Romanian Journal of Veterinary Orthopedics & Imagistic nr. 12 (1) 2020

Page 1

REVISTA SOCIETĂŢII ROMÂNE VETERINARE DE ORTOPEDIE REVISTA ESTE INDEXATĂ BDI: www.rjvoi.innovationinhealth.ro ANUL VII / Nr. 12 ( 1/2020) PUBLICAŢIE CREDITATĂ DE COLEGIUL MEDICILOR VETERINARI DIN ROMÂNIA SUB EGIDA PUBLICAŢIE EDITATĂ DE REVISTĂ EDITATĂ ÎN PARTENERIAT CU EDITURA Editura Etna este înscrisă în Societatea Editorilor Români. Acreditată de Consiliul Naţional al Cercetării Ştiinţifice din Învăţământul Superior (CNCSIS ) la poziția 241 şi de Colegiul Medicilor din România (CMR) Global Impact & Quality Factor 2014 - 0.454 2015 - 0.565 "ROMANIAN JOURNAL OF VETERINARY ORTHOPEDICS & IMAGISTIC" A FOST ÎNSCRISĂ ÎN CATALOGUL ROAD (HTTPS://ROAD.ISSN.ORG), CATALOG INTERNAȚIONAL AL PUBLICAȚIILOR ŞTIINȚIFICE OPEN-ACCESS, ADMINISTRAT DE CENTRUL INTERNAȚIONAL ISSN, SUB EGIDA UNESCO
www.srvo.ro

Anul VII / Nr. 12 (1/2020)

www.rjvoi.innovationinhealth.ro

SENIOR EDITORS

Prof. Dr. Cornel IGNA

Prof.Dr. Vasile VULPE

EDITOR-IN-CHIEF Dr. Ioana MANEA

DEPUTY EDITOR-IN-CHIEF Dragoș Marius CHIRIAC

EDITORIAL BOARD

Prof. Dr. Dan CRÎNGANU

Prof. Dr. Liviu Ioan OANA Prof. Dr. Bruno PEIRONE Prof. Dr. Marius PENTEA Prof. Dr. Andrei TĂNASE Conf. Dr. Florin Ioan BETEG Șef Lucr. Dr. Ciprian OBER Șef Lucr. Dr. Cosmin PEȘTEAN Șef Lucr. Dr. Eusebiu Viorel ȘINDILAR Șef. Lucr. Dr. Larisa SCHUSZLER Șef Lucr. Dr. Alexandru VIȚĂLARU Asist. univ. Dr. Ruxandra COSTEA

Asist. univ. Dr. Cristian Constantin DEZROBITU Asist. univ. Dr. Ionut Cristian GÂRJOABĂ Asist. univ. Dr. Nicolae Răzvan MĂLĂNCUȘ

Dr. Dragoş BOGHEAN Dr. Victor BUCUR Dr. Radu CONSTANTINESCU Dr. Cristian DRAGOMIR D r. Eugen Dan GÂSCĂ

Dr. Wili GLASER

Dr. Florin GROSU

Dr. Andreea ISTRATE

Dr. Dinu MĂHĂLEAN

Dr. Alexandra PETEOACĂ

Dr. Adelina PROTEASA

Dr. Oana RADU

Dr. Edmond STECYK

Dr. Hristov SVETOSLAV

Dr. Andrei TIMEN

Dr. Nicolae VALENTIN

Copyright © 2020 Innovation in Health Center

ORTHOPEDICS SURGERY OSTEOSINTEZĂ MINIM INVAZIVĂ CU PLACĂ LA CÂINI – PARTEA I

MINIMALLY INVASIVE PLATE OSTEOSYNTHESIS IN DOGS - PART I Adelina Proteasa, Roxana Dascălu, C. Igna

OSTEOSINTEZĂ MINIM INVAZIVĂ CU PLACĂ LA CÂINI – PARTEA A II-A

MINIMALLY INVASIVE PLATE OSTEOSYNTHESIS IN DOGS - PART II Adelina Proteasa, Roxana Dascălu, C. Igna

ORTHOPEDICS

METODE ACTUALE DE EVALUARE A DURERII CRONICE LA CÂINE CAUZATE DE OSTEOARTRITĂ - REVIZUIRE SISTEMATICĂ A METODELOR UTILIZATE PÂNĂ ÎN PREZENT

CURRENT METHODS FOR ASSESSING CHRONIC PAIN CAUSED BY OSTEOARTHRITIS IN DOGSSYSTEMATIC REVIEW OF THE METHODS USED SO FAR R.G. Cojocaru, C. Igna IMAGISTIC EXAMENUL RADIOLOGIC

Drepturile de autor pentru articolele și fotografiile publicate aparţin exclusiv Innovation in Health Center Reproducerea, totală sau parţială, și sub orice formă,
sau
sau
cu
ISSN 2392 – 8700 ISSN-L 2392 – 8700 e-ISSN 2601 - 0089 ABONAMENTE ȘI PUBLICITATE INNOVATION IN HEALTH CENTER E-mail:
tipărită
electronică,
distribuţia materialelor publicate se face numai
acordul scris al IHC. Responsabilitatea asupra conţinutului original al materialelor aparţine în întregime autorilor. Persoanele intervievate răspund de conţinutul declaraţiilor lor, iar utilizatorii spaţiului publicitar, de informaţiile incluse în machete.
redactia.ihc@gmail.com Web: www.innovationinhealth.ro 4 20 44 32
ȘI CLASIFICAREA SALTER-HARRIS A FRACTURILOR LA CÂINE ȘI PISICĂ RADIOLOGICAL EXAMINATION AND SALTER-HARRIS CLASSIFICATION OF DOG AND CAT FRACTURES V. Vulpe

OSTEOSINTEZĂ MINIM INVAZIVĂ CU PLACĂ LA CÂINI – PARTEA I

MINIMALLY INVASIVE PLATE OSTEOSYNTHESIS IN DOGS - PART I

Dr. Dr.Vet. Adelina Proteasa1, Șef lucr. dr. Roxana Dascălu2, Prof. univ. dr. Cornel Igna2

1. The Veterinary Health Center, Lytham St. Annes, United Kingdom, 4 Greenways, Lytham St. Annes, FY8 3LY; 2. Banat University of Agricultural Science and Veterinary Medicine from Banat, “King Mihai I of Romania” - Timișoara, Faculty of Veterinary Medicine, 300645, Calea Aradului, no 119, Timișoara, România.

OPEN ACCES JOURNAL

Cite this article:

Adelina Proteasa, Roxana Dascălu, C. Igna.

Minimally invasive plate osteosynthesis in dogs – Part I.

R J Vet Orthoped I. 2020; Vol. VII - 12 (1): 4-18.

Rezumat: Abstract:

Corresponding author: Prof. Univ. Dr. Cornel Igna, E-mail: corneligna@usab-tm.ro

Recieved: October 2020

Accepted: November 2020

În această lucrare descriem abordările chirurgicale pentru Osteosinteza minim invazivă cu placă (Minimally Invasive Plate Osteosynthesis – MIPO) în fracturile de humerus, radius, femur și tibie la câini. Obiectivul acestui studiu a fost să inventarieze, în dinamica desfășurării timpilor operatori, componentele anatomice ale fiecărei regiuni corporale corespunzătoare unui os lung al scheletului apendicular la câinele (membrul anteriorpartea I și membrul posterior - partea a II-a), investigarea radiografică a fixării adecvate a implanturilor (plăci și șuruburi) și verificarea accesului minim invaziv prin deschiderea operatorie a căii de inserție și inventarierea riscurilor și complicațiilor produse pe articulații și țesuturile moi (nervi, artere, vene, mușchi). Apreciem că abordurile prezentate reprezintă o metodă sigură și facilă de osteosinteză cu placă, fără a se deteriora grav structurile neuro-vasculare din vecinătatea osului.

In this paper we describe the surgical approaches used to perform Minimally Invasive Plate Osteosynthesis - MIPO in humeral, radial, femoral and tibial fractures in dogs. The objective of this study was to inventory, in the dynamics of operating time sequences, the anatomical components of each body region corresponding to a long bone of the skeleton appendicular to the dog Anterior limb - part I and hind limb - part II), radiographic investigation of fixation adequate implantation (plates and screws) and verification of minimally invasive access by operatively opening the insertion path and inventory of risks and complications produced on the joints and soft tissues (nerves, arteries, veins, muscles). We found that these approaches allowed safe insertion of the plate without grossly damaging neuro-vascular structures.

Vol VII - Nr. 12 (1/2020) 4
Cuvinte-cheie: osteosinteza minim invazivă cu placă, câine Keywords: Minimally Invasive Plate Osteosynthesis, dog
Minimally invasive plate osteosynthesis in dogs – Part I ORTHOPEDICS SURGERY

Introducere

Procedurile de Minimally Invasive Plate Osteosynthesis (MIPO) se bazează pe principiul focarului de fractură închis, redus de la distanță, accesul la os realizându-se prin incizii minime la distanță de locul (focarul) fracturii 10 .

Abordurile chirurgicale pe oasele lungi au fost descrise în literatura de specialitate 2, 7-9, 1216, 19-22. 24-26, multe abordări limitându-se doar la aplicarea tratamentului prin MIPO în vederea reducerii închise și stabilizării fracturilor la animalele mici. Abordurile pentru MIPO au fost descrise în medicina umană în 2007 (On Tong și Bavonratanavech - editori), iar, la animale, primii care descriu abordurile minim invazive la oasele lungi ale scheletului apendicular la câine sunt Schmökel et al., 2007 25. Succesul utilizării oricărei tehnici chirurgicale depinde în mare măsură de familiarizarea chirurgului cu avantajele și limitele tehnicii și cu respectarea principiilor inserării implanturilor 19

Atunci când fixarea fracturilor se face prin abord minim invaziv, este de importanță fundamentală cunoașterea anatomiei regionale și precizia abordului chirugical. Pentru că focarul

de fractură nu este expus, este esențial să se cunoască coridoare sigure de inserare și fixare a implantului. 19

Acest studiu a avut ca obiective: inventarierea, în dinamica secvențelor timpilor operatori, a componentelor anatomice din fiecare regiune corporală corespunzătoare unui os lung al scheletului apendicular la câine (membrul anterior – partea I și membrul posterior – partea a II-a a lucrării), investigarea radiografică a fixării adecvate a implanturilor (plăcilor și șuruburilor) și verificarea accesului minim invaziv prin deschiderea operatorie a traiectului de inserție și inventarierea riscurilor și a complicațiilor produse asupra articulațiilor și țesuturilor moi (nervi, artere, vene, mușchi).

Materiale și metode

Studiul ex vivo (patru cadavre de câini adulți, proaspete, din rase non-condrodistrofice) a vizat, în primul rând, inventarierea componentelor anatomice ale fiecărei regiuni corporale pentru abordarea operatorie minim invazivă a humerusului, radiusului, femurului și tibiei.

Figura 1. Punctele de reper și poziția pe masă pentru abordul minim invaziv al humerusului - a) Tuberculul mare al humerusului – reper pentru incizia proximală. b)Epicondilul medial al humerusului – reper pentru incizia distală.

c) Poziția și orientarea osului humerus (marcajul roșu). d) Incizia proximală – pornind de la tubercului mare al humerusului spre distal.

e) Incizia distală – pornind de epicondilul medial al humerusului spre proximal.

f) Poziția animalului pe masă.

5 Vol VII - Nr. 12 (1/2020)
Romanian Journal of Veterinary Orthopedics and Imagistic Adelina Proteasa, Roxana Dascălu, C. Igna

Implanturile utilizate au fost mulaje de plăci confecționate artizanal din bandă metalică multiperforată (găuri rotunde), după forma și dimensiunea plăcilor de tip LCP. Șuruburile utilizate au fost de tip autoforant cu autoînfiletare și șuruburi mecanice clasice. Au fost aplicate două sau trei șuruburi proximal și distal pentru humerus, radius și femur și tibie.

Intrumentarul utilizat a fost compus din: bisturiu nr. 3 - cu lamă detașabilă de unică folosință nr. 10, pense hemostatice de diferite dimensiuni, pense anatomice și pense chirurgicale, foarfece de diferite dimensiuni și forme, depărtătoare (Weitlaner sau Gelpi), decolatoare de periost și șurubelniță în cruce.

Metodele de abordare a coridoarelor de inserție a implanturilor metalice au fost selectate conform indicațiilor din literatura de specialitate: 2, 4, 12-14, 16, 19, 20, 22,24-26

- pentru humerus: abordul medial al diafizei humerale proximale și distale (inclusiv al regiunii supracondilare a humerusului);

- pentru radius: abordul medial al diafizei radiusului și abordul diafizei radiale distale și a carpului printr-o incizie dorsală;

- pentru femur: abordul lateral al trocanterul mare și a regiunii subtrocanterice și abordul lateral al femurului distal;

- pentru tibie: abordul medial al tibiei proximale și distale.

Tehnica de inserare și fixare a plăcii a fost una minim invazivă cu abord pe fața medială a humerusului, cranio-medială a radiusului, cranio-laterală a femurului și medială a tibiei.

