
Hvmani Corporis Educacional Patologia Geral



![]()








Conceitos fundamentais
Inflamação (lat. inflammare, atear fogo):
Reação fisiológica a um estímulo interpretado como nocivo, caracterizada pelo aumento local do fluxo e permeabilidade vasculares, com a subsequente migração de células circulantes específicas (leucócitos) para o tecido insultado, cuja função é eliminar a causa da injúria e os detritos resultantes.


A inflamação representa uma importante ferramenta (ainda que algo rudimentar) a serviço da imunidade, sendo essencial à sobrevivência; porém, pode mostrar-se patológica quando demasiado intensa ou prolongada ou quando acionada por gatilhos anormais.





Manifestações cardinais da inflamação: calor, rubor, tumor (sinais flogísticos), dor e disfunção.





O prejuízo funcional associado à inflamação varia conforme a sua severidade e o órgão/tecido comprometido.



Estímulos nocivos (ou reconhecidos como tal) e seus produtos/efeitos:
- despojos celulares (fragmentos de organelas e conteúdos vazados, sinalizando necrose, por qualquer causa);
- variações na concentração intracelular de conteúdos específicos (sinais indiretos de lesão);
- infecções;
- corpos estranhos;
- alergênios;
- autoantígenos.




Produtos da necrose e agentes interpretados como nocivos pelo organismo (ainda que erroneamente) têm capacidade de deflagrar uma reação inflamatória direta ou indiretamente (por mediação da resposta imune).



Células "inflamatórias":
- atuam no reconhecimento e/ou remoção de agentes nocivos e detritos teciduais gerados pela atuação destes;
- produzem os mediadores químicos que orquestram a resposta inflamatória;
- circulantes ou residentes nos tecidos;
- formadas na medula óssea.



Leucócitos

Neutrófilo Eosinófilo

Monócito


Mastócito Linfócito
Células "sentinela"

Macrofagócito (histiócito)

Dendrócito
Principais células (fora de escala) a protagonizar a resposta inflamatória.


Microvasculatura:
- os microvasos (arteríolas, capilares e vênulas) representam uma interface dinâmica entre o sangue e os demais tecidos, sendo responsivos a mediadores produzidos pelas células inflamatórias, os quais influenciam seu tônus e permeabilidade; - os endoteliócitos são sensíveis a estímulos nocivos e sintetizam, eles próprios, mediadores inflamatórios.




Características gerais:
- moléculas sinalizadoras que regem a resposta inflamatória;
- pré-formados ou formados sob demanda;
- atuam localmente ou à distância;
- efeitos pró ou anti-inflamatórios.


Sintetizados por "células inflamatórias"
Pré-formados (em grânulos)
Formados sob demanda
Sintetizados por hepatócitos

Aminas vasoativas
Citocinas
Eicosanoides
Outros
Circulantes (plasmáticos)
Proteínas do sistema complemento
Sem a atuação de mediadores químicos, não há inflamação.


Citocinas:
- principais mediadores da comunicação celular na inflamação;
- de natureza proteica, são produzidas (sob demanda) por tipos celulares diversos (em especial, sentinelas, leucócitos e endoteliócitos), em resposta a estímulos diretos ou indiretos;
- atuam em diversas etapas do processo inflamatório;
- ação autócrina, parácrina ou endócrina, com efeitos receptordependentes, exercidos por meio da indução de expressões gênicas.


Ação autócrina
Célula-alvo
Citocinas
Receptor
Ação parácrina
Ação endócrina

Célula-alvo local
Célula-alvo distante Circulação
Os efeitos das citocinas desencadeiam-se a partir da ligação a receptores específicos nas células-alvo.


Principais citocinas inflamatórias (conforme a classe):
- interleucinas: IL-1, IL-6 IL-10;
- quimiocinas: CXCL8 (IL-8);
- fatores de necrose tumoral: TNF(-α);
- fatores de crescimento: TGF-β;
- interferons: IFN-γ.




