Maryland December 2025 Edition

Page 1


Brent C. White, Jr., DDS Dentures & Implants Briana Walton, MD Female Medicine
A. Smith, DDS General Dentistry
Mary B. Alexander, DDS DMSC – Periodontist Erin Hays, MD Urology
Janice Trent, AuD Audiology
Jeffrey L. Brown, DDS TMJ & Sleep Apnea Treatment
Robin R. Robinson, AuD Audiology
Sivakumar Sreenivasan, DMD Oral and Maxillofacial Surgeon
Toni Greene, Owner Hypnosis and Yoga
Philip S. Schoenfeld, MD Facial Plastic Surgeon

– State-of-the-Art Equipment

– Laser Periodontic Therapy

– Affordable Gum Treatment

– Insurance Accepted & Filed

– Ultra-Sterile Environment

– No Referral Needed

– Comfortable Sedation Dentistry

Our patients mean the world to us, and many have trusted Dr. Smith for decades. Our team is always fully committed to making every visit comfortable, gentle, and pain-free. Our goal is to provide exceptional periodontal and implant care that has been the hallmark of Dr. Smith’s practice for many years.

You deserve the very best! Call today to secure your first visit on your journey to total health, wellness, and aging beautifully.

In the United States this year, 700,000 people and one out of every four post-menopausal women will suffer from a painful bone injury called a vertebral compression fracture. This common type of bone injury results in the collapse of a vertebra, a type of bone that makes up the spine. Although there is a safe, effective, and minimally invasive therapy available, two-thirds of these fractures fail to be diagnosed. This is unfortunate, as missing this condition can result in under-treated pain, limitations on daily activities, breathing problems, and dependence on dangerous pain medications.

Kyphoplasty Treatment For Spinal Compression Fractures

Bone density in both women and men starts to decrease after age forty, but the loss of density greatly accelerates after women enter menopause and can progress to osteoporosis, a disease characterized by very low bone density. Although most compression fractures occur in patients with osteoporosis, one-third of vertebral compression fractures occur in patients without osteoporosis.

If a fracture occurs suddenly, patients can experience sudden severe back pain that often wraps around the sides and is felt in the chest. Because

of this, it is sometimes confused with diseases of the heart or the lungs. The pain is often worse when standing, sitting-up, or walking around. If very severe, the patient can have trouble breathing.

Patients who have symptoms of a fracture should see their doctor for evaluation. After an examination that suggests a vertebral compression fracture, they will often be sent for an MRI. This imaging shows the level of the fracture and also reveals whether it is old or new. Some doctors treat compression fractures with pain medicine,

Do Something About Your PAIN

physical therapy, and bracing. However, many cases continue to cause severe pain and long-lasting health effects unless treated more definitively. Unfortunately, many patients and physicians are not aware that there is a minimally invasive procedure called kyphoplasty that can quickly, safely, and effectively treat a patient’s pain without the long-term use of opioids and other pain medications.

If an acute compression fracture is present on an MRI, a patient should be referred to a pain management physician or another physician who performs kyphoplasty. This procedure can often be performed in a doctor’s office, preventing the need for an overnight stay in a hospital. On the day of the procedure, the patient is given a medicine to relax and then is asked to lie on their belly. An x-ray machine is then used to locate the fractured bone and a narrow tube is placed into it through a very small opening in the skin. A small balloon is inflated within the bone to create a small space and the fracture is then filled with bone cement. The entire procedure can take as little as 45 minutes. Many patients feel immediate pain relief and are able to return to their daily lives the day after the procedure. However, some patients may take a week or longer to feel better.

Kyphoplasty most successfully reduces a patient’s pain within two weeks following a fracture. Unfortunately, if the window of opportunity is passed, the pain can become more challenging to treat and further complications can occur.

If you think you or someone you care about is experiencing symptoms of a vertebral compression fracture, be reassured that there are safe, effective, and minimally invasive therapies available. Schedule an initial pain evaluation at Georgetown Pain Management to determine if you’re eligible for kyphoplasty or other pain therapies. Most insurances are accepted and new patient evaluations are currently being scheduled. As awareness of this condition increases and more patients are offered kyphoplasty as a minimally-invasive therapy, it is hopeful that fewer patients will have to live with the severe pain that results from vertebral compression fractures and can return to their full lives more quickly and comfortably than before.

Netsere

GOOD HEALTH NUTRITION SERVICES:

Saving Lives Through Education and Empowerment

Tired of diets that leave you hungry, weak, and right back where you started? Weight loss is not a punishment. It’s a learned behavior. You don’t need quick fixes — you need real change. No more crash diets.

Crash diets may promise fast results, but they come at a cost:

Nutrient Deficiencies – Low Energy – Muscle Loss Slower Metabolism – Weight Regain

• Learn Sustainable Habits that Last

• Eat smart — no starving

• Move consistently — not obsessively

• Build daily routines — not temporary willpower

You can nourish your body while burning fat — the right way.

You can feel stronger, not just smaller. Start today. Fuel your goals. Change your life.

In This Edition…

The articles below are provided by local health professionals for the benefit of the public. Please contact them for advice and services.

4 | Kyphoplasty: Treatment For Spinal Compression Fractures | By Netsere Tesfayohannes, MD, ABA, ABAP

8 | How To Find the Best Kidney Stone Specialist | By Erin Hays, MD

10 | Rest, Rhythm, and Relationships Of the Holidays, Into the New Year | By Linda Penkala, Author, LMT 11 | Train. Certify. Save Lives — With CRH BLS Services | Submitted By CRH BLS Services

12 | Your One-Stop Solution For a Healthy Smile | Submitted By Total Dental Care

14 | Temporomandibular Joint Disorder Affects Your Entire Body | By Jeffrey L. Brown, DDS

16 | All-On-Four Dental Implants | Submitted By Sivakumar Sreenivasan, DMD, MDS

17 | Midlife Weight Gain? Check Your Thyroid | By Milca Kaplan, NP

18 | Do You Have Plantar Warts? | By Howard Horowitz, DPM

19 | Helping Kids Enjoy the Holidays – Without the Tummy Troubles | By Ahmet Aybar, MD

21 | The Holidays Getting Well and Staying Well | By Alan Weiss, MD

22 | Embracing Holistic Dentistry For a Healthier Smile and Body | By Gena Schultheis, DDS

24 | Chiropractic Can Help With Stress | By Alicia Kovach, DC

24 | Your Personal Environment Influences Your Weight | By Etwar McBean, MD, FACS

25 | A Healthier Holiday Starts In Your Mind | By Dr. Tiffany Daniel

25 | A Journey Of Healing | Submitted By Elon Roshell Day Spa & Health

26 | Keep the Happy In Your Holidays | Submitted by New Day Vitality Hormone Center

26 | How Medical Cannabis Can Calm Holiday Stress | By Sharron Sample, CEO

27 | Healthy Holiday Treats For Your Pets | By Julia Brewer, Owner

30 | Does Fluoride Lower the IQ? | By Elizabeth Shin, DDS

31 | Chiropractic Care For Herniated Discs | By Willian Baca, DC

33 | Stop Chasing Symptoms: A Root-Cause, Integrative Path To Real Healing | By Andrew Wong, MD

34-45 | Healthy Holidays plus New Year, New You! Featured Professionals

45 | Hearing Loss and the Holidays | By Sherrie Hunt, Hearing Instrument Specialist

48 | How Counseling Can Help You Face Important Anniversaries When Grieving | By Jennifer Ward, LMSW

52 | Sleep During the Holidays: Protecting Your Rest | By Annapolis Asthma, Pulmonary & Sleep Specialists

52 | Poor Circulation in Feet: Part Two | By Ademuyiwa Adetunji, DPM

53 | Panic Disorders | By Joyce Abramson, RNMS

53 | Acupuncture and Seasonal Depression | By Brittney de Vicq, MAc, LAc

58 | Chinese Acupuncture For Shoulder Pain | By Quansheng Lu, CMD, PhD, LAc

58 | Healthy Resolutions For Your Family | By Janet V. Johnson, MD

59 | The Silent Dental Disease | Submitted by E. Taylor Meiser, DDS

59 | The Holiday Season and Colds | Submitted By Kensington Pharmacy

Meet Your Local Health Professionals

Your Health Magazine is on a mission. There are far too many people, insured or not, who do not go to the doctor when they should, and in millions of cases, don’t know who they should go to, or why.

People are encouraged to buy a new house, car, cell phone or big screen TV, and those companies make themselves very visible and their products easily attainable.

Information about, and from, local healthcare providers is not easy to find, and many times those services are difficult to access.

Information and encouragement always lowers fear and trepidation about anything, and this is especially true in healthcare. While general information is available on web-sites, specific information from local providers is almost impossible for people to find. This is one of the key reasons chronic and episodic conditions are not cared for. It is our mission to:

Make A Difference By Empowering and Encouraging People To Live Healthier By Going To the Doctor When They Should.

There is a lot of evidence that the health professionals who participate in Your Health Magazine have helped many people over the years. We at Your Health Magazine salute you!

G. Scott Hunter, Editor-in-Chief

If you would like to find out how you can participate in one of our upcoming editions, please contact the office nearest you.

MARYLAND & WASHINGTON, DC OFFICE One Town Center 4201 Northview Drive, Suite 102 Bowie, MD 20716 Office (301) 805-6805 • Fax (301) 805-6808 info@yourhealthmagazine.net

VIRGINIA OFFICE Office (301) 805-6805 info@yourhealthmagazine.net © Your Health Magazine, 2025. The magazine and all of its contents are protected by copyright. For permission to reproduce any materials in this magazine, contact info@yourhealthmagazine.net.

The content in Your Health Magazine and provided on yourhealthmagazine. net is for informational and educational purposes only and is not intended as a substitute for professional medical advice, diagnosis, or treatment. Always consult with a qualified healthcare provider before starting any exercise program, making changes to your health routine, or acting on any health-related information found on the Internet, or anywhere else.

At the Minimally Invasive Vascular Center (also known as MIVC) we have long been committed to addressing the vascular devastation that is rampant in our community. Each year cardiovascular disease is the world’s largest killer; killing more Americans than cancer. If you have painful legs, wounds that won’t heal, varicose veins, leg swelling, history of smoking, or have a family history of vascular problems and/ or are over the age of 50, you may suffer from poor circulation. Poor circulation may be responsible for causing erectile dysfunction in as much as 50 to 70 percent of men who develop the condition. Now we are happy to add expanded services! Our goal is to extend the healthy lifespan of our patients by using a comprehensive, integrative approach to achieve the most effective results. We believe that Beauty Is a Reflection of Health and Wellness. We want you to be as beautiful on the outside as you are healthy on the inside.

• Primary Care

• Wound Care

• Comprehensive Weight-Loss (including injectables)

• Aesthetics

• Age Spots

• Cellulite

• BOTOX® Cosmetic

• Fillers

• Microneedling w/PRP and Exosomes

• PRP Hair Restoration

• Spider Veins

• Body Contouring

• CoolSculpting

• Laser

• CoolTouch Laser

• Laser Hair Removal

• Laser Pigment Removal

• Laser Skin Resurfacing

• Laser Skin Tightening

• Skin Treatments

• Acne Scars

• PRP Injections

• Chemical Peels

• HydraFacial

• Microdermabrasion

• Sun Damage

• Vascular Procedures

• Arteriograms

• Atherectomy

• Balloon Angioplasty

• Radiofrequency Ablation – Veins

• Venogram

• Uterine Fibroid Embolization

• Coil Embolization

• Sexual Enhancement

• Hormone Therapy

• Gainswave

• P-shot/O-shot

Kidney stones are one of the most painful and common urologic conditions, often causing intense discomfort and, if untreated, serious complications. Finding the right kidney stone specialist is essen-

How To Find the Best Kidney Stone Specialist

tial for effective treatment and prevention.

Why You Need a Urologist

Kidney stones differ in type, size, and location. While small stones may pass naturally, larger or lodged stones often require medical intervention. A kidney stone specialist (urologist) can provide an accurate diagnosis, tailored treatment, and preventive strategies to reduce recurrence.

When To See a Specialist

If you experience any of the fol-

lowing symptoms, seek immediate evaluation:

• Severe pain in the back, side, or abdomen

• Blood in urine (hematuria)

• Painful or burning urination

• Frequent urge to urinate in small amounts

• Inability to urinate, which may indicate a blockage

Prompt care can prevent infection, kidney damage, or worsening pain.

Innovative Treatments

Choosing the Right Urologist

Selecting an experienced specialist ensures better outcomes. Keep these factors in mind:

1. Expertise and Experience

2. Advanced Technology, such as:

• CT scans and ultrasound for accurate imaging

• Laser lithotripsy and shockwave therapy for non-invasive stone removal

• Endoscopic procedures for stones lodged in the urinary tract

3. Personalized Care

4. Accessibility and Communication

Treatment Options

Treatment depends on the size, type, and location of the stone:

• Conservative Care

• Shock Wave Lithotripsy (SWL)

• Ureteroscopy

• Percutaneous Nephrolithotomy (PCNL)

• Open Surgery

Preventing Future Stones

Prevention is key to long-term kidney health. After treatment, your urologist may recommend:

• Staying hydrated to maintain clear urine

• Reducing salt and animal protein intake

• Balancing calcium levels appropriately

• Limiting oxalate-rich foods such as spinach, beets, and chocolate Medication may also be prescribed to lower the risk of recurrence.

When To Seek Emergency Care

Contact your doctor or visit the ER if you experience:

• Unrelenting or severe pain

• Fever and chills (possible infection)

• Persistent nausea or vomiting

• Inability to urinate

Living With Kidney Stones

With proper treatment and preventive care, most patients fully recover and live normal, healthy lives. Regular follow-ups and adherence to your urologist’s advice can help detect new stones early and preserve kidney function. Kidney stones can be debilitating, but expert care makes all the difference. Choosing a knowledgeable, communicative, and experienced kidney stone specialist ensures safe treatment, faster relief, and long-term prevention—helping you regain comfort, confidence, and control over your health.

Rest, Rhythm, and Relationships Of the Holidays, Into the New Year

Imagine entering the holidays with a calm, exciting feeling – not ushered in by dread or disdain, but with a peaceful sense that you are in control! Researchers share that December is the most stress-filled time of the year, but if you embrace resilience, the outcome is sweet! Here are

Rest

Americans have dropped 1-2 hours of daily sleep over the last century, and sleep is critical for a strong immune system. Being mindful of reducing blue light and LED exposure before sleep, improves deep sleep. Additionally, maintaining a 60–68-degree temperature and

having a very dark bedroom can aid in melatonin secretion. Calming and quieting your heart at night with gentle music, applying or smelling lavender or cedarwood oils, and enjoying Box Breathing are a trio of holistic heart health tools. Before bed, favorite herbal teas of chamomile or Sleepytime help soothe the mind/body connection.

Relationships

Optimum Health for Life

Linda Penkala, Author, LMT, Holistic Healthcare Presenter, and Wellness Catalyst shares her passion and heart for holistic lifestyle choices through:

• Keynote Presentations

• Massage Therapy

• Aromatherapy

• Book Signings

• Breathwork for Healing

• Her book, The Pause to Relax, A Woman’s Guide To Robust Heart Health

In the hustle and bustle of work, holiday parties, and family gatherings, a compassionate community need, may help neutralize stress by assisting others. Suppose children are in the equation; an even better way to teach them by empowering others who may need help during the holidays and beyond. Friendships are critical to heart health for men and women, but in different ways. Women bonding in laughter, joy, and sincere passion are blessed with less cortisol (stress hormone) and more oxytocin (happy hormone), thereby lessening CVD risks. Men, on the other hand, may be suffering from a “friendship recession,” as an American survey indicates their fewer social connections are impacting health and happiness. Being intentional in reaching out for that “human medicine connection” is ever essential now, with hugs and smiles.

CORPORATE OR COMMUNITY PRESENTATIONS:

• Wise Self Care for Life

• Nine Pillars to Prevent Heart Disease

• Wise Heart Health for Women

• Navigating New Waters of Wellness

• Tapping with Essential Oils for Health

LIVE ZOOM PRESENTATIONS

• Mindful Meditation Massage (at night, pre-sleep)

• Mindful Massage and Stretching (at desk)

• Aromatherapy 101

• Essential Oils and Your Pet

• Wise Self Care for Life

• Wise Heart Health for Women

Rhythm

Finding the beauty in the rhythm of seasonal shifts we see, smell, touch, taste, and hear is best appreciated with a heart of gratitude. Hearing a Christmas song or lighting a Menorah during Hanukkah can evoke family memories and continue family traditions. Taking intentional moments to pause and begin to slow down into the Winter to lessen stress is benefited by the rhythm of your breath! Finding your favorite breathwork app or technique, such as Box Breathing, 3-5-8, or Alternate Nostril breathing, helps in quiet prayer times to set the day in motion. Having a favorite scent combo like cinnamon/ orange in a potpourri or oil diffuser helps calm your soul once home, to be present. For women, delegating tasks out, when stress mounts, is a gift that recognizes it’s an option to ask others for help.

May these 3 Rs carry you gently into the holidays, and beyond, making them more of a JOY than a chore for the family and friends you love and cherish!

Train. Certify. Save Lives – With CRH BLS Services

Cardiac arrest can happen anywhere — at home, at work, or in public. Most cardiac arrests occur outside of hospitals, and bystander CPR often makes the difference between life and death. Knowing what to do, and acting quickly, can sustain life until professional help arrives.

