Hausärzt:in 12/2022

Page 1

Österreichische Post AG, MZ16Z040661M, 32. Jahrgang, RMA Gesundheit GmbH, Am Belvedere 10 / Top 5, 1100 Wien Früherkennung von Tumoren Urologie Praxiswissen: Zum Aus der Haut Fahren: Von Dermatitis bis Psoriasis Dermatologie Hausärzt:in DIALOG 12/2022 Praxis-Magazin für Primärversorgung mit Sonderteil Pharmazie „DER PROPHET GILT NICHTS IM EIGENEN LAND“ Eine möglichst direkte Begegnung mit seinem Denken Sigmund Freud heute

Editorial

Winternotprogramm

Noch wissen wir nicht, wie kalt der Winter 2022/23 werden wird. Minusgrade bedeuten jedenfalls immer einen enormen Leidensdruck für obdachlose Menschen, ja oftmals einen Überlebenskampf. Dementsprechend sind auch Hilfsorganisationen bei eisigem Wetter und in Krisenzeiten besonders gefordert. Damit niemand auf der Straße erfrieren muss, richtet etwa die Caritas alljährlich ihr „ Kälte-Telefon“ (01 480 45 53) ein und stockt die Notschlafplätze auf. Für warme Suppen sorgt der Canisi-, für medizinische Hilfe der Louisebus. Letzterer fährt wochentags verschiedene Stationen in ganz Wien an und betreut somit die Patient:innen vor Ort. Mediziner:innen, die sich vorstellen können, regelmäßig in der „Ordi auf Rädern“ obdachlose Menschen zu behandeln oder Streetworker:innen zu begleiten, können sich bewerben. Man erhält ein Stundenhonorar und ist versichert. Darüber hinaus sucht die Hilfsorganisation Menschen, die ehrenamtlich Tätigkeiten übernehmen, wie den Bus fahren, bei den Behandlungen assistieren oder administrative Aufgaben erledigen. Auch finanzielle Spenden werden dringend benötigt (caritas-wien.at/hilfe-angebote/obdach-wohnen).

Über die Grenzen hinaus

Grundsätzlich gibt es in Wien eine recht gute medizinische Versorgung für obdachlose Menschen: Neunerhaus (neunerhaus.at), Barmherzige Brüder (barmherzige-brueder.at), AmberMed (amber-med.at) etc. Auch in den anderen Bundesländern haben sich entsprechende Angebote etabliert, etwa die Marienambulanz in Graz (caritas-steiermark.at) und das Vinzenzstüberl in Linz (bhslinz.at). Auf mobile Hilfe setzen u. a. Medcar(e) Innsbruck (caritas-tirol.at) oder der Virgilbus in Salzburg (roteskreuz.at/salzburg).

Die Kälteproblematik endet freilich nicht an Österreichs Grenzen. Flüchtlinge, z. B. entlang der Balkanroute, und Menschen in Kriegsund Krisengebieten wie der Ukraine oder Syrien sind ebenfalls Leidtragende in der kalten Jahreszeit. Medizinische „Winterhilfe“ leisten u. a. die Hilfsorganisationen Ärzte ohne Grenzen/Médecins Sans Frontières (aerzte-ohne-grenzen.at) und UNICEF (unicef.at).

In der Ukraine besteht aktuell eine der großen Herausforderungen darin, die vielen Hilfseinrichtungen und Häuser winterfest zu machen. Es gibt Gegenden, in denen die Temperaturen auf Minus 20 Grad sinken können. Viele Häuser haben nach den Bombardierungen jedoch keine Fenster und Türen mehr. Hinzu kommen massive Stromausfälle. Um den vielen obdachlosen oder in provisorischen Unterkünften lebenden Menschen so schnell wie möglich zu helfen, legen u. a. das Rote Kreuz (roteskreuz.at/ ukraine-winterhilfe) und die Caritas einen Schwerpunkt auf die Reparatur der Wohnstätten.

Kulturentwicklung und Pazifismus

Auch Sigmund Freud, dem unsere aktuelle Titelgeschichte gewidmet ist, hat Krieg erlebt und sich mit der Thematik „Warum Krieg?“ in einem gleichnamigen Essay auseinandergesetzt. Der Rüstung zum Krieg mit der scheinheiligen Begründung, sie diene dem Frieden, setzte er die Kraft der Reflexion über kollektive Verdrängungen entgegen. Nur sie diene der Kulturentwicklung. Und so schließt im Werk ein Brief Freuds an Albert Einstein – nachdem er ihn und sich als „Pazifisten“ bezeichnet – mit: „ alles, was die Kulturentwicklung fördert, arbeitet auch gegen den Krieg“ Friedvolle Tage rund um Weihnachten und Neujahr wünscht Ihnen Ihre Mag.a Karin Martin Redaktionsleiterin RegionalMedien Gesundheit karin.martin@regionalmedien.at

Hausärzt:in
Frohe Weihnachten wünscht +pharma
© RegionalMedien Gesundheit © shutterstock.com/Marish

medizinisch politisch

06 Mehr als nur Kopfzerbrechen ... COVID-19-assoziierte Kopfschmerzsyndrome: ein breites Spektrum von Ursachen und Manifestationen

10 „Die Krankheit annehmen und Verantwortung für sich übernehmen“

Prof. Dr. Rudolf Likar über Schmerz und Selbstheilung

12 „Die Patient:innen mitentscheiden lassen“

Prim.a Dr.in Judith Sautner über die Adhärenz von Rheuma-Betroffenen

20 DFP Praxiswissen: Früherkennung von urologischen Tumoren Allgemeinmediziner:innen sind mehrfach gefordert – Obacht vor allem bei der Blase der Frau und der Prostata des Mannes

24 Herzensangelegenheiten der Gendermedizin Warum Gleichbehandlung nicht immer wünschenswert ist

27 „So viele Cholesterinsenker braucht es nicht?!“

Wie Kombinationstherapien zur Erreichung des LDL-C-Zielwertes beitragen

28 „Enorme Errungenschaften und Herausforderungen“

Die 50. ÖDG-Jahrestagung hatte die Glukosetoxizität als Motto und bot

Einblick in aktuelle und künftige Entwicklungen

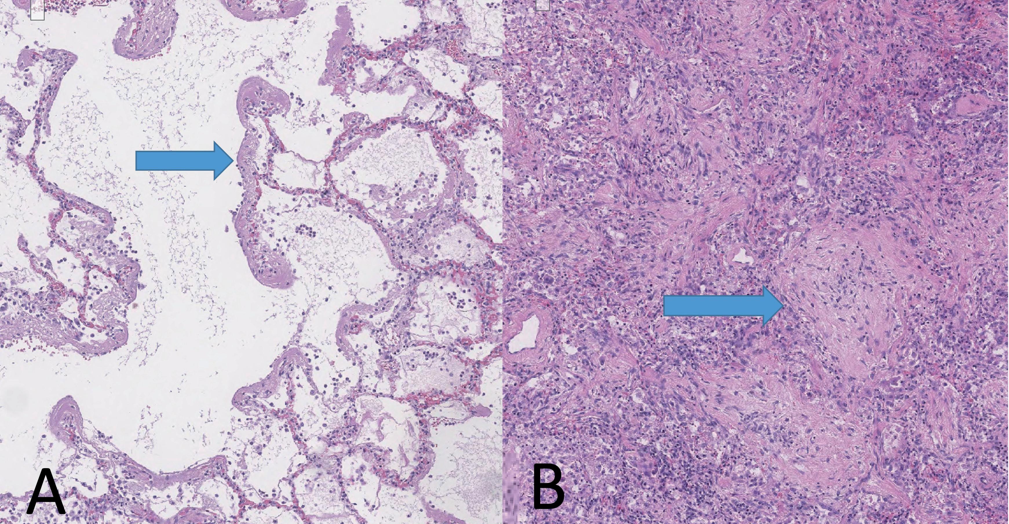
30 COVID-19 unter dem Mikroskop

Was sieht die Pathologie in der Lunge?

extra

COVERSTORY

14 „Der Prophet gilt nichts im eigenen Land“ Sigmund Freud heute: Eine möglichst direkte Begegnung mit seinem Denken

18 Plädoyer für diagnostische Unschärfe Psychiatrische Erstbegegnungen in der hausärztlichen Praxis

DIALOG Dermatologie

34 Den Leidensdruck minimieren

Neurodermitis-Therapie zwischen Guidelines und Patient:innen-Bedürfnissen

37 Maßgeschneidert

Der Erfahrungsschatz betreffend systemische Psoriasis-Therapien wächst stetig

50 „Jedes Verhalten hat einen Grund“ Menschen mit Demenz verstehen und begleiten – Interview mit einer Validationsmasterin

57 Impressum

pharmazeutisch

48 Neues vom Markt Teil 1 APOkongress 2022: Die COVID-19Medikamente im Überblick

40 „Spezialistentum und Erfahrung sind unbedingt erforderlich“ Lipohyperplasia dolorosa – ein verkanntes Krankheitsbild

42 Lichtbedingte Schäden vermeiden

Frühentwicklung des Hautkrebses: Präventive Maßnahmen als Drehund Angelpunkt

DIALOG Dermatologie: von Dermatitis bis Psoriasis.

4 Dezember 2022 Hausärzt:in Inhaltsverzeichnis
© shutterstock.com/Fuss Sergey

Mehr als nur Kopfzerbrechen ...

COVID-19-assoziierte Kopfschmerzsyndrome: ein breites Spektrum von Ursachen und Manifestationen

Serie SCHMERZ

Die Auswirkungen der COVID-19Pandemie auf verschiedenste Aspekte des alltäglichen Lebens und der Gesundheitsversorgung dauern an. Die psychosozialen Umstände an sich haben bereits das Potential, primäre Kopfschmerzerkrankungen zu triggern bzw. zu aggravieren. Zu Beginn der Pandemie kam es außerdem zu einer verzögerten Erstdiagnose und Verschlimmerung von vorbestehenden primären Kopfschmerzsyndromen durch erschwerte Zugänge zur neurologischen Abklärung und Behandlung. Kopfzerbrechen bereiten im wahrsten Sinne des Wortes auch weiterhin COVID-19-assoziierte Kopfschmerzsyndrome. Dieser Artikel beleuchtet das klinische Spektrum aus neurologischer Sicht und erarbeitet Strategien zur Behandlung und Prävention.

Hohe Prävalenz bei akutem Infekt

Virale Infekte sind häufig mit Kopfschmerzen assoziiert, als Ursache wird die systemische Entzündungsreaktion angenommen, aus der eine direkte meningeale Sensibilisierung und Reizung des trigeminovaskulären Systems resultiert. Eine meningeale oder parenchymatöse Invasion durch SARS-CoV-2 mit tatsächlichem Nachweis des Virus im Liquor (Meningitis bzw. Enzephalitis) wurde bislang nicht bestätigt. Somit wird weiterhin nicht von einer Infektion des zentralen Nervensystems, sondern von einer parainfektiösen Kopfschmerzgenese im Kontext von COVID-19 ausgegangen. Mehr als die Hälfte der an COVID-19 Erkrankten klagt in der Akutphase über Kopfschmerzen, meist sogar als Erstsymptom. Wenn primäre Kopfschmerzen vorbestehen, ähnelt die Cephalgie bei COVID-19 diesen. Die Schmerzen sind

häufig an der Stirn, der Augenhöhle und den Schläfen lokalisiert – nicht selten sind mehrere Areale betroffen – der Schmerzcharakter ist zumeist drückend. Das klinische Spektrum reicht jedoch von pulsierend über stechend, dumpf, explodierend bis hin zu brennend und elektrisierend in selteneren Fällen. Oft wird der Kopfschmerz als stark einschränkend erlebt – so lag in einer Studie die mittlere Intensität bei 7,1 auf der von 0 bis 10 Punkte reichenden visuellen Analogskala. Die durchschnittliche Dauer der Cephalgie im Rahmen einer akuten Infektion mit SARS-CoV-2 beträgt zwei Wochen. Als Risikofaktoren für eine erhöhte Schmerzintensität wurden Fieber, Exsikkose und weibliches Geschlecht identifiziert. Therapie und Prophylaxe: Im Vordergrund steht die Behandlung von COVID-19 nach den jeweiligen Vorgaben und an die Schwere des Verlaufs angepasst. Ebenso sollte bei den Patientinnen und Patienten auf einen ausgewogenen Flüssigkeitshaushalt geachtet werden, da Kopfschmerzen durch eine Dehydratation begünstigt werden. Die klinische Studienevidenz für die Behandlung von Cephalgie im Rahmen von COVID-19 ist begrenzt. Bislang wurden Arbeiten veröffentlicht, in denen Analgetika, nichtsteroidale Antirheumatika (NSAR) und Kortikosteroide erfolgreich eingesetzt wurden. Prophylaktische Maßnahmen wurden bislang noch nicht erprobt. Ein Fünftel der Betroffenen spricht nicht ausreichend auf die symptomatische Schmerztherapie an. Die Kopfschmerzen können auch chronifizieren, wobei es im Einzelfall schwer zu belegen ist, ob es sich um eine spontane Verschlechterung eines primären Kopfschmerzes handelt – oder um eine Aggravation, die durch COVID-19 getriggert wurde. Je nachdem,

ob die Klinik einer Migräne oder einem Spannungskopfschmerz entspricht, sollte die Therapie der persistierenden Cephalgie angepasst werden. Vereinzelte Fallberichte schildern auch einen kontinuierlichen Dauerkopfschmerz im Sinne eines „new daily persistent headache“ (NDPH) nach einer Coronavirusinfektion. Per definitionem muss dieser mindestens drei Monate lang bestehen, damit die Diagnose eines NDPH nach Ausschluss weiterer Differentialdiagnosen gestellt werden kann.

Nach SARS-CoV-2-Impfung

Kopfschmerzen sind häufige Nebenwirkungen von Impfungen. Die SARSCoV-2-Impfung stellt hierbei keine Ausnahme dar, bei etwa der Hälfte der Personen kommt es zur Cephalgie. Die Rate der Betroffenen ist nach der zweiten Impfung sogar höher als nach der ersten. Die SARS-CoV-2-Vakzine unterscheiden sich ein wenig im klinischen Phänotyp ihrer Schmerzmanifestationen. Die Kopfschmerzen nach Vakzinierung mit dem BNT162b2-mRNA-Impfstoff treten um mehrere Stunden verzögert auf (durchschnittlich um 18 Stunden) und halten normalerweise einige Stunden bis Tage an (im Schnitt 14 Stunden). Es handelt sich bei 66 % um eine einzelne Kopfschmerzepisode, die Cephalgie nach Impfung mit BNT162b2 erfüllt weder die Kriterien für eine Migräne noch jene für einen Spannungskopfschmerz. Bei den meisten Personen, die mit dem BNT162b2-mRNA-Impfstoff behandelt wurden, sind die Beschwerden bilateral, die Lokalisation ist frontal, temporal, periorbital bzw. occipital. Zumeist wurde von einem drückenden oder

Hausärzt:in medizinisch 6 Dezember 2022
© shutterstock.com/Prostock-studio

dumpfen Schmerz berichtet. Von 8,2 % wurde der Schmerz als „besonders stark“ wahrgenommen. Personen mit vorbestehender Migräne und Frauen hatten schwerere und längere Kopfschmerzepisoden im Zuge der BNT162b2-Impfung. Häufige Begleitsymptome sind Müdigkeit, Erschöpfung und Muskelschmerzen. Fieber lag bei 11 % der untersuchten Personen mit Cephalgie nach Impfung mit BNT162b2 vor.

In seltenen Fällen kann es nach der Injektion eines Vektorimpfstoffs zu einer vakzininduzierten immunologischen thrombotischen Thrombozytopenie kommen, die eine zerebrale Hirn- und Sinusvenenthrombose nach sich ziehen kann. Progrediente und behandlungsresistente Kopfschmerzen, die zwei bis 30 Tage nach der Impfung mit einem Adenovirusvektorpräparat einsetzen, müssen als Warnsignal dieser potenziell lebensbedrohlichen Komplikation gesehen werden.

Weitere neurologische Ausfälle und epileptische Anfälle können hinzukommen. Die Bestimmung der Thrombozyten und eine gezielte zerebrale Bildgebung mit Darstellung der venösen Gefäße sind hierbei erforderlich. Zu beachten ist allerdings, dass das Risiko, eine zerebrale Sinusvenenthrombose durch einen Vektorimpfstoff zu entwickeln, deutlich geringer ist als jenes durch eine Infektion mit SARS-CoV-2.

Schutzausrüstung als Trigger

Die persönliche Schutzausrüstung – etwa Schutzbrille und -maske – hat ebenfalls die Häufigkeit von Kopfschmerzen erhöht. Die konsequente Umsetzung dieser Maßnahmen bildet den Grundpfeiler der Prävention zur Eindämmung der Pandemie. Weiterhin müssen Präventionsmaßnahmen von Gesundheitsberufen, aber auch von der Allgemeinbevölkerung bei Anstieg der Infektionszahlen umgesetzt werden.

Die Anzahl der Personen, die unter Cephalgie aufgrund von Schutzkleidung leiden, ist hoch. In zwei Studien klagten sogar mehr als 90 % der Befragten mit vorbestehenden Kopfschmerzen über eine Verschlechterung wegen des regelmäßigen Tragens von Schutzkleidung seit Beginn der Pandemie. Nicht vorerkrankte Menschen waren seltener betroffen.

Die durch das Tragen von Masken und Schutzbrillen ausgelösten Kopfschmerzen empfinden viele Betroffene als Druckgefühl an den anliegenden Stellen.

Sie äußern sich häufig beidseitig, frontal

und werden meist als drückend, ziehend oder als Schweregefühl mit einer milden bis moderaten Intensität beschrieben. Oftmals verspüren die Patienten noch andere Symptome wie Licht-, Lärmempfindlichkeit, Nackenschmerzen und Übelkeit. Durch körperliche Tätigkeit während des Maskentragens nimmt die Intensität der Cephalgie zu. Ebenso sind weitere Beschwerden, etwa Kurzatmigkeit und Herzklopfen, möglich. Der Zeitpunkt des Abklingens der Kopfschmerzen variiert in der Literatur. Während in einer Arbeit beschrieben wird, dass diese bereits innerhalb von 30 Minuten nach der Entfernung der Schutzkleidung remittieren, halten sie in einer anderen Studie durchschnittlich noch vier Stunden nach dem Ablegen ebenjener an.

Eine Theorie für die Ursache der schutzkleidunginduzierten Cephalgie ist der anhaltende Druck an den anliegenden Stellen – durch ihn können Irritationen von oberflächigen sensiblen Nerven oder Gewebeschädigungen ausgelöst werden. Bislang gibt es keine Evidenz, dass die durch individuelle Schutzkleidung neu aufgetretenen oder aggravierten Kopfschmerzen aufgrund einer Sauerstoffunterversorgung oder eines Anstiegs des CO2-Gehalts im Blut bedingt sind. Etliche Studien, die physiologische Parameter wie den kardialen Auswurf oder Werte von arteriellen oder venösen Blutgasanalysen auswerteten, konnten bei gesunden Teilnehmern unter Masken- und Schutzbrilleneinsatz keine

Hausärzt:in medizinisch
GASTAUTOR:INNEN-TEAM: Prim. Univ.-Prof. Dr. Johann Sellner, MBA, FAAN, FANA, FEAN Abteilung für Neurologie, Landesklinikum Mistelbach-Gänserndorf Dr.in Livia Klug Abteilung für Neurologie, Landesklinikum Mistelbach-Gänserndorf
>
© privat © Chris Hirschhaeuser
10.000 Kassenärzte leisten Großartiges! 385.000 Patientenkontakte 200.000 e-Rezepte 5.000 Vorsorgeuntersuchungen DAS BEDEUTET JEDEN TAG: Deshalb ist es an der Zeit, unseren Vertragsärzten – aber auch allen anderen Vertragspartnern der ÖGK – DANKE zu sagen. GESUNDHEIT FÜR ALLE – DAFÜR STEHEN WIR GEMEINSAM. BIGANDT.COM / shutterstock.com

relevanten Unterschiede feststellen. Weitere Untersuchungen hierzu laufen aktuell.

Therapie und Prophylaxe: Meist sprechen die Kopfschmerzen auf NSAR oder Paracetamol an, prospektive Daten gibt es diesbezüglich allerdings nicht. In der klinischen Praxis können individuelle Lösungen zur Druckentlastung durch Modifikationen der Kopf- und Ohrfixation hilfreich sein. Regelmäßige Maskenpausen könnten ebenfalls dazu beitragen, dass die Kopfschmerzen reduziert werden.

Schlussbemerkung

In diesem Übersichtsartikel wurden erste Erkenntnisse zum erweiterten klinischen Spektrum von Kopfschmerzerkrankungen im Zuge der COVID-19-Pandemie zusammengefasst – es handelt sich nicht nur um COVID-19-bedingte symptomatische Kopfschmerzen und die Chronifizierung dieser in einer Subgruppe. Die Prävalenz von Cephalgie nach SARS-CoV-2-Impfung ist hoch, wenn auch – mit Ausnahme der adenovirusvektorimpfungassoziierten Sinusvenenthrombose – meist selbstlimitierende Verläufe zu erwarten sind. Besondere Beachtung müssen die Behandlung und die Prävention von Kopfschmerzsyndromen finden, die durch Schutzkleidung auftreten bzw. aggraviert werden. Zu berücksichtigen sind auch das zunehmende Ausmaß von psychosozialen Belastungen im Zuge der Pandemie und ihre Auswirkungen. Die App „ M igraine Buddy“ registrierte im Jahr 2020 im Vergleich zu den beiden Vorjahren einen signifikanten Anstieg der Migränefrequenz bei den Teilnehmenden. Die Nutzer der App gaben als vermutete Auslöser am häufigsten Stress, Angst, Nackenschmerzen und Schlafmangel an. Eine Studie mit 6.624 Teilnehmerinnen und Teilnehmern zeigte, dass vor allem Menschen mit Angststörungen gefährdet sind, an Migräne, Spannungskopfschmerzen und weiteren primären Kopfschmerzsyndromen zu erkranken. Auch Personen mit Depressionen haben ein erhöhtes Risiko, Migräne oder medikamenteninduzierte Kopfschmerzen zu erleiden. Aus diesem Grund sollte bei der Therapie von Kopfschmerzen auch die Psyche der Patientinnen und Patienten nicht außer Acht gelassen werden.

