Hausärzt:in 04/2024

Page 1

Praxis-Magazin

Die neue Berufskrankheitenliste in Österreich

Praxiswissen: Harnsteinleiden

Aktueller Stand der Diagnostik, Therapie und Prophylaxe

Hausärzt:in DIALOG

Dermatologie

Lichtblicke – Neurodermitis, Psoriasis & seltene Hauterkrankungen

04/2024
ARBEITSMEDIZIN BETRIFFT ALLE ÄRZT:INNEN
Österreichische Post AG, MZ16Z040661M, 32. Jahrgang, RegionalMedien GesundheitRMA Gesundheit GmbH, Am Belvedere 10 / Top 5, 1100 Wien
für Primärversorgung mit Sonderteil Pharmazie

Weniger suchen, mehr wissen.

Ihr Begleiter im medizinischen Berufsalltag.

Ihr Arbeitsalltag ist stressig genug – verlieren Sie nicht auch noch Zeit mit der Suche nach medizinischen Informationen oder Terminen.

Mit Gesund.at haben wir ein Portal geschaffen, das Ihnen diese Arbeit abnimmt. Selbstverständlich haben wir auch an Weiterbildung gedacht, so können Sie ab sofort DFP-Punkte auch unterwegs sammeln! Klingt gut, oder?

Daily Doc News

Wir senden Ihnen jeden Tag die wichtigsten News aus der Branche frei Haus

Sagen Sie JA zum Wissensvorsprung

DFP-Fortbildungen

Wir ermöglichen Ihnen, jederzeit und von überall DFP-Punkte zu sammeln.

Starten Sie JETZT Ihre Weiterbildung

Fachartikel

Wir liefern Ihnen Aktuelles aus Medizin, Pharmazie und Standespolitik.

Entdecken Sie GLEICH die neuesten Artikel

Kongresskalender

Wir präsentieren Ihnen alle wichtigen Branchen-Events auf einen Blick.

Erfahren Sie, WANN sich Ihr Fachbereich trifft

© stock.adobe.com/Yulia Furman, SdecoretMockup © stock.adobe.com/Vasilii © stock.adobe.com/Mediaparts © stock.adobe.com/Creative Clicks
© stock.adobe.com/Stockgiu Gesund.at
NEU!
Hier geht es zur Anmeldung:

Sich auf Neues freuen, auf Erfahrung aufbauen

Eines unserer gemeinsamen Führungsprinzipien bei den RegionalMedien lautet: „Wir machen Neues möglich “ Alles neu macht – sprichwörtlich – auch der Mai. Wir bringen Innovatives mit der Verwandlung der Natur im Frühling in Verbindung, wollen selbst mit frischer Energie in die warme Jahreszeit starten. Gut so!

Natürlich stimmt es, dass Veränderung manchmal auch Angst machen kann. Wir richten uns allzu gerne im Bekannten und Bewährten häuslich ein. Erfahrung einzubringen, kann ja ebenso ein wichtiges Arbeits- und Führungsprinzip sein. Oft kommt es einfach auf eine gute Mischung von Innovativem und Bewährtem an, die sich ganz automatisch ergeben kann, wenn mehrere Generationen bzw. unterschiedliche Menschentypen im Team zusammenarbeiten und sich wertschätzend begegnen. In unserem Redaktionsteam funktioniert das gut. Wir stecken uns oft gegenseitig mit der Freude an neuen Themenund Bilderideen für die Hausärzt:in an.

Von A wie Arbeitsmedizin …

Was erwartet Sie, werte Leser:innen, in der druckfrischen Ausgabe unseres Fachmagazins? Man mag dem Einsatz von künstlicher Intelligenz mehr oder minder wohlgesinnt gegenüberstehen: Das von unserer Grafikerin gemeinsam mit der Redaktion ausgewählte Cover zum Thema Arbeitsmedizin ist ein Hit. Ich habe schon von mehreren Seiten gehört, dass man nach längerem Herumexperimentieren mit KI-Bildern eh auch wieder schnell genug von diesen hat und zu „normalen“ Fotos zurückschwenkt. Bleiben wir offen, was die Zukunft diesbezüglich bringt.

Auf viel Erfahrung vertrauen können wir jedenfalls beim Gastautor unserer Titelgeschichte „ A rbeitsmedizin betrifft alle Ärzt:innen“ (ab S. 10), DDr. Karl Hochgatterer. Er ist Präsident der Österreichischen Gesellschaft für Arbeitsmedizin und der Österreichischen Akademie für Arbeitsmedizin und Prävention. Und er informiert über Neuerungen in der Berufskrankheitenliste: Was bringen sie für Ärzt:innen und ihre Patient:innen mit sich? Und standespolitisch gefragt: Welche Forderungen wurden leider (noch) nicht erfüllt?

… bis Z wie zukunftsweisende One-Health-Strategien

Weiterbildung ist immer wichtig. Unser aktueller DFP-Fortbildungsartikel widmet sich ab S. 22 innovativen Ansätzen rund um leidige Harnsteine. Gerne können Sie auch die neue Möglichkeit nutzen, auf unserer Plattform Gesund.at die DFP-Fragen online zu beantworten und Fortbildungspunkte zu sammeln.

Trotz Hightechmedizin wird die Natur in Zukunft eine große Rolle spielen, wenn es um die Gesundheit und Lebensqualität der Menschen geht. Deshalb ist es uns ein Anliegen, regelmäßig Artikel zu den Themen Umwelt- und Naturmedizin in die Hausärzt:in aufzunehmen. Mein Lektüretipp für diese Ausgabe (ab S. 44): „ A ntibiotikaresistenzen begrenzen“ – eine der größten Herausforderungen für die öffentliche Gesundheit und somit auch eine zukunftsweisende OneHealth-Strategie.

Nichts in der Geschichte ist beständiger als der Wandel.“

Viel Freude damit wünscht

Ihre

Mag.a Karin Martin

Redaktionsleiterin RegionalMedien Gesundheit, karin.martin@regionalmedien.at

4 April 2024 Hausärzt:in Editorial © RegionalMedien Gesundheit

06 Prävention statt Behandlung

Patient:innen mit erhöhtem LDL-C und/ oder Vorhofflimmern zielgerecht therapieren

09 Spastizität nach Schlaganfall

– ist häufig und beeinträchtigt die Lebensqualität

18 Frakturen verhindern – auch bei normaler Knochenmineraldichte

Die neue Österreichische OsteoporoseLeitlinie: Teil 1

20 Ein gutes Leben mit Multipler Sklerose

Die Autoimmunerkrankung führt nicht zwangsläufig zu schweren Behinderungen

22 DFP Praxiswissen: Harnsteinleiden

Aktueller Stand der Diagnostik, Therapie und Prophylaxe

26 Hepatische Regeneration Forschung trifft Praxis: Drei Studien nehmen die nichtalkoholische Fettleber unter die Lupe

28 Wenn Hormone wach halten ... Der Lebensstil

THEMA DES MONATS

10 Arbeitsmedizin betrifft alle Ärzt:innen

38 Eine Achterbahn der Belastungen

In der aktuellen Saison folgt geringer Pollenflug auf teils außergewöhnlich hohe Spitzen

44 Antibiotikaresistenzen begrenzen

Eine der größten Herausforderungen für die öffentliche Gesundheit

47 Die TopAntithrombotika

nach Menge

beeinflusst die Neurotransmitter- und Hormonbalance –und damit die Schlafqualität 44

Die neue Berufskrankheitenliste, epidemiologische und rechtliche Fragen im

48 Wenn Ernährung psychisch krank macht Nutritional Psychiatry: Der Blick über den Tellerrand, Teil 2

51 SPRECHStunde

„Kann man das LDL-C auch zu stark senken?“

DIALOG Dermatologie

Psoriasis, Morbus Darier und RDEB: neue Erkennt nisse aus der Forschung

36 Provoziert

Die S3-Leitlinie zur atopischen Dermatitis hebt die Bedeutung von Triggerfaktoren hervor

50 Impressum

22

20

Hausärzt:in Inhaltsverzeichnis 5 April 2023 Stopp den antimikrobiellen Resistenzen: Der One-Health-Ansatz und die Integrativmedizin als Schlüsselstrategien.
Thema
DFP-Literaturstudium.
Urolithiasis: Neues zum
im
dossier
pharmazeutisch medizinisch
52 Multikulturelle Teams Migration –Herausforderung und Chance für die Zukunft der Pflege
53 Termine Aktuelle Kongresse und mehr
extra
und Wert
Country Lead Austria bei IQVIA
Marktanalyse von Beatrix Linke,
Überblick 15 Multifaktoriell Über die Wechsel-
34 Lichtblicke
wirkungen zwischen Schmerz und Beruf am Beispiel Rückenbeschwerden
© shutterstock.com/AI © shutterstock.com/AI
© stock.adobe.com/EdNurg
Multiple Sklerose: Immuntherapien können Neurodegeneration verzögern.

Prävention statt Behandlung

Sie kommen täglich in die Praxis: Patient:innen mit erhöhtem LDL-C und/oder Vorhofflimmern – entscheidend ist es, diese zielgerecht zu behandeln

EXPERTIN: Univ.-Prof.in Dr.in

Irene Marthe Lang

Oberärztin an der Abteilung für Kardiologie, Klinik für Innere Medizin II, Allgemeines Krankenhaus/ Medizinische Universität Wien

In Österreich sterben jährlich rund 30.000 Menschen an den Auswirkungen von HerzKreislauf-Erkrankungen.1 Vor allem das LDL-C hat einen kausalen Effekt auf das Lebenszeitrisiko, kardiovaskuläre Erkrankungen zu entwickeln. Eine intensive Therapie der Hypercholesterinämie sowie die Einstellung aller anderen Risikofaktoren können das kardiovaskuläre Risiko auf das Niveau der Allgemeinbevölkerung senken.2 In der hausärztlichen Versorgung spielen die frühzeitige Erkennung von (Hoch-) Risikopatient:innen, die Kontrolle des Therapieerfolgs (insbesondere der LDL-C-Zielwerte) und die Förderung der Einnahmetreue eine wichtige Rolle.

Zuviel an Nahrung und Stress als Wurzel allen Übels

„Unser Hauptproblem sind Überernährung und Stress“, bringt es Univ.-Prof.in Dr.in Irene Marthe Lang, Oberärztin an der Abteilung für Kardiologie, Klinik für Innere Medizin II, Allgemeines Krankenhaus/Medizinische Universität Wien, auf den Punkt. Die LifestyleProblematik der wohlhabenden Länder führe in einen Circulus vitiosus: Gewichtszunahme, mangelnde Bewegung, Hypertonie, erhöhte Blutzuckerwerte sowie hohes LDL-C seien die unmittelbaren Folgen. Zahlreiche Studien bestätigten eine direkte Korrelation zwischen LDL-C und koronarer Herzkrankheit. Allein durch die Behandlung der Dyslipidämie gebe es fast neun Prozent weniger Todesfälle pro Jahr.3 Darüber hinaus würde sich die Volkswirtschaft in Österreich mehr als eine Milliarde Euro direkter und indirekter Kosten sparen.3

Aber beeinflussen Lipidparameter wie das LDL-Cholesterin auch das Risiko, Vorhofflimmern zu entwickeln? Die Kardiologin verweist auf einen indirekten Zusammenhang zwischen den beiden klinischen Erscheinungsbildern:

„ Eine Verbindung ist über metabolische Entgleisung und die damit verbundene systemische Entzündung gegeben“, meint Prof.in Lang.

Mobile Health zur Detektion von Vorhofflimmern

Personen mit VHF haben ein bis zu fünffach erhöhtes Schlaganfallrisiko –eine aufmerksame Diagnostik ist daher auch dann von Bedeutung, wenn keine

Beschwerden vorliegen. Tatsächlich bleibt VHF häufig unerkannt – bei vielen Patient:innen tritt es ohne Symptome und paroxysmal auf. Vor allem bei über 65-Jährigen sollte regelmäßig ein EKG geschrieben werden, um mögliche Episoden von VHF nicht zu übersehen. Zusätzlich ist in den letzten Jahren eine Vielzahl von technischen Hilfsmitteln (z. B. Handyapplikationen) zur Detektion von Herzrhythmusstörungen auf den Markt gekommen. „Ich bin keine Verfechterin von Artificial Intelligence, aber diese Technologien können durchaus hilfreich sein“, spricht sich Prof.in Lang für deren Verwendung aus. Die IRN-Funktion („i rregular rhythm notification“) der Apple Watch kann bei-

6 April 2024 Hausärzt:in medizinisch
© Johannes Brunnbauer
Serie
KARDIO/ANGIO
© shutterstock.com/AI

spielsweise längere Arrhythmiephasen erkennen.4

Zur medikamentösen Prophylaxe und Behandlung von thromboembolischen Ereignissen bei Personen mit VHF stehen mit Apixaban, Dabigatran, Edoxaban und Rivaroxaban derzeit vier NichtVitamin-K-antagonistische Orale Antikoagulanzien (NOAK) als Alternative zu Vitamin-K-Antagonisten (VKA) wie Phenprocoumon zur Verfügung. Verglichen mit einer VKA-Therapie sind unter NOAK deutlich weniger Interaktionen mit Arzneimitteln beschrieben. „ Für die Behandlung spezieller Personengruppen wie Tumorpatient:innen gibt es jedoch eigene Empfehlungen“, macht die Medizinerin aufmerksam. Unabhängig von der Gabe alter oder neuer Antikoagulanzien ist die richtige Blutdruckeinstellung essenziell, um einer durch Antikoagulation begünstigten Blutung vorzubeugen.4

LDL-C: Einteilung nach kardiovaskulärer Risikokategorie

Generell appelliert Prof.in Lang an niedergelassene Ärzt:innen, Risikofaktoren nicht isoliert zu betrachten – das gelte auch für das LDL-C. Je nach individuellem Herz-Kreislauf-Risiko durch Komorbiditäten und je nach Zehn-JahresRisiko einer tödlichen kardiovaskulären Erkrankung werden vier Patientenklassen gebildet. Bei gesunden Menschen mit geringem Risikoprofil und keinen kardiovaskulären Events in der Anamnese sollte das LDL-C bei < 116 mg/dl liegen. Kommen mehrere Risikofaktoren zusammen, so gilt die Maxime „ Je niedriger, desto besser“: Für Patient:innen mit hohem Risiko ist das LDL-C mit einem Zielwert von < 70 mg/dl definiert. Bei Höchstrisikopatient:innen –darunter auch Menschen mit familiärer Hypercholesterinämie und kardiovaskulärer Erkrankung oder mit weiteren Risikofaktoren – sollte der Zielwert für das LDL-C < 55 mg/dl betragen. Gab es innerhalb von zwei Jahren trotz maximaler lipidsenkender Therapie einen Progress (2. Ereignis), sollte noch weiter gesenkt werden: auf < 40 mg/dl.5 Mittel der Wahl bei der pharmakologischen Senkung des LDL-Cholesterins sind Statine. Geht das LDL-C damit

nicht ausreichend zurück, kann Ezetimib ergänzt werden. Als weiteres orales Add-On steht im niedergelassenen Bereich Bempedoinsäure zur Verfügung. Bei Statinunverträglichkeit kommen eine Dosisreduktion, ein Wechsel des Präparats oder der Einsatz von Bempedoinsäure bzw. PCSK9-Inhibitoren in Frage.5,6 „Nach einem akuten Ereignis besteht in jedem Fall die Indikation für einen PCSK9-Hemmer“, so die Expertin, deren Empfehlung sich auf die PACMAN-AMI-Studie stützt. In dieser zeigte sich, dass Alirocumab in Ergänzung zur hochdosierten Statintherapie im Vergleich zu Placebo unmittelbar nach einem Infarkt eine signifikant stärkere Plaqueregression erzielte.7

Therapieadhärenz –mortalitätsrelevanter Faktor

Gemessen an 500.000 Patient:innen mit erhöhtem LDL-C ließen sich 12.000 kardiovaskuläre Ereignisse pro Jahr verhindern – alleine durch eine verbesserte Adhärenz.8 In der Praxis lässt sich jedoch bei vielen Patient:innen mit der Zeit eine gewisse Therapiemüdigkeit beobachten. Die meisten Studien zeigen eine Diskontinuitätsrate von ≥ 50 %.9 Prof.in Lang ermutigt dazu, offene Gespräche mit den Patient:innen zu führen – über den Nutzen der Medikation und

DAS WICHTIGSTE IN KÜRZE

� Vorhofflimmern4

über ihre möglichen Sorgen bezüglich der Nebenwirkungen. Eine der häufigsten Ursachen für den Behandlungsabbruch ist die Statinintoleranz. „Niemand muss sich mit Muskelschmerzen abplagen“, betont sie und legt Hausärzt:innen nahe, Betroffenen bei Beschwerden Alternativen (z. B. Bempedoinsäure oder PCSK9-Hemmer) anzubieten. Sinnvoll sei es auch, die Patient:innen sechs Wochen nach Therapiebeginn wieder in die Praxis zu bestellen, um ihnen die Behandlungserfolge anhand niedriger LDL-C Werte sichtbar zu machen.

Mag.a Sylvia Neubauer

Quellen:

1 Statistik Austria, Sterbefälle nach den häufigsten Todesursachengruppen, Alter und Geschlecht, 2020.

2 Pressemitteilung der Deutschen Gesellschaft für Endokrinologie. Erbliche Fettstoffwechselstörung: endokrinologie.net/pressemitteilung/ erbliche-fettstoffwechselstoerung.php

3 Czypionka T et al., Institut für Höhere Studien: Research Report 2022.

4 2020 ESC Guidelines for the diagnosis and management of atrial fibrillation.

5 ESC/EAS Pocket Guideline Dyslipidämien: Version 2019.

6 Regeltext des Erstattungskodex (EKO) für die Arzneispezialitäten.

7 Räber L et al., JAMA. 2022;327(18):1771-1781.

8 Brandts J et al., Low Density Lipoprotein Cholesterol-Lowering Strategies and Population Health: Time to Move to a Cumulative Exposure Model. Circulation. 2020;141(11): 873–6.

9 De Vera MA et al., Br J Clin Pharmacol. 2014;78(4):684-698.

10 2023 ESC Guidelines for the management of cardiovascular disease in patients with diabetes.

• Viele Patient:innen mit Vorhofflimmern sind asymptomatisch.

• Vorhofflimmern kann mit einem EKG oder im 24-Stunden-Langzeit-EKG entdeckt werden. Ein Screening lässt sich auch per App von zuhause aus durchführen.

• Die State-of-the-Art-Maßnahme, Schlaganfälle bei Vorhofflimmern zu verhindern, ist eine orale Antikoagulationstherapie unter Berücksichtigung des CHA2DS2-VASc-Scores.

� LDL-C5,10

• Das LDL-C stellt einen kausalen Risikofaktor für kardiovaskuläre Erkrankungen dar.

• Zielwerte für das LDL-Cholesterin sind entsprechend dem Risiko wie folgt festgelegt:

Bei sehr hohem Risiko: Ziel von < 55 mg/dl (1,4 mmol/l) und Senkung um ≥ 50 % vom Ausgangswert.

Bei hohem Risiko: Ziel von < 70 mg/dl (1,8 mmol/l) und Senkung um ≥ 50 % vom Ausgangswert.

Bei moderatem Risiko: Ziel von < 100 mg/dl (2,6 mmol/l).

Bei niedrigem Risiko: Ziel von < 116 mg/dl (3,0 mmol/l).

• Bei nicht erreichten LDL-C-Zielwerten unter ausgereizter oraler Kombinationstherapie sollten Patient:innen an eine spezialisierte Lipidambulanz überwiesen werden, um eine PCSK9-Hemmer-Therapie zu initiieren.

• Die medikamentöse Senkung des LDL-C bewirkt eine deutliche Senkung der kardiovaskulären Ereignisrate.

Hausärzt:in medizinisch 7 April 2024

Spastizität nach Schlaganfall

ist

häufig und beeinträchtigt die Lebensqualität

EXPERTE:

Univ.-Prof. Dr. Thomas Sycha

Leiter der Ambulanz für Botulinumtoxinbehandlungen an der MedUni Wien

Etwa 1,5 Prozent der Menschen in Österreich erleiden einen Schlaganfall oder leben mit den Folgen desselben. Das sind aktuell etwa 136.000 Personen. Ungefähr ein Drittel davon entwickelt binnen eines halben Jahres nach dem Akutereignis eine spastische Bewegungsstörung: Die Schädigung im zentralen Nervensystem bedingt einen eingeschränkten Informationsfluss vom Gehirn zu den Muskeln. Daraus resultiert eine pathologische, oft schmerzhafte und entstellende Verkrampfung der Muskeln und Gliedmaßen (siehe INFO!).

„D ie Spastizität ist also keine eigenständige Erkrankung, sondern ein Symptom“, hält Univ.-Prof. Dr. Thomas Sycha, Neurologe und Leiter der Ambulanz für Botulinumtoxinbehandlungen an der MedUni Wien, fest. „ Bei etwa 10 bis 12 Prozent der Betroffenen wäre sie behandlungsbedürftig. Nur bei jedem zehnten davon erfolgt aber tatsächlich eine Therapie “ Man dürfe nicht vergessen: Viele Patient:innen sind in ihrer Mobilität eingeschränkt, haben eine Aphasie oder eine kognitive Störung. „Wenn sie keine Angehörigen haben, die sich kümmern, kommen sie oft nicht zur Ärzt:in …“

gen in den Extremitäten verantwortlich sind. Diese Schlaganfälle zeigen sich im klassischen und sehr häufigen Bild einer halbseitigen Parese. „Wir wissen heute, dass sich die Spastizität oft schon in der akuten bzw. subakuten Phase, also in den ersten Wochen nach dem Ereignis, aus einer pseudoschlaffen Parese entwickelt“, erklärt Prof. Sycha. Als besonders gefährdet gelten ältere Schlaganfallpatient:innen mit ausgeprägter Parese und niedrigem BarthelIndex.

Probleme in der Praxis sind: Eine frühestmögliche Identifizierung von Risikopatient:innen durch Screening ist auf den Schlaganfallakutstationen kaum implementiert. Auch die Aufklärung der Patient:innen und ihrer Angehörigen, das individuelle Risiko betreffend, sowie die Informations-

VORSCHAU Hausärzt:in 5/2024: Leben mit Spastizität –Herausforderungen für Betroffene und behandelnde Ärzt:innen.

Wer ist gefährdet?

Am häufigsten tritt eine Spastizität nach Schlaganfällen auf, wenn die Regionen der Großhirnrinde oder Leitungsbahnen betroffen sind, die für die Steuerung der Bewegun-

INFO

Klinische Erscheinungsbilder einer Spastizität nach Schlaganfall

Obere Gliedmaßen:

� Einwärts gedrehte Schulter

� Gebeugter Ellenbogen

� Gedrehter Unterarm

� Handgelenkbeugung

� Zu einer Faust geformte Hand

� In die Hand eingeschlagener Daumen

Untere Gliedmaßen:

� Klumpfuß

� Verminderte Mobilität des Knies

� Gekrümmte Zehen

� Verminderte Mobilität der Hüfte

übermittlung an weiterbehandelnde niedergelassene Ärzt:innen sind oft unzureichend.1

Wann behandlungsbedürftig?

