
www.humani-corporis.com














Organização do sistema respiratório
Vias aéreas "superiores": - nariz e cavidade nasal; - faringe; - laringe.
Vias aéreas "inferiores": - traqueia e brônquios principais; - pulmões.

Órgãos do sistema respiratório.










Pulmões

Características morfofuncionais gerais:
- topografia: assentados sobre o diafragma, cercando lateralmente o coração, dorsomedialmente íntimos à coluna, aorta e esôfago torácicos;
- irrigação: aorta torácica (rr. bronquiais) e aa. pulmonares (hematose);
- drenagem venosa: vv. bronquiais (àzigo) e vv. pulmonares;
- drenagem linfática: (1) lnn intrapulmonares; (2a) lnn. broncopulmonares, ou (2b) frênicos (ducto torácico); (3a) lnn. traqueobronquiais; (4a) lnn. paratraqueais (ducto torácico e ducto linfático dir.);
- inervação: n. vago (rr. bronquiais) e tronco simpático (rr. pulmonares).


Relações anatômicas dos pulmões.








Pulmões

Características morfofuncionais gerais:
- órgãos aerados, ricamente vascularizados, revestidos por serosa (pleura) e organizados em lobos, segmentos e lóbulos pulmonares;
- brônquios (>20 gerações) revestem-se por epitélio pseudoestratificado colunar ciliado e sustentam-se por cartilagem hialina;
- glândulas e células mucossecretoras distribuem-se pelas vias aéreas (esteira mucociliar).


Aspecto microscópico do epitélio "respiratório", cujos cílios movimentam uma camada de muco sobrejacente.









Pulmões

Características morfofuncionais gerais:
- bronquíolos terminais suprem os ácinos pulmonares, constituídos por bronquíolos respiratórios e alvéolos associados (3-5 ácinos compõem um lóbulo pulmonar); - os alvéolos pulmonares (~ 300 mi) revestem-se por epitélio simples escamoso (pneumócitos I) entremeado por células secretoras de surfactante (pneumócitos II) e representam o sítio da hematose; - o calibre de brônquios e bronquíolos varia conforme o tônus de uma delicada camada circular de fibras musculares.
Brônquio segmentar
Brônquios intra-segmentares
Bronquíolos (sem cartilagem)
Ácino pulmonar

Bronquíolo terminal
Bronquíolos respiratórios
Alvéolos pulmonares

Representação esquemática e aspecto microscópico da arquitetura broncoalveolar. Um pulmão adulto saudável exibe mais de 250 m2 de superfície alveolar.









Pulmões

Características morfofuncionais gerais
Lúmen alveolar

Lúmen capilar
Rota de difusão alveolar-capilar para troca gasosas (0,5 μm).









Doenças dos pulmões
Pneumonites/pneumonias:
- designam as inflamações agudas ou crônicas dos ácinos pulmonares; - principais causas: infecções virais, bacterianas ou fúngicas, autoimunidade, radiação, irritantes químicos (fumaça, suco gástrico);
- manifestações clínicas incluem tosse, dispneia, dor ventilatóriodependente (na vigência de pleurite), além de estertores e macicez.










Doenças dos pulmões
Pneumonia bacteriana:
- importante causa de morbimortalidade no mundo (primeira causa de morte por doença infecciosa);
- extremos de idade e imunodeprimidos são mais susceptíveis;
- comumente sobreposta à infecção respiratória ("superior" ou "inferior") de natureza viral;
- evolução tipicamente aguda, com febre, tosse produtiva (escarro purulento) e dispneia.










Doenças dos pulmões
Pneumonia bacteriana:
- os agentes causais variam, em especial, conforme o ambiente de origem (comunitário ou nosocomial);
- agentes "comunitários" incluem Streptococcus pneumoniae (mais comum), Haemophilus influenzae, Mycoplasma pneumoniae e Chlamydia spp.;
- agentes "hospitalares" (a partir do 4º dia) incluem Klebsiella spp., Pseudomonas spp. e Escherichia coli; - em até 50% dos casos o agente etiopático não é identificável.