Eicosanoides:
- de natureza lipídica, produzidos (sob demanda) por tipos celulares diversos (em especial, sentinelas, leucócitos e endoteliócitos);
- derivam do ác. araquidônico (membrana plasmática) obtido pela ação de uma fosfolipase (PLA2) que é ativada direta ou indiretamente por estímulos variados (↑ do Ca2+ citosólico, citocinas).

Membrana plasmática

Fosfolipídio

Ác. araquidônico

O ác. araquidônico é um ác. graxo insaturado presente em fosfolipídios da membrana plasmática.



Eicosanoides:
- sintetizados em reações catalisadas por cicloxigenases (COX) e lipoxigenases (LOX);
- efeitos diversos, sobre diversas etapas do processo inflamatório.



Ω-3


Membrana plasmática (fosfolipídios) COX-2

Prostaglandinas e tromboxanos
PLA2
Ác. araquidônico
e 12-LOX
Leucotrienos e lipoxinas
Esquema simplificado da síntese dos eicosanoides.


Principais eicosanoides inflamatórios:
- sintetizados por cicloxigenases:
-- prostaglandinas: PGD2, PGE2, PGI2 (prostaciclina);
- sintetizados por lipoxigenases:
-- leucotrienos: LTB4, LTC4, LTD4, LTE4;
-- lipoxinas: LXA4.




Aminas vasoativas:
- primeiros mediadores a entrar em cena no processo inflamatório;
- moléculas pré-formadas, especialmente em mastócitos;
- liberadas em resposta à ativação de mastócitos por estímulos diversos;
- efeitos locais, sobre a microvasculatura;
- representadas pela histamina (principal) e serotonina.




Mastócitos repletos de grânulos citoplasmáticos (à microscopia óptica e eletrônica de transmissão).


Proteínas do sistema complemento:
- coleção de proteínas plasmáticas produzidas por hepatócitos;
- circulam sob formas inertes, ativando-se ao contato com agentes nocivos;
- efeitos diversos, em várias etapas da resposta inflamatória;
- representadas principalmente pela C3a, C3b, C5a.




Cronologia:
- 1: reconhecimento do estímulo/agente nocivo;
- 2: aumento local do fluxo e permeabilidade vasculares;
- 3: recrutamento de leucócitos circulantes;
- 4: remoção do estímulo/agente nocivo;
- 5: resolução da resposta.




Células sentinela:
- principais responsáveis por reconhecer estímulos nocivos (e/ou seus efeitos) e iniciar a resposta inflamatória;
- localizações estratégicas (intra/subepiteliais, perivasculares, linfonodos, baço);
- capazes de reconhecer cerca de mil padrões químicos diferentes.






As células sentinela permeiam os tecidos do corpo e estão sempre "atentas" a estímulos nocivos (diretos ou indiretos).


Reconhecimento do estímulo/agente nocivo
Principais mecanismos:
- sensores citosólicos de lesão celular:
-- expressos por todas as células;
-- identificam desequilíbrios eletrolíticos (p. ex., ↓[K+], ↑[Ca2+]), radicais livres, fragmentos moleculares (p. ex., DNA);
-- capazes de identificar, também, algumas partículas microbianas;
-- ativam inflamossomas, que induzem a síntese de IL-1 (recrutamento de leucócitos da circulação).




Reconhecimento do estímulo/agente nocivo
Principais mecanismos:
- sensores membranares de necrose celular:
-- expressos por mastócitos;
-- identificam proteínas nucleares específicas liberadas por epiteliócitos e fibroblastos necróticos;
-- deflagram a exocitose de mediadores vasoativos.




Reconhecimento do estímulo/agente nocivo
Principais mecanismos:
- sensores membranares e citosólicos de microrganismos: -- expressos por macrofagócitos e dendrócitos (leucócitos e epiteliócitos também podem expressá-los);
-- identificam glicoproteínas/glicolipídios microbianos; -- induzem a síntese de IL-1, TNF-α e CXCL8 (que recrutam leucócitos da circulação).




