Romanian Journal of Veterinary Orthopedics & Imagistic nr. 9 (2) 2018

Page 1

REVISTA SOCIETĂŢII ROMÂNE VETERINARE DE ORTOPEDIE REVISTA ESTE INDEXATĂ BDI: www.rjvoi.innovationinhealth.ro ANUL V / Nr. 9 ( 2/2018) PUBLICAŢIE CREDITATĂ DE COLEGIUL MEDICILOR VETERINARI DIN ROMÂNIA SUB EGIDA PUBLICAŢIE EDITATĂ DE REVISTĂ EDITATĂ ÎN PARTENERIAT CU EDITURA Editura Etna este înscrisă în Societatea Editorilor Români. Acreditată de Consiliul Naţional al Cercetării Ştiinţifice din Învăţământul Superior (CNCSIS ) la poziția 241 şi de Colegiul Medicilor din România (CMR) Global Impact & Quality Factor 2014 - 0.454 2015 - 0.565
www.srvo.ro

Anul V / Nr. 9 (2/2018)

SENIOR EDITORS

Prof. Dr. Cornel IGNA

Prof.Dr. Vasile VULPE

EDITOR-IN-CHIEF D r. I oana MANEA

DEPUTY EDITOR-IN-CHIEF D ragoș Marius CHIRIAC

EDITORIAL BOARD

Prof. Dr. Dan CRÎNGANU

Prof. Dr. Liviu Ioan OANA Prof. Dr. Bruno PEIRONE

Prof.Dr. Marius PENTEA Conf. Dr. Florin Ioan BETEG Șef Lucr. Dr. Ciprian OBER Ș ef Lucr. Dr. Cosmin PEȘTEAN Ș ef Lucr. Dr. Eusebiu Viorel ȘINDILAR Șef. Lucr. Dr. Larisa SCHUSZLER Șef Lucr. Dr. Alexandru VIȚĂLARU Asist. univ. Dr. Ruxandra COSTEA

Asist. univ. Dr. Cristian Constantin DEZROBITU Asist. univ. Dr. Ionut Cristian GÂRJOABĂ

Asist. univ. Dr. Nicolae Răzvan MĂLĂNCUȘ

Dr. Dragoş BOGHEAN Dr. Victor BUCUR Dr. Cristian DRAGOMIR

D r. Eugen Dan GÂSCĂ Dr. Wili GLASER Dr. Florin GROSU Dr. Dinu MĂHĂLEAN Dr. Oana RADU Dr. Edmond STECYK Dr. Hristov SVETOSLAV Dr. Andrei TIMEN Dr. Nicolae VALENTIN

ORTHOPEDICS

LIMITE ȘI IMPEDIMENTE ÎN DIAGNOSTICUL ȘI TRATAMENTUL TUMORILOR OSOASE LA CÂINE

LIMITS AND IMPEDIMENTS IN DIAGNOSIS AND TREATMENT OF BONE TUMORS IN DOG

Roxana Dascălu, B. Sicoe, Larisa Schuszler, C. Zaha, C. Igna

ORTHOPEDICS SURGERY OSTEOSINTEZA CU PLĂCI A FRACTURILOR RADIO-ULNARE LA CÂINI DE TALIE MICĂ ȘI TOY

BONE PLATING OF THE RADIO-ULNAR FRACTURES IN SMALL AND TOY-BREED DOGS C. Igna, Roxana Dascălu, D. Bumb, Larisa Schuszler

IMAGISTIC CUM LUCRĂM ÎN LABORATORUL DE RADIOLOGIE?

HOW WE WORK ÎN RADIOLOGY LAB? V. Vulpe

SINDROMUL DE COMPRESIUNE MEDULARĂ/RADICULARĂ LA CÂINE, SECUNDAR MALFORMAŢIILOR COLOANEI VERTEBRALE

SPINAL CORD/NERVE ROOT COMPRESSION SYNDROME IN DOG, SECONDARY TO VERTEBRAL COLUMN MALFORMATIONS Roxana Dascălu, B. Sicoe, Larisa Schuszler, C. Zaha, C. Igna

ADAPTAREA ANESTEZIEI ȘI MONITORIZĂRII LA CONDIȚIILE DE LUCRU IMPUSE DE INVESTIGAȚIA PRIN CT

ADAPTATION OF ANESTHESIA AND MONITORING ON CONDITIONS IMPOSED BY CT INVESTIGATION Larisa Schuszler, Roxana Dascălu, B. Sicoe, C. Zaha, C. Igna

sau parţială, și sub orice formă, tipărită sau electronică, sau distribuţia materialelor publicate se face
cu acordul scris al IHC.
răspund
ISSN 2392 – 8700 ISSN-L 2392 – 8700 e-ISSN 2601 - 0089 ABONAMENTE ȘI PUBLICITATE INNOVATION IN HEALTH CENTER
www.rjvoi.innovationinhealth.ro Copyright © 2018 Innovation in Health Center Drepturile de autor pentru articolele și fotografiile publicate aparţin exclusiv Innovation in Health Center Reproducerea, totală
numai
Responsabilitatea asupra conţinutului original al materialelor aparţine în întregime autorilor. Persoanele intervievate
de conţinutul declaraţiilor lor, iar utilizatorii spaţiului publicitar, de informaţiile incluse în machete.
E-mail: redactia@innovationinhealth.ro Web: www.innovationinhealth.ro
42
50 58 64 70

LIMITE ȘI IMPEDIMENTE ÎN DIAGNOSTICUL ȘI TRATAMENTUL TUMORILOR OSOASE LA CÂINE

LIMITS AND IMPEDIMENTS IN DIAGNOSIS AND TREATMENT OF BONE TUMORS IN DOG

OPEN ACCES JOURNAL

Cite this article: Roxana Dascălu, B. Sicoe, Larisa Schuszler, C. Zaha, C. Igna.

Limits and impediments in diagnosis and treatment of bone tumors in dog.

R J Vet Orthoped I. 2018; Vol. V - 9 (2): 42-49.

Rezumat:

Corresponding author: Cornel Igna, E-mail: corneligna@usab-tm.ro

Recieved: November 2018

Accepted: December 2018

Au fost incluşi în studiu 77 de câini din rase diferite, cu leziuni tumorale osoase cu localizare în scheletul apendicular (membre) și axilar (coloană vertebrală, coaste și pelvis). Modificările osoase cele mai caracteristice tumorilor primare sunt reprezentate de zona de tranziție largă la osul sănătos și reacția periostală activă cu aspect neregulat - spicular. Osteosarcomul a constituit cea mai frecventă tumoră osoasă primară diagnosticată. Carcinoamele s-au soldat, în proporția cea mai mare, cu metastaze în țesutul osos. Eutanasierea subiecţilor și administrarea doar de antiinflamatorii analgezice au constituit principalele opțiuni de tratament.

In the study there were included 77 dogs of more races with bone tumor injuries located in the appendicular (limb) and axillary skeleton (spine, ribs and pelvis). Most characteristic bone changes of primary tumors are represented by the broad transition to healthy bone and active spiculated periosteal reaction. Osteosarcoma was the most common primary bone tumor diagnosed. Carcinomas have the highest proportion of metastases in bone tissue. Euthanasia of subjects and administration of analgesic antiinflammatory drugs alone were the main treatment options.

Vol V - Nr. 9 (2/2018) 42 ORTHOPEDICS
Cuvinte-cheie: neoplazie, ţesut osos, câine Keywords: neoplasia, bone tissue, dog
Șef Lucr. Dr. Roxana Dascălu, Dr. Drd.Vet. Bogdan Sicoe, Șef Lucr. Dr. Larisa Schuszler, Dr. Drd.Vet. Cristian Zaha, Prof. Univ. Dr. Cornel Igna Banat’s University of Agricultural Science and Veterinary Medicine, “King Mihai I of Romania” Timișoara, Faculty of Veterinary Medicine, 300645, Calea Aradului, no 119, Timișoara, România
Abstract:
tumors in dog
Limits and impediments in diagnosis and treatment
of bone

Introducere

Deși afecțiunile neoplazice cu localizare scheletală nu prezintă o incidență crescută în comparație cu celelalte afecțiuni ortopedice, acestea constituie o provocare pentru medicul veterinar din cauza refuzului proprietarului de a se recurge la metode terapeutice radicale (amputare membru, administrare de citostatice).

Prezența metastazelor, vârsta înaintată, reticența proprietarilor la acomodarea pacientului după un tratament chirurgical radical, precum și timpul mediu de supraviețuire relativ redus obținut după astfel de tratamente, constituie principalele considerente care reduc șansele ca acestă categorie de pacienți să beneficieze de un tratament corespunzător.

Suspicionarea prezenței unei astfel de afecțiuni în urma examenului radiografic convențional este urmată, în multe cazuri, doar de examen citologic din cauza refuzului proprietarilor de a suporta cheltuieli suplimentare în vederea realizării examenului histopatologic. În aceste condiții, examenul radiografic și prin computer-tomografie (CT) rămân, în unele cazuri, singurele medode de diagnosticare a acestor leziuni. Ținând cont de aceste aspecte, apare necesitatea stabilirii câtorva criterii de evaluare care să permită diagnosticarea certă a unei astfel de afecțiuni.

Scopul acestui studiu a fost stabilirea rasei de câini cea mai frecvent afectată, stabilirea celei mai frecvente localizări a tumorilor osoase primare, determinarea prevalenței pe sexe, stabilirea modificărilor radiografice caracteristice predominante, dar și determinarea orientării terapeutice/decizia proprietarului.

Materiale şi metode

Cercetările au fost realizate în cadrul Clinicii de Chirurgie a Facultăţii de Medicină Veterinară din Timi ș oara, luând în studiu 77 de câini din rase diferite, cazuri clinice prezentate cu

simptome de șchiopătură severă și tumefacție localizată și/sau cu deficite neurologice ale membrelor. În acest studiu, au fost incluși pacienții cu leziuni tumorale osoase cu localizare în scheletul apendicular (membre) și axilar (coloană vertebrală, coaste și pelvis).

Evaluarea radiografică s-a realizat prin intermediul instalațiilor radiologice tip Nanodor (Siemens), Multix Swing (Siemens). Unele cazuri au fost analizate imagistic și prin intermediul computer-tomografului (CT) (aparatul Somatom definition AS; Siemens).

Rezultate şi discuţii

Vârsta medie de apariție a leziunilor a fost de 8,5 ani, cu o limită minimă de 6 luni și cea maximă de 15 ani.

Vârsta medie de apariție raportată de alți autori este de 7,5 ani, la care se adaugă un al doilea peak al incidenței la 1,5 ani (1)

Din punctul de vedere al repartizării pe sexe, în studiul de față s-a semnalat o afectare superioară a masculilor, cu un raport de 1,48:1 (46 cazuri-masculi) și 31 cazuri-femele).

În ceea ce privește distribuția leziunilor pe categorii, din totalul celor 77 de cazuri investigate s-a constatat o localizare primară în țesutul osos (fig. 1) în 81,81% din cazuri (63 pacienți) și o diseminare secundară în acesta (metastazare) în 18,19% din cazuri (14 pacienți). Metastaze osoase au fost depistate în urma unor tumori primare cu localizare în sfera genitală (fig. 2), dar și prin extindere directă de la tumorile țesuturile moi adiacente oaselor.

După alți autori (2) , metastazele osoase reprezintă aproximativ 25% din tumorile osoase la câinii de talie mică și mai puțin de 5% la cei de talie mare.

În ceea ce privește distribuția leziunilor pe rase, s-a constatat o afectare în proporție de 87% (67 pacienți) a câinilor de talie mare,

43 Vol V - Nr. 9 (2/2018) Romanian Journal of Veterinary Orthopedics and Imagistic
Roxana Dascălu, B. Sicoe, Larisa Schuszler, C. Zaha, C. Igna Figura 1. Tumoră osoasă primară cu localizare în humerus; a. secțiune CT; b. reconstrucție 3D-VRT

cu greutate corporală mai mare de 15 kg, comparativ cu cei din rasele de talie mică, cu greutate corporală sub 15 kg (13% - 10 pacienți). Câinii din rasele Rottweiler (31,16% din cazuri) și Ciobănesc german (12,98% din cazuri) au prezentat cea mai mare incidență a leziunilor tumorale osoase.

Aceste constatări sunt în conformitate cu raportările din literatura de specialitate, conform cărora câinii din rasele de talie mare prezintă un risc mai mare decât cei din rasele de talie mică de a dezvolta tumori osoase primare și, implicit, osteosarcoame (OSA) (3) .

Rasele de talie mare - ca Rottweiler, Marele Danez, Saint Bernard, Irlandeze Wolfhounds și ogarii - sunt menționate (4) ca fiind mai predispuse la dezvoltarea tumorilor osoase primare de tipul OSA decât alte rase.

La cele 63 de tumori osoase primare, s-a depistat o localizare monostotică în 95,23%

din cazuri și o localizare poliostotică în doar 4,77% din cazuri.

Aceste constatări sunt similare cu raportările din literatura de specialitate, conform cărora OSA, principala tumoră osoasă primară, nu traversează cartilajul articular, deși se poate extinde atât în țesuturile moi, cât și la oasele învecinate. Leziunile primare, de obicei, rămân monoostotice (5) .

Cazurile de neoplasme primare care au prezentat o localizare poliostotică în acest studiu au fost reprezentate de: hemangiosarcom cu localizare digitală (un caz) (fig. 3) și osteosarcom (două cazuri).

Din totalul celor 63 de cazuri cu localizare primară în țesutul osos, s-a constatat prezența metastazelor atât în țesutul osos (fig. 4), cât și în diferite organe (ex.: pulmon). Din totalul celor șase cazuri (9,52 %) care au prezentat metastaze în momentul diagnosticării

Vol V - Nr. 9 (2/2018) 44
Figura 2. Metastaze osoase: a. secundară unui fibrosarcom vaginal; b. secundară unui carcinom prostatic
ORTHOPEDICS
Figura 3. Sindrom tumoral primar cu localizare poliostotică și metastaze pulmonare (hemangiosarcom)
dog
Limits and impediments in diagnosis and treatment of bone tumors
in

tumorii osoase primare, în patru cazuri acestea au fost identificate în pulmon, iar în două cazuri în țesutul osos la distanță de leziunea primară.

