
Hvmani Corporis Educacional Patologia Geral



![]()










Conceitos fundamentais

Circulação sanguínea:
Fluxo orientado e cíclico do sangue pelo organismo, através de vasos, cuja função é distribuir oxigênio, calor e outros elementos essenciais ao seu funcionamento (nutrientes, íons, mediadores químicos, agentes imunoinflamatórios), bem como recolher os resíduos gerados.

A homeostasia circulatória depende do bom funcionamento da bomba cardíaca, da integridade e tonicidade da vasculatura, de um fluxo desimpedido e organizado do sangue, do balanço entre fatores pró e anticoagulantes e do equilíbrio osmótico entre os ambientes intra e extravascular.
Anormalidades da circulação sanguínea ameaçam diretamente a funcionalidade e vitalidade dos tecidos, representando o contexto mais comum de lesão e morte celular.




Conceitos fundamentais

Hipoxemia:
Designa um baixo nível de oxigênio circulante, decorrente de má ventilação, perfusão sanguínea e/ou difusão gasosa alveolares. Pode repercutir em hipóxia quando supera a capacidade de seus mecanismos compensatórios.
Hipóxia:
Situação em que a célula não tem suficiente acesso ao oxigênio (hematose, carreamento e/ou fluxo sanguíneo local prejudicados) ou não consegue aproveitá-lo no metabolismo energético (intoxicações). Principal causa de lesão e morte celular.





Edema e efusão

Características gerais:
- designam o acúmulo de fluidos no ambiente extravascular (interstício/células: edema; cavidades anatômicas: efusão); - gerados por transudação ou por exsudação; - os transudatos são tipicamente pobres em células sanguíneas e proteínas plasmáticas (não atravessam o espaço interendotelial), ao contrário dos exsudatos; - repercussões variam conforme localização, extensão e magnitude.
Capilar sanguíneo


Espaço extracelular (interstício)
Capilar linfático
O edema/efusão se forma quando o volume de líquido intersticial (plasma extravasado) suplanta a capacidade de drenagem linfática.




Edema e efusão

Transudação e exsudação
↑ pressão sanguínea
↓ pressão osmótica
Edema pobre em proteínas

Transudação (fenômeno hidrostático/osmótico)
Edema rico em proteínas

Permeabilidade endotelial aumentada
Exsudação (fenômeno inflamatório)
Os edemas/efusões transudativos e exsudativos originam-se por mecanismos distintos.





Edema e efusão

Principais mecanismos e causas subjacentes:
- aumento da pressão hidrostática:
-- provoca extravasamento excessivo de plasma (que supera a capacidade de drenagem linfática local), acarretando acúmulos;
-- resistência ao fluxo venoso (por insuficiência cardíaca ou venosa ou hipertensão portal) e retenção de hídrica (insuficiência renal) são as principais causas;
-- a transudação pode ser localizada ou generalizada.





Edema e efusão

Principais mecanismos e causas subjacentes:
- diminuição da pressão osmótica:
-- prejudica a retenção da água intravascular, favorecendo seu extravasamento excessivo, acarretando acúmulos;
-- hipoproteinemia por baixa síntese (insuficiência hepática, desnutrição), elevada perda (distúrbios glomerulares) ou hemodiluição por retenção de hídrica (insuficiência renal) são as principais causas;
-- cursa com transudação generalizada.





Edema e efusão

Principais mecanismos e causas subjacentes:
- obstrução linfática:
-- favorece o acúmulo de fluido intersticial, ainda que não haja formação em excesso;
-- trauma (inclusive cirúrgico), infecções e invasão/compressão tumoral são as principais causas;
-- tipicamente um fenômeno segmentar;
-- efusões peritoneais/torácicas podem exibir aspecto leitoso devido à presença, na linfa, de lipídios intestinais (quilo).





Edema e efusão

Principais mecanismos e causas subjacentes:
- inflamação:
-- cursa com aumento do fluxo e da permeabilidade vasculares, viabilizando o extravasamento de plasma contendo leucócitos e alta concentração proteica (exsudação);
-- deflagrada em resposta à estímulos interpretados como nocivos, reconhecidos direta ou indiretamente;
-- a exsudação é tipicamente localizada, podendo ser generalizada em casos específicos (choque inflamatório/anafilático).
