Reconhecimento do estímulo/agente nocivo
Principais mecanismos:
- "proteínas sentinela" do sistema complemento:
-- presentes na circulação sanguínea, exibem afinidade por microrganismos e toxinas microbianas;
-- induzem a liberação de histamina (mastócitos), ativam lipoxigenases e auxiliam no recrutamento de leucócitos (quimiotaxia), além de atuarem como opsoninas.




Principais mecanismos:
- aumento do fluxo arteriolar (hiperemia):
-- pela dilatação de arteríolas locais; -- mediado pela histamina (mastócitos perivasculares; principal mediador) e prostaglandinas (PGD2, PGE2, PGI2); -- maior aporte local de sangue (causa do rubor/eritema e calor), incluindo leucócitos e mediadores inflamatórios.



Histamina e prostaglandinas

Vasodilatação arteriolar na inflamação.


Principais mecanismos:
- aumento da permeabilidade venocapilar:
-- pela retração de endoteliócitos e/ou lesão do endotélio;
-- mediada pela histamina (principal), prostaglandinas (PGD2, PGE2) e leucotrienos (LTC4, LTD4, LTE4);
-- favorece o extravasamento de plasma (com alta concentração proteica) e leucócitos (exsudação, causando edema e efusões).
Estímulo nocivo

Vasodilatação e retração endotelial
Histamina e outros mediadores

Fluxo lentificado
Plasma rico em proteínas


Retração/lesão endotelial
A perda de plasma (retração/lesão endotelial) gera aumento da viscosidade sanguínea, que, associada à dilatação do leito vascular, resulta na lentificação do fluxo local, o que favorece a subsequente adesão de leucócitos ao endotélio.


Exsudação e transudação


Edema rico em proteínas

Permeabilidade endotelial aumentada
Exsudação (fenômeno inflamatório)
Edema pobre em proteínas

Transudação (fenômeno hidrostático/osmótico)
Os edemas (e efusões) exsudativo e transudativo originam-se por diferentes mecanismos.
↑ pressão sanguínea
↓ pressão osmótica


Recrutamento de leucócitos circulantes
Principais mecanismos:
- adesão leucocitária fraca:
-- células sentinela estimuladas produzem IL-1 e TNF-α, que inicialmente induzem, nos endoteliócitos e leucócitos, a expressão membranar de selectinas (moléculas de adesão fraca) e seus ligantes; -- as adesões fracas são efêmeras e resultam no rolamento de leucócitos (impulsionados pela corrente sanguínea) sobre a superfície endotelial.




Recrutamento de leucócitos circulantes
Principais mecanismos:
- adesão leucocitária forte:
-- a expressão endotelial de ligantes para integrinas, moléculas de adesão forte exibidas por leucócitos, também é induzida pela IL-1 e TNF-α;
-- a afinidade das integrinas pelos ligantes endoteliais é ativada por quimiocinas (em especial a CXCL8) e leucotrienos (LTB4).




Recrutamento de leucócitos circulantes
Principais mecanismos:
- diapedese (migração transendotelial): -- leucócitos aderidos, estimulados por quimiocinas (CXCL8) e moléculas de adesão endoteliais (PECAM-1), esgueiram-se pelos espaços interendoteliais; -- colagenases secretadas pelos leucócitos asseguram a perfuração da membrana basal, dando-lhes acesso ao ambiente extravascular.




Recrutamento de leucócitos circulantes
Adesão e migração

Ligante de selectinas
Endotélio
Receptor de quimiocinas
Integrina
Adesão fraca e rolamento
Adesão forte e achatamento
Diapedese

P-selectina E-selectina
Moléculas adesivas Quimiocinas (macrofagócitos)
Histamina (mastócitos)
Esquema simplificado da adesão e migração leucocitária rumo ao tecido conjuntivo perivascular.



