Endodontic Practice US Fall 2025 Vol 18 No 3

Page 1


Dr. Neil Singh — Axis Endodontics

Strategies to reduce fracture risk in enginedriven endodontic files

Drs. Carlos A. Sprionelli Ramos and Ken Serota

The lateral canal: its morphological and topographic description and its clinical importance Dr. Juan Pablo Miraglia Cantarini, et al.

Two sealers.

Obturation is the final, essential step in root canal therapy. Dentsply Sirona now offers two clinically proven endodontic sealer brands—each tailored to meet individual practicioner preferences—delivering confidence in every procedure.

ProRoot® Bio Sealer

Bioceramic Endo Sealer

A better bioactive. Prefer the bioactive option for root canal sealing? ProRoot® Bio Sealer goes the extra mile.

• Higher bioactive cement content1

• High clinical success rates2

• Easy handling with minimal waste3

Scan to learn more

AH Plus® Ribbon® Endodontic Sealer

Ribbon®. Just better. New: Improved consistency & adhesion to gutta-percha.4

• Excellent long-term sealing properties5

• Exceptional radiopacity6

• Ideal for cold and warm techniques7

Scan to learn more

Fall 2025 n Volume 18 Number 3

Editorial Advisors

Dennis G. Brave, DDS

David C. Brown, BDS, MDS, MSD

L. Stephen Buchanan, DDS, FICD, FACD

Gary B. Carr, DDS

Arnaldo Castellucci, MD, DDS

Gordon J. Christensen, DDS, MSD, PhD

Stephen Cohen, MS, DDS, FACD, FICD

Samuel O. Dorn, DDS

Josef Dovgan, DDS, MS

Luiz R. Fava, DDS

Robert Fleisher, DMD

Marcela Fridland, DDS

Gerald N. Glickman, DDS, MS

Jeffrey W Hutter, DMD, MEd

Syngcuk Kim, DDS, PhD

Kenneth A. Koch, DMD

Gregori M. Kurtzman, DDS, MAGD, FPFA, FACD, DICOI

Joshua Moshonov, DMD

Richard Mounce, DDS

Yosef Nahmias, DDS, MS

David L. Pitts, DDS, MDSD

Louis E. Rossman, DMD

Stephen F. Schwartz, DDS, MS

Ken Serota, DDS, MMSc

E Steve Senia, DDS, MS, BS

Michael Tagger, DMD, MS

Martin Trope, BDS, DMD

Peter Velvart, DMD

Rick Walton, DMD, MS

John West, DDS, MSD

CE Quality Assurance Board

Bradford N. Edgren, DDS, MS, FACD

Fred Stewart Feld, DMD

Gregori M. Kurtzman, DDS, MAGD, FPFA, FACD, FADI, DICOI, DADIA

Justin D. Moody, DDS, DABOI, DICOI

Lisa Moler (Publisher)

Mali Schantz-Feld, MA, CDE (Managing Editor)

Lou Shuman, DMD, CAGS

MedMark, LLC

The publisher’s

All

part of this publication may be reproduced in any form whatsoever, including photocopies and information retrieval systems. While every care has been taken in the preparation of this magazine, the publisher cannot be held responsible for the accuracy of the information printed herein, or in any consequence arising from it. The views expressed herein are those of the author(s) and not necessarily the opinion of either Endodontic Practice US or the publisher.

Circulation Disclosure: Total Circulation May Vary.

Maximizing efficiency and comfort for endodontists

The adoption of dental microscopes represents a transformative leap in endodontic practice. This advanced technology enhances critical aspects such as focal distance, depth of field, field of view, accuracy, precision, resolution, and the ability to process extensive details for achieving exceptional treatment outcomes.

While the use of the microscope is mandatory for endodontists in postgraduate endodontic programs in the US, I have observed, as an Associate Professional Ergonomist and a full-time endodontist conducting training and assessments, that many endodontic practitioners fail to utilize the microscope correctly, leading to discomfort, frustration, and other issues that often stem from not applying ergonomic principles.

I’ve noticed frequent issues among endodontists including forward head postures, bending, leaning from the back, and neck rotation. Many inconsistently switch between using microscopes, loupes, or the naked eye during procedures. This can disrupt workflow and lead to cognitive impairment or significant musculoskeletal disorders, including neck tension syndrome, low back pain, and even serious conditions like disc herniation, potentially resulting in premature retirement. It’s crucial to integrate ergonomic principles with technology, training professionals to maintain a neutral posture and better work behaviors.

Adjusting the microscope for the endodontist’s neutral posture promotes optimal postural symmetry and minimizes joint stress and fatigue. Begin by positioning yourself on your adjusted ergonomic stool at the 12 o’clock position behind the patient’s head. Next, adjust the patient’s position so that their mouth is aligned with your elbows or slightly higher. This setup will ensure a neutral posture for your wrists, arms, and shoulders. Finally, adjust the microscope to bring your binoculars to eye level, promoting proper neck posture with your eyes on the horizon.

Here are some strategies to maximize your time with the microscope:

1. Master indirect vision: Enhance your skills in managing mirror movements — both translational and rotational — to access various tooth surfaces and improve depth perception.

2. Optimize four-handed dentistry: A skilled assistant can keep the mirror clean and pass instruments efficiently, allowing you to maintain focus and reduce interruptions.

3. Use magnification wisely: Use high magnification for intricate work and low magnification for active procedures to enhance efficiency.

4. Control patient head movements: Encourage patients to adjust their head position to help you focus on specific areas. Direct their movements rather than adjusting yours, which improves both comfort and accuracy.

Prioritize ergonomic principles. Time pressure is a significant challenge for endodontists. Creating a well-structured schedule that accounts for worst-case scenarios allows you to work confidently and without the stress of time constraints. Organizing your tools within operator-assistant easy reach and setting aside time for rest and stretching are essential for promoting workflow and work-life balance. With these strategies, you’ll improve both your efficiency when using the dental microscope and the quality of care. Implementing these strategies protect your body and mental well-being during the complex challenges faced by endodontists, leading to exceptional patient outcomes using the most crucial tool for endodontics — the dental microscope.

Juan Carlos Ortiz Hugues, DDS, CEAS II, Endodontist, is a Master of the Academy of Microscope Enhanced Dentistry, AEP, President of the Academy of Microscope Enhanced Dentistry, and author of the book Ergonomics Applied To Dental Practice (Quintessence Publishing). Dr. Hugues provides lectures, training, and advice in advanced dental ergonomics in United States , Latin America, and Asia.

Juan Carlos Ortiz Hugues has no financial interest in any of the companies mentioned in this article and received no compensation for writing this article.

number 2372-6245

Dr. Neil Singh – Axis Endodontics

Cover image of Dr. Neil Singh courtesy of SS White Dental.

EDUCATION SPOTLIGHT

The critical need for business and leadership excellence in the dental industry: empowering the future through Serendequity Education

Scott S. De Rossi, DMD, MBA, discusses two new programs that develop business and leadership excellence

PUBLISHER’S PERSPECTIVE A fresh beginning and a grateful heart

Lisa Moler, Founder/CEO, MedMark Media............................... 6

SERVICE SPOTLIGHT

From residency to real-world: a resident’s guide to starting your endodontic career

Specialized Dental Partners helps residents navigate their journey .............................................. 17

EDUCATION SPOTLIGHT

New paradigms in hands-on procedural training

Dr. L. Stephen Buchanan discusses the benefits of 3D-printed tooth replicas and virtual hands-on training .......... 18

EDUCATION SPOTLIGHT Odne® Campus

Spearheading education and science in advanced debridement and irrigation 22

ENDOSPECTIVE

The transformative impact of artificial intelligence on endodontic practice

Drs. Amil Sharma, Gregori Kurtzman, Greeshma Gupta, and Sharmistha Sharma discuss AI’s growing role in endodontics .... 25

COVER STORY

CONTINUING EDUCATION The lateral canal: its morphological and topographic description and its clinical importance

Drs. Juan Pablo Miraglia Cantarini, Denise Alfie, Gonzalo García, Carlos Cantarini, and Fernando Goldberg study a condition that poses complex challenges ................................... 34

Drs. Carlos A. Spironelli Ramos and Ken Serota discuss the heat-treatment manufacturing process

J. Wesley Sublett, MD, MPH, Board-Certified Allergist in Louisville, Kentucky, and Donald Cohen, DMD, from New York State, inform dentists on how to approach this dangerous allergic reaction

A fresh beginning and a grateful heart

American Poet T.S. Eliot wrote, “Every moment is a fresh beginning.” These words have become my North Star — my entire journey with MedMark has been a tapestry of transformative new beginnings, each one more meaningful than the last.

Looking back on these incredible 21 years, my heart is full thinking about how we’ve scaled our impact within the dental community. When I founded Doctor of Dentistry back in 2004, it felt like launching a passion project into the unknown. But watching it evolve, and then witnessing the game-changing expansion with Implant Practice US and Endodontic Practice US in 2007, followed by Orthodontic Practice US in 2009, and Dental Sleep Practice in 2014 — each launch was like watching my children take their first steps. Through this incredible journey, we’ve successfully published 297 publications to date since MedMark’s inception — that’s countless late nights, early mornings, weekend marathons, and probably tens of thousands of road-warrior travel hours poured into every single issue. Each publication represents not just content, but sleepless nights, endless revisions to ensure excellence, and the unwavering commitment to advancing our profession. The authentic connections I’ve built with some of the most visionary minds in dentistry have been nothing short of life-changing.

When MedMark became part of the Nexus Dental Systems family in 2020, it marked a pivotal moment in our growth story. Now, as I step into my next-level adventure as Chief Marketing Officer for Nexus Dental Systems, I’m overwhelmed with gratitude. I’ll still be championing the dental community, driving purpose-driven innovation at the intersection of dental and medical breakthroughs. And MedMark? Our publications will continue disrupting the status quo, empowering excellence across all specialties while scaling our content reach and finding new ways to innovate.

These 2 decades have been the most beautiful discovery — our dental community isn’t just an industry, it’s a family of mission-driven change-makers, visionary innovators, and most importantly, treasured friends who have enriched my life beyond measure. The relationships I’ve built with these healthcare heroes, these brilliant minds determined to revolutionize patient care, have become some of the most meaningful friendships of my lifetime. Every revolutionary thought leader, inventor, and disruptor I’ve had the privilege to know personally hasn’t just shared their next-generation technologies with me — they’ve shared their hopes, their dreams, their breakthrough moments, and even their setbacks over countless conversations that turned strangers into lifelong friends.

Our publications became so much more than a showcase for disruptive innovations in imaging, instrumentation, equipment, patient communication, and practice management — they became the bridge that connected hearts and minds. We’ve amplified the voices of clinicians who became dear friends, brave souls willing to challenge outdated paradigms and pioneer bold new methodologies. Every single author who graced our pages didn’t just bring their expertise — they brought their authentic selves, their infectious passion, and often, their friendship. What started as professional relationships blossomed into an ecosystem where readers don’t just

Published by

Editor in Chief, Publisher, and Senior Strategic Advisor Scott S. De Rossi, DMD, MBA scott.derossi@nexusdentalsystems.com

Managing Editor Mali Schantz-Feld, MA, CDE mali@medmarkmedia.com Tel: (727) 515-5118

Director of Business Development Adrienne Good agood@medmarkmedia.com Tel: (623) 340-4373

Director of Publishing Amanda Culver amanda@medmarkmedia.com

Director of Operations Melissa Minnick melissa@medmarkmedia.com

Director of Marketing Amzi Koury amzi@medmarkmedia.com

eMedia Coordinator Michelle Britzius emedia@medmarkmedia.com

Social Media Manager Felicia Vaughn socialmedia@medmarkmedia.com

Website Support Eileen Kane webmaster@medmarkmedia.com

MedMark, LLC 400 Crossing Blvd. Bridgewater, NJ 08807 Tel: 480-629-4002 www.medmarkmedia.com www.endopracticeus.com

Subscription Rate

1 year (4 issues) $149 https://endopracticeus.com/subscribe/

Lisa

become industry leaders — they become mentors, collaborators, and genuinely cherished friends.

I’m tearing up just thinking about the incredible people I’ve encountered on this journey. Some of my closest confidants, the people I turn to for advice, the friends who celebrate my victories and support me through challenges — many of them came from this extraordinary profession. I have always said that I didn’t find my dental profession; it found me. It has been a career built on divine alchemy and serendipitous moments. Twenty years of shared experiences, industry events that felt more like family reunions, deep conversations about life, work passions that turned into lifelong friendships, and a network of support that extends far beyond business cards and LinkedIn connections. This community has given me a chosen family I never expected to find. And for that, I am eternally grateful.

Our content strategy has always been laser-focused on real-time relevance and community impact. We survived even during the darkest chapter of the pandemic shutdown; our team’s resilience was extraordinary. We pivoted to address the moment’s most pressing challenges — how to continue serving patients with unwavering safety protocols for patients, staff, and doctors. Watching the rise of tele-dentistry and other innovative platforms during that time, seeing our community’s incredible

adaptability of hope — it was a masterclass in transformation that redefined the entire profession, and one that I was proud to be a part of.

But never fear, MedMark publications will continue their exponential growth trajectory, serving our loyal community with cutting-edge topics, breakthrough innovations, and an unwavering commitment to helping you scale the successful businesses of your dreams. I’m thrilled to welcome our new Publisher/Editor in Chief Scott S. De Rossi, DMD, MBA, and I’m genuinely excited about the fresh perspective and seasoned expertise he’ll bring to our brand. Scott is a true professional and one of the best author/writers that I’ve had the pleasure to be associated with lately. Look for his contributions to be informative, smart, and engaging!

As I embark on this new adventure, my heart is filled with excitement while simultaneously overflowing with pride for what we’ve built together from the ground up. I’ll always be part of this incredible MedMark family, and my commitment remains rock-solid — I still remain in our industry to empower your journey to unprecedented success!

With endless gratitude, anticipation for the new journey, and always…to your best success!

Custom equipment, as precise as you are.

At Boyd, we understand that precision is everything in endodontics. That's why we design every piece of equipment with the same meticulous care you bring to your procedures. From our customizable chairs to our ergonomic features, each element is crafted to support your exact standards.

You can trust Boyd’s custom equipment to provide the comfort, reliability, and precision you need—every time.

Built to last. Built for you. Built by Boyd!

Dr. Neil Singh – Axis Endodontics

How does your minimally invasive approach benefit your patients?

There is a human behind every tooth and every procedure. We want to put their feelings at ease and make sure they know that their true well-being is at the heart of everything we value here at Axis Endodontics.

What are some clinical advantages to your philosophy?

Preserving more original tooth structure makes teeth stronger and more resilient to fractures, enhancing their long-term survival. Minimal intervention often leads to reduced postoperative pain and sensitivity. A tooth with more intact structure provides a better base for future restorations. At Axis, we work with referring dentists for a comprehensive care approach that allows patients to feel less anxiety knowing their natural tooth is being preserved and builds confidence in the care they receive. Less invasive procedures generally mean a faster return to normal life.

Has this philosophy influenced how you educate patients?

My minimally invasive philosophy profoundly shapes how I conduct initial consultations and educate patients. Besides the procedure, we want a holistic understanding of the patient’s oral health and overall well-being. I review their medical history thoroughly, their dentition, and dental habits such as any parafunctional habits (clenching/grinding, etc.), while maintaining a minimally invasive approach.

Also, instead of simply presenting a single treatment option, I focus on providing a clear and transparent overview of all viable alternatives, respective benefits, risks, and prognoses. My aim is to empower patients to make informed decisions that align with their individual needs and values. One significant benefit I emphasize is the increased structural integrity of their tooth achieved through our minimally invasive techniques. For example, I will discuss how we prioritize enhanced chemical disinfection methods, such as laser activation of irrigating solutions

that allow for superior bacterial elimination within the root canal system with minimal removal of healthy dentin, directly contributing to the tooth’s long-term strength and resistance to fracture.

How do you determine whether new instruments or techniques support your philosophy?

We rigorously assess whether new instruments or techniques support or detract from the preservation of natural tooth structure and the optimization of long-term patient outcomes. Even in instances where we are offered materials to test for feedback, our evaluation process is rooted in evidence-based dentistry. All the tools available online to us allow for comprehensive research.

We meticulously examine characteristics like file taper, cross section, and material properties to understand their impact on dentin removal. We prioritize studies that assess fracture resistance of teeth after instrumentation, ensuring new tools enhance the tooth’s structural integrity. For techniques involving enhanced disinfection, such as ultrasonics or lasers, we demand robust, long-term studies demonstrating superior microbial control with minimal tissue sacrifice. Ultimately, any new development must demonstrate a clear benefit in terms of conserving tooth structure, improving clinical predictability, and contributing to the tooth’s long-term health.

How

has your clinical approach evolved?

My clinical approach has been driven by the integration of cutting-edge systems and technologies.

The adoption of advanced rotary file systems, such as those with variable tapers, e.g., the DC Taper file system from SS White Dental, is a prime example of refined instrumentation. These designs intelligently adapt to the natural canal anatomy from coronal to apical, reducing unnecessary dentin removal and significantly minimizing stress on areas prone to fracture. This ensures both effective cleaning and superior tooth preservation.

Technologies like the Er:YAG laser from J. Morita have revolutionized our disinfection protocols. Its ability to activate irrigating solutions without thermal damage to the canal walls

Dr. Neil Singh with a patient
Dr. Neil Singh using his Zeiss Extaro microscope

is a game-changer. This leads to profound disinfection, greater efficiency, and a simplified instrumentation process.

The Cone Beam Computed Tomography (CBCT) by J. Morita is now an indispensable tool, utilized for every case. It provides invaluable 3D anatomical insights that were previously unattainable, allowing us to:

• Accurately diagnose complex anomalies and pathology

• Thoroughly evaluate tooth restorability before treatment initiation.

• Reduce retreatment rates by mapping canal anatomy and identifying all present canals.

• Facilitate truly minimally invasive “ninja” access by enabling precise, image-guided entry.

