



















![]()





















By Tammy Leiner, Certified Clinical Thermographer, Level 3 The Longevity Center
Isn’t it time we focus on proactive health instead of outdated, fear-driven strategies? For many Americans, the word cancer feels overwhelming and ever-present, touching someone in our inner circle. Similarly, the word mammogram often carries negative associations — pain, fear, and the anxiety of “what if they find something?”


The good news is that women have options. One of the best breast tests you’ve probably never heard of is thermography. This technology has been used for more than 50 years and offers a safe, affordable, noninvasive screening method. With no compression, no radiation, and no fear, thermography provides valuable information to guide your health choices. The more informed you are, the better the outcome.
For many women, thermography is their preferred go-to screening, used alongside yearly physicals. Others rely on it as their primary breast health tool, sometimes paired with ultrasound or mammography when needed.
What Is Thermography?
Thermography uses infrared imaging to detect changes in tem-
Please see “Breast Health,” page 63

At the Minimally Invasive Vascular Center (also known as MIVC) we have long been committed to addressing the vascular devastation that is rampant in our community. Each year cardiovascular disease is the world’s largest killer; killing more Americans than cancer. If you have painful legs, wounds that won’t heal, varicose veins, leg swelling, history of smoking, or have a family history of vascular problems and/ or are over the age of 50, you may suffer from poor circulation. Poor circulation may be responsible for causing erectile dysfunction in as much as 50 to 70 percent of men who develop the condition. Now we are happy to add expanded services! Our goal is to extend the healthy lifespan of our patients by using a comprehensive, integrative approach to achieve the most effective results. We believe that Beauty Is a Reflection of Health and Wellness. We want you to be as beautiful on the outside as you are healthy on the inside.
• Primary Care
• Wound Care
• Comprehensive Weight-Loss (including injectables)
• Aesthetics
• Age Spots
• Cellulite
• BOTOX® Cosmetic
• Fillers
• Microneedling w/PRP and Exosomes
• PRP Hair Restoration
• Spider Veins
• Body Contouring
• CoolSculpting
• Laser
• CoolTouch Laser
• Laser Hair Removal
• Laser Pigment Removal
• Laser Skin Resurfacing
• Laser Skin Tightening
• Skin Treatments
• Acne Scars
• PRP Injections
• Chemical Peels
• HydraFacial
• Microdermabrasion
• Sun Damage
• Vascular Procedures
• Arteriograms
• Atherectomy
• Balloon Angioplasty
• Radiofrequency Ablation – Veins
• Venogram
• Uterine Fibroid Embolization
• Coil Embolization
• Sexual Enhancement
• Hormone Therapy
• Gainswave
• P-shot/O-shot


The articles below are provided by local health professionals for the benefit of the public. Please contact them for advice and services.
4 | October Is Breast HEALTH Awareness Month! | By Tammy Leiner, Certified Clinical
8 | Women’s Urologic Health: Understanding, Prevention, and Care | By Mara Holton, MD
9 | The Marvelous Fallopian Tubes | By Oluyemisi Famuyiwa, MD, FACOG, MSD
10 | Heavy Periods: Causes and Real Treatments That Work | By Rupen Baxi, MD
11 | Women As Advocates For Their Children’s Digestive Health | By Ahmet Aybar, MD
12 | Your One-Stop Solution For a Healthy Smile | Submitted By Total Dental Care
13 | Speech Disability and Using the Telephone | By Maryland Relay/Telecommunications
14 | Gorgeous Healthy TMJs = Gorgeous Smile? | By Jeffrey L. Brown, DDS
16 | Women and Dry Eye | By Renee Bovelle, MD
16 | All-On-Four Dental Implants | Submitted By Sivakumar Sreenivasan, DMD, MDS
17 | Beauty From Within: How Hormones Influence Skin, Hair, and Aging | By Milca Kaplan, NP
18 | The Fatigue Puzzle | By Andrew Wong, MD
18 | Your Heart Matters, So Here Is Hope | By Linda Penkala, Author, LMT
19 | Pregnant and Suffering? | By Alicia Kovach, DC
20 | What Is a Bunion? | By Howard Horowitz, DPM 21 | Taking Control Of Your Health | By Alan Weiss, MD 22 | Embracing Holistic Dentistry For a Healthier Smile and Body | By Gena Schultheis, DDS
24 | Hormone Therapy Combats Wrinkles | Submitted by New Day Vitality Hormone Center
24 | Reasons For Choosing Weight Loss Surgery | By Etwar McBean, MD, FACS
25 | Painful Menstruation? Herbs To the Rescue | By Holly Dunbar, CMT, RH (AGH)
25 | A Journey Of Healing | Submitted By Elon Roshell Day Spa & Health
26 | Preventing Childhood Obesity | By Janet V. Johnson, MD
26 | Cannabis and Sleep: More Than Counting Sheep | By Sharron Sample, CEO
28 | It’s Time To Rethink Water Fluoridation | By Elizabeth Shin, DDS
29 | Comfort and Alignment In Pregnancy | By Jillian Campbell, DC, MSACN
31 | Colorectal Cancer In Women | By Matthew Skancke, MD & Rami Makhoul, MD
34-43 | Beauty, Skin Care and Gorgeous Smiles Featured Professionals
48 | The Best Care: From Progressive Illness To End Of Life | By Jennifer Clark, MD, HMDC
50 | Relieving Menstrual Discomfort: A Holistic Approach | By Quansheng Lu, CMD, PhD, LAc
50 | Psychiatric Rehab | By Joyce Abramson, RNMS
52 | Beauty Sleep Is Real: How Sleep Affects Skin | By Annapolis Asthma, Pulmonary & Sleep Specialists
56 | Acupuncture: A Promising Approach For Dental Pain Relief | By Brittney de Vicq, MAc, LAc
56 | Whiter Teeth and a Brighter Smile | Submitted by E. Taylor Meiser, DDS
57 | Poor Circulation In Feet: Part One| By Ademuyiwa Adetunji, DPM
57 | Prevent and Treat Osteoporosis | Submitted By Kensington Pharmacy
Articles and information about health professionals is available at www.YourHealthMagazine.net




Your Health Magazine is on a mission. There are far too many people, insured or not, who do not go to the doctor when they should, and in millions of cases, don’t know who they should go to, or why.
People are encouraged to buy a new house, car, cell phone or big screen TV, and those companies make themselves very visible and their products easily attainable.
Information about, and from, local healthcare providers is not easy to find, and many times those services are difficult to access.
Information and encouragement always lowers fear and trepidation about anything, and this is especially true in healthcare. While general information is available on web-sites, specific information from local providers is almost impossible for people to find. This is one of the key reasons chronic and episodic conditions are not cared for. It is our mission to:
Make A Difference By Empowering and Encouraging People To Live Healthier By Going To the Doctor When They Should.
There is a lot of evidence that the health professionals who participate in Your Health Magazine have helped many people over the years. We at Your Health Magazine salute you!
G. Scott Hunter, Editor-in-Chief
If you would like to find out how you can participate in one of our upcoming editions, please contact the office nearest you.
MARYLAND & WASHINGTON, DC OFFICE One Town Center 4201 Northview Drive, Suite 102 Bowie, MD 20716 Office (301) 805-6805 • Fax (301) 805-6808 info@yourhealthmagazine.net
VIRGINIA OFFICE Office (301) 805-6805 info@yourhealthmagazine.net
© Your Health Magazine, 2025. The magazine and all of its contents are protected by copyright. For permission to reproduce any materials in this magazine, contact info@yourhealthmagazine.net.
The content in Your Health Magazine and provided on yourhealthmagazine. net is for informational and educational purposes only and is not intended as a substitute for professional medical advice, diagnosis, or treatment. Always consult with a qualified healthcare provider before starting any exercise program, making changes to your health routine, or acting on any health-related information found on the Internet, or anywhere else.



By Mara Holton, MD Anne Arundel Urology
Urologic health is a vital component of overall well-being, yet it is often overlooked—especially when it comes to women. Women’s urologic health involves the care and maintenance of the urinary tract and reproductive organs, and addressing the unique challenges that women face in this area is essential
for long-term health and quality of life.
Urologic
1. Urinary Tract Infections (UTIs): UTIs are among the most common urologic issues affecting women. Due to the shorter length of the female urethra, bacteria can more easily reach the bladder, leading to infections. Symptoms include a burning sensation during urination, frequent urges to urinate, and cloudy or strongsmelling urine. Prompt treatment with antibiotics and good hygiene practices can help prevent recurrent infections.
2. Overactive Bladder (OAB): OAB
is characterized by a sudden and frequent need to urinate, sometimes accompanied by leakage. It can be caused by factors like weakened pelvic muscles, nerve damage, or hormonal changes. Treatment options include lifestyle modifications, pelvic floor exercises, medications, and in some cases, surgical interventions.
3. Urinary Incontinence: Incontinence, or the involuntary loss of urine, affects women of all ages but becomes more common after childbirth and menopause. Stress incontinence (leakage during physical activity) and urge incontinence (a sudden,


intense need to urinate) are the most common types. Treatments range from physical therapy and bladder training to medications and surgical procedures.
4. Interstitial Cystitis (IC): Also known as painful bladder syndrome, IC is a chronic condition causing bladder pressure, pain, and frequent urination. Though its exact cause is unclear, treatments focus on symptom relief through dietary changes, physical therapy, medications, and bladder instillations.
5. Pelvic Organ Prolapse: This condition occurs when the muscles and tissues supporting the pelvic organs weaken, causing organs like the bladder, uterus, or rectum to drop into the vaginal canal. Symptoms include pressure, discomfort, and difficulty with urination or bowel movements. Treatment may include pelvic floor exercises, pessaries, or surgery.
Prevention and Care
Maintaining urologic health involves a combination of lifestyle choices, preventive care, and regular medical check-ups. Here are some key strategies:
• Stay Hydrated: Drinking enough water helps flush bacteria from the urinary tract and supports overall kidney function.
• Practice Good Hygiene: Wiping from front to back, wearing breathable cotton underwear, and avoiding harsh soaps can reduce the risk of infections.
• Strengthen Pelvic Floor Muscles: Kegel exercises can help prevent incontinence and support bladder control.
• Maintain a Healthy Diet: Limiting bladder irritants like caffeine, spicy foods, and acidic beverages can help manage symptoms of overactive bladder and IC.
• Regular Medical Checkups: Annual visits to a gynecologist or urologist can help catch potential issues early and ensure comprehensive care.
When To See a Urologist Women should consult a urologist if they experience recurring UTIs, incontinence, pelvic pain, or any other persistent urinary symptoms. Early diagnosis and intervention can prevent complications and improve quality of life. Women’s urologic health is an essential but often under-discussed aspect of medical care. By understanding common conditions, taking preventive measures, and seeking timely medical advice, women can maintain better urinary health and overall well-being.

By Oluyemisi Famuyiwa, MD FACOG, MSD Montgomery Fertility Center
of the fallopian tube. Once fertilized, the newly formed embryo continues its passage towards the uterus for implantation and further development.
Understanding the female reproductive system is crucial for appreciating the wonders of life creation.
The fallopian tubes, also known as uterine tubes, are a pair of slender, tube-like structures located on either side of the uterus. They are approximately 10–14 centimeters long and are lined with ciliated epithelial cells, cells that have fine hair-like extension on their top surface. The fallopian tubes consist of several sections, including the infundibulum (the funnel-shaped end), fimbriae (finger-like projections), ampulla (the middle and widest part), isthmus (the narrow portion), and the uterine opening.
The primary functions of the fallopian tubes are vital for successful reproduction:
During ovulation, a mature egg is released from one of the ovaries. The fimbriae at the end of the fallopian tubes help capture the egg, drawing it into the tube.
The fallopian tubes provide an optimal environment for fertilization to occur. The cilia lining the tubes create a gentle current that propels the egg towards the uterus, while also helping to move sperm in the opposite direction. Think of the tube as a conveyor belt that is in constant motion to move the eggs and embryo towards the uterus.
The fallopian tubes assist in the movement of sperm towards the egg. Sperm can survive in the fallopian tubes for several days, awaiting the arrival of the egg.
Ovulation is the process in which a mature egg is released from the ovary. During this phase, the fimbriae sweep over the surface of the ovary, capturing the egg and guiding it into the fallopian tube. Once inside the fallopian tube, the egg begins its journey towards the uterus, aided by the coordinated movements of the cilia.
If sperm are present in the fallopian tubes at the time of ovulation, they can meet and fertilize the egg. This remarkable union typically occurs in the ampulla, the widest part
Although the fallopian tubes are designed for the journey of the fertilized egg, complications can arise. One such complication is an ectopic pregnancy, where the fertilized egg implants outside the uterus, most commonly in the fallopian tubes. Ectopic pregnancies can be dangerous and require immediate medical attention.
Diagnostic procedures can help identify any blockages or abnormalities in the fallopian tubes. Hysterosalpingography (HSG) is a common test where a dye is injected into the uterus and fallopian tubes, allowing X-ray
imaging to evaluate their structure and function. Laparoscopy is another procedure that uses a small camera to examine the reproductive organs, including the fallopian tubes.
Various disorders can affect the fallopian tubes, such as blockages, infections, and tubal ligation (a permanent form of birth control). Fertility treatments like in vitro fertilization (IVF) can bypass fallopian tuberelated issues. Additionally, surgical interventions, such as tubal ligation reversal or tubal reanastomosis, can restore fertility in some cases.
Maintaining the health of the fallopian tubes is crucial for optimal reproductive health. Any dysfunction or blockage in the fallopian tubes
can lead to difficulties in conceiving. Regular check-ups and open discussions with healthcare providers ensure that any potential issues are detected and addressed promptly.
The fallopian tubes are truly remarkable structures that contribute significantly to the miracle of life. From capturing and transporting the egg to providing an ideal environment for fertilization, their role is indispensable in the process of reproduction. Understanding the importance of the fallopian tubes empowers individuals to take charge of their reproductive health and seek timely medical assistance when needed. Let us appreciate the marvels of the fallopian tubes and the intricate journey they enable towards creating new life.


Our mission is to assist our patients in creating the families of their dreams, whether it be at the present or to maintain the possibility in the future.
Medical Director Dr. Famuyiwa, a double board certified fertility specialist and an advocate for personalized holistic fertility care, is at the forefront of providing stateof-the-art care based on emerging and advanced new technologies in the most compassionate of manners.

By Rupen Baxi, MD Oasis Advanced GYN Surgery
If your period soaks through a pad or tampon every 1–2 hours, lasts longer than 7 days, or brings clots larger than a
quarter, that’s heavy menstrual bleeding—and you don’t have to live with it. A GYN can pinpoint the cause and match you with treatments that actually work.
Heavy flow often comes from one of a few fixable issues. Fibroids (noncancerous growths in the uterus) and polyps can enlarge the uterine surface and increase bleeding. Hormone imbalances—especially too
little progesterone relative to estrogen—disrupt the cycle’s “off switch.”
Thyroid disorders, bleeding or clotting conditions, and certain medications (like blood thinners) can play a role. Endometrial hyperplasia (thickening of the uterine lining) and, less commonly, endometrial cancer must be ruled out—especially after age 40 or with bleeding between periods. After childbirth or with copper IUDs, heavier flow is also more common.




The bottom line: heavy periods are a symptom, not a personality trait.
How Your GYN Evaluates It
A targeted history looks at cycle length, flooding patterns, clots, pain, pregnancy risk, and anemia symptoms (fatigue, shortness of breath, dizziness). Your clinician will likely order labs (pregnancy test, blood count for anemia, iron studies, thyroid tests) and may add a pelvic ultrasound to look for fibroids or polyps. Depending on age and risk, an office endometrial biopsy may be recommended to assess the uterine lining. This workup guides treatment so you’re not guessing.
Proven Treatment Options
You have choices—both medical and procedural.
• Non-hormonal medicine: Tranexamic acid taken only on heavy days can cut bleeding by up to half. NSAIDs like ibuprofen reduce prostaglandins and can lessen flow and cramps when started at the first sign of bleeding.
• Hormonal options: The levonorgestrel-releasing IUD is one of the most effective treatments for heavy periods and contraception in one; many patients see dramatically lighter cycles or no bleeding after several months. Combined pills, the ring, or patch regulate and lighten bleeding; progestin-only pills or injections are alternatives when estrogen isn’t a good fit.
• Treat the source: For fibroids or polyps, options include hysteroscopic removal, uterine artery embolization (for certain fibroids), myomectomy, or—when childbearing is complete and other treatments have failed—hysterectomy.
• Endometrial ablation: A quick outpatient procedure that destroys the uterine lining to reduce or stop bleeding. It’s for patients done with pregnancy and only after the lining has been properly evaluated.
Don’t Ignore Anemia
Heavy periods frequently drain iron stores. If your ferritin is low or your blood count is down, iron therapy (oral or IV) will restore energy while you address the bleeding.
When To Call
Flooding through protection in under an hour, passing large clots, bleeding longer than a week, or any bleeding after menopause deserves a prompt visit. With today’s tools, you can expect lighter, predictable periods—and your life back.

