

Bewustwording en aanpak van een
onder dentale professionals droge mond
De Zweedse mondhygiëniste en promovenda Amela Fisic publiceerde onlangs haar eerste onderzoek. Een interessant stuk voor alle leden van het dentale team. Dit onderzoek, op basis van een vragenlijst, geeft veel nuttige informatie over de kennis onder tandartsen en mondhygiënisten over speekselfuncties, oorzaken en complicaties van een droge mond en de behandeling van patiënten met een droge mond.
Onderzoeksopzet en deelnemers
Een online enquête, bestaande uit 32 vragen, werd verstuurd naar 2668 tandartsen en mondhygiënisten. Deze professionals zijn werkzaam in algemene praktijken in de openbare tandheelkundige zorg in vijf verschillende provincies in Zweden. De respons bestond uit 18,6%, er vulden 241 tandartsen en 257 mondhygiënisten de enquête in.
Van de respondenten was 83,3% vrouw en de gemiddelde leeftijd lag op 42 jaar. Ongeveer de helft van de deelnemers had minder dan tien jaar werkervaring, terwijl de rest ongeveer meer dan tien jaar werkervaring had.
Er werden onder andere vragen gesteld over demografische gegevens, de inhoud van de opleiding, de aanpak in de klinische praktijk voor de behandeling van mensen met een droge mond en het bewustzijn van de functies van speeksel. Als laatste werden de deelnemers gevraagd naar hun wensen voor verdere bij -en nascholing over droge mond en mondgezondheid.
Vaststellen van een droge mond
Ongeveer 1 op de 5* mensen heeft last van een droge mond. Toch antwoordde 42,5% van de deelnemers dat zij één keer per week of minder patiënten in de stoel tegenkomen met een droge mond. Betekent dit echt dat ze toevallig weinig patiënten met een droge mond treffen, of moeten deze tandartsen beter met hun patiënten communiceren en vragen stellen over een droge mond?
61,1% van de ondervraagde mondhygiënisten zeggen meerdere keren per week of vaker patiënten te zien met een droge mond. Voor de ondervraagde tandartsen ligt dit cijfer lager, namelijk op 48,5%.
Mondhygiënisten stellen ook significant meer vragen over een droge mond aan verschillende leeftijdsgroepen (18-23, 24-40 en 41-65 jaar) dan tandartsen. Recente onderzoeken hebben aangetoond dat xerostomie niet alleen een probleem is bij oudere volwassenen, maar juist ook vaak voorkomt bij andere leeftijdsgroepen.
heeft last van een droge mond* op1 5
Meten van speekselsecretie en het bepalen van het recalltermijn
70,3% van de deelnemers heeft de speekselsecretie van patiënten gemeten. Binnen deze groep voerden significant meer mondhygiënisten dan tandartsen de meting uit (88,3% vergeleken met 51%).
Een hoger percentage mondhygiënisten (42,5%) dan tandartsen (30,5%) suggereerde dat patiënten met een droge mond drie tot vier keer per jaar preventieve zorg zouden moeten krijgen.
Het meest voorkomende recall interval was twee keer per jaar (49,7 %), daarna drie keer per jaar (19,7 %).
Het geven van informatie en advies
Gelukkig gaf 98,4% aan dat patiënten altijd of vaak mondeling geïnformeerd worden over een droge mond. Meer dan de helft van de tandartsen deelt informatiebladen uit met producten die zij aanbevelen.
De drie meest voorkomende aanbevelingen:
•Speekselstimulerende producten
•Een goede mondhygiëne
•Extra fluoride
Andere aanbevelingen waren een dieet dat kauwen stimuleert en het insmeren van de weefsels met olie.
Bewustwording
Op één na waren alle tandartsen ervan op de hoogte dat een droge mond het risico op cariës verhoogt. De respondenten zijn ook goed op de hoogte van andere complicaties, zoals spraakproblemen, de invloed op de algemene gezondheid en het effect op de kwaliteit van leven en welzijn. Minder mensen wisten dat een droge mond kan leiden tot voedingsproblemen, eventueel mogelijk leidend tot voedingsgebrek.
zegt dat een droge mond het moeilijker maakt om te spreken*
Reactie van de auteur
Zelf vroeg ik Amela Fisic naar haar belangrijkste en meest verrassende bevinding van het onderzoek en dit is wat ze antwoordde:

Wat ik heb geleerd uit dit onderzoek is dat tandheelkundige professionals alle volwassen patiënten zouden moeten vragen naar een droge mond, niet alleen de oudere volwassenen. Het onderzoek toont ook aan dat ervaring van belang is, aangezien tandartsen met meer dan tien jaar ervaring vaker de speekselsecretie hadden gemeten, meer preventieve zorg hadden aanbevolen en meer kennis hadden over factoren die samenhangen met een droge mond.
Lina Kanters
Registered Dental Hygienist, Educator Odontology TePe Oral Hygiene Products

”De belangrijkste bevinding is dat er bij jongere leeftijdsgroepen minder vaak naar een droge mond wordt gevraagd dan bij ouderen.”
”In eerste instantie waren we verbaasd over de rol die mondhygiënisten spelen bij de behandeling van een droge mond. Nadat hierover was nagedacht, realiseerden we ons dat het niet verrassend is, omdat mondhygiënisten de meeste tandheelkundige controles uitvoeren in de algemene tandheelkunde in Zweden ”
* Belangrijkste bevindingen binnen de groep die zegt dat een droge mond hun dagelijks leven beïnvloedt (13%). TePe – Droge mond in het Verenigd Koninkrijk, web panelonderzoek met 1000 respondenten, Transvector, April 2023.
Spreker
Derk Jan Jager
DMD, PhD, Mpros RCSed Tandarts-MFP Afdeling Kaakchirurgie & Mondpathologie Amsterdam UMC, Stichting Bijzondere Tandheelkunde en het speekselspreekuur bij ACTA




Nieuw in 2025
TePe clinical event
Xerostomie
Herkennen en adviseren
Droge mond klachten; een groeiend probleem waarbij de oplossing soms lastig te vinden is. Hoe helpen we patiënten met deze klachten en welke adviezen kan je als professional geven?
Kom dan naar ons clinical event waar expert Derk Jan Jager je meeneemt in de wereld van xerostomie, waar je alles leert over het herkennen & onderzoeken van én adviseren bij een droge mond.
Waarom je dit niet wilt missen!
Klinische nascholing met de expert op dit gebied
De nieuwste wetenschappelijke inzichten en behandelstrategieën Netwerken en kennis delen met collega’s
Elke deelnemer ontvangt een rijkgevulde TePe-goodiebag
Aanmelden? Scan de QR-code!
Tijdstip: 18.00 - 21.30 uur
Entree: € 89,-
Direct uit je werk? Geniet van heerlijke hapjes en drankjes tijdens deze bijzondere avond!





Datum en locatie
Woensdag 5 november 2025
Apeldoorn - Theater
Orpheus

VOORWOORD
40 jaar samenwerking
De Kliniek voor Parodontologie Amsterdam (KvPA) viert dit jaar haar 40-jarig bestaan. Wat in 1985 begon met twee behandelkamers aan de Boelelaan is uitgegroeid tot een toonaangevende verwijskliniek, waar vrijwel alle tandheelkundige disciplines samenkomen. In een terugblik met oprichters Edwin Winkel en Frank Abbas nemen we je mee naar de beginjaren, terwijl andere artikelen juist laten zien hoe sterk de praktijk vandaag de dag staat.
Centraal in dit jubileumnummer staat de kracht van samenwerking. Want bij de KvPA werken specialisten niet naast elkaar, maar écht met elkaar. Dat levert inspirerende voorbeelden op: van een prothetisch gedreven behandelplan bij parodontitis tot de complexe afwegingen bij implantologie, orthodontie en endodontologie. Inzichten van onder meer Guido Rhemrev, Paul de Kok, Aria Nikoozad, Johan Cossé en Marga Ree laten zien hoe interdisciplinair denken en handelen leidt tot duurzame en voorspelbare resultaten.
Ook buiten de KvPA valt er in dit nummer veel te ontdekken. Zo besteden we aandacht aan acute parodontale aandoeningen, de rol van ademhaling, het belang van gastvrijheid in de praktijk, gezond en ergonomisch werken, omgaan met probleemgedrag en het herkennen van mondafwijkingen. Onderwerpen die iedere tandheelkundige professional raken.
PS: Zoals het een jubileum betaamt, blijft het niet alleen bij terugblikken en artikelen. De KvPA viert haar 40-jarig bestaan op vrijdag 14 november in de Westerliefde in Amsterdam, met een symposium vol inhoud, ontmoeting en feestelijkheid. Een middag waarin kennis, inspiratie en beleving samenkomen. Tandartsen, mondhygiënisten en andere mondzorgprofessionals zijn van harte welkom.
Veel leesplezier!
Lies en Ilko.
Colofon
Dentista is een uitgave van Dentista Media en verschijnt 4 keer per jaar
Redactie
Ilko Alink, Lies Ligtvoet
Redactie(adres) Dentista Media
Koggeschip 212, 7429 BG Colmschate
Ilko Alink, ilko@dentista-magazine.nl
Digitaal aanwezig www.dentista-magazine.nl Instagram: @dentistamagazine
Aan dit nummer werkten mee
Aria Nikoozad, Edwin Winkel, Frank Abbas, Guido Rhemrev, Johan Cossé, Marga Ree, Paul de Kok, Josta Walravens, Esther Waagemans, Laura Doorenbosch, Nina Nijland, Matthijs Luitjes, Moaad Alami, Pauline Sterenborg, Gracita Linger, Nurcan Yilmaz, Celina Klappers, Marloes Rust, Siham Feriani.
Grafisch Design
Degen en Leideritz BNo
Vormgeving
LDB Production, Levin den Boer
Fotografie
Lars van den Brink
Abonneren
Dentista wordt in gecontroleerde verspreiding toegezonden aan tandartsen mondhygiënistenpraktijken in Nederland. Ben je werkzaam binnen de tandheelkunde en wil je Dentista ontvangen, stuur dan een e-mail naar: info@dentista-magazine.nl
Adreswijzigingen
Per e-mail: info@dentista-magazine.nl. Vermeld zowel je oude als nieuwe adres.
Marketing
Ilko Alink, ilko@dentista-magazine.nl
Adverteren
Concetta Scibona, concetta@dentista-magazine.nl +31 6 281 829 62
Druk Wilco, Amersfoort
©2013-2025 Dentista Media. Niets in deze uitgave mag worden overgenomen, vermenigvuldigd of gereproduceerd zonder schriftelijke toestemming van Dentista Media of andere auteursrechthebbenden. Dentista Media kan geen aansprakelijkheid aanvaarden voor de juistheid en volledigheid van alle in deze uitgave opgenomen teksten en beelden.


De kracht van interdisciplinaire samenwerking en visie Aria Nikoozad


Het torque-gevaar: biologische grenzen in de orthodontie
Guido Rhemrev


Tandheelkundige implantologie door de jaren heen
Johan Cossé

40 jaar KvPA
Edwin Winkel en Frank Abbas



Wisselwerking tussen
en parodontium
Marga Ree
VISIE – Een
Paul
Acute parodontale aandoeningen
De kunst van het interdisciplinair werken
Guido Rhemrev en Paul de Kok

Een verticaal door en door defect in het bovenfront Johan Cossé
De kracht van interdisciplinaire samenwerking en visie
In de moderne tandheelkunde is interdisciplinaire samenwerking essentieel, vooral bij complexe tandheelkundige behandelingen. De visie op het gewenste eindresultaat bepaalt hierbij de koers van het behandelplan, waarbij de restauratief behandelaar de regierol vervult. Aan de hand van een casus met parodontitis laat dit artikel zien hoe een prothetisch gedreven aanpak kan leiden tot een voorspelbaar, duurzaam en esthetisch eindresultaat.
Binnen de hedendaagse tandheelkunde is interdisciplinaire samenwerking niet langer een luxe, maar een noodzaak. Patiënten die zich presenteren met vergevorderde parodontale aandoeningen én restauratieve wensen, vereisen een zorgvuldig afgestemde aanpak tussen verschillende disciplines. De bekende uitspraak “Bone sets the tone, but tissue is the issue” (Garber, Tarnow) benadrukt het delicate samenspel tussen harde en zachte weefsels. In de afgelopen jaren is hier een nieuwe dimensie aan toegevoegd: “Pros is the boss.” Een uitspraak die de toegenomen regisserende rol van de prosthodontist, de restauratief behandelaar, onderstreept binnen de behandelplanning. Immers, alle chirurgische en parodontale stappen worden uiteindelijk gestuurd door het gewenste eindresultaat: functie, esthetiek en duurzaamheid.
De betekenis hiervan is fundamenteel. Waar vroeger vaak werd gedacht in afzonderlijke stappen, eerst botopbouw, dan implanteren, vervolgens restauratie, is er nu sprake van integrale planning, waarbij de prothetische uitkomst het uitgangspunt vormt. In interdisciplinaire teams is het daarom steeds vaker de restauratief behandelaar die de lijnen uitzet. Niet
als hiërarchisch leider, maar als inhoudelijke coördinator. Want zonder duidelijke visie op het eindresultaat, ontbreekt de samenhang. En zonder samenhang, geen voorspelbaarheid in uitkomst.
De evolutie van “Bone sets the tone” naar “Tissue is the issue” en uiteindelijk naar “Pros is the boss” weerspiegelt een volwassenwording van ons vakgebied: van technisch gestuurd naar visiegestuurd, van reactief naar proactief plannen.
Dit artikel presenteert de behandeling van een patiënt met uitgebreide parodontale en dentale problematiek en illustreert hoe een duidelijke, op het eindresultaat gerichte visie, gedragen door het gehele behandelteam, kan leiden tot een optimaal behandelresultaat.
Casus
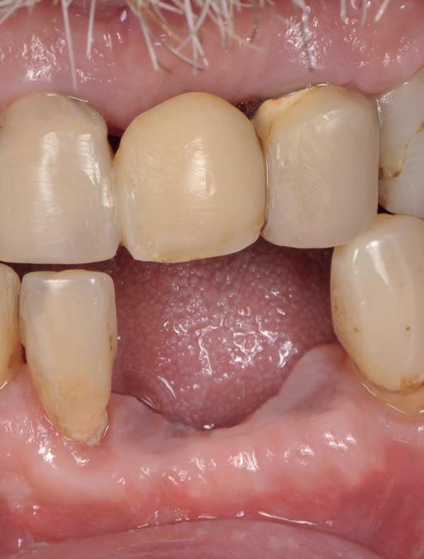
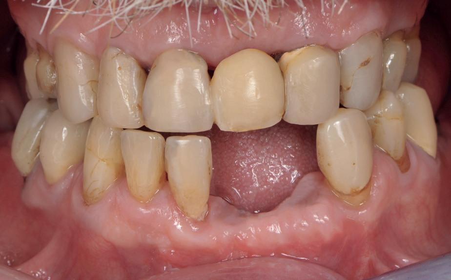
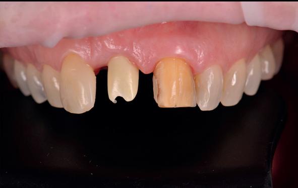
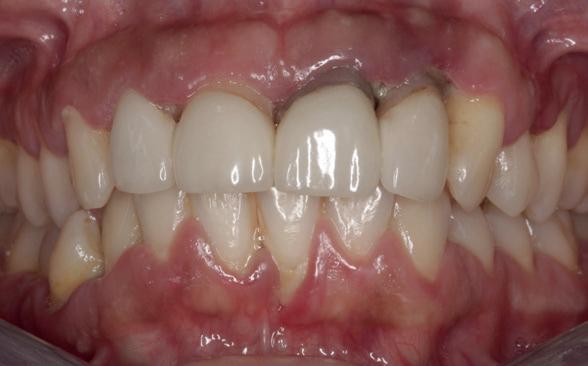
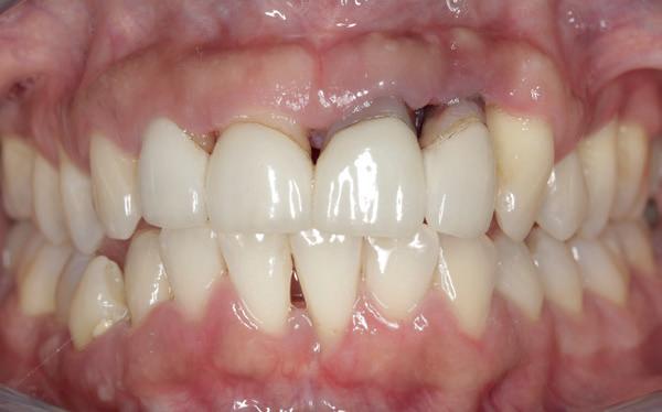
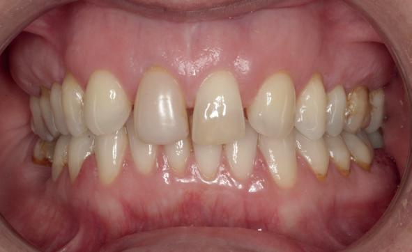
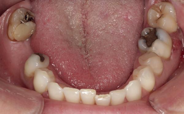
De patiënt, een 70-jarige man, had in het verleden tandheelkundige zorg ontvangen die zich kenmerkte door een ad hoc benadering. Er was geen sprake van een overkoepelend behandelplan of lange termijnvisie. De patiënt had naar eigen zeggen jarenlang niets

1. Studiofoto intake

2. The Three Basic Steps Bron: van Winkelhoff AJ, Winkel EG. The role of systemic antibiotics in aggressive forms of periodontitis. Curr Opin Periodontal 1997: 4: 35-40
aan zijn gebit gedaan behalve pappen en nathouden. Tandheelkundige zorg werd enkel verleend wanneer er zich een probleem voordeed (afbeelding 1, 3, 5).
In het algemeen is dit soort problematiek niet altijd te herleiden naar de behandelende tandarts, maar kan meerdere oorzaken hebben. Gebrek aan bewustzijn over het belang van structurele mondzorg speelt een grote rol, net als angst voor de tandarts of financiële beperkingen. Ook psychosociale factoren, zoals overbelasting in de privésfeer of psychische klachten, kunnen ertoe leiden dat tandheelkundige zorg jarenlang uitgesteld of beperkt blijft tot noodmaatregelen. Daarnaast blijkt dat bij sommige patienten het vertrouwen in de zorg ontbreekt, of dat er onvoldoende langetermijnvisie met hen is gedeeld.
Deze combinatie van factoren leidt ertoe dat schade zich opstapelt, waardoor uiteindelijk ingrijpendere en complexere behandelingen nodig zijn.
De patiënt wenste een duurzaam en esthetisch herstel van het gebit, bij voorkeur zonder orthognatische chirurgie of orthodontie.
The Three Basic Steps
De aanpak startte bij de basis: parodontale stabiliteit. Em. Prof. Dr. Edwin Winkel, medeoprichter van de KvPA, beschreef de “Three Basic Steps” in de parodontologie. Deze indeling vormde een bruikbaar kader bij het behandelen van patiënten met parodontitis (afbeelding 2).
De eerste stap was grondige diagnostiek om de aard en ernst van de aandoening vast te stellen. Daarna volgde infectiecontrole, gericht op het elimine-
ren van etiologische factoren. In de derde stap werd overgegaan tot restaureren.
Diagnostische fase en infectiecontrole
De patiënt werd in de eerste fase gezien door de parodontoloog, implantoloog en restauratief behandelaar. Klinisch werden drie complicerende factoren vastgesteld: inadequate mondhygiëne, een ongunstige occlusale relatie en restauraties met gebrekkige marginale adaptatie met overhang. De patiënt werd opgenomen in het parodontale behandelprotocol.
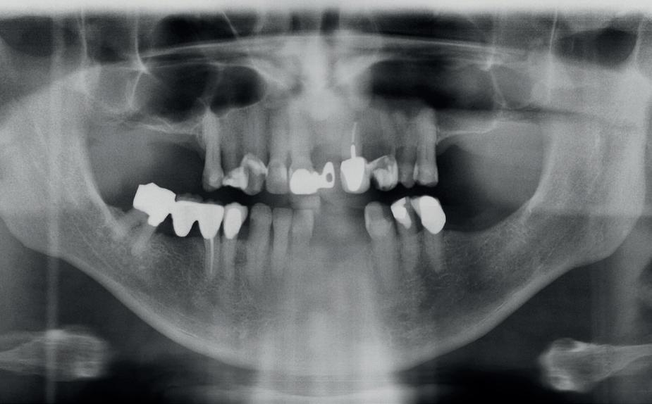
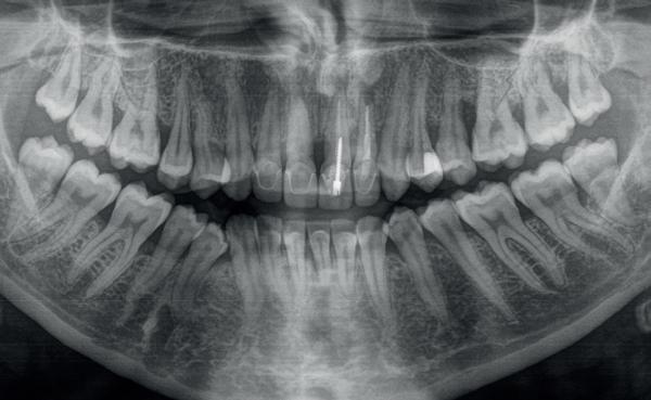
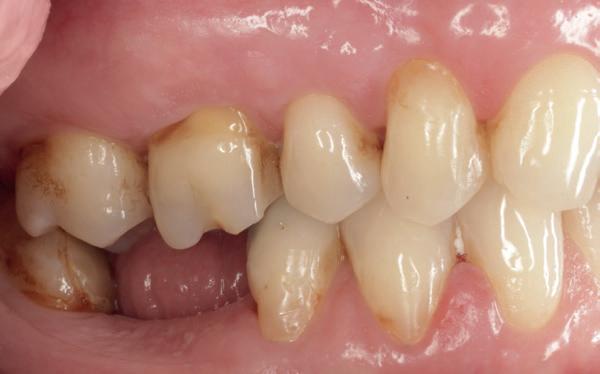
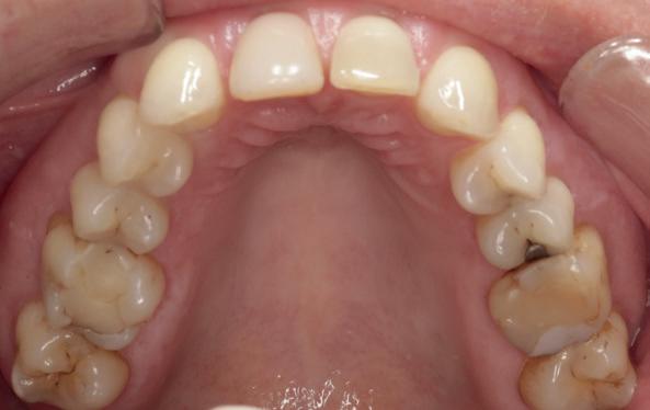
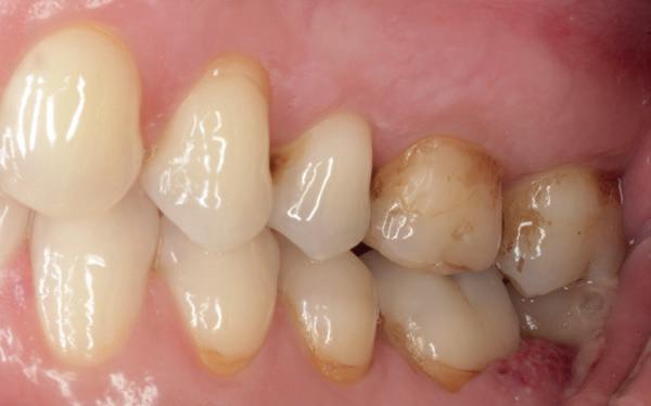
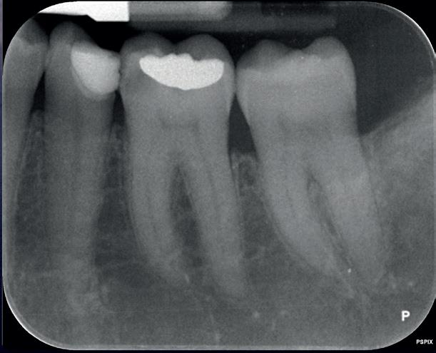
De diagnose luidde lokaal parodontitis met ernstige furcatie aandoeningen; Stadium IV (vergevorderd); graad C (snel progressief) (afbeelding 7) De elementen die niet te behouden waren, werden geëxtraheerd.
Tijdelijke voorzieningen werden getroffen in de vorm van een etsbrug in de bovenkaak en een uitneembare voorziening voor de onderkaak.
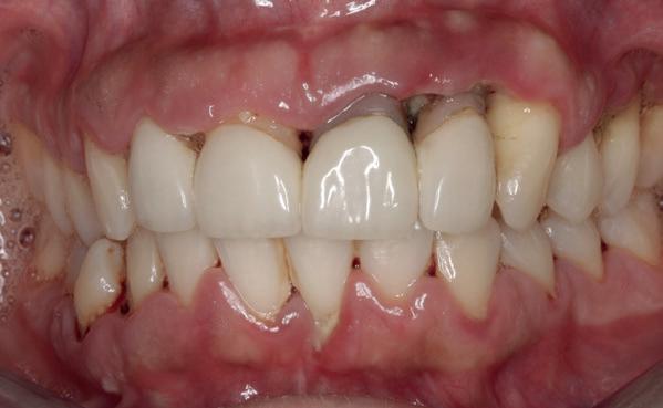
Na afronding van de eerste twee behandelstappen werd parodontale stabiliteit bereikt, zoals waarneembaar op de parodontiumstatus en (röntgen)foto’s (afbeelding 6, 8). De patiënt toonde aantoonbare verbetering in mondhygiëne (afbeelding 4) en bleef gemotiveerd om de behandeling voort te zetten.
Restauratieve fase
Planning en voorbereiding
Na parodontale stabiliteit werd de derde behan-



delstap geïnitieerd. De beet werd geregistreerd in centrale relatie en er werden zowel intra- als extraorale (studio)opnamen vervaardigd. Klinisch werd een end-to-end beet in combinatie met een kruisbeet vastgesteld. Voor het realiseren van een duurzame restauratieve rehabilitatie werd uitgegaan van een functioneel gebalanceerde occlusie, gebaseerd op het mutual protection concept: in centrale occlusie zorgen de molaren en premolaren voor verticale stabiliteit en dragen zij de kauwkrachten. Tijdens dynamische bewegingen, zoals protrusie en laterotrusie, nemen de voortanden de geleiding over en worden de posterieure elementen ontlast. Dit principe, waarbij posterior de beet draagt en an-



terior de bewegingen stuurt, voorkomt overbelasting van het parodontium en draagt bij aan de duurzaamheid van de restauraties. In deze casus was het herstellen van dit functionele evenwicht essentieel om zowel esthetiek als kauwfunctie voorspelbaar te herstellen. In samenwerking met het tandtechnisch laboratorium werd bestudeerd of de bestaande malocclusie prothetisch kon worden gecorrigeerd, zonder orthodontie of orthognatische chirurgie. Dit bleek goed mogelijk te zijn.
Uitvoering restauratieve fase
In het onderfront werd autoloog bot geoogst uit de kin regio ten behoeve van augmentatie (afbeelding
3. Lichtfoto intake
4. Lichtfoto na infectie controle
5. OPT intake
6. OPT na infectie controle
7. Parodontium status intake
8. Parodontiumstatus na infectie
controle
9. Botopbouw onderfront
10. OPT-implantaten






