Romanian Journal of Veterinary Orthopedics & Imagistic nr. 10 (1) 2019

Page 1

REVISTA SOCIETĂŢII ROMÂNE VETERINARE DE ORTOPEDIE REVISTA ESTE INDEXATĂ BDI: www.rjvoi.innovationinhealth.ro ANUL VI / Nr. 10 ( 1/2019) PUBLICAŢIE CREDITATĂ DE COLEGIUL MEDICILOR VETERINARI DIN ROMÂNIA SUB EGIDA PUBLICAŢIE EDITATĂ DE REVISTĂ EDITATĂ ÎN PARTENERIAT CU EDITURA Editura Etna este înscrisă în Societatea Editorilor Români. Acreditată de Consiliul Naţional al Cercetării Ştiinţifice din Învăţământul Superior (CNCSIS ) la poziția 241 şi de Colegiul Medicilor din România (CMR) Global Impact & Quality Factor 2014 - 0.454 2015 - 0.565
www.srvo.ro

Anul VI / Nr. 10 (1/2019)

www.rjvoi.innovationinhealth.ro

SENIOR EDITORS

Prof. Dr. Cornel IGNA

Prof.Dr. Vasile VULPE

EDITOR-IN-CHIEF Dr. Ioana MANEA

DEPUTY EDITOR-IN-CHIEF Dragoș Marius CHIRIAC

EDITORIAL BOARD

Prof. Dr. Dan CRÎNGANU

Prof. Dr. Liviu Ioan OANA Prof. Dr. Bruno PEIRONE Prof. Dr. Marius PENTEA Prof. Dr. Andrei TĂNASE Conf. Dr. Florin Ioan BETEG Șef Lucr. Dr. Ciprian OBER Șef Lucr. Dr. Cosmin PEȘTEAN Șef Lucr. Dr. Eusebiu Viorel ȘINDILAR Șef. Lucr. Dr. Larisa SCHUSZLER Șef Lucr. Dr. Alexandru VIȚĂLARU Asist. univ. Dr. Ruxandra COSTEA

Asist. univ. Dr. Cristian Constantin DEZROBITU Asist. univ. Dr. Ionut Cristian GÂRJOABĂ Asist. univ. Dr. Nicolae Răzvan MĂLĂNCUȘ

Dr. Dragoş BOGHEAN Dr. Victor BUCUR Dr. Radu CONSTANTINESCU

Dr. Cristian DRAGOMIR Dr. Eugen Dan GÂSCĂ

Dr. Wili GLASER

Dr. Florin GROSU Dr. Andreea ISTRATE

Dr. Dinu MĂHĂLEAN

Dr. Alexandra PETEOACĂ

Dr. Adelina PROTEASA

Dr. Oana RADU

Dr. Edmond STECYK

Dr. Hristov SVETOSLAV

Dr. Andrei TIMEN

Dr. Nicolae VALENTIN

Copyright © 2019 Innovation in Health Center

Drepturile

ORTHOPEDICS TESTAREA REZISTENȚEI TRATAMENTULUI SEIMELOR SOLEARE PRIN FORȚE DE COMPRESIUNE

TESTING THE RESISTANCE OF SOLAR CRACKS TREATMENT THROUGH COMPRESSIVE FORCES C. Zaha, L. Rusu, Larisa Schuszler, Roxana Dascălu, C. Igna

ORTHOPEDICS SURGERY PLĂCILE BLOCANTE

de autor pentru articolele și fotografiile publicate aparţin exclusiv Innovation in Health Center Reproducerea, totală sau parţială, și sub orice formă, tipărită sau electronică, sau distribuţia materialelor
se face numai cu acordul scris al IHC.
întregime autorilor. Persoanele intervievate răspund de conţinutul declaraţiilor lor, iar utilizatorii spaţiului publicitar, de informaţiile incluse în machete. ISSN 2392 – 8700 ISSN-L 2392 – 8700 e-ISSN 2601 - 0089 ABONAMENTE ȘI PUBLICITATE INNOVATION IN HEALTH CENTER E-mail: redactia.ihc@gmail.com
publicate
Responsabilitatea asupra conţinutului original al materialelor aparţine în
Web: www.innovationinhealth.ro
-
DEZAVANTAJELE UTILIZĂRII
ORTOPEDICĂ
AVANTAJELE ȘI
ÎN CHIRURGIA
LOCKING PLATES - ADVANTAGES AND LIMITATIONS IN VETERINARY ORTHOPAEDIC SURGERY C. Igna
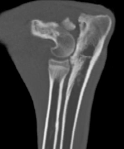
IMAGISTIC ASPECTE RADIOLOGICE ȘI COMPUTER TOMOGRAF ALE NON-UNIUNII PROCESULUI ANCONAT LA CÂINE: PREZENTARE DE CAZ RADIOLOGICAL AND COMPUTED TOMOGRAPHY ASPECTS OF UNUNITED ANCONEAL PROCESS IN DOGS: CASE REPORT
Alexandra
4 10 24 38
EVALUAREA VINDECĂRII OSOASE DUPĂ OSTEOSINTEZA MINIM INVAZIVĂ CU PLĂCI LA CÂINE EVALUATION OF BONE HEALING AFTER MINIMALLY INVASIVE OSTEOSYNTHESIS WITH PLATES IN DOGS Proteasa Adelina, Dascălu Roxana, Schuszler Larisa, C. Igna
Andreea Istrate, R. Constantinescu,
Peteoacă, A. Tănase

TESTAREA REZISTENȚEI TRATAMENTULUI SEIMELOR SOLEARE PRIN FORȚE DE COMPRESIUNE

TESTING THE RESISTANCE OF SOLAR CRACKS TREATMENT THROUGH COMPRESSIVE FORCES

1. Banat’s University of Agricultural Science and Veterinary Medicine, “King Mihai I of Romania” from Timișoara, Faculty of Veterinary Medicine, 300645, Calea Aradului, No. 119, Timișoara, România.

2. Politehnica University Timișoara, Department of Mechanics and Strenghth of Materials, 300222, Mihai Viteazu Street, No.1, Timișoara, Jud. Timiș, România

OPEN ACCES JOURNAL

Orthoped I. 2019; Vol. VI - 10 (1): 4-9.

Cuvinte-cheie:

seimă soleară, material epoxidic, metode de tratament, teste de compresiune

Rezumat: Abstract:

Keywords:

solar cracks, epoxidic material, methods of treatment, compression test

Corresponding author: University Professor, PhD Cornel Igna, corneligna@usab-tm.ro

Recieved: November 2019

Accepted: December 2019

În funcție de localizare și de tip, tratamentul unei seime este diferit. Obiectivele principale în tratamentul unei seime sunt reprezentate de blocarea avansării fisurii și fixarea marginilor seimei, oferind, astfel, timp peretelui copitei de a se vindeca prin creștere din zona coronară. Ținând cont de forțele care acționează asupra peretelui copitei, am comparat două metode de tratament a seimelor solei prin utilizarea testelor de compresiune. Rezultatele obținute pot constitui criterii pentru alegerea celei mai bune metode de tratament.

According to location and type, the treatment of a hoof crack is different. The main objectives in the treatment of a crack are represented by blocking the advancement of the crack and fixing the edges thus giving time to the hoof wall to heal through growth in the coronary area. Taking into account the forces acting on the hoof wall, I compared two methods of treating the solar cracks by using compression tests. The results obtained guide us towards choosing the best treatment method.

Vol VI - Nr. 10 (1/2019) 4 ORTHOPEDICS
University Assistant Professor, PhD candidate Cristian Zaha1, University Lecturer, PhD Lucian Rusu2, University Lecturer, PhD Larisa Schuszler1, University Lecturer, PhD Roxana Dascălu1, University Professor, PhD Cornel Igna1 Cite this article: C. Zaha, L. Rusu, Larisa Schuszler, Roxana Dascălu, C. Igna. Testing the resistance of solar cracks treatment through compressive forces. R J Vet Testing the resistance of solar cracks treatment through compressive forces

Introduction

Once the utilitarian value of the horse was established in order to increase its operating life, people became aware of the need for hoof protection.

Data regarding the use of some hoof protections have been around for over 2000 years. Often used for therapeutic purposes, these primitive shoes prevented trauma to the hoof and relieved the pain associated with its disease. In Asia, horses were equipped with hooves protections made from animal skin and plant (1, 2)

Since the first century AD., the Romans used metal and leather materials that were fastened to the hooves (2)

In the case of the peoples of Northern Europe, where the soil was soft and humid, the hooves of horses used in agriculture and transport were prone to diseases and it was difficult to maintain a certain protection on the hoof. Therefore many protection variants have been tried and only from the 6th century AD onwards, the metal ones were used (2)

In Romania, the emergence of iron horseshoes is related to obtaining iron from the first ore holdings in the country. Generally, the blacksmiths from the villages were the ones who dealt with the horse and shoeing (3)

In Cluj County, as well as in other regions of the country, the technique of horseshoeing was passed from one generation to another. In the region of the Apuseni Mountains the horseshoeing is practiced using metal horseshoes that are fastened to the hoof with 6 reeds in winter and 8 reeds in summer (4)

As early as 1365, metals were used as raw materials in manufacturing the materials for the protection of hooves on horses that were used for work in the mines in the Apuseni Mountains (3)

All these hoof protections were made of heavy materials, which required time for fixing and predispose the hoof to cracks.

Currently there are other alternatives for classic metal horseshoes. The most common materials used involve the use of prefabricated slippers made of polyurethane, rubber or fiberglass. Also, certain epoxy compounds are used which are applied directly to the hoof wall and to the sola and which will take the form of the hoof for therapeutic purposes (1)

The use of adhesives and epoxy materials has revolutionized industry of horseshoeing. They can replace a thin or diseased wall, and epoxy grouts can reconstruct a destroyed hoof in a way that has not been encountered so far, making it possible to even fill a flaw (1) .

The presence of a large number of products on the market raises questions about the type of adhesive best suited for plastic, aluminum or metal horseshoes. It is also found that there is a wide variety of epoxy compounds that are used to treat flaws or to replace a part of the hoof wall (5, 6, 7)

In order to choose the best treatment method, it is important to evaluate the depth of the crack and the loss of the hoof tissue in order to choose the materials that will fix the edges of the crack and if necessary, to ensure the application of the local treatment.

The use of the metal horseshoe in the treatment of acropodial disorders has limitations, among which the impossibility of adjustment is the major impediment. On the other hand, giving up using the shoening as a method of attachment, because it destroys the wall of the hoof, has raised the problem of finding another way of fixation. Replacing the horseshoe as a treatment method in itself with the use of epoxy is a challenge for new treatment methods. In order to find the best treatment method using epoxy material in the case of superficial/ deep cracks with solar location, I have performed compression tests in order to determine the force at which the destruction of the fixation occurs.

Materials and methods

For testing, pieces of the hoof wall that were cracked or in which flaws were created, were taken (after the horses were sacrificed), reproducing different types of solar cracks. The samples were collected from the hoof, the solar region, having a thickness of 2 cm and a length of 8 cm, a total area of 16 cm 2 .

The cases that were included in the study were examined regarding the integrity of the hoof (Figure 1) and gait (Figure 2) for establishing the diagnosis of lameness, and those with acropodial disorders were selected.

Lots of 5 samples were set up. The following treatment methods have been tested for:

Superficial solar cracks:

o Lot 1: simple used of epoxy material; o Lot 2: use of epoxy material and damming.

Deep solar cracks:

o Lot 1: simple use of epoxy material; o Lot 2: use of epoxy material and damming.

Also, a control group consisting of 5 samples was tested, both for the superficial and the deep ones, without using any means of fixation.

Techniques used for treatment included the use of Isoform Durofloor epoxy (component A / component B, 1: 2).

5 Vol VI - Nr.
Romanian Journal of Veterinary Orthopedics and Imagistic
10 (1/2019)
Igna
C. Zaha, L. Rusu, Larisa Schuszler, Roxana Dascălu, C.

Working technique

In the case of a solar crack, the epoxy material is inserted into the crack after it has been initially processed by removing the debris from the wall and the manure to give a secure attachment to the substrate. The epoxy material was applied between the edges of the crack.

The tests of resistance for each type of treatment was performed by applying compressive forces with the help of the Instron 8874 Materials Testing Machine (Figure 3) in the research laboratory of the Polytechnic University of Timisoara.

The force released by the machine was identical for each sample. The sensors that are fixed in the arm of the machine have the ability to detect the value of the force at which the gear used to secure the edges of the crack is lost. The support surfaces were straight, thus being eliminated an uneven distribution of the compression force.

Results

Results obtained from testing the control group through compression tests ­ Table 1.

The minimum value at which the loss of resistance was found was 3265 Newtonians (N) ­ 20.19 kg/cm 2 in the case of superficial solar cracks and 2100 N ­ 13.58 kg/cm 2 in the case of deep solar cracks.

The results obtained after the compression force test in the case of treatments for superficial solar cracks:

Lot 1. Testing the strength of the epoxy material in the case of a superficial solar crack through dynamic ex vivo compression forces ­ Table 2.

In each case, the epoxy material has yielded different values. The minimum value at which the epoxy material was modified was 6010 N, the equivalent of 38.23 kg/cm 2. The observed changes consisted of small cracks in the structure of the material.

When the compression force reached 6011 N, the cracking of the epoxy material occurred, and from that moment the compression force decreased. This value was obtained at a pressure of 6.5 mm (Figure 4).

Figure 3.

Lot. 2 ­ Testing the resistance of the epoxy material and applying a blockage notch in the case of a superficial solar crack through ex vivo compression forces ­ Table 3.

Vol VI - Nr. 10 (1/2019) 6
ORTHOPEDICS
Figure 1. Figure 2. Testing the resistance of solar cracks treatment through compressive forces

Table 1. Results obtained for the control group

Superficial solar crack (Seimă Soleară superficială)

Probe 1 4350 N – 27,63 kg/cm2

Deep solar crack (Seimă soleară profundă)

2750 N – 17, 43 kg/cm2

Probe 2 3500 N – 22,22 kg/cm2 3393 N – 21,63 kg/cm2

Probe 3 3265 N – 20,19 kg/cm2 2780 N – 17,64 kg/cm2

Probe 4 4500 N – 28,65 kg/cm2 2878 N – 18,25 kg/cm2

Probe 5 3708 N – 23,55 kg/cm2 2100 N – 13,58 kg/cm2

Table 2. Results obtained from the test of the resistance of the epoxy material in a superficial solar crack

Probe Force (N) – Tension (kg/cm2)

Probe 1 6010.963 N / 38.23 kg/cm2

Probe 2 8007.24 N / 50.98 kg/cm2

Probe 3 11282.99 N / 705 kg/cm2

Probe 4 7502.759 N / 47.72 kg/cm2

Probe 5 8371.575 / 53.33 kg/cm2

Table 3. Results obtained after testing the resistance of the epoxy material and performing a blockage notch in a superficial solar crack

Probe Force (N) – Tension (kg/cm2)

Probe 1 6825.27 N / 43.43 kg/cm2

Probe 2 8392.53 N / 53.43 kg/cm2

Probe 3 8126.33 N / 52.69 kg/cm2

Probe 4 7845.88 N / 49.96 kg/cm2

Probe 5 7502.58 N / 47.72 kg/cm2

In this case, by applying a blockage notch, the resistance was higher than the simple use of the epoxy material. The minimum value at which the epoxy material has changed is 6825.27 N, equivalent to 43.43 kg/cm 2 (Figure 5).

Results obtained after the compression force test in the case of treatments for deep solar cracks:

Lot 1 ­ Testing the strength of the epoxy material in a deep solar crack through ex vivo compression forces ­ Table 4.

Figure 4.

Figure 5.

In the case of a deep solar crack, the epoxy material showed changes to a force of 7505.75 N equivalent to 47.72 kg/cm 2 (Figure 6).

Lot 2 ­ Testing the strength of the epoxy material and applying a blockage notch in the case of a deep solar crack through compression forces ­ Table 5.

In this case, applying a blockage notch, the resistance was higher than the simple use of the epoxy material (Figure 7). Minimum value at which the epoxy material underwent modifications was 6303.82 N equivalent to 40.07 kg/cm2 (Figure 8).

7 Vol VI - Nr. 10 (1/2019)

Romanian Journal of Veterinary Orthopedics and Imagistic
C. Zaha, L. Rusu, Larisa Schuszler, Roxana Dascălu, C. Igna

ORTHOPEDICS

Probe Force (N) – Tension (kg/cm2)

Probe 1 8422.6756 N / 53.63 kg/cm2

Probe 2 8165.4167 N / 52.00 kg/cm2

Probe 3 8996.4564 N / 57.30 kg/cm2

Probe 4 7505.7585 N / 47.72 kg/cm2

Probe 5 8272.2252 N / 52.71 kg/cm2

Probe Force (N) – Tension (kg/cm2)

Probe 1 8367.829 N / 53.22 kg/cm2

Probe 2 10214.43 N / 65.05 kg/cm2

Probe 3 6303.823 N / 40.07 kg/cm2

Probe 4 11245.73 N / 71.58 kg/cm2

Probe 5 9062.587 N / 57.71 kg/cm2

Figure 6.

