Maguza 97

Page 1

OOGHEELKUNDE Stamcellen maken hoornvlies helder MENOPAUZE Een zorgeloze overgang BLOGGEN Online getuigen over je ziekte Vraag medisch advies! Gezond sporten? maguza dossier S.P.O.R.T.S.
Zorgmagazine
UZA
Antwerpen X, Maguza 97,
10,
Edegem juli 2014
www.maguza.be – UZAnieuws UniversitairZiekenhuisAntwerpen
van het
Afgiftekantoor
Tijdschrift
kwartaalblad, juli
augustus
september 2014, v.u. Johnny Van der Straeten, Universitair Ziekenhuis Antwerpen, Wilrijkstraat
2650
ORTHOPEDIE • BANDAGISTERIE • SCHOENEN • INVALIDENWAGENS • HOMECARE • REVALIDATIE RIZIV 1/6/10422/96/100 - 1/6/27017/88/200 Schaeps • Turnhoutsebaan 92-94 • 2100 Deurne Tel. 03 326 11 30 • info@schaeps.be • www.schaeps.be Maandag t.e.m. vrijdag 9u - 18u, zaterdag 9u - 13u Tram 10, bus 33, 410, 411 en 412 • GRATIS PARKING VOLG ONS VIA WWW.SCHAEPS.BE
ADVIES •
KOM BUITEN EN GENIET BIJ AANKOOP VAN SCOOTER GRATIS SCOOTER PONCHO COMFORT EN MOBILITEIT
DESKUNDIG
Ruime keuze in verschillende modellen en merken
Snelheid van 6 tot 18km/u. Met actieradius tot 60km.
Comfortabel, veilig en betrouwbaar.
Een breed assortiment aan opties, accessoires en speciale aanpassingen. • Functioneel in al zijn eenvoud. • Gebruiksvriendelijke modellen.

Bij S.P.O.R.T.S., het sportmedisch centrum van het UZA, kunnen sporters terecht voor sportmedische screening, gepersonaliseerd advies en begeleiding.

MEDISCH

Oogheelkunde: stamcellen maken hoornvlies weer helder

AUREA: evenwichtsonderzoek op ruimtemissie

Levertumoren: 1 raadpleging met alle specialisten

GEZOND ZORG

Zorgeloos de menopauze in Eek, een teek! Wat te doen bij een tekenbeet?

‘Wie blogt, die blijft.’ Patiënten brengen online verslag uit over hun ziekte.

Autopsie: het laatste consult.

Teken de petitie voor een betere financiering

‘‘Sport is goed voor iedereen, maar je moet er op een verstandige manier aan beginnen.’

EN VERDER

Uitgedokterd: euthanasie bij minderjarigen

U zegt: een behandeling weigeren?

Witjas van dienst: Peggy De Clercq, onderzoeksverpleegkundige

Schrijf je vandaag nog in op onze elektronische nieuwsbrief.

Ga naar www.maguza.be/ abonnement

3 IN DIT NUMMER
14 35 36
8 12 17 28 30 32 34 41
19 34 28 8 AUTOPSIE MENOPAUZE STAMCELLEN dossier S.P.O.R.T.S.
Alle artikels zijn te vinden op maguza.be
Sportarts dr. Sam Moustie

Transplantatiecoördinator Walter Van Donink brengt een donorhart naar het UZA. Een team UZA-chirurgen heeft het orgaan weggenomen bij de donor in het buitenland. Binnen de vier uur moet het ingeplant zijn bij de ontvanger. In 2013 werd bij 51 patiënten in het UZA een nieuw orgaan ingeplant: 5 keer een hart, 9 keer een lever, 37 keer een nier, waarvan 1 in combinatie met een pancreas. Elke week overlijden echter nog altijd twee Belgen omdat er niet tijdig een donororgaan beschikbaar is. Het blijft dus belangrijk om je te laten registreren als orgaandonor.

Info op www.beldonor.be

DOORGELICHT
4
Levensreddend transport

Als België verder excellente zorg wil leveren, is meer financiering nodig voor de UZ’s.

7 mythes en 1 waarheid

De universitaire ziekenhuizen zouden te veel geld kosten. Antares Consulting maakte echter een internationale vergelijking met 7 andere Europese landen en Canada. Conclusie: er zijn 7 mythen over de universitaire ziekenhuizen.

Eerste mythe: er zijn te veel universitaire ziekenhuizen in België. Waarheid: in 5 van de 8 landen is de verhouding van het aantal inwoners per UZ dezelfde als in België.

Tweede mythe: UZ’s doen hetzelfde als andere ziekenhuizen. Waarheid: Belgische UZ’s doen aantoonbaar bijkomende opdrachten van onderzoek, opleiding, innovatie en behandeling van complexe ziekten.

Derde mythe: de forfaitaire financiering van de onderzoeksfunctie is in België uniek. Waarheid: de methodiek wordt in 5 van de 8 onderzochte landen toegepast.

Vierde mythe: opleiding wordt in België twee keer gefinancierd, namelijk federaal en door de gemeenschappen. Waarheid: de gemeenschappen financieren de faculteiten geneeskunde, niet de UZ’s.

Vijfde mythe: de UZ’s krijgen door een aparte financiering dubbel geld voor complexe pathologie. Waarheid: de Belgische UZ’s worden voor dezelfde pathologie op dezelfde manier gefinancierd als de algemene ziekenhuizen.

Zesde mythe: de UZ’s krijgen veel extra inkomsten van de FOD Volksgezondheid voor hun academische opdrachten. Waarheid: de Belgische UZ’s krijgen hiervoor in totaliteit veel minder dan de mediaan van de UZ’s in de andere landen.

Zevende mythe: de UZ’s worden gespaard in de bezuinigingen. Waarheid: in de periode 2011-2013 zijn de 7 Belgische UZ’s de grootste slachtoffers.

De Belgische universitaire ziekenhuizen zijn met weinig middelen de motor van innovatie in de geneeskunde. Van de laatste 10 Nobelprijswinnaars in de geneeskunde werkten er 8 in een universitair ziekenhuis. Als België verder excellente zorg wil leveren is meer financiering nodig voor de UZ’s.

VOORAF
Johnny Van der Straeten Gedelegeerd bestuurder

WERELDREUMADAG

7 & 12 OKT

Op 12 oktober vindt Wereldreumadag plaats. Reuma is een verzamelnaam voor meer dan 200 aandoeningen die gevolgen kunnen hebben voor het bewegingsstelsel, meer bepaald voor gewrichten, spieren, pezen en bot. De bekendste vormen zijn artrose, artritis, osteoporose en wekedelenreuma.

Op 7 oktober wordt reuma ook in het UZA in de kijker gezet. Die dag krijgt u op een infostand in de inkomhal meer informatie over reuma, de verschillende vormen die de ziekte aanneemt en de mogelijke behandelingen in het UZA.

Meer info: www.reumanet.be www.uza.be/reumatologie

Cardiologie:

educatieve

film en website online

Het hartrevalidatieteam van de dienst cardiologie heeft een educatieve film gemaakt voor patiënten met een cardiovasculaire aandoening en iedereen die meer wil weten over hoe een hartprobleem te voorkomen. Drie patiënten getuigen over hun ervaringen en revalidatie. De kijker krijgt tips en informatie over het belang van gezonde voeding en beweging enerzijds, en de gevaren van roken, alcohol en stress anderzijds. Rode draad is de ondersteuning door het multidisciplinaire

hartrevalidatieteam en de huisarts, maar de patiënt gaat ook zelf aan de slag met onder meer een persoonlijk online programma. Het filmpje en de website kwamen tot stand dankzij de sponsoring van de farmaceutische bedrijven Eli Lilly en Daiichi Sankyo.

Bekijk het resultaat via http://abcsucces.be/UZA/film2.php

Op het einde klikt u ‘next’ aan om kennis te maken met de website.

6 KORT
Moet u meer dan twee keer per nacht opstaan om te plassen en bent u tussen 60 en 85 jaar oud, dan komt u mogelijk in aanmerking voor een onderzoeksstudie naar de doeltreffendheid en veiligheid van een experimenteel geneesmiddel. Interesse? Neem voor meer informatie contact op met Katleen Derickx, studiecoördinator urologie in het UZA, T 03 821 47 34, katleen.derickx@uza.be Wakker om te plassen?
© Susann Städter, photocase.com

LEESTIP

+7,9 %

Het aantal daghospitalisaties, waarbij patiën ten niet in het ziekenhuis moeten overnach ten, steeg in 2013 met 7,9 % ten opzichte van 2012. Er werden 34.841 patiënten opgeno men zonder overnachting. Ter vergelijking: er werden vorig jaar 27.316 patiënten mét overnachting opgenomen in het UZA.

Vooral in het pijncentrum steeg het aantal dagopnames. Andere diensten waar patiën ten voor één dag worden opgenomen zijn onder meer de oncologische diensten voor bijvoorbeeld een chemotherapiebehandeling of de cardiologie voor een hartkatheterisatie.

UZAspoedteam in de woestijn

S.O.S. Slaap

Johan Verbraecken en Tine Bergen

Prof. dr. Johan Verbraecken, medisch coör dinator van het UZA-Slaapcentrum. heeft samen met Tine Bergen een boek geschreven over slaap en hoe onze slaap verband houdt met onze gezondheid, persoonlijkheid en levensstijl. SOS Slaap baseert zich op de bevindingen van neurologen, longartsen, neus-, keel- en oorartsen, pediaters, psy chiaters, psychologen en biomechanici, die allen gefascineerd zijn door slaap. Elk op hun terrein komen ze tot boeiende conclusies en natuurlijke behandelingen om slaappro blemen aan te pakken. Slecht slapen kan immers een behoorlijke impact hebben op iemands leven. Tegelijk kan een kleine aan passing in uw slaappatroon een wereld van verschil uitmaken voor uw gezondheid.

S.O.S. Slaap, Johan Verbraecken en Tine Bergen, Uitgeverij Houtekiet, ISBN: 9789089242884

Zo reageert patiënte Kim op onze facebook pagina. In het bijzonder de borstverpleeg kundingen krijgen van haar een dikke pluim.

Het UZA volgen? facebook.com/ UniversitairZiekenhuisAntwerpen twitter.com/UZAnieuws

MUG-verpleegkundigen Tom Argeerts en Harald Horions en urgentiearts dr. Katrien Vermeulen stonden in april in voor de medische ondersteuning tijdens de zesde Libya Rally in Marokko. Een enorme karavaan met maar liefst 320 deelnemers op motorfietsen, quads, in racewagens, buggy’s, trucks … trok zeven dagen lang door het desolate Marokkaanse landschap. Op enkele zware crashes met de nodige breuken na, bleef de race gespaard van kritiek zwaargewonden, al had het medi sche team – bij temperaturen die makkelijk 45° C haalden – meer dan zijn handen vol. Ook anesthesist dr. Aarnoud Teune, een Nederlandse arts, maakte deel uit van het medische team, dat de rally volgde met twee jeeps en een traumahelikopter. Harald Horions: ‘Elke avond, voor het arriveren van de teams, moest een medische post worden opgezet, die ’s morgens in alle vroegte weer werd afgebroken. Het was een onvergetelijke ervaring, maar ook hard werken.’

7
‘Ik dank de verpleging van het oncologisch dagziekenhuis voor al hun goede zorgen keer op keer!’

1

Oogheelkunde

Stamcellen maken hoornvlies weer helder

Patiënten met een ondoorzichtig hoornvlies

kunnen in sommige gevallen worden geholpen met een stamceltransplantatie. De dienst oogheelkunde ontwikkelde daarvoor een ingenieuze techniek.

Limbale stamcellen bevinden zich aan de rand van het hoornvlies.

Het hoornvlies of de cornea is het doorzichtige laagje dat de iris bedekt. Soms groeien er kleine bloedvaten van het omringende bindvlies tot op het hoornvlies. Als dat proces zich doorzet, wordt de cornea ondoorzichtig en verliest de patiënt zijn zicht met dat oog. ‘De oorzaak daarvan is in veel gevallen een tekort of gebrek aan limbale stamcellen, Limbale Stamceldeficiëntie (LSCD) genoemd. De limbale stamcellen bevinden zich aan de rand van het hoornvlies en zorgen ervoor dat het bindvlies niet te ver doorgroeit’, zegt prof. dr. MarieJosé Tassignon, diensthoofd oogheelkunde. LSCD kan diverse oorzaken hebben, waaronder contact met bijtende producten, aangeboren oogziekten, infecties en eerdere oogoperaties.

Onbekende ziekte De limbale stamcellen werden pas eind jaren tachtig ontdekt, en midden jaren negentig gevolgd door de eerste limbalestamceltransplantatie. ‘Zowel de aandoening als de ingreep zijn vrij nieuw: dat verklaart waarom LSCD dikwijls verkeerd wordt behandeld’, zegt prof. dr. Nadia Zakaria, hoofd van het laboratorium voor oogheelkunde van het Centrum voor Celtherapie en Regeneratieve Geneeskunde (CCRG) van het UZA. Alternatieve behandelingen zijn er nauwelijks. Zakaria: ‘Zo helpt een hoornvliestransplantatie met donorweefsel maar tijdelijk. Zonder functionerende stamcellen groeit het bindvlies immers meteen weer over de nieuwe cornea. In principe is het ook mogelijk grotere stukken limbaal weefsel van het goede oog of van een verwante

levende donor over te planten. Dat kan echter tot schade aan het oog van de donor leiden. En ook de afweeronderdrukkende medicatie die dan vaak nodig is, kan catastrofale nevenwerkingen hebben. In de praktijk ondergaan veel patiënten een aantal behandelingen en operaties, tot de oogchirurg geen uitweg meer ziet. Voor die mensen kan een transplantatie van opgekweekte limbale stamcellen soms hulp bieden.’

Weefsel uit gezonde oog Voor de limbalestamceltransplantatie volstaat een stukje gezond oogweefsel met limbale stamcellen van nauwelijks 1 millimeter diameter. Indien mogelijk wordt dat uit het eigen gezonde oog afgenomen. Zijn echter beide ogen aangetast, dan doet de patiënt een beroep op een donor, meestal een familielid

8 MEDISCH
2 2 1
Prof. dr. Marie­José Tassignon Prof. dr. Nadia Zakaria hoornvlies

Limbale stamcellen werden pas eind jaren 80 ontdekt, midden jaren 90 gevolgd door de eerste transplantatie van limbale stamcellen.

met overeenstemmend weefsel. In dat geval moet de patiënt tijdelijk afweeronderdrukkende medicatie nemen om afstoting te voorkomen. Het afgenomen weefsel wordt in het laboratorium twee weken lang opgekweekt tot een vliesje van zo’n 15 millimeter, groot genoeg om het volledige hoornvlies te bedekken.

Tijdens de chirurgische ingreep wordt het overtollige vaatweefsel van het hoornvlies verwijderd, waarna de ent met de stamcellen op het oog oppervlak wordt overgeplant.

