

Infuzyjne
3
Spis treści
SPIS TREŚCI
Redakcja
4
5
List od redakcji
Gabriela Świętochowska-Tauz
Pielęgniarstwo Infuzyjne w rozszerzonym świecie
wirtualnym – Jak XR zmienia podejście do nauki i praktyki
Marek Strzemski
Mentoring w zespołach dostępów naczyniowych
Natalia Gęślicka
Wywiad z lek. med Aleksandrą Święch-Zarzycką, specjalistką anestezjologii. Wywiad na temat implantacji portów naczyniowych
Maciej Gryczko
Etiologia i zarządzanie Trwałym Wstrzymaniem Pobierania (TWP)
Artur Szymczak, Maciej Latos
Redakcja
SPIS TREŚCI
Redaktor Naczelna
Konsultacja
Koordynator projektu
Autorzy tekstu
Wydawca
Gabriela Świętochowska-Tauz
Artur Szymczak
Jolanta Wołosianka
Marek Strzemski
Natalia Gęślicka
Maciej Gryczko
Artur Szymczak
Maciej Latos

r e d a k c
OdPielęgniarstwo infuzyjne to codzienne wyzwania i nieustanny rozwój.
To nie tylko sprawne uzyskiwanie dostępu naczyniowego i jego prawidłowa pielęgnacja – to dziedzina, która, jak każda nauka, dynamicznie podąża naprzód, wspierana nowoczesnymi technologiami. Sztuczna inteligencja i wirtualna rzeczywistość coraz śmielej wkraczają do świata medycyny, otwierając przed nami nowe możliwości. Możemy debatować o zaletach i wadach tych innowacji, ale jedno jest pewne – wszystko, co przyczynia się do poprawy zdrowia pacjenta, jest dla medyków na wagę złota.
Jeśli wśród czytelników są osoby zafascynowane nowoczesnymi technologiami i innowacyjnymi rozwiązaniami, ten numer jest właśnie dla Was.
Życzę inspirującej lektury!
Świętochowska-Tauz
REDAKTOR NACZELNA Gabriela


Pielęgniarstwo
Infuzyjne w rozszerzonym
świecie wirtualnym – Jak XR zmienia podejście
do nauki i praktyki
MarekStrzemski
Kliniczny Oddział Chirurgii Ogólnej i Onkologicznej Akademii Medycznych i Społecznych Nauk Stosowanych w Elblągu Polskie Towarzystwo Pielęgniarstwa Infuzyjnego
Wstęp
Wirtualna rzeczywistość (VR) to technologia, która tworzy w pełni immersyjne, komputerowo generowane środowisko, w którym użytkownicy mogą uczestniczyć, tak jakby znajdowali się w tym świecie fizycznie W VR użytkownik ma wrażenie bycia częścią stworzonego cyfrowego świata, z którym może wchodzić w interakcje. VR angażuje użytkownika na tyle, że staje się on częścią cyfrowego środowiska. Rozszerzona rzeczywistość (AR) to technologia, która łączy świat rzeczywisty z elementami wirtualnymi, nakładając cyfrowe informacje na obraz świata w czasie rzeczywistym. W AR użytkownik może oglądać rzeczywisty świat, ale z dodatkowymi warstwami danych, obrazów, dźwięków czy wideo, które zmieniają lub uzupełniają jego postrzeganą rzeczywistość. W przeciwieństwie do VR, gdzie użytkownik jest całkowicie zanurzony w wirtualnym świecie, AR wzbogaca rzeczywistość o cyfrowe elementy. Użytkownik widzi zarówno rzeczywisty świat, jak i nałożone na niego obiekty, które mogą reagować na jego ruchy i interakcje. W AR interakcja odbywa się nie tylko w wirtualnym środowisku, ale także z obiektami rzeczywistymi, umożliwiając manipulację wirtualnymi elementami w otoczeniu, na przykład przesuwanie obiektów w przestrzeni, korzystanie z dotyku, gestów, a nawet dźwięków. W kontekście medycznym do korzystania z AR wymagane są specjalistyczne urządzenia, takie jak okulary AR (np. HoloLens, Vision Pro, MetaQuest). AR używa technologii śledzenia i mapowania, takich jak GPS czy akcelerometry, aby precyzyjnie nałożyć wirtualne obiekty na rzeczywisty świat, umożliwiając ich odpowiednie umiejscowienie w przestrzeni, w zależności od otoczenia [tab.1].

Obie technologie – VR i AR – zmieniają sposób, w jaki uczymy się, pracujemy i ćwiczymy VR oferuje pełne zanurzenie w wirtualnym świecie, podczas gdy AR wzbogaca nasze otoczenie o elementy cyfrowe, pozwalając na interakcję z rzeczywistością w sposób, który wcześniej byłby niemożliwy. Złączenie obu tych technologii nosi nazwę rzeczywistości mieszanej MR (mixed reality) i umożliwiająca interakcję między rzeczywistym a wirtualnym światem.
Materiałimetody
Metodologia niniejszego przeglądu opierała się na systemowym przeszukaniu literatury w bazach PubMed oraz innych źródłach naukowych Używając wcześniej zdefiniowanego zestawu słów kluczowych, takich jak „metaverse”, „XR”, „AR”, „VR”, „nursing”, „education”, „ultrasound”, „training”, przeanalizowane zostały prace opublikowane w latach 2012-2024. Dodatkowo, w celu uzyskania szerszego obrazu, przeprowadzono dokładne poszukiwania w Google (Google LLC., Meta Platforms), aby zebrać informacje dotyczące zastosowania „metaverse” w kontekście medycznym - pielęgniarstwie, uznając tę technologię za nową i wciąż niedostatecznie zbadaną w literaturze dostępnej w PubMed Takie podejście umożliwiło zgromadzenie wystarczającego zakresu literatury odnoszącej się do roli VR w praktyce i edukacji medycznej.
TabelaI Porównaniecechwirtualnejirozszerzonejrzeczywistościwzględemsiebie
Infuzyjne
Na podstawie zgromadzonych danych, starannie wyodrębniono najistotniejsze informacje dotyczące potencjalnych zastosowań VR w pielęgniarstwie, szczególnie w kontekście szkoleń oraz praktyki klinicznej. Dokładna analiza zidentyfikowanych badań oraz dotychczasowe doświadczenia własne umożliwiły sformułowanie wniosków na temat wpływu technologii VR na kształcenie i praktykę w pielęgniarstwie, wskazując jej potencjał w transformacji metod nauczania oraz doskonalenia umiejętności klinicznych.
VRzARwmedycynieinauce
Technologie wirtualnej rzeczywistości bardzo intensywnie wkraczają do świata medycyny w aspekcie klinicznym i edukacyjnym. Aby ukazać i wyjaśnić wpływ tej technologii, podzieliłem zgromadzone dane na dwie grupy.
Modeledukacyjny
Początki XR w modelu edukacyjnym sięgają końca lat 90-tych, kiedy to jeden z uniwersytetów amerykańskich - University of Illinois, utworzył laboratorium wirtualne na wydziale biologii, gdzie studenci mogli badać modelowane narządy i tkanki w trójwymiarowym środowisku oraz możliwe było przeprowadzanie wirtualnych sekcji anatomicznych [1]. Od tamtego czasu pionierskie badania stały się fundamentem dla dalszego rozwoju technologii VR używanych w edukacji.
Timeline
2010–2015 – Google wprowadziło Google Expeditions, aplikację VR do wirtualnych wycieczek edukacyjnych
2016 – Microsoft zaprezentował pierwszy swój headset - HoloLens, wykorzystywany m.in. w szkoleniu chirurgów i edukacji technicznej.
2020+ – Wzrost popularności platform VR, takich jak Meta Quest w nauce i szkoleniach zawodowych.

