Dentista Young Professional 01|2025

Page 1


Young Professional

Acute parodontale aandoeningen

Acute parodontale aandoeningen

Rubberdam, als het net even anders moet

Rubberdam, als het net even anders moet

Nieuw postacademisch collegejaar zorgt voor zelfvertrouwen, bekwaamheid en plezier

Nieuw postacademisch collegejaar zorgt voor zelfvertrouwen, bekwaamheid en plezier

Superieure botopbouw met smartGBR: de toekomst van implantologie

Wat is smartGBR?

Smart Guided Bone Regeneration (smartGBR) is de nieuwe standaard voor botregeneratie, ontwikkeld voor tandarts-implantologen die streven naar een natuurlijke en voorspelbare botopbouw. Het combineert de kracht van cross-linked hyaluronzuur (xHyA) en het gebruik van een botsubstituut. SmartGBR biedt een wetenschappelijk onderbouwde oplossing voor alle botdefecten, van eenvoudig tot complex, met een focus op natuurlijk herstel en optimale genezing.

VOORDELEN VAN SMARTGBR:

Superieure remodeling

Versnelde genezing, minder pijn

Sticky bone

Versnelde natuurlijke botvorming

Meer natuurlijk bot, minder restpartikels

Optimale botvolume en stabiliteit

Dr. T. Marques

Bekijk twee praktijkvoorbeelden op onze website en leer meer over smartGBR

www.implanetic.com/smart-gbr

VOORWOORD

Young professionals

Voor je ligt een extra uitgave van Dentista die we in samenwerking met Dental Best College hebben gemaakt. Speciaal voor tandartsen die net zijn gestart in de praktijk, de young professionals. Zij merken namelijk dat de stap van de opleiding tandheelkunde naar de algemene praktijk soms best groot is. Zonder al te veel praktische ervaring en begeleiding aan de slag gaan kan dan best spannend zijn.

Dental Best College zag dat en ontwikkelde een postacademisch collegejaar voor de groep startende tandartsen. Een programma met theoretische en praktische verdieping. Een combinatie van onder begeleiding werken in de praktijk en het geregeld volgen van collegedagen vol theorie en hands-on practica. Dit zorgt ervoor dat de young professional vol zelfvertrouwen, bekwaamheid en vooral ook met veel plezier het mooie vak van tandarts kan uitoefenen. Je leest meer over het idee en het programma van Dental Best College op pagina 6 en 7.

Deze uitgave biedt ook een aantal artikelen over onderwerpen waar je tijdens je opleiding nog niet veel van hebt meegekregen, zoals trauma en spalken, het dynamisch behandelconcept, ANUP en rubberdam. Een aantal artikelen zijn geschreven door tandartsen die ook lesgeven in het nieuwe postacademische collegejaar. Daarnaast interviewen we tandartsen Jack Plooij en Marco Pachon over hun betrokkenheid bij Dental Best College en vragen we Herman de Raaf van Colosseum Dental hoe hij aankijkt tegen dit programma. Verder lezen we ook hoe tandarts Pauline Borghans het eerste jaar na haar opleiding heeft ervaren en wat ze tijdens die periode nodig had aan kennis en begeleiding.

Veel leesplezier!

Lies en Ilko.

Colofon

Dentista is een uitgave van Dentista Media en verschijnt 4 keer per jaar. Dit is een extra nummer die we in samenwerking met Dental Best College hebben gemaakt.

Redactie

Ilko Alink, Lies Ligtvoet

Redactie(adres) Dentista Media

Koggeschip 212, 7429 BG Colmschate Ilko Alink, ilko@dentista-magazine.nl

Digitaal aanwezig www.dentista-magazine.nl Instagram: @dentistamagazine

Aan dit nummer werkten mee Hans van Pelt, Rob Vermaas, Valesca Nederlof, Montyn Stoffels, Herman de Raaf, Jack Plooij, Marco Pachon, Nina Nijland, Pauline Borghans, Marlies van der Vooren, Maria Fostiropoulou, Rob Vergouwen, Tycho Vermaat, Phelina de Goede, Bibianne de Zwart.

Grafisch Design

Degen en Leideritz BNo

Vormgeving

LDB Production, Levin den Boer

Fotografie

Cover: Monique Brunt

Abonneren

Dentista wordt in gecontroleerde verspreiding toegezonden aan tandartsen mondhygiënistenpraktijken in Nederland. Ben je werkzaam binnen de tandheelkunde en wil je Dentista ontvangen, stuur dan een e-mail naar: info@dentista-magazine.nl

Adreswijzigingen

Per e-mail: info@dentista-magazine.nl. Vermeld zowel je oude als nieuwe adres.

Marketing

Ilko Alink, ilko@dentista-magazine.nl

Adverteren

Concetta Scibona, concetta@dentista-magazine.nl +31 6 281 829 62

Druk Wilco, Amersfoort

©2013-2025 Dentista Media. Niets in deze uitgave mag worden overgenomen, vermenigvuldigd of gereproduceerd zonder schriftelijke toestemming van Dentista Media of andere auteursrechthebbenden. Dentista Media kan geen aansprakelijkheid aanvaarden voor de juistheid en volledigheid van alle in deze uitgave opgenomen teksten en beelden.

Het meester-gezel principe is de basis van dit idee

en

Postacademisch collegejaar voor tandartsen Lies Ligtvoet en Bibianne de Zwart

14 18 24

Rubberdam

Montyn Stoffels

Traumatologie: ‘untold stories’ Rob Vermaas

Weefselbesparend herstellen van vorm en functie met composiet

Hans van Pelt

Jack Plooij
Marco Pachon

Vooral het tempo vond ik een uitdaging

Pauline Borghans

Acute parodontale aandoeningen. Wat te doen bij een zeer pijnlijke acute necrotiserende parodontitis?

Nina Nijland

Colosseum Dental over young professionals

Herman de Raaf

Podcast: van studie

Bibianne de Zwart

De alternerende Moulding Injection Technique

Maria Fostiropoulou

Postacademisch collegejaar voor tandartsen

Dental Best College

Na veel rondvraag te hebben gedaan en allerlei verzoeken te hebben gekregen uit de tandheelkundige wereld voor een uitgebreid bij- en nascholingsprogramma, kunnen we concluderen dat (pas) afgestudeerde tandartsen het best spannend vinden om zelfstandig, zonder al teveel begeleiding, aan de slag te moeten gaan in de algemene praktijk.

Tijdens je opleiding heb je een aantal jaren de tijd, om alle behandelingen die je kunt tegenkomen in de algemene praktijk, te oefenen. Door de beperking in tijd en het patiënttekort op de universiteiten, komt het toch geregeld voor dat de praktische ervaring van pas afgestudeerde tandartsen zeer beperkt is. Je moet het opeens echt alleen doen en je collega’s en patiënten verwachten een bepaald niveau van jou. Uit onderzoek is gebleken dat je tijdens je opleiding gewoon niet voldoende kennis, handigheid en ervaring op kunt doen om direct alles onder de knie te hebben.

Dental Best College is dé ontwikkelaar van het postacademische collegejaar voor tandartsen. We hebben voor jou met zorg een programma samengesteld wat zorgt voor de theoretische en praktische verdieping waar jij naar op zoek bent. Een combinatie van collegedagen én werkdagen in de algemene praktijk, zorgen ervoor dat de bekwaamheid en het zelfvertrouwen naar een hoger niveau wordt getild. Een combinatie van werken in de praktijk onder begeleiding van een meester en het geregeld volgen van collegedagen vol theorie en hands-on practica, zorgt

ervoor dat je veel praktijkervaring opdoet. Je wordt als mondzorgprofessional in een tandartspraktijk aan de hand genomen door een ervaren opleider. Tijdens het programma zal gemakkelijk en veel intercollegiaal overleg kunnen plaatsvinden. Kennis wordt hierdoor gedeeld en up-to-date gehouden. Er kan daarnaast ook gericht aandacht worden besteed aan en geoefend worden met complexe behandelingen, die in de reguliere praktijk steeds vaker zullen voorkomen.

Wij zien het als onze missie om de kwaliteit van de tandheelkundige zorg naar een hoger niveau te tillen. Door net afgestudeerde tandartsen onder begeleiding van een ervaren begeleider in de algemene praktijk te laten werken en in die periode ook nog extra collegedagen te laten volgen, ontstaat een mooi netwerk waarin kennis gedeeld wordt en er verbinding optreedt. Samenwerken, met als uiteindelijke doel onze gezamenlijke passie na te streven: elke patiënt de best mogelijke behandeling te bieden. Dental Best College zorgt ervoor dat jij vol zelfvertrouwen, bekwaamheid en vooral ook met veel plezier het mooie vak van tandarts uit zal oefenen.

Wij hebben met het samenstellen van onze programma’s rekening gehouden met de behoeftes van net afgestudeerde tandartsen: meer begeleiding en meer praktijkervaring opdoen. Je leert een leven lang, laten we daar samen meteen mee verdergaan!

Lies Ligtvoet en Bibianne de Zwart

Gedurende het extra collegejaar van Dental Best College zullen de onderstaande thema’s aan de orde komen. Tijdens de college terugkomdagen zal in de ochtend uitgebreid de tijd worden genomen om zelf uitgewerkte (ingewikkelde) behandelplannen te bespreken. Waar loop je tegenaan? Waar kunnen we je mee helpen? In de middag gaan we alle opgedane theoretische kennis toepassen tijdens hands-on practica.

TANDHEELKUNDE

DE BASIS

1 Module Tandheelkunde de basis; Anamnese, intake, indicatiestelling, behandelplannen opstellen en verwijzen.

2

PARODONTOLOGIE

ENDODONTOLOGIE

3

4

Module Parodontologie de basis; Wat is parodontitis precies? Etiologische factoren, diagnose, prognose, behandeling, antibiotica, wanneer verwijzen en wanneer zelf doen? Recessies en kroonverlenging.

Module Parodontologie en de algemene gezondheid; Parodontitis in relatie tot de algemene gezondheid, holistische benadering, parodontitis en diabetes, ANUG/ ANUP.

Module Endodontologie de basis deel I; diagnosestelling en de opening (2 dagen).

5 Module Endodontologie de basis deel II; preparatie en obturatie (2 dagen).

6

7

8

CHIRURGIE

9

Module Dentaal trauma de basis; Herkennen van de zorgvraag bij de melding van een trauma, beoordelen prioriteiten, behandelplan afstemmen, aanbrengen van een trauma spalk, maatregelen pulpa bescherming of uitvoeren van directe (deel) pulpotomie (½ dag).

Module Vitale Pulpatherapie; Wat is VPT en hoe voer je het uit? Wanneer welke benadering? Verschillende behandelopties en materialen per diagnose (½ dag).

Module Basis chirurgie in de algemene tandartspraktijk; Anesthesie, atraumatisch extraheren, medische overwegingen, complicaties (infectie, nabloeding, dry socket, tuberbreuk, antrum perforatie, etc.), pijnbestrijding, instrumentarium, socket seal, wanneer verwijzen en wanneer zelf doen?

Module Extraheren; Histologie en genezing na extractie, van makkelijke extracties tot extraheren met kleine flaps, het verwijderen van afgebroken radices, splitsen en hechten. Onder begeleiding extraheren bij patiënten.

Module Composietrestauratie van de zijdelingse delen; rubberdam plaatsing, preparatie en restauratie, keuze in adhesiefsystemen en voorbehandeling, matrixsystemen en anatomisch restaureren.

11

12

13

Module Partiële omslijpingen; materiaalkeuze, preparatievormgeving, IDS, DME, adhesief cementeren

Module Occlusie en Articulatie; occlusie en articulatieconcepten en waarom een onderwerp wat zo niet sexy is, wel dagelijks de te maken keuzes beïnvloedt!

Module Behandeling gebitsslijtage; stellen van een diagnose, prognose, wanneer wel of niet behandelen en verschillende behandeltechnieken (o.a. verschillende mallen).

Anesthesia & Intensive Care Services B.V.:

AIC is gespecialiseerd in het verzorgen van hoogwaardige medische zorg binnen de anesthesiologie en intensive care geneeskunde.

Met ons VOLWAARDIG MOBIEL ANESTHESIETEAM inclusief apparatuur, monitoring, medicatie, gasvoorziening, disposables en al het nodige personeel kunnen wij op een voor u wenselijke locatie op 4 behandelkamers tegelijk algehele anesthesie toedienen aan uw cliënten, zonder dat u ook maar iets hoeft aan te passen aan de inrichting van uw kliniek.

Tandheelkundige klinieken die behandelingen onder algehele anesthesie willen aanbieden:

Als u aan uw cliënten behandelingen onder algehele anesthesie wilt aanbieden zonder dat u dure investeringen hoeft te doen in uw kliniek, dan bent u bij ons aan het juiste adres. Wij kunnen met ons MOBIEL ANESTHESIETEAM in elke kliniek op 4 behandelkamers tegelijk volledig de anesthesie verzorgen zonder dat u daar naar hoeft om te kijken. Wij zijn volledig selfsupporting. Wij kunnen in elke tandartspraktijk de anesthesie verzorgen. Uw praktijk hoeft dus niet aan speciale voorwaarden te voldoen!!

Bel voor een gratis en vrijblijvende offerte:

Schroom niet om te bellen of te emailen voor een gratis en vrijblijvende offerte. Zonder enige verplichting komen wij graag bij u langs om de situatie in uw kliniek te beoordelen en de wensen en mogelijkheden met elkaar te bespreken.

Afgestudeerd, maar nog lang niet uitgeleerd

Na jaren studeren, tentamens, practica en klinische stages is het zover: ik studeer binnenkort af als tandarts. Een mijlpaal die voelt als het einde van een tijdperk, maar vooral als het begin van iets nieuws. Want het echte leren begint nu pas.

De universiteit heeft mij een stevige basis gegeven, maar ik weet dat de stap naar het werkende leven groot is. In de praktijk draait het niet alleen om kennis en vaardigheden, maar ook om communicatie, zelfvertrouwen en klinisch redeneren onder tijdsdruk. Mijn ambitie is om mij de komende jaren verder te verdiepen in restauratieve tandheelkunde. En daar komt bij- en nascholing om de hoek kijken: een leven lang leren hoort bij het vak. Nieuwe technieken, materialen en inzichten volgen elkaar in rap tempo op.

Wat mij vertrouwen geeft, is dat ik straks niet alleen sta. Mijn moeder is tandarts en runt al jaren een praktijk waar ik als tiener begon met assisteren. In-

middels heb ik er ook behandelervaring opgedaan. De praktijk is voor mij dus al lang een vertrouwde omgeving. Tot mijn afstuderen blijf ik er werken onder haar supervisie. Een waardevolle kans om in een veilige setting verder te leren.

Naast mijn werk en studie zoek ik elk jaar bewust de andere kant van de wereld op: Tanzania. Daar doe ik vrijwilligerswerk op het gebied van tandheelkunde, vaak in uitdagende en primitieve omstandigheden, met beperkte middelen en grote nood. Maar juist daar leer ik het meeste: creatief zijn, schakelen, improviseren en vooral écht contact maken met mensen. De ervaring is intens, maar ook ongelooflijk waardevol. De dankbaarheid die ik daar ervaar, laat mij zien waarom ik dit vak heb gekozen.

Het komende jaar zie ik als een overgangsfase: van student naar professional. Ik wil mijn klinische vaardigheden verdiepen, zelfvertrouwen opbouwen in mijn beslissingen, en een werk-

Phelina de Goede, 5e jaars Tandheelkunde student aan ACTA

ritme vinden dat bij mij past. Leren van collega’s, blijven reflecteren, en vragen durven stellen, ook na mijn afstuderen.

Die voorbereiding is nu al begonnen. Door te praten met afgestudeerden, passende cursussen te zoeken, en stil te staan bij wat voor tandarts ik wil zijn: niet alleen technisch bekwaam, maar ook betrokken, nieuwsgierig en leergierig.

Want afstuderen is geen eindpunt, het is het startschot van een carrière waarin elke patiënt, elke werkdag en elke uitdaging iets toevoegt.

COLUMN PHELINA

INTERVIEW

Jack Plooij en Marco Pachon

“Het meester-gezel principe is de basis van dit idee.”

Ervaren tandartsen Jack Plooij en Marco Pachon zijn nauw betrokken bij het leerproces van Dental Best College, de ontwikkelaar van het postacademische collegejaar voor tandartsen. Ze gaan van tevoren gesprekken aan met praktijkbegeleiders om te bespreken wat er van ze verwacht wordt en aan welke kwaliteitseisen ze moeten voldoen. Ze werken samen met de praktijkbegeleider om de voortgang van patiëntbehandelingen en statusvoering te kunnen beoordelen. Deze samenwerking zorgt ervoor dat de jonge afgestudeerde tandarts de begeleiding krijgt die er nodig is.

Jack en Marco hebben hun expertise ingezet om de beste docenten voor dit programma te selecteren en zorgen zo voor kwaliteitsborging. Ze kaderen en controleren daarbij de klinische cursusinhoud en voeren onaangekondigde visitaties uit tijdens de cursusdagen om de kwaliteit te waarborgen. Na afronding van dit collegejaar zijn het Jack en Marco die persoonlijk het diploma overhandigen. Ze zijn zogezegd de decanen van de opleiding.

Voor wie jullie niet kennen, kunnen jullie je even introduceren?

“Marco Pachon, ik ben tandarts en eigenaar van een aantal tandartspraktijken en orthodontiepraktijken in Noord-Holland. Daar heb ik een grote groep medewerkers onder mijn hoede zoals tandartsen, orthodontisten, en andere professionals.”