Zakaria: ‘Een dergelijke trans plantatie is niet uniek, maar wij hebben de techniek aanzienlijk verbeterd en gestandaardiseerd. We kweken de geoogste stam cellen namelijk op amnionvlies, dat is het vlies waarin de foetus in de baarmoeder groeit. Dat vlies fixeren we tussen twee ringen, een beetje zoals je een doek opspant

tijdens het borduren. De cellen groeien zo gelijkmatiger, het vlies kan probleemloos van het laboratorium naar de operatie kamer worden getransporteerd en de ingreep duurt veel korter. Ook hebben we nieuwe technie ken ontwikkeld om de toestand van het oog na de transplantatie te monitoren. Onze studie en transplantatietechniek verwierven intussen internationale erkenning.’

‘Geen spijt’

Tijdens een studie die werd opge start in 2009 en gesponsord door het Agentschap voor Innovatie door Wetenschap en Techno logie (IWT), werden 18 patiënten behandeld. Bij 12 van hen was de operatie succesvol: hun hoornvlies werd helderder en nieuwe ingroei van bloedvaten bleef uit. Tassignon: ‘De meesten ontwikkelden ook

Hoornvlies uit printer?

De dienst oogheelkunde van het UZA en het laboratorium voor oogheelkunde van de Universiteit Antwerpen willen in samenwerking met de KU Leuven een kunstmatig hoornvlies of cornea creëren met behulp van 3D-printing. De KU Leuven heeft de nodige apparatuur in huis en het UZA zal de hoornvliezen ontwerpen, op basis van menselijk collageen: dat zijn als het ware de bouwsteentjes van alle menselijk weefsel. Het collageen wordt geprodu ceerd in genetisch gemanipuleerde plan ten. De cornea wordt volledig op maat van het te behandelen oog gemaakt. ‘Eerder al werden 3D-geprinte organen met succes bij patiënten ingeplant, waaronder een blaas en een luchtpijp. Een hoornvlies nabootsen is echter een enorme uitdaging omdat de vorm en transparantie absoluut perfect moeten zijn’, legt prof. dr. Nadia Zakaria uit.

9

Van die pijnlijke ontstekingen ben ik nu verlost, en mijn oog ziet er nu mooier uit.

opnieuw een bruikbaar gezichtsvermogen in het behandelde oog. Voor sommigen volstond daarvoor de stamceltransplantatie, anderen kregen bijkomend een hoornvliestransplantatie. In combinatie met de eerste ingreep waren de resultaten van die transplantatie veel beter. Eén patiënt had na beide operaties zelfs een zicht van zes op tien: daarmee kun je perfect normaal functioneren en mag je zelfs autorijden.’

Bij nog anderen was er weinig of geen verbetering van het zicht. Onder hen ook Joeri (32), die door een aangeboren oogziekte erg slechtziend is. Toch heeft ook hij geen spijt van de behandeling. ‘Door de ingroei van bloedvaten op mijn hoornvlies kreeg ik vaak pijnlijke ontstekingen: dat is nu voorbij. Bovendien ben ik blij dat de toestand van mijn oog gestabiliseerd is. Zo blijft de deur openstaan

Het UZA wil de komende 4 jaar samen met de VUB en het UZ Gent zestig patiënten met limbale stamcellen behandelen.

voor eventuele nieuwe therapieën. Dat mijn oog er nu mooier uitziet, is ook meegenomen.’

Enorme kosten Intussen zegde het IWT financiering toe voor een vervolgstudie waaraan ook de Vrije Universiteit Brussel (VUB) en het UZ Gent deelnemen. De drie centra selecteren patiënten, nemen bij hen de stamcellen af en voeren de eigenlijke operatie uit. Het UZA coördineert de studie en maakt de stamcelpreparaten. Bedoeling is zestig patiënten te behandelen over een periode van vier jaar. ‘Alleen al het centraliseren van de productie en het vervoeren van de enten is een hele uitdaging’, stipt Tassignon aan. Volgens een nieuwe Europese richtlijn moeten alle productiefaciliteiten voor celtherapie beantwoorden aan de normen van Good Manufacturing Practice (GMP).

Dat is een systeem dat onder meer waakt over de kwaliteit van farmaceutische producten. Het CCRG heeft drie nieuwe clean rooms geïnstalleerd – dat zijn ruimtes waarin celmateriaal steriel wordt bewerkt – die aan die strenge voorwaarden voldoen. Zakaria: ‘Aan een dergelijke faciliteit zijn echter enorme kosten verbonden en de academische centra worstelen met een beperkte overheidsfinanciering. Dat zou op termijn een struikelblok kunnen zijn om de therapie aan patiënten te kunnen aanbieden.’

De nieuwe behandeling helpt lang niet bij alle patiënten met een ondoorzichtig hoornvlies, geeft Tassignon voor de duidelijkheid nog mee. ‘De ingreep is alleen zinvol bij een gebrek aan limbale stamcellen, wat een vrij zeldzaam probleem is. Die patiënten hebben echter weinig opties. In die zin is dit een mooie vooruitgang.’ 

maand later uit een wakker werd, kon

Bram (25) was in 2011 betrokken bij een werkongeval met ammoniakgas. Zijn beide ogen raakten verbrand. Toen hij een maand later uit een kunstmatig coma wakker werd, kon hij nog amper

zien. Een erg moeilijke tijd brak aan. Bram: ‘Je verliest veel meer dan je zicht, want opeens kun je niets meer: autorijden, werken, lezen, op een computerscherm kijken … Mijn moeder las op het internet iets over een nieuwe behandeling met stamcellen. Een maand later kon ik bij

INFO Dienst oogheelkunde, T 03 821 44 28

prof. Tassignon terecht en in 2013 onderging ik een transplantatie van opgekweekte limbale stamcellen. Dat verbeterde mijn zicht maar een klein beetje, maar de vervolgens uitgevoerde hoornvliestransplantatie had daardoor wel een groot effect. Het zicht aan mijn geopereerde oog

verbeterde sterk. Een enorme vooruitgang: ik kan weer zelfstandig fietsen en de trein nemen. Ook met de computer werken gaat nu veel beter. Sinds kort doe ik af en toe bureauwerk. Ik kan nauwelijks wachten tot ook mijn andere oog wordt geopereerd: van mij mocht dat al morgen zijn.’

10 MEDISCH
‘Ik kan weer fietsen en de trein nemen’

Limbale stamceltransplantatie stap voor stap

Een stukje gezond oogweefsel met limbale stamcellen wordt weggenomen uit het gezonde oog of bij een donor

Amnionvlies wordt klaargezet voor de kweek*

Een hoornvliestransplantatie heeft nu meer kans op slagen en ka n het zicht nog verder verbeteren

Het hoornvlies is helderder en nieuwe ingroei van bloedvaten blijft uit

iris

hoornvlies

vaatvlies netvlies

Tijdens de operatie wordt het overtollige vaatweefsel van het hoornvlies verwijderd en wordt het vliesje met de stamcellen op het oogoppervlak overgeplant

Het weefsel met limbale stamcellen wordt twee weken lang opgekweekt op het amnionvlies

Het vliesje met limbale stamcellen is nu zo’n 14 à 20 mm²

*Amnionvlies?

· Het binnenste laagje van het vruchtvlies waarin de foetus in de baarmoeder groeit

· Verkregen tijdens een keizersnede, behandeld en in de weefselbank bewaard.

· Wegens zijn wondhelende functie al langer gebruikt om (oog)wonden te behandelen

pupil

Limbale stamcellen lens glasachtig lichaam

11

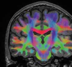
Tijdens paraboolvluchten komen korte periodes van gewichtloosheid voor. Ook de hersenen van passagiers van die vluchten worden bestudeerd.

AUREA

Evenwichtsonderzoek op ruimtemissie

Hoe passen de hersenen van kosmonauten zich aan gewichtloosheid aan? Een team van AUREA, het evenwichtslaboratorium van de dienst neus-keeloorziekten, brengt het in beeld, om patiënten met evenwichtsproblemen beter te kunnen helpen.

Het evenwichtssysteem is een complex samenspel van ons zicht, onze spieren en gewrichten, het evenwichtsorgaan in ons binnenoor, en de hersenen die de informatie uit al die bronnen verwerken.

Bij sommige patiënten met moeilijk te behandelen evenwichtsproblemen ligt de sleutel wellicht verborgen in de hersenen.

Een team van AUREA, onder leiding van prof. dr. Floris Wuyts, gewoon hoogleraar aan de Universiteit Antwerpen, gaat nu precies dat aspect onderzoeken.

Hersenen passen zich aan ‘Kosmonauten die voor het eerst in de ruimte zijn, zijn de eerste dagen heel

misselijk. Ze ondervinden eigenlijk dezelfde problemen als mensen met ernstige evenwichtsproblemen,’ legt prof. dr. Wuyts uit. ‘Maar op een paar dagen tijd raken ze daaraan gewend. Blijkbaar passen hun hersenen zich aan. Precies dat proces willen we zichtbaar maken en onderzoeken. Ik vergelijk het altijd met leren fietsen: opeens ben je daarmee weg, voor altijd. Ergens in de hersenen moet daarvoor een klik gemaakt worden van verschillende capaciteiten. Ik hoop dat de hersenen van de kosmonauten ons gaan vertellen waar we moeten zoeken bij onze patiënten.’

De onderzoekers brengen daarvoor bepaalde verbindingen of wittestofbanen in de hersenen in beeld. ‘We onderzoeken de

hersenplasticiteit, met name de verbindingen tussen de hersencellen die te maken hebben met het evenwicht,’ legt doctoraatsonderzoeker Angelique Van Ombergen uit. Die wittestofbanen worden in beeld gebracht door middel van Diffusion Tensor Imaging (DTI) een revolutionaire techniek die de dienst radiologie van het UZA, onder leiding van prof. dr. Paul Parizel, sinds enkele jaren beheerst. Ook het Visielab van de Universiteit Antwerpen laat zijn geavanceerde technieken los op de beelden.

Zoek de verschillen Werken met kosmonauten heeft als grote voordeel dat dezelfde hersenen vergeleken kunnen worden. ‘Als we de beelden van voor en na het verblijf in de ruimte naast elkaar leggen, hoeven we maar de verschillen te zoeken’, zegt Floris Wuyts. ‘Zo kunnen we heel duidelijk zien waar er veranderingen in de hersenen plaatsvinden.’ ‘We gaan ook de hersenen van een honderdtal patiënten met evenwichtsproblemen vergelijken met de hersenen van gezonde mensen’, vult onderzoekster Van Ombergen aan.

12 MEDISCH
INFO Patiënten met duizeligheidsklachten kunnen contact opnemen met de dienst neus-keel-oorziekten, T 03 821 33 85

En ook proefpersonen die deelnemen aan paraboolvluchten, waarbij in een vliegtuig korte periodes van gewichtloosheid kunnen worden gecreëerd, worden aan scans voor en na onderworpen. Net als bij de kosmonauten, gebeurt dat onderzoek in opdracht van de ESA, de Europese ruimtevaartorganisatie.

bijna bij toeval is ontdekt dat ze ook iets doen in het evenwichtssysteem. Nu zouden we echter kunnen nagaan hoe medicijnen of andere behandelingen inwerken op de processen in de hersenen. Dat opent een totaal nieuwe lijn van onderzoek en therapie. Ik ben nu twintig jaar bezig met evenwichtsonderzoek, maar dit is echt een compleet nieuwe en fascinerende richting, met volgens mij veel potentieel.’

UZA-patiënten in de ruimte?

Het evenwichtsonderzoek slaat een compleet nieuwe richting in, met veel potentieel.

Het einddoel is natuurlijk de hersenplasticiteit te kunnen beïnvloeden, en zowel kosmonauten als patiënten te kunnen helpen. Wuyts: ‘De medicijnen die vandaag worden gebruikt om bepaalde evenwichtsproblemen te bestrijden, zijn vaak medicijnen tegen andere aandoeningen waarvan

Het is ook de allereerste keer dat de hersenplasticiteit van kosmonauten wordt onderzocht. In totaal wil het team van 16 kosmonauten hersenscans maken voor en na hun verblijf van zes maanden in het ISS. ‘De kosmonauten zijn zelf ook vragende partij, want die eerste dagen en weken zijn zij echt heel misselijk, terwijl ze wel vanaf dag 1 moeten presteren’, zegt Van Ombergen. Wuyts: ‘Van de zes ruimtevaarders die zich momenteel in de ruimte bevinden zijn er drie die deelnemen aan een UZA/ UA-onderzoek. Maar weinig ziekenhuizen kunnen dat zeggen.’ 

Voor de studie rond evenwichtsproblemen (zie hoofdartikel) zoekt de dienst neus-, keel- en oorziekten nog een aantal vrijwilligers zonder evenwichtsproblemen of neurologische aandoeningen. Bent u tussen 35 en 80 jaar oud en in goede gezondheid? Dan kunt u deelnemen! U ondergaat een MRI-scan en een evenwichtstest. Deelnemen? Mail naar angelique.vanombergen@ uantwerpen.be

Meer info op www.uza.be/ studie-evenwichtsproblemen

13
2 1 3 4 2 3 4 1
Prof. dr. Paul Van de Heyning Prof. dr. Floris Wuyts Prof. dr. Paul Parizel Angelique Van Ombergen Voor en na hun verblijf in de ruimte wordt bij de kosmonauten een hersenscan gemaakt. Zo kunnen de onderzoekers nagaan hoe de hersenen zich aanpassen aan gewichtloosheid.
Gezocht: gezonde vrijwilligers

Euthanasie bij minderjarigen

‘Het levenseinde wordt beter bespreekbaar’

Sinds de euthanasiewet begin dit jaar wijzigde, kunnen ook oordeelsbekwame minderjarigen die ongeneeslijk ziek zijn, vragen om euthanasie. Nu al is duidelijk dat het maar om een heel klein aantal jongeren zal gaan, maar de wet kan het levenseinde bij kinderen wel meer bespreekbaar maken.

Prof. dr. Patrick Cras: ‘Het UZA gaat eigenlijk uit van de therapeutische vrijheid: artsen, verpleegkundigen en andere professionelen hebben de vrijheid om volgens hun eigen inschatting bij te dragen aan de integrale zorg voor de patiënt, ook op het einde van zijn leven. Sinds 2002 is euthanasie wettelijk mogelijk in België. Als artsen of verpleegkundigen oordelen dat bij een bepaalde patiënt euthanasie

deel uitmaakt van die integrale zorg, dan krijgen ze van het ziekenhuis de vrijheid om daaraan mee te werken, natuurlijk binnen de grenzen van de wet.’

Het blijft echter iets uitzonderlijks, zelfs na twaalf jaar?

