Hausärzt:in Dialog 11/2024

Page 1


Gesund.at

Die

Nadel im Heuhaufen finden Häufig übersehen ...

An Lungenhochdruck denken

Management der pulmonal arteriellen Hypertonie

Hypertrophe

Kardiomyopathie

Neue (Therapie-)Optionen

03

Häufig übersehen:

Kardiale Amyloidose

Neues KI-System sorgt für schnellere Diagnose

06 Neue (Therapie-) Optionen

Hypertrophe Kardiomyopathie: Der selektive kardiale Myosininhibitor Mavacamten wurde in die Leitlinienempfehlungen aufgenommen

Rare Diseases

08 Bessere Lebensqualität für Menschen mit Lungenfibrose

Eigens ausgebildete IPFNurses sollen Patient:innen unterstützen

09 „Ein Mensch, der allein ist und IPF hat, kann oft einfach nicht mehr“

DGKP Christine Tesch im Gespräch über das Projekt IPF-Nurse und eigene Erfahrungen

12 Individueller Verlauf

Die spinale Muskelatrophie äußert sich unterschiedlich

14 Therapieschwierige Epilepsien holistisch adressieren

Über die Zusammenhänge zwischen Anfallskontrolle und nicht anfallsbedingten Symptomen

16 „An Lungenhochdruck denken“

Der niedergelassene

Bereich hat einen hohen Stellenwert im Management der pulmonal arteriellen Hypertonie

19 Impressum

Therapieschwierige Epilepsien umfassen etwa 118 Erkankungen.

IPF-Nurses können Betroffenen das richtige Inhalieren erklären.

Seltene Erkrankungen häufiger erkennen

Dank www.symptomsuche.at finden Sie Seltene Erkrankungen online! Nach Eingabe der Symptome werden mögliche Erkrankungen angezeigt und Sie können die Ursachen der Beschwerden früher eingrenzen. So ist es möglich, Seltene Erkrankungen rascher zu diagnostizieren und zu therapieren –und Sie ersparen Ihren Patient:innen unnötige Irrwege.

Für einzelne Krankheitsbildbeschreibungen gibt es DFP-Fortbildungen mittels Online-Test auf www.meindfp.at.

Rare disease ribbon

Pulmonale Hypertonie: Diagnose wird leider oft spät gestellt.

Häufig übersehen: Kardiale Amyloidose

Neues KI-System sorgt für schnellere Diagnose

Die kardiale Amyloidose, eine bislang selten und oft erst spät diagnostizierte schwerwiegende Erkrankung, kann häufiger als bisher angenommen hinter einer Herzinsuffizienz stecken. Bei jenem Leiden lagern sich fehlgefaltete Proteine (Amyloidfibrillen) im Myokard ab und beeinträchtigen die Herzfunktion.

Formen und Häufigkeit

Die häufigsten Formen mit kardialer Beteiligung sind die AL-Amyloidose (Leichtketten-Amyloidose) und die ATTR-Amyloidose (Transthyretin-Amyloidose). Transthyretin fungiert physiologisch als Transportprotein für das Schilddrüsenhormon Thyroxin sowie für Retinol (Vitamin A). Im Serum liegt es

in tetramerer Form vor – es dissoziiert in Monomere, die sich im Gewebe als Amyloidfibrillen ablagern können. Zum einen können spezifische Genmutationen zu einem defekten TransthyretinProtein führen, was der mutierten Form der ATTR-Amyloidose (ATTRm) entspricht. Zum anderen kann eine vermehrte Dissoziation im Alter eine senile ATTR-Amyloidose (ATTRwt) nach sich ziehen. Diese Wildtypform tritt deutlich häufiger auf als die mutierte. Die genaue Prävalenz und Inzidenz der kardialen Amyloidose ist bisher unbekannt – eine regionale Varianz wird vermutet. Mehrere Studien zur Häufigkeit der ATTR-Amyloidose in verschiedenen Patient:innengruppen wurden in den letzten Jahren veröffentlicht. Eine

davon ergab, dass bei bis zu 13 % der Patient:innen mit HFpEF (Herzinsuffizienz mit erhaltener Ejektionsfraktion), einer Hinterwanddicke von mindestens 12 mm und einem Alter von über 60 Jahren eine Wildtyp-ATTR-Amyloidose vorlag.1 Auch bei Personen, die aufgrund einer Aortenstenose eine TAVI (Transkatheter-Aortenklappen-Implantation) erhalten hatten, wurde bei bis zu 16 % eine begleitende ATTR-Amyloidose festgestellt.2

Die Warnzeichen

Das klinische Erscheinungsbild der Amyloidose variiert je nach betroffenen Organen. Bei der kardialen Amyloidose treten häufig auch extrakardiale Symp-

tome auf, unter anderem Polyneuropathie, Bizepssehnenrupturen oder das Karpaltunnelsyndrom (= Red Flags). Zu den kardialen Red Flags zählen etwa unklare linksventrikuläre Hypertrophie und/oder Kardiomyopathie, AV-Block oder Niedervoltage des QRS-Komplexes. Die Verdachtsdiagnose wird anhand einer umfassenden Anamnese sowie einer körperlichen Untersuchung, eines EKGs, Laboruntersuchungen und einer Echokardiografie gestellt. Die definitive Diagnose erfolgt durch den immunhistochemischen Nachweis von Amyloidfibrillen mittels Kongorotfärbung. Mithilfe einer Skelettszintigrafie kann zwischen der AL- und ATTR-Amyloidose differenziert werden.

Neues KI-Tool zur Diagnosestellung

Ein internationales Forschungsteam unter Leitung der MedUni Wien hat ein KI-System entwickelt und getestet, das in der Lage ist, eine kardiale Amyloidose automatisch und zuverlässig zu detektieren.3 Entwickelt und validiert wurde dieses Tool anhand von Daten von 16.000 Patient:innen, die zwischen 2010 und 2020 in verschiedenen Institutionen in Asien und Europa, darunter das AKH Wien, mittels einer Szintigrafie untersucht worden waren. Das von Univ.-Prof. Dr. Marcus Hacker (Universitätsklinik für Radiologie und Nuklearmedizin der MedUni Wien) und Dr. Christian Nitsche (Universitätsklinik für Innere Medizin II der MedUni Wien) geleitete Forschungsteam hat damit eine neue Technologie geschaffen, die die Diagnosestellung beschleunigen kann. In dieser Studie verglichen die Expert:innen weiters die Genauigkeit des Systems mit der diagnostischen Leistung von Ärzt:innen. Die Ergebnisse zeigen, dass die KI die Erkrankung mindestens ebenso zuverlässig erkennen kann wie medizinische Fachkräfte. Zudem stellte das Forschungsteam fest: Patient:innen, bei denen dieses Tool eine kardiale Amyloidose detektiert, weisen ein doppelt so hohes Sterberisiko und ein über 17-fach höheres Risiko eines Herzversagens auf. Die Erkenntnisse der Studie und die entwickelte Technologie könnten zukünftig dabei

helfen, ein KI-unterstütztes Screening bei allen Szintigrafiepatient:innen durchzuführen – das System würde die Bilddaten parallel zu den Ärzt:innen auswerten.