9). In de bovenkaak werd bilateraal een sinuslift uitgevoerd. Aansluitend werden in beide kaakhelften implantaten geplaatst (afbeelding 10).
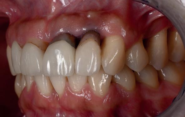
Ter beoordeling van het gewenste eindresultaat, werd een additieve wax-up vervaardigd. Deze werd met behulp van een siliconenmal en chemisch-hardende kunsthars omgezet in een intra-orale mockup (afbeelding 11). Ondanks de grove aard van deze voorlopige vormgeving bood deze voldoende diagnostische waarde om esthetiek en functie te beoordelen. Tevens faciliteerde de mock-up gedeelde besluitvorming tussen behandelaar en patiënt. Op basis van intra- en extraorale opnamen en een mondscan van de mock-up werd het ontwerp in overleg met het tandtechnisch laboratorium verder geoptimaliseerd (afbeelding 12).
Op basis van de digitale opstelling werd gestart met de restauratieve behandeling in de bovenkaak. Na
11. Mockup bovenkaak
12. Studiofoto met digitale analyse
13. Techniekmodel

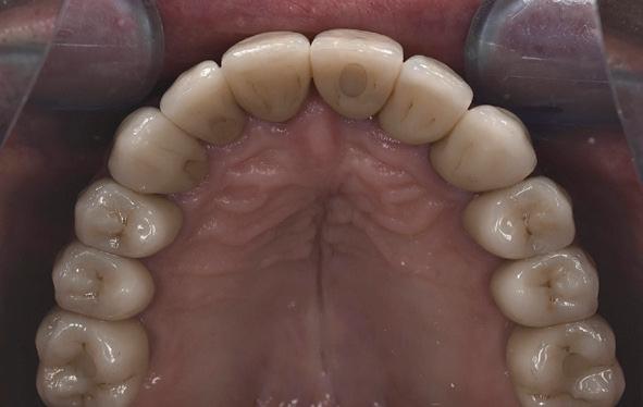
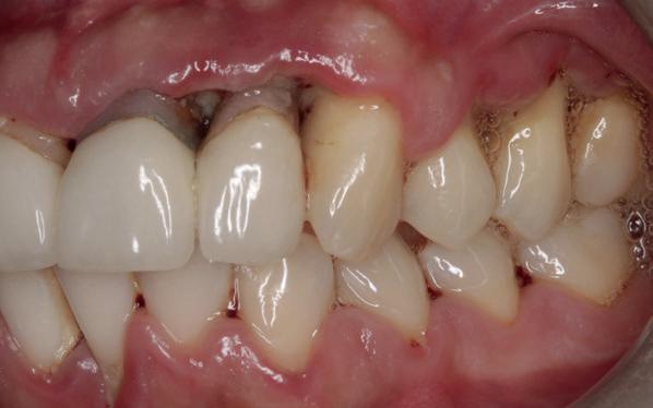
plaatsing van de restauraties werden zowel de tandboog als de tandstand in de bovenkaak gecorrigeerd (afbeelding 13-15).
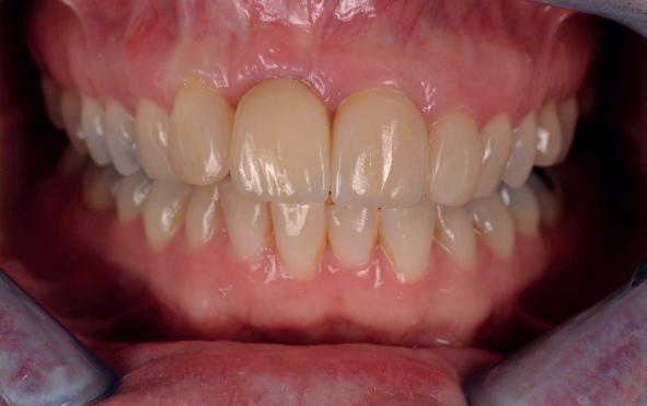
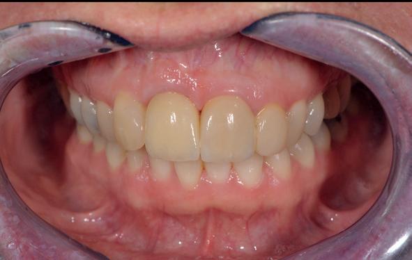
Aansluitend werd de onderkaak volgens hetzelfde principe gerehabiliteerd, resulterend in een stabiele, functionele en esthetisch gebalanceerde occlusie (afbeelding 16-17).
Reflectie: samenwerking als sleutel
Deze casus benadrukt de rol van heldere communicatie en frequente evaluatie binnen interdisciplinaire samenwerking. In de eerste fase werd gezamenlijk besloten welke elementen te behouden waren en waar implantaten noodzakelijk waren voor een opti-
14. Techniekmodel met restauraties
15. Intra-oraal bovenkaak met restauraties


Verbreed, verdiep of specialiseer je verder als tandarts!
Blijf niet stilstaan, maar groei door in jouw vak als tandarts!
Als algemeen practicus beheers je de basis, maar er is zóveel meer... Wil je je verdiepen in esthetische tandheelkunde, implantologie of kindertandheelkunde? Of ben je op zoek naar praktische cursussen zoals composietrestauraties die je direct toe kunt passen in de praktijk?
Wij bieden een breed en gevarieerd aanbod aan leergangen, opleidingen en cursussen die jou helpen om je verder te verdiepen, verbreden of specialiseren. Zoals bijvoorbeeld:
Opleiding Groei in de praktijk NIEUW
Masterclass Vaste prothetiek op implantaten NIEUW
Cursus Piezo chirurgie NIEUW
Leergang Digitale tandheelkunde
Cursus De essentiële orthodontie
Cursus Antistolling en tandheelkunde
Leergang Uitgebreid gebitsherstel
Cursus Pijnstilling, diabetes en bisfosfonaten
Cursus Botaugmentatie & soft tissue management
Cursus Eerste hulp bij dentaal trauma
Leergang Endodontologie
Cursus Injectietechniek met composiet
Maar er is veel meer...



male prothetische uitkomst. Tijdens de restauratieve fase speelde de restauratief behandelaar een actieve, dirigerende rol door continu het ontwerp bij te sturen in nauwe samenwerking met het tandtechnisch laboratorium. Door regelmatige evaluatiemomenten, zoals na vervaardiging van de mock-up, werd de prothetische planning verfijnd. Tevens vond er intensieve gedeelde besluitvorming plaats tussen restauratief behandelaar en patiënt, waardoor individuele wensen optimaal werden geïntegreerd in het definitieve behandelresultaat.
De behandeling illustreert het belang van het benaderen van complexe tandheelkundige problematiek vanuit een gedeelde, interdisciplinaire visie. De visie op wat functioneel én esthetisch haalbaar en wenselijk is voor de individuele patiënt stuurt het behandelplan.
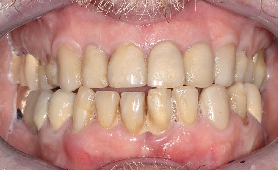
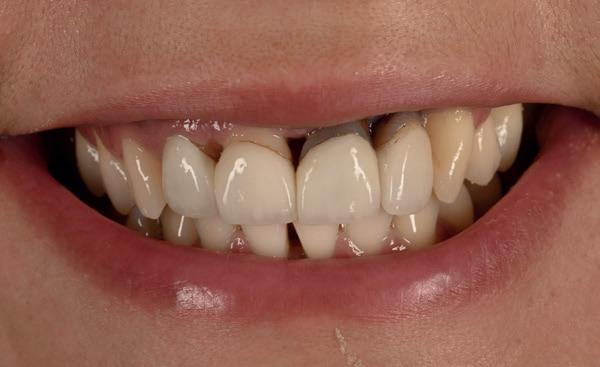
Ook de rol van de patiënt is hierin van doorslaggevend belang. In dit geval toonde de patiënt een hoge mate van motivatie en betrokkenheid. Hij verbeterde zijn mondhygiëne aanzienlijk en bleef gedurende het gehele behandeltraject therapietrouw en besluitvaardig. Zonder deze actieve medewerking was het bereikte resultaat niet mogelijk geweest. Het eindresultaat leidde tot merkbare tevredenheid bij de patiënt, die na afronding van de behandeling aangaf zich zichtbaar en voelbaar tien jaar jonger
te voelen (afbeelding 18) Een uitspraak die treffend weerspiegelt wat bereikt kan worden wanneer visie, interdisciplinaire samenwerking en patiëntbetrokkenheid samenkomen.

De auteur
Aria Nikoozad werkt 10 jaar bij de Kliniek voor Parodontologie Amsterdam, waar hij ruime ervaring heeft met het werken in een interdisciplinair team. Hij richt zich voornamelijk op complexe restauratieve behandelingen. Zijn academische loopbaan begon aan de TU Delft, waar hij de opleiding Elektrotechniek volgde. Aansluitend studeerde hij Tandheelkunde aan het Academisch Centrum Tandheelkunde Amsterdam (ACTA), waar hij in 2014 afstudeerde. Op Instagram is hij actief onder de naam: @aria_nikoozad.
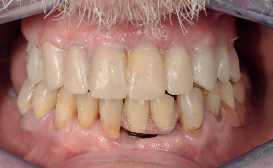
16. Intra-oraal eindfoto
17. OPT na afbehandeling
18. Studiofoto na afbehandeling
INTERVIEW
Een terugblik met
Edwin Winkel en Frank Abbas Veertig jaar KvPA
De Kliniek voor Parodontologie Amsterdam (KvPA) viert dit jaar haar 40-jarig bestaan. Wat begon met twee behandelkamers aan de Boelelaan, groeide uit tot een verwijskliniek waar patiënten terechtkunnen voor onder andere parodontologie, implantologie, orthodontie, kaakchirurgie, endodontologie, gnathologie en prothetiek. De KvPA heeft daarmee een bijzondere plek ingenomen binnen de Nederlandse tandheelkunde. Ter gelegenheid van dit jubileum spraken we met Edwin Winkel en Frank Abbas, twee van de oprichters. In een inspirerend gesprek blikken zij terug op de beginjaren van de KvPA, de keuzes die ze maakten en hoe de praktijk zich door de jaren heen ontwikkelde.
Het begin van de KvPA
Frank en Edwin leerden elkaar kennen tijdens hun studie Tandheelkunde in Groningen en besloten allebei de kant van de parodontologie op te gaan. “Ik vond dat in de algemene opleiding parodontologie te weinig aan bod kwam”, vertelt Frank. “Destijds zat er nog maar één jaar een hoogleraar Parodontologie aan de Rijksuniversiteit Groningen. Daarom ben ik voor een jaar naar Amsterdam gegaan om mij daar te verdiepen in het vakgebied, met het idee om daarna weer terug te gaan naar het noorden.” Dat ‘ene jaar’ werd uiteindelijk 25 jaar. Edwin: “Na mijn studie ging ik eerst in militaire dienst. Toen ik daarna op dezelfde afdeling als Frank mij wilde verdiepen in parodontologie, was er niet direct geld beschikbaar. Dus ben ik als tandarts in Amsterdam-Noord aan de slag gegaan. Later kreeg ik alsnog een betaalde aanstelling.”
In de jaren tachtig nam de vraag naar gespecialiseerde parodontale zorg snel toe. De twee universitaire afdelingen in Amsterdam konden deze groei nauwelijks aan vanwege hun vele onderwijs- en onderzoeksverplichtingen. Tegelijkertijd werd duidelijk dat er een groeiende behoefte bestond aan gestructureerde verwijszorg. “Veel tandartsen hadden in hun opleiding, net als wij, relatief weinig parodontologie gehad”, vertelt Frank. “En juist dat vakgebied maakte toen een enorme ontwikkeling door. De behandelmogelijkheden werden uitgebreider, en collega’s zaten met hun handen in het haar. Een deel van de parodontale zorg werd toen nog doorverwezen naar kaakchirurgen, maar dit was eigenlijk helemaal hun vak niet.”
Edwin: “Naar aanleiding van deze ontwikkelingen hebben we samen met Ronnie Goené en Hans Rodenburg, die we kenden van onze werkzaamheden

aan de universiteit, de koppen bij elkaar gestoken. Je moet je beseffen dat parodontologie echt booming was in die tijd. Destijds bestond het hele traject van preventie tot nazorg nog helemaal niet. Nu is dit het paro-protocol van de NVvP.” Frank: “We kregen het idee om een verwijspraktijk voor parodontologie op te richten, waarin kwaliteit vooropstond en het financiële aspect bewust op de achtergrond bleef.”
In 1985 richtte het viertal de Kliniek voor Parodontologie Amsterdam (KvPA) op. De KvPA was een nieuw fenomeen in die tijd en na de Parodontologie Praktijk Groningen de tweede in het land.
Spannende beginjaren
De start van de KvPA was een spannende periode. “Toen wij begonnen met twee behandelkamers, heb ik er nachten van wakker gelegen”, blikt Edwin terug. “We wisten niet wat er zou gaan gebeuren. Er was een spanningsveld: aan de ene kant wilden we tandartsen niets afnemen qua werkzaamheden, aan de andere kant wilden we hen juist helpen. Het bleek uiteindelijk een goede start te zijn om ons uitsluitend
te richten op parodontologie.”
Frank: “Er waren een aantal tandartsen die meteen heel enthousiast waren. Zij kregen de patiënt terug met een gezonde mond en dat werkte erg motiverend. Die stuurden bij wijze van spreken wekelijks een handvol patiënten door en zagen het ook wel zitten om patiënten voor andere zaken te kunnen verwijzen. Andere collega’s keken de kat uit de boom. Zo was het bestuur van KNMT in het begin sceptisch. Zij zagen het aanvankelijk als een uitkleding van de algemeen practicus.”
Naast patiëntenzorg zet de KvPA vanaf de start in op onderwijs. Edwin: “We begonnen met cursussen aan tandartsen, zodat ze parodontale behandelingen zelf beter leerden begrijpen en wisten wat ze zelf konden en moesten verwijzen. Daardoor kregen we niet alleen meer verwijzingen, maar zorgden we ook voor bewustwording en betere diagnostiek bij onze collega’s.”
Frank vult aan: “De universiteiten hadden nauwelijks tijd voor postacademisch onderwijs; hun prioriteit lag bij de studenten. Alleen de Vrije Universiteit Amsterdam bood nascholing aan op het gebied van parodontologie. We organiseerden cursussen, Com-
INTERVIEW
pact Clinics en zelfs grootschalige congressen, onder andere in de RAI. Daarbij nodigden we ook buitenlandse sprekers uit. In feite waren wij de eersten in Nederland die op het gebied van parodontologie structureel postacademisch onderwijs aanboden.”

Veel ruimte voor kwaliteit en innovatie
De basis voor het succes van de KvPA werd al in 1985 gelegd: de keuze voor een volledige maatschap in plaats van ieder voor eigen rekening en verantwoording.
“Voor de start van de KvPA hebben we elkaar de vraag gesteld: hoe kunnen we de kwaliteit in de kliniek zo goed mogelijk waarborgen?”, vertelt Edwin. Frank haakt daar op in: “We besloten elkaar de ruimte te geven om innovaties te verkennen, zonder dat dat directe financiële gevolgen had. Aan het eind van het jaar werd de opbrengst verdeeld naar rato van gewerkte tijd. Ook het geven van cursussen viel binnen dit model evenals ontwikkeltijd voor nieuwe behandelconcepten. De tijd die je daaraan besteedde, werd gewoon meegenomen in de verdeling. Veel ‘eenvoudige’ handelingen uitvoeren is vaak financieel aantrekkelijker, maar wij kozen juist bewust voor de inhoud. De mondhygiënisten kwamen ook in vaste dienst en kregen veel ruimte voor nascholing. Daarnaast werden ze ingezet om nieuwe collega-mondhygiënisten te trainen en postacademisch onderwijs
(PAOT) te geven.”
“Dit innovatieve en collegiale concept is echter moeilijker te implementeren binnen de huidige zzp-structuren”, aldus Edwin. “De manier waarop we destijds samenwerkten — met veel aandacht voor scholing en gezamenlijke verantwoordelijkheid — is in de huidige tijd minder vanzelfsprekend. Er zijn steeds minder mensen beschikbaar om al het werk te doen, en je kunt zelfstandigen niet verplichten tot nascholing. Dat roept wel vragen op over hoe we de kwaliteit van zorg in de toekomst kunnen blijven waarborgen.”
Alles onder één dak
De KvPA groeide gestaag en verhuisde naar een grotere locatie met twaalf behandelkamers. Daarnaast werd het zorgaanbod uitgebreid. Met de komst van Peter Keizer werd de restauratieve tandheelkunde geïntroduceerd en in de loop der jaren volgde op natuurlijke wijze andere differentiaties als kaakchirurgie, endodontologie, gnathologie en prothetiek. “Je hebt in feite alle gespecialiseerde en gedifferentieerde tandheelkunde onder één dak”, zegt Frank. Edwin: “Het mooie is dat je elkaar voortdurend tegenkomt. Er is een groot kantoor met beeldschermen, dus je kijkt makkelijk even met iemand mee en kunt snel overleggen als de patiënt nog in de stoel zit. Dat maakt het voor iedereen een waardevolle leerschool.”
De KvPA bleef zich door de jaren heen op uiteenlopende vlakken ontwikkelen. Edwin: “Een voorbeeld hiervan is de behandeling van halitose. Destijds was daar in Nederland nauwelijks goede diagnostiek of therapie voor. Ik heb binnen de kliniek het initiatief genomen om een spreekuur voor halitose te organiseren. Dat is inmiddels alweer zo’n dertig jaar geleden. We hebben toen echt mooie stappen gezet.” Frank vult aan: “We liepen ook voorop in technieken om het parodontium te herstellen. Waar je vroeger moest extraheren omdat er te veel steunweefsel verloren was gegaan, konden we met regeneratieve behandelingen gebitselementen behouden. We trokken daar opnieuw veel patiënten mee aan en gaven regelmatig cursussen over deze technieken. Daarnaast waren we een van de eersten in Nederland die begonnen met esthetische parodontale plastische chirurgie, zoals recessiebedekking en klinische kroonverlenging. We kregen daarvoor een eigen studio om

video’s te maken van het gebit om de esthetiek tijdens normale functie goed te kunnen beoordelen — ook voor de prothetiek. In die tijd waren we op veel gebieden opinion leader.”
De nieuwe generatie
Met hun jarenlange ervaring hebben Frank en Edwin een duidelijke boodschap voor jonge tandartsen. Frank: “Ik heb mijn studenten altijd gestimuleerd om aan jezelf te blijven werken. Het is zonde als je denkt: ik ben nu afgestudeerd, dus het is wel goed zo. Ik ben groot voorstander van bij- en nascholing. Ik vind het jammer dat dat in de algemene tandheelkunde nog steeds niet verplicht is.” Edwin: “Juist scholing helpt je om plezier in je werk te houden! En dat is ontzettend belangrijk. Voor mij zit dat ook in aandacht voor de patiënt: vraag bij binnenkomst hoe het gaat, noteer dat op de patiëntenkaart, en kom erbij een later consult op terug. Of bel een patiënt ’s avonds na een ingreep eens op om te vragen hoe het gaat. Dat soort kleine dingen maakt het verschil, óók binnen je team. Een schouderklopje voor je assistent hoort daar net zo goed bij.”
Inmiddels is het stokje doorgegeven aan de nieuwe generatie, maar voor Frank en Edwin blijft de KvPA een plek die hen nauw aan het hart ligt. Frank: “De KvPA blijft altijd ons kindje. Als de kliniek kwaliteit gedreven blijft werken en de patiënt centraal stelt, dan is dat voor iedereen een win-winsituatie.”
Over Edwin & Frank
Prof. Dr. Edwin Winkel
Edwin behaalde zijn tandartsdiploma aan de Rijksuniversiteit Groningen en werd later erkend als tandarts-parodontoloog en implantoloog. Hij was tientallen jaren verbonden aan het Academisch Centrum Tandheelkunde Amsterdam (ACTA) als docent en onderzoeker, en werd benoemd tot hoogleraar in de speciële parodontologie, met een bijzondere focus op halitose. Daarnaast is hij oprichter van CleverCool en Dr. Winkel Halitosis Consultancy (edwinwinkel.com), een platform voor patiënten. Tot 2024 was hij actief in de KvPA.
Prof. Dr. Frank Abbas
Frank studeerde Tandheelkunde aan de Rijksuniversiteit Groningen en specialiseerde zich in parodontologie aan de Universiteit van Amsterdam, later ACTA. Hij promoveerde op onderzoek naar de gevoeligheid van parodontitis en werd erkend als tandarts-parodontoloog. Frank was onder andere hoogleraar Parodontologie en afdelingshoofd van het Centrum voor Tandheelkunde en Mondzorgkunde bij de Rijksuniversiteit Groningen. Hij was tot 2019 werkzaam in de KvPA. De laatste jaren van zijn loopbaan was hij decaan van ACTA.
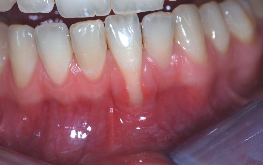
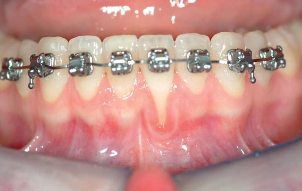
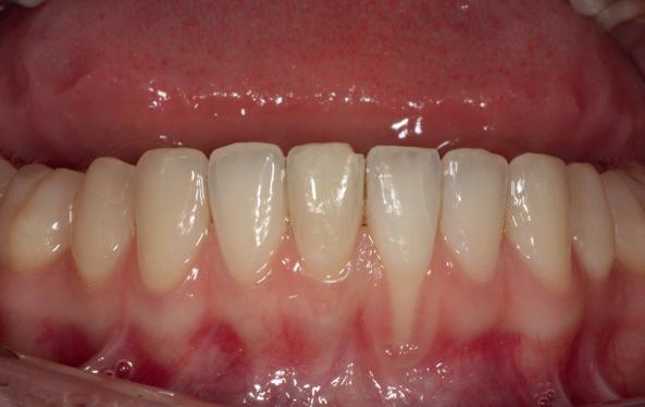
Het torque-gevaar: biologische grenzen in de orthodontie
In de moderne orthodontie is het streven naar perfectie in esthetiek en functie vanzelfsprekender dan ooit. Met de opkomst van digitale behandelplannen, zelfligerende bracketsystemen en rechthoekige draden, is het manipuleren van tandstand in drie dimensies gemeengoed geworden. Een van de belangrijkste en tegelijk meest onderschatte krachten in deze driedimensionale tandverplaatsing is torque. Hoewel het nauwkeurig aanbrengen van torque cruciaal is voor een harmonieuze occlusie en esthetiek, schuilt hierin een reëel biologisch gevaar: het torque-gevaar.
Wat is torque?
Torque in orthodontie verwijst naar de gecontroleerde buiging van een wortel binnen het alveolaire bot, vaak gerealiseerd door een twist in een rechthoekige draad binnen een bracket. Deze beweging is essentieel voor het corrigeren van asstanden en het optimaliseren van de frontesthetiek. Echter, bij overmatige of ongecontroleerde toepassing kan torque leiden tot verplaatsing van wortels buiten de genetisch bepaalde botenvelop, met alveolaire botdehiscenties, gingivarecessies en zelfs aanhechtingsverlies als gevolg.
De kwetsbaarheid van het onderfront
Vooral in het mandibulaire front, waar het bot van nature dun en smal is, zijn de risico’s het grootst.
Klinische observaties en literatuur (o.a. Teughels et al., 2009; Engelking & Zachrisson) tonen aan dat zodra de wortel van een element buiten het corticale bot wordt gebracht, het lichaam deze positie niet corrigeert met spontane botgroei. In plaats daarvan treedt botresorptie op, gevolgd door mucogingivale problemen. Patiënten die jaren na een orthodontische behandeling terugkomen met gingivarecessies, mobiliteit of wortelcariës blijken vaak onbewust slachtoffer van een (soms door retentie versterkte) standswijziging die torque-gerelateerd is. Met name bij een dun gingivaal biotype is de biologische tolerantie minimaal.
Retentie en het verborgen gevaar
De bonded retainer speelt een centrale rol in deze


1. Onderfront pre-orthodontisch: zichtbare gingivarecessie bij de 31 ten gevolge schending van de biologische envelop.
2. Occlusale opname onderfront: standswijzigingen bij de 32 en de


31 door een geactiveerde retentie draad.
3. (Lokale) orthodontie leidt tot adequate standscorrectie met afname van de gingivarecessie bij de 31
problematiek. Hoewel bedoeld om stabiliteit te waarborgen, fungeert de retentiedraad bij loslating of vervorming geregeld als actieve orthodontische krachtbron. Elastic deflection of spanningsopbouw door parafunctie kan ongecontroleerde bewegingen veroorzaken waarbij tanden letterlijk “schommelen” rond een verstoorde as. Het gevolg: wortels die buccaal of linguaal buiten de botbegrenzing worden gedrukt met parodontale schade als gevolg.
Diagnostiek en preventie
Om torque-gerelateerde schade te voorkomen, is zorgvuldige diagnostiek vooraf én gedurende de retentiefase essentieel. De volgende maatregelen zijn aan te raden:
• Beoordeel de botdikte en gingivale biotype met behulp van CBCT en parodontale sonde.
• Plaats elementen altijd binnen de genetisch bepaalde botenvelop. Vermijd overmatige labiale/linguale verplaatsing, zeker bij smalle alveolaire processen. Controleer retentiedraden frequent op passiviteit en vervorming.
• Documenteer stand en gingivaniveau met regelmatige intraorale kleurenfoto’s.

