Romanian Journal of Veterinary Orthopedics & Imagistic nr. 11 (2) 2019

Page 1

REVISTA SOCIETĂŢII ROMÂNE VETERINARE DE ORTOPEDIE REVISTA ESTE INDEXATĂ BDI: www.rjvoi.innovationinhealth.ro ANUL VI / Nr. 11 ( 2/2019) PUBLICAŢIE CREDITATĂ DE COLEGIUL MEDICILOR VETERINARI DIN ROMÂNIA SUB EGIDA PUBLICAŢIE EDITATĂ DE REVISTĂ EDITATĂ ÎN PARTENERIAT CU EDITURA Editura Etna este înscrisă în Societatea Editorilor Români. Acreditată de Consiliul Naţional al Cercetării Ştiinţifice din Învăţământul Superior (CNCSIS ) la poziția 241 şi de Colegiul Medicilor din România (CMR) Global Impact & Quality Factor 2014 - 0.454 2015 - 0.565
www.srvo.ro

Anul VI / Nr. 11 (2/2019)

www.rjvoi.innovationinhealth.ro

SENIOR EDITORS

Prof. Dr. Cornel IGNA

Prof.Dr. Vasile VULPE

EDITOR-IN-CHIEF Dr. Ioana MANEA

DEPUTY EDITOR-IN-CHIEF Dragoș Marius CHIRIAC

EDITORIAL BOARD

Prof. Dr. Dan CRÎNGANU Prof. Dr. Liviu Ioan OANA Prof. Dr. Bruno PEIRONE Prof. Dr. Marius PENTEA Prof. Dr. Andrei TĂNASE Conf. Dr. Florin Ioan BETEG Șef Lucr. Dr. Ciprian OBER Șef Lucr. Dr. Cosmin PEȘTEAN Șef Lucr. Dr. Eusebiu Viorel ȘINDILAR Șef. Lucr. Dr. Larisa SCHUSZLER Șef Lucr. Dr. Alexandru VIȚĂLARU Asist. univ. Dr. Ruxandra COSTEA

Asist. univ. Dr. Cristian Constantin DEZROBITU Asist. univ. Dr. Ionut Cristian GÂRJOABĂ Asist. univ. Dr. Nicolae Răzvan MĂLĂNCUȘ

Dr. Dragoş BOGHEAN Dr. Victor BUCUR Dr. Radu CONSTANTINESCU

Dr. Cristian DRAGOMIR Dr. Eugen Dan GÂSCĂ

Dr. Wili GLASER

Dr. Florin GROSU Dr. Andreea ISTRATE

Dr. Dinu MĂHĂLEAN

Dr. Alexandra PETEOACĂ

Dr. Adelina PROTEASA Dr. Oana RADU

Dr. Edmond STECYK

Dr. Hristov SVETOSLAV

Dr. Andrei TIMEN

Dr. Nicolae VALENTIN

Copyright © 2019 Innovation in Health Center

Drepturile

ORTHOPEDICS SCURT ISTORIC AL FIXĂRII FRACTURILOR SHORT HISTORY OF FRACTURE FIXATION C. Igna

ORTHOPEDICS

SURGERY EVALUAREA DURATEI ACTULUI OPERATOR AL UNOR METODE DE OSTEOSINTEZĂ LA CÂINE

EVALUATION OF THE DURATION OF THE OPERATING ACT OF SOME METHODS OF OSTEOSYNTHESIS IN DOGS Proteasa Adelina, Dascălu Roxana, Schuszler Larisa, C. Igna

IMAGISTIC TEHNICI IMAGISTICE UTILIZATE ÎN MEDICINA VETERINARĂ

IMAGING TECHNIQUES UTILISED IN VETERINARY MEDICINE V. Vulpe

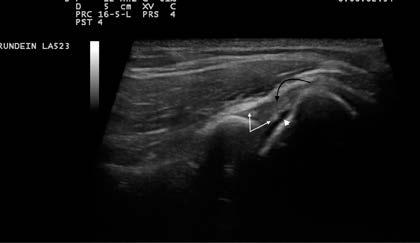
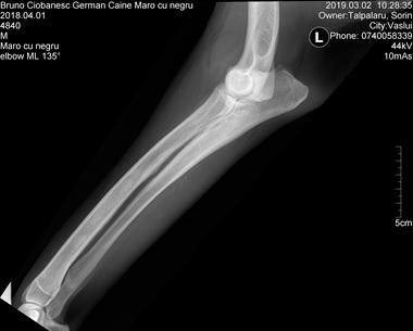
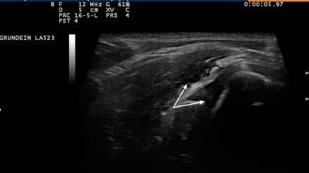
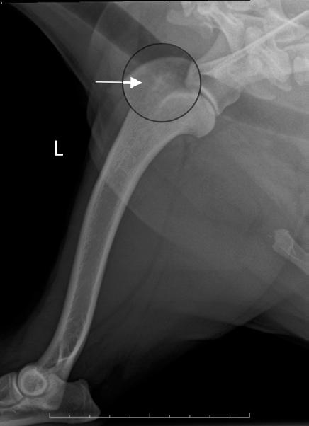
MINERALIZAREA TENDONULUI MUȘCHIULUI SUPRASPINOS LA CÂINEASPECTE ECOGRAFICE ȘI RADIOLOGICE: PREZENTARE DE CAZ

MINERALIZED SUPRASPINATUS TENDON IN DOGS - ULTRASOUND AND RADIOLOGICAL ASPECTS: CASE REPORT Andreea Istrate, R. Constantinescu, Alexandra Peteoacă, A. Tănase

de autor pentru articolele și fotografiile publicate aparţin exclusiv Innovation in Health Center Reproducerea, totală sau parţială, și sub orice formă,
sau
sau distribuţia
cu
ISSN 2392 – 8700 ISSN-L 2392 – 8700 e-ISSN 2601 - 0089 ABONAMENTE ȘI PUBLICITATE INNOVATION IN HEALTH CENTER E-mail:
tipărită
electronică,
materialelor publicate se face numai
acordul scris al IHC. Responsabilitatea asupra conţinutului original al materialelor aparţine în întregime autorilor. Persoanele intervievate răspund de conţinutul declaraţiilor lor, iar utilizatorii spaţiului publicitar, de informaţiile incluse în machete.
redactia.ihc@gmail.com Web: www.innovationinhealth.ro
50
82
66
74

SCURT ISTORIC AL FIXĂRII FRACTURILOR SHORT HISTORY OF FRACTURE FIXATION

University Professor, PhD Cornel Igna

Banat University of Agricultural Science and Veterinary Medicine from Banat, “King Mihai I of Romania”Timișoara, Faculty of Veterinary Medicine, 300645, Calea Aradului, no 119, Timișoara, România

OPEN ACCES JOURNAL

Cite this article:

C. Igna.

Short history of fracture fixation.

R J Vet Orthoped I. 2019; Vol. VI - 11 (2): 50-64.

Corresponding author: Prof. Univ. Dr. Cornel Igna, E-mail: corneligna@usab-tm.ro

Recieved: November 2019

Accepted: December 2019

calitate de chirurgi ortopezi, trebuie să ne amintim de munca și conceptele celor care ne-au condus până acum.”

Rezumat:

Cuvinte-cheie: istoric, fracturi, fixare externă, fixare internă Keywords: history, fracture, external fixation, internal fixation

Lucrarea prezintă evoluția în timp a tehnicilor de fixare a fracturilor. Scopul acestei lucrări este de a familiariza medicii veterinari ortopezi cu privire la istoricul, evoluția, biomecanica, disponibilitatea actuală, tehnicile de aplicare, avantajele și dezavantajele utilizării diferitelor tehnici de fixare a fracturilor.

Abstract:

The paper presents the evolution over time of fracture fixation techniques. The purpose of this paper is to familiarize the orthopedic veterinarians with regard to the history, evolution, biomechanics, current availability, application techniques, advantages and disadvantages of using the various fracture fixation techniques.

Introducere

De-a lungul istoriei, fracturile au fost tratate prin imobilizare în atele, bandaje, fixatori externi, prin fixare internă sau amputație.

Evoluția în timp a metodelor de tratament a fracturilor reprezintă o succesiune continuă de invenții și inovații în domeniu. Tratamentul conservator al fracturilor prin imobilizarea

segmentului afectat în bandaje este prima metodă apărută în decursul timpului, metodă utilizată și în prezent.

Bandajele

Încă din antichitate, apar primele dovezi ale stabilizării fracturilor la oameni, egiptenii utilizând atelele confecţionate din scoarţă de co -

Vol VI - Nr. 11 (2/2019)

50 ORTHOPEDICS
Short history of fracture fixation
„În
Hamid Reza Seyyed Hosseinzadeh

pac învelite cu pânză. Hindu ș ii antici au folosit atelele din bambus, iar în scrierile lui Hipocrate există relatări conform cărora pentru imobilizarea fracturilor se utilizau atelele din lemn, iar în scopul prevenirii amiotrofiei se recomanda efectuarea de exerciţii. Grecii antici au utilizat, în anul 30 î.e.n., ceara ș i ră ș inile pentru a crea bandaje rigide. Doctorii arabi au folosit, în scopul rigidizării bandajelor, o pulbere obţinută din cochilii de scoici amestecate cu albu ș de ou.

Inovarea bandajelor moderne se datorează celor patru chirurgi militari: Dominique Jean Larrey, Louis Seutin, Antonius Mathijsen ș i Nikolai Ivanovich Pirogov.

Dominique Jean Larrey (1768–1842) a utilizat, pentru întărirea bandajelor, alcoolul camforat, acetatul ș i albu ș e de ou amestecate cu apă.

Louis Seutin (1793–1865) a îmbunătăţit tehnica prin introducerea bandajului amidonat, obţinut prin impregnarea pulberii de amidon în atele din carton. Acestea, ulterior, erau umezite ș i aplicate. Iar, pentru întărire, era necesar un interval de 2-3 zile. Substituirea amidonului cu Dextrin de către Velpeau, în secolul al XIX-a, a redus timpul de întărire a bandajelor la 6 ore.

Antonius Mathysen (1805–1878) – Figura 1, un chirurg militar olandez, a inventat în anul 1851 plasterul de Paris (ghipsul). Bandajele impregnate cu plaster de Paris au fost utilizate pentru tratamente în masă în timpul Războiul din Crimeea (1853-1856) de către Nikolai Ivanovich Pirogov.

Printre complicaţiile apărute ca urmare a folosirii bandajului impregnat cu plaster de Paris sunt menţionate maceraţiile, ulceraţiile, infecţiile, iritaţiile, dermatitele alergice de contact (din cauza prezenţei formaldehidei), iar - în timpul sezonului cald - infecţiile stafilococice ale foliculilor piloși și ale glandelor sudoripare care pot determina dermatite severe, dureroase.

Primele bandaje comerciale au fost produse abia în anul 1931 în Germania, sub numele de Cellona. Sulfatul de potasiu putea fi folosit ca accelerator, iar boratul de sodiu ca încetinitor, în funcţie de necesitatea de obţinere a unei întăriri mai rapide, respectiv mai lente.

De-a lungul timpului, medicii au experimentat folosirea ș i a altor materiale pentru producerea atelelor, cum ar fi gutaperca obţinută din latexul arborelui de cauciuc. Aceasta se aseamănă cu cauciucul, însă conţinea mai multe ră ș ini. Acestea, în momentul întăririi, deveneau tari ș i rigide.

Începând cu anul 1970, s-au dezvoltat bandajele din fibră de sticlă, care erau mai u ș oare ș i rezistente la apă decât bandajele tradiţionale. Dacă iniţial bandajele erau alcătuite din fe ș i de bumbac impregnate cu plaster de Paris (bandaje gipsate) și, ulterior, apar bandajele din fibră de sticlă, în prezent, pe lângă acestea, sunt folosite bandaje a căror substanță întăritoare este reprezentată de rășinile polimerice, ele prezentând avantajul că sunt mult mai u ș oare, sunt poroase ș i au o perioadă de întărire mai scurtă.

Atelele

Suprapunerea capetelor oaselor fracturate, în special în cazul femurului ș i humerusului, a constituit o problemă majoră în reducerea fracturilor. Din cauza contracţiilor musculare care determinau suprapunerea, corecţia era extrem de dificilă. În ortopedia umană s-a recurs, cu rezultate încurajatoare, la aplicarea unor cle ș ti fixatori ș i la tracţiunea extremităţii distale a oaselor fracturate. În anul 1931, Dibbel E.B. descrie o metodă de reducere a fracturilor femurale la câine. Aceasta presupunea aplicarea unor cle ș ti pe extremitatea distală a osului ș i tracţiunea exercitată de ghips. În unele cazuri, această tehnică a rezolvat problema suprapunerii capetelor osoase, dar inserţia cle ș tilor a dus adesea la instalarea osteomielitei. 11

Thomas Jones, în 1875 ș i în 1913, a introdus în ortopedia umană un model de atelă pentru a corecta suprapunerile fragmentelor de os. Aceasta a fost făcută prin îndoirea unei tije metalice într-o asemenea manieră încât să aplice tracţiune la ambele capete, proximal ș i

51
Romanian Journal of Veterinary
and Imagistic C. Igna
Vol VI - Nr. 11 (2/2019)
Orthopedics
Figura 1. Antonius Mathysen (1805–1878) (Din https://en.wikipedia.org/wiki/Antonius_Mathijsen)

distal, ale fracturii. Astfel, s-a anulat considerabil contractura musculară ș i s-a corectat suprapunerea fragmentelor osoase. 50

În anul 1933, Schroeder E.T. a adaptat conceptul acestei atele (Schroeder-Thomas) în practica veterinară canină (Angell Memorial Animal Hospital), imprimând tracţiune pe capătul proximal al osului fracturat cu ajutorul unor inele din sârmă căptu ș ite, aplicate pe corp, ș i cu bandă adezivă ata ș ată după tundere. A mai utilizat fe ș i de tifon ș i, în cazurile dificile, a recurs la utilizarea cle ș tilor fixatori sau a tijelor Kirschner. Atela Schroeder era confecţionată dintr-o tijă metalică îndoită la capătul proximal sub formă de inel, prin care este introdus membrul. Inelul căptu ș it era orientat împotriva corpului, care asigura contrasprijinul, în timp ce porţiunea distală a membrului era ata ș ată sub tensiune la celălalt capăt al atelei. Barele laterale ale atelei serveau la fixarea ș i alinierea fragmentelor osoase. Acest montaj permitea mobilizarea articulaţiei ș oldului, respectiv a umărului, în timp ce membrul era imobilizat în atelă 43 – figura 2.

În pofida îmbunătăţirii tehnicilor de tracţiune ș i imobilizare prin intermediul atelelor, controalele radiologice efectuate în cazul fracturilor complicate au arătat reducerea incompletă ș i vindecarea defectuoasă. Astfel, pentru obţinerea unor rezultate adecvate, s-au abordat alte metode, mai sofisticate ș i adaptate situaţiilor.

zează primul fixator extern ”punctual” pentru imobilizarea și prevenirea deplasării fracturilor tibiale, iar în 1843 proiectează un fixator extern de tip ”gheară” pentru tratamentul fracturilor rotulei la om. Clayton Parkhill (1860-1902) este cel care prezintă, în 1897, un fixator extern utilizat în tratamentul fracturilor cu tendință de deplasare.

