
Droge mond; oorzaken en behandelopties
Pink & White esthetics in balans: etsbrug met weefselopbouw na jeugdtrauma
”We hebben alle drie een

Drie generaties mondhygiënisten
![]()

Droge mond; oorzaken en behandelopties
Pink & White esthetics in balans: etsbrug met weefselopbouw na jeugdtrauma
”We hebben alle drie een

Drie generaties mondhygiënisten
ONTMOET ANTHOGYR OP 3 JULI.
Anthogyr nodigt implantologen, kaakchirurgen, tandartsen en tandtechnici van harte uit voor een bijzondere klinische avond op 3 juli a.s. om 17.30 uur in IJsselstein
Tijdens dit evenement delen vooraanstaande sprekers waaronder Jasper Thoolen, Tom de Wit, Egon Euwe en Natasha Hack hun expertise op het gebied van digitale innovaties, klinische casuïstiek en interdisciplinaire samenwerking.
Maak kennis met de nieuwste toepassingen van X-Base en Healfit en ontdek hoe deze bijdragen aan verbeterde behandelresultaten. De avond wordt afgesloten met een culinaire beleving geïnspireerd op de Franse Alpen.
Reserveer nu uw plek - beperkt aantal plaatsen beschikaar.

bit.ly/Anthogyr3juli
Reserveer hier uw plek
*KRT-punten zijn aangevraagd.
IMPLANTAATPROFIELEN 2 LEVEL SYSTEEM 1 UNIEKE KIT

PX REG
3 IMPLANTAAT DESIGNS VOOR COMPLETE FLEXIBILITEIT.
axiomX3 ®
¬ Innovatief implantaatontwerp ontwikkeld voor universele botverankering,
¬ botbehoud,
¬ klinisch aanpassingsvermogen, waaronder immediate behandelprotocollen.
axiom® PX
¬ Geïndiceerd voor immediate plaatsing na extractie en bot met lage dichtheid.
axiom® REG
¬ Veelzijdig implantaat.
¬ Progressieve verankering.
¬ Gecontroleerd protocol.
In deze editie van Dentista staat restauratieve tandheelkunde centraal. Een thema dat je als tandarts bijna dagelijks tegenkomt. Want of het nu gaat om een beschadigde voortand na een jeugdtrauma, gebitsslijtage die steeds erger wordt, of het herstellen van een ontbrekend element in het front: het draait allemaal om herstellen. Maar dan wel op een manier die zowel functioneel als esthetisch klopt.
Zo laat Irfan Abas in zijn casus zien hoe lastig het is om de roze en witte esthetiek goed op elkaar af te stemmen. Bas Leempoel geeft in zijn artikel aan dat bij slijtageherstel digitale technieken, zoals geprinte injectiemallen, het werk nauwkeuriger én efficiënter maken. Ook de hybride injectietechniek komt voorbij en het STAR-concept laat zien hoe je een vaste voorziening direct na extractie toch voorspelbaar kunt uitvoeren.
Naast al die techniek blijft de menselijke kant minstens zo belangrijk. Dat blijkt wel uit het interview
met drie generaties mondhygiënisten. Een vak dat van moeder op dochter wordt doorgegeven in de familie Slavenburg-Meinds, met liefde én een duidelijke visie. Ook zoomen we in op de droge mond: een veelvoorkomend probleem dat vaak wordt onderschat. In twee artikelen leer je meer over oorzaken, behandelingen en het belang van speeksel in een vergrijzende populatie.
Verder nog aandacht voor 35 jaar Guided Bone Regeneration, dentale fotografie op social media, werkplezier als tandarts, het nieuwe kwaliteitskeurmerk voor mondzorgassistenten en de waarde van een goed georganiseerde praktijk—met of zonder omloopassistente. Kortom, een nummer boordevol herkenbare situaties, slimme oplossingen en frisse inzichten voor jouw dagelijkse praktijk.
Veel leesplezier!
Lies en Ilko.
Colofon
Dentista is een uitgave van Dentista Media en verschijnt 4 keer per jaar
Redactie
Ilko Alink, Lies Ligtvoet
Redactie(adres) Dentista Media
Koggeschip 212, 7429 BG Colmschate
Ilko Alink, ilko@dentista-magazine.nl
Digitaal aanwezig www.dentista-magazine.nl Instagram: @dentistamagazine
Aan dit nummer werkten mee
Irfan Abas, Celina Klappers, Marijke SlavenburgDalhuysen, Fransje Meinds-Slavenburg, Anne Meinds, Bas Leempoel, Maarten de Beer, Felix Brüll, Fridus van der Weijden, Melissa Ramirez Vanoni, Lotte Pull ter Gunne, Derk Jan Jager, Marit Verschuuren, Gerry Karlis, Frank Andriessen, Daan van Oort, Casper Bots, Marja Laine, Floris Bikker, Caroline Cuppens, Marloes Rust.
Grafisch Design
Degen en Leideritz BNo
Vormgeving
LDB Production, Levin den Boer
Fotografie
Lars van den Brink
Abonneren
Dentista wordt in gecontroleerde verspreiding toegezonden aan tandartsen mondhygiënistenpraktijken in Nederland. Ben je werkzaam binnen de tandheelkunde en wil je Dentista ontvangen, stuur dan een e-mail naar: info@dentista-magazine.nl
Adreswijzigingen
Per e-mail: info@dentista-magazine.nl. Vermeld zowel je oude als nieuwe adres.
Marketing
Ilko Alink, ilko@dentista-magazine.nl
Adverteren
Concetta Scibona, concetta@dentista-magazine.nl +31 6 281 829 62
Druk Wilco, Amersfoort
©2013-2025 Dentista Media. Niets in deze uitgave mag worden overgenomen, vermenigvuldigd of gereproduceerd zonder schriftelijke toestemming van Dentista Media of andere auteursrechthebbenden. Dentista Media kan geen aansprakelijkheid aanvaarden voor de juistheid en volledigheid van alle in deze uitgave opgenomen teksten en beelden.

Drie generaties mondhygiënisten Marijke, Fransje en Anne

Etsbrug met weefselopbouw na jeugdtrauma Irfan Abas


Slijtageherstel middels een geprinte injectiemal Bas Leempoel


De hybride injectietechniek Maarten de Beer




Digitale planning en uitvoering van een FP1 constructie
Felix Brüll
Het opbouwen van een zeer geresorbeerde processus
Frank Andriessen
Meer aandacht voor droge mondklachten
Marja Laine en Floris Bikker
Molaarkroon of premolaar met kleine dummy? Fridus van der Weijden, Melissa Ramirez Vanoni, Lotte Pull ter Gunne

Zo blijft mondzorg levenslang leuk! Casper Bots
Droge mond; oorzaken en behandelopties Derk Jan Jager
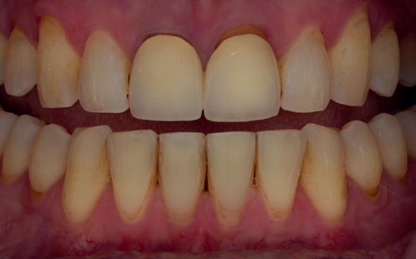
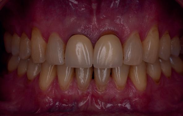
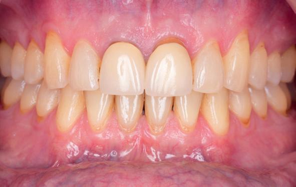
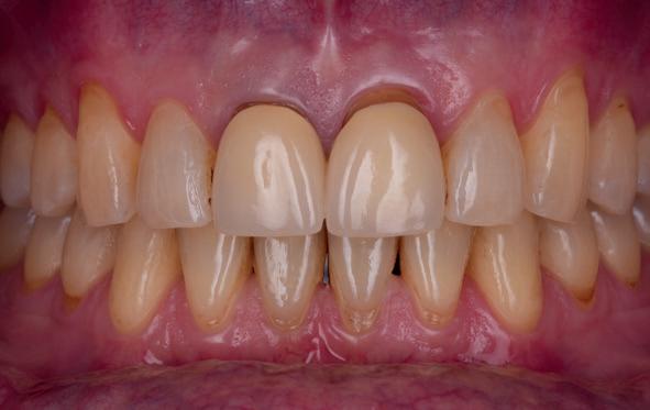
Esthetiek in de tandheelkunde, met name in het front, is een samenspel tussen de roze zachte weefsels en de witte harde weefsels. In het Engels wordt dit ook wel aangeduid met “pink and white esthetics”, waarbij het verkrijgen van correcte pink esthetics over het algemeen een grotere uitdaging vormt dan de white esthetics. Deze roze esthetiek is vooral van belang bij gebitselementen waarbij sprake is van recessie (het terugtrekken van de gingivalijn, waardoor de radix en een langere tand zichtbaar worden). De situatie wordt nog uitdagender wanneer een tand of kies niet is aangelegd, of in het verleden is verwijderd. Het element zorgt er immers voor dat de gingiva rondom de natuurlijke kroon ligt en dat er voldoende weefseldikte rondom deze kroon aanwezig is. Als het element ontbreekt, groeit het alveolaire bot dicht, omdat er geen radix meer is, en daarmee ook de mucosa (wanneer er geen element meer aanwezig is, spreken we niet meer van gingiva maar van mucosa), die dan afgevlakt is. De papillen tussen de afwezige elementen vlakken dan ook af.
Om één of meer afwezige elementen te herstellen bij een vaste voorziening, kan er een etsbrug of kunnen er implantaten worden geplaatst. De esthetiek valt of staat hierbij met de aanvulling van de zachte weefsels, zowel in de vorm van verbreding hiervan als het creëren van een zogenoemd emergence profile –dat wil zeggen dat de tand op een natuurlijk ogende wijze vanuit het tandvlees tevoorschijn moet komen.
Een gezonde, jonge dame had op 8-jarige leeftijd een trauma op school waarbij ze op haar voortanden was gevallen. Volgens haar moeder waren deze voortanden tot onder het tandvlees afgebroken. Nadat ze
via de spoeddienst bij de kaakchirurg terechtkwam, werd daar besloten tot extractie van de 11 en 21. In de opinie van de auteur is dit een te voorbarige behandeling geweest; de kans dat beide centrale incisieven bij een meisje van 8 jaar na een val zodanig beschadigd zijn dat de radices zonder kans op behoud verwijderd moesten worden, is bijzonder klein. Helaas was het kwaad al geschied.
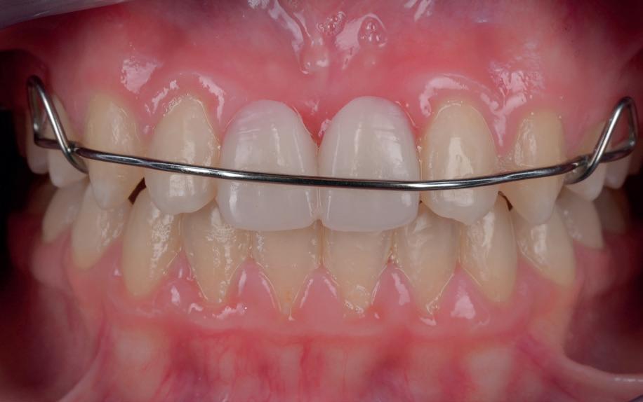
Op 16-jarige leeftijd werd de patiënt door haar behandelend orthodontist naar de auteur verwezen voor een restauratieve oplossing voor de afwezige 11 en 21. In de tussenliggende periode had patiënt een retainer gedragen met twee kunststof tanden (afbeelding 1). Zowel de patiënt als haar moeder hadden een sterke voorkeur voor een implantaat gedragen vaste oplossing. Gezien haar jonge leeftijd was dit echter nog geen optie, omdat er nog verticale groei te verwachten viel. Implanteren op jonge leeftijd – dat wil zeggen vóór het 21e levensjaar – kan resulteren in een infrapositie van het implantaat, omdat de rest van het gebit nog verticaal kan doorgroeien.
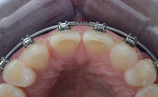
Middels shared decision making werd het volgende plan overeengekomen: eerst zou er een etsbrug met vleugels op de 12 en 22 worden vervaardigd, om op 21-jarige leeftijd verder te gaan met implantologie.
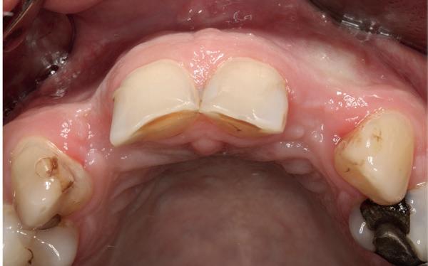
Bij klinisch en röntgenologisch onderzoek viel echter op dat radix van de 12 en 22 een convergerende (de radices staan dan naar mesiaal en naar elkaar toe) in plaats van divergerende (radices staan dan van elkaar af) stand had. Door deze convergerende stand van de radices was er in mesio-distale zin geen ruimte voor twee implantaten ter plaatse van de 11 en 21. Er werd daarom besloten, in tegenzin


1. Retainer met twee frontelementen
2. OPT radices 12 en 22 convergeren


3. Vaste apparatuur voor torque 12 en 22
4. OPT radices 12 en 22 divergeren na orthodontische behandeling
van de patiënt, om eerst weer vaste apparatuur terug te plaatsen om de radices in een divergerende stand te plaatsen. Gelukkig verliep deze behandeling voorspoedig. (afbeelding 2 -4). Het volgende behandelplan werd gemaakt:
• Intra-orale scan voor studiemodellen, proefopstelling en beoordelen ruimte palatinaal
Vervaardigen essix retainer met dummies waarbij er een emergence profile van de 11 en 21 werd gevormd door eivormige dummies 4 mm in de gingiva te plaatsen
• Aanvulling zachte weefsels met de VISTA techniek en een vrij gingivatransplantaat uit het palatum links en direct dragen van de essix retainer
Na 4 weken intra-orale scan voor de etsbrug en kleurbepaling bij de technicus
• Plaatsen van de etsbrug met een composietcement
Voordat er gescand kon worden voor een etsbrug, werd een studiemodel vervaardigd om met de technicus te overleggen of er voldoende ruimte was voor 2 centrale incisieven in de mesio-distale zin en of er voldoende ruimte was in occlusie voor de vleugels van de etsbrug. Er hoeft enkel nog aan de 12 en 22 pala-
tinaal geslepen te worden als er geen 1,5 mm ruimte voor de vleugels behaald kan worden. De ruimte was op de dunste plekken 1 mm, dus een kleine preparatie in de 12 en 22 palatinaal was nodig. Omdat de kaak volledig afgevlakt was en dun was geworden, kunnen de dummies van de etsbrug enkel op de kaak “gelegd worden”, maar daarbij zijn er geen papillen en staat de cervicale rand van de dummies net voor de kaak. Een esthetisch resultaat kan daarmee niet behaald worden. Daarom is een aanvulling van de zachte weefsels in de breedte nodig, als het creëren van een emergence profile, waarbij het oogst alsof de gebitselementen uit het weefsel vertrekken.
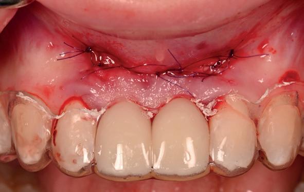
Voor de aanvulling zachte weefsels chirurgie werd gekozen voor de VISTA techniek, hierbij worden er twee incisies partial thickness flap hoog in de mucosa gemaakt, waarna er ruimte vanuit de incisies wordt getunneld tussen de gingiva en het periost door middel van VISTA tunnel instrumenten. Uit het palatum links werd een vrij gingivatransplantaat geoogst van 15x10 mm met een dikte van 3 mm, die voor inhechten werd geëpithelialiseerd. Als het epitheel niet wordt verwijderd, kan deze graft door










de mucosa heen groeien, dat ten koste gaat van de esthetiek. In het donorgebied wordt een collageen spons ingehecht, waardoor de patiënt daar minder last van heeft. Het bindweefsel wordt door de hul-





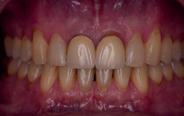
pincisies met hechtingen naar het buccale en coronale deel getrokken en aldaar ingehecht. Met twee incisies werd ook de emergence profile gecreëerd (afbeelding 6-13). Voor een goede genezing van het
5. Beginsituatie voor behandeling
6. VISTA techniek twee hulp incisies
7. Vervaardiging tunnel met tunnelinstrumenten
8. Geoogst bindweefseltransplantaat uit palatum
9. Na de-epithelialiseren van transplantaat
10. Inhechten van een collageenspons in het donorgebied
11. Middels hechtingen het op de juiste plek trekken van het transplantaat
12. Transplantaat ingehecht
13. Occlusaal beeld verdikking van de zachte weefsels
14. Direct postoperatief plaatsen
van de essix met 2 dummy tanden
15. Twee weken post operatief
16. Creëren van een duidelijke indeuking in de mucosa voor emergence profile
17. Genezing van het palatum
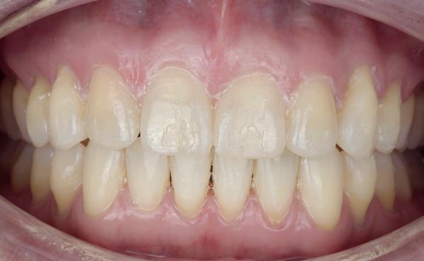
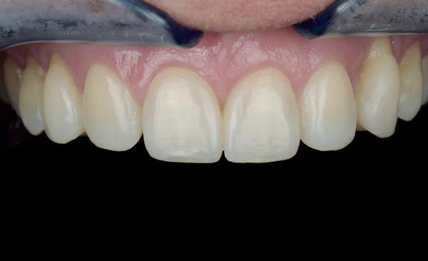
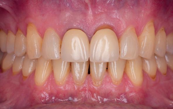
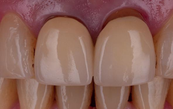
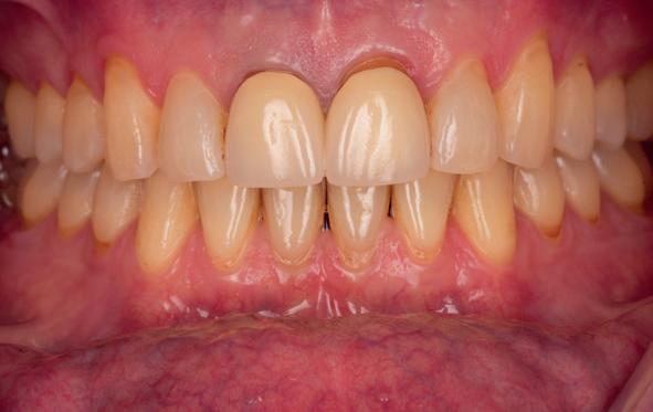
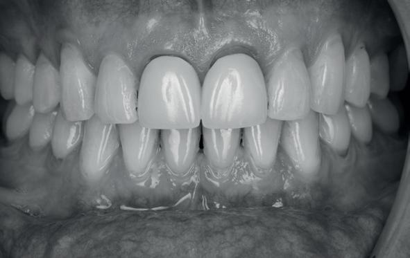
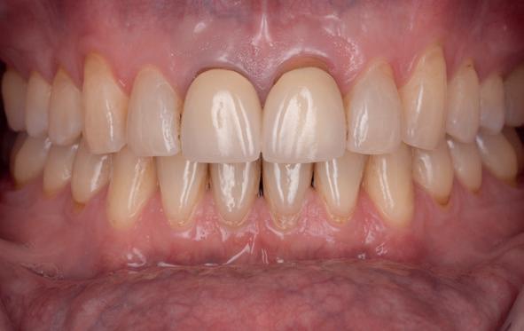
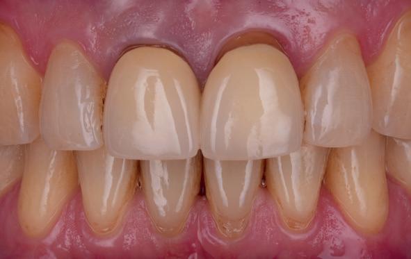
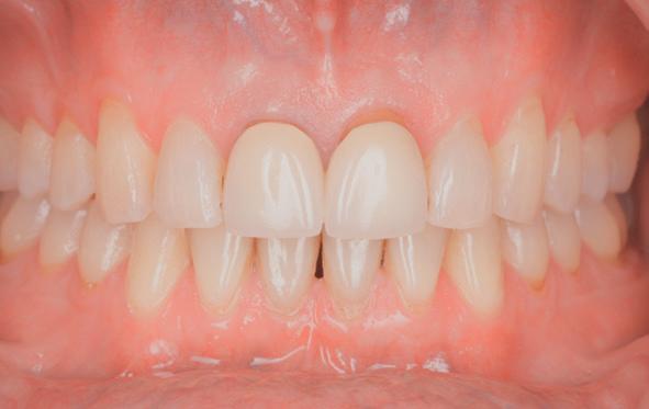
18. Etsbrug frontbeeld
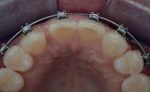
19. Etsbrug palatinaal
Abas Implant Academy biedt een volwaardige 8-daagse opleiding in de moderne implantologie aan. Ruim 160 tandartsen hebben al deelgenomen.