Literatur:

„Jedenfalls behandlungsbedürftig wird die Spastizität dann, wenn ein Leidensdruck besteht und realistische relevante Behandlungsziele vorliegen“, resümiert Prof. Sycha. „Wichtig ist, das allgemeine Bewusstsein zu fördern, dass eine spastische Bewegungsstörung – wenngleich nicht heilbar – so doch gut therapierbar ist.“

1 Lee J et al., Nervenarzt 95, 133-140 (2024).

Hausärzt:in medizinisch 9 April 2024
KaM
© privat
© shutterstock.com/Chipmunk131

Arbeitsmedizin betrifft alle Ärzt:innen

Die neue Berufskrankheitenliste in Österreich, epidemiologische und rechtliche Fragen im Überblick

Bei Verdacht auf eine Berufskrankheit muss von jeder Ärzt:in eine Verdachtsmeldung an den zuständigen Unfallversicherungsträger übermittelt werden. Nur mit der Meldung ist die korrekte Begutachtung, Einstufung und soziale Absicherung der geschädigten Person möglich. Wir müssen in Österreich von einer hohen Dunkelziffer ausgehen.

„Im Falle einer Nichtmeldung des Verdachts auf eine Berufskrankheit sind Regressforderungen möglich.“

Als Berufskrankheiten (BK) gelten hierzulande jene Erkrankungen, die in der Anlage 1 zu § 177 des Allgemeinen Sozialversicherungsgesetzes (ASVG) angeführt sind – unter den dort angegebenen Voraussetzungen, „wenn sie durch Ausübung der die Versicherung begründenden Beschäftigung in einem in Spalte 3 der Anlage bezeichneten Unternehmen verursacht sind“. Hautkrankheiten (BK 19) gelten nur dann als Berufskrankheiten, „wenn und solange sie zur Aufgabe schädigender Tätigkeiten zwingen“ Von der übergeordneten Menge arbeitsbedingter Erkrankungen sind Berufskrankheiten also eine Teilmenge mit besonderer versicherungsrechtlicher Stellung.

GASTAUTOR:

DDr. Karl Hochgatterer, MSc ÖGA-Präsident sowie Präsident der Österreichischen Akademie für Arbeitsmedizin und Prävention

10 April 2024
© AAMP ©
shutterstock.com/AI
Hausärzt:in dossier

Welche Kausalitätskriterien gelten?

Die Aufnahme einer Erkrankung in die BK-Liste ist das Ergebnis einer politischen Entscheidung, die auf der strengen Anwendung des Kausalitätsbegriffes gründet. Dieser aus juristischer Sicht geforderte zeitlichörtlich-ursächliche Zusammenhang ist dann gegeben, wenn:

• eine Krankheit in einem strengen Kausalzusammenhang mit einer bestimmten Einwirkung steht (haftungsausfüllende Kausalität),

• diese Einwirkung bei einer bestimmten Tätigkeit in einem bestimmten Beruf vorkommt (haftungsbegründende Kausalität) und

• bei dieser Personengruppe in einer Häufigkeit auftritt, die über dem Durchschnitt der Morbidität der übrigen Bevölkerung liegt.

Hausärzt:in dossier 11 April 2024 >
„Berufskrankheiten

werden erst ab einer Minderung der Erwerbsfähigkeit von 20 Prozent berentet.“

Was kann die Generalklausel?

Die sogenannte „Generalklausel“ ermöglicht es, eine Krankheit, die ihrer Art nach nicht in Anlage 1 im ASVG enthalten ist, im Einzelfall als Berufskrankheit anzuerkennen. Nämlich wenn der Träger der Unfallversicherung aufgrund gesicherter wissenschaftlicher Erkenntnisse feststellt, dass diese Krankheit ausschließlich oder überwiegend durch die Verwendung schädigender Stoffe oder Strahlen bei einer Beschäftigung entstanden ist, die von der versicherten Person ausgeübt wird.

Wer muss den Beweis erbringen?

Bei Berufskrankheiten gilt eine Meldepflicht für Arbeitgeber, aber auch für jede Ärzt:in, die den begründeten Verdacht hegt, dass eine Berufskrankheit vorliegt. Beim Anerkennungsverfahren besteht Beweislastumkehr. Das bedeutet: Nicht die geschädigte Person muss beweisen, wie und wodurch sie geschädigt wurde, sondern die Versicherung muss gegebenenfalls den Beweis erbringen, dass die Schädigung nicht durch eine Berufskrankheit erfolgte.

Wann werden BK entschädigt oder berentet?

Berufskrankheiten sind entschädigungspflichtig, die Entschädigung erfolgt durch die zuständige Unfallversicherung. Generell gilt, dass Berufskrankheiten erst ab einer Minderung der Erwerbsfähigkeit von 20 % berentet werden.

Was fordert die Fachgesellschaft?

Seit Jahren besteht seitens der Österreichischen Gesellschaft für Arbeitsmedizin (ÖGA) der Wunsch, dass die österreichische BK-Liste modernisiert und auch erweitert wird. Nachdem die Modernisierung der österreichischen BK-Liste im Programm der aktuellen Bundesregierung enthalten ist, war ein realistischer Umsetzungszeitpunkt an-

zunehmen. Die Fachgesellschaft hat sich in einer Arbeitsgruppe des Gesundheitsministeriums eingebracht. Ihr Ergebnis umfasst eine neue Einteilung der Berufskrankheiten, den Vorschlag, zumindest vier neue Berufskrankheiten zu ergänzen, eine Empfehlung für die Einführung eines Fachbeirates in Bezug auf Berufskrankheiten im Gesundheitsministerium sowie eine Erweiterung der Generalklausel.

Welche gesetzlichen Änderungen gab es?

Mittlerweile hat ein Gesetzesantrag den Gesundheitsausschuss des Parlaments passiert und wurde am 28.2.2024 im Parlament beschlossen.

Die neue Nomenklatur der österreichischen BK-Liste:

1. Erkrankungen der Atemwege und der Lunge

2. Erkrankungen der Haut

3. Infektionskrankheiten, Erkrankungen durch Parasiten, Tropenkrankheiten

4. Erkrankungen des Bewegungsund Stützapparates

5. Durch physikalische Einwirkungen verursachte Krankheiten

6. Durch chemische Einwirkungen verursachte Krankheiten

7. Maligne Erkrankungen

8. Sonstige

Anzahl Erwerbstätiger mit anerkannter Berufskrankheit "Durch Lärm verursachte Schwerhörigkeit" (BK 33) in Österreich: 5-Jahres-Darstellung

Quelle: Allgemeine Unfallversicherungsanstalt

Abbildung 1: Seit Jahrzehnten ist die Lärmschwerhörigkeit die häufigste BK. Nur in der COVID-19Pandemie wurde sie von Platz 1 verdrängt.

Anzahl Erwerbstätiger mit anerkannter Berufskrankheit "COVID-19" (BK 38) in Österreich: 3-Jahres-Darstellung

Abbildung 2: Mit dem Einsetzen der COVID-19-Pandemie kam es zu einem massiven Anstieg der BK 38 durch den COVID-19-Erreger. Die BK-Zahlen erhöhten sich um ein Vielfaches.

Quelle: Allgemeine Unfallversicherungsanstalt

Hausärzt:in dossier 12 April 2024 640 697 439 559 615200 400 600 800 2018 2019 2020 2021 2022
86 5.765 7.4961.000 2.000 3.000 4.000 5.000 6.000 7.000 8.000 2020 2021 2022
>

Folgende neue Erkrankungen sind in der aktualisierten Liste berücksichtigt:

• Hypothenar-/Thenar-HammerSyndrom

• Fokale Dystonien bei Instrumentalmusiker:innen

• Plattenepithelkarzinom, aktinische Keratosen der Haut durch UVExposition

• Ovarialkarzinom nach Asbestexposition

Welche Forderungen wurden nicht erfüllt?

Was bedeutet das alles für Ärzt:innen? Nach Beschluss dieser Änderung des Allgemeinen Sozialversicherungsgesetzes ist es notwendig, die österreichischen Arbeitsmediziner:innen, aber auch die gesamte Ärzt:innenschaft über diese Neuerungen zu unterrichten. Diese Information hat auch vor dem Hintergrund zu geschehen, dass jede Ärzt:in in Österreich verpflichtet ist, bereits den begründeten Verdacht auf eine Berufskrankheit bei einer Patient:in der zuständigen Unfallversicherung zu melden! Im Falle einer Nichtmeldung sind Regressforderungen möglich.

krankheit. Nur in der COVID-19Pandemie wurde sie von Platz 1 verdrängt (siehe Abbildung 1, Seite 12). Die Fallzahlen der BK 38* durch den COVID-19-Erreger sind in Abbildung 2 (siehe Seite 12) dargestellt. Auf Platz 3 liegen Hauterkrankungen (BK 19). Für eine 5-Jahres-Darstellung der Top 3 bis 8 siehe Abbildung 3.

Die am häufigsten anerkannten Berufskrankheiten (Top 3 bis 8, ohne BK 38 als Top 1 und BK 33 als Top 2)

Die am häufigsten anerkannten Berufskrankheiten (Top 3 bis 8, ohne BK 38 als Top 1 und BK 33 als Top 2)

Welche sind die häufigsten BK in Österreich?

Die am häufigsten anerkannten Berufskrankheiten (Top 3 bis 8, ohne BK 38 als Top 1 und BK 33 als Top 2)

Die am häufigsten anerkannten Berufskrankheiten (Top 3 bis 8, ohne BK 38 als Top 1 und BK 33 als Top 2)

Anzahl Erwerbstätiger mit anerkannter Berufskrankheit: 5-Jahres-Darstellung

Die Einführung eines Fachbeirates und die Erweiterung der Generalklausel wurden nicht realisiert. Das ist aus der Sicht der ÖGA bedauerlich, muss aber zur Kenntnis genommen werden.

Die am häufigsten anerkannten Berufskrankheiten (Top 3 bis 8, ohne BK 38 als Top 1 und BK 33 als Top 2)

Die am häufigsten anerkannten Berufskrankheiten (Top 3 bis 8, ohne BK 38 als Top 1 und BK 33 als Top 2)

Anzahl Erwerbstätiger mit anerkannter Berufskrankheit: 5-Jahres-Darstellung

Anzahl Erwerbstätiger mit anerkannter Berufskrankheit: 5-Jahres-Darstellung

Anzahl Erwerbstätiger mit anerkannter Berufskrankheit:

Seit Jahrzehnten ist die Lärmschwerhörigkeit (BK 33) die häufigste Berufs-

* Anmerkung der Redaktion: BK 38 stellen Infektionskrankheiten dar, die bei besonders gefährdeten Berufsgruppen von den Unfallversicherungsträgern als Berufskrankheit anerkannt werden können. Quelle und weitere Informationen: auva.at , „COVID-19 als Berufskrankheit“.

Anzahl Erwerbstätiger mit anerkannter Berufskrankheit: 5-Jahres-Darstellung

Die am häufigsten anerkannten Berufskrankheiten (Top 3 bis 8, ohne BK 38 als Top 1 und BK 33 als Top 2)

Anzahl Erwerbstätiger mit anerkannter Berufskrankheit: 5-Jahres-Darstellung

(BK 41) Erkrankung der tieferen Atemwege durch chemisch-irritative oder toxische Stoffe

NACHBERICHT

(BK 19) Hauterkrankungen

(BK 19) Hauterkrankungen

(BK 41) Erkrankung der tieferen Atemwege durch chemisch-irritative oder toxische Stoffe

(BK 41) Erkrankung der tieferen Atemwege durch chemisch-irritative oder toxische Stoffe

(BK 19) Hauterkrankungen

(BK 19) Hauterkrankungen

(BK 30) Durch allergische Stoffe verursachte Erkrankung an Asthma bronchiale (einschließlich Rhinopathie)

(BK 30) Durch allergische Stoffe verursachte Erkrankung an Asthma bronchiale (einschließlich Rhinopathie)

(BK 19) Hauterkrankungen

(BK 30) Durch allergische Stoffe verursachte Erkrankung an Asthma bronchiale (einschließlich Rhinopathie)

(BK 27b) Bösartige Neubildung des Rippenfells, der Lunge, des Kehlkopfs durch Asbest

(BK 27b) Bösartige Neubildung des Rippenfells, der Lunge, des Kehlkopfs durch Asbest

(BK 27a) Asbeststaublastige Erkrankung (Asbestose)

(BK 27b) Bösartige Neubildung des Rippenfells, der Lunge, des Kehlkopfs durch Asbest

(BK 27a) Asbeststaublastige Erkrankung (Asbestose)

(BK 27a) Asbeststaublastige Erkrankung (Asbestose)

(BK 27b) Bösartige Neubildung des Rippenfells, der Lunge, des Kehlkopfs durch Asbest

(BK 41) Erkrankung der tieferen Atemwege durch chemisch-irritative oder toxische Stoffe

(BK 41) Erkrankung der tieferen Atemwege durch chemischirritative oder toxische Stoffe

(BK 41) Erkrankung der tieferen Atemwege durch chemisch-irritative oder toxische Stoffe

(BK 20) Vibrationsbedingte Durchblutungsstörung den Händen, andere Erkrankung durch Erschütterung bei der Arbeit

(BK 20) Vibrationsbedingte Durchblutungsstörung

(BK Erkrankung der tieferen Atemwege durch chemisch-irritative oder toxische Stoffe

(BK 20) Vibrationsbedingte Durchblutungsstörung den Händen, andere Erkrankung durch Erschütterung bei der Arbeit

den Händen, andere Erkrankung durch Erschütterung bei der Arbeit

(BK 27b) Bösartige Neubildung des Rippenfells, der Lunge, des Kehlkopfs durch Asbest an Asthma bronchiale (einschließlich Rhinopathie)

(BK 30) Durch allergische Stoffe verursachte Erkrankung an Asthma bronchiale (einschließlich Rhinopathie)

(BK 30) Durch allergische Stoffe verursachte Erkrankung an Asthma bronchiale (einschließlich Rhinopathie)

(BK 30) Durch allergische Stoffe verursachte Erkrankung an Asthma bronchiale (einschließlich Rhinopathie)

(BK 30) Durch allergische Stoffe verursachte Erkrankung an Asthma bronchiale (einschließlich Rhinopathie)

(BK 30) Durch allergische Stoffe verursachte Erkrankung an Asthma bronchiale (einschließlich Rhinopathie)

(BK 30) Durch allergische Stoffe verursachte Erkrankung an Asthma bronchiale (einschließlich Rhinopathie)

(BK 30) Durch allergische Stoffe verursachte Erkrankung an Asthma bronchiale (einschließlich Rhinopathie)

(BK 27a) Asbeststaublastige Erkrankung (Asbestose)

(BK 27a) Asbeststaublastige Erkrankung (Asbestose)

(BK 27a) Asbeststaublastige Erkrankung (Asbestose)

(BK 27a) Asbeststaublastige Erkrankung (Asbestose)

(BK 27a) Asbeststaublastige Erkrankung (Asbestose)

(BK 27a) Asbeststaublastige Erkrankung (Asbestose)

(BK 27a) Asbeststaublastige Erkrankung (Asbestose)

(BK 27a) Asbeststaublastige Erkrankung (Asbestose)

(BK 20) Vibrationsbedingte Durchblutungsstörung an den Händen, andere Erkrankung durch Erschütterung bei der Arbeit

(BK 20) Vibrationsbedingte Durchblutungsstörung den Händen, andere Erkrankung durch Erschütterung bei der Arbeit

(BK 20) Vibrationsbedingte Durchblutungsstörung

(BK 20) Vibrationsbedingte Durchblutungsstörung an den Händen, andere Erkrankung durch Erschütterung bei der Arbeit

(BK 20) Vibrationsbedingte Durchblutungsstörung den Händen, andere Erkrankung durch Erschütterung bei der Arbeit

(BK 20) Vibrationsbedingte Durchblutungsstörung den Händen, andere Erkrankung durch Erschütterung bei der Arbeit

20) Vibrationsbedingte Durchblutungsstörung den Händen, andere Erkrankung durch Erschütterung bei der Arbeit

den Händen, andere Erkrankung durch Erschütterung bei der Arbeit

(BK 20) Vibrationsbedingte Durchblutungsstörung den Händen, andere Erkrankung durch Erschütterung bei der Arbeit

Abbildung 3: Die wichtigsten Berufskrankheiten in Österreich zeigen in den letzten Jahren eine abnehmende Tendenz. Ob sich dieser Trend fortsetzt oder ob es sich um einen Effekt der Pandemie handelt, werden die kommenden Jahre zeigen.

Der Gastautor war Vortragender beim 43. Workshop Lunge – Umwelt – Arbeitsmedizin, 1.-2. März 2024 in Linz.

Quelle: Allgemeine Unfallversicherungsanstalt

Hausärzt:in dossier 14 April 2024
124 109 86 101 88 108 103 92 78 73 87 54 67 57 74 64 38 44 34 12 15 12 8 22 14 7 7 9 1520 40 60 80 100 120 140 2018 2019 2020 2021 2022
12 15 12 8 22 14 7 7 9 15 2018 2019 2020 2021 2022
12 15 12 8 22 14 7 7 9 15 2018 2019 2020 2021 2022
12 15 12 8 22 14 7 7 9 15 2018 2019 2020 2021 2022
< 124 109 86 101 88 108 103 92 78 73 87 54 67 57 74 64 38 44 34 12 15 12 8 22 14 7 7 9 15 2018 2019 2020 2021 2022
124 109 86 101 88 108 103 92 78 73 87 54 67 57 74 64 38 44 34 12 15 12 8 22 14 7 7 9 15 2018 2019 2020 2021 2022
5-Jahres-Darstellung
124 109 86 101 88 103 92 78 73 87 54 57 74 38 44 34 12 12 8 7 7 9 2018 2019 2020 2021 2022

Multifaktoriell

Über

die Wechselwirkungen zwischen Schmerz und Beruf am Beispiel Rückenbeschwerden

„D ie Ausgaben für Rückenschmerzen sind eine signifikante Belastung für die Volkswirtschaft. Mit geeigneten präventiven Maßnahmen könnten diese Kosten reduziert werden“, macht Univ.-Prof. Dr. Wilhelm Eisner, Präsident der Österreichischen Schmerzgesellschaft, aufmerksam. Die ÖSG unterstreicht die Bedeutung einer individuell abgestimmten Behandlung, die

frühzeitig gestartet wird und sowohl medikamentöse als auch nichtmedikamentöse Therapieansätze integriert. „ Neben der Bewegung sind eine ergonomische Gestaltung des Arbeitsplatzes, Stressmanagement und eine ausgewogene Ernährung wesentliche Säulen der Prävention und Behandlung von Rückenschmerzen“, ergänzt Univ.-Prof. Dr. Richard Crevenna,

MMSc, MBA, Vorstandsmitglied der ÖSG und Leiter der Universitätsklinik für Physikalische Medizin, Rehabilitation und Arbeitsmedizin der MedUni Wien.

Im Durchschnitt verbringen Erwachsene knapp ein Drittel ihres Lebens am Arbeitsplatz. In einem interdisziplinären Ratgeber von Prof. Crevenna (siehe Buchtipp, S. 16) werden Rücken-

Hausärzt:in dossier 15 April 2024
© stock.adobe.com/Andrey Popov
>

schmerzen aus Sicht der Arbeits- und Organisationsmedizin sowie -psychologie beleuchtet. Autorinnen des Kapitels sind Dr.in Galateja Jordakieva, PhD, Fachärztin für Arbeitsmedizin, Leiterin der arbeitsmedizinischen Ambulanz, und Oberrätin Mag.a Margarete Steiner, Klinische und Gesundheitspsychologin sowie Psychotherapeutin, beide MedUni Wien.

Gesundheitsförderung am Arbeitsplatz

„Die Schmerzsymptomatik und die berufliche Tätigkeit stehen in Wechselwirkung zueinander“, betonen Dr.in Jordakieva und Mag.a Steiner. Arbeitsplatzbezogene Faktoren können demnach Schmerzen des Bewegungsapparates begünstigen bzw. verursachen, diese aber auch positiv beeinflussen. Die Schmerzsymptomatik wiederum kann die Arbeitsfähigkeit einschränken – oder eine Arbeitsplatzoptimierung herbeiführen. Laut ArbeitnehmerInnenschutzgesetz (ASchG) sind Arbeitgeber:innen verpflichtet, Leben und Gesundheit der Arbeitnehmer:innen zu schützen sowie eine optimale Arbeitsplatzqualität für ihre Mitarbeiter:innen anzustreben. So kommen zum Beispiel Sicherheitsfachkräfte für die Arbeitsplatzgestaltung zum Einsatz, außerdem können Arbeitsmediziner:innen bzw. Betriebsärzt:innen bei der Prävention unterstützen. Im Rahmen von regelmäßi-

INFO

Anhand arbeitspsychologischer Modelle wurden in zahlreichen Untersuchungen Zusammenhänge zwischen Arbeitsbedingungen und psychischen Belastungen aufgezeigt, die das Risiko in Bezug auf Rückenschmerzen erhöhen. Siehe zum Beispiel:

� Modell der beruflichen Gratifikationskrisen (Effort-Reward-Imbalance Model)

� Anforderungs-Kontroll-Modell (Job-Demand-Control Model, Job Strain Model)

Seit einer Novelle im Jahr 2013 schreibt das ASchG vor, dass nicht nur physische, sondern auch psychische Belastungen verstärkt berücksichtigt werden. Arbeitgeber:innen sind zur Gefahrenermittlung, -beurteilung und -verhütung verpflichtet.

gen Arbeitsplatzbegehungen erhebt die Arbeitsmediziner:in arbeitsplatzbezogene Risikofaktoren für die Gesundheit und kann ggf. für eine Beratung bei Rückenschmerzen hinzugezogen werden. Oftmals erfordert das Management von Risikofaktoren einen multidisziplinären Ansatz, bei dem etwa Arbeitspsycholog:innen, Physiotherapeut:innen und Ergonom:innen zusammenarbeiten. „I nitiativen im Rahmen der Betrieblichen Gesundheitsförderung, u. a. zur Verhinderung von Rückenproblemen, sind auch präventiv für schmerzfreie Mitarbeiter:innen sinnvoll und somit für die gesamte Belegschaft vorteilhaft“, erläutern Dr.in Jordakieva und Mag.a Steiner.