By Ahmet Aybar, MD Annapolis Pediatric Gastroenterology and Nutrition
When a child complains of stomach pain, constipation, or reflux, it can be hard to know whether it’s a passing phase or a sign of something more serious. For many families, mothers are the first to notice subtle changes in their child’s health. They see the skipped meals, restless nights, or loss of energy that others might overlook. That makes women powerful advocates for their children’s digestive health.
Digestive issues are among the most common reasons children see a doctor. While many tummy troubles are temporary, persistent symptoms—such as ongoing abdominal pain, chronic constipation, diarrhea, or poor growth— deserve closer attention. Mothers often sense when something “just isn’t right,” and their persistence is often what leads to an accurate diagnosis.
If your child’s discomfort doesn’t improve with basic measures like diet adjustments or over-the-counter remedies, it may be time to see a pediatric gastroenterologist. Conditions such as celiac disease, Crohn’s disease, ulcerative colitis, and eosinophilic esophagitis can begin with vague symptoms that are easily dismissed. Early evaluation and treatment not only ease discomfort but also protect your child’s long-term growth and development.
Nutrition and Growth
Digestive health and nutrition
go hand in hand. Children who cannot properly absorb nutrients may fail to gain weight, grow more slowly, or feel too fatigued to keep up with their peers. Recognizing these signs and seeking help early can prevent lasting effects. Mothers who monitor changes in eating habits, bowel patterns, or energy levels play a vital role in catching problems
before they progress.
Every child deserves to feel well, grow well, and thrive. When mothers bring their observations to the doctor, they provide invaluable information that helps guide diagnosis and treatment. At Annapolis Pediatric Gastroenterology and Nutrition, we make sure families
have the time to ask questions and understand what’s happening. We believe mothers’ voices should always be heard and respected in the care of their children. If your child is struggling with ongoing digestive symptoms, don’t wait and hope they will outgrow it. Listening to your instincts and seeking help may be the most important step you take for your child’s health.




At Annapolis Pediatric Gastroenterology and Nutrition, we specialize in diagnosing and treating digestive challenges in children from infancy to early adulthood. Our board-certified team, led by Dr. Ahmet Aybar, delivers compassionate care tailored to your child’s unique needs.
Comprehensive Services: Treatment for conditions such as Crohn’s Disease, GERD, Ulcerative Colitis, Celiac Disease, and more.
Trusted Expertise: Procedures performed at Anne Arundel Medical Center by Dr. Aybar, a renowned pediatric gastroenterologist.
Family-Centered Care: We take the time to listen, explain, and provide guidance for every step of your journey.
or visit us at 130 Lubrano Drive, Suite #212, Annapolis, MD 21401 to schedule your appointment today.


Maintaining optimal dental health is crucial for overall well-being, and finding a dental office that offers comprehensive care under one roof is a game-changer. Total Dental Care is a well-established dental practice that takes pride in providing detailed and comprehensive services in various specialties, ensuring patients receive topnotch care for their unique dental needs.
General Dental Services: Total Dental Care excels in offering a wide array of general dental services, including routine check-ups, cleanings, and preventive care. Our experienced team focuses on early detection and intervention to prevent dental issues from escalating.










Specialized Services: Whether you require orthodontic adjustments, periodontal treatments, Invisalign, dental implants, prosthodontics, oral
surgery, extractions, root canals and endodontic treatments, or restorative and cosmetic dentistry, Total Dental Care has you covered. Our specialists are experts in their respective fields, ensuring you receive tailored treatments for your specific dental concerns.
Cutting-Edge Technology: Total Dental Care stays at the forefront of dental technology, offering services such as digital intra-oral cameras, cone-beam CT scanners, and teethin-a-day. Our commitment to utilizing advanced techniques ensures effective and efficient treatments while minimizing complications.
Sedation Options: Understanding the anxiety some patients may feel, Total Dental Care offers laughing gas, oral sedation and IV general anesthesia options. Our goal is to create a comfortable and stress-free environment, catering to the individual
Please see “Healthy Smile,” page 62
By Maryland Relay/ Telecommunications Access of MD
If you have difficulty speaking due to cerebral palsy, Parkinson’s disease, stroke, traumatic brain injury or other condition, you do not have to struggle to communicate over the telephone. Technologies and services are available to make sure people who have difficulty speaking can use the telephone to conduct business, make appointments, and keep in touch with friends and loved ones every day.
Maryland Relay is a free public service that enables people throughout Maryland who are Deaf, hard of hearing, late-deafened, DeafBlind or have difficulty speaking to stay connected by phone. Easily accessed by dialing 7-1-1, Maryland Relay offers a variety of services that are available 24 hours a day, 365 days a year, to meet each person’s needs.
Speech-to-Speech (STS) Relay service is designed specifically for people who can hear but have mild to moderate difficulty speaking over the telephone. During an STS call, the user is connected with a Maryland Relay STS Operator who is specially trained to be able to listen carefully to the STS user. The Operator may revoice everything the STS user says, or only re-voice when needed, depending on the user’s preference. The STS user then hears the other person’s response spoken directly to him or her.
STS users can set up personal call preferences through a Customer Profile where they may provide a standard greeting that may be used when placing and receiving calls. By setting up a Customer Profile, STS users can also save a list of up to 50 speed dial numbers, a chosen long-distance provider, and more.
Many individuals who have difficulty speaking are best understood when they can be seen. That is why Maryland Relay also offers Visually Assisted STS, which gives the user the opportunity to also use gestures and other visual cues during STS calls. Vi-
sually Assisted STS establishes a live video connection between the user and the Operator by using a webcam and a computer with Skype software. The Operator uses visual cues such as mouth movements, facial expressions, and other gestures to better understand the user’s side of the conversation and his or her intended meaning.
Maryland Relay provides people who have difficulty speaking with the opportunity to be better understood over the telephone. For more information about STS service from Maryland Relay, please visit mdrelay.org or call 800-552-7724 (Voice/TTY) or 443453-5970 (VP).
*Skype is a trademark of Skype, and Maryland Relay and is not affiliated, sponsored, authorized or otherwise associated with the Skype group of companies.



By Jeffrey L. Brown, DDS Sleep & TMJ Therapy
When your Temporomandibular Joints (TMJs) are healthy and happy, you are too. This joint is perhaps one of the most important joints in the human body.
It allows us to eat, speak, laugh, yawn, and tends to be working all day
long. For this reason, it is more readily damaged than many other joints. Even if you are an athlete whose body is moving and exercising for most of the day, your jaw joints are moving as well. This can lend them to damage and this leads to inflammation that can affect your entire body. This does not include contact sports.
Because of the delegate nature of



the joints structure, the TMJs happen to be one of the most misunderstood joints in the human body. Most doctors would tell you that medical or dental school did mostly a cursory discussion of this very important joint. Yet when it is not working properly, it can wreak havoc with your entire body. This might seem far-fetched, but there are many cases in which a displaced TMJ disc can affect

other parts of the body not just typical headaches, jaw pain or neck pain. The pinched nerves or blood vessels can affect the knee, the shoulder, the hip, and even the arch of the foot. Our office has seen these cases on so many occasions that it is no longer any oddity when the patient reports running is an option again. The reason is because the TM joints are well supported.
When a person has a TMJ problem, it is absolutely critical to diagnose the problem with an MRI. Unfortunately, most radiologists would admit that they have little to no experience in reading an MRI of the jaw joints. This is why you must seek a dentist or MD who has the radiologist with the expertise to read the images from the MRI. Our radiologist at the imaging center has the ability to identify disc degeneration which is a critical component in deciding how to treat the person.
Dr. Jeffrey Brown has limited his practice to focus only on TMJ Disorders, Craniofacial Pain Management and Sleep Apnea. By fixing slipped discs in the jaw joints, Dr. Brown can significantly reduce the pain patients experience in the head/neck region and other symptoms associated with jaw joint problems. Sleep & TMJ Therapy may be able to improve the quality of life for you or a loved one – we encourage you to contact us with any questions or concerns.
“Dr. Brown and his staff are absolutely wonderful. I was diagnosed with Dystonia. I could not turn my head and had a ton of pain. My doctors offered no help and no advice besides Meds and Botox. Since having the appliance I have NO pain and I can turn my head. I would highly recommend them to anyone. I feel Dr. Brown and his staff really care about their patients and helping them to get better. They do not just numb the symptoms but fix the problem. Thank you from the bottom of my heart. I feel like the old me again!”
- D. Thomas
“My daughter has been treated by Dr. Stack and Dr. Brown for the last 2 1/2 years, and we are very fortunate to have found them. Prior to that she was being treated by a neurologist at a Children’s hospital. She was on medications for tics and associated muscle pain, OCD/repetitive thoughts, sleeplessness and more (all possibly associated with Tourettes). Drs. Stack and Brown installed spacers to alleviate pressure on nerve bundles in the jaw, and subsequently braces to complete the process. Her symptoms have diminished significantly. She is off medication, her tics have all but disappeared, she can concentrate better in school, and she is once again cheerful and relaxed.” - Susan

The next factor is something called ‘condylar angulation’ which means how the top of the jaw bones is angled relative to each other. The next diagnostic item needed is the CBCT x-ray. This is critical to diagnosis. With the MRI and the CBCT x-ray information, it becomes easier to identify the problems and treat them accordingly. This is the key to success: properly identify the displacement and prepare for proper treatment. It is amazing when you see the progression of someone who has suffered from TMJ disorder for many years and now function with a smile once again. Our office has countless cases of people who went from being disabled to being back to work and feeling themselves again. The before and after photos that are done clearly show how the head is straighter, the neck is aligned, the eyes and face are brighter, and the person can now smile! Their Gorgeous Smile is there because of the now Gorgeous Healthy TM Joints!
Back pain is the second most common reason people visit physicians in the US, with neck pain close behind. The spine and adjacent tissues are pivotal in nearly all major bodily movements.
Chiropractic services are used most often to treat neuromusculoskeletal complaints, including but no limited to back pain, neck pain, pain in the joints of the arms or legs, and headaches.





Our Doctors are Nationally FMSCA Certified. Done by appointments only. Call today to schedule! Drug and Alcohol Testing also Available.
Since opening in 2003, Winters Chiropractic & Physical Therapy has remained dedicated to providing expert chiropractic, physical therapy, and DOT/CDL services. Our doctors provide tailored treatments that ensure you make the most gains at a comfortable, steady pace. The ultimate goal of any chiropractic or physical therapy program is to restore your physical health to its previous form. With our small practice, we have the advantage of maintaining personal relationships without compromising our ability to provide advance care.

The Only Non-invasive Laser Device With FDA Approved, IRB, and Clinically Proven Results For: Fat Reduction, Aesthetics, Cellulite Elimination, Weight Reduction, and Inch Loss.

• Natural, safe, laser light energy is pulsed and absorbed by the subcutaneous tissue.
• Supercharges the body’s metabolism through ATP synthesis to burn fat as energy.
• Waste products are expelled from the body via sweat, urine and respiratory exhaustion.
• The body continues to burn fat for up to 4 hours after treatment.
• Collagen and elastin production is increased within the skin layers to rejuvenate and repair skin cells addressing cellulite, skin laxity and stretch-marks.




By Renee Bovelle, MD
Envision Eye and Laser Center
Dry eye syndrome is among the most common eye conditions. In healthy eyes, a thin layer of tears coats the outside surface of the eye, keeping it moist and washing away bits of debris that might fall into the eyes. Dry eye syndrome occurs when the eye doesnt make enough tears, or doesnt make effective tears, or the tears that it does make evaporate too quickly and leave the eye dry and vulnerable.
People with dry eyes often experience dryness, stickiness and stinging or burning of their eyes. The eyes are often red and irritated. Sometimes the eyes water excessively in an effort to soothe the irritation, but these reflex
tears are usually not adequate to fix the problem, and all they do is spill over the eyelid and run down the cheek.
The cause is unknown, but the disease becomes more common as we age. Dry eyes affects women 2 3 times more often than men. This is thought to be related to hormones. Male hormones seem to be good for the tear glands, and female hormones seem to be bad for the tear glands. Women who were on hormone replacement therapy (HRT) after menopause are at higher risk for developing dry eyes. Compared to women not receiving HRT, women using estrogen alone were 70% more likely to develop dry eyes, and women on both estrogen and progesterone were 30% more likely to develop dry eyes. One in 20 women over the age of 50, and one in 10 over the age of 75 have dry eyes. This amounts to over 3.2 million women with dry eyes in the U.S. alone.
Patients with Sjgrens syndrome suffer from dry eyes and dry mouth, because their bodies mistakenly produce small molecules that attack their moisture-producing glands, in addition to causing other problems, such as
Please see “Dry Eye,” page 62

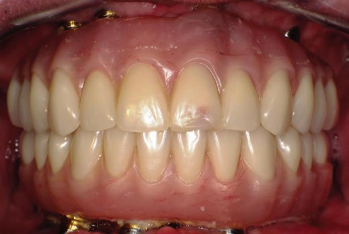
Submitted By Sivakumar Sreenivasan, DMD, MDS Dental Implant Center of Rockville
Can just four implants replace all of the teeth on the top or the bottom of your mouth? Thanks to advances in dental implant technology, that answer is a resounding yes.
Tooth loss is extremely common among adults, especially as we age. Rather than living with the discomfort and hassles of dentures, many people are opting for what is called “all-onfour” dental implant restoration.
An implant is a small titanium



screw that fits inside your jawbone and replaces the root-part of a missing tooth. Minor surgery is required to insert the implants. Once the implant is in place, a crown is attached to give you a highly realistic-looking and functional prosthetic tooth.
You do not need a dental implant for each and every one of your missing teeth. All you need is four precisely placed implants on the top of your mouth, and four on the bottom, to restore your full smile. That’s the beauty of the all-on-four. And because the implant is made of titanium, it has the unique ability to fuse to living bone and function as part of it. So eventually, the dental implant becomes part of the jawbone and serves as a strong, longlasting foundation for your new teeth.
Besides ensuring that your implants are permanently fixed in place, this bone fusion has another important benefit: it prevents future bone loss in the jaw. This helps to maintain a more youthful facial structure – and better
Please see “All-On-Four,” page 62



By Milca Kaplan, NP Metro Best Health
When most women think about beauty, they think about what they see in the mirror—skin clarity, hair health, body composition. But true beauty doesn’t start with a cream or a serum. It starts from within—and your hormones play a bigger role than you may realize.
Hormones:
The Silent Sculptors Of Beauty Estrogen, progesterone, testosterone, and thyroid hormones influence
nearly every system in the body—but they have particularly powerful effects on how we look and feel.
As estrogen declines during perimenopause and menopause, many women experience:
• Thinning skin and wrinkles
• Dry, brittle hair or hair loss
• Loss of skin elasticity and collagen
• Weight gain and bloating
• Fatigue and low libido
These aren’t just aesthetic concerns—they’re signs that your internal balance may be shifting.
Why Hormonal Balance Matters
When hormones are in sync, women tend to feel more energetic, sleep better, maintain healthy skin and hair, and manage their weight more easily. But imbalances—whether due to thyroid dysfunction, perimenopause, adrenal stress, or other issues—can leave you feeling like
Please see “Hormones,” page 62

Feel Like Something’s Off? You’re Not Alone. At MetroBest Health, we specialize in identifying and treating the real root causes of fatigue, weight gain, low libido, mood swings, and thinning hair—especially in midlife women and men. If you’ve been dismissed, misdiagnosed, or told “it’s just aging,” it’s time for a second opinion. Virtual and In-Office Appointments Available Book Online at MetroBestClinic.com Or Call/Text: 202-754-8877 9650 Santiago Rd #2, Columbia, MD 21045 Don’t wait—your best life is just one appointment away.