Ons vernieuwde programma biedt een uitgebreid curriculum aan (incl. 3 moduleboeken).
Module 1
Indicatie, planning, prothetiek & de medische gecompromitteerde patiënt
Module 2
Basis chirurgie, anatomie & hechttechnieken
Module 3
Basis implantologie: flap, osteotomie & plaatsen implantaat
Module 4
Implantologie in de edentate boven- en onderkaak
Module 5
Gevorderde implantologie: botopbouw, membranen, periost mobiliseren, piëzo-elektrochirurgie, sinusbodem elevatie, ridgesplit en gebruik van Plateled Rich Fibrine
Module 6
Tijdstip van implanteren, fronttandvervanging, esthetiek, immediaat implanteren, immediaat belasten en socketshieldtechniek
Module 7
CBCT diagnostiek & planning, guided surgery middels R2
Module 8
Tweede fase technieken, gekeratiniseerde mucosa, bindweefseltransplantaten, behandeling van infecties rondom implantaten, tariefstelsel & complicaties
Na de opleiding implantologie kun je onder begeleiding van onze instructeurs zelf 4 dagen live patiënten behandelen. In 2024 hebben we in slechts 4 dagen variërend tussen de 15 en 23 implantaten geplaatst per tandarts.
COLUMN CELINA
Een nieuwe tandartspraktijk opbouwen is als het creëren van een groot restauratief plan: het vergt geduld, zorgvuldigheid en een doordachte aanpak. Terwijl ik deze column schrijf, is het eind maart en bestaat onze nieuwe praktijk in Zevenaar inmiddels tien maanden. De fundamenten beginnen zich te vormen en we hebben meer dan 2000 intakes uitgevoerd. Een cruciale factor bij het opzetten van een nieuwe praktijk is het behouden van een lean werksysteem. Dit houdt in dat we efficiënt moeten opereren, terwijl het tegelijkertijd essentieel is om ons team goed te begeleiden. Iedere medewerker is een schakel in de zorgketen die we bieden en een goed opgeleid team vormt de basis voor succes.
Bij het opbouwen van onze praktijk stuiten we op verschillende vragen. Hebben we voldoende patiënten? Hoe snel kunnen we een intake plannen? Daarnaast is het belangrijk om niet alleen aandacht te besteden aan de instroom van nieuwe patiënten, maar ook om voldoende tijd in
te plannen voor de behandelingen zelf. Veel van onze nieuwe patiënten hebben lange tijd geen tandarts bezocht en hebben vaak uitgebreid restauratief werk nodig. Een goede balans tussen intakes en behandeltijd is daarom essentieel.
Een ander belangrijk aspect is de personeelsplanning. Wanneer zijn we klaar om dubbele diensten op één dag te draaien? Voldoende assistenten betekent dat we ook nieuwe tandartsen nodig hebben. Het is essentieel dat deze tandartsen onze visie delen en passen binnen de praktijkcultuur. Groei is belangrijk, al moet dit op een duurzame en doordachte manier gebeuren. Zorgvuldige selectie en duidelijke communicatie van onze waarden spelen hierin een grote rol. Dankbaar ben ik voor het team wat we aan het creëren zijn.
Op 23 mei spreek ik op het Payt Forward Congres over de uitdagingen en inzichten die komen kijken bij het opbouwen van een nieuwe praktijk. Daarnaast deel

Celina Klappers, Praktijkhouder-tandarts bij Wellestate tandartsen, IJsselstate tandartsen en Jungle tandartsen. @drs.celina_klappers
ik de lessen die ik heb geleerd de afgelopen 18 jaar als praktijkhouder van mijn eerste praktijk. Welke keuzes zorgen voor een stevige basis? Hoe bouw je een team dat met je meegroeit? En hoe ga je om met de financiële en organisatorische uitdagingen? Met deze ervaringen kijk ik vooruit naar de toekomst van de tandheelkundige praktijkvoering.
INTERVIEW
Van moeder op (klein)dochter
Een familie vol mondhygiënisten: toeval of pure passie? Bij de familie Slavenburg-Meinds lijkt het vak in de genen te zitten. Marijke Slavenburg-Dalhuysen stond in de jaren ‘60 aan de wieg van het beroep mondhygiënist in Nederland. Haar dochter Fransje MeindsSlavenburg zette die lijn voort en zette samen met haar man een aantal tandheelkundige praktijken op. Nu staat de derde generatie klaar voor een carrière in de mondzorg: Anne Meinds, die in Groningen studeert voor mondhygiënist.
Wat maakt dit vak zo bijzonder dat het van generatie op generatie wordt doorgegeven? Welke ontwikkelingen in de mondzorg hebben ze meegemaakt? En wat kunnen ze van elkaar leren? Drie generaties delen hun ervaringen met een beroep dat hen niet alleen professioneel, maar ook als familie verbindt.
Marijke maakte de beginjaren van de mondzorg in Nederland van dichtbij mee. “Na de middelbare school wist ik niet goed welke richting ik op wilde. In 1965 las ik een oproep van het Ministerie van Volksgezondheid in de krant: ze zochten mensen die zich wilden laten opleiden tot mondhygiënist, om te onderzoeken of het vak in Nederland zou aanslaan. Ik gaf me op en zes weken later stapte ik met een groep studenten op de boot naar Amerika. In Boston volgde ik een tweejarige opleiding, en geloof me, op die campus golden strenge regels.”
Na haar opleiding keerde Marijke terug naar Nederland, waar in 1967 de eerste mondhygiënisten offici-
eel aan de slag gingen. “Het vak sloeg meteen aan. In die tijd mochten we alleen werken onder begeleiding van een arts. Na een aantal jaar in loondienst waagde ik de sprong en opende ik als één van de eersten een zelfstandige mondzorgpraktijk aan huis.” In totaal werkte Marijke 45 jaar in het vak en hielp ze bij het oprichten van de Nederlandse Organisatie van Mondhygiënisten.
Haar dochter, Fransje, groeide op in een huis waar mondzorg dagelijkse kost was. Toch was het voor haar geen uitgemaakte zaak om ook mondhygiënist te worden. “Ik wist niet goed wat ik na de middelbare school wilde. Maar het vak paste bij mijn karakter en ik had het juiste vakkenpakket, dus ben ik het maar gaan doen.”
Fransje studeerde in 1995 af als mondhygiënist in Nijmegen, waar ze haar man ontmoette, een tandarts. Samen startten ze hun eerste praktijk, Meinds Mondzorg. Wat begon als één locatie, groeide uit tot drie vestigingen in de regio Oud-Beijerland. “Dat was een spannend proces. Een praktijk opbouwen is iets heel anders dan alleen het vak uitoefenen. Bovendien mogen mondhygiënisten nu gewoon zelfstandig

Stel je een aligner-partner voor die met jou meegroeit. Van simulator tot retainer, onze workflow integreert met de meeste scanners en levert in 3 van de 4 SureSmile Aligner-behandelingen resultaten zonder refinements.¹ ²
Met betrouwbare locale ondersteuning kun jij je richten op wat echt telt: het creëren van stralende glimlachen. SureSmile zal dé oplossing zijn waar je naar uitkijkt. Love at first smile.

Scan de QR code voor meer informatie

1 De SureSmile Simulator v ereist een DS Core betaald abonnement en Primescan-gebruik
2 Gebaseerd op een interne analyse v an meer dan 200.000 wereldwij de SureSmile®-aligner cases gestart en v oltooid tussen j an 2021 - j uni 2024.
werken, terwijl dat voor mijn moeder niet altijd zo is geweest.”
Anne, de derde generatie, zit inmiddels in haar derde jaar van de opleiding Mondzorgkunde in Groningen. “Nog anderhalf jaar, en dan mag ik mezelf mondhygiënist noemen”, vertelt ze. Toch was dat aanvankelijk niet haar plan. “Mijn vader is tandarts en mijn moeder mondhygiënist, dus ik wilde juist iets anders. Ik wilde zelf een vak kiezen.” Ze keek naar verschillende richtingen in de zorg, maar uiteindelijk ging ze toch met haar moeder mee naar een open dag in Nijmegen. “Toen was ik eigenlijk meteen om.”
Wat maakt het vak mondhygiënist zo bijzonder dat het al drie generaties binnen de familie voortleeft?
Voor Anne zit het hem vooral in het uitgebreide contact met patiënten. “Als mondhygiënist heb je meer tijd met je patiënt dan een tandarts. In die tijd kun je meer bespreken, adviezen geven en samen naar oplossingen zoeken. Bij tandheelkunde doe je dat ook, maar daar ligt de focus toch meer op controles en het oplossen van problemen. Mondzorg is echt preventiever.”
Marijke kijkt met voldoening terug op haar lange loopbaan. “Dit vak kwam gewoon op mijn pad, en het is een fantastisch beroep gebleken”, zegt ze. “Vijftig jaar geleden hadden mensen veel slechter tandvlees.
Dankzij mondhygiënisten is dat enorm verbeterd en ik ben blij dat ik daaraan heb mogen bijdragen. Je bouwt een sterke band op met patiënten en kunt echt iets voor hen betekenen.”
Fransje herkent dat gevoel. “We hebben alle drie een bepaalde openheid en zorgzaamheid. Als het klikt, ontstaat er een band. Sommige patiënten zie ik elke drie maanden, soms al 26 jaar lang. En het mooiste is: sommige mensen komen bibberend binnen, maar gaan opgelucht en blij weer weg. Dat maakt dit werk zo dankbaar.”

Van kennis doorgeven tot samenwerken
Werken in hetzelfde vakgebied zorgt voor een bijzondere verbinding binnen de familie. Anne: “Als ik iets meemaak op stage of school, kan ik dat meteen met mijn vader en moeder bespreken. Zij begrijpen het direct en kunnen het uitleggen. Mijn broer studeert bouwkunde, die wordt er soms wel gek van als wij erover kletsen”, lacht ze.
Fransje is erg betrokken bij de ontwikkeling van Anne. “Ik kan haar bijvoorbeeld uitleggen hoe je met bange patiënten omgaat of hoe je zaken visueel maakt voor de patiënt.” Andersom leert ze ook van Anne. “Ik vraag weleens: hoe leer jij dit op school of bij je stage? Het is interessant om te horen hoe de opleiding tegenwoordig is. Je raakt na zoveel jaar toch een beetje vastgeroest. Dan hoor ik hoe ze het ergens anders doen en kan ik bepaalde patronen weer doorbreken.”
ACTIVEREN - BLEKEN - CONDITIONEREN
Uniek 3-staps whitening systeem voor een maximaal bleekresultaat

Nieuwsgierig? Ontdek de ABC-Masterkit hier!

YOUR l MPRESS l ON
l S OUR SPEC l ALTY
Anne probeert op haar beurt de werkethiek van haar moeder en oma over te nemen. “Ik probeer echt de tijd te nemen voor mijn patiënten en een band op te bouwen.” Daarnaast is het simpelweg praktisch om mondhygienisten in de familie te hebben. Fransje: “Ik herinner mij nog goed hoe mijn moeder bijsprong toen ik mijn pols had gebroken of zwanger was.”
De mondzorg heeft de afgelopen decennia grote veranderingen doorgemaakt, maar de basis blijft hetzelfde. “We werken nog steeds met handinstrumenten, al zijn er nu meer elektrische apparaten zoals EMS Airfow en ultrasone apparatuur”, aldus Fransje. “Het grootste verschil tussen mijn moeder en mij is dat ik anesthesie mag geven, en Anne leert nu zelfs gaatjes boren en vullen, en doet uitgebreidere intakes.” Ook de opleiding is langer geworden: waar Marijke in twee jaar werd opgeleid, duurde die van Fransje drie jaar en is de huidige opleiding vier jaar. Marijke herinnert zich hoe anders het vak in haar beginjaren was. “De mondhygiënist werd in Nederland neergezet als preventie. Destijds verloren veel mensen tanden op jonge leeftijd. Er moest dus veel achterstand worden ingehaald. In de tandartsopleiding werd toen nog weinig aandacht besteed aan gebitsreiniging. Daarnaast heeft de wetenschap enorme stappen gezet. Ik heb zelfs nog meegewerkt aan fluorbehandelingen in Tiel, in de tijd dat waterfluoridering nog werd toegepast. Ook de technieken waren destijds veel beperkter. We hadden geen zandstraler, wel een EMS. Vroeger mocht je bovendien maar 2 millimeter onder het tandvlees werken, terwijl dat nu zo diep mag als nodig is.”
Ondanks de technologische vooruitgang blijft handwerk een essentieel onderdeel van het vak. Anne: “Je begint wel met EMS, maar je eindigt altijd nog met de hand. In de tandheelkunde wordt steeds meer overgenomen door digitale apparaten, maar bij mondhygiënisten is dat toch minder.”
Mensen worden steeds bewuster van hun gebit, mede door de invloed van sociale media en trends zoals tanden bleken. Fransje ziet die verandering duide-
Familie Slavenburg-Meinds
lijk terug in haar praktijk: “Mensen zijn echt zuinig op hun gebit, waardoor ze langer met hun hele gebit kunnen doen, maar daar komen ook veel uitdagingen bij kijken, zoals de invloed van medicatie op het gebit.”
"Vroeger mocht je maar 2 millimeter onder het tandvlees werken"
Naast deze verschuiving in mondgezondheid blijft ook de rol van de mondhygiënist in beweging. “Het blijft spannend hoe onze zelfstandigheid zich juridisch en praktisch gaat ontwikkelen. Ondanks het belang van die zelfstandigheid, zie ik wel dat er steeds grotere praktijken komen en bredere samenwerkingsverbanden.” Anne kijkt uit naar die samenwerking. “Als mondhygiënist is het heel leuk om samen te werken en kennis te delen. Je leert echt van elkaar, en dat maakt het vak nog interessanter.”
Marijke sluit af met een aantal tips voor de nieuwe generatie mondhygiënisten. “Je bent goed opgeleid, dus vertrouw op jezelf. Er wordt in de opleiding veel gehamerd op zelfstandigheid, en dat is niet voor niets.”
Ook het omgaan met angstige patiënten kan in het begin lastig zijn. Fransje: “In de mondzorg hebben we natuurlijk te maken met tijdsdruk. Echter, als je aan het begin van de behandeling investeert in de patiënt, al is het maar een gesprekje van twee minuten, dan heb je daar de rest van de behandeling profijt van. Luister naar de patiënt en neem eventuele angsten serieus, maar ga er niet te veel in mee. Als je rust en vertrouwen uitstraalt, voelt de patiënt zich veiliger.”
In de tandheelkunde is gebitsslijtage een steeds vaker voorkomend probleem, met aanzienlijke gevolgen voor de gezondheid en functionaliteit van het gebit. Hoewel veel patiënten zich niet bewust zijn van de slijtage, is het voor sommige mogelijk nodig om in een later stadium in te grijpen. Dit artikel verkent de mogelijkheden van slijtageherstel, waarbij gebruik wordt gemaakt van geprinte injectiemallen voor een efficiënter en nauwkeuriger resultaat. Door digitale planning en 3D-printtechnieken kunnen restauraties met een hoge mate van precisie worden vervaardigd, wat de behandelopties aanzienlijk uitbreidt. De focus ligt hierbij op het toepassen van nieuwe technieken zonder traditionele gebitsmodellen, wat de werkwijze zowel sneller als flexibeler maakt.
Gebitsslijtage is een probleem waar een groot aantal patiënten mee kampt. We kunnen deze afname van tandweefsel digitaal monitoren door gebitsscans in de loop van de jaren met elkaar te vergelijken (afbeelding 1). Vaak zijn patiënten zichzelf niet bewust van deze processen en hebben vaak geen behandelbehoefte, maar er komt wellicht ook een moment dat ingrijpen niet langer uit te stellen is (afbeelding 2). Op dat moment zijn er een aantal mogelijke behandelopties om te overwegen. Allereerst zal een keuze moeten worden gemaakt in het materiaal waarmee een eventueel beethoogteherstel zal worden uitgevoerd. Denk hierbij aan composiet of keramiek. Dit laatste zal altijd indirect vervaardigd worden. Maar in geval van een keuze voor composiet zijn er ook een aantal andere behandelopties mogelijk. Natuur-
lijk kunnen composietrestauraties, net als keramiek ook digitaal worden ontworpen en gefreesd (afbeelding 3). Tegenwoordig zijn ook printbare restauraties met een hoge vulgraad keramiek of composiet mogelijk, maar daar zal in dit artikel niet op worden ingegaan, omdat daar nog weinig langetermijnresultaten van bekend zijn.
Naast een indirecte vervaardiging kunnen composietrestauraties uiteraard ook direct worden gemaakt. Een beethoogteherstel kan uit de hand worden gedaan, maar deze procedure is tijdrovend, moeilijk en mogelijk ook wat onvoorspelbaar. Wanneer het verlies aan tandweefsel kan worden aangevuld met een digitale planning kan deze op voorhand veel inzichtelijker worden gedaan. Hierbij wordt gebruik-




gemaakt van een digitale mock-up (afbeelding 4) en een transfer naar de mond. Er kunnen meerdere methodes worden gebruikt om deze overzetting van de digitale planning te bewerkstelligen. Denk hierbij aan een puttymal om bijvoorbeeld een front te verlengen. Hierbij worden allereerst palatinale shells geplaatst om hier vervolgens de directe composietrestauraties uit de hand tegenaan te zetten. Bij een injectable techniek kan worden gekozen voor een dieptrekmal over een (geprint) model van de nieuwe situatie. Omdat deze moeilijk over te zetten is zonder de elementen te verblokken, wordt er vaak voor een alternerend model gekozen, waarbij eerst de helft van de restauraties in de mock-up wordt geplaatst en deze vervolgens wordt overgezet. Daarna wordt de mock-up van de gehele nieuwe situatie middels een dieptrekmal gekopieerd, de zojuist in de eerste fase geplaatste restauraties gesepareerd met teflon en vervolgens kan de tweede set restauraties worden geplaatst.
In dit artikel wil ik laten zien hoe deze technieken in de praktijk ook kunnen worden uitgevoerd zonder gebruik te maken van gebitsmodellen. Wanneer we deze fase namelijk kunnen overslaan, maar de transfers direct zouden kunnen printen, is een dieptrekstap niet langer meer noodzakelijk. In dit geval is gekozen voor het vervaardigen van een mock-up in Inlab software van Dentsply Sirona, maar deze kan uiteraard ook in andere programma’s worden uitgevoerd. Allereerst worden de nieuwe restauraties ontworpen op de bestaande situatie. Hierbij wordt bij het aangeven van de outlines, vermeden dat deze elkaar overlappen. De parameters worden vervolgens dusdanig aangepast dat er geen noemenswaardige overgang meer tussen element en restauratie aan-


