



![]()




Dirección
Mónica Fueyo Torres
Diseño editorial
Karla Cruz Pérez
Webmaster
Christhian Sosa Ceballos
Colaboradores
José de Jesús Vázquez
Ruth Puerto
Juan Jesús González
Rubén Canto
Brenda Carrión
Nela Besada
Adela Isaac
Enzo Compañ
Salvador Castell
Edly Mortera
Agosto- Septiembre de 2024, N°6, Año 2
Revista El Toloc es una marca registrada ante el Instituto Mexicano de la Propiedad Intelectual. Esta es una publicación bimestral con Solicitud de Reserva de Derechos de Uso Exclusivo ante el Instituto Nacional del Derecho de Autor. Impreso en Cuernavaca por IMP. Oficinas en calle 60 #281 por 21 Col. Alcalá Martín, 97050. Para colaboraciones, contratación de publicidad y suscripciones favor de comunicarse a direccion@eltoloc. com o a través de la página web www.eltoloc.com. Las opiniones e información presentadas en esta revista son propiedad y responsabilidad de sus autores y de ninguna manera reflejan la opinión editorial de la revista.
La tecnología está tan adentrada en la dinámica diaria que hemos dado por hecho su existencia y el cómo se entreteje en cada una de nuestras actividades. Nuestra calidad de vida se ha visto mejorada en un sinfín de aristas desde el inicio de la revolución tecnológica. Con la llegada del internet y de la comunicación a distancia, se dio inicio a un nuevo formato de intercambio de información que transformó por completo nuestra manera de relacionarnos. El almacenaje de grandes cantidades de información y su consulta inmediata redujeron tiempos de espera y, por tanto, mejoraron rendimientos tanto en el sector público como en el privado.
En esta sexta edición, pusimos el ojo sobre algunas (de las muchas) formas en que la tecnología se utiliza. Se pretendió ver cómo la tecnología ha impactado nuestra calidad de vida, pero también cómo cada día irónicamente trae consigo nuevos retos. Ya desde aquellas primeras propuestas distópicas de Aldous Huxley desde 1932, en su caso con la tecnología reproductiva, donde pudimos dar cuenta de que, así como facilitaba muchos procesos, también traía nuevos retos tales como el replanteamiento de la privacidad, derechos corporales y reproductivos, hasta incluso derecho sobre las emociones propias. Actualmente, las Tecnologías de la Información han agilizado la comunicación y socialización a distancia, pero también esto ha permitido la difusión con facilidad de información falsa, la licuefacción de la sociedad
(entendido en los términos de Sygmunt Bauman y su sociedad líquida), la ciberseguridad y el ataque a sistemas, incurriendo en robos de identidad y fraudes.
No obstante, también estudiamos lo positivo y las nuevas propuestas para integrar y proteger a grupos vulnerables, eficientar y mejorar rendimientos en servicios públicos y solidificar los sistemas de seguridad tanto públicos como privados. Un fenómeno que está revolucionando nuestra manera de generar comunidades son las Smart Cities. Hablamos con diversos expertos, directivos y mentes maestras que nos hablaron de cómo están revolucionando el mundo. En el marco de Smart City Latam Congress, se dio la oportunidad de hablar también con mentes privilegiadas como Muhammad Yunus, Premio Nobel de la Paz por su implementación de las microfinanzas para ayudar a grupos en pobreza. Si algo creemos haber logrado con esta edición, es conectar con mentes que, desde la visión humanista, han logrado diseñar sistemas tecnológicos que mejoran la educación, la salud, la comodidad, las finanzas y la movilidad. Sobra decir que la tecnología es el futuro, pero su uso indiscriminado asegura retos progresivamente más complejos, por lo que, se deberá plantear un mundo más cohesionado que haga uso de las nuevas tecnologías a conciencia y con responsabilidad.
Gracias por compartir con nosotros una edición más y formar parte de esta familia El Toloc.

Mónica Fueyo Torres
Directora Editorial

Telemedicina
Protegiendo el futuro
Smart Cities
El Internet de las Cosas (IoT)


Estimulación Magnética Transcraneal
El futuro de las telecomunicaciones
Revitazación de espacios urbanos Ciudades
y


Las Inteligencias Artificiales en el Arte
Adela Isaac
Eduardo Urzaíz
La utopía sci-fi de Mickey
Sisal, naturaleza y legado
En la historia
Gastronomía molecular
El arte de comer quesos
Tintas notables
Eventos y presentaciones

¿Qué es la telemedicina?
El término de telemedicina es tan extenso como poco reciente, pues sus primeros pasos se remontan a 1950 en la Universidad de Nebraska con el diseño de aplicativos experimentales para la transmisión de signos vitales, invento acogido en 1960 por la NASA para monitorear en tiempo real a sus astronautas. No obstante, es a partir de 1988 que la Organización Mundial de la Salud denomina como Telemedicina a toda distribución de servicios de salud en la que la distancia es un factor importante, y donde los profesionales de la salud usan información y tecnología de comunicaciones para el intercambio de información válida para diagnosticar, tratar y prevenir enfermedades o daños, para evaluar e investigar, así como para la educación continua de los proveedores de la salud.
Las barreras geográficas y dificultades de acceso en lugares remotos obstaculizan la atención a la salud y esto, en casos de emergencia, representa un verdadero reto para el sector salud. La telemedicina se ha
venido presentando como una respuesta a las necesidades, por un lado, de la población para ser atendida, y por otro, del gobierno de ofrecer servicios de salud de manera eficiente y al menor costo posible.
En la atención primaria, la telemedicina se encuentra primero, en formato de Teleconsultas, es decir, llamadas o videollamadas donde el paciente consulta cuando existen problemas médicos no urgentes y que no requieren de una revisión presencial por parte del médico. Este tipo de servicio es eficiente en términos de tiempo y costos de traslado, aunque no se sustituya por completo la visita presencial. También se utiliza este tipo de servicio en casos de emergencia cuando el consultorio está fuera de horario y es necesario contactar al médico.
Existe otro concepto más amplio de la telemedicina que implica no solo el tratamiento del paciente, sino también servicios de educación, investigación, salud pública y administración. Una de las ventajas de la telemedicina es el almacenamiento de datos de los pacientes
en redes y nubes telemáticas, lo que permite compartir información de manera rápida y práctica. A partir de ello, es posible hacer predicciones y evaluaciones que permiten guiar el diseño de políticas públicas tanto en términos presupuestarios como de prevención; evaluar los programas mismos de telemedicina y su costo-eficiencia; así como promover más inversión en la telemedicina misma.
Además de la aplicación en áreas rurales y remotas, la telemedicina también ofrece mecanismos para centralizar a especialistas, reduciendo costos para los cuidados de especialidad y apoyar a los médicos de atención primaria. Un dato interesante es que se descubrió a partir de una encuesta aplicada a más de 2000 médicos mexicanos de 18 especialidades en instituciones públicas y privadas en todo el país, que el 45% daban consultas virtuales, siendo la psiquiatría la especialidad en primer lugar con 94%. La mayoría de los profesionales que emplea este tipo de consultas mencionó que registraba de 1 a 5 sesiones virtuales por semana.

A raíz del COVID-19 se hizo más evidente que nunca la necesidad de conectividad a distancia entre pacientes y médicos, tanto por motivos infecciosos como por aspectos de eficiencia y celeridad en la atención, dada la alta demanda de asistencia médica del momento. Gracias a un proyecto de cooperación técnica México y Japón, se facilitó la inauguración de una Unidad de Cuidados Intensivos en Mérida, específicamente en el Hospital General Dr. Agustín O’Horán. La Agencia de Cooperación Internacional de Japón lanzó la Iniciativa Global de Salud y Medicina enfocada en fortalecer tanto el diagnóstico y tratamiento de enfermedades infecciosas, como de sistemas de alerta temprana, investigación, y programas de prevención y manejo de crisis. Con los equipos médicos y de informática donados por Japón, se pretendió facilitar el intercambio de información para la orientación y asesoramiento técnico entre médicos sobre atención de emergencias.
Por su parte, la iniciativa privada también dio muestra de avance con el Hospital Shriners de Ciudad de México que en 2022 implementó un programa para atender hasta 20 niños de entre 0 y 18 años al día en la Península de Yucatán que requieran de servicios de ortopedia especializada y quemaduras. Sin embargo, a pesar de que se ven estos pasos prometedores, aún queda un largo camino por recorrer para que veamos en nuestro país atención de segundo y tercer nivel telemático.

Retos para la Telemedicina
Como todo programa de políticas públicas, se enfrenta a limitantes y amenazas de diversa índole. En primer lugar, dado a que se basa en el uso de internet, la seguridad y confidencialidad de los datos del paciente se ven vulnerables ante posibles ataques cibernéticos. Por otro lado, la dependencia a la tecnología se vuelve un problema puesto que existe la posibilidad de menor exactitud diagnóstica de ciertas imágenes transmitidas al bajar la calidad. Asimismo, al ser atendidos por diferentes especialistas, la responsabilidad del diagnóstico deja de ser clara y difícil de adjudicar a un solo profesional. Todo esto, sin mencionar las evidentes fricciones y rechazos mismos de los médicos y personal de salud para actualizarse a la implementación de las TIC en su prestación de servicios. Y no siendo menos importante, la alta inversión inicial que implica equipar a las clínicas remotas para la telecomunicación.
Telemedicina en Yucatán
Ya desde 2009 se hablaba de un “Programa de Telesalud en el estado de Yucatán” cuya meta era el de generar 4,032 consultas médicas de especialidad anuales por unidad médica con el fin de ampliar la cobertura de servicios médicos a la población sin régimen de seguridad social y afiliados al entonces Seguro Popular mediante el uso de TICs.

Con los crecientes desafíos ambientales que enfrenta el mundo hoy en día, el establecimiento de una Fiscalía
Ambiental Municipal (FAM) se convierte en una entidad crítica para preservar y proteger los ecosistemas y asegurar el logro de la sostenibilidad, así como abordar el cambio climático y cultivar una mentalidad de gobernanza. Con su apertura, sería responsable de la garantía de las emisiones establecidas máximas de liberación de gases de efecto invernadero y mejorar la atmósfera para evitar la subida de su temperatura.
La FAM emplea un enfoque multifacético para hacer cumplir las leyes ambientales. La variedad de mecanismos legales va
de acciones correctivas, lo que brinda a empresas e individuos la oportunidad de cumplir con las normas ambientales antes de enfrentar consecuencias más graves. En los casos en que la advertencia no sea eficaz y la gravedad de la infracción justifique una acción más enérgica, la FAM tendría la autoridad para imponer multas y sanciones. Las sanciones no están destinadas solo al castigo, sino también a la disuasión, ya que reflejan el compromiso de la oficina a través de un equilibrio entre la aplicación y la imposición de medidas correctivas.
Se aprecia que el establecimiento de una FAM dentro de una comunidad es más que una simple medida administrativa. Representa compromiso firme del gobierno
manejados por estas fiscalías, a menudo cubiertos por los medios locales, sirven como poderosos instrumentos educativos en sí mismos. Al resaltar la gravedad de los delitos ambientales y el compromiso del gobierno en su persecución, estos casos refuerzan la naturaleza punible de las ofensas y promueven una mayor conciencia pública sobre la importancia de la conservación.
Las FAM no se limitan a acciones punitivas, también desempeñan un papel crucial en la educación y sensibilización de la comunidad. A través de actividades como charlas, talleres y campañas educativas, se involucran directamente con los ciudadanos, enseñándoles cómo contribuir a la conservación y cómo denunciar los

Por otro lado, las políticas regionales de Responsabilidad Extendida del Productor (REP) han desempeñado un papel fundamental en la reducción del impacto ambiental de los desechos. Estas políticas transfieren la responsabilidad del manejo de los desechos posconsumo desde los municipios hacia los productores, lo que ha llevado a cambios significativos en las prácticas empresariales. Gracias a la REP, las empresas se han visto incentivadas a adoptar técnicas de producción más eficientes, utilizando menos material y aumentando los porcentajes de reciclaje.
En Yucatán, donde la capacidad de los vertederos es una preocupación creciente, la implementación de la REP ha resultado en una disminución notable en los volúmenes de desechos municipales. Al obligar a los productores a retirar sus productos al final de su vida útil, la REP ha impulsado la adopción de sistemas de reciclaje más eficientes, reduciendo la dependencia de los servicios municipales y aliviando la carga económica sobre los municipios en términos de gestión de desechos.
Esto no solo respalda la visión del estado en cuanto a sostenibilidad, sino que también mejora la eficiencia general en la gestión de desechos, permitiendo la realocación de fondos hacia otras áreas críticas en sostenibilidad. La creación de una FAM es esencial para garantizar el cumplimiento de los principios de REP y economía
circular. Esta medida no solo implica la aplicación efectiva de la legislación ambiental vigente, sino que también promueve cambios significativos en las prácticas empresariales hacia modelos más sostenibles.
La FAM puede desempeñar un papel clave al establecer pautas y normativas específicas para diferentes industrias, lo que proporcionaría claridad a las empresas y las impulsaría a adaptarse a estándares más ecológicos. Además, la colaboración con el sector privado, Organizaciones No Gubernamentales e instituciones académicas puede generar sinergias que conduzcan a la implementación más efectiva de la REP y la economía circular. Estas asociaciones pueden fomentar la innovación y el desarrollo de soluciones que reduzcan la huella ambiental de las empresas, al tiempo que les brindan beneficios financieros adicionales. Mediante una estrategia progresiva de aplicación de la ley, que incluya sanciones y un sistema judicial preventivo para evitar infracciones graves, se promueve la transparencia y se establece un marco claro para alcanzar los objetivos de sostenibilidad. En última instancia, la Fiscalía Ambiental Municipal es fundamental para promover una cultura de responsabilidad ambiental, promoviendo la colaboración entre el gobierno, la industria y la sociedad en general para avanzar hacia un futuro más sostenible y próspero en Yucatán.


