Hausärzt:in 02/2023

Page 1

SORGENKIND

ERWACHSENENIMPFUNGEN

Wo bleiben umfassende Strategien und Konzepte für die Erstattung?

Schönem anreichern“

Auf ein Frühstück mit Suchtexperten Prof. Michael Musalek

Schmerzmedizin 2023

– quo vadis?

Die Pläne der ÖSG: Von der Ausbildung bis zur Qualitätssicherung in der Praxis

Praxiswissen:

Pulmonale Hypertonie

Chronisch erhöhten Blutdruck im Lungenkreislauf erkennen

Österreichische Post AG, MZ16Z040661M, 32. Jahrgang, RegionalMedien Austria GesundheitRMA Gesundheit GmbH, Am Belvedere 10 / Top 5, 1100 Wien
„Das Leben mit
02/2023 Praxis-Magazin für Primärversorgung mit Sonderteil Pharmazie

Life ist live

Vom Wiener Ärzteball über den Österreichischen Impftag bis hin zu persönlichen Expert:innen-Interviews im Kaffeehaus und Vorort-Pressekonferenzen: Die ersten beiden Monate des Jahres 2023 haben „ a ngenehm normal“ begonnen. Nach knapp drei Jahren coronabedingter Kontakteinschränkungen sind wieder deutlich mehr Vorort-Veranstaltungen angesetzt als noch im Vorjahr in der Faschingszeit. Als positiver Nebeneffekt der Pandemie ist geblieben: Oft kann auch online teilgenommen werden. Die Teilnehmer:innen haben die Wahl.

Hausärzt:in Dialogtag in Linz

Auch wir, das Team der RegionalMedien Gesundheit, haben im Frühjahr des Vorjahrs unseren schon traditionellen Hausärzt:in Dialogtag in Linz leider kurzfristig absagen müssen – wegen der damals hohen Infektionszahlen und der überlasteten Mediziner:innen in den Spitälern und Praxen. Mit umso mehr Vorfreude laden wir heuer zur Präsenzveranstaltung am 3. Juni ein. Das Thema lautet „ Moderne Schmerzmedizin: Möglichkeiten und Grenzen“ (siehe auch Seite 10).

Unsere Mitveranstalter sind das Ordensklinikum Linz und die Oberösterreichische Gesellschaft für Allgemeinmedizin (OBGAM). Renommierte Expert:innen werden im Rahmen der DFP-approbierten Veranstaltung praxisnahes Wissen vermitteln und zur Diskussion einladen. Das Besondere daran ist, dass Hausärzt:innen und Kliniker:innen die Vortragsthemen gemeinsam aufarbeiten – teils anhand von Fallbeispielen.

Spannend wird zudem die Podiumsdiskussion nach der Mittagspause zum Thema „Was tun gegen Lücken in der Versorgung von Schmerzpatient:innen? “ Erwartet werden neben Fachexpert:innen aus dem intra-

und extramuralen Bereich auch Vertreter:innen der Politik, von Selbsthilfegruppen und der sozialen Krankenversicherung.Wir würden uns sehr freuen, Sie begrüßen zu dürfen – die Anmeldung ist ab sofort möglich (meinmed.at/dialogtag-linz).

Freudvolle Ereignisse

Geht es auch Ihnen manchmal so? Einerseits sind wir nach den knapp drei Jahren Pandemie glücklich, wieder mehr Freiheiten zu haben. Andererseits verspüren wir ab und an noch Zurückhaltung, was größere Veranstaltungen betrifft. Eine gewisse Vorsicht und Vernunft ist an sich ein guter Berater. Oft siegt bei der Entscheidung für die Online- und somit gegen die Live-Teilnahme allerdings die Bequemlichkeit. Das ist schade, denn persönliche Begegnungen bereichern das Leben. Gemäß unseren redaktionsinternen Wortspielereien und in Anlehnung an den berühmten Opus-Song

„ L ive is life“: Das Leben ist nur „ l ive“ wirklich „ l ively “ , also lebendig. Oder wie der renommierte Suchtexperte Prof. Dr. Michael Musalek in einem spannenden Interview ab Seite 6 festhält: Für „ein freudvolles Ereignis“ braucht es (auch) schöne Begegnungen.

Viele freudvolle Erlebnisse und eine spannende Lektüre wünscht Ihnen

Hausärzt:in Editorial © RegionalMedien Gesundheit © shutterstock.com/Macrovector
3 Februar 2023
Ihre Mag.a Karin Martin Redaktionsleiterin RegionalMedien Gesundheit karin.martin@regionalmedien.at

06 „Das Leben mit Schönem anreichern“

Prof. Dr. Michael Musalek im Gespräch zu Wegen aus der Alkoholabhängigkeit

11 Hinschauen als Team Anzeichen von Angst und Depression wahrnehmen und gezielte Fragen stellen

14 Die Mär vom bedingungslosen Mutterglück Affektive Erkrankungen im Peripartum – eine systemische Betrachtung

25 DFP Praxiswissen: Pulmonale Hypertonie Chronisch erhöhten Blutdruck im Lungenkreislauf erkennen

30 Über Haut und Luft Atopische Erkrankungen und der Klimawandel –Herausforderungen und Schutzmaßnahmen

37 Gefäßpatient:innen in der Praxis

Tiefe Venenthrombosen: Update zu Diagnostik, Therapie und Prophylaxe

40 Alles nur Einbildung? Biopsychosoziale Zusammenhänge von Schmerzen erklären

42 Schmerzmedizin – quo vadis? Die Pläne der Österreichischen Schmerzgesellschaft für 2023

45 Problematische Presbyphagie

Schluckstörungen und ihre assoziierten Komorbiditäten in der ärztlichen Praxis

48 Mistelextrakte beim Pankreaskarzinom

Klinische Studie bestätigt den positiven Einfluss auf Lebensqualität und Überleben

50 Gendermedizin am Beispiel Harnblasenkarzinom Eine spätere Diagnose verschlechtert die Prognose

THEMA DES MONATS

16 Sorgenkind Erwachsenenimpfungen

Wo bleiben umfassende Strategien und Konzepte für die Erstattung?

22 „In Impfungen investiertes Budget amortisiert sich“ Doz.in Dr.in Maria

Paulke-Korinek vom Gesundheitsministerium im Interview

24 Neuerungen im Impfplan 2023

Im Überblick: Aktuelles zur Immunisierung von Erwachsenen

51 Feingefühl gefragt Hämorrhoidalleiden –Schamgefühl stellt oft eine Barriere dar

60 Green Care Bauernhöfe als sozialer Ort der Pflege und Betreuung

63 Physio Sicht Sache „Alle Gesundheitsberufe in den Eltern-Kind-Pass einbinden“

63 Impressum

52 Derma und Darm – eine Symbiose Wie die zwei größten Organe des Menschen sich gegenseitig beeinflussen

58 Neues vom Markt Teil 3 APOkongress 2022: Dermatologie im Fokus

59 „Häufige Komorbidität“ Doppelte Symptomlast bei Hausstaubmilbenallergie und atopischer Dermatitis verringern

61 Beleidigte Bronchien Wann zum Arztbesuch raten?

4 Februar 2023
Hausärzt:in Inhaltsverzeichnis
pharmazeutisch
Allergien und umweltschädliche Faktoren. 40 30 medizinisch
extra © shutterstock.com/A. Solano © shutterstock.com/ESB Professional
Schmerz individuell empfunden.
politisch

„Das Leben mit Schönem anreichern“

Auf ein Frühstück im Café Sperl mit Prof. Musalek – die Gesprächsthemen: Wege aus der Alkoholabhängigkeit hin zu einem freudvollen, autonomen Leben

HAUSÄRZT:IN: Herr Prof. Musalek, haben Alkoholabhängigkeiten und Rückfälle nach Abstinenz in den vergangenen Jahren der Krisen nachweislich zugenommen?

Prof. MUSALEK: Der Alkoholkonsum hat nachweislich zugenommen, ja. Auch eigene Studien zeigen das. Dass die Alkoholkrankheit häufiger wurde, belegt meines Wissens bisher keine Untersuchung. Das ist aber verständlich, weil es hierfür eine gewisse Latenz braucht. Auch zu Rückfällen sind mir keine Studiendaten bekannt. In der Praxis haben wir insbesondere während der Lockdowns aber sehr wohl bemerkt, dass die Patienten weniger in die Ambulanzen gekommen sind und es in der Folge zu mehr Rückfällen kam.

Welche Bevölkerungsgruppen sind besonders betroffen?

Man sagt ja: Die Natur kennt Gerechtigkeit nicht. Bei der Alkoholproblematik ist sie ziemlich gerecht (lacht): Eine Abhängigkeit kann jeden betreffen, der lang genug viel trinkt. Das entscheidende Kriterium ist – wie bei jedem Suchtmittel –die Verfügbarkeit. Das ist mit ein Grund dafür, warum wir so hohe Zuwachsraten bei den Frauen haben, während die Zahlen bei den Männern seit den 1970ern

relativ konstant, ja sogar leicht rückläufig sind. Alkohol ist heute bei Frauen viel mehr akzeptiert und für sie leichter verfügbar als noch vor 30 Jahren. Hinzu kommt, dass Alkohol eine entspannende Substanz ist und Frauen oftmals durch Mehrfachbelastungen unter massivem Druck stehen. Es wird zum naheliegendsten Tranquilizer gegriffen, und das ist Alkohol. Diese Entwicklung hat sich durch die Pandemie sicher noch verstärkt.

Harm Reduction ist gerade ein Modewort. Ist es beim Alkohol möglich, vom Ziel der absoluten Abstinenz abzuweichen?

Bei der Alkoholsucht kommen zwei Formen der Harm Reduction zur Anwendung. Als echtes Therapieziel kann weniger trinken nur dann sinnvoll sein, wenn jemand gerade noch nicht als alkoholkrank diagnostiziert wird, also noch von keiner schweren körperlichen oder psychischen Abhängigkeit betroffen ist.

Bei diesen Patienten kann man versuchen, sie durch Trinkmengenreduktion wieder auf ein Maß zu bringen, das für sie nicht schädlich ist.

Die zweite Form der Harm Reduction kommt für jene wirklich alkoholkranken Patienten in Frage, die es noch nicht

Hausärzt:in medizinisch 6 Februar 2023
©
© unsplash.com/Trent Haaland
privat
Serie
v. li. n. re.: Mag.a Karin Martin, Chefredakteurin der Hausärzt:in, und Univ.-Prof. Dr. Michael Musalek, Vorstand des Instituts für Sozialästhetik und Psychische Gesundheit, Sigmund Freud PrivatUniversität Wien.
PSYCHE

schaffen, eine Abstinenz dauerhaft durchzuhalten. Abgesehen von der Suchtproblematik, kommt es bei Alkoholkranken bekanntlich zu schweren körperlichen Schäden. Durch den geringeren Konsum lassen sich zumindest diese minimieren.

Welche Bedeutung kommt dem „Craving“ zu, also der Begierde nach Alkohol während der Abstinenz und nach erneuter Alkoholaufnahme?

Craving ist ein Phänomen, das wir bei vielen Alkoholkranken sehen, aber nicht bei allen. Meist wird es mit dem starken Drang oder Wunsch erklärt, eine Substanz einzunehmen. Aber das ist zu wenig. Beim Craving kommt immer eine Art Vernichtungsgefühl hinzu. Am ehesten vergleichbar ist es mit dem Gefühl, wenn einem im Moment der totalen Verliebtheit die Partnerin/der Partner abhandenkommt. Man kann sich dann nicht vorstellen, wie der Tag zu Ende geht. Alles ist einfach schwarz. Es geht nichts mehr. Es genügt dann nicht, den Betroffenen auf die Schulter zu klopfen und zu sagen: Das wird schon wieder. Der Drang ist wirklich extrem.

Inwieweit können heute mit Medikamenten das Verlangen nach Alkohol und das Rückfallrisiko gesenkt werden?

Wir haben heute zum Beispiel mit Naltrexon einen lang wirkenden spezifischen Opioid-Antagonisten zur Verfügung, der hervorragend bei Patienten wirkt, die regelmäßig von Craving-Zuständen betroffen sind, welche natürlich leicht zu Rückfällen führen. Auch hier wieder das Beispiel der Verliebtheit: Wenn dann die Partnerin/der Partner wieder auftaucht, ist die Chance, dass man aufgrund des Cravings die Beziehung wieder aufnimmt, obwohl man weiß, dass sie keine Chance mehr hat, relativ groß. Naltrexon wirkt dem Craving nach Alkohol entgegen: Durch die Reduktion des Verlangens geht auch das Rückfallrisiko betroffener Patienten zurück. Das entsprechende Medikament ist in der Erstattung. Anders bei einem weiteren Arzneistoff, der bei der Reduktion der Alkoholkonsummenge, also der Harm Reduction, unterstützend eingesetzt werden kann: Nalmefen. Das entsprechende Medikament hilft nachweislich Menschen mit hoch problematischem Alkoholkonsum, die aber noch keine schweren Entzugs-

erscheinungen haben. Leider ist es nur für Reiche verfügbar, da es nicht erstattet wird. Das war eine gesundheitspolitische Entscheidung fernab des wissenschaftlich belegten Wirkungsnachweises …

Medikamente sind immer nur eine von mehreren Säulen der Behandlung … Genau. Mein Lieblingssatz in diesem Zusammenhang ist: Die Verschreibung eines Medikaments ist noch keine Behandlung. Das Medikament ist ein sehr gutes Hilfsmittel, z. B. für jene Patienten, die vom Craving betroffen sind. Wir unterscheiden heute zwischen der Akutbehandlung, bei der es darum geht, einen Alkoholentzug durchzuführen und bestehende akute körperliche und psychische Erkrankungen zielführend zu behandeln. Denn Alkoholkranke haben ja so gut wie immer Komorbiditäten. Sowie einer Stabilisierungsphase und dann, ganz wesentlich, einer Lebensneugestaltungsphase. Es braucht also immer – neben einer möglicherweise stationären – eine langfristige ambulante Begleitung, deshalb hat sich der Begriff chronische Entwöhnungsbehandlung etabliert. Naltrexon z. B. muss dann auch langfristig gegeben werden.

Am Anton-ProkschInstitut haben Sie im Rahmen des OrpheusProgramms einen Paradigmenwechsel hin zu einer humanbasierten, ressourcenorientierten Suchtbehandlung geschafft. Wie gestaltet sie sich? Es steht – anders als beim krankheitsorientierten Ansatz –nicht mehr die Alkoholkrankheit, sondern der kranke Mensch im Fokus, der ja nicht nur aus Defekten und Defizienzen besteht, sondern immer auch eine ganze Reihe von Ressourcen und Fähigkeiten hat, auf die gesetzt werden kann: kognitive, emotionale, soziale, spirituelle …

Vor allem geht es auch um Ressourcen des Möglichen – und ganz wesentlich –um Ressourcen des Schönen.

Wenn etwas für uns schön und attraktiv ist, dann sind wir hochmotiviert, wenn es nicht schön ist, nicht. Nun ist Abstinenz nicht wirklich attraktiv als Therapieziel, sondern eher eine mühsame Angelegenheit. Auch ist es für den Menschen in der Regel nicht vorstellbar, ein Leben lang auf etwas zu verzichten, das in der Liste der wichtigsten Dinge im Leben für ihn ganz oben steht. Für Suchtkranke ist der Alkohol oft das einzige, das ihnen geblieben ist … Die Idee war darum, den Alkoholkonsum zum 20wichtigsten zu machen – auf das kann ich verzichten. Das schaffe ich! Das wurde zum Grundprinzip des Orpheus-Programms. Ziel ist, das Leben mit so viel Schönem anzureichern, dass das Suchtmittel automatisch an Attraktivität verliert und in der Rangreihe der wichtigen Plätze verliert.

Wie ändern sich dadurch die Therapieziele? Therapieziel ist, ein möglichst autonomes und weitgehend schönes Leben zu führen – also nichts anderes als psychische Gesundheit. Für die Praxis bedeutet das: Wenn jemand jetzt abstinent ist, aber nach

Hausärzt:in medizinisch >

wie vor kein weitgehend selbstbestimmtes, freudvolles Leben führen kann, dann wäre das ein Therapieversager. Trotz der Abstinenz. Einfach weiterzutrinken und ein freudvolles Leben zu führen, ist ebenfalls ausgeschlossen, weil man in der Sucht nicht selbstbestimmt leben kann. Man ist von den Suchtmitteln getrieben. Optimal bleiben Abstinenz und ein freudvolles, selbstbestimmtes Leben. Wenn der Patient aber das Suchtmittel nur mehr zeitweise nimmt, ohne dass damit große Auswirkungen im sozialen, psychischen und körperlichen Bereich verbunden sind, und er dann sofort wieder in die Abstinenz kommt, kann das auch als Therapieerfolg bewertet werden – sofern er ein freudvolles und autonomes Leben führen kann.

Wie kann es nach Jahren der Deprivation gelingen, wieder Lebensfreude zu entwickeln?

Vorweg: Die Depression ist der größte Gegner des Orpheus-Programms. Sie muss zuallererst behandelt werden, denn in einer Depression kann man per se nicht freudvoll erleben. Umgekehrt gibt es aber auch genügend Menschen, die keine Depression haben und kein freudvolles Leben führen.

Das Orpheus-Programm ist ein modulares Behandlungsangebot, das mit Aufmerksamkeits- und Achtsamkeitsmodulen beginnt und in der Folge ein breites Programm von Schönheitsentwicklungsmodulen bereitstellt. Für die Teilnehmer geht es darum, ihre Potenziale zu nutzen und herauszufinden, was für sie schön und angenehm ist. Das Schöne am Schönen ist, dass es oft gar nichts kostet. Die Natur bewusst erleben, an einer Blume riechen kann jeder. Das Angebot reicht von Körpererlebnis- über Kreativitäts- bis hin zu philosophischen Modulen.

Sie leiten an der Sigmund Freud PrivatUniversität das Institut für Sozialästhetik und Psychische Gesundheit. Welche Rolle spielt die Sozialästhetik in der Suchtbehandlung?

Sozialästhetik ist die Wissenschaft von der schönen Begegnung und Beziehung. Das, was uns am meisten Kraft gibt, sind nun einmal schöne Beziehungen. Gerade diese sind aber in der Regel bei Alkoholkranken aufgrund der Suchtfolgeerscheinungen gestört. Deshalb geht es immer auch darum, wie man schöne Begegnungen wieder ermöglichen bzw. neue Beziehungen entstehen lassen kann. Das geht natürlich nicht von heute auf morgen, sondern braucht seine Zeit.

Wie wichtig sind die niedergelassenen Ärzt:innen als Kooperationspartner, was würden Sie sich von ihnen wünschen? Sehr wichtig! Wünschen würde ich mir eine noch höhere Sensibilität. Es geht darum, überhaupt für möglich zu halten, dass der Patient, der mir vis-à-vis sitzt, ein Alkoholproblem haben könnte. Uns muss bewusst sein, mit welcher Größenordnung wir es zu tun haben. Wir können davon ausgehen, dass etwa fünf Prozent der Menschen alkoholkrank, also wirklich suchtkrank, sind. D. h., wenn ich am Tag hundert Patienten habe, sind darunter zumindest fünf Betroffene. Die meisten Kollegen schätzen das vermutlich nicht so hoch ein. Wenn wir den problematischen Konsum hernehmen, definiert nur über die Menge, so hat rund ein Viertel der Männer in Österreich einen problematischen Konsum, in Ostösterreich sogar rund ein Drittel. Problematischer Konsum ist die Vorstufe der Alkoholkrankheit. Das gilt es zu erkennen und anzusprechen. Nur so geben wir dem Menschen eine Chance, etwas gegen sein Problem zu unternehmen. Wir können dann erste Hilfestellungen anbieten und sollten Betroffene frühzeitig in eine ambulante Suchteinrichtung überweisen.

Wie verhält es sich dann mit der Zusammenarbeit im weiteren Behandlungsverlauf?

Dass der Hausarzt Alkoholkranke nach bzw. während einer entsprechenden Fachbehandlung weiter betreut, ist allein schon deshalb wichtig, weil betroffene Menschen wie gesagt meist multimorbid sind. Hausärzte sind zudem wichtige Vertrauenspersonen und Motivatoren. Wenn sie über das Orpheus-Programm Bescheid wissen, können sie die Patienten allein schon mit der Frage motivieren: Was haben Sie in der letzten Woche

Schönes geleistet? Was haben Sie Freudvolles erlebt? Sie werden nachzudenken beginnen und ihnen wird hoffentlich doch manches einfallen. Dafür braucht es keine stundenlangen Diskussionen, das geht auch mit einigen wenigen Sätzen.

Wie gut sind Patient:innen mit einer Alkoholsuchtproblematik in Österreich versorgt, welche politischen Forderungen hätten Sie?

Wir sind – insbesondere in Wien – gut aufgestellt, was die Behandlungsmöglichkeiten betrifft. Um in Behandlung zu kommen, braucht es allerdings eine möglichst niedrige Schwelle. Hier haben wir noch Entwicklungspotenzial. Die Wartezeiten bis zur Bewilligung der Therapie sind teils sehr lange. Damit schwindet die Chance auf eine erfolgreiche Behandlung. Wir müssen uns bewusst sein: Die Alkoholkrankheit ist eine tödliche Erkrankung. Wir haben vor Jahren eine Katamnese-Untersuchung mit Patienten gemacht, die stationär aufgenommen waren: Bei den Nachuntersuchungen nach sieben Jahren, das Durchschnittsalter war zirka 45 Jahre, hat ein Viertel dieser Patienten nicht mehr gelebt! Auch das Suizidrisiko ist bei Alkoholkranken um mehr als das Zehnfache erhöht.

Bewusstseinsbildung und eine Enttabuisierung sind last, but not least wohl weitere wichtige Punkte … Ja, dafür sind politische Kampagnen notwendig. Bereits gelungen ist, dass überhaupt über die Alkoholkrankheit gesprochen wird. Das ist auch den Medien und Outings von Prominenten zu verdanken. Vor 20 Jahren war das Thema selbst in Fachmedien größtenteils noch tabuisiert. Das Interview führte Mag.a Karin Martin.

WEBTIPPS

Anton Proksch Institut: api.or.at (mit den Reitern „Orpheus Programm“, „Informationen für Zuweiser:innen und Ärzt:innen“ und „Standorte“).

Sigmund Freud PrivatUniversität Wien, Institut für Sozialästhetik und Psychische Gesundheit: sozialaesthetik.sfu.ac.at

Hausärzt:in medizinisch 8 Februar 2023
„Eine Alkoholabhängigkeit kann jeden betreffen, der lang genug viel trinkt.“

Haus Ärzt:in DIALOGTAG

Hausärzt:in trifft Kliniker:in

Moderne Schmerzmedizin –Möglichkeiten & Grenzen

PräsenzFortbildung

Sa., 3. Juni 2023

IN LINZ

Themen (mit Fallbeispielen aus der Allgemeinpraxis):

Chronischer Schmerz – eine Herausforderung: von der Diagnose bis zur Therapie

Klinische Pharmakologie – Medikationsmanagement & Polypharmazie

Geriatrie & Palliativmedizin – Schmerztherapie ist Teamarbeit

Pädiatrie – Kleiner Mensch, großer Schmerz

Podiumsdiskussion:

Ambulante Schmerztherapie heute – Was tun gegen Lücken in der Versorgung?

