
















![]()

















By Lubrina Bryant, DPM District Podiatry, PLLC
The holiday season is filled with delicious foods and joyful gatherings, but for those with diabetes, it can also bring unique challenges, especially regarding foot care. Diabetes can impact circulation and nerve health, increasing the risk of foot complications such as infections and ulcers. Fortunately, a few simple precautions can help you
enjoy holiday treats while keeping your feet safe and healthy.
1. Monitor Blood Sugar Levels Carefully
The abundance of holiday sweets can make it difficult to maintain steady blood sugar levels. High blood sugar over time can damage blood vessels and nerves, leading to neuropathy and circulation issues that heighten the risk of foot injuries. Regularly checking your blood sugar levels can help you enjoy holiday
treats in moderation while staying mindful of your health.
2. Make Smart Food Choices

When faced with an array of holiday treats, opt for healthier options when possible. Choose protein-rich foods, such as turkey, which don’t impact blood sugar as dramatically as carbohydrate-heavy dishes. For desserts, try a small portion or consider splitting a treat with someone. You can also bring a diabetic-friendly dish to gatherings, ensuring you have a healthy option available and reducing the temptation to overindulge.


Our feet are important in our everyday lives. The problem is that we tend to neglect them. When this becomes a habit, it can cause significant trouble. Ignoring foot problems can mean pain, limited mobility, and expensive doctor’s visits. On the other hand, if feet are cared for and looked after regularly, they will perform without pain or complication.
3. Stay Active To Boost Circulation
Physical activity helps improve blood circulation and manage blood sugar, making it especially beneficial for people with diabetes. After meals, consider taking a brisk walk or joining in a fun family activity to keep moving. These short bursts of activity can aid circulation to the feet and support healthy blood sugar levels, helping you stay on track during the festivities.
4. Check Your Feet Daily
During the holiday season, you’re likely to be more active, which can increase the risk of blisters, cuts, and sores. Make it a habit to inspect your feet each evening, looking for any signs of redness, blisters, or swelling. Wearing comfortable, well-fitting shoes and soft socks can also help prevent friction that may cause blisters. If you notice any issues, address them promptly and consult a healthcare provider if they don’t heal quickly.
5. Stay Hydrated and Moisturized
The cooler weather, combined with holiday activities, can lead to dehydration and dry skin. Dry or cracked skin can become a pathway for infections. Drink water throughout the day, and limit sugary and caffeinated drinks, which can lead to dehydration. Moisturize your feet daily with a gentle lotion to prevent cracks, particularly on the heels.
Keep Foot Care a Priority
With mindful planning, you can enjoy the holiday season without compromising your foot health. By monitoring blood sugar, making thoughtful food choices, and prioritizing daily foot checks, you can indulge in the festivities while keeping your feet safe. Following these steps will allow you to fully embrace the season’s joy, knowing your feet and overall health are well-cared for.

By Marc P. Stanard, DDS, PC
The holidays bring families together – often across generations. While we’re catching up over meals and celebrations, it’s also a good time to pay attention to something we rarely talk about at the dinner table: gum health.
Many people assume bleeding gums are normal or just a sign of brushing too hard. In reality, bleeding, swelling, or chronic bad breath can be early indicators of periodontal disease – an infection that silently damages
the gums and bone that support your teeth. What many don’t realize is that untreated gum disease doesn’t just threaten your smile – it can also impact your overall health.
Studies have shown strong links between periodontal inflammation and heart disease, diabetes, stroke, and even cognitive decline. The bacteria and inflammation in the gums can enter the bloodstream, contributing to wider health issues that affect the entire body. For people managing chronic conditions, gum disease can make those conditions harder to control – and vice versa.
This holiday season, as families gather, it’s a great opportunity to remind loved ones – especially older relatives – not to overlook their dental checkups. But gum disease doesn’t just affect seniors; it can develop at any age, often without pain until significant damage has occurred.
The good news is that modern periodontal care offers highly effec-


tive treatments to stop the progression of disease, restore health, and even regenerate lost bone and tissue. Regular cleanings, daily brushing and flossing, and professional periodontal evaluations are the best gifts you can give yourself and your loved ones for
long-term health.
A healthy smile is more than cosmetic – it’s a reflection of a healthy body. As we move into the new year, make gum health part of your family’s wellness resolutions.
Maintaining good dental hygiene is crucial, and Dr. Marc Stanard, a periodontist and specialist in surgical implant dentistry, can help you achieve healthy teeth comfortably. We offer a wide range of specialized procedures and services to cater to your periodontal needs, such as bone surgery, scaling, and root planing, gum grafts, crown lengthenings, and sinus lifts.
• We provide advanced, affordable dental care tailored to meet your unique needs.
• Our team offers oral hygiene instruction and education on gum disease, bone loss, and other dental health conditions.
• Dr. Marc Stanard has decades of experience and a passion for his work, and he’s earned numerous designations, affiliations, and awards, including Top DDS by Washingtonian and high ratings on Google and Yelp.
• Our office is friendly and welcoming, making it the perfect place to receive top-quality dental care.

DDS



Your Health Magazine is on a mission. There are far too many people, insured or not, who do not go to the doctor when they should, and in millions of cases, don’t know who they should go to, or why.
People are encouraged to buy a new house, car, cell phone or big screen TV, and those companies make themselves very visible and their products easily attainable.
Information about, and from, local healthcare providers is not easy to find, and many times those services are difficult to access.
Information and encouragement always lowers fear and trepidation about anything, and this is especially true in healthcare. While general information is available on web-sites, specific information from local providers is almost impossible for people to find. This is one of the key reasons chronic and episodic conditions are not cared for. It is our mission to:
Make A Difference By Empowering and Encouraging People To Live Healthier By Going To the Doctor When They Should.
There is a lot of evidence that the health professionals who participate in Your Health Magazine have helped many people over the years. We at Your Health Magazine salute you!
G. Scott Hunter, Editor-in-Chief
If you would like to find out how you can participate in one of our upcoming editions, please contact the office nearest you.
MARYLAND & WASHINGTON, DC OFFICE One Town Center 4201 Northview Drive, Suite 102 Bowie, MD 20716 Office (301) 805-6805 • Fax (301) 805-6808 info@yourhealthmagazine.net
VIRGINIA OFFICE Office (301) 805-6805 info@yourhealthmagazine.net © Your Health Magazine, 2025. The magazine and all of its contents are protected by copyright. For permission to reproduce any materials in this magazine, contact info@yourhealthmagazine.net
The content in Your Health Magazine and provided on yourhealthmagazine. net is for informational and educational purposes only and is not intended as a substitute for professional medical advice, diagnosis, or treatment. Always consult with a qualified healthcare provider before starting any exercise program, making changes to your health routine, or acting on any health-related information found on the Internet, or anywhere else.

Foot & Ankle Specialist’s Board Certified doctors have been providing expert care to Northern Virginia families. From sports injuries and diabetic care to surgery and custom orthotics, we’re here to keep you moving—pain-free and confident every step of the way.

Ian Beiser, DPM
Dr. Ian Beiser has practiced podiatric medicine in Washington, DC since 1990. A leader in his field, he specializes in sports medicine and reconstructive foot surgery. He serves on multiple medical staffs, teaches at George Washington University, and holds several regional and national leadership positions.

David Vieweger, DPM
Dr. Vieweger, valedictorian of the Scholl College of Podiatric Medicine, completed his Surgical Residency at MedStar Washington Hospital Center. He specializes in conservative and surgical foot and ankle care, with expertise in trauma, limb salvage, and reconstruction. An avid runner, he lives in Maryland with his family.


Jennifer Gerres, DPM
Dr. Jennifer Gerres, DPM, is a graduate of Des Moines University and completed her Residency at the Cleveland Clinic. A published researcher and educator, she provides compassionate, evidence-based care in podiatric medicine and surgery, combining clinical expertise with a personalized, patient-focused approach.

Dr. Haseeb Ahmad, originally from Philadelphia, earned his Doctor of Podiatric Medicine from Temple University and completed his Surgical Residency at the VA New Jersey Healthcare System. Board Certified in Podiatric Medicine, he specializes in sports medicine, orthopedics, and trauma, and consults for Georgetown University athletics.
Dr. Howard Osterman, a Board-Certified Foot and Ankle Surgeon, serves as Team Podiatrist for the Washington Wizards and Washington Mystics. Recognized by Washingtonian Magazine as a top podiatrist, he is also President of the DC Podiatric Medicine Association and a leader in podiatric sports medicine.


Saylee Tulpule, DPM
Dr. Saylee Tulpule, a graduate of the California School of Podiatric Medicine, completed her Surgical Residency at Long Beach Memorial, where she served as Chief Resident. Practicing since 2010, she specializes in podiatric medicine, sports medicine, biomechanics, and elective forefoot surgery with a patient-focused approach.

Lee Firestone, DPM
Dr. Firestone, Board Certified in Foot Surgery and Sports Medicine, specializes in surgical and non-surgical foot and ankle care. An accomplished marathoner and RRCA-certified coach, he’s been recognized among Washington’s top podiatrists and sports medicine providers, serving the DC area since 1994.
Dr. Erika Schwartz, Board Certified in Foot Surgery, serves on the Maryland Podiatric Medical Association Board and teaches at MedStar Washington Hospital Center. A past president of the American Association for Women Podiatrists, she’s been recognized by Washingtonian Magazine and featured in major national media outlets.

By Erin Hays, MD AA Urology
Kidney stones are one of the most painful and common urologic conditions, often causing intense discomfort and, if untreated, serious complications. Finding the right kidney stone specialist is essen-
tial for effective treatment and prevention.
Why You Need a Urologist
Kidney stones differ in type, size, and location. While small stones may pass naturally, larger or lodged stones often require medical intervention. A kidney stone specialist (urologist) can provide an accurate diagnosis, tailored treatment, and preventive strategies to reduce recurrence.
When To See a Specialist
If you experience any of the fol-
lowing symptoms, seek immediate evaluation:
• Severe pain in the back, side, or abdomen
• Blood in urine (hematuria)
• Painful or burning urination
• Frequent urge to urinate in small amounts
• Inability to urinate, which may indicate a blockage
Prompt care can prevent infection, kidney damage, or worsening pain.