În 1902, Albin Lambotte (1866-1955) – figura 4 - dezvoltă conceptul de fixator extern unilateral în lucrarea “Chirurgie operatoire des fractures”.

Fixatorii externi

Primul fixator extern este descris în anul 377 de Hippocrates pentru tratamentul unei fracturi închise de tibie la om. Jean-Francois Malgaigne (1806-1865) – figura 3 - în 1840 utili -

Vol VI - Nr. 11 (2/2019) 52
Dezvoltarea fixatorilor externi în ortopedia umană a continuat prin contribuțiile lui Ales - Figura 3. Jean-Francois Malgaigne (1806-1865) – A; fixatorul extern punctual – B; fixatorul extern de tip gheară – C. (Din https://musculoskeletalkey.com/history-and-evolution-of-external-fixation/) Figura 4. Albin Lambotte (1866-1955) – A; modelul său de fixator extern – B (Din https://musculoskeletalkey.com/history-and-evolution-of-external-fixation/)
ORTHOPEDICS Short history of fracture fixation
Figura 2. Atelă Schroeder-Thomas utilizată pentru imobilizarea unei fracturi proximale de tibie, tip Salter Harris II la un taur Angus (Din https://www.semanticscholar.org/paper/Management-offractures-in-field-settings.-Anderson-Jean/749858bf8ba18bcf1df46 a308ae7f4b17be1dd6c/figure/4)

sandro Codivilla (1861-1912), Fritz Steinmann (1872-1932) Martin Kirschner (1879-1947). În 1938, Raoul Hoffman (1881–1972) – figura 5 - cunoscut atât pentru contribuția sa la conceptul de reducere închisă a fracturilor, dar mai ales pentru proiectele sale de fixatori externi (osteotaxis), a descris utilizarea unor dispozitive externe de fixare cu cleme și bare de

conectare pentru trei broșe inserate percutanat în fiecare segment osos fracturat. Fixarea externă a fracturilor a fost perfecţionată de chirurgii americani în timpul Războiului din Vietnam, însă o contribuţie majoră avut Gavril Abramovich Ilizarov (1921-1992) din URSS – figura 6. Acesta a utilizat, pentru tratamentul fracturilor, la soldaţii din Siberia, fixato -

(Din https://en.wikipedia.org/wiki/Gavriil_Ilizarov și https://www.alamy.com/italiano-autore-luca-colli-descrizione-red-pepper-di-sangimignano-con-apparato-circolare-di-ilizarov-3-june-2014-original-upload-date-transferred-from-itwikipedia-to-commons-colliluca-at-italianwikipedia-image257179229.html)

Vol VI - Nr. 11 (2/2019)

53
Romanian Journal of Veterinary Orthopedics and Imagistic
Figura 5. Raoul Hoffman (1881–1972) – A; modelul său de fixator extern – B (Din https://www.mapfre.com/fundacion/html/revistas/trauma/v25n1/eponimos.html) Figura 6. Gavril Abramovich Ilizarov (1921-1992) – A; montaj Ilizarov la câine – B
C. Igna

rii externi circulari pe care i-a tensionat într-un mod similar spiţelor de la bicicletă. Aparatul Ilizarov este utilizat ș i astăzi ca o metodă de osteogeneză prin distracţie.

În medicina veterinară, o contribuţie majoră la reconstrucţia fracturilor a avut-o Otto Stader (1894-1962) – figura 7 - care a fost iniţial specialist în probleme de sterilitate la bovine ș i ș i-a desfă ș urat activitatea în Wisconsin ș i Illinois. Reducerea fracturilor a exercitat o atracţie deosebită pentru Stader datorită mecanismelor implicate.

Stader a fost captivat de activitatea lui Gadvilli, un chirurg elveţian care a introdus tijele Steinmann în America. Aceste tije erau inserate transversal prin extremităţile osului fracturat ș i ţesuturile moi din jurul acestora. Tijele inserate proximal ș i distal de focarul de fractură puteau utilizate pentru a alinia ș i menţine în poziţie capetele fragmentelor osului.

Capetele tijelor erau, apoi, încorporate într-un ghips până la vindecarea osului. De ș i această tehnică a fost folosit cu succes la om, în cazul aplicării la animale, în special la câine, nu a dat rezultate adecvate. Principalele motive ale e ș ecului se refereau la imposibilitatea feririi de umezeală, contaminarea cu urină ș i fecale ș i distrugerea sistemului de fixare prin roadere. 37

dimensiuni mici, ascuţite la unul dintre capete. Tijele erau inserate printr-un bloc, oblic, în forma literei „V”, două câte două, proximal ș i distal de fractură. Tijele erau inserate în direcţie latero-medială, perforând pielea, ţesuturile moi, corticala osoasă laterală ș i cavitatea medulară, vârfurile lor ajungând să depă ș ească doar u ș or corticala medială a osului. Extremităţile exterioare ale tijelor (care protruzionau prin blocurile de ghidaj) erau apoi fixate în poziţie ș i securizate. Porţiunea metalică a atelei era rigidă ș i stabilă. De asemenea, sistemul putea fi curăţat cu u ș urinţă ș i permitea deplasarea imediată a pacientului. 47, 48 Stader a raportat tratarea a peste 1200 de fracturi la câine 47

Osteosinteza prin fixare internă

Apariția osteosintezei prin fixare internă (ORIF – Open Reduction Internal Fixation) a fost condiționată de o serie de progrese înregistrate în anii secolului XX.

Primul progres în domeniul ortopediei datează din anul 1920, moment care corespunde cu introducerea în practica medicală a radioscopiei (fluoroscopiei). Aceasta a permis obţinerea unor imagini în mi ș care ale scheletului, motiv pentru care ortopezii i-au acordat o atenţie deosebită. Atât fluoroscopia, cât ș i radiologia au facilitat aprofundarea problemelor ortopedice la un nivel care nu se considera posibil până la apariţia lor. Astfel, a devenit posibilă dezvoltarea ș i aplicarea unor noi metode de reducere a fracturilor. 37

Mai mult, când a fost introdus pentobarbitalul de sodiu, un anestezic nou al cărui efect se întindea pe o durată de câteva ore, fluoroscopul a devenit asistenţa ideală pentru reducerea corectă a fracturilor.

În timp, s-a descoperit însă că fluoroscopia este asociată unor riscuri neprevăzute. Atât la medicii umani, cât ș i la cei veterinari care î ș i desfă ș uraseră activitatea timp de câţiva ani neprotejaţi au început să se înregistreze leziuni cutanate permanente ale mâinilor, din cauza expunerii la radiaţii: deshidratare, iritaţii ș i ulcere fără tendinţă de vindecare, iar în altele, mai grave, s-a semnalat formarea carcinoamelor cu celule scuamoase. 37

Intervenţia chirurgicală în focarul de fractură, de ș i a constituit o abordare fezabilă, s-a asociat frecvent cu complicaţii septice ș i osteomielită. Încercările de minimalizare ale acestor complicaţii reprezintă cea de a doua mare realizare în procesul de reparare a fracturilor. 37

Toate acestea l-au determinat pe Otto Stader să inventeze un nou model de fixare. Astfel, el a recurs la utilizarea a patru tije Steinmann de

În medicina umană s-a recurs la abordarea tehnicii sterile, cu respectarea strict a condiţiilor de asepsie, în care toate - instrumentarul,

Vol VI - Nr.
(2/2019) 54
11
ORTHOPEDICS Short history of fracture fixation
Figura 7. Otto Stader (1894-1962) (Din http://cal.vet.upenn.edu/projects/saortho/chapter_00/00mast. htm)

câmpurile, tampoanele etc. - au fost supuse sterilizării sub presiune cu abur, iar - pentru limitarea contaminării chirurgilor - s-au utilizat halate sterile, mănu ș i de cauciuc, mă ș ti ș i bonete pentru acoperirea gurii, respectiv părului. 19

Riser W.D. – 194934 s-a numărat printre primii veterinari care au adoptat tehnicile sterile în procedurile chirurgicale veterinare. S-a constatat că, în cazul în care tehnica aseptică este respectată, o fractură de tip închis poate fi abordată chirurgical ș i să se vindece primar, fără infecţie ș i asigurarea drenajului, dacă intervenţia durează aproximativ 20 de minute. Riscul de infecţie cre ș te considerabil în intervenţiile care depă ș esc 25 de minute. Cu toate acestea, rezultatele obţinute prin utilizarea tehnicii aseptice au fost suficient de încurajatoare pentru a dovedi că introducerea de broș e, chiar ș i multiple, care depă ș eau nivelul pielii, constituie procedura care asigură cele mai favorabile rezultate. 37

Cel de-al treilea pas major realizat în direcţia cre ș terii siguranţei vindecării fracturilor a fost introducerea, în anul 1940, a antibioticelor. Primii agenţi cu acţiune antibiotică utilizaţi au fost penicilina ș i un număr de sulfa-derivaţi. Medicii veterinari, „înarmaţi” acum cu tehnicile radiografice, metodele chirurgicale sterile ș i antibiotice, au început să înregistreze progrese rapide. 37

Cartea chirurgului uman Berenger-Feraud (1832-1900), “Traité de l’immobilisation directe des fragments osseux dans les fractures” publicată în 1870, a fost prima lucrare dedicată tratamentului fracturilor prin fixare internă – figura 8.

Odată ce intervenţiile chirurgicale în fracturi au devenit sigure, au început să se ia în considerare ș i alte tehnici de reducere a acestora. Una dintre variante aborda canalul medular ca sediu de inserţie a diferitelor materiale care să asigure alinierea ș i menţinerea alăturată a extremităţilor ș i fragmentelor oaselor fracturate. În acest scop, a fost utilizată o mare varietate de materiale, precum corzile de pian, spiţele de la roţile bicicletelor, sârmele de argint, bro ș ele de oţel inoxidabil ș i tantal. De asemenea, s-a utilizat ș i o serie de ţesuturi animale prelucrate, dintre care se pot aminti segmentele de os ș i intestin ș i tendoanele de origine bovină. 8, 12, 16, 35 Utilizarea materialelor metalice sau de origine animală a atras, însă, o serie de alte probleme – fenomene de respingere tisulară, oxidarea metalelor sau slăbirea acestora. În unele cazuri, se foloseau trei sau chiar patru tipuri de metale pentru a realiza reducerea unei fracturi.

Figura 8. Coperta cărții „Traité de l’immobilisation directe des fragments osseux dans les fractures” (Din https://link.springer.com/article/10.1007/s00264-016-3347-4)

Chirurgul uman Gerhard Küntscher (19001972) – figura 9 - a folosit pentru prima dată, în 1942, bro ș ele centromedulare pentru tratamentul fracturilor de tibie ș i femur la soldaţii răniți în timpul Celui de-Al Doilea Război Mondial.

În 1950, Jenny J. a descris utilizarea tijelor Kuntschner în tratamentul fracturilor la câine. 25 De ș i, utilizarea lor era limitată, acestea asigurau o fixare internă foarte stabilă.

De ș i inserţia intramedulară a tijelor a intrat în practica curentă, inconvenientul protruziei extremităţii acestora prin os a persistat. Chiar dacă extremitatea rămânea acoperită de piele, în majoritatea cazurilor apăreau seroame ș i fistule. 37 Acest aspect a dus la conceperea unei atele intramedulare de extensie. Noua atelă (atela Jonas) era confecţionată din trei piese separate de oţel inoxidabil chirurgical, lipsit de proprietăţi magnetice – un man ș on, un arc care se extindea în man ș on ș i o tijă. 26

Vol VI - Nr. 11 (2/2019)

55
Journal
and Imagistic
Romanian
of Veterinary Orthopedics
C. Igna

Atela, disponibilă în diferite mărimi (diametre ș i lungimi), avea avantajul inserării facile ș i asigura o aliniere precisă, motiv pentru care a fost acceptată ș i introdusă imediat în practică. Totu ș i, imediat după ce fracturile se vindecau, reacţiile tisulare deveneau evidente. 37

Aceste reacţii erau similare cu cele înregistrate în osteomielită: tumefacţie, ș chiopătură ș i febră. Dezavantajele acestui tip de atelă au devenit mai mult decât evidente în momentul în care s-a constatat că nu poate fi extrasă fără o pierdere semnificativă de corticală osoasă. Astfel, se poate spune că popularitatea sa a fost efemeră.

Rush L.V. ș i Rush H.L. – 1949 39 au conceput tije confecţionate din arcuri de oţel prevăzute

cu cârlig – figura 10. Acestea se introduceau prin epifiză ș i traversau canalul medular al osului fracturat, depă ș ind situsul fracturii. Efectul de arc al două astfel de tije menţinea extremităţile osoase fracturate într-o aliniere perfectă. Tehnica (osteosinteza în arc secant) a fost introdusă în literatura de specialitate veterinară de către Carney J.P., în anul 1952. Această metodă este utilizată ș i în prezent. 10 Huckstep a utilizat prima tijă zăvorâtă în medicina veterinară [cit. de Dueland R.T. –1998 14 ]. Punctul cheie al sistemelor actuale a fost realizarea unui burghiu ș ablon care să le permită chirurgilor să amplaseze cu acurateţe ș uruburile de blocare fără un control fluoroscopic.

(Din https://www.indiamart.com/proddetail/rush-nail-9859917755.html și http://cal.vet.upenn.edu/projects/saortho/chapter_16/16mast.htm)

Vol VI - Nr. 11 (2/2019) 56
Figura 9. Gerhard Küntscher (1900-1972) – A; tijă Kuntscher (Din https://alchetron.com/Gerhard-Küntscher)
ORTHOPEDICS Short history of fracture fixation
Figura 10. Tije Rush – A; osteosinteză în arc secant cu două tije Rush

Tijele zăvorâte – figura 11 - au mai multe caracteristici biomecanice avantajoase. Spre deosebire de bro ș ele intramedulare Steinmann, care pot să reziste doar la forţele de îndoire 5, 6, 15, ș uruburile de zăvorâre amplasate transcortical permit tijelor de zăvorâre să contracareze forţele axiale ș i de rotaţie. 13, 29

Placarea osoasă a fost folosită ca metodă de gestionare a fracturilor încă de la sfârșitul anilor 1800. Primele plăci de osteosinteză au fost aplicate în chirurgia umană de Carl Hansman în 1886 – figura 12, plăci de nichel acoperite cu oțel, de Halstead în 1893 – figura 13, care folosește o placă de argint și respectiv de Lane în 1895, cu plăci de oțel – figura 14.