Cras: ‘Ja, en dat moet ook. Het zal nooit een normale handeling worden voor artsen en verpleegkundigen. Het blijft ook altijd toegespitst op één individuele patiënt, in zijn specifieke situatie. Ik weet uit ervaring dat het voor alle betrokkenen ook erg

14 UITGEDOKTERD
Is er in het UZA een algemeen beleid of een algemene afspraak rond euthanasie?

Prof. dr. Patrick Cras, diensthoofd neurologie en voorzitter van het Ethisch Comité van het UZA Prof. dr. Koen Norga, kliniekhoofd kinderoncologie en ­hematologie Martine Wauters, verpleegkundige Palliatief Support Team

moeilijk blijft om mee te gaan in die beslissing van een patiënt. Maar we leggen ons erbij neer dat het in bepaalde situaties de keuze kan zijn van een patiënt.’

Martine Wauters: ‘Elke collega die voor de eerste keer een euthanasie meemaakt, is daar erg door geraakt. De meesten beseffen op voorhand niet hoe groot die impact kan zijn.’

Cras: ‘Overigens geldt het omgekeerde ook: elke zorgverlener heeft het recht om er niet aan mee te werken. Ook dat is therapeutische vrijheid.’

De wet is nu uitgebreid naar minderjarigen. Prof. Norga, denkt u dat die wet vaak zal worden toegepast?

Prof. dr. Koen Norga: ‘Ik denk het niet. Een vraag om euthanasie is meestal het resultaat van een levensvisie die mensen hebben opgebouwd over vele jaren. Daar zit een enorm verschil tussen volwassenen en kinderen. De wet zegt dat de patiënt oordeelsbekwaam moet

zijn, maar dat is niet makkelijk te definiëren. De chronologische leeftijd is bij langdurig en ernstig zieke kinderen vaak wel een slechte maatstaf voor hun maturiteit, maar dan nog zijn er geen objectieve criteria om te beslissen of ze de nodige oordeelsbekwaamheid hebben om over hun levenseinde te beslissen. Ik vind het echter wel een goede zaak dat de leeftijdsgrens nu geen absolute barrière meer is. Waarom zou iemand van 18 jaar wel zo’n beslissing kunnen nemen en iemand van 17,5 jaar niet? Er zijn zeker adolescenten die de nodige levensvisie hebben, ook door alles wat ze al hebben meegemaakt.’

Het zal dus niet om grote aantallen kinderen en jongeren gaan?

Norga: ‘Nee, de meeste kinderen in een uitzichtloze medische situatie zijn niet voldoende oordeelsbekwaam, vaak doordat ook hun neurologische functies zijn aangetast. Voor hen is de wetgeving

dus niet relevant. Daarnaast zijn er kinderen met terminale kanker, maar die worden helaas meestal ingehaald door de feiten. De meeste tumoren bij kinderen zijn agressief en snelgroeiend, zeker op het moment dat ze ontsporen. Met als gevolg dat maar weinig van die kinderen voldoende tijd krijgen om in die pre-terminale fase het vereiste denk- en beslissingsproces over euthanasie af te werken. Ik schat dat de aangepaste wetgeving slaat op ten hoogste een handvol patiënten per jaar in België.’

Hebt u de vraag zelf al ooit gehad?

Norga: ‘Eigenlijk niet. Meestal sta ik juist versteld van het aanpassingsvermogen van de kinderen die wij behandelen. Het is ongelooflijk hoe zij leren leven met een situatie die voor een buitenstaander vaak niet te verdragen lijkt. Wij begrijpen soms niet waar ze de energie blijven vinden. En ook de ouders hebben vaak een enorm optimistisch idee

Euthanasie zal nooit een normale handeling worden voor artsen en verpleegkundigen.

15
2
3
1
2 3 1

Vooral palliatieve zorg bij kinderen verdient meer aandacht, en een betere financiering.

over de kwaliteit van leven van hun kind. Het komt vaker voor dat wij, artsen, ons vragen stellen over de levenskwaliteit van een kind dan dat de kinderen en hun ouders dat doen.’

Is de uitbreiding van de wet dan een maat voor niks?

Norga: ‘Niet helemaal. Het is een goede zaak dat de druk van die leeftijdsgrens verdwenen is. En het maakt het levenseinde bij kinderen ook weer een stuk bespreekbaarder. Daar is zeker nood aan. We maken het nog altijd mee dat we de indruk hebben dat een kind zich sterk houdt om zijn ouders te sparen. Een klimaat waarin het levenseinde bespreekbaarder wordt, zou zeker een vooruitgang zijn.’

Heeft de euthanasiewet ook bij volwassenen het levenseinde bespreekbaarder gemaakt?

Cras: ‘Zeker. Misschien 1,5 % van de bevolking sterft door euthanasie,

maar in het algemeen is het wel een hefboom geweest waardoor er meer over het levenseinde wordt gepraat en nagedacht. Ook de palliatieve zorgen hebben een enorme evolutie gekend in België. Dat is niet los te denken van de euthanasiewetgeving. De discussie van in het begin, waarbij euthanasie en palliatieve zorgen lijnrecht tegenover elkaar stonden, is weggedeemsterd. Er is openheid gekomen. Ook artsen die zelf geen voorstander zijn van euthanasie, kunnen zich er intussen bij neerleggen dat sommige patiënten er wel voor kiezen.’

Wauters: ‘In mijn ervaring komt die beslissing meestal niet opeens uit de lucht vallen op het einde van iemands leven. Het gaat meestal om mensen die tot op het laatste moment alles in handen willen hebben en ervoor kiezen niet tot het einde door dat aftakelingsproces te gaan.’

Cras: ‘Vaak hangt een euthanasievraag inderdaad samen met de wil om de controle te behouden over wat er gebeurt. Dat aspect leeft

zeker ook bij adolescenten.’

Norga: ‘Ja, en het feit alleen al dat de mogelijkheid nu bestaat, kan rust brengen, ook bij jongeren.’

Zijn er dan andere noden als het gaat over het levenseinde bij kinderen?

Norga: ‘Ja, vooral palliatieve zorg bij kinderen verdient nog meer aandacht én een betere financiering. Het is een zeer complexe aangelegenheid waar gespecialiseerde teams voor nodig zijn. De verscheidenheid tussen de patiëntjes is groter dan bij volwassenen, elke leeftijd vraagt een andere aanpak, er is de grote betrokkenheid van de ouders en het gezin … Wij werken daarvoor samen met KOESTER, het palliatief thuiszorgteam van het universitair ziekenhuis in Gent. Tijdens het ziekteproces worden de contacten al gelegd, en naarmate de nood stijgt, komt dat aspect meer op de voorgrond. Eventueel kan dan ook euthanasie ter sprake komen.’ 

Wat staat er in de wet?

Oordeelsbekwame minderjarigen kunnen nu onder bepaalde voorwaarden aan een arts vragen hun leven te beëindigen. De voorwaarden zijn strenger dan bij volwassenen. De minderjarige moet zich in een medisch uitzichtloze toestand bevinden van aanhoudend en ondraaglijk fysiek lijden dat niet gelenigd kan worden, en dat het gevolg is van een ernstige en ongeneeslijke,

door ongeval of ziekte veroorzaakte aandoening. Psychisch lijden kan, in tegenstelling tot bij volwassenen, geen aanleiding geven tot een euthanasievraag bij minderjarigen. Bij minderjarigen geldt ook de voorwaarde dat het overlijden binnen afzienbare termijn te verwachten is. Voorts moet ook een kinderpsychiater of psycholoog een gesprek hebben

met de minderjarige en bovendien moeten beide ouders akkoord gaan met de euthanasie.

16

V.l.n.r.:

dr. Thiery Chapelle (hepatobiliaire heelkunde), prof. dr. Sven Francque (gastro enterologie en hepatologie), dr. Bart Op de Beeck (radiologie), dr. Geert Roeyen (hepatobiliaire heelkunde)

Levertumoren

1 raadpleging met alle specialisten

Patiënten met een levertumor kunnen sinds kort op een multidisciplinaire raadpleging terecht. Zo moeten ze minder vaak naar het ziekenhuis komen en weten ze sneller waar ze aan toe zijn.

e kansen van patiën ten met leverkanker of leveruitzaaiingen zijn de afgelopen tien jaar sterk verbeterd. Dat komt vooral doordat leverchirurgie van daag een stuk veiliger is en doordat er betere chemotherapie is geko men. Die kan levertumoren vaak sterk doen krimpen, waarna een leveroperatie alsnog mogelijk is.

‘Bij de behandeling van lever tumoren zijn veel specialisten betrokken’, zegt leverchirurg dr. Thiery Chapelle. ‘De lever specialist, leverchirurg, oncoloog,

radioloog en eventueel een specialist nucleaire geneeskunde overleggen samen wat er moet gebeuren. Met wat voor tumor of tumoren hebben we te maken? Zijn er extra onder zoeken nodig? Kunnen we nog ope reren of niet? Soms is het beter om voor de operatie eerst chemothera pie te geven of een voorbereidende behandeling uit te voeren.’

Vlottere manier van werken Vroeger gingen de patiënten eerst bij hun behandelende specialist op raadpleging, waarna die overlegde met zijn collega’s en er vaak nog

consultaties volgden. Om dat alle maal vlotter te laten verlopen werd een multidisciplinaire raadpleging op poten gezet. Chapelle: ‘Elke woensdagnamiddag zijn alle lever tumorspecialisten tegelijk op post. De patiënten gaan bij hun behan delende arts op raadpleging, die meteen kan overleggen met de andere specialisten. Ook de patiënt zelf kan indien nodig meteen bij een andere arts te rade, bijvoor beeld de chirurg of oncoloog.’

Als ze het wensen, kunnen patiënten ook terecht bij een psycholoog of oncologisch verpleeg kundige. Die laatste is er voor begeleiding en ondersteuning. ‘Het voordeel voor de patiënten is dat ze minder vaak naar het zieken huis moeten komen en sneller weten waar ze aan toe zijn. En ook

voor ons is het een vlottere manier van werken’, aldus Chapelle.

Gespecialiseerde leverchirurgie

Het UZA is gespecialiseerd in complexe leverchirurgie en lever behandelingen. ‘Zo passen we in sommige gevallen een techniek toe om het gezonde gedeelte van de lever te doen uitzetten’, legt Chapelle uit. ‘Dat doen we door de poortader naar het zieke stuk lever enkele weken voor de operatie af te sluiten. Daardoor groeit het gezonde deel van de lever, het enige deel dat na de ingreep overblijft, waardoor de kans op verwikke lingen na de operatie kleiner is. Dankzij die techniek komen meer mensen in aanmerking voor een levensreddende operatie.’ 

17 MEDISCH
INFO Dienst
transplantatie en endocriene heelkunde, T 03 821 57 05
hepatobiliaire,
D
Dr. Thiery Chapelle

Health Mate®

therapeutische infraroodcabines: uw natuurlijke remedie tegen spieren gewrichtspijnen

Verlichting van spier- en gewrichtspijnen

Goed bij reuma, artrose en fibromyalgie Verbetert uw algemene conditie Verlicht astma en bronchitis

Goed tegen rug- en nekklachten Verbetert de bloeddoorstroming

Verdrijft afvalstoffen uit uw lichaam

Goed tegen psoriasis, eczeem en acné Vermindert stress en hoofdpijn Vermindert cellulitis en verbrandt calorieën Verhoogt uw immuniteit

Haal de zon in huis met een Health Mate® infraroodcabine www.cobretti.be THERAPEUTISCHE INFRAROODCABINES MET LEVENSLANGE GARANTIE SAMEN TEGEN REUMA Health Mate steunt het fonds voor wetenschappelijk Reumaonderzoek Raadpleeg steeds uw arts als u een Health Mate® infraroodcabine wil gebruiken voor medische doeleinden. Surf naar www.healthmate.be voor meer getuigenissen, heilzame toepassingen en wetenschappelijke studies. Of bel 03 295 50 25 voor een gratis brochure. Uw natuurlijke pijnstiller ANTWERPEN: Arak Wellness LIER 03 295 50 25 | Van den Berg HOOGSTRATEN 03 315 75 31 | Sanik GEEL 014 58 86 70 | AquaVision OUD-TURNHOUT 014 35 91 71 | Fonne Smeulders KALMTHOUT 03 62 01 620 | Health Mate SHOP SCHOTEN 03 685 44 50 | NG Project BALEN 014 73 53 99 | Schrauwen: BRASSCHAAT 03 645 24 79 | HERENTALS 014 24 40 20 – WILRIJK 03 825 69 81 – ZANDHOVEN 03 464 19 16 | Sanal BORSBEEK 03 366 17 70 | LIMBURG: ‘t Hoveniertje WELLEN 012 74 53 60 | Schrauwen GENK 089 30 86 20 | Varey LOMMEL 011 54 43 69 | Sleurs & Vangompel BOCHOLT 089 46 56 00 | D&A Pool Technics ZONHOVEN 011 82 37 65 | Aquamaax SCHERPENHEUVEL 0495 35 07 13 | WEST-VLAANDEREN: Spa-Wellness ZWEVEGEM 0477 59 58 13 | Ovalco OOSTKAMP 050 82 75 86 | Health Mate Shop Knokke 0486 51 89 83 | Delaere IZEGEM 051 30 11 82 | Wellness La Rose GISTEL 059 27 61 84 | Florisan VEURNE 058 31 53 15 | Vanderhaeghe IEPER 057 21 37 23 | Vermeersch KORTEMARK 051 57 52 08 | Lamo RUISELEDE 051 68 82 53 | DC infrarood RUDDERVOORDE 050 28 07 87 | Claeys-Verhelst Brugge 050 31 26 52 | Xavier Covemaeker WERVIK 056 20 01 69 | OOST-VLAANDEREN: Aquatropic MALDEGEM 050 71 93 92 | Aquazure NINOVE 054 50 01 69 – WICHELEN 053 39 09 39 | Het Buitenhuis DENDERMONDE 052 25 61 16 | Wellness Decor KRUISHOUTEM 09 383 70 83 | Wida MELSELE 03 336 54 94 | Esento: BRAKEL 055 42 76 08 | Van Poucke ZOTTEGEM 09 360 16 91 | Vepa ZELZATE 09 345 56 25 | Schrauwen ST-NIKLAAS 03 766 18 17 | Sterck AALST 053 70 16 11 | Sani-en Keukendecor WAASMUNSTER 03 250 66 90 | DC Pools GAVERE 0473 25 22 74 | DC infrarood GENT 09 321 25 85 | VLAAMS-BRABANT: Van Poucke LENNIK 02 582 35 03 | L’air et L’eau BEGIJNENDIJK 016 41 42 66 | Ventimec LEUVEN 016 23 39 74 | Pool+ HAACHT 016 85 09 55 | Runningmate KAMPENHOUT 016 65 05 86 | Van Diest HALLE 02 361 14 16 | M&T Fitness Shop LUBBEEK 016 60 10 25 Volledig overzicht op www.healthmate.be
35
ADVERTENTIE mag

maguza

www.maguza.be – UZAnieuws UniversitairZiekenhuisAntwerpen Zorgmagazine van het UZA

Sport je gezond?