https://xra.org/research/insights-from-teachers-on-future-of-xr-foreducation
Według badania przeprowadzonego przez Stowarzyszenie XR (XR Association) w Stanach Zjednoczonych, wśród ponad 1400 nauczycieli szkół średnich aż 77% ankietowanych nauczycieli zgadza się, że technologie XR inspirują ciekawość i zwiększają zaangażowanie uczniów [2]. Dzięki immersyjnemu charakterowi tych technologii uczniowie mogą aktywnie uczestniczyć w procesie nauki, co zwiększa ich motywację. Edukacja w środowisku XR sprzyja lepszemu zapamiętywaniu informacji, ponieważ nauka odbywa się poprzez doświadczenie. Interakcja z cyfrowymi obiektami oraz symulacje rzeczywistych sytuacji pomagają w przyswajaniu wiedzy w sposób bardziej intuicyjny i praktyczny. Ponadto takie podejście umożliwia wielokrotne powtarzanie ćwiczeń, co pozwala na doskonalenie umiejętności bez ryzyka popełnienia błędów w realnych warunkach. Komfort bezpieczeństwa umożliwia naukę w kontrolowanym środowisku, w którym użytkownicy mogą ćwiczyć skomplikowane procedury i podejmować decyzje bez konsekwencji dla rzeczywistego świata. To szczególnie ważne w szkoleniach wymagających precyzji i opanowania w sytuacjach stresowych [3] Nowoczesne technologie edukacyjne pozwalają również na indywidualizację procesu nauczania. Uczniowie mogą dostosowywać tempo nauki do własnych potrzeb, a natychmiastowa informacja zwrotna pozwala na bieżąco korygować błędy i doskonalić umiejętności [4].Możliwość integracji z innymi systemami, takimi jak sztuczna inteligencja czy analiza danych, dodatkowo wspiera skuteczność nauczania. Dzięki dostępności technologii XR edukacja staje się bardziej elastyczna i dostępna, umożliwiając naukę na odległość oraz redukcję kosztów związanych z tradycyjnymi metodami szkoleniowymi.
Infuzyjne
Współpraca zespołowa w wirtualnym środowisku sprzyja rozwijaniu kompetencji komunikacyjnych i umiejętności pracy w grupie, co jest istotnym elementem współczesnego kształcenia [3, 4].
W kontekście edukacji środowisk medycznych, rzeczywistość rozszerzona odnajduje jeszcze szersze zastosowanie. Wnikliwa analiza przedstawiona w badaniu Żydowicz WM, Marano L, et. al. [5], podkreśla transformacyjny potencjał nowoczesnych technologii w diagnozowaniu i leczeniu raka piersi, gdzie integracja narzędzi obrazowania 3D, rozszerzonej rzeczywistości (AR), wirtualnej rzeczywistości (VR) oraz metawersum, stanowi klucz do osiągnięcia wyjątkowej precyzji z minimalnymi błędami podczas operacji raka piersi. Z kolei niedawne badania nad symulacjami VR w programie resuscytacji noworodków (Neonatal Resuscitation Program, NRP) wykazały, że technologie VR oferują realistyczne i interaktywne środowisko, w którym pracownicy ochrony zdrowia mogą ćwiczyć i odświeżać swoje umiejętności w bezpiecznym otoczeniu W celu walidacji tej platformy porównano symulację VR-NRP z ekspozycją na 360-stopniowe wideo immersyjne. Stwierdzono, że obie technologie VR były pozytywnie oceniane przez respondentów i działały bardzo podobnie do siebie. Jednak symulacja VR zapewniała znacznie większe poczucie obecności. Ponadto uczestnicy uznali symulację VR za bardziej użyteczną, co prowadziło do lepszych wyników w nauce przez doświadczenie. Uczestnicy korzystający z symulacji VR zgłaszali również wyższą pewność siebie w niektórych umiejętnościach NRP, takich jak prawidłowe umieszczenie maski i ocena reakcji noworodka [6].Badanie to stanowi krok naprzód w zrozumieniu, w jaki sposób VR i pokrewne technologie rozszerzonej rzeczywistości (XR) mogą być stosowane w efektywnej, immersyjnej edukacji medycznej, z potencjalnymi korzyściami dla medyków w obszarach odległych i wiejskich. Olayeye, K., & Oviawe, E. et. al. w swoim badaniu nad skutecznością VR w praktycznej nauce rozmieszczenia elektrod w 12odprowadzeniowym EKG wykazała, że VR jest skuteczniejszym narzędziem w aspekcie “know how” umieścić elektrody, ale mniej skutecznym niż tradycyjny model edukacyjny w aspekcie “know where” umieścic elektrody.
Dlatego uznano w badaniu, że mimo pozytywnego wpływu VR na zaangażowanie i interaktywność nauki, istnieje potrzeba dalszego doskonalenia narzędzi VR w celu lepszego odwzorowania aspektów przestrzennych i proceduralnych kluczowych dla nauki elektrokardiografii [7]. Jednym z ciekawszych badań na jakie trafiłem jest MetaAnaliza skuteczności wirtualnej rzeczywistości w edukacji pielęgniarskiej, opublikowana na łamach Journal of Medical Internet Research przez Chen FQ, Leng YF et. al. w 2020 roku, gdzie wyniki wskazują, że metody dydaktyczne oparte na VR mogą skutecznie wspierać przyswajanie wiedzy przez studentów pielęgniarstwa. Jednak w odniesieniu do rozwijania umiejętności praktycznych, poziomu satysfakcji, pewności siebie oraz czasu wykonywania procedur VR nie wykazał istotnej przewagi nad innymi metodami edukacyjnymi i ogólnie rzecz biorąc, VR powinien być rozważany jako narzędzie wspomagające zdobywanie wiedzy oraz jako uzupełnienie innych strategii symulacyjnych, co może przyczynić się do poprawy jakości i bezpieczeństwa praktyki klinicznej [8] Jak zauważają naukowcy, rozszerzona rzeczywistość nie wykazuje zdecydowanej przewagi nad klasycznymi formami edukacji w kontekście wiedzy ogólnej. Badania wykazują, że choć VR może zwiększać zaangażowanie studentów i uatrakcyjniać proces dydaktyczny, to jego przewaga nad klasycznymi metodami w zakresie samego przyswajania wiedzy teoretycznej jest ograniczona [4, 8]. Jednym z powodów tego zjawiska jest fakt, że nauka podstawowych informacji w dużej mierze opiera się na zdolnościach poznawczych, takich jak zapamiętywanie, rozumienie i stosowanie wiedzy w kontekście teoretycznym Tradycyjne metody, takie jak wykłady wspomagane multimediami, prace grupowe oraz klasyczne modele symulacyjne (np. ćwiczenia na modelach anatomicznych), wciąż zapewniają skuteczne sposoby nauki, a dodatkowo są bardziej dostępne i tańsze niż zaawansowane systemy XR.
Infuzyjne
Sytuacja zmienia się diametralnie w przypadku edukacji na poziomie wysoko specjalistycznym. W dziedzinach wymagających praktycznych umiejętności, precyzji, doświadczenia przestrzennego, zdolności szybkiego podejmowania decyzji czy pracy w symulowanych warunkach rzeczywistych, technologie XR znaczącą przewagę [5, 6]. Jednym obszarów, w których zastosow szczególnie zyskuje na znaczeniu, jes z zakresu bezpiecznej infuzji oraz kaniulacji pod kontrolą ultrason (USG). Wykorzystanie wirtualnych pozwala na realistyczne odw procedur obsługi linii infuzyjnej czy cewników naczyniowych, um studentom i praktykującemu personelowi zdobywanie doświadczen w warunkach symulowanych, ale rzeczywistości klinicznej. W ramach prowadzonych przeze mni i prac nad implementacją XR w procedur infuzyjnych budujemy ś które pozwala na wielokrotne prz kluczowych technik pod nadzorem w instruktora. Dzięki temu uczestnicy szkoleń mogą dokładnie zapoznać się z technikami ANTT, budową i obsługą linii infuzyjnej, wykonywania kaniulacji różnymi oraz zastosowaniem ultrason identyfikacji naczyń k sonoanatomii - zanim podejm procedur w rzeczywistych klinicznych. W tradycyjnych nauczania procedur infuzyjnyc często bazują na ćwiczeniach opar o modele anatomiczne w ogranic sesji praktycznych pod okiem Technologie XR eliminują ogranicze z koniecznością stosowania fizycz treningowych, zapewniając interak i powtarzalną formę nauki w r środowisku wirtualnym. Dodatkową w takim szkoleniu jest natychmiastowej analizy błę dostosowania poziomu trudności do umiejętności i postępów użytkownika. Instruktor wyposażony również w headset XR i wykorzystując punkt widzenia osoby ćwiczącej (POV) monitoruje ruchy rąk, czy trajektorię igły, co pozwala na precyzyjną ocenę postępów i wskazywanie obszarów wymagających korekty [ryc.1].
To sprawia, że nauka jest bardziej spersonalizowana, a uczestnicy takich kursów mogą szybciej doskonalić swoje umiejętności bez barier chociażby odległości, w dogodnym dla siebie czasie i miejscu [ryc.2].