Choosing the Right Urologist
Selecting an experienced specialist ensures better outcomes. Keep these factors in mind:
1. Expertise and Experience
2. Advanced Technology, such as:
• CT scans and ultrasound for accurate imaging
• Laser lithotripsy and shockwave therapy for non-invasive stone removal
• Endoscopic procedures for stones lodged in the urinary tract
3. Personalized Care
4. Accessibility and Communication
Treatment Options
Treatment depends on the size, type, and location of the stone:
• Conservative Care
• Shock Wave Lithotripsy (SWL)
• Ureteroscopy
• Percutaneous Nephrolithotomy (PCNL)
• Open Surgery
Preventing Future Stones
Prevention is key to long-term kidney health. After treatment, your urologist may recommend:
• Staying hydrated to maintain clear urine
• Reducing salt and animal protein intake
• Balancing calcium levels appropriately
• Limiting oxalate-rich foods such as spinach, beets, and chocolate Medication may also be prescribed to lower the risk of recurrence.
When To Seek Emergency Care
Contact your doctor or visit the ER if you experience:
• Unrelenting or severe pain
• Fever and chills (possible infection)
• Persistent nausea or vomiting
• Inability to urinate
Living With Kidney Stones
With proper treatment and preventive care, most patients fully recover and live normal, healthy lives. Regular follow-ups and adherence to your urologist’s advice can help detect new stones early and preserve kidney function. Kidney stones can be debilitating, but expert care makes all the difference. Choosing a knowledgeable, communicative, and experienced kidney stone specialist ensures safe treatment, faster relief, and long-term prevention – helping you regain comfort, confidence, and control over your health.

Elambert Richardson’s journey to founding Elon Roshell Day Spa & Health is a remarkable story of resilience, healing, and dedication to helping others. Richardson’s path began with a profound personal struggle and evolved into creating a sanctuary of well-being that includes innovative treatments like a unique salt cave.
Richardson, once a preschool teacher, faced a debilitating injury that altered the course of her life. Despite extensive physical therapy, her pain persisted,

leading to depression and a diagnosis of fibromyalgia. Her doctor presented her with a stark choice: find a way to live or succumb to her condition. This critical moment propelled Richardson to seek healing beyond conventional methods.
Richardson shared another poignant aspect of her struggle: the hostile work environment that led to her depression and ultimately, PTSD. She recounts instances of mistreatment, including being ostracized by colleagues and subjected to demeaning messages.
Despite enduring chronic pain and emotional distress, Richardson finds solace in helping others and is embarking on a journey of healing by sharing her story.
A pivotal turning point came with her reading of “The Ministry of Healing,” a book that highlighted the therapeutic power of helping others. This revelation ignited her determination to overcome her depression and explore a career in healthcare. Richardson began volunteering at her children’s school, pursued higher education, and ultimately


Join our Monthly Wellness Membership for just $34.99/month and enjoy 1 session per month – your choice of Salt Cave, Red Light Therapy, Sauna, or Oxygen Therapy. Members also receive additional sessions for only $25 each and 25% off Hyperbaric Chamber or CryoSkin treatments.
Looking for a natural way to boost your health and wellbeing?
Come experience our natural health and wellness spa services, including:
• Cryo For Skin – Anti-Aging Skin Tightening Now Available!
• Salt Cave & space available for Family and Small Group Spa Events
• Massage Therapy • NEW Hyperbaric Chamber
• Oxygen Therapy • Red Light Therapy • Halo Therapy
• Infrared Sauna • Ionic Bath
• Salt Cave
WELLNESS WEDNESDAYS • 12:30 – 3:00 PM
Join our natural health sessions focused on whole foods, lifestyle education, and community support. We explore the 9 Pillars of Health by Barbara O’Neill, offer samples and recipes, and provide weigh-ins and accountability from a faith-based perspective.
Visit us today to discover the benefits of natural health and wellness services for yourself. Book an appointment now and enjoy a relaxing and rejuvenating experience at our spa.



found her calling in massage therapy. Overcoming Adversity
Richardson’s journey was further challenged by the COVID-19 pandemic, which forced her business to close for 15 months. During this time, she also contracted the virus, requiring oxygen therapy. Remarkably, this treatment provided significant relief from her chronic pain. “The oxygen was so good. I mean, that was the first thing that, really like, I had no pain,” she recounted.
After her recovery, Richardson experienced a life-changing dream that inspired her to create a comprehensive health and wellness center in Calvert County. This vision became Elon Roshell Day Spa & Health, featuring an array of services designed to promote natural health and wellness, including an oxygen bar, hyperbaric chamber, and a signature salt cave.
The salt cave is a central feature of Richardson’s spa. Constructed with real salt bricks, the cave offers a serene environment where visitors can experience the benefits of inhaling medical-grade salt. These benefits range from improved skin health and respiratory relief to overall relaxation. “It’s good for your skin. If you have eczema, it’s good for different skin conditions. Also your lungs. For me, I have asthma. And after having this, I haven’t had to really carry my inhaler,” Richardson explained.
Elon Roshell Day Spa & Health offers a variety of wellness services, including massage therapy, facials, waxing, oxygen therapy, red light therapy, infrared sauna, and ionic foot baths. This holistic approach addresses both physical and mental well-being, providing a comprehensive healing experience.
Elambert Richardson also hosts a weekly Wellness Wednesday event at the spa. For just $25, attendees can experience the salt cave and participate in free small group health and wellness events. These events, largely led by Jeanette Umstead, a health coach at the spa, focus on Bible-based teachings of the 8 laws of health. These teachings emphasize principles such as a plantbased diet and the importance of rest, believed to contribute to long lifespan and overall well-being when followed.

By Dr. Tiffany Daniel Live To Day Wellness
The holiday season may bring joy, but for many women, it also brings pressure. Pressure to look a certain way. To spend. To entertain. To show up smiling, even when your soul is tired.
This year, let’s do something different. Let’s shift the focus from appearance to awareness – because real wellness starts in the mind.
As we close out the year and begin thinking about goals, resolutions, and self-improvement, don’t forget the one habit that supports them all: mindfulness.
Mindfulness is more than meditation. It’s the practice of being present – fully connected to your thoughts, feelings, and environment without judgment.
Mindfulness is more than meditation. It’s the practice of being present – fully connected to your thoughts, feelings, and environment without judgment. When you live mindfully, you make better food choices, you move with intention, and you respond to life instead of reacting to it.
So How Do We Practice
This During the Holiday Rush?
Start by setting aside 10 minutes a day to get quiet. Breathe. Stretch. Sit with a warm cup of tea. Take a mindful walk in nature. These aren’t luxuries – they’re necessities for a healthy nervous system.
Art, dance, and gardening are also forms of mindful therapy. These simple activities activate the brain in healing ways. They reduce stress hormones and encourage emotional
release – especially helpful for women carrying invisible burdens during this season.
Mindfulness doesn’t stop at the individual level. It spreads. When we show up for ourselves with peace, we teach our children, coworkers, and partners to do the same.
Need help getting started? Explore community-based wellness through organizations like Live To Day Wellness where we combine
movement, creativity, and mental health awareness through projects that uplift and empower.
Whether you’re journaling your gratitude, dancing in the kitchen, or painting your way through grief –these are not distractions from your health journey. These are the journey.
And when the new year arrives, you won’t need a drastic resolution – you’ll already be in motion, mindfully, and gracefully.
So yes, eat the pie. Laugh loud. Hug longer. But also carve out time to nurture your inner peace. Because a healthier holiday doesn’t start with a number on the scale or a list of restrictions. It starts with a calm mind, a clear heart, and the belief that you are worthy of rest and restoration. This season, let peace be your power.

We believe total well-being starts with balance—of body, mind, and spirit. Our mission is to empower women, veterans, and families through movement, mindfulness, and nutrition. Join
and wellness programs featuring: Mindful Movement & Breathwork – Therapeutic Horticulture Yoga for Trauma & Stress Relief – Nutrition and Wellness Coaching Whether you’re healing from life’s challenges or simply ready to grow stronger inside and out—there’s a place for you here.


By Andrew Wong, MD Capital Integrative Health
collect diagnoses that don’t quite fit, and still don’t feel well. Root-cause, integrative medicine offers a different path. Instead of asking “What prescription matches this symptom?” we ask “Why is this symptom happening – and what would it take for your body to heal?”
What “Root Cause” Really Means
If you’re exhausted by short-term fixes and a new pill for every new complaint, you’re not alone. Many people bounce between specialists,
Symptoms are signals, not the problem itself. Fatigue, brain fog, weight changes, skin issues, and
mood shifts often originate from upstream imbalances: nutrient deficiencies, insulin resistance, chronic stress and poor sleep, thyroid or sex-hormone dysregulation, gut microbiome disturbances, unresolved inflammation, hidden infections, or environmental exposures. A root-cause approach maps how these systems interact – the gut–brain axis, hormone–immune crosstalk, detoxification pathways – and identifies where the system is stuck.

Let’s stop guessing and start healing, together.
We’re here to help you feel empowered, not dismissed.
You’re tired of being told everything looks “normal” when you know it’s not. The fatigue, brain fog, gut issues, hormone imbalances are not in your head.
You’ve been to specialists, attempted diets, and googled symptoms, but you still don’t have answers.
You want providers who listen, collaborate, and bring together the best of functional, integrative, and lifestyle medicine.
That’s what we do at Capital Integrative Health.
We look beyond the prescription pad – offering personalized nutrition, acupuncture, IV therapy, and more – so you can finally understand what’s going on and take meaningful steps toward lasting energy, clarity, and health.
GUT
Bloating, IBS, food sensitivities, reflux, and microbiome imbalances
IMMUNE
Autoimmune conditions, joint pain, chronic inflammation, chronic infections, Lyme Disease
HORMONE
Thyroid issues, PCOS, perimenopause/ menopause, irregular cycles, low libido
SKIN
Eczema, acne, rashes, seasonal allergies, holistic skincare