Literatur bei den Verfasser:innen.

DAS WICHTIGSTE IN KÜRZE

Kopfschmerzen sind ein häufiges Symptom einer COVID-19-Erkrankung, bei einem Teil der Patient:innen kann die Cephalgie auch chronifizieren. Die im Zuge der SARS-CoV-2-Impfung passager auftretenden Kopfschmerzen sind von progredienten Kopfschmerzen zu unterscheiden, die einige Tage nach der Impfung mit einem Vektorimpfstoff auftreten. Diese können das Warnsignal einer Sinusvenenthrombose sein –bedingt durch eine vakzininduzierte immunologische thrombotische Thrombozytopenie – und müssen weiter abgeklärt werden.

Der längere Einsatz von Schutzmasken und -brillen ist ein relevanter Triggerfaktor für das De-novo-Auftreten von Cephalgien und für die Aggravation von vorbestehenden Kopfschmerzsyndromen.

Zu beachten sind außerdem das zunehmende Ausmaß von psychosozialen Belastungen im Zuge der Pandemie und ihre Auswirkungen.

<

„Die Krankheit annehmen und Verantwortung für sich übernehmen“

Prim. Univ.-Prof. Dr. Rudolf Likar im Interview über Schmerz und Selbstheilung

Serie SCHMERZ

Selbstheilung lautet der Titel des Buches, das Prim. Univ.-Prof. Dr. Rudolf Likar, MSc, Vorstand der Abteilung für Anästhesie und Allgemeine Intensivmedizin am Zentrum für Interdisziplinäre Schmerztherapie, Onkologie und Palliativmedizin des Klinikum Klagenfurt am Wörthersee, gemeinsam mit drei Kollegen geschrieben hat. Was es bedeutet, seine Selbstheilungskräfte zu aktivieren, welche Botschaft er Patienten, aber auch seinen Kollegen mitgeben möchte und wie es um seinen eigenen inneren Arzt bestellt ist, erzählt er im Interview mit der Hausärzt:in

Was hat Sie und Ihre Kollegen dazu bewogen, dieses Buch zu schreiben?

Prof. LIKAR: Die Idee dazu ist eigentlich aus der Pandemie entstanden. Provokant ausgedrückt, waren wir in dieser Zeit sehr fremdbestimmt. Um nicht zu sagen – man hat uns Menschen die Kompetenz genommen, selbst etwas zu unserer Heilung beizutragen.

Die Idee zu diesem Buch war, zu hinterfragen, was jeder Mensch durch den Einsatz von Selbstheilungsmedizin selbst für sich beitragen kann.

Nun erzählen Sie in Ihrem Buch von vielen Erfolgsstorys von Personen, die auch bei schweren Erkrankungen nicht aufgegeben haben. Aber auch in der Schmerzmedizin gibt es immer schlimme Fälle, wo Patient:innen schon verzweifeln. Was sagt man diesen?

Das Wichtigste ist, die Krankheit anzunehmen und selbst die Verantwortung für sich zu übernehmen. Bildlich gesehen, kann man sich das so vorstellen: Die Krankheit steht in der Mitte, der Patient und die Ärzte stehen um die Krankheit herum. Gemeinsam muss erarbeitet werden, wie man die Krankheit bewältigt. Der Patient muss dabei aktiv an diesem Prozess teilnehmen.

Und die Rolle der Ärzt:innen? Wir Mediziner unterstützen natürlich am Weg zur Heilung. Wir machen die klinische Untersuchung, die Diagnostik und bieten Therapien an, aber der Patient muss seinen Beitrag leisten. Ohne sein Zutun gibt es keine Heilung. Er muss seinen inneren Arzt aktivieren und dieser muss wiederum zur Höchstform auflaufen.

Welche Methoden gibt es dafür? Verantwortung übernehmen, positiv denken und die Zukunft planen. Wie man in der Schmerzmedizin so schön sagt: Man muss die Rückwärtssuche opfern – zugunsten der Vorwärtssuche. Ich muss dem Leben wieder einen Sinn geben. Ein Weg ist auch, sich neu zu programmieren und neue Szenarien zu planen, also die Krankheit auf neue Szenarien umzulegen und dadurch keine Gedanken mehr an sie zu vergeuden. Zum Beispiel wird man mit einem angeschlagenen Knie keinen Marathon mehr laufen, aber vielleicht ist Nordic Walking eine Alternative.

Haben Sie ein konkretes Beispiel aus Ihrer Praxis?

Ich hatte eine Patientin mit einer linksseitigen Parästhesie – sie hatte starke Beschwerden und wir konnten nichts Sichtbares finden. Das kommt vor. Nun hat sie es geschafft, umzudenken und zu sagen: Eigentlich kann ich froh sein, dass man NICHTS gefunden hat. Und das ist auch die Botschaft, die hier drinsteckt. Froh darüber zu sein, wenn man nichts findet. Es gibt ja Menschen, die

stets nach etwas suchen, wo nichts ist. Provokant gesagt: Wenn man ewig nach einer Krankheit sucht, dann wird man auch krank.

Ihre Patientin hat also aufgehört zu suchen?

Sie hat die Beschwerden akzeptiert und Aktionen gesetzt, um ein glückliches Leben führen zu können. Ich wiederhole: Der Patient muss selbst zu seinem Glück beitragen wollen. Wir Ärzte lassen ihn nicht allein, es ist aber auch für uns wichtig, die Balance zu finden. Zum Beispiel sollte ich bei der Anamnese nicht Gräben aufreißen, die ich aus Zeitgründen nicht wieder schließen kann. Gerade in der Schmerzmedizin ist es wichtig, aufzupassen – ich spreche hier von traumatischen Erfahrungen. Vielleicht waren diese schon verarbeitet und wir zerren wieder daran. Da müssen wir vorsichtig sein.

Zurück zum Glücklichsein. Auch wenn man körperlich nicht ganz so intakt ist, wie man es gern hätte –soll man das Leben genießen?

Ja. Vor allem geht es darum, das zu tun, was Freude macht. Und wie mein Freund, der Eremit Ermolaos, im Buch

X HAUSÄRZT:IN-Buchtipp

Selbstheilung

Der innere Arzt und die Macht der Gedanken

Von Rudolf Likar, Herbert Janig, Georg Pinter, Franz Kolland Carl Ueberreuter Verlag 2022

Hausärzt:in medizinisch 10 Dezember 2022
© Sissi Furgler Fotografie

noch draufsetzt: Man muss alles aus Liebe machen.

Ein wesentlicher Punkt dabei ist auch das soziale Wohlbefinden, der Kontakt zu anderen Menschen. Ich muss sagen, dass ich noch nie so viele negative Menschen getroffen habe wie in der Pandemie. Allein das dauerhafte Homeoffice ist eine Katastrophe. Der Mensch ist nun einmal ein soziales Wesen, und ja, Homeoffice ist ganz bequem für den inneren Schweinehund. Aber: Wer gibt mir Feedback, soziale Anerkennung? Wer sagt „ Danke!“?

Die Dankbarkeit ist auch ein wichtiges Thema in Ihrem Buch …

Die Dankbarkeit zieht sich wie ein roter Faden durch. Wir Ärzte haben ja noch das Privileg, ein Danke zu hören. Und Menschen, die eine schwere Erkrankung durchgemacht haben, begegnen dem Leben dankbarer und achtsamer. Sie nehmen die Dinge, die um sie herum passieren, wieder bewusster wahr. Und dahin sollte man eigentlich kommen, ohne vorher eine Krankheit durchgemacht zu haben.

Und damit gleich zu einem wichtigen Thema, das Sie ansprechen. Das ist die Prävention. Auch hier gibt es Aufholbedarf?

Wenn man von der Präventivmedizin spricht, dann betrifft das natürlich die Vorsorge in Form der Gesundenuntersuchung. Für einen selbst heißt Prävention simpel, sich ausreichend zu bewegen und sich ausgewogen zu ernähren. Keine Extreme zu leben und alles so zu tun, dass es Freude macht. Andererseits: Wenn mich vegane Ernährung glücklich macht, dann ist es auch gut.

Grundsätzlich gilt aber: Man muss mit Prävention schon im Kindergarten anfangen. Eine 60-jährige, übergewichtige Person, die sich nie bewegt hat, werde ich kaum mehr dazu bringen.

Ist das ein Appell an das Bildungssystem?

Natürlich. Bei ethischen Werten und Sozialkompetenz muss man früh ansetzen. Was einem als Kind in sozialer Hinsicht mitgegeben wird, hat man in sich. Heißt andersherum: Wer zum Narzissten erzogen wird, wird sich schwer ändern können.

Darüber hinaus wird der Wettbewerb unter Kindern und Jugendlichen immer härter. Zu meinen Studienzeiten hat man sich gegenseitig unterstützt. Wir hatten ja noch freien Zugang zum Studium. Wer es nicht geschafft hat, musste ohnehin etwas anderes machen. Heute werden nur die rational Fähigsten rausgeprügelt. Die Frage ist, ob das der richtige Weg ist? Wir werden die Pyramide der Pensionierungen nicht auffüllen können.

Wie geht es Ihrem inneren Arzt? Halten Sie selbst alles ein? Nein, aber ich versuche, mir die Zeit zu nehmen, ich bin jetzt schon kribbelig, weil ich drei Tage nicht mehr laufen war. Dann suche ich mir eben die Puffer, um zu meditieren und so weiter. Wenn ich die Zeit dafür nicht habe, merke ich, dass ich unrund werde. Ich versuche, ausreichend zu schlafen, mich zu bewegen, auch zu genießen – ab und zu ein gutes Glas Wein – und nach den vier L zu leben: Das sind Liebe, Laufen, Lachen, Lernen.

Das Gespräch führte Mag.a Ulrike Krestel.

Ein Anliegen der Österreichischen Schmerzgesellschaft ist es, insbesondere junge Ärzt:innen für die Schmerzmedizin zu begeistern. Mit der Schmerzakademie wurde dafür eigens ein Fortbildungsangebot geschaffen. In einem ersten Schritt wurden Schmerzdiplomkurse in Wien und Umgebung angeboten, 2023 folgt die Erweiterung des Angebotes in Westösterreich. Wie es in Österreich derzeit um die Ausbildung zum Schmerzmediziner bestellt ist, beantwortet Schmerzmediziner Prim. Univ.-Prof. Dr. Rudolf Likar.

Wie gestaltet sich derzeit die Ausbildung in der Schmerzmedizin?

In Österreich gibt es in der Schmerzmedizin das Schmerzdiplom, bestehend aus 120 Stunden Theorie und 80 Stunden Praxis. Das wurde von vielen Mediziner:innen schon gemacht. Führend sind hier Anästhesisten, Neurologen, Orthopäden, Allgemeinmediziner.

Gibt es bereits eine Verpflichtung?

Eine Verpflichtung für gewisse Fachbereiche ist in der Ausbildung vorgesehen, nur gehört hier auch eine interdisziplinäre Ausbildung dazu. Davon würden viele in der Schmerztherapie profitieren.

Wo herrscht Ihrer Meinung nach Handlungsbedarf?

Das Diplom ist nur die Basis für die Schmerzmedizin. Wir versuchen schon seit Jahren, ein Zertifikat für Schmerzmedizin im Krankenhaus zu erwirken. Schmerzambulanzen sollten sich mit einer höheren Kompetenz darstellen. D. h., es wäre hier eine weitere Ausbildung mit 400 Stunden Praxis und 80 Stunden Theorie sinnvoll.

Weitere Infos: Schmerzakademie der Österreichischen Schmerzgesellschaft: oesg.at/ unsere-arbeit/schmerzakademie/index.html Österreichische Akademie der Ärzte: ÖÄK-Diplom „Spezielle Schmerztherapie“: arztakademie.at/diplome-zertifikate-cpds/oeaekdiplome/spezielle-schmerztherapie

Hausärzt:in medizinisch

„Die Patient:innen mitentscheiden lassen“

SCHMERZ

Nach Angaben der Deutschen RheumaLiga nehmen etwa ein Drittel bis die Hälfte der chronisch kranken Patientinnen und Patienten ihre Medikamente nicht so ein, wie der Arzt sie verordnet hat.* Doch Therapiekonzepte können nicht wirken, wenn sie nicht konsequent umgesetzt werden. Früher sprach man von der „Compliance“ – der Therapietreue der Patienten. Heute wird zunehmend der Begriff „Adhärenz“ verwendet, der noch einen Schritt weiter geht: Arzt und Patient einigen sich gemeinsam auf das therapeutische Vorgehen. Prim.a Dr.in Judith Sautner, 2. Med. Abteilung mit Schwerpunkt Rheumatologie am Landesklinikum Korneuburg –Stockerau, im Gespräch.

HAUSÄRZT:IN: Warum nehmen gerade Rheuma-Patient:innen ihre Medikamente oft nicht so ein, wie es mit dem Arzt besprochen wurde? Prim.a SAUTNER: Ich denke nicht, dass das ein Spezifikum von Rheuma-Patientinnen und -Patienten ist. Wir kennen das Phänomen auch von anderen Erkrankungen, die man nicht unbedingt „spürt“, wie Hypertonie oder Diabetes. Es liegt in der Natur des Menschen: Wenn es einem besser geht, versucht fast jeder, die Einnahme von Medikamenten zu reduzieren. Tatsächlich haben wir ja auch das Problem der Polypharmazie. Ein Patient mit rheumatoider Arthritis bekommt oft parallel vier, fünf Medikamente verordnet. Wir wissen: Je mehr Tabletten wir verschreiben, desto größer ist die Gefahr,

dass sie nicht eingenommen werden. Umgekehrt: Je besser die Aufklärung/das ärztliche Gespräch, je besser der Patient weiß, wofür er welches Medikament einnimmt, desto höher ist die Adhärenz.

Manche Menschen vergessen wohl auch einfach darauf, ihre Arzneien einzunehmen …

Das stimmt. Hilfreich können z. B. die neuen Erinnerungsapps sein. Auch wenn Medikamente weniger oft eingenommen werden müssen, erhöht das die Adhärenz. Paradebeispiel Methotrexat: Wenn an die Basistherapie nur mehr einmal die Woche statt einmal täglich gedacht werden muss, stellt das für viele Patienten eine große Erleichterung dar. Ist ein Patient gut eingestellt und geschult, so kann man ihn in manchen Fällen auch mit ins Boot holen und mit der Therapie etwas „jonglieren“ lassen: also ihn etwa das Applikationsintervall von Biologika – wenn es ihm gut geht – kontinuierlich strecken lassen. Haben Patienten das Gefühl, mitentscheiden zu können, erhöht das die Adhärenz definitiv.

Bei welchen Medikamenten weichen Patient:innen besonders häufig von der Verordnung ab?

Kortison hat per se einen schlechten Ruf, ist aber für viele Erkrankungen eines der wichtigsten Akutmedikamente. Man kann dem Patienten bildlich erklären: „Kortison ist eine super Feuerwehr. Aber wir werden darauf achten, es so kurz wie möglich und so niedrig wie möglich einzusetzen.“

Welche Rolle spielt generell die Angst vor Nebenwirkungen?

Befürchtete Nebenwirkungen oder die Erfahrungen, die Patienten bereits mit Medikamenten gemacht haben, spielen eine große Rolle. Bei der Verordnung von Methotrexat z. B. sollte man den Patienten vorab aufklären: Es wird Ihrem Magen oder Zwölffingerdarm nicht schaden, also keine Entzündungen oder Geschwüre verursachen. Aber: Es kann zu einer allgemeinen – sog. zentralen – Übelkeit führen. Wenn der Patient darauf vorbe-

reitet ist, wird er nicht überrascht oder verängstigt sein. Auf der Homepage der Österreichischen Gesellschaft für Rheumatologie und Rehabilitation (ÖGR)** können Aufklärungsbögen frei heruntergeladen werden, wo in einer dem Patienten verständlichen Form erklärt wird, wie Medikamente wirken und welche Nebenwirkungen möglich sind.

Dass es auch auf die Darreichungsform ankommt, haben Sie bereits kurz angesprochen. Können Sie ein Beispiel dafür nennen?

Bleiben wir bei Methotrexat, das wir in vielen rheumatologischen Indikationen einsetzen. Man kann es auch subkutan anwenden, bei vielen Patienten minimiert sich dadurch die Übelkeit oder der Brechreiz. Wir haben aber auch Patienten, welche die Tabletten lieber am Abend schlucken und damit die Nebenwirkungen sozusagen verschlafen. Manche haben eine Nadelphobie, akzeptieren aber die neuen Fertig-Pens. Es hat sich bewährt, den Patienten ehrlich zu sagen: „Wir müssen jetzt miteinander ausprobieren, welche Verabreichung für Sie am besten ist.“

Dieses Vorgehen ist vermutlich besser, als vorschnell zu einem anderen Medikament zu wechseln … Auf jeden Fall. Auch wissen und den Patienten vermitteln sollte man: Jedes Medikament braucht seine Zeit zum Anspiegeln; diese Zeit sollte man dem Medikament auch geben, sofern der Patient es verträgt. Zu schnelles Wechseln ist schlecht. Man kann nicht sagen, ob es gewirkt hätte, wenn sich die Therapie noch nicht eingespielt hat.

Welche Bedeutung kommt der Eigenverantwortung der Patient:innen heute zu? Eine große. Beim sogenannten T2T, also Treat zu Target, legen wir gemeinsam mit dem Patienten klare Ziele fest: Wo wollen wir hin? Erklärtes Ziel ist die Remission, also der Krankheitsstillstand, oder die niedrige Krankheitsaktivität. Aber das ist für jeden und mit jedem Patienten auch individuell festzulegen. Ein junger Mensch, der voll im Berufsleben

Hausärzt:in medizinisch 12 Dezember 2022
© Marianne Schnitzler Serie

steht und Familie hat, wird in der Regel voll funktionsfähig sein müssen und wollen. Einer betagten Patientin mit rheumatoider Arthritis, die keinen Marathon mehr laufen will, kann Schmerzfreiheit und eine gute Funktionalität als Ziel genügen. In manchen Situationen besteht die Möglichkeit, zwischen Medikament A, B und C zu wählen. Jedes hat Vor- und Nachteile. Wir entscheiden gemeinsam mit dem Patienten, welches in der aktuellen Lebenssituation am passendsten ist. Ein wichtiger Punkt ist dabei auch, ob noch ein Kinderwunsch besteht – bei Kinderwunsch oder Schwangerschaft muss die Therapie angepasst werden.

Wie kommt der Arzt dahinter, dass der Patient sich nicht an die Verordnung gehalten hat?

Bei Nichterreichen von Therapiezielen stellt sich immer die Frage: Warum? Hat die Therapie versagt oder wurden die Medikamente nicht eingenommen? Wenn sich die Laborwerte nicht, wie zu erwarten, verändert haben, kann das z. B. ein Indikator sein. Auch der Medikamentenspiegel kann bestimmt werden, was wir in der Rheumatologie aber fast nie machen.

Mit welchen Folgen muss ein Patient rechnen, wenn er zum Beispiel die Basistherapie nicht zuverlässig einnimmt?

Ein realistisches Ziel ist wie gesagt die Remission, der Krankheitsstillstand. Mit der richtigen Therapie ist es erreichbar. Ohne Therapie läuft die Entzündung fort, was zur Destruktion von Gelenken, umgebenden Strukturen und Knochen führt. Und Rheuma kann, wie wir wissen, auch innere Organe betreffen und somit unbehandelt fatale Folgen für die Gesundheit haben. So sind etwa das kardiovaskuläre Risiko und auch das Malignomrisiko bei chronischer Entzündung erhöht. Patienten tun sich nichts Gutes, wenn sie sich nicht an die Therapie halten. Das sollte man ihnen erklären.

Welche Chancen haben Menschen mit rheumatischen Erkrankungen heute, eines Tages ihre Medikamente absetzen zu können?

Die Option, dass das Rheuma „einschläft“, gibt es. Wir sehen das immer wieder. Wenn der Patient in anhaltender Remission ist, kann man versuchen, die Einnahmeintervalle immer weiter auszudehnen, um dann die Medikamente vielleicht irgendwann abzusetzen.

Welche Rolle kommt, last but not least, dem ArztPatienten-Verhältnis zu?

In der Rheumatologie haben wir das Privileg, unsere Patienten oft über einen längeren Zeitraum zu betreuen. Ich kenne von meinen Patienten nicht nur den Gelenkstatus. Ich weiß genauso, was sie beruflich machen, und kenne ihre familiäre Situation. Auch das schafft Vertrauen! Zwar hat auch die Telemedizin an Bedeutung gewonnen. Doch sie wird den regelmäßigen persönlichen Kontakt nicht ersetzen können.

Das Interview führte Mag.a Karin Martin.

* rheuma-liga.de

** rheumatologie.at

Prophet gilt nichts im eigenen Land“

HAUSÄRZT:IN: Ihr neues Werk widmet sich einer zeitgemäßen Re-Lektüre von Sigmund Freud. Was macht es für Ärzt:innen spannend, ihn neu zu lesen?