Doenças dos pulmões
Pneumonia bacteriana:
- prejuízos aos mecanismos de defesa locais favorecem a infecção:
-- disfunção da esteira mucociliar (infecções virais, tabagismo ou inalação de outros gases tóxicos, aspiração de substâncias irritantes);
-- acúmulo de secreção brônquica (obstruções, fibrose cística);
-- prejuízos à atuação bactericida de macrofagócitos alveolares (tabagismo, etilismo, hipóxia);
-- supressão do reflexo da tosse (coma, distúrbios neuromusculares, medicamentos);
-- congestão e edema pulmonares (insuficiência cardíaca).










Doenças dos pulmões
Pneumonia bacteriana:
- a colonização das superfícies bronquíolo-alveolares (normalmente estéreis) deflagra resposta inflamatória tipicamente supurativa;
- a exsudação resulta em edema pulmonar de extensão variável, com preenchimento alveolar-bronquiolar ("consolidação pulmonar") e prejuízos à ventilação e trocas gasosas;
- pode comprometer um ou múltiplos lobos, uni ou bilateralmente.




Aspecto macro e microscópico da pneumonia bacteriana.









Doenças dos pulmões
Pneumonia bacteriana:
- pode haver comprometimento da pleura (pleurite) de padrão fibrinopurulento, com possível formação de empiema pleural; - grandes áreas de necrose podem dar origem a abscessos;
- pode haver disseminação metastática (bacteremia), com colonização secundária de múltiplos sítios.




Aspecto toracoscópico de um empiema pleural (à esquerda) e tomográfico de um abscesso pulmonar associados à pneumonia.








Doenças dos pulmões
Tuberculose:
- doença infecciosa que compromete primariamente os pulmões, gerando pneumonia crônica;
- terceira causa de mortes por doença infecciosa no mundo;
- estima-se que 25% da população mundial seja portadora do bacilo;
- 10 milhões de novos casos por ano (no mundo) e mais de 1 milhão de mortes anualmente;
- contágio pela exposição a aerossóis gerados por indivíduos infectados;
- infecção pelo HIV associa-se a maior risco.










Doenças dos pulmões
Tuberculose:
- manifestações típicas incluem tosse prolongada (>3 sem), febre vespertina e sudorese noturna;
- clinicamente manifesta em 5% das primo-infecções (tuberculose "primária");
- 90% das infecções evoluem para latência (estado de portador; indivíduo assintomático), podendo reativar-se (10% dos casos) após muitos anos (tuberculose "secundária");










Doenças dos pulmões
Tuberculose:
- Mycobacterium tuberculosis é o agente mais comumente implicado;
- após engolfados por macrofagócitos alveolares, os bacilos inibem a formação de fagolisossomas e replicam-se no interior da célula;
- linfócitos T auxiliares recrutados produzem INF-γ, que induz a formação dos fagolisossomas nos macrofagócitos, bem como a produção de espécies reativas e peptídeos antimicrobianos (defensinas).










Doenças dos pulmões
Tuberculose:
- a interação micobactéria-macrofagócito-linfócito T em geral leva à típica formação de granulomas, que "sepultam" os bacilos resilientes, inativando ou desacelerando sua replicação (infecção latente);
- o combate ao bacilo acompanha-se de importante dano tecidual, tipicamente formando-se áreas de necrose caseosa ("tubérculos", resultantes de granulomas fusionados), especialmente na doença secundária.




Clássico granuloma caseoso na tuberculose pulmonar. À direita, grande área de necrose caseosa em lobo pulmonar superior.








Doenças dos pulmões
Tuberculose:
- compromete tipicamente lobos superiores, com extensão para linfonodos regionais;
- pode haver comprometimento pleural, acompanhado de efusão;
- a progressão da doença favorece a disseminação linfo-hemática do bacilo e a colonização de múltiplos órgãos em padrão "miliar";
- diagnóstico (idealmente) por meio da identificação do bacilo (baciloscopia e/ou cultura do escarro).




Tuberculose miliar no baço (à esquerda); à direita, em grande aumento (1000x), micobactérias observadas à coloração de Ziehl-Neelsen.








