Dentista Magazine 2024|1

Page 1

Ridge preservation met d-PTFE membranen, een 14-jarige terugblik

Pijnstilling na een implantologiebehandeling, hoe ga je ermee om?

We dagen elkaar uit om beter te worden

Gijs van Gelder en Tristan Staas

www.dentista-magazine.nl

thema: Implantologie

nummer 01 | 2024 magazine voor het tandheelkundig team
TANDVLEES EXPERT * m.u.v. parodontax Active Repair Tandvlees Whitening. 1 vs 21% met gewone tandpasta Trademarks owned or licensed by Haleon. © 2024 Haleon or licensor. PM-BE-PAD-23-00033. NIEUW Helpt bloedend, gevoelig en ontstoken tandvlees herstellen vanaf 1 WEEK* Bestel nu parodontax samples via www.dentalintouch.nl
formule met 67% natriumbicarbonaat
meer tandplak
1 + SMAAKVERBETERENDE TECHNOLOGIE NU OOK PARODONTAX INTERDENTALE RAGERS VERKRIJGBAAR
Unieke
58% 4X
verwijdering versus een tandpasta zonder natriumcarbonaat vermindering van het aantal bloedingen

Verandering

Iedereen denkt er wel eens aan om het anders aan te pakken. Dat dachten we bij dentista ook. Na tien jaar dezelfde vertrouwde uitstraling vonden we het tijd voor iets nieuws. Een nieuwe vormgeving van het magazine, met ander papier. Een uitstraling die we vinden passen bij de huidige tijd. Maar zo’n verandering is ook spannend. Je ziet het dan wel op je beeldscherm en een proefdruk op papier, maar hoe een compleet magazine eruit gaat zien, weet je niet. Is het geworden wat we voor ogen hadden? Komen de beelden goed uit? Dit eerste nummer zal het uitwijzen…

Over verandering gesproken; de implantologie is een vakgebied waar veranderingen elkaar razendsnel opvolgen. Tristan Staas kan het weten. Met zijn jarenlange ervaring geeft hij zijn kennis door aan de jongere generatie bij hem in de praktijk. Zo ook aan Gijs van Gelder. Dentista ging met ze in gesprek. “Het vak verandert zo snel dat je een opleidingsplan over een jaar al kan herschrijven.”

Die veranderingen leveren ook keer op keer vragen op, aldus Tristan: “Moet je je bijvoorbeeld focussen

Colofon

Dentista is een uitgave van Dentista Media en verschijnt 4 keer per jaar

Redactie

Ilko Alink, Lies Ligtvoet

Redactie(adres) Dentista Media

Molenstraat 3C, 7437 AH Bathmen Ilko Alink, ilko@dentista-magazine.nl

Digitaal aanwezig www.dentista-magazine.nl

Instagram: @dentistamagazine

Aan dit nummer werkten mee

Paul van Eekeren, Celina Klappers, Tristan Staas, Gijs van Gelder, Martijn Moolenaar, David Rijkens, Frank Andriessen, Kirsten Buurma, Melle Vroom, Lodewijk Gründemann, Bas Leempoel, Gerry Karlis, Marit Verschuuren, Iris Meijlink, Sjoerd Kuiken, Buro/S Architects, Konstantinos Kosmidis, Marloes Rust.

Grafisch Design

Degen en Leideritz BNo

Vormgeving

op soft tissue of niet? Is immediate placement de standaard? Dat geeft hier intern vaak discussie en dat is ook goed. Je hoeft het niet altijd met elkaar eens te zijn, niet allemaal hetzelfde te doen, ieder heeft zijn eigen voorkeuren en manier van werken.” Dat lezen we ook in het artikel van Paul van Eekeren. Hij plaatst bijna geen implantaten meer immediaat. Waarom? Zijn redenen legt hij uit in dit nummer.

Dit themanummer van dentista biedt je nog veel meer op het gebied van implantologie. De praktische informatie die je van ons gewend bent. Dat is niet veranderd.

We zijn benieuwd wat je van de nieuwe uitstraling van het magazine vindt. Oh ja, we hebben onze website ook maar meteen meegenomen in de vernieuwing. Neem dus ook een kijkje op www.dentista-magazine.nl.

Lies en Ilko.

LDB Production, Levin den Boer

Fotografie

Cover en interview door Jelle Baars

Abonneren

Dentista wordt in gecontroleerde verspreiding toegezonden aan tandartsen mondhygiënistenpraktijken in Nederland. Ben je werkzaam binnen de tandheelkunde en wil je Dentista ontvangen, stuur dan een e-mail naar: info@dentista-magazine.nl

Adreswijzigingen

Per e-mail: info@dentista-magazine.nl. Vermeld zowel je oude als nieuwe adres.

Marketing

Ilko Alink, ilko@dentista-magazine.nl, 06 – 267 060 67

Adverteren

Concetta Scibona, concetta@dentista-magazine.nl 06 - 281 829 62

Druk

Wilco, Amersfoort

©2013-2024 Dentista Media. Niets in deze uitgave mag worden overgenomen, vermenigvuldigd of gereproduceerd zonder schriftelijke toestemming van Dentista Media of andere auteursrechthebbenden. Dentista Media kan geen aansprakelijkheid aanvaarden voor de juistheid en volledigheid van alle in deze uitgave opgenomen teksten en beelden.

3
VOORWOORD

Opleiden in de implantologie

Tristan Staas en Gijs van Gelder

De (kunst)fouten van het immediaat implanteren Paul van Eekeren

Implantologie in de esthetische zone Martijn Moolenaar

Vast en zeker

4 INHOUDSOPGAVE 2024 | 1
6
14
22 28
5 Ridge preservation met d-PTFE membranen Kirsten Buurma, Melle Vroom, Lodewijk Gründemann CBCT en implantologie Bas Leempoel Eigen element als tijdelijke implantaatkroon Frank Andriessen Uitgebreide rehabilitatie van een verwaarloosd gebit Gerry Karlis Dental Expo 14-16 maart 2024 Column Celina 13 Praktijkmanagement 62 Design in beeld 68 Orale botsequesters 71 Column Marloes 78
44 48 en 52
59 Column Marit
34
57

De (kunst)fouten van het immediaat implanteren

Immediaat implanteren, er zijn implantologen in Nederland die hebben geroepen dat het een kunstfout is om het niet te doen. Maar is dat nu wel zo? Wie vraagt er eigenlijk om deze procedure? Wat weten we eigenlijk van de langetermijnresultaten? Gebruiken we dezelfde soorten implantaten? Moeten we nog onderscheid maken tussen het front en de molaarstreek?

De vraag naar implantologische vervangingen van tanden en kiezen neemt al jaren toe. We merken ook dat patiënten steeds meer eigen kennis hebben en graag precies willen weten welke behandelopties er zijn. Dat past natuurlijk geheel in de informed consent die hoort bij het plaatsen van implantaten. Je moet precies weten wat er met je lichaam gebeurt en welke consequenties dat heeft op korte en lange termijn.

Ik ben afgestudeerd in 2006 aan de Rijksuniversiteit Groningen en merk dan ook een duidelijk verschil tussen toen en nu. De huidige ‘Google’ generatie, die alles weet te vinden op een tablet, is beduidend anders dan toen ik net begon met werken. Wij, als tandartsen, kozen vaak de beste optie voor de patient. Nu ligt dat allemaal anders.

Dat de vraag toeneemt om implantologisch vervanging te zoeken voor missende elementen, past natuurlijk ook thuis in de vergrijzende populatie. Er worden nu geen gebitsprotheses meer gegeven voor een bruiloft. Patiënten hebben hun hele leven veel tijd en moeite besteed aan hun gebit en wensen dat te blijven behouden totdat ze bij wijze van spreke 100 jaar oud zijn. Om die reden zie ik veel over-en-uit behandelde elementen waar kosten nog moeite gespaard zijn om ze te kunnen behouden. Denk hierbij aan restauraties, endodontische behandelingen, stiften, kronen, endodontische herbehandelingen, nieuwe kronen, apex resecties en ga zo maar door.

We kunnen ons als tandarts goed bezighouden gelukkig. Dat patiënten na extractie een vervanging wensen, is dus niet zo vreemd.

Gelukkig kan implantologie dan uitkomsten bieden. We extraheren een element, verwijderen granulatieweefsel, preserveren al dan niet de socket, plaatsen een implantaat en vervolgens een suprastructuur. Helaas kost dat genezingstijd. Na extractie vaak 2-3 maanden en na plaatsen van het implantaat (afhankelijk van een socket preservatie of botopbouw) wederom 3-6 maanden. Al met al voor een standaard (pre)molaar, van extractie tot plaatsen van de suprastructuur, zo’n 6 maanden. En dat doen we al meer dan 30 jaar met grote successen. Hoewel een implantaat gedragen oplossing vele nadelen kent op lange termijn, zien we dit toch als een van de meest betrouwbare behandelopties. En dat willen we als tandarts en patiënt graag: een duurzame oplossing die weinig langetermijncomplicaties heeft én geeft.

Vanuit de industrie is er al jaren een push gaande om dit proces te versnellen. We willen het blijkbaar sneller dan dat we dat nu doen. Een one-stop shop bij voorkeur. Om die reden zijn de behandelconcepten verschoven in de afgelopen jaren naar meer immediaat implanteren. Soms zelfs immediaat restaureren. We extraheren een element, verwijderen granulatieweefsel en plaatsen het implantaat meteen in de extractie-alveole. Dat scheelt ons en de patiënt namelijk 3 maanden genezing. Dat is een halvering van

6 IMMEDIAAT IMPLANTEREN

de behandelprocedure! Er zijn zelfs implantologen in Nederland die hebben geroepen dat het een kunstfout is om het niet te doen.

Maar is dat nu wel zo? Wie vraagt er eigenlijk om deze procedure? Wat weten we eigenlijk van de langetermijnresultaten Gebruiken we dezelfde soorten implantaten? Moeten we nog onderscheid maken tussen het front en de molaarstreek?

In 2018 ben ik zelf ook gestart met deze manier van behandelen. Mijn ervaringen zijn zeker positief, maar ik zie ook inmiddels de beperkingen van een

De (kunst)fouten van het immediaat implanteren

dergelijk concept (Afbeeldingen 3a-3f ). Sterker nog, ik ben er bijna helemaal vanaf gestapt. Niet omdat de resultaten tegen vielen, maar juist omdat ik bovenstaande vragen ben gaan stellen.

Zorgvraag

De patiënt komt met de zorgvraag voor duurzame vervanging van een verloren element. Bijna altijd is er sprake van een granoloom uitgaande van een uitbehandeld element. Natuurlijk komen trauma’s ook voor en zijn er ook restauratieve redenen om een

7

1a 1b 1c 1f 1e 1d 1g 1g 1h
1j
1i
1a. Verlies van buccaal bot na immediaat plaatsing 1b. Jumping Gap 1c-j. Guided geplaatst met een tijdelijke kroon indirect vervaardigd

Wilt u de stoeltijd verkorten en tegelijkertijd anterieure en posterieure restauraties moeiteloos uitvoeren met monochromatische layering? Met de vier nieuwe Venus Pearl Pure Shades maakt u kennis met de eisen van uw patiënten terwijl u uw workflow maximaal vereenvoudigt.

X Vereenvoudig uw restauraties met slechts vier kleuren voor monochromatische layering van anterieure en posterieure restauraties.

X Het beperkte aantal kleuren is eenvoudig te gebruiken voor u en uw team. Perfect geschikt voor alledaagse restauraties.

X Betrouwbaarheid gemaakt in Duitsland –voor het beste resultaat en veilige applicatie.

kulzer.nl/venus CHOOSE IT. USE IT. LOVE IT.
© 2023 Kulzer GmbH. All Rights Reserved. Kulzer Benelux · Fustweg 5 · 2031 CJ Haarlem · Nederland · kulzer.nl/venus KOM NAAR DENTAL EXPO 2024 EN ERVAAR HET ZELF! STAND B102

2a. Keuze om dieper te plaatsen dan nodig door immediaat vervangen

2b. Verkeerde locatie als gevolg van een immediaat plaatsing en onkunde van de behandelaar

2d. Meer palatale preparatie om om te gaan met het te verwachten buccale verlies

2f. Botsubstituut in meest cruciale zone rondom het implantaat

element te verwijderen. Maar dat is in mijn verwijspraktijk nog geen 10 procent van de indicaties. Dat wil zeggen dat het merendeel komt met een geïnfecteerde kaakwal rondom radices. In het kader van een langetermijnsoplossing krijgt de patiënt een keuze.

1. Ik verwijder het element met granoloom en laat het 3 maanden genezen. Na 3 maanden plaats ik het implantaat en weer 3 maanden later de superstructuur. Ik gebruik dan vaak geen botsubstituut en plaats het implantaat in het genezen bot. Of:

2. Ik verwijder het element, verwijder het ontstekingsweefsel en plaats het implantaat meteen in de wond. Ik moet daarbij wel een botsubstituut gebruiken. Dat geeft wel wat extra kosten, maar je bent wel 3 maanden sneller klaar, vergeleken met de andere behandeloptie.

3a-f. Casus met gemis om primair te kunnen sluiten na fors defect als gevolg van ankylotische elementen. Externe resorptie na trauma en terugplaatsing op 13-jarige leeftijd.

In de open discussie die dan ontstaat ben ik open en transparant over de kosten en de voor- en nadelen met bijbehorende succespercentages direct na plaatsen en op lange termijn. Geen van de patiënten die ik op die manier open en eerlijk voorlicht, kiezen voor de immediaat oplossing. De zorgvraag ligt dus niet bij de patiënt, de immediaatoplossing ligt bij ons als behandelaar. Tegen de informed consent in.

Implantaatkeuzes

Mijn voorkeur voor de implantaat lengte en diameter is voor bijna alle indicaties 10 mm lang en ongeveer 4.1 mm in diameter. Uiteraard kan dit variëren naar 8 mm lang en een diameter van 2.9-4.8 mm. Het implantaat kan tapered zijn, een bone-level of een tis-

De (kunst)fouten van het immediaat implanteren 9
2d 2c 2b 2e 2f
2a 2f 3a 3b 3a

sue-level. Dit naar gelang de locatie in de mond varieert. Voor immediaat implanteren moet er grotere primaire stabiliteit gehaald worden. De implantaten moeten daarvoor langer, agressiever en dikker worden. De vorm van de alveole van het geëxtraheerde element is daarin vaak leidend. We plaatsen implantaten met een afwijkende morfologie, wat niets te maken heeft met het langetermijneffect van de behandeling, maar met hogere initiële stabiliteit. Dus om überhaupt de behandeling te laten slagen, maken we een implantaatkeuze, waar de patiënt niet per se bij gebaat is.

Locatie en biologische overwegingen

Een veelgebruikt argument voor immediaat implanteren is dat we het omvormen van de alveole willen beperken (en daarmee esthetisch beter uitkomen). Dus niet alleen tijdwinst, maar ook gericht op het voorkomen van het ontstaan van bijvoorbeeld een buccale deuk. We weten uit voldoende literatuur dat die deuk ontstaat door verlies van bundle bone. Het botdeel dat doorbloeding ontvangt vanuit het parodontaal ligament. Met name in het front is dit een veel bepalende factor (afbeelding 1a).

We weten uit meer dan voldoende literatuur van dieren en humane studies dat het resorptieproces in elk geval doorgaat, zonder of met een implantaatplaatsing. Het argument om immediaat te implanteren, zodat we resorptie voorkomen en beter esthetisch uitkomen, is dan ook de eigenlijke kunstfout. De langetermijnresultaten over dit onderwerp zijn dan ook heel erg wisselend en vaak niet ouder dan 10 jaar.

Zijdelingse delen

In de zijdelingse delen verwachten we ongeveer 3.5 mm verticaal verlies na extractie van een element. Om dit proces te voorspellen, plaatsen we immediaat geplaatste implantaten om die reden dieper en meer naar linguaal/palatinaal (met bijbehorende risico’s) (afbeelding 2a, 2b).

Daarbij weten we niet waar exact de horizontale en verticale resorptie gaat stoppen. We willen immers kosten wat kost voorkomen dat het ruwe gedeelte van het implantaat onbedekt gaat worden (afbeelding 2c-2f ). Natuurlijk is er 6 mm onder de toekomstige outline van de glazuurcement grens een verwaarloosbaar risico, maar daar had je delayed geplaatste implantaat niet gestaan. Die had slechts 3

mm onder de toekomstige CEJ gestaan. Kortom, we nemen risico’s in de locatie van het implantaat met kans op ruw oppervlakte onbedekt, die niet in het belang van de patiënt zijn.

Maar we voegen toch een botsubstituut toe? Jazeker. We voegen een botsubstituut toe om het verschil tussen de vorm van de alveole en het implantaat op te vangen (afbeelding 2f ). De zogenoemde jumping gap (afbeelding 1b). Daar zijn veel onderzoeken naar geweest met wisselende resultaten. Die zijn echter geen van allen humaan of na plaatsing van het implantaat. We weten dus helemaal niet wat er gebeurt met dat weefsel. Apicaal van het implantaat zal het wel goed gaan. Maar dat is niet ons risicogebied. Peri-implantitis ontstaat immers niet aan de apex van een implantaat, maar aan de crestale zijde. En juist op die plek weten we niet wat het botsubstituut doet. Dus zijn we onze nieuwste generatie peri-implantitis patiënten aan het creëren, omdat we het zo leuk vinden om immediaat te implanteren? We nemen risico’s die niet in het belang van de patiënt zijn.

Verschroefde suprastructuren en moeten cementeren

De vorm van de processus alveolaire in het front wordt geclassificeerd volgens Kan et al. (Ijomi, 2011). Hij beschrijft vier klassen sagitale verdeling van het alveolaire bot in relatie tot de centrale en laterale incisieven. Daaruit valt op te maken dat er maar in een heel beperkt aantal gevallen een implantaat binnen het alveolaire bot geplaatst kan worden en dat daarna de suprastrcutuur verschroefd kan worden. In de meeste situaties kom je apicaal met het implantaat buiten de botkam uit. We moeten dan kiezen voor een gecementeerde suprastructuur. Ook weer een kunstfout die we maken, niet in het belang van de patiënt, maar veroorzaakt door een immediaat plaatsing van het implantaat.

Early placement

Een GBR-methode heeft inmiddels een 28 jaar lange gedocumenteerde studie achter zijn naam staan. Dat is nog steeds de gouden standaard. Het grote verschil tussen een botsubstituut aanbrengen op die manier en via een immedaat plaatsing is het primair kunnen sluiten van het weefsel. Daarbij kunnen we een over-contourering toepassen. Dat is ook de reden dat die behandelmethode de voorkeur heeft. In het front

10 9 10 11 14 13 12 15 16 17 18 19 22 21 20
IMMEDIAAT IMPLANTEREN

3a-f. Casus met gemis om primair te kunnen sluiten na fors defect als gevolg van ankylotische elementen. Externe resorptie na trauma en terugplaatsing op 13-jarige leeftijd.

behoeft elke casus een botopbouw. Daar zijn bijna geen uitzonderingen in. Ik wacht na extractie in het front om die reden zes weken. Ik heb dan primaire weefselsluiting en spontane weefselverdikking. Ik plaats het implantaat en bouw het bot op volgens de methode die we nu al zo goed kennen. Volledig geprotocolleerd te noemen. Maar omdat er primaire weefselsluiting is, kan ik het implantaat, botsubstituut en membraan aanbrengen en het lichaam de gehele genezing verder steriel laten verlopen. Dat geeft doorbloeding op de juiste plaatsen met bijbehorende weefselgroei.

Bij een immediaat plaatsing is dit bijna niet mogelijk en in mijn ogen het probleem. Er is geen weefsel beschikbaar om de alveole af te sluiten. Het lichaam kan het niet steriel maken om doorbloeding en hard weefselgroei te maken. Healing caps, al dan niet gepersonaliseerde tijdelijke kronen sluiten dit onvoldoende af. Bacteriegroei blijft ontstaan richting de

gebieden die je daar niet wil hebben: het crestale bot en de biologische breedte. De poortwachters van je gezonde implantaat.

Wanneer dan wel?

Om alle bovenstaande redenen plaats ik momenteel, bij voorkeur, geen implantaten meer immediaat. Natuurlijk zijn er wel uitzonderingen. Maar die zijn jaarlijks inmiddels op één hand te tellen. Dat betreft alleen frontelementen met tenminste 2 mm autoloog bot buccaal (minder dan 0.5 % van de casussen volgens Kan et al.). Uiteraard dan guided geplaatst met een tijdelijke kroon indirect vervaardigd (afbeelding 1c-1j).

In alle andere gevallen: Tijd heelt alle wonden, goed werk heeft tijd nodig en bezint eer ge begint.

De (kunst)fouten van het immediaat implanteren

De auteur

Paul van Eekeren is tandarts-implantoloog NVOI en heeft samen met zijn vrouw een praktijk voor algemene tandheelkunde en een verwijspraktijk voor implantologie; Van Eekeren en Toxopeus tandartsen in Wageningen.

11
3e
3d
3f 3c

DESS®: Leading Universal Abutments & Implants Manufacturer

DESS® Dental provides the widest range of compatible abutments and prosthetic solutions on the market.

DESS® is Quality, Precision, Innovation & Efficiency

•+15 Years of Experience in the Dental Industry

•Strong presence spanning 35 countries and growing

•Widest range of Abutments compatible with 32 Implant Systems

•+ 2,500 product references.

•Delivery in 24h across Europe

•2 Implant systems: ACTIVE HEX® & CONICAL BLT®

•Lifetime Replacement Warranty for all DESS® components, including the abutment screw.

•EU manufactured products

•Regulatory clearance: CE, FDA, Health Canada & more!

Featured Products | Discover DESS® Abutments at Dental Expo 2024!

Visit us and find out a product assortment that will cover any of your needs: Digital Analogues, DESSLoc® Removable Overdenture, Multi-Unit Abutments, Scan Abutments, Pre-milled Blanks, Ti-Base, ANGLEBase® Angled Solution & much more!

DESS® Implants: The First Zero Waste Implants on the market

Discover all about ACTIVE HEX® & CONICAL BLT® implants at Dental Expo 2024. Visit our stand and receive an Exclusive Offer on DESS® Implants!

Groundbreaking DESS® Technologies

We rely on innovation to ensure that you stand by your patients with the highest quality. Patents and unique surface treatments will guarantee the best results.

•SelectGrip®: Our revolutionary technology ensures 500 times more bonding retention.

•periocoat® ZrN Surface treatment: Experience less inflammation, reduced plaque adhesion, and superior corrosion resistance, setting new standards in periimplant health.

•Pure Switch by DESS®: Full compatibility and interchangeability with the implant connection & components.

Want to experience Excellence?

Join DESS® at Dental Expo 2024 and get Exclusive Offers!

Fotografie en implantologie

Dentale fotografie is een passie van mij. Dit jaar bundel ik mijn krachten met Daan van Oort om een magazine uit te brengen waarin we dieper ingaan op het gebruik van flitslicht, diffusers en bouncers. Ons doel is om anderen te inspireren en te helpen bij het creëren van nog mooiere tandheelkundige foto’s.