Rycina1.ObrazwidzianyprzezheadsetMetaQuest3,znałożonymobrazemUSG. Równieżwidzianytaksamoprzezinstruktora.

Rycina2 ObrazwidzianyprzezheadsetMetaQuest3,zjednoczasowym połączeniemPOVinstruktora
Infuzyjne
Wielką zaletą jest wspomniana wcześniej imersyjna możliwość eksplorowania anatomii, która w dostępie naczyniowym jest kluczowa, a dzięki technologii XR nie ogranicza się do przeglądania slajdów w atlasie anatomicznym tylko umożliwia oglądanie układu krwionośnego w skali 1:1 i to z każdej perspektywy [ryc.3, QR.1].

Aspektprawnyietyczny
W kontekście wykorzystania headsetów VR/AR podczas procedur, takich jak kaniulacja wspomagana ultrasonografią, należy uznać, że jeśli urządzeniem USG jest wyłącznie głowica (probe), to headset pełni funkcję ekranu, zastępując tradycyjny wyświetlacz. Oznacza to, że sam headset nie jest urządzeniem medycznym i nie podlega regulacjom MDR (Medical Device Regulation, 2017/745), kluczowego aktu prawnego dotyczącego certyfikacji wyrobów medycznych w Unii Europejskiej [9] Sytuacja wygląda inaczej, gdy obraz jest replikowany z urządzenia stanowiącego zintegrowany aparat USG. W takim przypadku wyświetlanie obrazu jest dopuszczalne wyłącznie na urządzeniach medycznych. Należy podkreślić, że żaden dostępny na rynku headset VR, zgodnie z definicją MDR, nie spełnia tych wymagań. Ze względu na wpływ tych technologii na proces medyczny, ich zastosowanie wymaga uwzględnienia obowiązujących regulacji prawnych i etycznych Wprowadzenie headsetów VR/AR w kontekście procedur medycznych musi być zgodne z wytycznymi dotyczącymi bezpieczeństwa pacjenta, ochrony danych oraz odpowiedzialności zawodowej personelu medycznego. Dlatego bezwzględnie każde użycie VR/AR musi byś zgodne z MDR (Medical Device Regulation, 2017/745) [9], Deklaracją Helsińską Światowego Stowarzyszenia Lekarzy [10], Ustawą o zawodach lekarza i lekarza dentysty [11] oraz Rozporządzeniem o Ochronie Danych Osobowych (RODO) [12] Warto zaznaczyć, że VR (Virtual Reality) całkowicie izoluje użytkownika od rzeczywistego środowiska, co oznacza, że percepcja wzrokowa dłoni i narzędzi medycznych zależy wyłącznie od przekazu z kamer urządzenia np. Meta Quest, Vision Pro [ryc.4]. AR (Augmented Reality) natomiast wzbogaca rzeczywisty obraz o dodatkowe informacje wizualne jak np. HoloLens 2 [ryc.4], nie eliminując bezpośredniego kontaktu oko–ręka. Oznacza to, że AR nie opiera się wyłącznie na systemie kamer i może być używany jako wyświetlacz wspomagający klinicystę w procedurach medycznych i z powodzeniem jest wykorzystywany zgodnie z regulacją MDR [9].
Rycina4.Najczęściejwykorzystywanewbadaniachheadsety-odlewej:MicrosoftHoloLens2,AppleVisionPro,MetaQuestPro,MetaQuest3.
Modelkliniczny

Wprowadzenie technologii XR do edukacji medycznej nie tylko rewolucjonizuje proces kształcenia przyszłych specjalistów, ale również znajduje coraz szersze zastosowanie w praktyce klinicznej. Wykorzystanie wirtualnej rzeczywistości (VR), rozszerzonej rzeczywistości (AR) i rzeczywistości mieszanej (MR) otwiera nowe możliwości w zakresie diagnozowania, planowania procedur, przeprowadzania zabiegów oraz monitorowania stanu pacjentów Szczególne znaczenie ma to w obszarach wymagających wysokiej precyzji, minimalnej inwazyjności oraz optymalizacji procesu terapeutycznego, takich jak chirurgia, radiologia interwencyjna, kardiologia czy medycyna ratunkowa. Jednym z kluczowych aspektów klinic wykorzystania XR jest możliwość wizu struktur anatomicznych pacjenta w trójwymiarowej przestrzeni [13 umożliwia lepsze zrozu skomplikowanych układów naczyni nerwowych czy narządowych. technologii AR lekarze i pielęgniarki nakładać cyfrowe modele anatomicz rzeczywisty obraz pacjenta, co u precyzyjne określenie punktów d podczas procedur inwazyjnych. W pr klinicznej stosuje się to m.in. w c rekonstrukcyjnej, neurochirurgii oraz skomplikowanych interwe kardiologicznych, gdzie każdy m precyzji ma kluczowe znaczenie powodzenia operacji [5, 13]. W Szpita Wojciecha w Gdańsku przeprowadzono skomplikowany zabieg operacyjny, połączył w sobie trzy zaawans technologie - asystę robotyczną, druk 3 rzeczywistość mieszaną MR/AR [14].
Dzięki zastosowaniu „immersyjnych technologii”, zespół przeprowadził operację olbrzymiej przepukliny rozworu przełykowego z całkowitym przemieszczeniem żołądka do klatki piersiowej i skrętem wewnątrzpiersiowym, z wykorzystaniem robota da Vinci, wykonując jedynie pięć niewielkich nacięć [14]. Dzięki mieszanej rzeczywistości chirurdzy mogli w czasie rzeczywistym, za pomocą headsetów Microsoft Hololens 2, wizualizować lokalizację przemieszczonych narządów pacjenta bezpośrednio w polu operacyjnym, nakładając obrazy holograficzne na pacjenta [ryc.5].
Ta technologia poprawiła precyzję chirurgiczną i pozwoliła na podejmowanie bezpiecznych decyzji podczas przeprowadzania skomplikowanej operacji w trudnych technicznie obszarach [14].

