
Orofaciale klachten
Gebitsslijtage: een praktische gids
![]()

Orofaciale klachten
Gebitsslijtage: een praktische gids



Ontwikkeld in samenwerking met mondhygiënisten
- Veilig en effectief
- Bevat fluoride
- pH-neutraal
- Ideale consistentie, geen spatten
- Perfecte voorbereiding voor een bleekbehandeling
- Patiëntvriendelijk tijdens en na de behandeling
Ga naar cavex.nl/pp voor meer informatie




VOORWOORD
Toen we met Dentista begonnen, was het idee simpel: een blad maken voor het hele tandheelkundig team, vol praktische artikelen die je meteen kunt toepassen in je werk. Dat doen we nog steeds, maar sommige beroepen verdienen af en toe nét wat extra aandacht. En dit keer is dat de mondhygiënist.
Het vak is de afgelopen jaren namelijk flink in beweging geweest. Denk aan het experiment met zelfstandige bevoegdheden. Of aan de technologische innovaties, de groeiende zorgvraag en de nadruk op preventie en voorlichting – ook buiten de stoel. Mondhygiënisten zijn daardoor meer dan ooit verbinders, adviseurs en specialisten die samenwerken met collega’s in de zorg. En dat vraagt om verdieping, nascholing én een beetje inspiratie. Daarom deze speciale uitgave, helemaal voor en over mondhygiënisten. Je leest bijvoorbeeld praktische tips voor starters van Onno Karssen, een
inspirerend interview met Ilse Triel en verdiepende stukken over OMFT (Marije Greven), orofaciale fysiotherapie (Saskia Vrickx) en alternatieven bij parodontale behandeling (Willeke van den Hoofdakker). Daarnaast delen Marloes Rust en Hester Nijland hun persoonlijke ervaringen, biedt Nurcan Yilmaz een gids over gebitsslijtage, en blikt Schelte Fokkema terug op 22 jaar nascholing. En natuurlijk ontbreken de columns niet. Wouter Broekema en Pourya Kamyar geven hun eigen bespiegelingen op het vak.
Kortom: een special vol herkenning, verdieping en nieuwe inzichten speciaal voor jou, de mondhygiënist die elke dag het verschil maakt.
Veel leesplezier!
Lies en Ilko.
Colofon
Dentista is een uitgave van Dentista Media en verschijnt 4 keer per jaar. Dit is een extra nummer dat we speciaal voor mondhygiënisten hebben gemaakt.
Redactie
Ilko Alink, Lies Ligtvoet
Redactie(adres) Dentista Media
Koggeschip 212, 7429 BG Colmschate Ilko Alink, ilko@dentista-magazine.nl
Digitaal aanwezig www.dentista-magazine.nl
Instagram: @dentistamagazine
Aan dit nummer werkten mee
Onno Karssen, Wouter Broekema, Ilse Triel, Marije Greven, Saskia Vrickx, Marloes Rust, Willeke van den Hoofdakker, Nurcan Yilmaz, Hester Nijland, Schelte Fokkema, Pourya Kamyar.
Grafisch Design
Degen en Leideritz BNo
Vormgeving
LDB Production, Levin den Boer
Fotografie
Lars van den Brink
Abonneren
Dentista wordt in gecontroleerde verspreiding toegezonden aan tandartsen mondhygiënistenpraktijken in Nederland. Ben je werkzaam binnen de tandheelkunde en wil je Dentista ontvangen, stuur dan een e-mail naar: info@dentista-magazine.nl
Adreswijzigingen
Per e-mail: info@dentista-magazine.nl. Vermeld zowel je oude als nieuwe adres.
Marketing
Ilko Alink, ilko@dentista-magazine.nl
Adverteren
Concetta Scibona, concetta@dentista-magazine.nl +31 6 281 829 62
Druk Wilco, Amersfoort
©2013-2025 Dentista Media. Niets in deze uitgave mag worden overgenomen, vermenigvuldigd of gereproduceerd zonder schriftelijke toestemming van Dentista Media of andere auteursrechthebbenden. Dentista Media kan geen aansprakelijkheid aanvaarden voor de juistheid en volledigheid van alle in deze uitgave opgenomen teksten en beelden.

Mondhygiënist met passie voor praktijk en onderwijs
Ilse Triel



Een praktijkovername of vrije vestiging?
Onno Karssen


18 24 28
OMFT, wat is dat?
Marije Greven
Drie casussen TMD en hoofdpijn
Saskia Vrickx
Van kelder- naar toppraktijk Marloes Rust



Persisterende parodontale pockets Willeke van den Hoofdakker
Column Wouter 11 Column Pourya 50 32
Slijtage: van vroege signalen tot effectieve samenwerking Nurcan Yilmaz


46 Nascholing voor mondhygiënisten door de jaren heen Schelte Fokkema
Mag ik je wat vragen? Hester Nijland
PRAKTIJKMANAGEMENT
Bij het starten als mondhygiënist heb je belangrijke keuzes te maken. Hoeveel kun je financieren? Ga je op zoek naar een bestaande praktijk die je kunt overnemen of kies je voor vrije vestiging en start je letterlijk op 0? In dit artikel geeft Onno Karssen uitleg over zaken waarop je moet letten. Als financieel adviseur in de (para)medische sector heeft hij bemiddeld bij vele overnames en begeleidde hij starters bij vrije vestiging.
Keuzes
Neem je een bestaande praktijk over, dan kun je een gespecialiseerde praktijkmakelaar inschakelen. Verder is het aan te bevelen om je netwerk in te schakelen. Banken, studiegenoten, dental depots en accountants weten soms al van praktijken die te koop staan, voordat ze ‘op de markt’ komen. Onno: “Bij de overname van een mondhygiënistenpraktijk kijk je meestal naar koop of huur, roerende zaken en instrumentarium, goodwill en verbouwingskosten. Dat bepaalt de waarde van een praktijk. Ga je voor vrije vestiging, dan is er uiteraard nog geen sprake van goodwill. Bij koop of huur is het van belang dat je niet teveel betaalt. Dat geldt zowel voor de overname van een praktijk als voor vrije vestiging. Wat
wel een belangrijk is bij de koop van een pand, is dat je de kosten-koper (10,4%), in principe niet mee kan financieren en uit eigen middelen moet voldoen.”
Zowel een praktijk overnemen als vanaf nul starten heeft voor- en nadelen. “Wat hoe dan ook belangrijk is”, zegt Karssen, “is om je goed te laten informeren door een professional. Het is hoe dan ook een grote stap. Dan wil je iemand ook volledig kunnen vertrouwen. In mijn geval werk ik ook nauw samen met bijvoorbeeld de accountant van een klant of met een makelaar. Maar ik heb ook uitstekende samenwerkingen met aannemers, dental depots en marketing professionals. Op die manier kun je een starter het complete traject bijstaan. Van het maken van een ondernemersplan tot het tekenen van een koopakte. Dat is wel zo prettig!”

10 tips bij een
1. Staar je niet blind op de hoge omzet van een praktijk. Kijk naar je eigen verdienmodel
2. Kijk goed naar de staat van de praktijk en bestudeer de verrichtingenlijsten.
3. Check of er nog grote investeringen nodig zijn en neem die mee in de onderhandelingen
4. Of de huidige eigenaar actief blijft werken kan het verloop van patiënten positief beïnvloeden
5. Check goed of de apparatuur ie je hebt overgenomen, ook jaarlijks onderhoud heeft gehad.
6. Kansen en mogelijkheden zijn belangrijker dan de aankoopprijs. Kijk naar de toekomst
7. Controleer of er individuele afspraken zijn gemaakt met het personeel
8. Voorkom na-verrekeningen en check de pensioenafdracht
9. Kan (bij huur) het huurcontract onder dezelfde voorwaarden worden voortgezet?
10. Onderhandel met de bank. Vaak heeft en lange looptijd qua aflossing de voorkeur, mede doordat je altijd tussentijds kunt aflossen.
10 tips bij vrije vestiging
1. Begin met een duidelijke visie. Wat wil je uitstralen en voor wie ben je er?
2. Kies je locatie strategisch. Denk aan zichtbaarheid, bereikbaarheid en concurrentie in de buurt.
3. Start lean. Begin met één behandelkamer en bouw uit naarmate je groeit.
4. Zorg voor een professioneel online profiel. Je website en Google-reviews zijn je digitale visitekaartje.
5. Leg contact met lokale tandartsen en zorgverleners. Samenwerkingen zorgen voor doorverwijzingen.
6. Investeer slim in apparatuur. Koop wat je nodig hebt, lease waar mogelijk.
7. Regel je administratie goed. Besteed dit eventueel uit zodat jij je op de zorg kunt richten.
8. Maak een realistisch financieel plan. Reken met een opstartfase zonder volle agenda.
9. Begin klein, maar denk schaalbaar. Kies een pand waar je in de toekomst kunt uitbreiden.
10. Wees zichtbaar en actief in je buurt. Flyers, lokale events, social media. Kortom, laat zien dat je er bent!
De auteur
Onno Karssen van Onno Karssen Advies is financieel adviseur in de (para)medische sector. www.onnokarssenadvies.nl



GC TOOTH MOUSSE versterkt het tandglazuur en beschermt uw tanden tegen tandbederf en gevoelige tanden. Bevat calcium, fosfaat en recaldent. Deze stoffen remineraliseren het tandglazuur.
• Geeft betere weerstand tegen zuuraanvallen
• vermindert overgevoeligheid
• voorkomt caries
• keert het white spots proces om
• verkrijgbaar in verschillende smaken
* Geldig op GC Tooth Mousse 5 + 1 pack met artikelnummer 10003205 t/m 31 december 2025.
MEER INFORMATIE? Contacteer sales.benelux@gc.dental


