa suunniteltaessa. Yllä kuvattujen yhteyksien valossa erityisesti matala ulospäinsuuntautuneisuus ja tunnollisuus sekä korkea neuroottisuus voivat olla yksilön ominaisuuksia, jotka edellyttävät erityistä tukea liikuntaneuvonnassa.

Siinä missä korkeita pistemääriä ulospäinsuuntautuneisuudessa saaville ryhmämuotoiset ja korkean intensiteetin liikunta-aktiviteetit voivat olla motivoivimpia, matalia pistemääriä ulospäinsuuntautuneisuudessa saaville rauhallisemman intensiteetin aktiviteetit yksin tai pienessä ryhmässä voivat toimia paremmin. Korkean neuroottisuuden kohdalla erityisesti itseluottamuksen, minäpystyvyyden ja esteiden ylittämisen tukeminen ovat keskeisiä keinoja liikun-

”Samat ohjeet ja keinot lisätä liikkumista tai samanlainen kannustus ja

motivointi liikuntasuorituksen aikana eivät toimi kaikille samalla tavalla.”

nan edistämiseksi. Vähemmän tunnollisille erityisesti liikuntaan sitoutuminen ja pitkäjänteisyys voivat olla vaikeaa. Itselle mieluisen ja sopivasti haasteita tarjoavan liikuntamuodon löytäminen voi auttaa ylläpitämään harrastusta.

Jokainen on ainulaatuinen yhdistelmä piirteistä

On tärkeää huomata, että vaikka persoonallisuuden piirteistä puhutaan usein yksittäin erillisinä piirteinä, jokaisella meillä on ainutlaatuinen yhdistelmä niitä kaikkia. Yksittäisen piirteen merkitys voi vaihdella riippuen siitä, millainen kokonaisuus muista piirteistä ja myös muista persoonallisuuden tasoista muodostuu.

On myös hyvä muistaa, että tutkimukset kertovat keskimääräisistä tuloksista, eivätkä ne välttämättä sovi jokainen yksilön kohdalle. Jokaiselle liikkujalle tai liikkumisen lisäämistä tavoittelevalle oman persoonallisuuden pohtiminen voi auttaa ymmärtämään oman fyysisen aktiivisuuden taustalla olevia tekijöitä ja tunnistamaan omia vahvuuksia ja haasteita liikkujana. Mikä minua motivoi? Millaisesta liikkumisesta pidän? Millaisia esteitä koen liikkumiselle?

Tiia Kekäläinen TtT, erikoistutkija, Laurea-ammattikorkeakoulu

Kirjoituksen lähteet ovat saatavissa lehden toimituksesta.

Kuva: Freepik

Yhdessä menoksi -hankkeesta iloa yhdistyksen toimintaan

YHDESSÄ MENOKSI -hankeyhdistyksissä on järjestetty Menoksi-toimintaa loppuvuodesta 2024 alkaen. Kevään toiminta on monipuolista. Punaisena lankana kulkee ajatus siitä, että liikkeelle lähteminen ja toisten ihmisten seura ovat tärkeä osa hyvinvointia. Jos liikkeelle lähtemisen kynnys on korkea, on tärkeää löytää mukavaa tekemistä, joka motivoi liikkumaan. Mielekkään tekemisen parissa arkiaktiivisuus lisääntyy huomaamatta ja mieli virkistyy liikkeelle lähtiessä ja muita kohdatessa. Porukan kanssa liikkeelle lähteminen voi tuoda turvallisuuden tunnetta ja etukäteen kalenteriin kirjattu tapaaminen motivoi lähtemään kotoa. Jos kaveri puuttuu, Menoksi-toimintaan kannattaa osallistua rohkeasti!

Keveästi yhdessä kävellen

Rauhalliset kävelyporukat ovat hyvä tapa lähteä liikkeelle ja tutustua uusiin ihmisiin. Kevään aikana Satakunnan Selkäyhdistyksessä on toiminut aktiivinen

kävelyryhmä, ja toukokuisia kävelyryhmiä järjestetään myös Pääkaupunkiseudun Selkäyhdistyksissä Espoossa ja Vantaalla. Muutaman kerran viikoittaisessa ryhmässä pääsee kokeilemaan, miltä tuntuu liikkeelle lähteminen porukassa sekä tunnustelemaan kevättä. Ryhmästä voi löytää myös uusia tuttavia. Yksittäisiä kävelyretkiä vaihtelevissa maisemissa järjestää myös Kanta-Hämeen Selkäyhdistys Hämeenlinnassa, Pääkaupunkiseudun Selkäyhdistykset Helsingin Lauttasaaressa, Mikkelin Seudun Selkäyhdistys Hirvensalmella ja Pirkanmaan Selkäyhdistys Tampereella.

Muutakin liikuntaa on mahdollisuus päästä kokeilemaan Menoksi-kavereiden luotsaamissa ryhmissä. Heinolan Seudun Selkäyhdistys järjestää keilausta ja KantaHämeen Selkäyhdistyksessä toimii kaksi kuntosaliryhmää Menoksi-kavereiden järjestäminä. Mikkelin Seudun Selkäyhdistyksessä ja Kanta-Hämeen Selkäyhdistyksessä on lisäksi mahdollista kysyä Menoksi-kaveria seuraksi esimerkiksi ul-

Matalan kynnyksen toiminta tuo iloa niin järjestäjille kuin osallistujillekin. Vapaaehtoisilta kuultua:

”Tapahtumissa tapaa kivoja ihmisiä ja lenkit ovat mukava ulkoilutapahtuma vaihteluna omiin lenkkeihin. Tapahtumia on mukava järjestää yhdessä ja osallistua niihin.”

”Toiminta on inspiroinut itseäni ja innostanut kanssakulkijaa. Tärkeää on yhdessäolo, kotoa lähteminen, seura ja ilo.

Päivän mukaan mennään lyhyempi tai pidempi matka. Vierailtu on esimerkiksi markkinoilla, hautausmaalla, konsertissa ja kahvilla. Liikunta tulee siinä kyljessä lahjana.”

”Yhdessä menoksi -hanke on tuonut piristystä koko yhdistyksen toimintaan.”

Paikallisten selkäyhdistysten järjestämää Yhdessä menoksi -toimintaa löydät hankkeen nettisivuilta: Selkäliitto > Yhdessä menoksi -hanke > Selkäyhdistysten Menoksi -ryhmät ja -tapahtumat

Satakunnan Selkäyhdistyksen Menoksiporukka vieraili Porin taidemuseossa maaliskuussa.

koilemaan kahden kesken, jos ryhmään lähteminen ei ole itselle mieluinen juttu.

Kulttuuria reseptillä ja ilman

Mukava tapa lähteä liikkeelle yhdessä on jalkautuminen kulttuurin pariin. Satakunnan Selkäyhdistys on lähtenyt hankkeen myötä yhteistyöhön Porin museoiden ja hyvinvointialueen kulttuurireseptitoimintaan. Kulttuuriresepti on tarkoitettu haavoittuvassa elämäntilanteessa oleville satakuntalaisille. Kulttuurireseptin mahdollistamana lähdetään liikkeelle pienryhminä esimerkiksi museoihin. Museovierailut kulttuurireseptillä ovat maksuttomia.

Kuopion Selkäyhdistyksessä osallistutaan yhdessä Kuopion kaupungin järjestämiin Kulttuurikahvila 60+ -tapahtumiin. Mikkelin Seudun Selkäyhdistyksessä on hankkeen puitteissa järjestetty matalan kynnyksen yhteislaulutilaisuuksia, joissa nautitaan yhdessä laulamisesta sekä pienestä liikuntatuokiosta.

Ideat hyviksi käytännöiksi

Hankeyhdistysten vapaaehtoisille on järjestetty kevään aikana iltateetilaisuuksia Teamsissa. Tilaisuudet alkavat alustuksella, jonka jälkeen jaetaan kokemuksia ja ideoita muiden vapaaehtoisten kanssa. Kevään aiheita ovat olleet tapahtuman järjestäminen ja viestintä, ja toukokuussa aiheena on liikunta ja selkäterveys. Illoista koostetaan materiaalia vapaaehtoisille toiminnan järjestämisen tueksi. Parhaimmillaan hanke tuo yhdistyksen toimintaan lisää virtaa.