wezig is (afbeelding 5). In deze designfase moet er wel rekening worden gehouden met in te bouwen beetverhoging. Dit is mogelijk door de beet als verhoogde dimensie te scannen of door opening van de articulator in de software. De eerste is uiteraard preciezer en geniet de voorkeur. Wanneer alle elementen virtueel zijn opgebouwd, kunnen ze na exporteren in de administratieve fase alternerend in het model worden geplaatst (afbeelding 6). Wanneer dit gebeurd is, kan vanuit deze fase worden gekozen voor het printen van een model voor een dieptrekmal. In dit geval zullen we echter kiezen voor het printen van een “splint”. Wanneer we deze splint volledig laten aansluiten op het model door de uitblokking te verwijderen en de elementen tot 2-3 mm voorbij de cervicale randen te omvatten, is een goede overzetting in de mond gegarandeerd (afbeelding 7). De occlusale afsteuning is geborgd door de elementen die in deze fase nog niet worden opgebouwd en een cervicale afsluiting voorkomt een doorpersing van composietmateriaal. De te vervaardigen mal moet worden geprint in een medium flexibel materiaal. Dit zorgt voor een juiste plaatsing ervan, daar de uitblokking in de ontwerpfase van de mal is verwijderd. Daarnaast moet de mal voldoende licht doorlaten om de composiet door het materiaal initieel uit te kunnen harden. Heel belangrijk is dat het printmateriaal niet aan de composiet hecht om trekkrachten bij het verwijderen ervan te voorkomen. Er is in dit geval gekozen voor IBT Flex Resin van Formlabs. Deze kunsthars wordt na het printen gereinigd met IPA en na droging, volgens de specificaties, in een waterbad uitgehard in de lichtoven. Dit laatste voorkomt de hechting van composiet aan het materiaal. In de mal worden vervolgens handmatig per element twee kanaaltjes gemaakt. Eén om te kunnen injecteren en


een tweede om overdruk tijdens dit proces te voorkomen. De kans op doorpersing van composiet naar cervicaal is hierdoor een stuk kleiner. Een tweede mal waarin zowel de reeds opgebouwde elementen in zitten als ook de nog te vervaardigen restauraties wordt op exact dezelfde wijze vervaardigd. Waar de eerste mal zijn afsteuning vond op de nog elementen die in die fase nog niet werden opgebouwd, heeft de tweede mal zijn afsteuning op de elementen die juist net zijn verlengd.
Alle restauraties worden in de ontwerpfase geselecteerd, samengevoegd met de originele intra-orale scan en een flexibele mal kan worden ontworpen (afbeelding 8). Wanneer de alternerende tweede serie restauraties wordt gemaakt, moet de eerste goed worden gesepareerd met teflon en ingekorte wiggen om hechting aan de buurelementen te voorkomen. Via deze techniek kan een zeer fraaie anatomie worden verkregen terwijl deze minder moeilijk en tijdrovend is dan het aanbrengen van restauraties uit de hand. Uiteraard kan in deze workflow ook gekozen worden om samen te werken met een laboratorium om de mock-up te maken. Deze kan geprint en sa-

men met de mallen door hen worden aangeleverd. Maar als tussenoplossing kunnen ook de modellen retour worden gevraagd en kunnen zelf de mallen worden vervaardigd of kan enkel het digitale design worden opgevraagd om hierop zelf de mallen te ontwerpen en te printen. In het laatste geval is het niet noodzakelijk om over een dieptrekapparaat te beschikken. Een printer, met IPA wasser en lichtoven volstaan. De affiniteit met digitale werken, de wens om zelf controle te houden over het ontwerp, en het gebruik van een 3D-printer zijn allemaal overwegingen om delen van de workflow uit te besteden of juist in huis te houden (afbeelding 9).
Bas Leempoel, tandarts en praktijkeigenaar van Tandartsenpraktijk Leempoel-Groenewegen en ISCD gecertificeerde CEREC trainer.
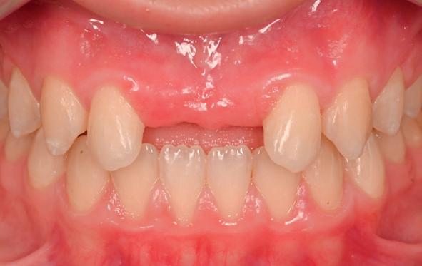
Een 47-jarige vrouw wordt aan het einde van het orthodontische traject door haar eigen tandarts naar mij verwezen voor een intake en eventuele behandeling. Bij mevrouw zijn elementen 12 en 22 afwezig. De 13 en 23 zijn gemesialiseerd. Haar eigen tandarts vraagt of ik het front met composiet kan restaureren om weer een harmonieuze glimlach te krijgen (Afbeelding 1).
Tijdens de intake wordt een complete lichtfoto status gemaakt om de positie van de elementen goed in kaart te brengen en een behandelplan op te kunnen stellen. Op de close-up foto van het bovenfront (afbeelding 2) zien we dat er sprake is van slijtage aan element 11. Elementen 12 en 22 zijn afwezig en elementen 13 en 23 zijn gemesialiseerd. Tussen element 11 en 13 is er sprake van een diasteem. Dit diasteem is niet aanwezig aan de andere zijde (afbeelding 3).
Dit zorgt voor een lastige situatie, omdat bij het sluiten van dit diasteem (dit is de wens van de patiënt) elementen 13 en 11 breder zullen worden dan elementen 21 en 23. Dit is één van de redenen waarom ik patiënten altijd graag aan het einde van het orthodontist traject wil zien. Op dat moment is het nog mogelijk om kleine wijzigingen door te voeren, voordat de beugel definitief wordt verwijderd. Na de intake stuur ik een terugrapportage naar de orthodontist waarbij ik vraag om de elementen zo te positioneren dat de ruimte beter verdeeld is.
Ik zie mevrouw een aantal weken later terug voor evaluatie (afbeelding 4). Er is een klein centraal diasteem ontstaan en daardoor is het diasteem tussen de 11 en 13 ook kleiner geworden. Tussen de 21 en 23 is geen diasteem aanwezig (afbeelding 5), waardoor er hoogstwaarschijnlijk wel iets breedte verschil zal zijn tussen de linker- en rechterzijde.
Met composiet wordt een snelle mock-up gemaakt om te beoordelen of ik in deze situatie goed kan uitkomen met de ruimte, of dat we wellicht de elementen nog meer moeten verplaatsen (afbeelding 6). Mevrouw is zeer tevreden met de snelle mock-up en daarom wordt besloten dat de orthodontische behandeling afgerond kan worden. Eventuele verschillen in breedte kunnen we proberen optisch zoveel mogelijk te maskeren.
Nadat de vaste apparatuur verwijderd is (afbeelding 7 en 8), zie ik mevrouw voor het maken van een afdruk/scan ten behoeve van een wax-up. Aangezien ik in deze casus wil werken met de injectietechniek, is een wax-up noodzakelijk.
Voor een wax-up ten behoeve van opbouw met composiet worden strengere eisen gesteld dan aan een motivational wax-up. Wanneer je de wax-up wil gebruiken voor het overzetten met composiet, is het belangrijk om een nauwkeurige transparante mal te hebben (Exaclear, GC). Deze mal moet transparant zijn om voldoende licht van de polymerisatielamp door te laten om zeker te weten dat al de composiet goed uithardt. Verder is het belangrijk om te weten dat Exaclear een ontzettend nauwkeurig materiaal is. Dit houdt in dat je een exacte kopie zult maken van de wax-up. Alle foutjes en oneffenheden in de wax-






1: Glimlach foto om de positie van de elementen ten opzichte van de lippen te beoordelen.
2: Close-up foto van de voortanden in de bovenkaak.
3: Occlusale foto om de positie van de elementen en de diastemen te beoordelen.
4: Situatie na orthodontische aanpassingen.
5: Occlusale foto om de nieuwe positie van de elementen te beoordelen.
6: Snelle mock-up met composiet om te bepalen of de huidige stand van de elementen de ruimte biedt om de elementen in de juiste vorm op te bouwen.
7: Glimlach foto na verwijderen van de vaste apparatuur.
8: Close-up foto van voortanden na verwijderen vaste apparatuur.





9: Glimlach foto na het overzetten van de wax-up in de mond (mockup). Dit is een hele belangrijke foto om het geplande eindresultaat te beoordelen.
10: Occlusie foto. De occlusie en articulatie worden gecontroleerd om te beoordelen of de wax-up ook functioneel goed is.
11: Close-up foto van de mock-up.








up zullen dus ook overgezet worden in de mond. Om de situatie van de wax-up zo goed mogelijk om te zetten in de mond is het daarnaast belangrijk dat je mal voldoende afsteuning heeft. Dit kun je doen door sommige elementen of delen daarvan niet te laten opwassen (in dit geval de palatale zijde van de elementen).
12: Rubberdam isolatie met behulp van flossligaturen om zoveel mogelijk retractie van de gingiva en weke delen te krijgen.
13: Occlusaal aanzicht na het isoleren met teflon.
14: De transparante mal wordt gepast en eventuele interferenties worden verwijderd.
15: Na het injecteren met G’aenial Universal Injectable A2 wordt




Over de wax-up heeft de tandtechnieker een puttymal gemaakt en de wax-up wordt overgezet in de mond met behulp van een bisacryl (Luxatemp Star A2, DMG) (afbeelding 9-11). Nadat de wax-up / mockup is goedgekeurd, wordt een afspraak gemaakt voor de daadwerkelijke omzetting in composiet.
de overmaat verwijderd met een scalpel.
16: De puttymal van de mock-up wordt aangepast om als palatinale index te gebruiken en deze wordt gepast om te controleren of hij na het opbouwen van de 14 en 24 nog steeds goed op zijn plek komt.
17: De incisale rand van elementen 13 en 23 is op geleide van de puttymal opgebouwd met G’aenial A’chord JE.
18: Close-up foto van element 13 na het opbouwen van de incisale rand.
19: De ruimte tussen de incisale rand en het element wordt opgevuld met G’aenial A’chord A2.
20: Met behulp van een transparante matrix wordt het diasteem gesloten met G’aenial A’chord A2.
21: Het element is opgebouwd en op geleide van de wax-up wordt het element in de juiste breedte en contour gepolijst.








Unieke buigbare doseertip
42% langer dan andere merken Eenvoudige extrusie

Superieure sterkte en slijtvastheid

Modelleren en contourlijnen aanbrengen terwijl u injecteert, loopt niet uit
Onovertroffen polijstbaarheid en glansbehoud

















Voor meer informatie of een demo in uw praktijk, neem contact op via: info.benelux@gc.dental
ten dat de mal volledig gevuld is. Deze overmaat kan vervolgens eenvoudig verwijderd worden met een scalpel (Swann Morton 12D). (afbeelding 15)
Een nadeel van de injectietechniek is dat je vaak maar met één kleur kunt injecteren, hierdoor krijg je monochromatische restauraties. Voor veel patienten is dit geen probleem, maar soms wil je wat meer dieptewerking en effecten aanbrengen in een element. In deze gevallen kun je kiezen voor een hybride techniek waarbij je een traditionele layering strategie toepast om vervolgens de laatste (glazuur) laag te injecteren. Hiermee kopieer je exact de waxup en scheelt dat een heleboel polijsten en afwerken (vaak het moeilijkste van de behandeling). Hoe mooi deze techniek ook klinkt, het is een erg lastige techniek. Je moet er namelijk met elke laag composiet voor zorgen dat je transparante mal nog steeds past en er voldoende ruimte is voor je glazuurlaag (0.3 - 0.5mm). Daarnaast hebben we in deze casus ook nog te maken met diastemen. Diastemen zijn per definitie eigenlijk niet te sluiten met alleen de injectietechniek. De transparante mal is onvoldoende in staat om een mooie cervicale aansluiting te krijgen van de restauratie op het element. De diastemen zullen dus vaak (gedeeltelijk) met de hand moeten worden gesloten alvorens de rest te injecteren.
De puttymal wordt gepast (afbeelding 16) en gebruikt om de incisale randen van de 13 en 23 te herstellen. Hiervoor wordt gebruikgemaakt van G’aenial A’chord JE (afbeelding 17). Vervolgens moet het diasteem bij de 13 (afbeelding 18) met de hand verkleind worden om dit element te kunnen injecteren. Eerst wordt een dentine laag (G’aenial A’chord A2, GC) aangebracht om de tussenruimte tussen de incisale rand en het element op te vullen (afbeelding 19). Daarna wordt een doorzichtig stripje aangebracht om de 13 mesiaal uit te kunnen bouwen (afbeelding 20). Met behulp van wat composiet (G’aenial A’chord A2, GC) wordt het diasteem verkleind. Op de wax-up wordt gemeten hoe breed element 13 in de wax-up is en vervolgens wordt de contour zo teruggeslepen (Optidisc, Kerr) tot de juiste breedte is bereikt (afbeelding 21). Dezelfde stappen worden doorlopen bij element 23 en de mal wordt opnieuw gepast (afbeelding 22). Nadat geverifieerd is dat de mal goed past, worden de buurelementen afgedekt met teflon tape (afbeelding 23) en worden elementen 13 en 23 geïnjecteerd. Wederom streven we naar een beetje overmaat om zeker te weten dat het element volledig is opgevuld met composiet en er geen luchtbellen aanwezig zijn (afbeelding 24). De overmaat wordt wederom ver-
wijderd met een scalpel (afbeelding 25) en de puttymal wordt opnieuw gepast (afbeelding 26). Eventuele interferenties die zijn ontstaan na het injecteren van de 13 en 23 worden verwijderd om ervoor te zorgen dat de puttymal weer goed op zijn plek komt.
Voor het opbouwen van elementen 11 en 21 worden alle stappen herhaald. Eerst wordt de incisale rand verlengd met G’aenial A’chord JE (GC), vervolgens wordt met G’aenial A’chord A2 de ruimte tussen de nieuwe incisale rand en het element opgevuld. Daarna worden de diastemen gesloten met behulp van een doorzichtige matrix en G’aenial A’chord A2 (afbeelding 27). Bij element 11 is het zichtbaar dat de G’aenial A’chord A2 niet opaak genoeg is om de transitie tussen het element en de composiet volledig te maskeren. Mogelijk was een OA2 beter op zijn plaats geweest in deze casus. (afbeelding 28)
De pasvorm van de transparante mal wordt opnieuw gecontroleerd en vervolgens kunnen elementen 11 en 21 geïnjecteerd worden. Het is niet aan te raden om beide elementen tegelijk te injecteren, omdat ze dan volledig aan elkaar vast zullen zitten. Het is beter om ook hier om-en-om te werken. Eerst wordt element 21 geïnjecteerd en de buurelementen afgedekt met teflon (afbeelding 29). Dit element wordt geïnjecteerd met G’aenial Universal Injectable A2 (afbeelding 30). De overmaat wordt verwijderd en alle stappen worden herhaald bij element 11 (afbeelding 31). Nadat alle overmaat is verwijderd, de randaansluitingen zijn gecontroleerd met floss en de composiet op hoogglans is gepolijst, wordt de rubberdam verwijderd. Door het gebruik van rubberdam krijg je retractie van de gingiva, hierdoor zie je soms direct na behandeling nog steeds kleine black triangles. Daarnaast drogen de elementen uit, waardoor er sprake kan zijn van een kleurverschil tussen de elementen en de composiet. Waarschuw je patiënt hier altijd voor; binnen 24 - 48 uur kunnen ze het eindresultaat pas echt goed beoordelen.
In deze casus is een groot verschil zichtbaar in de incisale rand van de 11 (afbeelding 32). Bovenstaande wordt met de patiënt besproken en we spreken af om bij de evaluatie (twee weken later) de situatie te beoordelen. Als het nodig is, kunnen we dan element 11 nog iets aanpassen door gebruik te maken van een meer opaak composiet (G’aenial A’chord OA2, GC).
De patiënt wordt twee weken later gezien voor evaluatie. De gingiva ziet er weer keurig uit en de elementen hebben weer hun natuurlijke kleur gekregen.
PROGRAMMA

The Art of Esthetic Denistry - De vernieuwde leergang
Esthetische tandheelkunde
Esthetische tandheelkunde is méér dan een mooie glimlach. Het is een kunstvorm waarin functie en vorm naadloos samenkomen.
De vernieuwe leergang Esthetische tandheelkunde: The Art of Esthetic Dentistry combineert functie, vorm en vakmanschap in drie intensieve modules en:
�
is gericht op directe toepasbaarheid wordt begeleid door topspecialisten heeft een compacte, vernieuwde opzet zonder concessies aan kwaliteit.
The Art of Function
Onder leiding van Martijn Molenaar ga je aan de slag met het analyseren van het volledige kauwstelsel. Je leert werken met een slimme checklist waarmee je van klacht naar diagnose komt – en van daaruit een duurzaam esthetisch behandelplan opstelt.
The Art of Composite
Samen met Arend van den Akker verfijn je je vaardigheden in zowel front- als posterieure composiettechnieken. Je werkt met glasvezelversterking, injectables en ontdekt de nieuwste esthetische trends. Perfectie in detail, direct toepasbaar in je praktijk.
The Art of Ceramics
Onder begeleiding van Erik-Jan Muts werk je hands-on aan het hele proces van keramische restauraties: van smile design tot IDS, en van mock-up tot de uiteindelijke cementatie. Alles om een perfecte, natuurlijke esthetiek te realiseren.
Drie keer twee dagen; intensief, interactief en direct klinisch toepasbaar. Wil je graag meer informatie of je aanmelden? Ga dan snel naar onze website!

32: Direct na het verwijderen van de rubberdam zien we retractie van de gingiva en uitdroging van de elementen.

33: Evaluatie na twee weken. We zien een mooie integratie van de composiet.
De overgang op element 11 valt nauwelijks nog op en we besluiten om dit zo te laten. De patiënt is in de tussentijd bij de orthodontist geweest, daar is een retentiedraad geplaatst.
De hybride injectietechniek is een ontzettend mooie techniek om te gebruiken wanneer je wel gebruik wilt maken van de voordelen van de injectietechniek, maar geen monochromatische restauratie wil krijgen. Het is echter, zeker in combinatie met diastemen, een zeer behandelaars gevoelige techniek. Het is daarom belangrijk om erg netjes en in kleine laagjes te werken en na elke stap opnieuw de pasvorm van de mallen te controleren.
Deze casus is onderdeel van de Karma Wear cursus. Deze tweedaagse slijtage cursus geeft alle handvatten om op een voorspelbare wijze slijtage of situaties zoals hierboven op te bouwen. Tijdens deze cursus wordt uitgebreid aandacht besteed aan de communicatie met de tandtechnieker, het vervaardigen van de juiste wax-up en het overzetten van de wax-up in de mond met behulp van de injectietechniek, de stempeltechniek en door middel van opbouwen vanuit de hand.
De eerstvolgende editie vindt plaats op 6-7 juni in Hotel New York in Rotterdam. Voor toekomstige edities van de cursus kun je terecht op www.karma-dentistry.com.