By Andrew Wong, MD Capital Integrative Health
1) Sleep: Your Daily Reset
Poor or fragmented sleep heightens inflammation and disrupts hormones that steer thyroid function and blood sugar, so it’s often the first domino. Aim for 7–9 consistent hours, keep a one-week sleep diary (bed/ wake times, awakenings), and note red flags like loud snoring, gasping, or needing caffeine to feel functional by mid-morning. If non-restorative sleep or snoring is persistent, ask about a home sleep study to evaluate for sleep apnea—treating it can
markedly improve daytime energy and metabolic balance.
2) Thyroid:
The Metabolic Thermostat
When thyroid output is low, cells make less energy, and fatigue pairs with feeling unusually cold, weight changes, dry skin, hair thinning, or slowed bowels. Because sleep loss and inflammation can skew thyroid signals, track symptoms alongside your sleep diary. If several signs fit, request TSH with reflex free T4; based on your history, your clinician may add TPO antibodies and sometimes free T3 to clarify the picture and guide treatment.
3) Iron Status: Oxygen Delivery
Iron is essential for carrying oxygen to tissues; even without overt anemia, low iron stores can sap stamina, focus, and exercise tolerance. Watch for brittle nails, frequent headaches, shortness of breath on routine exertion, or restless legs—especially if periods are heavy or you follow a low-iron diet. Instead of guessing with supplements, ask for ferritin, a complete blood count, and iron stud-
ies (serum iron, TIBC, transferrin saturation) so dosing can be safe and targeted.
4) Blood Sugar: Peaks and Crashes
Big glucose swings can cause afternoon slumps and brain fog, and poor sleep makes those swings more likely. Notice whether you feel shaky, hungry, or foggy 1–3 hours after a high-carb meal. For a simple trial, lead meals with protein and fiber for a week and see if energy stabilizes.
If fatigue persists or risk factors are present, ask for fasting glucose and A1C; some people benefit from fasting insulin or a clinician-guided glucose log to spot patterns.
5) Chronic Inflammation: The Background Noise
Smoldering inflammation diverts resources, disturbs sleep, and worsens insulin resistance, keeping you tired. Clues include morning stiffness over 30 minutes, bleeding gums, irritable
By Linda Penkala, Author, LMT Optimum Health For Life
Columbia, MD | 301-802-7745 | Lpenkala96@gmail.com
Feel your best self within the safe space of relaxation, allowing stress to melt away! Breath in calming essential oils to reset and realign your body, mind, soul connection.
Linda Penkala, Author, LMT, Holistic Healthcare Presenter, and Wellness Catalyst shares her passion and heart for holistic lifestyle choices through:
• Keynote Presentations
• Massage Therapy
• Aromatherapy
• Book Signings
• Breathwork for Healing
• Her book, The Pause to Relax, A Woman’s Guide To Robust Heart Health




CORPORATE OR COMMUNITY PRESENTATIONS:
• Wise Self Care for Life
• Nine Pillars to Prevent Heart Disease
• Wise Heart Health for Women
• Navigating New Waters of Wellness
• Tapping with Essential Oils for Health
LIVE ZOOM PRESENTATIONS
• Mindful Meditation Massage (at night, pre-sleep)
• Mindful Massage and Stretching (at desk)
• Aromatherapy 101
• Essential Oils and Your Pet
• Wise Self Care for Life
• Wise Heart Health for Women Optimum Health for Life Your Wellness Partner For Life



It took an agonizing forced stay in Howard County hospital years ago, with a solid case of A Fib (atrial fibrillation) for me to get the memo to slow down, figure what went wrong with my heart, and make some lifestyle choices. As a wellness educator, I consolidated all that I learned into
articles, PP’s and my latest book, to help women realize the impact of stress, poor lifestyle choices, and how they can improve the odds of not dying from CVD. It takes more lives than men!
Here are my solutions, found in my book, The Pause to Relax, a Woman’s Guide to Robust Heart Health, with a beautiful infographic, because you matter:


By Alicia Kovach, DC Kovach Chiropractic
Are you aware of anyone who is expecting a baby and experiencing lower back or sciatic nerve discomfort? Have they consulted with a chiropractor?
Throughout pregnancy, numerous physiological and endocrinological transformations take place to prepare for the growing fetus. These shifts can lead to spinal or joint misalignment:
• An expanding belly and an in-
creased curvature in the back.
• Alterations in the pelvis.
• Changes in posture.
Ensuring that a pregnant woman maintains pelvic balance and alignment is another rationale for seeking chiropractic treatment during pregnancy. When the pelvis is out of alignment, it may restrict the available space for the developing baby, a phenomenon known as intrauterine constraint. Moreover, a misaligned pelvis might hinder the baby from assuming the optimal birthing position, potentially affecting the mother’s ability to have a natural, non-invasive childbirth. Breech and posterior positions can complicate the labor process and lead to interventions like cesarean sections. In cases of breech position, chiropractors employ a technique called the Webster technique.
Potential advantages of chiropractic care during pregnancy encompass:
Please see “Pregnant,” page 62








(301) 365-6941
cfeitel@medicalanddentalspace.com


By Howard Horowitz, DPM Bowie Foot & Ankle
A bunion is an enlargement of the joint at the base of the big toe the metatarsophalangeal (MTP) joint that forms when the bone or tissue at the big toe joint moves out of place. This forces the toe to bend toward the others, causing an often painful lump of bone on the foot.
• Development of a firm bump on the outside edge of the foot, at the base of the big toe.
• Redness, swelling or pain at or near the MTP joint.
• Corns or other irritations caused by
the overlap of the first and second toes.
• Restricted or painful motion of the big toe.
Podiatric medical attention should be sought at the first indication of pain or discomfort because, left untreated, bunions tend to get larger and more painful, making nonsurgical treatment less of an option. The primary goal of most early treatment options is to relieve pressure on the bunion and halt the progression of the joint deformity. A podiatric physician may recommend these treatments
Padding the bunion minimizes pain and allows the patient to continue a normal, active life. Taping helps keep the foot in a normal position, thus reducing stress and pain.
Anti-inflammatory drugs and cortisone injections are often prescribed to ease the acute pain and inflammations caused by joint deformities.
Please see “Bunion,” page 62


There are many patients who feel like they have lost control of their health and are increasingly desperate to find a path to wellness.
Many patients have a complex array of symptoms, are on multiple medications, or just can’t seem to get their energy and sense of wellbeing back and are trying to dig themselves out of a deepening hole.
While there are people with terminal diseases for whom there are few great answers, most people are
dealing with the effects of conditions that are treatable or just simply the ravages of aging in an environment of stress and poor nutrition that becomes a kind of self-perpetuating trap.
If this sounds like you, try the following steps.
First, find a doctor who will actually take the time to listen to you and understand what you are dealing with. Unfortunately, the current model of medical practice does not always lend itself to this. But unless your doctor does not understand what you are dealing with how can he or she be your partner in resolving it?
Secondly, you must look at your lifestyle and tell the truth about whether or not it makes you well or contributes to your problems. If you are eating junk food, significant amounts of sugar, consuming tobacco or excessive alcohol, you may want to change this and you may need to get some professional input to support you.
Please see “Your Health,” page 63

ThunderBird Dental Office affectionately known as the ThunderBird, has been providing dentures and denture repairs for over 40 years.



Our dental lab is on our premises which allows us to deliver same day repairs and relines. We also perform extractions for immediate dentures.
Our service is prompt and personalized and our price is right, so come on in!



Dr. Gena Schultheis is a skilled general, cosmetic, and implant dentist known for her natural, holistic approach to care. She uses biocompatible, non-toxic materials and natural remedies to support healing and minimize discomfort, always staying current with the latest minimally invasive dental techniques.
A former U.S. Air Force Captain, Dr. Schultheis earned the Air Force Commendation Medal for her service. She received her dental degree from the University of Maryland Baltimore College of Dental Surgery in 2005 and completed advanced training through a Residency in General Dentistry. She holds certifications in implant dentistry, orthodontics, cosmetic dentistry, laser dentistry, and SMART mercury removal. She is also a certified provider for ClearCorrect, Six Month Smiles® , Lumineers ®, and Snap-On Smile ®
Dr. Schultheis is a board member of the Holistic Dental Association and a member of several organizations, including the American Dental Association ®, American Academy of Cosmetic Dentistry, and the Eco-Dentistry Association. She actively volunteers through Free Day of Dentistry, participates in environmental initiatives, and educates the medical community on oral-systemic health links.
Outside the office, she enjoys yoga, hiking, skiing, and spending time with her husband and three children. She also writes for Your Health Magazine and blogs about holistic dentistry.

By Gena Schultheis, DDS Annapolis Green Dental
Dental health goes beyond a beautiful smile; it plays a crucial role in maintaining overall wellbeing. Holistic dentistry is a comprehensive approach that considers the interconnection between oral health and the body’s systemic conditions. By prioritizing natural treatments and minimizing invasive procedures, holistic dentistry aims to promote long-term health. This article explores the philosophy behind holistic dentistry and highlights some of the services offered in this approach.
Dentistry and Overall Health: The mouth serves as a gateway to the body, and studies show strong correlations between oral health and systemic conditions like heart disease, stroke, diabetes, and Alzheimer’s. Holistic dentists recognize this connection and strive to address health issues through a comprehensive approach. This includes considering the impact of dental treatments on the body, choosing safe materials, and utilizing natural treatment options.
Natural, Holistic Treatments: Holistic dentistry offers a range of services designed to prioritize patient health and minimize environmental impact. Some of these treatments include:
• SMART (Safe Mercury Amalgam Removal Technique) amalgam removal
• Chemical-free cleanings
• Metal-free dental materials (crowns, bridges, veneers)
• Ozone therapy for bacteria elimination
• Biocompatibility testing
• Fluoride-free tooth remineralization
• Minimally invasive laser treatment for gum disease
• Cold lasers for TMJ pain
• Natural teeth whitening
• Second opinions to avoid root canal therapy and more advance techniques for when a root canal is needed
• Supplements and natural remedies for oral health and pain prevention
Airway Dentistry: Holistic dentistry extends to addressing airway-related issues, recognizing the impact of breathing on overall health. Airway dentistry includes treatments for sleep-disordered breathing conditions like obstructive sleep apnea and snoring. By improving breathing patterns, holistic dentists aim to alleviate symptoms of neurological disorders and chronic diseases.
ClearCorrect and Invisalign: For those seeking discreet orthodontic solutions, ClearCorrect and Invisalign offer comfortable and nearly invisible options for straightening teeth. These systems use clear aligners that are removable for easy maintenance of oral hygiene.
TruDenta® and Myofunctional Therapy: TruDenta® is a holistic approach to treating chronic headaches and migraines by addressing the root causes. Myofunctional therapy, on the other hand, focuses on correcting tongue and facial muscle functions, addressing issues like airway obstruction, TMJ disorders, and speech impediments.
Eco-Friendly Dentistry: Annapolis Green Dental is committed to eco-friendly practices, minimizing waste, reducing water and energy consumption, and using nontoxic materials. The office follows green dentistry principles to create a healthier environment for both patients and the planet.


Choose Adventist Medical Group Primary Care in Fort Washington, Maryland, to provide a full range of primary care services for adults.
Learn to better manage your health and prevent illnesses with personalized care from our experienced, primary care providers. Our specialists in family medicine and internal medicine work as a team to deliver expert care when you need:
• Same-day Sick Visits
• Women’s and Men’s Health and Wellness Exams
• Health Physicals, Health Maintenance and Preventive Care
• Geriatric (Senior) Wellness Exams
• Vaccinations and Immunizations, including Flu Shots
• Health Management for:
• Asthma and Allergies
• High Blood Pressure
• High Cholesterol
• Diabetes
You also benefit from coordinated care that helps you effectively handle all aspects of your health—from preventive medicine and preoperative appointments to management of chronic health conditions.
• Heart Disease To schedule an appointment, please call 240-724-6018 10709 Indian Head Highway, Suite D1 Fort Washington, Maryland 20744 AdventistMedicalGroup.org
advertisement must be noted and faxed to
Submitted by New Day Vitality Hormone Center
As if hot flashes and mood swings weren’t enough, the Journal of Gynecological Endocrinology states, “there is a strong correlation between skin collagen loss and estrogen deficiency due to menopause.”
Collagen is the protein that provides structural support for the skin and is responsible for skin elasticity. In the first five years after menopause, women’s skin loses about 30% of its collagen. The skin becomes more fragile and susceptible to trauma.
or before the due otherwise the ad will be printed as shown below.



Around age 50, the pH level of women’s skin also changes, resulting in skin that’s more sensitive, leading to rashes and easily irritated skin. Wound healing also is impaired in older women. But most concerning, after menopause, women’s risk of skin
cancer rises.
The Good News: Skin Is Estrogen Responsive. Several studies support the antiaging properties of estrogen replacement therapies in postmenopausal women, says Gynecological Endocrinology, the official journal of the International Society of Gynecological Endocrinology
“Systemic and topical estrogens appear to have positive effects on hormonal aging, increasing skin collagen content, thickness, elasticity, and hydration,” says the American Journal of Clinical Dermatology (AJCD), in Estrogen and Skin, an overview of relevant studies.
The same article also says that women receiving hormone replacement therapy have higher levels of sebum – an oily, waxy substance that
Please see “Hormone Therapy,” page 65

By Etwar McBean, MD, FACS The Bariatric & Hernia Institute, PC
management over their lifetime. Effective weight management usually includes a combination of diet, exercise and lifestyle modifications.
Weight loss surgery offers another tool to assist with weight management. In fact, studies show that weight loss surgery offers the best long-term results in weight reduction. Common reasons that patients decide to undergo weight loss surgery are discussed below. Sustainable Weight Loss
Many weight loss efforts result in temporary weight loss of a few pounds. Patients generally regain the weight and sometimes more once they stop the diet or exercise program that was started. Weight loss surgery offers an opportunity for weight loss of over 100 pounds that can be maintained over a lifetime based on a combination with lifestyle modifications.
Many patients with obesity suffer from a number of medical problems including diabetes, hypertension, sleep apnea, heart disease, joint disease, among other things. Weight loss surgery offers an opportunity to reverse many of these health problems and provide better health.
Many younger patients see the effects of obesity on older family members and friends. They often worry about getting many of these health problems and the associated consequences. Obesity has been shown to reduce life expectancy by
Please see “Weight Loss,” page 62

By Holly Dunbar LMT, Herbalist RH (AHG) New Moon Bodywork and Botanicals
Menstruation that does not literally flow smoothly and is instead characterized by cramping, bloating, clotting, and perhaps heavy bleeding is known as dysmennorhea clinically. In Chinese medicine, this condition is considered to be stagnant Qi and blood, and may be compounded by blood deficiency. Herbal medicine, and several specific Chinese formulas can greatly alleviate this condition and lend greater vitality in general.
“Free and Easy Wanderer” is one such formula used for menstrual irregularity. This ancient formula
combines donq quai and other herbs to build the blood, and help the blood flow more smoothly, thus reducing pain and clotting. Smooth flowing blood can be likened to a nicely running stream- when the stream is full of water and unclogged by debris it flows in the intended path. When congested with debris, or waterlogged, the stream overflows, or may veer off course. These visual analogies often help the patient identify with their condition, and make wiser choices in their diet. Eating too many refined foods, overindulgence in alcohol or prescription drugs, a diet lacking in vegetables, will all aggravate this condition. Dark leafy greens, healthy fats, and lemon juice, garlic, and apple cider vinegar will all help decongest the liver and build healthy blood, thus alleviating this condition.
Ba Zhen Wan is another dong quai based formula used for over 800 years to build the blood. Women who experience heavy bleeding may suffer from dizziness, dry hair or eyes, memory loss, or a generalized itching of the skin. This formula helps vitalize the blood and nourish both the skin surfaces and
Elambert Richardson’s journey to founding Elon Roshell Day Spa & Health is a remarkable story of resilience, healing, and dedication to helping others. Richardson’s path began with a profound personal struggle and evolved into creating a sanctuary of well-being that includes innovative treatments like a unique salt cave.
Richardson, once a preschool teacher, faced a debilitating injury that altered the course of her life. Despite extensive physical therapy, her pain persisted, leading to depression and a diagnosis of fibromyalgia. Her doctor presented her with a stark choice: find a way to live or succumb to her condition. This critical moment propelled Richardson to seek healing beyond conventional methods.
Richardson shared another poignant aspect of her struggle: the hostile work environment that led to her depression and ultimately, PTSD. She recounts instances of mistreatment, including being ostracized by colleagues and subjected to demeaning messages. Despite enduring chronic pain and emotional distress, Richardson finds solace in helping others and


is embarking on a journey of healing by sharing her story.
A pivotal turning point came with her reading of “The Ministry of Healing,” a book that highlighted the therapeutic power of helping others. This revelation ignited her determination to overcome her depression and explore a career in healthcare. Richardson began volunteering at her children’s school, pursued higher education, and ultimately found her calling in massage therapy.
Overcoming Adversity
Richardson’s journey was further challenged by the COVID-19 pan -
Please see “Elon Roshell,” page 65
normalize the circulation so that clotting and pain is diminished during menstruation.
While these formulas are mentioned to highlight the potential of herbal medicine when seeing an herbalist or acupuncturist, other simple remedies can provide much relief. Consider raspberry leaf as a general blood tonic, shephards purse for heavy bleeding, and white peony and cramp bark for cramping.




WEDNESDAYS • 12:30 – 3:00 PM



Iwas born and raised in Brooklyn, New
masters at Long Island University in Brooklyn New York and completed my medical degree at State University of New York at Buffalo, School of Medicine in 1991.
My postdoctoral training was received at Howard University/District of Columbia Hospitals combined Residency Program, Department of Pediatrics in Washington, DC completed in June 1994. I served as Chief Resident for the Department of Pediatrics, January 1994. I obtained Continuity Clinic Awards from 1991 to 1993 based on partic ipation and involvement in community clinics during my residency training.
I am Licensed in Maryland, Board Certified in Pediatrics and Adolescent Medicine and a Fellow of the American Academy of Pediatrics.
Board Certified in Pediatrics and Adolescent Medicine Fellow of the American Academy of Pediatrics 3311 Toledo Terrace Suite C-201, Hyattsville, Maryland 20782 Mon–Fri, 9:00 am–5:00 pm | Office: (301) 403-8808 or Alt: (301) 403-1341
many others, please call the office at 301403-8808 to schedule a visit. We look forward to seeing you at Loving Care Pediatrics— Janet Johnson MD and Staff.