“Jack Plooij, tandarts, ooit opleider geweest van Marco. Ik ben tandarts-implantoloog en kom heel veel jonge tandartsen tegen die twijfelen over hun toekomst. Wat ze precies moeten gaan doen, maar ook wat ze kunnen en nog niet kunnen. Marco en ik komen allebei uit een leerschool waarbij wij veel hebben gehad aan klinisch onderwijs. Iets wat we nu missen en meer zouden willen zien.”

Van waaruit is de behoefte ontstaan om - vanuit Dental Best College – een extra collegejaar te ontwikkelen?

Marco: “Ik merk in de praktijk dat de nieuwe aanwas die bij ons binnenstapt in het begin een beetje zwemt, een beetje zoekende is. Dan ga je eens met ze om tafel; waar liggen je behoeftes en hoe kunnen we je vertrouwen geven? Daar sluit het idee van Dental

Best College dan eigenlijk heel mooi op aan. Dat kan ons helpen om die jonge groep een stukje te ontzorgen en ondersteunen.”

Jack: “Het leuke is dat het niet alleen voor die jonge professional hoeft te zijn, om die te helpen zijn of haar pad te kiezen, maar natuurlijk ook voor diegene die begeleidt. De tandarts die de jonge professional aan zich zou willen binden kunnen we ook helpen.”

Marco: “Soms willen we in de praktijk iemand behouden, omdat die persoon echt een parel voor de toekomst is. Maar hoe geef ik daar invulling aan?

Dan is wat begeleiding en ondersteuning wel handig, zodat alles wat vlotter verloopt.”

Jack: “Het komt ook voort uit het feit dat we merken dat jonge tandartsen die nu worden opgeleid, vaak weinig klinische ervaring hebben. Dat is gewoon een feit. Er is geen tijd voor in de opleidingen, het valt niet in te passen. Ze komen van school af, kennen de theorie, maar hebben nog moeite om het in de praktijk toe te passen. Wij willen daar graag wat extra ondersteuning bij bieden en ze helpen om die kloof te overbruggen.”

Hoe kijken jullie zelf aan tegen het extra collegejaar dat is ontwikkeld voor de jonge tandarts en de praktijkeigenaar?

Jack: “Fantastisch, ik vind het een geweldig idee. Ik denk dat dit op dit moment dé oplossing is voor een groot probleem in de tandheelkunde. Veel jonge mensen zijn een beetje onzeker en weten niet goed hun weg te vinden. Dit is echt het ei van Columbus, het antwoord op wat we nodig hebben.”

Marco: “Ik denk dat dit echt waarde gaat toevoegen. Ik merk bijvoorbeeld dat tandartsen die bij ons komen werken zeggen, ik kies voor jou want het is fijn dat je een endodontoloog, een parodontoloog en zoveel andere specialismen in huis hebt, ook op het gebied van prothetiek. Daardoor hoef ik niet alles zelf te doen. Maar na 2-4 jaar zie je dan een situatie ontstaan dat ze zeggen dat ze die verschillende facetten van de tandheelkunde niet meer willen doen. Dat is echt zonde. Ik denk dat als we vanaf het begin anders hadden gehandeld en ze binnen de organisatie hadden begeleid, we veel meer allround tandartsen hadden gekregen. Het is eigenlijk vreemd dat die veelzijdigheid soms verloren gaat.”

Jack: “Het is duidelijk dat de jonge mensen die nu in het vak stappen, niet meer zo enthousiast zijn als wij waren toen we afstudeerden. Wij zeiden toen: ‘Kom maar op!’ Dat enthousiasme willen we eigenlijk weer terugbrengen in dit prachtige vak. Mensen moeten weer met plezier en zelfvertrouwen aan het werk kunnen en dat gaan wij ze leren.”

Wat brengt dit extra jaar voor de jonge professional?

Jack: “Ik denk dat ze vreugde in hun werk zullen ervaren en meer ervaring en zelfkennis zullen krijgen. Voor degene die ze begeleidt moet het ook geweldig zijn. Het geeft hen ook meer energie in hun vak.”

Marco: “Het extra jaar brengt ook een stukje verdieping. Ik denk dat je na de reguliere opleiding wetenschappelijk helemaal klaar bent, maar er komt een moment dat je toch nog een praktische aanvulling nodig hebt. Dat is waar wij kunnen helpen. Door in de beginfase onder begeleiding wat vlieguren te maken, kun je vertrouwen opbouwen voor de toekomst. Als je daar een goede basis legt, kun je daar voor een lange tijd plezier van hebben.”

Jack: “Ja, een solide basis, daar gaat het om. Dit collegejaar komen drie belangrijke elementen echt naar voren: verdieping in de praktijk, hands-on ervaring en klinische vaardigheden. Deze basisaspecten zor-

Jack en Marco
Jack Plooij en Marco Pachon

INTERVIEW

gen ervoor dat je goed voorbereid bent voor de toekomst.”

Marco: “Vaak hoor ik ‘we worden meteen losgelaten’. Als je pech hebt meteen in een behandelkamer ergens met een tandarts die zegt, dit is jouw kamer, veel plezier ermee. Ik denk dat dat eerste jaar op de een of andere manier een overbruggingsjaar zou moeten zijn waarbij je toch nog vlieguren maakt onder begeleiding.”

Jack: “Het meester-gezel principe is eigenlijk de basis van dit idee.”

Welke tandheelkundige thema’s gaan we dan allemaal uitdiepen tijdens dit collegejaar?

Jack: “Tegenwoordig ligt de basis in de tandheelkunde vooral bij parodontologie en endodontologie.

Daarna kom je met chirurgie en restauratieve tandheelkunde in aanraking. In dit collegejaar richten we ons specifiek op deze vier disciplines, die elkaar versterken en je een solide basis bieden in de tandheelkundige zorg.”

Wat kan de net afgestudeerde tandarts verwachten van Dental Best College?

Marco: “De opleiding biedt een stevige ondersteuning op zowel theoretisch als praktisch gebied. We

koppelen de verschillende facetten die Jack eerder benoemde, zodat we van alle afzonderlijke onderdelen een samenhangend geheel maken. Het doel is om synergie te creëren tussen deze onderwerpen, zodat de tandarts een compleet pakket aan kennis en vaardigheden ontwikkelt.”

Jack: “We willen dat ze de patiënt en zijn of haar tandheelkundige behoeften als één geheel gaan zien. Vervolgens kunnen ze die behoeften stap voor stap ontleden en met plezier opbouwen naar een oplossing. We willen het plezier in het vak weer terugbrengen!”

Marco: “Dat plezier komt vooral voort uit vertrouwen. Ik zeg altijd tegen collega’s: ‘Je kunt 80-90% van de dingen zelf, maar je bent vaak bang voor die 5-10% die niet lukt.’ Dat kan je ontmoedigen, maar daar bieden wij ondersteuning voor. Als je het gevoel hebt dat je op dat kleine percentage kunt terugvallen, krijg je meer vertrouwen en durf je het grotere geheel aan. We willen dat ze zich in het eerste jaar al gesteund voelen, zodat ze niet het gevoel hebben dat ze alles zelf moeten uitzoeken. Na 1-2 jaar durven ze 90% zelf aan, daarna 95%, en na 5 jaar kunnen ze alles zelfstandig doen.”

Jack: “Kwetsbaar opstellen is natuurlijk ook nog een aspect waarin ze helemaal niet opgeleid worden. Je

wordt als tandarts in je eentje opgeleid en leert in het hele traject niet om met andere mensen eens ergens over te praten. Oh heb ik dit misschien verkeerd gedaan? Gewoon reflectie, waarbij je het eerlijk durft te delen. Dat hebben ze niet gehad en daar gaan we ook bij helpen. Het is heel belangrijk om intercollegiaal eens goed over een aantal dingen te kunnen kletsen. Hoe kan je naar de juiste tandarts verwijzen? Dit kan ik echt niet. Schrijf je een brief? Bel je? Dit gaan we ze ook bijbrengen.”

“Mensen moeten weer met plezier en zelfvertrouwen aan het werk kunnen. Dat gaan wij ze leren.”

Marco: “Als het om externe hulp gaat, is de stap om een vraag te stellen vaak minder beladen en dus makkelijker. Maar als het intern is, met het gevoel ‘ga ik nu af?’, dan kan dat veel zwaarder wegen. Wij willen een omgeving creëren waarin die stap laagdrempelig is.”

Wat wordt er verwacht van de tandartsprakijken die verbonden zijn aan dit extra collegejaar?

Jack: “Betrokkenheid! Heel belangrijk. Die tandarts denkt misschien, ik stuur mijn jonge professional daar naartoe, dan komt het goed. Nee, je bent er zelf heel sterk bij betrokken. We willen er echt een team van twee van maken, die echt samen kunnen opstijgen tot grote hoogte.”

Marco: “Die jonge collega moet echt het gevoel krijgen, ik word ondersteund, niet aan mijn lot overgelaten, niet zomaar ergens neergezet. Dat er juist een gevoel ontstaat dat er in hem of haar wordt geïnvesteerd. Ik denk dat je dan een lange termijn relatie met elkaar gaat creëren waar we allemaal wel naar op zoek zijn. Niets kortstondigs.”

Dat is een voordeel voor praktijken, dat je die samenwerking en verbinding aangaat. Zijn er nog meer voordelen voor praktijken die zich aansluiten bij dit collegejaar?

Jack: “Het allerbelangrijkste is om de tandarts, die jonge professional, net die laatste 10-15% vertrouwen te geven. Samen aan behandelplannen te werken, dat moet leiden tot alleen maar meer plezier in je werk.”

Hoe kunnen die praktijken die interesse hebben om mee te doen aan dit collegejaar zich aanmelden?

Jack: “Gewoon bellen en mailen! Of ga naar de website www.dentalbestcollege.nl”

Jullie nemen de verantwoordelijkheid op je om de juiste personen te verbinden?

Jack: “Ja wij zijn een soort decanen en zullen samen proberen het beste uit de jonge professional en uit de begeleidende tandartsen te halen. Zodat we echt mooie scores gaan halen, dat iedereen weer stralend en vrolijk dit mooie vak kan uitoefenen.”

Marco: “Er zal ook een stukje maatwerk aan toegevoegd worden. We kunnen wel zeggen, dit is het programma, maar ik denk dat elke praktijk op zich weer een andere setting is, met een ander idee erbij.”

Jack: “En een andere dynamiek.”

Marco: “Precies. Er zullen ook gesprekken moeten worden gevoerd waar de behoeftes liggen. Waar gaan we ons op focussen en concentreren? Dat is iets waar je het over moet hebben, voordat we gaan starten met dit collegejaar.”

We hebben jullie veel vragen gesteld. Zijn er nog zaken die jullie heel graag met ons willen delen en die nog niet aan de orde zijn gekomen?

Jack: “Alle informatie komt ook op de website te staan, maar een ding is belangrijk om nog onder de aandacht te brengen. We willen dat de tandarts die de begeleiding verzorgt, goed weet hoe hij of zij moet trainen. Het is niet iets wat je er zomaar even bij doet. We verwachten dat de begeleidende tandarts met energie en enthousiasme aan de slag gaat. Daarom moet deze tandarts eerst een opleiding tot trainde-trainer volgen. Dit geeft hen de kans om met ons te sparren over wat we precies willen bereiken en hoe we er het maximale uit kunnen halen.”

Jack Plooij en Marco Pachon

Als het net even anders moet

Rubberdam

Het gebruik van een rubberdam biedt vele voordelen voor zowel behandelaar als patiënt. Zo creëer je een overzichtelijk, droog en schoon werkveld (essentieel in de adhesieve tandheelkunde), verbeter je de zichtbaarheid en verhoog je de patiëntveiligheid en het -comfort. In ‘standaard’ situaties, zoals een klasse I of niet te diepe klasse II restauratie, is het vrij eenvoudig om een rubberdam aan te leggen. Er zijn ook situaties waar dit lastiger lijkt. Dat hoeft echter niet zo te zijn als je een beetje improviseert met de materialen die in elke behandelkamer voorhanden zijn.

Mijn uitgangspunt is om zowel te prepareren als te restaureren onder rubberdam. Het prepareren onder rubberdam biedt meerdere voordelen voor mij als behandelaar en voor de patiënt: Geen water dat de mond inloopt

• Geen verstoringen door bewegingen van de tong

• Bescherming van de zachte weefsels

• Een overzichtelijk werkveld

De inschatting dat een preparatie richting equi- of subgingivaal gaat, is nog wel eens een reden om te prepareren zonder rubberdam. Dat hoeft echter niet nodig te zijn.

Afbeelding 1 laat een 16 zien met een palatinale caviteit waarvan de outline al volledig schoon is. Allereerst is hier een minimale gingivectomie uitgevoerd met een elektrotoom waardoor het mogelijk is om de klem meer naar cervicaal te plaatsen. Om ervoor te zorgen dat de laesie goed bereikbaar is, is ervoor gekozen om niet een molaarklem te plaatsen, maar een premolaarklem. Deze heeft kleinere ankerpunten dan een molaarklem die, als de klem meer naar cervicaal geplaatst moet worden, beter aansluit op de

palatinale radix van de bovenmolaren. Om de isolatie compleet te maken is een stukje teflon opgerold en in de mesiale sulcus geschoven om een droog werkveld te garanderen.

Een premolaarklem op een molaar plaatsen kan vaker handig zijn, bijvoorbeeld als er een onlay geplaatst moet worden en de outline ook hier palatinaal richting cervicaal loopt. Een standaard molaarklem kan dan nog wel eens in de weg zitten, terwijl de slankere premolaarklem meer bewegingsvrijheid geeft. Een flossligatuur om de klem geeft in dit geval nóg dat beetje extra druk op de rubberdam zodat er geen contaminatie kan plaatsvinden (afbeelding 1a).

De diepere klasse II preparatie kan ook voor uitdagingen zorgen indien je met rubberdam wilt werken. Alleen al met prepareren loop je dan sneller het risico de rubberdam te beschadigen. Wanneer dit te verwachten valt, kan de rubberdam ‘omgeklapt’ worden (afbeelding 2).

Door het gedeelte dat normaal gesproken tussen de 36 en de 37 hoort te zitten over de 36 tussen de 35 en

36 te plaatsen kan zonder risico op beschadiging van de rubberdam geprepareerd worden. Indien nodig is het nu mogelijk om de papil te corrigeren. In dit geval is een ‘deep margin elevation’ uitgevoerd en zijn de 36 en 37 van een ‘immediate dentin sealing’ laag voorzien waarna, na het terugklappen van de rubberdam, de preparatie verder afgemaakt kan worden (afbeelding 3).

Naast deze diepere preparaties wordt een distale laesie van het laatste element ook genoemd als een situatie waarbij het ‘onmogelijk’ is om met rubberdam te werken. Het is immers gemakkelijk om op het laatste element de ankerklem te zetten omdat anders de rubberdam niet goed op dit element blijft zitten. In situaties waarbij het mogelijk is om de klem goed cervicaal te plaatsen, is het vaak best mogelijk om een bandje in een matrixspanner te plaatsen over de klem heen, zoals op afbeelding 4 bij de 37 distolinguaal.

Dit kan wel lastiger worden als de outline meer naar cervicaal ligt omdat je met het dieper plaatsen van de band de spanner en de klem elkaar in de weg zitten. Soms is het mogelijk om de spanner iets schuin te plaatsen maar wanneer dit niet mogelijk is, zal er een andere oplossing bedacht moeten worden. Zo is het ook mogelijk om te werken met eenzelfde band, maar dan zonder spanner (afbeelding 5).

Om ervoor te zorgen dan de band wel gefixeerd blijft, is er mesiaal een wig geplaatst en een separatiering. Mocht de klem alsnog in de weg zitten dan kan je uiteraard altijd een andere (pre)molaar klem pakken om zo de benodigde ruimte distaal te creëren.

Mocht dit toch wat lastig worden, dan is het ook mogelijk om wel de spanner te plaatsen zonder ankerklem en een separatiering te gebruiken die de rubberdam op zijn plek houdt (afbeelding 6).

De buccale laesies die doorlopen naar distaal zijn niet geschikt om met bandjes te werken. Het is mogelijk om deze ‘freehand’ te restaureren. Desalniettemin kan het wenselijk zijn om een matrix te hebben. Het fixeren hiervan kan na wat knutselwerk gedaan worden met wat (flowable) composiet zoals zichtbaar op afbeelding 7

Sowieso kan (flowable) composiet een handig hulpmiddel zijn bij het restaureren. Bij de grotere preparaties waarbij een buccale of linguale/palatinale wand geheel of gedeeltelijk mist is het soms lastig om met een separatiering te werken omdat deze geen steun vindt waardoor de matrix nog wel eens kan vervormen. Om de ring te fixeren kan in dergelijke gevallen eerst de matrix gevormd worden zoals gewenst, waarna composiet wordt aangebracht en wel op zo’n manier dat de ring hier steun aan ontleent.

• Ontwerp & Bouw begeleiding

• Nieuwbouw, Verbouw & Verhuizing

• Behandel stoelen & Dental Equipment

• Hygiëne & Sterilisatie

• Onderhoud

Ook zo’n mooi magazine voor jouw product?

Met onze jarenlange ervaring in uitgeven denken we graag met je mee over de bladformule, uitstraling, redactionele invulling, frequentie en drukwerk: om zo echt het verschil te maken met een prachtig magazine. We bieden talloze mogelijkheden, inclusief de optie om het wat compacter aan te pakken met een folder of een brochure. Je bent bij ons aan het juiste adres.