34: Close-up foto eindresultaat.
De auteur
Maarten de Beer is in 2015 afgestudeerd aan de Radboud Universiteit in Nijmegen. Na zijn opleiding heeft hij als waarnemer in verschillende praktijken gewerkt. Hij werkt inmiddels al 8 jaar bij IJsselstate Tandartsen in Dieren en zijn aandachtsgebied ligt met name bij de restauratieve tandheelkunde. Het is zijn doel en passie om bij alle behandelingen naar de hoogste kwaliteit te streven en om restauraties onzichtbaar te maken in de mond.
Maarten is mede-oprichter van Karma Dentistry, schrijft regelmatig voor verschillende vakbladen en is key opinion leader voor verschillende dentale bedrijven. Op Instagram is hij zeer actief onder de naam @thedentaldutchman.
https://www.instagram.com/thedentaldutchman/ www.thedentaldutchman.com https://www.linkedin.com/in/maarten-debeer-19b085b9/ https://www.youtube.com/channel/UCbVe0-GEuQLgZ6O0BsQUxjA


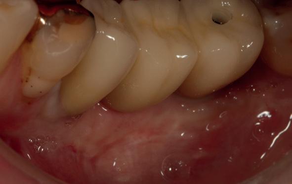
en een bevredigend esthetisch resultaat – zonder de papillen te beschadigen – aan de stoel nagenoeg onmogelijk. Alleen wanneer je gebruikmaakt van een gefreesde tijdelijke restauratie uit bijvoorbeeld PMMA, lever je een esthetisch hoogwaardig werkstuk af.
Casus
Mevrouw X (afbeelding 1) meldt zich met een desolate dentitie in de bovenkaak en een duidelijke wens voor een vaste voorziening na extractie. Diagnostische gegevens worden verzameld via fotografie, CBCT (Sidexis), een 3D-scan (3Shape) en een digitale facebow-registratie (MODJAW). Al deze gegevens worden samengebracht in SmileCloud, waar behan-

delaren, tandtechnici en ondersteunend personeel toegang hebben tot het dossier en gemakkelijk kunnen overleggen.
SmileCloud maakt het mogelijk om een voorstel (mock-up) uit de DSD-database te genereren dat per tand kan worden gepersonaliseerd (afbeelding 2a en b). Zodra het restauratieve einddoel duidelijk is, kan de implantologie worden gepland. Voor een esthetisch resultaat zijn bothoogte, gingivale dikte en het ontwerp van de tijdelijke restauratie cruciaal. Hier biedt het VEX-model uitkomst (afbeelding 3a-c). Dit model (Virtual Extraction Model) maakt het mogelijk om het implantaat, het abutment én de restauratie virtueel in te plannen. Zo kun je bijvoorbeeld zones van overdruk of onderdruk herkennen, problemen met de gingiva voorzien, het emergence profile



Ook zo’n mooi magazine voor jouw product?
Met onze jarenlange ervaring in uitgeven denken we graag met je mee over de bladformule, uitstraling, redactionele invulling, frequentie en drukwerk: om zo echt het verschil te maken met een prachtig magazine. We bieden talloze mogelijkheden, inclusief de optie om het wat compacter aan te pakken met een folder of een brochure. Je bent bij ons aan het juiste adres.
Hebben we je interesse gewekt?
Wil je meer weten, of een vrijblij vende offerte aanvragen?
Kijk dan snel op onze website!




minder craniaal geplaatst te worden, wat complicaties vermindert. Door gebruik te maken van nieuwe digitale tools is de voorspelbaarheid van planning én uitvoering aanzienlijk verbeterd.
Felix Brüll is tandarts-implantoloog (NVOI-erkend) en eigenaar van Tandartspraktijk De Friese Meren in Balk. @felixbrulldentist





ADVERTORIAL
Tijdens IDS 2025 lanceerde EMS de nieuwe GBT Machine, een belangrijke stap in de evolutie van Guided Biofilm Therapy (GBT). Steven Lim had de primeur en werkte als eerste mondzorgprofessional in Nederland met de nieuwste GBT Machine. In dit interview deelt hij zijn ervaringen en legt hij uit hoe de connectiviteit en innovatieve functies van de GBT Machine zijn praktijk hebben versterkt. Door GBT is de workflow efficiënter, de fysieke belasting verminderd en het patiëntcomfort toegenomen, waardoor het de nieuwe standaard is in de parodontale en preventieve zorg.
Sinds 2017 werkt jullie praktijk volgens het GBT-protocol. Welke veranderingen hebben jullie sindsdien ervaren, zowel bij patiënten als binnen het team?
“Voor bestaande patiënten was het in het begin even wennen dat er niet meer
gepolijst werd met pasta en cup, maar de overstap naar GBT werd al snel positief ontvangen. Vergeleken met het rubberen polijstcupje is de supragingivale biofilm na kleuring veel eenvoudiger en sneller te verwijderen met de AIRFLOW – vooral op lastig bereikbare


plekken zoals fissuren en approximale oppervlakken. Mondhygiënisten die nu solliciteren vragen vooraf of er een Airflow Prophylaxis Master aanwezig is. Dankzij GBT is de fysieke belasting voor behandelaars verminderd en is er een betere balans ontstaan tussen het gebruik van mechanische en handinstrumenten.”
Wat betekent Guided Biofilm Therapy op dit moment voor jullie praktijk?
“Een van de belangrijkste onderdelen van GBT is het aankleuren van de biofilm. Dit heeft een dubbele werking: patiënten krijgen direct inzicht in de gebieden waar hun mondhygiëne verbetering behoeft, terwijl behandelaars exact kunnen zien waar de biofilm zich bevindt. Dat leidt tot optimale plaqueverwijdering én een efficiëntere werkwijze. Door eerst te airflowen wordt tandsteen beter zichtbaar en is de inzet van de PIEZON meestal korter en doelgerichter. Dit verkleint de kans op iatrogene schade en vermindert de pijnbeleving.”
Zijn er elementen van GBT die jullie onderscheiden van andere praktijken?
“Zeker. Met name in de parodonta-
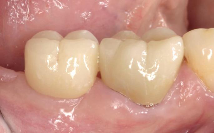
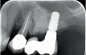
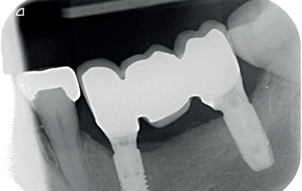
Toen wij in 2009 begonnen met het vormgeven van een molaarkroon op een implantaat als een premolaar met kleine mesiale of distale dummy was dat schoorvoetend en gebaseerd op de wetenschap uit 1 overzichtsartikel. Inmiddels is deze manier van restaureren verder onderzocht en heeft het een solide basis gekregen.
In een eerder artikel in Dentista (2019 issue 5) met de titel ‘Champignon of tulp?’ schreven we dat op basis van wat wij aan complicaties krijgen verwezen, het erop lijkt dat men ervan uitgaat dat overhang bij restauraties op implantaten geen probleem is. Gezien de bekende negatieve effecten van overhangende restauraties op het parodontium bij natuurlijke gebitselementen, is het echter niet verrassend dat implantaatgedragen suprastructuren met een paddenstoelachtige vorm problemen veroorzaken. In feite is het falen bij deze vormgeving al vanaf het ontwerp ingebouwd (afbeelding 1a-d).
In een meer recent artikel in Dentista (2020 issue 4), getiteld ‘De ideale vorm’, werd benadrukt dat de ‘emergence angle’ bij bone-level implantaten een belangrijke factor is in de ontwikkeling van peri-implantaire ontstekingen. Retrospectief onderzoek toont aan dat de prevalentie van peri-implantitis significant hoger is bij een emergence hoek groter dan 30 graden, vergeleken met abutments waarbij deze hoek kleiner is dan 30 graden. Recent werd dit opnieuw onderbouwd in een preklinische studie, waarin restauraties werden geplaatst met een emergence-profiel variërend van 20, 40, 60 of 80 graden (Strauss et al., 2024). Na 24 weken bleek dat grotere restauratieve hoeken leiden tot meer marginaal
botverlies. De auteurs concluderen daarom dat het verstandig is om de hoek zo smal mogelijk te houden, bij voorkeur onder de 40 graden. In de praktijk blijkt echter dat het niet altijd mogelijk is om een zo klein mogelijke restauratiehoek te gebruiken. Bijvoorbeeld wanneer er sprake is van een beperkte intermaxillaire ruimte. Om goed uit te komen met de suprastructuur zou dan een grotere restauratiehoek gebruikt moeten worden.
Bij bone-level implantaten met platform-switching is de diameter van het abutment op implantaat niveau kleiner dan die van het implantaat. Hierdoor is het risico groter dat, om occlusaal voldoende breedte te verkrijgen, er een te grote emergence angle ontstaat, wat resulteert in een te bolle kroon. Daarom is het bij de keuze voor een platform-switch implantaat in de basis essentieel om ofwel een implantaat met een grotere diameter te selecteren, ofwel het implantaat relatief dieper te plaatsen. Dit helpt om een optimale emergence te verkrijgen met een geschikte hoek en bolling vanaf het abutment naar de implantaatkroon.
Voor tandartsen en tandtechnici is het verleidelijk om de suprastructuur te modelleren naar de oorspronkelijke vorm van het verloren gegane element (zie figuur 1). Als de beschikbare botbreedte het toelaat, is het daarom wenselijk om in de molaarstreek




1a-d. Een mooi vormgegeven kroon op element 47, maar deze ligt als een balkon bovenop de gingiva, waardoor het implantaat niet te sonderen is – laat staan dat de patiënt het goed kan reinigen.
een implantaat met een grotere diameter te plaatsen. In veel klinische situaties is dit echter niet mogelijk, waardoor een aangepaste vormgeving overwogen moet worden. Onze boodschap in de vorige twee artikelen was: denk in dergelijke gevallen in termen van een ‘premolaar’. Deze vormgeving sluit beter aan bij de afmetingen van een implantaat en biedt een voorspelbaardere langetermijnprognose.
Met in het achterhoofd dat het premolariseren van suprastructuren een gunstiger emergence profile geeft en een eenvoudiger te reinigen peri-implantaire situatie oplevert, bracht dit ons, naar aanleiding van een artikel van Aglietta et al. (2009), ertoe om in diverse casussen te kiezen voor een molaar die is vormgegeven als een premolaar met een kleine dummy. Maar zoals al gezegd, gebeurde dit schoorvoetend, omdat we ons ervan bewust waren dat kroon- en brugwerk met cantilever extensies op natuurlijke gebitselementen lagere overlevings- en succespercentages vertonen na een periode van 5 en 10 jaar (Pjetursson et al., 2004). De voorspelbaarheid op lange termijn voor implantaten was echter onduidelijk. Daarom was de uitkomst van de systematische review van Aglietta et al. (2009) interessant, omdat deze auteurs de overlevingspercentages van reconstructies op implantaten met cantilevers probeerden vast te stellen na een observatieperiode van mini-
maal 5 jaar. Hun conclusie was dat dit type restauratie kan worden beschouwd als een voorspelbare en betrouwbare vervanging van ontbrekende molaren bij gedeeltelijk edentate patiënten. Er werden geen nadelige effecten op het botniveau waargenomen rondom implantaten in de nabijheid van de cantilever extensies. Het onderzoek van Tuna et al. (2019) laat zien dat onze veronderstelling klopt: een kroon met een kleine dummy zorgt voor betere approximale reiniging, waarbij er dichter bij het implantaat gereinigd kan worden.
In de praktijk zijn er voor ons verschillende redenen om een molaar op bovengenoemde wijze te restaureren. Inclusief voorbeeld(en):
Een beperkte intermaxillaire ruimte wat een beperking geeft in het verkrijgen van een optimale emergence profile.
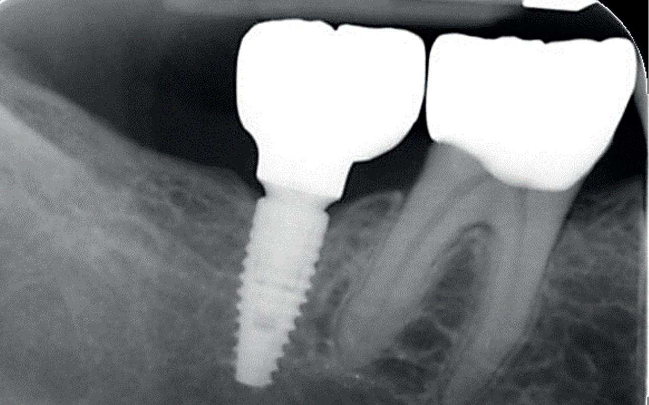
Afbeelding 2a-c. In deze casus is te weinig intermaxillaire ruimte om vanaf een platform-switch implantaat met een optimaal emergence profile tot aan het occlusale niveau te komen.
Sterk schuinoplopende botrand distaal van een element, waardoor een positie meer naar distaal van het implantaat een gunstigere situatie geeft om rondom het implantaat te reinigen.
Afbeelding 3a-c. Twee voorbeelden met een sterk oplopende botrand in de bovenkaak distaal van de 15. Wanneer het implantaat dichter bij de tweede premolaar wordt geplaatst, komt het deels te diep in het bot of steekt het deels uit. Daarom is gezocht naar een positie waar het bot een meer horizontaal verloop heeft.
Afbeelding 4a-c. Twee voorbeelden van een oplopende botrand in de onderkaak. Op het model is te zien dat door deze manier van restaureren er een goede approximale reiniging distaal van de premolaar mogelijk is, maar dat er ook een mooie ragergeleiding is voor reiniging mesiaal van het implantaat.
· Om weg te blijven van een furcatieprobleem van een buurelement.
Afbeelding 5a-c. In dit geval heeft de 17 een vanaf mesiaal toegankelijke furcatie. Om met het implantaat hierbij uit de buurt te blijven, wordt het implantaat geplaatst op de positie van de mesiale radix van de 16, met een dummy naar distaal.
Omdat er op de plaats van een mesiale of distale radix van een molaar meer botbreedte is of dat het een gunstigere positie ten opzichte van nervus alveolaris inferior en sinus maxillaris heeft
Afbeelding 6a-c. In deze casus werd het implantaat op locatie 16 geëxplanteerd wat een fors botdefect achterliet met weinig bothoogte onder de sinus. Door het implantaat net daarvoor te zetten, kon er met een distale extensie een botopbouw en een sinusbodem elevatie voorkomen worden.
· Om distale reiniging van een supra-structuur te maken.
Afbeelding 7a-c. In dit geval wordt distaal van

een molaar een kleine dummy geplaatst, bedoeld om de rager te geleiden en zo de distale reiniging te vergemakkelijken.
· Goedkopere oplossing voor veel kauwvlak.
Afbeelding 8a-c. In dit geval ging de distale pijler van een brug verloren. Vanwege het beperkte budget van de patiënt werd een tissue-level implantaat geplaatst, voorzien van een restauratie met een relatief groot kauwoppervlak.
· Als het buurelement van een implantaat verloren gaat, is een kroon met dummy een eenvoudig, redelijk betaalbare oplossing.
Afbeelding 9a-c. In deze casus ging de 25 verloren door een fikse ontsteking, naast een implantaat dat al op positie 26 stond. De 25 is geëxtraheerd en al het granulatieweefsel is uit de alveole verwijderd. Door bot in de extractiealveole aan te brengen, werd voorkomen dat de processus onder het mesiale abutment zou indeuken.
Zoals in de introductie beschreven, zijn er de afgelopen jaren meer publicaties over dit onderwerp verschenen. De systematische review van Storelli et al. uit 2018 includeerde negen studies met partieel edentate patiënten. Deze studies rapporteerden een hoge overlevingskans van restauraties met een cantilever op implantaten. De geschatte overlevingspercentages na 5-10 jaar waren 98,4% voor de implantaten en 99,2% voor de restauraties. Mechanische, technische en biologische complicaties werden gerapporteerd, met een cumulatief complicatiepercentage van 28,66% voor patiënten en 26,57% voor de protheses over een periode van 5-10 jaar.
Op basis van ondermeer deze gegevens is het gebruik van implantaatgedragen kronen met cantilever extensies steeds populairder geworden, met als doel de morbiditeit te beperken, de kosten te verlagen en


Wilt u de stoeltijd verkorten en tegelijkertijd moeiteloos anterieure en posterieure restauraties leveren? Met Venus Pure voldoet u aan de eisen van uw patiënten terwijl u uw workflow maximaal vereenvoudigt.




X Venus Pearl Pure Shades: pasteus composiet in vier kleuren die betrouwbare esthetiek en een eenvoudige handling biedt voor alledaagse anterieure en posterieure restauraties.
X Venus Diamond Flow Pure Shades: flowable composiet in vier kleuren geschikt voor vereenvoudigde monochromatische layering dat dankzij geoptimaliseerde vloei-eigenschappen nauwkeurige applicatie mogelijk maakt.
X Venus Bulk Flow ONE: Single-shade, flowable bulk composiet voor snelle en betrouwbare posterieure restauraties tot 4 mm zonder additionele toplaag.



XEROSTOMIE
Het gevoel van een droge mond, ook wel xerostomie genoemd, is een veelvoorkomend probleem dat aanzienlijke gevolgen kan hebben voor de mondgezondheid en de kwaliteit leven van patiënten. Voor mondhygiënisten en tandartsen is het belangrijk om de onderliggende oorzaken, risicogroepen en behandelingsopties goed te begrijpen, aangezien een droge mond niet alleen leidt tot ongemak, maar ook kan bijdragen aan allerlei problemen in de mond.
In Nederland heeft naar schatting 20% tot 25% van de bevolking in meer of mindere mate last van een droge mond, waarbij de prevalentie stijgt met de leeftijd. Onder ouderen in verpleeghuizen kan dit percentage oplopen tot 50% of hoger. Dit komt mede door medicijngebruik en onderliggende systemische aandoeningen. Ook jongere groepen kunnen echter worden getroffen, bijvoorbeeld door ziekte, stress, medicatie gebruik of medische behandelingen zoals radiotherapie bij hoofd-halskanker.
Hoewel iedereen in bepaalde situaties tijdelijk een droge mond kan ervaren, zijn er specifieke groepen die hier bovengemiddeld vaak last van hebben: Patiënten met bepaalde ziektes: bijvoorbeeld de ziekte van Sjögren, diabetes mellitus, de ziekte van Parkinson, reumatoïde artritis, immunoglobuline G4 gerelateerde ziekte (IgG4-RD), lupus, HIV, hepatitis-C, leverziekten, cystische fibrose, multipele sclerose, sarcoïdose en long covid. Mensen die medicijnen gebruiken: meer dan 400 medicijnen hebben een droge mond als bijwerking. Dit omvat veelgebruikte medicatie, zoals antidepressiva (SSRI’s en tricyclische antidepressiva), antihypertensiva, diuretica en opioïden. Deze medicijnen beïnvloeden de speekselklieren door hun werking op het autonome zenuwstelsel. Dit speelt vooral een rol bij de oudere patiënt. Aangezien de geneesmiddelen de speekselklieren zelf niet beschadigen, is het xerogene effect van deze geneesmiddelen meestal reversibel. De speekselsecretie normaliseert zich gewoonlijk binnen een
paar maanden na beëindiging van het gebruik. Chronisch gebruik (langer dan drie maanden) van vijf of meer geneesmiddelen per dag wordt polyfarmacie genoemd. Polyfarmacie leidt, ongeacht de soorten geneesmiddelen die worden gebruikt, vrijwel altijd tot zowel hyposialie als xerostomie.
• Patiënten die radiotherapie of chemotherapie ondergaan: bestraling in het hoofd-halsgebied beschadigt de speekselklieren, wat leidt tot een verminderde speekselproductie. Chemotherapie heeft vaak tijdelijk droge mond klachten tot gevolg maar soms zijn deze klachten ook blijvend. Steeds vaker wordt immunotherapie toegepast bij de behandeling van kanker. Immunotherapie is een behandeling die het eigen immuunsysteem stimuleert, versterkt of verandert, zodat het de kankercellen beter kan herkennen, aanvallen en vernietigen Hierbij worden Immune Checkpoint Inhibitors (ICI’s) toegediend. Door het gebruik hiervan kan het zogenaamde ICI-sicca syndroom ontstaan. Dit ontstaat door inflammatoire bijwerkingen op deze behandeling in de speekselklieren. Dit sicca syndroom lijkt op het syndroom van Sjögren, begint vaak abrupt en ontwikkelt zich gewoonlijk binnen de eerste 3 maanden van de behandeling en is geassocieerd met sialadenitis en glandulaire schade. Vermoedelijk zijn de gevolgen blijvend.
Mensen met een hoge mate van stress of angst: chronische stress, depressiviteit en burn out beïnvloedt het functioneren van de speekselklieren en kan bijdragen aan een droge mond.