José Vázquez Chabolla
Doctor en Genética Evolutiva y Biodiversidad
Procuraduría de Protección al Ambiente de Quintana Roo Va por la Tierra Asociación Civil jvchabolla@gmail.com
Por Juan Jesús González

En un mundo cada vez más urbanizado, las Smart Cities se perfilan como la solución para enfrentar los desafíos del crecimiento urbano. Pero, ¿Qué es realmente una Smart City y cómo impacta en diversos sectores? Este artículo ofrece una mirada a este concepto, su implementación en México y el papel crucial de la tecnología como herramienta de cambio, no como fin en sí misma, cerrando con los pasos para empezar a transformarse en una.
¿Qué es una Smart City?
Una Smart City es una ciudad que utiliza tecnologías de información y comunicación (TIC) para mejorar la calidad de vida de sus habitantes, optimizar el uso de los recursos y fomentar un desarrollo sostenible. Desde el transporte hasta la salud, pasando por la energía y la seguridad, estas ciudades integran soluciones tecnológicas avanzadas para hacer la vida urbana más eficiente y sostenible.

Sectores y Servicios Impactados
1.Transporte y Movilidad: Las Smart Cities implementan sistemas de transporte inteligentes que optimizan el tráfico, reducen la congestión y mejoran el transporte público.
2.Energía: A través de redes eléctricas inteligentes, se gestiona el consumo de energía de manera más eficiente.
3.Medio Ambiente: Tecnologías para el monitoreo de la calidad del aire y la gestión de residuos se vuelven cruciales.
4.Seguridad: Sistemas avanzados de vigilancia y respuesta rápida mejoran la seguridad pública.
5.Salud: Servicios de telemedicina y sistemas de salud conectados transforman la atención sanitaria.
6.Educación: Plataformas educativas digitales facilitan el aprendizaje.
7.Gobernanza: La participación ciudadana y la transparencia se potencian mediante plataformas digitales de gestión y comunicación.
Pioneras en el Mundo y Avances en México
Ciudades como Songdo en Corea del Sur, Barcelona en España, Singapur y Amsterdam se han convertido en referentes en la implementación de iniciativas Smart City. Cada una de ellas ha abordado los desafíos urbanos de manera innovadora, utilizando la tecnología como herramienta para mejorar la eficiencia, la sostenibilidad y la calidad de vida.
En México, el desarrollo de las Smart Cities aún se encuentra en sus primeras etapas. Sin embargo, diversas ciudades han comenzado a implementar proyectos piloto en áreas como la movilidad, la gestión energética y la seguridad pública.
Uno de los principales retos para la adopción de las Smart Cities en México es la brecha digital existente entre la población. Además, se requieren marcos legales y regulatorios adecuados para garantizar la protección de datos y la privacidad de los ciudadanos.
En México, se han adoptado iniciativas de Smart City, enfocándose en movilidad, seguridad, gestión de residuos y eficiencia energética.
•Guadalajara: Primera ciudad en recibir el reconocimiento de Smart City por el Banco Interamericano de Desarrollo (BID) en 2015.
•Chihuahua: Reconocida por su cobertura de internet inalámbrica en 2016.
•Ciudad de México: Ha implementado soluciones innovadoras en la gestión de datos y servicios públicos, obteniendo premios como el Gobernarte del BID en 2019
Impulso desde los Gobiernos Locales y Estatales
Foco en Tecnologías Específicas
Con el diagnóstico y los indicadores en mano, el siguiente paso es centrarse en tecnologías específicas que mejoren y hagan más transparentes los servicios municipales. Es crucial no dispersar los esfuerzos en demasiadas áreas al mismo tiempo. En lugar de ello, se debe priorizar la implementación de tecnologías que impacten directamente uno o dos de los indicadores más importantes para los ciudadanos. Este enfoque garantiza resultados tangibles y aumenta la aceptación pública de los proyectos, generando una base sólida para futuras expansiones.

Los gobiernos locales y estatales juegan un rol crucial en el desarrollo de Smart Cities mediante políticas públicas, inversiones y colaboraciones estratégicas con el sector privado y organismos internacionales.
El impulso hacia las Smart Cities en México ha sido promovido tanto por municipios como por gobiernos estatales. La Confederación de Cámaras Industriales de México ha identificado 13 ciudades que buscan avanzar en esta dirección, incluyendo Aguascalientes y Mérida. Estas iniciativas suelen estar acompañadas de asociaciones públicoprivadas y financiamiento de organismos internacionales.
Pasos Operativos para comenzar a transformarse en una Smart City
La implementación de tecnología en el contexto de una Smart City es un proceso que requiere una planificación cuidadosa y un enfoque estratégico.
Diagnóstico y Preparación
El primer paso hacia la implementación de una Smart City es realizar un diagnóstico detallado basado en la percepción de los ciudadanos. Es fundamental entender cuáles son las principales preocupaciones y prioridades de los habitantes. Este diagnóstico debe ser participativo, involucrando a la comunidad a través de encuestas, talleres, consultas públicas, foros comunitarios y otras herramientas de participación ciudadana.
Una vez identificadas las preocupaciones ciudadanas, se deben definir y construir indicadores clave de desempeño. Estos indicadores permiten medir el impacto de las iniciativas de Smart City y asegurar que las soluciones tecnológicas implementadas realmente respondan a las necesidades detectadas.
Revisión de Soluciones Existentes
La experiencia y el conocimiento acumulados en otras ciudades son recursos invaluables. Por ello, es importante revisar las soluciones que han sido implementadas con éxito tanto en México como en el extranjero. Fuentes como las revistas especializadas, por ejemplo, U-Gob, y eventos como el Smart City Congress, son excelentes lugares para explorar casos de éxito y tecnologías emergentes.
Además, es recomendable contar con el acompañamiento de empresas expertas en gestión de tecnología. Estos socios técnicos pueden asistir en el diseño de convocatorias y licitaciones, asegurando procesos transparentes y competitivos. También pueden realizar evaluaciones objetivas de las diferentes tecnologías disponibles, ayudando a seleccionar las que mejor se adapten al contexto y necesidades específicas de la ciudad.
Modelos de Negocio Flexibles y Fuentes de Financiamiento
En cuanto al financiamiento y la sostenibilidad económica, es vital adaptarse a las limitaciones presupuestales mediante la adopción de modelos de negocio flexibles. Las empresas tecnológicas están evolucionando sus ofertas para incluir contratos de Software como Servicio (SaaS), Infraestructura como Servicio (IaaS) y modelos freemium. Estos modelos permiten a los municipios acceder a tecnologías avanzadas sin necesidad de grandes inversiones iniciales, pagando en función del uso y escalando los servicios según sea necesario.

El financiamiento puede provenir de diversas fuentes. En el ámbito interno, los presupuestos municipales y estatales juegan un papel crucial. Además, las asociaciones público-privadas pueden ser muy efectivas, combinando recursos y conocimientos del sector público y privado. En el ámbito externo, las inversiones de organismos internacionales y fondos de desarrollo sostenible representan oportunidades significativas. Instituciones como el Banco Mundial y el Banco Interamericano de Desarrollo (BID) ofrecen fondos y asesoría para proyectos de desarrollo urbano. Asimismo, el financiamiento privado puede ser atraído mediante la creación de proyectos innovadores y rentables que interesen a los inversores.
Implementación Tecnológica en Procesos Gubernamentales
La implementación de tecnología debe hacerse de manera cuidadosa y gradual. Una estrategia eficaz es comenzar con programas piloto que permitan probar las soluciones en un entorno controlado y obtener retroalimentación valiosa. Estos pilotos ayudan a identificar posibles problemas y ajustar las tecnologías antes de una implementación a gran escala.
Además, es crucial considerar los procesos de adopción tecnológica. Todo cambio genera fricción, y la comunidad necesita tiempo y apoyo para adaptarse. La capacitación y la
comunicación clara sobre los beneficios de las nuevas tecnologías son esenciales para minimizar la resistencia y asegurar una transición suave.
Metodologías de Cambio
La implementación de nuevas tecnologías puede generar fricción, por lo que es esencial facilitar la apropiación de estas por parte de los ciudadanos. La teoría de la economía de cambio de comportamiento, impulsada por el BID, es una metodología eficaz para implementar cambios en los servicios públicos de manera eficiente en términos presupuestales. Esta teoría se basa en entender y modificar los comportamientos de los ciudadanos para lograr resultados deseados, utilizando incentivos y desincentivos alineados con los objetivos del proyecto.
Sostenibilidad del Cambio
Para que los cambios tecnológicos se mantengan en el tiempo, deben estar alineados con los planes de desarrollo de los gobiernos. Es importante que las iniciativas de Smart City sean parte integral de la visión a largo plazo de la administración pública, incluyendo cambios legislativos que respalden y faciliten la adopción tecnológica. De igual forma, la apropiación ciudadana es el factor más crítico para la sostenibilidad. Los ciudadanos deben percibir y experimentar mejoras tangibles en su vida diaria.
Las Smart Cities tienen el potencial de transformar nuestras ciudades y mejorar significativamente la calidad de vida de sus habitantes. La implementación de tecnologías no solo aborda los problemas más urgentes de la vida urbana, sino que también democratiza el acceso a soluciones avanzadas, haciendo que el progreso sea inclusivo y equitativo.
Al aprovechar las tecnologías disponibles, podemos optimizar el uso de recursos y mejorar la eficiencia presupuestaria, permitiendo que los gobiernos locales hagan más con menos. Esto significa que las ciudades pueden alcanzar sus metas de bienestar social de manera más rápida y efectiva, brindando servicios públicos de mayor calidad y asegurando un entorno más seguro y sostenible para todos. La transparencia y la rendición de cuentas se fortalecen, fomentando una gobernanza más efectiva y confiable.
Los avances tecnológicos nos ofrecen herramientas poderosas para enfrentar los desafíos del crecimiento urbano, pero es la visión y el compromiso de los líderes locales y la participación de la ciudadanía lo que hará posible la transformación. Invertir en la construcción de Smart Cities es invertir en un futuro más brillante, donde la tecnología se pone al servicio de la humanidad para crear ciudades más inclusivas, eficientes y sostenibles.

Mtro. Juan Jesus González Ávila, Director de Ingeniería en CRDC México, Director de Vinculación de la Red OTT México, Consultor de la Fundación Universia, Socio Director de Horus Innovation to Develop y representante en México de Adora Foundation. Exconsultor para la Cooperación Alemana para el Desarrollo (GIZ). Exasesor del Secretario de Salud Federal de México (2016 a 2019). Cuenta con 17 años de experiencia en gestión tecnológica y desde hace 5 años se ha dedicado al desarrollo e implementación de tecnologías orientadas a la sostenibilidad. Más detalles de su perfil lo puede encontrar en https://www.linkedin.com/in/juanjesus/


La tecnología mejora día a día a pasos agigantados, adquiriendo nuevos términos, horizontes y dimensiones. Uno de estos últimos avances se dio con la aparición del internet y su incorporación a diversas máquinas, permitiendo que el usuario lo manipulara aún sin estar frente a él. El Internet de las Cosas, o IoT por sus siglas en inglés (Internet of Things), se trata de sistemas de dispositivos físicos que reciben y transfieren datos a través de redes inalámbricas con poca intervención humana.
Hay tres elementos necesarios para hablar propiamente del IoT: sensores, procesamiento de datos y conectividad. El aparato, tiene que estar dotado de sensores que puedan contabilizar algún indicador para posteriormente darle una interpretación y ser enviado a una nube para recibir instrucciones posteriores respecto a su operatividad. Así, con la recopilación de datos estos son capaces de responder de forma inteligente a los usuarios.
El uso de sensores en los objetos cotidianos lleva más de treinta años implementándose, sin embargo, al inicio era complicado debido al gran tamaño que tenían. Lentamente sus tamaños se fueron reduciendo, y a su vez, los chips o sensores también fueron haciéndose más rápidos e inteligentes. Asimismo, los costos para su creación se redujeron por lo que se empezaron a implementar en una mayor gama de objetos. Se les ha denominado “dispositivos de computación invisibles”, puesto que pueden transmitir datos hacia y desde internet ya que hay un intercambio en tiempo real.
Por otro lado, se puede hablar de que el sistema en global de IoT tiene tres componentes:
Dispositivos inteligentes, que son los objetos en sí mismos que detectan patrones de uso y otros tipos de datos y los envía al internet.
Aplicación de la IoT, que son el conjunto de servicios y de software que integran los datos recibidos desde el universo de objetos. Con la machine learning, más conocida como inteligencia artificial (IA), se analizan los datos y realizan decisiones informadas. Es decir, se generan comandos dependiendo del uso que se le dé a los objetos.
Interfaz de usuario gráfica, los objetos inteligentes pueden ser administrados en individual o en conjunto a través de esta interfaz, que puede tratarse de una aplicación móvil o un sitio web.