Programm und Anmeldung: meinmed.at/dialogtag-linz

7 DFP-Punkte in Planung

Teilnahmegebühr:

OBGAM-, ÖGAM-, JAMÖ-Mitglieder 65€, Nichtmitglieder 85€ Rückfragen an info@meinmed.at

Mit freundlicher Unterstützung von:

Veranstalter:innen:

Änderungen vorbehalten.

Hinschauen als Team

Anzeichen von Angst und Depression wahrnehmen und gezielte Fragen stellen

Angsterkrankungen und Depressionen bei Betroffenen zu erkennen, erfordert das Wahrnehmen wegweisender Auffälligkeiten. Wie dies trotz des typischen Zeitdrucks im Ordinationsalltag gelingen kann, thematisierte Dr. Gert Vetter, Allgemeinmediziner in Frankfurt am Main, am 52. Kongress für Allgemeinmedizin* in Graz. „Wenn ich sage, wir sollen hinschauen, stellt sich die Frage: Wohin? Denn natürlich schauen wir hin, aber wir müssen das im richtigen Moment und bei den richtigen Patientinnen und Patienten tun“, erklärte Dr. Vetter. „Dass die Wertschätzung des Ordinationsteams hierbei eine zentrale Rolle spielt, möchte ich vorwegnehmen. Denn das Detektieren von Erkrankungen wie Angst- und Panikstörungen oder Depressionen werden Sie ohne Ihr Team nur schwerlich durchhalten.“

Wie geht es Ihnen?

Zur Veranschaulichung der Thematik stellte Dr. Vetter Patientenbeispiele vor. Das erste sei ein „ K lassiker“ in der allgemeinmedizinischen Praxis: Ein 56-jähriger Patient mit Raucheranamnese kommt nach einem akuten Koronarsyndrom (ACS) aus der Reha. Typischerweise frage man in solch einem Fall, wie die Reha verlaufen sei,

wie der Patient mit der Medikation zurechtkomme, und nach der täglichen Anzahl von Zigaretten. Besondere Bedeutung komme der Erkundigung „W ie geht es Ihnen? “ zu.

Dr. Vetter erläuterte: „ H äufig ist es eine Routinefrage. Aber unsere Patientinnen und Patienten wollen uns zumeist nicht ‚enttäuschen‘ und werden aller Wahrscheinlichkeit nach erwidern, es gehe ihnen gut. Daher muss man diese Frage anders stellen – so, dass die Ernsthaftigkeit beim Gegenüber ankommt. Schauen Sie ihm in die Augen, sprechen Sie beispielsweise in einer tieferen Tonlage.“ Falle die Antwort des Patienten zögerlich aus, sollte man den Zwei-Fragen-Test durchführen, um einzuschätzen, ob eine Depression vorliegen könnte:

EXPERTE: Dr. Gert Vetter Arzt für Allgemeinmedizin in Frankfurt am Main

Experte. Eine Vielzahl von somatischen Erkrankungen sei häufig mit Depressionen oder Angsterkrankungen vergesellschaftet – bezüglich des ACS betonte Dr. Vetter: „Kurz nach einem akuten Koronarsyndrom liegt bei etwa 30 Prozent der Betroffenen eine Angststörung vor, eine Depressivität bei bis zu 50 Prozent. Im Verlauf leiden weiterhin zehn bis 20 Prozent an einer Angsterkrankung und 15 bis 20 Prozent an einer Depression“ (gemäß ICD-10, weitere Literatur: siehe Referenzen).

Ein offenes Ohr für Zwischentöne

Das zweite Fallbeispiel, das Dr. Vetter mitgebracht hatte: Ein 48-jähriger Mann kommt unangemeldet in die Sprechstunde. Bekannt sind ein leichter Typ2-Diabetes und ein täglicher Alkohol-

• Fühlten Sie sich im letzten Monat häufig niedergeschlagen, traurig, bedrückt oder hoffnungslos? (Ebene der Psyche)

• Hatten Sie im letzten Monat deutlich weniger Lust und Freude an Dingen, die Sie sonst gerne tun? (Ebene der Motorik/Aktivität)

Bejahe der Patient diese Frage(n), empfehle sich der WHO-5-Fragebogen, so der

Hausärzt:in medizinisch 11 Februar 2023
© KV Hessen
© shutterstock.com/rangizzz
>
„Patient:innen berichten selten spontan über depressive Kernsymptome, Ängste oder Panikattacken, sondern geben eher unspezifische Symptome an.“
SeriePSYCHE

konsum von nahezu einer Flasche Wein. Er schwitzt und wünscht, dass sein Blutdruck gemessen wird. Da dieser normal ist, beruhigt er sich. Den Patienten mit Hinweis auf den nächsten DMP-Termin zu verabschieden, sei verständlich, denn die Praxis ist voll. „ Dieses Schwitzen könnte durchaus ein Zeichen des Alkoholkonsums sein – aber es könnte auch etwas anderes dahinterstecken, insbesondere, da er extra wegen des Schwitzens und der Unruhe gekommen ist“, schilderte der Allgemeinmediziner. So ließe sich differentialdiagnostisch weiterforschen: „ Hatten Sie das schon mal, Zittern und Schwitzen?“ Als Alkoholiker hätte er es gehabt. „ Hatten Sie Herzrasen, Luftnot? Hatten Sie Todesangst?“ In puncto Angst- und Panikstörungen stellte Dr. Vetter eine Liste von

FRAGEN UND NACHFRAGEN

Panikstörung

Haben Sie Anfälle von Herzrasen, Zittern, Schwitzen, Luftnot, Todesangst?

Agoraphobie

Haben Sie Angst, wenn Sie sich in Menschenmengen, engen Räumen, öffentlichen Verkehrsmitteln befinden? Vermeiden Sie solche Situationen aus Angst?

Spezifische Phobie

Haben Sie große Angst vor bestimmten Dingen, Tieren oder Situationen, etwa

Insekten, Spinnen, Hunden, Katzen, Naturgewalten (z. B. Gewitter, tiefes Wasser), Blut, Verletzungen, Spritzen oder Höhen?

Generalisierte Angststörung

Haben Sie das Gefühl, ständig besorgt zu sein und dies nicht unter Kontrolle zu haben?

Befürchten Sie oft, dass ein Unglück passieren könnte?

einigen wenigen Fragen vor, die sehr spezifisch sind (siehe Infobox „ F ragen und Nachfragen“). Er empfahl, sie auszudrucken und sich sowie den Mitarbeitern am Empfang bereitzulegen – neben dem Zwei-Fragen-Test.

„ Patientinnen und Patienten berichten selten spontan über typische depressive Kernsymptome, Ängste oder Panikattacken, sondern geben eher unspezifische Symptome an“, machte Dr. Vetter aufmerksam (siehe Infobox „ I m Überblick“) „ D iese stellen die ‚Zwischentöne‘ in der Praxis dar und ich möchte Sie dazu ermutigen, ein offenes Ohr für sie zu haben. Wir Hausärztinnen und -ärzte haben Erfahrung, wir haben ein Bauchgefühl. Hören Sie darauf.“

Interne Kommunikation

Gegen Ende seines Vortrags kam Dr. Vetter auf den Stellenwert des Ordinationsteams zurück: „ B ereits am Empfang lassen sich viele Hinweise auf eine psychische Erkrankung erkennen “ Auch die Mitarbeiter könnten dem Patienten die zuvor beschriebenen allgemeinen und spezifischen Fragen stellen, sofern das Gespräch nicht von unbefugten Personen in der Ordination mitgehört werden könne. Außerdem sei es wichtig, auf bestimmte Merkmale des äußeren Erscheinungsbildes und des interaktionellen Verhaltens zu achten, z. B. auf:

• Vernachlässigung von Körperpflege und Kleidung,

• veränderte Gestik, Mimik und Physiognomie,

• verändertes Sprechverhalten (Klang, Tempo, Modulation),

• Beeinträchtigung des sprachlichen Ausdrucks und des Sprachverständnisses,

• psychomotorische Verlangsamung.

„Z um Teil sehen die Assistentinnen und Assistenten Auffälligkeiten in diesen Bereichen besser als wir Ärztinnen und Ärzte“, weiß Dr. Vetter und unterstreicht: „ D ie Informationen müssen natürlich weitergegeben werden – und nicht nur, wenn man danach gefragt wird, sondern es sollte auch innerhalb des Teams eine geregelte Vorgehensweise für die Kommunikation geben.“

Take-home-Messages

Abschließend fasste Dr. Vetter zusammen: „Schauen Sie hin. Erhöhen Sie die Intensität des Hinschauens und schulen Sie Ihr Team dafür, Auffälligkeiten wahrzunehmen. Hinter allen möglichen somatischen Krankheiten und Beschwerden kann sich auch eine psychische Erkrankung verbergen – also fragen Sie danach. Und ganz wichtig: Sprechen Sie sich mit Ihren Mitarbeiterinnen und Mitarbeiterinnen zusammen, bewältigen Sie Ihre Aufgaben gemeinsam. Ein gutes Team ist Gold wert!“

* Psychische Erkrankungen in der allgemeinmedizinischen Praxis stellten am 52. Kongress der Steirischen Akademie für Allgemeinmedizin (STAFAM), 24.26.11.2022, Stadthalle Graz, einen Themenschwerpunkt dar. Siehe auch Hausärzt:in 12/2022: „Plädoyer für diagnostische Unschärfe“, MR Dr. Reinhold Glehr, sowie Hausärzt:in 01/2023: „Vielgestaltige Dynamik“, Priv.-Doz. Dr. Christian Fazekas.

Referenzen:

Shen Q et al. (2022): Cardiovascular disease and subsequent risk of psychiatric disorders: a nationwide sibling-controlled study, eLife 11:e80143.

Nationale Versorgungsleitlinie Unipolare Depression – Langfassung, Version 3.1, 2022, AWMF-Register-Nr.: nvl-005. Gensichen J: Patienten mit psychischen Erkrankungen in der Hausarztpraxis, Vortrag beim Deutschen Ärztetag, Erfurt, 9.5.2018.

IM ÜBERBLICK

Unspezifische Symptome, über die Patient:innen mit einer Angststörung oder Depression häufig berichten

„ allgemeine körperliche Abgeschlagenheit, Mattigkeit, Kraftlosigkeit

„ Schlafstörungen (Ein- und Durchschlafstörungen, Früherwachen)

„ Appetitstörungen, Magendruck, Gewichtsverlust, Obstipation, Diarrhoe

„ diffuser Kopfschmerz

„ Druckgefühl in Hals und Brust, Globusgefühl

„ funktionelle Störungen von Herz und Kreislauf (z. B. Tachykardie, Arrhythmie, Synkopen), der Atmung (z. B. Dyspnoe), von Magen und Darm

„ Schwindelgefühle, Flimmern vor den Augen, Sehstörungen

„ Muskelverspannungen, diffuse Nervenschmerzen (neuralgiforme Schmerzen)

„ Libidoverlust, Sistieren der Menstruation, sexuelle Funktionsstörungen

„ Gedächtnisstörungen

Hausärzt:in medizinisch 12 Februar 2023
„Kurz nach einem akuten Koronarsyndrom liegt bei etwa 30 Prozent der Betroffenen eine Angststörung vor, eine Depressivität bei bis zu 50 Prozent.“

Die Mär vom bedingungslosen Mutterglück

Affektive Erkrankungen im Peripartum – eine systemische Betrachtung

Endlich schwanger! Ein transgenerativer Neglect

Dass Mütter und Väter durch Schwangerschaft und Niederkunft mindestens zwei neue Rollen hinzugewinnen, ist keine Neuigkeit. Die Rollenbesetzung als Mutter und Vater und die Erweiterung der Paar- um die Elternebene sind jedoch eine individuelle Anpassungshöchstleistung und stehen zuweilen im Widerspruch mit einer nach wie vor sehr oberflächlichen Zuschreibung, dass die Elternschaft als das größte Geschenk im Leben erlebt werden und ausschließlich eine positive Konnotation haben sollte.

In der erweiterten Familie und im Freundeskreis der Neoeltern werden das Thema Schwangerschaft und das bevorstehende Ereignis der Geburt in der Regel als äußerst positiv, sinnstiftend, je nach „Romantisierungsgrad“ als einfach „g roßartig“ erachtet. Und zwar deshalb, weil es so zu sein hat und das immer schon so war. Ein transgenerativer Neglect? Neogroßeltern, Neopaten, Neoonkel und -tanten freuen sich oft mehr als die Eltern selbst und zeigen dies in einem hellbläulichen und rosarötlichen Aktionismus dem Neugeborenen und seinen mutmaßlichen Bedürfnissen gegenüber.

„Wo Licht ist, ist auch Schatten“, sagt der Volksmund. Das gilt in besonderem Maße auch für das Mutter- bzw. Elternglück. Die Mutterschaft ist – um es etwas technisch zu formulieren – mit größten Umstellungs- und Adaptionsprozessen des weiblichen Organismus verbunden. Aber nicht nur das. Die Anpassungsleistung betrifft neben der seelisch-körperlichen weitere Ebenen. Insbesondere Veränderungen auf der Beziehungsebene zum Partner, zur Familie, zum Freundeskreis aber auch innerhalb der Arbeitsbeziehungen sind gleichermaßen normal wie neu. Es kommt zu einer Rollen- und Werteveränderung, verbunden mit einer

neuen – bislang nicht gekannten – Form der bedingungslosen Verantwortungsübernahme.

Aus einer interindividuellen und systemischen Perspektive betrachtet, haben sich traditionelle Rollen- und Familienmodelle in den letzten Dekaden verändert. Der Zeitpunkt der ersten Schwangerschaft, wenn sich diese denn ohne fachliche Hilfe „via naturalis“ einzustellen vermag, hat sich von der Adoleszenz in Richtung des 30. Lebensjahres verschoben. Großfamiliäre tragende Hilfsstrukturen und soziale Lernräume wurden durch eher kleinfamiliäre Strukturen mit hoher, meist berufsbedingter Mobilitätsbereitschaft ersetzt.

Für die künftigen Eltern werden bislang theoretische Gedankenspiele zum „Wieweiter“ mit der Karriere, zur Vereinbarkeit von Beruf und Familie, zu Bekenntnissen von Arbeitgebern hinsichtlich der Time-Sharing-Modelle und Wartezeiten für Kinderbetreuungsplätze mit einem positiven Schwangerschaftstest in die Realität gerückt.

Aus medizinischer Sicht ist festzuhalten:

• Viele Schwangerschaften entstehen gänzlich ungeplant oder Paare benötigen fachmedizinische Assistenz, um eine erfolgreiche Befruchtung zu erzielen.

• Die Schwangerschaftszeit an sich ist oft auch mit wirtschaftlicher Unsicherheit, der Frage nach dem künftigen Lebensmittelpunkt und somit

Hausärzt:in medizinisch 14 Februar 2023
© clinicum alpinum
SeriePSYCHE

mehr oder weniger ausgeprägten Zukunftsängsten verbunden.

• Bei der Geburt und in der Zeit im Wochenbett sind Gebärende und/oder Neugeborene anfällig für Komplikationen.

• Elternteile leben ihre neuen Rollen unter dem Einfluss ihrer Lebenserfahrungen und ihrer Sozialisation, etwa der Erfahrung mit den eigenen Eltern. Ein eigenes gemeinsames Verständnis von Elternsein muss von beiden Seiten erst „entwickelt“ und dann auch „eingeübt“ sowie situativ angepasst werden.

GASTAUTOR: Dr. Marc Risch Chefarzt Clinicum Alpinum, Privatklinik für Affekterkrankungen, Fürstentum Liechtenstein

welche durch die Geburtsumstände hervorgerufen wurde, nicht ausreichend Freude oder Glück empfinden oder sich nicht ausreichend auf die neue Herausforderung einstellen können, dann empfinden sie oft Scham. Um dem entgegenzuwirken, bedarf es der umsichtigen Beratung und Begleitung durch Hausärztinnen und -ärzte, Geburtshelfer/-innen, niederschwellig zugängliche Beratungsstellen sowie eines ausgleichenden, flexiblen und tragfähigen familiären Systems. Letzteres fehlt häufig oder weist Lücken auf, weshalb den drei „außerhäuslichen Hilfen“ eine besonders große Bedeutung zukommt.

chologischen Grundversorgung, bspw. im Kontext von Vorsorgeuntersuchungen, größte Bedeutung zu.

GESTRESSTE GESELLSCHAFT = GESTRESSTE ELTERN UND KINDER

Neue Erkenntnisse aus Epigenetik und Stressforschung legen nahe, dass Disstress der Eltern vor und in der Schwangerschaft sich nicht nur auf die Geburt an sich, sondern auch auf die Stresskompetenz der/des Babys und ihre/seine Entwicklung auswirken kann.

Mutterschaft und mentale Gesundheit

Mit Blick auf die Lebenszeit- und Punktprävalenzen der affektiven Störungen muss davon ausgegangen werden, dass auch das Kollektiv der Mütter oder das Kollektiv der Eltern in gleich hohem Maß von depressiven Erkrankungen, Ängsten, Zwangs- und auch Panikerkrankungen betroffen ist. Aus Forschungen zu affektiven Störungen wissen wir, dass Betroffene häufig aus Scham auch niederschwellige Hilfen nicht anzunehmen vermögen und es so zu Verschleppungs- und Chronizitätseffekten sowie Bindungsproblemen zwischen Mutter und Kind, Vater und Kind, sowie zu Konflikten zwischen den Eltern kommen kann. Ich habe bereits in einem früheren Artikel im Fachmagazin Hausärzt:in (Dez. 2021) auf das Häufigkeits-Scham-Paradoxon hingewiesen. Wenn Eltern bzw. Mütter im Rahmen einer affektiven Erkrankung,

Die schwere peripartale Depression

Von diagnostischer Seite her ist es zentral, eine leichte, kurzdauernde emotional belastende Phase im Rahmen der Anpassungsvorgänge der Entbindung – welche häufig als „Babyblues“ bezeichnet wird und mit erhöhter emotionaler Auslenkbarkeit verbunden ist – von schwerwiegenden hochsymptomatischen depressiven Erkrankungen des Peripartums (inkl. des Wochenbettes als hochvulnerabler Phase) zu unterscheiden. Ebenso wichtig ist die Differenzialdiagnose der peripartalen Psychose, einer wahnhaften Erkrankung, die seltener vorkommt als die peripartale Depression.

Eine gründliche Auseinandersetzung mit der psychiatrischen Krankheits- und Familienanamnese hilft dabei, besondere Risiken einer affektiven Erkrankung im Peripartum frühzeitig zu erkennen und Betroffenen noch während der Schwangerschaft eine Fachberatung zu ermöglichen.

Bei einer Lebenszeitprävalenz affektiver Störungen von 1 : 4 ist davon auszugehen, dass ein hoher Prozentsatz von werdenden Eltern bereits vor der ersten Schwangerschaft oder im Zuge von weiteren Schwangerschaften eine psychische Beeinträchtigung aufweist oder aufgewiesen hat. Hier kommt einer integrierten und integrierenden medizinisch-psy-

Im Zusammenhang mit Diagnostik und Hilfen bei affektiven Erkrankungen in Schwangerschaft und Stillzeit ist es von höchster Wichtigkeit, nicht offensichtlich vorhandene Symptome bei Patientinnen und Patienten aktiv zu erfragen: Angst- und Zwangsphänomene, Überforderungserleben, Anhedonie, Schmerzen u. v. a. m. sind zu explorieren. Ergänzend braucht es einen belastbaren, lösungsorientierten und abgestimmten Dialog mit involvierten Hebammen und Pflegefachkräften, Gynäkologinnen/Gynäkologen und Allgemeinmedizinerinnen und -medizinern. Hilfen sind nicht nur anzudienen, sondern auch zu organisieren und im Netzwerk zu handeln. Die aufsuchenden Dienste haben hier einen sehr wichtigen Stellenwert.

Die Therapie einer schweren peripartalen Depression ist eine integrierte und integrierende. Sie soll den ebenso betroffenen Kindsvater und das erweiterte familiäre Umfeld der erkrankten Mutter einbeziehen und das oft vorhandene Vakuum aus Hilflosigkeit, Überforderung und Scham lösen.

Fazit

Die Umstellungsprozesse des weiblichen Organismus und die systemischen Anpassungen sind – um es positiv zu formulieren – eine beeindruckende Leistung. Unsere Aufgabe als Ärztinnen und Ärzte der Grundversorgung ist es, diese Thematik aktiv zu antizipieren und aus dem Dunkelfeld zu holen. Aus zweierlei Gründen: erstens weil die peripartale Depression, wenn sie früh genug diagnostiziert wird und Risikokonstellationen erkannt werden, sehr gut behandelt werden kann. Und zweitens weil ein affektiv stabiles familiäres Umfeld für das Neugeborene einen besseren Start in ein sicher gebundenes Leben bedeutet.

Dr. Marc Risch teilt sich mit seiner Ehefrau die Betreuung ihrer heute 11-jährigen Zwillingsmädchen, die als Frühgeburten zur Welt kamen und intensivmedizinische Unterstützung benötigten. Beide Elternteile sind in Führungsfunktionen des Gesundheitswesens tätig, u. a. in der von ihnen gegründeten Privatklinik Clinicum Alpinum für affektive Erkrankungen. Dort stehen stationäre Plätze für die Behandlung von Müttern mit peripartaler Depressionen zur Verfügung.

Hausärzt:in medizinisch 15 Februar 2023 <
© clinicum alpinum

Sorgenkind Erwachsenenimpfungen

Wo bleiben umfassende Strategien und Konzepte für die Erstattung?

Laut „Vaccines Europe“ investieren aktuell mehr als drei Viertel der EUMitgliedstaaten (77 %) nur wenig bzw. in einem über die letzten fünf Jahre stagnierenden Ausmaß in Impfprogramme für Jugendliche und Erwachsene. Auch in Österreich gibt es für Erwachsene –anders als für Kinder und Jugendliche – kein kostenloses und flächendeckendes Impfprogramm, obgleich das Nationale Impfgremium klare Empfehlungen für wichtige Schutzimpfungen in dieser Altersgruppe gibt. „I mpfungen sind mehr als nur ein Instrument zur Bekämpfung von Pandemien oder saisonal auftretenden Virusausbrüchen. Sie können Menschen heute ihr Leben lang vor etwa 20 schweren Infektionskrankheiten und vor einigen damit in Zusammenhang stehenden Krebsarten schützen“, hob Mag. Alexander Herzog, Generalsekretär der Pharmig, anlässlich des Österreichischen Impftages* am 21. Jänner in Wien in einer Aussendung hervor. „ Auch im höheren Alter, wenn das Immunsystem nachlässt und chronische Erkrankungen vorhanden sind, ist ein kontinuierlicher Impfschutz ein sinnvoller und wichtiger Pfeiler der individuellen Gesundheitsvorsorge “ Damit könnten zusätzliche Gesundheitsrisiken minimiert, die medizinische Grundversorgung und die Gesundheitsbudgets entlastet sowie die Lebensqualität der Menschen gesteigert werden.