1. “rampant caries” is een groot probleem bij patiënten met een droge mond. Indien niet tijdig wordt ingegrepen gaan de tanden en kiezen vroegtijdig verloren.
Rokers en alcoholgebruikers: deze gewoonten hebben een uitdrogend effect op het mondslijmvlies en speekselproductie.
Ook hormonale veranderingen, dehydratatie, mondademhaling, speekselklieraandoeningen, speekselstenen kunnen leiden tot symptomen van een droge mond.
Gevolgen van een droge mond
Speeksel speelt een cruciale rol in het handhaven van een gezonde mondholte. Het merendeel van de patienten met een tekort aan speeksel ondervindt chronische monddroogte, waardoor processen als eten, slikken en praten niet meer vanzelf verlopen. Verder ervaren patiënten vaak klachten als pijn in de mond, een droge keel, smaakverlies en slapeloosheid. Bovendien gaat het wegvallen van speeksel ten koste van de natuurlijke afweer in de mond, waardoor het risico van verschillende aandoeningen aanzienlijk toeneemt, zoals schimmelinfecties. Candida albicans profiteert van een droge mond, wat leidt tot candidiasis.
Vooral het ontstaan van een snel voortschrijdend cariësproces is een opvallend probleem. Door de afgenomen speekselvloed en de veranderde speekselsamenstelling treedt er een microbiologische ‘shift’ op. Daarnaast zal de bescherming tegen cariogene bacteriën afnemen door veranderingen in de pH, buffercapaciteit en functioneren van bepaalde eiwitten. Verder neemt de natuurlijke reiniging van de mond door de speekselvloed (oral clearance) af. Behalve voor cariës zijn patiënten met een speekselklierdisfunctie ook bovengemiddeld vatbaar voor tanderosie. Tanderosie wordt voornamelijk aangetroffen bij patiënten met een droge mond die hun speekselsecretie

2. een tong met veel en diepe fissuren wordt vaak gezien bij patienten met een droge mond
stimuleren met zuurprikkels. Indien patiënten zure dranken gaan gebruiken om het gevoel van een droge mond tegen te gaan, hebben zij een grote kans op het ontstaan van tanderosie.
Kortom, speeksel is van cruciaal belang voor de kwaliteit van leven en voor de gezondheid van de mond in het bijzonder.
Behandelopties voor het gevoel van een droge mond
Effectieve behandelstrategieën richten zich op het stimuleren van de speekselproductie en het verlichten van de symptomen. De behandeling loopt uiteen van kauw- en smaakstimulatie tot sialendoscopie.
Kauw- en smaakstimulatie
Mechanische stimulatie van de speekselklieren door middel van kauwen kan de speekselproductie bevorderen. Suikervrije kauwgom en harde suikervrije snoepjes activeren de speekselklieren via reflexmatige prikkeling. Smaakstimulatie, met name door bepaalde voedingsmiddelen zoals citroen of gember, kan eveneens een speekselstimulerend effect hebben. Echter, hierbij moet worden opgepast voor het ontstaan van tanderosie.
Speekselsubstituten en spoelmiddelen
Bij patiënten met ernstige xerostomie kunnen speekselsubstituten een ondersteunende rol spelen. Deze producten bevatten bevochtigende bestanddelen en vormen een beschermende laag over de orale mucosa. Daarnaast kunnen spoelmiddelen met componenten zoals hyaluronzuur of aloë vera bijdragen aan de hydratatie en bescherming van het mondslijmvlies. Ook het eten van bijvoorbeeld komkommer met
Verlicht het gevoel van een droge mond, biedt comfort en beschermt de tanden.
Extra bescherming tegen cariës dankzij 0,2% fluoride

Bevat 40 ppm fluoride en xylitol
Frisse milde smaak
Scan de QR-code voor meer informatie over een droge mond en onze nieuwe producten
www.tepe.com
Voor de erg gevoelige en droge mond
Direct comfort
Ideaal voor onderweg
Bevat enkel zonnebloemolie
Stimuleert speeksel
Zonder toegevoegde smaak, zachte formule
Aan te vullen met TePe Pure™ Tandpasta voor de droge en gevoelige mond


TePe clinical events 2025
Xerostomie – herkennen en adviseren
Binnenkort start een reeks lezingen met de titel ‘Xerostomie – Herkennen en Adviseren’. Deze lezingen worden georganiseerd door TéPé en daar leer je van Derk Jan Jager hoe je erachter komt óf en in welke mate jouw patiënt een droge mond heeft en hoe je zelf een “speekselonderzoek” kan uitvoeren. Daarnaast worden nieuwe behandelingen en producten besproken waarmee je de patient kan helpen de klachten te doen afnemen en het gebit zo optimaal als mogelijk te beschermen. Na deze lezing ben je voorbereid om een steeds vaker voorkomend probleem bij jouw patiënten te kunnen behandelen. Het eerste clinical event start op donderdagavond 12 juni in Vianen. Scan de QR-code om je aan te melden.
olijfolie of het spoelen van de mond met een olie kan de klachten verlichten.
Mondsprays
Hydraterende mondsprays bieden snelle, tijdelijke verlichting en kunnen gedurende de dag naar behoefte worden toegepast. De sprays zorgen voor smaakstimulatie van de speekselklieren.
Farmacologische interventie: pilocarpine
Voor patiënten met ernstige droge mond klachten kan pilocarpine worden overwogen. Een voorwaarde is dat de speekselklieren nog wel speeksel moeten kunnen maken. Dit parasympathicomimetische middel stimuleert de speekselklieren via muscarinereceptoren. Het is echter niet geschikt voor iedereen aangezien pilocarpine bijwerkingen, zoals hoofdpijn, overmatig zweten en gastro-intestinale klachten kan veroorzaken.
Elektrostimulatie met SaliPen
Een innovatieve behandelmethode voor een droge mond is elektrostimulatie met SaliPen. Door middel van laagfrequente elektrische stimulatie van de speekselklieren kan de natuurlijke speekselproductie worden geoptimaliseerd. Dit kan met name effectief zijn bij patiënten met residuele klierfunctie en die weinig baat hebben bij andere methoden.
Sialendoscopie
Sialendoscopie is een endoscopische procedure die wordt gebruikt om de speekselklieren te onderzoeken, schoon te maken en eventuele verstoppingen te verwijderen. Dit kan nuttig zijn voor patiënten bij wie een verminderde speekselproductie wordt veroorzaakt door geblokkeerde en/of ontstoken speekselklieren. Het wordt met name bij patiënten met de
ziekte van Sjögren toegepast. Ook kunnen speekselstenen verwijderd worden met deze techniek. Na behandeling neemt de speekselvloed vaak toe.
Door het grote aantal mensen met droge mond klachten staan de ontwikkelingen op dit gebied niet stil en komen er regelmatig nieuwe producten beschikbaar om het gevoel van een droge mond te verlichten.
Een droge mond is een veelvoorkomend probleem in Nederland en kan leiden tot ernstige mondgezondheidsproblemen. Mondhygiënisten en tandartsen spelen een cruciale rol bij het identificeren van xerostomie en het adviseren van patiënten over effectieve strategieën om de symptomen te verlichten. Door de juiste preventieve en symptomatische maatregelen toe te passen, kan de impact van een droge mond aanzienlijk worden verminderd, wat bijdraagt aan een betere mondgezondheid en kwaliteit van leven voor de patiënt.
De auteur
Derk Jan Jager is Tandarts-MaxilloFaciale Prothetiek, prothetisch-restauratief tandarts en universitair docent bij de afdeling Mondziekten, Kaak- en Aangezichtschirurgie en Orale Pathologie van het Amsterdam UMC. Ook verzorgt hij het ‘Speekelspreekuur’ bij de Stichting Bijzondere Tandheelkunde in Amsterdam.

Vraag van de opdrachtgever
Na het benaderen van verschillende aannemers in de zorgsector, kwam de eigenaar van Uw Tandarts tot de conclusie dat zijn wensen niet goed op papier werden vertaald. Daarom heeft hij Buro/S architects ingeschakeld voor het maken van een ontwerp, het opstellen van de technische tekeningen en het begeleiden van het gehele bouwproces. Zijn belangrijkste doel was het creëren van een rustgevende praktijk waar zowel het personeel als de patienten zich volledig op hun gemak zouden voelen.
De voornaamste wens was een tijdloze uitstraling, gecombineerd met een uniek karakter. Daar-
naast was het essentieel om een goed functionerende praktijk te realiseren met een efficiënte routing.
De architect heeft een tandartspraktijk met vijf kamers gerealiseerd in een voormalig winkelpand in het centrum van Voorburg. Het pand was vrij oud en vertoonde meerdere niveauverschillen in de vloer. De uitdaging was om een gelijkvloerse praktijk te maken met een heldere en efficiënte routing voor zowel het personeel als de patiënten. Ook was het een uitdaging om voldoende daglicht in de diepste delen van de ruimte te krijgen. Het is toch gelukt om dit te realiseren door een doordachte combinatie van licht, materialen, kleuren en strategisch geplaatste glaspartijen en openingen in de
gevel. Het pand is, naast de volledige renovatie en verbouwing aan de binnenzijde, ook aan de buitenkant compleet gerenoveerd en voorzien van een gedeeltelijk nieuwe gevel en dak.
Eerder zat de praktijk in een ouder pand, een praktijk aan huis die in de jaren ‘80 was ontworpen. Veel patiënten zijn onder de indruk van de enorme metamorfose en waarderen de rustgevende uitstraling. Sommige, voornamelijk oudere patiënten, merken op dat ze een fellere kleur missen, zoals een felrode bekleding voor de zitbank in de wachtkamer. Hoewel de praktijkeigenaar de opmerking begrijp, blijf hij twijfelen of dit passend zou zijn geweest binnen het ontwerp.
Buro/S Architects – Specialist in tandheelkundige praktijken.
Een goed ontworpen praktijk werkt voor jou, je team én je patiënten.
Bij Buro/S Architects ontwerpen en realiseren we efficiënte, duurzame én toekomstbestendige zorgomgevingen – van nieuwbouw tot renovatie.
* Volledig ontzorgd: van schets tot oplevering
* Functioneel, tijdloos en stijlvol ontwerp
* Bouwkundig én interieurontwerp in één hand
* Betrouwbare bouwteams & strakke coördinatie
* Advies bij aankoop of verbouwing van panden
+31 (0)79 889 16 56 info@burosarchitects.com www.burosarchitects.nl
Buro/S Architects Wij bouwen aan zorg die werkt.




Natuurlijk & effectief ✔ 99,2% natuurlijke ingrediënten. ✔ Fluoridehoudend voor optimale bescherming. ✔ Vrij van microplastics, SLS, triclosan & titaniumdioxide.
Duurzaam & innovatief


Ken je dat, je werkt al lange tijd op hetzelfde adres en je ziet kinderen opgroeien tot jongvolwassenen. Ik volg haar al een hele lange tijd.
Als kind was ze altijd erg angstig voor alles wat er gebeurde in de mondzorgpraktijk. Niet gewoon bang, maar in haar geval 3 dagen buikpijn vooraf, milde paniek bij sealants en blinde paniek bij fluoridebitjes. Ze zat in het kantoortje haar tijd uit te zitten, smekend te kijken naar de wekker die aangaf dat het nog niet voorbij was. Vaker dan eenmaal tot overgeven aan toe.
Napoetsen was bijna niet te doen, door alle tandartsbehandelingen voelde ze onmacht en weinig behoefte om mee te werken aan de verwoede pogingen van haar moeder. Die probeerde op haar beurt van alles, maar het mocht niet baten. Eenmaal in de puberteit kwam dat klusje waar ze een bloedhekel aan had in eigen beheer met, laten we zeggen, niet de beste resultaten. Uiteraard wilde ze van de zeer goedbedoelde en enigszins drei-
gende tips die ze van de tandarts en orthodontist ontving niets weten. Regelmatig zat ze met haar op haar tanden op de fiets naar school. Uiteindelijk resulterend in een vrij diepe glasionomeer vulling in de 37 en wat initiële laesies die gelukkig tijdig tot halt zijn weten te roepen.
Inmiddels gaat het gelukkig een stuk beter met haar en weet ze net zoveel als jij over het voorkomen van gaatjes. Maar onlangs toch nog even een stukje boetedoening. Een crack zowel mediaal als distaal schemerde door, dus we moesten eraan geloven, herbehandeling. Door haar angst om controle te verliezen en ervaringen uit haar jeugd voelt ze veel spanning in de stoel. Ze blijkt nauwelijks te verdoven, ook al werden vier pogingen gedaan. Zweetdruppels gaan over in tranen, die blijven maar stromen. Ze voelt zich opeens weer dat meisje van 6 jaar, dat met paniek in de stoel bij de tandarts lag, overgeleverd aan zijn handen.
Op haar schouder ligt de hand
Marit Verschuuren, mondhygiënist en trainer van De Cariësvrije Generatie (cariesvrij.nu).
van de assistent die haar erdoor trekt. Wat een helden. Samen met de tandarts trekt ze alles uit de kast om te helpen én samen goed werk af te leveren. Ze leveren maximale inspanning voor het beste resultaat. Voor nu is ze ervan af, als hij vitaal blijft moet er binnen twee jaar een kroon op om de kracht op de barst op te vangen. Het alternatief is minder leuk.
In die tijd dat ik in de stoel lig, denk ik alleen maar.... had ik dit 20 jaar geleden maar kunnen voorkomen. De aftakeling van de kies begint bij de eerste vulling.
Cariësvrij is de missie, wie doet er mee?
Geleid botregeneratie (“Guided Bone regeneration”, ofwel GBR) heeft zich in de afgelopen 35 jaar ontwikkeld tot een voorspelbare methode voor botaugmentatie in de implantologie. Vooruitgang in barrièremembranen en bottransplantatietechnieken heeft de klinische resultaten verbeterd en zorgt voor langdurige stabiliteit en succes van tandheelkundige implantaten. Dit artikel geeft een korte historische samenvatting van de ontwikkeling van GBR en twee klinische casussen ter illustratie van de toepassing.
Implantologie wordt steeds vaker toegepast in de dagelijkse praktijk. Elk jaar worden meer tandartsen opgeleid in het plaatsen en restaureren van tandheelkundige implantaten. Implantologie wordt nu beschouwd als een succesvolle en voorspelbare behandeling met een hoog overlevingspercentage (98,9%). Echter, het succespercentage ligt lager door peri-implantitis, wat 15%-57% van de patiënten en 8%-28% van de implantaten treft. Om peri-implantitis en zachte weefseldehiscentie rond implantaten te voorkomen, moeten verschillende factoren in overweging worden genomen. Ten eerste is een zorgvuldige casusselectie essentieel. De leeftijd van de patiënt, medische geschiedenis, behandelplanning en invasiviteit van de procedures moeten zorgvuldig worden beoordeeld en besproken. Een gezond parodontium, samen met een goed gepland onderhoudsfase, is eveneens cruciaal voor langdurig succes. Voor langdurige stabiliteit, behoud van gezondheid en het voorkomen van recessies rond implantaten, is voldoende bot een vereiste. Klinische studies uit de jaren 1980 en 1990 hebben aangetoond dat geïntegreerde implantaten zonder een buccale botwand een verhoogd risico hebben op zachte weefselcomplicaties en een gecompromitteerde langetermijnprognose. In de jaren 1980 en begin jaren 1990 werden verschillende chirurgische technieken geïntroduceerd om lokale botdeficiënties in de alveolaire kam te augmenteren, met als doel contra-indicaties voor implantatietherapie te overwinnen. Deze
technieken omvatten verticale botaugmentatie met autogene bloktransplantaten uit de bekkenkam bij extreem atrofische kaken, laterale botaugmentatie met autogene onlay-transplantaten en split-crest technieken zoals alveolaire extensieplastiek. Deze methoden waren echter zeer invasief voor de patiënt. In het midden tot eind jaren 1980 werden de eerste experimentele studies gepubliceerd over barrièremembranen, destijds bekend als geleide weefselregeneratie (“Guided Tissue Regeneration, ofwel GTR), voor weefselregeneratie rond natuurlijke elementen. Uitgebreid polytetrafluorethyleen (ePTFE)-membranen, die bio-inert zijn, werden de standaard voor zowel GTR- als GBR-procedures. De eerste implantaatpatiënten die met GBR werden behandeld voor peri-implantaire botdefecten werden gedocumenteerd aan het einde van de jaren 1980. Professor Nyman speelde in 1988 een cruciale rol in deze ontwikkeling, en in oktober van dat jaar werd de eerste GBR-geassisteerde implantaatchirurgie uitgevoerd.
De klassieke experimentele studie van Schenk et al. (1994) beschreef uitgebreid het patroon van botgenezing en bevestigde de hypothese dat membraandekking van botdefecten een afgeschermde ruimte creëert die gunstig is voor botregeneratie. De voorgestelde voordelen van membraanplaatsing omvatten:
Fysieke ondersteuning van het overliggende zachte weefsel, waardoor instorting van de ruimte die nodig is voor botvorming wordt voorkomen.







Creëren van een bloedstolselgevulde ruimte, waarin osteogene cellen kunnen migreren en bescherming van granulatieweefsel en het vasculaire netwerk.
Uitsluiting van niet-osteogene cellen uit het overliggende zachte weefsel, waardoor littekenvorming wordt voorkomen.
Mogelijke lokale ophoping van groeifactoren en andere botbevorderende stoffen.
Tijdens de beginfase van ontwikkeling werden verschillende complicaties waargenomen met verschillende GBR-methoden, wat leidde tot aanpassingen in chirurgische procedures om de voorspelbaarheid van succes te verbeteren. Experts waren het erover eens dat de GBR-procedure vereenvoudigd moest worden en het aantal complicaties moest worden verminderd door gebruik te maken van biologisch afbreekbare membranen. In de jaren 1990 werden talloze dierstudies uitgevoerd om verschillende bio-



logisch afbreekbare membranen voor GBR te evalueren. Tegenwoordig worden biologisch afbreekbare collageenmembranen geprefereerd vanwege hun gemakkelijke toepassing en hydrofiele eigenschappen. Wanneer ze in bloed worden geweekt, worden ze kleverig en kunnen ze eenvoudig op hun plaats worden gebracht zonder fixatiepinnen of -schroeven. Bovendien hebben ze een laag complicatiepercentage bij weefseldehiscentie. Ondanks hun uitstekende biocompatibiliteit hebben collageenmembranen echter een korte barrièrefunctie en de neiging om in te storten, waardoor ze ondersteuning nodig hebben van geschikte botvullers. Collageenmembranen, zowel niet-gecrosslinkt als gecrosslinkt, worden bij de meeste patiënten gebruikt voor de regeneratie van kleine tot middelgrote defecten. De belangrijkste voordelen zijn een eenvoudige chirurgische toepassing, een laag complicatiepercentage tijdens de genezing en het vermijden van een tweede open flap-procedure voor het verwijderen van het membraan.
Aan de andere kant worden PTFE-membranen nog

Uitnodiging
Voorpraktijkhouders enprakijkmanagers



















Sprekersuitde praktijk Concrete inzichtenvoorje dagelijksewerk Dentaleinnovaties entechnieken Hands oncasussenenlive demonstraties Scandecode enschrijfjein Paytforward.nl





steeds gebruikt bij veeleisende defectlocaties, zoals grote horizontale defecten of verticale botaugmentaties. Dit is grotendeels te danken aan de superieure regeneratieve uitkomst die aan deze membranen wordt toegeschreven. Het grootste probleem dat moet worden overwonnen, naast een extra verwijderingsprocedure, is de blootstelling van het membraan tijdens de genezing. Er is gerapporteerd dat dichte PTFE (d-PTFE) membranen betere bescherming bieden tegen bacteriële biofilmvorming vanwege de lagere bacteriële ophoping op het oppervlak in vergelijking met e-PTFE membranen. Hierdoor is, zelfs bij blootstelling van het membraan, een stapsgewijze beheersing van het geval mogelijk (Vroom, 2022). Bovendien is een verhoogde hechting van zacht weefsel waargenomen bij de nieuwe d-PTFE membranen in vergelijking met e-PTFE membranen.
Casus 1 – Groot botdefect in de anterieure mandibula
Een 52-jarige gezonde man werd doorverwezen naar onze kliniek voor een implantaatconsult voor de 31, 32 en 41. Zijn tandheelkundige geschiedenis omvatte trauma 40 jaar geleden en meerdere niet-chirurgische en chirurgische endodontische behandelingen in dezelfde regio (afbeelding 1 en 2). Twee maanden na de extractie van de 31, 32, 41 en 42 ontstond een



groot horizontaal en gedeeltelijk verticaal defect (afbeelding 3).
We voerden een geleide botregeneratie uit met gebruik van een particulair bottransplantaat (allograft en xenograft) en een d-PTFE titanium-versterkt membraan (afbeelding 4, 5 en 6). De genezing verliep probleemloos en zeven maanden na de augmentatie werd implantatie uitgevoerd. Volledig herstel van het defect werd bereikt, waarna twee implantaten (3,3mm x 10mm) werden geplaatst (afbeelding 7-11). Over drie maanden zullen we verder gaan met de implantaatgedragen brug.
Casus 2 – Regeneratie van de anterieure maxilla na mislukt implantaat
Een 55-jarige gezonde man werd doorverwezen naar onze kliniek voor evaluatie van peri-implantitis bij de 22 (afbeelding 12 en 13). Het implantaat, 15 jaar geleden geplaatst, vertoonde bloeding bij sonderen, 9mm pockets en radiografisch botverlies. Na een parodontale therapie en mondhygiëne-instructies werd explantatie uitgevoerd, waarbij volledig verlies van het buccale bot werd vastgesteld. Twee maanden later werd een CBCT gemaakt en besloten we tot een verticale en horizontale botaugmentatie met een particulair bottransplan-
Restauraties >7,500 Patiënten >5,500 Publicaties 132 NobelProcera® restauraties ondersteund door de wetenschap. 1 Januari 20252 follow-up tot 12

Tot 25 graden verschroefbaar.