La implementación de esta tecnología hoy en día ha ido abarcando todos los rincones pensables. Un ejemplo, serían los automóviles, que pueden enlazarse a través de cámaras inteligentes, sistemas de infoentretenimiento y el sistema operativo que recopila información del acelerador, frenos, velocímetro, depósitos de combustible, entre otros. Su uso igualmente ha sido ampliamente extendido hacia los hogares con fines de seguridad y de eficiencia. Respecto a esta última, puede regularse desde el uso de la electricidad hasta los sistemas de riego y humo.
Su uso en ámbitos públicos también ha hecho más eficiente la planificación urbana y el mantenimiento de infraestructuras. Su uso permite a los gobiernos recolectar datos en tiempo real de sensores y objetos para monitorear consumo de energía, optimizar servicios, y sondear parámetros medioambientales. Por ejemplo, en el manejo del agua, los sensores pueden monitorear continuamente la calidad del agua que se ofrece en el servicio público, detectar fugas y optimizar el uso del agua.
Otro pilar que ha fortalecido el IoT es el análisis predictivo, en donde los datos obtenidos a través de estos objetos pueden ser elevados a las nubes para ser analizados de manera predictiva, ayudando a negocios y gobiernos a pronosticar tendencias y disrupciones potenciales en diversas industrias. Esta capacidad predictiva permite ajustar los niveles de producción para cumplir con la demanda o anticipar interrupciones en la cadena de suministros.
Riesgos de seguridad y protección de datos
Los dispositivos conectados a internet conllevan una serie de retos de seguridad. Si bien la ciberseguridad no es nada nuevo, los datos que se obtienen a través de los objetos cotidianos con acceso a internet cada vez son más íntimos. Los desarrolladores de software cada vez ponen más empeño en proteger a sus usuarios, sin embargo, al final del día mucho del reforzamiento depende de estos últimos. Un ejemplo de ello, son las contraseñas utilizadas a la hora de configurar y acceder a las nubes y programas de control. Las contraseñas son una de las primeras líneas de defensa ante los ciberataques. Hay algunos objetos IoT que ni siquiera tienen procesos de autenticación, por lo que son los más vulnerables.
Otro riesgo común, sobre todo en espacios públicos, son los accesos compartidos a redes. Dado a que es más fácil que un objeto IoT se conecte a la misma red que otros usuarios (tales como su WiFi o LAN) esto vuelve a toda la red vulnerable pues alguien podría hackear el objeto IoT para acceder a la red y posteriormente dar con datos sensibles almacenados en esa misma red.
Es imprescindible que se implementen protocolos de encriptación, así como monitoreos rutinarios para detectar anomalías a tiempo. La educación y concientización acerca de los riesgos en fallos de seguridad también son necesarios tanto en los ambientes laborales, como en los usos domésticos, escolares y públicos.




Por Ruth Puerto
Debido a una operación que tuve en el 2018, en donde descubrimos que asimilo muy rápido la anestesia, desarrolle depresión y ansiedad severas, los médicos no comentaron que me sobre anestesiaron y esto deterioró mi salud mental.
Durante meses intentamos con infinidad de medicamentos, dando pocos resultados y causando desesperación e incluso afectando a mi entorno familiar. Hasta que conocimos a mi psiquiatra, el cual, junto con la medicación sugirió la terapia magnética transcraneal y la psicoterapia. Todo esto dio efectos muy positivos en menos de dos meses y es por ello que decidí en algún momento ampliar mis servicios no solo a la psicoterapia, sino hacer un trabajo integral con otros especialistas e incluir la maquina transcraneal para que las personas tengan mayor bien-estar. Así que, de forma personal, he podido ver un antes y un después en mi salud mental, trabajando los protocolos de ansiedad, depresión y ansiedad crónica, además de ayudar a la neuro
¿Alguna vez se han preguntado por qué a nuestro cerebro le prestamos menos atención cuando él determina nuestro bien-estar?
Parecería que nuestro cerebro está separado del cuerpo y se nos olvida que es un organismo tangible, complejo y que requiere tener salud, ya que, lo que sucede en nuestro cerebro, influye en nuestro cuerpo y muchas veces se somatiza con enfermedades. Lo que no es tangible, son los pensamientos y de calidad de ellos depende la calidad de nuestra vida.
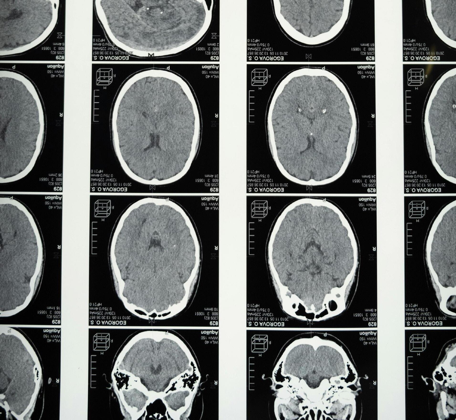
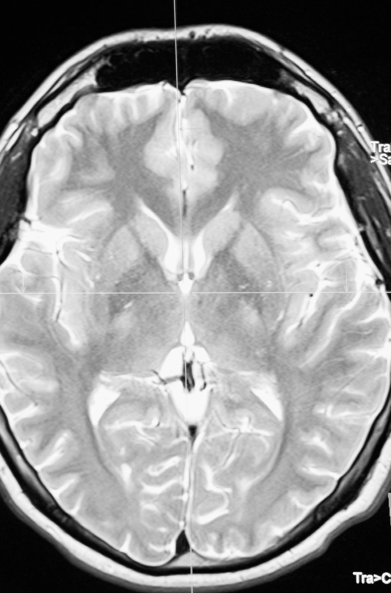
Estimulación Magnética Transcraneal (TMS):
Existen una gran cantidad de trastornos y enfermedades que afectan al cerebro y a su funcionamiento. Dichos trastornos pueden causar o ser causadas por qué en ocasiones diferentes áreas del cerebro no se activen lo suficiente o funcionen de manera alterada. Para solucionarlos se han elaborado o intentando elaborar diferentes mecanismos y tratamientos con mayor o menor eficacia.
Uno de ellos, no muy conocido pero que ha demostrado cierta utilidad, es la estimulación magnética transcraneal.
Es una técnica no invasiva y no dolorosa que permite inducir un campo magnético en la corteza cerebral de forma segura, generando así un cambio en la actividad eléctrica del cerebro, conocido como neuromodulación (inhibir o excitar las conexiones neuronales).
El principio por el cual funciona es la aplicación de la inducción electromagnética, aplicando corriente eléctrica a un electroimán que se colocará sobre el cuero cabelludo de tal manera que se generen los citados campos magnéticos (suficientemente atenuados como para no generar daños).
No requiere de anestesia ni sedantes. Se requiere llegar con el cabello seco y al acceder al área de la neuro modulación, el paciente se recuesta, a continuación se procede a colocar una bobina con un electroimán en el cuero cabelludo, situándolo en la zona que se pretende estimular. Es probable notar algunas sensaciones y sonidos en esta fase.


Psicoterapia
Son 50 minutos que dura la neuro estimulación, en el cual puedes descansar, tomar un tiempo para ti dejando el celular, ya que, además hay música de fondo bilateral para estimular ambos hemisferios cerebrales.
Se sugieren 20 sesiones de forma continua, debido a que a partir de la sesión treceava es donde se empiezan a ver los cambios más notorios.
Beneficios, enfermedades y trastornos:
Enfermedad de Parkinson:
•Disminuye los síntomas motores y no motores.
•Retarda el progreso de la enfermedad.
•Reduce el riesgo de efectos secundarios.
Depresión:
•Ayuda en el tratamiento de la depresión resistente a fármacos.
•Mejora el estado de ánimo.
•Apoyo para recuperar tu vida diaria.
Migraña:
•Tratamiento preventivo.
•Disminuye el número de episodios.
Insomnio:
•Mejora la calidad del sueño.
•Ayuda a conciliar más rápido el sueño.
•Evita varios episodios en lo que se permanece despierto.
Estrés:
•Mejora la productividad
•Disminuye el cansancio físico y emocional.
Autismo:
•Mejora la conducta social.
•Aminora conductas obsesivas.
•Puede ayudar a las habilidades cognitivas.
Trastorno por Déficit de Atención e Hiperactividad (TDAH):
•Prolonga los tiempos de mantenimiento de atención.
•Ayuda a disminuir la impulsividad.
•Puede ayudar a las habilidades cognitivas.
Evento Vascular Cerebral (EVC):
•Rehabilita secuelas motoras.
Ansiedad:
•Ayuda a disminuir las ideas recurrentes.
Deterioro Cognitivo Leve (DCL):
•Mejora las funciones cognitivas
Ventajas:
•No genera efectos adversos sistémicos.
•Sin pérdida de memoria.
•Costo efectivo para el paciente.
Contraindicaciones:
En casos como: Implantes, embarazo, ´lacas metálicas, neurocirugía, epilepsia, traumatismo craneoencefálico, en algunos

Por Rubén Canto
El panorama de las telecomunicaciones en México se vislumbra prometedor, en particular en Yucatán. Esto gracias a las diversas iniciativas y proyectos que buscan mejorar la conectividad y reducir la brecha digital en el Estado, ya que hay grandes inversiones que están llegando a todo el estado, donde no solo es urgente sino vital la transformación.
Qué iniciativas en Yucatán están impulsando esta transformación: Nodo IXP en Yucatán
Yucatán ha dado un paso importante en su proceso de digitalización con la creación del Nodo IXP (Internet Exchange Point). Este punto de intercambio de internet mejorará la conectividad a la red, facilitando la instalación de antenas, torres y fibra óptica a bajo costo para la iniciativa privada. El proyecto es parte de una política inmobiliaria federal que busca mejorar la infraestructura de telecomunicaciones de la región.
Modernización de infraestructura carretera
De igual forma, se han realizado inversiones significativas en la modernización de las vías Mérida-Chetumal y Peto-Valladolid, con más de dos mil millones de pesos invertidos. Estas mejoras en la infraestructura terrestre complementan los esfuerzos digitales, creando un entorno más conectado y accesible para los habitantes de Yucatán.
Polo Tecnológico de Bienestar
El Polo Tecnológico de Bienestar es una iniciativa innovadora en Yucatán que busca impulsar el desarrollo tecnológico y social de la región. Este proyecto tiene como objetivo crear un ecosistema de innovación que fomente la creación de empresas tecnológicas, la investigación y el desarrollo de soluciones digitales para mejorar la calidad de vida de los ciudadanos. El Polo Tecnológico de Bienestar se enfoca en áreas como la salud digital, la educación en línea y las tecnologías para el desarrollo sostenible, contribuyendo así al futuro digital de Yucatán.
Pedro Rubén Canto Sulub
Tecnología 5G y Proveedores de Servicio ISP
La expansión de la red 4G y el despliegue de la tecnología 5G están transformando la conectividad en México. Estos avances ofrecen oportunidades para el crecimiento del mercado y la oferta de servicios innovadores, como el Internet de las Cosas (IOT) y las comunicaciones ultrarrápidas, siendo que los Proveedores de Servicios de Internet (ISP) están mejorando los precios que ofrecen al usuario final desde los más grandes e importantes como TELCEL, ATT, IZZI, TELMEX o TOTAL PLAY, hasta las Operadoras Móviles Virtuales como TELEFONICA, BAIT, y EJAD TELECOM representan el 4% del mercado internet móvil invirtiendo en la expansión y mejora de sus redes.
¿Qué nos falta? Que el Gobierno Estatal y Municipal regulen de mejor manera el futuro de las telecomunicaciones en Yucatán y en todo México. En general, dependerá de la implementación efectiva de políticas públicas, la inversión en infraestructura y la adopción de nuevas tecnologías. Iniciativas como el Nodo IXP y el Polo Tecnológico de Bienestar en Yucatán, junto con los esfuerzos de los ISP y las regulaciones del IFT, están allanando el camino para un México más conectado y tecnológicamente avanzado. Con esfuerzos coordinados entre el gobierno, la iniciativa privada y organismos reguladores, podemos confirmar que Yucatán está en camino de convertirse un líder en el escenario digital global.
Fundador y CEO de EJAD Global Solutions, iniciando con 1 cuadrilla a alcanzar más de 100 en 12 años de historia. Está especializado en operación, mantenimiento, construcción, fibra óptica y planta externa con clientes del sector público y privado. Es un profesional de la administración y visión estratégica, con una trayectoria de dos décadas en empresas regionales y nacionales.

