Stap-voor-stap: De gemodificeerde wigtechniek
Hoe is jouw balans tussen werk en privé? Doe de Dentist Experience Balansquiz
![]()
Stap-voor-stap: De gemodificeerde wigtechniek
Hoe is jouw balans tussen werk en privé? Doe de Dentist Experience Balansquiz
Jackelien Bartels-Rijks

Thema: Endodontologie
Maak kennis met TRIOS 6 & Dx Plus
Verbeter uw behandelingen met de beste TRIOS scankwaliteit ooit.
De TRIOS 6 beschikt over 3Shape's meest geavanceerde AI-diagnostiek die u helpt bij het maken van nog betere behandelplannen.
Met DX Plus in combinatie met onze baanbrekende DentalHealth app kunt u patiëntgerichte voorlichting geven en inzichten delen. Zo helpt u patiënten actief mee te werken aan het behandelplan en bij te dragen aan hun langdurige mondgezondheid!
Uitstekende patiëntenzorg begint hier!





“Alles draait om inzetgereedheid”
Jackelien Bartels-Rijks

De opportune openingscaviteit
Christophe Verbanck

Opvolging van dentale traumata
Flore Heiligers-Teeuwen en Marilka van Elst

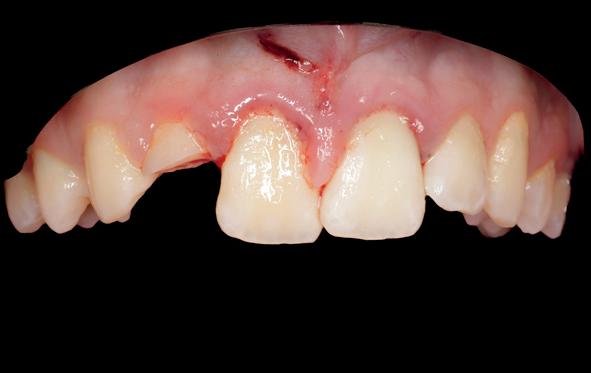
De gemodificeerde wigtechniek Tijmen Dusseljee






Digitale

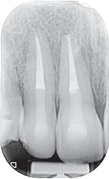
Het uitvoeren van een wortelkanaalbehandeling of een revisie daarvan gaat in veel gevallen gepaard met het vervaardigen van een coronale restauratie. De cariëslaesie is vaak groot of de aanwezige restauratie in het element lekt. Het maken van zo’n coronale restauratie is moeilijk en vergt veel inspanning van de tandarts. De gemodificeerde wigtechniek is een eenvoudige manier om bijna alle complexe en diepe composietrestauraties snel en goed te vervaardigen.
Een lekkende vulling? Geen endo!
De prognose van een wortelkanaalbehandeling wordt in sterke mate beïnvloed door de kwaliteit van de coronale restauratie. Om die reden is het essentieel om de restauratie goed te controleren op kwaliteit en op aanwezigheid van cariëslaesies. Ook bij twijfel is het aan te raden de vulling of kroon te vervangen door een nieuwe composietrestauratie vóórdat er overgegaan wordt tot een endodontische behandeling.
Als er wordt overgegaan tot het maken van een (nieuwe) restauratie, zal het vaak gebeuren dat de preparatiegrens subgingivaal of zelfs ter hoogte van het alveolaire bot uitkomt. Dergelijke situaties ver-
gen een extra inspanning van de algemeen practicus, waarbij de reguliere restauratietechnieken niet afdoende zullen zijn.
De laatste jaren is er gelukkig steeds meer aandacht gekomen voor behoud van moeilijk te restaureren elementen. Chirurgische kroonverlenging, orthodontische extrusie en ‘Deep Margin Elevation’ zijn veelgebruikte methoden om elementen te behoeden voor extractie en hun oorspronkelijke functie terug te geven. Deze methoden zijn complex en vergen chirurgische ervaring. De gemodificeerde wigtechniek is simpel; de uitvoering lijkt op die van de standaard composietrestauratie en is minimaal invasief.







Auteur Tijmen Dusseljee legt hieronder stap-voorstap uit hoe de techniek werkt:
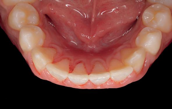
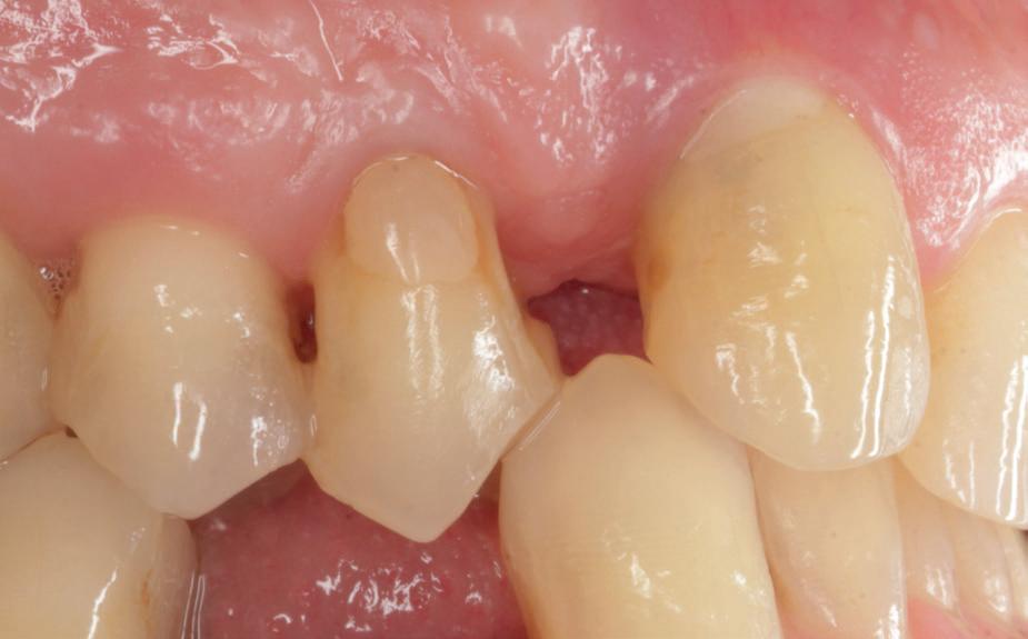
Het isoleren van het werkgebied is belangrijk. Op deze manier krijgt de behandelaar meer controle over het werkgebied en is werken onder microscopisch zicht mogelijk. Eventueel kan er gebruik gemaakt worden van de ‘split dam techniek’, zodat het subgingivale gebied toegankelijker is. Het (opnieuw) plaatsen van het cofferdamvel na preparatie is ook een mogelijkheid (afbeelding 1 en 2).
Stap 2: Preparatie van element en gingiva
Verwijder carieus tandweefsel en maak bij twijfel gebruik van een cariësdetector. In veel gevallen zal het voorkomen dat je subgingivaal eindigt. Gingiva dat in de preparatie ligt kun je verwijderen met bijvoorbeeld een elektrotoom. Ikzelf maak gebruik van
een draadloze warmtespreader, de Superendo Alpha (afbeelding 3 en 4).
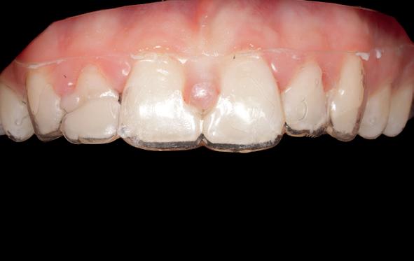
Stap 3: Kies de matrix
Kies de juiste hoogte matrixband van het V3 systeem. Ideaal gezien steunt de matrixband op het tandvlees en eindigt de bovenzijde van de matrix ter hoogte van de randlijst van het element (afbeelding 5).
Stap 4: Plaats de gemodificeerde wig
Plaats een afgeknipte wig. In bijna alle gevallen gebruik ik de Wizard Wedge Wide base. Hierbij is het belangrijk dat de wig geplaatst wordt aan de zijde waar het minste tandweefsel verloren is gegaan. Zorg ervoor dat de wig direct vastloopt. Indien dit niet het geval is, dan dient de wig ingekort te worden met behulp van een schaartje en opnieuw geplaatst te worden. De wig sluit dus de bodem van de box niet af, zoals je normaal gesproken met een wig wel doet (afbeelding 6 en 7).
Start


De Leergang Endodontologie is een onderdeel van Academiae en sluit als postacademische opleiding aan op de tandartsenopleiding van de universiteiten.
Met de basiskennis die je al hebt, gaan we nader in op diagnostiek, veelal aan de hand van casuïstiek, die we op een interactieve manier met je gaan behandelen. Om ervoor te zorgen dat je met veel vertrouwen gaat behandelen in de praktijk, zijn er tijdens deze leergang vele hands-on practica.
Gedurende 6 modules vergroot je je kennis en vaardigheden.
DOCENTEN
Rob Vermaas Jackelien Bartels-Rijks tandarts tandarts - endodontoloog
OVERIGE AANBOD
Bekijk ook eens ons overige aanbod van cursussen binnen de endodontologie:
Cursus De pulpotomie als volwaardige behandeling binnen de endodontologie en cariologie
Cursus Van de standaard tot de perfecte opening
Cursus Endodontologie van vijlen tot vullen
20 maart 2026 S can deQR-code voor mee r ni





Stap 5: Teflon aanbrengen
Pak één centimeter Teflon tape en prop dit aan de tegenoverstaande zijde van waar de wig zich bevindt. Je doet dit met een bij de punt platgeslepen Sikkelsonde. Gebruik van Teflon tape zorgt voor een perfecte adaptatie en afsluiting van de matrixband, zelfs bij furcaties (afbeelding 8 en 9).
Stap 6: Vullen
Zorg ervoor dat je allereerst de bodem en opstaande wanden van de preparatie vult, zodat je met een Ash 49 de matrixband mooi tegen het buurelement kan forceren. Als de knobbels genoeg ‘body’ hebben, kan de separatiering geplaatst worden voor een mooi contactpunt (afbeelding 10).
Eerst resto, dan endo!
Pas als het element een mooie coronale afsluiting, contactpunten en functionaliteit heeft, kan er overgegaan worden tot het uitvoeren van een endodontische behandeling. Zo kan er voorspelbaar gewerkt worden en kan het element een geruime tijd na de wortelkanaalbehandeling goed worden geëvalueerd.

Tijmen Dusseljee (Radboud Universiteit Nijmegen, 2009) start na zijn studie als algemeen practicus bij Praktijk Hekerman en Tandwerk. Zijn passie voor endodontie ontstond op de universiteit, maar kreeg bij Tandwerk echt vorm, waar hij zich ontwikkelde tot specialist in complexe endodontische behandelingen. Door mee te kijken met collega Patrick Vadasz, die onder de microscoop werkt en zijn behandelingen laat zien op een beeldscherm en toelicht, maakte Tijmen een snelle groei door. Dit inspirerende concept wordt nu door beiden voortgezet. Tandartsen komen op cursus, waarna al het cursusgeld gedoneerd wordt aan stichting SENT. www.eyesonendo.org
INTERVIEW
Al ruim twintig jaar is Jackelien Bartels-Rijks actief binnen de Defensie Tandheelkundige Dienst, waar ze militairen behandelt aan wal én op zee. In deze periode ging ze drie keer op oefenmissie als tandarts en was ze meerdere keren werkzaam op Curaçao en Aruba. Na enkele jaren als algemeen practicus binnen Defensie besloot ze zich te specialiseren in de endodontologie, een keuze die voortkwam uit een bijzondere ervaring tijdens een missie. We spraken haar over haar indrukwekkende loopbaan als tandarts-endodontoloog bij Defensie en over waarom deze plek een waardevolle leerschool is voor jonge tandartsen.
Van de studiebanken naar
Defensie
Na de afronding van haar studie Tandheelkunde aan ACTA in 1997 werkte Jackelien Bartels-Rijks in uiteenlopende omgevingen: bij de jeugdtandzorg in Den Haag, binnen het onderwijs aan ACTA en als waarnemer in verschillende algemene praktijken. “Ik wilde ervaring opdoen in meerdere settings, om goed te ontdekken wat ik het leukst vond en waar ik mezelf verder in wilde ontwikkelen.”
Toch bleef één gedachte haar bezighouden: de verhalen van haar vader, die zijn militaire dienst bij de marine had doorgebracht. “Hij vertelde thuis vaak over het leven op zee. Het leek me avontuurlijk en ik vond het aantrekkelijk om met veel andere tandartsen en specialismen te kunnen samenwerken. Ik was nieuwsgierig naar dat wereldje.” Ook het brede opleidingsaanbod binnen Defensie sprak haar aan. “Binnen Defensie krijg je veel ruimte om je kennis
op peil te houden met onder andere tandheelkundige nascholingen en congressen.”
In 2002 meldde Jackelien zich aan bij de Koninklijke Marine, waarvoor ze een aantal fysieke en psychologische testen moest afleggen. “Toen ik werd aangenomen, moest ik eerst de specialistenopleiding voor militairen doorlopen”, vertelt ze. “Daar word je echt gedrild in het militaire: je leert schieten, je moet je redden in een bivak en je fysieke conditie wordt voortdurend bijgehouden. In korte tijd leer je allerlei basisvaardigheden die je vervolgens elk jaar bijhoudt.”
Na haar opleiding werd ze geplaatst op de centrale ziekenboeg in Den Helder, met acht behandelkamers. Dit aantal is inmiddels uitgegroeid tot elf. “Dat was in het begin wel even wennen, want het was behoorlijk groot vergeleken met de civiele praktijken die ik gewend was. Maar juist de mogelijkheid om casuïstiek met collega’s van verschillende disciplines te bespreken, maakte het meteen een inspirerende




CYLINDRISCHE VORM
zorgt voor optimale precisie in kleine interdentale ruimten.
CONISCHE VORM
zorgt voor een betere toegankel�kheid in middelgrote en grote interdentale ruimten.
Er z�n geen significante verschillen tussen conische en cylindrische interdentaal borstels op het gebied van totale plaqueverw�dering1


Scan de QR-code voor meer informatie





plek. Ook vond ik het interessant dat je te maken krijgt met wisselende populaties patiënten.”
Binnen Defensie werkt iedereen met hetzelfde doel: het inzetgereed houden van de militair. Voor tandartsen betekent dat dat je wordt ingezet waar de zorg het hardst nodig is. “Soms spring je bij op een andere locatie in Nederland waar extra tandheelkundige hulp nodig is, maar je kunt ook in het buitenland werken, bijvoorbeeld op de basis op Curaçao of Aruba”, vertelt Jackelien. “Bovendien kun je aan boord van een schip worden geplaatst. Juist die afwisseling maakt het werk zo interessant.”
In 2003 ging Jackelien als tandarts voor het eerst mee op een oefenmissie, aan boord van een marineschip. “Aan boord ben je de enige tandarts. Jij bent degene die het moet oplossen, en dat maakt het werk uitdagend. In een civiele praktijk kun je een patiënt doorverwijzen als je de behandeling niet aandurft, maar aan boord is dat geen optie.”
“Aan boord ben je de enige tandarts. Jij bent degene die het moet oplossen, en dat maakt het werk uitdagend.”
Tijdens missies werk je met beperkte middelen. “We nemen een scheepskoffer mee met het noodzakelijke instrumentarium, en verbruiksmaterialen worden apart meegenomen op basis van wat we denken nodig te hebben. Aan boord is sterilisatieapparatuur aanwezig, maar geen operatiemicroscoop, daarom neem je je eigen loepbril mee.
We doen vooral eerstelijnszorg; alles wat nodig is om iemand inzetbaar te houden. Tandtechnische werkzaamheden kunnen we niet aan boord uitvoeren; dat gebeurt aan wal in samenwerking met een tandtechnisch laboratorium. Zulke behandelingen moeten dus wachten tot de patiënt weer langere tijd een ‘walplaatsing’ heeft.
Kleine kaakchirurgische ingrepen, zoals het verwijderen van een lastige derde molaar, doen we wel. Beginnende tandartsen krijgen daarvoor vooraf training van een kaakchirurg. Op zee moet je immers alles zelf kunnen doen.”
Over het leven aan boord vertelt Jackelien: “Het is een bijzondere ervaring. Het is net een dorp, je komt je patiënten de hele dag tegen, dit maakt de sfeer heel laagdrempelig. Op een gegeven moment heb je iedereen wel in de stoel gezien. Soms moet je ook wel een list verzinnen om iemand in de stoel te krijgen, haha.” De werkzaamheden aan boord beperken zich niet tot de behandelkamer. “Je neemt ook deel aan de dagelijkse briefing met de commandant. Daar hoor je wat er speelt binnen de missie en geef je zelf door als iemand tijdelijk niet inzetgereed is. Je bent dus nauw

betrokken bij wat er aan boord gebeurt.”
Ook bij calamiteiten speelt de tandarts een duidelijke rol binnen het team. “Iedereen aan boord heeft een specifieke taak”, legt Jackelien uit. “Als tandarts val je onder de medische dienst en neem je bijvoorbeeld deel aan de triage. Dan bepaal je samen met de arts welke mensen de hoogste prioriteit hebben bij medische zorg.”
Een ervaring tijdens haar eerste missie bleek bepalend voor haar latere specialisatie. “Aan boord kreeg een patiënt plotseling een opvlamming: cellulitis, een ernstige complicatie van een odontogene ontsteking. Dit is een diffuse uitbreiding van pus in het losmazige bindweefsel van de weke delen én kan levensbedreigend zijn. Civiel zou deze patiënt naar de kaakchirurg zijn verwezen en intraveneus hoge do-
“Het was ontzettend spannend, we moesten beslissen of we hem van boord zouden halen of niet.”
ses antibiotica toegediend krijgen.”
Ze vervolgt: “Door een slechte satellietverbinding kon ik geen overleg voeren met collega’s aan wal, dus moest ik het doen met de kennis die ik op dat moment had. We hebben het hier wel over ruim twintig jaar geleden, dus inmiddels zijn de communicatiemogelijkheden met de wal enorm verbeterd.” Samen met de arts behandelde ze de patiënt, hield ze de situatie dagelijks nauwlettend in de gaten en wist ze deze uiteindelijk te stabiliseren.
“Het was ontzettend spannend, we moesten beslissen of we hem van boord zouden halen of niet. We voeren toen voor de kust van Lissabon. Uiteindelijk konden we hem aan boord houden, en dat gaf veel voldoening. Die ervaring heeft mij toen aan het denken gezet: ik wilde me verder verdiepen in infecties en wortelkanaalbehandelingen. Zo kwam ik bij de opleiding endodontologie uit.”
In 2005 begon Jackelien aan de driejarige postacademische opleiding endodontologie aan ACTA. “Het is een intensieve en interessante opleiding”, benadrukt ze. “Je werkt zowel preklinisch als klinisch, doet literatuurstudie, casuïstiekbesprekingen, en krijgt training in CBCT-interpretatie en apicale chirurgie.”
Ze vertelt enthousiast wat haar zo aanspreekt aan het vak. “Het is een uitdagend vak op microniveau: je probeert een kies weer zo gezond mogelijk te krijgen. Niet elke kies heeft dezelfde uitdaging, en achter elke kies zit een mens. Dat maakt het werk veelzijdig, en de beloning is groot als het lukt.” Ook het chirurgische aspect van de endodontologie spreekt haar aan. “De kant van de apicale chirurgie vind ik bijzonder interessant, om via die route alsnog een kies infectievrij te krijgen.”
Voor tandartsen die overwegen de opleiding te volgen, heeft ze een duidelijk advies. “Als je net bent afgestudeerd, moet je je vaak eerst nog bekwamen
in het restauratieve gedeelte, laat staan in de endodontologie. Doe daarom zoveel mogelijk endowerk en zorg dat je een stevige basis hebt. De opleiding is wetenschappelijk van aard, en het helpt enorm als je al een klinisch referentiekader hebt.”
Na afronding van haar opleiding keerde Jackelien terug naar Defensie, waar ze sindsdien werkzaam is als tandarts-endodontoloog op haar vaste standplaats in Den Helder. Ze werkt daar in een multidisciplinair team van 24 medewerkers, bestaande uit tandartsen, gedifferentieerde tandartsen, mondhygiënisten, preventieassistenten, tandartsassistenten en baliemedewerkers. “Ik krijg verwijzingen van collega-tandartsen uit heel Defensie. Militairen van de landmacht, luchtmacht en marine worden naar onze locatie verwezen voor endodontische behandelingen.”
Haar werkdagen zijn goed gestructureerd. “We beginnen de dag met de teamoverdracht, waarna we jaarcontroles uitvoeren en pijnklachten toetsen. Daarna behandel ik patiënten met endodontische problemen en doe ik apicale chirurgie. Tussendoor overleg ik met collega’s aan de stoel of via e-mail. De dag sluit ik af met endoverwijzingen. Eens per week hebben we een casuïstiekbespreking.”
Het werken binnen Defensie verschilt op enkele punten van de civiele praktijk. “Endodontische behandelingen worden bij Defensie volledig vergoed”, legt Jackelien uit. “Daardoor kunnen we er alles aan doen om een element te behouden. In de civiele praktijk wordt soms eerder gekozen voor extractie, omdat kosten voor de patiënt meespelen. Hier hebben we die beperking niet en kunnen we altijd streven naar de best mogelijke behandeling.”
Daarnaast ervaart ze de samenwerking met collega’s als een groot voordeel. “Bij Defensie is het heel normaal dat je bij collega’s naar binnenloopt, meekijkt en vragen aan elkaar stelt. Dat maakt het werken hier niet alleen leerzaam, maar ook een veilige opstart voor net afgestudeerde tandartsen.”
Technologische vooruitgang maakt de endodontologie preciezer dan ooit
Kijkend naar de toekomst ziet Jackelien hoe technologische ontwikkelingen het vak verder vormgeven.
“We gaan steeds meer werken met kunstmatige intelligentie, bijvoorbeeld bij het analyseren van röntgenbeelden en het bepalen van diagnostiek. Ook de CBCT-techniek ontwikkelt zich snel: doordat we het wortelkanaalstelsel driedimensionaal kunnen bekijken, krijgen we een veel beter beeld van de anatomie en kunnen we de toegang tot het kanaal nauwkeuriger bepalen. Het maakt zowel de diagnostiek als de behandeling een stuk preciezer.”
Over haar eigen toekomst is ze duidelijk. “Ik zie mezelf doorgaan in de combinatie van klinisch werk en kennisoverdracht. Het klinische vind ik heel leuk, maar het begeleiden van jonge collega’s geeft minstens zoveel voldoening. Ik vind het belangrijk om hen te enthousiasmeren voor de endodontologie.”
Jackelien Bartels-Rijks studeerde in 1997 af als tandarts aan ACTA en werkt sinds 2002 in het tandheelkundig team van de Koninklijke Marine. In 2016 werd de Defensie Tandheelkundige Dienst opgericht, waar zij deel van uitmaakt. Ze voer twee keer mee als tandarts aan boord van Zr. Ms. Rotterdam (in 2003) en één keer op Zr. Ms. Karel Doorman (in 2020).
Sinds 2009 is ze als endodontoloog werkzaam op haar vaste standplaats in Den Helder, waar ze militairen van alle krijgsmachtonderdelen behandelt.
Naast haar klinische werkzaamheden is zij actief betrokken bij kennisoverdracht en kwaliteitsmanagement. Ze begeleidt beginnende tandartsen, actualiseert werkinstructies en voert audits uit op verschillende defensielocaties. Ook is zij medeauteur van het binnenkort te verschijnen Tandheelkundig Compendium, een praktisch naslagwerk voor tandartsen.
Ook interesse in werken bij defensie? Kijk op www.defensie.nl of mail naar AenAMP@mindef.nl.

Transform hours into minutes with a single AI-powered platform for 2D and 3D images
AI features in DTX Studio™ Clinic save time and simplify case presentations
DTX Studio Clinic is the central imaging hub for your entire clinic. Automatically consolidate all your image types and use AI to set up your case in seconds. Make diagnoses, educate patients, plan treatments, generate surgical guides and moreall without ever leaving the patient room.