Behandlung stoppt Verlauf

Bestehende Proteinablagerungen und die Erkrankung selbst können zwar nicht rückgängig gemacht werden, jedoch gibt es seit 2020 in der Europäischen Union Therapien, die den Krankheitsverlauf stoppen können. Bei der AL-Amyloidose steht eine zeitnahe Behandlung der auslösenden Knochenmarkerkrankung durch eine Chemotherapie im Vordergrund. In ausgewählten Fällen kommt eine Herztransplantation in Frage, um den Betroffenen anschließend eine Stammzelltransplantation zu ermöglichen. Für die Therapie der ATTR-Amyloidose stehen verschiedene Medikamente mit unterschiedlichen Wirkmechanismen zur Verfügung. Dazu gehören u. a. Tafamidis, welches seit 2011 in Europa für die Behandlung der Amyloidpolyneuropathie im Stadium 1 zugelassen ist, sowie Inotersen oder Patisiran, die beide bei ATTRm-Polyneuropathie in den Stadien I–II zugelassen sind. Der Einsatz dieser Medikamente kann also derzeit nur bei neurologischer Indikation erfolgen. Zusätzlich soll-

IM ÜBERBLICK

te bei beiden Amyloidoseformen eine symptomatische Therapie eingeleitet werden. Die chronische Herzinsuffizienz bei Kardiomyopathie wird primär mit Diuretika behandelt. Digitalis und Calciumkanalblocker könnten zu einer weiteren Verschlechterung der diastolischen Dysfunktion und Betablocker zu einer symptomatischen Hypotonie führen. Eine Behandlung der kardialen Amyloidose mit diesen drei Präparaten sollte daher zurückhaltend erfolgen.4

Eine frühe Diagnose ist unerlässlich, um die Therapie möglichst schnell zu beginnen: Die folgenschwere Erkrankung ruft unbehandelt Komplikationen wie etwa Herzinsuffizienz hervor und endet in vielen Fällen letal. Das Positive: Die Forschung läuft diesbezüglich auf Hochtouren – mit dem neuen KI-Tool etwa könnte die Diagnostik schneller vonstattengehen, eine Therapie rascher eingeleitet und weitere Folgen vermieden werden.

Mara Sophie Anmasser

Literatur:

1 González-López E et al., Eur Heart J. 2015 Oct 7;36(38):2585-94. Epub 2015 Jul 28.

2 Castaño A et al., Eur Heart J. 2017 Oct 7;38(38): 2879-2887.

3 Spielvogel CP et al., Lancet Digit Health. 2024 Apr;6(4):e251-e260.

4 Yilmaz A et al., Diagnostik und Therapie der kardialen Amyloidose. Kardiologe 2019; 13:264–291. doi.org/10.1007/s12181-019-00344-5

An eine kardiale Amyloidose sollte gedacht werden, wenn zusätzlich zu einer konzentrischen LV-Wandverdickung (≥ 12 mm) – ohne hypertensive Herzerkrankung – einer der folgenden Punkte vorliegt:

„ Alter > 60 Jahre, Herzinsuffizienzsymptomatik und noch normal große Ventrikel

„ Niedervoltage bzw. AV-Block im Ruhe-EKG

„ Nachweis eines Perikardergusses, einer interatrialen Verdickung, einer echoreichen Myokardtextur, einer RV-Wandverdickung bzw. einer Klappenverdickung oder eines „apical sparing“

„ Pathognomonische Makroglossie

„ Periorbitale Purpura

„ Atraumatische Bizepssehnenruptur

„ Karpaltunnelsyndrom (ggf. sogar beidseits)

„ Sensomotorische Polyneuropathie, neuropathische Schmerzen unklarer Genese

„ Spinalkanalstenose

„ Autonome Dysfunktion wie orthostatische Hypotension und erektile Dysfunktion

„ Glaskörpertrübungen sowie pathognomonische Pupillenveränderungen

* adaptierte Tabelle – Originalversion: Yilmaz A et al., Diagnostik und Therapie der kardialen Amyloidose.

Kardiologe 2019; 13:264–291

Bizepssehnenruptur?1

Vorhofflimmern im EKG1

Kurzatmigkeit und Atemnot1

Spinalkanalstenose?1

Früheres beidseitiges Karpaltunnelsyndrom1

Ein klarer Fall von Herzinsuffizienz, oder?

Wenn die Symptome einfach nicht zusammenpassen …

Scheinbar eindeutige Symptome, doch der Zustand der Patientin oder des Patienten verschlechtert sich trotz Therapie?2

HANDELN SIE SCHNELL!

Die ATTR-CM ist mit einer hohen Morbidität und Mortalität verbunden. 3

Eine kardiologische Abklärung wird dringend empfohlen.

3.

Neue (Therapie-)Optionen

Hypertrophe Kardiomyopathie: Der selektive kardiale Myosininhibitor Mavacamten wurde in die Leitlinienempfehlungen aufgenommen

Bei der hypertrophen Kardiomyopathie (HCM) handelt es sich um eine myokardiale Erkrankung, die durch eine linksventrikuläre (LV-)Hypertrophie in Abwesenheit anderer Ursachen definiert wird. Im Vergleich zu anderen Herzkrankheiten ist sie selten. Die Prävalenz liegt bei etwa zwei von 1.000 Menschen weltweit. Wobei zwei Formen unterschieden werden: die nichtobstruktive und die – häufigere – obstruktive.

Erste Kardiomyopathie-Leitlinien der ESC bieten behandelnden Ärzt:innen eine Handlungsanleitung für die Diagnostik und Therapie.1

Kardiomyopathien sind oft genetisch bedingt und betreffen deshalb auch junge Menschen. Dementsprechend liegt der Schwerpunkt der neuen Leitlinien auf individuellen Patient:innenpfaden mit personalisierter Diagnostik, Prognoseabschätzung und Behandlung. Therapeutisch stehen die Verhinderung des plötzlichen Herztodes und die Behandlung der spezifischen Ursachen im Vordergrund.2

Die HCM stelle zwar die häufigste genetische Kardiomyopathie dar, die einem autosomal dominanten Erbgang folge, doch könne der Phänotyp auch ohne genetische Manifestation vorliegen bzw. durch andere Entitäten wie kardiale Amyloidose oder Morbus Fabry hervorgerufen werden, unterstreicht Priv.-Doz. DDr. Daniel Dalos, Universitätsklinik für Innere Medizin II, MedUni Wien.3

Eine sorgfältige Differenzialdiagnose sei auch deshalb wichtig, weil die unterschiedlichen Krankheitsbilder gänzlich unterschiedliche Therapien erforderten.

Zielgerichtete Behandlung

In puncto Behandlung ist neu, dass erstmals der selektive kardiale Myosininhibitor (CMI) Mavacamten in die Leitlinienempfehlungen aufgenommen wurde. Für die Praxis bedeutet das: Bei obstruktiver HCM (HOCM; ≥ 50 mmHg LV-Ausflusstraktgradient, LVOTO) und Symptompersistenz trotz Basistherapie mit β-Blocker oder Kalziumantagonist

(vom Nicht-Dihydropyridin-Typ) sollte Mavacamten erwogen werden (Klasse IIa).4 Die neue zielgerichtete Therapieoption greife aktiv in den Kontraktionsablauf des Herzens ein, indem sie die vorherrschende Hyperkontraktilität abschwäche und somit den LVOT-Gradienten reduziere, erklärt Doz. Dalos.3 Wichtig ist laut der Leitlinie die Genotypisierung des Lebermetabolismus (CYP2C19), um langsame Metabolisierer:innen zu identifizieren.1 Bei diesen Patient:innen ist eine Dosisanpassung erforderlich. Insgesamt wird die Therapie in mehreren Schritten aufdosiert. In dieser Titrationsphase muss eine echokardiographische Überprüfung der linksventrikulären Ejektionsfraktion (negativ inotroper Effekt von Mavacamten, Zielwert LVEF ≥ 50 %) und der LVOTO (Dosisreduktion, wenn unter Valsalva der Gradient < 20 mmHg beträgt) in Woche 4, 8 und 12 erfolgen.4

Eine regelmäßige Therapieevaluation und ein periodisches Monitoring der Patient:innen sind essentiell. Mavacamten soll nicht bei schweren Nieren- oder Leberfunktionsstörungen verordnet werden. Zudem muss auf mögliche Interaktionen mit anderen Arzneimitteln, etwa Protonenpumpenhemmern, geachtet werden.

Invasive Therapie & Prophylaxe

Reicht die medikamentöse Behandlung nicht aus, kann eine invasive Therapie notwendig werden. Modifiziert wurde in der Leitlinie auch die Empfehlung der primärprophylaktischen ICD-Implantation, die mit dem HCM-SCD-Risikoscore abgeschätzt wird.1

Quellen:

1 Arbelo E et al., Eur Heart J 2023; 44: 3503-626.

KaM

2 Verheyen N et al., Austrian Journal of Cardiology 2024; 31 (9-10), 215-217.

3 Dalos D, Apo Krone 13/2024.

4 Meder B et al., Kardiologie 18, 241-255 (2024).

Früherkennung: Da die HCM eine chronische Erkrankung mit progredientem Verlauf ist, gestaltet sich die Früherkennung oft schwierig. Nicht wenige Patient:innen sind asymptomatisch. Die Manifestationen können vielfältig sein und die Symptome jenen anderer Erkrankungen ähneln. Leitsymptome bei symptomatischen Patient:innen sind Belastungsdyspnoe und Angina-pectoris-Beschwerden.