În 1907, Albin Lambotte (1866-1955) introduce termenul de osteosinteză. Iar, în 1909, în studiul său axat pe studiul plăcilor din aliaje ca aluminiu, argint, cupru și magneziu, arată că acestea sunt deformabile și corodabile, propunând plăcile din oțel moale placat cu aur sau nichel

57 Vol VI - Nr. 11 (2/2019) Romanian Journal of Veterinary Orthopedics and Imagistic
– figura 15. Figura 11.Tije zăvorâte (blocate) – A; secțiune longitudinală printr-un montaj cu tijă zăvorâtă într-o fractură de diafiză femurală – B și C (Din http://cal.vet.upenn.edu/projects/orthopod/csfr/terms/ilnapplication.htm) Figura 12. Carl Hansman (1853-1917). Pictură murală de Johannes Grützke în clădirea administrativă a Berufsgenossenschaftlische Unfallkrankenhaus, Hamburg, Germania: „Aus der Geschichte der Unfallchirurgie” (Din https://link.springer.com/article/10.1007/s00264-016-3347-4)
C. Igna
Figura 13. William Stewart Halsted (1852-1922) (Din https://www.wikidata.org/wiki/Q962960)

Americanul William O’Neill Sherman – figura 16, s-a numărat printre primii chirurgi care au utilizat, în anul 1912, plăcuţele de osteosinteză în tratamentul fracturilor. Acestea erau prevăzute cu patru sau opt orificii pentru ș uruburi care permiteau ata ș area pe faţa laterală a fragmentelor de os fracturat. 46 În 1915, Sherman a inventat șuruburile autotarodante. În 1949, chirurgul belgian Robert Danis (1880-1962) – figura 17.A. - a recunoscut ne -

Vol VI - Nr. 11 (2/2019) 58
Figura 14. Sir William Arbuthnot Lane (1856-1943) – A; Placa de metal utilizată de Lane – 1895 – B (Din https://en.wikipedia.org/wiki/Sir_William_Arbuthnot_Lane, 1st_Baronet și din Bechtol CO, Fergusson AB, Laing PE. Metals and Engineering in Bone and Joint Surgery. Williams Wilkins; Baltimore: 19596, după Uhthoff HK, Poitras P, Backman DS. Internal plate fixation of fractures: short history and recent developments. Journal of orthopaedic science. 2006 Mar 1; 11(2):118-267 - https://www.researchgate.net) Figura 15. Placa lui Lambotte – 1909 (Din https://link.springer.com/article/10.1007/s00264-016-3347-4)
ORTHOPEDICS Short history of fracture fixation
Figura 16. William O’Neill Sherman (1880-1979) – A; placa Sherman – B (Din https://link.springer.com/article/10.1007/s00264-016-3347-4)

voia de compresie între fragmentele de fractură. El a atins acest obiectiv folosind o placă pe care a numit-o coapteur – figura 17.B., care a suprimat mișcarea interfragmentară și a crescut stabilitatea fixării. Aceasta a dus la un mod de vindecare pe care l-a numit soudure autogène (sudură autogenă), proces cunoscut acum sub denumirea de vindecarea osoasă primară 12. Conceptul său revoluționar a influențat toate desenele ulterioare de plăci.

În 1958, Bagby G.W. ș i Janes J.M. 4 au descris o placă special confecţionată, cu găuri ovale, pentru a conferi compresiune interfragmentară în timpul strângerii ș uruburilor – figura 18.

ortopezi elveţieni au format Arbeitsgemeinschaft fur osteosynthesefragen (AO), cunoscută ș i ca Asociaţia pentru Studiu Fixării Interne (ASIF). Principiile managementului fracturii întocmite de grupul AO au definit standardul tratamentului fracturilor. La mijlocul anilor 1960, odată cu introducerea sistemul de implantare Arbeitsgemeinschaft fur Osteosynthesefragen (AO) din Elveţia, plăcile de osteosinteză au devenit una dintre metodele cele mai de succes pentru fixarea internă. 37 În 1969, au fost puse bazele fundației destinate medicilor veterinari AO Vet.

Müller ș i colab. – 1965 32 au prezentat un alt tip de construcţie care permitea obţinerea compresiunii interfragmentare prin utilizarea unui dispozitiv de întindere ancorat temporar la nivelul osului ș i al plăcii – figura 19.B.

p. 175 https://link.springer.com/ article/10.1007/s00776-005-0984-7)

Tot în 1958, la inițiativa lui Maurice Muller (1918-2009) – figura 19.A., un grup de chirurgi

Utilizarea acestui dispozitiv de întindere a fost abandonată în cele din urmă în favoarea găurilor ovale cu un design similar cu al plăcii Bagby. Acest nou design a fost denumit placa de compresiune dinamică (DCP) – figura 20. Avantajele acesteia includ incidenţa redusă a maluniunii, fixare internă stabilă, ș i eliminarea imobilizării externe, ca mijloc auxiliar de imobilizare. Dezavantajele DCP includ uniunea întârziată, persistenţa unui spaţiu de fractură detectabil microscopic care acţionează prin cre ș terea deformării după îndepărtarea plăcii. Pierderea de corticală osoasă sub placă reprezintă un alt dezavantaj. 51

Chirurgii elveţieni care alcătuiau grupul AO au realizat un nou tip de placă cu intenţia de a reduce interferenţa (contactul) plăcii cu irigarea corticală, care se solda cu cre ș terea po -

59 Vol
Journal
and Imagistic
VI - Nr. 11 (2/2019) Romanian
of Veterinary Orthopedics
Figura 17. Robert Danis (1880-1962) –A; coapteur – B (Din https://litfl.com/robert-danis/ și https://www.abebooks.co.uk/first-edition/Théorie-pratique-lostéosynthèse-étude-quelquesprocédés/22754514112/bd) Figura 18. Placa lui Bagby și Janes (1956)
C. Igna
(Din Uhthoff HK. Current Concepts of Internal Fixation of Fractures. Heidelberg: Springer-Verlag; 1980.

(Din

p. 72 https://link.springer.com/article/10.1007/s00776-005-0984-7)

Figura 20. Placă de compresiune dinamică (DCP) (Din https://www.indiamart.com/proddetail/small-dynamiccompression-plate-16662308612.html)

rozităţii corticalei. Noul design s-a numit placa de compresiune dinamică cu contact limitat (LC-DCP) – figura 21, care a pretins să reducă contactul placă-os cu aproximativ 50%. 20

Figura 22. Montaj de compresiune dinamică (Din https://www2.aofoundation.org/wps/portal/!ut/p/ a1/04_Sj9CPykssy0xPLMnMz0vMAfGjzOKN_A0M3D2DDbz9_ UMMDRyDXQ3dw9wMDAzMjYEKIvEocDQnTr8BDuBoQEh_ QW5oKAD4ENaS/dl5/d5/L2dJQSEvUUt3QS80SmlFL1o2XzJPMD BHSVMwS09PVDEwQVNFMUdWRjAwMDcz/?showPage=redfix &bone=Radius&segment=Shaft&classification=22-Simple%20 fracture%20of%20the%20radius,%20transverse&treatment=&met hod=ORIF%20-%20Compression%20plating&implantstype=&appr oach=&redfix_url=1370435979200)

Realizarea compresiunii în focarul de fractură pentru plăcile de tip DCP sau LC-DCP este redată în figura 22.

Confecţionarea ulterioară a fixatorului cu contact punctiform, PC-fix – figura 23, a redus contactul os-placă la un nivel neglijabil, iar găurile conice pentru ș uruburi au permis înfundarea ș i blocarea în placă a capetelor ș uruburilor. 33, 44, 49

Figura 21. Placă de compresiune dinamică cu contact limitat (LC-DCP)

(Din https://www.gpcmedicalusa.com/630/limited-contact-dynamiccompression-plate-lc-dcp-broad.htm)

Recent, bazat pe principiul fixatorului cu contact punctiform, au fost realizate plăcile de compresiune prin blocare (LCP), 44 numite ș i fixatori interni zăvorâţi, alcătuiţi dintr-un sistem placă– ș uruburi, care prezentau avantajul

Vol VI - Nr. 11 (2/2019)

60
Figura 19. Maurice Muller (1918-2009) –A; dispozitivul de realizare a montajului cu compresiune interfragmentară – B https://en.wikipedia.org/wiki/Maurice_Edmond_Müller și Sequin F, Texhammar R. AO/ASIF Instrumentation. Heidelberg: SpringerVerlag; 1981.
ORTHOPEDICS Short history of fracture fixation

Clin Orthop 2001; 389:196–205. https://link.springer.com/article/10.1007/s00776-005-0984-7).

că ș uruburile erau blocate în placă – figura 24. Plăcile blocante de uz veterinar sunt disponibile, la ora actuală, într-o mare diversitate de configurații, dimensiuni și soluții constructive de asigurare a blocării.

dia umană: Sistemul de stabilizare mai puţin invaziv (LISS) ș i/sau Osteosinteza percutanată minim invazivă (MIPO). 18, 21, 28, 40

Sistemul de stabilizare mai puţin invaziv (Less Invasive Stabilization System - LISS), utilizat în medicina umană, combină un nou concept de implant cu instrumente pentru tratamentul fracturilor metafizare ale oaselor lungi. 28, 40 Implantul constă dintr-un dispozitiv de tip placă ș i ș uruburi de blocare care, împreună, acţionează ca un fixator intern. Un fixator intern este o construcţie unde ș uruburile (bro ș ele), care sunt principalele elemente de transfer ale încărcării, sunt blocate în placă (sau cadru). Forţele sunt transferate de la os la fixator prin gâtul ș urubului. Pentru stabilitate ș i ţinând cont de ţesuturile moi, fixatorul intern va fi amplasat foarte aproape de os. Plăcile sunt, prin urmare, pre-conturate. Instrumentele speciale ș i ghidurile de inserţie permit plăcilor să alunece pe sub mu ș chi. Şuruburile sunt inserate percutanat prin incizii foarte mici realizate prin străpungere, printr-o tehnică similară celei utilizate pentru plăcile care realizează o punte între fragmentele osoase ș i pentru Osteosinteza cu placă minim invazivă (MIPO). Primul LISS a fost realizat pentru tratamentul fracturilor distale de femur (LISS-DF)40 – figura 25.

Figura 24. Placă de compresiune prin blocare (LCP)

(Din https://www.semanticscholar.org/paper/A-biomechanicalcomparison-of-3.5-locking-plate-to-Filipowicz-Lanz/4df7fdd011838c f6e2026b609029fe3eb5a16823/figure/0)

Aceasta blocare reduce forţele de compresiune exercitate de placă asupra osului. Prin această metodă, placa nu trebuie să atingă osul neapărat. 27, 45, 52, 53 Modelarea anatomică precisă a plăcii nu mai este necesară, pe de o parte datorită acestor noi ș uruburi, iar pe de altă parte datorită faptului că placa nu trebuie să fie presată pe os în scopul obţinerii stabilităţii.

Fundamentul tehnicii de fixare internă prin blocare vizează fixarea elastică flexibilă a fragmentelor de os pentru a iniţia vindecarea spontană, incluzând inducerea formării calusului. 1, 38, 44, 54

Bazat pe experienţa obţinută cu PC-fix ș i LCP, au fost introduse noi tehnologii în ortope -

Figura 25. Less Invasive Stabilization System în fracturile distale de femur (LISS-DF) (Din https://www2.aofoundation.org/wps/portal/!ut/p/ a1/04_Sj9CPykssy0xPLMnMz0vMAfGjzOKN_A0M3D2DDbz9_ UMMDRyDXQ3dw9wMDAzMjYEKIvEocDQnTr8BDuBoQEh_ QW5oKAD4ENaS/dl5/d5/L2dJQSEvUUt3QS80SmlFL1o2XzJPMDBHS VMwS09PVDEwQVNFMUdWRjAwMDcz/?showPage=redfix&bone= Femur&segment=Distal&classification=33-Extraarticular%20fracture,%20wedge&treatment=&method=ORIF%20-%20condylar%20 locking%20compression%20plate%20(LCP)&implantstype=&appro ach=&redfix_url=1285238413473)

Osteosinteza cu placă minim invazivă (Minimal Invasive Percutaneous OsteosynthesisMIPO) constituie o metodă nouă de fixare cu placă care permite ca placa să fie aplicată prin incizii mici realizate de la distanţă de sediul

61 Vol VI - Nr. 11 (2/2019)

Romanian Journal of Veterinary Orthopedics and Imagistic
Figura 23. Fixator cu contact punctiform tip PC-fix (Din Fernandez Dell’Oca AA, Tepic S, Frigg R, Meisser A, Haas N, Perren SM. Treating forearm fractures using an internal fixator: a prospective study.
C. Igna

fracturii. Această tehnică se supune principiilor de osteosinteză biologică dat fiind faptul că sediul fracturii nu este expus ș i minim afectat. 33 MIPO reprezintă o metodă de osteosinteză utilizată atât în medicina umană, cât și în cea veterinară.

Introducerea percutanată a plăcii elimină necesitatea realizării unui acces chirurgical extins în scopul expunerii sediul fracturii. 53 Fragmentele de os sunt reduse utilizând tehnici de reducere indirecte. 24 Inciziile reduse de inserare a plăcii sunt realizate la fiecare capăt al osului fracturat ș i se crează un tunel epiperiostal care conectează inciziile. Placa este inserată printr-una dintre inciziile de insertie ș i va aluneca prin tunel de-a lungul suprafeţei periostale a osului, acoperind focarul de fractură. Şuruburile sunt aplicate la capetele proximal ș i distal ale plăcii prin inciziile de inserţie sau, dacă este necesar, prin incizii adiţionale obţinute prin străpungere – figura 26.

La fel ca la alte tehnici, exista atât avantaje, cât ș i dezavantaje asociate cu MIPO. Timpul operator este redus comparativ cu reconstrucţia anatomică, odată cu familiarizarea cu această procedură. 41 Procedurile minim invazive au un risc scăzut de infecţie bacteriană, în comparaţie cu procedurile de reconstrucţie deschisă, datorită duratei scurte a intervenţiei, traumatizării iatrogene limitate a ţesuturilor moi ș i a potenţialului redus de contaminare intraoperatorie la sediul fracturii. 2, 3, 17, 53 Conservarea în timpul operaţiei a hematomului apărut

în urma traumatismului la sediul fracturii poate contribui la o rata crescută de formare a calusului. 30 Totodată, durerea poate fi redusă în perioada postoperatorie, prin comparaţie cu tehnicile de fixare cu placă tradiţionale. Ş i aceasta, deoarece inciziile la nivel cutanat ș i manipularea fragmentelor osoase prin MIPO sunt limitate. 53

* Lucrarea de față reprezintă actualizarea și completarea informație din lucrările: - Igna C. - Chirurgia ortopedică a animalelor de companie, vol II., Ed. Brumar-Timiș oara, I.S.B.N. 973-602-157-2 (435 pag).

- Cornel Igna, Larisa Schuszler - Current Concepts of Internal Plate Fixation of Fractures. Bulletin USAMV Cluj, 67(2) p. 118124, 2010, ISSN 1843-5270; Electronic ISSN 1843-5378.

This work is licensed under a Creative Commons Attribution-NonCommercialNoDerivatives 4.0 International License.

Vol VI - Nr. 11 (2/2019) 62
Figura 26. MIPO într-o fractură de tibie la cîine (Din https://www.willows.uk.net/specialist-services/pet-health-information/orthopaedics/minimally-invasive-fracture-surgery)
ORTHOPEDICS Short history of fracture fixation

Bibliography

1. Ahmad M., Nanda R., Bajwa A.S. – 2007 – Biomechanical testing of the locking compression plate: When does the distance between bone and implant significantly reduce construct stability? Injury, 38: 358-364.

2. Arens, S., C. Kraft, U. Schlegel, G. Printzen, S.M. Perren and M. Hansis – 1999 – Susceptibility to local infection in biological internal fixation. Experimental study of open vs minimally invasive plate osteosynthesis in rabbits. Arch Orthop Trauma Surg., 119:82-85.

3. Aron D.N., Palmer R.H., Johnson A.L. – 1995 – Biologic strategies and a balanced concept for repair of highly comminuted long bone fractures. Comp Cont Edu Small Anim., 17:35-47.

4. Bagby G.W., Janes J.M. – 1958 – The effect of compression on the rate of fracture healing using a special plate. Am J Surg., 95:761–71.