Hebben we je interesse gewekt?

Wil je meer weten, of een vrijblij vende offerte aanvragen?

Kijk dan snel op onze website!

Per situatie is het inschatten of het handig is om het composiet eerst (geheel of gedeeltelijk) uit te harden, of juist niet voordat de ring geplaatst wordt (afbeelding 8). Let overigens bij afbeelding 8 ook op de wig. Deze is op zo’n manier bijgewerkt dat deze cervicaal de matrix aandrukt maar geen deuk maakt in de matrix, wat nog wel eens wil gebeuren als de wig niet wordt bijgewerkt.

Succesvol restaureren onder rubberdam begint in het algemeen bij het kiezen van de juiste ankerklem. Dit is nog meer van belang als het element wat gerestaureerd moet worden het element is waar de ankerklem op staat. Met name 7’s in de bovenkaak willen nog wel eens een uitdaging zijn.

Bij deze klasse II restauratie is een standaard molaarklem (denk aan de RDC ACTA of 26) te groot waardoor de matrix in combinatie met separatiering niet goed op zijn plek zal komen. Een alternatief kan zijn om een andere, kleinere, molaarklem te pakken (de 12A of 13A afhankelijk van het kwadrant). Mocht deze niet voorhanden zijn is het ook mogelijk om een premolaarklem te pakken en deze, zoals te zien, diagonaal op het element te plaatsen. Met een ankerpunt onder de mesiobucale en een onder de distopalatinale bolling (afbeelding 9).

Het resultaat is een goede aansluiting van de matrix waardoor de uiteindelijke restauratie ook netjes gemaakt kan worden.

Ook bij kinderen is het werken onder rubberdam goed mogelijk. Vaak wordt de klem dan wel als gevoelig ervaren. Een mogelijkheid zou zijn om met oppervlakteanesthesie (zalf of spray) de gingiva wat te verdoven. Indien in het front gewerkt moet worden, kan ook overwogen worden om helemaal niet met klemmen te gaan werken, maar de rubberdam te fixeren met wedjets al dan niet in combinatie met een flossligatuur om een of meerdere elementen. Daarbij kan de gingiva indien nodig ook verdoofd worden met oppervlakteanesthesie (afbeelding 10).

Het werken onder rubberdam blijkt vaak een ‘dingetje’ te zijn, met name wanneer de situatie iets uitdagender wordt. Een misvatting is dat het per se nodig is om allerlei verschillende soorten klemmen te hebben. Creatief omgaan met de, in het algemeen, standaard klemmen (of juist geen klemmen) maakt het mogelijk om elke situatie netjes geïsoleerd te krijgen. Misschien niet iets wat je tijdens je studie geleerd hebt, maar wel iets wat je met een beetje oefenen in de praktijk kan leren!

De auteur

Montyn Stoffels is als tandarts werkzaam in Groningen en daarnaast docent bij het CTMUMCG.

TRAUMATOLOGIE

Traumatologie: ‘untold stories’

De titel van dit artikel lijkt misschien wat vreemd voor het onderwerp, maar er is een sterke vergelijking te maken met de programma’s rondom de Top 2000, die sinds 1999 jaarlijks tussen kerst en de jaarwisseling worden uitgezonden. De hits uit de lijst zijn bij bijna iedereen bekend en geliefd, maar het vele werk dat achter de schermen plaatsvindt en wat er aan voorafgaat, wordt vaak over het hoofd gezien. Toch is juist dat werk essentieel voor het slagen.

Traumabehandeling is teamwork. Het goed slagen van een tandheelkundige behandeling is, in veel gevallen, het resultaat van teamwork in bredere of engere zin. Dit geldt zeker voor de behandeling, maar nog meer voor de eerste contacten en opvang van traumata. Een goed verlopend gesprek om de afspraak te maken en eerste opvang, verminderen de stress van slachtoffer en begeleider, en geven de behandelaar de kans zich te focussen op behandeling zonder te worden afgeleid door organisatorische onvolkomenheden.

Oorzaken

Vallen en blessures bij het sporten zijn de meest voorkomende oorzaken van dentaal trauma gevolgd door verkeersongevallen (voornamelijk fietsers) en fysiek geweld. Veel traumata zien we bij kinderen in de leeftijdsgroep van 8 tot 14 jaar. Deze groep is vaak, zonder toezicht, zelfstandig bezig met sport en buitenactiviteiten en zich onvoldoende bewust van de risico’s. De cijfers laten zien dat in deze leeftijdsgroep jongens tweemaal vaker een dentaal trauma oplopen dan meisjes. Dit valt samen met het feit dat jongens vaker deelnemen aan contactsporten en lichamelijk zware activiteiten dan meisjes. Bij jongere kinderen is de incidentie weinig verschillend door

het feit dat in deze leeftijdscategorie gedragspatronen meer overeenkomen.

Kleine traumata zien we in elke praktijk met regelmaat. Denk hierbij aan een stukje glazuur van een element, wat weliswaar adequaat dient te worden behandeld en waar nodig vervolgd, maar binnen een normale behandelplanning kan worden ingeroosterd. Dit is anders bij grote traumata als avulsies, luxaties en weke delen traumata.

Grote dentale traumata komen, gelukkig, weinig voor. De consequentie is dat weinig tandartsen in een algemene praktijk de kans krijgen om ervaring op te doen met de behandeling van hiervan. Zeker nu veel tandartsen werken in praktijken die avond- en weekenddiensten hebben ondergebracht bij een organisatie voor ‘Spoedtandheelkunde’.

Behandelaar en protocollen

Veel gevallen komen voort uit vrijetijdsactiviteiten, zoals sport. Dientengevolge presenteren deze gevallen zich dan ook in de avond- en weekenduren. In die periode, buiten openingstijden van de tandartspraktijk, wordt logischerwijs verwezen naar de waarnemende tandarts of spoeddienst. Vanzelfsprekend

zullen de tandartsen die bij een dergelijke organisatie werken meer ervaring opdoen met het behandelen van traumata.

De KNMT stelt terecht dat de opvang van ongevallen thuishoort in de algemene praktijk of, buiten werkuren, bij de waarnemende tandarts of spoeddienst. Daarbij is het belangrijk dat de bereikbaarheid van de waarneming duidelijk wordt gecommuniceerd.

In de loop der jaren zijn behandelstrategieën grotendeels vastgelegd in protocollen, waarvan veel online beschikbaar zijn. Actuele informatie komt via de KNMT en NVvE, die haar leden toegang biedt tot de website van de International Association of Dental Traumatology (IADT), waar het handelen in verschillende stadia stap voor stap wordt beschreven. Niet-leden van de NVvE kunnen zich abonneren om toegang te krijgen. Daarnaast is er ook de ToothSOS app. Dit is een nuttig hulpmiddel met een duidelijk, door foto’s ondersteund, stappenplan. De ToothSOS app kent overigens ook een patiëntensectie die visueel duidelijk aangeeft in welke urgentieklasse een bepaald trauma behoort.

Stappen

De eerste melding van een trauma wordt meestal via de telefoon gedaan bij de balie-assistent. Het is van groot belang dat deze op de hoogte is van de urgentie van tandongevallen en weet hoe te handelen. De telefoonkaart van KNMT hoort dan ook direct voor handen te zijn om een gestructureerde, eerste inventarisatie te maken. Vooral het gestructureerd vragen heeft voordelen. De beller - zeker de (groot)ouder of verzorger van kinderen - is in de meeste gevallen ook zelf overstuur met betrekking tot de situatie en zal zonder sturing van de assistent niet de nood-

zakelijke informatie geven. Belangrijk is dat in dit stadium wordt geïnventariseerd of er elementen of delen van elementen ontbreken en of er een mogelijkheid is deze terug te vinden en onder de juiste (vochtige) condities mee te brengen naar de praktijk.

Do’s en dont’s

Het zonder overleg doorverwijzen naar de spoedeisende hulp van een ziekenhuis of naar een huisarts bij tandletsel zonder andere levensbedreigende verwondingen is ongewenst. Artsen, ook op de spoedeisende hulp, richten zich meestal op hun eigen vakgebied en reageren vaak met de opmerking: “De tandarts moet als we klaar zijn even naar die tand(en) kijken.” Ze zijn zich er niet altijd van bewust dat snel ingrijpen in bepaalde gevallen de prognose voor het behoud of de vitaliteit van de gebitselementen aanzienlijk kan verbeteren. Bij twijfel kan de tandarts aangeven of het nodig is dat de arts die de patiënt als eerste behandelt, contact opneemt voor overleg.

Dit geldt ook voor het ongezien doorverwijzen naar de MKA-chirurg. Deze beschikt namelijk niet altijd over een tandheelkundige behandelstoel of -unit en wordt vaak niet bijgestaan door een ervaren tandartsassistent; een OK-assistent is immers getraind

1. Dentaal trauma
2. ToothSOS

voor andere werkzaamheden. Daarnaast heeft de MKA-chirurg zelden de benodigde materialen om subtiel te spalken en vrijwel nooit voor het uitvoeren van endodontische behandelingen.

Opvang en behandeling

Als de afspraak is gepland kunnen de voorbereidingen beginnen. Afhankelijk van de omvang van het letsel kan het raadzaam zijn de patiënt en begeleider op te vangen bij aankomst in de praktijk. Om praktische en psychologische redenen is het aan te bevelen, na aankomst, de patiënt direct in een behandelkamer te laten wachten, zeker als er sprake is van bloedige wonden. De bloedingen worden veelal opgevangen met relatief grote doeken, waarvan de theedoek de meestvoorkomende is. Mede doordrenkt met speeksel en tranen lijkt zelfs een geringe hoeveelheid bloed al snel heel ernstig. Dit wordt door de betrokkenen, patiënt en begeleider als gênant ervaren en zorgt voor onrust in de wachtkamer.

Het oogpunt van hygiëne speelt hierbij ook een rol. Met het direct in een behandelkamer opvangen van een ongeval wordt voorkomen dat de wachtkamer en het meubilair met bloed wordt gecontamineerd. Dergelijke vervuiling kan natuurlijk ook in de behandelkamer optreden, maar deze ruimten zijn ingericht om gereinigd en gedesinfecteerd te worden.

Directe opvang in een behandelkamer geeft ook de betrokkenen het gevoel dat de ernst van de situatie wordt onderkend en behandeling spoedig wordt gestart. Het vervangen van de eerdergenoemde bebloede doeken door grote steriele verbandgazen is de eerste stap en kan uitstekend door de assistent worden uitgevoerd. Houd er rekening mee dat de aangepakte bebloede doek “klinisch” wordt verpakt om verdere verontreiniging te voorkomen. Een simpele plasticzak om deze in te verpakken volstaat. In deze stressvolle situatie helpt dit ook om te voorkomen dat andere aanwezigen in de wachtkamer de onrust bij het slachtoffer vergroten door ongepaste nieuwsgierigheid en vragen op dat moment.

Klein trauma

Nadat de eerste inventarisatie is gedaan en de patient een afspraak heeft om naar de praktijk te komen, kunnen de benodigde materialen voor de behandeling van het trauma alvast worden klaargezet. Voor het enkel restaureren van een element is een tray,

zoals bij een reguliere behandeling, vaak voldoende. Echter, houd rekening met mogelijke pulpa-complicaties, vooral bij jonge patiënten of jonge elementen. Het vitaal houden van de pulpa of pulpastomp na een pulpotomie, vooral bij een onvolgroeide wortel, is een behandeling die in elke praktijk kan worden uitgevoerd. MTA was het eerste bekende en doelmatige product voor deze behandeling, maar wordt door velen als lastig te verwerken ervaren, vaak door gebrek aan ervaring of training met het materiaal. Inmiddels zijn er ook andere “tri-silicaten” op de markt, zoals Biodentine, Neoputty en andere, die vergelijkbaar werken bij het herstel van pulpaweefsel en de verdere vorming van de nog niet volgroeide wortel. Door hun pasta-achtige consistentie en/of gecontroleerde mengprocedure zijn deze materialen minder complex in de verwerking. Toch blijft het opdoen van ervaring essentieel voor een goed resultaat.

Complex trauma

Ook in dit geval geeft de eerste inventarisatie grotendeels aan wat er voor de behandeling kan worden voorbereid. Bij complexere trauma’s wordt vaak een spalk aangebracht. Overleg met de tandarts over de voorkeuren voorkomt dat er op het laatste moment, terwijl de patiënt al in de stoel zit, nog naar geschikte materialen gezocht moet worden. De meest gebruikte spalken zijn de flexibele RVS-draad of een flossnaald die met flowable composiet op de labiale vlakken wordt gefixeerd. Sinds enige tijd is de ‘Titanium Trauma splint’ op de markt, een dunne platte draad met perforaties waardoor met composiet de splint op de elementen wordt gehecht.

Deze kan eenvoudig op maat/lengte worden geknipt en laat zich, door de gaatjes, snel en doeltreffend vastzetten. Deze splint is flexibel genoeg om als

3. Fixeren van een draadspalk

flexibele splint te dienen. Als er toch een rigide spalk is geïndiceerd is het mogelijk om na positionering en eerste hechting de gaatjes door middel van flowable composiet met elkaar te verbinden waardoor een meer starre verbinding ontstaat. Als dit niet voldoende is of als de behandelaar twijfelt aan de fixatie, kan een dunne, starre en voorgebogen draad incisaal van de spalk worden geplaatst. Als in de praktijk geen spalk aanwezig is, is het aan te raden om een ‘spalk-kit’ samen te stellen waarin de, als spalk te gebruiken draden, zoals floss naalden of orthodontisch draad desgewenst met een knip en buigtang worden opgenomen.

Indien de behandeling van patiënten in een waarneemsituatie plaatsvindt, is de mededeling “neem morgen of na het weekend contact op met uw eigen tandarts” zeker niet voldoende. Er zijn veel redenen waarom dit fout kan gaan. Naast het opstellen van een verslag en het maken van eventuele röntgenfoto’s, is het belangrijk om duidelijk aan te geven welke vervolgstappen, overeenkomstig het protocol, wenselijk zijn. Het is daarbij ook raadzaam om vanuit de praktijk een afspraak voor een vervolgconsult of -behandeling in te plannen voor de patiënt.

De auteur

Rob Vermaas is tandarts en sinds 2000 als consultant betrokken bij de ontwikkeling, implementatie en ondersteuning van diverse tandheelkundige producten. Daarnaast is hij docent en trainer en mede-initiatiefnemer van de Dental Best Practice leergang Endodontologie. https://academiae.nl/leergangendodontologie

Traumatologie: ‘untold stories’

Ontdek het nieuwe assortiment chirurgische instrumenten. Heeft U vragen? Wij adviseren u graag Flip van Dalen +31 (0) 631 919 600 fvandalen@younginnovations.com www.am-eagle.nl

Tot slot
4. Draadspalk in situ

KEUZES

(Bijna) klaar met je studie… En dan?

Je hebt keihard gestudeerd de afgelopen jaren, tentamens overleefd, eindeloze practica gedaan en nu is het zover: je mag aan de slag als tandarts! Supertof natuurlijk, maar wat nu? Waar begin je eigenlijk? Misschien lijkt het logisch om gewoon meteen aan het werk te gaan in een praktijk, maar onderweg kom je nog genoeg keuzes tegen. Ga je freelancen als zzp’er? Of liever eerst in loondienst? En misschien droom je wel van een eigen praktijk. Het begint allemaal bij jezelf: wat wil jij, wat past bij je, en waar word je blij van? In dit artikel zetten we wat opties voor je op een rij én geven we handige tips om jouw pad te vinden.

Kies een praktijk die bij je past

Je eerste baan als tandarts is belangrijker dan je denkt. Het legt vaak de basis voor hoe jij het vak gaat ervaren én hoe je je ontwikkelt als professional. Dus: even goed nadenken voor je ergens tekent. Stel jezelf bijvoorbeeld deze vragen: Voel ik me fijner in een kleine, hechte praktijk of juist in een groter team?

• Heb ik structuur nodig of werk ik liever met wat meer vrijheid?

• Wil ik me specialiseren of juist breed ervaring opdoen?

Hoe belangrijk is goede begeleiding en overleg voor mij?

In de eerste jaren draait het vooral om meters maken en zelfvertrouwen opbouwen. Je hoeft nog niet alles te weten (spoiler: niemand weet álles). Wat helpt, is

werken op een plek waar je vragen kunt stellen en waar collega’s je echt willen helpen groeien.

Zo pak je het solliciteren aan

Heb je helder wat je zoekt? Mooi, dan kun je gericht gaan solliciteren. En vergeet niet: een sollicitatiegesprek is geen eenrichtingsverkeer. Jij checkt óók of de praktijk bij jóu past. Goede vragen om te stellen tijdens een gesprek: Hoe ziet het team eruit qua leeftijd en ervaring?

Is er ruimte voor overleg, coaching of bijscholing? Hoe wordt er gewerkt met assistenten en taakdelegatie?

• Wat voor patiënten zie ik hier vooral?

• Wat wordt er precies van mij verwacht?

Wil je echt weten hoe het eraan toe gaat? Vraag of je een dagje mee kunt lopen. Dan voel je meteen of het klikt – met het team, de sfeer en de manier van werken.

Zin in een eigen praktijk?

Na een paar jaar ervaring begint het bij sommigen te kriebelen: je eigen plek, je eigen regels. Klinkt goed, toch? Maar er komt meer bij kijken dan alleen een goed gevulde behandelkamer.