ENERGY
Chronic fatigue, burnout, sleep issues, post-viral symptoms
METABOLIC
Weight changes, blood sugar issues, high cholesterol, insulin resistance, heart disease, low muscle mass
BRAIN
Brain fog, anxiety, depression, mood swings, ADHD
PREVENTION
Support your body proactively to prevent disease and optimize longevity and wellness.
Visit us at our centrally located Potomac office in Cabin John Village, just minutes from Bethesda and the DC line. Parking is free and plentiful. 11325 Seven Locks Road, Suite #290 Potomac, MD 20854 Call: 240 507 5110 – Text: 240 213 7900 CIHealth.org
Integrative –Because One Tool Isn’t Enough Integrative medicine blends the best of conventional care with lifestyle therapeutics and evidence-informed natural options. Yes, we use standard labs, imaging, and medications when necessary. We also leverage clinical nutrition, targeted supplementation, nervous-system regulation, restorative sleep strategies, movement medicine, mindbody practices, and (when appropriate) modalities like acupuncture. The goal isn’t to be “alternative”; it’s to be effective, personal, and comprehensive.
From
First, we listen – deeply. Your story provides context labs can’t: life events, stressors, diet, environment, and what has or hasn’t helped. Next, we build a focused testing strategy to illuminate the “why,” not just confirm the “what.” From there, we cocreate a phased plan: stabilize sleep and stress responses; repair digestion and the microbiome; balance blood sugar and hormones; reduce inflammation; and replete micronutrients. We set clear priorities so change feels doable, not overwhelming. Expect accountability and iteration – we track metrics (energy, mood, pain, bowel habits, cycle quality, lab markers) and adjust as you progress.
Why
Treating symptoms alone is like mopping a floor while the sink is overflowing. You might feel better briefly, but the mess returns. Rootcause care turns off the faucet. By addressing the drivers – rather than silencing the alarms – you’re more likely to experience durable improvements in energy, mental clarity, digestion, weight, skin, sleep, and resilience. It also reduces the “whacka-mole” effect where suppressing one symptom creates two more.
Is This Approach Right For You?
Choose root-cause, integrative care if you’re ready to participate in your healing, not outsource it. You want explanations that make sense, a plan that fits your life, and a clinician who partners with you. You’re done chasing symptoms. You’re ready to restore function, correct what’s driving your issues, and rebuild health from the inside out – so you can live with purpose, capacity, and joy.
By Linda Penkala, Author, LMT
Imagine entering the holidays with a calm, exciting feeling – not ushered in by dread or disdain, but with a peaceful sense that you are in control! Researchers share that December is the most stress-filled time of the year, but if you embrace resilresilience, the outcome is sweet! Here are the 3 R’s created for YOU this season.
Rest
Americans have dropped 1-2 hours of daily sleep over the last century, and sleep is critical for a strong immune system. Being mindful of reducing blue light and LED exposure before sleep, improves deep sleep. Additionally, maintaining a 60–68-degree temperature and having a very dark bedroom can aid in melatonin secretion. Calming and quieting your heart at night with gentle music, applying or smelling lavender or cedarwood oils, and enjoying Box Breathing are a trio of holistic heart health tools. Before bed, favorite herbal teas of chamomile or Sleepytime help soothe the mind/ body connection.

In the hustle and bustle of work, holiday parties, and family gatherings, a compassionate community need, may help neutralize stress by assisting others. Suppose children are in the equation; an even better way to teach them by empowering others who may need help during the holidays and beyond. Friendships are critical to heart health for men and women, but in different ways. Women bonding in laughter, joy, and sincere passion are blessed with less cortisol (stress hormone) and more oxytocin (happy hormone), thereby lessening CVD risks. Men, on the other hand, may be suffering from a “friendship recession,” as an American survey indicates their fewer social connections are impacting health and happiness. Being intentional in reaching out for that
“human medicine connection” is ever essential now, with hugs and smiles.
Rhythm
Finding the beauty in the rhythm of seasonal shifts we see, smell, touch, taste, and hear is best appreciated with a heart of gratitude. Hearing a Christmas song or lighting a Menorah during Hanukkah can evoke family memories and continue family traditions. Tak-
ing intentional moments to pause and begin to slow down into the Winter to lessen stress is benefited by the rhythm of your breath! Finding your favorite breathwork app or technique, such as Box Breathing, 3-5-8, or Alternate Nostril breathing, helps in quiet prayer times to set the day in motion. Having a favorite scent combo like cinnamon/ orange in a potpourri or oil diffuser
helps calm your soul once home, to be present. For women, delegating tasks out, when stress mounts, is a gift that recognizes it’s an option to ask others for help.
May these 3 Rs carry you gently into the holidays, and beyond, making them more of a JOY than a chore for the family and friends you love and cherish!
• Keynote Presentations
• Massage Therapy
• Aromatherapy
• Book Signings
• Breathwork for Healing
• Her


CORPORATE OR COMMUNITY PRESENTATIONS:
• Wise Self Care for Life
• Nine Pillars to Prevent Heart Disease
• Wise Heart Health for Women
• Navigating New Waters of Wellness
• Tapping with Essential Oils for Health
LIVE ZOOM PRESENTATIONS
• Mindful Meditation Massage (at night, pre-sleep)
• Mindful Massage and Stretching (at desk)
• Aromatherapy 101
• Essential Oils and Your Pet
• Wise Self Care for Life
• Wise Heart Health for Women





By Jeffrey L. Brown, DDS Sleep & TMJ Therapy
The human body is a truly remarkable thing. It is like a finely tuned machine when it runs well, but when it does not, then it really can mess up your life. The TMJ (Temporomandibular Joint) is an integral part of whole-body health for all of us. When the disc
within the jaw joint slips off the top of the jawbone (the condyle), it can and will pinch upon nerves and blood vessels in that area. And know that there are a lot of nerves and blood vessels traveling through the TM joints!
Displaced discs create an inflammatory reaction within our skull. This can often lead to head and neck pain that



can travel down and throughout the rest of the body. Osteopath doctors (along with TMJ specialists) are well aware that a slipped disc in the jaw can directly correlate to ACL problems in the knees. It may seem far fetched to some of our dear readers, but it is quite true.
An easier to understand concept is that if the discs are slipped off the con-

dyles, this will cause an asymmetry to the jaw and it will tip to one side or the other. Then, the neck compensates by tipping as well, and over time this can lead to turning and twisting of the back. The importance of the TM joint cannot be understated. Your entire body depends on this little joint being symmetrical and with the discs in proper position. Otherwise, the whole body is affected.
When there is a TMJ problem, quite often the neck is also out of alignment. This can contribute to OSA – obstructive sleep apnea – because a twisted neck tightens up the airway and reduces the ability of the body to breathe properly. Then you add on the inflammation in the joints and you end up with a very upset system. By treating the TMJ disorder, this helps to get the joints lined up more symmetrically, helps the discs to get back on the condyle where they belong, and helps the neck to line up better as well. All these can contribute to better sleep and better breathing.
Dr. Jeffrey Brown has limited his practice to focus only on TMJ Disorders, Craniofacial Pain Management and Sleep Apnea. By fixing slipped discs in the jaw joints, Dr. Brown can significantly reduce the pain patients experience in the head/neck region and other symptoms associated with jaw joint problems. Sleep & TMJ Therapy may be able to improve the quality of life for you or a loved one – we encourage you to contact us with any questions or concerns.
“Dr. Brown and his staff are absolutely wonderful. I was diagnosed with Dystonia. I could not turn my head and had a ton of pain. My doctors offered no help and no advice besides Meds and Botox. Since having the appliance I have NO pain and I can turn my head. I would highly recommend them to anyone. I feel Dr. Brown and his staff really care about their patients and helping them to get better. They do not just numb the symptoms but fix the problem. Thank you from the bottom of my heart. I feel like the old me again!”
- D. Thomas
“My daughter has been treated by Dr. Stack and Dr. Brown for the last 2 1/2 years, and we are very fortunate to have found them. Prior to that she was being treated by a neurologist at a Children’s hospital. She was on medications for tics and associated muscle pain, OCD/repetitive thoughts, sleeplessness and more (all possibly associated with Tourettes). Drs. Stack and Brown installed spacers to alleviate pressure on nerve bundles in the jaw, and subsequently braces to complete the process. Her symptoms have diminished significantly. She is off medication, her tics have all but disappeared, she can concentrate better in school, and she is once again cheerful and relaxed.”
- Susan

One of the far less discussed aspects of TMJ disorder is a little thing called happiness. That’s right, if you have TMJ disorder you are far more likely to live with pain, lack of sleep, less ability to focus, and a whole host of other problems to deal with. And because of all the health problems associated with TMJ disorder, you are nowhere near as likely to be happy with your life.
As a TMD practitioner, every day of the week people come to the office and tell me how they now have their lives back. They can sleep better, focus better, have less pain and enjoy being with friends and family so much more. By wearing simple little devices in their mouth, they can function and feel better than ever before. This is what TMJ treatment can do for you.


Choose Adventist Medical Group Primary Care in Fort Washington, Maryland, to provide a full range of primary care services for adults.
Learn to better manage your health and prevent illnesses with personalized care from our experienced, primary care providers. Our specialists in family medicine and internal medicine work as a team to deliver expert care when you need:
• Same-day Sick Visits
• Women’s and Men’s Health and Wellness Exams
• Health Physicals, Health Maintenance and Preventive Care
• Geriatric (Senior) Wellness Exams
• Vaccinations and Immunizations, including Flu Shots
• Health Management for:
• Asthma and Allergies
• High Blood Pressure
• High Cholesterol
• Diabetes
• Heart Disease
You also benefit from coordinated care that helps you effectively handle all aspects of your health—from preventive medicine and preoperative appointments to management of chronic health conditions.
To schedule an appointment, please call 240-724-6018
10709 Indian Head Highway, Suite D1 Fort Washington, Maryland 20744 AdventistMedicalGroup.org

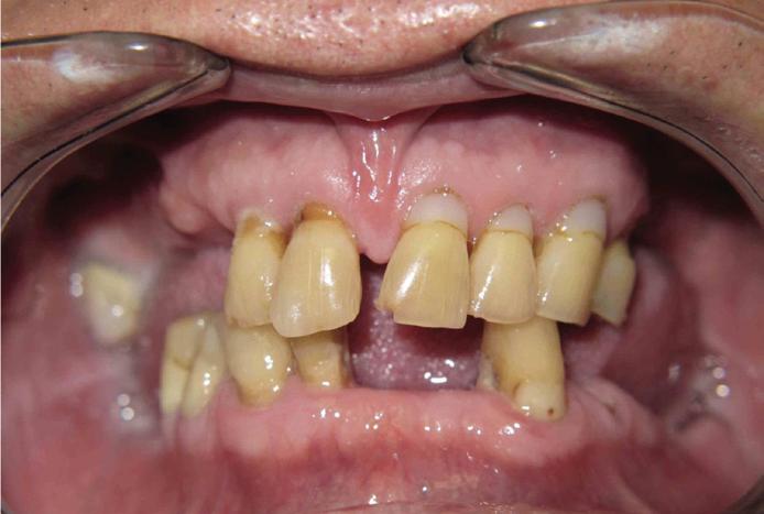
Submitted By Sivakumar Sreenivasan, DMD, MDS Dental Implant Center of Rockville
Can just four implants replace all of the teeth on the top or the bottom of your mouth? Thanks to advances in dental implant technology, that answer is a resounding yes.
Believe it or not, tooth loss is extremely common among adults, especially as we age. In fact, more than 35 million people in America are missing all of their upper and/or lower teeth. Rather than living with the discomfort and hassles of dentures, many people are opting for what is called “all-onfour” dental implant restoration.
All-On-Four: One Full Arch Of Teeth, Four Dental Implants
To fully understand this remark-
able technique for replacing teeth, you should first understand what a dental implant is. An implant is a small titanium screw that fits inside your jawbone and replaces the root-part of a missing tooth. Minor surgery is required to insert the implants. Once the implant is in place, a crown is attached to give you a highly realistic-looking and functional prosthetic tooth.
Here’s where it gets really interesting: You do not need a dental implant for each and every one of your missing teeth. All you need is four precisely placed implants on the top of your mouth, and four on the bottom, to restore your full smile. That’s the beauty of the all-on-four. And because the implant is made of titanium, it has the unique ability to fuse to living bone and function as part of it. So eventually, the dental implant becomes part of the jawbone and serves as a strong, long-lasting foundation for your new teeth.
Besides ensuring that your implants are permanently fixed in place,