Doenças dos pulmões
Enfisema pulmonar:
- alargamento irreversível dos espaços aéreos distais aos bronquíolos terminais (gr. emphysan, inflar) decorrente de destruição alveolar;
- integra, junto à bronquite crônica, a entidade clínica "doença pulmonar obstrutiva crônica";
- importante causa de morbidade no mundo, sendo (em conjunto com a bronquite crônica) a quarta causa de mortes mundialmente;
- coexistência com a bronquite crônica é comum.










Doenças dos pulmões
Enfisema pulmonar:
- diagnóstico em geral a partir dos 50 anos;
- fatores de risco incluem tabagismo (principal) e exposição a poluentes do ar;
- manifestações clínicas incluem dispneia com intolerância progressiva aos esforços e (mais tardiamente) tosse persistente;
- espirometria é importante teste diagnóstico (fluxo expiratório prejudicado; capacidade vital geralmente preservada).




Cerca de 75% dos enfisematosos são tabagistas.








Doenças dos pulmões
Enfisema pulmonar:
- patogênese complexa e parcialmente compreendida; - a agressão química (sobrecarga oxidativa) induzida pelos componentes da fumaça do tabaco queimado, aliada aos efeitos da resposta inflamatória crônica, leva à destruição progressiva dos alvéolos; - proteases liberadas por células inflamatórias e epiteliócitos agredidos parecem especialmente importantes na destruição alveolar (deficiência congênita de α1-antitripsina aumenta em muito a incidência).










Doenças dos pulmões
Enfisema pulmonar:
- a destruição enfisematosa dos alvéolos subtrai massa funcional e impõe prejuízos à retração elástica dos pulmões (expiração difícil); - há hipertrofia da musculatura peribronquiolar, que favorece o estreitamento luminal e acaba por acentuar a dificuldade expiratória; - pode haver hipertensão pulmonar (mecanismos pouco esclarecidos) complicada com insuficiência ventricular direita (cor pulmonale); - um balanço pró-inflamatório sistêmico é típico (↑ TNF-α, IL-6, CXCL8), favorecendo uma maior incidência de eventos cardiovasculares.










Doenças dos pulmões
Enfisema pulmonar:
- pode predominar na região centroacinar (mais comum; típico nos ápices) ou comprometer o ácino como um todo (enfisema panacinar, típico nas bases);
- pulmões podem exibir aspecto "bolhoso" (enfisema subpleural; favorece o pneumotórax).












Doenças dos pulmões
Enfisema pulmonar












Doenças dos pulmões
Enfisema pulmonar



Aspecto tomográfico do enfisema pulmonar (à esquerda) em comparação com pulmões normais.









Doenças dos pulmões
Enfisema pulmonar:



Aspecto microscópico do enfisema pulmonar (à esquerda), em comparação com um pulmão normal.









Doenças dos pulmões
Bronquite crônica:
- doença inflamatória crônica das vias brônquicas e bronquiolares;
- integra, junto ao enfisema pulmonar, a entidade clínica "doença pulmonar obstrutiva crônica";
- importante causa de morbidade no mundo, sendo (em conjunto com o enfisema pulmonar) a quarta causa de mortes mundialmente;
- comumente coexiste com o enfisema pulmonar.










Doenças dos pulmões
Bronquite crônica:
- diagnóstico em geral a partir dos 40 anos;
- fatores de risco incluem tabagismo (principal) e exposição a poluentes;
- manifestações clínicas incluem tosse produtiva persistente (>3meses) e (mais tardiamente) dispneia com intolerância progressiva aos esforços;
- espirometria é importante teste diagnóstico (fluxo expiratório prejudicado; capacidade vital geralmente preservada).




Cerca de 90% dos bronquíticos crônicos são tabagistas.








Doenças dos pulmões
Bronquite crônica:
- a ação tóxica da fumaça do tabaco induz aumento adaptativo na secreção de muco (hipertrofia/hiperplasia de glândulas/células mucossecretoras), favorecendo a obstrução, em especial, das vias de menor calibre (<3 mm); - a ação tóxica da fumaça, aliada aos efeitos da inflamação crônica, leva à destruição ciliar, prejudicando (ainda mais) a eficiência da esteira mucociliar (agravando a obstrução e favorecendo infecções).