Edema periorbital/facial e lombossacral no contexto de anasarca.

















O edema inflamatório (exsudativo) tipicamente se acompanha por outros sinais flogísticos.





Fluido intra-alveolar


O edema pulmonar (aspecto microscópico, à direita) pode levar à insuficiência respiratória.








O edema cerebral acarreta aumento da pressão intracraniana, que prejudica a perfusão tecidual (compressão vascular) e pode provocar herniações (por exemplo, das tonsilas cerebelares; setas), levando à isquemia/infarto.









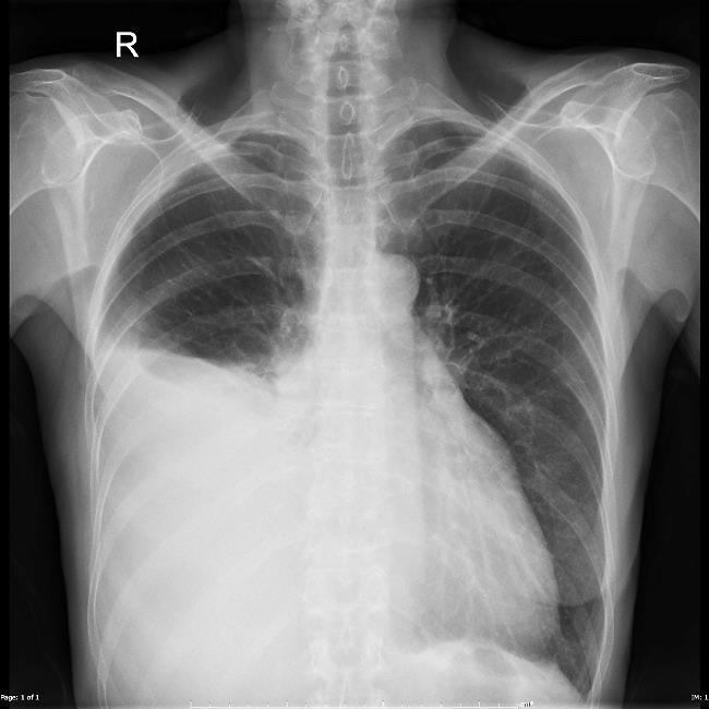
Efusão pleural unilateral volumosa (aspecto radiográfico) e efusão peritoneal (ascite).













Características gerais:
- designa o aumento da irrigação de um tecido, ativamente causado pelo relaxamento das arteríolas que o servem;
- tipicamente induzida na inflamação ou situações de aumento da demanda metabólica (p. ex., exercício físico);
- os mediadores envolvidos são diversos (histamina, prostaglandinas, NO, acetilcolina, adenosina e outros) e variam conforme o contexto;
- o maior volume de sangue oxigenado no tecido explica sua ruborização (eritema).
















Congestão sanguínea
Características gerais:
- designa a lentificação do fluxo sanguíneo em um tecido, imposta por prejuízos a sua drenagem venosa;
- tipicamente induzida por obstrução venosa ou insuficiência cardíaca;
- pelo consequente aumento da pressão hidrostática, em geral se acompanha de edema e pode causar isquemia, além de focos de hemorragia (por ruptura capilar);
- o eventual acúmulo de sangue desoxigenado confere ao tecido tonalidade tipicamente arroxeada (cianose).




Aspecto macro e microscópico da congestão pulmonar (pode-se observar edema concomitante).








Aspecto macro e microscópico da congestão hepática (fígado em "noz-moscada"), mais evidente nas regiões centrolobulares (setas), onde também se podem encontrar hemácias extravasadas (capilares rotos) e hepatócitos atróficos/necróticos (isquemia).





Hemorragia
Características gerais:
- designa a perda de sangue para espaços extraluminais, em decorrência de danos à parede de um vaso;
- a coagulação é o principal processo fisiológico de hemostasia, cuja insuficiência (por defeitos intrínsecos ou pela gravidade da lesão vascular) favorece hemorragias anormais, excessivas;
- repercussões variam conforme localização, volume e taxa da perda sanguínea.