Jong of oud, beginnend sporter of ervaren atleet? Een medische screening kan overbelasting en blessures voorkomen en eventuele hartproblemen aan het licht brengen. Ook voor gepersonaliseerd advies en begeleiding kunt u terecht bij S.P.O.R.T.S., het sportmedisch centrum van het UZA.

19
DOSSIER
S.P.O.R.T.S.
Juli
2014

S.P.O.R.T.S.?

S.P.O.R.T.S. staat voor Screening, Preventie, Onder zoek en Onderwijs, Revalidatie, Training en Sportgeneeskunde.

Sporters kunnen bij S.P.O.R.T.S. terecht voor sport medische keuring, (sport)consult, behandeling en opvolging van sportletsels, evaluatie van hun fysieke conditie, loopanalyse, ganganalyse, voedings- en trainingsadvies op maat.

S.P.O.R.T.S. biedt sport medische begeleiding op top niveau voor iedereen: recreanten, topsporters en bedrijven.

sports@uza.be www.uza.be/sports

Maak een afspraak via T 03 821 42 02

Jaren niet gesport, maar nu weer vol ambitie? Dan is een check-up geen overbodige luxe. S.P.O.R.T.S. biedt screening aan, met als doel blessures te voorkomen en eventuele hart problemen te onderscheppen.

Dr. Guy De Schutter en dr. Sam Moustie, sportartsen van S.P.O.R.T.S., zien dagelijks mensen die hun grenzen sportief willen verleggen. Dat is vaak het begin van een mooi avontuur, maar kan ook op een tegenvaller uitdraaien. ‘We zien bij voorbeeld heel wat veertig plussers die lang weinig gesport hebben en dan op korte termijn een heel grote uitdaging willen aangaan, genre

triatlon of de Mont Ventoux. Dat is vragen om kwetsuren. Het kan zelfs gevaarlijk zijn als ze intussen zonder het zelf te weten een hart probleem hebben ontwikkeld’, zegt Moustie.

Wie laat zich screenen?

Wie na jaren stilzitten weer intensief wil sporten, zoekt het best eerst een sportarts op. Maar wat is intensief sporten? Moustie: ‘Alles hangt af van wat je gewoon bent en wat je wilt bereiken. Velen denken dat een loopprogramma voor beginners niet intensief is, maar dat is het wel. Ontzettend veel van die mensen eindigen met een blessure. Bovendien vormt lopen hoe dan ook een behoorlijke belas ting voor je hart.’ Elk jaar duiken er wel berichten op over sporters die onverwacht op een sportveld sterven aan een niet-gekend hart probleem. Screening kan dat risico sterk beperken. De kans op gewone

20 DOSSIER S.P.O.R.T.S.


Afhankelijk van uw klachten of eventuele risicofactoren voert de sportfysioloog op advies van de artsen een inspannings­EKG uit.

1

3 4

Screening voor sporters

Gerust aan de start

blessures is echter oneindig veel groter. ‘Zeker als mensen in één keer naar de hoogste versnelling gaan, is het risico op blessures erg groot. En dan is de zin om te sporten vaak weer over, soms voor jaren’, aldus Moustie.

Screening en begeleiding zijn ook zinvol voor mensen die al veel sporten, maar twijfelen of ze goed bezig zijn of aan een nieuwe uitdaging beginnen. En ook voor kinderen en jongeren die intensief of in competitieverband sporten, is screening aan te raden. Want ook bij hen is letselpreventie belangrijk en kan er heel uitzonderlijk sprake zijn van een verborgen hartkwaal.

Een aantal sportfederaties, waaronder die voor wielrennen, gymnastiek en basketbal, legt aan zijn leden een sportmedisch onderzoek op. Binnen de meeste sportclubs is die verplichting er echter niet. Bovendien verloopt zo’n keuring niet altijd zoals het moet. ‘Artsen die snel een briefje schrijven zonder dat ze de sporter zelfs maar hebben onderzocht, dat komt nog altijd voor. Bij S.P.O.R.T.S. duurt alleen al het lichamelijk onderzoek gemakkelijk drie kwartier’, merkt Moustie op.

Rookt u?

Zowel recreatieve sporters als topsporters kunnen bij S.P.O.R.T.S.

voor screening terecht. SKA, de Vereniging voor erkende Sporten Keuringsartsen, werkte samen met cardiologen en orthopedisten een standaard schema voor screening uit. Doel is om hartkwalen of mechanische

bijvoorbeeld vroegere blessures die niet helemaal zijn hersteld, scheefstand van het bekken als een gevolg van ongelijke beenlengte, plat- of holvoeten, spierzwakte … De sporter ondergaat ook een elektrocardiogram (EKG) in rust. Afhankelijk van eventuele risicofactoren of klachten gebeurt er nadien nog verder onderzoek, bijvoorbeeld een longfunctietest of inspannings-EKG, beter gekend als fiets- of loopproef. Moustie: ‘Een belangrijke meerwaarde van S.P.O.R.T.S. is het multidisciplinaire karakter: ons team werkt nauw samen met andere

specialisten. Bij problemen kunnen we de patiënt dan ook snel doorverwijzen.’

Oranje kaart

Als de onderzoeken zijn afgerond, krijgen de sporters uitgebreid advies. Zijn ze geschikt voor de sport die ze willen beoefenen? Kiezen ze eventueel beter een ➝

problemen – bijvoorbeeld een zwakke rug of knieprobleem –uit te sluiten en om voor eventuele problemen een oplossing of behandeling te zoeken.

‘Iedereen ondergaat eerst een lichamelijk onderzoek, waarbij we ook naar eventuele risicofactoren peilen’, licht Moustie toe. ‘Rookt de sporter? Heeft hij of zij problemen met bloeddruk of cholesterol? Neemt hij of zij medicatie? Is er sprake van overgewicht? Zijn er ziekten in de familie?’ Er wordt ook nagegaan of er geen orthopedische problemen zijn. Mogelijke pijnpunten zijn

S.P.O.R.T.S. online

S.P.O.R.T.S. heeft zijn website in een nieuw kleedje gestoken. Afhankelijk van uw vraag kunt u voortaan meteen doorklikken naar ‘ik ben een recreant’ of ‘ik ben een topsporter’. Ook voor bedrijven is er een afzonderlijk luik, met informatie over gezondheidsonderzoek en bewegingsadvies voor medewerkers. Via informatieve filmpjes ziet u meteen hoe een aantal onderzoeken in zijn werk gaat. U vindt er ook de tarieven van de preventieve onderzoeken. Meer info op www.uza.be/sports

Ook interessant: www.sportkeuring.be. Via een vragenlijst kunt u nagaan of een sportmedisch onderzoek voor u aan te raden is.

21
Zowel recreatieve sporters als topsporters kunnen bij S.P.O.R.T.S. voor screening terecht.
2 1 3 4 2

Een meting van de lichaamssamen stelling geeft informatie over het vetpercentage, de spiermassa en de botdensiteit.

andere sport? Moeten ze bij komende oefeningen doen om aan zwakke punten te werken? Hoe starten ze het best? Veel gelukkigen kunnen met een gerust hart de sportschoenen aantrekken, anderen krijgen bij wijze van spreken een oranje kaart. ‘Soms botsen we op problemen die we kunnen oplossen, zoals steunzolen om een afwijkende voetstand te corrigeren’, haalt Moustie aan.

‘Sporters met loopambities moeten we soms voorzichtig afremmen: zeker als ze amper getraind zijn, is het soms beter eerst aan algemene conditie en spierkracht te werken, bijvoorbeeld met fietsen, zwemmen en ver stevigende spieroefeningen. Ook overgewicht en lopen gaan niet goed samen: je kiest dan beter eerst voor een andere sport, tot je wat gewicht hebt verloren.’ De sporters krijgen ook advies over hoe en aan welke hartslag ze het best trainen. Indien gewenst krijgen ze een uitgewerkt trainingsschema. ‘De sporters starten met een duidelijk plan, wat de kans op slagen sterk verhoogt’, zegt Moustie.

Vergrootglas voor topsporters

Ook topsporters, voor wie screening hoe dan ook verplicht is, kunnen bij S.P.O.R.T.S. terecht. Afhankelijk van hun sport onder gaan zij meer uitgebreide tests. Moustie: ‘Een klein probleempje kan bij hen meteen veel grotere proporties aannemen. Een sporter die een bepaald gewricht twintig uur per week belast, loopt uiteraard veel meer risico op een blessure. Bij die mensen moet je dus echt met een vergrootglas gaan kijken.’

Als u door uw sportarts bent goed gekeurd, is dat niet het einde van het verhaal. Zeker vanaf de leeftijd van 35 jaar laat u zich het best tweejaarlijks opnieuw nakijken, of vroeger als er een probleem mocht opduiken. Moustie stelt vast dat screening stilaan meer ingebur gerd raakt. ‘We willen zeker niet de boodschap brengen dat sport gevaarlijk is. Integendeel: beweging is absoluut goed voor iedereen. Het kan echter geen kwaad om er op een verstandige manier aan te beginnen.’ 

Aanstormend talent getest

S.P.O.R.T.S. verzorgt al jaren de selectie en evaluatie van kandidaat-leerlingen voor de Vlaamse topsport scholen voor basketbal en volleybal, in samenwerking met de respectievelijke bonden. ‘We proberen de meest beloftevolle spelers eruit te halen’, zegt prof. dr. Jan Gielen, medisch coördinator S.P.O.R.T.S.. ‘Dat gebeurt onder meer op basis van hun sprongkracht, maar we proberen bijvoorbeeld ook hun verwachte eindlengte te voorspellen. Ook onderzoeken we de botmaturiteit. Dat is belangrijk omdat bepaalde peesletsels zich altijd in dezelfde groeifase voordoen.

In die periodes moet de sporter het rustiger aandoen.’

S.P.O.R.T.S. doet ook studies binnen dit domein. Studenten geneeskunde doen onder leiding van prof. Gielen onderzoek naar betere technieken om de eindlengte te voorspellen enerzijds, en het verband tussen de leeftijd van het skelet en belast baarheid anderzijds. Rudi Frankinouille is bezig met research rond de preventie van loop- en sprong gebonden blessures. Johan Roeykens doet een studie naar de invloed van vermoeidheid op het looppatroon.

22 DOSSIER S.P.O.R.T.S. INFO S.P.O.R.T.S., T 03 821 42 02

Lopen is in. Almaar meer mensen gaan op eigen houtje aan de slag met een trainings schema, al dan niet met het oog op een marathon of groot sporteve nement. Rudi Frankinouille en Johan Roeykens, inspannings fysiologen bij S.P.O.R.T.S., wijzen op het belang van een goede voorbereiding. Frankinouille: ‘Beginnende lopers die zonder enige begeleiding een trainings schema volgen, lopen 50 tot 70 % kans op blessures. Een bezoek aan de sportarts kan dat soort teleurstellingen voorkomen.’

S.P.O.R.T.S. begeleidt sporters die naar een groot loopevenement toewerken. Wat houdt dat in?

Frankinouille: ‘Na een uitgebreide sportmedische keuring nemen

Leren lopen?

Gewoon de loopschoenen aan en trainen maar: het is de eenvoudigste, maar niet de beste manier om je op een loopevenement voor te bereiden.

Je laat je best van in het begin begeleiden. we een looptest af. Daarbij start de sporter aan een loopsnelheid van 8 of 9 kilometer per uur, die vervolgens systematisch wordt

Wie zonder begeleiding met een trainingsschema

begint te lopen, heeft 50 tot 70 % kans op blessures.

opgedreven. Tijdens de test meten we de loopconditie aan de hand van de hartslag en wordt het hart continu gemonitord met een elektrocardiogram (EKG). Daarnaast meten we het melkzuur gehalte in het bloed, door elke drie

minuten een paar druppels bloed af te nemen: zo bepalen we de ideale trainingsintensiteit en evalueren we de conditie. Topsporters of mensen met echt grote sportambities krijgen ook een maskertje op om het zuurstofverbruik bij maximale inspanning te meten. Daaruit kunnen we afleiden hoe groot iemands sportief potentieel is. Ten slotte wordt de sporter ook gefilmd, om eventuele problemen met de looptechniek eruit te halen. Tests en bespreking worden op een halve dag afgerond.’

Wat komen de sporters na die tests allemaal te weten?

Frankinouille: ‘Na afloop kunnen we zeggen hoe goed ze scoren qua conditie en wat ze aankunnen. We kunnen zelfs vrij nauwkeurig voor spellen op welke tijd ze een loop wedstrijd kunnen uitlopen. Ook

geven we gericht trainingsadvies. De sporters krijgen alle resultaten mee naar huis. Soms spreken we af dat ze na een half jaar terugkomen voor een tweede looptest, om hun vooruitgang te meten.’

Hoeveel tijd is er nodig om je voor een grote loopwedstrijd klaar te stomen?

Frankinouille: ‘Wie niet getraind is, rekent maar beter vier maanden om de Antwerp 10 Miles te kunnen uitlopen. Alles hangt af van je ambities: wil je een goede tijd neerzetten, dan is negen maanden realistischer. Ook voor een volledige marathon ben je al gauw negen maanden tot een jaar aan het trainen.’ 

Bekijk ook het filmpje over gang- en loopanalyse op www.uza.be/sports.

23
2
Rudi Frankinouille Johan Roeykens
1 2 1

Topgeneeskunde voor topsporters

S.P.O.R.T.S. begeleidt ook topsporters. Onder hen topzwemmers Kimberly Buys, Pieter Timmers en Egon

Van der Straeten van de Antwerpse zwemclub Brabo.

Een babbel aan de rand van het Olympisch zwembad.

(26)

finaleplaats

‘In oktober 2013 kreeg ik een klaplong. Dat had niets met mijn sport te maken, mijn lichaam liet het gewoon afweten. Ik kon toen meteen bij S.P.O.R.T.S. terecht. Alle nodige onderzoeken werden gedaan en tijdens de hele behandeling heeft mijn sportarts dr. Moustie me verder begeleid. Nor maal onderga je pas een preventieve operatie als het probleem zich herhaalt. Maar omdat een tweede klaplong voor mij zo nadelig zou zijn, werd er een uitzondering gemaakt. In februari ben ik geopereerd. Het voordeel is dat dr. Moustie weet wat in

mijn situatie belangrijk is: zo kreeg ik op zijn aangeven een minder zware verdoving, om nadien sneller weer fit te zijn.

Door die operatie heb ik nu nog maar 5 % kans om weer een klaplong op te lopen.

Twee weken geleden had ik opnieuw pijn in mijn borst. Ik heb toen meteen contact opgenomen met dr. Moustie.