4. Gingivarecessie bij de 32 post-orthodontisch: behaalde parodontale stabiliteit.
5. Adequate positie onderfrontelementen met de juiste as-richting in de biologische envelop.
Conclusie
Torque is een krachtig orthodontisch instrument, maar net als elk krachtig gereedschap, vraagt het om nauwkeurigheid en respect voor biologische grenzen. Overschrijding van deze grenzen kan leiden tot onherstelbare schade aan het parodontium. Bewustzijn van het torque-gevaar, gecombineerd met zorgvuldige controle en een multidisciplinaire benadering, is essentieel voor duurzaam succes in de orthodontie én het behoud van een gezond parodontium.

De auteur
Drs. G.E. Rhemrev MSc, tandarts-parodontoloog en -implantoloog bij de Kliniek voor Tandheelkunde Amsterdam (KvPA).

Introducing Primescan® 2
Powered by DS Core®
De eerste cloud-native intraorale scanoplossing
Dentsply Sirona’s draadloze intra-orale scanner met directe cloudverbinding: eenvoudig, veelzijdig en gericht op groei en optimale patiëntenzorg.”
Cloud scanning: Primescan® 2 vereist geen speciale hardware – gebruik het met een computer, laptop, tablet of ander mobiel apparaat met internetverbinding. Vernieuwde hardware design: draadloos en met een kleinere scannertip dan de Primescan.
Cariësdetectie*: kan ondersteuning bieden bij tijdige diagnose van cariës. Primescan® 2 vereist een betaald abonnement op DS Core.
*Momenteel niet beschikbaar in Japan en de VS. Raadpleeg uw Dentsply Sironavertegenwoordiger om na te gaan hoe de beschikbaarheid in uw regio is.

Bent u klaar om een nieuw tijdperk van digitale patiëntenzorg in te gaan?
Ontdek alles over de Primescan 2 en plan vandaag nog een demonstratie.

Mondhygiënist bij de KvPA
In de behandelkamer van de mondhygiënist in de Kliniek voor Parodontologie Amsterdam (KvPA) wordt dagelijks ‘topsport’ bedreven in het behandelen van parodontitis. Patiënten komen op advies en verwijzing van de tandarts naar onze praktijk, de parodontoloog stelt het behandelplan op, de mondhygiënist overlegt interdisciplinair en herkent de signalen die duiden op een beginnende of vergevorderde ontsteking feilloos en voert de afgesproken behandeling uit. De verslaglegging van de behandeling en het resultaat wordt na afloop door de parodontoloog aan de verwijzer gerapporteerd. De rol, taak en verantwoordelijkheid is scherp afgebakend, vereist deskundigheid en empathisch vermogen en is technisch van aard. Het klinisch handelen is afhankelijk van evidence-based richtlijnen en protocollen, het strikt opvolgen van deze protocollen verhoogt betere klinische uitkomsten, patiëntveiligheid en een efficiënte praktijkvoering en
we werken met optimaal gereinigd en goed onderhouden instrumenten.
Het praktisch beoefenen van deze ‘topsport’ door de mondhygiënist is slechts één kant van het verhaal, de andere kant is: coaching, daar komt de ware kunst van de mondhygiënist in naar voren, in de motiverende gespreksvoering, duidelijke uitleg over het ziektebeeld, begrip tonen voor gewoontes, angsten en valkuilen, geduld hebben, keer op keer de voortgang evalueren, bespreken, de (meetbare) tussentijdse doelen bijsturen en de patiënt geregeld complimenteren. We zijn trots op de betrokkenheid van de patiënten omdat zij de impact van parodontitis en het effect van het therapietrouw zijn op het behoud van hun dentitie begrijpen. Hier ontstaat de ruimte voor gedragsverandering en het verbeteren van de algehele gezondheid. Ze komen afspraken na, nemen adviezen ter harte en melden zich bij veranderingen of
Josta Walravens en Esther Waagemans, mondhygiënisten bij de KvPA.
zorgen, maar stellen doorgaans ook kritische vragen. Dit maakt ons werk elke dag anders en houdt ons bij de les.
Om de hoogste kwaliteit van mondzorg te blijven bieden neemt de mondhygiënist van de KvPA permanent deel aan externe bijen nascholingsactiviteiten. Binnen de praktijk worden door onze specialisten regelmatig Compact Clinics gehouden. Hiermee is de praktijk ook een ontmoetingsplek voor collega’s. Wij hebben een langdurige werkrelatie bij de KvPA opgebouwd, deze continuiteit biedt niet alleen voordelen op het gebied van diagnostiek en behandeling, maar draagt ook bij aan het opbouwen van een vertrouwensrelatie met de patiënt. De KvPA bestaat dit jaar 40 jaar, we verheugen ons om dit samen te vieren.
COLUMN JOSTA & ESTHER
IMPLANTOLOGIE
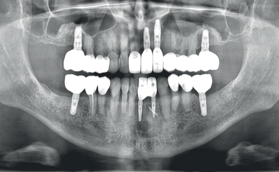
Tandheelkundige implantologie door de jaren heen
Tandheelkundige implantologie is inmiddels een volwaardig onderdeel van de dagelijkse praktijk van veel tandartsen. Waar het ooit begon met functionele oplossingen, is het vakgebied uitgegroeid tot een multidisciplinair domein waarin esthetiek, wetenschap en techniek samenkomen. Onderstaand artikel beschrijft de ontwikkeling van de implantologie vanuit persoonlijk en historisch perspectief.
Voor de tandarts van tegenwoordig is implantologie niet meer weg te denken uit de dagelijkse praktijk. Collega’s met affiniteit voor chirurgie kunnen zich tegenwoordig bekwamen in tandheelkundige implantologie en, in situaties die bij hen passen, implantaten plaatsen. Er zijn gedifferentieerde tandartsen die implantologie op een grote en uitgebreide schaal beoefenen en lastige indicaties aankunnen. Er is een goede en geaccrediteerde opleiding op ACTA, en er zijn ook MKA-chirurgen met affiniteit voor implantologie. Je ziet dat een meerderheid van de tandartsen hun grenzen goed kent en deze patiënten zelf behandelt of tijdig doorverwijst.
Strategisch geplaatste implantaten
Implantaten op strategische posities kunnen een uitgebreid behandelplan enorm vereenvoudigen. Waar in de jaren zeventig nog veel gave gebitselementen werden opgeofferd voor een “hoefijzer-constructie”, is het nu mogelijk om door het plaatsen van implantaten constructies te segmenteren en onnodige opoffering van tandweefsel tegen te gaan.
De ontdekking van osseointegratie
Ruim vijftig jaar geleden is het begrip osseointegratie geïntroduceerd door Per Ingmar Brånemark. Hij was een Zweedse arts die onderzoek deed naar botfysiologie. Door middel van het plaatsen van holle titanium buisjes in het femur van konijnen deed hij onderzoek naar de microcirculatie in het beenmerg en de genezing van botweefsel (afbeelding 1).
Omdat deze holle titanium buisjes werden gemaakt door een instrumentmaker en duur waren, besloot Brånemark deze na opoffering van de konijnen te hergebruiken. Zoals vaker bij onderzoek gebeurde, was de toevalsbevinding dat de holle titanium buisjes geïntegreerd waren in het bot. Hierna richtte zijn onderzoek zich vooral op deze verbinding, die later osseointegratie werd genoemd. Men wist al langer dat titanium inert reageert in het lichaam. In de jaren zestig werd het omhulsel van pacemakers, dat in eerste instantie van epoxiehars werd gemaakt, vervangen door titanium.



De eerste pioniers



In die begintijd waren er drie vooraanstaande onderzoekers die zich bezighielden met tandheelkundige implantologie: Schröder in Zwitserland, Linkow in de VS en Brånemark in Zweden. Er was met name strijd tussen Linkow en Brånemark. Linkow beweerde eerder te zijn geweest met het ontwerp van een cilindrisch titanium implantaat. Hij had dat concept echter al snel verlaten en ontwikkelde de zogenaamde “blad”-implantaten.
Om deze te kunnen toepassen moest je eerst een cursus volgen in Amerika, waarna je per kilo de blad-implantaten kon kopen. Deze werden met een schep uit een bak gehaald en in Nederland kon je ze zelf steriliseren. Overigens had Linkow zelf twee advocaten in dienst om alle lawsuits te settelen. In Nederland werden deze implantaten vooral geplaatst in Utrecht (afbeelding 2).
In Amsterdam werden vooral de Brånemark-implantaten geplaatst. Ook hier moest op voorhand een cursus worden gevolgd in Zweden; anders mocht je de implantaten niet kopen (afbeelding 3).
De eerste toepassingen
In eerste instantie werden de implantaten gebruikt als ondersteuning voor overkappingsprothesen of voor de zogenaamde vaste Brånemarkbrug (afbeel-



ding 4). Esthetiek speelde in die tijd eigenlijk geen rol. Het ging voornamelijk over het functioneel maken van het gebit bij mensen waarbij, door verlies van elementen en steunweefsel, geen mogelijkheid meer was om een behoorlijke prothese te maken. De eerste implantaten hadden een glad (machined) oppervlak en werden in twee fasen geplaatst. Bij het Brånemark-protocol werd het implantaat in het kaakbot geplaatst, waarbij de gingiva altijd werd gesloten. Na zes maanden werd het implantaat opgezocht, waarbij er direct een steriel abutment op werd geplaatst. De hoogte van het abutment werd afgestemd op de hoogte van de gingiva ter plaatse. Vervolgens werd de suprastructuur op abutmentniveau afgedrukt.
Oppervlaktebehandelingen en snellere
integratie
Om de integratietijd te verkorten werden er rond de late jaren tachtig implantaten op de markt gebracht waarbij, door middel van zandstralen of etsen of een combinatie van beide, een oppervlaktevergroting werd bereikt. Ook werden er coatings aangebracht van hydroxylapatiet en werd er aan de VU een “voorbespannen” keramisch implantaat ontwikkeld. Door deze oppervlaktevergroting integreerden de implantaten sneller (afbeelding 5).





































Esthetiek en botopbouw
Er werd meer bekend over de gedragingen van het bot rond de “microgap” en daarmee kwam er meer begrip over hoe een implantaat goed te plaatsen in de esthetische zone. In het midden van de jaren negentig kwam daar de kennis bij hoe, op een verantwoorde manier en met behulp van guided-bone-regeneration, een implantaat in de esthetische zone te plaatsen (afbeelding 6-10).
Van vooral functionaliteit verschoof de indicatie naar esthetiek. De zachteweefselchirurgie en vaak voorbehandeling van zachte weefsels voor implantologie kreeg veel meer aandacht (afbeelding 11-14).
Digitale planning en directe plaatsing
In het huidige tijdperk zijn we vooral bezig met topdown planning, waarbij wij het eindresultaat simuleren en de bijbehorende behandeling met CAD/ CAM-technieken voorbereiden. De implantaten worden “dwingend” geplaatst door een tevoren gemaakte mal, waarbij het soms al mogelijk is meteen een tijdelijke of zelfs “definitieve” voorziening te plaatsen (afbeelding 15).



Nieuwe technieken, nieuwe risico’s
Vernieuwing is vaak een verbetering, maar niet in alle gevallen. Door de groffere oppervlaktestructuur van implantaten kunnen bacteriën zich makkelijker nestelen, met uitstoot van toxines tot gevolg. Dunne wanden van implantaten kunnen ervoor zorgen dat er vrije titaniumionen in de omgeving vrijkomen. De connectie van het implantaat met de suprastructuur kan bepalend zijn voor snel botverlies langs de rand van het implantaat.
Afhankelijk van het microbioom, de erfelijke belasting van de gastheer, de mondhygiëne en lifestylefactoren kunnen er allerlei problemen ontstaan rond de implantaten, met ontsteking van de omringende weefsels tot gevolg. Hoewel we steeds meer grip krijgen op deze situaties, is behandeling hiervan een grote uitdaging en zeker nog niet eenduidig (afbeelding 16-18).
Reflectie en vooruitblik
Ondanks het bovenstaande heeft tandheelkundige implantologie zich nu uitgekristalliseerd tot een onderdeel van de tandheelkunde dat niet meer weg te

denken is uit de hedendaagse praktijk. In de beginjaren zijn er veel mensen behandeld via “trial and error”. In de tegenwoordige tijd zien we degelijk onderzoek, waarbij er duidelijke richtlijnen zijn vormgegeven om wetenschappelijk verantwoord implantaten te plaatsen in een diversiteit van indicaties. Een keerzijde is dat er momenteel een trend waarneembaar is waarbij veel nog te restaureren en te redden elementen vaak worden opgeofferd voor een implantaatgedragen constructie. Een implantaat met kroon heeft een life cycle; wij nemen nu aan dat deze ongeveer twintig jaar is. We moeten ons dus blijven afvragen of we bij jonge mensen al naar implantaten moeten grijpen. Het zo lang mogelijk behouden van het eigen gebitselement - natuurlijk goed behandeld en ontstekingsvrij - blijft nog altijd het implantaat van eerste keus.

De auteur
40 jaar klinische ervaring
De Kliniek voor Parodontologie Amsterdam (KvPA) bestaat nu veertig jaar en in deze veertig jaar zijn bovenstaande aspecten allemaal aan de orde gekomen. Ook door de affiniteit en het parttime medewerkerschap van de maten met de verschillende universiteiten heeft dit geleid tot een solide basis met betrekking tot de implantologie en andere disciplines binnen onze kliniek. Wij hebben vele patiënten, op verwijzing van onze collega’s, uitstekend kunnen helpen.
Johan Cossé is in 1988 afgestudeerd aan de VU. Na zijn diensttijd als tandarts heeft hij een aantal jaar een groepspraktijk in Hoofddorp gehad en werkte hij als medewerker in deeltijd bij de afdeling implantologie op ACTA. Vanaf 2000 trad hij toe tot de maatschap van de KvPA waar hij nog steeds met veel plezier werkt. Inmiddels is hij opleider en mede-programma directeur, verantwoordelijk voor de Ohs opleiding Implantologie en Prothetische tandheelkunde.




Lactona Dentista 185 x 134 mm_wk37_020925.pdf
advertentie
Wisselwerking tussen endodontium en parodontium
Endodontische en parodontale infecties kunnen moeilijk van elkaar te onderscheiden zijn en hebben vaak gemeenschappelijke klinische kenmerken, waardoor het lastig kan zijn een juiste diagnose te stellen. Het doel van dit artikel is om te laten zien hoe een endodontische infectie parodontale afbraak kan veroorzaken, en hoe eliminatie van de endodontische infectie resulteert in herstel van het parodontium.
Het endodontium en parodontium staan met elkaar in contact, zowel fysiologisch via de anatomie, als niet-fysiologisch, door pathologische processen.
Anatomische communicatiepaden
Het foramen apicale is de belangrijkste verbindingsroute tussen de pulpa en het parodontale weefsel, voornamelijk vanwege de grootte ten opzichte van de andere anatomische paden. Onder bepaalde omstandigheden kunnen bacteriën en hun bijproducten zich via het foramen apicale van een geïnfecteerd wortelkanaal naar de periapicale weefsels verplaatsen, wat kan resulteren in een periapicale laesie: parodontitis
apicalis. Omgekeerd kunnen bacteriën bij gevorderde parodontitis zich via het foramen apicale van het parodontium naar de pulpa verplaatsen, waardoor infectie van de pulpa en uiteindelijk pulpanecrose kan ontstaan.
Behalve via het foramen apicale kunnen accessorische kanalen die zich op elk niveau van het wortelkanaal bevinden ook een communicatie tussen endodontium en parodontium mogelijk maken, denk aan het voorkomen van laterale of interradiculaire radiolucenties.
Tot slot kunnen dentinetubuli een potentiële verbinding vormen tussen pulpa en parodontale weefsels. Deze tubuli worden onder normale omstandigheden extern beschermd door glazuur in het coronale deel en door cement in het radiculaire deel van
een element. Eén van de functies van cement is het voorkomen van de verbinding tussen het wortelkanaalsysteem en het parodontium via de verder open dentinetubuli. De cementlaag kan echter onderbroken zijn, hetzij door ontwikkelingsstoornissen, hetzij doordat deze beschadigd raakt of verwijderd wordt tijdens tandheelkundige ingrepen zoals scaling en rootplaning. De cementlaag kan ook worden beschadigd door tandletsel of parafuncties, zoals bruxisme.
Niet-anatomische communicatiepaden
Niet-anatomische communicatiepaden tussen de pulpa en parodontale weefsels kunnen ook voorkomen. Deze kunnen een pathologische of iatrogene oorzaak hebben. Voorbeelden van pathologische oorzaken zijn een perforatie, ontstekingsresorptie (zowel intern als extern) of scheuren en fracturen in de wortel. Iatrogene oorzaken zijn onder andere perforatie van de wortel of de pulpabodem in de furcatie tijdens endodontische of restauratieve tandheelkundige ingrepen. Dit zal ook leiden tot een directe verbinding tussen het wortelkanaalsysteem, de inhoud ervan en het parodontium.
Diagnostiek en behandeling
In het verleden werd een onderscheid gemaakt tussen vijf of zelfs zes verschillende types parodontale/ endodontische laesies. Tegenwoordig gebruiken de meeste auteurs drie verschillende manifestaties van deze zogenaamde paro-endo laesies:
1. de primair endodontische laesie
2. de primair parodontale laesie
3. de gecombineerde endodontische-parodontale laesie
Deze onderverdeling werkt in de praktijk heel goed. In dit artikel zullen de primair parodontale laesie en de gecombineerde endo-paro laesie buiten beschouwing blijven.
Het effect van een endodontische infectie op het parodontale weefsel
Wanneer de pulpa begint te degenereren en geïnfec-
teerd raakt, kunnen micro-organismen en bacteriele bijproducten via het foramen apicale, laterale en accessorische kanalen of dentinetubuli met een onderbroken cementlaag hun weg vinden naar de parodontale weefsels. Dit resulteert in een ontstekingsreactie in het parodontale weefsel grenzend aan de open verbinding, wat kan leiden tot lokaal aanhechtingsverlies en weefselschade dicht bij het gebied van de communicatie.
Ook komt het voor dat een periapicale of laterale laesie langs het worteloppervlak naar coronaal draineert. Dit resulteert in een smal en diep defect, dat met een pocketsonde kan worden gesondeerd. Andere diagnostische kenmerken zijn het ontbreken van pulpasensibiliteit (restvitaliteit in één van de kanalen kan voor verwarring zorgen), het solitair vóórkomen van een parodontaal defect en de korte pathogenese van de ‘pocket’.
Differentieel diagnostisch moet er rekening mee worden gehouden dat een smalle pocket die lijkt op de fistelgang, kan worden veroorzaakt door (1) een glazuurspoor of een glazuurparel, (2) een ontwikkelings- of wortelgroeve en (3) een verticale crack of wortelfractuur.
De therapie van de endo-paro laesie is een wortelkanaalbehandeling. Net als bij fistels, uitgaande van een periapicale laesie, leidt eliminatie van de oorzaak tot een snelle sluiting van de fistelgang, vaak binnen een paar weken. Soms, vooral bij een furcatiefistel, kan het langer duren, in uitzonderingsgevallen zelfs enkele maanden. Bewerking van de fistelgang met instrumenten is gecontra-indiceerd, omdat daardoor de nog aanwezige vitale aanhechtingsvezels op het worteloppervlak worden beschadigd, en dat gaat ten koste van genezing.
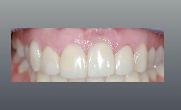
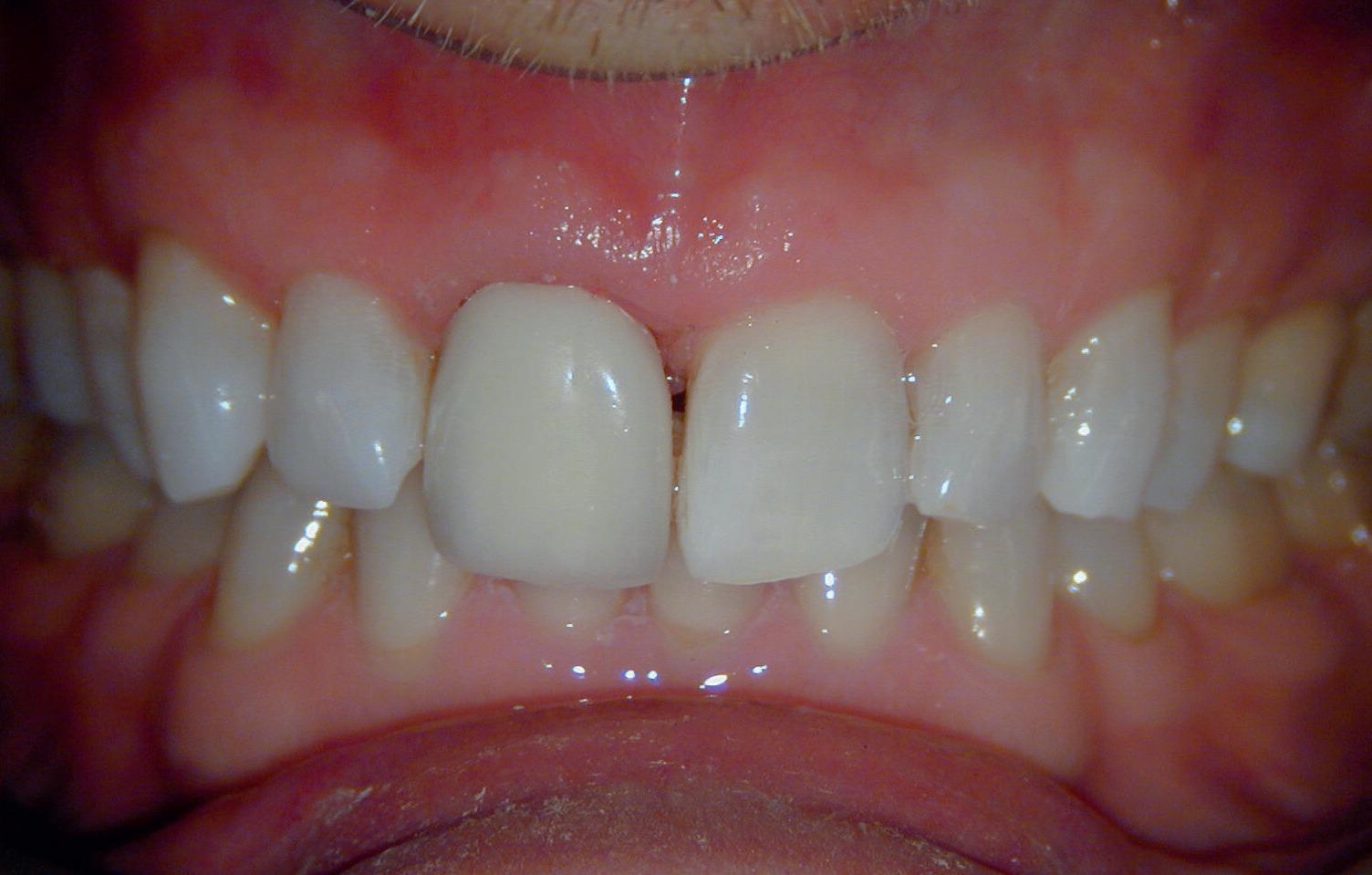
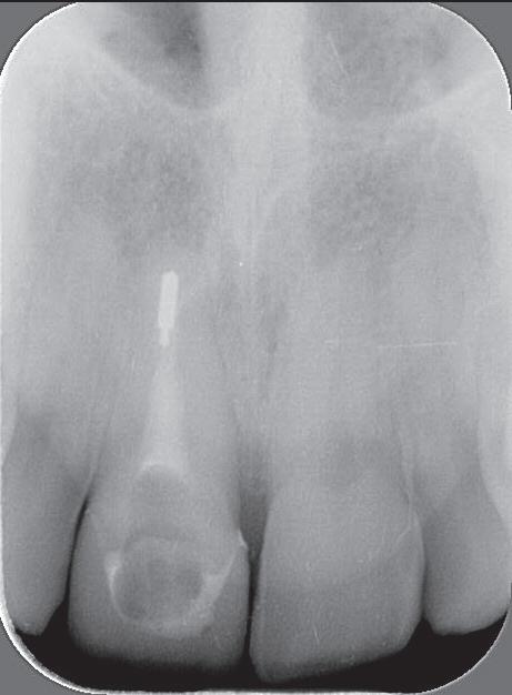
Casus
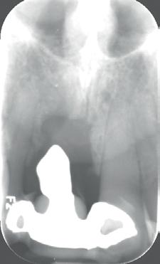
Een 47-jarige collega presenteert zich in onze verwijspraktijk voor endodontie. Hij heeft enige tijd geleden zijn kroon op de 11 laten vervangen (afbeelding 1). Omdat er geen klinische en röntgenologische aanwijzingen waren voor een periapicale laesie of een insufficiënte wortelkanaalbehandeling van de 11, werd besloten de endo, die dateerde van meer dan 30 jaar geleden, niet te reviseren (afbeelding 2). Tijdens een routinematige gebitsreiniging constateert zijn mondhygiënist een pocket van 7 mm aan de mesiopalatinale zijde van 11 (afbeelding 3). De nieuwe kroon wordt tijdelijk gecementeerd, en omdat