Auch psychosoziale Risikofaktoren beachten

Bekanntlich gibt es eine Vielzahl von physischen Ursachen für berufsassoziierte Rückenschmerzen, zum Beispiel starke körperliche Belastungen im Gesundheits- und Bauwesen, schweres Heben bzw. Tragen, repetitive Bewegungen und einseitige Belastungen oder aber Inaktivität, etwa bei Büroarbeit. Außerdem können bestimmte Umgebungsbedingungen den Rücken beeinträchtigen. Zu einer kurzfristigen Intensivierung der Schmerzsymptomatik führt mitunter übermäßige Hitze oder Kälte bei vorbestehenden Erkrankungen wie Arthrose oder Arthritis. Bestimmte längerfristige Expositionen hingegen können Schäden an der Wirbelsäule hervorrufen – beispielsweise erhöhen regelmäßige mehrstündige Ganzkörpervibrationen das Risiko, Bandscheibenerkrankungen zu entwickeln. Nicht außer Acht zu lassen sind laut den Expertinnen auch psychische Gründe für arbeitsplatzbezogene Rückenschmerzen. „Dass Körper und Psyche eine Einheit bilden, wird bei vielen Krankheitsbildern deutlich. Schmerz wird im zentralen Nervensystem registriert und bewertet. Dort laufen nach unserem aktuellen Verständnis auch die psychischen Prozesse zusammen. Es ist daher wenig überraschend, dass psychosoziale Faktoren als unabhängige Risikofaktoren für Schmerzen des Bewegungsapparates gelten.“

Im beruflichen Kontext sind unter anderem folgende psychosoziale Arbeitsmerkmale mit dem Schmerzerleben eng verbunden:

• Arbeitsanforderungen (z. B. Verantwortung)

• Arbeitsplatzkontrolle (z. B. Autorität)

• soziale Unterstützung (z. B. Betriebsklima, Konflikte)

Zu typischen arbeitsbedingten Stressoren, die zu Fehlbeanspruchungen führen, zählen etwa Arbeiten unter hohem Zeitdruck, großer Leistungsdruck – durch eigene Ansprüche oder durch Vorgaben –, geringe Erholungsmöglichkeiten, fehlende Anerkennung/Wertschätzung/Belohnung, Multitasking, Informations- und Kommunikationsmangel oder Demütigung bzw. Diskriminierung. „ Die gesundheitlichen Auswirkungen psychosozialer Arbeitsplatzfaktoren können häufig auf eine Kombination verschiedener Faktoren zurückgeführt werden und sollten jedenfalls bei Mitarbeiter:innen mit chronischen wie auch wiederkehrenden Rückenschmerzen Berücksichtigung finden“, unterstreichen Dr.in Jordakieva und Mag.a Steiner. Ziel des betrieblichen Gesundheitsmanagements sei es nicht nur, die Gesundheit der Belegschaft zu erhalten und zu fördern, sondern auch eine konstruktive und wertschätzende Zusammenarbeit zu etablieren – ein Erfolgskriterium in Organisationen.

X HAUSÄRZT:IN-Buchtipp

Rückenschmerzen –vorbeugen und aktiv behandeln

Von Richard Crevenna

Reihe Gesundheit. Wissen.

MedUni Wien im MANZ Verlag

Hausärzt:in dossier 16 April 2024

GASTAUTOR: Priv.-Doz. Dr. Christian Muschitz President elect der Österr. Gesellschaft für Knochen und Mineralstoffwechsel (ÖGKM), Vorsitzender der Österreichischen Osteoporose-Leitlinien-Kommission

Am 32. Osteoporoseforum in St. Wolfgang wurde die neue Österreichische Osteoporose-Leitlinie präsentiert.* Sie beinhaltet Prävention und Therapie entsprechend aktuellen internationalen Standards und strebt an, die Patient:innen vor der ersten Fraktur zu schützen und gemäß einer Basiserhebung des Frakturrisikos (FRAX) diagnostische und therapeutische Ziele zu definieren. Bei jeder Patient:in im Alter von 50+ mit einem klinischen Risikofaktor sollte eine FRAX-Berechnung (ohne Dual-Röntgen-Absorptiometrie, DXA) durchgeführt werden.

Aktuelle Definition

Die Osteoporose stellt eine systemische Skeletterkrankung dar, welche durch eine verminderte Knochenmasse und eine gestörte Mikroarchitektur des Knochens charakterisiert ist. Diese Veränderungen führen zu einer erhöhten Brüchigkeit des Knochens und folglich zu einem erhöhten Frakturrisiko. Eine manifeste Osteoporose ist jedenfalls auch dann anzunehmen, wenn eine Fraktur unter geringem Trauma und bei lediglich osteopenisch verminderter oder gar normaler Knochenmineraldichte (KMD) auftritt. Tatsächlich passiert die Mehrheit aller Frakturen bei nicht osteoporotischer KMD!

Hiesige Prävalenz

22,2 Prozent der Frauen und 6,5 Prozent der Männer sind von Osteoporose

betroffen. Damit liegt Österreich hier im oberen Drittel der EU 27+2. Für das Jahr 2018 wurde eine Anzahl von knapp 93.000 „echten“ osteoporotischen Frakturen ermittelt – einschließlich Rippen-, Becken- und Tibiafrakturen. Dies entspricht einer Prävalenz von 2.600/100.000 Menschen in der Altersgruppe 50+, wobei rund 72 Prozent der Frakturen auf Frauen entfallen. Zwischen den neun Bundesländern gab es kaum Unterschiede in der Frakturinzidenz.

Klinische Risikofaktoren

Die Vorhersagewahrscheinlichkeit der Knochendichtemessung mittels einer DXA kann durch die gleichzeitige Berücksichtigung klinischer Risikofaktoren, die sich unabhängig von der Knochenmineraldichte auswirken, verbessert werden. Von besonderer Bedeutung ist hier das Alter. Folgende klinische Risikofaktoren liefern Informationen über das Frakturrisiko unabhängig von Alter und KMD:

• niedriger Body-Mass-Index

• vorangegangene Fraktur, insbesondere wenn sie durch ein geringes Trauma und an einer für Osteopose charakteristischen anatomischen Lokalisation erlitten wurde (zum Teil unabhängig von der KMD)

• Hüftfraktur der Eltern

• Rauchen (aktuell)

• orale Glukokortikoidtherapie in Abhängigkeit von der Dosis

• regelmäßiger Alkoholkonsum

• Diabetes mellitus (sowohl Typ 1 als auch Typ 2 sind mit einem erhöhten Risiko verbunden, Hüft- und nicht vertebrale Frakturen zu erleiden)

Es existieren noch viele zusätzliche klinische Risikofaktoren für Frakturen, die nicht in FRAX enthalten sind, aber in der Leitlinie explizit erwähnt werden.

NACHBERICHT

Bewegung, Sport und Ernährung

Regelmäßige körperliche Aktivität und körperliches Training in Kindheit und Jugend sind wesentlich, um eine optimale Entwicklung der Knochenmasse und -struktur über die Lebenszeit zu erreichen. Dies reduziert das Osteoporoserisiko im späteren Lebensalter. Für körperliche Aktivität/Training gibt es keine Kontraindikation.

Das Trainingsprogramm muss lediglich an die Limitationen – z. B. kardiovaskuläre Probleme – individuell angepasst werden.

Eine tägliche Zufuhr von zumindest 1.000 mg Kalzium, 800 IE nativem Vitamin D und 0,8 g an Protein pro Kilogramm Körpergewicht (Sollgewicht) wird empfohlen – bei über 65-Jährigen mindestens 1 g/kg/KG Protein. Ein adäquater Vitamin-D-Spiegel von zumindest 20 ng/ml bzw. 50 nmol/l sollte vor Einleitung einer spezifischen osteologischen Therapie vorliegen. Ein Vitamin-D-Spiegel von > 50 ng/ml bzw. > 125 nmol/l ist aus osteologischer Sicht nicht erforderlich.

Besondere Ernährungsformen wie eine vegane Ernährung oder eine Diät bei Unverträglichkeiten, etwa Laktoseintoleranz, können problematisch sein und sollten im

* Die neue Leitlinie wurde am 32. Osteoporoseforum, 18. bis 20. April 2024, St. Wolfgang, vorgestellt und ist open access abrufbar (oegkm.at, PubMed).

Hausärzt:in medizinisch 18 April 2024
© shutterstock.com/kmeds7
privat
©

Rahmen einer individuellen Ernährungsberatung thematisiert werden.

Empfehlungen

auf nationaler Ebene

Die Österreichische Leitlinien-Kommission empfiehlt – basierend auf den Erkenntnissen der neuen Leitlinien –unter anderem folgende Punkte für den niedergelassenen Bereich und für Entscheidungsträger im Gesundheitswesen:

• Osteoporosebedingte Frakturen stellen ein bedeutendes und wachsendes nationales Problem für die öffentliche Gesundheit dar, das hohe Kosten für die Gesundheits- und Sozialfürsorge nach sich zieht. Fragilitätsfrakturen sollten daher in einem nationalen Gesundheitsprogramm unbedingt berücksichtigt werden.

• Gesundheitsprogramme sollten Ansätze zur Verringerung vermeidbarer Risikofaktoren für Osteoporose und für sturzbedingte Frakturen einbeziehen.

• Die routinemäßige Verankerung der Osteoporose in Früherkennungs- bzw.

Vorsorgeuntersuchungen ist notwendig, da die Erkrankung eine hohe Prävalenz, Morbidität und Mortalität hat und das Gesundheitssystem stark belastet.

• In der Primärprävention sollte eine osteoporosespezifische Anamneseerhebung vergütet werden und gegebenenfalls eine Zuweisung zu einer KMD-Messung und auch zu einer bildgebenden Untersuchung erfolgen.

• Integrierte Versorgungssysteme sollten aus einem Netzwerk von Allgemeinmediziner:innen, Spezialist:innen und anderen Gesundheitsberufen sowie Patientenvertreter:innen bestehen. Ein solches Netzwerk soll Behandlungsmöglichkeiten und Überweisungswege in der Primär- und Sekundärprävention der Osteoporose sicherstellen. Eine Expert:in sollte für die leitlinienkonforme Umsetzung und Einhaltung der Primär- und/oder Sekundärpräventionsmaßnahmen bei Osteoporose verantwortlich sein. <

DAS WICHTIGSTE IN KÜRZE

� Die neue Österreichische OsteoporoseLeitlinie basiert auf rezenten wissenschaftlichen Daten und internationalen Quellen.

Die Prävention der ersten Fraktur ist ein wichtiger Schwerpunkt.

Das individuelle Frakturrisiko soll bei jeder Patient:in im Alter von 50+ mit klinischen Risikofaktoren mittels FRAX berechnet werden.

Wenn indiziert, sollte eine prophylaktische osteologische Therapie eingeleitet werden.

Nach einer osteoporotischen Fraktur besteht – unabhängig von der KMD –immer eine absolute und langfristige Behandlungsindikation.

VORSCHAU

Die neue Österreichische Osteoporose-Leitlinie, Teil 2: Diagnostik und medikamentöse Therapie

Hausärzt:in medizinisch 19 April 2024

Ein gutes Leben mit Multipler Sklerose

Die Autoimmunerkrankung führt nicht zwangsläufig zu schweren Behinderungen

Die Krankheit der tausend Gesichter – was wie ein orientalisches Märchen klingt, ist eigentlich die häufigste neurologische Erkrankung bei jungen Menschen, und sie stellt die Wissenschaft bis heute vor Rätsel. Weder die Ätiologie noch die Pathogenese sind vollständig geklärt, ihre vielen unterschiedlichen Erscheinungsformen erschweren außerdem die Diagnose. Dennoch ist bei frühem Behandlungsbeginn inzwischen ein langes und gutes Leben mit Multipler Sklerose (MS) möglich.

Optikusneuritis als häufiges Erstsymptom

Bei MS handelt es sich bekanntlich um eine demyelinisierende Erkrankung. Zellen des Immunsystems interpretieren das Gewebe der Myelinscheiden als körperfremd und greifen es an vielen dispersen Entzündungsherden im Gehirn an. Der entstandene Schaden kann von Oligodendrozyten zwar teilweise repariert werden, dabei kommt es aber zu Vernarbungen. Diese Plaques sind in der MRT sichtbar und geben der Erkrankung ihren Namen: Multiple Sklerose.

In den meisten Fällen verläuft die Krankheit in zwei Phasen. Zunächst verursacht die Schädigung der Myelinscheiden ein schubförmiges Auftreten der Beschwerden, das mit Remissionsphasen alterniert, in denen sich die Symptome vollständig zurückbilden können. In der Folge wird aber auch das Nervengewebe an den Axonen und Zellkörpern geschädigt und die Krankheit geht in die sekundär progrediente Phase über. Es kommt zu einer Atrophie der grauen Substanz, sie ist die Hauptursache für die fortschreitende Behinderung.

Weil Multiple Sklerose das gesamte zentrale Nervensystem betrifft, kann die ganze Bandbreite neurologischer Symptome auftreten, deshalb ist das Erscheinungsbild der Krankheit so divers. Erste Anzeichen sind aber häufig Entzündungen des Nervus opticus und okulomotorische

Störungen, bei einer weiter fortgeschrittenen Erkrankung kann es zu klassischen Symptomen wie Partiallähmungen, Koordinations- und Gleichgewichtsstörungen kommen. Für die Diagnose ist das Auftreten zumindest zweier typischer neurologischer Symptome notwendig, isolierte Beschwerden weisen eher auf eine andere Krankheit hin. Im Fall einer Optikusneuritis oder einer Parese der Augenadduktion bei horizontalen Blickbewegungen sollte aber in jedem Fall an eine Neurolog:in überwiesen werden. Die endgültige Diagnosestellung erfolgt dann durch eine Magnetresonanztomographie.1

Grundlage bereits in Kindheit entwickelt

In Österreich sind rund 13.500 Personen betroffen2, weltweit schätzungsweise 2,9 Millionen.3 Dabei steigt die Prävalenz mit der Entfernung vom Äquator, in Europa und Nordamerika ist sie besonders hoch.

Die Ursache von Multipler Sklerose ist noch nicht geklärt, als gesichert gilt nur, dass es sich dabei um eine Störung des Immunsystems handeln muss – das ist vermutlich einer der Gründe, warum Frauen dreimal häufiger an MS erkranken, denn sie haben ein stärkeres Immunsystem als Männer. Der Einfluss genetischer Faktoren wird auf 20-85 % geschätzt. In Genome Wide Association Studies wurden bereits 236 Genvariationen identifiziert, die mit der Krankheit assoziiert sind, viele davon in der MHCund der Interleukinregion.4 Für den Ausbruch der Krankheit sind zusätzlich aber noch Umweltparameter notwendig. Zur Rolle unterschiedlicher Faktoren wie Virusinfektionen wird intensiv geforscht, vor allem das EpsteinBarr-Virus hat eine deutliche Korrelation mit späteren MS-Fällen. Auch ein Vitamin-D-Mangel dürfte sich auf das Erkrankungsrisiko auswirken. Ein solcher Zusammenhang könnte die hohe Diskrepanz zwischen äquatornahen und -fernen Regionen erklären.

Hausärzt:in medizinisch 20 April 2024
© shutterstock.com/AI

Ausschlaggebend dürften vor allem Kindheit und Jugend sein, wenn das erworbene Immunsystem heranreift. Das legen Studien nahe, die zeigen, dass Menschen, die während ihrer ersten Lebensjahre in Länder mit niedriger MS-Rate übersiedeln, das lokale Erkrankungsrisiko übernehmen – ein Effekt, der bei Migration im Erwachsenenalter nicht mehr vorhanden ist.5

Immuntherapie zeigt gute Wirkung

Weil MS auch von Umweltfaktoren ausgelöst wird, können vorbeugende Maßnahmen getroffen werden. Ausreichende Sonnenlichtexposition, Nikotinkarenz und eine ausgewogene Ernährung senken das Erkrankungsrisiko. Hat sich die Krankheit bereits manifestiert, haben Veränderungen des Lebensstils nur mehr einen begrenzten Einfluss auf deren Verlauf.

Die Behandlung erfolgt in erster Linie pharmakologisch. Während MS früher vor allem symptomatisch behandelt

wurde, sind heute zahlreiche Immuntherapien wie etwa die Gabe von AntiCD20-Antikörpern verfügbar. Sie wirken krankheitsmodifizierend und können die Neurodegeneration und damit eine fortschreitende Behinderung verzögern. Studien zufolge kann so das Risiko des Übergangs einer schubförmigen MS in die sekundär progrediente Phase verringert werden. Langzeitdaten dazu gibt es zwar noch nicht, das Klischeebild von MS-Kranken im Rollstuhl, die in ihrem Leben stark eingeschränkt sind, entspricht aber jedenfalls längst nicht mehr der Wahrheit. Menschen mit Multipler Sklerose können heute ein aktives Leben führen und einen Beruf ausüben. „ Es gibt grundsätzlich nichts, was man mit MS nicht tun darf “ , fasst Priv.-Doz.

Dr. Harald Hegen, Neuroimmunologe an der Med Uni Innsbruck, zusammen. Nach heftigen Schüben oder bei einer kontinuierlichen Verschlechterung der Symptome kann außerdem eine neurologische Rehabilitation gute Erfolge erzielen. „Grundsätzlich gilt: Je früher man mit einer Therapie beginnt,

desto besser kann man das Fortschreiten der Erkrankung bremsen. Seit Kurzem ist aber zumindest für einen Teil jener Patient:innen, die sich schon im sekundär chronisch progredienten Krankheitsverlauf befinden, ebenfalls eine wirksame Immuntherapie zugelassen“, so der MSExperte.

Bei alternativen Behandlungsmethoden ist Vorsicht geboten. Eine spezielle „ Multiple Sklerose-Diät“ wirkt sich beispielsweise nicht positiv auf den Krankheitsverlauf aus. Das sogenannte Coimbra-Protokoll, bei dem täglich 100.000 Einheiten Vitamin D eingenommen werden, kann die Patient:innen sogar gefährden. Die extrem hohe Dosierung kann zu Vitamin-D-Werten im toxischen Bereich führen.6

Felicia Steininger

Quellen:

1 Levin M, MSD Manual. Mai 2023.

2 Salhofer-Polanyi S, Neuroepidemiology. 2017; 49(1-2):40-44.

3 MSIF, Atlas of MS. September 2020.

4 Goris A, The Lancet Neurology. 2022; 21(9):830-842.

5 Sabel C, Brain. 2021; 144(7):2038-2046.

6 Klein F, The Medical Tribune, Juli 2020.

Hausärzt:in medizinisch 21 April 2024

Praxiswissen: Harnsteinleiden

Aktueller Stand der Diagnostik, Therapie und Prophylaxe

Schnellzugriff zum Literaturstudium: Über diesen QR-Code gelangen Sie direkt zur Fortbildung auf gesund.at

Das Krankheitsbild des Harnsteinleidens ist vielseitig und hat sich nicht nur aufgrund der minimalinvasiven Operationstechniken in den letzten Jahren in der Therapie, sondern auch in Diagnostik und Prophylaxe verändert. Grundsätzlich gilt: Hat eine Patient:in erstmalig einen Harnstein, so besteht eine 26-prozentige Wahrscheinlichkeit, dass es in den nächsten fünf Jahren zu einem Rezidiv kommt.1 Knapp 50 Prozent aller wiederholten Steinbildner:innen haben in ihrem gesamten Leben lediglich ein Rezidiv.2 Männer sind häufiger betroffen und es liegt eine familiäre Häufung vor. Es können auch Kinder jeglicher Altersgruppe daran erkranken, wobei hierfür ebenfalls diverse Umstände (Ernährungsgewohnheiten, Vorerkrankungen, Zeitpunkt der Erkrankung, Genetik …) prädisponieren.

Stein ist nicht gleich Stein

Steine sind oftmals aus mehreren Substanzen zusammengesetzt und können dementsprechend auch in unterschiedliche Gruppen eingeteilt werden. Grob kann gesagt werden, dass knapp drei Viertel aller Steine aus Kalziumoxalat bestehen, auf sie folgen Struvitsteine (Infektsteine) mit knapp 10 Prozent. Harnsäuresteine stellen mit knapp 10 Prozent ebenfalls eine bedeutende Gruppe dar. Die restlichen Prozente entfallen auf seltener auftretende Steinarten wie Xanthinsteine oder durch Medikamenteneinnahme bzw. genetische Defekte gebildete Konkremente.

Unspezifische Symptome

Die Klinik ist bei an Harnsteinen erkrankten Patient:innen häufig nicht ein-

deutig und erst bei einem zweiten Blick kann sich die Verdachtsdiagnose bestätigen. Während der typischerweise akut einsetzende unilaterale Flankenschmerz mit kontinuierlicher oder wechselnder Intensität deutlich für eine akute Nierenkolik spricht, bleiben Nierensteine primär häufig unentdeckt und können erst nach weiterer Abklärung diagnostiziert werden.

Dysurische Beschwerden bis hin zur Harnverhaltung, Episoden von Makrooder im Harnstreifentest nachgewiesener Mikrohämaturie, Schmerzen mit Ausstrahlung bis in das äußere Genitale oder generelle Unterbauchschmerzen können bei der Diagnosefindung hinweisend sein. Zusätzlich kann eine klassische Infektsymptomatik mit Fieber und Schüttelfrost oder eine vegetative Begleitsymptomatik mit Übelkeit und Erbrechen auftreten.

Hausärzt:in DFP 22 April 2024 DFP-Punktesammler
© shutterstock.com/AI
GASTAUTOREN-TEAM: OA Dr. Reinhard Aigner Abteilung für Urologie, Ordensklinikum Linz Elisabethinen Ass. Dr. Thomas Vondrak Abteilung für Urologie, Ordensklinikum Linz Elisabethinen © Ordensklinikum Linz (2)

Diagnostisches Vorgehen

Nach laborchemischer Kontrolle der Entzündungs- und der Nierenfunktionsparameter (Leukozyten, CRP und Kreatinin) sollte stets eine Harnstreifendiagnostik durchgeführt werden. Bei anhaltendem Verdacht auf ein Harnsteinleiden muss umgehend eine bildgebende Kontrolle erfolgen. Primär ist eine Sonografie empfehlenswert. Zeigt sich hierbei eine Stauung der Niere (Hydronephrose) ohne sicheren Hinweis auf Konkremente im prävesikalen bzw. am pyeloureteralen Übergang, so ist eine Schnittbildgebung mittels Computertomografie (nativ, kein Kontrastmittel notwendig) zur weiteren Steindiagnostik indiziert. Mittlerweile haben sich Low-DoseComputertomografien etabliert, um die Strahlungsexposition weiter zu reduzieren. In Untersuchungen bei Patient:innen mit einem BMI unter 30 kg/m2 zeigte sich eine Sensitivität von 86 Prozent bei Harnleitersteinen (unter 3 mm), bei Nierensteinen (über 3 mm) sogar eine von 100 Prozent.³

Die früher häufig bevorzugte intravenöse Pyelografie (IVP) wurde somit als Standarddiagnostikum abgelöst.