Het fotograferen van chirurgische cases vind ik het meest uitdagend. Binnenkort ga ik een immediaat plaatsing met direct loading en een all-on-6 in de boven- en onderkaak documenteren. Na het volgen van de implantologie opleiding van Irfan Abas, is mijn kennis van implantologie weer op niveau. Mijn collega, implantoloog en partner in crime Niels Bekker, heeft mij gevraagd deze casus te documenteren.

Het opstellen van een gedegen storyboard is hierbij van cruciaal belang. In de fotografie verwijst een storyboard naar een visuele weergave van het concept of de opzet van een fotoshoot. Dit helpt niet alleen mij als fotograaf, maar ook het team om een duidelijk beeld te krijgen van de beoogde eindresultaten. Gezamenlijk werken we aan dit storyboard, waarbij er besproken wordt welke specifieke momenten vastgelegd worden. Mijn uitrusting bestaat uit twee camera’s en drie verschillende lenzen om de diverse aspecten van de behandeling

volledig te kunnen benadrukken. In de studio leggen we portretfoto’s en gedetailleerde beelden van geprinte modellen en sleeves vast. Voorafgaand aan de behandeling bespreek ik met de assistente de belangrijkste details. Ik benadruk het belang van een droog en bloedingsvrij werkveld voor het verkrijgen van esthetische foto’s, wat bij procedures als extracties en flappen zeker een uitdaging is. Voldoende steriele gaasjes, goed geplaatste retractoren en nauwkeurige positionering van mijn flitslicht zijn van essentieel belang. Ik stel de witbalans iets lager in. Reflecties van het tandvlees worden verminderd door het gebruik van een speciaal kapje op de flitser.

Concluderend, de voorbereiding van fotografie in samenwerking met de implantoloog is van essentieel belang.

Hoe fotografeer jij jouw chirurgische behandeling?

Celina Klappers, tandarts bij IJsselstate tandartsen en Jungle tandartsen @drs.celina_klappers

13
COLUMN CELINA
14

Tristan Staas en Gijs van Gelder We dagen elkaar uit om beter te worden

Opleiden in de implantologie. In Dentista hebben we er al vaker tandartsen over aan het woord gehad. Wat we merken is dat er geen vast stramien voor is. Iedereen pakt het op zijn eigen manier aan. Zo ook Tristan Staas van Tandartspraktijk Staas en Bergmans. Met zijn jarenlange ervaring in de implantologie geeft hij zijn kennis weer door aan de jongere generatie bij hem in de praktijk. In dit geval Gijs van Gelder. Dentista ging met ze in gesprek over het implantologie-vak en het opleiden daarbinnen.

15
“De beperking van de zorgverzekeraar maakt het voor jonge tandartsen moeilijker om vlieguren te maken”

“In onze praktijk leiden we elkaar op in de implantologie”, geeft Tristan aan. “Met drie, vier man naast elkaar staan we te implanteren en bewandelt ieder een andere weg, waarbij we onderling veel invloeden van elkaar overnemen. Dat naast elkaar kan je hier wel letterlijk nemen. Onze praktijk is enorm open en transparant. Als collega’s kunnen we achterlangs lopen en zien wat de ander doet. Op die manier wisselen we veel informatie uit en leren we spelenderwijs van elkaar. Dat klinkt voor de patiënt misschien niet aardig, maar wat ik ermee bedoel te zeggen is dat we door te doen en te evalueren vooruitkomen in het vak. Uiteraard volg je cursussen, lees je publicaties en andere vakliteratuur voor de nodige bewijsvoering, maar je vult je toolbox pas echt als je in de praktijk aan het werk bent, intern bewijs ziet en daarvan leert.”

Gijs: “Toen ik aangaf verder te willen binnen de implantologie kreeg ik geen vast programma overhandigd. Nee, je krijgt hier alle mogelijkheden om je te ontwikkelen, zoekt in overleg de juiste weg en bepaalt zelf het tempo. Daarbij is het naar mijn mening belangrijk dat je vooraf eerst aardig wat vlieguren hebt gemaakt in de algemene praktijk. Dat heeft mij in ieder geval enorm geholpen. Zo heb ik van 2012 tot 2018 veel restauratief en prothetisch werk op implantaten gedaan. Dat is misschien nog wel leerzamer dan het plaatsen van implantaten. Je krijgt immers inzicht in waar ze moeten staan, wat de gevolgen zijn van een verkeerd abutment, of hoe je een prothese moet laten afsteunen. Als je weinig edentate patiënten hebt behandeld, dan is de voorbereiding op de prothese, de chirurgie, ook veel moeilijker. Vervolgens ben ik begonnen met de basis bij Peter van der Schoor en een aantal Straumann opleidingen. Daarna ben ik de casuïstiek ingedoken, waarbij ik ook intern begeleiding kreeg.”

Tristan: “De manier waarop naar implantologie wordt gekeken is vaak niet juist. Het technisch handelen en opereren wordt als de heilige graal gezien, maar dat is niet het belangrijkste onderdeel. Natuurlijk, je moet dat onder de knie krijgen. Echter, gaat het om de gehele behandelplanning en daarvoor heb je je toolbox nodig. En die toolbox gaat verder dan implantologie. Daar komt bijvoorbeeld ook parodontologie of reconstructieve tandheelkunde bij kijken. Ik vergelijk het altijd met de bouw van een huis. De stenen zijn een goed fundament, maar zijn een klein onderdeel van het totaal. Je hebt geen compleet huis zonder dat de architect een goede tekening maakt. Binnen de tandheelkun-

16
INTERVIEW

de is dat hetzelfde. Het chirurgische deel is noodzakelijk, maar je moet vooraf hebben bepaald waarom en hoe je iets gaat aanpakken; de hele tekening maken. Dat vergt ervaring. De opmerking die Gijs maakt over vlieguren in de algemene praktijk is dan ook terecht. Na één jaar tandarts te zijn geweest ben je nog geen architect. Je moet ervaring hebben met diagnostiek, indicatiestelling en behandelplanning voordat je kunt beginnen aan een verdieping in de implantologie.

Geen patiënt wil een schroef, maar een oplossing voor een probleem waar een implantaat onderdeel van is. Je begint dus bij het oplossen van het probleem en niet met een implantaat. Samen met de patiënt maak je de afweging of een implantaat de beste oplossing is, of dat er andere mogelijkheden zijn. Bijvoorbeeld autotransplantatie of chirurgische extrusie. Over die oplossingen discussiëren we hier nog wel eens in de praktijk en met onze verwijzers. We dagen elkaar daarbij uit, wat je helpt om beter te worden.”

Andere tijden

Tristan zette zijn eerste implantaat meer dan 25 jaar geleden. Een compleet andere periode dan deze tijd waarin Gijs zich in de implantologie verdiept. Tristan: “In mijn tijd was de implantologie net opgekomen met Brånemark. Het was allemaal heel spannend en ingewikkeld en je had weinig

mogelijkheden tot oefening en opleiding. Het was pionierswerk waar je op een zaterdag drie patiënten implanteerde in de onderkaak. Nu doe je zoiets in een half uurtje. Ik heb heel veel gehad aan de vele congressen die ik nationaal als internationaal bezocht om te zien wat iedereen doet en op welke manier. Daarmee heb ik, naast mij te verdiepen in vakliteratuur en onderzoeken en oefenen in de praktijk, zoveel mogelijk mijn toolbox gevuld. Gijs heeft, net als ik toen, ook geen vast opleidingsplan. Dat is ook niet nodig aangezien het vak zo snel verandert dat je zo’n plan over een jaar al kan herschrijven, omdat de ontwikkelingen zo snel gaan. We denken nu wel dat we heel ver zijn en dat we het goed doen, maar over 15 jaar lachen we daarom. De vraag is of we dan überhaupt nog wel implanteren.”

Gijs: “De huidige tijd is heel anders. Zo is het aanbod aan opleidingen groot, hebben we 30 jaar aan publicaties en weten patiënten wat ze willen. Anders dan de jaren 90 waarin pioniers als Tristan hun werk moesten doen. De risico’s zijn nu ook kleiner, omdat we meer weten van de theorie, beter voorbereid en meer handelingsbekwaam zijn. Hoewel ik intern een cursus kon doen, heb ik bewust gekozen om extern een opstartcursus implantologie te doen. Je kunt wel 10 jaar meekijken in de praktijk waar je werkt, maar het is juist goed om ook andere invalshoeken te zien. Welke hechttechnieken gebruikt iemand bijvoorbeeld en welk type bot? Je leert van andere inzichten en ideeën. Daarom heb ik mijn eerste opstart extern gedaan.

17
Tristan Staas en Gijs van Gelder

De masterclass implantologie 12 hele dagen aan ACTA heb ik ook overwogen, al voor 2018, echter werd hier destijds al wat ervaring gevraagd. Als je dan start in de praktijk, en je hebt wat ervaring opgedaan, dan merk je dat je met zoveel ervaren collega’s om je heen niet snel teruggrijpt op een dergelijke masterclass. Op scholingsgebied worden er allerlei opleidingen aangeboden door commerciële partijen. Toen ik mij oriënteerde kwam ik verschillende trajecten tegen. Je hebt opleidingen van twee dagen, maar ook van een paar jaar. Wat is dan de juiste weg kan je je afvragen. Ik denk dat dat voor iedereen verschillend is. De één heeft iets eerder onder de knie dan de ander. Daarbij moet je ook kijken hoe je het kunt inpassen in je privéleven. Die balans moet uiteraard ook goed zijn.”

Edentate onderkaak

Tristan: “De steilheid van de leercurve is nu anders dan toen ik begon, omdat we meer weten en de technieken verder zijn ontwikkeld met onder andere boorprotocollen en hechttechnieken. In relatief korte tijd kun je jezelf nu het zetten van implantaten eigen maken. De edentate onderkaak is daarbij een mooie start. Je kunt meters maken, in onder andere prepareren en hechten, met een eenvoudige ingreep zonder esthetische risico’s te nemen. Je krijgt ook meer inzicht in implantaatsystemen, weke delen en bot. Deze mooie start in de implantologie staat echter onder druk. De verzekeraars willen dat alleen NVOI geregistreerde implantologen edentate onderkaken behandelen. Of dat er een geregistreerd implantoloog op de achtergrond aanwezig is. Naar mijn mening staat dat de ontwikkeling van tandartsen die zich willen ontwikkelen in de implantologie in de weg. Dat dit voor de bovenkaak geldt kan ik achter staan, maar voor de onderkaak vind ik dat niet nodig.”

Gijs: “De beperking van de zorgverzekeraar maakt het voor jonge tandartsen inderdaad moeilijker om vlieguren te maken en te beginnen met implanteren. Scholing en meekijken is toch anders dan het zelf doen. Tennis leer je ook door op de baan te staan, veel over te slaan en zo balbeheersing te krijgen. Natuurlijk zijn scholing en meekijken noodzakelijk in het traject, maar daarna moet je wel onder begeleiding van een mentor aan de slag. Edentaat is dan echt geen eenvoudige ingreep, maar het gaat erom dat de risico’s zeker op esthetiek lager zijn.

Je hebt meer marge op resultaat. Uiteraard zou ik er dan voor kunnen kiezen NVOI geregistreerd te worden, daar denk ik ook over na, maar dat is een behoorlijk traject. Het zou mooi zijn om daarvoor al zelfstandig te kunnen implanteren op bijvoorbeeld een onderkaak. Op weg naar volledige erkenning kan ik hier intern prima implanteren zonder zelf geregistreerd te zijn.

Dynamisch vak

Ook op het gebied van software ontwikkelt het vak zich enorm. Zeker met de komst van AI (Artificial Intelligence) Gijs: “Wij implementeren op dit moment nieuwe software (DTX Studio Clinic). Hierin worden alle data gecombineerd en gelinkt zoals bijvoorbeeld solo röntgenfoto’s, panoramische opnames, CBCT-beelden, klinische licht foto’s en STLfiles vanuit de intra-orale scan. Deze worden in de software herkend en door de software in DTX naar de juiste elementen herleid. Daarbij worden door de software ook anatomische structuren zoals bijvoorbeeld de nervus mandibularis herkend en ingekleurd.

Door middel van AI in DTX Studio worden focusgebieden gemarkeerd op intraorale röntgenbeelden voor tandheelkundige bevindingen, zoals cariës, apicale laesie, wortelkanaaldefect, marginaal defect, botverlies en calculus (tandsteen). Uiteraard dient dit focusgebied door de behandelaar te worden gecontroleerd om tot een diagnose te komen. Het voorstel van de software zal dan worden gevalideerd dan wel worden afgewezen door de behandelaar. Ook wordt er steeds meer gebruik gemaakt van Guided Surgery en bij het vervaardigen van de proefopstelling en de implantaat planning speelt AI een steeds belangrijkere rol. Daar waar voorheen het laboratorium te extraheren elementen moest raderen en een set-up vervaardigen, kan dit inmiddels ook in de planningssoftware. Met deze planning kan guided met een boormal of door middel van navigatie worden geïmplanteerd, maar ook als er freehand wordt gewerkt, wordt er meestal vooraf een 3D-planning vervaardigd.”

Tristan: “De implantologie is dus een enorm dynamisch vak, waar nieuwe ontwikkelingen, technieken en inzichten elkaar razendsnel opvolgen. Dat levert ook keer op keer vragen op: moet je je bijvoorbeeld focussen op soft tissue of niet? Is im-

19
Tristan Staas en Gijs van Gelder

61 KRTPUNTEN

Leergang Implantologie

Gedurende 10 lesdagen, waarvan 6 dagen theorie en 4 dagen praktijk, nemen we je mee in de wereld van implantologie waarbij je zelf ook 3 patiënten gaat implanteren.

Veel onderwerpen zullen de revue passeren en er komen verschillende specialisten hun kennis met je delen.

Een complete opleiding, waarbij we altijd zorgen voor een goede balans tussen theorie en praktijk.

De opleiding is inclusief een parallel opleidingsprogramma voor één van jouw assistenten!

PROGRAMMA

Diagnostiek, indicaties, contra-indicaties, (medische) risico’s en dossiervorming

Behandelplanning en implantaattypen

Flapdesign, hechten & live intake door docent Botopbouw en tweede fase technieken

Live implanteren edentate kaak door docent

Zelfstandig implanteren edentate kaak

Suprastructuren uitneembaar en vast & live implanteren dentate kaak door docent

Zelfstandig implanteren dentate kaak

Voorbereiding op het examen

Examen (zelfstandig implanteren)

DOCENTEN

Thibaut de Jong | Kostas Syriopoulos | Caroline Cuppens | Mardi Kwehandjaja | Jan Willem Vaartjes | Erik van Olmen

www.academiae.nl

START SEPTEMBER
2024

mediate placement de standaard? Is gebruik van autoloog bot altijd noodzakelijk bij sinuslift? Geven steggen op implantaatniveau problemen? Dat geeft hier intern vaak discussie en dat is ook goed. Je hoeft het niet altijd met elkaar eens te zijn, niet allemaal hetzelfde te doen, ieder heeft zijn eigen voorkeuren en manier van werken. Dat geeft soms wel wat competitie onderling, trouwens zonder dat het een wedstrijd wordt. We respecteren elkaar en maken met de groep zeker ook plezier. Zo maken we elkaar beter in een open en eerlijke omgeving. Dat is ook hoe we onze patiënten tegemoet treden.”

Weten hoe Tristan en Gijs samenwerken met implantologie-assistent Erika Hamerslag? Je leest haar verhaal op de website van dentista.

Tristan Staas is als tandarts in 1988 afgestudeerd aan de Universiteit van Utrecht, hij is medeoprichter en eigenaar van Staas & Bergmans. Tristan houdt zich in de praktijk met name bezig met implantologie, en is in het bijzonder geïnteresseerd in immediate replacement in de esthetische zone. Naast zijn werk bij Staas & Bergmans is Tristan werkzaam bij de Tandartsengroepspraktijk Zaltbommel, geeft hij training aan tandartsen en implantologen in immediate implantologie en lezingen in zowel binnen- als buitenland. Verder is hij wetenschappelijk onderzoeker en stimuleert hij research in zijn praktijk.

Gijs van Gelder is als tandarts in 2009 afgestudeerd aan de Radboud Universiteit Nijmegen. Tijdens zijn opleiding heeft hij enkele maanden ervaring opgedaan aan de Karolinska Universitet te Stockholm, Zweden. Gijs werkt bij Staas & Bergmans sinds januari 2012 als algemeen practicus. Zijn speciale interesse gaat uit naar implantologie, het (gedeeltelijke) kunstgebit al dan niet op implantaten en naar MRA’s (snurkbeugels). Gijs implanteert sinds 2018 en zal zich de komende jaren steeds verder scholen en ontwikkelen in dit vakgebied.

21
Tristan Staas en Gijs van Gelder

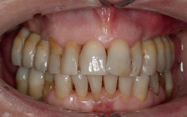
Implantologie in de esthetische zone: tijd is je vriend!

Tandheelkunde in de esthetische zone is een grote uitdaging. Aangezien de patiënt verwacht dat het resultaat “onzichtbaar” is en zo optimaal mogelijk integreert in de eigen dentitie. Tegenwoordig is het mogelijk om aan deze wens te voldoen, maar dat vraagt wel een nauwkeurige planning en behandeling.

Voor een implantaat gedragen restauratie in de esthetische zone geldt een survivalpercentage, na vier à vijf jaar, van ongeveer 97 procent. Maar het succespercentage is soms wat lastiger te bepalen. Dit wordt bepaald aan de hand van de esthetische parameters voor de weefsels rondom het implantaat (pink esthetic score), de vorm en kleur van de restauratie (white esthetic score), en de tevredenheid van de patiënt. De tevredenheid van de patiënt wordt mede bepaald door stabiliteit van de andere twee factoren en kan door de jaren heen dus veranderen. De uitdaging voor tandheelkunde is om een zo fraai maar ook een zo stabiel mogelijk resultaat te behalen.

Om deze reden is het van belang om op voorhand zoveel mogelijk informatie te verzamelen betreffende de situatie en daarmee een zo nauwkeurig mogelijke planning op te stellen. Voor implantologie in de esthetische zone kan gedacht worden aan:

• medische anamnese

• parodontium status röntgenfoto’s (cbct) intraorale mond scans beoordeling envelope of function

• portretfoto’s

• mondfoto’s

Implant Plannings Protocol

Met deze gegevens kan een behandelplan opgesteld worden. Voor het opstellen van een behandelplan in de esthetische zone heb ik het 4-stappen Implant Plannings Protocol (IPP) opgesteld. Beoordeel:

1. de positie van het te vervangen element en buurelementen in de lach van de patiënt

2. het fenotype soft tissue

3. de positie van het bot op de locatie van het te vervangen element en buurelementen

4. de beoogde vormgeving/anatomie van de te vervaardigen restauratie(s)

Bij stap 1 wordt bepaald of de huidige frontelementen op de juiste positie staan of dat dit gewijzigd zou moeten worden. Dit is belangrijk voor de volgorde van de behandelingen. Wellicht is er eerst een orthodontisch voortraject nodig om een constricted envelope of function op te lossen of om een meer optimale stand van elementen in het smile frame te realiseren en/of een betere positie van het faciale en proximale tandvlees te verkrijgen.

Vervolgens wordt bij stap 2 gekeken naar het volume en de kwaliteit van de gingiva. Er kunnen redenen zijn om de weefsels te verbeteren met een soft tissue

22 ESTHETIEK

augmentatie om op deze wijze voldoende volume te realiseren rond een implantaat en abutment voor een mooi eindresultaat.

Als de eindpositie van de gingiva is bepaald, is de derde vervolgstap het beoordelen of er in de huidige situatie voldoende onderliggend botvolume aanwezig is om dat weefsel te ondersteunen. Het kan zijn dat er een aanvullende botaugmentatie nodig is. Om dit te bepalen zijn er biologische richtlijnen. Bijvoorbeeld een papil naast een natuurlijk element wordt gesteund door bot dat zo’n 4 à 5 mm daaronder ligt. Buccaal is deze afstand vanaf de marginale gingiva tot aan bot ongeveer 3 à 3,5 mm. Maar rond een implantaat is het biologisch wat anders georganiseerd. Rondom het implantaat is de afstand van de gingiva tot aan bot zo’n 3,5 mm. Dus hier moet rekening mee gehouden worden in de planning. Dat betekent bijvoorbeeld dat de botpiek op het buurelement onder de papil voor behandeling goed moet staan. Want mocht er een pocket aanwezig zijn bij het buurelement en het te vervangen element wordt geëxtraheerd, dan zal de papil slinken tot 4 à 5 mm boven de botpiek van het buurelement. Dit kan tot een minder ideaal esthetisch resultaat leiden.

In de laatste stap wordt gekeken naar de uiteindelijke vorm van de te vervaardigen restauratie(s). Deze bepaalt de 3D-locatie van het implantaat. Deze informatie kan gebruikt worden bij het plaatsen van het implantaat en geeft ook de input voor het vervaardigen van het operatiesjabloon. Daarnaast kan de tijdelijke voorziening al gemaakt worden in de geplande vorm zodat de patiënt een goede indruk kan krijgen van het beoogde eindresultaat. Dit biedt de mogelijkheid voor de patiënt om in de tijdelijke fase

Implantologie in de ethetische zone

nog aanvullende wensen te bespreken zodat deze in de uiteindelijke restauratie kunnen worden meegenomen.

Er is een scala aan verschillende behandelingen mogelijk variërend van immediate implant placement na extractie met of zonder tijdelijke restauraties op het implantaat, tot aan 2-fase behandelingen met bot- en soft tissue augmentaties. Iedere mogelijkheid heeft een op maat opgesteld behandeltraject. Om het hele behandeltraject te kunnen laten zien, wordt in dit artikel een casus besproken die in meerdere fasen wordt behandeld.

