Northern Virginia November 2024

Page 1


Stephen A. Price, DDS Cosmetic Dentistry
Sylvie Lam, DDS, FAGD General Dentistry
Ali Ghatri, DDS Orthodontist
Gray, CMLSO, CLA Cosmetic Dermatology Farangis M. Habib MD, MHSc, FAAP Pediatrician
Vikram Chauhan, DMD Implant Dentistry
Michael Rogers, DDS and the Team at Fairlington Dental Complete Health Dentistry
Rishita Jaju, DMD Children’s Dentistry

ASK THE EXPERT

Acne Treatments

Body Contouring

Botox

Cellulite

Cosmelan Peel

Chemical Peel

Fillers

Hair Loss Treatment

Hydrafacial MD

Laser Hair Removal

Laser Tattoo Removal

Miracle Cellular Renewal

Muscle Sculpting

Non-Invasive Scar Treatment

Non-surgical Lipo Sculpting

Permanent Makeup

Pigmentation Treatments

Powder Brows

Skin Rejuvenating

Skin Resurfacing/Lifting

Stretch Marks Treatment

Vaginal Rejuvenation

Although we’re still enjoying the fall weather, the holidays are only weeks away. There will be opportunities to spend time with our loved ones, and to fill our days with seasonal hope and cheer. The holidays are an excellent time for us to review our health goals for the New Year and beyond, and to decide if we want to make a few changes.

Our skin is an important part of this health plan because it is the largest organ in our bodies. In association with our hair and nails, our skin is the mirror of everything that happens inside. Healthy, glowing skin is a sign of good general health, and also of energy and vitality.

Here are six tips for building good skin and hair health for the holidays and beyond.

1. Get a Skin Check

Skin cancer is now the most common cancer in the United States, and affects

Six Keys To Holiday Skin and Hair Health

one in five Americans. The key to avoiding serious problems is early detection and treatment. The American Academy of Dermatology recommends annual full-body skin examinations by a board-certified dermatologist, and more frequent examinations if you have a personal or family history of skin cancers or pre-cancers. Your dermatologist can show you how to perform regular skin self-exams at home in between your regular office visits.

2. Don’t Forget the Sunscreen

We are still vulnerable to sun damage in fall and winter, even though the days are colder and less bright. This includes while driving, as some of the sun’s damaging ultraviolet light rays can pass through glass. Year-round sun protection helps prevent skin cancers and pre-cancers, as well as sunspots, wrinkles and premature skin aging.

Your first line of sun defense is clothing. For your hands, ears and the back of your neck, apply a broad-spectrum sunscreen with SPF of 30 or above daily, and re-apply every two hours while you’re outdoors. Modern sunscreen options include natural mineral sunscreens, brushon powders that leave no sticky or greasy residue, and sunscreens with added skin

Creating Beautiful & Healthy Smiles

repair ingredients such as antioxidants and peptides.

3.

Tackle Breakouts

Acne, skin redness or other skin breakouts can be due to blocked pores, hormonal influences, stress and hereditary factors. Washing your face twice a day with a gentle cleanser can help. Effective cleansers for acne can include specific ingredients like green tea, an natural anti-inflammatory treatment, as well as salicylic acid and other antibacterials. They can also help with dark marks and light scarring from acne.

A board-certified dermatologist can examine you fully and recommend a holistic plan including prescription creams, plus oral medications if needed for severe acne or rosacea. In-office procedures can also be helpful. Chemical peels with natural fruit acids, or Dermasweep MD with customized skin infusions will cleanse, exfoliate and unblock clogged pores, as well as improving pigmentation and fine lines and restoring skin radiance.

4. Health and Beauty Throughout

For true skin health and beauty, your doctor needs to know how to analyze your whole face in all three dimensions, with advanced understanding of your facial anatomy. Highly-skilled dermatologists and plastic surgeons individualize your treatment for your own skin type and concerns such as under-eye circles, wrinkles, bumpy skin or sagging. Ultherapy is FDA approved for nonsurgical brow, face and jawline lifting. Delicate doses of Botox or natural fillers like Restylane, Voluma and Juvederm can relax crow’ feet, forehead wrinkles and lines around the mouth, shape your brows and widen droopy eyes, and smooth out neck wrinkles. Expert, European-style techniques achieve a completely naturallooking result with no “frozen” look and little or no down time. Stimulation of new collagen and elastin can take years off your face.

Double chins show even more on Zoom because webcams add about ten

pounds under the chin and make our necks look more wrinkled. Ultherapy and Exilis Ultra lasers use ultrasound and radiofrequency to tighten skin and melt fat with no down time, to re-define your jawline, and also sculpt the abdomen, waist, hips, buttocks, arms and knees. Kybella is an injectable fat dissolver. Re-contouring the chin and jawline with your own natural fat containing stem cells, or with fillers, can also work wonders for a double chin.

5. Hair Removal and Restoration

If you suffer from excess hair, a boardcertified dermatologist is the expert who can examine you to identify underlying medical causes such as polycystic ovarian syndrome (PCOS) or other hormonal imbalances. The hair itself can be removed safely, quickly and painlessly from all skin types with the state-of-the-art Gentle YAG laser.

A board-certified dermatologist can also help hair loss due to stress or other causes, first with a comprehensive medical evaluation and second with scientifically validated solutions such as platelet rich plasma (PRP), which concentrates natural growth factors from a small sample of your own blood.

6. Feminine (Vaginal) Rejuvenation

The changes that women experience as they go through childbearing, hormonal shifts and aging include vaginal laxity, stress urinary incontinence, and uncomfortable vaginal dryness. The first step is a Gyn exam. If there are no underlying health problems, it can be transformative to treat these concerns with rapid, hormone-free non-surgical options such as the CO2RE Intima laser, which is gold standard treatment to remodel the tissue of the vagina and vulva by stimulating new collagen. Fillers can correct volume loss and improve the external shape and appearance of the vaginal lips or vulva. Based on our own patient experiences, these often-overlooked treatments enable women to lift their children and grandchildren without fear of urinary leakage, and revitalize their personal relationships.

DO YOU HAVE THIN OR VERY THIN LIPS?

The Fairfax clinic of Board-Certified Dermatologist, Dr. Hema Sundaram, is currently seeking men and women with thin or very thin lips to join a clinical research trial for a lip filler.

If you are at least 22 years of age and desire lip augmentation with a dermal filler, we encourage you to contact our office to learn more about this research study and to see if you meet the study requirements to participate.

Compensation up to $100 per visit

Study duration of up to 68 weeks 8-13 in office visits

Contact Safiya Marouf at dermdc@gmail.com call Fairfax, VA 703-641-9666 or Rockville, MD 301-984-3376 for more information

Lose Years Off Your Face In Just One Hour

Wrinkles may come with age, but so does wisdom. Whether your eye

lids are carrying excess skin, or your wrinkles have taken over your forehead, or your smile is outlined with parentheses, there are a number of procedures available to improve your look and feel.

Consult with your doctor to determine what products and procedures are best for the look you want to achieve. Such procedures can be surgical and non-surgical.

Procedures To Consider:

Blepharoplasty

As we age, the delicate skin around the eyes can appear puffy or saggy. Eyelid skin stretches, muscles weaken, and the normal deposits of protective fat around the eye bulge.

The surgical procedure to remove excess eyelid tissues (skin, muscle, or fat) is called blepharoplasty. Ophthalmologists are trained to perform this procedure during their medical residency.

Blepharoplasty can be performed on the upper eyelid, lower eyelid, or both. The surgery is performed for either cosmetic or functional reasons. Sometimes excess upper eyelid tissue obstructs the upper visual field or can weigh down the eyelid and produce tired-feeling eyes. Most often, people choose blepharoplasty to improve their appearance by making the area around their eyes firmer. When blepharoplasty is performed to improve vision, rather than for cosmetic reasons only, it may be covered by insurance.

Botox and Xeomin

Did you know that ophthalmologists have been using botulinum toxin (Botox) since its experimental trials began in Florida in 1986? In 1989 the FDA approval signaled the use of botulinum toxin as a safe and effective treatment for use in the eyelids, eyebrows, and facial muscles for certain medical conditions. Ophthalmologists actually discovered its wrinkle reducing effects.

Both products are non-surgical FDA approved treatments that can temporarily smooth moderate to severe frown lines in the forehead, between the brows, and the “crow’s feet” on the side of the eyes in men and women ages 18 to 65.

Radiesse, Juvederm (Voluma & XC), Belotero

We live in exciting times when it comes to the science of beauty. Injectable fillers can replace the lost collagen and volume that happens with age. These are long-lasting fillers that are helping people achieve softer lines, and a more youthful appearance. Radiesse™ and Juvederm™ produce very exciting results for treating wrinkles and may last for up to 1 to 2 years.

Jacqueline D. Griffiths M.D. earned her undergraduate degree at Yale and her medical degree from the University of Michigan. Her Ophthalmology residency was completed at Georgetown University Medical Center.

Dr. Griffiths has been in private practice since 1994. She started her own practice and laser center, NewView Laser EyeTM in 1999 where she serves as the Medical Director. NewView’s Mission is to provide Excellence in Ophthalmologic services by giving personalized attention to every patient.

Dr. Griffiths is Board Certified and began performing laser vision correction practically from its inception in this country. She has performed thousands of cases and participated with the CRS-USA LASIK trials to get the LASIK procedure approved by the FDA.

In addition to offering CustomVue LASIK and EpiLase, NewView offers CKSM, no-stitch cataract surgery, annual eye exams, contact lenses, glaucoma and diabetic screening exams, and cosmetic services including Botox, Restylane, Radiesse, Juvederm, and eyelid surgery. NewView Optical offers affordable high quality frames and lenses for the entire family (ages 5 and older).

Dr. Griffiths is the former Ophthalmology Section Chief of Reston Hospital Department of Surgery, the former Chief of Ophthalmology for the Reston Ambulatory Surgical Center in Reston, VA as well as Loudoun Hospital in Leesburg, VA, Diplomate of the American Board of Ophthalmology, a Fellow of the American Academy of Ophthalmology, a member of the American Society of Cataract and Refractive Surgery, the Washington National Eye Center and others.

In This Edition…

4 | Six Keys To Holiday Skin and Hair Health | By Hema Sundaram, MA, MD, FAAD

5 | Lose Years Off Your Face In Just One Hour | By Jacqueline D. Griffiths, MD

7 | How To Overcome Dental Anxiety | Submitted By Let’s Smile Dental

8 | How Are IV (Intravenous) Fluids Used In Plastic Surgery? | By Mark Domanski, MD 11 | Dentistry Is Expensive. Make the Investment Last. | By Karl A. Smith, DDS, MS 13 | Ensuring Healthy Smiles and Sound Sleep For Your Child | By Lynda Dean-Duru, DDS

13 | How Burn Injuries Can Be Prevented | By Paul Samakow, Attorney 14 | A Healthy TMJ Means a Healthy Smile | By Jeffrey L. Brown, DDS 16 | When To Worry About Thumb Sucking? | By April Toyer, DDS, FAAPD

| Understanding Cryo-Slimming For Weight Loss: An Overview | By Verona Sullivan, Founder 21 | The Psychological Benefits Of Cosmetic Dentistry | By Michael Rogers, DDS

23 | Unlocking the Secrets To Longevity | By LaSondra Gray, CLA, LSO

24 | Do You Ever Try To Hide Your Smile? | By Dr. Sonia Dilolli, DDS

25 | Dental Implants Can Be Affordable | By E. Richard Hughes, DDS 27 | Tips To Prepare For Your Baby’s Lip and Tongue Tie Evaulation | By

28-39 | Beauty, Skin Care and Gorgeous Smiles Featured Professionals

40 | Women and Hair Loss | By Craig E. Vigliante, MD, DMD

41 | Dental Implants FAQs | By Marvette Thomas, DDS

41 | What Is CEREC Dentistry? | By Zina Alathari, DMD

42 | Heading | By Lakita Conley-Ware

43 | Common Nail Disorders | By Edward Pozarny, DPM

43 | Great Smiles At Any Age | By Swathi Reddy, DMD

50 | Understanding Heel Pain: Causes, Treatment, and Prevention | Submitted By

The articles below are provided by local health professionals for the benefit of the public. Please contact them for advice and services. Articles and information about health professionals is available at www.YourHealthMagazine.net

Washington, DC

DPM

SERVING

Your Health Magazine is on a mission. There are far too many people, insured or not, who do not go to the doctor when they should, and in millions of cases, don’t know who they should go to, or why.

People are encouraged to buy a new house, car, cell phone or big screen TV, and those companies make themselves very visible and their products easily attainable.

Information about, and from, local healthcare providers is not easy to find, and many times those services are difficult to access.

Information and encouragement always lowers fear and trepidation about anything, and this is especially true in healthcare. While general information is available on web-sites, specific information from local providers is almost impossible for people to find. This is one of the key reasons chronic and episodic conditions are not cared for. It is our mission to:

Make A Difference By Empowering and Encouraging People To Live Healthier By Going To the Doctor When They Should.

There is a lot of evidence that the health professionals who participate in Your Health Magazine have helped many people over the years. We at Your Health Magazine salute you!

If you would like to find out how you can participate in one of our upcoming editions, please contact the office nearest you.