Hemorragia
Expressão clínicomorfológica:
- sufusões hemáticas (sangue extravasado permeando os tecidos) de dimensões variáveis (petéquias, púrpuras, equimoses);
- coleções hemáticas em espaços lesionais (hematomas);
- efusões hemáticas ("derrames" hemorrágicos);
- exteriorização por orifícios naturais (epistaxe, estomatorragia, otorragia, hemoptise, hematêmese, melena, enterorragia, hematoquezia, hematúria, uretrorragia, metrorragia, menorragia).




As sufusões petequiais medem até 2 mm, as purpúricas, de 3 a 10 mm, e as equimóticas, mais de 1 cm.





Expressão clínicomorfológica



Sufusões hemáticas (petequiais) junto à conjuntiva e mucosa palatina.





Expressão clínicomorfológica




Sufusões hemáticas (petequiais) em mucosa cólica e cerebelo/ponte (corte transversal).




Expressão clínicomorfológica



Sufusões hemáticas (petequiais) junto a serosas.





Expressão clínicomorfológica



Sufusão hemática (equimótica) subconjuntival e efusão hemorrágica em câmara anterior (hifema).





Expressão clínicomorfológica








Expressão clínicomorfológica








Expressão clínicomorfológica



Efusão hemorrágica pleural (hemotórax) e pericárdica (hemopericárdio).





Principais causas e mecanismos subjacentes:
- trauma franco ou distúrbios da parede vascular (vasculites, aneurismas, dissecções, malformações);
- distúrbios da hemostasia primária:
-- anormalidades plaquetárias quantitativas (trombocitopenias) ou qualitativas (prejuízos à adesão ou agregação);
-- deficiência do fator de von Willebrand (glicoproteína da membrana basal do endotélio essencial à adesão plaquetária);
-- tipicamente manifestos por sangramentos cutâneomucosos (sufusões e hemorragias orificiais).






Principais causas e mecanismos subjacentes:
- distúrbios da hemostasia secundária:
-- deficiência (singular ou múltipla) de fatores de coagulação (prejuízos à formação da malha de fibrina); -- sangramentos músculoesqueléticos (p. ex., hemartroses) são característicos (razões não esclarecidas).


Hemostasia primária

Plaqueta ativada
Plaqueta aderida
Degranulação (ADP, TXA2)
Endotélio Membrana
Recrutamento e agregação
basal exposta Colágeno exposto vWF
Lesão vascular
Tampão primário
Hemostasia secundária

Fibrinogênio → fibrina
Trombina
Ativação da cascata
Fator tecidual
Tampão secundário
Malha de fibrina
Distúrbios hemorrágicos podem associar-se a anormalidades em qualquer etapa do processo de hemostasia.



Trombose


Características gerais:
- designa a formação anormal de um coágulo, então denominado trombo (gr. thrombos, caroço), no interior de um vaso ou do coração, mesmo na ausência de hemorragia;
- pode ocorrer em qualquer segmento do sistema cardiovascular e se acompanha de graus variáveis de obstrução ao fluxo sanguíneo;
- sempre precipitada por circunstâncias patológicas (lesão endotelial, estase sanguínea e/ou hipercoagulabilidade: tríade de Virchow);
- repercussões variam conforme localização e extensão do trombo.




Trombose


Principais causas e mecanismo subjacentes:
- lesão/disfunção endotelial: -- tipicamente implicada nas tromboses arteriais e cardíacas; -- secundária ao trauma/estresse mecânico (hipertensão, fluxo turbulento), hipóxia, inflamação, infecções, intoxicações (p. ex., tabaco), anormalidades metabólicas (p. ex., hiperlipidemia).




Trombose


Principais causas e mecanismo subjacentes:
- lesão/disfunção endotelial:
-- deflagra a coagulação mediante danos arquiteturais (exposição da membrana basal/lâmina própria [vWF/colágeno]) e/ou disfunção ("ativação") do endotélio (indução de expressões gênicas prótrombóticas e pró-inflamatórias);
-- um endotélio "ativado" (disfuncional) expressa menos trombomodulina, favorecendo a atuação da trombina (agregação plaquetária, fibrinogênio → fibrina, inflamação).