1: Klinische foto van bovenfront
2: Röntgenfoto van 11 met zilverstift sectie
3: Pocket palatinaal 11
4: Horizontale doorsnede CBCT met radiolucentie mesiopalatinaal van de 11
de patiënt zich zorgen maakt over deze toevalsbevinding, wil hij de 11 laten beoordelen door een endodontoloog.
Er wordt een CBCT gemaakt die een laesie aan de mesiopalatinale zijde van 11 laat zien (afbeelding 4).
Aangezien dit zou kunnen duiden op een crack of fractuur, wordt besloten om het element te openen en te inspecteren.
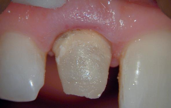
Na het verwijderen van de opbouw blijken er geen tekenen te zijn die op een crack of fractuur duiden, en dus gaan we verder met het verwijderen van de


5: Hedström vijl is ingebracht naast zilverstift sectie
6: Zilverstift sectie verwijderd
7: Kanaal geprepareerd en gevuld met calciumhydroxide
8: Twee glasvezelstiften vullen de ruimte op coronaal van de kanaalvulling
zilverstift. Zilverstiften zijn rond in doorsnede, hetgeen meestal niet overeenkomt met de vorm van een wortelkanaal. Er is dan ook een flinke hoeveelheid wortelkanaalcement nodig om de overgebleven ruimte op te vullen. Wortelkanaalcementen kunnen oplossen na verloop van tijd, en hierdoor kan microlekkage ontstaan waardoor elementen gevuld met zilverstiften regelmatig herbehandeld moeten worden.
Voor het verwijderen van zilverstiften zijn verschillende technieken beschikbaar, en de behandelpro-



cedure kan variëren van heel simpel tot zeer lastig. Allereerst moet de zilverstiftsectie blootgelegd en zichtbaar gemaakt worden. Met een geschikt oplosmiddel zoals chloroform wordt in combinatie met handvijlen en/of ultrasone vijlen de cementlaag rondom de zilverstift gedesintegreerd, waardoor de zilverstift na verloop van tijd losser in het kanaal zit. Tot slot moet de losgemaakte zilverstift worden verwijderd. We gebruiken hiervoor bij voorkeur een Hedström vijl en een naaldvoerder.
Nadat het omgevende cement zoveel mogelijk is verwijderd, wordt geprobeerd om naast de zilverstift een plek te vinden waar met dunne handvijlen zo ver mogelijk naar apicaal kan worden geprepareerd. Het gebruik van een operatiemicroscoop is hierbij onmisbaar. De ontstane ruimte tussen zilverstift en kanaalwand kan dan gepenetreerd worden met een Hedström vijl (afbeelding 5). Het doel is om de Hedström vijl met een aantal voorzichtige schroefbewegingen met de klok mee in de zachte zilverlegering te laten grijpen.
Als de Hedström vijl goed vastzit in het zilver, wordt met een naaldvoerder die net onder het handvat wordt geklemd de zilverstift uit het kanaal geheveld (afbeelding 6). Een buurelement fungeert hierbij als steunpunt. Er dient tijdens de hele procedure veelvuldig te worden geïrrigeerd met natriumhypochloriet, om te voorkomen dat er tijdens het instrumenteren corrosieproducten van de zilverstift door de

apicale constrictie worden geperst.
Na de instrumentatie besluiten we om het kanaal gedurende enige tijd te vullen met calciumhydroxide, om zo te controleren wat het effect is van de desinfectie op de bestaande pocket (afbeelding 7). Aangezien de kroon onvoldoende retentie heeft na het verwijderen van de opbouw, wordt er een nieuwe composietopbouw gemaakt met de bestaande kroon als mal. Hierbij wordt een dun laagje vaseline aan de binnenkant van de kroon als separatiemiddel gebruikt. Vervolgens wordt de kroon gevuld met een chemisch of duaal uithardend composiet en op het element geplaatst, waarbij de occlusie wordt gecontroleerd, en na het uitharden van de composiet weer verwijderd. De overmaat van composiet onder de outline wordt met ultrasone vibratie verwijderd. Na het aanbrengen van calciumhydroxide en Cavit wordt de kroon vastgezet met een tijdelijk cement.
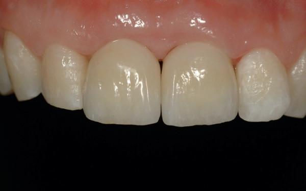
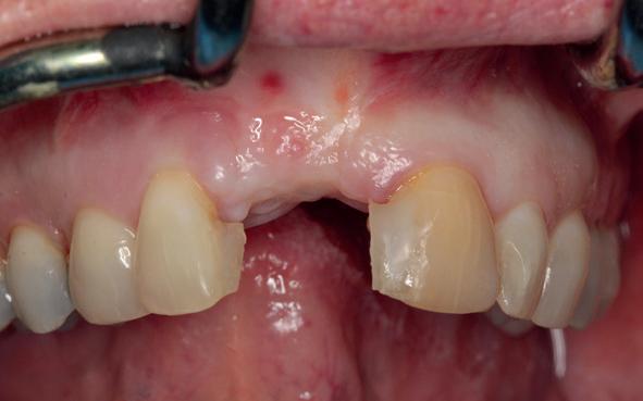
Zes weken later komt de patiënt terug voor evaluatie. Hij heeft de indruk dat de conditie van zijn tandvlees aanzienlijk is verbeterd, de centrale papil is steviger geworden, en er is minder bloeding. De pocketdiepte is met 2 mm afgenomen. We besluiten om de wortelkanaalvulling aan te brengen, waarna de bestaande ruimte boven de kanaalvulling wordt opgevuld met twee glasvezelstiften (afbeelding 8-10) en een composietopbouw. Daarna wordt de kroon definitief gecementeerd (afbeelding 11-12).
9: Röntgenfoto met kanaalvulling en twee glasvezelstiften
10: Composietopbouw gevormd onder bestaande kroon
11: Eindfoto 11
12: Klinische foto na cementeren kroon

Inhoud:
1x Instrumentenlaken 67x70cm
1x Boorhoes met invoer 7x170cm
1x Zuigset 2,1M
1x Afdeklaken 75x100cm
1x Splitlaken 75x90cm
2x OK jas, maat L
3x Muts Bouffant
2x Mondmasker
Basic Implanetic Set Disposable
44001630
Wilt u wel een custom made set?
Neem dan contact op met onze vertegenwoordigers.
€16.95 per stuk



Infuusbestek voor verschillende motoren
HY-110001
infuusbestek voor alle type motoren
v.a. €48,00 per 10 stuks

Nitril handschoenen
PPS
Blauw, roze en zwart
€3,95 per doos van 100 stuks

Mondmasker type IIR 401102
Chirurgisch, IIR, blauw, elastiek
€3,50 per 50 stuks

Sodium Chloride 0,9%
HY-80111 / HY-80109
250ml en 500ml (steriel water)
Niet voor intraveneus gebruik.
v.a. €2,70 per stuk
Hemostatische gelatinespons
CS-310
10x10x10mm (steriel) van CuraSpon
€29,99 per 50 stuks
BlueM Oxygen fluid OFI250
250ml
Neutraal mondwater voor wondgenezing
€7,49 per stuk

13: Röntgenfoto van 11 na 3 jaar
14: Pocket tot 4 mm gereduceerd na 3 jaar
15: Horizontale doorsnede CBCT laat bot ingroei zien
16: Sagittale doorsnede CBCT
17: Follow-up na 14 jaar


Bij de controle na 3 jaar (afbeelding 13) is de pocketdiepte verder afgenomen tot 4 mm (afbeelding 14), de gingiva is stevig en er is geen bloeding na sonderen. De CBCT laat duidelijk ingroei van het bot zien (afbeelding 15 en 16). De laatste röntgenfoto dateert van 14 jaar na de behandeling (afbeelding 17), er zijn geen klachten en de parodontale conditie is stabiel.
De auteur



Marga Ree studeerde in 1979 af als tandarts aan de Universiteit van Amsterdam en behaalde in 2001 haar MSc titel in de endodontologie. Ze is een veelgevraagd spreker op congressen in binnen- en buitenland, en heeft meer dan 300 lezingen en handson cursussen gegeven in zeker 30 landen. Marga is auteur van een groot aantal artikelen in nationale en internationale tijdschriften, en heeft een bijdrage geleverd aan diverse boeken over restauratieve tandheelkunde en endodontie. Van 1980 tot en met 2020 heeft zij een eigen praktijk gevoerd in Purmerend, waarvan de laatste 20 jaar een verwijspraktijk voor endodontie. Zij werkt inmiddels meer dan vier jaar als endodontoloog bij de Kliniek voor Parodontologie Amsterdam.

• Constante, voorspelbare kwaliteit
• Groot assortiment
• Aantrekkelijke prijzen
Excent Select Scherp geprijsde tandtechniek € 389

Select
“Met Select frames weet ik zeker dat de pasvorm meteen klopt.”
Eric Jan Reijnen - Tandarts
Wil je meer weten over de Excent Selectlijn?
Ga naar de website en neem contact op met uw lokale vestigingsmanager of Excent contactpersoon.
Van het ziekenhuis naar de tandartsstoel
Na vijf jaar werken als verpleegkundige in de wijkzorg en het ziekenhuis dacht ik: is dit het nou? Begrijp me niet verkeerd, ik had het hart op de juiste plek, hield van het contact met patiënten, van het zorgen en van het begeleiden tijdens moeilijke momenten. Maar ik had behoefte aan iets nieuws. Nieuwe prikkels. Meer regelmaat. Meer structuur.
En zo belandde ik, totaal onverwacht, bij de tandarts. Ervaring? Geen. Leergierig? Zeker. Ik solliciteerde bij de KvPA voor een functie als tandartsassistent. Zij zagen iets in mijn motivatie en drive, en durfden het avontuur met mij aan. Ik werd de leek aan de stoel, die het vak al doende mocht leren. Niet zonder vallen en opstaan.
Mijn eerste keer assisteren vergeet ik nooit. Ik mocht de afzuiger vasthouden. Simpel, toch?
Tot je je afvraagt: Hoe hou ik dit eigenlijk vast? Waar moet ik deze plaatsen? Ho, dat was de wang. Wat zo vanzelfsprekend lijkt, is dat ineens totaal niet meer. Gelukkig was er ruimte voor uitleg, geduld en vooral veel oefenen.
Wat mij direct opviel was de open sfeer binnen de praktijk. In het ziekenhuis is hiërarchie duidelijk aanwezig. Hier kon ik gewoon de kamer binnenlopen om iets te vragen. Geen schroom, geen drempels. We doen het echt samen. Ieder met zijn eigen rol, maar met één gezamenlijk doel: de beste zorg voor de patiënt. Wat mij aanspreekt aan tandheelkunde is dat het gebit (vaak onderschat) een ongelooflijk belangrijk orgaan is. Niet alleen voor de fysieke gezondheid, maar ook voor zelfvertrouwen en kwaliteit van leven. Het vak is technisch én menselijk. Je volgt het behandelproces van begin tot eind: van implantaat tot kroon. Je bent betrokken, niet alleen uitvoerend. En dat is waar mijn ervaring als verpleegkundige juist van pas komt. Het hart voor de zorg, het aanvoelen van de patiënt, een luisterend oor bieden of een hand op de schouder bij de verdoving, het blijft belangrijk, ook hier. De manier waarop je patienten begeleidt is anders dan in het ziekenhuis, maar minstens zo waardevol.

Laura Doorenbosch, assistent bij de Kliniek voor Parodontologie Amsterdam (KvPA)
Het werktempo en de structuur binnen de praktijk passen wonderwel bij mijn karakter. Geen nachtdiensten meer, geen plotselinge spoedsituaties zoals in het ziekenhuis. Maar wel afwisseling, specialisaties en samenwerking. Juist doordat ik uit een totaal andere hoek kom, heb ik geleerd hoe waardevol het is om uit je comfortzone te stappen. Soms heb je dat zetje nodig om te groeien. Ik ben nu een jaar verder. Dankzij mijn inzet én het geduld en vertrouwen van mijn collega’s voel ik mij inmiddels een volwaardige assistent. Ik heb mij vooral gefocust op de prothetiek en mag mij nu ook verdiepen in de wereld van de parodontologie. De veelzijdigheid binnen de KvPA biedt telkens weer nieuwe kansen om te leren. Ik ben dankbaar voor deze kans. Voor het vertrouwen dat ik kreeg terwijl ik nog niets wist. Voor het teamgevoel. Het werk dat voldoening geeft. Ik hoop dat mijn verhaal anderen inspireert. Want soms ligt jouw volgende stap niet op het pad dat je al bewandelt, maar daarbuiten.
COLUMN LAURA
INTERVIEW
Guido Rhemrev en Paul de Kok
De kunst van het interdisciplinair werken
Als je de Kliniek voor Parodontologie Amsterdam (KvPA) binnenstapt, merk je het meteen: hier werken specialisten niet náást elkaar, maar mét elkaar. Voor deze jubileumspecial spraken we met Guido Rhemrev en Paul de Kok, twee van de vier partners van de KvPA. Ze vertellen hoe interdisciplinair werken hier dagelijks vorm krijgt: van korte afstemmomenten tot diepgaande casusbesprekingen. En vooral hoe je samen verder komt dan alleen.
Dit jaar bestaat de KvPA 40 jaar. Wat betekent dat voor jullie?
Guido: “Ik ben natuurlijk niet vanaf het begin betrokken geweest, maar wél in al die jaren positief beïnvloed door de oprichters, zoals Frank Abbas en Edwin Winkel. Allemaal grote inspiratoren die mij geholpen hebben in mijn ontwikkeling binnen de parodontologie. Dat is ook het mooie van zo’n rijdende trein waar je op stapt: er zitten mensen in die heel actief bezig zijn in het vak, en die zetten je aan om dat zelf ook te gaan doen. Daarnaast heb ik de intensivering van de kliniek meegemaakt. Toen ik startte, zaten we nog op De Boelelaan met enkele disciplines. Nu zijn we uitgegroeid tot een enorme multidisciplinaire kliniek.”
Paul: “Mogen werken in een kliniek met zo’n historie is een groot goed! Elke week ontmoet ik collega’s,
patiënten en relaties die al tientallen jaren betrokken zijn bij de kliniek. Dat besef, dat je samen iets waardevols in stand houdt, geeft mijn werk extra betekenis. Een werkplek die zo lang bestaat, geeft ook een bijzonder familiegevoel. Met sommige collega’s werk ik inmiddels al meer dan 17 jaar samen. Oud-collega’s van wie ik veel heb geleerd, zie en spreek ik nog regelmatig, zoals mijn leermeester Peter Keizer of oprichter Edwin Winkel.”
Wat is interdisciplinair werken bij de KvPA?
Guido: “We werken heel intensief samen. Tussen de patiënten door komen we elkaar tegen in het gezamenlijke kantoor. Dat maakt het vak leuk: je bespreekt je eigen patiënten, maar wordt ook betrokken bij de casussen van collega’s.” Paul: “Precies,

Paul de Kok (l) en Guido Rhemrev (r)



14 11 ‘25




Ontvangst vanaf 13.00 uur

Westergasfabriek, Amsterdam







Een greep uit het programma:
Prof. dr. Erwin Berkhout: Van Historie naar Horizon: Innovatie en AI in de Tandheelkundige Röntgendiagnostiek
Marga Ree MSc: Blik op de toekomst na 45 jaar endo: wat is de sleutel tot succes?
Dr. Wiebe Derksen: De zin en onzin van Guided Surgery


het is juist de fysieke samenwerking die het verschil maakt. Doordat we elkaar de hele dag zien, voelt samenwerken aan complexe casuïstiek als heel vanzelfsprekend.”
Guido: “Dat is iets wat digitale tools, hoe handig ze ook zijn, toch minder goed kunnen vervangen. Er zijn tegenwoordig allerlei manieren om te overleggen, bijvoorbeeld via groepsapps waarin je patiëntcasussen bespreekt. Dat werkt prima als je niet op dezelfde locatie zit. Maar in zulke apps geef je vooral advies vanuit je eigen vakgebied, en er is weinig ruimte voor échte discussie. Bovendien moet je alles zo formuleren dat het goed overkomt bij de ander. Dat maakt het overleg stroever en afstandelijker.
Bij ons zitten alle disciplines onder één dak. Je loopt makkelijk bij elkaar binnen, bespreekt iets direct, en kunt gaandeweg je mening bijstellen. En dat is voor mij echt het verschil tussen interdisciplinair en multidisciplinair werken: niet samenwerken vanaf aparte eilandjes, maar echt samen nadenken aan één tafel.”
Paul: “We maken natuurlijk wel gebruik van digitale tools om te overleggen met externe verwijzers en tandtechnici. Denk aan het delen van foto’s, video’s en digital smile design via platforms als Smilecloud, Siilo en Dropbox. Dat maakt de samenwerking buiten de kliniek makkelijker en efficiënter.”
Wat merkt de patiënt van het interdisciplinair werken?
Guido: “In onze praktijk zijn alle specialisten zichtbaar aanwezig. Patiënten die naar ons worden verwezen, zijn hier ook van op de hoogte. Ze geven vaak terug dat de setting hier bijna aanvoelt als een ziekenhuis. We hebben ook een ander doel dan een algemene praktijk, waar mensen vaak komen voor controle en preventie, terwijl bij ons vrijwel alle patiënten forse tandheelkundige problemen hebben. Patiënten vinden het wel een geruststellend idee dat we tijdens een behandeling snel een oplossing met een andere specialist kunnen bedenken. We halen
INTERVIEW