Neue Impfstoffkandidaten in der Pipeline

Der zögerlichen Haltung der Politik, Erwachsenenimpfprogramme einzuführen, steht nach Information von „Vaccines Europe“ eine umfangreiche Forschungsund Entwicklungstätigkeit gegenüber –rund hundert neue Vakzine seien aktuell in der Pipeline. Davon sind 81 für die Anwendung im Erwachsenenalter vorgesehen. Knapp die Hälfte der Impfstoffe in Entwicklung (46 %) sollen Krankheiten hintanhalten, bei denen eine Immunisierung bis jetzt noch nicht möglich ist. So befinden sich etwa Vakzine gegen Bor-

Hausärzt:in politisch 16 Februar 2023
© shutterstock.com/tete_escape

relien, gegen das Epstein-Barr- oder das Chikungunya-Virus in Entwicklung. Elf Impfstoffkandidaten sind gegen Bakterien gerichtet, die bereits resistent gegen Antibiotika sind, acht werden als therapeutische Impfstoffe getestet. „Vor dem Hintergrund, dass sich die pharmazeutischen Unternehmen auch neuen Herausforderungen stellen, und angesichts einer älter werdenden Bevölkerung ist eine stärkere Verankerung von Impfprogrammen für Erwachsene in nationalen Impfprogrammen umso bedeutsamer“, so Mag. Herzog.

Impftag 2023: Von gut bis hässlich

Beim Impftag 2023 in Wien, der unter dem Titel „T he good, the bad & the ugly“ stattfand (in Anlehnung an einen Italowestern aus den 1960er Jahren), präsentierten Top-Expert:innen „ Neues aus der Vakzinologie“. Dabei standen neben Kinder- auch Erwachsenenimpfungen im Fokus. „ Durch die Pandemie gibt es einen enormen Boost in der Impfstoff-

entwicklung – auch für andere Erkrankungen“, bestätigte Univ.-Prof.in Dr.in Ursula Wiedermann-Schmidt, Leiterin des Zentrums für Pathophysiologie, Infektiologie und Immunologie der Med Uni Wien, „das Gute“ an impfpräventablen Krankheiten. „ Schlecht“ sei, dass die Kommunikation in puncto COVID19-Impfung, die zunächst bekanntlich nur für Erwachsene zugelassen war, nicht wirklich geglückt sei – obwohl sie von Beginn an gratis angeboten wurde. Als „hässlich“ bezeichnete sie schließlich Long Covid als eine der Folgen der Pandemie; oder dass durch Impflücken „a lte“ Krankheiten wie Polio oder Diphterie wiederkehrten.

COVID-Vakzine: Was sie können und was nicht

„D ie Impfstoffe gegen Corona verhindern vor allem schwere Verläufe, Hospitalisierungen und daraus resultierende Todesfälle“, erklärte Prof.in Wiedermann-Schmidt, „ auch die Wahrscheinlichkeit, an Long Covid

zu erkranken, ist deutlich reduziert “ Dennoch seien sie keine Wunderwaffe, man könne trotzdem erkranken, insbesondere weil immer wieder neue Subvarianten des Virus auftreten. „ Beim Impfen gegen Corona stehen – wie wir heute wissen – der Selbstschutz und der Schutz vor einem schweren Verlauf im Vordergrund. Die ursprüngliche Erwartung eines Herdenschutzeffekts war falsch, denn die Impfung kann eine Infektion und damit auch Weitergabe des Erregers nicht oder nur kurzfristig verhindern “ Dennoch sei Impfen weiterhin zu empfehlen, hier vor allem den Risikogruppen sowie nach Nutzen-/ Risikovergleich in Hinblick auf eine Infektion. „ D ie Datenlage zeigt mittlerweile klar, dass jener in den meisten Fällen – und ganz besonders für alle Risikopersonen – klar zugunsten der Impfung ausfällt“, betonte die Vakzinologin. Sie geht davon aus, dass es in Zukunft – ähnlich der Influenzaimpfung –jährlich an die jeweils dominierende Variante angepasste Auffrischungsimpfungen geben wird. >

Hausärzt:in politisch

Vergessene Impfungen: Diphterie, Polio, FSME

Da in den vergangenen Jahren vor allem die Impfung gegen COVID-19 im Vordergrund stand, gerieten andere Vakzinierungen in den Hintergrund. Was aber nicht heißt, dass sie deswegen nicht mehr notwendig wären. Abgesehen von niedrigen Durchimpfungsraten in puncto Masern bei Kindern, gibt es z. B. auch bei der Kombinationsimpfung Diphterie-Tetanus-Pertussis-Polio-Haemophilus influenzae B-Hepatitis B Impflücken. Dadurch kam es 2022 wieder zu Fällen von Diphterie und Polio. Und auch von FSME, der „ L ieblingsimpfung“ der Österreicherinnen und Österreicher, wurden dem epidemiologischen Meldesystem im Vorjahr mehr als 180 Fälle gemeldet. „ Dies zeigt, dass wir Nachholbedarf bei Routineimpfungen haben“, hob Dr. Rudolf Schmitzberger, Leiter des Referats für Impfangelegenheiten der Österreichischen Ärztekammer (ÖÄK), hervor. Bei vielen Impfungen sei es wichtig, den Impfstatus aktiv zu halten, da die Immunität nach einiger Zeit nachlasse: „I m Zweifelsfall sollte von der Ärztin/ vom Arzt des Vertrauens der Impfpass geprüft und geklärt werden, ob Impflücken vorliegen und wann welche Impfungen aufgefrischt werden müssen“, so der Standesvertreter. „ Nur wir kennen die Krankengeschichten unserer Patientinnen und Patienten und können beurteilen, welche Impfungen individuell sinnvoll und notwendig sind.“ Eine Studie habe zuletzt bestätigt: Ein persönliches Gespräch mit der Ärztin/dem Arzt des Vertrauens sei oft zielführender als groß angelegte Impfkampagnen.

Für Senior:innen & Risikogruppen: Herpes Zoster, Pneumokokken

Wenngleich es die Ärztevertreter oft nicht so gern sehen: Auch die Pharmazeuten fühlen sich beim Thema Impfungen in der Pflicht. Mag. Dr. Gerhard Kobinger, Präsidiumsmitglied der Österreichischen Apothekerkammer, wies darauf hin, dass gerade mit zunehmendem Alter – etwa ab dem 60. Lebensjahr – die Dauer des Impfschutzes abnehme. Aus diesem Grund würden die empfohlenen Impfintervalle bei vielen Auffrischungsimpfungen für Menschen ab 60 Jahre deutlich kürzer – z. B. bei der FSME-Impfung oder der Impfung gegen Diphtherie, Tetanus, Pertussis und Polio. „Viele Menschen, die in die Apotheke kommen, um sich persönlich beraten zu lassen, sind überrascht und erschrocken, dass sie ihre Auffrischungsintervalle zum Teil weit überschritten und keinen ausreichenden Impfschutz mehr haben “

Einige Impfungen werden – abgesehen von Risikogruppen – überhaupt erst mit zunehmendem Alter empfohlen, wie jene gegen Herpes Zoster oder Pneumokokken. Um die Impffreudigkeit zu erhöhen, wird auf Aktionen gesetzt.

„ D er neue Impfstoff gegen Herpes Zoster, empfohlen ab 50 Jahren, wird im ersten Halbjahr 2023 in den Österreichischen Apotheken deutlich verbilligt angeboten. Für Pneumokokken-Vakzine findet in den Österreichischen Apotheken noch bis zum 31. März eine Impfaktion statt. Der Impfschutz wird ab dem 60. Lebensjahr empfohlen“, nannte Mag. Kobinger Beispiele. Auch Kassenzuschüsse gibt es für beide Vakzine bis zum Sommer.

VORTRÄGE (Auswahl)*

„Affenpocken als neue impfpräventable Krankheit“

Prof. in Dr. in Heidemarie Holzmann, Zentrum für Virologie, MedUni Wien

„Insgesamt ist die Situation des AffenpockenAusbruches derzeit sehr gut, die Zahl der gemeldeten Neuinfektionen ist nicht nur in Österreich, sondern auch international stark rückläufig. Hauptsächlich betroffen waren bisher homosexuelle Männer mit häufig wechselnden Geschlechtspartnern. Intensive Aufklärung dieser Risikopersonen mit den sich daraus ergebenden Änderungen des Risikoverhaltens, Isolationsmaßnahmen, effektives Contact-Tracing und Impfstrategien gemeinsam mit dem Ende der Festivalsaison scheinen hauptverantwortliche Faktoren für die stark rückläufigen Zahlen an Neuinfektionen zu sein.“

„Adjuvanter Totimpfstoff gegen Herpes Zoster“

Prof. Dr. Klaus Überla, Virologisches Institut, Uniklinikum Erlangen

„Die Inzidenz des Herpes Zoster steigt ab einem Alter von 60 Jahren deutlich und ist insbesondere auch bei Immungeschwächten erhöht (…) Die Ständige Impfkommission (STIKO) empfiehlt den adjuvantierten Totimpfstoff Shingrix. Der Herpes-Zoster-Lebendimpfstoff Zostavax wird aufgrund der eingeschränkten Wirksamkeit und seiner begrenzten Wirkdauer nicht als Standardimpfung empfohlen. Nach der Impfung mit dem Zoster-Totimpfstoff kommt es zu einem starken Anstieg der Antikörperspiegel und T-Zellantworten. Die Wirksamkeit dieses Impfstoffes liegt in den ersten Jahren nach der Impfung bei über 90 %. Neuere Daten belegen auch sechs bis zehn Jahre nach der Impfung eine Wirksamkeit von über 80 %. Weitere Studien zur Immunogenität und Sicherheit des Zoster-Totimpfstoffes bei Personen mit Grunderkrankungen weisen auch in diesen Personengruppen auf ein positives Nutzen-RisikoVerhältnis hin. Die Häufigkeit von Rezidiven des Herpes Zoster wirft die Frage nach der Impfung von Personen nach durchgemachter Gürtelrose auf.“

„RSV – künftig Prävention auch für ältere Personen“

Prof.in Dr.in Martina Prelog, Pädiatrische Rheumatologie/Spezielle Immunologie, Uni Würzburg

„Die letzten Monate haben gezeigt, dass RSV-Infektionen nicht nur bei Säuglingen und Kleinkindern, sondern auch bei älteren Personen über 60 Jahren einen bedeutenden Teil der Hospitalisationen auf Grund von Atemwegsinfektionen ausmachen. Das verdeutlicht, wie wichtig ein präventiver Ansatz vor allem auch für die Vorbeugung schwerer Komplikationen ist. Die passive Immunprophylaxe mit monoklonalen Antikörpern gegen Bestandteile des RS-Virus bei Risikopersonen wie Frühgeborenen ist eine zunehmend etablierte Option, die durch die Zulassung langwirksamer Präparate noch verbessert wird. Die derzeit in Zulassungsstudien befindlichen Vakzinkandidaten für eine aktive Immunisierung führen, basierend auf Zwischenauswertungen, zu signifikant erhöhten neutralisierenden Antikörperspiegeln bei älteren Personen. Aber auch im Rahmen der maternalen aktiven Impfung gegen RSV konnte ein signifikanter Transfer von mütterlichen RSV-spezifischen Antikörpern auf das Neugeborene gezeigt werden. Auf Basis der derzeit laufenden klinischen Phase 2/3-Studien konnte in Interimsanalysen eine hohe Impfstoffeffektivität dokumentiert werden. Es ist zu erwarten, dass in naher Zukunft die Prävention der RSV-Erkrankungen nicht mehr nur auf der passiven Immunprophylaxe bei Risikokindern beruhen, sondern um die aktive Impfung von Schwangeren, Säuglingen und älteren Personen erweitert wird, um schwere Verläufe mit Hospitalisationen zu verhindern.“

Hausärzt:in politisch 18 Februar 2023
>
© MedUni Wien, Matern © Uniklinikum Erlangen, Franziska Männel © Universität Würzburg, Daniel Peter

Impfprogramme & -kampagnen: Grippe, MMR, FSME

Eine weitere Schutzimpfung, die insbesondere auch älteren Personen empfohlen wird, ist jene gegen die echte Grippe. Das Gesundheitsministerium hat ein öffentliches Impfprogramm für die Influenza-Impfung ab Herbst 2023 in Planung – und zwar einheitlich in allen Bundesländern. In der aktuellen Saison gibt es noch regional unterschiedliche Influenza-Impfangebote.

Kostenfrei für alle Altersgruppen ist schon jetzt die MMR-Impfung an allen öffentlichen Impfstellen erhältlich. Die Abwicklung bei Erwachsenen erfolgt wie im kostenfreien Kinderimpfprogramm.

Bezüglich großer Impfkampagnen hat Österreich in den vergangenen vier Jahrzehnten mit der FSME-Impfung am meisten Erfahrung sammeln können – zumal unsere Alpenrepublik zu den am stärksten von der FSME betroffenen Ländern in Zentraleuropa zählt. Vor Beginn dieser Kampagnen traten zwischen 300 und 700 Erkrankungsfälle jährlich auf. Bei einer Impfrate von etwa 85

Prozent der Bevölkerung sind die Fallzahlen auf 41 bis 216 Erkrankungen jährlich zurückgegangen. Bis Ende August läuft eine Aktion für den Impfstoff in den österreichischen Apotheken. Kassenzuschüsse sind bis Ende Dezember vorgesehen.

Meilenstein 2023: HPV-Impfung bis 21 gratis

Ein Meilenstein ist last, but not least die Ausweitung der kostenlosen Impfung gegen Humane Papillomaviren (HPV) bis zum vollendeten 21. Lebensjahr seit dem 1. Februar 2023. Bis dahin war sie nur für Neun- bis Elfjährige kostenlos. Ärztevertreter Dr. Schmitzberger begrüßt diese Neuerung. Sie könne dazu beitragen, die Durchimpfungsrate zu erhöhen, denn bislang sei die HPV-Impfung für Erwachsene auch eine Kostenfrage gewesen, weiß er. 80 Prozent aller Männer und Frauen infizieren sich zumindest einmal im Jahr mit Humanen Papillomaviren, ein Großteil der onkologischen Erkrankungen von Frauen und Männern im mittleren Rachenraum und an den Geschlechts-

organen ist HPV-induziert. Die Impfung wird daher Mädchen und Buben bzw. Frauen und Männern bis zum vollendeten 30. Lebensjahr allgemein empfohlen, danach optional. Denn vor den ersten sexuellen Aktivitäten erzielt sie bekanntlich den größtmöglichen persönlichen Nutzen. Zusätzlich können aber auch bereits sexuell aktive Personen von der Impfung profitieren. Manche Bundesländer setzen deshalb auf zusätzliche HPVImpfangebote ab dem vollendeten 21. Lebensjahr. Einen guten Überblick bietet die Service-Seite sozialministerium.at (Pfad: Themen/Gesundheit/Impfen/Impfung gegen Humane Papillomaviren). Die HPV-Impfung erfolgt, abhängig von der Organisation im jeweiligen Bundesland, im Rahmen von Schulimpfungen, an öffentlichen Impfstellen sowie bei niedergelassenen Ärztinnen und Ärzten. Sie wurde außerdem ins Impfprogramm des Bundesheeres aufgenommen.

Hausärzt:in politisch
* Österreichischer Impftag 2023, 21. Jänner. „The good, the bad & the ugly – Neues aus der Vakzinologie“, hybride Tagung und Fachausstellung, Austria Center Vienna.

„In Impfungen investiertes Budget amortisiert sich“

Priv.-Doz.in Mag.a Dr.in Maria Paulke-Korinek, Leiterin der Abteilung Impfwesen, HIV/AIDS, Tuberkulose im Gesundheitsministerium, im Gespräch

HAUSÄRZT:IN: Welche großen Neuerungen bringt der Impfplan 2023?

Doz.in PAULKE-KORINEK: Aufgrund epidemiologischer Entwicklungen wurden Kapitel zu Impfungen gegen „ A ffenpocken“ und „COVID-19 “ aufgenommen. Der Meilenstein für das Jahr 2023 ist die Ausweitung des kostenfreien Impfprogramms des Bundes, der Bundesländer und der Sozialversicherungsträger in Hinblick auf die HPV-Impfung bis zum vollendeten 21. Lebensjahr, was natürlich im Impfplan entsprechend abgebildet ist. Die restlichen Kapitel wurden aktualisiert und teils präzisiert, insbesondere jene in Hinblick auf Diphtherie, Masern, Polio, Influenza, Pneumokokken, Herpes Zoster und Varizellen.

Bei der Vorab-Pressekonferenz zum Impftag 2023 betonten Sie den großen Nachholbedarf bei Routineimpfungen. Inwiefern betrifft dieser auch Erwachsene?

Die Zahlen, die uns zu Rückgängen vorliegen, beziehen sich auf Impfungen, die kostenfrei seitens der öffentlichen Hand bereitgestellt werden. Hier betrifft nur die Masern-Impfung Personen aller Altersgruppen. Letztendlich kann durch einen Rückgang der Akzeptanz der Masern-Impfung jedoch auf andere Impfungen geschlossen werden. Hochschnellende FSME-Fallzahlen 2022 lassen ebenfalls auf relevante Impflücken in der Bevölkerung schließen. Auf entsprechende negative Entwicklungen weist

übrigens auch z. B. die WHO hin. Darüber hinaus lassen Berichte von Stakeholdern in der gesamten Impfstoffversorgungskette darauf schließen, dass im Vergleich zu den Jahren vor der Pandemie weniger Menschen in Österreich geimpft wurden.

Und wie verhält es sich mit „neuen“ Krankheiten?

In Bezug auf Affenpocken ist die Impfung der breiten Bevölkerung derzeit weder empfohlen noch vorgesehen. COVID-19-Impfungen werden weiter angeboten.

Sollten wichtige Erwachsenenimpfungen generell finanziert werden, wie steht es um die Kosten-NutzenRelation?

Zusätzlich zum eindeutigen gesundheitlichen Benefit von Impfungen, sowohl auf individueller Ebene als auch populationsbezogen, liegen aus finanzieller Sicht für nahezu alle Impfstoffe positive Kosten-Nutzen-Analysen vor, sodass davon auszugehen ist, dass sich in sie investiertes Budget durch die Ersparnis von Behandlungs- und Folgekosten, durch die Reduktion von Krankenstands- und Pflegeurlaubstagen etc. in der Regel

Hausärzt:in politisch 22 Februar 2023
© shutterstock.com/Ekaterina 1525
© Karo Pernegger

amortisiert. Aus medizinischer Sicht wäre es natürlich wünschenswert, dass empfohlene Impfungen für die gesamte Bevölkerung kostenfrei zur Verfügung gestellt werden. Unsere gesetzlichen Rahmenbedingungen sehen dies jedoch derzeit nicht allgemein vor.

Welche Beispiele für „funktionierende“ öffentliche Impfprogramme können Sie uns nennen?

In Impfprogramme eingebettet und auch im Erwachsenenalter kostenlos angeboten werden Schutzimpfungen gegen Masern-Mumps-Röteln, hier erfolgt die Abwicklung wie im kostenfreien Kinderimpfprogramm. Im Hinblick auf die Influenza-Impfung wird in der Saison 2023/2024 ein gewisses Kontingent von Influenza-Impfstoffen im Zuge des Öffentlichen Impfprogramms Influenza niederschwellig und kostengünstig zur Verfügung gestellt werden, die Details dazu sind derzeit in Ausarbeitung.

Die Impfstoffhersteller haben ständig neue Impfstoffkandidaten in der Pipeline, darunter auch therapeutische. Nicht alle werden öffentlich finanziert werden können – wie erfolgt die Priorisierung?

Ziel sollte es sein, evidenzbasierte Empfehlungen auszusprechen und den Zugang zu den für die öffentliche Gesundheit wichtigen und empfohlenen Impfungen niederschwellig und unkompliziert, sowohl impfenden Ärztinnen

und Ärzten als auch den zu impfenden Personen, zu ermöglichen. Priorität haben dabei sehr häufig vorkommende sowie sehr schwer verlaufende Erkrankungen. Natürlich müssen auch immer Überlegungen in Hinblick auf Kosten und Nutzen angestellt werden. Im Zusammenhang mit therapeutischen Impfstoffen wird es eine noch größere Herausforderung werden, die jeweils passende Impfempfehlung auszusprechen. Für tiefergehende Diskussionen darüber müssen wir zuerst auf die entsprechende Impfstoffzulassung warten.

Nicht jeder braucht jede Impfung. Welche Bedeutung kommt der Beratung durch niedergelassene Mediziner:innen zu?

Das ist vollkommen richtig und auch der Grund, warum es einen Impfplan gibt, der detailliert beschreibt, wann welche Impfung für welche Personengruppe empfohlen ist. Insbesondere bei Personen mit unklarer Impfvorgeschichte oder bei bestimmten Vorerkrankungen kann es selbst für erfahrene Kolleginnen und Kollegen knifflig werden, die optimale Impfempfehlung auszusprechen. Oft kommt es auch auf die persönliche Einstellung der zu impfenden Person an, insofern ist beim Impfen das ärztliche Gespräch sehr wichtig.

Die HPV-Impfung ist seit Februar bis zum 21. Lebensjahr kostenlos. Warum war es kein Thema, das Programm

z. B. bis 31 auszudehnen, zumal die Impfung sehr kostspielig ist, aber Krebs vorbeugt?

Natürlich wäre es wünschenswert, alle empfohlenen Impfungen für alle Personengruppen kostenfrei bereitzustellen. Die WHO empfiehlt die 90%ige Durchimpfung gegen HPV bei Mädchen bis 15 Jahren. Dass wir die Impfung sogar bis zum vollendeten 21. Lebensjahr kostenfrei anbieten können, darauf dürfen wir – denke ich – wirklich stolz sein. Natürlich werden wir uns nun nicht ausrasten, sondern weiter daran arbeiten, wertvolle Impfangebote für unsere Bevölkerung und insbesondere für unsere Kinder zu optimieren.

Wie können Erwachsene noch dazu motiviert werden, sich impfen zu lassen?

Die Kolleginnen und Kollegen im niedergelassenen Bereich spielen eine bedeutende Rolle. Sie haben auch maßgeblich dazu beigetragen, dass wir mittlerweile mehr als 20 Millionen COVID-19-Impfungen in etwas mehr als zwei Jahren verabreicht haben. Diese Ärztinnen und Ärzte sind es auch, die den besten Draht zu den zu versorgenden Personen haben. Darum bemühen wir uns gerade, die Kollegenschaft optimal mit Informationen, Empfehlungen etc. zu versorgen. Seitens des Ministeriums werden zudem zahlreiche Angebote online und für die Bestellung bereitgestellt. Das Interview führte Mag.a Karin Martin.

Auf unserem Portal finden Sie viele Informationen zum Thema Gentherapie, darunter auch ein Mode of Action-Video, das sehr anschaulich erklärt, wie der AAV-basierte Gentransfer funktioniert.