Fiecare os a fost supus investigațiilor radiografice înainte și după fixare, pentru a valida fixarea adecvată a implanturilor fără a perturba biomecanica articulațiilor proximală și distală. S-a utilizat instalația radiologică tip Multix Swing (Siemens) - procesarea imaginilor prin intermediul sistemului de radiografie computerizată (CR) Direct View Vista CR (Caresteam) și a aplicației software AQS Vet Standalone (Arzt+Praxis GmbH). Parametrii radiologici utilizați au fost: humerus - 55 kV, 16 mA; radius – 52 kV, 8 mA; femur - 55 kV, 16 mA; tibie - 52 kV, 8 mA.

După fiecare abord, s-au explorat segmentele anatomice (zona închisă) cu scopul de a evalua eventualele complicații care pot apare în țesuturile moi (secționare, strivire de nervi, artere, vene, mușchi, în special în tunelul epiperiostal creat).

Rezultate și discuții

Abordul minim invaziv medial al humerusului

Animalul a fost poziționat în decubit lateral, pe partea membrului pe care s-a intervenit, iar

membrul congener a fost tracționat spre caudal și fixat la un suport.

Punctele de reper utilizate au fost tuberculul mare al humerusului pentru incizia proximală și epicondilul medial al humerusului pentru incizia distală (figura 1), ele fiind identificate palpator.

Incizia distală a țesutului cutanat a fost urmată de incizia fasciei brahiale superficiale (figura 2 – a, b) și a fasciei brahiale profunde și imediat de evidențierea extremității distale a humerusului (figura 2 – c). Dacă incizia s-a realizat pe epicondilul medial al humerusului, este posibilă și vizualizarea inserției mușchiului flexor carpo-radial (figura 2 – d). Abordul corect în această regiune a redus riscul traumatizării structurilor vasculo-nervoase zonale. Integritatea acestora a fost verificată la finalul procedurii.

Incizia proximală a fost realizată într-o regiune bine îmbrăcată în musculatură, iar fixarea plăcii a fost solicitantă (Figura 3). Dacă vena cefalică a fost identificată în câmpul operator (vizual), abordarea humerusului a fost situată caudal, respectiv prin spațiul dintre mușchii brahiocefalic și pectoral superficial. După incizia țesutului cutanat, s-a incizat fascia brahială superficială, evidențiindu-se mușchiul brahiocefalic, care a fost dezinserat de pe humerus și retractat caudal. S-a incizat fascia brahială profundă și s-a evidențiat osul la nivelul crestei tuberculului mare al humerusului.

Între cele două incizii s-a creat un tunel epiperiostal, utilizând instrumente pentru disecție boantă. Prin acest tunel epiperiostal a fost inserată placa (figura 4). Disecția boantă a facilitat inserarea și, apoi, culisarea plăcii pe fața medială a humerusului. Placa a fost fixată la os prin două șuruburi proximal și două distal.

Regiunea inciziei distale a reprezentat o zonă cu risc crescut din cauza abundenței structurilor vasculo-nervoase cu origine în plexul brahial și artera brahială (figura 5).

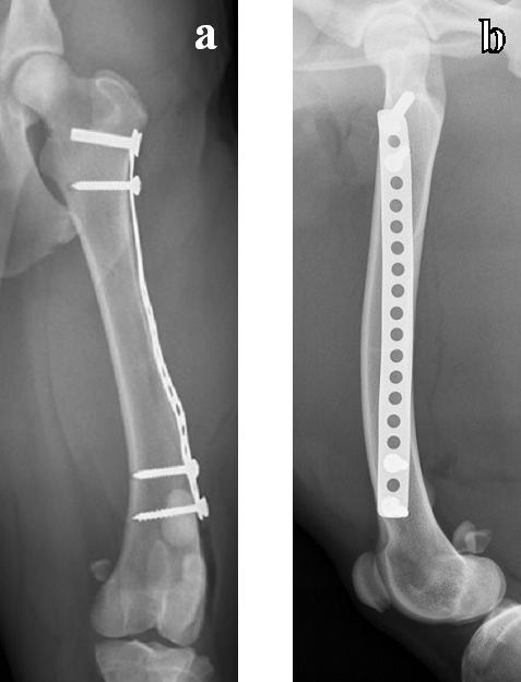
Validarea poziționării corecte a plăcii în raport cu osul și a selecției adecvate a dimensiunii și numărului șuruburilor s-a făcut prin examenul imagistic radiografic convențional, utilizând incidențele clasice, respectiv incidența medio-laterală și incidența caudo -cranială (figura 6 a și b). Investigațiile imagistice postintervenție au relevat că spațiul articular scapulo-humeral, capul humeral și cavitatea glenoidă, precum și spațiul articular humero-radio-ulnar, epicondilii humerali, trochleea humerală, fosa olecraniană și gaura supratrochleară au rămas integre, iar placa a acoperit întreaga diafiză humerală.

Pentru abordul medial al humerusului, există o zonă cu risc crescut în regiunea epicon -

Vol VII - Nr. 12 (1/2020) 6
Minimally invasive plate osteosynthesis in dogs – Part I ORTHOPEDICS SURGERY

Figura 2. Accesul distal la humerus

dilară medială, unde este posibilă lezionarea structurilor neuro-vasculare regionale (componentele plexului brahial și a ramurilor arterei brahiale). Probleme de abord, dar și de reducere în MIPO, derivă din imposibilitatea

de a vizualiza structurile importante și posibilitatea de a le puncționa sau chiar inciza. Din punctul nostru de vedere, deschiderea și vizualizarea acestei zone reduce considerabil riscul.

7 Vol VII - Nr. 12 (1/2020)
Imagistic
Romanian Journal of Veterinary Orthopedics and Adelina Proteasa, Roxana Dascălu, C. Igna

Recomandăm utilizarea abordului MIPO medial al humerusului pentru fixarea fracturilor diafizare de tip 12 A, B și C (conform clasificării adaptate la câine28 după clasificarea AO/ASIF de la om).

Abordul chirurgical al humerusului se poate face pe toate cele patru fețe anatomice ale

sale: cranială, caudală, medială și laterală.16 Totuși, Piermattei et al. (2006)18 menționează că, pentru a remedia fracturile humerale proximale și diafizare mijlocii, placa aplicată pe fața cranială a humerusului este cea mai avantajoasă, comparativ cu aplicarea pe lateralul osului, unde curbura osului și proximitatea nervului

Vol VII - Nr. 12 (1/2020) 8
Figura 3. Accesul proximal la humerus plate osteosynthesis in dogs – Part I ORTHOPEDICS SURGERY
Minimally invasive
9 Vol VII - Nr. 12 (1/2020)
Romanian Journal of Veterinary Orthopedics and Imagistic Figura 4. Crearea tunelului epiperiostal și fixarea plăcii pe humerus Adelina Proteasa, Roxana Dascălu, C. Igna

radial și a mușchiului brahial face abordul mai dificil, iar placa trebuie inserată pe sub aceste structuri.

Conform statisticilor, fracturile humerale, cel mai frecvent, vizează treimea mijlocie și distală.3, 28 Într-un studiu care a monitorizat 130 de fracturi de humerus, 4% au vizat fiza proximală,

47% diafiza, 13% au fost supracondilare, iar 37% intra-articulare distale.1 Fracturile treimii distale de humerus și cele care necesită o placă lungă sunt aplicate cel mai sigur pe medial.10

Johnson (2013) 16 menționează că, pentru a aplica o placă lungă – în MIPO, de la metafiză la metafiză – abordul medial este cel mai in -

Vol VII - Nr. 12 (1/2020) 10
Figura 5. Deschiderea tunelului epiperiostal și verificarea integrității structurilor vasculo-nervoase și musculo-tendinoase din regiunea brațului
osteosynthesis in dogs – Part I ORTHOPEDICS SURGERY
Minimally invasive plate

dicat. Denny et Butterworth (2000)6 consideră că plăcile de osteosinteză ar trebui aplicate pe fața cranială a osului, fiind cea care preia cea mai mare parte din forțe, însă, în funcție de tipul și localizarea fracturii și planning-ul preoperator, plăcile pot fi aplicate și pe lateral și medial.

Aspectul medial al humerusului este plat, ideal pentru aplicarea de plăci și preferat celui

lateral pentru remediarea de fracturi în treimea distală a diafizei. 6

În abordul distal al humersului, nervul medial și mușchiul biceps sunt retractați cranial, în timp ce nervul ulnar și porțiunea medială a mușchiului triceps sunt retractați caudal pentru a expune osul 6. Ramurile arterei și venei brahiale acompaniază acești nervi și reprezin

11 Vol VII - Nr. 12 (1/2020)
Romanian Journal of Veterinary Orthopedics and Imagistic - Figura 6. Imaginea radiografică a brațului după fixarea plăcii – incidență caudo-cranială (a) și medio-laterală (b) Adelina Proteasa, Roxana Dascălu, C. Igna

tă structuri vitale ce trebuie protejate și conservate. 5, 6

Plăcile aplicate pe humerus sunt, în mod obișnuit, lăsate in situ. Pentru că este dificil de identificat nervul radial în țesutul cicatricial rezultat în urma intervenției primare de fixare cu placă prin abord lateral, îndepărtarea plăcii sporește riscul iatrogen de lezarea a acestui nerv.6

Cea mai importantă structură anatomică în regiunea laterală a brațului este nervul radial care inervează mușchii ce controlează cotul și extensia carpului. Traiectul său pornește din proximo-medialul umărului, se continuă pe caudalul brațului și trece pe lateral la nivelul diafizei humerale mijlocii, plasându-se pe mușchiul brahial. Pe medial, nervul median este poziționat cranio-medial, iar nervul ulnar caudo-medial. Aceste structuri trebuie să

fie identificate și protejate nu numai în timpul abordului chiurgical, ci și în timpul reducerii și implantării dispozitivelor de reducere. 27

Pozzi și Lewis (2009) 19 descriu abordul cranio-lateral pe humerus ca pe o combinație între abordul diafizei humerale proximale și abordul lateral pe condilul și epicondilul humeral, descrise și de Johnson (2013)16. Pentru a evita lezionarea nervului radial pe fața laterală a humerusului distal, se recomandă ca tunelizarea să fie realizată pe fața cranială a humerusului, iar instrumentul pentru tunelizare să fie menținut, în permanență, în contact cu cortexul humeral19. O altă dificultate în cazul abordului cranio-lateral humeral, descrisă de Pozzi și Lewis (2009), este cauzată de aderență strînsă dintre fibrele mușchilor brahial și deltoid, ceea ce face dificilă tunelizarea proximală.19

Vol VII - Nr. 12 (1/2020) 12
Minimally invasive plate osteosynthesis in dogs – Part I ORTHOPEDICS SURGERY
Figura 7. Punctele de reper și poziția pe masă pentru abordul minim invaziv al radiusului - a) Epicondilul medial al humerusului. b) Procesul stiloid al radiusului. c) Incizia proximală. d) Incizia distală. e) Spațiul dintre mușchii extensor carpo-radial (cranial) și flexor carpo-radial (caudal). f) Poziția animalului pe masa de operație

Abordul minim invaziv medial al

radiusului

Animalul a fost poziționat în decubit lateral, pe partea membrului pe care s-a intervenit, iar membrul congener s-a tracționat spre înapoi și s-a fixat la un suport (figura 7 - f).

Punctele de reper utilizate au fost epicondilul medial al humerusului pentru incizia proximală și procesul stiloid al radiusului, pentru incizia distală (figura 7). Palpator, s-a identificat spațiul dintre mușchii extensor carpo-radial (cranial) și flexor carpo-radial (caudal). Traiectul subcutanat al plăcii trebuie să respecte orientarea acestui spațiu.

Incizia proximală de 2-3 cm s-a realizat distal de epicondilul medial al humerusului, vizând pielea și țesutul conjunctiv subcutanat (figura 8). După incizia și retractarea pielii, s-a incizat fascia antebrahială profundă pentru a pune în evidență spațiul dintre mușchiul extensor carpo-radial (cranial) și mușchiul pronator rotund (caudal). Sub porțiunea proximală a mușchiului extensor carpo-radial se găsește mușchiul supinator, a cărui inserție pe radius trebuie decolată și retractată în sens cranial. Manipularea acestui mușchi se face cu o deosebită atenție, deoarece sub acesta se regăsește un traiect scurt al nervului radial. Nervul radial, supranu -

13 Vol VII - Nr. 12 (1/2020) Romanian Journal
and Imagistic
of Veterinary Orthopedics
Figura 8. Abordul minim invaziv al radiusului. Realizarea inciziilor proximală și distală (a, b), crearea tunelului epiperiostal (c). Descoperirea tendonului mușchiului extensor carpo-radial - incizia distală (d). Descoperirea mușchiului supinatorincizia proximală (e). Fixarea plăcii proximal (f) și distal (h)
a d
Adelina Proteasa, Roxana Dascălu, C. Igna

mit nervul extensorilor și al sensibilității regiunii dorsale a autopodiului toracic, este cel mai voluminos nerv al plexului brahial. 5

Incizia distală s-a realizat pornind de la procesul stiloid al radiusului înspre proximal cca 1,5-2 cm (figura 8). În primul plan a fost incizată pielea și țesutul conjunctiv subcutanat, urmate, în plan secund, de incizia fasciei antebrahiale. La acest nivel, dacă incizia distală a fost prelungită prea mult în sens proximal, se poate observa mușchiul abductor lung al policelui. Dacă acesta nu a putut fi retractat cranio-ventral, a fost incizat. Pozzi și Lewis (2009) 19 recomandă, de asemenea, incizarea tendonului acest mușchi. Rolul acestui mușchi la carnivore este mult redus din cauza faptului că degetul I sau policele este rudimentar.