Cardiopulmonary Resuscitation (CPR) is an emergency procedure that combines chest compressions with rescue breaths (or hands-only compressions) to keep blood and oxygen flowing in someone whose heart has stopped beating. CPR can double or even triple a person’s chance of survival in cardiac arrest.

Cardiopulmonary Resuscitation (CPR) is a lifesaving technique used in emergencies when a person’s breathing or heartbeat has stopped. In the

workplace, CPR skills can make the difference between life and death during cardiac arrest, drowning, choking, or electric shock incidents.

Learning CPR is simple, quick, and incredibly valuable. You never know when you might need to save a life — it could be a stranger, a friend, or even a loved one. Taking a few hours to learn CPR today can make all the difference tomorrow.

You should start CPR immediately if:

• The person is unresponsive and not breathing normally.

• You cannot detect a pulse or normal breathing.

CRH BLS Services is committed to providing high-quality, convenient, and comprehensive CPR and advanced life support training. Our mission is to empower individuals

Please see “CPR,” page 62

Your One-Stop Solution For a Healthy Smile

Submitted By Total Dental Care

Maintaining optimal dental health is crucial for overall well-being, and finding a dental office that offers comprehensive care under one roof is a game-changer. Total Dental Care is a well-established dental practice that takes pride in providing detailed and comprehensive services in various specialties, ensuring patients receive topnotch care for their unique dental needs.

General Dental Services: Total Dental Care excels in offering a wide array of general dental services, including routine check-ups, cleanings, and preventive care. Our experienced team focuses on early detection and intervention to prevent dental issues from escalating.

Specialized Services: Whether you require orthodontic adjustments, periodontal treatments, Invisalign, dental implants, prosthodontics, oral

surgery, extractions, root canals and endodontic treatments, or restorative and cosmetic dentistry, Total Dental Care has you covered. Our specialists are experts in their respective fields, ensuring you receive tailored treatments for your specific dental concerns.

Cutting-Edge Technology: Total Dental Care stays at the forefront of dental technology, offering services such as digital intra-oral cameras, cone-beam CT scanners, and teethin-a-day. Our commitment to utilizing advanced techniques ensures effective and efficient treatments while minimizing complications.

Sedation Options: Understanding the anxiety some patients may feel, Total Dental Care offers laughing gas, oral sedation and IV general anesthesia options. Our goal is to create a comfortable and stress-free environment, catering to the individual

Please see “Healthy Smile,” page 62

Considering Neck Lift Surgery?

Reduce Signs of Aging and Treat Sagging Skin!

A neck lift can be performed for men and women of varying ages who are often frustrated by changes of the appearance of their neck and jawline. Depending on your age, a neck lift can be a short one-hour procedure to remove fat or a 3-hour procedure to remove fat, visible neck bands, and excess skin.

Neck Lift Surgery Can:

Remove Excess Skin (Cervicoplasty) • Liposuction to Remove Excess Fat

Remove or Alter Neck Muscles (Platysmaplasty)

Liposuction can be performed alone or with surgical removal of the fat under the chin through a small incision under the chin.

In patients with vertical bands in the neck, a platysmaplasty can be performed to reduce the appearance of the bands.

Sometimes a chin implant is recommended to improve the overall contour and help with excess skin.

Temporomandibular Joint Disorder Affects Your Entire Body

The human body is a truly remarkable thing. It is like a finely tuned machine when it runs well, but when it does not, then it really can mess up your life. The TMJ (Temporomandibular Joint) is an integral part of whole-body health for all of us. When the disc

within the jaw joint slips off the top of the jawbone (the condyle), it can and will pinch upon nerves and blood vessels in that area. And know that there are a lot of nerves and blood vessels traveling through the TM joints!

Displaced discs create an inflammatory reaction within our skull. This can often lead to head and neck pain that

can travel down and throughout the rest of the body. Osteopath doctors (along with TMJ specialists) are well aware that a slipped disc in the jaw can directly correlate to ACL problems in the knees. It may seem far fetched to some of our dear readers, but it is quite true.

Typical Dental Office

An easier to understand concept is that if the discs are slipped off the con- dyles, this will cause an asymmetry to the jaw and it will tip to one side or the other. Then, the neck compensates by tipping as well, and over time this can lead to turning and twisting of the back. The importance of the TM joint cannot be understated. Your entire body depends on this little joint being symmetrical and with the discs in proper position. Otherwise, the whole body is affected. When there is a TMJ problem, quite often the neck is also out of alignment. This can contribute to OSA – obstructive sleep apnea – because a twisted neck tightens up the airway and reduces the ability of the body to breathe properly. Then you add on the inflammation in the joints and you end up with a very upset system. By treating the TMJ disorder, this helps to get the joints lined up more symmetrically, helps the discs to get back on the condyle where they belong, and helps the neck to line up better as well. All these can contribute to better sleep and better breathing.

Dr. Jeffrey Brown has limited his practice to focus only on TMJ Disorders, Craniofacial Pain Management and Sleep Apnea. By fixing slipped discs in the jaw joints, Dr. Brown can significantly reduce the pain patients experience in the head/neck region and other symptoms associated with jaw joint problems. Sleep & TMJ Therapy may be able to improve the quality of life for you or a loved one – we encourage you to contact us with any questions or concerns.

“Dr. Brown and his staff are absolutely wonderful. I was diagnosed with Dystonia. I could not turn my head and had a ton of pain. My doctors offered no help and no advice besides Meds and Botox. Since having the appliance I have NO pain and I can turn my head. I would highly recommend them to anyone. I feel Dr. Brown and his staff really care about their patients and helping them to get better. They do not just numb the symptoms but fix the problem. Thank you from the bottom of my heart. I feel like the old me again!” - D. Thomas

“My daughter has been treated by Dr. Stack and Dr. Brown for the last 2 1/2 years, and we are very fortunate to have found them. Prior to that she was being treated by a neurologist at a Children’s hospital. She was on medications for tics and associated muscle pain, OCD/repetitive thoughts, sleeplessness and more (all possibly associated with Tourettes). Drs. Stack and Brown installed spacers to alleviate pressure on nerve bundles in the jaw, and subsequently braces to complete the process. Her symptoms have diminished significantly. She is off medication, her tics have all but disappeared, she can concentrate better in school, and she is once again cheerful and relaxed.” - Susan

One of the far less discussed aspects of TMJ disorder is a little thing called happiness. That’s right, if you have TMJ disorder you are far more likely to live with pain, lack of sleep, less ability to focus, and a whole host of other problems to deal with. And because of all the health problems associated with TMJ disorder, you are nowhere near as likely to be happy with your life.

As a TMD practitioner, every day of the week people come to the office and tell me how they now have their lives back. They can sleep better, focus better, have less pain and enjoy being with friends and family so much more. By wearing simple little devices in their mouth, they can function and feel better than ever before. This is what TMJ treatment can do for you.

Jeffrey L. Brown, DDS
Jeffrey L. Brown, DDS

Back pain is the second most common reason people visit physicians in the US, with neck pain close behind. The spine and adjacent tissues are pivotal in nearly all major bodily movements.

Chiropractic services are used most often to treat neuromusculoskeletal complaints, including but no limited to back pain, neck pain, pain in the joints of the arms or legs, and headaches.

Our Doctors are Nationally FMSCA Certified. Done by appointments only. Call today to schedule! Drug and Alcohol Testing also Available.

Since opening in 2003, Winters Chiropractic & Physical Therapy has remained dedicated to providing expert chiropractic, physical therapy, and DOT/CDL services. Our doctors provide tailored treatments that ensure you make the most gains at a comfortable, steady pace. The ultimate goal of any chiropractic or physical therapy program is to restore your physical health to its previous form. With our small practice, we have the advantage of maintaining personal relationships without compromising our ability to provide advance care.

The Only Non-invasive Laser Device With FDA Approved, IRB, and Clinically Proven Results For: Fat Reduction, Aesthetics, Cellulite Elimination, Weight Reduction, and Inch Loss.

• Natural, safe, laser light energy is pulsed and absorbed by the subcutaneous tissue.

• Supercharges the body’s metabolism through ATP synthesis to burn fat as energy.

• Waste products are expelled from the body via sweat, urine and respiratory exhaustion.

• The body continues to burn fat for up to 4 hours after treatment.

• Collagen and elastin production is increased within the skin layers to rejuvenate and repair skin cells addressing cellulite, skin laxity and stretch-marks.

DReM’s Legacy Holistic Wellness Center

(located inside of Hol-Body Yoga

Family Wellness Services

• Natural and Herbal Remedy Consults

• Family Planning

• Childbirth Education

• Natural Healing Education

Women’s Health/Womb Wellness

• Birth/Postpartum Doula Services

• Fertility Support

Studio)

• Womb Meditation

• Womb Massage

• Vagi/Yeni Steams

Spiritual and Mental Wellness

• Etheric Touch Sessions

• Reiki Sessions

Coming Soon:

• House Blessings

• Divinations

• Doula Training begins October 2025 for in person and virtual classes

Shirleta Henson McKann 443-265-9393

319 Crain Highway

S. Glen Burnie, MD 21061

Open on Tuesdays by appointment only

Facebook: DReM’s Legacy Holistic Wellness Center

Instagram: @drems.legacy.holistic.wellness

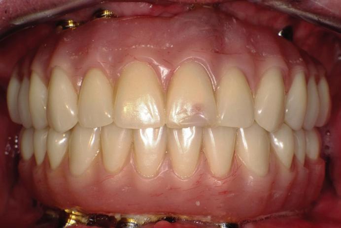
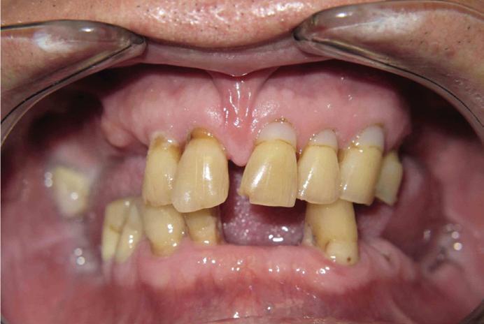
Can just four implants replace all of the teeth on the top or the bottom of your mouth? Thanks to advances in dental implant technology, that answer is a resounding yes.

Tooth loss is extremely common among adults, especially as we age. Rather than living with the discomfort and hassles of dentures, many people are opting for what is called “all-onfour” dental implant restoration.

An implant is a small titanium

screw that fits inside your jawbone and replaces the root-part of a missing tooth. Minor surgery is required to insert the implants. Once the implant is in place, a crown is attached to give you a highly realistic-looking and functional prosthetic tooth.

You do not need a dental implant for each and every one of your missing teeth. All you need is four precisely placed implants on the top of your mouth, and four on the bottom, to restore your full smile. That’s the beauty of the all-on-four. And because the implant is made of titanium, it has the unique ability to fuse to living bone and function as part of it. So eventually, the dental implant becomes part of the jawbone and serves as a strong, longlasting foundation for your new teeth.

Besides ensuring that your implants are permanently fixed in place, this bone fusion has another important benefit: it prevents future bone loss in the jaw. This helps to maintain a more youthful facial structure – and better

Please see “All-On-Four,” page 62

Midlife Weight Gain? Check Your Thyroid

Thyroid function plays a crucial role in metabolism, making it a key factor in weight management—especially for women in midlife. Hormonal changes during perimenopause and menopause can impact thyroid health, leading to symptoms such as fatigue, weight gain, and difficulty losing weight.

The thyroid gland regulates how the body uses energy. When it functions optimally, metabolism runs smoothly. However, in cases of hypothyroidism—where the thyroid

is underactive—metabolism slows, often resulting in unexplained weight gain and low energy. Hashimoto’s disease, an autoimmune condition, can further impair thyroid function, making weight management more difficult.

Midlife women are particularly vulnerable to thyroid dysfunction due to shifting hormone levels. Recognizing signs of imbalance—like fatigue, cold sensitivity, hair thinning, dry skin, and constipation—is essential. If these symptoms persist, medical evaluation is critical.

Diagnosis typically involves blood tests:

• TSH (Thyroid Stimulating Hormone) – Elevated levels may indicate hypothyroidism.

• Free T3 and T4 – Measure active thyroid hormones.

• Thyroid antibody tests – Identify autoimmune thyroid disorders such as Hashimoto’s.

Treatment may include thyroid

Please see “Thyroid,” page 62

Feel Like Something’s Off? You’re Not Alone. At MetroBest Health, we specialize in identifying and treating the real root causes of fatigue, weight gain, low libido, mood swings, and thinning hair—especially in midlife women and men. If you’ve been dismissed, misdiagnosed, or told “it’s just aging,” it’s time for a second opinion. Virtual and In-Office Appointments Available Book Online at MetroBestClinic.com Or Call/Text: 202-754-8877 9650 Santiago Rd #2, Columbia, MD 21045 Don’t wait—your best life is just one appointment away.

Charles L. Feitel Company

Direct: (301) 365-6940

Fax: (301) 365-6941

Email: cfeitel@medicalanddentalspace.com

CHARLES L. FEITEL

“The Medical Expert In The Washington Metropolitan Area Commercial Real Estate Market”

Let Charles Feitel help you with your next space requirement. His professionalism and medical expertise are unsurpassed. Call now!!

Do You Have Plantar Warts?

Warts are one of several soft tissue conditions of the foot that can be quite painful. They are caused by a virus, which generally invades the skin through small or invisible cuts and abrasions. They can appear anywhere on the skin, but technically, only those on the sole are properly called plantar warts.

Identification Problems

Source Of the Virus

The plantar wart is often contracted by walking barefoot on dirty surfaces or littered ground where the virus is lurking. The causative virus thrives in warm, moist environments, making infection a common occurrence in communal bathing facilities. If left untreated, warts can grow and spread. Plantar warts are spread by touching, scratching, or even by contact with skin shed from another wart. The wart may also bleed, another route for spreading.

When plantar warts develop on the weight-bearing areas of the foot – the ball of the foot, or the heel, for example – they can be the source of sharp, burning pain. Pain occurs

Most warts are harmless, even though they may be painful. They are often mistaken for corns or calluses. The wart, however, is a viral infection. It is wise to consult a podiatric physician when any suspicious growth or eruption is detected on the skin of the foot in order to ensure a correct diagnosis.

Please see “Plantar Warts,” page 62

Helping Kids Enjoy the Holidays – Without the Tummy Troubles

The holidays are a time for family, fun, and plenty of food— but for children with sensitive stomachs, all that excitement can lead to more than just sugar highs. Extra treats, disrupted routines, and holiday stress can cause digestive discomfort even in healthy kids, and those with underlying gastrointestinal conditions can feel it even more.

Why Holiday Changes Matter

During the holiday season, schedules shift, bedtime gets later, and meals often include richer, unfamiliar foods. These changes can affect digestion and bowel habits, sometimes leading to constipation, bloating, or stomach pain. Parents may notice their child complaining of discomfort or losing interest in food altogether.

Supporting Good Digestion

Small adjustments can make a big difference. Encourage your child to:

• Stay hydrated. Water helps keep digestion moving, especially when meals are heavier than usual.

• Eat slowly. Excited kids tend to eat too fast, swallowing air that leads to gas and bloating.

• Balance the plate. Add fruits, vegetables, and fiber-rich foods alongside the holiday favorites.

• Keep moving. A family walk after a meal supports digestion and helps prevent constipation. Recognizing When It’s More Than Holiday Indulgence

Occasional stomach aches

are common, but persistent pain, vomiting, constipation, or poor appetite may point to something more serious, such as reflux, food sensitivities, or inflammatory bowel disease. These symptoms should not be ignored—especially if they continue after the holidays end. Early evaluation by a pediatric gastroenterologist can help identify the cause and prevent long-term complications.

Keeping the Focus On Health and Joy

The holidays are also a time to model balanced habits for your children. Encouraging moderation, regular sleep, and mindful eating helps them learn lifelong lessons about caring for their bodies. For families managing diagnosed GI conditions like celiac disease or Crohn’s disease, planning ahead—

bringing safe snacks or gluten-free options—can help children fully participate in festivities without worry.

Digestive health may not be the first thing on anyone’s wish list, but it’s one of the greatest gifts you can give your child. A comfortable, well-nourished child is happier, more energetic, and ready to make lasting holiday memories.

Relief for Young Tummies, Peace for Parents – Expert Pediatric GI Care

At Annapolis Pediatric Gastroenterology and Nutrition, we specialize in diagnosing and treating digestive challenges in children from infancy to early adulthood. Our board-certified team, led by Dr. Ahmet Aybar, delivers compassionate care tailored to your child’s unique needs.

Why Choose Us?

Comprehensive Services: Treatment for conditions such as Crohn’s Disease, GERD, Ulcerative Colitis, Celiac Disease, and more.

Trusted Expertise: Procedures performed at Anne Arundel Medical Center by Dr. Aybar, a renowned pediatric gastroenterologist.

Family-Centered Care: We take the time to listen, explain, and provide guidance for every step of your journey.

or visit us at 130 Lubrano Drive, Suite #212, Annapolis, MD 21401 to schedule your appointment today.

The Holidays Getting Well and Staying Well

Here we go into the holiday season with all the activities, get-togethers, and parties that go along with that. Of course, however, along with the joyful aspects come increased levels of stress, indulging in food and drink, and (often) more excuses to not exercise and disruptions to our routines.

For many of these folks, persistent stress has produced adrenal and thyroid gland dysfunction, nutritional disorders, and has produced an environment at risk for chronic infections.