Wouter Broekema, Mondhygiënist bij Centrum Parodontologie en Implantologie Amersfoort (CPIA).
Tijdens het schrijven van deze column hebben we net afscheid genomen van onze stagiaire. Door de jaren heen hebben we veel studenten gehad van de verschillende opleidingen Mondzorgkunde.
De procedure is vaak hetzelfde:
Op welk niveau zit de student? Welke vaardigheden beheersen ze al? En niet onbelangrijk, wat kunnen wij ze bieden in de praktijk? Vaak zie je dezelfde leerdoelen terugkomen. Als stagebegeleider is het elke keer weer een uitdaging om het individuele leertraject van de student te begeleiden en daarbij het maximale uit de student te halen. Ik kan mijn eigen stage in de parodontologiepraktijk nog goed herinneren. Een periode met veel indrukken. Je kunt zelfs spreken van een sterk voor- en na-effect. Mijn parodontale kennis en kunde raakte in een stroomversnelling en ik leerde veel in deze relatief korte tijd van mijn studie. Na deze stage voelde ik mij een hele mondhygiënist. Achteraf gezien was ik slechts startbekwaam maar zo voelde dat niet. Die stage heeft mij grotendeels gevormd tot de mondhygiënist die ik nu nog steeds ben, met
passie voor parodontologie.
Het effect van een stage lopen in de parodontologie is groot en mijns inziens misschien wel onmisbaar om een mooie start te maken in ons werkveld.
Stage lopen kan in een parodontologiepraktijk maar ook in een setting waarbij er voldoende parodontale kennis en kunde aanwezig is in huis. Er zijn veel ontwikkelingen in ons werkveld, maar parodontologie behoort wat mij betreft nog steeds tot de core business van de mondhygiënist. Parodontale therapie is uiteraard meer dan tandsteen krabben en poetsles geven.
Je oprecht verdiepen in de patient en alle variabelen proberen in kaart te brengen zijn essentieel voor succes en ook voor je eigen werkplezier. “Een mond is meer dan een bak tanden” zei ooit een wijs persoon. Dat mantra komt vaak terug bij stages.
Als student hou je je vast aan het protocol, je aangeleerde skills en wat de literatuur laat zien om een patiënt zo goed mogelijk te behandelen. Als stagebegeleider de taak om nuance in dit verhaal aan te brengen, zonder daarbij de evidence en de wensen en voorkeuren van de patiënt uit het oog
te verliezen. Dat vraagt soms wat creatief nadenken of omdenken van de student.
Hoe kun je het effect van de behandeling zoveel mogelijk maximaliseren? We kunnen veel willen als behandelaar, maar wat wil die patiënt eigenlijk? Hoe krijg je die mee in het verhaal? Welke endpoints voor parodontale therapie zijn acceptabel en wat zijn je beperkingen in de non-chirurgische parodontale therapie?
Wanneer is parodontale chirurgie geïndiceerd?
Het zijn allemaal punten die terugkomen in een stage en die een waardevolle en onmisbare bijdrage leveren aan je professionele handelen.
Waardevol is het ook zeker voor de stagebegeleider, die leert ook nog weleens wat. Zo kan ik me herinneren dat ik jarenlang de punt van de naald visueel inspecteerde voor een juiste positie van de bevel, totdat een stagiaire mij attendeerde op een zwart driehoekje als referentiepunt. Tot dat moment nooit opgemerkt en een mooi voorbeeld van werken in je eigen cocon met vaste gewoontes. Soms is een frisse blik niet verkeerd.
Wat maakt het vak van mondhygiënist zo boeiend en betekenisvol? Voor Ilse Triel is dat vooral de afwisseling, de samenwerking in het tandheelkundig team én de kans om kennis door te geven aan de volgende generatie. Met een stevige basis in de praktijk én een passie voor onderwijs én wetenschap, laat ze zien hoe veelzijdig en toekomstgericht het beroep is.
Wat maakt het vak zo mooi?
De afwisseling! Ik ben algemeen mondhygiënist, geef les op de Hogeschool Utrecht én verzorg de cursus voor preventieassistenten bij Dental Best Practice. In de praktijk kan ik mijn eigen technieken toepassen en patiënten helpen van een complexe situatie naar een gezonde mond en glimlach. Daarbij kijk ik altijd naar het totaalplaatje, samen met collega’s – dus niet alleen naar parodontologie, maar ook naar de rest van het gebit.
Naast complexe paro houd ik me bezig met controles, vullingen en preventieve zorg. Doordat ik zelf nog actief ben in de praktijk, kan ik studenten goed begeleiden. Ik kan ze meer overzicht bieden en laten zien hoeveel mogelijkheden ons vak eigenlijk biedt. Zelf ben ik nog niet zo lang geleden afgestudeerd en ik ben nu begonnen aan een master Gezondheidswetenschappen in Utrecht. Daardoor kan ik me goed inleven in studenten.
Waarom heb je ervoor gekozen?
Ik had al op jonge leeftijd interesse in het gebit. Dat komt denk ik door mijn tandarts van vroeger, die echt een goede indruk op me heeft achtergelaten. Daarnaast vond ik orthodontie ook erg interessant. Uiteindelijk ben ik naar een open dag van de opleiding Mondzorgkunde gegaan. Daar zag ik dat er verschillende richtingen en mogelijkheden waren binnen het vak – dat bevestigde voor mij de keuze.
Hoe heeft het vak zich ontwikkeld?
Ik werk nu ongeveer vier jaar. Toen ik net begon, was het BIG-experiment nog vrij nieuw. Ik heb daar als eerste een aanvullend TMS-certificaat voor gehaald. Ik wilde deze kans graag benutten en ben actief op zoek gegaan naar een praktijk waar ik, naast paro-

dontologie, ook mocht boren. Helaas weten we inmiddels dat dit experiment geen vervolg krijgt, maar ik ben blij dat ik deze ervaring heb meegenomen.
Is het patiëntencontact ook veranderd?
Patiënten kunnen tegenwoordig veel zelf. Ik gebruik bij iedereen disclosing, zodat biofilm direct zichtbaar wordt. Dat maakt een enorm verschil. Door duidelijk uit te leggen wat er speelt, kan een patiënt zelf
bewuste keuzes maken. Je moet die keuzes niet voor hen maken, maar hen begeleiden in het proces. Kosten spelen tegenwoordig wel een grotere rol, maar veel mensen zien mondzorg gelukkig ook als een investering in zichzelf.
Ik ben me er steeds meer van bewust dat het vak draait om samenwerking tussen behandelaar en patiënt. Ik wijs niet met een vinger, maar stel samen met de patiënt doelen. Vervolgens kijken we wat daarvoor nodig is. Het coachen naar gewenst gedrag is soms lastig, maar het is een belangrijke taak voor


Time for
Ontdek ons geselecteerde aanbod
Accessoires Proceschemie Digitale oplossingen
Profiteer nu van waardevolle extra’s: Bij alle thermodesinfectoren van de serie ExpertLine die tussen 15.09.2025 en 31.12.2025 worden besteld, ontvangt u 25% korting op verschillende accessoirepakketten en een gratis ProCare Dent pakket. Daarnaast bieden wij onze digitale oplossing Miele Move geheel kosteloos aan.
• Maximale efficiëntie dankzij hoge capaciteit
• Tijd-, water-, chemie en energiebesparend
• Groot, intuïtief kleurentouchscreen met duidelijke instructies
• Kamerverlichting voor nog gemakkelijker beladen
• Vloeistofdosering met vulniveaudetectie
• Verkrijgbaar met Eco Dry- of DryPlus-droogsysteem
• Batchvrijgave op gebruikersniveau
• Geschikt voor aansluiting op 230 of 400 volt
• Standaard met wifi en Miele MOVE
• Rekken en inzetten van de PG 8581 of PG 8591 kunnen één-op-één worden overgezet
Inclusief gratis plaatsing, inbedrijfstelling, transport én retourname van uw oude machine.
Ontdek ExpertLine www.miele.nl/pro/extra-dent
Voor meer informatie: www.miele.nl/professional Tel: (0347) 37 88 84 professional@miele.nl
de mondhygiënist. In de loop van de tijd heb ik deze benadering beter ontwikkeld, al blijft het soms uitdagend.
Werk je ook met andere apparatuur of technieken?
Ja, ik ben heel blij met de airflow in onze praktijk. Daarmee wordt de behandeling prettiger voor de patiënt én voor mezelf. Daarnaast blijf ik geïnteresseerd in nieuwe technieken, vooral op het gebied van niet-chirurgische behandelingen bij aanhoudende pockets of ontstekingen rond implantaten. Ik verdiep me graag in onderzoeken en behandelmethoden die hierbij horen.
Wat zijn lastige situaties binnen je vak?
Overbelasting bij gevorderde paro – dus stadium III of IV – blijft uitdagend. Vooral het opstellen van een goed revalidatietraject waarbij meerdere mensen betrokken moeten zijn maakt het complex. Toch denk ik dat we hier als mondhygiënisten een belangrijke rol in kunnen spelen om elementen te behouden. Vooral als we vroegtijdig signaleren en goed samenwerken met het team.
“Door
studenten te inspireren én zelf in de praktijk te werken, blijf ik leren én verbinden.”
Hoe verloopt de samenwerking met andere tandheelkundige disciplines?
Die samenwerking verloopt goed. Er zijn korte lijnen en dat maakt het makkelijk. Ik bespreek behandeluitkomsten vaak met de tandarts of het team. Sinds kort hebben we ook contact met een implantoloog
die meedenkt bij complexe parocasussen. We verwijzen met een duidelijke verwijsbrief naar specialisten, met de reden van verwijzing en aanvullende gegevens. Daarnaast bespreken we met de parodontoloog ook inhoudelijk de casussen. Dat zorgt voor een prettige en effectieve samenwerking.
Welke richtlijnen volg je als mondhygiënist?
Ik werk volgens de richtlijnen van de NVvP voor parodontale screening, en volgens het GBT-protocol. De PPS gebruik ik bij elke patiënt en op basis van de metingen stel ik een passend behandelplan op. Bij implantaten volg ik de KIMO-richtlijn voor diagnostiek, behandeling en preventie van peri-implantaire infecties. Daarnaast houd ik rekening met de algemene gezondheid en medicatie van de patiënt, bijvoorbeeld het gebruik van anticoagulantia.
Hoe belangrijk is nascholing voor jou?
Heel belangrijk! Als je je niet blijft ontwikkelen, raak je achterop – en dat kun je je in dit vak niet veroorloven. Door nascholing blijf je scherp en kun je betere zorg leveren. Ik neem deel aan een ICO-groep waarin we actuele thema’s en casussen bespreken. Dat is niet alleen leerzaam, maar ook erg inspirerend. Daarnaast bezoek ik graag congressen en cursussen, zodat ik op de hoogte blijf van richtlijnen en nieuwe behandeltechnieken. Dat maakt het werk ook zo leuk en afwisselend.
Waarom ben je ook docent geworden?
Tijdens mijn opleiding raakte ik al betrokken bij het onderwijs. Na mijn afstuderen ben ik dan ook docent Mondzorgkunde gebleven, naast mijn werk als mondhygiënist in de praktijk. Ik hou van die com-

Als mondhygiënist weet je hoe belangrijk het is om te blijven leren. Of je nu verdieping zoekt in een specifiek onderwerp of praktische vaardigheden wilt aanscherpen, ons aanbod helpt je verder.
Je ontwikkelt je in kleine groepen, met een sterke koppeling tussen theorie en praktijk en ruimte voor interactie met collega’s uit het vak.
We hebben alvast drie opleidingen voor je geselecteerd:
Leergang Parodontologie
Start: vrijdag 11 september 2026
Deze leergang biedt jou als mondzorgprofessional verdiepende kennis en praktische inzichten in het parodontale behandelproces. Je leert parodontale problemen effectiever herkennen, behandelen én aansturen. Met meer begrip van de pathofysiologie werk je doelgerichter én versterk je de samenwerking binnen het team, voor betere zorg en efficiëntere praktijkvoering.
Docenten
Schelte Fokkema | Hanneke Elzink | Daniël Oortgiesen | Sascha van Hummel | Jeroen Zweers | Hugo van Beurden | Daan van Oort | Nikki van der Corput
completeScandeQR-codevoorhetaanbodenmeldjeaan!
Opleiding Preventie voor de allerjongsten
Start: vrijdag 15 november 2025
Wil je als mondhygiënist aan de slag met mondzorg voor kinderen van 0–4 jaar? Deze opleiding geeft je praktische kennis, gesprekstechnieken en tools om gezond mondgedrag op jonge leeftijd te stimuleren. Inclusief samenwerking met de jeugdgezondheidszorg en begeleiding bij implementatie in de praktijk.
Docenten
Marit Verschuuren | Bernadet Spaan | Fenno Moes | Peggy van Spreuwel | Brenda Grift | Denise Leusink | Maaske Treurniet
Maar er is uiteraard veel meer...
Klaar om het beste uit jezelf te halen?
Leergang Kindertandheelkunde
Start: vrijdag 13 maart 2026
Heb je affiniteit met kindertandheelkunde, maar mis je soms de juiste kennis of aanpak?
Deze leergang biedt jou verdiepende theorie, praktijkgerichte casuïstiek en hands-on training om je vaardigheden te verfijnen. Met begeleiding van ervaren gastdocenten leer je kinderen beter én met meer vertrouwen te behandelen.
Docenten
Cyriëlle Jongkind | Marije Greven | Bernadet Spaan | Corine Blaauw | Hanneke de Valk | Fenno Moes
Bekijk snel ons aanbod en ontdek welke opleiding bij jou past!