Figure 7.

a layer of epoxy material to keep the edges of the seed tight and prevent the crack from advancing. In this case, a layer of epoxy material will be applied that will not exceed the edges of the crack and will not protrude to the outside (8)

The use of the epoxy material as a fixing method in both types of crack has increased the resistance of the gear to the compression force exerted by the device.

In his work, Stephen E. O’Grady, uses a blockage notch to treat a solar crack. The blockage notch requires a depth greater than that of the crack (9)

Much better results were obtained in the case of fixing both types of cracks following the application of the dam groove and the restoration of the wall with epoxy material, as a result of stopping the advancement of the crack vertically and supporting the crack edges.

Figure 8.

Discussions

According to Ross M., Dyson J., in the case of a superficial crack, it is sufficient to apply

The limitations of this study are represented by the non ­ participation of the structures inside the hoof to the compression forces exerted.

This work is licensed under a Creative Commons Attribution-NonCommercialNoDerivatives 4.0 International License.

Vol VI - Nr. 10 (1/2019)

8
Table 4. Results obtained from the testing the resistance of the epoxy material in a deep solar crack Table 5. Results obtained from testing the strength of the material and of a blockage notch in a deep solar crack Testing the resistance of solar cracks treatment through compressive forces

C. Zaha, L. Rusu, Larisa Schuszler, Roxana Dascălu, C. Igna

Bibliography

1. Christian B, Clinical Use of Extracorporeal Shockwave Therapy (ESWT) for the Treatment of Carpus Valgus Deformities in Young Foals: A Retrospective Study of 64 Cases (2006-2009), January 2013, Open Jurnal of Veterinary Medicine, 03(01):46-51.

2. Flossie S, Treating quarter cracks, EquiMed, 30 April 2017, no. 2.

3. Butura V., Contribuţii la studiul fierăritului în Munţii Apuseni, Arhiva Științifică a Muzeului ASTRA Sibiu, Fond B.I.a. Civilizația populară românească, Dosar nr. 2575/2001.

4. Popa A., Nițoi A., Raport de cercetare a potcovitului în satul Bercheșu, com. Frata, jud. Cluj, Arhiva Științifică a Muzeului ASTRA Sibiu, Fond B.I.a. Civilizația populară românească, Dosar

nr. 5180/2003.

5. Reeden R.F., Indentifiyng and treating the negative palmar angle, Equine Podiatry, January 2010; 14(1): 25-28.

6. Brian G, Adhesives, Hoof repair and glue-on shoes product Roundup 2014, Farries Journal, 10 March 2014, No. 3.

7. Andrew James H, The Equine Manual. Edinburg. Elsevier Health Sciences. 27 August 2013.

8. Ross M., Dyson J., – Diagnosis and Management of lameness in the Horse, Chapter 102, Saunders, 2000, pp 900-905.

9. Stephen E. O’Grady, 2010 – How to manage a quarter Crack, 11. AAEP PROCEEDINGS, Vol. 56, 2010, pp 141-147.

Vol VI - Nr. 10 (1/2019)

9
Romanian Journal of Veterinary Orthopedics and Imagistic

PLĂCILE BLOCANTE - AVANTAJELE ȘI DEZAVANTAJELE UTILIZĂRII ÎN CHIRURGIA ORTOPEDICĂ

LOCKING PLATES - ADVANTAGES AND LIMITATIONS IN VETERINARY ORTHOPAEDIC SURGERY

Prof. Univ. Dr. Cornel Igna

OPEN ACCES JOURNAL

R J Vet Orthoped I. 2019; Vol. VI - 10 (1): 10-22.

Introducere

Corresponding author:

Prof. Univ. Dr. Cornel Igna, E-mail: corneligna@usab-tm.ro

Recieved: November 2019

Accepted: December 2019

În această lucrare a fost analizată osteosinteza prin reducere deschisă și fixare internă (Open Reduction and Internal Fixation ­ ORIF) și osteosinteza minim invazivă (Mini­Invasive Plate Osteosynthesis ­ MIPO) cu plăci de blocare (Locking Compression Plate – LCP). Scopul acestei lucrări este de a familiariza medicii veterinari practicieni cu privire la evoluția, biomecanica, disponibilitatea, tehnicile de aplicare, avantajele și dezavantajele utilizării plăcilor de blocare în chirurgia ortopedică

In this study the Open Reduction and Internal Fixation (ORIF) and Mini­Invasive Plate Osteosynthesis (MIPO) by bone with Locking Compression Plate – LCP was reviewed. The aim of this review is to alert the practitioner to the evolution, biomechanics, availability, application, advantages and limitations of locking plates in veterinary orthopaedic surgery.

În procesul de vindecare osoasă primară, este esenţială asigurarea unei fixări cu stabilitate absolută. Dintre dispozitivele de fixare internă, plăcile și șuruburile sunt cel mai frecvent utilizate în ortopedia veterinară 1 .

Dezvoltarea plăcilor de osteosinteză ­ de la conceptul ințial preconizat de Hansman în 1886 2,3, de Halstead în 1893 4 și, respectiv, de Lane în 1895 5– figura 1 6,7, la plăcile de tip Dynamic Compression Plate – DCP 8,9, ulterior la plăcile de tip Limited Contact Dynamic Com ­

Vol VI - Nr. 10 (1/2019) 10 ORTHOPEDICS SURGERY
osteosinteza
Keywords: bone plating, locking compression plate
Abstract:
Banat University of Agricultural Science and Veterinary Medicine from Banat, “King Mihai I of Romania”Timișoara, Faculty of Veterinary Medicine, 300645, Calea Aradului, no 119, Timișoara, România
Cuvinte-cheie:
cu placă, placă blocantă
Rezumat:
veterinary orthopaedic surgery
Locking plates - advantages and limitations in Cite this article: C. Igna. Locking plates - advantages and limitations in veterinary orthopaedic surgery.

Figura 1a. Placa de metal utilizată de Lane – 1895

Din Bechtol CO, Fergusson AB, Laing PE. Metals and Engineering in Bone and Joint Surgery. Williams Wilkins; Baltimore: 1959, după Uhthoff HK, Poitras P, Backman DS. Internal plate fixation of fractures: short history and recent developments. Journal of orthopaedic science. 2006 Mar 1;11(2):118-267. -https://www.researchgate.net

pression Plate ­ LC ­ DCP 10 și, relativ recent, la plăcile de tip blocant ­ Locking Compression Plate – LCP 11,12 ­ a reprezentat o evoluție continuă de peste 100 de ani.

Din punct de vedere biomecanic, plăcile de compresie dinamică (DCP) stabilizează segmentele osoase prin conversia cuplului aplicat

Figura 1b. Biological Healing Plate

Din https://veterinary-instrumentation.co.uk

în timpul introducerii șurubului într­ o forță de compresie, creând stabilitate prin fricțiunea dintre placă și os 13 ­ figura 2. Întreținerea compresiei plăcii pe os depinde de menținerea unei interfețe eficiente între filetul șurubului și compacta osului. Integritatea interfeței este afectată de scăderea calității osului, ducând la pierderea frecării și instabilitatea montajului. Compresia plăcii de tip DCP asupra osului compromite aportul de sânge periostal, cauzând resorbția osoasă sub placă 10,14

Figura 2.Dynamic Compression Plate – DCP

Din http://vetorthopaedics.com/implants/other-surgical-equipment/

Plăcile de tip LC ­ DCP – figura 3 reprezintă o dezvoltare a plăcii de tip DCP, reducând contactul plăcii cu osul la cca 50% 10

Relativ recent, bazat pe principiul fixatorului cu contact punctual PC ­ fix 15,16, au fost dezvoltate primele plăci de blocare 17,18 (LCP) – figura 4.

Din https://www2.aofoundation.org

11
Romanian Journal of Veterinary Orthopedics and Imagistic C. Igna
Vol VI - Nr. 10 (1/2019)
Figura 3. Limited Contact Dynamic Compression Plate – LC-DCP

DIn

22(4):227–237

- https://pdfs.semanticscholar.org

LCP (sau așa ­ numitul fixator intern 19) constă din sisteme de plăci și șuruburi în care șuruburile sunt blocate în placă. Această blocare reduce la minimum forțele de compresie exercitate de placă asupra osului, LCP putând fi aplicate fără a avea contact cu osul. Conturarea anatomică precisă a unei plăci nu mai este necesară, deși există prototipuri de plăci de blocare special create pentru acest rol ­ (String Of Pearls ­ șir de perle ­ SOP). În absența contactului cu osul, circulația sangvină periostală nu mai este afectată. Din punct de vedere biomecanic, plăcile blocante asigură fixarea prin intermediul unui

Figura 4b. Synthes LCP -combi holes

Din Filipowicz D, Lanz O, McLaughlin R, Elder S, Were S. A biomechanical comparison of 3.5 locking compression plate fixation to 3.5 limited contact dynamic compression plate fixation in a canine cadaveric distal humeral metaphyseal gap model. Appendix 1. - Locking compression plate (LCP). Note the locking screw on the left and conventional screw on the right.Vet Comp Orthop Traumatol 2009; 22(04): 1-8 DOI: 10.3415/VCOT-08-05-004218 - https://www. semanticscholar.org

montaj rigid între placă ș i ș uruburile inserate în os (capul ș uruburilor se înfiletează în placă), comportându ­ se asemănător tablierului (placa) unui pod cu picioare ( ș uruburile) – figura 5b, în contrast cu plăcile de tip DCP sau LCDCP care transferă sarcina exercitată asupra osului în tracțiuni asupra șurubului și în compresiune la interfața placă ­ os ­ figura 5a 20

Figura 5. Transferul sarcinii de încărcare a osului: a - în montajele convenționale (DCP, LC-DCP) și b – în montajele cu plăci de blocare (LCP)

Din Wagner M. Fracture fixation using the locking compression plate (LCP). AO trauma principle course.20 https://www.slideshare.net/ Orthosurg2016/lcp-61254507

Vol VI - Nr. 10 (1/2019) 12 ORTHOPEDICS SURGERY
Figura 4a. Zespol - precursor al plăcilor de tip LCP. (Prof. P. J. Bilinski collection) Piotr Jacek Bilinski, Massimo “Max” Morandi. A Precursor of the Locking Plate System: Noncontact Plate Osteosynthesis by Zespol, Construction, Technique, and Tactic. Techniques in Orthopaedics® © 2007 Lippincott Williams & Wilkins, Inc17.
a b
veterinary orthopaedic surgery
Locking plates - advantages and limitations
in

Plăcile blocante de uz veterinar, disponibile la ora actuală, sunt confecționate din trei categorii mari de materiale: oțel inox (316 L), aliaj de titaniu (Ti ­ 6Al ­ 4V = titanium 90%, aluminium 6%, vanadium 4%) și titaniu pur. Șuruburile blocante sunt confecționate din aceleași materiale metalice, dar la ora actuală există și șuruburi resorbabile și chiar plăci resorbabile, fabricate din polimeri resorbabili simpli (polylactide, polyglycolide, polydioxanone, poly/ glycolide ­ co ­ trimethylene carbonate, poly lac tide ­ co ­ glycolide și polyesteramide) sau armați cu fibre de sticlă și/sau ceramică 21,22 Șuruburile blocante – figura 6 pot fi: cu înfiletare după foraj și tarodare (a), auto ­ tarodabile (b) și auto ­ forante și auto ­ tarodabile (c). Cele mai cunoscute firme producătoare de plăci blocante de uz veterinar, disponibile la ora actuală, într­ o mare diversitate de configurații, dimensiuni, soluții constructive de asigurare a blocării, și bineînțeles denumiri, sunt: BHH Mikromed Sp.z.o.o. – Katowicka, Dąbrowa Górnicza, Polonia (locking compression plate system și Zespol system) 23, Everost Inc. – Sturbridge, MA, USA (Evolox – FreedomLock Plate, LibertyLock Screw) 24, Fixin (TraumaVet, Rivoli, Italia) 25, Kyon ­ Zurich, Elveția (Advanced Locked Plating Sistem ­ plăci cu sistem de blocare avansată ­ ALPS) 26, New Generation Device – Naples, Fl, USA (Locking Trauma – Locking compression plate, Locking broad compression plate) 27, Orthomed UK Ltd ­ Halifax, Marea Britanie (String Of Pearls Șir de perle ­ SOP) 28 , Securos ­ Fiskdale, MA, SUA (Polyaxial Locking Plate System plăci cu sistem de blocare polia ­

xială ­ PAX) 29, Synthes ­ Oberdorf, Elveția (Locking compression plate – LCP și LCP­ Combi holes) 30, Veterinary Instrumentation ­ Sheffield, Marea Britanie (Plates with Stacked Locking Holes ­ LPSH) 31

Plăcile de blocare de uz veterinar, destinate animalelor de talie mică (câini, pisici), sunt frecvent fabricate ca sisteme cu dimensiunile de 1.5, 2.0, 2.4, 2.7, 3.5 și 4 mm 22­31

Fixarea capului șurubului în placă se face prin diferite soluții tehnice 23­36 : ­ filet pozitiv pe capul conic al șurubului potrivit cu filetul negativ din orificiul conic al plăcii – figura 7(I), aplicat la plăcile LCP (BHH Mickromed), LCP și LCP­ Combi holes (Synthes) și LPSH (Veterinary Instrumentation); ­ filet pozitiv pe capul sferic al șurubului care se poate înfileta sub diverse unghiuri (poly ­ axial, între 0 și 30°) în filetul pozitiv al plăcii (plăci cu unghi variabil) – figura 7(II), aplicat la plăcile LCP ( AO Synthes); ­ capul șurubului conic al șurubului filetat pozitiv (fabricat din aliaj de titaniu – rezistent) induce prin înfiletare o deformare plastică a crestelor prezente în orificiul plăcii (fabricată din titaniu pur ­ mai moale), asigurând blocarea (atât pentru șuruburile inserate sub unghi fix 0°, cât și sub diverse unghiuri ­ poly ­ axial) – figura 7(III), aplicat la plăcile PAX (Securos); ­ filetul corpului șurubului tarodează în orificiul plăcii un filet de fixare și blocaj – figura 7(IV), aplicat la plăcile ALPS (Kyon); ­ orificiul plăcii prezintă o secțiune filetată în partea inferioară și o secțiune în care capul șurubului (cortical standard) se afundă, iar ­ pe măsură ce capul șurubului este coborât în orificiul plăcii ­ acesta intră în contact cu o creastă, determinând blocarea capului șurubului –figura 7(V), aplicat la plăcile SOP (Orthomed); ­ bucșe din aliaj de titaniu care înșurubează în placa de oțel, iar, ulterior, în acestea se inserează șuruburi speciale cu cap conic (din aliaj de titaniu), blocându ­ se prin frecare, micro ­ sudură și deformare elastică între suprafețele de contact ale capului șurubului și bucșă – figura 7(VI), aplicat la plăcile Fixin (Trauma Vet); ­ orificiul plăcii este parțial filetat, având 4 coloane în care, prin înfiletare și întrepătrundere cu fantele oblice din capul șurubului ,se produce blocarea – figura 7(VII), aplicat la sistemele Liberty lock plăci și Fredomm lock șuruburi (Everost) care permit și montaje poliaxiale;

Capace înfiletabile în orificiul plăcii peste capul unui șurub standard de corticală pe care îl blochează – figura 7(VIII), sistem care permite și montaje poliaxiale, dar care încă nu este aplicat pentru produsele de uz veterinar, exis ­

13 Vol VI
Romanian Journal of Veterinary Orthopedics and Imagistic
- Nr. 10 (1/2019)
a
c C. Igna
Figura 6. Tipuri de șuruburi blocante Din https://www.narangvet.com/veterinary-screws/locking-screws
b

I. Șurub cu cap conic filetat și unghi fix 0° (perpendicular) de inserție în filetul plăcii a -capul șurubului este filetat și se înșurubează în placă; b - există un filet dublu pe capul șurubului, dar pasul filetului este constant – LCP (Synthes)

Din Cronier P, Pietu G, Dujardin C, Bigorre N, Ducellier F, Gerard R. The concept of locking plates. Orthopaedics & Traumatology: Surgery & Research (2010) 96S, S17—S36.32

II. Filetul pozitiv pe capul sferic al șurubului care se poate înfileta perpendicular (a) sau sub diverse unghiuri (poliaxialb) în filetul pozitiv al plăcii (plăci cu unghi variabil).

Din Poitout DG. Biomechanics and Biomaterials in Orthopedics. Second ed. Springer-verlag, London 2016, p. 349 33 - https:// musculoskeletalkey.com/biomechanics-of-osteosynthesis-by-screwed-plates/

III. Capul conic al șurubului filetat pozitiv induce, prin înfiletare, o deformare plastică a crestelor prezente în orificiul plăcii, asigurând blocarea.