Trombose


Principais causas e mecanismo subjacentes: - estase sanguínea: -- elemento típico nas tromboses venosas; -- a ausência de um fluxo contínuo favorece a desorganização da corrente laminar e a aproximação prolongada das plaquetas ao endotélio; -- focos de corrente desordenada e estase podem advir de um fluxo turbulento (acidentes luminais, hipertensão), que gera turbilhonamentos (além de impor estresse mecânico ao endotélio).
Plasma Elementos figurados
Plasma

Fluxo laminar
Acidente luminal



Fluxo turbulento
Um fluxo turbulento favorece focos de estase sanguínea e estresse endotelial.




Trombose


Principais causas e mecanismo subjacentes: - estase sanguínea: -- favorecida por imobilizações prolongadas (↓ bomba muscular), distúrbios cardíacos (arritmias, infarto miocárdico, cardiopatias dilatadas) ou vasculares (obstruções, dilatações, tortuosidades), bem como pelo aumento da viscosidade sanguínea (↑ fração celular e/ou ↓ plasma).



Imobilizações, distúrbios cardíacos (como fibrilação atrial) e irregularidades vasculares favorecem a estase sanguínea.




Trombose


Principais causas e mecanismo subjacentes:
- hipercoagulabilidade (trombofilia):
-- repercute especialmente em tromboses venosas; -- predisposição à formação coágulos decorrente de defeitos ou desequilíbrios dos fatores de coagulação;
-- mutações do fator V (déficit de antitrombótico) ou do gene da protrombina (excesso de pró-trombótico) são as causas genéticas mais comuns.

A heterozigose e a homozigose para o fator V de Leiden aumentam, respectivamente, em 5 e 50 vezes o risco de trombose venosa.




Trombose


Principais causas e mecanismo subjacentes: - hipercoagulabilidade (trombofilia): -- causas adquiridas incluem gestação e contraceptivos (↑ estrogênios, ↑ síntese hepática de pró- e ↓ de anticoagulantes), trauma (injúria vascular, inflamação, ↑ síntese hepática de pró-coagulantes), câncer (síntese neoplásica de pró-coagulantes e fibrinolíticos, inflamação), obesidade, tabagismo e autoimunidade (mecanismos pouco esclarecidos).



As causas adquiridas de trombofilia são múltiplas e comumente se sobrepõem.





Principais causas e mecanismo subjacentes



Pacientes gravemente enfermos reúnem todos os critérios da tríade de Virchow.




Trombose Composição e aspecto geral de um trombo:
- massa granular e friável composta por plaquetas agregadas, entremeadas por malhas de fibrina, focalmente aderida à superfície interna do vaso;
- leucócitos e (especialmente) hemácias podem exibir-se capturados no interior do trombo;
- os depósitos fibrinoplaquetários exibem-se intercalados por camadas mais ou menos bem definidas de hemácias, gerando um aspecto lamelar (linhas de Zahn).



Constituição (simplificada) de um trombo.




Composição e aspecto geral de um trombo




Aspecto macro e microscópico de um trombo, com destaque às linhas de Zahn.




Trombose


Características de um trombo venoso:
- em geral associado à estase venosa (mais comum) e/ou contexto de hipercoagulabilidade;
- sempre oclusivo, provoca congestão e edema à montante (podendo complicar com isquemia);
- tipicamente captura muitas hemácias (trombo "vermelho"), em virtude da estase/lentidão do fluxo venoso;
- linhas de Zahn em geral mal definidas;
- principais sítios: membros inferiores (90% dos casos), em particular vv. poplíteas, femorais e ilíacas (TVP) e vv. safenas (TVS).



Trombose das veias femoral (à esquerda) e cava inferior/ilíaca comum.



Trombose


Características de um trombo arterial:
- em geral associado à lesão/disfunção endotelial em áreas de fluxo turbulento (comumente, acidentes ateroscleróticos);
- frequentemente oclusivo, resulta em isquemia à jusante;
- relativamente pobre em hemácias (trombo "branco");
- linhas de Zahn em geral bem definidas;
- principais sítios: aa. coronárias, carótidas, cerebrais e femorais.