I have been in Private Practice for 22 years. I practice general pediatrics: examining, diagnosing and treating most of the diseases of children from birth to 21 years of age. With referral to specialists when the need arise. The practice is certified by the Prince George’s Health Department to administer Yellow Fever Vaccination. The practice provides vaccines for overseas travel to those individuals traveling out of the country and in need of an official certificate of vaccination (Yellow Book).
I make every attempt to ensure medical care to my patients is as convenient as possible. If your child becomes ill during the night you may contact the office via the answering ser vice and speak with me for an emergent next day appointment. We also have same day appointments. Most insurances are accepted including: Aetna, Care first Blue Cross, Blue Choice, Amerigroup, Americhoice United Health care, Teamsters, Tricare, most govern ment plans, Maryland Medicaid, self-pay, and
In addition, I am dedicated to volunteering my time to community outreach projects, youth groups, health fairs, various church functions and committee boards as well as for those who are less fortunate. Donating of my talents, time and treasures and giving back and serving those who are in need. I am an active member in The Prince George’s Community Advisory Group and served as the Medical Director for the Mid-Maryland Mission of Mercy two day free Dental Clinic sponsored by Catholic Charities Archdiocese of Washington in August 2013.
Practice Philosophy Janet Johnson MD and Travel Health Medicine is committed to servicing its patients, parents and community by providing excellent and compassionate health care service to a culturally diverse population that promotes the dignity and well-being of the people we serve.
Vision Statement Janet Johnson and Travel Health Medicine goal is to be recognized in the community it serves for compassionate patient service, and clinical excellence. To create a caring environment with a commitment to foster a
Integrity: We are consistent and

Collaboration:


By Janet V. Johnson, MD Loving Care Pediatrics
About one in every five children in the United States has obesity, with certain groups being more affected than others. It is never too early (or too late) to start teaching about eating right and living well. Whether your child is overweight or not here are some key ways to help prevent childhood obesity and teach your children healthy habits that will last a lifetime Consume less, burn more. Managing the number of calories that go in and
increasing the number of calories that are used up with exercise. This is the key to childhood obesity prevention.
Eating healthy foods should be fun. Make sure you give your child several healthy choices and let them help with dinner from meal planning, grocery shopping to cooking the meal.
Family dinners should be a priority. Our life schedules can be very busy and hectic, however take time to have a meal where the family sits down together daily. Studies have shown that children in families that sit together for dinner several nights a week are more apt to adopt healthy eating behaviors, habits and perform better in school.
Follow the 5-2-1-0 rule. Strive to eat five serving of fruit and vegetables daily. Spend less than two hours daily with electronic devices. Spend one hour per day doing something active. Zero limit sweet drinks or have none. Drink more water and low-fat milk.
Look for ways to help the schools become healthier regarding access to
Please see “Childhood Obesity,” page 63

By Sharron Sample, CEO Dispensary Works
Sleep challenges are a common concern for women at all stages of life. Stress, hormonal changes, and the pace of everyday responsibilities can leave many struggling to fall asleep, stay asleep, or feel rested the next day. In recent years, medical cannabis has gained attention as a possible aid for those seeking natural ways to improve sleep quality.
Cannabis contains compounds called cannabinoids, most notably THC and CBD, which interact with
the body’s endocannabinoid system. This system plays a role in regulating mood, stress response, and sleep cycles. Some research suggests that cannabinoids may help reduce the time it takes to fall asleep and increase the depth of rest. Women who report difficulty staying asleep often describe cannabis as providing a more continuous, restorative night of sleep. Different forms of cannabis can affect the experience. Edibles—such as gummies or chocolates—tend to take longer to work but often provide longer-lasting effects through the night. Vaporizing or smoking cannabis generally produces quicker results, which may be useful for women who have difficulty winding down at bedtime. Some strains, particularly those that are indica-dominant, are known for their calming and sedative qualities.
It is important to remember that the effects of cannabis vary widely depending on the strain, dosage, and individual tolerance. For those new to
Please see “Cannabis,” page 63











By Elizabeth Shin, DDS Bethesda Chevy Chase Pediatric Dentistry
Let me start with something important: I’m not against fluoride.
In fact, I’ve used it every day in my dental practice for almost 30 years—across hospitals, universities, the military, private clinics, and even on Native American reservations. I’ve seen fluoride varnish reverse early cavities, and fluoride toothpaste strengthen enamel in the children who needed it most.
But now, like many health professionals who care deeply about children’s well-being, I’m asking a serious question: Is putting fluoride into everyone’s tap water still the best way to protect our kids’ teeth?
It might have made sense 80 years ago. But with everything we now know— about fluoride, nutrition, modern health risks, and exposure sources—it’s time to take another look.
A Strange Origin: From Industrial Waste To Public Health Policy
Fluoride didn’t enter public water systems because of dentistry. It began as industrial pollution.
In the early 1900s, major corporations like ALCOA (Aluminum Company of America), DuPont, and fertilizer manufacturers were facing lawsuits. Their factories were releasing toxic fluoride gases that damaged crops, sickened livestock, and harmed communities nearby.
Meanwhile, a dentist in Colorado— Dr. Frederick McKay—noted that patients had unusual brown stains on their teeth. Oddly, those teeth were less prone to cavities. By 1931, ALCOA chemist H.V. Churchill found the cause: natural water in some areas contained fluoride—up to 13.7 parts per million (ppm).
Suddenly, fluoride wasn’t just a pollutant. It had a potential upside.
Then came the pivot. In 1939, Dr. Gerald Cox of the Mellon Institute— closely tied to ALCOA—suggested adding fluoride to drinking water to prevent tooth decay.This wasn’t driven by public demand—it served an industrial purpose.
Dr. H. Trendley Dean at the National Institutes of Health later promoted fluoridation. But his research would eventually be criticized for poor design, missing control groups, and cherry-picked data. Investigative journalist Christopher Bryson, in The Fluoride Deception, highlighted how politics and flawed research helped launch a national policy.
In 1945, Grand Rapids, Michigan, became the first U.S. city to fluoridate its water—not with medical-grade fluoride,
but with an industrial byproduct of fertilizer manufacturing.
The public was never consulted. What the Science Actually Supports: Topical Fluoride Works Fluoride used on the teeth— in toothpaste or varnish—does work. It reverses early decay, strengthens enamel, and protects against acid attacks. That’s why pediatric dentists like me use it every day.
But swallowed fluoride? That’s a different story.
Drinking fluoride doesn’t do much to prevent cavities between teeth—the most common and hardest kind to reach in children.
Does Water Fluoridation Still Make Sense?
Despite nearly 80 years of water fluoridation, here’s what we see:
• Over 1 in 5 children (ages 6–11) in the U.S. have untreated cavities.
• Countries like Sweden, Germany, the Netherlands, and Japan don’t fluoridate their water—and yet have similar or better dental health outcomes.
• These countries emphasize topical fluoride, education, and access to care—not mass exposure through drinking water.
Even in affluent communities, interproximal decay—cavities between teeth—is on the rise.Water fluoridation does little to prevent these.
Fluoride Exposure Is Coming From Everywhere
Today’s children are exposed to fluoride from multiple sources:
• Swallowed toothpaste (especially in toddlers)
• Foods and drinks made with fluoridated water
• Tea, processed juices, and infant formula
• Pesticides on produce
• Mechanically processed meats
Depending on diet and behavior:
• Infants may ingest 1.2–1.6 mg/day
• Children: 1.6–2.2 mg/day
• Adults: up to 2.9 mg/day—or more in hot weather or during exercise.
Fluoride is quickly absorbed in the gut, but only partially excreted. In children (with immature kidneys) and in adults with kidney disease, much more fluoride is retained in the body.Over time, it accumulates—in the bones, brain, and pineal gland.
And It’s Not Just Swallowing
– It’s Bathing, Showering, and Washing
Fluoride exposure doesn’t only come through drinking water.
A 1984 study found that up to 64% of water-borne contaminants—including fluoride—can enter the body through the skin during activities like showering, bathing, and hand-washing.
While European health authorities argue that dermal absorption is minimal under typical pH levels, other experts note that repeated exposure through warm
water may increase uptake, especially in vulnerable individuals.
In short, fluoride exposure isn’t limited to what we drink. It touches every part of daily life.
So...Who Oversees The Fluoride That Goes Into Our Water?
Oversight of fluoride in tap water is fragmented—and unclear:
• The EPA sets a maximum contaminant limit (4.0 mg/L), but it doesn’t promote or regulate fluoridation programs.
• The FDA regulates fluoride in toothpaste and supplements—but not in municipal water systems.
• The CDC offers guidelines (currently 0.7 mg/L), but has no enforcement authority—fluoridation decisions are left to local and state agencies.
And the fluoride used? It’s not pharmaceutical-grade. It’s fluorosilicic acid, an industrial waste product captured from fertilizer plant smokestacks.
Federal law doesn’t require each shipment to be tested. Trace levels of arsenic, lead, and radionuclides have occasionally been detected—even if below legal thresholds.
No single agency is fully responsible for its quality or safety.
What About Low-Income Communities?
Supporters often say fluoridation helps poor children. But here’s the reality:
• Baltimore, MD has fluoridated water— and high rates of childhood decay.
• Los Angeles has been fluoridated since 1961—yet low-income areas still face a dental health crisis.
• Detroit and Cleveland, both fluoridated, show similar patterns.
The issue isn’t lack of fluoride. It’s lack of education, prevention, access to care, and nutrition counseling.
The Bigger Picture:
Diet, Development, and Decay
Children today eat softer, more processed foods. They chew less. That affects more than digestion—it changes their faces:
• Smaller jaws
• Narrower dental arches
• Crowded or rotated teeth
• Harder-to-clean spaces between teeth
These structural changes make interproximal cavities more likely—regardless of fluoride.
And yet, policy still centers around fluoridation. We’re missing the forest for the trees.
• Fertilizer manufacturers — They profit by selling fluorosilicic acid, a byproduct that would otherwise require costly disposal. Turning industrial waste into a revenue stream provides substantial financial benefit.
• Chemical distributors — They buy fluoride compounds at low cost and resell them to municipal water systems at a markup as part of their treatment contracts.
• Public agencies — By promoting fluoridation as a low-cost preventive measure, agencies maintain the appearance of an inexpensive public health policy, even though dental costs have continued to rise.
Importantly, despite common belief, aluminum companies do not profit from municipal water fluoridation. ALCOA, the largest U.S. aluminum producer, sold its fluoride production facility over 70 years ago and no longer benefits from these sales.
Is There a Smarter Approach?
Many countries already know:
• Use fluoride varnish at dental visits
• Apply silver diamine fluoride to stop small cavities
• Offer supervised brushing programs in schools
• Provide parent education on bottle use and nutrition
• Improve access to care for underserved children
These strategies are ethical, efficient, and effective.
Final Thoughts: Awareness First Fluoride is a fascinating story—part science, part history, and part public policy. What began as an industrial challenge grew into one of the largest public health experiments in history. Along the way, we’ve learned much about fluoride’s benefits, its limitations, and its risks.
This article isn’t meant to demand change or push an agenda. It’s meant to share what we know now—so that parents, communities, and health professionals can have more informed conversations.
A good comparison is antibiotics. When used properly, antibiotics can save lives and prevent suffering. But when they’re given too broadly, too often, or in the wrong way, they can cause harm—such as antibiotic resistance or unintended side effects. Fluoride, too, can be extremely beneficial when used topically and in controlled doses. But applying it universally through drinking water exposes people in ways that may not be necessary or even optimal today.
The truth is layered: fluoride can help, but it is not a one-size-fits-all solution. By understanding its history, its biology, and the many sources of exposure, we can better place it in context with modern nutrition, preventive care, and overall child health.
Ultimately, the goal is not alarm, but awareness. With knowledge, families can ask better questions, weigh the evidence, and make thoughtful decisions for their children and their communities.
References will be supplied upon request.
For more information, contact Dr. Shin at 301-941-7374 or visit the website at BCCPediatricDentistry.com

By Jillian Campbell DC, MSACN
Effective Integrative Healthcare
Pregnancy transforms your body in remarkable ways – and sometimes those changes bring low-back pain, pelvic pressure, sciatica, or trouble sleeping. A chiropractor who specializes in prenatal care and is Webster certified focuses on gentle, targeted techniques to keep you comfortable and moving well through every trimester.
What the Webster Technique Is (and Isn’t)
The Webster Technique is a chiropractic protocol that assesses and corrects sacral and pelvic joint dysfunction, along with related muscle and ligament tension. By improving pelvic balance and mobility, it creates more room and ease for both mother and baby. While Webster care does not “turn” a baby, many providers use it to optimize the environment for fetal positioning – including in pregnancies where the baby is breech – by reducing restrictions that can affect how the uterus sits within the pelvis.
As your belly grows, your center of gravity shifts, ligaments loosen under the influence of hormones, and the low back and hips absorb extra load. Gentle adjustments and softtissue work can reduce joint irritation, calm tight muscles, and improve gait mechanics. Many women report better sleep, less pelvic girdle pain, easier walking, and more comfortable sitting and standing after a short series of visits. Your chiropractor will also coach you on daily posture, supportive pillows for sleep, and simple home movements that reinforce each adjustment.
Prenatal chiropractic care is drugfree and uses positions and techniques adapted for pregnancy (such as bellysupporting cushions and side-lying adjustments). A Webster-certified chiropractor is trained to screen for red flags and to coordinate with your OB/midwife.
Always seek medical care urgently for vaginal bleeding, fever, severe or worsening pain, sudden swelling, decreased fetal movement, or if you’ve been told you have a high-risk pregnancy – your chiropractic plan will be adjusted in partnership with your medical team.
Beyond Pain Relief:
Preparing For Birth
Balanced pelvic joints and relaxed
surrounding tissues can support more efficient movement patterns as you approach labor – think better hip mobility for walking, squatting, and position changes. Your chiropractor can tailor a plan for each trimester, then provide postpartum care to address neck and upper-back strain from feeding and holding your newborn, as well as core and pelvic stability as you return to activity.
When To Start
You don’t have to wait for pain. An early prenatal assessment sets a baseline and a prevention plan you can maintain through the third trimester. If your baby is breech or your hips feel “stuck,” ask about Webster-based care. With specialized prenatal chiropractic, you can feel supported, aligned, and ready for the season ahead – pregnancy included.

• Boosts immune system
• Improves posture
• Relieves seasonal aches & stiffness
• Keeps you moving for all you fall activities!




By Matthew Skancke, MD & Rami Makhoul, MD Metro Colon and Rectal Surgery
Colorectal cancer is the third most common cancer among women – and it’s increasingly being found at younger ages. Today, average-risk screening starts at age 45, not 50, because evidence shows earlier detection prevents cancers and saves lives. Adults 45–75 should be screened regularly; screening after 75 is individualized based on overall health and prior testing.
Most colorectal cancers begin as small polyps in the colon or rectum with no obvious symptoms. Screening can find and remove these polyps before they turn cancerous or catch cancer at an earlier, more curable stage. Several options exist – including colonoscopy, stool-based tests (like FIT or stool DNA-FIT), and others – so patients and clinicians can choose the best test and interval.
While overall rates in older adults have declined with screening, incidence is rising in people under 55 – about 1–2% per year in recent years – and roughly 1 in 5 new diagnoses now occur in those younger than 55. Rectal cancers are notably contributing to this trend, with growing numbers diagnosed in people in their 40s. These patterns are why symptoms in younger adults deserve prompt evaluation, even before age-based screening begins.
Risk Factors Women Should Know
Risk increases with age, but women in their 40s and 50s are not exempt. Family history of colorectal cancer or advanced polyps, inflammatory bowel disease (Crohn’s or ulcerative colitis), certain hereditary syndromes, type 2 diabetes, smoking, obesity, physical inactivity, and diets high in red or processed meats all raise risk. Discuss your personal and family history with your clinician to see if you need earlier or more frequent screening than average-risk guidelines.
Symptoms Women Often Overlook
Don’t ignore warning signs – at any age. Red-flag symptoms for earlier-onset disease include rectal
bleeding (blood in or on the stool) and abdominal pain; changes in bowel habits (new or persistent constipation/ diarrhea), unexplained iron-deficiency anemia, fatigue, or unintended weight loss also warrant evaluation. Studies show many younger patients have months of delay from first symptoms to diagnosis – timely work-up (often
including colonoscopy) is critical.
Reducing Risk Through Lifestyle Changes
You can lower risk by eating a fiber-rich diet (fruits, vegetables, whole grains), maintaining a healthy weight, being physically active, avoiding tobacco, and limiting alcohol.