These technological integrations have elevated the predictability and long-term success of our treatments, while staying true to our core philosophy of preserving natural tooth structure and a mindset of doing what is best and right for the patients.

What contributes to a truly seamless workflow and greater efficiency?

A seamless workflow comes from having treatments scheduled to manage same day emergencies, verify patient appointments, having the patient pre-fill their medical history and/ or pain history, along with having all benefits from insurances checked for patients so there are no surprises. We have honest conversations about treatment with patients at their consultations as well as constant communication with all referring dentists on a personal and professional level. We ensure that the rooms are stocked with equipment and checked daily.

How has your experience as president of the Chicago Dental Society-Southwest Branch and Director for the entire Chicago Dental Society shaped your view of leadership?

Building my practice included extensive continuing education (CE) opportunities and invaluable camaraderie with a wide array of dentists and specialists that expanded my understanding of the field significantly.

Professionally, these leadership roles offered a unique opportunity to actively advocate for and safeguard the standards and integrity of dentistry. Engaging with organized dentistry is vital for the effective implementation of laws, rules, and regulations that address the evolving challenges our profession faces. This includes navigating significant shifts, from global health crises like COVID-19 to the increasing influence of corporate entities

in healthcare, which can sometimes compromise the quality of patient care.

I’ve been able to implement these insights to set a clear example for my colleagues and staff, fostering an environment of excellence and commitment to patient care, staff compatibility, and happiness.

What do you look for in an industry partner beyond the product?

Honestly, a big part is expertise and engagement of the customer service reps and sales representatives. A key differentiator for sales representatives is not merely about conveying features but demonstrating a comprehensive understanding of how their solutions integrate with and enhance dental practices. This expertise, coupled with genuine engagement, signals a partner committed to providing insightful support.

Product quality is beyond paramount. The initial impressions encompass long-term reliability, efficacy, and consistent delivery on promised performance. A superior product minimizes clinical complications and enhances patient outcomes, which is non-negotiable.

We at Axis want a partner that demonstrates exceptional care and responsiveness in addressing product-related issues. This includes transparent communication regarding new developments, proactive foresight into potential future challenges, and a steadfast commitment to rectifying concerns even with previous product iterations.

For example, we had an issue with the laser not producing optimum disinfection due to a buildup in the lens. The team at Morita flew a member in overnight to resolve the issue, sup-

Dr. Neil Singh reviewing CBCT images

plement us with a working part, and make sure our clinical care did not falter because of the product complication. This dedication to continuous improvement and client support builds trust and ensures a stable, reliable partnership.

How do you instill your values within your practice culture?

I do my best to lead by example and cultivate a unified understanding that every patient is a person, not merely a procedure. This means prioritizing honesty and uncompromising quality in all aspects of our work. I have worked hard to ensure that every team member feels valued and respected. We recognize our shared humanity, ensuring a collaborative and empathetic approach to patient care.

What tells you a tool elevates your practice?

The decision to integrate a new tool is driven by a rigorous evaluation focused on its capacity to genuinely elevate patient care and operational efficiency without causing undue disruption. This assessment is predicated on three core pillars: robust scientific validation and research demonstrating efficacy and safety, comprehensive product knowledge and meticulous internal evaluation to confirm its practical benefits, and crucially, the ability to seamlessly test and adapt its implementation, ensuring that any necessary adjustments can be made without compromising existing workflows or patient outcomes.

How do you think your instrumentation choices influence patient experience and treatment predictability?

Using the unique design of the file system we use (DC Taper, SS White Dental) allows us to minimize patient chair time, while maintaining predictability of the tooth’s longevity. We are grateful for the ability to offer this with our file systems and our specific protocols at Axis. Predictability has been incredible with these techniques, and we have set examples and expectations for other offices with the minimally invasive techniques.

What separates the tools that stick from the ones that don’t?

The human body and teeth involved are complex, as are the root canal systems, and prior to the imaging techniques available today, everything was based in two dimensions. By implementing a protocol of 3-D analysis, we have opened research and file systems/obturation techniques to improve in areas they may not have had foresight to change.

What’s something most people wouldn’t expect about a minimalist mindset?

Our minimalist approach is dynamic and continually open to change, actively integrating the latest advancements in chemistry, biology, and health science to refine our techniques. Our objective is persistent evolution, mirroring the ongoing advancements essential across all healthcare disciplines.

A minimalist approach often translates to maximal initial investment in technology and diagnostics. This isn’t driven by financial gain but by an unwavering commitment to superior patient care, both in treatment and, critically, in accurate diagnosis. We frequently encounter cases where unnecessary root canal procedures could have been avoided entirely if a CBCT scan been utilized from the get-go.

Also, minimalism in practice means more in cost, so we’re doing it for patient care in treatment and in diagnosis. I can’t tell you how many patients didn’t need a root canal but got one; had someone just done a CBCT, the whole thing could’ve been avoided.

What would your advice be to a young clinician entering endodontics today?

My dear young colleague, as you embark on this incredibly rewarding journey into endodontics, the most profound advice I can offer, deeply rooted in my own experiences, is: Always remember the human being in your chair, and courageously question everything.

Make it your unwavering principle that the patient always comes first, not the procedure. This means speaking your mind and challenging assumptions, always striving for what is genuinely best for their well-being. Trust your intuition; if something doesn’t feel right, investigate further.

I was incredibly fortunate to have a professor at Nova, who instilled in us a profound skepticism, pushing us to independently research and scrutinize every piece of information. We learned to verify sources, often discovering that even widely cited studies in prominent journals lacked true scientific rigor. This critical approach opened my eyes to how much of our professional landscape, from antibiotics and pain management to treatment protocols, can be influenced by financial interests. Without a deep, biologically sound understanding, both practitioners and patients can be led astray. So, question relentlessly.

Above all, let ethics be your constant guide. We are all human, and every patient deserves the same consideration and empathy you would give your own family. When you prioritize what is truly necessary over financial gain, you will find peace in your work and sleep soundly at night, knowing you have always done what is right. EP

Dr. Neil Singh with a patient

More Than an Upgrade — A Clinically Driven Evolution of the Original MI File System Designed to Conserve Vital Pericervical Dentin.

Discover What’s Next in Precision Endodontics

The latest DCTaperH® Files incorporate refinements that provide a familiar yet optimized experience for clinicians.

Refined Heat Treatment Process –Supports consistency in file characteristics, including strength and flexibility, while maintaining the established cutting performance.

Precision-Set Handle Assembly –The handle is pressure-set onto the non-cutting end of the blade, promoting concentricity and compatibility with apex locators.

Enhanced Markings & Banding –Adjustments to depth markings and banding placement for improved visibility.

Matching Gutta-Percha & Paper Points –simplifies the obturation process, saving time and reducing the potential for errors.

We are confident that once you experience the new DCTaperH® Files, you will appreciate the enhanced feel, durability, and precision.

The critical need for business and leadership excellence in the dental industry: empowering the future through Serendequity Education

S. De Rossi, DMD, MBA, discusses two new programs that develop business and leadership excellence

The modern healthcare landscape is undergoing a profound transformation. Technological advancements, shifting patient expectations, regulatory complexities, and the rise of corporate delivery models have converged to redefine what it takes to succeed — not only as a clinician but as a leader. Nowhere is this evolution more evident than in the dental industry, where the traditional solo-practitioner model is rapidly giving way to Dental Support Organizations (DSOs), group practices, and dental education models that demand far more than clinical competency. In this changing environment, the value of business and leadership excellence is not ancillary — it is foundational.

To thrive in the future of healthcare, every member of the dental team must be equipped with knowledge, skills, abilities, and judgment that transcend the operatory. Business acumen, strategic thinking, and people leadership are no longer optional soft skills; they are essential survival traits. Serendequity Education’s Mini MBA for Dentistry and Leadership Excellence to Advance Practice (LEAP) certificates respond to this need with urgency, clarity, and action. These programs are not just academic exercises; they are transformational platforms that bridge the long-standing gap between clinical mastery and business and leadership excellence.

The business of dentistry is now central to the practice of dentistry

For decades, dental education has produced competent clinicians who were expected to “figure out” business on their

Scott S. De Rossi, DMD, MBA, Vice President of Strategic Growth and Innovation of Nexus Dental Systems, is passionate about driving strategic growth and innovation in healthcare. He has led initiatives to improve access, quality, outcomes, efficiency, patient satisfaction, and affordability by integrating medicine and dentistry. He has integrated cutting-edge technology and resources to optimize clinical and academic sectors, solving long-term issues and driving exponential growth. He has prioritized and communicated the importance of oral-systemic connections in patient-centered care, increasing endowment funds and ensuring compliance with accreditation and regulations. Dr. De Rossi has fostered innovative cultures by mobilizing cross-functional teams, balancing optimism with transparency and trust, and inspiring continuous improvement.

own. As a result, thousands of private practitioners found themselves unprepared for the financial, operational, and strategic realities of running a dental practice. Today, with declining insurance reimbursements, rising operating costs, and patient expectations shaped by consumer-centric industries, the challenge is even greater.

Meanwhile, DSOs have surged in influence, offering dentists opportunities for support, stability, and scale. Yet the success of these organizations hinges on local leaders who can manage P&Ls, build high-performing teams, and deliver exceptional patient experiences. Even the best DSO infrastructure fails without empowered clinicians who understand how to run their practices as businesses and lead their teams effectively.

At the same time, dental education must also evolve. Schools are increasingly recognizing the need to graduate dentists who are not only clinically competent but also strategically agile and prepared for multifaceted roles — as clinicians, managers, educators, entrepreneurs, and change agents. However, few institutions offer meaningful and practical structured business or leadership development integrated into their core curriculum.

Why leadership matters at every level of the dental team

Leadership in dentistry is not confined to owners or executives. It manifests in every interaction that shapes a patient’s

Serendequity Education: Your Success, Our Mission

Whether you’re an owner looking to sharpen your business acumen, a practice manager striving for operational excellence, or an aspiring leader eager to make an impact, this Mini MBA for Dental Professionals lays out a step-by-step roadmap. In the 12 modules, you’ll gain hands-on templates, real-world case studies, and actionable frameworks that translate immediately into your day-to-day—and long-term—success.

Modules 1–3: Foundation in Business, Finance, and Leadership Modules 4–6: Team, Communication, and Marketing

Modules 7–9: Operations, Legal, and Strategy

Modules 10–12: Financial Planning and Capstone Project

experience and every decision that influences a team’s culture. From the front office administrator who manages scheduling efficiency, to the hygienist who educates patients and supports treatment acceptance, to the associate dentist managing chairside dynamics — every team member impacts the overall success of a practice.

Yet these professionals are rarely given formal training in conflict resolution, change management, communication strategy, or operational improvement. This lack of leadership development is a missed opportunity not just for individual growth, but for organizational excellence.

By embedding leadership training across all team levels, practices and DSOs can build a culture of shared accountability, continuous improvement, and adaptive problem-solving. Empowered teams are resilient teams — and resilient teams are those that can navigate staffing shortages, integrate new technologies, respond to shifting payer models, and deliver better outcomes under pressure.

The Serendequity Solution: Mini MBA and LEAP Certificates

Serendequity Education’s Mini MBA and LEAP programs were created to address this urgent gap with precision and practicality.

The Mini MBA for Dentistry

This intensive, modular online program is designed for dentists and staff, specialists, practice owners, and DSO executives seeking a comprehensive foundation in business disciplines essential to healthcare leadership. With 12 interactive modules — including financial management, marketing strategy, team dynamics, operations, legal compliance, and strategic planning — the Mini MBA provides real-world tools rooted in dental practice realities. Through capstone projects and case-based learning, participants do not merely absorb knowledge, they apply it — building business plans, operational improvements, and leadership strategies that can be deployed immediately in their settings.

The Serendequity Education Mini MBA for Dentistry is an innovative, industry-tailored certificate program designed to equip dentists, hygienists, and dental leaders with core business competencies to thrive in today’s rapidly evolving dental landscape. This online, self-paced curriculum offers a practical, high-impact educational experience and essential tools to lead, grow, and future-proof dental practices and organizations.

At its core, this Mini MBA bridges the long-standing gap between clinical training and business knowledge in dental education. With deep roots in real-world practice scenarios and trends, this program empowers dental professionals to make data-informed decisions, navigate competitive pressures, and create scalable, patient-centered businesses. It is a critical step forward in redefining how dentistry prepares its current and future leaders.

Leadership Excellence to Advance Practice

(LEAP) Certificates

Targeted toward all dental professionals — dentists, hygienists, assistants, and administrative leaders — LEAP focuses on ele-

To thrive in the future of healthcare, every member of the dental team must be equipped with knowledge, skills, abilities, and judgment that transcend the operatory.”

vating leadership capacity within teams. These shorter, focused certificates develop core skills in emotional intelligence, decision-making, team building, coaching, and adaptability. LEAP cultivates confident, collaborative professionals who understand how to inspire others, align around vision, and foster cultures of trust, innovation, and excellence.

Both programs are designed with flexibility in mind: online, asynchronous, and accessible to working professionals. They combine world-class faculty with evidence-based frameworks ensuring that content is both cutting-edge and grounded in dental practice.

Value proposition for the dental industry and profession

Bridging the business education gap in dentistry

Most dental curricula prioritize clinical expertise but neglect business acumen. As a result, many dentists enter practice ownership or leadership roles ill-equipped to manage operations, finances, or strategy. The Serendequity Mini MBA directly addresses this gap by offering business and management education specifically contextualized for the dental industry. Unlike traditional MBA programs, this certificate is lean, focused, and immediately applicable — helping participants lead with confidence from day one.

Strategic preparedness for a changing industry

The dental profession is undergoing significant transformation:

• Consolidation and the rise of DSOs: The Mini MBA offers insights into how to collaborate with, compete against, or even build a DSO, including practical tools for assessing affiliation and acquisition opportunities.

• Technology-driven disruption: From teledentistry to AI, participants learn how to evaluate, adopt, and leverage technologies that enhance productivity, reduce overhead, and elevate the patient experience.

• Consumer expectations and patient-centered care: The curriculum trains participants to develop marketing strategies, service excellence frameworks, and patient feedback systems that drive retention and satisfaction.

Practice performance optimization

The modules on financial management, team dynamics, operations, and marketing help practitioners:

• Analyze P&L statements and manage cash flow

• Build and retain high-performing teams

• Streamline workflows using lean principles

• Attract and retain patients using data-driven marketing

January 23rd & 24th, 2026

In-Person | 2-Day Seminar For Doctors, Spouses and Teams 12 AGD CE Credits

seminar designed to unlock the full potential of your practice. This event is tailor-made for endodontists seeking more growth, more profitability, and more time for life.

• Clinical efficiency and effortless daily flow

• Scheduling for productivity without stress

• Marketing and referral relationship growth

• Team leadership and motivation

• Business growth for lifestyle and income Whether you’re an owner or associate, this is your chance to transform how you lead your team, manage your time, grow your practice, while earning 12 AGD CE Credits.

Dr. Goerig has over 40 years of experience as an endodontic educator, and 25+ years as a coach to over 1,000 endodontists.

endomastery.com/ las-vegas-2026/

DR. ACE GOERIG

• Increase profitability while delivering high-quality care

These are not theoretical skills; they are mission-critical for any practice owner, associate, or DSO leader aiming for sustainable growth and resilience.

Empowering clinicians as leaders

The Mini MBA cultivates leadership capacity by introducing proven frameworks in change management, organizational behavior, and strategic planning. Participants learn how to adapt their leadership styles to different situations, manage conflict, align teams around a shared vision, and drive performance in a clinical setting.

Curriculum overview

The Mini MBA spans 12 core modules delivered in a dynamic, flexible online format. Each module features video lectures by dental and business experts, interactive tools, real-world case studies, assessments, and peer discussion forums.

Highlights include:

Modules 1–3: Foundation in Business, Finance, and Leadership

• Business Foundations for Dental Practices

• Financial Management Essentials

• Leadership in Dental Practice

Modules 4–6: Team, Communication, and Marketing

• Team Management and Communication

• Marketing Strategies for Dental Practices and DSOs

• Patient Experience and Relationship Management Modules 7–9: Operations, Legal, and Strategy

• Operational Excellence in Dental Practices and DSOs

• Legal and Ethical Considerations

• Strategic Planning in Dental Practices and DSOs Modules 10–12: Financial Planning and Capstone Project

• Financial Planning and Investment

• Capstone Business Plan Project

• Professional Reflection and Integration

The Capstone Project is a distinctive feature, allowing learners to develop and present a real-world business plan addressing a current challenge or opportunity within their own practice or the broader industry.

Differentiators and Innovation

• Dental-specific, practitioner-focused: Unlike generic business programs, every topic is translated for dental application — using dental-specific examples, case studies, and metrics.

• Expert-led and evidence-based: Instruction draws from Harvard Business Review, McKinsey, ADA policy, and successful DSO operators. This ensures that learners receive best-in-class thinking tailored to their world.

• Flexible, asynchronous learning: Designed for busy professionals, this online model supports learning on-demand while still enabling community interaction through discussion forums and coaching sessions.

• Scalable across roles and organizations: The program is valuable not only for private practitioners and owners but also for emerging leaders in DSOs, group practices, and

even dental schools seeking to embed leadership into predoctoral curricula.

Professional impact and career relevance

Graduates of the Serendequity Mini MBA will be equipped to:

• Launch or expand successful private practices or DSOs

• Increase efficiency, profitability, and patient satisfaction

• Lead multidisciplinary teams with clarity and purpose

• Make strategic financial and operational decisions

• Explore new career paths in executive leadership, consulting, or education

In a field where business illiteracy can hinder career progression, this program becomes a strategic enabler of growth, security, and fulfillment.

Equipping the profession for the future

As we enter an era of precision health, artificial intelligence, value-based care, and growing integration between oral and systemic health, the expectations placed on dental professionals will only increase. To lead in this new age, our profession must rethink how we define excellence.

• Excellence is no longer just about clinical outcomes; it is about organizational agility.

• Success is no longer just about solo achievement; it is about team empowerment.