Într-un studiu realizat pe 171 de câini, radiografiile au permis identificarea leziunilor metastatice într-o proporție mai mare în țesutul osos (6,4%) decât în pulmon (4%). În afară de pulmon, cel mai frecvent loc al metastazării OSA cu localizare apendiculară este la nivelul osului (5)

Metastazarea pulmonară a fost observată în 11% din cazurile cu OSA localizat axial (6) Prezența metastazelor în momentul diagnosticării este de 27% pentru OSA costal (7)

În studiul nostru, cele două cazuri de osteosarcom localizate în coloana vertebrală, diagnosticate la vârstă tânără (1 an), au fost asociate cu distrucții extinse ale suportului osos, invazia canalului vertebral și secundar compresiune medulară severă confirmată și de manifestarea neurologică a pacienților.

Și alți autori au menționat un comportament biologic agresiv pentru OSA cu localizare axială, similar cu OSA apendicular (8)

Din punctul de vedere al distribuției leziunilor, din cele 63 de cazuri de tumori osoase primare, s-a semnalat o localizare mai frecventă a acestora la nivelul oaselor membrului toracic, în proporție de 57,14% din cazuri (36 pacienți). Din totalul celor 63 de cazuri cu localizare primară în țesutul osos, frecvența cea mai mare de apariție a leziunilor a fost semnalată la nivelul humerusul (19 pacienți –30,15%) (fig. 1) urmat de radius (11 pacienți – 17,46%). Metafiza proximală a humerusului a reprezentat cea mai frecventă locație de dezvoltare a tumorilor osoase primare (18 pacienți – 28,57%), urmată de metafiza distală a radiusului (11 pacienți – 17,46%).

Knecht și Priester (9) au raportat ca localizare mai frecventă extremitatea distală a radiu -

sului și ulnei, reprezentând 40% din totalitatea cazurilor de OSA.

Incidența cea mai redusă a leziunilor a fost semnalată la nivelul oaselor autopodiului (1,58%), spetei (1,58%) și coastelor (3,17% din cazuri). Distribuția leziunilor de tumoră osoasă primară (OSA) în scheletului axial semnalată în acest studiu se apropie de cea constatată de către alți autori, care au raportat 15% pentru localizarea vertebrală, 10% pentru coaste și 6% pentru pelvis (6)

Afectarea scheletului apendicular și localizarea metafizară constatată în studiul de față este în concordanță cu raportările din literatura de specialitate din care reiese că, în aproximativ 75% din cazuri, tumorile osoase primare (OSA) se localizează la scheletul apendicular, în regiunea metafizară a oaselor la câinii din rasele de talie mare (9)

Localizarea mai frecventă a leziunilor la oasele membrelor toracice, comparativ cu cele pelvine, este în concordanță cu raportările existente în literatura de specialitate (9)

Distribuția tumorilor osoase primare la rasele de câini de talie mică în acest studiu a fost aproximativ egală între membrul pelvin și toracic.

Kistler (10) a raportat faptul că, la rasele de câini de talie mică, distribuția OSA în scheletul axial și apendicular este aproximativ egală, cele mai frecvente localizări în scheletul apendicular fiind întâlnite în femur și tibie.

Modificările radiografice identificate la cei 77 de subiecți luați în studiu au fost predominant de tip mixt (fig. 5), semnalate în 73% din cazuri, urmate de leziuni de tip osteolitic în 24% din cazuri (fig. 2d) și osteoblastic în 3% din cazuri (fig. 7a).

La cele 58 de cazuri care au prezentat reacții periostale (tumorile osteoblastice și mixte), s-a semnalat cel mai frecvent reacție periostală activă cu suprafaţă neregula -

45 Vol V - Nr. 9 (2/2018) Romanian Journal of Veterinary Orthopedics and Imagistic
Figura 4. Metastază în țesutul osos (L6 și 7) – secundară unui osteosarcom cu localizare în metafiza proximală a humerusului; a. secțiune CT; b. reconstrucție 3D-VRT Roxana Dascălu, B. Sicoe, Larisa Schuszler, C. Zaha, C. Igna

tă-spiculară 43,10% din cazuri (25 pacienți) (fig. 6a) și triunghiul lui Codman 31,03% din cazuri (18 pacienți) (fig. 6b). În proporții mai reduse de 12,06% (7 pacienți), s-a decelat reacția periostală de tip amorf.

De asemenea, trebuie menționat că, din pacienții cu reacții periostale, 15,51% (9 pacienți) au prezentat o combinație de reacții periostale agresive de tipul triunghiului lui

Codman, reacție periostală activă cu suprafaţă neregulată-spiculară și de tip amorf. La alte 9 cazuri (15,51%), reacția periostală a fost una minimă, cu suprafață netedă, în raport cu gradul de osteoliză, iar în 17,24% (10 pacienți) a prezentat un aspect neregulat.

Zona de tranziție largă de la centrul leziunii la osul sănătos a fost semnalată în 72,72% din cazuri (56 pacienți) (fig. 7), fiind însoțită

Vol V - Nr. 9 (2/2018) 46
Figura 5. Tipar mixt al modificărilor radiografice - metastaze osoase (secundare unei tumori pulmonare primare (carcinom) – radiografie convențională
ORTHOPEDICS
Figura 6. Reacţie periostală: a. activă cu aspect neregulat-spicular; b. Triunghiului lui Codman
in dog
Limits and impediments in diagnosis and treatment of bone
tumors

la toate cele trei tipuri de modificări osoase de tip osteolitic, osteoblastic sau mixt.

Modificările osoase decelate în proporția cea mai mare au fost reprezentate de zona de tranziție largă la osul sănătos (72,72% din cazuri), ca și tiparul mixt al modificărilor din țesutul osos (73%).

De asemenea, reacția periostală activă cu suprafaţă netedă-spiculară (43,10% din cazuri) și triunghiul lui Codman (31,03% din cazuri) constituie alte modificări radiografice decelate într-o proporție mai mare.

Din totalul celor 77 de cazuri evaluate, fracturile patologice au fost semnalate în

18,18% din cazuri (14 pacienți) în momentul diagnosticării leziunilor.

Într-un studiu realizat de Boulay și col. (11) , șchiopătura acută însoțită de fractură patologică a reprezentat mai puțin de 3% din totalul fracturilor.

Din totalul celor 39 de cazuri de tumori osoase primare analizate și prin examen histopatologic/imunohistologic s-a constatat că tipul cel mai frecvent este osteosarcomul (66,6% din cazuri) (fig. 8). Din cele 14 cazuri cu metastazele osoase care au fost evaluate histopatologic, nouă au fost carcinoame. Fibrosarcomul s-a numărat printre tumorile

47 Vol V - Nr. 9 (2/2018)
Journal of Veterinary Orthopedics and Imagistic
Romanian
Figura 7. Tumoră osoasă primară pe humerus cu zonă de tranziție largă Figura 8. Tumoră osoasă primară cu localizare în coloana vertebrală, soldată cu osteoliza procesului transvers şi a corpului vertebral L4 (tumoră malignă mezenchimală- sp. osteosarcom) Roxana Dascălu, B. Sicoe, Larisa Schuszler, C. Zaha, C. Igna

primare din sfera genitală care a determinat apariția de metastaze în țesutul osos. Osteosarcomul (OSA) a fost raportat și de alți numeroși autori (9, 12) ca fiind cea mai frecventă tumoră osoasă primară malignă la câine. Incidența raportată în literatura de specialitate a osteosarcomului (OSA) din totalitatea tumorile osoase primare este 85% (12)

După Knecht și Priester (9) , în aproximativ 75% din cazuri, OSA se localizează în oasele scheletului apendicular. După Morgan și col. (13) , OSA este cel mai frecvent neoplasm extradural cu localizare în coloana vertebrală (46%).

Pirkey-Ehrhart și col. (14) au semnalat că, și în localizarea costală, OSA tinde să fie cea mai frecventă tumoră la câini (63%), care apare la câini tineri de 4,5-5,4 ani (6, 7)

În ceea ce privește orientarea tratamentului, în 40,25% din cazuri (31 pacienți) s-a înregistrat refuzul proprietarilor de a realiza un tratament standard (amputarea membrului (tumori cu localizare apendiculară), administrarea de citostatice și administrarea de antiinflamatorii nesteroidiene). În 11,68% din cazuri, s-a recurs doar la amputarea membrului (5 pacienți) sau a degetului afectat (4 pacienți), iar în 5,19% din cazuri doar la administrarea de citostatice (4 pacienți). Optarea pentru realizarea unui tratament standard s-a realizat într-o proporție de doar 2,59% (2 pacienți).

În prezent, protocolul cel mai utilizat de chimioterapie cu citostatice vizează administrarea de carboplatină pentru tratamentul câinilor de vârstă mijlocie spre avansată cu OSA. Astfel, prin recurgerea la trei-patru administrări, la interval de 3 săptămâni, în doză de 300 mg/m 2 , s-a obținut un timp mediu de supraviețuire de 321 zile (17) . Cisplatina sau carboplatina singure sau în asociere cu doxorubicina s-a dovedit că îmbunătățesc în mod semnificativ durata de viață. Cu toate acestea, indiferent de protocolul folosit, timpul mediu de supraviețuire este cuprins între 300 zile și 365 de zile, cu un timp de supraviețuire de 2 ani la un procentaj de 20-25% din cazuri (16, 17)

Doxorubicina, ca agent unic (adjuvant la amputare), administrat la intervale de 2 săptămâni (5 cure) a fost urmată de obținerea unui timp mediu de supraviețuire de 8 luni, iar 17% din pacienți de 2 ani (18) .

Cel mai important lucru de care trebuie să se țină cont este faptul că, prin intermediul chimioterapiei, crește timp mediu de supraviețuire la pacienții cu OSA, iar

această metodă terapeutică trebuie recomandată și încurajată (5) .

Proprietarii trebuie informați cu privire la faptul că administrarea doar de analgezice (bifosfonați, antiinflamtorii nesteroidice, opioide etc.) pentru managementul medical al tumorii primare rar crește timpul de supraviețuire la peste 3 luni (5)

De asemenea, proprietarii trebuie atenționați cu privire la faptul că, fără aplicarea unui tratament, aceste leziuni evoluează cu durere severă.

Recurgerea la eutanasiere, de obicei, imediat după diagnosticare, este recomandată și de către alți autori (15) , din cauza durerii severe asociate acestor leziuni.

Concluzii

Rasa Rottweiler a reprezentat cea mai frecventă rasă afectată de neoplasme osoase.

Eutanasia subiecţilor și administrarea doar de antiinflamatorii analgezice au constituit principalele opțiuni de tratament. Aceasta se explică prin reticența proprietarilor cu privire la posibilitățile de acomodare a pacienților după aplicarea unui tratament chirurgical radical (amputare membru), precum și prin intervalul de supraviețuire relativ scurt, obținut după aplicarea unui tratament standard (amputare-administrare citostatice, managementul durerii).

Majoritatea tumorilor osoase primare determină modificări de tip mixt (osteolitic-osteoblastic) în țesutul osos.

Modificările osoase cele mai caracteristice tumorilor primare sunt reprezentate de zona de tranziție largă la osul sănătos și reacția periostală spiculară.

Osteosarcomul a constituit cea mai frecventă tumoră osoasă primară diagnosticată.

Carcinoamele s-au soldat în proporția cea mai mare cu metastaze în țesutul osos.

Mulțumiri

Această lucrare a fost realizată cu sprijinul proiectului „Dezvoltarea infrastructurii de cercetare, educaţie ș i servicii în domeniile medicinei veterinare ș i tehnologiilor inovative pentru RO 05, cod SMIS-CSNR 2669”.

This work is licensed under a Creative Commons Attribution-NonCommercialNoDerivatives 4.0 International License.

Vol V - Nr. 9 (2/2018) 48
ORTHOPEDICS
tumors in dog
Limits and impediments in diagnosis and treatment of bone

1. Misdorp W., Hart A.A. Some prognostic and epidemiological factors in canine osteosarcoma. Journal of the National Cancer Institute. 1979; 62:537–545.

2. Cooley D.M., Waters D.J. Skeletal neoplasms of small dogs: a retrospective study and literature review. Journal of the American Animal Hospital Association. 1997; 33:11–23.

3. Ru G., Terracini B., Glickman L.T. Host related risk factors for canine osteosarcoma. Veterinary Journal. 1998; 156:31–39.

4. Rosenberger J.A., Pablo N.V., Crawford P.C. şi col. Prevalence of andintrinsic risk factors for appendicular osteosarcoma in dogs: 179 cases (1996–2005). Journal of the American Veterinary Medical Association. 2007; 231:1076–1080.

5. North S., Banks T. Small Animal Oncology, Ed. Elsevier, China, 2009.

6. Heyman S.J., Diefenderfer D.L., Goldschmidt M.H. şi col. Canine axial skeletal osteosarcoma. A retrospective study of 116 cases (1986–1989). Veterinary Surgery. 1992; 21:304–310.

7. Feeney D.A., Johnston G.R., Grindem C.B. şi col. Malignant neoplasia of canine ribs: clinical, radiographic, and pathologic findings. Journal of the American Veterinary Medical Association. 1982; 180:927–933.

8. Hammer A.S., Weeren F.R., Weisbrone S.E. şi col. Prognostic factors in dogs with osteosarcoma of the flat or irregular bones. Journal of the American Animal Hospital Association. 1995; 31:321–326.

9. Knecht C.D., Priester W.A. Musculoskeletal tumours in dogs. Journal of the American Veterinary Medical Association. 1978, 172:72–74.