Doenças dos pulmões
Bronquite crônica: - áreas de colapso alveolar (atelectasia) devido reabsorção gasosa favorecida pela obstrução podem ocorrer; - cronicamente, a obstrução aérea é agravada pela fibrose das vias de menor calibre; - pode haver hipertensão pulmonar (mecanismos pouco esclarecidos) complicada com insuficiência ventricular direita (cor pulmonale); - um balanço pró-inflamatório sistêmico é típico (↑ TNF-α, IL-6, CXCL8), favorecendo uma maior incidência de eventos cardiovasculares.










Doenças dos pulmões
Bronquite crônica: - à microscopia, infiltrado inflamatório peribrônquico variável; - áreas de metaplasia escamosa (precursora potencial do carcinoma escamocelular) são comuns.



Aspecto microscópico da bronquite crônica; à direita, foco de metaplasia escamosa.









Doenças dos pulmões
Asma (gr. asthma, ofegância):
- doença inflamatória crônica caracterizada por hiper-reatividade brônquica/bronquiolar (espasmo, hipersecreção) paroxística, em resposta a estímulos tipicamente inócuos;
- diagnosticada na infância (doença crônica mais comum) ou idade adulta;
- crises de dispneia, sibilos e tosse são as principais manifestações (cianose e retração subcostal e/ou supraesternal/clavicular sinalizam gravidade);
- a reversibilidade das crises é característica (em longo prazo, pode haver disfunção ventilatória mesmo nos períodos intercríticos);
- fator de risco para o enfisema/bronquite crônica.












Doenças dos pulmões
Asma:
- em geral tem natureza alérgica, em indivíduos que exibem susceptibilidade genética a reações de hipersensibilidade tipo I (mediadas por IgE);
- fatores desencadeantes (alergênicos e não alergênicos) incluem pólens, pelos de animais, dejetos de ácaros, fumaça de tabaco, poluentes atmosféricos, ar frio, exercício físico;
- viroses respiratórias são fatores desencadeantes/corroborantes comuns.










Doenças dos pulmões
Asma:
- a patogênese clássica (asma alérgica) resume-se em:
-- sensibilização inaugural de mastócitos por IgE (na primoexposição ao alergênio);
-- ativação dos mastócitos (na reexposição), a resultar em crises agudas reversíveis de hiper-reatividade brônquica/bronquiolar;
-- danos/alterações crônicos à parede brônquica, que levam à disfunção pulmonar permanente (prevenível/minorável com intervenção precoce).










Doenças dos pulmões
Asma:
- a exposição inaugural ao alergênio induz a ativação de linfócitos T auxiliares (TH2), mediante apresentação (do alergênio) por dendrócitos;
- os linfócitos T ativados produzem citocinas (IL-4, IL-13) que estimulam linfócitos B a sintetizar IgE (também promovem aumento da secreção de muco pelas glândulas brônquicas);
- mastócitos submucosos, uma vez sensibilizados pela IgE, ativam-se na reexposição ao alergênio, liberando histamina e outros mediadores (prostaglandinas, leucotrienos, TNF, IL-1, IL-5).










Doenças dos pulmões
Asma:
- a atividade dos mastócitos promove broncoespasmo (estimulação vagal), intensifica a secreção de muco, favorece edema brônquico e recruta leucócitos (inflamação);
- mediadores localmente produzidos (mastócitos, linfócitos T, epiteliócitos) exercem particular efeito sobre eosinófilos (IL-5), cuja atividade (enzimas proteolíticas) impõe danos à mucosa.


↑ secreção
Alergênio
Dendrócito
Epitélio brônquico Célula caliciforme

Ativação
Lesão tecidual
Recrutamento e ativação de leucócitos
Receptor de IgE
Principais mecanismos da asma.
Histamina, prostaglandinas e leucotrienos
Edema, broncoespasmo e ↑ secreção de muco








Doenças dos pulmões
Asma



A hipersecreção brônquica na crise asmática pode ser severa a ponto de compor extensos moldes das vias aéreas, que favorecem atelectasia obstrutiva.