@ejad_global_solutions EJAD Global Solutions


Por José Vázquez Chabolla
a rápida urbanización y la necesidad apremiante de desarrollo sostenible han impulsado un creciente interés en el desarrollo de ciudades inteligentes como medio para combatir el cambio climático y mejorar la calidad de vida en las zonas urbanas. Dado este contexto, se puede suponer que la amplia expansión de los espacios urbanos y los desafíos ambientales emergentes en Yucatán, harían que la implementación de iniciativas de ciudades inteligentes, también conocidas como ciudades 4.0 (estas buscan reducir la huella ecológica de sus actividades y promover modalidades de consumo y producción sostenible, acorde con sus características geográficas, sociales, económicas y culturales) sea bastante prometedora.
Las ciudades inteligentes permiten un enfoque holístico para resolver el problema del cambio climático ya que implican la integración de infraestructuras sostenibles y sistemas energéticamente eficientes. Así, en Yucatán, la instalación de fuentes de energía renovables, como paneles solares y turbinas eólicas, puede ayudar a reducir la huella de carbono de las zonas urbanas. Además, las tecnologías inteligentes se pueden utilizar para optimizar los procesos de gestión de residuos, ya que se puede garantizar el seguimiento y la asignación

de recursos en tiempo real. La conservación del agua es otra área crítica que puede beneficiarse de soluciones inteligentes, incluidos los sistemas de riego basados en sensores y los mecanismos de detección de fugas. Además, la ordenación del espacio y la promoción de las zonas verdes en el planeamiento urbanístico no solo potencian el atractivo estético de la ciudad, sino que también contribuyen a reducir el fenómeno de las islas de calor urbanas y a mejorar la calidad del aire. Por ejemplo, la ciudad de Barcelona, conocida por los avances de las iniciativas de ciudades inteligentes, ha introducido cubiertas verdes y jardines verticales para reducir el consumo de energía y hacer frente a la contaminación del aire.
Una de las prioridades de las ciudades inteligentes es mejorar la calidad de vida de las personas en las áreas urbanas. Existe la posibilidad de mejorar los servicios de transporte público, permitiendo una mayor conectividad y reducción de la congestión del tráfico. Varias soluciones inteligentes como el seguimiento del autobús en tiempo real y la optimización de rutas pueden hacer que el transporte público sea más conveniente y eficiente para los residentes de Izamal. Además, las soluciones de salud inteligente, como la telemedicina y los dispositivos de control de la salud, pueden mejorar la accesibilidad a los servicios de atención médica, especialmente para las áreas remotas de Yucatán donde se busca implementar Izamal. Mejorar la seguridad es otra prioridad importante que se puede lograr mediante la implementación de sistemas de vigilancia inteligente y de respuesta a emergencias. La ciudad de Singapur es un buen caso de este tipo de proyecto de ciudad inteligente. Singapur ha integrado sensores y cámaras en toda la ciudad para monitorear el flujo de tráfico y la situación de seguridad pública.
A pesar de los numerosos beneficios de las nuevas o reinventadas ciudades inteligentes, hay muchos desafíos que deberán abordarse.



Partidos de apoyo del gobierno local y la participación comunitaria son críticos para el éxito de los proyectos de ciudades inteligentes. Colaboración con las partes interesadas, como agencias gubernamentales, socios del sector privado y organizaciones de la sociedad civil, es esencial para diseñar y desarrollar proyectos sostenibles de manera efectiva. Al incluir a ciudadanos en los procesos de toma de decisiones y solicitar sus comentarios, los gobiernos locales pueden asegurarse de que las iniciativas de ciudad inteligente estén alineadas con las necesidades de las personas. comprometerse con residentes no solo garantiza una mayor adhesión a largo plazo, sino que también fomenta un sentido de propiedad e invierte personalmente en el desarrollo y el mantenimiento de infraestructuras de ciudad resilientes. Proporcionar incentivos y políticas para impulsar prácticas sostenibles y fomentar la adopción de tecnologías inteligentes solo refuerza el compromiso de construir Yucatán más inteligente y más habitables.
Un obstáculo clave serán los elevados costes de inversión inicial y los pagos de mantenimiento necesarios para las tecnologías inteligentes y los elementos asociados. Se requerirá financiación de los gobiernos central y local y colaboración con el sector privado hasta que estos pagos puedan hacerse sostenibles por sí mismos. Además, la resistencia al cambio y el desconocimiento público de los beneficios de las ciudades inteligentes pueden ser problemas. Se necesitarán campañas de concienciación y participación pública para que funcionen las nuevas iniciativas y la gente esté dispuesta a participar. La protección de datos y la ciberseguridad también serán primordiales. Cualquier proyecto de este tipo puede ser mal utilizado o hackeado, robando la información y explotándola. Ámsterdam ya permite que la información recopilada por sus tecnologías inteligentes se cifre y se proteja, con estrictos estándares de protección de datos en vigor.
En así como el concepto de ciudades inteligentes representa una solución prometedora para abordar los problemas del cambio climático y mejorar la calidad de vida en zonas urbanas como Yucatán. Al incorporar infraestructuras sostenibles, sistemas eficientes en términos de energía y tecnologías innovadoras, las ciudades pueden contrarrestar su impacto en el medio ambiente y potenciar un futuro más sostenible. La prestación de transporte público de calidad, el acceso a servicios de salud y garantías de seguridad a través de planes de ciudad inteligente no solo aumentan el bienestar de los residentes, sino que también generan un crecimiento económico y desarrollo social. Si bien este objetivo enfrenta obstáculos financieros debido a los altos costos, una mentalidad fija en los valores actuales y las preocupaciones en torno a la seguridad cibernética, el respaldo del gobierno local, la “compra” de la comunidad y la colaboración de partes interesadas son ingredientes críticos para lograr la renovación de espacios urbanos. Al promover una cultura de innovación, inclusión y sostenibilidad, las ciudades inteligentes pueden allanar el camino hacia un futuro más resistente y vibrante para Yucatán.

D.A.S. José de Jesús Vázquez Chabolla, PhD. Gestor de proyectos senior Gestión de Proyectos para Resultados (PM4R) Banco Interamericano de Desarrollo Julio, 2024
Por Salvador Castell
En un mundo cada vez más urbanizado, el concepto de ciudades inteligentes ha ganado relevancia. Estas urbes utilizan la tecnología como herramienta para optimizar la eficiencia, mejorar la calidad de vida de los ciudadanos y proteger el medio ambiente. Sin embargo, para que una ciudad sea verdaderamente inteligente, debe considerar no solo la infraestructura tecnológica, sino también su relación con el espacio natural y la biodiversidad. El integrar estos elementos en el diseño urbano y cómo pueden contribuir a un futuro más sostenible.
De acuerdo con la ONU, una ciudad inteligente es aquella que utiliza la tecnología para optimizar la eficiencia de la urbe y su economía, siempre y cuando sirva para mejorar la calidad de vida de los ciudadanos y proteger la naturaleza. Estas ciudades aplican soluciones innovadoras en áreas como la movilidad, la energía, la gestión de residuos y la conectividad.
Pero las ciudades inteligentes y con diseño basado en personas tambien deben incluir un aspecto muy importante en su diseño, la integración del espacio natural en su diseño.
En primer lugar, incluir a la naturaleza en el diseño ayuda en la Mitigación de la Contaminación. Los espacios verdes, como parques y jardines, actúan como pulmones urbanos al absorber dióxido de carbono y liberar oxígeno. Tambien, la vegetación filtra partículas contaminantes del aire, mejorando la calidad ambiental.
Los parches de vegetación y cuerpos de agua naturales o artificiales ayudan a generar ambientes más húmedos y con esto reducir la percepción de la temperatura, esto gracias al proceso de la evapotranspiración de las plantas y la capacidad del agua como un termorregulador.
Un ambiente biodiverso y en armonía con la Naturaleza tambien ayuda en la Reducción de Riesgos Climáticos. Los espacios naturales ayudan a mitigar los efectos del cambio climático al absorber el exceso de agua y así disminuir el riesgo de inundación. De igual forma, ayudan a aminorar la fuerza de los vientos y prevenir el impacto en las ciudades.
En las ciudades costeras, el restaurar y reforzar los sistemas de humedales ayudan a la reintegración del agua en los acuíferos, pero tambien a la reducción del impacto de huracanes y otros fenómenos meteorológicos.
Un ecosistema biodiverso tambien favorece a la salud planetaria incluyendo el Bienestar Humano. La presencia de áreas verdes está relacionada con la salud mental y física de los habitantes de la ciudad. Los parques ofrecen lugares de recreación, ejercicio y relajación.
En medio de esta crisis climática, cada vez es más importante incluir a la Biodiversidad en el Diseño Urbano, hay varios tipos de adecuaciones de diseño que pueden ser fácilmente implementadas como los corredores Verdes y Conectividad Ecológica. El diseñar corredores verdes


que conecten parques y áreas naturales permite el movimiento de especies y promueve la biodiversidad. Estos corredores también pueden ser hábitats para aves, insectos y otros animales. Desde un enfoque de movilidad, el tener corredores verdes tambien favorece a la movilidad sostenible protegiendo a la persona en movimiento del sol y la lluvia.
En estos últimos años, las Soluciones Basadas en la Naturaleza han sido promocionadas con mayor fuerza que las soluciones de infraestructura gris ya que no solo ofrecen una solución directa como el tratamiento y saneamiento del agua, sino tambien otros servicios secundarios como la fotosíntesis, producción de oxígeno y mantenimiento de la biodiversidad. Esta llamada Infraestructura Verde y Azul puede incluir techos verdes, muros vegetales y áreas permeables que absorben agua de lluvia. En el caso de la azul se refiere a cuerpos de agua como ríos, lagos y humedales, que albergan una gran diversidad de vida.
Estos sistemas de infraestructura Verde y Azul tambien pueden ser parte de un sistema agro productivo urbano, incluso de proteína animal mediante sistemas de producción acuícola.
Este diseño basado en personas que ha sido impulsado desde el derecho humano a la ciudad plasmado en el documento de Habitat III de la ONU requiere la planeación y Diseño de un Paisaje Biodiverso. Estos sistemas de ciudades inteligentes basadas en personas y en armonía con la naturaleza es una oportunidad extraordinaria para el trabajo transversal y multidisciplinario. Por poner un ejemplo, los arquitectos paisajistas pueden incorporar plantas nativas y especies locales en el diseño urbano, y en ayuda con un ecólogo seleccionar la diversidad de flora endémica y benéfica que atraiga a polinizadores y cree hábitats idóneos para insectos y así aumentar la biodiversidad.
Una ciudad inteligente y sostenible debe entonces no solo considerar los avances de las Tecnologías de la Información y el diseño automatizado, sino también incluir la planeación estratégica que refuerce las capacidades naturales de los ecosistemas para reducir la huella ecológica de las ciudades.
Las ciudades inteligentes deben ir más allá de la tecnología y considerar la relación simbiótica entre el entorno construido y el natural. Integrar el espacio verde y la biodiversidad en el diseño urbano beneficia a los ciudadanos y al planeta en su conjunto por igual. Así, avanzamos hacia un futuro sostenible donde la inteligencia de nuestras ciudades se mide no solo en bits y bytes, sino también en el número de árboles y mariposas.


Aplicadoalasexperienciaslatinoamericanas,SmartCityExpoLatam Congresssepresentódel9al11dejulioenelCentrodeConvenciones SigloXXIbajoellema“Ciudadesparatodos:Liderazgoycompromiso”. Estoconelpropósitodelograrquelasciudadeslatinoamericanasse transformen en entornos más inclusivos, equitativos y sostenibles. La expo tiene sus orígenes en Barcelona, cuando en el 2011, bajo el liderazgodeFiraBarcelona,sepresentaporprimeravezelSmart City Expo World Congress. La idea base era empoderar a las ciudades y colectivizar la innovación urbana en el mundo. Cinco años más tarde se celebraría por primera vez en Latinoamérica, teniendocomosedelaciudaddePuebla.Apartirde2021setrasladó aMéridaysehavenidocelebrandoexitosamentedesdeentoncesen estagranciudad.
La empresa Pronus, de la mano del Gobierno de Yucatán, en esta edición 2024 nuevamente facilitaron la reunión de diversas empresas, liderazgos e intelectuales en diversas áreas de la aplicación de la tecnología en la mejora del diseño urbano para optimizar la calidad de vida de los ciudadanos. Dicha reunión de líderes dedicados a la gestión de la experiencia diaria citadina, abarcaron no solo el aspecto técnico, sino también el gerencial, político y humanitario.
Al tratarse de una temática multidisciplinar y multifacética, la Expo se dividió en cinco grandes temáticas. En Espacios Urbanos, se abordaron cuestiones tales como el papel de los parques y áreas verdes y cuál era su impacto en la calidad de vida, así como otros aspectos relacionados con la seguridad y equipamientos públicos. Para el módulo de Ciudades que Cuidan, las temáticas giraron alrededor de la inclusión, el bienestar integral, y la generación de capital social. Por su parte, los speakers de Sociedad Conectada se enfocaron más a la inclusión digital, la motivación para alcanzar sueños y la Inteligencia Artificial. El tema del transporte y la movilidad fueron uno de los más relevantes, y también a través de Tomorrow Mobility se invitaron a expertos en accesibilidad con perspectiva de género, la revolución eléctrica e incluso ideas para financiar los proyectos de mejora en transporte público. Finalmente, a raíz de su compromiso con el crecimiento sostenible, se dedicó Cambio Climático y Territorios Sostenibles. En este caso se trataron temas como economía circular y consumo responsable; nuevos modelos energéticos y reducción de emisiones; colaboración entre actores para la sostenibilidad; entre otros.

Otro de los pilares que tuvo gran mérito, fue el Foro de Líderes donde a través de paneles y mesas moderadas por expertos se ofrecieron soluciones para diversas problemáticas. Un ejemplo de ello fue la Solution Talk, la que se exploró cómo los gobiernos pueden transformar la gestión del conocimiento en una herramienta para la continuidad y así dejar de perder tiempo y recursos con cada cambio de administración. De igual forma en la sección de Workshops se dieron diversas pláticas con casos de éxito y aplicación de software y otras herramientas para la transformación de las ciudades, siendo la seguridad y la innovación en movilidad lo más relevante.


