ViewLatest Editions GREAT Information From Local Doctors To Help You Live Healthier! 34 Years 1990 • 2024 Makinga Diference Virginia • Maryland•Washing to n D C Celebrating Health Directory Page 48 READ ABOUT BEAUTY & SKIN CARE DRY EYE RELIEF INFLAMMATION GOUT ATTACK RETINA SCREENING TMJ DISORDER DENTAL IMPLANTS ROBOTIC SURGERY SENIOR LIVING 50 CENTS LOCAL HEALTH PROFESSIONALS In Our Next Edition, Meet Your LOCAL DOCTORS & ARTICLES at YOURHEALTHMAGAZINE.NET Biographical Profiles of Local Doctors & Practitioners iTero Element™ 2 Intraoral Scanner Ike V. Lans, DDS iCare EIDON – Widefield TrueColor Confocal Fundus Imaging System NewView Laser Eye, Inc. Cadent iTero™ Digital Impression System Fairlington Dental ALF (Advanced Light Force) Therapy Sleep & TMJ Therapy HEALTH TECHNOLOGY Pages 28-29 Northern Virginia | June 2024 PAIN Management & Rehabilitation Special Focus... PAGES 30-34 Featured Professionals
Hamzah Alghazali, DDS Dentistry
Michael Rogers, DDS Complete Health Dentistry
Garima K. Talwar, DDS, MS Prosthodontist
Rishita Juju, DMD Pediatric Dentistry
Sylvie Lam, DDS, FAGD General Dentistry Jeffrey L. Brown, DDS TMJ & Sleep Apnea
Paul A. Samakow, PC Burn Attorney
Tareq Salameh, DDS Family Dental
Ron Murray, PhD Integrative Healthcare
703-288-3130 2 | Your HEALTH Magazine
By Deeni Bassam, MD, DABPM The Spine Care Center
The International Association for the Study of Pain defines pain as “an unpleasant sensory and emotional experience associated with actual or potential tissue damage, or described in terms of such damage”.
Webster’s dictionary defines pain as “localized physical suffering associated with bodily disorder (as a disease or an injury); also a basic bodily sensation induced by a noxious stimulus, received by naked nerve endings, characterized by physical discomfort (as pricking, throbbing, or aching), and typically leading to evasive action.”
As one can see, coming up with a sensible definition of pain may be difficult but for the individual patient suffering from chronic pain the definition becomes quite easy.
Pain is the single most common reason for a visit to the doctor. The American Pain Foundation estimates that there are 50 million people suffering from chronic pain each year. The rates of chronic pain in the elderly approach 50%.
Coming up with a sensible definition of pain may be difficult but for the individual patient suffering from chronic pain the definition becomes quite easy.
When considering both the direct costs of chronic pain (doctor visits, medications, treatments, hospitalizations, etc.) along with the indirect costs, such as lost productivity, the total cost of chronic pain to society has been estimated to be around $100 billion per year. When one further considers that each chronic pain patient is likely close with and sometimes dependant on at least two other people then the total number of people affected by chronic pain reaches 150
Pervasiveness Of Pain
million; a figure that is approximately half of the total U.S. population.
Acute pain is often an important warning sign that something is wrong. It is almost always a signal of some underlying pathology that may need medical attention. On the other hand, chronic pain (that lasting greater than six months) does not always have an underlying or easily discernible pathology. It can persist long after the offending insult has been removed or cured.
Often, the dysfunction in chronic pain lies in the nervous system itself and cannot be detected on conventional imaging such as MRI. This can lead to a great deal of frustration on the part of the patient, as well as loved ones and healthcare providers.
Most often, successful treatment of chronic pain will employ multiple modalities including pharmacological, physiological, psychological, and interventional in order to address the multiple causes and
effects of daily persistent pain. A balanced approach without overreliance on any one tool leads to the best outcomes.
The time to talk with your physician about your pain is when that pain consistently interferes with your ability to perform simple daily tasks such as bathing or cooking.
Treatments exist which can lessen your suffering, allowing you to get back to the tasks at hand in daily life.
www.yourhealthmagazine.net Virginia Edition I 3
Health and Energy Inside and Out Five Keys To Finding the Right Doctor
By Hema Sundaram, MA, MD, FAAD Sundaram Dermatology
This year, as we look forward to summer activities, looking energetic and youthful can be a priority. Many men and women are choosing scar-free, non-surgical methods to keep their personal and professional edge.
Today’s non-invasive technology can rejuvenate you dramatically, yet subtly. You can look completely natural, without scarring and be able to return to normal activities, while others will be unaware that you’ve had anything done unless you choose to tell them.
Here are five keys to help you choose the right doctor for your summer events and beyond:
Credentials
The American Board of Medical Specialties certifies doctors in specialties based on their training, and recognizes only dermatologists, plastic surgeons, facial plastic surgeons, and oculoplastic surgeons as the Core Four aesthetic specialists with appropriate
qualifications and expertise to be performing cosmetic procedures. Always ask your doctor if they are board certified - and, if so, in what specialty, so that you can be sure of who you are trusting your face or body to.
Select an Expert
When practically everyone who performs cosmetic procedures states that they’re an expert, how can we find out who really is? Expert dermatologists and plastic surgeons have extensive experience and qualifications. Ask if your doctor is invited to teach as a professor by universities, and at dermatology and plastic surgery academy conferences. You can also ask whether they serve as a principal investigator for FDA clinical trials and other research that brings the newest cosmetic surgery technologies to our country. You can put their name and PUBMED into a Google Search to find out whether they are publishing scientific papers in high-level dermatology and plastic surgery journals. Expert clinics are typically well-equipped with the latest equipment and offer many advanced techniques, not just one or two options.
Look For Choices
True cosmetic surgery specialists offer many different treatment options, so that your action plan can be customized to ad -
dress your own unique skin type, facial structure, and pattern of aging. Depending on your needs, your cosmetic surgeon should be able to offer you a wide range of possible plans and solutions, and give you clear reasons for your recommended action plan.
Look For the Latest Technology and Techniques
New technologies should be used by a cosmetic surgeon who understands skin of all types, ages, different genders, ethnicities and cultures. This is the key to safely and effectively helping women and men at any age and from all backgrounds.
What About Social Media?
Social media can be useful to find a dermatologist or plastic surgeon whose work you like. However, it’s not a substitute for proper qualifications and training. Look carefully at what
content is being posted – is it just before and after results, or is there also good educational information and indications that your doctor is a scientist, teacher and leader in the field? Are the results standardized, or does the “after” photo have make-up, hair styling or filters that the “before” photo doesn’t have? If the photos are cropped too much, you cannot see the facial expressions to tell if the results are real. For instance, if someone smiles in the “after” photo but not in the “before”, the crow’s feet around their eyes can seem to magically disappear! If you follow these five key steps, you can select the right doctor to balance how you look with how you feel and project youth, energy, and vitality at any age – not only for the summer, but for a whole lifetime.
703-288-3130 4 | Your HEALTH Magazine
At the offices of DR. HEMA SUNDARAM, MA, MD, FAAD Board Certified Dermatologist Honorary Senior Lecturer in Musculoskeletal and Dermatological Sciences, School of Biological Sciences, University of Manchester, United Kingdom NOW ENROLLING FOR STUDIES OF ACNE, LIP FILLERS & SKIN LIFTING Follow us on Instagram: @twicebornbeauty & @drhemasundaram Email our clinic at dermdc@gmail.com or call Fairfax, VA 703-641-9666 / Rockville, MD 301-984-3376 DO YOU SUFFER FROM THINNING LIPS?
Optical Insight Retina Screening: Do You Need To Have One Done?
By Jacqueline D. Griffiths, MD New View Eye Center
Many of us have heard the saying “your eyes are the window to your health”. This is true because many health conditions are first detected in the Retina (the retina captures the light that enters your eye and helps translate it into the images you see).
It is well known that diabetes and high blood pressure can damage blood vessels, which then causes damage to your retina. Inflammatory conditions can also cause damage. Eye injuries can damage your retina and the macula. Why Is Retinal Screening Important and Is It Worth It?
Signs of high blood pressure or hypertension, diabetes, brain tumors, and some forms of cancer are first evident in the retina. This is well before other signs appear throughout the body. Detecting such health issues early is vital in treating them. Finding retinal disorders as early as possible is critical to potentially preventing serious disease progression and even vision loss. In addition
to helping detect diseases early, retinal images provide a permanent and historical record of changes in your eye. With today’s electronic medical records applications, these images can be compared side-by-side, year after year, to discover even subtle changes and help monitor your health.
Is Retinal Screening Better Than Dilation?
While dilation still constitutes a complete eye exam, retinal imaging for screening or to follow diseases, provides a complete picture of not only your eye health but also your health in general.
How Often Should You Have a Dilated Retinal Exam?
Retina exams are part of any comprehensive eye exam no matter what your age. But unless you need glasses or have other eye conditions, you may not be seeing an eye doctor regularly. If you don’t, you should start getting eye exams at least every 2-4 years. While screening retinal imaging is not covered by insurance, it will be covered if following a known retinal disease.
Jacqueline D. Griffiths M.D. earned her undergraduate degree at Yale and her medical degree from the University of Michigan. Her Ophthalmology residency was completed at Georgetown University Medical Center.
Dr. Griffiths has been in private practice since 1994. She started her own practice and laser center, NewView Laser EyeTM in 1999 where she serves as the Medical Director. NewView’s Mission is to provide Excellence in Ophthalmologic services by giving personalized attention to every patient.
Dr. Griffiths is Board Certified and began performing laser vision correction practically from its inception in this country. She has performed thousands of cases and participated with the CRS-USA LASIK trials to get the LASIK procedure approved by the FDA.