Din Catalog Securos 29 PAX polyaxial locking system

- https://www.securos-europe.eu/products/internal-fixation/?L=1 - https://www.securos.com/-/media/assets/securos/.../pax_ brochure_2018_online.pdf și

- https://www.securos.com/orthopedics

Figura 7. Soluții tehnice de fixare a capului șurubului în placă

Vol VI - Nr. 10 (1/2019)

14 ORTHOPEDICS SURGERY
a a
b
b
veterinary orthopaedic surgery
Locking plates - advantages and limitations in
15 Vol VI
Romanian Journal of Veterinary Orthopedics and Imagistic
IV. Filetul corpului șurubului tarodează în orificiul plăcii un filet
fixare și blocaj
Din
și d) și din
LH, Glyde H. Locking plates
veterinary
Australian Veterinary
43(3)
blocaj, suportă doar insertii fixe la 0° (b și c), iar șurubul
și
și
tip
pe
ce este inserat în orificiul plăcii (perla plăcii), se angrenează în filetul părții inferioare a orificiului plăcii (filetul de pe corpul șurubului), iar capul șurubului intră în contact cu o creastă din orificiu, ambele mecanisme determinând blocarea – SOP (Orthomed). DIn Boero Baroncelli A, Reif U, Bignardi C, Peirone B. Effect of screw insertion torque on push‐out and cantilever bending properties of five different angle‐stable systems. Veterinary Surgery.
35.-
-
și din
a a
d c b c C. Igna
- Nr. 10 (1/2019)
Figura 7 (continuare). Soluții tehnice de fixare a capului șurubului în placă
de
– plăci ALPS (Kyon).
- https://www.kyon.ch/current-products/advanced-locking-plate-system-alps 26- (a, b
Beierer
in
orthopedics.
Practitioner
September 2013, 483-487 34., (c) - https://pdfs.semanticscholar.org/ - șurubul verde este de
galben este convențional de corticală (b
c)
poate fi inserat poliaxial între 0° și 60° (d). V. Șurubul de
cortical standard,
măsură
2013 Apr;42(3):308-15
https://www.researchgate.net/publication (a).
https://www.orthomed.co.uk/eu/systems/sop-interlocking-plate-fracture-repair-system/ (b)
- https://inpractice.bmj.com (c).
b

VI. Bucșe din aliaj de titaniu care se înșurubează în placa de oțel și în care se inserează șuruburile speciale cu cap conic (din aliaj de titaniu), blocându-se prin frecare, micro-sudură și deformare elastică între suprafețele de contact ale capului șurubului și bucșă.

Din Petazzoni M, Urizzi A, Verdonck B, Jaeger G. Fixin internal fixator: concept and technique. Vet Comp Orthop Traumatol 2010;23:250253 36 - https://www.intrauma.com

VII. Orificiul plăcii este parțial filetat, avînd 4 coloane în care, prin înfiletarea șurubului și îmbinarea cu fantele oblice ale capului șurubului, se produce blocarea (permite și montaje poliaxiale) – Liberty lock plăci și Fredomm lock șuruburi (Everost).

Din catalog Everost 24 www.everost.com (a,b,c) și din Poitout DG. Biomechanics and Biomaterials in Orthopedics. Second ed. Springerverlag, London 2016, p. 348 33 - https://musculoskeletalkey.com/biomechanics-of-osteosynthesis-by-screwed-plates/ (d).

Figura 7 (continuare). Soluții tehnice de fixare a capului șurubului în placă

Vol VI
Nr. 10 (1/2019) 16
-
c
ORTHOPEDICS SURGERY Locking
veterinary orthopaedic surgery
a b
d
plates - advantages and limitations in

VIII. Capace înfiletabile în orificiul plăcii și care blochează un șurub standard de corticală. Din Poitout DG. Biomechanics and Biomaterials in Orthopedics. Second ed. Springer-verlag, London 2016, p. 350 33- https:// musculoskeletalkey.com/biomechanics-of-osteosynthesis-by-screwed-plates/ (a) și din din Cronier P, Pietu G, Dujardin C, Bigorre N, Ducellier F, Gerard R. The concept of locking plates. Orthopaedics & Traumatology: Surgery & Research (2010) 96S, S17—S36.32 - https://pdfs.semanticscholar.org (b)

Figura 7 (continuare). Soluții tehnice de fixare a capului șurubului în placă

tând doar în produsele firmei Zimmer 37 dedicate ortopediei umane.

Stabilitatea montajelor cu plăci blocante este dependentă de puterea interfeței șurub ­ placă și mult mai puțin dependentă de interacțiunea implant ­ os 20,38. O limitare tehnică a majorității sistemelor de plăci blocante de uz veterinar este reprezentată de cerința de a introduce șuruburile de blocare perpendiculare pe placă (unghi fix 0°). Acestă problemă a fost rezolvată în mod diferit de firmele producătoare de plăci blocante.

Firma Synthes ­ prin plăcile de tip LCP­ Combi holes construite cu orificiile plăcii ovale, în care o jumătate este filetată pentru inserția șuruburilor de blocare în unghi fix 0°, iar cealaltă jumătate este conică, nefiletată, permițând inserția unor șuruburi de corticală standard în unghi variabil 0 ­ 50° ­ figura 8. Această soluție tehnică permite utilizarea acestei plăci pentru realizarea mai multor tehnici de osteosinteză dependente de necesitățile reclamate de fixarea focarului de fractură: ca placă pentru compresiune în focar, placă de susținere (briding), inclusiv pentru abordări minim invazive (MIPO) și combinații între cele două tehnic i39 New Generation Devices a adoptat, în 2004pentru plăcile și Locking compression plate, Locking broad compression plate, TPLO plate (Tibial Plateau Leveling Osteotomy), Locking Distal Femoral Osteotomy Plate (DFO), Sliding Humeral Osteotomy (SHO), Triple Pelvic Oste ­

otomy Plates ­ (LTPO, VAP, and TPO) și Locking Pantarsal Arthrodesis Plate ­ un sistem asemănator.

Firma Kyon a dezvoltat la plăcile sistemului ALPS (Advanced Locked Plating Sistem) un tip de găuri care permite atât realizarea blocării în placă, cu șuruburi specifice de blocaj, cât și inserția unor șuruburi de corticală standard în unghi variabil 0 ­ 60°, figura7(IVd).

Alte firme (Securos, Everost) au rezolvat problema inserării poliaxiale a unor șuruburi de blocare prin diferite soluții tehnice – vezi figura 7, iar altele au dezvoltat sisteme care permit o modelare a plăcii sub diferite unghiuri, implicit de inserție a șuruburilor – vezi plăcile SOP (Orthomed) ­ figura 9!

În ceea ce privește capacitatea plăcilor de blocare de a rezista la diferite forțe de deteriorare (îndoire, torsiune, expulzare a șuruburilor etc.), studii comparative 38,40­43 au demonstrat că nu există diferențe semnificative între diferite sisteme de plăci de uz veterinar.

Plăcile de blocaj, denumite și plăci fără contact sau fixatoare interne, prezintă avantajul aplicării la distanță față de os (extraperiostal) ceea ce menține aportul de sânge periosteal, favorizând activitatea factorilor biologici care concură la vindecarea fracturilor. Distanța recomandată dintre placă și os trebuie să fie de până la 2 mm 40,44

Alte avantaje ale plăcilor de blocare 20,34,38,45­55 sunt reprezentate de posibilitatea utilizării în

17 Vol VI
Romanian Journal of Veterinary Orthopedics and Imagistic
- Nr. 10 (1/2019)
a b
C. Igna

b

c d

Figura 8. LCP Comi-holes (Synthes)

Din Filipowicz D, Lanz O, McLaughlin R, Elder S, Were S. A biomechanical comparison of 3.5 locking compression plate fixation to 3.5 limited contact dynamic compression plate fixation in a canine cadaveric distal humeral metaphyseal gap model. Appendix 1. - Locking compression plate (LCP). Note the locking screw on the left and conventional screw on the right.Vet Comp Orthop Traumatol 2009; 22(04): 1-8 DOI: 10.3415/VCOT-08-05-0042 18 - https://www.semanticscholar.org (b și c) și din - https://www2.aofoundation.org (a și d).

b

a

Figura 9. Modelarea plăcilor de tip String Of Pearls – SOP

Din https://www.orthomed.co.uk/eu/systems/sop-interlocking-plate-fracture-repair-system/.

Vol VI - Nr. 10 (1/2019) 18 a
ORTHOPEDICS SURGERY
in veterinary orthopaedic surgery
Locking plates - advantages and limitations

Figura 10. Inserarea șuruburilor într-o placă blocantă a – monocortical; b – bicortical Din Santos RR, Rahal SC, Mesquita Neto C, Ribeiro CR, Sousa EA, Foschini CR, Agostinho FS, Mesquita LD. Biomechanical Analysis of Locking Reconstruction Plate Using Monoor Bicortical Screws. Materials Research. 2016 Jun; 19(3):58893. - http://www.scielo.br.

aplicații chirurgicale minim invazive, necesitatea minimă a modelării plăcii (conturare) la suportul osos, număr minim de șuruburi necesare pentru fixare (minim două distal și proximal de focarul de fractură, posibilitatea inserării monocorticale a șuruburilor – ceea ce nu reduce stabilitatea montajului – figura 10 și risc scăzut de pierdere a reducerii fracturii în timpul strângerii cu șurub.

Indicațiile utilizării plăcilor blocante în chirurgia ortopedică veterinară sunt: repararea fracturilor oaselor lungi 56­59, îndeosebi a celor cu localizare epifizară 60­62, a fracturilor cominutive ale metafizelor 18, a fracturilor oaselor plate (spată, bazin) 63­69, a fracturilor cu pierdere osoasă 55,70­72, în osteotomiile tibilale destinate reparării rupturilor ligamentului cruciat cranial 74­78, ca și în artrodeze 79,80

Montajele în care pot fi utilizate plăcile de blocare sunt: placare convențională cu stabili ­

Bibliografie

1. Brinker WO, Piermattei DL, Flo GL.. Fractures of the radius and ulna. In Handbook of Small Animal Orthopedics and Fracture Treatment. Ed. WB Saunders Philadelphia, 1983.

2. Hansmann M. Eine neue Methode der Fixation der Fragmente bei complicirten Fracturen. Verhandlungen der Deutschen Gesellschaft für Chirurgie. 1886;15:134–7.

3. Schatzker J. Osteosynthesis in trauma. International orthopaedics. 1996 Jul 1; 20(4):244-52.

4. Hosseinzadeh Hamid Reza Seyyed, Mehrnoush Hassas Yeganeh, Hamid Reza Seyyed Hosseinzadeh. Plate Fixation in Orthopaedics. https://www.academia.edu /1962243/ Plate_Fixation_in_Orthopaedics.

5. Lane WA. Some remarks on the treatment of fractures. BMJ. 1895;1:861–3. doi: 10.1136/bmj.1.1790.861.

tate absolută, placare în pod (bridge plating) cu stabilitate relativă, combinații între cele două 39 și fixarea mixtă – placă și tijă centromedulară (plate and rod fixation) 55,70­73,81­90

Dezavantajele majore ale plăcilor blocante constau în prețul ridicat și, uneori, în dificultatea extragerii șuruburilor blocante 91,92

Concluzii

Plăcile osoase de blocare sunt din ce în ce mai frecvent utilizate în ortopedia veterinară. Selecția plăcii este un factor major în reușita reparației fracturilor. Medicii veterinari ortopezi ar trebui să recunoască avantajele și dezavantajele diferitelor sisteme de plăci blocante și să fie familiari cu cerințele specifice ale sistemelor pe care le utilizează.

This work is licensed under a Creative Commons Attribution-NonCommercialNoDerivatives 4.0 International License.

[PubMed].

6. Bechtol CO, Fergusson AB, Laing PE. Metals and Engineering in Bone and Joint Surgery. Williams Wilkins; Baltimore: 1959.

7. Uhthoff HK, Poitras P, Backman DS. Internal plate fixation of fractures: short history and recent developments. Journal of orthopaedic science. 2006 Mar 1;11(2):118-26.

8. Bagby GW, Janes JM. The effect of compression on the rate of fracture healing using a special plate. Am J Surg. 1958; 95:761–71. doi: 10.1016/0002-9610(58)90625-1. [PubMed].

9. Müller ME, Allgöwer M, Willenegger H. Technique of internal fixation of fractures. Berlin: Springer; 1965. Compression fixation with plates; pp. 47–51.

19 Vol VI - Nr. 10 (1/2019) Romanian Journal of Veterinary Orthopedics and Imagistic
C. Igna

Bibliografie

10. Gautier E, Perren SM. Die limited contact dynamic compression plate (LC-DCP): Biomechanische Forschung als Grundlage des neuen Plattendesigns. Orthopade. 1992; 21:11–23.

11. Sommer C. Locking compression plate — LCP — A new AO principle. Injury 2003; 34 (Suppl. 2): 1—76.

12. Ramotowski W, Granowski R, Pilawski K, et al. Zespol –nowy rodzaj osteosyntezy. Wskazania, narzedzia i technika operacji. Chir Narz Ruchu Ortop Pol 1984;XLIX(4):307–311.

13. Perren SM, Russenberger M, Steinemann S, Muller ME, Allgower M. A dynamic compression plate. Acta Orthop Scand Suppl 1969;125:31-41.

14. Perren SM. The concept of biological plating using the limited contact — dynamic compression plate (LC-DCP). Injury 1991;22, Supplement 1:1-41.

15. Tepic S, Perren SM. The biomechanics of the PC-Fix internal fixator. Injury. 1995; 26 (Suppl 2): S-B5–10.

16. Perren SM, Buchanan JS. Basic concepts relevant to the design and development of the point contact fixator (PCFix). Injury. 1995; 26(Suppl 2):S-B-1–4.

17. Bilinski PJ, Morandi MM. A Precursor of the Locking Plate System: Noncontact Plate Osteosynthesis by Zespol, Construction, Technique, and Tactic. Techniques in Orthopaedics® 22(4):227–237 © 2007 Lippincott Williams & Wilkins, Inc.

18. Filipowicz D, Lanz O, McLaughlin R, Elder S, Were S. A biomechanical comparison of 3.5 locking compression plate fixation to 3.5 limited contact dynamic compression plate fixation in a canine cadaveric distal humeral metaphyseal gap model. Vet Comp Orthop Traumatol 2009; 22(04): 1-8 DOI: 10.3415/VCOT-08-05-0042.

19. Schutz M, Sudkamp NP. Revolution in plate osteosynthesis: new internal fixator systems. J. Orthop. Sci., 2003; 8: 252-258.

20. Wagner M. General principles for the clinical use of the LCP. Injury 2003; 34, Suppl 2: B31-42.

21. Leenslag JW, Pennings AJ. Plates and screws for internal fracture fixation, Biomaterials 1987, 8, 70.

22. Gogolewski S, Perren S. Self-locking resorbable screws and plates for internal fixation of bone fractures and tendon-to-bone attachment. US Patent No. 5,275,601 Jan, 4, 1994.

23. BHH Mickromed – Implants for orthopedics traumatology. https://www.mikromed.eu.

24. Everost Inc. – www.everost.com.

25. InTraumaVet – Fixin. - www.intrauma.com.

26. Kyon - https://www.kyon.ch.

27. New Generation Device - https://www.ngdvet.com.

28. Orthomed UK Ltd - https://www.orthomed.co.uk.

29. Securos - https://www.securos.com.

30. Synthes - https://www.depuysynthes.com.

31. Veterinary Instrumentation – https://www.veterinaryinstrumentation.co.uk.

32. Cronier P, Pietu G, Dujardin C, Bigorre N, Ducellier F, Gerard R. The concept of locking plates. Orthopaedics & Traumatology: Surgery & Research (2010) 96S, S17—S36.

33. Poitout DG. Biomechanics and Biomaterials in Orthopedics. Second ed. Springer-Verlag, London 2016.

34. Beierer LH, Glyde H. Locking plates in veterinary orthopedics. Australian Veterinary Practitioner 43(3) September 2013, 483-487.

35. Boero Baroncelli A, Reif U, Bignardi C, Peirone B. Effect of screw insertion torque on push‐out and cantilever bending properties of five different angle‐stable systems. Veterinary Surgery. 2013 Apr;42(3):308-15.

36. Petazzoni M, Urizzi A, Verdonck B, Jaeger G. Fixin internal fixator: concept and technique. Vet Comp Orthop Traumatol 2010; 23:250-253.

37. Zimmer - Locking Plate System. http://www.zimmer. co.uk/.

38. Bufkin BW, Barnhart MD, Kazanovicz AJ, Naber SJ, Kennedy SC. The effect of screw angulation and insertion torque on the push-out strength of polyaxial locking screws and the single cycle to failure in bending of polyaxial locking plates. Veterinary and Comparative Orthopaedics and Traumatology. 2013;26(03):186-91.

39. Igna C. Current concepts of internal plate fixation of fractures. Bulletin of University of Agricultural Sciences and Veterinary Medicine Cluj-Napoca. Veterinary Medicine. 2010;67(2).

40. Ahmad M, Nanda R, Bajwa AS, Candal-Couto J, Green S, Hui AC. Biomechanical testing of the locking compression plate: when does the distance between bone and implant significantly reduce construct stability?. Injury. 2007 Mar 1; 38(3):358-64.

41. Blake CA, Boudrieau RJ, Torrance BS, Tacvorian EK, Cabassu JB, Gaudette GR, Kowaleski MP. Single cycle to failure in bending of three standard and five locking plates and plate constructs. Veterinary and comparative orthopaedics and traumatology. 2011; 24(06):408-17.