this bone fusion has another important benefit: it prevents future bone loss in the jaw. This helps to maintain a more youthful facial structure – and better oral health. But perhaps the biggest surprise about the all-on-four is how quickly it can transform your life.
What’s The All-On-Four Dental Implant Procedure Like?
It can be scary to get implants for the first time. Most of that fear is probably due to the uncertainty, so here is the step-by-step process for getting an All-On-Four dental implant.
First, your dentist will want to make sure your comfortable, so either local or general anesthesia will be administered.
Second, the dentist or surgeon will prepare your mouth for the implants, which involves removing your remaining teeth that are failing. They will then remove any diseased or infected tissue from your jaw and gums.
After the implants have been placed, they will thoroughly clean the surgical sites and suturing all the incisions. Then you’ll be taken to a recovery room where you can relax and take time to wake up from the anesthesia.
Do
If The All-On-Four Procedure Is The Right Option For You?
At your All-On-Four consultation, you’ll receive a 3D CT Scan. This scan will help determine if you need implants and assist your doctors in creating your treatment plan. So if you want to learn more about dental implants, simply schedule a consultation with an All-On-Four provider. It’s the best way to find out how dental implants can change your life.
Next, they will begin the implantation process. This means they will insert the titanium screws into your jawbone. Most likely, they will place two implants toward the front of your mouth and two towards the back of your mouth so the “anchors” can evenly bare the force of the denture.







By Michael Rogers, DDS Fairlington Dental
Healthy gums are the foundation of a healthy smile. When bacteria builds up below the gumline, they can cause inflammation, infection, and damage to the tissues that support your teeth. Your dentist may use Perio Protect trays as part of their comprehensive approach to periodontal care. This comfortable, at-home therapy helps control harmful bacteria and supports healing between professional cleanings.
Gum disease, or periodontal disease, is one of the most common oral health concerns. It begins with plaque buildup that leads to irritation and inflammation of the gums. Over time, untreated gum disease can cause the gums to pull away from the teeth, creating pockets where bacteria thrive.
This not only puts your teeth at risk but can also affect your overall health, as oral inflammation has been linked to heart disease, diabetes, and other systemic conditions.
Traditional treatments such as deep cleanings are effective at removing plaque and tartar, but bacteria can quickly return. Perio Protect offers a way to manage bacteria daily and promote lasting healing.
How Perio Protect Works
Perio Protect uses custom-made trays that fit comfortably over your teeth and gums. These trays are designed to deliver a special antibacterial gel deep below the gumline, reaching areas that brushing and flossing cannot.
The process is simple. You fill your trays with the prescribed gel and wear them at home for a few minutes each day. The gel gently penetrates the spaces between your teeth and gums, reducing bacterial buildup and inflammation. With consistent use, Perio Protect helps shrink periodontal pockets, freshen breath, and create a healthier environment for your gums to heal.
The Benefits Of Perio Protect Effective Bacterial Control
The trays allow the medication to stay in contact with the gums long enough to kill bacteria and disrupt biofilm formation. This makes it a powerful complement to professional cleanings.
Comfortable and Easy To Use
Soft, flexible, and custom-made, the trays are simple to use and easy to fit into your daily routine.
Supports Healing Between Visits
Perio Protect extends treatment beyond the dental chair. Regular use helps maintain progress, reduce inflammation, and improve overall comfort.
By lowering bacterial levels, Perio Protect helps eliminate persistent bad breath and may also reduce the inflammation associated with systemic health conditions.
Who Can Benefit From
Perio Protect is ideal for patients with mild to moderate gum disease, or for those who have completed deep cleaning
and want to maintain their results. It may also be recommended for individuals prone to inflammation, bleeding gums, or chronic gum infections.
If you experience tender or swollen gums, persistent bad breath, or notice bleeding when brushing, consult your dentist to learn whether Perio Protect could help.
Your dentist will take a comprehensive, preventive approach to gum health. By combining advanced inoffice treatments with proven at-home therapies like Perio Protect, they can effectively manage gum disease and support healing at every stage.
Their goal is not only to treat infection but to restore balance and long-term stability to your oral health. Perio Protect makes that possible by extending care beyond the dental chair and empowering you to take an active role in maintaining a healthy smile. Healthy gums are essential to a healthy body. With Perio Protect and consistent professional care, your dentist can help you protect both.


At Fairlington Dental, we understand the connection between a healthy smile and a healthy body. As a result, we look at the whole person to discover the reasons a patient may have gum disease or a bad bite. A number of studies link heart disease and other serious conditions to the presence of periodontal (gum) disease. This research makes it vital that we take a Complete Health approach to your dental care. Dr. Rogers will listen to you, conduct a careful assessment, and carefully explain your proposed customized wellness plan. He will then take the time to answer all of your questions. You become a partner in your oral health goals!
Our team has mastered the techniques of gentle dentistry and is skilled at helping patients with any level of apprehension relax and grow comfortable with visiting the dentist. Anxiety and tension have a variety of sources, so it’s important for us to listen to your concerns as well as your goals and history. Then we address your anxieties and proceed with gentle treatment only when you’re ready. We deliver all of this in an office that is environmentally aware, while you enjoy a variety of spa-like amenities during your visit. One of our greatest joys is helping patients smile again, especially those who may not have seen a dentist in a while. You’ll be amazed at how the quality of life can change! We strive to create a partnership with you that starts the moment you walk through our door.
A neck lift can be performed for men and women of varying ages who are often frustrated by changes of the appearance of their neck and jawline. Depending on your age, a neck lift can be a short one-hour procedure to remove fat or a 3-hour procedure to remove fat, visible neck bands, and excess skin.
Remove Excess Skin (Cervicoplasty)
Liposuction to Remove Excess Fat
Remove or Alter Neck Muscles (Platysmaplasty)
Liposuction can be performed alone or with surgical removal of the fat under the chin through a small incision under the chin.
In patients with vertical bands in the neck, a platysmaplasty can be performed to reduce the appearance of the bands.
Sometimes a chin implant is recommended to improve the overall contour and help with excess skin.
























and



Dr. Mikel Daniels is a highly skilled podiatrist dedicated to delivering exceptional, patient-centered care. With decades of experience and a deep commitment to improving foot and ankle health, he blends medical expertise with compassionate service to help patients achieve lasting wellness and mobility.
Dr. Daniels earned his Bachelor of Science in Biology with a minor in Economics from Muhlenberg College in 1996, followed by his Doctor of Podiatric Medicine (DPM) degree from Temple University School of Podiatric Medicine in 2000. He completed his Podiatric Surgical Residency at the University of Maryland, Mercy Medical Center, where he gained extensive clinical and surgical experience. In addition, Dr. Daniels holds an MBA with a concentration in Healthcare Management from Western Governors University, earned in 2014— giving him a unique combination of medical and business education that informs his approach to both patient care and practice management.
Dr. Daniels has been named one of Baltimore’s Top Doctors in 2023, 2024, and 2025, a reflection of his outstanding reputation among peers and patients alike. He is a frequent podcast guest and has been featured as an expert in foot and ankle care by major media outlets including CNN and Parade. Locally, he has also appeared on television to discuss common foot and ankle issues, offering practical tips for maintaining mobility and preventing injury.
Dr. Daniels’ special areas of interest include diabetic wound care, medical and practice economics, and advancing equity within healthcare. His mission is to ensure every patient receives comprehensive, evidence-based treatment tailored to their individual needs—helping them stay active, comfortable, and confident on their feet.
10111 Martin Luther King Jr. Highway, Suite #102 Bowie, MD
Oxon Hill Road

Dr. Trent has a passion for helping people. She has practiced Audiology since 1984, in a number of clinical settings. Her diverse career has included 16 years of teaching and clinical supervision at Howard University, Washington, DC and Temple University, Philadelphia, PA. Dr. Trent has also worked as a clinical audiologist in hospital settings and private ENT practices.
Education:
Clinical Doctoral Degree – Audiology-University of Florida, Gainesville, FL
Master of Education – Audiology- Northeastern University, Boston, MA
Bachelor of Science – Communication Sciences and Disorders – Hampton University, Hampton, VA
Dr. Trent holds her Maryland State Licensure in Audiology. She is a Certified Clinical Audiologist (CCC-A) through the American Speech-Language-Hearing Association (ASHA). Presently, she serves on the Board of Directors for ASHA as Vice President for Audiology Practice.




Dr. Sreeni came to the United States as an Oral and Maxillofacial Surgeon in the year 1990 and put himself through dental school again at Boston University and Oral and Maxillofacial Surgery residency at University of Medicine and Dentistry of New Jersey.
As an Oral and Maxillofacial Surgeon, Dr. Sreeni manages a wide variety of problems relating to the Mouth, Teeth and Facial Regions. He practices a full scope of Oral and Maxillofacial Surgery with expertise ranging from Corrective Jaw Surgery to Wisdom Teeth Removal. His passion is in implant surgery and he is well known for same day placement of implants following teeth removal be it for single teeth or a complete “makeover” (Smile in a day). He can also diagnose and treat Facial Pain, Facial Injuries and TMJ disorders and perform Bone Grafting and Sinus lift procedures.
Dr. Sreeni completed a residency in Anesthesiology at Mount Sinai Hospital, New York in 1994 and has worked as an Attending providing anesthesia services for children and adults in the ambulatory outpatient center of the hospital.
Dr. Sreeni is an Advanced Cardiac Life Support instructor with the Adventist group. He is also certified in Pediatric advanced life support and is very capable of handling emergencies that could possibly arise in the office. Dr. Sreeni’s staff are trained in assisting with IV Sedation/ General Anesthesia within our state of the art office setting. Patients are continuously monitored during and after surgery. The goal of our office is to provide professional service with compassion and an understanding of the patients’ perspective.