These steps, plus on-time screening starting at 45, form the strongest defense against colorectal cancer. If you’re 45 or older, get screened. If you’re younger than 45 but have risk factors – or any of the symptoms above – talk with your clinician about the right test now, not later. Early detection and prompt attention to symptoms save lives.


Our practice has been providing quality care to the Washington Metro community for over 25 years. Our physicians are board-certified in colon and rectal surgery and have specialty training in the diagnosis and treatment of colon and rectal diseases and disorders. Our mission is to provide you with exceptional service in a friendly and professional environment.




Dr. Smith is a dentist who also specializes in treatment of gum disease, cosmetic smile enhancement procedures, and dental implants to replace teeth that are missing. Although no one likes to go to the dentist, he strives to make your visits as comfortable and pleasant as possible. He strongly believes that value and comfort is an important part of quality dental care.
The right to choose a dentist and provider of care is an important freedom. Referrals from patients and friends of the practice are welcome. We also work closely on referral from your family dentist, but a referral is not required to visit our office. Everyone that is interested in keeping their teeth for a lifetime should see a periodontist for screening.
Dr. Smith’s colleagues describe him as a gentle, easy-going person that provides expert care to patients. People come from near and far to experience the comfort of his office and patient-oriented team. He has been consistently voted by his peers a Top Dentist in Washingtonian Magazine , and Northern Virginia Magazine
WHAT TO EXPECT ON A VISIT
WITH DR. SMITH:
Dr. Smith says that “From the first phone call you will be treated with care and concern for your unique dental condition. Every question you have ever had about your dental health will be covered as well as any financial considerations you may have. It is my goal to care for each and every person that comes through my doors and to exceed your expectations from a dental office. I promise to always give you honesty and accuracy when it comes to your treatment. I will never start treatment without your full knowledge, understanding, and acceptance of your condition.”
Doctor of Dental Surgery Degree from the University of California, Los Angeles 1981. General Practice in the U.S. Air Force Dental Corps.. Successfully completed three additional years of advanced training in the specialty of Periodontics, Dental Anesthesia and Implants in 1992 at the University of Texas Health Science Center, San Antonio and Wilford Hall USAF Medical Center. Retired from the U.S. Air Force as a Lieutenant Colonel in 1996. Fellowship in the Academy of General Dentistry and in DOCS, a sedation organization for dentists.



Dr. Jillian Campbell has always enjoyed living an active lifestyle. After a mountain biking accident left her with chronic pain, she gained a first-hand appreciation for the importance of chiropractic care in comprehensive pain management. She believes that staying active, fit, and committed to healthy lifestyle goals is essential to long-term health.
Dr. Campbell has specialized training to support pregnant and postpartum women. She values the opportunity to help mothers navigate the physical demands of pregnancy, childbirth, and recovery, offering care and support as they return to work and daily routines.
Her passion for whole-body wellness extends to Manual Therapy and Rehabilitation Exercise. She works with patients of all ages to improve mobility and health through Chiropractic Care, Corrective Exercise, Nutrition, and Accountability Support.
Dr. Campbell is Webster Technique certified, dry needling certified, and a certified Pregnancy and Postpartum Corrective Exercise Specialist. She is also experienced in Instrument Assisted Soft Tissue Mobilization and Kinesiology Taping.
She earned her Doctorate in Chiropractic and a Master’s in Applied Clinical Nutrition from Northeast College of Health Sciences, and holds a Bachelor of Science in Forensic Science from Virginia Commonwealth University. Before becoming a chiropractor, she served as a Criminal Intelligence Analyst and Strategic Warfare Officer in Pearl Harbor, Hawaii.
Dr. Campbell and her husband enjoy traveling and outdoor adventures like snowboarding, paddleboarding, hiking, and biking with their two dogs.
Dr. Campbell is excited to join Effective Integrative Healthcare and help patients feel better, move better, and live better.


Dr. Brown’s practice focuses on TMJ, sleep apnea and orthodontics. This allows Dr. Brown and his team to provide individualized, focused care for patients dealing with these specific issues. Every day, his practice helps patients of all ages with facial development, sleep issues, chronic headaches, migraines, neck pain, movement disorders, and much more. His training also includes multiple disciplines involving the cranial bones in the skull, and the discs in the jaw joints. Through treatment, Dr. Brown is able to reduce these symptoms, align cranial bones, avoid extractions, and greatly reduce the need for traditional braces. His expertise allows him to identify issues early on which promotes proper facial development using dental appliances. If there is an internal imbalance, whether an adult or child, the body does not develop or function properly. When the cranial bones are lined up correctly, patients are able to function, sleep and generally live better.
With that in mind, the team at Sleep & TMJ Therapy takes a whole-body approach when treatment planning. They work hand in hand with physical therapists and osteopathic doctors for a better success rate. Dr. Brown is devoted to helping patients of all ages live a symptom free life.
Degrees & Certifications
Dr. Brown earned his degree from Georgetown Dental School and completed residencies with Emory University Hospital for Dental Sleep Medicine and the ALF Appliance Therapy Institute.
Outside the Office
When not seeing patients, Dr. Brown is a sought-after speaker. He has lectured all over the world, including D.C., Dubai, Seoul, London, Norway and Toronto. He has also been featured on Channel 9’s Good Morning Washington, several podcasts, and numerous magazines and journals.
Professional Affiliations
Dr. Brown is a diplomate of the American Academy of Craniofacial Pain, a member of the American Academy of Dental Sleep Medicine, American Academy of Gnathological Orthopedic, Academy of Integrative Pain Management American Dental Association, a Fellow of the American Academy of Craniofacial Pain, and Legacy Provider for the ALF Interface Academy.
Do you have TMD or Sleep Apnea?
TMD Symptoms: Noise in the jaw joints when opening and closing your mouth, difficulty chewing, limited opening, tender facial muscles, ear ringing, uncomfortable bite, jaw locking, headaches, migraines, dizziness, vision issues as well as pain in the jaw area which can radiate to the ears, head, neck, shoulders, and back.
Sleep Apnea Symptoms: Snoring, waking up gasping for air, feeling tired and irritable in the morning, difficulty controlling weight, concentration problems, morning headaches, episodes of not breathing, waking with a sore throat, forgetfulness and mood changes.
If you believe you may be suffering from TMD or Sleep Apnea, don't wait... Call today to schedule a consultation with Dr. Brown: 703-821-1103.

Dr. Craig Smith is committed to health through dentistry, ensuring you have optimal oral health which contributes to your overall health and well-being.
Quality service, advanced technology and a passionate commitment to education means patients receive the best that dentistry has to offer.
Dr. Smith’s Philosophy: Always listen to the patient and in turn respond in an educational manner so that the patient will understand.
Degrees, Training, and Certificates: Doctor of Dental Surgery (D.D.S.) - Howard University College of Dentistry; 2 Year General Practice Residency; Chief Resident - Harlem Hospital Center (Affiliate of Columbia University); Certified Invisalign Provider
Professional Memberships: National Dental Association
Areas of Interest: All phases of dentistry - cosmetic, implant, crowns and bridges, root canals, veneers, preventive care, Invisalign and whitening.
Hobbies: Mountain biking, racquetball, golfing, and boating. My interests are to continue to deliver quality dentistry and to further reach out to the community to help to increase the peace.
Additional: Many patients do not understand the importance of a healthy mouth, as health problems could arise. I want to educate all of my patients on health through dentistry.
11/30/25



Dr. Sreeni came to the United States as an Oral and Maxillofacial Surgeon in the year 1990 and put himself through dental school again at Boston University and Oral and Maxillofacial Surgery residency at University of Medicine and Dentistry of New Jersey.
As an Oral and Maxillofacial Surgeon, Dr. Sreeni manages a wide variety of problems relating to the Mouth, Teeth and Facial Regions. He practices a full scope of Oral and Maxillofacial Surgery with expertise ranging from Corrective Jaw Surgery to Wisdom Teeth Removal. His passion is in implant surgery and he is well known for same day placement of implants following teeth removal be it for single teeth or a complete “makeover” (Smile in a day). He can also diagnose and treat Facial Pain, Facial Injuries and TMJ disorders and perform Bone Grafting and Sinus lift procedures.
Dr. Sreeni completed a residency in Anesthesiology at Mount Sinai Hospital, New York in 1994 and has worked as an Attending providing anesthesia services for children and adults in the ambulatory outpatient center of the hospital.
Dr. Sreeni is an Advanced Cardiac Life Support instructor with the Adventist group. He is also certified in Pediatric advanced life support and is very capable of handling emergencies that could possibly arise in the office. Dr. Sreeni’s staff are trained in assisting with IV Sedation/ General Anesthesia within our state of the art office setting. Patients are continuously monitored during and after surgery. The goal of our office is to provide professional service with compassion and an understanding of the patients’ perspective.
20680 Seneca Meadows Parkway, Suite #218

Dr. Mary Alexander, periodontist, obtained a Bachelor of Science degree in Biology from the University of South Carolina and continued her education in dentistry at the University of Maryland School of Dental Surgery where she received her DDS degree. Prior to and during her dental studies, Dr. Alexander received funding and support from the National Institutes of Dental Research for her involvement in the periodontal research.
After obtaining her DDS degree Dr. Alexander spent one year at the Veteran’s Administration Hospital, in general practice residency focusing her training in the area of anxiety patient management. She then attended Harvard University and earned her clinical specialty in periodontics and a doctorate in medical science. Her doctoral research was focused in the study of bone function and metabolic disease of the bone.
Dr. Alexander received extensive training in dental implantology, periodontal plastic surgery, bone regenerative procedures and sedation dentistry. All aspects of Dr. Alexander’s training are incorporated in her periodontal practice assuring patient’s thorough and comprehensive periodontal treatment.


The Only Non-invasive Laser Device With FDA Approved, IRB, and Clinically Proven Results For: Fat Reduction, Aesthetics, Cellulite Elimination, Weight Reduction, and Inch Loss.


• Natural, safe, laser light energy is pulsed and absorbed by the subcutaneous tissue.
• Supercharges the body’s metabolism through ATP synthesis to burn fat as energy.
• Waste products are expelled from the body via sweat, urine and respiratory exhaustion.
• The body continues to burn fat for up to 4 hours after treatment.
• Collagen and elastin production is increased within the skin layers to rejuvenate and repair skin cells addressing cellulite, skin laxity and stretch-marks.
Charlotte Hall
29770 Three Notch Road – Ph: 301-884-3423 La Plata
101 Centennial Street, Suite A – Ph: 301-934-9762
Monday-Thursday 10AM-7PM, Friday 9:30AM-5PM


ThunderBird Dental Office, affectionately known as the ThunderBird, has been providing dentures and denture repairs for over 40 years. Our dental lab is on our premises which allows us to deliver same day repairs and relines. We also perform extractions for immediate dentures. Our service is prompt and personalized and our price is right, so come on in!
Graduate of Howard University College of Dentistry in Washington, D.C.
Completed General Practice Residency At Saint Elizabeths Hospital in Washington, D.C.
Served as a Civilian Dentist at Ft. Meade Army Base, Ft. Meade, Maryland
Served as Clinical Director at Oak Hill Juvenile Detention Center, Laurel, Maryland
Member Of: ADA American Dental Association MSDA Maryland State Dental Association


I am a Board Certified Pediatric Dentist. As a pediatric dentist since 2005, I enjoy providing care and motivation to my patients, while learning from their unique perspectives. Interacting with young kids, pre-teens, and teenagers keeps me young at heart and energized. I completed a Bachelor of Science at Morgan State University, a Doctorate of Dental Surgery at the University of Maryland, and a Pediatric Dental Certificate at Howard University. I stay current with advancements in pediatric dentistry through continuing education, including courses in traditional orthodontics, aligner training, and laser dentistry.
I offer a range of services from “needle-free” laser dentistry to orthodontics and assistance for infants and toddlers with lip- and tongue-tie issues. I am a member of the American Academy of Pediatric Dentistry, American Dental Association, Diplomat of the American Board of Pediatric Dentistry, American Black Women in Dentistry, and Mommy Dentists in Business.
Beyond the office, I participate in community outreach, promoting education and healthy lifestyles. Raised in Yonkers, NY, I’ve lived in Upper Marlboro for almost 20 years with my husband and our two daughters. I enjoy supporting my daughters’ cheerleading, bike riding, power walking, and relaxing with a good book.


Dr. Mara Holton grew up in Maryland and has practiced with AA Urology for more than a decade since completing her residency.
Dr. Holton earned her undergraduate degree from The University of Vermont before attending medical school at Temple University in Philadelphia. She then completed her general surgery internship and urologic surgery residency at University of Maryland Medical System. While in residency, Dr. Holton practiced the full breadth of urologic training and surgery. Additionally, while there, she spent a year doing research dedicated to interstitial cystitis / pelvic pain alongside leaders in the field.
In clinical practice, Dr. Holton treats all urologic conditions but has a special interest in female incontinence and pelvic floor dysfunction along with the noninvasive treatment of kidney stones. She is trained in the all of the most current and minimally invasive options to facilitate patients ability to recover from procedures quickly so that they can get back to their lives and families.
As the managing partner of her group, Dr. Holton has overseen the expansion of AA Urology over the past several years and is excited by the growing presence of the group while maintaining the practice ethos of compassionate care in our communities. She is also very involved in the advancement of independent physician practices as a critical resource for patients and participates in advocacy as a board member of national organizations, including the Large Urology Group Practice Association.
In her free time, Dr Holton enjoys traveling, hiking and spending time with her family and dogs.

Dr. Robinson founded Hearing Solutions Audiology Center to provide the excellence that patients deserve when it comes to their hearing health. With emphasis on diagnostics and aural rehabilitation with advanced technology instruments, Dr. Robinson has been practicing for over 20 years and is board certified by the American Board of Audiology. She received her doctoral degree in Audiology from the Arizona School of Health Sciences and her Master’s and Bachelor’s of Science degrees from Radford University in Virginia, graduating with Magna Cum Laude honors. As an audiologist, Dr. Robinson has worked for large medical hospitals as well as ENT specialists, but she enjoys the personalization and patient care she is able to provide in a private practice like Hearing Solutions. As a native Virginian, Dr. Robinson still enjoys outdoor activities such as boating and kayaking on the weekends. When Dr. Robinson and her husband aren’t attending their children’s sporting events, they can usually be found enjoying the waterways of Maryland.




I am a Board Certified Internal Medicine Physician, trained at Tufts, Georgetown, and Arizona, that is passionate about helping people regain and restore their energy. I first got into holistic medicine by watching my mom heal from thyroid issues using organic food and vitamins. More recently, I was able to recover from my own fatigue and depression after tearing my Achilles tendon, through a combination of functional fitness, healthy nutrition, mindset, community, and natural healing methods such as peptides and nutraceuticals.
At CIHealth.org, located in Potomac, MD, we see patients with complex, chronic conditions such as Lyme disease, mold toxicity, chronic pain and fatigue, post-Covid syndrome, autoimmune conditions and recurrent gut issues. We serve and treat kids with autism and ADHD. We also specialize in responsible weight loss, hormone balance including bioidentical hormone replacement therapy, and peptide therapy. The amazing thing we offer is a truly integrative team approach, from primary care, functional medicine and nutrition; to IV therapies including ozone, chelation, and regenerative medicine; to wellness therapies such as acupuncture, aesthetics, and red light therapy. I feel truly blessed to be able to wake up and be part of a dedicated team helping to serve and uplevel our patients’ health every day.