42. Cabassu JB, Kowaleski MP, Shorinko JK, Blake CA, Gaudette GR, Boudrieau RJ. Single cycle to failure in torsion of three standard and five locking plate constructs. Veterinary and Comparative Orthopaedics and Traumatology. 2011; 24(06):418-25.

43. DeTora MD, Kraus KH. Mechanical testing of locking and non-locking 3.5mm bone plates. Vet Comp Orthop Traumatol 2008; 21: 318-322.

44. Stoffel K. Biomechanical testing of the LCP–—how can the stability of locked internal fixators be controlled? Injury 2003; 34: SB11—9.

45. Santos RR, Rahal SC, Mesquita Neto C, Ribeiro CR, Sousa EA, Foschini CR, Agostinho FS, Mesquita LD. Biomechanical Analysis of Locking Reconstruction Plate Using Mono-or Bicortical Screws. Materials Research. 2016 Jun;19(3):58893.

46. Egol KA, Kubiak EN, Fulkerson E, Kummer FJ, Koval KJ. Biomechanics of locked plates and screws. Journal of orthopaedic trauma. 2004 Sep 1;18(8):488-93.).

47. Frigg R. Locking Compression Plate (LCP). An Osteosynthesis plate based on the dynamic compression plate and point contact fixator (PC-Fix). Injury 2001; 32(Suppl):63—6.

48. Larsen LJ, Roush JK, McLaughlin RM (1999) Bone plate fixation of distal radius and ulna fractures in small- and miniature-breed dogs. Journal of the American Animal Hospital Association. 1999, 35(3): 243-250.

49. Nelson TA, Strom A. Outcome of Repair of Distal Radial and Ulnar Fractures in Dogs Weighing 4 kg or Less Using a 1.5-mm Locking Adaption Plate or 2.0-mm Limited Contact Dynamic Compression Plate. Vet Comp Orthop Traumatol. 2017, 30(6):444-452. doi: 10.3415/VCOT-17-01-0005.

50. Kang BJ, Ryu HH, Park S, Kim Y, Kweon OK, Hayashi K. Clinical evaluation of a mini locking plate system for fracture repair of the radius and ulna in miniature breed dogs. Vet Comp Orthop Traumatol. 2016 Nov 23; 29(6):522527.

51. Johnson AL, Houlton JEF, Vannini R. AO principles of fracture management in the dog and cat. AO Publishing, Switzerland, 2005.

20
Vol VI - Nr. 10 (1/2019)
ORTHOPEDICS SURGERY
veterinary orthopaedic surgery
Locking plates - advantages and limitations in

Bibliografie

52. Hudson CC, Pozzi A, Lewis DD. Minimally invasive plate osteosynthesis: applications and techniques in dogs and cats. Vet Comp Orthop Traumatol 2009; 22: 175–182.

53. Chao P, Lewis DD, Kowaleski MP, Pozzi A. Biomechanical concepts applicable to minimally invasive fracture repair in small animals. Veterinary Clinics: Small Animal Practice. 2012 Sep 1; 42(5):853-72.

54. Pozzi A, Hudson CC, Gauthier CM, Lewis DD. Retrospective comparison of minimally invasive plate osteosynthesis and open reduction and internal fixation of radius‐ulna fractures in dogs. Veterinary surgery. 2013 Jan; 42(1):19-27.

55. Pearson T, Glyde M, Hosgood G, Day R. The effect of intramedullary pin size and monocortical screw configuration on locking compression plate-rod constructs in an in vitro fracture gap model. Veterinary and Comparative Orthopaedics and Traumatology. 2015; 28(02):95-103.

56. Guiot LP, Déjardin LM. Prospective evaluation of minimally invasive plate osteosynthesis in 36 nonarticular tibial fractures in dogs and cats. Veterinary surgery. 2011 Feb; 40(2):171-82.

57. Voss K, Kull MA, Haessig M, Montavon PM. Repair of long-bone fractures in cats and small dogs with the Unilock mandible locking plate system. Veterinary and Comparative Orthopaedics and Traumatology. 2009; 22(05):398-405.

58. Baroncelli AB, Peirone B, Winter MD, Reese DJ, Pozzi A. Retrospective comparison between minimally invasive plate osteosynthesis and open plating for tibial fractures in dogs. Veterinary and Comparative Orthopaedics and Traumatology. 2012; 25(05):410-7.

59. Field MR, Butler R, Wills RW, Maxwell WM. Retrospective evaluation of perioperative and short term clinical outcomes in appendicular long bone skeleton fractures repaired via the string of pearls (SOP) locking plate system. BMC veterinary research. 2018 Dec; 14(1):386.

60. Barnhart MD, Rides CF, Kennedy SC, et al. Fracture Repair Using a Polyaxial Locking Plate System (PAX). Vet Surg 2013; 42:60-66.

61. Schwandt CS, Montavon PM. Locking compression plate fixation of radial and tibial fractures in a young dog. Veterinary and Comparative Orthopaedics and Traumatology. 2005; 18(03):194-8.

62. Gibert S, Ragetly GR, Boudrieau RJ. Locking compression plate stabilization of 20 distal radial and ulnar fractures in toy and miniature breed dogs. Veterinary and Comparative Orthopaedics and Traumatology. 2015; 28(06):441-7.

63. Schmierer PA, Kircher PR, Hartnack S, Knell SC. Screw loosening and pelvic canal narrowing after lateral plating of feline ilial fractures with locking and nonlocking plates. Veterinary Surgery. 2015 Oct; 44(7):900-4.

64. Manoj Kumar K, Devi Prasad V, Dhana Lakshmi N, Raju NK. Management of distal femoral diaphyseal fractures with string of pearls locking plate in dogs. Indian Journal of Animal Research. 2018 Dec 1; 52(12).

65. Bruce CW, Gibson TW, Runciman RJ. A comparison of conventional compression plates and locking compression plates using cantilever bending in an ilial fracture model. Veterinary and Comparative Orthopaedics and Traumatology. 2014; 27(06):430-5.

66. Kenzig AR, Butler JR, Priddy LB, Lacy KR, Elder SH. A biomechanical comparison of conventional dynamic compression plates and string-of-pearls™ locking plates using cantilever bending in a canine Ilial fracture model. BMC veterinary research. 2017 Dec; 13(1):222.

67. Sadan MA, Fischer A, Bokemeyer J, Kramer M. Surgical

repair of ilial fractures in dogs and cats using string of pearls (SOP)-plate. Indian Journal of Veterinary Surgery. 2015 Jun; 36(1):41-5.

68. Acquaviva AE, Miller EI, Eisenmann DJ, Stone RT, Kraus KH. Biomechanical testing of locking and nonlocking plates in the canine scapula. Journal of the American Animal Hospital Association. 2012 Nov; 48(6):372-8.

69. Keller MA, Voss K, Montavon PM. The ComPact UniLock 2.0/2.4 system and its clinical application in small animal orthopedics. Vet Comp Orthop Traumatol 2005; 18:83-93.

70. Goh CS, Santoni BG, Puttlitz CM, Palmer RH. Comparison of the mechanical behaviors of semicontoured, locking plate–rod fixation and anatomically contoured, conventional plate–rod fixation applied to experimentally induced gap fractures in canine femora. American journal of veterinary research. 2009 Jan; 70(1):23-9.

71. Tremolada G, Lewis DD, Paragnani KL, Conrad BP, Kim SE, Pozzi A. Biomechanical comparison of a 3.5-mm conical coupling plating system and a 3.5-mm locking compression plate applied as plate-rod constructs to an experimentally created fracture gap in femurs of canine cadavers. American journal of veterinary research. 2017 Jun; 78(6):712-7.

72. Zahn K, Frei R, Wunderle D, Linke B, Schwieger K, Guerguiev B, Pohler O, Matis U. Mechanical properties of 18 different AO bone plates and the clamp-rod internal fixation system tested on a gap model construct. Veterinary and Comparative Orthopaedics and Traumatology. 2008; 21(03):185-94.

73. Delisser PJ, McCombe GP, Trask RS, Etches JA, German AJ, Holden SL, Wallace AM, Burton NJ. Ex vivo evaluation of the biomechanical effect of varying monocortical screw numbers on a plate-rod canine femoral gap model. Veterinary and Comparative Orthopaedics and Traumatology. 2013; 26(03):177-85.

74. Conkling AL, Fagin B, Daye RM. Comparison of tibial plateau angle changes after tibial plateau leveling osteotomy fixation with conventional or locking screw technology. Vet Surg 2010; 39:475-481.

75. Leitner M, Pearce SG, Windolf M, Schwieger K, Zeiter S, Schawalder P, Johnson KA. Comparison of locking and conventional screws for maintenance of tibial plateau positioning and biomechanical stability after locking tibial plateau leveling osteotomy plate fixation. Veterinary surgery. 2008 Jun; 37(4):357-65.

76. Solano MA, Danielski A, Kovach K, Fitzpatrick N, Farrell M. Locking plate and screw fixation after tibial plateau leveling osteotomy reduces postoperative infection rate in dogs over 50 kg. Veterinary Surgery. 2015 Jan; 44(1):59-64.

77. Cosenza G, Reif U, Martini FM. Tibial plateau levelling osteotomy in 69 small breed dogs using conically coupled 1.9/2.5 mm locking plates. Veterinary and Comparative Orthopaedics and Traumatology. 2015; 28(05):347-54.

78. Witte PG, Scott HW. Tibial plateau leveling osteotomy in small breed dogs with high tibial plateau angles using a 4‐hole 1.9/2.5 mm locking T‐plate. Veterinary surgery. 2014 Jul; 43(5):549-57.

79. Guerrero TG, Montavon PM. Medial plating for carpal panarthrodesis. Veterinary surgery. 2005 Mar; 34(2):153-8.

80. Inauen R, Koch D, Bass M. Arthrodesis of the tarsometatarsal joints in a cat with a two hole advanced locking plate system. Veterinary and Comparative Orthopaedics and Traumatology. 2009; 22(02):166-9.

81. Haaland PJ, Sjöström L, Devor M, Haug A. Appendicular fracture repair in dogs using the locking compression plate system: 47 cases. Veterinary and comparative orthopaedics

21
and Imagistic
Vol VI - Nr. 10 (1/2019) Romanian Journal of Veterinary Orthopedics
C. Igna

Bibliografie

and traumatology. 2009; 22(04):309-15.

82. Reems MR, Beale BS, Hulse DA. Use of a plate-rod construct and principles of biological osteosynthesis for repair of diaphyseal fractures in dogs and cats: 47 cases. J. Am Vet Med Assoc 2003; 223: 330–335.

83. Field EJ, Parsons K, Etches JA, Hamilton K, Burton NJ. Effect of monocortical and bicortical screw numbers on the properties of a locking plate-intramedullary rod configuration. Veterinary and Comparative Orthopaedics and Traumatology. 2016; 29(06):459-65.

84. Matres‐Lorenzo L, Diop A, Maurel N, Boucton MC, Bernard F, Bernardé A. Biomechanical comparison of locking compression plate and limited contact dynamic compression plate combined with an intramedullary rod in a canine femoral fracture‐gap model. Veterinary Surgery. 2016 Apr; 45(3):319-26.

85. Urbanová L, Srnec R, Proks P, Stehlík L, Florian Z, Návrat T, Nečas A. Comparison of the resistance to bending forces of the 4.5 LCP plate-rod construct and of 4.5 LCP alone applied to segmental femoral defects in miniature pigs. Acta Veterinaria Brno. 2011 Feb 14; 79(4):613-20.

86. Niederhäuser SK, Tepic S, Weber UT. Effect of screw position on single cycle to failure in bending and torsion of a locking plate–rod construct in a synthetic feline femoral

gap model. American Journal of Veterinary Research. 2015 May; 76(5):402-10.

87. Rutherford S, Demianiuk RM, Benamou J, Beckett C, Ness MG, Déjardin LM. Effect of intramedullary rod diameter on a string of pearls plate‐rod construct in mediolateral bending: an in vitro mechanical study. Veterinary Surgery. 2015 Aug; 44(6):737-43.

88. Gutbrod A, Vincenti S, Kühn K, Knell SC, Schmierer PA, Pozzi A. An anatomical study of plate‐rod fixation in feline tibiae. Veterinary surgery. 2017 Oct; 46(7):909-14.

89. Beierer LH, Glyde M, Day RE, Hosgood GL. Biomechanical comparison of a locking compression plate combined with an intramedullary pin or a polyetheretherketone rod in a cadaveric canine tibia gap model. Veterinary surgery. 2014 Nov; 43(8):1032-8.

90. Weber U. ALPS with IM pins in cats. Kyon Symposium, 2012. http://www.kyon.ch/wp-content/uploads/2013/05/ Weber_ALPS-plate-and-rod.pdf.

91. Bae JH, Oh JK, Oh CW. Technical difficulties of removal of locking screw after locking compression plating. Arch Orthop Trauma Surg 2009; 129:91–95.

92. Hamilton P, Doig S, Williamson O. Technical difficulty of metal removal after LISS plating. Injury; 2004, 35:626–628.

Vol
22
VI - Nr. 10 (1/2019)
ORTHOPEDICS SURGERY
veterinary orthopaedic surgery
Locking plates - advantages and limitations
in

PORTOFOLIU

n Reviste știinţifice și de informare in domeniul sanitar și veterinar, ce oferă un conţinut editorial de actualitate la cel mai înalt nivel, realizate în parteneriat cu profesori doctori renumiţi în domeniu, KOL, având girul societăţilor, asociaţiilor și instituţiilor importante din România

Reviste științifice dedicate profesioniștilor din domeniul veterinar

Reviste științifice dedicate profesioniștilor din domeniul sanitar

n Organizare de evenimente științifice și de premiere dedicate profesioniștilor din sistemul sanitar și veterinar

n Realizare ghiduri medicale, proiecte speciale, cărți, broșuri, materiale și produse dedicate targetului dvs. n E-mailing - creare și trimitere de newslettere personalizate

n Creaţie & DTP - servicii complete de grafică computerizată pentru realizarea de publicaţii, cărți, ghiduri, vizualuri, materiale promoționale, invitații, bannere, roll-up-uri, pliante, flyere etc. (project management, concept, layout, realizare grafică)

n Realizare website-uri.

n Realizare cursuri online dedicate specialistilor din domeniul sanitar și veterinar

www.innovationinhealth.ro

23
Journal of Veterinary Orthopedics and Imagistic
Vol VI - Nr. 10 (1/2019) Romanian

EVALUAREA VINDECĂRII OSOASE DUPĂ OSTEOSINTEZA MINIM INVAZIVĂ CU PLĂCI LA CÂINE EVALUATION OF BONE HEALING AFTER MINIMALLY INVASIVE OSTEOSYNTHESIS WITH PLATES IN DOGS

OPEN ACCES JOURNAL

Cite this article:

Proteasa Adelina, Dascălu Roxana, Schuszler Larisa, C. Igna.

Evaluation of bone healing after minimally invasive osteosynthesis with plates in dogs.

R J Vet Orthoped I. 2019; Vol. VI - 10 (1): 24-37.

Rezumat:

Cuvinte-cheie:

Corresponding author: University Professor, PhD Cornel Igna, E-mail: corneligna@usab-tm.ro

Recieved: November 2019

Accepted: December 2019

Studiul clinic al evaluării vindecării osoase după Minimally Invasive Plate Osteosynthesis fost întreprins pe 18 câini cu fracturi cominutive diafizare ale oaselor lungi, urmărind determinarea timpului de vindecare, analiza radiografică a stadiilor vindecării, determinarea și analiza computer tomografică a vindecării fracturilor și evaluarea dinamicii evoluției gradelor de schiopătură timp de șapte săptămâni postoperator. Rezultatele obținute arată că vindecarea a survenit în medie în 58,17 ± 14,70 zile. Cu cât greutatea pacientului a fost mai mare, cu atât timpul de vindecare a fost mai scăzut. Modificările majore ale vindecării au loc în primele opt săptămâni postoperator, iar la 1012 săptămâni postoperator, evaluarea radiografică fracturii a arătat că uniunea osoasă fost prezentă la toți pacienții. Media scorului vindecării secundare, evaluată prin computer tomografie, a fost de 36 ± 4,62. În perioada monitorizării șchiopăturii, a existat o tendință matematic exponențială de scădere a gradului de șchiopătură, de la gradul 3 (64,3% din câini) în prima săptămână la grad 0 (85,7% din câini) în săptămâna a șaptea postoperator.