Como en cada edición, se celebraron los Latam Smart City Awards donde se presentan ciudades candidatas en las que se han implementado proyectos innovadores y sostenibles en América Latina.
El premio para la categoría Ciudad LATAM, en esta ocasión se la llevó la ciudad de Niterói con su proyecto “Strategic Municipal Planning: Niterói’s 10-Year Path to Excellence” bajo la dirección de su Secretaría de Planeación, Presupuesto y Modernización Administrativa. Esta ciudad brasileña de 550,000 habitantes está en el top de ciudades inteligentes de su país y busca a través de esta política pública guiar hacia la transformación digital de la municipalidad a través de mayor eficiencia, simplicidad y facilidad de acceso a los servicios al tiempo que incrementan su transparencia.
En cuanto a la categoría de Transformación Digital, el ganador fue Córdoba, Argentina con el Programa de Innovación Abierta para el desarrollo de una ciudad inteligente. El Laboratorio de Innovación Pública y Govtech (CorLab) dirige un programa de innovación abierta en el que se trabaja junto al sector privado en el desarrollo de una Smart City. Cuentan con un fondo destinado a emprendimientos locales, aceleradora de Startups e instancia de Formación de Agentes Públicos.
Por su parte, Buenos Aires, Argentina, fue la líder en la categoría de Desarrollo Urbano Sostenible y Movilidad gracias a su exitosa campaña de Gestión Integral de Residuos Sólidos Urbanos. La Subsecretaría de Higiene diseñó políticas activas de reducción, reutilización y reciclaje de residuos con el fin de disminuir su grado de peligrosidad o minimizar los impactos al medio ambiente.
Finalmente, en la categoría de Sociedad Equitativa y Colaborativa, el ganador fue el Gobierno de la Ciudad de México. El proyecto premiado fue el de Puntos de Innovación, Libertad, Arte, Educación y Saber (PILARES). Estos forman parte de una política educativa comunitaria integral que tiene como objetivo el impulsar la participación de las personas en la construcción de su bienestar y así restituir el tejido social, trascendiendo condiciones sociales, culturales y económicas. Aunado a ello, y como resultado natural, se espera una reducción de la violencia y la desigualdad.

MOBILITY ADO, en colaboración con la Agencia de Transporte de Yucatán, presentó el lanzamiento de BUSLAB que se trata de una especie de laboratorio móvil en el que se pretende mejorar la experiencia del transporte público. Se iniciarán con dos unidades demo, con las que los usuarios del transporte podrán realizar encuestas de satisfacción y registro de objetos perdidos con códigos QR.

Destacó la participación como speaker el Nobel de la Paz, Muhammad Yunus, emprendedor social y banquero bangladesí. Parte de los objetivos de la creación de ciudades más inteligentes, es el lado humanista que pretende mejorar la calidad de vida de sus ciudadanos. Para Yunus, es imprescindible acabar con la pobreza. Él está convencido de que dentro de todos nosotros hay un emprendedor, y por lo tanto, hay que apoyar ese instinto. No solo desde lo motivacional, sino en lo financiero, que es exactamente el tipo de apoyo que él desarrolló: un “banco para pobres”. Con la creación del Banco Grameen, se inicia como pionero en los conceptos de microcrédito y microfinanzas.
En entrevista exclusiva para la Revista El Toloc, nos habló de sus ideas y de cómo no cree en el crecimiento económico desmedido y sin fines sociales ni sostenibles ambientalmente.
“Tomemos dos países, con el mismo PIB. Un país produce solo un producto, combustible fósil y genera un trillón de dólares. El otro produce energía solar, y también genera un trillón de dólares. Solo que uno mata al mundo y el otro no.”
También hablamos de la fase del aprendiz y de si esto era un impedimento para alguien que quisiera ser empresario pero nunca hubiera tenido experiencia como tal. Yunus comentó que el ser humano es creativo por naturaleza y que encontraremos una solución siempre que se desee salir adelante. Y la pregunta entonces que todos se hacen es: “¿Y quién va a trabajar?”. A esto él responde: “Todos vamos a trabajar porque todos somos responsables de lo que producimos”. En definitiva, para Yunus, la creatividad en el emprendedurismo social nunca puede rendirse.

Otra de las áreas en las que se desarrolló a su vez un evento in situ, fue En este foro, se celebró su primera edición internacional en Mérida uniendo a expertos y líderes internacionales de la movilidad urbana sostenible e inteligente. Se trató de una zona expositiva en la que se intercambiaron ideas para la solución de problemas, basados en éxitos de diversas regiones del mundo. También se dieron grandes oportunidades de negocio gracias a las diversas áreas de networking así como de la aplicación móvil que permitía agendar citas con los asistentes al evento.
Entre los ponentes destacados se encontraron Adriana Berenice Pérez Campos, Gerente de Movilidad Activa y Diseño Vial de la CDMX; Darío Hidalgo Guerrero, experto en Transporte y Logística; Mariana Batista, Manager para TUMI E-Bus Mission LATAM; y Jorge Daza Lobos, Subsecretario de Transportes de Santiago de Chile. Se pudieron escuchar respuestas y propuestas a la movilidad sostenible, el diseño de ciudades amigables al peatón y las bicicletas, así como accesibilidad con perspectiva de género y nuevas integraciones tecnológicas en este sector. También se trató el tema del papel tan importante que conlleva la planificación urbana en el cambio de modelo de movilidad, que es esencial para el crecimiento ordenado y eficiente de las ciudades, sobre todo aquellas en expansión acelerada.

El Global Partner del evento, Infiniti Mérida, presentó su proyecto residencial de lujo cuya base es la sostenibilidad y la innovación tecnológica. Uno de sus grandes objetivos es el alcanzar la certificación Net Zero que busca la emisión cero de carbono.
Nos entrevistamos con su mente maestra, el arquitecto Eitan Feinholz, quien detalló lo más importante del desarrollo. “La iniciativa privada no debe quedarse atrás en la sostenibilidad. Mérida surge como un proyecto residencial para tratar de participar en todos esos esfuerzos y prácticas que ayuden a mitigar los impactos”.
Feinholz explicó que, en el aspecto arquitectónico, se le dio una orientación específica a las edificaciones, se usaron alerones para la creación de sombras, recubrimientos aislantes en paredes y vidrios dobles con capa de aire en medio para la eficiencia energética.
En cuanto al uso de la tecnología, se contempla el sistema Watergen, un generador de agua purificada, que filtra el aire eliminando el polvo y la suciedad, para posteriormente condensar la humedad y obtener así agua. También se cuenta con equipo para el tratamiento de aguas negras, abasteciendo al lago y el riego de áreas verdes, además de prevenir la contaminación del subsuelo.

Respecto al uso de energías limpias, se implementarán paneles solares para abastecer el consumo energético de áreas clave de los departamentos y de áreas comunes, además de los cargadores de automóviles eléctricos particulares, y de los scooters y minibús con los que contará para uso común.

En el marco de la celebración de la Expo Foro Ambiental 8va Edición organizada por la CANACO, se celebró el Smart Fest del 12 al 14 de julio en el Centro de Convenciones Siglo XXI. Con acceso libre, se pensó el evento para toda la familia, invitando hasta los más pequeños a participar. Los ejes que formaron parte del festival fueron cambio climático y diversidad; los espacios de la ciudad; salud y bienestar; mundo digital; y turismo y cultura. Diversos módulos fueron puestos en marcha para informar a la ciudadanía y para incluso ofrecer sus bienes y servicios en torno a esas temáticas. Diversos talentos locales se dieron a conocer tales como el fotógrafo de paisajismo yucateco, Mike Díaz, con la presentación de sus más impactantes obras. También se realizaron talleres de elaboración de jabones sólidos bajo la campaña de Cero Residuos.

A través de los diferentes conciertos y ponencias, se invitó a la ciudadanía a reunirse y generar reflexión en torno a la conciencia urbana y territorial. La Secretaría de Investigación, Innovación y Educación Superior del Gobierno de Yucatán también se dio a la tarea de dar a conocer a través de carteles diferentes mujeres empresarias yucatecas que han roto paradigmas y generado empleos, siendo grandes ejemplos de perseverancia en la región.
También se promovió la reforestación a través de la donación de arbolitos para todos los visitantes, así como la información brindada por la Secretaría Técnica de Cultura Ambiental, Salud y Bienestar Ambiental en el módulo de bienvenida



Biósphera se presenta en una segunda edición con el lema “One Health: La salud del planeta, la salud de todo(s)”. En esta ocasión, los días 10 y 11 de julio, el Centro de Convenciones Siglo XXI albergó a diversos expertos, líderes y profesionales de multitud de disciplinas en el que se charló acerca d ellos desafíos globales desde una perspectiva integral. Con el intercambio de conocimientos y experiencias, se presentó una oportunidad única para encontrar soluciones adaptadas a las realidades de las diversas regiones del mundo. La presencia del sector público, privado y civil en general, logró una sinergia en la que todos vieran su potencial de colaboración y la necesidad de trabajar en común y paralelo hacia los mismos objetivos que afectan a todos.
La inauguración del evento contó con la presencia de Gabriel Navarro, Asesor de la Secretaría de Ecología y Medio ambiente de Quintana Roo; Sergio Ricardo Aguilar Escalante, Director de Planeación y Cambio Climático de la Secretaría de Desarrollo Sustentable de Yucatán; y Xavier Moya García, Coordinador de Proyectos de RRD y Resiliencia del PNUD México.
Entre los diversas temáticas que componían los objetivos integrales de la cumbre, se presentaron ponencias respecto a la calidad del aire y el agua, analizando cómo impactaba en la salud pública. También se habló de extinciones provocadas por el hombre a través de talas y contaminaciones masivas en una ponencia realizada por José Luis Funes, Presidente del Consejo Directivo de Sureste Sostenible A.C. Otra línea de importancia, es la de la manera que nos alimentamos, y recientemente se ha escuchado mucho el concepto del “Plato del Bien Comer”. En esta ocasión, Chantal Chalita, Consultora Ambiental, moderó una sesión entre diversos expertos en el tema para hablar respecto a la importancia respecto a la salud, pero también de su impacto en el medio ambiente como sistemas alimentarios sostenibles.
En la segunda jornada, de igual forma se trató el tema del marco legal en el país para proteger la vida silvestre, el bienestar y la sanidad ambiental. Dos expertas en el tema, Jimena Bori y Ana Isabel García Leyva nos hablaron de las dificultades en su implementación y en metas a alcanzar. Y no menos importante, también se habló de la meta 30x30 que busca proteger al menos 30% de las zonas terrestres y marinas para el 2030. Celia Pigueron Wirz, Directora de Consultoría Por el Planeta, en compañía de Erika Rodríguez de la Agencia Francesa de Desarrollo, y Minneth Medina de la Junta Intermunicipal Biocultural del Puuc, hablaron del tema.


Hacia finales de la década de 1830, surgieron en Francia e Inglaterra los primeros aparatos para captar imágenes que eventualmente serían conocidos como cámaras fotográficas. Esta creación, que hoy en día todos la tenemos incluida en nuestros celulares, significó en su momento una revolución filosófica, técnica, económica y creativa para las artes visuales. Hasta ese momento, los artistas, a través de diferentes estilos, técnicas y materiales, habían mantenido la reproducción fiel de la realidad como uno de los pilares más importantes para su trabajo. Con la invención de la cámara, se encontraron con una tecnología podía reproducir la imagen de una persona en cuestión de minutos cuando a los artistas les tomaba días o semanas hacer un solo retrato. Esto obligó a los artistas y críticos a repensar lo que ellos consideraban que debía ser el arte y, lo que en un principio parecía una amenaza para el trabajo de los artistas, terminó siendo la semilla de una nueva serie de corrientes artísticas que hasta el día de hoy nos fascinan (como el impresionismo, el cubismo, el arte abstracto, entre otras vanguardias). En ellas, la reproducción exacta de la realidad ya no era la prioridad, e inclusive, lo que parecía ser el artefacto que destruiría el arte, terminó siendo reconocida como una nueva rama de las artes visuales: la fotografía.
Hoy en día, las inteligencias artificiales, o “I.A.”, son el nuevo elemento disruptivo que tiene a los artistas con sentimientos encontrados. Son fáciles de utilizar, económicas, al alcance de la mayoría de las personas y con resultados aceptables, creando imágenes, videos o textos en cuestión de minutos o segundos. Naturalmente, esto ha dividido a la comunidad de artistas entre los que se sienten amenazados y las rechazan y, por otro lado, a aquellos que encuentran en esta tecnología una nueva herramienta para crear y experimentar.
Entre los artistas que rechazan las inteligencias artificiales existen dos motivaciones principales: el desplazamiento de su trabajo y la violación de los derechos de autor. Ambos son preocupaciones válidas; si las personas pueden crear sus propias imágenes, ¿Sigue siendo necesario pagar el trabajo de los artistas? Lamentablemente, es seguro que algunos artistas verán un impacto en sus ingresos, especialmente aquellos que trabajen dentro de la ilustración o animación digital, ya que la mayoría de las creaciones que se pueden realizar con las I.A. compiten directamente con su trabajo, y no tanto con aquellos que trabajen con medios “análogos” como la pintura o la escultura. Sin embargo, las I.A. aún son una herramienta en desarrollo; todavía cometen errores bizarros (como dibujar manos con seis dedos) y siempre conservan un factor “azaroso” con los contenidos que se crean. Se requiere crear una frase perfecta (la cual puede llevar varios intentos en perfeccionar) para que la I.A. pueda predecir lo que deseas que cree tal como se imagina, o de lo contrario, para bien o para mal, se obtendrá un resultado inesperado.