Trombose


Características de um trombo cardíaco:
- em geral associado a áreas de estase intracardíaca ou de fluxo turbulento (disfunção/lesão endocárdica);
- favorecido na vigência de isquemia/infarto miocárdico, arritmias (principalmente fibrilação atrial), cardiopatias dilatadas, valvopatias e próteses valvares (em especial metálicas);
- composição semelhante a dos trombos arteriais.


Trombose atrial/auricular (à esquerda) e em prótese valvar metálica.





Trombose Coagulação intravascular disseminada (CIVD):
- formação difusa de trombos na microcirculação, devido ativação sistêmica da coagulação sanguínea, que acarreta prejuízos difusos à perfusão dos tecidos;
- complicação comum a múltiplas condições, tipicamente no contexto de sepse (endotoxinas, imunocomplexos), grandes traumas (injúria vásculoendotelial, inflamação), câncer (síntese de pró-coagulantes e fibrinolíticos neoplásicos) ou gestação (pró-coagulantes da placenta, feto retido e/ou fluido amniótico).






Trombose
Coagulação intravascular disseminada (CIVD): - compromete em especial cérebro, pulmões, coração e rins; - o consumo extensivo de plaquetas, fibrina e fatores de coagulação, além de exaurir os mecanismos fibrinolíticos, favorece a evolução com eventos hemorrágicos diversos (p. ex., petéquias cutâneas).






Destinos de um trombo:
- propagação: crescimento do trombo, pela deposição de novas camadas, agravando a obstrução e favorecendo sua fragmentação;
- embolização: a partir do destacamento de um ou mais fragmentos, que serão carregados pela circulação, obstruindo outros segmentos vasculares.






Destinos de um trombo:
- dissolução: resultante da fibrinólise (plasmina), que induz a regressão parcial ou total do trombo (após 24-48h);
- organização: trombos persistentes são gradualmente colonizados por fibroblastos, endoteliócitos e leiomiócitos e o vaso é eventualmente recanalizado a partir de microvasos neoformados, sustentados por tecido cicatricial.








Tecido de granulação

Trombo substituído por tecido de granulação (oriundo da parede vascular em processo de cicatrização).





Novos lúmens Tecido cicatricial Membranas elásticas


Aspecto micro e macroscópico de um trombo arterial organizado.






Características gerais:
- designa a obstrução parcial ou total de um vaso por um corpo sólido, líquido ou gasoso (êmbolo) trazido pela circulação a partir de um sítio de origem diverso; - pode comprometer qualquer segmento do sistema cardiovascular; - repercussões variam conforme localização e extensão da embolia.





Principais causas e mecanismos subjacentes: - tromboembolia: -- a obstrução vascular é causada por fragmentos circulantes de um trombo (tipo mais comum de embolia); -- particularmente comum na circulação pulmonar, pela embolização de trombos venosos profundos (tipicamente oriundos dos membros inferiores).









Principais causas e mecanismos subjacentes:
- tromboembolia:
-- tromboêmbolos sistêmicos em geral (80%) têm origem cardíaca (infarto miocárdico, fibrilação atrial), mas podem advir de topografias arteriais (aterosclerose, aneurismas) ou, raramente, venosas (tromboembolia paradoxal, na comunicação interatrial/ventricular);
-- na circulação sistêmica, os membros inferiores são o principal destino dos tromboêmbolos (75% dos casos), seguidos pelo encéfalo (10%).





Embolia

Principais causas e mecanismos subjacentes:
- embolia gordurosa:
-- causada por fragmentos adiposos incorporados por vasos sanguíneos ou linfáticos em áreas traumatizadas (fraturas, procedimentos estéticos);
-- comum no contexto de trauma esquelético grave;
-- compromete tipicamente a circulação pulmonar;
-- além da obstrução mecânica, há injúria tóxica ao endotélio pela liberação de ácidos graxos livres (com deflagração de inflamação e trombogênese);
-- uma ampla adesão/agregação plaquetária a partículas de gordura favorece trombocitopenia e hemorragias (CIVD).