Grundsätzlich gilt, dass die Sonografie aufgrund der leichten Handhabung und der einfacheren Verfügbarkeit initial als bildgebendes Verfahren durchgeführt werden sollte, vor allem bei Schwangeren und Kindern zum Schutz vor Strahlenexposition. Bei bestehenden Koliken sollte zusätzlich eine rasche Schmerzlinderung etabliert werden. Hier haben sich Metamizol und NSAR im Vergleich zu anderen Schmerzmitteln effizienter erwiesen. Pethidin ist als Wirkstoff aufgrund der erheblichen Nebenwirkungen und in diesem Fall schlechteren schmerzstillenden Wirkung nicht indiziert. 4 Die zusätzliche Einnahme von Spasmolytika im Rahmen der akuten Kolik bringt keine Linderung der Beschwerden.

Spätestens bei Bestätigung der Diagnose Steinleiden nach der NativCT-Untersuchung wird eine Vorstellung an einer urologischen Abteilung oder bei einer Fachärzt:in für Urologie empfohlen.

Operation oder konservative Therapie –wohin geht die Reise?

Nach Diagnosesicherung hängt das weitere therapeutische Konzept von mehreren Faktoren ab. Größe, Härte und Lage des Konkrements, bestehende Infektion, Nierenfunktion der Patient:in (Personen mit Einzel- oder Transplantationsnieren sollten stets umgehend behandelt werden) und eventuell bildgebend bereits nachgewiesener Urinaustritt aufgrund des erhöhten Drucks (Urinom) sind für die Beurteilung der Dringlichkeit der weiteren Therapie entscheidend. Bei Verschlechterung der Nierenfunktion, Infektzeichen und anhaltenden Beschwerden trotz analgetischer Maßnahmen ist eine Ableitung mittels Harnleiterkatheters (DJ) oder PCN(Perkutane-Nephrostomie)Katheters indiziert. Im Rahmen einer akuten Kolik sollten schmerzstillende Maßnahmen in Form von Analgetika und adäquater Flüssigkeitszufuhr ergriffen werden. Bei distal (bereits nahe der Mündung des Harnleiters in die Blase) gelegenen und unter 5 mm großen Harnleitersteinen zeigte sich im Rahmen einiger Studien unter Einnahme eines Alphablockers („Off-Label-Use“) zusätzlich eine Beschleunigung und Verbesserung des Steinabgangs. Die Entscheidung für eine solche konservative medikamentöse steinexpulsive Therapie obliegt der behandelnden Urolog:in.5-7 Generell gibt es nur begrenzte Daten bezüglich eines Steinabgangs im Harnleiter unter medikamentöser Therapie. Ausschlaggebend sind natürlich Größe, Härte und Lage des Konkrements. Bis zu einer Größe des Steins von 4 mm kann es jedoch in 95 Prozent der Fälle innerhalb von 40 Tagen zu einem spontanen Abgang kommen.8 Selbstverständlich müssen in der Zwischenzeit klinische und sonografische Begutachtungen sowie Labor- und Harnkontrollen durchgeführt werden, weil die lange Zeitspanne bis zum Steinabgang die Gefahr einer Komplikation mit sich bringen kann. Diese erneuten Begutachtungen bei konservativ behandelten Patient:innen sind obligatorisch, da eine Steinpersistenz (sie kann durchaus auch asymptomatisch fortbestehen)

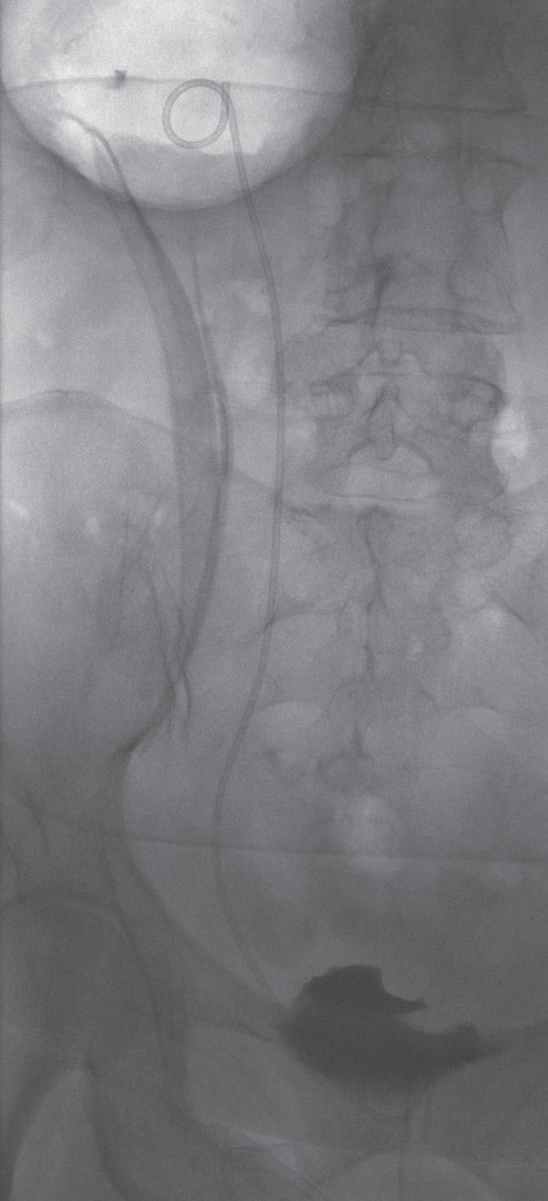
Miniperc 1: Kontrastmitteldarstellung der Kelche und des Nierenbeckens sowie Punktion.

Miniperc 2: Zugang mittels Einschrittdilatators.

Miniperc 3: Finales Bild mit antegrader DJ-Anlage.

Hausärzt:in DFP 23 April 2024 >
© Ordensklinikum Linz

und eine hierdurch bedingte sekundäre Nierenfunktionsschädigung vermieden werden sollten.

Neue operative Möglichkeiten durch perkutane Zugänge

Steht eine Operation zur Entfernung eines Steines bevor, gibt es unterschiedliche Modalitäten. In den letzten Jahren zeigte sich eine deutliche Zunahme der endourologischen Eingriffe, sodass die ESWL (extrakorporale Stoßwellenlithotripsie) vielerorts abgelöst bzw. seltener eingesetzt wird. Dafür verantwortlich ist die Tatsache, dass es unter der ESWL-Therapie zu geringen Steinfreiheitsraten nach dem Ersteingriff kommt. Mit Unterstützung von semirigiden und flexiblen Geräten können mittlerweile auch Konkremente bis 20 mm problemlos endoskopisch mittels URS (Ureterorenoskopie) behandelt werden. Hierbei werden modernste Lichtleiter tragende Endoskope durch die Harnröhre und den Harnleiter eingeführt und die Steine direkt unter Sicht behandelt. Fragmentierung der Steine und Dusting (komplettes Zerkleinern) sind dank modernster Lasertechniken (Holmium) problemlos möglich.

Zeigt sich eine ausgeprägte Nephrolithiasis mit einer Größe von über 2 cm, so ist eine PCNL (perkutane Nephrolitholapaxie) empfehlenswert. Diese wird in der Regel mit rigiden Endoskopen durchgeführt und erlebte in den letzten Jahren eine sehr positive Entwicklung. Während in der Vergangenheit klassischerweise Endoskope mit einem Durchmesser von 20 Charrière (Ch.) und Zugangsschäfte von 24-32 Ch. zum Einsatz kamen, hat die zunehmende Verfügbarkeit von miniaturisierten Instrumenten dazu geführt, dass auch größere Steine in der Niere minimalinvasiv bei kürzeren stationären Aufenthalten als früher behandelt werden können. Die PCNL ist deshalb heute kein allgemeingültiger Standard mehr, sondern wird durch die Mini-PCNL, UltraminiPCNL oder Mikro-PCNL verdrängt. Mini-, Ultramini- und Mikro- beziehen sich dabei auf die durchschnittliche Größe der Instrumente. Je kleiner der Durchmesser der Geräte ist, desto geringer das Trauma und somit auch das Blu-

tungsrisiko. Ein kleinerer Durchmesser bedeutet aber auch längere OP-Zeiten. Grundsätzlich wird der Zugang durch die Haut mittels einer entsprechenden Nierenpunktion gelegt (siehe Abbildung, S. 23). Die exakte Positionierung der Punktionsstelle sollte mittels Punktionssonografie und idealerweise kombiniert mit einer Röntgendurchleuchtung erfolgen. Dadurch können die Lage des Konkrements und die Beschaffenheit der Niere besser beurteilt bzw. eingeschätzt werden.9 In der Folge werden die Steine unter Verwendung eines Lasers oder eines Lithoklasten (unter Druckluftwirkung können Steine zerkleinert werden) fragmentiert und die einzelnen Konkremente ausgespült. Dabei zeigten sich bereits früh in der Anwendung dieser Operationstechnik vielversprechende Ergebnisse, sodass die Komplikationsrate mittlerweile überschaubar und die Steinfreiheitsrate hoch ist.10

Bei unkomplizierten Fällen ist in der postoperativen Versorgung oft keine Ableitung mittels PCN-Katheters oder Harnleiterkatheters notwendig.

Alltagstaugliche Optionen zur Metaphylaxe bei rezidivierender Steinbildung

Das Thema Prophylaxe bei rezidivierenden Steinbildner:innen wird vielerorts nur spärlich behandelt und erfordert meist eine Überweisung zu einem spezialisierten Zentrum oder zur Endokrinolog:in. Grundsätzlich gilt, dass mit geringem Aufwand eine entsprechende Vorsorge zu den regelmäßigen Kontrolluntersuchungen etabliert werden könnte. 2,5 bis 3 Liter Flüssigkeitsaufnahme pro Tag (bevorzugt Wasser) und eine Ausscheidung von 2 bis 2,5 Liter pro Tag werden von der europäischen Gesellschaft für Urologie (EAU) als Richtlinie empfohlen. Zusätzlich ist es ratsam, auf eine ausgewogene Ernährung (möglichst ohne Vitaminpräparate, dafür reich an Gemüse und Ballaststoffen) und Normmengen von tierischem Protein, Kalzium und NaCl zu achten. Alkoholische und zuckerhaltige Getränke sollten gemieden oder nur in geringen Mengen konsumiert werden. Komplexere Fälle müssen jedenfalls in einem dafür spezialisierten Metaphy-

laxezentrum vorgestellt und behandelt werden. Grundsätzlich sollten bei jeder Patient:in mit Auftreten eines Harnsteins (operativ oder durch konservative Maßnahmen entfernt) eine Analyse des Konkrements sowie eine Labor- und Harnkontrolle durchgeführt werden. Bereits hier zeigen sich erste Hinweise auf die mögliche Ursache und es kann evaluiert werden, ob eine weitere metabolische Abklärung indiziert ist.

Fazit

Das Harnsteinleiden ist eine wesentliche Erkrankung der Bevölkerung und wird auch in Zukunft ein bedeutendes Thema im klinischen Alltag bleiben. Die modernen operativen Methoden stellen minimalinvasive und komplikationsarme Therapieoptionen dar. Aufgrund der modernen Bildgebungen wird künftig auch die Diagnostik weiter vereinfacht werden. Fortschrittlichere Techniken der Steinanalyse (z. B. direkt im Rahmen der Endoskopie) und die medikamentöse Metaphylaxe werden in Zukunft jedoch eine größere Rolle spielen müssen, um den Bedarf an notwendigen invasiven Steinbehandlungen zu reduzieren.

Literatur:

1 Ferraro PM et al., J Nephrol, 2017. 30: 227.

2 Hesse A et al., Eur Urol, 2003. 44: 709.

3 Poletti PA et al., AJR Am J Roentgenol, 2007. 188: 927.

4 Pathan SA et al., Lancet, 2016. 387: 1999.

5 Yilmaz E et al., J Urol, 2005. 173: 2010.

6 Liu XJ et al., Urolithiasis, 2017.

7 Hsu YP et al., PLoS One, 2018. 13: e0203035.

8 Preminger GM et al., Eur Urol, 2007. 52: 1610.

9 Zhu W et al., BJU Int, 2017. 119: 612.

10 Seitz C et al., Eur Urol, 2012. 61: 146.

DFP-Pflichtinformation

Fortbildungsanbieter:

Österreichische Gesellschaft für Allgemein- und Familienmedizin

Lecture Board:

Dr.in Johanna Holzhaider

2. Vizepräsidentin der OBGAM; Gruppenpraxis Sandl, Oberösterreich

OA Dr. Stephan Doblhammer

Abteilung für Urologie, LK Korneuburg, Niederösterreich

Hausärzt:in DFP 24 April 2024
<

Hausärzt:in DFP – Das Wichtigste in Kürze

Bei klinischem Verdacht auf eine Nierenkolik sollten stets eine Sonografie, eine Harnanalyse und eine Laborkontrolle erfolgen, in der Folge ist die native CT-Abdomen-Bildgebung der Standard der Diagnostik.

50 Prozent aller wiederkehrenden Steinbildner:innen haben in ihrem gesamten Leben lediglich ein Rezidiv.

DFP-Literaturstudium HAUSÄRZT:IN

ESWL wurde trotz der geringen Komplikationsrate vielerorts von der Endoskopie (von URS und perkutaner Nephrolitholapaxie) abgelöst.

Effiziente Prophylaxe sollte durch tägliche adäquate Flüssigkeitszufuhr (2,5-3 l) und entsprechende Diurese betrieben werden.

So machen Sie mit: Entsprechend den Richtlinien der ÖÄK finden Sie im Anschluss an den Fortbildungsartikel Multiple-Choice-Fragen.

Eine Frage gilt dann als richtig beantwortet, wenn Sie von den vorgegebenen Antworten alle richtigen angekreuzt haben. Für eine positive Bewertung ist erforderlich, dass Sie 2 der 3 Fragen richtig beantworten. In diesem Fall wird 1 DFP-Fachpunkt angerechnet.

Online lesen und beantworten: Dieser Fortbildungsartikel inkl. Test steht online auf gesund.at und meindfp.at noch 2 Jahre zur Verfügung.

Wenn Sie dieses elektronische Angebot nutzen, erhalten Sie auch die Teilnahmebestätigung elektronisch.

Per E-Mail oder Post: Schicken Sie den beantworteten Fragebogen bitte per Mail als ScanDokument an office@gesund.at oder per Post an Redaktion HAUSÄRZT:IN/RMA Gesundheit

GmbH, Am Belvedere 10 / Top 5, 1100 Wien. Einsendeschluss: 31. Oktober 2024. Unsere aktuellen Fortbildungen finden Sie unter gesund.at (DFP Fortbildungen).

DFP-Fragen zu „Praxiswissen: Harnsteinleiden“

Die Anzahl der richtigen Antworten ist nach jeder Frage in Klammern angegeben. Harnsäure. Kalziumoxalat. Kalziumphosphat. Struvit.

Aus welchem Stoff setzen sich Harnsteine in knapp 75 % der Fälle zusammen? (1 richtige Antwort)

Klassische Charakteristika einer akuten Nierenkolik sind: (3 richtige Antworten)

Unilateraler Flankenschmerz mit teilweiser Ausstrahlung bis ins äußere Genitale. Undulierende Schmerzen.

Übelkeit und Erbrechen.

Kopfschmerzen, Schwindel.

Im Rahmen einer Mini-PNL darf maximal ein Kelch punktiert werden. Steine mit einer Größe von über 2 cm sind für eine Mini-PNL ungeeignet.

Bei unkomplizierten Fällen ist eine postoperative Versorgung mittels Harnleiterschiene oder perkutaner Nephrostomie nicht zwingend notwendig.

Sonografie und Röntgen sollten zur Kelchpunktion verwendet werden.

Jetzt onlineTeilnahme möglich:

Sie haben ein Fortbildungskonto?

JA – dann buchen wir Ihre DFP-Punkte automatisch!

Dazu brauchen wir Ihre ÖÄK-Ärztenummer und E-Mail-Adresse: NEIN – ich möchte meine Teilnahmebestätigung per Post erhalten

per E-Mail erhalten

Bitte gut leserlich ausfüllen und E-Mail-Adresse angeben:

Name Anschrift PLZ/Ort

E-Mail

Hausärzt:in DFP 25 April 2024
1 2 Was trifft auf die Mini-PNL zu? (2 richtige Antworten) 3

Hepatische Regeneration

Forschung trifft Praxis:

Drei Studien nehmen die nichtalkoholische Fettleber unter die Lupe

Ein Viertel der Weltbevölkerung leidet unter einer Fettlebererkrankung, und die Zahlen steigen. Die häufigste Form ist die nichtalkoholische Fettleber (NAFLD).* Eine steatotische Lebererkrankung entsteht durch den Konsum großer Mengen an Zucker und Fett. Die dauerhafte Schädigung kann zu einer Fibrose und schließlich zu einer Zirrhose führen, bei der sich häufig ein Karzinom entwickelt. Die Leber hat erstaunliches Potenzial, sich zu regenerieren, sodass eine Fettleber durch eine gesunde Ernährung und ausreichend Bewegung reversibel ist.

Diabetesprävention ist wesentlich

Die häufigste Form chronischer Lebererkrankungen stellt die NAFLD dar, wobei Typ-2-Diabetes-mellitus (T2DM) ein wichtiger Prädiktor ist. Eine Metaanalyse mit 156 Studien und 1.832.125 Patient:innen hatte zum Ziel, das Vorkommen von NAFLD und Fibrose bei Menschen mit T2DM zu quantifizieren. Das Resultat dieser Studie: Die Prävalenz von NAFLD, NASH (nichtalkoholische Steatohepatitis) und Fibrose bei Personen mit T2DM ist hoch, was die Bedeutung der Prävention von Typ2-Diabetes-mellitus unterstreicht.1

Die besondere Art des Fastens

Der Ramadan, ein jährlicher Fastenmonat, welcher durch den Verzicht auf Nahrung und Flüssigkeit von der Morgendämmerung bis zum Sonnenuntergang gekennzeichnet ist, hat durch die einzigartige Form des intermittierenden Fastens großes wissenschaftliches Interesse geweckt. Eine systematische Überprüfung, die sechs Studien und 397 Patient:innen einbezog, untersuchte die Auswirkungen des Ramadanfastens auf NAFLD. Ergebnisse dieser Analyse legen nahe, dass diese Ernährungsweise einen positiven Einfluss auf Körpergewicht, Blutfettwerte, Leberparameter, Entzündungsmarker

und Insulinsensitivität haben könnte. Dies könnte aber durch die übermäßige, ungesunde Nahrungsaufnahme während des Fastenbrechens zunichte gemacht werden. Dennoch kommt die Studie zu dem Schluss, dass der Ramadan als wirksame diätetische Intervention Potenzial bei NAFLD hat.2

Weit verbreitet: Persönlichkeitsstörungen

Eine Studie mit 96 Teilnehmer:innen untersuchte den Zusammenhang zwischen Persönlichkeitsstörungen (PD) und NAFLD. Man unterschied drei Gruppen: Menschen mit NAFLD, solche mit Nicht-NAFLD-Lebererkrankungen (zum Beispiel Hepatitis B) sowie Personen ohne Krankheit. Die Proband:innen erhielten sechs Fragebögen, unter anderem ein Screening-Interview zu PD und Fragen zum Essverhalten. Die Studie ergab, dass Patient:innen mit NAFLD signifikant häufiger an einer PD leiden als die anderen zwei Gruppen. Dieser Zusammenhang könnte durch die Impul-

sivität und das erhöhte Risikoverhalten bedingt sein, welche zu unkontrolliertem Essverhalten führen. Optimal wäre laut der Studie, dass Patient:innen mit NAFLD vor der Umsetzung von Diätund Bewegungsmanagementstrategien auf PD untersucht und, falls diagnostiziert, diese Leiden behandelt würden.³

Was können Ärzt:innen tun?

Die drei Studien bieten jeweils einen Ansatz, wie Mediziner:innen Patient:innen mit NAFLD helfen können. Nämlich: Über Prävention (vor allem aufgrund von T2DM) aufklären und bereits erkrankten Personen zu einem gesünderen Lebensstil raten, wobei ein Screening auf PD vor der Umsetzung von Diätstrategien hilfreich sein kann.

Mara Sophie Anmasser

* Die neuere Bezeichnung, die noch nicht Eingang in die Studien gefunden hat, lautet metabolisch bedingte steatotische Lebererkrankung (MASLD).

Literatur :

1 En Li Cho E et al., Gut. 2023 Nov;72(11):2138-2148.

2 Lin X et al., Front Nutr. 2024 Jan 17;10:1315408.

3 Asquith E et al., BMC Gastroenterol. 2023 Sep 12;23(1):306.

Hausärzt:in medizinisch 26 April 2024
© shutterstock.com/AI

Wenn Hormone wach halten …

Der Lebensstil hat einen entscheidenden Einfluss auf die Neurotransmitter- und Hormonbalance – und damit auch auf die Schlafq ualität

GASTAUTORINNEN-TEAM:

Wir schlafen zunehmend schlechter. Quer durch alle Altersgruppen leiden 25 bis 30 Prozent unter Schlafstörungen – Frauen sind dabei etwas häufiger betroffen als Männer. Die Gründe für durchwachte Nächte sind vielschichtig: Vor allem Stress fungiert oft als Schlafräuber. Mentale Belastungen und Daueranspannung stören das hormonelle Gleichgewicht und können so Schlafstörungen forcieren. Der von der World Sleep Society ins Leben gerufene Weltschlaftag zielt auf eine Sensibilisierung für die zunehmende Schlafproblematik ab. Dieses Jahr fand er am 15. März statt und stand ganz im Zeichen der Schlafgerechtigkeit.

„Schlafgerechtigkeit für globale Gesundheit“

Dass Schlaf auch ein Politikum ist, war Thema einer Podiumsdiskussion, die am 18. März im Kepler Salon der Johannes Kepler Universität Linz stattfand.* „Wir müssen uns mit den Ungleichheiten im Bereich der Schlafgesundheit auseinandersetzen, um die Gesundheit der Bevölkerung auf der ganzen Welt zu verbessern“, betonte der Neurologe und Schlafmediziner OA Dr. Thomas Mitterling, PhD, in seiner Keynote. Es gelte Rahmenbedingungen zu schaffen, die jedem Menschen Zugang zu einem angemessenen Schlaf gewähren. Gemeinsam mit zwei weiteren renommierten Schlafmediziner:innen gab Dr. Mitterling

Einblicke in wissenschaftliche und soziokulturelle Aspekte des Schlafs. Die Auslöser für Ungleichheiten wären vor allem umweltbedingte Stressoren wie Lichtverschmutzung, Lärm und schlechte Luftqualität sowie soziale Problemkonstellationen. Neben der finanziellen Belastung und den Sicherheitsbedrohungen bezeichneten die Vortragenden vor allem psychischen Stress als schlafraubend. „In Zeiten unserer 24/7-Gesellschaft mit den Attributen der absoluten Verfügbarkeit und dem Bedürfnis des permanenten Funktionierens kommt es zu einer sukzessiven Beschneidung des Schlafes“, brachte es Schlafmedizinerin OÄ Priv.Doz.in Dr.in Anna Heidbreder auf den Punkt.

