Orthodontic Practice US Fall 2025 Vol 16 No 3

Page 1


Dentistry for individuals with special needs

Dr. William J. Maloney

Malocclusion and Sleep-Related Breathing Disorders in early childhood

Dr. Kevin Boyd

A Comprehensive Solution for Early Orthodontic Treatment

Spark Junior supports continuous, tailored orthodontic care from childhood through adulthood, delivering the Spark smile your patients love.

KEY

FEATURES

Discover how Spark Junior can elevate your early treatment plans - Scan to request a demo today.

Fall 2025 n Volume 16 Number 3

Editorial Advisors

Lisa Alvetro, DDS, MSD

Daniel Bills, DMD, MS

Robert E. Binder, DMD

S. Jay Bowman, DMD, MSD

Stanley Braun, DDS, MME, FACD

Gary P. Brigham, DDS, MSD

George J. Cisneros, DMD, MMSc

Jason B. Cope, DDS, PhD

Bradford N. Edgren, DDS, MS, FACD

Eric R. Gheewalla, DMD, BS

Dan Grauer, DDS, Morth, MS

Mark G. Hans, DDS, MSD

William (Bill) Harrell, Jr, DMD

John L. Hayes, DMD, MBA

Laurence Jerrold, DDS, JD, ABO

Marc S. Lemchen, DDS

Edward Y. Lin, DDS, MS

Thomas J. Marcel, DDS

Mark W. McDonough, DMD

Randall C. Moles, DDS, MS

Elliott M. Moskowitz, DDS, MSd, CDE

Rohit C.L. Sachdeva, BDS, M.dentSc

Gerald S. Samson, DDS

Margherita Santoro, DDS

Shalin R. Shah, DMD

Lou Shuman, DMD, CAGS

Scott A. Soderquist, DDS, MS

John Voudouris (Hon) DDS, DOrth, MScD

Neil M. Warshawsky, DDS, MS, PC

John White, DDS, MSD

Larry W. White, DDS, MSD, FACD

CE Quality Assurance Board

Bradford N. Edgren, DDS, MS, FACD

Fred Stewart Feld, DMD

Gregori M. Kurtzman, DDS, MAGD, FPFA, FACD, FADI, DICOI, DADIA

Justin D. Moody, DDS, DABOI, DICOI

Scott S. De Rossi, DMD, MBA (Publisher)

Mali Schantz-Feld, MA, CDE (Managing Editor)

Lou Shuman, DMD, CAGS

reserved. The publisher’s written consent must be obtained before any part of this publication may be reproduced in any form whatsoever, including photocopies and information retrieval systems. While every care has been taken in the preparation of this magazine, the publisher cannot be held responsible for the accuracy of the information printed herein, or in any consequence arising from it. The views expressed herein are those of the author(s) and not necessarily the opinion of either

Practice US or the publisher. Circulation Disclosure: Total Circulation

Vary. Publisher

including but not limited to: print and digital distribution by mail, email, and website for industry tradeshows, educational events, including nonpaid bulk copies and/or digital access provided to events, clients and educational institutions. ISSN number 2372-8396

The transfer of trust

The dental industry is undergoing a fundamental transformation, making the integrated and “co-located” pediatric-orthodontic practice model a strategic and powerful competitive advantage. The convergence of patient psychology, market dynamics, industry-wide structural shifts (DSOs), and compelling clinical evidence, positions this collaborative model as the future standard of care. As a pediatric dentist, I would not practice without an orthodontist by my side.

Transitioning from pediatric dentistry alone to orthodontics, which is co-located within my practice, alleviates some psychological challenges for patients. Dental fear and anxiety are a significant barrier, with a global prevalence affecting nearly 24% of all children and adolescents. This anxiety is highest in younger children, precisely when the foundation of trust is built within the pediatric “dental home.” The traditional referral to an outside specialist can disrupt the patient’s comfort and trust, creating stress for both the child and parents, because it is one more thing to worry about, and one more appointment to make. An integrated model mitigates this by making the transition a seamless continuation of care within a familiar and comfortable environment, preserving the invaluable relationship built throughout the years, during a formative period in the patients’ lives.

The orthodontic services market is large due to strong clinical demand. Nearly 30% of the population has malocclusions severe enough to warrant treatment, and orthodontic procedures account for 14.5% of all pediatric dental visits. However, children with public insurance and those from Black and Hispanic families have the lowest rates of orthodontic care. The integrated model is structurally superior at lowering the non-clinical barriers — such as separate appointments and administrative burdens — that disproportionately affect these families, unlocking a significant opportunity for growth. I frequently ask my orthodontist colleague to examine a child during their pediatric visit while in the chair.

This clinical model is perfectly aligned with the dental industry’s evolution away from solo practice. The solo practitioner model is in steep decline among new dentists; only 17% of recent graduates now work as solo practitioners, while 27% are affiliated with Dental Service Organizations. The integrated specialty practice is the logical next step toward collaborative and co-located pediatric dentistry and orthodontics group structures, creating a financially efficient system that internalizes referrals and maximizes the lifetime value of each patient family.

The benefits of this model are quantified by extensive research on interprofessional collaboration (IPC). Studies show that IPC leads to a 15% increase in patient treatment adherence, a 77% decline in errors, and patient satisfaction rates as high as 95%. This translates directly to better clinical outcomes, reduced risk, and enhanced profitability.

The integrated pediatric–orthodontic model addresses patient anxiety, access disparities, and industry change, while creating a seamless, trusted care pathway.

When we work side by side, pediatric dentists and orthodontists are not just aligning teeth; we are shaping one of the most formative healthcare experiences of a child’s life. That is the true power — and responsibility — of the transfer of trust.

Lisa Bienstock, DMD, is a board-certified pediatric dentist, a Fellow of the American Academy of Pediatric Dentistry, and currently serves as Vice President of the Arizona State Board of Dental Examiners. She is the Associate Director of NYU Langone’s Advanced Education in Pediatric Dentistry program in Phoenix and the proud owner of two thriving private practices dedicated to creating positive, prevention-focused dental experiences for children. A graduate of Columbia University/New York-Presbyterian Medical Center’s prestigious Pediatric residency program, Dr. Bienstock has held hospital privileges at Phoenix Children’s Hospital. She also is a passionate educator, national speaker, and philanthropist, with a growing presence on social media. Follow her on IG @lisabienstock and on TikTok @doctorb.thatsme.

Guided growth: how Angel Aligner™ KiD simplifies complex Phase 1 cases with compassion and precision

Dr. Tara Emerick tailors treatment to children’s individual needs

EDUCATION SPOTLIGHT

The critical need for business and leadership excellence in the dental industry: empowering the future through Serendequity Education

Scott S. De Rossi, DMD, MBA, discusses two new programs that develop business and leadership excellence

PUBLISHER’S PERSPECTIVE

A fresh beginning and a grateful heart

Lisa Moler, Founder/CEO, MedMark Media............................... 6 TECHNOLOGY

Transforming orthodontic patients’ dental health: A new standard in diagnosis and prevention

Drs. Jin-Young Choi, Jun-Ho Park, Hong-Chul Yoon, and Seong-Hun Kim discuss an innovative method using Digital Quantitative Light-Induced Fluorescence (QLF) in detecting clinical issues in orthodontic patients ......................................... 18

CONTINUING EDUCATION

Dentistry for individuals with special needs

Dr. William J. Maloney provides guidance on modifications that may be needed in the treatment of special needs patients 22

Cover image of Dr. Tara Emerick courtesy of Angel Aligner.

Paired for precision. Designed for efficiency.

Introducing the first 3D-printed, fully cured attachments — exclusively available with Clarity™ Aligners on Clarity™ Portal.

CLARITY™ PRECISION GRIP ATTACHMENTS

No flash removal

Attachment tray

Bar and bevel shapes

Sprues - support structure for precise placement

Custom attachment base for each tooth

3D printed, pre-filled attachments

Proprietary fully cured composite

Stain resistant

A fresh beginning and a grateful heart

American Poet T.S. Eliot wrote, “Every moment is a fresh beginning.” These words have become my North Star — my entire journey with MedMark has been a tapestry of transformative new beginnings, each one more meaningful than the last.

Looking back on these incredible 21 years, my heart is full thinking about how we’ve scaled our impact within the dental community. When I founded Doctor of Dentistry back in 2004, it felt like launching a passion project into the unknown. But watching it evolve, and then witnessing the game-changing expansion with Implant Practice US and Endodontic Practice US in 2007, followed by Orthodontic Practice US in 2009, and Dental Sleep Practice in 2014 — each launch was like watching my children take their first steps. Through this incredible journey, we’ve successfully published 297 publications to date since MedMark’s inception — that’s countless late nights, early mornings, weekend marathons, and probably tens of thousands of road-warrior travel hours poured into every single issue. Each publication represents not just content, but sleepless nights, endless revisions to ensure excellence, and the unwavering commitment to advancing our profession. The authentic connections I’ve built with some of the most visionary minds in dentistry have been nothing short of life-changing.

When MedMark became part of the Nexus Dental Systems family in 2020, it marked a pivotal moment in our growth story. Now, as I step into my next-level adventure as Chief Marketing Officer for Nexus Dental Systems, I’m overwhelmed with gratitude. I’ll still be championing the dental community, driving purpose-driven innovation at the intersection of dental and medical breakthroughs. And MedMark? Our publications will continue disrupting the status quo, empowering excellence across all specialties while scaling our content reach and finding new ways to innovate.

These 2 decades have been the most beautiful discovery — our dental community isn’t just an industry, it’s a family of mission-driven change-makers, visionary innovators, and most importantly, treasured friends who have enriched my life beyond measure. The relationships I’ve built with these healthcare heroes, these brilliant minds determined to revolutionize patient care, have become some of the most meaningful friendships of my lifetime. Every revolutionary thought leader, inventor, and disruptor I’ve had the privilege to know personally hasn’t just shared their next-generation technologies with me — they’ve shared their hopes, their dreams, their breakthrough moments, and even their setbacks over countless conversations that turned strangers into lifelong friends.

Our publications became so much more than a showcase for disruptive innovations in imaging, instrumentation, equipment, patient communication, and practice management — they became the bridge that connected hearts and minds. We’ve amplified the voices of clinicians who became dear friends, brave souls willing to challenge outdated paradigms and pioneer bold new methodologies. Every single author who graced our pages didn’t just bring their expertise — they brought their authentic selves, their infectious passion, and often, their friendship. What started as professional relationships blossomed into an ecosystem where readers don’t just

Published by

Editor in Chief, Publisher, and Senior Strategic Advisor Scott S. De Rossi, DMD, MBA scott.derossi@nexusdentalsystems.com

Managing Editor Mali Schantz-Feld, MA, CDE mali@medmarkmedia.com Tel: (727) 515-5118

Director of Business Development Adrienne Good agood@medmarkmedia.com Tel: (623) 340-4373

Director of Publishing Amanda Culver amanda@medmarkmedia.com

Director of Operations Melissa Minnick melissa@medmarkmedia.com

Director of Marketing Amzi Koury amzi@medmarkmedia.com

eMedia Coordinator Michelle Britzius emedia@medmarkmedia.com

Social Media Manager Felicia Vaughn socialmedia@medmarkmedia.com

Website Support Eileen Kane webmaster@medmarkmedia.com

MedMark, LLC 400 Crossing Blvd. Bridgewater, NJ 08807 Tel: 480-629-4002 www.medmarkmedia.com www.orthopracticeus.com

Subscription Rate

1 year (4 issues) $149 https://orthopracticeus.com/subscribe/

Lisa

become industry leaders — they become mentors, collaborators, and genuinely cherished friends.

I’m tearing up just thinking about the incredible people I’ve encountered on this journey. Some of my closest confidants, the people I turn to for advice, the friends who celebrate my victories and support me through challenges — many of them came from this extraordinary profession. I have always said that I didn’t find my dental profession; it found me. It has been a career built on divine alchemy and serendipitous moments. Twenty years of shared experiences, industry events that felt more like family reunions, deep conversations about life, work passions that turned into lifelong friendships, and a network of support that extends far beyond business cards and LinkedIn connections. This community has given me a chosen family I never expected to find. And for that, I am eternally grateful.

Our content strategy has always been laser-focused on real-time relevance and community impact. We survived even during the darkest chapter of the pandemic shutdown; our team’s resilience was extraordinary. We pivoted to address the moment’s most pressing challenges — how to continue serving patients with unwavering safety protocols for patients, staff, and doctors. Watching the rise of tele-dentistry and other innovative platforms during that time, seeing our community’s incredible

adaptability of hope — it was a masterclass in transformation that redefined the entire profession, and one that I was proud to be a part of.

But never fear, MedMark publications will continue their exponential growth trajectory, serving our loyal community with cutting-edge topics, breakthrough innovations, and an unwavering commitment to helping you scale the successful businesses of your dreams. I’m thrilled to welcome our new Publisher/Editor in Chief Scott S. De Rossi, DMD, MBA, and I’m genuinely excited about the fresh perspective and seasoned expertise he’ll bring to our brand. Scott is a true professional and one of the best author/writers that I’ve had the pleasure to be associated with lately. Look for his contributions to be informative, smart, and engaging!

As I embark on this new adventure, my heart is filled with excitement while simultaneously overflowing with pride for what we’ve built together from the ground up. I’ll always be part of this incredible MedMark family, and my commitment remains rock-solid — I still remain in our industry to empower your journey to unprecedented success!

With endless gratitude, anticipation for the new journey, and always…to your best success!

Lisa Moler

Guided growth: how Angel Aligner™ KiD simplifies complex Phase 1 cases with compassion and precision

Dr. Tara Emerick tailors treatment to children’s individual needs

In my orthodontic practice, I have the privilege of working with a diverse patient population, ranging from young children who need early interceptive care to adults seeking the latest in aligner technology. As an orthodontist and a mother of three, I’ve seen firsthand the unique needs of each child and how important it is to tailor our treatment approaches accordingly.