Die zorgde ervoor dat ik snel een scan kreeg en bij mijn longchirurg terecht kon. Er was weer wat lucht ontsnapt uit een longblaasje, maar gelukkig had ik niet opnieuw een klaplong gekregen: een teken dat de operatie zijn werk heeft gedaan.’

‘Tijdens de jaarlijkse screening bij S.P.O.R.T.S. wordt nageke ken of je eventueel lichamelijke beperkingen hebt. Is je rug sterk genoeg? Hoe is het gesteld met je achterdijbeenspieren? Die laatste spieren zijn voor een zwemmer heel belangrijk bij de start. Als er een zwak punt is, wordt in overleg met de kinesi therapeuten bekeken hoe we daaraan kunnen werken. Zelf heb ik nogal lakse gewrichten, wat een probleem kan geven voor de stabiliteit. Recent had ik een schouderblessure. Uit de scan bleek dat er een barst in mijn schouderkapsel zat. In samenspraak met S.P.O.R.T.S. heb ik mijn zwemstijl daarom

iets aangepast, zodat ik vlakker in het water lig. Vlinderslag is hoe dan ook belastend voor je schouders, maar sinds dien ondervind ik minder problemen. De S.P.O.R.T.S.artsen zijn in feite ook onze huisartsen: voor elk medisch probleem kloppen we bij hen aan. Dat is ook belangrijk in het kader van de doping wetgeving. Wij mogen niet zomaar elk medicijn nemen en bij S.P.O.R.T.S. kennen ze die regels heel goed. Een voordeel is ook dat ons dossier bij hen centraal wordt beheerd. Zij verwijzen ons indien nodig door, maar behouden altijd het overzicht.’

24 DOSSIER S.P.O.R.T.S.
Pieter Timmers Olympische Spelen 2012 met het Belgische estafetteteam en brons in estafette op Europees Kampioenschap 2013 Egon Van der Straeten (22) finaleplaats Europees Kampioenschap 2013 ‘Geopereerd na klaplong’ ‘Zwemstijl aangepast op advies van S.P.O.R.T.S.’

‘In het begin van het jaar ondergaan we bij S.P.O.R.T.S. telkens een uitgebreide screening waarbij onder meer hart, longen en gewrichten grondig worden nageke ken. Tussendoor kunnen we bij S.P.O.R.T.S. terecht met klachten of blessures. Tot nog toe heb ik nauwelijks pro blemen gehad, maar recent kreeg ik dan toch last aan mijn schouder. Niet lang daarvoor had ik mijn techniek aange past, en blijkbaar vroeg dat veel van mijn lichaam. Eerst had ik alleen maar last bij erg zware trainingen en uit de echo kwamen geen belangrijke problemen naar voor. Na een

felle pijnscheut onderging ik echter opnieuw onderzoeken en mocht ik een maand niet zwemmen. Op zo’n moment zeggen ze bij S.P.O.R.T.S. heel duidelijk waar het op staat: die wedstrijd ga je niet doen, want anders wordt het alleen maar erger. Het fijne aan de begelei ding door S.P.O.R.T.S. is dat we bij een probleem gewoon kunnen bellen. We kunnen dan meteen bij de juiste persoon terecht. Dat is voor ons erg belangrijk, want als je traint voor een wedstrijd, telt elke dag. Als topsporter probeer je er na een blessure zo snel mogelijk weer te staan. Daar houden ze bij S.P.O.R.T.S. rekening mee.’

Kaat (38) loopt voor haar plezier

‘Trainen op een gezonde manier’

Lopen werkt ontstressend, vindt Kaat, verantwoor delijke van een kinderdagverblijf en mama van vier kinderen. ‘Na de geboorte van mijn jongste kindje ben ik dan ook vrij snel opnieuw beginnen trainen. Langzaamaan begon ik grotere afstanden af te leggen, maar ik boekte weinig vooruitgang op het vlak van snelheid. Bovendien had ik zin om aan de Antwerp 10 Miles deel te nemen. Ik wou me daar dan wel op de juiste manier op voorbereiden. Ik had eventjes gesukkeld met mijn heup, en ik wou zeker zijn dat ik op de goede manier liep. Vandaar dat ik besloot een algemene check-up te laten uitvoeren bij S.P.O.R.T.S.’

Zwakke

punten ontdekt

‘In het centrum lieten de dokters een elektrocardio gram en een echo van mijn hart uitvoeren. Daarna moest ik ook nog een looptest afleggen. Door die test zagen de dokters dat ik te snel liep. Aan de hand van een curve konden ze mooi aantonen dat ik anaeroob aan het trainen was, waardoor ik geen progressie maakte. Dat vond ik heel verhelderend. Samen met de specialisten heb ik dan een loopschema opgesteld. Op amper vier maanden ben ik een pak sneller beginnen lopen: op een afstand van 16 km maakte ik een tijdswinst van 10 minuten. De artsen hebben ook bekeken wat de zwakke punten van mijn lichaam zijn. Ze stelden vast dat mijn bekken instabiel is. Bovendien heb ik een hyperflexibele rug en zijn mijn achilles pezen lichtjes overbelast. Dankzij de oefeningen die de artsen me hebben aangeraden, kan ik die problemen nu opvangen.’ 

25
Kimberly Buys (25) zilveren medaille op Europees Kampioenschap 2012
‘Voor een topsporter telt elke dag’

Ook een podologisch onderzoek maakt deel uit van de gang en loopanalyse. Indien nodig worden steunzolen of functionele orthesen op maat gemaakt.

Klachten tijdens het lopen hebben soms te maken met een verkeerd looppatroon, al dan niet veroorzaakt door een afwijking. Een gang- en loopanalyse kan de vinger op de zere plek leggen.

Diagnose op de loopband

De artsen van S.P.O.R.T.S. krijgen regelmatig sporters over de vloer die tijdens het lopen met pijn kampen. Dat kan voetpijn zijn, maar net zo goed rug- of knielast of een ander probleem. Soms is er reden om te vermoeden dat die klacht te maken heeft met een fout gang- en looppatroon. In dat geval is een gang- en loopanalyse zinvol.

Voor dat onderzoek komen de sporters bij podoloog Tom Geens terecht. Die bespreekt de klacht met hen en voert vervolgens een uitgebreid lichamelijk onderzoek uit, waarbij onder meer de wervel

kolom, de spieren, de heupen, de knieën en de voeten nauwgezet worden nagekeken. Geens: ‘Daarna volgt de eigenlijke test op de loopband, waarbij patiënten vanuit verschillende hoeken worden gefilmd. Ze moeten al gauw een kwartier stappen en lopen, aan gezien sommige problemen zich pas gaandeweg manifesteren. Ook is het belangrijk dat patiënten zowel blootvoets als met de sport schoenen aan worden gefilmd.’

Verfijning van diagnose

Nadien worden de digitale beelden nauwkeurig geanalyseerd: hoe zet de patiënt zijn voeten neer? Hoe

gebruikt hij zijn spieren? Zijn zijn bewegingen mooi symmetrisch? Vaak komen een of meerdere afwijkingen aan het licht. Dat kunnen bijvoorbeeld een fout gebruik van de spieren of gewrich ten, spierzwakte, een knieprobleem of een te korte achillespees zijn. In die zin is het een verfijning van de diagnose. ‘Een gang- en loopanalyse heeft zeker niet alleen betrekking op de voeten. Een hoger gelegen afwijking, bijvoorbeeld een rugprobleem of scheefstand van de heup, kan pijn aan de voeten geven en vice versa’, verduidelijkt orthopedisch chirurg dr. Saskia Van Bouwel.

En de behandeling? Bij zowat een op vier patiënten volstaat advies rond de juiste schoenen of steun zolen. Een goede schoen is niet noodzakelijk een dure schoen, maar hij moet wel aangepast zijn aan de voet en het looppatroon. Andere patiënten worden doorver wezen naar een andere specialist, bijvoorbeeld een kinesitherapeut. In een kleine minderheid van de gevallen is een orthopedische operatie nodig. Van Bouwel: ‘We werken een behandeling op maat uit, waarbij de sportarts een coördinerende rol vervult. Die globale benadering is een grote meerwaarde.’ 

26 DOSSIER S.P.O.R.T.S.
1 2 2 1 Tom Geens Dr. Saskia Van Bouwel

Bij Landelijke Thuiszorg vinden wij zorgen voor jou de normaalste zaak van de wereld. Je bent jong of oud, samen of alleen?

We komen bij je thuis op die momenten waar extra hulp meer dan welkom is: een geboorte, ziekte, handicap, ouderdom of moeilijke omstandigheden.

Onze medewerkers zijn deskundig opgeleid en helpen je met plezier én op jouw maat.

Ontslag uit het ziekenhuis? Landelijke Thuiszorg helpt met een waaier van diensten gezinszorg - kraamzorg - poetshulp - gastopvang - oppas - klusjesdienst - woningaanpassing voor meer info en aanvragen 070/22 88 78 www.landelijkethuiszorg.be Landelijke Thuiszorg maakt deel uit van Ons.

Zorgeloos

Rond de menopauze hangt nog altijd een waas van geheim zinnigheid. Toch hebben vrouwen er alle belang bij goed voorbereid die nieuwe levensfase in te gaan. Dr. Jeannette De Loor van de dienst gynaecologie geeft een antwoord op enkele veelgestelde vragen.

Wat is het verschil tussen de overgang en de menopauze? ‘De overgang is gewoon een ander woord voor de menopauze: de periode van één jaar die volgt op de laatste maandstonden. Gemiddeld komen vrouwen rond hun 52ste in de menopauze. Maar rond je 40ste kunnen je hormonen al beginnen schommelen. De overgangsfase die loopt vanaf die hormoonschommelingen tot de eigenlijke menopauze noemen we de perimenopauze.’

Mijn bloedingen blijven uit. Moet ik nu naar de dokter? ‘De menopauze is geen ziekte. Als je geen klachten hebt, hoef je dus

niet naar je arts te stappen. Maar vaak veroorzaken de hormoon schommelingen wel wat ongemak ken. Het bekendste zijn natuurlijk de opvliegers of vapeurs, waarbij je bloedvaten gaan uitzetten. Je kunt dat symptoom op verschillende manieren ervaren. Meestal krijg je het warm, begin je te zweten, loop je rood aan of word je misselijk. Andere klachten die gepaard gaan met de menopauze zijn onregel matige maandstonden met minder of net heviger bloedingen, menstruatiekrampen, hoofdpijn, prikkelbaarheid, slaapstoor nissen, nachtelijk zweten … Als je die klachten als storend ervaart, dan kan je het best een gynae

28 GEZOND

de menopauze in

coloog consulteren. Het is ook verstandig om bij het begin van de menopauze je botdichtheid te laten meten. In de overgang lopen veel vrouwen namelijk een groter risico op osteoporose.’

Hoe kun je de klachten behandelen?

‘De oorzaak van de klachten zijn hormonale schommelingen. We dienen daarom hormonen toe die de balans herstellen. Bij lichte ongemakken raden we oestrogenen aan op basis van planten zoals soja of zilverkaars. Bij ernstiger klachten is hormonale substitutietherapie aangewezen. Veel vrouwen zijn daar bang van vanwege de negatieve berichten in de media. Ten onrechte: de risico’s zijn heel beperkt. Normaal gezien krijgen ongeveer 45 op 1000 vrouwen tussen de 50 en 70 jaar borstkanker. Door het gebruik van hormonen gedurende vijf jaar of minder komen daar 2 patiënten per 1000 bij. Het is bovendien helemaal niet zeker of dat komt door de therapie. Vaak liggen andere risicofactoren zoals erfelijke belasting aan de basis. Bij hormoontherapie komt die gevoeligheid misschien sneller tot uiting. Maar de patiënten kunnen daardoor ook sneller behandeld worden en uiteindelijk is hun prognose beter. Het zou dus zonde zijn dat vrouwen een stuk van hun levenskwaliteit opgeven uit angst voor hormonentherapie. Natuurlijk kunnen sommigen

beter geen hormoonbehandeling ondergaan, zoals vrouwen die in het verleden al een kwaadaardig, hormoongevoelig gezwel ontwikkelden, of die een ernstige trombose hebben gehad.’

Wat kan ik zelf doen om de symptomen te verzachten?

‘Je levensstijl aanpassen. Zo adviseren we altijd om meer te bewegen. Sport helpt bijvoorbeeld tegen klachten veroorzaakt door het bloedvatenstelsel zoals vapeurs en nachtzweten. Je botten lichtjes belasten is trouwens ook goed om botontkalking tegen te gaan. Mensen die een zittend leven leiden, krijgen sneller osteoporose. Daarnaast vermijd je beter alcohol en cafeïne, want die zetten je bloedvaten nog meer open.’

Moet ik nog een voorbehoedsmiddel gebruiken in de perimenopauze?

‘In de overgang of menopauze kun je niet meer zwanger worden. Dat kan wel nog in de perimenopauze. In die overgangsfase doe je dus het best een beroep op een voorbehoedsmiddel. Veel vrouwen die de pil nemen, merken echter niet of ze nog menstrueren of niet. Meestal raden we vrouwen aan om met hormonale contraceptie te stoppen rond hun 52ste en over te schakelen op condooms. We kijken dan of er nog bloedingen doorkomen. Is dat het geval, dan kunnen ze de contraceptie

opnieuw opstarten. Na een jaar lassen we een nieuwe testfase in.’

Kom je makkelijker aan in de overgang?

‘Ja, vanaf de perimenopauze vertraagt je metabolisme, zodat je per jaar soms één of twee kilo verdikt. Op tien jaar tijd betekent dat een gewichtstoename van twintig kilo. Daar wordt in de media te weinig aandacht aan besteed, want door zoveel aan te komen heb je twee keer zoveel kans om borstkanker te ontwikkelen. Het gevaar is dus een pak groter dan bij hormonentherapie. In de menopauze minder suiker en vet op het menu te zetten is met andere woorden ontzettend belangrijk. Probeer ook frequenter te eten, maar kies daarbij voor kleinere porties zodat je stofwisseling optimaal blijft.’ 

Hormoontherapie verhoogt de levenskwaliteit van vrouwen in de menopauze.

Tips voor een probleemloze menopauze

1. Beweeg voldoende om je metabolisme op gang te houden en botontkalking tegen te gaan.

2. Eet minder vet en suiker; een gewichtstoename van twintig kilo verdubbelt de kans op borstkanker.

3. Vermijd alcohol en cafeïne, want die verergeren het probleem van opvliegers en nachtzweten.

4. Laat in het begin van je menopauze een botmeting uitvoeren.

5. Raadpleeg bij ernstige klachten een arts.

29

Eek, een teek!

95 % van de tekenbeten is na een paar dagen alweer vergeten. Geen reden tot paniek dus, al is enige voorzichtigheid op zijn plaats. Vijf tips van UZAinfectiologe dr. Erika Vlieghe.