Teksti: Riina Kaartamo

Jalkaterän ja nilkan hyvinvointi on olennainen osa liikkumiskykyä. Vahvistamalla jalkaterän lihaksia ja parantamalla nilkan liikkuvuutta askellus on joustavampi ja tasapaino parempi. Jalkaterän ja nilkan harjoitukset suojaavat rasitusvammoilta ja kehittävät jalkaterän lihasvoimaa ja tuntoaistia. Tee harjoitukset paljain jaloin, käytä apuna tennispalloa tai piikkipalloa. Tee liikkeet molemmilla jaloilla ja toista harjoitukset 3-5 kertaa viikossa. Muista harjoitella säännöllisesti.

Paranna liikkumistasi jalkajumpalla

ISOVARPAAN TYVINIVELEN TUKILIHAKSIA VAHVISTAVA LIIKE

Istu tuolille ja aseta puolikas tennispallo isovarpaan tyvinivelen alle. Pidä kantapää samaan aikaan maassa. Säilytä kantapään asento samalla kun yrität painaa isovarpaan tyvinivelellä tennispalloa kasaan. Varmista, että et käytä reisilihaksia liikkeen voimantuottajana. Aluksi pallon rutistaminen voi olla haastavaa, mutta helpottuu säännöllisellä harjoittelulla. Toista 10–15 kertaa.

PITKITTÄISEN HOLVIKAAREN VAHVISTUS Istu tuolille ja aseta jalkapohja lattialle. Nosta varpaiden ja kantapään välistä aluetta aktivoimalla pitkittäisen holvikaaren lihaksia. Yritä pitää varpaat suorana alustaa vasten ja säilytä asento 5-10 sekuntia. Toista liike 10–15 kertaa.

JALKAPOHJAN RENTOUTUS

3 2 1

Aloita liike asettamalla pallo jalkapohjan alle. Paina palloa kevyesti ja rullaile sitä jalkaterän ja kantapään välillä noin 1-2 minuutin ajan.

VARPAIDEN

VENYTYS

KOUKISTAJALIHASTEN

Aseta pallo seinää vasten. Nosta varpaat pallon päälle, pidä varpaiden tyvinivelet ja kantapää maassa. Siirrä painoa eteenpäin, tunne venytys varpaiden ja jalkaterän etuosan alla. Pidä 30 sekuntia.

TASAPAINOA JA JALKATERÄN ASENTOTUNTOA PARANTAVA HARJOITUS

Seiso pehmeällä alustalla, tyynyn tai tasapainolaudan päällä ja tasapainoile yhdellä jalalla. Jos pelkkä tasapainoilu on helppoa, liikkeeseen voi yhdistää pienen yhden jalan kyykyn.

5

JALKATERÄN LUONNOLLISTA

ASKELLUSTA TUKEVA LIIKE

4

Istu tuolilla. Nosta toinen jaloista vastakkaisen polven päälle. Ota toisella kädellä kiinni kantapäästä ja toisella kädellä kiinni jalkaterästä. Kierrä samaan aikaan kantapäätä kattoa kohti ja jalkaterää lattiaa kohti. Toista 10–15 kertaa.

9

8

NILKAN KOUKISTAJALIHASTEN VENYTYS Seiso lantionlevyisessä asennossa. Vie toinen jalka taaksepäin ja aseta varpaat lattiaa kohden. Pidä polvi koukussa ja ojenna nilkkaa niin, että nilkan koukistajalihakset venyvät. Pidä venytys 30 sekuntia.

POHJELIHAKSEN VENYTYS Ota toisella jalalla askel taaksepäin, säilytä paino edessä olevalla jalalla pitäen polvi koukussa. Paina takana olevan jalan kantapäätä maahan niin, että tunnet venytyksen pohjelihaksessa. Ota tarvittaessa tukea seinästä. Pidä venytys 30 sekuntia.

Piikkipalloja voi tilata Selkäkaupasta www.selkakauppa.fi .

7

NILKAN TUKILIHAKSIA VAHVISTAVA LIIKE Kyykisty vähän, säilytä kyykky samaan aikaan kun nouset varpaille. Muista pitää paino tasaisesti isovarpaan tyvinivelen ja jalkaterän ulkosyrjän välillä. Toista 15-20 kertaa.

Vain muutamien alaselkäkivun hoitomuotojen tehosta on näyttöä

TUOREESSA laajassa systemaattisessa katsauksessa ja meta-analyysissä tutkitaan erilaisten käytössä olevien ei-kirurgisten hoitojen tehoa ja vaikutusta epäspesifiin alaselkäkipuun. Epäspesifi alaselkäkipu tuntuu alaselän ja lantion alueella ja siihen voi liittyä myös alaraajaan säteilevää kipua. Tutkimuksessa ei selvitetty selkäkipua, jonka taustalla oli spesifi sairaus tai hermon toiminnan häiriö. Tutkimukseen valikoitui analysoitavaksi 301 aiemmin julkaistua satunnaistettua ja lumekontrolloitua tutkimusta, joissa on selvitetty yhteensä 56 erilaisen hoidon tai hoitoyhdistelmän tehoa verrattuna lumehoitoon.

Tutkimuksessa käsitellään erikseen alle kolme kuukautta kestäneen ja yli kolme kuukautta kestäneen epäspesifin alaselkäkivun hoitoa, koska niiden hoito eroaa toisistaan. Äkillisessä ja alle kolme kuukautta kestäneessä alaselkäkivussa vaikutusta kipuun havaittiin olevan tulehduskipulääkkeillä. Pitkäaikaiseen (yli 3 kuukautta kestäneen) alaselkäkipuun havaittiin lievitystä tarjoavan liikunnan, selkärangan manipulaatiohoidon ja selän teippauksen.

Jotkut hoitomuodot eivät osoittautuneet toimiviksi, kuten glukokortikoidi-

pistokset akuutissa kivussa. Myöskään liikunta ei ollut vaikuttava hoitomuoto akuutin kivun vaiheessa. Pitkäaikaisessa kivussa antibiootit todettiin tehottomiksi. Suurimman osan hoitomuotojen kohdalla näyttö oli riittämätön. Tämä johtui heikkolaatuisista tutkimusasetelmista tai tutkimus- ja kontrolliryhmien pienuudesta.

Tutkimuksessa vain muutamien hoitomuotojen tehosta löytyi näyttöä, näissäkin näytön taso oli kohtalaista ja arvioitu vaikutus pientä. Kliinisessä työssä selkäkivun hoitovalintojen tulisi perustua näyttöön, ja epävarmojen tai tehottomien hoitomuotojen käytöstä tulisi luopua. Tarvittaisiinkin lisää laajoja ja korkealaatuisia tutkimuksia, jotka auttaisivat tunnistamaan paremmin tehokkaat ja suositeltavat hoitomuodot epäspesifin alaselkäkivun hoidossa.

Cashin AG, Furlong BM, Kamper SJ, et al. Analgesic effects of non-surgical and non-interventional treatments for low back pain: a systematic review and meta-analysis of placebo-controlled randomised trials. BMJ Evidence-Based Medicine 2025. doi: 10.1136/bmjebm-2024-112974

Etäteknologia voi tukea fyysisen aktiivisuuden edistämistä kuntoutujilla

SANNA SÄTERIN väitöstutkimuksessa selvitetään fyysisen aktiivisuuden edistämistä etäteknologian avulla. Fyysinen aktiivisuus on keskeinen tekijä terveyden ylläpitämisessä ja liikkumisen edistämiseen on alettu hyödyntää yhä enemmän teknologiaa, kuten aktiivisuusmittareita, älypuhelin- ja internetsovelluksia. Teknologiasta toivotaan myös ratkaisuja kuntoutuksen saavutettavuuden parantamiseen ja sen tarjoamiseen laajemmin ja joustavammin.

Väitöstutkimuksessa tehtiin kaksi meta-analyysin sisältävää systemaattista kirjallisuuskatsausta, joissa selvitettiin etäteknologian avulla tapahtuvaa aikuisten (n=4645) fyysisen aktiivisuuden edis-

tämistä. Etäteknologiaa hyödyntävän intervention todettiin lisäävän fyysistä aktiivisuutta 12 prosenttia enemmän verrattuna vähintään liikuntasuositusten mukaiset ohjeet saaneeseen kontrolliryhmään ja 19 prosenttia enemmän verrattuna ainoastaan liikuntasuositukset saaneeseen kontrolliryhmään. Sairauksien kuntoutukseen kohdennetut etäteknologiainterventiot olivat tehokkaita lisäämällä fyysistä aktiivisuutta 25 prosenttia tavanomaisia menetelmiä enemmän. Kuitenkin verrattaessa etäteknologiaa sisältävää fyysistä aktiivisuutta edistävää interventiota samanlaiseen ilman etäteknologiaa toteutettuun interventioon, ryhmien välillä ei havaittu eroa.