In addition to offering CustomVue LASIK and EpiLase, NewView offers CKSM, no-stitch laser cataract surgery, annual eye exams, contact lenses, glaucoma and diabetic screening exams, and cosmetic services including Botox, Restylane, Radiesse, Juvederm, and eyelid surgery. NewView Optical offers affordable high quality frames and lenses for the entire family (ages 5 and older).
Dr. Griffiths is the former Ophthalmology Section Chief of Reston Hospital Department of Surgery, the former Chief of Ophthalmology for the Reston Ambulatory Surgical Center in Reston, VA as well as Loudoun Hospital in Leesburg, VA, Diplomate of the American Board of Ophthalmology, a Fellow of the American Academy of Ophthalmology, a member of the American Society of Cataract and Refractive Surgery, the Washington National Eye Center and others.
www.yourhealthmagazine.net Virginia Edition I 5
Healthy Retina
Consumer’s Research Council of America Voted “Top Ophthalmologist” Washingtonian Magazine Health & Beauty Magazine
D. Griffiths, MD Selected as a “Super Doctor” Washington Post Magazine Voted “Top Ophthalmologist” Washingtonian Magazine & Northern Virginia Magazine Reston: 703-834-9777 Leesburg: 703-777-1244 www.drjdg.com www.NewViewEye.com
Diseased Retina
Jacqueline
See Better, Live Better Our mission is to provide Excellence in ophthalmology services by providing Personalized care to every patient! 12110 Sunset Hills Road, Suite #50, Reston, VA 20190 – 703-834-9777 20 Davis Avenue, SW, Leesburg, VA 20175 – 703-777-1244 www.NewViewEye.com • Custom LASIK, & PRK • Advanced Cataract Surgery • Multifocal Implants • Annual Eye Exams • Contact Lens Exams • Glaucoma Management • Laser Floater Removal • Optical • Eyelid Surgery • Belotero • Radiesse™ • Juvederm™ • Botox / Xeomin • Diabetes Management
In This Edition…
3 | Pervasiveness Of Pain | By Deeni Bassam, MD, DABPM
4 | Health and Energy Inside and Out | By Hema Sundaram, MA, MD, FAAD
5 | Retina Screening: Do You Need To Have One Done? | By Jacqueline D. Griffiths, MD
7 | Let’s Smile Dental’s 7&Up Club | Submitted By Let’s Smile Dental
8 | How Plastic Surgery Changes Each Summer | By Mark Domanski, MD 11 | New Solutions For Dentures and Dental Implants | By Karl A. Smith, DDS, MS
12 | Dry Eye Relief Is In Sight With OptiLight | By Dawn D. Gammon, OD, FAAO
13 | What Is CEREC Dentistry? | By Zina Alathari, DMD
13 | Can Burn Wounds Bleed? | Submitted By Samakow Law
14 | Appliances Are In Now: How To Manage TMJ Disorder | By Jeffrey L. Brown, DDS 15 | Understanding and Managing Foot Pain In Seniors | By Robert A. Breiner, DPM 16 | Preventing Tooth Injuries During Your Child’s Active Summer | By April Toyer, DDS, FAAPD 18 | How Dental Technology Will Benefit You | By Michael Rogers, DDS 18 | Acupuncture and Women’s Health | By Dr. Reem Refae, DACM, LAc, Dipl Ac
19 | Snoring and Sleep Apnea: How Myofunctional Therapy Can Help | By Misty Sluyter, OMT 22 | The Transformative Power Of Laser Dentistry | By Lida Varga, DDS
25 | Advantages Of Dental Implants Over Dentures and Partials, Part I | By E. Richard Hughes, DDS
26 | The Revolution of Robotic Surgery | By Matthew Skancke, MD & Rami Makhoul, MD
27 | How Can Advanced Technology Improve Your Child’s Dental Visits? | By Rishita Juju, DMD
28-34 | Featured Pain Management & Rehab + Technology
38 | Alternative Solutions For Pain Control | By Rose Ferguson, C. Ht.
38 | Swollen Toe Or Ankle? It Could Be a Gout Attack | By Edward Pozarny, DPM
40 | Sciatica Treatment Options | By Madhavi Chada, MD
40 | Ensuring Healthy Smiles and Sound Sleep For Your Child | By Lynda Dean-Duru, DDS
42 | Commonly Treated Orthodontic Problems | By Swathi Reddy, DMD
44 | Managing Pain After Periodontal and Implant Surgeries | By Marc P. Stanard, DDS
The articles below are provided by local health professionals for the benefit of the public. Please contact them for advice and services. Articles and information about health professionals is available at www.YourHealthMagazine.net
Washington, DC
Your Health Magazine is on a mission. There are far too many people, insured or not, who do not go to the doctor when they should, and in millions of cases, don’t know who they should go to, or why.
People are encouraged to buy a new house, car, cell phone or big screen TV, and those companies make themselves very visible and their products easily attainable.
Information about, and from, local healthcare providers is not easy to find, and many times those services are difficult to access.
Information and encouragement always lowers fear and trepidation about anything, and this is especially true in healthcare. While general information is available on web-sites, specific information from local providers is almost impossible for people to find. This is one of the key reasons chronic and episodic conditions are not cared for. It is our mission to:
Make A Difference By Empowering and Encouraging People To Live Healthier By Going To the Doctor When They Should.
There is a lot of evidence that the health professionals who participate in Your Health Magazine have helped many people over the years. We at Your Health Magazine salute you!
G. Scott Hunter, Editor-in-Chief
If you would like to find out how you can participate in one of our upcoming editions, please contact the office nearest you.
MARYLAND & WASHINGTON, DC OFFICE One Town Center 4201 Northview Drive, Suite 102 Bowie, MD 20716 Office (301) 805-6805 • Fax (301) 805-6808 info@yourhealthmagazine.net
VIRGINIA OFFICE Office (301) 805-6805 info@yourhealthmagazine.net
© Your Health Magazine, 2024. The magazine and all of its contents are protected by copyright. For permission to reproduce any materials in this magazine, contact publish@yourhealthmagazine.net
EDITOR-IN-CHIEF
Gregory Scott Hunter
703-288-3130
SERVING MARYLAND & VIRGINIA Since 1990
SALES & MARKETING CONSULTANT Mili Parra MANAGING EDITOR Heather L. Mahoney PRODUCTION & DESIGN ADMIN ASSISTANT Alison Doner
New Edition: Now distributing in the District of Columbia! Doctors & Practitioners can now reach out to patients located in Washington, DC through empowering articles and information in Your Health Magazine – It Makes a Difference! Doctors & Practitioners: Reserve Space • Call Today 301-805-6805 Meet Your Local Health Professionals Biographical profiles to help people learn more about their local health professionals. In the next edition of Your Health Magazine... Your Health Magazine is here to Help People Find the Healthcare They Need! Information from local doctors lowers the barriers to getting better healthcare and living healthier... It Makes a Difference! TMJ & SLEEP DISORDERS Jeffrey L. Brown, DDS Sleep & TMJ Therapy Dr. Jeffrey Brown grew up in the state of Maine and went to Bowdoin College, where he gradu- ated Magna Cum Laude in 1982. He accepted early decision into the Georgetown School of Dentistry, and graduated from there in 1986. While at Georgetown, Dr. Brown worked in the Neurology Department as an assistant on a project that involved studying the regeneration of nerve tissue in the spinal column after major trauma. Upon graduation from Georgetown Dental School, Dr. Brown worked for a short time as an associate in a practice in Falls Church, VA. From there, he moved on and built his own practice in the Fairlington neighborhood in Arlington, VA, creating one of the largest practices ever seen on the East Coast. Dr. Brown took a short sabbatical to help raise his four young children and to continue his education. It was then that he began the process of understanding sleep apnea and how it correlates to TMJ treatment. His knowledge in the combined fields of TMJ, sleep and orthodon- tics has given him a perspective unlike most other practitioners who perform basic dentistry. In addition, Dr. Brown has also learned the advanced techniques involved in expanding an airway so that both children and adults can breathe better. His training continued over time at the famous Sleep Medicine Center near the Emory University Hospital. He is a certified Fellow of the American Academy of Craniofacial Pain, awarded the Level of Legacy with the ALF Interface Academy and holds memberships with many academies. In 2013, Dr. Brown met Dr. Brendan Stack and was immediately impressed with the success Dr. Stack had in treating TMJ cases and being able to repair so many damaged lives. For Dr. Brown, helping people by dealing with their debilitating TMJ issues became his second calling. And, as they say, the rest is history! 2841 Hartland Road Suite #301 Falls Church, VA 703-821-1103 SleepandTMJTherapy.com If you are a health professional who would like to be included in this special issue, contact us today: 301-805-6805 • info@yourhealthmagazine.net Full Editions Now Available Online www.YourHealthMagazine.net
Submitted By Let’s Smile Dental
Let’s Smile Dental is setting a new standard with its innovative 7&Up Club. This program offers families in the DMV a unique and rewarding way to navigate their child’s oral health journey, from dentistry to orthodontics, by empowering parents to stay connected and informed every step of the way. To add even more value to this club, Let’s Smile Dental has also partnered with local businesses to offer exclusive deals and benefits to club members, enhancing the overall experience for families in the community.
Let Smile Dental’s 7&Up Club program underscores the importance of early orthodontic check-ups, aligning with the American Association of Orthodontists’ recommendation for children to have their first evaluation by age 7. By this age, children typically have enough permanent teeth for orthodontists to assess any existing or developing issues. Early detection allows for timely intervention, potentially achieving better results than if treatment were delayed. Through this program, Let Smile Dental aims to ensure children receive optimal orthodontic care, promoting lifelong dental health and well-being.