Doenças dos pulmões
Asma:
- a consequente redução do calibre brônquico/bronquiolar prejudica a ventilação alveolar e favorece hipoxemia (crise asmática, reversível);
- em longo prazo, observa-se espessamento fibrótico da parede brônquica associado à hipertrofia muscular e glandular (remodelamento das vias aéreas), que favorece prejuízos permanentes à ventilação (que serão agravados na vigência de crise).



Aspecto de um brônquio normal (à esquerda) em comparação com um brônquio asmático (centro e à direita).









Doenças dos pulmões
Pneumoconioses:
- doenças intersticiais crônicas de caráter restritivo, associadas à inalação de partículas diversas, em geral poeiras de material inorgânico;
- mais comuns em trabalhadores expostos a poeira de mineração (sílica, asbesto/amianto, carvão);
- em geral se manifestam após pelo menos 10 anos de exposição (exibindo progressão, ainda que cessada a exposição);
- favorecidas pelo tabagismo (mecanismos de remoção prejudicados);
- dispneia progressiva é a principal expressão clínica, com diminuição da capacidade vital à espirometria.










Doenças dos pulmões
Pneumoconioses:
- patogenicidade variável conforme a partícula considerada (tamanho, toxicidade, eficiência dos mecanismos de remoção);
- substâncias resistentes à degradação/remoção podem persistir por anos no interior dos pulmões;
- partículas com até 5 μm tendem a ser mais perigosas (fácil acesso às vias terminais).










Doenças dos pulmões
Pneumoconioses:
- silicose: -- pneumoconiose mais comum; -- principal doença ocupacional crônica no mundo; -- causada pela exposição crônica ao dióxido de silício (sílica), que pode compor partículas de 0,1 a 100 μm.



A sílica é o principal componente da areia e rochas e matéria-prima para o vidro e cimento.









Doenças dos pulmões
Pneumoconioses:
- silicose:
-- após inaladas, as partículas são englobadas por macrofagócitos com subsequente ativação de inflamossomas e síntese de citocinas pró-inflamatórias (inflamação crônica);
-- há fibrose severa, traduzida por enovelados coalescentes de fibras colágenas comprometendo o interstício pulmonar e a pleura (inicialmente nos lobos sup.);
-- a distorção arquitetural do órgão associa-se à importante restrição da sua expansibilidade (↓ capacidade volumétrica).




Aspecto macro e microscópico da silicose.








Doenças dos pulmões
Pneumoconioses:
- asbestose: -- causada pela exposição crônica a silicatos de magnésio e ferro, que compõem o asbesto/amianto (matéria-prima para a confecção de milhares de produtos); -- o asbesto é também considerado carcinogênico para humanos (IARC/OMS) e sua comercialização já foi banida em mais de 60 países (incluindo o Brasil, desde 2017).



O asbesto é um mineral fibroso amplamente utilizado na fabricação de materiais para a construção civil.









Doenças dos pulmões
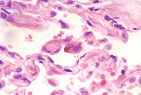
Pneumoconioses:
- asbestose:
-- após inaladas, as partículas são englobadas por macrofagócitos, com o subsequente acionamento de inflamossomas (inflamação);
-- a fibrose progressiva compromete o interstício pulmonar e a pleura (que pode exibir importante calcificação), inicialmente nos lobos inf., culminando com restrição da expansibilidade pulmonar;
-- corpos asbestóticos, formados no interior de macrofagócitos, são comuns.



Placas pleurais calcificadas (à esquerda) e corpo asbestótico (seta), característicos da asbestose.









Doenças dos pulmões
Tromboembolismo pulmonar:
- importante causa de morbimortalidade;
- favorecido pela estase venosa (acamados/imobilizados) e condições de hipercoagulabilidade (gestação, contraceptivos, obesidade, tabagismo, trauma, câncer);
- manifestações clínicas, quando presentes, incluem dispneia, dor ventilatório-dependente, tosse, hemoptise.




Os fatores de risco para o tromboembolismo pulmonar são diversos e frequentemente se sobrepõem.