binatie. Het contact met patiënten geeft me voldoening, maar studenten begeleiden geeft me ook energie. Je ziet hen groeien en ontwikkelen. Ik vind het belangrijk dat studenten kritisch leren kijken naar de hele mond – niet tand voor tand. Door mijn praktijkervaring te koppelen aan de lesstof, ontstaat een mooie verbinding tussen theorie en praktijk. Ik denk dat ik het lesgeven niet meer zou kunnen missen. Het geeft mij veel voldoening, en ik wil dit verder uitbreiden met onderzoek. Zo hoop ik een bijdrage te leveren aan onderwijs, onderzoek én de praktijk.
Hoe zie jij de toekomst van de mondhygiënist?
Ik hoop dat we als mondhygiënisten nóg meer aandacht gaan hebben voor de mens als geheel. Dat we niet alleen kijken naar tanden en kiezen, maar naar de gehele mondgezondheid én de invloed daarvan op de algemene gezondheid. Door vroegtijdig te signa-
leren kunnen we veel betekenen voor het behoud van natuurlijke elementen. Zo dragen we bij aan duurzame, toekomstgerichte mondzorg.
De auteur
Ilse Triel (28) studeerde in 2020 af aan de opleiding Mondzorgkunde van de Hogeschool Utrecht met minors didactiek en voeding. Ze werkt sinds 2022 in een algemene tandartspraktijk (GAAF mondzorg te Enschede) waar ze onder andere wordt ingezet voor paropreventie, cariës, pijnklachten en controles. Daarnaast werkt ze als docent bij de Hogeschool Utrecht en bij de paropreventiecursus bij Dental Best Practice. Verder volgt ze deeltijd een master klinische gezondheidswetenschappen.
AFWIJKENDE MONDGEWOONTEN
Oro Myofunctionele Therapie (OMFT) is een behandelmethode die zich richt op het herstellen van het evenwicht tussen de spieren in en rond de mond. Een verstoord evenwicht kan leiden tot afwijkingen in de vorm van het gezicht én in de mondfuncties zoals slikken, ademhalen en spraak. In dit artikel lees je hoe OMFT werkt, wanneer het wordt ingezet en waarom samenwerking tussen tandarts, orthodontist en logopedist zo belangrijk is. Ook bespreken we het belang van vroege signalering en betrokkenheid van ouders.
Je bent ze vast weleens tegengekomen, kinderen in de wachtkamer met een speen in de mond of kinderen die altijd met een snotneus rondlopen. Maar ook die met een open mond zitten, een smalle bovenkaak hebben en met amandelvormige hangende ogen. Allemaal signalen die kunnen wijzen op een verstoord evenwicht van de orofaciale spieren. Door dit verstoorde evenwicht van de spiergroepen ontstaan problemen in de vorm (kaken) en in de functie (spiergroepen). Voor problemen in de vorm schakelen we de hulp in van de tandarts en/of de orthodontist. Voor problemen in de functie hebben we de hulp van de logopedist nodig.
Vorm- en functieproblemen
Problemen met betrekking tot de vorm kunnen zijn:
• (Toename van) een overbeet; sagittaal of verticaal
• Vertraagd doorkomen van gebitselementen
• Smal palatum (Gotisch gehemelte)
• Te korte bovenlip
• Gezwollen onderlip
Omgekrulde lippen
Dikke tong ‘Speldenkussen kin’
Problemen met betrekking tot functie kunnen zijn:
• Mondgedrag: open mondgedrag/mondademen, afwijkende tongpositie in rust, afwijkende slikbeweging
Spraak:slissen, moeite met specifieke letters D/L/ N/T/S/Z
• Voeding: langzaam eten of juist schrokken, vaker verslikken
Wat is OMFT en wie voert het uit?
Deze problemen in de vorm en functie kunnen worden aangepakt in samenwerking met een logopedist die een behandeling volgens de Oro - Myofunctionele

1. Verschillen tussen neus- en mondademer (door Tijmen Baatsen).
Therapie (OMFT) kan geven. Deze behandelmethode is door Berry Verlinden (tandarts en implantoloog) en Peter Helderop (logopedist) ontwikkeld en vanaf 2001 op de kaart gezet bij vele logopedisten. Ook hebben ze cursussen ontwikkeld voor tandartsen, orthodontisten en mondhygiënisten. Verlinden en Helderop geven de volgende definitie: “Myofunctionele therapie is een oefentherapie die gericht is op het herstellen van een verstoord evenwicht in het functioneren van de orofaciale spieren.”
De tandarts/orthodonist werkt aan de vorm. En de logopedist richt de aandacht op het functionele deel zodat de spieren in het juiste evenwicht weer goed kunnen samenwerken. Wanneer dit evenwicht is, heeft dat veel effect op de vorm. De vorm van de kaak wordt breder, de tanden gaan rechter staan, de overbeet wordt minder of verdwijnt. De lippen sluiten, de neusdoorgang wordt verbeterd en de ogen staan alerter. Daarnaast verbetert de verstaanbaarheid en wordt het kauwen en slikken makkelijker.
Wanneer de tandarts signaleert en verwijst naar een logopedist met OMFT-ervaring is het goed om dit op jonge leeftijd al te doen. Hoe jonger het kind, hoe makkelijker het aanleren van nieuwe gewoonten is.
Het kan ook de duur van het traject positief beïnvloeden. Bij jonge kinderen is wekelijks afspreken bij de logopedist misschien helemaal niet nodig en kunnen ouders als co-therapeuten ingezet worden.
Wanneer een kind al een beugel heeft en dat traject niet voorspoedig verloopt, is het ook goed om te verwijzen naar een logopedist. Een sandwichbehandeling (logopedist, orthodontist/tandarts, logopedist) zou ideaal zijn. De logopedist start met het verbeteren van de functie zodat de orthodontist/tandarts aan de vorm kan werken. En gedurende het traject houdt de logopedist de voortgang en de functie middels controleafspraken in de gaten en waar nodig wordt de behandeling aangescherpt. Wanneer het beugeltraject afgerond is, volgt er nog een controle en als alles goed verloopt kan het afgerond worden.
Maar wat kan nu zorgen voor verstoring in orofaciale spieren?
• Voedingsontwikkeling: borstvoeding vs flesvoeding, voedingsovergangen, voedselconsistentie
• Afwijkende mondgewoonten: duim- en vingerzuigen en speen, liplikken, nagelbijten, mondademen (open mondgedrag), andere foutieve gewoonten zoals lipzuigen, afwijkend slikgedrag Frequent verkouden/allergieën
• Korte tongriem
AFWIJKENDE MONDGEWOONTEN

Als kinderen met hun ouders bij de logopedist komen, vindt er een uitgebreide anamnese plaats. Daarbij vragen we altijd naar bovenstaande punten. De logopedist wil graag horen of het kind borst- of flesvoeding heeft gehad, of de voedselovergangen makkelijk verliepen, hoe het kind zijn/haar eten krijgt. Eet het met de pot mee of wordt alles nog steeds gepureerd. We nemen het lijstje afwijkende mondgewoonten door. We vragen naar allergieën en de frequentie van verkouden zijn. En we kijken naar de tongriem en de mogelijkheden van de tong.
Na de anamnese gaan we observeren wat er gebeurt met de tong en de lippen wanneer het kind een slok water neemt. En we gaan meten: de lipsterkte met de force scale. Als de logopedist een myoscanner heeft worden de masseter, de lipdruk en de tongdruk gemeten. Daarnaast gaan we met de zo genoemde Payne – techniek kijken wat de tong doet tijdens het slikken.
Behandeling en therapie
Wanneer alles in kaart is gebracht kunnen we de di-


4. Materialen waarmee kinderen spelenderwijs kunnen oefenen
agnose is stellen. En aansluitend kunnen we een behandelplan opstellen. We starten met het afleren van de afwijkende mondgewoonten. Als dat niet gebeurt heeft behandelen geen zin. Omdat deze gewoonten de verstoring van het evenwicht in stand houden.
Dus als we het kind laten oefenen terwijl het door blijft gaan met het zuigen op de duim of speen, is het kind heel hard aan het werk, maar zal er weinig verbetering van de spierfunctie zichtbaar zijn.
Daarnaast richt de therapie zich op het versterken
van de spieren. Het aanleren van een goede slik. In sommige gevallen het verbeteren van de articulatie. En tot slot het inslijten van de aangeleerde gewoonten. Het hele traject kan zo’n 15 à 20 sessies in beslag nemen. Het vereist enige discipline (en soms ook creativiteit) van ouders om het kind elke dag te laten oefenen. Bij de jongste kinderen wordt het behandeltraject aangepast op de mogelijkheden van het kind. Maar ook bij deze jonge kinderen is het van belang dat het spenen of duimzuigen afgeleerd gaat worden. Het afleren van het spenen of duimzuigen is iets waar veel ouders tegenop zien en wat tijd kost. Maar de logopedist kan ouders hier heel goed in ondersteunen, motiveren en begeleiden.
Samenwerking in de regio
Als tandarts, orthodontist is het heel handig om te weten welke logopedist met OMFT-ervaring bij jou in de buurt zit. Het mooiste is om een keer een informatief belrondje te doen om zo te zorgen dat er korte verwijslijnen ontstaan. Dit bevordert de samenwerking, maar is ook naar ouders toe een goede motivatie om de stap naar de logopedist te maken. Nodig de logopedist uit op de praktijk om te komen vertellen over de OMFT-behandeling. De ervaring leert dat je elkaar beter kan vinden bij vragen en dat je sneller kunt handelen wanneer je twijfelt over wel of niet doorverwijzen.
advertentie


Van pulpa tot pocket. De route van de paro-endolaesie
Drs. Aukje Bouwman
Drs. Camille Cammaert
Digitale beeldvorming: 2D, CBCT of misschien wel MRI
Dr. Joerd van der Meer



DVan mond tot hart: paro & endo bacteriën en het belang van verantwoord antibiotica gebruik
Dr. Adelina Plachokova
Dr. Jaap ten Oever
Willen ouders eerst meer informatie, laat ze dan eens kijken op de site van Maaske Treurniet: www.volmondiglogopedie.nl. Collega Maaske heeft verschillende cursussen ontwikkeld voor ouders met betrekking tot mondmotoriek bij jonge kinderen (ook voor tandartsen). Wil jij als tandarts, orthodontist of als mondhygiënist meer informatie, of wil je je meer verdiepen in OMFT, kijk dan op de site van Berry Verlinden: www.omft.info; of op de site van Peter Helderop: www.omft.nl
Volg jij de Leergang Kindertandheelkunde, dan kom ik een gastles geven over dit onderwerp. Na deze gastles kun jij afwijkende mondgewoonten signaleren en kun jij ouders gerichte adviezen geven met betrekking tot het afleren van spenen en duimzuigen, het geven van oefeningen en adviseren van logopedie bij een OMFT-logopedist bij jouw praktijk in de buurt.
Marije Greven is logopedist en docent bij de Leergang Kindertandheelkunde van Dental Best Practice.


Van mond tot hart: paro & endo bacteriën en het belang van verantwoord antibiotica gebruik
Dr. Adelina Plachokova
Dr. Jaap ten Oever


Paro-endo problematieken: klinische besluitvorming bij parodontaal gecompromitteerde elementen
Drs. Simone Cortellini
Van 8 tot 80: paro-endo afwegingen in iedere levensfase
Dr. Nicky Beukers
Drs. Dieuwertje de Groot-Kuin


e keuze tussen behoud of vervanging van een element vereist maatwerk en interdisciplinaire samenwerking. Tijdens het NVvPNVvE najaarscongres 2025 ‘Dieper Kijken’ belichten diverse experts vanuit de parodontologie en endodontologie waarom deze samenwerking essentieel is. Het resultaat is een bijzonder blikverruimend programma. Hoe u dat evidence based én praktisch in de praktijk kunt oppakken, is duidelijk na het bijwonen van dit NVvP-NVvE najaarscongres op 22 november aanstaande in het Gooiland Hilversum. Inschrijven kan eenvoudig op www.nvvp.org
















OROFACIALE KLACHTEN
Hoofdpijn, nekklachten of tandpijn: vaak ligt de oorzaak in het kauwstelsel. Orofaciale fysiotherapeut Saskia Vrickx ziet het dagelijks in haar praktijk ‘Fysio de Hoofdzaak’, waar zij nauw samenwerkt met tandartsen en mondhygiënisten. Met drie casussen geeft zij inzicht in herkenbare problematiek en laat zij zien welke rol orofaciale fysiotherapie kan spelen in de tandheelkundige praktijk.
Casus 1: Myogene TMD en hoofdpijn
Een 60-jarige vrouw is door de huisarts verwezen in verband met hoofdpijn en algehele spanningsklachten. Ze geeft aan dagelijks last te hebben van hoofdpijn temporaal. Zij staat daarmee op nrs 5. Daarbij heeft tweemaal per maand stekende hoofdpijn boven haar ogen en midden op haar hoofd en occipitaal nrs 8. Verder is zij bekend met spierspanning in haar rug- nek- en schouders nrs 7. Mevrouw heeft een drukke baan in de zorg; met een wisselend rooster. Daarnaast heeft zij een gehandicapte (volwassen) zoon die thuis woont en veel zorg, tijd en aandacht nodig heeft. Mevrouw merkt dat zij deze combinatie van werk en privé/zorgtaken zwaarder vindt worden nu zij zelf ouder wordt. Ze piekert hoe dit nu verder moet in de toekomst. Zij heeft als hobby ansichtkaarten maken; zij doet dit zittend aan tafel terwijl zij met een schuin hoofd naar de TV kijkt.
Inspectie en onderzoek: Intraoraal; gebitschade en wangrillen. Zij heeft verder een hoge ademhaling, hoge schouderstand; zij heeft moeite deze te laten zakken, zelfs bij instructie. Onderzoek; geen beperkingen mondopening of functie hypertonie kauwmusculatuur. M. masseter en temporalis. En de hals- en nekmusculatuur M. sternocleidomastiodeus en trapezius.
Hulpvraag: hoofdpijn en nekklachten verminderen. Differentiaal Diagnose: Myogene TMD met spierspanningshoofdpijn uit het kauwstelsel en nekhalsspieren.
Behandeling bestaat uit: Uitleg aandoening, geruststelling en een luisterend oor. Inzicht en informatie ten aanzien belasting versus belastbaarheid. Dentoniserende behandeltechnieken, massage en aanleren zelfmassage, habit-reversal (gewoonteomdraaiing /-afleren). Bewustwording en instructies ten aanzien van lichaamshouding tijdens werk en hobby.
Resultaat: Na de eerste behandelingen had mevrouw een lichte toename van klachten en gevoeligheid van