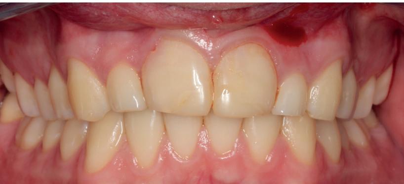
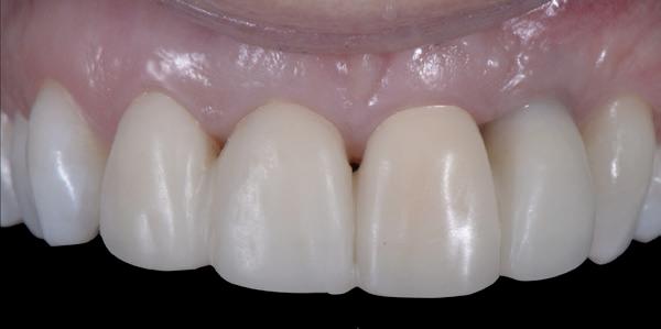
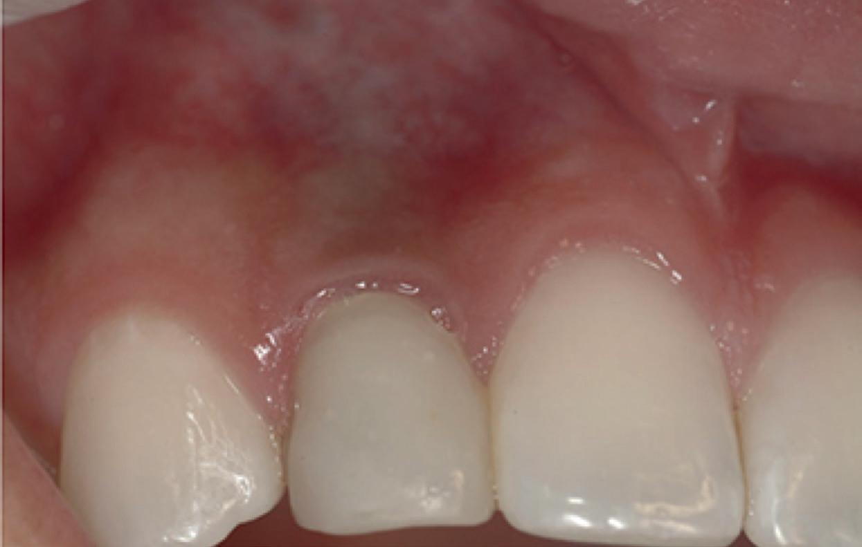
Casus

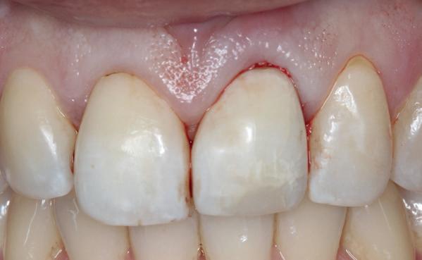
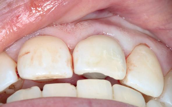
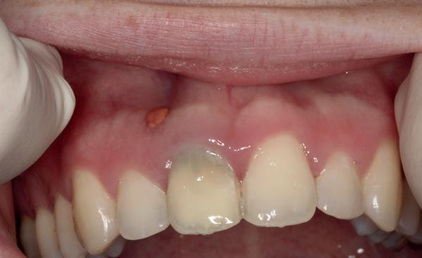
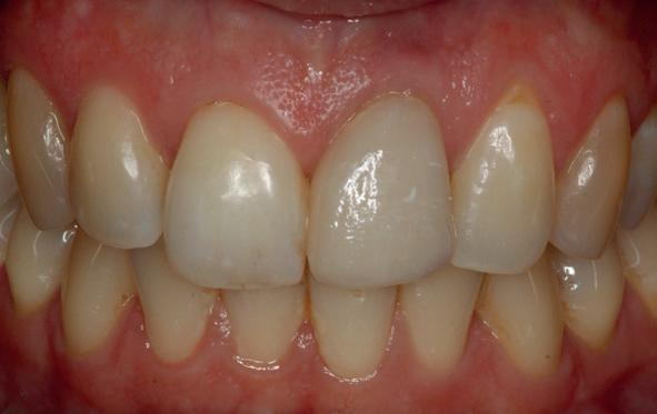
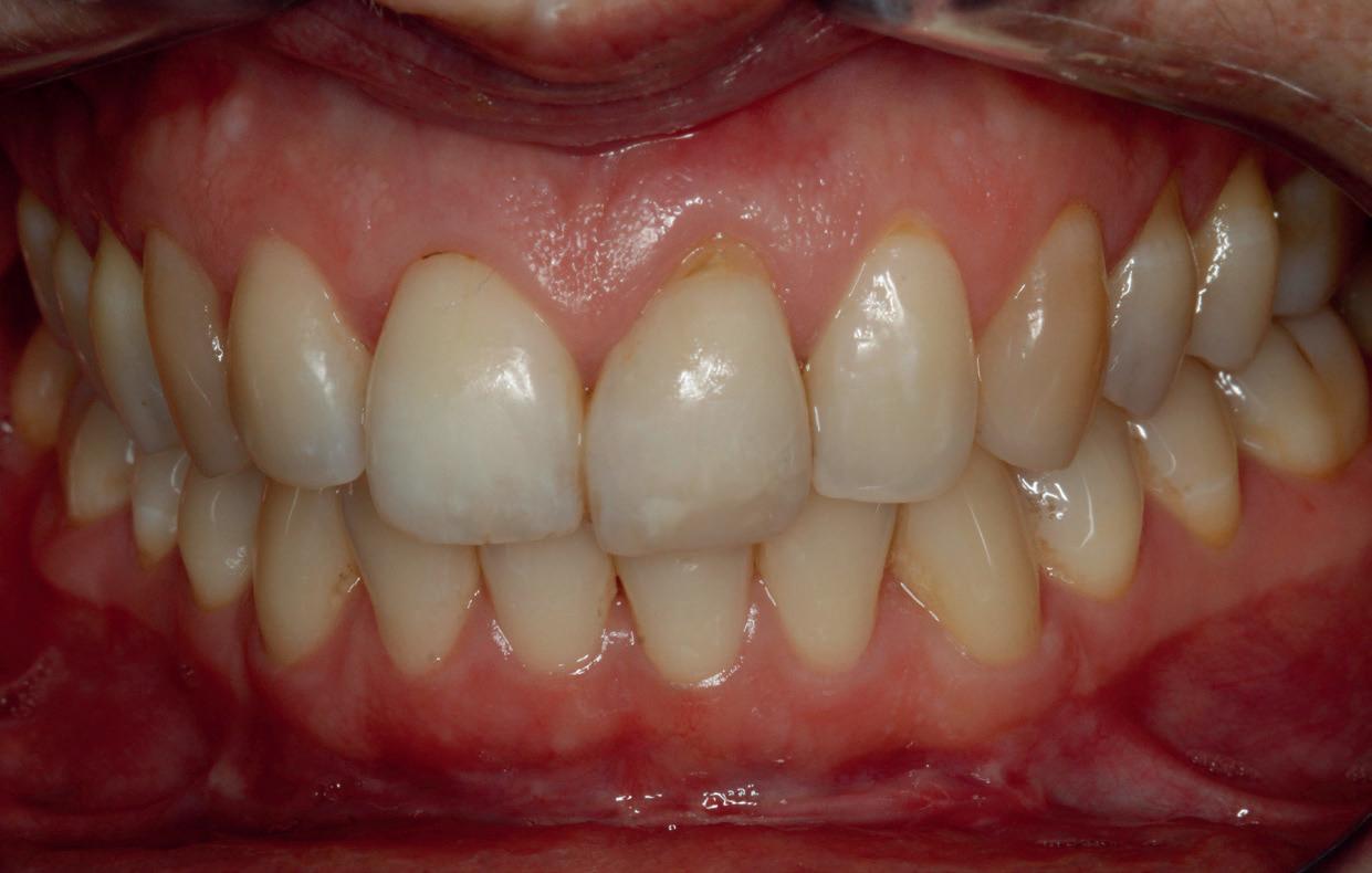
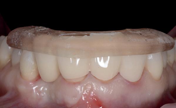
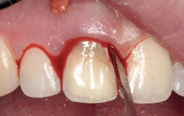
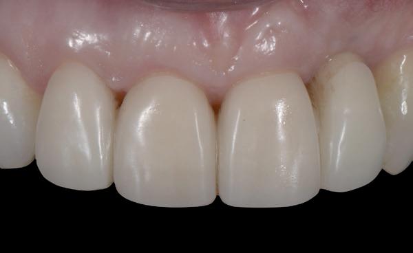
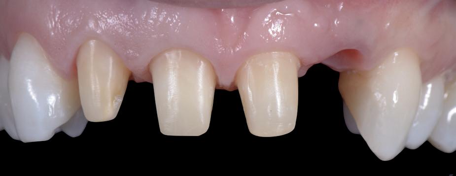
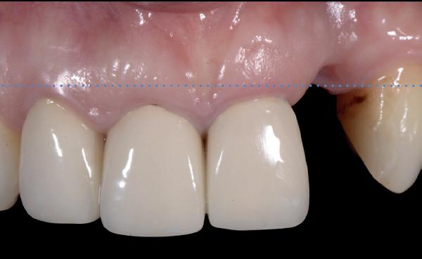
Mevrouw werd naar het Dental Design Center verwezen om een complex probleem aan het bovenfront te beoordelen en indien mogelijk te behandelen. Tien jaar geleden zijn er om esthetische redenen op de 12, 11, 21 en 22 kronen geplaatst. Helaas bleek achteraf een wortelkanaalbehandeling van de 22 noodzakelijk. Na een aantal jaar ontstond er weer een infectie apicaal aan de 22 en werd er een apex uitgevoerd. Helaas had deze behandeling niet het beoogde resultaat. Twee weken voordat ze bij mij op consult kwam, is het element geëxtraheerd en is er een partiële plaat geplaatst als tijdelijke oplossing (foto 1-3).

Na de IPP (esthetisch/functionele) analyse blijkt dat de gezichts- en faciale mediaan niet geheel overeenkomen en dat de gingiva lijnen van het bovenfront niet helemaal parallel lopen met de interpupillaire lijn. Na overleg met mevrouw kiest zij ervoor om dit niet orthodontisch te laten corrigeren. Mevrouw

1 2 3 23
24 10 9 13 12 11 14 15 16 17 20 19 18 6 5 4 7 8

heeft de nadrukkelijke wens om geen brugconstructie te krijgen. Om die reden is een etsbrug of een conventionele brug geen optie. Daarom bestaat het behandelvoorstel uit vier losse kronen waarvan de 22 implantaat gedragen zal zijn. Een gedetailleerd onderzoek van de regio 22 is noodzakelijk (foto 4-6).

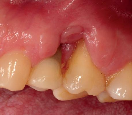
Uit het röntgenonderzoek blijkt dat op de locatie van de 22 veel bot verloren is gegaan en dat er niet direct een implantaat geplaatst kan worden. Om die reden is een botaugmentatie geïndiceerd. Wel zijn distaal van de 21 en mesiaal van de 23 de botpieken aanwezig die de papillen ondersteunen. Naast te weinig bot, is op de locatie 22 in bucco-linguale richting ook te weinig volume gingiva aanwezig. Daarom zal er tevens een soft tissue graft aangebracht worden. Tijdens deze behandeling wordt ook de recessie op de 23 zoveel mogelijk bedekt (foto 7 en 8).

Het behandelvoorstel is als volgt:

1. Botaugmentatie locatie 22 en een vaste tijdelijke voorziening.

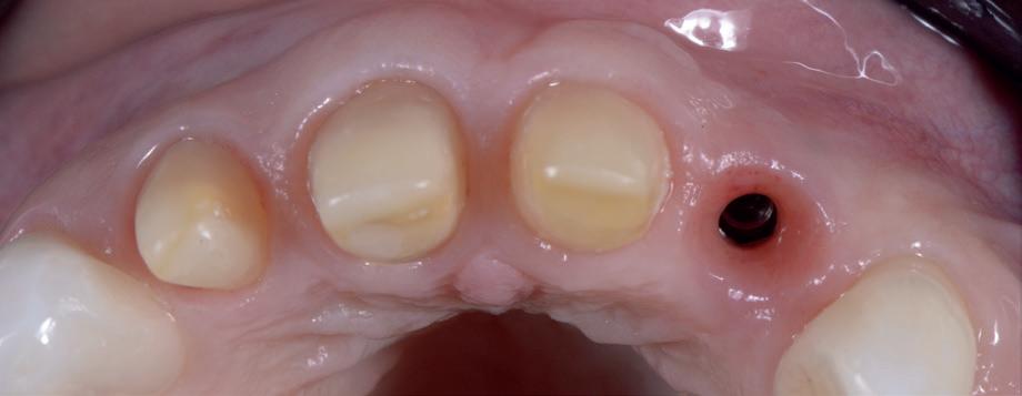
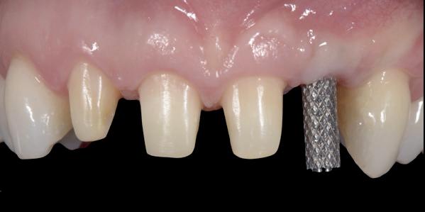
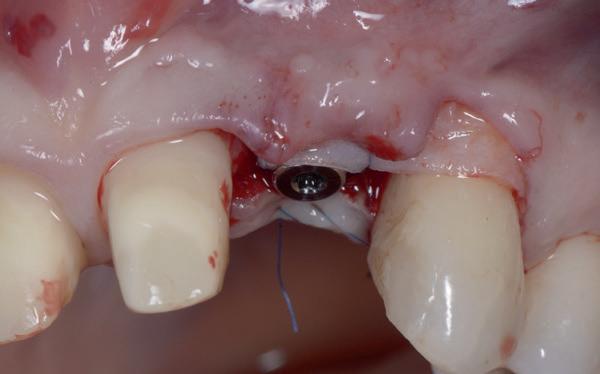
2. 4 maanden na botaugmentatie, plaatsen van het implantaat 22 met soft tissue graft.

3. Vervolgens 4-6 maanden genezings- en maturatiefase om de gingiva te vormen en te laten stabiliseren.

4. Daarna worden de 12,11,21,22 van keramische restauraties voorzien.

Het botdefect wordt geaugmenteerd met een allograft (Biohorizons MinerOss A). Om dit volume te stabiliseren, wordt een titanium versterkt membraan aangebracht (Cytoplast ti-reinforced d-PTFE membraan) met daaroverheen een collageen membraan (Mem-Lok collagen matrix). Na sluiting van de flap wordt de 4-delige PMMA brug, die al is gefreesd in het laboratorium naar aanleiding van de planning, gerelined en geplaatst met een tijdelijk cement (foto 9-14).

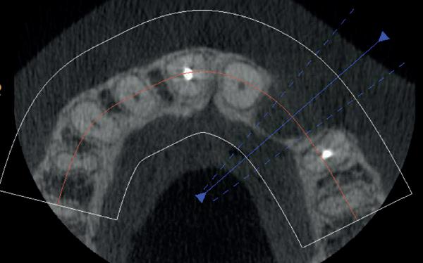
Na vier maanden wordt er een CBCT gemaakt om het botvolume te kunnen beoordelen en een digitale planning te kunnen maken voor het plaatsen van het implantaat. Tevens wordt de stabiliteit van de botpieken op het buurelementen bekeken (foto 15 en 16).

Tijdens het verwijderen van het membraan is het botvolume klinisch waarneembaar en blijkt dat er voldoende bot is om het implantaat te kunnen plaat-

sen. Tijdens deze procedure wordt er ook een free gingival graft van het palatum gehaald. Deze wordt buccaal aangebracht van de 22 en 23 om zo de recessie zoveel mogelijk te bedekken en de papil tussen de 22 en 23 van meer volume te voorzien.

De flap en graft worden met poly-propelene 6.0 hechtingen gefixeerd. De tijdelijke reconstructie wordt herplaatst (foto 17-20).

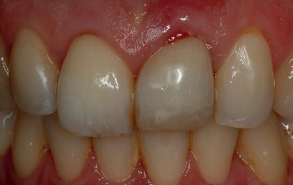
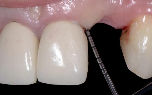
Na 4-6 weken kan het aangebrachte healing abutment worden vervangen door een tijdelijk abutment. Deze wordt aan de kunststof reconstructie verbonden om zo de gingiva ter plaatse van de 22 te vormen. Zo lijkt het of er geen implantaat maar nog steeds een wortel aanwezig is, wat het esthetisch eindresultaat ten goede zal komen (foto 21-23). Vanaf 4-6 maanden ziet het weefsel er gezond uit. Nu kan met de uiteindelijke restauratiefase worden gestart (foto 24 en 25).

Er wordt een afdruk of een intra-orale scan genomen van de situatie met tijdelijke voorzieningen en de geprepareerde situatie. Ook mag een portretfoto en mondfoto niet ontbreken. Al deze informatie gaat naar het laboratorium zodat de onderstucturen van de restauraties gemaakt kunnen worden (foto 26).

De vier restauraties worden in samenspraak met de ceramist en de patiënt gecustomized. Op dit moment kunnen er nog details worden aangepast om zo het mooiste eindresultaat te behalen.

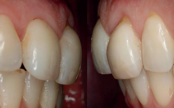
Bij de evaluatie van deze casus blijkt dat het herstellen van de processen alveolaris ter plaatse van de 22 is gerealiseerd en dat de gingiva qua positie en volume rond de 22 en 23 is verbeterd. Het implantaat is goed ge-osseointegreerd en de gingiva rond het implantaat heeft een natuurlijke vormgeving gekregen. De kronen zijn met moderne technologie en esthetisch hoogwaardig vervaardigd door het Oral Design Center Holland. Met dank aan Eric van der Winden.

De dentale mediaanlijn is rechtop gezet, maar staat niet helemaal gelijk met de faciale mediaan. Echter, mevrouw is functioneel en esthetisch naar tevredenheid afbehandeld (foto 27-30).

Implantologie in de ethetische zone 25
26 27 26 28 29 25 24 21 22 23 30

Conclusie

Deze casus toont aan dat er vaak meerdere behandelingen nodig zijn in de esthetische zone. En dat iedere stap belangrijk is om tot een fraai maar ook een zo stabiel mogelijk eindresultaat te komen. Mijn advies is daarom ook om voor deze behandelingen en de daarbijhorende genezings- en maturatiefase de tijd te nemen, want dat komt het eindresultaat ten goede. Tijd is je vriend!

De auteur

Martijn C. Moolenaar, specialist in prosthodontics en implantologie, Dental Design Center Blaricum.

Advertentie

DENTEVENT • NR 5. 2024 - Tandheelkunst • 25 jarig jubileum • 14 juni 2024 • Singer Laren

MARTIJN MOOLENAAR

De kunst van Implantologie in de esthetische zone

Airway Dentistry: wie kan er nee zeggen tegen een kind?

ERIK-JAN MUTS

Enamel Defects Demystified

Restaureren, kunst of een kunstje?

Voor meer informatie en aanmelden:

Scan de QR code

ERIC VAN DER WINDEN
Dit wil je niet missen!

Hoe ga je ermee om?

Pijnstilling na een implantologiebehandeling?

In deze editie van Vast en Zeker gaan we dieper in op pijnstillende medicatie rondom een implantologiebehandeling, met het doel om napijn tot een minimum te beperken.

Na het uitvoeren van een chirurgische ingreep in de mond zal doorgaans - in meer of mindere mate - napijn ontstaan. Soms geven patiënten aan tegen een implantologiebehandeling op te zien, omdat er tijdens- en na de behandeling pijn wordt verwacht. De mate van de napijn wordt doorgaans overschat wanneer een patiënt een behandeling zal ondergaan welke nog niet eerder heeft plaatsgevonden.1 Omdat veel patiënten geen ervaring hebben met een implantaatbehandeling, is de angst voor napijn groot.2 Het is dan ook belangrijk om patiënten goed te informeren over de verschillende behandelstappen en de te verwachten nabezwaren. Angst voor de behandeling- en postoperatieve pijn zal met goede voorlichting afnemen; door bijvoorbeeld te vergelijken met de pijn na een extractie, welke implantologiepatiënten doorgaans wel al hebben ondergaan in het verleden.3,4 Uit onderzoek blijkt dat een implantaatbehandeling minder napijn geeft en de napijn sneller afneemt in vergelijking met napijn na een extractie.7 Een verklaring hiervoor kan zijn dat een implantaatbehandeling doorgaans minder traumatisch is voor het lichaam.8

De nabezwaren bij implantologiebehandelingen zijn in bijna alle gevallen mild. Na zes uur is de pijn doorgaans op zijn hevigst waarna deze snel afneemt. De meeste zwelling ontstaat na 48 uur en zal daarna snel in omvang afnemen.5

Een implantologie-behandeling laat zich goed verdoven met lokale infiltratie anesthesie. Aan te raden is om ruime verdoving te geven omdat patiënten het vertrouwen kunnen verliezen in de voor hen doorgaans spannende behandeling indien de anesthesie voortijdig uitwerkt. Ook is het verstandig met de patiënt af te spreken dat hij/zij het tijdig aangeeft wanneer tòch pijn tijdens de behandeling optreedt (bijvoorbeeld door de hand op te steken). Indien er een behandeling is uitgevoerd waarbij veel zwelling is te verwachten, dan kan koeling helpen om de zwelling te beperken. Zwelling na behandeling geeft meer druk op de wond met kans op meer napijn. Zie hiervoor ons eerdere artikel in vast en zeker over koeling.

Type behandeling en de te verwachten napijn

Rondom een implantologietraject zijn vele type behandelingen mogelijk. Implantaatplaatsing, al dan niet gecombineerd met een extractie (immediate-placement), botbreedteherstel, sinuslifting, weke-delenchirurgie (tandvleestransplantatie) of pre-implantologisch botherstel. Met name de grootte van de chirurgische opklap en de behandelduur bepalen de mate van napijn.9,10,11 Bij implantaatplaatsing zonder botherstel is de te verwachten napijn

28 VAST EN ZEKER

minimaal. Hetzelfde geldt voor de zogenaamde immediate-placement procedure waarbij het tandvlees niet wordt opgeklapt. Bij weke-delen chirurgie, zoals het aanbrengen van een bindweefselgraft, geeft de donorplaats (veelal palatum/tuber) de meeste nabezwaren.

Met name de grootte van de chirurgische opklap en de behandelduur bepalen de mate van napijn

Afbeelding 1 en 2. Een immediate placement (afbeelding 1) is maar weinig invasief en zal weinig nalast geven. Bij een uitgebreide botopbouw (afbeelding 2) daarentegen is de wond veel groter en kan er meer nalast verwacht worden.

Bij uitgebreidere behandelingen zoals botbreedteen/of hoogteherstel is er vaak sprake van een groter chirurgisch gebied. De mucosa en het botvlies (periost) worden verder afgeschoven en vaak is het noodzakelijk om het rijkelijk doorbloede periost in te snijden (klieven) om de mucosa weer spanningsvrij te kunnen hechten na de ingreep. Dit heeft meer bloeding en zwelling tot gevolg, hetgeen weer meer druk geeft op het wondgebied. Ook de patiënt zelf is

van invloed op de pijnbeleving. Zo ervaren oudere patiënten en rokers meer napijn in vergelijking met patiënten die niet roken en/of jonger zijn.5, 6

Pijnstillingsprotocol implantologie

Napijn na een implantologie-behandeling valt over het algemeen goed te bestrijden met pijnstillers. Er zijn vele soorten pijnstillers verkrijgbaar in Nederland, zowel met als zonder recept. In de implantologie adviseren wij gebruik te maken van de WHO-pijnladder. Dit protocol bestaat uit drie stappen. In elke stap wordt een pijnstiller toegevoegd als het pijnstillende effect van de voorgaande stap onvoldoende werkt:

• Stap 1. Paracetamol

• Stap 2. Indien paracetamol onvoldoende effect heeft: een NSAID toevoegen

• Stap 3. Indien de paracetamol + NSAID onvoldoende effect heeft: een opioïde toevoegen

Elke medicatie heeft een inwerkingstijd. Deze verschilt per soort medicatie en per manier waarop het wordt toegediend. Het medicijn moet in de bloedbaan van de patiënt terechtkomen om effect te hebben. Eenmaal in de bloedbaan heeft het medicijn een bepaalde concentratie (spiegel). Deze spiegel is direct na toediening hoog, waarna deze zal gaan dalen als het lichaam het medicijn afbreekt. Omdat voor sommige patiënten het bereiken van de spiegel langer kan duren, is het aan te raden om het gebruik van pijnmedicatie al voor de behandeling te starten.12

Stap 1. Paracetamol

De pijnstiller die als eerste voor wordt geschreven is paracetamol, ook wel acetaminofen genoemd. Het is een veelgebruikte pijnstiller en over het algemeen ook de veiligste. Bovendien is paracetamol gemakkelijk en zonder recept verkrijgbaar. De meeste mensen hebben paracetamol dan ook al in huis.