dan ook regelmatig een collega met een andere differentie er tijdens het consult of de behandeling bij, om mee te kijken, mee te denken, of even te helpen als we er zelf niet uitkomen. Tegelijkertijd is het niet zo dat een patiënt automatisch iedereen leert kennen in de praktijk. We staan hier bij wijze van spreken
“Je werkt niet samen vanaf aparte eilandjes, maar denkt echt samen na aan één tafel.”
niet naast elkaar als in een koksschool, waarbij de een het voorgerecht doet en de ander het hoofdgerecht. Het gaat niet om verdelen, maar om elkaar aanvullen.”
Paul: “Er zijn veel goede, gedifferentieerde tandartsen in Nederland, maar er zijn maar weinig plekken waar zóveel specialisten samen in één praktijk werken. Dat maakt complexe tandheelkunde een stuk beter haalbaar. De patiënt merkt dat in de logistiek, de korte lijntjes en de rust die dat in het proces brengt.”
Hoe delen jullie nieuwe kennis tussen de verschillende disciplines?
Guido: “Daarvoor hebben we onder andere onze Compact Clinics opgezet. In korte sessies geven we presentaties over een specifiek vakgebied. Ze zijn voornamelijk bedoeld voor externe specialisten, maar we moedigen ook onze eigen medewerkers, zoals mondhygiënisten, aan om deel te nemen. Zo blijven ze op de hoogte van innovaties, weten ze of ze nog de juiste protocollen volgen en welke resultaten ze moeten nastreven. Het is een goed middel om allemaal op hetzelfde niveau te blijven werken. Daarnaast laten we elkaar regelmatig onze behandelresultaten zien. We documenteren onze patiënten zoveel mogelijk: voor, tijdens en na de behandeling. Aan de hand van die documentatie kunnen we casussen makkelijk aan elkaar presenteren, vaak op een informele manier. Dat creëert onderling vertrouwen. Je ziet wie waar goed in is, wie welke resultaten behaalt en wat je bij een collega kunt neerleggen. Voor mij is het vastleggen en delen van casussen essentieel om interdisciplinair werken mogelijk te maken.”
Paul: “Ten slotte plannen we regelmatig dagdelen in om samen behandelplannen op te stellen voor de meest uitgebreide patiëntcasussen. Die bespreken we dan met elkaar en soms ook met externen. Dat werpt elke keer weer nieuw licht op de zaak, en zo delen we meteen de nieuwste inzichten uit onze vakgebieden.”
Welke vaardigheden zijn nodig om goed interdisciplinair te kunnen werken?
Guido: “De belangrijkste vaardigheid in een interdisciplinair team is communicatie. Zelfs als je ervaren bent en veel hebt gezien, is er altijd wel weer een patiënt die je uitdaagt. Daarom is het belangrijk om samen de behandelopties te bespreken en soms ook te kijken of het niet eenvoudiger of anders kan. Er zijn altijd meerdere wegen naar Rome – er is zelden maar één oplossing. Mijn advies aan tandartsen met een eigen praktijk is dan ook: durf de samenwerking aan te gaan. Laat je niet uit het veld slaan door kritiek, maar zie overleg als iets waardevols. Interdisciplinair werken betekent niet dat je je eigen mening oplegt, maar dat je sámen tot een behandelplan komt.”
Paul: “Ik vind ook dat samenwerken betekent dat je je kwetsbaar moet durven opstellen. Je laat je continu in de kaarten kijken door collega’s, en dat betekent dat er altijd wel iemand iets van je werk vindt. Dat vond ik in het begin best even wennen, toen ik als groentje van ACTA kwam, en begon met werken tussen zwaargewichten in het vak. Maar zij hebben zich altijd op een mentorende en opbouwende manier opgesteld, waardoor ik me vrij voelde om niet alleen mijn cases, maar ook mijn twijfels te delen. Als collega’s zijn we hier kritisch op elkaars werk, maar we bieden elkaar ook de ruimte om te leren. Die combinatie is, wat mij betreft, een belangrijke vaardigheid voor interdisciplinair werken.”
Welke ontwikkelingen zien jullie in het interdisciplinair werken?
Guido: “Er gebeurt momenteel veel op het gebied van AI. Dat is een mooie ontwikkeling, en ik denk echt dat het interdisciplinair werken naar een hoger niveau gaat tillen. Ik zie bijvoorbeeld ChatGPT als een derde persoon aan tafel, iemand waarmee je overlegt en die je helpt bepaalde handelingen of beslissingen
te onderbouwen. De uiteindelijke keuze ligt natuurlijk altijd bij de behandelaar, want AI kan wel kennis delen, maar niet de kunde inschatten. Daar zit nog ruimte voor ontwikkeling. Onlangs had ik een patient met afwijkingen aan het mondslijmvlies. Ik vermoedde een verband met sarcoïdose, maar wist het niet zeker. ChatGPT bevestigde dat verband en gaf meteen aanvullende inzichten die ik kon doorspelen aan de verwijzer.”
Paul: “Een andere ontwikkeling die het interdisciplinair werken versterkt, is digitale beeldvorming. Beelden zeggen meer dan duizend woorden, en dat geldt helemaal voor 3D-beelden. Door intra-orale scans, CBCT-scans en virtuele wax-ups met elkaar te delen, wordt veel sneller duidelijk wat je van elkaar verwacht.”
De auteurs
Guido Rhemrev
Guido is sinds 2004 werkzaam bij de KvPA en sinds 2007 mede-eigenaar. Hij is erkend tandarts-parodontoloog en implantoloog, en was jarenlang opleider aan ACTA op de afdeling Parodontologie. Zijn expertise ligt bij parodontale plastische microchirurgie en regeneratie – onderwerpen waarover hij veelvuldig heeft gepubliceerd en spreekt in binnen- en buitenland. Binnen de KvPA geeft Guido Compact Clinics en hands-on trainingen met een speciale focus op verfijnde hechttechnieken.
dr. Paul de Kok Paul is sinds 2008 werkzaam bij de KvPA en sinds 2014 mede-eigenaar. Paul is erkend restauratief tandarts en doceerde vele jaren voornamelijk over indirecte restauraties op ACTA. Hij promoveerde op het vakgebied materiaalkunde, heeft een grote interesse in het esthetisch en functioneel herstel van het gebit en is een gepassioneerd docent en spreker op diverse cursussen en congressen. Daarnaast publiceert Paul regelmatig in (inter)nationale tijdschriften, is hij reviewer van wetenschappelijke tijdschriften en cohost van de tandheelkundige podcast ‘Breek me de bek niet open’.
Kliniek voor Parodontologie Amsterdam (KvPA)
Team
“Het behandelteam van de KvPA bestaat uit ervaren gedifferentieerde tandartsen, mondhygienisten en assistenten”, vertelt praktijkmanager Calvin van den Hoven. “Het team is divers samengesteld, met zowel mannelijke als vrouwelijke medewerkers met verschillende achtergronden en leeftijden. De multidisciplinaire samenstelling zorgt voor een geïntegreerde aanpak van de patiëntenzorg.”
Achtergrond
40 jaar geleden is de kliniek voor parodontologie gestart met als differentiatie Parodontologie. De filosofie was dat patiënten met parodontologische afwijkingen
op verwijzing konden worden behandeld. Wanneer de situatie gestabiliseerd was, werd de patiënt weer terug verwezen naar de tandarts voor verdere behandeling. Implantologie deed zijn intrede en een logisch gevolg was dat dat geïncorporeerd werd in het behandelscala van de kliniek. Elementen die werden verwijderd om parodontale redenen werden in sommige gevallen vervangen door implantaten. Afhankelijk van de interesse van de tandarts werden de suprastructuren bij ons in huis gemaakt of werd dat door de verwijzende tandarts vervaardigd. Door de jaren heen is de kliniek voor Parodontologie organisch gegroeid en zijn er verschillende differentiaties bijgekomen.
Er is een organisatie ontstaan waarbij wij protocollair zijn gaan
behandelen en voor de verwijzende tandartsen “compact clinics “ en diverse cursussen worden georganiseerd. Wij hebben altijd getracht de laatste stand van zaken met betrekking tot de verschillende disciplines met de verwijzende tandartsen te delen. Omdat de meeste behandelaren op de KvPA ook op de universiteit in deeltijd werkzaam zijn, hebben wij altijd getracht bij deze cursussen de klinische relevantie te combineren met de wetenschappelijke achtergrond.
Pand
“Wij zijn in 2007 van de Boelelaan, waar wij ruimte te kort kwamen, naar de huidige locatie verhuisd op Weerdestein 117 in Amsterdam-Zuid. Door dit nieuwe

pand te betrekken zijn wij in staat geweest een modern complex te bouwen met een grote sterilisatie, 4 poliklinische OK’s, 11 behandelkamers en een tandtechnisch laboratorium. We kunnen patiënten behandelen in dagbehandeling onder algehele narcose, de kliniek ligt op 6 minuten lopen van Station Amsterdam RAI, is makkelijk te bereiken en er is ruime parkeergelegenheid.”
Uitdagingen
“De focus is niet veranderd. Wij streven ernaar om een partner te zijn – en te blijven – van de verwijzende tandartsen. Wij willen onze collega’s bijstaan bij complexe behandelingen, waarbij alle tandheelkundige differentiaties zijn gedekt. Daarnaast willen wij
educatie verzorgen en ervoor zorgen dat patiënten de behandeling krijgen die het best bij de situatie past, op een verantwoorde en wetenschappelijke manier.”
Team in Beeld
• Praktijk: Kliniek voor Parodontologie Amsterdam (KvPA)
Poliklinische OK’s: 4 Stoelen: 15
• Specialisatie: parodontologie, implantologie, endodontologie, restauratieve tandheelkunde, gnathologie, halitose, dentoalveolaire chirurgie.
• Medewerkers: 3 parodontologen, 2 implantologen, 3 restauratief tandartsen, 2 endodontologen, 1 gnatholoog, 13 mondhygiënisten, 10 tandartsassistenten, 1 preventieassistent, 3 labmedewerkers, 3 receptionisten, 2 administrief medewerkers, 1 praktijkmanager.
Voorspelbare GBR met Cytoplast
Extractiegebieden met ontoereikende structurele ondersteuning, alsook horizontale en verticale botaugmentaties dienen vaak ondersteund te worden om de gewonnen ruimte te handhaven. Cytoplast® titanium-reinforced membranen bieden een hoge voorspelbaarheid in GBR. Belangrijke eigenschappen zijn: het sterkere titanium frame en het zeer verdichte Regentex® oppervlak, welke kan worden blootgesteld aan de mondholte. Bovendien zijn de membranen simpel te verwijderen.
Gebruik Cytoplast® titanium-reinforced membranen om uw opbouwtechniek en de voorspelbaarheid naar nieuwe hoogten te brengen.



Referent: Melle Vroom, Parodontologie Praktijk Friesland
MEMODENT B.V. | T +31 (0) 53 430 66 63 | E info@memodent.nl | W www.memodent.nl
Hands-on Workshop 3 & 4 2025oktober Goutumte
o.l.v. Melle Vroom en Lodewijk Gründemann Interessant voor ervaren gebruikers en collega's die kennis willen maken met Cytoplast dPTFE membranen!
Scan QR-Code voor cursusprogramma


De perfecte combinatie voor een optimaal resultaat









PERIO•AID: optimale ondersteuning b� tandvleesproblemen. Met Chloorhexidine (CHX)en Cetylpyridiniumchloride (CPC) voor een bewezen antibacteriële werking. Effectief. Mild. Zonder alcohol.














VITIS Anti-stain: voorkomt verkleuring t�dens Chloorhexidinebehandelingen. Mild voor het tandvlees, anti-tandsteen én geschikt voor dagel�ks gebruik. Voor het behoud van de natuurl�ke glans van tanden.
www.dentaid.nl | info@dentaid.nl | +31(0)30-6343154





Meer weten?
Scan de QR-code
CB-CT beeld van onderfront zeer dun uitlopende processus zichtbaar
Vijf maanden na botopbouw met titanium verstevigd membraan
Na verwijdering membraan goede processus waarneembaar
COLUMN CELINA
Esthetische parodontologie, als het tandvlees de glimlach maakt

Celina Klappers, Praktijkhouder-tandarts bij Wellestate tandartsen, IJsselstate tandartsen en Jungle tandartsen. @drs.celina_klappers
Bij parodontologie wordt vaak gedacht aan bloedend tandvlees, ontstekingen en plaquecontrole.
Toch kent dit vakgebied ook een esthetische kant. Een voorbeeld daarvan is de situatie van een vriendin die, na een traject met orthodontie en een kaakoperatie, nog niet tevreden was: “Mijn tanden zijn te klein.” Een intake met smile design maakte duidelijk dat de tanden niet te klein waren, maar dat sprake was van een verstoorde passieve eruptie. Normaal gesproken trekt het tandvlees zich na doorbraak terug tot aan de overgang van kroon en wortel. Als dat niet gebeurt, blijft een deel van de tanden bedekt, met als gevolg korte tanden en een gummy smile.
Hierbij kun je denken aan kroonverlenging, maar wat is dat ook alweer? Kroonverlenging is een parodontale behandeling waarbij tandvlees – en soms ook bot – wordt verwijderd om meer van de tand zichtbaar te maken. Het
wordt toegepast bij een gummy smile of bij korte tanden door een verstoorde passieve eruptie. Het geeft de tanden hun natuurlijke lengte terug. Kroonverlenging kan esthetisch zijn, maar ook functioneel, bijvoorbeeld om ruimte te maken voor een restauratie. Altijd geldt: eerst de basis herstellen, daarna pas aanvullende esthetiek zoals bleken of facings.
In dit voorbeeld lag de oplossing dus niet in facings of bleken, maar in het herstellen van de basis. Dat betekende een kroonverlenging, waarbij zelfs aanzienlijk bot verwijderd moest worden om de tanden hun natuurlijke lengte te geven. Een intensieve ingreep, maar één die de fundering van de glimlach herstelde.
Het traject liet opnieuw zien dat niet alleen de behandeling telt, maar vooral het proces ervoor: goed luisteren, duidelijk uitleg-
gen en verwachtingen bespreken. Dáár ontstaat vertrouwen.
De kern blijft dan ook: werk minimaal invasief en begin altijd bij de basis. Het resultaat? Een glimlach die gezien mag worden.
Dank aan mijn collega’s Maarten de Beer en Haakon Kuit voor hun expertise en samenwerking. En jij? Hoe vaak verwijs jij door naar de parodontoloog voor esthetische redenen? Of pak jij deze behandeling zelf op?
Hoe los je dit op?
Een verticaal door en door defect in het bovenfront
In deze casus wordt een complexe botreconstructie in het bovenfront beschreven, waarbij zowel functionele als esthetische aspecten een rol speelden. Patiënte werd negen jaar geleden verwezen met als hulpvraag het herstellen van de harmonie in het bovenfront na een eerder trauma en botverlies. Door middel van een gefaseerde aanpak is getracht het verloren botvolume te reconstrueren en een esthetisch stabiel eindresultaat te realiseren.
Patiënte werd in 2016 naar ons verwezen in verband met een esthetisch probleem in het bovenfront. Het is een gezonde vrouw van dan 42 jaar met een gesaneerde dentitie.
In het verleden is er een trauma geweest waarbij er een forse ontsteking is ontstaan bij de 11 en waarbij calcificatie van de nervus is opgetreden bij de 21. De forse ontsteking bij de 11 heeft uiteindelijk geresulteerd in zeer veel botverlies en het verwijderen van het element. De calcificatie bij de 21 heeft voor een
verkleuring van dit element gezorgd. Bij de 12 is een recessie ontstaan. Verder is de verdeling van de elementen over de tandboog niet ideaal.
Als oplossing voor het probleem is indertijd gekozen voor een etsbrug. Om voor de afwezigheid van de horizontale en verticale component van het bot te compenseren, is de dummy van de etsbrug fors verlengd en voor het grootste gedeelte voorzien van roze kunsthars (afbeelding 1-4).












Hulpvraag
De hulpvraag was weer een harmonieus bovenfront te creëren. Bij de 11 ontbrak er in verticale zin 1 cm bot. Er was een grote recessie opgetreden bij de 12, beperkt bij de 21. De lengte-breedte verhoudingen waren afwijkend en moesten hersteld worden. Waarschijnlijk zijn door ruimtegebrek en de vormgeving van de etsbrug door de jaren heen de 12 en 21 een fractie naar buccaal gemigreerd. Hierdoor zijn de recessies ontstaan en is er een probleem in mesio-distale afmeting van de elementen als je deze wilt herstellen.
Er is besloten niet tot orthodontie over te gaan en de afmetingen van de elementen en verdeling over het bovenfront prothetisch op te lossen.
de Khoury-methode
Het bot wordt opgebouwd via de Khoury-methode. Bij deze methode wordt een “bekisting” gemaakt van autoloog bot dat wordt geoogst in het retromolaargebied.
Het geoogste botstuk wordt in 2 corticale platen gesplitst. De botstukken worden op de donorplaats aangepast, met een schroef wordt de buccale plaat vastgezet. Met een tweede centrale schroef wordt de palatinale plaat tegen de buccale plaat aangetrokken, daarvoor is tussen de platen particulate bot toegevoegd. Om de platen heen wordt ook autoloog bot aangebracht en om de botpartikels bij elkaar te houden werd een resorbeerbaar membraan geplaatst. De wond kon spanningsloos worden gesloten (afbeelding 5-12).













Verloop na genezing
Vijf maanden na genezing werd het implantaat geplaatst op de 11 positie. Duidelijk is te zien dat de zachte weefsel verhoudingen zijn verbeterd en dat het botvolume in horizontale en verticale dimensie enorm is toegenomen (afbeelding 13-18).
Vier maanden na plaatsen van het implantaat werd de afdruk gemaakt en werd de facing geprepareerd bij de 21. De 12 werd verbreed met composiet en er werd een composietfacing vervaardigd bij de 22 (afbeelding 19).
Drie weken later werden de suprastructuren geplaatst. De situatie direct na plaatsen is in afbeelding 20 en 21 te zien.
Bij de 11 werd een zirkonium custom made abutment geplaatst met e-max opgebakken kroon, bij de 21 werd een e-max opgebakken facing vervaardigd.
Afbeelding 22 toont de begin- en eindsituatie in 2016 en 2018. Afbeelding 23 en 24 laten tot op heden de follow-up zien.
Discussie
De casus is in 2016 gestart waarbij is getracht met zo min mogelijk chirurgische procedures en tandheelkundige interventies tot een zo goed mogelijk eindresultaat te komen. Omdat de approximale bothoogtes van de 12 en 21 fysiologisch waren, zijn wij in staat geweest het bot verticaal op te bouwen tot deze grens. Om tot een bevredigend eindresultaat te komen, was het behandelen van de 12, 21 en 22 onvermijdelijk. Compliance, erfelijke belasting en gezondheid van de patiënt dragen bij tot dit uiteindelijke resultaat. Het geplaatste implantaat staat voor het grootste deel in geregenereerd bot waarbij geen gebruik is gemaakt van xenogeen materiaal. Zeven jaar na dato is er geen verandering van botniveau opgetreden en is de situatie stabiel.
De auteur
Johan Cossé is als implantoloog NVOI werkzaam bij de Kliniek voor Parodontologie Amsterdam (KvPA). Vanaf 2000 trad hij hier toe tot de maatschap. Inmiddels is hij opleider en mede-programma directeur, verantwoordelijk voor de Ohs opleiding Implantologie en Prothetische tandheelkunde.
Chirurgische behandeling, Johan Cossé Prothetische behandeling, Paul de Kok Tandtechnisch 4-dental service lab KvPA, Carolien Trock en Michel Castro advertentie


Zien we je daar?
Laat je inspireren op onze verrassende events in 2026!
27 10 18
Maart April Sept.
Hét Event voor de (Paro-) Preventieassistent
Hét Event voor de Praktijkmanager
Hét Event voor de Balieassistent
SYMPOSIUM


Een blik op de toekomst, met respect voor het verleden
VISIE
Op vrijdag 14 november viert de Kliniek voor Parodontologie Amsterdam (KvPA) haar 40-jarige jubileum in Westerliefde Amsterdam met een inspirerend symposium: VISIE –Een blik op de toekomst, met respect voor het verleden. Een middag met vooraanstaande sprekers en een keynote over zingeving. Maar dit symposium méér dan een studiedag, aldus Paul de Kok van de KvPA. “Het is een totaalbeleving. Met muziek. Met dans. Met ruimte voor ontmoeting, inspiratie en feestelijkheid.”
De KvPA nodigt haar partners en andere geïnteresseerden uit om dit 8e lustrum te vieren in het Amsterdams cultuurpark Westergasfabriek. Zoals je van de KvPA gewend bent, zal het tandheelkundig programma doorspekt worden met cultureel entertainment en royale gastvrijheid. Moderne tandheelkunde is onlosmakelijk verbonden met technologische vooruitgang. Binnen de Kliniek voor Parodontologie Amsterdam (KvPA) streven wij ernaar om de laatste innovaties op een verantwoorde manier te integreren in onze behandelingen. Denk aan driedimensionale beeldvorming en planning, lasers, 3D-printers en AI-gedreven software. Dankzij deze ontwikkelingen zijn tandheelkundige behandelingen nauwkeuriger, efficiënter én comfortabeler dan ooit tevoren. De moderne techniek stelt ons in
staat om patiëntenzorg te bieden die we ons decennia geleden niet konden voorstellen.
Deze vooruitgang brengt ook uitdagingen met zich mee. Technologie vereist scholing, inzicht en ervaring. Zonder deze fundamenten ontstaat het risico dat mondzorgprofessionals te afhankelijk worden van systemen en industrie, waardoor kritisch klinisch denken en essentiële handvaardigheden kunnen verzwakken. Niet elke vernieuwing is per definitie een verbetering. Het vermogen om moderne informatie en technologie te interpreteren, vraagt om een stevig anker in analoge kennis en een gezonde dosis terughoudendheid. Alleen zo kunnen we hoogwaardige, veilige en toekomstbestendige zorg leveren.
KvPA: 40 jaar pionieren in de tweedelijns tandheelkunde
In 2025 viert de KvPA haar 40-jarig bestaan. Bijna een halve eeuw toonaangevend in tweedelijns tandheelkundige zorg: een prestatie die alleen mogelijk is door open te staan voor vernieuwing, maar die steeds kritisch wordt gewogen aan de hand van klinische ervaring en academische nauwkeurigheid. De KvPA heeft zich in vier decennia ontwikkeld tot een plek waar technologie en traditie hand in hand gaan, en waar innovatie wordt omarmd zonder het belang van persoonlijke expertise uit het oog te verliezen.
Ter gelegenheid van ons 8e lustrum organiseren we een feestelijk én inhoudelijk symposium waarin we samen met onze verwijzers, relaties en collega’s terugkijken, vooruitkijken en vooral: elkaar inspireren. Net als bij eerdere jubilea koppelen we tandheelkundige inhoud aan culturele beleving. Een combinatie waar de KvPA inmiddels om bekendstaat.
Sprekers
over de toekomst van het vakgebied
Voor deze bijzondere gelegenheid hebben wij drie vooraanstaande sprekers uitgenodigd die allen hun sporen in het vak ruimschoots hebben verdiend: Erwin Berkhout, Marga Ree en Wiebe Derksen
Stuk voor stuk ervaren clinici, scherpe denkers en bevlogen sprekers. Zij hebben ieder op hun eigen manier te maken gehad met de kansen en valkuilen van technologische innovatie binnen de tandheelkunde. Vanuit hun dagelijkse praktijk, wetenschappelijk werk en persoonlijke ervaringen delen zij met ons hun visie op de toekomst van ons vakgebied: Waar liggen de mogelijkheden? En waar schuilt het gevaar? Verwacht eerlijke verhalen, kritische reflectie en inspiratie voor de volgende fase van jouw professionele ontwikkeling.
Een keynote over zingeving
We sluiten de dag af met een keynote van journalist, ondernemer en schrijver Ernst-Jan Pfauth, bekend van onder andere De Correspondent en zijn bestseller Intentioneel leven. In een tijd waarin drukte, prestatiedrang en digitale afleiding overal aanwezig zijn, ontdekte hij dat succes niet altijd gelijkstaat aan vervulling. Zijn persoonlijke zoektocht naar bete-

Sprekers en leerdoelen
Prof. Dr. W.E.R. (Erwin) Berkhout - Van Historie naar Horizon: Innovatie en AI in de Tandheelkundige Röntgendiagnostiek Leerdoelen: Verkennen van de technologische evolutie in de tandheelkundige beeldvorming, met aandacht voor de voordelen en valkuilen van digitale radiologie, CBCT en moderne beeldbewerkingsmogelijkheden in de dagelijkse praktijk. Verkennen van de rol van artificial intelligence in de röntgendiagnostiek, inclusief de kansen voor verbetering van diagnostiek en efficiëntie, maar ook de uitdagingen op het gebied van interpretatie, verantwoordelijkheid en ethiek.
Marga Ree MSc - Blik op de toekomst na 45 jaar endo: wat is de sleutel tot succes?
Leerdoelen: Kennis hebben van een aantal activatiesystemen voor verbeterde desinfectie. Op de hoogte zijn van de belangrijkste factoren voor een goede langetermijnprognose van endodontisch behandelde elementen. Het belang onderkennen van minimaal invasieve tandheelkunde
Dr. Wiebe Derksen - De zin en onzin van Guided Surgery. Een geweldige tool, of een verkeerd doel?
Leerdoelen: Hoe accuraat is computer guided surgery? In welke gevallen is computer guided surgery een échte meerwaarde? Wat heb je nodig om guided surgery toe te passen?





kenis en rust resulteerde in inzichten die ook voor zorgprofessionals verrassend herkenbaar zullen zijn. Met humor en openheid laat hij zien hoe je opnieuw contact maakt met wat écht belangrijk is.
Inspirerende locatie: Westerliefde op Westergasterrein Amsterdam
Dit jaar vindt het symposium plaats in Westerliefde, een voormalige 19e-eeuwse fabriekshal op het Westergasterrein in Amsterdam. Deze industriële ruimte werd omgetoverd tot bruisende nachtclub en culturele hotspot door dance-ondernemer Duncan Stutterheim. Hij zag potentie in de rauwe stalen constructies en het ambachtelijke metselwerk – en transformeerde het tot een plek die uitnodigt tot creativiteit, vernieuwing en ontmoeting. Het is een locatie die je niet snel vergeet, en die vraagt om méér dan alleen lezingen. Want zoals je van ons gewend bent, is dit symposium méér dan een studiedag. Het is een totaalbeleving. Met muziek. Met dans. Met ruimte voor ontmoeting, inspiratie en feestelijkheid Kortom: een viering van ons vak én van 40 jaar KvPA.
Kom jij ook?
De KvPA nodigt tandartsen, mondhygiënisten en andere mondzorgprofessionals van harte uit om dit bijzondere moment met ons te vieren. Op deze dag bieden we jou een combinatie van hoogwaardige inhoud, cultureel entertainment, verrassende ontmoetingen en royale gastvrijheid. Laat je inspireren door sprekers die met beide benen in de praktijk staan. Reflecteer op jouw manier van werken. En ga naar huis met nieuwe inzichten, praktische handvatten en frisse energie om de toekomst van de tandheelkunde mede vorm te geven.
Kom naar het 8e lustrum van de KvPA. Een dag die je niet wilt missen!