Vol VI - Nr. 10 (1/2019) 24 Evaluation of bone healing after minimally invasive osteosynthesis with plates in dogs ORTHOPEDICS SURGERY
DVM, PhD Proteasa Adelina1, University Lecturer, PhD Dascălu Roxana2, University Lecturer, PhD Schuszler Larisa2, University Professor, PhD Cornel Igna2 1. The Veterinary Health Center, Lytham St. Annes, United Kingdom, 4 Greenways, Lytham St. Annes, FY8 3LY; 2. Banat University of Agricultural Science and Veterinary Medicine from Banat, “King Mihai I of Romania” - Timișoara, Faculty of Veterinary Medicine, 300645, Calea Aradului, no 119, Timișoara, România
câine, osteosinteză minim invazivă cu placă, șchiopătură, vindecare
osoasă

Keywords:

dog, minimally invasive plate osteosynthesis, lameness, bone healing

Abstract:

Clinical study of bone healing evaluation after Minimally Invasive Plate Osteosynthesis was performed on 18 dogs with long bone fracture cominutive fractures, aiming to determine the healing time after minimally invasive plaque osteosynthesis, radiographic analysis of the healing stages, computerization and fracture analysis, the evaluation of the dynamics of the evolution of the marks of skinning during seven weeks postoperatively. The results show that the healing occurred on average in 58.17 ± 14.70 days. The greater weight of the patient was accompanied by the shortening of the healing time. Major changes in healing occur in the first eight weeks postoperatively and at 10­12 weeks postoperatively, radiographic evaluation of the fracture showed that bone union was present in all patients. The mean score of secondary healing, evaluated by computer tomography, was 36 ± 4. 62. During the monitoring of the bite there was an exponential mathematical tendency to decrease the bite degree, from grade 3 (64.3% of the dogs) in the first week to grade 0 (85.7% of the dogs) in the seventh week.

Introducere

Osteosinteza internă cu plăci a reprezentat, încă din anii 1800, o metodă de tratament a fracturilor (Miclău ș i Martin, 1997; Schutz ș i Sudkamp, 2003), însă rezultatele erau, de cele mai multe ori, compromise de infecţii, maluniuni ș i nonuniuni ale focarului de fractură (Schatzker, 1995; Schutz ș i Sudkamp, 2003). De ­ a lungul timpului, s ­ au produs schimbări majore în principiile ș i obiectivele osteosintezelor (Field ș i Tornkvist, 2001; Perren, 2002).

Abordările chirurgicale clasice ­ invazive necesare pentru reconstrucţia anatomică a fracturii distrug atât hematomul din focarul de fractură, cât ș i mare parte din vasele care asigură rezerva regională extraosoasă de sânge (Field ș i Tornkvist, 2001; Farouk et. al., 1998; Borreli et. al., 2002). Trauma iatrogenă consecutivă intervenţiei întârzie formarea noului ţesut osos ș i devitalizează fragmentele osoase care ar mai fi putut fi viabile dacă focarul de fractură nu ar fi fost deschis (Claes et. al., 1999; O’Sullivan et. al., 1989; Mizuno et. al., 1990).

Considerând primordiale avantajele conservării hematomului din focarul de fractură ș i a rezervelor sangvine regionale, Schatzker în 1995, Palmer în 1999, Field ș i Tornkvist în 2001, Perren în 2002 au definit principiile osteosintezei biologice în care maximizarea potenţialului de vindecare are loc prin echilibrarea funcţiei biologice ș i mecanice în focarul de fractură (Perren, 2002; Beale, 2004).

Osteosinteza biologică se obţine prin reducerea indirectă a focarului de fractură ș i realizarea fixării, recurgând la tehnici minim invazive de osteosinteză externă – fixatori externi, respectiv osteosinteză internă intramedulară – inserţia anterogradă de tije simple sau de tije zăvorâte sau osteosinteză internă extramedulară ­ aplicarea percutanată (prin incizii de dimensiuni mici, proximal și distal de focarul de fractură) de plăci. Dintre acestea, cea mai recent intodusă în ortopedia animalelor de companie este osteosinteza minim invazivă cu plăci, MIPO ­ Minimally Invasive Plate Osteosynthesis (Johnson et al., 1998; Hudson et al., 2009; Pozzi et al., 2008).

Scopul iniţial al tehnicii MIPO a fost să se creeze un tip de fixare cu placă fără a se mai leza adiţional ţesuturile moi ș i periostul, deja traumatizate în urma producerii fracturii. Tipul de vindecare favorizat de MIPO poate fi comparat cu modelul reparator indus de tratamentul conservator al fracturilor, respectiv vindecare secundară cu formare de calus (Perren, 2002).

Vindecarea fracturilor poate să aibă loc după două tipare: vindecarea primară sau vindecarea haversiană (caracterizează cazurile în care s ­ au aplicat montaje ce oferă stabilitate absolută) și vindecare secundară (encondrală și intramembranoasă) (caracterizează cazurile cu montaje non ­ și semi ­ rigide și implică o reacție a periostului și țesuturilor moi) (Moore, 2013).

Timpul de vindecare al fracturilor este influențat de mediul în care se desfășoară procesul

25 Vol VI - Nr. 10 (1/2019)
Romanian Journal of Veterinary Orthopedics and Imagistic Proteasa Adelina, Dascălu Roxana, Schuszler Larisa, C. Igna

fiziologic de vindecare: gradul de mișcare în focar, gradul de reducere al fracturii, contaminarea cu germeni a focarului, distrugerea resursei vasculare a fragmentelor osoase, inclusiv a prezenței eschilelor care se pot transforma ușor în sechestre osoase.

Deși tehnica MIPO oferă unele avantaje, există puține studii cu valoare clinică care pot certifica o diferență între timpul de vindecare al fracturilor remediate MIPO, respectiv ORIF (Open Reduction Internal Fixation) (Guiot și Dejardin, 2011).

Prin acest studiu, ne ­ am propus să evaluăm vindecarea fracturilor după osteosinteza biologică obținută prin tehnica minim invazivă de inserare de plăci, nu doar din punctul de vedere al timpului de vindecare, dar și a tiparului de vindecare (aprecierea stadiilor de vindecare) și reluarea completă a funcției locomotorii la capacitate maximă (aprecierea gradului de șchiopătură). Obiectivele urmărite au fost: determinarea timpului de vindecare după osteosinteza minim invazivă cu placă, analiza radiografică a stadiilor vindecării, determinarea și analiza computer tomografică a vindecării fracturilor după MIPO, evaluarea dinamicii evoluției gradelor de schiopătură timp de șapte săptămâni postoperator.

Materiale şi metode

Lotul luat în studiul clinic a fost format din 18 indivizi din specia Canis familiaris, diagnosticați în Clinica de Chirurgie a Facultății de Medicină Veterinară din Timișoara cu fracturi cominutive diafizare ale oaselor lungi.

Pacienții au beneficiat de tratament operator, constând în osteosinteză cu plăci prin tehnică minim invazivă (MIPO).

Anestezia generală inhalatorie a presupus o premedicație cu acepromazină (Calmivet, 5mg/ml, Vétoquinol, Magny ­Vernois, Franța)

(0,2 mg/kg) și ketamină (Ketamine 100mg/ ml, Kepro B.V., Deventer, Olanda) (7 mg/kg), inducție cu izofluran (Isoflurane, Rhodia Ltd., Halifax, Anglia, soluție inhalatorie 100%, 100 ml) 3 ­ 5% și menținere 1 ­ 3%.

În primele 48 de ore imediat postoperator, durerea a fost controlată prin administrare de butorfanol (Butomidor, 10 mg/ml, Richter Pharma AG., Wels, Austria) subcutanat, în doză de 0,1 mg/kg, la fiecare 6 ore. Antibioticoterapia s ­ a realizat în doză unică cu acid clavulanic (12,5 mg/kg), administrat cu ora înainte de operație.

Selecția implanturilor metalice a fost la discreția chirurgului, Au fost utilizate plăci LCP (Locking Compression Plate) sau LC ­ DCP (Limited Contact ­ Dynamic Compression Plate). Modelarea plăcilor s ­ a făcut după membrul congener sănătos.

Metodele de abordare a coridoarelor de inserție a implanturilor metalice au fost selectate conform indicațiilor din literatura de specialitate (Piermattei et Johnson, 2004).

Timpii operatori în MIPO au fost: reducerea indirectă a fracturii, realizarea inciziilor proximal ș i distal de focarul de fractură, crearea unui tunel epiperiostal între cele două incizii (este important ca periostul să rămână intact), glisarea plăcii între cele două incizii create anterior, fixarea plăcii la os cu ș uruburi (inserarea a 2 ­ 3 ș uruburi la fiecare capăt al plăcii) ș i sutura inciziilor operatorii (fig. 1).

Pentru monitorizarea postoperatorie a vindecării osoase s ­ a utilizat instalația radiologică tip Multix Swing (Siemens GmbH), cu procesarea imaginilor prin intermediul sistemului de radiografie computerizată (CR) Direct View Vista CR (Caresteam) și aplicația software AQS Vet Standalone (Arzt+Praxis GmbH). Incidențele au fost cele convenționale (figura 2). Parametrii radiologici utilizați au fost: humerus ­ 50

Vol VI - Nr. 10 (1/2019) 26
A B
Figura 1. Pregătirea sălii de operaţie pentru rezolvarea unei fracturi cominutive diafizare de tibie stângă la un metis de 2 ani prin MIPO (A). Accesul minim invaziv la os (B). Fixarea plăcii (C)
C
with plates in dogs ORTHOPEDICS SURGERY
Evaluation of bone healing after minimally invasive osteosynthesis

kV, 28 mA, radius ­ 48 kV, 28 mA, femur ­ 52 kV, 28 mA și tibie ­ 48 kV, 28 mA.

Computer tomografia a fost realizată cu aparatul Somatom Definition AS64 Slice (mod de scanare în spirală) – Siemens GmbH, împreună cu aplicația software pentru procesarea imaginilor Syngo CT 2011A – figura 3.

Zece pacienți au fost monitorizați și investigați imagistic, evaluându ­ se la interval de două săptămâni (cu o întârziere de maxim trei zile) timp de trei luni. Stadiul de vindecare a fost evaluat prin analiza imaginilor radiografice după metoda lui Hammer ­ 1985 citat de Boero Baroncelli ­ 2012 (tabelul 1).

27 Vol VI - Nr. 10 (1/2019)
Romanian Journal of Veterinary Orthopedics and Imagistic Figura 2. Instalația radiologică tip Multix Swing (Siemens), incidențele convenționale pentru investigarea imagistică a oaselor lungi ale scheletului apendicular. A-B braț, C-D antebraț, E-F coapsă și gambă Figura 3. Computer tomograf - Somatom Definition AS64 Slice (mod de scanare în spirală) – Siemens
A B C E F D
Proteasa Adelina, Dascălu Roxana, Schuszler Larisa, C. Igna

Aprecierea gradului de șchiopătură s ­ a făcut săptămânal, timp de șapte săptămâni, la 14 pacienți. Pentru ceilalți patru din lotul inițial, datele de monitorizare ale șchiopăturii nu au fost complete și au fost excluși din analiză.

Aprecierea gradului de șchiopătură s ­ a făcut în mod subiectiv, ținând cont de caracteristicile descrise de Jæger et al., 2007, pentru fiecare categorie de claudicație (tabelul 2).

La patru dintre cazurile remediate prin MIPO, la momentul vindecării osoase (certificată radiografic) s­au extras materialele de osteosinteză și, din nou, calusul a fost evaluat pe imagini de tip computer tomograf (figura 4), după metoda propusă de Wullschleger – 2010, respectiv: I. Numărul de punți de calus: ­ pe secțiunea transversal proximală s ­ au luat în considerare 4 regiuni (dorsală, ventrală, la ­

28
Vol VI - Nr. 10 (1/2019)
Tabelul 1. Stadiul de vindecare propus de Hammer, 1985 cit. de Boero Baroncelli et al. (2012) Tabelul 2.Scala de evaluare a gradului şchiopăturii după Jæger et al. (2007)
A B
Figura 4. Evaluarea CT a scorului de vindecare secundară după MIPO a unei fracturi de femur (656/26.10.2012). A - secțiune transversală proximală – calus parțial mai gros decât coticala osului (săgeata albă). B - secțiune transversală distală – calus total mai gros decât corticala osului (săgeata albă) și calus total mai subțire decât corticala osului (săgeata neagră)
with plates in dogs ORTHOPEDICS SURGERY
Evaluation of bone healing after minimally invasive
osteosynthesis

terală, medială) și s ­ a notat cu 1 punct prezența punților în regiunea respective); ­ pe secțiunea transversală distală s ­ a procedat în mod identic. Prin însumarea punctelor, s ­ a obținut un punctaj între 0 și 8. II. Dimensiunea punților de calus: ­ secțiunea transversală localizată proximal și distal de focarul de fractură, punctându ­ se separat: n fără calus – 0, n calus total mai subțire decât corticala osului – 1, n calus parțial mai gros decât corticala osului – 2, n calus total mai gros decât corticala osului – 3. Se însumează scorul obținut pentru fiecare secțiune. Maxim 6 puncte.

Dacă puntea de calus se întinde între cele două secțiuni, la scorul obținut se adaugă 1.

Scorul total se obține din înmulțirea valorilor obținute la cele două categorii și poate avea valoarea maximă de 56.

Analiza statistică a datelor s ­ a realizat prin intermediul aplicației software Statistical Package for the Social Sciences – IBM SPSS Statistics 20, realizând analize statistice descriptive de apreciere a gradului de corelație prin indicele Pearson, implementând teste non ­ parametrice (Wilcoxon) și prin intermediul funcției Forecast Trendline a aplicație Microsoft Excel 2007.

Rezultate şi discuţii

Determinarea timpului de vindecare după osteosinteza minim invazivă cu placă.

În cazul celor 18 câini, vindecarea osoasă a survenit în medie în 58,17 ± 14,70 de zile, cu limitele de 50,86 – 65,48 de zile, CI=95%.

Din punct de vedere statistic, între vârstă și timpul de vindecare nu a existat o corelație semnificativă (indicele de corelație Pearson slab pozitiv, r=[0,2 ­ 0,4], p=0,127), față de o corelație semnificativă în care r=0,373 și p<0,01.

Între greutatea corporală a pacienților și timpul de vindecare există o corelație bivariată negativă înaltă, indice Pearson cu valoare de r=0,612, r=[0,6 ­ 0,8] la p<0,01, p=0,007. Cu cât greutatea corporală a pacientului a fost mai mare, cu atât timpul de vindecare a fost mai scăzut. Pacienții cu greutate mare tolerează greu sprijinul pe trei membre, lucru care îi determină să facă sprijin mai frecvent. Micromișcările din focarul de fractură induse de sprijinul timpuriu pe membru stimulează formarea masivă de calus.

În favoarea acestei observații, vine afirmația lui Griffon ­ 2005 conform căreia vindecarea fracturilor instabile este caracterizată de for­

marea imediată a calusului, prioritar formării de os nou. Acest tip de vindecare reprezintă vindecarea indirectă sau secundară. Cantitatea de calus formată depinde de stabilitatea fracturii și crește odată cu gradul de instabilitate (Griffon, 2005).

Pozzi și colaboratorii săi, în 2013, într­ un studiu vizând radiusul și ulna, au afirmat că fracturile acestor oase remediate prin tehnică minim invazivă s ­ au vindecat semnificativ mai repede comparativ cu cele rezolvate prin tehnică clasică. Valorile au fost de 30 zile pentru MIPO și 64 zile pentru ORIF (Open Reduction Internal Fixation) cu plăci (Pozzi et al., 2013).

Într­ un alt studiu realizat pe un grup de 22 de câini cu fracturi diafizare de tibie, s ­ a menționat că nu au existat diferențe statistic semnificative atunci când MIPO s ­ a comparat cu ORIF cu plăci, din punct de vedere al timpului și până la uniunea osoasă vizibilă radiografic, precum și al gradientului de vindecare (Boero Baroncelli et al., 2012).

Vindecarea fracturilor instabile este caracterizată de formarea imediată a calusului, prioritar formării de os nou. Acest tip de vindecare reprezintă vindecarea indirectă sau secundară. Cantitatea de calus formată depinde de stabilitatea fracturii și crește proporțional cu gradul de instabilitate (Griffon, 2005).

Vol VI - Nr. 10 (1/2019)

Analiza

radiografică

a stadiilor vindecării

Pentru cei 18 pacienți operați, doar 12 proprietari au fost consecvenți la controlul radiografic propus pentru monitorizarea stadiilor de vindecare. Din cei 12 câini, doi au prezentat complicații, respectiv o întârzire în vindecare și un eșec de stabilizare cu prezența osteolizei în jurul șuruburilor (cazul 112/08.03.2012) ­ figura 5.

Zece pacienți au fost monitorizați și investigați imagistic, evaluându ­ se la interval de două săptămâni (cu o întârziere de maxim trei zile) timp de trei luni. În tabelul 3 este redată analiza statistică a frecvențelor stadiilor de vindecare (IBM SPSS Statistics 20) pentru perioada de 12 săptămâni postoperator.

La două săptămâni postoperator, uniunea fracturii nu a avut loc la nici un pacient. La șase câini, linia de fractură a fost încă prezentă, fără formare de calus sau doar cu urme de calus. La patru câini, s ­ a observat o aparentă punte de calus care traversează linia de fractură perceptibilă încă.

În săptămâna a 10 și a 12 postoperator, uniunea a fost prezentă la toți pacienții, observându ­ se linia de fractură obliterată și structura osoasă omogenă, cu excepția unui singur pa ­

Journal
and Imagistic
29
Romanian
of Veterinary Orthopedics
Igna
Proteasa Adelina, Dascălu Roxana, Schuszler Larisa,
C.