Tendonul mușchiului extensor carpo-radial a fost retractat în sens cranial, iar, în sens caudal, tendonul mușchiului flexor carpo-radial (figura 9).

Între cele două incizii s-a creat un tunel epiperiostal prin care a fost inserată, prin culisare, placa. La ambele capetele, placa a fost fixată la os cu câte două șuruburi.

În cazul abordului minim invaziv pe radius, tunelul s-a realizat sub mușchiul carpo-radial, existând șanse mici de a strivi musculatura, cu condiția ca disecția să se fi realizat pe sub acest mușchi. O opinie asemănătoare este prezentată și de Pozzi et Lewis, 2009. 19

Vena cefalică plasată pe fața medială a antebrațului, superficial de fascia antebrahială, prezintă un traiect oblic în sens dorso-cranial, până la inserția distală a mușchiului biceps, unde primește afluența venei cefalice accesorii 5 (figura 10). Poziția venei cefalice a fost luată în considerare pentru crearea abordului la radius atât în accesul proximal, cât și în cel distal. Validarea poziționării corecte a plăcii în raport cu osul și selecția adecvată a dimensiunii și numărului șuruburilor s-a realizat prin examenul imagistic radiografic convențional, utilizând incidențele clasice, respectiv incidența medio-laterală și incidența cranio-caudală, prezentate în figura 11a și b. Investigațiile imagistice postintervenție au relevat că spațiile articulare humero-radio-ulnar și carpo-radio-ulnar nu au fost modificate. Atât proximal, cât și distal, metafizele, epifizele și cartilajele articu -

Vol VII - Nr. 12 (1/2020) 14
Minimally
plate osteosynthesis in dogs – Part I ORTHOPEDICS SURGERY
Figura 9. Deschiderea tunelului epiperiostal și verificarea integrității structurilor musculo-tendinoase din regiunea antebrațului
invasive
15 Vol VII - Nr. 12 (1/2020)
Romanian Journal of Veterinary Orthopedics and Imagistic Figura 10. Structurile vasculo-nervoase ale regiunii antebrațului de evitat în abordul minim invaziv
a
Adelina Proteasa, Roxana Dascălu, C. Igna

lare au rămas integre. Caracteristicile spațiului interosos radio-ulnar nu au fost modificate de aplicarea plăcii și a șuruburilor. Am procedat la înlocuirea abordul clasic cranial pe radius cu unul cranio-medial. Explicația selecției acestei căi de acces la radius derivă din unul dintre principiile MIPO conform căreia șuruburile trebuie să fie amplasate cât

și incidență cranio-caudală (b)

mai proximal, respectiv cât mai distal pentru a crește raportul de sprijin al implantului (ideal ar fi ca placa să fie plasată de pe metafiză proximală pe metafiză distală).

Această abordare medială este recunoscută de AO (Arbeitsgemeinschaft für Osteosynthesefragen) și recomandată și de Piermattei et al. (2006) 18 pentru metafiza radială proxima -

Vol VII - Nr. 12 (1/2020) 16
a b Minimally invasive plate osteosynthesis in dogs – Part I ORTHOPEDICS SURGERY
Figura 11. Imaginea radiografică a antebrațului după fixarea plăcii – medio-laterală (a)

lă. În plus, pentru că abordul minim invaziv se bazează pe stabilirea unor repere palpabile, diafiza și un segment al metafizei proximale a radiusului sunt facil de palpat.

Totuși, cel mai frecvent, plăcile sunt aplicate pe radius, pe fața cranială, în cazul fracturilor diafizare proximale și mijlocii.Și aceasta, pentru că abordul este ușor și expune o suprafață lată și doar puțin curbată. 11

Un procent crescut de fracturi diafizare radiale și ulnare vizează treimea mijlocie și distală. 3, 11, 17, 28

În cazul fracturilor diafizare distale, aplicarea plăcii de osteosinteză pe fața cranială, din cauza disecției și ridicării tendoanelor extensorilor din tecile sinoviale și glisării acestora peste placă, induce tulburări funcționale, la care se adaugă complicațiile date de închiderea plăgii operatorii peste placă. 18 Welch et al. (1997) 30 menționează că dificultatea închiderii plăgii operatorii și rezerva sangvină marginală limitată contribuie, într-o mare măsură, la apariția nonuniunilor la rasele de câini toy. Aceste complicații pot fi evitate prin aplicarea medială a implantului. Testele mecanice arată că această poziție a plăcii induce stabilitate axială similară cu plasarea cranială. 29 Trebuie doar să se țină cont că fața medială a radiusului este mai îngustă și este nevoie să se folosească o placă mai mică. 18

Placa plasată pe fața medială a radiusului ar trebui să fie conturată, impregnându-i-se o ușoară arcuire care să urmeze arcuirea fiziologică a radiusului. 23

Abordul cranio-medial al radiusului asigură o bună expunere fără manipularea și mobilizarea prea multor structuri musculare. 18 Pozzi et

Bibliografie

1. Bardet J.F., Hohn R.B., Olmstead M.L., 1983. Fractures of the humerus in dogs and cats: a retrospective study of 130 cases. Veterinary surgery, 12, 73.

2. Baroncelli, A.B., Peirone, B., Winter, M.D., Reese, D.J. Pozzi, A., 2012. Retrospective comparison between minimally invasive plate osteosynthesis and open plating for tibial fractures in dogs. Veterinary and Comparative Orthopaedics and Traumatology, 25(05), 410-417.

3. Brinker O.W., Piermattei L.D., Flo L.G., 1990. Small animal orthopedics & Fractures treatment. Fractures of the humerus. Ed. W.B. Saunders, Philadelphia, 175-194, 515-517.

4. Cabassu, J., 2019. Minimally Invasive Plate Osteosynthesis Using Fracture Reduction Under the Plate without Intraoperative Fluoroscopy to Stabilize Diaphyseal Fractures of the Tibia and Femur in Dogs and Cats. Veterinary and Comparative Orthopaedics and Traumatology, 32(06), pp.475-482.

Lewis (2009) 19 recomandă abordul cranio-medial al radiusului ca o combinație între abordul medial pe diafiza radială și abordul dorsal distal radial, descris și de Johnson (2013). Acest abord poate fi utilizat pentru remedierea fracturilor diafizare și metafizare distale. 19

Pozzi et Lewis (2009) 19 utilizează decubitul dorsal, motivând că membrul este mai ușor de manipulat din această poziție în timpul reducerii și fixării implantului.

Recomandăm utilizarea abordului MIPO abordul cranio-medial al radiusului pentru fixarea fracturilor diafizare de tip 22 A, B și C (conform clasificării adaptate la câine28 după clasificarea AO/ASIF de la om).

Concluzii

În cazul abordului minim invaziv medial al humerusului, incizia distală se practică într-o zonă cu risc crescut de traumatizare a componentelor plexului brahial și ramurilor arterei brahiale. Totuși, dacă reperele prezentate sunt respectate, această zonă „roșie” este abordată sub control vizual (deschis), iar riscul traumatizării iatrogene este redus.

Abordul humeral medial minim invaziv elimină riscul traumatizării nervului radial, comparativ cu cel cranio-lateral.

Abordul cranio-medial minim invaziv al radiusului este unul optim pentru abordul metafizelor radiale, evitând perturbarea funcționării tendoanelor extensorilor.

This work is licensed under a Creative Commons Attribution-NonCommercialNoDerivatives 4.0 International License.

5. Coţofan, V., Palicica, R., Hriţcu, V., Ganţă, C., Enciu, V., 2000. Anatomia animalelor domestice, vol III, Aparatul circulator. Sistemul nervos, Ed. Orizonturi Universitare, Timişoara.

6. Denny, H.R., Butterworth, S.J. (eds.), 2000. A guide to canine and feline orthopaedic surgery. (4th ed.), Ed. WileyBlackwell, London.

7. Garofolo, S. Pozzi, A., 2013. Effect of plating technique on periosteal vasculature of the radius in dogs: a cadaveric study. Veterinary Surgery, 42(3), 255-261.

8. Guiot, L.P. Déjardin, L.M., 2011. Prospective evaluation of minimally invasive plate osteosynthesis in 36 nonarticular tibial fractures in dogs and cats. Veterinary surgery, 40(2), 171-182.

9. Guiot, L.P., Guillou, R.P. Déjardin, L.M., 2019. Minimally invasive percutaneous medial plate‐rod osteosynthesis for treatment of humeral shaft fractures in dog and cats:

17
Romanian Journal of Veterinary Orthopedics and Imagistic
Vol VII - Nr. 12 (1/2020)
Igna
Adelina Proteasa, Roxana Dascălu, C.

Bibliografie

Surgical technique and prospective evaluation. Veterinary Surgery, 48(S1), O41-O51.

10. Harari, J., Roe, S. C., Johnson, A. L., Smith, C. W., 1986. Medial plating for the repair of middle and distal diaphyseal fractures of the humerus in dogs. Veterinary Surgery, 15(1), 45-48.

11. Harrison, JW., 1984. Fractures of the proximal radius and ulna. In: Manual of internal fixation in small animals. Brinker WO, Hohn RB, Prieur WD (eds). Springer-Verlag, Berlin.

12. Heo, S.Y., Lee, K.C. Lee, H.B., 2012. Use of Minimally Invasive Plate Osteosynthesis for Tibial Diaphyseal Fracture in Three Dogs, 29(4), 339-343.

13. Hudson, C.C., Pozzi, A. Lewis, D.D., 2009. Minimally invasive plate osteosynthesis: applications and techniques in dogs and cats. Veterinary and Comparative Orthopaedics and Traumatology, 22(03), 175-182.

14. Hulse, D., 2012. MIPO techniques for the humerus in small animals. Veterinary Clinics: Small Animal Practice, 42(5), pp.975-982.

14a. Hulse, D., Kerwin, S., Mertens, D., Johnson, A. L., Houlton, J. E. F., Vannini, R., 2005. Fractures of the femoral diaphysis. In: Johnson, Al; Houlton, Jef; Vannini, R. (eds), AO principles of fracture management in the dog and cat. Davos: AO Publishing, 286-296.

15. Igna C., 2011. Chirurgia ortopedică a animalelor de companie vol I. Ed. Brumar, Timișoara.

16. Johnson, K.A., 2013. Piermattei’s Atlas of Surgical Approaches to the Bones and Joints of the Dog and Cat (No. 114). Elsevier Health Sciences.

17. Lappin, M. R., Aron, D. N., Herron, H. L., Malnati, G. (1983). Fractures of the radius and ulna in the dog. The Journal of the American Animal Hospital Association (USA).

18. Piermattei, D. L., Flo, G. L., DeCamp, C. E., 2006. Fractures: classification, diagnosis, and treatment. Handbook of small animal orthopedics and fracture repair, 1, 25-159.

19. Pozzi, A., Lewis, D.D., 2009. Surgical approaches for minimally invasive plate osteosynthesis in dogs. Veterinary and Comparative Orthopaedics and Traumatology, 22(04), 316-320.

20. Pozzi, A., Hudson, C.C., Gauthier, C.M., Lewis, D.D., 2013. Retrospective comparison of minimally invasive plate

osteosynthesis and open reduction and internal fixation of radius‐ulna fractures in dogs. Veterinary surgery, 42(1), 19-27.

21. Proteasa, A., Dascălu, R., Schuszler, L., Sala, A., Igna, C., 2013. Assessment of long bone fractures healing outgoing minimally invasive plate osteosynthesis in dogs. Bulletin of University of Agricultural Sciences and Veterinary Medicine Cluj-Napoca. Veterinary Medicine, 70(2), 293-300.

22. Rahman, M.M., Jeong, I.S., Kim, N.S., 2017. Application of minimally invasive plate osteosynthesis to tibial shaft fractures in dogs. , 34(3), 200-203.

23. Sardinas J.C., Montavon P.M., 1997. Use of a medial bone plate for repair of radius and ulna fractures in dogs and cats: a report of 22 cases. Veterinary surgery, 26, 108.

24. Schmierer, P., Pozzi, A., 2018. Minimally invasive plate osteosynthesis. Locking plates in veterinary orthopedics, 41-50.

25. Schmökel, H.G., Stein, S., Radke, H., Hurter, K., Schawalder, P., 2007. Treatment of tibial fractures with plates using minimally invasive percutaneous osteosynthesis in dogs and cats. Journal of small animal practice, 48(3), 157-160.

26. Townsend, S. Lewis, D.D., 2018. Use of the minimally invasive reduction instrumentation system for facilitating alignment and reduction when performing minimally invasive plate osteosynthesis in three dogs. Case reports in veterinary medicine doi: 10.1155/2018/2976795

27. Turner, T.M., 2005. Fractures of the distal humerus. AO principles of fracture management in the dog and cat. Davos, Switzerland, AO Publishing, 217-228.

28. Unger, M., Montavon, P. M., Heim, U. F. A., 1990. Classification of fractures of long bones in the dog and cat: introduction and clinical application. Veterinary and Comparative Orthopaedics and Traumatology, 3(02), 4150.

29. Wallace, M. K., Boudrieau, R. J., Hyodo, K., Torzilli, P. A., 1992. Mechanical evaluation of three methods of plating distal radial osteotomies. Veterinary Surgery, 21(2), 99-106.