MARYLAND & WASHINGTON, DC OFFICE One Town Center 4201 Northview Drive, Suite 102 Bowie, MD 20716 Office (301) 805-6805 • Fax (301) 805-6808 info@yourhealthmagazine.net

VIRGINIA OFFICE Office (301) 805-6805 info@yourhealthmagazine.net

© Your Health Magazine, 2024. The magazine and all of its contents are protected by copyright. For permission to reproduce any materials in this magazine, contact info@yourhealthmagazine.net

Robert A. Breiner,

How To Overcome Dental Anxiety Sedation Dentistry Ensures

Dental phobia and anxiety are common issues that prevent many people from seeking the care they need. Fortunately, dentists offer various solutions to make treatments more comfortable and less stressful. These include laughing gas, oral sedation, and general anesthesia, depending on the patient’s needs.

Laughing Gas (Nitrous Oxide)

One of the most frequently used methods to ease dental anxiety is laughing gas (nitrous oxide). This mild sedative is inhaled through a mask and helps patients feel relaxed without completely putting them to sleep. The effects wear off quickly, allowing patients to safely drive home after their appointment. It’s ideal for both children and adults who experience mild to moderate anxiety during treatments like cleanings or fillings.

Oral Sedation

For patients who need a stronger sedative, oral sedation may be an option. This involves taking a pill before the procedure, which induces a deeper state of relaxation. While patients remain awake, they feel groggy and may not remember much of the procedure afterward. Oral sedation is particularly helpful for adults undergoing more complex treatments such as multiple crowns or implants. Oral sedation can also be used for children under the care of a trained and certified pediatric dentist.

Sedation Dentistry With a Dental Anesthesiologist

In cases of severe anxiety or for long, involved treatments, such as oral surgery or extensive restorative work, some patients may need to be put completely to sleep. This is where a dental anesthesiologist comes in. These specialists are trained to safely administer deep sedation or general anesthesia, ensuring the patient remains unconscious and pain-free throughout the procedure. Using a dental anesthesiologist is often recommended for lengthy treatments or for patients with extreme dental phobia. General anesthesia can also be used for children when necessary.

Safety Regulations and Certification

To ensure that sedation procedures are performed safely, dentists in Virginia must obtain specific certifications from the Virginia Board of Dentistry. Dentists who administer

moderate or deep sedation, including general anesthesia, are required to have a sedation permit. They must comply with the state’s regulations outlined in the Virginia Department of Health Professions, which govern the use of sedation and anesthesia in dental practices. These permits are granted after the dentist has completed rigorous training and demonstrated proficiency in managing sedation and its potential

a Comfortable

complications. Additionally, dental anesthesiologists require even more specialized training and certification to safely administer general anesthesia.

By offering various sedation options and adhering to strict safety standards, dentists help alleviate patients’ fears, making it easier for them to receive necessary care in a comfortable environment. Whether you experience mild anxiety or need more involved

Experience

sedation, there are safe and effective solutions available to ensure your dental visits are as stress-free as possible.

At Let’s Smile Dental, we offer all of these services. Our team includes highly qualified and experienced pediatric dentists and a skilled anesthesiologist to provide these services to both children and adults, ensuring the highest level of care for every patient.

SMILE

Discover a world of comprehensive dental care at Let’s Smile Dental, your trusted destination for superior oral health in Northern Virginia. With nine conveniently located offices, our skilled team of professionals is dedicated to providing a spectrum of specialized services, all under one roof.

At Let’s Smile Dental, our providers share a common mission: delivering the highest quality care to our valued patients. Through seamless collaboration and a patient-centric approach, our doctors ensure a positive experience and ultimate smile satisfaction. Choose Let’s Smile Dental – where your smile is our priority!

Orthodontists: Ali Ghatri, DDS – Manhal Eliliwi, DDS Owais Naeem, DDS – John Ji, DMD
Pediatric Dentists: Abeer Zletni, DDS – Cindy Choi, DDS
Ashley Kato, DDS – Zeina Estephan, DDS – Kevin Do, DDS
Jackie Liu, DDS – Reham Alnajjar, DDS
Family & Cosmetic Dentists: Oscar Dominguez, DDS
Joseph Alwan, DDS
Oral Surgeons: Inja Niloy, DDS – Paul Park, DDS
Dental Anesthesiologist: Babak Razmazma, DDS

How Are IV (Intravenous) Fluids Used In Plastic Surgery?

Baxter, a company that manufactures 60% of the United States’ supply

of intravenous (IV) fluids had to shut down production at a production plant in North Carolina after Hurricane Helene. This has resulted in a dramatic reduction in the amount of IV fluids available for hospitals and medical clinics including plastic surgery. Some hospitals in the DC area have cancelled elective (non-emergent) surgeries.

Plastic Surgery Procedures That Require IV Fluids

IV fluids are required for some plastic surgery procedures such as liposuction, mommy makeovers and neck lifts. Liposuction uses IV fluids to reduce pain and bleeding and to loosen fat before fat removal. For this reason, liposuction uses the most IV fluid among all plastic surgeries. IV

fluid is also frequently used to dilute local anesthesia medications that can be administered directly to the surgical sites during a mommy makeover. Neck lifts are frequently performed under anesthesia or sedation, which means that IV fluids are used to hydrate the patient and administer medications. In fact, almost any surgery that requires IV sedation or general anesthesia like breast augmentation, rhinoplasty, or gynecomastia (male breast) reduction will require some IV fluids.

Hospital Policies To Handle the Shortage

Hospitals and clinics have instituted policies to reduce the amount of IV fluids that are being used. Some hospitals are encouraging patients to drink clear liquids such as water and Gatorade up to two hours prior to surgery to minimize the need for IV fluid hydration during surgery. Doctors are trying to use medications in the pill form instead of the IV fluid formulations. We also tell our patients to drink plenty of fluids after surgery to help with healing and prevent dehydration.

Procedures That Are Not Affected

During the Shortage

There are several plastic surgery procedures that do not require IV fluids. Office procedures such as wrinkle treatment with Botox or Dysport use tiny amounts of fluid so Botox and Dysport treatments have not been affected. Dermal fillers used to treat deep lines in the face such as the nasallabial lines, or to add volume to cheeks or lips do not require any IV fluids. Some treatments such as Sculptra do require normal saline as a diluent, but this amount is small, so Sculptra has also not been affected.

Chemical peels, laser resurfacing, and microneedling do not require any IV fluids so these procedures have also not been affected. These procedures are performed using topical numbing medication and thus do not require anesthesia – thus no IV fluids are needed. The fall is a great time to undergo laser scar revision, skin resurfacing, or noninvasive skin tightening procedures.

The FDA (Food and Drug Administration) is looking at ways of expanding the national supply of IV fluids. Other manufacturing plants are looking to increase production. For these reasons, we do not expect the IV fluid shortage to last long, but there will be some impact until it is over.

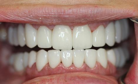
Dentistry Is Expensive. Make the Investment Last.

A radiant smile can be your most valuable asset. It’s the universal language of happiness, a key to leaving a lasting impression, and a source of confidence. However, the journey to maintaining a beautiful smile extends beyond just pearly whites. The foundation of a captivating smile lies in complete periodontal health. Taking care of your gums before spending on other dental procedures is essential for safeguarding your investment in a beautiful smile.

The Hidden Power of Healthy Gums: When we think about an attractive smile, we often focus on the appearance of our teeth. While having straight, white teeth is undeniably important, they are only part of the equation. Healthy gums play a vital role in framing and supporting your teeth, and enhancing your overall smile.

The Visual Balance: Picture a piece of art in an exquisite frame. The frame complements and enhances the artwork’s beauty, making it stand out. Similarly, your gums serve as a frame for your teeth. When your gums are healthy, they provide an even and symmetrical backdrop that highlights the brilliance of your teeth. Conversely, gum issues like inflammation, recession, or disease can disrupt this harmony and detract from the way your smile looks.

Gum Health and Confidence: Beyond aesthetics, your smile is a reflection of your confidence. People with healthy gums tend to smile more freely, knowing that their gums are not a source of embarrassment. On the other hand, individuals with gum problems may feel self-conscious about their smile, impacting their self-esteem.

The Consequences Of Neglect: Neglecting periodontal health can have far-reaching consequences. Periodontal disease, commonly known as gum disease, is a prevalent condition that can wreak havoc on your smile. It starts as gingivitis, causing redness, swelling, and bleeding of the gums. Left untreated, it can progress to periodontitis, leading to gum recession, tooth mobility, and even tooth loss.

The Domino Effect: Gum disease isn’t just a localized issue. It can have systemic effects on your overall health. Research has shown links between gum disease and various health conditions, including heart disease, diabetes, and respiratory illnesses.

By neglecting your gum health, you might unknowingly be putting your general well-being at risk.

Protecting Your Smile Investment: Now that we understand the importance of complete periodontal health, let’s explore how you can protect your beautiful smile investment:

Regular Dental Checkups: Make sure to stay on schedule for regular dental checkups with your dentist and hygienist. They can detect early signs of gum disease and provide guidance on proper oral hygiene

practices.

Daily Oral Care: Maintain a consistent oral care routine, including brushing, flossing, and using an antiseptic mouthwash. This helps remove plaque and bacteria that can lead to gum problems.

Healthy Lifestyle Choices: A balanced diet, regular exercise, and avoiding tobacco products contribute to both gum and overall health.

Professional Treatments: If you have gum issues, consult a periodontist, a specialist in gum health. They

can provide advanced treatments like deep cleaning or gum surgery when necessary.

Awareness: Stay informed about the importance of gum health and be proactive in addressing any issues promptly.

Your smile is a precious asset that deserves the best possible care. Complete periodontal health is the hidden foundation that ensures your smile remains beautiful, confident, and radiant. By prioritizing your gum health alongside your teeth, you’re making a long-term investment in a smile that will continue to light up your world and save you many dollars over your lifetime. So, remember, when it comes to your smile, it’s not just about the teeth; it’s about ensuring total gum wellness.

Our patients mean the world to us (and they love to refer to us as friends and family). My team works together to ensure your visit is enjoyable, and that your treatment is gentle and pain-free. We are deeply committed to help you prevent and treat periodontal (gum) disease, and to enhance your smile to improve your overall health.

What Is RED LIGHT THERAPY?

The Contour Light system delivers high-energy light for optimal results using a proprietary reflective coating that helps retain light within tissue. Offering non-surgical, painless results, it helps individuals achieve a slimmer profile. Originally researched by NASA and later found effective for inch loss by a Columbian surgeon, the technology uses mid-600nm light to stimulate fat cells, causing them to release contents and shrink in size, resulting in circumference reduction. When combined with diet and exercise, it accelerates weight loss. Additionally, the system is FDA-cleared for temporary relief of pain and improved circulation, providing a relaxing experience.

Ensuring Healthy Smiles and Sound Sleep For Your Child

Proper breathing during sleep is crucial for the overall well-being of children, yet many parents may not be fully aware of potential issues related to Sleep-Related Breathing Disorders (SRBD), which includes pediatric obstructive sleep apnea (OSA).

SRBD refer to disturbances in normal breathing patterns during sleep, ranging from common snoring to more severe pauses in breathing known as

apnea events. These interruptions can lead to sleep deprivation and a variety of health complications. In the case of children, untreated SRDB can result in developmental, behavioral, and emotional challenges, potentially leading to conditions like allergies, ADD/ADHD, and depression.

Pediatric OSA, a condition where the airway is partially or completely blocked during sleep, is often caused by enlarged tonsils or adenoids and a lack of tongue space. It differs from adult OSA, as it may manifest alongside behavioral issues and daytime sleepiness in children.

The Importance Of Proper Sleep and Open Airways For Children

During the first 18 months of a child’s life, crucial growth and developmental milestones occur, many of which are related to facial development. Ensuring proper breathing is essential for

Please see “Healthy Smiles,” page 46

Dr. Lynda Dean-Duru
Dr. Krystle Dean-Duru

A Healthy TMJ Means a Healthy Smile

When the jaw joint- the TMJ- is not properly aligned and the discs that cover the top of the jaw bones (the condyles) are displaced, this creates a lot of inflammation that affects the entire body. So many people experi-

ence TMD – Temporomandibular Disorder- and yet are completely unaware that it exists. TMD can manifest as headaches, neck pain, back pain, throat pain, swallowing problems, tremors/ twitches, and many other symptoms. When a person has TMD it can affect their whole body and the pain from the damaged joint leaves a person feeling tired, in pain, irritable, and generally

in bad shape.

So, what does a person need to do to figure it out? The first step is to find someone who can get a good MRI of the jaw joints and see if the discs in the joints have been displaced. If so, then you need to figure out how to treat the problem. Think of it like this: if your kneecap is slipped off to

We Are NOT Your Typical Dental Office

the side, then it just plain hurts to walk with that little meniscus slipped away from where it should be. The jaw joint disc is the same way- if displaced, it can and will rub against nerves and blood vessels in the area and cause radiating problems that can actually travel through the entire body.

This may seem strange, but a displaced articular disc has been observed to correlate directly with the ACL injury in the opposite side knee. This is a very common injury, but the way it works is that the displaced TMJ disc causes an asymmetry in the cranial structures, and this radiates all the way down to the knee. In other words, the head bone is connected to the ankle bone. Such a displacement can really cause your smile to go sideways into a frown.

Dr. Jeffrey Brown has limited his practice to focus only on TMJ Disorders, Craniofacial Pain Management and Sleep Apnea. By fixing slipped discs in the jaw joints, Dr. Brown can significantly reduce the pain patients experience in the head/neck region and other symptoms associated with jaw joint problems. Sleep & TMJ Therapy may be able to improve the quality of life for you or a loved one – we encourage you to contact us with any questions or concerns.