• Impact is no longer limited to the dental chair; it is measured by systems thinking, strategic foresight, and the ability to lead change.

The Serendequity Mini MBA and LEAP programs offer a clear path forward. They democratize access to elite business and leadership education and bring it into the hands of those who need it most — practicing dental professionals and staff navigating real-world complexity.

Conclusion

The dental industry stands at an inflection point. Clinical skill will always be the foundation of dental medicine, but it is no longer sufficient to ensure success. Business literacy and leadership excellence must now be core competencies for every member of the dental team. Whether navigating the complexities of private practice, driving performance in a DSO, or preparing students in dental education, the need for strategic, empowered, and adaptive leaders has never been greater.

Serendequity Education’s Mini MBA and LEAP certificates are more than programs — they are movements. They represent a shift in how we prepare dental professionals for impact, resilience, and sustainable success. By embracing business and leadership education, the dental profession will not only meet the demands of today; it will shape the healthcare systems of tomorrow. As the profession evolves, so too must the way we prepare our clinicians — not just to drill, fill, and bill — but to lead, build, and grow.

This is not optional education — it is essential. Serendequity Education prepares people not only to survive the future of dentistry but to shape it. EP

From residency to real-world: a resident’s guide to starting your endodontic career

Specialized Dental Partners helps residents navigate their journey

Fall marks a new season, and for many dental residents, it also signals the start of a critical chapter. Whether you’re just beginning your final year or rounding the halfway point of your program, now is the perfect time to start thinking about life after residency. Your first job will shape your career trajectory, impact your growth, and influence your quality of life. So how do you begin the search with clarity and confidence? Read on for actionable steps to help you identify what you want, explore your options, and secure the right opportunity, all while making the most of your final year.

6–12 months before graduation: start exploring

If you’re reading this in the fall, you’re right on time. Use this period to reflect and get curious. Where do you want to live? What kind of practice culture and pace suits your goals? Are you hoping for mentorship, leadership development, or even partnership potential?

Start reaching out to recent graduates and attending trade shows or career panels. Look into organizations built specifically for specialists, like Specialized Dental Partners, who work exclusively with endodontists, periodontists, and oral surgeons. With support across 250+ practices nationwide, Specialized Dental Partners offers both flexibility and clinical autonomy.

4–6 months out: narrow and

network

Winter and early spring are when most residents start seriously exploring positions. Now’s the time to ask questions, compare potential paths, and start making connections.

Things to look for:

• Strong clinical and financial support

• Mentorship from experienced specialists

• Practice autonomy — you want to work how you were trained

• A clear plan for partnership or long-term growth

At Specialized Dental Partners, new doctors have access to mentorship, national peer communities, and structured leadership tracks to build careers with lasting impact.

2–4 months before graduation: make your decision

As offers come in, evaluate them with care. Don’t be afraid to ask for clarification or comparison. Remember: this is about finding the right fit — not just the highest salary. Utilize a checklist to help you evaluate compensation models, growth paths, and practice expectations. If you’re interviewing with multiple groups, ask:

• How are new grads onboarded?

• What does mentorship look like?

• What’s the path to partnership?

After graduation: you’re just getting started

The first 6–12 months of practice are where support matters most. Choose an environment where you can learn, grow, and thrive, not just survive. With Specialized Dental Partners, new specialists are welcomed into a collaborative, clinician-led network and supported with real-world tools and mentorship from day one.

Your future starts now

Fall is the season of preparation and the perfect time to begin your next chapter. Set goals, start conversations, and explore opportunities that align with your vision for the future.

Specialized Dental Partners is here to help you navigate your journey, from residency to real-world, with flexibility, support, and a partnership that grows with you.

Start the conversation: Careers@SpecializedDental.com

Visit: SpecializedDental.com

This information was provided by Specialized Dental Partners.

New paradigms in hands-on procedural training

Dr. L. Stephen Buchanan discusses the benefits of 3D-printed tooth replicas and virtual hands-on training

Since the early 1900s, endodontic procedural training has been done primarily in extracted teeth, a fortunate protocol as dentists can start developing RCT skills before subjecting some poor patient to a first time experience with an as-of-yet unskilled dental student. Extracted teeth, while obviously the real deal in terms of anatomical authenticity, present several road blocks to optimal hands-on training:

1. They are gross, smelly, and usually infected

2. The anatomy inside them is a random walk for both student and instructor

3. This anatomy is hidden, so mental imaging skills develop at glacial speed

4. There are no do-overs, so no chance of iterative skill development

5. Extracted teeth are hard to come by — patients want to save, not extract teeth — so teeth collected from oral surgeons are either weird third molars or otherwise hacked up and decayed.

Replicas to the rescue

In 1995, I did RCT for the physicist who had just invented 3D printing, and when he described stereolithography, I thought my hair was going to light on fire because I had spent the last 5 years reconstructing microCT scans of extracted teeth. The first thing I said was, “Do you think we could print teeth in 1:1 scale?” He said, “No, not yet; the printer’s finest resolution is 1 mm cubed, so curved canals would print like a staircase. No, it will probably be 20 years before that’s possible.” That was an amazingly

L. Stephen Buchanan, DDS, FICDE, FACD, has taught endodontic procedures, with live patient demonstrations, to dentists for over 35 years. He has over 25 US and international patents for endodontic tools ranging from his EndoBender plier, to Spartan’s Buc Ultrasonic tips, Dentsply’s variably-tapered GT rotary files, his PulpSucker® negative pressure irrigation device, and Kerr’s Continuous Wave of Obturation electric heat pluggers and filling technique. He has logged nearly 2 million air miles traveling to present lectures and hands-on courses domestically and worldwide. Despite providing root canal therapy to patients for over 45 years, he still enjoys doing dangerous things safely in human beings and lives for that sense of anticipation whenever he invades yet another pulp chamber. Dr. Buchanan lives in Santa Barbara, California, where he maintains a practice limited to endodontics and trains dentists to do newly developed procedures at his Dental Education Laboratories facility. You can find his website at delendo.com.

Disclosure: Dr. Buchanan is the creator of TrueTooth and TrueJaw replicas and the Virtual Hands-On Training Course.

1: 3D print in clear acrylic of maxillary central incisor with mid-root lateral canal and apical canal bifurcation. Note the calcified pulp chamber

accurate prediction because in 2017, after printing resolution got down to 0.016 mm, I was able to print the first extracted tooth replicas in both clear and opaque inks.

Since then, TrueTooth and TrueJaw replicas have been used worldwide, and of course, in my training lab in Santa Barbara. Here are a couple of things I’ve learned in the 8 years since their advent:

1. Replicas can be chosen specifically for a given training exercise such as finding and treating MB2 canals in upper molars, managing impediments in canals, cruising through rare anatomy such as C-shaped molars, extraction and replacement by implants, apical microsurgery, sinus lifts, etc.

2. Replicas empower educators, for the first time, to teach hand skills by iteration. They are infinitely available for students to have one more try at a difficult technique, meaning that one can ledge and munge canals in 19 of the same replicas before “getting it” when operating the 20th, and by that process, own that skill. With extracted teeth, there are no do-overs, no mulligans; if you pooch the canal because it had a 90 degree apical bend, it’s going to be sometime before another canal like that presents itself in your extracted tooth jar. Not only that, but educators have no idea what anatomy is contained in their students’ teeth — it’s a random walk — so every exercise ends up being a one-on-one experience, with every student in a class dealing with different canal forms regardless of their skill level. With replicas, everybody in a training lab is working through the same exact challenges.

3. Replicas are softer than human teeth so they are extremely easy to ledge, which at first blush seems to be “no bueno,” but in reality is perfect because after students have learned to avoid abusing impediments in

Figure

a replica, they will never ledge a human root canal again for the rest of their careers.

4. Clear and opaque replicas are ideal for teaching mental imaging skills. Mental imaging is the most important skill a dentist brings to a root canal party, and while some of us have a natural ability in that regard, most of us need help figuring out how to do that. Training in clear replicas provides a view of exactly what is happening; for instance, when a rotary file is cutting through a curved canal, The best experience is to first do it in a clear replica and see it, then do the same procedure without directly seeing it in an opaque replica. Lots of “aha’s” happen with this teaching method. The results have been amazing (Figures 2-6).

Control the anatomy, control procedural training

Shortly after the advent of TrueTooth replicas, it occurred to me that perhaps they could be used to train dentists to do new procedures in their own operatories, rather than having to travel to somebody’s training center. Thus Virtual Hands-On Training (VHOT) was born, but not fully realized until the COVID-19 pandemic shut down my training center for 2 years. The challenges to taking a remote site HOC:

1. Cost of the course

2. Airfare, hotel, and transportation

3. Lost production — this is the greatest cost of off-site training

4. Returning back to the office, inevitably finding out that needed tools are missing

5. Having to train assistants in all the new methods from the HOC

Figures 7A-7C: Virtual Hands-on Training course kit. There are 18 replicas included, 1 clear and 2 opaque replicas of anteriors, premolars, and molars. Also included is a bur clip with 21 access burs, straight and bent DG-16 endo explorers, a 6-pack of orifice openers, and a Stropko™ Irrigator that fits on your air/water syringe with 20 18 Ga. tips

With those hurdles in mind, as designed in my head, VHOT is essentially a hands-on training course in a box; that box has 18 replicas — one clear and 2 opaque replicas of each tooth type. It has all the instruments and tools needed for the procedure being taught, and inside the box is a Q-code that boots up the video demonstrations that lead students though the procedures being taught (Figure 7).

The first of four courses, “Cutting MIE Access Cavities,” is currently available; Part 2 on instrumentation is nearly finished, and the last two, Part 3-Irrigation and Obturation and Part 4-Post-endodontic Restorative, are in production. Here is what I’ve observed in working with dentists after they have taken the VHOT on access preparations:

1. They spend more time on these exercises than we have time to teach them in the 2-day courses, usually spending 5-8 hours in their office instead of the 2 ½ hours we have available in the Santa Barbara facility. Furthermore, most users work through the exercises one at a time in 1-hour chunks so it’s not as overwhelming, and it is better retained than jamming through all of the material during the limited time we have to do it in the lab (Figures 8A-8D).

2. Course participants most often worked through exercises when patients cancelled or no-showed — the ultimate scheduling efficiency for both practice as well as training.

3. Dental assistants usually set up and assist during the exercises so they are getting trained at the same time as the doctor.

4. Having all the right gear has made it more efficient and less frustrating when applying new skills to practice.

5. Rather than just a less expensive HOC, the experience and speed running up the learning curve with VHOT is in many ways superior to in-person courses.

Conclusion

Virtual Hands-On Training empowers students to work at their own rate — they have total control over the day and time for each exercise, they retain more content when finished because it’s not crammed into a short window of time, and they can save thousands of dollars in the process.

Virtual Hands-On Training is not “as good” as an off-site course, it is better.

Figures 2-6: TrueTooth maxillary molar replica used from access to obturation and postendo restorative
Figures 8A-8D: Images of access cavities cut by course attendees during VHOT

How to submit an article to Endodontic Practice US

Endodontic Practice US is a peer-reviewed, quarterly publication containing articles by leading authors from around the world. Endodontic Practice US is designed to be read by specialists in Endodontics, Periodontics, Oral Surgery, and Prosthodontics.

Submitting articles

Endodontic Practice US requires original, unpublished article submissions on endodontic topics, multidisciplinary dentistry, clinical cases, practice management, technology, clinical updates, literature reviews, and continuing education.

Typically, clinical articles and case studies range between 1,500 and 2,400 words. Authors can include up to 15 illustrations. Manuscripts should be double-spaced, and all pages should be numbered. Endodontic Practice US reserves the right to edit articles for clarity and style as well as for the limitations of space available.

Articles are classified as either clinical, continuing education, technology, or research reports. Clinical articles and continuing education articles typically include case presentations, technique reports, or literature reviews on a clinical topic. Research reports state the problem and the objective, describe the materials and methods (so they can be duplicated and their validity judged), report the results accurately and concisely, provide discussion of the findings, and offer conclusions that can be drawn from the research. Under a separate heading, research reports provide a statement of the research’s clinical implications and relevance to endodontics. Continuing education articles also include three to four educational aims and objectives, a short “expected outcomes” paragraph, and a 10-question, multiple-choice quiz with the correct answers indicated. Questions and answers should be in the order of appearance in the text, and verbatim. Product trade names cited in the text must be accompanied by a generic term and include the manufacturer, city, and country in parentheses.

Additional items to include:

• Include full name, academic degrees, and institutional affiliations and locations

• If presented as part of a meeting, please state the name, date, and location of the meeting

• Sources of support in the form of grants, equipment, products, or drugs must be disclosed

• Full contact details for the corresponding author must be included

• Short author bio and author headshot

Pictures/images/tables

Illustrations should be clearly identified, numbered in sequential order, and accompanied by a caption. Digital images must be high resolution, 300 dpi minimum, and at least 90 mm wide. We can accept digital images in all image formats (preferring .tif or jpeg).

Ensure that each table is cited in the text. Number tables consecutively, and provide a brief title and caption (if appropriate) for each.

Disclosure of AI use

Authors must disclose any AI used in researching, writing, or creating their articles. This includes a language model, machine learning, or similar technologies to create or assist with this submission. If AI was used, please provide a description of the AI-generated content and the name, model or tool used, and manufacturer. If AI was used, please confirm that you take responsibility for the integrity of the content that you are submitting.

References

References must appear in the text as numbered superscripts (not footnotes) and should be listed at the end of the article in their order of appearance in the text. The majority of references should be less than 10 years old. Provide inclusive page numbers, volume and issue numbers, date of publication, and all authors’ names. References should be submitted in American Medical Association style. For example:

Journals: (Print)

White LW. Pearls from Dr. Larry White. Int J Orthod Milwaukee. 2016;27(1):7-8. (Online)

Author(s). Article title. Journal Name. Year; vol(issue#):inclusive pages. URL. Accessed [date].

Or in the case of a book: Pedetta F. New Straight Wire. Quintessence Publishing; 2017.

Website:

Author or name of organization if no author is listed. Title or name of the organization if no title is provided. Name of website. URL. Accessed Month Day, Year. Example of Date: Accessed June 12, 2011.

Author’s name: (Single) (Multiple) Doe JF Doe JF, Roe JP

Permissions

Written permission must be obtained by the author for material that has been published in copyrighted material; this includes tables, figures, pictures, and quoted text that exceeds 150 words. Signed release forms are required for photographs of identifiable persons.

Disclosure of financial interest

Authors must disclose any financial interest they (or family members) have in products mentioned in their articles. They must also disclose any developmental or research relationships with companies that manufacture products by signing a “Conflict of Interest Declaration” form after their article is accepted. Any commercial or financial interest will be acknowledged in the article.

Manuscript review and extra issues

All clinical and continuing education manuscripts are peer-reviewed and accepted, accepted with modification, or rejected at the discretion of the editorial review board. Authors are responsible for meeting review board requirements for final approval and publication of manuscripts. If additional issues are desired, they must be ordered from the publisher when the page proofs are reviewed by the authors. The publisher does not stock back issues. Reprints can be purchased after the issue is published.

Proofing

Page proofs will be supplied to authors for corrections and/or final sign off. Changes should be limited to those that are essential for correctness and clarity.

Articles should be submitted to: Mali Schantz-Feld, managing editor, at mali@medmarkmedia.com

Odne ® Campus

Spearheading education and science in advanced debridement and irrigation

Fostering excellence and education in endodontics, Odne® — a Swiss-based innovator solely focusing on endodontics, launched the Odne® Campus. The Odne® Campus features CE webinars with renowned speakers, disseminating knowledge to support endodontic leaders in their quest to preserve tooth structure in the root and cervical region while performing efficient and streamlined treatment workflows.

Following the launch of Odne®Clean, the first hydrodynamic cavitation device using sterile water as the main debridement medium at AAE 2025 in Boston, the Odne® Campus now centers on advanced debridement and irrigation. Its mission is to improve root canal cleanliness and disinfection while maintaining workflow efficiency. Today’s capabilities strongly support single-visit endodontic treatments. Odne®Clean supports the quest of the specialist in providing quick and outstanding patient care. “Reducing the use of harsh chemicals aims to make the procedure safer and support a higher standard of care. Our customers love the unprecedented cleanliness of the root canal — even under the microscope they can visibly see the difference,” says Holger Essig, Chief Customer Success Officer of Odne®

Dr. Brett Gilbert, a highly regarded clinician, educator, and influencer in the field of endodontics, led the inaugural Odne® Campus webinar in May 2025. Dr. Gilbert focused on mastering complex RCTs on a single visit applying minimally invasive techniques as well as efficient debridement and disinfection protocols

Dr. Benedict Bachstein — a highly regarded clinician and educator with a strong background from the Albert Einstein Medical Center in Philadelphia — lectured and shared clinical cases performed with Odne®Clean. In June, he led an Odne® Campus webinar, where he summarized scientific knowledge

Reducing the use of harsh chemicals aims to make the procedure safer and support a higher standard of care.”

on debridement and disinfection, as well as his views on advancing the RCT workflow with proper technology and clinical judgment.

Dr. Jianing (Jenny) He just led the July webinar, sharing her expertise on optimizing outcomes in retreatment cases. She is a highly respected Clinical Associate Professor in the Department of Endodontics at Texas A&M University College of Dentistry, known for her impactful research, major grant achievements, and dedication to both clinical and academic excellence.

In August, Dr. Reid Pullen will lead the next Odne® Campus live webinar. Based in the Los Angeles area, Dr. Reid Pullen is widely recognized for his clinical expertise, innovative techniques in root canal therapy, and commitment to advancing endodontic education through lectures, hands-on training, and digital content for dental professionals. He will focus on how to safely and easily disinfect the root canal.

“We will feature one live webinar on the Odne® Campus each month. Dr. Sameer Jain — a recognized pioneer in dynamic navigation technology and minimally invasive endodontics — will present in September. All webinars are free and also available on demand for the endo community. For us, excellence in science and education is essential in marketing our innovative devices,” adds Andreas Schocker, CEO of Odne®

Register for free: https://campus.odne.co/en/

Figures 1-3: Clinical case performed by Dr. Benedict Bachstein

The first hydro-dynamic cavitation device to use sterile water as the main debridement medium.