Pijnstilling na een implantologiebehandeling 1 2 29

De kunst van zien wat

anderen niet kunnen zien.

Handgemaakte

loepbrillen & LED verlichting

Een echt ergonomische oplossing is een oplossing die het werk voor de arts of behandelaar doet.

Dit revolutionaire loepbrilontwerp doorbreekt voor het eerst het concept van de declinatiehoek, waardoor het niet langer nodig is om naar beneden te kijken en voorover te bukken om iets goed te kunnen zien. Ergo-loepbrillen stellen je in staat om een neutrale, rechte houding aan te nemen en met ontspannen ogen recht vooruit te kijken. Zoals we van nature doen gedurende het grootste deel van de tijd dat we wakker zijn. Rug, nek en ogen worden zo minder belast, waardoor je gezondheid wordt beschermd.

Een ergonomisch ontwerp met de hoogste vergroting in de markt. Voor de uiterste nauwkeurigheid die jij nodig hebt.

Het probleem

Een statische, vaak verkrampte houding veroorzaakt microtrauma’s aan spieren, gewrichten en gewrichtsbanden;

Onze oplossing

dagelijkse schade die sneller toeneemt dan het lichaam ze kan herstellen. Een slechte werkhouding kan op termijn ernstige gevolgen hebben voor je belastbaarheid en in het ergste geval leiden tot structurele uitval en blijvende schade. Je kunt je functie niet meer uitoefenen en zal je loopbaan wellicht voortijdig moet beëindigen.

Ergo-loepbrillen zijn de eerste echte ergonomische loepbrillen die op maat gemaakt worden. Daarom passen ze perfect bij de biomechanica van elk individu. Hierdoor werkt de bril mee, in plaats van tegen het lichaam, door een natuurlijke houding stopt de overbelasting van het lichaam en zorg je voor een gezonde werkhouding.

+31 6 15 04 18 25 info@admetec.nl www.admetec.nl
verdere hulp bij het kiezen van jouw loepbril de best bijbehorende lamp, raden we je aan contact met ons op te nemen of onze website te raadplegen.
Voor

Paracetamol werkt koortsverlagend en heeft een pijnstillende werking bij lichte tot matige pijn. Het heeft geen ontstekingsremmend effect zoals NSAID’s wel hebben. Hoewel het middel al zeer lang gebruikt wordt is het exacte werkingsmechanisme nog onbekend.

Paracetamol staat niet altijd bekend als een goedwerkende pijnstiller. Dit komt omdat het middel vaak onjuist wordt gebruikt. Paracetamol moet namelijk goed opgenomen zijn in het bloed en een constante hoge bloedspiegel bereiken voordat het goed werkt.

Dit wordt doorgaans bereikt door op vaste tijdstippen drie- of viermaal per dag een hogere dosering van 1000mg paracetamol in te nemen.

Om een voldoende bloedspiegel te bereiken is het aan te bevelen de paracetamol tijdig te starten. Er kan bijvoorbeeld gekozen worden om al een uur voor de implantaatbehandeling te beginnen met de inname van paracetamol.13,14

Stap 2. Indien paracetamol onvoldoende effect heeft: NSAID toevoegen

Indien paracetamol onvoldoende effect heeft om de pijn voldoende te verlagen, is de volgende stap om een Non-Steroidal Anti-Inflammatory Drug (NSAID) toe te voegen. Let wel, naast de NSAID dient ook de paracetamol gebruikt te blijven worden. De meest bekende NSAID is ibuprofen. Ibuprofen wordt gegeven bij matige tot ernstige pijn. De combinatie van Paracetamol met een NSAID blijkt effectiever te werken dan een hoge dosis van alleen ibuprofen (zoals 600 of 800mg). Een hogere dosering ibuprofen geeft daarentegen wel een groter risico op bijwerkingen.

Ibuprofen remt het enzym cyclo-oxygenase (COX1 en COX-2) dat vrijkomt bij ontsteking, waardoor de aanmaak van prostaglandine wordt verminderd. Prostaglandines zijn betrokken bij het veroorzaken van ontsteking, pijn en koorts. Het enzym cyclo-oxygenase COX-2 is betrokken bij de productie van deze prostaglandines. Door dit enzym te remmen heeft ibuprofen een ontstekingsremmend, pijn-

stillend en koortsverlagend effect. Echter, er zijn ook prostaglandines die een beschermende functie van onder andere hart, nieren en maag hebben. Het enzym cyclo-oxygenase COX-1 is betrokken bij de productie van deze prostaglandines. Door dit enzym te remmen wordt deze beschermende functie sterk verminderd zodat er gemakkelijk hart-, nier- en maagklachten kunnen ontstaan. Indien een patiënt al bekend is met maagklachten mag er dan ook geen NSAID voorgeschreven worden of moet er een maagbeschermer bij gegeven worden.

Er zijn diverse NSAID’s die verschillen in de mate waarin COX-1 en COX 2 worden geremd. Zo heeft Diclofenac het laagste gastro-intestinale risico (zoals een maagzweer) maar het hoogste cardiovasculaire risico (zoals een herseninfarct) onder de NSAID’s. Naproxen heeft daarentegen juist het hoogste gastro-intestinale risico, maar wel het laagste cardiovasculaire risico.15 Indien het gebruik van ibuprofen niet werkt, is het af te raden om de dosis te verhogen. Verstandiger is om in plaats van ibuprofen een ander NSAID voor te schrijven zoals Naproxen of Diclofenac.

Soms vraagt de patiënt om “brufen 600mg bruis zakjes” voor te schrijven. Omdat de werkzame stof dezelfde is als ibuprofen in tabletvorm en de inwerkingssnelheid maar zeer beperkt sneller is, hebben de brufen bruiszakjes nauwelijks meerwaarde. Omdat brufen bruis via voorschrift gaat is dit daarentegen wel een veel kostbaarder middel om voor te schrijven.

Ibuprofen wordt als een veilig medicijn beschouwd, echter zijn er wel enkele belangrijke contra-indicaties voor het gebruik van dit medicijn. De belangrijkste contra-indicaties van ibuprofen zijn:

• NSAID’s remmen de trombocyten-aggregatie-remming van Acetylsalicylzuur en Ascal. Het risico op een nabloeding wordt dan groter. Gebruik van ibuprofen wordt dan ook ontraden als patiënten Acetylsalicylzuur of Ascal gebruiken

Ibuprofen wordt afgeraden voor mensen die maagzweren hebben of het risico lopen maagzweren of maagbloedingen te krijgen. Ibuprofen kan het risico op maagzweren en bloedingen verhogen.

• Allergie

Bij patiënten met een voorgeschiedenis van harten vaatziektes wordt het afgeraden om ibuprofen te gebruiken. Ibuprofen kan het risico op hart- en vaatziekten, zoals hartaanvallen en beroertes verhogen.

• Gebruik van ibuprofen tijdens de zwangerschap

Pijnstilling na een implantologiebehandeling 31

Ontdek de nieuwe manier om dentine restauraties efficiënt, gemakkelijk en met optimale remineralisatie uit te voeren.

Uniek bioactief bulk-fill materiaal op basis van synthetisch tricalciumsilicaat voor optimale sealing

Hoge druksterkte vergelijkbaar met dentine voor een solide restauratie

Anti-bacteriële eigenschappen dankzij hoge pH-waarde

Bulk-Fill Bio Procedure

1 All-in-one cartridges

2 Perfecte mix & vloeibaarheid

3 Directe toepassing

Ontdek de lanceringsactie

Vraag vrijblijvend een demo Scan de QR-code hiernaast

Septodont NV-SA - Grondwetlaan 87 - 1083 Brussel - België

www.septodont.nl - www.biodentinexp.nl

NIEUW

wordt, met name in het eerste trimester, sterk afgeraden omdat Ibuprofen problemen veroorzaakt bij de zich ontwikkelende foetus. Gebruik van ibuprofen bij patiënten met nierziektes wordt afgeraden omdat ibuprofen de nierschade kan verhogen.

• Gebruik van ibuprofen bij patiënten met leverziektes wordt afgeraden omdat ibuprofen de leverschade kan verhogen.

Stap 3. Indien de paracetamol + NSAID onvoldoende effect heeft: een opioïde toevoegen Indien pijn niet onderdrukt kan worden na het volgen van stap 2, of als er geen NSAID gebruikt kan worden (bijvoorbeeld door het gebruik van trombocyten-aggregatie-remmer) kan een opioïde in combinatie met NSAID en paracetamol voorgeschreven worden. Vanzelfsprekend wordt de NSAID achterwege gelaten als een patiënt geen NSAID’s mag gebruiken. Er is in deze gevallen sprake van ernstige pijn, hetgeen maar zeer zelden voor zal komen na een implantologie behandeling. Opioïden hebben geen ontstekingsremmend effect zoals een NSAID wel heeft.

Zowel zwak als sterkwerkende opioïden remmen de pijngewaarwording van het centrale en perifere zenuwstelsel door de opioïdereceptoren te stimuleren. Dit geeft echter ook bijwerkingen. Zwakwerkende opioïden zoals Tramadol hebben een lagere affiniteit voor deze opioïde receptoren dan sterk-werkende opioïden. Echter beide types opioïden hebben wel dezelfde bijwerkingen. Om die reden wordt er doorgaans direct voor een sterk-werkend opioïde (zoals morfine) gekozen in plaats van een zwak-werkend opioïde. Bij het gebruik van een opioïde moet men alert zijn op het ontstaan van obstipatie. Daarom is het bij een sterkwerkende opioïde aan te bevelen ook een laxans zoals macrogol voor te schrijven. Ook

De auteurs

Frank Andriessen is werkzaam als tandarts-implantoloog bij het Tandheelkundig Centrum Wilhelminapier (www.tand-implant.nl) te Rotterdam. David Rijkens is werkzaam als tandarts-implantoloog bij Mondzorg Kudelstaart (www.mondzorgkudelstaart.nl). Zij zijn daarnaast beiden cursusleider en docent van de MasterClass Implantologie van het ACTA (http://www. acta-de.nl).

dient men de dossering laag te houden omdat er risico is op gewenning waardoor steeds hogere doses nodig zijn. Ook lichamelijke afhankelijkheid kan optreden. Bij patiënten met psychische aandoeningen dienen opioïden niet voorgeschreven te worden omdat deze patiënten extra gevoelig zij op het ontwikkelen van een verslaving. Omdat een opioïde het bewustzijn beïnvloed dient er altijd iemand met de patiënt mee te komen met de behandeling en mag de patiënt nooit zelf deelnemen aan het verkeer.12

Conclusie

Pijnklachten na een implantologie behandeling zijn doorgaans slechts mild van aard. Er kan dan ook in veruit de meeste gevallen volstaan worden met Paracetamol (stap 1). Het advies is om deze paracetamol een uur voor de behandeling in te nemen zodat er voldoende tijd is om de bloedspiegel op te bouwen. Het pijnstillende effect is dan direct werkzaam als de verdoving is uitgewerkt.

Als na de behandeling de pijnklachten toch heviger zijn kan naast paracetamol een NSAID bijgenomen worden, doorgaans ibuprofen. Denk erom dat dit niet geïndiceerd is bij patiënten met een trombocyten-aggregatieremmer. Ook zal overwogen moeten worden om een maagbeschermer voor te schrijven, zeker als een patiënt bekend is met maagklachten.

Bij grote (botaugmentatie) behandelingen kan overwogen worden ook direct met stap 2 te beginnen. Er kan dan geadviseerd worden om paracetamol en ibuprofen in te nemen.

Worden de pijnklachten nog heviger dan is er veelal iets aan de hand, hetgeen een andere actie behoeft dan enkel het bestrijden van de pijn. Denk hierbij aan iatrogene schade die optreedt door bijvoorbeeld ladatie van de onderkaakzenuw of ontsteking van botaugmentatiemateriaal. Het volgen van stap 3 in het pijnprotocol is dan ook extreem zeldzaam bij implantologie behandelingen.

Referenties

De literatuurlijst is op te vragen bij de redactie en in te zien bij het artikel online op www.dentista-magazine.nl

Pijnstilling na een implantologiebehandeling

33

Een 14-jarige terugblik

Ridge preservation met d-PTFE membranen

Een botaugmentatie direct na extractie wordt ook wel “ridge preservation procedure” genoemd, oftewel het behoud van de bestaande botlamellen. Bij het verwijderen van het element en het parodontaal ligament treedt er namelijk altijd botverlies op, waarbij de buccale botlamel vaak het snelst resorbeert. Er zijn meerdere manieren om botresorptie tegen te gaan. Eén daarvan is het gebruik van een niet-resorbeerbare membraan. In dit artikel wordt het gebruik besproken van een titanium versterkte, niet-resorbeerbare, d-PTFE membraan (Cytoplast) op basis van een 14-jarige terugblik.

PTFE (polytetrafluorethyleen) membranen

De eerste niet resorbeerbare membranen waren de PTFE (polytetrafluorethyleen) membranen. Deze werden op de markt gebracht met en zonder titanium versteviging. Nadeel van deze membranen was dat er een tweede chirurgische behandeling nodig was om deze te verwijderen. Primair sluiten was namelijk noodzakelijk bij deze membranen. Daarnaast was er in geval van een expositie van het membraan een grote kans op het mislukken van de botopbouw. De reden hiervoor is dat deze membranen doordringbaar waren voor bacteriën.

Het dense PTFE (d-PTFE) membraan (zowel titanium-versterkt als niet titanium-versterkt) werd in 1997 op de markt gebracht door de firma Osteogenics. Het voordeel van dit membraan is dat het niet doordringbaar is voor bacteriën en dat dit membraan

dus in bepaalde situaties gedeeltelijk onbedekt kan blijven.

Dit membraan kan direct na extractie gebruikt worden bij een ridge preservation procedure, waarbij het membraan gedeeltelijk onbedekt blijft. De weefsels worden met opzet niet primair gesloten, vandaar dat wij dit vanuit onderwijs oogpunt “open GBR” zijn gaan noemen aangezien veel collega’s het beeld hadden/hebben dat de weefsels altijd primair gesloten dienen te worden bij deze procedure. Een voordeel hiervan is dat er geen tweede chirurgie nodig is om het membraan te verwijderen. Deze membranen kunnen ook gebruikt worden wanneer er te weinig bot aanwezig is om te implanteren, maar waarbij de elementen al in een eerder stadium verwijderd zijn. Bij dergelijk defecten is het van belang om het weefsel wel volledig primair te sluiten en noemen wij dit voor de duidelijkheid “gesloten GBR”.

34 MEMBRANEN

In het geval van “open GBR” direct na extractie hoeft de wond dus niet gesloten worden. Zo kan er (nieuw) gekeratiniseerd weefsel worden gecreëerd. Dit komt ten gunste van de breedte van de uiteindelijke hoeveelheid gekeratiniseerde weefsel rondom de hals van het toekomstige abutment, zodat ook de stabiliteit en reinigbaarheid van de suprastructuur verbetert.

Aangezien wij met deze techniek ook bij behandeling van extractie alveoli met veel botschade goede resultaten verkregen, besloten wij om hierover te publiceren. Deze pilotstudie is in het voorjaar van 2023 gepubliceerd en uitgevoerd door Vroom, Gründemann en Urban. In deze pilotstudie werden bij tien patiënten tijdens de extractie een botaugmentatie uitgevoerd met een titanium versterkt d-PTFE membraan. Het membraan werd zowel in de onder- als bovenkaak op de posities van molaren en premolaren gebruikt en er werd botmateriaal in de alveoli aangebracht. Het resultaat was dat er bij alle patienten gemiddeld minimaal botresorptie ontstond na extractie en er wel een toename van botbreedte en -hoogte was opgetreden. Bij twee patiënten was er aan de palatale zijde, waar sprake was van een prominent buiten de processus uitstekende radix, wel lokaal botbreedte verlies. Een toename van de van hoeveelheid gekeratiniseerd weefsel was bij alle patiënten waarneembaar.

Door de jaren heen zien wij ook dat deze techniek in de zijdelingse delen in de bovenkaak zorgt voor meer behoud/herstel van de verticale bothoogte. Het gevolg hiervan is dat een sinuslift vaak kan worden voorkomen of het uitvoeren van een lokale orthograde lift voldoende is.

De indicatie voor “open GBR” zien wij vooral voor de zijdelingse delen. Door hier ook gebruik van te maken in situaties waar de oorspronkelijke kaakbreedte beperkt is, is een aanvullende botopbouw bij het implanteren vrijwel niet nodig aangezien men de breedte behoudt of herstelt. Zeker is dit gewenst, omdat uit de literatuur blijkt dat bij het implanteren

het wenselijk is om minimaal 2 mm bot rondom het implantaat te hebben voor een stabiele toekomstige situatie. Het grote voordeel van deze techniek is dat het niet alleen socket preservatie betreft, maar ook restauratie, en er dus zodoende een optimale boten zachte weefsels situatie gecreëerd wordt voor het plaatsen van een implantaat. Het plaatsen van een implantaatprocedure wordt hierdoor eenvoudiger gemaakt.

Contra-indicaties voor open GBR is restonsteking in de dentitie, zoals onbehandelde parodontitis of onbehandelde endodontische ontstekingen bij buurelementen. In de literatuur wordt roken van >10 sigaretten per dag als beperking gezien. Daarnaast zagen wij in de praktijk de aanwezigheid root embrasure als een contra-indicatie. Het is de vraag waar de grens ligt bij de mate van ontsteking bij het te verwijderen element. Zoals ook blijkt uit de door ons uitgevoerde pilotstudie kunnen bij elementen met veel restontsteking ook goede resultaten worden verkregen.

Casus

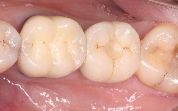
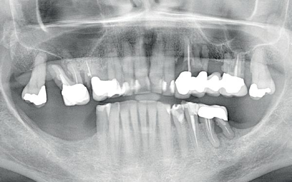
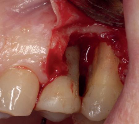
In deze casus is extractie van de 37 geïndiceerd in verband met een fistel en restpockets, zoals zichtbaar op de röntgenfoto’s (afbeelding 1). Duidelijk te zien is de forse peri-apicale ontsteking en het botverlies bij de 37, dat zowel richting buccaal als linguaal doorloopt. De 37 wordt atraumatisch verwijderd. Er is aan de linguale zijde veel bot verloren en er is sprake van een perforatie aan de buccale zijde.

Er wordt besloten om botmateriaal te plaatsen in de extractie-alveole. Vervolgens wordt het afgesloten met een titanium versterkt d-PTFE membraan (afbeelding 2). Na vier weken wordt het membraan verwijderd.

Zes maanden na extractie wordt het implantaat 37 geplaatst. Er is sprake van een goede genezing en de processushoogte en -breedte zijn behouden en opgebouwd. Ook is er zichtbaar gekeratiniseerd weefsel

1 2 Ridge preservation met d-PTFE membranen 35

gewonnen. De wond kan na het plaatsen van een healing abutment primair gesloten worden (Afbeelding 3a-3d).

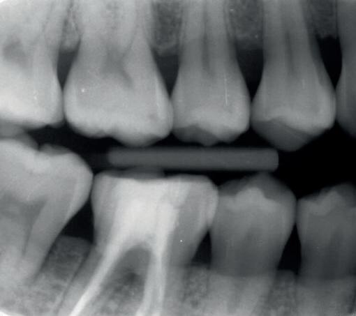
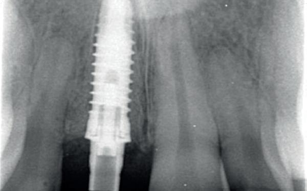
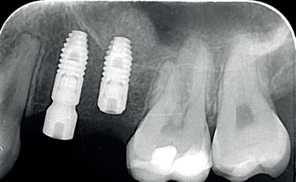
In afbeeldingen 4a-c is het resultaat drie maanden na het plaatsen van het implantaat te zien. De genezing is volledig en de verwijzer kan de suprastructuur vervaardigen (afbeelding 4a-4c).

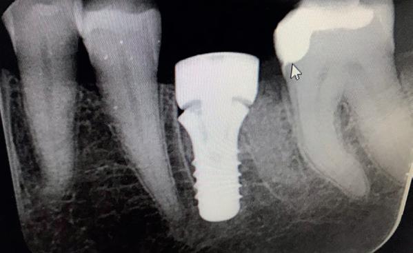
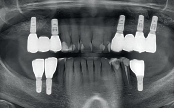
In afbeeldingen 5a-d is de implantaatkroon 37 te zien, twee jaar na plaatsing. Op de röntgenfoto is herstel van zowel corticaal als spongieus bot te zien. (De CB-CT was vervaardigd in verband met implantologische indicatie in het naastliggende gebied).

Deze casus illustreert dat er op een voorspelbare manier een ridge preservation procedure uitgevoerd kan worden met een d-PTFE membraan en er daarna voorspelbaar geïmplanteerd kan worden.

Praktische tips voor ridge preservation met d-PTFE membraan:

• Het begin is het halve werk: probeer zo atraumatisch mogelijk het element te verwijderen.

• Probeer zoveel mogelijk het titanium in het membraan intact te laten na het in de correcte vorm knippen van het membraan. Bij het plaatsen van het membraan, is het van belang dat de zijde met de dimples bovenaan ligt.

• Buig het membraan alvast in de goede vorm voordat je het definitief gaat plaatsen en bedenk dat de vorm dicteert waar het bot gaat komen. Belangrijk is dat alle randen van het membraan bedekt zijn met weefsel, omdat er anders een porte d ’entrée kan ontstaan voor bacteriën.

• Het is verleidelijk om de wondranden strak naar elkaar toe te trekken tijdens het hechten, maar het belangrijkste is dat de randen van het membraan bedekt zijn en de flap/weefsel gestabiliseerd wor-

36 22 21 20 5a 5b 5c 5d 3c 3b 3a 4a 3d 4c 4b

den. Voor deze procedure hoeft er immers niet primair gesloten te worden.

Begin met een relatief eenvoudige extractie, zoals een (pre)molaar in de onderkaak.

• Wij kiezen voor titanium verstevigde d-PTFE membranen, omdat deze eenvoudig onder (interdentale) weefsels te plaatsen zijn. Een titanium verstevigde d-PTFE membraan behoudt meer vorm dan een niet titanium verstevigd d-PTFE membraan.

Conclusie

Doordat d-PTFE membranen niet doordringbaar zijn voor bacteriën, kunnen deze goed worden toegepast bij een botopbouw na extractie. Het zorgt voor behoud en herstel van zowel hoogte als breedte van de processus alveolaris. Tevens wordt er meer gekeratiniseerd weefsel gecreëerd, wat zal leiden tot stabiele weefsels rondom suprastructuren.