If you fit this description, chances are you spend your days barely getting by, doing everything you can to make it to work, eat and sleep while undone tasks pile up around you and you feel like you are missing out on your life. Often people

Lets look at some strategies that can support people in getting and staying well over the holiday season. First lets look at those of us who are not as well as we would like to be. Especially at this time of year and with the recent skyrocketing of stressful circumstances in our country, more and more people are experiencing persistent chronic fatigue often manifested as disrupted fragmented sleep, unexplained muscle and joint pain, and inability to carry out usual activities of life due to lack of energy.

Please see “Getting Well,” page 62

ThunderBird Dental Office affectionately known as the ThunderBird, has been providing dentures and denture repairs for over 40 years. Our dental lab is on our premises which allows us to deliver same day repairs and relines. We also perform extractions for immediate dentures.

Gena Schultheis, DDS

Dr. Gena Schultheis is a skilled general, cosmetic, and implant dentist known for her natural, holistic approach to care. She uses biocompatible, non-toxic materials and natural remedies to support healing and minimize discomfort, always staying current with the latest minimally invasive dental techniques.

A former U.S. Air Force Captain, Dr. Schultheis earned the Air Force Commendation Medal for her service. She received her dental degree from the University of Maryland Baltimore College of Dental Surgery in 2005 and completed advanced training through a Residency in General Dentistry. She holds certifications in implant dentistry, orthodontics, cosmetic dentistry, laser dentistry, and SMART mercury removal. She is also a certified provider for ClearCorrect, Six Month Smiles ® , Lumineers ®, and Snap-On Smile ® .

Dr. Schultheis is a board member of the Holistic Dental Association and a member of several organizations, including the American Dental Association ®, American Academy of Cosmetic Dentistry, and the Eco-Dentistry Association. She actively volunteers through Free Day of Dentistry, participates in environmental initiatives, and educates the medical community on oral-systemic health links.

Outside the office, she enjoys yoga, hiking, skiing, and spending time with her husband and three children. She also writes for Your Health Magazine and blogs about holistic dentistry.

Embracing Holistic Dentistry

For a Healthier Smile and Body

Dental health goes beyond a beautiful smile; it plays a crucial role in maintaining overall wellbeing. Holistic dentistry is a comprehensive approach that considers the interconnection between oral health and the body’s systemic conditions. By prioritizing natural treatments and minimizing invasive procedures, holistic dentistry aims to promote long-term health. This article explores the philosophy behind holistic dentistry and highlights some of the services offered in this approach.

Dentistry and Overall Health: The mouth serves as a gateway to the body, and studies show strong correlations between oral health and systemic conditions like heart disease, stroke, diabetes, and Alzheimer’s. Holistic dentists recognize this connection and strive to address health issues through a comprehensive approach. This includes considering the impact of dental treatments on the body, choosing safe materials, and utilizing natural treatment options.

Natural, Holistic Treatments: Holistic dentistry offers a range of services designed to prioritize patient health and minimize environmental impact. Some of these treatments include:

• SMART (Safe Mercury Amalgam Removal Technique) amalgam removal

• Chemical-free cleanings

• Metal-free dental materials (crowns, bridges, veneers)

• Ozone therapy for bacteria elimination

• Biocompatibility testing

• Fluoride-free tooth remineralization

• Minimally invasive laser treatment for gum disease

• Cold lasers for TMJ pain

• Natural teeth whitening

• Second opinions to avoid root canal therapy and more advance techniques for when a root canal is needed

• Supplements and natural remedies for oral health and pain prevention

Airway Dentistry: Holistic dentistry extends to addressing airway-related issues, recognizing the impact of breathing on overall health. Airway dentistry includes treatments for sleep-disordered breathing conditions like obstructive sleep apnea and snoring. By improving breathing patterns, holistic dentists aim to alleviate symptoms of neurological disorders and chronic diseases.

ClearCorrect and Invisalign: For those seeking discreet orthodontic solutions, ClearCorrect and Invisalign offer comfortable and nearly invisible options for straightening teeth. These systems use clear aligners that are removable for easy maintenance of oral hygiene.

TruDenta® and Myofunctional Therapy: TruDenta® is a holistic approach to treating chronic headaches and migraines by addressing the root causes. Myofunctional therapy, on the other hand, focuses on correcting tongue and facial muscle functions, addressing issues like airway obstruction, TMJ disorders, and speech impediments.

Eco-Friendly Dentistry: Annapolis Green Dental is committed to eco-friendly practices, minimizing waste, reducing water and energy consumption, and using nontoxic materials. The office follows green dentistry principles to create a healthier environment for both patients and the planet.

ADVENTIST MEDICAL GROUP

PRIMARY CARE SERVICES FOR YOU

Choose Adventist Medical Group Primary Care in Fort Washington, Maryland, to provide a full range of primary care services for adults.

Learn to better manage your health and prevent illnesses with personalized care from our experienced, primary care providers. Our specialists in family medicine and internal medicine work as a team to deliver expert care when you need:

• Same-day Sick Visits

• Women’s and Men’s Health and Wellness Exams

• Health Physicals, Health Maintenance and Preventive Care

• Geriatric (Senior) Wellness Exams

• Vaccinations and Immunizations, including Flu Shots

• Health Management for:

• Asthma and Allergies

• High Blood Pressure

• High Cholesterol

• Diabetes

• Heart Disease

You also benefit from coordinated care that helps you effectively handle all aspects of your health—from preventive medicine and preoperative appointments to management of chronic health conditions.

To schedule an appointment, please call 240-724-6018

10709 Indian Head Highway, Suite D1 Fort Washington, Maryland 20744 AdventistMedicalGroup.org

Nicole Haskins, CRNP, RN (Family Nurse Practitioner)

Chiropractic Can Help With Stress

well-being?

YourHEALTH Magazine Design Shop, Heather L. Mahoney

AD PROOF

advertisement must be noted and faxed to YourHEALTH at (301) 805-6808 on or before the due otherwise the ad will be printed as shown below.

proof your ad. Check for correct addresses, phone #’s and spelling of all names.

REQUIRED. Please check the appropriate box, sign and fax back to YourHEALTH.

In today’s fast-paced society, we find ourselves constantly on the move, grappling with the hustle and bustle of life. The burdens of work, family, and financial concerns add to the chaos. Have you ever considered how this relentless stress affects your

____ Ad okay with changes indicated ____ Please call to discuss ad design

Signature (REQUIRED)_______________________________________________Date_______________

Stress, whether it manifests physically or mentally, sets off a primal fight-or-flight reaction within us. This response triggers a cascade of physiological changes that affect virtually every corner of our bodies. At the core of this response is the hypothalamus, a brain region that ignites the sympathetic nervous system (SNS). Heart rate escalates, blood volume and pressure surge, and blood flow diverts away from digestion and extremities. Our senses sharpen, with vision becoming more acute and hearing more finely tuned. In response to these SNS signals, the adrenal glands release a cocktail of corticoids, including adrenaline, epinephrine, and norepinephrine. Such a response is incredibly valuable if

Please see “Stress,” page 63

Your Personal Environment Influences Your Weight

Weight management is challenging and as a society we are facing an epidemic with obesity. In looking at the environmental component to weight management, we are considering a person’s experiences and exposures on a daily basis.

What is the potential for healthy lifestyle practices that lead to weight loss versus unhealthy practices that lead to weight gain? Diet and exer-

cise are the major modifiable factors related to weight management and so we will explore the environment in relation to these factors.

At home, what do you see when you open the refrigerator or the cupboards? Do you see high calorie drinks and foods or do you see healthy low calorie drinks and foods. Are you more likely to fix yourself a healthy meal or have a fruit or are you more likely to drink a soda, or maybe eat potato chips, cookies, or carry-out food. What foods does the rest of your household eat and keep around you?

Similarly, in the work environment, what is available to you to influence your lifestyle practices? Are there healthy low-calorie foods available in the cafeteria or is everything loaded with calories and grease?

If you don’t like your cafeteria foods then are you able to leave the job to get something healthy and be

Please see “Environment,” page 62

Alicia Kovach, DC Aric Adlam, DC Kristina Anderson, DC

A Healthier Holiday Starts In Your Mind

The holiday season may bring joy, but for many women, it also brings pressure. Pressure to look a certain way. To spend. To entertain. To show up smiling, even when your soul is tired.

This year, let’s do something different. Let’s shift the focus from appearance to awareness—because real

wellness starts in the mind.

As we close out the year and begin thinking about goals, resolutions, and self-improvement, don’t forget the one habit that supports them all: mindfulness.

Mindfulness is more than meditation. It’s the practice of being present—fully connected to your thoughts, feelings, and environment without judgment. When you live mindfully, you make better food choices, you move with intention, and you respond to life instead of reacting to it.

So How Do We Practice

This During the Holiday Rush?

Start by setting aside 10 minutes a day to get quiet. Breathe. Stretch. Sit with a warm cup of tea. Take a mindful walk in nature. These aren’t luxuries—they’re necessities for a healthy nervous system.

Please see “Healthier Holiday,” page 65

A Journey Of Healing

Elambert Richardson’s journey to founding Elon Roshell Day Spa & Health is a remarkable story of resilience, healing, and dedication to helping others. Richardson’s path began with a profound personal struggle and evolved into creating a sanctuary of well-being that includes innovative treatments like a unique salt cave.

Richardson, once a preschool teacher, faced a debilitating injury that altered the course of her life. Despite extensive physical therapy, her pain persisted, leading to depression and a diagnosis of fibromyalgia. Her doctor presented her with a stark choice: find a way to live or succumb to her condition. This critical moment propelled Richardson to seek healing beyond conventional methods.

Richardson shared another poignant aspect of her struggle: the hostile work environment that led to her depression and ultimately, PTSD. She recounts instances of mistreatment, including being ostracized by colleagues and subjected to demeaning messages. Despite enduring chronic pain and emotional distress, Richardson finds solace in helping others and is embarking on a journey of healing by sharing her story.

A pivotal turning point came with her reading of “The Ministry of Healing,” a book that highlighted the therapeutic power of helping others. This revelation ignited her determination to overcome her depression and explore a career in healthcare. Richardson began volunteering at her children’s school, pursued higher education, and ultimately found her calling in massage therapy.

Overcoming Adversity

Richardson’s journey was further challenged by the COVID-19 pandemic, which forced her business to close for 15 months. During this time, she also contracted the virus, requiring oxygen therapy. Remarkably, this treatment pro-

We believe total well-being starts with balance—of body, mind, and spirit.

Our mission is to empower women, veterans, and families through movement, mindfulness, and nutrition.

Join our workshops and wellness programs featuring: Mindful Movement & Breathwork – Therapeutic Horticulture Yoga for Trauma & Stress Relief – Nutrition and Wellness Coaching

Whether you’re healing from life’s challenges or simply ready to grow stronger inside and out—there’s a place for you here.

Live To Day. Why Wait for Tomorrow?

Visit www.ctldomgroup.org or call 202‑498‑5678 to learn more about upcoming events and programs.

Elambert during that time of great sadness, and now. Finding rest, happiness, and restoration!

Keep the Happy In Your Holidays

Submitted by New Day Vitality Hormone Center

All year round, both peri- and postmenopausal women are more susceptible to anxiety and depression than premenopausal women. With the additional work the holidays bring, the stress can really take a toll on women over 40.

That’s because estrogen plays a major role in how women experience stress, anxiety and depression. In fact, women’s risk for anxiety and depressive disorders is about twice that of men! Those same hormone fluctuations that cause PMS throughout a woman’s menstruating years only get more drastic during menopause, and intensely affect mood and mood disorders.

Two parts of the brain, the amygdala and hippocampus, are particularly sensitive to estrogen fluctuations AND essential to mood regulation. Science has shown that a form of estrogen – estradiol – supports blood flow in the brain. Estradiol also has a positive effect on the development of nerve cells in the brain.

The synthesis of the feel-good brain chemical serotonin is tied to estradiol, and it impacts several other neurotransmitters closely tied to mood, including dopamine (which is linked to depression).

While estrogen fluctuates during perimenopause, it ultimately decreases dramatically. Postmenopausal women have only 10% of the estrogen of their younger, premenopausal selves. This is believed to contribute to the uptick in diagnoses of anxiety and depression in postmenopausal women.

Research shows that replenishing estradiol levels can reinvigorate the brain. Two studies have revealed that postmenopausal women using hormone therapy (HT) have larger hippocampi than non-HT-users and men. Another study demonstrated that women using HT for at least two years had increased blood flow in the brain than the non-HT-users.

So why not stop suffering and give yourself (and your family!) the gift of hormones this holiday season?

How Medical Cannabis Can Calm Holiday Stress

for many, it can also be a source of stress. From managing holiday shopping to navigating family dynamics, the pressures of the season can quickly become overwhelming. While stress is a normal part of life, chronic stress can have serious implications on both physical and mental health. In recent

years, medical cannabis has emerged as a potential tool for managing stress, offering a natural alternative for individuals seeking relief during this hectic time of year.

Understanding Stress and Its Impact

Stress is the body’s response to challenges or demands, often manifesting as feelings of tension, worry, or anxiety. While occasional stress can be beneficial, motivating us to meet deadlines or handle difficult situations, chronic stress can be harmful. It can lead to various health issues, including heart disease, digestive problems, sleep disorders, and mental health concerns such as anxiety and depression. During the holidays, common stressors include financial strain, time management issues, and social expectations, all of which can intensify feelings of anxiety.

Please see “Medical Cannabis,” page 65

Healthy Holiday Treats For Your Pets

The holidays are a time of joy, togetherness, and—let’s be honest—plenty of treats. As you fill your home with the scents of home-baked cookies and festive feasts, it’s only natural to want to include your pets in the celebration. But while your dog or cat may beg for a bite of turkey or pie, many holiday foods can cause serious digestive issues or even toxicity. The good news? There are plenty of healthy, natural alternatives that let your furry family members enjoy the festivities safely.

Avoid the Naughty List: Skip the Table Scraps

Rich holiday foods like gravy, stuffing, and fatty meats can upset your pet’s stomach or cause pancreatitis. Onions, garlic, grapes, raisins, and chocolate are all toxic to dogs and cats. Instead, serve pet-safe holiday treats made from wholesome, natural ingredients.

Brands like Dr. Harvey’s and The Honest Kitchen offer dehydrated or freeze-dried whole-food recipes that make perfect holiday snacks. These treats are gently processed to preserve nutrients and flavor, so pets feel like they’re getting a gourmet indulgence—without the guilt.

Give the Gift Of Real Nutrition

When it comes to quality pet food, ingredient integrity matters. Lines like Artemis, Verus, and Wellness focus on premium proteins and balanced nutrients that support your pet’s health year-round. Artemis, for example, includes barley grass extract, green tea extract, and probiotics—natural sources of antioxidants and digestive support. Their blends feature fresh protein inclusion and omega-rich oils for glowing coats and happy tummies.

If your pet loves variety, try Natures Variety or Merrick, which use real meat, fruits, and vegetables

for irresistible flavor and complete nutrition. These make excellent bases for a holiday meal designed just for your pet—topped with a spoonful of canned pumpkin or unsweetened yogurt for a seasonal twist.

Consider Raw and Holistic Options

Raw or minimally processed foods can make holidays even healthier. Brands like Primal Pet Foods, Bravo, and Steve’s Real Food provide

balanced, frozen raw meals packed with the nutrients nature intended. Crunchies is proud to be the exclusive distributor for Steve’s Real Food in Maryland, Washington DC, and Delaware—helping local pet parents access high-quality, meat-based nutrition for dogs and cats.

A Little Love Goes a Long Way

The holidays aren’t just about what’s in the bowl—they’re about gratitude, joy, and the special mo -

ments we share. Choosing natural, wholesome foods for your pet shows them the same care you give your family. Visit us to explore our full selection of trusted natural brands, including Halo, Innova EVO, Solid Gold, Canidae, Pinnacle, and more. This season, celebrate with healthy holiday treats that keep tails wagging and whiskers twitching— because a happy, nourished pet is the best gift of all.

Rejuvenate. Refresh. Renew.

Rediscover Your Confidence With Dr. Larry Bryant

Specializing in Facial Fillers, Botox, and Pellevé Radiofrequency Treatments

Look as vibrant as you feel—with results that enhance your natural beauty.

The Art and Science Of Facial Rejuvenation

Your face tells your story—but time, stress, and sun exposure can leave their marks. Fine lines, loss of volume, and changes in skin texture can make you look older than you feel. Dr. Larry Bryant combines surgical artistry with advanced cosmetic technology to help you look as youthful and energized as you truly are. At Bryant Oral & Facial Surgery, each treatment is carefully customized to bring balance, symmetry, and radiant, refreshed beauty to your face.

Facial rejuvenation isn’t about changing who you are—it’s about restoring the vibrant, confident version of yourself that time has gently softened. Dr. Bryant’s

12/31/25 Bryant OMS Associates

12200 Annapolis Road, Suite #236

Glenn Dale, MD – 301-249-0553

precision approach, medical expertise, and commitment to natural-looking outcomes have earned him the trust of patients across Maryland who seek both safety and artistry in their care.

Whether you’re looking to smooth fine lines, restore lost volume, or lift and tighten your skin without surgery, Dr. Bryant’s advanced techniques ensure subtle, refined results that enhance your natural features.

Juvederm® Facial Fillers: Restore Volume, Balance, and Youth

As we age, the skin loses collagen, elasticity, and fullness, leading to wrinkles and hollow areas that can make the face appear tired. Juvederm® facial fillers are designed to instantly replenish lost volume, smooth facial lines, and restore youthful contours—without surgery.