Embolia

Principais causas e mecanismos subjacentes: - embolia gasosa: -- em geral associada ao trauma tóracopulmonar, procedimentos cirúrgicos (endovasculares, laparoscópicos, obstétricos) ou despressurização importante (p. ex., mergulhadores); -- nas descompressões súbitas, provocam-se bolhas no sangue (em geral de N2, que perde solubilidade), com obstrução de sítios diversos; -- compromete a circulação sistêmica e/ou pulmonar, conforme origem.


A descompressão súbita é uma das causas de embolia gasosa.





Principais causas e mecanismos subjacentes:
- embolia gasosa:



Vasos encefálicos repletos de êmbolos gasosos em vítima de descompressão súbita.






Principais causas e mecanismos subjacentes:
- embolia amniótica:
-- causada pela infusão, na circulação materna, de material amniótico (incluindo fragmentos de tecidos fetais), em associação a rupturas das membranas placentárias;
-- além da obstrução mecânica, a presença de materiais estranhos na circulação deflagra inflamação e trombogênese (CIVD é comum);
-- evento infrequente, porém letal em até 80% dos casos (importante causa de morte obstétrica).



Artérias pulmonares embolizadas por aglomerados de células escamosas da epiderme fetal (à esquerda) e por muco (à direita; setas) oriundo do trato respiratório/digestório fetal.




Características gerais:
- redução significativa ou total privação da perfusão de um tecido/órgão (gr. iskhein, restringir/suprimir);
- evento de instalação aguda ou crônica;
- sujeita as células à hipóxia (é a principal causa) e déficit de substratos energéticos, além de prejuízos ao recolhimento de metabólitos (é mais grave que a hipóxia isoladamente).






Características gerais:
- caracteristicamente secundária à obstrução vascular (trombose, embolia, estenose, espasmo, compressão, torção) arterial (mais comum) ou venosa (a resistência ao fluxo venoso se transmite ao arterial);
- quando importante (em intensidade e/ou duração), leva à necrose tecidual.




As causas de isquemia vão desde doenças inflamatórias crônicas da parede dos vasos até estrangulamentos vasculares agudos.




Infarto

Características gerais:
- necrose tecidual motivada por isquemia;
- em geral há contexto de trombose/tromboembolismo arterial, mas pode complicar qualquer circunstância que imponha isquemia;
- importante causa de morbimortalidade (em especial quando envolve o miocárdio, encéfalo e pulmões);
- repercussões fisiopatológicas e manifestações clínicas variam conforme o tecido/órgão comprometido e a extensão dos danos.





Infarto

Fatores corroborantes: - anatomia vascular: órgãos ou segmentos corporais irrigados/drenados por múltiplas vias são menos suscetíveis aos efeitos de uma oclusão vascular; - vulnerabilidade à hipóxia: diferentes tecidos podem exibir diferente tolerância à privação de oxigênio (p. ex.: neurônios < cardiomiócitos < fibroblastos).





Infarto

Fatores corroborantes:
- tempo de instalação da isquemia: eventos agudos não permitem que circulações colaterais sejam otimizadas ou que novas rotas sejam formadas (angiogênese compensatória);
- hipoxemia: baixas saturações de oxigênio agravam qualquer evento isquêmico.





Aspectos morfopatológicos:
- necrose coagulativa é o padrão predominante (exceto no SNC);
- a área infartada exibe tipicamente uma geometria conoide (com a base se opondo ao ponto de obstrução), circunscrita por margem hiperêmica (inflamação aguda);
- em órgãos com irrigação monoeferente (coração, rim, baço) a área infartada exibe-se empalidecida (infarto "branco" ou anêmico).



Aspecto típico do infarto anêmico (em rim, à esquerda, e baço).





Aspectos morfopatológicos



Extenso infarto miocárdico caracterizado por áreas empalidecidas em região septal e parede anterior do VE.





Aspectos morfopatológicos: - em órgãos com mais de uma via de irrigação (p. ex., pulmões, fígado) ou sujeitados à isquemia por obstrução venosa (congestão), a área infartada exibe-se rubra (infarto "vermelho" ou hemorrágico).



Aspecto típico do infarto hemorrágico (lat. infarcire, repleto).