While traditional early Phase 1 tools like fixed palatal expanders and braces are time-tested, they do present notable challenges. These include discomfort, difficulties with oral hygiene, and, perhaps most significantly, limited tolerability for neurodiverse or highly sensory-sensitive children. For these kids, traditional solutions can be more than just uncomfortable — they can be impractical.

That’s why I was intrigued by Angel Aligner™ KiD, a flexible, intuitive, and comprehensive system that combines dental alignment, jaw development, and supports myofunctional habit correction all within one clear aligner platform. After successfully treating many Angel Aligner cases in both teens and adults, I wanted to explore whether Angel Aligner KiD could provide a new standard of care for my younger patients, especially those needing customized, gentle solutions.

Unlike other Phase 1 appliances I’ve used, Angel Aligner KiD was built for adaptability. It incorporates unique features like curved turbos, eruption guides, and specialized trimlines that help guide developing dentition while respecting the nuances of a child’s oral environment. Additionally, features such as A6 mandibular advancement, angelButton™, and the angelHook™ Maxillary Protraction Solution with Facemask compatibility open new possibilities for skeletal correction in a comfortable, removable format. Angel Aligner KiD’s capacity to support myofunctional correction, manage eruption, and guide skeletal

Tara Emerick, DDS, MS, is a board-certified orthodontist and the owner of Emerick Orthodontics in Carmel, Indiana. She completed her undergraduate and master’s degrees at The University of Illinois at Urbana-Champaign. Dr. Emerick earned her Doctor of Dental Surgery degree from Indiana University, followed by a certificate in Orthodontics and a master’s in Oral Sciences from The University of Illinois at Chicago. At her pink, boutique-style startup practice in Carmel, Dr. Emerick is passionate about using innovation to deliver exceptional and individualized care. Dr. Emerick is a proud mother of three and an advocate for compassionate, tech-forward orthodontics.

Disclosure: Dr. Tara Emerick is a paid consultant of USA Angelalign Technology Corp.

development makes it an ideal choice for patients who need a different kind of care.

I’ve been using Angel Aligner for 2 years now, and I’ve seen a growing number of Phase 1 patients benefit from it. I’m consistently impressed by the intuitive iOrtho software, the impressive features, the quick turnaround times, and the excellent case setups.

Case report: neurodivergent patient with ectopic canines

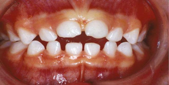
My patient, “JA,” is a bright, sweet, and sensitive 10-year-old boy who had been referred to my practice for early orthodontic intervention. Due to his neurodivergence and significant oral sensory sensitivities, fixed appliances were not an option for him.

JA presented with ectopic upper canines (U3s) tracking very mesially toward the roots of the upper laterals (U2s), along with upper spacing and moderate lower crowding. I had already referred him to his pediatric dentist for the extraction of his upper primary canines.

Space consolidation and root guidance were crucial in his case to prevent impaction and preserve the lateral incisors.

Diagnosis and treatment plan

Diagnosis

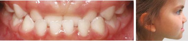
This patient presented in mixed dentition and a Class I occlusion with mild upper spacing, lower moderate crowding, and mild deep bite. The U3s were ectopic with a palatal position and a mesial path of eruption, converging onto the U2 roots, and the patient also had a tapered upper archform, an ovoid lower

Dr. Tara Emerick with a patient

archform, and a posterior tongue tie (mid-tongue restriction). The upper midline was centered with the facial midline, but the lower midline was deviated 4 mm to the left of the upper (Figure 1).

The patient exhibited hypersensitive oral behavior and is neurodivergent with motor and vocal tics. His mother reported that he would not tolerate any fixed appliances, and I was also concerned about his motor and vocal tics interfering with appliance placement. Oral hygiene was poor due to his aversion to the feeling of brushing his teeth. I was hesitant to start treatment due to the poor oral hygiene, but eager to redirect the eruption of the upper canines so we brought the patient in for a hygiene check. His hygiene had improved so we scanned for aligner treatment.

Treatment goals

The primary objectives were to expand both the upper and lower arches, consolidate anterior space, and apply a mesial root tip to the U2s to protect them from the U3 trajectory. My additional goals included aligning the arches and guiding the canines without using fixed appliances, all while respecting my patient’s comfort and cooperation threshold.

For expansion, I used my typical aligner expansion protocol of expanding the U6s first, followed by the Uc,d,e’s. For the lower, I requested uprighting of the lower posterior to coordi-

nate with the upper arch (leveling of the Curve of Wilson). I also wanted to apply mesial root tip of the U2s to place them in a more protected position, away from the ectopic U3s. I selected Angel Aligner KiD because of its comfort, removability, and ease of hygiene for a sensory-sensitive patient.

Treatment progression

The primary phase of treatment had a total of 20 sets of aligners, and we saw the patient for three appointments (Figure 4). His compliance with aligner wear and tracking was excellent. We were pleasantly surprised by how well he adapted to both the aligners and attachments, especially given his severe oral sensitivities.

At the third appointment, we scanned for refinement to finish closing the U2-2 spacing and exaggerate the U2 mesial root tip. This refinement phase had 16 sets of aligners, and the patient had an additional three appointments, including the debond appointment. Overall, the patient’s treatment spanned 10 months and included six appointments.

Clinical outcome

After 10 months, I’m pleased to report on the successful completion of Phase 1 treatment for the patient. His arches have

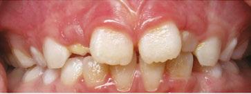
Figure 1: JA initial photos. Mixed dentition, Class I, upper spacing, lower crowding, ectopic U3s (10.7 years old)
Figure 2A (top): Initial set-up in iOrtho. Figure 2B (bottom): Superimposition view of the initial set-up in iOrtho
Figure 3: Upper occlusal of the initial set-up versus upper occlusion clinical photo at 4 months

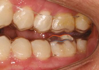
Figure 4: JA refinement records 4 months into treatment (10.11 years old). Upper and lower expanded. Refinement goals were to complete alignment and space consolidation and exaggerate U2 mesial root tip

been expanded and aligned, and the space has been appropriately consolidated.

We successfully tipped the U2 roots mesially, which created a natural shield for the erupting U3s. As a result, the canines are now erupting naturally into a favorable path, avoiding root damage (Figure 5).

The patient and his mother are thrilled with the outcome, which exceeded their expectations and was achieved without emotional or physical distress. He now enjoys coming back to see us for his retainer checks because he had such a positive treatment experience.

Key learnings

This case truly highlighted the power of personalized orthodontics for me. Using Angel Aligner KiD, I was able to:

• Safely treat a challenging Phase 1 case.

• Avoid canine impaction and the need for future surgical exposure.

• Reduce any stress or trauma often associated with early orthodontic care in neurodivergent children.

• Maintain precise control over root movement and space management without relying on fixed appliances.

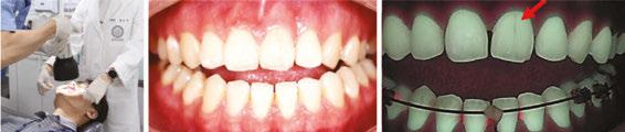
Figure 5: JA final photos — 10 months total treatment time. Upper and lower arches expanded and aligned, anterior spacing consolidated, midlines centered, and U2 mesial root tip exaggerated

The capability of Angel Aligner KiD to integrate alignment, expansion, and functional correction into one streamlined system makes it an indispensable tool in my Phase 1 toolbox. It has also enabled me to provide comprehensive care in a compassionate and minimally invasive manner.

Conclusion

Every child deserves a smile journey that respects their individuality. Angel Aligner KiD delivers on that promise with advanced engineering, smart software, and adaptable features that redefine what’s possible in early interceptive treatment. For my patient, it meant a future free of canine impaction and surgery. For me, it was a reminder that innovation is about more than outcomes — it’s about compassion, access, and adaptability.

REFERENCES

1. Ericson S, Kurol J. Early treatment of palatally erupting maxillary canines by extraction of the primary canines. Eur J Orthod. 1988 Nov;10(4):283-95. doi: 10.1093/ejo/10.4.283.

2. Angel Aligner KiD Patient Brochure. Angel Aligner. www.angelaligner.com.

3. Alvarado, P. “Angel Aligner KiD Webinar.” Angel Aligner. 2024. https://education.angelaligner.com/event/angel-aligner-kid-aligning-young-smiles-with-confidence/.

*

Case Design Ratings 9/10*

This is Angel

iOrtho™ Software

20+ years of innovation, 1.5 million smiles, and first-to-market breakthroughs like the award winning angelButtonTM . Backed by medical expertise and smart digital tools, we deliver precision, flexibility and a doctor first experience.

The critical need for business and leadership excellence in the dental industry: empowering the future through Serendequity Education

S. De Rossi, DMD, MBA, discusses two new programs that develop business and leadership excellence

The modern healthcare landscape is undergoing a profound transformation. Technological advancements, shifting patient expectations, regulatory complexities, and the rise of corporate delivery models have converged to redefine what it takes to succeed — not only as a clinician but as a leader. Nowhere is this evolution more evident than in the dental industry, where the traditional solo-practitioner model is rapidly giving way to Dental Support Organizations (DSOs), group practices, and dental education models that demand far more than clinical competency. In this changing environment, the value of business and leadership excellence is not ancillary — it is foundational.

To thrive in the future of healthcare, every member of the dental team must be equipped with knowledge, skills, abilities, and judgment that transcend the operatory. Business acumen, strategic thinking, and people leadership are no longer optional soft skills; they are essential survival traits. Serendequity Education’s Mini MBA for Dentistry and Leadership Excellence to Advance Practice (LEAP) certificates respond to this need with urgency, clarity, and action. These programs are not just academic exercises; they are transformational platforms that bridge the long-standing gap between clinical mastery and business and leadership excellence.

The business of dentistry is now central to the practice of dentistry

For decades, dental education has produced competent clinicians who were expected to “figure out” business on their

Scott S. De Rossi, DMD, MBA, Vice President of Strategic Growth and Innovation of Nexus Dental Systems, is passionate about driving strategic growth and innovation in healthcare. He has led initiatives to improve access, quality, outcomes, efficiency, patient satisfaction, and affordability by integrating medicine and dentistry. He has integrated cutting-edge technology and resources to optimize clinical and academic sectors, solving long-term issues and driving exponential growth. He has prioritized and communicated the importance of oral-systemic connections in patient-centered care, increasing endowment funds and ensuring compliance with accreditation and regulations. Dr. De Rossi has fostered innovative cultures by mobilizing cross-functional teams, balancing optimism with transparency and trust, and inspiring continuous improvement.

own. As a result, thousands of private practitioners found themselves unprepared for the financial, operational, and strategic realities of running a dental practice. Today, with declining insurance reimbursements, rising operating costs, and patient expectations shaped by consumer-centric industries, the challenge is even greater.

Meanwhile, DSOs have surged in influence, offering dentists opportunities for support, stability, and scale. Yet the success of these organizations hinges on local leaders who can manage P&Ls, build high-performing teams, and deliver exceptional patient experiences. Even the best DSO infrastructure fails without empowered clinicians who understand how to run their practices as businesses and lead their teams effectively.

At the same time, dental education must also evolve. Schools are increasingly recognizing the need to graduate dentists who are not only clinically competent but also strategically agile and prepared for multifaceted roles — as clinicians, managers, educators, entrepreneurs, and change agents. However, few institutions offer meaningful and practical structured business or leadership development integrated into their core curriculum.

Why leadership matters at every level of the dental team

Leadership in dentistry is not confined to owners or executives. It manifests in every interaction that shapes a patient’s

experience and every decision that influences a team’s culture. From the front office administrator who manages scheduling efficiency, to the hygienist who educates patients and supports treatment acceptance, to the associate dentist managing chairside dynamics — every team member impacts the overall success of a practice.

Yet these professionals are rarely given formal training in conflict resolution, change management, communication strategy, or operational improvement. This lack of leadership development is a missed opportunity not just for individual growth, but for organizational excellence.

By embedding leadership training across all team levels, practices and DSOs can build a culture of shared accountability, continuous improvement, and adaptive problem-solving. Empowered teams are resilient teams — and resilient teams are those that can navigate staffing shortages, integrate new technologies, respond to shifting payer models, and deliver better outcomes under pressure.

The Serendequity Solution: Mini MBA and LEAP Certificates

Serendequity Education’s Mini MBA and LEAP programs were created to address this urgent gap with precision and practicality.

The Mini MBA for Dentistry

This intensive, modular online program is designed for dentists and staff, specialists, practice owners, and DSO executives seeking a comprehensive foundation in business disciplines essential to healthcare leadership. With 12 interactive modules — including financial management, marketing strategy, team dynamics, operations, legal compliance, and strategic planning — the Mini MBA provides real-world tools rooted in dental practice realities. Through capstone projects and case-based learning, participants do not merely absorb knowledge, they apply it — building business plans, operational improvements, and leadership strategies that can be deployed immediately in their settings.

The Serendequity Education Mini MBA for Dentistry is an innovative, industry-tailored certificate program designed to equip dentists, hygienists, and dental leaders with core business competencies to thrive in today’s rapidly evolving dental landscape. This online, self-paced curriculum offers a practical, high-impact educational experience and essential tools to lead, grow, and future-proof dental practices and organizations.

At its core, this Mini MBA bridges the long-standing gap between clinical training and business knowledge in dental education. With deep roots in real-world practice scenarios and trends, this program empowers dental professionals to make data-informed decisions, navigate competitive pressures, and create scalable, patient-centered businesses. It is a critical step forward in redefining how dentistry prepares its current and future leaders.

Leadership Excellence to Advance Practice

(LEAP) Certificates

Targeted toward all dental professionals — dentists, hygienists, assistants, and administrative leaders — LEAP focuses on ele-

To thrive in the future of healthcare, every member of the dental team must be equipped with knowledge, skills, abilities, and judgment that transcend the operatory.”

vating leadership capacity within teams. These shorter, focused certificates develop core skills in emotional intelligence, decision-making, team building, coaching, and adaptability. LEAP cultivates confident, collaborative professionals who understand how to inspire others, align around vision, and foster cultures of trust, innovation, and excellence.