DR. LARRY BRYANT, DDS

BRYANT

ORAL & FACIAL SURGERY

GLENN DALE, MD

301-249-0553

Made from hyaluronic acid, a substance naturally found in the body, Juvederm® gently hydrates and plumps the skin for results that look soft, smooth, and completely natural. With a sculptor’s eye and a surgeon’s precision, Dr. Bryant customizes each treatment to enhance your unique facial structure—leaving you looking refreshed, never overfilled.

Benefits:

• Instantly smooth wrinkles and facial folds

• Restore fullness to cheeks, temples, and lips

• Improve facial harmony and balance

• Hydrate and rejuvenate the skin from within

• Subtle, long-lasting, natural-looking results

Results are visible immediately and can last up to a year or more, depending on the treatment area. Juvederm® helps you rediscover the youthful confidence you deserve—with minimal downtime and beautifully natural outcomes.

Botox®:

Smooth Away Expression Lines

Dynamic wrinkles—caused by smiling, frowning, or squinting—can make even youthful faces appear tense or fatigued. Botox® relaxes these tiny facial muscles, creating smoother skin and a refreshed, rested look. Treatment takes only minutes, and results appear within days.

Perfect for:

• Forehead lines and frown lines

• Crow’s feet around the eyes

• Subtle brow lift for a brighter, more open look

• Softening early signs of aging before they deepen

Botox® is one of the most trusted cosmetic treatments worldwide, offering consistent, beautiful results that last for months—so you can look your best with confidence and ease.

Pellevé® Radiofrequency: Tighten and Lift Without Surgery

Pellevé® is a gentle, non-invasive treatment that uses radiofrequency energy to naturally stimulate collagen growth beneath the skin’s surface. Over time, the skin becomes firmer, smoother, and more radiant—without downtime or discomfort.

Pellevé helps to:

• Smooth fine lines and wrinkles around the eyes and mouth

• Firm sagging skin along the jawline, cheeks, and neck

• Rebuild collagen and improve skin tone

• Deliver long-lasting, gradual rejuvenation

Pellevé is ideal for anyone seeking a youthful lift and smoother skin without surgery, injections, or recovery time. It’s your skin—just tighter, firmer, and glowing.

Why Choose

Bryant Oral & Facial Surgery

Dr. Bryant’s facial aesthetic treatments are performed with precision, artistry, and an understanding of facial anatomy that comes only from decades of surgical experience. His approach combines advanced medical techniques with aesthetic sensibility, ensuring every result looks natural, not artificial.

In his Glenn Dale practice, patients receive the care and attention they deserve—from a warm welcome to a detailed consultation and thoughtful aftercare. Every treatment begins with a one-on-one discussion to understand your goals, your lifestyle, and your ideal outcome.

A Younger You –Beautifully, Naturally

Turn back the clock and restore your confidence. From rejuvenating injectables to long-term collagen-stimulating treatments, Dr. Bryant offers a full range of aesthetic solutions to help you look refreshed, renewed, and confident in your own skin.

Rediscover a radiant, youthful appearance—because your face deserves to reflect the way you truly feel inside.

BEFORE BOTOX AFTER BOTOX

What People Are Really Asking

When people hear about fluoride and IQ, most are not thinking about research papers or chemical names. They are thinking about the fluoride their children use every day, brushing their teeth, rinsing, or getting fluoride treatments at the dental office. That makes sense. But the studies that raised this question are not about fluoride that touches the teeth and gets spit out. They focus on fluoride that is swallowed, the kind that goes through the body in drinking water, baby formula mixed with tap water, and foods or beverages made with fluoridated water. To understand the science, it helps to separate topical fluoride, which works on the surface of the tooth, from systemic fluoride, which travels through the bloodstream. Both play a role in oral health, but only the systemic kind is being studied for possible effects on the brain and body.

The Study That Reignited the Discussion

In early 2025, JAMA Pediatrics published a review combining 74 studies on fluoride exposure and children’s IQ. The researchers found that, overall, children with higher fluoride levels in their bodies had slightly lower IQ scores. They did not claim fluoride directly causes lower IQ, but the link appeared stronger in studies that measured fluoride inside the body, such as urinary levels, rather than simply using city water data. Their message was straightforward. The pattern is strong enough to warrant a fresh look at how much fluoride children are receiving from all sources combined.

Differing Scientific Opinions

Some academics have questioned the review, noting that many of the studies it included came from countries with higher natural fluoride levels or from communities with co-exposures such as arsenic or poor nutrition. Others have argued that the review’s methods may have combined studies of unequal quality. However, even among critics, there is general agreement that the findings raise valid questions and that more well-controlled research at U.S. exposure levels is urgently needed.

Does Fluoride Lower the IQ?

A pediatric dentist’s evidence-based look at what new studies are showing and how families can stay both cavity-free and safe.

This Was Not the First Time Scientists Saw This

The JAMA study confirmed what earlier research had already noticed. In Canada (2019) pregnant women with higher urinary fluoride had children with slightly lower IQ scores, especially boys. In Mexico (2017–2018) two separate studies linked prenatal fluoride exposure with lower cognitive and attention scores. In Canada (2020) babies fed formula mixed with fluoridated tap water scored lower on non-verbal IQ tests than breastfed babies. Earlier reviews (2012–2018) also showed an inverse relationship between fluoride exposure and IQ, though quality varied. In New Zealand (2015) one study found no difference, but it used residence rather than biomarkers to estimate exposure. Taken together, this growing body of evidence suggests a consistent pattern that deserves attention, especially for developing brains.

Beyond IQ: Other Health Clues

Even if we set aside brain development, fluoride that is swallowed leaves unmistakable signs inside the body. The most visible sign is dental fluorosis, faint white lines, cloudy patches, or brownish streaks that appear on teeth as they form. Many professionals call it a cosmetic issue, but that view misses the deeper biological meaning.

Fluorosis as a Warning Sign

Fluorosis is not merely a surface change; it is a biological warning sign of overexposure. It tells us that, during tooth development, the body absorbed more fluoride than it could safely manage. At that point, the safe threshold for cellular balance has already been surpassed. Because fluoride is strongly attracted to calcium, it tends to settle in tissues rich in calcium, including teeth, bones, the pineal gland, and even developing regions of the brain. The enamel changes we can see are simply the visible tip of a deeper metabolic shift.

Systemic Effects Beyond the Teeth

The same chemical interactions that create white streaks in enamel may also be occurring silently in the thyroid, kidneys, and nervous system, where we cannot see them with the naked eye. Fluorosis, therefore, should not be dismissed as cosmetic. It is the body’s way of signaling that fluoride exposure has reached a level capable of altering normal cellular activity. The teeth are the dashboard light, and once they show a warning, the rest of the system deserves inspection.

Topical Fluoride: Still a Trusted Ally

Fluoride that stays on the tooth surface remains one of dentistry’s most effective tools. Toothpaste, varnish, and sealants all work topically to harden enamel and prevent decay. The question today is not whether fluoride works, but how much and how it is delivered. In the 1950s, when toothpaste was rare, water fluoridation helped communities reduce cavities. Now, with widespread fluoride toothpaste, professional varnish, and better nutrition, mass ingestion may no longer add much benefit and could increase total exposure unnecessarily. Modern prevention should be targeted rather than universal ingestion.

illness should manage intake carefully.

5. Are fluoride-removing filters expensive? Not really. Reverse-osmosis systems cost about $150–300 with annual filter changes, and smaller countertop models start near $50. For families with infants or chronic illness, it is a practical safeguard.

6. How can I find out if my water has fluoride? Check your city’s annual water report or the CDC’s “My Water’s Fluoride” website. If you use a private well, have it tested, since natural levels vary widely.

7. Does bottled water contain fluoride? Some brands do and others do not. Always read the label. For baby formula, most pediatricians suggest non-fluoridated bottled or filtered water.

Fluoride

Practical Questions People Are Asking About

1. If fluoride helps teeth, why are people suddenly worried about it? Because scientists are now examining how swallowed fluoride affects other organs besides teeth. Fluoride is beneficial in small amounts, but it can accumulate in bones and tissues. Researchers are exploring its possible influence on the brain, thyroid, and kidneys. The goal is balance, not elimination.

2. How can parents protect their children without overdoing fluoride? Use toothpaste properly: rice-sized for toddlers, pea-sized for preschoolers, and teach them to spit, not swallow. Professional fluoride varnish and sealants are safe and stay on the teeth. When preparing baby formula, alternate between fluoridated and low-fluoride bottled or filtered water. Good brushing and diet remain the best cavity prevention.

3. Is fluoridated water safe during pregnancy? Pregnancy is a sensitive time for brain and organ development. Expectant mothers can use reverseosmosis or carbon filters for drinking water, mix bottled and filtered water to reduce total intake, and maintain gum health since inflammation during pregnancy can affect the baby. Lowering ingestion is a reasonable precaution, not an alarm.

4. What about adults with kidney or thyroid conditions? People with reduced kidney function clear fluoride more slowly, so it can accumulate. Those with thyroid disorders may also be more sensitive. Choose filtered or non-fluoridated water when possible. Continue using fluoride toothpaste since it acts topically. Inform your doctor about local water fluoridation to help interpret labs. Fluoride is not automatically harmful, but those with chronic

8. What is the safest overall approach? Keep topical fluoride such as toothpaste, varnish, and sealants. Reevaluate systemic exposure during pregnancy, infancy, or chronic illness. Support new U.S.-based studies that measure real fluoride levels instead of relying on decades-old data. Fluoride’s value remains, but dose and delivery are what truly determine safety.

So, Does Fluoride Lower IQ?

The fair answer is that higher systemic fluoride exposure is associated with slightly lower IQ in many studies. At typical U.S. fluoridation levels, the data are still limited. Topical fluoride remains safe and effective. In short, keep fluoride on the teeth, not in the bloodstream.

A Final Word

Community water fluoridation was one of the great health achievements of the twentieth century. Yet children today already receive fluoride from toothpaste, varnish, and food. We can preserve its benefits while reducing unnecessary ingestion. Re-examining systemic fluoride is not anti-science; it is good science. Our responsibility is to use fluoride wisely, to protect both smiles and developing minds. If you have questions about fluoride or your child’s oral health, you are welcome to email me at smile@ bccpediatricdentistry.com. I am always happy to help families make informed, confident choices.

Read the full article, including references, online: yhm.news/FluorideIQ

For more information, contact Dr. Shin at 301-941-7374 or visit the website at BCCPediatricDentistry.com

Chiropractic Care For Herniated Discs

Easing Herniated Disc Symptoms

With Chiropractic Care

If back pain is disrupting your life and you’ve been diagnosed with a herniated disc, chiropractic care may provide the relief you need. This non-invasive approach can reduce pain and improve mobility, often without medication or surgery.

Understanding Herniated Discs

Gel-filled discs cushion the vertebrae in your spine, allowing for smooth, pain-free movement. A herniated disc occurs when the inner layer of a disc pushes through its outer layer. This bulging disc can press on nearby nerves, causing pain that varies depending on the disc’s location.

Lower Back Herniation: Pain may extend to the legs or buttocks.

Neck Herniation: Discomfort often spreads to the shoulders or arms.

Beyond pain, symptoms might include numbness, tingling, or muscle weakness. These symptoms often worsen at night or in the morning.

Herniated discs can affect anyone but are more common with age due to spinal wear and tear. Risk factors include:

Weight Gain: Excess weight increases spinal pressure.

Improper Lifting: Sudden pain from heavy lifting may signal a herniated disc.

Poor Posture: Slouching or hunching during activities like driving or gaming stresses the spine.

Chiropractic Solutions

For Herniated Discs

Chiropractic care offers a natural alternative to pain medications, steroid injections, or surgery. Studies highlight its effectiveness:

A BMJ Open study found spinal manipulation significantly reduced the need for herniated disc surgery within two years.

Research in the Journal of Manipulative and Physiological Therapeutics reported symptom improvement in 90.5% of patients after three months of spinal manipulation.

Spinal manipulation therapy is a cornerstone of chiropractic care. By realigning vertebrae, it reduces nerve pressure and inflammation, offering relief. Additional therapies may include:

Flexion-Distraction Therapy:

Performed on a special table, this technique gently stretches the spine, relieving nerve pressure and reducing disc bulging.

Electrical Stimulation: Gentle electric pulses block pain signals and enhance healing by improving blood flow.

Pelvic Blocking: Foam wedges under the pelvis shift the herniated disc away from nerves, reducing pain.

Massage Therapy: Massage alleviates inflammation, relaxes muscles, and improves flexibility for better overall comfort.

Take the First Step Toward Relief

Chiropractic care could help you manage your herniated disc symptoms and avoid or delay surgical interventions. Schedule an appointment today to explore these effective, natural treatment options.

End Your Pain, Reclaim Life

Personalized Chiropractic Care for Fast, Natural Relief

At Baca Chiropractic Services, we are dedicated to providing chiropractic solutions tailored to your unique needs. Whether you’re experiencing back pain, neck pain, headaches, or muscular tightness and tension, Dr. Baca welcomes you to our practice. We strive to make every patient feel at home, which is why individuals throughout the Southern Maryland area choose Baca Chiropractic Services for their chiropractic care.

Common Conditions We Treat:

We specialize in treating a range of chronic pain conditions. Our personalized and effective chiropractic care targets the following areas: Wrist Pain and Arthritis Treatment

• Wrist Pain, Arthritis, CMC Joint Pain Knee Pain Relief and Injury Rehabilitation

• Torn Meniscus, Arthritis, Jumpers Knee, Runners Knee, Chondromalacia Patella Shoulder Pain Solutions

• Torn Rotator Cuff, Shoulder Arthritis, Impingement Syndrome

Elbow Pain Treatment

• Golfers Elbow, Tennis Elbow Lower Back Pain Management

• Chronic and Acute Low Back Pain

Hip Pain and Mobility Improvement

• Hip Osteoarthritis, Hip Bursitis

Stop Chasing Symptoms A Root-Cause, Integrative Path To Real Healing

If you’re exhausted by short-term fixes and a new pill for every new complaint, you’re not alone. Many people bounce between specialists, collect diagnoses that don’t quite fit, and still don’t feel well. Root-cause, integrative medicine offers a different path. Instead of asking “What prescription matches this symptom?” we ask “Why is this symptom happening—and what would it take for your body to heal?”

What “Root Cause” Really Means

Symptoms are signals, not the problem itself. Fatigue, brain fog, weight changes, skin issues, and mood shifts often originate from upstream imbalances: nutrient deficiencies, insulin resistance, chronic stress and poor sleep, thyroid or sex-hormone dysregulation, gut microbiome disturbances, unresolved inflammation, hidden infections, or environmental exposures. A rootcause approach maps how these systems interact—the gut–brain axis, hormone–immune crosstalk, detoxification pathways—and identifies where the system is stuck.

Integrative –

Because One Tool Isn’t Enough

Integrative medicine blends the best of conventional care with lifestyle therapeutics and evidence-informed natural options. Yes, we use standard labs, imaging, and medications when necessary. We also leverage clinical nutrition, targeted supplementation, nervous-system regulation, restorative sleep strategies, movement medicine, mindbody practices, and (when appropriate) modalities like acupuncture. The goal isn’t to be “alternative”; it’s to be effective, personal, and comprehensive.

What To Expect

From a Root-Cause Plan

First, we listen—deeply. Your story provides context labs can’t: life events, stressors, diet, environment, and what has or hasn’t helped. Next, we build a focused testing strategy to illuminate the “why,” not just confirm the “what.” From there, we cocreate a phased plan: stabilize sleep

and stress responses; repair digestion and the microbiome; balance blood sugar and hormones; reduce inflammation; and replete micronutrients. We set clear priorities so change feels doable, not overwhelming. Expect accountability and iteration—we track metrics (energy, mood, pain, bowel habits, cycle quality, lab markers) and adjust as you progress.

Why This Works When Quick Fixes Don’t

Treating symptoms alone is like mopping a floor while the sink is overflowing. You might feel better briefly, but the mess returns. Rootcause care turns off the faucet. By addressing the drivers—rather than silencing the alarms—you’re more likely to experience durable improvements in energy, mental clarity, digestion, weight, skin, sleep, and resilience. It also reduces the “whacka-mole” effect where suppressing one symptom creates two more.

Is This Approach Right For You?

Choose root-cause, integrative care if you’re ready to participate in your healing, not outsource it. You want explanations that make sense, a plan that fits your life, and a clinician who partners with you. You’re done chasing symptoms. You’re ready to restore function, correct what’s driving your issues, and rebuild health from the inside out—so you can live with purpose, capacity, and joy.

Let’s stop guessing and start healing, together.
We’re here to help you feel empowered, not dismissed.

You’re tired of being told everything looks “normal” when you know it’s not. The fatigue, brain fog, gut issues, hormone imbalances are not in your head.

You’ve been to specialists, attempted diets, and googled symptoms, but you still don’t have answers.

You want providers who listen, collaborate, and bring together the best of functional, integrative, and lifestyle medicine.

That’s what we do at Capital Integrative Health.

We look beyond the prescription pad – offering personalized nutrition, acupuncture, IV therapy, and more – so you can finally understand what’s going on and take meaningful steps toward lasting energy, clarity, and health.