Celina Klappers, Praktijkhouder-Tandarts
bij Wellestate Tandartsen, IJsselstate Tandartsen en Jungle Tandartsen. @drs.celina_klappers
Een nieuwe praktijk, meer endo’s en een gadget met een verrassend lange slurf. Sommige gadgets lijken overbodig. Tot je ze één keer gebruikt. Neem nu het olifantenspuitje. De naam alleen al roept beelden op van safari’s en verdovende pijlen, niet bepaald iets wat je verwacht in een behandelkamer.
In onze praktijk in Dieren is het merendeel van de patiënten goed gesaneerd; daar zie ik nog maar weinig endo’s. Maar sinds de start van Wellestate Tandartsen in Zevenaar, een nulpraktijk met veel nieuwe en ongesaneerde patiënten, komen endodontische behandelingen ineens weer dagelijks voorbij. Dat vraagt om een frisse blik én praktische hulpmiddelen. Met een nieuw op te bouwen patiëntenbestand leek het mij dus een goed moment om mijn endo-vaardigheden weer wat op te frissen.
Een paar maanden geleden volgde ik een cursus, de Endo Light in het Mauritshuis in Nijmegen. Patrick Vadasz gaf uitleg over het uitvoeren van een pulpotomie bij een vitale pulpa, dus niet de klassieke endo, maar een meer weefselbesparende variant.
Tijdens de opleiding leerden we het allemaal: nooit blazen in de pulpa. Groot gat mét pijn? Endo. Groot gat zónder pijn? Pulpotomie. Niets nieuws onder de zon, dacht ik. Tot Patrick een foto liet zien van een tipje dat je op een syringe kunt plaatsen, in de vorm van een kleine olifantenslurf.
Mijn eerste reactie: Serieus? Je kunt toch ook gewoon aspireren met een microzuiger of endonaald? Maar toen ik even later een filmpje zag, gefilmd door de microscoop, waarop te zien was
hoe precies er geaspireerd kon worden, was ik verkocht.
Het bleek te gaan om een klein kunststof opzettipje dat je eenvoudig op een syringe draait. Geen grote investering, maar wél een verrassend effectieve. Sindsdien gebruik ik het bij elke endo. Het werkt verbazingwekkend goed: necrotisch weefsel, pus en hypochloriet worden met gecontroleerd vacuüm uit het kanaal gezogen. Snel, schoon en precies.
De Endo Light pas ik vooral toe bij kinderen, maar eerlijk is eerlijk: dat olifantje ligt nu standaard op elke endo-tray. En elke keer dat ik het pak, moet ik toch weer even glimlachen. Want soms zit vooruitgang gewoon in een klein stukje kunststof met een grote naam.
In de afgelopen vijftien jaar werd de endodontologie sterk gekenmerkt door een ‘less is more’ benadering in bijna alle fasen van de orthograde behandeling. Denk hierbij aan de combinatie van CBCT en vergroting en verlichting, de ontwikkeling van meer flexibele wortelkanaalinstrumenten, biokeramische sealers en de trend van de minimale openingscaviteiten. Kortom, alles om de structurele integriteit van de tand zoveel mogelijk te respecteren, zowel boven als onder de botgrens.1 Onderstaande korte casus vat de voordelen van een minimale, of eerder opportuun gecreëerde openingscaviteit samen. Frustratie leidt tot verandering. En ook al is daar het afgelopen decennium al heel wat over gezegd en geschreven, zetten we alles graag nog eens chronologisch op een rij.
Reeds in 1989 staan Reeh et al.2 stil bij de onmiddellijke gevolgen van het prepareren van tanden. Ze tonen aan dat zowel restauratieve als endodontische behandelingen leiden tot een reductie in structurele stevigheid. Op eenvoudige wijze laten ze zien dat een openingscaviteit zorgt voor een minimaal verlies van ongeveer 5%, maar als daar nog een MOD-caviteit bij komt, verliest de tand tot wel 67% van zijn oorspronkelijke sterkte.
In 1995 zetten Rankow & Krasner3 uiteen hoe een goede endodontische toegangscaviteit geprepareerd dient te worden. Volgens het concept van een doos met een deksel, die geopend wordt in verschillende stukken, tonen ze aan wat het belang is van het creeren van straight line access en vooral een direct line
of sight op de pulpabodem door een volledige verwijdering van het pulpadak.
Indien correct uitgevoerd, leidt het als het ware, zoals de titel van het artikel, tot een ‘Aha-erlebnis’. Deze theorie houdt, tegen ieders verwachtingen in, geen rekening met de structurele integriteit van de tand ondanks eerder voorgestelde wetenschappelijke bewijzen.2 Integendeel, er wordt zelfs op gehamerd om zeker voldoende materiaal weg te nemen om zo een beter zicht op de pulpabodem te krijgen waardoor infectie beter geëlimineerd kan worden. Net zoals bij de caviteitsleer van Black.4
Op basis van jaren ervaring brengt hetzelfde duo, net geen 10 jaar later, opnieuw een artikel5 uit dat beter



bekend staat als: De wetten van Krasner en Rankow. Hierin wordt uitgelegd waar kanalen zich bevinden, vooral in ondermolaren, en hoe deze zich verhouden ten opzichte van elkaar en de axiale wanden. Kortom, een soort van algemene vorm van kaartlezen van de pulpabodem. Hierbij wordt de focus nog steeds op extension for prevention gelegd.
Ondertussen staat de medische/tandheelkundige wereld niet stil en zowel vergroting en CBCT vinden langzaam maar zeker hun weg in de dagdagelijkse (endodontische) praktijk. Kaartlezen van de pulpabodem komt nog steeds van pas, maar meer complexe en uitzonderlijke gevallen kunnen nu gerichter behandeld worden door gebruik van CBCT en vergroting. Hierdoor is het mogelijk om de exacte locatie van de kanalen te gaan bepalen zoals bij een GPS-systeem.
In 2010 vinden Clarck & Khademi6-8 en collegae, op basis van hun ervaring met restauratieve mislukkingen van endodontisch behandelde tanden, dat het tijd wordt om de slingerbeweging die in 1995 in gang werd gezet, de andere richting te laten uitgaan. Door het klassieke preparatiemodel te verlaten, waar het gemak van de tandarts centraal staat, willen ze het accent leggen op een behandelconcept waar het langetermijnbehoud van de tand vooropstaat.
Hierbij doen ze verschillende voorstellen om, indien de situatie het mogelijk maakt, beperkte en minimalere openingscaviteiten (Contracted/Conservative endodontic access cavity) te prepareren om zo het peri-cervicaal dentine - dentine 4 mm boven en onder de botgrens dat dienstdoet als stressverdeler binnen de tand - te respecteren en structurele verzwakking te minimaliseren.
Maar zoals bij alle opinies gebaseerd op empirische data en zoals eerder vermeld, zijn er ondertussen al heel wat artikelen en dus ook voor- en tegenstanders van dit ‘moderne’ behandelconcept. Verschillende vormen van beperkte openingscaviteiten werden in het leven geroepen waarbij de één uitdagender was
dan de ander.9 Zo werden speldenkop grote openingscaviteiten voorgesteld (Ultra Contracted/Ninja access cavity design) als extreem antwoord op de klassieke openingscaviteit.
Theorie versus realiteit
Het hoofddoel van een openingscaviteit blijft om een vlotte toegang tot het wortelkanaalsysteem te creeren. Hierbij moeten alle orificia bereikbaar zijn en moet de opening toelaten om alles chemomechanisch te kunnen reinigen. Wordt er niet voldaan aan deze eerste belangrijke regel, dan kan het vervolg van de behandeling leiden tot frustraties en mislukking van de volledige endodontische behandeling.10 Tegelijkertijd dient ook alle cariës verwijderd te worden om hierdoor verlies van het betreffende element in de toekomst te voorkomen.
Het openen van de pulpakamer, zoals in de meeste scholen wordt aangeleerd, gebeurt occlusaal ter hoogte van het centrale deel van de kroon. Dit komt meestal overeen met de pulpahoorn die zich bevindt boven het breedste kanaal. Dagdagelijkse praktijk toont echter aan dat op gave tanden zelden of nooit wortelkanaalbehandelingen worden uitgevoerd. Bovendien staat niet elke tand mooi gealigneerd in het gebit.
Hierdoor is het dus opportuun om gebruik te maken van de reeds aanwezige aantasting (Caries-Driven access cavity), de aanwezige restauratie (Restorative-Driven access cavity)11, de anatomie van het wortelkanaal en hoe deze zich projecteert op het gemakkelijkst bereikbare tandoppervlak 12, ofwel een combinatie van dit alles. Het doel is dat de caviteit niet groter dan technisch noodzakelijk en zo klein als praktisch behandelbaar wordt gemaakt.13
Dagdagelijkse praktijk
Een 67-jarige patiënt (ASA I) wordt doorverwezen voor een endodontische behandeling op tand 34 om-






wille van necrose en de daaruit volgende symptomatische apicale parodontitis. Na klinisch onderzoek kan een buccale cervicale klasse V composietrestauratie met randlekkage en secundaire cariës weerhouden worden. De tand is intact op het occlusaal oppervlak (afbeelding 1a, b, c). Pre-operatieve peri-apicale radiografie toont een apicaal letsel met een normaal verloop van het wortelkanaal (afbeelding 2a). Eén jaar follow-up toont volledige apicale genezing aan en klinisch zijn er geen tekenen van secundaire cariës.
Na verdoven en plaatsen van rubberdam-isolatie, is de eerste stap het maken van de openingscaviteit, waarbij er in deze situatie twee mogelijkheden zijn:
1.Een klassieke toegang doorheen het gave occlusale vlak samen met het behandelen van de buccale composiet restauratie en cariës (voordeel: straight line access. Nadeel: twee verzwakkingen).
2.Verwijderen van de buccale restauratie en cariës en behoud van het occlusale vlak. (Voordeel: gebruik-


maken van een reeds aanwezige verzwakking en behoud van gaaf tandweefsel. Nadeel: meer geanguleerde toegang naar het wortelkanaal).
De keuze om gebruik te maken van de reeds aanwezige restauratie ligt in dit geval voor de hand (Restorative and Caries-Driven access cavity) (afbeelding 3a), maar hierbij dient rekening gehouden te worden met de locatie van het kanaal ten opzichte van het buccale oppervlak (afbeelding 4a).
Voor verdere preparatie van het wortelkanaal is het belangrijk om een goed referentiepunt te krijgen, wat niet altijd even éénvoudig blijkt te zijn bij dit soort openingscaviteiten. Een handig hulpmiddel kan zijn om een bolletje composiet of ander licht uithardend, achteraf makkelijk te verwijderen, kunsthars aan te brengen als referentiepunt tijdens de preparatie en obturatie (afbeelding 5a, b, c), ofwel door gebruik te maken van een ingebouwd apex locator in de preparatie-motor.14 Na volledige mechanische prepara-





tie met dead-soft rotaries – om breuk te voorkomen bij de geanguleerde toegang – wordt met gehaakte sondes en ultrasone tips het meer coronaal gelegen deel van de pulpakamer gereinigd. Na activatie van het spoelmiddel (afbeelding 6a, b) kan het element worden gevuld met guttapercha en een sealer naar keuze (afbeelding 7a, b, c). Vervolgens wordt de tand hersteld met een composietrestauratie (afbeelding 8a, b, c). Eén jaar follow-up toont volledige apicale genezing aan en klinisch zijn er geen tekenen van secundaire cariës (afbeelding 9a).
Voortschrijdend inzicht en de continue evolutie van het endodontisch behandelmateriaal laten het vandaag de dag toe om minimalere openingscaviteiten te prepareren en meer tandweefsel sparend te werk te gaan. Waar vroeger een wortelkanaal instrument te rigide was of het risico op breuk te groot was,


kan nu onder vrijwel elke hoek een kanaal benaderd worden. Dit leidt tot het creëren van opportune openingscaviteiten door gebruik te maken van reeds aanwezige restauraties die, door een minimale verwijdering van (aangetast) dentine, toegang geven tot het pulpasysteem.
Hierdoor lijkt de evolutie van (te) grote openingscaviteiten, waarbij elke hoek van de pulpakamer moest worden gevisualiseerd2, naar extreem kleine caviteiten die volledig op de tast worden uitgevoerd, stilaan zijn evenwicht te vinden. Voor een endodontische behandeling is nog altijd een toegang naar de pulpa nodig, maar het is belangrijk dat hierbij enkel tandweefsel ‘opgeofferd’ wordt waaraan klinisch weinig waarde wordt gehecht.
Restauratief materiaal, cariës, ondermijnd glazuur en ontstoken pulpaweefsel moeten weg, maar het peri-cervicaal dentine, de axiale wanden en het wortelkanaal dentine moeten te allen tijde worden ge-

Maak endo eenvoudig en efficiënt
Een geoptimaliseerde vijlenreeks
Een bioactieve sealer met een succespercentage van 91% na 2 jaar**
*BioRoot™ Flow: is een medisch hulpmiddel dat bedoeld is voor permanente wortelkanaalvulling in combinatie met gutta-percha-punten. GenENDO maakt deel uit van de endodontische behandeling. Beide kunnen samen of afzonderlijk worden gebruikt bij endodontische ingrepen. **Evaluatie op basis van losse criteria (Clinicaltrials.gov) 24 maanden na de behandeling was het totale effectiviteitspercentage volgens ruime criteria 91,0% in de BrF-groep en 90,4% in de BrRCSgroep (p= 0,0003). De resultaten van het klinische onderzoek zijn beschikbaar op Clinicaltrials.gov/study/NCT04757753.
Septodont NV-SA Société Anonyme
Grondwetlaan 87 - 1083 Brussel - België www.septodont.nl
WILT U EEN DEMONSTRATIE? SCAN DE QR-CODE

ENDODONTOLOGIE
respecteerd6. Meer tandweefsel overhouden door het herlokaliseren van de toegang kan op lange termijn alleen maar een meerwaarde zijn voor de prognose van een element.
Een opportune openingscaviteit en de daaropvolgende kwalitatief correcte endodontische behandeling komt voort uit degelijke kennis van de interne en externe anatomie van tanden. Deze kennis geeft ons de kans om bij elke casus opnieuw te beslissen wat behouden wordt en wat weggeprepareerd kan worden. Een correct instrumentarium laat toe om de opening daar te lokaliseren waar het meest weefselsparend gewerkt kan worden, waardoor een beter langetermijnbehoud gegarandeerd kan worden.
Christophe Verbanck (Universiteit Gent 2009) is tandarts-endodontoloog en praktijkeigenaar van verwijspraktijk Lovendo in Lievegem, België. Christophe geeft regelmatig lezingen en hands-on cursussen in endodontische technieken voor tandartsen en publiceert regelmatig artikelen in vakbladen.
De literatuurlijst is op te vragen bij de redactie en in te zien bij het artikel online op www.dentista-magazine.nl
Advertentie
W&H Thed thermodesinfectoren; compact, snel en makkelijk te bedienen!
Tafelmodel of onder het werkblad
Voorzien van actieve droging (droge instrumenten!)
Snelle hoekstukken cyclus
• Grote capaciteit
• Met één of twee rekken
• Vele leverbare accessoires
• De chemie zit in de machine (geen extra kast nodig)
Zie wh.com of vraag uw dealer!




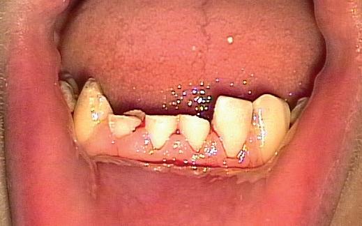
Onze verwijspraktijk EndoGooi in Bussum bestaat inmiddels 16 jaar. Hierdoor hebben we al veel patiënten voor langere tijd kunnen opvolgen. Zeker bij trauma is dat interessant én belangrijk, omdat het verloop van traumacasuïstiek zich lastiger laat voorspellen. In dit artikel bespreken wij een patiënt met verschillende soorten trauma.
Bij een 15-jarige gezonde jongen werd tijdens een caféruzie op zondagnacht een stoel tegen zijn gezicht gegooid. Hierbij was sprake van flink dentaal trauma:
• De 13 was geavulseerd.
• De 12 en de 11 waren naar palatinaal geluxeerd.
• In het onderfront waren kroonfracturen zichtbaar in de 42, 41 en 31.
Na de avulsie is de 13 bij de afdeling kaakchirurgie in een oplossing van fysiologisch zout bewaard (onbekend hoe lang na het trauma) en na ongeveer zes uur post-trauma onder anesthesie in de alveole teruggeplaatst. Toen zijn ook de 12 en de 11 gereponeerd en is er een staaldraadspalk aangebracht van de 14 naar de 22. Tevens is de lip gehecht. Er is niets aan de afgebroken ondertanden gedaan, maar dringend geadviseerd deze zo snel mogelijk te laten afdekken door de eigen tandarts.
Na zes weken zagen wij hem voor het eerst bij ons in de praktijk voor consult. Hij was klachtenvrij en kon redelijk kauwen met zijn tanden (afbeelding 1-6).
Diagnose
Symptomatische parodontitis apicalis met externe resorptie 13 t.g.v. infectie.
• Onduidelijk voor de 12 en de 11, mogelijk nietpijnlijke parodontitis apicalis 11 t.g.v. infectie.
• Symptomatische pulpitis 42, 41 en 31, onduidelijk of reversibel of niet.
Therapie
• Zo snel mogelijk spalk verwijderen en endodontische behandeling 13.
• Proefboren 12 en 11 en indien nodig endodontische behandeling. Tijdelijke restauraties 42/41/31 verwijderen en opbouwen en, indien nodig, endodontische behandeling.
Behandeling 13, 12, 11
We zijn begonnen met de 13 en hebben een week later de 12 en de 11 behandeld. Bij de 13 kon een volledig necrotische pulpa worden geëxtirpeerd (afbeelding 7). Aangezien we aan de vitaliteit van de 12 en 11 twijfelden, hebben we eerst een proefboring uitgevoerd en beide elementen bleken volledig necrotisch.










De kanalen zijn ultrasoon gespoeld met 2% NaOCl en EDTA onder isolatie van rubberdam. Het kanaal van de 13 is gevuld met MTA (afbeelding 8), omdat er sprake was van een niet-afgevormde radix. Dit is afgedekt met een laagje Vitrebond. In de 12 en 11 hebben we guttapercha en AH26 aangebracht via een hybride vultechniek (afbeelding 9).
Er is een plastische opbouw vervaardigd van het composiet opbouwmateriaal Clearfil core, dat diep is verankerd in het kanaal. Er is een definitieve restauratie vervaardigd van composietmateriaal Filtek Z250 kleur A3 (afbeelding 10 en 11). De behandeling is technisch goed verlopen. Echter, we hebben hem en zijn moeder uitgelegd dat de prognose





van de 13 voor de lange termijn dubieus was.
Behandeling 42, 41, 31
Na het verwijderen van de lekkende glasionomeerspalk, lagen alle pulpae bloot. De 42 was bovendien verticaal gefractureerd (afbeelding 12 en 13). Het topje van de pulpae van de 31 en 41 kon worden verwijderd, en na spoelen met NaOCl persisteerden twee vitale pulpae, die zijn afgedekt met een laagje Vitrebond (afbeelding 14).
Daarna zijn de tanden weer opgebouwd met een composietrestauratie van Filtek Z250 kleur A3. De 42 is tijdelijk afgesloten met glasionomeercement, met het verzoek aan de tandarts deze tand te extraheren.

Marloes Rust, MondZorgVuldig
Mondhygiënisten Dordrecht.
Deze column komt tot stand in samenwerking met TePe
Benelux B.V.
COLUMN MARLOES
Het beroep mondhygiënist is een mooi beroep. Zoals ik al in een eerdere column vertelde, is geen dag hetzelfde. We zien iedere dag andere mensen en maken mooie casussen mee. Veel patiënten komen ook al jaren langs en er wordt wederzijds met elkaar gelachen en meegeleefd.
Wanneer ik op feesten en partijen vertel wat mijn beroep is, dan krijg ik ook meestal de heftigste verhalen te horen. In de meeste gevallen hoor ik pittige verhalen over een endo die niet goed te verdoven was, of spannende verslagen van een bezoek aan de kaakchirurg. Een enkele keer heeft de mondhygiënist ook een hoofdrol in het verhaal. Soms gaat het om een bijrol, maar we worden niet vergeten.
Een aantal jaren geleden was ik op de verjaardag van een goede vriendin van mij. Ik raakte in gesprek met haar oom en tante. Bij de eerste woorden drong een bekende geur langzaam mijn neus binnen… Iedere tandarts en mondhygiënist kan deze geur vast wel voor zich halen. De alom bekende parogeur.
De oom en tante vroegen waar ik hun nicht van kende en babbelden vrolijk erop los. In gedachten was ik al een behandelplan aan het smeden. De oom lachte steeds hartelijk zijn tanden bloot en ik bestudeerde de tanden met de dikke lagen plaque. Heerlijk! Daar wil ik mijn airflow wel opzetten. Wat een prachtig resultaat zou het zijn en dat alleen al door de verwijdering van de supragingivale plaque. Mijn visitekaartje brandde in mijn tas, maar hoe pak je dit aan zonder iemand een naar gevoel te geven?
Het gesprek kwam uit op het beroep van de oom. Hij werkte als zzp’er en zijn doel was om samen met zijn vrouw zo veel mogelijk op vakantie te gaan. Hij kon immers zelf zijn tijd indelen. Het liefst gingen ze naar Egypte op vakantie. Heerlijk bakken in de zon en naar een all inclusive hotel. Ze kwamen daar twee keer per jaar en ze kenden er iedereen. Het voelde als een soort van thuiskomen, maar dan in een zonnig land en een temperatuur zo rond de 35 graden. Niet te vergelijken met ons herfstig Nederland. Dat all inclusive beviel
de oom en tante uitstekend. In Egypte moet je immers goed oppassen met wat je eet en drinkt, maar in het hotel is alles tot in de puntjes verzorgd. Buiten de muren loert echter de vloek van de farao, en daar kun je goed ziek van worden. Nee, die farao wil je liever niet tegenkomen op vakantie.
Na het bespreken van de vakantieplannen vroegen de oom en tante wat voor werk ik doe. Ik antwoordde dat ik mondhygienist ben en een vrijgevestigde mondhygiënistenpraktijk in Dordrecht heb. “Mondhygiënist?!”
Riepen de oom en tante in koor. “Dat is toch zo’n nieuw beroep?”
Verbaasd keek ik ze aan en antwoordde dat de mondhygiënist toch echt al een kleine 60 jaar in Nederland bestaat. De tandarts van de oom en tante had hen ook al naar een mondhygiënist willen sturen, maar daar zagen ze allebei niets in. Van dat geld konden ze beter nog een keer op vakantie gaan. Tja, welke vloek is erger; de vloek van de farao of de vloek van de paro…?




In het eerste jaar is hij regelmatig bij ons op controle geweest, daarna zagen wij hem pas weer vier jaar na het trauma (afbeelding 15-18). Hij was toen 19 jaar.
Diagnose
Persisterende niet-pijnlijke parodontitis apicalis met fistel en externe ontstekingsresorptie 13 ten gevolge van infectie.
• 12 gezonde situatie.
• Onduidelijk voor de 11, mogelijk niet-pijnlijke parodontitis apicalis 11 met ontstekingsresorptie ten gevolge van infectie.
Etsbrug onderfront, in afwachting van een implantaat.
Aangezien de prognose slecht was voor de 13, is hij verwezen naar tandarts-implantoloog Irfan Abas.
Hij heeft een CBCT-scan gemaakt en na extractie de 13 vervangen door een implantaat. Er was nog wat onduidelijkheid over de status van de 11, dus we hebben hem expliciet laten kijken naar het vermeende resorptiedefect. Dit bleek echter een groot foramen incisivum, dus een overprojectie, zelfs in de vorm van een hartje (afbeelding 19, met dank aan Irfan Abas).
Uiteindelijk zagen wij hem nog voor controle zeven jaar na het trauma, inmiddels 22 jaar.
Het klinische beeld oogde rustig, er waren (implantaatgedragen) kronen ter plaatse van de 13 en 42, geen reacties op testen (percussie/palpatie/pockets) en de reacties op koude waren bij de 21, 22, 41 en 31 normaal.


Röntgenologisch waren er evenmin bijzonderheden waar te nemen, de implantaten zagen er stabiel uit (afbeelding 20 en 21, met dank aan Irfan Abas). De diagnose was dan ook gezonde pulpae 41, 31 en geen bijzonderheden voor de overige tanden.
Bij dit trauma hebben meerdere tanden (forse) schade opgelopen aan het PDL, de pulpa en/of mogelijk aan het bot. De 13 en de 42 zijn verloren gegaan, de 12 en 11 zijn na endodontische behandelingen goed hersteld en de pulpae van de 41 en 31 zijn vitaal gebleven. Een avulsie is weliswaar het zwaarste trauma voor een tand, maar de forse luxaties en relatief late reponaties van de 12 en 11 hadden uiteindelijk ook voor meer schade kunnen zorgen en zelfs tot verlies kunnen leiden.
Dit voorbeeld maakt duidelijk hoe belangrijk het is om traumacasussen structureel op te volgen. Het is immers nooit zeker wat er op langere termijn gebeurt. Voor meer informatie over de opvolging van dentale traumata, raadpleeg de richtlijnen op de website van de NvvE (www.nvve.com).
Marilka Elst en Flore Heiligers-Teeuwen zijn NvvE-erkende tandarts-endodontologen en voeren in Bussum een verwijspraktijk voor endodontologie, EndoGooi.
Een trauma komt altijd onverwacht en juist dan is het van meerwaarde om snel, maar ook zo precies mogelijk te kunnen handelen. De digitale hulpmiddelen in de praktijk spelen hierin een belangrijke rol. Dit heb ik zelf ervaren toen ik aan het eind van de dag onderweg was naar de praktijk om nog wat modellen te printen. Nog voordat ik in de praktijk was, werd ik gebeld door een van mijn collega’s: haar zoon was gevallen en het was duidelijk dat er schade aan het gebit was ontstaan. In dit artikel geef ik antwoord op de vraag: welke rol kan digitale tandheelkunde spelen in het geval van een trauma?
De casus
Een jongeman van 15 jaar was op school met vrienden aan het stoeien. Iets onschuldigs, maar helaas met gevolgen. Hij was gestruikeld en voorover op zijn gezicht gevallen. Aangezien hij kort buiten bewustzijn was geraakt, volgde eerst een bezoek aan de huisartsenpost ter controle op hersenletsel. Inmiddels was zijn moeder op de hoogte gebracht en zij belde vervolgens mij of ik zo snel mogelijk naar de praktijk wilde komen om de situatie te beoordelen. Nadat de huisarts vaststelde dat het om een hersenschudding ging, volgde een bezoek aan de tandarts. Die nacht moest de patiënt vervolgens om de twee uur worden gewekt om te controleren op helderheid en eventuele symptomen van sufheid of misselijkheid.
Onderzoek
Uitvragen
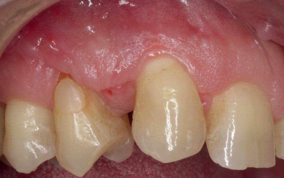
In het geval van een trauma is het altijd prettig om de oorzaak te weten en tegelijkertijd dit kort en bondig te houden, zodat het trauma snel behandeld kan worden. Dit kan vaak al aan de telefoon worden uitgevraagd en wanneer de patiënt in de stoel zit worden geverifieerd. In de algehele gezondheid bleek niets veranderd, behalve het opgelopen trauma: ASA I klasse. In het korte gesprek probeerde ik te achterhalen wat de patiënt zelf kon voelen en hij gaf aan last te hebben van de voortanden in de boven- en onderkaak alsmede moeite te hebben met de kiezen op elkaar te krijgen (afbeelding 1-4).