Características gerais:
- estado de insuficiência circulatória sistêmica que progride com hipóxia generalizada e prejuízos crescentes às funções celulares;
- repercute em disfunção de múltiplos órgãos e culmina com o óbito na ausência de apropriada assistência em tempo hábil;
- complicação grave comum a diversas doenças (incluindo traumas);
- o quadro clínico pode variar conforme a causa e o estágio evolutivo, mas em geral tem a hipotensão arterial (PAS <90mmHg) como elemento comum.






Classificação patogenológica:
- cardiogênico: por insuficiência grave da bomba cardíaca, devido causas intrínsecas ou extrínsecas ao coração;
- hipovolêmico: por depleção importante do volume circulante (inclui o choque hemorrágico);
- neurogênico: por disfunção autonômica grave;
- inflamatório: por repercussões sistêmicas graves de uma resposta inflamatória exacerbada (inclui o choque séptico);
- anafilático: por repercussões sistêmicas graves de uma resposta alérgica generalizada (anafilaxia).


Choques distributivos




Principais causas e mecanismos subjacentes:
- choque cardiogênico:
-- em geral secundário à isquemia/infarto miocárdico agudo, mas pode decorrer de arritmias, valvopatias e outras cardiopatias;
-- causas extracardíacas incluem efusões pericárdicas (tamponamento), pneumotórax ou embolia pulmonar volumosas (choque obstrutivo);
-- prejuízos ao enchimento e/ou esvaziamento ventricular rebaixam o débito cardíaco, levando à hipoperfusão sistêmica (inclusive miocárdica, debilitando ainda mais a performance do coração);
-- a congestão difusa associada impõe obstáculo adicional à perfusão tecidual.






Principais causas e mecanismos subjacentes:
- choque hipovolêmico:
-- em geral secundário à hemorragia, mas pode decorrer da perda de fluidos por diarreia, vômitos, diurese ou sudorese profusas;
-- causas hemorrágicas incluem trauma (principal), distúrbios gastrintestinais (varizes esofágicas, úlcera péptica, tumores), ginecológicos e obstétricos (rotura uterina, descolamento placentário);
-- perdas agudas maiores que 20% do volume sanguíneo já podem sobrepujar os mecanismos compensatórios, levando à queda do débito cardíaco e insuficiência circulatória.






Principais causas e mecanismos subjacentes:
- choque neurogênico:
-- em geral secundário ao trauma medular cervical/torácico (acima de T6), que repercute em disfunção autonômica;
-- a lesão nervosa direta e/ou isquêmica acarreta prejuízos à sinalização simpática, com subsequentes desequilíbrios na regulação do tônus vascular (em especial o venoso) e frequência cardíaca;
-- o aumento do continente vascular (diminuindo o retorno venoso) e a queda da frequência cardíaca resultam na mobilização/distribuição ineficiente do sangue, favorecendo o sofrimento hipóxico generalizado.






Principais causas e mecanismos subjacentes:
- choque inflamatório:
-- em geral associado a infecções (choque séptico), grandes queimaduras ou outros traumas graves; -- dentre as causas microbianas, destacam-se as bacterianas (E. coli, Pseudomonas spp., Staphylo/Streptococcus spp., dentre outros, conforme o sítio);
-- os mecanismos envolvidos são múltiplos, complexamente interligados e parcialmente compreendidos.






Principais causas e mecanismos subjacentes:
- choque inflamatório:
-- a liberação maciça de mediadores inflamatórios induz dilatação e aumento da permeabilidade microvasculares difusamente;
-- o aumento do continente e a perda de volume prejudicam o retorno venoso e o débito cardíaco;
-- a hipoperfusão tecidual é acentuada pelo incremento da viscosidade sanguínea (↓ plasma por exsudação) e atuação prócoagulante das citocinas inflamatórias (tromboses);
-- a mobilização/distribuição ineficiente do sangue favorece a hipóxia tecidual sistêmica.






Principais causas e mecanismos subjacentes:
- choque anafilático:
-- causado pela exposição a alergênios (alimentos, medicamentos, insetos) a que o organismo foi previamente sensibilizado;
-- a liberação maciça de histamina (mastócitos e basófilos), mediada por IgE, induz dilatação e aumento da permeabilidade microvasculares sistemicamente (fenômeno análogo ao choque inflamatório);
-- a atuação concomitante de prostaglandinas e leucotrienos (mastócitos), além de potencializar os efeitos da histamina, induz broncoespasmo, agravando (hipoxemia) o cenário de insuficiência circulatória.