5. Bernarde A., A. Diop, N. Maurel, Viguier E. – 2001 – An in vitro biomechanical study of bone plate interlocking nail in a canine diaphyseal femoral fracture model. Vet. Surg., 30:397–408.

6. Bong M.R., F.J. Kummer, K.J. Koval, Egol KA. –2007 – Intramedullary nailing of the lower extremity: biomechanics and biology. J. Am. Acad. Orthop. Surg., 15:97-106.

7. Brass W. – 1956 – Osteochondritis in the dog. Tierarztliche Umschau 2:200.

8. Brinker W.O. – 1948 – The use of intramedullary pins in small animal fractures. North Am Vet 29:292.

9. Carlson W.D., Severin G.H. – 1961 – Elbow dysplasia in the dog. J Am Vet Med Assoc 138, 6:295.

10. Carney J.P. – 1952 – Rush intramedullary fixation of long bones as applied to veterinary surgery. Vet Med., 47:43.

11. Dibbell E.B. – 1931 – Lower third femoral fracture in dogs. North Am Vet 12:37.

12. Dibbell E.B. – 1934 – Dislocation of the hip in dogs and cats. North Am Vet 15:37.

13. Dueland R.T., Berglund L., Vanderby Jr. R. Chao E.Y.S . – 1996 – Structural properties of interlocking nails, canine femurs, and femoral interlocking nail constructs.Vet. Surg., 25:386–396.

14. Dueland R.T. –1998– History of interlocking nail fixation. Proc. Am. Coll. Vet. Surg. Symp., 435.

15. Dueland R.T., K.A. Johnson, S.C. Roe, Engen M.H., Lesser A.S. – 1999 – Interlocking nail treatment of diaphyseal long-bone fractures in dogs. J. Am. Vet. Med. Assoc., 214:59–66.

16. Ehmer E.B. – 1934 – Special cast for the treatment of pelvis and femoral fractures and coxofemoral luxations. North Am Vet, December, 31. coxofemoral luxations.

17. Eugster S., Schawalder P., Gaschen F., Boerlin P. –2004 – A prospective study of postoperative surgical site infections in dogs and cats. Vet Surg., 33: 542-550.

18. Farouk O., Krettek C., Miclau T. –1998– Effects of percutaneous and conventional plating techniques on the blood supply to the femur. Arch Orthop Trauma Surg., 117: 438-441.

19. Farquehanson J. – 1945 – Fundamental of surgical technique. North Am Vet 26:591.

20. Gautier E., Perren S.M. – 1992 –Die limited contact dynamic compression plate (LC-DCP): Biomechanische Forschung als Grundlage des neuen Plattendesigns. Orthopade, 21:11–23.

21. Haas N.P. – 1997 – LISS – a new internal fixator for distal femoral fractures. OP Journal, 13, 340–344.

Vol VI - Nr. 11 (2/2019)

22. Hansen H.J. – 1951– A pathologic-anatomical interpretation of disc degeneration in dogs. Acta Orthop Scand 20:280.

23. Hoerlein B.F. – 1953 – Intervertebral disc protrusions in the dog. Am J Vet Res., 14:260.

24. Hudson C.C., Pozzi A., Lewis D.D. – 2009 – Minimally invasive plate osteosynthesis: Applications and techniques in dogs and cats. Vet Comp Orthop Traumatol., 3:175-182.

25. Jenny J. – 1950 – Kuentscher’s medullary nailing in femur fractures of the dog. J Am Vet Med Assoc., 17:381.

26. Jonas S., Jonas A.M. – 1953 – Self retaining medullary extension splint. J Am Vet Med Assoc 122:361.

27. Keller M.A., Voss K., Montanov P.M. – 2005 – The ComPact UniLock 2.0/2.4 system and its clinical application in small animal orthopedics. Vet Comp Orthop Traumatol., 18:83-93.

28. Krettek C., Muller M., Miclau T. – 2001 – Evolution of minimally invasive plate osteosynthesis (MIPO) in the femur. Injury, 32 (Suppl 3): C14-23.

29. Kyle R.F., Schaffhausen J.M., Bechtold J.E. – 1991 –Biomechanical characteristics of interlocking femoral nails in the treatment of complex femoral fractures. Clin. Orthop. 267:169–173.

30. Mizuno K., Mineo K., Tachibana T., Sumi M., Matsuabara T., Hirohata K. – 1990 – The osteogenetic potential of fracture haematoma. Subperiosteal and intramuscular transplantation of the haematoma. J Bone Joint Surg Br., 72:822-829.

31. Moltzen-Neilson H. – 1937 – Calve-Perthes-Krankheit, Malum deformans coxae juvenalis bei Hunden. Arch wiss prakt Schweiz Arch Tierheilk 72:91.

32. Müller M.E., Allgöwer M., Willenegger H. –1965 –Technique of internal fixation of fractures. Berlin: Springer; Compression fixation with plates, 47–51.

33. Perren S.M. – 2002 – Evolution of the internal fixation of long bone fracture. The scientific basis of biological internal fixation: choosing a new balance between stability and biology. J Bone Joint Surg Br., 84: 1093- 1110.

34. Riser W.H. – 1949 – Sterile technique: Canine surgery. North Am Vet, 51.

35. Riser W.H., Lacroix J.V. – 1949 – Fracture in canine surgery. North Am Vet, 30:447.

36. Riser W.H., Shiver J.S. – 1965 – Normal and abnormal growth of the distal foreleg in large and giant dogs. J Am Vet Rad Soc., 6:50.

37. Riser W.H. – 1985 – History of small animal orthopaedics. În: Textbook of Small Animal Orthopaedics. http:// cal.vet.upenn.edu/ projects / saortho/ chapter_11/11mast.htm – accesat 02.09.2011.

38. Ruedi T.P., Buckley R., Moran C.G. –2007– AO principles of fracture management, volume 1-Principles. Second ed. Clavadelerstrasse: AO Publishing, 199-210.

39. Rush L.V., Rush H.L. –1949 – Evolution of medullary fixation of fractures by longitudinal pin. Am J Surg., 78:324.

40. Schavan R. – 1998 – “LISS-The Less Invasive Stabilization System for Metaphyseal Fractures of Femur and Tibia” OTA Poster #1. Vancouver, B.C.

41. Schmokel H.G., Stein S., Radke H. – 2007 – Treatment of tibial fractures with plates using minimally invasive percutaneous osteosynthesis in dogs and cats. J Small Anim Pract 2007; 48: 157-160.

42. Schnelle G.B. – 1937 – Congenital subluxation of the coxofemoral joint in a dog. University of PA Bull 65: 15.

43. Schroeder E.F. – 1933 – The traction principles in

63
Romanian Journal of Veterinary
and Imagistic
Orthopedics
C. Igna

Bibliography

treating fractures and dislocations in the dog and cat. North Am Vet 14:32.

44. Schutz M., Sudkamp N.P. – 2003 – Revolution in plate osteosynthesis: new internal fixator systems. J. Orthop. Sci., 8: 252-258.

45. Schwandt C.S., Montanov P.M. – 2005 – Locking compression plate fixation of radial and tibial fractures in a young dog. Vet Comp Orthop Traumatol., 18:194-198.

46. Sherman W.O’.N. – 1912 – Vanadium steel bone plates and screws. Surg Gynecol Obstet., 14:629.

47. Stader O. – 1934 – Treating fractures of long bones with the reduction splint. North Am Vet 20:62.

48. Stader O. – 1943 – Stader splint approved in human surgery. J Am Vet Med Assoc 104:48.

49. Tepic S., Perren S.M. – 1995 – The biomechanics of the

PC-Fix internal fixator. Injury, 26 (Suppl 2): S-B5–10.

50. Thomas H.O. – 1875 – Disease of the Hip, Knee and Ankle Joints. Liverpool, T Dobb and Co.

51. Uhthoff H.K., Poitras P., Backman D.S. – 2006 – Internal plate fixation of fractures: short history and recent developments. J Orthop Sci., 11(2):118-26.

52. Wagner M. – 2003 – General principles for the clinical use of the LCP. Injury, 34 Suppl 2:B31-42.

53. Wagner M., Frigg R. – 2006 – AO manual of fracture management , internal fixators: concepts and cases using LCP and LISS. Clavadelerstrasse: AO Publishing, 1-57.

54. Weiss D.B., Kaar S.G., Frankenburg E.P. – 2008 – Locked versus unlocked plating with respect to plate length in an ulna fracture model. Bull NYU Hosp Jt Dis., 66: 5-8.

Vol VI - Nr. 11 (2/2019) 64
ORTHOPEDICS Short history of fracture fixation

PORTOFOLIU

n Reviste știinţifice și de informare in domeniul sanitar și veterinar, ce oferă un conţinut editorial de actualitate la cel mai înalt nivel, realizate în parteneriat cu profesori doctori renumiţi în domeniu, KOL, având girul societăţilor, asociaţiilor și instituţiilor importante din România

Reviste științifice dedicate profesioniștilor din domeniul veterinar

Reviste științifice dedicate profesioniștilor din domeniul sanitar

n Organizare de evenimente științifice și de premiere dedicate profesioniștilor din sistemul sanitar și veterinar

n Realizare ghiduri medicale, proiecte speciale, cărți, broșuri, materiale și produse dedicate targetului dvs. n E-mailing - creare și trimitere de newslettere personalizate

n Creaţie & DTP - servicii complete de grafică computerizată pentru realizarea de publicaţii, cărți, ghiduri, vizualuri, materiale promoționale, invitații, bannere, roll-up-uri, pliante, flyere etc. (project management, concept, layout, realizare grafică)

n Realizare website-uri.

n Realizare cursuri online dedicate specialistilor din domeniul sanitar și veterinar

www.innovationinhealth.ro

65
Journal
Veterinary
and Imagistic
Vol VI - Nr. 11 (2/2019) Romanian
of
Orthopedics

EVALUAREA DURATEI ACTULUI OPERATOR AL UNOR METODE DE OSTEOSINTEZĂ

LA CÂINE EVALUATION OF THE DURATION OF THE OPERATING ACT OF SOME METHODS OF OSTEOSYNTHESIS IN DOGS

DVM, PhD Proteasa Adelina1, University Lecturer, PhD Dascălu Roxana2, University Lecturer, PhD Schuszler Larisa2, University Professor, PhD Cornel Igna2

1. The Veterinary Health Center, Lytham St. Annes, United Kingdom, 4 Greenways, Lytham St. Annes, FY8 3LY; 2. Banat University of Agricultural Science and Veterinary Medicine from Banat, “King Mihai I of Romania” - Timișoara, Faculty of Veterinary Medicine, 300645, Calea Aradului, no 119, Timișoara, România

OPEN ACCES JOURNAL

Corresponding author: University Professor, PhD Cornel Igna, E-mail: corneligna@usab-tm.ro

Recieved: November 2019

Accepted: December 2019

Rezumat:

Cuvinte-cheie:

câine, fixarea fracturilor, fixarea internă cu placă, inserarea tijei centromedulare, osteosinteză minim invazivă cu placă, reducerea deschisă cu fixare internă, reducerea închisă

Durata timpului operator a mai multor tehnici de osteosinteză ale fracturilor diafizare multifragmentare ale oaselor lungi ale scheletului apendicular la specia canină a fost determinată pentru 62 de cazuri (fracturi de femur - 54,84%, de humerus - 9,68%, de tibie - 22,58% și de de radius (12,90%). Reducerea închisă a fost aplicată la 46,77% din cazurile care au beneficiat de o metodă de tratament minim invazivă – osteosinteză biologică cu fixare prin inserarea percutanată de tije centromedulare și prin Minimally Invasive Plate Osteosynthesis (MIPO). Reducerea deschisă a fost aplicată la 53,23% din cazuri, fixate intern cu plăci sau tije centromedulare. Timpul operator cel mai ridicat a rezultat în urma aplicării osteosintezei minim invazive cu placă (75,83±18,58), comparativ cu fixarea cu plăci după reducerea deschisă (71,00±12,76), reducerea deschisă cu inserarea de tijă centromedulară (51,88±20,79) și tehnica minim invazivă de inserare percutanată a unei tijecentormedulare (21,22±5,58). Pentru tehnicile minim invazive, etapa cea mai laborioasă și cronofagă este reducerea închisă cu timp operator mediu, semnificativ statistic, mai mare decât pentru reducerile deschise.

Vol VI - Nr. 11 (2/2019) 66 ORTHOPEDICS SURGERY
Evaluation of the duration of the operating act of some methods of osteosynthesis
in dogs
Cite this article: Proteasa Adelina, Dascălu Roxana, Schuszler Larisa, C. Igna. Evaluation of the duration of the operating act of some methods of osteosynthesis in dogs. R J Vet Orthoped I. 2019; Vol. VI - 11 (2): 66-72.

Keywords:

centromedullary rod insertion, dog, fracture fixation, closed reduction, Minimally Invasive Plate Osteosynthesis, Open Reduction Internal Fixation, plating

Abstract:

The duration of the operative time of several osteosynthesis techniques of the multifragmented diaphyseal fractures of the long bones of the canine skeleton was determined for 62 cases (femur fractures - 54.84%, humerus - 9.68%, tibia - 22.58% and radius (12.90%) The closed reduction was applied to 46.77% of the cases benefiting from a minimally invasive treatment method - biological osteosynthesis with fixation by percutaneous insertion of centromedullary rods and by Minimally Invasive Plate Osteosynthesis (MIPO) - Open reduction was applied to 53.23% of cases, internally fixed with plates or centromedullary rods. The highest operative time resulted from the application of minimally invasive osteosynthesis with plate (75.83 ± 18.58), compared with plate fixation after open reduction (71.00 ± 12.76), open reduction with centromedullary rod insertion (51.88 ± 20.79) and minimally invasive percutaneous insertion of a nail (21.22 ± 5.58) For minimally invasive techniques, the most laborious and chronophagic stage is the closed reduction with statistically significant mean operator time, higher than for the open reductions.

Introducere

Unul dintre indicatorii care permit evaluarea eficienței economice și medicale, a tehnicilor de osteosinteză este timpul operator.

Creșterea timpului operator, cu expunerea prelungită a țesuturilor moi la aeromicrofloră, conduce la sporirea riscurilor de infecție. Osul devascularizat și țesutul moale necrotic sunt medii ideale de cultură pentru bacterii. Distrucția rezervei sangvine periostale și lipsa de perfuzie a țesutului moale adiacent interferează nu numai cu vindecarea osoasă, dar și cu intrarea în funcțiune a mecanismelor de apărare umorală și imunologică, prin împiedicarea ajungerii factorilor imunologici în zona traumatizată. Astfel, la suprafața implantului osos va avea loc o diseminare și multiplicare a microorganismelor inoculate (Arens et. al., 1999 1; Soontornvipart et al., 2003 16).

Materiale şi metode

Cercetările au fost realizate în cadrul Clinicii de Chirurgie a Facultăţii de Medicină Veterinară din Timi ș oara, luând în studiu cazurile clinice cu fracturi diafizare multifragmentare ale oaselor lungi ale scheletului apendicular la specia canină. Criteriile de includere în studiu au fost abordarea operatorie a focarului de fractură prin tehnici de reducere deschisă sau închisă, cu fixarea capetelor osoase cu plăci, tije centro-medulare și existența datelor de

cronometrare pentru durata fiecărei etape de lucru.