het hoofd. Maar ze heeft doorgezet met de oefeningen en zelfmassage en ervaart nu minder spierspanning en pijn in spieren van gelaat, nek- en schouders. Op haar werk is mevrouw gaan praten om wat minder uren en regelmatiger te werken; mevrouw gaat daarnaast (bijna) geen nachtdienst meer draaien waardoor de combinatie tussen werk en zorgtaken minder zwaar wordt. Verder is zij aan het onderzoeken of zij meer hulp kan krijgen bij het verzorgen van haar zoon. Voor haar hobby heeft mevrouw een laptop van zolder gehaald die zij op de eettafel zet; zodat zij niet meer schuin naar de TV hoeft te kijken. Verder neemt zij hierin meer pauzes en doet dan wat rek- en strekoefeningen om het langdurig in één houding zitten onderbreekt.
Na 8 behandelingen zijn de hoofdpijnklachten zijn met 60% afgenomen. Mevrouw kent de oefeningen en kan deze goed uitvoeren. Zij kan hiermee zelf aan de slag; zij komt retour indien de klachten toenemen. Zij neemt dan zelf contact op.
Casus 2: Acute artrogene klacht na tandheelkundige behandeling
Bij een 28-jarige vrouw is de dag voorafgaand aan haar afspraak met mij een kies behandeld (Rechts achterin 1-7). Zij heeft verdoving gekregen en heeft lang met haar mond opengelegen. De ingreep is goed gegaan. De volgende ochtend werd mevrouw wakker met beperking van de mondopening en pijn net voor haar oor rechts (zij kon dit met 1 vinger aanwijzen). Pijn in rust nrs 2; pijn in functie 8. Zij heeft contact gezocht met de tandarts. Deze heeft haar doorgestuurd naar de orofaciaal fysiotherapeut. Stressoren/situationeel: Mevrouw is gezond en ge-
bruikt geen medicatie. Zij woont alleen. Zij heeft een administratieve functie voor 32 uur in de week en ervaart hier geen stress van. Geen parafuncties. Wel was zij bekend met kaakgewrichtsgeluiden Rechts tijdens het eten.
Differentiaal Diagnose: Artrogene TMD – Anterieure Discusverplaatsing zonder reductie Rechts Inspectie en onderzoek:Mevrouw heeft een mondopening van 20 mm; met een deviatie naar rechts. Dit wijst op een kaakgewrichtsprobleem op rechts.
Behandeling: Informatie en uitleg aandoening. Mobilisatie van het kaakgewricht. Instructies ten aanzien van eten en slapen en zelfmobiliserende oefeningen voor thuis indien klachten terugkomen. Mevrouw kan na de behandeling haar mond openen zoals zij gewend is. Er is dan nog wel enige pijn aanwezig. Nrs 3. Bij het kaakgewricht kan je links en rechts niet vergelijken zoals bijvoorbeeld bij een knie. Je moet dus op de beleving van de patiënt en de metingen afgaan. Een mondopening tussen de 40 en 45 mm wordt beschouwd als normaal.
Mevrouw laat in de week volgend weten dat klachten zijn verdwenen en vervolgbehandelingen niet nodig zijn. Patiënt en tandarts zijn erg blij met het resultaat.
TMD
Man van 41 jaar is ingestuurd door tandarts. Hij heeft al langere periode pijn aan dentitie met name in het eerste en tweede kwadrant. Tandheelkundig is hij al meerdere malen onderzocht en er zijn foto’s gemaakt. Hierop zijn geen bijzonderheden te zien. Meneer heeft in het verleden al eens een wortelkanaalbehandeling moeten ondergaan en had in het verleden een opbeetplaat/ nachtbitje maar draagt

Ontdek de slijpvrije XP2 Technology™
Altjid scherp. Altjid precies. Verwijdert tandsteen moeiteloos met vloeiende scheermesachtige bewegingen.
Maximaal comfort.
Ultra-lichte EagleLite® handvatten verminderen handvermoeidheid en verbeteren de controle.

*dan de originele XP Technology® Sla het slijpen over!
Gemakkelijke toegang. De dunnere punt bereikt plekken waar anderen niet bij kunnen.
XP2 Technology™ - meer tijd voor uw patiënten. Heeft U vragen? Wij



3. Oprekken van de mondopening

4. Onderzoek of mobilisatie kaakgewricht
deze al jaren niet meer. De tandarts heeft hem ingestuurd met het vermoeden dat er door klemgedrag teveel druk op de kiezen komt.
Stressoren/situationeel: Herkent zelf klemgedrag niet; maar spreekt erg geklemd. Woont met gezin; hier zijn geen bijzonderheden. Werkstress; meneer ervaart hoge werkdruk en vindt het minder leuk op de werkplek. Echter hij heeft het inkomen nodig. Inspectie en onderzoek: Slijtage en gevoeligheid gebit met name 1-5 en 1-6 en 4-5. Hypertonie kauwmusculatuur; m. masseter, temporalis en mondbodemspieren.
Hulpvraag: Pijn verminderen, onnodige tandheelkundige schade in de toekomst voorkomen.
Differentiaal Diagnose: Myogene TMD met uitstralende pijn.
Behandeling bestaat uit: Uitleg relatie met bruxisme en klachten. Bewustwording en in kaart brengen van klemgedrag en habit-reversal (gewoonteomdraaiing/-afleren). De winst zit overdag AB; dit kun je als patiënt zelf deels beïnvloeden. Inzicht in de klachten maakt je van onbewust onbekwaam naar bewust bekwaam. SleepBruxisme: dus ‘s nachts kun je door
verbetering van slaap hygiëne en slaaphouding nog wat bereiken. Maar daar heb je als patiënt zelf minder invloed op.
Resultaat: Na vier behandeling ervaart meneer al 50% verbetering van klachten. Hij gaat een bitje dragen voor de nacht om de druk op de tanden en kiezen beter te verdelen en schade aan het gebit te voorkomen.

5. Sneltest ROM. De pistoolgreep - twee of drie vingers dwars in de mond - is een manier voor de patiënt of behandelaar om zelf snel de mondopening te meten/ monitoren. Hoeveel vingers ‘normaal’ is wisselt per persoon. Afhankelijk van de breedte van de vinger. Dit kun je zelf een keer nameten (snel en makkelijk in de dagelijkse praktijk). Een mondopening van 40 -45 mm wordt beschouwd als normaal.
De auteur
Saskia Vrickx is orofaciaal en mindful fysiotherapeut en eigenaar van praktijk ‘fysio de hoofdzaak’ in Woerden. Daarnaast werkt ze als gecertificeerd intervisiecoach en is gastdocent voor verschillende organisaties waaronder Dental Best Practice waar zij een cursus TMD-klachten en orofaciale fysiotherapie verzorgt.
Meer weten over dit onderwerp?
Scan de QR-code hiernaast
EEN EIGEN PRAKTIJK
Veertien jaar geleden studeerde Marloes Rust af als mondhygiënist. Ze had veel ambities, maar dacht niet dat ze ooit een eigen praktijk zou opbouwen zoals Mondzorgvuldig nu is. “Wat begon als iets kleins is uiteindelijk uitgegroeid tot de fijne, moderne praktijk waar ik vandaag met trots werk.”
Na mijn studie leerde ik mijn vriend kennen. Voor hij bij de praktijk kwam waar ik destijds werkte, wilde hij eerst nog naar de tandarts. Die wilde wat tandsteen weghalen, maar mijn vriend vond dat niet nodig, want hij had al een afspraak bij de mondhygiënist. Toen de tandarts opmerkte dat dat misschien wat overdreven was, vertelde mijn vriend trots dat zijn vriendin mondhygiënist is. De tandarts reageerde meteen enthousiast en liet me een extra behandelkamer zien. Of ik die niet wilde huren? Dat was het begin van Mondzorgvuldig. De ruimte had alleen een stoel, een unit en wat kastjes. Ik had dus nog heel wat materialen en apparatuur nodig. Samen met Pieter Jan van Hofmeester besprak ik alles en binnen korte tijd werden mijn eerste spullen geleverd. Ondertussen werkte ik nog bij twee algemene praktijken en bij de kliniek voor parodontologie in Rotterdam. Het waren drukke jaren, maar ik leerde er veel van.
Eerste groei: een praktijk onder de grond
Na een paar jaar bood een tandarts mij een leegstaande praktijkruimte in de kelder van zijn woning aan. Zo groeide Mondzorgvuldig uit tot een tweekamerpraktijk, met de eerste collega’s erbij. Toch had de kelder een groot nadeel: geen daglicht. Soms voelde ik me net een mol die geen idee had van het weer buiten. Het was een waardevolle en leerzame periode, maar ik wist dat ik ooit bovengronds wilde werken.
De zoektocht naar een nieuw pand
Na een aantal jaren brak het moment aan om te verhuizen. Samen met mijn vriend ging ik op zoek naar een nieuw pand. Mijn wensenlijstje was duidelijk:

bovengronds werken, meer ruimte, plek voor een derde kamer, een keuken en een omkleedruimte. Het liefst ook nog in dezelfde buurt. Tot mijn verrassing vonden we al snel een voormalig fysiotherapiepraktijk die precies voldeed aan mijn wensen. Je zou denken dat we er zo in konden, maar niets was minder waar.
Na de sleuteloverdracht begon het grote denkwerk. Met hulp van mijn vader, die jarenlang bij een dental depot had gewerkt, maakten we plannen voor de verbouwing. De indeling moest praktisch zijn en meteen goed: bijvoorbeeld een logische omloop van de sterilisatie.
We haalden eerst alles uit de benedenverdieping en tekenden de indeling met tape op de vloer uit. Toen bleek dat ons eerste idee niet ideaal was. Uiteindelijk kwam de balie vooraan in het pand, zodat de assistent iedereen kan begroeten en tegelijk zicht houdt op de sterilisatie, die er direct naast ligt. Alle kamers wilden we zoveel mogelijk van daglicht voorzien. Daarom maakten we doorkijkjes boven de hangkastjes en in de muren, met behoud van de privacy van de patiënt.
Voor mij was het belangrijk dat de praktijk geen kille, witte uitstraling zou krijgen. Laten we eerlijk zijn: niemand komt voor zijn plezier naar de tandarts of mondhygiënist. Een warme sfeer kan spanning wegnemen. Daarom kozen we voor een vrolijk behang, taupekleurige kasten en stoelen, en muren in een net-niet-witte tint. Zelfs over de kleur van de prullenbakken is nagedacht. Patiënten merken dat. Vaak horen we dat de praktijk er gezellig uitziet en dat de sfeer ontspannen is. Voor het team is het ook pret-
tig werken: de nieuwste apparatuur staat klaar, we werken volgens het GBT-protocol en alle kamers zijn identiek ingericht. Daardoor kan iedereen makkelijk wisselen.
In onze oude praktijk was er geen omkleedruimte of keuken. We lunchten aan de balie en soms ging zelfs het brandalarm af bij het roosteren van brood. Nu is er een keuken waar we een eitje kunnen bakken zonder alarm, een aparte omkleedruimte en zelfs een wasmachine en droger. Geen gesleep meer met waszakken.
Het grootste verschil? We werken nu boven de grond. We zien het weer, praten erover met patiënten en merken hoe fijn daglicht is tijdens het werk. Mondzorgvuldig is uitgegroeid tot een toppraktijk op een toplocatie. En elke dag geniet ik ervan dat ik dit samen met mijn team en mijn patiënten mag beleven.

Marloes Rust is mondhygiënist bij MondZorgVuldig in Dordrecht.