Klinisch onderzoek
Niet alle testen zijn kort na trauma goed te onderzoeken, maar probeer toch zo veel mogelijk vast te leggen. Bij de toekomstige controles kan dit een grote rol spelen bij het stellen van een diagnose en het bepalen van eventuele vervolgbehandelingen. Hierbij gaat het doorgaans om pulpa- en peri-apicale diagnostiek. Voor een betrouwbare uitslag wordt geadviseerd de elementen meerdere malen en in willekeurige volgorde te testen. Uitkomsten klinisch onderzoek:
• 11, 21 verplaatsing naar binnen. 12 pulpa exponatie met fractuurlijn voorbij glazuur-cementgrens.
Onderlip 2 laceraties, alleen zwelling palpeerbaar.
• Patiënt komt niet in occlusie en vertoont een klasse 3 beet.
• Statische en dynamische testen hebben negatieve uitslag op pijn.
Röntgenologisch onderzoek
Er is gekozen voor vervaardiging van een OPT-opname (afbeelding 5) met als rechtvaardiging te controleren op fracturen van de kaak. De patiënt kwam immers niet in maximale occlusie. Hoewel een CBCT aanwezig is in de praktijk, was er naar mijn mening geen rechtvaardiging voor deze opname op dit moment. Fracturen zijn immers ook zichtbaar op een OPT, en bovendien moest er nog worden gereponeerd, wat van invloed kan zijn op het peri-apicale gebied. Ook na reponeren was naar mijn mening een CBCT
(+/- = neutraal/normaal sensibel)
niet gerechtvaardigd, omdat pulpa diagnostiek in de opvolgende traumacontroles hierin een essentiële rol spelen. Daarnaast had een CBCT mijn behandeling niet beïnvloed en vandaar de keuze voor een OPT. Op afbeelding 5 is door mij volgende waargenomen:
• 41, 32 licht verbrede parodontaalspleet.
• Onderlip geen radiopaciteiten.
Tijdens het uitvoeren van het onderzoek leek alsof elementen 11 en 21 geen mobiliteit vertoonden en tegelijkertijd was het duidelijk dat ze niet in de juiste positie stonden. In een dergelijk geval, waarbij enige druk nodig is om te reponeren, is het fijn om te weten waar de elementen horen te staan. Het niet in de juiste positie brengen kan zorgen voor een (blijvend) suboptimaal resultaat of een extra lang behandeltraject. Op het moment dat ik bezig was met de vraag ‘Waar horen ze te staan?’, zag ik onze intra-oraal scanner staan en toeval wilde dat er al snel een scan uit 2023 aanwezig was. Deze was gemaakt net na het
Een compleet aanbod aan leergangen voor de tandarts en mondhygiënist

Als tandarts of mondhygiënist beschik je over een brede basis aan kennis. Maar wie verder wil groeien, weet: er is altijd meer te leren.
Academiae biedt een compleet aanbod aan opleidingen en leergangen die je helpen je kennis binnen de tandheelkunde te verbreden, te verdiepen én te specialiseren. Alle programma’s zijn met zorg ontwikkeld en worden begeleid door ervaren docenten en specialisten.
Ontdek welke leergang past bij jouw volgende stap en laat je verder versterken in je vak.
Leergang Esthetische tandheelkunde
Leergang Implantologie
Leergang Endodontologie
Leergang Parodontologie
Leergang Kindertandheelkunde
Leergang Uitgebreid gebitsherstel
Leergang Preventie voor de allerjongsten
Leergang Digitale tandheelkunde
Leergang Behandelplanning NIEUW!
Leergang Upgrade buitenlands opgeleide mondhygiënist






afronden van orthodontische behandeling en derhalve een ideale vergelijking. Door een tweetal scans te vervaardigen en deze te matchen, wat ongeveer 3 minuten in totaal kost, kon ik in kaart brengen wat de afwijking was (afbeelding 6-7).
Het stellen van de diagnose in een traumageval kan stressvol zijn, omdat er snel en adequaat gehandeld dient te worden. Tevens kan er druk komen vanuit de patiënt en/of familie. Het advies is: blijf rustig en raadpleeg de richtlijnen. Zelf maak ik gebruik van de “Dental Trauma Guide” (www.dentaltraumaguide. org), waar ik toegang tot heb via mijn KNMT-lidmaatschap. Ook bij een voor de hand liggende diagnose is het verstandig de bevindingen en behandeling aan de richtlijnen te toetsen.
Diagnose 11, 21 laterale luxatie. 13, 22, 23 – 42, 41, 31, 32 concussie. 12 gecompliceerde kroon-radixfractuur.
• Onderlip laceraties ten gevolge van val en contact met tanden zonder impactie van vreemd lichaam.
• Afwijkende beet lijkt ten gevolge van zwelling



waardoor het laatste deel van de sluitbeweging niet mogelijk lijkt.
Differentiaaldiagnose: onderkaak fractuur (niet zichtbaar op OPT).
Therapie en behandelplan
• 11, 21 reponeren.
• 12 directe pulpaoverkapping met MTA en glasionomeer.
13, 11, 21, 22, 23 – 43, 42, 41, 31, 32 semi rigide spalken.
• Laceratie hechten.
• Retour voor traumacontrole.
• Verwijzing afdeling MKA in verband met niet kunnen sluiten van de beet.
Zacht dieet gedurende 1 week, wondgebied voorzichtig poetsen met zachte borstel, Bluem Oxygen
Fluid tweemaal daags en wondgebied insmeren met Bluem Oral Gel.
Uitvoering en behandelresultaat
Na het reponeren en voorafgaand aan fixatie van de 11 en 21, heb ik de positie getoetst middels een nieuwe matching (afbeelding 8-9). Hieruit bleek dat 11 en 21 nog iets geïnclineerd moesten worden. Tijdens




het uitharden is er nog druk uitgeoefend op deze elementen om de laatste puntjes op de i te zetten. Daarna is de lip gehecht (afbeelding 10-14).
Dag na trauma
Het trauma vond plaats buiten kantooruren en ik heb namens de patiënt contact opgenomen met de dienstdoende MKA-chirurg om de afwijkende beet te bespreken en het niet zichtbaar zijn van een fractuurlijn op de OPT. Deze was het met mij eens dat het aannemelijk was dat dit door zwelling kwam en het advies om de volgende dag wel op het spreekuur te komen. Op het spreekuur kwamen geen nieuwe zaken aan het licht.
Trauma controle na 3 weken
Er is gekozen voor een controle, conform de richtlijnen, na 3 weken (afbeelding 15-19). Er werd een goede zacht weefsel genezing waargenomen en de semi-rigide spalk is verwijderd. De beet kwam ook weer normaal op elkaar. Element 12 reageerde sensibel en de testen bij elementen 11 en 21 leken nog niet betrouwbaar. Hierop is ervoor gekozen te verwijzen naar de edodontologen waarmee ik langere tijd samenwerk.
Aangezien de wachtlijden lang zijn, de patiënt met een afgebroken tand rondliep en moeder zich zorgen maakte of alles wel zou blijven staan, is er gekozen voor een essix retainer. Dit geeft zowel retentie als een betere esthetiek. Hierdoor was er ruimte om het bezoek bij de endodontoloog af te wachten.


Consult endodontoloog
Twee maanden na het ongeval heeft het consult bij de endodontoloog plaatsgevonden. Hier is de indicatie voor een CBCT gesteld ten behoeve van radix- en peri-apicale diagnostiek. Aangezien de hoogste precisie gewenst is voor dit type diagnostiek, is in overleg verwezen naar de afdeling radiologie op ACTA. Zij hebben de kennis en apparatuur om het peri-apicale gebied zo nauwkeurig mogelijk in beeld te brengen. Weer twee maanden later, vier maanden na trauma, is de CBCT vervaardigd (afbeelding 20). Een ander pluspunt is dat nog een expert de situatie beoordeelt. Element 12 heeft gedurende alle controles sensibel gereageerd. Op de CBCT zijn apicale radiolucenties zichtbaar bij elementen 11 en 21. Klinisch zijn percussie en palpatie testen negatief en de sensibiliteit is door mij en de endotoloog als twijfelachtig beoordeeld. Er is gekozen voor:
• 11, 12 maandelijks herbeoordelen door mij op sensibiliteit en verkleuring.
12 plastisch restaureren met directe pulpa-overkapping.
Nadat de vergelijking tussen 2023 en 2025 was gemaakt, leek het logisch om de 12 naar originele anatomie te herstellen. Er is in-house een matching gedaan van de scans waarbij de 12 uit 2023 is overgezet naar de huidige situatie. Ook nu is duidelijk dat het digitale tijdperk is aangebroken, want met een aantal eenvoudige stappen kan er snel en nauwkeurig gewerkt worden. Met name de behandeling aan de







21. Digitale wax-up.
22-26. Restauratieve stappen.
27. Anatomisch eindresultaat.
stoel is voorspelbaarder en kan in kortere tijd worden uitgevoerd. Een digitale voorbereiding heeft dus als extra voordeel dat de schaarse stoeltijd optimaal benut kan worden (afbeelding 21-27).
Momenteel, 8 maanden na trauma, bestaat er twijfel over de vitaliteit van elementen 11 en 21. Er is gekozen voor een afwachtende houding, waarbij wordt gehoopt op herstel van de pulpa’s. Er staat binnenkort een controle bij de endodontoloog gepland. Wanneer na klinische testen pulpanecrose wordt gediagnosticeerd zal endodontische behandeling volgen. Omdat verlaagde sensibiliteit ook kan optreden kan de endodontoloog bij enig teken van vitaal weefsel alsnog sluiten. Een behandelaar met veel ervaring voor dit type behandeling is dan wenselijk. Op deze stapsgewijze manier proberen wij te werken aan een optimaal en minimaal invasief resultaat.
Belangrijkste leerpunten
• Intra-orale scans kunnen een zeer handige en snelle tool zijn bij het behandelen van een trauma. Overweeg dus een (periodieke) scan bij je patiënten.
• Multidisciplinair samenwerken zorgt voor een optimale diagnose en een beter overwogen behandelplan.
• Digitaal voorbereiden van je restauratieve casus zorgt voor een voorspelbaar en vlot te realiseren resultaat. Afwachten is ook een behandeloptie.
• Snelle toegang tot trauma richtlijnen is een must.
Victor Schouten is afgestudeerd in 2015 aan ACTA en werkzaam bij Tandartspraktijk Houten Zuid. Gespecialiseerd in implantologie (NVOI-erkend), orale (zacht weefsel) chirurgie en digitale tandheelkunde. Hij is groot voorstander van minimaal invasieve tandheelkunde en geeft hierin een cursus bij Dental Best Practice over minimaal invasieve chirurgische technieken.
ENDODONTOLOGIE
Zijn we veel vooruitgegaan de laatste 50 jaar?
Biokeramische materialen, lasers, ultrasone en sonische activatie, digitale guides enzovoort. Als je dit allemaal leest en hoort, dan denk je toch bij jezelf: “Ja, we zijn er wel een heel stuk op vooruitgegaan de afgelopen decennia!” Maar is dat zo? Zijn onze resultaten binnen de endodontologie zoveel beter dan pakweg 30 jaar geleden?
Ik herinner me nog mijn eerste internationale lezing. Daar stond ik dan als snotaap nog niet eens 30 jaar en mijn onderwerp was Evolution or Revolution: Endodontics from the past, to the present and into the future We zijn inmiddels 15 jaar verder, en het leek mij leuk om een update te geven over dit onderwerp. Zeker nu, in een tijd waarin door de opkomst van social media bijna dagelijks iets nieuws en revolutionairs lijkt te worden uitgevonden. Ondertussen werk ik nog steeds in mijn eigen praktijk. Af en toe zie ik nog minder geslaagd resultaat van mijn eigen behandelingen, maar gelukkig ook steeds meer succesvolle behandelingen. Toch merk ik, alles bij elkaar genomen, eigenlijk geen groot verschil met de resultaten van twintig jaar geleden, toen ik net was afgestudeerd. Klopt dit, of ben ik gewoon een slechte endodontoloog?
Laten we hier eerst duidelijk definiëren wat succes en survival is. Ten onrechte hebben we jarenlang gedacht dat implantaten een betere optie waren dan endodontische behandelingen. Eén van de redenen was dat er in implantaatstudies dikwijls gekeken werd naar de survival en in studies over wortelkanaalbehandelingen naar succes. Dat is appels met peren vergelijken.
Survival is datgene dat belangrijk is voor de patiënt, namelijk de tand is functioneel, doet geen pijn en ziet er ook een beetje acceptabel uit. Succes is al het voorgaande en er zijn op radiografie geen tekenen van pathologie aanwezig, en dat is hetgeen dat voor ons als tandarts belangrijk is.

1
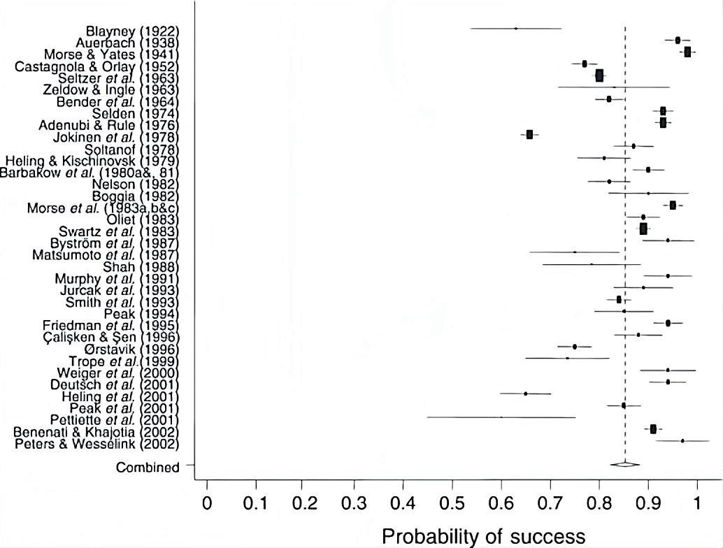
Als we dan even kijken naar twee recente meta-analyses1, 2 dan zie je dat zowel endodontisch behandelde tanden als implantaten ongeveer een survival rate hebben van om en nabij 80%. Dit percentage is best mooi, maar is het nu zo veel verbeterd wanneer we het vergelijken met de jaren ’70, ’80 of ’90? Nee, helemaal niet en dat wordt ook bevestigd in een systematische review 3. Vele van de publicaties in de review stammen zelfs uit de tijd dat er nog met nikkeltitaan vijlen machinaal werd geprepareerd. Destijds werd er ook nog niet met vergroting gewerkt en werd de rubberdam helaas nauwelijks toegepast. Zeer interessant is in dit geval de graad van succes van de verschillende studies die je kunt zien in figuur 1
Het lijkt er dus op dat alle progressie die we lijken te maken eerder een lege doos is. Laten we daarom eens teruggaan in de tijd en kijken wat er allemaal veranderd is. Laten we dit chronologisch benaderen vanuit de stappen van een wortelkanaalbehandeling.
Rubberdam (afbeelding 2)
In 2021 declareerde 24% van de Nederlandse tandartsen steeds een rubberdam bij een wortelkanaalbehandeling. Dit wil zeggen dat 76% dit niet altijd of gewoon niet doet 4. Nochtans, de rubberdam is in 1864 uitgevonden door Dr. Sanford C. Barnum (afbeelding 3) en één van de eerste referenties over het belang ervan, dateert uit 18705: “Although the rubber dam has been before the profession for some years, and has, (luring that time, become an indispensable adjunct to the practice of many operators, a full appreciation of its bounteous and unqualified merits is, as yet, confined to a very small minority of the profession as a whole-chief among the many reasons for which is, that it requires, to become familiar with its workings, and skillful in its application, an amount of patience and perseverance which
comparatively few operators are willing to bestow.” Er is dus nog werk aan de winkel.
Openingscaviteit
Reeds in 1892 beschreef HofHeinz (afbeelding 4) het belang van straight line access: “The first essential in getting at any root-canal is to gain direct access, and not try to work around corners, whatever tooth-structure may have to be sacrificed.”6 En tot op heden is straight line access de gouden standaard, ondanks een recentere tendens om de openingscaviteiten kleiner te houden.
Irrigatie
In 1919 introduceerde E.D. Coolidge (afbeelding 5) natriumhypochloriet (NaOCl) als irrigatiemiddel in de endodontie.7 En tot op de dag van vandaag gebruiken we dit nog steeds, eventueel aangevuld met EDTA of citroenzuur om de smeerlaag te verwijderen. En u raadt het al, ook de introductie van die twee vloeistoffen dateren uit respectievelijk de jaren 50 en de jaren 70.
Preparatie
Ondertussen is het reeds duidelijk aan het worden, vele zaken die we vandaag de dag gebruiken of principes die we volgen, zijn reeds decennia of zelfs meer dan een eeuw oud. Met het prepareren zal dit toch anders zijn, niet? Ik citeer: “Should the canal be curved,a large instrument must first be used as far as possible; then substituting a smaller one, the curve of the canal can be reached for a greater distance”. 8
Dit komt uit 1880 en is de eerste beschrijving van het crown-down principe. In de jaren 70 heeft Schilder de tapse preparatie geïntroduceerd9 en uiteindelijk zijn in de jaren 90 de eerste nikkeltitaan machinale vijlsystemen op de markt gekomen waaronder het alom gekende Profile van toen nog Maillefer. Tot op de dag van vandaag gebruik ik soms nog Profiles 15.04, vooral bij blokkades van het wortelkanaal.
Sinds die eerste generatie Ni-Ti vijlen zijn er verschillende evoluties geweest die telkens geleid hebben tot meer flexibele, efficiëntere en veiligere vijlen. Deze veranderingen zijn onder andere een verschil in de doorsnede, andere tapers, andere hoeken van de snijvlakken en warmte-behandelingen. Eén van de laatste grote veranderingen kwam er in 2008 met de introductie van de reciprocerende systemen. Ghassan Yared was de eerste die dit voorstelde en testte met een Protaper F2. Als we echter bekijken wat de reciprocerende beweging is, dan is dit niet meer of minder dan een geautomatiseerde vorm van de balanced force technique die reeds in de jaren 80 beschreven werd door Roane.10


Ook zo’n mooi magazine voor jouw product of praktijk?
Met onze jarenlange ervaring in uitgeven denken we graag met je mee over de bladformule, uitstraling, redactionele invulling, frequentie en drukwerk, om echt het verschil te maken. We bieden talloze mogelijkheden, inclusief de optie om het wat compacter aan te pakken met een folder of een brochure. Je bent bij ons aan het juiste adres.
Hebben we je interesse gewekt? Wil je meer weten, of een vrijblijvende offerte aanvragen? Kijk dan snel op onze website!





Afbeelding 2

Afbeelding 3

Afbeelding 4

Afbeelding 5
Obturatie
Guttapercha is zo oud als de weg naar Rome en reeds in 1867 introduceerde Bowman GA het als vulmateriaal in de endodontie (Thermafil). In 1883 introduceerde Perry zachte guttapercha op een gouden stokje. Voor een kort overzicht van de geschiedenis van guttapercha in de endodontie raad ik het artikel van Vishwanath en Rao aan.11 Het leek er even op dat er met Resilon misschien wel eens wat concurrentie op de markt ging komen voor guttapercha, maar achteraf bleek Resilon een drama te zijn en is het in alle stilte van de markt gehaald.
Is er dan echt niets dat significant anders is? Misschien wel en dan gaan we het inderdaad hebben over sealers en specifiek over de biokeramische sealers. Tot op de dag van vandaag gebruiken vele collega’s nog kunsthars sealers, zoals AH+ van Dentsply of Zinc-Oxide Eugenol sealers, zoals Pulp Canal Sealer van Kerr. Sealers die reeds decennia op de markt zijn of een evolutie zijn van andere die ook ver in de tijd teruggaan. De eerste biokeramische sealer (IRootSP) verscheen in 2007 op de markt. Ondertussen is ruimschoots aangetoond dat biokeramische sealers vergelijkbare klinische resultaten geven. In verschillende, meestal in-vitro, studies tonen ze zelfs een betere afdichting, verhoogde antibacteriële werking en een verbeterde biocompatibiliteit.
Het belangrijkste verschil zit hem echter in de vultechniek. Jarenlang hebben we als endodontoloog gepoogd om de tandartsen te overtuigen om hun wortelkanalen met een warme techniek te vullen. Sinds de biokeramische sealers zeggen we: “Terug naar af en gebruik maar lekker die single cone.”
Als we even verder kijken dan alle flashy marketing waar we dagelijks mee worden gebombardeerd, als
Endodontologie in 2025: evolutie of revolutie?
we even onze kritische bril opzetten, dan zullen we moeten toegeven dat er aan de basisprincipes binnen de endodontie niet veel veranderd is de afgelopen decennia. De meeste van deze principes zijn zelfs meer dan een eeuw oud. Kortom, van een revolutie is zeker geen sprake. Wel hebben we de afgelopen jaren verschillende evoluties gekend. Deze evoluties hebben ons leven gemakkelijker gemaakt. We kunnen nu sneller een wortelkanaalbehandeling uitvoeren, maar óók voorspelbaarder en veiliger. Het gebruik van nieuwe materialen maakt het mogelijk om efficiënter te werken en steeds minder afhankelijk te zijn van een vorm van ‘chemische oorlogvoering’ in het wortelkanaal. Dit zijn stuk voor stuk kleine stappen in de juiste richting. Toch zal de echte revolutie in de endodontie vermoedelijk niet teweeggebracht worden door een nieuw type vijl, vulmateriaal of cement, maar eerder door het consequent naleven van de basisprincipes door alle tandartsen.
Rafaël Michiels is tandarts-endodontoloog en praktijkeigenaar van Lach Mondzorg, een verwijspraktijk voor endodontologie in Hasselt, België.
De literatuurlijst is op te vragen bij de redactie en in te zien bij het artikel online op www.dentista-magazine.nl
Profieldirecteur Annemarie Baaij over de masteropleiding Oral Health Sciences – Endodontology
“Je moet echt álles willen weten over endo.”
Wat voor tandarts-endodontoloog Annemarie Baaij begon als interesse in de complexiteit van het wortelkanaalstelsel, groeide uit tot een veel bredere vraag: hoe leren tandartsen het vak van endodontologie, en hoe worden ze daar écht vaardig in? Tijdens haar promotieonderzoek aan ACTA onderzocht ze hoe het onderwijs tandartsen beter kan voorbereiden op dit precisievak. Nu geeft ze zelf vorm aan het einde van het spectrum van dat onderwijs. Als profieldirecteur van de masteropleiding Oral Health Sciences (OHS)Endodontology aan het ACTA, is Annemarie verantwoordelijk voor het opleiden van de nieuwe generatie endodontologen. In dit interview vertelt Annemarie over de opzet van de opleiding en wat er komt kijken bij het begeleiden van tandartsen die zich verdiepen in dit complexe vakgebied.
Dat Annemarie tandarts-endodontoloog zou worden, was niet vanzelfsprekend. “Ik was op de middelbare school echt een meisje van de exacte vakken”, begint ze. “Ik zag mezelf aan de TU Delft een technische studie doen. Door ziekte kon dat toen niet, dus stroomde ik later in het academisch jaar in bij
Biomedische Technologie in Enschede. Maar de hele dag achter een computer zitten bleek niets voor mij te zijn.”
Haar overstap naar Tandheelkunde bleek een schot in de roos. “In de tandheelkunde komt alles samen:
je gebruikt je analytisch denkvermogen, werkt met je handen en hebt veel interactie met mensen. Dat maakt het vak heel divers.”
Tijdens de studie ontdekte Annemarie dat ze vooral werd gefascineerd door het restauratieve werk. “Ik vond het mooi om iets te maken; om te herstellen wat weg is.” Toch duurde het even voordat ze zich realiseerde dat haar hart bij de endodontologie lag. “Tijdens mijn studie voelde een wortelkanaalbehandeling als roeren in een zwart gat”, vertelt ze lachend. “Mijn docenten zeiden dat ik er goed in was, maar ik had altijd het idee dat ik maar wat deed.”
Na haar afstuderen kwam ze terecht in een praktijk

waar veel restauratief werk werd uitgevoerd. “Als er een pijnklacht was, werd vaak geëxtraheerd, omdat het element uitbehandeld was. Vervolgens werd een noodbrug geplaatst, omdat deze patiëntenpopulatie echt geen dag met een gat wilde lopen. Ik kwam er al snel achter dat ik uitdaging miste. Toen ben ik toch gaan nadenken over de opleiding tot endodontoloog. In de endodontologie moet je driedimensionaal denken, omdat je niet kunt zien wat je doet. Dat puzzelen sprak mij enorm aan. De technische uitdaging waarvoor ik ooit naar Delft wilde, vond ik uiteindelijk in dit vakgebied.” In 2014 voltooide Annemarie de opleiding tot endodontoloog.
Sinds Annemarie in 2011 startte met de opleiding, is ze – op een paar maanden na – nooit meer weggegaan van de endodontologie afdeling van het ACTA. Na jaren doceren, begeleiden en coördineren is ze nu profieldirecteur van dit masterprogramma. “Ik ben verantwoordelijk voor de structuur, inhoud en kwaliteit van de opleiding, voor toetsing en accreditatie, en ik stuur het docententeam aan. Maar ik blijf bewust ook in de kliniek staan en ik ben aan-
wezig bij de casusbesprekingen. Daar hoor je wat er leeft, daar zie je wat studenten nodig hebben en hoe zij zich ontwikkelen. Dat houdt me dicht bij de praktijk.”
Tot tien jaar geleden was endodontologie een van de losse postacademische opleidingen die ACTA verzorgde. In 2015 zijn de losse postacademische opleidingen samengevoegd tot één masteropleiding – Oral Health Sciences (OHS) – die geaccrediteerd is door de Nederlands-Vlaamse Accreditatieorganisatie (NVAO). “OHS is de gezamenlijke kern voor alle postgraduates bij ACTA”, legt Annemarie uit. “Iedereen heeft dezelfde basisvakken. Daarnaast specialiseert elke student zich in zijn of haar eigen richting. In dit geval: endodontologie. En die differentiatie-specifieke kennis en vaardigheden worden weer ingezet in gezamenlijk onderwijs waar interdisciplinair samenwerken wordt gestimuleerd.”
De opleiding is Europees geaccrediteerd door de European Society of Endodontology (ESE). Dat betekent dat afgestudeerden in Europa als ‘specialist’ geregistreerd staan. Endodontologie is in Nederland geen officieel erkend specialisme, maar je mag wel de titel ‘tandarts-endodontoloog’ dragen en krijgt erkenning als zodanig van de Nederlandse Vereniging voor Endodontologie (NVvE).
INTERVIEW