Both programs are designed with flexibility in mind: online, asynchronous, and accessible to working professionals. They combine world-class faculty with evidence-based frameworks ensuring that content is both cutting-edge and grounded in dental practice.

Value proposition for the dental industry and profession

Bridging the business education gap in dentistry

Most dental curricula prioritize clinical expertise but neglect business acumen. As a result, many dentists enter practice ownership or leadership roles ill-equipped to manage operations, finances, or strategy. The Serendequity Mini MBA directly addresses this gap by offering business and management education specifically contextualized for the dental industry. Unlike traditional MBA programs, this certificate is lean, focused, and immediately applicable — helping participants lead with confidence from day one.

Strategic preparedness for a changing industry

The dental profession is undergoing significant transformation:

• Consolidation and the rise of DSOs: The Mini MBA offers insights into how to collaborate with, compete against, or even build a DSO, including practical tools for assessing affiliation and acquisition opportunities.

• Technology-driven disruption: From teledentistry to AI, participants learn how to evaluate, adopt, and leverage technologies that enhance productivity, reduce overhead, and elevate the patient experience.

• Consumer expectations and patient-centered care: The curriculum trains participants to develop marketing strategies, service excellence frameworks, and patient feedback systems that drive retention and satisfaction.

Practice performance optimization

The modules on financial management, team dynamics, operations, and marketing help practitioners:

• Analyze P&L statements and manage cash flow

• Build and retain high-performing teams

• Streamline workflows using lean principles

• Attract and retain patients using data-driven marketing

DM is for them

Support your team. Empower your patients. Discover how DM is for them.

DM is for your patients

Why settle for timed checkups when you can deliver real-time care?

DentalMonitoring lets patients scan in minutes from their phone, so you catch issues early and finish treatment on schedule. It’s not just easier for you — it’s the best experience your patients can have.

DentalMonitoring gives your team smarter tools to work efficiently and confidently. By streamlining checks and providing real-time clarity, you reduce stress, foster a positive culture, and deliver a better patient experience.

Hear Dr. Tara Gostovich’s story
Hear Dr. Dan Bills’ story

• Increase profitability while delivering high-quality care

These are not theoretical skills; they are mission-critical for any practice owner, associate, or DSO leader aiming for sustainable growth and resilience.

Empowering clinicians as leaders

The Mini MBA cultivates leadership capacity by introducing proven frameworks in change management, organizational behavior, and strategic planning. Participants learn how to adapt their leadership styles to different situations, manage conflict, align teams around a shared vision, and drive performance in a clinical setting.

Curriculum overview

The Mini MBA spans 12 core modules delivered in a dynamic, flexible online format. Each module features video lectures by dental and business experts, interactive tools, real-world case studies, assessments, and peer discussion forums.

Highlights include:

Modules 1–3: Foundation in Business, Finance, and Leadership

• Business Foundations for Dental Practices

• Financial Management Essentials

• Leadership in Dental Practice

Modules 4–6: Team, Communication, and Marketing

• Team Management and Communication

• Marketing Strategies for Dental Practices and DSOs

• Patient Experience and Relationship Management Modules 7–9: Operations, Legal, and Strategy

• Operational Excellence in Dental Practices and DSOs

• Legal and Ethical Considerations

• Strategic Planning in Dental Practices and DSOs Modules 10–12: Financial Planning and Capstone Project

• Financial Planning and Investment

• Capstone Business Plan Project

• Professional Reflection and Integration

The Capstone Project is a distinctive feature, allowing learners to develop and present a real-world business plan addressing a current challenge or opportunity within their own practice or the broader industry.

Differentiators and Innovation

• Dental-specific, practitioner-focused: Unlike generic business programs, every topic is translated for dental application — using dental-specific examples, case studies, and metrics.

• Expert-led and evidence-based: Instruction draws from Harvard Business Review, McKinsey, ADA policy, and successful DSO operators. This ensures that learners receive best-in-class thinking tailored to their world.

• Flexible, asynchronous learning: Designed for busy professionals, this online model supports learning on-demand while still enabling community interaction through discussion forums and coaching sessions.

• Scalable across roles and organizations: The program is valuable not only for private practitioners and owners but also for emerging leaders in DSOs, group practices, and

even dental schools seeking to embed leadership into predoctoral curricula.

Professional impact and career relevance

Graduates of the Serendequity Mini MBA will be equipped to:

• Launch or expand successful private practices or DSOs

• Increase efficiency, profitability, and patient satisfaction

• Lead multidisciplinary teams with clarity and purpose

• Make strategic financial and operational decisions

• Explore new career paths in executive leadership, consulting, or education

In a field where business illiteracy can hinder career progression, this program becomes a strategic enabler of growth, security, and fulfillment.

Equipping the profession for the future

As we enter an era of precision health, artificial intelligence, value-based care, and growing integration between oral and systemic health, the expectations placed on dental professionals will only increase. To lead in this new age, our profession must rethink how we define excellence.

• Excellence is no longer just about clinical outcomes; it is about organizational agility.

• Success is no longer just about solo achievement; it is about team empowerment.

• Impact is no longer limited to the dental chair; it is measured by systems thinking, strategic foresight, and the ability to lead change.

The Serendequity Mini MBA and LEAP programs offer a clear path forward. They democratize access to elite business and leadership education and bring it into the hands of those who need it most — practicing dental professionals and staff navigating real-world complexity.

Conclusion

The dental industry stands at an inflection point. Clinical skill will always be the foundation of dental medicine, but it is no longer sufficient to ensure success. Business literacy and leadership excellence must now be core competencies for every member of the dental team. Whether navigating the complexities of private practice, driving performance in a DSO, or preparing students in dental education, the need for strategic, empowered, and adaptive leaders has never been greater.

Serendequity Education’s Mini MBA and LEAP certificates are more than programs — they are movements. They represent a shift in how we prepare dental professionals for impact, resilience, and sustainable success. By embracing business and leadership education, the dental profession will not only meet the demands of today; it will shape the healthcare systems of tomorrow. As the profession evolves, so too must the way we prepare our clinicians — not just to drill, fill, and bill — but to lead, build, and grow.

This is not optional education — it is essential. Serendequity Education prepares people not only to survive the future of dentistry but to shape it. OP

Serendequity Education: Your Success, Our Mission

Whether you’re an owner looking to sharpen your business acumen, a practice manager striving for operational excellence, or an aspiring leader eager to make an impact, this Mini MBA for Dental Professionals lays out a step-by-step roadmap. In the 12 modules, you’ll gain hands-on templates, real-world case studies, and actionable frameworks that translate immediately into your day-to-day—and long-term—success.

Modules 1–3: Foundation in Business, Finance, and Leadership

Modules 4–6: Team, Communication, and Marketing

Modules 7–9: Operations, Legal, and Strategy

Modules 10–12: Financial Planning and Capstone Project

Transforming orthodontic patients’ dental health: A new standard in diagnosis and prevention

Drs. Jin-Young Choi, Jun-Ho Park, Hong-Chul Yoon, and Seong-Hun Kim discuss an innovative method using Digital Quantitative Light-Induced Fluorescence (QLF) in detecting clinical issues in orthodontic patients

Orthodontic treatment is a complex procedure that necessitates consideration of not only dental esthetics but also masticatory function and overall oral health. Patients utilizing fixed orthodontic appliances such as brackets and bands frequently encounter challenges in maintaining optimal oral hygiene. This difficulty leads to an increased risk of periodontal disease and dental caries, in addition to the formation of microscopic cracks that are not readily detectable with the naked eye. In practice, relying solely on patient self-care during orthodontic therapy often proves insufficient, as microscopic lesions can readily develop in blind spots such as around brackets, interproximal surfaces, and the lingual aspects of teeth. Consequently, concern regarding the development of caries, periodontal disease, and the potential weakening of teeth during orthodontic treatment, as well as uncertainty about the appropriate timing for intervention or treatment, are common among patients, guardians, and dental practitioners alike.

Traditionally, the evaluation of dental and periodontal health has depended primarily on visual inspection or, when deemed necessary, radiographic imaging techniques such as panoramic,

Jin-Young Choi, DDS, MSD, PhD, is from the Department of Orthodontics, Kyung Hee University, School of Dentistry, Seoul, South Korea.

Jun-Ho Park, DDS, MSD, PhD, is an orthodontist from the BESTDEN Dental Clinic, Seoul, South Korea.

Hong-Chul Yoon, DDS, MSD, PhD, CEO of AIOBIO, is from the BESTDEN Dental Clinic, Seoul, South Korea.

Seong-Hun Kim, DMD, MSD, PhD, is from the Department of Orthodontics, Kyung Hee University, School of Dentistry, Seoul, South Korea and also a visiting associate professor of Department of Orthodontics, Saint Louis University. Dr. Kim can be reached at bravortho@khu.ac.kr

Disclosure: HC Yoon is employed by AIOBIO Co., Ltd. Other participating authors declare that they have no financial interests in AIOBIO beyond the provided honorarium for this article.

bitewing, and periapical radiographs. Although these methods are sensitive to advanced lesions, they present significant limitations in detecting early-stage pathologies, including initial demineralization, white spot lesions, micro-cracks, and incipient carious lesions. Furthermore, repeated radiographic examinations pose the risk of cumulative radiation exposure, are subject to anatomical blind spots, and cannot reflect the real-time progression and activity of lesions.

An innovative diagnostic method that addresses these clinical concerns through digital data is based on Quantitative Light-induced Fluorescence (QLF) (Q-ray system, AIOBIO, Seoul, South Korea). QLF utilizes blue visible light at a wavelength of 405 nm to illuminate the tooth surface: healthy regions of the tooth exhibit green fluorescence, while regions with demineralization (such as early carious lesions), micro-cracks, or accumulations of bacterial metabolites display either loss of fluorescence or red fluorescence due to scattered light. These subtle fluorescence patterns are quantitatively represented as ΔF (indicating mineral loss) and ΔR (representing porphyrin-based bacterial metabolites), providing numerical data for objective assessment.

Based on this principle, this technology enables real-time and repeated detection of otherwise hidden lesions during orthodontic treatment. For example, white spot lesions that appear around brackets — indicators of initial demineralization which may be missed by visual inspection or clinical experience alone — can be detected at an early stage, as the ΔF value exceeds a defined threshold. Similarly, interproximal caries, which are traditionally undetectable without bitewing radiographs, can be precisely identified by Q-ray even when mineral loss is less than 6%. Most importantly, micro-cracks in teeth, which are almost impossible to detect visually or radiographically during orthodontic treatment, can be visualized, with the location, depth, and bacterial activity of the lesion clearly displayed via ΔF, ΔR values, and fluorescence imaging — crucial information for prognosis and treatment planning.

The clinical potential of this type of technology is substantiated by objective data. At Kyung Hee University Dental Hospital, an analysis of over 150 subjects and more than 300 teeth revealed that more than half of early carious lesions, microcracks, and subtle interproximal defects, which could only be detected using Q-ray, were missed by conventional diagnostic techniques. The benefits extend beyond caries and cracks; one

Figure 1: Early interproximal carious lesions and areas of plaque accumulation are not visually detectable in a patient with labial bracket placement. Providing these visualized images to the patient can serve as an effective tool for motivating oral hygiene practices and accurately informing them of the potential risk for dental caries development

of its key strengths lies in enhancing communication between patients and practitioners. All examination outcomes are stored as photographic images, color-mapped graphics, and quantitative data, enabling visualization of lesion changes over time — from the initiation of orthodontic treatment, through interim monitoring, to post-removal of appliances. As a result, patients are not merely given fleeting verbal explanations but are presented with objective data on the status of their teeth, which strongly motivates them toward improved oral hygiene and increases their engagement with the treatment process. The images above present Q-ray scans from patients with labial and lingual bracket attachments. Presenting such imagery to patients not only underscores the importance of oral hygiene, increasing the educational effect, but also provides objective evidence that may protect clinicians in the event of dental caries or other complications arising during orthodontic treatment.

Figure 2: In a patient with lingual bracket placement, early interproximal carious lesions and plaque accumulation are detectable on the lingual surfaces with brackets, despite the absence of visible abnormalities on the labial surfaces. This finding highlights the importance of targeted oral hygiene education for lingual orthodontic patients, emphasizing the management of visually inaccessible risk sites to prevent caries development

The extensive clinical potential of Q-ray technology is founded upon its originality, reliability, and ease of use. The QLF device developed by AIOBIO has successfully obtained over 20 international patents and has been certified by major global regulatory bodies, including CE marking, FDA clearance, and approval by the Korean Ministry of Food and Drug Safety. Integrated with the advanced QA2 analytical software, the system facilitates seamless processes encompassing region of interest (ROI) designation, quantitative calculation of ΔF/ΔR values, and comprehensive patient-specific visualization data management. Furthermore, the absence of ionizing radiation exposure and the brief examination time render this technology particularly suitable and convenient for diverse patient populations, including children, the elderly, pregnant women, and individuals requiring frequent, periodic monitoring.

Figures 3A-3B: Pre-orthodontic crack assessment was conducted using Q-ray Cam and Q-ray PenC. 3A. In a 20-year-old female patient, frontal intraoral imaging with Q-ray Cam detected a crack on the maxillary left central incisor. Consequently, orthodontic appliance placement was postponed and limited to an 8-month duration. 3B. Q-ray PenC allowed precise evaluation of the posterior molars, revealing a clear crack line in a clinically intact restored molar not detectable by conventional visual inspection

plaints related to dental caries, cracks, and subtle interproximal lesions occurring throughout orthodontic therapy.

Clinical feedback regarding the implementation of the device within the Biocreative Orthodontics Strategy Center at Kyung Hee University Dental Hospital has been notably positive. Clinicians have reported a marked reduction in overlooked early carious lesions and cracks during orthodontic treatment. Moreover, the reliance on conventional radiographic methods has diminished, enabling practitioners to provide patients with clear, visualization-based explanations grounded in objective quantitative data. Patient and caregiver satisfaction has significantly increased due to the availability of visual imagery and numerical assessments, which has correspondingly led to a substantial decrease in com-

Q-ray–based diagnostics in orthodontic patients sets the stage for a new era of data-driven, visualization-based oral health management extending beyond orthodontics to the broader field of dentistry.