ARE YOU A ROOT GUARDIAN?

The first hydro-dynamic cavitation device to use sterile water as the main debridement medium.

ARE YOU A ROOT GUARDIAN?

ARE YOU A ROOT GUARDIAN?

Odne's Root Preservation Therapy (RPT) supports you in preserving tooth within the root and cervical region with efficient and fast treatment workflows.

Odne's Root Preservation Therapy (RPT) supports you in preserving tooth structure within the root and cervical region with efficient and fast treatment workflows.

Odne®Clean supports your quest:

Odne®Clean supports your quest:

Odne®Clean supports your quest:

Effectively cleaning complex root canal geometries1

Effectively cleaning complex root canal geometries1

Effectively cleaning complex root canal geometries1

Odne's Root Preservation Therapy (RPT) supports you in preserving tooth structure within the root and cervical region with efficient and fast treatment workflows.

Accelerating the debridement and disinfection workflow3

De-risking the procedure by significantly reducing the use of harsh disinfectants

De-risking the procedure by significantly reducing the use of harsh disinfectants

Accelerating the debridement and disinfection workflow3

De-risking the procedure by significantly reducing the use of harsh disinfectants2

Accelerating the debridement and disinfection workflow3

Truly minimally invasive, preserving tooth structure – thinnest tip on the market (190 µm)

Truly minimally invasive, preserving tooth structure – thinnest tip on the market (190 µm)

Truly minimally invasive, preserving tooth structure – thinnest tip on the market (190 µm)

Affordable high-tech – finally allowing to scale across operatories

Affordable high-tech – finally allowing to scale across operatories

1 Internal data from pre-clinical studies.

1 Internal data from pre-clinical studies.

2 Internal study showed that it’s reduced by 50% compared to PUI.

Affordable high-tech – finally allowing to scale across operatories

3 Internal data.

2 Internal study showed that it’s reduced by 50% compared to PUI.

3 Internal data.

1 Internal data from pre-clinical studies.

2 Internal study showed that it’s reduced by 50% compared to PUI.

3 Internal data.

Portable device with single-use debridement tip.

Portable device with single-use debridement tip.

Thinnest endodontic debridement tip (190 µm).

Thinnest endodontic debridement tip (190 µm).

The first hydro-dynamic cavitation device to use sterile water as the main debridement medium. debridement tip. tip (190 µm).

Inducing hydro-dynamic cavitation. Minium shaping requirement ISO 20.04.

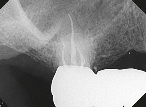
Clinical case performed by Dr. Benedict Bachstein (Figures 1-3)

The patient was diagnosed with irreversible pulpitis in tooth number 14, which presented multiple canals with highly complex anatomies. All canals were instrumented to 25/.04 and cleaned with Odne®Clean following the recommended clinical protocol. The use of Odne®Clean enabled the identification of five canal orifices and clearing of apical deltas.

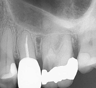
Clinical case performed by Dr. Brett Gilbert (Figures 4 and 5)

In this case, Dr. Gilbert was initially unable to locate the MB2 canal, despite thorough attempts using ultrasonic and a microscope. After performing the irrigation protocol with Odne®Clean, the MB2 became visible. Following activation, the filling material extended completely through the MB2.

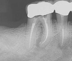
Clinical case performed by Dr. Sameer Jain (Figures 6 and 7)

The RCT involved a deep split tri-furcated premolar. Use of Odne®Clean enabled access to the advanced canal anatomy.

About Odne®Clean

Odne®Clean offers a novel approach to root canal disinfection, simplifying and accelerating the process. It creates a hydro-dynamic cavitation cloud inside the root canal using sterile water as the main irrigation medium. The cavitation jet effectively cleans complex root canal geometries and increases the effect of the final disinfection rinse with NaOCl.1 Odne®Clean de-risks the procedure by significantly reducing the use of harsh

disinfectants,2 accelerating the debridement and disinfection workflow.3 With its 190 µm tip, the thinnest dental fluid-delivery tip on the market, Odne®Clean supports minimally invasive root canal treatments enabling endodontists and dentists to preserve as much tooth structure as possible.

Odne®Clean is affordable high-tech — its price point is far below endodontic lasers. Also Odne®Clean does not require extensive service or service contracts. Visit https://odne.co/odneclean/ to learn more.

REFERENCES

1. Internal data from pre-clinical studies.

2. Internal study showed that NaOCl can be reduced by 50% compared to PUI.

3. Internal data/workflow comparison

This information was provided by Odne.

Figures 4 and 5: Clinical case performed by Dr. Brett Gilbert
Figures 6 and 7: Clinical case performed by Dr. Sameer Jain

The transformative impact of artificial intelligence on endodontic practice

AI’s growing role in endodontics

Introduction

Over the years, there have been significant technological developments in endodontics. Modern technologies and methods contributed to these advancements, the most remarkable recent achievement being the introduction of artificial intelligence (AI), which is generally considered to be the branch of software engineering that makes it possible for computer systems to do tasks that would require human intelligence. The capacity for this type of technology currently is bringing about innovations in endodontics.

Machine learning (ML) and deep learning (DL), both aspects of artificial intelligence (AI), are making a major impact on diagnosis, treatment planning, and accurate judgment. Tools that use AI are highly effective at data analysis, recognition of patterns, and decision-making. They are capable of decoding complicated data from a wide range of sources. For example, they are more accurate than the human eye at examining radiography images to find root fractures or minor periapical diseases. The development of more specific treatment plans also becomes possible by this advancement in technology, which increases the overall efficacy of clinical procedures and improves the accuracy of diagnosis.1-3 AI is expected to have a greater role in endodontics as it advances and expands over time, giving doctors valuable new methods to deliver improved patient care.

Fundamentals of AI in endodontics

The impressive capabilities of machine learning (ML) and deep learning (DL) frameworks are largely behind the effective introduction of AI into endodontic practice. Processing of medical data has changed significantly as a result of these advanced computational models that are developed to find complex

Amil Sharma, BDS, MDS, is Associate Professor in the Department of Conservative Dentistry and Endodontics, Maharana Pratap College of Dentistry and Research Centre, Gwalior, Madhya Pradesh, India.

Gregori M. Kurtzman, DDS, MAGD, is in private practice in Silver Spring, Maryland.

Greeshma Gupta, BDS, MDS, is Senior Lecturer in the Department of Conservative Dentistry and Endodontics, Maharana Pratap College of Dentistry and Research Centre, Gwalior, Madhya Pradesh, India.

Sharmistha Sharma, BDS, is a Private Practitioner in Gwalior, Madhya Pradesh, India.

patterns from huge databases without requiring specific programming. Artificial neural networks (ANNs), which have been created to mimic the human brain and have the skill of detecting complex links in data, are at the core of these systems. The incredible ability of convolutional neural networks, or CNNs, to process and analyze visual information made them a particularly efficient tool for endodontics. CNNs are trained on many thousands of dental radiographs and cone-beam computed tomography (CBCT) images to recognize important features such as the presence of fractures, root canal systems, and subtle changes in bone density. Having the capability to provide accurate, datadriven insights is changing diagnostics. Being highly effective in detecting periapical diseases, these networks are vital for evaluating outcomes from treatment, which helps dentists in making better decisions about patient care.1,4,5

Clinical applications

AI has a wide range of clinical applications in endodontics, assisting dentists with a variety of tasks that enhance the results of treatment and accuracy in diagnosis. Convolutional Neural Networks (CNNs) are a kind of artificial intelligence (AI) which have shown huge potential in the analysis of dental radiography images. The ability to identify small periapical lesions that the human eye would miss is significantly improved by this technology.6,7 Along with contributing to detecting diseases, AI helps figure out conditions that are not easy to notice, like vertical root fractures, which is crucial for making accurate treatment choices.8 Also, AI tools give vital support during clinical treat-

ment procedures. They give an accurate method of determining working length, providing accurate measurements that are crucial for a successful root canal treatment.9 In addition, the technology is very helpful for identifying the complexity of root canal systems, which, if neglected, is one of the primary reasons why treatment fails.10,11 On a bigger scale, AI assists in interpreting retreatment results using clinical and radiographic images, thus helping in understanding the treatment outcomes.12 It may perform even more difficult procedures to improve procedural accuracy and predict outcomes; for example, machine learning simulation modules are being generated.13 In the emerging field of regenerative endodontics, artificial intelligence is also proving to be a useful tool to determine the pulp’s stem cells’ viability for successful regeneration procedures.14

Performance and validation

AI is expected to have a greater role in endodontics as it advances and expands over time, giving doctors valuable new methods to deliver improved patient care.”

Many studies have shown that AI is accurate and reliable. In a number of diagnostic tasks, AI showed an impressive capacity to compete with or exceed experienced clinicians, especially when it comes to the complex interpretation of radiographs and images.3,7,15 The ability of AI to evaluate datasets and detect small anomalies that the human eye could miss is mainly responsible for this higher efficiency. However, it is important to understand that AI is an effective adjunct to clinical judgment rather than an alternative for clinical skill.

These technologies help as additional decision support tools, giving dentists a logical alternative opinion that can help confirm a diagnosis or point out apparent errors or conditions that appear confusing. The chances for diagnostic errors significantly decrease by combining the unique speed and precision of AI with the experience, ethical judgement, and critical thinking of an experienced physician. It ultimately ends in better and more reliable patient outcomes.16

Challenges and limitations

Currently, there are several challenges and limitations to the widespread clinical use of AI in endodontics. One of the primary difficulties is the basic need for massive and high-quality datasets, as a shortage of data for training and validation severely decreases the learning ability of AI models.2,4,16 Constant issues regarding data privacy, security breaches, and models are essential concerns that must be taken seriously when working with sensitive patients and can cause additional challenges.13,17

Besides the data-related barriers, due to the high costs and the requirement for doctors to learn new systems, using AI often requires the usage of special software and hardware, thus causing big obstacles to adoption.5,6 Similarly, a number of advanced AI models are defined as “black-box” models, meaning it is hard to understand how they make decisions.7,12

Since it disagrees with the need for experts to fully understand and justify their diagnostic and treatment decisions, and also since it may make it difficult to fulfill established clinical guidelines, this lack of transparency can be a major obstacle to its

use.17 It is difficult to fill the gap and fully adopt new technologies into daily practice because of these problems, which eventually result in long-term gap between the technical world of AI research and the practical uses of clinical dentistry.13,18

Future perspectives

AI in endodontics has a bright future, bringing with it a new era of improved access to care, precision, and customization. The ability to develop highly personalized and calculated treatment plans which take into consideration each patient’s unique anatomy and clinical situation will be one of the most significant developments.1,11 The ability of artificial intelligence to analyze huge data sets and predict the most effective course of action will accelerate this change from one-size-fits-all to a patient-specific strategy.

AI also has the ability to significantly increase endodontic treatment accessibility. Better triage and early action will be provided to patients in remote or underserved regions due to the development of AI-driven online consultation platforms that will enable preliminary diagnosis and screening.15 This has been aided by the introduction of technologies like augmented reality (AR), which will enhance the effectiveness of treatment through providing dentists a visual overlay of a patient’s anatomy in real time during a procedure, significantly improving efficiency and decreasing chances of mistakes.6,13

AI will also serve as a constant resource for support in the clinical setting. Real-time support methods will act as a virtual “co-pilot” that guides the clinician during difficult treatments, providing immediate responses and advice.14 In addition, through analyzing patient data, these expert-level AI systems will be able to recognize diseases early on, often before they’ve become clinically apparent, which permits proactive treatment that can avoid more serious diseases.8,10 At the end, more predictable, effective, and patient-centered endodontic care will be achieved from its focus on personalized treatment plans which are based on data unique to each patient.19

Conclusion

AI has tremendous ability to revolutionize endodontic diagnosis, treatment, and learning. In the near future, AI will play an important role in endodontic treatment, accuracy, efficiency, and diagnosis, even with the current limitations, due to ongoing advancements and globally ethical acceptance.2,3,6,17

At this time, the use of AI should be minimal, because it is essential to ensure that while we embrace newer technology, we

don’t rely totally on AI, or compromise endodontists’ ability to do their own proper diagnosis and treatment planning.

REFERENCES

1. Parinitha MS, Doddawad VG, Kalgeri SH, Gowda SS, Patil S. Impact of Artificial Intelligence in Endodontics: Precision, Predictions, and Prospects. J Med Signals Sens. 2024 Sep 2;14:25. doi: 10.4103/jmss.jmss_7_24.

2. Dennis D, Suebnukarn S, Heo MS, Abidin T, Nurliza C, Yanti N, Farahanny W, Prasetia W, Batubara FY. Artificial intelligence application in endodontics: A narrative review. Imaging Sci Dent. 2024 Dec;54(4):305-312. doi: 10.5624/isd.20240321. Epub 2024 Aug 25.

3. Sakly EH, Fornara R, Kaliaperumal K, Hawwaz ZM, Cavalcanti AL, Jabbar FA, Hussein L. Artificial Intelligence in Endodontics. G Ital Endod. 2025;39(1):33-40. doi. org/10.32067/GIE.2025.39.01.04.

4. Bakhsh AA. A narrative review on the current uses of artificial intelligence in endodontics. Saudi Endod J. 2024;14(2):164-171. doi: 10.4103/sej.sej_199_23.

5. Kumar PR, Ravindranath KV, Srilatha V, Alobaoid MA, Kulkarni MM, Mathew T, Tiwari HD. Analysis of Advances in Research Trends in Robotic and Digital Dentistry: An Original Research. J Pharm Bioallied Sci. 2022 Jul;14(Suppl 1):S185-S187. doi: 10.4103/jpbs.jpbs_59_22. Epub 2022 Jul 13.

6. Lai G, Dunlap C, Gluskin A, Nehme WB, Azim AA. Artificial Intelligence in Endodontics. J Calif Dent Assoc. 2023;51(1). doi.org/10.1080/19424396.2023.2199933.

7. Marwaha J. Artificial intelligence in conservative dentistry and endodontics: A gamechanger. J Conserv Dent Endod. 2023 Sep-Oct;26(5):514-518. doi: 10.4103/JCDE. JCDE_7_23. Epub 2023 Sep 16.

8. Sudeep P, Gehlot PM, Murali B, Mariswamy AB. Artificial intelligence in endodontics: A narrative review. J Int Oral Health. 2023;15(2):134-141. DOI:10.4103/jioh. jioh_257_22.

9. Agrawal P, Nikhade P. Artificial Intelligence in Dentistry: Past, Present, and Future. Cureus. 2022 Jul 28;14(7):e27405. doi: 10.7759/cureus.27405.

10. Goncharuk-Khomyn MY, Noenko I, Cavalcanti AL, Adiguzel O. Artificial intelligence in endodontics: Relevant trends and practical perspectives. Ukr Dent J. 2023;2(1):96101. doi:10.56569/UDJ.2.1.2023.96-101.

11. Ramezanzade S, Laurentiu T, Bakhshandah A, Ibragimov B, Kvist T, Bjørndal L. The efficiency of artificial intelligence methods for finding radiographic features in different endodontic treatments - a systematic review. Acta Odontol Scand. 2023 Aug;81(6):422-435. doi: 10.1080/00016357.2022.2158929. Epub 2022 Dec 22.

12. Setzer FC, Li J, Khan AA. The Use of Artificial Intelligence in Endodontics. J Dent Res. 2024 Aug;103(9):853-862. doi: 10.1177/00220345241255593. Epub 2024 May 31.

13. Ourang SA, Sohrabniya F, Mohammad-Rahimi H, Dianat O, Aminoshariae A, Nagendrababu V, Dummer PMH, Duncan HF, Nosrat A. Artificial intelligence in endodontics: Fundamental principles, workflow, and tasks. Int Endod J. 2024 Nov;57(11):15461565. doi: 10.1111/iej.14127. Epub 2024 Jul 26.

14. Sanjana V, Krishna N V, Prasad SD, Chandrasekhar M, SunilKumar C, SunilKumar S. Artificial Intelligence in Endodontics. Int J Med Sci Curr Res. 2022; 5(1):1161-1165.

15. Karobari MI, Adil AH, Basheer SN, Murugesan S, Savadamoorthi KS, Mustafa M, Abdulwahed A, Almokhatieb AA. Evaluation of the Diagnostic and Prognostic Accuracy of Artificial Intelligence in Endodontic Dentistry: A Comprehensive Review of Literature. Comput Math Methods Med. 2023 Jan 31;2023:7049360. doi: 10.1155/2023/7049360.

16. Gunec HG. Artificial Intelligence Applications in Dentistry. (Diş Hekimliğinde Yapay Zekâ Uygulamaları). “Endodontide Yapay Zekâ Uygulamaları.” (“Where are the Artificial Intelligence Applications in Endodontics?”) Publisher: Türkiye Klinikleri. 2023: 16-25.

17. Boreak N. Effectiveness of Artificial Intelligence Applications Designed for Endodontic Diagnosis, Decision-making, and Prediction of Prognosis: A Systematic Review. J Contemp Dent Pract. 2020 Aug 1;21(8):926-934.

18. Khanagar SB, Alfadley A, Alfouzan K, Awawdeh M, Alaqla A, Jamleh A. Developments and Performance of Artificial Intelligence Models Designed for Application in Endodontics: A Systematic Review. Diagnostics (Basel). 2023 Jan 23;13(3):414. doi: 10.3390/diagnostics13030414.

19. Saxena T, Gupta N, Narula N, Agrawal V, Gupta J, Abraham D. Artificial Intelligence in Endodontics. Int J Med Sci Dent Res. 2024;7(4):104-112.