1Geef teken geen kans

Teken zijn spinachtige diertjes die bloed zuigen bij mens en dier. Ze komen overal ter wereld voor, vooral in hoog gras, struiken en op de grens tussen velden en hogere begroeiing of bos. Daar wachten de beestjes om zich te laten vallen op een gastheer. Bescherm uzelf door op de paden te blijven en huidcontact met gras of begroeiing te vermijden. Draag in tekenrijke gebieden, zoals de

Ardennen of Limburg, bij voorkeur lange mouwen en pijpen, gesloten schoenen en sokken. Gebruik een insectenwerende spray op basis van DEET.

2 Kijk uzelf en uw kinderen na Controleer uzelf en uw kinderen na een boswandeling of Ardennen weekend op teken. Ga grondig te werk: een teek kan zich immers ook verschuilen in het haar, in de

bilspleet, in de knieplooi … Teken worden pas actief vanaf een tempe ratuur van 10° C. Ze komen dan ook het vaakst voor in de periode maart tot oktober. Kijk uw kind zeker na als het op kamp is geweest of buiten heeft gespeeld.

3

Verwijder een teek altijd in zijn geheel Verwijder de teek met een pincet of een speciaal tekentangetje van de apotheek. Grijp hem bij de kop vast, zo dicht mogelijk tegen de huid. Knijp zeker niet in het achterlichaam: dan kan de maaginhoud in het bloed terecht komen, met een grotere kans op besmetting. Daarom ook mag u een teek niet verdoven met alcohol. Ontsmet nadien de huid. Als u de teek binnen de 12 tot 24 uur ver wijdert, is het risico op besmetting erg klein.

al dan niet nog met de tekenbeet te maken kunnen hebben. Ook de plaats is belangrijk: een teken beet in de Ardennen is immers niet hetzelfde als een tekenbeet in bijvoorbeeld Zuid-Afrika. Afhankelijk van de regio kan een teek andere ziektekiemen met zich meedragen.

5 Besmet?

4

Noteer waar en wanneer u de beet opliep Schrijf op wanneer u de tekenbeet opliep. Krijgt u later klachten, dan kan de arts beter inschatten of die

Panikeer niet 95 % van de tekenbeten veroor zaakt niet meer ongemak dan een voorbijgaande rode vlek. Is de vlek groter dan 5 centimeter door meter, dan hebt u wellicht een besmetting opgelopen. De kans is vrij groot dat het dan om de ziekte van Lyme gaat. Die is gelukkig goed te behandelen. De huisarts zal u antibiotica voorschrijven, waarna de roodheid snel verdwijnt. Ga bij vermoeden van besmetting hoe dan ook naar de huisarts (zie kaderstuk). Teken kunnen overigens ook andere ziektes overbrengen: in Midden-Europa veroorzaken ze soms een vorm van hersenvliesontsteking. 

INFO
GEZOND
Dienst tropische geneeskunde, T 03 821 51 59, dienst algemeen inwendige geneeskunde, T 03 821 34 66, Instituut voor Tropische Geneeskunde,
30

Een teek is maar een paar mm groot.

STEUN het UZA-mecenaatsfonds

Vergroot de hoop voor elk kind met een zeldzame ziekte

Ziekte van Lyme

De ziekte van Lyme is een infectieziekte die wordt veroorzaakt door bacteriën en wordt overgedragen door bepaalde teken. De diagnose wordt gesteld aan de hand van een lichamelijk onderzoek, het verhaal van de patiënt en een bloedonderzoek. Het eerste symptoom is doorgaans een rode, ringvormige vlek op de plaats van de beet. De vlek is groter dan 5 centimeter diameter en verschijnt twee tot dertig dagen na de besmetting. Hij wordt gaandeweg groter en gaat warmer aanvoelen. Meestal wordt de vlek ook bleker in het midden. Nadien kunnen patiënten ook last krijgen van koorts, keelpijn, hoofdpijn, spier- en gewrichtspijn, gezwollen lymfeklieren en vermoeidheid. De uitslag en symptomen verdwijnen op de duur spontaan. Het is echter belangrijk de ziekte tijdig met antibiotica te behandelen, zo niet bestaat het risico dat ze ongemerkt voortschrijdt. Weken na de beet kunnen zich soms ook ernstiger symptomen voordoen, zoals hartritmestoornissen, gewrichtsproblemen, aangezichtsverlamming of hersenvliesontsteking. De ziekte van Lyme is gelukkig in elk stadium goed te behandelen. Blijvende gevolgen zijn er zelden.

www.itg.be, www.zorg-en-gezondheid.be/teken.aspx

In België lijden 800 kinderen aan een zeldzame stofwisselingsziekte. Meestal is de ziekte aangeboren en moeilijk behandelbaar. Een levenslang dieet, een orgaantransplantatie of specifieke geneesmiddelen kunnen voor sommigen helpen, voor anderen niet. Het UZA wil via wetenschappelijk onderzoek nieuwe en betere methodes ontwikkelen om stofwisselingsziekten te behandelen. Via het UZA-mecenaatsfonds kan ook u bijdragen aan een hoopvolle toekomst voor deze patiëntjes.

Zowel bedrijven als particulieren kunnen giften of legaten overmaken aan het fonds. Doe dit vandaag nog door een storting op rekeningnummer 001-0893155-55 van het UZA met vermelding ‘zeldzame ziekten’. Giften vanaf 40 euro zijn fiscaal aftrekbaar.

UZA-mecenaatsfonds

Wilrijkstraat 10, B-2650 Edegem, Tel 03 821 30 00 www.uza.be www.uza.be/mecenaatsfonds

Volgezogen met bloed is een teek goed zichtbaar.
Kennis / Ervaring / Zorg

Wie blogt,die blijft

Steeds meer patiënten houden een blog bij rond hun ziekte: om familie en vrienden op de hoogte te houden, als informatiebron voor lotgenoten of als onderdeel van hun verwerking. Bloggers Eefje en Stijn vertellen.

Het hoeft niet altijd mode of een hobby te zijn. Sommige mensen bloggen over hun ziekte. Ze berichten minutieus over hun behandeling en over wat de ziekte met hun leven doet. Zo ook Eefje (25). De studente antropologie vecht sinds haar veertiende tegen een zeldzame vaataandoening. De afgelopen twee jaar ging ze

meerdere keren onder het mes om misvormingen aan haar aders te laten opereren. ‘Toen ik na tien jaar bij vaatchirurg dr. Chantal Vandenbroeck terechtkwam, kreeg ik eindelijk vooruitzicht op de juiste behandeling’, vertelt Eefje. ‘Dat was voor mij de aanleiding om met een blog te starten. Van daar ook de naam another journey: het voelde als een tocht naar een betere gezondheid – een tweede reis na mijn slechte ervaringen in een ander ziekenhuis.’

Met de blog paart Eefje het nut tige aan het aangename. ‘Vrienden en familie kunnen zo volgen hoe het met me gaat en zelf vind ik schrijven heel fijn. In periodes van gedwongen rust verdrijft het de verveling. En het is ook een manier om mijn ziekte te verwerken.

Daarom ook lees ik mijn stukjes niet na voor ik ze post: dat vind ik te confronterend.’

In hetzelfde schuitje

Ook Stijn (21), student leraren opleiding, houdt sinds de zomer van 2013 een blog bij. Hij herviel in juni 2013 van leukemie. ‘Toen ik voor het eerst ziek werd, moest ik keer op keer uitleggen wat er aan de hand was’, zegt hij. ‘Op zich geen probleem, maar in die periode was dat erg vermoeiend. Daarom koos ik deze keer voor een blog.’ Ook voor hem is het een deel van zijn verwerkingsproces. ‘Het stelt mij in staat om de dingen op een rijtje te zetten en terug te blikken. De nare dingen herinneren is niet altijd fijn, maar het helpt me om alles een plaats te geven.’

INFO anotherjourney.blog.com, stijnvandevondel.wordpress.com, www.antoilettre.nl

32 ZORG

Tegelijk wil Stijn met zijn blog een plek creëren waar mensen informatie vinden over de behandeling van kanker. Hij legt bijvoorbeeld uit hoe chemotherapie, radiotherapie en een stamceltransplantatie verlopen, soms met behulp van filmpjes. Een enkele keer komen er reacties van onbekenden die in hetzelfde schuitje zitten en op zoek zijn naar informatie. ‘Op het internet vind je veel algemene informatie, maar persoonlijke ervaringen en belevingen zijn toch nog iets anders’, vindt Stijn.

Gluren?

Ook UZA-hematologe dr. Ann Van de Velde, die verschillende patiënten kent die bloggen, staat positief tegenover het fenomeen. ‘Het valt me op dat de informatie op blogs vaak heel accuraat is. Ook in de behandeling van een patiënt kan een blog zaken in gang zetten. Patiënten informeren elkaar over nieuwigheden en nemen dat mee naar de consultatie. Voor de arts kan dat een aanleiding zijn om zaken na te trekken of aan te kaarten op een symposium.’

Dat patiënten via blogs en andere sociale media hun isolement kunnen doorbreken, vindt ze een

groot pluspunt.

Via een blog leert een arts zijn patiënt soms op een andere manier kennen. Van de Velde: ‘Soms kom je al lezend aan de weet wat een patiënt echt bezighoudt, zoals een kinderwens of relatieproblemen. Dat kan de drempel verlagen om die zaken op de raadpleging te

Patiënten kunnen via blogs en andere sociale media hun isolement doorbreken

bespreken.’ Al legt ze op dat vlak de nodige omzichtigheid aan de dag. ‘Als ik een blog lees, laat ik een berichtje na. Anders voelt het toch een beetje als gluren. Na een positieve reactie weet ik dan dat die patiënt er geen probleem mee heeft.’

Verder kijken dan ziekte Ondanks hun zware ziekte houden Stijn en Eefje de toon van hun blog meestal licht en humoristisch. ‘Ik

krijg wel eens reacties van mensen die uit mijn posts inspiratie en hoop halen. Dat doet enorm veel deugd’, zegt Stijn. Ook Eefje merkt dat sommigen veel aan haar verhaal hebben. ‘Zo heb ik een kennis van wie de zoon zelf ziek is. Ze zegt dat ze dankzij mijn blog beter begrijpt wat het is om als jong persoon ziek te zijn.’ En wat met privacy? Via hun blog geven Eefje en Stijn veel

over zichzelf prijs. Eefje gaat binnenkort op zoek naar werk en worstelt wel eens met de vraag of ze potentiële werkgevers al dan niet op de hoogte moet brengen van haar ziekte. ‘Ergens hoop ik dat die mensen verder kunnen kijken dan mijn gezondheidsproblemen. Want het is net door mijn ziekte dat ik de sterke persoon ben geworden die ik vandaag ben.’ 

Ook bloggen?

De volgende tips houdt u het best in uw achterhoofd.

• Bedenk dat iedereen uw blog kan lezen, ook pakweg uw (toekomstige) werkgever of verzekeringsmaatschappij. Schrijf alleen dingen die u ook hardop voor een volle zaal zou willen zeggen.

• Geschreven tekst moet het zonder intonatie, gebaren of gezichtsuitdrukking stellen. Communiceer daarom helder: ironie of fijne nuances komen niet altijd over.

• Kwets geen anderen. Schrijf geen negatieve dingen waarin de betrokkene zichzelf kan herkennen.

• Geschillen met een afdeling of arts kaart u beter rechtstreeks met de betrokkene(n) of met de ombudsdienst van het ziekenhuis aan.

33
Blogger Eefje: ‘Ik lees mijn stukjes niet na voor ik ze post: dat vind ik te confronterend.’ Blogger Stijn: ‘Ik moest keer op keer uitleggen wat er aan de hand was. Daarom koos ik voor een blog.’

Een klinische autopsie na een overlijden kan heel wat vragen beantwoorden, zowel van nabestaanden als van artsen.

In welke gevallen gebeurt er een autopsie? En kun je dat zelf vragen, of juist weigeren?

Een autopsie gebeurt altijd met het nodige respect voor de overledene.

Autopsie:

Het juiste gedaan?

‘De redenen voor een klinische autopsie zijn divers’, zegt prof. dr. Martin Lammens, dienst hoofd pathologische anatomie.

‘Vaak wil een arts door middel van de autopsie zijn medisch handelen evalueren. De arts wil nagaan of hij of zij het juiste heeft gedaan, en of de behandeling is

Een klinische autopsie kan belangrijke medische informatie opleveren

Na een overlijden door geweld, een ongeval of een andere externe oorzaak kan het gerecht aan een gerechtelijk geneesheer de opdracht geven om een autopsie uit te voeren. Naast die forensische autopsie bestaat echter ook de klinische autopsie. In dat geval vraagt de behandelende arts, soms mede op vraag van de nabestaanden, aan de patho loog om een autopsie uit te voeren op een patiënt die in het ziekenhuis is overleden.

verlopen zoals verwacht.’ Om die reden wordt een klinische autopsie ook terugbetaald door de ziekteverzekering, als een vorm van kwaliteitsbewaking.

Een autopsie kan ook medische informatie opleveren die belangrijk is voor de familie. ‘Bij baby’s die kort na of net voor de bevalling plots overlijden, kan die informatie belangrijk zijn voor volgende zwangerschappen. Vaak wordt dan ook onderzoek gedaan naar mogelijke erfelijke aandoeningen. Bij volwassenen gebeurt dat steeds minder, aangezien het DNA-

34
ZORG

het laatste consult

onderzoek steeds meer mogelijk heden biedt.’ Een aparte groep van hersenziekten, waaronder de ziekte van Alzheimer en de ziekte van Parkinson, is niet altijd zonder autopsie vast te stellen. ‘De diagnostiek is wel verbeterd, maar een autopsie is vaak nog zinvol om zekerheid te hebben, en bijvoorbeeld ook als er bepaalde medicatie is uitgeprobeerd. En ook die ziekten hebben soms een erfelijke component.’

Maar één kans

Voor nabestaanden kan een autopsie een belangrijke rol spelen in de verwerking van het overlijden, zeker bij pasgeborenen en foetussen. ‘Jonge artsen hebben soms schrik om het onder werp aan te snijden, maar ik zeg hen dat ze het omgekeerd moeten bekijken: een autopsie is een recht. Het kan nu en later helpen om die antwoorden te hebben. En je hebt maar één kans: het is nu of nooit.’ Soms vragen families zelf om een autopsie aan de behandelende arts.

In een universitair ziekenhuis kan een autopsie ook een weten schappelijke en educatieve waarde hebben. ‘Zo is het bij nieuwe behandelingen belangrijk om goed te documenteren wat het effect is geweest van de behandeling, bij voorbeeld of een tumor verkleind is zoals verwacht.’ In sommige

gevallen zijn autopsieën belang rijk voor de volksgezondheid. ‘Om epidemiologische redenen. Bij de ziekte van Creutzfeldt-Jakob bijvoorbeeld, waarvan een variant bekend staat als de gekkekoeien ziekte, is een autopsie nodig om de ziekte vast te stellen in de hersenen. Vroeger gebeurde hetzelfde bij open tbc. Daar bestaan dan ook aparte fondsen voor.’