Michiel Wouters
Tandtechnicus, Nederland
Scan hier voor informatie over de Masterclass, Tandtechniek Nobel Biocare door Michiel Wouters op zaterdag 27 september van 9 uur - 17 uur.
“Mijn eerste ervaring met dit materiaal is gewoon geweldig. De translucentie in combinatie met de kleurafstemming behoort tot de beste materialen die ik ooit heb gebruikt, waardoor ik minder tijd hoef te besteden aan het afronden van mijn cases.”

Dr. Markus Blatz
DMD, PhD, USA
“Dit materiaal stelt nieuwe normen op het gebied van optische en fysieke eigenschappen, nauwkeurigheid en stabiliteit. In combinatie met industriële precisie-frezen is het een optimale oplossing voor veeleisende cases.”

Sean Han
Keramist & Full Arch Specialist, USA
“Zonder het aanbrengen van lagen kan ik uiterst esthetische restauraties vervaardigen die licht, diepte en natuurlijke schoonheid vastleggen –alles met precisie en efficiëntie. Het gaat niet alleen om tijdsbesparing; het gaat om het verleggen van de grenzen binnen de tandheelkunde.”
Ontvang de laatste updates over NobelProcera
Ontdek meer over de All-on-4® digitale workflow Klinische studie Prof. Pozzi et al.
1. Pozzi A, Arcuri L, Fabbri G, Singer G, Londono J. Long-term survival and success of zirconia screw-retained implant-supported prostheses for up to 12 years: A retrospective multicenter study. J Prosthet Dent. 2021 Jun 26:S0022-3913(21)00265-1. Online ahead of print. | 2. Data on file
the Nobel Biocare logotype and all other trademarks are, if nothing else is stated or is evident from the context in a certain case, trademarks of Nobel Biocare. Please refer to nobelbiocare.com/trademarks for more information. Product images are not necessarily to scale. All product images are for illustration purposes only and may not be an exact representation of the product. Disclaimer: Some products may not be regulatory cleared/ released for sale in all markets. Please contact the local Nobel Biocare sales office for current product assortment and availability. For prescription use only. Caution: Federal (United States) law restricts this device to sale by or on the order of a licensed clinician, medical professional or physician. See Instructions For Use for full prescribing information, including indications, contraindications, warnings and precautions.
GBR-TECHNIEKEN





taat (allograft en xenograft) en een d-PTFE titanium-versterkt membraan (afbeelding 14-19). Tijdens de genezingsfase van de 22 brak de 12 en werd deze geëxtraheerd door de verwijzende tandarts. Tijdens de afspraak voor de evaluatie van de genezing van de 22 konden we het volume van de geaugmenteerde 22 vergelijken met de geëxtraheerde 12 (afbeelding 20). Er werd een CBCT gemaakt om de planning van de 12 te ondersteunen, wat ons tevens de mogelijkheid bood om de genezing van de 22 te vergelijken met de situatie vóór de augmentatie (afbeelding 21). De genezing van de 22 verliep probleemloos en zes maanden na de GBR werd een implantaat geplaatst (afbeelding 22-25). Drie maanden later zal een tijdelijke implantaatgedragen kroon worden vervaardigd.
Deze twee casussen van grote horizontale en deels verticale defecten illustreren de mogelijkheden en oplossingen die moderne GBR-technieken ons kunnen bieden. Ze laten zien dat we botdeficiënties succesvol kunnen behandelen zonder het eindresultaat in gevaar te brengen en met minimale morbiditeit voor de patiënt. Dankzij de voortdurende ontwikkelingen in biomaterialen en chirurgische technieken



is GBR nu een voorspelbare en efficiënte methode voor botregeneratie, zelfs in complexe gevallen. De keuze van het juiste membraan en bottransplantaat, evenals een zorgvuldig uitgevoerde chirurgische procedure, blijven cruciaal voor succes. Door GBR correct toe te passen, kunnen we niet alleen botvolume en implantaatstabiliteit garanderen, maar ook esthetische en functionele resultaten optimaliseren op de lange termijn.
De auteur
Gerry Karlis, tandarts-parodontoloog NVvP, werkzaam bij Parodontologie Praktijk Zwolle (PPZ).
Op Instagram: @perio_implant_dentistry
Een 65-jarige patiënt wordt doorverwezen door haar tandarts vanwege een beperkt kauwvermogen. Vijf jaar eerder zijn de brugpijlers 35 en 37 verwijderd wegens secundaire cariës. De wens is een duurzame en functionele vaste oplossing voor het verlies van kauwcapaciteit in het derde kwadrant.
Onderzoek
De patiënt van 60 jaar oud verkeert in goede algemene gezondheid (ASA I), rookt niet, is parodontaal gezond en heeft een goede mondhygiëne. Er is sprake van crowding in het onderfront waarvoor geen behandelbehoefte bestaat en een geïmpacteerde 48 met ongunstige ligging ten opzichte van de canalis mandibularis. Klinisch onderzoek toont een sterk geslonken processus alveolaris in regio 34–37 met hoge mucosale aanhechting en beperkte zone van gekeratiniseerde mucosa van 2-3mm (afbeelding 6). Vanwege de smalle processus wordt er een CBCT-scan vervaardigd ter beoordeling van de exacte botbreedte en beschikbare bothoogte.
Röntgen
De breedte van de processus in het derde kwadrant bedraagt slechts 2–3 mm. De canalis mandi-
bularis inferior ligt op 11 mm afstand van de crestale botrand. Er is een brede linea obliqua aanwezig op veilige afstand van de canalis mandibularis welke als donorplaats zou kunnen functioneren voor autoloog bot (afbeeldingen 2-5).
De volgende diagnose wordt gesteld: Beperkt kauwvermogen door afwezigheid van (pre)molaren in het derde kwadrant.
· Ernstige botresorptie in regio 34–37, met een processus van slechts 2–3 mm breedte. Hoge mucosale aanhechting met een smalle zone gekeratiniseerde vaste mucosa.
Diverse behandelvoorstellen worden doorgenomen



met de patiënt, waaronder uitneembare voorzieningen alsmede verschillende botaugmentatietechnieken. De voor- en nadelen van de verschillende mogelijkheden worden besproken.
Besloten werd om het bot op te bouwen middels autoloog bot volgens de Khoury-methode. Bij de Khoury-methode wordt enkel gebruikgemaakt van autoloog bot. Een dun corticaal botschildje (ca. 1 mm dik), geoogst uit de regio linea obliqua, wordt met botschroefjes op een afstand tegen de processus gefixeerd. De ruimte tussen het botschild en de processus wordt opgevuld met autologe botchips, verkregen uit het oogstgebied en het geoogste botstukje. Na de integratie van het bottransplantaat worden twee implantaten ten behoeve van een driedelige brug geplaatst. Omdat er sprake is van een zeer beperkte zone van gekeratiniseerde vaste mucosa, zal er een Kazanjian-plastiek met gekeratiniseerde bindweefselgraft nodig zijn om deze te verbreden. Daarna volgt de vervaardiging van de driedelige


brug. Tijdens de Leergang Implantologie Vast en Zeker module 3 wordt onder andere aandacht besteed aan indicatiestelling, chirurgische technieken en timing van implantatie na botopbouw zoals hier toegepast.
Fase 1: Autologe botopbouw (Khoury-methode) Met een kleine zaag (Microsaw) wordt een corticaal botblokje geoogst uit de regio linea obliqua (afbeelding 7,8), in hetzelfde wondgebied als waar de augmentatie plaatsvindt (derde kwadrant). Met behulp van een botscraper wordt het botstukje uitgedund tot een dun schildje van 1 mm dik. Het afgeschraapte bot wordt opgevangen in een steriel reservoir van de botscraper (afbeelding 9). Het botschildje wordt met twee botschroefjes op afstand van de processus gefixeerd (afbeelding 10). De ruimte wordt vervolgens








volledig opgevuld met het autologe botschraapsel (afbeelding 11). Er wordt geen collageenmembraan aangebracht bij deze behandelmethode. Na het klieven van het periost kan de wond spanningsloos worden gesloten met een matrashechting en een doorlopende hechting met oplosbaar monofilament hechtdraad (afbeelding 12).
Fase 2: Implantaatplaatsing
Na vier maanden kunnen de implantaten worden geplaatst. Dit is aanzienlijk sneller dan wanneer gebruik wordt gemaakt van een botsubstituut. Het nieuwgevormde bot is goed doorbloed en volledig geïntegreerd (afbeelding 13, 14). Er worden twee implantaten geplaatst, enigszins subcrestaal in verband met de dunne mucosa en om in te spelen op botremodelling (afbeelding 15-17). De geplaatste implantaten worden begraven onder het tandvlees om de vervolgstap, het vermeerderen van de gekeratiniseerde vaste mucosa, te vereenvoudigen.




Fase 3: Vermeerdering van gekeratiniseerde mucosa
De gekeratiniseerde mucosa in het implantaatgebied bedraagt slechts 1–2 mm (afbeelding 18). Voor een duurzame bescherming van de peri-implantaire weefsels wordt een Kazanjian-plastiek uitgevoerd. Hierbij wordt de mucosa split-thickness apicaalwaarts verplaatst. Vervolgens wordt een smal transplantaat van gekeratiniseerde mucosa (ca. 1mm dik) uit het palatum geoogst (afbeelding 19, 20). Dit wordt met solitaire hechtingen en kruishechtingen gefixeerd, zodat het transplantaat nauw contact houdt met het ontvangstbed en van voldoende zuurstoftoevoer wordt voorzien (afbeelding 21). Twee weken later worden de hechtingen verwijderd. Het transplantaat is goed aangeslagen (afbeelding 22,23). Distaal is enige plaque rond de hechtingen zichtbaar (afbeelding 22).
Middels twee kleine incisies worden vier weken later de healing abutments geplaatst.










Fase 4: Plaatsing van de brug
Twee weken na de tweede fase wordt de definitieve (verschroefde) vol zirkonium brug geplaatst op individueel vervaardigde CAD/CAM abutments. Klinisch is een brede zone van gekeratiniseerde vaste mucosa zichtbaar, hetgeen gunstig is voor de lange termijnprognose van de implantaten (afbeelding 2426). Na een jaar wordt de patiënt voor nacontrole gezien. De röntgenfoto laat een mooi stabiel botniveau zien (afbeelding 27).
Conclusie
Bij ernstige botresorptie is de Khoury-methode een voorspelbare techniek om het bot op te bouwen. De combinatie met mucogingivale chirurgie biedt een duurzame oplossing, zowel functioneel als esthetisch. Na het opdoen van ervaring in de implantologie is deze techniek voorspelbaar en goed aan te leren. Een juiste training hiervoor is wel noodzakelijk.
In de Leergang Implantologie Vast en Zeker module 3 worden (onder andere) al de bovengenoemde technieken uitgebreid behandeld en getraind zodat deze toe te passen zijn in de eigen praktijk.
Frank Andriessen is werkzaam als tandarts-implantoloog en eigenaar van Tandheelkundig Centrum Wilhelminapier (www. tand-implant.nl) in Rotterdam. Daarnaast verzorgt hij samen met tandarts-implantoloog David Rijkens de Leergang Implantologie Vast & Zeker (www.leergang-implantologie.nl)



14 11 ‘25




Ontvangst vanaf 13.00 uur

Westergasfabriek, Amsterdam







Een greep uit het programma:
Prof. dr. Erwin Berkhout: Van Historie naar Horizon: Innovatie en AI in de Tandheelkundige Röntgendiagnostiek
Marga Ree MSc: Blik op de toekomst na 45 jaar endo: wat is de sleutel tot succes?
Dr. Wiebe Derksen: De zin en onzin van Guided Surgery


Droge mond klachten; een groeiend probleem waarbij de oplossing soms lastig te vinden is. Hoe helpen we patiënten met deze klachten en welke adviezen kan je als professional geven?
Kom dan naar één van onze clinical events waar expert Derk Jan Jager je meeneemt in de wereld van xerostomie, waar je alles leert over het herkennen & onderzoeken van én adviseren bij een droge mond.
Waarom je dit niet wilt missen!
Klinische nascholing met de expert op dit gebied
De nieuwste wetenschappelijke inzichten en behandelstrategieën Netwerken en kennis delen met collega’s
Elke deelnemer ontvangt een rijkgevulde TePe-goodiebag
Spreker
Derk Jan Jager
DMD, PhD, Mpros RCSed Tandarts-MFP Afdeling Kaakchirurgie & Mondpathologie Amsterdam UMC, Stichting Bijzondere Tandheelkunde en het speekselspreekuur bij ACTA


Scan de QR-code om je aan te melden!
Tijdstip: 18.00 - 21.30 uur
Entree: € 89,-
Direct uit je werk? Geniet van heerlijke hapjes en drankjes op één van deze bijzondere avonden!








Data en locaties
Donderdag 12 juni 2025
Vianen - Miele experience center

Donderdag 18 september 2025 Amsterdam - Hotel Amsterdam Zuidas


Woensdag 5 november 2025
Apeldoorn - Theater Orpheus

2. De intra.diffuser and polarcombo set
3. Door pijlen duidelijk hoe alles moet worden gemonteerd
4. De magneten en steun aan de onderzijde
5. De functiekeuzeknop op voorgeprogrammeerde stand 2
twin-insert en 2 quick start guides voor de optimale instellingen. Door de meegeleverde 3D geprinte adapter met magneten kan alles worden gemonteerd zonder lijm op de Meike MK-14EXT, Canon MR-14EX, Canon MR-14 EX ii en Godox MF-R76 ringflitsers. De adapter voelt wat fragiel als deze niet om de flitser heen zit, maar is licht en eenvoudig te plaatsen door de pijlen op flitser en adapter (foto 3). Door de extra pinnetjes die in de aansluiting van de kabel vallen, blijft het geheel op zijn plaats. Ook de extra steun aan de onderkant – zodat de kap niet losklikt als je de camera neerzet – laat zien hoe goed doordacht dit systeem is (foto 4). Als laatste plaats je de diffuser of het filter met behulp van magneten en is het systeem klaar om ingezet te worden. Je kan door de magneten ook snel wisselen en zo voorkom je kostbaar tijdverlies.
Vooraf zorg je dat de camera standaard is ingesteld voor dentale fotografie. Bij gebruik van filters en een softbox zal er toch het nodige moeten worden aangepast. Wanneer de instellingen zijn opgeslagen, bijvoorbeeld voor portretten onder 1 en voor intraorale foto’s onder 2 op de functiekeuzeknop, zorgt dit



voor een hoop gebruikersgemak (foto 5). Handig om te weten: Als onverhoopt iemand zonder het zelf te weten de instellingen heeft veranderd, kun je door heen en weer te draaien aan deze functiekeuzeknop alles weer terugzetten in de ingestelde waarden. Zeker een aanrader in een praktijk waar veel verschillende teamleden werken met dezelfde camera. Ander voordeel is dat je, voor nog mooiere fotografie, meerdere instellingen kan aanpassen zonder dat het te veel moeite kost tijdens het werk. Denk aan de ‘creatieve beeldstijl’ en ‘ISO’ bij portretten. Heb je ook nog stand 3 op de draaiknop met P, A, S en M, dan is die gereserveerd voor werken met een diffuser. Deze aanbevolen instellingen voor de diffuser en het cross polarisatiefilter staan beschreven in de quick start guide. Afhankelijk van het cameramerk en de gebruikte flitser, is het goed om zelf de resultaten te beoordelen en de instellingen te finetunen.
Wil je zonder glans en reflecties op het tandvlees en de elementen een foto maken, dan gebruik je het cross-polarized filter. Dit zijn lineaire polarisatiefilters voor de flitsers en de lens, waarbij de filters 90 graden ten opzichte van elkaar zijn gedraaid. Door















6. Intraorale foto zonder diffuser en polarisatiefilter
7. Intraorale foto met diffuser en polarisatiefilter
8. Diffuser met twininsert flitser M 1/4 +0,7
9. Diffuser zonder twininsert flitser M 1/4 +0,7
10. Diffuser flitser in TTL met flitsbelichtingscompensatie op -1
11. Diffuser flitser in TTL met flitsbelichtingscompensatie op 0
12. Diffuser flitser in TTL met flitsbelichtingscompensatie op +1
13. Diffuser flitser in TTL met flitsbelichtingscompensatie op +2
14. Vergrotingsfactor op de lens ingesteld op 1:1
15. Vergrotingsfactor op de lens ingesteld op 1:1,5
16. Vergrotingsfactor op de lens ingesteld op 1:2
17. Vergrotingsfactor op de lens ingesteld op 1:3
18. Witbalans ingesteld op WB K4000
19. Witbalans ingesteld op WB K6000
20. Witbalans ingesteld op WB K6400 (advies instelling)
het maken van deze foto wordt zichtbaar hoe de kleuropbouw van een element is en waar de verkleuringen in het element aanwezig zijn voor een betere diagnostiek of om na te maken door de tandtechnicus.
Waar moet je op aanpassen bij gebruik van een cross-polarized filter? Wanneer je zowel de lens als de flitsers afdekt met een filter, dan moet je het lichtverlies compenseren (mits je een onderbelichte foto wil voor meer details). Het lichtverlies is ten opzichte van een foto zonder filter 1 tot 1,5 lichtstop. Een lichtstop aanpassen is op verschillende manieren op te lossen. Dit kan door te werken met een ander diafragma, een andere sluitertijd, een aanpassing van de ISO of door de flitsintensiteit van de flitser aan te passen. Bij dentale fotografie is het belangrijk om eerst te kijken wat er mogelijk is door de flitsinstellingen aan te passen. Handig om te weten is dat op de flitser in de stand 1/1 de flits maximaal is in de manuele stand. Je kan dan in stappen van 0,3 naar 1/2. Van 1/1 tot 1/2 is bij de flitser 1 lichtstop. Staat de flitser maximaal en heb je niet het gewenste resultaat, dan kijk je in volgorde naar de mogelijkheden van de sluitertijd, ISO en als laatste het diafragma.
Door de adapter met 4 magneten maak je snel een beeld met en zonder filter en heb je een foto voor de vormgeving en één voor de kleuropbouw (foto 6 en foto 7).
Zoals de naam al zegt, maakt de diffuser het licht diffuus. Het licht uit de flitser is hard door de gebruikte instellingen voor dentale fotografie. We willen namelijk in een korte tijd – om bewegingsonscherpte te voorkomen – in een donkere ruimte (de mond) met een macrolens alles scherp fotograferen. Dit kan fototechnisch alleen met behulp van een flitser. Door het hoge diafragma (kleine opening) en de snelle sluitertijd (minimaal 1/100 sec maximaal 1/250 sec) zorgt de flitser voor voldoende licht. Hoe sneller en hoe meer scherptediepte, des te harder moet de flitser worden ingesteld. Dit geeft niet altijd de mooiste resultaten. Om het licht meer te kunnen sturen, is er de macro twinflitser met eventueel daarop softboxen, diffusers of bouncers. Voor de ringflitser zijn daarvoor de Popeshield en de Flashkap. Beide systemen geven mooi diffuus licht en werken prima.
Er is wel een probleem als je één camera gebruikt en snel meerdere soorten foto’s wilt maken, bijvoor-
beeld één met een polarisatiefilter, één gewoon beeld en/of één beeld met een diffuser. Bij de andere systemen kan je niet gemakkelijk combineren of moet je afhankelijk van het merk flitser meer of minder moeite doen. Dit probleem is opgelost met de set van intra.photos waarbij je door de magneten snel wisselt tussen cross-polarized filter en diffuser of laat beide weg. Je bent dus flexibel en snel waardoor het fotograferen niet veel tijd in beslag neemt. Een andere mooie toevoeging is de removable twin-insert waardoor de frontelementen minder hard worden belicht en er een mooie gelijkmatige belichting is tussen posterior en anterior (foto 8 en 9).
Diffusers zijn van een melkachtig wit materiaal gemaakt en beïnvloeden de kleur van de foto. Je zal dan ook de intensiteit van de flitser moeten aanpassen, omdat de diffuser flitslicht iets tegenhoudt. Werk je met de flitser in de automatische stand (TTL), dan pas je de flitsbelichtingscompensatie aan (foto 1013). De diffuser gaat zijn werk pas goed doen als je van dichtbij foto’s van elementen gaat maken (foto 14-17). Dit komt doordat je minder hard hoeft te flitsen als de afstand tussen tanden en de flitser minder groot is.
De kleur van een foto kun je beïnvloeden door het aanpassen van de ‘witbalans’ en de ‘creatieve beeldstijl’. Bij de nieuwere camera’s is het mogelijk om de witbalans op K (Kelvin) in te stellen. Een lagere K geeft een blauwer resultaat en een hogere K een geler beeld (foto 18-21). Naast de K is het ook nog mogelijk een witbalans correctie te doen. Je kan het beeld dan meer A (amber), B (blauw), M (magenta) of G (groen) corrigeren (foto22).
Met ‘creatieve beeldstijl’ pas je ook de kleur van de foto aan (foto 23-25). Om een stabiel resultaat te krijgen, is een vaste instelling hier van belang. Bij de Sony camera is de NT instelling (neutraal) het mooist.
Aangezien de gemaakte JPEG een eindproduct is, wil je beide zo goed mogelijk instellen zodat wat er op de foto staat, overeenkomt met de situatie bij de patiënt in de mond. Omdat kleur niet objectief is, is dit voor iedereen vaak net iets anders. Maak daarom meerdere foto’s van dezelfde mond en test waar jouw voorkeur ligt.