Dr. Fana Assafa, PhD, DNP, RN, CCLS is an internationally recognized aesthetic dermatology and laser expert with over 20 years of clinical excellence in Aesthetic procedures. As the Founder and CEO of Fana Skin Care an Aesthetic Dermatology Laser and Wellness Clinic and the visionary behind FANA – bnatural, a globally distributed, FDA-monitored medical-grade skincare line. Dr. Fana stands at the forefront of innovation in aesthetic dermatology, laser therapy, and longevity health.
Dr. Fana’s clinic, based in Silver Spring, MD, USA is a comprehensive center of excellence specializing in culturally sensitive dermatologic care, particularly for ethnic skin. Over the years, she has cultivated a word-of-mouth referral base and successfully treated over 50,000 patients across five continents, including heads of state, royals, diplomats, and discerning patients who seek her unique expertise, outstanding skill, impressive knowledge, warm bedside manner, and unwavering commitment to patient-centered care in advanced anti-aging treatments, liquid and thread facelifts (LTF), full-spectrum laser procedures for all skin types and her result driven pioneering work in gut-skin hyperpigmentation protocols, addressing root causes of discoloration by combining clinical skin treatments with advanced holistic wellness strategies
Her reputation as a Master Injector and aesthetic trailblazer has led to her appointment as Lead Clinical Instructor at the American Institute of Aesthetic and Laser Medicine, where she trains physicians across the U.S. and internationally on the safe and effective use of lasers, dermal fillers, neurotoxin, and thread lift procedures.
An accomplished academic, Dr. Fana’s advanced specialty training and education from Harvard Medical School, the John Hopkins University, University of Louisville, Master fellowship/work at Cultura Cosmetic Dermatology and Laser Center in Washington, DC, in addition to global early hands-on expertise gained under her training that spans Europe, the Middle East and South Korea well before the introduction of Dermal Filers, neurotoxin and Thread lift treatments to the United States. Learning from industry top icons and pioneers has given her a very rare advantage, global perspective and technical edge in aesthetic dermatology.
Dr. Fana has been honored with several industry awards, featured on international TV, and recognized as “Top Aesthetic Practitioner,” “Top International Injector,” and as an expert in pigmentary disorder (MELASMA) treatment.
She has received Excellence in Service Award from the county executive of Montgomery County, MD and she is regularly invited to speak at global aesthetic conferences.
Her passion is serving and educating patients to achieve healthy inner and outer glow while feeling, empowered and confident at every stage of life.
Dr. Fana is a Fellow of the American Society for Laser Medicine & Surgery (ASLMS), a Certified Medical Laser Safety Officer, a Certified Health and Wellness Coach, Certified in Lifestyle Medicine and Weight Management and a member of the American MedSpa Association (AmSpa). Dr. Fana’s services include:
• Non Surgical Liquid Facelifts, Threads, and Dermal Fillers
• Safe removal of unwanted dark spots and discoloration
• Advanced Laser Skin Treatments for all skin types
• Chemical Peels, Microneedling, Radiofrequency, and Ultrasound Skin Tightening therapies
• Customized Wellness, Weight Loss, and Longevity plans
• GUT health management for total wellness
• Glutitatione injections
• FANA- bnatutal medical grade skin care
Learn more at: IG - @Fanamedicalskincareusa or www.fanaskincare.com

If you have cataracts, glaucoma, or want to check the health of your eyes, Dr. Wilson-Umanzor is the Eye Specialist for you. Experience matters. Compassionate innovative care. Specialist in cataract, glaucoma, and anterior segment surgery. Accepting new patients Fluent in Spanish – Hablamos Español
More than 38 million American adults are living with diabetes or prediabetes. An additional 8 million are unaware that they have it. Diabetic eye disease includes retinopathy, a disease of the small blood vessels in the light-sensitive layer of the eye called the retina. This can cause visual loss, and the risk increases the longer the disease is present. Having diabetes makes it more likely to also develop cataracts or open-angle glaucoma. Because many people may not have any symptoms, it is important to get a comprehensive dilated eye exam every year.


Meet E. Taylor Meiser, Jr.
Degrees/Training: DDS, University of Maryland Dental School; General Practice Residency, San Diego Naval Hospital; Prosthodontics Residency, Naval Dental School, Bethesda; U.S. Navy Dental Corps Officer, Commander, USN, (retired).
Professional Memberships: American Dental Association, Maryland State Dental Association, Anne Arundel County Dental Society, Annapolis Dental Study Club, Chesapeake Implant Study Club, University of Maryland Alumni Association.
Practice Philosophy: To follow the “Golden Rule” in all aspects of professional dental care, providing outstanding quality dentistry in a caring, comfortable and comprehensive manner. Lighthouse Family Dentistry will “Light Up Your Smile.”


12200 Annapolis Road Suite #116 Glenn Dale, MD 20769

Board Certified, Ophthalmology by the American Board of Ophthalmology
Degrees, Training and Certificates: UCLA Medical School; Yale University Hospital for Residency; Louisiana State University for Cornea and Refractive Fellowship
Professional Memberships/Associations: American Academy of Ophthalmology; American Society of Cataract and Refractive Surgery; International Society of Refractive Surgery
Areas of Interest: All laser custom LASIK; Cataract Surgery; Botox; Dermal Fillers; Cornea Comprehensive Ophthalmology
Practice Philosophy: Envision Eye and Laser is committed to delivering superior ophthalmic care with state-of-the-art technology and patient education in a caring, compassionate environment. We cater to a diverse population of adults and work with your primary care physician to improve the quality of your overall health and life. Your best vision is our focus.


Dr. Washington-Plaskett completed her medical school training at Meharry Medical College in Nashville, TN. She completed her Internal Medicine training at Morehouse School of Medicine in Atlanta, GA. She went on to pursue her Cardiology training at Boston Medical Center in Boston, MA where she also decided to stay and complete an additional year of training in Interventional Cardiology. She is a native of Fort Washington, MD and was eager to come back to familiar roots to start her career as a Cardiologist.
Dr. Washington’s interest in medicine started early as both her parents were in the medical field. Her inspiration is derived from the sacrifice of her parents as well as countless other health care workers that dedicate their careers in service to others.
Her specific interests in Cardiology include coronary artery disease and prevention, women’s cardiovascular health, and health disparities. Coronary heart disease or disease of the arteries that supply the heart is highly prevalent in the US with an estimated 20.5 million Americans with the diagnosis 2. Among women, it is often difficult to recognize the signs and symptoms of a heart attack and can often get overlooked1
Dr. Washington looks forward to working with and delivering care to the patients within the southern Maryland area. She truly believes knowledge is power and arming patients with the knowledge and tools necessary to guide them through their journey to better cardiovascular health.


This book is a personal, very real reminder of how God keeps His Word by wrapping his everlasting love around us even during the darkest times when hope can sometimes be hard to find. Pearl’s book is a heartfelt, personal testimony that confirms Jesus is alive and caring for us every day at every step of the way. Be encouraged by reading Pearl’s experience while fighting serious health issues yet relying on God’s promises -- God promises He will never leave us nor forsake us. Oh, what a promise one can trust!
From idea to publication – Pearl reveals the journey behind her new book, plus her best advice for readers. Don’t miss the interview: https://yhm.news/pearl-kumi



Dr. Weiss received his Bachelor of Arts from University of Virginia, and his Doctor of Medicine from McGill University. His Post-Graduate Training Includes: University of Hawaii Internship in Medicine, St. Elizabeth’s Hospital (Boston) Residency in Internal Medicine, Board Certified Internal Medicine, Fellow American Academy of Anti-Aging Medicine. Practice Philosophy: Combining the best of conventional treatments, natural approaches and alternative strategies.
Areas of Interest:
• Expert treatment of chronic fatigue syndrome and fibromyalgia
• Nutritional strategies and weight loss, including HCG protocol
• Bio-Te Hormone Replacement
• Addressing thyroid problems and adrenal fatigue using natural and holistic therapies
• Intravenous therapies
• Combining the best of conventional and holistic therapies to address chronic and complex health care issues
• Anti-Aging protocols using Botox, Dysport and Peptide Therapy
Kim has had a wide variety of experience as a nurse, from ICU service to Oncology nursing, and is an expert with IV therapies and is committed to her patients being comfortable, safe and well informed.
Kim has been utilizing IV therapies very safely and therapeutically with over 25 years as an IV Nurse, has been administering nutritional and integrative IV’s in many different settings and practices throughout Maryland and Massachusetts. She is able to tailor these therapies to meet individual needs and requirements. Many people can benefit from these therapies and they can jumpstart your road to recovery and health.
Treatments Offered Include:
• IV Therapies: Vitamin C Drips, Meyers Cocktails, Glutathione, Mineral IV's,
• Alpha Lipoic Drips. B12/MIC injections
• Botox/Dysport
• Morpheus8, Votiva (vaginal rejuvenation, especially for urinary incontinence)
• Traditional Microneedling treatments
• VIPeels including NEW BODY PEELS
• Heidelberg PH Capsule Testing


Degrees/Training: Bachelor of Science, Ohio State University, Columbus, OH, Dental Hygiene, Pre-Dentistry; University of Maryland Dental School, Doctor of Dental Surgery, Baltimore, MD; Pete Dawson Center, Tampa, FL; Zimmer Institute
Professional Memberships/Associations: Academy of General Dentistry; American Dental Association
Areas of Interest: Preventative, Cosmetic, Endodontic and Prosthetic Dentistry
Practice Philosophy: To provide patients with state-ofthe-art treatment together with personal attention and compassionate care. My expertise and concern for my patients ensures that they receive effective care in a warm and friendly environment.
Our Practice: White Plains Comprehensive Family Dentistry welcomes you to their new practice in White Plains, MD. We offer complete dental exams and procedures for the entire family.
Whether you are having a dental emergency or it’s time for your yearly check-up, stop in and see our friendly and professional staff today.

10111 Martin Luther King Jr. Highway, Suite #102 Bowie, MD
6196 Oxon Hill Road Suite #240, Oxon Hill, MD

Dr. Trent has a passion for helping people. She has practiced Audiology since 1984, in a number of clinical settings. Her diverse career has included 16 years of teaching and clinical supervision at Howard University, Washington, DC and Temple University, Philadelphia, PA. Dr. Trent has also worked as a clinical audiologist in hospital settings and private ENT practices.
Education:
Clinical Doctoral Degree – Audiology-University of Florida, Gainesville, FL
Master of Education – Audiology- Northeastern University, Boston, MA
Bachelor of Science – Communication Sciences and Disorders – Hampton University, Hampton, VA
Dr. Trent holds her Maryland State Licensure in Audiology. She is a Certified Clinical Audiologist (CCC-A) through the American Speech-Language-Hearing Association (ASHA). Presently, she serves on the Board of Directors for ASHA as Vice President for Audiology Practice.





Located in scenic Southern Maryland, Studio 5 Hair Gallery is well known in the medical community for customized solutions for hair loss. We provide the finest synthetic and human hair wigs, hair extensions, and top-of-the-head hairpieces. For over 12 years, Studio 5 Hair Gallery has served its clients with compassion and excellence. call 301.884.3553 for your appointment today! Please mention this Flier when setting up your appointment.
















By Jennifer Clark, MD, HMDC, CAQ-Geriatrics, Hospice and Palliative Care Physician Hospice of the Chesapeake
When someone is diagnosed with a serious health condition, their journey through illness often unfolds in stages. For many, the path begins



with managing a progressive illness such as dementia, heart failure, emphysema, or cancer, conditions that slowly worsen over time. Eventually, some patients transition to endof-life care, or hospice care, when curative treatments are no longer effective and the focus turns fully to comfort and dignity.
While these two phases may overlap, they are not the same. Understanding the difference helps families make informed choices and ensures patients receive the right support at the right time.
Healthcare for progressive illness is known as palliative care. The goal is to improve quality of life by managing symptoms, supporting emotional well-being and preparing for future decisions.
Palliative care typically begins with a nurse practitioner or physician who collaborates with the patient’s primary care doctor and specialists. The team helps manage symptoms such as pain, shortness


of breath or anxiety, assists with completing advance directives and supports family dynamics. Depending on needs, a social worker or chaplain may also join the care team to provide counseling and spiritual support.
End-of-life care, also known as hospice care, begins when a patient has a limited life expectancy, typically six months or less if the illness runs its natural course. At this stage, care becomes more intensive and comprehensive.
Common signs of this transition include significant weight loss, increasing weakness or fatigue, difficulty managing pain or breathing or curative treatments are no longer working.
Hospice is a resource for patients, caregivers and loved ones. Beyond medical support, hospice offers respite care, counseling and spiritual guidance that ease the burden on the family. The team, which includes a physician, nurse practitioner, nurse, certified nursing assistant, social worker and chaplain, provides 24/7 support. Instead of calling 911 during a crisis, families call hospice directly, receiving the care they need at home and avoiding emergency room visits.
At the heart of both palliative and hospice care is the commitment to helping people experience good days, even during serious illness. For someone early in their illness, that may mean participating in a fun walk or traveling. Later, it may mean being free from pain or anxiety while watching a movie with your grandchildren.
Ultimately, the distinction between treating progressive illness and providing end-of-life care is less about drawing a line and more about meeting people where they are. Both approaches bring relief, compassion and dignity to some of life’s hardest moments.



By Quansheng Lu, CMD, PhD, LAc Wholelife Chinese Medicine & Acupuncture Center
Dysmenorrhea, a prevalent issue among women globally, is characterized by periodic pain during, before, or after

menstrual periods. This pain is caused by abnormal uterine contractions due to an excess of harmful prostaglandins. For some women, these pains can be intense enough to disrupt daily activities for several days each month.
Common symptoms of dysmenorrhea include cramping, lower abdominal pain, lower back pain, and a pulling sensation in the inner thighs. Women may
Quansheng Lu, CMD, PhD, L.Ac www.wholelifeherb.com • luquansheng@gmail.com 301-340-1066 • fax: 301-340-1090
Guest professor, Henan University of Traditional Chinese Medicine (TCM) Chief TCM Physician, WFCMS; M.S. in TCM, Beijing University of TCM PhD in integrated medicine, China Academy of Chinese Medical Sciences Fellowship, Georgetown University & Children’s National Medical Center 3 patents, 8 books of TCM, 30 papers, 30+ years of experience in TCM
Low back pain • eczema • arthritis • allergies
cough • insomnia • paralysis obesity • nephritis • hepatitis • infertility • PMS • side effects of cancer treatment 416 Hungerford Drive, #300 Rockville, MD 20850 5022 Dorsey Hall Drive, #101 Ellicott City, MD 21042
experience headaches, dizziness, vomiting, nausea, diarrhea, or constipation. There are two types of dysmenorrhea: primary and secondary. Primary dysmenorrhea occurs without any physical abnormalities and typically begins within three years of the onset of menstruation. Contributing factors include allergies, poor diet, high estrogen levels, being overweight, smoking, and stress. Many experts link the uterine muscle contractions to prostaglandins, which are hormone-like substances involved in pain and inflammation. Secondary dysmenorrhea results from gynecological conditions such as endometriosis, fibroids, and pelvic inflammatory disease (PID).
In Chinese medicine, pain is seen as a symptom of an underlying issue, which can stem from either an excess pattern or a deficiency pattern. Excess patterns involve blockages of Qi and blood or the retention of heat, dampness, or wind. Deficiency patterns arise from insufficient Qi and blood or an imbalance in the kidney and liver.
Practitioners of Chinese medicine use acupuncture and herbal medicine
By Joyce Abramson, RNMS
Charles County Freedom Landing
Persons who have received a mental illness diagnosis, particularly one of a serious and persistent nature, have found psychiatric rehabilitation services beneficial in their recovery.
Recovery is believed to be a process based on readjustment of attitudes, feelings, perceptions and beliefs about self and others. The
values represented in psychiatric rehabilitation are consistent, even intrinsic, to recovery. There are five key values that represent the practice of psychiatric rehabilitation: 1. Selfdetermination, 2. Dignity and worth of every individual, 3. Optimism, 4. Capacity for every person to learn and grow and 5. Cultural sensitivity.
Practitioners in psychiatric rehabilitation believe that everyone must be involved in decisions that effect their lives. This self-determination

A

to treat dysmenorrhea. Their strategies include expelling wind, dissipating cold, eliminating dampness, moving Qi, invigorating blood, nourishing the blood, clearing heat, and tonifying the kidneys.
A recent review examined the effectiveness and safety of acupuncture for treating primary dysmenorrhea. The review included ten trials with data from 944 participants, with six trials focusing on acupuncture and four on acupressure. The results showed that acupuncture provided better pain relief compared to a placebo.
In Chinese medicine, ginger has long been used to alleviate dysmenorrhea due to its anti-inflammatory, spasmolytic, and circulatory properties. Ginger inhibits cyclooxygenase and lipoxygenase enzymes, which contribute to menstrual cramps. Another common Chinese medicine ingredient for treating dysmenorrhea is peach kernel. By integrating traditional Chinese medicine practices such as acupuncture and herbal remedies, women can find relief from dysmenorrhea and improve their well-being during menstrual cycles.
is often referred to as empowerment. Empowerment is something that is developed within the person not something done to or for an individual. The recovery process is supported in psychiatric rehabilitation by providing information, options and resources.
Dignity and worth of every human being regardless of the degree of impairment is a core value of psychiatric rehabilitation. Although this statement is often used in many arenas, the persistent stigma directed toward those with a mental illness or anyone who appears different in some way does not indicate that it is practiced. There needs to be a consistent effort to maintain or restore dignity to those with a mental illness.
Optimism on the part of service providers can generalize to those receiving services. A positive attitude is catching. Words and actions of practitioners that convey hope help those with an illness recover hope.
Inherent in this optimism is the belief that everyone can learn and grow. The presence of a mental illness does not eliminate learning and development of ways to achieve per-

sonal goals.
Mental illness knows no cultural or ethnic boundaries. Sensitivity to differences in cultures enables staff to assist those receiving psychiatric rehabilitation services to become better integrated into their community. It avoids staff assuming or making incorrect judgements.
The struggle to free those diagnosed with a mental illness from the role of a mental patient as a cultural identity can be better won with respect for the individual and the particular culture.
These values are the essence of psychiatric rehabilitation. When they are used effectively, they are the basis for recovery. Indeed, the five values can provide the basis for all people to achieve emotional health.