REFERENCES

1. Oh SH, Lee SR, Choi JY, Choi YS, Kim SH, Yoon HC, Nelson G. Detection of Dental Caries and Cracks with Quantitative Light-Induced Fluorescence in Comparison to Radiographic and Visual Examination: A Retrospective Case Study. Sensors (Basel). 2021 Mar 3;21(5):1741. doi: 10.3390/s21051741.

2. Oh SH, Choi JY, Kim SH. Evaluation of dental caries detection with quantitative light-induced fluorescence in comparison to different field of view devices. Sci Rep. 2022 Apr 12;12(1):6139. doi: 10.1038/s41598-022-10126-x.

A.
B.

Dentistry for individuals with special needs

Dr. William J. Maloney provides guidance on modifications that may be needed in the treatment of special needs patients

While providing dental care, dentists must take into consideration that each patient is a unique individual who may require modifications to treatment in order to allay their fears and provide safe, comfortable, and effective dental treatment. Special needs patients often require individualized treatment due to a disability or medical condition that affects their ability to function on a daily basis. These individuals may have chronic illnesses or emotional, physical, mental, or learning disabilities that require special care while receiving dental treatment. It is imperative that special needs patients receive quality dental care on a regular basis. Failure to receive proper dental treatment can cause pain, poor oral health, and exacerbate already existing conditions which the individual is challenged by on a daily basis. The dentist is a vital and integral part of the special needs patient’s healthcare team and, as such, must work

William J. Maloney, DDS, PgCertMed, FACD, is presently an attending dentist at the BronxCare GPR program. He is a retired clinical associate professor at New York University College of Dentistry. Dr. Maloney holds a postgraduate certificate in healthcare writing from Harvard Medical School and practices in Rye and Scarsdale, New York. He is the author of hundreds of articles published worldwide.

Educational aims and objectives

This self-instructional course for dentists aims to discuss the role of dentists and their teams in tailoring treatment to patients who may have specific medical or physical conditions that affect the delivery of treatment in the dental practice.

Expected outcomes

Orthodontic Practice US subscribers can answer the CE questions by taking the quiz online at orthopracticeus.com to earn 2 hours of CE from reading this article. Correctly answering the questions will demonstrate the reader can:

• Identify some ways to alter the practice’s environment to remove physical barriers to treatment areas.

• Realize some methods of providing a comforting emotional environment to reduce fear and anxiety for patients with special needs.

• Identify dental conditions that often are present in patients with specific special needs.

• Identify some useful strategies and tips for making the dental visit successful for a special needs child.

• Recognize some ways to handle obstacles such as volatile behavior.

collaboratively with the patient, caregivers, and family members as well as other healthcare providers.

We, as dentists, must look at our facilities through the eyes of our special needs patients. Often, these individuals face various barriers while seeking dental treatment, including difficulty accessing dental treatment and higher associated costs.1 When designing new dental facilities or renovating existing ones, it is highly advised to keep in mind the physical challenges these patients may encounter while seeking dental care in our facilities. Some of these considerations can include ramps for those who cannot use stairs and more spacious treatment areas which would help facilitate a more comfortable environment for the patients who need a wheelchair and their caregivers.

In many instances, especially for youthful patients, it is helpful to have a family member or trusted friend in the treatment area in order to calm the special needs dental patient. Having someone the patient trusts in the treatment area can help allay the patient’s fears and anxiety and, in turn, allow the dentist to provide dental care in a safer and more effective manner. Also, the trusted friend or caregiver often has knowledge of the individual’s triggers and coping mechanisms which can be shared with the dental team.

If the patient is an adult, different strategies may be helpful. Firstly, it is very important that the atmosphere of the dental setting is warm, calm, and relaxing.

Gentle music can always set the proper tone. Communication between the clinician and the special needs adult patient and the caregiver is absolutely essential. Effective communication techniques build rapport and trust between the dental professional and the patient. This connection leads to more effective and efficient dental treatment. As such, active listening is very important. The dental staff should listen carefully to the patient’s fears and concerns. This allows the dental team to understand and address their concerns and anxieties. As is true with any patient, the essential element of building a strong and successful relationship is trust. If patients trust the dental team, they will be much less likely to be uncooperative as effective communication aids the dental team in addressing issues that may be potential triggers.

Morning appointments can often be more suitable for both the adult and the pediatric special needs patient. This is true because the patient may be tired and more anxious in the afternoon.

Also, allow the patient to take breaks during the procedure. This gives the patients a sense of control over their surroundings. Tell the patient to give the dentist a predetermined sign whenever a break is needed. Sometimes just stopping for half a minute or so can allow the patient to catch their breath or rinse out and avoid any sudden attempt by the patient to stop the dental treatment.

Sedation options can be extremely helpful while treating both youthful and adult special needs patients. Nitrous oxide can calm the patient in a very efficient manner. Another benefit of sedation is it can help patients who may have a severe gag reflex. The appropriate form of sedation should be tailored to the individual’s specific conditions and in consultation with the special needs patient’s medical providers.

We, as dentists, must look at our facilities through the eyes of our special needs patients.”

Many times patients with special needs, especially children, have dietary issues such as restricted diets or sensory sensitivities.2 This can exacerbate existing oral challenges. In such cases, it is very important for the dentist to work with the caregiver and, if possible, a dietician in order for the caregiver to fully understand the effects of various food and beverages on the individual’s oral health.

Obtaining informed consent is essential before providing treatment to any dental patient, but additional challenges may present when treating a special needs patient. Such patients may have dfficulty with various forms of communication.

Visual aids and involving caregivers might be helpful in such circumstances. Also, some special needs patients, which obviously includes all minors, may not have the capacity to consent, which necessitates obtaining the consent from the patient’s legal guardian.3

Excessive tooth grinding or bruxism is often present in children with cerebral palsy4 as well as others with neurological or developmental conditions. This can lead to exposed dentin and thermal sensitivity, sleep disturbances, temporomandibular joint disorders, and fractures of the teeth. Many times, an occlusal guard is recommended. It is essential for the dentist to work collaboratively with the caregiver and other healthcare professionals to determine the underlying cause of the excessive tooth grinding if not already known.

Delayed eruption of both deciduous and permanent teeth in certain special needs children, such as those with Down syndrome, are often seen. In these children, delays in the normal eruption pattern may be up to 2 years.5 Some children with Down syndrome retain their deciduous teeth until up to 15 years of age.5 This commonly leads to both malocclusion and overcrowding.6 These orthodontic issues very frequently lead to serious dental concerns which the dentist must be both aware of and take actions to mitigate their effects. Such actions can include the use of fluoride therapies and an increased amount of time spent educating both the patient and caregiver on oral hygiene techniques.

Special needs patients most likely will be taking multiple medications. Some of these medications may cause various dental side effects. Some of these medications include anticoagulants (gingival hyperplasia, xerostomia, stomatitis), anticholinergics (xerostomia, bruxism), and muscle relaxants (xerostomia).7

There are many useful strategies and tips for making the dental visit successful for a special needs child. These tips include the following:8,9

1. Have a desensitization visit where the patient can become familiar with the environment.

2. Ask the caregiver what time of day the patient is most calm and cooperative.

3. Start the exam with fingers only.

4. Keep light out of eyes.

5. Praise good behavior.

6. If possible, ignore inappropriate behavior

7. Utilize the same staff and dental chair at each visit.

8. Minimize stimuli such as odors, sounds, and bright lights.

9. Ask permission before starting any dental treatment.

10. The patient might not give a verbal “OK” for you to start treatment. If they don’t try to stop you, consider that they have given you permission.

11. Including your entire staff including front desk personnel and dental assistants in the dental visit will make the patient feel more comfortable. This will also allow the patient to develop trust for the staff which will help lessen the patient’s fears and anxieties.

12. Make sure to ask if the patient has an allergy to latex before starting treatment as latex allergies are more common among individuals with developmental disabilities.

13. Have the special needs patient bring certain comfort items, such as a pillow, a stuffed animal, or a blanket, to the dental appointment to provide reassurance during the dental visit.

Special needs dental patients experience many obstacles to achieving ideal oral health. Some of these challenges include overcrowding, delayed eruption of teeth, and an increased incidence of dental caries. Homecare and oral hygiene are extremely important for everyone, but it is imperative for special needs patients that their oral hygiene and homecare are at a very high level. The importance of oral hygiene must be reinforced at every dental visit. Oral hygiene instructions must be regularly reviewed not only with the patient but, also with the patient’s caregiver. An electric toothbrush might be recommended for patients with manual dexterity difficulties. Home fluoride therapies also are recommended to combat their high incidence of dental decay. Also, working with an orthodontist may prove useful in order to correct overcrowding issues which can cause difficulty in keeping the teeth clean which can lead to dental decay.

A follow-up telephone call the day after the procedure to check on the well-being of the patient is a great way to both

address any questions or concerns which the patient or caregiver may have and also build and strengthen the all-important relationship between the patient and the dental team.

At times, special needs patients may exhibit volatile behavior. In such instances it is essential to ensure the safety of both the patient and staff. De-escalation techniques should be initially employed by using non-threatening and calming verbage and body language. Calmly reinforce positive and cooperative behavior while clearly telling the individual which behaviors are unacceptable along with the possible consequences of continued unacceptable behavior. At this time, it would be wise to discreetly call for assistance and/or consider ending the appointment. If the behavior does not cease, or there is potential risk of bodily harm to the patient or others, law enforcement should be notified. After the incident has been resolved, the details of the incident should be discussed with the entire dental team. An analysis of what happened and what caused it to occur should be discussed. Future dental treatment should be discussed as to how to avoid another negative event in the future. A referral to a specialized center for patients with special needs might be the best option for some individuals with complex special needs and for those individuals who do not respond to in-offce techniques.

Special needs dental patients often present with unique challenges. Some of these challenges might be more significant than others and require significant modifications to the usual course of dental care delivery. However, the key to treating all special needs individuals is patience — taking the time to let the patient become familiar with the dental environment and allowing the patient to become comfortable in their surroundings. As a profession, it is our duty, responsibility, and most profound privilege to champion the oral health of patients with special needs.

REFERENCES

1. Machado KP. Overcoming obstacles to dental care for patients with special needs. Decisions in Dentistry. Available at: https://decisionsindentistry.com/ 2024/16/overcoming-obstacles-to-dental-care-for-patients-with-special-needs/. Published; October 20, 2024. Accessed: July 6, 2025.

2. Al-Mashhadani S, Nasser M, Alsalami A, Burns L, Paisi M. Barriers and Facilitators to Dental Care Services Utilization Among Children With Disabilities: A Systematic Re-view and Thematic Synthesis. Health Expect. 2024 Oct;27(5):e70049. doi: 10.1111/hex.70049.

3. Romer M. Consent, restraint, and people with special needs: a review Spec Care Dentist. 2009 Jan-Feb;29(1):58-66. doi: 10.1111/j.1754-4505.2008.00063.x.

4. Oliveira CA, de Paula VA, Portela MB, Primo LS, Castro GF. Bruxism control in a child with cerebral palsy. ISRN Dent. 2011;2011:146915. doi: 10.5402/2011/146915. Epub 2010 Dec 1.

5. U. S. Department of Health and Human Services. Oral conditions in children with special needs. Accessed on July 4, 2025. Available at: https://www.in.gov/health/oralhealth/files/OralConditions_Special_Needs_Patients.pdf. Accessed July 17, 2025.

6. Penn Dental Medicine. Dental Management for Patients with Down Syndrome. Accessed on July 4, 2025. Available at: https://penndentalmedicine.org/patient-information/dentist-for-special-needs/down-syndrome-dental-management/. Accessed July 17, 2025.

7. University of Washington, Washington State Oral Health Program. Oral Health Fact Sheet for Dental Professionals: Children with Cerebral Palsy. https://Dental.washington. Edu/media/CP-dental.pdf. Accessed July 17, 2025.

8. Oklahoma Disabilities Council. Oral health care for children with special health care needs. https://oklahoma.gov/content/dam/ok/en/ddco/documents/publications/ Oral%20Healthcare%20for%20Children%20with%20Special%20Needs.pdf. Accessed August 10, 2025.

9. National Institute of Dental and Craniofacial Research. Developmental Disabilities & Oral Health. Available at: https://www.nidcr.nih.gov/health-info/developmental-disabilities. Accessed on July 15, 2015.

Continuing Education Quiz

Dentistry for individuals with special needs MALONEY

1. Special needs patients may have chronic illnesses, ______, or learning disabilities that require special care while receiving dental treatment.

a. emotional disabilities

b. physical disabilities

c. mental disabilities

d. all of the above

2. Failure to receive proper dental treatment can cause pain, poor oral health, and exacerbate already existing conditions which the individual is challenged by on a daily basis.

a. True

b. False

3. In many instances, especially for youthful patients, _______ in order to calm the special needs dental patient.

a. it is helpful to have a family member or trusted friend in the treatment area

b. it is necessary to separate the patient from his caregiver

c. it is necessary to play loud, fast music

d. do not allow the patient to speak with anyone other than the dentist

4. _______ can often be more suitable for both the adult and the pediatric special needs patient.

a. Evening appointments

b. Afternoon appointments

c. Morning appointments

d. Weekend appointments

5. Allow the patient to take breaks during the procedure.

a. True

b. False

6. Sedation options _______ while treating both youthful and adult special needs patients.

a. should not be an option

b. can be extremely helpful

c. can interfere with successful treatment

d. are extremely dangerous and not recommended

7. When obtaining informed consent, _______ might be helpful in such circumstances.

Each article is equivalent to two CE credits. Available only to paid subscribers. Free subscriptions do not qualify for the CE credits. Subscribe and receive up to 16 CE credits for only $149; call 866-579-9496, or visit https://orthopracticeus.com/ subscribe/ to subscribe today.

n To receive credit: Go online to https://orthopracticeus.com/continuingeducation/, click on the article, then click on the take quiz button, and enter your test answers.