Diagnose: In der Leitlinie1 wird die Bedeutung von Echokardiographie und kardialer Magnetresonanztomographie für die Diagnose und das Monitoring betont, wobei Fortschritte bei der MRT eine detaillierte Gewebecharakterisierung ermöglichen, welche für die ätiologische Zuordnung und die Prognosebestimmung entscheidend ist. Eine genetische Untersuchung sollte sowohl zur Diagnosesicherung als auch für familiäre Screenings erfolgen.

Tipp 1:

Auf dem Gesundheitsportal MeinMed.at findet man umfassende Informationen zur HCM sowohl für Patient:innen als auch für Interessierte. Medizinisches Review: Priv.-Doz. DDr. Daniel Dalos FESC, Uniklinik für Innere Medizin II, MedUni Wien. meinmed.at/krankheit/hypertrophe-kardiomyopathie/3074

Tipp 2:

Basierend auf den 2023 ESC Guidelines1 ist eine deutsche Pocketversion entstanden: leitlinien.dgk.org/files/33_2023_pocket_leitlinien_kardiomyopathien.pdf

Bessere Lebensqualität für Menschen mit Lungenfibrose

Eigens ausgebildete IPF-Nurses sollen

Patient:innen unterstützen

Die idiopathische pulmonale Fibrose (IPF) hat keine gute Prognose. Sie ist unheilbar, die mediane Überlebenszeit ab der Diagnose beträgt drei bis vier Jahre. Denn IPF wird oft lange übersehen, weil die Symptome sehr unspezifisch sind. Wenn die Krankheit erkannt wird, ist sie oft bereits mittelgradig bis fortgeschritten. Der Gesundheitszustand mancher Patient:innen bleibt über längere Zeit stabil, andere erleben eine schnelle, progrediente Verschlechterung.1 Um die Diagnostik zu beschleunigen, hat das Lungenfibrose Forum Austria die „ Zweitmeinungshelpline“ eingerichtet, wo Patient:innen Expert:innenwissen einholen können (siehe INFO).

Supportive Therapie im Fokus

Die idiopathische Lungenfibrose zeichnet sich dadurch aus, dass ohne erkennbare Ursache ein progressiver Umbau von Alveolar- zu Narbengewebe stattfindet. So geht kontinuierlich Lungenvolumen verloren, bis die Patient:innen nicht mehr ausreichend Sauerstoff aufnehmen können und es zum Lungenversagen kommt.

Wichtig ist daher, sowohl die Entzündung als auch die Fibrose gezielt zu therapieren, um die Narbenbildung einzudämmen und die Lungenfunktion möglichst lange zu erhalten (siehe INFO). Die Patient:innen sollten dauerhaft an ihrer antifibrotischen Therapie festhalten, diese also nicht vorzeitig absetzen. Denn ohne jener schreitet der Lungenfunktionsverlust stetig voran.

Heilbar ist die Krankheit medikamentös nicht. Bei jungen, ansonsten gesunden Menschen wird deshalb oft eine Lungentransplantation durchgeführt.

Neben der medikamentösen und invasiven ist die supportive Therapie eine

wichtige Säule. Dazu gehören Sauerstoffgeräte und pulmonale Rehabilitation.2 Zusätzlich zur medizinischen Versorgung brauchen IPF-Patient:innen meist auch psychischen Beistand. Denn Depressionen und Angstzustände sind unter ihnen weit verbreitet. Genau dafür hätten Ärzt:innen aber oft zu wenig Zeit, so DGKP Christine Tesch vom Lungenfibrose Forum. Deshalb habe man das Projekt „I PF-Nurses“ ins Leben gerufen. Dabei handelt es sich um eigens ausgebildete Gesundheits- und Krankenpfleger:innen, die sich um Patient:innen in ihrem Zuhause kümmern, ihnen die Angst nehmen, bei der Beatmung genauso wie bei der Organisation von Unterstützungsmöglichkeiten helfen, den Gesundheitszustand im Auge behalten und bei Verschlechterungen Alarm schlagen. Das entlastet Ärzt:innen und Angehörige und ermöglicht den Betroffenen ein besseres und längeres Leben.3

Umsetzung anstoßen

Die Umsetzung läuft aber noch nicht ganz rund. Bezahlen kann die Selbsthilfeorganisation ihre Krankenpfleger:innen momentan nicht. Folglich gibt es dort derzeit nur eine IPF-Nurse, die sich ehrenamtlich um Patient:innen in ganz Österreich kümmert. Man wünscht sich die Kooperation mit Krankenhäusern und niedergelassenen Ärzt:innen, doch diesbezügliche Anstrengungen blieben bislang wenig erfolgreich. Der Leiter der pneumologischen Abteilung im Landeskrankenhaus Leoben, Prim. Dr. Lorenz Erler, betont, dass er einer Zusammenarbeit offen gegenüberstünde: „Von meiner Seite her ist jede Unterstützung, die chronisch Kranke zuhause erfahren können, zu begrüßen!“ ist ihm wichtig festzuhalten.

INFO

Diagnose

Folgende Merkmale weisen auf IPF hin:1

Initialstadium:

„ Belastungsdyspnoe

„ inspiratorisches Knisterrasseln (Sklerosiphonie)

„ unproduktiver Husten

Mittelgradiges bis fortgeschrittenes Stadium:

„ Atemnot und Husten bei alltäglichen Tätigkeiten

„ periphere Ödeme

„ Uhrglasnägel

„ Trommelschlegelfinger

Risikofaktoren für IPF:

„ Alter von 65 Jahren oder mehr

„ männliches Geschlecht

„ familiäre Häufung (in 5,15 % der Fälle)

„ (Ex-)Raucheranamnese

Therapie

Für die Behandlung von idiopathischer Lungenfibrose (IPF) empfiehlt die aktuell gültige Leitlinie die beiden Medikamente

Pirfenidon und Nintedanib.2 Beide

Substanzen unterbinden die Bildung von Kollagenfibrillen in der Lunge und bremsen so das Fortschreiten der Erkrankung auch über mehrere Jahre hinaus.

Zweitmeinungshelpline für

IPF-Patient:innen und Angehörige:

Dr. Sabin Handzhiev

Tel.: 0664/7550 2225

Montags von 15:00 bis 17:00 Uhr

Quellen:

1 Lee J, MSD Manual: Idiopathische pulmonale Fibrose, überprüft: Juli 2023.

2 Behr J, DGIM Innere Medizin: Idiopathische Lungenfibrose, 2024.

3 lungenfibroseforum.at/ipf-nurse

„Ein Mensch, der allein ist und IPF hat, kann oft einfach nicht mehr“

DGKP Christine Tesch, Obmann-Stv. des Lungenfibrose Forums Österreich, im Gespräch über das Projekt IPF-Nurse und eigene Erfahrungen

HAUSÄRZT:IN: Wie ist das Projekt

IPF-Nurse beim Lungenfibrose Forum zustande gekommen?

DGKP TESCH: Ich bin selbst lungenkrank, hatte eine Lungenfibrose, und damals gab es eine IPF-Schwester, die ins Haus gekommen ist. Sie war in ganz Österreich unterwegs und hat auch mich betreut. Aber dieses Angebot gibt es heute leider nicht mehr. Deshalb haben wir uns gedacht, es wäre eigentlich eine gute Idee, persönlich zu den Patient:innen zu fahren, sie zu beratschlagen und ihnen in vielen Angelegenheiten weiterzuhelfen.

Die Patient:innen fühlen sich wohler, wenn sie auf eine IPF-Nurse wie mich zurückgreifen können.

Warum sind eigens ausgebildete

Pfleger:innen gerade bei IPF so wichtig?