Afwisseling tussen kliniek en onderzoek
De opleiding duurt drie jaar, is voltijd en jaarlijks starten vier tandartsen. Ongeveer de helft van het programma bestaat uit klinisch werk op ACTA. “Dat betekent patiënten behandelen, verslagleggen, communiceren met verwijzers en casusbesprekingen in het team. Dat neemt gemiddeld zo’n twee en een halve dag per week in beslag.”
Het eerste semester staat in het teken van het creëren en aantonen van een brede basis door het lezen van gerenommeerde tekstboeken en preklinische training. “We moeten zeker weten dat iemand voldoende basiskennis en inzicht heeft en veilig en zorgvuldig werkt, voordat hij of zij de complexe behandelingen uitvoert.” Vervolgens behandelen studenten de ver-
wezen patiënten. Supervisie is aanwezig op de werkvloer, maar niet continu. “We vertrouwen erop dat je zelfstandig kunt werken en om begeleiding vraagt daar waar nodig. Een uitzondering is de chirurgische endodontologie. Dat is voor iedereen nieuw, dus daarbij werken we wél een-op-een.” Gedurende de opleiding volgen seminars over specifieke onderwerpen binnen de endodontologie om nog meer over de wetenschappelijke achtergrond en verschillende visies te leren.
Bovendien volgen studenten het generieke OHS-onderwijs, zoals epidemiologie, statistiek, farmacologie en een CBCT-cursus. Ook worden met studenten van andere richtingen gezamenlijke casusbesprekingen gehouden, zodat ze van elkaar leren en elkaars perspectief beter begrijpen. Het wetenschappelijke deel vormt het tweede component van het programma. “Het onderzoek waar je aan werkt tijdens de master moet echt op publicatieniveau zijn”, benadrukt Annemarie. “Het onderzoek moet je verdedigen voor drie examinatoren. Daarnaast selecteer je voor je eindexamen tien klinische casussen waarmee je aantoont dat je de volledige breedte van het vak beheerst en ook deze moet je verdedigen tegenover de examinatoren.”
De opleiding is intensief, iets wat studenten soms onderschatten. “Je leeft drie jaar lang echt voor de endodontologie. Het is geen cursus waarin je even wat tips en tricks leert. Bovendien word je niet bij de hand genomen: je moet zelf de drive hebben om deze opleiding succesvol af te ronden. In principe zijn studenten vier dagen per week op ACTA en hebben ze één dag voor zelfstudie. Sommigen blijven daarnaast in een praktijk werken, en kiezen ervoor om de zelfstudie in de avonden en weekenden te doen. Dat kan, maar het is zwaar. In mijn eerste maanden had ik het gevoel dat ik meer had gelezen dan in vijf jaar Tandheelkunde. Maar als dit is waar je hart ligt, is het ongelooflijk mooi.”
Waar de uitdagingen liggen in de opleiding, verschilt per persoon. “Sommigen vinden het onderzoeksgedeelte intensief, anderen hebben juist meer vlieguren in de (pre)kliniek nodig. Maar voor iedereen geldt dat ongeveer vijftig procent van de opleiding patiëntenzorg is. Je ontwikkelt je door te doen en je bent nooit uitgeleerd.”
Annemarie merkt op dat de groep die zich aanmeldt
“Het gaat niet alleen om: kan ik dit technisch? Maar ook om: durf ik dit zelfstandig aan in de setting waarin ik (straks) praktiseer?”
voor deze master divers is. “Je moet minimaal drie jaar werkervaring hebben voordat je kunt starten, maar sommigen solliciteren al als ze twee jaar bezig zijn. Anderen hebben tien jaar of meer ervaring en zoeken een nieuwe uitdaging. We hebben ook tandartsen die speciaal voor de opleiding naar Nederland verhuizen.”
Wat hen bindt, is de behoefte aan verdieping. “Veel tandartsen merken in de praktijk dat ze bij endodontische behandelingen meer vaardigheden en/of zekerheid willen. Dit kun je bereiken door het doen van cursussen. Mensen die voor de opleiding kiezen willen écht begrijpen wat ze doen: niet alleen de stappen kennen, maar het onderliggende waarom. Je moet echt álles willen weten over de endodontologie. Je verdiept je in verschillende visies en de wetenschap daarachter, zodat je uiteindelijk je eigen, goed onderbouwde visie kunt vormen.” Omdat de opleiding intensief is, blijven de meeste afgestudeerden altijd in de endodontologie werken. “Het is echt een keuze voor het vak.”
Naast haar werk in de kliniek en het onderwijs promoveerde Annemarie in 2023 op onderzoek naar hoe tandheelkundestudenten endodontologie aanleren. “Toen ik docent was, hoorde ik vaak studenten zeggen: als ik straks ben afgestudeerd, ga ik eerst nog een cursus endo volgen Dat geeft eigenlijk al aan dat er iets mist in het curriculum: of ze zijn niet vaardig genoeg, of ze voelen zich niet vaardig of zeker genoeg. Dat was voor mij de aanleiding om te onderzoeken waar dat aan ligt.”
Annemarie zag tijdens haar studie dat het aantal beschikbare patiëntencasussen voor endodontische behandeling afnam. Daardoor werd steeds meer onder-
wijs verplaatst naar simulatie: oefenen op natuurlijke elementen gemonteerd in kaakjes in fantoomhoofden in stoelen op de kliniek. “Mijn onderzoeksvraag was: kunnen studenten die alleen in simulatie wortelkanaalbehandelingen hebben getraind en geëxamineerd, net zo goed patiënten behandelen als studenten die op echte patiënten hebben geoefend?” Het antwoord bleek ja, maar met een nuance. “Studenten behandelen patiënten ten minste even goed, zolang ze voldoende ervaring hebben met andere tandheelkundige behandelingen. Je kunt dus prima specifieke vaardigheden tot het gewenste eindniveau opbouwen via simulatie.”
Maar dat verklaarde niet waarom pas afgestudeerde tandartsen tóch vaak extra scholing zoeken. Daarom onderzocht Annemarie ook de rol van self-efficacy, het vertrouwen dat iemand heeft in zijn eigen kunnen en dat je het in toekomstige situaties goed zal doen. “Dat bleek een cruciale factor. Makkelijke behandelingen uitvoeren bij patiënten vergroten dat vertrouwen; moeilijke hebben juist het tegenovergestelde effect. Als je met een lage self-efficacy afstudeert, is de kans kleiner dat je in de praktijk wortelkanaalbehandelingen blijft doen. Het uitvoeren van de behandelingen bij patiënten is essentieel voor het laten toenemen van self-efficacy, zowel vóór als na afstuderen. En als de ervaring en self-efficacy toeneemt, heeft het uitvoeren van moeilijkere behandelingen daar op een gegeven moment geen negatief effect meer op. In dat stadium kan het zelfs een positief effect hebben op verdere ontwikkeling. Uit mijn onderzoek kwam dan ook naar voren dat je studenten beter met mínder ervaring kunt laten afstuderen, dan ze moeilijkere wortelkanaalbehandelingen uit te laten voeren bij patiënten om toch maar iets van ervaring op te doen. Het beste is beginnen met voldoende eenvoudige behandelingen, zodat hun self-efficacy toeneemt.”
Volgens Annemarie is het daarom belangrijk dat onderwijs niet alleen gericht is op kennis en technische vaardigheid, maar óók op het opbouwen van klinisch zelfvertrouwen en bewustzijn – self-efficacy. “Het gaat niet alleen om: kan ik dit technisch? Maar ook om: durf ik dit zelfstandig aan in de setting waarin ik (straks) praktiseer? Mijn onderzoek richtte zich op studenten Tandheelkunde. Maar dat inzicht in self-efficacy is óók belangrijk in postacademisch onderwijs. Self-efficacy is belangrijk voor motivatie en groei. Self-efficacy in relatie tot postacademisch onderwijs is een thema dat ik graag verder zou uitdiepen in vervolgonderzoek.”
GOED ZICHT
BETERE HOUDING MEER ENERGIE














Ontdek de gloednieuwe CompactLine – speciaal ontwikkeld voor mondzorgpraktijken met maximaal 3 behandelkamers. Deze slimme, compacte oplossing met één rek voor de belading van instrumentarium en een efficiënt ingedeelde spoelkamer bespaart zowel water als energie.
Met een kortprogramma van minder dan 30 minuten voor hand- en hoekstukken én flexibele aansluitmogelijkheden op zowel 400V als 230V, biedt de CompactLine maximale efficiëntie en betrouwbaarheid.
Perfect voor moderne mondzorgpraktijken die geen concessies willen doen aan hygiëne, ruimte én gemak. Leverbaar vanaf januari 2026.
Meer weten? www.miele.nl/pro/compactline-dent
Miele Professional. Immer Besser.


Naast haar ideeën over de ontwikkeling van het onderwijs, ziet Annemarie ook andere trends in het vakgebied. “AI komt natuurlijk overal om de hoek kijken. Ik ben daar niet per se huiverig voor. De vraag is vooral: hoe kan het ons versterken? Denk aan diagnostiek, of simpelweg bij het efficiënt doornemen van literatuur. Maar het gebruik ervan moet geen gemakzucht worden. De basis blijft wat mij betreft wel dat je altijd zelf voldoende kennis en klinisch inzicht hebt.”
Tegelijkertijd merkt Annemarie dat de aandacht binnen de endodontologie verschuift: niet langer ligt de nadruk vooral op technische ontwikkelingen en nieuwe materialen om wortelkanaalbehandelingen te verbeteren of te vereenvoudigen, maar juist op biologische vooruitgang. “We zijn veel meer bezig met de vraag hoe we weefsel kunnen behouden of zelfs laten regenereren. Hoe kunnen we zorgen dat een tand levend en gezond blijft, of weer wordt, in plaats van alleen maar schoon en gevuld? Het gaat steeds minder om vervangen en steeds meer om behouden. Dat vind ik een hele mooie ontwikkeling.”
Na haar afstuderen als tandarts in 2008 bleef Annemarie Baaij verbonden aan het ACTA. Ze startte hier als klinisch docent en ging als tandarts aan de slag in een praktijk buiten ACTA. In 2014 ontving ze de titel tandarts-endodontoloog met NVvE erkenning. Vervolgens promoveerde ze in 2023 op haar onderzoek “Undergraduate Education in Endodontology: Steps towards understanding how to make everyone feel more comfortable with root canal treatment.” Daarnaast is Annemarie altijd actief gebleven als docent in zowel het studentenonderwijs als postacademische scholing. Sinds een jaar vervult Annemarie de rol van profieldirecteur van de masteropleiding Oral Health Sciences (OHS) - Endodontology aan het ACTA. Daarnaast coördineert zij de Leergang Endodontologie van ACTA Dental Education, werkt ze als tandarts-endodontoloog bij Marina Clinic in Volendam en is ze vicevoorzitter van de Education and Scholarship Committee van de European Society of Endodontology.
Ons team is hecht, enthousiast en betrokken. Het motto “Goed en Gezellig” vat perfect samen wie we zijn: professioneel, maar met een ontspannen sfeer waarin ruimte is voor humor en persoonlijke aandacht. De samenstelling is divers. Van jonge starters tot ervaren krachten.
De dagelijkse organisatie ligt bij onze praktijkmanager, die zorgt voor structuur en overzicht. Zij werkt nauw samen met de tandarts-eigenaar en houdt korte lijnen met assistenten en balie. Dankzij onze balie-assistent, die de planning en het rooster verzorgt, loopt alles op rolletjes. Zo kan iedereen doen waar hij of zij goed in is: optimale zorg bieden aan onze patiënten.
Heldere communicatie en goede afstemming vinden we essentieel. Meerdere keren per jaar organiseren we vergaderingen per discipline – tandartsen, mondhygienisten/preventie en assistenten – om verbeterpunten te bespreken en kennis te delen. Tussendoor is er veel informeel overleg; de lijnen zijn kort en iedereen weet elkaar snel te vinden.
We communiceren open en eerlijk, met respect en een gezamenlijk doel. Dat zorgt voor vertrouwen, een sterk teamgevoel en ruimte voor nieuwe ideeën. Problemen blijven daardoor zelden liggen, en initiatieven krijgen snel vorm.
Onze praktijk is gevestigd in een karakteristiek dijkpand in Wad-
dinxveen, ooit de locatie van een ICI Paris met schoonheidssalon en zonnebank. Na een grondige verbouwing is het pand veranderd in een moderne, lichte en gastvrije praktijk met een eigen identiteit. Het authentieke karakter is behouden, gecombineerd met eigentijdse technologie en een warme uitstraling.
De wachtruimte voelt strak maar huiselijk, met aan de balie vertrouwde gezichten die patiënten vaak al jaren kennen. Dankzij de logische routing – van ontvangst tot behandelkamers – vinden patiënten moeiteloos hun weg. Dat bevordert niet alleen rust en overzicht, maar ook efficiënt werken binnen het team.
De verhuizing in 2016 naar het

huidige, volledig verbouwde pand was zonder twijfel ons meest bijzondere moment. Daarvoor werkten we vanuit een kleinschalige praktijk aan huis. De overstap betekende een nieuwe fase: professioneler, moderner en klaar voor de toekomst. Het patiëntenbestand verdubbelde in korte tijd en het voelde alsof we écht een volgende stap zetten.
Wat bij ons uitstekend geregeld is, is de snelheid en precisie waarmee we zorg kunnen leveren. Dankzij ons interne Cerec-lab en 3D-technieken – zoals de CBCT-scanner en Primescan –kunnen we patiënten direct helpen met duurzame, op maat gemaakte oplossingen. Daarnaast werken we samen met parodontoloog en implantoloog
Simone Cortellini. Zijn expertise maakt specialistische zorg direct beschikbaar, ook voor collega-praktijken in de regio. Die combinatie van technologische innovatie, samenwerking en kwaliteit zorgt ervoor dat we complexe behandelingen efficiënt en op topniveau uitvoeren.
• Praktijk: Tandheelkundig Centrum Wij in Waddinxveen
• Stoelen: 5 (3 voor tandartsen, 2 voor mondhygiënisten). In 2026 breidt de praktijk uit naar zeven behandelkamers, met in de toekomst ruimte voor acht. Daarnaast komt er een eigen tandtechnische laboratoriumruimte bij, waarmee de dienstverlening verder wordt versterkt en nog efficiënter kan worden gewerkt.
• Patiënten: 8.300
• Specialisatie: Cerec, implantologie, parodontologie Medewerkers: 9 tandartsen, 1 parodontoloog/implantoloog, 3 mondhygiënisten, 3 paro-preventieassistenten, 1 preventieassistent, 8 tandartsassistenten, 3 baliemedewerkers, 1 praktijkmanager.
MATERIAAL
Calciumsilicaat – ook bekend als biokeramisch, bioactief of bioregeneratief materiaal – is inmiddels niet meer weg te denken uit de moderne tandartspraktijk. Hoewel de generieke naam niet bij iedereen direct een bel doet rinkelen, werken we al jaren met producten op basis van deze technologie. Fabrikanten gebruiken uiteenlopende termen om de biocompatibiliteit en regeneratieve eigenschappen te benadrukken. Hoe je het ook noemt: calciumsilicaat heeft zich ontwikkeld tot een essentieel onderdeel van restauratieve en endodontische behandelingen.
De geschiedenis van calciumsilicaat begint begin jaren negentig aan de Loma Linda University School of Dentistry in Californië. Onder leiding van dr. Mahmoud Torabinejad werd daar Mineral Trioxide Aggregate (MTA) ontwikkeld als alternatief voor destijds gebruikelijke retrograde afsluitmaterialen, zoals amalgaam, Super-EBA en IRM. Het onderzoeksteam zocht naar een materiaal dat niet alleen goed afsloot, maar ook biocompatibel was en geen toxische effecten had. Het resultaat was een poedervormig materiaal op basis van geraffineerd Portlandcement, aangevuld met bismutoxide voor de gewenste radiopaciteit. Dit nieuwe materiaal bleek niet alleen uitstekend af te sluiten, maar ook de genezing van periapicale weefsels te stimuleren. In 1993 werd MTA gepatenteerd, en vanaf 1998 kwam het commercieel beschikbaar als ProRoot
MTA (Dentsply). Aanvankelijk was het bedoeld voor retrograde afsluitingen na apicale chirurgie, maar al snel ontdekten onderzoekers en clinici de veelzijdigheid van het materiaal.
In de jaren 2000 werd MTA steeds breder toegepast binnen de tandheelkunde:
• Pulpaoverkapping en pulpotomie: MTA bleek ideaal om de vitale pulpa te beschermen en genezing te bevorderen, aanvankelijk vooral bij jonge patiënten.
• Afdichten van perforaties: zowel iatrogene als pathologische openingen konden betrouwbaar worden afgesloten.

• Apexificatie: MTA vormde een alternatief voor calciumhydroxide bij elementen met een open apex, vooral bij traumatisch beschadigde tanden waarvan de wortelvorming nog niet voltooid was.
De klinische prestaties waren indrukwekkend: MTA is biocompatibel, onoplosbaar en hardt zelfs in vochtige omstandigheden uit — een groot voordeel bij apicale preparaties die zelden volledig droog zijn.
Toch had het materiaal ook beperkingen. De uithardingstijd was lang (meer dan twee uur), de consistentie zanderig en het handmatig mengen vereiste ervaring. Daarnaast veroorzaakte de originele grijze versie verkleuring van tandweefsel.
Deze nadelen leidden tot verbeteringen: white MTA, dat minder verkleurde, en later “biokeramische” alternatieven zoals Biodentine (Septodont) en EndoSequence BC Sealer. Deze opvolgers behielden de gunstige eigenschappen van MTA maar verbeterden de verwerking en esthetiek.
Van innovatie tot routine
Zoals vaak in de tandheelkunde werden de nieuwe calciumsilicaatmaterialen geleidelijk ingevoerd. Aanvankelijke terughoudendheid – gevoed door de vertrouwde resultaten van calciumhydroxide en glasionomeercement – maakte plaats voor vertrouwen naarmate klinische data zich opstapelden. Kleine aanpassingen in de samenstelling en handling droegen bij aan betere resultaten. Inmiddels zijn calciumsilicaten gemeengoed in zowel restauratieve als endodontische toepassingen.
Indirecte pulpaoverkapping
Bij een indirecte pulpaoverkapping wordt het geïnfecteerde dentine verwijderd, terwijl een dunne laag aangedaan maar niet-geïnfecteerd dentine behouden blijft om pulpa-expositie te vermijden. Calciumsilicaat fungeert hier als beschermende tussenlaag op het resterende dentine.
Het materiaal bevordert remineralisatie door calciumionen af te geven, sluit hermetisch af en voorkomt verdere bacteriële contaminatie. De hoge pH-waarde werkt bovendien antimicrobieel, waardoor een gunstig milieu ontstaat voor genezing en behoud van pulpa-vitaliteit.
Directe pulpaoverkapping
Een directe pulpaoverkapping wordt toegepast bij blootliggende pulpa, bijvoorbeeld door caries, trauma of iatrogene oorzaken. Na desinfectie wordt calciumsilicaat direct op de pulpa aangebracht. Het materiaal stimuleert de differentiatie van fibroblasten tot odontoblasten en de vorming van reparatief dentine (dentinebrugvorming). Zo ontstaat een duurzame afsluiting tegen microlekkage en een afname van ontstekingsreacties.
Klinische studies tonen aan dat calciumsilicaten, vergeleken met calciumhydroxide, leiden tot een hogere pulpa-overleving en minder langetermijnontsteking.
Klinische aandachtspunten
Het succes van deze behandelingen hangt nauw samen met een strikte aseptische werkwijze: gebruik van cofferdam, steriel instrumentarium en een directe adhesieve afsluiting na plaatsing van het materiaal zijn essentieel. In de beginjaren was men terughoudend om de pulpa te openen, maar inzicht in de antimicrobiële eigenschappen van calciumsilicaten heeft dat veranderd. Wel blijft gelden dat gei nfecteerd of verdacht weefsel volledig moet worden verwijderd — zowel dentine als pulpa — om het materiaal effectief te laten werken.
Een van de meest recente ontwikkelingen is de introductie van biokeramische sealers. Deze materi-