AGD Code: 750

Date Published: October 15, 2025

Expiration Date: October 15, 2028

a. visual aids

b. involving caregivers

c. just asking them repeatedly to sign

d. both a and b

8. Also, some special needs patients, which obviously includes all minors, may not have the capacity to consent, which necessitates ________.

a. letting the assistant sign the paper for them

b. obtaining the consent from the patient’s legal guardian

c. having the dentist’s lawyer present

d. speaking more loudly

9. Excessive tooth grinding or bruxism, often present in children with cerebral palsy as well as others with neurological or developmental conditions, can lead to exposed dentin, thermal sensitivity, and _________.

a. sleep disturbances

b. temporomandibular joint disorders

c. fractures of the teeth

d. all of the above

10. Some children with Down syndrome retain their deciduous teeth until up to ______ years of age.

a. 6

b. 7

c. 10

d. 15

To provide feedback on CE, please email us at education@medmarkmedia.com Legal disclaimer: Course expires 3 years from date of publication. The CE provider uses reasonable care in selecting and providing accurate content. The CE provider, however, does not independently verify the content or materials. Any opinions expressed in the materials are those of the author and not the CE provider. The instructional materials are intended to supplement, but are not a substitute for, the knowledge, skills, expertise and judgement of a trained healthcare professional.

Malocclusion and Sleep-Related Breathing Disorders in early childhood — 1880-2025

Dr. Kevin Boyd points out what needs to be done now has been done before

To best help their patients, dentists and other allied health professionals like to consider their continuing education endeavors as being current, fresh, and challenging, with novel ideas. There should be strong evidence to back up a change in how they evaluate and plan both preventive and active therapy. Much of today’s norms of medical care were set decades before randomized control trials (RCTs) became the standard after WW II. In the absence of robust data derived from RCTs, dentists can seek out from peer-reviewed literature the best available evidence to identify children who might be deemed at-risk of disease. Further evaluation and treatment, when their present and future health might become compromised by waiting, is prevention in action. When suffering is obvious, children might need more complex and possibly critical care. This article will show the wisdom of clinicians from decades ago and discuss screening tools. It suggests ideas to bring patients and collaborating colleagues into new and effective ways to think about disease and pre-disease.

Pediatric respiratory hygiene: historical context of a modern medical-dental dilemma

At the 1921 annual meeting of the American Academy of Dental Science, distinguished Boston orthodontist Dr. Leroy Johnson presented, “The Diagnosis of Malocclusion with Reference to Early Treatment.” Dr. Johnson confidently concluded, “The face has evolved with the functions of mastication and respiration. The perversion of either or both functions will result in some degree of modification of the structure of the jaws. This is the law of

Kevin Boyd, DDS, MSc, is a board-certified pediatric dentist practicing in Chicago, Illinois. He is also a dental consultant in Sleep Medicine at Lurie Children’s Hospital. He is a visiting scholar at the University of Pennsylvania doing research in orthodontics and evolutionary biology at the Penn Museum of Archaeology and Anthropology. Prior to completing his DDS degree from Loyola University’s Chicago College of Dental Surgery in 1986, he obtained an advanced degree (MSc) in Human Nutrition and Dietetics from Michigan State University. He completed his post-graduate residency training in Pediatric Dentistry at the University of Iowa due to its reputation for providing intensive clinical and didactic learning opportunities in the areas of early childhood orthodontics/dentofacial orthopedics, and also early childhood behavior guidance management and child psychological/ emotional development. Treating and preventing pediatric disease through promotion of healthy breathing and eating is his primary clinical and research interest.

Educational aims and objectives

This self-instructional course for dentists suggests various ways to think about Sleep-Related Breathing Disorders (SRBD) and pre-disease as it relates to children with malocclusion. The article describes how clinicians must give systematic attention to creating collaborative environments in which dentists, otolaryngologists, and sleep medicine practitioners can work in concert to screen, evaluate, and treat childhood SRBD within the parameters of evidence-based medicine.

Expected outcomes

Orthodontic Practice US subscribers can answer the CE questions by taking the quiz online at orthopracticeus.com to earn 2 hours of CE from reading this article. Correctly answering the questions will demonstrate the reader can:

Realize the historical context behind the diagnosis and treatment of SRDB-malocclusion in the pre-WW II era, prior to the era of evidence-based medicine.

• Realize the impact of the ADA House of Delegates 2017 policy statement on the role of dentists in screening and treating SRBD and referring affected patients to appropriate physicians.

• Identify several SRBD screening tools currently being utilized for assessment of pediatric sleep hygiene status.

2 CE CREDITS

biology.”1 Similar observations had been expressed at a New York medical meeting in 1912 by physician-dentist EA Bogue: “When the dental arch is narrow, the nasal openings are also narrow and are accompanied with more or less nasal stenosis. … A large percent of these cases are caused by the lack of natural capacity, due largely to the contracted dental arch and nares. ...The roof of the mouth is the floor of the nose. …The proper lateral expansion of the upper dental arch, especially in young patients, while in their developmental stage increases the narial openings and improves the breathing capacity.”2

Where’s the evidence?

As these two particular early 20th-Century scientific meetings had preceded the era of evidence-based medicine (EBM) by several decades,3 Drs. Johnson and Bogues’ statements could not have been based upon conclusions gleaned from carefully constructed random control trial (RCT) designed studies. Dentists today should seek to be guided by the best available evidence.4 Consider, however, that neither Dr. John Snow’s conclusions about the casual relationship between consumption of water from a contaminated community well and the contagiousness of cholera,5 nor Dr. Ignaz Semmelweis’ conclusion about the importance of physicians washing their hands after necropsy dissection prior to delivering babies6 had been based upon RCT-derived data. Within the context of informing best clinical practices when/where RCT-derived data might be unavailable, not possible, or impractical to obtain per IRB ethical constraints or financial resource restrictions, the usefulness of research data that are sometimes derived from observational study design is well established in the scientific literature.7

A commonly held position is that controlled trials of an observational versus randomized trial design can be useful towards generating accurate and clinically useful data where and when RCTs cannot or have failed to do so. In support of this idea, the editors of JAMA-Pediatrics recently published data from a well-designed observational trial regarding potential fetal neurotoxicity of maternal fluoride intake as measured from the mothers’ urinary excretion.8 To publish data from this non-RCT was an unusual policy decision according to JAMA editors. In addition, the data were so compelling that JAMA issued a recommendation regarding excessive maternal fluoride intake.

Dx: SRDB-malocclusion co-morbidity: pre-WW II physician-dentist collaboration

There are numerous pre-WW II papers published within the corpus of medical and dental literature that support the practice of physicians and dentists collaboratively diagnosing and treating SDB and malocclusion co-morbidity, mostly skeletal-dental maxillary transverse deficiency and mandibular distal occlusion (retrusion/retrognathia) through the “spreading of the deciduous arches” during the early childhood years (30 months-7 years old/ complete primary-early mixed dentitions).2,8 These interventions had been carried out for the primary purpose of improving nasal breathing and quality of life rather than solely for the purpose of correcting so-called “irregularities of the teeth.” As these histori-

cally important journal articles pre-dated the 1948 initial published report of an RCT by several decades, it is unreasonable to criticize their usefulness compared to current RCT standards. Developing malocclusions are nearly always first detectable in the primary dentition (ages 2.5-7 years),9,10 nearly always become more complex (i.e., get worse) with age without appropriate intervention,9 and are very frequently co-morbid with pediatric sleep-related breathing disorders (SRBD). In the single-digit growth years they are non-surgically correctible with validated orthodontic/dentofacial orthopedic interventions. It seems reasonable to suggest that failure to diagnose and appropriately treat or refer afflicted young children is a medically-indefensible position.

Recent events

In 2017, the ADA House of Delegates approved a policy statement on the role of dentists in treating SRBD.11 Key components include assessing a patient’s risk for SRBD as part of a comprehensive medical and dental history and referring affected patients to appropriate physicians. Specifically, the policy statement refers to the screening of children:

In children, screening through history and clinical examination may identify signs and symptoms of deficient growth and development, or other risk factors that may lead to airway issues. If risk for SRBD is determined, intervention through medical/dental referral or evidenced-based treatment may be appropriate to help treat the SRBD and/or develop an optimal physiologic airway and breathing pattern.

It is widely believed that current dental education does not prepare dentists to recognize pediatric airway issues.

Standardized methods of screening with recognized thresholds for referral are not currently available. Development of these metrics would displace the subjective criteria that are currently used and provide a common language for every provider on the child’s health care team. Contemporaneous educational materials on the screening methods and the significant signs of pediatric airway issues would benefit the dental community and public.

Pediatric SRBD screening: birth history factors, behavioral and physical traits

SRBD-PSQ Behavioral Scale

Several SRBD screening tools are currently being utilized for assessment of pediatric sleep hygiene status. Two commonly used tools are BEARS12 and Dr. Ron Chervin’s Pediatric Sleep Ques-

Figure 1: The Cranio-Facial Respiratory Complex (CFRC) Figure 2: CHICAGO HEARTS acronym

tionnaire (PSQ),13 a 22-question SRBD scale that has strong correlation with overnight polysomnography sleep test (PSG) metrics for determining a child’s sleep quality. The PSQ can be highly predictive of increased risk for SRBD neurobehavioral morbidity and risk of post-adenotonsillectomy OSA recurrence as well as or better than PSG.14

A pediatric patient-dedicated Sleep Medicine laboratory setting is difficult or impossible to find, setting aside what is considered the diagnostic gold standard, overnight PSG. Most screening questionnaires can be valuable as SRBD morbidity assessment tools and reliable for predicting increased risk. They are based solely upon identifying SRBD behavioral phenotypes known to be associated with sub-optimal sleep hygiene (e.g., snoring, teeth grinding/bruxism, excessive bodily movements). The Sleep Clinical Record (SCR)15 is an exception because it relies on not only behavioral morbidity traits, but also some physical morbidity traits such as constrictive/retrusive and retrognathic jaw maldevel-

opments,16 which are known to be associated comorbidities with SRBD.17 Most of these physical traits can be classified as malocclusion phenotypes and generally are located within the interconnected craniofacial respiratory complex (CFRC)18 (Figure 1) which was foreshadowed by Dr. LeRoy Johnson in the opening paragraph of this review: “The face has evolved with the functions of mastication and respiration.”- L.J. 1921.

While the SCR goes further than most other screening assessment tools towards identification of some CFRC/SRBD co-morbidities, it is limited in its comprehensiveness. Ideally, in addition to screening for birth/perinatal history risk factors, such as pre-term birth,19,20 clinicians should have validated screening tools for identifying behavioral comorbidity traits and for identification of physical risk phenotypes of the CFRC. The CHICAGO HEARTS screening tool combines these survey areas. (Figure 2).

In a lecture held in 2018 at Boston University entitled “Sleep Disordered Breathing/Obstructive Sleep Apnea Symposium,”21 a new screening tool called CHICAGO HEARTS (CH) had been introduced as potentially becoming the first validated screening device specifically designed to identify CFRC physical traits that can often be comorbid with SRBD. Several of these traits are listed within the CH acronym (Figure 2). For instance, under the first letter ‘C’ are listed: Crossbite 22,23 (Figure 3) and Crowded Pharynx;24,25 ‘H’: Hyper-divergent growth (Figure 4),16 Hypertrophic tonsils and/or adenoids;26,27 ‘I’: Incompetent lips;28 ‘C’: Constricted arches (Figure 5);23,29,30 ‘A’: Airway anatomy (Figure 6);22,31 ‘G’: Grinding teeth (bruxism)32 and Gonial angle excess;33 ‘O’: Overweight child34 and Obtuse nose-lip angle (NLA);35 ‘H’: Highly-vaulted palate;36 ‘E’: Ezcema-atopia37 and Eye appearance-venous pooling38 and scleral show;39 ‘A’: Anterior open-bite (Figure 8):40 ‘R’: Retrognathia (Figure 9) (mandible16 and/or maxilla);41 ‘T’: Tongue posture,42 tie (tether),43,44 scalloping;45 ‘S’: Septal deviation46 and Night sweats (diaphoresis).47

Interdisciplinary communication and shared learning opportunities

There is no single provider who can treat all aspects of a child’s developing airway, so it is necessary for every provider to communicate with other professionals. While dentists are used to working with specialist colleagues, merely filling out a referral form is inadequate. Multi-provider patient care requires sharing of critical information without the benefit of commonly-accessible health records or free clinical time to dig through dense reports in order to find the next step in the child’s health care plan. To achieve a balance

Figure 3: Crossbite (C in CHICAGO HEARTS)
Figure 4: Hyper-divergent facial pattern (H in CHICAGO HEARTS)
Figure 5: Constricted arches (second C in CHICAGO HEARTS)

between not-enough and too much data in the report, agreements setting appropriate communication expectations are the way to go.

George Bernard Shaw famously said: “The single biggest problem in communication is the illusion that it has taken place.” This unfortunate truism exists in medicine today. The doctor who first identifies the child at risk has the primary duty to guide the patient (and their family) through the diagnostic and treatment option process. This is best done by contacting the child’s pediatrician (or family PCP) for medical status updates, share concerns, and work out the next steps to be taken. As the dentist opens the discussion, they must keep in mind that the physician likely had about 2 hours of instruction on all aspects of sleep-related topics during residency. The dentist is well served to recall the paucity of the topic in their own professional school and approach colleagues first with curiosity about their comfort with the evaluation and management of children with airway problems. Assuming other providers are well-aware of the subject might lead to defensiveness or other impediments to helpful exchange of information. The physician might appreciate the informed dentist helping them navigate unfamiliar territory; when done respectfully, the dentist-physician relationship improves.

A strategy that has worked well in several dental offices known to the author is for the dentist to reach out to providers important for diagnosing, treating, and managing SRBD in the community and initiate small-group meetings to establish com-

mon ground. Each provider (dentist, pediatrician, otolaryngologist, children’s sleep specialist, orthodontist, myofunctional therapist, school nurse – the list can include many health care professionals) is invited to share with the group their perspective and engage with others about how their expertise is valuable. Dentists, unlike physicians, are accustomed to study clubs and other mutual-learning environments. Clarity of purpose and diplomacy in presenting the opportunity to providers who might question the need for such an effort is the first challenge.