Toate cazuri clinice incluse în studiu au prezentat, la examinarea ortopedică inițială, simptome de tumefacție localizată a regiunii afectate, șchiopătură severă, absența locomoției (șchiopătură de grad 4) ca și a deficitelor neurologice ale membrului afectat. Pentru evaluarea deficitului funcţional în timpul mersului, a fost utilizată o scală cu cinci nivele (tabelul 1). Diagnosticul preoperator a fost precizat în urma examenului radiologic (radiografic și/ sau radioscopic) sau a celui prin computer-tomografie.

Timpul operator a inclus durata necesară reducerii fracturii, abordării operatorii a focarului de fractură și a fizării capetelor osoase, fiind determinat prin cronometare distinctă pentru fiecare etapă de lucru.

Timpul operator exprimat în minute pentru fiecare os și fiecare tehnică în parte a fost analizat statistic printr-o serie de indicatori statistici de bază (timpul operator total, timpul necesar abordului, timpul de reducere deschisă/închisă, timpul de realizare a fixării plăcii/inserarea tijei și timpul necesar închiderii prin sutură a accesului chirurgical), calculând media, deviația standard și limitele valorilor grupurilor la un interval de încredere de 95%. Compararea datelor obținute s-a efectuat cu teste statistice specifice (testul Mann-Whitney U, testul Krus -

67 Vol VI
- Nr. 11 (2/2019)
Romanian Journal of Veterinary Orthopedics and Imagistic Proteasa Adelina, Dascălu Roxana, Schuszler Larisa, C. Igna

kal-Wallis, testul Wilcoxon și funcția Linear Forecast Trendline), utilizînd aplicația software IBM SPSS Statistics 20.

Rezultate şi discuţii

În urma analizării fișelor operatorii din Clinica de Chirurgie a Facultăţii de Medicină Veterinară din Timi ș oara, 62 de câini cu fracturi diafizare multifragmentare ale oaselor lungi ale scheletului apendicular au satisfăcut criteriile de includere în acest studiu.

Din cele 62 de cazuri, șase au fost fracturi de humerus (9,68%), opt de radius (12,90%), 14 de tibie (22,58%), iar majoritatea au fost fracturi de femur (54,84%).

Reducerea închisă 4,6,9,13,14 a fost aplicată în 29 de cazurile (46,77%) care au beneficiat de o metodă de tratament minim invazivă – osteosinteză biologică (OB)2,5,8,10. Astfel, 11 cazuri au fost tratate prin inserarea percutanată de tije centromedulare – IPIN (Insert Percutaneous of Intramedullary Nailing)3,14,16 și 18 cazuri prin MIPO (Minimally Invasive Plate Osteosynthesis)6,12 cu plăci de tip LCP sau LCP-Combi holes (Synthes Ltd.).

Reducerea deschisă, însoțită de fixare internă (Open Reduction Internal Fixation –ORIF) 3,4,7,9.10,17, cu plăci (8 fracturi) sau tije centromedulare (25 de fracturi), a fost aplicată în 33 de cazuri (53,23%).

Timpul operator total pentru cele două categorii ORIF versus OB, media, deviația standard și limitele valorilor grupurilor la un interval de încredere de 95% sunt redate în tabelul 2.

Din punct de vedere statistic, nu există o diferență semnificativă (p = 0,788) între cele două metode de reducere și osteosinteză analizate.

Rezultatele referitoare la timpul operator total în cadrul ORIF, metodele de tratament monitorizate fiind aplicarea de plăci (PO) și inserarea de tije centromedulare (TCM), după reducere deschisă sunt redate în tabelul 3. Analiza datelor prin testul Mann-Whitney U (IBM SPSS Statistics 20) la p<0,05 (p=0,012) arată ca exitsă o diferența semnificativă între cele două grupuri.

Rezultatele pentru timpul operator total de realizare a osteosintezei biologice (OB) sunt

Vol VI - Nr. 11 (2/2019)

68
Tabelul 1. Scala de evaluare a gradului şchiopăturii Tabelul 2. Timpul operator total pentru ORIF și OB Tabelul 3. Timpul operator total pentru ORIF – PO versus TCM
ORTHOPEDICS SURGERY
in dogs
Evaluation of the duration of the operating act of some methods of osteosynthesis

Tabelul 4. Timpul operator total pentru OB – MIPO versus IPIN

redate în tabelul 4. Testul Kruskal-Wallis (K Independent Samples, IBM SPSS Statistics 20), aplicat pentru a certifica statistic diferența între cele două subcategorii (MIPO și IPIN), arată că ipoteza nulă conform căreia nu există diferențe semnificative între cele două tehnici de osteosinteză se respinge la p<0,05 (p=0,001). Comparând timpul operator total pentru insertiile de tije centromedulare, prin (testul Mann-Whitney U - IBM SPSS Statistics 20, p<0,05, p=0,001), între metodele TCM versus IPIN, rezultatele obținute arată diferențe semnificative statistic.

Pornind de la ipoteza nulă conform căreia nu există o diferența semnificativă între grupurile MIPO și ORIF - PO, verificată prin implementarea testului Mann-Whitney U - IBM SPSS Statistics 20, au fost obținute date (p=0,759) care arată că ipoteza se acceptă. Între cele două tehnici de aplicare a plăcilor, nu a existat o diferență statistic semnificativă, din punct de vedere al timpului operator.

Rezultatele comparative între reducerea închisă cu MIPO și ORIF-PO pentru fiecare etapă de lucru (abord11, reducere, fixare, închiderea accesului operator) sunt prezentate în tabelul 5 și figura 1.

Tabelul 5. Timpul operator al fiecărei etape operatorii, pentru grupul MIPO versus ORIF-PO

VI - Nr. 11 (2/2019)

Figura 1. Reprezentarea grafică a duratei etapelor operatorii pentru tehnicile MIPO și ORIF

and Imagistic
69 Vol
Romanian Journal of Veterinary Orthopedics
Larisa, C. Igna
Proteasa Adelina, Dascălu Roxana, Schuszler

Pentru cele patru etape ale intervențiilor operatorii realizate, analizate statistic comparativ cu testul Wilcoxon (IBM SPSS Statistics 20), pentru a certifica diferențele între valorile grupurilor MIPO și ORIF-PO, datele obținute arată că există diferențe semnificative între cele două grupuri la p<0.05 pentru toate cele patru etape de lucru (p=0,046 –Abord; p=0,028 – Reducere; p=0,046 – Fixare; p=0,028 – Închidere).

Dacă abordul, fixarea și închiderea plăgii operatorii s-au realizat în timp mai scurt în cazul tehnicii MIPO, cea mai laborioasă etapă este reducerea, cu timp operator semnificativ

statistic, mai mare decât pentru tehnica ORIFPO. Evaluarea tendinței indicelui timpului operator total în cadrul Clinicii de Chirurgie a Facultăţii de Medicină Veterinară din Timi ș oara pentru reducerea închisă cu osteosinteză MIPO, utilizând funcția Linear Forecast Trendline a aplicației software Microsoft Excel, este redată în figurile 2, 3 și 4.

Timpul operator total în MIPO pentru radius are o tendință ușoară de creștere (figura 2), în timp ce în cazul MIPO pentru tibie (figura 3) și femur (figura 4) este de de scădere.

Tendința de creștere a timpului operator pentru MIPO pe radius nu are valoare sta -

Vol
70
VI - Nr. 11 (2/2019)
Figura 2. Tendința timpului operator în MIPO – radius
ORTHOPEDICS
Figura 3. Tendința timpului operator în MIPO – tibie
SURGERY
Evaluation of the duration of the operating act of some methods of osteosynthesis in dogs

tistică semnificativă. Motivele sunt numărul scăzut de cazuri incluse în studiu, dar și deoarece fracturile au avut un grad redus de fragmentare, fapt ce a îngreunat reducerea închisă și, implicit, a dus la creșterea timpului operator.

Rezultatele obținute sunt în concordanță cu datele altor studii 10,15,18. Pozzi et al., 2012 10 , menționează - într-un studiu efectuat în vederea aprecierii tehnicii MIPO, în comparație cu ORIF cu aplicarea de plăci - că nu există diferențe semnificative statistic în ceea ce privește timpul operator pentru cele două metode de inserare a plăcilor. Wullschleger–201018, după un studiu experimental pe ovine, în care compară timpul operator de realizare a MIPO/ORIF cu aplicarea de plăci, afirmă că tehnica MIPO (51 ± 16 minute) s-a realizat într-un timp mai scurt, comparativ cu ORIF (76 ± 16 minute).

Concluzii

Timpul operator cel mai ridicat a rezultat în urma aplicării MIPO (75,83±18,58), urmat de

Bibliografie

1. Arens, S., Eijer, H., Schlegel, U., Printzen, G., Perren, S.M. and Hansis, M., 1999. Influence of the design for fixation implants on local infection: experimental study of dynamic compression plates versus point contact fixators in rabbits.

Journal of orthopaedic trauma, 13(7), pp.470-476.

2. Aron D.N., Johnson A.L., Palmer R.H. – 1986 – Biologic strategies and a balanced concept for repair of highly comminuted long bone fractures. Compend Contin Educ Pract Vet., 17: 35-49.

3. Brinker W.O., Piermattei D.L., Flo G.L. – 2006 – Handbook

ORIF-PO (71,00±12,76), inserarea după reducerea deschisă a unei tije centromedulareTCM (51,88±20,79) și de inserarea percutanată a unei tije centormedulare - IPIN (21,22±5,58).

Cel mai scurt timp operator a fost obținut de o tehnică de osteosinteză biologică, respectiv reducere închisă cu inserarea percutanată a unei tije centromedulare - IPIN.

Din punct de vedere statistic, între lotul MIPO și lotul ORIF-PO nu au existat diferențe semnificative în ceea ce privește timpul operator total.

Abordul, fixarea și închiderea plăgii operatorii s-a realizat într-un timp mai scurt în cazul tehnicii MIPO. Cea mai cronofagă etapă a MIPO este reducerea, cu timp operator semnificativ statistic, mai mare decât pentru tehnica ORIF-PO.

This work is licensed under a Creative Commons Attribution-NonCommercialNoDerivatives 4.0 International License.

of small animal orthopedics and fracture treatment (ediţia a IV-a). Ed. WB Saunders.

4. DeYoung JD., Probst WC -1993 – Methods of internal fracture fixation În: Textbook of small animal surgery (Ed. Slatter Douglas) ed a 2-a . Ed. W.B. Saunders, Philadelphia, 1631-1640.

5. Field, J.R., Tornkvist, H. (2001) – Biological fracture fixation: a perspective, Vet. Orthop. Traumatol, 14:169-178.

6. Hudson CC., Pozzi A., Lewis DD. – 2009 - Minimally invasive plate osteosynthesis: Applications and techniques

Vol VI - Nr. 11 (2/2019)

Romanian Journal of Veterinary Orthopedics and Imagistic
71
Figura 4. Tendința timpului operator în MIPO – femur
Igna
Proteasa Adelina, Dascălu Roxana, Schuszler Larisa,
C.

Bibliografie

in dogs and cats. Vet Comp Orthop Traumatol; 3:175-182.

7. Johnson A.L. – 2003 – Current concepts in fracture reduction. Veterinary and Comparative Orthopaedics and Traumatology (VCOT), 16 (2): 59-66.

8. Johnson A.L., Smith C.W., Schaeffer D.J. – 1998 –Fragment reconstruction and bone plate fixation versus bridging plate fixation for treating highly comminuted femoral fractures in dogs: 35 cases (1987-1997). J. Am. Vet. Med. Assoc., 213: 1157-1161.

9. Nunamaker D.M. – 1985 – Fractures and dislocations Part III, cap. 15 Methods of closed fixation, cap. 16 Methods of internal fixation. În: Textbook of small animall orthopaedics (s. red. Newton C.D. şi Nunamaker D.M.). http://www.cal.vet. upenn.edu/projects/saortho/index.html. - accesat în 6.11. 2011.

10. Perren S.M. – 2002 – Evolution of the internal fixation of long bone fractures. The scientific basis of biological internal fixation: choosing a mew balnace between stability and biology. J. Bone Joint Surg Br., 84: 1093-1110.

11. Piermattei D.L., Flo G.L. – 1997 – Small Animal Orthopedics and Fracture Repair, ed. a III-a, Ed. W.B. Saunders Company, Philadelphia.

12. Pozzi A, Hudson CC, Lewis DD. – 2008 - Minimally invasive plate osteosynthesis: Initial clinical experience in 16 cases. Proceedings of the annual conference of the

Veterinary Orthopaedic Society; Big Sky, Montana, USA; March 9-14, 2008.

13. Rovesti G. L., Margini A., Cappellari F., Peirone B. – 2006 - Clinical application of intraoperative skeletal traction in the dog. Veterinary and Comparative Orthopaedics and Traumatology (VCOT), 1, 14-19.

14. Rovesti G. L., Margini A.,. Cappellari F, Peirone B. – 2006 - Intraoperative skeletal traction in the dog A cadaveric study. Veterinary and Comparative Orthopaedics and Traumatology (VCOT), 1, 9-13.

15. Schmokel H.G., Stein S., Radke H. – 2007 – Treatment of tibial fractures with plates using minimally invasive percutaneous osteosynthesis in dogs and cats. J. Small Anim. Pract., 48: 157-160.

16. Soontornvipart, K., Nečas, A. and Dvořák, M., 2003. Effect of Metallic Implant on the Risk of Bacterial Osteomyelitis in Small Animals. Acta Veterinaria Brno, 72(2), pp.235-247.

17. Tomlinson L.J., Constantinescu M.Gh. – 1990 – Fixation of fractures. În: Current techniques in small animal surgery, third ed. (ed. Bojrab M.J.) Ed. Lea & Febiger, Philadelphia.

18. Wullschleger, Martin Eduard - 2010 – „Effect of surgical approach on bone vascularisation, fracture and soft tissue healing: comparison of less invasive to open approach.” PhD diss., Queensland University of Technology.

72
Vol VI - Nr. 11 (2/2019)
ORTHOPEDICS SURGERY
in dogs
Evaluation of the duration of the operating act of some methods of osteosynthesis

Editura Etna este înscrisă în Societatea Editorilor Români. Acreditată de Consiliul Naţional al Cercetării Știinţifice din Învăţământul Superior (CNCSIS) la poziția 241 și de Colegiul Medicilor din România.

Str. Anton Pann nr 18A, ap 1, Sector 3, Cod 030796, București Tel: +40727317800 E-mail: tarabic_octavia@yahoo.com

www.etna.ro
CONTACT EDITURA ETNA

TEHNICI IMAGISTICE UTILIZATE ÎN MEDICINA VETERINARĂ

IMAGING TECHNIQUES UTILISED IN VETERINARY MEDICINE

Prof. univ. dr. Vasile Vulpe

Universitatea de Științe Agricole și Medicină Veterinară „Ion Ionescu de la Brad” Iași –Facultatea de Medicină Veterinară

OPEN ACCES JOURNAL

Cite this article:

V. Vulpe

Imaging techniques utilised in veterinary medicine.

R J Vet Orthoped I. 2019; Vol. VI - 11 (2):74-80.

Corresponding author: Vasile Vulpe, E-mail: vasile_vulpe@yahoo.com

Recieved: December 2019 Accepted: December 2019

Rezumat:

Cuvinte-cheie:

radiografie, ecografie, computertomografie

Domeniul imagisticii se dezvoltă din ce în ce mai mult, în ultimii ani multe cabinete deținând ecografe și chiar și aparate de radiologie. În plus, în orașele mari ale țării au apărut aparate de imagistică de tehnică înaltă, cum ar fi computertomografia, rezonanța magnetică. Lucrarea prezintă succinct detalii despre tehnica intrinsecă a metodelor imagistice aplicate în practica veterinară și în cercetarea de profil.