De auteurs

K.G.D. Buurma studeerde in 2013 af als tandarts (RuG) en in 2020 als tandarts-parodontoloog (ACTA).

M.G. Vroom studeerde in 1994 af als tandarts (ACTA) en in 1998 als tandarts-parodontoloog (ACTA).

L.J.M.M Gründemann studeerde in 1988 af als tandarts (RU Utrecht) en in 1998 als tandarts-parodontoloog (ACTA).

Alle auteurs zijn parodontoloog erkend door de NVvP en zijn werkzaam in de Parodontologie Praktijk Friesland (PPF). M.G. Vroom en L.J.M.M Gründemann zijn tevens erkend door de NVOI als implantoloog.

Advertentie

Hands-on cursus:

Digitale workflow uitneembare prothetiek

De gouden standaard voor het vervaardigen van kroon en brugwerk is de afgelopen jaren veranderd van analoog afdrukken naar intra-oraal scannen. En niet voor niets, want er zijn velen voordelen te behalen. In samenwerking met 3Shape zal dr. P.J.A. van Eekeren zijn ervaringen op deze vlakken met de cursisten gaan delen middels een speciale roadshow op verschillende locaties in Nederland. Tijdens een 2,5 uur durende avondcursus gaan we kijken naar de behandelplanning. Wat moet je communiceren met je tandtechnicus? Ook gaan we aan de slag met het fysiek scannen van een prothese. Kortom een avond die geheel in het teken zal staan van de digitale kanten van de (partiële) (implantaat gedragen) gebitsprothesen.

Een avond die je niet mag missen als tandarts of tandprothetist!

Nog een paar plekken vrij!

Data en locaties:

Woensdag 27 maart 2024 - Hoorn - vanaf 18 uur

Donderdag 11 april 2024 - Dordrecht - vanaf 18 uur

Kosten: € 75,KRT/KRTP punten: 2,5 punten

Wil je hier ook bijzijn? Verzeker jezelf dan snel van een plek en meld je aan via de QR-code www.aanmelder.nl/3shape

NIEUWE STAP NAAR DE TOEKOMST

Rodenburg Zorgoplossingen bouwt en renoveert al jarenlang mondzorgpraktijken. Met de missie om van klanten ambassadeurs te maken is de klantenkring de afgelopen jaren flink gegroeid. Inmiddels is Rodenburg, een familiebedrijf gevestigd in het midden van Nederland, een bekende naam in de markt en worden er jaarlijks tientallen droompraktijken gerealiseerd.

INTERIEURBOUW TOEGEVOEGD

Als turn-key specialist was het leveren en plaatsen van interieur (behandelmeubels etc.) altijd al een onderdeel van de dienstverlening maar door sterke prijsstijgingen in de corona periode werd de wens steeds groter om interieurbouw als specialisatie zelf in huis te halen. Toen de mogelijkheid voorbijkwam om een interieurfabriek over te nemen sprong Tim Rodenburg hier direct op in. De overname van het machinepark en een groot deel van de vakmensen was in korte tijd beklonken. Na een grote verbouwing van het pand van Rodenburg in Veenendaal was de productie rond de feestdagen klaar om opgestart te worden.

KLAAR VOOR DE START!

Vanaf 1 januari dit jaar kan elke mondzorgpraktijk voor haar interieur terecht bij SKAPA, de naam waarmee de interieurbouw een formeel onderdeel van de Rodenburg familie is geworden. In Nijkerk wordt inmiddels druk gebouwd aan een volledig nieuwe showroom waarin het complete assortiment van SKAPA getoond zal worden.

MAATWERK DOOR VAKMENSEN

Met de integratie van SKAPA wil Rodenburg haar klanten rechtstreeks kwaliteitsmeubelen op maat leveren tegen een competitief prijsniveau. Met ons specialisme in Solid Surface en de vakmensen die we in huis hebben leveren we ook 100% maatwerk voor de high-end mondzorgpraktijken.

MOOIE DROMEN

Door deze nieuwe en grote stap voorwaarts verwacht Rodenburg nog meer droompraktijken en daarmee ambassadeurs te kunnen realiseren. Met mooie mensen, mooie dingen creëren is het motto bij Rodenburg!

Een vak apart. Rodenburg zorgoplossingen Fokkerstraat 19 3905 KV Veenendaal 0318 -46 33 68 info@rodenburgbv.nl www.rodenburgzorg.nl

DENTAL EXPO PRODUCTNIEUWS

Intraoral scanning that simply makes sense

De Trios 5 maakt scannen nog eenvoudiger, zodat u zich kunt concentreren op het bieden van de uitstekende zorg, waardoor uw patienten met een glimlach terugkeren. Het hart

van TRIOS 5 wordt gevormd door onze ScanAssist-engine. De intelligente uitlijningstechnologie zorgt elke keer voor nauwkeurige scans, eenvoudig en efficiënt. Bovendien heeft de Trios 5 haptic feedback die u begeleidt tijdens het scannen, zodat het scannen soepeler en sneller dan ooit verloopt! Het is

American Eagle Instruments: nieuwe chirurgische instrumentenlijn

Op de Dental Expo in Amsterdam presenteert de dentale producent American Eagle Instruments zijn nieuwe chirurgische instrumentenlijn. De focus ligt op de instrumenten waarmee 80 procent van alle chirurgische ingrepen wordt uitgevoerd. Hoogwaardige materialen, ergonomische handgrepen en een matte afwerking om reflecties te voorkomen zijn daarom standaard. American Eagle produceert hoogwaardige tandheelkundige handinstrumenten die efficiënte processen, tijdsbesparing en ergonomisch comfort bieden. Wij staan bekend om onze niet-slijpende XP Scalers, Curettes en Double Graceys die hun vorm, functie en scherpte gedurende hun hele levensduur behouden.

De chirurgische instrumenten zijn voorbestemd voor het werken met een loepbril of een microscoop. Het matte oppervlak vermindert verblinding bij sterke verlichting en geeft een duidelijk contrast met het slijmvlies en het tandvlees. Dit ontlast de ogen en verbetert het zicht op het operatiegebied, wat de controle verhoogt en de precisie van de ingreep bevordert. Meer veiligheid wordt ook geboden door de ergonomische handgrepen, die maximale grip bieden. Alle oppervlakken zijn gemakkelijk te reinigen en voldoen aan de eisen voor het hygiënisch werken met de instrumenten

ook onze kleinste en lichtste scanner op de markt. Sterker nog: deze slanke scanner met pengreep is perfect uitgebalanceerd en gemaakt om comfortabel in elke hand te passen. Ook die van jou. Het is de scanner die precies goed aanvoelt.

De TRIOS 5 is door de FDA goedgekeurd en zet een nieuwe standaard op het gebied van hygiëne en infectiebeheersing. Hij heeft een nieuw hygiënisch ontwerp van de behuizing. Hij beschikt over een volledig gesloten autoclaveerbare scantip. Een verzegelde spiegel met krasvrij saffierglas. En een ultradunne, nauwsluitende en vrijwel onzichtbare hoes die het risico op kruisbesmetting minimaliseert!

Simply hygienic. Simply ergonomic. Simply effortless. Simply TRIOS!

Het assortiment omvat alleen producten die daadwerkelijk nodig zijn voor de behandeling, zoals klemmen, tangen, scalpels, naaldhouders, scharen, chirurgische curettes en raspinstrumenten. Een perfect op elkaar afgestemde set van tien microchirurgische instrumenten maakt het assortiment compleet. Ze worden bijvoorbeeld gebruikt voor esthetische ingrepen zoals gingiva recessie en voor tunneling. Alle micro-chirurgische instrumenten zijn vervaardigd volgens de hoogste Duitse normen en garanderen maximale precisie.

Bezoek ons op Stand E119 op de Dental Expo. Contact: Flip van Dalen, 06 31 919 600, mail: fvandalen@younginnovations.com

39
KWALITEIT, INNOVATIE
PRIJS/KWALITEIT VERHOUDING
EN OVERZICHTELIJK ASSORTIMENT FULL ARCH, MAXILLA-FOR-ALL®, GUIDED SURGERY GOEDE CURSUSSEN OP LOCATIE IN MODENA, ITALIË MEMODENT B.V. | T +31 (0) 53 430 66 63 | E info@memodent.nl | W www.memodent.nl Maak kennis met JDentalCare De marktleider uit Italië MULTITALENT Nozzles compatibelmet MyLunos® Flexibiliteit tijdensde behandeling Betrouwbare service Video MyLunos Duo® Het nieuwe MyLunos Duo® combi-apparaat ▪ Supra- en subgingivale profylaxebehandeling met ultrasoon en poederstraal ▪ Permanente luchtstroom voor bescherming tegen verstopping ▪ Snelle poederwissel dankzij twee kamers ▪ Nozzles compatibel met het MyLunos® poederstraal-handstuk Meer op www.lunos-dental.com NIEUW! AZ_MyLunosDuo_185x134mm_NL.indd 1 29.09.23 11:25
EENVOUD,
UNIEKE
COMPLEET

DENTAL EXPO PRODUCTNIEUWS

DESS: Leading

Universal Abutments & Implants Manufacturer

DESS Dental provides the widest range of compatible abutments and prosthetic solutions on the market. DESS is Quality, Precision, Innovation & Efficiency

+15 Years of Experience in the Dental Industry. Strong presence spanning 35 countries and growing Widest range of Abutments compatible with 32 Implant Systems + 2,500 product references Delivery in 24h across Europe

• 2 Implant systems: ACTIVE HEX & CONICAL BLT

Lifetime Replacement Warranty for all DESS components, including the abutment screw.

EU manufactured products. Regulatory clearance: CE, FDA, Health Canada & more!

Featured Products | Discover DESS Abutments at Dental Expo 2024! Visit us and find out a product assortment that will cover any of your needs: Digital Analogues,

DESSLoc Removable Overdenture, Multi-Unit Abutments, Scan Abutments, Pre-milled Blanks, Ti-Base, ANGLEBase Angled Solution & much more!

DESS Implants: The First Zero Waste Implants on the market

Discover all about ACTIVE HEX & CONICAL BLT implants at Dental Expo 2024. Visit our stand and receive an Exclusive Offer on DESS Implants!

Groundbreaking DESS Technologies: We rely on innovation to ensure that you stand by your patients with the highest quality. Patents and unique surface treatments will guarantee the best results.

SelectGrip: Our revolutionary technology ensures 500 times more bonding retention.

• Periocoat: ZrN Surface treatment: Experience less inflammation, reduced plaque adhesion, and superior corrosion resistance, setting new standards in periim-

Venus Pure Shades – Take it Easy!

Wilt u de stoeltijd verkorten en tegelijkertijd anterieure en posterieure restauraties moeiteloos uitvoeren in monochromatische lagen? Met de vier nieuwe Venus Pearl Pure Shades en Venus Diamond Pure Shades voldoet u aan de eisen van uw patiënten en vereenvoudigt u uw workflow maximaal.

Perfecte kleuradaptatie bij anterieure en posterieure restaura-

plant health.

Pure Switch by DESS: Full compatibility and interchangeability with the implant connection & components.

Want to experience Excellence? Join DESS at Dental Expo 2024 and get Exclusive Offers!

ties: Versnel uw restauratieve behandelingen en verkort de stoeltijd eenvoudig. De innovatieve oplossing van de Venus Pure Shades vereenvoudigen uw dagelijkse werkzaamheden effectief – slechts vier kleuren voor 90% van all uw restauratieve behandelingen, geweldige resultaten en tevreden patiënten.

Minder stress. Meer succes: Venus Pearl Pure Shades en Venus Diamond Pure Shades zijn gemakkelijk te gebruiken door u en uw team. Dagelijkse restauraties zijn nog nooit zo eenvoudig geweest. Het materiaal blijft mooi staan en zakt niet in. Hierdoor is het perfect te modelleren en ideaal voor uw dagelijkse restauratieve behandelingen. Met Venus Pearl Pure Shades en Venus Diamond Pure Shades krijgt u betrouwbare kwaliteit en klinisch bewezen producten – voor de beste resultaten en een veilige toepassing.

Indicaties: Directe restauraties van klasse I-V caviteiten (volgens G.V. Black), Directe composiet veneers, Vormcorrecties van tanden (d.w.z. diasteemsluiting, aangeboren defect, enz.), Vastzetten van losse tanden veroorzaakt door trauma of parodontologische aandoening, Restauratie van melktanden, Stompopbouw, Keramiek-/composietrestauraties (i.c.m. een geschikt hechtmiddel)

Bestel via uw depot of neem contact op met Kulzer Benelux: +31 (0)23 543 42 50, backoffice-benelux@kulzer-dental.com. Kom ook naar de Dental Expo van 14 t/m 16 maart in de RAI voor meer info en live demonstraties!

41

Payt en de volwaardige patiëntrelatie. Gewoon beter dan factoring.

Veel mondzorgpraktijken hebben de declaraties uitbesteed aan een factoringmaatschappij. De claim is dan dat u zich volledig kunt focussen op de zorg. Het klinkt best logisch, maar is dat het ook? Is er een uitruil tussen aandacht voor financiële vragen en zorgvragen? En zijn die te onderscheiden? Gaat een vraag over de hoogte van de rekening over een redelijke vergoeding, de verwachte kosten, de betaalbaarheid of wellicht over de noodzaak of kwaliteit van de behandeling?

De wereldberoemde tandarts Miguel Stanley van The White Clinic

maakt duidelijk dat een patiëntrelatie bestaat uit drie lagen. Een klinische, emotionele en financiële laag. Lagen die onlosmakelijk verbonden zijn. Ook in een land met vaste tarieven. Stanley stelt dat praktijken die de financiële relatie uitbesteden aan een derde partij zichzelf de kans ontnemen om een volwaardige relatie met de patiënt op te bouwen en te onderhouden. Als praktijk wil je aanspreekbaar zijn op alle aspecten van de relatie, middels directe communicatie. En het beste nieuws? De eerder benoemde uitruil bestaat niet. Wie uitbesteedt bespaart niets. Uitbesteding leidt niet tot meer of betere zorg. Wie zelf het financiële klantcontact ter hand neemt, wordt niet drukker maar slimmer, effectiever, menselijker en efficiënter. Want daar zorgen we voor als Payt. Geautomatiseerd werken waar het kan met de fijnste en slimste technologie, zodat het persoonlijk kan waar het moet.

Payt is vriendelijker, slimmer én veel goedkoper. Gewoonweg beter dan factoring. Voor patiënt en praktijk.

Contactinformatie: Jeroen Krosse, Directeur Payt, +31 6 29 00 24 96, payt.nl/mondzorg , Dental Expo stand D152

130 jaar kennis, van toen naar straks

Als ‘s werelds grootste fabrikant van dentale producten en technologieën ondersteunen wij dentale professionals over de hele wereld. Het is onze missie de tandheelkunde te blijven transformeren en innoveren om de mondgezondheid wereldwijd te blijven verbeteren. Innovatie is de kern van ons DNA. Samen met klanten ontwikkelen wij kwaliteitsproducten waarmee patiënten de best mogelijke behandeling en zorg krijgen. Meer dan 130 jaar aan kennis hebben we de tandheelkunde helpen transformeren met baanbrekende innovaties. Onze meest recente productontwikkeling DS Core. Ervaar wat digitalisatie met DS Core voor u kan betekenen. DS Core, het platform waarbij Digital Services and Solutions samenkomen. De opstap naar krachtige samenwerking, verbeterde connectiviteit en meer efficiëntie via cloudopslag. Direct, veilig en geanonimiseerd patiënten documentatie versturen naar uw behandelteam behoort tot de mogelijkheden.

Het beste uit anderen halen: Elke dag proberen we het leven van mensen te verbeteren door het leveren van verbeterde mondgezondheidszorg. We zijn trots op dit werk en kijken uit naar uw bezoek aan de Dental Expo 2024 waar wij u graag alles vertellen over onze producten en diensten!

Dentsply Sirona Benelux B.V. Signaalrood 55, 2718 SG Zoermeer, Nederland. Tel: +31 88 024 52 00

Website: www.DentsplySirona.com

Email: benelux-info@dentsplysirona.com

42 DENTAL EXPO PRODUCTNIEUWS

SMILECLOUD. The smile design and collaboration platform.

Smilecloud vereenvoudigt de communicatie tussen de behandelend tandarts, de verwijzend tandarts en het laboratorium. Dat niet alleen. Het zorgt er bovendien voor dat de patiënt daadwerkelijk partner wordt in zijn eigen behandelplan. Bovendien bespaart Smilecloud het behandelend team veel tijd. Zonder deze softwareoplossing voor de patiënt visualiseren wat het resultaat van zijn behandeling zal zijn is niet alleen veel minder verfijnd, het is ook tijdrovend. Met Smilecloud wordt hierin in heel korte tijd grote precisie bereikt.

Interesse om de voordelen van Smilecloud ook in uw praktijk toe te passen? Maak dan nu gebruik van ons unieke aanbod van een 14-daagse free trial zonder verplichtingen. Meld je aan op www.straumann.com. Bezoek ook onze stand (E124) op de Dental Expo.

HuFriedyGroup, Circle of Protection:

De naam Hu-Friedy staat wereldwijd bekend om het vervaardigen van tandheelkundige instrumenten van hoogwaardige kwaliteit. Omnia is vooral bekend in Europa voor het maken van steriele disposable tandheelkundige sets en irrigatie lijnen voor chirurgische motoren. Crosstex maakt tandheelkundige disposables zoals mondmaskers, prophy angles, sterilisatie zakjes , patiënten servetten en hoofdsteun zakken. Deze drie topmerken zijn samengegaan onder de naam HuFriedyGroup en kan voor de dentale markt alles aanbieden op het gebied van Instrumentarium, Disposables en Onderhoud.

Contact: Olaf Westening, owestening@hu-friedy.com, 06-54964445

Hu-Friedy, Omnia, and Crosstex are now proud members of
43
DENTAL EXPO PRODUCTNIEUWS

De voordelen aan de hand van een casus

CBCT en implantologie

Het gebruik van 3D-röntgenbeelden, de combinatie met intra-orale scans, de integratie van AI en de toegenomen mogelijkheden binnen de beschikbare softwareprogramma’s hebben de implantologie, de diagnose, planning en behandelmethodiek de laatste jaren aanzienlijk veranderd. CBCT biedt daarbij voordelen die in dit artikel naar voren komen aan de hand van een casus.

We zien de trend zoals geschetst in de intro zich inmiddels doorzetten in onder andere de endodontologie en orthodontie. Het is echter de implantologie in de algemene praktijk, die mede hierdoor een vlucht heeft genomen. De afweging van de kosten en rechtvaardiging van de stralingsbelasting bij het nemen van een CBCT-opname moet uiteraard altijd gemaakt worden, maar kan een schat aan extra informatie voor de behandelaar opleveren. Hiermee zijn de voorspelbaarheid en de efficiëntie van de behandeling beduidend toegenomen. Waar in het verleden vaak werd gekozen voor een mucosale opklap om zicht te verkrijgen op het werkgebied, is dit in veel gevallen niet meer noodzakelijk. Hierdoor zijn de kansen op complicaties en nabezwaren duidelijk verminderd. Ook niet direct zichtbare anatomische structuren als bijvoorbeeld invaginaties, nervusverloop, sinusbodems, septa in de sinus en botdichtheid kunnen voorafgaand aan de ingreep al worden beoordeeld.

Uitgaande van de prothetische voorziening kan middels backward planning de optimale positie van het implantaat worden vastgesteld (afbeelding 1). Hierbij wordt rekening gehouden met de positie ten opzichte van eventueel aanwezige buurelementen, de implantaat-kroon as, de hoogte verhouding tussen beide en de positie van het schroefgat in geval van een verschroefbare prothetische oplossing. Mocht ideale plaatsing van het implantaat, vanwege bijvoorbeeld een tekort aan botmassa of zachte weefsels, niet

haalbaar zijn, kan op basis van de beschikbare informatie worden gekozen voor een afwijkende positionering of chirurgische opbouw van de onderliggende structuren. Wanneer de locatie, angulatie en diepte van het implantaat zijn bepaald, kan op verschillende manieren de planning worden overgezet naar de daadwerkelijke behandeling. Dit kan door middel van een dentaat, mucosaal of bot-afgesteunde boormal of middels een dynamische plaatsing met optical tracking van het handstuk tijdens de ingreep. Met name in een partieel dentate situatie is een boormal erg gebruiksvriendelijk en voorspelbaar. De positionering ervan is star en kan goed worden geverifieerd op de aanwezige restdentitie.

Met een boormal kan, vanwege de strikte geleiding van de boor en de fysieke dieptestop op de boor en de implantdriver, een juiste as-richting en diepte worden bewerkstelligd. Zelfs orthograde sinuslifts kunnen hiermee eenvoudig guided worden uitgevoerd (afbeelding 2). De toestand van het membraam van Schneiders, poliepvorming en mogelijke chronische ontsteking in de sinus kunnen op de CBCT al worden bekeken. Doordat de vorm van de sinusbodem preoperatief goed kan worden beoordeeld, kunnen mogelijke complicaties door eerdergenoemde aanwezige septa worden vermeden. Een compromis met een veel korter implantaat of een, voor de patiënt meer belastende, retrograde sinuslift is in veel gevallen niet meer noodzakelijk. Met de toegenomen integratie van AI is het mogelijk om binnen de verschillende softwaresystemen

44 BEELDVORMING

niet alleen het verloop van de Nervus Manibularis te laten herkennen, maar ook een segmentatie van verschillende andere anatomische structuren mogelijk te maken. Hierdoor kunnen elementen virtueel geëxtraheerd worden om voorafgaand aan de chirurgische ingreep de immediaat plaatsing nog beter te kunnen plannen (afbeelding 3). Bij implantatie in dit soort casussen neigt de tip van de boor over het algemeen in de richting van de apicale begrenzing van de extractie-alveole, terwijl dat niet altijd de meest optimale implantaatpositie garandeert. Een betere inzetrichting door een dwingende boormal voorkomt dan een suboptimale positie van het implantaat. Vanwege het verschil tussen de vormgeving van de radix van een element en de conische/ cilindrische vorm van een implantaat is er meestal sprake van een gap tussen implantaat en alveolewand. Afhankelijk van de grootte van deze gap kan deze eventueel worden opgevuld met botsubstituten. Het ontstaan en de grootte van deze gap kan vooraf al worden ingeschat zodat eventuele compensatie preoperatief reeds kan worden voorbereid.