30. Welch, J. A., Boudrieau, R. J., Dejardin, L. M., Spodnick, G. J., 1997. The intraosseous blood supply of the canine radius: implications for healing of distal fractures in small dogs. Veterinary surgery, 26(1), 57-61.

Vol VII - Nr. 12 (1/2020) 18
Minimally invasive plate osteosynthesis in dogs – Part I ORTHOPEDICS SURGERY

PORTOFOLIU

n Reviste știinţifice și de informare in domeniul sanitar și veterinar, ce oferă un conţinut editorial de actualitate la cel mai înalt nivel, realizate în parteneriat cu profesori doctori renumiţi în domeniu, KOL, având girul societăţilor, asociaţiilor și instituţiilor importante din România

Reviste științifice dedicate profesioniștilor din domeniul veterinar

Reviste științifice dedicate profesioniștilor din domeniul sanitar

n Organizare de evenimente științifice și de premiere dedicate profesioniștilor din sistemul sanitar și veterinar

n Realizare ghiduri medicale, proiecte speciale, cărți, broșuri, materiale și produse dedicate targetului dvs.

n E-mailing - creare și trimitere de newslettere personalizate

n Creaţie & DTP - servicii complete de grafică computerizată pentru realizarea de publicaţii, cărți, ghiduri, vizualuri, materiale promoționale, invitații, bannere, roll-up-uri, pliante, flyere etc. (project management, concept, layout, realizare grafică)

n Realizare website-uri.

n Realizare cursuri online dedicate specialistilor din domeniul sanitar și veterinar

www.innovationinhealth.ro

19 Vol VII
Romanian Journal of Veterinary Orthopedics and Imagistic
- Nr. 12 (1/2020)

OSTEOSINTEZĂ MINIM INVAZIVĂ CU PLACĂ LA CÂINI – PARTEA A II-A MINIMALLY INVASIVE PLATE OSTEOSYNTHESIS IN DOGS - PART II

Dr. Dr.Vet. Adelina Proteasa1, Șef lucr. dr. Roxana Dascălu2, Prof. univ. dr. Cornel Igna2 1. The Veterinary Health Center, Lytham St. Annes, United Kingdom, 4 Greenways, Lytham St. Annes, FY8 3LY; 2. Banat University of Agricultural Science and Veterinary Medicine from Banat, “King Mihai I of Romania” - Timișoara, Faculty of Veterinary Medicine, 300645, Calea Aradului, no 119, Timișoara, România.

OPEN ACCES JOURNAL

Cite this article:

Adelina Proteasa, Roxana Dascălu, C. Igna.

Minimally invasive plate osteosynthesis in dogs – Part II. R J Vet Orthoped I. 2020; Vol. VII - 12 (1): 20-31.

Cuvinte-cheie:

câine, osteosinteza minim invazivă cu placă

Rezumat: Abstract:

Keywords:

Minimally Invasive Plate Osteosynthesis, dog

Corresponding author: Prof. Univ. Dr. Cornel Igna, E-mail: corneligna@usab-tm.ro

Recieved: October 2020

Accepted: November 2020

În această lucrare descriem abordările chirurgicale pentru Osteosinteza minim invazivă cu placă (Minimally Invasive Plate Osteosynthesis – MIPO) în fracturile de humerus, radius, femur și tibie la câini. Obiectivul acestui studiu a fost să inventarieze, în dinamica desfășurării timpilor operatori, componentele anatomice ale fiecărei regiuni corporale corespunzătoare unui os lung al scheletului apendicular la câine (membrul anterior - partea I și membrul posterior – partea a II-a a l), investigarea radiografică a fixării adecvate a implanturilor (plăci și șuruburi) și verificarea accesului minim invaziv prin deschiderea operatorie a căii de inserție și inventarierea riscurilor și complicațiilor produse pe articulații și țesuturile moi (nervi, artere, vene, mușchi). Apreciem că abordurile prezentate reprezintă o metodă sigură și facilă de osteosinteză cu placă, fără a se deteriora grav structurile neuro-vasculare din vecinătatea osului.

In this paper we describe the surgical approaches used to perform Minimally Invasive Plate Osteosynthesis - MIPO in humeral, radial, femoral and tibial fractures in dogs. The objective of this study was to inventory, in the dynamics of operating time sequences, the anatomical components of each body region corresponding to a long bone of the skeleton appendicular to the dog Anterior limb - part I and hind limb - part II), radiographic investigation of fixation adequate implantation (plates and screws) and verification of minimally invasive access by operatively opening the insertion path and inventory of risks and complications produced on the joints and soft tissues (nerves, arteries, veins, muscles). We found that these approaches allowed safe insertion of the plate without grossly damaging neuro-vascular structures.

Vol VII
Nr. 12 (1/2020) 20 ORTHOPEDICS SURGERY
-
Minimally invasive plate osteosynthesis in dogs – Part II

Introducere

Procedurile de Minimally Invasive Plate Osteosynthesis (MIPO) se bazează pe principiul focarului de fractură închis, redus de la distanță, accesul la os realizându-se prin incizii minime la distanță de locul (focarul) fracturii10.

Abordurile chirurgicale ale oasele lungi ale scheletului apendicular la câine au fost descrise în literatura de specialitate 2, 4, 7-9, 1216, 19-22. 24-26 , multe abordări limitându-se doar la aplicarea tratamentului prin MIPO în vederea reducerii închise și stabilizării fracturilor.

Partea a II-a a acestui studiu a avut ca obiective: inventarierea, în dinamica secvențelor timpilor operatori, a componentelor anatomice din fiecare regiune corporală corespunzătoare unui os lung al membrul posterior, investigarea radiografică a fixării adecvate a implanturilor (plăcilor și șuruburilor) și verificarea accesul minim invaziv prin deschiderea operatorie a traiectului de inserție și inventarierea riscurilor și a complicațiilor produse asupra articulațiilor și țesuturilor moi (nervi, artere, vene, mușchi).

Materiale și metode

Studiul ex vivo (patru cadavre de câini adulți, proaspete, din rase non-condrodistrofice) în parte a II-a a vizat, în primul rând, inventarierea componentelor anatomice ale regiunilor coapsei și gambei, corespunzătoare abordării operatorii minim invazive a femurului și tibiei.

Implanturile utilizate au fost mulaje de plăci confecționate artizanal din bandă metalică multiperforată (găuri rotunde), după forma și dimensiunea plăcilor de tip LCP. Șuruburile utilizate au fost de tip autoforant cu autoînfiletare și șuruburi mecanice clasice. Au fost aplicate două sau trei șuruburi proximal și distal în femur și trei șuruburi proximal și distal în tibie.

Instrumentarul utilizat a fost compus din: bisturiu nr. 3, cu lamă detașabilă de unică folosință nr. 10, pense hemostatice de diferite dimensiuni, pense anatomice și pense chirurgicale, foarfece de diferite dimensiuni și forme, depărtătoare (Weitlaner sau Gelpi), decolatoare de periost și surubelniță în cruce.

Metodele de abordare a coridoarelor de inserție a implanturilor metalice au fost selectate conform indicațiilor din literatura de specialitate: 2, 4, 8, 12, 13, 16, 19-22, 24-26

- pentru femur: abordul lateral al trocanterul mare și a regiunii subtrocanterice și abordul lateral al femurului distal;

- pentru tibie: abordul medial al tibiei proximale și distale.

Tehnica de inserare și fixare a plăcii a fost una minim invazivă cu abord pe fața medială a humerusului, cranio-medială a radiusului, cranio-laterală a femurului și medială a tibiei.

Atât femurul, cât și tibia au fost supuse investigațiilor radiografice înainte și după fixare, pentru a valida fixarea adecvată a implanturilor fără a perturba biomecanica articulațiilor proximale și distale. S-a utilizat instalația radiologică tip Multix Swing (Siemens) - procesarea imaginilor prin intermediul sistemului de radiografie computerizată (CR) Direct View Vista CR (Caresteam) și a aplicației software AQS Vet Standalone (Arzt+Praxis GmbH). Parametrii radiologici utilizați au fost: pentru femur: 55 kV, 16 mA ș i pentru tibie: 52 kV, 8 mA.

După fiecare abord, s-au explorat segmentele anatomice corespunzătoare cu scopul de a evalua eventualele complicații care țin de țesuturile moi (secționare, strivire de nervi, artere, vene, mușchi, în special în tunelul epiperiostal).

Rezultate și discuții

ABORDUL MINIM INVAZIV CRANIO-LATERAL AL FEMURULUI

Animalul a fost poziționat pe masa de operație în decubit lateral, cu partea afectată situată dorsal.

Punctele de reper utilizate: pentru incizia proximală a fost trocanterul mare al femurului (incizia proximală s-a realizat distal de acesta, cu o ușoară oblicitate cranio-ventrală); pentru incizia distală a fost condilul lateral al femurului și patela (incizia a fost orientată ușor oblic, ventro-dorsal) - figura 12. Incizia țesutului cutanat s-a efectuat atât proximal, cât și distal.

După incizia pielii, la nivel distal, și după secționarea unui strat subțire de țesut conjunctiv subcutanat, s-a reliefat relativ facil spațiul virtual dintre fascia lata și mușchiul biceps femural. Cu un foarfece de disecție, s-a secționat acest spațiu, evidențiind mușchiul vast lateral. În această zonă, în câmpul operator s-au observat artera și vena femurală caudală distală. Recomandăm ligaturarea acestor formațiuni. Menținerea lor ar fi ideală, însă accesul la os ar fi îngreunat, în special din cauza câmpului operator de mici dimensiuni.

Mușchiul vast lateral împreună cu fascia lata au fost retractați cranial, iar mușchiul biceps femural caudal. Sub aceste structuri, s-a observat osul (figura 13). Pe fața cau -

Vol VII - Nr. 12 (1/2020)

21
Romanian Journal of Veterinary
and Imagistic
Orthopedics
Adelina Proteasa, Roxana Dascălu, C. Igna

dală a femurului se inseră mușchiul marele adductor, asupra căruia nu a fost necesar să se intervină.

Proximal, după incizia cutanată, s-a incizat fascia superficială și s-a observat spațiul virtual dintre mușchiul vast lateral și mușchiul biceps femural. O disecție boantă a permis retractarea caudală a mușchiul biceps femural și, respectiv, cranială a mușchiului vast lateral, evidențiind femurul (figura 14).

Între cele două incizii s-a creat un tunel epiperiostal prin care a fost inserată, prin glisare, placa (figura 15 – a, b, c). Aceasta a fost fixată la femur cu două șuruburi la fiecare extremitate, respectând principiile clasice de fixare a plăcilor (figura 16 – d, e, f).

Punctele de reper alese (figura 12) pentru inițierea abordurilor din regiunea femurală proximală și, respectiv, distală s-au dovedit a asigura un acces facil la fața laterală a femurului.

Conform procedurii de lucru a studiului pe cadavre, după fixarea plăcii s-a verificat accesul minim invaziv, prin deschiderea traiectului (figura 16). Nu au existat structuri musculare și/sau fasciale interpuse între placă și os.

Validarea poziționării corecte a plăcii în raport cu osul și a selecției adecvate a dimensiunii și numărului șuruburilor s-a realizat prin examen imagistic radiografic convențional, utilizând incidențele clasice, respectiv incidența medio-laterală și incidența cranio-cau -

Figura 12. Punctele de reper și poziția câinelui pe masa de operație pentru abordul minim invaziv al femurului - a)Trocanterul mare al femurului. b) Condilul lateral al femurului. c) Patela. d) Poziția femurului și orientarea lui pe masa de operație

dală (figura 17). Aceste investigații au relevat că spațiile articulare proximal (acetabul - cap femural) și distal (condilii femurali lateral și medial - platou tibial) au rămas nemodificate. Patela și oasele sesamoidiene au rămas integre și nu s-au înregistrat modificări ale poziției acestora.

Abordul practicat este asemănător cu cel clasic (cranio-lateral), dovedindu-se ușor de realizat și sigur, neexistând structuri importante care să fi fost lezionate. Singurul impediment ar putea să fie reprezentat de strivirea țesutului muscular între placă și os, dacă tunelizarea submusculară nu a fost realizată corespunzător.

Recomandăm utilizarea abordului MIPO cranio-lateral al femurului pentru fixarea fracturilor diafizare de tip 32 A, B și C (conform clasificării adaptate la câine 28 după clasificarea AO/ASIF de la om).

Plăcile de osteosinteză sunt plasate, cel mai frecvent, pe fața laterală a femurului. 6 Pentru abordul clasic, Piermattei et al. (2006) recomandă manipularea și limitarea ridicării mușchiului adductor de pe regiunea caudală a femurului, precizând că acesta reprezintă o valoroasă resursă periostală de sânge necesară în vindecare. 18 Abordul minim invaziv nu perturbă activitatea acestui mușchi, cu avantajele implicite.