Dr. Mary Alexander, periodontist, obtained a Bachelor of Science degree in Biology from the University of South Carolina and continued her education in dentistry at the University of Maryland School of Dental Surgery where she received her DDS degree. Prior to and during her dental studies, Dr. Alexander received funding and support from the National Institutes of Dental Research for her involvement in the periodontal research.
After obtaining her DDS degree Dr. Alexander spent one year at the Veteran’s Administration Hospital, in general practice residency focusing her training in the area of anxiety patient management. She then attended Harvard University and earned her clinical specialty in periodontics and a doctorate in medical science. Her doctoral research was focused in the study of bone function and metabolic disease of the bone.
Dr. Alexander received extensive training in dental implantology, periodontal plastic surgery, bone regenerative procedures and sedation dentistry. All aspects of Dr. Alexander’s training are incorporated in her periodontal practice assuring patient’s thorough and comprehensive periodontal treatment.



Dr. Erin Hays grew up in Bethesda, MD. She received her undergraduate degree from Vanderbilt University before attending Medical School at University of Maryland where she graduated with honors. She then moved down the road to DC and completed her Urologic Residency at Georgetown University Hospital.
Dr. Hays has experience treating a broad range of urologic conditions in both men and women. She holds specific interest in the management of benign prostatic hyperplasia, kidney stones, erectile dysfunction, and urinary incontinence.
In her free time Dr. Hays enjoys biking, playing tennis, and needlepointing.
Dr. Hays joined the AA Urology team in September of this year.
Annapolis – Glen Burnie
Greenbelt – Odenton – Bowie


Dr. Brown’s practice focuses on TMJ, sleep apnea and orthodontics. This allows Dr. Brown and his team to provide individualized, focused care for patients dealing with these specific issues. Every day, his practice helps patients of all ages with facial development, sleep issues, chronic headaches, migraines, neck pain, movement disorders, and much more. His training also includes multiple disciplines involving the cranial bones in the skull, and the discs in the jaw joints. Through treatment, Dr. Brown is able to reduce these symptoms, align cranial bones, avoid extractions, and greatly reduce the need for traditional braces.
His expertise allows him to identify issues early on which promotes proper facial development using dental appliances. If there is an internal imbalance, whether an adult or child, the body does not develop or function properly. When the cranial bones are lined up correctly, patients are able to function, sleep and generally live better.
With that in mind, the team at Sleep & TMJ Therapy takes a whole-body approach when treatment planning. They work hand in hand with physical therapists and osteopathic doctors for a better success rate. Dr. Brown is devoted to helping patients of all ages live a symptom free life.
Degrees & Certifications
Dr. Brown earned his degree from Georgetown Dental School and completed residencies with Emory University Hospital for Dental Sleep Medicine and the ALF Appliance Therapy Institute.
Outside the Office
When not seeing patients, Dr. Brown is a sought-after speaker. He has lectured all over the world, including D.C., Dubai, Seoul, London, Norway and Toronto. He has also been featured on Channel 9’s Good Morning Washington, several podcasts, and numerous magazines and journals.
Professional Affiliations
Dr. Brown is a diplomate of the American Academy of Craniofacial Pain, a member of the American Academy of Dental Sleep Medicine, American Academy of Gnathological Orthopedic, Academy of Integrative Pain Management American Dental Association, a Fellow of the American Academy of Craniofacial Pain, and Legacy Provider for the ALF Interface Academy.
Do you have TMD or Sleep Apnea?
TMD Symptoms: Noise in the jaw joints when opening and closing your mouth, difficulty chewing, limited opening, tender facial muscles, ear ringing, uncomfortable bite, jaw locking, headaches, migraines, dizziness, vision issues as well as pain in the jaw area which can radiate to the ears, head, neck, shoulders, and back.
Sleep Apnea Symptoms: Snoring, waking up gasping for air, feeling tired and irritable in the morning, difficulty controlling weight, concentration problems, morning headaches, episodes of not breathing, waking with a sore throat, forgetfulness and mood changes.
If you believe you may be suffering from TMD or Sleep Apnea, don't wait... Call today to schedule a consultation with Dr. Brown: 703-821-1103.
Start Invisalign®
&

A native of New Jersey, Dr. Stephen Price attended the University of Connecticut on a football scholarship, and earned his Doctorate of Dental Surgery from Georgetown University School of Dentistry in 1973.
For over 50 years Dr. Stephen Price has been doing procedures such as implant placements, full mouth reconstruction, porcelain crowns, and surgical extractions. He is most proud of all of the smiles that he has created in patients that have completely changed their lives. says Dr. Price and his team set themselves apart in the industry by listening to their patients’ wishes and needs, and understanding their apprehension. They go the extra mile to make them feel comfortable during treatment, and treat their patients like family.
In 2017 Dr. Price, an Elite Invisalign® provider and a Certified Invisalign® instructor, was honored as the best treatment winner at the Invisalign® Summit in Maryland. He is a member of the American Dental Association, the Northern Virginia Dental Society, and the Virginia Dental Society.



For nearly two decades, Dr. Briana Walton has been redefining what it means for women to feel whole, confident, and cared for at every stage of life. A board-certified OB-GYN and fellowship-trained specialist in Female Pelvic Medicine and Reconstructive Surgery, she blends science, artistry, and empathy to help women look, feel, and function their best inside and out.
As the founder of The Center for Feminine Wellness & Surgery, Dr. Walton focuses on restoring comfort and confidence through intimate-care services that celebrate the female body’s resilience. Her practice offers everything from vaginal rejuvenation, labiaplasty, clitoral hood reduction, and hymen repair to advanced non-surgical treatments like FemiLift® CO₂ laser, ThermiVa® radio-frequency tightening and PRP vaginal rejuvenation all designed to enhance tone, lubrication, sensitivity, and sexual satisfaction.

Partnering with the specialists at Waldorf Women’s Care, Dr. Walton extends her mission into menopause and midlife medicine. Together, they help women navigate perimenopause and menopause with bioidentical hormone replacement, pellet therapy, and tailored support for vaginal dryness, mood swings, hot flashes, and sleep changes, ensuring that women move through life’s transitions with strength and grace.
Dr. Walton’s approach is deeply personal: she listens without judgment, educates with compassion, and empowers each woman to take the next step toward renewal. Her philosophy is simple yet powerful: your body deserves care, your story deserves attention, and your wellness deserves to be a priority.
When women ask, “Is this normal?” Dr. Walton answers with expertise, empathy, and a smile: “Yes — and here’s how we can make it better.”
Biosketch
Dr. Briana Walton is a double board-certified physician in Obstetrics and Gynecology and Female Pelvic Medicine and Reconstructive Surgery (FPMRS). As the inaugural Medical Director of Robotic Surgery and FPMRS at the University of Maryland Capital Region Health, she oversees multiple institutions within the system.
Dr. Walton’s career began as the first fellow in Urogynecology and Pelvic Reconstructive Surgery at Harvard University/Mt. Auburn Hospital. With nearly 25 years of experience, she is an expert in robotic and minimally invasive surgery, having performed nearly 800 pelvic reconstructive surgeries.
She earned a Master’s degree in the Business of Art and Design from the Maryland Institute College of Art, blending innovative design with patient care.
Dr. Walton is also certified in AI for Healthcare from MIT, enhancing efficiency in her medical practice.
Dr. Walton champions healthcare and digital literacy. She embodies her belief that “Service is the rent we pay to live as citizens of the Earth.”

Certified Therapeutic Recreation Therapist
Certified Rehabilitation Practitioner


Studies have shown that the U.S. is in the middle of a mental health crisis, and experts say there is an immediate need for integrated mental health services. In her new book, From Helpless to Hopeful: Addressing a Loved One’s Challenges and Changes, respected Maryland recreation therapist Beth Albaneze explains how to navigate both mental health challenges and the system that treats them.
“It’s such an important time for people to have a tool like this,” Ms. Albaneze says. “Mental health issues are so widespread right now that even people who haven’t experienced such challenges themselves know someone who is having a hard time.”
The book is designed to help laypeople find appropriate resources to help a loved one who is experiencing an emotional and/or life shift. The guidance is delivered alongside Ms. Albaneze’s personal anecdotes as well as case studies from her many decades of helping clients find creative and effective ways to help someone they care about.
To order a copy of From Helpless to Hopeful: Addressing a Loved One’s Challenges and Changes, go to: HouseCallsTotalWellness.com


Dr. Schoenfeld is a renowned facial plastic surgeon whose expertise, artistry, and dedication to patient care have earned him national recognition. He is widely known for his exceptional skill in rhinoplasty, revision rhinoplasty, and deep plane facelifts. This has attracted patients from around the world who seek his care for their first cosmetic experience, as well as those who have had prior surgery and require revision of work already performed.
A respected leader in his field, Dr. Schoenfeld serves as both an oral board examiner and a member of the written board review committee for the American Board of Facial Plastic and Reconstructive Surgery. His insights on the latest advancements in aesthetic medicine have been featured in major publications, including The Washington Post, Washingtonian Magazine, Bethesda Magazine, and Parade Magazine
Dr. Schoenfeld’s compassion for patients affected by facial trauma, cancer, and cosmetic concerns has shaped his career mission: to help others restore confidence and improve their quality of life. His commitment to giving back is reflected in his volunteer work with the American Academy of Facial Plastic and Reconstructive Surgery’s Face to Face program, Project Access, and a facial reconstruction mission trip to Guatemala. Through both his practice and philanthropy, Dr. Schoenfeld continues to exemplify excellence, empathy, and innovation in facial plastic and reconstructive surgery.


Mission: To help people feel comfortable in their own skin—to love, like, and accept themselves completely. “I’m here for you.”
With specialized degrees in Hypnotherapy, Advanced Yoga Training, and Ayurveda, plus certification as a G.I.A. Gem Specialist and Astrologer, this practitioner blends mind-body wellness with holistic insight. She trained in Rishikesh, India, continuing her studies annually, and belongs to professional associations including the National Association of Transpersonal Hypnotherapists (NATH), the National Guild of Hypnotists (NGH), and Yoga Alliance (YA).
Her areas of focus include Hypnosis for fears, phobias, and habits; Ayurveda Yoga; Yoga for Couples and Diabetes; Yoga Teacher Training; and Life Coaching.
How
True weight loss starts in the mind. Hypnosis helps uncover and reshape subconscious patterns that drive emotional eating, cravings, or self-sabotage. In a relaxed state, clients can adopt healthier beliefs—visualizing smaller portions, enjoying exercise, and releasing stress-based eating.
By addressing root causes like boredom, stress, or emotional triggers, hypnosis makes healthy habits feel effortless. While not a magic cure, it complements diet and exercise by transforming the mindset behind them—empowering lasting, self-loving change.