Root-Cause Relief for Real-Life Health Struggles

GUT

Bloating, IBS, food sensitivities, reflux, and microbiome imbalances

IMMUNE

Autoimmune conditions, joint pain, chronic inflammation, chronic infections, Lyme Disease

HORMONE

Thyroid issues, PCOS, perimenopause/ menopause, irregular cycles, low libido

SKIN

Eczema, acne, rashes, seasonal allergies, holistic skincare

ENERGY

Chronic fatigue, burnout, sleep issues, post-viral symptoms

METABOLIC

Weight changes, blood sugar issues, high cholesterol, insulin resistance, heart disease, low muscle mass

BRAIN

Brain fog, anxiety, depression, mood swings, ADHD

PREVENTION

Support your body proactively to prevent disease and optimize longevity and wellness.

Visit us at our centrally located Potomac office in Cabin John Village, just minutes from Bethesda and the DC line. Parking is free and plentiful.

11325 Seven Locks Road, Suite #290 Potomac, MD 20854

Call: 240‑507‑5110 – Text: 240‑213‑7900

CIHealth.org

Featured Health Professionals

Local Professionals Empowering and Encouraging People To Live Healthier

Jeffrey L. Brown, DDS

TMJ & Sleep Apnea Treatment

Meet Jeffrey L. Brown

Dr. Brown’s practice focuses on TMJ, sleep apnea and orthodontics. This allows Dr. Brown and his team to provide individualized, focused care for patients dealing with these specific issues. Every day, his practice helps patients of all ages with facial development, sleep issues, chronic headaches, migraines, neck pain, movement disorders, and much more. His training also includes multiple disciplines involving the cranial bones in the skull, and the discs in the jaw joints. Through treatment, Dr. Brown is able to reduce these symptoms, align cranial bones, avoid extractions, and greatly reduce the need for traditional braces. His expertise allows him to identify issues early on which promotes proper facial development using dental appliances. If there is an internal imbalance, whether an adult or child, the body does not develop or function properly. When the cranial bones are lined up correctly, patients are able to function, sleep and generally live better.

With that in mind, the team at Sleep & TMJ Therapy takes a whole-body approach when treatment planning. They work hand in hand with physical therapists and osteopathic doctors for a better success rate. Dr. Brown is devoted to helping patients of all ages live a symptom free life.

Degrees & Certifications

Dr. Brown earned his degree from Georgetown Dental School and completed residencies with Emory University Hospital for Dental Sleep Medicine and the ALF Appliance Therapy Institute.

Outside the Office

When not seeing patients, Dr. Brown is a sought-after speaker. He has lectured all over the world, including D.C., Dubai, Seoul, London, Norway and Toronto. He has also been featured on Channel 9’s Good Morning Washington, several podcasts, and numerous magazines and journals.

Professional Affiliations

Dr. Brown is a diplomate of the American Academy of Craniofacial Pain, a member of the American Academy of Dental Sleep Medicine, American Academy of Gnathological Orthopedic, Academy of Integrative Pain Management American Dental Association, a Fellow of the American Academy of Craniofacial Pain, and Legacy Provider for the ALF Interface Academy.

Do you have TMD or Sleep Apnea?

TMD Symptoms: Noise in the jaw joints when opening and closing your mouth, difficulty chewing, limited opening, tender facial muscles, ear ringing, uncomfortable bite, jaw locking, headaches, migraines, dizziness, vision issues as well as pain in the jaw area which can radiate to the ears, head, neck, shoulders, and back.

Sleep Apnea Symptoms: Snoring, waking up gasping for air, feeling tired and irritable in the morning, difficulty controlling weight, concentration problems, morning headaches, episodes of not breathing, waking with a sore throat, forgetfulness and mood changes.

If you believe you may be suffering from TMD or Sleep Apnea, don't wait... Call today to schedule a consultation with Dr. Brown: 703-821-1103.

Robin R. Robinson, AuD

479 Jumpers Hole Road Suite #203-A, Severna Park, MD 410-672-1244

2654 Brandermill Boulevard Gambrills, MD

9 Lee Airpark Drive Suite #500-B, Edgewater, MD

Meet Robin R. Robinson

Dr. Robinson founded Hearing Solutions Audiology Center to provide the excellence that patients deserve when it comes to their hearing health. With emphasis on diagnostics and aural rehabilitation with advanced technology instruments, Dr. Robinson has been practicing for over 20 years and is board certified by the American Board of Audiology. She received her doctoral degree in Audiology from the Arizona School of Health Sciences and her Master’s and Bachelor’s of Science degrees from Radford University in Virginia, graduating with Magna Cum Laude honors. As an audiologist, Dr. Robinson has worked for large medical hospitals as well as ENT specialists, but she enjoys the personalization and patient care she is able to provide in a private practice like Hearing Solutions. As a native Virginian, Dr. Robinson still enjoys outdoor activities such as boating and kayaking on the weekends. When Dr. Robinson and her husband aren’t attending their children’s sporting events, they can usually be found enjoying the waterways of Maryland.

Featured Health Professionals

Local Professionals Empowering and Encouraging People To Live Healthier

Dr. Sreeni came to the United States as an Oral and Maxillofacial Surgeon in the year 1990 and put himself through dental school again at Boston University and Oral and Maxillofacial Surgery residency at University of Medicine and Dentistry of New Jersey.

As an Oral and Maxillofacial Surgeon, Dr. Sreeni manages a wide variety of problems relating to the Mouth, Teeth and Facial Regions. He practices a full scope of Oral and Maxillofacial Surgery with expertise ranging from Corrective Jaw Surgery to Wisdom Teeth Removal. His passion is in implant surgery and he is well known for same day placement of implants following teeth removal be it for single teeth or a complete “makeover” (Smile in a day). He can also diagnose and treat Facial Pain, Facial Injuries and TMJ disorders and perform Bone Grafting and Sinus lift procedures.

Dr. Sreeni completed a residency in Anesthesiology at Mount Sinai Hospital, New York in 1994 and has worked as an Attending providing anesthesia services for children and adults in the ambulatory outpatient center of the hospital.

Dr. Sreeni is an Advanced Cardiac Life Support instructor with the Adventist group. He is also certified in Pediatric advanced life support and is very capable of handling emergencies that could possibly arise in the office. Dr. Sreeni’s staff are trained in assisting with IV Sedation/ General Anesthesia within our state of the art office setting. Patients are continuously monitored during and after surgery. The goal of our office is to provide professional service with compassion and an understanding of the patients’ perspective.

20680 Seneca Meadows Parkway, Suite #218

Meet Mary B. Alexander

Dr. Mary Alexander, periodontist, obtained a Bachelor of Science degree in Biology from the University of South Carolina and continued her education in dentistry at the University of Maryland School of Dental Surgery where she received her DDS degree. Prior to and during her dental studies, Dr. Alexander received funding and support from the National Institutes of Dental Research for her involvement in the periodontal research.

After obtaining her DDS degree Dr. Alexander spent one year at the Veteran’s Administration Hospital, in general practice residency focusing her training in the area of anxiety patient management. She then attended Harvard University and earned her clinical specialty in periodontics and a doctorate in medical science. Her doctoral research was focused in the study of bone function and metabolic disease of the bone.

Dr. Alexander received extensive training in dental implantology, periodontal plastic surgery, bone regenerative procedures and sedation dentistry. All aspects of Dr. Alexander’s training are incorporated in her periodontal practice assuring patient’s thorough and comprehensive periodontal treatment.

Featured Health Professionals

Erin Hays, MD

Dr. Erin Hays grew up in Bethesda, MD. She received her undergraduate degree from Vanderbilt University before attending Medical School at University of Maryland where she graduated with honors. She then moved down the road to DC and completed her Urologic Residency at Georgetown University Hospital.

Dr. Hays has experience treating a broad range of urologic conditions in both men and women. She holds specific interest in the management of benign prostatic hyperplasia, kidney stones, erectile dysfunction, and urinary incontinence.

In her free time Dr. Hays enjoys biking, playing tennis, and needlepointing.

Dr. Hays joined the AA Urology team in September of this year.

Annapolis – Glen Burnie Greenbelt – Odenton – Bowie

Janice Trent, AuD

10111 Martin Luther King Jr. Highway, Suite #102 Bowie, MD

6196 Oxon Hill Road Suite #240, Oxon Hill, MD 301-429-2920

Meet Janice Trent

Dr. Trent has a passion for helping people. She has practiced Audiology since 1984, in a number of clinical settings. Her diverse career has included 16 years of teaching and clinical supervision at Howard University, Washington, DC and Temple University, Philadelphia, PA. Dr. Trent has also worked as a clinical audiologist in hospital settings and private ENT practices.

Education:

Clinical Doctoral Degree – Audiology-University of Florida, Gainesville, FL

Master of Education – Audiology- Northeastern University, Boston, MA

Bachelor of Science – Communication Sciences and Disorders – Hampton University, Hampton, VA

Dr. Trent holds her Maryland State Licensure in Audiology. She is a Certified Clinical Audiologist (CCC-A) through the American Speech-Language-Hearing Association (ASHA). Presently, she serves on the Board of Directors for ASHA as Vice President for Audiology Practice.

Featured Health Professionals

Local Professionals Empowering and Encouraging People To Live Healthier

ThunderBird Dental Office

ThunderBird Dental Office, affectionately known as the ThunderBird, has been providing dentures and denture repairs for over 40 years. Our dental lab is on our premises which allows us to deliver same day repairs and relines. We also perform extractions for immediate dentures. Our service is prompt and personalized and our price is right, so come on in!

Meet Dr. Brent C. White, Jr.

Graduate of Howard University College of Dentistry in Washington, D.C.

Completed General Practice Residency At Saint Elizabeths Hospital in Washington, D.C.

Served as a Civilian Dentist at Ft. Meade Army Base, Ft. Meade, Maryland

Served as Clinical Director at Oak Hill Juvenile Detention Center, Laurel, Maryland

Member Of: ADA

MSDA

For nearly two decades, Dr. Briana Walton has been redefining what it means for women to feel whole, confident, and cared for at every stage of life. A board-certified OB-GYN and fellowship-trained specialist in Female Pelvic Medicine and Reconstructive Surgery, she blends science, artistry, and empathy to help women look, feel, and function their best inside and out.

As the founder of The Center for Feminine Wellness & Surgery, Dr. Walton focuses on restoring comfort and confidence through intimate-care services that celebrate the female body’s resilience. Her practice offers everything from vaginal rejuvenation, labiaplasty, clitoral hood reduction, and hymen repair to advanced non-surgical treatments like FemiLift® CO₂ laser, ThermiVa® radio-frequency tightening and PRP vaginal rejuvenation all designed to enhance tone, lubrication, sensitivity, and sexual satisfaction.

Partnering with the specialists at Waldorf Women’s Care, Dr. Walton extends her mission into menopause and midlife medicine. Together, they help women navigate perimenopause and menopause with bioidentical hormone replacement, pellet therapy, and tailored support for vaginal dryness, mood swings, hot flashes, and sleep changes, ensuring that women move through life’s transitions with strength and grace.

Dr. Walton’s approach is deeply personal: she listens without judgment, educates with compassion, and empowers each woman to take the next step toward renewal. Her philosophy is simple yet powerful: your body deserves care, your story deserves attention, and your wellness deserves to be a priority.

When women ask, “Is this normal?” Dr. Walton answers with expertise, empathy, and a smile: “Yes — and here’s how we can make it better.”

Biosketch

Dr. Briana Walton is a double board-certified physician in Obstetrics and Gynecology and Female Pelvic Medicine and Reconstructive Surgery (FPMRS). As the inaugural Medical Director of Robotic Surgery and FPMRS at the University of Maryland Capital Region Health, she oversees multiple institutions within the system.

Dr. Walton’s career began as the first fellow in Urogynecology and Pelvic Reconstructive Surgery at Harvard University/Mt. Auburn Hospital. With nearly 25 years of experience, she is an expert in robotic and minimally invasive surgery, having performed nearly 800 pelvic reconstructive surgeries.

She earned a Master’s degree in the Business of Art and Design from the Maryland Institute College of Art, blending innovative design with patient care.

Dr. Walton is also certified in AI for Healthcare from MIT, enhancing efficiency in her medical practice.

Dr. Walton champions healthcare and digital literacy. She embodies her belief that “Service is the rent we pay to live as citizens of the Earth.”

Featured Health Professionals

Local Professionals Empowering and Encouraging People To Live Healthier

Dr. Schoenfeld is a renowned facial plastic surgeon whose expertise, artistry, and dedication to patient care have earned him national recognition. He is widely known for his exceptional skill in rhinoplasty, revision rhinoplasty, and deep plane facelifts. This has attracted patients from around the world who seek his care for their first cosmetic experience, as well as those who have had prior surgery and require revision of work already performed.

A respected leader in his field, Dr. Schoenfeld serves as both an oral board examiner and a member of the written board review committee for the American Board of Facial Plastic and Reconstructive Surgery. His insights on the latest advancements in aesthetic medicine have been featured in major publications, including The Washington Post, Washingtonian Magazine, Bethesda Magazine, and Parade Magazine.

Dr. Schoenfeld’s compassion for patients affected by facial trauma, cancer, and cosmetic concerns has shaped his career mission: to help others restore confidence and improve their quality of life. His commitment to giving back is reflected in his volunteer work with the American Academy of Facial Plastic and Reconstructive Surgery’s Face to Face program, Project Access, and a facial reconstruction mission trip to Guatemala. Through both his practice and philanthropy, Dr. Schoenfeld continues to exemplify excellence, empathy, and innovation in facial plastic and reconstructive surgery.

Local Professionals Empowering and Encouraging People To Live Healthier

Winters Chiropractic & Physical Therapy

With offices in Charlotte Hall, and La Plata, we are conveniently located to help with all of your chiropractic needs. Since serving the community since 2003, we offer many services such as chiropractic adjustments, physical therapy, exercise therapy, children’s therapy, DOT/CDL Physicals, and more. Winters Chiropractic and Physical Therapy is a full service care office. We focus on our patients comfort while providing the latest techniques to relieve persistent pain.

Dr. Paul J. Winters

BS, DC w/PT Privileges, CME

Degrees, Training, and Certifications: Doctor of Chiropractic, Northwestern College of Chiropractic; Bachelor of Science, North Dakota State University; Certified Medical Examiner, FMCSA (Federal Motor Carrier Safety Administration). Doctor of Chiropractic w/Physical Therapy Privileges, FMCSA DOT/CDL Certified Medical Examiner.

Professional Memberships/Associations: Maryland Chiropractic Association, Maryland Board of Chiropractic & Massage Therapy Examiners.

Techniques: Diversified, Thompson, SOT, Active Release Technique, Passive Release Technique, Trigger Point Therapy

Expertise: Personal/Work/Sports Injuries, DOT/CDL Medical Certifications, Musculoskeletal Disorders, Nutrition.

Personal Interests: Family and Vacationing, Motorcycling (Harley Davidson), Snowmobiling, Target Shooting, Computers

Dr. Patrick C. Winters

DC w/PT Privileges

Degrees, Training, and Certifications: Doctor of Chiropractic, Northwestern College of Chiropractic; Bachelor of Science, Human Biology Minnesota State University. AMA Guides to Evaluating Permanent Impairment, Certified Disability Examiner, Manipulation Under Anesthesia Certified.

Professional Memberships/Associations: Maryland Chiropractic Association

Techniques: Diversified, Thompson, SOT, ART/PRT, TPT, MUA

Expertise: Personal, Work and Sports Injuries, Spinal and Extremity Conditions, Musculoskeletal Disorders and Nutrition

Personal Interests: Family, Home, The Great Outdoors, Motorcycles, Snowmobiles

Featured Health Professionals

Mission: To help people feel comfortable in their own skin—to love, like, and accept themselves completely. “I’m here for you.”

With specialized degrees in Hypnotherapy, Advanced Yoga Training, and Ayurveda, plus certification as a G.I.A. Gem Specialist and Astrologer, this practitioner blends mind-body wellness with holistic insight. She trained in Rishikesh, India, continuing her studies annually, and belongs to professional associations including the National Association of Transpersonal Hypnotherapists (NATH), the National Guild of Hypnotists (NGH), and Yoga Alliance (YA).

Her areas of focus include Hypnosis for fears, phobias, and habits; Ayurveda Yoga; Yoga for Couples and Diabetes; Yoga Teacher Training; and Life Coaching.

How Hypnosis Supports Weight Loss

True weight loss starts in the mind. Hypnosis helps uncover and reshape subconscious patterns that drive emotional eating, cravings, or self-sabotage. In a relaxed state, clients can adopt healthier beliefs—visualizing smaller portions, enjoying exercise, and releasing stress-based eating.

By addressing root causes like boredom, stress, or emotional triggers, hypnosis makes healthy habits feel effortless. While not a magic cure, it complements diet and exercise by transforming the mindset behind them—empowering lasting, self-loving change.

E. Taylor Meiser, Jr.

Degrees/Training: DDS, University of Maryland Dental School; General Practice Residency, San Diego Naval Hospital; Prosthodontics Residency, Naval Dental School, Bethesda; U.S. Navy Dental Corps Officer, Commander, USN, (retired).

Professional Memberships: American Dental Association, Maryland State Dental Association, Anne Arundel County Dental Society, Annapolis Dental Study Club, Chesapeake Implant Study Club, University of Maryland Alumni Association.

Practice Philosophy: To follow the “Golden Rule” in all aspects of professional dental care, providing outstanding quality dentistry in a caring, comfortable and comprehensive manner. Lighthouse Family Dentistry will “Light Up Your Smile.”