Hausärzt:in politisch Pfizer Corporation Austria GmbH Wien www.pfizer.at, www.pfizermed.at PP-FID-AUT-0016/01.2023
Wie funktioniert eine Gentherapie?
https://www.pfi.sr/was-ist-gentherapie Der Zugang ist ganz einfach über den QR-Code oder unter folgendem Link möglich:
AAV, Adeno-assoziierte Viren

Neuerungen im Impfplan 2023

Im Überblick: Aktuelles zur Immunisierung von Erwachsenen

Im Impfplan Österreich 2023 gab es einige relevante Änderungen und Aktualisierungen. Zu wichtigen Neuerungen in puncto Erwachsenenimpfungen zählen:

Mit Stand Dezember 2022 besteht eine gesetzliche Verpflichtung , alle verabreichten Impfungen gegen Affenpocken, COVID-19 und Influenza im e-Impfpass (zentrales Impfregister) zu dokumentieren. Weitere Infos: e-impfpass.gv.at/allgemeines

Die Aufklärungs- und Dokumentationspflicht betreffend stehen standardisierte Einverständniserklärungen zur Verfügung unter: sozialministerium.at/ einverstaendnis-impfen

Die Empfehlungen zu COVID-19 wurden von der Homepage des Sozialministeriums in den Impfplan integriert. Updates thematisieren v. a. die Impfempfehlungen während der Schwangerschaft und die Datenlage zu den verschiedenen Impfstoffen und deren Zulassung/ Anwendungsempfehlungen für die erste Impfserie, die Grundimmunisierung sowie für Auffrischungsimpfungen.

Bei der Diphtherie-Impfung erfolgten eine Erweiterung der Indikationen sowie eine Adaptation des Kapitels Postexpositionelle Prophylaxe. Denn in puncto Epidemiologie wurde z. B. berichtet: Seit mehr als 20 Jahren gab es hierzulande keinen Fall von klassischer respiratorischer Diphterie – jedoch erkrankten im Jahr 2022 mindestens vier Personen in Österreich an der respiratorischen Form, die kutane Variante machte rund 70 Prozent der 37 bestätigten Infektionen aus. Das Dokument „Diphtherie: Personenbezogene Kontroll- und Präventionsmaßnahmen (16.11.2022)“ ent-

hält nähere Informationen zum Umgang mit dem Auftreten von Diphtherie. Download unter: sozialministerium.at/Themen/ Gesundheit/Uebertragbare-Krankheiten/ Infektionskrankheiten-A-Z/Diphtherie. html

Haemophilus influenzae Typ B: Jene Personengruppen, die geimpft werden sollten, wurden um Gesundheitspersonal mit Ansteckungsrisiko ergänzt.

Die HPV-Impfung wird vom vollendeten 9. bis zum vollendeten 30. Lebensjahr allgemein empfohlen, ab dem vollendeten 30. LJ bei spezifischen Indikationen. Seit 01.02.2023 ist das kostenfreie HPV-Impfangebot bis zum vollendeten 21. Lebensjahr im Schema 1 + 1 ausgedehnt. Details zur Umsetzung unter: gesundheit.gv.at/ service/beratungsstellen/gesund-leben/ gesundheitsvorsorge1/impfen.html

Öffentliches Impfprogramm Influenza: In der Saison 2023/24 wird ein gewisses Kontingent von Impfstoffen niederschwellig sowie kostengünstig erhältlich und damit wesentlich einfacher zugänglich sein. Nähere Informationen zu verfügbaren Influenza-Impfangeboten werden unter sozialministerium.at/oeip ergänzt.

Bei der sequenziellen PneumokokkenImpfung von Erwachsenen sollten vorzugsweise die neuen 15- und 20-valenten Impfstoffe angewendet werden (PNC15 oder PNC20 und eine nachfolgende Impfung mit PPV23). Der Umgang mit „ A ngeimpften Personen“ wird erläutert.

Im Abschnitt zur Poliomyelitis erfolgte z. B. eine Aktualisierung für Reisende in Länder/Regionen mit Infektionsrisiko.

Die Immunität gegen Varizellen wurde näher definiert. Die Impfung wird allen nichtimmunen Erwachsenen empfohlen, insbesondere etwa Frauen im gebärfähigen Alter oder seronegativen Personen, die im Gesundheitswesen arbeiten. Neu ist, dass bei Gesundheitspersonal ein Antikörpernachweis erforderlich ist, sofern keine zweimalige Impfung vorliegt. Da es sich bei Vakzinen gegen Varizellen um Lebendimpfstoffe mit entsprechenden Kontraindikationen handelt, kann bei seronegativen Patienten z. B. mit erworbener Immunsuppression nach sorgfältiger Nutzen-Risiko-Abwägung eine Grundimmunisierung mit dem Totimpfstoff gegen Herpes Zoster (Shingrix) zur Prophylaxe einer primären Varizelleninfektion durchgeführt werden (off Label, erweiterte Aufklärung).

Das Kapitel Herpes Zoster hat ein umfassendes Update erfahren. Für die Immunisierung wird der Totimpfstoff Shingrix wie bisher allen Personen ab dem vollendeten 50. Lebensjahr empfohlen. Da sich dieser auch bei immungeschwächten Personen als sehr gut wirksam und sicher erwiesen hat, wird eine Vakzinierung jetzt diesen Patienten sowie Patienten mit schwerer Grunderkrankung – und damit besonders hohem Risiko einer ZosterErkrankung und deren Komplikationen – bereits ab 18 Jahren angeraten.

Dem Thema Affenpocken bzw. Mpox wurde ein eigenes Kapitel gewidmet. Prinzipiell sind Impfstoffe der dritten Generation (nichtreplizierende Lebendvakzinen) gegen Pocken und Affenpocken ab 18 Jahren zugelassen. Die Impfung ist nur für bestimmte Risikogruppen indiziert.

Hausärzt:in politisch 24 Februar 2023 ©
shutterstock.com/Julia Lazebnaya, Zubada
AS
Der Impfplan online: sozialministerium.at/Themen/Gesundheit/Impfen/ Impfplan-Österreich.html

Praxiswissen: Pulmonale Hypertonie

Chronisch erhöhten Blutdruck im Lungenkreislauf erkennen

LITERATUR

Lungenhochdruck der Gruppe 1 (siehe Tabelle 1, S. 26), also die idiopathische pulmonalarterielle Hypertonie, ist eine seltene Erkrankung. Erstmals beschrieb Ernst von Romberg 1891 einen Fall der pulmonalen Hypertonie (PH). Die Diagnose des Krankheitsbildes ist auch heute noch eine Herausforderung, da die Symptome unspezifisch sind und der Verlauf schleichend ist. In den 1960er Jahren verursachte die großzügige Anwendung von Appetitzüglern aus der Amphetamingruppe eine Vielzahl von Lungenhochdruckpatientinnen und -patienten. D‘Alonzo publizierte die Registerdaten und zeigte auf, dass Betroffene unbehandelt im Durchschnitt 2,5 Jahre überlebten.

Lungenhochdruck bezeichnet eine Erhöhung der Druckwerte im kleinen Kreislauf. Weltweit ist 1 % der Bevölkerung davon betroffen. Aufgrund der linksherz- und lungenassoziierten pulmonalen Hypertonie ist die Prävalenz bei über 65-Jährigen höher. Global gesehen ist die linksherzassoziierte Form die häufigste, gefolgt von der lungenassoziierten Form. Unabhängig von der zugrundeliegenden Erkrankung bedingt das Auftreten von Lungenhochdruck eine Verschlechterung der Symptome der Grunderkrankung und eine erhöhte Mortalität.

Definition

Die Diagnosestellung basiert auf den hämodynamischen Daten der Rechtsherzkathe-

teruntersuchung. Von Lungenhochdruck spricht man, wenn der mittlere pulmonalarterielle Druck (mPAP) über 20 mmHg liegt. Es wird die präkapilläre von der isoliert postkapillären (ipcPH) und von der kombiniert post- und präkapillären pulmonalen Hypertonie (CpcPH) unterschieden (Tabelle 2, S. 27).

Symptome

belastungsinduzierte Synkope (während oder kurz nach einer Belastung auftretend) – sollten an Lungenhochdruck denken lassen. Seltene Symptome, die durch dilatierte Pulmonalarterien hervorgerufen werden, sind: Stenokardien durch eine dynamische Kompression des linken Hauptstammes, Heiserkeit (Dysphonia) durch Kompression des linken Nervus recurrens (OrtnerSyndrom, Cardiovocalsyndrom), Giemen, Husten sowie durch Bronchuskompression hervorgerufene Infektionen.

Diagnose als Herausforderung

GASTAUTORIN: OÄ Dr.in Regina SteringerMascherbauer Leitung Lungenhochdruckambulanz, Ordensklinikum Linz Elisabethinen, ordensklinikum.at

Die Symptome – Belastungsdyspnoe, rasche Erschöpfung, Müdigkeit, Bendopnoe (Atemnot bei vorgebeugter Haltung), Palpitationen, Hämoptysen, belastungsinduzierte Übelkeit, Flüssigkeitsretentionen (Ödeme, Aszites) und

Für die rasche Diagnose von Lungenhochdruck sind eine exakte Anamnese, eine physikalische Krankenuntersuchung, die Bestimmung von BNP/NTproBNP, EKG, Thorax-Röntgen und eine O2-Sättigungsmessung Grundvoraussetzungen. Die daraus gewonnenen Informationen weisen darauf hin, ob eine kardiale oder pulmonale Ursache der Beschwerden vorliegen kann. Im Diagnose-Algorithmus wird vorgeschlagen, bei Verdacht auf Lungenerkrankung entsprechende Lungenuntersuchungen durchzuführen. Bei hochgradigem Verdacht auf pulmonale Hypertonie oder kardiale Erkrankung wird eine Echokardiographie empfohlen. Wenn sich der

Hausärzt:in DFP 25 Februar 2023
© zVg
© shutterstock.com/ mybox
DFP-Punktesammler
©
Ordensklinikum Linz
>
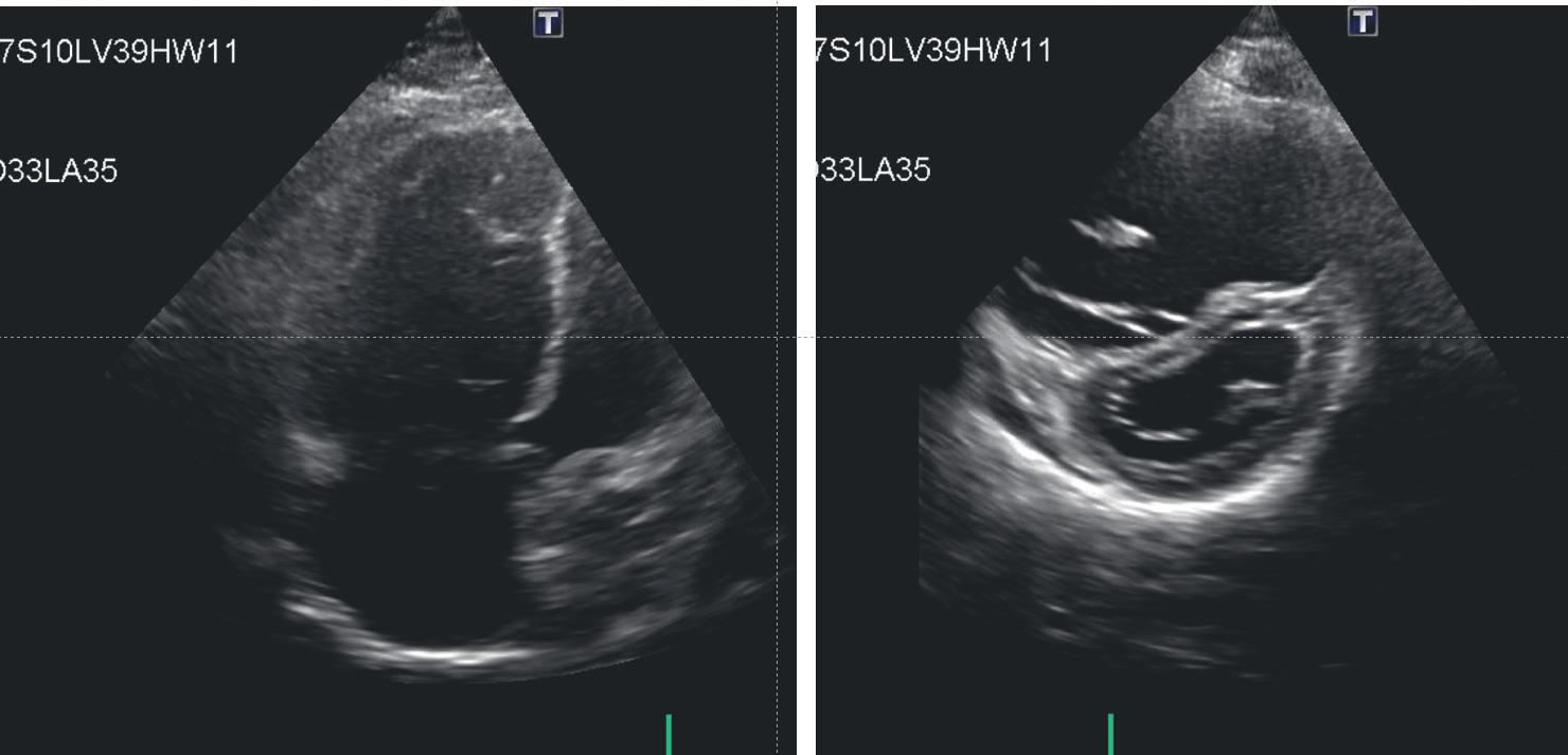
Abbildung 1: Cor pulmonale mit dilatiertem, hypertrophiertem rechtem Ventrikel, dilatiertem rechtem Vorhof. Durch die Druckbelastung kommt es zu einer D-Verformung des linken Ventrikels. Weiters zeigt sich ein minimaler Perikarderguss.

TABELLE 1: KLINISCHE KLASSIFIKATION

Gruppe 1: pulmonalarterielle Hypertonie (PAH)

1.1 idiopathisch

1.1.1 Non-Responder in der Vasoreaktivitätstestung

1.1.2 akuter Responder in der Vasoreaktivitätstestung

1.2 hereditäre PAH

1.3 assoziiert mit Drogen und Toxinen

1.4 assoziiert mit

1.4.1 Kollagenosen

1.4.2 HIV-Infektion

1.4.3 portaler Hypertonie

1.4.4 angeborenen systemisch-pulmonalen Shunts (u. a. Herzfehler)

1.4.5 Bilharziose

1.5 pulmonale venookklusive Erkrankung (PVOD) und/oder pulmonalkapilläre

Hämangiomatose (PCH)

1.6 persistierende pulmonalarterielle Hypertonie des Neugeborenen (PPHN)

Gruppe 2: pulmonale Hypertonie – assoziiert mit Erkrankungen der linken

Herzhälfte

2.1 Herzinsuffizienz

2.1.1 mit erhaltener Linksventrikelfunktion

2.1.2 mit eingeschränkter Linksventrikelfunktion

2.2 Herzklappenerkrankungen (Mitral- oder Aortenklappenfehler)

2.3 kongenitale oder erworbene kardiovaskuläre Konditionen, die zu postkapillärer PH führen

Gruppe 3: pulmonale Hypertonie – assoziiert mit Lungenerkrankungen und/ oder Hypoxie

3.1 obstruktive Lungenerkrankungen oder Emphysem

3.2 restriktive Lungenerkrankung

3.3 Lungenerkrankungen mit gemischtem – obstruktivem und restriktivem –Muster

3.4 Hypoventilationssyndrome

3.5 Hypoxie ohne Lungenerkrankung (z. B. Leben in großen Höhen)

3.6 Entwicklungsstörungen der Lunge

Gruppe 4: pulmonale Hypertonie – assoziiert mit pulmonaler Obstruktion

4.1 chronisch thromboembolische PH

4.2 andere pulmonalarterielle Obstruktionen

Gruppe 5: PH mit unklaren und/oder multifaktoriellen Mechanismen

5.1 hämatologische Erkrankungen

5.2 systemische Erkrankungen (Sarkoidose, pulmonale Langerhans-ZellHistiozytose, Neurofibromatose Typ 1)

5.3 metabolische Erkrankungen (Glykogenspeicherkrankheit, M. Gaucher)

5.4 chronische Niereninsuffizienz mit oder ohne Hämodialyse

5.5 thrombotische Mikroangiopathie bei pulmonalen Tumoren

5.6 fibrosierende Mediastinitis

Quelle: Humbert M et al., European Heart Journal (2022) Oct 11;43(38):3618-3731.

Verdacht auf Lungenhochdruck bestätigt, sollte die Patientin/der Patient an das Lungenhochdruckzentrum zur weiteren Diagnostik überwiesen werden.

Das EKG kann bereits Hinweise auf eine Rechtsherzbelastung liefern. Zeichen für eine Rechtsherzbelastung sind eine P pulmonale, ein kompletter Rechtsschenkelblock (RSB), ein Rechtstyp und ein rechtsventrikulärer Strain.

Im Lungenröntgen können sich ebenfalls Hinweise auf eine Rechtsherzbelastung finden, z. B. ein betontes Pulmonalissegment, ein verbreitertes Rechtsherz und eine Gefäßrarefizierung in der Peripherie. Mittels Echokardiographie (Abbildung 1 und 2, S. 25 & 27) können die Rechtsherzdimension und die Rechtsherzhypertrophie festgestellt werden. Anhand der Trikuspidalinsuffizienz kann der systolische PADruck ermittelt werden. Eine maximale trikuspidale Regurgitationsgeschwindigkeit TRV von über 2.8 m/s kann auf eine PH hinweisen.

Die endgültige Diagnosestellung erfolgt mittels Rechtsherzkatheteruntersuchung. Für die Diagnosestellung einer chronisch thromboembolischen PH ist ein Lungenventilations- und Perfusionsscan erforderlich.

Klassifikation und Therapie

Lungenhochdruck wird gemäß der ESC/ERS-Klassifikation in fünf Gruppen eingeteilt – siehe Tabelle 1.

Gruppen 2 und 3

Für die Therapie der Gruppen 2 und 3 gilt, dass die assoziierte Grunderkrankung optimal nach den dafür geltenden Guidelines behandelt werden soll. Wenn sich nach optimaler Therapie der Grunderkrankung immer noch eine deutliche Drucksteigerung im kleinen Kreislauf mit einem PVR von ≥ 5 WU zeigt, weist das auf eine schwere präkapilläre Komponente der Drucksteigerung im kleinen Kreislauf hin und die Patientinnen und Patienten sollten an das PH-Zentrum überwiesen werden.

Medikamentöse Optionen

Für die medikamentöse Therapie stehen Substanzen zur Verfügung, die in die drei Pathways der pulmonalen Hypertonie eingreifen: den Endothelin-, den NO-sGC-cGMP- und den Prostazyklinpathway. Bei der Erkrankung kommt es zu einer Fehlfunktion des Endothels: Endothelin-1 und Thromboxan werden vermehrt produziert, beide Substanzen sind Vasokonstriktoren. Der Überschuss führt zu einer Vasokonstriktion. Im Gegenzug werden Prostaglandin und Stickstoffmonoxid vermindert produziert, beide sind Vasodilatatoren, der Mangel mündet ebenfalls in einer Gefäßverengung. In der Folge kommt es zu einem Gefäßremodeling mit Intimaproliferation, zu einer Hypertrophie der Media und der Adventitia sowie zum Auftreten von plexiformen Läsionen. Durch die Gefäßveränderungen wird der pulmonalvaskuläre Widerstand erhöht, dies führt über die Zeit zu einer Rechtsherzbelastung und zur Rechtsherzinsuffizienz.

Die derzeit für die Behandlung zugelassenen Medikamente sind:

• Endothelinrezeptorblocker: Bosentan, Macitentan, Ambrisentan.

• Wirkstoffe, die den NO-sGC-cGMP-Pathway beeinflussen: Riociguat, Sildenafil und Tadalafil.

• In den Prostazyklinpathway eingreifende Substanzen: Epoprostenol, Treprostinil, Iloprost und der IP-Rezeptoragonist Selexipag.

Pulmonalarterielle Hypertonie

Eine Behandlung der pulmonalarteriellen Hypertonie (Gruppe 1) mit vasoaktiven Substanzen darf eingeleitet werden, wenn PCW ≤ 15 mmHg, PAPm > 25 mmHg und PVR > 3 WU sind. Es wird eine Risikostratifizierung durchgeführt, um die Prognose der Betroffenen einzuschätzen (1-Jahres-Mortalität). Die Low-Risk-Gruppe hat eine 1-Jahres-Mortalität von < 5 %, die Intermediate-RiskGruppe eine von 5-20 % und die Hochrisikogruppe weist eine von > 20 % auf. Bei der Ermittlung werden klinische Parameter (Zeichen der Rechtsherzinsuffizienz, Progression der Symptome und der klinischen Manifestation, Vorhandensein von Synkopen, WHO-Funktionsklasse), 6-Minuten-Gehtest, Parameter aus der kardiopulmonalen Belastungsuntersuchung, echokardiographische und MR-tomographische Kennwerte sowie hämodynami-

Hausärzt:in DFP 26 Februar 2023

TABELLE 2: Hämodynamische Profile der PH Definition Kennwerte

Pulmonale Hypertonie

präkapilläre PH

isoliert postkapilläre pulmonale Hypertonie (IpcPH)

kombiniert: post- und präkapilläre pulmonale Hypertonie (CpcPH)

mPAP > 20 mmHg

mPAP > 20 mmHg

PCW ≤ 15mmHg

PVR > 2 WU

mPAP > 20 mmHg

PCW > 15 mmHg

PVR ≤ 2 WU

mPAP > 20 mmHg

PCW > 15 mmHg

PVR > 2 WU

Exercise-PH mPAP/CO slope zwischen Ruhe und Belastung > 3 mmHg/l/Min.

Abkürzungen: mPAP (pulmonalarterieller Mitteldruck), PCW (pulmonalarterieller Wedge-Druck), PVR (pulmonalvaskulärer Widerstand)

sche Parameter aus der Rechtsherzkatheteruntersuchung berücksichtigt.

Patientinnen und Patienten, welche die Kriterien der Niedrigrisiko- oder der intermediären Risikogruppe erfüllen, sollen mit einer Dualtherapie behandelt werden (orale Kombinationstherapie: Endothelinrezeptorblocker und PDE5-Hemmer). In der Hochrisikogruppe kommen zusätzlich Prostaglandinanaloga zum Einsatz. Behandlungsziel ist es, einen Niedrigrisikostatus bzw. einen Intermediate-LowRisk-Status nach drei bis sechs Monaten zu erreichen. Sollte dies nicht gelingen, so ist eine Therapieeskalation durchzuführen. Weiters sollten die Betroffenen für eine Lungentransplantation evaluiert werden. Den Patientinnen und Patienten sollte ein Rehabilitationsheilverfahren angeboten werden. In drei- bis sechsmonatigen Abständen sind Kontrollen am PH-Zentrum durchzuführen.