“Dr. Brown and his staff are absolutely wonderful. I was diagnosed with Dystonia. I could not turn my head and had a ton of pain. My doctors offered no help and no advice besides Meds and Botox. Since having the appliance I have NO pain and I can turn my head. I would highly recommend them to anyone. I feel Dr. Brown and his staff really care about their patients and helping them to get better. They do not just numb the symptoms but fix the problem. Thank you from the bottom of my heart. I feel like the old me again!”

- D. Thomas

“My daughter has been treated by Dr. Stack and Dr. Brown for the last 2 1/2 years, and we are very fortunate to have found them. Prior to that she was being treated by a neurologist at a Children’s hospital. She was on medications for tics and associated muscle pain, OCD/repetitive thoughts, sleeplessness and more (all possibly associated with Tourettes). Drs. Stack and Brown installed spacers to alleviate pressure on nerve bundles in the jaw, and subsequently braces to complete the process. Her symptoms have diminished significantly. She is off medication, her tics have all but disappeared, she can concentrate better in school, and she is once again cheerful and relaxed.”

- Susan

One of the more recent observations in regard to TMD is that the displaced disc in the jaw joint can actually contribute to shoulder injuries. That is right- if the articular discs are out of place, then the condyles may be too deep in the socket, and this is a signal to the body that the power to your arms should be cut off. By doing something called the ‘arm strength test’ it can readily be determined if the condyles are too deep in the sockets. This simple test involves pressing down on the arm when it is out to the side or up in the air and then assessing the same strength point but with the jaw propped open just a bit with cotton rolls or even a pencil. The results are quite interesting and will definitely make most people smile.

As you can guess by now, if the TM joints are healthy then this really helps the entire body become healthier. This is where the healthy joints make healthy smiles.

Jeffrey L. Brown, DDS
Jeffrey L. Brown, DDS

Many infants and toddlers are using thumb sucking as a method of self-comfort and self-consoling. As the child evolves thumb sucking may

When To Worry About Thumb Sucking?

be used for more advanced soothing needs from tiredness, sickness, fear, or even boredom.

What Are the Consequences?

The frequency and the force exerted during the behavior have the most impact on long-term damage. If your child is a vigorous or frequent thumb sucker you may need to curb the habit as early as age three or four.

This may cause a gap to develop between the upper and lower teeth called an open bite. This is not just a dental problem, but results in reshaping of the jaws as well. Once this open bite is formed a tongue thrust may occur, which will continue to alter the alignment of the teeth once thumb sucking has stopped.

The alteration of the tongue muscles can lead to problems mak-

ing speech sounds like “s” and “th”. Though these baby teeth will fall out, the permanent teeth will often follow the pathway of the jaw misalignment and may give an appearance of forwardly positioned or “buck” front teeth.

How To Stop Thumb Sucking

Provide motivation for your child to break the habit. Review subjects such as spreading germs, tooth position, speech and teasing from peers. Find a book or show where your child’s favorite or child friendly character talks about the habit.

A daily sticker chart, or positive reward system can also help. Set small goals at first due to your child’s habit frequency. Set a big reward for the 2-4 week mark that your child will be excited to work towards. Remember to give verbal praise several times a day. Over-the-counter products can be used as well, including bad tasting nail polish, plastic thumb devices, finger covers, gloves, ace bandages at the elbow to prevent arm bending, and an alternative comforting object such as a blanket or toy.

What If Nothing Works?

Attempt to determine if your child has a stressor or underlying anxiety. This will be a difficult process for your child if they are not ready. Inform all childcare providers and family members of your process so they can receive consistent reinforcement when they are not in your care.

If there is no success after prolonged intervention feel free to reach out to a pediatric dental office to discuss your child’s risk for altered tooth alignment and the possible need for an orthodontic appliance.

April Toyer, DDS

Dr. Toyer grew up as an “Army brat,” but resided many years in Bowie, Maryland. She attended the University of Virginia and received a degree in Biology and Bioethics in 2003. Dr. Toyer attended dental school at the University of Maryland and took part in the Pediatric Dentistry Clerkship program.

As a leader in the wig and hair restoration industry for over 20 years, we know that hair loss is a personal—and often emotional—experience. When you walk through the door at Bravadas Wigs & Hair Restoration, you’ll find a welcoming, private studio that is focused on one goal: help you feel good about your hair.

Serving men and women across the country, Bravadas has one of the largest selections of high-quality wigs and hair toppers. At select locations, we also offer hair extensions, hair systems for men and women, trichological treatments, and laser hair therapy.

Wigs

For progressive hair loss; easily change up your style.

Toppers

For thinning hair or partial hair loss; cover a widening part.

Extensions

For thinning hair or partial hair loss; fill in length and volume.

Women’s Hair System

Lasting, non-invasive solutions for women’s hair loss.

Men’s Hair System

Lasting, non-invasive solutions for men’s hair loss.

Prevention & Regrowth

Treatments and products to slow down or stop hair loss.

Cryo-Slimming is an innovative technique that uses cold temperatures to target fat cells, aiding in weight loss and body contouring. This non-

Understanding Cryo-Slimming For Weight Loss: An Overview

invasive method has gained popularity due to its ability to reduce fat in stubborn areas without surgery or downtime. Unlike traditional weight loss treatments, Cryo-Slimming focuses on breaking down fat cells through a process called cryolipolysis, which relies on the body’s natural metabolic processes to eliminate the cells. The fat cells are removed by the lymphatic system and the client can lose up to

1-2 inches of fat per session.

How Does Cryo-Slimming Work?

Cryo-Slimming, often performed in wellness centers or specialized clinics, involves applying cold temperatures to specific areas of the body where fat reduction is desired. During a session, the skin and underlying fat are exposed to cold temperatures, causing fat cells to crystallize and break down. These cells are then naturally processed and

removed by the body over time. The procedure itself is relatively painless, with most patients experiencing a slight cooling sensation during treatment.

Because fat cells are more sensitive to cold than other types of cells, Cryo-Slimming effectively targets these fat deposits without damaging surrounding tissues, including skin, muscles, and nerves. This method has become a sought-after alternative for those who want to address localized fat deposits in areas such as the abdomen, thighs, or arms.

Benefits Of Cryo-Slimming

One of the main advantages of Cryo-Slimming is that it is a nonsurgical procedure. Unlike liposuction or other invasive treatments, CryoSlimming does not require incisions, anesthesia, or a lengthy recovery period. Patients can typically return to their normal activities immediately after a session. Additionally, the results develop gradually over the following weeks as the body metabolizes the fat cells, leading to a more natural-looking transformation.

While Cryo-Slimming is not a substitute for a healthy diet and regular exercise, it can be a helpful tool for individuals looking to enhance their weight loss efforts. It is particularly useful for those struggling with fat in specific areas that may not respond well to traditional weight loss methods.

Considerations

It’s important to note that CryoSlimming may not be suitable for everyone. Individuals with certain medical conditions or sensitivities to cold should consult a healthcare provider before pursuing this treatment. Like any cosmetic procedure, realistic expectations are key, as results can vary depending on individual factors such as age, metabolism, and lifestyle.

Cryo-Slimming is a safe and effective way to target stubborn fat, but it should be viewed as part of a comprehensive approach to health and wellness.

DMV Chill Cryo offers services that pair very well with the Cryo-Slimming to achieve the goal such as Vibration Therapy, Red-Light Therapy, Wood Therapy and most importantly the Brazilian Lymphatic Massage.

Total Dentistry

• Earlier Detection of Oral Infections & Tumors

• TMJ Analysis

• Airway Volume Analysis (Sleep Apnea)

• Impacted Teeth

• Periodontal Disease

• Ischemic Bone Disease Screening (Cavitation Detection)

Cosmetic dentistry has become increasingly popular, not just for enhancing smiles but also for improving the emotional well-being of patients. Modern advancements in dental care allow individuals to transform their appearance, which can have profound effects on their self-confidence and overall mental health. Here, we explore the psychological benefits that come with receiving cosmetic dental treatments.

Boost In Self-Confidence

One of the most immediate psychological effects of cosmetic dentistry is a significant boost in self-confidence. Many people feel self-conscious about their teeth, whether due to discoloration, gaps, or misalignment. These insecurities can affect how they interact with others, sometimes causing them to hide their

The Psychological Benefits Of Cosmetic Dentistry

smile or avoid social situations altogether.

When imperfections are corrected through treatments such as teeth whitening, veneers, or aligners, patients often report feeling more confident in their appearance. This newfound confidence helps them engage more fully in social activities and professional settings, leading to improved quality of life.

Reduction In Anxiety and Stress

Living with dental issues can cause chronic anxiety, especially if one is worried about the appearance of their teeth in everyday interactions. This constant preoccupation can lead to stress, even in simple tasks like speaking or smiling.

Cosmetic dentistry can alleviate these concerns by providing a sense of relief and assurance that your smile looks its best. With fewer worries about how their teeth are perceived, patients tend to experience reduced stress and feel more at ease in social environments.

Enhanced Social Life

Our smile is one of the first things people notice about us. If we are proud of our smile, we tend to smile more

often, which can positively influence how others perceive and engage with us. People who undergo cosmetic dental procedures often find themselves more willing to engage socially, both in personal and professional environments. They no longer feel the need to hide their teeth, allowing them to enjoy social interactions more freely and authentically.

A bright, healthy-looking smile can

Face The Future

New Acne Studies with Board Certified Dermatologist

If you are a woman 20 years of age or older and are living with mild to moderate facial acne, you may be eligible to participate in a new clinical study with approved treatments.

also enhance first impressions, whether during job interviews, on dates, or when meeting new people. This improved social confidence can open doors to new opportunities, leading to both personal and professional growth.

Positive Body Image and Mental Health

The connection between ap -

At the offices of DR. HEMA SUNDARAM, MA, MD, FAAD Board Certified Dermatologist and Dermatologic Surgeon International Teacher and Researcher in Advanced Dermatology and Plastic Surgery Technologies

our clinic at dermdc@gmail.com

Unlocking the Secrets To Longevity How Nutrition and Technology Can Impact Aging

Aging is inevitable, but how we age can be dramatically improved thanks to advancements in nutrition, technology, and holistic health. Today, we have the tools to slow, and even reverse, aspects of aging, allowing us to live longer, healthier lives.

Nutritional Powerhouses: The Foundation For Longevity

The link between nutrition and aging is well-established. Key nutrients can slow aging, reduce inflammation, and boost cellular health:

1. Omega-3 Fatty Acids – Antiinflammatory, supporting brain and joint health.

2. Antioxidants – Found in berries and greens, they protect cells from oxidative stress.

3. Fiber – Promotes digestion and helps manage blood sugar.

4. Polyphenols – Present in green tea and dark chocolate, these reduce inflammation.

5. Protein – Crucial for preserving muscle mass as we age.

Technology Meets Nutrition: The Future Of Aging Well

Innovative wellness technologies now complement nutrition to improve how we age:

Advanced Skin Regeneration

Non-invasive treatments like lasers and radiofrequency therapies stimulate collagen production, improving skin elasticity and texture.

Cellular Health Optimization

Emerging therapies enhance mitochondrial function, increasing energy and cellular repair. Combined with good nutrition, these therapies boost vitality.

Hormone and Metabolic Therapies

New treatments balance hormones and optimize metabolism,

improving energy, sleep, and weight management. Paired with a nutrientdense diet, they help the body age gracefully.

Gut Microbiome Analysis

Gut health plays a critical role in immunity and overall well-being. Advanced testing allows personalized nutrition and probiotic regimens, boosting digestion and reducing inflammation.

Detox and Regeneration

Infrared detox treatments and lymphatic drainage help clear toxins, while a clean diet supports the body’s natural healing processes.

Supplementation and Personalized Health

Precise diagnostics now assess nutrient levels and hormone imbalances, allowing for personalized supplementation programs. IV nutrient therapy and

micronutrient testing support cognitive function, energy levels, and skin health.

Hydration and Wellness

Hydration therapies infused with vitamins and electrolytes promote glowing skin, and optimal body function.

A Holistic Approach To Aging

By combining nutrition with health technologies and personalized treatments, aging can become a time of renewal, not decline.

Reclaim Your Health & Beauty

At Reflections Image

& Skincare Institute

Center

Unlock a more youthful you with our advanced laser technology, RF treatments, and wellness therapies. Our expert team offers cutting-edge, non-invasive solutions designed to tighten, tone, and rejuvenate your skin and body. From laser skin treatments to revitalizing IM injections and IV hydration, we deliver personalized care for glowing results.

Our Featured Services Include:

• Laser & RF Treatments for firmer, smoother skin

• IV Hydration Therapy to boost wellness from the inside out

• IM Injections for energy and metabolic enhancement

• Laser Hair Removal for long-lasting silky-smooth skin

• Skin Rejuvenation to repair sun damage, acne, and uneven tone Exclusive Offer: Complimentary Skin Analysis & Personalized Treatment Plan

Book your consultation today and receive a free VISIA skin analysis along with a tailored treatment plan for your unique needs.

Take Charge of Your Aging Journey!

Contact us today to schedule your consultation and experience the power of laser technology, RF treatments, and wellness therapies.

Reflections Image Center & Skincare Institute 44125 Woodridge Parkway, Suite 220, Lansdowne, VA 20176

| Call Us: 703-539-6002

Do You Ever Try To Hide Your Smile?

Now Dr. Dilolli Is Here To Help You Regain Your Confidence To Smile Again.

Do you have missing broken teeth? You can get it all done in one place with one doctor, all at once! Financing options available!