Featured Health Professionals

Deana Moody, DDS

Meet Deana Moody

Degrees/Training: Bachelor of Science, Ohio State University, Columbus, OH, Dental Hygiene, Pre-Dentistry; University of Maryland Dental School, Doctor of Dental Surgery, Baltimore, MD; Pete Dawson Center, Tampa, FL; Zimmer Institute

Professional Memberships/Associations: Academy of General Dentistry; American Dental Association Areas of Interest: Preventative, Cosmetic, Endodontic and Prosthetic Dentistry

Practice Philosophy: To provide patients with state-ofthe-art treatment together with personal attention and compassionate care. My expertise and concern for my patients ensures that they receive effective care in a warm and friendly environment.

Our Practice: White Plains Comprehensive Family Dentistry welcomes you to their new practice in White Plains, MD. We offer complete dental exams and procedures for the entire family.

Whether you are having a dental emergency or it’s time for your yearly check-up, stop in and see our friendly and professional staff today.

Washington-Plaskett completed her medical school training at Meharry Medical College in Nashville, TN. She completed her Internal Medicine training at Morehouse School of Medicine in Atlanta, GA. She went on to pursue her Cardiology training at Boston Medical Center in Boston, MA where she also decided to stay and complete an additional year of training in Interventional Cardiology. She is a native of Fort Washington, MD and was eager to come back to familiar roots to start her career as a Cardiologist.

Dr. Washington’s interest in medicine started early as both her parents were in the medical field. Her inspiration is derived from the sacrifice of her parents as well as countless other health care workers that dedicate their careers in service to others.

Her specific interests in Cardiology include coronary artery disease and prevention, women’s cardiovascular health, and health disparities. Coronary heart disease or disease of the arteries that supply the heart is highly prevalent in the US with an estimated 20.5 million Americans with the diagnosis. Among women, it is often difficult to recognize the signs and symptoms of a heart attack and can often get overlooked.

Dr. Washington looks forward to working with and delivering care to the patients within the southern Maryland area. She truly believes knowledge is power and arming patients with the knowledge and tools necessary to guide them through their journey to better cardiovascular health.

Dr.

Featured Health Professionals

Local Professionals Empowering and Encouraging People To Live Healthier

Renee Bovelle, MD Ophthalmology

Craig A. Smith, DDS

General Dentistry/ Family Dentist

12200 Annapolis Road Suite #116 Glenn Dale, MD 20769 EnvisionEyeandLaser.com

Meet Dr. Bovelle

Board Certified, Ophthalmology by the American Board of Ophthalmology

Degrees, Training and Certificates: UCLA Medical School; Yale University Hospital for Residency; Louisiana State University for Cornea and Refractive Fellowship

Professional Memberships/Associations: American

Academy of Ophthalmology; American Society of Cataract and Refractive Surgery; International Society of Refractive Surgery

Areas of Interest: All laser custom LASIK; Cataract Surgery; Botox; Dermal Fillers; Cornea Comprehensive Ophthalmology

Practice Philosophy: Envision Eye and Laser is committed to delivering superior ophthalmic care with state-of-the-art technology and patient education in a caring, compassionate environment. We cater to a diverse population of adults and work with your primary care physician to improve the quality of your overall health and life. Your best vision is our focus.

Meet Craig A. Smith

Dr. Craig Smith is committed to health through dentistry, ensuring you have optimal oral health which contributes to your overall health and well-being.

Quality service, advanced technology and a passionate commitment to education means patients receive the best that dentistry has to offer.

Dr. Smith’s Philosophy: Always listen to the patient and in turn respond in an educational manner so that the patient will understand.

Degrees, Training, and Certificates: Doctor of Dental Surgery (D.D.S.) - Howard University College of Dentistry; 2 Year General Practice Residency; Chief Resident - Harlem Hospital Center (Affiliate of Columbia University); Certified Invisalign Provider

Professional Memberships: National Dental Association

Areas of Interest: All phases of dentistry - cosmetic, implant, crowns and bridges, root canals, veneers, preventive care, Invisalign and whitening.

Hobbies: Mountain biking, racquetball, golfing, and boating. My interests are to continue to deliver quality dentistry and to further reach out to the community to help to increase the peace.

Additional: Many patients do not understand the importance of a healthy mouth, as health problems could arise. I want to educate all of my patients on health through dentistry.

Dr. Weiss received his Bachelor of Arts from University of Virginia, and his Doctor of Medicine from McGill University. His Post-Graduate Training Includes: University of Hawaii Internship in Medicine, St. Elizabeth’s Hospital (Boston) Residency in Internal Medicine, Board Certified Internal Medicine, Fellow American Academy of Anti-Aging Medicine. Practice Philosophy: Combining the best of conventional treatments, natural approaches and alternative strategies.

Areas of Interest:

• Expert treatment of chronic fatigue syndrome and fibromyalgia

• Nutritional strategies and weight loss, including HCG protocol

• Bio-Te Hormone Replacement

• Addressing thyroid problems and adrenal fatigue using natural and holistic therapies

• Intravenous therapies

• Combining the best of conventional and holistic therapies to address chronic and complex health care issues

• Anti-Aging protocols using Botox, Dysport and Peptide Therapy

Kim has had a wide variety of experience as a nurse, from ICU service to Oncology nursing, and is an expert with IV therapies and is committed to her patients being comfortable, safe and well informed.

Kim has been utilizing IV therapies very safely and therapeutically with over 25 years as an IV Nurse, has been administering nutritional and integrative IV’s in many different settings and practices throughout Maryland and Massachusetts. She is able to tailor these therapies to meet individual needs and requirements. Many people can benefit from these therapies and they can jumpstart your road to recovery and health.

Treatments Offered Include:

• IV Therapies: Vitamin C Drips, Meyers Cocktails, Glutathione, Mineral IV's,

• Alpha Lipoic Drips. B12/MIC injections

• Botox/Dysport

• Morpheus8, Votiva (vaginal rejuvenation, especially for urinary incontinence)

• Traditional Microneedling treatments

• VIPeels including NEW BODY PEELS

• Heidelberg PH Capsule Testing

to perfect our communication and better

Featured Health Professionals

Local Professionals Empowering and Encouraging People To Live Healthier

Tara Joyner

Meet Tara Joyner

Whether it’s teaching students, advising clients, or counseling patients, Tara Joyner has always found herself pursuing her dreams and passions, adapting to her environment, stepping in to fill a need whenever it arises. Her current journey began in 2015 when her uncle choked on a hotdog in front of her, and subsequently passed away.

This was the catalyst for her crusade to ensure that people in the community are CPR-trained and equipped with the necessary skills to respond to real-life emergencies. TFC (Teaching For Charles) Lifesavers was born in an effort to increase the very low percentage of people in this country who are certified in first aid, CPR, and AED usage. TFC Lifesavers now has over 60 instructors in 18 states and has trained thousands of students in various health, safety and life-saving skills. Education: Post Masters Certification in Child and Family Counseling –Wilmington University – 2012, Master of Education in Elementary and Secondary School Counseling – Wilmington University – 2011, Master of Primary Education K-4 – Wilmington University – 2004 and Bachelor of Arts – Criminal Justice University of Delaware – 2001

Certifications: Emergency Medical Response Instructor Trainer, American Safety and Health Institute Active Violence Instructor Trainer, American Safety and Health Institute FA/CPR/AED Instructor Trainer, American Safety and Health Institute Basic Life Support Instructor, American Red Cross FA/CPR/AED Instructor Trainer, American Red Cross Basic Life Support Instructor Trainer, American Red Cross CPR for the Professional Rescuer Instructor, American Red Cross Babysitting Training Instructor Trainer, American Heart Association Basic Life Support Instructor Faculty, Nationally Registered Emergency Medical Technician (EMT).

Beth Albaneze, MA, CTRS, CPRP

Certified Therapeutic Recreation Therapist

Certified Rehabilitation Practitioner

Studies have shown that the U.S. is in the middle of a mental health crisis, and experts say there is an immediate need for integrated mental health services. In her new book, From Helpless to Hopeful: Addressing a Loved One’s Challenges and Changes, respected Maryland recreation therapist Beth Albaneze explains how to navigate both mental health challenges and the system that treats them.

“It’s such an important time for people to have a tool like this,” Ms. Albaneze says. “Mental health issues are so widespread right now that even people who haven’t experienced such challenges themselves know someone who is having a hard time.”

The book is designed to help laypeople find appropriate resources to help a loved one who is experiencing an emotional and/or life shift. The guidance is delivered alongside Ms. Albaneze’s personal anecdotes as well as case studies from her many decades of helping clients find creative and effective ways to help someone they care about.

To order a copy of From Helpless to Hopeful: Addressing a Loved One’s Challenges and Changes, go to: HouseCallsTotalWellness.com

Featured Health Professionals

This book is a personal, very real reminder of how God keeps His Word by wrapping his everlasting love around us even during the darkest times when hope can sometimes be hard to find. Pearl’s book is a heartfelt, personal testimony that confirms Jesus is alive and caring for us every day at every step of the way. Be encouraged by reading Pearl’s experience while fighting serious health issues yet relying on God’s promises -- God promises He will never leave us nor forsake us. Oh, what a promise one can trust!

From idea to publication – Pearl reveals the journey behind her new book, plus her best advice for readers. Don’t miss the interview: https://yhm.news/pearl-kumi

Hearing Loss and the Holidays Reconnecting Through Better Communication

The holidays are meant for connection—sharing stories, laughter, and time with loved ones. But for the millions of Americans with hearing loss, the noise and bustle of the season can make communication feel isolating instead of joyful. Crowded rooms, clinking dishes, and overlapping conversations can turn simple gatherings into exhausting listening challenges. The Hidden Strain Of Hearing Loss Hearing loss doesn’t just make sounds quieter—it distorts them. Many people can hear that someone is speaking but can’t clearly distinguish the words, especially with background noise. As a result, they may nod along, withdraw from conversation, or avoid group events altogether. This social fatigue can lead to frustration and even depression during what’s supposed to be the happiest time of year.

If a loved one seems unusually quiet at holiday gatherings, it might not be disinterest—it could be hearing difficulty. Recognizing this is the first step

toward creating a more inclusive and enjoyable celebration for everyone. How To Support Better Holiday Communication

Small adjustments can make a big difference:

• Reduce background noise when possible.

• Face the person directly when speaking, and keep your hands away from your mouth.

• Speak clearly—not louder.

• Use good lighting so faces are well lit and easier to read.

• Rephrase instead of repeating.

For those with hearing loss, positioning yourself strategically—such as sitting close to the main speaker or away from the kitchen or TV—can also make listening easier.

When To Get Your Hearing Checked

If you often ask people to repeat themselves, turn up the volume higher than others prefer, or find group conversations tiring, it may be time for a hearing evaluation. Many people wait years before seeking help, unaware that untreated hearing loss can affect not only communication but also cognitive health and emotional well-being.

A hearing professional can assess your hearing, recommend the right devices or assistive technologies, and guide you toward hearing solutions that fit your lifestyle.

This holiday season, give yourself – or a loved one – the gift of better hearing. The sounds of laughter, and conversation are too precious to miss.

At BeBalanced, we know how frustrating it is when stubborn weight, mood swings, and fatigue take over your life – especially when you’ve been told it’s “just part of getting older.” The truth is, it’s not just about diet and exercise. More often than not, it’s about hormones.

Our simple, natural approach works with your body – not against it – to restore balance, shed stubborn weight, ease symptoms, and rediscover your energy, confidence, and joy.

Because you deserve to feel like the best version of yourself – vibrant, empowered, and truly balanced.

Discover how BeBalanced can help you lose the weight for good, naturally. https://bebalancedcenters.com

How Counseling Can Help You Face Important Anniversaries When Grieving

A man is scrolling on social media when a Facebook memory pops up of his mom at the last holiday din-

ner she was able to attend before she died. Suddenly he feels an intense sadness and begins to cry.

That is anniversary grief.

His sister sees the same photo. She instantly smiles and feels a wave of relief. It was a special day, but mom was going through chemotherapy and now she is no longer in pain.

That also is anniversary grief.

Anniversary grief is the intense feelings and emotions of grief surrounding the anniversary of a significant loss or traumatic event.

They’re not always sad or scary. Sometimes the nostalgia is welcoming. This is a normal reaction to grief. Like snowflakes, grief is different for each person. To cope with these inevitable anniversary moments, grievers can reach out to a grief counselor.

Grief counselors help clients

prepare for the triggers before these anniversaries occur. They can guide them through loss, memories, worry and sometimes regret that comes from the unfinished business their loved one left behind.

Grief counselors help children, individuals and families process the pain of loss. That can include crying, sharing feelings of anger, guilt, regret and sadness. We hold a space to allow our clients to get in touch with how they are feeling. When these anniversaries impact the griever, they feel as if the world has moved on without their loved one and they also feel left behind. Many don’t have a tribe they can turn to. Grief counselors and grief support groups can be that tribe.

Grief counselors help their clients explore meaningful ways to maintain a deep connection with the deceased, and not only on anniversaries. It can be something as simple as lighting a candle.

They can also reinvent the anniversary that they struggle with so it honors their person while bringing others in to share. One client’s mom would host a family dinner every Sunday. When she died, the dinners stopped. So, they started a new dinner tradition, getting together every Sunday with their family.

It is important not to ignore anniversaries that remind people of their loved ones. Death can cause people to drift away from each other when their loved one’s traditions aren’t continued. Death can also bring people together when they work to find a way to honor their loved one in this new life without them.

Janay Taylor, MSN, CRNP and Maurice Taylor, NREMT-P
Jennifer Ward, LMSW

Sleep During the Holidays Protecting Your Rest In a Season Of Stress

The holiday season is filled with joy, celebration, and connection — but it can also disrupt healthy routines, including one of the most important: sleep. Between travel, late-night events, seasonal stress, and overindulgence, many people find themselves running on less rest just when their bodies need it most.

Sleep plays a vital role in supporting immune function, mood stability, and energy levels — all essential for navigating busy social calendars and colder months. When sleep suffers, so does our ability to manage stress, make healthy food choices, and stay physically active.

Holiday Stress and Sleep Disruption

The pressure to shop, cook, entertain, and travel can trigger anxiety and mental overstimulation. This often makes it harder to fall asleep or stay asleep, especially when paired with irregular schedules. Practicing relaxation techniques — like deep breathing or reading before bed — can help wind down, even on hectic days.

Travel and Time Zone Trouble

If your holiday plans involve crossing time zones, your circadian rhythm may be thrown off. To adjust, try to shift your sleep and wake times by 30–60 minutes in the days leading up to travel. Once at your destination, get natural light in the morning and avoid screens at night to reset your internal clock.

Food, Alcohol, and Late Nights

Rich meals and alcohol — both

Please see “Season Of Stress,” page 63

Poor Circulation In Feet

Part Two:

Treatment and Prevention

Poor blood circulation in the legs and the feet can cause various health problems. The buildup of plaque causes the arteries to harden and narrow. This condition, which is called atherosclerosis, results in a reduction of blood flow to the legs and feet and is commonly referred to as poor circulation.

Proper blood flow throughout the body is an indispensable req-

uisition for a healthy life. The right amount of blood flow is needed for various bodily functions like movement of the limbs, functioning of various organs, etc. Poor blood circulation is mostly found to occur in the extremities, especially the feet. Last month’s article discussed causes and symptoms of poor circulation and peripheral arterial disease (PAD). This month we will focus on treatment and prevention.

Your podiatric physician can do a simple test to determine if you have Poor blood circulation/PAD. The test is called an ABI, or ankle-brachial index. It compares the blood pressure in your ankles with the blood pressure in your arm. If your ABI is abnormal, your podiatric physician may order other tests to determine the extent of your PAD.

PAD can be treated with lifestyle changes, medicines, and surgical procedures if necessary. Medical treatment options include:

• programs to stop smoking

Please see “Poor Circulation,” page 63

Over 70 million Americans suffer from sleep disorders. Sleep problems affect both sexes, all races and all age groups.

Left untreated, sleep disorders can pose serious threats to your health. Heart attack, heart failure, irregular heartbeats, stroke, diabetes, hypertension, acid reflux, attention deficit disorder and depression are conditions associated with sleep problems.

At Annapolis Asthma, Pulmonary & Sleep Specialists, we provide expert diagnosis and treatment to help you achieve restful, healthy sleep.

Panic Disorders

Imagine you are in an elevator and suddenly you feel flushed and short of breath. Your heart is beating rapidly and you begin to perspire. What’s happening?

What could be occurring is a panic attack. Panic attacks involve an uncontrollable feeling of panic in response to ordinary non-threatening situations. Chemical or hormonal imbalances, drugs/alcohol or stress can precipitate attacks, which frequently can be mistaken as heart attacks or breathing problems.

Symptoms often appear suddenly without apparent cause. Racing/ pounding heartbeat, chest pain, dizziness, nausea, shortness of breath, tingling/numbness in hands, a sense of terror or losing control have been described as symptoms experienced during panic attacks. Typically, attacks last several minutes but can be longer. When someone has repeated episodes or feels great anxiety over the possibility of re-occurring attacks, it is diagnosed as panic disorder.

Approximately three million people have a panic disorder at some time during their lives. Women seem to be affected twice as often as men.

Once a panic attack occurs, irrational fears may develop about the situation and the person may avoid similar circumstances i.e., panic while driving over a bridge may lead to a person refusing to drive over any bridge.

According to the National Institutes of Health it is reasonable to believe that there is some biological basis for panic disorder. Theories propose that there may be a malfunction

Please see “Panic Disorders,” page 65

Acupuncture and Seasonal Depression

400 Potomac Street

A psychiatric rehabilitation program offering a day component, residential, vocational and in-home support services. Let us show you how to move from the solitude of symptoms to the freedom of achievement.