Doenças dos pulmões
Tromboembolismo pulmonar:
- causado pela embolização de trombos venosos profundos, tipicamente originários dos membros inferiores (comumente subclínicos); - repercussões variam conforme a magnitude do evento (em geral subclínico), podendo cursar com distúrbios respiratórios (infarto pulmonar) e hemodinâmicos (sobrecarga e insuficiência do VD, choque obstrutivo) potencialmente letais.




Aspecto clínico e macroscópico de uma trombose venosa profunda em membro inferior.








Doenças dos pulmões
Tromboembolismo pulmonar:
- o infarto pulmonar (observado em 10% dos casos) em geral compromete lobos inferiores, podendo ser multifocal;
- a extensão do infarto à pleura (dor ventilatória) é comum (exsudação fibrinosa);
- infartos não letais evoluem com cicatrização, resultando em área de retração pulmonar.












Doenças dos pulmões
Neoplasias malignas:
- principais causas de morte por câncer no mundo; - representadas especialmente pelo adenocarcinoma, carcinoma escamocelular e carcinoma (neuroendócrino) de pequenas células; - o consumo do tabaco (ativa ou passivamente) é o principal fator de risco (80% dos casos são observados em fumantes ou ex-fumantes).



O consumo médio de dois maços de cigarro por dia durante 20 anos aumenta em 60 vezes o risco de câncer nos pulmões.








Doenças dos pulmões
Neoplasias malignas:
- etiopatogênese envolve agentes iniciadores e promotores oriundos da queima do tabaco, corroborados pela inflamação crônica das vias aéreas;
- agentes menos comuns incluem radiações e asbesto;
- alterações mais frequentes observadas nos genes ALK, FGFR1, KRAS, MYC, TP53, RB1 e CDKN2A;
- manifestações clínicas incluem tosse, hemoptise, dispneia, dor torácica.










Doenças dos pulmões
Adenocarcinoma:
- neoplasia maligna primária mais comum nos pulmões (40% dos casos); - tipo histopatológico mais comum tanto em fumantes quanto em não fumantes; - em geral a partir dos 50 anos; - sobrevida geral (em 5 anos) em torno de 15%.









Doenças dos pulmões


Adenocarcinoma:
- origem atribuível à transformação maligna de diversos tipos celulares, em especial do epitélio bronquíolo-alveolar;
- nódulo tipicamente solitário e periférico (subpleural), em geral nos lobos superiores, com menos de 4 cm e centro necro-hemorrágico;
- à microscopia, proliferação de células colunares atípicas em arranjos heterogêneos, glanduloides, papilares ou blocos sólidos (interpostos por lagos de mucina e/ou exibindo acúmulos intracelulares de mucina).


Aspecto macro e microscópico de um adenocarcinoma pulmonar (subtipo acinar).









Doenças dos pulmões
Carcinoma escamocelular:
- segunda neoplasia maligna primária mais comum nos pulmões (20% dos casos);
- mais frequente em homens, em geral a partir dos 40 anos;
- sobrevida geral (em 5 anos) em torno de 15%.










Doenças dos pulmões
Carcinoma escamocelular:
- origem atribuível à transformação maligna do epitélio brônquico;
- metaplasia escamosa é potencial precursora (achado frequente);
- nódulo tipicamente central (hilar/peri-hilar), com menos de 4 cm e centro necro-hemorrágico, comprometendo brônquios de maior calibre;
- crescimento endobrônquico (obstrução é comum) e/ou peribrônquico;
- à microscopia, proliferação de células escamoides formando blocos sólidos, com queratinização variável, por vezes em arranjo concêntrico com cerne cornificado (pérolas córneas).
- predomina a disseminação locorregional (intratorácica).




Aspecto macro e microscópico de um carcinoma escamocelular broncopulmonar.








Doenças dos pulmões
Carcinoma escamocelular



Aspecto macroscópico de um carcinoma escamocelular broncopulmonar.








Doenças dos pulmões
Carcinoma (neuroendócrino) de pequenas células:
- terceira neoplasia maligna primária mais comum nos pulmões (15% dos casos);
- mais frequente em homens, em geral a partir dos 60 anos;
- muito fortemente associado ao tabagismo (99% em fumantes);
- tipo histopatológico mais comumente associado a síndromes paraneoplásicas (ACTH, ADH);
- câncer pulmonar mais agressivo conhecido: frequentemente metastático e quase sempre letal.