IPF ist eine unheilbare Krankheit und die Leute sind sehr verunsichert, weil sie nicht wissen, wie es weitergeht. Wenn ein Mensch allein ist und IPF hat, kann der oft einfach nicht mehr. Da weiß ich, wie es den Leuten wirklich geht. Es kann sich niemand so in die Patient:innen hineinfühlen, wie jemand, der das selbst mitgemacht hat.

Sie bieten ja sicher auch eine Erleichterung für die niedergelassenen Ärzt:innen. Gibt es da eine Zusammenarbeit?

Das ist sehr schwierig. Ich war schon bei mehreren Lungenfachärzt:innen und habe versucht, eine Zusammenarbeit aufzubauen, daran besteht leider kaum Interesse. Wir wollten das Projekt auch durch Krankenhäuser finanzieren las-

sen, aber das war nicht möglich. Zurzeit bin ich die einzige IPF-Nurse, und ich mache das auf ehrenamtlicher Basis.

Welche Arbeit könnten Sie den Hausärzt:innen abnehmen?

Zum Beispiel bei der Sauerstoffversorgung das Inhalieren: Die Ärzt:innen haben einfach zu wenig Zeit, das den Patient:innen hinreichend zu erklären, und dann inhalieren sie oft falsch. Ich würde mir eine enge Zusammenarbeit mit Hausärzt:innen wünschen.

Mehr Infos zum Projekt IPF-Nurse finden Sie hier: <

Morbus Fabry rechtzeitig im Blick

Ein junger Augenarzt diagnostiziert im Rahmen der Abklärung einer Konjunktivitis mittels Spaltlampe eine Cornea verticillata. Diese Hornhauttrübung gilt als eines der wenigen typischen Symptome des Morbus Fabry. Ein einfacher Bluttest sowie die weiterführende Diagnostik, einschließlich eines Familienscreenings an einem spezialisierten Zentrum, bestätigen: Die Patientin leidet ebenso wie ihre Halbschwester an dieser lysosomalen Speichererkrankung.

Es war ein sonniger Sonntag im Mai 2024. Katharina freute sich auf einen Radausflug, vergaß jedoch ihre Schutzbrille zu Hause. Doch die 21-jährige Bürokauffrau wollte den langen geplanten Termin mit Freunden nicht absagen. Etwas Bewegung würde ihr als Abwechslung zu ihrer sitzenden Tätigkeit guttun, zumal sie nie allein Sport trieb. Sie hatte schon immer Probleme, mit den anderen mitzuhalten, vor allem im Sommer bei hohen Temperaturen. Die Wärme konnte sie auch ohne Sport kaum ertragen. Zudem hatte sie oft quälende stechend-brennende Schmerzen in den Füßen, wenn sie sich sportlich betätigte. Durch ihr neues E-Bike fiel es ihr leichter, mit ihren Freunden mitzuhalten. Nicht selten sagte sie die Termine mit ihnen dennoch kurz vorher wieder ab oder meldete sich erst gar nicht, weil sie einfach nicht die Energie dafür aufbringen konnte. Ihre Freunde sprachen sie immer wieder darauf an und meinten, dass sie sich mit diesen Problemen endlich ärztliche Unterstützung holen sollte, vor allem, weil einige eine beginnende Depression vermuteten.

Spaltlampenuntersuchung

INFO 1

Morbus Fabry: Behandlungsmöglichkeiten

Für die kausale Therapie des Morbus Fabry stehen zwei etablierte Therapieansätze zur Verfügung: die Enzymersatztherapie als Infusion, die alle 14 Tage verabreicht wird, und für Patienten mit geeigneten Mutationen auch eine pharmakologische Chaperon-Therapie in Form einer Kapsel zur oralen Einnahme jeden zweiten Tag.1

Am Tag nach dem Radausflug wachte Katharina mit einer Konjunktivitis auf. Sie wohnte noch bei ihrer Mutter, der Vater hatte sich von der Familie getrennt, als Katharina noch ein Kleinkind war, es bestand kaum Kontakt. Die Mutter brachte sie in die nächstgelegene Augenambulanz, da Katharina über starke Beschwerden klagte und die verklebten Augen kaum öffnen konnte. Zur umfassenden Abklärung und Bestätigung der Konjunktivitis-Diagnose führte der diensthabende Arzt eine Spaltlampenuntersuchung durch. Diese schmerzlose Untersuchung ist eine Leistungsposition der heimischen Sozialversicherung und wird daher bei Versicherten mit entsprechen-

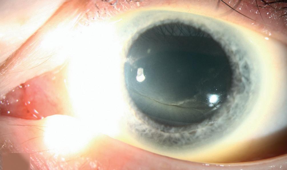
der Indikation übernommen. Dabei fiel dem jungen Augenarzt ein weiterer Befund auf: Katharina hat eine Cornea verticillata (siehe auch Abbildung 2). Diese beidseitig auftretende Hornhauttrübung durch wirbelförmige Ablagerungen gilt als eines der wenigen typischen und richtungsweisenden Symptome bei Morbus Fabry, wenngleich der Befund nicht bei allen Patienten zu beobachten ist.1 Eine Cornea verticillata führt in der Regel nicht zu einer Visusminderung. Zu diesem Befund kann auch die Einnahme bestimmter Medikamente, etwa Amiodaron und Indometacin, beitragen. Da Katharina keines dieser Medikamente eingenommen hatte, riet der Augenarzt dringend zu einer weiteren Abklärung.

Abbildung 1: Klinische Präsentation.

Lysosomale Speicherkrankheit

Die Stoffwechselerkrankung Morbus Fabry zählt mit einer Inzidenz von etwa 1 : 40.000 zu den seltenen Erkrankungen („Orphan Diseases“, Web-Tipps siehe auch INFO 2).

Ursächlich für die lysosomale Speicherkrankheit ist eine X-chromosomal vererbte Mutation im alpha-Galaktosidase-A-Gen (GLA-Gen). Diese führt zu einer reduzierten oder fehlenden Aktivität der alpha-Galaktosidase A (α-GAL A), was eine Akkumulation und Ablagerung von Sphingolipiden (Globotriaosylceramid: Gb3; in der deacetylierten Form: Lyso-Gb3) in verschiedenen Organen des Körpers bewirkt. Die Folgen sind Entzündungsreaktionen, Hypertrophie und letztlich Fibrosierung mit progredienten Zell- und Organdysfunktionen sowie irreversiblen Spätschäden.1

Heterogene Frühsymptome

Die Früherkennung ist allerdings schwierig, da bis auf die Cornea verticillata, welche nicht immer zu beobachten ist, kaum typische Symptome auftreten. Erste unspezifische Fabry-Symptome können sich jedoch schon im Kindesund Jugendalter zeigen: Dazu zählen Hitzeempfindlichkeit und Akroparästhesien, wie sie auch Katharina seit ihrer Kindheit erlebte. Angiokeratome, gastrointestinale Beschwerden, Depression und Schwindel werden ebenfalls häufig beschrieben. Später manifestieren sich Organschäden vor allem an der Niere und am Herzen, es kommen aber auch zerebrovaskuläre Ereignisse (TIA, Schlaganfall) in jüngeren Jahren vor. Da Morbus Fabry eine erbliche Erkrankung ist, sollte eine Familienanamnese durchgeführt werden. 1

Durch den X-chromosomalen Erbgang können sowohl Männer als auch Frauen eine GLA -Variante weitervererben. Besonders ist, dass trotz des X-chromosomalen Erbgangs beide Geschlechter an Morbus Fabry erkranken können, wenngleich Männer meist früher und schwerer von fabryspezifischen Symptomen betroffen sind als Frauen. Das klinische Erscheinungsbild ist bei Frauen deutlich variabler. Klinisch unauffällige Verlaufsformen sind ebenso möglich wie Krankheitsausprägungen, die in ihrer Schwere mit denen von Männern vergleichbar sind.2