OFFERING: Wellness and Recovery Community Center - This is a program that provides support from peers for both mental

and substance use disorders for people actively working on their recovery.

Vicq,

Committed to Healing to Achieve Lasting Well-Being

flus. It is more prevalent in young adults and women.

There are ways to manage this stress and actually enjoy the long, dark days of the winter season. Acupuncture and Chinese herbs can be useful to manage these seasonal symptoms. These modalities can help to balance the physical and emotional symptoms in an effective manner with little to no side effects.

health coNcerNs with acupuNture

ASTHMA

DEPRESSION

BACK PAIN

JOINT PAIN

GiddinGs Avenue suite u3, AnnApolis, Md 21401

As fall fades and winter approaches, numerous people dread the cooler temperatures and longer nights. This change in seasons can have a profound psychological effect on many and often brings about seasonal depression. This seasonal depression can show up as lower energy and motivation and physical symptoms such as lower immunity, arthritis pain, and frequent colds and

A personal consultation with a licensed and experienced acupuncturist can pinpoint the areas of imbalance that are triggering seasonal depression and associated issues. Often, these issues can be addressed and treated with acupuncture, herbs, as well as lifestyle changes such as diet, exercise, and meditation to name but a few.

If you have suffered from seasonal depression in the past, or are currently exhibiting symptoms, now is the time to act to keep the “winter blues” away.

with Doctor

Receive Medication

EQUITY FOR ALL

Dr. Wolcott received his DDS degree from the University of Maryland School of Dentistry & keeps up-to-date on the latest dental trends through continued education. He has over 25 years of experience in the placement & restoration of broken, damaged & missing teeth.

Dr. Poupard, who is fluent in French, received dual DDSs from Paris Descartes University & University of Maryland School of Dentistry, where she also completed a one–year residency in General Dentistry. Dr. Poupard actively embraces new & improving technology & advances in dentistry through continuing education.

Dr. Centty, who is fluent in Spanish, received dual DDSs from Cayetano Heredia University & University of Maryland School of Dentistry, where she also received her MS & a certificate in Advanced General Dentistry. Dr. Centty remains abreast of the latest changes in dentistry to provide patients with state-of-the-art care.

Studio 5 Hair Gallery Specializing in Restoring & Enhancing

Your Hair’s Natural Beauty

Located in scenic Southern Maryland, Studio 5 Hair Gallery is well known in the medical community for customized solutions for hair loss. We provide the finest synthetic and human hair wigs, hair extensions, and top-of-the-head hairpieces. For over 12 years, Studio 5 Hair Gallery has served its clients with compassion and excellence. call 301.884.3553 for your appointment today! Please mention this Flier when setting up your appointment. Whether your hair loss is temporary, due to medical

& Women’s Hair Systems • Extensions

or

Studio 5 Hair Gallery hair replacement specialists are empathetic to your needs at this difficult time and will do everything possible to make you feel comfortable.

GWEN BEVERLY Owner, Medical Hair Loss Specialist

Quansheng Lu, CMD, PhD, L.Ac www.wholelifeherb.com • luquansheng@gmail.com

Guest professor, Henan University of Traditional Chinese Medicine (TCM) Chief TCM Physician, WFCMS; M.S. in TCM, Beijing University of TCM PhD in integrated medicine, China Academy of Chinese Medical Sciences Fellowship, Georgetown University & Children’s National Medical Center 3 patents, 8 books of TCM, 30 papers, 30+ years of experience in TCM

Hungerford Drive, #300 Rockville, MD 20850

Chinese Acupuncture For Shoulder Pain

More than 3,000 years ago, the origins of Chinese acupuncture took root, becoming an integral aspect of traditional Chinese medicine (TCM). This therapeutic practice involves the insertion of fine needles into specific points on the skin to promote healing. By targeting these points, acupuncture

Doesn't Your Child

aims to restore the flow of energy along the body’s meridians, which, according to theory, becomes obstructed, leading to discomfort.

Shoulder pain ranks among the most prevalent symptoms, stemming from various common causes such as tendon inflammation, adhesive capsulitis, instability, arthritis, and fractures. While less frequent, shoulder pain can also result from tumors, infections, or nerve-related issues.

Does Acupuncture Alleviate Shoulder Pain?

Research from June 2009, conducted at Johns Hopkins Bayview Medical Center, examined the efficacy of acupuncture in managing shoulder pain. In a single-blind randomized trial, adults experiencing shoulder pain

Please see “Shoulder Pain,” page 63

Healthy Resolutions For Your Family

We all make resolutions at the beginning of the New Year; however it may be difficult to stick to our plans if we don’t have constant support. That’s why making resolutions we can stick to as a family is such an important part of creating lasting changes. We can support each other while everyone works toward becoming a happier, healthier, more united family unit.

Eat a Healthy Breakfast

It should be everyone’s goal to eat a healthy meal every morning. Whether you drink a fresh fruit smoothie or sit down with a bowl of

oatmeal, make sure that every member of the family eats something sustaining before leaving the house.

Eating before you leave eliminates the temptation to stop at a fast food restaurant or grab a doughnut and coffee before work. Resolve to keep healthy foods and fruit stocked in the kitchen and readily accessible for the mornings to help the family stick to this goal.

Wash

Your Hands

Making a point to wash your hands before eating is a great way to get rid of germs, prevent some diseases and cut down on the number of illnesses each member of your family has to endure each year. There are germs on almost every surface your body comes into contact with and making a concerted, long-term effort to wash your hands helps to keep the germs out of the house.

Avoid Destructive Habits

Develop healthy routines that can help you lead a healthy life. Avoid unhealthy habits such as alcohol abuse, smoking and drug abuse. Poor eating and exercise habits may lead to heart disease, cancer, and unhealthy weight

Please see “Resolutions,” page

The Silent Dental Disease

Bacteria from dental plaque not only attacks the soft tissue, but will eventually attack the bone causing teeth to fall out. The most common strain of bacteria in dental plaque can cause blood clots that induce heart attacks when they enter into the blood stream. Additional studies presented that dental plaque is linked to:

• A potentially fatal disease called infective endocarditis in which the sac around the heart becomes infected with bacteria

• Lung infections in people with chronic lung diseases such as chronic obstructive pulmonary disease.

• Weakened immune systems that can slow wound healing and diminish a person’s response to vaccines against hepatitis B and influenza.

• A higher risk of giving birth to premature, low birth weight infants.

Treating gum disease has become more important than ever due to these findings. Soft tissue management is a non-surgical approach to control the infection of the gums and root surfaces. There is no cure for gum disease; it can only be managed or controlled.

Your hygienist will perform the treatment, also known as scaling and root planing, to treat the infection, make recommendations to help you effectively clean your teeth daily, and guide you through the efforts to achieve and maintain optimum oral heath.

Scaling and root planing is the

Please see “Dental Disease,” page 65

At Kensington Pharmacy, in addition to having your prescriptions filled with speed and accuracy, you will experience one of the best services and notice the difference.

With 14 employees, Kensington Pharmacy gives a special attention to each customer that they deserve. Stop by and experience the difference.

The Holiday Season and Colds

Submitted by Kensington Pharmacy

Coming down with a cold during the holidays can turn your holiday season into drudgery.

You catch a cold when a virus invades your nose or eyes. You might breathe in airborne droplets, but far more often, you catch a cold by touching a germy surface or having direct contact with a person who has a cold and then touching your nose or eyes.

Your risk of catching a cold is greater when you are indoors most of the time, when the air is dry, and when you have close contact with other people. During the holiday season, people travel in trains, planes, and automobiles and are probably sharing the ride with some of the 200 viruses that cause the common cold.

To Lessen Your Risk

Avoid prolonged close contact with people who have colds. Handshaking, hugging, and sharing meals and good times are so much a part of

the holiday season, exposure to cold viruses is probably inevitable. Keep your hands away from your nose and eyes because cold viruses can live up to three hours on your skin.

Wash your hands, with soap and water, often. Scrub the backs of your hands, between your fingers, and under your nails – not just your palms – for a full 15 seconds and rinse well. Dry your hands with a disposable towel, and turn off the faucet using the towel. If soap and water are unavailable, use an alcohol-based hand sanitizer.

Clean your personal items. Cold viruses can live on surfaces (especially nonporous surfaces such as plastic, metal, or glass) for up to 48 hours. Use disinfectant wipes to clean the surfaces you regularly touch this holiday season – your laptop keyboard, your cell phone, your car’s steering wheel.

Treating a Cold On the Road

The saying goes that there’s no cure for the common cold, but even so, Please see “Holiday Season,” page 63

Owned by a local family of pharmacists The Tunc Family: From Left: Melike, Pinar, Huseyin and Zeynep

• Prescription Refills via On-line or Phone 24 hours a day

• Flu Shots, Shingles and Pneumavac Vaccines

• Prescription Plans including Medicare Part-D and Part-B, CVS-Caremark

• Transfer Of Your Prescriptions

• Compounding Specialists

• Wide Vitamin Selection

• Blisterpacking For Assisted Living Facilities

• BOIRON Homeopathic Remedies

• Greeting Cards, Select Books and Gifts

• Wide Home Health Care Selection Wheelchairs, Canes, Walkers, Medical Legsupport, Arthritis and Sport Aids, Bath Aids

• Toys and Books for Children

• And More

COSMETIC SURGERY

• Breast Augmentation

• Abdominoplasty (Tummy Tuck)

• Liposuction

• Hair Transplants

• Mommy Makeover

• Facial Surgery

NON-INVASIVE TREATMENTS

• Botox®, Dysport®, Xeomin®*

• BellaFill®

• Juvederm*

• Restylane®*

• TempSure Envi

• Endermologie

• Zerona

• Lipolight

LASER TREATMENT

• Hair Removal

• Vein Treatment

• Laser Resurfacing

WELLNESS SERVICES

• Bioidentical Hormones (BHRT)

• ED Treatment for Men

• Medical Weight Loss

the Friendship Heights Metro)

H EaltH y SmilE

needs of each patient. Whether you’re undergoing a complex procedure or a routine dental treatment, your peace of mind is our priority.

Patient-Centric Approach:

At Total Dental Care, we prioritize your comfort with a patient-focused approach, offering amenities such as heated chairs with massage features, ensuring a relaxed experience. Our team is dedicated to fostering a positive dental experience, emphasizing

From pagE 12

communication and education to empower patients in making informed decisions about their oral health.

Total Dental Care stands as a beacon of excellence in dental health, providing total solutions for patients seeking comprehensive, detail-oriented care. Experience the difference with our wide range of services and patient-focused approach, ensuring your journey to a healthy smile is seamless and satisfying.

a ll- on-Four

oral health. But perhaps the biggest surprise about the all-on-four is how quickly it can transform your life.

What’s The All-On-Four Dental Implant Procedure Like?

First, either local or general anesthesia will be administered.

Second, the dentist or surgeon will prepare your mouth for the implants, which involves removing your remaining teeth that are failing. They will then remove any diseased or infected tissue from your jaw and gums.

Next, they will insert the titanium screws into your jawbone. Most likely,

they will place two implants toward the front of your mouth and two towards the back of your mouth so the “anchors” can evenly bare the force of the denture.

After the implants have been placed, they will thoroughly clean the surgical sites and suturing all the incisions. Then you’ll be taken to a recovery room where you can relax and take time to wake up from the anesthesia. Schedule a consultation with an All-On-Four provider. It’s the best way to find out how dental implants can change your life.

and organizations with the skills and confidence to respond effectively in emergency situations with certification provided the same day upon successful completion of the course.

tH yroid

hormone replacement therapy, such as levothyroxine, to restore hormone levels and relieve symptoms.

Lifestyle adjustments also play a key role:

• Nutrition: Emphasize whole foods rich in iodine, selenium, and zinc. Avoid processed foods and excess sugar to reduce inflammation.

• Exercise: Engage in a mix of cardio and strength training to boost metabolism.

We are dedicated to upholding the standards set by the American Heart Association (AHA) and ensuring that our training aligns with the latest guidelines and best practices.

p lantar WartS

when weight is brought to bear directly on the wart, although pressure on the side of a wart can create equally intense pain.

Tips For Prevention

• Stress Management: Use mindfulness, meditation, or yoga to lower cortisol levels, which can impact thyroid health.

These changes not only support thyroid function but also help address stubborn weight issues.

Understanding the link between thyroid health and weight is empowering. With the right diagnosis, treatment plan, and lifestyle strategy, midlife women can regain control over their metabolism and well-being.

Environm Ent

back at work in time? Are you always on the road and simply grab lunch at the nearest fast food? Do you have the opportunity to take a walk or work-out at your job?

At the grocery store, are you more likely to see and buy fruits as you enter or are you more likely to see and buy chips and cookies? Is it easy to find healthy foods where you buy grocery?

In your neighborhood, how likely are you to engage in physical activity or develop an exercise routine? Is there a park or gym close by? Is

From pagE 24

there a pool that you have access to? Is your neighborhood safe for the activities that you want to do?

How are the people around you living? Do they have healthy lifestyle practices? Do they support your weight loss efforts? Over time, your environment influences your weight either positively or negatively.

For effective weight management, it is important to evaluate your environment, make changes to your environment, or change the way that you interact with your environment.

• Avoid walking barefoot.

• Change shoes and socks daily.

• Keep feet clean and dry.

• Avoid direct contact with warts.

• Do not ignore growths on, or changes in, your skin.

• Visit your podiatric physician as part of your annual health checkup.

Self Treatment

Self-treatment is generally not advisable. Over-the-counter preparations contain acids or chemicals that destroy skin cells, and it takes an expert to destroy abnormal skin cells (warts) without also destroying

From pagE 18

surrounding healthy tissue. Those with diabetes or with cardiovascular or circulatory disorder should avoid self-treatment.

Professional Treatment

It is possible that your podiatric physician will prescribe and supervise your use of a wart-removal preparation. More likely, however, removal of warts by a simple surgical procedure, performed under local anesthetic, may be indicated.

Lasers have become a common, effective treatment. A procedure known as CO2 laser cautery is performed under local anesthesia in your podiatrist’s office surgical setting or an outpatient surgery facility. The laser reduces post-treatment scarring and is a safe form for eliminating wart lesions.

gEtting WEll

in this condition go from doctor to doctor looking for an answer and are told that all the lab tests are normal, and maybe you just need to sleep and exercise, and, by the way, are you depressed?

There is an effective way to treat people in this condition. Effective therapy is available and includes aggressively hunting down and treating all, even subtle, hormone deficiencies, nutritional issues, and reversing the sleep disorder. This approach also includes looking for and treating hidden chronic infections and is very often effective in returning people back to health and energy.

Now for those of you who are well, how do you maintain and even increase wellbeing over the holidays? A few simple guidelines should help.

If you exercise, make sure you continue to do so over the holidays. Exercising increases our metabolic rate for many hours after the activity

and can help you burn calories going into a heavy holiday meal and may even help you resist over-indulging. If you don’t exercise or have been planning to start, this may be a great time to begin an exercise routine.

During the winter months in the northern latitudes it is common for people to have low Vitamin D levels. Vitamin D is becoming more and more appreciated for strengthening the immune system.

Supplementing with 2000 units of Vitamin D3 each day can help support the immune system as can one to two grams of Vitamin C daily.

Limiting sugar and alcohol intake can also help you stay well, avoid illness, and avoid piling on the pounds during the holiday.

The key to a healthy holiday season is to surround yourself with loved ones, enjoy yourself, and continue to do those things that keep you well.

you’re running away from a prehistoric predator or confronting a modern-day threat. Nevertheless, the long-term consequences of prolonged stress can wreak havoc on your overall health.

Individuals enduring chronic stress are more susceptible to conditions like high blood pressure, diabetes, and damage to muscle tissue due to ongoing tension and contraction. Their immune response can suffer, nerve irritation may occur, and the healing process from illnesses and injuries can slow down significantly.

You might be wondering how chiropractic care fits into this picture.

Chiropractic adjustments are effective at releasing muscle tension, thereby promoting a return to a more harmonious and relaxed state of being. These adjustments also alleviate spinal nerve irritation and enhance blood circulation.

In many instances, these changes can be sufficient to coax the brain into turning off the fight-or-flight response, initiating the healing process. A wellaligned and balanced spine plays a pivotal role in effectively managing stress. Moreover, a chiropractor may suggest relaxation techniques and discuss posture and environmental adjustments to aid in the recovery from chronic stress.

It’s crucial to note that chiropractic care cannot magically transform your job into a stress-free haven or make the world a quieter place. However, what it can do is equip you with healthier coping mechanisms for stress, ultimately reducing the risk of physical damage.

If you know someone grappling with stress, it’s worth asking whether they’ve recently sought the support of their chiropractor.

poor CirCulation

• blood pressure control

• lowering cholesterol

• managing high blood sugar (diabetes)

• medications to prevent clotting

• healthy diet and

• exercise programs

A variety of surgical treatment options are available depending on the location and severity of the artery blockage. Your podiatric physician can refer you to the appropriate specialist for these procedures. Poor circulation in feet is something that seems very minor, but should not be ignored if the problem persists. If the symptoms are severe and/or persis-

From pagE 52

tent, you must consult your doctor immediately. Take care to stay warm and avoid being immobile for longer periods of time. Proper and timely treatment can address this problem and prevent further complications. When to Visit a Podiatrist

Do not ignore leg pain. It is important to discuss any leg or thigh pain that you are having with your podiatric physician since it could be a warning sign of a serious disease such as PAD.

Early detection of PAD can offer an opportunity to treat risk factors that can slow the progression of the disease and decrease the chance of heart attack and stroke.