QR.2.Linkdofilmuukazującegopozycjonowaniewysegmentowanych wcześniejnarządówpacjentawskali1:1widzianychwheadsecieMicrosoft Hololens2,
Ultrasonografia wspomagana
AR
Nie tylko w zaawansowanych procedurach można wykorzystać technologie immersyjne. W zakresie kaniulacjii pod kontrolą ulstrasonograficzną Nguyen T, Plishker W et. al. wykazali, że eliminując konieczność naprzemiennego obserwowania pacjenta oraz obrazów ultrasonograficznych wyświetlanych na oddzielnym monitorze, czas wykonania procedur u nowicjuszy poprawił się o 17%, natomiast u ekspertów czas ten skrócił się o 5%. Dowodzi to tym samym, że AR poprawia komfort i upraszcza koordynację wzrokoworuchową [15].
Doświadczenia własne w tym zakresie wskazują również na korzyści wynikające z lepszej ergonomii stanowiska i oszczędności miejsca gdzie w ciasnych pomieszczeniach takich jak sale chorych, tradycyjny ekran USG może być trudy do ustawienia. Ponadto Headsety AR umożliwiają wyświetlanie obrazu ultrasonograficznego w polu widzenia operatora, eliminując konieczność korzystania z dodatkowego monitora [ryc 6] Wykorzystanie headsetu AR eliminuje również konieczność dotykania dodatkowych urządzeń, takich jak ekran USG czy klawiatura co w przypadku procedur aseptycznych pozwala operatorowi korygować ustawienia urządzenia zachowując jednocześnie pełną jałowość. Możliwość sterowania interfejsem gestami lub komendami głosowymi dodatkowo poprawia precyzję i bezpieczeństwo procedury.

Rycina6.ProcedurakaniulacjizwykorzystaniemARHoloLens2,nałożeniem obrazuultrasonograficznegotuzprzedobiektem
Zastosowanie przez operatora headsetu i AR zostało również wykorzystane do wsparcia zdalnego z elementami telemedycyny. W warunkach symulowanych, z powodzeniem nawiązano połączenie i przeprowadzono konsultację w czasie rzeczywistym – specjalista mógł obserwować obraz procedury przez internet i udzielać wskazówek operatorowi na miejscu [QR.3].
QR.3.LinkdofilmuzPOVoperatorawtrakciewprowadzaniakaniuli zmodyfikowanątechnikąSeldingera
Wyzwania
Pomimo ogromnych korzyści płynących z wykorzystania headsetów AR w medycynie, technologii tej towarzyszy szereg wyzwań i problemów technicznych, które mogą wpływać na jej efektywność, bezpieczeństwo i szeroką adaptację w codziennej praktyce medycznej.
Infuzyjne
Jednym z napotkanych problemów były problemy z łącznością internetową, kiedy to niewystarczająco stabilne i szybkie łącze powodowało opóźnień w transmisji obrazu i dźwięku, co znacząco obniżało jakość interakcji pomiędzy operatorem a specjalistą Opóźnienia mogą prowadzić do błędnych interpretacji sytuacji, błędów w procedurze lub niemożności podjęcia odpowiednich działań w krytycznych momentach. Kolejnym wyzwaniem okazało się właściwe zabezpieczenie wrażliwych danych medycznych, takich jak obrazy diagnostyczne, dane pacjentów czy informacje o przebiegu procedur. W przypadku niewłaściwego zabezpieczenia tych danych, może dojść do ich nieautoryzowanego dostępu lub naruszenia prywatności pacjentów Zapewnienie wysokiego poziomu bezpieczeństwa informacji jest kluczowe, zwłaszcza w kontekście przepisów o ochronie danych osobowych (np. RODO w Unii Europejskiej) [12].
Nie bez znaczenia okazała się unifikacja headsetów z urządzeniami peryferyjnymi typu aparat USG, głowica USG [ryc.7], tablet medyczny, komputer PC. Dopiero po skompletowaniu headsetu z tabletem i laptopem w jednym ekosystemie (Apple lub ą


Rycina8.PołączenieAppleVisionProzgłowicąUSGComamed10TXbyło bezpośrednieiwymagałojedynieinstalacjioprogramowanianaheadsecie.
Kolejną barierą okazał się brak odpowiedniego przeszkolenia personelu medycznego. Zmiana w sposobie pracy i wdrożenie nowych narzędzi może spotkać się z oporem ze strony niektórych pracowników, zwłaszcza tych, którzy nie są zaznajomieni z nowymi technologiami. Dodatkowo, sprzęt AR wymaga praktyki i doświadczenia, aby być użytecznym w środowisku medycznym, zwłaszcza w przypadku procedur wymagających dużej precyzji. Bez odpowiedniego szkolenia, ryzyko błędów może się zwiększyć. Ponadto sprzęt niezbędny do wdrożenia praktyki z VR/AR jest wciąż drogi i niejednokrotnie wykracza poza budżet przeznaczony na innowację Problemy techniczne związane z technologią VR/AR/MR w medycynie są złożone, ale nie niemożliwe do rozwiązania. Wymagają one odpowiedniej infrastruktury, integracji z istniejącymi systemami medycznymi, ciągłego monitorowania jakości połączeń i danych, a także szkoleń dla personelu medycznego. W miarę jak technologia będzie się rozwijać, wiele z tych wyzwań może zostać zaadresowanych, co uczyni AR i telemedycynę bardziej dostępnymi i skutecznymi narzędziami w opiece zdrowotnej
Infuzyjne
Podsumowanie
Rozwój technologii rzeczywistości wirtualnej (VR) i rozszerzonej rzeczywistości (AR) otwiera nowe możliwości dla pielęgniarstwa infuzyjnego, wpływając zarówno na edukację, jak i codzienną praktykę kliniczną. Niniejsza praca analizuje potencjał tych technologii w kształceniu pielęgniarek oraz ich zastosowanie przy łóżku pacjenta. Wykazano, że VR umożliwia realistyczne symulacje procedur medycznych, eliminując ryzyko błędów na rzeczywistych pacjentach, natomiast AR wspiera diagnostykę i wykonywanie zabiegów w czasie rzeczywistym, np. przy kaniulacji z wykorzystaniem ultrasonografii (USG). Podkreślono również znaczenie XR w kształceniu na odległość, zwiększaniu pewności siebie personelu medycznego oraz podnoszeniu precyzji i bezpieczeństwa procedur pielęgniarskich. Jednakże, wdrażanie tych technologii wiąże się z wyzwaniami, w tym z wysokimi kosztami sprzętu, oprogramowania oraz jego integracji z systemami opieki zdrowotnej. Dodatkowe bariery to konieczność szkolenia kadry medycznej w zakresie korzystania z nowych narzędzi oraz ograniczona dostępność infrastruktury wspierającej implementację XR w wielu placówkach medycznych i edukacyjnych. Wnioski płynące z analizy dostępnych źródeł wskazują, że pomimo kosztownych barier, VR i AR mogą znacząco wpłynąć na standardy nauczania i praktyki w pielęgniarstwie infuzyjnym, stanowiąc kluczowe narzędzia w nowoczesnej medycynie. Dalsze badania nad optymalizacją kosztów oraz strategii wdrażania tych rozwiązań mogą jeszcze bardziej usprawnić szkolenie i poprawić jakość opieki nad pacjentem, wprowadzając pielęgniarstwo w nową erę cyfrowej medycyny.
Oświadczenie
Oświadczam, że nie występuje żaden konflikt interesów związany z moją działalnością naukową, badawczą i dydaktyczną w zakresie technologii VR i AR w pielęgniarstwie. Moja praca jest wynikiem niezależnego przeglądu badań, doświadczeń, praktyki własnej oraz współpracy akademickiej, mającej na celu rozwój nowoczesnych metod kształcenia i praktyki klinicznej.