Väitöstutkimuksessa toteutettiin lisäksi 59 sydänkuntoutujaa sisältävä klusteritasolla satunnaistettu kontrolloitu tutkimus, jossa koeryhmä käytti perinteisen läsnä toteutuvan kuntoutuksen lisänä internetsovellusta ja aktiivisuusranneketta. Etäteknologian käyttö omakuntouksen tukena toi lisäarvoa, lisäten kevyttä fyysistä aktiivisuutta ensimmäisen kuuden kuukauden aikana kontrolliryhmää verrattuna. Ryhmien välillä ei kuitenkaan ollut eroja kohtalaisessa tai raskaassa fyysisessä aktiivisuudessa. Eikä eroa ollut enää havaittavissa vuoden kohdalla.

Väitöstutkimuksen perusteella etäteknologian käyttö fyysisen aktiivisuuden

Kuva: Freepik
Koonnut: Satu Nieminen

Geneettinen alttius voi selittää alaselkäkivun kokemisen eroja

LAAJOIHIN AINEISTOIHIN perustuvassa ja geenitutkimusta hyödyntävässä tutkimuksessa selvitetään, voiko geneettisesti ennustettu alttius kivulle vaikuttaa kuvantamislöydösten ja alaselkäkivun väliseen yhteyteen. Selkärangan kuvantamisesta on vain rajallisesti hyötyä kipulähteen tunnistamisessa valtaosalla alaselkäkipua kokevista henkilöistä. Monet kuvantamislöydökset, kuten lannerangan välilevyjen rappeumamuutokset, ovat yleisiä myös henkilöillä, joilla ei ole alaselkäkipua. Välilevyrappeumalöydösten ja alaselkäkivun välinen yhteys on ollut laajoissakin tutkimuksissa yleensä vain kohtalainen tai heikko.

Pitkittyvä ja haittaava alaselkäkipu on laajalti tunnustettu monitekijäiseksi ilmiöksi, johon voivat vaikuttaa biologiset, psykologiset, sosiaaliset ja ympäristöön liittyvät tekijät. Myös geneettisillä tekijöillä ajatellaan olevan merkitystä. Tutkijat olettivat, että perinnölliset tekijät voivat muokata sitä, miten voimakkaasti kuvantamislöydökset liittyvät alaselkäkipuun. Todettuun kuvantamislöydösten ja kipukokemusten väliseen eroon voisi vaikuttaa ihmisten erilainen perinnöllinen alttius kivulle.

edistämisessä tuottaa alustavan lupaavia tuloksia etenkin lyhyellä aikavälillä ja erityisesti sairauksien kuntoutuksessa. Kevyen fyysisen aktiivisuuden lisäänty-

Tutkimuksessa hyödynnettiin laajoja aineistoja brittiläisestä biopankista (n=377 000) ja brittiläisestä kaksosten kohorttitutkimuksesta (n=644). Tutkijat loivat ensin useaan geeniin perustuvan riskipisteytyksen ennustamaan yksilön geneettistä alttiutta kivulle. Riskipisteytyksen perusteella tutkittavat jaettiin neljään ryhmään sen mukaan, kuinka todennäköisesti heidän geneettinen taustansa lisäsi alttiutta kivulle. Tämän jälkeen lannerangan välilevyrappeuman ja alaselkäkivun välistä yhteyttä tarkasteltiin ensin perinteisillä menetelmillä ja sen jälkeen ottaen huomioon geneettisesti ennustettu kipualttius. Rappeumamuutosten määrän lisääntyminen lisäsi jonkin verran kivun todennäköisyyttä, mutta niiden välisen yhteyden voimakkuus ei kuitenkaan ollut kuin kohtalainen. Kun analyysissä huomioitiin geneettinen kipualttius, havaittiin, että rappeumamuutosten ja alaselkäkivun välinen yhteys oli kahdessa korkeimmassa kipualttiuden ryhmässä tilastollisesti merkitsevä ja voimakkaampi kuin muiden osallistujien keskuudessa.

Kaikki rakenteelliset muutokset eivät johda kipuun. Kliinisessä työssä tava-

minen etäteknologiaa hyödyntäneessä sydänkuntoutuksessa on lupaava löydös, sillä kroonisesti sairaat hyötyvät lisääntyneestä aktiivisuudesta erityises-

taan potilaita, joilla löydetään muutoksia, mutta he eivät koe kipua. Toisaalta nähdään usein myös potilaita, joilla on vaikea alaselkäkipu mutta vain lieviä tai olemattomia kuvauslöydöksiä. Tämä tukee ajatusta siitä, että kivun kokemukseen vaikuttavat myös muut tekijät kuin selkärangan rakenteelliset muutokset. Pelkkä välilevymuutosten esiintyminen ei yksin selitä alaselkäkivun voimakkuutta tai esiintyvyyttä. Tämän tutkimuksen perusteella geneettinen kipualttius on tekijä, joka voi muokata kivun kokemusta ja sen yhteyttä rakenteellisiin muutoksiin.

Suri, P, et al. The association of lumbar intervertebral disc degeneration with low back pain is modified by underlying genetic propensity to pain. 2025. The Spine Journal. doi: 10.1016/j. spinee.2024.05.018.

ti. Kuntoutujilta selvitettiin myös kokemusta teknologian käytöstä ja havaittu kuntoutujien teknologiamyönteisyys tukee etäteknologian hyödyntämistä osana sydänkuntoutusta.

Etäteknologian käyttö ei tämän tutkimuksen perusteella johdonmukaisesti ole perinteisiä menetelmiä tehokkaampaa. Etäteknologian käyttö vaikuttaa kuitenkin olevan vähintään yhtä tehokasta verrattuna tavanomaiseen kasvotusten tai kirjallisen materiaalin avulla toteutettuun interventioon, joka on merkittävää huomioiden etäinterventioiden edut perinteiseen kuntoutukseen verrattuna.

Säteri, S. The Promotion of Physical Activity with Remote Technology with a Special Focus on Cardiac Rehabilitation. 2025. Jyväskylän yliopisto. https://urn.fi/ URN:ISBN:978-952-86-0496-9

Kuva: Freepik
”Kävely tukee monipuolisesti alaraajojen ja selän terveyden ylläpitämistä, sillä se kuormittaa ja vahvistaa tehokkaasti erityisesti alaraajojen lihaksia, kuten reisiä, pakaroita ja pohkeita.”

käkipua saatetaan hoitaa menetelmillä, jotka keskittyvät selän lihasvoiman ja liikkuvuuden parantamiseen – mutta jos kivun perimmäinen syy on alaraajoissa, pelkkä selän alueen harjoittaminen ei tuo pysyvää helpotusta.

Alaraajojen lihasvoima ja liikkuvuus edistävät jalkojen sekä selän hyvinvointia

Alaraajojen lihasvoiman, nivelten liikkuvuuden ja tukevuuden tasapaino eri kehonosien välillä on keskeistä kehon optimaalisen toiminnan kannalta. Lantion oikean asennon säilyttämisestä vastaavat pääasiassa vatsa- ja pakaralihakset, reiden takaosan lihakset sekä lonkankoukistajat yhdessä reiden etuosan lihasten kanssa.

Jos näiden lihasten välinen tasapaino häiriintyy, esimerkiksi heikentyneen vatsa- ja pakaralihasten toiminnan sekä kireiden lonkankoukistajien seurauksena, lantio voi kallistua liikaa eteenpäin. Tämä asento venyttää reiden takaosan lihaksia jatkuvasti, mikä voi aiheuttaa kipua ja jäykkyyden tunnetta. Tällaisessa tilanteessa pelkkä venyttely ei riitä ongelman korjaamiseen, vaan on tärkeää vahvistaa erityisesti keskivartalon ja lantion tukilihaksia, jotta keho pystyy palauttamaan lantion luonnolliseen keskiasentoon. Näitä lihaksia voidaan vahvistaa erilaisilla kotona ja kuntosalilla tehtävillä harjoitteilla, kuten lonkankoukistus-, kyykky- sekä reiden koukistus- ja ojennusharjoituksilla. Myös jalkaterän pienten lihasten harjoittaminen on tärkeää.