10. Kistler K.R. Canine osteosarcoma: 1462 cases reviewed to uncover patterns of height, weight, breed, sex, age and site involvement. Phi Zeta Awards, University of Pennsylvania, School

of Veterinary Medicine, 1981.

11. Boulay J.P., Wallace L.J., Lipowitz A.J. Pathologic fracture of long bones in the dog. Journal of the American Animal Hospital Association. 1987; 23:297–303.

12. Brodey R.S., Riser W.H. Canine osteosarcoma: a clinicopathological study of 194 cases. Clinical Orthopaedics and Related Research. 1969; 62:54–64.

13. Morgan E.P., Ackerman N., Bailey C.S. şi col. Vertebral tumours in the dog: a clinical, radiologic and pathologic study of 61 primary and secondary lesions. Veterinary Radiology. 1980; 21:197–212.

14. Pirkey-Ehrhart N., Withrow S.J., Straw R.C. şi col. Primary rib tumours in 54 dogs. Journal of the American Animal Hospital Association. 1995; 31:65–69.

15. Spodnick G.J., Berg R.J., Rand W.M. şi col. Prognosis for dogs with appendicular osteosarcoma treated by amputation alone: 162 cases (1978–1988). Journal of the American Veterinary Medical Association.1992; 200:995–999.

16. Kent M.S., Storm A., London C.A. şi col. Alternating carboplatin and doxorubicin as adjunctive chemotherapy to amputation or limb-sparing surgery in the treatment of appendicular osteosarcoma in dogs. Journal of Veterinary Internal Medicine. 2004; 18:540–544.

17. Bergman P.J., Macewen E.G., Kurzman I.D. şi col. Amputation and carboplatin for treatment of dogs with osteosarcoma: 48 cases (1991–1993). Journal of Veterinary Internal Medicine. 1996; 10:76–81.

18. Moore A.S., Dernell W.S., Ogilvie G.K. şi col. Doxorubicin and BAY 12-9566 for the treatment of osteosarcoma in dogs: a randomized, double-blind, placebo-controlled study. Journal of Veterinary Internal Medicine. 2007; 21:783–790.

49 Vol V - Nr. 9 (2/2018)
Imagistic
Romanian Journal of Veterinary Orthopedics and
Bibliografie
C. Igna
Roxana Dascălu, B. Sicoe, Larisa Schuszler, C. Zaha,

OSTEOSINTEZA CU PLĂCI A FRACTURILOR RADIO-ULNARE LA CÂINI DE TALIE MICĂ

ȘI TOY BONE PLATING OF THE RADIO-ULNAR FRACTURES IN SMALL AND TOY-BREED DOGS

Prof. Univ. Dr. Cornel Igna, Șef Lucr. Dr. Roxana Dascălu, Ing. Daniel Bumb, Șef Lucr. Dr. Larisa Schuszler

Banat’s University of Agricultural Science and Veterinary Medicine, “King Mihai I of Romania” Timișoara, Faculty of Veterinary Medicine, 300645, Calea Aradului, no 119, Timișoara, România

OPEN ACCES JOURNAL

Rezumat:

Cuvinte-cheie:

câini de talie mică, câini din rase toy, fracturi radio-ulnare, osteosinteză cu plăci

Keywords:

small dog, toy dog, radio-ulnar fracture, bone plating

Corresponding author: Cornel Igna, E-mail: corneligna@usab-tm.ro

Recieved: December 2018

Accepted: December 2018

Osteosinteza prin reducere deschisă și fixare internă cu plăci de tip VCP, DCP și LC-DCP a fost realizată la 12 fracturi radio-ulnare la câini de talie mică sau din rase toy. Postoperator, a fost evaluată evoluția, reluarea funcției membrului afectat și numărul de complicații. Toate cele 12 fracturi s-au vindecat în final, fără nonuniuni osoase, iar reluarea funcției membrului afectat a avut loc în 1-14 luni postoperator. Complicațiile au apărut în 25% din cazuri. Nu s-au constatat complicații catastrofice, toate complicațiile înregistrate fiind minore. Toate cele trei tipuri de plăci utilizate sunt opțiuni chirurgicale potrivite pentru stabilizarea fracturilor radio-ulnare la câini de talie mică sau din rase toy, dar plăcile DCP și LC-DCP au condus la apariția unui număr limitat de complicații.

Abstract:

Open reduction and internal fixation (ORIF) by bone plates (VCP, DCP and LC-DCP plates) was reviewed in 12 radio-ulnar fractures of small- and toy-breed dogs. The number of complications and return to function were evaluated. All 12 fractures healed without developing non-union, and had a successful return to normal function (1–14 months). Complications occurred in 25% of the fractures. No catastrophic complications (fixation failure) occurred in fracture repairs with follow-up, all the complications recorded being minor. All types of bone plates used are suitable choices for stabilisation of distal radius and ulna fractures in small- and toy-breed dogs, but the use of DCP and LC-DCP plates can result in a limited number of complications.

Vol V - Nr. 9 (2/2018) 50 ORTHOPEDICS SURGERY
Cite this article: C. Igna, Roxana Dascălu, D. Bumb, Larisa Schuszler. Bone plating of the radio-ulnar fractures in small and toy-breed dogs. R J Vet Orthoped I. 2018; Vol. V - 9 (2): 50-56. Bone plating of the radio-ulnar fractures in small and toy-breed dogs

Introducere

Reducerea deschisă și fixarea internă a fracturilor radio-ulnare închise (ORIF) la câine se efectuează, de obicei, atunci când piciorul este instabil, în fracturile multiple sau cominutive, în fracturile oblice lungi sau atunci când reducerea închisă nu este posibilă ori o reducere simplă deschisă este instabilă.

Dezvoltarea relativ recentă a noi tipuri de plăci și șuruburi a creat premizele diversificării opțiunilor de tratament chirurgical, mai ales la cazurile la care studiile existente arată că mijloacele de osteosinteză convenționale produc un număr ridicat de eșecuri. Cele mai multe eșecuri de vindecare a fracturilor radio-ulnare sunt datorate osteosintezei centro-medulare (Smith -197016). Printre dispozitivele de fixare internă, placa și șuruburile prezintă cel mai înalt grad de reușită, mai ales la câinii de rasă mică (Brinker - 19832). Fracturile radio-ulnare la câinii din rasele de talie mică și toy, tratate prin osteosinteza cu plăci convenționale (plăci simple conturabile – VCP – veterinary cuttable plate), se soldează cu complicații postoperatorii între 17% (Aikawa și colab. - 20181) și 54-72% (Larsen și colab - 199911, Watrous și Moens - 201719) din cazuri.

Explicația pentru această incidență ridicată a complicațiilor postoperatorii, îndeosebi la fracturile treimii distale a radiusului și ulnei la câinii din rasele de talie mică și toy, este conferită de vascularizația deficitară a acestei zone (Muir – 199712, Welch și colab. – 199720).

În studiul de față, ne-am propus să evaluăm comparativ evoluția postoperatorie, reluarea funcției membrului afectat și numărul de complicații după osteosinteza cu trei tipuri de plăci - Veterinary Cuttable Plate (VCP), Dynamic Compresion Plate (DCP) și Limited ContactDynamic Compresion Plate (LC-DCP) - în fracturi radio-ulnare la câini de talie mică sau toy.

Materiale şi metode

Cercetările au fost realizate în cadrul Clinicii de Chirurgie a Facultăţii de Medicină Veterinară din Timișoara, luând în studiu cazurile clinice cu fracturi radio-ulnare unilaterale la câini de talie mică sau toy (greutate corporală sub 7 kg) – tabelul 1. Criteriul de includere în studiu a fost reducerea deschisă și aplicarea unei plăci de osteosinteză pe fața cranială a radiusului. Toate cazuri clinice incluse în studiu au prezentat, la examinarea ortopedică inițială, simptome de tumefacție localizată a regiunii antebrahiale, șchiopătură severă, absența locomoției și a deficitelor neurologice ale membrului afectat.

Pentru intervențiile chirurgicale, s-a utilizat un protocolul anestezic constând în: adminis -

trarea intravenoasă a premedicaţiei anestezice 0,4 mg/kg Acepromazină 1 1% sau 0,1 mg/kg Xilazină 2 2% urmată la interval de 10 minute de 8 mg/kg Ketamină 3 10% ș i inducţie narcotică cu Propofol 4 1% (autodozare). După aceea, subiecţii au fost intubaţi ș i conectați la aparatul de narcoză inhalatorie – circuit închis – cu respiraţie asistată, narcoza menţinându-se pe toată durata intervenţiei cu Izofluran la concentraţii care au variat între 5% ș i 0,5%, (MAC 1,5-1,2), acestea fiind corelate cu timpii operatori.

Intraoperator, pacienții au fost monitorizați după un protocol standard neinvaziv, care a inclus măsurarea - la intervale prestabilite de mp (5 minute) - a presiunii arteriale (sistolice, diastolice ș i medii), măsurarea continuă a saturaţiei hemoglobinei în oxigen, a frecvenţei cardiace, pulsului periferic, frecvenţei respiratorii, capnogramei ș i MAC-ului, dar ș i urmărirea permanentă a traseului EKG (derivaţia DII).

Procedeul operator de abord a fracturilor a fost cel clasic - descris de Piermattei ș i colab. – 200315, Igna – 20057, Jhonson ș i Dunning – 20058, Fossum - 20065, Johnson – 20149pentru accesul cranio-lateral. Reducerea fracturii s-a realizat prin tracţionarea, angularea ș i coaptarea fragmentelor osoase. Menţinerea coaptării s-a realizat cu pense de fixare cu contact punctual.

Pentru stabilizarea focarului de fractură ș i fixarea plăcilor, s-a realizat modelarea (conturarea) acestora după forma osului. După plasarea plăcii în poziţia optimă de fixare a fracturii, s-a găurit osul (burghiu de 2 mm), folosind un ghidaj pentru burghiu (double drill guide neutral and load Synthes) amplasat în găurile plăcii în poziţii neutre sau excentrice care să asigure realizarea unui montaj de neutru (VCP) sau de compresiune dinamică pentru plăcile DCP și LC-DCP. Canalului, creat prin burghiere, i-a fost măsurată adâncimea. Și aceasta, pentru a selecta lungimea corespunzătoarea a fiecărui ș urub. Lungimea ș uruburilor utilizate a fost corelată cu adâncimea canalului osos creat (10-22 mm). Numărul de ș uruburi autotarodabile (2,7 mm cortex screw self tapping), folosit pentru stabilizarea fracturilor, a fost influenţat de dimensiunea osului fracturat, de tipul fracturii ș i de caracteristicile plăcii. Înfiletarea ș uruburilor s-a făcut manual, cu o ș urubelniţă (screw dreiver) cu cap hexagonal.

1. Calmivet – Vetoquinol SA, France.

2. Vetased – Pasteur SA, România; Xilazin – Bioveta SA, Cehia.

3. VetaKetam - Przedsiębiorstwo Wielobranżowe VET-AGRO Sp, Polonia; Ketaminol – Intervet SA, Olanda.

4. Propofol - Xi’an Libang Pharmaceutical Co., Ltd., China.

5. PDS II, PDS plus, sau Vicryl de 1,5 sau 2 metric - Ethicon, Johnson & Johnson Ltd.

6. Mersilk de 1,5 sau 2 metric - Ethicon, Johnson & Johnson Ltd.

7. Butorfanol - Richter Pharma AG, Austria 8. Synbulox - Phyzer Italiana S.p.A. 9. Siemens AG, Germany

51
Journal
and Imagistic
Vol V - Nr. 9 (2/2018) Romanian
of Veterinary Orthopedics
C. Igna, Roxana Dascălu, D. Bumb, Larisa Schuszler
Vol V - Nr. 9 (2/2018) 52 nr Rasa Vârstă ani Sex Greutate kg Fractura Tehnică de fixare 1 Metis 0,5 F 5 Distală radius, transversală incompletă VCP 2 Pekingese 8 M 6,5 Distală radius și ulna, oblică 3 Chihuahua 6 F 3 1/3 diafiză mijlocie radius și ulna, incompletă 4 Metis 2 F 3,5 Distală radius și ulna, oblică 5 Pomeranian 4 F 4 Distală radius și ulna, transversală DCP 6 Yorkshire Terrier 6 M 3,5 1/3 diafiză mijlocie radius și ulna, mutifragmentară 7 Pekingese 7 M 6 1/3 diafiză mijlocie radius și ulna, cominutivă 8 Chihuahua 1 M 3 1/3 diafiză mijlocie radius și ulna, oblică 9 Pinscher 2 M 5 Distală radius și ulna, transversală LC-DCP 10 Pinscher 5 F 3,5 Distală radius, oblică scurtă 11 Chihuahua 2 F 2,5 1/3 diafiză mijlocie radius și ulna, transversală 12 Chihuahua 1 F 3 Distală radius, oblică scurtă Tabelul 1. Cazuri clinice incluse în studiu Figura 1. Plăcile și șuruburile utilizate (a – VCP, b – DCP, c – LC-DCP, d - șuruburi de corticală) a b c d ORTHOPEDICS SURGERY Bone plating of the radio-ulnar fractures in small and toy-breed dogs

Au fost utilizate trei tipuri de plăci de osteosinteză - VCP (Veterinary Instrumentation – UK) - 4 cazuri, DCP (DePuy Synthes –USA) - 4 cazuri și LC-DCP (DePuy Synthes –USA) - 4 cazuri - cu lungimea de 44-68 mm și 5-8 găuri plasate simetric sau asimetric, fixate cu șuruburi de corticală autotarodabile, cu diametrul de 2,7 mm și lungime de 10-22 mm – figura 1.