Casus

In onderstaande casus worden een aantal van bovengenoemde voordelen duidelijk. Een 20-jarige vrouw is na een verkeersongeval voor een ongelukkige fractuur van de mandibula ter hoogte van de 44 en onder het TMJ aan de rechterzijde opgenomen ter behandeling in het ziekenhuis (afbeelding 4). Hier werden daarnaast nog enkele avulsies geconstateerd en bleken meerdere elementen niet meer te redden vanwege grote verticale fracturen of positie binnen de mandibulafractuur. De fractuurdelen werden gerepositioneerd en met twee osteosyntheseplaten gefixeerd, waarna de boven- en onderkaak intermaxillair zijn gespalkt (afbeelding 5). Vanwege het verlies van de overige (pre-)molaren in het vierde kwadrant, werd de 47 tijdelijk gespaard om stabilisatie in verticale zin te kunnen waarborgen. (afbeelding 6) Na revalidatie van de patiënt en opbouw van de gebroken elementen werd gestart met een eerste planning en plaatsing van de implantaten 15-24-25. Om voldoende botvolume tussen de im-

CBCT en implantologie 45
1 2 3 6 5 4 8 7 9

plantaten te kunnen garanderen en tevens voldoende afstand van de inmiddels wat gemigreerde radices te kunnen behouden, was een virtuele planning ideaal. Hieruit bleek dat er te weinig bothoogte en volume aanwezig was om plaatsing van een implantaat ter hoogte van de 25 zonder sinuslift mogelijk te maken. Deze werd dan ook tijdens de plaatsing guided, orthograad uitgevoerd. In de onderkaak werd de 47 alsnog verwijderd en werd een planning gemaakt, waaruit bleek dat de aanwezige osteosynthese-schroeven de plaatsing ter hoogte 44-45 in de weg zaten. De bovenste plaat werd verwijderd waarna ook de implantologische ingreep in de onderkaak kon plaatvinden.

(Afbeelding 7 en 8) Tijdens de plaatsing van de implantaten werd de positie van alle implantaten vastgelegd met een intra-orale scan om door Atlantis de geïndividualiseerde abutments te laten vervaardigen (afbeelding 9). Nadat goedkeuring werd gegeven op het voorgestelde design, konden deze worden vervaardigd. In de tussentijd kon op de digitale Core-file het ontwerp van de restauraties plaatsvinden (afbeelding 10). In deze Core-file zijn de abutments reeds in de kaak gepositioneerd en zijn de outlines gemarkeerd. Zowel gecementeerde als verschroefbare eindoplossingen zijn beide mogelijk.

Planning, positionering van de implantaten, design van abutments en kronen kunnen in dergelijke casussen allemaal digitaal op elkaar worden afgestemd voor een optimaal eindresultaat. CBCT-integratie binnen deze workflow is hierbij uiteraard onmisbaar. Deze behandelmethodiek waarborgt precisie en voorspelbaarheid en is toepasbaar in de algemene implantologische praktijk. Ook wanneer de gefaseerde behandeling in verschillende centra zou worden uitgevoerd, is onderlinge digitale communicatie over de planning goed mogelijk, zodat alle behandelaren hun deelbehandeling hierop kunnen aansluiten. Zowel de kaakchirurg, implantoloog, tandarts en tandtechnieker kunnen het gehele proces digitaal voorbereiden en volgen (afbeelding 11).

De afweging van de kosten en rechtvaardiging van de stralingsbelasting moet uiteraard altijd gemaakt worden

De auteur

Bas Leempoel, tandarts en praktijkeigenaar van Tandartsenpraktijk Leempoel-Groenewegen en ISCD gecertificeerd CEREC trainer.

CBCT en implantologie 47
10 11

Gebruik van het eigen element als tijdelijke implantaatkroon

In dit artikel beschrijft tandarts-implantoloog NVOI Frank Andriessen een behandeling van een gefractureerd element met een hoog esthetisch risico in de esthetische zone.

Een 43-jarige vrouw bezocht onze praktijk met een gefractureerde 21 na trauma op haar bovenfront. De patiënt heeft een hoge lachlijn. Ze is gezond, heeft een gave en goed onderhouden dentitie met een goede mondhygiëne. De 21 is mobiel. Op de CBCT is een diep subcrestale horizontale breuk van de radix van de 21 zichtbaar.

De diagnose luidt: Subcrestale wortelfractuur. De prognose van dit element is slecht. Het esthetische risico is hoog vanwege de hoge lachlijn, de aanwe-

zigheid van hoge papillen en de aanwezigheid van een buccale recessie bij element 21. Mevrouw wenst een duurzame en vaste oplossing voor de 21.

Als oplossing werd voorgesteld om een implantaat te plaatsen. Om een zo voorspelbaar mogelijk esthetisch resultaat te bereiken, werd voorgesteld het implantaat direct na extractie te plaatsen (immediate placement) en direct te voorzien van een tijdelijke kroon.

48 1 2
IMPLANTOLOGIE

1. Hoge lachlijn met hoge papillen.

2. Lage dosis CBCT-scan van element 21 met implantaatplanning. Er is voldoende bot om een implantaat direct na extractie te plaatsen, waarbij de verwachting is dat er voldoende primaire stabiliteit behaald kan worden verkregen om het implantaat direct te voorzien van een tijdelijke kroon.

3. Lateraal aanzicht

4. Extractie van element 21

5. Geëxtraheerde 21: de diepte van de breuk ten opzichte van de botkam is goed zichtbaar.

6. De 21 zal gebruikt worden als tijdelijke kroon op het implantaat. Het kroongedeelte wordt tot een “facing” beslepen zodat deze later met composiet tegen een tijdelijk abutment geplakt kan worden.

7. Een implantaatboor is in het geboorde gat geplaatst. De labiale ruimte tussen de boor en de buccale botwand is opgevuld met een botsubstituut.

8. De boor is voorzichtig verwijderd zonder het botsubstituut te verplaatsen.

9. Het implantaat is geplaatst. Er is gekozen voor een tapered implan-

taat om de primaire stabiliteit te vergroten.

10. Het tijdelijke abutment is op het implantaat geschroefd.

11. De eerder geprepareerde “facing” is met een minimale hoeveelheid flowable composiet aan het abutment bevestigd. Het doel is slechts een minimale hechting te verkrijgen aan het abutment.

5 3 4 6 9 7 10 8 11 Eigen element als implantaatkroon 49

12. Frontaal aanzicht van de gecementeerde “facing”.

13. Het tijdelijke abutment met de gecementeerde “facing” is voorzichtig verwijderd. Er is met een minimale hoeveelheid flowable composiet gewerkt.

14. De tijdelijke kroon wordt afgewerkt door cervicaal composiet toe te voegen en af te werken. De bedoeling is om het gedeelte van de tijdelijke kroon tussen de “facing” en het tijdelijke abutment (de zogenoemde transition zone) “concaaf”

vorm te geven, zodat er zoveel mogelijk ruimte wordt gegeven aan de peri-implantaire weefsels.

15. De tijdelijke kroon wordt vastgezet met 25 Ncm.

16. De tijdelijke kroon wordt uit occlusie/articulatie gehouden om overbelasting te voorkomen.

17. Röntgenfoto om te controleren of de tijdelijke kroon goed aansluit en nergens stoort bij het omringende bot.

18. Resultaat na twee weken.

19. Eindresultaat van de definitieve kroon.

20. Het eindresultaat met de definitieve kroon, vier maanden na implantaatplaatsing.

De auteur

Frank Andriessen is werkzaam als tandarts-implantoloog bij het Tandheelkundig Centrum Wilhelminapier (www.tand-implant.nl) te Rotterdam.

14 13 12 15 16 17 18 19 20
element als implantaatkroon 51
Eigen

Uitgebreide rehabilitatie van een verwaarloosd gebit

Dit case-report betreft de succesvolle behandeling van een patiënt met parodontale en restauratieve uitdagingen, resulterend in jarenlange verwaarlozing van haar mondgezondheid. Het ontbreken van posterieure ondersteuning van de beet beïnvloedde niet alleen haar kauwfunctie, maar had ook aanzienlijke gevolgen voor haar zelfvertrouwen en zelfbeeld. De toewijding van de patiënt aan de behandeling en de implementatie van een stapsgewijze aanpak waren cruciaal voor het behalen van een gunstig resultaat.

De casus betreft een 63-jarige vrouw die zich bij onze kliniek meldde met klachten over pijn in de bovenkaak, onvermogen om te kauwen en stress en verdriet over de toestand van haar mond. De angst voor het extraheren van tanden/kiezen en het ontbreken van een plan/perspectief om de geëxtraheerde elementen met vaste oplossingen te herstellen, weerhield haar van behandeling en resulteerde in een afwezigheid van tandheelkundige controles gedurende 7-8 jaar. Bij de intake had ze een duidelijke wens: weer goed kunnen kauwen zonder een uitneembare prothese. Ik constateerde een lokale vergevorderde, snel progressieve parodontitis (stadium IV, graad C), cariës pro funda bij de 14, 23, 24 en 36, en een endo-paro-probleem bij de 16 en 18 (afbeelding 1, 2 en 3). Ze had geen medische aandoeningen of allergieën en gebruikte geen medicatie. De prognose voor de 14, 16, 18, 23, 24, 26, 27 en 36 was infaust, waardoor extractie noodzakelijk was.

We legden aan de patiënt uit dat de eerste stap is om een gezonde toestand in de mond te creëren en dat ze gedurende geruime tijd (ruim een jaar) een uitneembare prothese zal hebben voordat ze haar functie weer kan herstellen met vaste oplossingen. Het nemen van de tijd om de huidige situatie uit te

leggen en een plan voor de toekomst te hebben, was cruciaal om vertrouwen te creëren en haar actief bij de behandeling te betrekken. Ik vervaardigde een partiële prothese voor de bovenkaak, extraheerde de elementen met een ongunstige prognose (14, 16, 18, 23, 24, 26, 27 en 36) en behandelde de rest van het gebit met een initiële parodontale behandeling.

Na twee maanden (afbeelding 4-7) evalueerden we het resultaat van de behandeling. De mondhygiëne was uitstekend en we slaagden erin een gezond gereduceerd parodontium te creëren. We bespraken opnieuw verschillende prothetische opties met de patiënt, zoals uitneembare oplossingen, uitneembare oplossingen op implantaten en vaste oplossingen op implantaten, maar haar voorkeur ging toch uit naar vaste oplossingen. Voor diagnostiek maakten we een cone beam CT-scan (CBCT) en planden we de plaatsing van twee implantaten in het 1ste kwadrant (ter plaatse van de 14 en 16) met sinuselevatie, drie implantaten in het 2de kwadrant (ter plaatse van de 23, 24/25 en 26) met sinuselevatie, één implantaat op de positie van de 36 en twee implantaten op de positie van de 45 en 46 met botopbouw. De meest uitdagende locatie was het 2de kwadrant. Zoals te zien is op de klinische foto’s (afbeelding 4 en 5), ontbreekt er

52 PARODONTOLOGIE EN RESTAURATIEF

vanwege chronische ontsteking op de locaties van de 23-25 een aanzienlijke hoeveelheid hard weefsel in hoogte en breedte, wat naast het uitdagend maken van de plaatsing van de implantaten, ook esthetische en hygiënische problemen kan veroorzaken (te lange klinische kronen).

Voor de 1ste en 4de kwadranten plaatste ik de implantaten in combinatie met een gelijktijdige sinuslift en horizontale botopbouw respectievelijk. Als biomateriaal werd xenograft en een natuurlijk collageenmembraan gebruikt. Op de locatie van de 36 waren de botomstandigheden voldoende voor het plaatsen van een implantaat zonder botopbouw. Voor het 2de kwadrant koos ik voor een tweefasige aanpak. Eerst voerde ik een horizontale en verticale botopbouw uit in combinatie met een laterale (open) sinuselevatie (afbeelding 8), met gebruik van een niet-resorbeerbaar d-PTFE membraan met titaniumversterking (afbeelding 9 en 10). Het voordeel van dit materiaal is dat het stijver is dan resorbeerbare membranen en de vorm die we eraan geven beter be-

houdt vanwege de titaniumstrip. Het kan ook de gingivale cellen langer uitsluiten van het bottransplantaat, omdat het niet resorbeert, waardoor er meer tijd is voor het bottransplantaat om te matureren. Als bottransplantaat gebruikte ik een combinatie van xenogene en allogene graftmaterialen. Een uitstekende loslating van het periost en een goede sluiting van de flap zijn uiterst belangrijk voor het succes van de botopbouw (afbeelding 11 en 12).

De genezing verliep probleemloos en we kunnen op de klinische foto de toename in hoogte en breedte van het bot waarderen (afbeelding 13 en 14). Zes maanden later gingen we verder met de abutment chirurgie van de implantaten in het 1ste en 4de kwadrant en de plaatsing van de implantaten in het 2de kwadrant. Drie maanden later gingen we verder met de prothetische rehabilitatie van de implantaten. We kunnen op de klinische foto waarnemen dat de gingivale marge van de 23-24-25 op hetzelfde niveau is als die van de 22, ondanks het gebrek aan zacht en hard weefsel als gevolg van de chronische ont-

1 2 3 6 5 4 8 7 9 Uitgebreide rehabilitatie
53
van een verwaarloosd gebit

Ontwikkel je verder binnen jouw functie als assistent

Het vakgebied tandheelkunde is altijd volop in beweging. Ontdek de vele mogelijkheden binnen jouw functie als assistent en ontwikkel je verder op het gebied van preventieve mondzorg of verbreed je takenpakket als tandartsassistent. Wij helpen je graag.

Kies wat bij jou past en creëer zo jouw eigen droombaan!

Opleiding Tandartsassistent

Opleiding Preventieassistent

Opleiding Paro-preventieassistent

Nieuwsgierig naar ons complete aanbod voor de assistent?

Praktische opleidingen die je meteen kunt toepassen in de praktijk

Gebruik van persoonlijke digitale leeromgeving met ondersteunende theorie, opdrachten en oefentoetsen

Begeleid door onze ervaren docenten

Landelijk aanbod van onze opleidingslocaties

A B C

steking (afbeelding 15). In het 1ste en 2de kwadrant vervaardigden we een implantaatgedragen brug en in het 3de en 4de kwadrant solitaire kronen (afbeelding 16). Het is belangrijk om te vermelden dat de patiënt sinds het einde van de initiële parodontale behandeling in een parodontale onderhoudsfase is met afspraken om de vier maanden.

Discussie

Deze casus betreft een patiënt met een gebit met parodontale en restauratieve problemen die gedurende meerdere jaren de behandeling heeft geweigerd vanwege een gebrek aan perspectief voor de toekomst (met vaste oplossingen). Het nemen van voldoende tijd en het hebben van een gedetailleerd plan van A tot Z is zeer belangrijk om vertrouwen te geven aan de patiënt en haar angst te overwinnen. Hoewel het gebit op het eerste gezicht verwaarloosd lijkt en lange tijd niet is onderhouden, was de patiënt zeer be-

Uitgebreide rehabilitatie van een verwaarloosd gebit

trokken bij de behandeling, heeft ze een uitstekende mondhygiëne en komt ze zonder aarzeling voor parodontale onderhoudsafspraken. Een stapsgewijze aanpak is essentieel om uitdagingen aan te pakken en een goed langetermijnresultaat te waarborgen.

Dank aan Bert Wessel (Crownart) voor het tandtechnische werk.

De auteur

Gerry Karlis, tandarts parodontoloog NVvP werkzaam bij Parodontologie Praktijk Zwolle (PPZ) en promovendus aan ACTA. @perio_implant_dentistry

55
12 15 15 14 13 10 11

Marketingondersteuning nodig voor jouw tandheelkundige producten of diensten?

Wil je mondzorgprofessionals bereiken met jouw product of dienst, maar mis je de tijd, het personeel, de kennis of de toegang tot de eindgebruiker? Dental Product Promotions biedt je de ondersteuning, de kennis, de middelen én het bereik om dat voor elkaar te krijgen. We verzorgen je totale marketingcommunicatieactiviteiten, van social media campagnes tot product gerelateerde workshops.

Hebben we je interesse gewekt?

Wil je meer weten, of een vrijblijvende offerte aanvragen? Kijk dan snel op onze website!

Ontmoet ons team

Bezoek onze stand op Dental Expo 2024
en probeer onze loepbrillen en led verlichting Speciale
gratis ergo loepbril t.w.v.€ 2.349,- incl. btw
Bekijk
beursaanbiedingen Maak kans op een
We've got your back +31 6 15 04 18 25 info@admetec.nl www.admetec.nl Zeestraat 18-20, 1941 AP Beverwijk STAND SU3 ADM24 Advertentie A6.indd 1 07-02-2024 16:26
www.dentalproductpromotions.nl
Hands-on cursus: Digitale workflowuitneembare prothetiek Data en locaties: maart vanaf Donderdag 2024 18 Kosten: punten: dan plek aan www.aanmelder.nl/3shape standaard vervaardigen kroon afgelopen veranderd afdrukken intra-oraal nietvoor zijn te met P.J.A. zijn vlakken cursisten middels roadshow verschillende Nederland. 2,5 uur avondcursus kijken behandelplanning. communiceren Ook slag scannen prothese. avond teken digitale de (implantaat gebitsprothesen. tandprothetist! Content maken? Een product workshop? Wij regelen het! minilu's pink f i f teen Een jaar vol cadeaus voor jou en mij! Bezoek mijn jubileumwebsite: w w w.minilu.de / pink 1 5 Win leuke prijzen C M Y CM MY CY CMY K 2024-01_minilu_Anzeige_Dentista_90x134_RZ.pdf 1 30.01.2024 16:45:38

Dan neem ik toch een implantaat?!

In zijn röntgenstatus zie ik meerdere caviteiten, bijna alle approximale vlakken hebben initiële laesies. Ook zie ik vier vlakken waar een restauratie in moet. De 16 is dusdanig afgebroken dat het element verloren is. Tegen de tandarts had hij gezegd dat hij dan wel een implantaat neemt. En als het moet, nog meer. Zijn ouders betalen toch wel, zei hij.  Hij is 21 jaar, ging altijd met zijn ouders naar de tandarts, maar was al een paar jaar niet geweest. Vandaag zie ik hem voor het eerst. Zijn hoofd staat op onweer. Hij kijkt boos, zijn kaak staat strak en - anders dan de meeste patiënten - blijft hij naast de behandelstoel staan. Je kent dit soort types wel, hij zal wel niks willen.

Als  mens vind ik dit soort momenten echt vreselijk, een mond behoorlijk verwaarloosd en verwoest in een paar jaar tijd. Ik zou hem het liefste door elkaar schudden. ‘Ga toch gewoon poetsen joh, daarmee kun je jezelf een hoop gedoe besparen. Implantaten zijn geweldige uitkomsten, maar als je zo voor je mond blijft zorgen gaan ook die verloren!’

Ik adem eens rustig in en uit, zet mijn eigen waarden opzij en start het gesprek, als  professional. Al snel blijkt dat deze afspraak op verzoek van de tandarts gepland is. Hij wilde helemaal niet naar de mondhygiënist gaan, maar

de tandarts had erop gestaan. In deze ongezonde mond kan er geen implantaat geplaatst worden. Hij zou toch zeker niet met een gat in zijn mond lopen, begrijpelijk.

Eerst laat ik hem vertellen. Te beginnen over zijn hulpvraag en later ook over zijn behandelhistorie en de reden dat we hier aanbeland zijn. Hij vertelt me dat hij niet altijd een hekel heeft gehad aan de tandarts. Tot hij zes jaar oud was had hij een hele leuke, die altijd heel snel klaar was. Daarna is hij met zijn ouders verhuisd en kreeg hij altijd op zijn kop. Hij was nooit de meest zorgvuldige poetser, en nooit was het goed genoeg. Dat is jaren zo doorgegaan en toen hij zelf verhuisde om te gaan studeren, heeft hij het zo maar gelaten. Hij had geen tijd om terug naar de oude praktijk te gaan en zin om een nieuwe praktijk te zoeken om vervolgens weer te horen hoe hij het niet goed doet.

Als we samen naar de röntgenfoto’s kijken, zegt hij het toch wel graag anders te willen. Hij is enorm geschrokken van zijn afgebroken kies en wil het nooit meer meemaken. Samen kijken we naar de mogelijkheden en welke zelfzorg hij denkt dat haalbaar is. Hij ziet er eigenlijk best wel veel. Dat implantaat is best wel haalbaar.

Marit Verschuuren, mondhygiënist en trainer van De Cariësvrije Generatie (cariesvrij.nu).

57
COLUMN
MARIT

‘Modern Periodontal Plastic Surgery’

Prof. Francesco Cairo - IT

‘CEJ and its significance in the daily practice: From gingival recessions to altered passive eruption’

Dr. Luca Landi - IT

B‘Hard & soft tissues defects around implants. How to treat? When to start over?’

Drs. David Palombo - IT

HET BERNINI & REMBRANDT MYSTERIE

Italiaanse & Hollandse Meesters

16 maart 2024 Gooiland Hilversum

‘Recessiebedekking:

Kan het ook anders?

Het kan ook anders!’

Drs. Giles de Quincey - NL

‘Het Revitaliseren van Wondgenezing:

Een Nader Onderzoek naar

Platelet-Rich Fibrin (PRF)’

Drs. Luciano Pitzurra - NL

‘De toevoeging van paro-plastische chirurgie in de restauratieve tandheelkunde’

Dr. Jappe Buijs - NL

ij elke complexe parodontale en esthetische behandeling streeft u naar een zo veel mogelijk voorspelbaar behandelresultaat. Maar soms kunnen onverwachte mysteriën zich aandienen. Hoe herstelt u weefselverlies bij tanden en implantaten met bindweefseltransplantaten, bindweefselvervangers of groeifactoren?

Hoe benadert u non-carieuze cervicale laesies en problemen van passieve eruptie? Wanneer is alleen paro-behandeling voldoende en wanneer is de aanvullende hulp van prothetiek vereist? Drie Italiaanse en drie Hollandse Meesters in de parodontologie en implantologie laten zien hoe zij ieder op inspirerende wijze diverse nachtmerriescenario’s ontrafelen. Kom op 16 maart 2024 naar Gooiland, Hilversum en ontdek de geheimen achter het Bernini & Rembrandt Mysterie! Inschrijven kan eenvoudig op www.nvvp.org

Kijk op dentista-magazine.nl

praktische artikelen, columns, podcasts en nog veel meer! Scan

Vernieuwde uitstraling magazine en website
de QR-code om naar de website te gaan.
voor

Dental Expo, Nederlands grootste onafhankelijke dentale evenement, belooft dit jaar weer een indrukwekkende editie te worden. Het is dé plek voor mondzorgprofessionals om nieuwe producten te testen, kennis te delen, bestaande relaties te versterken en nieuwe contacten te leggen. Je ontdekt de toekomst van de totale mondzorg op 14, 15 en 16 maart 2024 in RAI Amsterdam. We vroegen Iris Meijlink, Marketing Event Manager, om ons een kijkje te geven in het veelbelovende programma.

Dental Expo 2024

Wat is de opzet van Dental Expo 2024?

De vakbeurs, met maar liefst 170 exposanten, biedt bezoekers een voorproefje van de laatste trends binnen de mondzorg. Bij elke editie wordt aan bezoekers gevraagd wat ze de volgende keer terug willen zien. Dit jaar is het programma gebaseerd op de thema’s: geavanceerde tandheelkundige technieken, innovatieve behandelmethoden, mens & sociaal welzijn, ondernemen en kennisoptimalisatie. Sprekers van onder andere Invisalign, Tepe en Rabobank delen de nieuwste inzichten die de mondzorg gaan transformeren.

Wat is er te doen voor de bezoeker?

Dental Expo is dé ontmoetingsplaats voor tandheelkundige experts en zorgverleners. Het evenement biedt een uitgelezen kans om te netwerken met leveranciers en collega’s in de branche. Tijdens het evenement presenteren bedrijven uit de hele dentale sector hun nieuwste producten en diensten. Bovendien kun je deelnemen aan een uitgebreid kennisprogramma, zodat je volledig op de hoogte bent van de toekomst van de Nederlandse mondzorg. Kortom, er is veel te beleven en te ontdekken!