Doenças dos pulmões
Carcinoma (neuroendócrino) de pequenas células:
- originário das células neuroendócrinas que permeiam o epitélio respiratório (especialmente o brônquico);
- massa tipicamente central (hilar/peri-hilar), permeada por amplas áreas necróticas;
- à microscopia, blocos sólidos de células arredondadas com mitoses frequentes (agressividade), interpostos por finos septos fibrovasculares, são característicos.












Doenças dos pulmões
Mesotelioma pleural:
- mais comum neoplasia maligna da pleura;
- maioria homens, em geral em torno dos 60 anos;
- 90% dos casos estão associados à exposição ao asbesto (pode ou não haver asbestose associada);
- manifestações incluem dispneia, efusões pleurais e dor torácica;
- 50% dos pacientes vão a óbito no primeiro ano após o diagnóstico, e a maioria dos demais, no ano seguinte.









Doenças dos pulmões


Mesotelioma pleural:
- etiopatogênse envolve os efeitos nocivos diretos e/ou indiretos (estresse oxidativo, inflamação crônica) do acúmulo de fibras de asbesto na pleura;
- à macroscopia, nódulos tumorais coalescentes formam placas espessas que podem englobar todo o pulmão;
- à microscopia, proliferações de células epitelióides em arranjos heterogêneos são características;
- invasão da parede torácica é característica, além de extensão transdiafragmática à cavidade peritoneal.










Doenças dos pulmões
Mesotelioma pleural




Pleura difusamente comprometida por mesotelioma, com extensão ao diafragma e linfonodos mediastinais.








Referências bibliográficas
Gerais:
1. Kumar V, Abbas A, Aster J. Robbins & Cotran: Pathologic basis of disease. 9th ed. Elsevier; 2016.
2. O'Dowd G, Bell S, Wright S. Wheather's Pathology: A text, atlas and review of histopathology. 9th ed. Elsevier; 2020.
3. Klatt E. Robbins & Cotran: Atlas of pathology. 3rd ed. Elsevier; 2015.
4. Buja L, Krueger G. Netter's Illustrated human pathology. 2nd ed. Elsevier; 2011.
5. Goldblum J, et al. Rosai & Ackerman's Surgical pathology. 11th ed. Elsevier; 2017.
Específicas:
1. Hasleton P, Flieder DB. Spencer's Pathology of the lung. 6th ed. Cambridge University Press; 2013.










Referências bibliográficas
Complementares:
1. Sociedade Brasileira de Anatomia. Terminologia Anatômica. Manole; 2001.
2. Federative International Committee on Anatomical Terminology. Terminologia Histologica. LWW; 2008.
3. Ovalle WK, Nahirney PC. Netter: Bases da histologia. Elsevier; 2008.
4. Ross MH, Pawlina W. Histologia texto e atlas. 6ª ed. Guanabara Koogan; 2012.
5. Mills S. Histology for pathologists. 4th ed. LWW; 2012.
6. Alberts B, et al. Biologia molecular da célula. 6ª ed. Artmed; 2017.
7. Standring S. Gray's Anatomia: a base anatômica da prática clínica. 40ª ed. Elsevier; 2011.
8. Schunke M, Schulte E, Schumacher U. Prometheus: Atlas de anatomia. Guanabara Koogan; 2007.
9. Netter FH. Atlas de anatomia humana. 7ª ed. Elsevier; 2018.
10.Jansen JT, Netter FH. Netter's Clinical anatomy. 4nd ed. Elsevier; 2019.
11.Moore KL, Persaud PVN. Embriologia clínica. 10ª ed. Elsevier; 2016.
12.Boron W, Boulpaep E. Medical Physiology. 3rd ed. Elsevier; 2017.
13.Coico R, Sunshine G. Immunology. 7th ed. Wiley Blackwell; 2015.
14.Porto C, Porto A. Semiologia médica. 8ª ed. Guanabara Koogan; 2019.
15.Longo DL, Fauci AS, Kasper DL, et al. Medicina interna de Harrison. 18ª ed. Artmed; 2013.