Abstract:

Keywords:

radiography, ultrasound exam, computertomography

The field of imaging diagnosis is constantly developing and in the last couples of years, many private vet practices have acquired ultrasound machines and even X-ray machines. Furthermore, highly specialized and technical imaging systems (CT, MRI) have penetrated some of the largest cities of the country. This paper succinctly presents details regarding the intrinsic of the imaging methods utilized in veterinary practice and in profile research.

Vol VI - Nr. 11 (2/2019)

74
IMAGISTIC Imaging techniques utilised in veterinary medicine

Introducere

Metodele imagistice se clasifică în metode invazive și neinvazive. Cele invazive folosesc radiaţia X (Roentgen), fapt ce impune protecţia pacientului și a personalului lucrător în câmpul de radiaţie. Metodele neinvazive sunt reprezentate de ecografie și rezonanţa magnetică nucleară.

Tehnicile radiologice se aplică cu scop de diagnostic complementar (radio- sau roentgendiagnostic), utilizând proprietăţile razelor X. Aceste radiaţii reprezintă o formă de energie specială radiantă ondulatorie și iau naștere în condiţii de vid și la o diferenţă de potenţial foarte mare între polii tubului radiogen. Radiaţiile propagate în linie dreaptă traversează corpul pacientului, suferind un proces de absorbţie diferit în funcţie de greutatea atomică, densitatea și grosimea corpului străbătut. Radiaţiile X nu sunt vizibile, dar sunt capabile să producă fluorescenţa unor săruri de bariu (ecranul radioscopic) sau să impresioneze filmele fotografice. La momentul actual, în numeroase laboratoare de radiologie sunt utilizate casete electronice (tehnica digitală) ce detectează radiațiile ce au trecut prin corpul pacientului, filmele radiologice și developarea fiind astfel eliminate.

Examenul radiologic poate fi aplicat prin două tehnici: de radioscopie sau de radiografiere. De asemenea, examenul radiologic poate fi direct sau cu folosirea mediilor de contrast.

Radioscopia (fluoroscopia) reprezintă tehnica în care imaginea apare pe ecran, fiind astfel o examinare în timp real. La introducerea animalului după ecran, apar zone opace de diferite tonalităţi. Cele mai întunecate zone apar la nivelul oaselor, opacitatea intermediară se întâlnește în zonele musculare, organele predominant parenchimatoase, cum sunt ficatul, splina, rinichii etc.; zonele cavitare ce conțin aer (stomacul) și pulmonii apar cu o opacitate de culoare deschisă (albă).

Radioscopia oferă avantajul examinării aspectelor morfofuncţionale ale organului poziţionat diferit în timpul expunerii (din diferite unghiuri) și este din ce în ce mai mult utilizată în aria intervențională. Ca exemplu, fluoroscopia este utilizată în ortopedie, pentru repunerea capetelor osoase fracturate, pentru ghidarea tehnicilor de osteosinteză (alături de măsurători diverse), în cardiologie și angiologie pentru urmărirea substanței de contrast sau a cateterului intravascular/intracardiac, pentru montarea de accesorii de tip dilatator sau de conectare a unor segmente respiratorii, urinare. Dezavantajele constau în faptul că nu pot fi remarcate leziuni mai mici de 5 mm, tehnica fiind ușor subiectivă (calitatea imaginii depinde de calitatea radiaţiei, dar și de acuitatea vizuală a examinatorului). În plus, tehnica

este intens invazivă, caracterul oncogen al iradierii în cazul radioscopiei impunând utilizarea cu prudență, cu timp de examinare redus.

Tehnica radiografică are ca rezultat obținerea imaginilor pe filmul radiologic sau, mai nou, pe suport digital. Avantajele folosirii tehnicii radiografice costau în obținerea de imagini ce pot fi examinate detaliat, prelucrate prin soft dedicat (inclusiv cu diverse măsurători) și arhivate pentru reexaminare sau pentru transmitere în rețeaua internet (telemedicină). Subliniem că imaginea radiologică este de două feluri: radioscopică și radiografică. În cazul examinării unui corp cu o constituție neomogenă (așa cum este corpul pacientului), fasciculul emergent de radiații va lumina inegal ecranul radioscopic sau va impresiona inegal filmul radiologic (caseta electronică). Imaginea obținută radioscopic este o imagine pozitivă, iar cea radiografică este negativă.

Imaginea radiografică clasică

Imaginea radiologică constă în reprezentarea bidimensională a unui obiect tridimensional, fiind alcătuită dintr-o sumă de zone opace și radiotransparente. Opacitatea radiologică apare datorită absorbţiei mari a radiaţiilor la trecerea printr-un ţesut cu număr atomic mare (de exemplu osul), iar radiotransparenţa este rezultatul trecerii radiaţiilor printr-un ţesut care conţine aer în cantitate crescută.

Tehnica radiografierii are ca rezultat obținerea imaginii pe filmul radiologic, datorită absorbției inegale a razelor X de către corpul pacientului. Radiațiile au proprietatea de a impresiona emulsia specială ce există pe film și care, prin procesul de developare, ar conduce la obținerea imaginii.

Imaginea radiografică finală se obține prin procesul de developare derulat în camera obscură, cuprinzând faza de revelare, faza de fixare, uscarea; procesul de developare poate fi asigurat prin utilizarea unei mașini (developeza). Filmul proaspăt developat se poate examina pe negatoscop sau se poate digitiza prin scanare, caz în care examinarea se realizează pe monitorul calculatorului (fig. 1, 2).

Radiografia digitală

Este reprezentată de tehnica ce obține imagini pe suport electronic, imagini ce sunt transmise calculatorului și apar vizibile pe monitor.

Imaginea digitală

Imaginea “digitală” este astfel denumită deoarece este constituită din numere (digit), care sunt expresii de informație de tip binar (1/0, deschis/ închis) pe care sunt bazate procesele de calcul computerizat. Imaginile digitale sunt vizualizate direct pe monitorul unui calculator - există

75
Romanian Journal of Veterinary Orthopedics and Imagistic
Vol VI - Nr. 11 (2/2019)
V. Vulpe

Figura 1. Câine. Radiografie membrul anterior stâng, regiunea antebrațului, incidență latero-laterală. Semne de neomogenitate a matricei osoase (radius), aspect de fum de țigară – panosteită. Radiografie realizată în sistem clasic

în comerț monitoare dedicate pentru imaginile medicale care au o rezoluție crescută. Acest tip de imagini poate fi supus procedurilor de prelucrare post-procesare pentru analiza cantitativă a conținutului informativ, pentru evaluări morfometrice (dimensiuni liniare, unghiuri, suprafață), pentru reconstrucții 3D (fig. 3).

Imaginile digitale pot fi ideal arhivate, ocupând spațiu fizic redus, în comparație cu imaginile salvate pe peliculă sau hârtie. O arhivă digitală conectată la un sistem eficient de înregistrare a imaginilor permite o recuperare rapidă a datelor în cazul unor controale la distanță, în caz de revizuire a cazurilor și chiar pentru pregătirea materialelor didactice. Astfel, există posibilitatea utilizării arhivei chiar de mai multe departamente (clinice, de exemplu), iar imaginile pot fi transmise fie prin intermediul rețelelor locale (Intranet), fie prin intermediul rețelelor externe (Internet), inclusiv pentru servicii de teleconsultanță.

În cadrul radiologiei digitale, sistemul tradițional de detectare a razelor X (pelicula radiografică) a fost înlocuit de diverse tipuri de detectori. Aceștia, în general, sunt mai sensibili și, prin urmare, în anumite limite, este posibilă obținerea imaginilor diagnostice chiar și cu o cantitate mai mică de raze X, lucru foarte important pentru aplicarea măsurilor de radioprotecție. În prezent, radiologia digitală (sau radiografia/radioscopia digitală) prezintă diferite tehnologii. Acestea sunt împărțite în radiografia computerizată (Computer Radiography - CR) și radiografia digitală (Digital Radiography - DR). CR-ul este bazat pe tehnologia plăcilor de fosfor

Figura 2. Detaliu al figurii 1

fotostimulabile. DR-ul este caracterizat prin conexiunea directă dintre detectori și procesorul electronic.

Figura 3.Câine. Radiografie membrul anterior stâng, regiunea antebrațului, incidență latero-laterală. Semne de neomogenitate a matricei osoase (radius), aspect de fum de țigară – panosteită. Radiografie în sistem digital

Computer Tomografia

Computer Tomografia (CT) sau Tomografia Axială Computerizată este o tehnică de diagnostic imagistic care furnizează imagini tomografice (adică secțiuni sau straturi corporale), vizualizând organele și țesuturile în funcție de densitatea lor, măsurată grație atenuării unui fascicul de raze X care traversează pacientul din direcții diferite; imaginile stratului respectiv vin reconstruite cu ajutorul calculelor complexe realizate

Vol VI - Nr. 11 (2/2019) 76
IMAGISTIC Imaging techniques utilised in veterinary medicine

de computer. Vizualizarea tomografică elimină problema suprapunerii, prezentă în cadrul examenului radiologic.

Formarea imaginii CT

Un strat al corpului, mai gros sau mai subțire, este traversat de un fascicol de raze X puternic colimat, produs de un tub care se rotește în jurul pacientului într-o manieră consensuală, cu detectorii așezați de o parte și de alta a pacientului.

Datele referitoare la atenuarea fascicolului, obținute din diverse unghiuri, sunt trimise la un calculator care, prin intermediul unor algoritmi matematici complecși, reconstruiește imaginile structurilor anatomice prezente în stratul considerat. Pentru reconstrucția imaginii obiectului se utilizează metoda retroproiecției: pentru fiecare proiecție, imaginea relativă proiectată este “retroproiectată”. Pentru a elimina sau atenua estomparea care tinde să se producă de-a lungul marginilor imaginilor obiectelor retroproiectate, intensitatea măsurată de detectori este filtrată, existând diverse filtre care accentuează mai mult sau mai puțin “curățirea” marginilor (filtre de os, de țesut moale etc.).

Densitatea țesuturilor este exprimată printr-o scară de gri, având la bază unități (sau numere) Hounsfield (HU), numite astfel în memoria inventatorului CT-ului. Unitatea Hounsfield sau numărul CT reprezintă o valoare dimensională proporțională cu densitatea țesutului. Unitățile Hounsfield fac referire la densitatea apei care, prin convenție, este egală cu 0. Peste și sub această valoare sunt localizate densitățile diferitelor țesuturi, extremele fiind reprezentate de -1.000 pentru aer și +1.000 pentru compacta osoasă. Cele mai multe țesuturi moi și a lichide organice au o densitate cuprinsă între +100 și -100 HU. Prin urmare, atunci când se descriu organele și țesuturile, acestea pot fi hiperdense, hipodense sau izodense, în comparație cu alte organe sau țesuturi ori luând ca și referință densitatea apei. Scara de gri este similară celei din radiologie: atenuare majoră= alb, atenuare minoră= negru. După reconstrucția imaginii CT, sunt posibile o serie de operațiuni care poartă denumirea de post-procesare, fiind posibilă îmbunătățirea sau suprimarea informațiilor prezente în imaginile date. Se reușește, astfel, distingerea chiar și a diferențelor mici de densitate (până la 0,5%) și reprezentarea cu nivele de gri diferite. Acest lucru se traduce printr-o rezoluție de contrast mai mare, comparativ cu examenul radiografic.

Examenul CT furnizează imagini tomografice axiale, tăiate perpendicular pe axul sagital median care, așa cum am zis, elimină problema suprapunerii diferitelor structuri anatomice (fig.

4). Evaluarea imaginilor axiale are avantajul de a avea un cadru complet al segmentului anatomic considerat. O serie de imagini axiale poate fi reconstruită astfel încât să se obțină imagini ale planurilor anatomice diferite (sagital, dorsal, oblic sau chiar curb) (MPR = Multi Planar Reformation). În afară de aceste reconstrucții multiplanare, multe soft-uri de post-procesare au capacitatea de procesare 3D (există diferite protocoale de reconstrucție; pentru cord există procresare 4D).

Ca și în radiologia clasică, și în computertomografie pot să apară artefacte.

Artefactul de volum parțial: reprezintă o imprecizie a numerelor CT și apare atunci când într-un voxel sunt prezente structuri cu densități foarte diferite, iar media acestora nu corespunde, de fapt, nici uneia dintre acestea.

Artefactul dat de durificarea fascicolului: acest artefact apare din cauza absorbției radiației de energie redusă de către țesuturile cu număr atomic ridicat (ex. os sau metal), cu creșterea relativă a energiei medii al fascicolului de radiații X. Acest artefact poate fi corectat prin creșterea timpilor de expunere sau utilizând filtre specifice.

Artefactul de mișcare: părțile în mișcare, mișcările respiratorii sau mișcările voluntare ale pacientului care nu este bine sedat sau anesteziat produc artefacte care pot lua forma unor dungi, zone neclare, umbre sau alinieri greșite ale secțiunilor.

În radiologia veterinară, principala particularitate a studiilor CT constă în necesitatea obținerii unei sedări profunde sau narcoze a pacientului.

77
Romanian Journal of Veterinary Orthopedics and Imagistic
Vol VI - Nr. 11 (2/2019)
V. Vulpe
Figura 4. Câine. CT reg. art. femuro-tibio-patelare, secțiune sagitală-oblică. Densitate mixtă în porțiunea distală a femurului, periost subțiat, spațiu articular cu aspect hiperdens, aspect hiperdens în zona cartilajului. Leziuni de osteoartrită. (imagine oferită de Lab. de Rad. și Imagistică F.M.V. Cluj-Napoca)

Decubitul adoptat pentru poziționarea pacientului este cel dorsal sau cel sternal. Pentru unele studii sau intervenții speciale (ex. executarea unei biopsii CT-ghidate), se poate adopta și decubitul lateral. În cazul pacienților de talie mică, este posibilă obținerea mai degrabă a secțiunilor sagitale decât axiale, poziționând pacientul paralel cu fascicolul de radiații.

Examenul CT, utilizând razele X pentru obținerea imaginilor, are indicații similare cu cele din radiografie:

- leziuni scheletice; - patologii discale;

- leziuni intracraniene, intratoracice, intraabdominale.

După cum este de așteptat, examenul CT trebuie considerat ca metodă de nivel secund, adică se realizează abia după examenul radiografic sau ecografic și dacă acestea nu furnizează date suficiente stabilirii unui diagnostic. Datorită examenelor CT, este posibilă realizarea atât a unor intervenții, cum ar fi biopsia, aspirația cu ac fin, cât și a unor tratamente minim invazive (termoablație, alcoolizare).

Tehnici de medicină nucleară

Aceasta reprezintă ramura radiologiei ce se ocupă cu utilizarea radionuclizilor în acţiunile de diagnostic și terapie. Aplicațiile medicinei nucleare (MN) sunt diagnostice in vitro și in vivo; medicina nucleară in vivo cuprinde Scintigrafia și studiile tomografice ca SPECT (Single Photon Emission Computed Tomography) și PET (Positron Emission Tomography). Diagnosticul pe imagine medico-nuclear este realizat prin administrarea de molecule marcate cu radionuclizi ce emit radiaţii gama (molecule farmaceutice definite). Iar, în unele cazuri, emit chiar și radiaţii beta. Radionuclidul este ales în funcţie de tipul examenului sau, mai bine spus, față de organul ce trebuie examinat. Radionuclidul este administrat, de obicei, intravenos și, după o fază iniţială de distribuţie, se acumulează în organul pentru care are afinitate. Radiaţiile gamma sunt captate de dispozitive ce permit obţinerea de imagini cu distribuţia in vivo a radionuclidului utilizat.