Empowering Let’s Smile Parents
At the heart of the 7&Up Club is the empowerment of our Let’s Smile parents to actively participate in their child’s dental care through real-time tracking of their child’s dental health and smile development during their child’s regular dental visits at our office. This provides them with the peace of mind of knowing that their child’s dental needs are closely monitored ensuring early detection and prevention of potential issues before they escalate. Furthermore, while their child is undergoing treatment, Let’s Smile parents are offered the option to whiten their teeth at $200 (50% off our fees) while the child is in treatment.
Unlocking the Smiles of Let’s Smile Patients
In previous instances, we’ve observed that the majority of Let’s Smile children eagerly await reaching the age of 7 so they can join the 7&Up club. Let’s Smile team members keep track of the children’s age, and by the time they turn
Let’s Smile Dental’s 7&Up Club
7, the family of the member is introduced to this program. Upon joining, all members receive a 7&Up membership card officially recognizing their membership in this thrilling club. Every year on their birthday month, if they come to the office, they will receive one of our 7&Up Club gifts until they begin their orthodontic treatment.
When it’s time to start their orthodontic journey, patients will receive a SuperMouth ortho dental kit to ensure oral health throughout their treatment, and at the end of their treatment, they will receive 2 sets of retainers upon
providing their 7&Up Club membership cards.
Exclusive Deals with the 7&Up Club Membership Card
In addition to its cutting-edge dental care offerings, Let’s Smile Dental is also committed to enhancing the overall experience for its 7&Up Club members. That’s why the practice has teamed up with local businesses to offer exclusive deals and benefits to club members. Whether it’s discounts on after-school activities, special offers at nearby restaurants, or deals on family-friendly attractions, the 7&Up Club is about more
than just dental care - it’s about creating a community of support and collaboration. Each location has its own local perks. With its innovative approach to children’s dental care, Let’s Smile Dental’s 7&Up Club is revolutionizing the way families think about oral health. By empowering parents, unlocking smiles, and forging partnerships with local businesses, the practice is improving dental outcomes and enhancing the overall well-being of children in the community. So why wait? Join the 7&Up Club today and start your child’s journey to a lifetime of healthy smiles.
Discover a world of comprehensive dental care at Let’s Smile Dental, your trusted destination for superior oral health in Northern Virginia. With nine conveniently located offices, our skilled team of professionals is dedicated to providing a spectrum of specialized services, all under one roof.
At Let’s Smile Dental, our providers share a common mission: delivering the highest quality care to our valued patients. Through seamless collaboration and a patient-centric approach, our doctors ensure a positive experience and ultimate smile satisfaction. Choose Let’s Smile Dental – where your smile is our priority!
www.yourhealthmagazine.net Virginia Edition I 7
Schedule online LETSSMILE.COM or call Locations Below PICTURES! • Orthodontics • Invisalign® • Pediatric Dentistry • Oral Surgery • General Dentistry A healthy SMILE means better Fairfax, VA 703-719-5828 Fredericksburg, VA 540-785-4494 Herndon, VA 703-719-5828 Centreville, VA 703-719-5828 Purcellville, VA 540-338-9400 Springfield, VA 703-719-5828 Fairfax Cosmetic Dentistry 703-968-4300 Alexandria, VA 703-658-3000 Reston, VA 703-719-5828
By Mark Domanski, MD Bluemont Plastic Surgery
With summer approaching, the kids will be out of school and families take more vacations. Plastic surgery also undergoes a seasonal change. Plastic surgeons office see this trend take place every year beginning
How Plastic Surgery Changes Each Summer
around Memorial Day and ending in mid-September. Here are some plastic surgery procedures where they see an uptick during the summer.
Rhinoplasty
Many college age students have time off from classes. They know they will have time for swelling to dissipate, making July and August popular times for a dorsal hump reduction, or nasal tip elevation. Patients typically wear a nasal splint for one week after surgery, and then restrictions are minimal.
Otoplasty
Otoplasty is a common surgery used to pin back prominent ears. The aftercare of an otoplasty surgery involves wearing a headband to keep the ears back. As otoplasty is more frequent in younger patients, the summer allows time for recovery and healing. Otoplasty incisions are located behind the ears, allowing for easy concealment.
Botox/Dysport
During the sunny summer months, they see an increase in
the number of patients who come for neuromodulator treatment –to relax the muscles that cause wrinkles when squinting. In addition to wearing sunglasses and sunscreen, neuromodulator muscle relaxation is a key component to treating and preventing frown lines and crow’s feet. Botox/Dysport treatment takes only 15 minutes, and the effects will last all summer long. Botox/ Dysport is also used to treat excessive sweating under the armpits, hands, or feet. Patients have recounted how neuromodulator treatments have given them the confidence to wear cute cocktail dresses again, knowing that copious armpit sweat will no longer be a problem.
Blepharoplasty
They have seen an increase of patients saying their eyes make them look tired. An upper blepharoplasty can be performed in the office – they say it is like going to the dentist, but no one is in your mouth. Extra skin is removed from the upper eyelid under local anesthesia and sutures are removed in about a week. Some patients prefer being completely “asleep” under general anesthesia – where both the upper and lower eyelids can be addressed. Dark circles and hollows under the eyelids can be corrected and loose lower eyelids can be tightened. As blepharoplasty incisions heal very well, summer is an excellent time for eyelid surgery.
Breast Augmentation
Breast augmentation is a popular summertime plastic surgery – and the reasons are many. Some patients have underdeveloped breast size and wish to just look to have a shape proportional to their body. Others are looking for increased fullness after multiple pregnancies. They allow their breast augmentation patients to shower the next day and resume activities gradually. While they would recommend patients avoid baths and swimming for at least two weeks, many patients find summer an excellent time for breast augmentation.
Because operating room time is the limiting factor, they do note that some patients miss out and have to put off their procedures till next year or the winter holidays. For that reason, they are seeing many patients book their summer procedures far in advance.
703-288-3130 8 | Your HEALTH Magazine
www.yourhealthmagazine.net Virginia Edition I 9
703-288-3130 10 | Your HEALTH Magazine
New Solutions For Dentures and Dental Implants
By Karl A. Smith, DDS, MS How Long
Dentures are a good replacement option for patients who are missing all of their teeth, but only if they fit well.
Why Are My Dentures Loose?
Impact on the bone by continuous hitting and pressure of a denture against the jaw every time you eat can make the bone underneath the denture go away. This causes the denture to become loose and slip. It may create the need for using paste or other means to hold the denture in place. Slipping dentures can make eating certain foods very difficult for patients. This happens most often with lower dentures.
How Can Dentures Fit
Well For a Long Time?
Dental implants can be placed under the denture. Implants have offered the possibility of fully replacing teeth for over 30 years and are very safe and effective. When you make the denture stable by “snapping” it onto dental implants, you can provide a better level of comfort for the denture-wearer, and create new strength for eating the foods patients love.
Dentures are a good replacement option for patients who are missing all of their teeth, but only if they fit well.
Dental implants are very much like your natural teeth. They are quite easy to get used to, and they can reduce the amount of stress to the bone and jaw by helping provide an anchor for support. The implant acts as a natural root to help prevent additional bone deterioration and helps to deliver long lasting function.
Does Every Denture-Wearer Qualify?
This depends on the amount of bone loss that has already taken place. If the denture has been in place for many years and the ridge of bone under it is very thin, you may need to have a special scan done to decide if you are a candidate for the procedure. This scan will also look for any other defects that may be present to make sure you are healthy. Since implants are meant to last for a very long time, your health and wellness are important to the outcome.
Does a
Patient
Have To Go Without Teeth?
Never. The denture is fitted to the implants, the same day the implants are placed. Typically, you are back to normal or better eating by day two or three.
Do Dental Implants Hurt?
Most patients have little to no dis-
comfort. The surgery is done in one day, typically in just a few hours. There are sedation options available for this procedure for those patients who want to relax through the procedure.
Is Treatment Expensive?
The cost of treatment varies depending on the number of implants, if a new denture needs to be made, if the patient desires sedation, or if
there needs to be more bone added to have a good result. Costs are variable and should be weighed against factors such as the education of the doctor, the results from other patient experiences, and the quality of the product you are receiving.
Discover the difference dental implants can make for you. Schedule an appointment today!
– Dental Implants To Restore Your Beautiful Smile
– Caring & Kind Dentist & Team
– State-of-the-Art Equipment
– Laser Periodontic Therapy
– Affordable Gum Treatment
– Insurance Accepted & Filed
– Ultra-Sterile Environment
– No Referral Needed
– Comfortable Sedation Dentistry
Initial
Our patients mean the world to us (and they love to refer to us as friends and family). My team works together to ensure your visit is enjoyable, and that your treatment is gentle and pain-free. We are deeply committed to help you prevent and treat periodontal (gum) disease, and to enhance your smile to improve your overall health.
www.yourhealthmagazine.net Virginia Edition I 11 Meet Your Smile’s New Best Friend! Dr. Karl A. Smith, Periodontist A Dentist with Super Powers www.Dr.KarlSmith.com
$209 New Patient Special Includes
Exam, Full Mouth Digital Film, Consultation with Dr. Smith (Reg. $428) New Patient appointments available daily!