LaSondra Gray, CMLSO, CLA, PT-CCMA, MBA is Northern Virginia’s hidden gem and expert in laser technology — from head to toe. She understands and knows the value and benefit that advancements in laser technology have on resolving multiple issues including the elimination of pain. This knowledge has proven invaluable to her as she has traveled the world, training multiple disciplines in the safety and efficacy of laser technology.
Her passion began over 20 years ago when she began working with some of the world’s most renowned dermatologists, plastic surgeons and pain management professionals. Her travels throughout the US and internationally allowed her to study under the surgeons and skincare experts from some of the top institutions in the world.
LaSondra has trained and lectured on the safety and efficacy of laser and soft tissue interaction. As a result, LaSondra has received accolades for her efforts in opening and expanding laser centers throughout the world.
She has paired her studies along with her own personal philosophy to become renowned for achieving true, positive, visible results — garnering her some of the most elite clientele in the area. She caters to people who seek exceptional results and services that support a natural, healthy look and lifestyle — today and tomorrow.

With Dr. Rahel Yirga joining our team, Reflections Image Center proudly brings together the worlds of aesthetics and wellness. Dr. Yirga, a boardcertified Internal Medicine physician, is passionate about holistic patient care and wellness. Her expertise, combined with LaSondra’s aesthetic artistry, creates a seamless blend of beauty and health, offering clients a comprehensive approach to looking and feeling their best. Together, they are redefining personalized care to help you achieve your ultimate wellness and beauty goals.
We take a holistic approach to delivering outstanding results.. INSIDE and OUT!

Leesburg Shop 1610 Village Market Blvd. Leesburg, VA 20175

A multi-unit franchise owner and an area representative for Hammer & Nails Grooming Shop for Guys for DC, Maryland, Virginia, West Virginia and Delaware. Kirzhner is a passionate entrepreneur by way of franchising with previous experiences that specialize in performance improvement, government contracting, enterprise transformation, data science, change management and change leadership. Her academic resume includes a Master of Science degree from Harvard University and a Master of Business Administration from The College of William and Mary, on top of a Bachelor of Electrical Engineering from Ohio State University. She holds a Lean Six Sigma Master Black Belt along with several other industry certifications. A passionate and personable mother of three, and always up for a challenge.
BTW… Over the last 5 years, Kirzhner has built and operates the #1 (Leesburg), #2 (Gainesville), and #3 (Reston) revenue-generating shops in the nation (from 55 open) with a 4th currently under construction in Woodbridge. It’s an INCREDIBLE time to become part of this AMAZING brand as a multiunit franchisee. Let Ilona know if you’re interested!


Dr. Ghassan Jacklis and his dedicated team want you to feel comfortable in our office, and to know that when you come here, you will receive outstanding dental care and personalized service. Our associates have been working together for years, with many years of advanced training, which has allowed us to perfect our communication and better serve you. •







Degrees, Training and Certificates: UCLA Medical School; Yale University Hospital for Residency; Louisiana State University for Cornea and Refractive Fellowship
Professional Memberships/Associations: American Academy of Ophthalmology; American Society of Cataract and Refractive Surgery; International Society of Refractive Surgery
Areas of Interest: All laser custom LASIK; Cataract Surgery; Botox; Dermal Fillers; Cornea Comprehensive Ophthalmology
Practice Philosophy: Envision Eye and Laser is committed to delivering superior ophthalmic care with state-of-the-art technology and patient education in a caring, compassionate environment. We cater to a diverse population of adults and work with your primary care physician to improve the quality of your overall health and life. Your best vision is our focus.

For over 18 years, Padmaja Yalamanchili, DDS, has been serving patients throughout Northern Virginia with her extensive dental expertise, personalized one-on-one care and state-of-the-art dental technology. She and the entire team at her practice Dr. Padmaja Yalamanchili, DDS, PC in Fairfax, VA are committed to helping patients achieve their healthiest, most beautiful smiles. She is wellreputed in the area, and she emphasizes on preventive dentistry.
Dr. Yalamanchili graduated with her Doctor of Dental Surgery degree from the New York University College of Dentistry in Kips Bay, Manhattan. This prestigious New York City institution is the third oldest dental college in the country and is a global leader in toptier dental care and innovation.
After earning her degree, Dr. Yalamanchili committed herself to serving patients throughout Northern Virginia with her clinical expertise and personalized care. She offers each patient her extensive knowledge and takes the time to customize a care plan to their specific oral health needs and smile goals. She serves patients of all ages through this tailored one-on-one approach. In fact, the rapport she builds with each patient leaves many fondly referring to her as “Dr. Y.”
Dr. Yalamanchili is a member of the American Dental Association, Virginia Dental Association, and Northern Virginia Dental Society. Dr. Yalamanchili is fluent in English, Hindi, and Telugu. When she’s not serving patients, you can find her spending time with her husband and two children, cooking, reading, watching a Bollywood movie, or practicing Bikram yoga.

Here we go into the holiday season with all the activities, gettogethers, and parties that go along with that. Of course, however, along with the joyful aspects come increased levels of stress, indulging in food and drink, and (often) more excuses to not exercise and disruptions to our routines.
Lets look at some strategies that can support people in getting and
staying well over the holiday season.
First lets look at those of us who are not as well as we would like to be. Especially at this time of year and with the recent skyrocketing of stressful circumstances in our country, more and more people are experiencing persistent chronic fatigue often manifested as disrupted fragmented sleep, unexplained muscle and joint pain, and inability to carry out usual activities of life due to lack of energy.
For many of these folks, persistent stress has produced adrenal and thyroid gland dysfunction, nutritional disorders, and has produced an environment at risk for chronic infections.
If you fit this description, chances are you spend your days barely getting by, doing everything you can to make it to work, eat and sleep while undone tasks pile up around you and you feel like you are missing out on your life. Often people in this condi-
tion go from doctor to doctor looking for an answer and are told that all the lab tests are normal, and maybe you just need to sleep and exercise, and, by the way, are you depressed?
There is an effective way to treat people in this condition. Effective therapy is available and includes aggressively hunting down and treating all, even subtle, hormone deficiencies, nutritional issues, and reversing the sleep disorder. This approach also includes looking for and treating hidden chronic infections and is very often effective in returning people back to health and energy.
Now for those of you who are well, how do you maintain and even increase wellbeing over the holidays? A few simple guidelines should help.
If you exercise, make sure you continue to do so over the holidays. Exercising increases our metabolic rate for many hours after the activity
Implants, Implant Crowns, Invisalign, CEREC, Crowns, Root Canals, Cosmetic Dentistry, iTero Digital Scanner, Tooth-Colored Fillings and Extractions.

and can help you burn calories going into a heavy holiday meal and may even help you resist over-indulging. If you don’t exercise or have been planning to start, this may be a great time to begin an exercise routine.
During the winter months in the northern latitudes it is common for people to have low Vitamin D levels. Vitamin D is becoming more and more appreciated for strengthening the immune system.
Supplementing with 2000 units of Vitamin D3 each day can help support the immune system as can one to two grams of Vitamin C daily.
Limiting sugar and alcohol intake can also help you stay well, avoid illness, and avoid piling on the pounds during the holiday.
The key to a healthy holiday season is to surround yourself with loved ones, enjoy yourself, and continue to do those things that keep you well.


As the new year approaches, many people resolve to eat better, exercise more, or reduce stress – but most of these resolutions fade by February. The problem isn’t a lack of motivation; it’s a misunderstanding of how habits actually form. By learning the science behind habits, you can rewire your brain for lasting, healthy change in 2026.
How Habits Work
Habits are automatic behav-
iors created by repeated patterns in the brain. Neuroscientists call this the habit loop, which consists of three parts: a cue (the trigger), a routine (the action), and a reward (the result). Over time, the brain links these steps together – making the behavior nearly effortless. For example, the smell of coffee (cue) might prompt you to pour a cup (routine) and enjoy the energy boost (reward).
When you understand this loop, you can consciously design
new habits or replace old ones. Instead of relying on willpower, you build systems that support change.
Start Small and Be Consistent
One of the biggest mistakes people make is starting too big. Research shows that small, achievable habits – known as atomic habits –create stronger long-term results. Instead of vowing to run five miles a day, commit to walking for ten minutes. Once that becomes automatic, you can build from there. Consistency, not intensity, is what reshapes neural pathways.
Create an Environment For Success
Your surroundings play a powerful role in shaping behavior. If you want to eat healthier, keep fruits and vegetables visible and put snacks out of reach. If you want to read more, place a book beside your bed instead of your phone. By reducing friction for good habits and increasing friction for bad ones, you guide your brain toward better choices without forcing it.
Reward Progress, Not Perfection
The brain loves rewards. Celebrate small victories – completing a workout, choosing water over soda, or meditating for five minutes. These micro-rewards release dopamine, reinforcing the behavior. Progress tracking (like checking off a calendar or using an app) can create a satisfying sense of momentum.
Be Patient – Change Takes Time
On average, it takes about 66 days to form a new habit, not the 21 days often claimed online. Slipping up doesn’t erase progress – it’s part of the process. The key is to return to your routine without guilt.
The Bottom Line
Sustainable change isn’t about reinventing yourself overnight –it’s about rewiring your habits one small step at a time. By applying the science of behavior, you can turn your New Year’s goals into lifelong wellness habits – and build a healthier, more intentional you in 2026.


By Quansheng Lu, CMD, PhD, LAc Wholelife Chinese Medicine & Acupuncture Center

More than 3,000 years ago, the origins of Chinese acupuncture took root, becoming an integral aspect of traditional Chinese medicine (TCM). This therapeutic practice involves the insertion of fine needles into specific points on the skin to promote healing. By targeting these points, acupuncture aims to restore the flow of energy along the body’s meridians, which, according to theory, becomes obstructed, leading to discomfort.
Shoulder pain ranks among the
Quansheng Lu, CMD, PhD, L.Ac www.wholelifeherb.com • luquansheng@gmail.com
• fax: 301-340-1090
Guest professor, Henan University of Traditional Chinese Medicine (TCM) Chief TCM Physician, WFCMS; M.S. in TCM, Beijing University of TCM PhD in integrated medicine, China Academy of Chinese Medical Sciences Fellowship, Georgetown University & Children’s National Medical Center 3 patents, 8 books of TCM, 30 papers, 30+ years of experience in TCM
Low back pain
eczema
arthritis
allergies
cough
insomnia
paralysis obesity • nephritis
hepatitis
infertility
PMS • side effects of cancer treatment 416 Hungerford Drive, #300 Rockville, MD 20850 5022 Dorsey Hall Drive, #101 Ellicott City, MD 21042


our every action, with the practice of medicine being recognized and honored as a uniquely noble pursuit.

most prevalent symptoms, stemming from various common causes such as tendon inflammation, adhesive capsulitis, instability, arthritis, and fractures. While less frequent, shoulder pain can also result from tumors, infections, or nerve-related issues.
Does Acupuncture Alleviate Shoulder Pain?
Research from June 2009, conducted at Johns Hopkins Bayview Medical Center, examined the efficacy of acupuncture in managing shoulder pain. In a single-blind randomized trial, adults experiencing shoulder pain for at least eight weeks due to osteoarthritis or rotator cuff tendonitis were assessed. Thirty-one participants were divided into three treatment groups: individualized acupuncture based on TCM principles, standardized acupuncture targeting typical shoulder pain points, and sham acupuncture without needle penetration.
Following six weeks of treatment, improvements in the total Shoulder Pain and Disability Index (SPADI) scores were observed across
all groups. However, clinically significant changes were only evident in the first two groups. Consequently, acupuncture emerges as a potentially effective therapy for chronic shoulder pain.
Why Does Acupuncture Sometimes Fail To Yield Results?
The practice of traditional Chinese medicine, encompassing acupuncture and herbal remedies, is intricate and requires extensive training. Optimal treatment outcomes hinge on identifying the correct acupuncture point formula and precise point locations. Without this precision, acupuncture may not deliver desired results.
Is Acupuncture Safe?
Overall, acupuncture is considered a safe treatment option. Potential side effects include dizziness, localized bleeding, dermatitis, nerve injury, or increased pain, particularly in cases where practitioners lack adequate training. Therefore, the expertise of a well-trained and experienced acupuncturist is crucial for both efficacy and safety.