Personen mit pulmonalarterieller Hypertonie werden eine Influenza-, die Pneumokokken- und die Covid-Impfung empfohlen. Weiters sollen sie psychosoziale Unterstützung erhalten. Als günstig hat sich erwiesen, den Kontakt zur Patientenvereinigung für Lungenhochdruck herzustellen. Eine Schwangerschaft ist mit einem erhöhten maternalen und fetalen Mortalitätsrisiko verbunden, deshalb empfiehlt es sich, Patientinnen im gebärfähigen Alter

eine verlässliche Kontrazeptionsmethode anzubieten. Bei Kinderwunsch ist eine psychosoziale sowie genetische Beratung ratsam, bevor ein gemeinsamer Entscheidungsprozess eingeleitet wird. Weiters ist es wichtig, der Familie eine psychosoziale Beratung zu ermöglichen.

PH bei systemischer Sklerose ist die zweithäufigste Ursache für pulmonalarterielle Hypertonie in westlichen Ländern, wobei die limitierte systemische Sklerose die Hauptursache für das Auftreten von pulmonaler Hypertonie in westlichen Ländern und in den USA ist. Die Prävalenz von Lungenhochdruck bei systemischer Sklerose liegt bei 5-19 %. Das Auftreten der Erkrankung ist unbehandelt mit einer 1-Jahres-Mortalität von 50 % vergesellschaftet. Ein jährliches Screening auf Lungenhochdruck ist lt. ESC/ERSGuidelines empfohlen. Lungenhochdruck bei systemischer Sklerose wird genauso behandelt wie IPAH.

Chronisch thromboembolische PAH

An eine chronisch thromboembolische PAH (CTEPH) sollte man denken …

• …, wenn sich in der Anamnese rezidivierende oder idiopathische Pulmonalembolien erheben lassen,

• …, wenn große Perfusionsdefekte vorliegen,

• … oder wenn der Lungeninfarkt im jüngeren Alter auftrat.

• … bei Patientinnen und Patienten mit Splenektomie, infizierten ventriculatrialen Shunts oder SM-/Defisonden,

• … bei chronischen inflammatorischen Erkrankungen,

• … bei einer SD-Ersatztherapie,

• … bei Tumorerkrankungen,

• … wenn prothrombotische Faktoren vorhanden sind (Lupus-Antikoagulans, Antiphospholipid-Antikörper, erhöhte Faktor-VIII-Spiegel, Dysfibrionogenämie).

Missmatches im Lungenventilations-/Perfusionsscan sind richtungsweisend für das Vorliegen einer CTEPH. Wird die Diagnose einer CTEPH gestellt, ist die Therapie multimodal. Der proximale CTEPHTyp mit proximalen pulmonalarteriellen Obstruktionen soll einer chirurgischen Thrombendarteriektomie zugeführt werden. Bei inoperablen Patientinnen und Patienten oder bei postoperativ persistierender CTEPH sowie beim distalen Typ kann eine Behandlung mittels Ballonangioplastie erfolgen. Als medikamentöse Therapien stehen Riociguat und Treprostinil zur Verfügung.

Literatur bei der Autorin.

DFP-Pflichtinformation

Fortbildungsanbieter:

Österreichische Gesellschaft für Allgemein- und Familienmedizin (ÖGAM)

Lecture Board:

Univ.-Prof.in Dr.in Judith Löffler-Ragg

Univ.-Klink f. Innere Medizin II Innsbruck

Verantworliche OÄ Ambulanz

Pneumologie

Dr.in Johanna Holzhaider

2. Vizepräsidentin der OBGAM Gruppenpraxis Sandl, Oberösterreich

Hausärzt:in DFP 27 Februar 2023
<
Abbildung 2: Über die Trikuspidalinsuffizienz kann der systolische PA-Druck im kleinen Kreislauf eingeschätzt werden. © zVg

Hausärzt:in DFP – Das Wichtigste in Kürze

Lungenhochdruck ist eine schwerwiegende Erkrankung.

Die Klassifikation des Lungenhochdrucks ist erforderlich, um eine vasoaktive Therapie gezielt einzusetzen.

DFP-Literaturstudium HAUSÄRZT:IN

Eine chronisch thrombolische PH erfordert eine multimodale Therapie.

Systemische-Sklerose-Patientinnen und -Patienten sollen jährlich auf Lungenhochdruck gescreent werden.

LITERATUR

So machen Sie mit: Entsprechend den Richtlinien der ÖÄK finden Sie im Anschluss an den Fortbildungsartikel Multiple-Choice-Fragen.

Eine Frage gilt dann als richtig beantwortet, wenn Sie von den vorgegebenen Antworten alle richtigen angekreuzt haben. Für eine positive Bewertung ist erforderlich, dass Sie 2 der 3 Fragen richtig beantworten. In diesem Fall wird 1 DFP-Fachpunkt angerechnet. Online lesen und beantworten: Dieser Fortbildungsartikel inkl. Test steht online auf meindfp.at noch 2 Jahre zur Verfügung. Wenn Sie dieses elektronische Angebot nutzen, erhalten Sie auch die Teilnahmebestätigung elektronisch.

Per E-Mail oder Post: Schicken Sie den beantworteten Fragebogen bitte per Mail als Scan-Dokument an office@gesund.at oder per Post an Redaktion HAUSÄRZT:IN/RMA Gesundheit GmbH, Am Belvedere 10 / Top 5, 1100 Wien. Einsendeschluss: 31. August 2023.

DFP-Fragen zu „Praxiswissen: Pulmonale Hypertonie“

Die Anzahl der richtigen Antworten ist nach jeder Frage in Klammern angegeben.

Mittels welcher Untersuchung erfolgt die Diagnosestellung einer pulmonalarteriellen Hypertonie? (1 richtige Antwort)

Mittels Echokardiographie.

Mittels Lungenfunktionstests.

Mittels Rechtsherzkatheteruntersuchung.

Mittels typischer Zeichen im EKG.

Welche spezifische medikamentöse PH-Therapie sollte bei geringem und intermediärem Risiko zu Behandlungsbeginn erfolgen? (1 richtige Antwort)

Eine Monotherapie (ERA- oder PDE5-Hemmertherapie).

Eine Prostanoidtherapie.

Eine Kombinationstherapie (ERA- und PDE5-Hemmertherapie).

Alle drei Pathways sollen sofort beeinflusst werden.

Patientinnen und Patienten mit systemischer Sklerose entwickeln in 5-19 % einen Lungenhochdruck. Welche der folgenden Aussagen trifft zu? (1 richtige Antwort)

Aus diesem Grund wird ein jährliches Screening auf Lungenhochdruck empfohlen.

Die Therapie unterscheidet sich wesentlich von der einer IPAH. Das Auftreten eines Lungenhochdrucks beeinflusst nicht das Überleben der Patientinnen und Patienten.

Patientinnen und Patienten sollen erst bei Auftreten von Dyspnoe auf Lungenhochdruck untersucht werden.

Sie haben ein Fortbildungskonto?

JA – dann buchen wir Ihre DFP-Punkte automatisch!

Dazu brauchen wir Ihre ÖÄK-Ärztenummer und E-Mail-Adresse:

NEIN – ich möchte meine Teilnahmebestätigung per Post erhalten per E-Mail erhalten

Bitte gut leserlich ausfüllen und E-Mail-Adresse angeben:

Name Anschrift PLZ/Ort E-Mail

Hausärzt:in DFP 28 Februar 2023
1 2 3

Über Haut und Luft

Atopische Erkrankungen und der Klimawandel –Herausforderungen und Schutzmaßnahmen

Hausärzt:in medizinisch 30 Februar 2023 © shutterstock.com/ESB Professional FOKUS UMWELT MEDIZIN

EXPERTIN:

Erkrankungen, die zum atopischen Formenkreis zählen, sind besonders stark durch die Auswirkungen der anthropogenen globalen Erwärmung und der Luftverschmutzung beeinflusst. „ Sowohl die Atemwege als auch die Haut stehen im direkten Austausch und Kontakt mit der Umwelt“, begründet dies Dr.in Christine Bangert, Oberärztin der Uniklinik für Dermatologie der MedUni Wien und Leiterin der Arbeitsgruppe Allergologie der ÖGDV (Österreichische Gesellschaft für Dermatologie und Venerologie). Bei der Beratung und diagnostischen Abklärung von Personen mit allergischen Erkrankungen wie Asthma bronchiale, allergischer Rhinitis oder atopischer Dermatitis sollten Behandler daher zusammen mit Patientinnen und Patienten „potenzielle umweltschädliche Faktoren bedenken, nach Möglichkeit identifizieren und zur Therapieoptimierung in das Behandlungskonzept einbeziehen“

Mehr und aggressivere Allergene

Seit 2012 haben allergische Erkrankungen in Österreich um mehr als 13 Prozent zugenommen.1 Dies lässt sich jedoch nicht nur auf Vererbungsmodelle zurückführen. Der Klimawandel hinterlässt seine Spuren: Er steigert die Häufigkeit von allergischem Asthma bronchiale, allergischer Rhinokonjunktivitis und Neurodermitis – sowie die Intensität der Beschwerden.2 „ E in Drittel der Fälle von Asthma im Kindesalter könnte auf Luftverschmutzung zurückzuführen sein“, berichtet OÄ Bangert. Gründe für die gesundheitlichen Belastungen sind die dramatische Zunahme der Verschmutzung durch Feinstaub, Abgase, Stickstoff, Ozon oder Tabakrauch sowie die Effekte der globalen Erwärmung. Hinzu kommt die erhöhte Konzentration von inhalativen Allergenen wie Pollen, aufgrund verlängerter Blühphasen der Pflanzen – wegen höherer Temperaturen und steigender CO2-Belastungen. „ L uftverschmutzende Substanzen wie Stickstoffdioxid beeinflussen biologische Funktionen von Allergenen durch eine Änderung der Pollenoberfläche, was verstärkte entzündliche Reaktionen hervorruft und die Entstehung von Allergien begünstigt“, ergänzt die Fachärztin für Dermatologie und Venerologie.

Ebenso nehmen die Belastungen durch Schimmelpilzkonzentrationen – etwa wegen Flutkatastrophen und starker Regenfälle – sowie jene durch Dermatophagoides zu. Das vermehrte Auftreten von Hausstaubmilbenallergien ist durch eine erhöhte Luftfeuchtigkeit bei höheren Temperaturen bedingt. Fossile Brennstoffe verschmutzen zunehmend die Luft, tragen maßgeblich zur erhöhten CO2-Belastung bei und somit zur Verschlimmerung von allergischen respiratorischen Erkrankungen. Wenn Kinder dieser starken Luftverschmutzung ausgesetzt sind, entwickeln sie häufiger asthmatische Erkrankungen.

OÄ Dr.in Christine Bangert Uniklinik für Dermatologie der MedUni Wien, Leiterin der Arbeitsgruppe Allergologie der ÖGDV
>
© Karoline Rais Photography

Rezeptstudie

Österreichischer Verschreibungsindex

Werden Sie Teil einer Studie zur Arzneimittelversorgung in Österreich – völlig anonym melden Sie einmal pro Quartal die Verschreibungen und Diagnosen einer Arbeitswoche über ein bedienerfreundliches Online Tool, auf das Sie völlig flexibel auch von Ihrem Tablet oder Smartphone zugreifen können.

FÜR WEITERE FRAGEN:

+43 (0) 664 8000 2237

Alexa Ladinser

alexa.ladinser@iqvia.com

+43 (0) 664 8000 2237

Lidia Wojtkowska

medicalindex@iqvia.com

0800 677 026 (kostenlos) weltweit

Weltweite Studie zu indikationsbezogenen Verordnungen!

Sichere und anonyme Datenübermittlung 1x/Quartal.

Flexibler Zugriff auf ein bedienerfreundliches Online-Tool.

120 €

Bis zu 120 € pro Stunde Aufwandsvergütung

Hier scannen um sich zur Teilnahme zu registrieren.
anonym
flexibel

Gestörte Hautschutzbarriere

Auch die menschliche Epidermis fungiert mit ihren mechanischen und immunologischen Abwehrmechanismen als wichtige Kontaktoberfläche zur Umwelt. „ Bei funktionellen Störungen dieser Barriere durch giftige oder gesundheitsschädliche Substanzen kann die Entstehung allergischer und autoimmuner Krankheiten gefördert werden“, gibt OÄ Bangert zu bedenken. Dann werde die Schutzbarriere durchlässig und die normale bakterielle Besiedlung gestört. „ D ies kann kaum wahrnehmbare Entzündungen verursachen und dadurch die Entstehung von Krankheiten wie Neurodermitis begünstigen “ Liegt bereits ein atopisches Ekzem vor, so kann der Klimawandel eine Zunahme der Krankheitsbeschwerden nach sich ziehen. Beispielsweise lösen Flutkatastrophen bei Kindern mitunter starke Schübe aus, die vor allem auf erhöhte Schimmelpilzkonzentrationen zurückzuführen sind. Ebenso können Belastungen durch Feinstaub, Stickstoffdioxid und Ozon, verbunden mit zusätzlicher Pollenbelastung, die Erkrankung akut verschlechtern.

Therapeutische Ansätze

Die intakte Umwelt hingegen können sich Menschen mit Neurodermitis zu Nutze machen. „ D ie Klimatherapie im Hochgebirge oder am Meer erfolgt in einer allergenarmen bzw. -reduzierten Umgebung, wodurch äußerliche Reize, die Schübe auslösen können, minimiert werden“, weiß die Expertin. Wenn jedoch die Temperatur im Gebirge steigt, kann es auch hier zu einer intensivierten Pollenbelastung während der Blütezeit kommen. „Temperatursteigerungen am Meer können sich – je nach geografischer Lage – wiederum ungünstig auf die atopische Dermatitis auswirken, da Schwitzen einen Trigger für die Erkrankung darstellt“, macht die Dermatologin aufmerksam. Betroffenen empfiehlt sie eine Stärkung der Hautbarriere, um diese vor äußeren Einflüssen zu schützen: „ M an kann sie durch die regelmäßige Anwendung von Pflegeprodukten erreichen, die hautei-

gene Fette enthalten (z. B. Ceramide), wodurch die Haut weniger empfindlich gegenüber eindringenden Substanzen wird. Auch eine regelmäßige Reinigung durch Duschen oder Baden mit speziellen seifenfreien, milden, pH-neutralen Syndets trägt zum Schutz einer gesunden Haut bei.“ Ist diese bereits stark entzündet, sollte laut OÄ Bangert primär die Inflammation behandelt werden, um eine Normalisierung der Hautbarriere zu bewirken – z. B. mit Hilfe von topischen Glukokortikosteroiden oder Calcineurin-Inhibitoren. Begleitend dazu empfiehlt sie unbedingt die zweimal tägliche Basistherapie mit wirkstofffreien rückfettenden Cremen, welche idealerweise feuchtigkeitsbindende Substanzen (Humectant) wie Glyzerin oder Urea enthalten.

Der Verschmutzung entgegenwirken

Neben der Stärkung der Hautbarriere ist auch die Anschaffung eines Luftreinigers ratsam: „Mittlerweile konnte in verschiedenen Studien gezeigt werden, dass Luftreiniger, die einen HEPALuftfilter enthalten, für Allergiker durchaus sinnvoll sind und zu einer deutlichen Linderung bestehender Allergien führen können. Innenraumallergene wie Hausstaubmilben, Katzenund Hundeallergene haften an winzigen Partikeln in der Luft –am Feinstaub –und können deshalb mit dem Herausfil-

tern dieser Teilchen zu einem hohen Prozentsatz aus der Luft entfernt werden“, verdeutlicht die Fachärztin die Funktionsweise.

Hausärzt:in medizinisch 33 Februar 2023
„Potenzielle umweltschädliche Faktoren sind zu bedenken und zur Therapieoptimierung in das Behandlungskonzept einzubeziehen.“
Mag.a Ines Pamminger, BA 1 Kölli F et al., J Asthma Allergy 2022; 15:461. 2 Sozener ZC et al., Allergy 2022; 77:1418.

y-doc ist die Nr. 1 im Wartezimmer TV. Das professionelle, nach Ihren Wünschen gestaltete Ordinationsprogramm überzeugt Ihre Patientinnen und Patienten.

y-doc TV sorgt für eine entspannte Atmosphäre im Wartezimmer, verkürzt die gefühlte Wartezeit und fördert damit ein angenehmes und effizientes Patientengespräch.

+43-732-60 27 28-0 www.y-doc.at

Wartezimmer TV

Gefäßpatient:innen in der Praxis

Tiefe Venenthrombosen: Update zu Diagnostik, Therapie und Prophylaxe*

Die tiefe Venenthrombose (TVT) ist eine relevante internistische Erkrankung. Schätzungen zufolge entwickelt im Durchschnitt etwa einer von 1.000 Menschen pro Jahr eine TVT, die Beschwerden verursacht. Viele tiefe Venenthrombosen bleiben auch asymptomatisch und machen sich erst durch das Auftreten einer Lungenembolie (PAE) bemerkbar. Daher ist die Abklärung einer TVT so bedeutsam.

Diagnostischer Goldstandard

In der Diagnostik der TVT ist heute die Duplexsonographie der Goldstandard. Die Duplexsonographie wird als Kompressionsultraschall (CUS) von der Leiste bis in die Unterschenkelarterien durchgeführt (siehe Abbildung, S. 38). Liegt ein Thrombus vor, ist die Vene nicht komprimierbar. Wie bei allen anderen bildgebenden Maßnahmen nimmt die Aussagekraft von proximal nach distal ab, daher ist es vor allem im Unterschenkelbereich relevant, sehr genau zu untersuchen. Die Phlebographie ist heute nicht mehr indiziert und in den Richtlinien nicht mehr als Basisuntersuchung angeführt – sie sollte aufgrund ihrer

häufig nicht vorhandenen Aussagekraft nur in Ausnahmesituationen vorgenommen werden, z. B. bei Gipsverbänden oder bei ausgeprägten Traumata.

Hinweise zur Antikoagulation

Die Therapie der TVT ist die Antikoagulation – ab dem Zeitpunkt der Diagnosestellung. Diese Maßnahme sollte drei bis sechs Monate als Standard-Behandlung in voller therapeutischer Antikoagulation durchgeführt werden. Danach kann man auf eine reduzierte Antikoagulationsdosis umsteigen. Die Gesamttherapiedauer, aber auch die Dosisreduktion hängt vom Risiko des Patienten ab (siehe Tabelle, S. 38).

Effizienz, verbunden mit geringem Blutungsrisiko) sowie die nicht notwendige Gerinnungskontrolle. Weiters gibt es für alle DOAK nun Antidots im Falle einer schweren nicht beherrschbaren Blutungskomplikation. Auch das Pausieren der gerinnungshemmenden Substanzen für spezielle Eingriffe oder in anderen Situationen ist für jede Substanz klar determiniert.

GASTAUTORIN:

Die direkten oralen Antikoagulantien (DOAK) stellen heute den Therapiestandard der TVT dar und haben die Cumarinpräparate nahezu vollständig abgelöst. Eine Ausnahme besteht beim echten Antiphospholipidantikörpersyndrom (APS). Die großen Vorteile der DOAK sind die ausgewogene Nutzen-Risiko-Bilanz (hohe

Die Betreuung von Patientinnen und Patienten mit einer TVT erfolgt heute in der Regel ambulant. Bei ausgeprägter Mehretagen-TVT kann auch eine Hospitalisierung erwogen werden – ein weiterer Grund könnte der dringliche Verdacht auf eine paraneoplastische TVT sein, der z. B. wegen Gewichtsverlusts in der Anamnese und eines massiv erhöhten D-Dimers besteht.

Krebsassoziierte Fälle

Ein besonderer Fokus liegt auf der krebsassoziierten Thrombose („cancerassociated thrombosis“, CAT). Die Häufigkeit ist rapide steigend. Hier hat eine

Hausärzt:in medizinisch 37 Februar 2023
ao. Univ.-Prof.in
Marianne
©
©
>
Dr.in
Brodmann Leiterin der Klinischen Abteilung für Angiologie, Univ.-Klinikum Graz
Med Uni Graz
shutterstock.com/JJ-stockstudio

Arbeit der Arbeitsgruppe der Klinischen Abteilung für Angiologie der Universitätsklinik für Innere Medizin Graz unter der Leitung von Prof. Thomas Gary ganz klar gezeigt, dass auch ein sehr hoher Anteil der CAT asymptomatisch sein kann. Das Auftreten einer CAT bedeutet für den Karzinompatienten eine deutlich niedrigere Lebenserwartung. Auch im Falle einer CAT sind DOAK die Therapie der Wahl. Bei malignen Neoplasien mit einem hohen Blutungsrisiko sollte jedoch auf eine Therapie mit niedermolekularem Heparin (NMH) umgestiegen werden.

Thromboserisiko bei COVID-19

Die COVID-19-Pandemie hat als Begleiterscheinung auch zu einem erhöhten Auftreten von tiefen Venenthrombosen und in der Folge von Lungenembolien geführt. Da die Grundlage der COVID-

Thrombus nicht komprimierbar. Diagnostik mittels Sonographie (Kompressionsultraschall, CUS).

19-Erkrankung eine Endotheliitis ist, überrascht dies nicht. Daher ist je nach Schweregrad der Erkrankung eine Therapie/Prophylaxe mit niedermolekularem Heparin erforderlich.

KRITERIEN FÜR BZW. GEGEN EINE VERLÄNGERTE ANTIKOAGULATION NACH 3-6 MONATEN

FÜR GEGEN

Risikofaktor fortbestehend passager

Genese unklar getriggert

Rezidiv ja nein

Blutungsrisiko gering hoch

bisherige Antikoagulationsqualität gut schlecht

D-Dimere (nach Therapieende) erhöht normal

Residualthrombus vorhanden fehlend

Geschlecht Mann Frau

Thrombus-Ausdehnung langstreckig kurzstreckig

Thrombus-Lokalisation proximal distal

schwere Thrombophilie ja* nein**

Patient:innenpräferenz dafür dagegen

* z. B. Antiphospholipidsyndrom.

** z. B. heterozygote Faktor-V- oder heterozygote Prothrombinmutation.

Quelle: S2-Leitlinie Diagnostik und Therapie der Venenthrombose und der Lungenembolie, Dt. Gesellschaft für Angiologie – Gesellschaft für Gefäßmedizin. Aktueller Stand: Oktober 2015.

Auch bei nicht stationären Patientinnen und Patienten empfiehlt sich vor allem bei zusätzlichen VTE-Risikofaktoren, etwa einer stattgehabten VTE, einer ausgeprägten Varikose, Thrombophilie etc., eine NMH-Prophylaxe in Hochrisikoprophylaxedosierung (z. B. Enoxaparin 4.000 IE einmal täglich s. c.). Jeder hospitalisierte Patient sollte – so nicht bereits eine orale Antikoagulation besteht – eine NMH-Prophylaxe (z. B. Enoxaparin 4.000 IE einmal täglich s. c.) erhalten. Bei zusätzlichen Risikofaktoren, etwa einem BMI von > 30 kg/m2, einer aktiven Krebserkrankung oder bereits stattgehabter VTE, ist eine Steigerung der NMH-Prophylaxe auf eine halbtherapeutische Dosierung unter Einbeziehung der Nierenfunktion und des Blutungsrisikos zu erwägen. Da Intensivpatientinnen und -patienten das höchste Thromboserisiko im Rahmen der COVID-19-Erkrankung haben, sollte auch bei ihnen jene Dosissteigerung der NMH-Prophylaxe evaluiert werden.