Autortekstu:MarekStrzemski

3.Yang, K , Zhou, X , & Radu, I (2020) XR-ed framework: Designing instruction-driven andLearner-centered extended reality systems for education arXiv preprint arXiv:2010 13779
4.Ignaciuk, M (2022) Wirtualna rzeczywistość w edukacji –analiza opinii nauczycieli na temat wykorzystania technologii VR w edukacji szkolnej Ars Educandi, 19(19) https://doi.org/10.26881/ae.2022.19.05
5.Żydowicz WM, Skokowski J, Marano L, Polom K. Current Trends and Beyond Conventional Approaches: Advancements in Breast Cancer Surgery through Three-Dimensional Imaging, Virtual Reality, Augmented Reality, and the Emerging Metaverse. J Clin Med. 2024;13(3):915. Published 2024 Feb 5. doi:10 3390/jcm13030915
6.Aydin, M Y , Curran, V , White, S , Pena-Castillo, L , & MeruviaPastor, O (2024) VR-NRP: a virtual reality simulation for training in the neonatal resuscitation program arXiv preprint arXiv:2406 15598
7.Olayeye, K , & Oviawe, E L (2024) Enhancing Clinical Skills Through Virtual Reality: A Study on 12-Lead Electrocardiogram Placement in Medical Education Cureus, 16(11)
8.Chen FQ, Leng YF, Ge JF, et al Effectiveness of Virtual Reality in Nursing Education: Meta-Analysis. J Med Internet Res. 2020;22(9):e18290 Published 2020 Sep 15 doi:10 2196/18290
9.Parlament Europejski - MDR, dostęp 15.02.2025r, https://eurlex europa eu/legal-content/PL/TXT/? uri=CELEX%3A32017R0745
10.Deklaracja Helsińska Światowego Stowarzyszenia Lekarzy, tłumaczenie NIL, dostęp 17 02 2025r, https://nil.org.pl/uploaded files/art 1585807090 deklaracjahelsinska-przyjeta-na-64-zo-wma-pazdziernik-2013-pelnytekst pdf
11.Ustawa o zawodach lekarza i lekarza dentysty, dostęp 17.02.2025r, https://isap.sejm.gov.pl/isap.nsf/DocDetails.xsp? id=WDU19970280152
12.Parlament Europejski - RODO, dostęp 17 02 2025r, https://eur-lex.europa.eu/legal-content/PL/TXT/? uri=CELEX%3A32016R0679
13 Żydowicz WM, Skokowski J, Marano L, Polom K Navigating the Metaverse: A New Virtual Tool with Promising Real Benefits for Breast Cancer Patients Journal of Clinical Medicine 2024; 13(15):4337 https://doi org/10 3390/jcm13154337
14.COPERNICUS Podmiot Leczniczy, dostęp 17 02 2025r https://copernicus gda pl/aktualnosci/innowacyjny-zabiegchirurgiczny-przepukliny-rozwoju-przelykowego, materiał wideo dostęp 2.03.2025r https://fb.watch/y3Z oPaizL
15.Nguyen T, Plishker W, Matisoff A, Sharma K, Shekhar R. HoloUS: Augmented reality visualization of live ultrasound images using HoloLens for ultrasound-guided procedures. Int J Comput Assist Radiol Surg 2022;17(2):385-391 doi:10.1007/s11548-021-02526-7



INFUzja Lokalnie 2.0 Warszawa- fotorelacja (Źródło zdjęć: Evereth)




INFUzja Lokalnie 2.0 Warszawa- fotorelacja (Źródło zdjęć: Evereth)




INFUzja Lokalnie 2.0 Warszawa- fotorelacja (Źródło zdjęć: Evereth)





Mentoring w zespołach dostępów
naczyniowych
NataliaGęślicka
Oddział Anestezjologii i Intensywnej Terapii z Pododdziałem
Anestezjologii i Intensywnej Terapii Dziecięcej Szpitala Wojewódzkiego w Suwałkach
W ostatnim czasie o mentoringu i roli lidera mówisięcorazwięcej.Jakitomawpływ na powstawanie i funkcjonowanie zespołów dostępównaczyniowych?Czegotak naprawdę oczekujemy, a co dostajemy? Dlaczego mentoring jest tak bardzo potrzebny?
Mentoring w najprostszym tego słowa znaczeniu jest ukierunkowaną relacją rozwojową między mentorem a uczniem. Mentor jako osoba z wiedzą oraz doświadczeniem jest wsparciem dla ucznia w rozwoju zawodowym jak i osobistym. Fundamentem strategii mentoringu jest komunikacja.
Infusion Nurse Society (INS) jasno określa rolę liderów w zespołach infuzyjnych, definiując ich jako specjalistów, którzy systematycznie aspirują do rozwoju zawodowego. Zalecenia INS dotyczące praktyki zobowiązują lidera do szerzenia działań opartych na dowodach naukowych, angażowania się w opracowywanie standardów zarządzania i rozwój zespołu, jednocześnie dążąc do podnoszenia jakości opieki nad pacjentem.