Stress verhindert guten Schlaf

Hohe Aktivitäten der Stresshormone Cortisol, Adrenalin und Noradrenalin können das Ein- und Durchschlafen erschweren oder gar verhindern: Denn aus evolutionsbiologischer Sicht wird der Körper im Stress auf Kampf oder Flucht – sprich auf Wachheit – getrimmt. Leitsymptome sind Unruhe und Nervosität, oft verbunden mit Tachykardie. Gleichzeitig stören die hohen Stresshormonspiegel die Regelkreise anderer Hormonsysteme im Organismus. Die Aktivierung der Stressachse hat beispielsweise eine inhibitorische Wirkung auf die Produktion von Geschlechtshormonen wie Progesteron. Nun sind für einen erholsamen Schlaf vor allem die Hormone Melatonin und Serotonin relevant – sie beeinflussen die Einschlafphase, den Tief- sowie den REM-Schlaf und regeln den zirkadianen Rhythmus. Bei Frauen spielen außerdem Estradiol und Progesteron eine Rolle, die beide für die Serotoninsynthese von Bedeutung sind. Progesteron hat zudem einen antidepressiven sowie einen sedierenden Effekt. Das vorwiegend in den Ovarien im Gelbkörper hergestellte Hormon hat Einfluss auf die Produktion von Neurosteroiden (Allopregnanolon), welche die

GABA-Typ-A-Rezeptoren modulieren. Durch das fortschreitende Absinken des Progesteronspiegels in der Perimenopause treten Schlafstörungen vermehrt bei Frauen ab den frühen Vierzigern auf. Aber auch die Melatoninproduktion nimmt mit zunehmendem Alter ab. Zum

Vergleich: Bei jungen Menschen steigt die Melatoninkonzentration im Laufe der Nacht um den Faktor zwölf an – bei Älteren steigt sie hingegen nur mehr um den Faktor drei. Melatonin wird von den Pinealozyten in der Epiphyse aus Serotonin produziert und ist ein Metabolit des Tryptophanstoffwechsels.

Sanfte Schlafregulierung ...

... mit Nährstoffen und Aminosäuren

Die Aminosäure Tryptophan dient dem Serotonin als Vorstufe. Die Serotoninsynthese verläuft in zwei Schritten: Im ersten Schritt wird das über die Nahrung aufgenommene L-Tryptophan in das Zwischenprodukt 5-Hydroxytryptophan (kurz 5-HTP) umgewandelt – das geschieht mithilfe des Enzyms Tryptophanhydroxylase 2. Im zweiten Schritt stößt das Enzym 5-Hydroxytryptophan-Decarboxylase zur „biochemischen Party“ hinzu – Serotonin entsteht.

Damit der Körper diese beiden Schritte einleiten kann, sind bestimmte Mikronährstoffe erforderlich: Allen voran müssen Vitamin B6, Magnesium, Zink und Omega 3 in ausreichender Menge vorhanden sein. Fehlen sie, findet die Umwandlung nur in reduziertem Maße statt – mit entsprechend negativen Auswirkungen auf den Schlaf.

Empfohlene Mikronährstoffe: Magnesium 300 bis 500 Milligramm abends, Inositol 500 bis 1.000 Milligramm abends, Vitamin-B-Komplex.

Empfohlene Aminosäuren: L-Glycin, L-Glutamin, L-Ornithin, L-Arginin, LCarnitin – alle abends.

... mit Phytotherapeutika

Pflanzliche Schlafmittel erhöhen die Schlafbereitschaft, senken die Einschlaf-

Hausärzt:in medizinisch 28 April 2024
Mag.a Sylvia Neubauer Freie Medizinjournalistin und Autorin Dr.in Katharina Maria Burkhardt Hormonspezialistin, Lehrende, Supervisorin und Autorin © Christine Rechling-Castro © privat

latenz sowie die nächtlichen Wachphasen und stellen die physiologische Schlafarchitektur wieder her, sind jedoch nicht schlaferzwingend. Es ist daher ratsam, Patient:innen darüber aufzuklären, dass unter der Behandlung mit einem Phytotherapeutikum frühestens nach zwei Wochen eine Verbesserung der Symptomatik zu erwarten ist.

X HAUSÄRZT:IN-Buchtipp

Glück ist Hormonsache

Der natürliche Weg, um Körper und Seele in Balance zu bringen und psychischen Leiden gezielt entgegenzuwirken

Von Katharina Maria Burkhardt und Sylvia Neubauer Verlag Riva 2024

Schlaffördernde Phytotherapeutika: Haferstroh, Passionsblume, Baldrian, Hopfen, Escholtzie-Goldmohn, Herzgespann, Lindenknospe, Feigenknospe, Helm- und Eisenkraut sowie Ashwagandha.

... mit Melatonin

Neben Genussmitteln und -giften wie Nikotin, Kaffee und Alkohol kann der Melatoninhaushalt auch durch bestimmte Medikamente aus dem Gleichgewicht geraten – etwa durch Beta-Blocker, Kortison, nicht-steroidale Antirheumatika und Benzodiazepine.

Dosierungsempfehlung bei Einschlafstörungen: Melatonin, mindestens 1 bis maximal 10 Milligramm, 30 Minuten vor dem Einschlafen.

Dosierungsempfehlung bei Durchschlafstörungen: 5 Milligramm retardiertes Melatonin.

...mit bioidenten Hormonen

Als bioidentisch werden Hormone dann bezeichnet, wenn sie in ihrer chemischen Molekülstruktur exakt gleich sind wie diejenigen, die der Körper selbst produ-

ziert. Aus der Yamswurzel gewonnenes bioidentisches Progesteron fördert den Tiefschlaf. Der sedierende Effekt stellt sich durch die enzymatisch gebildeten Metaboliten ein. Zur Schlafförderung ist es entscheidend, bioidentes Progesteron oral (nicht transdermal!) zuzuführen, da erst durch die Leberpassage ausreichende Mengen an gewünschten Progesteronmetaboliten entstehen.

Dosierungsmöglichkeit: bioidentes Progesteron oral, 50 Milligramm Lipocaps, 100 bis 200 Milligramm Kapseln.

* Zum Nachsehen: jku.at/kepler-salon/ereignisse/events/ detail/news/warum-schlaf-politisch-ist

VERANSTALTUNGSTIPP

32. Jahrestagung der ÖGSM/ASRA (der Österreichischen Gesellschaft für Medizin und Schlafforschung) von 21.06.2024-22.06.2024 im Schloss Seggau (Stmk). Das Motto der Jahrestagung lautet „Netzwerk Schlafmedizin“ mit Schwerpunkt „Schlaf trifft Allgemeinmedizin“. Tagungsleitung: OÄ Dr.in Laura PascaleScharmüller (Graz) und UP Dr. Reinhold Kerbl (Leoben). Näheres dazu unter schlafmedizin.at

Hausärzt:in medizinisch 29 April 2024
<
Präzision in Serie

Was das Gute noch besser macht? Es immer und immer wieder zu tun. So geht Präzision in Serie und Gesundheit für alle.

www.genericon.at 2024_04_Image_I_HA_01

y-doc ist die Nr. 1 im Wartezimmer TV. Das professionelle, nach Ihren Wünschen gestaltete Ordinationsprogramm überzeugt Ihre Patientinnen und Patienten.

y-doc TV sorgt für eine entspannte Atmosphäre im Wartezimmer, verkürzt die gefühlte Wartezeit und fördert damit ein angenehmes und effizientes Patientengespräch.

+43-732-60 27 28-0 www.y-doc.at

Wartezimmer TV

DERMATOLOGIE

Lichtblicke

Neue Erkenntnisse aus der Forschung für die Praxis

Passgenau Provoziert

Neue Therapieansätze bei Psoriasis und seltenen Hauterkrankungen

S3-Leitlinie zur atopischen Dermatitis: die Bedeutung von Triggerfaktoren

DIALOG
© shutterstock.com/AI

Im Rahmen einer Pressekonferenz Anfang Februar 2024 in Wien stellten Vertreter:innen der Österreichischen Gesellschaft für Dermatologie und Venerologie (ÖGDV) neue Therapieansätze für Psoriasis sowie die seltenen Hauterkrankungen Morbus Darier und RDEB vor. * Ebenfalls präsentiert wurden zwei Studien zur Bedeutung der Haut bei Spender-gegen-Empfänger-Reaktionen nach Stammzellentransplantationen.

Wirkstoff aus der Krebstherapie bei Psoriasis

In der topischen Behandlung von Psoriasis wurden in den vergangenen Jahren kaum Fortschritte erzielt. Forscher:innen der Medizinischen Universität Graz haben nun ein neuartiges Therapiekonzept entwickelt, das auf einen Wirkstoff der Krebstherapie zurückgreift. „ Es ist bekannt, dass der eukaryotische Translationsinitiationsfaktor 4E (eIF4E) wesentliche Prozesse in Zellen beeinflusst –

von der Zellwucherung über die Veränderung in Form und Funktion bis hin zum programmierten Zelltod. Insbesondere in der Krebstherapie wurden daher schon Inhibitoren entwickelt, die Aktivitäten dieses Proteins blockieren“, schilderte Dr.in Nicole Golob-Schwarzl, MSc, von der Universitätsklinik für Dermatologie der Medizinischen Universität Graz. „I n unserer Forschungsarbeit konnten wir nun zeigen, dass das Protein eIF4E auch bei Psoriasis eine entscheidende Rolle spielt. Eine Hemmung dieses Proteins bietet einen völlig neuen Therapieansatz, der in unseren Proof-ofConcept-Studien eine sehr gute Wirksamkeit zeigte. Aktuell synthetisieren wir neuartige eIF4E-Inhibitoren und testen sie auf ihre Wirkungen und eventuellen Nebenwirkungen. Langfristig beabsichtigen wir, die Anwendbarkeit neuartiger eIF4E-Inhibitoren für die Behandlung der Psoriasis, aber auch anderer entzündlicher Hauterkrankungen zu entwickeln“, so Dr.in Golob-Schwarzl.

Antikörperspritzen bei Morbus Darier

Verursacht durch Mutationen im ATP2A2-Gen, das die Kalziumregulation in Zellen beeinflusst, führt die Darier-Krankheit zu abnormaler Zelladhäsion und Keratinbildung. „Topische Behandlungen und Medikamente können die Symptome oft nur teilweise lindern“, erläuterte Univ.-Prof. DDr. Wolfram Hötzenecker, MBA, Vorstand der Universitätsklinik für Dermatologie und Venerologie der Johannes Kepler Universität Linz. „ Forscher:innen konnten nun erstmals spezielle Abwehrzellen des Immunsystems in entzündeter Haut bei Menschen mit Morbus Darier identifizieren und diese im Rahmen eines personalisierten Therapieansatzes mittels Antikörperspritzen gezielt behandeln. Dadurch nahm die Hautentzündung bei den Betroffenen deutlich ab, die Haut juckte weniger und die Lebensqualität verbesserte sich. Ziel ist es, durch eine individuelle Analyse der Haut von Patient:innen mit seltenen Hauterkrankungen passgenaue Behandlungsmöglichkeiten zu finden“, so Prof. Hötzenecker.

Anti-Diabetikum bei RDEB

Auch bei einer weiteren seltenen Hauterkrankung ermöglichen Fortschritte in der Forschung einen innovativen Therapieansatz. Menschen mit RDEB (rezessiv dystrophe Epidermolysis bullosa) haben ein sehr hohes Risiko, an aggressiv verlaufendem Hautkrebs zu erkranken. „L ange wurde angenommen, dass Tumorzellen ihre Energie trotz ausreichender Sauerstoffversorgung hauptsächlich aus der Glykolyse bezögen. Nach aktuellem Wissensstand produzieren Tumorzellen jedoch auch mittels der mitochondrialen oxidativen Phosphorylierung (OXPHOS) Energie. Diese metabolische Plastizität spielt eine zentrale Rolle im Zusammenhang mit aggressivem Tumorverhalten, Metastasenbildung und Therapieresistenz“, erklärte OA Dr. Tobias Welponer, Leiter der Ambulanz für genetische Hauterkrankungen der Universitätsklinik für Dermatologie und Allergologie der Salzburger

34 April 2024 Hausärzt:in DIALOG Dermatologie
© shutterstock.com/AI

Landeskliniken. „Die Ergebnisse unserer Studie deuten darauf hin, dass das Anti-Diabetikum Metformin wirksam sein könnte, um beide Arten der Energiegewinnung in den bösartigen Zellen zu hemmen und so das Tumorwachstum zu beeinflussen. Bei Mäusen konnte die Wirkung bereits nachgewiesen werden. Unser Ziel ist es nun, mit computergestützten Analysen und der Erstellung von Einzelzellprofilen maßgeschneiderte Therapien zu entwickeln, die gezielt die unterschiedlichen Stoffwechselsignaturen des jeweiligen Tumors berücksichtigen“, berichtete Dr. Welponer.

Bakterien als Frühwarnsystem

Stammzellentransplantationen sind für Personen mit Leukämie eine lebensrettende Behandlungsmethode. Allerdings treten nach der Transplantation sehr häufig entzündliche Prozesse in Organen wie der Haut und der Leber oder in jenen des Gastrointestinaltraktes auf, die eine Spender-gegen-Empfänger-Reaktion (Graft-versus-Host-Disease, GvHD) zur Folge haben können. Forscher:innen der MedUni Wien haben nun einen Zusammenhang zwischen der Vielfalt der Bakterien auf der Haut und diesen Organschäden entdeckt. „I n einer Studie mit 50 Patient:innen stellten wir fest, dass die Vielfalt der Bakterien auf der Haut bei Menschen mit GvHD abnimmt,

insbesondere bei schweren Fällen. Interessanterweise hatte sich die Reduktion der Bakterienvielfalt schon gezeigt, bevor die ersten Symptome auftraten. Dies könnte bedeuten, dass man die Erkrankung in Zukunft früher erkennen und besser behandeln kann“, schilderte Studienautorin Nadine Ballicas, PhD. „ Die Ergebnisse dieser Studie eröffnen neue Wege für die Erforschung und Entwicklung von Therapieansätzen. Zukünftige Studien sollen nun klären, ob Veränderungen in der Bakterienzusammensetzung auf der Haut zur Entstehung der GvHD beitragen können und ob sich daraus neue Möglichkeiten für die Behandlung ergeben.“

Makrophagen gegen Tumorzellen

Eine weitere Untersuchung an der MedUni Wien zum Thema GvHD wurde von Dr.in Johanna Strobl geleitet. „I n dieser Studie haben wir die

Rolle von Makrophagen im Kontext der GvHD untersucht. Mithilfe dieser Analysen konnten wir zeigen, dass bei akuter GvHD Makrophagen mit einem regulatorischen und entzündungshemmenden Profil dominieren, während bei chronischen Manifestationen eine Repolarisierung zu proinflammatorischen Funktionen erfolgt“, erläuterte Co-Autorin Laura Marie Gail, MSc. „ Die Studie liefert neue Ansätze, Makrophagen als potenzielle Ziele von Therapien zu erforschen. Ähnliche Konzepte sind in präklinischen Studien im Kontext von Krebs erfolgreich, wobei hier die proinflammatorischen Funktionen von Makrophagen aktiviert werden, um Tumorzellen zu bekämpfen. Umgekehrt könnte im Kontext von entzündlichen Hauterkrankungen die therapeutisch induzierte Förderung der regulatorischen Eigenschaften genutzt werden, um Entzündungen einzudämmen“, so Gail.

PA/mak

* Pressekonferenz der Österreichischen Gesellschaft für Dermatologie und Venerologie (ÖGDV) zum Thema „Neues aus der dermatologischen Forschung in Österreich“ am 1. Februar 2024 im Presseclub Concordia in Wien.

Literatur bei den Expert:innen.

Calendulin®

RINGELBLUMENSALBE

Fördert die Regeneration der Haut

• Zur Pflege von Narben

• Bei rauer, überbeanspruchter Haut

• Ideal nach leichten Entzündungen

• Zur täglichen Hautpflege

• Zur Tattoo-Nachbehandlung

• Für Neurodermitiker geeignet

Erhältlich in Apotheken, im ausgewählten Fachhandel sowie online unter

Hausärzt:in DIALOG Dermatologie
www.bano.at
V. l. n. r.: Univ.-Prof. DDr. Wolfram Hötzenecker, MBA, Dr.in Nicole Golob-Schwarzl, MSc, Univ.-Prof. Dr. Peter Wolf, OA Dr. Tobias Welponer, Nadine Ballicas, PhD. © Mirjam Reither

Provoziert

Die aktuelle S3-Leitlinie zur atopischen Dermatitis hebt die Bedeutung von Triggerfaktoren hervor

Diagnostik und Therapie der atopischen Dermatitis (AD) sind komplex. Einen Überblick gibt die im vergangenen Jahr veröffentlichte S3-Leitlinie. Neu ist etwa die Unterscheidung zwischen der allgemeinen Diagnostik zur Sicherung der AD-Diagnose und der Abklärung individueller Triggerfaktoren. Zu diesen zählen eine Irritation der Haut u. a. durch bestimmte Textilien, Schwitzen, falsche Hautreinigung, bestimmte berufliche Tätigkeiten und Tabakrauch, außerdem mikrobielle, klimatische, emotionale und hormonelle Faktoren sowie IgE-vermittelte Allergien gegen Hausstaubmilben, Tierepithelien, Pollen und Nahrungsmittel.

Meiden oder Nichtmeiden, das ist hier die Frage

Ein signifikanter Anteil der Personen mit atopischer Dermatitis – je nach Studie 50 bis 80 Prozent – weist IgEvermittelte Sensibilisierungen gegen Aero- und/oder Nahrungsmittelallergene auf, die zum Teil in Verbindung mit einer Rhinokonjunktivitis allergica, einem allergischen Asthma bronchiale oder einer klinisch relevanten Nahrungsmittelallergie auftreten. Bei ADPatient:innen mit entsprechendem Befund und entsprechender Anamnese soll laut der Guideline eine individuelle Allergiediagnostik durchgeführt werden. Doch welche spezifischen Maßnahmen kann man der Patient:in anraten, wenn eine Allergie als Provokationsfaktor identifiziert wurde? Das sagt die Leitlinie (Auszug mit Fokus auf Aeroallergenen):

ReduktionvonPollenkontakt

Bei sensibilisierten Betroffenen kann es zu pollenbedingten Exazerbationen der AD kommen – entweder nach direktem Hautkontakt oder nach dem Einatmen von Pollenallergenen. Daher empfiehlt es sich, u. a.:

• die Fenster während der Pollenflugzeit geschlossen zu halten oder Aktivitäten im Freien in Gebieten mit hoher Pollenbelastung einzuschränken,

• Innenräume häufig bei Regenwetter oder in der Nacht/am frühen Morgen zu lüften,

• spezielle Pollenfilter in Klimaanlagen zu verwenden

• und den Hautkontakt mit pollenbelasteten Kleidungsstücken oder Haustieren zu meiden.

ringerung der Exposition gelten u. a. das Encasing von Matratzen und eine ausreichende Belüftung in Innenräumen. Auch bei Allergien gegen Tierhaare wird empfohlen, den Kontakt zu meiden. Insbesondere die Exposition gegenüber Katzenallergenen kann einen Risikofaktor für entzündliche Hautläsionen sowie respiratorische Symptome bei sensibilisierten AD-Patient:innen darstellen. Hunde hingegen verursachen selten eine klinisch manifeste Allergie –ein Kontakt in den ersten Lebensjahren kann generell zur Verhinderung einer AD beitragen. So wird in der aktuellen S3-Leitlinie zur Allergieprävention –anders als bei Katzen – nicht von einer Neuanschaffung von Hunden in atopischen Risikofamilien abgeraten.

KörperlicheAktivität/Schwitzen

Hier geht es zur aktuellen S3-Leitlinie

„Atopische Dermatitis“:

Einige Hausstaubmilbenallergene sind enzymatisch aktive Verbindungen, welche die Permeabilitätsbarriere der Haut zerstören und bei sensibilisierten Personen eine ekzematische Entzündung hervorrufen können. Die Erkenntnisse über Vermeidungstechniken zur Prävention atopischer Schübe sind teilweise widersprüchlich. Als Maßnahmen zur Ver-

Schweiß erfüllt wichtige Funktionen der Homöostase der Haut und der Temperaturregulation, enthält aber u. a. Histamin, antimikrobielle Peptide und Proteasen, die Juckreiz auslösen können. Zudem erleichtert Schweiß mitunter Allergenen das Eindringen durch die geschädigte atopische Hautbarriere, was zur Degranulation von Mastzellen führen kann. Zwar ist körperliche Aktivität häufig mit Schwitzen verbunden, jedoch ist sie sowohl für die physische als auch für die geistige Gesundheit von herausragender Bedeutung, sodass Patient:innen mit AD nicht geraten werden sollte, sie zu umgehen. Der Schweiß sollte unter anschließender konsequenter Verwendung von Emollienzien möglichst abgewaschen werden, um Juckreiz zu vermeiden.

36 April 2024 Hausärzt:in DIALOG Dermatologie © shutterstock.com/Double Brain
Hausst ilben
und Tierhaare

Eine Achterbahn der Belastungen

In der aktuellen Pollensaison folgt geringer Pollenflug auf teils außergewöhnlich hohe Spitzen

Sowohl die Häufigkeit allergischer Erkrankungen als auch die Belastung durch ebenjene sind beträchtlich. Schätzungen zufolge leiden in Österreich rund 1,5 bis 2 Millionen Menschen an einer allergischen Rhinitis bzw. Rhinokonjunktivitis, die durch den Kontakt mit Pollen hervorgerufen wird – Tendenz steigend. Aufgrund der klimatischen Veränderungen beginnt die Blüte allergologisch bedeutsamer Pflanzen immer früher, hört später auf und wird teils auch intensiver, was die pollen- und beschwerdefreie Zeit auf inzwischen nur noch wenige Wochen im Jahr verkürzt. Der Pollenflug ist daher fast über das ganze Jahr hinweg messbar.

Steigende Temperaturen

Laut GeoSphere Austria war dieser Winter der zweitwärmste der Messgeschichte und der Februar 2024 sogar der wärmste seit dem Messbeginn vor 257 Jahren. Die Natur reagiert auf die (zu) hohen Temperaturen mit einer Pollensaison, die früher startet – und später endet. Ein Trend, der sich in den kommenden Jahren vermutlich noch verstärken wird. „ Die bisherige Pollensaison war eine Achterbahn der Belastungen“, sagt Dr. Markus Berger, Leiter des Österreichischen Polleninformationsdienstes. Ende Jänner/Anfang Februar begann die Hasel (Corylus avellana) mit ihrer Blüte und danach stäubte bis Anfang März die Erle (Alnus). „ Die Erlenpollensaison war durchschnittlich, jedoch gab es außergewöhnlich hohe Belastungsspitzen, gefolgt von geringem Pollenflug “ Da Menschen mit Allergien speziell am Anfang der Saison besonders empfindlich reagieren, können auch geringe Mengen von Pollen in der Luft bereits Symptome hervorrufen.