(located inside of Hol-Body Yoga Studio)
Family Wellness Services
• Natural and Herbal Remedy Consults
• Family Planning
• Childbirth Education
• Natural Healing Education
Women’s Health/Womb Wellness
• Birth/Postpartum Doula Services
• Fertility Support
• Womb Meditation
• Womb Massage
• Vagi/Yeni Steams
Spiritual and Mental Wellness
• Etheric Touch Sessions
• Reiki Sessions
Coming Soon:
• House Blessings
• Divinations
• Doula Training begins October 2025 for in person and virtual classes
Shirleta Henson McKann 443-265-9393
Crain Highway S. Glen Burnie, MD 21061


Annapolis Asthma, Pulmonary & Sleep Specialists
The idea of “beauty sleep” isn’t just a saying — there’s real science behind it. For women especially, getting enough high-quality sleep is a vital part of maintaining healthy skin, balanced hormones, and a more youthful appearance. When sleep is disrupted or inadequate, it shows — not just in how we feel, but in how we look.
During deep sleep, the body enters a state of repair and regeneration. This includes the skin, which produces new collagen, repairs environmental damage, and restores moisture balance. Chronic sleep deprivation can interfere with this natural process, leading to increased signs of aging such as fine lines, dullness, and puffy eyes.
Sleep also plays a crucial role in hormonal balance, particularly for women. Disrupted sleep can affect levels of estrogen and progesterone
— hormones that not only regulate reproductive health but also influence mood, skin texture, and even hair growth. Poor sleep may also elevate cortisol, the stress hormone, which is associated with inflammation and skin conditions such as acne, eczema, and premature aging.
One of the most visible signs of poor sleep is the appearance of the under-eye area. Blood vessels under the eyes dilate when sleep is lacking, creating the appearance of dark circles. Swelling and fluid retention can lead to puffiness, particularly in the morning. While topical products may help, the best long-term remedy is consistent, restorative sleep.
Sleep problems disproportionately affect women, particularly during hormonal transitions such as pregnancy, perimenopause, and menopause. Hot flashes, night sweats, anxiety, and insomnia are all common issues that can interrupt rest and im-
Please see “Beauty Sleep,” page 63
Over 70 million Americans suffer from sleep disorders. Sleep problems affect both sexes, all races and all age groups. Left untreated, sleep disorders can pose serious threats to your health. Heart attack, heart failure, irregular heartbeats, stroke, diabetes, hypertension, acid reflux, attention deficit disorder and depression are conditions associated with sleep problems.
At Annapolis Asthma, Pulmonary & Sleep Specialists, we provide expert diagnosis and treatment to help you achieve restful, healthy sleep.















“BeBalanced gave me my life back! By learning about my body, lowering stress and sugar, and balancing my hormones naturally, I have lost 50 pounds to date. I finally feel like I am living again. Although the weight loss was amazing, my anxiety reduced, sleep issues improved, and my digestive issues and hot flashes were eliminated. I have more energy and I feel better in my own skin. Almost all joint pain has been eliminated. Through this journey, I got my confidence back. Most importantly, I got me back!
Thank you BeBalanced!”
– Susan, Crofton client


COSMETIC SURGERY
• Breast Augmentation
• Abdominoplasty (Tummy Tuck)
• Liposuction
• Hair Transplants
• Mommy Makeover
• Facial Surgery
NON-INVASIVE TREATMENTS
• Botox®, Dysport®, Xeomin®*
• BellaFill®
• Juvederm*
• Restylane®*
• TempSure Envi
• Endermologie
• Zerona
• Lipolight
LASER TREATMENT
• Hair Removal
• Vein Treatment
• Laser Resurfacing
WELLNESS SERVICES
• Bioidentical Hormones (BHRT)
• ED Treatment for Men
• Medical Weight Loss


4407 Willard Avenue Chevy Chase, MD 20815 (Across from the Friendship Heights Metro)

By Brittney de Vicq, MAc, LAc West Annapolis Acupuncture
Dental pain can range from mild discomfort to severe agony, often requiring immediate attention
and relief. While traditional dental interventions are effective, some individuals seek alternative methods to manage pain. Acupuncture, a practice rooted in ancient Chinese medicine, has gained recognition as a complementary therapy for dental pain. By understanding its principles and applications, individuals can make informed decisions regarding






pain management options.
Understanding Acupuncture: Acupuncture involves the insertion of fine needles into specific points on the body to stimulate the flow of energy, known as Qi, along meridians. In dental pain management, acupuncturists focus on acupoints located around the face, jaw, and head region. By stimulating these points, acupuncture aims to rebalance the body’s energy and promote pain relief.
Dental Pain Relief Mechanisms: Acupuncture’s pain-relieving effects in dental procedures can be attributed to several mechanisms. Firstly, acupuncture stimulates the release of endorphins, natural painkillers that provide a sense of well-being. Secondly, it influences the autonomic nervous system, reducing inflammation and promoting relaxation, which can alleviate dental pain. Lastly, acupuncture may help modulate pain signals within the central nervous system, effectively reducing the perception of pain.
Clinical Applications: Acu-
puncture has shown promise in various dental conditions, including toothaches, temporomandibular joint (TMJ) disorders, post-operative pain, and dental anxiety. For toothaches, acupuncture can provide temporary relief by reducing inflammation and desensitizing the affected area. In TMJ disorders, acupuncture can help alleviate muscle tension and promote relaxation, reducing pain and improving jaw function. Additionally, acupuncture has been used as an adjunct therapy to manage post-operative dental pain and as a calming technique for patients experiencing dental anxiety.
Individualized Treatment:
Acupuncture treatment for dental pain is highly individualized. Acupuncturists consider the patient’s specific dental condition, pain severity, and medical history to develop a personalized treatment plan. The number of sessions required may vary, depending on the individual’s response and the nature of the dental
Please see “Pain Relief,” page 63

Submitted by E. Taylor Meiser, DDS
Wouldnt you like a brighter smile?
Having whiter teeth can give you not only a brighter smile, but more confidence too. Whiter teeth can be yours in about an hour at your dentists office. Modern cosmetic dental technology has replaced the older take home tray system of bleaching teeth. No more gaggy mouth impressions, no more wearing messy awkward bleaching trays daily for weeks, no more sensitivity and no more relapse. Now, with systems like the Rembrandt One-Hour
Whitening System, you can relax in the dental chair for less than an hour and have your teeth whitened up to 10 shades lighter and brighter. The inoffice procedure is easy, comfortable, safe, fast and affordable. The results are immediate and dramatic and remarkably long-lasting with use of the recommended whitening toothpastes. With good oral hygiene and avoiding tooth staining foods, drinks and tobacco products there is no relapse. If, after time, the teeth yellow or lose whitening, a simple booster treatment can bring the former whiteness back again. There are almost no medical reasons that would prevent a person from having their teeth bleached. The only contraindication to bleaching teeth is if the person already has crowns, veneers, fillings or false teeth. Bleaching teeth in no way harms or hurts the teeth. Nothing about the teeth is changed except they become permanently whiter. Consult your dentist to see if he/ she offers the latest in-office one hour whitening procedures. Treat yourself to whiter teeth and a brighter smile.

By Ademuyiwa Adetunji, DPM
Largo Foot & Ankle Health
Causes and Symptoms
Poor blood circulation in legs and feet is a condition that may cause damage to the tissues in these parts, causing utter discomfort and a wide array of other symptoms. Though the condition is usually seen in elderly, it may develop in young people too. Apart from the increasing age, there are various factors that play a key role in causing this problem. They include genetics, lifestyle factors, medical conditions, etc.
One of the most common causes of poor circulation in feet is peripheral vascular disease, which is otherwise known as peripheral artery disease (PAD). This condition is characterized by obstruction or narrowing of the large arteries that are far from the heart and the brain. Most commonly, this occurs in the extremities, especially the feet and the legs.
The causes for peripheral vascular disease may also vary, but the most common one is atherosclerosis (narrowing of arterial walls with fatty deposits like cholesterol). Contributory factors include:
• Smoking
• High cholesterol
• High blood pressure
• Physical inactivity
• Obesity
• Diabetes
Even pregnant women may experience the symptoms of poor blood circulation in feet.
Please see “Poor Circulation,” page 63

At Kensington Pharmacy, in addition to having your prescriptions filled with speed and accuracy, you will experience one of the best services and notice the difference.
With 14 employees, Kensington Pharmacy gives a special attention to each customer that they deserve. Stop by and experience the difference.
Submitted by Kensington Pharmacy
What Is Osteoporosis?
Bone loss is a natural part of aging in all people. But some people develop a disease called osteoporosis, and for them, bone loss is severe. Bones become fragile and break easily. Fractures can happen almost anywhere in the body, including the spine, hip, leg, pelvis, and wrist.
More women than men develop osteoporosis, but bone health should be a priority for both men and women.
Examine your heritage:
• Are you Caucasian or Asian? These two ethnic groups are more likely to develop osteoporosis than are other ethnic groups.
• Are you thin and petite? Because small people, women in particular, have less bone mass to begin with, they are at greater risk for the disease.
• Do you have older relatives who have curvature of the spine (sometimes called “dowager’s hump”), loss of height, fractures, or chronic back pain? If so, you may have inherited a tendency toward osteoporosis.
Examine your personal health history:
• Have you passed menopause? In women, estrogen aids in the production of bone mass. At menopause, the amount of estrogen their bodies produce declines sharply.
• Have your menstrual periods stopped? Women who have had a hysterectomy, women who are high-performance athletes, and women who diet excessively or who have an eating disorder may stop having periods. These women have had a hormonal change that can cause bone loss.
• Are you taking medicines that increase the risk of osteoporosis? The most common culprits are ste-
Please see “Osteoporosis,” page 65
Owned by a local family of pharmacists The Tunc Family: From Left: Melike, Pinar, Huseyin and Zeynep
• Prescription Refills via On-line or Phone 24 hours a day
• Flu Shots, Shingles and Pneumavac Vaccines
• Prescription Plans including Medicare Part-D and Part-B, CVS-Caremark
• Transfer Of Your Prescriptions
• Compounding Specialists
• Wide Vitamin Selection
• Blisterpacking For Assisted Living Facilities
• BOIRON Homeopathic Remedies
• Greeting Cards, Select Books and Gifts
• Wide Home Health Care Selection Wheelchairs, Canes, Walkers, Medical Legsupport, Arthritis and Sport Aids, Bath Aids
• Toys and Books for Children
• And More





