Hulse et al. (2005) recomandă aplicarea plăcilor pe femur pe față cranio-laterală, deoarece pe această față acționează majo -

Vol VII - Nr. 12 (1/2020) 22
ORTHOPEDICS SURGERY Minimally invasive plate osteosynthesis in dogs – Part II

ritatea forțelor care tind să destabilizeze un montaj de osteosinteză. 14a Diametrul cavității medulare femurale variază cu lungimea, fiind mai îngustă proximal și mai largă distal. Femurul canin este, în mod fiziologic, curbat cranio-caudal, arcuirea fiind accentuată în treimea distală. 14a

Pozzi et Lewis (2009) 19 susțin și descriu abordul lateral pe femur ca o combinație modificată a abordurilor pe trocanterul mare și regiunea subtrocanterică femurală și abordul lateral la femurul distal descrise de Johnson (2013). 16 Procedura debutează cu câinele în decubit dorsal, iar, în timpul

23 Vol VII - Nr. 12 (1/2020)
and Imagistic
Romanian Journal of Veterinary Orthopedics Figura 13. Accesul distal al femurului Adelina Proteasa, Roxana Dascălu, C. Igna

reducerii, decubitul se modifică spre lateral. 19

ABORDUL MINIM INVAZIV MEDIAL AL TIBIEI

Poziția animalului pe masa de operație a fost în decubit lateral, cu partea afectată situată ventral.

Punctele de reper pentru incizia proximală au fost reprezentate de creasta tibială și, în

special, de condilul medial al tibiei, ambele fiind identificate palpator. Pentru incizia distală s-a identificat tot palpator maleola medială a tibiei (figura 18).

Incizia proximală s-a realizat la 1-2 cm distal de platoul tibial, pe o distanță de 2-3 cm. S-au incizat pielea și țesutul conjunctiv subcutanat, sub care s-a observat fascia

Vol VII - Nr. 12 (1/2020) 24
ORTHOPEDICS SURGERY
Figura 14. Accesul proximal al femurului
in dogs – Part II
Minimally invasive plate osteosynthesis

crurală. Incizia distală de abord tibial a fost realizată pe o lungime de 1-2 cm, în sens proximal față de maleola medială a tibiei (figura 19).

Între cele două incizii, s-a creat un tunel epiperiostal prin disecție boantă, prin care a fost inserată, prin culisare, placa metalică. Placa a fost fixată la os prin aplicarea de trei

25 Vol VII - Nr. 12 (1/2020)
Imagistic
Romanian Journal of Veterinary Orthopedics and
Figura 15. Crearea tunelului epiperiostal și fixarea plăcii pe femur Figura 16. Deschiderea tunelului epiperiostal și verificarea integrității structurilor anatomice regionale
b a c
Adelina Proteasa, Roxana Dascălu, C. Igna

șuruburi proximal și trei șuruburi distal. La nivelul inciziei proximale, inserția pe tibie a porțiunii caudale a mușchiului sartorius a reprezentat un punct de reper pentru locul de elecție al primului șurub. Șurubul a fost plasat cranio-ventral de inserția mușchiului sartorius, evitându-se astfel necesitatea decolării acestuia și interferența perturbatorie

în mișcările de flexie și adducție a șoldului.

Pozzi și Lewis (2009) 19 , pentru o mai bună expunere a osului în incizia proximală, recomandă incizia și ridicarea de pe periostul tibial a tendoanelor de inserție a mușchilor sartorius, gracilis și semitendinos. Distal de aceste inserții, în treimea proximală a tibiei trece pachetul vasculo-nervos alcătuit

Vol VII - Nr. 12 (1/2020) 26
din
ORTHOPEDICS SURGERY Minimally invasive plate osteosynthesis in dogs – Part II
Figura 17. Imaginea radiografică a coapsei după fixarea plăcii – incidență cranio-caudală (a) și medio-laterală (b).

Figura 18. Punctele de reper și poziția pe masă pentru abordul minim invaziv al tibiei - a) Condilul medial al tibiei. b) Cresta tibială. c) Maleola medială. d) Incizia proximală. e) Incizia distală. f) Poziția pe masa de operație.

artera și vena safenă medială împreună cu nervul safen. Aceste structuri trebuie evitate atunci când se creează tunelul subtisular și la fixarea plăcii. Acestea sunt structurile majore ale regiunii și, în principal, singurele obstacole de evitat și protejat.

La nivelul inciziei distale, s-a luat în considerare existența tendoanelor mușchilor tibial cranial (cranial) și flexor digital medial (caudal). Prin retractare cranio-laterală a tendonului mușchiului tibial cranial, respectiv caudo-medială a tendonului flexorului digital medial, s-a evitat strivirea acestora între placă și os, decolarea și secționarea lor.

Integritatea structurilor menționate anterior a fost confirmată de verificarea efectuată prin secționarea tunelului epiperiostal (abord deschis al tibiei). S-a observat integritatea pachetului vasculo-nervos safen, a mușchiului sartorius – porțiune caudală și a tendoanelor mușchilor tibial cranial și flexor digital medial (figura 20).

Validarea poziționării corecte a plăcii în raport cu osul și a selecției adecvate a dimensiunii și numărului șuruburilor s-a efectuat prin examenul imagistic radiografic convențional, utilizând incidențele clasice, medio-laterală și cranio-caudală (figura 21).

27 Vol VII - Nr. 12 (1/2020) Romanian Journal of Veterinary Orthopedics and Imagistic
Igna
Adelina Proteasa, Roxana Dascălu,
C.

Investigațiile imagistice postintervenție au relevat integritatea articulația genunchiului și a articulației jaretului. Cartilajele articulare, epifizele și metafizele nu au suferit modificări. Amplasarea șuruburilor nu a modificat poziția fibulei, în raport cu tibia.

Abordul medial minim invaziv trebuie să respecte aceleași reguli ca și cel clasic, evi -

tând și protejând artera și vena safenă medială și nervul safen. Realizarea corespunzătoare a traiectului submuscular–epiperiostal evită strivirea musculaturii între placă și os. Recomandăm utilizarea abordului MIPO medial a tibiei pentru fixarea fracturilor diafizare de tip 42 A, B și C (conform clasificării adaptate la câine 28 după clasificarea AO/ASIF de la om).

Vol VII - Nr. 12 (1/2020) 28
ORTHOPEDICS SURGERY Minimally invasive plate osteosynthesis in dogs – Part II
Figura 19. Abordul minim invaziv al tibiei. Crearea căii de acces cutanată/subcutanată a plăcii (a, b, c). Culisarea plăcii (d, e, f). Fixarea proximal și distal a plăcii, sutura plăgilor (g, h, i)

Pe partea medială a tibiei există o masă musculară redusă, iar evitarea aponevrozei mușchiului gracilis și a mușchiului semitendinos în fereastra proximală reprezintă recomandări efectuate și de alți autori. 19

Dacă un caz particular necesită, șuruburi suplimentare pot fi plasate între cele două incizii, prin intermediul unor incizii suplimentare de mici dimensiuni. 19

Osteosinteza minim invazivă cu placă a tibiei și a radiusului se realizează mai ușor,

structurilor anatomice regionale

mai sigur și cu riscuri minine, implicând ca structuri vasculare majore doar vena safenă, respectiv vena cefalică, comparativ cu regiunile proximale ale membrelor (humerus, femur). 19

Concluzii

Abordul cranio-lateral minim invaziv al femurului se face cu respectarea timpilor operatori clasici de abordare chirurgicală a extremității proximale și distale. Atenția trebuie, totuși, să se îndrepte spre crearea tu -

29 Vol VII - Nr. 12 (1/2020)
and Imagistic
Romanian Journal of Veterinary Orthopedics
Figura 20. Deschiderea tunelului epiperiostal și verificarea integrității Adelina Proteasa, Roxana Dascălu, C. Igna
Vol VII - Nr. 12 (1/2020) 30
ORTHOPEDICS SURGERY
plate osteosynthesis in dogs – Part II
Figura 21. Imaginea radiografică a gambei după fixarea plăcii – incidență medio-laterală (a) și cranio-caudală (b)
Minimally invasive

nelului epiperiostal și modul de inserare a plăcii, cu evitarea interpunerii musculaturii între implant și os.

Abordul medial minim invaziv al tibiei este unul dintre cele mai facile aborduri. Ca și în

Bibliografie

1. Bardet J.F., Hohn R.B., Olmstead M.L., 1983. Fractures of the humerus in dogs and cats: a retrospective study of 130 cases. Veterinary surgery, 12, 73.

2. Baroncelli, A.B., Peirone, B., Winter, M.D., Reese, D.J. Pozzi, A., 2012. Retrospective comparison between minimally invasive plate osteosynthesis and open plating for tibial fractures in dogs. Veterinary and Comparative Orthopaedics and Traumatology, 25(05), 410-417.

3. Brinker O.W., Piermattei L.D., Flo L.G., 1990. Small animal orthopedics & Fractures treatment. Fractures of the humerus. Ed. W.B. Saunders, Philadelphia, 175-194, 515-517.

4. Cabassu, J., 2019. Minimally Invasive Plate Osteosynthesis Using Fracture Reduction Under the Plate without Intraoperative Fluoroscopy to Stabilize Diaphyseal Fractures of the Tibia and Femur in Dogs and Cats. Veterinary and Comparative Orthopaedics and Traumatology, 32(06), pp.475482.

5. Coţofan, V., Palicica, R., Hriţcu, V., Ganţă, C., Enciu, V., 2000. Anatomia animalelor domestice, vol III, Aparatul circulator. Sistemul nervos, Ed. Orizonturi Universitare, Timişoara.

6. Denny, H.R., Butterworth, S.J. (eds.), 2000. A guide to canine and feline orthopaedic surgery. (4th ed.), Ed. WileyBlackwell, London.

7. Garofolo, S. Pozzi, A., 2013. Effect of plating technique on periosteal vasculature of the radius in dogs: a cadaveric study. Veterinary Surgery, 42(3), 255-261.

8. Guiot, L.P. Déjardin, L.M., 2011. Prospective evaluation of minimally invasive plate osteosynthesis in 36 nonarticular tibial fractures in dogs and cats. Veterinary surgery, 40(2), 171-182.

9. Guiot, L.P., Guillou, R.P. Déjardin, L.M., 2019. Minimally invasive percutaneous medial plate‐rod osteosynthesis for treatment of humeral shaft fractures in dog and cats: Surgical technique and prospective evaluation. Veterinary Surgery, 48(S1), O41-O51.

10. Harari, J., Roe, S. C., Johnson, A. L., Smith, C. W., 1986. Medial plating for the repair of middle and distal diaphyseal fractures of the humerus in dogs. Veterinary Surgery, 15(1), 45-48.

11. Harrison, JW., 1984. Fractures of the proximal radius and ulna. In: Manual of internal fixation in small animals. Brinker WO, Hohn RB, Prieur WD (eds). Springer-Verlag, Berlin.

12. Heo, S.Y., Lee, K.C. Lee, H.B., 2012. Use of Minimally Invasive Plate Osteosynthesis for Tibial Diaphyseal Fracture in Three Dogs. 29(4), 339-343.

13. Hudson, C.C., Pozzi, A. Lewis, D.D., 2009. Minimally invasive plate osteosynthesis: applications and techniques in dogs and cats. Veterinary and Comparative Orthopaedics and Traumatology, 22(03), 175-182.

14. Hulse, D., 2012. MIPO techniques for the humerus in small animals. Veterinary Clinics: Small Animal Practice, 42(5), pp.975-982.

14a. Hulse, D., Kerwin, S., Mertens, D., Johnson, A. L., Houlton, J. E. F., Vannini, R., 2005. Fractures of the femoral diaphysis.

In: Johnson, Al; Houlton, Jef; Vannini, R. (eds), AO principles of fracture management in the dog and cat. Davos: AO

cazul abordului medial clasic, trebuie evitat pachetul vasculo-nervos safen.

This work is licensed under a Creative Commons Attribution-NonCommercialNoDerivatives 4.0 International License.

Publishing, 286-296.

15. Igna C., 2011. Chirurgia ortopedică a animalelor de companie vol I. Ed. Brumar, Timișoara.

16. Johnson, K.A., 2013. Piermattei’s Atlas of Surgical Approaches to the Bones and Joints of the Dog and Cat (No. 114). Elsevier Health Sciences.

17. Lappin, M. R., Aron, D. N., Herron, H. L., Malnati, G. (1983). Fractures of the radius and ulna in the dog. The Journal of the American Animal Hospital Association (USA).

18. Piermattei, D. L., Flo, G. L., DeCamp, C. E., 2006. Fractures: classification, diagnosis, and treatment. Handbook of small animal orthopedics and fracture repair, 1, 25-159.

19. Pozzi, A., Lewis, D.D., 2009. Surgical approaches for minimally invasive plate osteosynthesis in dogs. Veterinary and Comparative Orthopaedics and Traumatology, 22(04), 316-320.

20. Pozzi, A., Hudson, C.C., Gauthier, C.M., Lewis, D.D., 2013. Retrospective comparison of minimally invasive plate osteosynthesis and open reduction and internal fixation of radius ulna fractures in dogs. Veterinary surgery, 42(1), 19-27.

21. Proteasa, A., Dascălu, R., Schuszler, L., Sala, A., Igna, C., 2013. Assessment of long bone fractures healing outgoing minimally invasive plate osteosynthesis in dogs. Bulletin of University of Agricultural Sciences and Veterinary Medicine Cluj-Napoca. Veterinary Medicine, 70(2), 293-300.

22. Rahman, M.M., Jeong, I.S., Kim, N.S., 2017. Application of minimally invasive plate osteosynthesis to tibial shaft fractures in dogs., 34(3), 200-203.