Adesão e migração






Recrutamento de leucócitos circulantes
Principais mecanismos:
- quimiotaxia leucocitária: -- quimiocinas (CXCL8), leucotrienos (LTB4), complemento (C3a, C5a) e moléculas microbianas "guiam" os leucócitos imigrados rumo ao epicentro da lesão; -- sinalizações transmembrana dão origem a filópodes, no sentido do gradiente quimiotático, que tracionam a célula por meio de interações actina-miosina.

Endotélio
"Moléculas guia"
Leucócito migrado
Macrof.
Tecido agredido

Estímulo (bactéria)
Esquema simplificado da quimiotaxia leucocitária.








Adesão (1), migração transendotelial (2) e infiltração quimiotática (3) de leucócitos, observadas por microscopia óptica.


Recrutamento de leucócitos circulantes
Natureza do infiltrado leucocitário: - maioria dos casos: neutrófilos (principalmente nas primeiras 48h) e monócitos (predominantes após aprox. 48h).



Plasma (edema) Neutrófilos Monócitos


Natureza do infiltrado leucocitário

Neutrófilos


Parede do apêndice cecal maciçamente infiltrada por neutrófilos (apendicite aguda).



Recrutamento de leucócitos circulantes
Natureza do infiltrado leucocitário




Eosinófilos
Inflamações de causa alérgica ou helmíntica tipicamente exibem um infiltrado leucocitário rico em eosinófilos (aspecto microscópico da esofagite alérgica).


Recrutamento de leucócitos circulantes
Natureza do infiltrado leucocitário


Linfócitos

Inflamações de causa viral tipicamente exibem um infiltrado leucocitário com predomínio de linfócitos (aspecto microscópico de uma hepatite viral aguda).


Remoção do estímulo/agente nocivo
Principais mecanismos: - fagocitose: -- efetuada especialmente por neutrófilos, eosinófilos e macrofagócitos; -- o reconhecimento de moléculas microbianas (e outros elementos estranhos), agentes opsonizados (C3b) e debris celulares resulta na emissão de pseudópodes que englobam o agressor, formando-se os fagossomas.

Pseudópodes


Opsoninas tornam seu substrato "atraente" aos fagócitos (à direita, leucócito englobando uma levedura em imagem colorizada obtida por microscopia eletrônica de varredura).



Remoção do estímulo/agente nocivo
Principais mecanismos:
- fagocitose:
-- grânulos lisossomais contendo amplo arsenal enzimático fundem-se ao fagossoma e digerem seu conteúdo;
-- radicais livres oxigenados (RLO) e nitrogenados (RLN) produzidos no interior dos fagossomas colaboram com o processo de degradação.


Citoplasma
Opsonina
Receptor membranar
Agente agressor

Degradação enzimática
Engolfamento
Formação do fagossoma
Lisossoma
RLO O2 Produção de radicais livres
Degradação química
Representação simplificada da fagocitose.
Fagolisossoma


Remoção do estímulo/agente nocivo
Principais mecanismos:
- fagocitose:
-- a digestão nos fagossomas resulta na formação de corpos residuais, que se acumulam no citoplasma e/ou são exocitados; -- os leucócitos sobreviventes sofrem apoptose ao fim do processo e são englobados por macrofagócitos.




O destino dos fagossomas.


Remoção do estímulo/agente nocivo
Principais mecanismos:
- armadilhas extracelulares:
-- redes viscosas de cromatina, oriundas de neutrófilos, que concentram enzimas e moléculas antimicrobianas;
-- limitam a disseminação de microrganismos e colaboram com sua destruição;
-- o processo culmina com a morte dos neutrófilos.


Mieloperoxidase
Neutrófilo

"capturado"
Neutrófilos têm a habilidade de produzir "teias" que capturam microrganismos nocivos.


Principais mecanismos:
- os mediadores inflamatórios têm vida curta, sendo inativados ou degradados logo após sua liberação;
- a medida que o estímulo original é neutralizado, a produção de mediadores pró-inflamatórios decai (e assim, seus efeitos) e entram em cena mediadores com ação anti-inflamatória.