Diagnostik bei Männern, Diagnostik bei Frauen Katharina suchte ihre Hausärztin auf, die aufgrund der Verdachtsdiagnose des Augenarztes eine kostenlose Trockenblutkarte anforderte (Kontakt: www.archimedlife. com), um die Aktivität der α-GAL A in Leukozyten zu messen. Die Enzymaktivität der α-GAL A lag bei Katharina im unteren Normbereich. Bei Frauen schließt eine Enzymaktivität im Normbereich einen Morbus Fabry jedoch nicht aus, sodass trotz einer normalen enzymatischen Aktivität bei entsprechendem klinischem Verdacht immer eine molekulargenetische Untersuchung durchgeführt werden muss, um die Diagnose abzusichern oder auszuschließen. Bei Männern gilt eine pathologisch erniedrigte Enzymaktivität als Bestätigung. Die Mutation des GLA-Gens wird jedoch auch bei Männern ergänzend bestimmt.1

Nach der molekulargenetischen Bestätigung, dass Katharina eine pathogene GLA -Variante trägt, wurde sie von der Hausärztin an ein Fabry-Spezialzentrum

überwiesen, wo nach der Diagnose weitere Untersuchungen erfolgten, um Symptome (siehe auch Abbildung 1) und Befunde umfassend zu erheben. Im Anamnesegespräch zeigte sich, dass Katharina bereits als Kind an unspezifischen Fabry-Symptomen wie Akroparästhesien (v. a. Kribbeln in den Füßen) und Hitzeempfindlichkeit gelitten hatte. Diese Symptome wurden allerdings nie ärztlich abgeklärt. Zudem ergaben weiterführende Recherchen der Mutter, dass eine positive Familienanamnese bestand. Der Vater hat klassische Symptome eines Morbus Fabry, etwa eine frühe Niereninsuffizienz und Herzprobleme. Weitere Untersuchungen bei Katharina lieferten bereits Hinweise auf eine Nierenschädigung (eGFR 82 ml/min/1,73 m 2 , Proteinurie 226 mg/24 h).

Familienscreening, Therapiemöglichkeiten Im Zuge des weiterführenden Familienscreenings wurde auch bei der Halbschwester von Katharina, die inzwischen 14 Jahre alt ist, Morbus Fabry diagnostiziert. Diese frühzeitige Diagnose kann entscheidend für die weitere Prognose sein. Die verfügbaren spezifischen Therapieoptionen bei Morbus Fabry können umso effektiver wirken, je früher mit der Behandlung dieser chronisch progredienten Erkrankung begonnen wird.3 Katharina und ihre Halbschwester wurden schließlich mit einer geeigneten Therapie versorgt (siehe auch INFO 1).

Literatur:

1 Lenders M, Brand E. Fabry Disease: The Current Treatment Landscape. Drugs 2021; 81:635–645.

2 Germain DP, Orphanet J Rare Dis 2010; 5(1):1–49.

3 Überall MA, Horlemann J. Schmerzmed 2020;36(5):70–78.

INFO 2

Web-Tipps für Morbus Fabry

morbus-fabry.eu: Selbsthilfegruppe Morbus Fabry für Patienten und Angehörige orpha.net: Portal für Seltene Krankheiten und Orphan Drugs erknet.org:

Informationen zu Seltenen Erkrankungen wie Morbus Fabry aus nephrologischer Sicht (European Rare Kidney Disease Reference Network) Abbildung 2: Cornea verticillata.

Individueller Verlauf

Die spinale Muskelatrophie äußert sich unterschiedlich

Sie ist eine der häufigsten autosomal rezessiv vererbten Krankheiten und entsteht durch eine Degeneration des zweiten Motoneurons: die spinale Muskelatrophie (SMA). Typisch ist eine progrediente Muskelschwäche mit Muskelatrophien und Faszikulationen. Die Ursache liegt in einem Defekt des Survival-of-MotorNeuron-1-Gens (SMN1). In Österreich sind etwa 150–180 Menschen betroffen, wobei sich die Krankheit meist im Säuglings- oder Kindesalter manifestiert.

Verschiedene Formen

Die SMA wird in mehrere Typen eingeteilt, je nach Alter bei Symptombeginn und je nach Schwere der Erkrankung. Grob unterscheidet man zwei Hauptformen: die infantile SMA, die in den ersten sechs Lebensmonaten auftritt und etwa 50 % der Fälle ausmacht, sowie Typen mit späterem Beginn. Innerhalb der später auftretenden Formen wird weiter differenziert: Kinder, bei denen die Erkrankung zwischen dem achten und dem 18. Lebensmonat diagnostiziert wird und die oft eigenständig sitzen können, zählt man zu den Patient:innen mit intermediärer SMA. Eine weitere Variante ist die juvenile SMA, die sehr variabel einsetzt. Die Diagnose kann hier bereits mit einem Jahr oder erst im Jugendalter gestellt werden. Bei dieser Form lernen die meisten Betroffenen das Gehen ohne Hilfe. Die adulte Form ähnelt der juvenilen, beginnt allerdings erst im Erwachsenenalter.

Vielfältige Symptomatik

Die SMA äußert sich allgemein in generalisierten, vor allem die Beine und

den proximalen Bereich betreffenden schlaffen Paresen bei gleichzeitig normaler kognitiver Funktion. Die genauen Symptome variieren je nach Typ. Manchmal tritt etwa nur eine verminderte Muskelspannung auf, in anderen Fällen hingegen eine Atrophie. Auch die Atem-, Kau- und Schluckmuskeln können betroffen sein. Kinder mit infantiler SMA zeigen bereits in den ersten sechs Lebensmonaten, häufig schon bei der Geburt generalisierte Paresen mit muskulärer Hypotonie. Bei der intermediären Form ist vor allem die Bein- und Oberschenkelmuskulatur beeinträchtigt – die Kinder können oft sitzen, aber nicht stehen. Das Spektrum von Varianten dieser Form ist jedoch sehr breit: Neben Kindern, die nur kurz frei sitzen können, gibt es auch Fälle mit guter motorischer Entwicklung. Bei der juvenilen Form lernen die meisten Kinder das eigenständige Gehen. Symptome wie Stolpern und Probleme mit dem Treppensteigen treten häufig erst später auf. Schwierigkeiten mit dem Essen oder Schlucken sind selten. Insgesamt ist die Muskelatrophie gering und die Lebenserwartung kaum verkürzt. Die adulte Form betrifft anfangs v. a. die Bein- und Hüftmuskulatur, im Verlauf teils auch die oberen Extremitäten – die Motorik ist oft wenig eingeschränkt, das Fortschreiten der Symptome nur langsam und die Lebenserwartung normal.

Diagnoseverfahren

Bei Verdacht auf eine spinale Muskelatrophie wird die Diagnose durch molekulargenetische Untersuchungen gestellt. Mit ihnen kann festgestellt werden, ob das SMN1-Gen betroffen ist und

in welcher Form es vorliegt. Ergänzend dazu sollten eine ausführliche Anamnese sowie eine körperlich-neurologische Untersuchung erfolgen.

Vergleich der Behandlungsmöglichkeiten

Aktuell gilt die SMA als unheilbar, jedoch gibt es Therapien, die den Krankheitsverlauf verlangsamen und die Symptome lindern können. Neben medikamentösen Ansätzen kommen auch nichtmedikamentöse Behandlungen aus den Bereichen der Logopädie, Physio- und Ergotherapie zum Einsatz. Seit Kurzem stehen außerdem Gentherapeutika zur Verfügung. Ein Beispiel ist Nusinersen, ein Antisense-Oligonukleotid, das intrathekal injiziert wird. Da die Erfahrungen mit diesem Medikament in der Schwangerschaft begrenzt sind, wird eine Anwendung während dieser Zeit vermieden. Ein weiteres Medikament ist Risdiplam, das ebenfalls zur Behandlung der SMA verwendet wird und im Gegensatz zu Nusinersen oral eingenommen werden kann. In tierexperimentellen Studien wurde eine embryofetale Toxizität beobachtet. Deshalb müssen weibliche Personen während der Behandlung und nach der letzten Einnahme mindestens einen Monat, männliche mindestens vier Monate lang eine äußerst zuverlässige Kontrazeption anwenden.

Seit 2021 ist die spinale Muskelatrophie Bestandteil des Neugeborenenscreenings: Ein früher Beginn der Therapie erhöht die Erfolgschancen. Letztlich machen es die Gentherapeutika möglich, die einst ungünstige Prognose der SMA zu verbessern.