Jalkaterveyden huomioiminen

Jalkaterveys on kokonaisuus, johon kuuluu lihaskunnosta huolehtimisen lisäksi iho- ja kynsimuutosten ehkäisy sekä niiden asianmukainen hoitaminen ja jalkaterveyttä edistävien kenkien valinta. Jopa pieni hiertymä tai kipeä känsä jalkaterässä vaikuttaa välittömästi kävelyyn. Kivuliasta kohtaa varoessa jal-

katerän kuormitus muuttuu huomaamattamme, jolloin vaikutukset näkyvät koko kehossa varpaista alaraajojen ja selän kautta aina hartioiden ja pään asentoon asti. Kengät ovat merkittävä ulkoinen tekijä, jolla voidaan vaikuttaa jalkaterän toimintaan ja siten koko kehon hyvinvointiin.

”Jalkaterveyttä edistävä kenkä on oikeankokoinen, hiertämätön, matalapohjainen ja kiertolöysä kenkä, joka sallii jalan luonnolliset liikkeet. ”

Kenkien vaikutusta kehon toimintoihin on tutkittu paljon, erityisesti kengän korko vaikuttaa. Kengän koron on todettu vaikuttavan jalkaterän, nilkan, polven ja lantion kautta selän asentoon ja toimintaan asti. Kengän korolla on todettu olevan suora yhteys selän toimintaan, mitä suurempi kengän korko oli, sitä suurempi muutos havaittiin selän ja lantion asennossa. Jalkaterveyttä edistävä kenkä on oikeankokoinen, hiertämätön, matalapohjainen ja kiertolöysä kenkä, joka sallii jalan luonnolliset liikkeet. Kenkävalinnassa tulee kuitenkin aina huomioida myös yksilölliset tarpeet ja käyttötarkoitus.

Kävely koko kehon liikeharjoitteena

Päivittäinen askelmäärä eli arkiliikunnan määrä on hyvin yksilöllinen. Ilman välineitä, kuten askelmittaria, henkilökohtaisen askelmäärän arviointi voi olla haastavaa. Tutkimusten mukaan liikunnallisesti suhteellisen aktiivinen ihminen kävelee päivän aikana noin 7 500–10 000 askelta, kun taas passiivisen liikkujan askelmäärä jää alle 5 000 askeleen. Omaan kävelyyn kannattaa siis

kiinnittää huomiota, sillä kävelyn aikana tapahtuvia liikkeitä toistetaan tuhansia kertoja yhden päivän aikana. Kävely on myös tehokas harjoitus. Se tukee monipuolisesti alaraajojen ja selän terveyden ylläpitämistä, sillä se kuormittaa ja vahvistaa tehokkaasti erityisesti alaraajojen lihaksia, kuten reisiä, pakaroita ja pohkeita. Reipas kävely parantaa lonkkien ja selän liikkuvuutta, verenkiertoa ja kudosten aineenvaihduntaa hengitysliikkeen suurenemisen ja käsien myötäliikkeiden ansiosta. Kävely tukee keskivartalon asentoa ylläpitävien lihasten toimintaa ja kehittää kehon liikehallintaa. Pehmeällä alustalla, kuten hiekalla tai metsäpoluilla käveleminen, on nivelystävällistä liikuntaa, joka kuormittaa selkää vähemmän kuin kovalla alustalla kävely tai juokseminen. Kävelystä saa eniten hyötyä, kun muistaa kiinnittää huomiota kannateltuun, mutta rentoon ryhtiin. Hyvä ryhti ehkäisee alaraajojen ja selän epäsuotuisista asennoista johtuvaa kuormitusta sekä tarpeettomia lihasjännityksiä.

Jaana Peltonen TtK, fysioterapeutti, hoitotieteen laitos, Turun yliopisto Jenni Sipilä TtK, jalkaterapeutti (AMK), hoitotieteen laitos, Turun yliopisto Minna Stolt professori (ma.), jalkaterapeutti (AMK), hoitotieteen laitos, Turun yliopisto, Satakunnan hyvinvointialue

Kirjoituksen lähteet ovat saatavissa lehden toimituksesta.

touttajien puolelta ei odotettu saavutuksia ja suorituksia vaan toppuuteltiin, jos itse oli liian innokas omien tavoitteiden suhteen.” Asiakaskokemus

Etäkuntoutus arkea tukemassa

Tules-etäkuntoutuskurssin toteutustavat pyritään valitsemaan niin, että ne ovat vastavuoroisia ja asiakasta aktivoivia. Kuntoutuksen alussa asiakas laatii omaohjaajan kanssa yksilölliset tavoitteet, jotka ohjaavat kuntoutuspolkua. Etäkuntoutus on joustavaa ja onnistuakseen se vaatii asiakkaalta vastuunottamista omakuntoutuksesta. Yksilölliset videopuhelut varmistavat, että edistyminen on linjassa tavoitteiden kanssa ja mahdolliset muutokset voidaan toteuttaa oikea-aikaisesti.

Omaohjaaja on mukana koko kuntoutusprosessin ajan. Tiivis yhteydenpito mahdollistaa jatkuvan tuen ja motivoinnin. Kuntoutukseen osallistuvat saavat usein oivalluksia, jotka tuovat uutta näkökulmaa arjen hyvinvointiin.

”Olen saanut henkiseen puoleen tukea. Oma olo on rauhallisempi ja en kieriskele niin paljoa oman itseni ympärillä. Koen saaneeni avaimia siihen, että kun repsahdus tulee, saan taas palattua parempaan. Olen oppinut, että voin edetä pienin askelin. Ei tarvitse haukata liian suurta palaa kakkua kerralla ja olen oppinut olemaan itselleni armollisempi.” Asiakaskokemus

Sitoutuminen on avain onnistumiseen

Etäkuntoutusprosessin onnistuminen vaatii sitoutumista. Ennen kurssin alkua asiakkaan kanssa keskustellaan voimavaroista ja mahdollisuudesta sitoutua prosessiin. Kun asiakas on valmis ja motivoitunut ottamaan vastaan tietoa ja siirtämään sitä omaan arkeensa, on kuntoutuksella mahdollista saavuttaa parhaat tulokset. Etäkuntoutus vaatii läsnäoloa ja aktiivisuutta, mutta parhaimmillaan asiakas voi huomata konkreettisia parannuksia hyvinvoinnissaan.

Etäkuntoutuksella voidaan tavoittaa asiakkaita, joiden osallistuminen palveluntuottajan tiloissa järjestettävään kuntoutukseen ei ole mahdollista arjesta irtautumisen, ajankäytön tai muun muassa psykososiaalisten syiden vuoksi. Tules-etäkuntoutuskurssi tarjoaa myös

vertaistukea ja yhteisön, jossa jakaa kokemuksia muiden samassa tilanteessa olevien kanssa.

”Asiakkaan sitoutuminen ja vastuu omasta terveydestä sekä hyvinvoinnista on kaiken lähtökohtana. Olemme rinnalla kulkijoita, oppaita ja neuvonantajia, mutta emme voi kulkea kenenkään puolesta muutokseen.” Peurungan sairaanhoitaja Heidi Ahonen

Tules-etäkuntoutuskurssille ohjautuminen

Tules-etäkuntoutuskurssille ohjautumisessa avainasemassa on asiakkaan oma fysioterapeutti. Fysioterapeutti laatii asiakkaalle fysioterapeutin suosituslomakkeen

Tules-etäkuntoutuskurssille (KU141), jonka asiakas liittää mukaan hakemukseen harkinnanvaraiseen kuntoutukseen (KU132). Lääkärin lausuntoa ei tarvita. Sosiaali- ja terveydenhuollon ammattilaisille on tärkeää tiedostaa tules-etäkuntoutuskurssien saatavuus, jotta he voivat ohjata asiakkaita tarvittavan avun piiriin.

Yhteenveto

Tules-etäkuntoutuskurssi on uusi asiakaslähtöinen kuntoutusmuoto, joka tuo tuki- ja liikuntaelinkuntoutuksen nykyaikaan. Se tarjoaa monipuolista ja moniammatillista tukea hyvinvoinnin parantamiseksi, yhdistäen fyysiset harjoitteet, psykososiaalisen tuen ja terveelliset elämäntavat. Etäkuntoutus mahdollistaa kuntoutuksen joustavan toteutuksen asiakkaan omassa arjessa ja korostaa aktiivista osallistumista ja sitoutumista, joka on keskeinen elementti onnistuneen kuntoutuksen kannalta.