Planul muscular a fost suturat în fir continuu cu material resorbabil 5, iar pielea s-a suturat în puncte separate cu material neresorbabil 6

Analgezia postoperatorie a fost asigurată prin administrarea subcutanată de Butorfanol 7 0,25 mg/kg, la interval de 4 ore în primele 1224 de ore după intervenţie. Îngrijirile postoperatorii au constat în protejarea plăgii cu un pansament steril, schimbat la interval de 48 de ore. Nu s-a recurs la niciun mijloc suplimentar de imobilizare a membrului. Pentru a evita autotraumatizarea plăgii, în timpul necesar vindecării (7 zile), fiecărui individ i-a fost aplicat un colier Elisabethan. Pe cale generală, timp de 5 zile s-a administrat intramuscular amoxicilină cu acid clavulanic 8, în doză de 10 mg/ kg corp.

Examinarea postoperatorie s-a realizat săptămânal, urmărindu-se: statusul clinic general, gradul de utilizare a membrului afectat ș i apariția eventualelor complicații. Postoperator, au fost monitorizate complicațiile postoperatorii, notându-se cele minore (care nu au necesitat tratament chirurgical pentru remediere) și cele majore (care impun o revizie chirurgicală). Severitatea ș chiopăturii a fost evaluată preoperator ș i la 1, 2, 4, 8 ș i 12 săptămâni postoperator sau, după caz, până la confirmarea inclusiv radiografică a vindecării. Pentru evaluarea defi -

citului funcţional în timpul mersului, a fost utilizată o scală cu cinci nivele (tabelul 2).

Evaluarea radiografică s-a realizat în două incidențe (medio-laterală și cranio-caudal) preoperator, iar postoperator la 30, 60 ș i 90 de zile sau, după caz, până la confirmarea vindecării (6, 9, 12, 14 luni). Evaluarea radiografică s-a efectuat cu aparatul Multix Swing 9 sau prin fluoroscopie, cu aparatul Siremobil Compact L9. Scala utilizată pentru evaluarea radiologică a vindecării fracturilor este redată în tabelul 3.

Rezultate şi discuţii

Pe parcursul perioadei de spitalizare, la toţi pacienţii nu a fost constatată alterarea statusului clinic general. De asemenea, în acest interval a fost prezentă sensibilitatea algică a zonei învecinate plăgii operatorii. La evaluarea de la 7 zile postoperator, s-a constatat că sensibilitatea persistă la 2 pacienţi, dispărând complet după 14 zile.

Vindecarea plăgii operatorii s-a realizat fără complicaţii în 7 până la 10 zile postoperator, pentru toți cei 12 indivizi.

Nu s-a înregistrat nicio complicație majoră care să necesite reintervenție chirurgicală.

Evaluarea gradului ș chiopăturii este redată în tabelul 4, recuperarea funcţională a membrului s-a produs între 14 ș i 30 de zile (cu o medie de 18,5 zile) la lotul LC-DCP, între 14 ș i 90 de zile (cu o medie de 32 de zile) la lotul DCP și între 30 zile și 14 luni la lotul VCP.

Urmărirea vindecării radiologice pentru loturile cu fracturi stabilizate cu cele trei tipuri de plăci este prezentată în tabelul 5. Examenul radiologic efectuat la 60 de zile postoperator evidenţiază o vindecare „foarte bună” pentru 75% din indivizii lotului LC-DCP, pentru 50% din cei din lotul DCP și doar „bună” pentru 50% din indivizii lotului VCP.

9. Siemens AG, Germany

53 Vol V - Nr. 9 (2/2018) Romanian Journal of Veterinary Orthopedics and Imagistic
5.
6.
7.
8.
PDS II, PDS plus, sau Vicryl de 1,5 sau 2 metric - Ethicon, Johnson & Johnson Ltd.
Mersilk de 1,5 sau 2 metric - Ethicon, Johnson & Johnson Ltd.
Butorfanol - Richter Pharma AG, Austria
Synbulox - Phyzer Italiana S.p.A.
Tabelul 2. Scala de evaluare a gradului şchiopăturii
0 Atitudine normală atât în staţiune, cât şi în mers – fără
1 Dificultăţi în mers, mai ales la pas alert – şchiopătură discretă 2 Dificultăţi în mers, şchiopătură intermitentă în mers rapid 3 Şchiopătură evidentă la fiecare pas, durere 4 Membrul este scos din sprijin atât în staţiune, cât şi în mişcare, durere intensă Gradul Fixarea liniei de fractură şi a continuităţii corticalei Foarte bună remodelare totală a liniei de fractură, continuitate corticală, lipsa angulării Bună spaţiu < 0,5 mm între fragmente cu întreruperea continuităţii corticale, lipsa angulării Suficientă spaţiu < 0,5-1,0 mm între fragmente cu întreruperea continuităţii corticale și/sau angulare 5-100 Slabă spaţiu > 1,0 mm între fragmente, lipsa continuităţii corticale și/sau angulare >100 C. Igna, Roxana Dascălu, D. Bumb, Larisa Schuszler
Tabelul 3. Scala radiologică de evaluare a vindecării fracturii Gradul Descriere
şchiopătură

Examenul radiologic, efectuat la 90 de zile, evidenţiază o „foarte bună” vindecare osoasă pentru toţi pacienţii din lotul LC-DCP – figura 2, pentru 3 indivizi din lotul DCP ș i un proces reparatoriu (vindecare „satisfăcătoare”), aflat încă în desfă ș urare, pentru 2 dintre pacienţii lotului VCP.

La doi indivizi din lotul VCP, vindecarea a fost de tip întârziat (figura 3), stadiul de vindecare deplină survenind într-un caz după 6 luni, iar în altul, după 14 luni. O vindecare întârziată a fost observată și la un caz din lotul DCP, unde vindecarea deplină a survenit după 5 luni. Nu s-a înregistrat niciun caz de nonuniune.

Rezultatele obținute de noi cu plăcile de tip LC-DCP sau DCP sunt similare datelor raportate de Kang și colab. - 201610 în urma

utilizării unor plăci cu șuruburi blocante (1,2 mm mini locking plate system), de Nelson și Strom – 201713 după utilizarea unor plăci cu șuruburi blocante (1,5 mm locking Adaption plate system) sau a plăcilor LC-DCP fixate cu șuruburi de corticală de 2,0 mm și de Voss și colab. – 200918 cu plăci cu șuruburi blocante de 2,0 și 2,4 mm (2.0/2.4 Unilock mandible locking plate system). Scurtarea evidentă a intervalului de timp care atestă, prin examen radiologic, vindecarea focarelor de fractură la pacienţii din loturile DCP și LC-DCP o atribuim păstrării integrităţii și vascularizației periostului. Datele înregistrate de noi, cu privire la dimensiunea calusului, la cazurile din lotul LC-DCP, considerăm că sunt datorate păstrării circulaţiei periostale (coeficientul ischemic cauzat de plăcile de tip LC-DCP

Vol V - Nr. 9 (2/2018) 54
fiLot Timp Grad şchiopătură 1 săptămână (nr. indivizi) 2 săptămâni (nr. indivizi) 4 săptămâni (nr. indivizi) 8 săptămâni (nr. indivizi) 12 săptămâni (nr. indivizi) VCP 0 - - 1 1 1 1 - 1 - - 1 2 - - - 13 1 - 1 -4 3 3 2 2 2 0 - 1 1 1 4 DCP 1 - 1 32 - 3 2 -3 2 - - -4 2 - - -LC-DCP 0 - 1 4 4 1 - 1 -2 1 - -3 2 - -4 2 - -Tabelul 4. Gradul de utilizare al membrului operat pe parcursul perioadei de monitorizare Tabelul 5. Monitorizarea radiologică a vindecării osoase Lot Timp Grad vindecare 30 de zile (nr. indivizi) 60 de zile (nr. indivizi) 90 de zile (nr. indivizi) VCP Foarte bună - - 1 Bună - 2 1 Satisfăcătoare 2 2 2 Slabă 2 -DCP Foarte bună - 2 3 Bună 2 2 1 Satisfăcătoare 2 -Slabă - -LC-DCP Foarte bună 1 3 4 Bună 2 1Satisfăcătoare 1 -Slabă -ORTHOPEDICS SURGERY Bone plating of the radio-ulnar fractures in small and toy-breed dogs

ind mai redus decât cel provocat de plăcile de tip DCP). Cercetările realizate de către Srinivasan și colab. – 200217, privind rolul ischemiei asupra răspunsului periostal, relevă hiperplazia ș i hipertrofia periostului tibial cu formarea de ţesut osos după trei zile, observație care vine în sprijinul constatărilor efectuate de noi.

Constatările efectuate asupra reparării discontinuităţilor periostale în cazul utilizării plăcilor de tip DCP sunt valabile ș i pentru plăcile de tip LC-DCP. Ba chiar mai mult, utilizarea plăcilor LC-DCP care, constructiv, reduc contactul cu periostul la un minim necesar pentru o aderenţă care să asigure fixarea ș i compresiune interfragmentară, a condus la scurtarea intervalului de timp necesar pentru o vindecare osoasă primară (prin comparaţie cu plăcile DCP montate supraperiostal). Date asemănătoare au raportat ș i alţi autori: Field și colab. - 19974, Gautier și Perren - 19926, Perren - 200314.

Incidența complicațiilor postoperatorii minore, înregistrată în urma utilizării fixării cu plăci de tip VCP, în acest studiu, este de 25%, comparativ cu 17% (Aikawa și co -

lab. - 20181) și 54-72% complicații (Larsen și colab - 199911, Watrous și Moens - 201719). Numărul total de complicații postoperatorii, înregistrat de noi pentru cele trei tipuri de plăci de osteosinteză, este identic cu cel raportat de De Arburn și colab. – 20173, exceptând complicațiile majore, unde acești autori raportează 3% complicații, dar din 105 fracturi.

Concluzii

Toate fracturile radio-ulnare incluse în studiu s-au vindecat, în final, fără nonuniuni osoase.

Reluarea funcției membrului afectat a avut loc în 1-14 luni postoperator.

Întârzierea vindecării osoase, evidențiată radiografic, a fost înregistrată la 2 cazuri fixate cu VCP și unul fixat cu DCP.

Complicațiile postoperatorii au apărut în 25% din cazuri. La toate cazurile operate nu s-au constatat complicații majore, toate cele trei înregistrate fiind complicațiile minore de întârziere a vindecării.

Toate cele trei tipuri de plăci utilizate sunt opțiuni chirurgicale potrivite pentru stabilizarea fracturilor radio-ulnare la câini

55 Vol V - Nr. 9 (2/2018) Romanian Journal of Veterinary Orthopedics and Imagistic
Figura 2. Vindecare fractură radio-ulnară fixată cu o placă de tip LC-DCP - imagini radiografice (a – preoperator, b – la 30 de zile de la fixare) Figura 3. Vindecare întârziată (lipsă uniune). Imagine radiografică la 90 de zile postaplicare placă de tip VCP (a – incidență cranio-caudală, b – incidență medio-laterală)
a a b b
C. Igna, Roxana Dascălu, D. Bumb, Larisa Schuszler

de talie mică sau din rase toy, dar plăcile DCP și LC-DCP au condus la apariția unui număr limitat de complicații.

Mulțumiri

Această lucrare a fost realizată cu sprijinul proiectului Dezvoltarea infrastructurii de cer-

Bibliografie

1. Aikawa T, Miyazaki Y, Shimatsu T, Iizuka K, Nishimura M. Clinical Outcomes and Complications after Open Reduction and Internal Fixation Utilizing Conventional Plates in 65 Distal Radial and Ulnar Fractures of Miniature- and Toy-Breed Dogs. Vet Comp Orthop Traumatol. 2018, 31(3):214-217. doi: 10.1055/s-00381639485. Epub 2018 Apr 23.

2. Brinker WO, Piermattei DL, Flo GL. Fractures of the radius and ulna. In Handbook of Small Animal Orthopedics and Fracture Treatment. Ed. WB Saunders Philadelphia, 1983.

3. De Arburn Parent R, Benamou J, Gatineau M, Clerfond P, Planté J. Open reduction and cranial bone plate fixation of fractures involving the distal aspect of the radius and ulna in miniatureand toy-breed dogs: 102 cases (2008–2015) Journal of the American Veterinary Medical Association, 2017, 250(12): 14191426 https://doi.org/10.2460/javma.250.12.1419.

4. Field JR, Hearn TC, Caldwell CB. Bone plate fixation: an evaluation of interface contact area and force of the dynamic compression plate (DCP) and the limited contact-dynamic compression plate (LC-DCP) applied to cadaveric bone. J Orthop Trauma. 1997, 11:368–73.

5. Fossum Theresa Welch, Hedlund S. Cheryl, Hulse A.D., Johnson L .Ann, Howard B.S., Willard D.M., Gwendolyn L. Carroll. Manual of Small Animal Surgery. Ed. Mosby, St. Louis, 2007.

6. Gautier E, Perren SM. Die limited contact dynamic compression plate (LC-DCP): Biomechanische Forschung als Grundlage des neuen Plattendesigns. Orthopade. 1992, 21:11–23.

7. Igna C. Ortopedia animalelor de companie. Vol II Brumar, Timisoara, 2005.

8. Johnson Ann L., Dunning Dianne. Atlas of orthopaedics surgical procedures of the dog and cat. Elsevier Saunders, Missouri, 2005.

9. Johnson KA. Approach to the shaft of the radius through a lateral incision. In: Piermattei’s Atlas of Surgical Approaches to the Bones and Joints of theDog and Cat. 5th ed. Ed. Elsevier, St.Louis 2014.

10. Kang BJ, Ryu HH, Park S, Kim Y, Kweon OK, Hayashi K. Clinical

cetare, educaţie ș i servicii în domeniile medicinei veterinare ș i tehnologiilor inovative pentru RO 05, cod SMIS-CSNR 2669.

This work is licensed under a Creative Commons Attribution-NonCommercialNoDerivatives 4.0 International License.

evaluation of a mini locking plate system for fracture repair of the radius and ulna in miniature breed dogs. Vet Comp Orthop Traumatol. 2016 Nov 23;29(6):522-527.

11. Larsen LJ, Roush JK, McLaughlin RM (1999). Bone plate fixation of distal radius and ulna fractures in small- and miniature-breed dogs. Journal of the American Animal Hospital Association. 1999, 35(3): 243-250.