Mara Sophie Anmasser

Beim diesjährigen Europäischen Epilepsie-Kongress in Rom standen seltene und schwer zu behandelnde entwicklungsbedingte und epileptische Enzephalopathien (DEE) wie das Lennox-Gastaut-Syndrom (LGS), das Dravet-Syndrom (DS) und die Tuberöse Sklerose (TSC) im Mittelpunkt einiger Sessions.* DEE umfassten derzeit etwa 118 verschiedene Erkrankungen, berichtete Dr.in Susana Boronat, Hospital de Sant Pau in Barcelona. Betroffene leiden häufig unter einer Entwicklungsbeeinträchtigung, die durch die epileptische Enzephalopathie allein nicht erklärt werden kann.1 Krampfanfälle sind nach wie vor eine große Herausforderung für die Patient:innen – die sich aus ihnen ergebende Last verändert sich jedoch im Laufe des Lebens. Nicht anfallsbedingte Symptome können bei manchen Patient:innen die Anfälle als Behandlungspriorität verdrängen.2 Das Spektrum jener Beschwerden ist breit und reicht von Schlafstörungen über kognitive und kommunikative Beeinträchtigungen bis hin zu motorischen Störungen und Verhaltensauffälligkeiten.3,4

Genetische Implikationen

Wie Prof. Dr. Nicola Specchio, Ospedale Pediatrico Bambino Gesù in Rom, erläuterte, gebe es ein komplexes Zusammenspiel zwischen Anfällen und nicht anfallsbedingten Symptomen bei DEE, das bidirektional sei. So könne schlechter Schlaf Anfälle provozieren, diese wiederum führten zu Schlafunterbrechungen.2,3 Einblicke in die genetischen Zusammenhänge zwischen Anfällen und nicht anfallsbedingten Symptomen gewährte Prof. Dr. Stéphane Auvin, Hôpital Robert-Debré in Paris. Am Beispiel von Dravet-Syndrom-KnockoutMäusen konnte gezeigt werden, dass der vollständige Defekt im SCN1AGen (homozygote Mäuse) die Lebenszeit verkürzt.5 Beeinträchtigt seien alle

Funktionen, die von GABAergen Interneuronen gesteuert werden. Eine gentherapeutische Behandlung dieser Strukturen führe zu einer Verbesserung des Phänotyps jener Mäuse und damit vermutlich zu einer geringeren Krankheitslast. Allerdings, so Prof. Auvin weiter, sei der genetische Defekt am SCN1AGen nicht allein für die Symptome verantwortlich. Unterschiedliche Mäuse wiesen verschiedene Phänotypen auf.6 Das genetische Umfeld spiele ebenfalls eine bedeutsame Rolle, merkte Prof. Auvin an.

Dass Anfälle dennoch wichtig für das Outcome seien, zeigten weitere Untersuchungen an Mäusen. Bei gesunden wie auch bei Knockout-Mäusen wurden hyperthermisch Anfälle provoziert. Dies führte bei den Dravet-Mäusen zu einer kürzeren Lebenszeit. Im Vergleich zu Dravet-kontrollierten Versuchstieren, bei denen keine Anfälle provoziert wurden, erlitt die Hälfte der DravetMäuse in der Provokationsgruppe spontane generalisierte Anfälle.7 Gedächtnistests fielen schlechter aus, woraus Prof. Auvin folgerte, dass Anfälle nicht anfallsbedingte Symptome verschlechtern könnten. Auch nehmen laut dem Experten kognitive und Verhaltensbeeinträchtigungen mit dem Alter von DS-Patient:innen zu.

Ein Experiment zum räumlichen Gedächtnis bei DS wurde in einer weiteren Studie untersucht: Bei Mäusen wurde die Expression des SCN1A-Gens unterdrückt, wodurch sich eine Beeinträchtigung ihrer räumlichen Erkennung zeigte. Sie erkannten neue Objekte in einem Raum, nicht aber räumlich anders angeordnete bekannte Objekte.8

Abschließend unterstrich Prof. Auvin: Anders als für das Dravet-Syndrom gebe es für das Lennox-Gastaut-Syndrom kein Tiermodell. So sei es immer

noch schwer zu beurteilen, wann welche Therapie die besten Ergebnisse für die Patient:innen zeitige. Für das LGS sei der Forschungsbedarf hoch.

Praxiserfahrungen

Dr.in Boronat beleuchtete, was es für die klinische Praxis bedeutet, Ursachen von und Einflussfaktoren auf DS, LGS und TSC zu untersuchen. Sie stellte einige therapeutische Ansätze aus ihrer Klinik in Barcelona vor und betonte, dass die komplexen DEE einen holistischen Therapieansatz erfordern würden, der sich zwischen Anfallsreduktion und Behandlung nicht anfallsbedingter Symptome bewege. So sei soziale Kompetenz seitens der Ärzt:innenschaft nötig, um eine Bindung zu den Familien aufzubauen. Die Neuropädiaterin empfahl, sich die individuellen sozialen Aspekte der Betroffenen in der Patient:innenakte zu notieren und sich auf dem neuesten Wissensstand in puncto DEE zu hal-

ten. Zeit für die Familien und Patient:innen, Erreichbarkeit, Flexibilität – dies alles sei immens wichtig und oft vom Gesundheitssystem nicht abgedeckt. Die Therapie sollte nicht nur die Anfälle, sondern auch andere Aspekte wie Schlafqualität und Verhalten berücksichtigen.

Eine der neueren Therapieoptionen, mit der das erfolgen könne, sei hochreines Cannabidiol als Fertigarzneimittel.

Prof. Dr. Adam Strzelczyk, Goethe-Universität Frankfurt am Main, stellte die Herausforderungen bei der Behandlung von DS, LGS und TSC dar. Diese seien nicht nur für die Patient:innen, sondern besonders auch für deren Betreuer:innen groß. Eine effektive Epilepsietherapie bringe eine bessere Lebensqualität mit sich.9 Das hochreine Cannabidiol sei wirksam und werde gut toleriert, führte Prof. Strzelczyk aus und präsentierte die Ergebnisse von randomisierten kontrollierten Studien, Verlängerungsstudien und Real-World-Auswertungen. Darüber hinaus hob er die Ergebnisse der BECOME-Studie hervor, bei der es sich um eine Befragung von Betreuer:innen, meist Eltern, und von Patient:innen mit DS oder LGS handelt.10 Die BECOME-Studie streiche Bereiche der LGS- und DSKrankheitslast heraus, die für Pflegekräfte wichtig seien, so Prof. Strzelczyk. Bei einem beträchtlichen Teil der Patient:innen habe sich in einer Reihe von Parametern – darunter Kognition, Sprache und Kommunikation sowie emotionale und soziale Funktionen – das Outcome in Bezug auf nicht anfallsbedingte Symptome verbessert. Somit biete das Cannabidiol-haltige Fertigarzneimittel eine Möglichkeit, sowohl Anfälle als auch nicht anfallsbedingte Symptome zu adressieren.

Literatur:

1 Scheffer IE, Liao J, Eur J Paediatr Neurol. 2020;24:11-14.

2 Marchese F et al., SN Comprehensive Clinical Medicine. 2021;3:2167-2179.

3 Strzelczyk A, Schubert-Bast S, CNS Drugs. 2022;36(10):1079-1111.

4 Raga S et al., Epileptic Disord. 2021;23(1):40-52.

5 Yu FH et al., Nat Neurosci. 2006;9(9):1142-9.

6 Mistry AM et al., Neurobiol Dis. 2014;65:1-11.

7 Salgueiro-Pereira AR et al., Neurobiol Dis. 2019;125:31-44.

8 Bender AC et al., Neurobiol Dis. 2013;54:297-307.

9 Strzelczyk A et al., Orphanet J Rare Dis. 2023;18(1):42.

10 Berg AT et al., Epilepsy Res. 2024;200:107280. © shutterstock.com/AI

NACHBERICHT

* Symposium von Jazz Pharmaceuticals im Rahmen des 15. European Epilepsy Congress (EEC) in Rom, 8. September 2024.