Denk bijvoorbeeld na over:

• Ben ik ondernemend en zie ik het zitten om eindverantwoordelijk te zijn?

• Wil ik het alleen doen of met een compagnon?

Waar zou ik mijn praktijk willen vestigen?

Hoe groot wil ik beginnen en hoeveel stoelen zijn daarvoor nodig?

Het is slim om op tijd een adviseur in de arm te nemen die verstand heeft van de mondzorg. Niet alleen om samen je plannen te verhelderen, maar ook als je straks geld nodig hebt van de bank – die wil ook graag weten waar ze aan beginnen.

Kies wat bij jóu past

Of je nu in loondienst start, als zzp’er werkt of meteen droomt van je eigen praktijk: er is geen ‘juiste’ route. Het gaat erom dat je kiest wat bij jou past –jouw persoonlijkheid, jouw ambities.

Je staat aan het begin van een mooi, veelzijdig vak.

Neem de tijd om jouw plek te vinden, probeer dingen uit en blijf dichtbij jezelf. Dan komt die fijne, succesvolle carrière vanzelf!

De auteur

Marlies van der Vooren is oprichter van Dental Care Professionals, specialist in werving en selectie, praktijkbemiddeling en HR-advies. Met haar team helpt zij tandartsen bij het vinden van de praktijk die perfect past bij hun ambities. www.dentalcareprofessionals.nl

Wij zijn uw profylaxe

experts.

Young® Dental - hoogwaardige en innovatieve profylaxe producten.

Latex- en BPA-vrije profylaxe cups en wegwerphoekstukken, disclosing oplossingen zonder erytrosine en gluten.

Ontdek ons productassortiment en maak meteen een afspraak voor een consult.

Heeft U vragen? Wij adviseren u graag Flip van Dalen +31 (0) 631 919 600 fvandalen@younginnovations.com

(Bijna) klaar met je studie... En dan?

www.youngdental.nl

Weefselbesparend herstellen van vorm en functie met composiet

Met composiet kunnen op een reversibele manier esthetische wensen van de patiënt niet alleen worden uitgeprobeerd, maar vaak zelfs naar grote tevredenheid (en op een betaalbare wijze) duurzaam worden vervuld. Behalve esthetische wensen kunnen ook de vorm en de stand van postcaniene elementen worden hersteld waardoor de functie van de dorsale steunzone wordt beschermd en endodontische behandelingen kunnen worden voorkomen. Slijtage van de postcaniene elementen kan ook aanzienlijk worden vertraagd wanneer front- hoektandgeleiding intact blijft of wordt hersteld, hetgeen leidt tot verduurzaming en behoud van de eigen dentitie. Deze restauratieve benadering van duurzaam functieherstel waarbij een ‘mutual protected occlusion’ wordt nagestreefd is een vorm van ‘additive prosthodontics’. Dit past binnen het dynamisch behandelconcept van duurzaamheid dat eind vorige eeuw is gei ntroduceerd. In januari 2025 ging Francesca Vailati uitgebreid in op de behandeling van gebitsslijtage met ‘additive prosthodontics’. Dit concept zou de basis moeten zijn voor het dagelijks handelen bij elke patiënt. Een pleidooi door Dr. Hans van Pelt, erkend restauratief tandarts (NVVRT) en Fellow of EPA.

Inleiding

Veneers van composiet zijn om meerdere redenen interessant. Allereerst geven ze een direct zichtbaar

resultaat en bij een geslaagde behandeling gaat daar bovendien een zeer motiverende werking vanuit, waardoor de zelfzorg toeneemt. Adhesieve technieken dragen bij aan een aantal belangrijke kwaliteitsstandaarden die door het Zwitsers Tandheelkundig Genootschap (SSO) zijn opgesteld [https://helvident. ch/en/why-choose-an-sso-member-dentist].

De kerndoelen die bij elke tandheelkundige behandeling nagestreefd zouden moeten worden zijn:

1. Behoud van de processus alveolaris (kwaliteitsstandaard 1)

2. Behoud van de vitaliteit van de pulpa (kwaliteitsstandaard 2)

3. Functieherstel met behoud van zoveel mogelijk gezond tandweefsel (kwaliteitsstandaard 3)

4. Onzichtbaar functieherstel met behoud van zoveel mogelijk gezond tandweefsel (kwaliteitsstandaard 4).

Deze kwaliteitsstandaarden hebben bijgedragen aan de ontwikkeling van een filosofie die streeft naar duurzaam en betaalbaar functieherstel, en werden in 1998 in het Nederlands Tandartsenblad (voorloper van NTDentz) al onder de aandacht gebracht. Dit werd de basis voor het onderwijs in de moderne restauratieve tandheelkunde. Met composiet kan namelijk op een dynamische manier en met zoveel mogelijk behoud van gezond tandweefsel, stapsgewijs, worden gewerkt aan behoud van de natuurlijke dentitie met technieken die reversibel zijn en repa-

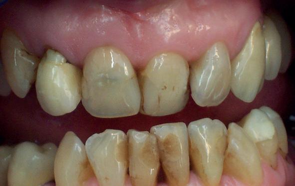
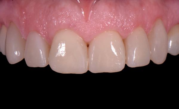
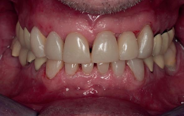
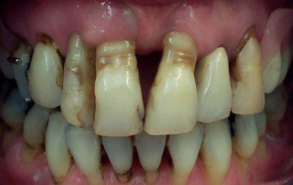
1a. 69-jarige man met een verwaarloosde dentitie en marginale gingivitis als gevolg van een matige mondhygiëne. Om veneers te kunnen aanbrengen moet de gingiva zo gezond mogelijk zijn, zonder bloeding.

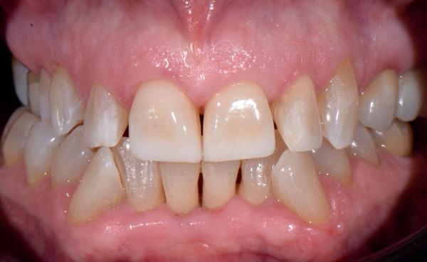
1b. Na het aanbrengen van veneers, waarmee ook de carieuze defecten zijn hersteld, is de mondhygiëne zeer goed.

rabel. Invasieve procedures kunnen worden beperkt. In dit artikel zullen voorbeelden en resultaten op lange termijn worden gepresenteerd.

Esthetiek motiveert

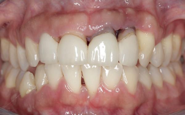
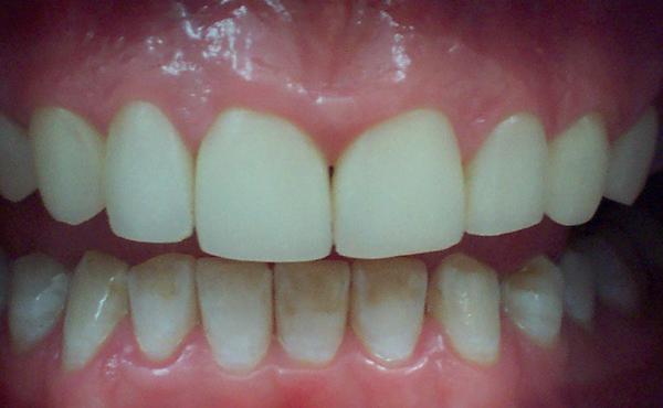
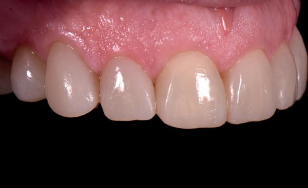
De belangrijkste redenen waarom patiënten frequent naar hun gebit laten kijken, is esthetiek en de wens om het gebit zo lang mogelijk te behouden. Uit meerdere onderzoeken blijkt dat de zelfzorg toeneemt als de perceptie van het eigen gebit hoog is. Dat wil zeggen dat men het de moeite waard vindt energie te stoppen in een goede mondhygiëne (afbeelding 1a en 1b).

Om die reden wordt al geruime tijd aangeraden ook de cosmetische aspecten mee te nemen bij het opstellen van een behandelingsplan (de Kloet 1991). Er is de laatste decennia steeds meer aandacht gekomen voor het belang van esthetiek. Goldstein schreef in 1986 al een ‘guest editorial’ over in het gerenommeerde Journal of Dental Research: ‘Is esthetic dentistry a health service?’. Zijn betoog onderbouwde hij met literatuur uit de psychologie en daarmee brak hij een lans voor meer aandacht voor de esthetische aspecten die bijdragen aan de functie van het gebit en het functioneren van onze patiënten.

De aandacht is sindsdien alleen maar toegenomen. Met composiet kunnen in het front zichtbare resultaten worden gerealiseerd en kan front-hoektandgeleiding worden aangebracht, waarna kan worden overgegaan tot herstel van elementen in het postcaniene gebied en het sluiten van diastemen. Dit wordt ‘parkeren in composiet’ genoemd en maakt deel uit van het zogeheten ‘dynamische behandelconcept’ (de Kloet en van Pelt 1998, van Pelt 2016). Dit houdt in

Weefselbesparend

dat vanuit een totaalvisie een behandelplan wordt opgesteld, dat gefaseerd kan worden uitgevoerd, waarbij kan worden geanticipeerd op veranderingen die samenhangen met een verhoogd risico. Variërend van een verhoogd patiëntrisico, parorisico, biologisch risico, structureel risico of een functioneel risico (Kois 2015).

Elementen waaraan een parodontale behandeling is uitgevoerd hebben een onzekere prognose en elementen die endodontisch zijn behandeld zijn structureel verzwakt, evenals zwaar gerestaureerde gebitselementen of elementen waar veel tandweefsel is verdwenen door slijtage. In dit soort situaties wordt een voorzichtige aanpak aangeraden en heet deze benadering ook wel ‘slow dentistry’ (van Pelt in Dentist News sept 2024).

Er is ook sprake van een verhoogd risico wanneer elementen getraumatiseerd zijn. Bij een trauma is er zichtbare schade die met composiet vaak goed kan worden hersteld. De onzichtbare schade uit zich vaak pas later (‘delayed reaction’) in de vorm van obliteratie of externe/interne resorptie waardoor verkleuringen optreden.

Restaureren met plastisch restauratiemateriaal

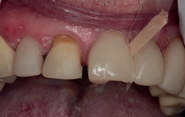
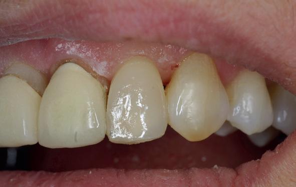
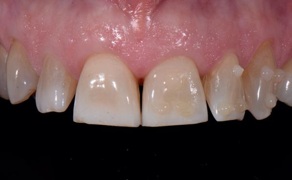
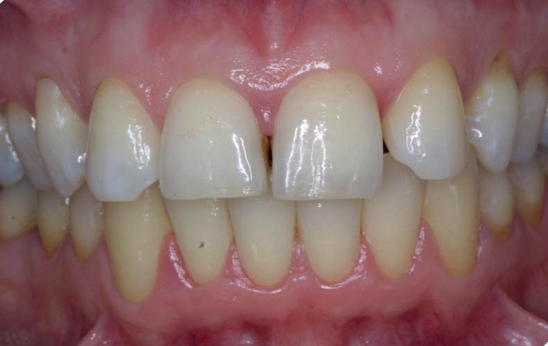
Het is uitermate prettig dat er een plastisch restauratiemateriaal is waarmee we functie en esthetiek kunnen herstellen en waardoor we de tijd kunnen nemen om te zien of er nog ongewenste ontwikkelingen optreden. Hierdoor worden onnodige en soms kostbare herbehandelingen voorkomen (afbeelding 2a en 2b).

Ook elementen die succesvol parodontaal zijn behandeld, vragen vaak om een esthetische behandeling. Bij een gezond maar gereduceerd parodontium is in onze ogen de behandeling geslaagd, maar in de ogen van de patiënt is het resultaat er esthetisch niet mooier op geworden: papillen zijn verdwenen en er zijn vaak ‘black triangles’ ontstaan. Wanneer in dit geval indirecte restauraties worden vervaardigd, zal er veel gezond tandweefsel verloren gaan en wordt de vitaliteit van de pulpa bedreigd. Met composiet kunnen hele fraaie resultaten worden verkregen met minimale opoffering van hard tandweefsel (Ricci en Ferraris 2011) (afbeelding 3a-f ).

Uittesten esthetiek

Als de patiënt hele hoge verwachtingen heeft kan dat ook beschouwd worden als een hoog risico. Wanneer een zeer kundige artistieke tandtechnicus kiest voor het mooiste materiaal kunnen fraaie resultaten be-

reikt worden, maar uittesten van de vorm en de kleur met composiet is aan te raden om teleurstellingen te voorkomen. Sowieso zijn veel patiënten al vaak heel tevreden na een behandeling met composiet. Hoewel composiet ook nadelen heeft: het is amorf en niet kristallijn zoals porselein en kan daardoor stroef aanvoelen en verkleuren. Dat kan per mond sterk verschillen en wordt vaak pas zichtbaar na een paar maanden of zelfs jaren. Het is belangrijk om dit naar de patiënt toe te communiceren. Het grote voordeel van composiet is dat in de tussentijd de vormgeving uitgetest en ook aangepast kan worden en we meer te weten komen over de te verwachten tevredenheid van de patiënt. Bij een hoog verwachtingspatroon is het dus aan te raden juist eerst te starten met composiet en de patiënt zelf te laten bepalen wanneer composiet niet (meer) voldoet en moet worden overgegaan op vervanging door keramiek. Vorm en functie hangen nauw met elkaar samen. De vormgeving kan door middel van composiet ook functioneel uitgetest worden (front-hoektandgelei-

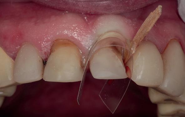
2a. Een esthetische wens van een muziekdocente die lesgeeft in het bespelen van klarinet en saxofoon. Orthodontie is geen optie, want dan zou ze meer dan 18 maanden geen les kunnen geven.

2b. Met alleen composietveneers

kon een zeer bevredigend resultaat worden bereikt.

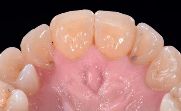
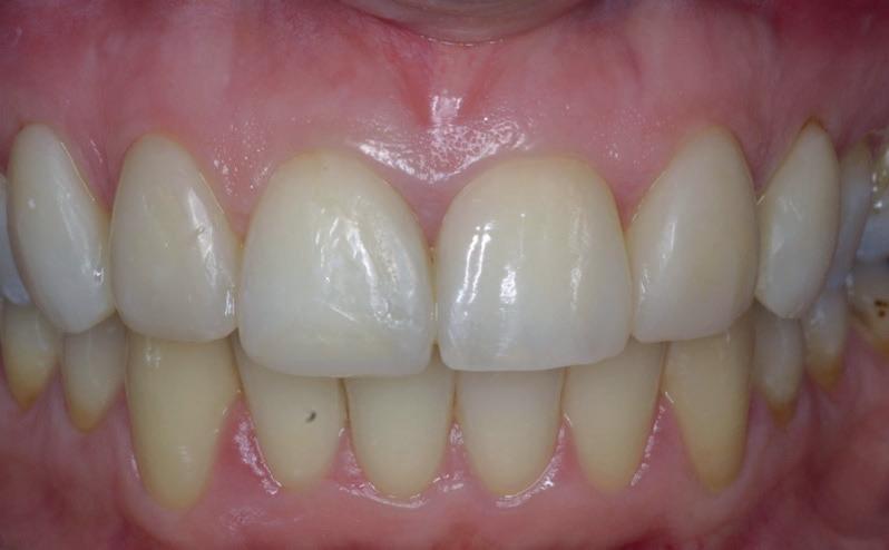
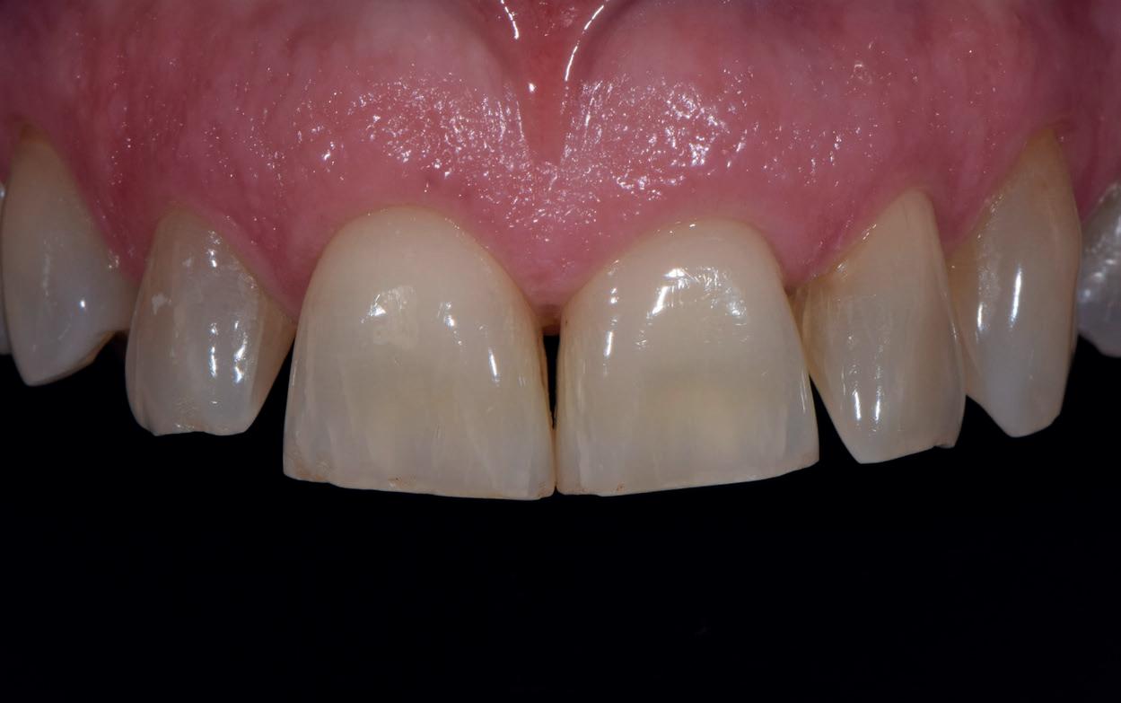
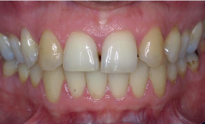
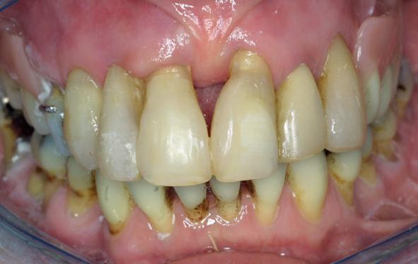
3a-f. Een 50-jarige vrouw met een gezond, maar gereduceerd parodontium. Het motto was: “Beter langere tanden dan niet langer tanden”. Het idee was om de lelijke ‘black

triangles’ met een epithese te maskeren, maar dat bleek niet tot het gewenste resultaat te leiden. Met composietveneers is de anatomie hersteld wat heeft geleid tot een herkenbaar resultaat en een voor de patiënt zeer aanvaardbaar esthetisch resultaat.