2500 N. Van Dorn Street, Suite #128, Alexandria, VA 703-894-4867 601 Post Office Road, Suite #1-B, Waldorf, MD 301-638-4867
By Dawn D. Gammon, OD, FAAO
The
Eyewear Gallery at Reston Town Center
Dry eye disease is a common condition that affects between 16
Dry Eye Relief Is In Sight With OptiLight
and 49 million Americans. It occurs when the eyes do not produce enough tears, or when the tears evaporate too quickly because the meibomian glands in the eyelids are not functioning optimally.
Dry eye syndrome can be caused by a variety of factors, including aging, certain medications, skin conditions like rosacea and environmental
factors. This chronic condition can have a significant impact on your quality of life causing eye irritation, pain, blurry vision, and dry or watery eyes. Untreated, it can even lead to further eye health complications.
Despite these constant detrimental effects on quality of life, many dry eye sufferers are not aware of their diagnosis or that truly effective treat-
ments exist. Though many patients use artificial tears to provide temporary relief, unfortunately the underlying disease process can continue to progress.
MOVING SALE!
Now, relief is in sight! OptiLight by Lumenis is a light-based, non-invasive treatment done in the area below the eyes to manage dry eye. The OptiLight is the first and only Intense Pulsed Light (IPL) instrument that is FDA-approved for dry eye management. The treatment is safe, gentle, and is backed by more than 20 clinical studies.
Dry eye syndrome can be caused by a variety of factors, including aging, certain medications, skin conditions like rosacea and environmental factors.
OptiLight uses precise pulses of light to reduce the inflammation that is typically associated with dry eye disease, improve tear quality, increase meibomian gland functionality and reduce the amount of demodex mites and bacteria living around your eyes. The OptiLight procedure is quick and convenient and there is no downtime required following treatment.
You don’t have to suffer with dry eye discomfort anymore. Dry Eye is a complex, multifactorial disease which can require extensive time for proper diagnosis and formulating customized treatment plans. Visit your eye doctor to get an accurate diagnosis and a treatment plan tailored to your needs.
703-288-3130 12 | Your HEALTH Magazine
11900 Market Street, Reston, VA 20190
What Is CEREC Dentistry?
By Zina Alathari, DMD Tysons Dental Corner
CEREC stands for “chairside economical restoration of esthetic ceramics” and is a computer-aided design and manufacturing system for dentists. CEREC combines a camera, computer, and milling instrument into one machine allowing tooth restorations to be created in the dentist office, all within a single visit.
In 1985 Serona launched CEREC, which marked the beginning of digitalization in dentistry.
CEREC crowns are more efficient and technologically advanced and have become the preferred option. While it can take weeks to receive a traditional dental crown, a CEREC crown uses computer-aided design (CAD) and computer-aided manufac-
Please see “CEREC,” page 46
ZINA ALATHARI, DMD
Dr. Zina Alathari is a graduate of Tufts University School of Dental medicine. In addition to her general dentistry training, Dr. Alathari takes continuing education each year in advanced clinical procedures and technologies. Her wide range of service to the public has given her experience to understad each patients individual needs.
www.yourhealthmagazine.net Virginia Edition I 13
BEFORE AFTER
SHARE YOUR SMILE SHARE YOUR SMILE Dr. Zina Alathari can help you achieve a smile that you can be proud of! Contact Us Today and Schedule an Appointment 703-237-5600 smiles@TysonsDentalCorner.com 7121 Leesburg Pike, Suite #104, Falls Church, VA www.TysonsDentalCorner.com SameDay Crowns and Veneersby CEREC
Appliances Are In Now: How To Manage TMJ Disorder
By Jeffrey L. Brown, DDS Sleep & TMJ Therapy
In this article we will discuss various aspects of how you can manage your TMJ disorder. First and foremost is an understanding of the situation –this means proper diagnosis which will likely include a CBCT X-Ray and an MRI of the jaw joints to check
the status of the articular discs. This is critical when it comes to determining a course of treatment. If you end up wearing various appliances for your treatment, it also helps to manage the discomfort that has been with you all this time until the appliances can begin to do their work.
One of the forefront therapies that
help heal damaged joints and muscles is called laser with a TMJ massage. This treatment involves a therapeutic laser that patients often call ‘delicious’ and comforting while the muscles of the head and neck receive a massage treatment. Soon enough, our office will also offerthe Er:YAG and the Nd:YAG lasers that will offer an even deeper level of treatment that helps to release
We Are NOT Your Typical Dental Office
L. Brown, DDS
the fascial tissue even further. The fascial tissue is like a layer of plastic wrap that goes all over the body and is oftentimes tight and irritating to the person. As the fascia releases, the displaced TMJ disc has a better chance of going back into proper position.
Using a body worker – either a physical therapist or an osteopath – are other avenues to help manage TMD pain. Both options are quite effective in many cases. What both do is a ‘hands on’ the body approach to help re-align the cranium and spinal column right on down to the sacrum. This re-alignment of the majority of the body allows the jaw joints discs a better chance to get back into place. Many patients try both the D.O. (osteopath) and the P.T. (physical therapist) to see which one is more effective for them and then enter a regular schedule of treatments that of weekly visits at first and then longer in between visits as improvement is achieved.
Dr. Jeffrey Brown has limited his practice to focus only on TMJ Disorders, Craniofacial Pain Management and Sleep Apnea. By fixing slipped discs in the jaw joints, Dr. Brown can significantly reduce the pain patients experience in the head/neck region and other symptoms associated with jaw joint problems. Sleep & TMJ Therapy may be able to improve the quality of life for you or a loved one – we encourage you to contact us with any questions or concerns.
“Dr. Brown and his staff are absolutely wonderful. I was diagnosed with Dystonia. I could not turn my head and had a ton of pain. My doctors offered no help and no advice besides Meds and Botox. Since having the appliance I have NO pain and I can turn my head. I would highly recommend them to anyone. I feel Dr. Brown and his staff really care about their patients and helping them to get better. They do not just numb the symptoms but fix the problem. Thank you from the bottom of my heart. I feel like the old me again!”
- D. Thomas
“My daughter has been treated by Dr. Stack and Dr. Brown for the last 2 1/2 years, and we are very fortunate to have found them. Prior to that she was being treated by a neurologist at a Children’s hospital. She was on medications for tics and associated muscle pain, OCD/repetitive thoughts, sleeplessness and more (all possibly associated with Tourettes). Drs. Stack and Brown installed spacers to alleviate pressure on nerve bundles in the jaw, and subsequently braces to complete the process. Her symptoms have diminished significantly. She is off medication, her tics have all but disappeared, she can concentrate better in school, and she is once again cheerful and relaxed.”
- Susan
One of the most obvious adjuncts to TMD treatment is of course diet and exercise. Let’s start with exercise. For most people, it is a good idea to at least walk every day. Start off with a half mile or so in the beginning and then work up to several miles per day. Walking is one of the best medicines that really helps to heal the body. You get your blood flowing and the muscles moving, which is what our bodies were designed to do. There really should not be any heavy lifting or over exertion during treatment. This will cause a strain on the area we are trying to fix. Diet is another issue. A person with TMD should eat softer foods to avoid pressure on the jaw joints. Obviously, the hard and crunchy foods should be avoided. Once the TM joints are doing well, normal eating should be possible.
703-288-3130 14 | Your HEALTH Magazine
• Certified Fellow of the American Academy of Craniofacial Pain • Over 30 Years Experience • Graduate of Georgetown School of Dentistry (1986) Schedule Your Appointment Today: 703-821-1103 2841 Hartland Road, Suite #301, Falls Church, VA 22043 • www.sleepandtmjtherapy.com • Jaw
•
and
• Migraines • Craniofacial Pain • Sleep Apnea • Orthodontics We Can Help With:
Jeffrey L. Brown, DDS
Pain, Clicking or Popping
Head, Neck
Shoulder Pain
Jeffrey
Submitted By
Robert A. Breiner, DPM Metro Foot Center
Foot pain in seniors is a common issue that can greatly impact their quality of life. As we age, our feet undergo changes that can lead to discomfort and pain. In this article, we will explore the causes of foot pain in seniors, common conditions that contribute to it, and effective treatment options to alleviate their discomfort.
One of the main causes of foot pain in seniors is the natural aging process. As we get older, the fat pads on the bottom of our feet thin out, leading to less cushioning and protection for the bones and joints. This can result in increased pressure on the feet, causing pain and discomfort. Additionally, seniors may experience changes in their gait and posture, which can also contribute to foot pain.
Another common cause of foot pain in seniors is arthritis. Osteoarthritis, rheumatoid arthritis, and gout are all conditions that can affect the joints in the feet, leading to inflammation, stiffness, and pain. Seniors with arthritis may experience pain in the toes, ankles, and heels, making it difficult to walk and perform daily activities.
Other conditions that can contribute to foot pain in seniors include plantar fasciitis, bunions, hammertoes, and neuropathy. Plantar fasciitis is a common condition that causes pain in the heel and bottom of the foot, especially in the morning or after long periods of standing. Bunions and hammertoes are deformities of the toes that can cause pain and discomfort when wearing shoes. Neuropathy is a condition that affects the nerves in the feet, leading to tingling, numbness, and pain.
Treatment options for foot pain in seniors vary depending on the underlying cause. Conservative treatments may include wearing supportive shoes, using orthotic inserts, and performing stretching exercises to improve flexibility and
Understanding and Managing Foot Pain In Seniors
strength in the feet. Physical therapy and massage therapy can also help alleviate pain and improve mobility.
In more severe cases, seniors may require medical interventions such as corticosteroid injections, surgery, or prescription medications to manage their foot pain. It is
important for seniors to work closely with their healthcare providers to develop a personalized treatment plan that addresses their specific needs and concerns.