„An Lungenhochdruck denken“

Der niedergelassene Bereich hat einen hohen Stellenwert im Management der pulmonal arteriellen Hypertonie

Assoz.-Prof. Dr. Gabor Kovacs, PhD, Stv. Leiter der Klinischen Abteilung für Pneumologie, LKH Univ.-Klinikum Graz, im Wordrap-Interview.

Sie ist eine seltene Form des Lungenhochdrucks: die pulmonal arterielle Hypertonie (PAH). Vergleichbar mit vielen anderen Rare Diseases, sollten die Patient:innen an ein spezialisiertes Zentrum angebunden sein. Wobei eine Diagnose und adäquate Betreuung ohne niedergelassene Ärzt:innen kaum möglich ist – wie aus dem Gespräch mit Assoz.-Prof. Dr. Gabor Kovacs, Med Uni Graz, hervorgeht. Die Hausärzt:in bat den Experten zum Wordrap-Interview, um einen Einblick in das Management von Lungenhochdruckerkrankungen und in die Besonderheiten der pulmonal arteriellen Hypertonie zu bekommen.

Klassifikation der pulmonalen Hypertonie

Prof. KOVACS: Aktuell gilt die europäische Leitlinie zur pulmonalen Hypertonie aus dem Jahr 20221, die im European Respiratory und European Heart Journal veröffentlicht wurde. Damals sind schon sehr gute Überlegungen erfolgt, zum Beispiel in Bezug auf die Klassifikation des Lungenhochdrucks. Die grundsätzliche Struktur von früheren Klassifikationen wurde übernommen, und es gibt fünf verschiedene Arten der PH (siehe INFO, S. 18).

Häufig versus selten

Zwei Formen der PH sind sehr häufig: die pulmonale Hypertonie assoziiert mit Linksherzkrankheiten und jene, die mit Lungenkrankheiten assoziiert ist. Diese zwei Gruppen machen ca. 95 Prozent der PH-Fälle aus. Und es gibt zwei seltenere, jedoch sehr wichtige Formen des Lungenhochdrucks: die pulmonal arterielle Hypertonie (PAH) – also den Umbau der Lungengefäße selbst als primäre Erkrankung – und die chronisch thromboembolische pulmonale Hypertonie (CTEPH), welche nach rezidivierenden Lungenembolien auftreten kann. Insgesamt ist die pulmonale Hypertonie gar nicht so selten. In der ESC-/ERS-Leitlinie hat man festgelegt: Alle Formen ergeben zusammengerechnet einen häufigen Zustand, der rund ein Prozent der Weltbevölkerung betrifft.

Praxisrelevanz der ESC-/ERSGuideline 2022

In der Leitlinie sind sehr detaillierte Angaben für die Diagnostik und Therapie des Lungenhochdrucks enthalten. Man muss natürlich unterscheiden, was in einem spezialisierten Zentrum und was extramural durchgeführt wird. Ein Teil der Diagnostik sowie die Therapieeinleitung gehören ins Zentrum, aber auch alles, was im niedergelassenen oder nicht spezialisierten Bereich gemacht werden soll, ist extrem wichtig.

Diagnostische Aufgabe des niedergelassenen Bereichs

An erster Stelle steht, dass Ärzt:innen, die das erste Mal auf Patient:innen mit Atemnot oder eingeschränkter Belastbarkeit treffen, an Lungenhochdruck als möglichen Grund für die Beschwerden denken. Wenn man eine häufige allgemeine Ursache nicht gefunden und eine kardiologische oder pulmologische Grunderkrankung ausgeschlossen hat, sollte man seltenere Entitäten in

Erwägung ziehen, wie eben die PAH oder CTEPH. Beziehungsweise gibt es manchmal Fälle, wo zwar eine Herzoder Lungenkrankheit vorliegt, diese allein jedoch das Ausmaß der Symptome nicht erklärt. Hier könnte eine schwere PH assoziiert mit Lungen- oder Linksherzkrankheit bestehen.

Charakteristische Symptome

Wie bereits angeschnitten, sind die beiden häufigsten Symptome – von denen unsere PH-Patient:innen praktisch immer berichten – die Belastungsdyspnoe und eine eingeschränkte Belastbarkeit. Hinzukommen können Beschwerden wie thorakale Schmerzen und geschwollene Beine oder in fortgeschrittenen Fällen sogar Synkopen. Des Weiteren ist die Bendopnoe typisch. Wir hören von Betroffenen gar nicht so selten, dass sie Atemnot bei Aktivitäten wie Schuhebinden oder Staubsaugen haben.

Wichtige Untersuchungen

In puncto nichtinvasiver Diagnostik ist die Echokardiographie die wichtigste Untersuchung hinsichtlich Lungenhochdrucks. Diese sollte bei Verdacht auf eine PH auf jeden Fall durchgeführt werden. Eine einfache und wesentliche Laboruntersuchung stellt die Bestimmung von NT-proBNP oder BNP dar. Dieser Parameter ist bei allgemeinen Herzkrankheiten, aber auch bei pulmonaler Hypertonie oft erhöht. Schließlich muss eine PH in einem spezialisierten Zentrum mittels Rechtsherzkatheters diagnostiziert werden.

Red Flags – Überweisung im „fast track“

Wenn Patient:innen schon Hinweise auf Rechtsherzversagen zeigen oder ein begründeter Verdacht auf eine PAH oder CTEPH besteht, sollten sie sehr rasch an ein PH-Zentrum überwiesen werden. Das sind die wichtigsten Situationen.

EINE

TÖDLICHE KRANKHEIT

WIE PAH

WIRD MÖGLICHERWEISE

NICHT GLEICH ERKANNT

Pulmonal-arterielle Hypertonie (PAH) ist eine seltene, schwere und progressive Erkrankung, die unbehandelt zu Herzversagen und zum Tod führen kann.1 Die Vermeidung einer verspäteten Diagnose und eine frühzeitige Behandlung ist für die Zukunft Ihrer Patient:innen entscheidend.2 Verschaffen Sie sich Klarheit. Prüfen Sie. Überweisen Sie. Bevor es zu spät ist.

Weitere Informationen finden Sie auf der Janssen Medical Cloud unter www.janssenmedicalcloud.at

PAH: pulmonal arterielle Hypertonie
1. Humbert M et al. Eur Heart J 2022; 00:1-114. 2. National Pulmonary Hypertension Centres of the UK and Ireland. Heart 2008; 94:i1–i41.
Janssen-Cilag Pharma GmbH, a Johnson & Johnson company

Risikoerkrankungen für eine PAH

Zum Beispiel sind Kollagen- oder rheumatologische Erkrankungen wie die systemische Sklerose häufig mit einer PAH assoziiert. Deswegen sollte man bei betroffenen Patient:innen mit entsprechenden Beschwerden auf jeden Fall an Lungenhochdruck denken. Bei Sklerodermie-Patient:innen wird auch eine jährliche Echokardiographie empfohlen, sodass eine eventuelle pulmonale Hypertonie rechtzeitig erkannt werden kann. Weitere häufiger mit PAH assoziierte Erkrankungen sind etwa Lebererkrankungen, portale Hypertonien, HIV-Infektionen oder angeborene Herzfehler. Darüber hinaus gibt es – neben der idiopathischen PAH – hereditäre Formen, welche familiär gehäuft vorkommen und mit genetischen Veränderungen verbunden sind.

PAH-Prognose – Faktor Zeit

Leider wird auch heute noch die Diagnose meistens spät gestellt. Deswegen bin ich Hausärzt:innen wirklich dankbar, wenn sie wachsam bezüglich dieser Erkrankung sind, bei einem Verdacht die Echokardiografie veranlassen und bei auffälligem Befund die Patient:innen an ein spezialisiertes Zentrum überweisen. Je früher die Therapie begonnen wird, desto besser ist die Prognose bei PAH. Wir haben in den letzten 25 Jahren reichlich neue Medikamente dazugewonnen, die kombiniert in vielen Fällen einen sehr guten Therapierfolg erzielen können. Daher spielt die frühe und richtige Diagnose eine so zentrale Rolle –ein Thema, an dem wir arbeiten müssen.