AANBIEDING:

Na een initiële parodontale behandeling kunnen bij een deel van de patiënten persisterende pockets aanwezig blijven van ≥ 5 mm met bloeding na sonderen. Volgens de huidige richtlijnen van de NVvP1 kan in dergelijke gevallen parodontale chirurgie worden overwogen. In de praktijk blijkt echter dat er patiënten zijn die deze stap niet willen zetten. Angst voor een operatieve ingreep, esthetische zorgen of financiële drempels kunnen hierbij een rol spelen. Voor de mondhygiënist betekent dit dat er gezocht moet worden naar een alternatief om de situatie toch te stabiliseren en verdere afbraak te voorkomen.
Een optie - als alternatief voor parodontale chirurgie - kan zijn het gebruikmaken van een natriumhypochloriet/aminozuur-gel en een cross-linked hyaluronzuurgel. Deze aanpak kan in de algemene praktijk worden toegepast en biedt patiënten een niet-chirurgische optie met wetenschappelijk onderbouwde resultaten.
Dat pockets na een initiële behandeling blijven bestaan, heeft vaak een duidelijke oorzaak: het kan technisch moeilijk zijn om alle subgingivale biofilm en tandsteen volledig te verwijderen, zeker bij diepe pockets. Studies laten zien dat in deze pockets regelmatig residueel tandsteen en plaque achterblijven, die dienen als brandhaard voor herkolonisatie door pathogene bacteriën.2
Daar komt bij dat patiëntgebonden factoren de genezing bemoeilijken. Roken en slecht gereguleerde diabetes verhogen het risico op persisterende ontsteking.1 Ook anatomische beperkingen, zoals furca-
ties en smalle worteloppervlakken, maken volledige reiniging lastig. Het gevolg: pockets die actief blijven ondanks correcte initiële therapie en nazorg.
Om deze hardnekkige pockets niet onbehandeld te laten, kan een niet-chirurgische aanpak worden toegepast waarbij naast mechanische reiniging twee adjunctieve middelen worden gebruikt: een natriumhypochloriet/aminozuur-gel als hulpmiddel bij subgingivale reiniging, een cross-linked hyaluronzuurgel ter bevordering van wondgenezing en regeneratie
Natriumhypochloriet/aminozuur-gel
De gel bevat 0,95% natriumhypochloriet in combinatie met aminozuren. Het hypochloriet werkt proteolytisch en verweekt geïnfecteerd weefsel en biofilm, terwijl de aminozuren het middel stabiliseren



en de werkzaamheid verlengen.3 Na enkele minuten inwerktijd wordt de gel samen met biofilm en debris verwijderd. Dit vergemakkelijkt de mechanische instrumentatie, waardoor worteloppervlakken schoner worden dan bij conventionele scaling alleen.
Klinisch is aangetoond dat herhaalde applicatie van deze gel in één behandelsessie leidt tot grotere pocketreductie en meer aanhechtingswinst dan herinstrumentatie alleen. In een negen maanden durende studie bij 52 patiënten liet Benyei et al. zien dat de combinatiebehandeling resulteerde in duidelijk diepere pocketreducties en een continue verbetering van het klinisch aanhechtingsniveau, wat zelfs duidde op een regeneratief effect.4
Hyaluronzuur is een lichaamseigen polysacharide dat een centrale rol speelt in wondgenezing. In cross-linked vorm blijft het 4–6 weken aanwezig in de pocket.5 Het fungeert als matrix die het bloedstolsel stabiliseert, angiogenese bevordert en fibroblastactiviteit stimuleert. Daarnaast moduleert hyaluronzuur de ontstekingscascade door destructieve enzymen te remmen en ontstekingscellen te reguleren.6
Belangrijk is ook het effect op de pocketflora. In een gerandomiseerde studie toonden Ramanauskaite et al. aan dat adjunctieve toepassing van natriumhypochloriet/aminozuren en cross-linked hyaluronzuur leidde tot significante reducties van pathogenen zoals P. gingivalis, T. forsythia en T. denticola, terwijl conventionele herinstrumentatie dit effect niet liet zien.7 Daarmee ondersteunt hyaluronzuur niet alleen het genezingsproces, maar draagt het ook bij aan een duurzamer herstel door het microbioom in balans te brengen.
Het klinisch handelen is daarmee grotendeels gelijk

aan conventionele herinstrumentatie, maar met de toevoeging van gels die de effectiviteit vergroten. Het herhaald inbrengen van de natriumhypochloriet/aminozuur-gel is essentieel: alleen zo wordt het worteloppervlak optimaal voorbereid en wordt de biofilm maximaal verstoord.
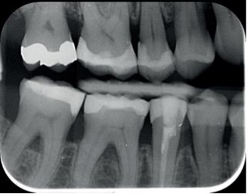
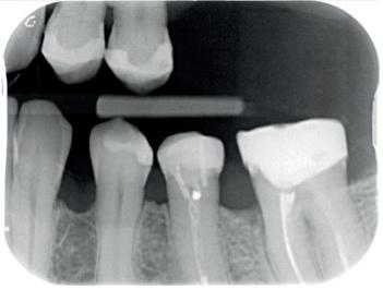
Een 48-jarige gezonde vrouw presenteerde zich in de nazorgfase 2 jaar na initiële behandeling met pockets van 6–7 mm en furcatieproblematiek bij de 47 en 46 (afbeelding 1.1 en 1.3). Bloeding bij sonderen was aanwezig, maar de patiente wilde geen chirurgische behandeling. Ze hield er een keurige mondhygiëne op na en kwam trouw iedere drie maanden voor nazorg.
De pockets werden onder lokale anaesthesie behandeld met een combinatie van ultrasoon en handinstrumentarium volgens de hierboven beschreven methode. De natriumhypochloriet/aminozuur-gel werd vijfmaal aangebracht en na iedere applicatie mechanisch verwijderd. Daarna werd de pocket gevuld met cross-linked hyaluronzuur.
Na 6 maanden was de pocketdiepte teruggebracht tot 3 mm en was er geen bloeding na sonderen waarneembaar. Een recessie van 2 mm was aanwezig. Röntgenologisch was er nieuw bot zichtbaar (afbeelding 1.2 en 1.4).
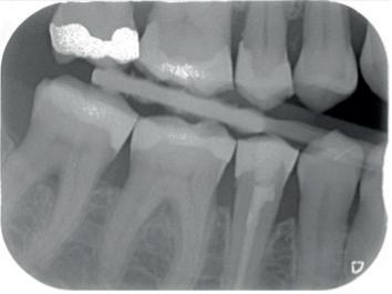
Een 62-jarige man hield in de nazorgfase een pocket van 8 mm met bloeding na sonderen mesiaal van de 36 ondanks 3-maandelijkse recall (afbeelding 2.1 en 2.3). De mondhygiëne was matig en plaque was aanwezig. Chirurgie werd geadviseerd, maar de pa-























tiënt wees dit af. Ook hier werd de pocket behandeld onder anaesthesie. De natriumhypochloriet/aminozuur-gel werd viermaal aangebracht, telkens gevolgd door ultrasone en handinstrumentatie. Tot slot werd cross-linked hyaluronzuur ingebracht. De mondhygiëne werd bijgestuurd en meneer werd gemotiveerd dagelijks interdentale ragers te gebruiken naast het poetsen.
Na zes maanden was de pocketdiepte teruggebracht tot 3 mm en was er geen bloeding na sonderen (afbeelding 2.2 en 2.4).
De beschreven methode biedt een concreet alternatief voor patiënten die geen chirurgische behandeling wensen of kunnen ondergaan. Het voordeel voor de praktijk is dat de procedure eenvoudig aansluit op bestaande werkwijzen: subgingivale instrumentatie blijft de basis, maar wordt effectiever door het herhaald inzetten van natriumhypochloriet/aminozuur-gel en het afsluiten met hyaluronzuur.
Het is belangrijk te benadrukken dat deze behandeling geen vervanging is van chirurgie in alle gevallen. Bij complexe defecten en furcaties kan chirurgie noodzakelijk blijven. Maar bij veel restpockets kan met deze minimaal invasieve methode een klinisch stabiel resultaat worden bereikt, ondersteund door wetenschappelijk bewijs.
Voor de mondhygiënist betekent dit dat er een extra mogelijkheid ontstaat om patiënten binnen de algemene praktijk te helpen naar een ontstekingsvrije situatie. Met relatief eenvoudige middelen kan zo de stap naar chirurgie vaak worden uitgesteld of zelfs vermeden.

Willeke van den Hoofdakker, mondhygiënist bij de Veluwsche tandartsen in Ermelo.
1. NVvP. De nieuwe parodontitisclassificatie en S3-richtlijn. Beschikbaar via: www.nvvp.org
2. Claffey N, Nylund K. Subgingival instrumentation in deep pockets. J Clin Periodontol. 1990.
3. Ramanauskaite E, Machiulskiene V, et al. Clinical evaluation of sodium hypochlorite/amino acids and cross-linked hyaluronic acid adjunctive to non-surgical periodontal treatment. Clin Oral Investig. 2023.
4. Benyei L, Friedmann A, et al. Non-surgical treatment of residual periodontal pockets using sodium hypochlorite/amino acid gel and cross-linked hyaluronic acid. Clin Oral Investig. 2024.
5. Hyaluronzuur: nieuwe methode voor regeneratieve parodontale behandeling. Dentista. 2022.
6. Sculean A, et al. The role of hyaluronic acid in periodontal wound healing. Periodontol 2000. 2019.
7. Ramanauskaite E, et al. Microbiological effects of sodium hypochlorite/amino acids and cross-linked hyaluronic acid adjunctive to non-surgical periodontal treatment. Oral Health Prev Dent. 2024.
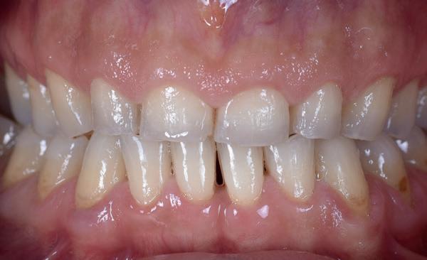
Een praktische gids voor mondhygiënisten
Waarom wordt dit onderwerp steeds belangrijker? Steeds vaker zien we gebitsslijtage niet alleen bij ouderen, maar juist ook bij jongeren. Tot wel 40% van de zestienjarigen vertoont al tekenen van erosie. Gebitsslijtage is daarmee een groeiend probleem dat vraagt om waakzaamheid, preventie en – indien nodig – tijdige interventie. Als mondhygiënist speel je hierin een sleutelrol. Je bent vaak de eerste die signalen opmerkt en het gesprek met de patiënt aangaat.
Gebitsslijtage is een overkoepelende term voor het verlies van tandweefsel zonder tussenkomst van bacteriën. Het kan zich op verschillende manieren uiten, waarbij vier vormen het meest besproken worden: erosie, attritie, abrasie en abfractie. Hoewel ze vaak afzonderlijk worden benoemd, is in de praktijk juist de interactie tussen deze processen belangrijk.
De vier gezichten van slijtage
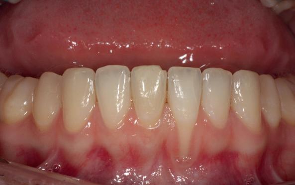
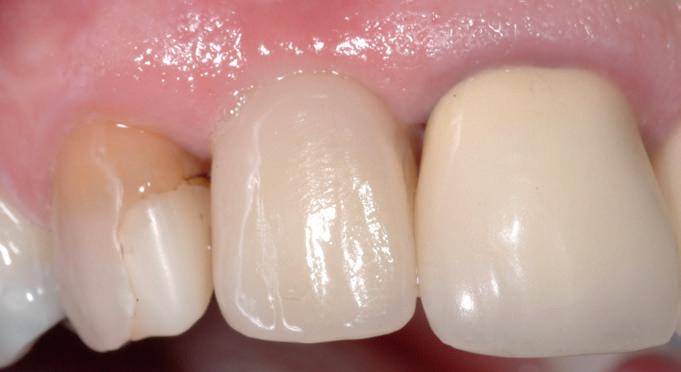
1. Erosie: Erosie is het chemisch oplossen van tandweefsel door zuren – van buiten (frisdrank, citrus,
sportdranken) of van binnenuit (maagzuur, reflux, eetstoornissen). Glazuur verliest zijn hardheid, en eenmaal verzwakt, is het extra gevoelig voor andere slijtagevormen. Klinisch zie je gladde, glanzende oppervlakken, cupping in de molaren en doorschemerend glazuur (afbeelding 1).
2. Attritie: Attritie ontstaat door tand-op-tandcontact, zoals bij bruxisme. Het leidt tot vlakke kauwvlakken en korter lijkende tanden. Hoewel enig attritie fysiologisch is bij het ouder worden, wordt het pathologisch bij overmatig knarsen of klemmen. Je ziet dan slijtvlakken die spiegelbeeldig op elkaar passen (afbeelding 2).