Foot pain in seniors is a common issue that can greatly impact their quality of life. By understanding the causes of foot pain, recog-
nizing common conditions that contribute to it, and exploring effective treatment options, seniors can find relief and improve their overall well-being. Remember to consult with a healthcare provider for personalized advice and recommendations tailored to your individual needs.
From the moment you step into our practice, you will be greeted by a friendly and welcoming staff who make sure your appointments are on time and well organized for your convenience. We truly care about your wellbeing, which is why we make sure to listen to you and take a full patient’s history before approaching any course of treatment or diagnostic. Our feet are what keeps us going steady through life, and any issue with them can bring about a lot of pain and discomfort. We ensure your recovery and recuperation is done smoothly!
www.yourhealthmagazine.net Virginia Edition I 15
Robert A. Breiner, DPM 703-941-7770 5105 Backlick Road, Suite S, Annandale, VA 22003 www.RobertABreinerDPM.com We
handicap group homes
specialize
geriatric
patients,
make
to pay
visit
diabetic
travel to nursing homes and
and
in
foot care. We offer personalized and caring attention to all our
so
sure
us a
if you need any help with foot problems, discomfort,
foot problems or pain.
We Treat a Wide Variety Of Pre-existing Conditions CONDITIONS TREATED • Ankle Injury • Ankle Sprain and Achilles Tendon Sprain or Rupture • Bunion • Bunionette • Diabetic (Charcot) Foot • Flat Foot • Foot and Ankle Disorders • Foot and Ankle Injuries • Foot Conditions • Foot Deformities • Foot Fracture • Foot Injuries • Foot Sprain • Hammer Toe • Heel Pain • Heel Spur • Ingrown Toenail • Plantar Fasciitis • Stress Fracture of Foot • Ulcer of Foot • Warts
Preventing Tooth Injuries During Your Child’s Active Summer
By April Toyer, DDS, FAAPD Lifetime Dental Care
If you have an extremely active child you may have seen one or two falls in their day. Although it is true that active kids and teens are more prone to dental and other injuries, there are several precautions that can be taken to prevent or manage these occurrences.
How To Prevent Dental Injuries?
Infants should not run with a bottle, sippy cup or other objects in their mouth. Children should be discouraged from climbing or jumping from high surfaces such as a tabletop or bed in the home and definitely not left unattended.
Getting your baby or toddler to eat can sometimes be a challenge. If food
is forced into the mouth with a bottle or spoon it is possible to cause damage to the soft developing oral tissues in the mouth. Foods with pointy surfaces such as chips can also cause injury to these tissues if not chewed carefully.
For older children, mouth guards should be worn while participating in sports. These can be picked up at your local drug store or your dentist
can make a custom fit mouth guard. Kids should wear a helmet during active sports such as football, or highspeed activities such as skateboarding or bike riding.
Children and adults should be careful wearing socks without grips on hardwood floor as these surfaces can often be slippery and lack of traction can cause a possible injury.
What To Do If Your Child Has a Dental Injury?
Dizziness, vomiting, bleeding from the nose or ears, lapse of memory, disorientation, or signs of fatigue may be an indication that a concussion has occurred. Patients with significant head, neck or facial trauma should be immediately taken to the emergency room to be evaluated.
If your child has extensive bleeding to the lip, gums or cheek area use gauze or a paper towel to apply pressure until the bleeding stops. A cold compress or ice cubes can be placed on the affected area to reduce swelling and relieve pain in some cases.
If a tooth is fractured, check to see if blood is coming from the inside of the tooth. This may indicate nerve exposure and you will need to see your dentist as soon as possible. If a permanent tooth is completely knocked out it should be re-implanted within one hour.
If possible rinse off the tooth with clean water or milk and place it back into the socket. Make sure you only touch the crown (visible part) of the tooth and not the root. If you are unable to re-implant due to pain or blockage store the tooth in milk or cheeks and bring it to the dental office as soon as possible. Your local dentist should evaluate dental injury without significant head or neck trauma. Make sure your child has a dental home that facilitates easy evaluations during a potentially difficult and traumatic time for you and your child.
703-288-3130 16 | Your HEALTH Magazine
April Toyer, DDS, FAAPD
www.yourhealthmagazine.net Virginia Edition I 17 Enjoy a unique & relaxing dental experience Excellent Dental Care For The Entire Family New Patient Cleaning Special Includes: Routine Cleaning, Examination & 4 Bitewing X-rays. If necessary, full set of X-rays only $70 additional NOW $125 Reg. $425 Save $300 Coupon must be presented for Special Offers Located in Ashburn Village 44110 Ashburn Village Shopping Plaza, Suite #166, Ashburn, VA 20147 703-997-1482 www.LansFamilyDentistry.com • Cosmetic Dentistry Including Veneers • Restorative Dentistry • Hygiene & Preventative Care • Dentures & Implants • Crowns & Bridges • Teeth Whitening • Orthodontics For Adults & Children • Invisalign for Adults & Teens • Children’s Dentistry • Evening & Saturday Hours • Emergencies Welcome • Financing Available
How Dental Technology Will Benefit You
By Michael Rogers, DDS Fairlington Dental
Making An Easier, More Comfortable Dental Visit
Modern dentistry is always developing ways to make your visits faster, easier, more comfortable, and better for the world around us. The latest advances allow for earlier, lessinvasive treatment, which means faster healing times and greater precision for dental procedures. And the results can
be outstanding.
Goodbye Goopy Impressions
With the Cadent iTero™ digital impression system, your dentist takes a highly accurate digital impression for your Invisalign™ clear aligners, sleep appliances, and TMJ appliances, completely eliminating the uncomfortable tray and putty impression. What’s more, iTero technology all but guarantees a perfect fit for your aligners or appliance, so you spend less time at the dentist’s office and more time enjoying your new smile.
The STA System™ with The Wand™
The first computer-controlled local anesthetic system. Just one injection at a single tooth with The Wand is all that’s needed to numb an area. It lets the dentist precisely anesthetize a single tooth in only one to two minutes, rather than administering
Please see “Dental Technology,” page 46
Acupuncture and Women’s Health
By Dr. Reem Refae DACM, LAc, Dipl Ac Ladan Holistic Spa
Acupuncture is a noninvasive ancient Eastern Medicine practice that involves the strategic insertion of thin, sterile needles into specific points on the body. These points are located over various meridians, or pathways, that are much like a circulatory system of energy.
At once simple and very complex, the stimulation of these points produces a natural response from the brain to release neurotransmitters and facilitate the body’s innate healing
process. This technique has been used for over thousands of years to relieve pain, cure disease, and improve overall health.
The main theory behind this practice is the dualistic cosmic philosophy of Yin and Yang. Yin expresses our feminine energy: passive, dark, and represented by the Earth. Yang is an expression of our masculine energy: active, light and represented by the Heavens. The forces of Yin and Yang are interdependent on one another and oscillate within the human body as they do throughout the natural universe. When dis-ease arises, whether on the mental, physical, emotional or spiritual level, it is caused by a disharmony or imbalance of these two forces and the goal of acupuncture is to bring these energies back into balance and restore one’s health.
The driving force behind this natural order is known as Qi. In Eastern philosophy, Qi is translated as the vital life energy that makes, binds, and connects all things in
Please see “Women’s Health,” page 47
At Fairlington Dental, we understand the connection between a healthy smile and a healthy body. As a result, we look at the whole person to discover the reasons a patient may have gum disease or a bad bite. A number of studies link heart disease and other serious conditions to the presence of periodontal (gum) disease. This research makes it vital that we take a Complete Health approach to your dental care. Dr. Rogers will listen to you, conduct a careful assessment, and carefully explain your proposed customized wellness plan. He will then take the time to answer all of your questions. You become a partner in your oral health goals!
Our team has mastered the techniques of gentle dentistry and is skilled at helping patients with any level of apprehension relax and grow comfortable with visiting the dentist. Anxiety and tension have a variety of sources, so it’s important for us to listen to your concerns as well as your goals and history. Then we address your anxieties and proceed with gentle treatment only when you’re ready. We deliver all of this in an office that is environmentally aware, while you enjoy a variety of spa-like amenities during your visit. One of our greatest joys is helping patients smile again, especially those who may not have seen a dentist in a while. You’ll be amazed at how the quality of life can change! We strive to create a partnership with you that starts the moment you walk through our door.
703-288-3130 18 | Your HEALTH Magazine
FAIRLINGTONDENTAL.COM
Health Schedule Your Appointment Today: (703) 671-1001 4850 31st Street, South, Suite A, Arlington, VA 22206 General Dentistry – Cosmetic Dentistry Missing Teeth – Invisalign Safe Amalgam Replacement Sleep Apnea & Snoring OralDNA™ – Perio Protect™ Frenectomies – Gum Health State-of-the-Art Technology Dr. Michael Rogers Our Complete Health Approach
Optimum Health Begins With Oral
Snoring and Sleep Apnea
How Myofunctional Therapy Can Help
By Misty Sluyter Orofacial Myofunctional Therapist Primitive Breathing
Snoring and sleep apnea are common sleep disorders that can significantly impact an individual’s quality of life and overall health. While these conditions have various causes, one often-overlooked factor is the role of myofunctional disorders in their development and exacerbation.
Myofunctional disorders encompass a range of conditions affecting
the muscles and functions of the face and mouth. These disorders can disrupt normal breathing patterns during sleep, leading to snoring and potentially worsening sleep apnea. Understanding how myofunctional therapy addresses these issues is crucial for effective management and treatment.
One of the primary causes of myofunctional disorders is improper oral habits, such as low tongue posture and/or mouth breathing. These habits indicate weakened muscles of the mouth and throat, contributing to airway obstruction during sleep. Additionally, anatomical abnormalities and genetic factors may also play a role in the development of myofunctional disorders and subsequent sleeprelated breathing problems.