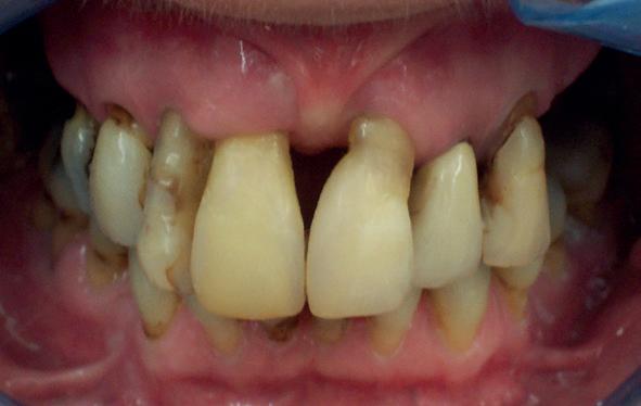
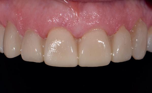
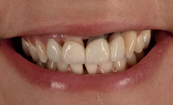
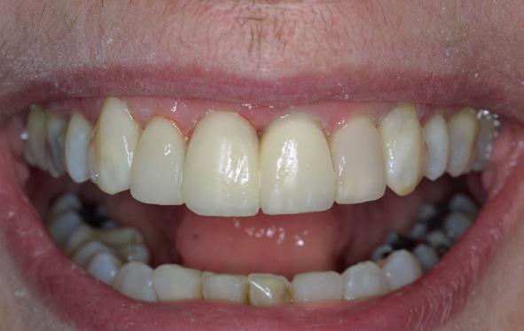
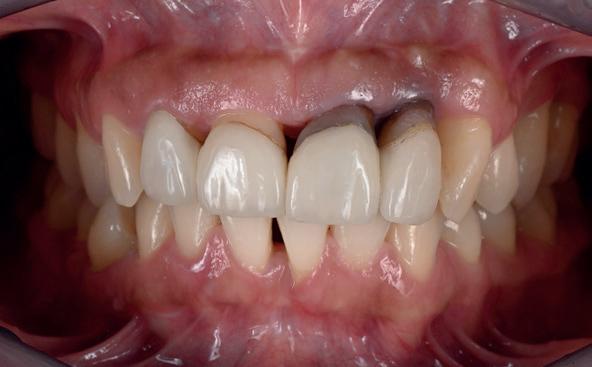
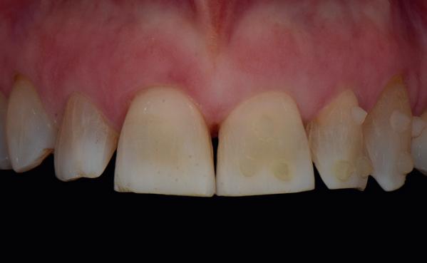
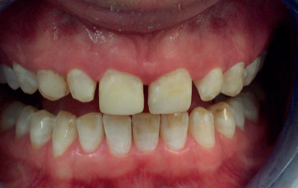
Afbeelding 4a toont het front van iemand met zeer hoge verwachtingen die wordt verwezen voor een behandeling met porselein. De 12 en 22 ontbreken. De 13 en 23 staan op de positie van de 12 en 22 (substitutie) en er is duidelijk te zien dat niet alle cuspidaten qua vorm en kleur op een laterale incisief lijken. Na bleken is het kleurverschil nagenoeg verdwenen (4b) en hoeft er daarom minder van deze elementen te worden afgeslepen. Nu is de fase aangebroken om de vorm aan te passen en uit te testen (4c en 4d).

Na deze behandeling is ze zo tevreden over het bereikte resultaat dat ze (nog) geen keramiek wil. Het is nu aan haarzelf om aan te geven wanneer ze de volgende stap wil laten uitvoeren. Een bekende uitspraak is: ’esthetics are in the eye of the beholder’ hetgeen inhoudt dat het de patiënt is die zal beslissen of veneers van composiet volstaan, of dat alleen veneers van keramiek tot tevredenheid zullen leiden.

Vormgeving

Bij herstel van de vestibulaire zijde is het belangrijk

een techniek te kiezen waarbij de cervicale contour kan worden hersteld en over- of ondercontourering wordt voorkomen. Een cervicale contour heeft als belangrijke functie om de gingiva te beschermen tegen mechanische beschadiging. Afbeelding 5a laat duidelijk zien dat er sprake is van oedeem van de marginale gingiva welke is verdwenen nadat de contour is hersteld (afbeelding 5a-b).

Voor herstel van de vorm is het aan te raden om te starten met herstel van de mesio-distale afmeting (de approximale vlakken) en om dit onder rubberdam te doen. Als de mesiodistale afmetingen kloppen kan voor herstel van het vestibulaire vlak gebruik worden gemaakt van speciale matrijzen zoals de Contourstrip (Ivoclar) of de Adaptmatrix (KerrHawe). Hiermee kan de contour van het cervicale deel van gebitselementen fraai worden hersteld.

Vorm en kleur met de layeringtechniek

Bij het maken van veneers van composiet worden twee doelen nagestreefd: verbetering van de tandvorm en de tandkleur. Naast de basistechniek, waarbij vooral de tandvorm wordt hersteld, zijn er veel composieten verkrijgbaar waarmee herstel van de tandkleur goed kan worden benaderd, omdat er laagsgewijs ding). Het is dan aan de tandtechnicus om de vorm te kopiëren. Front-hoektandgeleiding is belangrijk om postcaniene elementen te beschermen tegen onnodig hoge slijtage en disclusie zorgt voor rotatie in het kaakgewricht (Wabeke en Mulié 2013).

4a-d. Een 45-jarige vrouw met een esthetische wens omdat de cuspidaten op de positie van de 12 en 22 staan (a). De 13 en 23 zijn getransformeerd tot 12 en 22 na bleken (b) en beslijpen (c). Het resultaat is zeer bevredigend (d). Wanneer de esthetische wensen toenemen kunnen

de composietrestauraties worden vervangen door keramiek.

5a-b. Een 24-jarige vrouw met ondergecontoureerde elementen in het boven-en onderfront met als gevolg een chronisch geïrriteerde marginale gingiva en zichtbaar oedeem

(5a). Na herstel van de vestibulaire contour ziet de gingiva er gezonder uit (5b).

6a-f. Een 70-jarige man heeft een esthetisch probleem als gevolg van erosieve gebitsslijtage (6a). Bij herstel van de vestibulaire contour is

gebruik gemaakt van speciale strips (Adapt strips, KerrHawe) die met hechtlak (Heliobond, Ivoclar) wordt gefixeerd (6b). Nadat het cervicale

verschillende composieten met verschillende optische eigenschappen worden aangebracht. Er kunnen zowel voor oude als jonge patiënten natuurgetrouwe tanden mee worden vervaardigd. Deze techniek luistert echter nauw. Bij jonge patiënten en bij solitaire veneers is toepassing van deze techniek een vereiste om tot een fraai en dus onzichtbaar eindresultaat te komen. Training in het verkrijgen van inzicht in de anatomie en kleuropbouw van de tand is vereist om teleurstellingen te voorkomen. Bij de layeringtechniek wordt vaak een puttymal gebruikt om tot een voorspelbare vormgeving te komen. Zo kan de palatinale vormgeving via een diagnostische opwas worden overgebracht.

Voor een fraaie cervicale contour kunnen speciale matrijzen worden toegepast, die de papil een beetje onder druk zetten, zoals de Adaptstrip (KerrHawe) of Matrix MPM contourstrip (DDS). Deze zijn ook zeer geschikt om ‘black triangles’ mee te verkleinen en V-vormige tanden te veranderen in U-vormige. Deze matrijzen zijn echter niet echt geschikt voor het toepassen van de layeringtechniek. Na het aanbrengen van composiet in het cervicale deel kan de matrijs echter worden verwijderd en ook de overmaat kan met een diamantboor zonder koeling(!) worden verwijderd. Daarna kan de hechting worden geactiveerd door hechtlak aan te brengen. Dan kan worden overgegaan op composieten voor de ‘layering’ techniek (afbeelding 6a-f ).

deel is hersteld kan deze worden verwijderd om “free hand” verder te kunnen vormgeven (6c-e). Resultaat na behandeling (6f).

Onderhoud en reparatie

Binnen het dynamisch behandelconcept wordt onderscheid gemaakt in absolute failures en relative failures Bij absolute failures moet een restauratie vervangen worden, terwijl bij relative failures reparatie mogelijk is. Repareren geeft minder weefselschade dan vervangen en verdient als het even kan de voorkeur. Om te kunnen hechten aan ‘oud’ composiet dient het composiet te worden opgeruwd met de zandstraaltechniek. Hiervoor wordt aluminiumoxide gebruikt waarna hechtlak wordt aangebracht voordat composiet mag worden aangebracht. Een goed adhesief is Photobond (Kuraray) en te mengen met ‘porcelain activator’ (Kuraray) (afbeelding 7a-e).

Duurzaamheid

Bij het restaureren van de natuurlijke dentitie is het van belang dat we ons moeten blijven realiseren dat behoud van zoveel mogelijk glazuur en dentine belangrijker is dan het vervaardigen van een zo sterk mogelijke restauratie. Duurzaam restaureren betekent dus dat plastische materialen de voorkeur verdienen boven indirecte restauraties.

‘Fine particle hybride’ composieten worden in Nederland al sinds de jaren 90 succesvol toegepast om veneers mee te vervaardigen, omdat deze composieten sterkte en slijtvastheid én een acceptabele glans

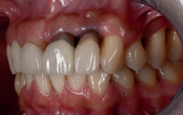
7a-e. Na een orthodontische behandeling wordt deze vrouw verwezen voor het vervangen van de kronen op 11 en 21. Daarmee zou de

esthetische wens maar ten dele zijn vervuld. Met composiet zijn niet alleen de kronen verfraaid, maar ook de 12,13, 22 en 23. Deze ‘mockup’

en esthetiek combineren. Deze materialen blijken inmiddels ook succesvol toegepast te kunnen worden bij patiënten met een verhoogd biomechanisch risico zoals pathologische attritie in de zijdelingse delen.

Vroegtijdig herstellen van de anatomie met composiet wordt aangeraden, omdat lokale slijtage in het front vaak al op jonge leeftijd begint en de natuurlijke dentitie bedreigt (Dietschi en Argente 2011).

‘Fine particle hybride’ composieten hebben bewezen dat verduurzamen van de dentitie mogelijk is. De nieuwere composieten met ‘nanofillers’ blijken dit ook te kunnen en combineren slijtvastheid met een hoge breuktaaiheid, polijstbaarheid en esthetiek. Ook fluorescentie (esthetiek bij ‘black light’) is steeds

Ben jij een jonge tandarts en wil je je verder ontwikkelen in de vervaardiging van de volledige prothese? Wil je praktische tips en tricks voor de implantaatgedragen prothese?

Onze gespecialiseerde training geeft je de extra kennis en hands-on ervaring die je nodig hebt om met vertrouwen complexe prothetische behandelingen uit te voeren.

bevalt haar zo goed dat voorlopig geen kronen worden vervangen.

minder een probleem, hoewel nog niet alle ‘esthetische’ composieten even fluorescent zijn als glazuur (Devoto et al 2010).

De auteur

Dr. Hans van Pelt, erkend restauratief tandarts (NVVRT) en Fellow of EPA

Referenties

De literatuurlijst is op te vragen bij de redactie en in te zien bij het artikel online op www.dentistamagazine.nl

• Verdiep je in de volledige prothese van afdruk tot plaatsing

• Leer de nieuwste technieken voor implantaatgedragen protheses

• Ontvang praktische tips & tricks van ervaren specialisten

Maak het verschil voor je patiënten en til je vaardigheden naar een hoger niveau!

INTERVIEW

Pauline Borghans, tandarts young professional ”Vooral het tempo vond ik een uitdaging”

Tien maanden geleden studeerde ze af als tandarts aan de Rijksuniversiteit Groningen, nu draait ze volop mee in de praktijk. De 27-jarige Pauline begon haar carrière bij TOED in Heerhugowaard en Studentist in Amsterdam — binnenkort voegt ze daar ook Geriatand aan toe. Hoe kijkt ze terug op haar eerste jaar als young professional in de tandheelkunde? We spraken haar over leren in de praktijk, eerste successen én uitdagingen.

Hoe heb jij het ervaren om na je afstuderen zelfstandig aan de slag te gaan in de algemene praktijk?

Aan de ene kant vond ik het heel leuk om eindelijk ‘echt’ bezig te kunnen gaan, maar aan de andere kant vond ik het heel spannend en veel. Ik heb het geluk dat ik ben begonnen in fijne praktijken, waar ik altijd hulp kan vragen.

Was je in het begin onzeker over je vaardigheden of de behandelingen die je moest uitvoeren?

Tijdens mijn studie zijn veel vaardigheden en behandelingen langsgekomen, maar sommige zaken waren in de loop der tijd toch wat weggezakt. Vooral bij kroon- en brugwerk en wortelkanaalbehandelingen was - en af en toe nog - het onzekerheidsgevoel aanwezig. Hierin leer je wel snel je eigen grenzen kennen. Door hulp te vragen of cursussen te volgen kun je je grenzen weer verleggen en beter worden. Soms vind ik spoedklachten waar ik niet precies weet wat er aan de hand is, of welk beleid ik het beste kan inzetten best lastig. Dat kan een gevoel van onzekerheid geven.

Hoeveel praktische ervaring had je voor je begon en

was dat voldoende?

Tijdens de studie besteed je veel tijd aan skills en patiëntenonderwijs. Daar doe je praktische ervaring op, maar die heb ik ook opgedaan in de praktijk waar ik naast mijn studie als tandartsassistent heb gewerkt. Of het voldoende is, is denk ik lastig om te zeggen. Je zult altijd nieuwe dingen tegenkomen. Dat maakt het juist ook weer spannend en leuk!

Wat waren de grootste uitdagingen tijdens je eerste maanden in de praktijk?

Vooral het tempo vond ik een uitdaging. Dat is echt wel een grote overgang. Administratie bijhouden tijdens de dag vind ik persoonlijk erg fijn, maar hier is zeker niet altijd de tijd voor. Hierin moest ik ook een goede weg vinden.

Had je na je opleiding het gevoel dat je goed voorbereid was?

Het tempo is vooral iets waar studenten lastig op voorbereid kunnen worden tijdens de opleiding. Een verplichte stage in de algemene praktijk zou hierbij kunnen helpen, mits er genoeg praktijken beschikbaar zijn. Wat betreft de kennis: er komt veel voor-

bij in de opleiding wat je daarna vaak niet meer gebruikt, maar wel belangrijk is om te begrijpen. Wat ervaring betreft, denk ik dat de ene student net wat meer geluk heeft met de casussen en behandelingen die hij of zij tegenkomt dan de ander. Dit is van tevoren moeilijk in te schatten.

Wat voor begeleiding of ondersteuning zou je in het eerste jaar gehad willen hebben?

Zelf heb ik in de laatste weken voor mijn afstuderen stage gelopen in de algemene praktijk. Ik vond dit heel prettig, vooral omdat er toen een tandarts ‘extra’ aanwezig was die altijd beschikbaar was voor vragen en tips. Dit zou ik echt iedereen aanraden!

Zou een extra collegejaar met praktijkbegeleiding en terugkomdagen zoals Dental Best College dat aanbiedt je hebben geholpen?

Het klinkt als een goed idee om startende tandartsen toch net wat meer begeleiding te geven in de eerste periode na afstuderen. Daar kun je dan terecht bij ‘lotgenoten’ om over alles te praten wat je meemaakt. Tijdens de studie vond ik die verbinding ook altijd heel fijn en in de praktijk ben je vaak toch de enige startende tandarts.