Sedation dentistry can make it all easy. So you want your smile to be as attractive as possible, because the people you meet attract positive characteristics to those who have attractive smiles. In

fact, research shows that people with handsome smiles are considered friendlier, smarter and even more popular. If your smile could use a touch-up to correct a minor flaw, Dr. Dilolli is an expert in the art of dental bonding. On the other hand, if you need an altogether new smile, then consider porcelain veneers.

Cosmetic Dental Bonding

Many of our patients who approach us about dental bonding don’t realize that they already have some of the material used for bonding in their mouths: the same composite resin materials that Dr. Dilolli uses to repair tooth decay with a natural colored filling is used for dental bonding, too. This relatively quick and completely painless cosmetic dentistry procedure is frequently selected to restore, reshape and rebuild teeth. The imperfections that dental bonding most often corrects include:

• Chipped and cracked teeth

• Teeth that are irregularly spaced or have gaps in between them

• Misshapen or small teeth

• Teeth that are permanently stained or discolored

Dr. Dilolli directly applies a mixture of composite resin materials that are perfectly blended to match your existing tooth color. Then, with a sculptor’s skill, she molds the material to reshape your tooth. This is rapidly hardened with a special curing light, and the process is repeated as necessary until the ideal appearance is achieved.

Porcelain Veneers Procedure

If your smile is marred by a combination of flaws, then porcelain veneers may be the ideal solution. Made of strong dental porcelain, veneers are adhesively bonded to the visible side of your teeth in order to hide

flaws and create a new and beautiful smile. When you meet with Dr. Dilolli to plan your veneer treatment, she’ll want to know what you consider to be a perfect smile.

You may even want to bring in a few pictures of people who have smiles you admire. Then, with your input, she will design veneers that are the right size, shape and color for you, while also being mindful of your unique facial features.

Two appointments are usually required for porcelain veneers. At the first, we’ll take x-rays and impressions of your teeth, and Dr. Dilolli will prepare them for the veneer procedure. While your permanent veneers are fabricated in our dental lab, you’ll wear temporaries. At the second appointment, these are removed and your permanent veneers are adhesively bonded into place.

• Advanced Technology: Experience precision and comfort with 3D X-rays and same-day 3Dprinted crowns.

• Comprehensive Services: From cleanings to cosmetic and restorative procedures, we’ve got you covered.

• Flexible Scheduling: Convenient Friday hours to fit your busy life.

• Insurance & Savings: We accept most major PPO plans and offer an in-house savings plan for added value.

• Personalized Care: We tailor treatment plans to fit your unique needs and smile goals.

Dr. Sonia Dilolli

Dental Implants Can Be Affordable

Due to the advances in modern medicine, nutrition and healthy lifestyles, people are living considerably longer than they use to. Because tooth loss is directly related to age, an increasing number of adults are missing teeth.

When an adult reaches the age of 65, he or she many times feels an investment in health is less appropriate. A healthy 65 year old woman will live 23 more years 50% of the time and 29 more years 25% of the time. A healthy 65 year old male will live another 20 years 50% of the time and another 27 years 25% of the time.

So from the above, one can see that an investment in their oral health is actually a better investment than a new automobile, that depreciates rapidly after purchase.

Dental implants are 97% successful over ten years. Let’s compare a single tooth replacement with a dental implant verses a three tooth cemented bridge. The estimated life span of a cemented bridge is 50% at 10 years.

Cavities are the most common cause of crown or bridge failure. 15% of the teeth anchoring (abutments) require root canal treatment. Failure of abutment teeth is about eight percent to 12% at 10 years and 30% at 15 years. 80% of teeth adjacent to the sites of missing teeth are with no or minimal fillings.

The potential lifetime cost of a single crown replacement prior to dental implant treatment is at least $9,000 or more. The potential lifetime cost for a three unit fixed (cemented) bridge replacement is at least $19,300 to $22,300. The cost of a single implant, crown and abutment in Northern Virginia is about $2777 to $5000 or more.

So one can see that dental implants are actually a cost effective way to replace missing teeth and maintain their oral health, function and esthetics.

Dental implants are the naturallooking replacement solution missing teeth. Since implants are permanently anchored into the jawbone, this “fixed” cosmetic dentistry solution allows for better chewing than removable dentures.

A Candidate For Dentail Implants Affordable Dental Implants

1. Have You Lost One or More of Your Teeth?

2. Are You Embarrassed by Your Smile or Missing Teeth?

3. Are You Tired of the Daily Hassles of Denture Wear?

4. Do You Have Bone Loss Where Teeth Were Pulled?

5. Do You Have Pain of Discomfort When Chewing?

BABY’SLIP&TONGUETIE

TREATMENT

EVALUATION TIPSTOPREPAREFORYOUR

Dr. Rishita Jaju is our area’s expert in providing most successful outcomes for lip and tongue tie release.

4 Quick Steps to Prepare for Your Baby’s Lip and Tongue Tie Evaluation

Here are her recommendations for success:

Maybe you are struggling with feeding your newborn baby, and a fellow parent, Facebook friend, or Pediatrician has told you about a lip or tongue tie that might be at the root of your troubles. Now what?

It can be an overwhelming thought that our little one might need a ‘procedure’, but don’t fret! In Northern Virginia, we are blessed to have many ways of getting help!!

Here are some “basics” and quick tips for the best preparation if you are looking to schedule a Lip & Tongue Tie Consultation for your infant.

Contact a Lactation Consultant

Begin by reaching out to an IBCLC (International Board Certified Lactation Consultant) that is experienced in caring for babies with ‘tethered oral tissues (TOTs)’ aka lip and/or tongue tie. If TOTs are interfering with proper function, they may have some great recommendations for release (frenectomy) providers who have the training and experience with oral assessment. These providers have the proper tools for a thorough frenectomy procedure like a Waterlaser.

Schedule Your Consultation

You can call or text our office to schedule your virtual or in-person consultation. You will be given a link to complete all pre-appointment questionnaires. If you complete the paperwork right away, this gives the office team the best opportunity to help you with any medical or financial/insurance

considerations prior to your appointment. Pro Tip: Try to make sure that both parents/caregivers are able to attend so that everyone benefits from the education and instructions.

During Virtual or In-Person Consultation

The doctors will perform a detailed exam and have a conversation about clinical oral findings including anatomy of tongue, lips, buccal/ cheeks, jaw size/shape/position and their impact on function. The doctors will review current symptoms and future considerations. This is the best time to discuss the benefits, risks, aftercare, any other medical concerns and optimal timing for procedure with your doctors in detail. Above considerations are reviewed and ruled out, we are always happy to schedule procedures for babies so that we are minimizing the number of appointments for your little one.

Plan to Rest Post Procedure

Plan to keep your schedule clear post procedure (no travel or major activities) and arrange for support at home with siblings if needed.

If you have any questions, please reach out to the office, and we will be happy to make sure you feel 100% prepared for your visits with us!

Dr. Rishita Jaju & Dr. Anh Dang Board Certified Pediatric Dentists 571-350-3663

11790 Sunrise Valley Drive, Suite 105 Reston, VA 20191 www.smilewonders.com

Featured Health Professionals

Local Professionals Empowering and Encouraging People To Live Healthier

Vikram Chauhan, DMD

Dental Services You Can Rely On

Meet Vikram Chauhan

Degrees, Training, and Current Practice:

Vikram Chauhan, DMD was born and raised in Northern Virginia. Dr. Chauhan completed his undergraduate degree at VCU and earned a Masters of Biomedical Sciences from Rutgers University. He received his Doctor of Medical Dentistry from Tufts University School of Dental Medicine in 2018. After successfully earning a DMD degree, he went on to further his education at Marshall University in the General Practice Residency program. During his residency program, Dr. Chauhan was introduced to implant dentistry and has since not looked back. He has completed the Implant Pathway Continuum and the Doctores Valencia Surgery for Excellence course. Upon completion of his education Dr. Chauhan knew it was time to return home to continue his growth in the dental profession. Dr. Chauhan feels extremely blessed to have found Dr. Rodney Mayberry who is a retired dentist in Vienna, Virginia ready to sell his practice to Dr. Chauhan. Dr. Mayberry is a Diplomate of the American Board of Oral Implantology and is eager to act as a consultant to Dr. Chauhan in all facets of implant dentistry. Dr. Chauhan is committed to becoming credentialed with the American Academy of Implant Dentistry and American Board of Oral Implantology. Dr. Chauhan was recently awarded Fellow status with the International Congress of Oral Implantology. Dr. Vikram Chauhan would like to invite you, your family and your friends to come in for a complimentary evaluation. During this visit Dr. Vik (as his staff and patients like to call him) will examine you and offer his qualified no obligation opinion. It will include a 3-Dimensional CT scan x-ray and any other needed X-Rays he might need to give you a proper diagnosis. Dr. Vik and his staff are excited to meet you. Awarded Fellow of International Congress of Oral Implantology Member of Academy of General Dentistry and American Association of Implant Dentistry

Centreville 703-719-5828

Springfield 703-719-5828

Reston 703-719-5828

Fairfax 703-719-5828

Fredericksburg 540-785-4494

Purcellville 540-338-9400

Alexandria 703-658-3000

Herndon 703-719-5828

At Let’s Smile, we are proud to be a privately owned, multispecialty dental practice. We bring together all aspects of dentistry and orthodontics for both children and adults under one roof. With multiple convenient locations throughout the DMV area, we make high-quality dental care easily accessible to our patients. Our dedicated team prioritizes not only exceptional dental results but also the overall experience of our patients, ensuring personalized care at every step of their journey.

As the founder of Let’s Smile, I have been practicing as an orthodontist since 1994, and next year will mark 30 years of creating beautiful, healthy smiles for our community. We are honored to be a Blue Diamond Invisalign® provider, placing us among the top practices in the country. In fact, many local dentists trust us with their own families’ care, a testament to the high standards we maintain.

We look forward to welcoming you to Let’s Smile and helping you achieve the smile of your dreams!

Prior to entering private practice, he served a general practice residency at Sepulveda Veteran’s Hospital. Dr. Rogers has invested significant time into ongoing education, seeking to learn emerging dental technologies and techniques in the areas of cosmetic dentistry, implant dentistry, sleep apnea treatment, orthodontics, temporomandibular joint (TMJ) disorders, and safe amalgam replacement. His most recent training in airway management has allowed him to offer a cure for sleep apnea using an intraoral device known as the DNA appliance. He is a member of the International Academy of Oral Medicine and Toxicology, American Academy of Dental Sleep Medicine, American Academy of Craniofacial Pain, and also of Mercury-Free Dentists. He has served as a guest author for TMJ News & Views, and when that publication ceased, began his own quarterly newsletter. You may have seen one of his television interviews on “A New Me” or the local PBS station, or seen his articles and features in Ladies’ Home Journal, Arlington Magazine, and New Beauty. Dr. Rogers is an active participant in the community as a sponsor for Encore Theater, Little League of Alexandria, Abingdon Elementary, and the local Fairlington Farmer’s Market. He and his wife Terri enjoy spending time with their daughter Megan and her husband Corey traveling around the country and the Caribbean.

Sylvie Lam, DDS, FAGD

Meet Sylvie Lam

Dr. Sylvie Lam is dedicated to delivering high-quality, personalized care, influenced by her military and civilian training, emphasizing excellence and integrity. With 13 years of experience in government and private practices, patients appreciate her genuine commitment, upbeat personality, and energy. She graduated from the University of Maryland School of Dental Surgery in 2008 and completed an Advanced Education General Dentistry (AEGD) Residency at Wright Patterson Air Force Base in 2009, followed by service as a dental officer at the Pentagon Tri-Care Clinic. Dr. Lam has spent the last ten years in private practice, focusing on cosmetic, restorative, and rehabilitation treatments.

Before becoming a dentist, she was a licensed CPA, working for national and regional accounting firms. Dr. Lam holds dual B.S. and B.A. degrees in Biology and Accounting from the University of Richmond. She also earned an MBA and a DDS from the University of Maryland College of Dental Surgery in 2008. In 2019, Dr. Lam received the Fellow Distinction from the Academy of General Dentistry (FAGD), achieved by only 5% of dentists nationwide, signifying her commitment to lifelong learning. She is passionate about enhancing oral health and creating beautiful smiles as an art, as seen in her portfolio of cosmetic and restorative cases.

Dr. Lam is a member of the Academy of General Dentistry (AGD), American Dental Association (ADA), Academy of Cosmetic Dentistry (ACD), and Northern Virginia Dental Association (NVDA). She volunteers her time with dental missions and not-for-profit organizations, including Operation Smile, HOPE for Tomorrow, and the Northern Virginia Dental Clinic.

Start Invisalign®

Nov 11-15 & Be Entered to Win 4 Free Commanders Tickets

Meet Stephen A. Price

Dr. Stephen Price has been a dedicated practitioner at Dental Associates for nearly five decades, relishing the diverse challenges of general practice, including dental implants and cosmetic dentistry. He is an esteemed member of the American Dental Association, the Northern Virginia Dental Society, and the Virginia Dental Society.

A native of New Jersey, Dr. Price attended the University of Connecticut on a football scholarship. He earned his Doctorate of Dental Surgery from Georgetown University School of Dentistry in 1973, subsequently serving as a crown and bridge instructor there for 17 years.

Dr. Price is an Elite Invisalign® provider and a Certified Invisalign® instructor. In 2017, he was honored as the best treatment winner at the Invisalign® Summit in Maryland, recognized by thousands of his peers who gathered to learn about the latest technologies in Invisalign treatment.

Combining his passion for dentistry and football, Dr. Price has also contributed to his community by coaching the football team at Westfield High School.