En el tema de la violación de los derechos de autor, las inteligencias artificiales lo facilitan para muchas personas, y los más vulnerables de sufrir una violación son aquellos artistas que utilizan las redes sociales y/o el internet como un canal para promocionar su trabajo. Las inteligencias artificiales permiten crear imágenes “al estilo de”, “con los personajes tal”, e incluso puede utilizar las voces o rostros de personas reales sin su consentimiento. Esto se debe a que las I.A. utilizan información existente en la internet para crear sus contenidos, pero teóricamente esto no se distingue mucho de una persona que utiliza revistas, libros, fotografías o material de internet como referencias para crear sus obras. Si se utiliza una I.A. para crear algo nuevo y original, aunque haya tomado ciertas referencias de internet, no podríamos hablar de una violación, pero la responsabilidad de la creación y el uso de los contenidos que se crean recae en la persona que utiliza la I.A. y no la I.A. en sí misma. En otras palabras, las I.A. no son la verdadera amenaza, sino las personas que hacen mal uso de ellas, ya sea por ignorancia o por malas intenciones.
Por otra parte, se encuentra el grupo artístico que encuentra en el arte una perspectiva optimista, un instrumento para experimentar y desarrollar sus proyectos. Esto va desde artistas experimentados que quieren desarrollar nuevas ideas buscando los límites de esta nueva tecnología, los que desean modificar su obra existente para darle un nuevo acabado o una “nueva vida”, hasta las personas aficionadas que aún no desarrollan completamente sus habilidades artísticas y que encuentran en la I.A. una forma de crear aquellas
ideas que todavía no pueden plasmar con sus propias habilidades. En otras palabras, la I.A. es también un instrumento con el cual los artistas pueden crear arte.
Para concluir, teniendo como referencia los eventos de la cámara fotográfica, la I.A. podría ser la nueva puerta a través de la cual los artistas vuelvan a redefinir lo que consideramos como arte y sus formas de expresión. Aún es demasiado pronto para visualizar cuál es el camino que las artes tomarán con las I.A., si se crearán nuevas corrientes o no a partir de ésta, y cuáles serán las consecuencias negativas de esta. No obstante, lo que sí
pudiéramos decir, es que “la semilla ya ha sido sembrada” y solo queda esperar los frutos de esta e independientemente de cómo nos sintamos con respecto a la existencia de las I.A., algo es seguro: las I.A., al igual que las cámaras fotográficas, llegaron para quedarse.

L.A.V. Brenda J. Carrión Villanueva Directora del Centro Cultural Hartii



Através de la experimentación con los colores, Adela Isaac entra sin mayor barrera al mundo del arte y la pintura. Esta artista yucateca con más de cuatro décadas de trayectoria no tiene miedo a proponer mundos teñidos de matices distintos, desde lo fantasioso hasta arribar a lo real y cotidiano. Se ha destacado por su método de expresión que lo realiza con destreza a través de lo abstracto y lo figurativo. En entrevista con Revista El Toloc, nos habla de sus inicios y su trayectoria, así como de su visión respecto al presente y futuro de las artes en Yucatán.


¿Cuáles fueron sus inicios? ¿Qué fue lo primero que la llamó al arte?
No me llamó nada, solamente empecé jugando con los colores, pero nada más. No me llamó una cosa específica que me llevara a empezar a pintar o expresar mis emociones. Sentía más bien una necesidad de jugar con los colores, como lo hacen los niños. En realidad, fue una cosa muy ingenua de mi parte, comenzar de esa manera, porque yo iba a pintar y tomar las clases, y lo hacía porque me daba mucha felicidad hacerlo.
Pero igual me topé con dos excelentes maestros locales. Una ya no está, que es la señora Amalita Casada, ya fallecida hace años que fue una maestra muy disciplinada. De la vieja escuela, muy severa, y con ella estuve seis o siete años, hasta que dije: “Hasta aquí, se acabó esto”, porque ya era demasiado, pero una muy buen amaestra. Ella estudió en España, y daba clases acá, y empecé con mi amada maestra, quien me enseñó a ver y a ver… más que a expresarme, a ver. Me enseñó la disciplina. Esa fue una parte de mi formación.
La siguiente parte fue con Alonso Gutiérrez Espinosa, adorado maestro, donde ya mi trayectoria, mi visión de la pintura se fue abriendo… como queriendo expresar libremente lo que yo quería hacer, mis visiones… Y jugar con ellas.
Conforme pasaron los tiempos, empecé a formar con mucha disciplina diversas composiciones. Tengo muchísimas exposiciones, nacionales… de México, Aguascalientes… pero también internacionales, en Estados Unidos, Puerto Rico, Tenerife. He tenido algo por allá.
La pintura ya es una cosa que para mí es como respirar, es parte de mi naturaleza, ya no es una cosa de indagar, sino que se volvió de una parte muy adentro de mí, donde expreso mis vivencias, mis memorias, mi infancia, muchísimo.


¿Diría que tiene algún tipo de influencia o va paralela alguna corriente o estilo que le facilite la expresión más?
Todos tenemos influencias, muchísimas. No te puedo decir que tengo una especial, somos muchísimos pintores que tratamos de hacer algo auténtico, sacar algo de uno. Si es que yo tuviera que tener algo de alguien, no te sabría decir. Pero sí sé que, con el transcurso y paso del tiempo, y todos los días trabajar, eso te hace hacer algo diferente, muy tuyo.
¿Hay alguna pieza que haya creado que le haya costado mucho trabajo a un nivel emocional?
Sí claro, sí hay, pero o las evado, o las brinco y ejecuto la acción.
¿Ha dejado cuadros inconclusos?
No, nunca, nunca. Porque es un reto. Lo que pasa es que tú sueltas el cuadro, porque el cuadro nunca se termina. El cuadro te va diciendo “hasta aquí”, pero no podría yo hacer algo así, lo tengo que terminar. Se finaliza cueste lo que cueste, lleve el tiempo que lleve.
¿Qué ha sido lo más gratificante a lo largo de estos años como pintora?
¡Pintar! [risas]


Lo que pasa es que en las exposiciones cuando ya ves las obras en las salas, ya estudias bien lo que estás haciendo. Porque en tu estudio los repliegas y los dejas de ver. En cambio, allá en la sala ya tiene otro lenguaje.
¿Alguna vez ha recibido alguna crítica o algo que le haya hecho dudar de su trabajo y cómo lo abordó?
La crítica es muy buena, se debe de aceptar, debemos de ser humildes, aunque depende de la persona que venga. Te pueden atacar solamente, pero una crítica bien hecha es bienvenida, no tengo ningún problema, [la escucho] y sigo.
En cuanto a la evolución de sus obras, cuál ha sido tanto en estilo como en colores?
El estilo cambia conforme pasan los años, en el transcurso de los días, años y de tu vida, suceden muchas cosas y en mi caso en particular sí he cambiado bastante. Me lo han dicho, yo casi no lo observo porque como estoy metida en eso, pero la gente de fuera lo puede ver. Si ves algo mío del 2000 al 2024 te darás cuenta de que tiene más elementos, tiene más lenguaje visual. Más detalles, más de lenguaje visual, eso podría ser la evolución. Siempre quieres ir a algo más, a algo que me llene, que yo me quede satisfecha. Hay pedacitos en mis cuadros, fragmentitos para mí que me dicen que sí.


¿Hay obras que se negaría a vender?
Claro que sí, por supuesto que sí [risas]. Son momentos de la vida, de mi trabajo, que me dan mucho trabajo desprenderme de ellas, no porque sean mejor que otras, sino por el momento que representan. Es algo muy subjetivo, en realidad.
¿Diría que las obras son para mostrarse?
Yo creo que sí, es un lenguaje, y si están allá y no tienen otras miradas, estaría muerta la obra. La obra es un lenguaje, es comunicación, es muy necesario. [Esto se aprecia] ahora con las exposiciones, con los problemas que ha habido después del COVID, que no tenemos apoyos en cuanto a la Secretaría de Artes Visuales. Yo anteriormente había tenido la sala del José Peón Contreras, donde siempre me han tratado muy bien, pero ahora no hay nada. No tenemos espacios, no hay intercambios, no hay proyectos. Por mucho que estemos trabajando cada quien desde su trinchera, no hay espacios proyectos. Actualmente estamos muy mal.
Esto se ve, por ejemplo, con el MACAY. Yo he tenido tres exposiciones allá, y siempre ha sido muy grato estar allá. Hay mucha gente, turistas, es el momento en el que te ven, pero ahorita no hay nada. Se acabaron todos los proyectos, se barrió con todo.
Hace como dos meses me metí a las oficinas de la Secretaría de la Cultura y me dirigí a la dirección, y me recibió Rosa la directora amablemente, y me llamó mucho la atención de ver las paredes de la oficina se estaban cayendo. Es un abandono total, me dio muchísima tristeza.
Lo curioso es que esto es así solo en las artes visuales, porque si tú brincas a la música y te vas al Palacio de la Música encontrarás conciertos cada semana, y es increíble, y qué bueno. Pero ¿Qué pasa con las artes visuales en Yucatán? Tienes que estar luchando sola, buscando espacios solas, dedicados a un público muy limitado, en un país muy globalizado donde supuestamente deberíamos tener más oportunidades de intercambio, pero la realidad es que no hay nada. Si no fuera por los espacios privados estaríamos muertos.

Actualmente se puede encontrar parte de su arte en la exposición presentada en el Centro Cultural Hartii. @coleccionadela @hartii.art



Si bien su legado le guarda merito en muchas áreas profesionales, a la escritura llegó como producto de su vida como médico, transformando sus experiencias y planteamientos personales en textos reflexivos y novelísticos. Aunque nacido en Guanabacoa, Cuba (1876), se nacionalizó mexicano. Fue un prominente intelectual y visionario en la región, siendo reconocido por sus trabajos como psiquiatra, pedagogo y escritor. Destacó por promover la cesárea en el país; fundar la Universidad Autónoma de Yucatán (originalmente nombrada Universidad Nacional del Sureste), de la cual fue nombrado rector bajo el mandato de Felipe Carrillo Puerto en 1921; y aún más interesante, fue el primero en escribir una novela mexicana de ciencia ficción.
Dado el violento ambiente que se vivía en Cuba a inicios de siglo XX, sus padres se marchan de Cuba para asentarse en
Yucatán, lugar donde Urzaiz se forjaría social, cultural e ideológicamente. Inició su vida profesional como profesor normalista en 1894 tras titulares del Instituto Literario de Yucatán, que fue una de las instituciones docentes fundamentales en el sistema educativo superior de la región. En este periodo, igualmente se estrena como alumno del pintor yucateco Juan Gamboa Guzmán, quien le facilitaría el contacto con sus dotes artísticos.
Urzáiz, una vez convertido en docente, se introduce al mercado laboral para costearse sus estudios en medicina, momento en el que ganaba un sueldo de 30 pesos. Sin abandonar el magisterio, ingresó en 1896 a la Facultad de Medicina y Cirugía de Yucatán, siendo un destacado alumno. Tras concluir sus estudios de medicina, es enviado a Nueva York para complementar sus estudios en el área de psiquiatría. Tras la inauguración en 1906 del Asilo Ayala,


por el entonces presidente Porfirio Díaz, Arzaiz es nombrado su primer director. En ese entonces, la psicología era una disciplina que agitaba al mundo intelectual pues se acababa de inventar el psicoanálisis, y esto empezaba a revolucionar el mundo de la salud mental. Por este motivo, y tras sus experiencias y estudios en el extranjero, el Dr. Arzaiz fue un pilar importante en el tratamiento a la salud mental en Yucatán, implementando nuevas prácticas en las instituciones que lideró.
Entre los diversos libros y artículos que redactó, hay solo un texto que pertenece al género de la novela, que es “Eugenia: Esbozo novelesco de costumbres futuras” (1919). Esta novela está considerada como la primera en su género, pues aborda una visión sobre cómo sería la sociedad del futuro. Aaron Dziubisnkyj la considera como una de las 42 narraciones de ciencia ficción eugenésica publicadas a finales del siglo XIX
y principios del XX. Eugenia comparte con el resto de narraciones, según este analista, la desaparición del estado para darle paso a una única federación, el darwinismo social, y la veneración de lo femenino. La novela es tan profunda y sofisticada (aunado al hecho de que es la única con este género redactada por Urzaiz), que algunos investigadores literarios se cuestionan si se trató de una sátira o una utopía y mundo ideal soñado.
La historia se sitúa en el año 2218 en la ciudad de Villautopía, parte de la “Subconfederación de la América Central”, que en realidad es la Mérida actual. En este mundo futurista, Urzaiz describe una sociedad en la que han desaparecido los prejuicios sobre la sexualidad y la maternidad, e incluso ahora hombres pueden fungir como “gestadores”. De igual forma, hay una normalización de la marihuana y se ve a la población consumiéndola libremente. Imagina un mundo pacífico en el que después de las guerras mundiales, los hombres por fin se vuelven racionales y pacíficos. La trama gira alrededor de un triángulo amoroso entre Ernesto y Celiana, con la posterior aparición de Eugenia. La primera, siendo una mujer mayor e intelectual de profesión, se ve sustituida por la última joven y bella que conquista el corazón de Ernesto. Un aspecto interesante del texto es que describe una sociedad que acentúa la igualdad hombremujer, llevándola al plano fisiológico con la selección de hombres gestadores. Sin embargo, existen desacuerdos entre los críticos sobre si se trata de una distopía o de una utopía. Hay incluso algunos que la consideran una novela racista.