Keynote speaker Ernst-Jan
Pfauth
Mediaondernemer en journalist Ernst-Jan Pfauth (1986) is medeoprichter van De Correspondent, een advertentievrij journalistiek platform met 70.000 betalende leden en een succesvolle boekenuitgeverij. Tot maart 2022 was hij daar negen jaar lang CEO. Nu runt hij samen met Alexander Klöpping het mediabedrijf POM. Samen geven zij bekende podcasts uit, zoals Een podcast over media, Jonge Jaren en Poki, en publiceren ze bestsellers zoals Je gezicht is nu van ons en Het boek waarvan je baas niet wil dat je het leest Ernst-Jan was de eerste hoofdredacteur van The Next Web en hoofd digitaal bij NRC Handelsblad. Hij schreef twee boeken over bloggen en publiceerde in september 2017 het Dankboek, een dagboek voor een tevredener leven. In november 2024 verschijnt zijn nieuwe boek, getiteld Intentioneel leven Ernst-Jan heeft lezingen gegeven op onder andere South by Southwest (SXSW), The Next Web Conference, Columbia University School of Journalism, The International Journalism Festival en het World Publishers Forum. Op het journalistieke instituut van Harvard en bij New York University gaf hij gastcolleges. Het Amerikaanse blad Forbes nam Ernst-Jan in 2016 op in de lijst van 30 meest interessante Europeanen onder de 30.
KvPA Lustrumcongres vrijdag 14 november 2025
Scan de QR-code voor meer informatie en om je aan te melden
Hoofdsponsor:
Wat te doen bij een zeer pijnlijke acute necrotiserende parodontitis?
Acute parodontale aandoeningen
Acute parodontale aandoeningen ontwikkelen zich snel en kunnen het parodontium en de omliggende structuren ernstig aantasten. Ze gaan vaak gepaard met pijn, weefselafbraak en infectie, waardoor tijdige interventie essentieel is. Een van de meest ingrijpende vormen is een acute necrotiserende parodontale aandoening. Deze conditie vereist spoedzorg, aangezien het niet alleen hevige klachten veroorzaakt, maar ook kan leiden tot een snelle destructie van het parodontium en de prognose van aangedane elementen negatief beïnvloedt. Hoe herken je deze aandoening in de algemene praktijk en, belangrijker nog, hoe ga je ermee om?
Necrotiserende parodontale aandoeningen. Wat moet je weten?
Necrotiserende parodontale aandoeningen (NPA) zijn zeldzaam maar bijzonder destructief en vereisen snelle en adequate behandeling. In de classificatie van 1999 werden necrotiserende ulceratieve gingivitis en necrotiserende ulceratieve parodontitis onder dezelfde noemer geplaatst. Onderzoek suggereert dat deze aandoeningen verschillende stadia van dezelfde ziekte kunnen zijn, gezien de overeenkomsten in etiologie, klinisch beeld en behandelstrategie. De term ‘ulceratieve’ werd later geschrapt, omdat ulceratie een gevolg is van necrose. Patiënten met NPA lopen een verhoogd risico op recidieven, en in sommige gevallen kan de aandoening een chronisch karakter aannemen, met een trager verloop van weefselafbraak.
Diagnostiek: hoe stel je de juiste diagnose?
De prevalentie van NPA varieert afhankelijk van de
onderzochte populatie. In tandheelkundige klinieken wordt een prevalentie van acute necrotiserende gingivitis (ANG) van 0,5%-3,3% gerapporteerd (Herrera, Retamal-Valdes, Alonso, & Feres, 2018). De diagnose wordt gesteld op basis van klinische kenmerken. Bij ANG ziet men vaak pijn, spontane bloeding, necrose en ulceratie van de interdentale papillen, evenals halitose. Extra-oraal kunnen lymfeadenopathie en soms zelfs koorts optreden. Acute necrotiserende parodontitis (ANP) vertoont dezelfde kenmerken, maar gaat tevens gepaard met parodontaal aanhechtingsverlies en botafbraak.
Etiologie: waarom krijgt de ene patiënt het wel en de andere niet?
Welke factoren vergroten het risico op NPA? Waar moet je altijd naar vragen wanneer een patiënt met deze problematiek in je stoel zit? In alle gevallen spelen er risicofactoren een rol die de immuunrespons beïnvloeden. Denk bijvoorbeeld aan roken, overmatig alcohol gebruik, ondervoeding (tekorten aan vitamine en mineralen), stress en systemische




aandoeningen zoals HIV/AIDS, ongereguleerde diabetes mellitus, status na chemotherapie (Herrera et al., 2018). Toch blijft een NPA primair een infectieziekte, waarbij een slechte mondhygiëne, bestaande gingivitis of parodontitis en lokale plaque-retentiefactoren een cruciale rol spelen. Zeer oude studies uit 1894 en 1896 konden al een verband leggen met spirocheten en fusiforme bacteriën, wat sindsdien herhaaldelijk is bevestigd (Rowland, 1999).
Door alert te zijn op de risicofactoren en tijdig in te grijpen, kan ernstige schade aan het parodontium worden beperkt. In dit artikel wordt een casus besproken van een patiënte die naar mij werd verwezen. Je leest hoe ik haar situatie heb beoordeeld en welke stappen in heb ondernomen om de aandoening effectief te behandelen.
Casus: acute necrotiserende parodontitis bij een 31-jarige patiënte
Intake
In oktober 2023 kwam een 31-jarige vrouw voor een intake in een algemene tandartspraktijk in Amsterdam. Haar laatste gebitsreiniging en controle waren vier jaar geleden in Roemenië, haar thuisland, waar ze ook een initiële parodontale behandeling had ondergaan. Nu poetste ze tweemaal daags elektrisch en gebruikte af en toe floss.
Tijdens het onderzoek stelde de tandarts een PPS-score van 3 3 / 3 3 vast en viel een onrustig aspect van de gingiva op, met name in het bovenfront (afbeelding 1). Mevrouw had op dat moment geen
1. Intake tandarts oktober 2023
2. OPT-intake tandarts oktober 2023
3. Intake parodontoloog december 2023
4. Intake parodontoloog december 2023
klachten. De OPT (afbeelding 2) werd beoordeeld en het behandelplan was extractie van de 18, 28, 38 en 48, gevolgd door verwijzen naar een parodontoloog voor verdere parodontale diagnostiek en behandeling.
Eerste consult bij de parodontoloog In december 2023 zag ik de patiënte voor het eerst (afbeelding 3 en 4). Sinds haar laatste tandartsbezoek had ze plotseling ernstige pijn ontwikkeld. Ze kon haar gingiva nauwelijks aanraken, niet poetsen, niet eten en zelfs drinken was pijnlijk. Haar grootste wens was om zo snel mogelijk van de pijn af te komen.
Tijdens de medische anamnese gaf ze aan gezond te eten, met voldoende groenten en fruit. Wel had ze de laatste weken extreme stress en leed ze aan slaapgebrek. In haar jeugd had ze een trauma aan haar bovenfront opgelopen, waardoor de 12, 11, 21, 22 waren afgebroken en gerestaureerd. De 21 en 22 zijn toen endodontisch behandeld en waren momenteel klachtenvrij.
Klinisch onderzoek en diagnostiek
Bij het klinisch onderzoek vielen een sterke halitose geur, spontane bloeding en grote hoeveelheid plaque en tandsteen op. Opvallend waren ook de losliggende necrotiserende papillen in het bovenfront en bij de 24 en 25. De snelle progressie ten opzichte van oktober 2023 was opmerkelijk!
Bij het maken van de parodontiumstatus (afbeelding 5), bleek de patiënte gegeneraliseerd diepe tot zeer diepe pockets te hebben, met de maximale pocketdiepte van 12mm en 100% bloeding. Daarnaast waren er mobiele elementen (11, 21, 22, 24, 25) en furcatie-



problematiek bij meerdere kiezen (17, 16, 26, 27, 37, 36, 46, 47). Percussie was negatief en de koudetest was positief voor alle elementen, behalve bij de endodontisch behandelde de 21 en 22. De kroonranden in het bovenfront sloten niet optimaal aan. Het was prettig dat ik hier kon sonderen; bij veel patiënten met NPA is dit te pijnlijk en kan dit pas als je hebt

5. Parodontiumstatus intake parodontoloog december 2023
6. Röntgenstatus intake parodontoloog december 2023
7. Evaluatie 3 maanden na initiële behandeling; februari 2024
8. Evaluatie 3 maanden na initiële behandeling; februari 2024
verdoofd tijdens de initiële behandeling.
Het röntgenologische onderzoek (afbeelding 6) toonde botafbraak tot circa 60% van de radixlengte bij de 25, 26 en 27, evenals peri-apicale radiolucenties bij de 21 en 22. De distale radix van de 27 was peri-apicaal suspect.
De prognose van de 16, 21, 22, 38 en 48 was slecht wegens de hoeveelheid aanhechtingsverlies, gecombineerd met furcatieproblematiek (16), endodontische en restauratieve problematiek (21, 22) en onbereikbaarheid voor mondhygiëne (38, 48). De prognose van de 17, 11, 24, 25, 26, 27, 37, 36, 46, 47 was dubieus wegens de hoeveelheid aanhechtingsverlies.
Diagnose en behandelplan
Alle verzamelde informatie bracht mij tot de volgende diagnose:
• Een 31-jarige vrouw met acute necrotiserende parodontitis, gegeneraliseerd stadium III, graad C
• Parodontitis apicalis 21, 22
Het volgende behandelplan werd opgesteld en uitgevoerd:
1. Bloedonderzoek: HbA1c, vitaminen en mineralen (vitamine B12, C, D, ijzer, magnesium), HIV-waarden (aantal CD4-cellen), cholesterolwaarden (LDL, HDL en totaal cholesterol)
2. Advies over leefstijl en risicofactoren
3. Extractie 38 en 48 tijdens initiële behandeling
4. Initiële behandeling onder lokale anesthesie
5. Controle en nazorg na zes weken
6. Evaluatie na drie maanden
Antibiotica zou kunnen worden gebruikt als het een casus betreft met systemische problematiek, maar hoeft zeker niet standaard voorgeschreven te worden. Mocht er voor antibiotica worden gekozen, heeft metronidazol de voorkeur wegens de aanwezige anaerobe bacteriën (Gasner & Schure, 2025). In deze casus is geen antibiotica gebruikt.
Behandeling en verloop
Al tijdens de intake besprak ik al de leefstijladviezen zoals gezonde voeding, voldoende slaap, lichaamsbeweging en stressmanagement. De patiënte was gemotiveerd en startte direct met verbeteringen.
De initiële behandeling werd nog dezelfde dag gestart en uitgevoerd in twee zittingen met een week tussen beide sessies. Ik gaf haar mondhygiëne instructies, maar ook chloorhexidine spoeling 0.12% (PerioAid) voor een week aangezien zij wegens pijn niet direct kon poetsen. Na drie dagen startte ze het geadviseerde mondhygiëne protocol, tweemaal daags elektrisch poetsen en eenmaal daags ragers. Bij de tweede behandeling bracht ze de resultaten van haar bloedonderzoek mee, welke geen afwijkingen vertoonden. De huisarts was overigens enorm blij met onze holistische benadering, dit was mooi om te
zien. De belangrijkste etiologische factoren in deze casus waren dus slechte mondhygiëne, aanwezige parodontitis, plaque-retentiefactoren slaapgebrek en stress. Vanaf de tweede zitting was de mondhygiëne perfect; ze had constant een plaque-index <5%. Erg knap in deze dentitie met verschillende niveaus van gingivahoogte!
Tijdens de 6-weekse nazorg was er aanzienlijke verbetering: de 38 was geëxtraheerd, de pijn was verdwenen, de pockets waren gegeneraliseerd sterk aan het reduceren en er was vrijwel nergens meer bloeding na sonderen. De patiënte had haar slaapritme hersteld en haar stressniveau was gedaald. Wegens haar werk hebben we besloten de extractie van de 48 uit te stellen.
De evaluatie na drie maanden
In februari 2024 werd de evaluatie gedaan (afbeelding 7 en 8). De bloedingsindex was gedaald naar 22%, maar de plaque-index was gestegen naar 25% door verminderde interdentale reiniging tijdens de laatste week. Restpockets (>5mm) waren aanwezig bij de 26, 27 en 48. Zwelling en roodheid waren roodheid en recessies waren ontstaan.
De patiënte uitte een wens om het bovenfront esthetisch te verfraaien, met name de black triangles en kroonranden. Aangezien de parodontale situatie nog niet stabiel genoeg was, besloten we samen dit uit te stellen. Het behandelplan bestond uit:
1. Extractie van de 48
2. Parodontale nazorg elke drie maanden, met focus op de zelfzorg en her-instrumentatie van diepe pockets
3. Herbeoordeling na 1 jaar
Herbeoordeling na 15 maanden
De 48 was ondertussen geëxtraheerd. Helaas ontstond er een parodontaal abces aan de 27 en was er sprake van terminaal aanhechtingsverlies, waardoor ook dit element geëxtraheerd was. De herbeoordeling werd gedaan in februari 2025, 15 maanden na de initiële behandeling. Mevrouw was ontzettend gemotiveerd bezig met haar mondhygiëne. De bloedingsindex was gedaald naar 17% en de plaque-index naar 10%. De parodontale situatie zag er stabiel uit; de ‘eindpunten’ van parodontale behandeling waren bereikt (afbeelding 9) (Sanz et al., 2020), behalve bij de 26MP waar nog één bloedende pocket van 5mm aanwezig was. Deze zal goed in de gaten worden gehouden tijdens de nazorg. De gingiva had een gezonde roze kleur en lag strak rond de elementen. Typisch voor de behandeling van ANP is het verlies van


9. Herbeoordeling parodontiumstatus 15 maanden na initiële behandeling; februari 2025
10. Herbeoordeling frontale foto 15 maanden na initiële behandeling; februari 2025
11. Herbeoordeling laterale foto 15 maanden na initiële behandeling; februari 2025
12. Lachende foto 15 maanden na initiële behandeling; februari 2025
de papillen, wat hier in deze casus duidelijk zichtbaar is (afbeelding 10-12).
Restauratief behandelplan en overwegingen
Ondanks de verbeterde parodontale gezondheid bleef de wens bestaan om het bovenfront esthetisch te verbeteren. Nu de situatie gezond was, kon dit gebeuren. Ik verwees de patiënte naar collega Dr. P. de Kok (restauratief tandarts NVvRT) en J.H.P. Cossé (implantoloog NvOI) bij de Kliniek voor Parodontologie Amsterdam (KvPA). Het voorgestelde plan bestond uit:
1. Parodontale nazorg iedere drie maanden en herbeoordeling over 1 jaar
2. Extractie 21 en 22 en vervaardiging van een partiële prothese
3. Botopbouw vanuit de kin of het retromolaargebied
4. Plaatsen van implantaten 21 en 22
5. Eventuele chirurgische kroonverlenging 11 en 12 (afhankelijk van het uiteindelijke gingiva niveau)
6. Vervaardiging van kronen op implantaten 21 en 22, en vervangen van bestaande indirecte restauraties op de 11 en 12
Orthodontie is overwogen, maar hier zag de patiënte uiteindelijk vanaf wegens tijd en geld. De keuze voor extracties werd gemaakt vanwege de endodontische en parodontale problematiek van de 21 en 22. Deze elementen zijn verzwakt wegens de grote stiften en het parodontale aanhechtingsverlies. Een andere reden is het feit dat er in deze casus met geen andere



mogelijkheid een harmonieuze gingiva contour kan worden gecreëerd. Enkel kroonverlenging van de 12 en 11 was geen optie, aangezien de elementen anders te lang zouden worden en incisaal kan niet worden ingekort wegens een dan niet kloppende curve. Over een brug na opbouw van bot en zachte weefsels zou nog kunnen worden nagedacht. Echter, het beslijpen van de gave 23 had niet onze voorkeur.
Dankwoord
Graag wil ik de patiënte bedanken voor haar inzet en vertrouwen gedurende deze behandeling. Ook dank aan mijn collega’s Paul de Kok en Johan Cossé van de KvPA voor hun expertise en samenwerking. Het restauratieve plan wordt binnenkort gestart en in kijk uit naar het eindresultaat!
De auteur
Drs. Nina Nijland, parodontoloog NVvP
Referenties
De literatuurlijst is op te vragen bij de redactie en in te zien bij het artikel online op www.dentistamagazine.nl
ERGONOMIE
Hoe voorkom je ze in de praktijk?
De 7 meest gemaakte ergonomische fouten
Het woord ergonomie roept bij veel mondzorgprofessionals gemengde gevoelens op.
Misschien denk je: “Dat heb ik al geprobeerd, het werkt gewoon niet in de praktijk.” Of: “Ik wéét dat ik rechter moet zitten, maar dan zie ik simpelweg niets meer.” Dat is herkenbaar, begrijpelijk en onjuist. Optimale ergonomische omstandigheden creëren is namelijk écht haalbaar, ook tijdens het werken aan de 47 distaal. En het levert winst op. Mits je weet hoe.
Ergonomie is geen luxe of bijzaak. Onderzoek toont aan dat een goede ergonomische werkhouding direct bijdraagt aan de gezondheid, het werkcomfort en de prestaties van mondzorgprofessionals, of je nu tandarts, mondhygiënist, orthodontist of (preventie)assistent bent (Alshammari et al., 2023; Shah et al., 2014; Lietz et al., 2018). Chronische klachten als gevolg van het werken in de tandartspraktijk zijn aan de orde van de dag. Een systematische review uit 2022 geeft een prevalentie van musculoskeletale klachten bij tandartsen van 64–93% (SAGE Journals, 2022). De lijst met symptomen is lang: nek-, schouder- en rugpijn, hoofdpijn, vermoeidheid en concentratieproblemen (Uegaki et al., 2020). En de impact? Verminderde productiviteit en in ernstige gevallen zelfs langdurige uitval (Shah et al., 2014; Uegaki
et al., 2020). Het omgekeerde is ook waar: optimale ergonomische omstandigheden leiden niet alleen tot vergroot werkplezier en verhoogde kwaliteit van zorg, maar dragen substantieel bij aan het verlagen van ziekteverzuim. Dat is niet alleen winst voor jou, maar ook voor je team én je patiënten. In de afgelopen jaren heb ik meer dan 500 mondzorgprofessionals getraind. Daar zaten collega’s tussen die al maanden thuiszaten: vanwege hardnekkige schouderklachten, whiplash-gerelateerde nekpijn of terugkerende heup- en rugklachten. Steeds weer zag ik dezelfde valkuilen. Met dit artikel hoop ik je hiervoor te behoeden. Hieronder vind je de 7 meest gemaakte ergonomische fouten in de tandartspraktijk. Onder elke alinea lees je terug hoe je ze voorkomt.


1. De rugleuning van de behandelstoel staat niet horizontaal
Voor vrijwel alle tandheelkundige handelingen geldt dat de rugleuning horizontaal moet staan. Dit zorgt ervoor dat je als behandelaar (en assistent) met de benen goed onder de tandartsstoel komt te zitten. Het voorkomt onnodige rotatie van de wervelkolom die leidt tot statische aanspanning van asymmetrisch gepositioneerd spierweefsel. Sommige tandartsen zeggen tijdens mijn training weleens: “Daar heb ik nooit last van, ik zit meestal rond 11 en 12 uur.” Maar weet je dat je per behandeling ongeveer 25% van de tijd tussen 9 en 11 uur zou moeten werken om het ergonomisch optimaal te doen? Alleen bij uitgebreide endodontologische of parodontologische werkzaamheden maak je soms een bewuste uitzondering.
Oplossing: Zet de behandelstoel altijd horizontaal (extracties mandibulair uitgezonderd) en varieer je werkpositie aan de stoel bewust.
2. Je zit niet (goed) tegen de lendesteun van je behandelkruk
Een lendesteun heeft als doel om jouw optimale werkhouding te ondersteunen, zodat je deze houding niet hoeft te creëren met spierspanning. In de praktijk merk ik dat professionals het moeilijk vinden om tegen de lendesteun aan te blijven zitten omdat ze dan minder zicht hebben op het element. Dit gaat echter beter als je de patiënt, het hoofd van de patiënt en je eigen stoelpositie optimaliseert. Oplossing: Positioneer de patiënt en het hoofd optimaal, en gebruik je lendesteun altijd. Lukt dit niet, dan is er iets mis met de instellingen.
3. Het hoofd van de patiënt is niet ver genoeg achterover geplaatst Bij behandelingen in het eerste of tweede kwa-
drant moet het hoofd van de patiënt ver achterover. Daarmee creëer je een directe zichtlijn voor zowel jezelf als je assistent. Vaak hoor ik: “Dat wil de patiënt vast niet.” Onderzoek van Carr (2022) laat echter zien dat 85% van de patiënten dit gewoon kan en bereid is mee te werken, mits je uitlegt dat het de kwaliteit van de behandeling ten goede komt. Oplossing: Durf het hoofd van de patiënt voldoende achterover te kantelen.
4. Werken vanuit een asymmetrische houding Dit is dé basis die helpt om klachten te verlichten tijdens het werk: werk altijd vanuit een ontspannen, symmetrische houding. Voeten plat op de grond, kniehoek ongeveer 100 graden. Van de meer dan 500 professionals die ik inmiddels heb getraind, waren er 2 die hun kruk juist hadden ingesteld. Oplossing: Laat je hiervoor begeleiden door een expert aan de stoel en train systematisch op de juiste houding, van jezelf en je patiënt, per regio.
5. Je denkt dat je het zelf wel kunt implementeren
Een confronterende, maar belangrijke realiteit: dit leer je niet alleen. Ergonomische principes zijn eenvoudig op papier, maar vragen deskundige begeleiding om ze correct toe te passen. Oplossing: Investeer in begeleiding. Dat bespaart tijd, geld, frustratie, fysieke klachten en mogelijk zelfs uitval. Tegelijkertijd levert het werkcomfort, werkefficiëntie en zelfs minder procedurele fouten op.
6. Een ergonomietraining zien als kostenpost in plaats van investering Juist door te investeren in jouw pijnvrije toekomst bespaar je kosten. De Rabobank (2015) schatte de gemiddelde omzet per behandelkamer op €230.000–236.000 per jaar. Voor een tand-


Van pulpa tot pocket. De route van de paro-endolaesie
Drs. Aukje Bouwman
Drs. Camille Cammaert
Digitale beeldvorming: 2D, CBCT of misschien wel MRI
Dr. Joerd van der Meer



DVan mond tot hart: paro & endo bacteriën en het belang van verantwoord antibiotica gebruik
Dr. Adelina Plachokova
Dr. Jaap ten Oever



Van mond tot hart: paro & endo bacteriën en het belang van verantwoord antibiotica gebruik
Dr. Adelina Plachokova
Dr. Jaap ten Oever

Paro-endo problematieken: klinische besluitvorming bij parodontaal gecompromitteerde elementen
Drs. Simone Cortellini
Van 8 tot 80: paro-endo afwegingen in iedere levensfase
Dr. Nicky Beukers
Drs. Dieuwertje de Groot-Kuin

e keuze tussen behoud of vervanging van een element vereist maatwerk en interdisciplinaire samenwerking. Tijdens het NVvPNVvE najaarscongres 2025 ‘Dieper Kijken’ belichten diverse experts vanuit de parodontologie en endodontologie waarom deze samenwerking essentieel is. Het resultaat is een bijzonder blikverruimend programma. Hoe u dat evidence based én praktisch in de praktijk kunt oppakken, is duidelijk na het bijwonen van dit NVvP-NVvE najaarscongres op 22 november aanstaande in het Gooiland, Hilversum. Inschrijven kan eenvoudig op www.nvvp.org







Time for


Ontdek ons geselecteerde aanbod
Accessoires Proceschemie Digitale oplossingen
Van de experts in hygiëne. Voor de experts in mondzorg.
Profiteer nu van waardevolle extra’s: Bij alle thermodesinfectoren van de serie ExpertLine die tussen 15.09.2025 en 31.12.2025 worden besteld, ontvangt u 25% korting op verschillende accessoirepakketten en een gratis ProCare Dent pakket. Daarnaast bieden wij onze digitale oplossing Miele Move geheel kosteloos aan.
• Maximale efficiëntie dankzij hoge capaciteit
• Tijd-, water-, chemie en energiebesparend
• Groot, intuïtief kleurentouchscreen met duidelijke instructies
• Kamerverlichting voor nog gemakkelijker beladen
• Vloeistofdosering met vulniveaudetectie
• Verkrijgbaar met Eco Dry- of DryPlus-droogsysteem
• Batchvrijgave op gebruikersniveau
• Geschikt voor aansluiting op 230 of 400 volt
• Standaard met wifi en Miele MOVE
• Rekken en inzetten van de PG 8581 of PG 8591 kunnen één-op-één worden overgezet
Inclusief gratis plaatsing, inbedrijfstelling, transport én retourname van uw oude machine.
Ontdek ExpertLine www.miele.nl/pro/extra-dent
Voor meer informatie: www.miele.nl/professional Tel: (0347) 37 88 84 professional@miele.nl
arts kan dit oplopen tot ruim €300.000. Enkele weken uitval kost dus al snel tienduizenden euro’s.
Oplossing: Zie ergonomie als onderdeel van jouw professionele ontwikkeling, niet als luxe.
7. Aanschaf van een loepbril of behandelkruk, zonder ergonomie training
De beste bril en de duurste kruk helpen niet als je niet weet hoe je ze correct gebruikt. Verkeerd gebruik kan klachten zelfs verergeren. Ik zal de tandarts nooit vergeten die ik ondersteboven hangend over een patiënt haar werk zag doen… met de duurste loepbril die momenteel voorhanden is op haar neus. Het was serieus een wonder dat deze nog enigszins op de plek bleef hangen.
Oplossing: Combineer nieuwe hulpmiddelen altijd met een degelijke ergonomietraining.
Tot slot
Er zijn nog talloze andere aandachtspunten om je ergonomie als mondzorgprofessional te optimaliseren. En wist je dat het optimaliseren van je ergonomie slechts 1 van de 8 stappen is om écht pijnvrij te leren werken?
De auteur

Matthijs Luitjes is fysiotherapeut en ergonoom, gespecialiseerd in mondzorgprofessionals. Met zijn bedrijf Ergonomic Solutions (www.ergonomicsolutions.nl) en via LinkedIn helpt hij professionals in Nederland en daarbuiten met het verlichten en voorkomen van werkgerelateerde pijn. info@ergonomicsolutions.nl.
Referenties
De literatuurlijst is op te vragen bij de redactie en in te zien bij het artikel online op www.dentista-magazine.nl

Met onze jarenlange ervaring in uitgeven denken we graag met je mee over de bladformule, uitstraling, redactionele invulling, frequentie en drukwerk, om echt het verschil te maken. We bieden talloze mogelijkheden, inclusief de optie om het wat compacter aan te pakken met een folder of een brochure. Je bent bij ons aan het juiste adres.
Hebben we je interesse gewekt? Wil je meer weten, of een vrijblijvende offerte aanvragen? Kijk dan snel op onze website!