Dispozitivele utilizate pentru efectuarea examenelor medico-nucleare sunt costisitoare ș i, de aceea, sunt foarte rare. În medicina veterinară, tehnicile de MN sunt considerate tehnici de nivelul III, excepţie făcând caii sportivi unde, din cauza costului ridicat al animalelor, scintigrafia osoasă este considerată o tehnică de nivelul II. Pentru câine ș i pisică, tehnicile de MN reprezintă tehnici de nivelul III și se aplică în examenul și stadializarea tumorilor, pentru studiul tiroidei și pentru caracterizarea șunturilor porto-sistemice.

Tehnici imagistice neinvazive

Rezonanţa Magnetică (RM)

Rezonanţa Magnetică (sinonime: Rezonanţa magnetică Nucleară – RMN; Imagistica prin rezonanță magnetică –IRM; Tomografia prin Rezonanţă Magnetică – TRM) produce imagini digitale de tip tomografic, utilizând modulații de radiofrecvență într-un câmp magnetic (nu utilizează radiaţii ionizante). RM este o tehnică multiparametrică și multiplanară, ce permite captarea de imagini in plan sagital, dorsal sau transversal, fără a mișca pacientul.

Formarea imaginilor RM

La baza formării imaginilor RM stă fenomenul rezonanţei magnetice protonice, descoperit în 1946 de către fizicienii americani Felix Bloch și Edward Purcell. Iniţial, fenomenul rezonanţei magnetice a fost folosit pentru analiza structurii chimice a substanţelor. Protonii și, implicit, sarcinile lor electrice, se rotesc în jurul unui ax, generând un câmp magnetic microscopic (efectul spin). Fiecare proton poate fi comparat cu un mic magnet alimentat la doi poli. Protonii utilizaţi pentru producerea imaginilor RM sunt cei de hidrogen, găsiţi din abundenţă în ţesuturile biologice, în particular în cele bogate în apă, motiv pentru care această tehnică este indicată pentru studiul ţesuturilor moi. Pentru a pune în rezonanţă protonii de hidrogen, este nevoie de un impuls electromagnetic (RF). Spre exemplu, pentru un câmp de 1 Tesla1 frecvenţa este egală cu 42 MHz (a pune în rezonanţă un proton înseamnă să-i furnizezi energie). Rezonanța magnetică apare din două cauze:

- sincronizarea protonilor în aceeași fază de precizie (se rotesc nu numai pe aceeași frecvență, dar și în manieră coordonată).

- trecerea unor protoni de la nivelul energetic cu frecvenţă joasă la un nivel energetic înalt.

Relaxarea protonilor se traduce prin două constante de timp distincte: T1 (timp de relaxare spin-spin) și T2 (timp de relaxare spin-rețea). Astfel, semnalul RM depinde de parametrii T1 și T2, cât și de numărul total de protoni măsuraţi în spin pe unitatea de volum (densitatea protonică -DP).

Alegând secvenţa de impuls RF, este posibil să impunem sistemului o dinamică determinată, obţinând, în acest fel, informaţia semnalului RM. Astfel, pentru T1, lichidele vor apărea de culoare gri închis până la negru, pe când grăsimea va apărea strălucitoare, albicioasă. Structurile SNC (substanţa cenușie și albă) au semnale de intensitate intermediară. Lichidele sau ţesuturile hiperhidratate apar de culoare albă pentru imaginile T2. Există multe tipuri de secvenţe, cele mai utilizate fiind Spin Echo (SE), Inversion Recovery (IR), Gradient Echo (GE) și Fluid Atenuate Inversion Recovery (FLAIR).

Vol VI - Nr. 11 (2/2019) 78
IMAGISTIC Imaging techniques utilised in veterinary medicine

Dispozitivele RM pot fi deschise sau închise, după conformaţia bobinelor sau a magneţilor. Dispozitivele închise sunt asemănătoare la exterior dispozitivelor CT, principala diferenţă fiind constituită de deschiderea ganter-ului în care vine așezat pacientul, acesta fiind mai mare în cazul rezonanței magnetice. În ambele cazuri, pacientul este plasat pe o saltea mobilă ce avansează în interiorul inelului. După mărimea câmpului magnetic se disting: aparate cu câmp magnetic înalt (≥1T tesla), cu câmp mediu (0,51T), cu câmp magnetic mic (≤0,5T). Pentru generarea câmpului magnetic, pot fi utilizaţi magneţi de tip permanent, rezistiv sau superconductiv.

Studiul RM este efectuat asemănător studiilor CT. După obţinerea unei imagini generale transversale, se va decide orientarea secţiunilor. În evaluarea imaginilor RM se ţine cont de aspectele morfologice (forma, dimensiunea, marginile și poziţia) și de intensitatea semnalului pentru structurile examinate (izointens, hipointens și hiperintens). Ca și pentru alte tehnici, leziunile sunt caracterizate după extinderea acestora (focale sau difuze). Trebuie să ţinem cont, însă, că RM-ul este utilizat în special pentru studiul ţesuturilor moi datorită particularităţilor în formarea imaginii. RM este indicată în studiul sistemului nervos central, al cartilajelor și ligamentelor articulare, precum și a sistemului cardio-circulator.

Ecografia

Ecografia (sin. Ultrasonografia, Ecotomografia) este o tehnică de diagnostic imagistic bazată pe ecourile produse de un fascicul de ultrasunete care traversează un organ sau țesut.

Ecografia este utilizată în mod uzual în imagistică, medicină internă, chirurgie și obstetrică. Utilizarea sa este favorizată datorită inocuității sale, economicității relative și, în special, sensibilității ca instrument de diagnostic în patologiile organelor formate din țesuturi moi.

Sunetele sau undele sonore sunt radiații de natură mecanică și, din acest motiv, necesită un mediu de propagare. Ultrasunetele sunt sunete cu frecvența situată peste pragul de 20.000 Hz, inaudibile pentru urechea umană.

Propagarea ultrasunetelor se produce prin mișcări de compresiune și rarefiere ale moleculelor care constituie mediul.

O undă sonoră (și, prin urmare, și un ultrasunet) poate fi definită de frecvență (în Hertz), de lungimea de undă (distanța în metri între două vârfuri de compresiune sau rarefiere), de viteza de propagare (frecvența x lungimea de undă = metri / secundă), intensitate (adică amplitudinea undei, în watt/cm2, în Pascali sau, mai comun, în decibeli) și perioadă (timpul care se derulează între trecerea a două fronturi de undă în același punct).

Ultrasunetele sunt emise de cristale (de cuarț) care se află în sonda ecografică și care vibrează sub acțiunea curentului electric. Pentru formarea imaginilor ecografice, ultrasunetele, după ce sunt produse de sondă, înaintează în țesuturile în care, la nivelul interfețelor acustice, suferă o atenuare progresivă, în principal prin: reflexie, transmisie, refracție. Prin fenomenul de reflexive, se formează ecouri care, pe baza unghiului lor de reflexie, se pot întoarce la sondă și să reexpună cristalele piezoelectrice ce vor intra în rezonanță, producându-se, astfel, pachete de fluxuri de ultrasunete.

Ecourile produse de ultrasunete, odată ajunse la sondă, pot fi vizualizate în diferite moduri. Modurile principale sunt: A-mode (Amplitude mode), B-mode (Brightness mode), B-mode Real Time (B-mode dinamic), M-mode sau TM-mode (Motion sau Time Motion mode), Doppler (pulsat, continuu, color). Imaginea ecografică este formată prin reflexia ultrasunetelor și depinde, în mare măsură, de impedanța tisulară (rezistența țesuturilor la trecerea undelor). Cu cât un țesut este mai dens, cu atât mai puternic va reflecta ultrasunetele.

Imaginea ecografică de pe monitor este conferită de puncte albe, gri sau negre. Pentru un organ așa cum este ficatul, ecogenitatea (ecostructura) este considerată standard, iar a celorlalte organe se compară cu a ficatului. Există, astfel, structuri (organe, leziuni) cu ecogenitate modificată: hipoecogene (apar gri pe monitor), hiperecogene (alb), anecogene/ anechoice (negru). Structurile lichidiene sunt anechoice, fără fenomen de reflexie al ultrasunetelor.

În ecografie pot să apară artefacte, ce reprezintă o informație falsă, multiplă sau distorsionată, generată de mașină sau de interacțiunea ultrasunetelor cu țesuturile. În ecografie, artefactele pot uneori să furnizeze elemente de interpretare utile diagnosticului și, în acest caz, considerăm respectivele artefacte bune. Există și artefacte rele, care pot îngreuna diagnosticul.

Din punct de vedere clinic, ecografia este utilizată pentru identificarea lichidului prezent în cavitatea abdominală, pentru evaluarea gestației, pentru modificări de structură (inflamatorii, degenerative) ale oragenelor parenchimatoase, pentru identificarea formațiunilor. Metoda mai este folosită și la completarea altor tehnici de examinare, cum ar fi puncția ecoasistată/ecoghidată din cavitatea abdominală sau din organe.

În funcție de talia pacientului și de adîncimea la care se află organul respectiv, se pot utiliza sonde ecografice diverse (macro- sau

79
Romanian Journal of Veterinary Orthopedics and Imagistic
Vol VI - Nr. 11 (2/2019)
V. Vulpe

Figura 5. Armăsar. Ecografie membru, regiunea autopodiului, fața palmară, secțiune transversal. Aspecte normale ale flexorilor superficial și profund

Bibliografie

1. Barr, J.B., Kirberger, R.M., 2006. Manual of canine and feline musculoskeletal imaging. British Small Animal Veterinary Association, UK.

2. Burk, R.L., Feeney, D.A., 2003. Small animal radiology and ultrasonography: a diagnostic atlas and text. Saunders, USA.

3. Kealy, J.K., McAllister, H., Graham, J.P., 2011. Diagnostic radiology and ultrasonography of the dog and cat. W.B. Saunders, Saint Louis.

microconvexe, liniare, sectoriale) cu marjă de frecvență cuprinsă între 3–12 MHz. Pentru examinarea musculo-cutanată și pentru examinarea tendoanelor și ligamentelor membrelor la cai, în prezent, se folosesc sonde de 12–18 MHz (Fig. 5). Sonde cu mai mult de 20 MHz sunt utilizate în oftalmologie (în microchirugia oculară, în diagnosticul de glaucom, al tumorilor oculare de mici dimensiuni), în tumori ale pielii, pentru obținerea de imagini intravasculare în cazul folosirii de catetere uzitate pentru a caracteriza placa aterosclerotică, pentru orientarea stentului și diverse proceduri angioplastice; în cercetarea imagistică la șoareci și peștele Zebra unde ecografia este combinată cu tehnci de microRM, microCT.

This work is licensed under a Creative Commons Attribution-NonCommercialNoDerivatives 4.0 International License.

4. Thrall D.E, Robertson I. D., 2010. Atlas of Normal Radiographic Anatomy and Anatomic Variants in the Dog and Cat, Elsevier Health Sciences.

5. Thrall, D.E., 2013. Textbook of veterinary diagnostic radiology. Elsevier Saunders, St. Louis.

6. Vulpe V., Meomartino L. și colab., 2014. Manual de Radiologie veterinară - Ghid de radiografie la câine și pisică, Edit. Performantica.

Vol VI - Nr. 11 (2/2019) 80
IMAGISTIC Imaging techniques utilised in veterinary medicine
81 Vol VI - Nr. 11 (2/2019)
Romanian
and Imagistic Romanian Journal of Veterinary Orthopedics & Imagistic www.rjvoi.innovationinhealth.ro PUBLICAŢIE CREDITATĂ DE COLEGIUL MEDICILOR VETERINARI DIN ROMÂNIA SUB EGIDA 2 NUMERE PE AN, ÎN FORMAT DIGITAL ȘI ONLINE
Autori.....
Journal of Veterinary Orthopedics

MINERALIZAREA TENDONULUI MUȘCHIULUI SUPRASPINOS LA CÂINEASPECTE ECOGRAFICE ȘI RADIOLOGICE: PREZENTARE DE CAZ

MINERALIZED SUPRASPINATUS TENDON IN DOGS - ULTRASOUND AND RADIOLOGICAL ASPECTS: CASE REPORT

DVM PhD student Andreea Istrate 1, DVM PhD Radu Constantinescu 2, DVM PhD student Alexandra Peteoacă 1, Prof. univ. Dr. Andrei Tănase1 1. Facultatea de Medicină Veterinară București, Universitatea de Științe Agronomice și Medicină Veterinară București; 2 .Clinica Veterinară Pet Stuff București

OPEN ACCES JOURNAL

R J Vet Orthoped I. 2019; Vol. VI - 11 (2):82-85.

Corresponding author: Andreea Istrate, E-mail: andreeaistrate@gmail.com

Recieved: November 2019 Accepted: December 2019

Rezumat:

Cuvinte-cheie:

radiologie, ecografie musculo-scheletală, tendinopatie, câine

Mineralizarea tendonului mușchiului supraspinos este o afecțiune destul de rar întâlnită la câine, fiind mai frecvent întâlnită în cazul animalelor de sport. Cu toate că, în literatura de specialitate, aspectele radiologice ale acestei patologii au fost descrise mai des, corelarea cu aspectele ecografice ale examenului musculo-scheletal întregește tabloul imagistic al acestei afecțiuni și permite o mai bună evidențiere, precum și certitudine, a modificărilor de la acest nivel. Acestă prezentare de caz are rolul de a evidenția principalele modificări decelabile din punct de vedere imagistic la nivelul tendonului mușchiului supraspinos, la un câine de talie medie, cu șchiopătură unilaterală apărută în urma unui efort susținut.

Vol VI - Nr. 11 (2/2019) 82 IMAGISTIC Mineralized supraspinatus tendon in dogs - ultrasound and radiological aspects: case report
Cite this article: Andreea Istrate, R. Constantinescu, Alexandra Peteoacă, A. Tănase. Mineralized supraspinatus tendon in dogs - ultrasound and radiological aspects: case report.

Keywords: radiology, musculoskeletal ultrasonography, tendinopathy, dog

Abstract:

Mineralization of the supraspinatus tendon is an uncommon finding in dogs, being more common in performance, active dogs. Although the radiological aspects have been described previously, correlation with musculoskeletal ultrasonography is need in order to better observe the changes at this leve land provide a definitive diagnkosis. This case report has the purpose of presenting the main changes that are seen from the imaging point of view regarding the supraspinatus tendon in a medium breed dog with one-sided lameness, apparent only after sustained effort.