If you are unhappy with your smile and are interested in the finest cosmetic dentistry available, let Cosmetic Dental Associates of Burke show you what our office can do to make you feel better about yourself and put a smile on your face every day.

Featured Health Professionals

Local Professionals Empowering and Encouraging People To Live Healthier

Jeffrey L. Brown, DDS

TMJ & Sleep Apnea Treatment

Meet Jeffrey L. Brown

Dr. Brown’s practice focuses on TMJ, sleep apnea and orthodontics. This allows Dr. Brown and his team to provide individualized, focused care for patients dealing with these specific issues. Every day, his practice helps patients of all ages with facial development, sleep issues, chronic headaches, migraines, neck pain, movement disorders, and much more. His training also includes multiple disciplines involving the cranial bones in the skull, and the discs in the jaw joints. Through treatment, Dr. Brown is able to reduce these symptoms, align cranial bones, avoid extractions, and greatly reduce the need for traditional braces. His expertise allows him to identify issues early on which promotes proper facial development using dental appliances. If there is an internal imbalance, whether an adult or child, the body does not develop or function properly. When the cranial bones are lined up correctly, patients are able to function, sleep and generally live better.

With that in mind, the team at Sleep & TMJ Therapy takes a whole-body approach when treatment planning. They work hand in hand with physical therapists and osteopathic doctors for a better success rate. Dr. Brown is devoted to helping patients of all ages live a symptom free life.

Degrees & Certifications

Dr. Brown earned his degree from Georgetown Dental School and completed residencies with Emory University Hospital for Dental Sleep Medicine and the ALF Appliance Therapy Institute.

Outside the Office

When not seeing patients, Dr. Brown is a sought-after speaker. He has lectured all over the world, including D.C., Dubai, Seoul, London, Norway and Toronto. He has also been featured on Channel 9’s Good Morning Washington, several podcasts, and numerous magazines and journals.

Professional Affiliations

Dr. Brown is a diplomate of the American Academy of Craniofacial Pain, a member of the American Academy of Dental Sleep Medicine, American Academy of Gnathological Orthopedic, Academy of Integrative Pain Management American Dental Association, a Fellow of the American Academy of Craniofacial Pain, and Legacy Provider for the ALF Interface Academy.

Do you have TMD or Sleep Apnea?

TMD Symptoms: Noise in the jaw joints when opening and closing your mouth, difficulty chewing, limited opening, tender facial muscles, ear ringing, uncomfortable bite, jaw locking, headaches, migraines, dizziness, vision issues as well as pain in the jaw area which can radiate to the ears, head, neck, shoulders, and back.

Sleep Apnea Symptoms: Snoring, waking up gasping for air, feeling tired and irritable in the morning, difficulty controlling weight, concentration problems, morning headaches, episodes of not breathing, waking with a sore throat, forgetfulness and mood changes. If you believe you may be suffering from TMD or Sleep Apnea, don't wait... Call today to schedule a consultation with Dr. Brown: 703-821-1103.

LaSondra Gray, CMLSO, CLA, CMA, MBA

Meet LaSondra Gray

LaSondra Gray, CMLSO, CLA, CMA, MBA is Northern Virginia’s hidden gem and expert in laser technology — from head to toe. She understands and knows the value and benefit that advancements in laser technology have on resolving multiple issues including the elimination of pain. This knowledge has proven invaluable to her as she has traveled the world, training multiple disciplines in the safety and efficacy of laser technology.

Her passion began over 20 years ago when she began working with some of the world’s most renowned dermatologists, plastic surgeons and pain management professionals. Her travels throughout the US and internationally allowed her to study under the surgeons and skincare experts from some of the top institutions in the world.

LaSondra has trained and lectured on the safety and efficacy of laser and soft tissue interaction. As a result, LaSondra has received accolades for her efforts in opening and expanding laser centers throughout the world.

She has paired her studies along with her own personal philosophy to become renowned for achieving true, positive, visible results — garnering her some of the most elite clientele in the area. She caters to people who seek exceptional results and services that support a natural, healthy look and lifestyle — today and tomorrow.

The Wellness Center At Reflections

Clients that follow the Wellness Center at Reflections research based program under the guidance and direction of Dr. Rahel Yirga are usually able to lose 3-5 pounds the first week and 1-3 pounds every week thereafter. Generally, with type 2 diabetics, we can assist in decreasing the amount of insulin use in 2-3 weeks. We can reverse disease and assist with ceasing medication in some cases.

We take a holistic approach to delivering outstanding results.. INSIDE and OUT!

Farangis M. Habib MD, MHSc, FAAP

For appointments contact: Milagros de Jesus, LPN

Falls & Herndon

Meet Dr. Farangis M. Habib

Farangis Habib, MD, MHSc, FAAP, is a dedicated Pediatrician at Virginia Pediatric Group, serving children in Great Falls and Herndon, VA. Born in Tehran, Iran, Dr. Habib earned her medical degree from Dow Medical College in Karachi, Pakistan, in 1981. She completed pediatric training in hospitals across Karachi, London, Dublin, and the USA.

Dr. Habib pursued public health training at Harvard and obtained a Tropical Medicine Certificate from Johns Hopkins in 2000. In 2001, she earned a Master of Health Science in molecular microbiology and immunology from Johns Hopkins.

After working in allied health fields for over a decade, she completed her Pediatrics Residency at Toledo Children’s Hospital and became boardcertified. She practiced in Ohio, Fredericksburg, and Reston before joining Virginia Pediatric Group in 2017.

A Graduate Fellow of the Andrew Weil Center for Integrative Medicine (2023), Dr. Habib is trained in mental health care for children and adolescents. She is a member of several professional organizations and speaks multiple languages, including English, Farsi, Hindi, Dari, and basic French and Arabic.

Dr. Habib lives in northern Virginia with her husband and enjoys chess, cooking, Persian poetry, calligraphy, and traditional music.

Bonnie has been in the healing arts from a very young age, starting with her family as a caregiver and coach. She mentored her family and friends before she ever knew what energy work was, she was providing natural healing at a very young age for her pets and family members. Through hard times and emotional times Bonnie has served as a vessel to all who needed her loving healing energy.

At a young age Bonnie’s love of dance, music, and all the healing arts sparked her curiosity to learn all she could in this area. This curiosity opened many doors for her as her journey introduced her to Reiki, various meditation techniques including Tai Chi, Acupressure, Aromatherapy, Sound Healing, and various different types of Yoga including Korean, Kundalini, Yen, Hatha, and Restorative..

Through the art of healing herself and others Bonnie has developed her own technique called YORIQI. This is a combination of specific yoga poses combined with reiki healing energy to balance your Qi energy. This technique is proprietary to Beyond Bonnie’s Hands.

Bonnie holds many certifications in various yoga and healing modalities with over a 1000 hours in training and workshops since 1981.

• Holistic Energy Facilitator

• YORIQI creator & instructor

• Reiki Master

• Animal Reiki

• Intuitive Message

• Medical Intuitive

• Acupressure practitioner

• Aromatherapy practitioner

• Sound Healing practitioner

• Tuning Fork therapy

• Crystal Singing Bowls

• Gongs

• Drumming

Karl A. Smith, DDS, MS

Meet Periodontist, Karl A. Smith, DDS, MS

Dr. Smith is a dentist who also specializes in treatment of gum disease, cosmetic smile enhancement procedures, and dental implants to replace teeth that are missing. Although no one likes to go to the dentist, he strives to make your visits as comfortable and pleasant as possible. He strongly believes that value and comfort is an important part of quality dental care.

The right to choose a dentist and provider of care is an important freedom. Referrals from patients and friends of the practice are welcome. We also work closely on referral from your family dentist, but a referral is not required to visit our office. Everyone that is interested in keeping their teeth for a lifetime should see a periodontist for screening.

Dr. Smith’s colleagues describe him as a gentle, easy-going person that provides expert care to patients. People come from near and far to experience the comfort of his office and patient-oriented team. He has been consistently voted by his peers a Top Dentist in Washingtonian Magazine , and Northern Virginia Magazine

WHAT TO EXPECT ON A VISIT

WITH DR. SMITH:

Dr. Smith says that “From the first phone call you will be treated with care and concern for your unique dental condition. Every question you have ever had about your dental health will be covered as well as any financial considerations you may have. It is my goal to care for each and every person that comes through my doors and to exceed your expectations from a dental office. I promise to always give you honesty and accuracy when it comes to your treatment. I will never start treatment without your full knowledge, understanding, and acceptance of your condition.”

Degrees, Training and Certificates:

Doctor of Dental Surgery Degree from the University of California, Los Angeles 1981. General Practice in the U.S. Air Force Dental Corps.. Successfully completed three additional years of advanced training in the specialty of Periodontics, Dental Anesthesia and Implants in 1992 at the University of Texas Health Science Center, San Antonio and Wilford Hall USAF Medical Center. Retired from the U.S. Air Force as a Lieutenant Colonel in 1996. Fellowship in the Academy of General Dentistry and in DOCS, a sedation organization for dentists.

Padmaja Yalamanchili, DDS

Meet Padmaja Yalamanchili

For over 18 years, Padmaja Yalamanchili, DDS, has been serving patients throughout Northern Virginia with her extensive dental expertise, personalized one-on-one care and state-of-the-art dental technology. She and the entire team at her practice Dr. Padmaja Yalamanchili, DDS, PC in Fairfax, VA are committed to helping patients achieve their healthiest, most beautiful smiles. She is wellreputed in the area, and she emphasizes on preventive dentistry.

Dr. Yalamanchili graduated with her Doctor of Dental Surgery degree from the New York University College of Dentistry in Kips Bay, Manhattan. This prestigious New York City institution is the third oldest dental college in the country and is a global leader in toptier dental care and innovation.

After earning her degree, Dr. Yalamanchili committed herself to serving patients throughout Northern Virginia with her clinical expertise and personalized care. She offers each patient her extensive knowledge and takes the time to customize a care plan to their specific oral health needs and smile goals. She serves patients of all ages through this tailored one-on-one approach. In fact, the rapport she builds with each patient leaves many fondly referring to her as “Dr. Y.”

Dr. Yalamanchili is a member of the American Dental Association, Virginia Dental Association, and Northern Virginia Dental Society.

Dr. Yalamanchili is fluent in English, Hindi, and Telugu. When she’s not serving patients, you can find her spending time with her husband and two children, cooking, reading, watching a Bollywood movie, or practicing Bikram yoga.

Featured Health

April Toyer, DDS, FAAPD

"Our #1 priority is our patient's well-being. We implement all the tools available to make sure you have a comfortable experience during your dental visit. While in the dental chair our patients will experience our modern decor and cutting edge technology. Patients will be able to relax with head rest pillows, blankets, noise cancellation headphones, nitrous oxide (laughing gas), and music or a movie of their choice during treatment. We also offer multiple forms of sedation dentistry, a massage feature on adult chairs, digital charts, and low-radiation X-rays."

Meet Dr. April Toyer

Dr. April grew up as an “army brat,” but resided many years in Bowie, Maryland. She attended the University of Virginia and received a degree in Biology and Bioethics in 2003. There she volunteered at the Charlottesville Free Clinic and developed a love for dentistry. Dr. Toyer attended dental school at the University of Maryland and took part in the Pediatric Dentistry Clerkship program. It was there that she met her husband, Dr. Leonard.

During her summers off from dental school, Dr. Toyer worked for the Department of Education to be surrounded by young smiles. After graduating from dental school in 2007, she attended Howard University for her residency in pediatric dentistry, which she completed in 2009. In her spare time Dr. Toyer enjoys writing, running, and playing the piano.

Dr. April believes that the prevention of dental disease is the best cure. She skillfully delivers restorative care utilizing child-centered behavior guidance and anxiolysis techniques as well as dental outpatient surgery under general anesthesia.

Dr. April became a Diplomate of the American Board of Pediatric Dentistry in 2011, which “certifies pediatric dentists based on standards of excellence that lead to high quality oral health care for infants, children, adolescents, and patients with special health care needs. Certification by the ABPD provides assurance to the public that a pediatric dentist has successfully completed accredited training and a voluntary examination process designed to continually validate the knowledge, skills, and experience requisite to the delivery of quality patient care.”

Leonard Toyer, DDS

Board-Certified General & Cosmetic Dentist

Visit our website to read what patients say about Dr. Toyer!

"Our #1 priority is our patient's well-being. We implement all the tools available to make sure you have a comfortable experience during your dental visit. While in the dental chair our patients will experience our modern decor and cutting edge technology. Patients will be able to relax with head rest pillows, blankets, noise cancellation headphones, nitrous oxide (laughing gas), and music or a movie of their choice during treatment. We also offer multiple forms of sedation dentistry, a massage feature on adult chairs, digital charts, and low-radiation X-rays."

Meet Dr. Leonard Toyer

Like Dr. April, Dr. Leonard Toyer grew up traveling as an “army brat.” His family finally settled down in Fairfax County Virginia in his teenage years. After high school Dr. Toyer went on to receive his undergraduate degree in biology from Hampton University. Always knowing he wanted to be a dentist, he next attended Virginia Commonwealth University to obtain his Doctorate in Dental Surgery in 2003. Wanting to increase his speed and proficiency in advanced dental techniques, Dr. Toyer then went to the University of Maryland to receive his two year certificate in Advanced General Dentistry, completed in 2005. There he practiced implant placement and restoration, rotary endodontics, hard and soft tissue surgeries, and cosmetic procedures in addition to general dentistry. Since the completion of this program he has been developing his craft as an associate dentist in the state of Virginia for the past seven years. He is an active member in the community where he volunteers his time at local clean-up programs and homeless shelters. He also is involved in youth programs, mentoring students, and participating in scholarship drives with the local chapter of his fraternity Alpha Phi Alpha. Dr. Toyer is committed to advanced education in his field. He has been trained by the Hiossen Advanced Dental Implant Research & Education Center to become proficient in implant placement and restoration.