CFigura 5. Cazul 112/08.03.2012. A - Yak terrier cu păr sârmos, 1 an, 23 kg, femelă; B - aspect intraoperator – rezolvarea prin MIPO a unei fracturi tibiale – diafiză mijlocie spre distală; C - protejarea uzurii implantului metalic prin aplicarea unui bandaj gipsat amovibil (din cauza temperamentului nervos al pacientului și folosirea excesivă a membrului imediat postoperator); D - control radiografic în 28.05.2012 – pierderea suportului osos al ultimului șurub din fragmentul distal (osteoliză - creșterea radiotransparenței - săgeata neagră)

DVol VI - Nr. 10 (1/2019) 30 A
B
Tabelul 3. Frecvența stadiilor de vindecare pentru cei 10 pacienți monitorizați în mod constant (n=10)
with plates in dogs ORTHOPEDICS SURGERY
Evaluation of bone healing after minimally invasive osteosynthesis

cient, care în săptămâna 10 a prezentat stadiu 2 de vindecare, respectiv prezența de os trabecular masiv care traversează linia de fractură abia perceptibilă.

Rezultatele certificării statistice a evoluției stadiilor de vindecare de la un control la

altul, în urma implementării testul Wilcoxon (IBM SPSS Statistics 20) sunt redate în tabelul 4.

Astfel, cu excepția ultimelor două intervale de monitorizare, pentru toate celelalte perioade modificările stadiilor de vindecare au fost semnificativ vizibile, la p<0,05. Pentru intervalele S8 ­S10 și S10 ­S12, se acceptă ipoteza nulă, la p>0,05. Modificările majore ale vindecării au loc în primele opt săptămâni postoperator.

Reprezentarea grafică a tendinței dinamicii stadiului de vindecare pentru cei 10 pacienți este redată în figura 6.

La cazul 307/20.04.2013 – un pacient din specia canină, rasă metis de Cane corso, în vârstă de opt luni, 26 kg ­ au fost diagnosticate două fracturi: 22A3 și 42C3 (după AO). Cele două fracturi au fost remediate prin metode diferite de tratament, având la bază inserarea de plăci, respectiv pentru radius ORIF, iar pentru tibie MIPO (figura 7).

31 Vol VI - Nr. 10 (1/2019)
Journal
and Imagistic
Romanian
of Veterinary Orthopedics
Tabelul 4. Valorile p ale testului Wilcoxon pentru aprecierea modificărilor stadiilor de vindecare la interval de două săptămâni (n=10)
A B C D E
Figura 6. Tendința evoluției stadiului de vindecare la cei 10 pacienți examinați timp de 12 săptămâni (Exponential Trendline) Figura 7. Cazul 307/20.04.2013. A - pacient din specia canină, metis de Cane corso, 8 luni, 26 kg, mascul; B -. planning preoperator – pacientul și sala de operație; C - abordul medial minim invaziv la tibie; D - aspect intraoperator – LCP fixată; E - aspect final – sutura plăgii operatorii Proteasa Adelina, Dascălu Roxana, Schuszler Larisa, C. Igna

A

A B

B C

Figura 8. Cazul 307/20.04.2013. A - radiografia preoperatorie a tibiei –incidența cranio-caudală; B - imediat postoperator – incidența cranio-caudală; C - postoperator la 45 de zile – incidența cranio-caudală – vindecare secundară cu formare de calus peri- și endostal în cantitate considerabilă

Fractura de tibie ­ 42C3 (figura 8) prezenta inițial o translație medio ­ laterală de 76,47% și cranio ­ caudală de 108,70%. După reducerea închisă a fracturii, valorile translației s ­ au redus la 5,88%, respectiv 17,39%. Translația cranio ­ caudală, după Boero Baroncelli (2012), este considerată inadecvată, depășind 10%. Cu toate acestea, vindecarea osoasă a fost confirmată la controlul efectuat la 45 de zile postoperator. Vindecarea a fost secundară, cu prezența de calus periostal și endostal moderat, suficient.

Fractura de radius ­ 22A3 (figura 9) prezenta o translație medio ­ laterală de 80% și cranio ­ caudală de 75%. După reducerea deschisă, atât translația medio ­ laterală, cât și cea cranio ­ caudală au avut valori sub 10%, respectiv 2,33% și 3,75% (reducere corespunzătoare). Distanța dintre capetele fragmentelor osoase a fost de 1 mm (fără posibilitate de a aprecia și valorile zecimale ale cifrei). Timpul de vindecare a fost de 45 de zile, cu formare minimă de calus periostal și endostal. După ORIF, vindecarea ar fi trebuit să se încadreze în tiparul vindecării primare, fără formare de calus, cu fixare rigidă

C

Figura 9. Cazul 307/20.04.2013. A - radiografie preoperatorie a radiusului – incidența cranio-caudală; B - imediat postoperator – incidența mediolaterală; C - postoperator la 45 de zile – incidența medio-laterală – vindecare osoasă primară cu defect; ulna – vindecare secundară (prezența calusului în cantitate moderată)

și reducere anatomică perfectă. Însă condițiile vindecării primare sunt de foarte puține ori îndeplinite în totalitate.

Fracturile tratate prin reducere închisă și fixare semirigidă se vindecă prin formarea de os nou endostal, mai mult decât periostal. La o lună de zile, radiografiile arată creșterea densității focarului de fractură, cu formarea minimă de calus periostal. La cei mai mulți pacienți, osul nou format este clar vizibil la două luni postoperator, iar remodelarea calusului începe la trei luni. Fossum­2007 menționează că, în cazul osteosintezelor biologice (referindu­se la fixatori externi și la plăcile de spijin), calusul endostal este vizibil prin computer tomografie între 2­12 săptămâni postoperator, iar calusul periostal este prezent în cantitate minimă (Fossum, 2007).

Determinarea și analiza computer tomografică a vindecării fracturilor după MIPO.

La patru dintre cazurile remediate prin MIPO, la vindecarea certificată radiografic s ­ au extras materialele de osteosinteză și calusul a fost evaluat pe imagini de tip computer tomograf. Evaluarea cu materialele de osteosinteză nu a fost posibilă din cauza aretfactelor metalice date de implanturile metalice (figura 10).

Media scorului vindecării secundare a fost de 36 ± 4,62. Scorul maxim este de 56, însemnând că, pe toată circumferința osului, pe toată lungimea fracturii există punte de calus mai groasă decât corticala osului. Acest scor ia în calcul doar calusul periostal, însă cazurile evaluate au prezentat și o cantitate semnificativă de calus endostal (figura 11 și figura 12).

Vol VI - Nr. 10 (1/2019) 32
plates in dogs ORTHOPEDICS SURGERY
Evaluation of bone healing after minimally invasive osteosynthesis
with

Figura 10. Artefact dat de implantul metalic. A - topograma pacientului 600/15.02.2012; B - artefact, aspectul tipic de „moară de vânt”

Figura 11. Caz 624/23.10.2012. Fractură de radius cu grad redus de cominuție rezolvată prin aplicarea prin tehnică minim invazivă de placă – imagini CT după îndepărtarea materialului de osteosinteză. A-C secțiune longitudinală, vedere laterală, A - persistența liniei de fractură pe ulnă, B - prezența calusului periostal și endostal la nivelul diafizei radiale mijlocii, cu reacție periostală la nivelul șuruburilor distale datorate apropierii de metafiză – zonă intens activă metabolic (săgeata albă), C - refacerea completă a continuității canalului medular; D-G. secțiune transversală, D-E șuruburile proximale. F-G șuruburile distale

33 Vol VI - Nr. 10 (1/2019) Romanian Journal of
Orthopedics and Imagistic A
Veterinary
D B E F G C
A B
Proteasa Adelina, Dascălu Roxana, Schuszler Larisa, C. Igna

A B C

D E F

Figura 12. Caz 624/23.10.2012. A-C secțiune transversală prin fractură; A proximal; B treimea mijlocie; C distal, cu prezența calusului periostal și endostal în cantitate moderată; D-F secțiune longitudinală – vedere dorsală; D persistența liniei de fractură ulnară; E-F prezența calusului periostal și endostal, continuitatea canalului medular

Wullschleger­ 2010, evaluând scorul vindecării într­ un studiu experimental pe ovine, a precizat ca valoarea atribuită la patru săptămâni postoperator grupului MIPO a fost de 38,2 ± 8,9, în timp ce grupul ORIF a avut valoarea medie a scorului de 20,0 ± 8,6, dar la opt săptămâni nu a existat o diferență semnificativă statistic între cele două tehnici de osteosinteza (Wullschleger, 2010).

La nici unul dintre cazurile la care s ­ au extras implanturile nu au apărut fracturi iterative.

Prezența calusului periostal, dar și a celui endostal, este un indicator al unei vindecări secundare viabile după osteosinteza biologică.

Evaluarea dinamicii evoluției gradelor de schiopătură timp de șapte săptămâni postoperator.

Aprecierea gradului de șchiopătură s ­ a făcut săptămânal, timp de șapte săptămâni, la doar

14 pacienți. Pentru ceilalți patru din lotul inițial, datele de monitorizare ale șchiopăturii nu au fost complete și au fost excluși de la analiză. La 7 zile postoperator, 64,3% (9) din pacienți au prezentat grad 3 de șchiopătură, 28,6% (3) au prezentat gradul 2 și doar un pacient a fost cu gradul 1. Nici unul dintre pacienți nu a prezentat complicații ale vindecării plăgii operatorii.

În săptămâna a șaptea, un pacient a prezentat grad 3, unul grad 1, iar restul de 85,7% (12 pacienți) nu a mai prezentat nici un grad de șchiopătură.

Rezultatele obținute certifică statistic (Wilcoxon Signed Ranks Test) diferențele de la o săptămână la alta a gradului de șchiopătură, datele fiind redate în tabelul 5.

Vol VI - Nr. 10 (1/2019) 34
with plates in dogs ORTHOPEDICS SURGERY
Evaluation of bone healing after minimally invasive osteosynthesis

Cu excepția primei și ultimei variante, respectiv S1 ­S2 și S6 ­S7, între toate celelalte săptămâni au existat diferențe semnificative la p<0,05. Pentru S1 ­S2 și S6 ­S7, se acceptă ipoteza nulă conform căreia nu a existat nici o diferență semnificativă între cele două grupuri. În perioada monitorizării, a existat o tendință matematic exponențială de scădere a gradului de șchiopătură – figura 13.

a fracturilor au evoluat de la era ORIF, popularizată inițial de AO (Muller et al., 1991), la conceptul contemporan de fixare biologică (Perren, 1991; Leunig et al., 2000; Sporer și Paprosky, 2005). Legea lui Wolff (Wolf, 1892) descrie reacția osului la diferiți agenți de stres și modul unic al țesutului osos de a răspunde prin modificări ale proprietăților sale mecanice. Conform acestei legi, condițiile clinice de vindecare a fracturilor, respectiv rigiditatea implantului, stabilitate relativă sau absolută în focar, distanța dintre fragmente și compresiunea interfragmentară, sunt responsabile de vindecarea osoasă (Perren, 1979). Astfel, stabilitatea relativă și protejarea țesutului moale și a vascularizației adiacente focarului de fractură sunt esențiale vindecării. Aplicarea de bandaje amovibile sau inamovibile, tije centromedulare, fixatorii externi sau plăci de tip LCP efectuată după reducerea închisă, de cele mai multe ori stabilizează fractura prin reducerea distanței dintre fragmente și menținerea compresiunii interfragmentare sub 10% (Augat et al., 1998; Lacroix și Prendergast, 2002).

La pacienții politraumatizați, este dificil de stabilit dacă dizabilitățile locomotorii se datorează injuriilor aduse sistemului musculoscheletal sau sunt o cauză a combinării cu disfuncțiile altor sisteme și organe (Martin et al., 1997). Însă, caracteristic osteosintezei biologice este reluarea timpurie a mersului și reducerea durerii.

Conceptul modern de vindecare a fracturilor implică o serie de factori, de la nivel molecular și până la nivel fiziologic și biomecanic (Carter et al., 1998; Olsen et al., 2000; Schindeler et al., 2006). Interacțiunea coordonată a acestor factori creează o cale complexă de vindecare osoasă. Deficiențele la orice nivel alterează procesul de vindecare și predispun la complicații. Alegerea metodei optime de tratament, prin stabilizare rigidă sau prin osteosinteză biologică, trebuie să vizeze restabilirea homeostaziei osului (Perren și Rahn, 1980; Chao și Inoue, 2003; Dimitriou et al., 2006; Tsiridis et al., 2007).

Aplicarea sistemelor de fixare internă sau externă presupun intervenții chirurgicale cu rol de a conferi stabilitate în focar și de a favoriza vindecarea osului. Metodele de fixare

Conceptul de „osteosinteză biologică” accentuează rolul țesuturilor moi în vindecarea osoasă și susține fixarea semirigidă a fracturilor, scopul fiind acela de a restaura lungimea și aliniamentul osului prin abordul chirurgical limitat și manipulare minimă a fragmentelor osoase (Heitemeyer et al., 1987; Aron et al., 1995; Griffon, 2005). Acest concept este în contradicție cu „abordarea biomecanică” a tratamentului fracturilor, care se bazează pe reducerea anatomică, deschisă și fixarea rigidă a captelor osoase (Griffon, 2005).

Lipsa formării calusului între capetele a două fragmente osoase în apoziție după fixarea rigidă a fost pentru prima dată observată în anul 1949 de către Danis. El a denumit acest tip de vindecare „primară”, referindu ­ se la umplerea directă a liniei de fractură cu os, fără formarea de calus periostal și endostal mecanic relevant (Danis, 1949). Mai târziu, Schenk și Willenegger confirmă că, în condițiile fixării rigide, vindecarea are loc prin proliferare osteonală directă (Schenk și Willenegger, 1963; McLaughlin, 1991). Stabilitatea absolută se obține prin aplicarea de implanturi rigide, precum plăcile de compresiune (Rahn, 1982; Mann și Payne, 1989). Reducerea anatomic perfectă și fixarea rigidă elimină semnalele biologice care atrag celulele osteoprogenitoare din țesuturile moi

35 Vol VI
Romanian Journal of Veterinary Orthopedics and Imagistic
- Nr. 10 (1/2019)
Tabelul 5. Valorile p ale testului Wilcoxon pentru aprecierea modificărilor săptămânale ale gradului de șchiopătură (n=14) Figura 13. Tendința dinamicii gradului de șchiopătură la cei 14 pacienți examinați timp de 7 săptămâni (Exponential Trendline) Proteasa Adelina, Dascălu Roxana, Schuszler Larisa, C. Igna

adiacente focarului de fractură, care contribuie la formarea calusului, caracteristic vindecării secundare (O’Sullivan et al., 1989; Kaderly, 1991).

Vindecarea osoasă primară prin contact are loc atunci când defectul dintre capetele osoase este mai mic de 0,01 mm, iar instabilitatea din focar nu depășește 2% (Mann și Payne, 1989; Shapiro, 1988). Atunci când defectul ajunge până la maxim 1 mm și instabilitatea încă nu depășește 2%, are loc așa numită vindecare osoasă primară cu defect, când linia de fractură este direct obliterată prin osificare intramembranoasă, însă osul lamelar nou format este orientat perpendicular pe axul lung al osului (Kaderly, 1991).

Concluzii

Vindecarea după osteosinteza MIPO a survenit în medie în 58,17 ± 14,70 zile. Între greutatea corporală a pacienților și timpul de vindecare a existat o corelație bivariată negativă înaltă, cu cât greutatea corporală a pacientului a fost mai mare, cu atât timpul de vindecare a fost mai scăzut. Între vârstă și timpul de vindecarea nu a existat o corelație semnificativă din punct de vedere statistic.

La două săptămâni postoperator, uniunea fracturii, evaluată prin radiografie clasică, nu a avut loc la nici un pacient. Modificările majore

ale vindecării au loc în primele opt săptămâni postoperator. În săptămânile 10 și 12 postoperator, uniunea osoasă a fost prezentă la toți pacienții, prezentând o linie de fractură obliterată și o structură osoasă omogenă.

Complicațiile survenite au fost reprezentate de întârzierea vindecării la un pacient și osteoliză la un alt pacient.

Media scorului vindecării secundare, evaluat prin CT, a fost de 36 ± 4,62. La nici unul dintre cazurile la care s ­ au extras implanturile nu au apărut fracturi iterative. Prezența calusului periostal, dar, mai ales, a celui endostal, este un indicator al unei vindecări secundare viabile după osteosinteza biologică.

La șapte zile postoperator, 64,3% din pacienții evaluați au prezentat grad 3 de șchiopătură, 28,6% gradul 2 și doar un pacient a fost cu grad 1. În săptămâna a șaptea, un pacient a prezentat grad 3, unul grad 1, iar restul de 85,7% (12 pacienți) au fost încadrați la gradul 0 de șchiopătură. În perioada postoperatorie a monitorizării șchiopăturii, a existat o tendință matematic exponențială de scădere a gradului de șchiopătură de la prima săptămâna spre cea de a șaptea săptămână.

This work is licensed under a Creative Commons Attribution-NonCommercialNoDerivatives 4.0 International License.

1. *** – 2011 – AO/ASIF (Arbeitsgemeinschaft fur Osteosynthesefragen – Swiss /Association for the Study of Internal fixation). http://aofoundation.org/.