Evolução fisiopatológica:
- independente da causa, a tendência à insuficiência circulatória é inicialmente antagonizada por mecanismos neuro-humorais (taquicardia, vasoconstrição difusa, retenção hídrica), que eventualmente são sobrepujados;
- uma vez instalada, a hipóxia progressiva repercute em lesão e necrose celular, agregando mais prejuízos funcionais (círculo vicioso), inclusive de ordem cardiopulmonar e bulbar (centros regulatórios).






Evolução fisiopatológica:
- o sofrimento hipóxico generalizado fomenta (ou potencializa) resposta inflamatória sistêmica, que acaba por intensificar a insuficiência circulatória (choque sobre choque);
- endotoxinas bacterianas (isquemia intestinal), além de amplificar a inflamação, deprimem o miocárdio, agravando o cenário;
- prejuízos adicionais são comumente agregados pela ativação sistêmica da coagulação (disfunção/lesão endotelial, estase, inflamação);
- sobrevém a falência múltipla dos órgãos e o colapso sistêmico irreversível.






Alterações morfopatológicas:
- os achados à necrópsia são inespecíficos (congestão, edema, necrose, hemorragia), sendo similares entre os diferentes tipos de choque;
- pode haver sufusões petequiais na pele, mucosas e serosas, em decorrência de microtrombose difusa (CIVD).



Necrose tubular renal (à esquerda) e centrolobular hepática (à direita) no contexto de choque.





Referências bibliográficas
Gerais:
1. Kumar V, Abbas A, Aster J. Robbins & Cotran: Pathologic basis of disease. 9th ed. Elsevier; 2016.
2. O'Dowd G, Bell S, Wright S. Wheather's Pathology: A text, atlas and review of histopathology. 9th ed. Elsevier; 2020.
3. Klatt E. Robbins & Cotran: Atlas of pathology. 3rd ed. Elsevier; 2015.
4. Buja L, Krueger G. Netter's Illustrated human pathology. 2nd ed. Elsevier; 2011.
5. Goldblum J, et al. Rosai & Ackerman's Surgical pathology. 11th ed. Elsevier; 2017.
Específicas:
1. Marino PL. Compêndio de UTI. 4ª ed. Artmed; 2014.






Referências bibliográficas
Complementares:
1. Sociedade Brasileira de Anatomia. Terminologia Anatômica. Manole; 2001.
2. Federative International Committee on Anatomical Terminology. Terminologia Histologica. LWW; 2008.
3. Ovalle WK, Nahirney PC. Netter: Bases da histologia. Elsevier; 2008.
4. Ross MH, Pawlina W. Histologia texto e atlas. 6ª ed. Guanabara Koogan; 2012.
5. Mills S. Histology for pathologists. 4th ed. LWW; 2012.
6. Alberts B, et al. Biologia molecular da célula. 6ª ed. Artmed; 2017.
7. Standring S. Gray's Anatomia: a base anatômica da prática clínica. 40ª ed. Elsevier; 2011.
8. Schunke M, Schulte E, Schumacher U. Prometheus: Atlas de anatomia. Guanabara Koogan; 2007.
9. Netter FH. Atlas de anatomia humana. 7ª ed. Elsevier; 2018.
10.Jansen JT, Netter FH. Netter's Clinical anatomy. 4nd ed. Elsevier; 2019.
11.Moore KL, Persaud PVN. Embriologia clínica. 10ª ed. Elsevier; 2016.
12.Boron W, Boulpaep E. Medical Physiology. 3rd ed. Elsevier; 2017.
13.Coico R, Sunshine G. Immunology. 7th ed. Wiley Blackwell; 2015.
14.Porto C, Porto A. Semiologia médica. 8ª ed. Guanabara Koogan; 2019.
15.Longo DL, Fauci AS, Kasper DL, et al. Medicina interna de Harrison. 18ª ed. Artmed; 2013.






Annals of Laboratory Medicine:

Journal of Emergencies, Trauma, and Shock:












"A ciência é mais do que um corpo de conhecimento –é um modo de pensar".