Fulminanter Frühstart

Die Esche (Fraxinus excelsior) legte aufgrund des warmen Februars einen rekordverdächtigen Frühstart hin – etwa einen Monat früher als im Schnitt wurden

Pollenkörner an den Messstellen registriert und sie erreichten ungewöhnlich hohe Konzentrationen. Kurz vor Ostern haben kühlere Temperaturen den Pollenflug zwar gebremst, doch das zunehmend warme Wetter seit dem Osterwochenende führte zu steigenden Belastungen. So war die Esche in weiten Teilen des Bundesgebietes wieder sehr aktiv. Aktuell befindet sich ihre Saison bereits im Endstadium. Personen, die auf Weiden (Salix) reagieren, sollte von Palmkätzchen (Salix caprea) im Wohnbereich abgeraten werden. Auch bei Forsythiensträußen sollten jene, die auf Esche reagieren, Acht geben, da sie aufgrund möglicher Kreuzreaktionen auf Forsythien (Forsythia × intermedia Zabel) reagieren könnten.

Rekordverdächtige Birkenblüte

Die Birke (Betula), speziell die Hängebirke (Betula pendula), ist bekannt für ihre allergieauslösenden Eigenschaften, besonders in Form von Birkenpollen, die vielen Allergiker:innen Jahr für Jahr zu schaffen machen. Auch sie legte heuer einen rekordverdächtigen Frühstart hin. Dr. Berger: „Die Birkenblüte unterliegt einem Zwei-Jahres-Rhythmus. Das bedeutet, Jahre mit hohen und geringeren Pollenmengen wechseln sich ab. Nachdem 2023 eher unterdurchschnittlich zu kategorisieren war, müssen Menschen mit Allergien heuer mit durchschnittlichen bis stärkeren Belastungen rechnen.“ Für 2024 werden vor allem für die Bundesländer Kärnten, Salzburg und Wien überdurchschnittlich intensive Belastungen durch Birkenpollen prognostiziert. In den übrigen Bundesländern wird eine durchschnittliche bis unterdurchschnittliche Saison erwartet. „Für eine gute Pollenprognose sind aerobiologisches Wissen und entsprechende Erfahrung wichtig, denn jedes Jahr hat ‚sein eigenes Gesicht‘ und variiert wetter- sowie vegetationsbedingt. Auch die Luftverschmutzung hat Einfluss auf die Symptomstärke“, so Mag. Dr. Helmut Zwander, Wissenschaftlicher Leiter des Pollenwarndienstes Kärnten.

Erste Gräser in der Luft

Das Blühmaximum der Birke wurde zumindest im Osten und Südosten bereits zu Ostern überschritten. Erwartet werden ein vorzeitiges Ende der Birkenblüte und ein Abfall der Belastungskurve Mitte April in den Niederungen. Stürme und die für die Jahreszeit zu hohen Temperaturen haben einen Großteil der Birkenkätzchen vernichtet. Pollen der Hainbuche (Carpinus betulus) und der Hopfenbuche (Ostrya carpinifolia) sind ebenfalls in der Luft. Insbesondere letzterer Baum kann bei Birkenpollenallergiker:innen starke Reaktionen hervorrufen, aber auch die Hainbuche kann vorhandene Beschwerden verstärken. Außerdem sorgen in den Städten die Platanen, Buchen und Eichen für starke Pollenbelastungen. Auch ein früher Blühbeginn der Gräser ist wahrscheinlich. Laut den Berechnungen der Vorhersagemodelle kommt es Ende April bzw. Anfang Mai zum flächendeckenden Blühbeginn der Gräser, sofern die Tageshöchsttemperaturen weiterhin über den für diese Jahreszeit üblichen Werten liegen. Darüber hinaus hat Anfang April der Pollenflug der Fichte (Picea) begonnen (gelbe Pollen auf glatten Oberflächen).

Neue Pflanzen, neue Beschwerden

Im Umfeld des Neusiedler Sees und der Kärntner Seen werden neue Pflanzen wie Schilf (Phragmites australis oder Phragmites communis) und die im pannonischen Tiefland angebaute Olive (Olea europaea) allergiegeplagten Menschen im Herbst künftig das Leben schwermachen. Auch der aus China stammende Götterbaum (Ailanthus altissima) verbreitet sich zunehmend in Österreich und wurde bereits als invasive Art klassifiziert.

Der Einjährige Beifuß (Artemisia annua), ein Kraut, das ursprünglich aus Asien und den Balkanländern stammt, und das Unkraut Ragweed (Ambrosia, Traubenkraut), das Mitte des 20. Jahrhunderts aus den USA nach Europa gebracht wurde, blühen vom Spätsommer bis in

Hausärzt:in pharmazeutisch 38 April 2024

Pollenflugkalender für Österreich.

den Herbst hinein. Für diese Pflanzen ist noch keine Prognose möglich, da der Beginn und das Ausmaß der Saison nicht nur von der Temperatur, sondern auch von den Lichtstunden und der Niederschlagsmenge im Mai/Juni abhängen. Im Dezember stört dann die Purpurerle (Alnus × spaethii) den Weihnachtsfrieden. Durch ihre Zugehörigkeit zur Familie der Birkengewächse (Betulaceae) besteht die Möglichkeit einer potenziellen Kreuzreaktion bei Birken- und Haselpollenallergiker:innen somit bereits um die Weihnachtszeit. Im vergangenen Jahr dauerte die Pollenzeit im Osten Österreichs schon rund 300 Tage.

PA/JuF

Verfügung gestellt vom Österreichischen Polleninformationsdienst

zur

Quelle: polleninformation.at

INFO

� Die Services des Österreichischen Polleninformationsdienstes sowie die Newsletter-Anmeldung findet man unter polleninformation.at

� Eine Podcast-Serie „Hörgang Blütentalk“ mit Dr. Markus Berger und weiteren Expert:innen rund um das Thema Pollen inkl. Tipps zur Linderung von Beschwerden ist auf allen gängigen PodcastPlattformen zu finden.

� Die Asthma-App „breazyTrack” ist ein digitaler Asthmahelfer, der das Selbstmanagement fördert. Der Österreichische Polleninformationsdienst liefert die Pollendaten für diesen neuen Service.

Hausärzt:in pharmazeutisch 39 April 2024

UNTERSTÜTZT

Wissenschaftliche Erkenntnisse zu Phytotherapie und Mikronährstoffen

Maga. pharm.

Susanne Lesch

Research and Development Scientist

Apomedica Pharmazeutische Produkte GmbH

Der Mönchspfeffer –weder männlich noch keusch!

(Vitex agnus-castus L.)

Vom Zeitpunkt der ersten Menstruationsblutung bis zur Menopause spielt die Arzneipflanze Vitex agnus castus L. ihr volles Potential aus. Seit langem bewährt beim prämenstruellen Syndrom eröffnen sich nun neue Indikationsgebiete rund um Zyklusunregelmäßigkeiten und den häufig damit einhergehenden Beschwerden wie polyzystischem Ovarialsyndrom und Fertilitätsstörungen.

Der Mönchspfeffer gehört zur Familie der Lippenblütler (Lamiaceae). Beheimatet ist er im gesamten Mittelmeerraum bis nach Zentralasien und wächst bevorzugt an Flussufern und Meeresküsten.1 Seinen etwas ausgefallenen alternativen deutschen Namen „Keuschlammstrauch“, der von Laien gerne auch als Keu-„Schlammstrauch“ ausgesprochen wird, trägt die Arzneipflanze durch die Übersetzung. Tatsächlich handelt es sich beim Vitex agnus castus L. jedoch nicht um eine „Schlammpflanze“. Denn „castus“ bedeutet „keusch“ und „agnus“ ist das „Lamm“. Der Zusatz „Vitex“ bezeichnet die Pflanzengattung. In unseren Breiten ist die Bezeichnung „Mönchspfeffer“ jedoch deutlich gängiger und beruht in erster Linie auf seiner Anwendung als Gewürz. Aufgrund seines aromatischen Geruchs und dem scharfen, pfefferartigen Geschmack seiner Früchte, wurden diese lange Zeit in Klöstern als Pfefferersatz benutzt.1,2

Traditionelle Anwendung

Mönchspfeffer wurde bereits in der Antike sehr geschätzt und vielfältig medizinisch verwendet. Schon damals war seine Wirkung bei gynäkologischen Erkrankungen, wie Gebärmutterleiden oder Zyklusstörungen, bekannt. Paradoxerweise wurden Mönchspfefferfrüchte auch als Aphrodisiakum verwendet, obwohl die Pflanze gleichzeitig als Symbol der Keuschheit bekannt war.1

Verwendete Pflanzenteile und deren Inhaltsstoffe

Pharmazeutisch werden die ganzen, getrockneten Mönchspfefferfrüchte (Agni casti fructus) verwendet. Sie enthalten Iridoidglykoside (ca. 1 %), v. a. Aucubin, Agnusid und die Agnucastoside A-C sowie Flavonoidverbindungen wie Casticin (Abb. 1). Außerdem besteht das Inhaltsstoffprofil aus ätherischem Öl (0,8-1,6 %) mit variabler Zusammenset-

zung, u. a. Sabinen, 1,8-Cineol, α-Pinen sowie dem Bitterstoff Castin. Daneben findet man auch Diterpene wie Rotundifuran, Vitexilacton, sowie fettes Öl mit Linolsäure.2 Gemäß dem europäischen Arzneibuch gilt Casticin als Leitsubstanz. Bezogen auf die getrocknete Droge wird der Mindestgehalt mit 0,08 % angegeben.3 Um das gesamte Spektrum der wirksamen Inhaltsstoffe zu erhalten werden Ethanolgemische als Lösungsmittel verwendet.4

Abb. 1: Casticin – Leitsubstanz gemäß europäischem Arzneibuch

VON DR. BÖHM® SCIENTIFIC UPDATE
PFLANZLICHE HILFE BEI HORMONELL BEDINGTEN ZYKLUSPROBLEMEN
BEZAHLTE ANZEIGE

Wirkmechanismus

Das Zusammenspiel von Hormonfreisetzung und hormonellen Rückkoppelungsmechanismen reagiert sehr sensibel auf Stress und Umweltfaktoren. Eine erhöhte Katecholaminfreisetzung in Stresssituationen bedingt eine gesteigerte Prolaktinausschüttung und führt häufig zu einem überhöhten Prolaktinspiegel. Bei dauerhaft zu hohen Werten wird in der zweiten Zyklushälfte, während der Lutealphase, die Progesteronfreisetzung aus dem Corpus luteum beeinträchtigt und ein Ungleichgewicht zwischen Östrogen und Progesteron entsteht. Häufig mit Prolaktinüberschuss assoziierte Beschwerden sind PMS, Mastodynie, Polyzystisches Ovarialsyndrom (PCOS), Zyklus- und Fertilitätsstörungen.5,6

Der Mönchspfeffer-Gesamtextrakt greift in diesem komplexen System regulie-

rend ein und bewirkt über eine selektive Stimulation der Dopaminrezeptoren vom D2-Typ am Hypophysenvorderlappen eine Hemmung der Prolaktinsekretion. In weiterer Folge wird der Progesteronspiegel im Serum gesteigert und das Gleichgewicht zwischen Östrogen und Progesteron wieder hergestellt. (Abb. 2).1,2,6,7

Monographien

Vitex agnus-castus

Die HMPC-Monographie der europäischen Arzneimittelbehörde (EMA) beschreibt eine Anwendung von Mönchspfeffer beim prämenstruellen Syndrom (PMS).4 Gemäß der ESCOP Monographie wird zudem ein Einsatz bei Mastodynie (schmerzhaftes Spannungsgefühl in den Brüsten) und Zyklusstörungen wie einer zu häufigen, zu seltenen oder ausbleibenden Regelblutung, angegeben.8

Hypothalamus

Gonadotropin (GnRH)

Dosierung und Anwendung gemäß

EMA-Monographie:

• 2 x 400 mg getrocknete, pulverisierte Droge

• Tinktur: 165 mg, DEV 1:5, Auszugsmittel Ethanol 68-70 %

• 2-20 mg spezieller Trockenextrakte:

- DEV 6-12:1, Auszugsmittel Ethanol 60 %

- DEV 7-13:1, Auszugsmittel Ethanol 60 %

- DEV 10-18,5:1, Auszugsmittel Ethanol 50-52 %

Aufgrund der geringen Wasserlöslichkeit der wirksamen Inhaltsstoffe eignet sich Mönchspfeffer nicht zur Anwendung als Teezubereitung.4

Die ideale Anwendungsform sind Extrakte, da in diesen die wirksamkeitsbestimmenden Stoffe in konzentrierter Form vorliegen.

Hypophyse Follikel

Gelbkörper

Ungleichgewicht zwischen Östrogen und Progesteron bei PMS und Unfruchtbarkeit Prolaktin Progesteron

Mönchspfeffer

Bei PMS, PCOS, Mastodynie und Unfruchtbarkeit erhöht

Abb. 2: Mönchspfeffer und sein Einfluss auf den hormonellen Regelkreis. Mönchspfeffer hemmt die erhöhte Prolaktinfreisetzung über Dopamin-D2-Rezeptoren.

+- +
SCIENTIFIC UPDATE – MÖNCHSPFEFFER BEZAHLTE ANZEIGE

Abb. 3: Grafik modifiziert nach Zamani et al.: Signifikante Abnahme der PMS-Beschwerden (p < 0,0001) durch Mönchspfeffergabe über sechs Zyklen.

PMS-Symptomatik

Das prämenstruelle Syndrom betrifft Mädchen und Frauen während der zweiten Zyklushälfte und geht sowohl mit physischen als auch psychischen Beschwerden einher. Dazu zählen unter anderem Brustschmerzen, Ödeme, sowie Stimmungsschwankungen oder Antriebslosigkeit.

In einer doppelblinden, randomisierten, placebokontrollierten Studie (n=170 Frauen) wurde über drei Menstruationszyklen hinweg 20 mg MönchspfefferExtrakt oder Placebo verabreicht. Nach der Behandlung zeigte sich eine signifikante Verbesserung bei Stimmungsschwankungen, Kopfschmerz, Brustschmerz und Reizbarkeit (p < 0,05). Während des Untersuchungszeitraumes traten keine signifikanten Nebenwirkungen auf. Mönchspfeffer wird daher als effektive und sichere Behandlungsmöglichkeit bei PMS angesehen.7

Darüber hinaus zeigte eine weitere klinische Studie eine signifikante Abnahme von mit PMS-assoziierten Beschwerden wie Brustschmerzen, Kopfschmerzen, Nervosität, Unruhe oder Depression (p < 0,0001). In diesem Fall wurde über sechs Zyklen hinweg Mönchspfeffer verabreicht. Auch bei längerer Therapiedauer traten keine unerwünschten Wirkungen auf (Abb. 3).9

Mastodynie

Schmerzen und ein Spannungsgefühl in den Brüsten in der Mitte der zweiten Zyklushälfte, also in der späten Lutealphase zählen zu den häufigsten Beschwerden bei PMS (ca. 20 %).6,10 Bei schwerer Mastodynie therapiert man in der Regel mit dem Dopamin-Agonisten Bromocriptin. Mönchspfeffer zeigte in einer klinischen Studie eine vergleichbar gute Wirkung. Über einen Zeitraum von drei Monaten verabreichte man 40 mg Mönchspfeffer-Extrakt bzw. der Vergleichsgruppe Bromocriptin. In beiden Gruppen kam es zu einer signifikanten Senkung des Prolaktinspiegels

und der damit assoziierten Beschwerden (p < 0,0001).11 Eine weitere Studie beobachtete über 5 Monate 67 Frauen, die mit Mastodynie konfrontiert waren. Das Resultat verdeutlicht eine signifikante Reduktion der Brustschmerzen bei Einnahme von Mönchspfeffer im Vergleich zur Placebogruppe (Abb. 4).12 Untermauert werden diese Ergebnisse durch eine Übersichtsarbeit aus dem Jahr 2019. In den 25 eingeschlossenen Studien wurden gängige Tagesdosierungen von 20-40 mg Mönchspfeffer-Extrakt über 3 Monate angewendet. Man beobachtete eine deutliche Abnahme sowohl der Brustschmerzintensität als auch des Serumprolaktinspiegels. Mönchspfeffer wird aufgrund der Ergebnisse als wirksame und sichere Behandlungsmöglichkeit bei Mastodynie angesehen.6

Zyklusstörungen

In einer nichtinterventionellen Beobachtungsstudie wurde Frauen mit Zyklusstörungen über einen Zeitraum von 3 aufeinanderfolgenden Menstruationszyklen, pro Tag 20 mg Mönchspfeffer-Extrakt verabreicht. Es konnte eine Verbesserung bis hin zur vollständigen Remission beobachtet werden, sowohl bei vollständigem Ausbleiben der Regelblutung (Amenorrhoe) als auch bei mehrmals in einem Zyklus auftretender Regelblutung (Polymenorrhoe).13

Abb. 4: Schmerzreduktion bei Mastodynie durch Mönchspfeffer (p < 0,0001).

SCIENTIFIC UPDATE – MÖNCHSPFEFFER
VAS-Score 7 6 5 4 3 2 1 0 Kopfschmerzen Nervosität Unruhe Depression Brustschmerzen vor der Behandung nach der Behandlung
Abnahme der Brustschmerzintensität VAS-Schmerzscore 8 6 4 2 0 nach 5 Monaten nach 5 Monaten Ausgangswert Ausgangswert Placebo Mönchspfeffer BEZAHLTE ANZEIGE

Fertilitätssteigerung durch Mönchspfeffer

Abb. 5: Steigerung der Schwangerschaften durch Mönchspfeffersupplementierung (p < 0,05).

Endokrine Fertilitätsstörung mit unerfülltem Kinderwunsch

Sehr häufig sind Zyklusunregelmäßigkeiten einer der kausalen Gründe für das Ausbleiben einer Schwangerschaft. 93 Patientinnen mit Fertilitätsstörungen erhielten entweder Placebo oder ein Mönchspfefferpräparat über einen Zeitraum von 3 Monaten. In der Verumgruppe kam es zu mehr als doppelt so vielen Schwangerschaften. Im darauffolgenden Halbjahr wurde sogar eine zusätzliche Steigerung auf das Dreifache der Schwangerschaften im Vergleich zur Placebogruppe beobachtet (Abb. 5).14

Mönchspfeffer wirksam bei polyzystischem

Ovarialsyndrom (PCOS)

Die zuvor erwähnten Zyklusunregelmäßigkeiten sind häufig auch auf ein polyzystisches Ovarialsyndrom zurückzufüh-

ren. Durch 4 mg Mönchspfefferextrakt konnten die bei PCOS auftretenden erhöhten Prolaktin- und Testosteronwerte wieder in die Balance gebracht werden.10

Dosierung und Sicherheit

Mönchspfeffer ist eine sehr potente Arzneipflanze, die bei für Phytopharmaka ungewöhnlich niedrigen Dosierungen hochwirksam ist. Die aktuelle Mono grafie der europäischen Arzneimittelbe hörde beschreibt den Trockenextrakt von Mönchspfeffer als pflanzliches Arznei mittel sowohl mit 4 mg als auch 20 mg zur oralen Einnahme. Der besondere Vor teil der 4 mg Dosierung liegt darin, dass auch jüngere Patientinnen (ab 12 Jahren) ab der ersten Menstruation von Mönchs pfeffer profitieren können. Für Erwachse ne besteht die Möglichkeit bis zu 20 mg Mönchspfefferextrakt pro Tag anzuwen den. Entscheidend für den Wirkerfolg ist eine Anwendung über mindestens drei

Menstruationszyklen.4,8 Klinisch relevante Wechselwirkungen sind bisher keine bekannt. Aufgrund des dopaminergen Wirkmechanismus von Mönchspfefferfrüchten können jedoch Wechselwirkungen mit Dopamin-Agonisten und auch Dopamin-Antagonisten nicht vollständig ausgeschlossen werden.1 Mönchspfeffer greift regulierend in den weiblichen Zyklus ein. Eine Anwendung in der Schwangerschaft und Stillzeit ist daher weder sinnvoll noch empfohlen. Bei Erkrankungen der Hypophyse sollte die Einnahme vorab mit einem Arzt abgeklärt werden.2

Fazit

Ab der Menarche bis zur Menopause gibt es zahlreiche Indikationsgebiete, bei denen Mönchspfeffer Linderung bringen kann. Neben der klassischen Anwendung bei PMS und Mastodynie werden Mönchspfeffer-Phytopharmaka auch erfolgreich bei Zyklusstörungen, PCOS und weiblicher Fertilitätsstörung eingesetzt. Das verdeutlicht wie unverzichtbar diese

REFERENCES: 1 Blaschek W, Wichtl M, Bauer R, et al., eds. Wichtl - Teedrogen und Phytopharmaka: Ein Handbuch für die Praxis. 6., vollständig neu bearbeitete und erweiterte Auflage. Stuttgart: WVG Wissenschaft liche Verlagsgesellschaft; 2016.; 2 Bäumler S. Arzneipflanzenporträts. 2. Auflage. München: Elsevier Urban & Fischer; 2012.; 3 Europäisches Arzneibuch: 10. Ausgabe, Grundwerk. Wien: Verlag Österreich; 2020.; 4 European Union herbal monograph on Vitex agnus-castus L., fructus; 2018.; 5 van Die MD, Burger HG, Teede HJ, Bone KM. Vitex agnus-castus extracts for female reproductive disorders: A systematic review of cli nical trials. Planta Med. 2013;79(7):562-575. doi:10.1055/s-0032-1327831.; 6 Ooi SL, Watts S, McClean R, Pak SC. Vitex Agnus-Castus for the Treatment of Cyclic Mastalgia: A Systematic Review and Meta-Analysis. J Womens Health (Larchmt). 2019. doi:10.1089/jwh.2019.7770.; 7 Schellenberg R. Treatment for the premenstrual syndrome with agnus castus fruit extract: Prospective, randomised, placebo controlled study. BMJ. 2001;322(7279):134-137.; 8 European Scientific Cooperative on Phytotherapy, ed. E/S/C/O/P monographs: The scientific foundation for herbal medicinal products: 2nd Edition: THIEME; 2003.; Torabian S. Therapeutic effect of Vitex agnus castus in patients with premenstrual syndrome. Acta Med Iran. 2012;50(2):101-106.; 10 Seidlova-Wuttke D, Wuttke W. The premenstrual syndrome, premenstrual mastodynia, fibrocystic mastopathy and infertility have often common roots: effects of extracts of chasteberry (Vitex agnus castus) as a solution. Clin Phytosci. 2017;3(1). doi:10.1186/s40816-016-0038-z.; T, et al. Fructus agni casti and bromocriptine for treatment of hyperprolactinemia and mastalgia. Int J Gynaecol Obstet. 2004;85(3):292-293. doi:10.1016/j.ijgo.2004.01.001.; ni, E. Kazemnejad Lili, A. Sjotodeh. The Effect of Vitagnus on Cyclic Breast Pain in Women of Reproductive Age. Jornal of Babol University of Medical Sciences. 2016;(18(9)):7-13.; 440) zur Symptombehandlung bei Frauen mit menstruellen Zyklusstörungen. Journal für Gynäkologische Endokrinologie. 2015;2015(9 (2)):10-15. https://www.kup.at/kup/pdf/12943.pdf. Accessed June 25, 2021.