Este libro, su nombre, y su esencia, están basados en la eugenesia, que marca toda la vida profesional de Urzaiz en hospitales, psiquiátricos y cárceles. Al igual que para Cuba, los primeros años del siglo XX fueron épocas tumultuosas para Yucatán con el inminente declive del comercio henequenero. El resto del mundo también se tambaleaba tras el paso de la Primera Guerra Mundial, que a su vez impactaría en el mundo colonial. Invariablemente, esto resultó en la introducción y difusión de novedosas ideas y maneras de pensar. Una de ellas, que influenciaría sus escritos,
sería la de la eugenesia, corriente antroposófica y médica que se derivaba de las ideas de Charles Darwin aplicadas a los seres humanos. Dichas ideas proponían mejorar la situación de la especie humana a través de la selección de determinados rasgos hereditarios según criterios jerarquizados.
En la visión de Arzaiz, con la eugenesia, se permitiría el cierre de esas instituciones que atienden a humanos “imperfectos” y que representan altos costos para la sociedad. En realidad, el doctor Urzaiz soñaba con una humanidad sin dolores, ni costos económicos o sociales. Según su nieta, Josefina Villamil Uraiz, Eduardo Urzaiz fue un socialista estricto, un filántropo, artista y un “hombre práctico”. Un hombre sencillo que nunca tuvo automóvil y que gustaba de caminar por la ciudad, y si acaso tomar el “coche de alquiler” o el camión, siempre vistiendo con su traje de lino blanco. Se consideraba a sí mismo agnóstico, aunque le decían “el judío”, y sus ideas siempre parecían ir adelantadas a la época.
Obras literarias
Escribió además ensayos, críticas, anécdotas, recorridos históricos y numerosos artículos. Entre ellos se encuentran:
“Nociones de Antropología Pedagógica”
“La Cesárea en Yucatán”
“Conferencias sobre biología”
“Manual Práctico de Psiquiatría”
“Conferencias sobre Historia de las Religiones”
“Compendio de Histología”
“Del imperio a la Revolución”
“La Emigración Cubana en Yucatán”.
También tiene algunos escritos autobiográficos y de su historia de vida. Uno de ellos es su anecdotario “Reconstrucción de Hechos”, donde da muestra de sus dotes como caricaturista. De igual forma, en “Cartas de un Exiliado” narra de su arribo y primeras impresiones al llegar a Yucatán. En su texto “Antología” se permite expresarse en multitud de temas donde plasmaría de manera crítica y extendida su manera de pensar. Un dato interesante es que todos los derechos de sus sobras fueron cedidos a la UADY.





Texto e ilustraciones por Enzo Compañ
De una forma inesperada, el filósofo y crítico literario Walter Benjamin presenta en su obra un retrato bastante halagador de la figura de Mickey Mouse. Lo llega a describir como un agente revolucionario poco convencional, una criatura cinematográfica que prepararía el camino hacia una humanidad renovada, transformada física y psíquicamente por la tecnología, un héroe jocoso que, como heraldo de una nueva época, revelaba la posibilidad de un futuro extraordinario…
Uno de los principales temas de Experiencia y Pobreza (1933) es la ruptura con el pasado que la modernidad puso en marcha. En este ensayo, Mickey Mouse adquiere un papel protagónico porque sus cintas ya reemplazaban a los cuentos de hadas de antaño. En ellas, acontece siempre lo espontáneamente maravilloso:
La existencia del ratón Mickey es ese ensueño de los hombres actuales. Es una existencia llena de prodigios que no sólo superan los prodigios técnicos, sino que se ríen de ellos. Ya que lo más notable de ellos es que proceden todos sin maquinaria, improvisados, del cuerpo del ratón Mickey, del de sus compañeros y sus perseguidores, o de los muebles más cotidianos, igual que si saliesen de un árbol, de las nubes o del océano. (Benjamin, 1982: 5)
Mickey hace confundir los límites entre lo humano y lo animal, suspendiendo el orden antropocéntrico establecido en la tradición humanista. Siguiendo este razonamiento, Mickey no es tanto un ratón humanizado, tanto como un humano “ratonizado”, o al menos “deshumanizado”.
No se trata de un animal cuya domesticación prolongada le confirió rasgos humanos, sino, probablemente de un ser humanoide que, en un futuro más o menos lejano, ha pasado por las transformaciones resultantes a la exposición a un ambiente tecnologizado, adaptaciones necesarias para sobrevivir trás un evento catastrófico:
La Primera Guerra Mundial, tal vez la Segunda, o una Tercera. Si es que podemos reconocerlo como humano es porque aún conserva ciertos rasgos vestigiales, como podrían ser sus famosos pantalones cortos.
Mickey es comparable a los habitantes de Pallas, de “Lesabéndio”(1913) novela de Paul Sheerbart, que es mencionada más adelante en el ensayo. Los nativos del asteroide son una especie de “gente” del futuro, extraterrestres que pueden o no descender de los actuales terrícolas. No son “humanos” en el sentido tradicional, es decir, no en el sentido heredado del humanismo. Tienen cuerpos serpentinos, piel gomosa, y ojos telescópicos, y habitan en casas nómadas de cristal bajo cielos violetas y estrellas verdes… Como al Mickey de Benjamin, la tecnología los ha transformado.
Tales elogios optimistas podrán parecer forzados o hasta irónicos para el lector contemporáneo, partiendo de lo que representa The Walt Disney Company en el imaginario actual. Sin embargo, son resultado de una época tumultuosa e impredecible. El periodo de entreguerras fue marcado por la desoladora experiencia de la Primera y la ansiedad ante la inminencia de la Segunda. Para un judío marxista como Benjamin había un acentuado sentido de urgencia; ante la amenaza del nazismo, la inspiración para propuestas vanguardistas y directrices revolucionarias podía (y tendría que) surgir de lugares insospechados.

Enzo Compañ Badillo es un artista e ilustrador, con una maestría en la Universidad de las Artes de Yucatán. Junto a su hermano Salvador conforma el equipo de diseño Lordag & Sondag, desde donde crean objetos atípicos con influencias de la tradición artesanal mexicana y precolombina.


@enzocompanb @lordagsondag

En la costa noroeste de Yucatán, donde el Golfo de México apenas acaricia a la península, se encuentra Sisal, un pueblo con una historia rica y un encanto natural que cautiva a quienes tienen la fortuna de descubrirlo.



Por Edly Mortera @enfamiliaxyucatan
Sisal tiene sus raíces en la industria henequenera, que floreció a finales del siglo XIX en la región. De hecho, el henequén también es conocido como “sisal” haciendo alusión a este puerto, que fue el principal punto de comercialización del también llamado oro verde, que en su apogeo fue la base de una economía próspera que transformó la vida en la península.

El legado de esta época se refleja en la arquitectura local, por lo que a sus alrededores, es posible encontrar antiguas haciendas y edificaciones que aún preservan su esplendor colonial.
Sisal, nombrado “Pueblo Mágico” en 2020, también es conocido por sus playas de arena dorada y aguas tranquilas que invitan al descanso y la recreación. A lo largo de su costa, se extienden kilómetros de playas vírgenes donde los visitantes pueden relajarse, nadar o disfrutar de actividades acuáticas como el kayak y el snorkel. A diferencia de otras playas más cercanas a Mérida, su ambiente sereno y puestas de sol espectaculares, son un escape perfecto del bullicio de la vida urbana.
Los alrededores de Sisal también ofrecen una rica biodiversidad que merece ser explorada. La Carbonera, por ejemplo, es una playa que fue creada como consecuencia del huracán Gilberto, que al destruir la carretera que conectaba Chuburná con Sisal, dio paso a este paraíso reservado para solo unos pocos, pues solo se puede acceder a ella a través de lanchas o embarcaciones pequeñas. A sus espaldas y de forma paralela a la costera, hay un laberinto de manglares y cenotes que alberga una variedad de aves acuáticas, reptiles y pequeños mamíferos. Los visitantes pueden explorar estas maravillas en kayaks o pequeñas embarcaciones para explorar sus canales serpenteantes, observando de cerca la vida silvestre en su hábitat natural.
Un punto destacado en Sisal es el Fuerte de Sisal, una estructura histórica que data del siglo XVIII. Construido para proteger la región de los ataques de piratas que frecuentaban las aguas del Golfo de México, el fuerte es una de las pocoas construcciones amuralladas que sobreviven en Yucatán y un testimonio de la rica historia marítima del Estado. Los visitantes pueden recorrer sus muros y torres, imaginando la época en que Sisal era un puerto estratégico en la defensa de la península.
Para los interesados en la cultura local, Sisal ofrece una oportunidad única para descubrir las tradiciones y la artesanía de Yucatán. Los mercados locales son lugares ideales para probar la cocina yucateca auténtica, que incluye platillos como la cochinita pibil, los panuchos y los salbutes. Aunque también, cada vez existe más oferta turística y gastronómica, por lo que es posible encontrar restaurantes de cocina yucateca contemporánea, clubs de playa y uno de los hoteles boutique más exclusivos de la región.
Desde sus playas paradisíacas, hasta su legado henequenero y sus tesoros naturales, cada rincón de Sisal ofrece una probadita de la rica herencia de la región. Para los viajeros y locales que buscan una experiencia auténtica y enriquecedora, Sisal promete ser un descubrimiento inolvidable en la costa yucateca.




Las telecomunicaciones y la conectividad en Yucatán fueron uno de los pilares para su desarrollo económico pero también para fines propagandísticos y de campaña político-militar.
El 12 de noviembre de 1865 se inauguró en Yucatán el primer telégrafo con una transmisión telegráfica entre Mérida y el puerto de Sisal. La instalación en la capital se realizó provisionalmente en la residencia del empresario Don Darío Galera, ubicado en el edificio “El Gallito” en la calle 60x63. Esto sucedió durante el mandato del comisario imperial José Salazar Ilarregui.
El primer telégrafo en el país se había instalado en 1850 en un tramo que iría de Ciudad de México hacia Nopalucan (Puebla), y en los siguientes años se extenderían las líneas hasta cubrir en 1854 una distancia de 608 kilómetros atravesando México, Orizaba, Jalapa, Veracruz, Guanajuato y León. Durante el Porfiriato se instalaron más de 40,000 kilómetros de líneas, abriendo más de 400 oficinas en todo el país. Así, el telégrafo se convirtió en una de las piezas clave para el periodo revolucionario, sobre todo por facilitar el control de los estados de la Federación.
Para 1871, ya se habían inaugurado nuevas líneas desde la capital del Estado como Tekax y Acanceh. En 1872 se comunicó Mérida con Campeche y en 1876 con Motul. Para 1881, con la inauguración de la primera vía férrea del Estado que unía la capital con el puerto de Progreso, ya también se habría tendido una línea telegráfica para mejorar la comunicación. Con los nuevos avances de las vías hacia Izamal, Valladolid, Tizimín y Peto, igualmente lo haría su compañero telegráfico.
Por esas fechas, Alexander Graham Bell y Watson estaría desarrollando una serie de experimentos para que por fin, en 1876, se inventara el teléfono, el cual pretendía hacer mejoras al telégrafo. En este año es la primera vez que patenta un concepto distinto y menciona “receptores telegráficos telefónicos”. Tras las primeras dificultades para arrancar con las instalaciones de cableado en Estados Unidos, se da la primera comunicación telefónica en México el 13 de marzo de 1878, entre la
(2019).Telégrafo.GobiernodeMéxico.

gendarmería de la población de Tlalpan y la capital del país. Los primeros permisos otorgados en el país para ofrecer el servicio fueron específicamente para la policía y la oficina del gobernador. Dos años tarde, Porfirio Díaz informa que con el fin de facilitar la comunicación de la Secretaría de Guerra y el resto de cuerpos de guarnición, se habían instalado líneas telefónicas directas entre ellos.
En 1891 la conexión telefónica se extendió a estados como Jalisco, Puebla, Oaxaca y Veracruz, momento en el que la cantidad de teléfonos instalados superó los mil y la compañía se vio en la necesidad de crear un directorio. En 1900 se pasaron las líneas de Oriente a la Federación, la cual las ensanchó y prolongó hasta Puerto Morelos y las conectó con el Sur, todo esto con el fin de mejorar el éxito de la campaña militar que
se estaba llevando a cabo en las tierras del campo maya “reconquistado” hacía poco. En ese año se construyeron las líneas telefónicas desde Valladolid y que atravesaban Chichimilá, Uayma, Tinum y Tixcacalcupul, y en global, la Compañía Telefónica Mexicana había instalado 3,065 teléfonos en 18 ciudades. En 1927 ya se realizaba la primera conferencia de larga distancia de México con Estados Unidos y Canadá y, un año más tarde, se realizaría por medio de circuitos terrestres y radio telefónicos la comunicación con Europa. Sería hasta 1931 que se realiza la comunicación del primer circuito radiotelefónico entre la capital del país y la de Yucatán.
Las tecnologías fueron mejorando, para que en 1976 se diera a nivel mundial la primera llamada por teléfono móvil. Hoy en día, alrededor del 84% de la población yucateca cuenta con un teléfono móvil y de este porcentaje, el 94% son smartphones. Dichos smartphones, cuentan con posibilidad de acceso a internet, y aquí en Yucatán, el 85% de los usuarios lo tienen contratado.
En cuanto al uso del internet, si bien su primera conexión en el país fue en 1991, en Yucatán, fue tres años más tarde, en 1994 cuando el Cinvestav abrió su servicio Mundo Internet. Tres meses después, basándose en esa conexión, la empresa Finred de Carlos Mena Baduy empezó a ofrecer el servicio de conexión a Internet. A partir de diciembre de ese año, la empresa ofreció boletines de información financiera y servicio de correo electrónico, aunque todavía no se tenía la posibilidad de navegar en la red.
Fotografía original en blanco y negro editada, restaurada y coloreada digitalmente por @yucatanpasadoglorios


Dyred posteriormente empezó a ofrecer servicio de conexión y de buzón de correo electrónico y un sitio web que ofrecía información diversa. En ese entonces aún no había buscadores, por lo que las mismas páginas web ofrecían enlaces para redirigir a las diferentes opciones. Para conectares se requería una computadora con ciertas especificaciones de rendimiento y capacidad, además de contar con Windows 3.1 y un módem de 9,600 bits/min, además de una línea telefónica a menos de dos metros de la computadora (que por cierto, no podía ser utilizada mientras se encontrara conectado el internet). Dichas líneas, debían ser conectadas con fibra óptica para poder conectarse a internet. Poco a poco, la red doméstica de internet fue incrementándose hasta lograr una proporción 2 a 3, es decir, que más del 66% de los hogares yucatecos cuentan con conexión a internet. Con las nuevas redes de fibra óptica que se han instalado en los últimos años en todo el estado, se espera que la brecha digital se reduzca y también que mejore la comunicación con las poblaciones más alejadas de la capital y de los centros urbanos.