Orale laesie onthult een zeldzame autoimmuunziekte
Een diagnostische uitdaging
In een verwijspraktijk voor parodontologie worden afwijkingen aan het tandvlees en mondslijmvlies regelmatig waargenomen. In de meeste gevallen betreft het plaque gerelateerde aandoeningen die passen binnen het bekende beeld van ontstekingsprocessen. Wanneer echter het klinische aspect, het verloop of de lokalisatie van een laesie afwijkt van wat gebruikelijk is bij parodontale aandoeningen, is het belangrijk alert te zijn op andere – mogelijk ernstigere – oorzaken. Deze casus beschrijft een slijmvliesafwijking waarin het diagnostisch traject een onverwachte wending nam.
Casusbeschrijving
Een 52-jarige vrouw werd door haar tandarts verwezen naar onze kliniek, Proclin Utrecht (voorheen Paro Praktijk Utrecht) in verband met een pijnlijke orale laesie in regio 36–37. De afwijking was sinds drie weken aanwezig. In de medische voorgeschiedenis werd dystrofie van Fuchs vermeld. Dit is een erfelijke oogziekte waarbij het endotheel (de binnenste laag) van het hoornvlies langzaam achteruitgaat. Verder rookt zij circa 10–15 sigaretten per dag. Er waren geen bekende systemische aandoeningen bekend. De tandarts had eerder een antibioticumkuur met amoxicilline en clavulaanzuur voorgeschreven, zonder klinisch effect of vermindering van de klachten (afbeelding 1-6).
Bij intra-oraal onderzoek werd een uitgebreide, ulceratieve en fel erythemateuze afwijking aangetroffen
ter hoogte van de gingiva en de alveolaire mucosa buccaal en distaal van elementen 36 en 37. De laesie vertoonde een grofkorrelig, aardbeienachtig oppervlak en was pijnlijk bij palpatie. Buccaal strekte de afwijking zich uit tot in de omslagplooi, waar een mucosale kloof zichtbaar was tot aan de mandibularand. Ook aan de distolinguale zijde van element 37 was uitbreiding zichtbaar richting het trigonum retromolare (afbeelding 7-8).
De peri-apicale röntgenopname (afbeelding 9) van deze regio toonde dentinecariës mesiaal van gebitselement 36. De elementen 35, 36 en 37 gaven een normale respons bij de sensibiliteitstest en reageerden negatief op percussie. Overige structuren in het betreffende gebied vertoonden geen radiologische afwijkingen.



1-6. Intra-oraal aanzicht



7 en 8. Ulceratieve, mucosale slijmvliesafwijking regio 36-37
Vanwege het atypische klinische aspect, de locatie en het verloop van de laesie, werd een klassieke parodontale aandoening uitgesloten. Daarom werd de patient verwezen naar de afdeling Mondziekten, Kaaken Aangezichtschirurgie (MKA) van het St. Antonius Ziekenhuis.
Verwijstraject en vervolgonderzoek
De MKA-afdeling van het St. Antonius Ziekenhuis beoordeelde de patiënte op korte termijn. De klinische bevindingen bevestigden het beeld van een ulceratieve mucosale afwijking in de regio 36–37, met roodheid, een onregelmatig oppervlak en een opening in het slijmvlies tot aan de botrand. Ook zij achtten de afwijking verdacht voor maligniteit. In overleg met de patiënte werd besloten geen biopt



9. Peri-apicale röntgenopname van het betreffend gebied
af te nemen, maar haar direct te verwijzen naar het UMC Utrecht om diagnostische vertraging te voorkomen.
Kort nadien werd de patiënte beoordeeld op de afdeling Hoofd-Hals Oncologie van het UMC Utrecht. Er werd een biopt afgenomen en aanvullend beeldvormend onderzoek uitgevoerd. De casus werd besproken in een multidisciplinair overleg (MDO). Op basis van de klinische beoordeling en MRI luidde de voorlopige diagnose: een plaveiselcelcarcinoom in de regio van het trigonum retromolare en het vestibulum ter hoogte van elementen 36–37. De afwijking werd voorlopig geclassificeerd als T4bN0.
In de weken na de voorlopige diagnose ging de toestand van de patiënte snel achteruit. Ze ontwikkelde een forse zwelling in het gelaat, met name aan de linkerzijde, en kreeg toenemende trismus en slikklachten. Daarbij kwamen kortademigheid en koorts.
MONDAFWIJKINGEN
Vanwege de toenemende respiratoire klachten werd zij opgenomen op de afdeling Hoofd-Hals Oncologie van het UMC Utrecht. Tijdens de opname verslechterde de situatie dusdanig dat een tracheotomie noodzakelijk werd om de luchtweg veilig te stellen. Daarnaast werd gestart met intensieve monitoring en aanvullend diagnostisch onderzoek, waaronder uitgebreide bloedanalyses, immunologisch onderzoek en beeldvorming van andere orgaansystemen.
Definitieve diagnose
De eerdere verdenking van plaveiselcelcarcinoom werd op basis van het biopt niet bevestigd. Histologisch onderzoek toonde namelijk tekenen van necrose, vasculaire ontsteking en granulomateuze veranderingen, passend bij een systemische vasculitis.
Uiteindelijk werd de diagnose ANCA-geassocieerde vasculitis gesteld. Dit is een zeldzame auto-immuunziekte die ontstekingen veroorzaakt in kleine en middelgrote bloedvaten. De aandoening kan niet alleen de slijmvliezen aantasten, maar ook organen zoals de nieren, longen en andere vitale systemen.
ANCA staat voor anti-neutrofiele cytoplasmatische antistoffen: antistoffen die gericht zijn tegen witte bloedcellen, wat leidt tot beschadiging van de vaatwand. De ziekte kent meerdere varianten en kan zich presenteren met algemene klachten zoals koorts, maar ook met lokale symptomen zoals zwelling of ulceraties in het mondslijmvlies. Door de gelijkenis met infecties of maligniteiten is herkenning lastig. De diagnose wordt gesteld via bloedonderzoek en histologisch onderzoek van een biopsie.
Ulceratieve afwijkingen in de mond: differentiaaldiagnostiek Bij een ulceratieve laesie in de mond, is een zorgvuldige differentiaaldiagnose belangrijk. De meeste afwijkingen binnen de dagelijkse tandheelkundige praktijk zijn plaque gerelateerd. Toch zijn er situaties waarin het aspect, de uitbreiding of het beloop kan wijzen op een alternatieve oorzaak. Hieronder worden de voornaamste klinische kenmerken per differentiaaldiagnose besproken.
Necrotiserende parodontale aandoeningen
Necrotiserende gingivitis of parodontitis presenteert zich meestal met papilnecrose, bloeding, foetor en hevige pijn. Ulceraties bevinden zich vooral aan de interdentale papillen en gaan vaak gepaard met pseudomembraanvorming. Deze aandoeningen komen vooral voor bij patiënten met een combinatie van factoren zoals een verminderde weerstand, stress, roken of een slechte mondhygiëne.
Maligniteiten
Kwaadaardige afwijkingen zoals plaveiselcelcarcinomen kunnen zich klinisch manifesteren met:
Ulceraties met onregelmatige of verheven randen
• Een stevige tot harde consistentie bij palpatie
• Spontane pijn of gevoeligheid
• Snel progressieve uitbreiding
• Trismus (beperkte mondopening)
Paresthesieën (doof gevoel of tintelingen)
Zwelling die niet reageert op lokale therapie
In tegenstelling tot ontstekingsprocessen, respecteren maligne afwijkingen geen anatomische grenzen en kunnen ze zich door omliggende weefsels verspreiden.
Overige differentiaaldiagnosen
Andere oorzaken van ulceratieve laesies zijn onder andere diepe schimmelinfecties, auto-immuunziekten zoals pemphigus vulgaris of lichen planus, en vasculitiden (bloedvatontstekingen) zoals ANCA-geassocieerde vasculitis. Deze aandoeningen kunnen zich infiltrerend door het mucosaal weefsel verspreiden en zo diepere structuren aantasten. De behandeling is vaak complex en vergt specialistische zorg.
De behandeling van ANCA-geassocieerde vasculitis bestaat uit het gebruik van immuunsuppressiva zoals corticosteroïden en cyclofosfamide. Hier werd de patiënte in deze casusbeschrijving met hoge doses mee behandeld. Hoewel er een duidelijke afname was van de acute symptomen, bleef zij kampen met restverschijnselen zoals een blijvende trismus, verminderde kauwfunctie en fibrotische veranderingen in het aangedane gebied. Nazorg werd opgestart via de afdelingen reumatologie, kaakchirurgie en revalidatiegeneeskunde van het UMC Utrecht.
Conclusie
Deze casus laat zien dat, hoewel ANCA-geassocieerde vasculitis zelden initieel in de mond presenteert, orale laesies een eerste manifestatie kunnen zijn van deze onderliggende systemische aandoening. Het toont ook de diagnostische complexiteit van ulceratieve mondafwijkingen. Het is daarom belangrijk om klinisch te kunnen beoordelen welke afwijkingen
passen binnen het klassieke beeld van parodontale en dentogene aandoeningen, en welke afwijkingen in aspect, lokalisatie of beloop hiervan afwijken. Kenmerken zoals een pijnlijk verloop, snelle uitbreiding, het ontbreken van reactie op standaardtherapie en uitbreiding naar niet-parodontale structuren zijn signalen die kunnen wijzen op een andere onderliggende pathologie.
De auteur
Moaad Alami is werkzaam als parodontoloog-NVvP bij Proclin Utrecht (voorheen Paro Praktijk Utrecht) en de Kliniek voor Parodontologie Amsterdam (KvPA).
Met dank aan Tim Thomassen, parodontoloog-NVvP bij Proclin Utrecht, voor zijn bijdrage.

















advertentie
PRAKTIJKMANAGEMENT
Probleemgedrag
Zo blijf je aan zet zonder je team te verliezen
Een assistente die structureel te laat komt. Een medewerker die haar pauzes oprekt of zonder overleg eerder naar huis gaat. Een collega die kortaf is tegen patiënten. Assistenten die privégesprekken voeren terwijl er patiënten bij de balie staan. En als je er iets van zegt, krijg je terug: “Waar maak jij je nu weer druk over? Ik zie niet wat het probleem is!”
In praktijken – waar teams klein zijn en iedereen elkaar dagelijks ziet – kan dit soort gedrag behoorlijk op de werksfeer drukken. Het is niet per se grof of extreem gedrag, maar wel hardnekkig. En lastig om op aan te spreken, zeker als je ook gewoon door moet met het werk en het personeel dat je in huis hebt.
Wanneer is gedrag een probleem?
Het draait niet om één keer een misser, maar om herhaald gedrag dat de samenwerking of de kwaliteit van zorg beïnvloedt. En dat gaat verder dan roddelen. Denk aan half werk afleveren, afspraken vergeten, je onttrekken aan teamtaken, of je werk niet afronden. Kleine dingen die stapelen.
Wat mag je bespreken, en hoe doe je dat?
Als praktijkmanager mag je alles bespreekbaar maken wat gaat over inzet, houding en samenwerking. Houd het feitelijk. Dus niet: “Je bent ongemotiveerd.”
Maar wel: “Ik zie dat je de laatste tijd vaker eerder vertrekt, en dat collega’s daardoor met extra werk blijven zitten.”
Vraag niet naar iemands privéomstandigheden, tenzij iemand die zelf benoemt. En oordeel niet over iemands karakter. Focus op het effect van gedrag op het team en de praktijk.
Ongeschreven regels? Leg ze vast.
Veel ‘lastig gedrag’ ontstaat uit onduidelijkheid. Wat zijn eigenlijk de afspraken over op tijd komen? Hoelang mag een pauze duren? Wat verstaan jullie onder collegiaal gedrag? Als je dit niet expliciet maakt, ontstaat er eigen interpretatie, én dus conflicten.
Hoe het fout kan gaan: de zijinstromer die oude cultuurregels meenam
Na een lange periode van personeelstekort was de komst van Eva binnen een tandartspraktijk die ik
goed ken een verademing. Ze kwam uit een andere sector, had eerder een burn-out gehad en wilde in een rustigere werkomgeving opnieuw beginnen. Ze bleek slim, sociaal en snel inzetbaar. Binnen no time was ze onmisbaar. Maar na een paar maanden begonnen er barstjes te ontstaan. Eva kwam geregeld te laat, bepaalde zelf wanneer ze ging lunchen en ging steeds vaker vroeger weg. Ze nam werk mee naar huis “omdat ze dan meer rust had”, terwijl dat eigenlijk niet kon. Collega’s voelden zich daardoor overvraagd. Toen de praktijkmanager haar hierop aansprak, reageerde Eva verontwaardigd: “Ik red jullie hier, en dan krijg ik dit?” De praktijkmanager realiseerde zich dat ze niet zonder Eva konden, maar dat betekende niet dat alles geaccepteerd moest worden. In een gesprek werden opnieuw kaders geschetst: werktijden, pauzes, overleg. Bovendien werd voor Eva ruimte gemaakt om mee te denken over efficiënter werken, maar wel binnen de afgesproken grenzen.
Nog een voorbeeld: de ervaren kracht die zich onaantastbaar waant
In een andere praktijk werkte Petra, een zeer ervaren tandartsassistent die al jaren meedraaide. Ze kende het vak, de patiënten, en voelde zich onmisbaar. En dat liet ze merken. Ze corrigeerde collega’s, negeerde afspraken uit teamoverleggen en nam geregeld beslissingen buiten de praktijkmanager om. Toen een jonge collega klaagde over haar betuttelende houding, kwam alles in een stroomversnelling. De praktijkmanager besloot met Petra in gesprek te gaan. Niet verwijtend, maar op basis van observaties en teamfeedback. Petra schrok. Ze had niet door dat haar gedrag zo werd ervaren. Er volgden afspraken over samenwerking, overleg en rolverdeling. En er kwam ruimte voor Petra om haar kennis te delen, zonder anderen te overheersen. Soms is feedback geen correctie, maar een uitnodiging om mee te groeien.
Stel grenzen en bied perspectief
Wees duidelijk als je het gesprek met je medewerkers aangaat: Dit is wat ik zie, dit is wat ik wens, en dit is wat ik verwacht. Maar bied ook ruimte voor verbetering. Wat heeft iemand nodig om het beter te doen?
Zo laat je zien dat je niet tégen iemand bent, maar dat je staat voor een gezonde, professionele werkomgeving.
En als het patroon zich blijft herhalen?
Dan mag je ingrijpen. Leg gesprekken vast, schakel indien nodig ondersteuning in (bijvoorbeeld een HR-adviseur of mediator), en wees eerlijk over wat dit betekent voor de samenwerking. Soms is het nodig om afscheid te nemen – en dat mag.
De auteur
Gracita Linger, HR-strateeg voor tandheelkundige praktijken en CEO van Jill, De Virtuele Personeelsadviseur (www.devirtuelepersoneelsadviseur.nl).
advertentie



Probleemgedrag
GASTVRIJHEID
Interne gastvrijheid
Teamwork in de tandartspraktijk
Als tandheelkundige professional begrijp je het belang van gastvrijheid naar je patiënten toe, jullie zogenaamde externe gastvrijheid. Maar heb je ooit stilgestaan bij het belang van de gastvrijheid binnen je team? Stel je wel eens de vraag hoe welkom iedereen zich voelt en hoe gastvrij de collega’s voor elkaar zijn?
De antwoorden op die vragen vormen een graadmeter voor jullie interne gastvrijheid. In dit artikel lees je wat interne gastvrijheid is en waarom het essentieel is voor een goed functionerende tandartspraktijk. Met de focus op de cruciale rol die zowel praktijkhouder als praktijkmanager spelen in dit belangrijke proces.
Wat is interne gastvrijheid?
Interne gastvrijheid gaat over hoe je binnen je team met elkaar omgaat. Het gaat om wederzijds respect, open communicatie, en een ondersteunende werkomgeving. In een praktijk waar interne gastvrijheid hoog in het vaandel staat, voelen teamleden zich gezien, gehoord en gewaardeerd. Dat stimuleert de motivatie, zorgt voor een positieve werksfeer en bevordert de kwaliteit van de zorg die jullie leveren.
Waarom is interne gastvrijheid belangrijk?
Een tandartspraktijk is een dynamische omgeving waar samenwerking cruciaal is. Van de receptionist tot de tandarts, van de mondhygiënist tot de omloopassistent en van de stoelassistent tot de praktijkmanager, iedereen speelt een belangrijke rol. Wanneer teamleden goed met elkaar samenwerken en zich ondersteund voelen, versterkt dit niet alleen de onderlinge sfeer maar ook de efficiëntie en het niveau van dienstverlening.
Patiënten zijn over het algemeen erg gevoelig voor de sfeer in de praktijk. Interne gastvrijheid vertaalt zich dan ook vaak naar een goede patiëntervaring en een positieve (externe) gastvrijheidsbeleving.
Wat levert interne gastvrijheid op?
• Prettige communicatie: open en eerlijke communicatie vermindert misverstanden en zorgt ervoor dat problemen snel en efficiënt worden opgelost.
• Sterke motivatie: teamleden die zich gewaardeerd en ondersteund voelen, zijn meer gemotiveerd en betrokken bij hun werk.
• Minder stress: een ondersteunende werkomgeving vermindert stress. En dat leidt tot een hogere werktevredenheid en minder ziekteverzuim.
• Positieve patiëntervaring: wanneer het team goed functioneert, merken patiënten dit. Dat zorgt voor een sfeer waarin patiënten zich veilig en welkom voelen.
Hoe ‘doe’ je interne gastvrijheid in de praktijk?
Interne gastvrijheid is ook: samen werken aan samenwerken. En samenwerken begint met het begrijpen van elkaars rollen en verantwoordelijkheden. In haar boek Gastvrij Leiderschap beschrijft Laura de la Mar de volgende 5 punten als basisvoorwaarden voor interne gastvrijheid:
1. Er is oprechte persoonlijke aandacht voor elkaar: je voelt je gezien, gehoord, begrepen en gewaardeerd als collega.
2. Inclusie: je voelt je veilig om jezelf te zijn en je mening te uiten. Ieders stem telt.
3. Iedereen draagt bij aan positiviteit en is medeverantwoordelijk voor de sfeer in de praktijk.
4. Er is ruimte voor ontwikkeling. Zowel het team als individuele collega’s streven ernaar te blijven groeien en verbeteren.
5. In het team is een opbouwende aanspreekcultuur. Complimenten en fouten worden gedeeld en besproken. Je praat niet over elkaar, maar met elkaar.
Hoe vergroot je jullie interne gastvrijheid?
• Regelmatig teamoverleg: bespreek de voortgang, vier successen en pak problemen aan. Varieer de overleggen zodat het steeds voor alle deelnemers relevant en interessant is. Denk aan een dag-
start, weekbespreking, teamoverleg-per-functie of werkoverleg met het gehele team.
• Alle communicatiekanalen open: iedereen voelt zich vrij om ideeën, zorgen en feedback te delen en weet waar hij/zij dat kan doen. Via de ‘formele’ kanalen. En, minstens zo belangrijk, via informele kanalen zoals een praatje bij de koffiemachine.
• Duidelijke rollen en verantwoordelijkheden: iedereen weet wat van haar of hem verwacht wordt en wat zij/hij van collega’s kan verwachten. Dit voorkomt verwarring en zorgt ervoor dat taken efficient worden uitgevoerd.
• Ondersteuning en training: mogelijkheden voor training en professionele ontwikkeling helpen teamleden om hun vaardigheden te verbeteren en zich gewaardeerd te voelen.
• Een positieve werkcultuur: in een cultuur waarin positiviteit en wederzijds respect centraal staan, floreert de interne gastvrijheid. Die cultuur ontstaat door successen te vieren, elkaar te ondersteunen en conflicten op een constructieve manier aan te pakken.
Wie is verantwoordelijk voor de interne gastvrijheid?
Iedereen in het team is medeverantwoordelijk voor de interne gastvrijheid. Praktijkhouder en praktijkmanager spelen daarbij een sleutelrol. Hoe zij met elkaar omgaan, dat straalt af op het gehele team. Het is een voorbeeld en blauwdruk voor de omgangsregels binnen het team.
Manieren om de sleutelrol te pakken zijn:
• Leiderschap tonen: met jouw voorbeeldgedrag laat je zien hoe interne gastvrijheid eruitziet. Dit betekent respectvol en empathisch omgaan met alle teamleden, de tijd nemen voor iedereen en open en eerlijke communicatie. En toegankelijk zijn.
• Teamgeest bevorderen: activeer teamactiviteiten, zoals teambuildingsoefeningen of sociale evenementen buiten werktijd. Daarmee versterk je de band tussen teamleden en een creëer je een gevoel van saamhorigheid.
• Problemen aanpakken: wanneer er conflicten of problemen binnen het team ontstaan, is het aan jou om deze snel en effectief aan te pakken. Met bemiddeling, open gesprekken en hulp bij het zoeken naar oplossingen.
• Ontwikkelingsmogelijkheden bieden: stimuleer je teamleden en bied training en professionele ontwikkeling aan. Denk daarbij ook aan het organise-






Anesthesia & Intensive Care Services B.V.:
AIC is gespecialiseerd in het verzorgen van hoogwaardige medische zorg binnen de anesthesiologie en intensive care geneeskunde.
Met ons VOLWAARDIG MOBIEL ANESTHESIETEAM inclusief apparatuur, monitoring, medicatie, gasvoorziening, disposables en al het nodige personeel kunnen wij op een voor u wenselijke locatie op 4 behandelkamers tegelijk algehele anesthesie toedienen aan uw cliënten, zonder dat u ook maar iets hoeft aan te passen aan de inrichting van uw kliniek.
Tandheelkundige klinieken die behandelingen onder algehele anesthesie willen aanbieden:
Als u aan uw cliënten behandelingen onder algehele anesthesie wilt aanbieden zonder dat u dure investeringen hoeft te doen in uw kliniek, dan bent u bij ons aan het juiste adres. Wij kunnen met ons MOBIEL ANESTHESIETEAM in elke kliniek op 4 behandelkamers tegelijk volledig de anesthesie verzorgen zonder dat u daar naar hoeft om te kijken. Wij zijn volledig selfsupporting. Wij kunnen in elke tandartspraktijk de anesthesie verzorgen. Uw praktijk hoeft dus niet aan speciale voorwaarden te voldoen!!
Bel voor een gratis en vrijblijvende offerte:
Schroom niet om te bellen of te emailen voor een gratis en vrijblijvende offerte. Zonder enige verplichting komen wij graag bij u langs om de situatie in uw kliniek te beoordelen en de wensen en mogelijkheden met elkaar te bespreken.


ren van interne trainingen, medewerkers kunnen veel van elkaar leren.
• Feedback verzamelen: vraag om feedback over je eigen rol; wat doe je goed, wat kan (nog) beter? Daarmee stimuleer je je collega’s om ook elkaar feedback te vragen en te geven. En begin met het geven van gerichte complimenten.
En wat nog meer?
Als je een gastvrije cultuur wilt ontwikkelen, zorg dan dat gastvrijheid, zowel intern als extern, een vast punt op jouw en jullie agenda is.
Introduceer het thema vanaf het allereerste contact: in de vacaturetekst en het sollicitatiegesprek. Maak (interne) gastvrijheid onderdeel van jullie inwerkprogramma. Zet het op de agenda van alle jaargesprekken. En, het allerbelangrijkste, zorg ook goed voor jezelf, voor jouw innerlijke gastvrijheid. Als jij met plezier naar je werk gaat, energie krijgt van je werk en op tijd je rust pakt, dan ben je ook daarmee een belangrijk voorbeeld voor je teamleden.
Podcast: Gastvrijheid
Beluister de podcast van Pauline via de QR-code hiernaast.
De auteur
Pauline Sterenborg (PBS Advies) is tandarts, expert gastvrije zorg en docent bij Dental Best Practice. Als trainer, adviseur en spreker begeleidt zij praktijken bij het ontwikkelen van een gastvrije(re) werkomgeving. www.pbs-advies.nl
advertentie

GOED ZICHT BETERE HOUDING MEER ENERGIE

Kids Dental Zuidoost, Amsterdam
Aannemer met ervaring en expertise
“Mijn eerste ervaring met verbouwen was in mijn eerste praktijk, dit is gedaan door een kleine aannemer en daar ging niet alles goed”, aldus Siham Feriani. “Ik moest zelf veel schakelen, dingen regelen en doen. Het liep ook nog uit door corona. Voor deze locatie wilde ik dat anders. Via LinkedIn had ik leuke dingen voorbij zien komen van Rodenburg. In totaal heb ik in het voortraject vier partijen betrokken. De doorslag gaf de opname die Tim (Rodenburg) in ons pand kwam doen, daar kwamen dingen uit waar echt ervaring en expertise uit naar voren kwamen.”
Flexibel en samen
“Wat ik als heel prettig heb ervaren is dat we tijdens het bouwen nog zaken konden aanpassen. Dichte deuren zijn nog vervangen door glazen deuren om meer licht en transparantie te creëren. Zelfs een wandje hebben we na opbouw weer weggehaald en opgeschoven. Uiteindelijk was die flexibiliteit wel heel fijn! De VVE heeft het proces wel echt vertraagd aan het begin, toch is de deadline gehaald. Daar was ik superblij mee!”
Kleurrijke praktijk met een hart voor kinderen
“Wat ik voor ogen had was een
mooie ruime en lichte praktijk voor kinderen en genoeg plek voor het personeel. Uiteindelijk zijn we allemaal enorm blij, ook voor grote gezinnen is er nu voldoende ruimte in de wachtkamer. Personeel en patiënten zijn allemaal enthousiast over hoe onze praktijk eruitziet. Ik wilde graag de praktijk hier in Amsterdam Zuidoost, dit is toch wel een bijzonder mooi en divers stadsdeel met veel kinderen en soms uitdagende casuïstiek. Ik geloof dat ieder kind een gezonde lach verdient en daarom wilde ik ook de mondzorg dichterbij brengen, in de eigen vertrouwde omgeving. Het werk hier is heel bevredigend, ik ga elke dag met plezier naar mijn werk.”