Het systeem van intra.photos is licht van gewicht (diffuser met houder, 132 gram) en makkelijk te monteren op de flitser. Hiervoor is geen lijm of dubbelzijdig plakband nodig. Door het gebruik van magneten kan je makkelijk wisselen tussen diffuser, polarisatiefilter of niets. Door slimme toevoegingen blijft de ringflits adapter mooi op zijn plaats. En zet je het geheel neer, dan blijft de diffuser door de steun netjes op de adapter zitten.
Zijn de foto’s dan nog wel echt zoals de tanden in de mond eruitzien? Fotograferen is spelen met licht en vergelijk je de beelden, dan zie je dat de flitsvlakken (spitslichten) met de diffuser de randlijsten mooier weergeven waardoor je de vorm beter ziet. Wel zie je in zijn geheel iets meer reflectie van de diffuser. De oppervlaktestructuur van de elementen en het tandvlees verandert niet, maar het flitslicht wordt wel duidelijk verzacht. Dat maakt het prettig om naar te kijken. De tanden krijgen ook niet ineens een wittere of mooiere kleur dan wat te zien is bij de patiënt in de mond. Voor esthetische tandheelkunde, maar ook bij implantologie, zijn de resultaten verbluffend mooi. Nog steeds dentale fotografie, maar dan met mooi diffuus flitslicht (foto 26 en 27).

21. Witbalans ingesteld op WB K8000
22. Witbalans correctie (advies instelling)
23. Creat. uitstraling SH
24. Creat. uitstraling BW
25. Creat. uitstraling NT
26. Intraoraal beeld zonder diffuser of cross-polarized filter
27. Intraoraal beeld met diffuser
Volgorde belichtingsproblemen oplossen (controleer met het histogram)
1. Zet de flitser hoger of lager
• In M is 1/1 de maximale hoeveelheid flitslicht
• In TTL is +3.0 de hoogste stand
2. Pas de sluitertijd aan
Maximale flitsbelichtingstijd is 1/250s Minimale flitsbelichtingstijd is 1/100s (bij dentale fotografie)
3. Pas de ISO aan
• Minimale ISO is 100
• Maximale ISO is 1600 (bij dentale fotografie)
4. Pas het diafragma aan
• Minimaal bij maximale occlusie is f/22
• Hoe hoger de F, hoe meer scherptediepte
Daan van Oort (1973), fotograaf, tandtechnicus, trainer dentale fotografie, racefietser, vader van Julia en Simon en man van Katja.
WERKPLEZIER
Bij iedere behandeling krijg je keer op keer een ‘dopamine shotje’ als je weer een mooie vulling, facing, kroon of ander werkstuk hebt afgeleverd. En je dag is helemaal goed als je waardering krijgt voor het begeleiden van patiënten met angst en spanning voor behandelingen en lekker in de flow hebt gewerkt. Kortom, werken als tandarts is mooi en kan veel voldoening geven. Maar “levenslang tandarts, hoe leuk is dat?”. In dit artikel geeft dr. Casper P. Bots, tandarts en dentist-counselor, inzicht in hoe je ervoor zorgt dat je langdurig met plezier als tandarts werkt. Hoe je datgene doet dat echt ten diepste bij je past. Ook leer je wat nodig is om blijvende verandering tot stand te brengen voor een ideale worklife balance.
Een leven als tandarts en werken in de mondzorg is mooi en uitdagend. Het is de combinatie van heel veel verschillende aspecten die het werk interessant maken. Het is een unieke mix van zorg verlenen, medische kennis integreren in je keuzes en handelen, praktisch bezig zijn, creatieve oplossingen zoeken en het toepassen van nieuwe ontwikkelingen. Als tandarts-praktijkhouder ben je op veel verschillende gebieden bezig. Je stuurt een team aan, je stuurt jezelf aan, moet de praktijk (laten) managen, doet klinisch werk, en hebt verantwoordelijkheid voor de inhoud van de zorg. Het is een vakgebied waarin je langdurig en heel dichtbij met mensen op mag trekken, naast ze mag staan om hun mondgezondheid te verbeteren en ze daarnaast ook tot steun kan zijn. Van de buitenkant ziet alles er mooi uit en lijkt het een ideaal beroep.
Fysieke en mentale belasting van een tandarts
Uit de praktijk van veel collega-tandartsen en de ervaring van de afgelopen 25 jaar, onderbouwd met veel verschillende onderzoeken, komt naar voren dat veel tandartsen te maken hebben met een toegenomen werkdruk en mentale belasting. Uit onderzoek van Dentist Experience onder 179 tandartsen blijkt dat 60% een toegenomen mentale druk ervaart. Twee derde van de tandartsen geeft aan dat het werk fysieke belastend is en daarnaast geeft 90% aan dat de administratieve werkdruk is toegenomen. Ook kan, door het repeterende karakter van het werk, de kans op verveling of bore-out toenemen. Onderzoek uit het Verenigd Koninkrijk geeft aan dat 50% van de tandartsen overwogen heeft de mondzorg te verlaten.

Andere factoren die druk geven zijn het leiden van het team en de rolwisselingen tussen behandelaar, werkgever en collega. Bovendien ervaren collega’s een toegenomen veeleisendheid van patiënten en druk vanuit de zorgverzekeraars rondom machtigingen en contracten. Door de jaren heen brengt ook de berg aan wet- en regelgeving meer druk en stress met zich mee. Al met al wordt het aantal tandartsen met een burn-out geschat op 10-15%. Tot slot legt een toename van algemene kosten en salarissen in combinatie met het tekort aan medewerkers (en daardoor soms lege behandelkamers) een grote druk op veel tandartsen. Zeker nadat er grote investeringen gedaan zijn. Dit geldt zowel voor zzp’ers als praktijkhouders. Veel vragen die er leven zijn:
Hoe zal het in de toekomst met de tandheelkunde gaan?
Wat moeten we doen als over 10 jaar de helft van de tandartsen met pensioen is?
· Kan en wil ik mijn praktijk verkopen?
· Moet ik überhaupt starten met een eigen praktijk?
Hoe krijg ik mijn work-life balance weer op orde?
Wil ik dit beroep eigenlijk nog wel blijven doen?
Langdurige druk en werkbelasting kan ertoe leiden dat er met steeds minder plezier gewerkt wordt. Dat kleine problemen steeds groter lijken te worden en dat jezelf of de omgeving begint te merken dat je niet
meer lekker in je vel zit. Soms duurt het even voordat je in de gaten hebt dat je langzaam bent afgeweken van de richting die je aanvankelijk dacht op te gaan.
Aangezien je als tandarts vooral opgeleid bent om tandarts te zijn, lijkt het aantal mogelijkheden om voldoening te ervaren of om je koers te verleggen beperkt. Door toegenomen zorgen, of omdat je voor je gevoel vastzit in een bepaalde situatie, of aan het ‘overleven’ bent kom je niet vooruit. Soms sta je op een kruispunt in je leven: je wilt wel veranderen, maar je weet niet hoe of welke richting je op moet. Hoe maak je eigenlijk keuzes die echt diep van binnen bij je passen, en bijdragen aan een optimale work-life balance?
Alles in het leven begint met jouw kernwaarden. Dit geldt zowel voor het starten van de praktijk als voor jou persoonlijk leven. Wat maakt je als persoon uniek en wat past echt bij jou? Het gebruik van je persoonlijke kernwaarden helpt bij het bepalen van je visie, je richting en doel. Waarom doe je wat je doet? Wat wordt de exacte richting van je doel en hoe zet je je visie om in dagelijkse actie? Welke eerste stap is daarvoor nodig?
WERKPLEZIER
‘Uit de Dentist Experience Mastercourse’
In de Dentist Experience Mastercourse volgen we een aantal natuurlijke stappen in een proces naar blijvende verandering en richting. Onlangs is een groep tandartsen gestart om met vernieuwd en verfrist perspectief hun richting te bepalen. Collega’s met een growth-mindset die bewust buiten hun comfortzone gaan om langdurig en met plezier in de richting te gaan die écht bij ze past. In onderstaand schema staat concreet een opdracht uit iedere module van de Mastercourse die jou nu al kan helpen om de eerste stappen naar blijvende verandering in te zetten.
01. CONNECT:
Hoe gaat het echt met je? Doe de Dentist Personal Screening. Bepaal hoe het echt met je gaat en geef jezelf een cijfer van 0 tot 10 voor de verschillende terreinen van je leven. Bespreek dit met mensen die dicht bij je staan in het leven.
02. EXPLORE:
Wat is voor jou belangrijk in je leven? Maak een moodboard en bepaal wat echt belangrijk is voor jou persoonlijk. Niet wat anderen vinden, wensen of verwachten, maar hoe ziet jouw toekomst eruit?
03. IDENTIFY:
Waar komt alles samen? Hier houd ik van, Dit heeft de wereld nodig, Hier krijg ik voor betaald, Hier ben ik goed in
04. DISCOVER:
Wat zijn jouw gedragsvoorkeuren? Laat een Insight Discovery Profiel maken om inzicht te krijgen in jouw stijl, gedrag en communicatie.
05. VISUALIZE:
Hoe ziet verandering eruit voor jou? Ga in gedachten 3 jaar vooruit en schrijf een brief naar jezelf. Hoe ziet het eruit om je heen, wat ruik je, wat voel je, waar ben je trots op?
06. REFRESH:
Wie gaan je helpen bij de verandering? Zoek collega’s waar je mee kunt sparren en die je laten weten hoe het gaat met je gekozen richting.
Dag in dag uit is een groot deel van ons werk patiënten helpen met gedragsverandering. We laten patiënten bewust worden van hun gedrag zodat ze minder snoepen en frequent eten, beter en bewuster poetsen en gezonder gaan leven. Vaak lukt het mensen te motiveren en in de loop van de tijd vooruit te helpen. De vraag is, hoe zit het met jezelf: In welke mate en in hoeverre lukt het jou om eigen gedrag aan te pakken?
Waar loop jezelf tegenaan?
· Hoeveel pijn, ongemak, irritatie en stress tolereer jij om verandering in gang te zetten?
Wil je echt veranderen? En zo ja, in welke richting en hoe?
Voortgang en richting met een doel
Zonder doel werken we zonder richting, dag in dag uit, zonder vooruitgang. Met een doel werk je in een richting, die voldoening geeft. Iedere kleine stap in de richting van je droom, zorgt ervoor dat je in verbinding staat met je diepste why. Jouw ‘waarom’
Zo blijft mondzorg levenslang leuk!
is de reden waarom je alles doet. Wat je motiveert, wat je in beweging houdt, zowel in makkelijke als in moeilijke tijden.
De basisvoorwaarden voor groei, ontwikkeling en verandering als tandarts beginnen bij onderstaande tips:
TIP 1. ZORG VOOR VOLDOENDE SLAAP. Maak van op tijd naar bed gaan en voldoende slaap een prioriteit. Overdag pluk je daar de vruchten van. Alles begint bij goed slapen.
TIP 2. BEWEEG. Werken in de mondzorg betekent dat je moet bewegen voor herstel van zowel je geest als je lichaam. Oftewel: Active recovery.
BONUS TIP: Ga voor een lunch wandeling met collega’s. Leg je sportkleding de dag van tevoren klaar en plan je sportactiviteit in. Heb je plotseling minder of geen tijd, doe dan toch iets. Ook al is het maar 5-10 minuten. Dit om het ritme en de goede gewoonte erin te houden.
TIP 3. EET GEZOND. Als je te veel eet, vraag jezelf af waarom je eet. Is het vanuit vermoeidheid, emotie, gewoonte of sociale wenselijkheid? Bedenk in de ochtend of de dag ervoor al wat je gaat eten en houd bijvoorbeeld de Eetmeter van het Voedingscentrum bij.
Combineer de bovenstaande tips met het bewust creeren van “GAP-TIME” of tijd om op te laden. Zodat je de mogelijkheid hebt om niet primair te reageren als er iets vervelends gebeurt gedurende de dag,
PRODUCTNIEUWS
CLEARFIL MAJESTY ™ ES Flow
maar dat je goed, flexibel en weloverwogen kan reageren. GAP-TIME is voor iedereen anders, maar doe iets waar je volledig in op kan gaan. Een hobby, iets met je handen, iets creatiefs, iets sportiefs, iets met anderen of juist alleen met een boek op de bank. Je krijgt dan tijd om weer op adem te komen. Echte tijd voor jezelf om afstand te nemen en vooruit te gaan, in plaats van stationair te draaien en stil te staan.
Conclusie
Je hebt altijd een keuze. Ervaar hoe het echt met je gaat en bepaal of dit de richting is die ten diepte bij je past. Voel je dat je langzaam afdrijft of een paar procent afwijkt van je richting? Herijk dan je kompas. Ga terug naar jouw kernwaarden, bepaal je visie en richting en zorg voor haalbare kleine stappen in de richting van je doel. Doe dat niet alleen maar zorg voor mensen om je heen die je steunen en je helpen groeien.
Dr. Casper P. Bots (ACTA, 2000) is een gepassioneerd tandarts, counselor, onderzoeker en veelgevraagd spreker, met een missie om tandartsen te inspireren en een vernieuwd perspectief te bieden op hun vak. Hij is oprichter van Dentist Experience (www.dentistexperience.com) en de Dentist Experience Mastercourse.
Een universeel vloeibaar composiet dat ontworpen is voor superieure esthetiek en duurzaamheid. Dankzij Kuraray Noritake’s silaan-technologie heeft het een hoog vulstofgehalte, wat resulteert in een langdurige glans. De drie viscositeiten (Hoog, Laag en Super Laag) maken het geschikt is voor uiteenlopende indicaties en technieken, zoals bijvoorbeeld de Flowable Injection Technique.

Voor meer informatie; https://www.kuraraynoritake.eu/nl/clearfil-majesty-es-flow
INTERVIEW
”Meer
Speeksel is een complexe en veelzijdige vloeistof die een cruciale rol speelt in de mondgezondheid. Met een vergrijzende populatie en daarmee toenemend medicijngebruik groeit het aantal patiënten met speekselgerelateerde klachten. Zo kampt naar schatting 20% van de wereldbevolking met een droge mond. In dit artikel delen prof. dr. Marja Laine en prof. dr. Floris Bikker, experts op het gebied van speeksel, hun kennis en inzichten.
Marja is tandarts en hoogleraar bij de sectie Parodontologie bij Academisch Centrum Tandheelkunde Amsterdam (ACTA). Floris is bioloog en ACTA-hoogleraar van de sectie Orale Biochemie. Ze werken al meer dan tien jaar samen om het belang van speeksel voor mondgezondheid beter te integreren in de mondzorg. Met wetenschappelijke inzichten en praktische adviezen helpen ze mondzorgprofessionals droge mondklachten beter te herkennen en effectief te behandelen.
Het belang van speekselgezondheid
We vroegen Marja en Floris waarom juist speeksel hen zo fascineert. “Als mensen denken aan speeksel,
zien ze het vaak als gewoon een vloeistof, maar wij weten dat het veel meer is dan dat. De samenstelling en productie van speeksel verschillen per speekselklier, en juist die veelzijdigheid maakt het voor mij zo interessant. In mijn ogen geven we nog niet genoeg aandacht aan speekselgezondheid. Hier kunnen we nog veel in verbeteren, zowel qua diagnostiek als qua impact op de mondgezondheid en het algemene welzijn van patiënten”, vertelt Marja. Floris deelt deze interesse en bekijkt speeksel vanuit biochemisch perspectief. “Speeksel is een enorm rijke en functionele vloeistof met een belangrijke rol in allerlei processen, zoals smaak, vertering en bescherming van de mond.” Toch is er nog veel onbekend over speekselgerelateerde klachten, met name over de behandeling van een droge mond. “Het frustreerde mij dat zoveel mensen wereldwijd last heb-
ben van een droge mond, en we nog zo weinig weten over dit probleem en de behandeling ervan.” Daarom zet hij zich, samen met Marja en andere collega’s, in om droge mondklachten serieus te nemen en onderzoek te doen wat leidt tot effectieve behandelingen. “Steeds meer klinische experts delen dit inzicht en willen samenwerken om deze problematiek aan te pakken, zowel in Nederland als wereldwijd.”
Marja: “Wanneer de speekselproductie onvoldoende is, spreekt men van hyposialie. Ervaart iemand een droog gevoel in de mond, dan wordt dit xerostomie genoemd. In de praktijk merk ik dat deze begrippen nog vaak door elkaar worden gehaald. Er is ook veel overlap tussen deze begrippen.” (Het gevoel van) een droge mond kan verschillende oorzaken hebben, variërend van medicijngebruik tot levensstijl. Het is cruciaal dat mondzorgprofessionals deze factoren herkennen en met de patiënt te bespreken. Volgens Marja en Floris zijn dit de voornaamste oorzaken van een droge mond:
· Stress: Tijdelijke speekselvermindering komt vaak voort uit stress. Chronische stress kan echter leiden tot langdurige speekseltekort.
Medicijngebruik: Een veelvoorkomende oorzaak van een chronische droge mond zijn de bijwerkingen van medicijngebruik.
· Systemische aandoeningen: Bij het syndroom van Sjögren worden de speekselklieren aangetast, wat leidt tot een verminderde speekselproductie. Bestraling hoofd-halsgebied: Bestraling van tumoren in het hoofd-halsgebied kan de speekselklieren beschadigen, waardoor patiënten blijvende droge mondproblemen overhouden.
· Vochtconsumptie en voedingspatroon: Onvoldoende vochtinname of een dieet met veel zout kan een droge mond verergeren.
Levensstijl en genotsmiddelen: Alcohol, roken en drugs zorgen voor uitdroging en kunnen speekselklachten verergeren.
Tijdige diagnose en behandeling van speekselklachten
Een droge mond kan grote gevolgen hebben voor de mondgezondheid. “Het is belangrijk om goed vast te stellen of een patiënt daadwerkelijk een droge mond heeft”, benadrukt Marja. “Als het gaat om het gevoel van een droge mond, dan is er de xerostomie vragenlijst (Thomson et al. 1999, The Xerostomia Inventory:

a multi-item approach to measuring dry mouth) die bestaat uit 11 vragen met een score van 1 tot 5. Deze vragenlijst geeft een goed beeld van het droge mond gevoel. Daarnaast kun je metingen uitvoeren om zowel de hoeveelheid als de kwaliteit van het speeksel te beoordelen, zowel niet gestimuleerd als gestimuleerd.”
Volgens Marja en Floris kunnen tandartsen hier in de praktijk meer aandacht aan besteden. Marja: “We hebben in Nederland een aantal spreekuren gerelateerd aan speeksel, bijvoorbeeld bij Stichting voor Bijzondere Tandheelkunde (SBT) en ACTA, en zien met grote vreugde dat dit toeneemt, maar we zouden ook graag zien dat tandartsen zelf meer speekselonderzoek doen in hun eigen praktijk. Je moet als het ware een andere bril opzetten. Dat kan veel opleveren, omdat vroegtijdige signalering kan helpen Marja en Floris

Inhoud:
1x Instrumentenlaken 67x70cm
1x Boorhoes met invoer 7x170cm
1x Zuigset 2,1M
1x Afdeklaken 75x100cm
1x Splitlaken 75x90cm
2x OK jas, maat L
3x Muts Bouffant
2x Mondmasker
44001630
Wilt u wel een custom made set?
Neem dan contact op met onze vertegenwoordigers.
€14.95 per stuk



Infuusbestek voor verschillende motoren
HY-110001
infuusbestek voor alle type motoren
v.a. €48,00 per 10 stuks

Nitril handschoenen
PPS
Blauw, roze en zwart
€3,95 per doos van 100 stuks

Mondmasker type IIR 401102
Chirurgisch, IIR, blauw, elastiek
€3,50 per 50 stuks

Sodium Chloride 0,9%
HY-80111 / HY-80109
250ml en 500ml (steriel water)
Niet voor intraveneus gebruik.
v.a. €2,70 per stuk
Hemostatische gelatinespons
CS-310
10x10x10mm (steriel) van CuraSpon
€29,99 per 50 stuks
BlueM Oxygen fluid OFI250
250ml
Neutraal mondwater voor wondgenezing
€7,49 per 25 stuks

Nieuwe digitale prothese in 2 of 3 afspraken





Betere pasvorm en zuigwerking, minder drukplaatsen en rebasingen



Nu nog esthetischer door innovatieve 3D-printtechniek
Meer weten?
Neemt u voor meer informatie contact op met uw lokale Excent-vestiging.