Principais mecanismos:
- citocinas anti-inflamatórias (IL-10, TGF-β) inibem a produção de citocinas pró-inflamatórias e o recrutamento de leucócitos, bem como a atividade de macrofagócitos e dendrócitos; - lipoxinas (LXA4) inibem a quimiotaxia de leucócitos; - os neutrófilos morrem poucas horas após deixar a circulação (apoptose).




Principais fenômenos:
- febre: -- citocinas pirógenas (IL-1 e TNF-α) estimulam a produção de prostaglandinas (PGE2) que reconfiguram o "termostato" hipotalâmico (em até 4oC); -- infecções (em especial bacterianas) são potentes indutores da produção de mediadores pirógenos; -- função biológica não plenamente esclarecida (otimiza o desempenho imunológico contra infecções?).



A febre pode ser precedida por calafrios e sucedida por sudorese e acompanhar-se de hiperalgesia difusa e prostração.


Principais fenômenos:
- leucocitose:
-- aumento da contagem de leucócitos no sangue;
-- resulta da liberação acelerada de leucócitos na circulação (mediada pela IL-1 e TNF-α), incluindo formas imaturas ("desvio à esquerda");
-- infecções são potentes indutores (bactérias: neutrofilia; parasitas: eosinofilia; vírus: linfocitose).
-- visa corresponder à demanda por leucócitos no foco da inflamação.



Citologia sanguínea normal e leucocitose (neutrofilia com presença de células imaturas).



Principais fenômenos:
- hiperproteinemia:
-- aumento da concentração plasmática de proteínas que tem sua produção estimulada (no fígado) por citocinas pró-inflamatórias (IL-1, IL-6 e TNF-α);
-- proteínas C reativa e sérica amiloide A, fibrinogênio e ferritina são exemplos;
-- funções diversas (opsonização, ativação do complemento, proteção contra radicais livres gerados na resposta inflamatória);
-- utilizam-se como marcadores plasmáticos da inflamação.



O aumento da velocidade de hemossedimentação (VHS) reflete o aumento do fibrinogênio plasmático.





Um quadro gripal típico ilustra os efeitos sistêmicos da inflamação.


Principais mecanismos:
- a atuação destrutiva das células inflamatórias não é perfeitamente seletiva, estendendo-se, em maior ou menor grau, aos tecidos hígidos adjacentes;
- a liberação de enzimas proteolíticas e radicais livres por leucócitos é a principal causa dos danos colaterais locais;
- a injúria inflamatória, associada a atuação hiperalgésica de prostaglandinas (PGE2), dentre outros, exacerba a dor que tipicamente acompanha a inflamação.




Principais mecanismos:
- o edema excessivo pode acentuar a debilidade funcional, além de prejudicar a perfusão do tecido inflamado, favorecendo lesão adicional por hipóxia;
- uma liberação massiva de citocinas pró-inflamatórias (infecções ou traumas graves) associa-se a repercussões sistêmicas complexas e potencialmente letais (choque).




Características gerais:
- variáveis conforme o tecido comprometido e as causas da resposta inflamatória;
- sua interpretação auxilia no diagnóstico etiopático, orientando a terapêutica.




Padrões de exsudação
Exsudação serosa:
- exibe celularidade e teor de proteico relativamente baixos; - aspecto aquoso, róseo/amarelado claro;
- podem formar-se coleções em espaços gerados pela lesão (vesículas e bolhas) ou cavidades corporais (efusões ou "derrames" serosos).



Aspecto macro e microscópico de uma bolha cutânea (flictena).



Exsudação serosa



Drenagem de efusão/derrame articular (joelho).


Exsudação fibrinosa:
- exibe baixa celularidade e alta concentração de fibrina;
- aspecto grumoso e acinzentado;
- típica na inflamação de revestimentos internos (pericárdio, pleura, peritônio).




Cavidades pericárdica (à esquerda) e pleural exibindo exsudato fibrinoso.