Marit Verschuuren, mondhygiënist en trainer van De Cariësvrije Generatie (cariesvrij.nu).
Tijdens het derde jaar van mijn studie werd ik geconfronteerd met wat velen met mij - specifiek in ons vakgebied - hebben meegemaakt. Na de eerste jaren van eindeloos oefenen op fantoom en het schoorvoetend overnemen van de eerste deelbehandelingen van ouderejaars studenten, mocht ik naast mijn studie-uren ervaring op gaan doen tijdens stages en mijn bijbaan als preventieassistent. Plotseling was daar een planning vol met patiënten voor mij. Onder de vleugel van mijn begeleider werkte ik van acht tot vijf in de mond. Dus ook ik werd geconfronteerd met fysieke klachten als gevolg van het werken ‘aan de stoel’.
Als kind was ik niet heel sportief, ik kon me eerder in een mooi boek verliezen dan dat ik graag over trapveldjes heen hobbelde. Ik had ook nooit een reden gehad om flink te gaan sporten, tot dit moment. Pijn in mijn rechterschouder van het peuren in diepe pockets. Man, dat was balen. Maar goed, ik was niet bereid om mijn droom om mondhygiënist
te worden op te geven (of om wel af te studeren maar dan na een paar jaar alweer af te moeten haken). Dus, besloot ik moedig een abonnement af te sluiten bij de plaatselijke sportschool.
Omdat ik mijzelf en mijn motivatie ken heb ik de meest uitgebreide optie genomen, een goed begin is immers het halve werk; onbeperkt sporten mét personal trainer. Als je het dan toch doet, dan maar goed. En zo’n fijne meneer Stok-achter-de-deur leek mij wel handig. Vol goede moed fietste ik op een zonnige septembermiddag, met mijn rugzak vol verhalen over mijn pijnklacht en mijn sportkleding, naar mijn afspraak toe. Niet veel later trad ik wat onzeker de sportzaal binnen waar mijn nieuwe personal trainer mij al stond op te wachten. Ik schatte hem zo’n vijf jaar ouder in dan ik, iets gebruind en van boven tot onder afgetraind. Hij stelt zich voor en in dezelfde adem verzoekt hij mij om mijn sportschoenen uit te doen en op de alleswetende weegschaal te gaan staan. Met mijn mond vol tanden doe ik braaf wat me
gezegd wordt. Zijn oordeel liegt er niet om: drie keer per week, gedurende anderhalf uur moet ik komen. Hij maakt een parcours klaar wat ik kan volgen, over zes weken evaluatie. Ik stamel nog wat over schouderklachten, hij brengt me al naar het eerste toestel: daar zouden we het volgende keer wel over hebben. Even later fiets ik terug door de regen. Die evaluatie is er nooit meer van gekomen.
Een dag later zat ik op mijn werk. Nog beurs van de spierpijn in spieren waarvan ik niet eens wist dat ik ze had, schuif ik naar de wachtkamer en haal mijn eerste patiënt op. Hij strijkt neer in de stoel, ‘geen klachten, maar die dingen van jullie doe ik niet hoor’. Ik meet zijn tandvlees op. Oef, werk aan de winkel. Ik pak er maar weer een rager bij en dan hoor ik het mezelf zeggen. ‘Wel doen hoor, en over zes weken evalueren we.’
alen, gebaseerd op calciumsilicaat- en calciumfosfaatverbindingen, worden gezien als een belangrijke stap vooruit in wortelkanaalobturatie.
Eigenschappen
Biokeramische sealers bevatten tricalciumsilicaat, dicalciumsilicaat en zirconiumoxide (voor radiopaciteit). Ze hebben een alkalische pH, geven calciumionen af en bevorderen de vorming van hydroxyapatiet op het grensvlak tussen sealer en dentine. Daardoor ontstaat een chemische binding én micromechanische verankering met een uitzonderlijk goede afdichting.
Door hun hydrofiele karakter harden ze goed uit in de vochtige omstandigheden van het wortelkanaalsysteem. Ze zijn bovendien onoplosbaar, vertonen geen krimp en hebben een uitstekende dimensionele stabiliteit – eigenschappen die conventionele epoxyof zinkoxide-eugenolsealers niet kunnen evenaren.
Toepassing
Biokeramische sealers zijn geschikt voor zowel koude als warme obturatietechnieken, mits de temperatuur binnen de door de fabrikant opgegeven grenzen blijft. Door hun vloei-eigenschappen kunnen ze onregelmatigheden, dentinetubuli en laterale kanalen goed penetreren.
De chemische hechting aan zowel dentine als guttapercha zorgt voor een verbeterde microlekkagecontrole, wat cruciaal is voor langdurig succes.
Nieuwe inzichten in obturatietechniek
Traditioneel dient de sealer als medium tussen guttapercha en de kanaalwand. Conventionele materialen vertonen lichte krimp bij afkoeling, waardoor de apicale stop onder druk moet worden vastgehouden tijdens het afkoelen – een moeilijk controleerbare handeling met risico op loskomen van de mastercone.
Biokeramische sealers lossen dit probleem grotendeels op: ze vertonen géén krimp, waardoor koude technieken zoals single cone- of passieve laterale condensatie betrouwbaar uitvoerbaar zijn. De guttapercha kan onder direct zicht worden afgebrand en aangedrukt, met behoud van een stabiele, hermetische afsluiting.
Waar men vroeger terughoudend was om pulpa of apicaal weefsel te benaderen, heeft de komst van calciumsilicaatmaterialen geleid tot een verschuiving in klinische mindset. De biocompatibiliteit, antimicrobiële werking en voorspelbare uitharding maken het mogelijk om vitaliteit te behouden waar vroeger extractie of devitalisatie volgde.
Toch blijft voorzichtigheid geboden: het materiaal is geen wondermiddel. Succes hangt af van correcte preparatie, voldoende reductie van pathogenen en strikte asepsis. Alleen dan kan de “bioactieve belofte” van calciumsilicaat volledig worden waargemaakt.
Calciumsilicaat heeft zich in dertig jaar ontwikkeld van experimenteel cement tot een biologisch geavanceerd bouwmateriaal in de tandheelkunde. Of het nu gaat om pulpaoverkapping, apexificatie of kanaalobturatie: deze groep materialen combineert een hoge biocompatibiliteit met chemische stabiliteit, hermetische afsluiting en langdurige klinische betrouwbaarheid.
Mits zorgvuldig toegepast, vormt calciumsilicaat vandaag de dag een onmisbare schakel tussen biologie en techniek — een tastbare revolutie die de tandheelkunde blijvend heeft veranderd.
Rob Vermaas is tandarts en sinds 2000 als consultant betrokken bij de ontwikkeling, implementatie en ondersteuning van diverse tandheelkundige producten. Daarnaast is hij docent en trainer en mede-initiatiefnemer van de Dental Best Practice leergang Endodontologie. www.academiae.nl/leergangendodontologie
Externe cervicale resorptie is een relatief zeldzame, maar klinisch relevante aandoening die vaak onopgemerkt begint. De destructie van harde tandweefsels verloopt sluipend en kan ernstige schade veroorzaken voordat klachten optreden. Dankzij beter begrip van de onderliggende processen en verbeterde beeldvorming is vroege herkenning tegenwoordig beter mogelijk. Dit artikel bespreekt de aandoening aan de hand van een klinische casus, met aandacht voor diagnose, achtergrond en behandelstrategieën.
Externe cervicale resorptie is een aandoening waarbij harde tandweefsels worden afgebroken door resorptieve, oftewel clastische, activiteit. De laesie ontstaat meestal ter hoogte van de overgang tussen glazuur en cement, waar een kleine beschadiging van het worteloppervlak of het parodontaal ligament de toegang vormt voor het proces. Via één of meerdere port d’entrée-zones kunnen cellen het dentine bereiken en het weefsel langzaam afbreken. Afhankelijk van de plaats en de uitbreiding kan de resorptie beperkt blijven tot het oppervlak, of zich dieper uitbreiden langs het worteloppervlak.
In het begin wordt de aandoening vaak niet opgemerkt. Naarmate het defect groter wordt, kan het zich uiten als een roze verkleuring of een harde caviteit net onder de glazuur-cementgrens. Zonder behandeling kan dit leiden tot aanzienlijk tandweefselverlies of verlies van het element. De oorzaak is meestal niet eenduidig. Factoren zoals orthodontische belasting, trauma, chirurgische ingrepen of parodontale schade kunnen bijdragen aan het ontstaan. Recent onderzoek heeft beter inzicht gegeven in hoe deze factoren samen leiden tot de activering van resorptiecellen en de voortgang van het proces. Daardoor kan externe cervicale resorptie tegenwoordig beter worden herkend en behandeld.
Een 46-jarige man werd verwezen naar onze praktijk (Proclin Utrecht, voorheen ParoPraktijk Utrecht) voor een klinische kroonverlenging ter plaatse van gebitselement 13. De verwijzende tandarts stelde een subgingivale caviteit vast aan de buccale zijde en verzocht om deze bereikbaar te maken voor restauratief herstel. Bij klinisch onderzoek was midvestibulair een caviteit te sonderen ongeveer twee millimeter subgingivaal. De patiënt gaf aan dat het element gevoelig was bij poetsen, maar meldde geen spontane klachten of pijn bij kauwen. Het element reageerde negatief op de percussietest en positief op de sensibiliteitstest, waarbij een koude spray met wattenbol werd gebruikt. Ook de palpatietest was negatief. Buccaal was een licht verdiepte pocket van 4 mm aanwezig, met bloeding na sonderen (afbeelding 1).
De periapicale opname liet een prominente radiolucentie zien ter hoogte van het cervicale deel van de kroon en het coronale een derde deel van de radix (afbeelding 2). De vorm en afgrenzing waren niet kenmerkend voor dentinecariës. Het element was gaaf en de patiënt was niet bekend met een hoog cariësrisico. Daarnaast is het midvestibulaire vlak van

1. Intra-oraal aanzicht
2. Peri-apicale röntgenopname van gebitselement 13
een cuspidaat geen kenmerkende locatie voor cariës. Het element was ook niet bekend met een historie van trauma. Op basis van het klinische en radiologische beeld werd daarom de diagnose externe cervicale resorptie (ECR) gesteld.
Externe cervicale resorptie ontstaat door de activering van resorptiecellen op een plaats waar het worteloppervlak of het parodontaal ligament is beschadigd.
Deze beschadiging kan het gevolg zijn van trauma, orthodontische belasting, chirurgische ingrepen of langdurige druk op het weefsel. Hierdoor verliezen bepaalde zones hun normale bescherming, waardoor clastische cellen toegang krijgen tot het dentine.
Binnen de resorptiezone is histologisch sprake van fibrovasculair of granulatieweefsel dat zich via één of meerdere port d’entrée-openingen uitbreidt naar het onderliggende dentine. In deze kanalen vindt de daadwerkelijke afbraak van tandweefsel plaats.
Een kenmerkend aspect is dat de pulpa meestal vitaal blijft. Deze wordt beschermd door een dichte laag van predentine en dentine, ook wel de pericanal resorption resistant sheet (PRRS) genoemd. Hierdoor is er vaak geen directe communicatie tussen de resorptie en de pulpakamer. Het proces is niet infectieus van aard, maar berust op cellulaire activiteit. In sommige gevallen komt zelfs reparatief weefsel tot stand: delen van de laesie kunnen worden gevuld met botachtig of cementachtig materiaal. Dit verklaart waarom het beloop tussen patiënten sterk kan varieren; van stilstaand of herstellend tot progressief en destructief.

Het herkennen van externe cervicale resorptie vraagt om een zorgvuldige klinische en radiologische beoordeling. In veel gevallen verloopt het proces zonder duidelijke symptomen en wordt het bij toeval ontdekt tijdens een controle of een röntgenonderzoek. In een vroeg stadium is ECR zelden zichtbaar aan het tandoppervlak. Naarmate het proces vordert kan een roze verkleuring doorschemeren door de kroon (de zogeheten “pink spot’’), veroorzaakt door fibrovasculair weefsel in het resorptiedefect. Soms is er sprake van een harde, niet-carieuze caviteit ter hoogte van de glazuur-cementgrens die bloedt bij sonderen.
Röntgenologisch verschijnt ECR als een onregelmatige radiolucentie ter hoogte van het cervicale deel van de wortel, buiten de contour van de pulpakamer. Een belangrijk onderscheidend kenmerk is dat de pulpakamer en het kanaaltraject intact blijven, in tegenstelling tot interne resorptie, waarbij de kanaalwanden symmetrisch worden aangetast. De Heithersay-classificatie 1999 (afbeelding 3) is de bekendste en meest gebruikte indeling bij externe cervicale resorptie. Deze verdeelt ECR-laesies in vier klassen op basis van hun röntgenologische diepte:
• Klasse I: kleine, oppervlakkige resorptie beperkt tot het cervicale cementum.
• Klasse II: uitbreiding tot net onder de glazuur-cementgrens, zonder communicatie met de pulpa. Klasse III: diepere resorptie tot in het middelste wortelgedeelte, mogelijk met contact met het pulpadentine.
• Klasse IV: uitgebreide resorptie die meer dan een derde van de wortel inneemt.

Inhoud:
1x Instrumentenlaken 67x70cm
1x Boorhoes met invoer 7x170cm
1x Zuigset 2,1M
1x Afdeklaken 75x100cm
1x Splitlaken 75x90cm
2x OK jas, maat L
3x Muts Bouffant
2x Mondmasker
44001630
Wilt u wel een custom made set?
Neem dan contact op met onze vertegenwoordigers.
€16.95 per stuk



Infuusbestek voor verschillende motoren
HY-110001
infuusbestek voor alle type motoren
v.a. €48,00 per 10 stuks

Nitril handschoenen
PPS
Blauw, roze en zwart
€3,95 per doos van 100 stuks

Mondmasker type IIR 401102
Chirurgisch, IIR, blauw, elastiek
€3,50 per 50 stuks

Sodium Chloride 0,9%
HY-80111 / HY-80109
250ml en 500ml (steriel water)
Niet voor intraveneus gebruik.
v.a. €2,70 per stuk
Hemostatische gelatinespons
CS-310
10x10x10mm (steriel) van CuraSpon
€29,99 per 50 stuks
BlueM Oxygen fluid OFI250
250ml
Neutraal mondwater voor wondgenezing
€7,49 per stuk

3. Heithersay-classificatie voor ECR (1999)
4. Patel-classificatie voor ECR
Omdat het proces zich driedimensionaal uitbreidt, is een tweedimensionale opname vaak onvoldoende om de werkelijke omvang en richting van de laesie te beoordelen. Conebeam-CT biedt hierbij een duidelijke meerwaarde. Op basis van CBCT-beelden kan de hoogte, diepte en circumferentiële spreiding nauwkeurig worden vastgesteld, evenals de relatie tot het bot en de pulpa. De Patel-classificatie 2017 (afbeelding 4) bouwt hierop voort en beschrijft de laesie volgens drie dimensies:
• De hoogte van de laesie (1–4) – van supracrestaal tot apicaal;
• De circumferentiële spreiding (A–D) – van minder dan 90° tot meer dan 270°;
• De pulpale betrokkenheid (d/p) – intacte PRRS of met pulpale communicatie.
Beoordelingscriteria voor behandeling
De behandeling van externe cervicale resorptie is gericht op het stoppen van het resorptieve proces en het duurzaam herstellen van het aangetaste weefsel.
De keuze voor behandeling hangt af van de mate van uitbreiding, de toegankelijkheid van het defect, de vitaliteit van de pulpa en de strategische waarde van het element. In de praktijk wordt bij de besluitvorming rekening gehouden met de volgende factoren:
• Omvang van de laesie: kleine, oppervlakkige defecten kunnen vaak extern worden gereinigd en direct worden gerestaureerd. Naarmate de resorptie zich dieper uitbreidt, neemt de complexiteit toe en wordt de prognose minder voorspelbaar.
Toegankelijkheid: de ligging van het defect bepaalt of het intern, extern of chirurgisch kan worden benaderd. Wanneer het onder het botniveau ligt, is een flapoperatie meestal noodzakelijk om

het gebied volledig zichtbaar te maken. Pulpale status: in de meeste gevallen blijft de pulpa vitaal, beschermd door de pericanal resorption resistant sheet. Blootstelling moet worden vermeden; enkel bij necrose of pulpale communicatie is endodontische behandeling aangewezen.
• Weefselactiviteit: zacht, bloedend granulatieweefsel duidt op actieve resorptie en moet volledig worden verwijderd tot aan gezond dentine. Hard, botachtig weefsel wijst eerder op een stabiliserende fase, waarbij een minder ingrijpende benadering volstaat.
• Strategische en esthetische waarde: bij functioneel of esthetisch belangrijke elementen wordt vaker gekozen voor een behoudende of chirurgische aanpak.
Afhankelijk van de beoordelingscriteria voor behandeling zijn er verschillende behandelopties mogelijk. De uiteindelijke keuze van behandeling wordt bepaald door de mate waarin het defect bereikt kan worden.
Conservatief beleid
Bij kleine, scherp begrensde of klinisch inactieve laesies kan worden gekozen voor een afwachtende aanpak met periodieke controle. Zolang er geen aanwijzingen zijn voor progressie, kan onnodige interventie worden vermeden. Zodra de laesie tekenen van groei vertoont, is actieve behandeling aangewezen.
Interne behandeling
De interne benadering wordt toegepast wanneer er sprake is van pulpale communicatie of directe toegankelijkheid via het wortelkanaal. Na endodontische behandeling wordt het resorptieweefsel verwij-

5. Na afschuiven van een full-thickness mucoperiostale flap is de laesie al deels waar te nemen, alsmede de uitbreiding naar subcrestaal.

6. Klinische situatie na botcorrectie en excavatie van de laesie. De omvang en uitbreiding van de laesie is nu goed zichtbaar. Er is geen exponatie van de pulpa waarneembaar.



7. De laesie is gerestaureerd en nadien nog gladder afgewerkt.
8. De flap is teruggeplaatst en gehecht. De restauratie is deels supragingivaal waarneembaar.

10. Klinisch beeld na drie maanden. Parodontaal is sprake van een stabiele situatie. De patiënt stoort zich niet aan de zichtbare rand van de restauratie en wenst hier niets aan te laten doen.
derd en de resorptieholte van binnenuit afgesloten met een biocompatibel materiaal, zoals MTA of biokeramisch cement. Deze methode biedt een gunstige prognose bij beperkte defecten met behoud van voldoende wortelstructuur.
Externe behandeling
Bij oppervlakkige, goed bereikbare laesies kan het resorptieweefsel extern worden verwijderd. Na reiniging en desinfectie wordt het defect hersteld met een glasionomeer of composiet. Een gladde afwerking is belangrijk om plaquehechting te voorkomen en het parodontium gezond te houden. Deze behandeling is minimaal invasief en biedt een goede prognose wanneer de pulpa vitaal is en het defect volledig toegankelijk blijft.
Chirurgische behandeling
Wanneer de laesie zich subgingivaal of onder het botniveau bevindt, is een chirurgische benadering vaak noodzakelijk om volledige toegang te verkrijgen. Met een flapoperatie kan het resorptieweefsel onder direct zicht worden verwijderd en het defect adequaat worden gerestaureerd. Deze methode maakt het mogelijk om de wortel en het omliggende bot te beoordelen, maar brengt ook risico’s mee zoals aanhechtingsverlies of recessie. Chirurgie is daarom voorbehouden aan strategisch belangrijke, vitale elementen waarbij behoud realistisch is.
Bij zeer uitgebreide of apicaal doorlopende resorpties, waarbij de wortel onvoldoende dragend vermogen heeft, resteert extractie als laatste optie. In dat
geval kan vervanging door een implantaat of brugconstructie worden overwogen binnen het bredere behandelplan.
Het doel van elke benadering blijft hetzelfde: het volledig verwijderen van het resorptieve weefsel, het beschermen van de vitale pulpa en het hermetisch afsluiten van het defect met een duurzaam en biocompatibel materiaal.
In deze casus betreft het een cuspidaat waarbij de laesie zich subgingivaal aan de buccale zijde bevond. Dit element kent een belangrijke functie in de occlusie, articulatie en esthetiek. Een externe behandeling was omwille van de subgingivale locatie geen optie. Daarom werd gekozen voor een chirurgische benadering. Onder lokale anesthesie werd buccaal een full-thickness mucoperiostale flap afgeschoven. Hierdoor werd de port d’entrée van de resorptie zichtbaar aan de buccale zijde van de radix. De laesie strekte zich uit tot subcrestaal, net onder het botniveau (afbeelding 5). Om volledige toegang te verkrijgen werd een botcorrectie uitgevoerd. Het resorptieweefsel werd geëxcaveerd tot aan gezond dentine. Er werd gelet op het behoud van de integriteit van de pulpa. Een exponatie werd niet waargenomen (afbeelding 6).
Na spoelen met natriumhypochloriet werd het defect gerestaureerd. Het materiaal werd aangepast aan de contour van de wortel en nadien glad afgewerkt. De flap werd spanningsvrij teruggeplaatst en gehecht met monofilament (afbeeldingen 7 en 8).
De genezing verliep zonder complicaties, en bij controle na drie maanden was een stabiele parodontale conditie waarneembaar zonder verdiepte pockets. De zenuw reageerde normaal sensibel op de sensibiliteitstest en van percussiegevoeligheid was geen sprake (afbeeldingen 9 en 10).
De behandeling van externe cervicale resorptie is uitdagend vanwege de variatie in presentatie en het feit dat de aandoening in het beginstadium vaak niet wordt opgemerkt. Het succes van de behandeling
hangt in grote mate af van tijdige herkenning en een juiste inschatting van de uitbreiding van de laesie.
In deze casus werd gekozen voor een chirurgische benadering, aangezien de laesie zich subgingivaal aan de buccale zijde bevond en niet volledig toegankelijk was via een externe of interne weg. Deze keuze maakte het mogelijk om het defect direct te visualiseren, het resorptieweefsel te verwijderen en het oppervlak gecontroleerd te herstellen. Omwille van het feit dat de laesie zich op een goed bereikbare locatie bevond en de solo-opname voldoende duidelijkheid gaf over de diagnose, werd besloten geen CBCT-scan uit te voeren. De toegevoegde waarde hiervan zou echter zijn geweest dat een beter inzicht verkregen had kunnen worden in de diepte en richting van het proces, hetgeen de benadering mogelijk nog preciezer had gemaakt.
De inzichten uit recente publicaties tonen aan dat externe cervicale resorptie niet altijd een progressieve, destructieve aandoening is, maar eerder een dynamisch proces waarin resorptie en reparatie elkaar kunnen afwisselen. Vanuit dat perspectief is chirurgisch ingrijpen niet vanzelfsprekend en wordt een terughoudende, casusafhankelijke aanpak aanbevolen; te ingrijpende behandeling kan immers bestaande reparatieve activiteit verstoren. Hoewel chirurgie dus niet als standaardbehandeling geldt, kan deze in geselecteerde gevallen, met name bij vitale en strategische elementen, leiden tot een voorspelbaar en stabiel resultaat, hetgeen deze casus aantoont.
Moaad Alami is werkzaam bij Proclin Utrecht (voorheen Paro Praktijk Utrecht) en de Kliniek voor Parodontologie Amsterdam (KvPA) als parodontoloog-NVvP.
Referenties
De literatuurlijst is op te vragen bij de redactie en in te zien bij het artikel online op www.dentista-magazine.nl
PERSOONLIJKE ONTWIKKELING
Het einde van het jaar is hét moment om even stil te staan bij jezelf. Hoe is jouw balans tussen werk en privé? Hoe voel je je fysiek en mentaal na een druk en vol jaar in de praktijk? Met deze korte quiz ontdek je hoe jij ervoor staat – en krijg je praktische tips om met meer energie, plezier en focus het nieuwe jaar in te gaan.
Geef bij elke stelling aan in hoeverre je het ermee eens bent: 1 = helemaal niet mee eens, 2 = enigszins mee eens, 3 = neutraal, 4 = mee eens, 5 = helemaal mee eens.
De stellingen
1
2
3
4
5
Ik begin mijn werkdag meestal met energie en een positieve mindset.
Ik ervaar over het algemeen voldoende balans tussen werk en privé.
Ik heb het gevoel dat ik mijn werk goed kan loslaten na werktijd.
Ik voel me fysiek fit en heb weinig last van werk gerelateerde klachten (zoals nek-, schouder- of rugpijn).
Ik ervaar regelmatig waardering van mijn team en/of patiënten.
6
7
8
9
10
Tel je scores bij elkaar op. Je totaalscore ligt tussen de 10 en 50 punten.
Ik heb het gevoel dat ik mijn werkdruk goed kan hanteren.
Ik maak bewust tijd vrij voor ontspanning of herstelmomenten gedurende de week.
Ik heb plezier in mijn werk en voel me trots op mijn vak.
Ik neem actief stappen om mezelf te blijven ontwikkelen, zowel professioneel als persoonlijk.
Ik kijk met vertrouwen en nieuwsgierigheid naar het komende jaar.
Totaalscore:


Experience Balansquiz 2025
40–50 punten: De Bewuste Balanszoeker
Je zit goed in je vel en weet wat je nodig hebt om het beste uit jezelf te halen. Je bewaakt je grenzen, hebt plezier in je werk en weet wat jouw energie geeft. Blijf aandacht besteden aan kleine gewoontes die je helpen deze balans te behouden – bijvoorbeeld korte pauzes, bewegen tussen behandelingen of regelmatig reflecteren met collega’s.
25–39 punten: De Drukke Doorbijter
Je draait mee in het ritme van de tandartspraktijk, maar merkt dat de balans soms doorslaat. Je functioneert goed, maar ervaart mogelijk steeds meer stress of fysieke spanning. Ook vraag je je af of je wel de goede richting op beweegt. Is dit nu echt wat ik wil? Sta even stil bij waar jij energie van krijgt en waar die weglekt. Kleine aanpassingen – zoals betere taakverdeling, realistische agenda’s of het delen van verantwoordelijkheden en bevoegdheden – kunnen een groot verschil maken.
10–24 punten: De Overbelaste Idealist
Je bent toegewijd aan je vak, maar loopt op je tenen. Mogelijk voel je dat je continu ‘aan’ staat of moeite hebt met loslaten. Je bent ooit enthousiast begonnen, maar hebt het gevoel dat die passie is verdwenen. Herstel begint bij bewustwording: zoek momenten om te vertragen, praat met collega’s, dentist counselor of coach, en geef prioriteit aan herstel. Je hoeft het niet alleen te dragen – juist door verbinding vind je weer energie en perspectief.
Welke score je ook hebt behaald, zie deze quiz vooral als een uitnodiging tot reflectie. Elke tandarts, mondhygiënist of (preventie)assistent kent pieken en dalen, maar wie bewust blijft leren, herstellen en verbinden, groeit duurzaam in werkplezier en vakmanschap.
Ben jij tandarts en wil je in 2026 écht werk maken van jouw persoonlijke en professionele groei op weg naar vernieuwd en verfrist perspectief?
Na een succesvolle Mastercourse in 2025 is het nu mogelijk om je aan te melden voor de Dentist Experience Mastercourse 2026. Een programma waarin je in een periode van 9 maanden, onder leiding van tandarts Casper Bots, op een unieke wijze weer ten diepste ontdekt wat echt bij je past. Zowel als mens en als tandarts.
Na het volgen van de Mastercourse heb je richting en helder voor ogen wat je wilt doen zodat je met hernieuwd plezier, veerkracht en voldoening de toekomst tegemoet kan zien! Kortom: Uitdagend, reflecterend, sprankelend en ruimtescheppend.
Er is plaats voor maximaal 12 tandartsen. Reserveer daarom nu de laatste plaatsen via www. dentistexperience.com of scan de QR-code hiernaast
De auteur
Deze Quiz is samengesteld door dr. Casper P. Bots, tandarts en oprichter van de Dentist Experience. Meer weten of een even sparren met collega tandarts Casper Bots? Maak een afspraak via: casper@dentistexperience.com
ERGONOMIE
Waarom vergroting hét ergonomische breekpunt kan zijn voor endodontologen
Endodontologen hebben één ding gemeen: ze werken op de vierkante millimeter. Zonder vergroting is een precieze, betrouwbare wortelkanaalbehandeling ondenkbaar. Toch is vergroting een tweesnijdend zwaard: het kan een zegen zijn voor je zicht, maar een valkuil voor je lichaam. De keuze tussen werken zonder vergroting, met loepbril of met microscoop bepaalt niet alleen de kwaliteit van je behandeling, maar ook de duurzaamheid van je loopbaan. Zoals dr. Gary Carr, pionier in endodontische ergonomie en microscopie, het ooit zei: “If you can’t see it, you can’t treat it.” Ik voeg daar graag iets aan toe: “If you can’t sit in a relaxed way, you won’t last in your profession.”
Een juiste vergrotingsmethode is dus niet alleen een optische, maar minstens even belangrijk, een ergonomische beslissing.
Loepbrillen onder de loep
In de tandheelkunde worden grofweg twee soorten loepen gebruikt: de Galilean-loep en de prisma-loep (ook wel refractieve of Keplerian-loep genoemd). Beide vergroten het zicht, maar hun invloed op de werkhouding verschilt drastisch. De Galilean-loep is nog altijd veruit het meest gangbare model in de tandheelkundige praktijk. Door de combinatie van twee lenzen, een objectief en een oculair, biedt deze loep een helder en vergroot beeld. Fabrikanten presenteren haar vaak als “de betere lens”, maar optische kwaliteit vertelt niet het hele verhaal.
Bij de Galilean-loep staan de lenzen namelijk onder een vaste, naar beneden gerichte hoek in het montuur. Daardoor moet de behandelaar het hoofd licht voorover kantelen om in de juiste kijklijn te blijven. Tegelijkertijd moeten de ogen schuin naar beneden gericht blijven, wat op den duur leidt tot overbelasting van de nekspieren en vermoeidheid van de extraoculaire oogspieren.1, 2 Met andere woorden: optisch functioneel, maar ergonomisch een valkuil, vooral bij langdurig gebruik.
De prisma-loep daarentegen vormt momenteel het topsegment onder de loepen. Dankzij het ingebouwde prisma worden lichtstralen afgebogen, waardoor je met een rechte nek, toch naar beneden kunt kijken. De declinatiehoek, de hoek waaronder je naar beneden kijkt zonder het hoofd te buigen, wordt hierdoor aanzienlijk groter. Het resultaat: een ontspannen, rechte zithouding en een drastische vermindering van de belasting van nek- en rugspieren.1

1. Tandarts met Galilei loepbril. De Galilei loepbril vergroot het zicht, maar zorgt slechts ten dele voor een betere werkhouding. (NB: Deze tandarts gebruikt geen mondkapje omdat de foto werd gemaakt tijdens een gesimuleerde behandeling tijdens een individuele ergonomietraining.)

2. Tandarts met prisma loepbril. De prisma loepbril zorgt naast de vergroting voor een veel betere werkhouding. Let op: de bril komt alleen goed tot z’n recht als de behandelaar een degelijke ergonomietraining heeft gevolgd. Dit niet doen is één van de 7 meest gemaakte ergonomische fouten (zie het artikel in Dentista 3, 2025, pag. 60-63). (NB: Deze tandarts gebruikt geen mondkapje omdat de foto werd gemaakt tijdens een gesimuleerde behandeling tijdens een individuele ergonomietraining)
Voor tandartsen die (nog) niet met een microscoop werken, is de prisma-loep mijns inziens dan ook de enige verantwoorde keuze (afbeelding 1-2).
Waarom maximaal 3x vergroting?
Het klinkt verleidelijk: hoe meer vergroting, hoe beter je ziet. Maar juist hier schuilt de grootste ergonomische valkuil.
Bij vergrotingen boven de 5x wordt de scherptediepte zo klein dat zelfs minieme hoofdbewegingen het beeld kunnen vervagen. Dit leidt tot een onbewuste neiging om met hoofd of romp te bewegen om scherp te blijven zien. En dat is precies wat je wilt vermijden.
Een vergroting van 3-4x biedt een goede balans: voldoende detail, terwijl de scherptediepte groot genoeg blijft om ontspannen rechtop te werken.
Alles daarboven is fantastisch voor de eerste vijf
Zie jij het scherp?
minuten, maar rampzalig voor je nek, schouders en bovenrug na vijf jaar.3. Heb je een grotere vergroting nodig vanuit tandheelkundig (visueel) perspectief?
Daar heb je een microscoop voor.
Voor endodontologen is de microscoop de gouden standaard. Niet alleen vanwege de optische kwaliteit, maar zeker ook vanwege de ergonomische voordelen. Een goed ingestelde microscoop biedt vier essentiële pluspunten:
1. Vergroting naar wens – traploos of in zes stappen verstelbaar, zonder dat je je houding hoeft aan te passen.
2. Stereoscopische visie – via beide ogen ontvangt het brein twee lichtelijk verschillende beelden, wat echte dieptewaarneming mogelijk maakt.4
3. Werken op afstand – de vergroting maakt een

3. Behandelaar achter de microscoop waarbij zijn ogen aansluiten aan de binoculair (zonder de tubusverlenger). De tandarts heeft het hoofd in antepositie, omdat de tubus te kort is. Dit leidt tot nekklachten/een pijnlijk vermoeid gevoel tussen de schouderbladen.

4. De tandarts achter de microscoop waarbij zijn ogen niet aansluiten aan de binoculair. Hij zit op deze afbeelding ontspannen rechtop en maakt goed gebruik van de lendesteun. De afstand tussen zijn ogen en de binoculair laat zien hoever zijn hoofd eerder in antepositie werd gebracht.
ruime werkafstand mogelijk, zodat je rechtop kunt blijven zitten.
4. Geïntegreerde verlichting – optimale belichting van het werkveld, zonder extra gewicht op de neusbrug.
Toch is de microscoop niet automatisch ergonomisch. In de praktijk zie ik vaak dat endodontologen het hoofd in antepositie brengen tijdens het werken. Een voorwaartse stand van het hoofd ten opzichte van de romp. Vaak ligt dat aan een onjuiste instelling van het binoculair, of aan een te korte tubus. Het gevolg is een lichte maar langdurige statische spierspanning in de nek, wat op termijn vrijwel altijd tot klachten leidt.5
Een correcte instelling van de microscoop is dus cruciaal. Deze moet worden aangepast aan de lichaams-lengte en zithouding van de gebruiker. Blijf tijdens het werken met de rug altijd tegen de lendesteun zitten en laat de microscoop zich naar jou toe bewegen. Niet andersom.
Wanneer de tubus + binoculair combinatie ‘te kort’ is, kan in overleg met de fabrikant een verlengring (tubusverlenger) worden geplaatst. Deze vergroot de werkafstand, zodat de behandelaar ontspannen rechtop kan blijven zitten. (Afbeelding 5: De tubusverlenger is geplaatst onder de zwarte pijl).
Dr. Carr beschrijft dat hij “alles” onder de microscoop doet, zelfs het plaatsen van de cofferdam. Voorwaarde is wel dat de microscoop zes vergrotingsniveaus heeft. Of, bij traploze instelling, dat bij de kleinste vergroting het gebied tussen neus en kin goed zichtbaar blijft.1
Zes ergonomische factoren bij de aanschaf van een loep
Bij de aanschaf van een loepbril gaat het niet alleen om vergroting, maar om balans tussen optiek en ergonomie. Zes factoren zijn bepalend:
1. Werkafstand. De afstand tussen ogen en werkveld bepaalt je zithouding. Is de afstand te kort, dan hang je voorover; te lang, en je strekt de nek onnatuurlijk.
Laat deze afstand daarom altijd professioneel opmeten en op maat instellen.
2. Scherptediepte zone. Hoe groter de zone waarin het beeld scherp blijft, hoe minder je hoeft te bewegen. Boven de 3–4x vergroting neemt de scherptediepte sterk af.2
3. Declinatiehoek. Hoe ver kun je naar beneden kijken zonder je hoofd te kantelen? Prisma-loepen scoren hier het best; Galilean-loepen buigen het beeld niet af, waardoor het hoofd sneller voorover kantelt.
4. Convergentiehoek. De hoek waarin de twee optische assen samenkomen. Bij een correcte instelling kruisen de assen precies in het werkveld, zodat het beeld ontspannen scherp blijft. Een foutieve convergentie veroorzaakt dubbelzien en vermoeidheid.
5. Vergrotingsfactor. Een vergroting van 3-4x is ideaal. Minder geeft te weinig detail; meer leidt tot onnodige spierspanning.
6. Verlichtingsbehoefte. Loepen met geïntegreerde LED-verlichting zijn handig, maar voegen gewicht toe aan de neusbrug. De microscoop heeft verlichting geïntegreerd in de optische as, wat zowel ergonomisch als visueel superieur is.

5. Behandelaar achter de microscoop met tubusverlenger. Onder de zwarte pijl zie je de tubusverlenger die we hebben geplaatst. Nu zit de behandelaar helemaal ontspannen, ondersteund rechtop terwijl het binoculair mooi aansluit.
Een veelvoorkomende fout is het werken zonder armsteun. Zonder ondersteuning blijven de armen langdurig in statische elevatie, wat leidt tot verhoogde spierspanning in schouders en nek.6 Onderzoek toont aan dat het gebruik van arm- en rugsteunen de spierbelasting significant vermindert en de precisie van handbewegingen verbetert.7 Dr. Gary Carr en ook Juan Carlos Ortiz Hugues benadrukken dit consequent in hun ergonomische literatuur: een stoel met armleuningen is voor endodontologen geen luxe, maar een noodzakelijkheid.
Bij de dentale microscoop verwijst de inclinatiehoek naar de lichte neerwaartse kanteling van de binoculaire tubus ten opzichte van de horizontale lijn. Deze vaste hoek zorgt ervoor dat het beeld uit het werkveld optisch naar de ogen van de behandelaar wordt geleid. Het doel is eenvoudig: de microscoop laat jou recht vooruitkijken, terwijl het optische systeem het beeld omhoog buigt.
Microscoop versus prisma-loep: stereoscopische visie
Een belangrijk verschil tussen de microscoop en de prisma-loep is de wijze van dieptewaarneming. De microscoop biedt echte stereoscopische visie: het brein ontvangt twee net verschillende beelden via beide ogen, waardoor diepte reëel wordt ervaren.4 De prisma-loep werkt met convergente visie: de lichtstralen worden kunstmatig naar elkaar toe gebracht, wat de illusie van diepte wekt. Het lijkt alsof er diepte is, maar de perceptie is minder natuurgetrouw. Is stereoscopie dan écht een voordeel? Ja, zeker in de endodontologie. Dieptewaarneming is essentieel voor het herkennen van subtiele structuren zoals fissuren, foramina en verkalkingen. Een goed ingestelde microscoop biedt een helder, driedimensionaal beeld waardoor deze microstructuren beter zichtbaar worden en behandelingen nauwkeuriger kunnen worden uitgevoerd.9-11 Toch geldt: een slecht afgestelde of zelden gebruikte microscoop is minder waard dan een goed ingestelde en correct gebruikte prisma-loep.
Wanneer het binoculair correct is ingesteld, bevindt de blik van de behandelaar zich in een neutrale, ontspannen stand. De tubus helt dan slechts licht naar beneden, ongeveer tien tot vijftien graden, zodat de ogen in hun natuurlijke, licht neerwaartse positie blijven zonder dat de oogspieren continu hoeven te corrigeren. Zo kan de endodontoloog scherp en comfortabel werken, met een rechte nek en een stabiele houding.
Belangrijk is dat niet de behandelaar zich aanpast aan de microscoop, maar de microscoop aan de behandelaar. Een juiste inclinatiehoek maakt het mogelijk om langdurig geconcentreerd te werken zonder visuele of cervicale overbelasting. Recent onderzoek bevestigt bovendien dat het gebruik van een microscoop de belasting van de nek- en schouderspieren significant vermindert ten opzichte van werken met loepen of zonder vergroting. Juist dankzij deze ergonomische kijkrichting.8 Het is daarmee één van de meest onderschatte, maar ook meest bepalende instellingen voor duurzaam microscopisch werkcomfort.
• Eén enkele motorinstelling tijdens de behandeling
• Eén glijpadvijl en één vormgevingsvijl voor de meeste casussen
Korte leercurve2
• Passende obturatie voor koude en warme technieken
Wij bieden u een eenvoudige, allesomvattende oplossing die elke stap van uw endodontische behandeling ondersteunt. Getest en vertrouwd door uw collega's.



Scan de QR code en vraag uw demo aan!


Endodontologie is topsport. Net als een atleet heeft een endodontoloog precisie, stabiliteit en uithoudingsvermogen nodig, en dat begint bij een ergonomische werkhouding. Vergroting is daarbij niet alleen een visueel hulpmiddel, maar een voorwaarde voor duurzaam werken.
De Galilean-loep biedt redelijke optiek, maar is ergonomisch af te raden. De prisma-loep is een uitstekende keuze voor wie (nog) geen microscoop gebruikt. De microscoop blijft de gouden standaard, mits goed ingesteld en gecombineerd met een stoel die arm- en rugsteun biedt.
Want goed zien is één ding. Pijnvrij blijven werken, dát is de echte winst.
Matthijs Luitjes is fysiotherapeut en ergonoom, gespecialiseerd in mondzorgprofessionals. Met zijn bedrijf Ergonomic Solutions (www.ergonomicsolutions.nl) en via LinkedIn helpt hij professionals in Nederland en daarbuiten met het verlichten en voorkomen van werkgerelateerde pijn. info@ergonomicsolutions.nl.
De literatuurlijst is op te vragen bij de redactie en in te zien bij het artikel online op www.dentista-magazine.nl

Kijk ook eens op onze website voor praktische artikelen, columns, podcasts en nog veel meer!
Volg ons ook op onze sociale kanalen!
Voor tandartsen die een eigen praktijk zijn gestart, geldt dat zij daarmee direct ook ondernemer zijn geworden. Elke onderneming moet geleid worden, wat terugkomt in de rol van ‘leider’. Een tandarts/praktijkhouder zal – waarschijnlijk – altijd meerdere rollen vervullen in de praktijk, denk aan de rollen van tandarts, praktijkmanager, vertrouwenspersoon, praktijkhouder, BHV’er en leider. Gelukkig zijn enkele van deze rollen door de praktijkhouder te delegeren. Helaas voor sommigen is de rol van ‘leider’ echter niet te delegeren door de tandarts/praktijkhouder. Want wie betaalt die bepaalt (of je nu wilt of niet). Hoe kun je duidelijk leidinggeven aan je praktijk als je geen leider bent?
Ieder team kent een specifieke dynamiek, waarin elk teamlid een rol vervult. Dit artikel gaat over de rol van ‘leider’. Sommige personen zijn van nature een leider. Dit zijn de personen, die automatisch naar voren stappen als de groep bij de hand moet worden genomen. Direct orders gaan uitdelen tijdens een noodsituatie. Of de verantwoordelijkheid voelen om ‘voor’ de groep te gaan staan en op de voorgrond te treden.
Ik ben regelmatig in gesprek met tandartsen die als praktijkhouder dus de rol van ‘leider’ hebben, maar
zich niet gemakkelijk voelen in deze rol. Reden hiervoor is eigenlijk altijd, dat hij of zij van nature helemaal geen leider is. Je ongemakkelijk voelen in de rol van leider kan dan resulteren in lijden.
Binnen deze praktijk – in het noorden van Nederland – is er regelmatig irritatie tussen medewerkers onderling. Twee medewerkers hebben naast hun taken aan de stoel ook enkele ondersteunende taken. De onderlinge verdeling is echter niet duidelijk en de irritatie loopt steeds hoger op. De praktijkhouder treedt niet op. Tussen de regels door is de wens vanuit beide medewerkers, dat de praktijkhouder zich
‘gewoon’ uitspreekt en een keuze maakt over wie welke taken dient op te pakken.
Reden die de praktijkhouder aangeeft voor haar terughoudendheid is, dat zij weinig tijd hiervoor heeft. Tegelijkertijd spreekt de praktijkhouder haar onzekerheid uit over hoe hierin op te treden. Aanvullend is mijn oordeel, dat zij ook niet goed het belang en de noodzaak inziet om op te treden of knopen door te hakken.
“Wij willen een baas”
Bij mijn ondersteuning voor praktijken voer ik regelmatig gesprekken met medewerkers om hun ervaringen en ideeën te horen over hoe de praktijkorganisatie zich kan verbeteren.
In die praktijken waar een echte leider ontbreekt, is een veelgehoorde wens van medewerkers dat zij ‘een echte baas’ willen. De medewerkers hebben dus behoefte aan een baas. Mijn veronderstelling hierbij is, dat medewerkers vooral behoefte hebben aan duidelijkheid, aan beslissingen, aan knopen doorhakken en aan richting.
Uiteraard heeft niet elke medewerker behoefte aan een baas. Daarentegen is mijn gevoel, dat het profiel van de gemiddelde medewerker van een tandartsenpraktijk – die in feite natuurlijk niet echt bestaat –wel behoefte heeft aan een baas. En in mindere mate behoefte heeft aan autonomie.
Situatie 1
Einde middag vraagt mijn zoontje of hij nog extra mag gamen. Wanneer ik ‘nee’ zal antwoorden, ben ik bang dat hij chagrijnig en boos wordt. Op dit moment kan ik dat er even niet bij hebben. Daarentegen wil ik ook geen ‘ja’ antwoorden, omdat hij zijn schermtijd al heeft verbruikt. Dit maakt, dat ik loop te dralen en het antwoord uitstel. Met als resultaat, dat mijn
zoon roept: “Als je niet wilt dat ik ga gamen, zeg dan gewoon nee!”.
Dit is een roep om duidelijkheid. Zijn boodschap is eigenlijk: je hebt regels en handhaaf deze gewoon. Ik had echter vooral angst om te handhaven.
Bij de praktijkhouders die zelf niet graag de rol van leider op zich nemen, herken ik vaak dezelfde houding. Dit komt op het volgende neer:
• De niet-leidende praktijkhouder heeft niet altijd en overal een mening over. En anders staat hij of zij niet vooraan om deze te uiten of door te duwen.
• De niet-leidende praktijkhouder staat erg open voor de mening van anderen.
De niet-leidende praktijkhouder laat veel keuzevrijheid aan de medewerkers.
• De niet-leidende praktijkhouder vindt het lastig om beslissingen te nemen. (Vaak vanwege de angst voor weerstand of de reactie op deze beslissing.)
De niet-leidende praktijkhouder schuift het nemen van een beslissing voor zich uit.
Praktijkvoorbeeld 2
De irritatie binnen het team van deze praktijk gaat over de vele verzoeken die zijn gedaan aan de praktijkhouder, waar vervolgens geen reactie op komt. De praktijkhouder vraagt vaak aan de medewerkers om hun ervaringen en goede ideeën met hem te delen. Vervolg is echter, dat de praktijkhouder maar geen beslissing neemt over allerhande onderwerpen. Een beslissing nemen zorgt in deze voor duidelijkheid.
De medewerkers irriteren zich eraan dat de beslissing uitblijft, waardoor de onduidelijkheid blijft bestaan. De wens in deze is vooral om knopen door te hakken. Welke keuze wordt gemaakt, lijkt minder van belang te zijn.
Leiden als je geen leider bent






Anesthesia & Intensive Care Services B.V.:
AIC is gespecialiseerd in het verzorgen van hoogwaardige medische zorg binnen de anesthesiologie en intensive care geneeskunde.
Met ons VOLWAARDIG MOBIEL ANESTHESIETEAM inclusief apparatuur, monitoring, medicatie, gasvoorziening, disposables en al het nodige personeel kunnen wij op een voor u wenselijke locatie op 4 behandelkamers tegelijk algehele anesthesie toedienen aan uw cliënten, zonder dat u ook maar iets hoeft aan te passen aan de inrichting van uw kliniek.
Tandheelkundige klinieken die behandelingen onder algehele anesthesie willen aanbieden:
Als u aan uw cliënten behandelingen onder algehele anesthesie wilt aanbieden zonder dat u dure investeringen hoeft te doen in uw kliniek, dan bent u bij ons aan het juiste adres. Wij kunnen met ons MOBIEL ANESTHESIETEAM in elke kliniek op 4 behandelkamers tegelijk volledig de anesthesie verzorgen zonder dat u daar naar hoeft om te kijken. Wij zijn volledig selfsupporting. Wij kunnen in elke tandartspraktijk de anesthesie verzorgen. Uw praktijk hoeft dus niet aan speciale voorwaarden te voldoen!!
Bel voor een gratis en vrijblijvende offerte:
Schroom niet om te bellen of te emailen voor een gratis en vrijblijvende offerte. Zonder enige verplichting komen wij graag bij u langs om de situatie in uw kliniek te beoordelen en de wensen en mogelijkheden met elkaar te bespreken.


Hoe zorgt de baas voor duidelijkheid?
Mijn veronderstelling is, dat medewerkers vooral behoefte hebben aan duidelijkheid. Maar wat wordt hiermee nu eigenlijk bedoeld? Het creëren van duidelijkheid komt voor de tandarts/praktijkhouder onder andere neer op het volgende:
• Beslissingen nemen/knopen doorhakken
• Richting geven (Deel met het team hoe je wil dat de praktijk zich gaat ontwikkelen én op welke termijn.)
Regels stellen
• Taken afbakenen en verdelen
• Problemen benoemen en willen oplossen
De wens ‘wij willen een baas’ komt met bovenstaande punten niet eens zozeer neer op een praktijkhouder met het ware karakter van een leider, maar in eerste instantie vooral op een praktijkhouder die verantwoordelijkheid durft te nemen.
Situatie 2:
Tijdens een sportwedstrijd van één van mijn kinderen treed ik op als scheidsrechter. Ik ben niet echt vertrouwd met deze sport en de regels. Desondanks word ik na de wedstrijd gecomplimenteerd om mijn duidelijke leiding. Ik denk zelf, dat ik echter meerdere foute beslissingen heb genomen. De complimenten hebben dan ook vooral betrekking op mijn snelle en harde fluiten direct gevolgd door een duidelijk armgebaar welk team de vrije bal krijgt. Kortom, duidelijke leiding gaat erover beslissingen te nemen op een adequate manier en je beslissingen duidelijk over te brengen. Het gaat dus blijkbaar veel minder over of mijn beslissingen zelf wel juist zijn.
Praktische adviezen
In dit artikel wordt niet even verteld hoe je leiding moet geven aan een praktijk. Dit is namelijk erg complex. Wel kan ik je enkele praktische adviezen meegeven, die je kunnen helpen om duidelijker leiding te geven aan je praktijk. Ook als je van nature geen leider bent.
Jouw leiderschap wordt duidelijker door:
1. Neem beslissingen en laat zaken niet ‘zweven’. (Liever een minder perfecte beslissing, dan geen beslissing.)
2. Maak je eigen mening leidend en laat je minder leiden door de mening van anderen.
3. Stel duidelijke regels en leef deze strikt na. Liever minder regels die strikt worden nageleefd dan veel regels die niet worden gehandhaafd.
Sjoerd Kuiken is eigenaar van Kuiken Praktijkmanagement (www.kuikenpraktijkmanagement.nl).
Voor objectieve praktijkanalyses, intensieve begeleidingsttrajecten en online cursussen voor praktijkhouders en -managers.