12. Muir P. Distal antebrachial fractures in toy-breed dogs. Compend. Contin. Educ. Pract. Vet., 1997, 19:137–145.

13. Nelson TA, Strom A. Outcome of Repair of Distal Radial and Ulnar Fractures in Dogs Weighing 4 kg or Less Using a 1.5-mm Locking Adaption Plate or 2.0-mm Limited Contact Dynamic Compression Plate. Vet Comp Orthop Traumatol. 2017, 30(6):444452. doi: 10.3415/VCOT-17-01-0005.

14. Perren, S.M. Backgrounds of the technology of internal fixators. Injury. 2003,34:S-B1–S-B3.

15. Piermattei DL, Johnson AK. Surgical approaches to the bones and joints of the dog and cat, Elsevier Saunders, 2004.

16. Smith GS. Bone plating for radial fractures in small dogs. Mod. Vet. Pract., 1970, 57:30.

17. Srinivasan S, Weimer DA, Agans SC, Gross TS. Lowmagnitude mechanical loading becomes osteogenic when rest is inserted between each load cycle. J Bone Miner Res 2002;17:1613–20.

18. Voss K, Kull M, Hässig M, Montavon P. Repair of long-bone fractures in cats and small dogs with the Unilock mandible locking plate system. Vet Comp Orthop Traumatol. 2009, 22(5):398-405. doi: 10.3415/VCOT-08-09-0084.

19. Watrous GK, Moens NM. Cuttable plate fixation for small breed dogs with radius and ulna fractures: Retrospective study of 31 dogs. Can Vet J. 2017, 58(4):377-382.

20. Welch JA, Boudrieau RJ, Loic MD, Spodnick GJ. The intraosseous blood supply of the canine radius: Implications for healing of distal fractures in small dogs. Veterinary Surgery. 1997, 26: 57– 61.

56
Vol V - Nr. 9 (2/2018)
ORTHOPEDICS SURGERY
Bone plating of the radio-ulnar fractures in small and toy-breed
dogs

PORTOFOLIU

n Reviste știinţifice și de informare in domeniul sanitar și veterinar, ce oferă un conţinut editorial de actualitate la cel mai înalt nivel, realizate în parteneriat cu profesori doctori renumiţi în domeniu, KOL, având girul societăţilor, asociaţiilor și instituţiilor importante din România

Reviste științifice dedicate profesioniștilor din domeniul veterinar

Reviste științifice dedicate profesioniștilor din domeniul sanitar

n Organizare de evenimente științifice și de premiere dedicate profesioniștilor din sistemul sanitar și veterinar

n Realizare ghiduri medicale, proiecte speciale, cărți, broșuri, materiale și produse dedicate targetului dvs. n E-mailing - creare și trimitere de newslettere personalizate

n Creaţie & DTP - servicii complete de grafică computerizată pentru realizarea de publicaţii, cărți, ghiduri, vizualuri, materiale promoționale, invitații, bannere, roll-up-uri, pliante, flyere etc. (project management, concept, layout, realizare grafică)

n Realizare website-uri.

n Realizare cursuri online dedicate specialistilor din domeniul sanitar și veterinar

www.innovationinhealth.ro

57 Vol V - Nr.
(2/2018) Romanian Journal of Veterinary Orthopedics and Imagistic
9

CUM LUCRĂM ÎN LABORATORUL DE RADIOLOGIE? HOW WE WORK ÎN RADIOLOGY LAB?

Prof. univ. dr. Vasile Vulpe Universitatea de Științe Agricole și Medicină Veterinară „Ion Ionescu de la Brad”Facultatea de Medicină Veterinară Iași, Aleea Mihail Sadoveanu nr.3, Iași

OPEN ACCES JOURNAL

Cite this article:

V. Vulpe. How we work în Radiology Lab?

R J Vet Orthoped I. 2018; Vol. V - 9 (2): 58-63.

Corresponding author: Vasile Vulpe, E-mail: vasile_vulpe@yahoo.com

Recieved: December 2018

Accepted: December 2018

Rezumat:

Cuvinte-cheie:

radiografie, echipament, parametri, radioprotecție

Expunerea radiologică medicală poate avea loc, pentru animalele de companie (de talie mică), în cadrul Laboratorul de Roentgendiagnostic sau în teren, în condiții speciale, pentru cabaline sau alte specii de talie mare. Menţinerea animalului într-o anumită poziție pe masa de radiografie este importantă pentru protejarea sănătății personalului medical și chiar a animalului, precum și pentru calitatea imaginii. De multe ori, se recomandă folosirea anesteziei. În funcție de talia pacientului și de regiunea care va fi radiografiată, se ajustează parametrii de bază a oricărei instalații radiologice, tensiunea și intensitatea. Se aleg incidențele necesare, se poziționează pacientul, se stabilesc parametrii radiologici din pupitrul de comandă și se realizează expunerea. În medicina zilelor noastre, este ușor să alegi recomandarea unei metode imagistice pentru un pacient. Este clar că examenul radiologic este indicat pentru leziuni osoase și pulmonare; datele examinării radiologice pot fi obținute și cu ajutorul mediilor contrastante (aer, soluții de contrast). Sulfatul de bariu se realizează soluție și se administrează strict în cazul diagnosticului radiologic al leziunilor digestive luminale și intraluminale (fără continuitate cu cavitatea peritoneală). Leziunile căilor urinare ca ureterele, uretra sunt și ele examinate radiologic cu ajutorul mediilor contrastante; unele dintre acestea se folosesc și în examinarea radiologică vasculară (angiografia) sau în cea a măduvei spinării (mielografia). Lucrarea se finalizează cu informații pertinente privind înființarea unui Laborator de radiologie veterinară.

Vol V - Nr. 9 (2/2018) 58 IMAGISTIC
How we work în Radiology Lab?

Keywords: radiography, equipment, parameters, radioprotection

Abstract:

In the case of small-sized animals such as pets, the radiologic examination can occur in the laboratory of radiodiagnosis or on the field, under certain circumstances, for horses or other largesized animals. Keeping the animal in a particular body position on the radiographic table is important in order to protect the health of the personnel as well as the one of the animal. The quality of the image also depends on the correctness of this position; sometimes, anaesthesia may be recommended for this purpose. Depending on the size of the patient and the region that needs to be examined radiologically, the core parameters of any radiologic installation are set according to the tension and intensity that need to be used. The incidences that are required are chosen and then the patient is positioned on the table, the radiologic parameters from the command board are set, and the exposure can finally take place. With the help of current medicine, it is easy to select and recommend an imaging method for a patient. It’s clear that the radiologic examination is indicated for bone and lung lesions; the data of this type of investigation can be obtained using contrast media (air, contrast solutions). A barium sulphate solution can be administered strictly in the case of the radiologic diagnosis of luminal and intraluminal digestive lesions (without any continuity in the peritoneal cavity). The lesions of the urinary tract, comprising the ureter and the urethra, can also be highlighted radiologically with the help of contrast media; some of these are used in vascular radiologic examinations such as angiography. The paper-work is completed with relevant information on the establishment of a Veterinary Radiology Laboratory.

Introducere

Laboratorul de Radiologie este, de obicei, pregătit pentru examinarea animalelor de companie. Dar, dacă deține spații largi, poate fi dotat și cu aparat radiologic specific (fixat în perete, în plafon) pentru examinarea animalelor de talie mare. Toate aparatele radiologice care se folosesc în domeniul medical (inclusiv în medicina veterinară) trebuie să dețină ASR (autorizație de securitate radiologică), prin care se înțelege că sunt agreate de Comisia Națională de Control al Activităților Nucleare (CNCAN). Aceste aparate și activitatea radiologică trebuie să fie supuse controlului, deoarece această metodă de diagnostic este invazivă. Radiațiile nucleare, inclusiv cele X, la interacțiunea cu materia (în radiologia medicală vorbim de corpul pacienților și a personalului lucrător), determină fenomenul de ionizare. Acţiunea biologică a radiaţiilor nucleare se datorează interacţiunii lor cu substanţa vie, fapt care conduce la modificări biochimice celulare și perturbări funcţionale. Efectele biologice care pot să apară în urma acţiunii radiaţiilor sunt somatice și genetice.

Materiale şi metode

Pacientului veterinar i se aplică inițial examenul clinic, moment în care medicul clinician ia decizia efectuării unui examen radiologic. Acesta poate fi realizat în cadrul aceluiași cabinet (dacă există dotare specifică) sau se poate apela la serviciile unui alt cabinet sau laborator specializat (cu activitate radiologică medicală). Aici subliniem importanța biletului de trimitere; se notează câteva date clinice, dar mai ales se specifică regiunea necesară a fi examinată, eventual și poziția radiologică cerută. Biletul de trimitere reprezintă un act de colaborare între medicul clinician și cel radiolog, care ar putea fi înlocuit, în cazuri de urgență, de discuția telefonică între colegi. Lipsa acestui simplu bilet de trimitere conduce la neajunsuri, cum ar fi creșterea timpului de așteptare a clientului în holul Laboratorului de radiologie sau la creșterea neintenționată a numărului de expuneri radiologice (Atenție!, invazive), cel mai frecvent cu efect inevitabil de mărire a costului final al examinării radiologice.

Pentru unele cazuri, ar trebui utilizată programarea – vorbim aici despre cazuri complexe, care

59 Vol V
Romanian Journal of Veterinary Orthopedics and Imagistic
- Nr. 9 (2/2018)
V. Vulpe

necesită anestezie, sau manopere suplimentare (puncție, sondaje) ce presupun examinări repetate. De exemplu, cu administrare de substanță de contrast.

Pacientul care urmează să fie radiografiat trebuie să aibă suprafața corpului curată și liberă de obiecte (pansamente, lese, zgărzi) ce pot compromite imaginea radiografică și pot conferi artefacte. Se pot realiza operații pregătitoare ca, de exemplu, neadministrarea hranei timp de 8 – 12 ore, în cazul examinării detaliate a stomacului și intestinului subțire, clisme evacuatoare pentru efectuarea examenului radiologic al intestinului gros.

Menţinerea animalului într-o anumită poziție pe masa de radiografie este importantă pentru protejarea sănătății personalului medical și chiar a animalului, precum și pentru realizarea radiografiei în sine, respectiv pentru calitatea imaginii obținute. Pacientul veterinar nu va adopta poziția corespunzătoare decât prin contenție manuală sau prin anestezie. Pentru poziții ceva mai special, se poate apela la diferite dispozitive de fixare a animalului, combinate sau nu cu anestezia.

În realitatea zilei de azi, proprietarul manifestă, de multe ori, reținere față de folosirea anesteziei, acceptând să rămână lângă pacient în momentul expunerii. Acest fapt presupune încasarea unei doze de radiații, astfel că aparținătorul (proprietarul) trebuie să-și dea acordul scris și să utilizeze echipament de protecție radiologică. Minorii și femeile însărcinate nu au voie să rămână în camera de expunere în momentul realizării examenului radiologic.

În ansamblu, etapele examenului radiologic ar fi următoarele: poziționarea pacientului pe masa radiologică (stabilirea incidențelor), colimarea fascicolului pentru zona anatomică ce urmează a fi radiografiată, stabilirea parametrilor radiologici specifici, expunerea radiologică, developarea clasică/ preluarea imaginii în sistem digital, interpretarea imaginii, salvarea și arhivarea acesteia.

În radiologie se folosesc termenii de poziție, proiecție sau incidență. Poziția corpului în raport cu masa radiologică și caseta (filmul) poate fi laterală (fig. 1A), dorso-ventrală sau ventro-dorsală – în aceasta din urmă regiunea inferioară a abdomenului sau a bazinului (1B) va fi în contact cu masa sau caseta radiologică. Pozițiile corpului pacientului pot fi inclusiv vertical-statice (necesită aparat cu fascicule de radiații orizontal, fig. 1C) sau incidențe ce pot fi chiar oblice, așa cum consideră examinatorul că este nevoie în acel moment. Proiecția se referă la imaginea proiectată pe film, iar incidența se referă la locul de intrare și repectiv de ieșire a fasciculului de radiații – incidența ventro-dorsală arată că fasciculul va intra prin partea sternală a toracelui și va ieși prin regiunea dorsală a coloanei vertebrale.

Încadrarea anatomică se realizează prin colimarea (diafragmare) fascicolului de radiații. Acest aspect, ca și poziția/incidența expunerii, se hotărăsc de către medic. Colimarea cât mai apropiată de regiunea de examinat este de preferat. Și aceasta, deoarece reduce radiațiile secundare și distorsiunea (crește calitatea imaginii) și minimizează iradierea pacientului. Există, totuși, situații în care diagnosticul clinic este probabil, iar medicul clinician cere radiografie pe o porțiune mai mare a corpului. Aceasta se poate realiza cu repetarea unei a doua expuneri pe zona în care s-au observat modificări (pe prima imagine), cu o colimare și ajustare a parametrilor de expunere specifică.

Vol V - Nr. 9 (2/2018) 60
Figura 1A. Poziție laterală pentru radiografia abdomenului; incidență latero-laterală. Colecție proprie
IMAGISTIC How we work în Radiology Lab?
Figura 1B. Poziție în decubit dorsal, incidență ventro-dorsală pentru radiografierea bazinului. Colecție proprie

În funcție de talia pacientului și de regiunea care va fi radiografiată, se ajustează parametrii de bază a oricărei instalații radiologice: tensiunea prin kilovoltaj și intensitatea prin miliamperaj. În medicină, în ultimul timp, expunerea radiologică este exprimată și prin raportul miliamperaj/secunde (mAs). Valorile parametrilor sunt alese, de către radiolog, în funcție de talia pacientului și densitatea zonei anatomice, de conținutul regiunii în gaze. În general, o regiune bogată în mușchi sau substrat osos va necesita kilovoltaj mare (penetrabilitate mare a fasciculului radiologic), iar abdomenul va necesita amperaj ridicat (vor fi conferite nuanțe de contrast).