Prof. ZENATY: Eigentlich müsste die Frage lauten: Warum noch ein Buch über Freud und die freudsche Psychoanalyse?! Robert Heim schrieb kürzlich

von der „ Sprachverwirrung“ im „Turm zu Babel“: Wer bzw. welche der unterschiedlichen psychoanalytischen Richtungen liest Freud „r ichtig“? Wo wird Freud mehr ent-stellt als rekonstruiert? Diesem Dilemma, wonach jede Lektüre zu einer neuen Perspektive auf „d ie Psychoanalyse“ führt, stellen wir den methodischen Weg des „close reading“ entgegen, also einer Re-Lektüre, die eine möglichst direkte „ Begegnung“ mit Freuds Denken ermöglicht.

Sie sprechen von der Notwendigkeit, die „babylonische Sprachverwirrung“ innerhalb der zeitgenössischen Psy-

choanalyse zu erhellen – was hat es damit auf sich?

Ich will von der Situation in Österreich ausgehen: Der Prophet gilt nichts im eigenen Land. Während in großen Teilen der westlichen Welt Freud als wichtigster Denker und Innovator des 20. Jahrhunderts gesehen wird, findet sich an unseren Universitäten kaum eine Lehrveranstaltung, die sich mit seinen bahnbrechenden Ansätzen auseinandersetzt. Zudem hat sich ein Rezeptionsstil breitgemacht, der auf einen kurzschlüssigen „Biografismus“ hinausläuft: Der Nachweis einer persönlichen, möglicherweise unbewussten Identifizierung Freuds etwa mit der Per-

Hausärzt:in politisch 14 Dezember 2022
S
© shutterstock.com/Jorm
„Wir haben es mit einem eigenartigen ,Vergessen‘ der revolutionären Botschaften Freuds in Österreich zu tun.“
„Der
Sigmund Freud heute: Eine möglichst direkte Begegnung mit seinem Denken

son des Moses ersetzt eine differenzierte Auseinandersetzung mit seinen zentralen theoretischen und klinisch-praktischen Annahmen. Wir haben es also mit einem eigenartigen „Vergessen“ der revolutionären Botschaften Freuds zu tun.

Was sind nun diese „revolutionären Botschaften“ und wie kann Sigmund Freuds Lehre für die Gegenwart genutzt werden?

Aus meiner Sicht war es Freuds entscheidender Schritt, seinen Patientinnen und Patienten zuzuhören. Das war in der damaligen Psychiatrie undenkbar – und Freud hörte nicht nur zu, er „glaubte“

auch an die zuweilen bizarren Geschichten, die er durch seine Aufforderung „Erzählen Sie alles, was Ihnen in den Sinn kommt!“ an die Oberfläche brachte. Jedes Symptom hat seinen „Sinn“, seine zunächst unbewusste Bedeutung. Und in den Phantasmen, die sich um die Symptome ranken, stecken verdrängte Erlebnisse … Diese Praxis des „ Zuhörens“ braucht einen bestimmten Rahmen, den wir als „setting“ bezeichnen. Ein ganz wesentlicher Aspekt dabei ist die Zeit: Gerade heute, wo alles dem Diktat der Geschwindigkeit und Effizienz unterworfen ist, ist es entscheidend, dass in der psychoanalytischen Praxis ein Raum der Ruhe und „ Zeitlosigkeit“ geschaffen wird. So gesehen ist das „ Zuhören“ auch heute alles andere als selbstverständlich.

Könnten Sie uns anhand von einigen Beispielen, etwa der Hysterie oder der Traumdeutung, erklären, worauf es in der analytischen Praxis ankommt? Freud hat uns gezeigt, dass es häufig „Kleinigkeiten“ im Sprechen bzw. in der Interaktion des analytischen „Paares“ sind, die uns auf die „Spur“ bringen können: ein Versprecher, eine unvermittelte Unterbrechung im Erzählstrom, eine Veränderung im Tonfall oder im Sprechgestus, ein auffälliges „Vergessen“, ein „Ein-Fall“, der auf anscheinend längst Vergangenes verweist. Nicht zufällig hat Freud sein Buch „Die Traumdeutung“ auch im Rückblick für sein wichtigstes erachtet: weisen doch Träume häufig – wie Freud geschrieben hat – „den Königsweg zum Unbewussten“, bringen Licht in zunächst nur verwirrend

und konfus erscheinende psychische und psychosomatische Symptomatiken. Die Lektüre von Freuds publizierten Fallgeschichten ist immer noch lohnend: Er lässt uns sehr direkt „zuschauen“, der Text gibt über weite Strecken den tatsächlich gesprochenen Dialog wieder – und offenbart uns, dass sich zwar die Symptomatiken (etwa der Hysterie) verändert haben, nicht

aber die zugrundeliegenden Konflikte: Sexualität; Beziehung zu Partnern, Eltern, Kindern; das Verhältnis zum eigenen Körper; die Ansprüche an uns selbst, unsere Selbstbilder; unsere beruflichen Enttäuschungen, …

Wie manifestiert sich das in der psychoanalytischen Praxis von heute?

Für welche Patient:innen empfiehlt sich die freudsche Psychoanalyse vorrangig? Im Unterschied zu Freud fühlen sich die Psychoanalytikerinnen und -analytiker von heute für ein weites Feld klinischer Problematiken zuständig: neben den klassischen Neurosen wie

X HAUSÄRZT:IN-Buchtipp

Sigmund Freud lesen Eine zeitgemäße Re-Lektüre Von Gerhard Zenaty transcript Verlag, Bielefeld 2022

Sigmund Freud Edition (gesammelte Werke): freud-edition.net

Hausärzt:in politisch 15 Dezember 2022
Prof. Dr. Gerhard Zenaty, Psychoanalytiker mit eigener Praxis in Innsbruck und Linz, im Gespräch.
>
© privat
„Aus meiner Sicht war es Freuds entscheidender Schritt, seinen Patient:innen zuzuhören – und an die zuweilen bizarren Geschichten auch zu glauben.“

tosen und psychotische Erkrankungen bzw. für jene, die als „ Borderline“- oder Persönlichkeitsstörungen eingestuft werden. Und selbstredend haben sich auch die Instrumente der Behandlungs-„Technik“ erweitert und differenziert. Neben dem Einsatz der „C ouch“ arbeiten wir vielfach im Sitzen – vor allem bei akuten Krisen und sogenannten „ichstützenden“ Therapien – und auch vielfach mit niederschwelliger Frequenz (ein- bis zweimal wöchentlich). Und noch stärker als zu Freuds Zeiten achten wir auf die Phänomene von Übertragung und Gegenübertragung und sehen sie als entscheidende Arbeitsinstrumente. Das unterscheidet uns von anderen Richtungen der Psychotherapie.

Welche Bedeutung kommt generell der psychoanalytischen Kultur- und Gesellschaftstheorie in unserer heutigen Zeit –der erneuten Krisen – zu?

Der grausame und skandalöse Krieg in der Ukraine offenbart uns einmal mehr, wie dünn „d ie Kruste der Zivilisation“

sozialen Verhaltensweisen lauert in jedem von uns die Bereitschaft zu destruktiver Aggression, Hass und Gewalt. Freud hat sein Erkenntniswerkzeug der Psychoanalyse nicht nur zum Verständnis des einzelnen Subjekts genutzt, sondern sein ganzes Forscherleben lang Aufsätze und Bücher über die menschliche Kultur und die ihr zugrundeliegenden – massenpsychologischen – Kräfte und Mechanismen verfasst. Im Vorfeld des Zweiten Weltkriegs und des grassierenden Antisemitismus hat er 1930 in „ Das Unbehagen in der Kultur“ versucht, wesentliche unbewusste Triebkräfte des Destruktiven zu erhellen. Und in dem berühmt gewordenen brieflichen Dialog mit Albert Einstein von 1933 mit dem Titel „Warum Krieg? “ münden Freuds Überlegungen in die Hoffnung, dass es der Menschheit in naher Zukunft gelingen möge, „ i hr Triebleben der Diktatur der Vernunft zu unterwerfen“ Wir wissen, dass dies nach wie vor eine große kulturelle Herausforderung darstellt. Und es ist mir an dieser Stelle wichtig zu betonen, dass es nicht zuletzt die Aufgabe der „ P sycho-Experten“ ist, auch und gerade in der Gegenwart die Menschen zu unterstützen, zumindest eine gewisse Einsicht in ihre subjektiven und kollektiven unbewussten Antriebe zu gewinnen.

Das Interview führte Mag.a Karin Martin.

Prof. Dr. Gerhard Zenaty, Psychoanalytiker in Innsbruck und Linz ( gzenaty.at ); von 1992 bis 2017 Professor für Geschichte, Politische Bildung und Ethik an der Pädagogischen Hochschule des Bundes in Linz; Lehranalytiker im Arbeitskreis für Psychoanalyse Linz/ Graz bzw. in Innsbruck; Mitinitiator des Symposiums Freiberg; Mitherausgeber von TEXTE, Zeitschrift für Psychoanalyse, Ästhetik und Kulturkritik; zahlreiche Publikationen zu Psychoanalyse, Kulturtheorie und Philosophie.

16 Dezember 2022
„Nicht zum Ausdruck gebrachte Gefühle werden niemals sterben. Sie werden lebendig begraben und kommen später auf hässlichere Weise hervor.“

Plädoyer für diagnostische Unschärfe

Psychiatrische Erstbegegnungen in der hausärztlichen Praxis

Prophezeiung

Beim diesjährigen Allgemeinmedizin-Kongress der Steirischen Akademie für Allgemeinmedizin (STAFAM)* stellte die psychosomatische Medizin einen Themenschwerpunkt dar. MR Dr. Reinhold Glehr, Hausarzt in Hartberg und Vorstandsmitglied der STAFAM, begann seinen Vortrag mit grundlegenden Überlegungen dazu, was den diagnostischen Prozess in der Hausarztpraxis ausmacht. „Wir alle sollten uns bei Erstbegegnungen mit psychiatrischem Hintergrund eine Vielzahl von Möglichkeiten offenhalten“, hob er hervor. „Gleichzeitig müssen wir, bedingt durch das Zeitkorsett und Begründungszwänge, auch strukturiert vorgehen. Dadurch reduzieren wir die Komplexität wieder. Wir wenden Ordnungsschemata an, wie wir sie im Laufe unserer Ausbildung kennengelernt haben – und die wir in Denkkästchen einbauen.“ Davon würden wiederum Empfehlungen und Entscheidungen abgeleitet. Dies erfolge nicht nur nach objektiven Kriterien, sondern sei auch abhängig von der persönlichen Erfahrung, dem Erlebnishintergrund, den individuellen Interessenschwerpunkten und der Aus- und Fortbildung.

„Wir suchen Diagnoseäquivalente, die wir dokumentieren, und die wir natürlich auch den Betroffenen kommunizieren“, schilderte Dr. Glehr das weitere Vorgehen. „Bei psychiatrischen Beratungsanlässen besteht die Kunst allerdings darin, zwischen weitgefassten Beschreibungen und einengenden diagnostischen Begriffen eine gute Balance zu finden.“

Die Dokumentation muss einer eventuellen späteren Einsichtnahme von Dritten in die Kartei standhalten, z. B. von Versicherungsseite. Die Kommunikation mit den Betroffenen sollte aber immer im Bewusstsein erfolgen, dass Begriffe wie Panikstörung oder Psychose sich „verselbstständigen“ können, wenn sie von den Betroffenen im Internet gesucht werden und sich im Zuge dessen bei ihnen eine Eigendynamik entwickelt.

„Eine frühe Festlegung der Diagnose birgt die Gefahr einer selbsterfüllenden Prophezeiung“, gab Dr. Glehr zu bedenken. „Sowie die Gefahr von Scham, Stigmatisierung und eventuell juristischen Konsequenzen “ Das gelte umso mehr für Menschen, die z. B. beruflich eine Waffe tragen oder einen Omnibus fahren. Auch das Bewusstsein, dass Diagnosen keine endgültigen Wahrheiten, sondern nur ein Kommunikationssystem im Medizinsystem darstellten, sei wichtig. „Dies hilft gerade bei psychiatrischen Anlässen, nämlich sowohl uns Ärzten als auch den Betroffenen, sofern wir es gut kommunizieren “ Es solle der Nutzen für die Betroffenen ja im Vordergrund stehen. Die Wissenschaftlichkeit sei im hausärztlichen Bereich erst in zweiter Linie von Bedeutung. Dr. Glehr: „Mein Plädoyer gilt daher der Unschärfe: der Unschärfe insbesondere bei psychiatrischen Komponenten – mit Ausnahme einer präsuizidalen Problematik.“

Verschiedene Wege zum gemeinsamen Ziel

Im Diagnoseprozess gebe es verschiedene Wege nebeneinander – mit einem gemeinsamen Ziel: am Ende nicht unbedingt zu einer Diagnose, aber zumindest zu einem Diagnoseäquivalent zu kommen, führte Dr. Glehr weiter aus:

Deduktiv: Eine chronische psychische Erkrankung ist bereits bekannt, eine Diagnose dokumentiert. Wird nun eine Episode zum Beratungsanlass, so erfolgt oft von der allgemeinen Diagnose der Schluss auf das Besondere. Algorithmen sind die Entscheidungs- und Handlungsgrundlage. Induktiv: Liegt bei einem Beratungsanlass keine Vordiagnose vor oder werden bei einer Episode neue Symptome berichtet, etwa Ängste, Schlaflosigkeit, Müdigkeit, Wesensveränderungen, so können aus der Vielzahl der möglichen Ursachen die wahrscheinlichsten ermittelt werden. Der Prozess geht vom Besonderen ins Allgemeine.

Abduktiv: Diesem Weg kommt in der hausärztlichen Praxis besondere Bedeutung zu: Abduktion versucht, die Entstehung von Hypothesen zu erfassen, also das unmittelbar Wahrgenommene, das Unklassifizierte, nicht primär Einzuordnende. Es geht also um den ersten Eindruck und den gemeinsamen Gefühlsraum mit den Betroffenen. Entscheidungen und Handlungen erfolgen intuitiv. Eine Arbeitshypothese mit offen bekundeter Unschärfe – auch gegenüber dem Betroffenen – wird zur Grundlage dafür. Eine Diagnose im Sinne von ICD & Co ist primär nicht von therapeutischer Bedeutung.

„Die Wirklichkeit unserer Psyche ist vieldimensional und komplex“, so der Experte abschließend. Meist sei nur eine Annäherung möglich: „Wir beurteilen die momentane Situation, die sehr veränderlich ist, die also möglicherweise am nächsten Tag schon anders aussieht.“

* 52. Kongress für Allgemeinmedizin, „… vom Harmlosen und Bedrohlichen“, 24.-26. November 2022, Stadthalle Graz.

VORSCHAU

HÄ 1/23: Serie PSY, Teil 2: Situationen im hausärztlichen Alltag: Vortrag von Priv.-Doz. Dr. Christian Fazekas, Univ.-Klinik für Medizinische Psychologie und Psychotherapie, Med Uni Graz. HÄ 2/23: Serie PSY, Teil 3: Hinschauen im Team bei Angst und Depression: Vortrag von Dr. Gert Vetter, Facharzt für Allgemeinmedizin in Frankfurt.

Hausärzt:in politisch 18 Dezember 2022
Gefahr einer selbsterfüllenden
© shutterstock.com/Ground Picture © Felix Werinos
GASTAUTOR: MR Dr. Reinhold Glehr Arzt für Allgemeinmedizin in Hartberg, STAFAM Vorstandsmitglied

Praxiswissen:

von urologischen Tumoren

Vorbeugen und Früherkennen ist immer besser als Reparieren und Nachsorgen – das gilt insbesondere in der Uroonkologie. Ein oftmals unterschätzter Fakt: Ein Drittel aller onkologischen Patientinnen und Patienten wird von Seiten der Urologie versorgt. Umso wichtiger ist hier die Vorsorge. Die urologische Prävention bzw. die Früherkennung von Krebserkrankungen funktioniert gut, ist allerdings „ männerlastig“ Das einzige von Fachgesellschaften propagierte Programm ist die Früherkennung von Prostatakrebs. Hier ruft

die Österreichische Gesellschaft für Urologie im Rahmen des „ L oose Tie“Programms immer wieder zur Vorsorge auf. Grundsätzlich wird die Vorsorge über niedergelassene Urologinnen und Urologen von Männern ab 45 Jahren gut angenommen. Außerdem erfolgt die Krebsfrüherkennung fast ausschließlich im niedergelassenen Bereich, allen voran durch Hausärztinnen und -ärzte. Im Rahmen der Vorsorgeuntersuchung ist jedoch lediglich ein Harnstreifentest vorgesehen. Die Detektion von Blut im Harn stellt hier die einzige Möglichkeit

dar, urologische Krankheitsbilder herauszufiltern.

Unterschätztes Urothelkarzinom

Eine Erkrankung, die in der Vorsorge leider völlig untergeht, ist das Urothelkarzinom. Vor dem Hintergrund, dass ein metastasiertes Urothelkarzinom rasch zum Tod führt, wiegt dies schwer. Insbesondere sozioökonomisch benachteiligte Menschen sowie Raucherinnen und Raucher haben ein hohes Erkrankungsrisiko in Bezug auf ein Urothel-

Hausärzt:in DFP 20 Dezember 2022
LITERATUR
Die Photodynamische Diagnostik (PDD) verbessert die Darstellung des Tumorbereichs während der Blasenspiegelung. © Ordensklinikum Linz
Allgemeinmediziner:innen sind mehrfach gefordert – Obacht vor allem bei der Blase der Frau und der Prostata des Mannes
Früherkennung

DFP-Punktesammler

dar. Unklare Unterbauch- und Flankenschmerzen können ebenso darauf hinweisen.

Möglichkeiten der Früherkennung

Das einzige Instrument zur Früherkennung ist der Harnstreifentest.

Ein Wermutstropfen: Er liefert oft falsch negative bzw. falsch positive Ergebnisse, wobei letztere zu unnötigen Folgeuntersuchungen führen.

Bei einem positiven Harnstreifentest sollten zumindest eine Ultraschalluntersuchung des Unterbauches und der Nieren sowie eine Blasenspiegelung erfolgen. Diese Untersuchungen können niedergelassene Urologinnen und Urologen rasch und zuverlässig vornehmen.

Sollte sich die Situation im Rahmen dieser Diagnostik nicht klären lassen, empfiehlt sich die Durchführung einer CT-Urographie.

Alternativ kann auch eine MR-Urographie gemacht werden, zudem eine Harnzytologie – mit Entnahme entweder im Rahmen einer Zystoskopie oder vom Spontanharn.

Ureterorenoskopie immer kleiner und leistungsstärker werden und die Laserablation ebenfalls leistungsstärker wird, ist mittlerweile in etwa 30 Prozent der Fälle keine Nephroureterektomie mehr notwendig, weil diese Tumoren lokal behandelbar sind.

Prostatakarzinom erkennen

Die Früherkennung von Prostatakrebs (PCA) funktioniert seit Einführung des Vorsorgeprogramms und der „ L oose Tie“-Kampagnen der Österreichischen Krebshilfe sehr gut. Red Flags des PCA sind diffuse Schmerzen im Becken und an der Wirbelsäule, selten jedoch Miktionsbeschwerden. Männern wird ab dem 45. Lebensjahr bzw. ab dem 40. Lebensjahr bei familiärer Vorbelastung empfohlen, regelmäßig eine Prostata-Vorsorgeuntersuchung durchführen zu lassen. Als familiäre Vorbelastung sind auch Brust- und Unterleibstumoren bei weiblichen Verwandten zu betrachten.

karzinom der Blase. Beim Urothelkarzinom des oberen Harntraktes gesellt sich als weiterer identifizierter Risikofaktor die aristolochische Säure hinzu. Sie gelangt über die sogenannte Pfeifenblume, welche oft in Feldern wächst, in unser Getreide. Vor allem bei Frauen werden diese Tumoren häufig nicht oder in einem späteren Tumorstadium diagnostiziert, da die Symptomatik mit einer Blasenentzündung sowie mit rezidivierenden Harnwegsinfekten verwechselt werden kann. Die schmerzlose Makrohämaturie stellt das Kardinalsymptom

Zeigen sich im Zuge dieser Untersuchungen Auffälligkeiten in der Blase, so ist eine transurethrale Resektion (TURB) bzw. bei kleinen Veränderungen eine Entnahme von Proben der Blasenschleimhaut indiziert. Um dabei die maximale diagnostische Sicherheit zu erreichen und das Rezidivrisiko im Falle eines Malignoms zu minimieren, sollte dieser Eingriff mit Weiß- und Blaulicht vorgenommen werden. Für die Blaulichtuntersuchung wird etwa eine Stunde vor dem Eingriff ein Fluoreszenz-Hexaminolevulinat in die Blase instilliert. Wenn im Rahmen der Bildgebung des oberen Harntraktes Auffälligkeiten zum Vorschein kommen, ist die retrograde Darstellung und Spiegelung des jeweiligen Hohlsystems angezeigt. Tumoröse Veränderungen im Harnleiter oder im Nierenbecken lassen sich mit kleinen Zangen und Körbchen biopsieren und ihre Reste mit verschiedenen Laserarten (Holmium oder Thulium) abtragen. Da die Endoskope für die

Die urologische Vorsorgeuntersuchung beinhaltet eine digitale rektale Untersuchung, einen PSA-Test und eine Ultraschalluntersuchung der Niere sowie des Unterbauchs. Ein großes Problem der PSA-Wert-Bestimmung besteht darin, dass ein Drittel aller Prostatatumoren zu keinem erhöhten PSA-Wert führt und viele Patienten untersucht >

IM ÜBERBLICK

Zuweisungskriterien bei Tumoren im urologischen Bereich

Nierentumoren: oft Zufallsbefund infolge einer CT oder eines Ultraschalls des Abdomens.

Urothelkarzinom oberer Harntrakt: meist kolikartige Beschwerden oder schmerzlose Makrohämaturie.

Harnblasentumoren: schmerzlose Makrohämaturie. Zystoskopie veranlassen.