3. Abrasie: Abrasie is slijtage door mechanisch contact met externe factoren, zoals foutief poetsen of nagelbijten. Meestal zie je wigvormige defecten ter hoogte van de tandhals. De laesies zijn vaak glanzend en gepolijst, maar kunnen ook verkleurd zijn. Abrasie komt veel voor bij mensen met een harde borstel en een sterke poetsdruk (afbeelding 3).
4. Abfractie: Abfractie is de meest omstreden slijtagevorm. Volgens deze theorie ontstaan microfracturen bij de tandhals door occlusale belasting, wat leidt tot V-vormige insnoeringen. Hoewel het bewijs beperkt is, wordt het klinisch herkend bij patiënten met zwaar functioneel gebruik en geen duidelijke erosieve of abrasieve etiologie (afbeelding 4).
Slijtage ontstaat zelden door één enkele oorzaak. Vaak is sprake van een combinatie van factoren die elkaar versterken. Denk aan een patiënt die veel sportdrank drinkt (erosie), fanatiek poetst (abrasie) en ‘s nachts knarst (attritie). Het glazuur verzwakt door zuur, slijt extra snel door wrijving en kan vervolgens leiden tot dentineblootstelling. De rol van speeksel is hierbij niet te onderschatten: een verminderde speekselproductie of lage buffercapaciteit maakt het gebit extra kwetsbaar. Mondhygiënisten kunnen met eenvoudige speekseltesten (stimulatietest of pH-indicatorpapier) waardevolle informatie verzamelen over het beschermend vermogen van de mondomgeving. En vergeet ook vooral niet dat wanneer het krachtenspel niet klopt en er bijvoorbeeld een open beet is in het front alle krachten dorsaal moeten worden opgevangen (afbeelding 5).


Wanneer wordt slijtage pathologisch?
Het is normaal dat glazuur met de jaren slijt – gemiddeld zo’n 12-20 micron per jaar. Maar wanneer deze slijtage niet in verhouding staat tot de leeftijd, of dentine zichtbaar wordt, spreken we van pathologische slijtage. Zodra het glazuur is doorbroken, slijt dentine 8 tot 10 keer sneller. Dat verhoogt de kans op gevoeligheid, verlies van verticale dimensie en –uiteindelijk – restauratieve noodzaak.
Signalen voor de mondhygiënist: wat zie je, wat voel je?
Visuele en voelbare kenmerken:
• Afgevlakte incisale randen of occlusale vlakken
Doorschemerend geel dentine
V-vormige cervicale laesies
Glanzende, gladde oppervlakken
• Cupping in molaren
• Verlies van kroonhoogte
• Scherpe randen bij de tandhals
• Verlies van natuurlijke oppervlaktestructuur
Als mondhygiënist heb je door jouw regelmatige contact met patiënten een unieke kans om deze subtiele tekenen vroeg te signaleren en te documenteren.
Een goede anamnese onthult vaak de oorzaak. Denk aan vragen zoals: Over voeding:
• Hoe vaak drink je frisdrank of sap?
• Eet je veelvuldig fruit over de dag heen?






Anesthesia & Intensive Care Services B.V.:
AIC is gespecialiseerd in het verzorgen van hoogwaardige medische zorg binnen de anesthesiologie en intensive care geneeskunde.
Met ons VOLWAARDIG MOBIEL ANESTHESIETEAM inclusief apparatuur, monitoring, medicatie, gasvoorziening, disposables en al het nodige personeel kunnen wij op een voor u wenselijke locatie op 4 behandelkamers tegelijk algehele anesthesie toedienen aan uw cliënten, zonder dat u ook maar iets hoeft aan te passen aan de inrichting van uw kliniek.
Tandheelkundige klinieken die behandelingen onder algehele anesthesie willen aanbieden:
Als u aan uw cliënten behandelingen onder algehele anesthesie wilt aanbieden zonder dat u dure investeringen hoeft te doen in uw kliniek, dan bent u bij ons aan het juiste adres. Wij kunnen met ons MOBIEL ANESTHESIETEAM in elke kliniek op 4 behandelkamers tegelijk volledig de anesthesie verzorgen zonder dat u daar naar hoeft om te kijken. Wij zijn volledig selfsupporting. Wij kunnen in elke tandartspraktijk de anesthesie verzorgen. Uw praktijk hoeft dus niet aan speciale voorwaarden te voldoen!!
Bel voor een gratis en vrijblijvende offerte:
Schroom niet om te bellen of te emailen voor een gratis en vrijblijvende offerte. Zonder enige verplichting komen wij graag bij u langs om de situatie in uw kliniek te beoordelen en de wensen en mogelijkheden met elkaar te bespreken.








Houd je zure drankjes lang in je mond? Poets je direct na zure inname?
Over gezondheid:
• Heb je vaak last van brandend maagzuur of reageer je op bepaalde voeding?
• Welke medicijnen gebruik je en ben je bekend met het feit dat ze een droge mond kunnen veroorzaken?
• Heb je eetstoornissen of slikproblemen?
Over gewoonten:
• Verdovende middelen (afbeelding 6)?
• Word je ‘s morgens wakker met stijfheid in de kaken of heeft je partner wel eens geklaagd over knarsen tijdens de nacht? (Deze vraag kun je ook stellen over kinderen: “Heb je je kinderen wel eens horen knarsen ‘s nachts?”)
• Bijt je op pennen of nagels?
• Welke type tandenborstel gebruik je? Harde of zachte haren? Gebruik je een elektrische borstel met sensor tegen te veel druk? Gebruik je altijd het zachte opzetstuk?
• Welke tandpasta gebruik je? (Let op: whitening tandpasta’s kunnen meer abrasief zijn.)
Diagnostiek en monitoring
BEWE en TWES
De Basic Erosive Wear Examination (BEWE) is een eenvoudige en internationaal erkende screeningsmethode voor erosieve gebitsslijtage. De mond wordt verdeeld in zes sextanten en per sextant geef je de


hoogste score op basis van zichtbaar glazuurverlies:
0 = Geen slijtage zichtbaar
1 = Begin van slijtage, glazuurverlies zonder dentineblootstelling
2 = Dentine is zichtbaar, maar minder dan 50% van het oppervlak
3 = Meer dan 50% dentineverlies in het aangedane gebied
De scores van de zes sextanten worden bij elkaar opgeteld. Een totaalscore van:
0–2: Geen actie nodig
3–8: Adviseer preventieve maatregelen en monitor
9+: Restauratief ingrijpen overwegen en verwijzen indien nodig
De TWES-index (Tooth Wear Evaluation System) gaat nog verder: deze scoort niet alleen de mate van slijtage, maar ook esthetiek, functie en pijnklachten. TWES wordt steeds vaker geïntegreerd in Nederlandse tandheelkundige software en biedt een bredere klinische kijk op slijtage (zie ook Dekliniekvoortandheelkunde.nl voor verdere verdieping).
Documentatie:
• Maak duidelijke intra-orale foto’s
• Leg vast waar en hoe ernstig slijtage is Benoem klachten zoals gevoeligheid of esthetische zorgen
Herhaal periodiek en vergelijk
Zorgvuldige documentatie is essentieel – ook vanuit juridisch oogpunt. Het niet signaleren van progressieve slijtage kan onder ‘supervised neglect’ vallen en juridische gevolgen hebben. Daarom is heldere





Er z�n geen significante verschillen tussen conische en cylindrische interdentaal borstels op het gebied van totale plaqueverw�dering1


CYLINDRISCHE VORM
zorgt voor optimale precisie in kleine interdentale ruimten.

CONISCHE VORM


zorgt voor een betere toegankel�kheid in middelgrote en grote interdentale ruimten.
B� middelgrote en grote interdentale ruimten kan een cylindrische borstelvorm beschadigingen aan de gingiva en papil veroorzaken. Dit als gevolg van overdruk op de gingiva die ontstaat t�dens het inbrengen van het borsteltje in de interdentale ruimte. De inbrengkracht b� cylindrische borsteltjes neemt toe naarmate de borsteldiameter toeneemt.2


1.
Van
Scan de QR-code voor meer informatie




DS, Van der We�den GA. The effectiveness of conically shaped compared with cylindrically
interdental brushes - a randomized controlled clinical trial. Int J Dent Hyg. 2017 Aug;15(3):211-218. doi: 10.1111/idh.12189. Epub 2016 Jan 11. PMID: 26751602.
2. Staehle H.J., Frese C., Sekundo C.: Mechanical plaque control of the interdental space with the “Heidelberg set” (2021), PMID: 33433083, DOI: 10.3290/j.qi.b872241


dossiervoering en tijdige communicatie met de patiënt belangrijk.
Mondscanner als moderne meetmethode
In de moderne praktijk is de intra-orale scanner niet alleen handig voor restauratieve plannen, maar ook een krachtig instrument voor slijtagemonitoring. Door jaarlijks digitale scans te maken en deze over elkaar heen te leggen, kunnen softwareprogramma’s exact meten hoeveel tandweefsel verloren is gegaan – tot op micronniveau. Dit objectieve bewijs ondersteunt niet alleen de klinische besluitvorming, maar helpt ook in de communicatie met patiënt en verzekering.
Scans bieden daarnaast visueel inzicht voor de patiënt zelf, wat motivatie vergroot. Door slijtage letterlijk zichtbaar te maken, stijgt de acceptatie van gedragsverandering of het dragen van beschermingsapparatuur.
Toekomstige AI-ondersteunde software zal vermoedelijk nog beter risico’s voorspellen op basis van slijtagepatronen, speekselanalyse en leefstijlfactoren. Echter, wanneer er geen scanner in de praktijk beschikbaar is dan is een handige tool het vragen of iemand elke periodieke afspraak zijn retainer meeneemt ter controle. Ontstaan daar slijtfacetten in dan weet je dat iemand s nachts actief is en zul je over moeten gaan op een night guard zoals in het voorbeeld van afbeelding 7-10). Wanneer verwijs je door?
Verwijzing naar de tandarts of een restauratief specialist is wenselijk bij:
Dentinedeelname
• Pijnklachten
• Meerdere laesies of progressieve slijtage
• Onbekende etiologie
• Esthetisch of functioneel complexe situaties Een nauwe samenwerking is hierin essentieel. Jij signaleert en motiveert; de tandarts analyseert en behandelt. Bij twijfel: beter een keer te veel verwijzen dan te weinig. Zoals te zien is in afbeelding 11 en 12, zal in dit geval een combinatie van behandelingen en interdisciplinaire zorg nodig zijn om het probleem adequaat aan te pakken. Dit is echter alleen haalbaar wanneer de patiënt geen actieve bruxisme meer vertoont, zich in een stabielere levensfase bevindt en zowel voeding als mondhygiëne goed onder controle zijn.
Van oorzaak naar aanpak: de behandelketen
Behandeling van slijtage start met het wegnemen van de oorzaak:
Erosie Dieetadvies, timing van inname, maagzuurmanagement
Attritie
Occlusale splint, stressreductie, nachtbescherming
Abrasie Poetstechniek aanpassen, zachtere borstel, mildere tandpasta
Abfractie
Occlusale aanpassingen, vaak ook functieherstel, splint, gerichte monitoring
In alle bovengenoemde gevallen is het goed om te overleggen met de tandarts wanneer hij wenst in te grijpen bijvoorbeeld zoals zichtbaar op afbeelding 13 en 14. Wanneer er nog sprake is van cuspidaatgeleiding kan je besluiten om dit te monitoren en splint therapie te adviseren. Maar wanneer cuspidaatgeleiding verdwijnt en overgaat in groepsgeleiding zal de tandarts de cuspidaat kunnen opbouwen en vervolgens een splint aanmeten. Dit zijn zaken die een mondhygiënist ook kan herkennen. Evenals afbeelding 14 waar sprake is van een constricted envelope of function. Dit houdt in dat iemand zichzelf op slot zet, waardoor vaak sneller slijtage ontstaat palatinaal van het bovenfront en buccaal van het onderfront. Dit verdient aandacht en dient, nog voordat de eerste tekenen van slijtage optreden, een red flag te zijn en besproken te worden met de tandarts en de patiënt.
Restauratief? Alleen als het moet
Als preventie onvoldoende effect heeft en er gevoeligheid of functieverlies optreedt, wordt restauratief ingrijpen overwogen. Dat begint vaak met een ‘testfase’: mock-ups of tijdelijke composieten worden geplaatst om de functie en esthetiek te evalueren.