Individuals with myofunctional disorders may experience symptoms such as improper swallowing, mouth
Please see “Sleep Apnea,” page 47
It is essential that our clients get personalized referrals to our trusted network of providers that will best fit their needs. We work with several ENT’s, Orthodontists, and Dentists who are also passionate about myofunctional therapy and achieving optimal results.
We offer free assessments to discuss if you or your child is a candidate for OMT.
Get started breathing primitively again, today.
Myofunctional Disorders can start before birth and can impact your life more and more as you age. The earlier the intervention, the more effective the treatment.
Common symptoms can include:
and all were
I’ve also bought their handmade products.
J. Our therapeutic treatments, using organic and natural products, aim to help clients connect their body, mind and soul. Clients say that our sessions offer them not only beautiful, well-nourished skin, but a relaxing, pampering, energy-healing experience that leaves them restored at every level.
www.yourhealthmagazine.net Virginia Edition I 19 VISIT TO BOOK ONLINE: LADANSPA.COM YOU’RE ONE STEP CLOSER TO GETTING THE PAMPERING YOU DESERVE. 108 East Fairfax Street Falls Church, VA, 22046 info@ladanspa.com Text: 929-335-2261 Call: 703-763-0703 A REFRESHING CHANGE FROM CONVENTIONAL SPAS. WE SPECIALIZE IN NATURAL SKINCARE TREATMENTS AND SPA SERVICES.
can’t
upon Ladan last year, but I love it!
here,
friends
better.
massage,
Transforming your health through breathing A modern
I
even remember how I stumbled
Whenever I’m
I feel like I’m visiting with
and it makes the experience all the
I’ve had facials and a
excellent.
— Sherese
approach
2200 N. George Mason Drive, Suite #7642, Arlington, VA 22207 703-424-9901 www.PrimitiveBreathing.com
• Overbite or underbite • Limited Tongue Movement • Snoring • Tooth grinding • Difficulty falling asleep or staying asleep • Difficulties with clear speech • Strong gag response • Thumb or finger sucking • Prolonged pacifier or bottle use • Tongue thrust • Excessive drooling • Forward head posture • Open mouth posture • Malocclusion • Dental crowding • Gum recession • Missing teeth • Persistent gingivitis • Periodontitis • Tooth decay • Tooth mobility • High narrow palate • Small maxilla • Anxiety • Orthodontic relapse • Open bite • Facial asymmetry • Breathing through the mouth, day or night • Deviated septum • Cheek biting • Low tongue posture • Hypersensitive tissue • Ticklish palate • Long uvula • Tight facial muscles • Scalloped tongue • Dental attrition • Tooth erosion • Temporal Mandibular Joint Disorder (TMJ/ TMD) • Has had speech therapy for many years with little progress • Gagging • Coughing • Difficulty swallowing • Sleep Apnea • Quivering facial muscles • Snoring • Daytime fatigue • Headaches • Tension headaches • Migraines • Stress
703-288-3130 20 | Your HEALTH Magazine 3450 Old Washington Road Suite #103, Waldorf, MD 20602 CookandSiuMD.com Start Losing Weight In 3 Easy Steps! CALL FOR RISK-FREE APPOINTMENT! 301-472-4290 Nearly 100% Financing Available Complete Medical Intake so your Medical Doctor can develop the best treatment plan for you.
with Doctor a licensed Doctor with weight loss experience will review your information. Receive Medication Receive your GLP-1 medication in the mail every month. Free shipping directly to your door. WITH OUR SEMAGLUTIDE PROTOCOL 4 Month Supply – Self Injections Supplies – Initial Consultation Only $396.00 per Month ($99.00 per Week) No Hidden Fees – No Insurance Needed Suppress Appetite Improve Health Lose Weight
Meet
•
•
•
•
•
Total Dentistry
• Earlier Detection of Oral Infections & Tumors
• TMJ Analysis
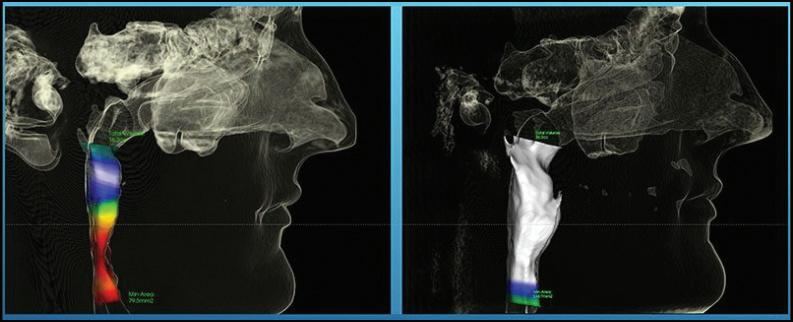
• Airway Volume Analysis (Sleep Apnea)
• Impacted Teeth
• Periodontal Disease
• Ischemic Bone Disease Screening (Cavitation Detection)
www.yourhealthmagazine.net Virginia Edition I 21
Dynamic
wellness provides the most advanced treatment options for Everyone. We call it our
commitment. We set the standard in general, family
dentistry. We
sedation, orthodontics
smile design,
assisted surgery, gum recession, full mouth rejuvenation,
done
Dr. Sheri Salartash, DDS, MAGD, NMD IBDM, FIAOMT, FICOI, FAAIP Diplomate of Board of Dental Sleep Medicine 20755 Williamsport Place Suite #300, Ashburn, VA 20147 703-775-0002 DynamicDentalWellness.com For Everyone LASER DENTISTRY TECHNOLOGY
Dental
Total Dentistry for Everyone
and cosmetic
also offer you and your family sleep and airway treatments,
and orthodontic alternatives, emergency dental care, advanced laser procedures, custom
baby and children’s oral health, holistic services, implants, laser
periodontal treatments and more. All your dental needs can
in-house!
NO PAIN
NO
DRILL
NO
INJECTION
NO
ANESTHESIA
NO
ROOT CANAL
SLEEP APNEA SOLUTIONS GREEN CT
• FASTER RECOVERY
• Implant Planning
Call Today For the Smile You Deserve! • NightLase - Nonsurgical Snoring Solution • Oral Appliance Therapy • TMJ Therapy • Airway Dentistry
The Transformative Power Of Laser Dentistry
By Lida Varga, DDS Virginia Dental Group
In recent years, advancements in dental technology have paved the way for innovative and less invasive treatments, and one such groundbreaking development is laser dentistry. Laser technology in dentistry is not just about cutting-edge tools but also about transforming the patient experience. This article explores the fascinating realm of laser dentistry, shedding light on painless dental pro-
cedures and therapeutic applications.
Painless Dentistry
With Laser Precision:
Gone are the days of anxietyridden dental visits. Laser dentistry introduces a revolutionary approach to painless procedures. The primary advantage lies in the precision of lasers, allowing dentists to target specific areas with minimal impact on surrounding tissues. Lasers are employed in various dental treatments, including cavity detection, gum reshaping, and even teeth whitening. Patients can now undergo dental work with reduced discomfort, quicker healing times, and less need for anesthesia.
Laser Therapy For TMJ, Bell’s Palsy, and Mucositis:
Beyond painless dentistry, lasers are making waves in therapeutic applications. Temporomandibular Joint
Please see “Laser Dentistry,” page 46
703-288-3130 22 | Your HEALTH Magazine Virginia Dental Group 3911 Blenheim Boulevard, Suite #42C, Fairfax VA 22030 703-259-8823 VirginiaDentalGroup.com Lida Vargas, DDS
At the offices of DR. HEMA SUNDARAM, MA, MD, FAAD Board Certified Dermatologist Honorary Senior Lecturer in Musculoskeletal and Dermatological Sciences, School of Biological Sciences, University of Manchester, United Kingdom
New Acne and Hidradenitis Suppurativa Studies with Board Certified Dermatologist Follow us on Instagram: @twicebornbeauty & @drhemasundaram If you are a woman 20 years of age or older and are living with mild to moderate facial acne, you may be eligible to participate in a new clinical study with approved treatments. Email our clinic at dermdc@gmail.com with subject line ACNE STUDY
call Fairfax, VA 703-641-9666
Rockville, MD 301-984-3376
Health & Living Promote Your Services To Seniors If you don’t reach out to people, how will they know to call you? • Audiology • Home Care • Assisted Living • Primary Care • Physical Therapy • Dental Care • Transportation • Mental Health info@yourhealthmagazine.net 301-805-6805
Face The Future
or
/
Senior
www.yourhealthmagazine.net Virginia Edition I 23 Are You Stressed? Experience the future of relaxation and get a dose of Vitamin D at the same time! First Blu Room on the East Coast! Users Report the Blu Room: • Relieves Pain & Anxiety • Encourages Deep Relaxation • Accelerates Healing • Increases Creativity Sessions consist of 20 minutes of deep relaxation inside a futuristic octagon bathed in blue UVB light. 50% OFF First Session www.warrentonwellness.com 83 West Lee Highway (next to Domino’s Pizza) 540-216-2524 Expires June 30, 2024
703-288-3130 24 | Your HEALTH Magazine Powerful Pain Relief Services Available: – Chiropractic – Physical Therapy – Sports Medicine Make Your Appointment Today! Purcellville: (703) 376-3797 Arlington: (703) 535-8887 www.NOVAPainandRehab.com Most insurance accepted Visit our website for accepted insurances (see below) Doctors when you need them, where you need them. Articles that are published in Your Health Magazine, are also available online – on all of your screens! Scan Me to view the latest editions online! To Submit an Article, Contact: 301-805-6805 info@yourhealthmagazine.net Follow @YourHealthDMV
Advantages Of Dental Implants Over Dentures and Partials
By E. Richard Hughes, DDS
Part I
During this age of the internet, space travel, medical miracles, GPS, and yes, smart phones, people still suffer with dentures and partial dentures. Other than the materials, the methods to make dentures have not changed since Wellington defeated Napoleon at Waterloo. Complete dentures are not your teeth.