Respect

Kun je als familie een autopsie weigeren? ‘Een arts is wette lijk niet verplicht om aan de nabestaanden toestemming te vragen voor een klinische autopsie. In de praktijk gebeurt dat normaal gezien echter wel. En als de familie een autopsie weigert, zal de arts die wens zo goed als altijd respecteren. Een autopsie op bevel van het gerecht kun je wel nooit weigeren.’

Een autopsie gebeurt altijd met het nodige respect voor de over ledene. Na de autopsie worden alle organen teruggeplaatst. Alleen materiaal dat nodig is voor micro scopisch onderzoek of organen of delen ervan die een langere bewerking vereisen, worden bewaard. ‘We zorgen er ook voor dat de autopsie binnen de kleding lijn gebeurt, zodat de mensen nadien nog even mooi kunnen worden opgebaard.’ 

Behandeling weigeren?

Kan ik nee zeggen tegen een behandeling?

Ja, elke wilsbekwame patiënt kan een behande ling of ingreep weigeren. Dat is vastgelegd in de Wet op de Patiëntenrechten.

Wat houdt dat in, wilsbekwaam?

Een patiënt is wilsbekwaam wanneer hij of zij in staat is een probleem te begrijpen en informatie te verwerken om tot een beslissing te komen, en die beslissing vervolgens kan uiten. Ook minder jarigen kunnen door de arts als wilsbekwaam worden beschouwd. Minderjarigen die nog niet zelf kunnen beslissen, geesteszieken, ernstig dementerende personen … worden beschouwd als wilsonbekwaam, al worden ook zij zoveel mogelijk bij beslissingen betrokken.

Wat als ik bewusteloos of in een coma ben?

Dan richten de artsen zich – net als bij wilsonbe kwamen – tot uw wettelijke vertegenwoordiger. Als volwassene kunt u die vooraf zelf vastleggen. Zo niet geldt er een wettelijke volgorde waarbij eerst de samenwonende partner, vervolgens een meerderjarig kind, vervolgens een ouder enzo voort wordt aangesproken. Bij minderjarigen zijn de ouders of voogd de wettelijke vertegenwoor digers. De arts zal echter altijd het belang en de gezondheidstoestand van de patiënt vooropstellen, en uitzonderlijk eventueel ingaan tegen een weige ring van de wettelijke vertegenwoordiger.

Kan ik vooraf bepaalde behandelingen, zoals reanimatie of sondevoeding weigeren?

Ja, dat kan in een voorafgaande negatieve wils verklaring. Die schriftelijke verklaring stelt u op en ondertekent u op een moment dat u wilsbekwaam bent. De arts is verplicht die wilsverklaring te volgen op het moment dat u wilsonbekwaam bent.

Info Meer over uw rechten als patiënt? www.patientrights.be

35 U ZEGT
  

Peggy De Clercq is studieverpleegkundige op de dienst oncologie. ‘Ik zal altijd een verpleegkundige in hart en nieren blijven. Tegelijk hou ik ook van de wetenschappelijke uitdaging in deze job.’

Hart voor patiënten,neus

‘Wekelijkse research meeting met de artsen en de vier studieverpleegkundigen van onze dienst. We overlopen alle patiënten die deelnemen aan een studie en het aanbod nieuwe studies. Als oncologische studie verpleegkundigen coördineren wij de patiëntenstudies en zijn we het eerste aanspreekpunt, ook voor de farmaceutische bedrij ven. Daarnaast begeleiden we onze studiepatiënten: we volgen hen op, plannen hun afspraken en geven de nodige uitleg. Elk neemt een deelgebied op zich: voor mij zijn dat de studies rond maag- en darmtumoren.’

‘Een patiënte belt mij op omdat ze last heeft

van mondbloedingen. Ik regel voor haar een extra raadpleging om 11 uur. Patiënten weten dat ze ons bij problemen altijd mogen contacteren.’

‘Ik loop binnen op onze onderzoekseenheid. Daar gebeuren fase 1-studies: dat zijn studies waarbij een geneesmiddel voor het eerst op patiënten wordt getest. De studie patiënten worden er behandeld in dagopname. Vaak zijn er dan verschillende bloednames nodig voor, tijdens en na de toediening van het medicijn. Zo wordt de concentratie van het middel in het bloed gecontroleerd. Soms gebeuren er ook andere bijko mende onderzoeken op vaste

36
Peggy
INFO Media Surplus Daknamdorp 25, Lokeren T 09/349 69 64 – 0475/52 27 15 info@media-surplus.be www.media-surplus.be uw
hier?
De Clercq ONDERZOEKS VERPLEEGKUNDIGE
advertentie

patiënten,neus voor onderzoek

tijdstippen tijdens de behandeling, bijvoorbeeld een elektrocardio gram (EKG). De bloednames en andere tests doe ik niet zelf, maar ik check of alles goed verloopt en spring bij als het druk is. Zeker als een patiënt voor het eerst een nieuw medicijn krijgt, zijn er altijd een onderzoeksverpleeg kundige en een arts in de buurt. Want een allergische reactie is altijd mogelijk.’

‘Ik ga langs bij Jef (73), een patiënt met een darmtumor die voor de derde keer aan een studie meedoet. Wekelijks krijgt hij op de onderzoekseenheid een infuus met een experimenteel medicijn. Ik hoor of alles goed gaat en of er geen nevenwerkingen

zijn. Jef is zoals altijd opgewekt en informeert naar mijn verkoud heid. Ik sta er telkens van versteld hoe optimistisch die mensen ondanks hun ziekte blijven. Die band met de patiënten zou ik voor geen goud willen missen: ik blijf een verpleegkundige in hart en nieren.’

‘Naar de raadpleging oncologie, waar een van mijn patiënten een afspraak heeft met zijn arts voor de bespreking van een CT-scan. De uitslag is goed, een voor waarde om de studiemedicatie te kunnen blijven krijgen. Na een telefoontje haal ik het genees middel op bij de apotheek. Elke dag zie ik zo een vijftal patiënten.

Daarnaast is er twee keer per week een aparte raadpleging voor patiënten die deelnemen aan onze fase 1-studies.’

‘Tussen de consultaties door wachten er mails en administratie. Zo houden we voor elke patiënt een gedetailleerd studiedossier bij.’

‘Een van onze oncolo gen roept mij erbij op de raadpleging. Zijn patiënt komt in aanmerking voor een studie. Ik stel mij voor en geef hem alvast de nodige informatie.’

‘Een triest telefoontje: een van onze patiënten is overleden en de familie wil ons

nog eens extra bedanken. Werken op de dienst oncologie is hard, maar ik ben blij dat ik iets voor de patiënten kan betekenen. Het heeft mijn kijk op het leven ook veranderd: ik maak me niet snel druk om pietluttigheden.’

’s Avonds nog op pad voor een meeting in Antwerpen. Een nieuwe studie die ik vanuit onze dienst coördineer, wordt toegelicht aan de deelnemende ziekenhuizen. Zo pik ik meteen alle informatie mee. Ook buitenlandse congressen en meetings horen erbij. Als onderzoeksverpleegkundige worden we bij alle aspecten van een studie betrokken. Dat maakt het extra interessant.’ 

37 WITJAS VAN DIENST

Verzorging en massages voor kankerpatiënten

De behandeling van kanker kan sporen nalaten en het zelf-beeld aantasten. Verzorging en ontspanning zijn belangrijk voor uw welzijn en zelfvertrouwen.

Daarom kan u terecht bij de schoonheidsspecialiste voor gelaatsverzorging en massages. Patiënten van oncologische en hematologische afdelingen kunnen gratis een afspraak maken op het secretariaat van het dagziekenhuis of via tel 03 821 32 50 (elke werkdag tussen 15 en 16.30 uur).

SPECTRUM REEKS lezingen-

WAAR

“Op afspraak” geneeskunde en gezondheid IV

Samenwerkingsverband

UZA / UA – ActUA

OCMW Edegem – Seniorenraad Edegem

OCMW Edegem, Dienstencentrum Den Appel Oude-Godstraat 110, 2650 Edegem WANNEER

Telkens op maandagmiddag van 14 tot 16 uur.

DEELNAMEPRIJS nog niet gekend.

In tien lezingen geven artsen van het Universitair Ziekenhuis Antwerpen en professoren van de Faculteit Geneeskunde & Gezondheidswetenschappen van de Universiteit Antwerpen een uiteenzetting met nadien gelegenheid tot vraagstelling. De lezingen worden ingeleid door emeriti van de Universiteit Antwerpen.

Lezingen in 2014: 3/11/2014

Prof. Dr. Paul A.R. Pelckmans, diensthoofd gastro-enterologie en hepatologie

‘In de donkere spelonken van ons lichaam –de darmflora bepaalt ons leven’  Constipatie, opgeblazen gevoel, diarree, onregelmatige transit, winderigheid,…’

17/11/2014

Prof. dr. Heidi Theeten, UZA, Vaccinologie ‘Beter voorkomen dan genezen: zin & onzin van vaccinaties’

1/12/2014

Prof. dr. Greta Moorkens, adjunct diensthoofd algemeen inwendige geneeskunde ‘Check up of zijn we wel zo gezond?’

15/12/2014

Prof. dr. Alexandra Vermandel, coördinator Kleine Bekken Kliniek ‘Bekkenbodemtherapeuten: wie zijn ze? en wat doen ze?’

INFO

Karen Croes

OCMW Edegem Gezondheidspreventie

T 03 450 84 20

Karen.Croes@ocmwedegem.be

Mevr. Ilde Vander Velpen

Dienstencentrum Den Appel

T 03 450 82 61

Ilde.VanderVelpen@ocmwedegem.be

Nuttige telefoonnummers

• algemeen nummer UZA: T 03 821 30 00

• onthaal en opname: T 03 821 31 01

• patiëntenbegeleiding: T 03 821 37 00 (maatschappelijk werk, vrijwilligers, intercultureel bemiddelaar, transfercoördinator, levens beschouwelijke begeleiding, tolken en tolken Vlaamse gebarentaal)

• ombudsdienst: T 03 821 31 60

• inlichtingen facturen: T 03 821 31 28

• mobiele medische urgentiegroep: T 03 821 38 06

• school in het UZA: T 03 821 58 86

Gastenkamers Ter Weyde

Wilt u in de buurt van het ziekenhuis overnachten, dan kunt u terecht in onthaaltehuis Ter Weyde. Vrijwilligers bieden er een eenvoudig maar warm onthaal aan een billijke prijs. Ter Weyde bevindt zich op 200 meter van het UZA (Edegemsesteenweg 240, 2610 Wilrijk).

Voor meer info: T 03 440 48 18.

Winkelgalerij

In de inkomhal vindt u:

• de cafetaria, in de week open van 8.30 tot 20 uur; in het weekend en op feestdagen van 12 tot 20 uur

• een broodjeszaak, in de week open van 9 tot 14.30 uur

• een winkel Momen’to Shop Delhaize met een ruim aanbod verse voeding, drank, lectuur, geschenkartikelen … Open op weekdagen van 8.30 tot 20 uur. In het weekend van 12 tot 18 uur.

• een bloemen- en pralinewinkel ‘Gift Shop’, open van maandag tot en met vrijdag van 10.30 tot 19 uur. In het weekend en op feestdagen gesloten.

• een bankautomaat

Restaurant

Het restaurant vindt u op -1 op het einde van de bezoekersgang. Het is elke werkdag open van 12 tot 14 uur.

Meer info: www.uza.be

Abonnement

Wenst u een gratis abonnement op Maguza, wilt u een adreswijziging doorgeven of wilt u het magazine niet langer ontvangen? Bel 03 821 32 96 of stuur uw naam en adres naar UZA, afdeling communicatie, Wilrijk straat 10, 2650 Edegem, of surf naar www.maguza.be/abonnement. U kunt hier ook inschrijven op de gratis digitale nieuwsbrief van Maguza.

Colofon Maguza · driemaandelijks tijdschrift van het Universitair Ziekenhuis Antwerpen · jaargang 26, juli 2014 · Redactieadres: UZA, afdeling Communicatie, Wilrijkstraat 10, 2650 Edegem, communicatie@uza.be · Verantwoordelijke uitgever: Johnny Van der Straeten · Hoofdredacteur: Ann Segers · Eindredacteur: Kris Thieren · Redactieraad: Bettina Blaumeiser, Patrick Cras, Annick Deckers, Anneleen De Vos, Jonas De Wolf, Marc Peeters, Ann Segers, Bharati Shivalkar, Elke Smits, Kris Thieren, Paul Van Aken, Miranda Van De Wiele · Redactie & realisatie: Jansen & Janssen Creative Content, www.jaja.be · Fotografie: Frank Bahnmuller, Jan Locus, Eric de Mildt, Simon Van Ranst, iStock, Shutterstock · Illustratie p. 14-16: Frederik Van den Stock · Kruiswoordraadsel: Freddy Roegiest · Reclameregie: Media Surplus, www.media-surplus.be · De inhoud van de advertenties valt niet onder de redactionele verantwoordelijkheid van het UZA. Maguza wordt gedrukt op FSC-papier, afkomstig van duurzaam beheerde bossen.

‘Ze kreeg haar zelfstandigheid terug’

Het fijnste aan haar job vindt Andrea Kleine Punte dat ze de kennis uit haar wetenschappelijk onderzoek kan toe passen in de praktijk. Om dove patiën ten opnieuw te laten horen bijvoorbeeld.

‘Ik herinner me nog goed de eerste keer dat ik een coch leair implantaat mocht regelen. Het ging om een patiënte van zo’n zestig jaar die in de loop van de tijd volledig doof was geworden. Ze was niet zo bedreven in liplezen, waardoor ze altijd haar man nodig had om naar de winkel te gaan of bij ons op consultatie te komen. Bovendien had ze last van oorsuizingen. Dat alles deprimeerde haar. De dokter besloot daarom een cochleair implantaat aan te brengen, een toestel dat geluid omzet in elektrische impulsen die de gehoorzenuw rechtstreeks stimuleren. Het apparaatje wordt via een operatie ingebracht in het binnenoor.’

Groeten uit Spanje

‘Na een paar weken, toen de wonden hersteld waren, konden we het implantaat beginnen afstellen. Meestal duurt het een paar keer voor de patiënten iets horen, maar deze vrouw kon mij al van bij het begin verstaan. Na een paar keer was ze zelfs in staat te telefoneren. Dat maakte haar heel gelukkig. Voordien leefde ze vrij geïsoleerd. Na de operatie kon ze weer kaarten met vrienden, alleen op stap gaan. Ze had haar zelfstandig heid herwonnen, iets waar ze ons heel dankbaar voor was. Nu nog krijgen we elk jaar een kaartje wanneer zij en haar man op reis gaan. Het geeft zo’n voldoening als je iemands leven een positieve wending kunt geven.’