Digitale prothese in 2 of 3 afspraken
Gebruik de referentieprothesetechniek in combinatie met de intra-orale scanner. Bekijk de stap-voor-stap instructievideo via de QR-code!





patiënt inneemt nog up-to-date? Bespreek dit met de huisarts of de medisch specialist en kijk of een lagere dosering, een alternatief medicijn of een tijdstip van inname mogelijk is. Gebruik speekselvervangende middelen: Voor patiënten die zelf geen speeksel meer kunnen produceren, zijn er verschillende producten op de markt, zoals speekselsprays. Deze bieden verlichting en worden vooral ingezet als palliatieve zorg bij patiënten met ernstige hyposialie. Denk hierbij aan het syndroom van Sjögren en bij bestraling in het hoofd-halsgebied waarbij de schade aan de speekselklieren niet kan worden teruggedraaid.
Daarnaast wijst Marja in het bijzonder op een relatief nieuwe behandeloptie voor hyposialie-patiënten: sialendoscopie, een ingreep die door de kaakchirurg kan worden uitgevoerd. “Sialendoscopie van grote speekselklieren wordt gebruikt om chronische obstructieve speekselklieraandoeningen te behandelen die samenhangen met vernauwingen, slijmproppen en speekselstenen. Maar ook patiënten met speekselklierontstekingen en hyposialie kunnen hiermee geholpen worden. Tijdens de behandeling worden de speekselklieren met fysiologisch zout of een combinatie van fysiologisch zout en medicijnen zoals corticosteroïden doorgespoeld.”
Toekomst van speekselonderzoek en behandelingen
Op het gebied van speekselbehandeling zijn er continu ontwikkelingen. “Samen met anderen onderzoeken we of het mogelijk is om de oorzaak van een droge mond te achterhalen door monddroogte en de speekselsamenstelling op verschillende locaties in de mond in kaart te brengen. Dit kan bijdragen aan een effectievere behandeling. Daarnaast bestuderen we of natuurlijke geurstoffen de speekselsecretie bij patiënten met een droge mond kunnen stimuleren.” Daarnaast wordt er onder wetenschappers en clinici gewerkt aan standaardisatie van speekselzorg en diagnostiek, zowel nationaal als internationaal. Floris: “Er is veel animo voor, maar we moeten nog bepalen hoe we dit het beste kunnen implementeren. Naast onderzoek zullen hier ook praktische adviezen uit
komen die mondzorgprofessionals helpen om specifiek droge mondklachten aan te pakken.”
Meer bewustwording voor speekselklachten
Floris: “Als ik dan toch even op de stoel van de clinicus mag gaan zitten, weet dat wij bij ACTA je verder kunnen helpen. We organiseren lezingen, geven postacademisch onderwijs en publiceren regelmatig in vakbladen. Op die manier proberen we mondzorgprofessionals te bereiken en speekselzorg een grotere rol te geven in de praktijk.”
Door meer bewustwording en samenwerking tussen mondzorgprofessionals kunnen speekselklachten sneller worden herkend en beter worden behandeld. Mondzorgprofessionals die zich verder willen verdiepen in speekselgerelateerde klachten kunnen contact opnemen met ACTA (www.acta.nl).
Prof. dr. Marja Laine
Marja studeerde tandheelkunde aan de Universiteit van Helsinki in Finland. Sinds 1992 is ze werkzaam bij ACTA, waar ze promoveerde bij de sectie Orale Microbiologie. In 2010 stapte ze over naar de sectie Parodontologie, waar ze het halitosespreekuur oprichtte voor mensen met mondgeurproblemen. Dit spreekuur werd later uitgebreid met een speekselspreekuur. Haar onderzoek richt zich op halitose, orale vloeistoffen – met name droge mondproblemen – en de etiologie van parodontitis.
Prof. dr. Floris Bikker
Floris is bioloog en ACTA-hoogleraar van de sectie Orale Biochemie. Zijn onderzoek is gericht op het begrijpen van de beschermende rol van speeksel in de mondgezondheid. Verder is hij verbonden aan het speekselspreekuur van ACTA, waar patiënten met xerostomie en speekselgerelateerde klachten worden behandeld.
· Paro-preventieassistent (C): verricht naast de taken van A en B zelfstandig een aantal aan parodontitis gerelateerde (be)handelingen.
Deze indeling geeft duidelijkheid over de verschillende niveaus binnen het vakgebied en zorgt ervoor dat assistenten gericht worden opgeleid volgens de competentie-eisen van hun functie.
Opleidingen volgens de hoogste standaarden
Als branche erkende opleider werkt Dental Best Practice volledig volgens de beroepscompetentieprofielen en kwaliteitsprofielen van het nieuwe keurmerk. Dit betekent dat haar opleidingen volledig aansluiten op de competenties en vaardigheden die nodig zijn in de praktijk.
Door deze structuur te omarmen, zet Dental Best Practice zich in voor:
Duidelijkheid en kwaliteit binnen de mondzorgopleidingen.
· Branche-erkende diploma’s die studenten betere carrièremogelijkheden bieden.
· Meer zekerheid voor tandartspraktijken bij het aannemen van nieuwe assistenten.
· Een officieel register van mondzorgassistenten met een erkende opleiding.
Als het keurmerk officieel is ingevoerd, moeten tandartsassistenten (A) die nieuw toetreden tot de mondzorg in het bezit zijn van deze branche erkende opleiding of een mbo-4-diploma Tandartsassistent. Er komt een overgangsregeling voor assistenten die op dat moment werkzaam zijn in de mondzorg.
Samen met de KNMT en andere opleidingspartners zet Dental Best Practice zich in voor een sterke en professionele mondzorgsector. Kijk op www.dentalbestpractice.nl voor meer informatie of bekijk het nieuwsbericht op de website van de KNMT.
Kijk op de website van de KNMT: www.knmt.nl/personeelszaken/abc-mondzorgassistenten























Extractiegebieden met ontoereikende structurele ondersteuning, alsook horizontale en verticale botaugmentaties dienen vaak ondersteund te worden om de gewonnen ruimte te handhaven. Cytoplast® titanium-reinforced membranen bieden een hoge voorspelbaarheid in GBR. Belangrijke eigenschappen zijn: het sterkere titanium frame en het zeer verdichte Regentex® oppervlak, welke kan worden blootgesteld aan de mondholte. Bovendien zijn de membranen simpel te verwijderen.
Gebruik Cytoplast® titanium-reinforced membranen om uw opbouwtechniek en de voorspelbaarheid naar nieuwe hoogten te brengen.












Scan QR-code voor meer info
AvondKlinischeUtrecht, 7 mei 2025 Vernieuwde inhoud!
Spreker: Melle Vroom
Interessant voor ervaren gebruikers en collega's die kennis willen maken met Cytoplast dPTFE membranen!
Scan QR-Code voor cursusprogramma
Referent: Melle Vroom, Parodontologie Praktijk Friesland
PRAKTIJKMANAGEMENT
In een drukke tandartspraktijk is het essentieel dat alles achter de schermen soepel verloopt, zodat de tandarts en assistentes zich op hun patiënten kunnen richten. De omloopassistente speelt hierin een belangrijke rol door de sterilisatie en het onderhoud van apparatuur en instrumenten te verzorgen. Of het nodig is om een omloopassistente aan te nemen, hangt af van factoren zoals de grootte van de praktijk, specialisaties en werkdruk. In dit artikel worden de belangrijkste overwegingen besproken voor het wel of niet inschakelen van een omloopassistente.
Een omloopassistente of sterilisatie-assistente is verantwoordelijk voor het steriliseren en onderhouden van alle instrumenten en apparatuur in de praktijk om de hygiëne te waarborgen. Ze heeft de functie om het ‘achter de schermen’ op orde te brengen. Hoe meer ervaring, hoe efficiënter de praktijk zal lopen. Het besluit om een omloopassistente aan te nemen, doe je op basis van verschillende factoren: de omvang van de praktijk, de aanwezige specialisaties, de groei van de praktijk en eventuele uitval van een teamlid.
Als de praktijk meer kamers gaat gebruiken of de openingstijden worden verruimd, kan de assistente in opleiding eerst de functie van omloopassistente vervullen. Dan ligt de nadruk nog niet op het assisteren en leert ze de instrumenten kennen. Iemand die de sterilisatie goed kan uitvoeren is waardevol voor de praktijk.
Als er in de behandelkamers met een hoog tempo gewerkt wordt, dan kan het waarborgen van de kwa-
liteit een uitdaging zijn. Een omloopassistente kan helpen bij het klaarleggen van de juiste instrumenten en het op tijd wisselen van de kamer, zodat de tandarts en/of assistente zich volledig op de patiënt kan richten. Als de assistente gedelegeerde handelingen heeft om uit te voeren (anesthesie, uitleg geven na extractie, scannen), komt het de kwaliteit ten goede als zij zich op de patiënt en diens behandeling kan focussen en een omloopassistente zich richt op de hygiëne, het onderhouden van de apparaten, het aanvullen van de materialen, het klaarzetten van de scanner, het invullen van de techniekbon en dergelijke. Gaat de praktijk door een periode van verandering – zoals het aanvragen van een HKZ-certificering of het invoeren van nieuwe software – dan is er veel werk te verzetten. Een omloopassistente kan daarin bijdragen.
Ook financiële afwegingen spelen mee. Heeft de praktijk zo veel patiënten dat het zin heeft om minder tijd per behandelafspraak in te plannen zodat er meer patiënten gezien kunnen worden in dezelfde
tijd, dan zijn de kosten van de omloopassistente te verantwoorden. Bij ziekte of verzuim kan een omloopassistente ingezet worden als assistente; de overige assistentes hoeven dan niet een dag extra in te vallen en de agenda hoeft niet te worden omgebeld.
Redenen om wel of niet een omloopassistente aan te nemen
Het is verstandig om een omloopassistente te hebben als:
De praktijk binnen 3 maanden gaat groeien
· Er een volle agenda is
· Er gemiddeld één of geen niet-nagekomen afspraken (P)PA zijn per dag
· De praktijk meer dan 25 medewerkers heeft
· De praktijk minimaal 6 kamers heeft
Het ziekteverzuim hoger is dan 3%
De tandartsen 7 weken of minder per jaar vrij nemen
· De praktijk een specialisatie aanbiedt (bijvoorbeeld chirurgie, implantologie)
· De praktijk een specifieke doelgroep bedient (bijvoorbeeld gehandicaptenzorg)
Het is niet nodig om een omloopassistente te hebben als:
· De praktijk binnen 3 maanden gaat krimpen
· Er meer dan 30 minuten per dag leeg blijft in de agenda
Er meer dan 2 niet-nagekomen afspraken (P)PA per dag zijn
· De praktijk minder dan 25 medewerkers heeft
· De praktijk minder dan 6 kamers heeft
· Het ziekteverzuim 3% of minder is
De tandartsen meer dan 7 weken per jaar vrij nemen
Hoe hoger iets in een van deze opsommingen staat, hoe zwaarder het meeweegt. Als je groeit, moet je personeel inwerken en kan een omloopassistente je de benodigde ruimte daarvoor bieden. In mijn er-
varing is de kans dat er een personeelslid opzegt of ziek is groter wanneer je meer dan 25 mensen in dienst hebt. Als de agenda niet vol is, kan de omloop in die ‘verloren tijd’ gedaan worden door de assistente. Maar als de omloopassistente de zieke assistente gaat vervangen, wie doet dan de omloop? Maak daar van tevoren afspraken over: gaat de manager of de receptioniste dan bijvoorbeeld inspringen? Mag het werk blijven liggen tot de volgende dag? Moet iedereen even overwerken om de omloop gedaan te krijgen?
Als er een tandarts is die alle schoolvakanties vrij neemt, dan is een omloop wellicht niet nodig. Maar als de assistente van die tandarts ook als preventie-assistente (PA) werkt tijdens die vakanties en een volle preventieagenda kan draaien, dan is het wel verstandig om een omloopassistente te hebben. Als de assistentes aangeven dat de werkdruk te hoog is en om een omloopassistente vragen, is het belangrijk dat de werkdruk gemeten wordt. Werkdruk is voor mij geen (eerste) reden om een omloopassistente aan te nemen. Inventariseer welke processen efficiënter kunnen worden opgezet. Denk aan welke administratieve taken gestandaardiseerd kunnen worden in de software, of duidelijk is welke taken prioriteit hebben, of de tandarts vaak uitloopt, wanneer de assistente de kamer uit kan om de sterilisatie te doen, of er takenlijsten zijn die elke week worden nagelopen (vullen etsspuitjes, articulatiepapier knippen, Duraphat-spuitjes vullen) etcetera. Zo kan de assistente niet misgrijpen tijdens het assisteren.
Caroline Cuppens is bedrijfskundige, bachelor in de zorg, spreker, adviseur, docent, mede-eigenaar van T.X. de Jong Tandzorg in Amersfoort en auteur van ‘Management in de Mondzorg’, te verkrijgen via www.txdejong. nl/Management. Het bovenstaande artikel komt uit dit boek.

Marloes Rust, MondZorgVuldig
Mondhygiënisten Dordrecht
Deze column komt tot stand in samenwerking met TePe
Benelux B.V.
Het beroep mondhygiënist lijkt vaak wat eentonig, maar dat is het totaal niet. Zo is geen casus hetzelfde, zijn de patiënten allemaal anders en voel ik mij soms net Sherlock Holmes. Een aantal jaren geleden werkte ik in een tandartsenpraktijk. Hier behandelde ik veel verschillende soorten mensen. Van het zetten van sealants en preventieve behandelingen tot en met uitgebreide paro-trajecten. Superleuk en geen dag hetzelfde. Zo behandelde ik ook meneer Herman. Meneer Herman was een nette man, leefde gezond en bewoog iedere dag voldoende. Dat bewegen zat ‘m voornamelijk in het dagelijks fietsen naar zijn werk. Door weer en wind fietste hij vijf dagen per week van Spijkenisse naar de binnenstad van Rotterdam. Een aardig eindje trappen. Meneer Herman kwam bij mij voor een gebitsreiniging. Er zat veel plaque en het bloedingspercentage was ook hoog. Hij mistte een groot aantal molaren en alle overgebleven elementen waren gevuld. Ik besloot een instructie met de elektrische borstel en de ragers (van TePe) te geven. Ik reinigde zijn gebit en na afloop werd er gepolijst.
Na twee weken zag ik hem te-
rug voor een mondhygiëne controle en verraste hij mij met een super nette mondhygiëne. Het plaque en bloedingspercentage waren flink gedaald. Hij was zeer gemotiveerd bezig met zijn mondhygiëne en alle hulpmiddelen bevielen hem enorm goed. Ik besloot om hem na drie maanden weer in te plannen voor een gebitsreiniging om te bekijken of de motivatie ook zo goed bleef.
De dag van de volgende gebitsreiniging brak aan en zijn mondhygiëne was perfect. Hij was zelfs uit zichzelf een grotere maat rager gaan gebruiken. Dit kwam ook overeen met mijn visie van die dag. Wat ik vreemd vond was dat er naast een restauratie een caviteit was ontstaan. Ik vroeg hem naar zijn eet- en drinkmomenten en we kwamen niet boven de zeven uit. Dit moment was aan het begin van mijn carrière als mondhygiënist, en doorvragen was toen nog niet mijn sterkste punt… De gebitsreiniging werd uitgevoerd en er werden nieuwe afspraken gemaakt.
Na een aantal maanden kwam hij weer langs. Er was opnieuw een uitstekende mondhygiëne en geen bloeding aanwezig, maar helaas wel weer een nieuwe caviteit. Ik besloot zijn medicatie op-
nieuw door te nemen en noemde alle namen op. Meneer Herman was vergeten dat er een medicijn bijgekomen was; een plastablet. Een bijwerking hiervan kan een droge mond zijn. Dit was mij niet eerder opgevallen bij hem, maar ik besloot er toch naar te vragen. Hij reageerde verbaasd dat dit het geval was en hij er het meest last van had tijdens zijn fietstocht naar zijn werk, maar daar had hij wel iets op gevonden. Ik vroeg hem naar zijn oplossing, maar eigenlijk had ik al een vermoeden wat het antwoord zou zijn. Zuurtjes, van die ronde, zure ballen. Daar snoepte hij de hele dag van, want daardoor had hij niet zo’n last van die droge mond. Meneer Herman dacht dat deze snoepjes niet als eetmoment telden. Snel volgde er een uitleg over xerostomie en ik gaf wat samples mee om een droge mond te verlichten én ter vervanging van de zure ballen. Die dag had ik een mysterie ontrafeld!
P.S.: Weet jij al dat TePe dit jaar op verschillende locaties clinical events geeft over xerostomie? Check www. tepe.com/nl voor meer informatie!







Een echt ergonomische oplossing is een oplossing die het werk voor de arts of behandelaar doet.
Dit revolutionaire loepbrilontwerp doorbreekt voor het eerst het concept van de declinatiehoek, waardoor het niet langer nodig is om naar beneden te kijken en voorover te bukken om iets goed te kunnen zien.


Ergo-loepbrillen stellen je in staat om een neutrale, rechte houding aan te nemen en met ontspannen ogen recht vooruit te kijken, zoals we van nature doen gedurende het grootste deel van de tijd dat we wakker zijn. Rug, nek en ogen worden zo minder belast, waardoor je gezondheid wordt beschermd. Een ergonomisch ontwerp met de hoogste vergroting in de markt. Voor de uiterste nauwkeurigheid die jij nodig hebt.



Ergo-loepbrillen zijn de eerste echte ergonomische loepbrillen die op maat gemaakt worden. Ze passen perfect bij de biomechanica van elk individu. Hierdoor werkt de bril mee, in plaats van tegen het lichaam, door een natuurlijke houding stopt de overbelasting van het lichaam.








Zijn jij en je collega’s op zoek naar ’n nieuwe loepbril en oogadvies? Stap dan binnen in onze nieuwe

Met de mobiele Ergo Wagen komt het team van admetec naar jouw praktijk om persoonlijk oogadvies te geven, de juiste loepbrillen aan te bevelen en te adviseren over de optimale zithouding. Zo zorgen wij ervoor dat jij en je collega’s met meer comfort en precisie kunnen werken. Scan de QR-code en neem contact met ons op.

Weer één van de praktische oplossingen van admetec. oplossingen van admetec.