Once the group is assembled, before diving into the details, a “safe environment” must be created so participants feel free to share their strengths and weaknesses. If the dentist is adept at convening and leading meetings, the first gathering should go well; another option would be to invite someone with facilitation skills to help with initial agreements. Like first impressions, the startup meeting sets the tone for ongoing group dynamics, where questions arise, beliefs are challenged, and discussions lead to establishment of agreed-upon protocols that can be employed in many clinical situations. For those patients who fall outside the typical presentation, the relationships built in the small group enable more effective connections between providers to establish an optimum care path. Once established, the small group can be a source of much professional comradery, shared learning experiences, and great satisfaction in practice.

If a group cannot be assembled straightaway, it takes more work, but individual relationships must be fostered. The first may

Figure 6: Airway Anatomy (A in CHICAGO HEARTS)
Figure 7: Eczema (E in CHICAGO HEARTS)
Figure 8: Anterior open bite (second A in CHICAGO HEARTS)
Figure 9: Retrognathia (R in CHICAGO HEARTS)

be for the dentist to find an airway-oriented orthodontist and like-minded otolaryngologist to talk over patient care. These doctors are the best-trained in all aspects of the craniofacial respiratory complex and this triad can form a nucleus of a preferred referral pattern. Once protocols are developed between the small group, they can be proffered to the other necessary professionals with credibility

Summary and conclusions

Growing awareness of the deleterious health impact of SRBD in adults has led to a sense of urgency in a variety of health fields to develop creative approaches to treatment, but that’s a subject for another essay. Another significant development over the past 10 years has been the realization that SRBD is common in children. We have learned that adenotonsillectomy, a treatment approach effective in improving sleep-related respiration in many patients with SRBD, cannot be relied on as definitive treatment. Residual and recurrent SRBD after adenotonsillectomy have been demonstrated to be common,50 leading to curiosity among practitioners who care for children about why this occurs and what can be done about it. Once again, innovations emerged from collaborations between practitioners from different fields, united by their shared desire to improve the lives of children with SRBD. These innovations included the use of medications, drug induced sleep endoscopy, and non-retractive orthodontic/dentofacial orthopedic (NRO/DO) approaches to treatment.

While there are still very few examples, there is growing enthusiasm about what becomes possible when dentists, otolaryngologists, and sleep medicine physicians collaborate. Indeed, the imperative of having practitioners from each of these fields involved in the care of any patient with SRBD is increasingly recognized in the field of sleep medicine.

Also emerging is a common recognition that beyond treating SRBD, practitioners caring for kids should set as their goal the establishment of unobstructed nasal breathing as early in life as possible. Our recognition of the complexity of SRBD, the impact a compromised airway can have on breathing during wakefulness, and evolving attitudes about what is required to make this diagnosis have led many of us who practice in this field to begin to look outside the current paradigm for potential ways to improve the lives of our patients. Naturally, the paradigm shift from surgical treatment of SRBD to multidisciplinary non-surgical or adjunctive-to-surgery efforts to optimize nasal breathing has met with some resistance. As a result, much of the research taking place in the field is focused upon measuring emerging treatment approaches against adenotonsillectomy based on polysomnography (PSG) results. The paucity of centers capable of performing PSG in children and effectively interpreting these recordings has limited our ability to learn about these questions at a large enough scale to generate a compelling basis of evidence for the need for collaboration between the medical, surgical, and dental fields. What the rediscovery of the publications reviewed in this article show is that in the late 19th/early 20th-Century SRBD was a known entity in early childhood and was evaluated and treated by both surgical and dental collaborators.1,2,8, 47-55 Collaboration allowed patients with disordered breathing of sleep and wakefulness, pri-

There is growing enthusiasm about what becomes possible when dentists, otolaryngologists, and sleep medicine physicians collaborate.”

marily manifested as habitual and chronic mouth-breathing, to get the multidisciplinary care required to optimize their airways. This suggests that while research based upon PSG evidence of improved outcomes after NRO/DO and other nonsurgical treatments of SRBD in children can and must continue, we must also give systematic attention to creating collaborative environments in which dentists, otolaryngologists, and sleep medicine practitioners can work in concert to screen for, evaluate, and treat disordered breathing in children. Our hope is that this review will demonstrate that these collaborations are essential and inspire a growing number of practitioners from diverse fields to begin conversations about how they can remove barriers to this approach. Let’s get back to doing what was done before!

REFERENCES

1. Johnson L. The Diagnosis of Malocclusion with Reference to Early Treatment. J Dent. Res. 1921;3(1):v-xx. https://doi.org/10.1177/00220345210030011202

2. Bogue, E.A. New York Academy of Medicine. Section on Laryngology and Rhinology. 1912.

3. Cochrane A. Effectiveness and Efficiency: Random Reflections on Health Services. Nuffield Trust. 1972. https://www.nuffieldtrust.org.uk/research/effectiveness-and-efficiency-random-reflections-on-health-services. Accessed June 17, 2025.

4. Buschang PH. An evidence-based stepwise approach to orthopedic treatment. Seminars in Orthodontics. 29(3):271-277. doi.org/10.1053/j.sodo.2023.04.002.

5. Paneth N. Assessing the contributions of John Snow to epidemiology: 150 years after removal of the broad street pump handle. Epidemiology. 2004 Sep;15(5):514-6. doi: 10.1097/01.ede.0000135915.94799.00.

6. Bjerke NB. The evolution: Handwashing to hand hygiene guidance. Crit Care Nurs Q. 2004 Jul-Sep;27(3):295-307. doi: 10.1097/00002727-200407000-00007.

7. Faraoni D, Schaefer ST. Randomized controlled trials vs. observational studies: why not just live together? BMC Anesthesiol. 2016 Oct 21;16(1):102. doi: 10.1186/ s12871-016-0265-3.

8. STREPTOMYCIN treatment of pulmonary tuberculosis. Br Med J. 1948 Oct 30;2(4582):769-782.

9. Green R, Lanphear B, Hornung R, Flora D, Martinez-Mier EA, Neufeld R, Ayotte P, Muckle G, Till C. Association Between Maternal Fluoride Exposure During Pregnancy and IQ Scores in Offspring in Canada. JAMA Pediatr. 2019 Oct 1;173(10):940-948. doi: 10.1001/jamapediatrics.2019.1729.

10. Cohen, S. Malocclusion and Its Far Reaching Effects. 1922; JAMA. 79(23):1895-1897.

11. Baccetti T, Franchi L, McNamara JA Jr, Tollaro I. Early dentofacial features of Class II malocclusion: a longitudinal study from the deciduous through the mixed dentition. Am J Orthod Dentofacial Orthop. 1997 May;111(5):502-509. doi: 10.1016/ s0889-5406(97)70287-7.

12. Bishara SE, Hoppens BJ, Jakobsen JR, Kohout FJ. Changes in the molar relationship between the deciduous and permanent dentitions: a longitudinal study. Am J Orthod Dentofacial Orthop. 1988 Jan;93(1):19-28. doi: 10.1016/0889-5406(88)90189-8.

13. ADA’s 2017 House of Delegates. The Role of Dentistry in the Treatment of Sleep Related Breathing Disorders https://www.ada.org/en/member-center/leadership-governance/councils-commissions-and-committees/dentistry-role-in-sleep-related-breathing-disorders#. Accessed June 17 2025.

14. Owens JA, Dalzell V. Use of the ‘BEARS’ sleep screening tool in a pediatric residents’ continuity clinic: a pilot study. Sleep Med. 2005 Jan;6(1):63-69. doi: 10.1016/j. sleep.2004.07.015. Epub 2005 Jan 12.

15. Chervin RD, Hedger K, Dillon JE, Pituch KJ. Pediatric sleep questionnaire (PSQ): validity and reliability of scales for sleep-disordered breathing, snoring, sleepiness, and behavioral problems. Sleep Med. 2000 Feb 1;1(1):21-32. doi: 10.1016/ s1389-9457(99)00009-x.

16. Chervin RD, Weatherly RA, Garetz SL, Ruzicka DL, Giordani BJ, Hodges EK, Dillon JE, Guire KE. Pediatric sleep questionnaire: prediction of sleep apnea and outcomes. Arch Otolaryngol Head Neck Surg. 2007 Mar;133(3):216-222. doi: 10.1001/ archotol.133.3.216.

17. Villa MP, Shafiek H, Evangelisti M, Rabasco J, Cecili M, Montesano M, Barreto M. Sleep clinical record: what differences in school and preschool children? ERJ Open Res. 2016 Feb 9;2(1):00049-2015. doi: 10.1183/23120541.00049-2015.

18. Flores-Mir C, Korayem M, Heo G, Witmans M, Major MP, Major PW. Craniofacial morphological characteristics in children with obstructive sleep apnea syndrome: a systematic review and meta-analysis. J Am Dent Assoc. 2013 Mar;144(3):269-277. doi: 10.14219/jada.archive.2013.0113.

19. Boyd KL, Sheldon SH. Sleep disorder breathing: a dental perspective. In: Sheldon SH, Ferber R, Kryger MH, Gozal D, eds. Principles and practice of pediatric sleep medicine. 2nd ed. Elsevier Inc; 2012:275–80.

20. Boyd KL, Kelly J. Prevention and Correction of Pediatric SB/OSA and Post-T&A Relapse: A Non-Surgical Orthodontic/Dentofacial Orthopedic Approach. In: Friedman M, Jacobowitz O, eds. Sleep Apnea and Snoring. 2nd ed. Elsevier Inc; 2019:439-444.

21. Collaco JM, McGrath-Morrow SA. Respiratory Phenotypes for Preterm Infants, Children, and Adults: Bronchopulmonary Dysplasia and More. Ann Am Thorac Soc. 2018 May;15(5):530-538. doi: 10.1513/AnnalsATS.201709-756FR.

22. Tapia IE, Shults J, Doyle LW, Nixon GM, Cielo CM, Traylor J, Marcus CL; Caffeine for Apnea of Prematurity – Sleep Study Group. Perinatal Risk Factors Associated with the Obstructive Sleep Apnea Syndrome in School-Aged Children Born Preterm. Sleep. 2016 Apr 1;39(4):737-742. doi: 10.5665/sleep.5618.

23. Boyd K. Structure-Function/Function-Structure of Habitual Mouth-Breathing and Malocclusion in the Primary/Early Mixed Dentitions. Paper presented at : Sleep Disordered Breathing/Obstructive Sleep Apnea Symposium, Boston University, March 10, 2018.

24. Fastuca R, Perinetti G, Zecca PA, Nucera R, Caprioglio A. Airway compartments volume and oxygen saturation changes after rapid maxillary expansion: a longitudinal correlation study. Angle Orthod. 2015 Nov;85(6):955-961. doi: 10.2319/072014-504.1.

25. Galeotti A, Festa P, Viarani V, D’Antò V, Sitzia E, Piga S, Pavone M. Prevalence of malocclusion in children with obstructive sleep apnoea. Orthod Craniofac Res. 2018 Nov;21(4):242-247. doi: 10.1111/ocr.12242. Epub 2018 Sep 6.

26. Tsuiki S, Ito E, Isono S, Ryan CF, Komada Y, Matsuura M, Inoue Y. Oropharyngeal crowding and obesity as predictors of oral appliance treatment response to moderate obstructive sleep apnea. Chest. 2013 Aug;144(2):558-563. doi: 10.1378/chest.12-2609.

27. Ito E, Tsuiki S, Maeda K, Okajima I, Inoue Y. Oropharyngeal Crowding Closely Relates to Aggravation of OSA. Chest. 2016 Aug;150(2):346-352. doi: 10.1016/j. chest.2016.03.005. Epub 2016 Mar 18.

28. Ballikaya E, Guciz Dogan B, Onay O, Uzamis Tekcicek M. Oral health status of children with mouth breathing due to adenotonsillar hypertrophy. Int J Pediatr Otorhinolaryngol. 2018 Oct;113:11-15. doi: 10.1016/j.ijporl.2018.07.018. Epub 2018 Jul 11.

29. Oliver OA. The Evil Effect of Adenoids and Tonsils Upon the Dental Arches. The International Journal of Orthodontia. 1918;4(8):391-394.

30. Saitoh I, Inada E, Kaihara Y, Nogami Y, Murakami D, Kubota N, Sakurai K, Shirazawa Y, Sawami T, Goto M, Nosou M, Kozai K, Hayasaki H, Yamasaki Y. An exploratory study of the factors related to mouth breathing syndrome in primary school children. Arch Oral Biol. 2018 Aug;92:57-61. doi: 10.1016/j.archoralbio.2018.03.012. Epub 2018 Mar 26.

31. Villa MP, Rizzoli A, Miano S, Malagola C. Efficacy of rapid maxillary expansion in children with obstructive sleep apnea syndrome: 36 months of follow-up. Sleep Breath. 2011 May;15(2):179-184. doi: 10.1007/s11325-011-0505-1. Epub 2011 Mar 25.

32. Stellzig-Eisenhauer A, Meyer-Marcotty P. Interaction between otorhinolaryngology and orthodontics: correlation between the nasopharyngeal airway and the craniofacial complex. GMS Curr Top Otorhinolaryngol Head Neck Surg. 2010;9:Doc04. doi: 10.3205/cto000068. Epub 2011 Apr 27.

33. Major MP, Witmans M, El-Hakim H, Major PW, Flores-Mir C. Agreement between cone-beam computed tomography and nasoendoscopy evaluations of adenoid hypertrophy. Am J Orthod Dentofacial Orthop. 2014 Oct;146(4):451-459. doi: 10.1016/j. ajodo.2014.06.013.

34. Rouse J. The Bruxism Triad Sleep bruxism, sleep disturbance, and sleep-related GERD.

Inside Dentistry. May 2010:32-44.

35. Anderson S, Alsufyani N, Isaac A, Gazzaz M, El-Hakim H. Correlation between gonial angle and dynamic tongue collapse in children with snoring/sleep disordered breathing - an exploratory pilot study. J Otolaryngol Head Neck Surg. 2018 Jun 4;47(1):41. doi: 10.1186/s40463-018-0285-8.