Wat is er nieuw dit jaar?

Dit jaar zijn er niet twee, maar drie kennistheaters, wat de mogelijkheid biedt om nog meer kennis te delen en verschillende onderwerpen te belichten. Een andere interessante toevoeging aan het programma van dit jaar zijn de presentaties van ACTA promovendi. Zij nemen de bezoekers mee in hun proefschriften en delen hun verfrissende visie over de toekomst van mondgezondheid.

Welke innovaties zijn er

te zien?

Een belangrijk onderdeel van Dental Expo is het inspireren van bezoekers. Op de Startup Avenue maak je kennis met verschillende startups die zich richten op efficiëntie en digitalisering in de tandheelkundige sector. Enkele voorbeelden zijn ProductionToGo, een gespecialiseerde dealer in 3D-printers, en Nina Smile, een uniek wervings- en selectiebureau binnen de tandheelkunde.

Wat mag de bezoeker zeker niet missen?

Een grote aanrader is om het kennistheater van Karma Dentistry en Excent Tandtechniek te bezoeken. De bedrijven bundelen deze dag hun krachten door hands-on trainingen en interessante lezingen te geven. Ben je een assistent, ga dan langs het kennistheater van Edin Dental Academy om gratis cursussen te volgen. Bovendien worden op het centrale plein in de hal reünies georganiseerd voor verschillende jaargangen van tandheelkunde en mondhygiëne, zodat je kunt bijpraten met je jaargenoten.

Praktische informatie

Data & openingstijden

14 maart 2024: 13:00 - 20:00

15 maart 2024: 10:00 - 20:00

16 maart 2024: 10:00 - 17:00

Locatie

RAI Amsterdam

Tickets www.dentalexpo.nl

Gebruik kortingscode GR9854

59 Dental Expo 2024 DENTAL EXPO

DEELNEMERSLIJST

3BFAB BV / DentaFab

3D Supplier

3Pro Surgical

3Shape

A & J INSTRUMENTS

Academie Tandartsenpraktijk & Mondfotografie

Acteon Group

Active Aligners Netherlands B.V.

AdaDent

admetec | NL

AGX Group

Aidite (Qinhuangdao) Technology Co., Ltd.

Align Technology

ALL2MD B.V.

ALSICO

Amabilia Medical AB

Amordent

Anders Medical Factoring B.V.

ATT advies en training

Aurora Innovation BV

Back Quality Ergonomics

BCO dental bv

BINOC VISION

Bpr Swiss

Brage

Bredent Group

Buren Dental BV

Buro/S Architects

CANDULOR AG

Carl Martin

Cavex Holland bv

CB12

Celluwell Medical-Plexr

Church & Dwight UK Limited

Cident

Citodent Imaging B.V.

Colgate Palmolive Nederland BV

Cookson Drijfhout BV

Corus

Curaden Benelux BV

De Interieurbouwers

De Natuurlijke Moeder

De Wachtverzachter - Powered by Webova

Denlo Europe B.V.

Dental Care Professionals

Dental Coach

Dental Health International Nederland

Dental Impex BV

Dental Partners Rotterdam B.V.

Dental WaterTest

Dentalhouse

DentallManager

DentalRules

Dentaurum Benelux

Denteam Group B.V.

Dentsply Sirona Benelux B.V.

DentureAds

DHM-Dental

DLT

DMG

DrSmile DW

Dyna

EDENTA

Edin

Elysée

Grodenta BV

Grote Smoelboel / BrushSpace

H.A. Brieger

Hager & Meisinger GmbH

Hager & Werken

Haleon Netherlands BV

Hu-Friedy

Huanghua Promisee Dental Co., Ltd

Hypotheek voor de Zorg

ICX Implants

Implanetic

Infomedics

Invitalis Benelux

Ivoclar

iWearPro

Johnny Joker

K Dental Partner in Specialties

Karma Dentistry

KinderKronen

Komet Dental

Kulzer Benelux B.V.

Ladento

Larix Dental Concepts

Lemmens interieurs - zorgafbouw

M2 Academy

Medentex

MedicoCare

Medicom GmbH

Medicplek

Medident Italia

medikit

MedischOndernemen

MELAG Medizintechnik GmbH & Co. KG

Metadent BV

MIB Medizin, Information & Beratung GmbH

Miele Nederland B.V.

Mobiel Anesthesieteam AIC Services

MODE Implant

MondzorgPartners

More2C/ForYouMed

Myofunctional Research Europe B.V.

Nichrominox

NinaSmile B.V.

NSK Europe GmbH

Oase Dental / VST Software BV

Optergo

Orascoptic

Ordoline

Ormco

OrthoCloud Oud Goud Inkoop

Payt Software

Philips Sonicare & Philips Zoom!

PolonusDent

Praktijkbouwer

Prelum Mondzorg

Prime Dental Alliance

Printerberg

ProductionToGo Benelux

Products For Wellness

PROSUPPLEMENTS

Puramed

Rabobank

REMAR TECHNIK GmbH

Rode Kruis

Royal Medix B.V.

SCHEU-DENTAL GmbH

Score BV

Secondent praktijkadvies

SEIDO Systems

Septodont

Share Dental B.V.

Shining 3D Technology GmbH

SHOFU DENTAL GmbH

SOdental werving- en selectiebureau

SOFIKAR s.r.o.

SRBA Group

starMed GmbH & Co. KG

Straight Dental

Straumann Group

Summox Dental B.V.

Sunstar Benelux B.V.

Tandarts.nl

TePe Benelux BV

TSE

uberVo dental b.v.

Ultradent Products GmbH

Uw Zorg Online

Van der Schoot Architecten BV

Vertimart

Vitadent Mondzorg

VOCO GmbH

W & H

Wesmyle

Young Innovations Europe GmbH

Zeiss - Ergra Engelen

ZOLL International Holding B.V.

Zorgscherm

B.V.
Media
Chemisch Pharmazeutische Fabrik GmbH Doctor Tools Srl Dr. Jean Bausch GmbH & Co. KG
Dental B.V.
Dental Engineering BV ADD LABORAL Talent voor Tanden E-Dental Easyfairs Netherlands
Dental Academy
Dental EMS Electro Medical Systems SA
Excent Tandtechniek Extremater
Care Fresh Tandartsen B124 A146 E101 C170 B147 A162 E116 SU6 F123 SU3 B166 C136 C142 F157 F135 E147 C137 F144 SU5 C152 F151 F139 F130 A124 SU15 C134 B141 D123 E178 E137 D133 C166 E118 C120 B160 D142 D172 F121 F112 F169 B110 SU16 B137 A166 D124 E172 D168 E162 D128 D146 D140 SU9 B146 D178 C156 D116 SU12 F145 C103 B126 B155 F162 D177 A150 A128 B140 Lounge E102 C110 E168 E140 A144 F159 B106 SU13 C102 B170 B125 SU2 C167 F109 F124 C150 B126 A110 SU7 E121 B165 F166 D127 C140 A162 A112 B126 B100 SU10 E149 B102 E123 F140 A123 E156 A167 F171 F154 C145 A106 SU14 E171 E126 D166 F150 D154 B101 D126 C165 F161 E155 D159 SU4 C106 F118 F163 B131 C101 B120 D175 F103 D152 C124 F156 A122 F126 B142 F158 SU1 A168 F149 F101 D155 C125 F119 C119 F124 A158 SU8 A174 C130 F133 D160 F134 D117 F147 E176 E169 A143 E124 C131 B154 D124 D173 F122 B156 E158 F138 C158 B128 E133 B109 A145 F131 E119 F108 D125 F146
Enovation Equalitas
Fits
Entree/ Entrance Catering Karma theater Dental Expo Lounge Dental Expo Lounge Business point Catering Kennistheater Startup Avenue A106 A108 A110 D140 A112 C124 A128 A143 A144 C118 A167 A166 A168 A175 B101 C102 E140 D136 D133 C110 E124 D128 C145 B160 C101 D124 A145 C126 B131 C154 B128 B124 D178 D150 D152 B106 F158 C150 E156 E162 B118 D177 E101 F108 F112 E119 F109 F115 F118 F119 F121 F123 F143 F145 F149 F151 F161 F169 E168 F171 E178 B170 F101 B154 C140 C142 F139 D172 D116 D118 C134 A121 B120 E102 F156 F166 F106 D142 D137 E136 D146 B105 B140 B141 E155 D173 D175 A109 B110 E176 A118 F157 B165 C170 C166 A154 E172 A162 A158 C106 B171 C120 E169 F163 A124 C136 E171 F154 C130 B137 B166 B164 B114 F152 E151 E149 F150 F146 E147 F144 C114 F140 F126 F138 E137 F130 F134 F135 F131 E158 E160 D159 C158 D166 C167 D127 E126 D125 F133 F122 E121 F124 E123 E118 D117 E116 B109 B156 B142 B147 C152 B126 D168 D160 B146 E133 F172 F168 F159 C156 B155 F102 C103 SU3 SU4 SU7 SU8 F107 F105 F103 F162 A174 A176 C125 D126 SU1 SU2 SU5 SU6 SU9 SU10 SU13 SU14 SU11 SU12 SU15 SU16 B178 B100 C131 C137 A150 A146 B102 C155 D155 D156 D154 E117 A122 A120 15m² 15m² 24m² 21m² 30m² 12m² 18m² 16m² 12m² 12m² 12m² 12m² 12m² 12m² 20m² 21m² 16m² 16m² 24m² 16m² 16m² 80m² 16m² 15m² 12m² 35m² 16m² 32m² 20m² 20m² 35m² 20m² 20m² 20m² 20m² 12m² 20m² 20m² 28m² 15m² 12m² 28m² 25m² 25m² 24m² 32m² 64m² 16m² 32m² 28m² 32m² 32m² 40m² 32m² 30m² 40m² 40m² 24m² 16m² 30m² 30m² 60m² 40m² 28m² 48m² 48m² 48m² 40m² 48m² 72m² 110m² 80m² 50m² 36m² 36m² 100m² 50m² 64m² 40m² 70m² 60m² 60m² 30m² 12m² 28m² 28m² 50m² 60m² 80m² 104m² 24m² 36m² 60m² 50m² 12m² 12m² 12m² 12m² 12m² 12m² 48m² 12m² 12m² 24m² 36m² 12m² 12m² 24m² 30m² 24m² 24m² 12m² 12m² 20m² 20m² 24m² 48m² 20m² 32m² 16m² 16m² 60m² 16m² 15m² 25m² 20m² 20m² 16m² 16m² 32m² 48m² 64m² 50m² 60m² 9m² 9m² 40m² 16m² 20m² 54m² 20m² 50m² 50m² 40m² 30m² 20m² 20m² 12m² 9m² 15m² 44m² 12m² 9m² 24m² 16m² 20m² 20m² 64m² 24m² 6m² 9m² 16m² 16m² 12m² 20m² 12m² 12m² 60m² 6m² 6m² 6m² 6m² 6m² 35m² 12m² 96m² 32m² 16m² 20m² 16m² 30m² 16m² 20m² 24m² 20m² 24m² 16m² 9m² 9m² Edin Theater X X Bekijk hier de meest actuele plattegrond

De manier van communiceren met de patiënt is van grote invloed op de acceptatie van behandelplannen. Bij grotere behandelplannen die een grote financiële investering vragen van de patiënt – wat zeker het geval is bij implantologie – vraagt dit om effectieve communicatie van de behandelaar. De patiënt bepaalt uiteraard zelf, maar zeker ook in samenspraak met jou als behandelaar. Een goede communicatie vanuit de behandelaar draagt sterk bij aan de acceptatie van behandelplannen. Onderstaand stappenplan zorgt voor een heldere aanpak. De aanvullende informatie met tips en valkuilen draagt bij aan de effectiviteit van de communicatie met jouw patiënt.

inclusief tips en valkuilen

Stappenplan voor betere acceptatie behandelplannen

Stappenplan

Als mondzorgverlener beslis je samen met de patient over welke behandeling het beste past. Samen beslissen is onderdeel van de Wet Geneeskundige Behandelingsovereenkomst (WGBO) en gaat over het gezamenlijke beslissingsproces tussen zorgverlener en patiënt. Het advies is gebaseerd op jouw ideeën en geldende richtlijnen. De keuze van de patiënt is gebaseerd op zijn of haar wensen en behoeften, waar de financiële ruimte ook onderdeel van is. Het is aan

de behandelaar om bij het bespreken van behandelplannen een advies te koppelen aan de wensen en behoeften van de patiënt. Het volgende stappenplan zorgt voor duidelijkheid over de aanpak:

Wensen vastleggen

Diagnose stellen

• Oplossingen aandragen

• Advies geven

• Behandelplan afsluiten

62 PRAKTIJKMANAGEMENT

Valkuilen

Het stappenplan is in hoofdlijnen duidelijk en evident. Bij de praktische invulling komen echter meerdere valkuilen om de hoek kijken. Een effectieve uitvoering van deze stappen is in de praktijk dan ook niet altijd eenvoudig. Redenen hiervoor zijn dat je als behandelaar wordt beïnvloed door:

• De respons van de patiënt;

• plus dat je belemmerd kunt worden door eigen beperkende overtuigingen en aannames.

Om die reden zijn hieronder bij elke stap de veelvoorkomende valkuilen uitgeschreven, dan wel tips voor een goede uitvoering van de betreffende stap.

De stappen

Stap 1 - Wensen vastleggen

Regelmatig zijn de wensen van de patiënt niet bekend bij de behandelaar, doordat er niet actief naar wordt gevraagd of doordat de geuite wensen niet worden

Stappenplan betere acceptatie behandelplannen

opgepakt. Vraag actief naar de wensen van de patiënt en leg deze goed vast in het patiëntendossier.

TIP: Tandarts Rolf van Mierlo adviseert om bij elke halfjaarlijkse controle de volgende vragen te stellen aan de patiënt om goed de wensen van de patiënt te inventariseren:

• Hoe gaat het kauwen? (Deze vraagt gaat in op de functie van het gebit)

• Zijn er nog tanden of kiezen gevoelig geweest? (Deze vraag gaat over de mondgezondheid.) Bent u nog tevreden over hoe uw tanden eruitzien? (Deze vraag gaat over de esthetiek.)

TIP: Ashley Latter – trainer van tandartsen in Engeland – adviseert om de volgende vragen te stellen:

• Welk cijfer geeft u de huidige situatie van uw gebit op een schaal van 1 t/m 10?

Wat zijn uw wensen?

Waarom heeft u deze wensen nu? Zijn er specifieke redenen waarom u dit nu wilt?

• Wat levert het u op als u deze behandeling nu zou doen?

63

Anesthesia & Intensive Care Services B.V.:

AIC is gespecialiseerd in het verzorgen van hoogwaardige medische zorg binnen de anesthesiologie en intensive care geneeskunde.

Met ons VOLWAARDIG MOBIEL ANESTHESIETEAM inclusief apparatuur, monitoring, medicatie, gasvoorziening, disposables en al het nodige personeel kunnen wij op een voor u wenselijke locatie op 4 behandelkamers tegelijk algehele anesthesie toedienen aan uw cliënten, zonder dat u ook maar iets hoeft aan te passen aan de inrichting van uw kliniek.

Tandheelkundige klinieken die behandelingen onder algehele anesthesie willen aanbieden:

Als u aan uw cliënten behandelingen onder algehele anesthesie wilt aanbieden zonder dat u dure investeringen hoeft te doen in uw kliniek, dan bent u bij ons aan het juiste adres. Wij kunnen met ons MOBIEL ANESTHESIETEAM in elke kliniek op 4 behandelkamers tegelijk volledig de anesthesie verzorgen zonder dat u daar naar hoeft om te kijken. Wij zijn volledig selfsupporting.

Wij kunnen in elke tandartspraktijk de anesthesie verzorgen. Uw praktijk hoeft dus niet aan speciale voorwaarden te voldoen!!

Bel voor een gratis en vrijblijvende offerte:

Schroom niet om te bellen of te emailen voor een gratis en vrijblijvende offerte. Zonder enige verplichting komen wij graag bij u langs om de situatie in uw kliniek te beoordelen en de wensen en mogelijkheden met elkaar te bespreken.

ONDER NARCOSE BEHANDELEN IN UW EIGEN PRAKTIJK?
1197 3013 AL Rotterdam
+ 316 247 257 37 www.aicservices.nl info@aicservices.nl
Weena
Tel:

Stap 2 - Diagnose stellen

Na de periodieke controle en het inventariseren van de wensen van de patiënt, kun je een diagnose stellen. Binnen deze stap is het dan ook belangrijk om de patiënt te informeren over de gestelde diagnose.

VALKUIL: Praten voordat de diagnose is gesteld. Te vaak worden al mogelijke oplossingen opgeworpen, zonder dat een duidelijke diagnose is gesteld. Bijvoorbeeld de volgende opmerking “We zouden een kroon kunnen overwegen”, als de patiënt nog niet geïnformeerd is over de diagnose. Dit leidt tot onduidelijkheid over de behandelopties. Kortom, stel eerst de diagnose en draag daar vervolgens behandelopties/oplossingen voor aan.

Stap 3 - Oplossingen aandragen

De volgende stap is om de mogelijke oplossingen voor te stellen aan de patiënt. Daarbij is het belangrijk, dat de oplossingen – uiteraard – volgen uit (1.) de wensen van de patiënt en (2.) de gestelde diagnose. Verder is het belangrijk daarbij niet te veel oplossingsmogelijkheden voor te stellen, want dit geeft keuzestress.

TIP: Herhaal de wensen en de diagnose. Het behandelplan is altijd een oplossing voor de wensen van de patiënt en/of de gestelde diagnose. Daarom is het goed deze altijd eerst te herhalen alvorens de oplossing te benoemen: “U heeft eerder aangegeven graag uw tanden en kiezen te willen behouden. Om dat te realiseren kunt u …”.

VALKUIL: Te veel tandheelkundige praat. De patiënt is niet tandheelkundig geschoold en zit hier ook niet op te wachten. De aangedragen oplossingen dienen dan ook helder en in patiëntentaal te worden gecommuniceerd. Dat is waar de patiënt behoefte aan heeft.

VALKUIL: Te veel nadruk op het product. Te vaak wordt alleen de ‘kroon’ of het ‘implantaat’ aangeboden. Uiteraard krijgt de patiënt dan ook een kroon of implantaat, maar de patiënt is veel meer geïnteresseerd in de voordelen/de oplossing die de kroon of het implantaat hem of haar gaat opleveren. Benoem dan ook vooral de oplossing en niet zozeer het product zelf. Op deze manier stel je de patiënt ook beter in staat een goede kosten-baten afweging te maken.

Stap 4 - Advies geven

De patiënt wil graag samen met de behandelaar beslissen en is hierbij – veelal – geholpen met jouw advies. Bij dit advies herhaal je weer de geuite wens van de patiënt, want daarop is jouw advies gebaseerd. “In jouw situatie en met jouw wens voor behoud van jouw gebit, adviseer ik je te kiezen voor …”

TIP: Geef aan wat de meeste patiënten doen. Mensen – en dus ook patiënten – zijn kuddedieren en kiezen graag wat anderen ook kiezen. Jouw advies kan worden versterkt met de volgende toevoeging: “De meeste patiënten kiezen in deze situatie voor …”

VALKUIL: Doen van veronderstellingen. Te vaak worden behandelingen te laag gediagnosticeerd vanuit de veronderstelling: “Dat kan de patient niet betalen”. Dit is een beperking die tandartsen zichzelf maar al te vaak opwerpen. Taak van de behandelaar is om de patiënt volledig te informeren over de mondgezondheid én de best mogelijke behandelopties die daaraan bijdragen. Vervolgens is het aan de patiënt hierin een keuze te maken.

Stap 5 - Behandelplan afsluiten

‘Samen beslissen’ houdt in dat er een beslissing wordt genomen. De laatste stap is dan ook om het hele gesprek af te sluiten en samen tot een besluit te komen. Dit vraagt soms wat lef van de behandelaar.

TIP: Stel de juiste afsluitende vraag.

“Wat vindt u ervan?”, “Wat wilt u?” of “Zullen we hiervoor de afspraken gaan inplannen?”. Met één van deze vragen sluit je het advies af en stopt jouw communicatie. Het is nu aan de patiënt om te reageren op het gegeven advies en wees zelf daarom stil. Ga op dit moment dus vooral niet verder uitweiden over de opties of het tarief verantwoorden, want het is nu de beurt aan de patiënt. Je wilt namelijk weten wat hij of zij ervan vindt. Uiteraard kun je de patiënt nog van verdere informatie voorzien waar nodig, maar alleen op verzoek van de patiënt.

VALKUIL: Te veel focus op de prijs. Bij het bespreken van de verschillende behandelopties wordt te vaak door de tandarts de koppeling gemaakt met de prijs (“Het is wel duur”) zonder dat de behandelopties met bijbehorende voordelen duidelijk worden gecommuniceerd. Het is aan de patiënt een keuze te maken tussen de behandelopties, waarbij

Stappenplan betere acceptatie behandelplannen

65

de prijs in zijn of haar keuze wordt meegewogen. De keuze van de patiënt is gebaseerd op de afweging tussen wat hij of zij krijgt - bijvoorbeeld een stralend nieuw gebit en extra zelfvertrouwen - tegenover de prijs.

VALKUIL: Gebruik van het woord ‘kosten’. De betekenis van ‘kosten’ is ‘wat je moet betalen voor iets’. Dit benadrukt alleen het te betalen bedrag. Bij gebruik van het woord ‘investering’ daarentegen komt de nadruk te liggen op het voordeel dat de patiënt ermee behaalt. De betekenis van ‘investering’ is namelijk ‘aanschaf van iets ter verkrijging van een meeropbrengst’.

Algemene valkuilen

Naast bovengenoemde valkuilen kom ik ook regelmatig de volgende algemene valkuilen tegen, die ook een grote negatieve invloed hebben op de acceptatie van het behandelplan.

• Geen of slechte voorbereiding van het gesprek. Het bespreken van het behandelplan wordt vaak even snel tussen de behandelingen door gedaan zonder een goede voorbereiding vooraf. De voorbereiding hoeft niet lang te duren en is erop gericht dat de tandarts de lijn van zijn of haar verhaal helder heeft.

• Presentatie zonder enthousiasme. De manier van presenteren heeft invloed op het effect van de boodschap. Behandelplannen die met enthousiasme worden besproken, zullen beter overkomen en meer vertrouwen opwekken bij de patiënt. Met als resultaat dat de patiënt het behandelplan eerder zal accepteren.

• De beste oplossing achterwege laten. In het aandragen van oplossingen en het adviseren van de patiënt wordt de beste behandelmogelijkheid nogal eens op voorhand weggelaten. Persoonlijke overtuigingen als: ‘dit vindt de patiënt te ingrijpend’, ‘dit kan de patiënt niet betalen’ of ‘dit past niet bij hem’ liggen hier vaak aan ten grondslag. Echter, als je het beste met de patiënt voor hebt, dan ben je verplicht om hem of haar in ieder geval ook de beste oplossing aan te dragen, want anders onthoud je de patiënt van de beste mogelijke zorg.