Strategies to reduce fracture risk in engine-driven endodontic files: the effects of multi-phase heat treatment

Drs. Carlos A. Spironelli Ramos and Ken Serota discuss the heat-treatment manufacturing process

Endodontic engine-driven files have significantly transformed modern endodontic practices by increasing operational efficiency and precision in root canal instrumentation. Nonetheless, file separation continues to be a prevalent concern. Various strategies have been devised to mitigate this risk and reduce the likelihood of file breakage. This article delves into the heat-treatment manufacturing process utilized for the latest generation of multi-phase heat-treated files, highlighting their critical role in minimizing instances of file separation.

Understanding file breakage: causes and contributing factors

Before discussing preventive measures, it is important to thoroughly understand the primary causes of endodontic file breakage. Endodontic files, particularly engine-driven ones, encounter mechanical stress during operation, resulting in two primary types of failure: torsional and cyclic fatigue.

Torsional stress occurs when the file’s tip becomes lodged while the shank rotates due to the motor’s drive mechanism (Figure 1). In this scenario, the continued rotational force creates excessive torque on the file, which can lead to its fracture. This is particularly prevalent in cases where the canal morphology is complex or when the file is operated beyond its recommended torque and rotational speed.

Carlos Spironelli Ramos, DDS, MSc, PhD, is an experienced endodontist with over 35 years in teaching, research, and product development. He holds a PhD in endodontics and led the endodontics department at Londrina State University in Brazil for 18 years before moving to the U.S. in 2012. Fluent in three languages, he has lectured globally and authored three books, 14 chapters, and numerous articles. Dr. Ramos has five international patents related to endodontics, including innovations in apex locators, right cutting reciprocating movement, hybrid kinematics, heat treatment, ultrasonic negative pressure irrigation, and intelligent torque segmented control.

Ken Serota, DDS, MSc, graduated from the University of Toronto Faculty of Dentistry in 1973. He received his Certificate in Endodontics and Master of Medical Sciences degree from the Harvard-Forsyth Dental Center in Boston, Massachusetts in 1981. In 2000, Dr. Serota founded ROOTS, the first online endodontic forum which remains a force in endodontic education to this day.

Disclosure: The authors report no financial interest in the products mentioned in this article.

Educational aims and objectives

This self-instructional course for dentists looks at the manufacturing process of endodontic files, the heat-treatment manufacturing process utilized for the latest generation of multi-phase heat-treated files, and their role in minimizing instances of file separation.

Expected outcomes

Endodontic Practice US subscribers can answer the CE questions by taking the quiz online at endopracticeus.com to earn 2 hours of CE from reading this article. Correctly answering the questions will demonstrate the reader can:

• Identify causes and contributing factors to file breakage.

• Realize the significance of the introduction of nickeltitanium (NiTi) alloy for manufacturing engine-driven instruments.

• Identify how the phases of heat-treated instruments affect a material’s maximum efficiency under demanding service conditions.

• Read about an enhanced generation of file launched in 2024 that was implemented by customized heat treatments.

Figure 1: Stress builds at the file’s tip, causing torsional fatigue in the final apical millimeters

2: Cyclic fatigue applies tension and extension forces on the file at the center of the canal curvature. Side B is the external side of the curvature, while side A is the

On the other hand, cyclic fatigue is attributed to the file’s repetitive bending as it navigates through the canal’s intricate curves (Figure 2).

Each bending cycle subjects the metal alloy to tension and compression, gradually weakening the file’s structural integrity. Over time, the cumulative effect of these repeated stress cycles can lead to microscopic cracks, ultimately resulting in file breakage during procedures (Figure 3).

Heat-treated NiTi engine-driven files

The introduction of nickel-titanium (NiTi) alloy for manufacturing engine-driven instruments in the early 1990s marked a significant turning point for endodontics. Over the past 35 years, there has been a remarkable increase in the development of NiTi endodontic file systems, which has led to substantial advancements in the field. Thanks to improvements in metallurgical technology, various new instruments have emerged, showcasing innovative designs, blade geometries, and thermomechanical treatments of the alloy, all of which contribute to greater efficiency in the related procedures.1-7

Heat treatment aims to achieve a material’s maximum efficiency under demanding service conditions. It can be defined as a combination of heating and cooling operations, carefully timed and applied to an alloy in a solid state to produce the desired properties. The histories of swordsmiths and cutlers clearly illustrate that the precise method for hardening steel involves plunging solid, red-hot steel into water. At the same time, toughening is achieved by tempering the quench-hardened steel at a moderate temperature.

Leading manufacturers of engine-driven files adopted postgrinding heat treatment procedures, marking the beginning of a new generation of instruments. Each company developed a unique method for heat treatment and used the resulting surface color for identification. After implementing this technology, engine-driven files became safer, with improved shaping performance, particularly when addressing anatomical challenges such as curved canals. Meanwhile, clinical studies indicated lower fracture rates associated with these heat-treated files.5,8

Heat treatment is essential because the properties of each alloy phase are notably different. For instance, the proportions of the austenitic phase (which is more rigid and exhibits a spring-

Figure 3. An example of separation caused by using an austenitic file to enlarge a mildly curved canal. Both torsional and cyclic fatigue contributed to the file’s separation. (Dr. Carlos Ramos clinical case)

Figure 4: The classic representation of the austenitic, transitional, and martensitic phases and images of their discoverers. On the left is Sir William Roberts-Austen (1843–1902), an English metallurgist who defined the austenite phase. On the right is Adolf Martens (1850-1914), a German metallurgist and the namesake of the martensitic transformation

back effect) and the martensitic phase (which is more flexible and undergoes permanent plastic deformation) influence the performance of different instruments (Figure 4). When the alloy is in its martensitic phase, the file is soft and easily bent permanently (also called controlled memory). In contrast, the austenitic phase is firm and returns to its original straight condition once the load is removed (spring-back effect). Martensitic instruments are recommended for curved canals because they are designed to better preserve the original canal path.9-12

There is no one-size-fits-all solution to every anatomical challenge

The performance analysis of heat-treated instruments shows that the expression of their alloy phase significantly influences their effectiveness. The highly flexible martensitic alloy phase in control memory instruments may hinder their ability to advance into the apical third of the canal. While instruments primarily composed of the martensitic phase provide greater flexibility, allowing them to navigate through curvatures more efficiently, they are also more prone to substantial distortion when subjected to opposing forces during apical advancement (Figure 5). Clinically, the operator will encounter considerable challenges advancing apically due to the high level of distortion and ineffectiveness of this instrument’s cut-

Figure
internal side

ting ability. The angle of angular deflection leading to fracture is so steep that the instrument distorts even before it cuts into the dentin walls and enlarges the canal wall.

On the other hand, engine-driven files with a high proportion of the austenitic alloy phase demonstrate better resistance to torsional fatigue. However, they are less flexible and more susceptible to cyclic fatigue separation. For instance, if an instrument becomes wedged against the canal walls and continues to rotate under heavy torque, it can quickly reach its elastic limit, leading to a torsional fracture.

Multiple expressions of alloy phases in the same working lamina

Instruments made entirely of austenitic alloy show a lower susceptibility to torsional fatigue; therefore, this phase may be preferable when the applied force leads to a more significant torsional load.13-14 Thus, it is reasonable to conclude that the operator should choose the instruments’ alloy phase to be more austenitic during the final millimeters of apical enlargement, where the tip performs its glide function.

The body of the engine-driven file primarily shapes the curvature of a root canal. This shaping occurs due to the instrument’s tapered design, which allows its widest section to engage with the pathway leading to the most apical part of the canal, thus creating a lateral cutting action. In curved areas, the section of the instrument containing more metal is less likely to break from torsional fatigue. However, it is important to recognize that cyclic fatigue can significantly elevate the risk of separation in this instrument section due to the increased metal mass. Utilizing a martensitic alloy phase would be beneficial in this context, as applying martensitic heat treatment can help reduce separation caused by cyclic tension-extension forces by enhancing the metal’s flexibility.

KP TriShade® (Kevin Peter KP, Guilin, China) engine-driven NiTi heat-treated files feature a design allowing both rotary and asymmetrical right-cutting reciprocation motion. This enhanced generation was internationally launched in 2024, implementing customized heat treatments within the same lamina, balancing torsional strength and high flexibility across various regions of the working tip of the file. Through three specialized heat treatments, TriShade® achieves an optimal balance between torsional resistance (more austenitic in the last four millimeters of the apical segment of the file) and increased flexibility (more martensitic) in the file body, making the file pre-bendable (Figure 5). Additionally, the file’s shaft is entirely austenitic, which improves control during up-and-down instrumentation movements (Figure 6).

The last four millimeters of the apical segment underwent a heat treatment that produced a more dominant austenitic phase, resulting in a gold stain. The more martensitic body of the file generated a blue color. Furthermore, the austenitic shaft underwent thermal treatment, leading to a silver hue.15 This combination of thermal treatments yields differentiated performance for each instrument segment, enhancing resistance to the two primary challenges encountered during instrumentation (torsional and cyclic fatigue) at varying lengths of the same file (Figure 8).

There is a trend towards customized heat treatments based on the instrument’s metallic mass. Different manufacturers have introduced systems with differentiated thermal treatment within sequences of files16 but not within the same file, supporting the original notion that the same heat treatment should not simply be applied to address the two separation forces.

Figure 5A: Torsional stress applies at the end (tip) of the file, leading to deformation
Figure 5B: Bending the TriShade file in advance makes penetration easier in posterior teeth (Dr. Key F. Pereira)
Figure 6: The TriShade® file displays three distinct alloy phase expressions at the same working lamina. The gold tip is in the transitional phase, leaning more towards austenitic; the blue body of the file is in the transitional phase, leaning more towards martensitic, and the silver shaft is austenitic

TriShade represents a significant advancement in manufacturing processes by demonstrating a precise method for achieving heat treatment of the file in three distinct alloy phase expressions across various segments of the working part (Figures 8 and 9).17

Final remarks

Instrument separation during shaping procedures with rotary nickel-titanium (NiTi) systems is undesirable and can lead to complex resolutions. The wide range of fracture rates reported in the literature — ranging from 1.98% to 26% — highlights the unpredictability of this issue in clinical practice. Various factors may

contribute to instrument separation, including instrument design, improper instrumentation techniques, inadequate irrigation, using worn or damaged files, motor kinematics, root canal anatomy, and operator experience.

Preventing the breakage of endodontic files is a multifaceted challenge that requires careful attention to technique, equipment maintenance, and case-specific factors. Operators can significantly reduce the risk of file separation during endodontic procedures by implementing established methods such as glide path preparation, intelligent segment torque-controlled motors, adequate irrigation, and regular file inspection.

Additionally, extensive clinical research has provided insights into the benefits of different heat treatments for files and the various phases achieved. It is important to recognize that different heat treatments yield distinct instrument performance, thereby helping to mitigate instrument separation at various stages of instrumentation. As technology continues to evolve, further innovations in torque-controlled instrumentation techniques will likely enhance the safety and predictability of endodontic care.

REFERENCES

1. Gavini G, Santos MD, Caldeira CL, Machado MEL, Freire LG, Iglecias EF, Peters OA, Candeiro GTM. Nickel-titanium instruments in endodontics: a concise review of the state of the art. Braz Oral Res. 2018 Oct 18;32(suppl 1):e67. doi: 10.1590/1807-3107bor-2018.vol32.0067.

2. Haapasalo M, Shen Y. Evolution of nickel-titanium instruments: from past to future. Endod Topics. 2013;29(1):3–17. https://doi.org/10.1111/etp.12049.

3. Peters OA. Current challenges and concepts in the preparation of root canal systems: a review. J Endod. 2004 Aug;30(8):559-567. doi: 10.1097/01.don.0000129039.59003.9d.

4. Shen Y, Coil JM, Zhou H, Zheng Y, Haapasalo M. HyFlex nickel-titanium rotary instruments after clinical use: metallurgical properties. Int Endod J. 2013 Aug;46(8):720-729. doi: 10.1111/iej.12049. Epub 2013 Jan 21.

5. Shen Y, Zhou HM, Zheng YF, Peng B, Haapasalo M. Current challenges and concepts of the thermomechanical treatment of nickel-titanium instruments. J Endod. 2013 Feb;39(2):163172. doi: 10.1016/j.joen.2012.11.005.

6. Zhou H, Peng B, Zheng YF. An overview of the mechanical properties of nickel-titanium endodontic instruments. Endod Topics. 2013;29:42–54. https://doi.org/10.1111/etp.12045.

7. Zupanc J, Vahdat-Pajouh N, Schäfer E. New thermomechanically treated NiTi alloys - a review. Int Endod J. 2018 Oct;51(10):1088-1103. doi: 10.1111/iej.12924. Epub 2018 Apr 19.

8. Gambarini G, Piasecki L, Di Nardo D, Miccoli G, Di Giorgio G, Carneiro E, Al-Sudani D, Testarelli L. Incidence of Deformation and Fracture of Twisted File Adaptive Instruments after Repeated Clinical Use. J Oral Maxillofac Res. 2016 Dec 28;7(4):e5. doi: 10.5037/ jomr.2016.7405.

9. Sousa-Neto MD, Silva-Sousa YC, Mazzi-Chaves JF, Carvalho KKT, Barbosa AFS, Versiani MA, Jacobs R, Leoni GB. Root canal preparation using micro-computed tomography analysis: a literature review. Braz Oral Res. 2018 Oct 18;32(suppl 1):e66. doi: 10.1590/1807-3107bor2018.vol32.0066.

10. Arslan H, Yildiz ED, Gunduz HA, Sumbullu M, Bayrakdar IS, Karatas E, Sumbullu MA. Comparative study of ProTaper gold, reciproc, and ProTaper universal for root canal preparation in severely curved root canals. J Conserv Dent. 2017 Jul-Aug;20(4):222-224. doi: 10.4103/ JCD.JCD_94_17.

11. Bürklein S, Hinschitza K, Dammaschke T, Schäfer E. Shaping ability and cleaning effectiveness of two single-file systems in severely curved root canals of extracted teeth: Reciproc and WaveOne versus Mtwo and ProTaper. Int Endod J. 2012 May;45(5):449-61. doi: 10.1111/j.13652591.2011.01996.x. Epub 2011 Dec 22.

12. Plotino G, Ahmed HM, Grande NM, Cohen S, Bukiet F. Current Assessment of Reciprocation in Endodontic Preparation: A Comprehensive Review--Part II: Properties and Effectiveness. J Endod. 2015 Dec;41(12):1939-1950. doi: 10.1016/j.joen.2015.08.018.

13. Thu M, Ebihara A, Adel S, Takashi Okiji T. Analysis of torque and force induced by rotary nickel-titanium instruments during root canal preparation: a systematic review. Appl Sci. 2021; 11(7): 3079. https://doi.org/10.3390/app11073079.

14. Lopes HP, Gambarra-Soares T, Elias CN, Siqueira JF Jr, Inojosa IF, Lopes WS, Vieira VT. Comparison of the mechanical properties of rotary instruments made of conventional nickel-titanium wire, M-wire, or nickel-titanium alloy in R-phase. J Endod. 2013 Apr;39(4):516-520. doi: 10.1016/j.joen.2012.12.006. Epub 2013 Jan 30.

15. Tian H, Schryvers D, Liu D, Jiang Q, Van Humbeeck J. Stability of Ni in nitinol oxide surfaces. Acta Biomater 2011 Feb;7(2):892-899. doi: 10.1016/j.actbio.2010.09.009. Epub 2010 Sep 16.

16. Ramos, CAS. Endodontic files with hybrid metallurgical elastic characteristics and identification colors. US20230320815A1. https://patents.google.com/patent/US20230320815A1/ en?q=(carlos+alberto+spironelli+ramos)&oq=carlos+alberto+spironelli+ramos2023. Accessed July 16, 2025.

17. Wei, K (2024). Root Canal File Processing Equipment (China Patent No. 202421293202.5). CN State Intellectual Property Office.

Figure 7: Alloy phase expressions on the same working lamina provided by the KP TriShade file
Figure 8: TriShade protocol for narrow and calcified curved canals
Figure 9: Clinical cases where instrumentation was carried out using TriShade files according to the recommended sequence (Dr. Hugo Bastos)

Continuing Education Quiz

Strategies to reduce fracture risk in engine-driven endodontic files: the effects of multi-phase heat treatment RAMOS/SEROTA

1. Endodontic files, particularly engine-driven ones, encounter mechanical stress during operation, resulting primarily in _______.

a. torsional fatigue

b. cyclic fatigue

c. heat fatigue

d. both a and b

2. occurs when the file’s tip becomes lodged while the shank rotates due to the motor’s drive mechanism.

a. Torsional stress

b. Cyclic stress

c. Compression fatigue

d. Heat fatigue

3. is attributed to the file’s repetitive bending as it navigates through the canal’s intricate curves.

a. Torsional stress

b. Cyclic fatigue

c. Heat fatigue

d. Thermomechanical fatigue

4. The introduction of for manufacturing engine-driven instruments in the early 1990s marked a significant turning point for endodontics.

a. stainless steel

b. tapered designs

c. nickel-titanium (NiTi) alloy

d. coated files

5. When manufacturing engine-driven files, heat treatment is essential because the properties of each alloy phase are notably different.

a. True

b. False

6. When the alloy is in its ________, the file is soft and easily bent permanently (also called controlled memory).

a. martensitic phase

b. austenitic phase

c. general alloy phase

d. cooling phase

7. The is firm and returns to its original straight condition once the load is removed (spring-back effect).

Each article is equivalent to two CE credits. Available only to paid subscribers. Free subscriptions do not qualify for the CE credits. Subscribe and receive up to 16 CE credits for only $149; call 866-579-9496, or visit https://endopracticeus.com/ subscribe/ to subscribe today.

n To receive credit: Go online to https://endopracticeus.com/continuingeducation/, click on the article, then click on the take quiz button, and enter your test answers.