Introducere

Şchiopătura la nivelul membrului anterior, la câine, poate avea cauze multifactoriale. O componentă frecvent întâlnită la pacienții cu șchiopătură incipientă până la moderată poate fi reprezentată de prezența leziunilor la nivelul tendonului mușchiului supraspinos, unul dintre tendoanele principale responsabile pentru mișcările de rotație ale articulației scapulo-humerale1

La câini, cea mai frecventă cauză a tendinopatiei supraspinosului este suprasolicitarea în urma activității cu caracter cronic repetitiv. Acțiuni - precum săriturile cu membrele în extensie, întoarceri bruște de direcție, plecări bruște în alergare - pot crea stres extrem la nivelul țesuturilor moi de la nivelul articulației umărului. Aceste manevre sunt frecvent întâlnite în rutina animalelor de companie, animalelor de sport sau a celor utilitare1

Activitatea crescută, în mod repetitiv, duce la creșterea forțelor de tip biomecanic ce acționează asupra tendonului, ceea ce, în final, va genera leziuni la acest nivel. Leziunile astfel rezultate vor determina diminuarea flexibilității și rezistenței tendonului. În timp, leziunile repetate vor duce la deșirarea fibrelor tendonului și apariția unei leziuni centrale intratendinoase. Pe măsură ce afecțiunea progresează, în zona afectată apar fenomenele de tip degenerativ, precum țesutul cicatriceal, fenomene ce pot realiza diferite grade de compresiune asupra tendonul adiacent al bicepsului, mărind astfel disconfortul local. În cazurile cronice, cel mai frecvent se pot observa două tipuri de modificări: mineralizarea la nivelul tendonului și/sau remodelarea osoasă la nivelul zonei de inserție a acestuia2

Fenomene de mineralizare la nivelul tendonului pot fi întâlnite, de asemenea, la nivelul oricărui tendon, dar, cel mai frecvent în practica medical veterinară, sunt întâlnite la nivelul tendonului patelar și calcaneului comun (tendonul lui Ahile)3,4.

Diagnostic

Din cauza prezenței inconstante a semnelor clinice (șchiopătură unilaterală prezentă sau absentă, ce

se intensifică la efort, pas mai scurt sau modificări ale performanțelor), diagnosticul se stabilește cu certitudine prin corelarea examenului ortopedic cu cel imagistic și artroscopic. Diagnosticul imagistic este stabilit, în general, din punct de vedere radiologic, în urma poziționărilor mediolateral, craniocaudal sau skyline ale articulației umărului. În urma exmenului radiologic, se decelează zone de mineralizare cu aspect regulat, rotunjit sau neregulat în proximitatea marelui tubercul humeral5-9. Examenul radiologic nu poate oferi detalii privind parenchimul tendonului, ecografia fiind o metodă de diagnostic frecvent folosită în diagnosticarea tendinitelor în medicina umană, dar mai puțin în ceea ce privește aceste afecțiuni la câine10

Materiale şi metode

Această lucrare are scopul de a prezenta principalele modificări din punct de vedere radiologic și ecografic în cazul mineralizării tendonului mușchiului supraspinos, la un pacient canin în vârstă de 6 ani, ce prezenta, în momentul examinării clinice, șchiopătură unilaterală intensificată la efort.

Examenul ortopedic a relevat disconfort în urma mișcărilor de flexie a articulației scapulo-humerale a membrului anterior stâng, ce determină întinderea în mod direct a mușchiului supraspinos, fără decelarea durerii în cazul palpării directe a tendonului. În urma abducției membrului, a fost decelat disconfort local. La examinarea membrului congener, nu au fost înregistrate modificări din punct de vedere clinic.

În urma examenului radiologic, au fost obținute incidențele mediolateral și craniocaudal ale membrului anterior stâng. Imaginile obținute au relevat existența unei zone lineare cu radiodensitate crescută (de tip mineral) la nivelul ariei de proiecție a tendonului mușchiului supraspinos (Figura 1).

Pentru realizarea examenului ecografic, pacientul a fost poziționat în decubit lateral, cu membrul afectat spre examinator. Zona de examinat a fost pregătită prin tunderea părului și aplicarea locală de alcool sanitar și gel ecografic și a inclus regiunile craniola-

83 Vol VI - Nr.
11 (2/2019)
Romanian Journal of Veterinary Orthopedics and Imagistic Andreea Istrate, R. Constantinescu, Alexandra Peteoacă, A. Tănase

terală și medială ale articulației umărului. Examenul ecografic a fost realizat conform tehnicii descrise în literatură11,12, folosind o sondă lineară de 10-12MHz.

Pentru examinarea tendonului mușchiului supraspinos, membrul a fost poziționat în poziție neutră, scanarea fiind realizată în plan longitudinal, pe aria de proiecție a mușchiului supraspinos, cranial de spina scapulară, de unde examenul a fost continuat distal, până la nivelul joncțiunii musculo-tendinoase și până la nivelul inserției tendinoase pe marele tubercul al humerusului. Examinarea în plan longitudinal a fost

urmată de examinarea în plan transversal, prin rotirea sondei în sensul acelor de ceasornic și examinarea structurilor aferente de la nivel proximal până la nivel distal (Figura 2A). Examinarea a fost completată de ecografia tendonului mușchiului biceps brahial (Figura 2B).

Rezultate

Pacientul examinat a prezentat, în urma examinării ortopedice, semne specifice unei afectări a tendonului mușchiului supraspinos. În urma examenului radiologic, a fost decelată o zonă cu radiodensitate de tip mineral, bine delimitată, de dimensiuni mici, pe aria de proiecție a tendonului mușchiului supraspinos. În urma examenului ecografic, au fost decelate zone hiperecogene, de dimensiuni reduse, caracterizate prin prezența zonelor focale de mineralizare (Figura 3A). Perifocal zonei de calcifiere, a fost decelată o zonă hipoecogenă, cu aspect lacunar, ce sugerează prezența efuziei, cel mai probabil secundară unui proces de tip inflamator (Figura 3B). La nivelul tendonului mușchiului biceps brahial, a fost decelată o neregularitate în grosime a tendonului, precum și cantități reduse de lichid liber anecogen, peritendinos. Din punct de vedere ecografic, nu au fost decelate modificări ce pot indica leziuni ale tendonului, compatibile cu posibila ruptură parțială si/sau totală a fibrelor tendinoase.

Discuţii

Examenul ecografic al tendoanelor a fost folosit frecvent în scopul diagnosticării proceselor de tip inflamator, distrofic/degenerativ sau traumatic la nivelul tendoanelor13-16. Această metodă de diagnostic este considerată a fi metoda non-invazivă de elecție în evaluarea tendoanelor umărului în medicina umană16,17. În medicina veterinară, această metodă de examinare a fost folosită, în special, pentru evaluarea tenosinovitei tendonului mușchiului biceps brahial11

Tehnica

Vol VI - Nr. 11 (2/2019) 84 IMAGISTIC
de examinare ecografică folosită în acest Figura 1. Aspecte radiologice ale membrului anterior stâng (MAS): evidențierea unei zone lineare, cu radiodensitate crescută, de tip mineral (săgeată albă), incidență mediolateral neutru Figura 2A. Examinare ecografică în plan transversal, cu evidențierea zonei mușchiului supraspinos la nivelul spinei scapulare (zonă punctată) Figura 2B. Exminare ecografică în plan longitudinal a tendonului mușchiului supraspinos (săgeată albă) și evidențierea inserției tendonului mușchiului biceps brahial (săgeată neagră)
report
Mineralized supraspinatus tendon in dogs - ultrasound and radiological aspects:
case

Figura 3A. Examinare ecografică în plan longitudinal, cu evidențierea zonelor hiperecogene de mineralizare (săgeți albe), tendonului mușchiului supraspinos

studiu respectă indicațiile de examinare publicate în cadrul articolelor din literatura de specialitate12. Această tehnică este ușor reproductibilă, rapidă și cu un grad înalt de sensibilitate18-20. Examenul radiologic a relevat o zonă cu radiodensitate crescută, de tip mineral, pe baza căreia a fost pusă suspiciunea de mineralizare a tendonului mușchiului supraspinos, ce a fost confirmată în urma examenului ecografic, prin prezența leziunilor focale hiperecogene însoțite artefactual de con de umbră posterioară.

Concluzii

• Examenul ecografic s-a dovedit a fi ușor de efectuat și de aplicat, confirmând sus -

Bibliografie

1. Canapp, S.O. Supraspinatus tendinopathy. Veterinary Orthopaedic Sports Medicine Group https://www.vetsportsmedicine.com/includes/ storage/brio/files/475/VOSM_WP_ST.pdf.

2. Canapp, S.O., Canapp, D.A., Carr, B.J., Cox, C., Barrett, J.G. Supraspinatus tendinopathy in 327 dogs: a retrospective study. Veterinary Evidence, 2016; 1(3):1-14.

3. Fransson BA, Gavin PR, Lahmers KK. Supraspinatus tendinosis associated with biceps brachii tendon displacement in a dog. J Am Vet Med Assoc 2005; 227(9):1429–33, 1416.

4. Laitinen OM, Flo GL. Mineralization of the supraspinatus tendon in dogs: a long-term follow-up. J Am Anim Hosp Assoc 2000; 36: 262–7.

5. Anderson A, Stead AC, Coughlan AR. Unusual muscle and tendon disorders of the forelimb in the dog. J Small Anim Pract 1993; 34: 313–8.

6. Skvorak JP. What is your diagnosis? Mineralization in the tendon of insertion of both supraspinatus muscles. J Am Vet Med Assoc 1993; 202(2):319–20.

7. Kriegleder H. Mineralisation of the supraspinatus tendon: clinical observations in seven dogs. Vet Comp Orthop Traumatol 1995; 8: 91–7.

8. Piermattei DL, Flo G. The shoulder joint. In: Piermattei DL, Flo G, eds. Handbook of small animal orthopedics and fracture repair. 3rd ed. Philadelphia (PA): Saunders; 1997:228–60.

9. Farrow CH. Veterinary diagnostic imaging. The dog and cat, vol. 1. St. Louis (MO): Mosby; 2003:21–40.

10. Mistieri, A.L.M., Wigger, A., Canola, J.C., Filho, J.P.G., Kramer, M. Ultrasonographic evaluation of canine supraspinatus calcifying tendinosis. J Am Anim Hosp Assoc 2012, 48: 405-410.

11. Kramer M, Gerwing M, Sheppard C, et al. Ultrasonography for the

supraspinos (săgeată neagră curbă)

piciunea creată în urma examenului radiologic.

• Sensibilitatea examenului ecografic pentru decelarea eventualelor modificări ale tendonului mușchiului supraspinos este superioară examenului radiologic, în special prin posibilitatea de a evidenția aspectele secundare, de natură inflamatorie.

This work is licensed under a Creative Commons Attribution-NonCommercialNoDerivatives 4.0 International License.

diagnosis of diseases of the tendon and tendon sheath of the biceps brachii muscle. Vet Surg 2001; 30(1):64–71.

12. Kramer M, Gerwing M, Hach V, et al. Sonography of the muscu- loskeletal system in dogs and cats. Vet Radiol Ultrasound 1997; 38(2): 139–49.

13. Bohn A, Papageorges M, Grant BD. Ultrasonographic evaluation and surgical treatment of humeral osteitis and bicipital tenosynovitis in a horse. J Am Vet Med Assoc 1992; 201(2):305–6.

14. Rupp S, Seil R, Kohn D. Tendinosis calcarea der Rotator- enmanschette [Tendinosis calcarea of the rotator cuff]. Orthopade 2000; 29(10):852–67 [in German].

15. Hedtmann A, Fett H. Sonographie der Rotatorenmanschette [Ultrasound diagnosis of the rotator cuff]. Orthopade 2002; 31(3): 236–46 [in German].

16. Jacobson JA, Lancaster S, Prasad A, et al. Full-thickness and partialthickness supraspinatus tendon tears: value of US signs in diagnosis. Radiology 2004; 230(1):234–42.

17. Kane D, Grassi W, Sturrock R, et al. Musculoskeletal ultrasound– a state of the art review in rheumatology. Part 2: Clinical indications for musculoskeletal ultrasound in rheumatology. Rheumatology (Oxford) 2004; 43(7):829–38.

18. Stieler MA. The use of sonography in the detection of bony and calcific disorders of the shoulder. J Diagn Med Sonog 2001; 17: 331–8.

19. Friedman L, Finlay K, Popowich T, et al. Ultrasonography of the shoulder: pitfalls and variants. Can Assoc Radiol J 2002; 53(1):22–32.

20. Fredberg U, Stengaard-Pedersen K. Chronic tendinopathy tissue pathology, pain mechanisms, and etiology with a special focus on inflammation. Scand J Med Sci Sports 2008; 18(1):3–15.

85
Romanian Journal of Veterinary Orthopedics and Imagistic
Vol VI - Nr. 11 (2/2019)
(săgeată neagră curbă) și a zonei anecogene de lichid peritendinos (săgeată albă scurtă) Figura 3B. Examinare ecografică în plan longitudinal, cu evidențierea zonelor anecogene corespondente acumulării de lichid peritendinos (săgeți albe) și a tendonului mușchiului Andreea Istrate, R. Constantinescu, Alexandra Peteoacă, A.
Tănase
TALON DE ABONAMENT Doresc să mă abonez Varianta electronică: q Abonament pentru 1 an (2 numere) - 45 RON (cu toate taxele incluse) q Abonament pentru 2 ani (4 numere) - 75 RON (cu toate taxele incluse) Nume:................................................................................... Prenume: ................................................................................................... Dna Dl Dra Adresă domiciliu: .................................................................................................................................................. Municipiu: ........................................................................ Sect.: ................ Judeţ:............................................................ Oraş:............ ..................................................... Comună: ...................................................................................................... Cod poştal: ................... Telefon:............................................................................. Număr atestat de liberă practică................................................................. Specialitate ........................................................................................ student rezident medic specialist medic primar Competenţă ............................................................................... Denumire instituţie: ....................................................... Domeniu de activitate: Privat Public Secţie: ................................................................................................. Funcţie: ...................................................................... Specialitate: ................................................................. Adresă instituţie: ............................................................................ .................................................... Municipiu: ....................................................Sect.: ........... Judeţ:................................. Oraş:............ ..................................................... Comună: ...................................................................................................... Cod poştal: ................... ............................ Telefon: ..........................................
...................................................... E-mail: ........................................................................
...................................................................................................
nu
......................................................
..................................................................
După completare, vă rugăm să trimiteţi talonul însoţit de dovada efectuării plăţii scanate la adresa de email
Mulţumim! ! Adeverinţa pentru abonarea la revistă se eliberează în maximum 5 zile lucrătoare de la exprimarea solicitării dvs., după efectuarea plății REVISTĂ CREDITATĂ CU 15 PUNCTE ANUAL PENTRU ABONAMENTELE PLĂTITE Plata abonamentului se va efectua prin ordin de plată ori transfer bancar pe coordonatele: S.C. INNOVATION IN HEALTH CENTER S.R.L SEDIUL SOCIAL: SPLAIUL INDEPENDENTEI NR. 273, SECTOR 6, BUCUREȘTI CUI: 38637290, R.C.: J40/20963/2017 CONT IBAN RON: RO91BACX0000001601177000 BANCA UNICREDIT BANK, SUCURSALA ORIZONT
Mobil:
Web:
CUI instituţie: Plătitor de TVA: da
Factură - vă rugăm să completaţi cu coordonatele necesare emiterii facturii: Denumire persoană:
Denumire instituţie:
Adresa pentru primirea revistelor: Domiciliu Instituţie Data: / / Semnătură:…..………….….......…
redactia.ihc@gmail.com

Turn static files into dynamic content formats.

Create a flipbook
Issuu converts static files into: digital portfolios, online yearbooks, online catalogs, digital photo albums and more. Sign up and create your flipbook.