De auteur

Sjoerd Kuiken is eigenaar van Kuiken Praktijkmanagement (www.kuikenpraktijkmanagement.nl). Voor objectieve praktijkanalyses, intensieve begeleidingstrajecten en online cursussen voor praktijkhouders en -managers.

• De entourage is verkeerd. Bij grote behandelplannen kan het zijn dat patiënten toestemming geven voor een investering van duizenden euro’s. De entourage bepaalt mede het vertrouwen van de patiënt en dus de keuze. De entourage moet overeenstemmen met de omvang van het behandelplan. Dus als uitgebreide behandelopties worden aangeboden, dient het vertrouwen van de patiënt te worden versterkt door de goede uitstraling van de praktijk en het team.

Tot slot

Met het volgen van dit stappenplan speel je beter in op de wensen van de patiënt en zal de acceptatie van jouw behandelplannen toenemen. Echter, de grote uitdaging zit niet zozeer in het volgen van deze stappen als wel in een effectieve communicatie tijdens deze stappen. Jouw manier van communiceren kan een grote positieve invloed hebben op de acceptatie van behandelplannen. Dan wel dat persoonlijke belemmeringen en valkuilen een grote negatieve invloed kunnen hebben.

Stappenplan betere acceptatie behandelplannen

67

Tandartsenpraktijk Zuid Holland

Vraag van de opdrachtgever

Uitbreiding van een gedateerde driekamerpraktijk naar vijf behandelkamers. De opdrachtgever heeft twee jaar na de realisatie van de vijf behandelkamers, Buro/S Architects weer gevraagd om nog twee kamers toe te voegen aan de praktijk. Dat is gerealiseerd met een uitbouw aan de voorzijde van het gebouw.

Specifieke wensen en doorlooptijd

De uitgangspunten voor het ontwerp waren ruime behandelkamers met daglicht en open- en ruimtelijkheid. Het ontwerp- en tekenproces van de architect hebben enkele weken in beslag genomen. De bouw heeft ongeveer 10 weken geduurd.

Invulling architect

De zeven behandelkamers zijn op de begane grond gerealiseerd met compleet gescheiden routes voor patiënten en personeel. Op de begane grond van totaal 200 m2 bevinden zich ook de facilitaire ruimtes, zoals de sterilisatie, voorraad, technische ruimte, OPG en toiletgroepen, poetshoek, wachtkamer, de receptie en een kleine pantry. Op de verdieping (60 m2) zijn de personeelsruimte, de kleedkamers en de kantoren gepositioneerd.

Ondanks dat de ruimte niet heel groot is voor het aantal behandelkamers, ervaren de gebruikers en de bezoekers de praktijk als erg licht en ruimtelijk. Dat komt door de keuze van de materialen en het gebruik van licht, maar ook de vormgeving van het interieur, de maatwerk kasten en de routing spelen hierbij een belangrijke rol. Het bestaande en nieuwe gedeelte

gaan naadloos in elkaar over alsof het nooit anders is geweest.

De architect heeft voor een integraal ontwerp gezorgd. Hierbij is tijdens het ontwerpproces al nagedacht over de integratie van de techniek, licht, akoestiek en meubels. Daarnaast heeft zij het project vanaf de eerste schets tot en met de oplevering begeleidt. Inclusief het omgevingsvergunning traject voor de uitbreiding aan de voorzijde.

De moderne uitstraling van de praktijk komt naar voren in zowel de voorzijde (de uitbouw) als het interieur. Daarbij zijn duurzame en onderhoudsarme materialen gebruikt.

68 DESIGN IN BEELD

Design in beeld

• Praktijk: Tandartsenpraktijk Zuid Holland

• Bureau: Buro/S Architects

Tandartsenpraktijk Zuid Holland 69

Soms is water niet genoeg

TePe®Hydraterende Mondspoeling en Mondgel

Extra bescherming tegen cariës dankzij 0,2% fluoride

Stimuleert speeksel

Frisse milde smaak

Voor de erg gevoelige en droge mond

Scan de QR-code voor meer informatie over een droge mond en onze nieuwe producten

Zonder toegevoegde smaak, zachte formule

Nieuw

Complete lijn tegen droge mond

Direct comfort

Ideaal voor onderweg

Aan te vullen met TePe Pure™ Tandpasta voor de droge en gevoelige mond

www.tepe.com

Orale Botsequesters

De mondholte is een complexe en dynamische omgeving die blootstaat aan een veelvoud van uitdagingen, variërend van microbiële kolonisatie tot de mechanische spanningen van kauwen. Hoewel in de basis deze uitdagingen goed kunnen worden weerstaan, zijn er momenten waarop de harmonie wordt verstoord, wat leidt tot pathologische veranderingen. Een dergelijke manifestatie, vaak over het hoofd gezien, maar klinisch significant, is de vorming van botsequesters.

Een botsequester is in essentie een dood stuk bot dat om diverse redenen gescheiden is van het levende bot. In de mondholte kan de aanwezigheid van deze sequesters vaak verwarrend zijn, zowel voor de patiënt als de clinicus. Hoewel ze kunnen worden aangezien voor onbeduidende fragmenten, vooral als ze klein zijn, symboliseren ze een dieperliggend probleem, vaak gerelateerd aan verminderde bloedtoevoer, infectie of trauma. De vorming van orale botsequesters is voornamelijk geassocieerd met een combinatie van lokale en systemische factoren die de vitaliteit van het bot aantasten.

Etiologie - Pathogenese

De pathogenese van botsequesters omvat doorgaans een aantasting van het bot, zoals door trauma of infectie, wat leidt tot necrose (afsterven) van een botsegment. De immuunrespons van het lichaam isoleert vervolgens dit dode bot van het omliggende levende weefsel. Na verloop van tijd scheidt het necrotische bot zich af, waardoor een sequester ontstaat. Als het niet wordt uitgestoten of verwijderd, kan dit sequester dienen als een continue bron van irritatie en infectie, wat leidt tot aanhoudend ongemak en potentiële complicaties.

Lokale factoren

Infectie: Bacteriële infecties, met name van odontogene oorsprong, kunnen leiden tot osteomyelitis, een ernstige infectie die zich verspreidt naar het bot en

necrose kan veroorzaken.

Trauma: Als bijvoorbeeld door een klap een fractuur in de kaak ontstaat en deze niet adequaat wordt behandeld, kan er verlies van bloedtoevoer naar een deel van het bot optreden. Dit kan leiden tot necrose van dat botweefsel. Een extractie is ook een voorbeeld van een lokaal trauma waarbij fracturen kunnen ontstaan.

Verminderde Bloedtoevoer: Aandoeningen zoals bestralingstherapie voor hoofd- en halskankers kunnen bloedvaten beschadigen, wat leidt tot een verminderde bloedtoevoer naar het bot. Deze ischemische aandoening kan resulteren in botnecrose en vervolgens in sequestratie.

Vreemd lichaam: De aanwezigheid van een vreemd lichaam, zoals tandheelkundige materialen of botsplinters die na een operatie achterblijven, kunnen irriterend werken, wat leidt tot gelokaliseerde gebieden van necrose.

Systemische factoren

Medicatiegerelateerd: Het gebruik van bepaalde medicijnen, zoals bisfosfonaten die worden gebruikt bij de behandeling van osteoporose en gemetastaseerde botziekten, is geassocieerd met osteonecrose van de kaak, wat potentieel kan leiden tot botsequestratie.

Metabole botziekten: Aandoeningen zoals osteoporose en de ziekte van Paget van het bot kunnen de architectuur en de bloedtoevoer van bot veranderen, waardoor het gevoeliger wordt voor necrose en sequestratie.

Orale botsequesters 71 PATHOLOGIE

HuFriedyGroup is een wereldwijde leider in de productie van tandheelkundige instrumenten, infectiepreventie en werkstromen voor het verwerken van instrumenten.

Voor meer informatie kunt u contact opnemen met: Olaf Westening (Country Manager the Netherlands & Denmark) Mobiel + 31 (0) 6 54964445 | owestening@hu-friedy.com

Hu-Friedy Mfg. Co., LLC. • European Headquarters • Lyoner Str. 9 • 60528 Frankfurt am Main, Germany • HuFriedyGroup.eu All company and product names are trademarks of Hu-Friedy Mfg. Co., LLC, its affiliates or related companies, unless otherwise noted. ©2024 Hu-Friedy Mfg. Co., LLC. All rights reserved. @HuFriedyGroupEurope
Bezoek ons tijdens de Dental Expo Amsterdam 14 - 16 maart 2024 Stand B126

Immunosuppressie: Individuen met een verzwakt immuunsysteem, of dat nu door ziekte of medicatie komt, hebben een hoger risico op infecties die kunnen leiden tot botsequestratie.

• Voedingsdeficiënties: Adequate voeding is essentieel voor het behoud van de botgezondheid. Tekorten aan vitamines en mineralen, met name calcium en vitamine D, kunnen de vitaliteit van het bot aantasten.

Hieronder volgen een aantal voorbeelden van situaties die we in de praktijk zijn tegengekomen en hoe we deze hebben behandeld.

Casus 1 (Infectie)

Als klacht ervaart de patiënt pijn tijdens bijten en bij

blootstelling aan zowel koude als warme temperaturen, voornamelijk aan de rechterzijde bij de kiezen en de voortanden in de bovenkaak. Momenteel geeft de patiënt de voorkeur aan eten aan de linkerkant van de mond. Deze problemen zijn ongeveer twee maanden geleden begonnen. De patiënt heeft een geschiedenis van roken, met een verbruik van één pakje per dag gedurende ongeveer 13 tot 14 jaar. Verder heeft de patiënt last van slapeloosheid. De patiënt houdt zich aan een gebalanceerd dieet met dagelijkse porties groenten en fruit, en nuttigt zelden tussendoortjes. Bovendien geeft de patiënt aan weinig stress te ervaren in het dagelijks leven.

Intra-oraal constateren we een botsequester die tussen de 33 en de 34 zit ingeklemd. Uit het intakegesprek en het klinisch beeld komt naar voren dat het hier waarschijnlijk om afgestorven bot gaat ten

1.10, 1.11. Foto’s na chirurgie 1.12, 1.13. Foto’s vier jaar later 1.1, 1.2, 1.3. Foto’s bij intake 1.4, 1.5. Foto’s na één week
1.1 1.2 1.4 1.5 1.3 1.8 1.12 1.9 1.13 1.7 1.11 1.6 1.10
botsequesters 73
1.6, 1.7. Foto’s na één maand 1.8, 1.9. Foto’s voor chirurgie
Orale

3.1-3.5. Casus 3: Vooraf en tijdens chirurgie en de botstukken die verwijderd werden.

4.1, 4.2. Casus 4: Palatinaal botsequester dat eenvoudig te verwijderen

was.

5.1, 5.2, 5.3. Casus 5: Approximaal botsequester voor, tijdens en na de chirurgie.

6.1. Casus 6: direct na chirurgie.

6.2. Na één week bij het verwijderen van de hechtingen

6.3. Na twee weken

7.1 Casus 7: In de spiegel is een botsequester aan linguale zijde zichtbaar.

7.2. Het verwijderde stukje bot na twee weken.

74
4.2 5.2 5.3 5.1
4.1
2.1, 2.2, 2.3. Casus 2: Vooraf en na chirurgie
3.4 3.1 3.5 2.2 3.3 2.1 3.2 7.2
2.3
6.1
6.3 7.1
6.2

gevolge van een bacteriële infectie. De patiënt maakt een acute fase van necrotiserende parodontitis door. In eerste instantie is een antibioticakuur voorgeschreven bestaande uit metronidazol gedurende een week, te gebruiken in combinatie met spoelmiddelen waaronder chloorhexidine en waterstofperoxide. Bij de evaluatie na één week blijken de pijnklachten van de patiënt te zijn verminderd. De betrokken tanden en kiezen zijn nog wel gevoelig, maar de mate waarin is verbeterd. Er is een kalmerend effect waarneembaar in het beeld van het tandvlees. Het is minder rood en oogt rustiger, hoewel er geen verandering is in de afmeting van de botsequester. De patiënt zal doorgaan met spoelen voor de duur van een maand om te kijken of in die periode het botsequester spontaan loskomt. Na één maand is er sprake van een lichte verbetering. Het betrokken gebied is nog steeds gevoelig. Aangezien het botsequester niet uit zichzelf loskwam, is er gekozen voor chirurgische verwijdering waarbij het sequester werd losgeboord en het tussen de twee elementen vandaan kon worden gehaald. Er ontstond daarmee een zeer grote tussen ruimte die met een grote rager gereinigd kan worden. Na vier jaar zijn beide elementen nog steeds aanwezig maar de situate vereist regelmatige nazorg bij de mondhygienist.

Casus 2 & 3 (Trauma)

In beide casussen ontstonden er botsequesters als gevolg van iatrogene schade. In casus 2 door het gebruik van een laser en in casus 3 door het gebruik van een elektrotoom. In beide gevallen was er sprake van een diepe approximale restauratie waarbij de laser en het elektrotoom waren gebruikt om interpoximaal tandvlees te verwijderen om de randaansluiting van de vulling zo goed mogelijk te controleren. Dit resulteerde in beide gevallen in botnecrose. Aanvankelijk werd geprobeerd om lokale antimicrobiële therapie (chloorhexidine mondspoeling) te gebruiken in de hoop dat de botsequester vanzelf zou oplossen. In beide gevallen gebeurde dit echter niet. Daarom moesten de botsequesters chirurgisch verwijderd worden. Ook hier ontstonden grote interdentale ruimtes waar de patiënt extra zorg aan moet besteden om ze goed schoon te houden.

Casus 4 & 5 (Verminderde bloedtoevoer)

Een verminderde bloedtoevoer kan te wijten zijn aan systemische factoren, zoals medicatie, maar ook

als gevolg van lokale factoren, zoals in de volgende gevallen. In beide gevallen werd het bot necrotisch als gevolg van intraossale anesthesie met adrenaline, wat leidde tot verminderde bloedtoevoer. In het eerste geval kon een kleine botsequester eenvoudig uit het verhemelte worden verwijderd. In het tweede geval werd een grotere botsequester verwijderd met een flapoperatie. Ook hier ontstond een grote interdentale ruimtes waar de patiënt extra zorg aan moeten besteden.

Casus 6 & 7 (Vreemd lichaam)

De aanwezigheid van vreemde lichamen, zoals tandheelkundige materialen of botsplinters die na een operatie achterblijven, kunnen irriterend werken, wat leidt tot gelokaliseerde gebieden van necrose. In beide volgende gevallen werd een botsequester waargenomen tijdens het verwijderen van hechtingen na een flapoperatie in het retromolaire gebied. De aanwezigheid van de botsequester hier zou het resultaat kunnen zijn van enkele achtergebleven botresten na de osseuze resectieve flap, wat leidde tot het ontstaan van de sequester. Het zou echter ook het resultaat kunnen zijn van een trauma tijdens de flapoperatie of een lokale microbiologische infectie (in het eerste geval vanwege een kleine perforatie van de linguale flap). In beide gevallen werd chloorhexidine voorgeschreven voor enkele weken en de botsequester kon daarna eenvoudig verwijderd worden.

Algemene adviezen voor beheer en behandeling botsequesters

Er zijn verschillende benaderingen die afhankelijk zijn van de grootte van het sequester, de aanwezigheid van symptomen en of er sprake is van een bijbehorende infectie.

1. Conservatieve Behandeling

Observatie: Kleine en asymptomatische botsequesters kunnen in sommige gevallen vanzelf uitstoten. In deze gevallen kan afwachten en regelmatige controle door een professional voldoende zijn.

Mondhygiëne: Patiënten moeten begeleid worden met hun mondhygiëne om infectie te voorkomen en het genezingsproces te ondersteunen.

• Spoelen: Spoelen met een antimicrobiële mondspoeling (chloorhexidine) kan helpen om de mond schoon te houden en het risico op infectie te verminderen.

Orale botsequesters 75

One Ecosystem. One Connection. Your Choice.

De EV Implant Family bestaat uit drie implantaatdesigns, waarin de bewezen innovaties van het Astra Tech Implant System EV zijn verwerkt. Alle implantaten hebben de geroemde EV-connectie, welk implantaat u ook kiest, de componenten uit het uitgebreide restauratieve platform zijn uitwisselbaar.

Astra Tech Implant® EV

PrimeTaper EV™ Implant

OmniTaper EV™ Implant

2. Chirurgische Verwijdering

• Indicaties voor chirurgie: Grotere sequesters, of die welke pijn of andere symptomen veroorzaken, kunnen chirurgische verwijdering vereisen.

• Procedure: De procedure wordt meestal uitgevoerd onder lokale anesthesie. De behandelaar maakt een kleine incisie om toegang te krijgen tot de sequester en verwijdert deze al dan niet met de boor.

3. Antibiotica

Bij infectie: Als er tekenen zijn van infectie, zoals roodheid, zwelling, pijn of pusvorming, kunnen antibiotica vooraf worden voorgeschreven om de infectie te bestrijden.

4.Controles

Regelmatige controle door de mondzorgverlener is belangrijk om het genezingsproces te monitoren en tijdig in te grijpen indien nodig.

Samenvattend vraagt het beheer en de behandeling van botsequesters een geïndividualiseerde benadering gebaseerd op de specifieke behoeften en symptomen van de patiënt.

De auteur

Konstantinos (Kostas) Kosmidis, werkt in Paro Praktijk Utrecht, PPI Hoorn en TandartsJordaan.

Met dank aan Elmira Boloori voor haar bijdrage aan de hierboven getoonde casuïstiek.

46 49 48 51 47 50 44 45
NIEUW Chirurgische Instrumenten Flip van Dalen fvandalen@younginnovations.com 06-31 919 600 Bezoek ons: Stand E119 Geweldige aanbiedingen! Advertentie

Marloes Rust, MondZorgVuldig Mondhygiënisten Dordrecht

Deze column komt tot stand in samenwerking met TePe Benelux B.V.

Poets, poets, poets je tanden

Vandaag ga ik samen met ons anderhalf jaar oude zoontje Job naar Blijdorp. Oceanium is bij Job favoriet, al komen de giraffen op een goede tweede plaats. De luiertas met daarin zijn beker met water, een boterham met pindakaas en iets lekkers staat al klaar. Nu wij nog.

Ik zet het badje voor Job klaar en leg mijn spullen voor na het douchen in de buurt, zodat ik hem goed in de gaten kan houden als ik klaar ben met douchen. Op deze manier lukt het mij om ons iets sneller klaar te maken voor de dag. Ik was mijn haren en poets mijn tanden. Job spettert er vrolijk op los en kijkt gefascineerd naar het gekleurde lampje van de elektrische borstel. Ik droog mij af en kleed mij aan en dan is het tijd om Job uit het badje te halen. Ik trek alvast de stop eruit om hem een beetje voor te bereiden op het uit bad gaan. “Nee, nee, nee”, roept Job. Uit badje gaan is tegenwoordig wat lastig. Nadat ik hem beloof dat hij morgen weer in bad mag, gaat hij eruit. Het leven kan wat zwaar zijn wanneer je anderhalf jaar oud bent.

Ik breng hem naar zijn kamer en leg hem in een badcape op zijn aankleedkussen om hem af te drogen, in te smeren en aan te kleden. Dit gaat vervolgens allemaal van een leien dakje en we zijn zo klaar. Nu komt het meest lastige punt van ons ochtendritueel: het tandenpoetsen. Voordat ik moeder werd, vond ik moeders die het lastig vonden om de tandjes van hun kindjes te poetsen ietwat overdrijven. Daar ben ik op teruggekomen… Het gaat vaak heel goed, maar deze dag vond Job het leuk om weer te gaan staan en vooral niet meer te gaan liggen. Dit maakt het gericht poetsen op de tanden best lastig.

Op mijn mobiel zocht ik naar het tandenpoetsliedje van Juf Roos. Dit wil vaak wel helpen, zeker wanneer ik mee ga zingen. Ik zou zo mee kunnen doen met Idols. “Poets, poets, poets je tanden, altijd heel erg goed.” Job kijkt mij met een vrolijk gezichtje aan. “Poets, poets, poets je tanden, weet je hoe dat moet?” Hij draait zich naar mij om en knuffelt mij op een manier waarop alleen Job dat kan. Ik leg hem neer op zijn kussen en zing verder: “Pak je tandenborstel, haal wat water uit de kraan.” Ik pak een nieuwe babyborstel voor Job. Dit keer met een giraffe erop en laat het aan hem zien. Lachend pakt hij de tandenborstel aan en bekijkt het plaatje op de borstel. “Wat tandpasta smeren, pas op voor je kleren en laat die borstel maar gaan.”

De nieuwe tandpasta, Tepe Daily Baby, pak ik erbij en geef, nadat ik een klodder op zijn borstel gesmeerd heb, de vrolijke tube aan hem. Hij bekijkt hem goed en begint een grom geluid te maken. Er staat inderdaad een soort beertje op. Tegenwoordig worden alle dierengeluiden nagedaan. Ondertussen poets ik zijn gebitje en zing door. “Eerst de linkerkant, dan de rechterkant, dan de bovenkant en de onderkant.” En Job? Die laat het allemaal gewoon toe en we zijn zo klaar. Op naar de giraffen! Toch wel handig zo’n tandenpoetsliedje én gezellige tandpastatube.

78
COLUMN MARLOES

VOOR IEDERE MOND EEN

PASSEND MONDSPOELMIDDEL

INTENSIVE CARE

0,12% CHX +

0,05% CPC

MEDIUM CARE AFTER CARE

0,05% CHX +

0,05% CPC

0,05% CPC + Zinklactaat + Provitamine B5

U kunt nu ook samples bestellen in onze webshop. Scan de QR code of ga naar www.dentaid.nl/samples

13 APRIL 2024

BETREED DE ARENA VAN DE DIGITALISERING

IN DE TANDHEELKUNDE EN TANDTECHNIEK.

REGISTRATIE: straumann.nl/digital-excellence | straumann.be/digital-excellence

Digitalisering is overal, ontdek wat dit voor uw praktijk of laboratorium betekent. Maak kennis met de voordelen zoals verbeterde precisie, e ciëntie, patienttevredenheid, betere communicatie, archivering en opslag. Op zaterdag 13 april geven wij u inzicht in al onze digitale producten en oplossingen die gerelateerd zijn aan tandheelkundige en tandtechnische workflows en kijken graag met u naar de toekomst. Zien we u daar? Blijf verbonden met alles wat de digitalisering te bieden heeft.

ALCOHOL VRIJ ALCOHOL VRIJ ALCOHOL VRIJ
Adv_185x134_Digital-Excellence.indd 1 05-02-2024 10:45
14, 15 & 16 MAART 2O24 RAI AMSTERDAM DE VAKBEURS VOOR DE TOTALE MONDZORG Dental Expo Nederland Dental Expo DentalExpo dental_expo_nl REGISTREER JE GRATIS MET CODE GR9854

Turn static files into dynamic content formats.

Create a flipbook
Issuu converts static files into: digital portfolios, online yearbooks, online catalogs, digital photo albums and more. Sign up and create your flipbook.