Areas of Expertise:

• General, Cosmetic & Sedation Dentistry

• Sleep Apnea

• Gum Disease

• Root Canals

• Inlays & Onlays

• TMJ Treatment

• Dental Sealants

• Tooth Extractions

• Invisalign

• Teeth Cleaning

• Dental Mouth Guard

• Emergency Care

• Zoom! Whitening

• Dental Implants

• Crowns & Bridges

• Veneers & Laminates

• Tooth-Colored Fillings

• Dentures

To learn more about our dentistry services, schedule a FREE consultation online or call our office today: 703-499-9779

Featured Health Professionals

Marvette Thomas, DDS

Meet Marvette Thomas

Dr. Marv Thomas established the Dental Spa in 2002. She earned an undergraduate degree in Chemical Engineering and later worked as a Nuclear Systems Engineer for three years. Driven towards her passion, she graduated from Howard University College of Dentistry with honors and did an internship at Sloan Kettering Cancer Center in Manhattan, New York in Oral Cancer Reconstruction.

PROFESSIONAL MEMBERSHIPS

Fellowship in Sedation Dentistry, The American Dental Association, The Academy of General Dentistry, The Virginia Dental Association, The Northern Virginia Dental Society, The American Orthodontic Society, The Dental Organization of Conscious Sedation.

THE DENTAL SPA

The Dental Spa of Virginia has received several awards over the years and was one of the first Dental Spas worldwide and Dr. Thomas has helped other Dental Spas globally in becoming established. Dr. Thomas created this concept to take the fear out of dentistry and to transform the traditional ideas and perceptions of dentistry into a pleasant experience. The Dental Spa concept was written about on the front page of the Business section of the Washington Post in May 2007 for the unique services that it gives.

The Dental Spa is not only known for its tranquil environment and anti-anxiety atmosphere, but it is a state of the art modernized facility. It is where Feng Sui and technology comes together. When visiting our office, you will be greeted with sights, sounds, smells, taste and the feel of natural elements. But the operation of the facility does include many of the latest technology devices known in dentistry today to diagnose and treat our patients.

It's Never Too Late For a Straight Smile

When you hear the word “orthodontics,” what comes to mind? Probably a young teenager whose teeth are covered by a latticework of metal. There are indeed many orthodontic patients who fit that description. However, there now exists an increasingly popular alternative to traditional metal braces: Invisalign® clear aligners.

• Improved Oral Hygiene

• A Discreet Look

Scan this QR Code to instantly discover your new Invisalign smile!

For the month of November only, The Dental Spa is offering $800 OFF your Invisalign treatment. Call 703-580-8288 to learn more!

• More Dietary Choices Comfort SCAN THE

Dr. Gupta obtained his undergraduate degree in Neurobiology Physiology from the University of Maryland, College Park after high school. He stayed in the Baltimore area while attending the University of Maryland Dental School. Dr. Gupta furthered his training by spending one year at the Philadelphia Veterans Affairs Medical Center. There he received advanced training in all aspects of general and implant dentistry. Since that time, he moved to Virginia and now has a busy private practice in Springfield.

Dr. Gupta puts in a tremendous number of hours advancing his knowledge and stays current with advanced methods and materials through extensive continuing education, study clubs, and active association memberships.

Special Interests & Services

Invisalign (Certified Provider), Natural Looking Dentures, Partials and Dentures Relined and Repaired While You Wait, Bonding, Bridges, Crowns, Implants, Teeth Whitening and Veneers.

Professional Memberships

Dr. Gupta is an active member of the American Dental Association, the Virginia Dental Association, the Northern Virginia Dental Society, and the Virginia Millennium Study Club.

Practice Philosophy

When you visit our practice, you’ll find that our dental services extend well beyond the procedure itself. We try to educate our patients and provide all the necessary tools so that they are fully prepared to maintain their beautiful smiles for a lifetime. As in any field, Dental technology and techniques change rapidly to become more efficient and comfortable. Dr. Gupta and his team are frequently attending continuing education courses and seminars to remain in touch with the newest advances in dentistry. All patients deserve modern techniques, materials, and methods that are backed by research and clinical success! We believe that continually enhancing our education will allow for higher patient comfort, better preventive strategies, increased longevity of treatment, greater patient satisfaction, and a smile that is natural and healthy.

Hobbies & Personal Interests

Dr. Gupta was born and raised in Maryland.

He now lives with his wife and twin boys in Northern VA. Away from the office, Dr. Gupta enjoys photography, volunteer work and traveling. You can see some of his recent photographs displayed in the office!

(reg. $350) includes exam, cleaning (in absence of gum disease), and X-rays

Narjes Abtahi, DDS

With over 20 years of experience, Dr. Abtahi is committed to meeting patients’ needs. She accepts most insurances, offers a Wellness Plan for uninsured patients, and provides interest-free financing. Dr. Abtahi is known for her gentle, caring approach, helping ease dental fears, and uses advanced technology like 3D X-rays for precise treatments, same-day crowns, and intra-oral cameras for detailed assessments. Her specialties include cosmetic, orthodontic, restorative, implant dentistry, and root canals.

At Your Community Smile, we prioritize a positive, comforting experience for new patients and lasting relationships with all. Your first visit includes a thorough assessment and personalized dental plan. We focus on quality care, excellent service, and a relaxing environment.

Services:

General Dentistry

Cosmetic Dentistry

Restorative Dentistry

Implant Dentistry

Orthodontic Dentistry

Periodontal Services

Dental Technology

CLEANINGS & EXAMS

Regular checkups and cleanings prevent issues with teeth, gums, and TMJ, helping catch and manage problems early.

Cary T. Birkitt, DDS

Meet Cary T. Birkitt

Dr. Cary T. Birkitt, DDS, stands as a distinguished figure in cosmetic and restorative dentistry, known for his unique ability to blend precision and artistry in his practice. With over five decades of experience, Dr. Birkitt has elevated dental care to an art form, drawing parallels to the meticulous craftsmanship of Renaissance painters. At Birkitt Dental, he leads a team of skilled professionals dedicated to creating smiles that are not only healthy but also visually stunning. His approach emphasizes attention to detail and aesthetics, ensuring that every patient’s smile is a masterpiece. Dr. Birkitt’s journey in dentistry began with his graduation from the University of Tennessee Memphis College of Dentistry in 2007. Since then, he has devoted himself to refining his skills and expanding his knowledge in the field, always striving for excellence in patient care. His commitment to continuous learning and improvement is evident in the high-quality results he consistently delivers to his patients.

Residing in Leesburg, Dr. Birkitt enjoys a fulfilling life with his wife, Judi, and their son, Hunter. His dedication to his profession is matched by his love for his community and his family. Outside of the dental office, Dr. Birkitt finds joy in various hobbies, including biking, gardening, and music. These activities provide a wellrounded balance to his life, allowing him to recharge and bring fresh perspectives to his work.

Dr. Birkitt’s legacy is more than just a career in dentistry; it is a lifelong commitment to enhancing the lives of others through his passion for the art and science of dentistry. His work is a testament to his belief that a smile is more than just a reflection of good health—it is an expression of beauty, confidence, and personal well-being. Through his dedication, Dr. Birkitt continues to make a lasting impact on his patients, helping them achieve smiles that are both healthy and aesthetically pleasing.

Jacqueline D. Griffiths, MD

Meet Jacqueline D. Griffiths

Dr. Griffiths is one of this area's most experienced surgeons and offers stateof-the-art Laser Vision Correction, Cataract Removal, Multifocal Lens Implants, and Comprehensive Ophthalmology. She has helped thousands of patients who struggle with their vision. Her knowledge, compassion, and attention to detail are the reasons she was voted by her peers to be one of this area’s most elite physicians.

Degrees, Training & Certifications

Dr. Griffiths is a Board Certified Ophthalmologist. She received her undergraduate degree from Yale and her medical degree from the University of Michigan. She then completed her Ophthalmology residency at Georgetown University Medical Center.

Professional Memberships & Affiliations

Meet Claiborne M. Callahan

A native of Leesburg, VA, Claiborne M. Callahan, MD graduated with distinction from The University of Virginia in 1996. In 2000, she graduated from The University of Virginia School of Medicine. She completed her Ophthalmology Residency at Tulane University in 2004.

Prior to joining NewView Eye Center, Dr. Callahan was in private practice in Virginia, Florida, and Alabama. Her knowledge, experience and patientcentered focus allows her to spend quality time with each patient to diagnose, educate and treat them. She understands that patients have a choice with whom to entrust their eye care needs, and she prides herself on adhering to the highest ethical standards in the practice of medicine.

Dr. Griffiths is the immediate past Ophthalmology Section Chief of Reston Hospital Department of Surgery, the former Chief of Ophthalmology for the Reston Ambulatory Surgical Center in Reston, VA as well as Loudoun Hospital in Leesburg, VA, Diplomate of the American Board of Ophthalmology, a Fellow of the American Academy of Ophthalmology, a member of the American Society of Cataract and Refractive Surgery, the Washington National Eye Center and others.

Dr. Callahan has performed thousands of cataract surgeries, as well as laser, glaucoma and eyelid plastic surgeries. She has treated a myriad of eye conditions throughout her career. She is committed to ongoing education and stays current with diagnoses and treatments. She attends several educational and training meetings yearly to remain in the forefront of ophthalmology advancements.

She is a Diplomate of the America Board of Ophthalmology, a Fellow of the American Academy of Ophthalmology, and others.

• Custom LASIK & PRK

• Laser Cataract Surgery

• Multifocal Implants

• Annual Eye Exams

• Diabetes Management

• Glaucoma Management

• Laser Floater Removal

• Optical

• Eyelid Surgery

• Belotero

• Radiesse

Lynda Dean-Duru, DDS

About Lynda Dean-Duru

Dr. Lynda Dean-Duru pursues pediatric dentistry with a passion rooted in her fascinating personal story.

For Doctor Lynda, the pathway to dentistry started during her own childhood experience with a dentist’s impact in her native Nigeria. As the eldest of nine children (including seven brothers), she witnessed a total transformation in the health of one of her little brothers after his aches and pains were totally resolved under the care of a well-trained dentist. As a result of this transformative experience, young Lynda determined to extend that kind of care to others as her life’s calling. She went on to earn her dentistry degree from the University of Benin, her General Practice residency from Howard University Hospital, her Pediatric Dentistry Specialty Training from Children’s National Medical Center, Board Certification from the American Board of Pediatric Dentistry, and her Fellowship Laser Certification from the Academy of Laser Dentistry.

Doctor Lynda has undertaken much continuing education in Orthodontic training and is a fellow of the United States Dental Institute and a member of the prestigious Gnathos education group in Atlanta, Georgia. She holds a certification in Oral Myology from the International Association of Oral Myology (IAOM). She has completed levels 1 and 2 of the Advanced Light force functionals (ALF) therapy, ALF Interface Academy Foundations, Genesis, and other courses.

Doctor Lynda is part of an Integrative team of healthcare providers seeking to deliver optimal health to our pediatric population by education, awareness, and collaborative care. She also has a special interest in treatment that focuses on infants’ breastfeeding and prevention of sleep apnea in children.

She is a member of numerous professional and civic associations and provides tens of thousands of dollars in pro bono screenings and procedures along with other community service in Northern Virginia every year.

Krystle Dean-Duru, DDS

About Krystle Dean-Duru

Family dentistry has been a way of life for me, and the passion for caring for children is in my genes. My mother, Dr. Lynda Dean-Duru, also a pediatric dentist, was my first inspiration towards family dentistry. Having started my journey in family care working as a pediatric dental assistant at Ashburn Children’s Dentistry, I spent many summers as my mother’s mentee. Watching what seemed like magical healing art she deployed while treating her patients and knowing the need and the power of proactive preventive dental health for children, I chose a career specializing in pediatric dentistry.

It is an honor to join my mother in practice at Ashburn Children’s Dentistry where I get to fulfill my commitment to helping each child and parent have a positive and transformative dental experience, with compassion and fun! Having matured as an integrative laser pediatric dental surgeon and absorbing the ethos of Ashburn Children’s Dentistry, I work tirelessly to stay abreast of emerging research, and improve the quality of life for children by learning from the world’s leading researchers and clinicians. Through these means, we are continually integrating critical aspects of oral structure, craniofacial development, and its impact on the pediatric airway in the service of providing optimal patient outcomes. Caring for children is so powerful and rewarding and with that, understanding the importance of utilizing gentle and minimal intervention therapies. Treating the source of their issues—instead of the symptoms—and focusing on early prevention, has been critical to my role in educating parents and assisting their blossoming child’s development into a healthy and resilient adult.

I hold an undergraduate degree from Columbia University in New York, where I studied Psychology. I received a Doctorate of Dental Surgery from Virginia Commonwealth University in Richmond, Virginia and completed my Pediatric Residency at Interfaith Department of Dental Medicine in Brooklyn, New York, where I served in a leadership role as Chief Resident. Board certified, I am a proud Diplomate of the American Board of Pediatric Dentistry.

When not helping my young patients build happy smiles, I enjoy spending time with family and friends, growing in my faith, improving my dancing skills, learning boxing moves, traveling — and cheering on Washington sports teams!