Warto jednak pokazać obie strony mentoringu. Mentor jak i osoba wspierana czerpią z tej relacji korzyści Każda ze stron rozwija swoje potencjały, a także kompetencje osobiste. Osoba, która chce działać w zespole dostępów naczyniowych niewątpliwie potrzebuje wsparcia i przeprowadzenia przez proces kształtowania się jej ścieżki rozwoju. Dzięki takiej opiece uczeń odczuwa mniejszy stres i odczuwa satysfakcje z wykonywanych czynności. Stawiane przez mentora cele i wyzwania zwiększają wiarę podopiecznego we własne możliwości. Należy również wspomnieć o wzroście zaangażowania ucznia we własny rozwój W przypadku mentora podnosi to jego samoocenę i zmniejsza podatność na wypalenie zawodowe.
Źródłowłasne Zdjęciewykonanepodczaspozoracjiprocedury
Temat zespołów naczyniowych w Polsce rozwija się dość prężnie, dlatego też gdy chcemy działać w tym kierunku np. stworzyć zespół w swoim miejscu pracy, warto jest znaleźć wsparcie w osobie doświadczonej, która posiada odpowiednie kwalifikacje. Każdemu zespołowi powinien przyświecać jeden celsprawować jak najlepszą opiekę nad pacjentem w oparciu o najnowszą wiedzę medyczną, krytyczne myślenie i doświadczenie Mamy wiele możliwości, aby podnosić standardy i rozwijać pielęgniarstwo infuzyjne. Doświadczony lider kierujący zespołem jest w stanie inspirować i motywować członków, dając im wyzwania, które przysłużą się rozwojowi, a także zbudują solidny fundament przyszłych liderów kolejnych zespołów naczyniowych. Wizyty studyjne to jedna z form poszerzania własnych kompetencji i wiedzy. Odwiedzanie jednostek gdzie działają zespoły ds. dostępów naczyniowych wzbogaca nie tylko osobę uczestniczącą w takiej wizycie, ale również jej świeżo powstający lub działający już zespół.
Infuzyjne
Możliwość obserwacji zespołów w trakcie pracy rzuca nowe światło Wiemy co możemy zmienić czym się zainspirować. Czerpanie takiej wiedzy daje motywację do działania, odkrywa nasze słabe i mocne strony, buduje pewność siebie, uczy krytycznego myślenia, a także decyzyjności.
Korzystanie z każdej możliwości, która niesie za sobą rozwój mentora i ucznia ma przełożenie na jakość zespołu. Dzięki wymianie wiedzy i doświadczeń mamy realny wpływ na poprawę jakości opieki, jak również na ujednolicenie standardów postępowania z dostępami naczyniowymi i bezpieczną infuzją. Warto jest stawiać sobie pytania i szukać na nie odpowiedzi, a także korzystać z możliwości wsparcia mentora.


Źródłowłasne
Piśmiennictwo
1. Mendyka L, Bajurna B, Zdanowska J, Mentoring – nowe spojrzenie na zarządzanie w pielęgniarstwie Pielęgniarstwo Polskie 1(43), 2012 s 16-18
2. Vance C. Global Mentoring: Nurses without Borders. Nursing Economic$ January/February 2023 s. 47-50
3. Nickel B, Gorski L, Kleidon T, et al. Infusion therapy standards of practice Infus Nurs 9 th edition. 2024. S7,S20-S21,S25, S34
Źródłowłasne

Wywiad z lek. med Aleksandrą Święch-Zarzycką, specjalistką anestezjologii. Wywiad na temat implantacji portów naczyniowych w UCK CSK WUM
Maciej Gryczko (MG): Jak rozpoczęła się Pani przygoda z implantacją portów naczyniowych?
Aleksandra Święch- Zarzycka(A. Ś-Z): W 2007 roku walcząc z chorobą mojej teściowej poznałam ludzi będących w procesie chemioterapii. Zobaczyłam wyniszczonych pacjentów z wyczerpanymi zasobami naczyniowymi na kończynach górnych. Wtedy zrozumiałam, że port naczyniowy jest idealnym rozwiązaniem dla tej grupy pacjentów. Możliwości stworzenia takiej procedury w UCK CSK były wtedy mocno ograniczone, ale pomysł pozostał. Około 2 lat temu kolega anestezjolog lek. med. Łukasz Wróblewski zaproponował mi współpracę w organizacji procedury implantacji portów naczyniowych w UCK WUM. Tak rozpoczęła się przygoda...
MG: Co daje Pani największą satysfakcję w tej pracy?

A.Ś-Z: Jako anestezjolog lubię wyzwania. Zakładanie portów naczyniowych jest procedurą, która daje pacjentowi olbrzymi komfort podczas dalszej ścieżki terapeutycznej. Trzeba jednak pokonać strach pacjenta, problemy logistycznoproceduralne, założyć bezboleśnie i sprawnie port naczyniowy. Największą satysfakcję daje mi świadomość, że pomagam tym ludziom. Oni są zawsze bardzo wdzięczni.
Źródłowłasne
MG: Czym dokładnie jest port naczyniowy i jakie pełni funkcje?
A.Ś-Z: Port naczyniowy - to długoterminowy dostęp dożylny, służący do podaży leków, płynów, chemioterapii, żywienia pozajelitowego, pobierania krwi oraz podawania kontrastu w pracowniach tomografii komputerowej. Składa się z umiejscowionej podskórnie komory, z silikonową membraną oraz połączonego, z nią cewnika, którego koniec umieszczony, jest w żyle głównej górnej bądź dolnej. Komora portu umieszczona jest całkowicie pod skórą, najczęściej w okolicy podobojczykowej. Warunkiem zachowania właściwości samouszczelniających membrany portu jest używanie do jej nakłuwania wyłącznie specjalnych igieł tj. igła Hubera. Następnie igłę zabezpiecza się przeźroczystym, wodoodpornym opatrunkiem.
Infuzyjne
MG: Jak wygląda proces informowania pacjenta przed zabiegiem – na co zwraca Pani szczególną uwagę?
A.Ś-Z: Pacjent będący w procesie kwalifikacji do implantacji portu naczyniowego dostaje pełną informację o całej procedurze oraz informacje o porcie naczyniowym. Ma możliwość zadawania pytań. Otrzymuje również pisemną informację o całej procedurze („Port naczyniowy – informacja dla pacjenta”). Wypełnia skróconą ankietę anestezjologiczną. W chwili podpisywania zgody na procedurę zawsze pytam pacjenta czy przeczytał otrzymane informacje i czy wszystko jest zrozumiałe.
MG: Jakie pytania najczęściej zadają pacjenci i z jakimi obawami się zgłaszają?
A.Ś-Z: Pacjenci najczęściej pytają: czy będzie bolało, czy będą „uśpieni” i kiedy będzie można usunąć port naczyniowy. Do tej procedury nie stosujemy analgosedacji dożylnej, ale w niektórych przypadkach proponujemy remimazolam .