Exsudação purulenta (supurativa):
- exibe alta celularidade e restos necróticos liquefeitos;
- aspecto leitoso pardo-claro e espesso (pus);
- tipicamente tem causa bacteriana (bactérias piogênicas);
- podem formar-se efusões purulentas (empiemas) ou coleções confinadas de pus em espaços lesionais (pústulas, abscessos).




O pus é um exsudato viscoso que exibe grande acúmulo de leucócitos (principalmente neutrófilos) e debris celulares.



Exsudação purulenta (supurativa)



Meningite supurativa e volumoso empiema pleural observados à necrópsia.



Exsudação purulenta (supurativa)



Comparativo entre o aspecto microscópico de um exsudato purulento (à esquerda) e um fibrinoso.



Características gerais:
- decorre da não resolução da resposta inflamatória aguda, devido à persistência do estímulo nocivo ou falhas na regulação do processo;
- não há alterações vasculares exuberantes como na resposta aguda, mas pode haver sobreposição de eventos típicos da resposta aguda ("reagudizações");
- pode não haver uma fase aguda clinicamente significativa;
- pode perdurar por vários dias ou anos.




Características gerais:
- tipicamente há progressiva destruição tecidual (prejuízo funcional);
- acompanha-se de fenômenos reparatórios frustros;
- protagonizada especialmente por macrofagócitos e linfócitos T.



Macrofagócitos (círculo) e linfócitos (seta) protagonizam a inflamação crônica.


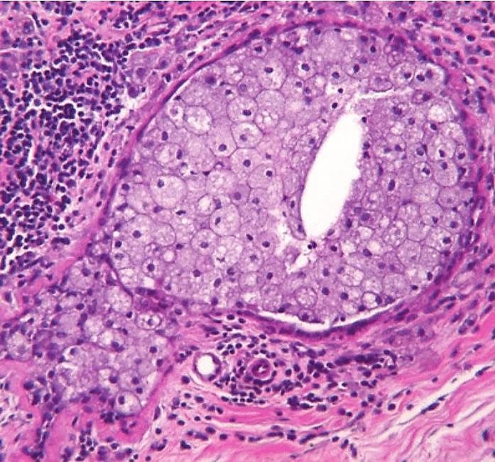
Características gerais




Tireoidite crônica exibindo denso infiltrado linfocitário; à direita (em maior aumento), ducto mamário cronicamente inflamado, repleto de macrofagócitos "espumosos", com linfócitos na periferia.


Principais causas:
- exposição repetitiva a estímulos nocivos;
- infecções por microrganismos resilientes;
- exposição recorrente a alergênios;
- estimulação por antígenos próprios (autoimunidade).




Exposição repetitiva a estímulos nocivos



Esforços mecânicos repetitivos podem levar a inflamações músculoarticulares crônicas.



Exposição repetitiva a estímulos nocivos



O consumo recorrente de álcool pode levar à hepatite crônica e cirrose hepática.



Exposição repetitiva a estímulos nocivos



A exposição recorrente à fumaça de cigarro, nociva às vias aéreas, leva a sua inflamação crônica e à destruição progressiva do parênquima pulmonar.



Infecções por microrganismos resilientes



Infecções resistentes à resposta inflamatória aguda, como pelo Mycobacterium tuberculosis (à esquerda) ou pelo Mycobacterium leprae (à direita), são causas de inflamação crônica.



Exposição repetitiva a alergênios



A asma e a dermatite atópica são doenças imunoinflamatórias crônicas.



Estimulação por antígenos próprios



A artrite reumatoide e o lúpus eritematoso sistêmico são doenças inflamatórias crônicas de natureza autoimune.




Mecanismos da inflamação crônica:
- a persistência de estímulos nocivos sustenta a atividade de macrofagócitos (síntese de mediadores, fagocitose) no sítio inflamatório;
- a produção sustentada de citocinas (IL-1, TNF-α, CXCL8) pelos macrofagócitos assegura o recrutamento de leucócitos (incluindo linfócitos), que migram ao sítio da lesão por quimiotaxia (CXCL8, LTB4, C3a, C5a).