2. Lacroix, D. and Prendergast, P.J., 2002. A mechanoregulation model for tissue differentiation during fracture healing: analysis of gap size and loading. Journal of biomechanics, 35(9), pp.1163-1171.

3. Aron, D.N., Johnson, A.L. and Palmer, R.H., 1995. Biologic strategies and a balanced concept for repair of highly comminuted long bone fractures. The Compendium on continuing education for the practicing veterinarian (USA).

4. Augat, P., Gordon, C.L., Lang, T.F., Iida, H. and Genant, H.K., 1998. Accuracy of cortical and trabecular bone measurements with peripheral quantitative computed tomography (pQCT). Physics in Medicine & Biology, 43(10), p.2873.

5. Augat, P., Iida, H., Jiang, Y., Diao, E. and Genant, H.K., 1998. Distal radius fractures: mechanisms of injury and strength prediction by bone mineral assessment. Journal of Orthopaedic Research, 16(5), pp.629-635.

6. Beale, B. (2004). Orthopedic Clinical Techniques Femur Fracture Repaire. Clin Tech Small Anim Pract 19:134-150.

7. Boero Baroncelli, A., B. Peirone, M. D. Winter, D. J. Reese and A. Pozzi. (2012). Retrospective comparison between minimally invasive plate osteosynthesis and open plating for tibial fractures in dogs. Vet Comp Orthop Traumatol 5:410-417.

8. Borreli, J., Prickett, W., Song, E. (2002) – Extraosseous

blood supply of the tibia and the effects of different plating techniques: a human cadaveric study, J. Orthop. Trauma., 16:691-695.

9. Carter, D.R., Beaupré, G.S., Giori, N.J. and Helms, J.A., 1998. Mechanobiology of skeletal regeneration. Clinical Orthopaedics and Related Research®, 355, pp.S41-S55.

10. Chao, E.Y. and Inoue, N., 2003. Biophysical stimulation of bone fracture repair, regeneration and remodelling. Eur Cell Mater, 6, pp.72-84.

11. Claes, L.E. and Heigele, C.A., 1999. Magnitudes of local stress and strain along bony surfaces predict the course and type of fracture healing. Journal of biomechanics, 32(3), pp.255-266.

12. Danis, R., 1949. Les fractures malleolaires. Theorie et Pratique de l’Osteosynthese.

13. Dimitriou, R., Tsiridis, E., Carr, I., Simpson, H. and Giannoudis, P.V., 2006. The role of inhibitory molecules in fracture healing. Injury, 37(1), pp.S20-S29.

14. Farouk, O, C Krettek and T Miclau. (1998). Minimally invasive plate osteosynthesis: does percutaneous plating disrupt femoral blood supply less than the traditional technique. J Orthop Trauma 13:401–406.

15. Field, J.R., Tornkvist, H. (2001) – Biological fracture fixation: a perspective, Vet. Orthop. Traumatol, 14:169-178.

16. Fossum, T.W., 2007. Small Animal Surgery. 3rd ed. St. Louis: Mosby, Elsevier.

17. Griffon, D.J., Sedighi, M.R., Sendemir-Urkmez, A., Stewart, A.A. and Jamison, R., 2005. Evaluation of vacuum

Vol VI - Nr. 10 (1/2019) 36
Bibliografie
in dogs ORTHOPEDICS SURGERY
Evaluation of bone healing after minimally invasive osteosynthesis with
plates

Bibliografie

and dynamic cell seeding of polyglycolic acid and chitosan scaffolds for cartilage engineering. American journal of veterinary research, 66(4), pp.599-605.

18. Guiot, L.P. and Déjardin, L.M., 2020. Perioperative Imaging in Minimally Invasive Osteosynthesis. Veterinary Clinics: Small Animal Practice, 50(1), pp.49-66.

19. Heitemeyer, U., Kemper, F., Hierholzer, G. and Haines, J., 1987. Severely comminuted femoral shaft fractures: treatment by bridging-plate osteosynthesis. Archives of orthopaedic and traumatic surgery, 106(5), pp.327-330.

20. Hudson, C. C., A Pozzi and D.D. Lewis. (2009). Minimally invasive plate osteosynthesis: Applications and techniques in dogs and cats. Vet Comp Orthop Traumatol 3:175-182.

21. Jæger, G.T, S. Larsen, N. Søli and L. Moe. (2007). Two years follow-up study of the pain-relieving effect of gold bead implantation in dogs with hip-joint arthritis. Acta Veterinaria Scandinavica 49:9.

22. Johnson A.L., Smith C.W., Schaeffer D.J. – 1998 –Fragment reconstruction and bone plate fixation versus bridging plate fixation for treating highly comminuted femoral fractures in dogs: 35 cases (1987-1997). J. Am. Vet. Med. Assoc., 213: 1157-1161.

23. Kaderly R.E., Anderson W.D., Anderson B.G. (1982), Extraosseous vascular supply to the mature dog’s coxofemoral joint. Am J Vet Res, 43, 1208.

24. Leunig, M., Hertel, R., Siebenrock, K.A., Ballmer, F.T., Mast, J.W. and Ganz, R., 2000. The evolution of indirect reduction techniques for the treatment of fractures. Clinical Orthopaedics and Related Research, 375, pp.7-14.

25. Mann, F.A. and Payne, J.T., 1989, November. Bone healing. In Seminars in veterinary medicine and surgery (small animal) (Vol. 4, No. 4, pp. 312-321).

26. McLaughlin Jr, R.M., 1991. The evolution of the understanding of bone healing. Veterinary and Comparative Orthopaedics and Traumatology, 4(01), pp.16-20.

27. Miclau, T., Martin R.E. (1997) – The evolution of modern plate osteosynthesis, Injury, 28, (Suppl 1):A3-6.

28. Mizuno, K., Mineo, K., Tachibana, T. (1990) –

The osteogenetic potential of fracture haematoma. Subperiostealand intramuscular transplantation of the haematoma, J. Bone Joint Surg. Br., 72:822-829.

29. Moore, D. (2013). Fracture healing. Availible at http:// www.orthobullets.com/basic-science/9009/fracture-healing. Accessed in 2013 May 20.

30. Müller, M.E., Allgöwer, M., Müller, M.E., Schneider, R. and Willenegger, H., 1991. Manual of internal fixation: techniques recommended by the AO-ASIF group. Springer Science & Business Media.

31. O’Sullivan, M.E., Chao, E.Y., Kelly, P.I. (1989) – The effects of fixation on fracture-healing, J. Bone Joint Surg. Am., 71:306-310.

32. Olsen, B.R., Reginato, A.M. and Wang, W., 2000. Bone development. Annual review of cell and developmental biology, 16(1), pp.191-220.

33. Palmer, R.H. (1999). Biological osteosynthesis. Vet. Clin. North Am. Small Anim. Pract. 29:1171-1185.

34. Perren S.M. – 2002 – Evolution of the internal fixation

of long bone fractures. The scientific basis of biological internal fixation: choosing a mew balnace between stability and biology. J. Bone Joint Surg Br., 84: 1093-1110.

35. Perren, S.M. and Rahn, B.A., 1980. Biomechanics of fracture healing. Canadian journal of surgery. Journal canadien de chirurgie, 23(3), pp.228-232.

36. Perren, S.M., 1979. Physical and biological aspects of fracture healing with special reference to internal fixation. Clinical orthopaedics and related research, (138), pp.175196.

37. Perren, S.M., 1991. Basic aspects of internal fixation. In Manual of internal fixation (pp. 1-158). Springer, Berlin, Heidelberg.

38. Piermattei, D.L., Johnson, K.A. and ScienceDirect (Online service), 2004. An atlas of surgical approaches to the bones and joints of the dog and cat . Philadelphia: Saunders.

39. Pozzi A, Hudson CC, Lewis DD. – 2008 - Minimally invasive plate osteosynthesis: Initial clinical experience in 16 cases. Proceedings of the annual conference of the Veterinary Orthopaedic Society; Big Sky, Montana, USA; March 9-14, 2008.

40. Pozzi, A., C.C. Hudson, C.M. Gauthier and D.D. Lewis. (2013). Retrospective comparison of minimally invasive plate osteosynthesis and open reduction and internal fixation of radius-ulna fractures in dogs. Vet Surg. 42(1):1927.

41. Rahn BA 1982: Bone healing:histologic and physiologic concepts. In: Summer-Smith G: Bone in Clinical Orthopaedics. Philadelphia, WB Saunders, pp. 335-386.

42. Schatzker, J. (1995). Changes in the AO/ASIF principles and methods. Injury, 26 (Suppl. 2):B51-B56.

43. Schenk, R. and Willenegger, H., 1963. On the histological picture of so-called primary healing of pressure osteosynthesis in experimental osteotomies in the dog. Experientia, 19, pp.593-595.

44. Schindeler, A., McDonald, M.M., Bokko, P. and Little, D.G., 2008, October. Bone remodeling during fracture repair: The cellular picture. In Seminars in cell & developmental biology (Vol. 19, No. 5, pp. 459-466). Academic Press.

45. Schütz, M. and Südkamp, N.P., 2003. Revolution in plate osteosynthesis: new internal fixator systems. Journal of orthopaedic science, 8(2), pp.252-258.

46. Shapiro, F., 1988. Cortical bone repair. The relationship of the lacunar-canalicular system and intercellular gap junctions to the repair process. The Journal of bone and joint surgery. American volume, 70(7), pp.1067-1081.

47. Sporer, S.M. and Paprosky, W.G., 2005. Biologic fixation and bone ingrowth. Orthopedic Clinics, 36(1), pp.105-111.

48. Tsiridis, E., Gamie, Z., Conaghan, P.G. and Giannoudis, P.V., 2007. Biological options to enhance periprosthetic bone mass. Injury, 38(6), pp.704-713.

49. Wolff, J. (1892) Das Geserz der Transformation der Knochen. August Hirschwald, Berlin.

50. Wullschleger, Martin Eduard - 2010 – „Effect of surgical approach on bone vascularisation, fracture and soft tissue healing: comparison of less invasive to open approach.” PhD diss., Queensland University of Technology.

37
Imagistic
Vol VI - Nr. 10 (1/2019) Romanian Journal of Veterinary Orthopedics and
Proteasa Adelina, Dascălu Roxana, Schuszler Larisa, C. Igna

ASPECTE RADIOLOGICE ȘI COMPUTER TOMOGRAF ALE NON-UNIUNII PROCESULUI ANCONAT LA CÂINE: PREZENTARE DE CAZ RADIOLOGICAL AND COMPUTED TOMOGRAPHY ASPECTS OF UNUNITED ANCONEAL PROCESS IN DOGS: CASE REPORT

OPEN ACCES JOURNAL

Cite this article: Andreea Istrate, R. Constantinescu, Alexandra Peteoacă, A. Tănase. Radiological and computed tomography aspects of ununited anconeal process in dogs: case report. R J Vet Orthoped I. 2019; Vol. VI - 10 (1): 38-43.

Rezumat:

Cuvinte-cheie: radiologie, computer tomograf, displazie de cot, musculo­scheletal, câine

Keywords:

radiology, computed tomography, elbow dysplasia, musculoskeletal, dog

Corresponding author: Andreea Istrate, E-mail: andreeaistrate@gmail.com

Recieved: November 2019 Accepted: December 2019

Non­uniunea procesului anconat se încadrează în categoria afecțiunilor ce generează displazia de cot la câine, alături de fragmentarea procesului coronoid medial, osteocondroza disecantă a porțiunii mediale a condilului humeral, precum și incongruența articulară. Această lucrare are rolul de a evidenția principalele modificări decelabile din punct de vedere radiologic și computer tomograf asociate non­uniunii procesului anconat în cazul unui câine de talie mare.

Abstract:

Ununited anconeal process is part of the developmental diseases that cause elbow dysplasia in dogs, alongside fragmented medial coronoid process, osteochondrosis dissecans of the medial part of the humeral condyle and elbow incongruity. This paper presents the main radiological and computed tomography changes associated with unuinited anconeal process in a large breed dog.

Vol VI - Nr. 10 (1/2019)

38 IMAGISTIC
report
Radiological and computed tomography aspects of ununited anconeal process in dogs:
case
DVM, PhD student Andreea Istrate1, DVM, PhD Radu Constantinescu2, DVM, PhD student Alexandra Peteoacă1, Prof. Univ. Dr. Andrei Tănase1 1. USAMV-Facultatea de Medicină Veterinară București; 2. Pet Stuff București

Introducere

Displazia de cot reprezintă o tulburare de dezvoltare ce afectează, în general, câinii din categoria de tineret a raselor de talie mare, având o componentă genetică de natură complexă și reprezentând frecvent principala cauză a șchiopăturilor de la nivelul membrelor anterioare1 Displazia de cot, din punct de vedere al diagnosticului imagistic, reprezintă un termen nespecific, ce cuprinde multiple entități de natură patologică ale articulației humero­radio­ulnare în dezvoltare. În general, displazia de cot este reprezentată prin non­uniunea procesului anconat, fragmentarea procesului coronoid medial al ulnei, osteocondroza sau osteocondrita porțiunii mediale distale a condililor humerali sau incongruența articulară2 (Figura 1).

loc până la vârsta de 20 de săptămâni4,5. Diagnosticul definitiv de non­uniune a procesului anconat poate fi realizat, în cazul în care acesta nu este unit cu ulna, până la vârsta de 24 de săptămâni14. Din cauza faptului că fenomenul de non­uniune și centrul secundar de osificare au aspecte radiologice diferite, prezența unui fragment separat din procesul anconat în momentul existenței unei non­uniunii poate fi considerată patologică chiar dacă pacientul are vârsta mai mică de 24 de săptămâni14

Etiologia exactă a acestei afecțiuni nu este complet cunoscută. Factori traumatici, metabolici sau genetici au fost incriminați drept cauze3,11,13. Unele articole de specialitate au oferit o importanță deosebită acțiunilor traumatice repetate la nivelul plăcilor de creștere, asociate cu creșterea prelungită a câinilor de talie mare15. Alte articole creează ipoteza ca non­uniunea procesului anconat cu ulna poate să fie rezultatul unei osificări encondrale defectuoase8. Subdezvoltarea incizurii semilunare a ulnei poate genera creșterea forțelor ce acționează asupra procesului anconat și asupra procesului coronoid medial16. Astfel, raza curburii incizurii semilunare este mai mică față de raza curburii condilului humeral, ce nu mai poate fi poziționat corespunzător la nivelul incizurii semilunare, generându­se creșterea forțelor ce acționează asupra procesului anconat și procesului coronoid10. O altă teorie prevede apariția non­uniunii din cauza diferențelor de creștere între radius și ulnă, cu deplasarea proximală a capului radial și creșterea consecutivă a presiunii asupra procesului anconat17

Non­uniunea procesului anconat al ulnei este caracterizată prin imposibilitatea realizării fuziunii procesului anconat cu metafiza proximală a ulnei în cazul câinilor tineri, în timpul perioadei de creștere. Această afecțiune este frecvent întâlnită bilateral și poate genera instabilitate la nivelul cotului, deplasarea procesului anconat sau osteoartrită secundară3­6

Această afecțiune a fost descrisă în cazul diferitelor rase de câini, în general cei de talie mare813. În funcție de talia animalului, mineralizarea centrului de osificare al procesului anconat se produce fiziologic între vârsta de 10 și 16 săptămâni, fuziunea completă la nivelul ulnei având

Patogeneza din spatele acestei afecțiuni cuprinde existența osteocondrozei, a displaziei incizurii semilunare a ulnei sau creșterea asincronă a radiusului și ulnei11. Creșterea asincronă reprezintă cea mai plauzibilă explicație pentru leziunile macroscopice și histologice observabile în cadrul non­uniunii procesului anconat sau fragmentării de proces coronoid medial11,17­20 Această ipoteză susține faptul că un radius de dimensiuni crescute față de ulnă va forța trochleea humerală proximal spre procesul anconat, determinând leziuni ale centrului de osificare și, secundar, non­uniunea procesului anconat. În mod similar, dacă radiusul are dimensiuni scăzute, humerusul acționează cu o forță crescută asupra procesului coronoid medial al ulnei, generând fragmentarea acestuia.

Prezența unui fragment osos liber la nivel intraarticular determină apariția proceselor de natură inflamatorie și degenerativă la nivelul structurilor articulare și, secundar, fenomene de osteoartroză. Modificările inițiale sunt reprezentate de apariția efuziuii intraarticulare, afectarea

39 Vol
VI - Nr. 10 (1/2019)
Romanian Journal of Veterinary Orthopedics and Imagistic Andreea Istrate, R. Constantinescu, Alexandra Peteoacă, A. Tănase Figura 1. Principalele afecțiuni asociate displaziei de cot, la câine: UAP - non-uniunea procesului anconat, FCP - fragmentarea procesului coronoid medial, OCDosteocondrita disecantă7

cartilajului articular și producerea de osteofite periarticulare.