Prostatakarzinom: Verdacht nach klinischer Untersuchung und erhöhtem PSA-Wert.

Hoden- und Penistumoren: oft Zufallsbefund beim Tasten durch den Betroffenen.

Hausärzt:in DFP 21 Dezember 2022
GASTAUTOR: OA Dr. Ferdinand Luger, FEBU Abteilung für Urologie und Andrologie, Ordensklinikum Linz Elisabethinen © Ordensklinikum Linz

bzw. behandelt werden müssen, um die Mortalität zu senken. Die „ number needed to scan“, um einen Todesfall zu verhindern, beträgt 570 – die „ number needed to diagnose“ 18. Das ist auch der Grund, wieso das PSA-Screening in der Fachwelt mit großer Skepsis gesehen wird und es keine klare Empfehlung dafür gibt. Vielmehr ist es wichtig,

Hochfrequenzultraschall als neue Option

Eine weitere Möglichkeit zur gezielten Prostatabildgebung ist der Hochfrequenzultraschall der Prostata. Dabei handelt es sich um eine neue Methode des transrektalen Ultraschalls. Was den Ultraschall der Prostata angeht, so konnte bis dato nie gezeigt werden, dass eine ge-

dass Urologinnen und Urologen den PSA-Wert interpretieren können und daraus die richtigen Schlüsse ziehen. Bei Verdacht auf ein Malignom sollte vor der Entnahme von Proben der Prostata die weitere Diagnostik ausgereizt werden. Immerhin konnte in verschiedenen Studien gezeigt werden, dass eine Bildgebung mittels MRT, wenn sie vor einer geplanten Prostatabiopsie stattfindet, die Detektionsrate erhöht und somit die Rate von Rebiopsien sinkt. Dies ist nicht unwesentlich, wenn man bedenkt, dass das Risiko einer Sepsis nach so einem Eingriff bei etwa ein bis drei Prozent liegt.

zielte Diagnostik möglich ist. Anders gestaltet sich die Situation mit dem Hochfrequenzultraschall. Hier wird mit einer Ultraschallfrequenz von 29 MHz im Vergleich zu 5–9 MHz gearbeitet, was eine deutlich höhere Auflösung liefert und dadurch eine bessere Beurteilung erlaubt. Erste multizentrische Studien konnten zeigen, dass der Hochfrequenzultraschall der MRT nicht unterlegen ist. Hierzu rekrutiert aktuell die weltweite, multizentrische, prospektive und randomisierte OPTIMUM-Studie Probandinnen und Probanden, um diese Ergebnisse zu be-

stätigen. Klare Vorteile im Vergleich zur MRT: Die Untersuchung geht wesentlich schneller vonstatten und erfordert auch deutlich weniger Personalressourcen.

Inzidentes Nierenzellkarzinom

Während sich beim Urothel- und beim Prostatakarzinom gewisse Vorsorgeschemata im Laufe der Zeit etabliert haben, gestaltet sich die Früherkennung der Nierenzellkarzinome gegenteilig: Durch die breite Verfügbarkeit und die Zunahme der Bildgebung mittels MRT und CT werden diese Tumoren praktisch immer als Zufallsbefund entdeckt, solange keine Symptomatik vorliegt. Aus älteren Arbeiten weiß man, dass Nierenzellkarzinome oft eine sehr langsame Wachstumstendenz von etwa 4 mm pro Jahr aufweisen. Aufgrund der Tatsache, dass viele dieser Tumoren früh gefunden werden und noch nicht sehr groß sind, ist oft eine nierenerhaltende Chirurgie möglich, was onkologisch einer Nephrektomie ebenbürtig ist.

DFP-Pflichtinformation

Fortbildungsanbieter: Österreichische Gesellschaft für Allgemein- und Familienmedizin

Lecture Board: OÄ Dr.in Katrin Mayrhofer Abteilung für Urologie, Klinikum Wels-Grieskirchen

Dr.in Johanna Holzhaider 2. Vizepräsidentin der OBGAM Gruppenpraxis Sandl, Oberösterreich

Hausärzt:in DFP 22 Dezember 2022
<
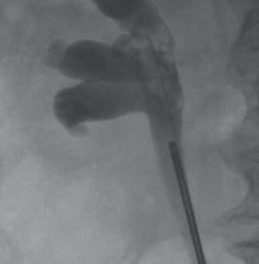
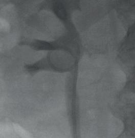
Tumor im Nierenbecken als Kontrastaussparung sichtbar. Papillärer Tumor im Harnleiter (Führungsdraht ebenfalls auf dem Bild zu sehen). Papillärer, blutender Tumor im Nierenbecken (Führungsdraht auf den Bildern zu sehen).
Nierenbecken nach Tumorlaserung mit liegendem HL-Stent. © Ordensklinikum Linz
© Ordensklinikum Linz © Ordensklinikum Linz © Ordensklinikum Linz © Ordensklinikum Linz

Hausärzt:in DFP – Das Wichtigste in Kürze

Red Flags in der Urologie sind die schmerzlose Makrohämaturie sowie Koliken, insbesondere mit Nierenstauung, und der febrile Harnwegsinfekt beim Mann. Nach wie vor spät erfolgt die Diagnose eines Harnblasenkarzinoms bei der Frau. Hauptgrund ist eine Verwechslung mit entzündlichen Erkrankungen.

Für die Früherkennung des Harnblasenkarzinoms steht nur der Harnstreifentest zur Verfügung. Sollte sich die Situation damit nicht klären lassen, empfiehlt sich die Durchführung einer CT-Urographie.

Der PSA-Wert zur Früherkennung eines Prostata-

DFP-Literaturstudium HAUSÄRZT:IN

karzinoms allein sagt wenig aus. Eine umfassende klinische Untersuchung ist erforderlich.

Bei Verdacht auf ein Malignom sollte vor der Entnahme von Proben der Prostata die weitere Diagnostik ausgereizt werden.

Der Hochfrequenzultraschall stellt eine neue Möglichkeit zur gezielten Prostatabildgebung dar. Er dürfte laut ersten Studien der MRT nicht unterlegen sein.

Nierenzellkarzinom: Es wird meist als Zufallsbefund in einer MRT oder CT früh entdeckt. Oft ist eine nierenerhaltende Chirurgie möglich.

LITERATUR

So machen Sie mit: Entsprechend den Richtlinien der ÖÄK finden Sie im Anschluss an den Fortbildungsartikel Multiple-Choice-Fragen. Eine Frage gilt dann als richtig beantwortet, wenn Sie von den vorgegebenen Antworten alle richtigen angekreuzt haben. Für eine positive Bewertung ist erforderlich, dass Sie 2 der 3 Fragen richtig beantworten. In diesem Fall wird 1 DFP-Fachpunkt angerechnet. Online lesen und beantworten: Dieser Fortbildungsartikel inkl. Test steht online auf meindfp.at noch 2 Jahre zur Verfügung. Wenn Sie dieses elektronische Angebot nutzen, erhalten Sie auch die Teilnahmebestätigung elektronisch. Per E-Mail oder Post: Schicken Sie den beantworteten Fragebogen bitte per Mail als Scan-Dokument an office@gesund.at oder per Post an Redaktion HAUSÄRZT:IN/RMA Gesundheit GmbH, Am Belvedere 10 / Top 5, 1100 Wien. Einsendeschluss: 30. Juni 2023.

DFP-Fragen zu „Praxiswissen: Früherkennung von urologischen Tumoren“

Die Anzahl der richtigen Antworten ist nach jeder Frage in Klammern angegeben.

Was gehört zu den Risikofaktoren für ein Urothelkarzinom? (2 richtige Antworten) Sie haben ein Fortbildungskonto?

Nikotin.

Aristolochische Säure. Bewegungsmangel.

Hexaminolevulinat.

Was macht die Bestimmung des PSA-Wertes problematisch? (2 richtige Antworten)

Ein Gutteil der Prostatatumoren führt zu keinem erhöhten PSA-Wert.

Es müssen etwa 570 Männer gescreent werden, um einen Todesfall zu verhindern.

Es müssen etwa 570 Männer diagnostiziert werden, um einen Todesfall zu verhindern.

Mithilfe des PSA kann direkt auf das Risiko eines Prostatakarzinoms geschlossen werden.

Welche Aussage in Bezug auf das Nierenzellkarzinom ist korrekt? (1 richtige Antwort)

Es wird oft als Zufallsbefund gefunden.

Die Tumoren werden meist sehr spät entdeckt.

Nierenzellkarzinome zeigen meist ein schnelles Wachstum.

Jede Niere mit einem Nierenzellkarzinom muss radikal entfernt werden.

JA – dann buchen wir Ihre DFP-Punkte automatisch!

Dazu brauchen wir Ihre ÖÄK-Ärztenummer und E-Mail-Adresse: NEIN – ich möchte meine Teilnahmebestätigung per Post erhalten per E-Mail erhalten

Bitte gut leserlich ausfüllen und E-Mail-Adresse angeben: Name Anschrift PLZ/Ort E-Mail

Hausärzt:in DFP 23 Dezember 2022
1 2 3

Herzensangelegenheiten der Gendermedizin

Warum Gleichbehandlung nicht immer wünschenswert ist

Mitte 30, 85 Kilo schwer, männlich – dies galt lange Zeit als Standard bei Studienteilnehmern in der medizinischen Forschung. Doch lässt sich nicht alles, was anhand von Untersuchungen von Männern herausgefunden wird, auch auf Frauen übertragen. Auch bei vermeintlich geschlechtsneutralen Erkrankungen gibt es vielerlei Unterschiede. Zu den ersten Themen, die in der Gendermedizin-Forschung untersucht wurden, zählten die geschlechtsspezifischen Unterschiede in Diagnose und Therapie von koronaren Herzerkrankungen sowie Myokardinfarkt. Bereits im Jahr 1991 beschrieb die amerikanische Ärztin und Direktorin des National Institute of Health, Bernadine Healy, im New England Journal of Medicine das „Yentl-Syndrom“. Demnach müssten Frauen erst nachweisen, dass sie die gleiche Herzkrankheit haben wie Männer, um die gleiche Behandlung zu bekommen. Auch im Jahr 2022 gelten Herzerkrankungen noch eher als „männlich“, obwohl Herztod die Haupttodesursache sowohl bei Männern (40 Prozent) als auch bei Frauen ist (49 Prozent).

EXPERTIN:

Was die beiden Geschlechter gemeinsam haben, sind die Hauptrisikofaktoren für koronare Herzkrankheit und Myokardinfarkt, nämlich Hypertonie, Hyperlipidämie, Diabetes, Nikotinkonsum oder

familiäre Belastung. Allerdings stellt Diabetes für Frauen in Bezug auf die Herzgesundheit eine signifikant größere Gefahr dar. Die Stress-Kardiomyopathie betrifft Frauen ebenfalls deutlich häufiger. Dies hängt sicherlich auch damit zusammen, dass Frauen vermehrt unter starkem emotionalem Stress durch mehrere Anforderungen wie Familie, Kindererziehung, Pflege von Angehörigen und Beruf stehen. Eine kardiovaskuläre Erkrankung von Frauen manifestiert sich häufig einige Jahre nach Brustkrebs. Diverse Komplikationen während der Schwangerschaft, etwa Präeklampsie, Gestationsdiabetes oder -hypertonus sowie die peri-/postpartale Kardiomyopathie, erhöhen ebenfalls das Risiko, eine Herz-Kreislauf-Erkrankung zu entwickeln. Wenn Frauen über Brustschmerzen klagen, stecken deutlich öfter nichtobstruktive ischämische Erkrankungen dahinter als bei Männern. Dazu zählen unter anderem die spontane Koronardissektion, die mikrovaskuläre Angina pectoris oder das Takotsubo-Syndrom. Studien zeigen, dass emotionaler Stress bei Frauen ein wichtiger Auslöser der Herzerkrankung sein kann, aber seltener bei Männern. „Das Angstzentrum des Gehirns, die Amygdala, ist bei herzkranken Frauen chronisch aktiv und Patientinnen

mit einer sehr aktiven Amygdala haben ein höheres kardiovaskuläres Risiko als jene mit niedriger Amygdala-Aktivität“, so Assoc. Prof.in Priv.-Doz.in Dr.in Jolanta Siller-Matula, PhD, Kardiologin an der MedUni Wien. Welche zellulären Phänomene dafür verantwortlich sind, ist bislang ungeklärt, jedoch weisen die Daten darauf hin, dass die Stressreaktion im Gehirn durch eine erhöhte Entzündungsaktivität im Blut hervorgerufen wird. Frauen bekommen oft eine verzögerte Diagnose und als mögliche Ursache für die Verzögerung der Behandlung wird die schwierige Diagnosestellung bei den Patientinnen genannt. „ Frauen berichten häufiger über ‚atypische‘ Symptome wie Erbrechen, Leistungseinschränkung oder Dyspnoe und schreiben diese Symptome seltener einer medizinischen Notfallsituation zu als Männer“, erläutert die Kardiologin.

Arzneimittel ≠ Arzneimittel

Sowohl für die Prävention als auch in der Therapie der koronaren Herzkrankheit und des Myokardinfarkts spielen Pharmazeutika eine wesentliche Rolle. Und auch hierbei muss das Geschlecht berücksichtigt werden. So benötigt eine Tablette durch den Verdauungstrakt einer Frau etwa doppelt so lange wie bei einem Mann. Auch werden viele Wirkstoffe in einer Frauenleber langsamer abgebaut. Deshalb genügt bei Frauen häufig eine geringere Dosis von bestimmten Medikamenten. Nebenwirkungen treten bei Frauen zudem häufiger auf. „Acetylsalicylsäure zur Primärprävention von Herzgefäßerkrankungen weist einen unterschiedlichen Effekt bei Männern und Frauen auf. Während bei Männern die Reduktion der kardiovaskulären Ereignisse durch Aspirin in der Primärprävention signifikant ist, ist dies bei Frauen nicht der Fall“, weiß Prof.in Siller-Matula. Bei beiden Geschlechtern ist Aspirin zur Primärprävention mit Blutungskomplikationen verbunden und sollte aus diesem Grund nicht mehr zu diesem Zweck verschrieben werden.

Hausärzt:in medizinisch 24 Dezember 2022
Assoc. Prof.in Priv.Doz.in Dr.in Jolanta Siller-Matula, PhD Medizinische Universität Wien, Abteilung für Kardiologie © Katharina Gossow © shutterstock.com/Jirsak

Runter mit dem Stresslevel

Mittlerweile hat sich die Forschung bei der koronaren Herzkrankheit auf die Unterschiede zwischen den Geschlechtern konzentriert. Die Ergebnisse haben gezeigt, dass Frauen und Männer nicht die gleichen Diagnose- und Therapiemöglichkeiten, wohl aber die jeweils besten Möglichkeiten für ihr Geschlecht haben sollten. Nach bisherigen Erkenntnissen sind Patientinnen mit Herzerkrankung einer hohen emotionalen Belastung ausgesetzt, die mit schlechteren Prognosen einher-

AKTUELL

Gemeinsam mit der Medizinischen Universität Wien und mit Unterstützung der Österreichischen Gesundheitskasse veranstaltete MeinMed eine Webinarreihe zum Thema Gendermedizin. Diese Reihe beleuchtet dieses relativ neue Fach der Medizin und dessen Bedeutung für Kardiologie, Rheumatologie, Urologie, Diabetologie sowie Demenzforschung. Alle Videos zu dieser Serie finden Sie auf meinmed.at/mediathek

geht. „Insbesondere hat die psychosoziale Belastung von Frauen durch vermehrte Anforderungen zugenommen, was zur weiteren Steigerung der emotionalen Belastungen bei herzkranken Frauen führen kann. Daher sollten die Maßnahmen zur Stressreduktion bei der Nachsorge der Herzpatientinnen nicht außer Acht gelassen werden“, meint die Expertin.

Auch Geschlecht des Arztes entscheidend

Ein weiterer Aspekt, der die Prognose von Herzpatientinnen beeinflusst, ist das Geschlecht des behandelnden Arztes. Das ergaben bereits mehrere Studien: Herzinfarktpatientinnen überleben eher, wenn sie sich bei einer Ärztin in Therapie befinden anstatt bei einem männlichen Mediziner. Unter anderem beleuchtete ein Team der Washington University in St. Louis diesen Gesichtspunkt.* Die Forscher werteten dafür zwischen 1991 und 2010 die Daten von 580.000 Herzinfarktpatientinnen und -patienten in Florida statistisch aus. Die Erkenntnisse dieser

boso medicus exclusive Automatisierte Dreifachmessung mit Mittelwertanzeige

Untersuchung wurden im Jahr 2018 veröffentlicht. Demnach verstarben 11,8 Prozent der Männer und zwölf Prozent der Frauen, die nach einem Myokardinfarkt von Ärztinnen behandelt wurden. Bei männlichen Medizinern waren es hingegen 12,6 Prozent der Männer und 13,3 Prozent der Frauen, die den Infarkt nicht überlebten.

Es gibt mittlerweile zahlreiche Studien, die zeigen, dass Herzinfarktpatientinnen, die von Ärztinnen behandelt werden, die besten Prognosen haben.

Fazit der Expertin

„Wir haben nicht nur einen Nachholbedarf in der Forschung für Patientinnen, sondern wir brauchen auch viel mehr Ärztinnen – und Kardiologinnen –, die sich dem Thema Gendermedizin widmen, um die Prognosen von Patientinnen zu verbessern“, bringt es die Kardiologin auf den Punkt.

* pnas.org/doi/full/10.1073/pnas.1800097115

boso medicus exclusive lässt sich auf die persönlichen Bedürfnisse einstellen, bietet zahlreiche Statistikfunktionen für eine optimale Beurteilung der Blutdruckwerte und ist besonders empfohlen bei erhöhter Blutdruckvariabilität. Überzeugend in jeder Beziehung: das elegante Design, die hochwertige Verarbeitung und ein Funktionsumfang, der keine Wünsche offen lässt. Und das alles so einfach und benutzerfreundlich, wie Sie und Ihre Patienten es von boso gewohnt sind: Die große Anzeige und die zuschaltbare Sprachausgabe machen die Blutdruckmessung besonders einfach und komfortabel – nicht nur für ältere oder sehbehinderte Menschen.

Vertrauen Sie dabei auf die Präzision und Qualität von boso: die Marke, auf die sich auch 96 % aller deutschen Allgemeinärzte, Praktiker und Internisten in der Praxis verlassen. (API-Studie der GfK 01/2016)

BOSCH + SOHN GmbH & Co. KG Zweigniederlassung Österreich Handelskai 94– 96 | 1200 Wien | www.boso.at

Hausärzt:in medizinisch
So individuell wie die Gesundheit.
boso medicus exclusive Oberarm-Blutdruckmessgerät | Medizinprodukt
Erhältlich in Apotheke und Sanitätsfachhandel.

Rezeptstudie

Österreichischer Verschreibungsindex

Werden Sie Teil einer Studie zur Arzneimittelversorgung in Österreich – völlig anonym melden Sie einmal pro Quartal die Verschreibungen und Diagnosen einer Arbeitswoche über ein bedienerfreundliches Online Tool, auf das Sie völlig flexibel auch von Ihrem Tablet oder Smartphone zugreifen können.

weltweit

Weltweite Studie zu indikationsbezogenen Verordnungen!

anonym

Sichere und anonyme Datenübermittlung 1x/Quartal.

flexibel

Flexibler Zugriff auf ein bedienerfreundliches Online-Tool.

Bis zu 120 € pro Stunde Aufwandsvergütung

Hier scannen
sich zur Teilnahme zu registrieren. Alexa Ladinser alexa.ladinser@iqvia.com +43 (0) 664 8000 2237 Lidia Wojtkowska medicalindex@iqvia.com 0800 677 026 (kostenlos)
FÜR WEITERE FRAGEN: +43 (0) 664 8000 2237
um
120 €

© privat

„So viele Cholesterinsenker braucht es nicht?!“

Wie

Kombinationstherapien zur Erreichung des LDL-C-Zielwertes beitragen

dardtherapie zur Lipidsenkung sind derzeit Statinpräparate. Mit den hochwirksamen Statinen ist eine Senkung des Ausgangs-LDL-C-Wertes um etwa 50 % möglich. Wenn die LDL-C-Konzentration unbehandelt bei ≥ 150 mg/dl liegt, muss daher – aufgrund der Leitlinienempfehlungen – ein zweites Medikament hinzugefügt werden, um einen Zielwert von < 70 mg/dl oder sogar von < 55 mg/dl zu erreichen.

dem LDL-C-Rezeptor, der an der Leberoberfläche vorhanden ist, in die Leberzelle eingeschleust und dort abgebaut. Durch die PCSK9Hemmung sind mehr LDLC-Rezeptoren an der Leberoberfläche vorhanden und der LDL-C-Spiegel sinkt.

Cholesterin Fake News vs. Fakten

Prim.

Lipidsenkende Therapien begleiten Menschen mit einem erhöhten Risiko, kardiovaskuläre Erkrankungen zu erleiden, das restliche Leben lang. Umso stärker fällt die adäquate Anwendung ins Gewicht.

„ Je mehr Tabletten ein Patient pro Tag einnehmen muss und je öfter, desto geringer ist die Compliance“, weiß Prim. Univ.-Prof. MR Dr. Peter Fasching, MBA, 5. Med. Abt. mit Endokrinologie, Rheumatologie und Akutgeriatrie, Klinik Ottakring. Dies sei auch durch Studien belegt. „Sinnvolle Kombinationspräparate erhöhen die Langzeit-Compliance und sind daher zu befürworten“, so der Experte.

HAUSÄRZT:IN: Welchen Stellenwert haben die Kombinationstherapien für die Prophylaxe atherosklerotisch kardiovaskulärer Erkrankungen?