La aplicación de la tecnología está en todos lados y en la cuestión alimentaria no se queda atrás. Con la revolución industrial se transformó la dieta del ser humano, siendo esto especialmente notable a partir delaintroduccióndelatecnologíadelostransgénicos. Sin embargo, poco se ha hablado de la tecnología utilizada al momento de la preparación de alimentos, mismos que inclusive cuentan con un tiempo de hábil deconsumobastantebreve.
Hoy en día, se tiene el concepto de gastronomía molecular que es el estudio y aplicación de la física, la química y otras ciencias en la cocina. Esta mezcla de arte y ciencia pretende desarrollar platillos con nuevas formas y texturas, donde la creatividad tiene sin duda un papel esencial. La deconstrucción es una parte importante de este concepto pues se requiere separar los diferentes elementos de los que consta un plato para después volver a incorporarlos pero ahora con diferentes texturas a través de la manipulación de aminoácidos, carbohidratos o grasas.
¿Cómo surge la cocina molecular?
El primer rastro de experimentación científica con la comida se tiene del siglo XVIII cuando Claude Joseph Geoffroy
extrajo aceites esenciales de plantas y decidió determinar su composición química para ser aplicados a la experiencia culinaria. Después, en los años 30, el microbiólogo Édouard de Pomiane publicó un libro de técnicas contemporáneas de cocina francesa. En 1969 Miklós Kurti, físico de la Universidad de Oxford, comenzó a experimentar con diferentes ingredientes a través de transformaciones moleculares en un programa de televisión llamado “El físico en la cocina”. Estaba apasionado con los mecanismos de transformación que ocurren durante los procesos culinarios a nivel de la cocina doméstica.
A raíz del éxito de Kurti, el considerado padre de la cocina molecular, Herve This, quien fuera un investigador del Instituto
Nacional de Investigación Agronómica de Francia, decidió probar las técnicas de Kurti. Deseaba averiguar cómo reaccionaban diferentes alimentos con la aplicación de diversas técnicas de cocción, y bautiza en 1988 dicha metodología como “gastronomía molecular”. A partir de ello, se inicia un rápido desarrollo por los diferentes países de Europa hasta que en 1999 se le empezó a considerar como una disciplina científica que estudia los fenómenos que ocurren durante el cocinado. También se le nombró nouvelle cousine a todo tipo de concina de vanguardia que empezaron a desarrollar los mejores chefs del mundo. Un ejemplo brillante es el chef español Ferrán Adriá, quien cierra las puertas de su restaurante El Bulli 6 meses al año para convertirlo en laboratorio.


¿Cuáles son las técnicas de la cocina molecular?
Existen diferentes técnicas que se utilizan para transformar y reconstruir los alimentos:
Aires, mousse o espumas: es una técnica que consiste en proporcionar gas a un líquido, formando burbujas cuando se airea y le proporciona volumen. Esto se realiza a través de un sifón, pero dependerá del tipo de textura y densidad que se desee obtener.
Esferificación: con la gelificación de un líquido, se convierten alimentos líquidos en esferas semi sólidas. Se utilizan aditivos tales como el alginato de sodio y el cloruro de calcio para crear membranas de gel comestible y permitir que las estructuras se sostengan.


ARTE, CULTURA Y SOCIEDAD
Hipercongelación: es la más común, gracias al nitrógeno líquido es posible congelar al instante cualquier alimento sumergido en él sin crear cristales. Es ideal para cambiar texturas de manera inmediata.
Papel comestible: este tipo de elementos decorativos se utilizan tanto en platos dulces como salados, y se requieren de herramientas como las impresoras 3D para crearlos. Utilizan líquidos espesados y posteriormente se agrega la decoración deseada.
Pulverización: es una técnica en la que ingredientes líquidos o con base grasa se convierten en alimentos sólidos que se muelen en finuras distintas. Se utiliza la maltodextrina como aditivo, que es un carbohidrato proveniente del almidón y es altamente soluble. Esto permite que al ponerse en contacto con la saliva, se libera rápidamente de la grasa.
Sous Vide: se trata de un método de cocción en el que se introduce el alimento dentro de una bolsa y después se sella al vacío. Lo que sucede es que el producto se cuece a una baja temperatura controlada y durante un largo periodo de tiempo. Esto permite llegar a puntos de cocción que difícilmente se lograrían con un hervido convencional. Se requiere de una máquina Roner para alcanzar dichos objetivos.
Terrificación: es la conversión de un alimento en una textura terrosa, resultando en una sensación óptica de tierra.
Emulsificación: un líquido es dispersado en otro de manera lenta, dejando caer gotas de uno a otro. Así se consigue mezclar líquidos grasos con acuosos. Con esta técnica, se desarrollan nuevas elaboraciones moleculares como los aires y espumas con mayor estabilidad. Con esta técnica es posible introducir aire lo que logra un aumento de volumen y un cambio de textura en la preparación.
Gelificación: se convierte en gel o gelatina para espesar y estabilizar soluciones líquidas, emulsiones y suspensiones. Se utilizan principalmente gelatina, agar-agar, goma gellan, carragenato kappa, entre otros.

“ Si pudiera elegir entre ser un queso o cualquier otro alimento, sin duda me quedo siendo un queso: ellos despiertan múltiples creaciones cerebrales de sabor, que producen mucha felicidad ”.
Los quesos son uno de los productos lácteos más antiguos y apreciados en todo el mundo. Su historia se remonta a miles de años atrás, cuando las sociedades nómadas descubrieron que podían conservar la leche de forma más duradera si la convertían en queso. Se cree que el queso fue inventado por casualidad, cuando los pastores de las regiones montañosas de Europa guardaban la leche en odres de cuero y esta se fermentaba, creando así un producto sólido que podían transportar con mayor facilidad. Con el tiempo, se descubrió que al añadir ciertas bacterias y enzimas a la leche y someterla a diferentes procesos de fermentación, se podían obtener diferentes variedades de queso con distintas texturas, sabores y aromas. Nadie puede poner en duda que el queso es uno de los alimentos más prodigiosos del mundo: pues figura en muchos menús caseros, en las cartas de los restaurantes más lujosos, es un fiel acompañante de viajes, excursiones y picnics. Es la alegría del buen gastrónomo, es el bocadillo caprichoso y es una panacea dentro y fuera de la cocina.
Y es mi pasión por los quesos que me lleva a crear la experiencia “El arte de comer quesos”. Donde de manera artística y bajo una previa y delicada selección de quesos;
los colocamos sobre tablas de madera o cualquier otro recipiente que nos sirve de base, siendo estas creaciones las llamadas “tablas de quesos”. Estas se han convertido en tendencia gastronómica que acompañan a las reuniones, eventos y fiestas en torno a la mesa. Siendo muy exitosas en todo México y Latinoamerica, despertando cada vez más el interés de los comensales por conocer el mundo quesero.
En la gastronomía yucateca el queso insignia y que nos representa a nivel nacional es el llamado “queso de bola”, su nombre correcto es queso Edam y proviene de Holanda. Se dice que este queso llego a la Península de Yucatán en barcos holandeses que naufragaron, lo cierto es que existen muchas historias de su llegada a estas tierras. En definitiva, el mundo quesero es un universo fascinante que ha enriquecido la gastronomía mexicana y ha dado lugar a sabores inigualables. Podemos contar más de 2000 tipos de quesos alrededor del mundo y cada uno de ellos producido con diferentes tipos de leche; vaca, oveja, cabra, búfala y mezclas de leche. Un buen queso no es sino la suma de leche, cuajo y sal como ingredientes básicos para un producto artesano. Y no olvides que “si comes queso, sabrás lo que es eso”.



Nela Besada es chef y experta en quesos, con 20 años de trayectoria en el mundo culinario. Desde el 2016 estudia el arte del queso de la mano de maestros como David Asher y Ernesto Toalombo.

Del mundo del futurismo literario se desprende un sinfín de corrientes que han marcado el imaginario futurista mundial. Muchos presentados a manera de ruptura y crítica social, como lo fue la novela de H.G. Wells La Guerra de los Mundos, o el mundo distópico de Huxley Aldous con Un Mundo Feliz, sin olvidar al gran visionario y profesor de bioquímica, Isaac Asimov y sus diversas publicaciones entre las que destaca Yo, Robot. La tecnología y la literatura se conocieron para unirse de carácter permanente, por lo que, a continuación, se presenta una serie de recomendaciones para los lectores que gusten de vivir mundos alternos a través de las letras.
Eugenia: Esbozo novelesco de costumbres futuras
Eduardo Urzaiz 1919

Crónicas de Wallmerica:
Historias de Ciencia
Ficción sobre el muro entre México y Estados Unidos
Jorge Chípuli Padrón
2020

El circulo
Dave Eggers
Penguin Random House 2013

Si bien esta novela ya cumplió su centenario, merece un lugar especial en las recomendaciones literarias puesto que además de haber sido escrita por un autor yucateco, fue una de las primeras novelas mexicanas de ciencia ficción que se publicaron. Urzaiz es positivo en cuanto a los programas de selección genética puesto que considera que esta situación liberaría las cárceles y hospitales, para dar paso a una sociedad más ordenada. La selección del nombre, Eugenia, no es al azar puesto que responde a su origen latín “bien nacido”, haciendo así alusión a la buena selección de futuros humanos.
Al estilo orwelliano, Chípuli narra en formato post-western distópico cómo se desarrolla la vida en una calle de 1950 millas de extensión sobre un muro que separa México de Estados Unidos. En el fondo, se trata de una dura crítica a la realidad que se vive en la frontera, con el paso ilegal de inmigrantes, el maltrato y uso de armas hacia ellos por parte de los americanos, y toda serie de tramas que desde las arenas de la ciencia ficción, desgraciadamente no se apartan mucho de las tragedias que se viven día a día en esos espacios tan comprometidos.
En su primera propuesta, Eggers desarrolla una novela distópica en la que Mae Holland, una chica recién egresada ingresa en una corporación punta de lanza en tecnología. En principio, aparenta ser la oportunidad de su vida, pero conforme avanza en el devorador mundo corporativo y va escalando en la empresa, empieza a verse sumergida en el adoctrinamiento y en la invasión a su privacidad. Este recorrido te hará reflexionar acerca de los límites a la transparencia y del alcance de sus consecuencias, tanto positivas como negativas.

VIDEOMAPPING COLECTIVO
INFANTIL
Parque de La Peni
Las noches de proyecciones en la fachada de la Penitenciaría localizada en el Parque de la paz. Se trata de una actividad inversiva e interactiva pensada para los pequeños de la familia. La entrada es gratuita y contiene diversión y asombro asegurados.
CONCIERTO CANDLELIGHT: LAS CUATRO ESTACIONES DE VIVALDI / COLDPLAY VS IMAGINE DRAGONS
Sala de Conciertos del Palacio de la Música
Regresan los conciertos a la luz de las velas, en esta ocasión presentando dos temáticas distintas. Una con los eternos clásicos de Vivaldi y Las Cuatro Estaciones; el otro, más moderno rindiendo tributo a bandas contemporáneas como lo son Coldplay e Imagine Dragons.

09, 16, 23 y 30
AGOSTO 20:00

AISHA CORONA Y DANIELA LIEBMAN CON LA OSY
Palacio de la Música
La pianista Daniela Liebman se une con la violinista Aisha Corona para representar Las Cuatro Estaciones de Vivaldi de la mano con la Orquesta Sinfónica de Yucatán, para deleitar a los yucatecos son sus manos que han conquistado diversos escenarios alrededor del mundo
TRIBUTO A LOS GRANDES: CONCIERTO CON CAUSA
Teatro Daniel Ayala
Diversos artistas yucatecos unen sus talentos para apoyar la representación de Daniel Moo Vázquez en el Mundial de tap en Praga en octubre de este año. Se enaltecerán a los artistas mexicanos más reconocidos como Rocío Dúrcal, Lupita D’alessio, Yuri, Juan Gabriel entre otros.


Centro de Convenciones Siglo XXI
La Orquesta Filarmónica Internacional presenta la música de las películas de El Señor de los Anillos y El Hobbit, llevando al escucha a través de paisajes épicos y emociones profundas. Cada pieza representa una batalla, un momento de paz y esperanza, una lucha interior.
Teatro Carlos Acereto
La Orquesta Filarmónica Internacional presentará una selección de las bandas sonoras más icónicas de las películas de Tim Burton. Se reavivará la atmósfera misteriosa e imaginación de esta película sombría pero divertida a la vez.


20-22 SEPTIEMBRE 08:30 17:00
LOS ADDAMS EL MUSICAL
Teatro Daniel Ayala
Este musical, presentado por primera vez en 2010 en el Lunt-Fontanne Theatrle de Broadway, y llega ahora a la capital yucateca interpretando canciones de Andrew Lippa y con el libreto de Marshall Brickman y Rick Elice. La producción está a cargo de Natalia Sosa Producciones y MB Teatro Mérida.