MG: Jak długo pacjent może korzystać z portu i jakie są zalecenia dotyczące jego pielęgnacji?
A.Ś-Z: Nie ma jednoznacznych przesłanek jak długo można z niego korzystać. Można go mieć także po zakończeniu leczenia choroby (oczywiście przy zachowaniu odpowiedniej pielęgnacji). Zalecenia pielęgnacyjne podczas użytkowania portu, pacjent otrzymuje w formie pisemnej. Postaraliśmy się, aby były jak najbardziej szczegółowe, pozwalające bezpiecznie korzystać z portu naczyniowego.
A oto one: należy ograniczyć wysiłek fizyczny w obrębie górnych części ciała, a w szczególności ramion i obręczy barkowej, nie należy wykonywać gwałtownych ruchów połączonych z dużym nakładem siły oraz ograniczyć wykonywanie ćwiczeń podnoszenia ciężarów, gry w golfa oraz tenisa lub prac związanych z napięciem mięśni obręczy barkowej, np. rąbanie drzewa, uruchomienie kosiarki, takie sytuacje mogą prowadzić do urwania cewnika tuż przy jego przyczepie do komory portu, nie należy uciskać ramienia po stronie wszczepionego portu, paskiem od torby, plecaka, pasami bezpieczeństwa, brak przeciwwskazań do rekreacyjnego pływania, korzystanie z prysznica, kąpiel są bezpieczne, zaleca się umiarkowaną aktywność fizyczną – 30 minut dziennie, brak przeciwwskazań do lotu samolotem, zwrócenie uwagi na właściwą pielęgnację skóry nad komorą portu, która ze względu na częste stosowanie środków dezynfekcyjnych i powtarzalne nakłucia wymaga ciągłego stosowania kremów natłuszczających i odżywczych,
Infuzyjne
podczas użytkowania portu, wymiana igły oraz opatrunku powinna nastąpić co 7 dni. Opatrunek należy wymienić zawsze, gdy jest zabrudzony, pod opatrunkiem gromadzi się wilgoć lub doszło do częściowego odklejenia. igła do portu zawiera zintegrowany dren przedłużający z zaciskiem. Zacisk musi pozostać zamknięty, gdy port nie jest używany w sytuacji pojawienia się niepokojących objawów, takich jak zaczerwienienie w okolicy wszczepionego portu, wzrost ocieplenia skóry, ból promieniujący lub obrzęk w okolicy portu naczyniowego, należy niezwłocznie skontaktować się z ośrodkiem, w którym był wykonany zabieg wszczepienia portu.
MG: Jak wygląda organizacja dnia zabiegowego w Pani ośrodku?
A.Ś-Z:Procedura zakładania portu naczyniowego obywa się na Bloku Operacyjnym. Sala wyposażona jest w stół operacyjny przezierny dla promieniowania radiologicznego oraz aparat rentgenowski. Pracujemy w zespole dwuosobowy (pielęgniarka i lekarz). Na chwilę obecną w moim ośrodku dniem dedykowanym dla implantacji portów naczyniowych jest czwartek. Pacjenci umawiani są co 60 minut od godziny 8-ej. Po zarejestrowaniu się w Planowej Izbie Przyjęć, przebraniu się w jednorazowe ubranie - osoba odpowiedzialna za transport przywozi pacjenta do Bloku Operacyjnego. Na śluzie odbieramy pacjenta i zabieramy go do sali operacyjnej. Po założeniu portu naczyniowego - osoba transportująca zawozi pacjenta do Pracowni Radiologicznej celem wykonania zdjęcia radiologicznego. Jeśli implantacja portu naczyniowego odbywa się w ramach jednodniowej hospitalizacji, to do moich obowiązków należy również stworzenie pełnej dokumentacji medycznej włącznie z wypisem oraz zaleceniami.
Po uzyskaniu opisu zdjęcia radiologicznego, spotykam się z pacjentem ponownie przekazując mu niezbędne informacje, kartę wypisową, paszport portu oraz dzienniczek portu. Pacjent ma możliwość uzyskania odpowiedzi na wszystkie pytania, oraz otrzymuje ode mnie zalecenia żywieniowe i rehabilitacyjne. W mojej ocenie ta rozmowa jest dla moich pacjentów i ich rodzin bardzo ważna. W trakcie tego spotkania zwracam uwagę na sytuacje, które powinny zaniepokoić chorego oraz podaję, wskazówki do ich rozwiązania oraz to z kim należy się w takiej sytuacji kontaktować. Dzień implantacji portów jest więc bardzo pracowity - jest dniem na tzw. “pełnych obrotach” zmuszającym mnie do maksymalnego skupienia i sprawnego działania.

Infuzyjne
MG: Czy wszczepianie portów jest standardową praktyką w Polsce? Jak wygląda dostępność tej procedury w innych placówkach?
A.Ś-Z: Trudno mi odpowiedzieć na to pytanie. Jest to procedura, która ułatwia pacjentowi dalszy proces terapeutyczny. Jest to procedura, która jest dobrze wyceniona dla szpitala przez NFZ. Więc myślę, że będzie to procedura, która szybko pojawi się w wielu ośrodkach.

Źródłowłasne Źródłowłasne

Źródłowłasne
MG: Jakie jedno przesłanie chciałaby Pani przekazać pracownikom ochrony zdrowia zajmującym się pacjentami z portami?

A.Ś-Z: Nie bójmy się używać portu naczyniowego i dbajmy o niego. Zakażenie przenosimy na rękach personelu.
INFUzja Lokalnie 2.0 Katowice- fotorelacja (Źródło zdjęć: Evereth)




INFUzja Lokalnie 2.0 Katowice- fotorelacja (Źródło zdjęć: Evereth)




INFUzja Lokalnie 2.0 Katowice- fotorelacja (Źródło zdjęć: Evereth)




Etiologia i zarządzanie Trwałym Wstrzymaniem
Pobierania (TWP)
ArturSzymczak
MaciejLatos
Zespół ds Dostępów Naczyniowych i Infuzji
Polskie Towarzystwo Pielęgniarstwa Infuzyjnego
Trwałe wstrzymanie pobierania (ang. Persistent Withdrawal Occlusion - PWO) jest często rozpoznawanym problemem związanym z dostępami naczyniowymi stosowanymi u pacjentów onkologicznych ale nie tylko. Jak wynika z badań Maňáska i wsp. TWP polega na braku możliwości pobrania krwi przez cewnik z jednoczesnym zachowaniem drożności podczas podawania leków i infuzji płynów. Taki stan rzeczy stwarza zagrożenie dla bezpiecznego i prawidłowego podawania terapii, zwłaszcza w przypadku leków o wysokim ryzyku uszkodzenia tkanek, takich jak te o działaniu cytostatycznym (w większości leków stosowanych w leczeniu nowotworów, ale nie tylko). Niewłaściwe podanie leku może skutkować jego przemieszczeniem się do niepożądanych obszarów układu naczyniowego lub, w skrajnych przypadkach, do przestrzeni pozanaczyniowej (ang. extravasation), co znacząco zwiększa ryzyko poważnych powikłań
Przyczynytrwałego wstrzymaniapobierania
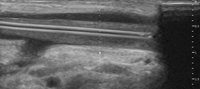
Główną przyczyną TWP jest obecność fibroblastycznej osłonki (ang. Fibroblastic Sleeve -FS), która tworzy się wokół końcówki cewnika. FS składa się z tkanki łącznej, fibroblastów, komórek mięśni gładkich oraz kolagenu. FS często pozostaje bezobjawowa, ale w przypadku jej nadmiernego rozrostu może prowadzić do zaburzeń w funkcjonowaniu cewnika (Rycina 1 i 2). Problem ten zazwyczaj pojawia się w późniejszym etapie użytkowania cewnika, gdy skrzeplina włóknika (FS) osadza się wokół jego końcówki, utrudniając prawidłowy przepływ krwi (Film 1 )(Film 2 )