AGD Code: 070

Date Published: September 5, 2025

Expiration Date: September 5, 2028

a. martensitic phase

b. austenitic phase

c. general alloy phase

d. cooling phase

8. Martensitic instruments are recommended for because they are designed to better preserve the original canal path.

a. very narrow canals

b. very wide canals

c. curved canals

d. infected canals

9. The wide range of fracture rates reported in the literature (with rotary nickel-titanium (NiTi) systems) ranging from highlights the unpredictability of this issue in clinical practice.

a. 1.98% to 26%

b. 33% to 46%

c. 52% to 64%

d. none of the above

10. Operators can significantly reduce the risk of file separation during endodontic procedures by implementing established methods such as and regular file inspection.

a. glide path preparation

b. intelligent segment torque-controlled motors

c. adequate irrigation

d. all of the above

To provide feedback on CE, please email us at education@medmarkmedia.com Legal disclaimer: Course expires 3 years from date of publication. The CE provider uses reasonable care in selecting and providing accurate content. The CE provider, however, does not independently verify the content or materials. Any opinions expressed in the materials are those of the author and not the CE provider. The instructional materials are intended to supplement, but are not a substitute for, the knowledge, skills, expertise and judgement of a trained healthcare professional.

The lateral canal: its morphological and topographic description and its clinical importance

Drs. Juan Pablo Miraglia Cantarini, Denise Alfie, Gonzalo García, Carlos Cantarini, and Fernando Goldberg study a condition that poses complex challenges

Abstract

Introduction: The lateral canal (LC) is a crucial communication pathway between the root canal system and the periodontal tissues. LC cleaning poses challenges during endodontic treatment due to its complexity, which can lead to complications such as lateral lesions even without apical pathology.

Materials and methods

This study analyzed radiographs of 272 teeth undergoing endodontic treatment or retreatment to detect obturated LCs. The teeth were categorized by root third location, presence of lateral pathology, and specific root involvement in multi-rooted teeth. A subset of 136 teeth was evaluated clinically and radiographically over intervals up to 10 years. Various obturation techniques and sealers were also evaluated.

Results

Of the 272 cases, 237 had a single LC, primarily in the apical third. In 35 cases, two LCs were detected. Long-term follow-ups revealed higher repair rates with extended observation, with an 83% success rate after 2 years. Retreatment was not a statistically significant factor for incomplete repair. This means that there was no clear evidence showing that retreatment influenced the chance of the problem being fixed.

Conclusion

LCs play a significant role in endodontic prognosis due to their potential to harbor necrotic tissue. Thermoplasticized guttapercha techniques showed the highest success rate in obturating

Dr. Juan Pablo Miraglia Cantarini is a professor in the Master Program, Rey Juan Carlos University, Madrid, Spain.

Dr. Denise Alfie is in private practice.

Dr. Gonzalo García is from the Department of Endodontics, School of Dentistry, University of Buenos Aires, Argentina.

Dr. Carlos Cantarini is in private practice.

Dr. Fernando Goldberg is from the Department of Endodontics, USAL/AOA, Buenos Aires, Argentina.

Disclosure: The authors deny any conflicts of interest related to this study.

Educational aims and objectives

This self-instructional course for dentists aims to examine the significant role of the lateral canal’s various morphological, topographical, and clinical aspects that contribute to effective endodontic therapy.

Expected outcomes

Endodontic Practice US subscribers can answer the CE questions by taking the quiz online at endopracticeus.com to earn 2 hours of CE from reading this article. Correctly answering the questions will demonstrate the reader can:

• Identify the physical characteristics of the lateral canal.

• Recognize the difficulty of instrumenting and irrigating lateral canals efficiently. Realize some efficient ways to improve obturation of lateral canals.

• Realize some reasons for encountering complications during treatment of the lateral canal.

LCs, especially in primary treatments. Long-term follow-ups are crucial for confirming successful repair.

Introduction

The lateral canal (LC) represents a crucial pathway of communication between the root canal system and the surrounding periodontal tissue. In endodontic treatments, the LC contains vital tissue, and under certain circumstances, the cleaning and shaping process itself may lead to intraoperative bleeding, which can complicate and occasionally alter the subsequent obturation. LCs can vary in caliber and, in some cases, extend beyond the apical foramen.

It is evident that bacterial progression from the coronal area due to carious tissue affects the LC first before reaching the apical foramen. Thus, radiographically, a lateral lesion without an apical lesion can be observed. Furthermore, a lateral lesion may originate from an LC where the vital tissue has been destroyed by septic pulp necrosis, yet vital pulp can still be found. According to Ricucci and Siqueira Jr.,1 when the caliber of the LC is wide, it can contain a significant amount of necrotic tissue and bacteria. Radiographically, obturated LCs are only perceptible when located along the proximal walls; if they are vestibular, palatal, or lingual, they overlap with the radiopacity of the end-

odontic obturation and are not visible on the radiograph. Galvão Barbosa, et al.,2 observed in an ex vivo study on mandibular molars that most LCs were detected on the lingual, vestibular, distolingual, and distobuccal surfaces.

Cleaning of LCs cannot be achieved with endodontic instruments; only irrigation solutions can fulfill this function. Wang, et al.,3 highlight the difficulty in ensuring irrigation solution reaches the entirety of the LC, regardless of the type of irrigation needle used.1 Additionally, LCs are unlikely to be completely clean after instrumentation and irrigation, irrespective of the technique or solution used. Several authors suggest that removing the smear layer from the dentinal walls post-instrumentation increases the likelihood of obturating LCs.4-7 Likewise, the use of agitation of irrigating solutions at the end of the endodontic procedure could lead to a higher frequency of obturated LCs.8-10

On the other hand, the use of calcium hydroxide medication between treatment sessions impedes LC obturation, as remnants can obstruct their pulp entrance.11 The obturation of an LC allows us to confirm the presumed diagnosis of lateral radiolucency and acts as a patency file, expelling septic content from the LC towards the periodontal area, where defenses can minimize its effects. Motamedi and Gilbert10 emphasize that LC obturation can confirm the endodontic origin of the lesion and validate sufficient LC cleaning to allow passage of obturation material through it.

Considering their location, LCs can be found in any of the root thirds, can be singular or multiple, and in their various courses, they cross dentin and dental cementum before reaching the periodontium.

Purpose

The purpose of this article is to analyze various morphological, topographical, and clinical aspects that contribute to the importance of LCs in endodontic therapy.

Materials and methods

Radiographs of 272 different dental pieces with endodontic treatment or retreatment were observed to identify obturated LCs. The following aspects were individually identified: number, root third location, presence or absence of lateral pathology, and for multi-rooted teeth, the specific root affected. Of these 272 dental pieces, 136 were clinically and radiographically evaluated at different intervals: 49 within 2 years, 43 from 2 to 5 years, 32 from 5 to 10 years, and 12 over 10 years. Clinical and radiographic evaluations at various intervals were conducted based on parameters suggested by Friedman and Mor.

The analyzed dental pieces were represented as follows: Upper Maxilla: Central incisors 45, Lateral incisors 14, Canines 12, Premolars 62, and Molars 18. Lower Maxilla: Central incisors 0, Lateral incisors 3, Canines 7, Premolars 52, and Molars 59. Of all cases, 213 obturated LCs corresponded to endodontic treatments and 59 to non-surgical retreatments.

Seventy-five did not show periradicular radiolucency, while 197 did.

The obturation technique and sealer used were determined for all endodontic treatments. System B™ (n = 113), Hybrid Technique (n = 53), GuttaCore® (n = 35), Lateral Compaction (n = 30), Injectable Gutta-Percha Systems (n = 26), Thermafil® (n = 15). Sealers with resin bases were used in 203 cases, zinc oxide-eugenol-based sealers in 46, bioceramic in 20, and calcium hydroxide-based sealers in 3.

Results

In 237 out of 272 cases, a single LC was present, with 23 located in the coronal third, 83 in the middle third, and 131 in the apical third (Figure 1). In 35 dental pieces, two obturated LCs were detected, with 16 located in the middle and apical thirds, 4 in both middle thirds, and 15 in both apical thirds (Figure 2).

Figure 1 (left): Lateral canal in the cervical third. Lateral canal in the middle third, and lateral canal in the apical third (arrows). Figure 2 (right): Two lateral canals in the same tooth

Among the 136 dental pieces with distance evaluations, 92 showed persistent sealer in the LC, while 44 did not.

Of the 59 lower molars, 40 had LCs in the mesial root and 18 in the distal root, with 1 case showing double obturated LCs: one in the mesial and one in the distal root. Among the 18 upper molars, 6 had LCs in the mesio-vestibular root, 9 in the palatal root, 2 in the distobuccal root, and 1 double LC located in the palatal and distobuccal roots.

Of the 136 dental pieces with distance evaluations, 49 evaluated within 2 years showed 27 with total repair, 21 in repair, and 1 case with no repair radiographically. Of the 43 evaluated from 2 to 5 years, 36 showed total repair (Figure 3), 6 in repair, and 1 case with no repair. Of the 32 evaluated from 5 to 10 years, 27 showed total repair (Figure 4) and 5 in repair. Of the 12 evaluated over 10 years, 10 showed total repair (Figure 5) and 2 a partial repair.

The chi-squared value (with continuity correction) is 1.02, with a corresponding p-value of 0.31. Therefore, the association between the defined variables cannot be considered statistically significant.

The odds ratio is 2.35, with a corresponding confidence interval of 0.17–8.34. Since this interval includes one, it cannot be considered that retreatment represents a statistically significant risk factor for the absence of complete repair. This means that the confidence interval shows no significant link between retreatment and the problem being fixed, as it includes the value one, which implies no effect.

Discussion

When dental pulp undergoes pathology involving microorganisms, LCs provide a direct pathway for these microorganisms to affect the periodontal tissue, inevitably leading to periapical pathologies. Given that LCs can be found in any of the three root thirds, periodontal damage can occur in different areas of the surrounding periodontium. De Deus13 noted in an ex vivo study of 1,140 dental pieces that 27.4% had LCs, with 17.0% located in the apical third, 8.8% in the middle third, and 1.6% in the cervical or coronal third. Similarly, in this study of 272 dental pieces with LCs, 237 were singular, with 9.7% located in the cervical or coronal third, 35% in the middle third, and 55.3% in the apical third. This is in accordance with De Deus’ findings, where the majority of LCs were located apically, followed by the middle and cervical or coronal thirds. Kasahara et al.,14 evaluated 503 maxillary central incisors ex vivo, with over 60% showing LCs, 80% with a caliber close to #10, and 3% with a caliber greater than #40. Among all incisors evaluated, 47.3% had one LC, 25.1% had two, and 13.1% had three. Venturi, et al.,15 observed in an ex vivo study on different dental pieces that most LCs were smaller than 50 um, with some ranging from 50 to 100 um.

According to these authors, vertical gutta-percha compaction resulted in excellent obturation, particularly in LCs located more than 3 mm from the apex. Ricucci and Siqueira1 noted that wide LCs can contain significant amounts of necrotic tissue and bacteria, leading to lateral lesions. Rotstein and Simon16 observed the presence of a lateral cyst originating from an LC emerging from the main canal with infected pulp.

Figure 4: Preoperative radiograph of the mandibular first molar showing a circumscribed radiolucent area lateral to the distal root. Immediate postoperative image following orthograde retreatment with obturation of the lateral canal directed towards the lateral radiolucent area. Long-term postoperative image (7 years and 2 months) highlighting bone repair of the lesion
Figure 5: Preoperative radiograph showing a periapical radiolucent area in a mandibular premolar. Immediate postoperative image following endodontic treatment showing obturation of a lateral canal in the middle third. Long-term postoperative image (13 years and 8 months) with lesion repair
Figure 3: Preoperative radiograph indicating retreatment. Immediate postoperative image of the retreatment showing the obturation of a lateral canal in the apical third: a significant periapical radiolucent area is observed. Long-term postoperative image (4 years and 1 month) showing lesion repair with new bone formation

Furthermore, proper endodontic treatment aims to restore periodontal health and thereby replenish lateral bone lost due to pathology. For instance, of the 136 repaired cases presented, various obturation techniques and sealers were employed. Within 2 years of postoperative clinical and radiographic control, they showed a success rate of 55%; however, this exceeded 83% in controls lasting longer than 2 years. Consequently, shorter-term controls exhibited lower success rates compared to longer-term controls, consistent with other authors’ findings.17,18

When dental pulp undergoes pathology involving microorganisms, lateral canals provide a direct pathway for these microorganisms to affect the periodontal tissue, inevitably leading to periapical pathologies.”

REFERENCES

1. Ricucci D, Siqueira JF Jr. Fate of the tissue in lateral canals and apical ramifications in response to pathologic conditions and treatment procedures. J Endod. 2010 Jan;36(1):1-15.

Regarding the obtained chi-squared statistic, it can be considered that retreatment does not represent a statistically significant risk factor for the absence of complete repair. This means that the chi-squared test results suggest that retreatment is not likely to impact whether repairs are fixed in a statistically significant way.

Regarding the persistence of sealer in the periradicular area adjacent to the obturated lateral canal, it is important to highlight that overfilling may be one of the causes of delayed repair but does not prevent it.18

Several publications indicate that thermoplasticized gutta-percha techniques achieve LC obturation more frequently than lateral compaction techniques, owing to softened gutta-percha exerting more intense pressure against the dentinal walls and root canal intricacies.19,20 Similarly, LC obturation was more frequent in initial treatments compared to retreatments, likely due to persistent remnants from the primary obturation obstructing LC entry.21 Removing primary obturation material completely during retreatment is often challenging.22,23

It is crucial to note that when intraradicular posts are used, preventing an interface between endodontic obturation and the post is essential. Improper post space utilization, as noted by Weine,24 can lead to lateral lesions through an LC with tissue degradation. This remarks the importance of careful post cementation, as they are not sterile and likely contains signs of bacterial contamination that can diffuse through an LC.

Conclusions

Lateral canals (LCs) are anatomical variations of the root canal system that can be found in different root thirds, with varying calibers and courses. Clinically, they become critically important in septic pulp mortifications as they serve as significant bacterial pathways that can damage the surrounding periodontal tissue. Regarding prognosis, there is a clear emphasis on the necessity for extended follow-up periods in many cases until radiographically repair is detected.

Acknowledgments: The authors express their sincere appreciation to Professor Ricardo L. Macchi for his help with the statistical analysis.

Editor’s note: We are sorry to report that Dr. Fernando Goldberg died on April 18, 2025 after an illness. We extend our sincere condolences to his family and colleagues.

2. Barbosa FO, Gusman H, Pimenta de Araújo MC. A comparative study on the frequency, location, and direction of accessory canals filled with the hydraulic vertical condensation and continuous wave of condensation techniques. J Endod. 2009 Mar;35(3):397-400.

3. Wang R, Shen Y, Ma J, Huang D, Zhou X, Gao Y, Haapasalo M. Evaluation of the Effect of Needle Position on Irrigant Flow in the C-shaped Root Canal Using a Computational Fluid Dynamics Model. J Endod. 2015 Jun;41(6):931-936.

4. Goldberg F, Massone JE, Spielberg C. Effect of irrigation solutions on the filling of lateral root canals. Endod Dent Traumatol. 1986 Apr;2(2):65-66.

5. Villegas JC, Yoshioka T, Kobayashi C, Suda H. Obturation of accessory canals after four different final irrigation regimes. J Endod. 2002 Jul;28(7):534-536.

6. Shahravan A, Haghdoost AA, Adl A, Rahimi H, Shadifar F. Effect of smear layer on sealing ability of canal obturation: a systematic review and meta-analysis. J Endod. 2007 Feb;33(2):96-105.

7. Goldberg F, Artaza LP, Alfie D. Capacity of different irrigation procedures to remove smear layer from the pulpal orifice of simulated lateral canals. Rev Asoc Odontol Argent. 2010;98(2):113-118.

8. de Gregorio C, Estevez R, Cisneros R, Paranjpe A, Cohenca N. Efficacy of different irrigation and activation systems on the penetration of sodium hypochlorite into simulated lateral canals and up to working length: an in vitro study. J Endod. 2010 Jul;36(7):1216-1221.

9. Kanter V, Weldon E, Nair U, Varella C, Kanter K, Anusavice K, Pileggi R. A quantitative and qualitative analysis of ultrasonic versus sonic endodontic systems on canal cleanliness and obturation. Oral Surg Oral Med Oral Pathol Oral Radiol Endod. 2011 Dec;112(6):809-813.

10. Motamedi MRK, Gilbert BE. The lateral puff in endodontics: clinically significant or a storyteller of anatomy and etiology?- A case report series. Endod Pract US. 2023;16(4):22-25.

11. Goldberg F, Artaza LP, De S. Influence of calcium hydroxide dressing on the obturation of simulated lateral canals. J Endod. 2002 Feb;28(2):99-101.

12. Friedman S, Mor C. The success of endodontic therapy--healing and functionality. J Calif Dent Assoc. 2004 Jun;32(6):493-503.

13. De Deus QD. Frequency, location, and direction of the lateral, secondary, and accessory canals. J Endod. 1975 Nov;1(11):361-366.

14. Kasahara E, Yasuda E, Yamamoto A, Anzai M. Root canal system of the maxillary central incisor. J Endod. 1990 Apr;16(4):158-161.

15. Venturi M, Di Lenarda R, Prati C, Breschi L. An in vitro model to investigate filling of lateral canals. J Endod. 2005 Dec;31(12):877-881.

16. Rotstein I, Simon JH. Diagnosis, prognosis and decision-making in the treatment of combined periodontal-endodontic lesions. Periodontol 2000. 2004;34:165-203.

17. Molven O, Halse A, Fristad I, MacDonald-Jankowski D. Periapical changes following root-canal treatment observed 20-27 years postoperatively. Int Endod J. 2002 Sep;35(9):784-790.

18. Fristad I, Molven O, Halse A. Nonsurgically retreated root filled teeth--radiographic findings after 20-27 years. Int Endod J. 2004 Jan;37(1):12-18.

19. DuLac KA, Nielsen CJ, Tomazic TJ, Ferrillo PJ Jr, Hatton JF. Comparison of the obturation of lateral canals by six techniques. J Endod. 1999 May;25(5):376-380.

20. Goldberg F, Artaza LP, De Silvio A. Effectiveness of different obturation techniques in the filling of simulated lateral canals. J Endod. 2001 May;27(5):362-364.