SHouldEr pain

for at least eight weeks due to osteoarthritis or rotator cuff tendonitis were assessed. Thirty-one participants were divided into three treatment groups: individualized acupuncture based on TCM principles, standardized acupuncture targeting typical shoulder pain points, and sham acupuncture without needle penetration.

Following six weeks of treatment, improvements in the total Shoulder Pain and Disability Index (SPADI) scores were observed across all groups. However, clinically significant changes were only evident in the first two groups. Consequently, acupuncture emerges as a potentially effective therapy for chronic shoulder pain.

Why Does Acupuncture Sometimes Fail To Yield Results?

common during holiday gatherings — can interfere with deep sleep. Heavy foods close to bedtime may cause discomfort or reflux, while alcohol can fragment sleep cycles, leaving you feeling groggy the next day. Moderation and timing are key: try to finish eating and drinking at least 2–3 hours before bed.

Why It Matters

Inconsistent, poor-quality sleep can lower your immune defenses, making you more susceptible to colds and seasonal viruses. It also impacts focus, mood, and metabolism, which

r ESolutionS

gain or vitamin or mineral deficiencies.

Exercise Together

Regular exercise can help prevent some diseases, increase your energy level, aid in managing stress and help you reach and maintain a healthy weight. Balanced exercise is important – do aerobic exercise to benefit your cardiovascular system, strength training to improve muscle tone and stretching to enhance flexibility. Get at least 30 minutes of moderate physical activity five days a week or 20 minutes of vigorous activity three days a week.

Spending time with your kids seems like a great excuse for skipping a workout, but you can have

can affect your ability to maintain other healthy habits through the season and into the new year.

Set a Foundation For the Year Ahead

Good sleep isn’t something to postpone until January. Protecting your rest now can help you feel better throughout the holidays — and start the new year on stronger footing. Maintaining a consistent sleep schedule, prioritizing wind-down time, and addressing ongoing sleep issues can make a big difference in overall well-being.

quality time and workout at the same time. Playing basketball with your kids, going on a family hike, or racing around a track are all great ways to get in your exercise while bonding as a family and enjoying nature.

Find Purpose In Life

We all have unique talents and abilities, interest and values. Encourage your children as well as yourselves to find purpose for your life in sharing your unique gifts with others. The things that give you joy or help you feel vital can increase your sense of purpose and ultimately will result in a satisfying relationship and interaction for everyone.

Holiday SEaSon

you can feel more comfortable – even when you’re far away from home. Your goal is to relieve your symptoms. Try Natural Ways To Feel Better:

From pagE 58

The practice of traditional Chinese medicine, encompassing acupuncture and herbal remedies, is intricate and requires extensive training. Optimal treatment outcomes hinge on identifying the correct acupuncture point formula and precise point locations. Without this precision, acupuncture may not deliver desired results.

Is Acupuncture Safe?

Overall, acupuncture is considered a safe treatment option. Potential side effects include dizziness, localized bleeding, dermatitis, nerve injury, or increased pain, particularly in cases where practitioners lack adequate training. Therefore, the expertise of a welltrained and experienced acupuncturist is crucial for both efficacy and safety.

Drink lots of water. Doctors recommend eight glasses a day to keep your nose and throat moist and to loosen congestion. Avoid alcohol and caffeine drinks because they dry out –or dehydrate – your system. A salt-water gargle may soothe your sore throat.

Get plenty of rest. If possible, adjust the temperature and humidity of your sleeping area to be moist and warm, but not overheated.

Eat right. No scientific evidence backs the old adage, “Starve a cold; feed a fever.”

Don’t smoke. Smoking can dehydrate your body and make your symptoms worse.

Use over-the-counter medications to treat your symptoms.

Your regular pharmacy back home probably has a branch near your holiday travel destination. Find out the location of the nearest pharmacy before you leave home. Some

common products that may help include the following:

Saline nasal sprays can fight stuffiness and congestion.

Decongestants and pain relievers may relieve your symptoms, even though they will not shorten the duration. People sometimes complain of feeling feverish with a cold, but colds and fever don’t usually go together. However, you may run a temperature of 100ºF – enough to slow you down a bit.

Ask the local pharmacist about complementary or alternative treatments such as:

Homeopathic remedies (used within the first 24-48 hours of symptoms) such as zinc lozenges and intranasal zinc gluconate. Recent clinical studies have demonstrated that treatment with intranasal zinc nasal gel is effective in reducing the duration and severity of common cold symptoms within 24-48 hours of symptom onset.

Vitamins and herbal supplements such as vitamin C and Echinacea. Information obtained from American Pharmacists Association.

HEALTH DIRECTORY

ACUPUNCTURE

Eastern Medical Holistic Healing Center – Angel Wood – 240-755-5925 –www.Acupuncture4Wellness.Webs.com.

West Annapolis Acupuncture – Brittney de Vicq, LAc, MAc – 410-375-9716 – BrittneyAcupuncture.com – Annapolis, MD.

CHINESE MEDICINE & ACUPUNCTURE

Quansheng Lu, CMD, PhD, LAc – www.WholelifeHerb. com – 301-340-1066.

CHIROPRACTIC

Kovach Chiropractic & Wellness Center – Alicia Kovach, DC – 410-697-3566.

Effective Integrative Healthcare – Millersville 410-7292200 – Lanham 301-5776556.

DENTISTRY

Lighthouse Family Dentistry –E. Taylor Meiser, DDS – 410224 4411 – Annapolis, MD.

Karl A. Smith, DDS – Waldorf, MD – 301-638 -4867. Craig A. Smith, DDS – 7201 Hanover Parkway, Suite A, Greenbelt, MD – 301-4461784 – www.craigasmithdds. com.

EYE CARE

McNelly Optical, Inc. – 410263-2692 – www.McNellyOptical.com – Annapolis, MD.

FERTILITY

Montgomery Women’s Fertility Center – 301-946-6962 –MontgomeryFertilityCenter. com – Rockville, MD.

HOME CARE

At Home Care, Inc. – 301421-0200 – AtHomeCareInc. com – Since 1977.

HORMONES

New Day Vitality Hormone Center – 410-793-5212 –Arnold, MD and Easton, MD – NewDayVitality.com.

INTEGRATIVE MEDICINE

Alan Weiss, MD, Annapolis Integrative Medicine – 410266-3613 – 1616 Forest Drive, Suite #3, Annapolis, MD 21403.

MEDICAL SPACE

Charles Feitel Company – 301571-9333 – www.MedicalandDentalSpace.com.

MEDICARE

Perry L. Johnson – Local Medicare Specialist – 301-793-4571 pjohnson.perry@gmail.com.

MENTAL HEALTH SERVICES

Charles Co. Freedom Landing, Inc. – 301-932-2737 or 301-870-3969.

House Calls, LLC – 301346-6732 – CallingOnBeth@ gmail.com – www.CallingOnBeth.net.

NEUROLOGY

Charles C. Reel, MD – Maryland Gait and Balance Disorder Center – Charlotte Hall, MD – 301-290-0395.

PAIN MANAGEMENT

Georgetown Pain Management – Netsere Tesfayohannes, MD, ABA, ABAP – 301-718-1082 – 8120 Woodmont Ave., Ste 560, Bethesda, MD – 7300 Hanover Dr., Ste 204, Greenbelt, MD. Newbridge Spine and Pain Center – 301-638-4400 –www.NewbridgeSpine.com.

PHARMACY

AllCare Pharmacy – 6341 Livingston Road – Oxon Hill, MD 20745 – 301-485-000 –Fax: 301-485-1259

PHYSICAL THERAPY/ REHABILITATION

Active Physical Therapy. Various Locations across Maryland and Washington, DC. Active-physicaltherapy.com.

PODIATRY

Bowie Foot Care – Howard Horowitz, DPM – 301-4645900.

Largo Foot and Ankle Health Center – Ade Adetunji, DPM – 301 386 5453.

PRIMARY CARE

Loving Care – Janet Johnson, MD – Hyattsville, MD – 301-403-8808.

PROSTHETICS

Metro Prosthetics – 301-4590999 – www.MetroProsthetics.com

RETIREMENT VILLAGE

Brooke Grove Retirement Village – 18100 Slade School Road, Sandy Spring, MD 20860 – 301-260-2320 – www.bgf.org.

S

SENIOR CARE

Chevy Chase Home Care. Help at a time you need it most. Any Ages. Any situations. Any shifts. MD, DC, VA – www.CHCHHomeCare. com – 202-374-1240.

St. Mary’s Nursing & Rehabilitation Center – 301-475-8000 – Leonardtown, MD – www. StMarysNursingCenter.com.

UROLOGY

AA Urology – IR Center , 600 Ridgely Avenue, Suite #120, Annapolis, MD – Annapolis , 600 Ridgely Avenue, Suites #222-223, Annapolis, MD – East Campus Surgery Center, 600 Ridgely Avenue, Suite #130, Annapolis, MD – AA Urology – Odenton, 1106 Annapolis Road, Suite #250, Odenton, MD.

UROLOGY

Glen Burnie , 305 Hospital Drive, Suite #303, Glen Burnie, MD – Bowie, 4201 Northview Drive, Suite #201, Bowie, MD – West Campus Surgery Center, 7855 Walker Drive, Suite #102, Greenbelt, MD –Greenbelt, 7855 Walker Drive, Suite #100, Greenbelt, MD. VETERANS

Charlotte Hall Veterans Home – 301-884-8171 – Waldorf, MD. WEIGHT LOSS

The Bariatric and Hernia Institute – Dr. Etwar McBean – 240-206-8506 – www.TBHInstitute.com.

YOGA

Toni’s Happy Hour Yoga and Holistic Wellness Center –Toni Greene, Owner – 301449-8664.

1) Call 301-805-6805 with your name, contact info, and credit card payment for $24, or

2) Simply mail this form along with your check for $24: Your Health Magazine 4201 Northview Dr. Suite 102 Bowie, MD • 20716

dEntal diSEaSE

treatment of the diseased root surfaces below the gum line. This differs from a routine prophylaxis (cleaning) because it emphasizes cleaning below the gum line where the plaque thrives. Scaling and root planing focuses on eliminating tartar and plaque and detoxifies the root surfaces where the disease occurs before it reaches the bone where it is not reversible.

What your dentist hopes to accomplish with soft tissue management:

• Gums that do not bleed. Healthy gums do not bleed. Bleeding is a

sign of infection.

• Fresher breath and taste.

• Gums that are pink, firm, and knife edge inter dental papilla.

• Reducing pocket depth.

• Control of gum disease.

Patients with gum disease are placed on a three-month re-care. This is a requirement for successful therapy. Studies have shown that within three months the plaque recycles itself.

It is very important for those who have gum disease to receive routine treatment.

Elon roSHEll

vided significant relief from her chronic pain. “The oxygen was so good. I mean, that was the first thing that, really like, I had no pain,” she recounted.

A Vision Of Wellness

After her recovery, Richardson experienced a life-changing dream that inspired her to create a comprehensive health and wellness center in Calvert County. This vision became Elon Roshell Day Spa & Health, featuring an array of services designed to promote natural health and wellness, including an oxygen bar, hyperbaric chamber, and a signature salt cave.

The salt cave is a central feature of Richardson’s spa. Constructed with real salt bricks, the cave offers a serene environment where visitors can experience the benefits of inhaling medical-grade salt. These benefits range from improved skin health and respiratory relief to overall relaxation. “It’s good for your skin. If you have eczema, it’s good for different skin conditions. Also your lungs. For me,

I have asthma. And after having this, I haven’t had to really carry my inhaler,” Richardson explained.

Elon Roshell Day Spa & Health offers a variety of wellness services, including massage therapy, facials, waxing, oxygen therapy, red light therapy, infrared sauna, and ionic foot baths. This holistic approach addresses both physical and mental well-being, providing a comprehensive healing experience.

Elambert Richardson also hosts a weekly Wellness Wednesday event at the spa. For just $25, attendees can experience the salt cave and participate in free small group health and wellness events. These events, largely led by Jeanette Umstead, a health coach at the spa, focus on Bible-based teachings of the 8 laws of health. These teachings emphasize principles such as a plantbased diet and the importance of rest, believed to contribute to long lifespan and overall well-being when followed.

H EaltH i Er Holiday

Art, dance, and gardening are also forms of mindful therapy. These simple activities activate the brain in healing ways. They reduce stress hormones and encourage emotional release—especially helpful for women carrying invisible burdens during this season.

Mindfulness doesn’t stop at the individual level. It spreads. When we show up for ourselves with peace, we teach our children, coworkers, and partners to do the same.

Need help getting started? Explore community-based wellness through organizations like Live To Day Wellness where we combine movement, creativity, and mental health awareness through projects that uplift and empower.

m EdiCal CannabiS

The Role Of Medical Cannabis In Stress Relief

Medical cannabis has gained attention for its potential to alleviate stress and anxiety. In states like Maryland, where medical cannabis is legal, patients can obtain a medical cannabis card to access cannabis products designed for therapeutic use. The primary compounds in cannabis, cannabidiol (CBD) and delta9-tetrahydrocannabinol (THC), are believed to interact with the body’s endocannabinoid system to produce calming effects.

CBD, in particular, has shown promise in reducing anxiety and promoting relaxation. Research suggests that CBD can increase levels of anandamide, a naturally occurring cannabinoid linked to feelings of well-being, while also influencing serotonin receptors to regulate mood. By doing so, medical cannabis may help individuals manage stress more effectively, providing a sense of calm without the psychoactive effects associated with THC.

Benefits Beyond Stress Relief

In addition to its stress-relieving properties, medical cannabis may also

improve sleep quality. For those who struggle with insomnia or other sleep disorders, the calming effects of cannabis can promote better rest, which is essential for managing stress. Better sleep can lead to improved mood, energy levels, and overall well-being.

Seeking Guidance For Medical Cannabis Use

If you are considering medical cannabis for stress management, it is important to consult with a healthcare professional. In Maryland, adults aged 21 and over can legally purchase cannabis without a prescription, while those seeking therapeutic use or specific dosing guidance may benefit from consulting a medical provider.

In Southern Maryland, dispensaries like Dispensary Works offer personalized guidance to help patients find the right strain and product for their needs. Visiting them is the first step toward exploring this natural remedy for stress, especially during the busy holiday season.

For more information, consult a licensed dispensary and medical professional to determine the best approach for your individual needs.

paniC diSordErS

or hypersensitivity in the autonomic nervous system. Initial attacks can be triggered by a physical illness, major life stress or medication side effect. Caffeine or alcohol can also trigger panic symptoms in some people.

situation may slowly desensitize the person and relieve symptoms. The use of anti-depressants and anti-anxiety medications have been shown to help prevent panic attacks or reduce their frequency.

From pagE 25

Whether you’re journaling your gratitude, dancing in the kitchen, or painting your way through grief— these are not distractions from your health journey. These are the journey.

And when the new year arrives, you won’t need a drastic resolution— you’ll already be in motion, mindfully, and gracefully.

So yes, eat the pie. Laugh loud. Hug longer. But also carve out time to nurture your inner peace.

Because a healthier holiday doesn’t start with a number on the scale or a list of restrictions.

It starts with a calm mind, a clear heart, and the belief that you are worthy of rest and restoration. This season, let peace be your power.

Treatment should rule out other somatic illnesses. A combination of medication and a type of therapy called cognitive behavioral therapy often are successful in treating panic disorder. In treatment, the person is taught ways to decrease anxiety, techniques to refocus attention, or breathing exercises. Exposure to the fearful

With effective treatment there is a good recovery rate, 75-90%, in a relatively short time frame. Having the support of family and friends during treatment can enhance the effectiveness of treatment and decrease anxiety related to the possibility of the panic attacks recurring.

Ready To Get Healthy?

Your HEALTH Magazine publishes and distributes health information people need. We produce special sections to focus on particular health topics each month, and profiles of local health professionals. It Makes a Difference! Here’s what you can look forward to:

January MEET YOUR LOCAL HEALTH PROFESSIONALS – Biographical profiles of a wide variety of local health professionals (Primary Care, Specialists, Integrative, Fitness, and more), highlighting their credentials, expertise, education, practice philosophy, areas of interest, and more!

February CARDIO HEALTH and DIABETES plus MENTAL HEALTH – Professionals to help you keep your Heart Healthy, Diet in check, Diabetes under control, Quit Smoking, and Sleep Sound. Will include Information and Profiles from your Local Heart, Stroke, Diabetes, and Fitness Professionals.

March COMPLEMENTARY and INTEGRATIVE HEALTHCARE – Chiropractic, Hypnotherapy, Holistic Healthcare, Nutritional Therapy, Acupuncture, Yoga, Physical Therapy, and much more! Will include Profiles from your Local Integrative Health Professionals.

April BEAUTY, SKIN CARE, & GORGEOUS SMILES – Dermatology, Aesthetics, Body Contouring, Plastic and Cosmetic Surgery, the Latest Lasers, Anti-Aging, Weight Loss, Cosmetic Dentistry, Eye Wear, and more! Will include Profiles and Information from your Local Beauty and Dental Health Professionals.

May VISION and EYE CARE – Professionals to help you and your family with your eye care including New Technology, LASIK, Eye Glasses, Contacts, Other Vision Appliances, Surgery, Children, Adults and Seniors! Will include Profiles from your Local Vision & Eye Care Health Professionals.

If you are a Health Professional interested in including your practice

Turn static files into dynamic content formats.

Create a flipbook
Issuu converts static files into: digital portfolios, online yearbooks, online catalogs, digital photo albums and more. Sign up and create your flipbook.