Prim. FASCHING: Zur Primär- und Sekundärprävention atherosklerotischer Komplikationen gibt es für die Blutfettwerte – konkret für das sogenannte LDLCholesterin – Zielwerte, die zu unterschreiten sind. Bei moderatem kardiovaskulärem Risiko liegen diese bei < 100 mg/dl, im Falle von hohem bzw. sehr hohem Risiko bei < 70 mg/dl bzw. 55 mg/dl zusätzlich zu einer mindestens 50%igen LDL-CReduktion vom Ausgangswert. Die Stan-

Wie wirken die einzelnen Substanzen? Statinpräparate drosseln die Cholesterinproduktion in der Leber. Allerdings gibt es auch Menschen, die diese Substanzen nicht oder schlecht vertragen. Nebenwirkungen betreffen am häufigsten die Muskeln und können dort Schmerzen auslösen. Selten ist auch die Leber betroffen oder es kann zu Muskelzellverfall kommen. Seit kurzem gibt es in Österreich die sogenannte Bempedoinsäure. Sie greift am gleichen Syntheseweg ein, aber etwas früher als die Statine, und kann eine Reduktion des LDL-Cholesterins von 15 bis maximal 25 % des Ausgangswertes erzielen. Bempedoinsäure eignet sich zur Kombinationstherapie mit einem Statin, wenn sich mit diesem allein der Zielwert nicht erreichen lässt, es nicht adäquat hoch dosiert eingenommen werden kann oder nicht vertragen wird.

Ezetimib hemmt die Cholesterinaufnahme im Darm – dabei handelt es sich also um ein völlig anderes Prinzip. Es kann den LDL-C-Wert isoliert um 15 bis max. 25 % senken. Von diesen drei Substanzen – Statin, Ezetimib und Bempedoinsäure – gibt es Dualkombinationen in verschiedener Form. Auch eine Triplekombination ist möglich. Die Fixkombination von Bempedoinsäure und Ezetimib, mit der man in Summe etwa eine 35%ige LDL-C-Senkung erzielt, „qualifiziert“ sich besonders dann, wenn Statine überhaupt nicht vertragen werden.

Ein weiterer Mechanismus zur Beeinflussung des Cholesterinstoffwechsels ist die PCSK9-Hemmung. PCSK9 ist ein Enzym, das die Leber produziert und auch im Serum nachweisbar ist. Wenn sich dieses an ein LDL-C-Partikel bindet, wird es mit

Welche maximale Senkung kann eine Kombinationstherapie bewirken?

Die PCSK9-Hemmung führt zu einer 50%igen Reduktion des LDL-C-Ausgangswertes. Wenn wir die ganze Kombinationskaskade ausschöpfen, können wir einen Ausgangs-LDL-C-Wert um bis zu 85 % senken. Es ist immer ein additiver Effekt im Sinne einer Synergie. Die einzelnen Effektgrößen addieren sich – ganz egal, was man kombiniert.

Welche Vorteile bringen die Kombinationen in puncto Verträglichkeit? Man kann die Kombinationspartner in der Dosis anpassen. Wenn etwa ein Statin nicht toleriert wird, kann die Statindosis um die Hälfte reduziert werden. Dabei gehen in etwa 6 % der Wirkung verloren – das ist relativ wenig. Gibt man eine andere orale Substanz (Ezetimib oder Bempedoinsäure) hinzu, wird wieder zusätzlich eine Senkung von 20 % erreicht. In der Kombination kann man vor allem die Statine in der Dosis reduzieren, um Nebenwirkungen zu vermeiden und trotzdem eine adäquate LDL-C-Zielerreichung zu gewährleisten.

Das Interview führte Mag.a Ines Pamminger, BA.

DAS WICHTIGSTE IN KÜRZE

Die Substanzen im Überblick:

• Statine

• Ezetimib

• Bempedoinsäure

• PCSK9-Hemmung: PCSK9-Antikörper oder RNA-Silencing-Therapie

Kombinationen können dabei helfen, Nebenwirkungen zu vermeiden und den LDL-C-Zielwert zu erreichen. Durch sie lässt sich dieser um max. 85 % senken.

Hausärzt:in medizinisch 27 Dezember 2022
Univ.-Prof. MR Dr. Peter Fasching, MBA, Klinik Ottakring (vormals Wilhelminenspital).

„Enorme Errungenschaften und Herausforderungen“

Die 50. ÖDG-Jahrestagung hatte die Glukosetoxizität als Motto und bot Einblick in aktuelle und künftige Entwicklungen*

zentral, dass die Glukose direkte Schäden an den Organen verursacht. Es handelt sich bei den Komplikationen des Diabetes nicht schlicht um mikro- und makrovaskuläre Gefäßschäden, so wie wir aktuell die Komplikationen einteilen. Es gibt direkte durch das Glukosemolekül verursachte Schäden an den verschiedensten Zellsystemen: im Herz, in Nerven, an der Niere und an vielen anderen Organen. Dies wollte ich mit dem Titelthema Glukosetoxizität ins Gedächtnis rufen. Der eine oder andere Vortrag hat sich zentral damit beschäftigt, aber natürlich wurden alle anderen Gebiete des Diabetes und seiner Behandlung während der Tagung ebenfalls abgehandelt.

Welche neuen Errungenschaften gibt es hinsichtlich moderner Technologien?

Und im Bereich der Telemedizin? Bezüglich der Telemedizin hat, wie in vielen anderen Bereichen, die Pandemie, verursacht durch COVID-19, eine Beschleunigung mit sich gebracht. Die telemedizinischen Angebote sind zwar unterschiedlich, aber doch in allen Bundesländern mittlerweile zunehmend vorhanden und speziell im Bereich des Diabetes auch sehr gut nutzbar.

Trotz moderner Therapien bleiben Lebensstilveränderungen eine elementare Säule der Behandlung. Was ist Ihnen diesbezüglich wichtig hervorzuheben?

HAUSÄRZT:IN: Was bedeutet das Jubiläum für die heurige ÖDGJahrestagung und für Sie persönlich?

Prof. CLODI: Die heurige Jahrestagung war die 50. Jahrestagung der Österreichischen Diabetes Gesellschaft und zeigte demnach, dass Diabetes bereits vor zirka 50 Jahren ein sehr zentraler Bestandteil des Krankheitsrepertoires der Internen Medizin war. Die Kolleginnen und Kollegen dachten sich damals, eine Organisation, die sich der Wissenschaft, der Forschung und auch der Fortbildung widmet, wäre demnach angebracht. Für mich war es einerseits natürlich eine besondere Ehre, diese Tagung zu organisieren, andererseits ist 50 auch nur eine Zahl.

Wie kamen Sie auf Glukosetoxizität als Motto der Tagung und welche unterschiedlichen Gesichtspunkte konnten abgedeckt werden?

In meinen Gedanken – und auch in den Studiendaten, die ich lese – ist schon lange

Der Bereich der Technologie ist einer rasanten Entwicklung und einem rasanten Wandel unterworfen. Speziell hier muss man in den letzten zehn, fünfzehn Jahren die Entwicklung der kontinuierlichen Glukosemessung hervorheben, die durch viele Firmen betrieben wird. Die Geräte sind aktuell bereits mit einer Genauigkeit von 10 % – und das ohne Kalibrierung – wirklich für jeden und jede brauchbar. Es gibt mittlerweile genügend Studiendaten, die zeigen, dass das Tragen eines Glukosesensors in den meisten Fällen auch zu einer Verbesserung der Glukosestoffwechsellage führt. Des Weiteren ist die Entwicklung der Pumpentechnologie rasant. Wir haben Pumpen, die selbständig die Basalrate einstellen. Wir haben mittlerweile Software, die in der richtigen/geübten Hand Semi-closed-Loop- und Closed-LoopSysteme schaffen kann. Die Patientinnen und Patienten, die sie nutzen, kommen damit wirklich gut zurecht und die Durchschnitts-HbA1c-Werte wie auch die Glukosevariabilität und die Time in Range nähern sich zunehmend Normalwerten. Das sind wirkliche Erfolge.

Diabetes ist eine genetisch festgelegte Erkrankung. Das ist ein Faktum und daran kann auch der Lebensstil nichts ändern. Was allerdings zur Ausprägung der Symptomatik, d. h. zu den hohen Blutzuckerwerten führt, und zwar früher als festgelegt, sind Übergewicht, Adipositas und Bewegungsmangel. Genau aus diesen Gründen ist es eine wesentliche Säule der Therapien, dass der Patient die Erkrankung, die Notwendigkeit der Gewichtsreduktion und vor allem auch der Bewegung begreift. Dies gilt aber nicht nur für Diabetes, sondern auch für Herzerkrankungen, Herzinsuffizienz, den gesamten Bewegungsapparat, die Reduktion von Karzinomen und für vieles mehr. Wer sich bewegt, lebt schlicht gesünder und länger.

Welche Neuerungen gibt es bei Screenings?

Hierzu kann erfreulicherweise festgehalten werden, dass die Österreichische Gesundheitskasse im letzten Jahr den HbA1c-Wert als Screeningtool freigegeben hat. Jedem nur so vagen Verdacht auf Diabetes darf mittels HbA1cBestimmung nachgegangen werden. Möglicherweise wird der HbA1c-Wert auch in die Vorsorgeuntersuchung aufgenommen werden.

Hausärzt:in medizinisch 28 Dezember 2022
© ProMed Prim. Univ.-Prof. Dr. Martin Clodi, Präsident der Österreichischen Diabetes Gesellschaft, im Gespräch.

Und in puncto medikamentöser Therapien?

Bezüglich neuer medikamentöser Therapien hat sich gerade in den letzten Jahren beeindruckend viel getan.

Die SGLT2-Hemmer wie auch die GLP1-Agonisten sind inzwischen Mittel der Wahl geworden. Zu beiden Substanzen gibt es dramatisch positive kardiovaskuläre Outcome-Studien hinsichtlich der Reduktion von kardiovaskulären Ereignissen, Herzinsuffizienz, Schlaganfall und vielem mehr. Im Speziellen aus der Nephroprotektion sind die SGLT2-Hemmer nicht mehr wegzudenken. Im Bereich der Herzinsuffizienz und vor allem in jenem der Nephroprotektion sind die SGLT2-Hemmer wahre Wunderdrogen. Danach sieht es zumindest derzeit aus …

Welche aktuellen Forschungserkenntnisse sind für die niedergelassenen Mediziner:innen besonders spannend?

Die gerade erwähnten Daten zu den SGLT2-Hemmern und GLP1-Agonisten sind für die Niedergelassenen ganz bestimmt wichtig, da diese Medikamente eigentlich aktuell eingesetzt werden sollten und die bisherigen mehr oder weniger verdrängen müssten.

Spannend sind sicher auch die zuletzt vorgestellten Daten der dualen Agonisten (GLP1/GIP), die noch dramatischere Reduktionen betreffend Gewicht und HbA1c zeigen konnten. Diese Medikamente und noch neuere, die kommen, werden möglicherweise die bariatrischen Operationen ablösen können.

Was wird die Zukunft der Betreuung bringen?

Die Zukunft in der Betreuung wird schwierig, die demographische Entwicklung ist dramatisch. Laut Zahlen aus Österreich weist Diabetes eine Prävalenz von 8-10 % auf. Zahlen aus den USA belegen, dass dort bereits 14,3 % aller Menschen an Diabetes mellitus Typ 2 leiden, d. h. jeder Dritte über 65 und jeder Fünfte über 45 Jahre hat Diabetes. In Österreich hinkt diese Entwicklung immer ein wenig nach. Hinzu kommt, dass in Österreich der geburtenstärkste Jahrgang 1963 mit 140.000 Geburten ist. Diese Personengruppe ist aktuell 58 bzw. 59 Jahre alt und wird in den nächsten zehn bis zwölf Jahren aus dem Berufsleben ausscheiden. Mit Sicherheit wird der/die eine oder andere an Diabetes mellitus etc. erkranken, und auch diese Gruppe muss natürlich behandelt werden. Das ist eine enorme Herausforderung für das Gesundheitssystem.

Welche Rolle kommt dabei den Young Diabetologists zu, die bei der Tagung ebenfalls vertreten waren?

Die Young Diabetologists sind eine sehr engagierte Gruppe junger Diabetologinnen und Diabetologen, die sich das Ziel setzen, Wissenschaft und Fortbildung voranzubringen und mehr junge Kolleginnen und Kollegen in den Bereich der Diabetestherapie und -forschung zu holen.

Das Interview führte Mag.a Karin Martin.

JEDER

ANDERS

EINFACH MESSEN

MAG’S
Accu-Chek Instant MEHR ALS MESSEN Dann empfehlen Sie: Accu-Chek Guide ACCU-CHEK, ACCU-CHEK GUIDE, ACCU-CHEK INSTANT und MYSUGR sind Marken von Roche. Alle weiteren Produktnamen und Marken gehören den entsprechenden Eigentümern. © 2022 Roche Diabetes Care | www.accu-chek.at | Roche Diabetes Care Austria GmbH | 1210 Wien | Engelhorngasse 3 SCAN ME INFOS & BESTELLEN
Dann empfehlen Sie:
* 50. ÖDG-Jahrestagung 2022, 17. bis 19. November 2022, Salzburg Congress.

COVID-19 unter dem Mikroskop

Was sieht die Pathologie in der Lunge?

COVID-19, durch das SARS-CoV-2Virus verursacht, stellt weiterhin eine tägliche Herausforderung für die Gesellschaft und die Medizin dar. Die Erkenntnisse in Bezug auf Pathomechanismen und Pathologie von COVID-19 sind essenzielle Grundlagen für das Verständnis der Erkrankung. Besonders in der Anfangsphase der Pandemie hat die autoptische pathomorphologische Untersuchung von Organen – speziell den Lungen – von Patienten, die an COVID-19 verstorben sind, wichtige

GASTAUTOREN-TEAM:

Erkenntnisse zum Pathomechanismus der Infektionskrankheit geliefert. Im Folgenden werden die grundsätzliche Pathogenese der Lungenschädigungen und die charakteristischen pathomorphologischen Veränderungen vorgestellt.

Pathomechanismus

Die häufig grippeähnlichen Symptome werden durch die virale Infektion selbst verursacht. Ein Teil der Patienten kann jedoch über eine Pneumonie hinaus auch einen schweren akuten Lungenschaden entwickeln.

Die initiale Immunantwort auf SARSCoV-2 beginnt mit der Identifikation der viralen Pathogene und den damit einhergehenden pathogenassoziierten molekularen Mustern (PAMP) – durch die Toll-like-Rezeptoren 3, 7 und 8 am Epithel der Atemwege sowie durch Histiozyten und dendritische Zellen. Hierbei entsteht eine ausgeprägte Hochregulation von Typ-I-Interferon und interferonstimulierten Genen. Diese Antwort steigert zwar das antivirale Potenzial, jedoch werden die Epithelien

„

ABBILDUNG 1

Komplementsystem

Makrophagen

T-Lymphozyten

Angiogenese

Dysregulation

Mediatorenfreisetzung

ROS

NETs

Immunreaktion vs. Endothel- & Epithelschaden Organschäden

Endothelschäden

Faktor VIII

vWbF

Angiopoetin 2

Inhibierung Ang-1

Permeabilität

Endotheliitis

Diffuser Alveolarschaden

Zytokine SARS-CoV-2

und vor allem die Endothelien in der Lunge durch eine Herunterregulation bestimmter Adhäsionsproteine (vaskuläre endotheliale Cadherine) geschädigt. Der dadurch entstandene Zellschaden, das begleitende Ödem und die Fibrinexsudation fördern die Entwicklung von

Hausärzt:in medizinisch 30 Dezember 2022
Jacob Bodingbauer, Bsc Institut für Pathologie und Molekularpathologie Kepler Universitätsklinikum, Linz Univ.-Prof. Dr. Rupert Langer Vorstand des Klinischen Instituts für Pathologie und Molekularpathologie Kepler Universitätsklinikum, Linz ©
privat © shutterstock.com/Andrii
Vodolazhskyi
© privat
„
„
„
„
„
„
„
„
„
„
Immunreaktion „
„
„
„
„
„
Koagulopathien
Fibrinogen

hyalinen Membranen, die Dysfunktion von Surfactant und damit die Hyperplasie der Pneumozyten Typ II. Dies wird als exsudative Phase des diffusen Alveolarschadens – des histomorphologischen Korrelats des klinischen sogenannten Acute-Respiratory-Distress-Syndroms (ARDS) – bezeichnet.

Durch die Endothelschäden werden zudem vorwiegend Faktor VIII, Von-Willebrand-Faktor und Angiopoietin 2 freigesetzt. Durch eine Dysbalance mit Angiopoietin 1, welches antiinflammatorisch, antiapoptotisch und antikoagulatorisch wirkt, wird die Ausbildung des Lungenschadens zunehmend getriggert. Der erhöhte vWF erklärt u. a. die häufig auftretenden Mikrothromben sowie das initial hohe Fibrinogen und die erhöhten D-Dimer-Werte. Die zusätzliche Produktion von Thromboxan, Antiplasmin und Plasminogen-Aktivator-Inhibitor fördert die Entstehung thromboembolischer Prozesse.

Aufgrund des aktivierten Komplementsystems nimmt die Permeabilität der pulmonalen Gefäße zu, es werden weitere Immunzellen infiltriert und mehr Zytokine ausgeschüttet. Vor allem die neutrophilen Granulozyten führen zu einem Kollateralschaden durch Freisetzung von zytotoxischen Mediatoren wie ROS und generieren NET (DNA, antimikrobielle Proteine, Histone etc.). Letztere sind wesentlich für Parenchymschäden, Koagulopathien und Barrierestörungen verantwortlich. Die aktivierten Makrophagen exprimieren Chemokine und entzündliche Transkriptionsfaktoren. Besonders die M2-Makrophagen steigern die Expression von profibrotischen Genen (TREM2, TGFB1 und SPP1), wodurch im weiteren Verlauf fibrotische Umbauprozesse im Rahmen der Erkrankung zu sehen sind (Abbildung 1).

Pathologie und Morphologie

Das typische Bild einer schweren COVID-19-Erkrankung ist der ausgeprägte Lungenschaden, der histomorphologisch als diffuser Alveolarschaden (DAD) imponiert. Dieses Bild ist jedoch vergleichbar mit einem – auch durch andere Ätiologien verursachten – DAD. Die prominenten Gefäßveränderungen sowie Thrombosen und Mikrothromben stechen zwar hervor, sind jedoch keine spezifische Eigenschaft. Die ersten Berichte über die Häufung von thromboembolischen Ereignissen bei COVID-19Patientinnen und -Patienten hatten dennoch schnell die Anpassung der Antikoagulation in der Therapieeskalation zur Folge.

Makroskopisch zeigt sich die betroffene Lunge ödematös mit Konsolidierungen und in manchen Fällen auch mit Hämorrhagien oder Infarktregionen – oft mit nachweisbaren arteriellen Thrombosen. Pleurabeteiligungen sind selten. Zusätzlich auftretende eitrige Bronchopneumonien können auf eine Superinfektion durch Bakterien – seltener durch Pilze – hindeuten. V. a. die COVID-19-assoziierte pulmonale Aspergillose (CAPA) ist aufgrund der stark erhöhten Mortalität eine gefürchtete Entwicklung. Allerdings gelingt auch bei morphologisch nachgewiesenen >

akuten Bronchopneumonien nicht immer ein Erregernachweis, sodass eine unabhängige virusinduzierte Genese diskutiert werden kann.

Der diffuse Alveolarschaden zeigt charakteristischerweise verschiedene Stadien: Bereits in der ersten Woche setzt die exsudative Phase ein. Neben einem interstitiellen und intraalveolären Ödem sowie vaskulären Veränderungen (neutrophile Aggregation, Mikrothromboembolien und endotheliale Zellnekrose) finden sich die typischen hyalinen Membranen. Letztere werden u. a. aus Fibrin, Mukopolysacchariden und Zelldebris gebildet (Abbildung 2A). Des Weiteren kommt es neben der Infiltration von Entzündungszellen aufgrund der Kapillarschäden zu einer Extravasation der Erythrozyten. Besonders

Abbildung 2A und 2B.

CD3-positive T-Lymphozyten werden während der exsudativen Phase im Interstitium gesehen, gelegentlich auch Plasmazellen. Im intraalveolären Raum entsteht eine Ansammlung von Makrophagen. Granulozyten sind meist Teil der thromboinflammatorischen vaskulären Prozesse sowie der Superinfektionen.

der fibrotische Umbau des Parenchyms sowie Epithelmetaplasien und vaskuläres Remodeling. Im Gegensatz zu den vorher genannten Veränderungen ist ein derartiger Umbau in der Regel irreversibel. Solche Veränderungen in Reinform konnten aber bei Autopsien von COVID-19-Patientinnen und -Patienten nicht beobachtet werden.

Die gute Nachricht ist: Jede einzelne Person kann Demenz vorbeugen bzw. ihr Demenzrisiko deutlich reduzieren. Wie? Mit einem gesünderen Lebensstil, der Pflege sozialer Kontakte, Bewegung, ausgewogener Ernährung, rechtzeitiger Behandlung bestimmter Vorerkrankungen und bewusstem kognitiven Training. In jedem Fall braucht es aber gute Aufmerksamkeit und Unterstützung der Hausärzt:innen. Als Vertrauenspersonen erkennen sie oft frühzeitig Veränderungen bei ihren Patient:innen. „Demenz beginnt beim Verdacht“, appelliert Karin Laschalt, Leiterin der Demenzservicestellen der MAS Alzheimerhilfe, und ersucht, bei einer Vermutung die Person zu motivieren, einen Gedächtnischeck durchführen zu lassen. Etwa beim Gesundheitsministerium, den Sozialberatungsstellen oder den Demenzservicestellen im Rahmen des Netzwerks Demenz Oberösterreich erhalten Betroffene und Angehörige Hilfe und viele Serviceangebote. Immer wieder stellt sich auch heraus, dass die Gedächtnisprobleme durch andere Krankheiten verursacht worden und somit behandelbar sind. Wenngleich Demenz noch nicht heilbar ist, kann es mit guter medizinischer Betreuung, raschem Therapiebeginn und psychosozialen Methoden, wie stadiengerechten MAS-Ressourcentrainings, gelingen, die Krankheit zu verzögern und Betroffene möglichst lange in ihrer vertrauten Umgebung zu belassen.