21. Goldberg F, Artaza LP, García C, Briseño-Marroquín B. Obturation frequency of simulated lateral canals during primary treatment and following re-treatment. Endod Pract Today. 2011;5(2):139-144.

22. Rossi-Fedele G, Ahmed HM. Assessment of Root Canal Filling Removal Effectiveness Using Micro-computed Tomography: A Systematic Review. J Endod. 2017 Apr;43(4):520-526.

23. De-Deus G, Belladonna FG, Zuolo AS, Cavalcante DM, Simões Carvalho M, Marinho A, Souza EM, Lopes RT, Silva EJNL. 3-dimensional Ability Assessment in Removing Root Filling Material from Pair-matched Oval-shaped Canals Using Thermal-treated Instruments. J Endod. 2019 Sep;45(9):1135-1141.

24. Weine FS. The enigma of the lateral canal. Dent Clin North Am. 1984 Oct;28(4):833-852.

Continuing Education Quiz

The lateral canal: its morphological and

topographic description and its clinical

importance

1. In endodontic treatments, the lateral canal contains vital tissue, and under certain circumstances, the cleaning and shaping process itself may lead to _______, which can complicate and occasionally alter the subsequent obturation.

a. intraoperative bleeding

b. craze lines

c. overobturation

d. necrosis

2. It is evident that bacterial progression from the coronal area due to carious tissue affects the lateral canal ________.

a. after reaching the apical foramen b. first before reaching the apical foramen c. at the same time as the apical foramen d. without any further progression

3. A lateral lesion may originate from an LC where the vital tissue has been destroyed by septic pulp necrosis, yet vital pulp can still be found.

a. True

b. False

4. According to Ricucci and Siqueira Jr., when the caliber of the LC is ________, it can contain a significant amount of necrotic tissue and bacteria.

a. narrow

b. tapered

c. wide

d. vestibular

5. Radiographically, obturated LCs are only perceptible when located along the proximal walls; if they are ________, they overlap with the radiopacity of the endodontic obturation and are not visible on the radiograph.

a. vestibular

b. palatal

c. lingual

d. all of the above

6. Galvão Barbosa, et al., observed in an ex vivo study on mandibular molars that most LCs were detected on the _______ and distobuccal surfaces.

a. lingual

b. vestibular

Each article is equivalent to two CE credits. Available only to paid subscribers. Free subscriptions do not qualify for the CE credits. Subscribe and receive up to 16 CE credits for only $149; call 866-579-9496, or visit https://endopracticeus.com/ subscribe/ to subscribe today.

n To receive credit: Go online to https://endopracticeus.com/continuingeducation/, click on the article, then click on the take quiz button, and enter your test answers.

AGD Code: 070

Date Published: September 5, 2025

Expiration Date: September 5, 2028

c. distolingual

d. all of the above

7. Cleaning of LCs _________.

a. cannot be achieved with endodontic instruments; only irrigation solutions can fulfill this function

b. can only be achieved with endodontic instruments; not irrigation solutions

c. can only be achieved with certain irrigating solutions

d. can never eliminate the smear layer

8. Several authors suggest that removing the smear layer from the dentinal walls post-instrumentation _______.

a. decreases the likelihood of obturating LCs

b. increases the likelihood of obturating LCs

c. has no effect on the likelihood of obturating LCs

d. has a much better effect than the use of agitation

9. The use of calcium hydroxide medication between treatment sessions impedes LC obturation, as remnants can obstruct their pulp entrance.

a. True

b. False

10. Considering their location, LCs _____, and in their various courses, they cross dentin and dental cementum before reaching the periodontium.

a. can be found in any of the root thirds

b. can be singular

c. can be multiple

d. all of the above

To provide feedback on CE, please email us at education@medmarkmedia.com Legal disclaimer: Course expires 3 years from date of publication. The CE provider uses reasonable care in selecting and providing accurate content. The CE provider, however, does not independently verify the content or materials. Any opinions expressed in the materials are those of the author and not the CE provider. The instructional materials are intended to supplement, but are not a substitute for, the knowledge, skills, expertise and judgement of a trained healthcare professional.

Reclaiming visual control in endodontics

The clinical utility of Munce Discovery Burs®

In the evolving landscape of modern endodontics, clinical precision and predictability are paramount. As clinicians increasingly operate under high magnification using dental operating microscopes, the need for instrumentation that complements this level of visualization is essential. Among the inventions that have redefined conservative and efficient endodontic access and refinement, the Munce Discovery Burs stand out as a uniquely engineered solution that blends tactile finesse with visual clarity.

Invented by Board-certified Endodontist Dr. C. John Munce while practicing endodontics in Santa Barbara, California, the Munce Discovery Burs were born out of a clinical necessity to locate hidden canals, to access calcified canals, and to refine internal anatomy without sacrificing dentinal structure or compromising visibility. Today, their application simplifies a wide range of clinical challenges, from calcified chamber access to post removal, orifice location, and even troughing around broken instruments.

Engineered for visibility and control

What sets Munce Burs apart is their stainless-steel shaft paired with a carbide working tip, providing a rigid, vibration-free performance that enhances tactile control. Unlike traditional slow speed round burs with thick necks or full carbide burs that obstruct the clinician’s line of sight, Munce Burs feature ultrathin, elongated necks that prevent impingement against access cavity walls and preserve visibility under the microscope. This design enables clinicians to confidently navigate complex anatomy with less reliance on guesswork and more on what they can directly observe.

Munce Discovery Burs are offered in three shaft lengths: 28 mm, 31 mm, and 34 mm, each significantly longer than the standard slow speed round burs — and they are available in seven head diameters ranging from a #1/4 with a 0.5 mm head diameter to a #6 with a 1.4 mm head diameter. This broad range allows clinicians to select the precise bur for the task at hand, whether they are delicately chasing a calcified MB2 canal, coring out a fiber post, or dissecting the cement-line around a metal post, even in the apical third.

A versatile workhorse in the operatory

One of the most significant advantages of the Munce Burs is their multi-tasking ability across a variety of procedures. Their utility in calcified chamber entry is easily understood. A sequential approach starting with a #2 or #3 bur to expose the orifices and then progressing to the smaller #1, #1/2, and #1/4 burs for deeper penetration offers a controlled method to access sclerotic canals while minimizing perforation risk. The burs are likewise essential for troughing the isthmus between MB1 and MB2 canals of maxillary molars and the often complex isthmus systems of bicuspids. In addition, the TruGrit TroughRefiner®, a

unique slow speed narrow-tipped tapered diamond bur, is the perfect companion to refine the isthmus already uncovered by Munce Burs. When removing fiber or metal posts, the long narrow-shafts of Munce Burs offer reach and durability that standard burs lack. Using a crown-down approach with the #3, #2, #1, and then the #1/2 head sizes is particularly effective in coring out fiber posts while minimizing canal distortion. In the case of separated instruments, the #1/2 and the #1/4 burs (with 0.6 mm and 0.5 mm diameter heads, respectively) allow for precision troughing around the fragment to facilitate removal with minimal iatrogenic damage.

Why it matters for practice efficiency

From a practice management perspective, investing in Munce Discovery Burs can also mean reducing chair time and increasing confidence in severely calcified and complex cases, areas often associated with unpredictability and frustration. When clinicians have the proper instruments that support visual access and anatomical fidelity, clinical success follows.

As recognized with the 2025 Dentistry Today Top 25 Endodontic Products award, Munce Discovery Burs remain a cornerstone product among practices aiming for modern, microscope-driven endodontics. Packaged in assortments, individually by size, or with a convenient bur block which holds all sizes, these burs integrate seamlessly into existing protocols with a minimal learning curve.

Conclusion

In an era where conservative access and high-definition visualization continue to shape the future of endodontics, Munce Discovery Burs offer a clinically proven and economically sensible advantage. They are not just burs — they are precision instruments crafted to empower clinicians to see better, feel more, and cut smarter. Whether tackling a tough retreatment case or striving for minimally invasive excellence, the Munce Discovery Burs are a must-have for endodontic procedures. For more information and to purchase Munce Discovery burs, visit www.engineeredendo.com.

This information was provided by Engineered Endo.

Munce Discovery Burs®

Anaphylaxis preparedness in dental practices: what to know to be prepared

J. Wesley Sublett, MD, MPH, Board-Certified Allergist in Louisville, Kentucky, and Donald Cohen, DMD, from New York State, inform dentists on how to approach this dangerous allergic reaction

One of the most dangerous emergencies you may encounter in a dental office is anaphylaxis, a severe allergic reaction that can happen within minutes and can be fatal if not treated immediately with epinephrine. The American Dental Association (ADA) recommends that dental practices have plans in place for responding to allergic emergencies, including using epinephrine auto-injectors to treat anaphylaxis. We asked J. Wesley Sublett, MD, and Donald Cohen, DMD, about the key facts every dental practice should know about anaphylaxis and how to prepare for it.

Q: What are common triggers for anaphylaxis in a dental office?

Dr. Cohen: The most common triggers of anaphylaxis in dental practice are antibiotics, antiseptics, and latex-containing products, such as gloves, bite-wing tabs, adhesive tape, and rubber dams. But these are not the only possible triggers.1 Medications, such as NSAIDs, local anesthetics, sedatives, and the materials used in endodontics and impressions can also cause anaphylaxis.1

Q: What are the symptoms of anaphylaxis?

Dr. Sublett: Because anaphylaxis is life-threatening and can occur quickly, it’s critical for dentists and their staff to recognize symptoms and respond immediately. Symptoms can occur in a number of different systems in the body.2 For example, there may be skin changes, including rash, hives, redness, itching, or swelling below the skin surface. The patient’s mouth, throat, or tongue can become swollen, causing swallowing or breathing difficulties such as wheezing or rapid breathing. The patient may experience nausea, vomiting, or other gastrointestinal symptoms. Cardiac symptoms, such as rapid heartbeat and a drop in blood pressure, can also occur.

Q: How can dentists and their staff treat anaphylaxis when it happens in the office?

Dr. Sublett: Epinephrine is the first-line treatment for anaphylaxis,4 and administering epinephrine early has been shown to reduce the risk of hospitalization and life-threatening consequences.5,6 A dose of epinephrine appropriate to the patient’s weight class should be given immediately.7 I recommend Intramuscular Injection (IM), as it is a proven route of administration that reliably delivers the full dose of epinephrine and whose effects have a rapid onset.8 The ADA recommends that practices

have a plan in place, which includes using epinephrine to deliver a premeasured dose to treat anaphylaxis.7

In addition, the World Allergy Organization Anaphylaxis Guidance recommends implementing the following protocol immediately if anaphylaxis is suspected:5

1. If the trigger can be identified, remove it immediately (if feasible).

2. Activate emergency medical services.

3. Assess the patient’s vitals and weight.

4. And, simultaneously, give the weight-appropriate dose of epinephrine.

5. If necessary, give the patient high-flow supplemental oxygen via a face mask.

Q: What are considerations during surgery for administering epinephrine to respond to anaphylaxis?

Dr. Cohen: Since use of a nasal cannula is common during dental surgery,10 I recommend IM epinephrine since it can easily be given during use of a nasal cannula and IV.

Q: When choosing an epinephrine device, what features should dental practices consider?

Dr. Sublett: Epinephrine auto-injectors, like AUVI-Q, simplify administration during an emergency because they can be administered through clothing and are pre-measured with a weight-appropriate dose to keep anaphylaxis symptoms from

J. Wesley Sublett, MD, (left) and Donald Cohen, DMD (right)

Is Your Dental

Practice Prepared?

It’s critical to recognize the symptoms of anaphylaxis and to respond quickly.

Choose a Dental Kit that includes AUVI-Q

• Can administer epinephrine through clothing

• Features voice instructions to help users confidently administer epinephrine

• Is the only epinephrine device available in three weight-appropriate doses

• Common adverse reactions to epinephrine include anxiety, apprehensiveness, restlessness, tremor, weakness, dizziness, sweating, palpitations, pallor, nausea and vomiting, headache, and/or respiratory difficulties.

Indication

Scan code to equip your practice

AUVI-Q (epinephrine injection, USP) is indicated in the emergency treatment of allergic reactions (Type I) including anaphylaxis to allergens, idiopathic and exercise-induced anaphylaxis. AUVI-Q is intended for patients with a history of anaphylactic reactions or who are at increased risk for anaphylaxis.

Important Safety Information

AUVI-Q is intended for immediate self-administration as emergency supportive therapy only and is not a substitute for immediate medical care. In conjunction with the administration of epinephrine, the patient should seek immediate medical or hospital care. Each AUVI-Q contains a single dose of epinephrine for single-use injection. More than two sequential doses of epinephrine should only be administered under direct medical supervision. Since the doses of epinephrine delivered from AUVI-Q are fixed, consider using other forms of injectable epinephrine if doses lower than 0.1 mg are deemed necessary.

Please see additional Important Safety Information on next page, and full Prescribing Information and Patient Information available at www.auvi-q.com.

The only epinephrine device with voice instructions.

Designed to provide confidence from start to finish—no experience required.1-3

A calm voice in a moment of anxiety

Voice instructions guide users through administration during anaphylaxis.

Simply press and hold

For 2-second administration that patients may not even feel.

Important Safety Information (continued)

Hear the voice instructions for yourself

Reassuring dose delivery confirmation LED lights flash red and voice instructions confirm administration.

Scan code to equip your practice

AUVI-Q should ONLY be injected into the anterolateral aspect of the thigh. Do not inject intravenously, or into buttock, digits, hands, or feet. Instruct caregivers to hold the leg of young children and infants firmly in place and limit movement prior to and during injection to minimize the risk of injection-related injury.

Rare cases of serious skin and soft tissue infections have been reported following epinephrine injection. Advise patients to seek medical care if they develop any of the following symptoms at an injection site: redness that does not go away, swelling, tenderness, or the area feels warm to the touch.

Epinephrine should be administered with caution to patients with certain heart diseases, and in patients who are on medications that may sensitize the heart to arrhythmias, because it may precipitate or aggravate angina pectoris and produce ventricular arrhythmias. Arrhythmias, including fatal ventricular fibrillation, have been reported in patients with underlying cardiac disease or taking cardiac glycosides or diuretics. Patients with certain medical conditions or who take certain medications for allergies, depression, thyroid disorders, diabetes, and hypertension, may be at greater risk for adverse reactions. Common adverse reactions to epinephrine include anxiety, apprehensiveness, restlessness, tremor, weakness, dizziness, sweating, palpitations, pallor, nausea and vomiting, headache, and/or respiratory difficulties.

Please see the full Prescribing Information and the Patient Information available at www.auvi-q.com.

You are encouraged to report negative side effects of prescription drugs to the FDA. Visit www.fda.gov/medwatch or call 1-800-FDA-1088

References: 1. Kessler C, et al. Usability and preference of epinephrine auto-injectors: Auvi-Q and EpiPen Jr. Ann Allergy Asthma Immunol. 2019;123(3):256-262. 2. Turner P, et al. Pharmacokinetics of adrenaline autoinjectors. Clin Exp Allergy. 2022;52(1):18-28. 3. Camargo CA Jr, et al. Auvi-Q versus EpiPen: preferences of adults, caregivers, and children. J Allergy Clin Immunol Pract. 2013;1(3):266-272. e1-e3.

and

progressing. AUVI-Q is the only epinephrine device available in three weight-appropriate doses: 0.1 mg for young children weighing 16.5-33 pounds, 0.15 mg for children weighing 33 to 66 pounds, and 0.3 mg for adults and children weighing 66 pounds and above.

In addition, AUVI-Q has voice instructions that guide untrained users through administration during a moment of anxiety. In a recent usability study, users of AUVI-Q were significantly more likely to correctly demonstrate its use compared to other epinephrine auto-injectors.14

Q: What other steps can dental practices take to ensure their anaphylaxis preparedness?

Dr. Cohen: It’s critical to ensure the dental team is always prepared and confident in their ability to respond to allergic emergencies. To this end, regular team training in recognizing anaphylaxis and how to properly use emergency devices, like AUVI-Q, is essential.15

Dental practices should also keep emergency medical kits on hand.15 The ADA Member Advantage program has endorsed HealthFirst as its exclusive provider of dental emergency medical kits for ADA members. Dental professionals can learn more about emergency kits from HealthFirst that include AUVI-Q by visiting healthfirst.com/EMK.

Disclosure: Dr. Sublett is a paid advisor of Kaléo This information was provided by Kaléo.

Indication

AUVI-Q® (epinephrine injection, USP) is indicated in the emergency treatment of allergic reactions (Type I) including anaphylaxis to allergens, idiopathic and exercise-induced anaphylaxis. AUVI-Q is intended for patients with a history of anaphylactic reactions or who are at increased risk for anaphylaxis.

Important Safety Information

AUVI-Q is intended for immediate self-administration as emergency supportive therapy only and is not a substitute for immediate medical care. In conjunction with the administration of epinephrine, the patient should seek immediate medical or hospital care. Each AUVI-Q contains a single dose of epinephrine for single-use injection. More than two sequential doses of epinephrine should only be administered under direct medical supervision. Since the doses of epinephrine delivered from AUVI-Q are fixed, consider using other forms of injectable epinephrine if doses lower than 0.1 mg are deemed necessary.

AUVI-Q should ONLY be injected into the anterolateral aspect of the thigh. Do not inject intravenously, or into buttock, digits, hands, or feet. Instruct caregivers to hold the leg of young children and infants firmly in place and limit movement prior to and during injection to minimize the risk of injection-related injury.

Rare cases of serious skin and soft tissue infections have been reported following epinephrine injection. Advise patients to seek medical care if they develop any of the following symptoms at an injection site: redness that does not go away, swelling, tenderness, or the area feels warm to the touch.