“Dr. Krystle,” as she is known by her patients, is thrilled to join her mom, Dr. Lynda, in practice. Patients and parents compliment her fun, compassionate approach. They are also impressed by her commitment to helping each child and parent have a positive dental experience. Having matured as a dental surgeon, she is constantly working to enhance her capabilities in the field.

Women and Hair Loss

Hair loss can be a very emotional experience. In addition to the stress of hair loss, for females, many feel they are suffering through hair loss alone.

For many women losing their hair can be shocking, embarrassing and distressing. The emotional strain of hair loss can be unhealthy, not to mention traumatic in one’s day-to-day life.

According to the American Association of Dermatology (AAD), hair loss for women is common.

The facts:

• 30 million American women are affected by hereditary hair loss.

• Women actually make up 40% of American hair loss sufferers.

• In quality-of-life studies, women experiencing hair loss reported a higher incidence of behavior that

interfered with their daily lives including a significant loss of selfesteem, being introverted, feeling less attractive and tense feelings in public places.

• The average person loses 50 to 100 hairs per day.

The reality is, women suffering from hair loss are not alone and do not need to suffer in silence any longer. The advanced NeoGraft® technology has allowed skilled physicians to con-

Need Hair Restoration?

YOU decide.

Virginia Hair Transplant is excited to announce our newest offering, NeoGraft®. NeoGraft® introduces the “state-of-the-art” solution for hair loss. This game changing technology automates the Follicular Unit Extraction (FUE) method to give patients more natural looking results with minimal downtime, no linear scarring and no stitches.

• It is the least invasive procedure for hair transplantation

• Patients who receive NeoGraft® feel little to no discomfort

• No stitches or staples are used in the NeoGraft® procedure

• No unsightly linear scar

• No numbness where the donor hair is harvested

• Quick recovery time

• Natural looking results

• Less restrictions on your normal daily activities

• Patients can typically go back to work the next day

• Flexibility for any hair style of your choice, short or long

Washingtonian Top Surgeon | Fellowship Trained Cosmetic Surgeon

duct follicular unit extraction (FUE) with an advanced automated system that ensures precision, consistency and natural looking results.

The NeoGraft procedure is a discrete, minimally-invasive hair restoration solution. There is no linear scaring which allows patients the flexibility of any hair style, short or long.

On average, recovery times are quick and there are few activity restrictions following the procedure. A certified NeoGraft provider will be able to assess your specific needs in your initial consultation and determine if you are a good candidate for the procedure.

“The reality is, women suffering from hair loss are not alone and do not need to suffer in silence any longer.”

How the Procedure Works:

Step One: Donor Hair Removal. The procedure begins with hair being removed from the donor area in the back of your head where your hair is genetically programmed to resist testosterone.

Step Two: Separation Of the Follicular Units. Each graft is extracted with the same consistency in diameter and length, resulting in a dramatically increased take rate.

Step Three: Creation Of the Recipient Sites. Recipient sites are then created in the proper angle, direction and orientation according to the artistic hair transplant plan designed specifically for you.

Step Four: Placement Of the Hair Graft. The follicular units are then carefully separated by size. G rafts are transplanted into the balding and thinning areas of your scalp. Each graft is meticulously harvested as it naturally occurs and implanted individually to ensure the best results. So, if you are losing, or have lost, hair and want a great solution to replace it or thicken your hair, now is the time to look into NeoGraft.

Dental Implants FAQs

You can’t grow new teeth, but dental implants offer the next best thing if you’ve lost a tooth. A dental implant looks like a tiny screw and replaces the roots of a tooth. During a minor surgical procedure, your dentist creates a small opening in your jawbone and places the implant inside. Over the course of several months, the implant fuses to the bone, providing a secure foundation for the crown that will be placed on top of it. In some cases, you may receive a temporary crown the same day you receive your implant.

Replace Multiple Teeth – When you have more than one tooth missing,

implants provide an ideal replacement mechanism. You don’t even need one implant for every missing tooth. Instead, implant teeth can act as supports for fixed bridgework. For example, if you are missing three teeth in a row, we can place two implants, one on either side of the gap, and a crown in between that has no implant underneath. That way, you won’t need to use any of your remaining natural teeth as bridge supports, which could weaken them and make them more susceptible to decay.

Replace All Teeth Permanently – Implants can support an entire arch of upper or lower replacement teeth that are fixed into the mouth and are never removed. Sometimes the new teeth can be supported by as few as four implants. It’s comparable to the structure of a table, which only needs four legs to hold it up. In cases where jawbone density and volume have deteriorated, five or six implants might be needed to support a row of 10-12 teeth. Dental implant replacement teeth protect your jawbone, won’t slip, and should last a lifetime.

Aren’t Implants Expensive? –The initial costs of dental implants may seem high when compared to the Please see “Dental Implants,” page 46

What Is CEREC Dentistry?

CEREC stands for “chairside economical restoration of esthetic ceramics” and is a computer-aided design and manufacturing system for dentists. CEREC combines a camera, computer, and milling instrument into one machine allowing tooth restorations to be created in the dentist office, all within a single visit.

In 1985 Serona launched CEREC, which marked the beginning of digitalization in dentistry.

CEREC crowns are more efficient

and technologically advanced and have become the preferred option. While it can take weeks to receive a traditional dental crown, a CEREC crown uses computer-aided design (CAD) and computer-aided manufac-

Please see “CEREC,” page 46

We specialize in laser dentistry procedures that eliminate the need for drills, needles, or numbness. If you’re looking for a dental office that provides a stress-free & pain-free experience, look no further than Tysons Laser Center Dentistry!

8206 Leesburg Pike, #308

www.TysonsLaserDentist.com

• Teeth Whitening

ZINA ALATHARI, DMD

Dr. Zina Alathari is a graduate of Tufts University School of Dental medicine. In addition to her general dentistry training, Dr. Alathari takes continuing education each year in advanced clinical procedures and technologies. Her wide range of service to the public has given her experience to understad each patients individual needs.

Dr. Popli, AKA “The Laser Dentist”
• Over 20 years in practice
• 1st dentist in the Tysons area to utilize the Waterlase dental laser

to be in network with PPO plans: Delta Dental, MetLife, United Concordia, United Healthcare, Aetna, GEHA, CIGNA, Anthem, BlueCross BlueShield, United Healthcare, Guardian, Principal Ameritas, DentaQuest, Dominion Dental, Connection Dental, Himan, Assurant/Dental Health Alliances, Smiles for Children. Dr. Afreen Sayeed

Arlington Podiatry Center

Ingrown Nails

An ingrown nail is the result of a nail growing into the skin that surrounds it, and often occurs at either edge of the big toe. Improper trimming, inherited nail deformities, injuries, fungal infections, or pressure may cause ingrown nails.

The main symptom is pain at the tip of the toe. An ingrown nail can possibly lead to infection, inflammation, or a more serious condition. It is advisable to see a podiatrist who can determine the extent of your problem.

The podiatrist will examine the infected area, and will take blood tests, cultures, or x-rays if a more

Common Nail Disorders

severe problem is suspected.

If the nail isn’t infected, your podiatrist may trim the corner of it to help relieve your symptoms. He or she may need to remove one side of your nail back to the cuticle. The base of the nail is then treated to keep the ingrown part from growing back.

Severe infections or ingrown nails may require antibiotics and removal of a portion of the nail.

Thickened Nails

Abnormally thick or crumbling nails may be caused by injuries, pressure from shoes, fungal infections, or conditions such as diabetes, psoriasis, or vascular disease.

A thickening nail may appear ridged, brittle, or yellowish, and may even cause pain when pressure is applied to it. This type of nail disorder may be a symptom of an underlying medical condition.

If the nail is not infected, your podiatrist can thin the nail.

If a fungal infection is present, oral or topical anti-fungal medications may be needed.

Great Smiles At Any Age

Your smile is one of the first characteristics noticed by others and it is never too late to create a beautiful and balanced smile. A smile with beautifully aligned teeth will definitely make a better first impression.

Over the past several years adult orthodontic therapy has increased in popularity. Oral health awareness, longer life expectancy and higher quality of life play into this trend. A study conducted in March, 2010 by Michigan’s Wayne State University, concluded that people with bigger smiles may actually live longer.

Adults want and expect to preserve

their natural teeth and maintaining what we have has become more important than ever. According to the American Association of Orthodontics, from 1994 to 2004 there was a 37% increase in adult patients, and the percentage keeps increasing. Some famous adult orthodontic patients who improved their smiles include Tom Cruise, Kelly Brook, Diana Ross, Whoopi Goldburg, Dr. Joyce Brothers, Nicolas Cage, Venus Williams, Cher and the list goes on.

Tom Cruise got his braces when he was 40 years old and filming Minority Report. Check out his smile in Rain Man or The Firm and compare to post-braces Tom in Valkyrie or Tropical Thunder.

The biological process involved in tooth movement is the same in both adults and children. As long as the periodontium (supporting bone and gums) is healthy, teeth will respond to orthodontic treatment. With all the recent innovative advancements in orthodontics, wearing braces has never been easier.

The newer appliances greatly reduce discomfort, decrease the frequency of visits and shorten treatment time. Adults have many treatment options available

Black-and-Blue Nails

A black-and-blue nail is usually caused by sudden or repetitive injury to a toe.

Bruised, broken blood vessels cause the black-and-blue colors under the nail. If the condition is the result of a sudden injury, pain may be severe and an evaluation of your entire foot should be done. If pain is severe, the nail may be removed or a hole may be drilled in the nail to allow drainage, which

soaking or icing the area. If pain is not severe, you may not need treatment. Prevention of Nail Problems

Wearing the right shoes and trimming your nails properly can prevent many nail problems. Wear shoes that are supportive, roomy, and made of natural materials such as leather, which allow your feet to breathe. Trim your nails straight across without cutting down into the corners. To help avoid infection, keep your feet clean and dry.

CereC

turing (CAM) to create crowns in a single appointment. Not only that, but they allow for a better bite and more natural teeth for patients.

CEREC crowns fit perfectly. They look and feel like a real tooth thanks to computer-aided technology.

At your appointment, your dentist will use a small camera to create a 3D digital impression of your mouth. A milling unit is then utilized to create the ceramic crown. The dentist will then paint and glaze each tooth to match the rest of your mouth. Once this is complete, the dentist can bond the tooth into your

mouth in a matter of minutes. It’s that quick and easy.

The entire process should only take about two hours. The CEREC crowns are created with advanced accuracy and precision, look and feel like a real tooth, and every step of the process is much more comfortable for the patient.

You won’t need to wear a temporary crown or have uncomfortable impressions of your mouth taken. Plus, you will experience much less post-operative sensitivity. And don’t forget, you only need to schedule a single appointment.

Dental i mplantS

cost of bridges and dentures, but it’s important to consider the lifetime costs of each tooth replacement option. With proper care, your implant will last your entire life, while bridges and dentures may need to be replaced several times.

Dental implants offer several benefits that other replacement options don’t, including:

No Jawbone Loss – Your teeth roots constantly stimulate your jawbone and keep it strong. When you lose

From paGe 41

a tooth, the bone underneath begins to recede. Since dental implants take the place of your roots, you don’t have to worry about jawbone loss.

Better Chewing – If you choose dentures to replace lost teeth, you may not be able to eat certain hard foods. Eating isn’t a problem with dental implants.

Easy Care – You’ll care for your implants the same way you do your natural teeth. Infections are rare if you practice good oral hygiene.

HealtH y Smile S

a child’s health and development, impacting facial features, jaw development, and overall growth. Mouth breathing can set off a chain reaction of issues, altering the growth of the lower and upper jaws, midface, and nasal bones, ultimately affecting the child’s facial balance.

Pediatric Sleep-Related Breathing Disorders

(SRBD) and OSA

Symptoms

Children with SRDB may present a range of symptoms, including:

• Difficulty falling or staying asleep

• Sleepwalking, night terrors, and other parasomnias

• Excessive daytime sleepiness

• Mou th breathing, dry lips, bad breath

• Dark circles under the eyes

• Tonsil and adenoid problems

• Snoring

• Teeth grinding

• Bed-wetting

• Inner ear infections

• Limited tongue/lip mobility

• Hyperactivity

• Difficulty concentrating

• Selective eating habits

• Bedwetting

In the case of pediatric OSA, symptoms may involve snoring, breathing pauses, restlessness, and coughing

or choking episodes during sleep. Dentist’s Role

Contrary to conventional belief, pediatric dentists with specialized training are well-equipped to address symptoms related to sleep and airway conditions. The airway, mode of breathing, and malocclusion are closely interconnected and should be addressed early and holistically by dentists. Advanced technology, such as cone beam 3D imaging, allows dentists to effectively diagnose airway issues and guide proper growth and development. Early intervention is essential in guiding proper growth and development.

Convenient at-home sleep study tests are now available to diagnose pediatric sleep apnea and breathing issues. These tests provide comprehensive, accurate data for proper diagnoses.

Treatment goals encompass the elimination of detrimental habits, guiding optimal cranial, jaw, and facial development, preventing dental misalignment, and enhancing airway health and oxygen sufficiency. Various therapies, including oral appliances, myofunctional therapy and positive airway pressure therapy, can effectively alleviate symptoms.

pearance and mental health is welldocumented. Feeling good about how we look can significantly impact how we feel about ourselves overall. When individuals address cosmetic concerns with their teeth, they often report a more positive body image, which can contribute to a healthier state of mind.