Vraag van de opdrachtgever
De opdracht voor de nieuwe orthodontiepraktijk Betti Ortho in Amsterdam-Zuid luidde: ontwerp een interieur dat professionaliteit en gastvrijheid combineert. De praktijk moest voldoen aan alle hygiëne- en arbo-eisen, maar ook een rustige, comfortabele sfeer uitstralen – vooral voor jongeren en hun ouders. Daarnaast moest de inrichting efficiënt werken mogelijk maken en aansluiten bij de identiteit van Betty Ortho als moderne, toegankelijke zorgverlener.
De opdrachtgever had een sterke focus op digitalisering en kindvriendelijkheid. De indeling moest
passen bij een digitale workflow: van ontvangst naar scanruimte, behandelkamer en digitale bespreking. Scanzones kregen extra privacy en voorzieningen voor stroom en data. Ook werd gevraagd om beeldschermen en eventueel VR- of AR-opstellingen voor patiëntuitleg. De sfeer moest innovatief en high-tech aanvoelen, maar tegelijk warm en rustgevend blijven. Qua materiaalgebruik viel de keuze op glas, licht hout, LED-verlichting en akoestische panelen om zowel uitstraling als comfort te versterken.
Het ontwerp omvatte de volledige inrichting van een casco pand van circa 220 m2 met een vrije hoogte van 5,75 meter. De praktijk kreeg vijf behandelkamers en twee aparte consultkamers, plus diverse ondersteunende ruimtes. Door beperkte ruimte op de begane grond werd een entresolvloer van 80 m 2 toegevoegd. Alle patiëntgerichte functies bevinden zich beneden, terwijl de personeelsruimtes op de verdieping zijn gesitueerd. Een grote uitdaging was het gebrek aan daglicht aan de achterzijde. Dit werd opgelost door slimme routing, gebruik van glas en het open karakter van de entresolvloer. Ook de akoestiek kreeg bijzondere aandacht: horizontale vilten plafondpanelen met geïntegreerde verlichting en installaties zorgen voor rust en een prettige werkomgeving. De facilitaire ruimtes zonder daglicht, zoals sterilisatie en technische voorzieningen, zijn aan de achterzijde geplaatst. Voor de afwerking is gekozen voor lichte,




natuurlijke materialen, zoals hout en natuursteen in de ontvangst, en duurzame, onderhoudsvriendelijke oppervlakken in de behandelzones.
Het eindresultaat is een moderne, lichte praktijk waarin rust, efficiëntie en beleving samenkomen.
• Praktijk: Betti Ortho, Amsterdam
• Website: www.bettiortho.com


Zowel patiënten als medewerkers ervaren de ruimte als prettig en professioneel. De opdrachtgever is bijzonder tevreden over de balans tussen functionaliteit en sfeer – precies de combinatie die Betti Ortho voor ogen had. De totale doorlooptijd, van eerste contact tot oplevering en nazorg, bedroeg ongeveer vijftien maanden.
• Bureau: Buro/S Architects
INTERVIEW
Twee jonge mondhygiënisten over hun ervaringen met de minor Parodontologie
In het vierde studiejaar van de opleiding Mondzorgkunde aan de Hanzehogeschool Groningen krijgen studenten de kans om zich te verdiepen in een specifiek onderdeel van hun vak. Een selecte groep kiest daarbij voor de minor Parodontologie – een intensieve vijf maanden durende verdiepingsperiode bij gespecialiseerde verwijspraktijken in NoordoostNederland. De studenten behandelen parodontitispatiënten onder begeleiding van ervaren mondhygiënisten en parodontologen, volgen literatuuronderwijs en presenteren hun eigen casussen.
Wij spraken Julia Loupatty en Esther Koonstra, die beiden de minor volgden bij Parodontologie Epe. Inmiddels zijn ze afgestudeerd en aan het werk in het veld. Hoe hebben ze de minor ervaren, wat leerden ze, en hoe kijken ze naar de toekomst van hun vakgebied?
Wat doen jullie op dit moment en wanneer hebben jullie de minor gevolgd?
Julia: “Ik ben in juli afgestudeerd als mondhygiënist en inmiddels fulltime aan het werk bij twee praktijken: drie dagen per week bij Parodontologie Praktijk Groningen en twee dagen bij Tandartsenpraktijk Loppersum. De minor Parodontologie volgde ik in
het eerste semester van studiejaar 2024-2025, bij Parodontologie Epe. Daarna deed ik mijn afstudeeronderzoek en liep ik de laatste kliniekstages. Naast mijn studie werkte ik ook als studentassistent op het skillslab. Erg leuk om daar tweedejaarsstudenten te begeleiden.”
Esther: “Ik heb de minor afgerond in februari 2024, en ben datzelfde jaar afgestudeerd. Inmiddels werk ik ook in twee verwijspraktijken: bij Parodontologie Epe, waar ik mijn minor deed, én bij De Parodontoloog in Groningen. Daarnaast ben ik betrokken bij de stichting Paro Epe Plus, opgezet door Renske Thomas en Marjolein Zijm. Daarmee organiseren we nascholingen – de zogeheten PEP-talks – en bieden we behandelingen aan voor jonge patiënten met ernstige parodontitis die de zorg anders niet kunnen betalen. Dat maatschappelijke aspect spreekt mij enorm aan.”

Waarom kozen jullie juist voor deze minor?
Julia: “Al tijdens de opleiding merkte ik dat ik verdieping miste op het gebied van parodontologie. We kregen wel theoretisch onderwijs, en in de kliniek behandelden we patiënten met parodontale problemen, maar ik vond het moeilijk om die theorie echt te koppelen aan wat ik deed. De minor bood precies wat ik zocht: verdieping, begeleiding en inzicht in het waarom van wat je doet.
De minor Parodontologie in het kort
Tijdens de minor viel alles op zijn plek: ik begreep ineens veel beter wat er precies gebeurt in het parodontium en waarom bepaalde keuzes in behandeling worden gemaakt.”
Esther: “Bij mij begon de interesse zelfs nog eerder. Ik heb eerst de opleiding tot tandartsassistent gedaan, en tijdens een stage kwam ik toen al in aanraking met een parodontologiepraktijk. Dat heeft echt mijn nieuwsgierigheid gewekt. De minor was voor mij dé kans om verder te duiken in dat vakgebied. Je behandelt patiënten met serieuze parodontale aan-
Duur: 5 maanden (één semester in het vierde studiejaar).
Locatie: Bij parodontologische verwijspraktijken in Noord- en Oost-Nederland.
Voor wie: Studenten Mondzorgkunde van de Hanzehogeschool Groningen met interesse in verdieping binnen de parodontologie.
Begeleiding: Mondhygiënisten en tandarts-parodontologen uit de praktijk.
Wat studenten doen: Behandelen van parodontitispatiënten onder supervisie, assisteren bij parodontale chirurgie en diagnostiek, bestuderen en bespreken van wetenschappelijke literatuur (o.a. bij Parodontologiepraktijk Friesland), presenteren van een patiëntcasus en eigen reflectie, uitvoeren van een vrije praktijkopdracht binnen de verwijspraktijk.
Doel: Het verdiepen van theoretische kennis én klinische vaardigheden, met nadruk op diagnostiek, behandelplanning en evidence-based werken.
Resultaat: Afgestudeerde mondhygiënisten met een sterk ontwikkeld klinisch inzicht en een solide basis om binnen de parodontologie te werken.
Buro/S Architects - Specialist in tandheelkundige praktijken.
Een goed ontworpen praktijk werkt voor jou, je team én je patiënten.
Bij Buro/S Architects ontwerpen en realiseren we efficiënte, duurzame én toekomstbestendige zorgomgevingen, van nieuwbouw tot renovatie.
* Volledig ontzorgd: van schets tot oplevering
* Functioneel, tijdloos en stijlvol ontwerp
* Bouwkundig én interieurontwerp in één hand
* Betrouwbare bouwteams & strakke coördinatie
* Advies bij aankoop of verbouwing van panden
+31 (0)79 889 16 56 info@burosarchitects.com www.burosarchitects.nl
Buro/S Architects Wij bouwen aan zorg die werkt.


Als branche-erkende opleider werkt Dental Best Practice al volledig volgens de ABC-structuur. Onze opleidingen voor de tandartsassistent(A), preventieassistent(B) en paro-preventieassistent(C) zijn dan ook volledig ingericht op basis van de beroepscompetentieprofielen en kwaliteitsprofielen.
Opleiding Tandartsassistent

Krijg als assistent meer zelfvertrouwen aan de stoel
Opleiding Preventieassistent

Een zelfstandige en verantwoordelijke functie vol uitdaging!
Opleiding Paro-preventieassistent

Leer patiënten met pockets 4-5 mm te behandelen
Scan de QR-code voor meerinformatieenomje aan te melden!

Locaties door heel Nederland





doeningen, werkt samen met specialisten, en je leert denken in behandelstrategieën in plaats van losse handelingen. Dat sprak mij enorm aan.”
Hoe zag de stage eruit? Wat deden jullie concreet?
Julia: “De minor duurde één semester – vijf maanden – en ik liep drie dagen per week stage. Ik behandelde zelfstandig patiënten met parodontale problematiek, onder begeleiding van een ervaren mondhygiënist. Daarnaast assisteerde ik één dagdeel per week bij de tandarts-parodontoloog. Dat vond ik ontzettend leerzaam: samen röntgenfoto’s beoordelen, parodontiumstatussen opstellen en meekijken bij parodontale chirurgie.
De begeleiding was heel intensief, maar ook persoonlijk. Het voelde niet als ‘stagelopen’, maar als echt meewerken in het team.”
Esther: “Dat herken ik helemaal. Ook ik voerde initiële en nazorgbehandelingen uit, en assisteerde bij chirurgische ingrepen. Wat ik leuk vond, is dat we ook betrokken werden bij de ontwikkeling van protocollen binnen de praktijk. Je voelt je daardoor serieus genomen als collega.
Daarnaast deden we mee aan literatuurmiddagen bij Parodontologiepraktijk Friesland met parodontoloog Lodewijk Gründemann. Daar bespraken we wetenschappelijke artikelen over behandelstrategieen, vatbaarheid en effectiviteit van therapieën. Die combinatie van theorie en praktijk maakte het heel waardevol.”
Wat waren jullie belangrijkste leerdoelen aan het begin?
Julia: “Ik had vier duidelijke doelen: leren diagnostiek toepassen volgens de Nieuwe Paro-classificatie, scaling en rootplaning technisch verbeteren, zelfstandig röntgenfoto’s maken en beoordelen, en infiltratie- en geleidingsanesthesie uitvoeren. Vooral dat eerste – het klinisch redeneren aan de hand van de classificatie – was echt een groeiproces. In het begin voelde het theoretisch, maar naarmate ik meer casussen behandelde, begon het te leven.”

Esther: “Bij mij lag de focus op röntgendiagnostiek, initiële therapie en het stellen van diagnoses volgens de internationale classificatie. Daarnaast had ik een persoonlijk leerdoel: beter omgaan met tijdsplanning. Ik wilde leren realistisch plannen, want ik had de neiging om te lang door te gaan bij twijfelpunten. Dat is trouwens nog steeds een aandachtspunt, haha!”
Wat vonden jullie het lastigst in het begin?
Julia: “Het helemaal zelfstandig uitvoeren van een behandeltraject vond ik spannend. Vooral het inschatten van complexiteit en het kiezen van de juiste instrumentatie vroeg ervaring. Ik wilde het meteen perfect doen, maar dat is natuurlijk niet realistisch als je nog aan het leren bent. Later besefte ik dat fouten maken juist onderdeel is van het leerproces. Timemanagement was ook een uitdaging: ik nam graag uitgebreid de tijd voor voorlichting, maar dat moest ik leren balanceren.”

Esther: “Bij mij zat de uitdaging vooral in het aanhouden van mijn planning. Ik wilde heel zorgvuldig werken en soms duurde dat gewoon te lang. Het gebruik van curettes ging me goed af, maar de juiste kracht bij activatie blijft iets waar ik op moet oefenen. En net als Julia: in het begin wil je het te goed doen, terwijl leren ook betekent dat je moet durven proberen.”
En wat ging juist heel goed?
Julia: “Het contact met patiënten! Ondanks dat ik nog onzeker was over mijn technische vaardigheden, merkte ik dat patiënten mijn rust en aandacht waardeerden. Dat gaf me vertrouwen. Ook zag ik tijdens de evaluaties dat de meeste van mijn behandelde patiënten duidelijke verbetering lieten zien – dat was een geweldige bevestiging. Ik mocht een half jaar later terugkomen om de nieuwe parodontiumstatussen te bekijken, en bijna alle pockets waren verbeterd. Dat voelde echt als een resultaat van wat ik geleerd had.”
Esther: “Voor mij was dat het klinisch redeneren. In het begin kijk je vooral naar losse metingen, maar later zie je de samenhang: waarom die pockets daar zitten, hoe gedrag, anatomie en systemische factoren meespelen. Dat inzicht vond ik echt fascinerend. En ik ben trots dat ik heb kunnen bijdragen aan het opstellen van werkprotocollen binnen de praktijk. Het idee dat iets wat ik als student heb gedaan nu nog steeds wordt gebruikt, vind ik heel mooi.”
Wat hebben jullie geleerd op professioneel én persoonlijk vlak?
Julia: “Professioneel heb ik geleerd om zelfstandiger te werken en mijn klinische keuzes te kunnen onderbouwen met literatuur. Ik denk nu veel systematischer na over diagnostiek, instrumentatie en evaluatie.
Persoonlijk heb ik geleerd om feedback te vragen en mezelf niet te streng te beoordelen. Door actief om feedback te vragen, groeide ik sneller dan ik had verwacht. En ik ontdekte hoe waardevol een klein, betrokken team is waarin leren en samenwerken vanzelf gaan.”
Esther: “Bij mij is het vooral mijn zelfvertrouwen dat gegroeid is. Tijdens de minor werkte ik onder supervisie, maar ik voelde me steeds meer een volwaardige collega. Professioneel leerde ik om klinische bevindingen te vertalen naar beslissingen. Niet alleen uitvoeren, maar ook begrijpen waarom je iets doet.
Persoonlijk heb ik geleerd om kritisch naar mezelf te kijken, zonder mezelf onderuit te halen. Dat blijft een belangrijke balans in dit vak.”
Hoe was de begeleiding tijdens jullie stage?
Julia: “Ik werd voornamelijk begeleid door mondhygiënist Marjolein Zijm, die enorm ervaren is in de parodontologie. Zij gaf gerichte feedback op mijn behandelingen, instrumentatie en communicatie. Daarnaast draaide ik wekelijks een dagdeel mee met parodontoloog Renske Thomas, die me vooral begeleidde in diagnostiek en behandelplanning bij complexere casussen. Die combinatie van twee in-
valshoeken was ideaal: praktisch en theoretisch, klinisch en academisch.”
Esther: “Dat vond ik ook echt een kracht van deze minor. Tijdens de behandelingen kreeg ik directe feedback van de mondhygiënist, en bij het assisteren van de parodontoloog leerde ik ontzettend veel over het vak op specialistisch niveau. Er was ook ruimte voor reflectiemomenten, waarin we mijn leerdoelen bespraken. De sfeer was open, collegiaal en veilig.
Patiënten wisten dat ik stagiair was, maar hadden daar zelden moeite mee — juist omdat ze merkten hoe zorgvuldig alles werd begeleid.”
Theorie en praktijk: hoe kwam dat samen?
Julia: “In de opleiding leer je natuurlijk de basis: anatomie, classificatie, communicatieve vaardigheden. Maar pas in de minor begreep ik hoe dat allemaal samenkomt in de praktijk. Vooral de Nieuwe Paro-classificatie kreeg betekenis toen ik het ging toepassen op echte patiënten. En door de literatuurmiddagen bij Parodontologiepraktijk Friesland kreeg ik meer inzicht in de wetenschappelijke onderbouwing achter wat we doen.”
Esther: “Precies. De literatuurmiddagen waren voor mij een hoogtepunt. We bespraken artikelen over behandelstrategieën, vatbaarheid, nazorg… Je leert kritisch lezen en die kennis meteen toepassen. Het vierfasenmodel van parodontale behandeling, de scores als BOP en pocketdieptes – het kreeg allemaal context. Ik vond het mooi om te merken dat evidence-based werken niet iets abstracts is, maar iets wat je echt dagelijks kunt toepassen.”
Wat leverde de minor jullie concreet op?
Julia: “Heel veel! Ik heb tientallen patiënten behandeld, een casuspresentatie gegeven over een van mijn behandeltrajecten, en instructievideo’s ontwikkeld voor patiënten. Die video’s worden nu gebruikt als naslagmateriaal — dat is superleuk.
Maar vooral: ik voel me veel zekerder in mijn klinisch handelen. De minor heeft me een stevige basis gegeven om in een verwijspraktijk aan de slag te
gaan.”
Esther: “Bij mij geldt eigenlijk hetzelfde. Ik heb mijn casus uitgewerkt tot een uitgebreide eindpresentatie en een portfolio opgebouwd met reflecties en evaluaties. En het mooiste resultaat: ik werk nu nog steeds in de praktijk waar ik de minor heb gedaan. Dat zegt alles, denk ik. De minor heeft mijn passie voor parodontologie alleen maar versterkt.”
Heeft de minor jullie toekomstplannen beïnvloed?
Julia: “Absoluut. Vooraf twijfelde ik of ik meteen in een verwijspraktijk wilde werken, maar dankzij de minor weet ik dat dat bij me past. De intensiteit, de verdieping, het samenwerken met specialisten — dat vind ik juist leuk. Ik wil nu vooral ervaring opdoen en mijn kennis verder verbreden, voordat ik ga nadenken over vervolgopleidingen of specialisaties.”
Esther:“Voor mij zeker ook. De minor heeft eigenlijk de richting van mijn carrière bepaald. Ik wilde al graag de parodontologie in, maar nu weet ik het zeker. Ik ben blij dat ik op twee plekken kan werken waar verdieping centraal staat. Wat de toekomst brengt, zie ik wel — maar ik weet dat ik in dit vakgebied mijn plek heb gevonden.”
Hebben jullie tips voor studenten of jonge mondhygiënisten die de minor overwegen?
Julia: “Zeker: neem de tijd om te leren en durf om feedback te vragen. Je hoeft het niet meteen perfect te doen. Dit is juist de fase waarin je mag oefenen en groeien. En geniet er ook van, want het is echt een unieke kans om intensief te leren in een betrokken, specialistische omgeving.”
Esther: “En ik zou toevoegen: wees nieuwsgierig. Vraag door, lees mee, kijk mee bij de parodontoloog, stel vragen over de waarom achter de behandeling. De minor vraagt inzet, maar wat je ervoor terugkrijgt is goud waard. Je leert niet alleen beter behandelen, maar ook dieper denken over wat goede mondzorg eigenlijk is.”
Onze praktijk worden steeds voller, drukker en efficiënter ingericht en gepland. Daarmee kunnen we steeds meer patiënten de gewenste en noodzakelijke zorg verlenen. Maar als we niet uitkijken, dan dreigt, in de drukte van die volle praktijk, het belangrijkste aspect van zorg – aandacht – ondergesneeuwd te raken. Terwijl aandacht hét fundament is van gastvrije zorg, werkplezier én effectiviteit.
Aandacht en gastvrije zorg leveren veel op. Voor de patiënt, voor de praktijk maar vooral ook voor onszelf. Alle reden dus om eens bij stil te staan bij iets wat misschien wel heel vanzelfsprekend lijkt, maar stiekem vaak best moeilijk is.
Concrete afspraken
Bespreek met elkaar wat jullie verstaan onder ‘oprechte aandacht’ en hoe je die geeft aan iedere patiënt. Denk bijvoorbeeld aan de afspraak ‘eerst persoonlijk, daarna proces: we beginnen altijd met informeel en persoonlijk contact voordat de behandeling begint’. Niet gescript, maar met ruimte voor individuele invulling.
Tijd voor persoonlijke interactie
Drukke agenda’s kunnen ervoor zorgen dat je je gehaast voelt en daardoor minder aandacht hebt voor de patiënt. Maar echte aandacht gaat om kleine din-
gen met een grote impact; dat hoeft niet veel tijd te kosten. Loop bijvoorbeeld naast de patiënt naar de behandelkamer en maak ondertussen een praatje.
‘What’s in it for me’?
Aandacht betaalt zich direct terug in patiënttevredenheid, loyaliteit en werkplezier. Het creëert vertrouwen, vermindert angst en stress en verhoogt therapietrouw. Het zorgt voor meer ontspannen patiënten en het maakt je werk leuker!
Concrete tools voor empathische communicatie Processen en protocollen zijn belangrijk. Maar houding en gedrag maken het verschil in patiëntbeleving. Communicatie is daarbij je belangrijkste instrument. Denk bijvoorbeeld aan de methode Empathie in Taal*: daarmee creëer je een ontspannen sfeer waarin patiënten met meer vertrouwen een behandeling ondergaan.
Positieve effecten van digitalisering
Met de juiste digitale systemen creëer je rust en
ruimte voor de aandacht die patiënten en collega’s verdienen. Focus je daarbij op de positieve aspecten van die systemen – zowel voor jou, voor de praktijk, als voor de patiënt (best veel mensen vinden de aanmeldzuil wél prettig).
Training en feedback
Aandacht geven aan patiënten is een vaardigheid die je kunt ontwikkelen. Maak tijd om elkaar te observeren. Geef het goede voorbeeld. En complimenteer! Positieve feedback is een krachtig instrument om gewenst gedrag te versterken.
Oprechte aandacht voor collega’s
In een team waarin iedereen zich welkom voelt en gastvrij is voor elkaar, ontstaat ruimte om ook gastvrij te zijn voor patiënten. Begin dus intern met het ontwikkelen en versterken van aandacht en gastvrijheid.
Tijd voor individuele gesprekken
Tijd is kostbaar. Maar oprechte aandacht voor een collega hoeft niet veel tijd te kosten. Dat kan tijdens het omkleden, de koffie of de lunch. Vraag hoe het werk gaat én hoe je collega zich voelt. Dit creëert een gevoel van saamhorigheid.
Zichtbaar
Zoek elkaar actief op: loop een rondje, voordat je naar je eigen werkplek gaat. Zie elkaar écht. En luister!
Erkenning en waardering
Erkenning voor goed werk is essentieel voor jou én voor je collega’s. Heb daarbij ook oog voor de kleine dingen, die bijdragen aan het succes van de praktijk. Met een simpel en welgemeend ‘goed gedaan’ of ‘dankjewel’ geef je de ander vaak al een goed gevoel.
Balans en persoonlijke ontwikkeling
Let op de werkdruk en zorg voor een gezonde balans. Met ruimte voor persoonlijke en professionele groei. Wanneer je elkaar hierin ondersteunt en stimuleert, versterk je het gevoel van waardering en betrokkenheid.
Begin bij jezelf!
Maak ruimte in je hoofd. En zorg voor een goed evenwicht tussen aandacht geven en aandacht krijgen.
Aandacht als sleutel
Conclusie
Oprechte aandacht is dé sleutel tot een succesvolle en gastvrije praktijk. En daarin speelt iedereen een belangrijke rol. Met aandacht voor de ander en voor elkaar, creëer je een prettige werkomgeving. Waarin zowel patiënten als collega’s zich gehoord, gezien en gewaardeerd voelen. Welke concrete stap zet jij vandaag, om meer aandacht te geven – aan je collega’s, aan je patiënten en aan jezelf? Maak het belangrijk!
*www.dentista-magazine.nl/empathie-in-taal
7 tips om aandacht structureel in je praktijk te integreren
1. Geef het goede voorbeeld – ben de verandering die je van anderen wilt zien
2. Complimenteer en vier successen – positieve aandacht stimuleert, motiveert en activeert
3. Toon oprechte persoonlijke aandacht –stel vragen ‘die ertoe doen’ en luister, om de ander te begrijpen
4. Ben zichtbaar – zoek actief contact en zet je telefoon uit als je met een collega in gesprek bent
5. Neem de tijd – jouw investering betaalt zich terug met fijne collega’s en tevreden patiënten
6. Vertraag – ben stil en stel je reactie uit; meer tijd geneert vaak meer impact
7. Begin bij jezelf – creëer rust; als je hoofd vol zit, kun je geen aandacht geven.
Pauline Sterenborg - PBS Advies - is tandarts, expert gastvrije zorg en docent bij DBP. Als trainer, adviseur en spreker begeleidt zij praktijken bij het ontwikkelen van een gastvrije(re) werkomgeving. www.pbs-advies.nl
PRAKTIJKMANAGEMENT
Een praktijkovername wordt vaak gezien als een rationeel proces. Partijen onderhandelen over de prijs, stellen contracten op, voeren due diligence onderzoeken uit en rekenen financiële modellen door. Toch speelt er achter de schermen een factor die minstens zo bepalend is voor het succes van de overname: emotie. Zowel bij de verkopende als de kopende partij kan emotie een doorslaggevende rol spelen. Wie dit onderschat, loopt het risico dat een ogenschijnlijk sterke deal alsnog mislukt. Dit artikel gaat dieper in op de emotionele kant van praktijkovernames: waar die emoties vandaan komen, hoe ze zich uiten en hoe ondernemers er beter mee om kunnen gaan.
De verkopende tandarts: loslaten van een levenswerk
Voor veel tandartsen is hun praktijk meer dan een bron van inkomsten. Het is een levenswerk, opgebouwd met jarenlange inzet voor patiënten, offers en persoonlijke betrokkenheid. De onderneming staat vaak symbool voor identiteit, status en trots. Wanneer de tijd komt om afscheid te nemen, kan dit gepaard gaan met gevoelens van verlies en onzekerheid. De vragen die spelen zijn herkenbaar:
• Wie neemt mijn praktijk over, en kan die persoon of partij mijn visie voortzetten?
• Hoe gaat mijn personeel, dat vaak voelt als familie, behandeld worden?
• Wat betekent dit voor mijn eigen toekomst en zingeving?
Dit maakt dat een tandarts-ondernemer soms irrationele beslissingen neemt. Een objectief goed bod kan worden afgewezen omdat de koper ‘niet goed voelt’, of een deal kan worden uitgesteld omdat de eigenaar simpelweg nog niet klaar is om los te laten.
De koper: spanning tussen ratio en gevoel
Ook bij de koper speelt emotie een rol. Waar in theorie vooral de zakelijke kant belangrijk lijkt – is het een rendabele investering, past het bij de strategie, wat zijn de risico’s – blijkt in de praktijk dat gevoel minstens zo sterk meespeelt. Een koper kan enthousiast raken over een praktijk, omdat het aansluit bij persoonlijke ambities of omdat

er een klik is met de verkoper. Omgekeerd kan een gebrek aan vertrouwen of een botsing van karakters leiden tot twijfel, zelfs wanneer de cijfers kloppen. Daarnaast is er vaak druk van buitenaf: partners, aandeelhouders, financiers of medewerkers kijken mee. Dat kan spanning oproepen en leiden tot overhaaste keuzes of juist te veel voorzichtigheid.
Emoties die het proces beïnvloeden
De emoties die spelen tijdens een praktijkovername zijn divers. Enkele veelvoorkomende zijn:
• Trots: de verkoper wil erkenning voor wat is opgebouwd.
• Angst: onzekerheid over de toekomst of verlies van controle.
• Wantrouwen: twijfel of de ander het beste voorheeft met de patiënten of personeel.
• Opluchting: wanneer eindelijk duidelijkheid ont-
staat of de druk wordt weggenomen.
• Verbinding: het gevoel dat beide partijen dezelfde waarden delen.
Deze emoties kunnen positieve energie geven, maar ook blokkades veroorzaken. Zo kan een trotse praktijkhouder zich defensief opstellen in onderhandelingen, of kan een koper door wantrouwen eindeloos details blijven controleren.
Onderhandelingen zijn zelden puur zakelijk. Emotie beïnvloedt toon, tempo en inhoud. Een verkoper die zich niet serieus genomen voelt, kan afhaken. Een koper die zich gehaast voelt, kan terugkrabbelen.
Het is daarom cruciaal om naast de inhoudelijke argumenten ook aandacht te hebben voor de relatie. Respect tonen, luisteren en erkenning geven zijn geen zachte factoren, maar vaak doorslaggevende elementen voor een succesvolle deal.
Wat doen wij?
Bij SOdental begrijpen we dat elke praktijk en kandidaat uniek is. Middels werving & selectie helpen wij praktijken en dentale bedrijven bij het vinden van de juiste professional. Ook kunnen zij een advertentie plaatsen op onze website om hun vacature te promoten.