Tules-etäkuntoutuskurssi on erinomainen mahdollisuus niille, jotka tarvitsevat tukea, mutta eivät pysty osallistumaan perinteisiin kuntoutusmuotoihin. Ryhmämuotoinen etäkuntoutus mahdollistaa vertaistuen ja kokemusten jakamisen muiden samassa tilanteessa olevien kanssa.

Hanna Hintikka fysioterapeutti/tuotevastaava, Peurunka Krista Kuusisto fysioterapeutti, Peurunka

TULES-ETÄKUNTOUTUSKURSSI SOVELTUU HENKILÖLLE, JOS

• hän on yli 18-vuotias tuki- ja liikuntaelinsairautta sairastava

• hän on työelämässä, työelämään palaamassa, opiskelija tai kuntoutustukea saava

• sairaus on jatkunut yli 3 kk ajan, eikä avofysioterapia ja omakuntoutus ole olleet riittäviä

• sairaus vaikuttaa työssä, opiskelussa tai arjessa selviytymiseen

• toimintakyky on riittävä ja henkilö kykenee osallistumaan täysipainoisesti etäkuntoutuksena toteuttavaan kuntoutukseen

• hän on motivoitunut työ-, toiminta- ja opiskelukyvyn parantamiseen sekä elämätapamuutokseen

• hän on valmis osallistumaan täysin etänä toteutettavaan kuntoutukseen.

Lisäävätkö vaihdevuodet selkäkipua?

Vaihdevuodet alkavat tyypillisesti 45–55 vuoden iässä, ja ne koskettavat yli puolta miljoonaa työikäistä naista. Kaikki eivät oireita koe, mutta suurin osa kokee. Osalla oireet ovat lievempiä, osalla voimakkaampia.

Vaihdevuodet voivat lisätä myös tuki- ja liikuntaelinoireita.

VAIHDEVUOSIA EDELTÄVÄT esivaihdevuodet eli premenopaussi, jolloin ovulaatiohäiriöiden vuoksi kuukautiset muuttuvat epäsäännöllisemmiksi ja saattaa ilmaantua tiputteluvuotoa tai runsaampia vuotoja. Myös muita oireita, kuten univaikeuksia, voi tulla, vaikka kuukautiskierto olisi edelleen muuten normaali. Useimmiten esivaihdevuosista kärsivät yli 40-vuotiaat naiset, mutta ne voivat koittaa aikaisimmillaan jopa 35-vuotiaana.

Kysymyksiimme vaihdevuosista vastasi johtava työterveyslääkäri Kaisu Norbäck Terveystalosta.

1. Mitkä ovat vaihdevuosien yleisimmät oireet ja kuinka kauan ne kestävät?

Vaihdevuosioireet kestävät tyypillisesti 3–5 vuotta, joillakin oireita on muutaman vuoden ja joillakin oireita voi esiintyä loppuelämän. Teimme Terveystalossa kyselytutkimuksen 700 vaihdevuosi-ikäiselle naiselle kesällä 2024. Tämän tutkimuksen perusteella yleisimmiksi haitallisiksi oireiksi nousivat unihäiriöt, painonnousu ja kuumat aallot/hikoilu.

2. Miten vaihdevuodet vaikuttavat terveyteen?

Vaihdevuodet vaikuttavat tyypillisesti esimerkiksi uneen ja myös mielialaan. Kun nukkuu huonosti ja on väsynyt, niin

kyllähän se vaikuttaa myös mielialaan sekä yleiseen jaksamiseen. Kyselytutkimuksessamme 39 prosenttia koki mielialaoireita, alavireisyyttä tai itkuherkkyyttä ja 31 prosenttia vastanneista koki lisääntyneet tuki- ja liikuntaelimistön oireet hankalaksi tai hyvin hankalaksi.

3. Voivatko selkäkivut lisääntyä vaihdevuosien aikana ja mistä se johtuu?

Kyllä voivat. Vaihdevuosissa on tyypillistä, että nivel-, lihas- ja selkäkivut lisääntyvät. Erotusdiagnostisesti tuleekin huomioida nivelreuman tai selkärankareuman mahdollisuus. Lihas- ja nivelkivut kuuluvat estrogeenin puutosoireisiin. Tarkka mekanismi on epäselvä. Jos tilanne on epävarma, hormonihoitokokeilu ja siitä tuleva apu toki vahvistavat oireen vaihdevuosioireeksi.

4. Milloin vaihdevuosioireet tarvitsevat hoitoa ja mitä hoitovaihtoehtoja on tarjolla?

Kaikki eivät tarvitse hoitoa, mutta jos oireet ovat hankalia ja vaikuttavat elämänlaatuun alentavasti, kannattaa ilman muuta hakea apua ammattilaisilta. Kaikkien kannattaa hoitaa vaivoja elämäntavoilla, tämä sisältää liikuntaa, painonhallintaa, tupakoinnin ja alkoholin välttämistä, positiivista elämänasennetta, unen huoltoa sekä tietoista stressin hallintaa.

Lääkkeellisiä hoitovaihtoehtoja ovat systeeminen hormonikorvaushoito, paikallinen estrogeenihoito, erityisesti kuumiin aaltoihin ja hikoiluun tehoava fetsolinetantti sekä mielialalääkityksiä on myös käytetty. Hormonikorvaushoidon haitoista on puhuttu paljon, mutta mikäli vasta-aiheita ei ole, yleisesti hormonikorvaushoidon hyödyt ovat kiistattomia. Hormonikorvaushoito aloitetaan aina yksilöllisen arvion perusteella huomioiden hyödyt ja mahdolliset riskit.

5. Miten itse voi helpottaa vaihdevuosioireita?

Terveellisillä elintavoilla, kuten edellä kerroin. Liikunnan harrastamisesta on hyötyä. Aikuisten liikkumisen suositus sopii myös vaihdevuosi-ikäisille naisille. Reipasta liikuntaa, esimerkiksi kävelyä yhteensä ainakin 2 tuntia 30 minuuttia viikossa tai rasittavaa liikkumista yhteensä ainakin 1 tunti ja 15 minuuttia viikossa. Lisäksi lihaskuntoa ja liikehallintaa toimintakyvyn tueksi ainakin 2 kertaa viikossa.

Alkoholia ja tupakointia suositellaan välttämään. Alkoholin heikentää unen laatua palautumista entisestään. Lisäksi alkoholin nauttiminen voi pahentaa oireita, kuten hikoilua. Alkoholi sisältää myös turhia kaloreita. Kovin mausteiset ruuat sekä kahvi saattavat voimistaa hikoilua ja kuumia aaltoja.

Kaisu Norbäck toimii johtavana työterveyslääkärinä Terveystalossa.

Tilaa Selkäliiton tuotteita:

Juomapullo

Vuotamaton, kestävä lasinen juomapullo neopreenisuojalla ja kantolenkillä.

Tilavuus: 500 ml

Hinta 9,90 € + postikulut

Tilaa itsellesi tai lahjaksi.

Tilaukset: selkäkauppa.fi

Fleeceliivi

Sinisen fleeceliivin rinnassa on ommeltuna Selkäliiton kangasmerkki. Liivissä on vetoketjulliset etutaskut ja elastinen nauha helmassa. Konepesu 40 asteessa.

Koot: naisten lady fit XS-3XL, unisex/miehet S-5XL.

Hinta 28 € + toimituskulut

Tilaukset: Selkäliiton toimistosta selkaliitto@selkaliitto.fi tai puh. 09 605 918 (ti ja to klo 10-14)

Pehmoinen fleeceliivi lämmittää mukavasti säällä kuin säällä ja selkäyhdistyksen tapahtumissa. Ostamalla liivin tuet Selkäliiton työtä.

Liity jäseneksi! Täytä hakemus ja liity alueesi selkäyhdistyksen jäseneksi.

Voit etsiä lähimmän selkäyhdistyksen ja liittyä jäseneksi myös Selkäliiton verkkosivuilla Selkäliitto.fi.