Mecanismos da inflamação crônica:
- macrofagócitos ativam linfócitos T auxiliares por meio de citocinas (IL-12, IL-23) e apresentação de antígenos; - citocinas produzidas pelos linfócitos T (como IFN-γ e IL-17) intensificam e sustentam a atividade dos macrofagócitos, além de recrutar novos leucócitos (incluindo monócitos);
- a atuação dos linfócitos T realimenta a resposta inflamatória e tende a perpetuá-la.



Mecanismos da inflamação crônica

Recrutamento de leucócitos (incluindo monócitos)
Linfócito T ativado
IL-17
Linfócito T

Apresentação de antígenos
Macrofagócito estimulado
IL-12, IL-23
Recrutamento de leucócitos (incluindo linfócitos)
IL-1, TNF-α, CXCL8
Estímulos nocivos, citocinas
Macrofagócito
Macrofagócitos e linfócitos protagonizam um círculo vicioso que pode sustentar a inflamação crônica por longos períodos.



Cronificação do processo inflamatório
Inflamação granulomatosa:
- padrão morfológico que cursa com a formação de granulomas, agregados concêntricos de macrofagócitos, tipicamente circundados por um halo linfocitário, exibindo um centro por vezes necrótico, motivados por um estímulo persistente (nem sempre identificável);
- macrofagócitos fusionados formando "células gigantes multinucleadas" (células de Langhans) são comuns;
- a identificação de granulomas favorece o norteamento diagnóstico.

Halo linfocitário Centro necrótico


Célula gigante multinucleada

Um granuloma à microscopia óptica; em maior aumento (à direita), uma célula gigante multinucleada.


Inflamação granulomatosa


Agente infeccioso
Célula necrótica
Dendrócito
Macrofagócitos apoptóticos

Linfócito T
Linfócito B
Macrofagócitos
Célula gigante multinucleada
Macrofagócito "espumoso"
Concepção esquemática de um granuloma clássico, exibindo macrofagócitos em diferentes estados funcionais, guarnecidos por linfócitos, em torno de um centro necrótico infectado.


Inflamação granulomatosa



Clássico granuloma tuberculoso pulmonar; à direita, em grande aumento (1000x), micobactérias (M. tuberculosis) observadas à coloração de Ziehl-Neelsen, no interior do granuloma.



Inflamação granulomatosa



Granuloma dérmico hansênico; à direita, bacilos (M. leprae) observados à coloração de Ziehl-Neelsen.



Inflamação granulomatosa




Infecções pelo Treponema pallidum podem cursar com a formação de granulomas (neurossífilis da dura-máter espinal).



Inflamação granulomatosa



Granulomas podem eventualmente ser observados junto à mucosa intestinal na doença de Crohn, de natureza autoimune.



Inflamação granulomatosa



A sarcoidose é uma doença idiopática caracterizada pela formação de granulomas em múltiplos órgãos, como linfonodos.