Diagnostic

Inițial, suspiciunea unui diagnostic de non­uniune a procesului anconat se stabilește pe baza examenului clinic, pacienții prezentând efuziune intraarticulară palpabilă și durere la manipularea articulației humero­radio­ulnare, în mod deosebit în urma extensiei. Confirmarea suspiciunii clinice se stabilește pe baza examenului radiologic. Poziționarea specifică pentru diagnosticarea acestei afecțiuni este medio­lateral, cu membrul flexat, ambele articulații fiind recomandat a fi examinate, având în vedere procentul crescut (2035%) în care afecțiunea apare bilateral (Figura 2).

În urma examinării radiologice, se decelează prezența unei linii neregulate, cu radiodensitate scăzută între procesul anconat și extremitatea proximală a ulnei3­5, 22, 23, 24 (Figura 3).

Diagnosticarea non­uniunii procesului aconat necesită verificarea pacientului pentru alte afecțiuni concomitente la nivelul articulației humero­radio­ulnare. Incongruența articulară poate îngreuna remedierea șchiopăturii, poate contribui la apariția modificărilor de tip degenerativ sau poate împiedica fuziunea procesului anconat. Incongruența articulară se poate diagnostica dificil din punct de vedere radiologic, fiind vizibilă atunci când există o distanță crescută, dar poate fi diagnosticată cu ușurință în urma examenului computer tomograf (CT)25

Trebuie luat în considerare faptul că o discrepanță în dezvoltarea oaselor lungi ale antebrațului, ce a determinat apariția non­uniunii, se poate

remedia până în momentul examenului radiologic, dar prezența aplombului de tip valgus la nivel carpal nu se va remedia în urma osteotomiei/ ostectomiei ulnare proximale26. Aplomburile trebuie tratate separat, în cazul în care determină apariția semnelor clinice26.

Tomografia computerizată este utilă în identificarea leziunilor displaziei de cot ce nu sunt clar definite în urma examenului radiologic. Acest tip de examen imagistic oferă imagini detaliate ale procesului coronoid medial, incizurii radiale, procesului anconat, incizurii semilunare, condililor humerali, incongruenței articulare și date importante legate de prezența osteoartritei/artrozei23

Tomografia computerizată produce imagini ale secțiunilor transversale, eliminând astfel problema generată de suprapunerea planurilor asociată examenului radiologic. Examenul computer tomograf și artroscopia sunt considerate ca fiind metode de examinare de elecție în diagnosticarea afecțiunilor asociate displaziei de

Vol VI - Nr. 10 (1/2019) 40
IMAGISTIC
Figura 2. Poziționarea animalului pentru obținerea incidenței radiologice mediolateral flexat, specifică pentru evaluarea procesului anconat21 Figura 3. Evidențierea radiologică a non-uniunii procesului anconat la un Ciobănesc german de 8 luni. Scleroza de la nivelul ulnei (săgeți negre) creează suspiciunea unei afectări a procesului coronoid medial al ulnei10 Radiological and computed tomography aspects of ununited anconeal process in dogs: case report

cot27. Non­uniunea procesului anconat poate fi diagnosticată cu ușurință în urma examenului radiologic și nu necesită realizarea secțiunilor transversale. Deși sunt articole ce descriu examenul CT al procesul anconat, există un număr redus de articole ce descriu non­uniunea procesului anconat din punct de vedere CT22,12,28 Acest articol are rolul de a descrie, comparativ, modificările întâlnite în non­uniunea procesului anconat din punct de vedere radiologic și CT la un câine de talie mare și de a corela leziunile secundare asociate acestei patologii, observabile din punct de vedere CT.

Materiale şi metode

Această lucrare evidențiază principalele modificări decelabile din punct de vedere radiologic și computer tomograf ale unui pacient canin, din rasa Ciobănesc German, în vârstă de 3 ani, ce prezenta bilateral, în momentul examinării clinice ortopedice, durere profundă la palparea articulației humero­radio­ulnare. Examenul radiologic a fost realizat prin poziționarea membrelor anterioare mediolateral în extensie, mediolateral în flexie și cranio­caudal. Imaginile obținute au fost examinate pentru a consemna prezența sau absența modificărilor secundare (fragmentare de proces coronoid medial, osteocondroza condilului humeral medial, existența incongruenței radio­ulnare, scleroza ulnară și osteoartrită).

Examinarea computer tomograf a fost realizată în urma anesteziei generale, pacientul fiind

poziționat în decubit dorsal, cu membrele anterioare extinse simetric, cranial. Imagini continue ale secțiunilor transversale au fost obținute de la nivelul proximal al olecranului până la 1 cm distal de articulația cotului, paralele cu articulația humero­radială, folosind un algoritm de reconstrucție osoasă.

Imaginile au fost reevaluate, folosind setări pentru fereastra de țesut osos. Imaginile secțiunilor transversale au fost reformatate în plan dorsal și sagital, pentru evaluarea modificărilor aferente non­uniunii procesului anconat. În același timp, a fost consemnată prezența sau absența leziunilor secundare de la acest nivel (fragmentare de proces coronoid medial, osteocondroză a condilului humeral medial sau incongruență articulară).

Rezultate şi discuţii

Pacientul examinat a prezentat non­uniune bilaterală a procesului anconat, afecțiune vizibilă în urma examinării radiologice (Figura 4A, B). În urma examinării radiologice, membrul stâng prezintă semne ale unei posibile fragmentări a procesului coronoid medial (osteofitoză la nivel humeral și radial, incongruență articulară, aspect modificat al procesului coronoid și prezența sclerozei la nivel ulnar). Membrul drept prezintă semne secundare specifice osteoartrozei mai avansate, comparativ cu membrul stâng.

În urma examenului computer tomograf, animalul a fost diagnosticat cu non­uniune de pro­

A B

Figura 4. (A) Incidență medio-lateral flexat a membrului anterior stâng (MAS): evidențierea non-uniunii procesului anconat (săgeată albă) și a modificărilor concomitente – osteofitoză la nivelul condilului humeral medial (săgeată albă curbă), scleroză la nivelul ulnei (săgeată neagră) și aspect modificat al procesului coronoid medial (săgeată neagră curbă); (B) Incidență medio-lateral flexat a membrului anterior drept (MAD): evidențierea non-uniunii procesului anconat (săgeată albă) și a modificărilor concomitente – scleroză la nivelul ulnei (săgeată curbă neagră) și aspect modificat al procesului coronoid medial (săgeată neagră)

41 Vol VI - Nr. 10 (1/2019)
Journal
Veterinary
and Imagistic
Romanian
of
Orthopedics
Andreea Istrate, R. Constantinescu, Alexandra Peteoacă, A. Tănase

ces anconat bilaterală (Figura 5A, B), fragmentare de proces coronoid medial la nivelul membrului stâng (Figura 6A) și fenomene extinse de osteoartrită bilaterală, cu remodelare osoasă avansată, scleroză la nivelul condilului humeral lateral și la nivelul incizurii semilunare stângi (Figura 6B) și osteofitoză severă și scleroza incizurii semilunare drepte. La nivelul articulației humero­radio­ulnare drepte se poate observa o distanță crescută

între ulnă și condilul humeral, corespunzătoare unei incongruențe humero­ulnare (Figura 7).

Concluzii

• Diagnosticul de displazie de cot prin non­uniunea procesului anconat se poate stabili cu certitudine în urma examenului radiologic.

• Examenul computer tomograf al articulației humero­radio­ulnare reprezintă metoda imagis­

Vol VI - Nr. 10 (1/2019) 42 IMAGISTIC
Figura 5. Aspecte CT ale non-uniunii procesului anconat la nivelul MAD (A) și MAS (B), secțiune sagitală Figura 6. Aspecte CT ale fragmentării de proces coronoid medial (A) a MAS și (B) ale sclerozei și remodelării osoase la nivelul MAD
A A B B
Radiological and computed tomography aspects of ununited anconeal process in dogs:
case report

Figura 7. Aspecte CT ale membrelor anterioare în plan dorsal, cu evidențierea distanței crescute humero-ulnare la nivelul MAD (R), comparativ cu MAS (L), corespunzător unei incongruențe articulare

tică de elecție în cazul diagnosticului de displazie de cot la câine, oferind informații suplimentare prin decelarea afecțiunilor concomitente non­uniunii procesului anconat: fragmentare de proces coronoid, scleroză ulnară, remodelare

Bibliografie

1. Hammond, G., McConnell, F. (2018) - Radiology of the apendicular skeleton. In BSAVA (Ed), Radiography and Radiology, (pp. 276-279), Glouchester, UK.

2. Pollard, R. E., Phillips, K. L. (2017) - Orthopedic diseases of young and growing dogs and cats. In Elsevier (Ed), Textbook of Veterinary Diagnostic Radiology 7th edition (pp. 348-350). St. Louis, Missouri.

3. Fox SM, Bloomberg MS, Bright RM. Developmental anomalies of the canine elbow. J Am Animal Hosp Assoc 1983; 19: 605–615.

4. Fossum TW. Small Animal Surgery Textbook. 3rd ed. St. Louis, MO: Saunders Elsevier; 2007. pg. 1209–1213.

5. Brinker, Flo GL, Piermattei DL. The elbow joint. In: Handbook of Small Animal Orthopedics and Fracture Repair. 4th ed. St. Louis, MO: Saunders Elsevier; 2006. pg. 339–344.

6. Cawley AJ, Archibald J. Ununited anconeal process in the dog. JAmVetMedAssoc 1959; 134:454–458.

7. http://www.ethosvet.com/wp-content/uploads/elbow_diseases_small-2.png.

8. Olsson SE. Pathophysiology, morphology and clini- cal signs of osteochondrosis in the dog. In: Bojrab MJ, editor. Disease Mechanisms in Small Animal Surgery. Philadelphia: Lippincott Williams & Wil- kins; 1993. 777–796.

9. Roy RG, Wallace LJ, Johnston GR. A retrospective long term evaluation of ununited anconeal process excision on the canine elbow. J Vet Orthop Trauma 1995; 7: 94–97.

10. Meyer-Lindenberg A, Fehr M, Nolte I. Co-existence of ununited anconeal process and fragmented medial coronoid process of the ulna in the dog. J Small Anim Pract 2006; 47: 61–65.

11. Wind AP. Elbow incongruity and development elbow disease in the dog: Part II. J Am Hosp Assoc 1986; 22: 725–730.

12. Rovesti Gl, Biasibetti M, Schumacher A, et al. The use of the computed tomography in the diagnostic protocol of the elbow in the dog: 24 joints. Vet Comp Orthop Traumatol 2002; 15: 35–43.

13. Corley EA, Sutherland TM, Carlson WD. Genetic aspects of canine elbow dysplasia. J Am Vet Med As- sociation 1968; 153: 449–453.

14. Frazho JK, Graham J, Peck JN, et al. Radiographic evaluation of the anconeal process in skeletally im- mature dogs. Vet Surg 2010; 39: 829–832.

osoasă și osteofitoză asociată, ce prezină o specificitate scăzută în cazul examenului radiologic.

This work is licensed under a Creative Commons Attribution-NonCommercialNoDerivatives 4.0 International License.

15. Hayes HM, Selby LA, Wilson GP, et al. Epidemi- ologic observation of canine elbow disease (empha- sis on dysplasia). J Am Anim Hosp Assoc 1979; 15: 449.

16. Wind AP. Elbow incongruity and development elbow disease in the dog: Part I. J Am Hosp Assoc 1986; 22: 711–724.

17. Sjöstrom L, Kasström H, Källberg M. Ununited an- coneal process in the dog, Pathogenesis and treat- ment by osteotomy of the ulna. J Vet Comp Orthop Trauma 1995; 8: 170–176.

18. PRESTON C. A., SCHULZ K. S, and KASS P. H. (2000) In vitro determination of contact areas in the normal elbow joint of dogs. American Journal of Veterinary Research. 61:1315-1321.

19. SHULZ K. S. and KROTSCHECK U. (2003) Canine elbow dysplasia. In: Textbook of Small Animal Surgery. Slatter D. (Ed) WB Saunders, Philadelphia pp1927-1952.

20. TROSTEL C. T., McLAUGHLIN R. N. and POOL R. R. (2003) Canine elbow dysplasia: Anatomy and pathogenesis. The Compendium on Continuing Education 25: 754-761.

21. Coulson A., Lewis N. An Atlas of Interpretative Radiographic Anatomy of the Dog and Cat. Second edition, 2008, 15-24, editura Blackwell.

22. Reichle Jk, Park RD, Bahr AM. Computed to- mography findings of dogs with cubital joint lame- ness.Vet Radiol Ultrasound 2000; 41: 125–130.

23. Cook C, Cook J. Diagnostic imaging of canine elbow dysplasia: a review. Vet Surg 2009; 38: 144–153.

24. Wisner ER, Pollard RE. Orthopedic diseases of young and growing dogs and cats. In: Thrall DE, editor. Textbook of Veterinary Diagnostic Radiol- ogy. 5th ed. St.Louis, MO: Saunders Elsevier; 2007. pg. 268–283.

25. Mason, T. A., lavelle, R. B., Skipper, S. C., Wrigkey, W. R. (1980) Osteochondrosis of the elbow joint in young dogs . Journal of Small Animal Practice 21 , 641-656.

26. Shales, C. (2006), Canine elbow dysplasia: Ununited anconeal process. Companion Animal, 11: 18-25.

27. Wagner K, Griffon DJ, Thomas MW, et al. Radiographic, computed tomographic and arthroscopic evaluation of experimental radio-ulnar incongruence in the dog Vet Surg 2007; 36: 691–698.

28. Gasch, E.G., Labruyere J.J., Bardet J.F., Computed tomography of the ununited anconeal process in the dog. Vet Comp Ortho Traumatol, 2012, 6: 498-505.

43 Vol VI
Romanian Journal of Veterinary Orthopedics and Imagistic
- Nr. 10 (1/2019)
Andreea Istrate, R. Constantinescu, Alexandra Peteoacă, A. Tănase
TALON DE ABONAMENT Doresc să mă abonez Varianta electronică: q Abonament pentru 1 an (2 numere) - 45 RON (cu toate taxele incluse) q Abonament pentru 2 ani (4 numere) - 75 RON (cu toate taxele incluse) Nume:................................................................................... Prenume: ................................................................................................... Dna Dl Dra Adresă domiciliu: .................................................................................................................................................. Municipiu: ........................................................................ Sect.: ................ Judeţ:............................................................ Oraş:............ ..................................................... Comună: ...................................................................................................... Cod poştal: ................... Telefon:............................................................................. Număr atestat de liberă practică................................................................. Specialitate ........................................................................................ student rezident medic specialist medic primar Competenţă ............................................................................... Denumire instituţie: ....................................................... Domeniu de activitate: Privat Public Secţie: ................................................................................................. Funcţie: ...................................................................... Specialitate: ................................................................. Adresă instituţie: ............................................................................ .................................................... Municipiu: ....................................................Sect.: ........... Judeţ:................................. Oraş:............ ..................................................... Comună: ...................................................................................................... Cod poştal: ................... ............................ Telefon: ..........................................
...................................................... E-mail: ........................................................................
...................................................................................................
nu
......................................................
..................................................................
După completare, vă rugăm să trimiteţi talonul însoţit de dovada efectuării plăţii scanate la adresa de email
Mulţumim! ! Adeverinţa pentru abonarea la revistă se eliberează în maximum 5 zile lucrătoare de la exprimarea solicitării dvs., după efectuarea plății REVISTĂ CREDITATĂ CU 15 PUNCTE ANUAL PENTRU ABONAMENTELE PLĂTITE Plata abonamentului se va efectua prin ordin de plată ori transfer bancar pe coordonatele: S.C. INNOVATION IN HEALTH CENTER S.R.L SEDIUL SOCIAL: SPLAIUL INDEPENDENTEI NR. 273, SECTOR 6, BUCUREȘTI CUI: 38637290, R.C.: J40/20963/2017 CONT IBAN RON: RO91BACX0000001601177000 BANCA UNICREDIT BANK, SUCURSALA ORIZONT
Mobil:
Web:
CUI instituţie: Plătitor de TVA: da
Factură - vă rugăm să completaţi cu coordonatele necesare emiterii facturii: Denumire persoană:
Denumire instituţie:
Adresa pentru primirea revistelor: Domiciliu Instituţie Data: / / Semnătură:…..………….….......…
redactia.ihc@gmail.com

Str. Anton Pann nr 18A, ap 1, Sector 3, Cod 030796, București Tel: +40727317800 E­mail: tarabic_octavia@yahoo.com

www.etna.ro
Editura Etna este înscrisă în Societatea Editorilor Români. Acreditată de Consiliul Naţional al Cercetării Știinţifice din Învăţământul Superior (CNCSIS) la poziția 241 și de Colegiul Medicilor din România.
CONTACT EDITURA ETNA
RUBRICA Titlu engleza..... Romanian Journal of Veterinary Orthopedics & Imagistic www.rjvoi.innovationinhealth.ro PUBLICAŢIE CREDITATĂ DE COLEGIUL MEDICILOR VETERINARI DIN ROMÂNIA SUB EGIDA 2 NUMERE PE AN, ÎN FORMAT DIGITAL ȘI ONLINE

Turn static files into dynamic content formats.

Create a flipbook
Issuu converts static files into: digital portfolios, online yearbooks, online catalogs, digital photo albums and more. Sign up and create your flipbook.