39 ONVERGETELIJK UZA PRAKTISCH

gratis deelname

juli augustus september 2014

PRENATALE INFOAVONDEN

Infosessie en rondleiding als voorbereiding op een bevalling in het UZA. Kom naar de infoavonden in het UZA!

Data Maandag 8 en 15 september om 19:30

Locatie Auditorium Kinsbergen (route 12)

Info www.uza.be/ prenatale-infoavond

ACTIVITEITEN VOOR KANKERPATIËNTEN

1 ONCOREVALIDATIE

Het oncorevalidatieprogramma helpt u om uw fysieke en mentale kracht te herwinnen tijdens of na een kankerbehandeling. In het najaar van 2014 start een nieuw programma.

Info www.uza.be/oncorevalidatie of T 03 821 50 73.

2 INFOSESSIE

Omgaan met vermoeidheid Informatie en tips over de aanpak van vermoeidheid bij mensen met kanker. Ook voor familie en vrienden!

Data Maandag 15 september om 14:00

Locatie Blauwe Zaal (route 12)

Info www.uza.be/activiteit/ omgaan-met-vermoeidheid-bijkanker-150914 of T 03 821 52 34

ACTIVITEITEN VOOR HET GOEDE DOEL

‘MOVE FOR PARKINSON’

Move for Parkinson wil er alles aan doen om het onderzoek naar Parkinson aan het UZA te steunen. Ze organiseren een geldinzamelingsweekend in september. Doe mee aan de Estafetteloop van 120 km tussen Oud-Turnhout en het UZA en laat je sponsoren op 13 september. Of kom deelnemen aan de quiz of de wandeling en geniet van stand-up comedy op 12, 13 en 14 september.

Data 12, 13, 14 september 2014

Info www.moveforparkinson.be

40 UZA AGENDA

De zeven Belgische universitaire ziekenhuizen roepen de bevolking op een petitie te ondertekenen voor een betere financiering van het wetenschappelijk onderzoek. Dat is immers onmisbaar om aan de patiënt de beste zorg te kunnen geven.

Tekent u mee?

Onderfinanciering UZ’s

Teken de petitie!

De overheid zou meer moeten investeren in het wetenschap pelijk onderzoek van de universitaire ziekenhuizen. Dat onderzoek vormt immers een onmisbare schakel tussen het fundamenteel onderzoek in de universiteiten en de zorg voor de patiënt. Dat is samengevat de boodschap van de ziekenhuizen. Voor hun specifieke onderzoeks opdracht krijgen de zeven UZ’s sinds 2002 een bescheiden aparte financiering. De intentie om die financiering geleidelijk aan te verhogen, werd nooit ingevuld. Integendeel: sinds 2011 hebben

de universitaire ziekenhuizen al meer dan 100 miljoen bij gedragen aan de besparingen die de overheid sindsdien in de gezondheidszorg doorvoert.

Innovatie voor de patiënten Ook het UZA ondersteunt de oproep. De jarenlange onder financiering is immers een groot probleem. Zonder de kruis bestuiving tussen het onderzoek, de opleiding en de zorg in de universitaire ziekenhuizen, zal ook de ontwikkeling en de toepassing van nieuwe beloftevolle therapieën stoppen. Dat gaat ten koste van de meest kwetsbare patiënten.

Het zijn nochtans precies die nieuwe inzichten en innovatieve therapieën die op termijn ook kostenbesparend kunnen zijn omdat ze mensen langer gezond en actief houden.

‘Als universitair ziekenhuis moe ten we kunnen blijven innoveren, voor onze patiënten’, zegt Johnny Van der Straeten, gedelegeerd bestuurder van het UZA. ‘Die innovatie start in het fundamenteel onderzoek en wordt toegepast in het universitair ziekenhuis. Het is een continue onderzoekslijn waar je niet kunt uitstappen: als je langs de kant moet, kun je nooit meer aanpikken.’

Politiek en bevolking

De universitaire ziekenhuizen lanceren daarom een oproep aan de politieke verantwoordelijken om voldoende middelen vrij te maken. Aan de bevolking vragen ze om deze oproep te ondersteunen en de online petitie te ondertekenen. De oproep gaat uit van de Raad van Universitaire Ziekenhuizen van België (RUZB), die de belangen verdedigt van de zeven universitaire ziekenhuizen van België: UZ Gent (UGent), UZA (UA), UZ Leuven (KU Leuven), UZ Brussel (VUB), Hôpital Erasme (ULB), les Clini ques universitaires Saint-Luc (UCL) en le CHU de Liège (ULG). 

41 ZORG
INFO U vindt de petitie en meer informatie op www.geenzorgzonderinnovatie.be

Puzzel & win!

Horizontaal

1. verplegingsdomein – behandeling met medicijnen of voorschriften 2. koudewering – eerste man – klein ventje 3. gezinslid – senior – vriend (Fr.) – Arabisch vorst 4. dagblad – roem – Sociaal-Economische Raad – achter 5. en omstreken – optelling – tennisopslag –grote papegaai 6. landtong – ziekteleer 7. schop – vleesstokje – gezinslid – koeienmaag

8. betaalplaats – Iers verzetsleger – deel van een toneelstuk 9. Engels bier – niveau – koraaleiland – idem 10. nikkel – halmtop – huurprijs – paardenkracht 11. pantoffel – kiem – rondedans – welige groei 12. hersenziekte waar bij zenuwcellen afsterven – winnaar 13. havenkom – zijdekapok – opening 14. gordel – brandgang – overdreven – kleur 15. tijdelijk – sneeuwlat – buikwind – Curaçao (op auto’s) 16. oogontsteking – grote teen

Verticaal

1. ambulancedienst 2. rund – scheepsstuur – kleur – kunsttaal 3. zigeunervolk – Japanse drank – netheid 4. schittering – Panama (op auto’s) – origine 5. aansporing – piek – mineraalwater – ego –bazige vrouw 6. gravure – lichaamsdelen wrijven, kneden, drukken enz…. – duivenhok 7. gewast zijden weefsel – moeilijk te bijten –Duitse rivier 8. tellurium – werkelijk – langspeelplaat –Afrikaans zoogdier 9. slede – uitroep van schrik – Italiaanse rivier –muzieknoot 10. teken van de dierenriem – reeds –snelheidswedstrijd – netto 11. aandoening van een tussenwervelschijf –Ethiopië (afk.) 12. torenkraai – gemalin – Oude Testament –kluitenbreker – bevestiging 13. Deens melkproduct – aluminium – jaagpad 14. misbeker – renbaan 15. bouwval – label – voormalige Europese munt 16. verblijf in de materniteit – het terugstromen van maagzuur in de slokdarm

Doe mee en win!

Heb je het letterwoord ontdekt? Mail het dan voor 10 augustus 2014 met je naam en adres naar maguza@uza.be of stuur een briefkaart naar Maguza, UZA – Afdeling communicatie, Wilrijkstraat 10, 2650 Edegem en maak kans op één van de vijf cadeaubonnen van Oxfam t.w.v. 15 euro.

Oplossing maguza 96

VROEDVROUW

zijn: Lauriane De Jonghe, Hemiksem; Karel Uytterhoeven, Merksem; G. Van de Sande, Nijlen; G. Vanwetswinkel, Hasselt; Lieve Wouters, Mortsel

42 KRUISWOORDRAADSEL
De
1 2 3 4 5 6 7 8 9 10 11 12 13 14 15 16 1 2 3 3 4 5 6 2 7 8 5 6 9 10 11 1 12 8 13 7 14 15 16 4 1 2 3 4 5 6 7 8 9 10 11 12 13 14 15 16 1 T E + N A C H T S P I E G E L + 2 I G L O + U S A + U N I E + E A 3 L A T E N T + K W T + L I B E L 4 C A + M I + M E E + M A + A S T 5 O L I E + V O L D O E N I N G + 6 A + D R A A K + D O D D E + E V 7 C A O + A S + N E + U + L U N A 8 H L + M I C R O + S L A + S O P 9 + V L A + U I + M E L K A U T O 10 M E I + S L E D E + A A R S + R 11 E R G O T A M I N E + N M + A I 12 I + G A A I + P I N O T + Z U S 13 O K E + P R O + E I K + I O + A 14 S A R G E + B D + G A L N O O T 15 E N + A L L U R E + P E K + E I 16 + S Y S + P S Y C H I A T R I E 1 2 3 4 5 6 7 8
winnaars
2 3 5 6 2 6 7 5 9 4 1 9 8 3

Het UZA zoekt vrijwilligers

Het UZA zoekt vrijwilligers met een warm hart en een luisterend oor voor patiënten! Wilt u graag tijd doorbrengen met patiënten op de verpleegafdeling voor een babbel, ondersteuning of een wandeling?

Of wilt u mensen begeleiden en wegwijs maken in de inkomhal? En kunt u zich 4 tot 6 uur per week vrijmaken?

Stel u dan kandidaat als vrijwilliger bij het UZA!

Neem contact op met vrijwilligerscoördinator Nora Lens, tel. 03 821 40 11 of nora.lens@uza.be.

UZA / Wilrijkstraat 10 / 2650 Edegem Tel 03 821 30 00 / Fax 03 829 05 20 www.uza.be

Katty Allaert werkt al 20 jaar als journalist op de vrt­nieuwsdienst. Voor Het Journaal maakt ze reportages over gezondheid. Ze schreef mee aan een boek over allergieën en werkt nu aan een boek over rugpijn. Ze is geboeid door alle mooie dingen in het leven.

Onze oudjes

We luisteren slecht naar oudere mensen, en al helemaal niet naar rimpelige oudjes, 85-plus zeg maar. Het trof me in ‘Topdokters’, een televisiereeks over gerenommeerde artsen. Het is intussen een tijd geleden, maar het blijft me bezighouden. Een vrouw van 92 komt bij een arts omdat ze een gezwel heeft in haar borst. Geen oud besje, wel een schrandere, fitte dame. Ze had er aanvankelijk over gezwegen, omdat ze niet naar de dokter wou. Uiteindelijk had ze het toch verteld aan haar kinderen. En enkele dagen later zat ze dus bij een borstkankerchirurg, ook al was dat niet wat ze wilde.

De dokter was vastbesloten: de tumor moest weg. Maar de dame had geen zin meer in een operatie, ze was tenslotte 92. Neerslachtig of moedeloos was ze niet, integendeel. Ze zei rustig dat ze geen ingreep meer wou, stil en besluitvaardig. Het zou haar tijd nog wel meegaan. De arts was niet te vermurwen, de dochter evenmin. De tumor was groot en kon uitzaaien. De arts was niet voor niets een topdokter met sterke argumenten. Ze ging ervoor, voor elke patiënte. Daar kon de oude dame niet tegenop, ze werd geopereerd. Met succes, en misschien was ze achteraf blij met de operatie. Maar daar gaat het niet om. Wel om de vanzelfsprekendheid waarmee we niet luisteren naar oude mensen, niet écht rekening houden met hun wensen.

Toegegeven, dit gaat maar over één geval. Erger, en dat zie ik vaker, is de manier waarop ouderen betutteld worden. Ongevraagd worden ze als Jef-ke, Marie-tje of Irma-tje aangesproken. In een kinderlijke taal en met luide stem, doof of niet. De ouderkind-rol wordt al eens omgekeerd: bejaarde ouders schikken zich naar de wil van de volwassen kinderen of verzorgers. Die beslissen in hun plaats wanneer ze naar bed gaan, hoe vaak ze in bad gaan, hoeveel geld ze in hun portemonnee houden. Alsof oude mensen per definitie hun verstand, hun gehoor, hun levenservaring, hun wijsheid, hun zelfbeschikking verliezen. Terwijl ze een lang leven achter de rug hebben en dus sterke, weerbare mensen zijn. Zou betutteling in die laatste levensfase niet het laatste zijn wat ze vandoen hebben?

43 COLUMN KATTY ALLAERT

‘Het leven stopt niet met kanker’

Luc (66) doet de dingen graag op zijn manier. Dat veranderde niet toen hij lymfeklierkanker kreeg. ‘Ik koos bewust niet voor de zwaarste behandeling en ben blij dat mijn arts dat respecteert.’

De diagnose viel in juli 2012. Luc kampte al maanden met erge jeuk. Allerlei tests brachten geen verklaring, tot een gezwel onder zijn oksel nieuw licht op de zaak wierp. ‘Na een scan viel voor het eerst het woord ‘chemotherapie’. Tien dagen later kreeg ik de diagnose van prof. Berneman van de dienst hematologie: ik had lymfeklierkanker in het meest gevorderde stadium. Hij stelde chemotherapie voor met het oog op een latere stamceltransplantatie.

Ik vond het vreselijk om het aan mijn kinderen te vertellen. Al deed ik dat op mijn manier: eerst samen uithuilen, dan een glaasje champagne en een goed gesprek. Ik wilde niet dat mijn ziekte mijn leven zou gaan bepalen. De chemosessies moesten in mijn agenda

passen. Want een gemaakte afspraak is voor mij heilig. Na een meerdaagse chemokuur was ik telkens een week ziek, maar daarna nam ik de draad weer op en ging ik opnieuw aan het werk. Door mijn goede conditie kon ik de behandeling vrij goed aan: dat beschouw ik als mijn enige bescheiden verdienste in dit verhaal. Daarnaast voel ik vooral een grote dankbaarheid naar mijn behandelende arts en de verpleegkundigen toe.

Hoge verzekeringspremie

Eind november bleek de kanker verdwenen. Dat deed me besluiten niet voor de stamceltransplantatie te gaan, want ik was bang als een wrak te eindigen. Ik zie die transplantatie als een mooie omniumverzekering

met een heel hoge premie, zijnde een verminderde levenskwaliteit. Terwijl ik liever een wat goedkopere verzekering met een hoger persoonlijk risico neem. Uiteindelijk heeft prof. Berneman mij daarin gevolgd. Ik krijg nu tweemaandelijks een infuus met medicatie die de kanker moet tegenhouden. Prof. Berneman zegt wel duidelijk dat dit de tweedekeuzebehandeling is. Hij kijkt dan telkens heel streng (lacht)

Het leven stopt echt niet met kanker. Mijn omgeving reageert eigenlijk veel emotioneler dan ik. Zelf denk ik weinig aan mijn ziekte of sterven. Ik ben gewoon doorgegaan met leven: werken, sporten, reizen, genieten. Als mijn kanker morgen beslist terug te komen, kan ik dat niet veranderen, maar dan heb ik intussen een prachtig leven gehad.’ 

Oproep Hebt u ook iets bijzonders meegemaakt in het UZA? Laat het ons weten via maguza@uza.be

44 GEHOLPEN

Turn static files into dynamic content formats.

Create a flipbook
Issuu converts static files into: digital portfolios, online yearbooks, online catalogs, digital photo albums and more. Sign up and create your flipbook.