36. Gozal D, Kheirandish-Gozal L. Obesity and excessive daytime sleepiness in prepubertal children with obstructive sleep apnea. Pediatrics. 2009 Jan;123(1):13-18. doi: 10.1542/peds.2008-0228.

37. Conley RS, Boyd SB. Facial soft tissue changes following maxillomandibular advancement for treatment of obstructive sleep apnea. J Oral Maxillofac Surg. 2007 Jul;65(7):1332-1340. doi: 10.1016/j.joms.2006.09.026.

38. Rambaud C, Guilleminault C. Death, nasomaxillary complex, and sleep in young children. Eur J Pediatr. 2012 Sep;171(9):1349-58. doi: 10.1007/s00431-012-1727-3. Epub 2012 Apr 11.

39. Ramirez FD, Chen S, Langan SM, Prather AA, McCulloch CE, Kidd SA, Cabana MD, Chren MM, Abuabara K. Association of Atopic Dermatitis With Sleep Quality in Children. JAMA Pediatr. 2019 May 1;173(5):e190025. doi: 10.1001/jamapediatrics.2019.0025. Epub 2019 May 6.

40. Sundelin T, Lekander M, Kecklund G, Van Someren EJ, Olsson A, Axelsson J. Cues of fatigue: effects of sleep deprivation on facial appearance. Sleep. 2013 Sep 1;36(9):13551360. doi: 10.5665/sleep.2964.

41. Posnick JC, Sami A. Individuals With a Long Face Growth Pattern and Excess Inferior Scleral Exposure: Is There Improvement After Maxillary (Le Fort I) Advancement and Vertical Shortening? J Oral Maxillofac Surg. 2015 Sep;73(9):1809-1815. doi: 10.1016/j. joms.2015.02.016. Epub 2015 Feb 26.

42. Smithpeter J, Covell D Jr. Relapse of anterior open bites treated with orthodontic appliances with and without orofacial myofunctional therapy. Am J Orthod Dentofacial Orthop. 2010 May;137(5):605-614. doi: 10.1016/j.ajodo.2008.07.016.

43. Faria PT, de Oliveira Ruellas AC, Matsumoto MA, Anselmo-Lima WT, Pereira FC. Dentofacial morphology of mouth breathing children. Braz Dent J. 2002;13(2):129-132. doi: 10.1590/s0103-64402002000200010.

44. Guilleminault C, Huseni S, Lo L. A frequent phenotype for paediatric sleep apnoea: short lingual frenulum. ERJ Open Res. 2016 Jul 29;2(3):00043-2016. doi: 10.1183/23120541.00043-2016.

45. Yoon AJ, Zaghi S, Ha S, Law CS, Guilleminault C, Liu SY. Ankyloglossia as a risk factor for maxillary hypoplasia and soft palate elongation: A functional - morphological study. Orthod Craniofac Res. 2017 Nov;20(4):237-244. doi: 10.1111/ocr.12206. Epub 2017 Oct 10.

46. Weiss TM, Atanasov S, Calhoun KH. The association of tongue scalloping with obstructive sleep apnea and related sleep pathology. Otolaryngol Head Neck Surg. 2005 Dec;133(6):966-971. doi: 10.1016/j.otohns.2005.07.018.

47. Guilleminault C, Huang YS, Glamann C, Li K, Chan A. Adenotonsillectomy and obstructive sleep apnea in children: a prospective survey. Otolaryngol Head Neck Surg. 2007 Feb;136(2):169-175. doi: 10.1016/j.otohns.2006.09.021.

48. So HK, Li AM, Au CT, Zhang J, Lau J, Fok TF, Wing YK. Night sweats in children: prevalence and associated factors. Arch Dis Child. 2012 May;97(5):470-473. doi: 10.1136/ adc.2010.199638. Epub 2011 Mar 22.

49. Whiting GF. Mouth-breathing and its Attendant Evils. Dental Cosmos. 1883;25(6):295–306.

50. Pullen HA. Mouth-breathing. Dental Cosmos. 1906;48(10):998–1014.

51. Haskin WH. The relief of nasal obstruction by orthodontia-A plea for early recognition and correction of faulty maxillary development. Laryngoscope. 1912;22(11):1237–1260.

52. Sobotky I. Persistent Mouth Breathing Following Adenoidectomies. Boston Medical and Surgical J. 1913;168(7):230-231.

53. Bogue EA. Enlargement of the nasal sinuses in young children by orthodontia. JAMA. 1909;53(6):441–444.

54. Bogue EA. The position of the deciduous teeth, an important diagnostic symptom. Int J Orthodon Oral Surg. 30Apr1921;7(5):237–250. doi.org/10.1016/ S1072-348X(21)80001-7.

55. Bogue EA. The Relations of the Dental Arches to Pathologic Affections of the Nasopharynx and Adjacent Parts. JAMA. 1907;49(2):102-105. doi:10.1001/ jama.1907.25320020006001a.

56. Weeks MS. Relation Between Abnormal Breathing and Malocclusion. Archives Dis. Childhood. 1913;30:46-51.

57. Brown G. The Application of Orthodontia Principles to the Prevention of Nasal Disease. Dental Cosmos. 1903;45(10):765-775.

Continuing Education Quiz

Malocclusion and Sleep Related Breathing Disorders in early childhood — 1880-2025   BOYD

1. A validated questionnaire for children’s breathing ____________.

a. should only be used by pediatric sleep specialist physicians

b. provides a definitive diagnosis of behavioral problems

c. allows clinicians a means of assessment when PSG is not available

d. involves subjective data assessed by a healthcare professional

2. Clinicians present clinical observations about growth, development, and breathing performance ________.

a. following detailed published studies that link these characteristics

b. based upon what they and others notice in their patients

c. only with objective data gathered during normal night’s sleep

d. by studying tooth wear that indicates bruxing habits

3. C.F.R.C stands for _______________________.

a. Controlling Forces to Resist Consequences

b. Chicago Face Revision Communication

c. Checking Functional Remodeling Concerns

d. Cranio Facial Respiratory Complex

4. Most physicians’ limited training in sleep and sleep problems

_____________.

a. provides the dentist an opening to build a mutually beneficial learning opportunity by working together

b. provides sufficient expertise for their value to the patient’s family

c. is rarely a barrier to families – they have little trouble sorting conflicting information

d. means nothing – treatment in kids is controlled by dentists

5. The most common sign of poor breathing performance of the CFRC is __________.

a. short chin

b. long face

c. habitual mouth-breathing

d. crooked teeth

6. Dr. LeRoy Johnson posited that the “face has evolved with ____________.

a. changing esthetic goals”

b. mixed genetic influences due to population mixing”

c. functional changes associated with mastication and respiration”

d. new ways of analysis through research”

7. Failure to recognize SRBD traits in children is ________.

Each article is equivalent to two CE credits. Available only to paid subscribers. Free subscriptions do not qualify for the CE credits. Subscribe and receive up to 16 CE credits for only $149; call 866-579-9496, or visit https://orthopracticeus.com/ subscribe/ to subscribe today.

n To receive credit: Go online to https://orthopracticeus.com/continuingeducation/, click on the article, then click on the take quiz button, and enter your test answers.

AGD Code: 250

Date Published: October 15, 2025

Expiration Date: October 15, 2028

a. common

b. medically indefensible

c. creating lifelong health challenges

d. all of these and more

8. C.H.I.C.A.G.O. H.E.A.R.T.S. _____________.

a. is a way to discover cardiovascular problems

b. combines behavioral and physical assessments of risk

c. provides a family a way to self-assess their child’s behavior

d. focuses on breathing as the key to most things related to health

9. When assembling a group of health care providers for mutual patient care _________.

a. it’s important for the dentist to lead the group

b. gathering everyone together for the first meeting is critical

c. the physician with the most specialized education drives the agenda

d. creating excellent communication in a safe environment will foster mutual growth

10. A big benefit of non-retractive orthodontics / dentofacial orthopedics is ___________.

a. lack of research linking it to lifelong risk of SRBD

b. provides a therapy choice if adenotonsillectomy results in incomplete resolution of SRBD and there are growth deficiencies

c. general acceptance by the American Association of Orthodontics

d. increased fees for fancy therapy that parents are told their children need

To provide feedback on CE, please email us at education@medmarkmedia.com

Legal disclaimer: Course expires 3 years from date of publication. The CE provider uses reasonable care in selecting and providing accurate content. The CE provider, however, does not independently verify the content or materials. Any opinions expressed in the materials are those of the author and not the CE provider. The instructional materials are intended to supplement, but are not a substitute for, the knowledge, skills, expertise and judgement of a trained healthcare professional.

Wires deliver targeted forces independent of bracket placement

One software suite for wire, aligner, digital indirect bonding, and multi-appliance cases

Quality finishes graded by American Board of Orthodontics experts

Dentsply Sirona launches educational webinars to advance digital orthodontics

The SureSmile platform offers a comprehensive digital orthodontic workflow, combining advanced treatment planning capabilities, advanced technology, and expert clinical support. With over 30 years of experience in digital tooth movement, SureSmile empowers dental professionals to deliver predictable treatment plans and excellent patient experiences.

These webinars reflect a broader initiative by Dentsply Sirona to enhance digital education and empower clinicians globally. By offering free, expert-led sessions focused on real clinical applications, the company is helping orthodontic practices stay at the forefront of innovation while improving efficiency and patient satisfaction.

Dentsply Sirona offers a wide range of orthodontic training with a focus on Aligner therapy, modern orthodontic diagnostics and digital treatment planning. The orthodontic classes and educational videos are designed for the entire practice team, including orthodontists, general dentists, orthodontic assistants and treatment coordinator.

For more information about DS Academy, visit https:// www.dentsplysirona.com/en-us/academy/course-series/aligner-course-series.html. For more about SureSmile, visit www. suremile.com.

OraCare unveils OraPro — a game-changing toothpaste

OraCare has introduced OraPro, engineered with next-level technology and exclusively available through dental professionals. This unique toothpaste is powered by Micro Netting Technology (MNT) — a revolutionary innovation that acts like a microscopic net, sweeping away plaque from places other toothpastes can’t even reach.

Clinical statistics show its results:

• OraPro reduces plaque 359% more effectively than overthe-counter toothpaste.

• OraPro delivers 209% increased fluoride absorption when compared to regular OTC toothpaste, helping to enhance enamel strength.

• OraPro whitens just as effectively as leading whitening toothpastes with far less abrasion (RDA 88) leading to a brighter smile.

Learn more at www.OraProPaste.com.

Jazz Imaging Partners with Overjet for an endto-end, AI-powered imaging suite for dentists

Jazz Imaging, an independent provider of dental imaging sensors and integrated software suite, and Overjet, a leader in dental AI, has announced their new partnership to bring Overjet’s FDA-cleared technology to Jazz users. Overjet technology is FDA-cleared to detect, outline, and quantify major oral health conditions so that dentists can detect pathologies with precision and educate patients with confidence. Through Jazz’s interoperability, clinicians will be able to capture images and get near realtime AI analysis to detect caries, calculus, bone-levels, PARLs, anatomical structures, and more, all in one platform. The partnership makes it easier for doctors to educate patients and for patients to understand their oral health. The shared guiding principle for both companies in this new collaboration is enhancing patient outcomes. Customers using Overjet’s AI annotations for patient education and treatment presentation see an average of 27% higher care acceptance. In Overjet’s recent Patient Survey, 85% of patients were more likely to accept care when they could clearly see oral pathologies.

For more information, please visit Jazzimaging.com and Overjet.com.

FDA issues 510K clearance for BlueCheck™ Caries Detection and Monitoring

Incisive Technologies has announced that the US Food and Drug Administration (FDA) has issued 510K clearance for BlueCheck™ Caries Detection and Monitoring, a novel caries detection device used by clinicians in dental examinations to aid the detection of early caries. BlueCheck specifically binds to active caries lesions and provides a visible blue color, aiding dental professionals by providing a direct and objective measure of disease. The product’s novel mode of action uses the natural hydroxyapatite-binding chemistry of proteins the BlueCheck molecule has an affinity for and targets porous surface and sub-surface lesions. The specifically designed biomolecule, consisting of a protein, linker, and dye, selectively and reversibly binds to sites of dental demineralization. BlueCheck is painted on, and then a simple rinse washes away unbound BlueCheck, to reveal the active caries via the remaining bound blue color. Due to the electrostatic interaction, removal of any bound BlueCheck is via brushing with toothpaste and interaction with saliva.

Headquartered in Melbourne, Australia, Incisive Technologies is a private company that develops, manufactures and markets dental products supporting prevention. To learn more, visit incisive-technologies.com.

Ideal for orthodontics.

If you have a vision to set your orthodontic practice apart, precision matters. Aesthetics matter. Craftsmanship matters. Not just in the treatment you provide, but the equipment you use.

A-dec orthodontic solutions are mindfully designed, down to the smallest detail. Efficient functionality and proven performance come together with thoughtful enhancements and refined touches. All in a complete, customizable solution that enhances the treatment experience for you, and your patients.

This is orthodontic equipment made like no other. Because it’s made only by A-dec.

Reimagining aligner therapy: advanced features unlocked by direct 3D printing

In the world of orthodontics, aligners have come a long way from their early days as a “cosmetic” alternative to brackets. Today, they’re a powerful clinical tool — if the right technology is behind them. Traditional thermoformed aligners, while useful, have long been limited by material constraints and one-size-fits-all design approaches.

But with the rise of innovations pioneered by LuxCreo, aligner therapy is entering a new era defined by greater precision, personalization, and performance.

Reducing attachments: custom multivariable thickness (Figure 1)

LuxCreo’s 4D Aligner™ technology allows variable aligner thickness across the appliance in a single print, optimizing force in targeted areas — without relying on attachments in some movements.

By controlling force through precise material distribution — not bonded hardware — LuxCreo’s aligners are able to deliver powerful, consistent tooth movement while preserving the patient’s natural smile during treatment.