Dental implants offer a superior solution to the above mentioned problems. The following will compare dental implants to dentures and partial dentures.
Dentures require a training period, implants do not. During the implant insertion appointment, you may receive a temporary bridge that will not come loose. When you get your permanent bridge, you will be able to eat, laugh, and talk just like normal.
Implants will not make your face look sunken in or change the shape of your face. In other words, you will not have the denture look. There is no such thing as an implant look. Many times, implants can improve the appearance over one’s own natural teeth. They can improve the shape, color, gaps and crookedness often looking much better than ever. Denture wearers and those with partially missing teeth usually have an improvement of their
facial appearance, much better than any plastic surgery.
Dental implants usually improve ones speech, because you do not have the movement or slippage that you get with dentures. So you don’t get the lisping, clicking or sucking sounds that you have with dentures.
Save this article, as it leads into part two in your next Your Health Magazine issue.
4. Do You Have Bone Loss Where Teeth Were Pulled? 5. Do You Have Pain of Discomfort When Chewing?
They are a prosthesis made for appearance and very limited function. Complete dentures, at best, have no less than 30% mobility for the upper and the lower is worse and lifts up from the lower jaw by as much as 10 millimeters during eating. Partial dentures function a bit better, but they too move.
This movement acts to abrade teeth, slowly extract teeth and cause an increased rate of dental decay, due to the clasps acting as plaque traps. Both complete dentures and partial dentures destroy supporting bone. As for function, they are like wearing a pair of flip-flops in a foot race. They are basically for show and not for go.
www.yourhealthmagazine.net Virginia Edition I 25
During this age of the internet, space travel, medical miracles, GPS, and yes, smart phones, people still suffer with dentures and partial dentures. If You Answered YES to Any of The Questions Above, then It’s Time to Let Dental Implants Work for You! For A Complimentary Consultation, Call 703-444-1152 1. Have You Lost One or More of Your Teeth?
Are You Embarrassed by Your Smile or Missing Teeth?
2.
3. Are You Tired of the Daily Hassles of Denture Wear?
Dental
Replace Missing
for Young and Old.
a Good Candidate for Dental Implants
Any Medical Problems and
You from Having
Implant Treatments. Not Sure Yet? Call Our Dental Info Hotline Toll Free 24 Hrs 703-444-1152 and Get a Free Special Report, “Consumers Guide or Dental Implants” or visit www.NOVAImplantFamilyDentistry.com 46440 Benedict Drive, Suite #201 Sterling, VA 20164 | email: dentalimplant201@gmail.com MEDICARE PROVIDER E. Richard Hughes, DDS - General Dentist Diplomate, American Board of Oral Implantology/Implant Dentistry Board Certified Implant Dentist 703-444-1152 www.NOVAImplantFamilyDentist.com Are You
Affordable
Implants Enjoy Meals with Family and Friends Again Thanks to Dental Implants! Lowest Price Ever! Implant and Crown$2,499 Complimentary Consultation ($65 Value) Certain restrictions may apply. Limited Time Only (Reg. $5,445)
Implants
Teeth
Nearly Everyone Is
AND There are Hardly
Prevent
Dental
A Candidate For Dentail Implants
Dental
By Matthew Skancke, MD & Rami Makhoul, MD Metro Colon and Rectal Surgery
Colorectal surgery has entered a new era of advancement, thanks to the remarkable innovation of robotic surgery. This cutting-edge technology has not only reduced the risk of complications but also revolutionized the recovery
The Revolution of Robotic Surgery In Colorectal Procedures
Smaller Incisions,
process for patients.
In this article, we will explore how robotic surgery is transforming the landscape of colorectal procedures, making them safer and more efficient.
The Robotic Revolution
Robotic surgery has made significant strides since its inception in the
Faster Recovery
late 1990s when the first procedure was performed in the United States. Today, it has become a staple in the field of surgery, with around 400,000 robotic-assisted procedures conducted annually. As multi-armed robotic systems gain popularity, the applications for this technology continue to expand.
Minimal Incisions,
Feel Confident Entrusting Your Health In Our Hands
Maximum Benefits
One of the key advantages of robotic colorectal surgery is the minimal invasiveness it offers. Patients typically require only three or four small incisions, each averaging just two centimeters in length. This not only reduces the risk of infection but also accelerates the healing process, leaving little to no scarring behind.
Reduced Risk Of Complications
Another remarkable benefit of robotic surgery is the significantly lower rate of blood transfusions during the procedure compared to traditional open surgery. Patients who undergo robotic colorectal surgery experience nearly zero percent transfusion rates, contributing to a safer surgical experience.
Swift Recovery
The speed of recovery after a colorectal procedure can be a critical factor in a patient’s overall well-being. While recovery timelines can vary depending on the specific procedure and individual health, robotic surgery consistently leads to shorter hospital stays compared to open surgery. Patients typically experience less pain and a quicker return to their normal diet and bowel function.
Personalized Care
It’s important to note that each patient’s experience with robotic colorectal surgery is unique. Factors such as the type of procedure and individual health can influence the recovery process. However, the overall trend points toward a smoother, faster, and less painful recuperation period.
Looking Ahead
As technology continues to advance, the field of robotic surgery is expected to evolve even further. These innovations will likely improve patient outcomes and expand the range of conditions that can be treated with robotic assistance.
Robotic surgery has ushered in a new era of colorectal procedures, offering patients minimally invasive options that reduce the risk of complications and expedite recovery. With smaller incisions, lower transfusion rates, and shorter hospital stays, robotic colorectal surgery is transforming healthcare, ensuring a brighter and healthier future for those in need of these life-changing procedures.
703-288-3130 26 | Your HEALTH Magazine
Shady Grove Office 15001 Shady Grove Road Suite #100, Rockville, MD 20850 240-702-0122 Bethesda Office 10215 Fernwood Road Suite #102, Bethesda, MD 20817 240-858-6764 MCRSDocs.com Our practice has been providing quality care to the Washington Metro community for over 25 years. Our physicians are board-certified in colon and rectal surgery and have specialty training in the diagnosis and treatment of colon and rectal diseases and disorders. Our mission is to provide you with exceptional service in a friendly and professional environment.
www.yourhealthmagazine.net Virginia Edition I 27
ICARE EIDON – ULTRA-WIDEFIELD DETAILS IN HIGH DEFINITION
It’s the perfect retinal imaging system that provides TrueColor and widefield views in multiple imaging modalities. iCare EIDON provides unsurpassed image quality and a unique, live, confocal view of the retina in a dilation-free operation.
The iCare EIDON’s Ultra-widefield feature helps to preserve the sharpness and details even in the periphery, facilitating improved and early diagnosis.
KEY FEATURES
• Widefield, ultra-high-resolution imaging
• Dilation-free operation
• Capability to image through cataract and media opacities
WHAT ARE THE BENEFITS OF RETINAL PHOTOGRAPHS?
A healthy retina is essential for maintaining clear vision and overall eye function. These photographs can be used to evaluate the health of the optic nerve, vitreous, macula, retina and surrounding blood vessels to diagnose conditions such as:
• Macular Degeneration
• Hypertensive Retinopathy
• Vitreous Detachments
• Glaucoma 12110 Sunset Hills Road, Suite #50, Reston, VA 20190 703-834-9777 20 Davis Avenue, SW, Leesburg, VA 20175 703-777-1244 www.NewViewEye.com
• Diabetic Eye Disease
• Macular Holes
Our pediatric dentists want your child to have a healthy and fulfilling life full of beautiful smiles!
To get your child started on a journey toward optimal oral health and whole body wellness, please contact our practice to schedule a discovery session!
Tongue-tie (ankyloglossia) is a condition present at birth that restricts the tongue’s range of motion.
With tongue-tie, an unusually short, thick or tight band of tissue (lingual frenulum) tethers the bottom of the tongue’s tip to the floor of the mouth, so it may interfere with breast-feeding. Someone who has tongue-tie might have difficulty sticking out his or her tongue. Tongue-tie can also affect the way a child eats, speaks and swallows.
Sometimes tongue-tie may not cause problems. Some cases may require a simple surgical procedure for correction.
BabyLase™ is the most advanced and gentle treatment available for infant tongue tie and lip tie. This method is easier on both mother and child when compared with more traditional surgical approaches.
Babies, and especially newborn infants, should always receive the gentlest, most effective treatment we can provide. For this reason, we have invested in the revolutionary BabyLase system, which offers a non-surgical alternative for releasing oral soft tissues that interfere with proper nursing. This laser-assisted approach is the most sophisticated treatment available for correcting infant tongue tie and lip tie. The mild
warmth of the light produced by BabyLase can help tighten restrictive tissue to soften and relax into a more functional position. Furthermore, treatment with BabyLase technology offers additional benefits including the reduction of discomfort and inflammation, as well as stimulation of natural blood flow and the nervous system—all of which aid in comprehensive whole-health healing and re-integration of the treated tissue.