23. Sardinas J.C., Montavon P.M., 1997. Use of a medial bone plate for repair of radius and ulna fractures in dogs and cats: a report of 22 cases. Veterinary surgery, 26, 108.

24. Schmierer, P., Pozzi, A., 2018. Minimally invasive plate osteosynthesis. Locking plates in veterinary orthopedics, 41-50.

25. Schmökel, H.G., Stein, S., Radke, H., Hurter, K., Schawalder, P., 2007. Treatment of tibial fractures with plates using minimally invasive percutaneous osteosynthesis in dogs and cats. Journal of small animal practice, 48(3), 157-160.

26. Townsend, S. Lewis, D.D., 2018. Use of the minimally invasive reduction instrumentation system for facilitating alignment and reduction when performing minimally invasive plate osteosynthesis in three dogs. Case reports in veterinary medicine doi: 10.1155/2018/2976795.

27. Turner, T.M., 2005. Fractures of the distal humerus. AO principles of fracture management in the dog and cat. Davos, Switzerland, AO Publishing, 217-228.

28. Unger, M., Montavon, P. M., Heim, U. F. A., 1990. Classification of fractures of long bones in the dog and cat: introduction and clinical application. Veterinary and Comparative Orthopaedics and Traumatology, 3(02), 41-50.

29. Wallace, M. K., Boudrieau, R. J., Hyodo, K., Torzilli, P. A., 1992. Mechanical evaluation of three methods of plating distal radial osteotomies. Veterinary Surgery, 21(2), 99-106.

30. Welch, J. A., Boudrieau, R. J., Dejardin, L. M., Spodnick, G. J., 1997. The intraosseous blood supply of the canine radius: implications for healing of distal fractures in small dogs. Veterinary surgery, 26(1), 57-61.

31 Vol VII - Nr. 12 (1/2020)

Romanian Journal of Veterinary Orthopedics and Imagistic
C. Igna
Adelina Proteasa, Roxana Dascălu,

METODE ACTUALE DE EVALUARE A DURERII CRONICE LA CÂINE CAUZATE DE

OSTEOARTRITĂ - REVIZUIRE

SISTEMATICĂ A METODELOR UTILIZATE PÂNĂ ÎN PREZENT CURRENT METHODS FOR ASSESSING CHRONIC PAIN CAUSED BY OSTEOARTHRITIS IN DOGSSYSTEMATIC REVIEW OF THE METHODS USED SO FAR

Dr. Drd.Vet. Cojocaru Răzvan-Grigore, Prof. univ. dr. Igna Cornel Banat’s University of Agricultural Science and Veterinary Medicine, “King Mihai I of Romania” from Timișoara, Faculty of Veterinary Medicine, 300645, Calea Aradului, no. 119, Timișoara, România

Corresponding author: Prof. Univ. Dr. Cornel Igna, E-mail: corneligna@usab-tm.ro

Recieved: December 2019 Accepted: December 2019

Rezumat:

Cuvinte-cheie:

artrita, osteoartrita, câine, durere cronică, instrumente clinice de metrologie

Osteoartrita (OA) reprezintă un proces degenerativ patologic complex, întâlnit atât la om, cât și la animale, care afectează articulațiile. De-a lungul timpului, au fost propuse numeroase metode de evaluare a durerii cronice la câinii afectați de osteoartrită. Prezentul studiu a urmărit revizuirea instrumentelor clinice de metrologie validate și utilizate în evaluarea a durerii cronice la câine, cauzate de osteoartrită, disponibile până în prezent în literatură. Deși valide și standardizate în aprecierea durerii pacienților canini, fiecare dintre aceste instrumente prezintă anumite limite. Până în prezent, nu s-a reușit standardizarea unui instrument unic de identificare și clasificarea a gradului de durere și a modificărilor degenerative la câinii afectați de osteoartrită. Utilizarea constantă a instrumentelor existente la ora actuală poate avea un impact pozitiv asupra managementului durerii cronice la câine, fiind recomandată familiarizarea clinicianului veterinar cu cel puțin una dintre metodele descrise in acest articol.

Vol VII - Nr. 12 (1/2020) 32
Cite this article: R.G. Cojocaru, C. Igna. Current methods for assessing chronic pain caused by osteoarthritis in dogs - systematic review of the methods used so far. R J Vet Orthoped I. 2020; Vol. VII - 12 (1):32-43.
far
OPEN ACCES JOURNAL
ORTHOPEDICS
Current methods for assessing chronic pain caused by osteoarthritis in dogs - systematic review of the methods
used so

Abstract:

Keywords:

arthritis, osteoarthritis, dog, chronic pain, clinical metrology instrument

Osteoarthritis (OA, Osteoarthritis) is a complex pathological degenerative process found in both humans and animals, which affects the joints. Over the time several methods have been purposed to assess chronic pain in dogs suffering from osteoarthritis. This study aimed to review the validated clinical metrology instruments used to evaluate chronic pain in dogs caused by osteoarthritis. Although this were validated and standardized instruments in the appreciation of pain in canine patients, each of these instruments presented several limitations. So far there has been no standardization of a single tool to identify and classify pain and degenerative changes in dogs affected by osteoarthritis. The constant use of existing tools can have a positive impact on the management of chronic pain in dogs being recommended that the veterinary clinician familiarises with at least one of the methods described in this article.

Introducere

Osteoartrita este cea mai frecventă formă de artrită întâlnită la câine, afectând cu predilecție câinii de vârstă medie și înaintată. Termenul de artrită se referă la o inflamație sinovială, pe când osteoartrita se referă la un proces cronic de inflamație cauzat de degenerarea la nivelul cartilajelor articulare (12). Recent, a fost subliniată importanța detectării timpurii, la vârste foarte tinere, a debutului osteoartritei (13)

Este recomandat ca osteoartrita sa fie tratată ca un proces complex de boală și nu ca o entitate separată, având in vedere faptul ca semnele clinice sunt numeroase și niciodată nu sunt apariții solitare (12)

Acest complex patologic produce degenerarea cartilajului articular, care este urmată, de cele mai multe ori, de apariția unor osteofite periarticulare și de inflamația membranei sinoviale (9)

Principalele semne clinice sunt: nivelul scăzut de activitate al pacientului, șchiopătura intermitentă care, de cele mai multe ori, tinde să se înrăutățească odată cu exercițiul sau cu scăderea temperaturii ambientale și, per ansamblu, o scădere semnificativă a calității vieții pacientului respectiv. Factorul activator fundamental și al acestor semne clinice este reprezentat de exprimarea în diferite grade a senzației de durere (9).

În prezent, în medicina umană, evaluarea gravității și evoluției osteoartritei se realizează prin intermediul unor unelte de evaluare a durerii (Pain Assesment Tool- PAT), care sunt reprezentate de chestionare completate de pacient pe parcursul tratamentului (16)

Asemănător, în medicina veterinară au fost publicate numeroase modele de chestionare

(instrumente) pentru evaluarea durerii destinate atât proprietarilor de animale, cât și clinicienilor veterinari. Aceste instrumente sunt menite să aprecieze gravitatea și evoluția durerii la câinii care suferă de patologii articulare degenerative, ca osteoartrita, sau care au suferit intervenții chirurgicale ortopedice. Dintre acestea, doar câteva au fost validate clinic, și anume: Canine Brief Pain Inventory (Canine BPI), Canine Orthopedic Index (COI), Helsinki Chronic Pain Index (HCPI), The Finnish Canine Stifle Index (FC SI), Glasgow University Veterinary School Questionnaire (GUVQuest), Liverpool Osteoarthritis in Dogs (LOAD) și Canine Osteoarthritis Staging Tool (COAST). Deși structurate diferit, toate acestea cuprind un set de întrebări prin care se încearcă aprecierea durerii în perioada imediat post-operatorie sau cea asociată bolii articulare degenerative (Degenerative Joint Disease- DJD) (3, 8).

În prezentul articol, cele 7 instrumente metrologice de evaluare clinică vor fi prezentate și discutate pe scurt.

Metodele actuale de evaluare a durerii la câine

Canine Brief Pain Inventory (Canine BPI)

Canine BPI (figura 1) este un chestionar propus de Brown DC, în anul 2017 (5, 7), care a fost folosit în evaluarea durerii cauzate de osteoartrită, dar și în cea cauzată de cancer (6)

Acest chestionar este compus din 11 întrebări cu răspunsuri ierarhizate în ranguri numerice referitoare la durere, activitatea fizică în timpul zilei, dar și în timpul nopții, precum și calitatea de viată a animalului din primele 7 zile după administrarea unui tratament

33 Vol VII - Nr. 12 (1/2020) Romanian Journal of Veterinary Orthopedics and Imagistic
R.G. Cojocaru, C. Igna

Current

Figura 1. Chestionar Canine Brief Pain Inventory (Canine BPI) - preluare din https://www.lepointveterinaire.fr.

medicamentos sau după o intervenție chirurgicală, ambele având ca scop reducerea durerii (5, 6, 7) .

Canine Orthopaedic Index (COI)

Vol VII - Nr. 12 (1/2020) 34
ORTHOPEDICS
of the
COI (figura 2) a fost elaborat de către Brown DC, în perioada 2007-2013, fiind pentru prima used so far
methods for assessing chronic pain caused by osteoarthritis in dogs - systematic review
methods

Figura 2. Chestionar Canine Orthopaedic Index (COI)preluare din: https://www. vet.upenn.edu/research/ clinical-trials-vcic/ourservices/pennchart/canineorthopedic-index/canineorthopedic-index-form

35 Vol VII - Nr. 12 (1/2020) Romanian Journal of Veterinary Orthopedics and Imagistic
R.G. Cojocaru, C. Igna

dată aplicat în 2014. Acesta este un chestionar compus din 16 întrebări cu răspunsuri semantice în scară, care urmărește aspecte legate de funcționalitate ale unui singur membru, gradul de șchiopătură, mobilitatea articulației membrului respectiv și calitatea vieții pe o durată de 7 zile după tratament (2) .

Finnish Canine Stifle Index (FCSI)

FCSI (figura 3) este un instrument complex de măsurare a durerii la câine, dureri cauzate de

patologii ale ligamentului cruciat cranial, dar și al osteoartritei genunchiului, cu ajutorul unui chestionar al cărui scor final poate varia între 0 și 263. Acesta fost publicat, în 2018, în Helsinki, Finlanda. Finnish Canine Stifle Index și a propus însumarea a 8 modele de testare a durerii existente anterior (11)

Această metodă de evaluare, deși a avut o structură complexă, a prezentat anumite limitări. Una dintre acestea este reprezentată de faptul

Figura 3. Chestionar Finnish Canine Stifle Index (FCSI) - preluare din: https://helda.helsinki.fi/bitstream/ handle/10138/251525/developing_324.full.pdf?sequence=1

36
Vol VII - Nr. 12 (1/2020)
ORTHOPEDICS
so far
Current methods for assessing chronic pain caused by osteoarthritis in dogs - systematic review of the methods
used

că metoda este destinată analizei durerii doar la unul din membrele pelvine ale pacienților, excluzând complet membrele toracice.

Helsinki Chronic Pain Index(HCPI) HCPI (figura 4) a fost elaborat, pentru prima dată, în anul 2003 și validat în 2009, fiind dedi-

Figura 4. Chestionar Helsinki Chronic Pain Index (HCPI) - preluare din: https:// www.fourleg.com/media/ Helsinki%20Chronic%20 Pain%20Index.pdf

37 Vol VII - Nr. 12 (1/2020)
Journal
and Imagistic
Romanian
of Veterinary Orthopedics
R.G. Cojocaru, C. Igna

cat proprietarilor de câini diagnosticați cu osteoartrită (1). Acesta cuprinde un set de 11 întrebări cu răspunsuri numerice ierarhizate de la 0 la 4, având ca scop analiza descriptivă vizuală a comportamentului, locomoției și a durerii (10)

Glasgow University Veterinary School Questionnaire (GUVQest)

GUVQest (figura 5) este un chestionar publicat, în anul 2005, de către Lesley M (20), folosit în evaluarea durerii asociate cu osteoartrita la câine. Instrumentul are o structură mai detaliată, comparativ cu celelalte chestionare. Acesta evaluează raportul dintre diferiți factori, precum activitatea fizică, confortul, apetitul, intro-, extrovertirea comportamentală, gradul de alertă, agresivitatea, anxietatea, dependența de proprietar, mul-

țumirea, agitația, postura, mobilitatea și gradul de constrângere (limitare) a pacientului afectat de osteoartrită (4, 18, 19)

Liverpool Osteoarthritis in Dogs (LOAD)

LOAD (figura 6) este un chestionar dedicat proprietarilor și care cuprinde, în total, 23 de întrebări, structurate în 2 categorii (mobilitatea și stilul de viață al câinelui) menite să arate prezența și gradul de severitate al osteoartritei, precum și răspunsul la tratament (17). Chestionarul permite evaluarea calității și cantității activității fizice la care pacientul are acces în săptămâna precedentă evaluării, precum și durerea manifestată în repaus, în timpul și după activitatea fizică. Deși răspunsurile sunt de tip semantic, la finalul chestionarului, clinicianul va obține un scor numeric

Figura 5.