By Janet V. Johnson, MD Loving Care Pediatrics
We all make resolutions at the beginning of the New Year; however it may be difficult to stick to our plans if we don’t have constant support. That’s why making resolutions we can stick to as a family is such an important part of creating lasting changes. We can support each other while everyone works toward becoming a happier, healthier, more united family unit.
Eat a Healthy Breakfast
It should be everyone’s goal to eat a healthy meal every morning. Whether you drink a fresh fruit smoothie or sit down with a bowl of
oatmeal, make sure that every member of the family eats something sustaining before leaving the house.
Eating before you leave eliminates the temptation to stop at a fast food restaurant or grab a doughnut and coffee before work. Resolve to keep healthy foods and fruit stocked in the kitchen and readily accessible for the mornings to help the family stick to this goal.
Wash Your Hands
Making a point to wash your hands before eating is a great way to get rid of germs, prevent some diseases and cut down on the number of illnesses each member of your family has to endure each year. There are germs on almost every surface your body comes into contact with and making a concerted, long-term effort to wash your hands helps to keep the germs out of the house. Avoid Destructive Habits
Develop healthy routines that can help you lead a healthy life. Avoid unhealthy habits such as alcohol abuse, smoking and drug abuse. Poor eating and exercise habits may lead to heart disease, cancer, and unhealthy weight



Dr. Wolcott received his DDS degree from the University of Maryland School of Dentistry & keeps up-to-date on the latest dental trends through continued education. He has over 25 years of experience in the placement & restoration of broken, damaged & missing teeth.


Dr. Poupard, who is fluent in French, received dual DDSs from Paris Descartes University & University of Maryland School of Dentistry, where she also completed a one–year residency in General Dentistry. Dr. Poupard actively embraces new & improving technology & advances in dentistry through continuing education.
Dr. Centty, who is fluent in Spanish, received dual DDSs from Cayetano Heredia University & University of Maryland School of Dentistry, where she also

Dentistry.


By Elizabeth Shin, DDS
Bethesda Chevy Chase Pediatric Dentistry
When people hear about fluoride and IQ, most are not thinking about research papers or chemical names. They are thinking about the fluoride their children use every day, brushing their teeth, rinsing, or getting fluoride treatments at the dental office. That makes sense. But the studies that raised this question are not about fluoride that touches the teeth and gets spit out. They focus on fluoride that is swallowed, the kind that goes through the body in drinking water, baby formula mixed with tap water, and foods or beverages made with fluoridated water. To understand the science, it helps to separate topical fluoride, which works on the surface of the tooth, from systemic fluoride, which travels through the bloodstream. Both play a role in oral health, but only the systemic kind is being studied for possible effects on the brain and body.
The Study That Reignited the Discussion
In early 2025, JAMA Pediatrics published a review combining 74 studies on fluoride exposure and children’s IQ. The researchers found that, overall, children with higher fluoride levels in their bodies had slightly lower IQ scores. They did not claim fluoride directly causes lower IQ, but the link appeared stronger in studies that measured fluoride inside the body, such as urinary levels, rather than simply using city water data. Their message was straightforward. The pattern is strong enough to warrant a fresh look at how much fluoride children are receiving from all sources combined.
Differing Scientific Opinions
Some academics have questioned the review, noting that many of the studies it included came from countries with higher natural fluoride levels or from communities with co-exposures such as arsenic or poor nutrition. Others have argued that the review’s methods may have combined studies of unequal quality. However, even among critics, there is general agreement that the findings raise valid questions and that more well-controlled research at U.S. exposure levels is urgently needed.
A pediatric dentist’s evidence-based look at what new studies are showing and how families can stay both cavity-free and safe.
This Was Not the First Time Scientists Saw This
The JAMA study confirmed what earlier research had already noticed. In Canada (2019) pregnant women with higher urinary fluoride had children with slightly lower IQ scores, especially boys. In Mexico (2017–2018) two separate studies linked prenatal fluoride exposure with lower cognitive and attention scores. In Canada (2020) babies fed formula mixed with fluoridated tap water scored lower on non-verbal IQ tests than breastfed babies. Earlier reviews (2012–2018) also showed an inverse relationship between fluoride exposure and IQ, though quality varied. In New Zealand (2015) one study found no difference, but it used residence rather than biomarkers to estimate exposure. Taken together, this growing body of evidence suggests a consistent pattern that deserves attention, especially for developing brains.
Even if we set aside brain development, fluoride that is swallowed leaves unmistakable signs inside the body. The most visible sign is dental fluorosis, faint white lines, cloudy patches, or brownish streaks that appear on teeth as they form. Many professionals call it a cosmetic issue, but that view misses the deeper biological meaning.
Fluorosis is not merely a surface change; it is a biological warning sign of overexposure. It tells us that, during tooth development, the body absorbed more fluoride than it could safely manage. At that point, the safe threshold for cellular balance has already been surpassed. Because fluoride is strongly attracted to calcium, it tends to settle in tissues rich in calcium, including teeth, bones, the pineal gland, and even developing regions of the brain. The enamel changes we can see are simply the visible tip of a deeper metabolic shift.
The same chemical interactions that create white streaks in enamel may also be occurring silently in the thyroid, kidneys, and nervous system, where we cannot see them with the naked eye. Fluorosis, therefore, should not be dismissed as cosmetic. It is the body’s way of signaling that fluoride exposure has reached a level capable of altering normal cellular activity. The teeth are the dashboard light, and once they show a warning, the rest of the system deserves inspection.
Fluoride that stays on the tooth surface remains one of dentistry’s most effective tools. Toothpaste, varnish, and sealants all work topically to harden enamel and prevent decay. The question today is not whether fluoride works, but how much and how it is delivered. In the 1950s, when toothpaste was rare, water fluoridation helped communities reduce cavities. Now, with widespread fluoride toothpaste, professional varnish, and better nutrition, mass ingestion may no longer add much benefit and could increase total exposure unnecessarily. Modern prevention should be targeted rather than universal ingestion.
Practical Questions People Are Asking About Fluoride
1. If fluoride helps teeth, why are people suddenly worried about it? Because scientists are now examining how swallowed fluoride affects other organs besides teeth. Fluoride is beneficial in small amounts, but it can accumulate in bones and tissues. Researchers are exploring its possible influence on the brain, thyroid, and kidneys. The goal is balance, not elimination.
2. How can parents protect their children without overdoing fluoride? Use toothpaste properly: rice-sized for toddlers, pea-sized for preschoolers, and teach them to spit, not swallow. Professional fluoride varnish and sealants are safe and stay on the teeth. When preparing baby formula, alternate between fluoridated and low-fluoride bottled or filtered water. Good brushing and diet remain the best cavity prevention.
3. Is fluoridated water safe during pregnancy? Pregnancy is a sensitive time for brain and organ development. Expectant mothers can use reverseosmosis or carbon filters for drinking water, mix bottled and filtered water to reduce total intake, and maintain gum health since inflammation during pregnancy can affect the baby. Lowering ingestion is a reasonable precaution, not an alarm.
4. What about adults with kidney or thyroid conditions? People with reduced kidney function clear fluoride more slowly, so it can accumulate. Those with thyroid disorders may also be more sensitive. Choose filtered or non-fluoridated water when possible. Continue using fluoride toothpaste since it acts topically. Inform your doctor about local water fluoridation to help interpret labs. Fluoride is not automatically harmful, but those with chronic
illness should manage intake carefully.
5. Are fluoride-removing filters expensive? Not really. Reverse-osmosis systems cost about $150–300 with annual filter changes, and smaller countertop models start near $50. For families with infants or chronic illness, it is a practical safeguard.
6. How can I find out if my water has fluoride? Check your city’s annual water report or the CDC’s “My Water’s Fluoride” website. If you use a private well, have it tested, since natural levels vary widely.
7. Does bottled water contain fluoride? Some brands do and others do not. Always read the label. For baby formula, most pediatricians suggest non-fluoridated bottled or filtered water.
8. What is the safest overall approach? Keep topical fluoride such as toothpaste, varnish, and sealants. Reevaluate systemic exposure during pregnancy, infancy, or chronic illness. Support new U.S.-based studies that measure real fluoride levels instead of relying on decades-old data. Fluoride’s value remains, but dose and delivery are what truly determine safety.
So, Does Fluoride Lower IQ?
The fair answer is that higher systemic fluoride exposure is associated with slightly lower IQ in many studies. At typical U.S. fluoridation levels, the data are still limited. Topical fluoride remains safe and effective. In short, keep fluoride on the teeth, not in the bloodstream.
A Final Word
Community water fluoridation was one of the great health achievements of the twentieth century. Yet children today already receive fluoride from toothpaste, varnish, and food. We can preserve its benefits while reducing unnecessary ingestion. Re-examining systemic fluoride is not anti-science; it is good science. Our responsibility is to use fluoride wisely, to protect both smiles and developing minds. If you have questions about fluoride or your child’s oral health, you are welcome to email me at smile@ bccpediatricdentistry.com. I am always happy to help families make informed, confident choices.
Read the full article, including references, online: yhm.news/FluorideIQ
For more information, contact Dr. Shin at 301-941-7374 or visit the website at BCCPediatricDentistry.com

By Lynda Dean-Duru, DDS Ashburn Children’s Dentistry
When it comes to your child’s dental development, early intervention can make a lifetime of difference. One of the most innovative tools used by airway-focused dentists and orthodontists is the ALF (Advanced Lightwire Functional) appliance – a gentle, growth-guidance appliance
that helps the body achieve natural balance and healthy development. What the ALF Appliance Does –And What It Isn’t
The ALF is not an expander. Traditional expanders mechanically widen the palate, but the ALF works in harmony with the body’s own growth patterns. It is a growth-guidance appliance designed to facilitate natural


development by gently assisting the tongue in moving the bones of the skull, allowing growth to occur the way nature intended.
The ALF acts almost like a “surrogate tongue,” allowing the brain to redirect resources for growth through functional swallowing, nasal breathing, and a nervous-system reset. Because it is so delicate and precise, the ALF re-
child’s jaw and airway development may be the missing link.

quires meticulous training and expertise to use correctly – its effectiveness depends on the practitioner’s deep understanding of oral-facial development and the connection between posture, airway, and overall health.
The ALF philosophy views the mouth as part of the body’s larger postural and functional system. By supporting balanced growth, proper tongue position, and healthy airway development, this gentle form of growth guidance can positively influence a child’s overall well-being – from sleep and focus to confidence and comfort. Children who breathe well, sleep well, and swallow properly often experience improvements not just in their dental health but in behavior, learning, and physical comfort as well.
Although orthodontic guidelines often suggest evaluation by age 7, many airway-focused providers emphasize that for certain growth and airway issues, that may already be too late.
struggles,
jaw underdevelopment. Our airway-focused approach supports whole-body health and lifelong confidence. Let’s uncover what’s really going on – together.