Heb je het idee dat er tijdens je opleiding voldoende aandacht was voor complexe behandelingen en behandelplannen zoals je ze nu in de praktijk wel eens tegenkomt?

Tijdens de opleiding was er heel veel aandacht voor het goed opstellen van een behandelplan. Ik merk zelf dat ik graag direct antwoorden wil geven aan patiënten, terwijl het even ‘parkeren’ en er over nadenken en eventueel overleggen juist beter kan zijn. De complexe behandelingen kwamen af en toe aan bod, maar het is natuurlijk goed om eerst de basis goed in de vingers te krijgen. Soms vind ik het lastig dat hier in de reguliere praktijk niet per se rekening mee wordt gehouden. Een startende tandarts kan de meest lastige casussen voorgeschoteld krijgen. Dat is op voorhand natuurlijk ook lastig in te schatten.

Hoe belangrijk denk je dat intercollegiaal overleg is, vooral in het begin van je carrière, en heb je daar

voldoende ruimte voor gehad?

Ik merk dat ik veel leer van het bespreken van zaken met collega’s, omdat iedereen dingen weer anders benadert. Door met verschillende collega’s het gesprek aan te gaan, kom ik er steeds meer achter wat het beste bij mijn manier van werken past. Uiteindelijk is iedereen natuurlijk anders, ook als tandarts.

Als je kijkt naar hoe je je voelde net na afstuderen en nu, zit daar dan een groot verschil in qua zelfvertrouwen en praktische ervaring? Welke stappen heb je daarvoor gezet?

Daar zit zeker een groot verschil in! De eerste weken voelde iedere patiënt als een uitdaging, wat de dagen best intens kon maken. Inmiddels weet ik een stuk beter hoeveel tijd ik moet plannen en merk ik dat ik al flink meer ervaring heb opgedaan in toch een korte tijd, want je maakt best veel mee op een dag. Al vrij snel heb ik een cursus endodontologie gedaan via Dental Best Practice en dit heeft de spanning voor wortelkanaalbehandelingen al een stuk verminderd. Daarnaast doe ik mee aan het eerstejaars programma van de M2 academy en heb ik een cursus kaakchirurgische ingrepen in de algemene praktijk bij het UMCG gevolgd. Cursussen helpen sowieso bij je kennis over bepaalde onderwerpen. Het geeft meer zekerheid in de keuzes en behandelingen die je maakt of doet.

Pauline Borghans

Op zoek naar zekerheid

Werken als zzp’er in de mondzorg

Sinds 1 januari van dit jaar handhaaft de Belastingdienst actief op schijnzelfstandigheid, met terugwerkende kracht en – na waarschuwing – zelfs met boetes. De aankondiging hiervan zorgde voor onrust bij veel zelfstandigen in de Mondzorg. De centrale vraag blijft: Mag je in de Mondzorg werken als zzp’er?

Het korte antwoord is: ja, dat mag. Maar of het in jouw geval mogelijk is, hangt af van de specifieke omstandigheden. Al bijna tien jaar wachten we op duidelijke wetgeving die helder afbakent wanneer iemand zelfstandig mag werken en wanneer sprake is van verkapt dienstverband. Die duidelijkheid blijft uit, mede omdat elke situatie afzonderlijk beoordeeld moet worden. In dit artikel bespreken we de laatste ontwikkelingen in wetgeving, rechtspraak én de praktijk – inclusief praktische tips om als zelfstandige te blijven werken.

Wetsvoorstel V-Bar: nog steeds in de pijplijn

De wet Verduidelijking Beoordeling Arbeidsrelaties en Rechtsvermoeden (V-Bar) moet duidelijkheid bieden over het onderscheid tussen loondienst en zelfstandig ondernemerschap. De beoogde ingangsdatum is vooralsnog 2026. Minister Hijum wil het wetsvoorstel voor 1 juli 2025 aan de Tweede Kamer voorleggen, verklaarde hij vorige week. Op 7 november 2024 bracht de Raad van State een kritisch advies uit: het

wetsvoorstel biedt onvoldoende duidelijkheid en doet daarmee zijn naam geen eer aan.

Het wetsvoorstel moet nu eerst worden aangepast door het Ministerie, en daarna nog worden goedgekeurd door de Tweede en Eerste Kamer. Intussen groeit het verzet tegen de wet – niet alleen vanuit de politiek, maar ook vanuit de praktijk.

De rechtspraak: Deliveroo en Uber als ijkpunten

Vanaf 2016 kon je gerust werken als zzp´er in de Mondzorg als je een door de Belastingdienst goedgekeurde modelovereenkomst tekende met de praktijkhouder(s) met wie je werkte.

De laatste jaren, geheel in overeenstemming met de ontwikkeling van het arbeidsrecht en de rechtspraak, verschoof de aandacht van de papieren afspraken steeds meer naar de feitelijke uitvoering van het werk: hoe wordt er in de praktijk samengewerkt?

In 2023 bracht de Hoge Raad iets meer duidelijkheid door in de Deliveroo-zaak negen criteria te formuleren waarmee beoordeeld wordt of sprake is van een

DELIVEROO CRITERIA

Of een samenwerking wordt aangemerkt als arbeidsovereenkomst, hangt af van alle omstandigheden van het geval in onderling verband bezien.

1 Aard van de werkzaamheden

2 Duur van de werkzaamheden

3 Bepaling werkzaamheden en werktijden

4 Inbedding van het werk en de werkende in de organisatie

5 Verplichting het werk persoonlijk uit te voeren

6 Wijze waarop de overeenkomst tot stand is gekomen (onderhandelingsvrijheid)

7 Wijze waarop de beloning is bepaald en wordt uitgekeerd

8 Hoogte van de beloningen

9 Commerciële risico’s lopen

10 Gedrag als ondernemer (reputatie, acquisitie, aantal opdrachtgevers, duur opdrachten)

zie onder andere de website van de KNMT voor een schema met meer toelichting op deze criteria

De laatste stand van zaken is het arrest van 21 februari 2025 over Uber, waarin de Hoge Raad bevestigde dat er geen rangorde is tussen de criteria. Het criterium van ‘ondernemerschap’ (zoals investeren, acquisitie en meerdere opdrachtgevers hebben) is dus niet zwaarder wegend dan andere criteria. Alle negen tellen mee in de beoordeling – in onderlinge samenhang.

Wat riskeer je als zzp’er?

Hoewel de kans klein is dat jouw werkrelatie wordt onderzocht, wil je weten welk risico je loopt. Goed om te weten dat de Belastingdienst vooralsnog nog geen boetes of correctieaanslagen heeft opgelegd, vanaf 1 januari 2025 tot vandaag. Niet in de Mondzorg, ook niet in ander branches. De Belastingdienst richt zich naar eigen zeggen vooral op ’schrijnende gevallen’. Als jouw situatie wordt onderzocht, gebeurt dat niet zonder waarschuwing. Je krijgt de gelegen-

heid om informatie aan te leveren. Een boete volgt pas na onderzoek, gesprekken en meestal pas na een waarschuwing of advies.

Als de Belastingdienst uiteindelijk oordeelt dat sprake is geweest van loondienst, dan volgt dat de praktijk loonbelasting had moeten afdragen. Die belasting kan met terugwerkende kracht tot 1 januari 2025 worden ingevorderd. De praktijk zou dit bedrag vervolgens op jou kunnen verhalen. Mogelijk kun je dit verrekenen met de reeds betaalde of gereserveerde inkomstenbelasting.

Opmerkelijk: als er inderdaad sprake blijkt van loondienst, zou je zelf ook aanspraak kunnen maken op zaken als gemist loon tijdens ziekte en uitbetaling van niet-genoten vakantiedagen – met terugwerkende kracht. Dit is voor praktijken die met zzp´ers werken een risico.

Wat doen we in de mondzorgpraktijk?

Ondanks de onzekerheid blijft werken als zzp’er in de mondzorg de praktijk én de norm. De grootste verwarring ontstaat wanneer mensen stellige uitspraarbeidsovereenkomst. De zogeheten Deliveroo-criteria zijn leidend bij de beoordeling van zzp-constructies, ook in de Mondzorg. Zie in het kader hierboven de Deliveroo criteria, opgesomd door de KNMT.

Vind werk in de praktijk die bij jou past! Met Dental Care Professionals

Vanaf het begin van je carrière is het belangrijk dat je de juiste keuzes maakt. Dit geldt zeker voor de keuze in welke praktijk(en) je gaat werken. Dental Care Professionals is jouw partner in dit proces.

Er is werk genoeg, maar welke praktijk past goed bij jou?

- Bespreek jouw ambities en wensen met ons.

- Wij informeren je over de praktijken die matchen met jouw wensen.

- Jij besluit waar je voorgesteld wilt worden.

- Wij blijven jouw sparring partner tijdens het sollicitatieproces.

Zo vind je gemakkelijk, effectief en succesvol de praktijk die bij jou past!

wwwdentalcareprofessionals.nl

Google review april 2025:

‘Dental Care Professionals nam echt de tijd om mijn wensen te begrijpen en heeft mij gekoppeld aan een werkplek die perfect bij mij past. Ik waardeerde vooral de persoonlijke benadering en de soepele begeleiding. Zeker een aanrader voor iedere tandarts die op zoek is naar een volgende stap in zijn of haar carrière!’

ken doen over bijvoorbeeld de maximale duur van een opdracht, het aantal opdrachtgevers of andere Deliveroo-criteria.

Belangrijk om te weten: de Belastingdienst kijkt altijd naar de totale context. De criteria worden integraal en in samenhang beoordeeld. Scoor je in één aspect richting verkapt dienstverband, dan kun je dat compenseren door in andere opzichten juist wél als zelfstandige te opereren. De KNMT noemt dit ‘draaien aan de knoppen’.

De KNMT speelt in deze ontwikkelingen een actieve rol. Zij heeft samenwerkende partijen opgeroepen en geholpen om hun manier van samenwerking ter goedkeuring aan de Belastingdienst voor te leggen. De uitkomst – een beschikking – kan fungeren als praktijkvoorbeeld voor de hele sector. De KNMT heeft deze week laten weten dat zij na de zomer een beschikking verwacht over de voorgelegde werksituaties. In de branche kunnen we dan gaan werken naar een goedgekeurd model of voorbeeld.

Praktische

adviezen voor het werken als zzp´er

1. Actuele modelovereenkomsten te gebruiken: Controleer of je de laatste modelovereenkomsten gebruikt met oorspronkelijke einddatum september 2026, nu goedgekeurd tot 2029. Te vinden op de site van de Belastingdienst of KNMT.

2. De praktijkvoering te toetsen: Dit is gemakkelijk te doen door naar de website: hetjuistecontract.nl te gaan en het stroomschema te doorlopen. 70% of hoger gescoord? Overweeg dan loondienst.

3. Blijf op de hoogte van de ontwikkelingen: Volg de nieuwsberichten over het wetsvoorstel Vbar en

andere relevante wetgeving. Dit kan via vakbladen zoals het onderhavige, nieuwsbrieven van de KNMT of juridische adviseurs.

4. Kijk welke criteria je richting zelfstandigheid kunt schuiven: ‘Draai aan de knoppen’. Bijvoorbeeld: Doe aantoonbare investeringen, stel je voor als zzp´er op de website en naar patiënten, draag je eigen kleding, zorg dat je meerdere opdrachten hebt op verschillende plekken.

Tenslotte

We zien het steeds meer, zelfstandigen die toch beslissen in loondienst te gaan werken. Heb je een fijne werkplek, wil je voor één praktijk werken en een duurzame band opbouwen met de patiënten, overweeg dan om voor loondienst te kiezen, eventueel met bonusregeling. Denk aan de voordelen van loondoorbetaling als je ziek bent, doorbetaalde vakantiedagen en het opbouwen van pensioen.

De auteur

Valesca Nederlof is jurist en voormalig procesadvocaat. Ze werkte jarenlang als praktijkmanager in de mondzorg en kent het vak van binnenuit. Tegenwoordig ondersteunt ze als HR-adviseur bij Dental Care Professionals praktijkhouders en -managers bij het dagelijkse reilen en zeilen van de praktijk. Ze adviseert vooral op het gebied van HR, compliance en alles wat komt kijken bij het managen van een team en praktijk in de mondzorg.

INTERVIEW

Herman de Raaf van Colosseum Dental over young professionals:

“Ze

hebben een enorme toegevoegde waarde voor onze organi-

satie”

In de tandheelkunde staan jonge professionals voor de uitdaging om hun carrière een vliegende start te geven. Bij Colosseum Dental begrijpen ze dat deze fase vaak complex is, maar zien ze ook de enorme potentie die jonge tandartsen meebrengen. “Met gerichte ondersteuning en ontwikkelingsprogramma’s willen wij hen helpen zich te ontwikkelen in een veilige en stimulerende werkomgeving,” geeft Herman de Raaf van Colosseum Dental aan. In dit interview deelt Herman zijn visie op de toegevoegde waarde van young professionals, de uitdagingen die ze tegenkomen, en hoe zij bijdragen aan hun professionele groei.

Hoe kijk jij aan tegen de net afgestuurde young professionals die binnenkomen bij Colosseum Dental?

“Bij Colosseum Dental richten wij ons bij uitstek op net afgestudeerde young professionals. Wij begrijpen dat de start van een carrière in de tandheelkunde uitdagend kan zijn en daarom bieden wij gerichte ondersteuning via ons mentorschapsprogramma en het Young Dentist Development Program. Deze initiatieven sluiten perfect aan op de wensen en behoeften van jonge tandheelkundige professionals, zodat

zij zich optimaal kunnen ontwikkelen in een veilige en stimulerende omgeving. Maar het gaat niet alleen om ondersteuning – young professionals brengen ook een enorme toegevoegde waarde voor onze organisatie. Hun frisse blik, vernieuwende ideeën en enthousiasme zorgen voor dynamiek in de praktijk. Bovendien zien we dat ervaren mentoren, die aan het eind van hun carrière staan, juist opbloeien door het begeleiden van de nieuwe generatie. Dit geeft hen nieuwe energie en inspiratie,

wat bijdraagt aan een cultuur van groei en wederzijdse ontwikkeling binnen Colosseum Dental.

Kortom, young professionals zijn niet alleen de toekomst van onze organisatie – ze zijn een onmisbare kracht in het hier en nu.”

Hoe is het voor een grote keten om met young professionals te werken?

“Bij Colosseum Dental hebben we niet alleen de mogelijkheid om de toekomst van de tandheelkunde te vormen, maar dragen we ook bij aan een grotere maatschappelijke impact. Wat ons écht onderscheidt, is dat we volledig eigendom zijn van de Jacobs Foundation, een stichting opgericht door de familie Jacobs. Dit betekent dat de winst uit onze onderneming wordt geïnvesteerd in onderwijs, vooral op plekken waar dit basisrecht niet vanzelfsprekend is. Hierdoor werken we niet alleen aan betere tandheelkundige zorg, maar dragen we ook wereldwijd bij aan kansen en ontwikkeling voor toekomstige generaties. Herman

Het creëren van kansen met en voor young professionals zit dus diep in ons DNA. Daarnaast zetten we ons actief in voor de toekomst van de tandheelkunde door samen te werken met universiteiten en beroepsorganisaties. We zoeken naar oplossingen voor capaciteitsproblemen en denken na over een efficientere spreiding van zorg, zodat tandheelkunde toegankelijk blijft. Waar we tegenaan lopen? De snelle veranderingen binnen de zorgsector vragen om flexibiliteit, zowel van ons als organisatie als van de jonge generatie tandartsen. Daarnaast is het een uitdaging om de juiste balans te vinden tussen innovatie en praktijkervaring. Maar juist doordat we zowel groot als klein zijn, kunnen we hierop inspelen: we combineren onze schaalgrootte met maatwerk in begeleiding en ontwikkeling, waardoor young professionals niet alleen een carrière opbouwen, maar ook meewerken aan het vormgeven van tandheelkunde van de toekomst.”

Wat is jouw mening over de bij- en nascholing op dit moment binnen de tandheelkunde?

“De bij- en nascholing binnen de tandheelkunde was tot voor kort naar mijn mening behoorlijk versnipperd en mist vaak een duidelijke, strategische samenhang. Er zijn veel mogelijkheden, maar het aanbod is sterk afhankelijk van commerciële partijen, individuele initiatieven en beroepsorganisaties, zonder dat er altijd een eenduidige visie op de toekomst van het vak is. Dit maakt het voor (jonge) tandartsen soms lastig om een gestructureerd en doelgericht leertraject te volgen dat aansluit bij de veranderende eisen/uitdagingen van het vak en de behoefte aan continue ontwikkeling.

Wat er naar mijn idee beter kan? Meer structuur en richting: In andere medische beroepen waren er al vaak duidelijkere leerlijnen en verplichte accreditatieprogramma’s die helpen om kennis en vaardigheden systematisch te ontwikkelen. Binnen de tandheelkunde zou een meer gestroomlijnd systeem, waarbij tandartsen op basis van hun carrièrefase en specialisatie/ differentiatie en/of expertise worden begeleid in hun ontwikkeling, waardevol zijn.

Meer focus op klinische excellentie én innovatie: Veel scholing richt zich nog te veel op technische

vaardigheden en minder op bredere ontwikkelingen zoals voorspelbare duurzame zorg, operational excellence, preventieve zorg en bijvoorbeeld patiëntcommunicatie. Een modern scholingsprogramma zou niet alleen vakinhoudelijke kennis moeten bieden, maar ook vaardigheden die passen bij de tandarts van de toekomst.