Droge mond klachten; een groeiend probleem waarbij de oplossing soms lastig te vinden is. Hoe helpen we patiënten met deze klachten en welke adviezen kan je als professional geven?
Kom dan naar één van onze Clinical Events waar expert Derk Jan Jager je meeneemt in de wereld van xerostomie, waar je alles leert over het herkennen & onderzoeken van én adviseren bij een droge mond.
Spreker
Derk Jan Jager DMD, PhD, Mpros RCSed Tandarts-MFP Afdeling Kaakchirurgie & Mondpathologie Amsterdam UMC, Stichting Bijzondere Tandheelkunde en het speekselspreekuur bij ACTA


Scan de QR-code om je aan te melden!
Datum en locatie
Woensdag 5 november 2025
ApeldoornTheater Orpheus


punten

Met onze jarenlange ervaring in uitgeven denken we graag met je mee over de bladformule, uitstraling, redactionele invulling, frequentie en drukwerk, om echt het verschil te maken. We bieden talloze mogelijkheden, inclusief de optie om het wat compacter aan te pakken met een folder of een brochure. Je bent bij ons aan het juiste adres.
Hebben we je interesse gewekt? Wil je meer weten, of een vrijblijvende offerte aanvragen? Kijk dan snel op onze website!






Materiaalkeuze:
Composiet is goed repareerbaar en relatief goedkoop vaak bij milde vormen goed te doen denk ook aan herstel van cuspidaatgeleiding bij de eerste signalen
• Keramiek is slijtvaster en esthetischer, maar duurder en wordt veelal gebruikt bij slijtage die al ernstiger vormen heeft aangenomen of als er reeds grote restauraties aanwezig zijn of endodontische behandelingen zijn uitgevoerd. Complexere gevallen vereisen soms een volledige reconstructie, waarbij de verticale dimensie van occlusie wordt verhoogd (afbeelding 15 waar ook reeds dentoalveolaire compensatie heeft opgetreden). De keuze tussen directe en indirecte technieken hangt af van het aantal betrokken elementen, de esthetische wensen van de patiënt de mate van slijtage of de financiële draagkracht. Echter, bij ernstige slijtage moet composiet altijd worden gezien als tijdelijke fase. Afbeelding 17 toont een situatie met missende elementen, waarbij sprake is van een combinatie van erosie en abrasie. In dergelijke gevallen is multidisciplinaire zorg onmisbaar en is het essentieel om per patiënt zorgvuldig naar de situatie te kijken. Ook de psychosociale bagage — het ‘rugzakje’ — speelt hierin een grote rol.
Jouw rol als mondhygiënist is cruciaal
Je bent niet alleen de eerste die slijtage signaleert, maar ook de eerste die het gesprek opent. Je helpt patiënten inzicht krijgen in hun gedrag én motiveert hen tot verandering. De impact hiervan is groter dan welke vulling dan ook.
Praktische tips:
Leg duidelijk uit wat je ziet, liefst visueel Koppel observaties aan gewoontegedrag
• Geef kleine, haalbare gedragsadviezen
• Herhaal en monitor bij elk bezoek
• Stimuleer samenwerking met de tandarts of specialist
Naar de toekomst
Technologische vooruitgang brengt veelbelovende tools voor slijtagediagnostiek. AI-modellen kunnen risicoprofielen opstellen, en slimme materialen dragen bij aan duurzamer herstel. Maar ondanks al deze ontwikkelingen blijft vroege signalering en preventie de basis van succes. Daar ligt jouw kracht als mondhygiënist.
De auteur
Drs. Nurcan Yilmaz is tandarts met een specialisatie in restauratieve tandheelkunde. Ze is officieel geregistreerd bij de European Prosthodontic Association (EPA) en de Nederlandse Vereniging voor Restauratieve Tandheelkunde (NVVRT). Daarnaast is zij ambassadeur voor KARMA Dentistry, een platform dat kennisdeling en innovatie in de tandheelkunde stimuleert.
In haar kliniek richt zij zich op reconstructieve zorg bij complexe slijtageproblematiek. Ze doceert regelmatig over functioneel herstel, esthetiek en duurzame restauratieve technieken.
Waarom de keuze voor het vak van mondhygiënist?
Mijn keuze voor het vak van mondhygiënist is na een beroepentest aangewakkerd door de decaan van mijn middelbare school. Hij gaf mij een folder over de opleiding en attendeerde me op de veelzijdigheid van het beroep. Het sprak me aan dat je zowel preventief als curatief bezig bent, én veel direct contact hebt met mensen. Ik had affiniteit met de zorg en wilde graag zelfstandig werken. De combinatie van medische kennis, persoonlijke aandacht voor de cliënt en praktische vaardigheden maakte het voor mij een hele goede match.
Waardoor raak je geïnspireerd?
Ik raak geïnspireerd wanneer ik samen met een cliënt echt iets bereik. Bijvoorbeeld als iemand tijdens een vervolgafspraak aangeeft dat hij/zij merkt dat het tandvlees minder bloedt, daardoor consequent blijft volhouden qua zelfzorg en het belang ervan snapt.
Naast mijn werk in de algemene praktijk en mijn eigen mondhygiënepraktijk, kom ik met enige regelmatig in het verpleegtehuis. Ik ga voldaan naar huis, als ik zonder problemen de tanden heb kunnen reinigen bij iedereen. Ook bij de bewoners waarvan de zorg aangeeft, dat het toch niet gaat lukken.
Hoe ziet je perfecte werkdag eruit?
Een ideale werkdag is voor mij een afwisselende mix van cliënten met verschillende leeftijden en zorgvragen. Ik denk hierbij aan mensen met een PPS 1 met veel plaque en tandsteen, parodontale behandelingen/nazorg en de begeleiding van angstige cliënten. Ik word heel ongelukkig van alleen maar PPS 3 behandelingen, dan heb ik het gevoel te verdrinken in pockets.
Waar ben je trots op?
Ik ben ontzettend trots op het feit dat ik recent een praktijk heb mogen overnemen van een dierbare vriendin, die helaas is overleden.

Zij heeft de afgelopen 10 jaar, met veel liefde voor het vak, een stabiele cliëntenkring opgebouwd binnen haar solopraktijk in een kleine gemeente. Toen duidelijk werd, dat zij niet beter zou worden, heeft ze gevraagd of ik de praktijk wilde voortzetten. Ik ben heel dankbaar voor de geboden kans en voel me verantwoordelijk om haar werk voort te zetten met dezelfde toewijding en kwaliteit.
Wat is de belangrijkste les die je ooit hebt geleerd?
De belangrijkste les die ik heb geleerd is dat goed luisteren naar je cliënt, minstens zo belangrijk is als handelen. Soms is een behandeling, die volgens de protocollen past bij de situatie, niet wat nodig of haalbaar is. Daarnaast heb
NAAM: Hester Nijland
GEBOORTEJAAR: 1978
STUDIE : Mondzorgkunde aan de Hogeschool Utrecht
NA DE STUDIE: In verschillende praktijken gewerkt als mondhygiënist en ervaring opgedaan op het gebied van parodontologie
WERKT NU BIJ: Mondzorg op maat sinds 2012
FUNCTIE: Ik ben praktijkeigenaar, maar naast mijn werkzaamheden als mondhygiënist in mijn eigen praktijk ben ik verbonden aan een grote tandartsenpraktijk, kom ik aan huis bij mensen die niet meer in staat zijn om naar de praktijk te komen en bezoek ik diverse zorginstellingen in de regio. Ook geef ik op verzoek trainingen over de mond en mondverzorging aan medewerkers van verpleeghuizen.
ik geleerd dat je als behandelaar niet alles kunt oplossen, en dat dit oké is.
Wat zou je nog willen leren?
Ik wil mij blijven verdiepen in nieuwe behandeltechnieken en technologische ontwikkelingen binnen ons vakgebied. Stilstaan is geen optie in de zorg, dus blijven leren hoort erbij. Binnenkort ga ik de Masterclass parodontologie volgen, deze staat al een aantal jaren op mijn “to do” lijst en dit najaar is het zover. Ik kijk er naar uit!
Welk advies wil je je
collega’s meegeven?
Mijn belangrijkste advies aan collega’s is: vergeet niet waarom je
dit werk bent gaan doen. In de drukte van de dag verliezen we soms de mens achter de mond uit het oog. Neem de tijd om te blijven luisteren naar je cliënt. Blijf reflecteren op je aanpak en wees niet bang om hulp of feedback te vragen.
Als je één ding aan je vak zou kunnen veranderen, wat zou dat zijn?
De hoeveelheid tijd zijn die opgaat aan verslaglegging. Maar ook aan programma’s als Dental Rules. Vanzelfsprekend is dit noodzakelijk, maar het neemt kostbare tijd in beslag, die ik liever besteed aan directe zorg.
PARODONTOLOGIE
Het is inmiddels ruim 22 jaar geleden dat Schelte Fokkema startte met het geven van bijen nascholing aan mondhygiënisten op het gebied van de klinische parodontologie. Hij werd hiervoor destijds benaderd door Nanette Zegelaar-Vertin die een cursusprogramma speciaal voor mondhygiënisten, Dental Courses Mondhygiënisten genaamd, had opgezet en via Jan Smeekens bij hem terecht kwam. Schelte had zijn promotie net afgerond en kreeg zodoende meer ruimte in zijn agenda, waardoor hij zich kon richten op het volgende project: nascholing voor mondhygiënisten.
Schelte Fokkema is naast tandarts ook mondhygiënist
Met de beroepsgroep mondhygiënisten kon Schelte zich identificeren, omdat hij eerst mondhygiënist is geworden voordat hij tandarts werd en daarna parodontoloog. “Ik kon mij goed inleven in de positie van een mondhygiënist binnen de tandheelkundige setting, omdat ik vanaf het begin van mijn afstuderen als mondhygiënist klinische ervaring heb opgedaan. Tijdens mijn vervolg van de studie tandheelkunde werkte ik als zodanig maar ook daarna heb ik zowel als mondhygiënist en als tandarts in verschillende praktijken gewerkt. Mijn interesse lag vooral bij het behandelen van (ver)gevorderde parodontitis”. Schelte deelt graag zijn kennis over de parodontologie en de drijfveer om mondhygiënisten diepgaander te onderleggen komt voort uit de 3-jarige postacademische opleiding tot parodontoloog die hij gevolgd heeft. De wetenschappelijke kennis en inzichten die hij toen opdeed raakten hem vooral als mondhygiënist. “Ik vroeg mij toen af waarom heb ik deze informatie niet tijdens mijn opleiding tot mondhygiënist
gekregen? In de praktijk word je namelijk geconfronteerd met problematiek, waarvan verwacht wordt dat jij deze succesvol behandelt maar daarvoor moet je het eerst kunnen begrijpen want parodontitis is een complexe aandoening. Ook al was ik als mondhygienist behoorlijk succesvol met mijn behandelingen, ik begreep een heleboel niet, waardoor het stellen van de juiste diagnose en daarmee ook de indicatie of prognosestelling moeilijk was. Ik voelde me hierdoor onzeker en ik kan me voorstellen dat heel veel andere mondhygiënisten hier ook tegenaan lopen. Niet alle facetten van de complexiteit van parodontitis worden op de opleiding voldoende goed onderlegd of worden onvoldoende begrepen”.
Nascholingscursussen voor mondhygiënisten
De nascholingscursussen waarmee Schelte begon voor Dental Courses Mondhygiënisten (DCM) waren in eerste instantie een paar halve dagen, die georganiseerd waren bij Henry Schein in Utrecht. Deze
allereerste reeks van cursusmiddagen vielen in de smaak en al snel daarna breidden de cursussen zich uit tot hele dagen. In de loop van de jaren daarna groeide de cursusreeks uit naar vier hele dagen. In deze periode heeft Schelte voor DCM ook cursusweekenden gegeven, die erg populair waren en daarnaast ontwikkelde hij een klinische cursus, waarin cursisten patiënten behandelden in zijn eigen verwijspraktijk voor parodontologie. In 2009 werd DCM overgenomen door de NVM en werd toen NVM-educatie mondhygiënisten genoemd. In deze periode zette hij met de NVM de succesvolle cursusreeks voort en ontwikkelde Schelte in de jaren daarna nog aanvullende thema’s, zoals een Masterclass, een Jaarlijkse update en een cursus Medische Parodontologie. Hierin staat de relatie tussen parodontitis en de algemene gezondheid centraal, maar ook het thema kwaliteit van leven en positieve gezondheid. Een cursus die tot op de dag van vandaag nog steeds erg gewaardeerd en interessant wordt gevonden. Naast het opzetten en verder ontwikkelen van cursussen nam Schelte in 2014 samen met NVM-educatie nog een andere stap namelijk het ontwikkelen van een post-Hbo opleiding, de leergang parodontologie genoemd, die erkend werd door het Centrum Post Initieel Onderwijs Nederland. Dergelijke opleidingen worden registeropleidingen genoemd wat betekent dat het onderwijs gekoppeld is aan de praktijk, omdat de werkplek de belangrijkste leerschool is. In de leergang worden mondhygiënisten en inmiddels ook tandartsen diepgaand getraind in de klinische aspecten van de parodontale behandeling. Het effect van zo’n opleiding gaat verder dan het volgen van cursussen, omdat je er zelf als cursist meer tijd en energie in steekt, waardoor het ook meer oplevert. Uiteindelijk is de keuze in de wijze van leren aan de individuele mondhygiënist en daarom worden beide varianten aangeboden. Volg je een losse cursus dan sta je helemaal zelf aan het roer en in de leergang word je meer gestuurd en volgens een vaststaande route begeleid in het ontwikkelen van de kennis en vaardigheden.
De leergang biedt zowel voor mondhygiënisten als tandartsen een verdieping aan in de klinische parodontologie, zodat enerzijds het behandelproces beter wordt aangestuurd en anderzijds de behandeling