Key-Message

Das Ziel der rechtzeitigen Diagnostik, adäquaten Therapie sowie der Prophylaxe einer tiefen Venenthrombose besteht darin, die schwerwiegende Komplikation einer Lungenembolie zu verhindern.

Hausärzt:in medizinisch 38 Februar 2023
* Gastautorin Prof. in Brodmann war Vortragende bei der 53. Jahrestagung der Österreichischen Gesellschaft für Innere Medizin (ÖGIM), 22.-24. September 2022, Salzburg Congress.
© zVg Arterie Arterie Arterie Vene Vene Vene
<

Alles nur Einbildung?

Biopsychosoziale Zusammenhänge von Schmerzen erklären*

gefühlen. Meist fehlt eine gemeinsame Sprache für diese subjektive Ebene. Die Folgen: Frustration und gegenseitige Schuldzuweisung seitens der Patienten („Therapie ist unwirksam, schlecht durchgeführt“) und der Ärzte („Patient zeigt keine Compliance, Schmerzen sind übertrieben“) und schließlich Therapieabbrüche.

Verbesserung der Ärzt:innenPatient:innen-Interaktion

Patientinnen und Patienten mit chronischen Schmerzen gelten oft als „schwierig“ Nicht selten haben sie bereits lange „Patientenkarrieren“ mit zahlreichen Arztbesuchen, diagnostischen Prozeduren und diversen Behandlungsansätzen durchlaufen. Neben der Erwartung an die Kompetenz der Ärztinnen und Ärzte äußern viele Betroffene verständliche Zweifel an der Angemessenheit und Effizienz neuer Behandlungsangebote und haben Angst vor Ablehnung und Entwertung (z. B. als „Simulanten“ oder „Rentenneurotiker“). Hoffnung und Enttäuschung, Idealisierung und Abwertung wechseln sich in charakteristischer Weise in der Arzt-Patienten-Kommunikation ab. Die Beschäftigung mit diesen Kommunikationsprozessen hilft dabei, das therapeutische Bündnis zu verbessern und dadurch – im Sinne einer positiven Placebo-Wirkung – das Behandlungsergebnis maßgeblich zu beeinflussen.

Kommunikationsfallen

Was macht die Kommunikation mit Patientinnen und Patienten mit chronischen Schmerzen mitunter so schwierig?

• 1. Kommunikation auf unterschiedlichen Ebenen:

Betroffene kommunizieren in der Regel auf der Befindlichkeitsebene („Mir tut’s da weh!“), während Ärztinnen und Ärzte oft auf der Befundebene kommunizieren („Der MRI-Befund zeigt “ , „Die körperliche Untersuchung hat

ergeben “). Die Folge: Die Kommunikation läuft aneinander vorbei.

• 2. Einseitig somatisches Krankheitsverständnis: Körperliche Beschwerden werden von vielen als rein körperlicher Vorgang interpretiert. Der Versuch, ein ganzheitliches biopsychosoziales Symptomverständnis zu entwickeln, endet nicht selten im Widerstand Betroffener („Ich bin doch nicht verrückt“, „Ich bilde mir diese Schmerzen nicht ein“, „Ich habe keine psychischen Probleme“).

• 3. Externalisierte Kausal- und Kontrollattribution: Mit zunehmender Erkrankungsdauer neigen Schmerzkranke vermehrt dazu, die Krankheitsursache äußeren Umständen (Krankheiten, Wetter, Arbeitsbelastung) zuzuschreiben, auch die Beeinflussung der Beschwerden erfolgt zunehmend von außen (vermehrte Medikamente, Operationen, Klinikaufenthalte). Durch die gedankliche Externalisierung rücken eigene Ressourcen zur Vorbeugung (z. B. Entspannung und Regeneration) bzw. Bewältigung von Beschwerden (z. B. Ablenkung, Wiederaufnahme von Aktivitäten) immer mehr in den Hintergrund.

• 4. Unzureichende Auseinandersetzung mit Chronizität: Länger dauernde Krankheitsverläufe und unzureichender Behandlungserfolg führen auf beiden Seiten zu Ungeduld, Unzufriedenheit, Enttäuschung, teilweise zu Hilflosigkeit und Ohnmachts-

Entsprechend dem Goldberg’schen Reattributionsmodell wird folgendes stufenförmige Vorgehen empfohlen (Goldberg 1992):

Phase 1: „Sich verstanden fühlen“

Entscheidend bei der ersten Begegnung ist, das Vertrauen der Patientinnen und Patienten zu gewinnen und die subjektive Sichtweise der Betroffenen wertzuschätzen. Hier könnte es neben der medizinischen Anamnese und diagnostischen Abklärung hilfreich sein, das Problem ganzheitlich (biopsychosozial) zu erfassen, z. B. mit folgenden Fragestellungen:

„Schildern Sie mir bitte einen typischen Schmerztag – mit allen Höhen und Tiefen?“

„Wodurch werden Ihre Schmerzen stärker? Was erleben Sie als hilfreich?“

„In welchen Lebensbereichen wirkt sich Ihre Schmerzerkrankung besonders aus?“

Gleichzeitig wird empfohlen, emotionale Äußerungen der Patienten (Angst, Misstrauen, Hilflosigkeit, Niedergeschlagenheit, Ungeduld, Ärger) zu validieren – d. h., sie empathisch widerzuspiegeln – z. B. durch folgende Äußerungen:

„Ich spüre Ihre … (Unsicherheit, …)“, „Ich merke, dass Sie ...“, „Mir kommt vor, dass Sie …“

Phase 2: „Das Thema verändern“

In einem zweiten Schritt geht es darum, bisherige Untersuchungsergebnisse zu bewerten. Ziel ist, die Realität der Beschwerden (eventuell auch ohne somatomedizinischen Befund) anzuerkennen:

Hausärzt:in medizinisch 40 Februar 2023
GASTAUTOR: Prim. Prof. Priv.-Doz. Dr. Michael Bach Vortuna Gesundheitsresort, Bad Leonfelden © Vortuna Gesundheisresort GmbH © shutterstock.com/A. Solano
JEDER MAG’S ANDERS EINFACH MESSEN Dann empfehlen Sie: Accu-Chek Instant MEHR ALS MESSEN Dann empfehlen Sie: Accu-Chek Guide ACCU-CHEK, ACCU-CHEK GUIDE, ACCU-CHEK INSTANT und MYSUGR sind Marken von Roche. Alle weiteren Produktnamen und Marken gehören den entsprechenden Eigentümern. © 2022 Roche Diabetes Care | www.accu-chek.at | Roche Diabetes Care Austria GmbH | 1210 Wien | Engelhorngasse 3 SCAN ME INFOS & BESTELLEN

Schmerzmedizin – quo vadis?

Die Pläne der Österreichischen Schmerzgesellschaft für 2023

+++ Ausrollung hoher Qualitätsstandards +++ Attraktivierung der Schmerzmedizin innerhalb der Jungärzteschaft +++ Erstattung einer Zweitmeinung seitens der ÖGK +++ Zertifikat für Schmerztherapie +++

2019 berichteten laut Statistik Austria 1,9 Millionen Österreicher:innen – das sind 26 Prozent der Bevölkerung – über chronische Kreuzschmerzen oder ein anderes Rückenleiden. Von chronischen Nackenschmerzen bzw. sonstigen Schmerzen an der Halswirbelsäule sind 1,4 Millionen Österreicher:innen betroffen.1

Demgegenüber stehen aktuell 1.420 Mediziner:innen, die das ÖÄK-Diplom für „Spezielle Schmerztherapie“ erworben haben. Die Ausbildung umfasst 120 Stunden Theorie und 80 Stunden Praxis, zwei Drittel der Absolvent:innen sind Fachärzt:innen, ein Drittel Allgemeinmediziner:innen.

Jungärzt:innen an Bord holen

Hinsichtlich der bevorstehenden Pensionierungswelle und des beschränkten Zugangs zum Medizinstudium besteht

Handlungsbedarf: „ 2 023 werden wir zielgerichtet daran arbeiten, noch mehr Jungärzt:innen für die Schmerzmedizin zu begeistern“, so ÖSG-Präsidentin OÄ Dr.in Waltraud Stromer vom Landesklinikum Horn, die gleich auch auf eine erste Fortbildungsveranstaltung für den Nachwuchs mit Titel „ Zukunft der Schmerzmedizin: Rising Stars – The next Generation“ am 4. März hinweist. (Anmeldung unter: bit.ly/RisingStars2023).

ÖSG-Generalsekretär Prim. Univ.-Prof. Dr. Rudolf Likar, MSc, Klinikum Klagenfurt am Wörthersee, richtet in Sachen Ausbildung einen Appell an die Entscheidungsträger in Politik und Gesundheitssystem: Es sei notwendig, ein Zertifikat für Schmerztherapie in heimischen interdisziplinären Schmerzeinrichtungen zu etablieren. „Wenn Patient:innen, die eine hochspezialisierte Versorgung brauchen, Schmerzeinrichtungen, Schmerzzentren,

Reha-Einrichtungen und Tageskliniken zugewiesen werden, ist eine derartige interdisziplinäre Ausbildung notwendig und für das jeweilige Zentrum auch eine wichtige Auszeichnung“, so der Experte. Die Rede ist von einem Ausbildungspensum mit 400 Stunden Praxis und 80 Stunden Theorie.

Multimodale Schmerztherapie

Apropos Interdisziplinarität: ÖSGSekretär Prim. Mag. Dr. Gregor Kienbacher, MSc, Theresienhof – Klinikum für Orthopädie und Orthopädische Rehabilitation, fordert, die Kombination von schulmedizinischen und integrativen Behandlungsmethoden zu intensivieren. Schließlich sei eine multimodale interdisziplinäre Schmerztherapie evidenzbasierter Standard in der Behandlung von chronischen Schmerz-

Hausärzt:in medizinisch 42 Februar 2023
© Österreichische Schmerzgesellschaft/APA-Fotoservice/Schedl

zuständen am Stütz- und Bewegungsapparat. Konkret sollten alle evidenzbasierten therapeutischen Ansätze aus der Komplementärmedizin – darunter Manuelle Medizin, Osteopathie, Stoßwellentherapie, Neuraltherapie oder auch Akupunktur – berücksichtigt und zu einem ganzheitlichen Ansatz mit schulmedizinischen Methoden kombiniert werden. Das wiederum erfordere ein großes interdisziplinäres und multiprofessionelles Team. Dieses finde sich zwar in Zentren, die sich auf die Behandlung von Schmerzsyndromen spezialisiert hätten, die vorherrschende ambulante Versorgungsform von Schmerzpatient:innen hingegen sei aus ÖSG-Sicht im besten Falle multidisziplinär ausgerichtet und somit insuffizient. „ Notwendige interdisziplinäre Versorgungsformen sind unter anderem durch das Fehlen finanzieller Vergütungsformen derzeit nicht umsetzbar“, so Prim. Kienbacher.

Scharfe Kritik hinsichtlich fehlender Finanzierung übt der künftige ÖSG-Präsident, a. o. Univ.-Prof. Dr. Wilhelm Eisner, an der Österreichischen Gesundheitskasse: „ Schmerzpatient:innen, die zur Absicherung gern eine zweite Meinung oder weitere ärztliche Beratung einholen möchten, werden von der ÖGK ins Wahlarztsystem gezwungen “ Dabei sei die unabhängige Begutachtung eines ärztlichen Befundes durch eine zweite Ärzt:in bei nicht eindeutiger Diagnose ein Beitrag für die Qualitätssicherung im Gesundheitswesen. Unnötige Eingriffe würden vermieden, Einsparungen seien die Folge.

Honorare den notwendigen Leistungen anpassen

Eine Anpassung an eine den Leistungen entsprechende Honorierung ist auch gefragt, wenn es darum geht, die hohen Qualitätsstandards in der Schmerzversorgung österreichweit auszurollen.

Beispielsweise bietet der „Qualitätsstandard unspezifischer Rückenschmerz“ Empfehlungen für den Ablauf von Diagnose, Therapie und Nachbehandlung von Patient:innen mit unspezifischem Rückenschmerz. Ein weiterer Erfolg im Einsatz für die Verbesserung der Schmerzversorgung ist laut OÄ Stromer die Einführung des Screening-Tools „ STaRT Back-Tool“, das das Chronifizierungsrisiko von Patient:innen mit Rückenschmerzen einschätzt und mit leitlinengerechten Handlungsempfehlungen ergänzt. Notwendig, betont OÄ Stromer, sei auch die Honorierung der leitliniengerechten schmerzmedizinischen Versorgung. Schließlich beinhalte diese nicht nur Inflitration und Infusion, sondern auch Gesprächsführung, Untersuchung, Edukation sowie Koordination. Ein höherer Zeitaufwand, der entsprechend höher honoriert werden sollte.

Quellen:

1 STATISTIK AUSTRIA, Gesundheitsbefragung 2019, S. 6 f.

2 Österreichische Ärztekammer, Auswertung für die Österreichische Schmerzgesellschaft, Jänner 2023.

Mag.a Ulrike Krestel

Problematische Presbyphagie

Schluckstörungen und ihre assoziierten Komorbiditäten in der ärztlichen Praxis

Der physiologische Schluckvorgang –oder Schluckakt – ist ein hochgradig koordiniertes Zusammenwirken von ca. 30 Muskelpaaren sowie motorischen und sensiblen Hirnnerven. An einem durchschnittlichen Tag schluckt der Mensch rund tausendmal, um Flüssigkeiten, feste Nahrung und Speichel in den Magen zu transportieren.

Auch wenn es während der gesamten Lebensphase zu Schluckstörungen, also Dysphagien, kommen kann –beispielsweise transient im Rahmen einer Pharyngitis –, werden diese doch erst im höheren Alter, wenn die Kompensationsmechanismen nachlassen, zu einem Problem. Gewisse Komorbiditäten, etwa ein Insult, Morbus Parkinson oder ein St. p. Malignom-OP im Kopf-Hals-Bereich, aggravieren dann die Situation. Im Alter verlangsamt sich zudem physiologisch der Schluckreflex und der Transport der Nahrung über die Speiseröhre in den Magen verläuft weniger koordiniert. Auch der Zahnstatus ändert sich, schlecht sitzende Prothesen erschweren den Kauvorgang. Die Summe der physiologischen Veränderungen im Alter im Zusammenhang mit dem Schlucken wird als Presbyphagie bezeichnet.

GASTAUTOR:

Univ.-Prof. PD Dr. Markus Gugatschka Vorstand der HNO Univ.-Klinik, Leiter der Klinischen Abteilung für Phoniatrie, Med Uni Graz

Die Presbyphagie ist weitgehend asymptomatisch, kann aber insgesamt zu einer Verschlechterung des Allgemeinzustandes und der Lebensqualität führen. Damit gehen Mangelernährung, Gewichtsverlust oder Dehydratation einher. Im schlimmsten Fall kann es zum Übertritt von Nahrung oder Speichel in die Luftwege kommen, was wiederum eine Lungenentzündung nach sich ziehen kann. Studien belegen: Etwa 20 % aller 50-Jährigen weisen eine Form der Schluckstörung auf und etwa 40-60 % aller Bewohnerinnen und Bewohner von Altersheimen haben Probleme mit der Nahrungsaufnahme. Zudem ist bei über 80-Jährigen Aspiration die häufigste Ursache einer Pneumonie.1,2

Interdisziplinäre Abklärung

Eine genaue Anamneseerhebung ist wesentlich und stellt den ersten Schritt im Rahmen der Diagnostik dar. Indirekte Anzeichen einer Schluckstörung können Gewichtsabnahme, vermehrte Verschleimung inkl. Hustenreiz, eine Veränderung der Stimme (gurgelnde Sprache) oder ein Globusgefühl sein. Direkte Hinweise hingegen sind eine verlängerte Nahrungsaufnahme, Husten bei oder nach der Nahrungsaufnah-

me, Schwierigkeiten mit bestimmten Nahrungskonsistenzen oder Regurgitationen.

Als Screening-Tools stehen der „ 50 mlWasser-Test“ sowie der spezifischere GUSS3 („Gugging Swallowing Screen“) zur Verfügung. Ersteres Screening kann leicht durchgeführt werden: sukzessive Schlucke von jeweils 5 ml Wasser, auf die Aspirationshinweise Verschlucken/ Erstickungsanfälle achten, Husten oder Änderung der Stimmqualität. Der GUSS wiederum umfasst eine komplexere Testreihenfolge:

1. Speichelschluck,

2. Breischluck,

3. Wasserschluck,

4. Festschluck.

Dieses Screening wurde ursprünglich zur raschen Abklärung von Aspirationsgefahr nach Insult entwickelt und wird heute interdisziplinär verwendet.

Präzise Untersuchungen

Die genaueste Form der Abklärung erfolgt durch die HNO-Heilkunde bzw. Phoniatrie. Die FEES („functional endoscopic evaluation of swallowing“) ist

Hausärzt:in medizinisch 45 Februar 2023
© Gerhard Fank © shutterstock.com/ MG Stock Studio
>
„Bei über 80-Jährigen ist Aspiration die häufigste Ursache einer Pneumonie.“

eine endoskopische Untersuchung, bei der nach morphologischer und anatomischer Überprüfung des Larynx sowie der angrenzenden Strukturen verschiedene Konsistenzen abgeschluckt werden. Üblicherweise wird mit gefärbten breiigen Konsistenzen begonnen, gefolgt von Flüssigkeiten. Die Beobachtungen beinhalten: Retention (Residuen im Hypopharynx), Penetration (Bolusanteile gelangen in die Nähe des Aditus laryngis) und Aspiration (Bolusteile passieren die Glottis). Die Vorteile dieser Untersuchung liegen in der direkten und funktionell-dynamischen Beurteilung der relevanten Strukturen sowie in der relativ leichten Durchführbarkeit, beispielsweise am Bett. Außerdem kann die Untersuchung beliebig oft wiederholt werden. Eine bisweilen sinnvolle Ergänzung stellt der VISA (VideoSchluckakt) dar. Hierbei kann der gesamte Schluckvorgang bis zur Passage des oberen Ösophagussphinkters und darunter beurteilt werden. Auch während des Abschluckens (intradeglutitiv) gibt es im Vergleich zur FEES kein „white out“, also kein Verdecken der Optik durch Pharynxkontraktionen. Als weiterer Vorteil kann hierbei die Menge des Aspirats gut abgeschätzt werden. Nachteilig sind allerdings der hohe apparative Aufwand sowie die Strahlenbelastung.

Spezifische Maßnahmen

Die Therapie der Schluckstörung orientiert sich stark an der jeweiligen Grunderkrankung. Eine einfache Maßnahme ist die Adaptierung von Nahrungskonsistenzen, beispielsweise das Eindicken von Flüssigkeiten. Seit einigen Jahren existiert mit der IDDSI („International Dysphagia Diet Standardisation Initiative“) eine Klassifizierung verschiedener Konsistenzgrade, die von 0 = dünnflüssig bis 7 = Normalkost reicht. Die IDDSI-Grundstruktur bietet eine allgemein verständliche Terminologie zur Beschreibung von Lebensmitteln, Getränken sowie ihren Texturen und wurde am LKHUniv.-Klinikum Graz bereits eingeführt.

Verschiedene logopädische Therapien stellen den nächsten spezifischen Schritt dar. Das Behandlungsspektrum umfasst zum Beispiel diverse Manöver wie das Chin-down- oder Mendelson-Manöver etc. und zielt darauf ab, einzelne Funktionsbereiche zu verbessern.

Bewusstsein schaffen

Unter Berücksichtigung des demographischen Wandels ist in den nächsten Jahren von einer deutlichen Zunahme von Schluckstörungen und ihren assoziierten Komorbiditäten auszugehen. Umso wichtiger ist es, die Bevölkerung sowie Angehörige von Gesundheitsberufen bereits jetzt zu sensibilisieren und Bewusstsein für dieses Krankheitsbild zu schaffen. Eine orientierende Einschätzung der Schlucksituation und ggf. die daraus abzuleitenden Maßnahmen werden künftig in der ärztlichen Praxis immer wichtiger werden.

Referenzen:

1 Christmas C, Rogus-Pulia N, J Am Geriatr Soc 00:1-7, 2019.

2 Ney D et al., Clin Pract. 2009; 24: 395-413.

3 Trapl M et al., Stroke. 2007;38:2948–2952.

<

Mistelextrakte beim Pankreaskarzinom

Klinische Studie bestätigt den positiven Einfluss auf Lebensqualität und Überleben

Das Pankreaskarzinom zählt zu den aggressivsten Tumorarten und ist zudem nur sehr schwer zu behandeln. Noch dazu wird es meist erst im fortgeschrittenen Stadium entdeckt. Ende 2022 lud die Gesellschaft für Klinische Forschung (GKF) Berlin zu interessanten Weiterbildungen, die integrative Aspekte der Behandlung zum Thema hatten. Dr. Matthias Kraft, Chefarzt der BioMed Klinik in Bad Bergzabern, einer Fachklinik für Onkologie, Immunologie, Hyperthermie und Ernährungsmedizin, ermöglichte als Spezialist für Pankreaserkrankungen Einblicke in die Orthomolekulare Medizin und Hyperthermie. Andrea Diehl, Fachärztin für Allgemeinmedizin in Quierschied/ Saarbrücken, erläuterte anhand konkreter Patientenfälle die Misteltherapie als komplementäres Verfahren.

„Wir sind eine Fachklinik für Onkologie und arbeiten mit einem ganzheitlichen Ansatz“, hob Dr. Kraft einleitend her-

vor. „Wir machen Chemotherapien, beschäftigen uns aber ebenso mit Psychoonkologie, Physiotherapie, Hyperthermie, gesunder Ernährung usw “ Hausärztin Diehl fügte hinzu: „ Der Misteltherapie fühle ich mich so verbunden, weil sie in der hausärztlichen Betreuung ein wertvolles, komplementäres Heilmittel für onkologische Patienten darstellt.“ Die Heilkraft der Mistel – die gerne auch als „Goldener Zweig“ bezeichnet wird –konnte mittlerweile in zahlreichen Studien und Metaanalysen dokumentiert werden (die Hausärzt:in berichtete).

Die Epidemiologie des Pankreaskarzinoms

Das Pankreaskarzinom, an dem zumeist Menschen im höheren Lebensalter erkranken, ist der dritthäufigste Tumor des Gastrointestinaltraktes und die vierthäufigste Krebstodesursache. Die eindeutigen Risikofaktoren sind

Rauchen, ein hoher Body-Mass-Index, fettreiche Ernährung, eine positive Familienanamnese, chronische Pankreatitis und Diabetes mellitus. Die Prognose ist schlecht, etwa 90 % der Patienten sterben im ersten Jahr nach der Diagnosestellung und die 5-Jahres-Überlebensrate nach der OP beträgt nur 3-4 %. Oft tritt ein Rezidiv innerhalb der ersten zwei bis drei Jahre nach der OP auf. Dr. Kraft: „ Die einzige kurative Behandlung ist die vollständige Resektion, welche sich jedoch nur in 10-20 % der Fälle durchführen lässt. Was bleibt, ist die Chemotherapie, die zellzerstörend wirkt. Probleme sind dabei die hochgradige Chemoresistenz des Pankreaskarzinoms und die hohe Nebenwirkungsrate der Therapie. Ein weiteres Problem wird durch den Tumor verursacht, denn es besteht häufig eine exokrine Pankreasinsuffizienz. Die Verdauung ist also massiv gestört, da nicht mehr genügend Verdauungssekrete gebildet werden. Grund dafür ist, dass in soliden Tumoren Tumorzellen mit Fibroblasten, Adipozyten, Endothelzellen, Stella-Zellen usw. koexistieren, die bis zu 50 % der Gesamtmasse des Tumors ausmachen können. Der Tumorzellstoffwechsel hat einen maßgeblichen Einfluss auf die Differenzierung der Immunzellen im Tumorzellstroma und die damit verbundene Hemmung des Immunsystems.