Design in beeld
• Praktijk: Kids Dental Zuidoost, Amsterdam
• Website: www.kidsdentalzuidoost.nl
• Ontwerp: Rodenburg Zorgoplossingen
• Design: Samenwerking Rodenburg en Kids Dental Zuidoost
• Kleuradvies: Binti Home
Disfunctionele ademhaling in de mondzorg
Disfunctionele ademhaling, vooral mondademhaling, is een veelvoorkomend maar vaak onopgemerkt probleem met ingrijpende gevolgen voor zowel de mondgezondheid als de algehele gezondheid. Als tandarts heb je een unieke kans om deze ademhalingsproblemen vroegtijdig te signaleren en patiënten door te verwijzen naar specialisten voor verdere behandeling. Dit artikel bespreekt de relatie tussen disfunctionele ademhaling en mondgezondheid, en de cruciale rol van de tandarts in het herkennen en aanpakken van deze problemen.
“All chronic pain, suffering and diseases are caused by a lack of oxygen at the cellular level.” - Dr. Arthur C. Guyton, M.D., auteur van The Textbook of Medical Physiology
De impact van disfunctionele ademhaling op de mondgezondheid
Disfunctionele ademhaling verwijst naar afwijkingen in het ademhalingspatroon, zoals mondademhaling of oppervlakkige borstademhaling. Mondademhaling, een van de meest voorkomende vormen, zorgt ervoor dat droge, ongefilterde lucht de mondholte binnendringt. Dit leidt tot uitdroging van het mondslijmvlies en een vermindering van de speekselproductie. Speeksel is essentieel voor de bescherming van tanden en tandvlees tegen cariës en voor het in stand houden van een gezonde bacteriële balans in de mond. Patiënten die door hun mond ademen, ervaren vaak een afname in speekselproductie, waardoor de mondgezondheid achteruitgaat en het risico op aandoeningen zoals cariës, gingivitis en parodontitis toeneemt. Speeksel speelt niet alleen een belangrijke rol in de mondgezondheid, maar ondersteunt ook de afweer tegen schadelijke bacteri-
en en fungeert als een natuurlijk reinigingsmiddel. Wanneer de speekselproductie wordt verminderd door mondademhaling, ontstaat een mondomgeving die vatbaarder is voor infecties. Dit maakt mondademhaling een belangrijke risicofactor voor zowel de mondgezondheid als de algehele gezondheid. Bovendien belemmert mondademhaling het herstel na mondzorgbehandelingen, omdat een droge mond de genezing vertraagt.
Schermtijd en ademhaling: een stille verschuiving
In een wereld waarin kinderen gemiddeld meer dan twee uur per dag naar een scherm kijken, wordt hun ademhaling steeds oppervlakkiger. Japanse onderzoekers hebben aangetoond dat kinderen die langdurig schermen gebruiken, slechter scoren op cardiorespiratoire fitheid. Dit gebrek aan diepe ademhaling kan leiden tot verminderde zuurstoftoevoer naar de hersenen, met gevolgen zoals slechtere focus, minder energie en vertraagde fysieke ontwikkeling. Bovendien draagt het blauwe licht van schermen bij aan slaapproblemen, wat een negatieve invloed heeft op de nachtelijke herstelcycli van de ademhaling.






Mondademhaling en technologie: een vicieuze
cirkel
De combinatie van langdurig stilzitten en slechte slaappatronen door schermgebruik vergroot het risico op mondademhaling. Mondademhaling zorgt voor uitdroging van de mond en een vermindering van speekselproductie, wat leidt tot een kwetsbare mondomgeving. Kinderen die door hun mond ademen, lopen een verhoogd risico op cariës, gingivitis en craniofaciale afwijkingen zoals een smal gehemelte of malocclusies (afbeelding 1-3).
Nasale obstructies en hun impact op de mondgezondheid
Nasale obstructies, zoals vergrote amandelen, poliepen of een afwijkend neustussenschot, kunnen de oorzaak zijn van chronische mondademhaling. Wanneer de neuswegen geblokkeerd zijn, wordt neusademhaling bemoeilijkt of onmogelijk, waardoor patiënten gedwongen zijn door de mond te ademen. Er ontstaat in de loop der jaren vaak een incompetente lipsluiting en een long face vanwege de clockwise rotatie waarin de onderkaak groeit (de tong trekt als spier het complex omlaag; afbeelding 4 en 5). Dit verhoogt niet alleen het risico op diverse mondproblemen zoals cariës, gingivitis en parodontitis, maar vermindert ook de speekselproductie en bevordert de bacteriële groei. Tandartsen moeten alert zijn op tekenen van nasale obstructies bij hun patiënten, zoals chronische mondademhaling, een droge mond en orthodontische afwijkingen. Bij verdenking van een nasale obstructie is het essentieel om patiënten door te verwijzen naar een KNO-arts voor verder onderzoek en behandeling. Een succesvolle interventie,
zoals een operatie om de luchtwegen vrij te maken, kan niet alleen de ademhalingsfunctie herstellen, maar ook de mondgezondheid verbeteren doordat de patiënt weer door de neus kan ademen.
Gingivitis en parodontitis door disfunctionele ademhaling
Mondademhaling verhoogt het risico op gingivitis, een ontsteking van het tandvlees die wordt veroorzaakt door verhoogde bacteriegroei in een droge mondomgeving. Gingivitis kan, wanneer onbehandeld, overgaan in parodontitis, een ernstige tandvleesontsteking die niet alleen het tandvlees aantast, maar ook het bot rondom de tanden. Parodontitis kan uiteindelijk leiden tot tandverlies als het niet tijdig wordt behandeld.
Tandartsen moeten waakzaam zijn voor de signalen van mondademhaling, zoals terugtrekkend tandvlees, bloedend tandvlees en een droge mond, die wijzen op beginnende parodontale problemen. Onderzoek toont aan dat mondademhaling de speekselproductie vermindert, wat leidt tot een kwetsbare mondomgeving. Dit vergroot de kans op ontstekingen in het tandvlees en verergering zoals parodontitis. Mondademers vertonen vaak symptomen van terugtrekkend tandvlees, roodheid en droogheid van de mond, die indicaties zijn van een disfunctioneel ademhalingspatroon. Door de bacteriële balans in de mond te verstoren, wordt het tandvlees vatbaarder voor infecties, wat resulteert in chronische parodontale problemen. Tandartsen hebben een unieke positie om deze symptomen vroegtijdig te herkennen en in te grijpen door patiënten door te verwijzen naar ademtherapie of andere interventies die de mondademhaling corrigeren.




Craniofaciale ontwikkeling en mondademhaling bij kinderen
Bij jonge patiënten kan disfunctionele ademhaling ernstige gevolgen hebben voor de craniofaciale ontwikkeling. Mondademhaling tijdens de groei- en ontwikkelingsjaren van een kind (0-10 jaar) beïnvloedt de vorm en groei van het gezicht en de kaak, ook wel het craniofaciale complex genoemd (afbeelding 8). Wanneer kinderen chronisch door hun mond ademen, ondervindt de bovenkaak niet de normale druk van de tong tegen het gehemelte (afbeelding 9 toont de juiste rustpositie van de tong, aangegeven met de grote rode stip voorin de mond). Deze druk is noodzakelijk voor een gezonde ontwikkeling van de kaak en het gehemelte (afbeelding 4). Het ontbreken hiervan kan leiden tot een smal gehemelte en afwijkingen in de stand van de tanden. Het geven van borstvoeding kan al ten grondslag liggen aan het op de juiste manier leren van dit gedrag (afbeelding 7). Ontstaat die druk niet op de juiste manier, dan resulteert dat vaak in orthodontische problemen die alleen kunnen worden verholpen door een beugel of chirurgische ingreep.
Craniofaciale afwijkingen veroorzaakt door mondademhaling worden vaak aangeduid als het long face syndroom (afbeelding 6). Dit syndroom wordt gekenmerkt door een lang en smal gezicht, een smal gehemelte en een verkeerde kaakstand. Uit onder-
zoek blijkt dat kinderen die chronisch door hun mond ademen een verhoogd risico hebben op malocclusies zoals een open beet, overbeet en een scheve stand van de tanden. Dit vraagt om vroege orthodontische interventie om verdere complicaties te voorkomen.
Wat als we verder kijken dan alleen de symptomen?
Je kind is 5 jaar oud. Elke nacht slaapt het met de mond open, en je vindt het misschien schattig. Soms is er nog sprake van bedplassen, maar de kinderarts stelt je gerust: “Dat groeit er wel uit.”
Een paar jaar later zit je kind in de brugklas. Concentreren blijkt lastig. Leraren hebben hun oordeel al klaar: ongeconcentreerd, hyperactief, of misschien gewoon een beetje lui. Tegen de tijd dat je kind 16 is, is de vermoeidheid een vast onderdeel van de dag. Het valt in slaap tijdens lessen en lijkt nergens energie voor te hebben. Iedereen denkt: “Ach, pubers slapen nou eenmaal veel.”
Fast forward naar 30. Nu zijn er klachten zoals onverklaarbaar hoge bloeddruk, aanhoudende vermoeidheid en een constante behoefte aan cafeïne om de dag door te komen. Niemand heeft ooit gevraagd naar het slaappatroon of de ademhaling. Wat als een tandarts op jonge leeftijd had gezien dat de ruimte tussen de melktanden beperkt was? Wat als iemand had gevraagd naar snurken of monda-
demhaling? Wat als er doorverwezen was voor een slaaponderzoek? Wat als myofunctionele therapie en kaakverbreding waren ingezet om een gezonde ademhaling en diepe slaap mogelijk te maken?
De verborgen impact van onbehandelde slaapapneu
Onbehandelde slaapapneu of chronische mondademhaling bij kinderen kan leiden tot: gedragsproblemen, leerachterstanden, hart- en vaatziekten, aanhoudende vermoeidheid.
Niet te negeren signalen
Mondademhaling, snurken, een smal gehemelte, een tong- of lipbandje – het zijn geen kleine details. Het zijn signalen van een disfunctionele ademhaling, die onopgemerkt grote gevolgen kunnen hebben voor de groei, ontwikkeling en gezondheid van een kind.
Fysiologische gevolgen van disfunctionele ademhaling
Disfunctionele ademhaling heeft niet alleen gevolgen voor de mondgezondheid, maar ook voor de algehele gezondheid. Bij een gezonde ademhaling is er een evenwicht tussen zuurstof (O2), koolstofdioxide (CO2) en stikstofmonoxide (NO). Zuurstof is essentieel voor de cellulaire functie, maar de opname en afgifte van zuurstof aan de weefsels is afhankelijk van de juiste concentratie CO2 in het bloed. Bij disfunctionele ademhaling, zoals mondademhaling of hyperventilatie, wordt te veel CO2 uitgeademd. Dit verstoort het zuur-base evenwicht in het lichaam, wat leidt tot een inefficiënte zuurstofoverdracht naar de weefsels. Dit kan symptomen veroorzaken zoals vermoeidheid, duizeligheid en een verminderde fysieke prestatie.
Stikstofmonoxide (NO), dat voornamelijk in de neusholte wordt geproduceerd, speelt een belangrijke rol in het verwijden van bloedvaten en het verbeteren van de zuurstofopname in het lichaam. Neusademhaling stimuleert de productie van NO, wat helpt om de bloedvaten te verwijden en de zuurstoftoevoer naar de weefsels te verbeteren. Patiënten die door hun mond ademen, produceren minder NO, wat leidt tot verminderde vasodilatatie en inefficiënte zuurstoftoevoer naar de organen. Daarnaast is de buis van Eustachius een verbinding
tussen het middenoor en de achterkant van de neus en keel. Deze buis speelt een cruciale rol in het afvoeren van vocht en het in balans houden van de druk in het oor. De palatini-spieren zijn verantwoordelijk voor het openen en sluiten van deze buis. Bij een verkeerde tongpositie worden deze spieren niet goed geactiveerd. Dit komt doordat er te weinig druk is op de voorste twee derde van het gehemelte. Het gevolg? De buis van Eustachius kan niet goed draineren, wat vaak leidt tot terugkerende vochtophopingen en oorontstekingen. Veel kinderen die regelmatig oorontstekingen hebben, krijgen buisjes geplaatst om dit probleem op te lossen. Maar wat als we verder zouden kijken dan alleen naar het oor? In veel gevallen wordt namelijk niet onderzocht of een disfunctionele ademhaling of een verkeerde tongpositie een onderliggende oorzaak is.
Wat als we het probleem bij de bron aanpakken?
Wanneer mondademhaling of een verkeerde tongpositie niet wordt herkend, blijven de oorzaken van de klachten onopgelost. Hierdoor kunnen de problemen terugkeren, ook nadat buisjes zijn geplaatst. Het aanpakken van deze onderliggende factoren - zoals mondademhaling, een smal gehemelte of een verkeerde tongpositie - kan een blijvende oplossing bieden.
Eenvoudige oefening voor een betere tongpositie
Om de werking van de buis van Eustachius te ondersteunen, kun je een kind deze oefening laten doen:
1. Laat het kind de punt van de tong tegen het harde gehemelte plaatsen, net boven de bovenste voortanden.
2. Gebruik zuigkracht om de rest van de tong plat tegen het gehemelte te drukken.
3. Houd de mond gesloten en adem rustig door de neus.
4. Laat het kind deze houding 30-45 sec. vasthouden.
Een structurele oplossing
Naast deze oefening kan een mondstuk of orthodontische behandeling helpen om de tongpositie en de ademhaling te corrigeren. Dit kan niet alleen oorproblemen verminderen, maar ook bijdragen aan een



tandartspraktijk
betere ontwikkeling van het gezicht en de luchtwegen. Belangrijk is daarom dat er verder wordt gekeken dan symptoombestrijding.
OMFT, logopedie en kaakverbreding: een vroege aanpak bij verkeerde tongpositie
OMFT (oromyofunctionele therapie) is een effectieve methode om disfunctionele mondgewoonten, zoals een verkeerde tongpositie en mondademhaling, te corrigeren. Deze gewoonten spelen vaak een belangrijke rol bij de ontwikkeling van orthodontische problemen, zoals een smal gehemelte, malocclusies en afwijkende groei van het gezichtsskelet – vooral bij jonge kinderen.
Tijdens OMFT worden doelgerichte oefeningen ingezet om de spieren van de mond, tong en keel te versterken en te hertrainen. Zo leert het kind de tong rusten tegen het gehemelte – een essentiële voorwaarde voor een goede ademhaling, spraakontwikkeling en slikfunctie.
Ter ondersteuning van dit proces kunnen functionele hulpmiddelen worden ingezet, zoals de Myobrace of de FaceFormer. Deze apparaten helpen niet alleen de mondspieren te trainen, maar stimuleren ook neusademhaling en een correcte tongpositie.
Daarnaast speelt logopedie een belangrijke rol in het begeleiden van kinderen met afwijkende slik- of spraakpatronen. Door nauwe samenwerking tussen logopedisten, tandartsen en orthodontisten wordt gewerkt aan het herstellen van de mondfunctie in bredere zin.
Wanneer deze aanpak op jonge leeftijd wordt toegepast, kan ook tijdig worden gekeken naar het verbreden van een te smalle bovenkaak. Dit bevordert niet alleen een betere pasvorm voor de tong, maar ondersteunt ook de luchtwegontwikkeling en de balans in het gezicht. Kortom: een integrale aanpak waarin OMFT, logopedie, kaakverbreding en functionele apparatuur worden gecombineerd, legt de basis voor een gezonde mondontwikkeling en voorkomt veel orthodontische en ademhalingsproblemen op latere leeftijd.
Diagnostiek en behandeling van disfunctionele ademhaling in de
Tandartsen spelen een cruciale rol bij het diagnosticeren van disfunctionele ademhaling. Het artikel “Oral habits in childhood and occlusal pathologies” (Barrera, 2024) behandelt de impact van mondgewoonten, zoals mondademhaling, op de ontwikkeling van occlusale pathologieën bij kinderen (afbeelding 11-13). Het benadrukt dat gewoonten zoals duimzuigen, lipbijten en vooral mondademhaling kunnen leiden tot structurele veranderingen in het craniofaciale complex. Deze veranderingen, zoals een smal gehemelte, malocclusies en afwijkende tandposities, verhogen het risico op gebitsproblemen die vaak orthodontische correcties vereisen. Het artikel onderstreept het belang van vroege interventie, waarbij tandartsen een cruciale rol spelen in het identificeren en doorverwijzen van kinderen met dergelijke problematische mondgewoonten om verdere complicaties te voorkomen.
Tijdens routinecontroles kunnen tandartsen letten op symptomen die wijzen op mondademhaling, zoals een droge mond (afbeelding 8), terugtrekkend tandvlees en slijtage van het tandglazuur door bruxisme. Orthodontische afwijkingen zoals een smal gehemelte en malocclusies kunnen ook indicaties zijn van een chronische mondademhaling. Daarnaast is het checken van het tongriempje op jonge leeftijd cruciaal zodat borstvoeding mogelijk is en de tong tegen het gehemelte kan rusten. Een multidimensionale anamnese, die rekening houdt met fysieke, biomechanische, psychologische en sociale factoren, is essentieel om een compleet beeld te krijgen van het ademhalingspatroon van de patiënt.
Een effectieve manier om disfunctionele ademhaling te identificeren, is door het gebruik van de Nijmeegse vragenlijst en de Self Evaluation of Breathing Questionnaire (SEBQ). De Nijmeegse vragenlijst is een diagnostische tool die symptomen zoals kortademigheid en duizeligheid evalueert, wat kan wijzen op hyperventilatie. De SEBQ helpt bij het beoordelen van inefficiënte ademhalingspatronen en is nuttig bij patiënten die door hun mond ademen of lijden aan stressgerelateerde ademhalingsproblemen.
Behandelingsopties voor disfunctionele ademhaling omvatten myofunctionele therapie, ademhalingsoefeningen en orthodontische behandeling. Myofunc-
tionele therapie (afbeelding 14) richt zich op het versterken van de spieren rond de mond en het gehemelte, waardoor patiënten leren om weer door de neus te ademen. Bij kinderen kunnen orthodontische behandelingen zoals het verbreden van het gehemelte helpen om de luchtwegen te openen en de ademhaling te verbeteren, wat verdere complicaties kan voorkomen.

14
Conclusie
Disfunctionele ademhaling heeft verstrekkende gevolgen voor zowel de mondgezondheid als de algehele gezondheid van patiënten. Door disfunctionele ademhaling vroegtijdig te herkennen en de juiste behandeling in te zetten, kunnen tandartsen bijdragen aan een verbetering van de mondgezondheid en het welzijn van hun patiënten.
14
De auteurs
Nurcan Yilmaz is erkend restauratief tandarts (NVVRT, EPA), ambassadeur van KARMA Dentistry, onderdeel van Minec Nederland en co-docent bij een gerenommeerde implantologie opleiding in Nederland. Haar passie ligt in reconstructieve en esthetische tandheelkunde met een integrale achtergrond waarbij zij uitgaat van de mens als geheel.
Steven Zwerink is ademfysioloog en eigenaar van Ademwinst, een praktijk gespecialiseerd in het verbeteren van ademhaling en vitaliteit. Met een sterke focus op de verbinding tussen ademhaling, prestaties en welzijn, helpt Steven zowel professionals als cliënten om stress te reduceren en hun energieniveau te optimaliseren.
Disfunctionele ademhaling in de mondzorg














Marloes Rust, MondZorgVuldig
Mondhygiënisten Dordrecht
Deze column komt tot stand in samenwerking met TePe
Benelux B.V.
Een tijd geleden vroeg een goede vriend van ons op een verjaardag of ik een keer tijd had om naar zijn gebit te kijken. Natuurlijk maakte ik daar tijd voor. We spraken af en op de de betreffende dag kwam hij toch ietwat zenuwachtig binnen. Ik vroeg hem of hij er tegenop zag, maar hij zei van niet. Hij vertelde dat hij een maandje geleden in zijn moederland zijn gebit had laten reinigen, dus het zou allemaal wel meevallen. Na de anamnese nam hij plaats in de stoel. Ik keek in zijn mond en zag dat er behoorlijk wat supragingivaal tandsteen aanwezig was. Ik besloot te beginnen met een pocket registratie. Tijdens de registratie legde ik hem uit wat ik precies aan het doen was en waarom ik dit deed. Bij de molaren zakte ik direct al tot 10 mm de diepte in. Veel subgingivaal tandsteen. Ik vroeg of ze hem vorige maand uitleg gegeven hadden over parodontitis, maar eigenlijk wist ik het antwoord al. We besloten het zoals gebruikelijk goed aan te pakken en een pardontiumstatus te maken en hierna gaf ik hem voorlichting over parodontitis. De verstandskiezen hadden de diepste pockets, maar omdat ik geen röntgenfoto’s had, was er slechts een vermoeden over de prognose
De vrouw van
van deze elementen. Ik verwees hem door naar een bevriende tandarts voor onder andere het maken van röntgenfoto’s. Hierop was duidelijk te zien dat de verstandskiezen verloren waren en er echt uit moesten. Na overleg met de tandarts kreeg hij een verwijsbrief. Niet lang hierna belde de vriend op. Hij had ontzettend veel angst voor het verwijderen van de kiezen en had gelezen dat dit ook bij een narcosetandarts gedaan kon worden. Hij vroeg of ik mee kon gaan naar de narcosetandarts, want zijn vrouw kon niet mee vanwege de kinderen. Ik zei dat ik hem wel zou brengen. Kort hierna belde hij terug. Hij had aan de assistent gevraagd of zijn mondhygienist mee mocht kijken. Dit zou hem een goed gevoel geven. De assistent antwoordde dat alleen familie mee de praktijkkamer in mocht. Hier had hij heel ad rem op gereageerd door te zeggen dat ik naast zijn mondhygiënist ook zijn vrouw ben. Toen mocht het wel.
De dag van de behandeling brak aan en ik stond op tijd voor de deur om hem op te halen. De bange vriend stapte in mijn auto en vroeg gelijk of ik nog wist wat hij tegen de assistent had gezegd. Ik moest lachen en zei dat
ik vandaag de ‘vrouw van’ ben. We kwamen aan bij de betreffende praktijk en stapten uit. Bij binnenkomst moest er natuurlijk een anamnese ingevuld worden en er werd een nieuwe foto gemaakt. Hierna mocht hij mee naar binnen en zoals elke goede ‘vrouw van’ doet ben ik natuurlijk meegelopen. Hij ging zitten in de stoel, er werd wat uitleg gegeven en hij kreeg het infuus. Een andere assistent vroeg wat ik voor werk deed en ik antwoordde dat ik mondhygiënist ben. Ze zei dat ik best wel op een stoel naast hem plaats kon nemen om zijn hand vast te houden.Dat deed ik wat ongemakkelijk. Hierna kreeg hij het narcosemiddel en viel in slaap. De verdovingen werden gezet, maar deze maakte de bange vriend niet meer mee. De assistent keek mij aan en zei dat het beter was om in de wachtkamer plaats te nemen. Verbaasd keek ik haar aan en meldde dat ik hier best wel tegen zou kunnen gezien mijn werk en dat ik vroeger ook bij een kaakchirurg assisteerde. De assistente antwoordde dat het niet mocht, want het is toch heel anders wanneer je als ‘vrouw van’ de patiënt meekijkt. Ik denk toch dat ze ons door hadden…
COLUMN MARLOES

Your dentistry. Redefined!

Introducing TRIOS 6 & Dx Plus. Redefine your patients’ experience with our best TRIOS scan quality ever, working together with 3Shape’s cutting-edge AI assistive diagnostic software. Together with our groundbreaking DentalHealth app, communicate tailored, on-demand education and insights, empower your patients to co-own their dental health, and set them up for success!
Great patient care starts here!

s Werelds eerste Ergo-loepbril met verstelbare vergroting