succesvoller wordt uitgevoerd. Dit wordt bereikt door inzicht te krijgen in de biologie en pathologie van het parodontium aan de hand van sleutelartikelen uit de wetenschappelijke literatuur, die tijdens de seminars vertaald worden naar de praktijk.
Schelte leert de cursisten in feite de spelregels van de parodontale behandeling aan en daarvoor deelt hij tijdens elk seminar een puzzelstukje uit, dat basale principes zijn van de fysiologie van de mondholte en die van het parodontium in het bijzonder. Aan het eind van de rit is de cursist in staat om bij een patiënt de puzzel weer in elkaar te zetten of deze juist weer te ontleden. Een dergelijke vorm van onderwijs is bij complexe materie, zoals parodontitis, naar zijn mening belangrijk om jezelf niet te verliezen in het grote geheel en daarvoor is het belangrijk de afzonderlijke delen te leren onderscheiden.
Schelte vindt het belangrijk dat je als cursist niet alleen voldoende feitelijke kennis hebt op het gebied van de parodontologie, maar vooral ook inzicht krijgt in het klinische behandelproces en daarmee in de etiologie van parodontitis. Reiniging van het gebit lijkt zo eenvoudig maar is dat voor parodontitis niet, omdat het zoveel meer inhoudt. Voor een beter begrip en ook om elkaar binnen het team beter te begrijpen is de leergang parodontologie van toegevoegde waarde. Gebleken is dat na het volgen van de leergang de samenwerking onderling in het team maar ook die met de patiënt beter verloopt, waardoor
Actie geldig t/m 31 oktober 2025
gratis Cart t.w.v. € 900,-
(art. 912812)
De Mectron Combi Touch combineert ultrasoon en air-polishing in één unit. Dit zorgt voor een volledige behandeling, zowel supragingivaal als subgingivaal.
Airpolishing
U kunt tijdens de behandeling eenvoudig wisselen tussen supra- en subgingivaal polijsten door op de prophy- of perio-knop te drukken. Tevens wordt verstopping voorkomen door een permanente luchtstroom.
Ultrasoon
Scaling, perio, endo, restorative – De Combi Touch biedt een grote range aan toepassingen dankzij de hoogwaardige techniek, behandelingskracht en een breed assortiment aan tipjes. Mectron biedt meer dan 30 verschillende tipjes aan, zodat je voor elke behandeling de juiste hebt. De tipjes brengen vlakke achterwaartse en voorwaartse trillingen toe, waardoor de patiënt vrijwel pijnloos behandeld kan worden. Om dit voor elke patiënt en behandeling te garanderen heeft elke Combi Touch een Soft-Mode. Dit vermijdt overmatige ultrasone trillingen dat zorgt voor optimale comfort voor de patiënt en de behandelaar. Dit in combinatie met het 360° draaibare LED-Handstuk maakt het een compleet systeem.
Wilt u meer weten?
Neem contact op met onze productspecialist Kees van der Poel, keesvanderpoel@hofmeester.nl / 06 278 650 22
Actie is geldig t/m 31 oktober 2025. Prijzen zijn exclusief btw.

de uitkomsten van de behandeling succesvoller zijn. Als daarnaast ook tandartsen de leergang volgen ontstaat er een betere dialoog met mondhygiënisten, omdat zij dezelfde taal spreken en elkaar beter begrijpen. Dit heeft enorme positieve effecten in de gehele praktijkvoering en leidt bij alle professionals tot meer arbeidsvreugde en daarmee ook levensgeluk.
Vanaf 1 januari 2023 is NVM-educatie overgenomen door Dental Best Practice (DBP) en sindsdien geeft Schelte de bij- en nascholingscursussen voor mondhygiënisten en ook de leergang parodontologie onder hun vlag. Omdat DBP een breder platform biedt dan destijds de NVM, namelijk ook cursussen voor tandartsen stromen ook zij in voor de leergang, wat een mooie ontwikkeling is. De tandartsen geven aan dat zij onvoldoende kennis omtrent de parodontologie bezitten en daardoor vaak ook een verminderde interesse hebben in dit deelgebied van de tandheelkunde. Het leuke is dat als zij meer kennis en vooral ook inzicht krijgen in de klinische parodontologie, ze enthousiast worden. Het is natuurlijk het allermooist als tandartsen en ook mondhygiënisten uit dezelfde praktijk de leergang volgen, want daarmee wordt een andere zienswijze en behandelfilosofie gecreëerd in de praktijk. “In dat opzicht maar ook onderwijskundig gezien vind ik de leergang het neusje van de zalm, want bij iedere cursist weer zie ik de ontwik-
keling en groei in iemands professionele redeneren en handelen. Dat geeft veel voldoening voor mij als docent en daarvoor doe je het. Daarom hoop ik ook het komende scholingsjaar vele collega mondhygienisten en tandartsen te mogen ontmoeten op één van de cursussen van DBP of bij de leergang parodontologie, die op 12 september weer van start gaat met een geheel nieuw cohort in een aangepaste en verkorte stijl. Hiermee komen we tegemoet aan de wensen van het werkveld om de opleiding binnen 1 jaar af te ronden, waarmee ik hoop dat de drempel voor velen verlaagd is”.
De auteur
Schelte Fokkema is eigenaar van Parodontologie Praktijk Fokkema waar hij samen met een hecht team al meer dan 25 jaar complexe tandvleesproblemen behandelt.
De opzet van de leergang is opfrissing van de basiskennis over de parodontologie en ook die van de ziekteleer door het volgen van colleges en het bestuderen van handboeken en het facultatief afleggen van kennistoetsen, waarmee extra KRM punten worden verdiend. Daarnaast worden 8 seminars gevolgd met in de ochtenden theorie en in de middag casusbesprekingen. Hierbij presenteert iedere cursist een geselecteerde patiënt uit de eigen praktijk, die klassikaal wordt besproken en geanalyseerd. Daarnaast zijn er verschillende workshops voor het aanleren van vaardigheden en er worden onder begeleiding patiënten met (ver)gevorderde parodontitis behandeld die verwezen zijn naar de paropraktijk. De leergang wordt afgesloten met een eindpresentatie van een behandelde casus in de eigen praktijksetting en die volgens de richtlijnen van de leergang is beschreven en geanalyseerd.
Meer weten over de leergang Parodontologie? Scan de QR-code

Pourya Kamyar, werkt als mondhygiënist in opleiding bij mondzorg Begic en Tandartspraktijk IJsselland.
Ongeveer negen jaar geleden moest ik mijn thuisland Iran verlaten. Alles wat vertrouwd was, liet ik achter, op zoek naar veiligheid, waardigheid en een nieuwe toekomst. In Nederland begon ik met lege handen, maar met een hart vol hoop en een verlangen om iets te betekenen voor anderen.
Vanaf het eerste moment wist ik dat ik iets in de zorg wilde doen. Iets waarmee ik anderen kon helpen, kon bijdragen en weer betekenis kon geven aan mijn eigen leven. Ondanks de taalbarrière, de cultuurshock en alle onzekerheden, bleef één gevoel mij drijven: ik wilde vooruit, ik wilde leren, ik wilde iets opbouwen. Zo begon mijn pad, stap voor stap, soms onzeker, soms vol kracht richting een nieuw doel.
Tijdens mijn opleiding tandartsassistent ontdekte ik mijn passie voor de tandheelkunde. Het idee dat ik mensen kon helpen hun gebit en mondgezondheid te verbeteren, gaf me een doel. Na het behalen van mijn diploma als tandartsassistent was ik klaar voor de volgende stap: ik besloot om de opleiding tot
mondhygiënist aan de Arteveldehogeschool in Gent te volgen. Dit was een groot avontuur voor mij, maar ik wist dat het de juiste keuze was. Met hard werken en vastberadenheid voltooide ik mijn opleiding en ontving ik mijn diploma. Het gevoel van trots dat ik daarbij ervoer, was onbeschrijflijk.
Nu, met het diploma Bachelor of Dental Hygiene, kijk ik vol hoop naar de toekomst. Ik heb mij ingeschreven voor de Leergang Upgrade buitenlands opgeleide mondhygiënist van Dental Best Practice, waar ik mij verder zal verdiepen in anesthesie en boren. Deze kennis is essentieel voor me om zelfstandig als mondhygiënist in Nederland aan de slag te kunnen. Ik wil de beste zorg bieden aan mijn patiënten en hen helpen een gezonde mond te behouden.
Naast mijn carrière heb ik ook een sterke drang om iets terug te doen voor de wereld. Dat is de reden waarom ik me thuis voel bij de Stichting Dutch Dental Care. Voor de tweede keer ga ik vrijwilligerswerk doen in Kenia. Wij zijn daar als mondzorgteam preventief en curatief bezig op
scholen. Dit enthousiasmeert me enorm. Het geeft me de kans om mijn vaardigheden toe te passen in een omgeving waar tandheelkundige zorg niet vanzelfsprekend is. Het idee dat ik met mijn kennis, hoop en zorg een verschil kan maken in het leven van anderen, vervult me met vreugde.
Mijn reis is nog niet ten einde. Elke dag is een nieuwe kans om te leren en te groeien. Ik ben dankbaar voor de kansen die ik heb gekregen en de steun die ik heb ontvangen. Dit verhaal is niet alleen van mij, het is een verhaal van veerkracht en hoop. Zelfs als de reis zwaar is, is er altijd een weg naar een betere toekomst.
Ik hoop dat mijn verhaal anderen inspireert, vooral degenen die soortgelijke uitdagingen doormaken. Mijn boodschap is simpel: geef nooit op. Met vastberadenheid, passie en steun van anderen kunnen we onze dromen waarmaken. Het leven is een avontuur en ik kijk ernaar uit om te zien wat de toekomst voor mij in petto heeft.
Juridisch advies & ledenservice
Bekijk alle voordelen en word ook lid
Deelname aan Intercollegiaal Overleggroepen (ICO)
Samen actief voor belangen in de mondzorg én jouw vak
Elkaar ontmoeten tijdens (gratis) events & webinars
En ben jij zelfstandig ondernemer? Met ons aantrekkelijke pakket regel je meteen de wettelijke verplichtingen!*






Verzamel automatisch feedback van patiënten en zet deze direct om in waardevolle reviews.





Doorlopende inzichten voor een vaste, lage prijs
Positieve feedback direct doorgeplaatst als review
Concreet verbeteradvies
Met het patiënttevredenheidsonderzoek van Feedback Company ontdek je hoe jouw patiënten de zorg ervaren. Je voldoet aan de NEN 7510-eisen, krijgt duidelijke inzichten voor je team en koppelt eenvoudig je reviews aan derde partijen zoals Google en Zorgkaart Nederland. Zo maak je patiënttevredenheid zichtbaar én werk je gericht aan de kwaliteit van je praktijk, tegen een vaste en lage prijs.
Meer informatie