Rycina1 Źródłowłasne
Rycina2.Źródłowłasne
Film1.Żródłowłasne
Film2 Żródłowłasne
Według badania, przeprowadzonego w ośrodku w Czechach, obecność FS potwierdzono u 70% pacjentów z TWP. Jednak co istotne, FS nie jest jedyną możliwą przyczyną tego stanu. Autorzy badania postulują, że mogą również występować mikrozakrzepy na końcówce cewnika, które dodatkowo zaburzają przepływ krwi i nie są usuwalne wyłącznie przy pomocy mechanicznego płukania (Mechanical Disruption, MD).
MetodyzarządzaniaTWP
W badaniu oceniano skuteczność różnych metod radzenia sobie z TWP Podstawową procedurą było mechaniczne usuwanie zatoru przy pomocy płukania solą fizjologiczną za pomocą strzykawki o zmniejszającej się objętości. Technika ta, stosowana z sukcesem w poprzednich badaniach, okazała się skuteczna w 53,5% przypadków. Ważnym odkryciem badaczy było to, że krótszy czas od wykrycia TWP do interwencji (średnio 1 tydzień) znacząco zwiększał szanse na skuteczne przywrócenie drożności cewnika tą metodą. Dłuższe oczekiwanie na interwencję zmniejszało szanse powodzenia MD, co może wynikać z dalszego rozrostu FS i bardziej zaawansowanego rozwoju problemu. W przypadkach, gdy mechaniczne płukanie okazało się nieskuteczne, stosowano leczenie trombolityczne. Urokinaza i alteplaza, podawane w małych dawkach, były używane do rozpuszczenia ewentualnych skrzepów na końcówce cewnika. Urokinaza okazała się skuteczna w 95,8% przypadków, a alteplaza w 90% przypadków, co potwierdza efektywność tej metody, szczególnie w przypadkach, gdy FS nie była główną przyczyną zatoru Całkowita skuteczność leczenia, łącząca MD oraz terapię trombolityczną, wyniosła imponujące 97,4%
Czynnikiryzykaiprofil pacjentów
Badanie wykazało, że kobiety stanowią większą grupę pacjentów narażonych na wystąpienie TWP. W grupie badanej, aż 80,3% pacjentów z TWP stanowiły kobiety, co znacząco różniło się od grupy kontrolnej, gdzie odsetek ten wynosił 66,3%. Pacjenci z rakiem jajnika byli szczególnie narażeni na rozwój tego powikłania – stanowiło to 12,8% przypadków TWP, w porównaniu do 4,8% w grupie kontrolnej Jednakże autorzy nie podali konkretnej przyczyny częstszego występowania TWP u kobiet ani nie wskazali na związek między płcią a ryzykiem TWP.
Co ciekawe, badanie nie wykazało istotnego wpływu miejsca kaniulacji (żyły szyjnej wewnętrznej, pachowej, podobojczykowej) ani długości cewnika na częstość występowania TWP. Jednakże, pacjenci starsi (powyżej 50. roku życia) byli bardziej narażeni na nawroty problemu – 93,8% przypadków nawrotowego TWP dotyczyło tej grupy wiekowej.
Znaczenieszybkiejdiagnozyi leczenia
W badaniu podkreślono, jak kluczowe jest szybkie reagowanie na pierwsze objawy TWP. Im krótszy czas od wykrycia problemu do interwencji, tym większe szanse na skuteczne przywrócenie drożności cewnika. Autorzy sugerują, że w przypadku stwierdzenia TWP, należy jak najszybciej przeprowadzić diagnostykę za pomocą fluoroskopii z podaniem środka kontrastowego lub badania echokardiograficznego (test bąbelkowy) Film 3. aby ocenić, czy końcówka cewnika znajduje się w odpowiednim miejscu i wykluczyć mechaniczne przyczyny zatoru.
Autorzy artykułu zwracają również uwagę na potrzebę opracowania standardowych wytycznych w zarządzaniu TWP. Obecnie brakuje jednoznacznych zaleceń, co do optymalnego postępowania, co może prowadzić do różnorodności podejść w różnych ośrodkach medycznych. Z uwagi na ryzyko związane z niewłaściwym podaniem leków przez uszkodzony cewnik, edukacja personelu medycznego oraz ścisłe monitorowanie stanu pacjentów z portami naczyniowymi jest kluczowe
Dyskusja
Wyniki badania wskazują, że FS, choć nie jest bezpośrednio rozpuszczany przez środki trombolityczne, może powodować powstawanie mikrozakrzepów, co tłumaczy skuteczność leków trombolitycznych. Przepływ krwi wokół cewnika, którego powierzchnia jest nieregularna z powodu obecności FS, może sprzyjać tworzeniu się niewielkich zakrzepów na końcówce cewnika. Dlatego w niektórych przypadkach, pomimo braku bezpośredniego działania trombolityków na FS, ich zastosowanie prowadzi do skutecznego usunięcia niedrożności.
Wcześniejsze badania sugerowały różne podejścia do leczenia TWP, w tym usuwanie FS przy pomocy zabiegów inwazyjnych, takich jak przezskórne usuwanie FS z podejścia żyły udowej. Metody te jednak wiązały się z wysokimi kosztami, ryzykiem nawrotów oraz inwazyjnością. Badania prowadzone na pacjentach z cewnikami do hemodializy nie wykazały jednoznacznych korzyści z używania tej techniki w porównaniu z zastosowaniem urokinazy, a w wielu przypadkach zalecano wymianę cewnika.
Badanie Maňásek i in. pokazuje, że szybkie skierowanie pacjenta na interwencję zwiększa skuteczność MD i zmniejsza ryzyko nawrotów. Edukacja personelu medycznego w zakresie rozpoznawania TWP oraz wczesne działanie są kluczowe dla poprawy wyników leczenia pacjentów onkologicznych.
Wnioskiidalszekierunkibadań
Badania przeprowadzone przez Maňáska et al. dostarczają istotnych informacji na temat przyczyn i skutecznego leczenia TWP Wykazano, że mechaniczne płukanie, zwłaszcza w połączeniu z terapią trombolityczną, jest skuteczną metodą przywracania drożności cewnika. Szybka interwencja jest kluczowa dla powodzenia terapii, co podkreśla znaczenie wczesnej diagnozy i skierowania pacjenta do odpowiedniego leczenia.
Chociaż obecne badania skupiają się głównie na pacjentach onkologicznych, autorzy podkreślają potrzebę dalszych badań nad TWP, szczególnie w kontekście innych grup pacjentów oraz różnych rodzajów cewników Ważnym pytaniem pozostaje, dlaczego kobiety są bardziej narażone na rozwój TWP oraz jakie dodatkowe czynniki mogą wpływać na rozwój fibroblastycznej osłonki. W badaniu postulowano również hipotezę, że mikrozakrzepy mogą odgrywać istotną rolę w rozwoju TWP, co wymaga dalszego potwierdzenia w badaniach klinicznych.
Piśmiennictwo
1. Maňásek V, Zapletalová J, Olosová L, Filáková I, Kociánová I, Drdová K, Škarda J, Chovanec V, Vrána D Aetiology and management of persistent withdrawal occlusion in venous ports in oncology patients Sci Prog 2024 JulSep;107(3):368504241260374 doi: 10.1177/00368504241260374. PMID: 39096050; PMCID: PMC11298061
2. Passaro, G , Pittiruti, M , & La Greca, A (2021) The fibroblastic sleeve, the neglected complication of venous access devices: a narrative review J Vasc Access, 22, 801–813
3. Heye S, Maleux G, Goossens GA, Vaninbroukx J, Jerôme M, Stas M Feasibility and safety of endovascular stripping of totally implantable venous access devices. Cardiovasc Intervent Radiol 2012 Jun;35(3):607-12 doi: 10 1007/s00270011-0158-2 Epub 2011 Apr 9 PMID: 21479744