Epinephrine should be administered with caution to patients with certain heart diseases, and in patients who are on medications that may sensitize the heart to arrhythmias, because it may precipitate or aggravate angina pectoris and produce ventricular arrhythmias. Arrhythmias, including fatal ventricular fibrillation, have been reported in patients with underlying cardiac disease or taking cardiac glycosides or diuretics. Patients with certain medical conditions or who take certain medications for allergies, depression, thyroid disorders, diabetes, and hypertension, may be at greater risk for adverse reactions. Common adverse reactions to epinephrine include anxiety, apprehensiveness, restlessness, tremor, weakness, dizziness, sweating, palpitations, pallor, nausea and vomiting, headache, and/or respiratory difficulties.

Please see the full Prescribing Information (https://bit.ly/4j9fPAQ) and the Patient Information (https://bit.ly/4iZ2o6o).

You are encouraged to report negative side effects of prescription drugs to the FDA. Visit www.fda.gov/medwatch or call 1-800-FDA-1088.

Emergency dental kits from HealthFirst

REFERENCES

1. Goto T. Management of Anaphylaxis in Dental Practice. Anesth Prog. 2023;70(2):93-105. doi: 10.2344/anpr-70-02-16. Epub 2023 Jun 28.

2. Jevon P, Shamsi S. Management of anaphylaxis in the dental practice: an update. Br Dent J. 2020 Dec;229(11):721-728. doi: 10.1038/s41415-020-2454-1. Epub 2020 Dec 11.

3. Asthma and Allergy Foundation of America (AAFA). Food Allergy Anaphylaxis in Infants and Toddlers. https://aafa.org/asthma-allergy-research/our-research/food-allergy-anaphylaxis-in-infants/. Accessed March 24, 2025.

4. Brown JC, Simons E, Rudders SA. Epinephrine in the Management of Anaphylaxis. J Allergy Clin Immunol Pract. 2020 Apr;8(4):1186-1195. doi: 10.1016/j.jaip.2019.12.015. Erratum in: J Allergy Clin Immunol Pract. 2021 Jan;9(1):604. doi: 10.1016/j.jaip.2020.11.035.

5. Bock SA, Muñoz-Furlong A, Sampson HA. Further fatalities caused by anaphylactic reactions to food, 2001-2006. J Allergy Clin Immunol. 2007 Apr;119(4):1016-1018. doi: 10.1016/j.jaci.2006.12.622. Epub 2007 Feb 15.

6. Fleming JT, Clark S, Camargo CA Jr, Rudders SA. Early treatment of food-induced anaphylaxis with epinephrine is associated with a lower risk of hospitalization. J Allergy Clin Immunol Pract. 2015 Jan-Feb;3(1):57-62. doi: 10.1016/j.jaip.2014.07.004. Epub 2014 Sep 8.

7. Cardona V, Ansotegui IJ, Ebisawa M, El-Gamal Y, Fernandez Rivas M, Fineman S, Geller M, Gonzalez-Estrada A, Greenberger PA, Sanchez Borges M, Senna G, Sheikh A, Tanno LK, Thong BY, Turner PJ, Worm M. World allergy organization anaphylaxis guidance 2020. World Allergy Organ J. 2020 Oct 30;13(10):100472. doi: 10.1016/j.waojou.2020.100472.

8. HealthFirst. Dr. Malamed: The Importance of Epinephrine Auto-Injectors. https://www. healthfirst.com/videos/dr-stanley-malamed-the-importance-of-epinephrine-auto-injectors/. Accessed March 24, 2025.

9. American Academy of Pediatric Dentistry. Managing Professional Risks, ADA Guidelines for Practice Success™ (GPS™), ADA Tip Sheet on Managing Patients’ Medical Emergencies. https://www.aapd.org/globalassets/media/safety-toolkit-2.0/tip-sheet-on-managing-patients-medical-emergencies.pdf. Accessed March 24, 2025.

10. Becker DE, Rosenberg MB, Phero JC. Essentials of airway management, oxygenation, and ventilation: part 1: basic equipment and devices. Anesth Prog. 2014 Summer;61(2):78-83. doi: 10.2344/0003-3006-61.2.78.

11. Krishnamurthy M, Venugopal NK, Leburu A, Kasiswamy Elangovan S, Nehrudhas P. Knowledge and attitude toward anaphylaxis during local anesthesia among dental practitioners in Chennai - a cross-sectional study. Clin Cosmet Investig Dent. 2018 Jun 28;10:117-121. doi: 10.2147/CCIDE.S159341.

12. Çetinkaya F, Sezgin G, Aslan OM. Dentists’ knowledge about anaphylaxis caused by local anaesthetics. Allergol Immunopathol (Madr). 2011 Jul-Aug;39(4):228-231. doi: 10.1016/j. aller.2010.07.009. Epub 2011 Jan 13.

13. Smereka J, Aluchna M, Aluchna A, Szarpak Ł. Preparedness and attitudes towards medical emergencies in the dental office among Polish dentists. Int Dent J. 2019 Aug;69(4):321328. doi: 10.1111/idj.12473. Epub 2019 Mar 7.

14. Zhang E, Sicherer S, Agyemang A. Proper use of epinephrine autoinjectors is related to device type, prior physical demonstration, and sociodemographic factors. J Allergy Clin Immunol Pract. 2025 Feb;13(2):418-420.e1. doi: 10.1016/j.jaip.2024.11.006. Epub 2024 Nov 19.

15. Rosenberg M. Preparing for medical emergencies: the essential drugs and equipment for the dental office. J Am Dent Assoc. 2010 May;141 Suppl 1:14S-19S. doi: 10.14219/jada. archive.2010.0351.

AUVI-Q® and AUVI-q® are registered trademarks of Kaléo, Inc. Other referenced trademarks are owned by their respective third-party owners. © 2025 Kaléo, Inc. CM-US-AQ-3704.

EdgeFile ® X7 rotary files and IrriFlex ®

Dr. Zak James discusses how to achieve complete healing with minimally invasive cleaning and shaping

“Anyone can build a bridge that stands. But it takes an engineer to build a bridge that barely stands.” Or so an engineer once told me. But is this also true of endodontics? As we advance non-surgical endodontic therapy into the 21st century, the etiology and problem of pulpitis and apical periodontitis remains unchanged — bacterial biofilm introduced into complex, three-dimensional root canal systems. Historically, successful removal of this biofilm required aggressive instrumentation in order to facilitate successful disinfection, but cleaning and shaping has rapidly evolved with changes in material science. We now have the instruments to perform root canals that minimally excavate, yet completely heal — building bridges that barely stand.

We have long known that bacteria and other microorganisms are required to induce pulpal and apical disease.1,2 It has since been understood that to restore health and function requires successful removal of the offending bacteria.3 Scores of researchers, clinicians, and engineers have sought to produce the most efficient files, irrigants, and adjuncts in order to eliminate biofilm from complex root canal systems. Historically, this required large coronal preparations in order to achieve “straight-line” access to root canal orifices, so that relatively rigid Gates Glidden, stainless steel, and NiTi files might successfully negotiate canal systems to the apical terminus with minimal risk of iatrogenic error. These preparations were generally of a larger taper, in order to facilitate sufficient syringe placement for adequate fluid exchange in the apical third. But with time, it became evident that excessive removal of coronal and peri-cervical tooth structure could weaken teeth, facilitating irreparable fracture — leading to extraction.4 With the advent of contemporary heat-treated NiTi instruments, that problem has been greatly mitigated. However, the question has thus become — how conservative is too conservative for adequate cleaning?

Instrumentation of the root canal system serves primarily to facilitate space for adequate fluid exchange for disinfection and disruption of established biofilm. Mechanical instrumentation is sufficient to render canals partially clean,5,6 but only with proper irrigation can canals be thoroughly disinfected to allow for sufficient healing. Historical evidence has demonstrated that coronal flaring followed by large apical preparations have been required

Zak James, DMD, is a Diplomate of the American Board of Endodontics. He graduated summa cum laude from Clemson University Honors College and earned his DMD from the Medical University of South Carolina in Charleston, where he finished in the top five of his class. He completed a General Practice Residency at Harvard and received his endodontic certificate from UT Health San Antonio. He is currently based in Concord, North Carolina.

Coming Soon!

to render canals sufficiently bacteria-free.7 Preparation sizes of 40.04,7,8 or at minimum, a master apical file (MAF) of three sizes greater than the first binding file9 were considered necessary to ensure a clean apical constriction. Largely this was due to the limitations of irrigation, which required sufficient canal preparation in order to insert a rigid 27-30g irrigation tip, such as a Max-i-Probe® , 10 within 1 mm to 2 mm of the apex.11

Many file systems have been marketed as an attempt to be the ultimate endodontic instrumentation solution. Realistically, all files present with a series of trade-offs. More aggressive cutting generally comes with greater risk of separation or less shape memory, while better heat treatment and flexibility tend to reduce cutting efficiency. More aggressive coronal flare facilitates better access for irrigation, but at the expense of tooth structure. Therefore, what is needed is both an instrumentation and irrigation combination that complement the strengths of each step into a synergistic system. EdgeFile® X7 rotary files with IrriFlex® provides such a sequence.

I have been using the EdgeFile X7 file system since the beginning of my endodontic residency and still use the files almost exclusively in private practice. The proprietary FireWire™ NiTi technology is superior to any metallurgy I have tried. The files are extremely flexible and have superior shape memory, so that they can be pre-bent into almost any orifice — no matter how conservative the access or limited the opening. Second molars, which would traditionally have required very large accesses for

Case 1
EdgeFile® X7 rotary files (left) and IrriFlex® irrigation tip (right)

other systems, are routinely accessed with X7. While 21 mm length is readily available, I find that 25 mm length files are easily pre-bent into the most limited of openings. Both 0.04 or 0.06 straight taper files exist, and can be combined in series if desired. The files do not cut aggressively and require frequent cleaning of the flutes. When used with appropriate technique, the files will nearly always unwind in tortuous anatomy rather than separate, and so I have high confidence using them in the most calcified or curved canals. In canals where even small hand files fail to negotiate, X7 finds a way. However, given their straight taper and cutting flute design only to D12, even larger apical preparations may be difficult to facilitate traditional irrigation tips to the apical third without binding in the coronal or mid-third. Enter IrriFlex.

Any dentist who has attempted endodontic retreatment has noticed the difficulty in completely removing previous obturation material. Whether gutta percha, sealer, or calcium hydroxide, it becomes abundantly clear that files alone are insufficient to adequately clean the root canal system, as invariably some debris remains in hard to reach undercuts, isthmuses, and anatomy that files simply cannot negotiate. Literature shows that no traditional rotary or reciprocating file system touches all the walls in three dimensions.12 And if our files cannot remove all the previously obturated material, it stands to reason they certainly cannot mechanically disrupt or remove all bacterial biofilm. Mechanical debridement can only render most canals about 60%-70% clean, requiring disinfecting and chelating irrigants to disrupt the remaining biofilm and eclipse the threshold of disease for healing to occur.13

Most classic literature cites the use of a 30-gauge Max-iProbe or equivalent syringe tip as the best choice for irrigation of traditionally shaped preparations. Tips should be placed short of the working length with a side-vent in order to prevent apical binding. But for most of us, placing a 30-gauge Max-i-Probe to length can be a challenge. And if the tip will go to length, fluid exchange can feel painfully slow, or even clog, leading to fatigue and frustration. IrriFlex tips do not suffer these limitations. Designed from polypropylene with double side vents, the “needle” easily adapts to the most complex canal morphologies and curvatures. In canals where a traditional probe will bind coronally, the IrriFlex will passively seat to working length without engaging dentin. The needle can be slightly pre-bent, allowing for ease of use in limited space or opening. With a 0.04 taper, it readily fits X7 preparations and comes with premeasured markings to assist in gauging depth of placement. The 25 mm length can easily adapt to short or long canals, and the passive dual side-vent design allows for easy, efficient, and controlled fluid release from the apical third, flushing debris coronally. The polypropylene is compatible with full strength or diluted NaOCl, 17% EDTA, chlorhexidine, or saline rinses. Irrigation with the IrriFlex is far simpler, safer, and efficient in my hands versus any probe I have used in the past, regardless of gauge. For X7, it is a perfect pairing.

We now have the tools to efficiently and conservatively build endodontic bridges that are stable and functional, without the need for prohibitively expensive engineering or untested adjunctive technologies. The evidence is abundantly clear that evidence-based NiTi instrumentation with proper irrigation will yield success, as it has always done. For both general dentists

and endodontists alike, EdgeFile X7 with IrriFlex is a safe, efficient, and predictable cleaning and shaping solution for minimally invasive endodontics. To request a product sample of the EdgeFile X7 for evaluation, please visit: https://edgeendo.com/ product-evaluation/. Kindly note that IrriFlex is not yet available for evaluation.

REFERENCES

1. Kakehashi S, Stanley HR, Fitzgerald RJ. The effects of surgical exposures of dental pulps in germ-free and conventional laboratory rats. Oral Surg Oral Med Oral Pathol. 1965 Sep;20:340-349. doi: 10.1016/0030-4220(65)90166-0.

2. Sundqvist, G. Bacteriological studies of necrotic dental pulps. [Odontological Dissertation]. Umea, Switzerland: Department of Oral Microbiology, University of Umea; 1976.

3. Sabeti MA, Nekofar M, Motahhary P, Ghandi M, Simon JH. Healing of apical periodontitis after endodontic treatment with and without obturation in dogs. J Endod. 2006 Jul;32(7):628-633. doi: 10.1016/j.joen.2005.12.014. Epub 2006 May 2.

4. Patel S, Teng PH, Liao WC, Davis MC, Fidler A, Haupt F, Fabiani C, Zapata RO, Bose R. Position statement on longitudinal cracks and fractures of teeth. Int Endod J. 2025 Mar;58(3):379-390. doi: 10.1111/iej.14186. Epub 2025 Jan 22.

5. Bystrom A, Sundqvist G. The antibacterial action of sodium hypochlorite and EDTA in 60 cases of endodontic therapy. Int Endod J. 1985 Jan;18(1):35-40. doi: 10.1111/j.13652591.1985.tb00416.x.

6. Shuping GB, Orstavik D, Sigurdsson A, Trope M. Reduction of intracanal bacteria using nickel-titanium rotary instrumentation and various medications. J Endod. 2000 Dec;26(12):751-755. doi: 10.1097/00004770-200012000-00022.

7. Card SJ, Sigurdsson A, Orstavik D, Trope M. The effectiveness of increased apical enlargement in reducing intracanal bacteria. J Endod. 2002 Nov;28(11):779-783. doi: 10.1097/00004770-200211000-00008.

8. Brunson M, Heilborn C, Johnson DJ, Cohenca N. Effect of apical preparation size and preparation taper on irrigant volume delivered by using negative pressure irrigation system. J Endod. 2010 Apr;36(4):721-724. doi: 10.1016/j.joen.2009.11.028. Epub 2010 Feb 6.

9. Saini HR, Tewari S, Sangwan P, Duhan J, Gupta A. Effect of different apical preparation sizes on outcome of primary endodontic treatment: a randomized controlled trial. J Endod. 2012 Oct;38(10):1309-1315. doi: 10.1016/j.joen.2012.06.024. Epub 2012 Aug 3.

10. Kahn FH, Rosenberg PA, Gliksberg J. An in vitro evaluation of the irrigating characteristics of ultrasonic and subsonic handpieces and irrigating needles and probes. J Endod. 1995 May;21(5):277-280. doi: 10.1016/s0099-2399(06)80998-2.

11. Sedgley CM, Nagel AC, Hall D, Applegate B. Influence of irrigant needle depth in removing bioluminescent bacteria inoculated into instrumented root canals using real-time imaging in vitro. Int Endod J. 2005 Feb;38(2):97-104. doi: 10.1111/j.1365-2591.2004.00906.x.

12. Peters OA, Schönenberger K, Laib A. Effects of four Ni-Ti preparation techniques on root canal geometry assessed by micro computed tomography. Int Endod J. 2001 Apr;34(3):221-230. doi: 10.1046/j.1365-2591.2001.00373.x.

13. Byström A, Sundqvist G. Bacteriologic evaluation of the efficacy of mechanical root canal instrumentation in endodontic therapy. Scand J Dent Res. 1981 Aug;89(4):321-8. doi: 10.1111/j.1600-0722.1981.tb01689.x. PMID: 6947391.

Case 2
Case 3

Specialty1 Partners

Your specialty is our specialty

“We founded Specialty1 to be the partner we wished we had when running our own specialty practices — one that respects clinical autonomy and delivers the business support needed to thrive.” — Dr. Daryl Dudum, Founding Partner and Co-CEO

Specialist founded — specialist led — specialist supported

Specialty1 Partners (S1P) is the only national specialty dental services organization founded by specialists, for specialists. With over 225 partner practices across 28 states and a growing network of 350+ specialists, we help practice owners like you take your specialty practice to the next level — with clinical independence intact and a team of seasoned professionals behind you.

Our support allows you to shift focus back to what matters most: patient care and your long-term vision. We manage the operational, financial, and administrative complexities so you can lead your practice with clarity and confidence.

Designed for practice owners

As a practice owner, you’ve built something meaningful. With S1P, you gain a true partnership that preserves what you’ve created and provides the tools and capital to grow it even further.

• Protect your legacy — Continue practicing on your terms while gaining access to a broader support system that respects your clinical expertise.

• Accelerate growth — Tap into strategic resources, capital, and consultative expertise to grow your business without compromising your values.

• Simplify operations — Our team handles billing, HR, compliance, IT, marketing, procurement, and more — so you don’t have to.

• Achieve financial security — As an equity partner in S1P, you benefit directly from our collective growth and success.

Clinical autonomy, business strength

S1P was built on the belief that specialty care deserves specialized support. Our model allows you to maintain clinical autonomy while elevating your business with support from professionals who understand the unique needs of endodontic, periodontal, and oral surgery practices.

Your next chapter starts here

Whether you’re planning for long-term growth or simply want to get back to focusing on patients — S1P is your partner in building a more rewarding future.

Visit specialty1partners.com to learn more about partnership opportunities.

ZenFlex™ CM

ROTARY NITI

FILES

Increased

High

Turn static files into dynamic content formats.

Create a flipbook
Issuu converts static files into: digital portfolios, online yearbooks, online catalogs, digital photo albums and more. Sign up and create your flipbook.