Ab der zweiten Woche kann sich die proliferative, organisierende Phase bilden. Es entwickeln sich eine Hyperplasie der Pneumozyten Typ II, vermehrte Mitosefiguren und nukleäre Atypien. Im Interstitium und in den Alveolen kann es zur Proliferation von Myofibroblasten kommen, den sogenannten „Masson bodies“ (Abbildung 2B). Zusätzlich wandern vermehrt Lymphozyten in das Gewebe ein. Eine plattenepitheliale Metaplasie wird ebenfalls häufig beobachtet. Solche Befunde sieht man typischerweise bei Patientinnen und Patienten, die längere Zeit auf der Intensivstation gelegen haben, wobei auch die Beatmung selbst die Entstehung eines DAD begünstigen kann. In dieser proliferativen Phase ist die Viruslast in der Regel geringer. Die letzte Phase des DAD kennzeichnen

Service-Links: alzheimerhilfe.at/vorsorge-und-prophylaxe alzheimerhilfe.at/wp-content/uploads/2022/10/MAS-TIPPS-18.pdf

Die verschiedenen Phasen des DAD erscheinen oft nicht sequenziell, sondern durchaus nebeneinander. Sie können als Zeichen der räumlichen und zeitlichen Heterogenität einer COVID-19Erkrankung gewertet werden.

Daten zu morphologischen Veränderungen im Langzeitverlauf von Personen, die eine schwere COVID-19-Erkrankung überstanden haben, aber auch von LongCOVID-Patientinnen und -Patienten sind bislang fast nicht verfügbar. Diese dürften aber in Zukunft – sowohl im Rahmen von Obduktionen als auch von Lungenoperationspräparaten (z. B. bei Tumorresektionen) – zu erwarten sein.

Quellen

Bösmüller H et al., The pulmonary pathology of COVID-19. Virchows Arch. 2021;478(1):137-150. doi:10.1007/s00428021-03053-1.

Leslie KO, Wick MR (2011). Practical pulmonary pathology. A diagnostic approach. 2nd ed. Philadelphia, PA, Elsevier Saunders.

Batah SS, Fabro AT (2021). Pulmonary pathology of ARDS in COVID-19: A pathological review for clinicians. Respiratory medicine 176, 106239.

Lax SF et al., (2020) Pulmonary arterial thrombosis in COVID-19 with fatal outcome: results from a prospective, single-center, clinicopathologic case, Virchows Arch (2021) 478:137–150 145 series. Ann Intern Med 173:350–361. doi. org/10.7326/M20-2566

Ackermann M et al., (2020) Pulmonary vascular endothelialitis, thrombosis, and angiogenesis in COVID-19. N Engl J Med 383:120–128. doi.org/10.1056/NEJMoa2015432

Matthay MA et al., Acute respiratory distress syndrome. Nat Rev Dis Primers 5, 18 (2019). doi.org/10.1038/s41572019-0069-0

Hausärzt:in medizinisch
„Nahezu alle Patient:innen, die während der ersten Wellen an COVID-19 verstorben waren, zeigten schwere Lungenveränderungen bei der Autopsie.“
<
Darum ist frühzeitige Demenzerkennung so wichtig

DERMATOLOGIE

FAHREN

ZUM AUS DER HAUT

Von Atopischer Dermatitis bis Psoriasis

DIALOG

Den Leidensdruck minimieren

Neurodermitis-Therapie zwischen Guidelines und Patient:innen-Bedürfnissen

Für Patientinnen und Patienten mit atopischer Dermatitis – einer der häufigsten chronisch entzündlichen Hauterkrankungen – hat die Linderung des Juckreizes den größten Stellenwert. Das Symptom bringt für Betroffene häufig einen hohen Leidensdruck mit sich. „Die psychische Belastung und der Einfluss der Krankheit auf die Lebensqualität der Patientinnen und Patienten können nicht oft genug betont werden“, bekräftigt Dr.in Nina Susanna Häring, leitende Oberärztin der Abteilung für Dermatologie und Venerologie am Landeskrankenhaus Feldkirch, akademisches Lehrspital. Menschen mit atopischer Dermatitis sollten daher nicht nur im Rahmen von Neurodermitisschulungen und Selbsthilfegruppen die Möglichkeit haben, offen zu reden, sondern auch die behandelnden Dermatologinnen und Dermatologen seien dazu angehalten, mit den Betroffenen aufgeschlossen über die Erkrankung zu sprechen, bei Bedarf Hilfestellungen anzubieten oder auch zu Spezialistinnen und Spezialisten zu überweisen. Allgemein gilt: „Patienten mit ausgeprägter atopischer Dermatitis sollten auf jeden Fall zur Evaluation der Therapiemöglichkeiten an eine Hautfachärztin/einen Hautfacharzt überwiesen werden“, so die Expertin.

EXPERTIN:

Therapie bei mittleren bis schweren Ausprägungen

OÄ Dr.in Nina Susanna Häring Abt. f. Dermatologie und Venerologie, Landeskrankenhaus Feldkirch, akademisches Lehrspital

Die Living EuroGuiDerm Guideline zur systematischen Behandlung der atopischen Dermatitis* wird regelmäßig aktualisiert, zuletzt war das im Oktober dieses Jahres der Fall. Darin finden sich ein Stufenplan für Erwachsene sowie ein weiterer für Kinder und Jugendliche (siehe Abbildung S. 36). „Für die Behandlung der mittelschweren atopischen Dermatitis bei Erwachsenen ist neben der Verwendung von topischen Kortikosteroiden und topischen Calcineurininhibitoren auch die Durchführung einer Schmalband-UVB-Therapie empfehlenswert“, erklärt Oberärztin Dr.in Häring mit einem Verweis auf die Guideline. Bei schweren Formen der atopischen Dermatitis können laut Leitlinie systemische Therapeutika, zum Beispiel die monoklonalen Antikörper Dupilumab oder Tralokinumab – gegen IL-4 und IL-13 bzw. nur gegen IL-13 – zum Einsatz kommen. Daneben gibt es die JAK-Inhibitoren Abrocitinib, Baricitinib und Upadacitinib. „Als Second-Line-Präparate stehen für die systematische Therapie theoretisch auch noch Ciclosporin, Azathioprin und Methotrexat zur Ver-

fügung“, ergänzt die Dermatologin. Allerdings sei zu beachten, dass vor dem Einsatz der Biologika oder der Januskinaseinhibitoren Infektionskrankheiten wie Tuberkulose sowie Hepatitis B und C ausgeschlossen werden müssten. „Insbesondere bei der Anwendung von JAK-Inhibitoren sind zudem regelmäßige Kontrollen von Blutbild, Leberwerten, Blutfettwerten und CPKWert empfohlen“, betont Dr.in Häring. Leitliniengemäß steht für die Behandlung von Kindern und Jugendlichen mit mittelschwerer atopischer Dermatitis – ebenso wie bei den Erwachsenen –neben den topischen Kortikosteroiden und topischen Calcineurininhibitoren auch die Schmalband-UVB-Therapie zur Verfügung. Letztere wird jedoch erst ab dem zwölften Lebensjahr empfohlen. „Bei schwerer atopischer Dermatitis ist zur systematischen Therapie Dupilumab ab dem sechsten, Upadacitinib ab dem zwölften Lebensjahr zugelassen“, ergänzt die Fachärztin. Ebenfalls sei eine Behandlung mit Abrocitinib ab dem 18. Lebensjahr möglich (siehe Abbildung S. 36). Die Grundlage jeder NeurodermitisTherapie bildet eine gute Basispflege. Die empfindliche Haut benötigt etwa eine angemessene Reinigung mit nicht zu heißen Temperaturen und sollte täglich eingecremt werden. Bei der Verwendung von Basistherapeutika ist zum Beispiel darauf zu achten, dass diese keine Duft-, Farb- oder Konservierungsstoffe enthalten.

Leitlinienorientiert, aber patient:innengerecht

Guidelines stellen laut der Fachärztin für Dermatologie und Venerologie eine wesentliche Komponente der ärztlichen Praxis dar: „ Meiner Ansicht nach sind sie ein wertvolles Werkzeug für den Entscheidungsprozess. Letztlich spielen aber – neben der messbaren Krankheitsaktivität – auch der Einfluss der Erkrankung auf die Lebensqualität der Patientin/des Patienten sowie individuelle Aspekte wie ein bestehender Kinder-

Hausärzt:in Dermatologie 34 Dezember 2022
>
© shutterstock.com/Hananeko_Studio © Carmen Graber

wunsch, eine Spritzenphobie oder der Wunsch nach rascher Beschwerdefreiheit eine wichtige Rolle bei der Wahl des Therapeutikums.“

Patientinnen und Patienten sprechen oft unterschiedlich auf die Behandlung der atopischen Dermatitis an, dabei ist die Compliance für den Therapieerfolg wesentlich. Auch in diesem Zusam-

menhang können die Behandelnden unterstützend agieren: „ Das ärztliche Aufklärungsgespräch trägt dazu bei, ausführlich über die zu erwartende Wirkung und über Nebenwirkungen zu informieren. Das rasche Ansprechen auf die Therapie ist der Compliance der Patientinnen und Patienten in der Regel sehr förderlich. Außerdem soll-

ten regelmäßige Verlaufskontrollen zur Besprechung des Therapieerfolges oder zur Bewertung von Nebenwirkungen durchgeführt werden.“

Mag.a Ines Pamminger, BA

* Living EuroGuiDerm Guideline for the systemic treatment of Atopic Eczema, guidelines.edf.one (Stand: Oktober 2022).

„ Bei Infektionen zusätzlich antiseptisch/antibiotisch/ antiviral/antimykotisch behandeln

„ Compliance und Diagnose prüfen, wenn die Therapie nicht ausreichend wirkt

„ Für empfohlene TCS-Klassen siehe Tabelle 3 in der EuroGuiDerm Guideline*

Die untenstehenden empfohlenen Maßnahmen fortsetzen und auswählen (falls angebracht):

1 für Einschränkungen siehe Guideline-Text

2 zugelassene Indikation

3 Off-Label-Behandlung

Bari2

„ Compliance und Diagnose prüfen, wenn die Therapie nicht ausreichend wirkt

„ Für empfohlene TCS-Klassen siehe Tabelle 3 in der EuroGuiDerm Guideline*

1 für Einschränkungen siehe Guideline-Text *

2 zugelassene Indikation

3 Off-Label-Behandlung

moderat moderat

schwer schwer

„ Bei Infektionen zusätzlich antiseptisch/antibiotisch/ antiviral/antimykotisch behandeln

Abro2 Abro2

(dunkelgrün) starke Empfehlung als therapeutische Intervention (hellgrün) schwache Empfehlung als therapeutische Intervention

TCS2 TCS2

proaktiv proaktiv

AZA1,3 MTX1,3 systematische Glukokortikosteroide2

nur als Rescue-Therapie

Bisherige Maßnahmen (Basistherapie und Therapie bei milder Form) fortsetzen und auswählen (falls angebracht):

SB-UVB und in mittlerer Dosierung UVA1

proaktiv proaktiv

CyA1,2 CyA1,3

Dupi2 Dupi2

Tralo2 Upa2 Upa2

bei Alter von < 18 Jahren nicht in der EU zugelassen; in UK: Zulassung ab ≥ 12 Jahren

ab ≥ 16 Jahren zugelassen ab ≥ 6 Jahren zugelassen ab ≥ 12 Jahren zugelassen

AZA1,3 MTX1,3

TCI2 TCI2

Die untenstehenden empfohlenen Maßnahmen fortsetzen und auswählen (falls angebracht):

Bisherige Maßnahmen (Basistherapie und Therapie bei milder Form) fortsetzen und auswählen (falls angebracht):

SB-UVB und in mittlerer Dosierung UVA11

psychosomatische Beratung psychosomatische Beratung

Für Definitionen der Krankheitsschwere – akut, reaktiv, proaktiv – siehe Abschnitt „VII“ und Abschnitt „Einführung in die systemische Behandlung“ der EuroGuiDerm Guideline atopische Dermatitis

Abro = Abrocitinib, AZA = Azathioprin, Bari = Baricitinib, CyA = Ciclosporin, Dupi = Dupilumab, MTX = Methotrexat, TCI = topische Calcineurininhibitoren, TCS = topische Kortikosteroide, Tralo = Tralokinumab, Upa = Upadacitinib, UVA1 = Ultraviolett A1, SB-UVB = Schmalband-Ultraviolett B

Adaptierter Nachbau der Abbildungen aus der Living EuroGuiDerm Guideline*

Hausärzt:in
36 Dezember 2022
Dermatologie
STUFENPLAN ZUR BEHANDLUNG VON MITTLERER BIS SCHWERER ATOPISCHER DERMATITIS BEI ERWACHSENEN STUFENPLAN ZUR BEHANDLUNG VON MITTLERER BIS SCHWERER ATOPISCHER DERMATITIS BEI KINDERN UND JUGENDLICHEN

Maßgeschneidert

Der Erfahrungsschatz betreffend systemische Psoriasis-Therapien wächst stetig

von Patientinnen und Patienten unter Biologikatherapien einen PASI 90 als von Personen, die mit nichtbiologischen Systemika behandelt wurden.3

Nach Absetzen einer Therapie ist die Zeit bis zum Rückfall einem Review zufolge bei Biologika länger, als es bei konventionellen systemischen Therapien der Fall ist – wobei IL-23-Antagonisten die längste Zeit bis zum Wiederauftreten von Hautläsionen aufweisen.4 Häufige Gründe für das Absetzen von Biologika stellen Wirksamkeitsverluste dar, wenngleich die „d rug survival rate“ jener Behandlungsoptionen höher ist als bei konventionellen Therapien.5 Letztere werden laut Prof. Puig öfter aufgrund von Nebenwirkungen bzw. Unverträglichkeiten abgesetzt. Um das „d rug survival“ und die Effektivität von Methotrexat zu erhöhen, könne etwa ein Umstieg von MTX oral auf MTX s. c. sinnvoll sein.6

Komorbiditäten entscheidend

privat

Die Palette der systemischen Behandlungsoptionen bei mittelschwerer bis schwerer Psoriasis vulgaris hat sich in den vergangenen Jahren und Jahrzehnten stark erweitert (siehe Tabelle, S. 38), was eine zunehmend individualisierte Therapie ermöglicht. Neben konventionellen Systemtherapeutika und der PDE-4-Inhibition steht ein breites Spektrum von Biologika zur Verfügung, welches TNF-α-, IL-17-, IL12/23(p40)- und IL-23(p19)Inhibitoren umfasst. „Gerade auf dem Gebiet der Biologika lernen wir weiterhin dazu“, resümiert Dr. Julian Umlauft, FA für Dermatologie in Zell am Ziller. Doch nicht nur der klinische Erfahrungsschatz wächst, auch die Forschung steht nicht still. So thematisierten am heurigen EADV(European Academy of Dermatology and Venereology)-Kon-

gress, der von 7. bis 10. September 2022 in Mailand stattfand, diverse Vorträge neue Erkenntnisse zu den Therapiemöglichkeiten bei Schuppenflechte.

Konventionell versus biologisch

EXPERTE:

Dr. Julian Umlauft

FA für Dermatologie, Praxis Dermatologie Zillertal, zellmed.at

Prof. Dr. Lluís Puig, einer der Referenten des EADV 2022 und Direktor der Abteilung für Dermatologie am Krankenhaus von Santa Creu in Sant Pau, Barcelona, wies darauf hin, dass Biologika unter anderem mit einem schnellen Wirkeintritt und höheren Ansprechraten nach PASI (Psoriasis Area and Severity Index), verglichen mit konventionellen systemischen Therapeutika, assoziiert seien.1,2 Unter Berücksichtigung der Wirksamkeitsaspekte erreichte in einem aktuellen Cochrane-Review ein höherer Anteil

Bei der Wahl der Therapie sind immer mehrere Aspekte zu berücksichtigen. „Wir müssen die Behandlung individuell auf unsere Patienten zuschneiden“, betont Dr. Umlauft. Einen grundlegenden Faktor stellen etwaige Komorbiditäten dar. Patienten mit schwerer Psoriasis sind häufiger von Begleiterkrankungen betroffen als Personen mit leichter Hautbeteiligung. Zu diesen zählen z. B. CED, kardiovaskuläre Erkrankungen, das Metabolische Syndrom sowie die Psoriasisarthritis (PsA) – in einem systematischen Review mit Metaanalyse wurde bei Psoriasis-Patientinnen und -Patienten in Europa eine Prävalenz der Gelenkbeteiligung von 22,7 % ermittelt.7 „ Nicht alle Biologika sprechen gut auf die PsA an. Das heißt, wenn unser Patient Gelenkbeschwerden hat, müssen wir ein geeignetes Präparat auswählen“, weiß Dr. Umlauft. Beim EADV 2022 ging Prof. Dr. Paolo Gisondi vom Universitätsklinikum in Verona näher auf Komorbiditäten bei Psoriasis ein1,8, u. a. auf modifizierbare Risikofak-

Hausärzt:in Dermatologie 37 Dezember 2022
>
© shutterstock.com/Fuss Sergey
©

toren für die Entwicklung einer PsA, welche beispielsweise Hautmanifestationen an Kopf und Nägeln, die Schwere der Hautbeteiligung, Übergewicht und einen aktiven Raucherstatus beinhalten.9 Der rechtzeitige und kontinuierliche Einsatz von bDMARDs („biological disease-modifying antirheumatic drugs“) bei Patienten mit mittelschwerer bis schwerer chronischer Plaque-Psoriasis könnte dem Vortragenden zufolge im Vergleich zur Fototherapie dazu beitragen, das Auftreten der Sehnen-, Bänder- und Gelenkbeteiligung zu verzögern und abzumildern.10

Zu beachten gilt es außerdem, dass Systemtherapeutika zum Teil negative Auswirkungen auf gewisse Komorbiditäten haben können, etwa auf ein Metabolisches Syndrom oder auf CED. Für die an Begleiterkrankungen angepasste Therapiewahl kann beispielsweise eine Entscheidungsmatrix der Deutschen S3-Leitlinie11 herangezogen werden.

Betreuung bei Kinderwunsch

Auch besondere Umstände wie Kinderwunsch bzw. Schwangerschaft bedürfen mitunter einer Anpassung des Therapieregimes. Die Behandlungsmöglichkeiten für schwangere Frauen mit Psoriasis seien stark limitiert, betonte Priv.-Doz.in Dr.in Julia-Tatjana Maul vom Institut für Dermatologie an der Universitätsklinik Zürich.1,12 Als systemische Optionen würden Ciclosporin A, Certolizumab pegol und eine UV-Therapie in Frage kommen. Zudem sei eine gute Krankheitskontrolle vor und während der Schwangerschaft wichtig, da die Rate von Komplikationen, z. B. von Schwangerschaftsdiabetes und -hypertonie, Präeklampsie, Frühgeburtlichkeit und niedrigem Geburtsgewicht des Kindes, mit der Schwere der Psoriasis ansteige.

Lebensqualität differenziert betrachten

Für die Schweregradbestimmung einer Psoriasis stehen Messparameter wie der PASI zur Verfügung – bei einem PASI von > 10 etwa wird die Erkrankung als mittelschwer bis schwer eingestuft.11 Zudem gibt es bei geringerem Flächenbefall „UpgradeKriterien“, nach welchen die Indikation für eine Systemtherapie gestellt wird, beispielsweise wenn sensitive Areale betroffen sind oder wenn therapieresistente Plaques vorliegen. Mittels des DLQI (Dermatology Life Quality Index) lässt sich die Lebensqualität standardisiert erfassen. Beträgt der DLQI > 10, ist die Psoriasis als mittelschwer bis schwer zu definieren.11 Allerdings gibt Dr. Umlauft zu bedenken, dass der PASI und der DLQI oftmals weit auseinandergingen – so könne sich ein Patient durch einen minimalen Hautbefall massiv eingeschränkt fühlen und vice versa. „Ein ganz wichtiger Faktor, der immer wieder untergeht, ist die gravierende psychische Belastung, die Patienten durch eine Psoriasis haben können.“ Man solle sich beispielsweise vorstellen, wie sich bei einem selbst ein Schwimmbadbesuch mit einer ausgeprägten Schuppenflechte anfühlen würde. Eine rein quantitative Betrachtung von Hautbeteiligung und Lebensqualität scheint hier zu kurz gegriffen. Um individuell auf den Patienten eingehen zu können und die richtige Therapie zu finden, empfiehlt Dr. Umlauft, spezifische Aspekte abzufragen. Dazu können auch Themen wie Sexualität zählen.

Abschließend unterstreicht der Dermatologe: „ Ein rasches Erkennen der Erkrankung ist für eine gute Behandlung notwendig. Je früher ich eine Psoriasis diagnostiziere und je besser ich sie therapiere, desto weniger leidet der Patient darunter.“

Referenzen:

1 Dtsch Arztebl 2022; 119(45): [8]; DOI: 10.3238/PersEADV.2022.11.11.02 (EADV Spezial 2022).

2 Puig L, Is there still a place for classical systemic treatment? Presentation ID D1T03.1D. 31st EADV Congress 2022.

3 Sbidian E et al., Cochrane Database of Systematic Reviews 2022, Issue 5. Art. No.: CD011535.

4 Masson R et al., Am J Clin Dermatol 23, 433–447 (2022).

5 Puig L et al., J Dermatolog Treat. 2020 Jun;31(4):344-351.

6 Reich K et al., Br J Dermatol. 2021 Apr;184(4):765-767.

7 Alinaghi F et al., J Am Acad Dermatol. 2019 Jan;80(1):251-265.e19.

8 Gisondi P, Psoriasis and comorbidities, Presentation ID D2T11.1. 31st EADV Congress 2022.

9 Gisondi P et al., Psoriasis (Auckl). 2022 Aug 10;12:213-220.

10 Gisondi P et al., Ann Rheum Dis. 2022 Jan;81(1):68-73.

11 S3-Leitlinie Therapie der Psoriasis vulgaris, AWFM-Register 13–001, 2021.

12 Maul J, Pregnancy and skin diseases, Presentations and treatment of Psoriasis in pregnancy. Presentation ID D1T06.3C. 31st EADV Congress 2022.