Direct-printed bite turbos: built-in correction (Figure 2)

Bite turbos have traditionally required separate material additions or bonding. Now, they can be designed into the aligner itself with pinpoint accuracy.

Doctors can use these for easier deep bite correction with no risk of incorrect placement, dislodgement, or uneven pressure. The turbo becomes part of the aligner!

Solid pontics: stability you can count on (Figure 3)

When a patient is missing a tooth, esthetics matter — but so does functional durability. Traditional pontics in aligners are often hollow or filled with composite. The result? Esthetic compromises and fragility.

With LuxCreo’s direct-print process, solid pontics are fully printed into the aligner, offering more realistic look, structural

integrity, better support for adjacent teeth, and movement to have better esthetics as well as bodily movement efficiency.

Hollow aligners: comfort meets control

(Figure 4)

Need eruption guidance or targeted occlusal relief? LuxCreo’s advanced design capabilities support custom hollow aligner zones that fit specific anatomical or treatment needs.

We’ve affectionately nicknamed them “Batman” and “Rabbit.” These are clinically valuable but previously impossible to manufacture at scale using thermoforming. LuxCreo’s technology makes these designs accurate, repeatable, and fast to produce.

Why this matters

Direct print aligners aren’t just a new material — they represent a fundamentally better design philosophy. LuxCreo’s workflow makes these features possible at scale, without adding complexity to the provider.

These enhancements — multivariable thickness, integrated turbos, solid pontics, and hollow zones — are not just gimmicks. They’re the future of aligner treatment, driven by better biomechanics, better comfort, and better outcomes.

This information was provided by LuxCreo.

Figure 1: A heatmap illustrates the customized thickness of 4D Aligners™ in different areas
Figure 2: Customized posterior bite turbo with local thickening
Figure 3: A solid pontic directly-printed into the 4D Aligner™ for superior support and esthetic
Figure 4: An eruption guide, also coined the “batman aligner,” on a pediatric patient

The Next Generation of LightForce

Dr. Alfred Griffin explains ecosystem enhancements and how LightForce uses data

At LightForce™, customer obsession isn’t just something we say; it’s the driving factor for every innovation we deliver. I have many friends and family members who are customers, and this is a personal journey. Every breakthrough, upgrade, and decision we make starts with one question: What do our doctors need to deliver the best possible treatment outcomes? LightForce 3.0 is our answer — built from the feedback, insight, and relentless pursuit of excellence from the LightForce community of orthodontists.

We’ve always believed that the power of the LightForce Ecosystem lies in the fully personalized treatments provided to every LightForce patient. Unlike traditional orthodontics, we have no barriers to innovation. Our innovation is led by the constant, meaningful progress fueled by our customers’ data, input, and experiences.

With LightForce 3.0, we’re delivering unparalleled enhancements that will change the way doctors treat their patients. From greater digital control and clinical precision to a smoother surface finish and an improved patient experience, this is not a minor refresh. It is the next evolution of personalized orthodontics.

LightBracket HD: a smoother surface finish on every bracket and tube

LightBracket HD™ represents a major step forward in our commitment to continuous improvement, not just in form, but in function. By harnessing the power of our 3D-printing process, we’ve been able to design and deliver a smoother bracket, instilling greater treatment confidence for doctors utilizing LightForce.

LightBracket HD is a refined version of our original bracket, designed to enhance the surface finish, resulting in smoother esthetics, reduced friction, and increased comfort* for patients. The internal data shows:

• 68% reduction in bracket tie wing surface roughness*

• Up to a 27% reduction in bracket slot friction*

This unprecedented innovation represents a monumental change in our 3D-printing production process. It’s more than an update. It’s a testament to the brilliant minds at LightForce and marks a significant leap forward for LightForce, our customers, and their patients.

LightPlan: more control, more predictability

Two of the most exciting updates in the LightForce 3.0 release give doctors even more insight and control during the LightPlan®

Alfred Griffin III, DMD, PhD, is co-founder and CEO of LightForce Orthodontics. Founded in 2015, LightForce is revolutionizing the orthodontic specialty through advanced manufacturing and technology. After five years of R&D, LightForce launched the world’s only fully personalized bracket ecosystem and digital treatment software. Learn more at www.lf.co.

digital treatment planning process.

Hinge Controls were one of the most highly requested features from our customers. We listened and jumped into action. The new controls are more intuitive, more responsive, and allow for precise movements that align with our customers’ clinical goals.

New Tooth Movement Interface delivers a familiar and intuitive treatment planning interface, providing doctors with heightened confidence in their LightPlan setups.

Data-driven bond success

LightForce uses data to fuel innovation, delivering exceptional treatment outcomes and long-term practice success. Personalized LightTrays optimize bonding, while Bond Visit streamlines appointments and captures key insights.

This data-driven approach to innovation and practice support has cut bond failure rates in LightForce customer practices by up to 90%*, improving efficiency, predictability, and growth. Learn more in our latest white paper: go.lf.co/lightforce-bond-success-whitepaper.

LightForce 3.0 is more than a product launch. It’s a defining moment for our company and for orthodontics. The data we collect continues to drive future innovations that improve bond success, predictability, and practice support. But let me be clear, LightForce isn’t plug-and-play; it’s a system that rewards intention, training, and clinical curiosity. The advancements in LightBracket HD, the actionable practice-level insights, and the design precision unlocked through new hinge controls are powerful tools. When mastered, these features enable doctors to treat with an unprecedented level of control and efficiency that simply isn’t possible with traditional systems.

I’m incredibly proud of what we’re building here at LightForce, and even prouder of the community we’re building.

*Compared to LightForce’s prior bracket design; data available upon request.

Visual comparison of the pre and post LightBracket HD surface finish

AirFlex and the OrthoFX all-in-one aligner solution

In a crowded landscape of clear aligner options, standing out means offering more than just straight teeth. Today’s patients expect convenience, comfort, and predictable results. Practices need a partner that not only delivers clinical excellence but also provides the technology, tools, and services to enhance the patient experience and provide practice efficiency. Enter OrthoFX™ — and its next generation aligner system, AirFlex ™ and the OrthoFX all-in-one aligner solution designed to help providers deliver and maintain smile results — with fewer office visits.

With OrthoFX, differentiation begins with a new generation shorter wear time aligner — AirFlex — the only FDA-cleared aligner approved for at least 12 hours of continuous daily wear*, thanks to the HyperElastic technology and a multi-copolymer construction which delivers biologically optimal forces for efficient orthodontic movement. AirFlex’s advanced polymer system utilizes sustained ideal force delivery, supporting natural bone tissue remodeling to compensate against day-time relapse. The result is a treatment that fits patients’ modern lifestyles and improves compliance — without compromising treatment outcomes. The HyperElastic properties of AirFlex aligners also decouples stress and strain, resulting in strain control within the optimal working range, without increasing stress. For doctors, this means predictable results and fewer office visits. For patients, it means enhanced comfort and effortless compliance due to shorter wear times.

OrthoFX offers more than just an aligner system, and every case includes the all-in-one aligner solution designed to help providers deliver and maintain smile results, helping to keep the treatment on track with fewer office visits. With no additional cost, OrthoFX offers the following in their all-in-one aligner

• Free set of FXRetainers — All OrthoFX cases, including AirFlex, come with a free set of FXRetainers to ensure a long-lasting smile. For added convenience, additional retainers are available through OrthoFX’s subscription program.

• Free FXOnTrack™ remote monitoring — Powered by AI, FXOnTrack helps practices monitor treatment progress remotely. With this tool, clinicians can spot issues between visits and make decisions quickly — potentially eliminating the need for additional scans, midcourse corrections, and in-office visits.

Free Rescue aligners — Gone are the days of traditional midcourse corrections. Rescue Aligners are an easy and fast solution to reduce time, cost, and inconveniences during midcourse corrections. By using FXOnTrack™, off-track treatments are detected, doctors review and approve Rescue aligners, and they are delivered direct to the patient’s home without the need for new scans or in-office visits.

The advanced AirFlex aligner system and OrthoFX’s all-inone solution is designed to fit the modern patient’s lifestyle, with the convenience of keeping their smile journey on track with enhanced comfort, shorter wear times, and fewer office visits.

Discover how AirFlex and OrthoFX can elevate your practice — with smarter tools, streamlined workflows, and predictable results.

Visit orthofx.com/discover-airflex for more information.

*Data on file.

information was provided by OrthoFX.

10 metrics that define a healthy orthodontic practice

Key performance indicators for practice growth and long-term stability

Orthodontic practices rarely fall behind all at once. Small signs — missed calls, low Phase I to II conversion, or scheduling gaps — add up quietly until thousands in production are lost.

The key is catching those changes early. Gaidge data shows that practices that track these areas consistently are quicker to adjust and better positioned for long-term growth.

Here are the 10 Key Performance Indicators (KPIs) you need to monitor to stay on course and keep your practice growing.

1. New patient adds

New patient adds measure how many patient inquiries are entered into your system with enough information to follow up, including name, contact details, and referral source. It reflects how effectively your marketing and intake processes capture leads and move them toward scheduling, even without an immediate exam.

2. New patient adds to exams

This metric tracks the percentage of inquiries that become scheduled exams. It shows how well your team follows up, communicates value, and guides patients to commit.

3. Case acceptance rate

Of the patients who come in for an exam, how many start treatment? A healthy rate is typically above 75%. If it’s lower, review how clearly you present treatment plans, explain costs, and address objections. Improving this rate has a direct impact on production and financial health.

4. Treatment starts

Treatment starts represent the active production in your practice. Tracking this metric helps you monitor volume, forecast growth, and plan team capacity. Breaking it down by treatment type (like Phase 1, Phase 2, or aligners) can also reveal shifts in demand and highlight new growth opportunities.

5. Observation pool

Patients not ready for treatment should be entered into observation and tracked over time. Benchmarks show that 20% of exams move into observation, and 20% of starts come from those patients. A well-managed pool keeps your start volume steady and predictable.

6.

Phase 1 to Phase 2 conversion

If your office provides Phase 1 treatment, this metric tells you how many of those patients return for Phase 2. Lower rates can

reveal weak follow-up systems or unclear communication about next steps.

7. Net production

This is production after discounts, write-offs, and adjustments. It provides a more realistic view of the value your work is generating.

8. Net collections

Collections reflect revenue actually received. Comparing this to production helps pinpoint issues in billing, payment follow-up, or insurance workflows.

9. Treatment efficiency

Treatment efficiency compares expected treatment time to actual duration. Monitoring it allows you to reduce delays, streamline scheduling, and close cases on time.

10. No-shows and repairs

Though often considered minor, no-shows and repairs disrupt schedules and increase clinical workload. Tracking them can reveal issues with compliance, appliance reliability, or scheduling strategy.

The

foundation for sustainable growth

Clear metrics drive better decisions. These 10 KPIs sharpen your view of what’s working, what needs attention, and where to act next. With Gaidge Analytics, you can track them in real time and turn your data into strategic action.

Schedule a demo at https://www.gaidge.com/demo to see how Gaidge turns your data into actionable insight. This information was provided by Gaidge.

Turn Insights into Impact

Grow Your Practice with Insights

Drive measurable growth across your entire practice. Streamline operations, increase conversions, and take control of your performance with one integrated platform.

Gaidge Analytics

Visualize performance across 80+ metrics to make smarter, faster business decisions.

Gaidge Forms

Simplify intake with secure, mobile-friendly digital forms that save time and reduce errors.

Gaidge Consult Manager

Convert more patients with endto-end tools for tracking, followup, and contract completion.

Gaidge Executive Membership

Forecast revenue, monitor expenses, and manage your budget with real financial insight.

Aligners By Allure brings German Innovation from the largest European Aligner Company and engineering to the world of orthodontic treatment as a renowned specialist within the clear aligner industry. Boasting a dedicated customer support team throughout the entire process, we ensure a smooth transition from start to finish for your practice. Combining orthodontic designed treatment plans with our elite manufacturing experience from aesthetic to complex cases, Aligners By Allure delivers exceptional results, every time. Additionally, we pride ourselves on offering the most competitive prices you will find in the market, ensuring that our high-quality aligners are accessible to a wide range of practices. Plus, we understand the importance of timely treatment initiation, which is why the average time for aligners to ship is just 2 weeks, guaranteeing a swift start to your patient's orthodontic journey. Review and confirm treatment plan

Align Yourself with the Best

Benefits

Allure Ortho has partnered with ARCAD, a leader in technology for dental aligners and digital orthodontics.

We are now able to provide a full service Aligner System by pairing the popular Zendura Flex Aligner Material with ARCAD’s revolutionary software system.

Orthodontic designed treatment plans

Market leading, Zendura FLX multi-layered material for ultimate patient comfort

are now able to provide a full service Aligner System by

Available in either straight or scallop cut finish

Zendura Flex Material—the benchmark material for Aligners and Retainers

Zendura Flex Aligner Material with

Innovative, user friendly software with AI technology for automatic scanning/segmentation preparation

Direct access to our team of specialists on the connected platform

Doctor created treatment plans

The Workflow

The Workflow

Aligners! Allure Ortho has partnered with ARCAD, a leader in technology for dental aligners and digital orthodontics.

Take intraoral scans

Innovative, user friendly software with AI technology for automatic scanning/segmentation preparation

Doctor created treatment plans

Low refinement rate

BEFORE AFTER

Upload case on platform

Upload case on platform

Review, modify & confirm treatment plan

Receive Allure Aligners

or

Expert Treatment Planning, FREE Aligner Case, FREE Aligner Chewies, FREE Aligner Remover, FREE Align-EEZ Perfect Aligner Seater, & FREE Ultrasonic + UV Light Cleaning Pod FREE Ultrasonic + UV Light Cleaning Pod Included with Every Aligner Case of

Allure Ortho 1 Main Street #10, Whitinsville, MA 01588 sales@allureortho.com made in Germany

Turn static files into dynamic content formats.

Create a flipbook
Issuu converts static files into: digital portfolios, online yearbooks, online catalogs, digital photo albums and more. Sign up and create your flipbook.
Orthodontic Practice US Fall 2025 Vol 16 No 3 by MedMark, LLC - Issuu