Expunerea radiologică medicală semnifică inițierea fasciculului radiologic și trecerea acestuia prin corpul pacientului. Amintim că, odată cu fasciculul principal, apar și radiațiile secundare și, tocmai din acest motiv, persoanele ajutătoare trebuie să fie cât mai puține în camera de expunere sau cel puțin echipate corespunzător ori plasate după pereți de protecție radiologică (pereți plumbați).

Tehnica de radiografiere clasică presupune utilizarea de filme radiologice păstrate în întuneric, montate în casete etanșe, în camera obscură. După expunerea radiologică a pacientului, filmul se scoate din casetă în camera obscură și se developează – se folosește mașina de developare (developeza).

Tehnica digitală de radiografiere este reprezentată de radiografia computerizată (Computer Radiography - CR) și radiografia digitală (Digital Radiography - DR). CR-ul este bazat pe tehnologia plăcilor de fosfor fotostimulabile. În esență, caseta radiologică nu mai conține filme, ci detectori care vor fi impresionați de radiații; sistemul digital posedă pentru ceva

timp o imagine latentă. Ulterior, pentru revelarea imaginii, caseta se introduce într-un cititor în care suprafața acesteia este scanată de o lumină laser care determină eliberarea energiei latente sub formă de radiație luminoasă (fig. 2A). Aceasta va fi înregistrată de un fotomultiplicator, tradusă într-un impuls electric, transformată în pixeli și poziționată în matricea imaginii radiografice, vizibilă apoi pe monitor cu ajutorul unui software specializat (fig. 2B).

Sistemul DR, respectiv caseta, este format din circuite integrate alcătuite dintr-o rețea de elemente semiconductoare (fotosite) având capacitatea de a acumula încărcătura electrică proporțională cu intensitatea radiației electromagnetice care o determină – se folosesc materiale scintilatoare care sunt cuplate la fotodiode. Recent, au fost realizate sisteme de DR portabile și cu costuri relativ scăzute și care au înregistrat un succes notabil în cadrul radiologiei ecvine. Și aceasta, datorită flexibilității în utilizare.

Imaginea radiologică obținută este bidimensională și trebuie gândită de medicul radiolog

61 Vol V - Nr. 9 (2/2018)
Journal of Veterinary Orthopedics and Imagistic
Romanian
Figura 1C. Poziție vertical-statică a pacientului, incidență caudo-cranială a jaretelor; utilizare fascicul radiologic orizontal. Colecție proprie Figura 2A. Digitizor, Computerized Radiology, Facultatea de Medicină Veterinară Iași. Colecție proprie
V. Vulpe
Figura 2B. Imagine radiologică digitală. Colecție proprie

ca o imagine a unui corp tridimensional. Obținerea unei imagini bidimensionale aduce în mod inevitabil și câteva probleme de genul: mărire și deformare, modificarea perceperii adâncimii, sumația planurilor. Subliniem că ele constituie surprize numai pentru cei fără experiență în examinarea filmelor. În examinarea oricărei radiografii, se apreciază următoarele aspecte: încadrarea anatomică pe imagine a zonei de interes și prezența unor markeri sau alte instrumente (de exemplu, sonda), contrastul și netitatea, prezența unor aspecte neobișnuite, prezența modificărilor de tipul corpilor străini sau formațiuni.

Modificările găsite pe film trebuie apreciate semiologic și notate pe larg în registru sau fișa pacientului: localizare și număr al modificărilor, mărime/dimensiuni, formă și structură, margini și raportul cu organele învecinate și opacitatea/transparența. Unele așa-zise modificări observate pe film pot fi interpretări greșite sau forțate. Așa se întâmplă din cauza fenomenului de sumație sau prin interpunerea a două planuri cu radioopacitate diferită ori prin prezența unor variații morfologice de rasă și vârstă. Artefactele filmului radiografic în medicina veterinară pot fi de mișcare (animal nesedat/insuficient sedat, mișcări respiratorii intense, tremurături musculare), de malfuncție a aparaturii și artefacte inerente ce țin de calitatea filmelor și a developării.

Notăm că, în acest domeniu al investigațiilor radiologice, exercițiile continue, comparațiile cu manuale de specialitate și chiar consultațiile intercolegiale vor conduce la consolidarea diagnosticului. Din aceste considerații, examinarea radiologică trebuie să fie conectată la cea clinică. Medicul radiolog trebuie să aibă informații despre istoricul medical și starea pacientului, urmând ca, într-un eventual ansamblu de imagistică, să recomande efectuarea unei operațiuni următoare, imagistice sau nu (de exemplu, urografie, ecografie, puncție aspirativă).

În medicina zilelor noastre, tehnicile imagistice evoluează inevitabil, iar ecografia este o metodă foarte agreată de medicii de cabinet, datorită unor avantaje concrete. Este clar că examenul radiologic este indicat pentru leziuni osoase și pulmonare. Datele examinării radiologice pot fi obținute și cu ajutorul mediilor care aceentuează contrastul (aer, soluții de contrast). Sulfatul de bariu se utilizează ca soluție și se administrează strict în cazul examenului radiologic al leziunilor digestive luminale și intraluminale (fără continuitate cu cavitatea peritoneală). Leziunile căilor urinare ca ureterele, uretra sunt și ele demonstrate radiologic cu ajutorul mediilor contrastante. Unele dintre acestea se folosesc și în examinarea

radiologică vasculară (angiografie) sau a măduvei spinării (mielografie).

Subliniem că dezvoltarea domeniului de radiologie intervențională este tot mai mare în ultimii ani și utilizat tot mai mult în chirurgie (în osteosinteză și în chirurgia vasculară, cardiacă) sau în completarea diagnosticului, cum ar fi puncția ghidată computertomografic.

Concluzii

În final, punctăm câteva măsuri care ar trebui analizate cu atenție de cei care doresc să pună în funcțiune un Laborator de Radiologie Veterinară:

- Pentru început, se pot obține informații privind condițiile înființării unui laborator de radiologie de la Direcția de Sănatate Publică Județeană, Laboratorul de Igiena Radiațiilor. Managerul clinicii veterinare va afla informații despre firmele specializate în realizarea documentațiilor pentru obținerea autorizațiilor specifice. De asemenea, specialiștii de la acel laborator îl pot pune pe doritor în contact cu reprezentantul în teritoriu al CNCAN.

- Se analizează viitorul spațiu pentru Laboratorul de Radiologie. Trebuie să fie suficient pentru aparatul de radiologie, masa de radiologie, depozitarea echipamentului de lucru și a altor accesorii. Camera în care se realizează expunerea radiologică trebuie să aibă pereți groși (beton, cărămidă plină sau echivalent al acestora), ușă cu folie de plumb, hol de acces, eventual o sală de așteptare pacienți.

- Pentru achiziționarea aparatului de radiologie, se contactează firme ce aduc/importă instalații (echipamente) specifice acestui domeniu. În funcție de posibilitățile financiare, managerul clinicii va decide dacă va achiziționa un aparat de radiologie cu developare clasică sau cu sistem digital de preluare a imaginilor (CR, DR). Atenție!! Aparatul achiziționat trebuie să aibă ASR – autorizație de securitate radiologică. Adică, va fi prezent pe o listă deja aprobată (agreată) de CNCAN. Este obligatoriu de achiziționat și echipament de radioprotecție: șorț sau vestă, mănuși, guler pentru tiroidă, eventual și ochelari de protecție etc.

- Managerul clinicii trebuie să contacteze o firmă specializată care să realizeze documentațiile de autorizare. Este vorba de Autorizația de construcție-amplasare și de Autorizație de utilizare. Este interzisă utilizarea unui aparat de radiologie fără aceste autorizații.

- Pentru a lucra într-un laborator de radiologie, este obligatoriu ca doritorul să urmeze un Curs de protecție radiologică. În România, ca și în alte țări, există firme specializate ce organizează cursuri de genul acesta. După absolvirea acestui

Vol V - Nr. 9 (2/2018) 62
IMAGISTIC How we work în Radiology Lab?

curs, doritorul va trebui să participe la concursul organizat de CNCAN (informații pe site) pentru obținerea permisului de exercitare al activităților nucleare. Se înțelege că toate aceste etape necesită un plan financiar judiciou realizat, care

Bibliografie

1. Bertoni G., Brunetti A., Pozzi L., Meomartino L. et al. (2005): Radiologia Veterinaria. Idelson-Gnocchi.

2. Thrall Donald W. (2012): Small Animal Radiographic Techniques and Positioning, Mary H. (Susie) Ayers, WileyBlackwell.

3. Thrall Donald W. (2013): Textbook of Veterinary Diagnostic

să includă și cheltuieli de susținere a educației continue!

This work is licensed under a Creative Commons Attribution-NonCommercialNoDerivatives 4.0 International License.

Radiology, 6th edition 2013, Elsevier-Saunders.

4. Vulpe, V. (2004): Semiologie şi Imagistică Veterinară. Semiologie specială. Editura Tehnopress, Iași.

5. Vulpe V., Meomartino L. și col. (2014): Radiologie veterinară – Manual practic. Ghid de radiografie la câine și pisică. Editura Performantica, Iași.

63 Vol V
Journal
and Imagistic
- Nr. 9 (2/2018) Romanian
of Veterinary Orthopedics
V. Vulpe

LA CÂINE,

MALFORMAŢIILOR COLOANEI

CORD/NERVE ROOT COMPRESSION SYNDROME IN DOG, SECONDARY TO VERTEBRAL COLUMN MALFORMATIONS

Șef Lucr. Dr. Roxana Dascălu, Dr. Drd.Vet. Bogdan Sicoe, Șef Lucr. Dr. Larisa Schuszler, Dr. Drd.Vet. Cristian Zaha, Prof. Univ. Dr. Cornel Igna Banat’s University of Agricultural Science and Veterinary Medicine, “King Mihai I of Romania” Timișoara, Faculty of Veterinary Medicine, 300645, Calea Aradului, no 119, Timișoara, România

OPEN ACCES JOURNAL

Cite this article:

Roxana Dascălu, B. Sicoe, Larisa Schuszler, C. Zaha, C. Igna. Spinal cord/nerve root compression syndrome in dog, secondary to vertebral column malformations.

R J Vet Orthoped I. 2018; Vol. V - 9 (2): 64-.69.

Cuvinte-cheie:

malformaţii, coloană vertebrală, câine

Rezumat:

Corresponding author: Cornel Igna, E-mail: corneligna@usab-tm.ro

Recieved: December 2018

Accepted: December 2018

Studiul a avut ca obiective stabilirea incidenţei şi a gradului de implicare a anomaliilor/malformațiilor genetice ale coloanei vertebrale în apariţia semnelor neurologice. 56 de cazuri clinice cu suspiciune de sindrom de compresiune medulară/radiculară au fost investigate prin CT. Din totalul celor 56 de cazuri cu suspiciune de sindrom de compresiune medulară/ radiculară investigate, anomaliile/malformațiile genetice au reprezentat 7,1%. Malformațiile suportului osos vertebral identificate au putut fi descrise precis prin examenul tomografic. Malformațiile severe dau semne clinice de la o vârstă tânără, în timpul dezvoltării sistemului osos, aspect confirmat la pacientul cu osteocondromatoză.

Vol V - Nr. 9 (2/2018) 64 IMAGISTIC Spinal cord/nerve root compression syndrome in dog, secondary to vertebral column malformations
SINDROMUL DE COMPRESIUNE MEDULARĂ/RADICULARĂ
SECUNDAR
VERTEBRALE SPINAL

Keywords:

malformations, vertebral spine, dog

Abstract:

The study aimed to establish the incidence and the involvement degree of spinal cord anomalies/genetic malformations in the appearance of neurological signs. 56 clinical cases with suspicion of spine/nerve root compression syndrome were investigated by CTscan. Out of the total of 56 cases investigated with suspected spine/ nerve root compression syndrome, were accounted in 7.1% genetic anomalies/malformations. The identified vertebral bone support malformations could be accurately described by the computed tomographic examination. Severe malformations give clinical signs at a young age during the development of the bone system, which is confirmed in the patient with osteocondromatosis.

Introducere

Malformațiile coloanei vertebrale sau ale structurilor anexe reprezintă o categorie de afecțiuni care fie au fost diagnosticate în urma implicării lor primare în procesul etiopatogenic al leziunilor medulare/radiculare, fie s-au evidențiat accidental la examenul imagistic al altor afecțiuni pentru care pacienții s-au prezentat la Clinica de Chirurgie din cadrul Facultății de Medicină Veterinară din Timișoara.

Materiale şi metode

Pacienții luați în studiu au fost clasificați, în funcție de tipul etiopatogenic al leziunilor decelate prin CT, în patru categorii: traumatice, degenerative, neoplazice și malformații. Unii dintre pacienții examinați au prezentat, la examenul CT, leziuni care pot fi incluse în mai multe categorii (ex. malformații + discopatie, leziuni traumatice + discopatie).

Cercetările au fost realizate în cadrul Laboratorului de Diagnostic pe Imagine și în cadrul Clinicii de Chirurgie a Facultăţii de Medicină Veterinară din Timișoara, luând în studiu 56 de cazuri clinice, cu suspiciune de sindrom de compresiune medulară/radiculară în urma examenului clinic și neurologic.

Examinăriile CT s-au realizat pe animale aflate sub anestezie generală injectabilă, cu xylazină 2% (Narcoxyl–MSD Animal Health) / acepromazină 2% (Aceprom-KEPRO B.V. OLANDA) – Propofol 1% (Fresenius Kabi), și poziţionate în decubit ventral sau dorsal. În baza datelor obținute prin scanarea pacienţilor prin intermediul aparatul Somatom definition AS (Siemens), s-a recurs la evaluarea imaginilor obținute, utilizând tehnica de reconstrucție multiplanară (MPR), dimensiunea secțiunilor fiind de 1 mm, iar - pentru o mai

ușoară vizualizare a leziunilor - și la reconstrucţia 3D a regiunii evaluate, utilizând tehnica de redare volumetrică VRT.