13 Nast A et al., EuroGuiDerm Guideline on the systemic treatment of Psoriasis vulgaris. J Eur Acad Dermatol Venereol 2020, 34: 2461-2498.

IM ÜBERBLICK

Systemische Behandlungsoptionen in Europa 13

Therapie

Klinische Anwendung bei Psoriasis seit Konventionelle Systemtherapeutika Acitretin Ciclosporin Fumarsäureester Dimethylfumarat Methotrexat Small Molecules Apremilast TNF-α-Inhibitoren Etanercept Infliximab Adalimumab Certolizumab pegol Anti-IL-12/23(p40) Ustekinumab Anti-IL-17 Secukinumab Ixekizumab Brodalumab Anti-IL-23(p19) Guselkumab Tildrakizumab Risankizumab

> 25 Jahren > 25 Jahren > 25 Jahren (in D) 2017 in Europa > 25 Jahren 2015 2004 2005 2007 Plaque-Psoriasis 2018 (Anwendung in anderen Indikationen deutlich früher: seit 2009) 2009 2015 2016 2018 2017 2018 2019

Hausärzt:in
38 Dezember 2022
Dermatologie

„Spezialistentum und Erfahrung sind unbedingt erforderlich“

Lipohyperplasia dolorosa – ein verkanntes Krankheitsbild

Lipödem an den Beinen © zVg

HAUSÄRZT:IN: Was hat die Venus von Willendorf mit der Fettverteilungsstörung Lipödem gemein?

mit der metabolischen Fettzellvergrößerung einer klassischen Adipositas.

Die Diagnose Lipödem erfolgt oft sehr spät. In welchen Fällen ist eine Überweisung zu einem Spezialisten zu empfehlen?

Beim Lipödem treten verschiedene Leitsymptome auf (siehe Infobox). Auch

© privat

Rund 200.000 Frauen leiden in Österreich an einem Lipödem (Lipohyperplasia dolorosa), einer Erkrankung des Strukturfettes, die fälschlicherweise immer noch oft als Erkrankung des metabolischen Speicherfettes interpretiert wird. Über die Herausforderungen für Patientinnen und Behandlungsmöglichkeiten berichtete Lipödem- und Venenspezialist sowie Pionier der Liposuktion, Dr. Matthias Sandhofer, im Gespräch mit der Hausärzt:in.

Dr. SANDHOFER: Durchforstet man die Kulturgeschichte, so wird man hinsichtlich draller Darstellungen weiblicher Körper sowohl in der Bildhauerei als auch in der Malerei fündig, wobei an diesen fast ausschließlich die klassische Adipositas erkennbar ist. Die Venus von Willendorf ist die derzeit einzige bekannte Darstellung eines weiblichen Körpers, die – neben der klassischen Adipositas – die Formgebung eines Lipödems aufweist. Laut Klassifikation* handelt es sich bei der Venus von Willendorf um eine Lipödemmanifestation B, eine Fettzellvermehrung des Lipödems, kombiniert

INFO

Häufige Anzeichen für ein Lipödem sind:** „ Säulenbeine „ Disproportion (massiv ausgeprägtes unteres Drittel) „ Druckschmerzhaftigkeit „ Druckempfinden „ spontane blaue Flecken (Ekchymosen)

Progression

Müdigkeit „ Resistenz gegenüber Sport „ Resistenz gegenüber Diäten „ Lymphdrainagen und Kompressionstherapie zeigen keine Wirkung

** nach Dr. Sandhofer

Hausärzt:in Dermatologie 40 Dezember 2022
Dr. Matthias Sandhofer, Dermatologe, Lipödemund Venenspezialist in Wien, im Gespräch.
„
„
„Sport und hormonelle Störungen wirken meist befeuernd auf die Erkrankung.“
© shutterstock.com/Richard Rinaldo

wenn nicht alle Parameter zutreffen, sollte schon bei Verdacht auf ein Lipödem eine genauere Untersuchung durch einen Spezialisten vorgenommen werden. Da ein Lipödem grundsätzlich einen progressiven Verlauf nimmt, sollte die Abklärung und Behandlung so früh wie möglich erfolgen, um Folgeschäden zu vermeiden und vor allem die Lebensqualität wiederherzustellen.

Welche Therapiemöglichkeiten gibt es mittlerweile für Lipödempatientinnen, welche werden fälschlicherweise empfohlen?

Nach dem aktuellen Stand der Wissenschaft kann das Lipödem ausschließlich durch eine spezifische Liposuktion der betroffenen Areale behandelt werden. Spezialistentum und Erfahrung sind hierfür unbedingt erforderlich.

Die mit einem Lipödem einhergehende unkontrollierbare Vermehrung der Fettzellen kann weder durch medikamentöse Behandlungen noch durch konservative Therapien (Lymphdrainagen, Kompressionstherapien, Massagen etc.) beeinflusst werden. Sämtliche Arten von Diäten oder spezieller Ernährung sind absolut ohne Effekt auf das Lipödem. Sport, im speziellen Kraftsport oder Bewegung in großen Höhen, aber auch hormonelle Störungen wirken meist befeuernd auf die Erkrankung.

Weshalb sind die üblichen Methoden zur Fettabsaugung für die Behandlung eines Lipödems nicht geeignet?

Die üblichen Methoden der Liposuktion beruhen auf mehreren Techniken, die zum Teil sogar mit der Einbringung zusätzlicher Energien verbunden sind. Beim Lipödem ist dies kontraproduktiv – nur eine bestimmte Technik der Absaugung ist für die Problemlösung geeignet.

Um großflächig absaugen zu können, ist außerdem eine gewisse Form der Tumeszenz-Lokalanästhesie erforderlich. Sie verhindert weitestgehend Nebenwirkungen und Folgeschäden. Kombiniert wird diese Tumeszenz-Lokalanästhesie mit einer Sedoanalgesie. Die Behandlung in Vollnarkose ist hingegen – klinisch betrachtet – äußerst bedenklich.

Männer sind sehr selten von der Fettverteilungsstörung betroffen, welche Faktoren können das Auftreten bei ihnen begünstigen?

Das Lipödem ist an sich eine Frauenerkrankung mit progressivem Verlauf. Männer sind nur in Aus-

AKTUELL

Kongress

Im Jahr 2017 organisierte Dr. Sandhofer den weltweit ersten Lipödem Kongress, der seitdem regelmäßig stattfindet. Infos unter: lipoedem.at

Selbsthilfegruppe für Betroffene

Die Selbsthilfegruppe Lipödem Österreich ist Ansprechpartner für Betroffene und bietet neben der Möglichkeit zum Erfahrungsaustausch auch Informationen zur Erkrankung sowie Unterstützung.

Infos unter: chronischkrank.at/unsere-selbsthilfegruppen/lipoedem

nahmefällen davon betroffen und statistisch gesehen absolut irrelevant. Mir persönlich sind nach mehr als 30-jähriger Erfahrung nur zwei männliche Fälle mit Lipödem bekannt, wobei in beiden Fällen das Lipödem nur eine von vielen anderen Erkrankungen darstellte.

Bis zur exakten Diagnose haben die Patientinnen oft einen langen Leidensweg – wo sehen Sie in Österreich noch Handlungsbedarf, um sie zu unterstützen?

Neben der flächendeckenden Schulung der praktischen Ärzte stellt meiner Auffassung nach der Wissenstransfer in der Schulmedizin einen wichtigen Ansatz dar. Es wäre sogar anzudenken, das Lipödem als Krankheitsbild in den Biologieunterricht der 8. Schulstufe einzubeziehen. Neben dem Kow-how-Transfer in die Praktische Medizin sollten meines Erachtens auch fachspezifische Gesellschaften der Dermatologie, der Inneren Medizin, der Gynäkologie, der Phlebologie und der Lymphologie sowie der Chirurgie schwerpunktmäßig informiert werden. Darüber hinaus ist eine bessere journalistische Aufklärungsarbeit vonnöten, weil die Liposuktion meist als kosmetischer/ästhetischer und nicht als medizinisch notwendiger Eingriff wahrgenommen wird. Hinzu kommt, dass sehr häufig falsche Information und Halbwissen publiziert werden, welche die Betroffenen nur verunsichern.

Das Interview führte Mag.a Ines Pamminger, BA.

* Klassifikation nach Dr. Sandhofer: lipoedem.at/ lipoedem-kongress-2022-wien (abgerufen am 13.10.22).

Hausärzt:in Dermatologie 41 Dezember 2022

Lichtbedingte Schäden vermeiden

Frühentwicklung des Hautkrebses: Präventive Maßnahmen als Dreh- und Angelpunkt

Die Haut übernimmt nicht nur wesentliche Funktionen im Bereich des Stoffwechsels, der Wärmeregulation und der Immunantwort, sondern sie dient als Körperhülle auch dem Schutz vor Umwelteinflüssen und verfügt über vielfältige Anpassungs- und Abwehrmechanismen. Das Hautbild hat darüber hinaus einen Einfluss darauf, ob wir für gesund und attraktiv erachtet werden. Um in der modernen Dermatologie nicht nacharbeiten zu müssen, ist es zunächst wesentlich zu erklären, wie die Zeichen der Hautalterung entstehen. Vor allem durch den Einfluss von Umgebungsbedingungen und Gewohnheiten im Laufe des Lebens – wie Rauchen, Luftverschmutzung, Medikamente, Stress etc. –, aber ebenso durch ultraviolette (UV-)Strahlung altert die Haut in exponierten Arealen deutlich schneller. Es kommt zur Bildung von Falten, Runzeln und Flecken. UV-Strahlung

„Die beste Prophylaxe lichtbedingter Hautschäden ist UV-Schutz und zwar täglich – so selbstverständlich wie das Zähneputzen.“

verursacht außerdem früher oder später die Entstehung von weißem Hautkrebs, also von aktinischen Keratosen (AK), Plattenepithel- und Basalzellkarzino-

men – nämlich der Gruppe der „ nonmelanoma-skin-cancers“ (NMSC).

Degeneration von elastischen Fasern

Die durch jahrelange UV-Exposition bedingte Veränderung der elastischen Fasern, die aktinische Elastose (AE), ist ein Phänomen der extrinsischen Hautalterung und zeigt makroskopisch ein ledrig gegerbtes Hautbild. Mikroskopisch lässt sich eine Ansammlung von degradierten elastischen Fasern ausmachen, die eine amorphe Masse direkt unterhalb der Epidermis bilden. An der Medizinischen Universität Graz wurden lichtexponierte (vom Hals) und nicht lichtexponierte (vom Gesäß) Hautproben von unter 25-Jährigen und von über 80-Jährigen miteinander verglichen. Bei den unter 25-Jährigen konnte weder am Hals noch im Bereich des Gesäßes eine aktinische Schädigung der elastischen Fasern festgestellt werden, weil die Einwirkzeit des UV-Lichts an den exponierten Stellen noch nicht ausreichend für eine Schädigung war. Bei den über 80-Jährigen zeigte sich am Hals – wo ein Leben lang UV-Licht einwirken konnte – eine alterskorreliert zunehmende, deutlich ausgeprägte AE mit durchschnittlich 0,72 mm Schichtdicke. In der nicht lichtexponierten Gesäßregion der über

80-jährigen war keine AE vorhanden. Diese Studie veranschaulicht, dass die gar nicht bis wenig lichtexponierte Haut von der Degeneration der elastischen Fasern ausgenommen ist. Daraus lässt sich folgern, dass die aktinische Elastose durch präventive Maßnahmen verhindert werden kann.

Therapien bei aktinischer Keratose

GASTAUTORIN: Univ.-Prof.in Dr.in Daisy Kopera, MBA Med Uni Graz, Univ.Klinik für Dermatologie und Venerologie, Präsidentin der ÖGDKA

Die Pathogenese der aktinischen Keratose als erste Stufe eines Plattenepithelkarzinoms ist durch die karzinogene Wirkung des UV-Lichts erklärbar. UV-Strahlung schädigt die DNA in den betroffenen Keratinozyten. Fällt ein so geschädigter Keratinozyt nicht der automatischen Apoptose anheim und wird die Kapazität des physiologischen DNA-Reparaturmechanismus überschritten, kommt es – ausgehend von der Basalzellschicht – zu einer unkontrollierten Vermehrung von Keratinozyten mit einer UV-geschädigten DNA – also zur Bildung von Krebszellen. Diese können sich sowohl zur Hautoberfläche hin vermehren, wo die Läsion dann als AK sichtbar wird, als auch invasiv unter die Basalzellschicht einwandern und ein Plattenepithelkarzinom bilden. Wird die Erkrankung in diesem frühen Stadium erkannt, kann man sie mit topischen Immunmodulatoren behan-

Hausärzt:in Dermatologie 42 Dezember 2022
© shutterstock.com/foodstck
© Stieber

deln. Sie werden in Form von Creme oder Salbe – je nach Schema – einige Tage bis Wochen einmal täglich auf die Hautveränderungen aufgebracht. Die enthaltenen Wirkstoffe erkennen Krebszellen und führen im Rahmen einer Entzündungsreaktion zu deren Untergang. Eine Alternative ist die photodynamische Therapie, eine Kombination von topischen Photosensitizern und Bestrahlung mit sichtbarem Licht. Dadurch kommt es ebenfalls zu einer Entzündung der betroffenen Areale. Diese heilt bei beiden Behandlungsvarianten innerhalb von zwei Wochen narbenlos ab. Therapiert man nicht in dieser frühen Phase, so müssen die späteren Stadien der NMSC chirurgisch behandelt werden.

Fazit

Die beste Prophylaxe lichtbedingter Schädigungen der Haut ist jedenfalls konsequenter UV-Schutz, und zwar täglich. Dieser sollte genauso selbstverständlich sein wie das tägliche Zähneputzen. Nicht Falten und Runzeln sollten uns alarmieren, sondern die Tatsache, dass 70 % der Hauterkrankungen im höheren Lebensalter UVinduziert sind.

Referenzen:

Boer M et al., Structural and biophysical characteristics of human skin in maintaining proper epidermal barrier function. Postepy Dermatol Alergol. 2016 Feb;33(1):1-5.

Tsankova E, Kappas A, Facial Skin Smoothness as an Indicator of Perceived Trustworthiness and Related Traits. Perception. 2016 Apr;45(4):400-8.

Krutmann J et al., The skin aging exposome. J Dermatol Sci. 2017 Mar;85(3):152-161.

Krutmann J et al., Daily photoprotection to prevent photoaging. Photodermatol Photoimmunol Photomed. 2021 Apr 25.

Gordon JR, Brieva JC, Images in clinical medicine. Unilateral dermatoheliosis. N Engl J Med. 2012 Apr 19;366(16):e25.

Riegler MJ et al., Thickness of actinic elastosis a surrogate marker of chronic UV-damage: A post mortem analysis of 41 cases. Dermatol Ther. 2020 Nov;33(6):e14037.

Fernandez Figueras MT, From actinic keratosis to squamous cell carcinoma: pathophysiology revisited. J Eur Acad Dermatol Venereol. 2017 Mar;31 Suppl 2:5-7.

Schön MP, Schön M, Imiquimod: mode of action. Br J Dermatol. 2007 Dec;157 Suppl 2:8-13.

Kopera D, Earliest stage treatment of actinic keratosis with imiquimod 3.75 % cream: Two case reports-Perspective for non melanoma skin cancer prevention. Dermatol Ther. 2020 Jul;33(4):e13517.

Kopera D, Aktinische Keratosen vom Typ „Field Cancerization“. Spectrum Dermatologie. 2020 Sept; 03:2020.

<

Neues vom Markt

Teil 1 APOkongress 2022: Die COVID-19-Medikamente im Überblick

Auch heuer hat Univ.-Prof. i.R. Mag. Dr. Helmut Spreitzer im Rahmen der wissenschaftlichen Fortbildungstagung für Apothekerinnen und Apotheker zu seinem längst schon traditionellen Rundgang durch die neuen Präparate am Markt eingeladen.* Er lieferte einen Überblick über die derzeit am Markt befind- lichen Therapiemöglichkeiten bei einer bestehenden SARS-CoV-2-Infektion bzw. über Optionen für die Prophylaxe, gefolgt von neuen Medikamenten bei Migräne sowie Aktinischer Keratose und Plaque-Psoriasis (siehe Vorschau).

Neues bei einer SARS-CoV-2Infektion

Da die neuen Mittel an unterschiedlichen Stellen der Virussynthese wirken, gab Prof. Spreitzer zu Beginn einen Abriss des Replikationsverlaufs: Das Coronavirus bindet mithilfe seines Spike-Proteins an den Rezeptor ACE2 (siehe Info). Die Virus-RNA gelangt dann direkt an das Ribosom, wo der genetische Code in ein Polyprotein übersetzt wird. Erst

die SARS-CoV-3CL-Protease setzt daraus die einzelnen Proteinbausteine frei. Für die Vervielfältigung der Virus-RNA wird eine Polymerase benötigt.

1. Nirmatrelvir/Ritonavir (PaxlovidTM):

Das Präparat PaxlovidTM setzt sich aus dem viralen Proteasehemmer Nirmatrelvir und dem Booster Ritonavir zusammen. Die zentrale Frage ist nun, wo es ansetzt und warum es einen Booster braucht.

ANMELDUNG: per E-Mail an fortbildung @ medcongress.at Die Teilnahme ist kostenlos. Die Anmeldung ist unbedingt erforderlich.

EXPERTE:

Univ.-Prof. i.R. Mag. Dr. Helmut Spreitzer Department für Pharmazeutische Wissenschaften, Universität Wien

© privat

Was macht Nirmatrelvir ... Nirmatrelvir blockiert die eingangs erwähnte SARS-CoV-3CLProtease, wodurch die Proteinbausteine nicht mehr freigesetzt werden können – die Virusreplikation wird dadurch gestoppt. … und warum braucht es einen Booster? Nirmatrelvir wird überwiegend durch Cytochrom P450 CYP3A4 abgebaut. Dieses Isoenzym zählt zu den wichtigsten Enzymen, um Fremdmoleküle zu metabolisieren. Geht allerdings der Abbau von Nirmatrelvir zu schnell vor sich, ist es nicht möglich, ausreichend hohe Plasmaspiegel zu erreichen. Erst durch Zugabe des CYP3A4-Inhibitors Ritonavir wird der Abbau von Nirmatrelvir entscheidend verlangsamt und damit dessen erforderlicher Wirkspiegel erreicht. Nachteil: Es gibt sehr viele Arzneistoffe, die über Cytochrom P450 CYP3A4 abgebaut werden, und Ritonavir kann auch deren Plasmaspiegel erhöhen. PaxlovidTM wird jenen Personen empfohlen, bei denen man einen schweren Verlauf befürchtet. Diese Risikopatienten müssen aber meist aufgrund ihrer Vorerkrankungen mehrere Medikamente einnehmen. Prof. Spreitzer: „Das heißt, dass bei diesen Personen das Risiko relativ hoch ist, in eine problematische Interaktion hineinzusteuern. Dann ist auch PaxlovidTM kontraindiziert “

Steckbrief

Einnahme

Kontraindikationen

Nebenwirkungen (1 : 10)

NNT („number needed to treat”)

5 Tage, 2 x täglich (so bald wie möglich nach COVID-19-Diagnose)

Schwere Nieren- bzw. Leberschwäche, Schwangerschaft Durchfall, Geschmacksstörungen, Kopfschmerzen, Erbrechen 19

2. Molnupiravir (Lagevrio®)

Bei Molnupiravir handelt es sich um ein Prodrug, aus dem der eigentliche Wirkstoff erst freigesetzt wird. Dieser fungiert als sogenannte „falsche Base“, wird aber von der Virus-RNA-Polymerase dennoch umgesetzt und führt dadurch zu fehlerhaften RNA-Replikationen. Aufgrund der Kumulation von RNA-Defekten ist eine weitere Virusvermehrung nicht mehr möglich. Laut Prof. Spreitzer ist Molnupiravir eine Alternative zu Nirmatrelvir/Ritonavir, wenn das Risiko aufgrund von Interaktionen für den Patienten zu hoch ist. Es muss aber festgehalten werden, dass Molnupiravir eine geringere Wirksamkeit aufweist (siehe NNT). Hier verglich Spreitzer den Wirkungsmechanis-

Hausärzt:in pharmazeutisch 22. Consensus Meeting Sa 28. Jänner 2023 9.00–13.00 Uhr Novotel Wien Hauptbahnhof Wissenschaftliche Leitung und Vorsitz: Univ.-Doz. Dr. Martin Hülsmann Priv.- Doz. Dr. Deddo Mörtl
ORGANISATION: medCongress GmbH, Gabriele Rech 2221 Gr. Schweinbarth, Hochleitengasse 34/Top 1 Tel.: 0680 213 61 91 DER AG HERZINSUFFIZIENZ
HERZ UND NIERE –Eine
FÜRALLEÄRZTEAUS PRAXISUNDKLINIK! Arbeitsgruppe für Herzinsuffizienz der Österreichischen Kardiologischen Gesellschaft Diese Veranstaltung entspricht 5 DFP-Punkten der Österreichischen Ärztekammer.
pathologische Beziehung?
© shutterstock.com/Golden Sikorka

mus von Molnupiravir mit dem schon länger zugelassenen Wirkstoff Remdesivir.