needs of each patient. Whether you’re undergoing a complex procedure or a routine dental treatment, your peace of mind is our priority.
Patient-Centric Approach:
At Total Dental Care, we prioritize your comfort with a patient-focused approach, offering amenities such as heated chairs with massage features, ensuring a relaxed experience. Our team is dedicated to fostering a positive dental experience, emphasizing
rheumatoid arthritis or lupus. Ninety percent of these patients are women.
Dry eye syndrome may sound like more of a nuisance than a serious problem. But if left untreated, severe cases of dry eye syndrome can result in permanent loss of sight. These include problems such as inflammation, infection, and scarring of the eye surface. If you have dry eye syndrome, there are numerous treatments avail-
Physical therapy is often used to provide relief of the inflammation and bunion pain. Ultrasound therapy is a popular technique for treating bunions and their associated soft tissue involvement.
Shoe inserts may be useful in controlling foot function and may reduce symptoms and prevent worsening of the deformity.
When early treatments fail or the bunion progresses past the threshold for such options, podiatric surgery may become necessary to relieve
as many as 12 years. Weight loss surgery offers an opportunity to maintain health and offset the health consequences.
Elimination Of Medications and Medical Treatments
Patients suffering from the health consequences are often on multiple medications to treat conditions such as diabetes, hypertension, high cholesterol, back pain, depression. There are often treatment devices such as CPAP machines for sleep apnea or steroid injections for chronic joint pain. Weight loss surgery offers an opportunity to improve health and eliminate many of the medications
page 62 | Your HEALTH Magazine
From page 12
communication and education to empower patients in making informed decisions about their oral health.
Total Dental Care stands as a beacon of excellence in dental health, providing total solutions for patients seeking comprehensive, detail-oriented care. Experience the difference with our wide range of services and patient-focused approach, ensuring your journey to a healthy smile is seamless and satisfying.
From page 16
able to help protect your eyes and your sight. For many dry eye sufferers, small changes in their daily habits can make the problem better. For others, tear replacement drops, medications, and plugs to block tears from escaping once they reach the eye surface are all effective in reducing or eliminating dry eye symptoms. Your doctor can help you develop a treatment plan thats right for you.
From page 20
pressure and repair the toe joint.
Several surgical procedures are available. Surgery removes the bony enlargement, restores normal alignment of the joint, and relieves pain.
A simple bunionectomy, in which only the bony prominence is removed, may be used for the less severe deformity. Severe bunions may require a more involved procedure, which includes cutting the bone and realigning the joint.
Article provided by the American Podiatric Medical Association.
From page 24
and treatment requirements. It also means less doctor and hospital visits.
Improved Quality Of Life
Many obese people have adjusted their life around the fact that they are overweight.
They don’t do the things that they once enjoyed doing. They limit activities with friends and family. There is a physical strain to be active as obesity leads to fatigue, shortness of breath and joint pains with activity.
Weight loss surgery offers weight loss such that many patients regain control over their lives. They get more energy, they become more active and enjoy life more.
Can just four implants replace all of the teeth on the top or the bottom of your mouth? Thanks to advances in dental implant technology, that answer is a resounding yes.
Tooth loss is extremely common among adults, especially as we age. Rather than living with the discomfort and hassles of dentures, many people are opting for what is called “all-onfour” dental implant restoration.
An implant is a small titanium screw that fits inside your jawbone and replaces the root-part of a missing tooth. Minor surgery is required to insert the implants. Once the implant is in place, a crown is attached to give you a highly realisticlooking and functional prosthetic tooth.
You do not need a dental implant for each and every one of your missing teeth. All you need is four precisely placed implants on the top of your mouth, and four on the bottom, to restore your full smile. That’s the beauty of the all-on-four. And because the implant is made of titanium, it has the unique ability to fuse to living bone and function as part of it. So eventually, the dental implant becomes part of the jawbone and serves as a strong, longlasting foundation for your new teeth.
Besides ensuring that your implants are permanently fixed in place,
you’re aging overnight.
Unfortunately, these changes often get brushed off as “normal aging.” While they may be common, they are not untreatable—and recognizing the patterns is the first step toward reclaiming your vitality.
You don’t need extreme interventions to feel like yourself again. Supporting hormone health starts with foundational self-care:
• Prioritize protein and healthy fats to support hormone production and stabilize blood sugar
• Strength train regularly to maintain lean muscle and improve metabolism
• Practice stress reduction—chronic
• Promoting a healthier pregnancy.
• Managing symptoms of nausea.
• Shortening the duration of labor and delivery.
• Alleviating back, neck, or joint pain.
this bone fusion has another important benefit: it prevents future bone loss in the jaw. This helps to maintain a more youthful facial structure – and better oral health. But perhaps the biggest surprise about the all-on-four is how quickly it can transform your life.
What’s The All-On-Four Dental Implant Procedure Like?
First, either local or general anesthesia will be administered.
Second, the dentist or surgeon will prepare your mouth for the implants, which involves removing your remaining teeth that are failing. They will then remove any diseased or infected tissue from your jaw and gums.
Next, they will insert the titanium screws into your jawbone. Most likely, they will place two implants toward the front of your mouth and two towards the back of your mouth so the “anchors” can evenly bare the force of the denture.
After the implants have been placed, they will thoroughly clean the surgical sites and suturing all the incisions. Then you’ll be taken to a recovery room where you can relax and take time to wake up from the anesthesia.
Schedule a consultation with an All-On-Four provider. It’s the best way to find out how dental implants can change your life.
From page 17
stress raises cortisol, which can disrupt other hormones
• Get enough sleep—this is when your body resets and rebalances
• Limit alcohol and ultra-processed foods that can increase inflammation and burden detox pathways
Beauty Is a Symptom Of Health
Glowing skin, healthy hair, and a vibrant body aren’t just about beauty—they’re signs of internal wellness. If something feels “off,” don’t ignore it. Whether it’s fatigue, mood swings, or changes in appearance, your body may be asking for support.
The better we understand the hormonal root causes of common women’s health and beauty complaints, the more empowered we become to age with strength, confidence, and grace.
From page 19
• Reducing the likelihood of a cesarean delivery.
So, if you or someone you know is expecting a child and grappling with any of these issues, encourage them to pay a visit to a chiropractor.
The bottom line is if you are not getting sufficient physical exercise, eating poorly, and not sleeping well you will not feel well. You will lose muscle and brain function, your hormones are likely to decline, and your risk of diabetes and metabolic syndrome go up.
We live in a society that makes it easy to slip into exposure to toxins, eating nutrient poor food, have poor sleep patterns etc., and only by reversing these lifestyle issues can one really take control of their health. This is not easy and it can not all be handled at once, but the best thing to do is to start somewhere and keep adding healthy habits to your life. Again finding a health practitioner to support you in creating a plan and creating an accountability structure can be the difference between success and failure.
As a patient it is critical that you
cannabis, experts recommend starting with a low dose and gradually adjusting. This cautious approach allows women to discover what works best for their needs without unwanted side effects.
While many find cannabis helpful for sleep, it is not a cure-all. Good sleep hygiene—such as maintaining a consistent bedtime, limiting caffeine late in the day, and creating a calm sleep environment—remains essential. Cannabis may serve as a supportive tool when these measures
hold your doctor accountable. What do I mean by this? If you get any tests ordered by your doctor and you have not heard back from the office within a week you should call and ask about the results. No news does not always imply good news. Sometimes no news means the results never showed up in the office or even got lost or mis-filed.
If you are on medications and you don’t understand why or you want to discuss other options for treatment (a very common issue especially when it comes to diet, thyroid, and hormonal treatments) you should summon the courage to discuss with your doctor or maybe get a second opinion. Remember you are in it for your health not to avoid conflict or avoid threatening your doctor’s ego.
Taking on your own health and creating a healthy lifestyle is the first step on the path to wellness.
From page 26
alone are not enough.
As research continues, more is being learned about how cannabinoids affect the body and mind. Early findings are promising, but larger studies are needed to fully understand longterm effects and optimal usage. In the meantime, knowledgeable dispensary staff can guide patients toward products tailored for sleep support.
For women seeking natural relief from restless nights, medical cannabis may offer a gentle and holistic option worth considering.
pact both appearance and well-being.
Establishing a consistent bedtime, avoiding screens before sleep, and keeping the bedroom cool and dark can support better sleep quality. For women struggling with chronic insomnia or other sleep disorders — including restless legs syndrome or sleep apnea — professional evaluation may be needed. These conditions are
issue being addressed.
unhealthy food options, vending machines and fried foods.
Empower your child to make their own healthy decisions and be part of childhood obesity prevention efforts.
Be a role model by trying to eat right and get exercise. Eat healthy snacks to stress that you are serious about childhood obesity prevention.
Healthy Eating Tips For Families On the Go
Pack school lunches with whole grains, fruits, lean, all-natural meats and healthy snacks, such as nuts and dried fruits.
Get rid of the sugar-filled neon-colored “breakfast” cereals. There are dozens of great-tasting, all-natural, organic cereals. Also, try a breakfast smoothie.
Have non-perishable healthy snacks in your car for when your little one is hungry on the road. Dried fruits, nuts and healthy individuallypackaged snacks are a good option.
If you take the time to make a healthy, homemade meal, they are safe to be placed in a vacuum-sealed container and put in the freezer, they can often keep for several weeks.
Not an essential nutrient, performs several vital functions Natural laxative and may lower cholesterol concentration in the blood. A highfiber intake also supplied greater amounts of vitamins A, B6, B12, C, niacin, thiamin, riboflavin and folate, as well as the minerals magnesium, iron, zinc, calcium and phosphorus.
perature, symmetry, stagnant fluid, inflammation, or vascular activity. These indicators can appear years before other tests detect abnormalities, making it a powerful tool for early awareness and prevention.
While some risks, such as genetic predispositions, cannot be eliminated, many lifestyle choices play a role in breast health. Risk-reducing strategies include:
• Avoiding estrogen-based medications when possible
• Reducing sugar, soda, alcohol, and processed carbs
• Adopting an anti-inflammatory diet
• Practicing dry brushing underarms
From page 52
often underdiagnosed in women, especially when symptoms don’t fit the “classic” profile.
Ultimately, good sleep is one of the most powerful — and natural — beauty tools available. It supports skin health, hormonal stability, and energy levels, helping women not only look better, but feel better too.
From page 56
Acupuncture presents a promising alternative for dental pain relief, offering a holistic approach that complements traditional dental interventions. By stimulating the body’s natural healing mechanisms, acupuncture can effectively reduce dental pain, improve oral health, and enhance overall well-being. Individuals seeking additional pain management options can consider acupuncture as a complementary therapy in consultation with their dental healthcare providers.
toward the chest
• Using essential oils such as frankincense, lavender, and lemon
Radiation exposure is also preventable, and thermography provides a radiation-free alternative for monitoring breast health.
A Commitment To Women’s Health
We are dedicated to women’s health and education, offering a full list of preventative measures to support your wellness journey. Thermography is not about fear — it’s about information, empowerment, and making the best decisions for your body.
Proactive care today leads to healthier tomorrows. Isn’t that a refreshing approach?
Poor blood circulation in feet and legs may cause various symptoms that may vary with the underlying cause as well as the severity of the condition:
• Fatigue, tiredness, or pain in your legs, thighs, or buttocks that always happens when you walk but goes away when you rest
• Foot or toe pain at rest that often disturbs your sleep.
• Skin wounds or ulcers on your feet or toes that are slow to heal (or that do not heal for 8-12 weeks)
However, many individuals with poor circulation do not experience typical leg symptoms such as cramp-
From page 57
ing, pain, or fatigue known as claudication.
Apart from pain and cramps, some of the affected people may develop swelling of the feet. They may also experience frequent cold feet, which are considered a symbol of low blood circulation (in feet). Cold feet are more commonly experienced at night before sleep, after having certain foods or during periods of immobility.
Some may experience severe and sudden leg pain due to formation of a blood clot, which may stop or slow down the blood flow all of a sudden. This is caused by deep vein thrombosis, a condition wherein, a blood clot forms in the deep veins of the legs.
ACUPUNCTURE
Eastern Medical Holistic Healing Center – Angel Wood – 240-755-5925 –www.Acupuncture4Wellness.Webs.com.
West Annapolis Acupuncture – Brittney de Vicq, LAc, MAc – 410-375-9716 – BrittneyAcupuncture.com – Annapolis, MD.
CHINESE MEDICINE & ACUPUNCTURE
Quansheng Lu, CMD, PhD, LAc – www.WholelifeHerb. com – 301-340-1066.
CHIROPRACTIC
Kovach Chiropractic & Wellness Center – Alicia Kovach, DC – 410-697-3566.
Effective Integrative Healthcare – Crofton 410-774-0644 – Millersville 410-729-2200 –Lanham 301-577-6556.
DENTISTRY
Cosmetic Dental FX – Judy Yu, DMD, MBA – 410-3600440 – www.DentalFXMD. com – Pasadena, MD.
Lighthouse Family Dentistry –E. Taylor Meiser, DDS – 410224 4411 – Annapolis, MD. Karl A. Smith, DDS – Waldorf, MD – 301-638 -4867. Craig A. Smith, DDS – 7201 Hanover Parkway, Suite A, Greenbelt, MD – 301-4461784 – www.craigasmithdds. com.
McNelly Optical, Inc. – 410263-2692 – www.McNellyOptical.com – Annapolis, MD.
FERTILITY
Montgomery Women’s Fertility Center – 301-946-6962 –MontgomeryFertilityCenter. com – Rockville, MD.
HOME CARE
At Home Care, Inc. – 301421-0200 – AtHomeCareInc. com – Since 1977.
New Day Vitality Hormone Center – 410-793-5212 –Arnold, MD and Easton, MD – NewDayVitality.com.
INTEGRATIVE MEDICINE
Alan Weiss, MD, Annapolis Integrative Medicine – 410266-3613 – 1616 Forest Drive, Suite #3, Annapolis, MD 21403.
MEDICAL SPACE
Charles Feitel Company – 301571-9333 – www.MedicalandDentalSpace.com.
Perry L. Johnson – Local Medicare Specialist – 301-793-4571 pjohnson.perry@gmail.com.
MENTAL HEALTH SERVICES
Charles Co. Freedom Landing, Inc. – 301-932-2737 or 301-870-3969.
House Calls, LLC – 301346-6732 – CallingOnBeth@ gmail.com – www.CallingOnBeth.net.
Charles C. Reel, MD – Maryland Gait and Balance Disorder Center – Charlotte Hall, MD – 301-290-0395.
PAIN MANAGEMENT
Georgetown Pain Management – Netsere Tesfayohannes, MD, ABA, ABAP – 301-718-1082 – 8120 Woodmont Ave., Ste 560, Bethesda, MD – 7300 Hanover Dr., Ste 204, Greenbelt, MD.
Newbridge Spine and Pain Center – 301-638-4400 –www.NewbridgeSpine.com.
PHYSICAL THERAPY/ REHABILITATION
Active Physical Therapy. Various Locations across Maryland and Washington, DC. Active-physicaltherapy.com.
Bowie Foot Care – Howard Horowitz, DPM – 301-4645900.
Largo Foot and Ankle Health Center – Ade Adetunji, DPM – 301 386 5453.
PRIMARY CARE
Loving Care – Janet Johnson, MD – Hyattsville, MD – 301-403-8808.
Metro Prosthetics – 301-4590999 – www.MetroProsthetics.com
Brooke Grove Retirement Village – 18100 Slade School Road, Sandy Spring, MD 20860 – 301-260-2320 – www.bgf.org.
Chevy Chase Home Care. Help at a time you need it most. Any Ages. Any situations. Any shifts. MD, DC, VA – www.CHCHHomeCare. com – 202-374-1240.
St. Mary’s Nursing & Rehabilitation Center – 301-475-8000 – Leonardtown, MD – www. StMarysNursingCenter.com.
UROLOGY
AA Urology – IR Center , 600 Ridgely Avenue, Suite #120, Annapolis, MD – Annapolis , 600 Ridgely Avenue, Suites #222-223, Annapolis, MD – East Campus Surgery Center, 600 Ridgely Avenue, Suite #130, Annapolis, MD – AA Urology – Odenton, 1106 Annapolis Road, Suite #250, Odenton, MD.
Glen Burnie , 305 Hospital Drive, Suite #303, Glen Burnie, MD – Bowie, 4201 Northview Drive, Suite #201, Bowie, MD – West Campus Surgery Center, 7855 Walker Drive, Suite #102, Greenbelt, MD –Greenbelt, 7855 Walker Drive, Suite #100, Greenbelt, MD. VETERANS
Charlotte Hall Veterans Home – 301-884-8171 – Waldorf, MD. WEIGHT LOSS
The Bariatric and Hernia Institute – Dr. Etwar McBean – 240-206-8506 – www.TBHInstitute.com.
Toni’s Happy Hour Yoga and Holistic Wellness Center –Toni Greene, Owner – 301449-8664.










1) Call 301-805-6805 with your name, contact info, and credit card payment for $24, or
2) Simply mail this form along with your check for $24: Your Health Magazine 4201 Northview Dr. Suite 102 Bowie, MD • 20716
roid medications and high doses of thyroid hormone. Long-term use of these medicines can cause bone loss.
Examine your lifestyle:
• Smoking is linked strongly to bone loss.
• Calcium helps build and maintain healthy bone mass, and your body needs vitamin D to be able to use the calcium in your diet.
• Alcohol intake can reduce the amounts of calcium and vitamin D in your body.
• People who are confined to bed or who must wear a cast for a long time lose bone mass from lack of use. The same is true for people who do not get enough exercise in their daily lives.
Osteoporosis Is Preventable
Whether your risk of osteoporosis is high or low, lifestyle changes to prevent the disease are good for everyone.
• Eat foods that are high in calcium. Milk and other dairy products, calcium-fortified fruit juice, dark green leafy vegetables, almonds, and salmon are all good sources of calcium.
• Talk to your doctor or pharmacist about taking a calcium supplement. The NIH recommend these levels of calcium intake:
• 1,000 milligrams per day for 25-49-year-old premenopausal women and for 50-64-year-old postmenopausal women who take estrogen.
• 1,500 milligrams per day for 50-64 year-old postmenopausal women not taking estrogen and for all men and women over age 65.
• Make sure you get 30-60 minutes of weight-bearing exercise each week. Talk to your doctor before you begin any exercise program.
• Just 10-15 minutes of sunshine 2-3 times a week provides all the vitamin D needed.
Getting exercise and taking calcium and vitamin D are the first steps in osteoporosis prevention. For some people, a medication also may be necessary to help prevent fractures. Your doctor will prescribe the medication.
• Eat foods that help your body absorb the calcium in your diet. Fortified milk and fatty fish are good sources of vitamin D, which your body needs to be able to absorb calcium.
demic, which forced her business to close for 15 months. During this time, she also contracted the virus, requiring oxygen therapy. Remarkably, this treatment provided significant relief from her chronic pain. “The oxygen was so good. I mean, that was the first thing that, really like, I had no pain,” she recounted.
After her recovery, Richardson experienced a life-changing dream that inspired her to create a comprehensive health and wellness center in Calvert County. This vision became Elon Roshell Day Spa & Health, featuring an array of services designed to promote natural health and wellness, including an oxygen bar, hyperbaric chamber, and a signature salt cave.
The salt cave is a central feature of Richardson’s spa. Constructed with real salt bricks, the cave offers a serene environment where visitors can experience the benefits of inhaling medical-grade salt. These benefits range from improved skin health and respiratory relief to overall relaxation. “It’s good for your skin. If you have
bowels, or lingering post-viral symptoms. Because sources vary—from periodontal disease to autoimmune issues—screening may include hs-CRP and ESR, followed by targeted evaluation based on your story and exam.
Pulling these threads together is
powerful: stabilize sleep and meals, walk daily, hydrate, and record what changes your energy. If fatigue persists, bring your notes to a clinician and request focused labs from the areas above. The right tests turn guesswork into a plan—and help you get your energy back.
From page 25
eczema, it’s good for different skin conditions. Also your lungs. For me, I have asthma. And after having this, I haven’t had to really carry my inhaler,” Richardson explained.
Elon Roshell Day Spa & Health offers a variety of wellness services, including massage therapy, facials, waxing, oxygen therapy, red light therapy, infrared sauna, and ionic foot baths. This holistic approach addresses both physical and mental well-being, providing a comprehensive healing experience.
Elambert Richardson also hosts a weekly Wellness Wednesday event at the spa. For just $25, attendees can experience the salt cave and participate in free small group health and wellness events. These events, largely led by Jeanette Umstead, a health coach at the spa, focus on Bible-based teachings of the 8 laws of health. These teachings emphasize principles such as a plant-based diet and the importance of rest, believed to contribute to long lifespan and overall well-being when followed.
coats, moisturizes, and protects your skin.
Estrogen therapies may also improve wound healing and reduce the incidence of wound complications. In fact, “topical estrogen has been found to accelerate and improve wound healing in elderly men and women,” says the AJCD.
Currently, hormone replacement therapy is used primarily for treating hot flashes, vaginal dryness, sleep disturbances and osteoporosis. But
a positive effect on aging skin is a serious bonus! And, according to Gynecological Endocrinology, there is potential for targeted estrogen replacement as a therapeutic option for long-term skin management in postmenopausal women.
The bottom line: you can feel better, live better and even LOOK better with the help of bioidentical hormone replacement therapy. For more information about the many benefits of hormone replacement, talk to a bioidentical hormone specialist today.
















Your HEALTH Magazine publishes and distributes health information people need. We produce special sections to focus on particular health topics each month, and profiles of local health professionals. It Makes a Difference! Here’s what you can look forward to:
December HEALTHY HOLIDAYS plus NEW YEAR, NEW YOU! – Professionals to help you and your family have a happy, healthy Holiday Season, plus professionals to help you lose weight, get fit, and eat better in the New Year! Will include Profiles from your Local Healthy Holiday & New Year Health Professionals.
January MEET YOUR LOCAL HEALTH PROFESSIONALS – Biographical profiles of a wide variety of local health professionals (Primary Care, Specialists, Integrative, Fitness, and more), highlighting their credentials, expertise, education, practice philosophy, areas of interest, and more!
February CARDIO HEALTH and DIABETES plus MENTAL HEALTH – Professionals to help you keep your Heart Healthy, Diet in check, Diabetes under control, Quit Smoking, and Sleep Sound. Will include Information and Profiles from your Local Heart, Stroke, Diabetes, and Fitness Professionals.
March COMPLEMENTARY and INTEGRATIVE HEALTHCARE – Chiropractic, Hypnotherapy, Holistic Healthcare, Nutritional Therapy, Acupuncture, Yoga, Physical Therapy, and much more! Will include Profiles from your Local Integrative Health Professionals.
April BEAUTY, SKIN CARE, & GORGEOUS SMILES – Dermatology, Aesthetics, Body Contouring, Plastic and Cosmetic Surgery, the Latest Lasers, Anti-Aging, Weight Loss, Cosmetic Dentistry, Eye Wear, and more! Will include Profiles and Information from your Local Beauty and Dental Health Professionals.

If you are a Health Professional interested in including your
and online, contact us today:


– Dental Implants To Restore Your
– Caring & Kind Dentist & Team
– State-of-the-Art Equipment
– Laser Periodontic Therapy
– Affordable Gum Treatment
– Insurance Accepted & Filed
– Ultra-Sterile Environment
– No Referral Needed
– Comfortable Sedation Dentistry




Our patients mean the world to us, and many have trusted Dr. Smith for decades. Our team is always fully committed to making every visit comfortable, gentle, and pain-free. Our goal is to provide exceptional periodontal and implant care that has been the hallmark of Dr. Smith’s practice for many years.
You deserve the very best! Call today to secure your first visit on your journey to total health, wellness, and aging beautifully.