Rezultate şi discuţii

La examenul imagistic prin CT, au fost identificați 4 pacienți cu malformații (7,1%), 4 pacienți cu afecțiuni degenerative (7,1% - dintre care 2 au prezentat și alte leziuni responsabile de simptomatologie), 36 de pacienți cu discopatii (64,3%), 6 pacienți cu afecțiuni neoplazice (10,7%) și 11 pacienți cu afecțiuni traumatice ale coloanei vertebrale (19,6%). De menționat este faptul că nu se poate respecta procentul total de 100% prin însumarea procentelor prezentate pentru fiecare afecțiune în parte. Și aceasta, deoarece au fost pacienți cu leziuni încadrate în mai multe categorii. Numărul pacienților nu este egal cu numărul total al tipurilor de leziuni decelate, pentru că, la patru pacienți, au fost identificate mai multe tipuri de leziuni.

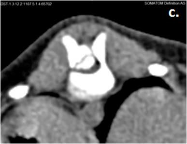
Afecțiunile decelate sunt: hemivertebre și vertebra intermediară la un Pudel (25% - rasă de talie mică, condrodistrofică), ostecondrită disecantă a sacrumului la un Ciobănesc german (25% - rasă de talie mare, necondrodistrofică), exostoze cartilaginoase multiple la un metis de talie medie (25%) și instabilitate atlanto-axială la un Chihuahua (25% - rasă de talie mică, necondrodistrofică).

Osteocondrita disecantă a sacrumului este o tulburare a sistemului osos, localizată la nivelul primei vertebre sacrale (S1), întâlnită la rasele de câini de talie mare (1, 2, 3)

Majoritatea câinilor prezintă un defect în partea dorsală a epifizei sacrale și un fragment osos detașat în canalul vertebral (4, 5) (fig. 1).

Inelul fibros al discului intervertebral lombo-sacral se atașează pe epifiza cranială a ver-

65 Vol
V - Nr. 9 (2/2018)
Romanian Journal of Veterinary Orthopedics and Imagistic Roxana Dascălu, B. Sicoe, Larisa Schuszler, C. Zaha, C. Igna

tebrei sacrale S1, la nivelul zonei osteocondrale. Ca urmare, această tulburare conduce la hernierea discului și la compresiunea pe cauda equina, întâlnită la animale tinere (2) Defectul focal identificat pe epifiza cranială a sacrumului este înconjurat de o zonă

sclerotică în interiorul corpului vertebral, de obicei lateralizată (2, 5)

Și alți autori au raportat atât evoluţia izolată a leziunii, cât ș i asocierea sa cu alte tulburări de dezvoltare sau degenerative ale joncţiunii lombosacrale (4, 5) , cu proeminența

Vol V - Nr. 9 (2/2018) 66
Figura 1. Osteocondrită disecantă sacrum şi protruzie discală tip 2
IMAGISTIC
Figura 2. Instabilitate atlanto-axială secundară ageneziei procesului odontoid al axisului.
malformations
Spinal cord/nerve root compression syndrome in dog, secondary to vertebral
column
67 Vol V - Nr. 9 (2/2018)
Romanian Journal of Veterinary Orthopedics and Imagistic Figura 3. Exostoze cartilaginoase multiple – Osteochondrom (C5, T1, 8, 11, L1, 3, 4, 7) Roxana Dascălu, B. Sicoe, Larisa Schuszler, C. Zaha, C. Igna

discului lombosacral și comprimarea caudei equina, ace ș tia sugerând că semnele clinice sunt, cel mai probabil, secundare acestor modificări decât bolii primare (osteocondrită disecantă sacrum) (4)

Hernierea discală de tip II la acest nivel a fost identificată ca fiind asociată osteocondritei disecante a sacrumului ș i la pacientul diagnosticat în studiu nostru.

Într-un studiu realizat de Lang ș i colab. (4), pe 65 de câini din rasa Ciobănesc german, mai mult de 30% (21 din 65) din pacienţii cu semne clinice de compresie cauda equina au prezentat anomalii radiologice și patologice tipice osteochondrozei sacrale.

Localizarea leziunii, pe marginea craniodorsală a corpului sacrumului, este în concordanță cu raportările din literatura de specialitate (4, 6), conform cărora în 90% din cazuri leziunea este diagnosticată ca având acestă localizare (6). Așa cum mulți autori menționează, instabilitatea atlanto-axială este întâlnită la rasele de talie mică (1, 2, 7, 8).

După Thomas (7), câinii din rasele Terrier Yorkshire, Chihuahua, Pudel pitic, Pomeranian și Pekinez sunt, cel mai adesea, afectate de anomaliile congenitale și de dezvoltare care predispun la instabilitate și subluxație atlanto-axială.

Pacientul diagnosticat în studiul de față face parte din această categorie de rase (Chihuahua), având vârsta de 1 an și 4 luni. De asemenea, agenezia dintelui axisului, leziune incriminată ca factor etiologic favorizant, cu caracter ereditar și origine congenitală (1), a fost identificată și la pacientul nostru.

Prin examen tomografic, s-a decelat mărirea spațiului dintre arcul dorsal al atlasului și procesul spinos al axisului, absența procesului odontoid, angularea fețelor dorsale ale canalului vertebral la nivelul vertebrelor C1-C2 care, în condiții normale, sunt dispuse aproape paralel (fig. 2), modificări care sunt în concordanță cu raportările din literatura de specia litate (2, 9)

După McCarthy ș i colab. (10), anomaliile congenitale sau de dezvoltare ale articulației atlanto-axiale responsabile în proporţia cea mai mare de apariţia instabilităţii atlanto-axiale sunt hipoplazia sau aplazia (46% din câini) ș i displazia (34% dintre câini) ș i, într-o proporţie mai mică, angulația dorsală și separarea procesului odontoid și absența ligamentului transversal.

Osteocondromatoza (exostoze cartilaginoase multiple) este o formă de displazie scheletală, caracterizată de leziuni osoase cu origine la nivelul joncțiunii osteocondrale (2). Această

afecțiune este congenitală și afectează mai frecvent articulațiile condrocostale ș i, mai rar, metafizele oaselor lungi ș i vertebrele (2). Prezența unor proeminențe cartilaginoase (exostoze) pe vertebre se poate solda cu invadarea canalului vertebral și consecutiv compresiune medulară/radiculară (2, 8)

Leziunile localizate în coloana vertebrală tind să fie mai organizate, comparativ cu alte localizări, ș i să prezinte densitate de cartilaj ș i os trabecular. Osul afectat poate fi deformat sau exostoza poate protruziona spre exterior (1) (fig. 3).

Această afecțiune este diagnosticată la câinii tineri (2, 8)

Aceste date, preluate din literatura de specialitate, au fost confirmate și în urma examinării imaginilor CT obţinute de la pacientul luat în studiu.

Având în vedere existenţa situsurilor de compresiune multiplă (8 cu repartizare: C5, T1, 8, 11, L1, 3, 4, 7) a măduvei spinării, la care s-a adaugat localizarea costală multiplă (fig. 3g) ș i metatarsiană la pacientul investigat, dar ș i posibilitatea ca leziunile să sufere transformare tumorală malignă, în condrosarcom (11) sau osteosarcom (12), raportată în literatura de specialitate, proprietarul a optat pentru eutanasie.

Concluzii

Reconstrucțiile CT multiplanare MPR și 3D-VRT pot îmbunătăți performanța de diagnostic în ceea ce privește leziunile coloanei vertebrale.

Malformațiile vertebrale, care interesează structurile osoase, sunt identificate, de cele mai multe ori, accidental, nefiind însoțite de semne neurologice.

Malformațiile suportului osos vertebral identificate au putut fi descrise precis prin examenul tomografic.

Malformațiile severe dau semne clinice de la o vârstă tânără, în timpul dezvoltării sistemului osos, aspect confirmat la pacientul cu osteocondromatoză.

Mulțumiri

Această lucrare a fost realizată cu sprijinul proiectului Dezvoltarea infrastructurii de cercetare, educaţie și servicii în domeniile medicinei veterinare și tehnologiilor inovative pentru RO 05, cod SMIS-CSNR 2669.

This work is licensed under a Creative Commons Attribution-NonCommercialNoDerivatives 4.0 International License.

Vol V - Nr. 9 (2/2018) 68
IMAGISTIC
column malformations
Spinal cord/nerve root compression syndrome in dog, secondary to vertebral

Bibliografie

1. Thrall, D.E. Textbook of veterinary diagnostic radiology, 7rd edition, Ed. Saunders Elsevier, St. Louis, Missouri, 2018.

2. Schwarz, T., Saunders, J. Veterinary Computed Tomography, Wiley-Blackwell, West Sussex, UK, 2011.

3. Mathis K.R., Havlicek M., Beck J.B., et al. Sacral osteochondrosis in two German Shepherd Dogs. Austr Vet J. 2009; 87:249.

4. Lang J., Hani H., Schawalder P. A sacral lesion resembling osteochondrosis in the German Shepherd Dog. Vet Radiol Ultrasound. 1992; 33:69-76.

5. Wisner Erik, Zwingenberger Allison. Atlas of Small Animal CT and MRI. Ed. Wiley-Blackwell, Iowa, USA., 2015.

6. Hanna F.Y. Lumbosacral osteochondrosis: radiological features and surgical management in 34 dogs. J Small Anim Pract. 2001;42:272–278.

7. Thomas W.B., Sorjonen D.C., Simpson S.T. Surgical management of atlantoaxial subluxation in 23 dogs. Vet Surg. 1991; 20:409.

8. Karen M. Tobias, Johnston S.A. Veterinary surgery small animal. Ed. Saunders Elsevier, St. Louis, Missouri, 2012.

9. Dascălu Roxana. Diagnosticul radiografic la animalele de companie, Ed. Brumar, Timişoara, 2012.

10. McCarthy R.J., Lewis D.D., Hosgood G. Atlantoaxial subluxation in dogs. Compend Contin Educ Pract Vet. 1995; 17:215.

11. Doige C.E., Pharr J.W., Withrow S.J. Chondrosarcoma arising in multiple cartilaginous exostoses in a dog. J Am Anim Hosp. 1978; 14:605.

12. Owen L. Multiple cartilaginous exostoses with development of a metastasizing osteosarcoma in a Shetland sheepdog. J Small Anim Pract. 1971; 12:507.

69 Vol V - Nr. 9 (2/2018)

Romanian Journal of Veterinary Orthopedics and Imagistic Roxana Dascălu, B. Sicoe, Larisa Schuszler, C. Zaha, C.
Igna

ADAPTAREA ANESTEZIEI ȘI MONITORIZĂRII

LA CONDIȚIILE DE LUCRU IMPUSE DE INVESTIGAȚIA PRIN CT ADAPTATION OF ANESTHESIA AND MONITORING ON CONDITIONS IMPOSED BY CT INVESTIGATION

OPEN ACCES JOURNAL

J Vet Orthoped I. 2018; Vol. V - 9 (2): 70-73.

Corresponding author: Cornel Igna, E-mail: corneligna@usab-tm.ro

Recieved: December 2018

Accepted: December 2018

Tehnicile de investigație imagistică, deși nedureroase, necesită un animal cooperant, astfel anestezia generală se impune ca o necesitate. Tehnicile de anestezie generală intravenoasă sunt preferate. Deoarece tomografia computerizată folosește radiația ionizantă, nu este permisă prezența personalului în sală pe durata scanării. Monitorizarea minimă pentru un astfel de examen este reprezentată de pulsoximetrie. Experiența din ultimii ani - a colectivului Clinicii de chirurgie a FMV Timișoara în acest domeniu - recomandă folosirea anesteziei generale injectabile cu propofol și selectarea atentă a medicației folosite în premedicație, astfel încât procedura de investigație să poată fi realizată eficient în condiții optime pentru pacient.

Imaging techniques, although painless, require a co-operative animal, so general anesthesia is a must. General intravenous anesthesia techniques are preferred. Since computed tomography uses ionizing radiation, staff is not allowed to sit in the room during scanning. Minimal monitoring for such an examination is pulse oximetry. The experience of the last years - of the Surgery clinic team of FMV Timisoara in this field - recommends the use of general injectable anesthesia with propofol and careful selection of medication used in premedication so that the investigative procedure can be performed efficiently in optimal conditions for the patient.

Vol V - Nr. 9 (2/2018) 70
CT, anestezie generală intravenoasă, pulsoximetrie Keywords: CT-scan, intravenous general anesthesia, pulse oximetry
Șef Lucr. Dr. Larisa Schuszler, Șef Lucr. Dr. Roxana Dascălu, Dr. Drd.Vet. Bogdan Sicoe, Dr. Drd.Vet. Cristian Zaha, Prof. Univ. Dr. Cornel Igna Banat’s University of Agricultural Science and Veterinary Medicine, “King Mihai I of Romania” Timișoara, Faculty of Veterinary Medicine, 300645, Calea Aradului, no 119, Timișoara, România
Cuvinte-cheie:
Rezumat: Abstract:
Cite this article: Larisa Schuszler, Roxana Dascălu, B. Sicoe, C. Zaha, C. Igna. Adaptation of anesthesia and monitoring on conditions imposed by CT investigation. R
IMAGISTIC
investigation
Adaptation of anesthesia and monitoring on conditions imposed
by CT

Introducere

Radiografia simplă este, în ortopedia veterinară, o tehnică imagistică de rutină folosită și în prezent (1). Însă, tehnologia imagistică modernă reprezentată de CT a devenit disponibilă și medicinei veterinare, permițând realizarea de investigații avansate neinvazive cu diagnostice certe deseori la pacienții în stare critică la care diagnosticul în timp util este vital. Medicul veterinar anestezist trebuie să înțeleagă ce implică această nouă tehnologie atunci când concepe managementul anestezic, în principal la acești pacienți, cu ce limitări se confruntă și ce alternative are la dispoziție.