Chestionar Glasgow University Veterinary School Questionnaire (GUVQest)preluare din: http:// theses.gla.ac.uk/3193/1/ 2005WisemanOrrPhd.pdf

38
Vol VII - Nr. 12 (1/2020)
ORTHOPEDICS
Current methods for assessing chronic pain caused by osteoarthritis in dogs - systematic review of the methods used
so far

care permite, apoi, clasificarea osteoartritei în 4 grade de severitate (4, 17) .

Canine Osteoarthritis Staging Tool (COAST)

La începutul anului 2018, a fost elaborată o nouă metodă validată și standardizată de diagnosticare și evaluare a osteoartritei de către un grup de specialiști internaționali din domeniul ortopediei, anesteziei și analgeziei, cu sprijinul Elanco Animal Health (8) .

În anul 2013, a fost fondat un grup, compus din specialiști internaționali din domeniul ortopediei, anesteziei și analgeziei, cu scopul de a dezbate anumite aspecte legate de diagnosticul si menegerierea osteoartritei la câine. Specialiștii au fost recrutați din nouă țări diferite pentru a asigura diversitatea geografică a acestui grup. Aceștia au organizat întâlniri față în față la fiecare doi ani, cu scopul de a discuta anumite aspecte legate de diagnosticul și menegerierea oste-

Figura 6. Chestionar Liverpool Osteoarthritis in Dogs (LOAD)preluare din http://siriusvet.com/ storage/app/media/files/ load-b-editablepdfinitlvisit-2017.pdf

39 Vol VII - Nr. 12 (1/2020)
Imagistic
Romanian Journal of Veterinary Orthopedics and
R.G.
C. Igna
Cojocaru,

Figura 6. (continuare). Chestionar Liverpool Osteoarthritis in Dogs (LOAD) preluare din http:// siriusvet.com/storage/app/ media/files/load-beditablepdf-initlvisit2017.pdf

oartritei la câine, dar și pentru a identifica ariile care au nevoie de îmbunătățiri în acest domeniu. În urma acestor întâlniri, a fost elaborat un nou instrument clinic pentru evaluarea și stadierea osteoartritei la câine, și anume ”Canine Osteoarthritis Staging Tool (COAST) (15) .

Această metodă se remarcă prin faptul că evaluarea durerii pacientului se face atât din prisma proprietarului, cât și de către personalul medical, permițând atribuirea unor calificative în baza gradului de severitate, începând de la normal, ușor, moderat și până la sever. (8, 15)

COAST (figura 7) cuprinde două evaluări, în prima etapă analizându-se calitatea vieții, gradul de mobilitate și postura pacientului (grade the dog). Această rubrică este destinată atât proprietarului, cât și medicului veterinar, și pune la dispoziția proprietarului una dintre modele de

evaluare a pacienților canini validate anterior (Clinical Metrology Instruments - CMI), cum ar fi Liverpool Osteoarthritis in Dogs (LOAD), Canine Brief Pain Invetory (CBPI), Helsinki Chronic Pain Index (HCPI) (8, 15)

A doua etapă este dedicată exclusiv medicului veterinar și presupune examinarea clinică a articulațiilor afectate de osteoartrită, dar și un examen radiografic (grade the joint). Rezultatele acestor evaluări sunt exprimate folosind aceleași calificative descrise anterior –normal, ușor, moderat sau sever (8, 15).

Scorul final al pacientului după evaluarea COAST va fi direct proporțional cu cel mai înalt grad de severitate obținut în urma evaluării (figura 8).

Scorul COAST final este numerotat de la 0 la 52, unde scorul 0 reprezintă stadiul pre-clinic de

Vol VII - Nr. 12 (1/2020) 40
ORTHOPEDICS Current methods for assessing chronic pain caused by osteoarthritis in dogs - systematic review of the methods used so far

Figura 6. (continuare). Chestionar Liverpool Osteoarthritis in Dogs (LOAD) preluare din http:// siriusvet.com/storage/app/ media/files/load-beditablepdf-initlvisit2017.pdf

41 Vol VII - Nr. 12 (1/2020) Romanian Journal of Veterinary Orthopedics and Imagistic
R.G. Cojocaru, C. Igna
Figura 7. Model Chestionar Canine Osteoarthritis Staging Tool (COAST) preluare din https://www.aaha.org/publications/ newstat/articles/2019-11/introducing-a-logical-comprehensive-staging-tool-for-canine-osteoarthritis/

osteoartrită, iar 52 reprezintă stadiul sever sau avansat de oasteoartrită la câine (8)

Discuții

Boala articulară degenerativă prezintă un tablou clinic complex și amplu. Evaluarea cât mai corectă a evoluției acestei patologii din punct de vedere clinic, cât și a bunăstării pacientului, necesită considerarea unei multitudini de factori și utilizarea unor instrumente clinice standardizate de metrologie (15)

În contrast cu medicina umană, unde durerea cronică poate fi evaluată pe baza răspunsurilor pacienților care resimt direct efectele osteoartritei (3, 14) , în medicina veterinară chestionarele sunt completate de către proprietari. Acest aspect constituie, din păcate, o limitare importantă în aplicarea clinică a acestor metode de evaluare (16) .

Canine BPI, COI, FCSI, HCPI, LOAD, GUVQest sunt instrumente clinice de metrologie standardizate și validate (CMI) de evaluare a durerii (5, 7, 8, 10, 11, 17,19) , însă chestionarele pe care le utilizează se adresează strict proprietarilor de animale. Acest aspect, din păcate, a fost considerat de clinicieni ca fiind o importantă limită în aplicabilitatea clinică a acestor metode (16)

COAST este un instrument nou de măsurare a durerii, care conține un model de evaluare standardizat și care urmărește două lucruri fundamentale: evaluarea articulațiilor afectate de osteoartrită, dar și impactul pe care îl are osteoartrita în sănătatea și calitatea vieții pacientului (8) .

Concluzii și relevanță clinică

În urma acestei revizuiri, s-a observat că, deși există numeroase chestionare disponibile pentru evaluarea durerii cauzate de osteoartrită, cele mai folosite metode de evaluare utilizate clinic în medicina veterinară rămân examenul vizual, examenul radiogra -

fic și durerea înregistrată pe parcursul examenului clinic.

În prezent, în medicina veterinară există un număr considerabil de metode de măsurare a durerii asociate osteoartritei la câine considerate valide, însă nici una dintre aceste metode nu s-a dovedit a fi net superioară celorlalte. Așadar, putem spune că aceste metode prezintă limite importante, iar nevoia de o metodă unică, standardizată este încă prezentă în domeniul veterinar.

Informațiile obținute în urma utilizării instrumentelor clinice de metrologie standardizate și validate (CMI) pot îmbunătăți managementul durerii articulare cauzate de osteoartrită. Astfel că, în așteptarea dezvoltării unei metode complete de evaluare a osteoartritei la câine, este recomandabilă utilizarea a cel puțin uneia dintre metodele prezentate în acest articol (Canine BPI, COI, FCSI, HCPI, LOAD, GUVQest). Acestea pot fi considerate cele mai reprezentative resurse, cu relevanță clinică, disponibile în medicina veterinară până în prezent.

COAST are la bază două principii fundamentale, gradarea și stadializarea, urmărind impactul osteoartritei asupra articulației și asupra întreg organismului pacientului. După care, gradele rezultate sunt analizate și utilizate pentru a măsura severitatea și agresivitatea patologiei.

Deși COAST este un model nou și promițător în ce privește diagnosticul și evaluarea osteoartritei la câine, în viitor este nevoie de ajustarea și validarea procedeului.

International License.

Vol VII - Nr. 12 (1/2020) 42
Figura 8. Modul de calculare al scorului final Canine Osteoarthritis Staging Tool (COAST) preluare din https://www.aaha.org/ publications/newstat/articles/2019-11/introducing-a-logical-comprehensive-staging-tool-for-canine-osteoarthritis/
far
This work is licensed under a Creative Commons Attribution-NonCommercialNoDerivatives 4.0
ORTHOPEDICS
Current methods for assessing chronic pain caused by osteoarthritis in dogs - systematic review of the methods used
so

1. *** https://todaysveterinarypractice.com/assessing-chronicpain-in-dogs – accesat în 14-11-2020.

2. *** https://www.acvs.org/foundation/outcomes - accesat în 14-11-2020.

3. BELLIENI CV. Pain assessment in human fetus and infants. AAPS J. 2012; 14(3):456–61. doi: 10.1208/s12248-012-9354-5.

4. BELSHAW Z, ASHER L, DEAN RS: Systematic Review Outcome Measures Reported in Clinical Canine Osteoarthritis Reasearch. Veterinary Surgery. 2016, Vol 45. 4: 480-487. DOI: 10.11111/ vsu. 12479.

5. BROWN DC, BOSTON RC, COYNE JC et al.: Development and psychometric testing of an instrument desgned to measure chronic pain in dogs with osteoarthritis. American Journal of Veterinary Reasearch 2007, 68: 631-637.

6. BROWN DC, BOSTON R, COYNE JC, et al.: A novel approach to the use of animals in studies of pain: validation of the canine brief pain inventory in canine bone cancer. Pain Med. 2009, 10(1):133–42. doi: 10.1111/j.1526-4637.2008.00513.x.

7. BROWN DC, BOSTON RC, COYNE JC et al., Ability of the canine brief pain inventory to detect response to treatment in dogs with osteoarthritis. Jurnal of the American Veterinary Medical Association 2008, 233: 1278-83.

8. CACHON T, FRYKMAN O, INNES JF, et al.: Face validity of a proposed tool for staging canine osteoarthritis: Canine OsteoArthritis Staging Tool (COAST). The Veterinary Journal, 2018, 235: 1-8.

9. HARDIE EM, ROE SC, MARTIN FR: Radiographic evidence of degenerative joint disease in geriatric cats: 100 cases (19941997). J Am Vet Med Assoc., 2002, 220:628, PMID: 12418522.

10. HIELM-BJÖRKMAN A.K., RITA, TULAMO RM: (Psychometric testing of the Helsinki chronic pain index by completion of a questionnaire in Finnish by owners of dogs with chronic signs of pain caused by osteoarthritis. American Journal Of Veterinary Research, 2009, 70(6), 727-734.

11. HYYTIAINEN HK, MOLSA SH, JUNNILA JJT, et al.: Developing a testing battery for measuring dogs’ stifle functionality: the Finnish Canine Stifle Index (FCSI). Veterinary Record: 2018, Vol 183, Issue 10, pg 1-6, DOI: 10.1136/ vr.104588.

12. JOHNSTON SA: Osteoarthritis: Joint anatomy, physiology, and pathobiology. Vet Clin North Am Small Anim Pract. 1997, 27:699, PMID: 9243777.

13. LASCELLES D: COAST (Canine ostheoarthritis stagings tool) - 2020 https://www.vetfolio.com/learn/course/coast-canineosteoarthritis-staging-tool/coast-canine-osteoarthritis-stagingtool/ - accesat în 8-11-2020.

14. SCHNAKERS C, CHATELLE C, DEMERTZI A, et al. What about pain in disorders of consciousness? AAPS J., 2012, 14(3):437–44, doi: 10.1208/s12248-012-9346-5.

15. SHARKEY M. The Challenges of Assessing Osteoarthritis and Postoperative Pain in Dogs. AAPS J., 2013 15(2):598-607, doi: 10.1208/s12248-013-9467-5.

16. THARBORG K, ROOS EM, BARTELS EM, et al.: Validity, reliability and responsiveness of patient’reported outcome questionnaires when assessing hip and groin disability: a systematic review. Br J Sports Med, 2010, 44:1186–1196.

17. WALTON MB, COWDEROV E, LASCELLES D et al.: Evaluation of construct and criterion validity for the ‚Liverpool Osteoarthritis in Dogs’ (LOAD) clinical metrology instrument and comparison to two other instruments, Plos One Journal 7 Martie 2013, DOI:10.1371/journal.pone. 0058125.

18. WISEMAN-ORR ML, SCOTT EM, REID J, et al. Validation of a structured questionnaire as an instrument to measure chronic pain in dogs on the basis of effects on health-related quality of life. Am J Vet Res. 2006, 67(11):1826–36, doi: 10.2460/ ajvr.67.11.1826.

19. WISEMAN-ORR, LM: The development of an instrument to measure chronic pain in dogs. PhD thesis, University of Glasgow, 2005, URL: http://theses.gla.ac.uk/id/eprint/3193.

43 Vol VII - Nr. 12 (1/2020)

and Imagistic
Romanian Journal of Veterinary Orthopedics
R.G. Cojocaru, C. Igna
Bibliografie

EXAMENUL RADIOLOGIC ȘI CLASIFICAREA SALTER-HARRIS A FRACTURILOR LA CÂINE ȘI PISICĂ

RADIOLOGICAL EXAMINATION AND SALTER-HARRIS CLASSIFICATION OF DOG AND CAT FRACTURES

Prof. Univ. Dr. Vasile Vulpe

Universitatea de Ştiinţe Agricole şi Medicină Veterinară „Ion Ionescu de la Brad”, Facultatea de Medicină Veterinară Iași, Aleea Mihail Sadoveanu nr. 3, Iaşi, 700490, România.

OPEN ACCES JOURNAL

Cite this article: V. Vulpe. Radiological examination and salter-harris classification of dog and cat fractures. R J Vet Orthoped I. 2020; Vol. VII - 12 (1):44-48.