Jäsenedut:

• Hyvä Selkä -lehti 4 numeroa vuodessa

• Jäsenetutarjouksia lehdessä (esim. Tempur-tuotteet)

• Etuja kumppaneilta, esim. Bodymaja, Luontohotelli Polku, Tallink Silja ja Yogaia

• Valtakunnallisia ja paikallisia koulutuksia

• Selkäyhdistysten edut, esim. liikuntaa jäsenhintaan, luentoja, vertaistukea ja paikallisten yritysten tarjoamia alennuksia

Haluan liittyä

______________________________________________ selkäyhdistyksen jäseneksi

Nimi:

Osoite: Puhelin:

Sähköposti:

Syntymäaika: (pp.kk.vvvv)

Päiväys ja allekirjoitus: __________________________________________________

Selkäliitto maksaa postimaksun

Selkäliitto ry Sopimustunnus 5007981 Eerikinkatu 16 A 2 00100 Helsinki

Espoon, Helsingin ja Vantaan selkäyhdistykset

Rentoudu & Palaudu -kurssi sisältää sekä teoriaa, että käytännön harjoittelua erilaisista stressin, jännittyneisyyden ja kivun hallinnan palautumismenetelmistä. Kurssilla käydään läpi mm. stressin vaikutuksia kehoon ja mieleen sekä tutustutaan neljään erilaiseen rentoutusmenetelmään.

Neljän kerran lyhytkurssi ajanjaksolla 29.4.–20.5. tiistaisin klo 18–19 Jokiniemen koululla, Valkoisenlähteentie 51, Vantaa. Ohjaajana fysioterapeutti Hannele Barck. Kurssin hintaon selkäyhdistyksen jäsenille 25 €. Kurssin voi maksaa myös liikuntaetuudella (ePassi, Samrtum, Edenred). Lisätietoa ja ilmoittautuminen kotisivuilla www. selkayhdistykset.fi tai puhelimitse 044 360 0201. Kehonhuolto-tallenteet kesäksi käyttöön! Lisätietoa löydät kotisivuiltamme www.selkayhdistykset.fi. Toimistolle voi ilmoittautua myös puhelimitse 044 360 0201.

Yhdessä menoksi -kävelyryhmä Tapiolassa kokoontuu kolme kertaa, maanantaisin 28.4., 5.5. ja 12.5. Kävellään yhdessä rauhalliseen tahtiin noin 3,6 kilometrin pituinen Otsolahden lenkki. Tapaaminen klo 10 Tapiolan kirkon etuovella (Kirkkopolku 6). Kävelyryhmä on maksuton ja kaikille avoin. Lisätietoa kotisivuilla www.selkayhdistykset.fi tai 044 360 0201.

Yhdessä menoksi -kävelyryhmä Myyrmäessä kokoontuu neljä kertaa keskiviikkoisin 21.5.–11.6. klo 17. Puuttuuko sinulta kaveri, jonka kanssa lähteä ulkoilemaan? Tule mukaan hyvän mielen ulkoiluryhmään! Tapaamiskerralla kävellään noin 3–4 kilometriä, kesto arviolta 45 minuuttia. Huomioithan, että reitillä voi olla pieniä mäkiä. Lenkin aikana havainnoidaan luontoa ja ympäristöä. Haistellaan kevään tuoksuja ja kuunnellaan lintujen laulua, toivotetaan kesä tervetulleeksi! Tapaamme klo 17 Nolin edessä, Raappavuorentie 4 (Raappavuorentien ja Rajatorpantien risteyksessä). Lisätietoa kotisivuilla www.selkayhdistykset.fi tai 044 360 0201. Kävelyretki Suomenlinnaan ti 6.5. klo 17.30–19.30. Kokoontuminen Kauppatorilla Suomenlinnan lautan edessä. Kävellään yhdessä rauhalliseen tahtiin Suomenlinnan merellisissä maisemissa. Kävelyretkeä vetävät Selkäyhdistyksen koulutetut vertaisohjaajat. Tapahtuma on maksuton ja kaikille avoin (lauttamatkat osallistujat maksavat itse).

Voimaa ruuasta luento Myyrmäen asukastilan toimintatuvassa (Paalutori 3) ma 5.5. klo 17.30–19.30. Luennolla saat vinkkejä ikääntyneen ravitsemukseen ja monipuolisiin ruokavalintoihin. Pääset myös testaamaan, saatko riittävästi proteiinia ruokavaliostasi. Luennoitsijana ravitsemusasiantuntija Sini Närvä, Gery ry:stä. Luento on maksuton ja kaikille avoin. Lisätietoa toiminnasta saat kotisivuiltamme www. selkayhdistykset.fi tai puhelimitse 044 360 0201.

Heinolan Seudun Selkäyhdistys

Vesku-musikaali 3.7. klo 14, Valkeakosken kesäteatteri Apianniemi. Lähtö Hartolasta klo 10.15 ja Heinolasta klo 11. Hinta 66 € jäsen ja 71

€ ei-jäsen, sisältää matkat, lipun ja väliaikakahvit. Ilm. 3.6 mennessä Selkiksessä ti klo 10–12 tai puh. 040 846 6456. Kolmen tenorin konsertti 20.7. klo 15 (Mika Pohjonen, Jyrki Anttila ja Raimo Sirkiä) Taidekeskus Salmela, Mäntyharju. Lähtö Hartolasta klo 11.45 ja Heinolasta klo 12.30. Hinta 68 € jäsen ja 73 € ei-jäsen, sisältää matkat ja lipun. Ilm. 18.6. mennessä Selkiksessä ti klo 10–12 tai puh. 040 846 6456.

Kanta-Hämeen Selkäyhdistys

Unelmien liikuntapäivä la 10.5. klo 13–15, Aulangon tekosaarten kodassa. Aulangon alueella on mainiot ulkoilureitit kävellen, hölkäten tai vaeltaen. Kuljetus omilla kyydeillä tai julkisilla. Paikalla tarjolla kahvia, pullaa ja makkaraa. Ilmoittautuminen Ilmarin kautta 15.4. alkaen www. kantaselka.fi/tapahtumat/. Kesäteatteri-retki Valkeakoskelle 29.7. klo 18.00. Lähtö 16.30 Wetteriltä, sitten ABC:n kautta Valkeakoskelle. Lippuja varattu 49 henkilölle. Ilmoittautuminen Ilmarin kautta 2.5. alkaen www. kantaselka.fi/tapahtumat /. Kahvi ja marjapiirakka väliajalla sisältyvät hintaan.

Selkägolf heinäkuussa Eero Kainulaisen johdolla.

Syksyn jumpat maanantaisin, tiistaisin, keskiviikkoisin ja perjantaisin Hämeenlinnan uimahallin liikuntasalissa tai uimahallissa. Jumpat toteutuvat viikoilla 36–51 (1.9.–31.12.). Tarkat päivämäärät ja mahdolliset poikkeamat näet kotisivuiltamme. Jumppiin ilmoittautuminen kotisivuilla www.kantaselka.fi/jumpat/ Ilmarin kautta. Jokainen henkilö ilmoitettava erikseen, esim. puolisoa ei voi ilmoittaa samassa ilmoituksessa. Syyskauden 2025 kausimaksu 90 € jäsen / 110 € eijäsen. Maksu on maksettava Ilmarin ilmoittamaan eräpäivään mennessä Selkäyhdistyksen tilille. Jos sinulla on sähköpostiosoite, joka ei ole selkäyhdistyksen tiedossa, ilmoita se tiedonkulun nopeuttamiseksi yhdistyksen sihteerille marjavarri.khsy@gmail.com. Kiitos!

Keski-Suomen Selkäyhdistys

Selkämessut-tapahtuma ma 5.5. klo 16–20 Jyväskylän kaupungin kirjaston Minnansalissa. Vapaa pääsy. Tervetuloa!

Liikunnallinen voimistelutapahtuma ulkolaitteilla Unelmien liikuntapäivänä la 10.5. klo 10–12. Tapaaminen Riihipuistossa, rantaraitilla Viherlandian takana.

Mikkelin Seudun Selkäyhdistys

Kevätkauden päätösretki Pieksämäelle Vedenjakajareitistön Kukkarojärven reitille la 17.5. Lähtö Mikkelistä Matkakeskuksen tilausajopysäkiltä klo 9.00. Paluu Mikkeliin n. klo 15.30. Reitin pituus reilut 5 km, maasto helppokulkuista. Mukaan sopiva varustus ja omat eväät. Maksu jäsenet 15 €, ei-jäsenet 18 €. Sisältää kuljetuksen ja kuplaveden. Ilmoittautuminen ja maksu 12.5. mennessä: jumppailloissa, sähköpostiin leenak_60@hotmail.com tai tekstiviestillä 050 339 3181. Maksu tilille FI52 5271 0420 0664 34, viite 2228.