Tehnicile de investigație imagistică, deși nedureroase, necesită un animal cooperant și, prin urmare, anestezia generală devine o necesitate, deseori fiind nevoie de un interval mai mare de timp ca pacientul să fie imobil pentru scanarea regiunii și captura imaginilor, comparativ cu investigația prin Rx. Calitatea imaginilor obținute este dependentă de această stare de imobilitate. Managementul anestezic va trebui să țină seama de practicile de anestezie și de monitorizare ,general acceptate ca reprezentând standardul de bază. Cu alte cuvinte, oxigenarea, ventilația, circulația și temperatura pacientului trebuie monitorizate pe toată durata anesteziei (12). Perioada restricției alimentare preanestezice atât pentru alimente solide, cât și pentru lichide, trebuie respectată cu strictețe.

Dacă ne întrebăm ce pacienți sunt supuși acestei investigații, putem discuta de pacienți tineri sănătoși, dar cu o afecțiune ortopedică, sau de pacienți aflați în stare critică, cu politraumatism, cu sindrom de compresiune medulară, tumoră intracraniană sau cu patologie preexistentă gravă. Desigur, managementul anestezic va ține cont de starea pacientului. Situația devine puțin mai complicată atunci când se consideră necesară folosirea unei substanțe de contrast, fiindcă nu este lipsită de riscuri. Efectele adverse sunt reprezentate de modificări hemodinamice (11) (oscilații ale tensiunii arteriale, creșterea presiunii venoase centrale, creșterea debitului cardiac, reducerea rezistenței vasculare periferice), dar și de reacții anafilactoide (urticarie, vomă, spasm bronșic, vasodilatație). Modificările hemodinamice la un pacient cu patologie cardiacă preexistentă, o insuficiență cardiacă congestivă spre exemplu, pot avea consecințe dramatice. Folosirea profilactică a medicației antihistaminice sau corticosteroidiene este controversată și nu întotdeauna însoțită de succes. În cazul apariției efectelor secundare, tratamentul este paleativ și de susținere. Se indică, în cazul șocului ana -

filactic sever, agoniștii adrenergici, adrenalină, efedrină, iar în caz de bronhospasm, atropina și oxigenoterapie.

Deoarece tomografia computerizată folosește radiația ionizantă, nu este permisă prezența personalului în sală pe durata scanării. Însă, în acest timp, pacientul anesteziat trebuie să fie monitorizat. Cea mai simplă cale de a face acest lucru este să se folosească monitoare care emit semnal sonor sau cu ecran suficient de mare care să poată fi văzut clar și de la distanță. Cea mai utilă, în aceste condiții, este monitorizarea oxigenării hemoglobinei și a prezenței pulsului periferic prin pulsoximetrie, fiind de altfel, monitorizarea minimă pentru un astfel de examen. Capnografia la pacienții intubați poate fi folosită pentru urmărirea ventilației (7) .

Tehnicile de anestezie generală intravenoasă sunt preferate, prin urmare este nevoie de un abord venos periferic. Principalele medicamente disponibile sunt barbituricele – pentobarbitalul, thiopentalul sau derivații de alkilfenol – propofolul. Aceste produse reduc presiunea intracraniană și fluxul sanguin cerebral, ceea ce reprezintă un avantaj evident pentru pacienții cu traumatism cranian.

Pentobarbitalul se va administra intravenos în doză unică, 28-30 mg/kg, prin titrare până la atingerea unui plan superficial de narcoză suficient să asigure imobilizarea pacientului. Durata efectului este, însă, destul de variabilă, de obicei cel puțin jumătate de oră, iar trezirea completă se produce în câteva ore. Thiopentalul administrat în doză unică, 20 mg/kg, va avea un efect rapid, un răspuns previzibil (anestezie chirurgicală de aproximativ 15 minute), dar și o trezire rapidă după o singură administrare, cu excepția raselor de ogari (6, 8). Reducerea dozei (thiopental 11 mg/kg) și asocierea cu lidocaina (8,8 mg/kg) va scurta durata, dar va preveni apariția aritmiilor cardiace (8). Din cauza efectului cumulativ, administrarea sa în perfuzie continuă este contraindicată.

Mult mai atractiv este propofolul, care poate fi administrat în doză unică pentru inducție (5-7 mg/kg la câine, 8-13 mg/kg la pisică, cu reducerea dozei până la 80% dacă se face premedicație), urmată de administrarea în perfuzie continuă (0,4 mg/kg/minut) (10). Folosirea propofolului oferă numeroase avantaje, reprezentate de controlul facil și rapid al profunzimii planului narcotic, metabolismului rapid și lipsei efectului cumulativ.

Premedicația va include, în principal pentru pacienții cu risc anestezic crescut, cei predispuși spre convulsii, benzodiazepine – diazepam sau midazolam, administrate pe cale

71 Vol
V - Nr. 9 (2/2018)
Romanian Journal of Veterinary Orthopedics and Imagistic Larisa Schuszler, Roxana Dascălu, B. Sicoe, C. Zaha, C. Igna

intravenoasă. Deși au unele calități neuroprotectore, folosirea agoniștilor alfa-2 adrenergici – dexmedetomidina, medetomidina sau xylazina, este mai puțin potrivită din cauza efectelor cardiovasculare negative numeroase. În mod tradițional, s-a considerat că acepromazina favorizează convulsiile la pacienții predispuși. Studii clinice recente contrazic această dogmă (5). Totuși, utilizarea sa se va face cu precauție la pacienții hipovolemici și hipotensivi, precum și la pacienții în vârstă, la care efectul ei este de lungă durată (8)

Formula premedicației poate include lidocaina administrată intravenos, dacă se consideră necesară menținerea patenței căilor respiratorii prin intubare endotraheală, spre exemplu la pacienții din rasele brahicefalice. Aceasta va împiedeca schimbările acute ale presiunii arteriale și presiunii intracraniene, asociate intubării endotraheale (7)

Includerea în formula anestezică a opioidelor stă sub rezerva depresiei respiratorii pe care sunt cunoscute că o pot induce. Prin urmare, ar fi indicată folosirea lor doar în condițiile în care este posibilă controlarea ventilației. Lipsa efectelor sau efectul minim asupra presiunii intracraniene le recomandă la pacienții cu traumatism cranian.

Ketamina este un anestezic controversat, care s-a considerat inițial contraindicat la pacienții

cu presiune intracraniană crescută.Și aceasta, deoarece determină creșterea fluxului sanguin cerebral. La pacienții ventilați mecanic, acest fenomen nu a fost observat (5). De fapt, în medicina umană s-a constatat chiar reducerea acesteia. Trebuie subliniat că nu este același lucru să fie administrată la un individ intubat și ventilat sau ca parte a protocolului de inducție. Utilizarea sa este asociată cu creșterea tonusului muscular, fenomen care trebuie evitat în cazul patologiei ortopedice.

Experiența din ultimii ani - a colectivului Clinicii de chirurgie a FMV Timișoara în acest domeniu (2, 3, 4, 9) - recomandă folosirea anesteziei generale injectabile cu propofol și selectarea atentă a medicației folosite în premedicație, astfel încât procedura de investigație să poată fi realizată eficient în condiții optime pentru pacient. Nu s-au înregistrat decese și nici complicații. Pregătirea pentru un răspuns prompt în cazul apariției complicațiilor, precum și monitorizarea adecvată și controlul vizual de la distanță permanent al pacientului (figura 1) sunt obligatorii.

Concluzii

Pacienții supuși investigației CT necesită anestezie generală, cu respectarea acelorași principii anestezice și de monitorizare valabile și în sala de operații.

Vol V - Nr. 9 (2/2018) 72
IMAGISTIC
Figura 1. Pacient anesteziat pregătit pentru investigația CT Adaptation of anesthesia and monitoring on conditions imposed by CT
investigation

Mulțumiri

Această lucrare a fost realizată cu sprijinul proiectului Dezvoltarea infrastructurii de cercetare, educaţie ș i servicii în domeniile medicinei veterinare ș i tehnologiilor

Bibliografie

1. Dascălu R. Diagnosticul radiologic la animalele de comanie, Ed.Brumar, Timișoara, 2012.

2. Dascălu R., Sala A., Schuszler L., Proteasa A., Igna C. Contribution of the computed tomography to the imaging diagnosis of the intervetebral disk disease in dogs. Lucrări Științifice –USAMVBT „Regele Mihai I al Romaniei” din Timișoara, Medicina Veterinară, 2013; 46(4):49-57.

3. Dascălu R., Șerb M., Sala A, Schuszler L., Proteasa A., Igna C. Contributions in computed tomography diagnostic of spinal neoplasms in cat. Lucrări Științifice - Universitatea de Științe Agricole „Regele Mihai I al României” din Timișoara, Medicină Veterinară, 2014, XLVII (4):35-41.

4. Dascălu R., Sicoe B., Schuszler L., Igna C. CT diagnosis of neoplasia in the head region in dog – predominant imaging changes. RJVOI, anul IV/Nr. 7(2/2017): 72-80.

5. Dewey C.W. Part Four Neuosurgery, în Small Animal Surgery, ed. a IV-a, sub red. Fossum Welch T., Ed. Elsevier, 2013.

6. Lee L. Pharmacology – Intravenous Anesthetic Agents &

inovative pentru RO 05, cod SMIS-CSNR 2669.

This work is licensed under a Creative Commons Attribution-NonCommercialNoDerivatives 4.0 International License.

Dssociatives, https://instruction.cvhs.okstate.edu/vmed5412/pdf/ 06IntravenousAnestheticAgents-Dissociatives.pdf.

7. Robertson S.A., Newer diagnostic and surgical techniques and their impact on anesthesia. Vet Clin North Am Small Anim Pract. 1999; 29(3):665-681.

8. Sawyer D.V. The Practice of Veterinary Anesthesia: Small Animals, Birds, Fish and Reptiles, Ed.Tenton NewMedia, Jackson, 2007.

9. Schuszler L, Igna C. Movements prevention using propofol during CT. Programme and Scientific Proceedings European Veterinary Conference Voorjaarsdagen, Amsterdam, 2008, p. 262.

10. Short C.E., Bufalari A. Propofol anesthesia. Vet Clin North Am Small Anim Pract. 1999; 29:747-778.

11. Vance A., Nelson M., Hofmeister E.H. Adverse Reactions Following Administration of an Iodinated Contrast media in Anesthetized Dogs. J of Am Anim Hosp Ass, 2012; 48(3):172-175.

12. *** Monitoring the anesthetized patient. http://www. ruralareavet.org/PDF/Anesthesia-Patient_Monitoring.pdf.

Vol V - Nr. 9 (2/2018)

Journal
and Imagistic
73
Romanian
of Veterinary Orthopedics
Larisa Schuszler, Roxana Dascălu, B. Sicoe, C. Zaha, C. Igna
TALON DE ABONAMENT Doresc să mă abonez Varianta electronică: q Abonament pentru 1 an (2 numere) - 45 RON (cu toate taxele incluse) q Abonament pentru 2 ani (4 numere) - 75 RON (cu toate taxele incluse) Nume:................................................................................... Prenume: ................................................................................................... Dna Dl Dra Adresă domiciliu: .................................................................................................................................................. Municipiu: ........................................................................ Sect.: ................ Judeţ:............................................................ Oraş:............ ..................................................... Comună: ...................................................................................................... Cod poştal: ................... Telefon:............................................................................. Număr atestat de liberă practică................................................................. Specialitate ........................................................................................ student rezident medic specialist medic primar Competenţă ............................................................................... Denumire instituţie: ....................................................... Domeniu de activitate: Privat Public Secţie: ................................................................................................. Funcţie: ...................................................................... Specialitate: ................................................................. Adresă instituţie: ............................................................................ .................................................... Municipiu: ....................................................Sect.: ........... Judeţ:................................. Oraş:............ ..................................................... Comună: ...................................................................................................... Cod poştal: ................... ............................ Telefon: .......................................... Mobil: ...................................................... E-mail: ........................................................................ Web: ...................................................................................................
da nu
cu
......................................................
..................................................................
Data: / /
După completare, vă rugăm să trimiteţi talonul însoţit de dovada efectuării plăţii scanate la adresa de email redactia@innovationinhealth.ro Mulţumim! ! Adeverinţa pentru abonarea la revistă se eliberează în maximum 5 zile lucrătoare de la exprimarea solicitării dvs., după efectuarea plății REVISTĂ CREDITATĂ CU 15 PUNCTE ANUAL PENTRU ABONAMENTELE PLĂTITE Plata abonamentului se va efectua prin ordin de plată ori transfer bancar pe coordonatele: S.C. INNOVATION IN HEALTH CENTER S.R.L SEDIUL SOCIAL: SPLAIUL INDEPENDENTEI NR. 273, SECTOR 6, BUCUREȘTI CUI: 38637290, R.C.: J40/20963/2017 CONT IBAN RON: RO91BACX0000001601177000 BANCA UNICREDIT BANK, SUCURSALA ORIZONT
CUI instituţie: Plătitor de TVA:
Factură - vă rugăm
completaţi
coordonatele necesare emiterii facturii: Denumire persoană:
Denumire instituţie:
Adresa pentru primirea revistelor: Domiciliu Instituţie
Semnătură:…..………….….......…

4th EDITION OF INNOVATION IN HEALTH AWARDS GALA

Dacă aveți proiecte, produse, servicii inovatoare și doriți să vă aflați printre nominalizații ediției din 2019 și, de ce nu, printre premianții Galei, vă invităm să ne trimiteți informațiile la adresa redactia@innovationinhealth.ro. De asemenea, dacă doriți să vă aflați printre partenerii și susținătorii Galei 2019 și doriți să consultați oferta noastră de servicii de promovare, vă rugăm să ne scrieți la redactia@innovationinhealth.ro până la data de 30 martie 2019.

www.innovationinhealth.ro.

9 ORGANIZATOR

Turn static files into dynamic content formats.

Create a flipbook
Issuu converts static files into: digital portfolios, online yearbooks, online catalogs, digital photo albums and more. Sign up and create your flipbook.