Rezumat:

Cuvinte-cheie:

diagnosticul leziunilor osoase, clasificarea SalterHarris, câine, pisică

Keywords:

diagnosis of bone lesions, Salter-Harris classification, dog, cat

Corresponding author: Vasile Vulpe, E-mail: vasile_vulpe@yahoo.com

Recieved: November 2020 Accepted: November 2020

Examenul radiologic reprezintă o etapă esențială în diagnosticul leziunilor osoase, cu atât mai mult în elucidarea tipurilor de fracturi și, respectiv, pentru decizia intervenției terapeutice ulterioare. Clasificarea Salter-Harris este edificatoare privind tipul fracturii membrului în regiunea plăcii de creștere. Lucrarea de față este intenționant descriptivă cu imagini radiologice concrete la câine, cu informații sintetice despre tipurile de fracturi luate în studiu.

Abstract:

Radiological examination is an essential step in the diagnosis of bone lesions, especially in elucidating the types of fractures and, respectively, for the decision of subsequent therapeutic intervention. The Salter-Harris classification is edifying regarding the type of limb fracture in the growth plate region. This paper is intentionally descriptive with concrete radiological images in the dog, with synthetic information about the types of fractures studied.

Vol VII - Nr. 12 (1/2020) 44 IMAGISTIC
of dog and cat fractures
Radiological examination and salter-harris classification

Introducere

Clasificarea standard pentru fracturile regiunii cartilajului de creștere a fost stabilită de Salter și Harris. Această clasificare împarte fracturile în cinci tipuri, în funcție de faptul dacă sunt implicate metafiza, fiza (placa de creștere) sau epifiza.

Metoda de clasificare Salter-Harris a fost descrisă, pentru prima dată în literatura umană, în 1963. În acel an, doi chirurgi ortopedici canadieni, Robert B. Salter (1924-2010) și W. Robert Harris (1922–2005), au creat un sistem de clasificare a fracturilor fiziologice bazat pe anatomie, model de fractură și prognostic (2, 3, 4) Salter și Harris au descris două tipuri majore de plăci epifizare: epifiza sub presiune și epifiza de tracțiune.

Epifizele sub presiune asigură o creștere longitudinală, apar la sfârșitul oaselor lungi, sunt intraarticulare și suportă greutatea. În schimb, epifizele de tracțiune asigură o creștere appozițională, apar la originea sau inserția mușchilor, sunt extraarticulare și nu suportă greutatea. Clasificarea lor se concentrează asupra leziunilor la epifizele sub presiune (1, 3)

Materiale și metode

Materialul de lucru a fost reprezentat de câini și pisici, în perioada de creștere, din cazuistica prezentată la Serviciul de Radiologie și Imagistică al Facultății de Medicină Veterinară Iași. Metoda de lucru a fost examenul radiologic cu analiza atentă a radiografi-

45 Vol VII - Nr. 12 (1/2020) Romanian Journal of Veterinary Orthopedics and Imagistic V. Vulpe
Figura 1.Clasificarea Salter- Harris a fracturilor epifizare și metafizare, de la 1 la 5, în ordine (sursa internet) Figura 2. Imagini radiologice pediatrice, articulația femuro-tibio-patelară, incidență dorso-ventrală – tipurile I – V ale fracturilor Salter-Harris (sursa internet).

Figura 5. Pisică, 1 an și 1 lună, radiografie articulația femuro-tibiopatelară, incidență ML. Fractură incompletă în regiunea distală a femururlui, zona metafizară, fractură SH tipul II

Figura 4. Pisică, 1 an și 4 luni, radiografie articulația

incidență frontală. Avulsie epifizară extremitatea distală a radiusului și ulnei, fractură SH tipul I

ei, stabilirea diagnosticului radiologic și al tipului de fractură Salter-Harris.

De la lucrarea (considerată reper) a lui Salter și Harris, diverși autori au extins clasificarea în încercarea de a fi mai cuprinzătoare. Rang (2) a adăugat un al șaselea tip de leziune fizeală, care a descris deteriorarea inelului perichondral ce a rezultat din răni directe deschise.

Atașăm o reprezentare grafică schematică pentru a înțelege poziționarea liniilor de fractură.

Reamintim că aceste leziuni au fost studiate și clasificate în medicina pediatrică, drept pentru care inserăm radiografii caracteristice mai jos.

Rezultate

La animalele mici, respectiv la câine și pisică, în funcţie de afectarea segmentului osos epifizar, clasificarea Salter-Harris enumeră 5 tipuri:

- tipul I: separare epifizară simplă, fără fractură osoasă.

- tipul II: separare epifizară cu fractura unui colţ metafizar.

- tipul III: fractură ce se extinde de la nivelul plăcii epifizare, cu deplasarea fragmentului desprins.

Vol VII - Nr. 12 (1/2020) 46
Figura 3. Câine, 1 an și 5 luni, radiografie antebraț, incidență medio-laterală. Tumefacția țesuturilor moi, semne de contuzie cu radiotransparență (emfizem muscular, posibil septic), lărgirea spațiului articular radio-carpian, fractură SH tipul 1 radio-carpoulnară,
IMAGISTIC
Radiological examination and salter-harris classification of dog and cat fractures

- tipul IV: fractură ce se extinde de la nivelul plăcii epifizare, prin aceasta și printr-o porţiune din metafiză.

- tipul V: placa epifizară este strivită între epifiză și metafiză, fără deplasarea

osoase (5) .

47 Vol VII - Nr. 12 (1/2020)
Journal
Orthopedics and Imagistic
Romanian
of Veterinary
fragmentelor Figura 6. Pisică 1 an 5 luni, radiografie regiunea membrelor, femur stâng, incidență ML/CaCr, fractură SH tipul 2 Figura 8. Câine, 1 an 8 luni, radiografie de cot, incidență LL. Fractură zona codilului humeral Figura 9. Același pacient, incidență CrCa, fractură intercondilienă, fractură metafiză humerus, fractură SH, tipul 4
V. Vulpe
Figura 7. Pisică, radiografie articulația tibio-tarso-metatarsiană, incidență ML. Fractură în regiunea distală a tibiei, fragmente osoase ale epifizei, fractură SH tipul 3

Bibliografie

1. Bergh, M. S. 2014. Fractures in Small Animals. Clinician`s Brief, https://www.cliniciansbrief.com/article/physeal-fractures-smallanimals

2. Cepela, D. et al., 2016. Classifications In Brief: Salter-Harris Classification of Pediatric Physeal Fractures. Clin Orthop Relat Res., 474(11): 2531–2537,

3. Salter RB, Harris WR. Injuries involving the epiphyseal plate. J

Unii autori insistă asupra existenței tipului VI: leziuni ale inelului pericondral ce apar în caz de răni deschise directe (2, 4)

Scala respectivă se folosește cu succes și în medicina veterinară la animalele mici tinere (1) , respectiv la câinii și pisicile aflate în perioada de creștere. Vom exemplifica și noi, mai jos, cu imagini din practica radiologică.

Concluzii

Scala Salter Harris este incompletă după unii autori și nu este general valabilă pentru toate situațiile patologice complexe. În plus, nu trebuie uitați factori diverși și care trebui tratați cu atenție, cum ar fi regiunea anatomică specifică a osului, vârsta și ritmul de creștere al pacientului tânăr.

Bone Joint Surg Am. 1963; 45:587–622.

4. Stubbs, P., 2019. Fracture management in skeletally immature dogs. https://www.vetfolio.com/learn/article/ fracture-management-in-skeletally-immature-dogs.

5. Vulpe și colab., 2014. Radiologie veterinară – manual practic; ghid de radiografie la câine și pisică. Performantica, Iași.

Vol VII
Nr.
48
-
12 (1/2020)
Figura 10. Pisică, 1 an 1 lună, radiografie articulația femuro-tibio-patelară, incidență ML. Fracturi multiple în zona epifiza-metafiză extremitatea proximală a tibiei, avulsie epifiză tibie și fisura acesteia, fractură fibulă în treimea proximală, fractură SH tipul 4
IMAGISTIC
This work is licensed under a Creative Commons Attribution-NonCommercialNoDerivatives 4.0 International License. Radiological examination and salter-harris classification of dog and cat
fractures
49 Vol VII - Nr. 12 (1/2020)
Imagistic Romanian Journal of Veterinary Orthopedics & Imagistic www.rjvoi.innovationinhealth.ro PUBLICAŢIE CREDITATĂ DE COLEGIUL MEDICILOR VETERINARI DIN ROMÂNIA SUB EGIDA 2 NUMERE PE AN, ÎN FORMAT DIGITAL ȘI ONLINE
Romanian Journal of Veterinary Orthopedics and
TALON DE ABONAMENT Doresc să mă abonez Varianta electronică: q Abonament pentru 1 an (2 numere) - 45 RON (cu toate taxele incluse) q Abonament pentru 2 ani (4 numere) - 75 RON (cu toate taxele incluse) Nume:................................................................................... Prenume: ................................................................................................... Dna Dl Dra Adresă domiciliu: .................................................................................................................................................. Municipiu: ........................................................................ Sect.: ................ Judeţ:............................................................ Oraş:............ ..................................................... Comună: ...................................................................................................... Cod poştal: ................... Telefon:............................................................................. Număr atestat de liberă practică................................................................. Specialitate ........................................................................................ student rezident medic specialist medic primar Competenţă ............................................................................... Denumire instituţie: ....................................................... Domeniu de activitate: Privat Public Secţie: ................................................................................................. Funcţie: ...................................................................... Specialitate: ................................................................. Adresă instituţie: ............................................................................ .................................................... Municipiu: ....................................................Sect.: ........... Judeţ:................................. Oraş:............ ..................................................... Comună: ...................................................................................................... Cod poştal: ................... ............................ Telefon: ..........................................
......................................................
........................................................................
...................................................................................................
nu
......................................................
După completare, vă rugăm să trimiteţi talonul însoţit de dovada efectuării plăţii scanate la adresa de
! Adeverinţa pentru abonarea la revistă se eliberează în maximum 5 zile lucrătoare de la exprimarea solicitării dvs., după efectuarea plății REVISTĂ CREDITATĂ CU 15 PUNCTE ANUAL PENTRU ABONAMENTELE PLĂTITE Plata abonamentului se va efectua prin ordin de plată ori transfer bancar pe coordonatele: S.C. INNOVATION IN HEALTH CENTER S.R.L SEDIUL SOCIAL: SPLAIUL INDEPENDENTEI NR. 273, SECTOR 6, BUCUREȘTI CUI: 38637290, R.C.: J40/20963/2017 CONT IBAN RON: RO91BACX0000001601177000 BANCA UNICREDIT BANK, SUCURSALA ORIZONT
Mobil:
E-mail:
Web:
CUI instituţie: Plătitor de TVA: da
Factură - vă rugăm să completaţi cu coordonatele necesare emiterii facturii: Denumire persoană:
Denumire instituţie: .................................................................. Adresa pentru primirea revistelor: Domiciliu Instituţie Data: / / Semnătură:…..………….….......…
email redactia.ihc@gmail.com Mulţumim!

RECOMANDĂRI ADRESATE MEDICILOR

VETERINARI

PENTRU EVITAREA CONTAMINĂRII

CU COVID-19

v Spălați-vă mâinile cu apă și săpun cel puţin 20 de secunde și dezinfectați-le apoi folosind un produs care conține cel puțin 60% alcool sau orice produs biocid autorizat, înainte și după fiecare consultație a unui animal!

v Dezinfectați mesele de consultație/tratamente înainte și după fiecare consultație a fiecărui animal!

v Evitați aglomerația din sala de așteptare și recomandați proprietarilor să respecte o distanță minimă de cel puțin 1m între ei!

v Invitați în sala de consultații și tratamente doar o singură persoană împreună cu animalul!

vPăstrați, în timpul consultațiilor, o distanță de cel puțin 1 m față de proprietar! Purtați echipamente de protecție și evitați contactul cu proprietarii care prezintă simptomelor unei afecțiuni respiratorii!

v Spălați periodic echipamentul de protecție și, de preferat, în unități specializate, evitând ducerea lui acasă!

v Dezinfectați, de mai multe ori pe zi, suprafețele, telefonul, echipamentele utilizate

și mânerelor ușilor, în special cele de la intrare și toalete!

v Recomandați proprietarilor de animale ca, la intrarea/ieșirea din sala de consultație și tratamente, să se spele și să se dezinfecteze pe mâini!

v Evitați să vă atingeți ochii, nasul și gura cu mâinile neigienizate!

v Acoperiți-vă gura și nasul cu o batistă sau un servețel atunci când tușiți/strănutați sau strângeți și folosiți interiorul cotului! Aruncați servețelele folosite imediat în coșul de gunoi!

v Spălați-vă, imediat după consultație/ tratamente, pe mâini cu apă și săpun timp de cel puțin 20 de secunde! Dacă săpunul și apa nu sunt disponibile, curățați-vă mâinile cu un dezinfectant pentru mâini care conține cel puțin 60% alcool!

v Dacă sunteți bolnav, respectați recomandările făcute de autorități!

v Respectați recomandările autorităților privind participarea la evenimente științifice, culturale, sportive etc.

Turn static files into dynamic content formats.

Create a flipbook
Issuu converts static files into: digital portfolios, online yearbooks, online catalogs, digital photo albums and more. Sign up and create your flipbook.
Romanian Journal of Veterinary Orthopedics & Imagistic nr. 12 (1) 2020 by Innovation in Health Center - Issuu