Teatteriretki Koirakiven kesäteatteriin ti 8.7. Oikeesti Finlanders -musikaaliin. Lähtö Mikkelistä Matkakeskuksen tilausajopysäkiltä klo 16.30. Maksu jäsenet 33 €, ei-jäsenet 35 €. Sisältää kuljetuksen ja teatterilipun. Ilmoittautuminen ja maksu 5.6. mennessä: jumppailloissa, sähköpostiin riitta.k.pitkanen@pp.inet.fi tai tekstiviestillä 0400 650 638. Maksu tilille FI52 5271 0420 0664 34, viite 9991.

Syyskauden jumpat aloitetaan viikolla 37, maanantaista 8.9. alkaen.

Hyvää kesää! T: Hallituksen väki

Oulun Seudun Selkäyhdistys

Ulkoilutapahtuma ti 13.5. klo 17 alkaen. Tule mukaan mahtavaan kolmen yhdistyksen ulkoilutapahtumaan. Tavataan Kuusisaaressa nuotiopaikalla. Ota omat kahvit/teet ja naposteltavat/makkarat mukaan. Pukeudu sään mukaan (huonon ilman sattuessa tilaisuus perutaan). Yhteistyössä Oulun Reumayhdistys ja Oulun seudun Kuulo ry.

Pirkanmaan Selkäyhdistys

Sääntömääräinen kevätkokous ti 27.5. klo 17, Tampereen Pääkirjasto Metso, Kanerva-Sali. Unelmien liikuntapäivä la 10.5. Lamminpään majalla sauvakävelyä klo 10–10.30 ja keppijumppaa klo 10.30–11. Omat sauvat mukaan. Kalevan uintikeskuksen takana ulkokuntosalilla klo 11–14 mölkyn, petanquen ja pingiksen pelailua, jumppaa ja lenkkeilyä.

Yhdessä menoksi -kävelykierrokset: Kalevankankaan hautausmaalle ti 13.5. klo 14–15 ja ke 14.5. klo 18–19. Ilmoittaudu 10.5 mennessä tekstiviestillä 040 8364603 Riitta Virenius, Hatanpään arboretumiin ti 10.6. klo 14–15 ja ke 11.6. klo 18–19. Ilmoittaudu 6.6. mennessä tekstiviestillä 040 8364603 Riitta Virenius. Syyskauden liikuntaryhmät jatkuvat syyskuun alussa. Katso tiedot kotisivulta pirselka.fi elokuun lopulla.

Pohjois-Karjalan selkäyhdistys

Kevätkauden päätös 22.5. klo 17 alkaen Kalamaja Kalmonkatiskalla, Kukkosensaari 5b, 80220 Joensuu, nuotioillan, nokipannukahvin ja tikkupullakekkereiden merkeissä. Ei ennakkoilmoittautumista. Katso tarkemmin kotisivuilta pkselka. fi/tapahtumat. Lämpimästi tervetuloa!

Luontoretki on suunnitteilla järjestettäväksi elokuussa – seuraa ilmoittelua! Viestitämme lähempänä toteutusajankohtaa kotisivuilla, sähköpostitse ja Facebookissa.

Syksyn jäsenkirje ilmestyy elokuun puoliväliin mennessä. Toivotamme kaikille hyvää ja aurinkoista kesää!

Porvoon Seudun Selkäyhdistys – Borgånejdens Ryggförening

Metsäkuntosali touko- ja elokuussa. Tule mukaan kohottamaan kuntoasi ja virkistymään luonnossa. Yhdistys järjestää Metsäkuntosalin Joonaanmäen metsässä neljä kertaa touko-/kesä-

Hyvä Selkä 2/2025

Selkäyhdistysten toimintakalenteri

kuussa, ja neljä kertaa elokuussa. Kokoonnumme tiistaisin klo 17.30–18.45. Yhteisen verryttelyn jälkeen tehdään pieni lenkki ja lihaskuntoliikkeitä. Lopuksi venyttelyt ja rentoutus. Ohjaajana Taina Åkerlund-Pesonen. Sitova ilmoittautuminen ja lisätiedot: taina.pesonen@gmail.com tai puh. 040 514 4084 tai kotisivujen ilmoittautumislomakkeella. Maksu 10 €/kuukausi ennen kurssin alkua viitteellä 4200, Porvoon Seudun Selkäyhdistys, FI13 4050 0010 0413 26. Syksyllä pyrimme jatkamaan liikuntaryhmiä aiemman aikataulun mukaisesti ja pyydämme ilmoittautumaan niihin mahdollisimman pian: taina.pesonen@gmail.com tai puh. 040 514 4084 tai kotisivujen ilmoittautumislomakkeella. Syksyksi on suunnitteilla virkistyspäivä Emäsalon Varlaxuddenissa, jonne järjestämme kimppakyydin. Lisätiedot tästä julkaistaan myöhemmin. Ajankohtaiset tapahtumatiedot löydät kotisivuilta selkayhdistysporvoo.fi ja paikallisehtien yhdistyspalstoilta.

Satakunnan Selkäyhdistys

Unelmien liikuntapäivä la 10.5. klo 11.00. Keväinen matalan kynnyksen liikuntapäivä piknikhengessä Porin metsässä. Osallistujille tarjolla grillimakkaraa ja mehua DiakonPuistossa. Tapaamispaikka: Porin Stadionin Keihäänheittäjäpatsas. Lisätiedot Pirjo Järvelä, puh. 040 5731 609 sekä sataselka.webnode.fi. Latinobic-soolotanssi Porin Nuorisotalolla torstaisin klo 13.30–14.30 jatkuu 22.5. asti. Yht. Aino-Maija Ruohonen, puh. 040 9669 827.

Vesijumppa DIAK tiistaisin klo 17.15–18.15 jatkuu 17.6. asti. Yht. Silja Kuortti, puh. 040 7776 043.

Selkäyhdistys

SalpausSelät

Tänä vuonna juhlimme yhdistyksemme 30-vuotista taivalta – normaaleilla jumpilla ja vesiliikunnalla – muistakaa liikkua myös kesäloman aikana! Syksyllä aloitamme jumpat uudelleen. Omatoiminen kuntosalivuoro ti 2.9. klo 16–17 Harjun terveyden MASTO-liikuntasali. Harjulan ryhmät: Selkäjumppa ti 2.9. klo 11–12. Äijäjumppa "Taipumattomat" ke 3.9. klo 19–20.

Vesijumppa pe 5.9. klo 16.45–17.30. Ilmoittautumiset 1.8.–20.8.

Uusilla tulokkailla on mahdollisuus saada yksi kokeilutunti ilmaiseksi! Tiedustelut ja ilmoittautumiset Riitta-Liisa Komulainen, p. 040 592 5608, riitta-liisa.komulainen@hotmail.com. Pajulahdessa osittain tuettu liikuntatapahtuma syyskuussa. Tarkempi ajankohta selviää myöhemmin.

Paneelikeskustelu maailman selkäpäivänä 16.10. klo 17.30–19.30 Lahden Palvelutorilla Lava-esitystilassa. Teema "Kuinka ikääntynyt henkilö huomioidaan terveydenhuollossa." Tapahtuma on kaikille avoin.

Yhdistyksen 30-vuotisjuhla 15.11. klo 18.00

Hotelli Greenstarin ravintolassa, Vesijärvenkatu 1, Lahti. Lisätietoja www.salpausselat.fi. Sääntömääräinen syyskokous 27.11. klo 18, Rautatienkatu 19 A, 4. krs. Kahvitarjoilu.

Suur-Salon Selkäyhdistys

Sokkoretki 13.5. Aikataulu ja kustannukset päivittyvät varauksien vahvistuttua. Seuraa ilmoittelua.

Toukokuun tapaaminen 28.5. klo 17.30–20.00

Matildatalon rantasaunassa, Tennistie 5, Mathildedal. Matka kimppakyydeillä. Ilmoittaudu ajoissa kyydin varmistamiseksi Anne, puh. 045 279 2721, simpukkaranta@gmail.com. Linja-auto liikennettä ei tuolloin ole. Vietetään kevään päätöstä saunoen, kahvitellen ja tietenkin grillaten.

Turun Seudun Selkäyhdistys

Keskiviikkokerho kokoontuu 21.5. klo 11 tutustumaan Tuorlan planetaarioon ja observatorioon Piikkiössä, samalla jumpan ja muun toiminnan kevätkauden päättäjäiset. Huom! Pääsymaksu 10 €. Mahdollisuus omakustanteiseen ruokailuun Tuorlan Majatalossa. Salijumpat päättyvät viikolla 20. Seuraa ilmoittelua lehdissä, yhdistyksen verkkosivuilla ja Facebookissa.