LM, Polan ML, Trant AS. Double-blind, placebo-controlled study of Fertilityblend: a nutritional supplement for improving fertility in women. Clin Exp Obstet Gynecol. 2006;33(4):205-208.;

M, Basanj B, Salemi S. Comparison of Vitex agnus-castus Extracts with Placebo in Reducing Menopausal Symptoms: A Randomized Double-Blind Study. Korean J Fam Med. 2019;40(6):362-367. doi:10.4082/kjfm.18.0067.

Weitere Informationen erhalten Sie per E-Mail: science@apomedica.com

SECHS MARKENZEICHEN FÜR QUALITÄT:

SCIENTIFIC UPDATE – MÖNCHSPFEFFER
35 30 25 20 15 10 5 0 Erfolgreiche Schwangerschaft [%] 3 Monate 9 Monate Placebo Mönchspfeffer
BEZAHLTE ANZEIGE

Antibiotikaresistenzen begrenzen

Eine der größten Herausforderungen für die öffentliche Gesundheit

Schätzungen der WHO zufolge führen antimikrobielle Resistenzen (AMR) jährlich zu 1,27 Millionen Todesfällen weltweit. Zusätzlich gibt es viele Todesfälle, bei denen Antibiotikaresistenzen eine Rolle spielen, die aber primär anderen Ursachen zugeschrieben werden. Die Autor:innen der Studie „Global burden of bacterial antimicrobial resistance in 2019: a systematic analysis“ , veröffentlicht im Journal „T he Lancet“ , schätzten, dass im Jahr 2019 insgesamt etwa 4,95 Millionen Todesfälle mit bakteriellen Antibiotikaresistenzen in Verbindung standen, einschließlich jener, bei denen diese Resistenzen nicht die primäre Todesursache waren. Die Aussichten auf eine Verbesserung dieser Situation sind düster, da Prognosen für das Jahr 2050 von über 10 Millionen Todesfällen ausgehen. So ist Handlungsbedarf geboten.

• Recovery Alle Anwendungsgebiete mehrfach durch Studien belegt:

• Herz-Kreislauf

• antiviral

• antioxidaiv prebiotisch

• Kognition

Die Kraft der Natur.

Natürliche Nahrungsergänzungsmittel aus erstklassigen Beeren-Extrakten Immunsystem

Hausärzt:in pharmazeutisch Gerne bieten wir Ihnen verschiedene Kooperationsmöglichkeiten an. Kontaktieren Sie uns unter partner@berrypharma.com oder über unsere Hotline +49 8664 75 681 – 98. Wir senden Ihnen umgehend kostenlose Muster und weiteres Informationsmaterial zu.
© stock.adobe.com/EdNurg
>

One Health ist zukunftsweisend

Die WHO setzt auf die One-HealthStrategie, um die Behandlungseffizienz von Infektionskrankheiten zu verbessern, Behandlungskosten zu senken, Krankenhausaufenthalte zu verkürzen und den Einsatz von Breitbandantibiotika zu reduzieren, was wiederum die Resistenzproblematik entschärfen und die Zahl der Todesfälle verringern soll. Initiativen wie der „Global Action Plan on Antimicrobial Resistance“ (2015) zur Sensibilisierung für den angemessenen Einsatz antimikrobieller Mittel, das „Global Antimicrobial Resistance Surveillance System“ (GLASS) für eine bessere Datenlage, aktualisierte Leitlinien zur Antibiotikaanwendung sowie die Förderung von Forschung und Entwicklung neuer Therapien sind entscheidende Schritte, um der abnehmenden Anzahl neuer Antibiotika entgegenzuwirken.

HILFE BEI

Der One-Health-Ansatz wird von der WHO als zukunftsweisend in der Bekämpfung von AMR betrachtet, da er die komplexen Wechselwirkungen zwischen der Gesundheit von Menschen, Tieren und unserer Umwelt erkennt und integriert. Diese Perspektive ist maßgeblich, denn AMR machen nicht an Grenzen halt und können durch verschiedene Kanäle zwischen Tieren, Menschen und der Umwelt übertragen werden. Durch die Förderung einer ganzheitlichen Betrachtungsweise ermöglicht der One-Health-Ansatz effektivere Präventions- und Kontrollstrategien, die über traditionelle, sektorspezifische Maßnahmen hinausgehen. Die multidisziplinäre – besser gesagt interdisziplinäre – Zusammenarbeit ist daher essenziell für eine nachhaltige Reduzierung von AMR.

Integrativmedizin als Schlüsselstrategie

Eine umfassende Gesundheitsfürsorge, die alle Faktoren berücksichtigt, sollte das oberste Ziel sein. Der zukunftsorientierte multidisziplinäre Ansatz, der auch die Komplementärmedizin einbezieht, gewinnt im Kampf gegen Antibiotikaresistenzen an Bedeutung – insbesondere angesichts des Umfangs und der Dringlichkeit des globalen Problems der AMR und der oft unzureichenden Strategien zur Minimierung des Antibiotikagebrauchs. Die Komplementärmedizin bietet Lösungen, die den Einsatz von Antibiotika sowohl zur Prävention als auch zur Behandlung von Infektionen in der Human- und Veterinärmedizin reduzieren können, wie viele Studien mittlerweile zeigen.

Traditionelles pflanzliches Arzneimittel

Qualität aus Österreich.

Die pflanzliche Therapie bei Regelbeschwerden

Schmerzhafte Spannung in der Brust, Stimmungsschwankungen, Wassereinlagerungen

Kurmäßige Anwendung empfohlen

1 Tablette täglich – beste Compliance

Wichtig: Dr. Böhm® Mönchspfeffer 4 mg (ab 12 Jahren) bleibt weiterhin im Sortiment. *Apothekenumsatz lt. IQVIA Österreich

Dr. Böhm® – Die Nr. 1 aus der Apotheke*

Einfach anfordern unter: arzt@apomedica.com NEU! höher dosiert: 20 mg

PMS
OTC Offtake seit 2012.
Überzeugen Sie sich selbst mit ihrem GRATIS ÄRZTEMUSTER!
FOKUS UMWELT MEDIZIN > © privat

Potenzial der homöopathischen Praxis Beispielsweise untersuchte die EPI3Kohortenstudie in Frankreich (PLoS One 2014) die Behandlung von oberen Atemwegsinfektionen durch 825 niedergelassene praktische Ärzt:innen und deren Verbrauch von Antibiotika in der Primärversorgung im Laufe eine Jahres. Patient:innen in der Gruppe der homöopathisch zertifizierten Allgemeinmediziner:innen zeigten einen signifikant geringeren Verbrauch von Antibiotika und antipyretischen/entzündungshemmenden Medikamenten, ohne eine Verschlechterung der Symptome zu erleben. Dies hebt die homöopathische Praxis als mögliche Strategie zur Reduzierung des Antibiotikaverbrauchs hervor.

„Der One-Health-Ansatz erkennt und integriert die komplexen Wechselwirkungen zwischen der Gesundheit von Menschen, Tieren und unserer Umwelt.“

Traditionelle Chinesische Medizin

Eine weitere Studie – „ A ntimicrobial mechanisms of traditional Chinese medicine and reversal of drug resistance: a narrative review “ (Eur Rev Med Pharmacol Sci. 2022) – verdeutlicht das Potenzial der Traditionellen Chinesischen Medizin (TCM) in der Bekämpfung arzneimittelresistenter Bakterien. Hier greifen Mechanismen wie die Veränderung der Membranpermeabilität, die Hemmung der Protein- und Nukleinsäuresynthese, die Unterdrückung der Enzymaktivität und die Kontrolle der Pathogenität. Zudem scheint TCM die Antibiotikaresistenz durch die Eliminierung resistenter Plasmide, die Hemmung von β-Laktamasen, die Inhibition der Biofilmbildung und die Unterdrückung von Effluxpumpenaktivitäten zu reduzieren. Diese Erkenntnisse unter-

mauern die Bedeutung der TCM als Quelle neuer antimikrobieller Ansätze und der Umkehrung von Resistenzmechanismen, was für die Entwicklung neuer therapeutischer Strategien gegen resistente Bakterienstämme von hoher Relevanz ist.

Wissenschaftlicher Diskurs in der Tiermedizin

In einer randomisierten, placebokontrollierten, doppelblinden Studie aus dem Jahr 2010, durchgeführt von Dr.in Irene Camerlink an der Wageningen University, wurde die Wirkung einer homöopathischen Behandlung mit Coli-30K-Nosode zur Vorbeugung von E.-coli-bedingtem Durchfall bei neugeborenen Ferkeln untersucht. Im Vergleich zu einer Placebogruppe erkrankten Ferkel von Säuen, die mit der Nosode behandelt worden waren, deutlich seltener und weniger schwer an E.-coli-Diarrhö – es wurden ein sechsfacher Unterschied in der Erkrankungsrate und eine tendenziell kürzere Durchfalldauer in der homöopathisch behandelten Gruppe dokumentiert. So unterstreicht die Untersuchung die potenzielle Wirksamkeit der Homöopathie als Alternative zu Antibiotika in der Vorbeugung dieser häufigen Krankheit bei Ferkeln. Sie liefert damit einen Beitrag für den wissenschaftlichen Diskurs über die Anwendbarkeit und Effektivität homöopathischer Behandlungen in der Tiermedizin und adressiert zugleich das globale Problem der Antibiotikaresistenz. Die Studie wurde von Döhring und Sundrum sowie von Mathie und Clausen als hochqualitativ eingestuft.

Aktuelle Initiativen und Veranstaltungen

Inzwischen gibt es auch in Österreich verschiedene Initiativen, die sich dieser Problematik annehmen. So konzentrierte sich das Symposium zum 16. Europäischen Antibiotikatag 2023 – veranstaltet vom Gesundheitsministerium in Zusammenarbeit mit der Veterinärmedizinischen Universität Wien, der Medizinischen Universität Wien, der Österreichischen Agentur für Gesundheit und Ernährungs-

sicherheit sowie dem Ordensklinikum Linz Barmherzige Schwestern Elisabethinen – auf das Konzept von One Health. Unter anderem wurden Möglichkeiten des Einsatzes von Phagen diskutiert.

Ebenso wird der traditionelle Tag der Integrativen Methoden in diesem Jahr das Thema One Health fokussieren –ausgerichtet in Kooperation der Österreichischen Gesellschaft für Veterinärmedizinische Homöopathie (ÖGVH) und der Österreichischen Gesellschaft der Tierärztinnen und Tierärzte (ÖGT), Sektion Ganzheitsmedizin an der Veterinärmedizinischen Universität Wien. Für die Hybridveranstaltung am 25. April 2024 wird Univ.-Prof.in Dr.in Annemarie Käsbohrer einen Keynotevortrag halten, erwartet werden zudem Vorträge von Dr. Werner Hagmüller, Prof. Mag. Dr. Robert Stodulka, Mag. Michael Ridler, Dr.in Petra Weiermayer, Dr. Marcus Kasper und Dr.in Elisabeth Binder.

Eine weitere Veranstaltung in Bad Schallerbach, Oberösterreich, wird sich dem Thema „O ur Health“ widmen. Unter dem Titel „ Fakt oder Fake – die Wahrheit hinter dem Green Deal? “ laden die beiden Organisatoren Dr. Bernhard Zauner und Lukas Hader am 17. September 2024 zum dritten Mal Expert:innen, Politiker:innen und Standesvertreter:innen aus den Bereichen der Human- und Veterinärmedizin sowie der Landwirtschaft ein, die sich mit dem Green Deal beschäftigen. Nähere Informationen unter ourhealth.at

Fazit

Angesichts der drängenden globalen Bedrohung durch AMR müssen konventionelle und komplementäre Medizin sowie der One-Health-Ansatz heute – nicht morgen – Hand in Hand gehen. Es ist an der Zeit, dass wir im Interesse aller – unserer Gemeinschaften und unserer Patient:innen – zusammenarbeiten, anstatt uns in Widerständen zu verlieren. Die Bewältigung dieser Krise erfordert unsere vereinte Aktion. Literatur

Hausärzt:in pharmazeutisch 46 April 2024
bei der Verfasserin.

Die Top-Antithrombotika nach Menge und Wert

Marktanalyse von Beatrix Linke, Country Lead Austria bei IQVIA

• Die Kategorie der Antithrombotika (ausschließlich registrierte Arzneimittel) erzielt in den öffentlichen Apotheken und Hausapotheken im MAT Februar 2024 mit 7,4 Mio. Packungen 237,9 Mio. Euro Umsatz FAP.

• Der entsprechende Markt sinkt aktuell im Vergleich zum Vorjahr um 1,3 % nach Menge und steigt um 1,5 % nach Wert. Im Jahr davor betrug das Absatzwachstum 2,8 % und das Umsatzwachstum 6,2 %.

• 33,1 % aller Packungen sind Generika, und Acetylsalicylsäure (diverse Präparate) ist der am häufigsten verwendete Wirkstoff vor Apixaban

© Heuschneider-Platzer

Handelsname

PLAVIX

% (8)

CLOPIDOGREL +PHARMA 1,9% (9)

% (5)

% (10) Sanofi-Aventis

% (16) Pluspharma

CLOPIDOGREL GENERICON 1,8 % (10) 0,5 % (13) Genericon Pharma

(Eliquis®), Edoxaban (Lixiana®) und Rivaroxaban (Xarelto®).

• Die Top-10-Produkte nach Menge machen 88,2 % des Gesamtabsatzes aus. Thrombo ASS® (G.L. Pharma) liegt nach Einheiten an erster Stelle, gefolgt von Eliquis® (BMS) und Lixiana® (Daiichi Sankyo).

• Die Top-10-Produkte nach Wert umfassen 94,9 % des Gesamtumsatzes. Eliquis® (BMS) führt vor Xarelto®

boso medicus exclusive Automatisierte Dreifachmessung mit Mittelwertanzeige

(Bayer) und Lixiana® (Daiichi Sankyo) das Umsatzranking an.

In Kooperation mit

* Quelle: IQVIATM DPMÖ sell-out Österreich, Verkäufe der öffentlichen österreichischen Apotheken sowie Großhandelslieferungen an ärztliche Hausapotheken, ATCKlasse B01 Antithrombotika, (ausschließlich registrierte Arzneimittel aus dem Warenverzeichnis I), Absatz/Menge in Einheiten, Umsatz/Werte in Euro, bewertet zum Fabrikabgabepreis (FAP), Wachstum vs. Vorjahr, MAT Februar 2024 (März 2023 bis Februar 2024 kumuliert).

So individuell wie die Gesundheit.

boso medicus exclusive lässt sich auf die persönlichen Bedürfnisse einstellen, bietet zahlreiche Statistikfunktionen für eine optimale Beurteilung der Blutdruckwerte und ist besonders empfohlen bei erhöhter Blutdruckvariabilität. Überzeugend in jeder Beziehung: das elegante Design, die hochwertige Verarbeitung und ein Funktionsumfang, der keine Wünsche offen lässt. Und das alles so einfach und benutzerfreundlich, wie Sie und Ihre Patienten es von boso gewohnt sind: Die große Anzeige und die zuschaltbare Sprachausgabe machen die Blutdruckmessung besonders einfach und komfortabel – nicht nur für ältere oder sehbehinderte Menschen.

in Apotheke und Sanitätsfachhandel.

BOSCH + SOHN

Hausärzt:in pharmazeutisch
Österreich Handelskai 94– 96 | 1200 Wien | www.boso.at boso medicus exclusive Oberarm-Blutdruckmessgerät Medizinprodukt
<
GmbH & Co. KG Zweigniederlassung
Erhältlich
Marktanteil nach Menge (Prozent) Marktanteil nach Wert (Prozent) Hersteller/Vertrieb THROMBO ASS 23,5 % (1) 1,8 % (7) G.L. Pharma ELIQUIS 18,6 % (2) 33,3 % (1) Bristol Myers SQUIBB LIXIANA 12,4 % (3) 19,0 % (3) Daiichi Sankyo XARELTO 12,2 % (4) 22,1 % (2) Bayer Austria PRADAXA 4,6 % (5) 8,2 % (4) Boehringer
INHIXA 4,6 % (6) 3,1 % (6) IHCS
4,4
3,2
Ingelheim
Arzneimittel LOVENOX
% (7)
Sanofi-Aventis
4,1
1,1
0,4
Stand: Februar 2024

ÜBER INTERFERENZ STANDARDS HINAUS GETESTET

Es wurde nachgewiesen, dass Accu-Chek Instant und Accu-Chek Guide in 99 % der > 200 potenziell störenden Substanzen störungsfreie Resultate liefern.1,2*

Wenn

Ernährung

psychisch krank macht

Die Art und Weise, wie wir essen, beeinflusst direkt unsere psychische Gesundheit. Mit diesen Zusammenhängen und damit, wie sich die Erkenntnisse darüber für therapeutische Ansätze nutzen lassen, beschäftigt sich die Nutritional Psychiatry. Durch die Integration ernährungspsychiatrischer Konzepte in die Praxis können wir einen ganzheitlichen Pfad zur Förderung der psychischen Gesundheit unserer Patient:innen einschlagen.

1. SGLT2-Hemmer & orale Antidiabetika

2. Antihypertensiva & Antiarrhythmika

3. Psychopharmaka & Antidepressiva

JETZT KOSTENLOS BLUTZUCKERMESSGERÄTE FÜR IHRE PRAXIS BESTELLEN! accu-chek.at/accu-chek-bestellformular

weitere Informationen: www.accu-chek.at

* Substanzen, die sich als störend erwiesen haben: Ascorbinsäure (Genauigkeitsschwelle >5 mg/dL), Xylose (Genauigkeitsschwelle >10 mg/dL)

1 Hauss O, Hinzmann R, Huffman B. Drug interference in self-monitoring of blood glucose and the impact on patient safety: we can only guard against what we are looking for. J Diabetes Sci Technol. 2022; 0(0). doi:10.1177/19322968221140420.

2 Jedes Medikament und jede Substanz wurde bei verschiedenen Blutzuckerkonzentrationen im Bereich von 50 bis 350 mg/dL (2.8 bis 19.4 mmol/L) mit einer Abweichung von <10 mg/dL oder 10 % zu den Zielblutzuckerwerten.

Folge uns auf:

© 2024 Roche Diabetes Care | www.accu-chek.at | Roche Diabetes Care Austria GmbH | 1210 Wien | Engelhorngasse 3

Die Pionierarbeit der Professorin für Ernährungspsychiatrie und Direktorin des Food & Mood Centre an der Deakin University, Felice Jacka, und anderer Expert:innen auf diesem Gebiet hat die grundlegende Rolle, die Ernährung bei der Prävention und Behandlung psychischer Erkrankungen spielt, ins Licht gerückt. Prof.in Jackas Forschungen haben gezeigt, dass eine gesunde Ernährung nicht nur körperliche, sondern auch erhebliche psychische Vorteile mit sich bringt, indem sie das Risiko verringert, Depressionen und Angstzustände zu entwickeln.

Nutritional Psychiatry: Der Blick über den Tellerrand, Teil 2 ©

Die Ernährung spielt eine Schlüsselrolle für unsere Gesundheit, weit über die bloße Energieversorgung hinaus. Was wir essen, beeinflusst die Vielfalt und Zusammensetzung unseres Darmmikrobioms, das wiederum über die sogenannte Darm-Gehirn-Achse eine Fülle von Informationen an unser Gehirn sendet. Diese Kommunikation erfolgt über verschiedene Signalwege – darunter neuronale, immunologische und endokrine – und berichtet über die Art der konsumierten Nahrung, die vorhandenen Bakterienarten, mögliche Krankheitserreger und bestehende Immun- oder Entzündungsreaktionen. Menschen mit psychischen Erkrankungen neigen häufig zur „Western Diet“, also einer Ernährungsweise, die reich an verarbeiteten Lebensmitteln, Zucker, Fett und Salz ist, dafür jedoch wenig frisches Obst, Gemüse und Vollkornprodukte beinhaltet. Diese Ernährungsform kann Entzündungsprozesse im Körper fördern, die wiederum das Risiko einer Entwicklung oder Verschlechterung psychischer Störungen erhöhen. Darüber hinaus beeinträchtigt eine solche Ernährung die Vielfalt und Gesundheit des Darmmikrobioms, was negative Auswirkungen auf die Darm-Gehirn-Achse und somit auf die psychische Gesundheit haben kann.

shutterstock.com/Nitr ACCU-CHEK, ACCU-CHEK INSTANT und ACCU-CHEK GUIDE sind Marken von Roche. Alle weiteren Produktnamen und Marken gehören den entsprechenden Eigentümern.
1. 2. 3.

Besser meditarran! Und Ketogen?

Die mediterrane Ernährung ist nicht nur für ihre gesundheitlichen Vorteile, sondern auch für ihre Vielfältigkeit und leichte Umsetzbarkeit bekannt. Sie basiert auf dem Verzehr von natürlichen, unverarbeiteten Lebensmitteln und legt einen großen Schwerpunkt auf pflanzliche Zutaten, was sie reich an Ballaststoffen, Vitaminen und Mineralstoffen macht. Der hohe Anteil an Omega-3-Fettsäuren, insbesondere aus Fisch und Olivenöl, trägt zur Gesundheit des Herz-Kreislauf-Systems bei und könnte neuroprotektive Effekte haben, die das Risiko psychischer Störungen senken. Die mediterrane Ernährung fördert zudem den sozialen Aspekt des Essens, indem Mahlzeiten oft in Gesellschaft genossen werden, was zusätzlich zur psychischen Gesundheit beitragen kann. Ihr Nutzen in der Umsetzung bei Menschen mit psychischen Erkrankungen wird durch zahlreiche Forschungsarbeiten belegt.

Eine weitere, noch weniger gut erforschte Ernährungsform bei psychischen Erkrankungen, die zunehmend Bedeutung bei therapieresistenten psychischen Leiden erlangt, ist die ketogene Ernährung. Diese Ernährungsform wird bereits seit 100 Jahren zur Behandlung therapieresistenter Epilepsie eingesetzt und beeinflusst verschiedene pathophysiologische Ursachen von psychischen Erkrankungen, wie etwa eine NeurotransmitterDysbalance, Entzündungen, oxidativen Stress und die zerebrale Insulinresistenz. Sie ist jedoch deutlich strenger in Bezug auf die Makronährstoffverteilung, insbesondere bezüglich Kohlenhydratzufuhr. Um den Körper in den Zustand der Ketose zu versetzen, bei dem Fett anstelle von Kohlenhydraten als primäre Energiequelle genutzt wird, darf die tägliche Kohlenhydratzufuhr in der Regel maximal 20 bis 50 Gramm betragen. Diese geringe Menge erfordert eine sorgfältige Planung der Mahlzeiten, um sicherzustellen, dass der Körper ausreichend Energie und Nährstoffe erhält, ohne die Kohlenhydratgrenze zu überschreiten. Die ketogene Ernährung erfordert eine deutliche Reduktion von zucker- und stärkehaltigen Lebensmitteln wie Brot, Pasta und Süßigkeiten, während Fett in Form von hochwertigen Ölen, Butter, Avocado und fettreichem Fisch betont wird.