Komplementärmedizinische Unterstützung

Zusätzlich zu den Empfehlungen der S3-Leitlinie kommen beim Bauchspeicheldrüsenkrebs verschiedene Immuntherapien zur Anwendung. Dazu zählen etwa die Misteltherapie oder die Hyperthermie. Diverse Studien haben ergeben, dass die Misteltherapie zwar keine Tumoren zerstören oder verkleinern kann, sie die Lebensqualität der Patienten jedoch deutlich verbessert und dabei hilft, sie in den letzten Lebensmonaten aufrechtzuerhalten.

Dr. Kraft: „ Die ,Intratumoral Mistletoe (Viscum album L) Therapy in Patients

Hausärzt:in medizinisch 48 Februar 2023
© shutterstock.com/AekPN

With Unresectable Pancreas Carcinoma: A Retrospective Analysis‘* deutet etwa auf eine Steigerung des medianen Überlebens hin. Diese beträgt bei der Misteltherapie elf Monate, zuvor war es ein halbes bis ein Jahr. Dabei wurde das Mistelpräparat direkt, also intratumoral, gespritzt, entweder transkutan oder mit endoskopischem Ultraschall. Es traten keine Nebenwirkungen auf. Leider gab es keine Kontrollgruppe. Trotzdem sieht man einen deutlichen Vorteil, wenn man mit Mistelextrakten behandelt.“

Dr. Kraft ist auch ein Anhänger der Hyperthermie. Bei dieser Überwärmungstherapie werden die Nebenwirkungen der Chemo- oder Strahlentherapie minimiert und die Tumorzellen empfindlicher gegenüber Attacken und schlussendlich ihrer Zerstörung. Ein wichtiges Standbein ist darüber hinaus die Ernährungstherapie, denn viele Krebspatienten leiden unter einem Gewichtsverlust und Sarkopenie. „ Die Unter- bzw. Mangelernährung korreliert dabei stark mit einer schlechten Prognose, postoperativen Komplikationen und einer Zunah-

me der Morbidität, Mortalität und der Dauer des Krankenhausaufenthalts. Sie beeinträchtigt u. a. die Wirkung von Medikamenten, die Immunabwehr und die Physiologie der Leber, der Niere sowie des Herzens. Leider werden diese pathophysiologischen Zusammenhänge nicht ausreichend erkannt und gewürdigt, das Ergebnis ist häufig Kachexie.“ Für den Experten stellen auch Nahrungsergänzungsmittel wie Vitamin D und mehrfach ungesättigte Fettsäuren wie Omega 3 einen wichtigen Baustein der komplementärmedizinischen Behandlung von Krebserkrankungen dar.

Grundlagen der Misteltherapie in der Praxis

Auch Allgemeinmedizinerin Diehl empfiehlt die Misteltherapie angesichts der Studienergebnisse jedenfalls als komplementärmedizinische Behandlungsoption. „ Die Wirkmechanismen der Misteltherapie sind die Nekrose durch Viscotoxine – also eine Zellauflösung durch die Zerstörung der Zell-

membran – sowie die Apoptose durch die Auslösung der Selbstzerstörung der Zellen“, erklärt sie. Anwendbar sind Mistelpräparate grundsätzlich in allen Tumorstadien, während einer Strahlen-, Chemo- und Antikörpertherapie und vor sowie nach einer OP. Sie werden mittels subkutaner Injektion möglichst tumornah eingebracht. „ E s wird mit einer niedrigen Dosis in einer Frequenz von zwei- bis dreimal pro Woche begonnen, die schrittweise gesteigert werden kann, bis eine optimale Reaktionsdosis erreicht ist“, so Diehl zum Vorgehen in der Praxis. Dabei trete eine Lokalreaktion mit einem Durchmesser von bis zu 5 cm und einem Temperaturanstieg bis maximal 38°C wenige Stunden nach der Injektion auf. Kontraindikationen sind Allergien gegen Mistelzubereitungen, akut entzündliche oder hoch fieberhafte Erkrankungen, chronische granulomatöse Erkrankungen, floride Autoimmunerkrankungen oder eine Hyperthyreose mit Tachykardie.

Hausärzt:in medizinisch
Gabriella Mühlbauer * Schad F et al., DOI: 10.1177/1534735413513637.

Gendermedizin am Beispiel Harnblasenkarzinom

Häufig verschlechtert eine spätere Diagnose die Prognose

Die Rolle der Hormone

„Wir glauben schon, dass es hormonell gesteuerte Unterschiede gibt, Beweise dafür haben wir kaum, und somit auch keine passende Therapie. Daraus können wir im Moment nur wenig gewinnen“, bedauert der Urologe. Hinweise gibt es beispielsweise darauf, dass Östrogen grundsätzlich vor Blasenkrebs schützt, diesen bei betroffenen Personen jedoch fördern kann.

Blase verträgt keinen Rauch

Geschlechtsspezifische Aspekte bei urologischen Patienten sind Gegenstand zahlreicher Studien. Gut dokumentiert sind etwa die Nephrolithiasis, das Nierenzellkarzinom oder das Urothelkarzinom hinsichtlich ihrer Unterschiede zwischen Mann und Frau. Dieses Thema war auch Inhalt eines MeinMed-Webinars von Assoc. Prof. Priv.-Doz. Dr. Harun Fajkovic, Facharzt für Urologie in Wien. Er ging unter anderem auf den Harnblasenkrebs als Beispiel ein, der Männer etwa drei bis vier Mal so häufig betrifft wie Frauen.1

Das Risiko einer Tumorentwicklung –sowohl oberflächlich als auch muskelinvasiv – ist bei Männern 6,7-fach erhöht.2 Eine retrospektive Studie mit 1.269 Patientinnen und Patienten zeigte, dass Frauen bei der Erstdiagnose im Durchschnitt älter (67 Jahre) waren als Männer (62).3 Ein weiterer Fakt ist, dass Männer mit einem Blasenkarzinom eine höhere Überlebensrate haben.

Falscher Verdacht Harnwegsinfekt

Bei Hämaturie werden Männer früher an einen Urologen überwiesen. Wird ein Blasenkarzinom diagnostiziert, kann eine Operation bereits kurz darauf erfolgen, die Überlebensrate ist relativ hoch. Hat eine Frau dieselben

Symptome, wird oft zuerst ein Harnwegsinfekt vermutet. „Gewisse Keime resultieren mit Blut im Harn, wenn sie in die Blase gelangen“, so Prof. Fajkovic. Der erste Behandlungsschritt ist somit häufig eine Antibiotikatherapie. Erst bei fehlendem Therapieerfolg wird die Patientin in der Folge zu einem Facharzt überwiesen. Bis zur richtigen Diagnose verstreicht viel wertvolle Zeit und das ist der springende Punkt, denn der angebrachte Zeitraum zwischen Erstdiagnose und Behandlungsbeginn beträgt sechs Wochen. „ Sie haben sechs Wochen, in denen Sie halbwegs sicher sein können, dass es zu keiner Verschlechterung im Stadium kommt“, erklärt der Facharzt.

EXPERTE: Assoc. Prof. Priv.-Doz. Dr. Harun Fajkovic Stv. Leiter der Universitätsklinik für Urologie der Medizinischen Universität Wien am Universitätsklinikum AKH Wien

Obwohl Frauen in puncto Tabakkonsum stark aufholen, sind es zumindest hierzulande immer noch mehr Männer, die rauchen. Das ist der größte Risikofaktor in Bezug auf das Urothelkarzinom, die Blase leidet darunter stärker als die Lunge. Die Lunge ist dem Rauch mit jedem Einatemzug kurz ausgesetzt, dann wird ausgeatmet. Somit ist die Wirkungszeit relativ kurz. Problematischer sind die Schadstoffe, die über die Blutbahn absorbiert werden und sich dann im Harn in der Blase über Stunden ansammeln. Die Zeit, in der sie auf das Urothel einwirken, ist also deutlich länger.

Ein weiterer Knackpunkt: Die Blasenwand von Frauen ist dünner, sie verfügen über weniger Muskelmasse. „ Daher muss bei einer Operation Gewebe vorsichtiger entnommen werden, was dazu führen könnte, dass Tumorzellen zurückbleiben, die wiederum ein neuerliches Wachstum des Tumors zur Folge haben können“, so Prof. Fajkovic. Deshalb ist auch das Risiko der Rezidivierung höher. Allerdings ist eine genaue Datenlage dazu noch ausständig.

Referenzen:

1 Jemal A et al., Cancer statistics 2011.

2 Puente D et al., Eur Urol. 2003; 43: 53-62.

3 Tilki D et al., J Urol 2010; 184: 888-94.

AKTUELL

Gemeinsam mit der Medizinischen Universität Wien und mit Unterstützung der Österreichischen Gesundheitskasse veranstaltete MeinMed eine Webinarreihe zum Thema Gendermedizin. Die Reihe beleuchtet dieses relativ neue Fach der Medizin und dessen Bedeutung für Kardiologie, Rheumatologie, Urologie, Diabetologie sowie Demenzforschung. Das Video zum Webinar finden Sie auf meinmed.at/2186

Hausärzt:in medizinisch 50 Februar 2023
© MedUni Wien/feelimage ©
shutterstock.com/ilusmedical

Feingefühl gefragt

Hämorrhoidalleiden –Schamgefühl stellt oft eine Barriere dar

Das Corpus cavernosum recti kontrolliert gemeinsam mit dem Schließmuskel die Funktion des Darmausgangs. Ist dieses arteriovenöse Gefäßpolster klinisch auffällig, so spricht man von einem Hämorrhoidalleiden. Häufige Symptome sind Blutungen, Pruritus, schleimige Sekretion sowie ein unangenehmes Druckbzw. Fremdkörpergefühl. Die Diagnose erfolgt im Rahmen einer proktologischen Untersuchung, welche eine Anamnese, eine Inspektion, eine Palpation, eine Proktoskopie sowie eine Rektoskopie umfasst. Die Differenzialdiagnostik des klinischen Erscheinungsbildes (Analprolaps, Mukosaprolaps und Rektumprolaps, Marisken, hypertrophe Analpapillen, Condylomata acuminata, Analfissur, Analvenenthrombose, Analkarzinom) erfordert mitunter weitere Verfahren.1

Die Therapie erfolgt stadienabhängig (Grad I-IV). Die genauen Ursachen der symptomatischen Hämorrhoiden konnten noch nicht geklärt werden, es wird davon ausgegangen, dass die Ernährung, das Defäkationsverhalten und die Stuhlregulation eine Rolle spielen. Die Basistherapie beinhaltet daher unter anderem Veränderungen der Lebensgewohnheiten – z. B. eine ballaststoffreiche Ernährung, eine Gewichtsreduktion, Sport und eine optimierte Defäkation.2 Hilfreich für Patientinnen und Patienten kann es beispielsweise sein, beim Stuhlgang die Füße auf einen etwa 30 cm hohen Hocker zu stellen. In dieser Position wird starkes Pressen vermieden. Die symptomatische Basistherapie mit Hilfe von Hämorrhoidalia dient der Linderung akuter Beschwerden. Hierbei kommen Salben oder rektale Suppositorien mit verschiedenen Wirkstoffen zum Einsatz.2

Tabuisierte Erkrankung, hohe Dunkelziffer

Fast 70 Prozent aller Erwachsenen sind im Laufe ihres Lebens von einem Hämorrhoidalleiden betroffen.1 Die Beschwerden werden oft verschwiegen und es wird – aus falscher Scham – sehr spät medizinischer Rat eingeholt. Als erste Ansprechperson fungiert meist die Hausärztin, der Hausarzt. Wichtig ist es daher, eine Vertrauensbasis aufzubauen, um eine ehebaldige Therapie zu ermöglichen. Denn: Im Frühstadium ist die proktologische Erkrankung noch gut heilbar. Der chirurgische Eingriff ist lediglich bei starker Beschwerdensymptomatik notwendig und steht am Ende der Behandlungskette.

© shutterstock.com/Bodor Tivadar
1 Herold A, Hautarzt 71, 269–274 (2020). doi.org/10.1007/s00105-020-04553-y 2 Joos A et al., S3-Leitlinie Hämorrhoidalleiden, Nr. 081-007. 2019.

Derma und Darm – eine Symbiose

Wie die zwei größten Organe des Menschen sich beeinflussen

Die Haut stellt ein riesiges Ökosystem für Mikroorganismen dar. Dieses setzt sich aus verschiedenen Arten von Bakterien, Archaeen und Viren zusammen, aber auch Pilze und Milben leben in ihm. „Man geht von etwa 1.000 verschiedenen Mikrobenarten aus, die mit unserer Haut vergesellschaftet sind. Die meisten sitzen auf den obersten Schichten der Epidermis und in den Haarfollikeln“, erklärt Univ.Prof.in Dr.in Christine Moissl-Eichinger vom Zentrum für Mikrobiomforschung der Medizinischen Universität Graz. Am häufigsten kommen Mikroben wie Corynebacterium, Propionibacterium und Staphylococcus auf dem Derma vor. Aber auch andere Mikrobengruppen wie Malassezia oder Thaumarchaeota spielen eine wichtige Rolle. So verrichten Thaumarchaeota beispielsweise eine Art „Aufräumdienst“ bei trockener Haut. Dadurch verbessern sie den pH-Wert derselben und verringern vermutlich auch den Körpergeruch, indem sie Stickstoffverbindungen abbauen. Das Mikrobiom unterscheidet sich von Mensch zu Mensch, da es von einer Vielzahl von Faktoren wie Ernährung, Alter, Geschlecht, Hygienemaßnahmen und UV-Strahlung beeinflusst wird. Generell hat es das Hautmikrobiom nicht leicht. Schließlich ist das Ökosystem des Dermas sehr wandelbar und die Mikroben müssen mit erhöhten Salzgehalten, einem niedrigen pH-Wert und Austrocknung zurechtkommen. Im Gegensatz zum Darmmikrobiom, das nach der Geburt fast drei Jahre braucht, bis es stabil aufgebaut ist, werden direkt bei und nach der Geburt Mikroben der Mutter, der Familie und der Umgebung auf die Haut des Neugeborenen übertragen. Das bedeutet, dass bei Kindern, die auf natürlichem Weg geboren werden, zunächst Mikroben der Vagina auf der Haut dominieren. Bei einem Kaiserschnitt überwiegen hingegen die Mikroorganismen des Dermas der Eltern. Frühgeborene, die auf der Intensivstation betreut werden müssen, übernehmen

vorübergehend das Mikrobiom ihrer Umgebung.

Geschädigtes Mikrobiom und Hautkrankheiten

Zusammenspiel von Hautmikrobiom und Darmbakterien

EXPERTIN: Univ.-Prof.in Dr.in Christine Moissl-Eichinger Zentrum für Mikrobiomforschung der Medizinischen Universität Graz

„Die Mikroben sind ein wichtiger Faktor für die Aufrechterhaltung der Schutzbarriere unserer Haut. Sie verteidigen uns gegen Krankheitserreger, fördern den niedrigen pH-Wert der Haut und unterstützen unser Immunsystem“, erläutert Prof.in Moissl-Eichinger. Ist die normale Funktion des Immunsystems etwa durch übertriebene Hygiene oder andere Faktoren geschädigt, kommt es zu einer Störung der Hautbalance. Dies ist beispielsweise bei Neurodermitis oder Psoriasis der Fall. Einer Neurodermitis-Erkrankung liegt etwa eine geringere Anzahl der Bakterien zugrunde. Diese entsteht durch eine Überbesiedelung des Bakteriums Staphylococcus aureus, welches die Diversität der vorhandenen Mikroben immer weiter zurückdrängt. Dadurch ist die Hautbarriere geschädigt und es kann schneller zu Entzündungen kommen. Bei Psoriasis hingegen ist die Datenlage noch nicht so klar wie bei Neurodermitis. Es wird davon ausgegangen, dass die Erkrankung durch ein Problem des Immunsystems mit der Toleranz gegenüber Mikroben ausgelöst wird. Auch Formen der Rosacea-Erkrankung werden mit einer Dysbiose des Hautmikrobioms in Verbindung gebracht. Hierfür sind Demodex, sogenannte Haarbalgmilben, verantwortlich. „Diese Milben besitzen ein eigenes Mikrobiom, das wiederum Entzündungen der menschlichen Haut hervorruft“, erklärt Prof. Moissl-Eichinger. Außerdem erläutert die Expertin: „Lange hat man angenommen, dass Propionibacterium acne Akne auslösen würde. Interessanterweise tragen erkrankte Personen aber etwa gleich viele dieser Mikroben auf der Haut wie gesunde. Es scheint also doch einen kleinen, aber feinen Unterschied zu geben, der eventuell auf der Ebene der Funktion der Mikroben zu finden ist.“

Experten gehen davon aus, dass die Gesundheit der Haut über das Immunsystem im Zusammenhang mit dem Darmmikrobiom steht. Es konnte etwa festgestellt werden, dass eine geringe Diversität des Darmmikrobioms bei Kindern mit der Entstehung von Neurodermitis im späteren Alter zusammenhängt. Laut Prof.in Moissl-Eichinger hat außerdem ein großer Prozentsatz von Patientinnen und Patienten mit entzündlichen Darmerkrankungen zusätzlich Probleme mit der Haut.

Wirkung von Probiotika

Dass Probiotika über den Darm einen positiven Effekt auf das Hautmikrobiom haben, konnte bereits bei Ekzemen und Psoriasis festgestellt werden. Des Weiteren wurde erkannt, dass eine frühzeitige Einnahme von Probiotika bei Kindern einen positiven Einfluss auf die spätere Entwicklung von Ekzemen hat. Darüber hinaus werden bereits Kosmetikprodukte mit probiotischen Bakterien angeboten, die direkt auf die Haut aufgetragen werden. „Dem liegt die Annahme zugrunde, dass Probiotika die Hautbarriere stärken, die Feuchtigkeit erhöhen, vor UV-Strahlen schützen und damit der Hautalterung entgegenwirken, was teilweise auch schon zu gelingen scheint. Insbesondere bei Rosacea oder Akne wurde bereits über positive Wirkungen berichtet“, betont die Expertin. Auch Körpergerüche können mithilfe von Flüssigkeiten mit lebenden Mikroben verringert werden. Ebenso scheint es, als hätten Zelllysate und Präbiotika eine Wirkung auf die Haut. „P rä- und Probiotika, die geschickt, vielleicht sogar individuell ausgewählt werden, haben ein enorm großes Potential, vielen Hautpatienten zu helfen. Beide könnten eine echte Alternative zu bereits etablierten Behandlungsmöglichkeiten darstellen, allerdings ist noch viel Forschung notwendig“, so die Mikrobiologin.

Hausärzt:in pharmazeutisch 52 Februar 2023
© Archiv © shutterstock.com/GoodStudio

DAS Probiotikum

zum Antibiotikum

10 hochaktive Bakterienstämme für Ihren Darm

OMNi-BiOTiC ® 10 AAD:

Zum Diätmanagement bei einer Dysbalance der Darmflora während und nach der Gabe von Antibiotika.

Symbolpackung
www.omni-biotic.com Institut AllergoSan Pharmazeutische Produkte Forschungs- und Vertriebs GmbH Lebensmittel für besondere medizinische Zwecke (bilanzierte Diät)

Neues vom Markt

Teil 3 APOkongress 2022: Dermatologie im Fokus

Der dritte Teil unserer Serie „ Neues vom Markt“ aus dem Vortrag von Univ.-Prof. i. R. Mag. Dr. Helmut Spreitzer* widmet sich der Dermatologie – im Speziellen neuen Therapieoptionen bei aktinischer Keratose und Plaque-Psoriasis.

Aktinische Keratose

Bei aktinischer Keratose handelt es sich um eine Schädigung der Oberhaut, die durch rötliche, manchmal auch hautfarbene, fest haftende Rauigkeiten der Hautoberfläche gekennzeichnet ist. Sie gilt als Krebsvorstufe und wird durch chronische Exposition von UV-Strahlen ausgelöst. Häufig geht damit auch eine Mutation im tumorunterdrückenden Gen p53 einher.

Tirbanibulin – Lokaltherapie

Das Arzneimittel mit Handelsnamen Klisyri® bindet an α- und β-Tubulin, die die Mikrotubuli aufbauen. Diese röhrenförmigen Proteine sind für viele Zellfunktionen essentiell, so auch für die Zellteilung. Nach Bindung von Tirbanibulin an die Tubuline wird der Ablauf der Zellteilung massiv gestört und damit eine Apoptose (Zelltod) ausgelöst.

Tirbanibulin wird zur Feldtherapie im Gesicht oder am Kopf eingesetzt. Die Creme wird an lediglich fünf aufeinanderfolgenden Tagen einmal täglich zur gleichen Uhrzeit auf die betroffenen Hautstellen aufgetragen, was betreffend Compliance und Adhärenz vorteilhaft erscheint. Wie lange der Erfolg anhält, ist – ebenso wie bei den alternativen Mitteln, etwa Diclofenac-Natrium in Hyaluronsäure, 5-Fluoruracil-Creme oder Imiquimod-Creme – nicht genau vorhersagbar.

Plaque-Psoriasis

Plaque-Psoriasis ist eine systemische Autoimmunerkrankung mit einer Manifestation auf der Haut, die durch begrenzte entzündliche Areale gekennzeichnet ist. Die Schuppung entsteht, da die Erneuerung der Epidermis auf wenige Tage verkürzt ist. Für die Behandlung stehen mehrere Möglichkeiten zur Verfügung. Bei schweren Fällen mit einem Befall von über zehn Prozent der Hautoberfläche kommen biotechnisch hergestellte Arzneimittel zur Anwendung. Die bereits am Markt befindlichen Interleukin-Inhibitoren blockieren entweder nur IL-17A oder IL-23. Das The-

rapieziel ist Erscheinungsfreiheit, wobei IL-23-Hemmer etwas länger bis zu einem Wirkungseintritt brauchen, dafür müssen sie seltener – oft nur dreimal im Jahr – appliziert werden. Weiters kann es bei Patienten, die vorangegangene entzündliche Darmerkrankungen hatten, unter IL-17-Inhibitoren zu einem Wiederaufflackern kommen, auch Candidosen sind v. a. bei IL-17-Inhibitoren ein Thema.

Bimekizumab – duale Blockade

Der Interleukin-Inhibitor Bimzelx® blockiert nicht nur den Interleukin Antagonisten IL-17 A, sondern als einziges Medikament auch IL-17 F.