Kandidaten ondersteunen wij bij het vinden van een werkplek in deze branche waar zij zich thuis voelen en hun talent kunnen laten groeien.
Of het nu gaat om een tijdelijke opdracht of een vaste baan: wij zorgen voor de perfecte match!
Waarom SOdental?
Onze aanpak is persoonlijk, puur én discreet We kijken verder dan het cv en verdiepen ons in de ambities van kandidaten en de cultuur van praktijken. Zo brengen we de juiste mensen samen en ontstaat er een duurzame match.


*Dr. Tommaso Grandi is een internationaal spreker met tal van wetenschappelijke onderzoeken op zijn naam en specialisatie in Full Arch chirurgie.

Meer weten? Benieuwd wat wij voor jouw praktijk of carrière kunnen betekenen?

Neem contact met ons op en bekijk ook onze website.
Samen vinden we de match die écht bij je past — voor een stralende toekomst in de tandheelkunde.

Volg de Full Arch Treatment en door Dr. Tommaso Grandi* in Modena, Italië.
cursussen
Het gebruik van Full Arch constructies op 4 tot 6 implantaten vermijdt botregeneratie, minimaliseert patiëntongemak, biedt een snelle verzorging en verlaagt de behandelkosten. Digitale planning met JD-igital Guide (powered by Real-GUIDE TM) zorgt voor veilige en voorspelbare uitvoering.
Deze cursussen zijn een uitgelezen kans voor elke implantoloog om diens vaardigheden en behandelopties uit te breiden.
+ Live Surgery
+ Theorie
+ Hands-on workshop
+ Digitale workflow
+ Implanteren op de plaatsen waar nog wel bot aanwezig is
Meld je aan voor een cursus!
Ga voor meer info en de data in 2025 en 2026 naar www.memodent.nl of scan de QR-code.
Ervaar de deskundigheid
van Dr. Tommaso Grandi’s kliniek, die jaarlijks meer dan 5500 implantaten plaatst en 800 directe Full Arch restauraties uitvoert.










Rol van adviseurs en intermediairs
Juist omdat emotie zo’n grote rol speelt, zijn adviseurs en intermediairs vaak onmisbaar bij praktijkovernames. Zij kunnen de rationele lijn bewaken en emoties in goede banen leiden. Een ervaren adviseur ziet wanneer spanning dreigt te escaleren en kan een stap terugzetten in het proces. Ook kan hij of zij de juiste woorden vinden om erkenning te geven aan de emotionele kant, zonder dat dit ten koste gaat van de zakelijke afspraken. Daarnaast helpen adviseurs beide partijen om onderscheid te maken tussen persoonlijke gevoelens en zakelijke realiteit. Daarmee houden ze de deal constructief en voorkomen ze dat kleine irritaties uitgroeien tot breekpunten.
Een tandarts wilde zijn praktijk verkopen na veertig jaar. Financieel lag er een goed bod, maar de gesprekken liepen vast omdat hij bang was dat de nieuwe eigenaar zijn personeel niet zou koesteren zoals hij dat altijd had gedaan. Pas toen de koper liet zien hoe belangrijk medewerkers in zijn eigen organisatie waren, kwam er vertrouwen en kon de deal doorgaan.
Een ander voorbeeld is een jonge tandarts die een innovatieve praktijk wilde overnemen. De cijfers waren uitstekend, maar de klik met de oprichter ontbrak. Er was voortdurend wantrouwen. Ondanks maanden onderhandelen strandde de overname uiteindelijk –niet door de cijfers, maar door het gebrek aan vertrouwen. Hoe kun je omgaan met emotie bij overname?
1. Erken de emotie. Doe niet alsof een praktijkovername alleen maar cijfers en contracten zijn. Door emoties te erkennen, voelen partijen zich gehoord.
2. Bereid je mentaal voor. Voor verkopers is het verstandig al vooraf na te denken over het loslaten. Wat ga je doen na de overname? Hoe behoud je zingeving?
3. Investeer in de relatie. Bouw vertrouwen op, ook buiten de onderhandelingstafel. Een persoonlijke klik kan doorslaggevend zijn.
4. Gebruik neutrale adviseurs. Zij kunnen emoties
benoemen en kanaliseren zonder dat het escaleert.
5. Houd focus op het doel. Uiteindelijk gaat het om de continuïteit en potentiële groei van de praktijk. Laat emoties niet de deal saboteren, maar gebruik ze als kompas om tot de juiste keuze te komen.
De menselijke maat als succesfactor
Emotie bij een praktijkovername is geen zwaktebod, maar een realiteit die serieus genomen moet worden. Praktijken zijn, net als bedrijven, meer dan balansen en contracten; ze zijn verweven met levens, families en persoonlijke dromen.
Wie dit begrijpt en de menselijke maat centraal stelt, vergroot de kans dat een overname niet alleen zakelijk slaagt, maar ook duurzaam succesvol is. Uiteindelijk is een deal pas echt geslaagd als beide partijen met een goed gevoel afscheid nemen of juist samen verder gaan.
Praktijkovernames draaien niet alleen om cijfers, maar net zo goed om emoties. Voor verkopers is het vaak een proces van loslaten en afscheid nemen. Voor kopers spelen vertrouwen en toekomstperspectief een rol. Trots, angst, opluchting en wantrouwen: al deze gevoelens beïnvloeden het proces.
Door emoties te erkennen, er professioneel mee om te gaan en de menselijke kant niet te negeren, wordt de kans op een succesvolle overdracht vele malen groter. Een geslaagde overname is daarom niet alleen een kwestie van verstand, maar ook van gevoel.
Anne-Peter van Riet, partner en bedrijfsovernamespecialist bij Diligence en Ambassadeur bij Praktijk op Orde.
PATIËNTEN
Een patiënt die niet komt opdagen is het ergste wat de agendaplanning overkomen kan; het team staat klaar en de receptie heeft geen tijd meer om een andere patiënt op te roepen. Het is tijd die niet meer in te halen is, er zijn kosten die niet betaald worden. ‘De gemiddelde tandarts heeft elke week 3,6 afspraken waarbij mensen niet komen opdagen. De behandeltijd die tandartsen hiermee verliezen is gemiddeld 1 uur en 25 minuten per week’ (KNMT, 2017, p. 3). Hoe ga je hiermee om?
Hoe gaat de praktijk om met niet-nagekomen afspraken?
• Vanaf welke minuut wordt er gebeld? De patiënt kan nog te laat binnenkomen.
Wie belt de patiënt om de huisregels uit te leggen met als doel dat afspraken in het vervolg wel nagekomen worden? Als de tandarts belt, maakt dat doorgaans meer indruk dan wanneer de assistent of receptioniste belt, zeker als de tandarts zegt: ‘Ik sta op u te wachten’ of ‘Ik wil graag patiënten helpen, maar dan moet u wel komen.’ Als er gebeld wordt, wordt er dan ook gevraagd naar de reden dat iemand niet is gekomen en naar wat de patiënt eraan gaat doen om de afspraak niet weer te vergeten? ‘Mag ik u vragen wat u eraan gaat doen om te voorkomen dat u weer een afspraak mist?’ ‘Is er een reden waarom u er niet bent die ik als uw tandarts moet weten?’ Misschien is er sprake van angst, financiële problemen of schaamte. Als dat nu bespreekbaar wordt gemaakt, ervaart de patiënt bij de volgende afspraak wellicht minder weerstand.
Wat als je geen gehoor krijgt of het antwoordapparaat? Welke boodschap spreek je in?
Krijgt de patiënt altijd een brief met de huisregels, ongeacht de reden dat hij niet op kwam dagen en ongeacht of de patiënt al acht jaar trouw iedere afspraak nakomt?
• Vanaf wanneer krijgt de patiënt een nota? Vanaf een tweede keer? Wat als het de eerste keer is dat een afspraak niet nagekomen wordt of het om een afspraak van 2,5 uur gaat, verandert dat de situatie? Wat als de patiënt opgenomen wordt in het ziekenhuis? Wat als het kind onwel thuis zit en er geen oppas geregeld kan worden? Wie is de rechter die bij iedere reden, bij iedere patiënt (opnieuw) beslist of er wel of geen nota gestuurd wordt? Bekijkt deze collega dan ook wat er in het verleden is voorgevallen of het gedrag van overige gezinsleden? Mijn advies is om dit bij één persoon te houden die een rechtvaardige, maar consequente uitspraak doet.
• Wat is de hoogte van de nota voor een niet-nagekomen afspraak? Wie bepaalt dat?
• Hoe ver ga je terug in de geschiedenis om te kijken of het de eerste keer is dat iemand een afspraak niet nakomt? Ik adviseer twee jaar.
• Wat wordt er geregistreerd? De reden, wie de patient intern gesproken heeft, of er excuses zijn aangeboden, of je er bij de volgende afspraak op terug bent gekomen?
Het gaat hier om het opvoeden van je patiënten met als doel zo min mogelijk no-shows in de praktijk te hebben. Zoek de balans tussen enerzijds de patiënt sturen naar het gewenste gedrag – op tijd komen en/ of de afspraak liefst 48 uur van tevoren verplaat-
sen – en anderzijds het soepel laten verlopen van de agenda. Wees duidelijk en rechtvaardig. Zachte heelmeesters maken stinkende wonden.
Wat is hoogte van de rekening van niet-nagekomen afspraken?
Het verschilt landelijk hoeveel de praktijk als kosten in rekening brengt bij de patiënt. Bij de omschrijving in het tarievenboekje van 2021 van de NZa staat: ‘Indien de afspraak niet of niet tijdig (uiterlijk 2 werkdagen van tevoren) is afgezegd, kan de vrijgevallen tijd in rekening worden gebracht in redelijkheid van 0-100% van de voorgenomen behandeling. Hierbij wordt ervan uitgegaan dat in de gereserveerde tijd geen andere patiënten konden worden behandeld of andere werkzaamheden konden worden verricht. De patiënt dient op de hoogte te zijn van deze regeling.’
De NZa heeft tegenwoordig geen officiële code meer voor niet-nagekomen afspraken, maar adviseert de praktijk om hiervoor een eigen beleid te hebben.
De meeste praktijken brengen € 1 per minuut in rekening. Tien minuten kosten dan € 10. Dit bedrag is meer een aandachtstrekker om te laten weten dat het consequenties heeft dat de afspraak niet is nagekomen. Er zijn praktijken die € 2 per minuut in rekening brengen. Dit bedrag is vermoedelijk gebaseerd op de kamerkosten. Als bedrijfskundige adviseer ik om € 2 per minuut aan te houden. Als manager adviseer ik om het gesprek met de patiënt aan te gaan: ‘Wat gaat u eraan doen dat dit niet meer voorkomt?’ Misschien is een combinatie van beide wel het doeltreffendst.
Worden deze kostendekkende inkomsten bij het honorarium voor de zzp-tandarts opgeteld? In de overeenkomst van opdracht zal staan dat de zzp-tandarts een vergoeding krijgt volgens prestatie. Hierin zou je expliciet kunnen opnemen dat een niet-nagekomen afspraak geen prestatie van de tandarts heeft gevraagd en dat deze hier geen vergoeding voor krijgt. Of spreek je af dat de tandarts de patiënt belt, doorvraagt naar de motivatie tot verandering van gedrag, de rekening zelf verstuurt en deze opvolgt in de administratie?
Wil de praktijk de kamerkosten kunnen betalen én wil de zzp-tandarts zijn vergoeding hiervan hebben, dan zal € 2 per minuut te weinig zijn. Maak duidelijke afspraken hierover met de zzp-tandarts om conflicten te voorkomen. Houd hierbij in het oog dat
het erom gaat dat patiënten op hun afspraak komen!
Niet-nagekomen afspraken als Key Performance Index (KPI)
Meten is weten. Hoe vaak worden patiëntafspraken niet nagekomen? Haal uit de dentale software de codes van bijvoorbeeld het aantal per week. Wat houdt de praktijk bij? Hieronder enkele verschillende situaties met mijn advies om de software in te richten met specifieke codes tussen haakjes erbij vermeld. Voer deze codes bijvoorbeeld in op naam van de behandelaar waar de afspraak bij stond.
• Afspraken te laat afgezegd (24u)
No-shows zonder rekening (C90_zr)
No-shows met rekening (C90_mr)
Dit zou je nog kunnen uitbreiden met het aantal minuten, type behandeling, of reden no-show. De code kan eindigen met _1 voor de eerste keer, met _2 voor de tweede keer bijvoorbeeld binnen 2 jaar.
Mijn advies is om de invoer simpel te houden en in te richten met de vraag ‘Wat wil je met de statistieken, zoals een KPI wekelijks weten?’. Wat is het aantal wanneer de praktijk, de receptie, of de behandelaar in actie mag komen? KNMT gaf in 2017 aan dat no-shows gemiddeld 3,6 afspraken per week per tandarts zijn.
Het effectief verminderen van niet-nagekomen afspraken is een samenspel van duidelijke communicatie, consequente toepassing van huisregels én een praktijkcultuur waarin wederzijds respect voor elkaars tijd centraal staat. Praktijken die dit professioneel én empathisch aanpakken, merken vaak binnen zes maanden een duidelijke daling van hun no-show percentage.
Caroline Cuppens is bedrijfskundige, bachelor in de zorg. Spreker, adviseur, docent. Mede-eigenaar van T.X. de Jong Tandzorg in Amersfoort en auteur van het boek ‘Management in de Mondzorg’ waar dit artikel uit komt. Het boek is te verkrijgen via www.txdejong.nl/Management.
Een succesvolle mondzorgpraktijk draait om samenwerking tussen tandartsen, mondhygiënisten, assistenten, receptionisten en praktijkmanagement. In de hectiek van de werkdag is die samenwerking essentieel voor continuïteit, kwaliteit en sfeer. Maar wat als het stroef loopt? Als de onderlinge verhoudingen gespannen raken, communicatie verslechtert of er fundamentele onvrede ontstaat?
Vastgelopen samenwerkingen komen vaker voor dan je denkt – óók in praktijken waar het jarenlang goed ging. Omdat mensen veranderen, verwachtingen verschuiven, of spanningen te lang onderhuids bleven. En juist in kleinere, hechte teams of in maatschappen kunnen conflicten diepe sporen trekken, persoonlijk en professioneel.
Arbeidsconflicten hebben gevolgen op meerdere niveaus. Ze zorgen voor stress, verminderde inzet, uitval en verloop. En dat is niet zonder consequenties. Volgens cijfers van TNO is de gemiddelde verzuimduur bij een arbeidsconflict ruim 30 dagen. De directe kosten voor een werkgever variëren van €250 tot €400 per dag aan loondoorbetaling, vervanging en productiviteitsverlies – en dat is nog los van de managementtijd die gemoeid is met het begeleiden SAMENWERKING
van het conflict.
In een mondzorgpraktijk, waar behandelaars een sleutelrol spelen in de productie, kunnen deze kosten snel oplopen. TNO en Nibud berekende dat een arbeidsconflict een werkgever gemiddeld in totaal € 27.094 kost.
Maar er is méér dan het financiële plaatje. Conflicten tasten ook het werkplezier aan, de onderlinge loyaliteit, nachtrust en uiteindelijk soms zelfs het vertrouwen van patiënten in de praktijk. Denk aan geruzie dat in de wachtkamer wordt opgevangen. Ingrijpen is niet alleen verstandig, maar noodzakelijk.
Mediation biedt in deze situaties een laagdrempelige, effectieve en toekomstgerichte manier van conflicthantering. In plaats van juridisering of langdurige interne spanningen, brengt een mediator de

partijen weer met elkaar in gesprek – vertrouwelijk, begeleid en oplossingsgericht.
De kracht van mediation zit in de neutraliteit van de gespreksleider, het respect voor beide perspectieven én de focus op gezamenlijke belangen. Waar twee collega’s in de loop van maanden tegenover elkaar zijn komen te staan, helpt een mediator hen om de blik weer op de toekomst te richten. Niet zelden komen er constructieve afspraken uit voort die zonder tussenkomst niet mogelijk waren geweest.
Vooral voor de mondzorg is dit een passende vorm van conflictbemiddeling. Teams zijn vaak klein, relaties persoonlijk. Een ‘harde’ juridische aanpak kan de situatie nog meer op scherp zetten en meer stukmaken dan oplossen. Mediation biedt ruimte voor nuance, erkenning én herstel van werkbaarheid.
Toch is herstel niet altijd haalbaar of wenselijk. Soms leidt een conflict tot het inzicht dat de samenwerking moet eindigen. Ook dan biedt mediation uitkomst – juist dan.
In arbeidsrechtelijke exit-trajecten wordt mediation steeds vaker ingezet als alternatief voor slepende gesprekken met advocaten of lange ontslagprocedures. Denk aan een tandartsassistente met wie de
communicatie stroef verloopt en zich alsmaar ziek meldt, of een behandelaar die structureel anders functioneert dan de praktijk verlangt. Een neutrale mediator helpt dan bij het formuleren van afspraken over de beëindiging.
Dit voorkomt niet alleen juridische kosten, maar beperkt ook de emotionele schade. De werknemer vertrekt met erkenning, de werkgever behoudt zijn reputatie als goed werkgever. Dat is van cruciaal belang in een krappe arbeidsmarkt waarin mond-tot-mondreclame een grote rol speelt.
Ook bij het beëindigen van een maatschap of andere zakelijke samenwerkingsvorm is mediation waardevol. Een samenwerking die ooit begon met gedeelde ambities en een goede klik, kan jaren later door verschillen in visie, werkstijl of investeringsbereidheid, tot verwijdering leiden.
Een formele scheiding van wegen is dan vaak onvermijdelijk – maar de manier waarop maakt het verschil. In plaats van ieder (alleen) een advocaat in de arm nemen en maandenlang tegenover elkaar staan, kan mediation het gesprek structureren en versnellen. De focus ligt dan op: hoe regelen we dit zo dat we beiden verder kunnen, zowel zakelijk als persoonlijk?
In zulke trajecten is er vaak sprake van een gedeeld verleden, wederzijdse investeringen en emotionele betrokkenheid. Mediation maakt ruimte voor dat verhaal, zonder dat het verzandt in verwijten of langslepende juridische procedures. Juist dat maakt het zo effectief.
Voorkomen is beter dan genezen, maar niet doorslaggevend
Hoewel mediation ook preventief kan worden ingezet – bijvoorbeeld bij spanningen in de aanloop naar een overname of bij rolonduidelijkheid tussen collega’s – blijkt in de praktijk dat dit niet altijd een vanzelfsprekende stap is voor praktijkhouders. Veel eigenaren wachten totdat de situatie is geëscaleerd of verzuim al speelt.
Toch is het goed om te weten dat ook dan mediation nog veel kan betekenen. Zelfs in een laat stadium, wanneer posities verhard lijken, is er vaak nog ruimte voor dialoog. De bereidheid om ‘het nog één keer te proberen’ blijkt in de meeste gevallen groter dan gedacht, zeker als mensen zich gehoord voelen in hun frustraties en zorgen.
De opbrengsten van mediation zijn niet altijd zichtbaar op papier, maar wel merkbaar in de praktijk. Denk aan:
• Een sneller en betaalbaarder traject dan juridische procedures.
Vertrouwelijkheid, waardoor reputaties beschermd blijven.
• Herstel van communicatie, ook als men besluit uit elkaar te gaan.
• Oplossingen op maat, gedragen door beide partijen.
Minder verzuim en een beter werkklimaat.
Een mediator die de sector begrijpt Mediation staat of valt met vertrouwen. Dat groeit sneller wanneer de mediator de context kent: de werkdruk in de behandelkamer, de verantwoordelijkheden van een praktijkhouder, de rolverdeling in een maatschap. Een mediator met kennis van de mondzorg spreekt de taal van de praktijk. Die weet wat er speelt, van personeelsdynamiek tot patiëntgericht werken, en kan daardoor sneller tot de kern komen. Dat scheelt tijd, ruis én frustratie. Er zijn in Nederland enkele MfN-geregistreerde mediators met ervaring en een achtergrond in de mondzorg. Hun sectorkennis maakt hen bij uitstek geschikt voor het begeleiden van conflicten binnen praktijken of samenwerkingsverbanden in de mondzorg.
In de mondzorg draait het dagelijks om zorg en samenwerking. Als die samenwerking stokt, is het zaak snel en zorgvuldig te handelen. Mediation biedt dan een manier om zonder strijd wél in gesprek te komen – of dat nu leidt tot herstel van de relatie, of tot een zorgvuldige en respectvolle beëindiging.
Valesca Nederlof is jurist, mediator en trainer binnen de mondzorg en werkzaam bij Dental Care Professionals. Ze combineert juridische expertise met ervaring in HR, verzuimbegeleiding en praktijkmanagement. Haar specialisatie ligt in arbeidsconflicten en vastgelopen samenwerkingen, met een scherp oog voor de dynamiek in mondzorgpraktijken. Daarbij beoogt zij werkgevers, werknemers, teams en zakelijke partners op een respectvolle manier weer verder te laten gaan - samen of ieder voor zich.
Bevat 40 ppm fluoride en xylitol

Frisse milde smaak
Extra bescherming
tegen cariës dankzij 0,2% fluoride
Voor de erg gevoelige en droge mond
Ideaal voor onderweg
Bevat enkel zonnebloemolie
Hydrateert en verzacht
Stimuleert speeksel
Bio-based plastic gemaakt op basis van hernieuwbare materialen
Plastic gecoate draad en afgeronde tip voor veiligheld en comfort
Zonder toegevoegde smaakstoffen, zachte formule
Nieuw
Droge mond komt voor bij alle leeftijden


Aan te vullen met TePe Pure™ Tandpasta voor de droge en gevoelige mond


Ergonomisch handvat voor stabiele grip
Een duurzame keuze

Uit herhaaldelijk onderzoek blijkt dat interdentale ragers de meest effectieve methode zijn om tandplak tussen de tanden te verwijderen. Onze ragers zijn ontwikkeld in nauwe samenwerking met dentale professionals, met als doel maximale effectiviteit, optimaal comfort en de hoogste kwaliteit te garanderen.
Een cilindrische borstelvorm zou de eerste keuze van ragers moeten zijn om gezond tandvlees rond natuurlijke tanden te verkrijgen en te behouden. (Larsen HC et al. Int J Dent Hyg 2016).


s Werelds eerste Ergo-loepbril met verstelbare vergroting