Einnahme

Kontraindikationen

Nebenwirkungen (1 : 10)

NNT („number needed to treat”)

5 Tage, 2 x täglich (so bald wie möglich nach COVID-19-Diagnose) Schwangerschaft

Durchfall, Übelkeit, Schwindel, Kopfschmerzen 33

3. Remdesivir (Veklury®)

Remdesivir ist ebenfalls ein Prodrug, wird allerdings i. v. verabreicht. Zugelassen ist es für COVID-19-Patienten ab zwölf Jahren, die an einer Pneumonie leiden und auf zusätzliche Sauerstoffzufuhr angewiesen sind oder aber ein erhöhtes Risiko eines schweren Verlaufs haben. Im Gegensatz zu Molnupiravir führt die „falsche Base“ nicht zu einer fehlerhaften RNA-Replikation, sondern blockiert diese völlig und es kommt zum Kettenabbruch bei der RNA-Synthese.

4. Tixagevimab und Cilgavimab (Evusheld®)

Die monoklonalen Antikörper Tixagevimab und Cilgavimab stehen für die Präexpositionsprophylaxe zur Verfügung. Diese binden an das Spike-Protein und blockieren damit das Andocken der Viren an den ACE2-Rezeptor der Wirtszelle. Evusheld® bietet für etwa sechs Monate Schutz, eingesetzt werden kann es bei Personen, die nicht geimpft werden können oder deren Immunsystem nicht auf eine Impfung angesprochen hat.

* Die wissenschaftliche Fortbildungstagung für Apothekerinnen und Apotheker fand von 5. bis 6. November in Salzburg und von 12. bis 13. November in Wien statt.

INFO: Die Rolle von ACE und ACE2

In der Leber wird das aus 452 Aminosäuren bestehende Angiotensinogen produziert und in das Blutplasma abgegeben. Das in der Niere gebildete Renin spaltet davon das Dekapeptid Angiotensin I ab. Nach Abspaltung weiterer zwei Aminosäuren durch ACE (Angiotensin Converting Enzyme) entsteht das Oktapeptid Angiotensin II. Dieses ist für blutgefäßkontrahierende und blutdrucksteigernde Wirkungen verantwortlich. Durch ACE2 kann aber von Angiotensin II noch eine Aminosäure abgespalten werden. Das daraus resultierende Heptapeptid hat allerdings eine gefäßerweiternde, blutdrucksenkende Wirkung. Hier wirken mit ACE und ACE2 zwei Enzyme in einem Zusammenspiel einander entgegen. In dieser Funktion ist ACE2 somit ein wichtiges Stellglied im blutdruckregulierenden Renin-Angiotensin-Aldosteron-System (RAAS). Die als Blutdrucksenker eingesetzten ACE-Hemmer haben jedenfalls keinen Effekt auf ACE2, dieses fungiert aber als Rezeptor des Coronavirus.

VORSCHAU

Neues vom Markt Teil 2: Migränetherapie und -prophylaxe

Neues vom Markt Teil 3: Aktinische Keratose und Plaque-Psoriasis

„Jedes Verhalten hat einen Grund“

Menschen mit Demenz verstehen und begleiten – Interview mit einer Validationsmasterin

Bezeichnung „ 2 4/7“ hat sich inzwischen dafür etabliert. Diese intensive Form der Versorgung führt häufig zur psychischen und physischen Überbelastung der Betreuungspersonen, oft im privaten Umfeld. Wir brauchen gemeinsame Lösungen. Bei der Diagnose Demenz wird der menschliche Aspekt zum Teil vergessen. Doch gerade in dieser Zeit, wenn sich eine ehemals selbstbestimmte Person in jemanden verwandelt, der von anderen abhängig ist, sind Trost und Halt notwendig – für den zu Betreuenden und den Menschen, der ihm zur Seite steht. Allerdings werden Angehörige oft alleingelassen.

Womit haben die Familien häufig am meisten zu kämpfen?

Hildegard Nachum, Validationsmasterin, zertifizierte Validationslehrerin sowie Politik- und Kommunikationswissenschaftlerin in Oberösterreich, nachum.at

„H inter dem oft irritierenden Verhalten desorientierter Menschen mit Demenz steckt das Bemühen, unaufgearbeitete Lebenskapitel in ein inneres Gleichgewicht zu bringen“, schreibt Hildegard Nachum in ihrem neu erschienenen Buch. Verständnis und Empathie sind häufig der Schlüssel zu einem gelungenen Miteinander, doch im Umgang mit Betroffenen stoßen Angehörige und Betreuende aus Gesundheitsberufen vielfach an ihre Grenzen. So stellt sich die Frage: Gibt es ein „ H andwerkszeug “ , welches dabei hilft, zielführend auf herausfordernde

Verhaltensweisen zu reagieren? Einen Ansatz stellt hier die Validation dar –eine Kommunikationsmethode bzw. eine Grundhaltung, welche eine wertschätzende Begleitung von Menschen mit Demenz ermöglichen kann – zum Wohle aller Beteiligten.

HAUSÄRZT:IN: Mit welchen Belastungen sind Angehörige und betreuende Personen von Menschen mit Demenz konfrontiert?

Hildegard NACHUM: Die Diagnose „ Demenz“ ist kein Einzelbefund, sondern sie (be-)trifft die ganze Familie und in vielen Fällen später auch öffentliche und private Pflegeeinrichtungen. Menschen mit Demenz verändern sich und schreitet diese Veränderung voran, müssen sie meist über eine längere Zeit betreut und gepflegt werden. Die

Menschen mit Demenz sind sich gerade am Anfang der Erkrankung ihrer Veränderung, dieses Wandels, bewusst, kämpfen dagegen an und können sich ihrer nächsten Umgebung gegenüber sehr verletzend zeigen. Sie beschuldigen, sind misstrauisch und erscheinen den Angehörigen „u nnachgiebig“ … Dieses Verhalten sollte als verzweifelter Versuch gesehen werden, die eigene Würde zu bewahren. Für die Angehö-

X HAUSÄRZT:IN-Buchtipp

Die Weisheit der Demenz Wegweiser zum würdevollen Umgang mit desorientierten Menschen

Von Hildegard Nachum Kneipp Verlag Wien 2022

Hausärzt:in extra 50 Dezember 2022
>
„Der alte Mensch kann sich in seinem Veränderungsprozess nicht verändern.“
© Fotostudio Eder

rigen ist es sehr schwer mitanzusehen, wie der starke Vater oder die selbstbewusste Mutter sich verändert. Der Rollentausch tut weh und Angehörige benötigen in dieser Extremsituation Begleitung.

Welche Ziele verfolgt die Validation nach Naomi Feil?

Diese besondere Kommunikationsmethode, die 16 Techniken beinhaltet, kann dabei helfen, dass der alte Mensch in seinem Selbstwertgefühl wieder gestärkt wird. Die Gerontologin und Begründerin der Validation, Naomi Feil, definiert mehrere Ziele, zwei davon möchte ich exemplarisch erwähnen: Ein wichtiges Ziel ist die Reduktion von Medikamenten. Meine langjährige Erfahrung zeigt, dass gerade bei typischen Themen wie „ n ach Hause gehen“ oder „d ie Suche nach Verstorbenen“ oft zu Medikamenten gegriffen wird – aus Hilflosigkeit und Überforderung heraus. Geht man aber auf diese Bedürfnisse ein, werden der Wunsch und die Sehnsucht nach den

Eltern oder die Sorge um die kleinen Kinder zwar nicht verschwinden – das wird immer ein Lebensthema sein –, doch die Betreuungsperson lernt, damit umzugehen und den desorientierten Menschen zu begleiten.

Ein weiteres Ziel ist die Stressreduktion für alle Beteiligten. Im Rahmen der Validation fühlt sich die alte Person in ihrer Welt angenommen, die Betreuenden wissen, wie sie auf ihre Äußerungen reagieren können. Und hier möchte ich eines betonen: Der alte Mensch kann sich in seinem Veränderungsprozess nicht verändern. Wir, als kognitive Menschen, können diese Kommunikationsmethode lernen, um ihn in seiner Welt zu begleiten.

Wie kann Stressreduktion beispielsweise erreicht werden?

Naomi Feil, die im Juli dieses Jahres 90 Jahre alt geworden ist, definiert elf Prinzipien, die sie der Humanwissenschaft entnommen und für den alten Menschen in seinem Aufarbeitungsprozess adaptiert hat. Wichtig ist etwa:

Es gibt einen Grund für das Verhalten desorientierter alter Menschen. Wenn wir uns dieses Grundprinzip bewusst machen, können wir Stress und Verunsicherung als Reaktion auf viele Verhaltensweisen, die alte Personen an den Tag legen und die auf Angehörige und Betreuende irritierend wirken, reduzieren. Nicht immer werden wir die Ursache für das Tun erfahren, aber das müssen wir auch nicht. Allein das Wissen, dass es für jedes Verhalten eine Ursache gibt, kann Angehörigen ebenso wie Pflegekräften einen entspannteren Zugang verschaffen. Der Grund für ein verändertes Verhalten liegt sehr oft in der Vergangenheit, nicht in der Gegenwart. Was im Gestern entstand und nie geheilt wurde, drängt sich im Jetzt in die erste Reihe.

Welche weiteren Grundprinzipien der Kommunikationsmethode würden Sie unseren Leser:innen gerne vorstellen? Sinngemäß wiedergegeben: Schmerzhafte Gefühle werden schwächer, wenn sie ausgedrückt und akzeptiert werden

Hausärzt:in extra
EINFACH HIN UND WEG. Mit Sicherheit das perfekte Weihnachtsgeschenk! Jetzt einfach online kaufen. Die Digitale Vignette. Jetzt Digitale Vignette kaufen: Auf shop.asfinag.at oder in der ASFINAG App.

– schmerzhafte Gefühle werden stärker, wenn sie ignoriert und unterdrückt werden. Bagatellisierte und ignorierte Gefühle können sich in eine emotionale Lawine verwandeln. Wir wurden in unserer Erziehung und Sozialisation häufig so geprägt, dass wir Leid und seelischen Schmerz nicht sehen und spüren wollen, sondern sie in die finstersten Ecken unserer Seelenkammern zurückdrängen. Gefühle wollen aber nur eines – gefühlt werden. Emotionen, die jahrelang und sogar jahrzehntelang – aus welchen Gründen auch immer – verdrängt werden, fordern oft im hohen Alter ein, gesehen und gelebt zu werden. Wenn die kognitiven Strategien des alten Menschen schwach werden, können sich die Emotionen schließlich aus ihrem Gefängnis befreien.

Ein weiteres wesentliches Prinzip: Zuhören mit Empathie baut Vertrauen auf, reduziert Angst und gibt die Würde zurück. Sich in den anderen hineinzufühlen, braucht oft keine großen Worte, sondern ein ehrliches Da-Sein – auch über meine Mimik und Körperhaltung kann ich dieses ausdrücken. Wenn ich wirklich präsent bin, kann sich mein Gegenüber verstanden sowie emotional umarmt und gehalten fühlen.

Haben Sie ein Fallbeispiel, welches veranschaulicht, was mit Validation erreicht werden kann?

Ich erinnere mich sehr gut an ein Erlebnis in einem Seniorenheim, in dem ich einen Kurs in Validation abhielt. Während des Seminars kam die verantwortliche Wohnbereichsleitung zu mir und bat mich um Hilfe: Eine über 80-jährige Frau ließ die morgendliche Körperpflege nicht zu, lenkte ihren Rollator gegen das Pflegepersonal, nahm die Medikamente nicht, aß kein Frühstück und schrie in ihrem Zimmer, dass ihr alles gestohlen werde. Man überlege, so die Mitarbeiterin überfordert, sie in das psychiatrische Krankenhaus der Stadt einzuweisen. Da sie wusste, dass ich im Haus war, bat sie mich, diese Frau in ihrem Zimmer zu besuchen ...

Aufgelöst, mit verzweifeltem Gesichtsausdruck saß sie in einem roten Morgenmantel auf ihrem Bett und schrie, dass ihr alles gestohlen werde: die Zeit

vor allem – und vergiften wolle man sie auch, weil man ihre Wohnung haben wolle. Sie machte die Lade ihres Nachtkästchens auf und hier standen, sorgfältig aufgereiht, die kleinen Gefäße mit den Tropfen und den Tabletten, deren Einnahme sie verweigerte. Ich kommunizierte mit ihr mit bestimmten Techniken der Validation, half ihr, ihren Schmerz, der in ihrem frühen Erwachsenenalter wurzelte, herauszulassen: die Wut auf ihre Schwester, die damals, vor 60 Jahren, ihren Rock, den sie sich mit ihrem ersten verdienten Geld gekauft hatte, einfach umgenäht und ihr weggenommen hatte. Ich ließ sie die Tränen weinen, die sich all die Jahre aufgestaut hatten, weil niemand für sie da war. Und nach zehn Minuten schnäuzte sie sich geräuschvoll in ihr Stofftaschentuch, war bereit, die Tabletten zu nehmen, und aß das Frühstück.

Was war passiert?

Ein Satz, eine Stimme bzw. irgendein Trigger kann diesen Gefühlsausbruch ausgelöst haben. Vielleicht hieß die zuständige Betreuungsperson wie ihre Schwester, wir wissen es nicht. Wichtig ist es, in diesen Situationen da zu sein, um dem Menschen zu ermöglichen, die Emotionen rauszulassen.

Wir versuchen in solchen Momenten oft, die Gefühlsausbrüche wieder zurückzudrängen. Die Validation macht das Gegenteil: Sie öffnet Lebensräume, damit Emotionen (endlich) gelebt werden können. Bei dieser Seniorin konnte ein zehnminütiges Gespräch, basierend auf der Validation, die Einweisung in ein Spital verhindern.

Welche Bedeutung hat das Wissen um die Validation für Mediziner:innen?

Validation kann eine Ergänzung in der me-

dizinischen Betreuung von alten desorientierten Menschen sein. In meiner fast 20-jährigen beruflichen Erfahrung mit ihnen habe ich oft erlebt, dass Begleitung in einer validierenden Grundhaltung und die Anwendung passender Kommunikationstechniken Medikamente reduzieren können. Medizinerinnen und Mediziner sind berufsbedingt sehr kognitive Menschen, Validationsanwenderinnen und -anwender haben ihren Zugang zu betagten Personen oft stärker auf der emotionalen Ebene. Ich wünsche mir für die Zukunft, dass sich diese Ebenen immer mehr treffen, um den alten Menschen gemeinsam in seiner neuen Welt begleiten zu können.

Das Interview führte Anna Schuster, BSc.

Hausärzt:in extra Dezember 2022
Thema: Schmerztherapie heute Podiumsdiskussion: Personelle Engpässe in Spitälern und im niedergelassenen Bereich Veranstalter: Rückfragen an office@gesund.at DFP-Punkte in Planung Details folgen Hausärzt:in trifft Kliniker:in IN LINZ PräsenzFortbildung Sa., 3. Juni 2023 Haus Ärzt:in DIALOGTAG
„Wenn die kognitiven Strategien schwach werden, können sich verdrängte Emotionen schließlich aus ihrem Gefängnis befreien.“
Änderungen vorbehalten.
Hausärzt:in fachkurzinformation 54 Dezember 2022
Hausärzt:in informativ 55 Dezember 2022
Hausärzt:in fachkurzinformation 56 Dezember 2022

Neue Unternehmenswebsite jetzt online

Menarini: Auch im Internet steht Qualität an erster Stelle

Seit Mitte November bietet das neue Webportal von Menarini Österreich einen benutzerfreundlichen Einblick in das Pharmaunternehmen, dessen Wurzeln bis ins Jahr 1886 zurückreichen. Sowohl Patientinnen und Patienten, als auch Ärztinnen und Ärzte sowie Apothekerinnen und Apotheker finden unter menarini.at eine übersichtliche InfoSeite zu behandelbaren Krankheiten und Präparaten, die das Unternehmen dafür anbietet. Website-Besucherinnen und -Besucher gelangen komfortabel zu Informationen über beforschte The-

rapiegebiete oder zu einer Gesamtübersicht aller Produkte. Außerdem wird auf der neuen Website ein kostenfreier Downloadbereich mit wertvollen Patienteninformationen zum Thema COPD und Asthma angeboten. Medizinische Fachkreise können mittels Login auf einen geschützten Bereich zugreifen, welcher vertiefende Informationen zur Wirkweise der verschreibungspflichtigen Präparate, sowie weiterführende Links zur persönlichen medizinischen Weiterbildung bietet.

Primäre Hyperhidrose

Seit 1998 operiert Menarini am Standort Wien und beschäftigt derzeit österreichweit ein Team von über 60 Mitarbeiterinnen und Mitarbeitern.

Weitere Informationen finden Sie auf menarini.at Quelle: A. Menarini Pharma GmbH

Axhidrox®: eine neue Therapieoption gegen schwere primäre axilläre Hyperhidrose

Wenn das Schwitzen weit über das für die Regulation der Körpertemperatur notwendige Maß hinausgeht und der Schweiß plötzlich, in großen Mengen und ohne erkennbare Ursache rinnt, spricht man von einer primären Hyperhidrose. Rund 5-10 % der globalen Bevölkerung sind von dieser Erkrankung betroffen1, aber viele verstecken ihre Erkrankung und sich selbst. Was bedeutet schwere primäre axilläre Hyperhidrose im Alltag: „Mein Schwitzen ist kaum zu ertragen/unerträglich und beeinträchtigt mich häufig/immer

IMPRESSUM

bei meinen Alltagsaktivitäten“ (Hyperhidrosis Severity Scale, HDSS). Bisher standen lokale Antiperspirantien, die Leitungswasseriontophorses mit Schwämmchen, systemische Anticholinergika oder invasive Methoden, wie Injektionen mit Botulinumtoxin A oder resektive Methode zur Verfügung2 Jetzt kann für die schwere primäre axilläre Hyperhidrose das topische Anticholinergikum Glycopyrroniumbromid in Form einer Creme – Axhidrox® –

verordnet werden. Axhidrox® soll in den ersten 4 Wochen täglich (vorzugsweise abends) und danach flexibel, aber mindestens 2 x und maximal 7 x pro Woche aufgetragen werden. Eine signifikante Reduktion der Schweißmenge und eine signifikante Verbesserung der Lebensqualität wurden in klinischen Studien gezeigt3.

Doolittle J et al., Arch Dermatol Res 2016; 308(10): 743-749.

Rzany B et al., Journal of the German Society of Dermatology 2018 Jul; 16(7):945-953.

Abels C et al., British Journal of Dermatology 2021; 185(2):315-322.

Herausgeber und Medieninhaber: RMA Gesundheit GmbH, Am Belvedere 10 / Top 5, 1100 Wien, Tel. 01/74321708114, office@gesund.at.

Geschäftsführung: Mag.a Birgit Frassl, Marlis Rumler.

Redaktionsleitung: Mag.a Karin Martin.

Redaktion: Mag.a Karin Martin, Anna Schuster, BSc, Mag.a Ines Pamminger, BA, Margit Koudelka.

Lektorat: Mag.a Katharina Maier.

Produktion & Grafik: Helena Valasaki, BA. Cover-Foto: shutterstock.com/Jorm S. Verkaufsleitung: Mag.a Birgit Frassl, birgit.frassl@regionalmedien.at.

Kundenbetreuung: Mag.a Dagmar Halper, dagmar.halper@regionalmedien.at, Ornela-Teodora Chilici, BA, ornela-teodora.chilici@regionalmedien.at.

Druckerei: Bösmüller Print Management GesmbH & Co. KG.

Verlags- und Herstellungsort: Wien.

Grundlegende Richtung: Unabhängige österreichische Fachzeitschrift für niedergelassene Ärztinnen und Ärzte.

Die HAUSÄRZT:IN – Praxis-Magazin für Primärversorgung –ist ein interdisziplinäres Informations- und Fortbildungsmedium.

Aus Gründen der besseren Lesbarkeit verzichten wir in den Artikeln teilweise auf die gendergerechte Schreibweise. Sofern nicht anders vermerkt, gelten alle Bezeichnungen für sämtliche Geschlechter.

Namentlich gekennzeichnete Beiträge geben nicht unbedingt die Meinung der Redaktion oder des Verlages wieder, sondern fallen in den Verantwortungsbereich der Autor:innen. Der Inhalt von entgeltlichen Einschaltungen und Beilagen sowie die Angaben über Dosierungen und Applikationsformen liegen außerhalb der Verantwortung der Redaktion oder des Verlages und sind vom/von der jeweiligen Anwender:in im Einzelfall auf ihre Richtigkeit zu überprüfen. Nachdruck nur mit schriftlicher Genehmigung des Verlages. Alle Rechte, insbesondere das Recht der Vervielfältigung und Verbreitung sowie der Übersetzung, vorbehalten. Kein Teil des Werkes darf in irgendeiner Form (Fotokopie, Mikrofilm oder ein anderes Verfahren) ohne schriftliche Genehmigung des Verlages reproduziert oder unter Verwendung elektronischer Systeme gespeichert, verarbeitet, vervielfältigt, verwertet oder verbreitet werden. Mit „Bezahlte Anzeige“ gekennzeichnete Beiträge/Seiten sind gemäß §26 Mediengesetz bezahlte Auftragswerke.

Offenlegung: gesund.at/impressum

Hausärzt:in informativ 57 Dezember 2022
Hausärzt:in fachkurzinformation 58 Dezember 2022

Frohe Weihnachten

und einen guten Rutsch ins neue Jahr.

Wartezimmer TV www.y-doc.at

Turn static files into dynamic content formats.

Create a flipbook
Issuu converts static files into: digital portfolios, online yearbooks, online catalogs, digital photo albums and more. Sign up and create your flipbook.