Signs of improper jaw development can appear as early as infancy –even within the first few days of life. Babies and toddlers who show trouble latching, snoring, mouth breathing, restless sleep, difficulty eating solid foods, teeth grinding, frequent ear infections, or speech issues may already be exhibiting early indicators that the jaws and airway are not developing correctly.
If you notice these signs, it’s important to consult a knowledgeable, airway-focused provider who can evaluate your child’s growth patterns and guide proper jaw and brain development. Early detection and proactive, collaborative intervention allow for gentler, holistic treatment and the best long-term outcomes.
Healthy Growth Creates Healthy Smiles – and Healthy Lives.
Ask your pediatric or airwayfocused dentist whether your child might benefit from early evaluation or growth-guidance therapy with the ALF approach.
gain or vitamin or mineral deficiencies.
Regular exercise can help prevent some diseases, increase your energy level, aid in managing stress and help you reach and maintain a healthy weight. Balanced exercise is important – do aerobic exercise to benefit your cardiovascular system, strength training to improve muscle tone and stretching to enhance flexibility. Get at least 30 minutes of moderate physical activity five days a week or 20 minutes of vigorous activity three days a week. Spending time with your kids seems like a great excuse for skipping a workout, but you can have
quality time and workout at the same time. Playing basketball with your kids, going on a family hike, or racing around a track are all great ways to get in your exercise while bonding as a family and enjoying nature.
We all have unique talents and abilities, interest and values. Encourage your children as well as yourselves to find purpose for your life in sharing your unique gifts with others. The things that give you joy or help you feel vital can increase your sense of purpose and ultimately will result in a satisfying relationship and interaction for everyone.



ACUPUNCTURE
Eastern Medical Holistic Healing Center, Angel Wood, 240755-5925. www.acupuncture4wellness.webs.com
ALTERNATIVE HEALTHCARE
Holistic Family Health - Thermal Imaging, Herndon, VA. 703-635-6324 For More information visit www.fhtid.com
BEAUTY/SKIN
A Better You, Dr. ClarkeBennett, 410-672-2742.
BREAST HEALTH
University of Maryland Charles Regional Medical Center. 11340 Pembrooke Square, Suite 202, Waldorf, MD 20603. 240-607-2010. UMCharlesRegional.org
CHINESE MEDICINE & ACUPUNCTURE
Wholelife Chinese Medicine & Acupuncture, 301-526-9898, 416 Hungerford Dr., Rockville www.wholelifeherb.com
DENTAL IMPLANTS
Dental Implants Center of Rockville – Dr. Sreenivasan Sivakumar, DMD, MSD –301-294-8700 – 77 South Washington Street, Suite #205, Rockville, MD 20850 – www.DrSreeni.com.
Karl A Smith, DDS, 2550 N. Van Dorn St., Suite #128, Alexandria, VA. Call 703-894-4867, Visit www.drkarlsmith.com
Richard Hughes, DDS, 703444-1152, 46440 Benedict Dr., Suite #201, Sterling, VA. www. SterlingImplantDentist.com
Marc P. Stanard, DDS – 202887-5441 – 1350 Connecticut Avenue, NW, Suite #305, Washington, DC 20036 – wdcperioimplant.com.
EYE CARE
Visual Eyes, Alexander Nnabue OD, 301-324- 9500.
FERTILITY
Montgomery Women’s Fertility Center – 301-946-6962 – MontgomeryFertilityCenter. com – Rockville, MD.
HOLISTIC WELLNESS COACH
Nutrition Lifestyle Digestion and More – Lisa@LisaThorne.Me – Text 269861-7565.
HYPNOSIS/YOGA
Toni’s Happy Hour Yoga and Holistic Wellness Center • 6504 Old Branch Avenue, Temple Hills, MD 20748 • 301-449-8664.
MEDICAL SPACE
Charles L. Feitel Company, 301-571-9333, www.medicalanddentalspace.com.
MENTAL HEALTH SERVICES
House Calls, LLC. 301-3466732. callingonbeth@gmail. com. www.CallingOnBeth.net.
Nutritional Healing Center, Thomas K. Lo, DC, MA, 240-651-1650, 7310 Grove Road, Suite 107, Frederick, MD 21704. doctorlo.com.
Good Health Nutrition Services,LLC – 1300 Mercantile Lane, Suite 129-37, Largo, MD 20774 – 301-341-4680 –www.ghnutritionservices.com
– We accept Insurance.
OPHTHALMOLOGY
NewView Laser Eye Center – Jacqueline D. Griffiths, MD – Reston (703) 834-9777 – Visit us at www.NewViewEye.com.
All Smiles Orthodontics – 9010 Lorton Station Blvd., Suite #260, Lorton, VA 22079 – www. AllSmilesBraces.com – For info call us at 703 337-4414.
To Order: Include you NAME, ADDRESS, PHONE, EMAIL AND WHAT HEADING YOU WISH TO BE LISTED UNDER, AND ANY SPECIAL OFFER OR TEXT TO INCLUDE. We will prepare a proof and email to you for approval.
Email your information to: info@yourhealthmagazine.net or Fax to: (301) 805-6808. Call (301) 805-6805 for assistance.
MARYLAND/WASHINGTON, DC OFFICE
4201 Northview Drive, Suite #102, Bowie, MD 20716 phone: (301) 805-6805 • fax: (301) 805-6808 • email: Info@YourHealthMagazine.net VIRGINIA OFFICE phone: (703) 288-3130 • fax: (703) 288-3174 • email: Publish@YourHealthMagazine.net

Loving Care, Janet Johnson, MD – 301-403-8808.
PHYSICAL THERAPY/ REHABILITATION
Active Physical Therapy. Various Locations across Maryland and Washington, DC. Active-physicaltherapy.com.
PODIATRY
Largo Foot and Ankle Health Center, Ade Adetunji, DPM, 301-386-5453.
District Podiatry – Lubrina Bryant, DPM – 202-388-5303 – 1140 Varnum Street, Suite #30, Washington, DC 20017
www.DistrictPodiatry.com.
Chevy Chase Home Care. Help at a time you need it most. Any Ages. Any situations. Any shifts. MD, DC, VA. www.CHCHhomecare. com 202-374-1240.
AA Urology – Odenton, 1106 Annapolis Road, Suite #250, Odenton, MD 21113 – Glen Burnie, 305 Hospital Drive, Suite #303, Glen Burnie, MD 21061 – Bowie, 4201 Northview Drive, Suite #201, Bowie, MD 20716 – West Campus Surgery Center, 7855 Walker Drive, Suite #102, Greenbelt, MD 20770 – Greenbelt , 7855 Walker Drive, Suite #100, Greenbelt, MD 20770.






SUBSCRIBING IS EASY:
1) Call 301-805-6805 with your name, contact info, and credit card payment for $24, or
2) Simply mail this form along with your check for $24:
Your Health Magazine 4201 Northview Dr. Suite 102 Bowie, MD • 20716




Now you can get the latest issues delivered directly to your home!
• Health articles and advice
• Doctors near YOU!
• Maryland, Washington, DC & Virginia editions
• Only $24 for a year’s subscription (12 issues)!









































































Your HEALTH Magazine publishes and distributes health information people need. We produce special sections to focus on particular health topics each month, and profiles of local health professionals. It Makes a Difference! Here’s what you can look forward to:
January MEET YOUR LOCAL HEALTH PROFESSIONALS – Biographical profiles of a wide variety of local health professionals (Primary Care, Specialists, Integrative, Fitness, and more), highlighting their credentials, expertise, education, practice philosophy, areas of interest, and more!
February CARDIO HEALTH and DIABETES plus MENTAL HEALTH – Professionals to help you keep your Heart Healthy, Diet in check, Diabetes under control, Quit Smoking, and Sleep Sound. Will include Information and Profiles from your Local Heart, Stroke, Diabetes, and Fitness Professionals.
March COMPLEMENTARY and INTEGRATIVE HEALTHCARE – Chiropractic, Hypnotherapy, Holistic Healthcare, Nutritional Therapy, Acupuncture, Yoga, Physical Therapy, and much more! Will include Profiles from your Local Integrative Health Professionals.
April BEAUTY, SKIN CARE, & GORGEOUS SMILES – Dermatology, Aesthetics, Body Contouring, Plastic and Cosmetic Surgery, the Latest Lasers, Anti-Aging, Weight Loss, Cosmetic Dentistry, Eye Wear, and more! Will include Profiles and Information from your Local Beauty and Dental Health Professionals.
May VISION and EYE CARE – Professionals to help you and your family with your eye care including New Technology, LASIK, Eye Glasses, Contacts, Other Vision Appliances, Surgery, Children, Adults and Seniors! Will include Profiles from your Local Vision & Eye Care Health Professionals.

If you are a Health Professional interested in including your


–
– Caring & Kind Dentist & Team
– State-of-the-Art Equipment
– Laser Periodontic Therapy
– Affordable Gum Treatment
– Insurance Accepted & Filed
– Ultra-Sterile Environment
– No Referral Needed
– Comfortable Sedation Dentistry




Our patients mean the world to us, and many have trusted Dr. Smith for decades. Our team is always fully committed to making every visit comfortable, gentle, and pain-free. Our goal is to provide exceptional periodontal and implant care that has been the hallmark of Dr. Smith’s practice for many years.
You deserve the very best! Call today to secure your first visit on your journey to total health, wellness, and aging beautifully.