Fenômeno
Identificação do estímulo nocivo
Principais células envolvidas
Principais classes de mediadores envolvidas
Principais mediadores envolvidos
Mastócitos, macrofagócitos, dendrócitos↓[K+], ↑[Ca+], conteúdos celulares, toxinas, microrganismos
Aumento do fluxo arteriolar Mastócitos, leucócitos
Aumento da permeabilidade venular Mastócitos, leucócitos
Recrutamento de leucócitos: adesão ao endotélio
Recrutamento de leucócitos: diapedese
Recrutamento de leucócitos: quimiotaxia
Fagocitose
Inibição da resposta inflamatória
Dor
Febre
Leucocitose
Hiperproteinemia
Inflamação crônica
Macrofagócitos, mastócitos, leucócitos, endoteliócitos
Macrofagócitos, mastócitos, leucócitos, endoteliócitos
Macrofagócitos, mastócitos, leucócitos, endoteliócitos
Macrofagócitos, neutrófilos, eosinófilos
Macrofagócitos, leucócitos
Mastócitos, leucócitos
Mastócitos, leucócitos
Macrofagócitos, mastócitos, leucócitos, endoteliócitos
Macrofagócitos, mastócitos, leucócitos, endoteliócitos
Aminas vasoativas e prostaglandinas Histamina (principal), PGD2, PGE2, PGI2
Aminas vasoativas, prostaglandinas e leucotrienos
Histamina (principal), PGD2,
Citocinas e leucotrienos IL-1, TNF-α, CXCL8 e LTB4
Citocinas, moléculas de adesão endotelial CXCL8, PECAM-1
Citocinas, leucotrienos e complemento CXCL8, LTB4, C3a, C5a
Complemento e outras opsoninas; moléculas da parede bacteriana C3b
Citocinas e lipoxinas IL-10, TGF-β, LXA4
Prostaglandinas
Prostaglandinas
Citocinas IL-1, TNF-α
Citocinas
Macrofagócitos, linfócitos T Citocinas
Quadro resumo dos principais fenômenos da inflamação aguda e crônica, seus mediadores e células relacionadas.

-α)


Referências bibliográficas
Gerais:
1. Kumar V, Abbas A, Aster J. Robbins & Cotran: Pathologic basis of disease. 9th ed. Elsevier; 2016.
2. O'Dowd G, Bell S, Wright S. Wheather's Pathology: A text, atlas and review of histopathology. 9th ed. Elsevier; 2020.
3. Klatt E. Robbins & Cotran: Atlas of pathology. 3rd ed. Elsevier; 2015.
4. Buja L, Krueger G. Netter's Illustrated human pathology. 2nd ed. Elsevier; 2011.
5. Goldblum J, et al. Rosai & Ackerman's Surgical pathology. 11th ed. Elsevier; 2017.
Específicas:
1. Serhan CN, Ward PA, Gilroy, DW. Fundamentals of inflammation. Cambridge University Press; 2010.




Referências bibliográficas
Complementares:
1. Sociedade Brasileira de Anatomia. Terminologia Anatômica. Manole; 2001.
2. Federative International Committee on Anatomical Terminology. Terminologia Histologica. LWW; 2008.
3. Ovalle WK, Nahirney PC. Netter: Bases da histologia. Elsevier; 2008.
4. Ross MH, Pawlina W. Histologia texto e atlas. 6ª ed. Guanabara Koogan; 2012.
5. Mills S. Histology for pathologists. 4th ed. LWW; 2012.
6. Alberts B, et al. Biologia molecular da célula. 6ª ed. Artmed; 2017.
7. Standring S. Gray's Anatomia: a base anatômica da prática clínica. 40ª ed. Elsevier; 2011.
8. Schunke M, Schulte E, Schumacher U. Prometheus: Atlas de anatomia. Guanabara Koogan; 2007.
9. Netter FH. Atlas de anatomia humana. 7ª ed. Elsevier; 2018.
10.Jansen JT, Netter FH. Netter's Clinical anatomy. 4nd ed. Elsevier; 2019.
11.Moore KL, Persaud PVN. Embriologia clínica. 10ª ed. Elsevier; 2016.
12.Boron W, Boulpaep E. Medical Physiology. 3rd ed. Elsevier; 2017.
13.Coico R, Sunshine G. Immunology. 7th ed. Wiley Blackwell; 2015.
14.Porto C, Porto A. Semiologia médica. 8ª ed. Guanabara Koogan; 2019.
15.Longo DL, Fauci AS, Kasper DL, et al. Medicina interna de Harrison. 18ª ed. Artmed; 2013.




Microbiology and Molecular Biology Reviews:

Cell Discovery (Nature):










"Novas ideias geram sempre novas perguntas. Essa curiosidade sem fim é a espinha dorsal da ciência".