Vaasan Selkäyhdistys

Kaikille sopiva liikuntatuntikokeilu syyskuun alussa. Tunnin teemana on rentoutus, jossa on kevyttä liikkeessä tapahtuvaa venyttelyä, sanallinen rentoutusosuus sekä äänimaljarentoutusta. Tunti on kaikille avoin ja maksuton. Tarkemmin elokuun jäsenkirjeessä.

Jäsenkysely: 95 % suosittelee jäsenyyttä

SELKÄLIITON vuosittaiseen jäsenkyselyyn vastasi vuodenvaihteessa 1 005 selkäyhdistysten jäsentä. Kyselyssä selvitettiin muun muassa jäseneksi liittymisen syitä, kokemuksia jäsenyydestä ja toiveita liittyen selkäyhdistysten toimintaan.

Tärkeimmät syyt liittyä selkäyhdistyksen jäseneksi olivat edellisvuosien tapaan selkäyhdistyksen järjestämä liikuntatoiminta (38 %) ja halu saada lisää tietoa selkäasioista (30 %).

Yleisimmät tavat osallistua selkäyhdistyksen toimintaan, paikan päällä tai verkossa, olivat edelleen selän terveyttä edistävät liikuntaryhmät, luennot ja retket. Näitä toimintoja jäsenet myös eniten

Jäsenkysely 2024

• Kysely lähetettiin jäsenille, joiden sähköposti on tiedossa. Vastausprosentti oli 22 %.

• Suurin osa vastaajista oli naisia (82 %) ja valtaosa vastaajista oli iältään 46–79-vuotiaita (91 %).

toivoivat yhdistyksiltä. Noin 25 prosenttia vastaajista kertoi, ettei ollut osallistunut yhdistyksen toimintaan lainkaan.

Vastaajien selkäyhdistysten toiminnalle antamien kouluarvosanojen keskiarvo oli 8,5. Oman kokemuksensa perusteella jopa 95 prosenttia vastaajista oli valmis suosittelemaan jäsenyyttä ystävilleen.

Selkäliiton palveluista tunnetuimmat olivat Hyvä Selkä -lehti, Selkäkanavaverkkopalvelu sekä itsehoito-oppaat.

Selkäyhdistyksille on toimitettu yhdistyskohtaiset yhteenvedot jäsenkyselystä oman toimintansa kehittämiseksi.

Koonnut: Satu Nieminen

• Puolet kyselyyn vastanneista oli Etelä-Suomesta (pääkaupunkiseutu ja muu Etelä-Suomi).

• Kyselyyn vastanneista 84 prosenttia on ollut jäsenenä yli 2 vuotta.

Miten koet hyötyneesi selkäyhdistyksen toiminnasta?

• Selkälehden kautta olen saanut tietoa.

• Etäjumpat tuovat päivään rutiinin. Ilman klo 11 jumppaa, etänä tai tallenteena, ei kehtaa lähteä päiväkahville. Eikä jumppaa voi jättää väliin, yhtenäkään päivänä. Kroppa kyllä muistuttaa jos jää väliin.

• Virkistävää, ohjaaja hyvä tyyppi, ammattitaitoinen, saunahetket vesijumpan jlk hauskoja, pikkujoulut ymt.

• Tapahtumat virkistää ja lievittää ihmisten yksinäisyyttä.

• Olen tavannut ihania ihmisiä, olen oppinut rentoutumaan.

• Kiinnostavia retkiä ja tapahtumia.

• Erilaista tietoa lehdestänne, joka on hyvä ja jonka pyrin lukemaan.

• Jumpat ovat tosi tarpeellisia pysyäkseni kunnossa kun ikää karttuu.

• Verkkokurssit ovat helposti saavutettavia.

• Tietoisuus yhdistyksen olemassaolosta, lehti.

• Selkäkipuni ovat loppuneet!

Joko sinä nukut tällaisella patjalla?

Tuore suomalainen tutkimus kertoo, millainen patja tukee selkää!

JOTTA UNI VOI OLLA palauttavaa, on tärkeää, että patja tukee selkää ja koko kehoa optimaalisesti. Oikealla nukkumisergonomialla voidaan vähentää esimerkiksi pyörimistä ja asennon vaihtelua sängyssä, jolloin unen laatu paranee. Millainen patja sitten tukee selkää parhaiten?

Nukkuessa asentokontrolli on alhaisimmillaan ja vastuu vartalon asennon tukemisesta siirtyy patjalle ja tyynylle aktiivisen lihastyön sijaan. Mikäli patja tukee huonosti, rangan nivelsiteisiin ja -kapseleihin kohdistuu painetta ja venytystä, jonka seurauksena lihakset nivelten ympärillä voivat jännittyä reflektorisesti. Tämä viiveellä kehittyvä suojareaktio pyrkii estämään virheellisen asennon, mutta tuottaa usein lihasjäykkyyttä ja -kipua, joka havaitaan usein vasta aamulla ylös noustessa.

2024 julkaistun kuluttajatutkimuksen mukaan Tempur on selkää parhaiten tukeva patja. Tutkimuksessa verrattiin erilaisia patjamateriaaleja ja niiden vaikutuksia toimintakykyyn. Tutkimukseen osallistui yli 10 000 henkilöä. Tempurilla nukkuvat raportoivat havaitsevansa vähemmän yöllistä liikehdintää sekä aamuista fyysistä voimattomuutta. He kertoivat myös heräävänsä harvemmin epämukavan nukkumisasennon tai puutumisen takia. Vastaavasti he löysivät muilla patjatyypeillä nukkuvia useammin hyvän nukkumisasennon, raportoivat nukkuvansa rauhallisemmin sekä kertoivat paremmasta päiväaikaisesta virkeydestä. Mikäli patja tukee huonosti, rangan nivelsiteisiin ja -kapseleihin kohdistuu painetta ja venytystä, jonka seurauksena lihakset nivelten ympärillä voivat jännittyä reflektorisesti. Tämä viiveellä kehittyvä suojareaktio pyrkii estämään virheellisen asennon, mutta tuottaa usein viiveellä lihasjäykkyyttä ja -kipua, joka havaitaan usein vasta aamulla ylös noustessa, toteaa fysioterapeutti ja koulutettu nukkumisergonomian asiantuntija Sohvi Karhunen Karhunen kertoo myös, että nukkumisergonomia on suhteellisen uusi käsite, mutta sen todelliset vaikutukset ovat jopa merkittävämmät kuin päiväaikaisessa

ergonomiassa. Selkää oikein tukeva patja on luonnollisesti tärkeä hyvinvointimme kannalta.

Miten valita yksilöllisesti sopiva patja tai sänky?

Kun on aika hankkia uusi sänky, on viisasta kääntyä uneen ja nukkumisergonomiaan erikoistuneen ammattilaisen puoleen. Tempurilla käytettävissäsi ovat koulutetut nukkumisergonomian asian-

tuntijat ja fysioterapeutit, joiden tehtävänä on valita sinulle sopivat nukkumisen apuvälineet, tunnistaa mahdolliset unta heikentävät tekijät, sekä antaa konkreettisia neuvoja paremman palautumisen saavuttamiseksi.

– Patjaa valittaessa koulutettu asiantuntija valitsee ensin tyynyn, sillä sen merkitys on todella suuri kokonaisnukkumisergonomian kannalta, Karhunen sanoo.

TEMPUR-myymälöissä voit kokeilla erilaisia vuoteita ja patjatunteita rauhassa, jotta saat tuntemuksen siitä, mikä vaihtoehto sopii parhaiten juuri sinun selällesi. Asiantuntijamme ottavat huomioon kehosi yksilölliset ominaisuudet ja henkilökohtaiset mieltymyksesi nukkumisergonomian kartoituksessa. TEMPUR-valikoimassa on monia erinomaisia vaihtoehtoja erilaisiin tarpeisiin.

Tutustu sänkyvalikoimaan verkkosivuillamme ja varaa aika ilmaiseen nukkumisergonomian kartoitukseen. Koulutetut nukkumisergonomian asiantuntijamme ja fysioterapeuttimme auttavat sinua löytämään sänkykokonaisuuden, joka sopii täydellisesti juuri sinun selällesi.

Sohvi Karhunen

Turn static files into dynamic content formats.

Create a flipbook
Issuu converts static files into: digital portfolios, online yearbooks, online catalogs, digital photo albums and more. Sign up and create your flipbook.