Laut Drei-Jahres-Daten handelt es sich um einen stark wirksamen InterleukinAntagonisten, mit raschem und langanhaltendem Effekt. Das Risiko einer Candidose ist auch hier erhöht. Mögliche Nebenwirkungen sind darüber hinaus Überempfindlichkeitsreaktionen und Infektionen der oberen Atemwege.

Hausärzt:in pharmazeutisch 58 Februar 2023
* Die wissenschaftliche Fortbildungstagung für Apothekerinnen und Apotheker fand von 5. bis 6. November in Salzburg und von 12. bis 13. November 2022 in Wien statt. © shutterstock.com/Gorodenkoff

Komorbidität“

Doppelte Symptomlast bei Hausstaubmilbenallergie und atopischer Dermatitis verringern

Dr.in Angelika Reitböck, Allgemeinmedizinerin und Dermatologin mit Praxis in Klaus/Steyrling (OÖ) und Präsidentin des Österreichischen Hausärzteverbandes, im Gespräch.

Während Patientinnen und Patienten mit Allergien gegen Pollen und Gräser in der kalten Jahreszeit eine „Verschnaufpause“ von ihren Symptomen haben, erhöht sich für Personen mit Hausstaubmilbenallergie typischerweise die Last ihrer Beschwerden in der Heizperiode. An einer mitunter doppelten Einschränkung der Lebensqualität leiden Menschen mit atopischer Dermatitis. Bekanntermaßen kann eine Allergie gegen die europäische (Dermatophagoides pteronyssinus) und/ oder amerikanische (Dermatophagoides farinae) Hausstaubmilbe die Symptome einer Neurodermitis verstärken, etwa das Ekzem oder Pruritus, sowie Schübe der Hauterkrankung triggern. Welche Konsequenzen sich daraus ergeben können, erläutert Dr.in Reitböck auf Anfrage der Hausärzt:in

Wie hängen atopische Dermatitis und Hausstaubmilbenallergien zusammen?

Bei Menschen, die an atopischer Dermatitis leiden, kommt es überproportional häufig im Jugendlichen- oder Er-

wachsenenalter zur Manifestation einer Hausstaubmilbenallergie.

Kann es bei NeurodermitisPatient:innen mit einer Hausstaubmilbenallergie als Provokationsfaktor sinnvoll sein, neben der dermatologischen Behandlung und der Vermeidung des Allergens auch eine Allergieimmuntherapie durchzuführen?

Wenn eine Hausstaubmilbenallergie als Provokationsfaktor für Schübe der atopischen Dermatitis bekannt ist, bringt die Allergieimmuntherapie mit hoher Wahrscheinlichkeit eine Verbesserung der Hautsymptomatik mit sich und ist daher sehr zu empfehlen.

Bei welchen Anzei chen einer Hausstaubmilben allergie von Neurodermitis-Patient:innen sollte man hellhörig werden und ggf. eine Allergie diagnostik veranlassen?

Wenn Patientinnen und Patienten berichten, dass sie morgens immer wieder mit einer „verstopften“ Nase, Niesreiz bzw. Niesattacken oder auch juckenden, brennenden oder geröteten Augen wach werden, sollte auf alle Fälle an die Möglichkeit einer Hausstaubmilbenallergie gedacht werden!

Das Interview führte Anna Schuster, BSc. 67

© shutterstock.com/struvictory © ÄK OÖ
„Häufige

Green Care

Bauernhöfe als sozialer Ort der Pflege und Betreuung

für die Landwirtschaft und fühlen sich dadurch zugehörig, verantwortlich und nehmen ihre Lebensumgebung anders wahr. Durch die körperliche Aktivität und die eigene Zubereitung von Essen wird der Appetit angeregt und auch die Trinkmenge erhöht sich im Vergleich zur herkömmlichen Tagesbetreuung. Neben den positiven Effekten auf die betreuungsbedürftige Person selbst ermöglichen solche niederschwelligen Betreuungsangebote auch eine Entlastung für die Angehörigen.

Immer häufiger wird empfohlen, Betreuungsleistungen auch in Einrichtungen der Kultur, in Unternehmen oder in der Landwirtschaft anzubieten – in sogenannten „real-life settings“ Darunter wird der Zusammenschluss der Bereiche Landwirtschaft und Gesundheitswesen verstanden. Dieser kann sowohl in Form von Tagesbetreuung als auch in stationären Pflegeeinrichtungen erfolgen. Die Besonderheit von Green Care ist die Integration der Pflege und Betreuung in den landwirtschaftlichen Alltag. Hier können die pflegebedürftigen Personen die Interaktion mit anderen Menschen, Tieren und Pflanzen erfahren. Das heißt, die betreuungsbedürftigen Personen leisten einen gemeinschaftlichen Beitrag

GASTAUTORINNEN-TEAM:

Mag.a Senta Bleikolm-Kargl, MA ist seit 2015 Green-Care-Koordinatorin für die Steiermark und im Vorstand des Vereins Green Care Österreich. Sie berichtet davon, dass zahlreiche Studien, insbesondere aus den Niederlanden, positive Effekte des Bauernhofs, beispielweise mehr Outdoor-Aufenthalt, belägen. Die bäuerlichen Familien hätten ein zusätzliches Einkommen und könnten ihre Möglichkeiten am Hof nutzen. „Der Gesellschaft kommt es ebenfalls zugute, da man an die älteren Menschen denkt. Durch diese Angebote haben sie die Möglichkeit, sich am Hof einzubringen – sie fühlen sich gebraucht und haben vielleicht auch wieder mehr Lebensqualität und Lebensfreude.“

Ausbildung in Österreich

Kürzlich ist der erste Green-Care-Lehrgang des Ländlichen Fortbildungsinstituts (LFI) in Österreich abgeschlossen worden. „Green Care Senior:innenbetreuung am Hof“ des LFI ist eine Ausbildung mit 103 Übungseinheiten plus 20 Stunden Praktikum. Der Lehrgang qualifiziert Bäuerinnen und Bauern dazu, niederschwellig Betreuungs- und/oder Freizeitangebote für ältere Menschen am Hof zu etablieren.

vorbeikommen. Sie spricht einen wesentlichen Punkt an, den diese Form der Betreuung mit sich bringt: „Wenn ältere Menschen mit ihren Angehörigen zu uns kommen, dann merke ich, wie gut ihnen das tut. Nicht selten fragen sie uns dann, ob sie ihre Mutti oder ihren Vati nicht für ein paar Stunden hierlassen könnten, denn sie könnten sich stundenlang mit den Tieren beschäftigen. Das bestärkt mich darin, dass wir mit diesem Angebot auf dem richtigen Weg sind, denn wir helfen damit nicht nur den Seniorinnen und Senioren, sondern vor allem auch ihren Angehörigen.“

Quellen:

De Bruin S et al. (2020). Care Farming for People with Dementia; What Can Healthcare Leaders Learn from This Innovative Care Concept? J Healthc Leadersh. Mar 10;12:11-18.

De Bruin S et al. (2014). Landwirtschaf im Dienste der Gesundheit – Wie Patienten mit Demenz in den Niederlanden von Green Care-Bauernhöfen profitieren. In: Gilliard J & Marschall M (2014). Naturgestützte Pflege von Menschen mit Demenz: Natürliche Umgebung für die Förderung der Lebensqualität von Menschen mit Demenz nutzen. Bern: Huber.

Gräske J et al. (2020). Bauernhöfe für Menschen mit Demenz – Ist-Analyse zu Verteilung und Struktur in Deutschland. monitor-pflege.de/kurzfassungen/ kurzfassungen-2020/mopf-02-2020-graeske (abgerufen am 22.11.22).

Gräske J et al. (2018). Green Care Farming als Versorgungskonzept. springerpflege.de/green-care-farming-alsversorgungskonzept/16193408 (abgerufen am 22.11.22).

Sudmann T & Borsheim I (2017). It’s good to be useful: activity provision on green care farms in Norway for people living with dementia. researchgate.net/publication/319941026 (abgerufen am 22.11.22).

Auszug aus: Jerusalem A, Löffler K (2022). Green Care –Bauernhöfe als sozialer Ort der Betreuung. ProCare, 27(5-6): 44.-47.

Mag.a Anna Jerusalem, BA, MA

Wissenschaftliche

Mitarbeiterin, Albert Schweitzer Institut der Geriatrischen Gesundheitszentren der Stadt Graz

Kerstin Löffler, BA, MA

Wissenschaftliche

Mitarbeiterin, Albert Schweitzer Institut der Geriatrischen Gesundheitszentren der Stadt Graz

Zwölf Bäuerinnen, die gerade den Lehrgang absolvieren, berichten, dass sie gerne ihre sozialen und pflegerischen Kompetenzen mit ihrer Arbeit am Hof kombinieren würden. Eine Kursteilnehmerin betreibt im Burgenland einen Alpakahof, wo bereits immer wieder ältere Menschen mit ihren Angehörigen

60 Februar 2023 Hausärzt:in extra
© shutterstock.com/Jacob Lund PARTNER:IN
© Elias Jerusalem © Elias Jerusalem

Beleidigte Bronchien

Wann zum Arztbesuch raten?

Husten ist meist nervig und langwierig. Trotzdem reichen oft Erkältungsmittel aus der Apotheke aus. Allerdings nicht immer. Priv.-Doz. Dr. Kai-Michael Beeh, Gründer des Instituts für Atemwegsforschung in Wiesbaden, im dpa-Interview.

Warum müssen in Konzerten so viele Leute husten?

Doz. BEEH: Viele Leute fühlen sich da beobachtet, meistens ist die Luft trocken und die Atmosphäre angespannt. Das macht die Menschen nervös. Wenn wir nervös sind, wird ein Teil unseres Nervensystems aktiviert –die Fluchtreflexe. Nur: Wir können nicht fliehen. Wir können die Nervosität also nicht körperlich abbauen. Was macht der Körper also? Er reguliert das gegenteilige Nervensystem hoch, das bremsende System. Während das eine die Schleimhäute austrocknet, sorgt das andere für eine vermehrte Speichelproduktion, und es reizt die Bronchien. Die Hustenfühler in den Bronchien werden so „scharfgemacht“. Irgendwann kann man nicht mehr anders – und muss husten.

Und wie kriegt man diesen Hustenreiz in den Griff?

Sitzend lässt er sich nicht unterdrücken. Bewegung hilft. Also im Zweifelsfall kurz mal raus aus dem Saal gehen und ein bisschen herumlaufen.

Mal abgesehen von COVID-19: Wann ist Husten im Rahmen einer Erkältung ein Fall für den Arzt?

Husten im Rahmen einer Erkältung ist bei ansonsten gesunden Menschen nicht gefährlich. Das geht in der Regel nach drei oder vier Wochen vorbei. Dauert der Husten länger als vier Wochen, sollte man aber zum Arzt gehen.

Stimmt das: Grünes Sputum ist bakteriell, gelbes viral? Auswurf ist schon ein bisschen verräterisch. Auf der „Harmlosigkeitsskala“ ganz oben steht klarer Auswurf. Da dürfte keine bakterielle Infektion vorliegen. Gelben Auswurf gibt es bei allergischem Asthma oder auch bei Erkältungskrankheiten. Dass grünes Sputum immer bakteriell bedingt sei und mit Antibiotika behandelt werden müsse, ist dagegen ein Mythos. Erkältungen werden bekanntlich in der Regel durch Viren verursacht – und jeder weiß: Am Ende kann auch der Schleim aus der Nase schon mal zäh und grün werden. Die grüne Farbe wird von weißen Blutkörperchen verursacht, die zugrunde gehen, wenn eine Entzündung abheilt. Grüner Auswurf ist nur bedenklich, wenn er länger als ein paar Tage anhält und Fieber oder Brustschmerzen dazukommen. Blutiger Auswurf muss immer abgeklärt werden. Meist ist auch er harmlos, aber dahinter können sich auch schwerwiegende Erkrankungen verbergen.

dpa/red

© shutterstock.com/Axel_Kock

Physio Sicht Sache

Seitenblicke auf die Medizin

Die kommunizierte Ausweitung des Mutter-Kind-Passes auf einen ElternKind-Pass findet große Zustimmung bei den sieben Berufsgruppen der medizinisch-technischen Dienste (MTD): Biomedizinische Analytik, Diätologie, Ergotherapie, Logopädie, Orthoptik, Physiotherapie und Radiologietechnologie. Kinder und Jugendliche sind vulnerable Mitglieder unserer Gesellschaft und haben das Recht auf bestmögliche Rahmenbedingungen für gesundes Aufwachsen und Entwicklungsförderung. Daher ist es besonders auch im Rahmen des geplanten Eltern-Kind-Pass-Programms, mit einem Screening der Kinder von null bis sechs Jahren als Basisprogramm, dringend geboten, die Angehörigen der MTD-Berufsgruppen als Fachexpertinnen und -experten einzubinden. Dazu ist die Zusammenarbeit aller Gesundheitsberufe notwendig. Aufgrund des evidenten Personalmangels im Ge-

IMPRESSUM

Herausgeber und Medieninhaber:

sundheitssektor ist es nicht nachvollziehbar und auch nicht akzeptabel, das Potential der rund 39.000 Berufsangehörigen der sieben MTD-Berufsgruppen weiterhin konsequent außen vor zu lassen. Im Sinne der Patientensicherheit und der hochqualitativen Betreuung ist hier ein Mit- und kein Gegeneinander gefragt.

Beispiel: Potential der Physiotherapie nützen

Physiotherapeutinnen und -therapeuten sind speziell darin ausgebildet, die Bewegungsentwicklung, Bewegungsqualität und Motorik eines Kindes einzuschätzen, und können somit Verzögerungen in der Entwicklung sowie mögliche Fehlentwicklungen frühzeitig erkennen. Die Motorik ist die Grundlage für die Handlungs- und Kommunikationsfähigkeit eines Kindes und erfordert daher die

RegionalMedien Austria Gesundheit – RMA Gesundheit GmbH, Am Belvedere 10 / Top 5, 1100 Wien, Tel. 01/74321708114, office@gesund.at.

Geschäftsführung: Mag.a Birgit Frassl, Marlis Rumler.

Redaktionsleitung: Mag.a Karin Martin.

Redaktion: Mag.a Karin Martin, Anna Schuster, BSc, Mag.a Ines Pamminger, BA, Margit Koudelka.

Lektorat: Mag.a Katharina Maier.

Produktion & Grafik: Helena Valasaki, BA. Cover-Foto: shutterstock.com/tete_escape

Verkaufsleitung: Mag.a Birgit Frassl, birgit.frassl@regionalmedien.at.

Kundenbetreuung: Mag.a Dagmar Halper, dagmar.halper@regionalmedien.at, Ornela-Teodora Chilici, BA, ornela-teodora.chilici@regionalmedien.at.

Druckerei: Bösmüller Print Management GesmbH & Co. KG.

Verlags- und Herstellungsort: Wien.

Grundlegende Richtung: Unabhängige österreichische Fachzeitschrift für niedergelassene Ärztinnen und Ärzte.

Die HAUSÄRZT:IN – Praxis-Magazin für Primärversorgung –ist ein interdisziplinäres Informations- und Fortbildungsmedium.

Constance Schlegl, MPH

Präsidentin von Physio Austria, Bundesverband der Physiotherapeut*innen Österreichs

Beurteilung durch entsprechende Expertinnen und Experten. Eltern können eine adäquate Beratung und Hilfestellung erhalten. Durch rechtzeitige fachkundige Anleitung kann späteren Defiziten vorgebeugt und eine kostenintensive Behandlung verhindert werden. Frauen sind nach der Geburt oft nicht umfassend beraten und betreut, wenn es um die vollständige Wiederherstellung der Funktion ihres Beckenbodens geht. So können sie z. B. durch Inkontinenz einen hohen Leidensdruck haben. Die rechtzeitige Identifizierung derartiger Probleme fällt in die Kompetenz der Physiotherapie und kann maßgeblich zur Entlastung in diesem Bereich beitragen.

Aus Gründen der besseren Lesbarkeit verzichten wir in den Artikeln teilweise auf die gendergerechte bzw. gänzlich orthografisch/grammatikalisch korrekte Schreibweise. Sofern nicht anders vermerkt, gelten alle Bezeichnungen für sämtliche Geschlechter.

Namentlich gekennzeichnete Beiträge geben nicht unbedingt die Meinung der Redaktion oder des Verlages wieder, sondern fallen in den Verantwortungsbereich der Autor:innen. Der Inhalt von entgeltlichen Einschaltungen und Beilagen sowie die Angaben über Dosierungen und Applikationsformen liegen außerhalb der Verantwortung der Redaktion oder des Verlages und sind vom/von der jeweiligen Anwender:in im Einzelfall auf ihre Richtigkeit zu überprüfen. Nachdruck nur mit schriftlicher Genehmigung des Verlages. Alle Rechte, insbesondere das Recht der Vervielfältigung und Verbreitung sowie der Übersetzung, vorbehalten. Kein Teil des Werkes darf in irgendeiner Form (Fotokopie, Mikrofilm oder ein anderes Verfahren) ohne schriftliche Genehmigung des Verlages reproduziert oder unter Verwendung elektronischer Systeme gespeichert, verarbeitet, vervielfältigt, verwertet oder verbreitet werden. Mit „Bezahlte Anzeige“ gekennzeichnete Beiträge/Seiten sind gemäß §26 Mediengesetz bezahlte Auftragswerke.

Offenlegung: gesund.at/impressum

63 Februar 2023 Hausärzt:in Kommentar <
„Alle Gesundheitsberufe in den Eltern-Kind-Pass einbinden“
© Physio Austria_Hechenberger
© shutterstock.com/wan wei

„Pille danach“ mit besonders langem Wirkfenster

Ulipristal Aristo® bei Verhütungspannen

Aristo Pharma Österreich ist das dynamische Vertriebsteam von Aristo Pharma mit Sitz in Wien. Als hauptsächlich generischer Anbieter ist das Unternehmen auf Arzneimittel in den Bereichen Neurologie und Urologie spezialisiert – u. a. Cystium® zur

Therapie von akuten unkomplizierten Harnwegsinfekten. Als neuestes Produkt ist nun

Ulipristal Aristo® 30 mg Filmtablette zur Notfallverhütung erhältlich.

Eine Filmtablette muss schnellstmöglich, innerhalb von 120 Stunden (fünf Tagen) nach einem ungeschützten Geschlechtsverkehr bzw. Versagen der Empfängnisverhütung, eingenommen werden. Ulipristal Aristo® bietet (im Vergleich zu Levonorgestrel) ein zusätzliches Wirksamkeitsfenster und kann den Eisprung um mindestens fünf Tage verzögern.* Ulipristal Aristo® ist ab März 2023 rezeptfrei in Apotheken erhältlich.

Die Aristo Gruppe ist eigentümergeführt und einer der größten Arzneimittelhersteller Deutschlands. Mit Hauptsitz in Berlin umfasst Aristo fünf Produktionsstandorte, ein Logistikzentrum und 13 Vertriebsstandorte in 13 Ländern. Die Gruppe produziert ihre Arzneimittel an den eigenen Produktionsstandorten in Deutschland und Spanien – „A rzneimittel made in Europe“

* Fachinformation Ulipristal Aristo, Stand 03/2022.

Quelle: Aristo Pharma Österreich GmbH I Saturn Tower I Leonard Bernstein-Straße 10 I 1220 Wien, vertrieb@aristo-pharma.at

Rosenwurz ist Heilpflanze des Jahres

Die „Anti-Stress-Pflanze“ wirkt auch antiviral und antibakteriell

Die Herbal Medicinal Products Platform Austria (HMPPA) kürt Jahr für Jahr die Arzneipflanze des Jahres. Dieses Mal fiel die Wahl auf die Rosenwurz (Rhodiola rosea L.), eine Gebirgspflanze der nördlichen Hemisphäre, die wegen des gestiegenen Bedarfs seit mehr als zehn Jahren in den Alpenländern und Skandinavien kultiviert wird. Auszüge der Wurzel werden als traditionelle pflanzliche Arzneimittel bei Stresssymptomen wie Erschöpfung und Schwächegefühl eingesetzt.

Die Inhaltsstoffe der Rosenwurz sind vor allem phenolische Glykoside, wie z. B. Salidrosid und Rosavin, welche auch als qualitätsbestimmende Markersubstanzen dienen. Zudem konnten zahlreiche weitere Verbindungen identifiziert werden, wie z. B. Procyanidin- und Catechinderivate sowie Flavonoide. Rosenwurz zählt zu den adaptogenen Arzneidrogen, welche eine regulierende Wirkung auf den Organismus ausüben und die Resilienz gegenüber physikalischen, chemischen und biologi-

LEBENS.MEDizinischer Kongress

Bad Erlach:

schen Noxen erhöhen sollen. Pharmakologische Untersuchungen haben gezeigt, dass Rosenwurzextrakt den Stresshormonspiegel senkt und den Energiestoffwechsel stimuliert. Für einzelne Inhaltsstoffe der Rosenwurz wurden kürzlich auch neuroprotektive Effekte, sowie antivirale und antibakterielle Aktivitäten nachgewiesen, sodass sich viel Potential für zukünftige Anwendungen ergibt.

Quelle: HMPPA

Schmerzmanagement bei onkologischen Erkrankungen

Unter der Leitung von Pflegedienstleiter Jürgen Friedl, MSc findet am 11. Mai 2023 der 6. LEBENS.MEDizinische Kongress im Lebens.Med Zentrum Bad Erlach statt.

Zum Thema „ES SCHMERZT. Schmerzmanagement bei onkologischen Erkrankungen und Behandlungen.“ werden Experten aus unterschiedlichen Bereichen im Zuge von praxisnahen Vorträgen neueste Erkenntnisse präsentieren. Kongresstag

1 PFLEGE: Es schmerzt: Physisches und psychisches Schmerzmanagement bei onkologischen Erkrankungen und Behandlungen. Fortbildung gemäß §63 GuKG.

Unter der Leitung von Prim. Dr. Stefan Vogt, ärztlicher Leiter Onkologische Rehabilitation, findet am 12. Mai 2023 der 6. LEBENS.MEDizinische Kongress im Lebens.Med Zentrum Bad Erlach statt.

Zum Thema „Onkologie in Bewegung – Bewegung in der Onkologie“ präsentieren Experten aus unterschiedlichen Bereichen im Zuge von praxisnahen Vorträgen neueste Erkenntnisse.

Kongresstag 2 MEDIZIN: Onkologie in Bewegung – Bewegung in der Onkologie. Die Veranstaltung wird bei der ÖÄK zur DFP-Approbation eingereicht.

Anmeldung und Information unter:

lebensmed-baderlach.at/pflegekongress und/oder

lebensmed-baderlach.at/aerztekongress

Quelle: Lebens.Med Zentrum Bad Erlach

65 Februar 2023
Hausärzt:in informativ © shutterstock.com/spline_x
Fachkurzinformation siehe Seite 62 und 67

Turn static files into dynamic content formats.

Create a flipbook
Issuu converts static files into: digital portfolios, online yearbooks, online catalogs, digital photo albums and more. Sign up and create your flipbook.