Hot Topics in PAH

Bei der PAH erleben wir gerade spannende Zeiten. Insbesondere, weil es mit dem Activin-Signalweg-Inhibitor Sotatercept seit kurzem ein Medikament aus einer ganz neuen Substanzgruppe gibt. In Studien konnte es bei Patient:innen, die bereits maximal behandelt waren, zusätzliche klinische und hämodynamische Besserungen erreichen. Beim 7. Weltsymposium zur pulmonalen Hypertonie, das von 29. Juni bis 1. Juli 2024 in Barcelona stattfand, wurden u. a. die Therapieempfehlungen – auch für Sotatercept – thematisiert. Natürlich müssen wir dieses neue Medikament noch besser kennenlernen, etwa in Bezug auf Nebenwirkungen und Langzeiteffekte. Aber wir sind hoffnungsvoll, dass es eine weitere Hilfe im Management der PAH darstellen wird.

INFO

Therapeutische Aufgaben von Hausärzt:innen

Der Zustand von PH-Patient:innen, bei denen eine Therapie in einem spezialisierten Zentrum eingeleitet wurde, könnte sich im Verlauf natürlich verschlechtern. Für die Zentren ist es sehr hilfreich, wenn das im niedergelassenen Bereich erkannt wird. Leichte Dekompensationen können natürlich extramural gemanagt werden –indem man zum Beispiel die diuretische oder eine sonstige Therapie adaptiert. Hat die Hausärzt:in den Eindruck, dass sich die Lungenhochdruckkrankheit verschlechtert beziehungsweise noch nicht ausreichend behandelt ist, sollte die Patient:in im spezialisierten Zentrum wieder vorgestellt werden. Das Wordrap-Interview führte Anna Schuster, BSc.

Literatur:

1 Humbert M et al., ESC/ERS Scientific Document Group, 2022 ESC/ERS Guidelines for the diagnosis and treatment of pulmonary hypertension. Eur Heart J. 2022; 43(38):3618-3731. Eur Respir J. 2023; 61(1):2200879.

Die Definitionen von PH beruhen in erster Linie auf der hämodynamischen Beurteilung mittels Rechtsherzkatheteruntersuchung (RHK). Jedoch sollte die endgültige Diagnose und Klassifikation den klinischen Gesamtkontext widerspiegeln und die Ergebnisse aller durchgeführten Untersuchungen berücksichtigen. Pulmonale Hypertonie ist definiert durch einen mittleren pulmonal arteriellen Druck (PAPm) > 20 mmHg in Ruhe.

Klinische Klassifikation der pulmonalen Hypertonie

„ Gruppe 1: pulmonal arterielle Hypertonie – PAH

„ Gruppe 2: pulmonale Hypertonie (PH) assoziiert mit Linksherzerkrankung

„ Gruppe 3: PH assoziiert mit Lungenerkrankungen und/oder Hypoxie

„ Gruppe 4: PH assoziiert mit Lungenarterienobstruktionen: chronisch thromboembolische PH (CTEPH) sowie andere Obstruktionen der Lungenarterien

„ Gruppe 5: PH mit unklaren und/oder multifaktoriellen Mechanismen

Für weitere Informationen und alle Subgruppen siehe Quelle: Deutsche Gesellschaft für Kardiologie, Pocket-Leitlinie: Pulmonale Hypertonie (Version 2022).

IMPRESSUM

Herausgeber und Medieninhaber: RegionalMedien Gesundheit – RMA Gesundheit GmbH, Am Belvedere 10 / Top 5, 1100 Wien, Tel. 01/74321708114, office@gesund.at.

Geschäftsführung: Mag.a Birgit Frassl, Marlis Rumler.

Redaktionsleitung: Mag.a Karin Martin.

Redaktion: Mag.a Karin Martin, Anna Schuster, BSc, Margit Koudelka, Felicia Steininger, Mara Sophie Anmasser, Justyna Frömel, Bakk. MA, Mag.a Sandra Burin, BA.

Lektorat: Mag.a Katharina Maier.

Produktion & Grafik: Angie Kolby.

Cover-Foto: shutterstock.com/AI.

Verkaufsleitung: Mag.a Birgit Frassl, birgit.frassl@regionalmedien.at. Kundenbetreuung: Mag.a Dagmar Halper, dagmar.halper@regionalmedien.at, Claudia Szkutta, claudia.szkutta@regionalmedien.at.

Druckerei: Bösmüller Print Management GesmbH & Co. KG. Verlags- und Herstellungsort: Wien.

Grundlegende Richtung: Unabhängige österreichische Fachzeitschrift für niedergelassene Ärzt:innen.

Die HAUSÄRZT:IN – Praxis-Magazin für Primärversorgung –ist ein interdisziplinäres Informations- und Fortbildungsmedium.

Wichtig

Selbstverständlich erarbeiten wir alle Inhalte unserer Ratgeber sorgfältig. Dennoch können wir nicht garantieren, dass alles vollständig und aktuell ist bzw. sich seit dem Druck keine Gesetzesänderung ergeben hat.

Unsere Ratgeber dienen Ihnen als Erstinformation. Sie enthalten die häufigsten Fragen, viele anschauliche Beispiele, Hinweise auf Stolpersteine und einen Überblick über die wichtigsten gesetzlichen Regelungen. Bei individuellen Fragen steht Ihnen unsere Hotline zur Verfügung: (01) 501 65 0

Weitere Informationen finden Sie auch im Internet: www.arbeiterkammer.at

Alle aktuellen AK Publikationen stehen zum Download für Sie bereit: wien.arbeiterkammer.at/publikationen

Weitere Bestellmöglichkeiten:

■ E­Mail: mitgliederservice@akwien.at

■ Bestelltelefon: (01) 501 65 1401

Artikelnummer 456

In unserem Fachmagazin setzen wir auf genderneutrale Sprache. Verwendet wird der Doppelpunkt – als beste Symbiose aus Leserlichkeit und Inklusion. Zugunsten der besseren Lesbarkeit verzichten wir teilweise auf die gänzlich orthografisch/ grammatikalisch korrekte Schreibweise. Etwa geben wir bei Artikeln und Pronomen jeweils nur eine Variante an – jene, die zur längeren Variante des gegenderten Wortes gehört. Weitere Informationen siehe: meinmed.at/kommunikation/genderneutrale-sprache/2688 issuu.com/hausarzt/docs/ha_2023_12/3 (Hausärzt:in 12/23, Editorial, S. 3) Namentlich gekennzeichnete Beiträge geben nicht unbedingt die Meinung der Redaktion oder des Verlages wieder, sondern fallen in den Verantwortungsbereich der Autor:innen. Der Inhalt von entgeltlichen Einschaltungen und Beilagen sowie die Angaben über Dosierungen und Applikationsformen liegen außerhalb der Verantwortung der Redaktion oder des Verlages und sind von der jeweiligen Anwender:in im Einzelfall auf ihre Richtigkeit zu überprüfen. Nachdruck nur mit schriftlicher Genehmigung des Verlages. Alle Rechte, insbesondere das Recht der Vervielfältigung und Verbreitung sowie der Übersetzung, vorbehalten. Kein Teil des Werkes darf in irgendeiner Form (Fotokopie, Mikrofilm oder ein anderes Verfahren) ohne schriftliche Genehmigung des Verlages reproduziert oder unter Verwendung elektronischer Systeme gespeichert, verarbeitet, vervielfältigt, verwertet oder verbreitet werden.

Mit „Bezahlte Anzeige“ gekennzeichnete Beiträge/Seiten sind gemäß §26 Mediengesetz bezahlte Auftragswerke. Offenlegung: gesund.at/impressum

Weniger suchen, mehr wissen.

Ihr Begleiter im medizinischen Berufsalltag.

Ihr Arbeitsalltag ist stressig genug –verlieren Sie nicht auch noch Zeit mit der Suche nach medizinischen Informationen oder Terminen. Mit Gesund.at haben wir ein Portal geschaffen, das Ihnen diese Arbeit abnimmt. Selbstverständlich haben wir auch an Weiterbildung gedacht, so können Sie ab sofort DFP-Punkte auch unterwegs sammeln! Klingt gut, oder?

Turn static files into dynamic content formats.

Create a flipbook
Issuu converts static files into: digital portfolios, online yearbooks, online catalogs, digital photo albums and more. Sign up and create your flipbook.