Das Durchführen einer ketogenen Ernährung bedarf jedoch ärztlicher Observanz, diätologischer Unterstützung und einer guten Compliance und Motivation der Patient:innen um langfristige Erfolge zu erzielen.

Vorgehen in der Praxis

Die moderne biopsychosoziale Abklärung in unserer Spezialambulanz für Psychosomatik, Ernährung und Psyche an der Medizinischen Universität Graz ist immer >

Hausärzt:in extra 49 April 2024

ganzheitlich ausgerichtet und erfordert das systemische Erfassen von Symptomen mittels einer genauen Anamnese und die Erhebung von Grundursachen von psychosomatischen Erkrankungen. Eine umfassende Anamnese zielt darauf ab, biologische, psychologische und soziale Faktoren gleichermaßen zu berücksichtigen. Dieser biopsychosoziale Ansatz ermöglicht es, ein vollständiges Bild der psychischen Gesundheit einer Person zu erhalten. Die Untersuchung umfasst psychiatrische, neurologische und somatische Aspekte und schließt die Ermittlung von Größe, Gewicht, Body-Mass-Index (BMI), Taillen- und Hüftumfang ein.

Neben einem Ernährungsprotokoll ist ein erweitertes Laborprogramm Teil der Abklärung, um potenzielle Mängel aufzudecken, wie Defizite bei B-Vitaminen, Eisen, Zink, Jod und Elektrolyten. Marker für Entzündungen werden ebenso erhoben wie die Gesundheit der Darm-Gehirn-Achse, die eine bedeutende Rolle in der psychischen Gesundheit spielen kann. Der Immunstatus wird überprüft, um Krankheiten wie Zöliakie oder Hashimoto-Thyreoiditis zu identifizieren, die beide die psychische Gesundheit beeinträchtigen können. Ein besonderes Augenmerk liegt auf der metabolischen Abklärung, einschließlich der Messung von Glukose, Insulin, dem HOMA-Index, der optimale Werte von unter 1 und kritische Werte von über 3 anzeigt, HbA1c und Triglyceriden. Diese umfassende Herangehensweise stellt sicher, dass keine zugrunde liegenden körperlichen Gesundheitsprobleme übersehen werden, die psychische Erkrankungen beeinflussen könnten. Ernährungsbasierte Interventionen finden bereits Erwähnung in den Richtlinien führender psychiatrischer Fachverbände

IMPRESSUM

Herausgeber und Medieninhaber:

RegionalMedien Gesundheit – RMA Gesundheit GmbH, Am Belvedere 10 / Top 5, 1100 Wien, Tel. 01/74321708114, office@gesund.at.

Geschäftsführung: Mag.a Birgit Frassl, Marlis Rumler.

Redaktionsleitung: Mag.a Karin Martin.

Redaktion: Mag.a Karin Martin, Anna Schuster, BSc, Margit Koudelka, Felicia Steininger, Mara Sophie Anmasser, Justyna Frömel, Bakk. MA.

Lektorat: Mag.a Katharina Maier.

Produktion & Grafik: Angie Kolby.

Cover-Foto: shutterstock.com/AI.

Verkaufsleitung: Mag.a Birgit Frassl, birgit.frassl@regionalmedien.at.

Kundenbetreuung: Mag.a Dagmar Halper, dagmar.halper@regionalmedien.at, Claudia Szkutta, claudia.szkutta@regionalmedien.at.

Druckerei: Bösmüller Print Management GesmbH & Co. KG.

Verlags- und Herstellungsort: Wien.

Grundlegende Richtung: Unabhängige österreichische Fachzeitschrift für niedergelassene Ärzt:innen.

Die HAUSÄRZT:IN – Praxis-Magazin für Primärversorgung –ist ein interdisziplinäres Informations- und Fortbildungsmedium.

wie der World Federation of Societies of Biological Psychiatry (WFSBP), was die Bedeutung und Anerkennung dieses Ansatzes unterstreicht.

Parallel muss in gleichen Schritten mit den Werkzeugen der Verhaltenstherapie und des Motivational Interviewings die Basis für die Bereitschaft zur Einhaltung eines mediterranen Ernährungsstils, eines kohlenhydratreduzierten Ernährungsstils oder – im Rahmen eines individu ellen Heilversuchs – einer ketogenen Ernährungsweise bei schweren, therapieresistenten psychischen Erkrankungen geschaffen werden. Ein Grundsatz ist hierbei: Hinzuzufügen, was fehlt, weglassen, was schadet.

GASTAUTOR:INNEN-TEAM DER MED UNI GRAZ:

Priv.-Doz.in DDr.in Sabrina Mörkl Klinische Abteilung für Medizinische Psychologie, Psychosomatik und Psychotherapie

© Opernfoto Graz

Wichtig

© Opernfoto Graz

Univ.-Prof.in Priv.-Doz.in Dr.in Jolana WagnerSkacel

MMag.a Dr.in Sonja Lackner Lehrstuhl für Immunologie und Pathophysiologie am Otto Loewi Forschungszentrum

Leitung der Abteilung für Medizinische Psychologie, Psychosomatik und Psychotherapie © Furgler Graz

Selbstverständlich erarbeiten wir alle Inhalte unserer Ratgeber sorgfältig. Dennoch können wir nicht garantieren, dass alles vollständig und aktuell ist bzw. sich seit dem Druck keine Gesetzesänderung ergeben hat.

Unsere Ratgeber dienen Ihnen als Erstinformation. Sie enthalten die häufigsten Fragen, viele anschauliche Beispiele, Hinweise auf Stolpersteine und einen Überblick über die wichtigsten gesetzlichen Regelungen. Bei individuellen Fragen steht Ihnen unsere Hotline zur Verfügung: (01) 501 65 0

Weitere Informationen finden Sie auch im Internet: www.arbeiterkammer.at

In unserem Fachmagazin setzen wir auf genderneutrale Sprache. Verwendet wird der Doppelpunkt – als beste Symbiose aus Leserlichkeit und Inklusion. Zugunsten der besseren Lesbarkeit verzichten wir teilweise auf die gänzlich orthografisch/ grammatikalisch korrekte Schreibweise. Etwa geben wir bei Artikeln und Pronomen jeweils nur eine Variante an – jene, die zur längeren Variante des gegenderten Wortes gehört. Weitere Informationen siehe: meinmed.at/kommunikation/genderneutrale-sprache/2688 issuu.com/hausarzt/docs/ha_2023_12/3 (Hausärzt:in 12/23, Editorial, S. 3)

Alle aktuellen AK Publikationen stehen zum Download für Sie bereit: wien.arbeiterkammer.at/publikationen

Weitere Bestellmöglichkeiten:

■ E­Mail: mitgliederservice@akwien.at

■ Bestelltelefon: (01) 501 65 1401

Artikelnummer 456

Namentlich gekennzeichnete Beiträge geben nicht unbedingt die Meinung der Redaktion oder des Verlages wieder, sondern fallen in den Verantwortungsbereich der Autor:innen. Der Inhalt von entgeltlichen Einschaltungen und Beilagen sowie die Angaben über Dosierungen und Applikationsformen liegen außerhalb der Verantwortung der Redaktion oder des Verlages und sind von der jeweiligen Anwender:in im Einzelfall auf ihre Richtigkeit zu überprüfen. Nachdruck nur mit schriftlicher Genehmigung des Verlages. Alle Rechte, insbesondere das Recht der Vervielfältigung und Verbreitung sowie der Übersetzung, vorbehalten. Kein Teil des Werkes darf in irgendeiner Form (Fotokopie, Mikrofilm oder ein anderes Verfahren) ohne schriftliche Genehmigung des Verlages reproduziert oder unter Verwendung elektronischer Systeme gespeichert, verarbeitet, vervielfältigt, verwertet oder verbreitet werden.

Mit „Bezahlte Anzeige“ gekennzeichnete Beiträge/Seiten sind gemäß §26 Mediengesetz bezahlte Auftragswerke. Offenlegung: gesund.at/impressum

Hausärzt:in extra 50 April 2024
<
© shutterstock.com/Nitr

SPRECHStunde

Patient:innen-Fragen kompetent beantworten

EXPERTIN:

Assoc. Prof.in Priv.-Doz.in OÄ

Dr.in Yvonne

Winhofer-Stöckl, PhD

Klinische Abteilung für Endokrinologie und Stoffwechsel, MedUni Wien

„Kann man das LDL-C auch zu stark senken?“

Patientin Barbara M. (64) bekommt Medikamente zur Cholesterinsenkung verordnet und macht sich deshalb Sorgen – zumal sie vor einigen Monaten mit einer Lebensstilumstellung begonnen hat, also zum Beispiel jetzt deutlich mehr Sport treibt und auf eine gesündere und cholesterinarme Ernährung achtet … Sie fragt, ob die Cholesterinwerte auch zu stark gesenkt werden könnten?

Prof.in WINHOFER-STÖCKL: Ganz klar: nein! Zumindest sagt das der heutige Stand der Wissenschaft:

Der LDL-/LDL-Rezeptor-Weg dient eigentlich der Cholesterinelimination! Gelingt es der Leber nicht, entsprechend die LDL-Partikel aus dem Blut zu eliminieren, zirkulieren sie darin und können sich in der Arterienwand ablagern, wodurch letztendlich eine Atherosklerose entsteht.1,2

Niedrige LDL-Cholesterin-Werte sehen wir heute vor allem bei Menschen, die mit sogenannten PCSK9-Hemmern („C holesterinspritzen“) behandelt werden. PCSK9 ist ein Enzym der Leber, das das LDL-Rezeptor-Recycling verhindert. Die Idee zu diesen Therapien

DAS WICHTIGSTE IN KÜRZE1,2

kam aus der Natur. Es gibt Familien mit einer Loss-of-Function-Mutation des PCSK9-Gens, das heißt, sie produzieren kein PCSK9, haben dementsprechend niedrige LDL-C-Werte und ein geringes kardiovaskuläres Risiko, sind aber auch sonst gesund! Es gibt aber auch Familien mit einer Gain-of-FunctionMutation, die besonders hohe LDL-CWerte und eine „prämature ASCVD“ aufweisen. Sie zählen zur Gruppe der Menschen mit familiärer Hypercholesterinämie (FH).1,2

Man darf sich von niedrigen LDL-CWerten im Labor auch nicht täuschen lassen. Bei den meisten Laborbefunden bekommt man einen mit der Friedewald-Formel errechneten LDL-CWert, der bei niedrigen Werten falsch niedrig sein kann.1 Das heißt, hier müsste man LDL-C direkt bestimmen lassen.

Es gibt auch keinen Hinweis auf Steroidhormon- oder Vitamin-E-Mangel bzw. Unterversorgung des Gehirns, da es das Cholesterin sowieso aus dem HDLCholesterin bezieht. Neugeborene und Kleinkinder haben übrigens ebenfalls ganz niedrige LDL-C-Werte und gedeihen damit hervorragend.2

� Laut heutigem Wissensstand besteht keine Gefahr durch „zu niedrige“ LDL-C-Werte.

• Das Leberenzym PCSK9 wirkt sich maßgeblich auf die Höhe der LDL-C-Werte aus. So haben etwa Personen, die aufgrund einer Genmutation kein PCSK9 produzieren, niedrige LDL-C-Werte und ein geringes kardiovaskuläres Risiko.

• Um die Therapieziele zu erreichen, sind oftmals Kombinationstherapien das Mittel der Wahl.

• CAVE: Niedrige LDL-C-Werte im Labor können falsch niedrig sein, da sie meist mit der Friedewald-Formel errechnet wurden (vs. eine direkte Bestimmung von LDL-C).

• Mit einer effektiven lipidsenkenden Therapie schützt man die Patient:innen vor Atherosklerose und ihren Folgen.

Also keine Angst, mit einer effektiven lipidsenkenden Therapie schützen Sie Ihre Patient:innen – Sie gefährden sie nicht!

Praxistipp: Bei Menschen mit sehr niedrigen LDL-C-Werten unter PCSK9Hemmer-Statin-Kombination kann man versuchen, die Statindosis zu reduzieren, da dies auch das Risiko statinassoziierter Nebenwirkungen senkt. Aber man sollte die Statintherapie AUF KEINEN FALL beenden, weil dann die meisten ihren LDL-C-Zielbereich verlassen; der PCSK9i-Mechanismus funktioniert nämlich am besten mit begleitender Synthesehemmung (also durch Statine oder Bempedoinsäure).3,4

Literatur:

1 2019 ESC/EAS Guidelines for the management of dyslipidaemias: lipid modification to reduce cardiovascular risk. doi.org/10.1093/eurheartj/ehz455

2 Masana L et al., Clinical and pathophysiological evidence supporting the safety of extremely low LDL levels – The zero-LDL hypothesis. J Clin Lipidol. 2018 Mar-Apr;12(2):292-299.e3.

3 Masana L et al., Reasons Why Combination Therapy Should Be the New Standard of Care to Achieve the LDL-Cholesterol Targets. Curr Cardiol Rep. 2020 Jun 19;22(8):66.

4 Rubino J et al., Lipid lowering with bempedoic acid added to a proprotein convertase subtilisin/kexin type inhibitor therapy: A randomized, controlled trial. J Clin Lipidol. 2021 Jul-Aug;15(4):593-601.

Hier geht es zur aktuellen Leitlinie:

Langfassung der ESC-/EASGuideline:

Kurzfassung: ESC/EAS Pocket Guideline, Deutsche Ges. f. Kardiologie:

Hausärzt:in extra 51 April 2024 © MedUni Wien/feelimage
© shutterstock.com/Archiv

Multikulturelle Teams

Migration – Herausforderung und Chance für die Zukunft der Pflege

Statistiken zeigen eine steigende Lebenserwartung und deuten auf einen künftig höheren Anteil hochbetagter und pflegebedürftiger Menschen hin.¹ Gleichzeitig wird ein Rückgang der Betreuung im familiären Umfeld verzeichnet und Pensionierungswellen von qualifizierten Pflegekräften sind zu erwarten. Darüber hinaus ist die Forderung nach mehr Produktivität bei weniger Anreizen für viele Pflegekräfte körperlich und geistig erschöpfend.² Die Pflegepersonal-Bedarfsprognose für Österreich besagt, dass bis zum Jahr 2030 etwa 76.000 zusätzliche Pflegepersonen benötigt werden.³ Um Personalengpässen entgegenzuwirken, setzen insbesondere wirtschaftsstarke Länder auf die Strategie der Migration von Pflegekräften.4

„Damit sich Personalengpässe durch Pflegekräfte aus dem Ausland abfedern lassen, muss systematisch und unter Einhaltung ethischer Prinzipien vorgegangen werden.“

Koordinierte Umsetzung

Damit sich Personalengpässe durch Pflegekräfte aus dem Ausland abfedern lassen, muss systematisch und unter Einhaltung ethischer Prinzipien vorgegangen werden. Ein Vorschlag: Eine nationale Agentur wirbt Personal für Österreich in den verschiedenen Ländern koordiniert an. Diese arbeitet mit Bildungseinrichtungen im Ausland zusammen, kennt die jeweiligen Pflegeausbildungen, setzt Austauschprogramme um, bietet zugeschnittene Online-Ausbildungsprogramme und Deutschkurse vor Ort an. Das ermöglicht interessierten Personen, bereits während ihrer Aus-

bildung nach Österreich zu kommen oder im Heimatland Prüfungen zu machen, um später ihre Nostrifikation in Österreich schneller abwickeln zu können und ihrer Qualifikation entsprechend eingesetzt zu werden. Unterstützung bei notwendigen Behördenwegen wird geboten und relevante Informationen sind in unterschiedlichen Sprachen verfügbar. Auch die Vermittlung kultureller Inhalte erfolgt über die Agentur. Dabei ist es wichtig, Herkunftsländer nicht auszubeuten, sondern ein System des gegenseitigen Gebens und Nehmens zu entwickeln.

Neue Sichtweisen

Im pflegerischen Arbeitsalltag stellen sprachliche Barrieren in multikulturellen Teams eine beträchtliche Herausforderung dar. Die Zusammenarbeit mit Personen unterschiedlicher Herkunft scheint sich aber positiv auf die Arbeitsqualität auszuwirken, wenn neue Sichtweisen und Wissen ausgetauscht werden. Eine DGKP berichtet: „Wir sind jetzt multikulturell und da gehört Akzeptanz von beiden Seiten dazu. Kolleg:innen mit Migrationshintergrund erzählen uns oft über ihre Herkunft und Bräuche, was unter den Mitarbeiter:innen, aber auch bei Patient:innen zu mehr Verständnis und Akzeptanz führt.“

Auslandsanwerbung kann aber nicht die einzige Säule der Pflege sein. Es muss gelingen, Rahmenbedingungen zu schaffen, die den Pflegeberuf für Personen aus Österreich attraktiv machen. Im Moment gibt es nur wenig Positiv-PR für die Pflege. Das muss sich ändern. Die dritte Säule stellt die Digitalisierung dar – gerade hier ist großes Potenzial für Entlastung vorhanden.

Gastautor:innen: Mag.ª Dr.in Judith Goldgruber, Sandra Dohr, BA, MA, Prof. Dr. Gerd Hartinger, MPH

Quellen:

1 World Health Organization (2020). State of the World’s Nursing Report-2020. Zugriff am 23.01.2024. Verfügbar unter: bit.ly/3kz3mgR

2 Kordes J et al. (2020). Social Sciences, 9(2), 19.

3 Rappold E, Juraszovich B (2019). PflegepersonalBedarfsprognose für Österreich. Bundesministerium für Soziales, Gesundheit, Pflege und Konsumentenschutz: Wien.

4 Sell S (2020). Potenzial und Grenzen von Zuwanderung in die Pflege. In: Jacobs K et al. (eds), Pflege-Report 2019. Springer: Berlin, Heidelberg.

Erstveröffentlichung: Goldgruber J, Dohr S & Hartinger G (2023). Migration – Herausforderung und Chance für die Zukunft der Pflege. ProCare, 28(3): 52-55.

Hausärzt:in extra 52 April 2024 PARTNER:IN
shutterstock.com/melitas
©

TERMINE Aktuelle Kongresse und mehr

24.-25.05.2024

15. Wörthersee Symposium (Allergologie)

Ort: Veranstaltungszentrum Velden

06.-08.06.2024

30. Kongress der ÖSG (Schmerzmedizin)

Ort: Congress Center Villach

29.05.-01.06.2024

ÖKG Jahrestagung 2024 (Kardiologie)

Ort: Salzburg Congress

12.-15.06.2024

EULAR 2024 (Rheumatologie)

Ort: Messe Wien

31.05.-04.06.2024

ASCO 2024 (Klinische Onkologie)

Ort: McCormick Place Chicago & Online

Weitere Infos und Veranstaltungen finden Sie in unserem Kongresskalender unter:

gesund.at/ kongresskalender

Hausärzt:in extra 53 April 2024

Schmerzspezialist verlegt Standort

Grünenthal bezieht neue Büros im Herzen Wiens

Mit einem Einweihungsfest am 22. März 2024 mit Gästen aus Medizin und Wirtschaft hat das österreichische Team von Grünenthal in gemütlich-geselliger Atmosphäre den Einzug in das neue Büro gefeiert. Im Februar dieses Jahres haben die 15 Kolleg:innen die Zelte am langjährigen Standort im niederösterreichischen Brunn am Gebirge abgebrochen und sind in ein Business Center auf der Mariahilfer Straße 123 im Herzen Wiens gezogen. Neben der zentralen Lage mit guter Erreichbarkeit überzeugt das neue Arbeitsumfeld vor allem mit einem modernen

Bürokonzept, wie Country Manager Karl Wögenstein, PhD, beim Event betonte: „Wir wollten ganz bewusst weg von kleinen Einzelbüros, um die Kommunikation unter den Kolleg:innen zu fördern. Die neuen Büros unterstreichen somit auch unsere Unternehmenskultur, die von

Agilität, Offenheit und cross-funktionalem Austausch geprägt ist “ Das Team freut sich darauf, in der neuen Location weiter an der Verwirklichung der Grünenthal-Unternehmensvision von einer Welt ohne Schmerzen mitzuwirken.

Quelle: Grünenthal Österreich

55 April 2024 Hausärzt:in informativ
© Foto Mitterer

Leitlinien für Homöopathie-Forschung

Dr. Peithner Preis würdigt Integration von Homöopathie in konventionelle Medizin

Am 6. April wurde der Dr. Peithner Preis an ein achtköpfiges Autor:innen-Team für wegweisende Forschung in der Homöopathie vergeben. Prämiert wurden zwei Guidelines zur Integration von spezifischen Homöopathie-Aspekten in Forschungsstandards der konventionellen Medizin, um die Qualität von Homöopathie-Studien zu verbessern und ihre Ergebnisse international vergleichbar zu machen. Die Verleihung fand im Rahmen des Frühlingsfestes der Österreichischen Gesellschaft für Homöopathische Medizin (ÖGHM) statt. Die Preisträger:innen

sind: Dr. Klaus von Ammon, Dr.in Katharina Gaertner, Dr.in Susanne Ulbrich-Zuerni, Dr. Martin Frei-Erb, Dr.in Philippa Fibert, Dr.in Christien Klein-Laansma, Dr.in Petra Weiermayer und Univ.-Prof. Dr. Michael Frass. Der Preis ist heuer erstmals mit 4.000 Euro dotiert und hat zum Ziel, die wissenschaftliche Forschung im Bereich der Homöopathie zu fördern. Die besten Arbeiten werden von einer Fachjury – bestehend aus Vertreter:innen der ÖGHM und der Geschäftsführung von Schwabe Austria – ausgewählt. Quelle: Schwabe Austria GmbH

v. l. n. r.: Preisträger Prof. Dr. Michael Frass, Dr. Fritz Gamerith (Schwabe Austria), Dr.in Rosemarie Brunnthaler-Tscherteu (ÖGHM) und Preisträgerin Dr.in Petra Weiermayer

57 April 2024 Hausärzt:in informativ
© Katharina Schiffl

Ordination der Zukunft

Von der künstlichen Intelligenz in der Medizin bis zum Praxismanagement

Samstag, 12. Oktober 2024

Hotel Savoyen

Rennweg 16

Wien 1030

Kosten

Mitglieder: 75 €

Nicht-Mitglieder: 95 €

Anmeldung

arztassistenz.at/fortbildung/ termine-im-ueberblick/bdatermine/tagungen-kongresse/ 10-bda-kongress-wien

6 BdA Fortbildungspunkte

10 Jahre Jubiläum

© sBdA/nikoshimedia + KI
BdA-KONGRESS WIEN Vorankündigung

Turn static files into dynamic content formats.

Create a flipbook
Issuu converts static files into: digital portfolios, online yearbooks, online catalogs, digital photo albums and more. Sign up and create your flipbook.