Sterkere koppeling met de praktijk: Nascholing wordt vaak los van de dagelijkse praktijk georganiseerd. Het zou effectiever zijn als er meer focus ligt op learning on the job, bijvoorbeeld via mentorschap en intervisie. Hier kunnen grote organisaties zoals Colosseum Dental een belangrijke rol spelen door young professionals en ervaren tandartsen structureel te begeleiden en scholing beter te integreren in de werkprocessen.

Bij Colosseum Dental zien we scholing niet als een verplichting, maar als een essentiële investering in de kwaliteit van zorg en de groei van professionals. Daarom willen we niet alleen een breed en toegankelijk aanbod creëren, maar ook een leeromgeving waarin tandartsen zich continu kunnen ontwikkelen op een manier die past bij hun carrière en ambities.”

Wat zijn in jouw ogen de voordelen van het extra collegejaar dat door Dental Best College is ontwikkeld voor young professionals die werkzaam zijn, of komen werken bij Colosseum Dental?

“Ik ben voorstander van alle initiatieven die mijn nieuwe collega’s de kans geven op een vliegende start. Het is zo belangrijk dat je op een veilige manier kunt werken en jezelf kunt door ontwikkelen. Ik zie dat deze behoefte er is en goed aansluit op de initiatieven die wij zelf als Colosseum Dental hebben ont-

wikkeld. Samen creëren wij een geweldige start waar ik vroeger alleen maar van had kunnen dromen. Al jaren zet ik me vanuit mijn persoonlijke overtuiging in voor de ontwikkeling en verbinding binnen de tandheelkunde, omdat ik geloof dat groei niet alleen ontstaat door kennis, maar vooral door samenwerking. The value is in the connection. Het is mooi om te zien dat de ontwikkelingen en initiatieven in de markt steeds beter aansluiten op de behoeften van young professionals en daarmee bij het vormgeven van de toekomst van ons vak. Bij Colosseum Dental blijven we actief bijdragen aan deze beweging, en ik kijk ernaar uit om samen met Dental Best Practice, collega’s, universiteiten en beroepsorganisaties onze krachten te bundelen en tandheelkundige educatie en ondersteuning naar een nog hoger niveau te tillen.”

Hoe kunnen tandartspraktijken van Colosseum

Dental zich aanmelden om zich te verbinden aan dit extra collegejaar?

“Op al onze praktijken zijn er mogelijkheden voor de ondersteuning gedurende dit extra collegejaar. Afhankelijk van de wensen, verwachtingen en fase van ontwikkeling zullen we gezamenlijk afstemmen wat de meest geschikte werkomgeving is.”

De geïnterviewde

Herman de Raaf is werkzaam bij Colosseum Dental als tandarts en Chief Medical Officer (klinisch directeur) voor de Benelux.

Een podcast voor de jonge tandarts

Van studie naar stoel

In deze podcast duiken we in de wereld van de jonge tandarts. Hoe maak je de sprong van de collegebanken naar de behandelkamer? Welke uitdagingen kom je tegen in je eerste jaren als professional? En hoe ga je om met de verantwoordelijkheid die ineens op je schouders rust?

Veel startende tandartsen ervaren de overgang van opleiding naar werk als een flinke stap. Tijdens de studie word je intensief begeleid, maar in de praktijk sta je er vaak ineens (bijna) alleen voor. De behoefte aan goede begeleiding en coaching in de algemene praktijk is groot. Hoe kun je als jonge tandarts blijven groeien en vertrouwen opbouwen in je eigen kunnen?

Samen met tandarts Bibianne de Zwart bespreken we de uitdagingen en kansen van het werkende leven. We praten over de eerste behandelingen, het omgaan met patiënten en het vinden van een praktijk waar je prettig begeleid wordt tijdens die eerste periode.

Luister de podcast via de QR-code!

Van studie naar stoel
Bibianne de Zwart

Van concept tot uitvoering, een stap-voor-stap casuspresentatie

De alternerende Moulding Injection Technique (MIT)

Directe anterieure restauraties zijn tijdrovende procedures die sterk afhankelijk zijn van de expertise van de clinicus. In complexe gevallen kan het verkrijgen van een esthetisch resultaat met traditionele composieten een ware uitdaging zijn, waardoor clinici vaak de voorkeur geven aan indirecte restauraties voor grotere behandelingen.1 De Moulding Injection Technique (MIT), voor het eerst geïntroduceerd door Douglas Terry en John Powers in 2014, is naar voren gekomen als een haalbaar alternatief voor het voorspelbaarder uitvoeren van directe restauraties, omdat het de nauwkeurige intraorale overdracht van een wax-up mogelijk maakt met behulp van een transparante mal.2, 3 Deze techniek vermindert de techniekgevoeligheid, is eenvoudiger uit te voeren met matige vaardigheidsvereisten en is kosteneffectief.4

Dit klinisch rapport beschrijft een variatie op de standaard MIT, ook wel alternerende MIT genoemd, toegepast op een casus met esthetische problemen als gevolg van ontbrekende tanden, diastemen en afwijkende verhoudingen van de tanden.5 De alternerende techniek vereist zowel een gedeeltelijke als een volledige wax-up, waarbij respectievelijk twee afzonderlijke modellen en twee transparante siliconenindexen worden gebruikt. Deze aanpak biedt verschillende voordelen, waaronder verbeterde sta-

biliteit van de mal, minder overtollig materiaal, betere cervicale contouren en nauwkeurigere contactpunten.6, 7

Een 57-jarige vrouwelijke, niet-rokende patiënt werd doorverwezen naar de restoratieve afdeling van de Universiteit van Athene voor esthetische restauratie van de maxillaire frontregio. De primaire vraag van de patiënt was om de esthetiek van haar glimlach te verbeteren op de minst invasieve manier. De anamnese was blanco en ze nam geen medicatie.

Een uitgebreid klinisch onderzoek onthulde de afwezigheid van de hoektand rechtsboven, die tijdens een eerdere orthodontische behandeling was geëxtraheerd. Er waren meerdere diastemen, ‘black triangles’, en afwijkingen in de tandvorm, voornamelijk als gevolg van slijtage van de centrale snijtanden. De laterale snijtanden hadden een vestibulaire inclinatie. De eerste intraorale en extraorale foto’s werden gemaakt (afbeelding 1-3). Parodontale beoordeling toonde geen tekenen van ontsteking of ziekte en radiografisch onderzoek bracht geen pathologische bevindingen aan het licht.

Het belangrijkste doel was om de esthetiek van de patiënt te verbeteren door de tandverhoudingen te normaliseren, diastemen en ‘black triangles’ te sluiten en de eerste premolaar rechtsboven opnieuw vorm te geven om op een hoektand te lijken. Gezien

1. Preoperatief zicht buccaal

2. Preoperatief aanzicht palataal

3. Occlusale weergave

4. Vervaardiging van de Exaclear siliconenmal

de voorkeur van de patiënt voor een minimaal invasieve aanpak werd de voorkeur gegeven aan een additieve behandelingsstrategie. Omdat de patiënt tevreden was met de kleur van haar tanden, werd het bleken van de tanden niet opgenomen in het behandelplan. Gezien deze factoren bestond de ideale behandeling uit het plaatsen van zeven composietveneers (tanden 15-23), waarbij gebruik werd gemaakt van de alternerende MIT.

Eerst werden de tanden professioneel gereinigd en tandsteen verwijderd. Er werd een intraorale scan gemaakt en in samenwerking met het lab werd een additieve digitale ‘wax-up’ ontworpen. Deze wax-up werd intraoraal overgebracht via een mock-up met behulp van een siliconenmal en een duaal uithardend composiet (TEMPSMART DC, GC) om het uiteindelijke resultaat, de esthetiek en de fonetiek te evalueren. In deze stap werden ook occlusale parameters geëvalueerd om de functionaliteit te testen en de haalbaarheid van het ontwerp te valideren. Nadat de patiënt het behandelplan had goedgekeurd en tevreden was met het ontwerp, werd een volledig en een alternerend digitaal design gemaakt en werden twee geprinte modellen vervaardigd op basis van deze ontwerpen voor de alternerende MIT.

5. Kleurbepaling met de button techniek

6. Kleurbepaing met polarisatiefilter

Voor de fabricage van de siliconenmallen werd in de eerste stap een 92-Shore labosilicone gebruikt om een stijve verticale stop te bieden. Vervolgens werd een uiterst transparant vinylpolysiloxaan (EXACLEAR, GC) aangebracht in een niet-geperforeerde metalen lepel om de twee transparante siliconenmallen te maken. Beide mallen hadden de juiste dikte van 7-10 mm om vervorming tijdens het plaatsen te voorkomen. Na het verwijderen van het overtollige silicone met een scalpel en het valideren van de pasvorm van mallen op de modellen, werden perforaties voor het injecteerbare composiet van binnenuit gemaakt, parallel aan de tandas, centraal op de incisale rand. Deze perforaties werden gemaakt met behulp van dezelfde metalen spuittip die zou worden gebruikt om het composiet te injecteren (afbeelding 4).

Voor de kleurbepaling werd de button techniek gebruikt en werden beelden vastgelegd met een DSLR-camera (D7200, Nikon Corporation) (afbeelding 5), en daarbij nog foto’s genomen met een polarisatiefilter (Polar_Eyes, Bio-emulatie) (afbeelding 6). Voor alle tanden werd dezelfde tint, A2, van G-ænial Universal Injectable (GC) gekozen, waarbij er dankbaar gebruik gemaakt werd van het kamele-

oneffect dat het composiet vertoont. Er werd een tweede mock-up uitgevoerd en de tanden werden door deze mock-up lichtjes geprepareerd met behulp van een boor met een diepte van 1 mm (DM10, Komet) (afbeelding 7-8). Na voltooiing van de voorbereidingen werd een tussentijdse scan uitgevoerd, die vervolgens werd gesuperponeerd op het wax-up STL-bestand om de uniformiteit van de buccale ruimte voor het composietmateriaal te verifiëren. Deze stap is cruciaal om eventuele problemen met translucentie van composieten te voorkomen (afbeelding 9).

Na de tandpreparatie werden de betrokken tanden geïsoleerd met behulp van rubberdam (NicTone Heavy, MDC) en werd een optimale gingivaretractie bereikt met floss-ligaturen (afbeelding 10-11).

Het glazuuroppervlak werd gezandstraald met 53 μm aluminiumoxide (AquaCare, Velopex) om het oppervlak op te ruwen en de hechting te verbeteren. Tanden die niet in het behandelplan waren opgenomen, werden afgeschermd met metalen strips. Elke andere tand werd gedurende 30 seconden geëtst met 37% fosforzuur, waarbij aangrenzende tanden ook werden beschermd met metalen strips (afbeelding

7. Mock-up

8. Preparatie van de tanden door de mock-up

9. Digitale verificatie van de buccale ruimte

10. Plaatsing van de rubberdam met floss-ligaturen

11. Plaatsing van de rubberdam (palataal aanzicht)

12. Om-en-om etsen van de tanden met 37% fosforzuur

13. Aanbrengen van G-Premio BOND

14. Positionering van de alternerende siliconenmal

15. Na injectie van elke andere tand

16. Positionering van de volledige siliconenmal

17. Verwijderen van overmaat met scalpel nr. 12

12). Na grondig spoelen en drogen werd G-Premio BOND (GC) aangebracht op de geëtste tanden terwijl de buurtanden afgeschermd werden met PTFE-tape. Het adhesief werd voor 5 seconden met maximale luchtdruk uitgeblazen en gedurende 10 seconden per tand uitgehard (afbeelding 13).

Hierna werd de alternerende siliconenmal geplaatst en de pasvorm gecontroleerd. De PTFE-tape die geplaatst werd vóór het aanbrengen van het adhesief bleef ter plaatse (afbeelding 14). G-ænial Universal Injectable A2 werd geïnjecteerd met telkens een tand ertussen, waarbij het hele buccale vlak werd gevuld, en gedurende 40 seconden uitgehard. Overtollig composietmateriaal werd zorgvuldig verwijderd met behulp van een scalpel nr. 12 en metalen polijststrips totdat al de overmaat was geëlimineerd, zodat er geen oneffenheden waren en de tanden de optimale contouren hadden (afbeelding 15).

Alvorens verder te gaan met de injectie van de resterende tanden, werd de totale siliconenmal geplaatst en werd de pasvorm zorgvuldig gecontroleerd. Deze stap is cruciaal om ervoor te zorgen dat al het overtollige materiaal uit eerdere stadia op de juiste manier is verwijderd, waardoor interferentie met de juiste positionering van de totale mal wordt voorkomen. Nadat de positionering was bevestigd, werd hetzelfde adhesiefprotocol gevolgd: het glazuuroppervlak gedurende 30 seconden etsen met 37% fosforzuur, G-Premio BOND aanbrengen, uitblazen en uitharden van elke tand gedurende 10 seconden. De eerder geïnjecteerde tanden werden tijdens dit proces beschermd met PTFE-tapes. Met de PTFE-tapes op hun plaats werd de totale siliconenindex gepositioneerd, werd G-ænial Universal Injectable A2 in de resterende tanden geïnjecteerd en werd het materiaal gedurende 40 seconden uitgehard (afbeelding 16). De vestibulaire vlakken werden nog eens voor 20 seconden finaal uitgehard, waarbij een glycerinegel werd aangebracht om de vorming van een zuurstofinhibitielaag te voorkomen. Het meest uitdagende aspect van deze techniek is de nauwgezette verwijdering van overtollig materiaal, wat van cruciaal belang is voor een goede randaanpassing en esthetische integratie van de restauraties. De afwerking van de restauraties, met name in de cervicale en interproximale gebieden, wordt vergemakkelijkt door gebruik te maken van een scalpel nr. 12 (afbeelding 17) en afwerkingsstrips (afbeelding 18). Deze stap moet uiterst nauwgezet gebeuren omdat overmatig afwerken met strips op de proximale oppervlakken kan leiden tot open contactpunten en mogelijke voedselimpactie. Fijne diamantboortjes

zijn zeer effectief voor het cervicaal contoureren en zorgen voor een naadloze overgang van het natuurlijk tandweefsel naar de restauratie, zonder overhangende randen (afbeelding 19).

Een articulatiepapier van 8 μm werd gebruikt om occlusale contacten te beoordelen. Er waren slechts minimale occlusale aanpassingen nodig, dankzij de nauwkeurige replicatie van de wax-up in de uiteindelijke restauraties. De nauwkeurigheid van de transparante siliconenmal zorgde ook voor een zeer natuurlijke primaire morfologie van het buccale oppervlak, waardoor weinig tot geen vormaanpassingen nodig waren. Overgangslijnen werden getekend met een potlood en kleine aanpassingen werden gemaakt met aluminiumoxide schuurschijfjes (SofLex, 3M) (afbeelding 20).

Het polijsten werd voltooid met behulp van een 3-staps composietpolijstsysteem met polijstrubbers (Jiffy, Ultradent) en diamantpasta bij een laag toerental en met lage druk om de glans te verbeteren met behoud van de oppervlaktetextuur (afbeelding 21). Deze stap is cruciaal voor alle directe restauraties, vooral in de esthetische zone, omdat het de levensduur van het resultaat garandeert. Hoogglans gepolijste composieten voorkomen de ophoping van tandplak, behouden hun glans gedurende langere perioden en zijn minder vatbaar voor verkleuring. Bij de follow-up afspraak na twee weken werd de kleurbepaling opnieuw beoordeeld nadat de harde tandweefsels volledig waren gerehydrateerd. De restauraties vertoonden een uitstekende kleurintegratie en natuurlijk overgang zonder oneffenheden naar de omringende zachte weefsels, waardoor het gezond houden van het tandvlees werd gefaciliteerd (afbeelding 22-24). De patiënt was tevreden met het resultaat, zowel qua esthetiek als qua functie. Bij de follow-up na 6 maanden werd er geen gingivitis, bloeding bij het sonderen, verlies van oppervlakteglans of verkleuring van de restauraties vastgesteld (afbeelding 25).

De alternerende MIT die in dit casusrapport wordt gepresenteerd, is een praktische en haalbare behandelingsoptie, met name voor patiënten die op zoek zijn naar esthetische verbeteringen door middel van een minimaal invasieve, additieve benadering zonder de hogere kosten van indirecte restauraties. De belangrijkste voordelen van MIT zijn de voorspelbaarheid, reproduceerbaarheid, eenvoud, minimale invasiviteit (met inbegrip van mogelijkheid tot eenvoudig te repareren indien nodig) en kosteneffectiviteit. De alternerende benadering minimaliseert vloei van composiet naar de buurtanden, waardoor grotere

Injecteerbaar composiet

Even sterk als pasta composiet Voor alle caviteitsklassen

Unieke buigbare doseertip

42% langer dan andere merken Eenvoudige extrusie

KRACHT

Superieure sterkte en slijtvastheid

Keuze uit 16 kleuren

Modelleren en contourlijnen aanbrengen terwijl u injecteert, loopt niet uit

ESTHETIEK

Onovertroffen polijstbaarheid en glansbehoud

Voor meer informatie of een demo in uw praktijk, neem contact op via: info.benelux@gc.dental

18. Verwijderen van overmaat met metalen polijststrips

19. Afwerking met fijne diamantboortjes

20. Verfijning van de transitielijnen met polijstschijfjes

21. Polijsten met diamantpasta

22. Resultaat na 2 weken (vooraanzicht)

23. Resultaat na 2 weken (zijaanzicht)

24. Resultaat na 2 weken (palataal zicht)

25. 6 maanden follow-up

interproximale aanpassingen en tijdrovende verwijdering van overtollig materiaal na polymerisatie niet meer nodig zijn. Vergeleken met traditionele directe anterieure restauraties levert deze techniek een nauwkeuriger resultaat op terwijl de tijd in de stoel aanzienlijk wordt verkort.8

Referenties

De literatuurlijst is op te vragen bij de redactie en in te zien bij het artikel online op www.dentista-magazine.nl

De auteur

Maria Fostiropoulou studeerde in 2020 cum laude af aan de Tandheelkundige School van de Nationale en Kapodistriaanse Universiteit van Athene in Griekenland. Sindsdien werkt ze in een privépraktijk in Athene. In 2022 begon ze haar postdoctorale studie Restauratieve Tandheelkunde aan de afdeling Operatieve Tandheelkunde van de Tandheelkundige School van Athene. Haar belangrijkste expertisegebieden zijn anterieure en posterieure directe en indirecte restauraties, met een bijzondere interesse in moderne restauratiematerialen, restauratietechnieken en digitale technologietoepassingen in de tandheelkunde. Ze behaalde de 2e plaats in Ivoclar’s Clinical Case Contest “Dental Progress Award 2024” en de 1e plaats in de GC Academic Excellence Contest 2024 in de Senior categorie.