Cosmetic dentistry not only improves the physical appearance of teeth but also provides an emotional uplift. Patients are more likely to embrace their full appearance and experience fewer insecurities, promoting better mental health and a more positive outlook on life.

Long-Term Psychological Effects

In the long term, the psychological benefits of cosmetic dentistry can be life-changing. Enhanced selfesteem, reduced anxiety, and improved social interactions can lead to a happier, more fulfilling life. People who

feel good about their appearance are more likely to take care of their overall health, both physically and mentally.

The journey to improved dental aesthetics can also promote feelings of accomplishment and pride. Seeing the transformation unfold can be incredibly rewarding, reinforcing the value of self-care and personal investment in one’s well-being.

Cosmetic dentistry goes beyond aesthetics. It has the potential to transform lives by improving how individuals look but also how they feel about themselves. From boosting self-confidence to alleviating anxiety, the psychological benefits of cosmetic dental treatments can lead to improvements in mental and emotional health. By investing in their smiles, patients often unlock a level of self-assurance, allowing them to live life to the fullest.

Great Smile S

now. Modern metal braces are smaller in size, less visible and more hygienic.

Aesthetic clear braces and lingual braces are another very popular option. Some patients may even be candidates for treatment with Invisalign.

So if you are an adult with orthodontic needs, don’t wait. To learn more, call an orthodontist experienced in all the newest innovative technology. Most orthodontists offer complimentary consultations.

HEALTH DIRECTORY

ACUPUNCTURE

Wholelife Chinese Medicine & Acupuncture, 301-526-9898, 416 Hungerford Dr., Rockville www.WholelifeHerb.com

BEAUTY & SKIN CARE

Healthydermis 571-502-0202 www.MyHealthydermis.com. Locations in Oakton and Gainesville, VA.

COSMETIC SURGERY

Bitar Cosmetic Surgery Institute. George John Bitar, MD, 703206-0506 (VA, DC, MD) COUNSELING

Loudoun Counseling & Coaching, LLC, 21155 Whitfield Place, Suite #202, Sterling, VA. 571375-0668, www.LoudounCounselingCoaching.com

DENTAL CARE

Richard Hughes, DDS, 703-4441152, 46440 Benedict Drive Suite 201 Sterling, VA. www.SterlingImplantDentist.com

Dental Dynamic Wellness, 703-775-0002, 20755 Williamsport Place, Suite #300, Ashburn, VA 20147. For more info please visit our website today at www.DynamicDentalWellness. com.

Karl A Smith, DDS, 2550 N. Van Dorn Street, Suite #128 Alexandria, VA. Call 703-894-4867. Visit www.DrKarlSmith.com

DENTAL CARE

Lifetime Dental Care, April Toyer, DDS, 14573 Potomac Mills Road, Woodbridge, VA 22192. 703-499-9779 www.LifetimeDentalCareVA. com

Let’s Smile Dental – Fairfax, VA

703-719-5828 – Fredericksburg, VA 540-785-4494 – Herndon, VA 703-719-5828 – Faifax Cosmetic Dentistry 703-9684300 – Alexandria, VA

703-658-3000 – Reston, VA

703-719-5828 – Centreville, VA 703-719-5828 – Purcellville, VA 540-338-9400 – Springfield, VA 703-719-5828 – LetsSmile.com

Samfar Dentistry – 11213 Lee Highway, Suite A, Fairfax, VA 22030 – 703-591-4111 – SamfarfamilyDentistry.com

Ike V. Lans, DDS – 44110

Ashburn Shopping Plaza, Suite #166, Ashburn, VA 20147 – 703729-1400 – LansFamilyDentistry.com

Smile Wonders – 11790 Sunrise Valley Drive, Suite #105, Reston, VA 20191 – 571-350-3663 – www.SmileWonders.com.

The Dental Spa – 12351 Dillingham Square Woodbridge, VA 22192 – 703580-8288 – www.TheDentalSpaOfVirginia.com

DERMATOLOGY

Hema Sundaram, MD. Dermatology, Cosmetic & Laser Surgery Fairfax. 703-641-9666 also in Bethesda/Rockville.

HAIR RESTORATION

Bravadas Wig & Hair Restoration – 10560 Main Street, Penthouse #12, Fairfax, VA 22030 – 703-352-4247 – www. bravadas.com

HYPERBARIC & WOUND CARE

Holistic Family Health - Thermal Imaging, Herndon, VA. 703-6356324 For More information visit www.fhtid.com

LAW OFFICE

Samakow Law – Paul Samakow – 833-MY-BURNS – www. nationalburnattorney.com

NEUROLOGY

Loudoun Neurology Associates, PC – 703-729-1900 – 19420 Golf Vista Plaza, Suite #340, Leesburg, VA 20176 – www. loudounneuro.com

OPEN MRI

Washington Open MRI, Inc. – 866-674-2727 – WashingtonOpenMRI.com – Rockville, Oxon Hills, Chevy Chase, and Owings Mills.

Order Information: 3 line listing $30.00 for 6 months, $5.00 for each additional line. 10 line listing for 6 months is $65.00. (Each line approximately 3-4 words)

To Order: Include you NAME, ADDRESS, PHONE, EMAIL AND WHAT HEADING YOU WISH TO BE LISTED UNDER, AND ANY SPECIAL OFFER OR TEXT TO INCLUDE. We will prepare a proof and email to you for approval.

Email your information to: info@yourhealthmagazine.net or Fax to: (301) 805-6808. Call (703) 288-6805 for assistance.

NORTHERN VIRGINIA EDITION

MARYLAND/WASHINGTON, DC OFFICE

4201 Northview Drive, Suite #401, Bowie, MD 20716

phone: (301) 805-6805 • fax: (301) 805-6808 • email: Info@YourHealthMagazine.net VIRGINIA OFFICE phone: (703) 288-3130 • fax: (703) 288-3174 • email: Publish@YourHealthMagazine.net

OPHTHALMOLOGY

NewView Laser Eye Center, Jacqueline D. Griffiths, MD. Reston 703-834-9777 or 800-294-1001 For more information visit us at www.NewViewEye.com

ORTHODONTICS

All Smiles Orthodontics. 9010 Lorton Station Bouleard, Suite #260, Lorton, VA 22079. www.AllSmilesBraces.com. For nore information call us at 703-337-4414

PLASTIC SURGERY

Bluemont Plastic Surgery – 8316 Arlington Boulevard, Suite #630, Faifax, VA 22031 – 703-5961660 – www.bluemontmd.com.

PODIATRY

Arlington Podiatry Center, Edward S. Pozarny, DPM – 703820-1472 – Arlington, VA.

SENIORS

Chevy Chase Home Care. Help at time you need it most. Any Ages. Any situations. Any shifts. MD, DC, VA. 202-374-1240 www.CHCHHomecare.com

SLEEP & TMJ THERAPY

Sleep & TMJ Therapy – 2841 Hartland Rd., #301, Falls Church, VA 22043 – www. Sleepandtmjtherapy.com – 703821-1103.

Heel pain is a common condition that can significantly impact daily activities and overall quality of life. It can stem from various causes, ranging from simple overuse to more complex medical conditions. Understanding the underlying reasons for heel pain, along with appropriate treatment and preventive measures, can help individuals manage this discomfort effectively.

Common Causes

Of Heel Pain

Plantar Fasciitis: This is the most frequent cause of heel pain. It involves inflammation of the plantar fascia, a thick band of tissue running across the bottom of the foot connecting the heel bone to the toes. It typically causes stabbing pain that is worse in the morning or after periods of inactivity.

Heel Spurs: These are bony growths on the underside of the heel bone. Heel spurs are often associated with plantar fasciitis, but they can also occur independently. They result from long-term strain on muscles and ligaments and are common in athletes.

Achilles Tendinitis: This condition involves inflammation of the Achilles tendon, which connects the calf muscles to the heel bone. Overuse, particularly in sports, can lead to Achilles tendinitis, causing pain at the back of the heel.

Bursitis: Inflammation of the bursa, a fluid-filled sac that acts as a cushion between bones, tendons, and muscles, can cause heel pain. Heel bursitis often results from repetitive stress or overuse.

Stress Fractures: These are tiny cracks in the heel bone caused by repetitive force, often from overuse, such as running long distances. Stress fractures can cause severe pain and require a significant period of rest for healing.

Treatment Options

The treatment for heel pain depends on the underlying cause but generally includes a combination of home remedies, medical treatments, and sometimes surgical intervention.

Rest and Ice: Giving the heel adequate rest and applying ice can reduce inflammation and pain. It’s crucial to avoid activities that exacerbate the pain.

Understanding Heel Pain Causes, Treatment, and Prevention

Stretching Exercises: Regular stretching of the calf muscles and the plantar fascia can help relieve tension and improve flexibility, thereby reducing pain.

Proper Footwear: Wearing shoes with good arch support and cushioning can prevent and alleviate heel pain. Orthotic inserts can also provide additional support.

Medications: Over-the-counter pain relievers, such as ibuprofen or naproxen, can help reduce pain and inflammation. In more severe cases, doctors may prescribe stronger medications or corticosteroid injections.

Physical Therapy: A physical therapist can design a program

tailored to strengthen the muscles around the foot and ankle, improve flexibility, and reduce pain.

Surgery: In rare cases, when conservative treatments fail to alleviate heel pain, surgery may be necessary to correct the underlying issue, such as removing a heel spur or releasing the plantar fascia.

Prevention Strategies

Preventing heel pain involves adopting several proactive measures:

Maintain a Healthy Weight: Excess weight puts additional stress on the heel and can lead to conditions like plantar fasciitis. Maintaining a healthy weight through diet and exercise can mitigate this risk.

Warm-Up and Cool Down: Properly warming up before exercise and cooling down afterward can help prevent injuries that lead to heel pain.

Gradual Increase in Activity: Avoid sudden increases in physical activity intensity. Gradually building up the intensity and duration of exercise can help prevent overuse injuries.

Proper Foot Care: Keeping the feet healthy through regular stretching, proper hygiene, and addressing minor issues promptly can prevent more serious problems.

Use Supportive Shoes: Invest in quality footwear that offers proper support and cushioning, especially if you stand or walk for extended periods.

Our Care for You Is More Than Skin Deep…

Exilis Ultra, Botox, Dysport, Jeuveau, Xeomin, Juvederm, Restylane, Radiesse, Belotero, Sculptra, Platelet-Rich Plasma, Hair Restoration, Fat Grafting, Fraxel, Ulthera,

Your skin is the largest organ in your body and, together with your hair and nails, the mirror of everything that’s happening internally. After over twenty years as a fellowship-trained, Board Certified dermatologist and as a cosmetic surgeon, I am completely convinced of the positive effects of integrating medical and cosmetic treatments to balance how you look with how you feel. When that balance is missing or has been lost with age, how we look doesn’t represent who we really are inside. Others may assume that an older, stressed or worried appearance means a lack of ideas, energy and creativity. This impacts us both personally and professionally. The greatest joy of my profession is restoring the inner-outer balance for the women and men who consult me. They find it an exhilarating experience to look in the mirror, and love the reflection that’s looking back.

My team and I offer you breakthrough technology, advanced science and true artistry in a warm, compassionate and emotionally intelligent environment. We stay on the cutting edge, serving as national research and training centers - in many cases, the only centers in the mid-Atlantic and East - for expert treatment of skin, hair and nail conditions and state of-the-art techniques including lasers, fillers, Botox, fat grafting, platelet-rich plasma (PRP), chemical peels, liposuction and body contouring and vaginal rejuvenation.

My mission in my North American and global research is to elucidate the scientific basis of new and emerging technologies, and how this science can be applied to achieve the best and safest procedural outcomes. As a Principal Investigator for studies of new technologies, a national and international teacher of dermatologists and plastic surgeons, and one of a handful of experts serving as an advisor and director of advanced medical education programs, I’m confident that you will achieve the best possible results when you entrust your face and body to our hands. As a daily practitioner of yoga, I understand the value of a holistic approach.

Above all, my team and I promise to give you straight answers. We’ll steer you through the hype and jargon, and help you restore the inner-outer balance that empowers us in every aspect of our lives.

Dr. Hema Sundaram, MA, MD, FAAD • Board Certified in Dermatology

• Fellow and Visiting Professor for the American Society for Dermatologic Surgery (ASDS) • Fellow of the American Academy of Dermatology.

• Premier medical training at Cambridge University (England), University of Chicago and NIH.

• Internationally recognized physician teacher, researcher and author.

• International Speaker and Course Director at Dermatology and Plastic Surgery Academies.

• International Physician Trainer and Advisor.

• North American Chairperson of the Global Aesthetics Alliance and Global Aesthetics Consensus Group for Procedural Safety.

• Author of book chapters and scientific papers in plastic surgery and dermatology academy journals.

• Author of “Face Value: The Truth About Beauty and a Guilt-Free Guide To Finding It” - selected for the National Press Club Authors’ Night.

• Quoted as an expert in leading publications including The New York Times, USA Today, Prevention, Good Housekeeping, Allure, Marie Claire, Essence, Cosmopolitan, Self and Woman’s World.

• Medical Advisor to Fitness magazine and for tv and radio shows.

• Charities supported include Skin Cancer Foundation, Breast Cancer Awareness and The Leukemia & Lymphoma Society.

Dr. Hema Sundaram, MA, MD, FAAD
Expert French Cannulas for Safe and Bruise-Free Filler Injections

Turn static files into dynamic content formats.

Create a flipbook
Issuu converts static files into: digital portfolios, online yearbooks, online catalogs, digital photo albums and more. Sign up and create your flipbook.