Wat te doen bij een zeer pijnlijke acute necrotiserende parodontitis?

Acute parodontale aandoeningen

Acute parodontale aandoeningen ontwikkelen zich snel en kunnen het parodontium en de omliggende structuren ernstig aantasten. Ze gaan vaak gepaard met pijn, weefselafbraak en infectie, waardoor tijdige interventie essentieel is. Een van de meest ingrijpende vormen is een acute necrotiserende parodontale aandoening. Deze conditie vereist spoedzorg, aangezien het niet alleen hevige klachten veroorzaakt, maar ook kan leiden tot een snelle destructie van het parodontium en de prognose van aangedane elementen negatief beïnvloedt. Hoe herken je deze aandoening in de algemene praktijk en, belangrijker nog, hoe ga je ermee om?

Necrotiserende parodontale aandoeningen. Wat moet je weten?

Necrotiserende parodontale aandoeningen (NPA) zijn zeldzaam maar bijzonder destructief en vereisen snelle en adequate behandeling. In de classificatie van 1999 werden necrotiserende ulceratieve gingivitis en necrotiserende ulceratieve parodontitis onder dezelfde noemer geplaatst. Onderzoek suggereert dat deze aandoeningen verschillende stadia van dezelfde ziekte kunnen zijn, gezien de overeenkomsten in etiologie, klinisch beeld en behandelstrategie. De term ‘ulceratieve’ werd later geschrapt, omdat ulceratie een gevolg is van necrose. Patiënten met NPA lopen een verhoogd risico op recidieven, en in sommige gevallen kan de aandoening een chronisch karakter aannemen, met een trager verloop van weefselafbraak.

Diagnostiek: hoe stel je de juiste diagnose?

De prevalentie van NPA varieert afhankelijk van de

onderzochte populatie. In tandheelkundige klinieken wordt een prevalentie van acute necrotiserende gingivitis (ANG) van 0,5%-3,3% gerapporteerd (Herrera, Retamal-Valdes, Alonso, & Feres, 2018). De diagnose wordt gesteld op basis van klinische kenmerken. Bij ANG ziet men vaak pijn, spontane bloeding, necrose en ulceratie van de interdentale papillen, evenals halitose. Extra-oraal kunnen lymfeadenopathie en soms zelfs koorts optreden. Acute necrotiserende parodontitis (ANP) vertoont dezelfde kenmerken, maar gaat tevens gepaard met parodontaal aanhechtingsverlies en botafbraak.

Etiologie: waarom krijgt de ene patiënt het wel en de andere niet?

Welke factoren vergroten het risico op NPA? Waar moet je altijd naar vragen wanneer een patiënt met deze problematiek in je stoel zit? In alle gevallen spelen er risicofactoren een rol die de immuunrespons beïnvloeden. Denk bijvoorbeeld aan roken, overmatig alcohol gebruik, ondervoeding (tekorten aan vitamine en mineralen), stress en systemische

aandoeningen zoals HIV/AIDS, ongereguleerde diabetes mellitus, status na chemotherapie (Herrera et al., 2018). Toch blijft een NPA primair een infectieziekte, waarbij een slechte mondhygiëne, bestaande gingivitis of parodontitis en lokale plaque-retentiefactoren een cruciale rol spelen. Zeer oude studies uit 1894 en 1896 konden al een verband leggen met spirocheten en fusiforme bacteriën, wat sindsdien herhaaldelijk is bevestigd (Rowland, 1999).

Door alert te zijn op de risicofactoren en tijdig in te grijpen, kan ernstige schade aan het parodontium worden beperkt. In dit artikel wordt een casus besproken van een patiënte die naar mij werd verwezen. Je leest hoe ik haar situatie heb beoordeeld en welke stappen in heb ondernomen om de aandoening effectief te behandelen.

Casus: acute necrotiserende parodontitis bij een 31-jarige patiënte

Intake

In oktober 2023 kwam een 31-jarige vrouw voor een intake in een algemene tandartspraktijk in Amsterdam. Haar laatste gebitsreiniging en controle waren vier jaar geleden in Roemenië, haar thuisland, waar ze ook een initiële parodontale behandeling had ondergaan. Nu poetste ze tweemaal daags elektrisch en gebruikte af en toe floss.

Tijdens het onderzoek stelde de tandarts een PPS-score van 3 3 / 3 3 vast en viel een onrustig aspect van de gingiva op, met name in het bovenfront (afbeelding 1). Mevrouw had op dat moment geen

1. Intake tandarts oktober 2023

2. OPT-intake tandarts oktober 2023

3. Intake parodontoloog december 2023

4. Intake parodontoloog december 2023

klachten. De OPT (afbeelding 2) werd beoordeeld en het behandelplan was extractie van de 18, 28, 38 en 48, gevolgd door verwijzen naar een parodontoloog voor verdere parodontale diagnostiek en behandeling.

Eerste consult bij de parodontoloog In december 2023 zag ik de patiënte voor het eerst (afbeelding 3 en 4). Sinds haar laatste tandartsbezoek had ze plotseling ernstige pijn ontwikkeld. Ze kon haar gingiva nauwelijks aanraken, niet poetsen, niet eten en zelfs drinken was pijnlijk. Haar grootste wens was om zo snel mogelijk van de pijn af te komen.

Tijdens de medische anamnese gaf ze aan gezond te eten, met voldoende groenten en fruit. Wel had ze de laatste weken extreme stress en leed ze aan slaapgebrek. In haar jeugd had ze een trauma aan haar bovenfront opgelopen, waardoor de 12, 11, 21, 22 waren afgebroken en gerestaureerd. De 21 en 22 zijn toen endodontisch behandeld en waren momenteel klachtenvrij.

Klinisch onderzoek en diagnostiek

Bij het klinisch onderzoek vielen een sterke halitose geur, spontane bloeding en grote hoeveelheid plaque en tandsteen op. Opvallend waren ook de losliggende necrotiserende papillen in het bovenfront en bij de 24 en 25. De snelle progressie ten opzichte van oktober 2023 was opmerkelijk!

Bij het maken van de parodontiumstatus (afbeelding 5), bleek de patiënte gegeneraliseerd diepe tot zeer diepe pockets te hebben, met de maximale pocketdiepte van 12mm en 100% bloeding. Daarnaast waren er mobiele elementen (11, 21, 22, 24, 25) en furcatie-

problematiek bij meerdere kiezen (17, 16, 26, 27, 37, 36, 46, 47). Percussie was negatief en de koudetest was positief voor alle elementen, behalve bij de endodontisch behandelde de 21 en 22. De kroonranden in het bovenfront sloten niet optimaal aan. Het was prettig dat ik hier kon sonderen; bij veel patiënten met NPA is dit te pijnlijk en kan dit pas als je hebt

5. Parodontiumstatus intake parodontoloog december 2023

6. Röntgenstatus intake parodontoloog december 2023

7. Evaluatie 3 maanden na initiële behandeling; februari 2024

8. Evaluatie 3 maanden na initiële behandeling; februari 2024

verdoofd tijdens de initiële behandeling.

Het röntgenologische onderzoek (afbeelding 6) toonde botafbraak tot circa 60% van de radixlengte bij de 25, 26 en 27, evenals peri-apicale radiolucenties bij de 21 en 22. De distale radix van de 27 was peri-apicaal suspect.

De prognose van de 16, 21, 22, 38 en 48 was slecht wegens de hoeveelheid aanhechtingsverlies, gecombineerd met furcatieproblematiek (16), endodontische en restauratieve problematiek (21, 22) en onbereikbaarheid voor mondhygiëne (38, 48). De prognose van de 17, 11, 24, 25, 26, 27, 37, 36, 46, 47 was dubieus wegens de hoeveelheid aanhechtingsverlies.

Diagnose en behandelplan

Alle verzamelde informatie bracht mij tot de volgende diagnose:

• Een 31-jarige vrouw met acute necrotiserende parodontitis, gegeneraliseerd stadium III, graad C

• Parodontitis apicalis 21, 22

Het volgende behandelplan werd opgesteld en uitgevoerd:

1. Bloedonderzoek: HbA1c, vitaminen en mineralen (vitamine B12, C, D, ijzer, magnesium), HIV-waarden (aantal CD4-cellen), cholesterolwaarden (LDL, HDL en totaal cholesterol)

2. Advies over leefstijl en risicofactoren

3. Extractie 38 en 48 tijdens initiële behandeling

4. Initiële behandeling onder lokale anesthesie

5. Controle en nazorg na zes weken

6. Evaluatie na drie maanden

Antibiotica zou kunnen worden gebruikt als het een casus betreft met systemische problematiek, maar hoeft zeker niet standaard voorgeschreven te worden. Mocht er voor antibiotica worden gekozen, heeft metronidazol de voorkeur wegens de aanwezige anaerobe bacteriën (Gasner & Schure, 2025). In deze casus is geen antibiotica gebruikt.

Behandeling en verloop

Al tijdens de intake besprak ik al de leefstijladviezen zoals gezonde voeding, voldoende slaap, lichaamsbeweging en stressmanagement. De patiënte was gemotiveerd en startte direct met verbeteringen.

De initiële behandeling werd nog dezelfde dag gestart en uitgevoerd in twee zittingen met een week tussen beide sessies. Ik gaf haar mondhygiëne instructies, maar ook chloorhexidine spoeling 0.12% (PerioAid) voor een week aangezien zij wegens pijn niet direct kon poetsen. Na drie dagen startte ze het geadviseerde mondhygiëne protocol, tweemaal daags elektrisch poetsen en eenmaal daags ragers. Bij de tweede behandeling bracht ze de resultaten van haar bloedonderzoek mee, welke geen afwijkingen vertoonden. De huisarts was overigens enorm blij met onze holistische benadering, dit was mooi om te

zien. De belangrijkste etiologische factoren in deze casus waren dus slechte mondhygiëne, aanwezige parodontitis, plaque-retentiefactoren slaapgebrek en stress. Vanaf de tweede zitting was de mondhygiëne perfect; ze had constant een plaque-index <5%. Erg knap in deze dentitie met verschillende niveaus van gingivahoogte!

Tijdens de 6-weekse nazorg was er aanzienlijke verbetering: de 38 was geëxtraheerd, de pijn was verdwenen, de pockets waren gegeneraliseerd sterk aan het reduceren en er was vrijwel nergens meer bloeding na sonderen. De patiënte had haar slaapritme hersteld en haar stressniveau was gedaald. Wegens haar werk hebben we besloten de extractie van de 48 uit te stellen.

De evaluatie na drie maanden

In februari 2024 werd de evaluatie gedaan (afbeelding 7 en 8). De bloedingsindex was gedaald naar 22%, maar de plaque-index was gestegen naar 25% door verminderde interdentale reiniging tijdens de laatste week. Restpockets (>5mm) waren aanwezig bij de 26, 27 en 48. Zwelling en roodheid waren roodheid en recessies waren ontstaan.

De patiënte uitte een wens om het bovenfront esthetisch te verfraaien, met name de black triangles en kroonranden. Aangezien de parodontale situatie nog niet stabiel genoeg was, besloten we samen dit uit te stellen. Het behandelplan bestond uit:

1. Extractie van de 48

2. Parodontale nazorg elke drie maanden, met focus op de zelfzorg en her-instrumentatie van diepe pockets

3. Herbeoordeling na 1 jaar

Herbeoordeling na 15 maanden

De 48 was ondertussen geëxtraheerd. Helaas ontstond er een parodontaal abces aan de 27 en was er sprake van terminaal aanhechtingsverlies, waardoor ook dit element geëxtraheerd was. De herbeoordeling werd gedaan in februari 2025, 15 maanden na de initiële behandeling. Mevrouw was ontzettend gemotiveerd bezig met haar mondhygiëne. De bloedingsindex was gedaald naar 17% en de plaque-index naar 10%. De parodontale situatie zag er stabiel uit; de ‘eindpunten’ van parodontale behandeling waren bereikt (afbeelding 9) (Sanz et al., 2020), behalve bij de 26MP waar nog één bloedende pocket van 5mm aanwezig was. Deze zal goed in de gaten worden gehouden tijdens de nazorg. De gingiva had een gezonde roze kleur en lag strak rond de elementen. Typisch voor de behandeling van ANP is het verlies van

9. Herbeoordeling parodontiumstatus 15 maanden na initiële behandeling; februari 2025

10. Herbeoordeling frontale foto 15 maanden na initiële behandeling; februari 2025

11. Herbeoordeling laterale foto 15 maanden na initiële behandeling; februari 2025

12. Lachende foto 15 maanden na initiële behandeling; februari 2025

de papillen, wat hier in deze casus duidelijk zichtbaar is (afbeelding 10-12).

Restauratief behandelplan en overwegingen

Ondanks de verbeterde parodontale gezondheid bleef de wens bestaan om het bovenfront esthetisch te verbeteren. Nu de situatie gezond was, kon dit gebeuren. Ik verwees de patiënte naar collega Dr. P. de Kok (restauratief tandarts NVvRT) en J.H.P. Cossé (implantoloog NvOI) bij de Kliniek voor Parodontologie Amsterdam (KvPA). Het voorgestelde plan bestond uit:

1. Parodontale nazorg iedere drie maanden en herbeoordeling over 1 jaar

2. Extractie 21 en 22 en vervaardiging van een partiële prothese

3. Botopbouw vanuit de kin of het retromolaargebied

4. Plaatsen van implantaten 21 en 22

5. Eventuele chirurgische kroonverlenging 11 en 12 (afhankelijk van het uiteindelijke gingiva niveau)

6. Vervaardiging van kronen op implantaten 21 en 22, en vervangen van bestaande indirecte restauraties op de 11 en 12

Orthodontie is overwogen, maar hier zag de patiënte uiteindelijk vanaf wegens tijd en geld. De keuze voor extracties werd gemaakt vanwege de endodontische en parodontale problematiek van de 21 en 22. Deze elementen zijn verzwakt wegens de grote stiften en het parodontale aanhechtingsverlies. Een andere reden is het feit dat er in deze casus met geen andere

mogelijkheid een harmonieuze gingiva contour kan worden gecreëerd. Enkel kroonverlenging van de 12 en 11 was geen optie, aangezien de elementen anders te lang zouden worden en incisaal kan niet worden ingekort wegens een dan niet kloppende curve. Over een brug na opbouw van bot en zachte weefsels zou nog kunnen worden nagedacht. Echter, het beslijpen van de gave 23 had niet onze voorkeur.

Dankwoord

Graag wil ik de patiënte bedanken voor haar inzet en vertrouwen gedurende deze behandeling. Ook dank aan mijn collega’s Paul de Kok en Johan Cossé van de KvPA voor hun expertise en samenwerking. Het restauratieve plan wordt binnenkort gestart en in kijk uit naar het eindresultaat!

De auteur

Drs. Nina Nijland, parodontoloog NVvP

Referenties

De literatuurlijst is op te vragen bij de redactie en in te zien bij het artikel online op www.dentistamagazine.nl

Natuurlijk & effectief

99,2% natuurlijke ingrediënten.

Fluoridehoudend voor optimale bescherming.

Vrij van microplastics, SLS, triclosan & titaniumdioxide.

Duurzaam & innovatief

SureSmile raises the bar in clear aligner therapy

Stel je een aligner-partner voor die met jou meegroeit. Van simulator tot retainer, onze workflow integreert met de meeste scanners en levert in 3 van de 4 SureSmile

Aligner-behandelingen resultaten zonder refinements.¹ ²

Met betrouwbare locale ondersteuning kun jij je richten op wat echt telt: het creëren van stralende glimlachen. SureSmile zal dé oplossing zijn waar je naar uitkijkt.

Love at first smile.

Scan de QR code voor meer informatie

1 De SureSmile Simulator v ereist een DS Core betaald abonnement en Primescan-gebruik .

2 Gebaseerd op een interne analyse v an meer dan 200.000 wereldwij de SureSmile®-aligner cases gestart en v oltooid tussen j an 2021 - j uni 2024.

Turn static files into dynamic content formats.

Create a flipbook
Issuu converts static files into: digital portfolios, online yearbooks, online catalogs, digital photo albums and more. Sign up and create your flipbook.