Tongue-Ties and Frenectomies
WHEN TO SEE A DOCTOR:
• Your baby has signs of tongue-tie that cause problems, such as having trouble breast-feeding
•
lifting the tongue to the upper teeth or moving the tongue from side to side
• Trouble sticking out the tongue past the lower front teeth
• A tongue that appears notched or heart shaped when stuck out
CAUSES:
Typically, the lingual frenulum separates before birth, allowing the tongue free range of motion. With tongue-tie, the lingual frenulum remains attached to the bottom of the tongue. Why this happens is largely unknown, although some cases of tongue-tie have been associated with certain genetic factors.
• A speech-language pathologist thinks your child’s speech is affected by tongue-tie
• Your older child complains of tongue problems that interfere with eating, speaking or reaching the back teeth
• You’re bothered by your own symptoms of tongue-tie
RISK FACTORS:
Although tongue-tie can affect anyone, it’s more common in boys than girls. Tongue-tie sometimes runs in families.
703-288-3130 28 | Your HEALTH Magazine
Call Today To Schedule: 703-723-8440 44025 Pipeline Plaza, Suite #225, Ashburn, VA info@KidzSmile.com • www.KidzSmile.com
Technology
Call Today To Schedule: 301-329-8047 4825 Bethesda Avenue, Suite #220, Bethesda, MD 20814 smile@BCCPediatricDentistry.com • BCCPediatricDentistry.com SYMPTOMS: Signs
of tongue-tie include:
and symptoms
Difficulty
Technology
Goodbye Goopy Impressions
ALF ( Advanced Light Force) THERAPY
jaw surgery
Our ALF appliances are certified by Dr. Darick Nordstrom. He has personally instructed our ALF-certified technicians on the proper design and fabrication techniques to ensure that each technician is capable of creating authentic ALF appliances worthy of certification. The seal below is his stamp of approval.
Dr. Brown is highly trained in ALF (Advanced Light Force) therapy. He has over 500 hours in ALF therapy training and has lectured around the world teaching ALF techniques with Dr. Nordstrom, the creator of the ALF appliances. The ALF appliances are thin, conservative appliances that can be used on the upper and lower arches. They hide behind the teeth, are removable and are basically invisible when being worn. This innovative treatment approach is used to address neurological, orthodontic and orthopedic issues, and the benefits are vast. Each appliance is unique to the patient and designed by the doctor to achieve specific goals relating to health, beauty and function. No ALF appliance is the same, and treatment is pain-free.
Proven innovation for effective treatment.
Work smarter and faster.
25% faster scan processing and a faster start up time allow you to stay productive while meeting with patients and planning and monitoring treatments throughout the day.
Uninterrupted scanning.
Long-lasting, rechargeable battery for easy mobility from operatory to operatory without plugging in or rebooting. Ergonomics. Just one reason why this scanner won a 2018 GOOD DESIGN® award. From the software, to the hardware, to the ergonomic wand cradle, and everything in between.
Work more efficiently with your lab. Send restorative STL files directly to your lab or export them from the MyiTero platform, all without leaving the office.
www.yourhealthmagazine.net Virginia Edition I 29
With
a highly accurate digital
-
completely eliminating
technology
but guarantees a perfect fit
office
more time enjoying
Perfect Fit: iTero™ for Sleep & TMJ Appliances! Get the Perfect Fit for Your Smile – Try iTero™ Today! Available At Fairlington Dental: Schedule Now: 703-671-1001 4850 31st Street South, Suite A • Arlington, VA 22206 FairlingtonDental.com
the Cadent iTero™ digital impression system, Dr. Michael Rogers takes
im
pression for your sleep appliances, TMJ appliances, and Invisalign™ clear aligners,
the uncomfortable tray and putty impression. What’s more, iTero
all
for your aligners or appliance, so you spend less time at the dentist’s
and
your new smile.
A Unique and Sophisticated Approach To Orthodontics and Wellness
Therapy has proven to be an extremely valuable tool for those patients who have:
A need for facial guidance
Palate expansion
Narrow palates • Breathing issues • TMJ dysfunction • Craniofacial pain • Crowded/crooked teeth • An avoidance for extractions • Crossbite, overbite or underbite • Cranial asymmetry
Sleeping problems — snoring
Recommendations for
ALF
•
•
•
•
•
2841 Hartland Road, Suite #301, Falls Church, VA 22043 • www.sleepandtmjtherapy.com • 703-821-1103
MORE POWER. MORE CONVENIENCE. MORE CAPABILITIES. iTero Element™ 2 Intraoral Scanner
Airway before ALF Treatment; red shows very serious airway constriction.
Airway
after ALF treatment, full resolution of this 30-year-old patient’s symptoms.
571-252-3101 44110 Ashburn Shopping Plaza, Suite #166, Ashburn, VA 20147 www.LansFamilyDentistry.com
Featured Health Professionals
Sylvie Lam, DDS, FAGD
Meet Sylvie Lam
Dr. Sylvie Lam is dedicated to delivering high-quality, personalized care, influenced by her military and civilian training, emphasizing excellence and integrity. With 13 years of experience in government and private practices, patients appreciate her genuine commitment, upbeat personality, and energy. She graduated from the University of Maryland School of Dental Surgery in 2008 and completed an Advanced Education General Dentistry (AEGD) Residency at Wright Patterson Air Force Base in 2009, followed by service as a dental officer at the Pentagon Tri-Care Clinic. Dr. Lam has spent the last ten years in private practice, focusing on cosmetic, restorative, and rehabilitation treatments.
Before becoming a dentist, she was a licensed CPA, working for national and regional accounting firms. Dr. Lam holds dual B.S. and B.A. degrees in Biology and Accounting from the University of Richmond. She also earned an MBA and a DDS from the University of Maryland College of Dental Surgery in 2008.
In 2019, Dr. Lam received the Fellow Distinction from the Academy of General Dentistry (FAGD), achieved by only 5% of dentists nationwide, signifying her commitment to lifelong learning. She is passionate about enhancing oral health and creating beautiful smiles as an art, as seen in her portfolio of cosmetic and restorative cases.
Dr. Lam is a member of the Academy of General Dentistry (AGD), American Dental Association (ADA), Academy of Cosmetic Dentistry (ACD), and Northern Virginia Dental Association (NVDA). She volunteers her time with dental missions and not-for-profit organizations, including Operation Smile, HOPE for Tomorrow, and the Northern Virginia Dental Clinic.
TMJ & Sleep Apnea Treatment
Jeffrey L. Brown
Dr. Brown’s practice focuses on TMJ, sleep apnea and orthodontics. This allows Dr. Brown and his team to provide individualized, focused care for patients dealing with these specific issues. Every day, his practice helps patients of all ages with facial development, sleep issues, chronic headaches, migraines, neck pain, movement disorders, and much more. His training also includes multiple disciplines involving the cranial bones in the skull, and the discs in the jaw joints. Through treatment, Dr. Brown is able to reduce these symptoms, align cranial bones, avoid extractions, and greatly reduce the need for traditional braces.
His expertise allows him to identify issues early on which promotes proper facial development using dental appliances. If there is an internal imbalance, whether an adult or child, the body does not develop or function properly. When the cranial bones are lined up correctly, patients are able to function, sleep and generally live better.
With that in mind, the team at Sleep & TMJ Therapy takes a whole-body approach when treatment planning. They work hand in hand with physical therapists and osteopathic doctors for a better success rate. Dr. Brown is devoted to helping patients of all ages live a symptom free life.
Degrees & Certifications
Dr. Brown earned his degree from Georgetown Dental School and completed residencies with Emory University Hospital for Dental Sleep Medicine and the ALF Appliance Therapy Institute.
Outside the Office
When not seeing patients, Dr. Brown is a sought-after speaker. He has lectured all over the world, including D.C., Dubai, Seoul, London, Norway and Toronto. He has also been featured on Channel 9’s Good Morning Washington, several podcasts, and numerous magazines and journals.
Professional Affiliations
Dr. Brown is a diplomate of the American Academy of Craniofacial Pain, a member of the American Academy of Dental Sleep Medicine, American Academy of Gnathological Orthopedic, Academy of Integrative Pain Management American Dental Association, a Fellow of the American Academy of Craniofacial Pain, and Legacy Provider for the ALF Interface Academy.
Do you have TMD or Sleep Apnea?
TMD Symptoms: Noise in the jaw joints when opening and closing your mouth, difficulty chewing, limited opening, tender facial muscles, ear ringing, uncomfortable bite, jaw locking, headaches, migraines, dizziness, vision issues as well as pain in the jaw area which can radiate to the ears, head, neck, shoulders, and back.
Sleep Apnea Symptoms: Snoring, waking up gasping for air, feeling tired and irritable in the morning, difficulty controlling weight, concentration problems, morning headaches, episodes of not breathing, waking with a sore throat, forgetfulness and mood changes. If you believe you may be suffering from TMD or Sleep Apnea, don't wait... Call today to schedule a consultation with Dr. Brown: 703-821-1103.
703-288-3130 30 | Your HEALTH Magazine
Local Professionals Empowering and Encouraging People To Live Healthier
www.SmileDesignNOVA.com
11351 Random Hills Road Suite #290, Fairfax, VA 703-865-6677 We Provide a Comprehensive Dental Experience FREE Take Home Whitening Kit For New Patients! 8300 Boone Blvd. Suite #140, Tysons Corner, VA 703-714-7374 SERVICES: Implants • Veneers • Crowns Implant Dentures • Zoom Whitening • Invisalign 2841 Hartland Road Suite #301 Falls Church, VA 703-821-1103
www.SleepandTMJTherapy.com
Jeffrey L. Brown, DDS Meet
Michael Rogers, DDS
Meet Michael Rogers
Michael Rogers, DDS, is pleased to be able to offer beautiful smiles to his neighbors in Arlington and the surrounding communities. Dr. Rogers earned his dental degree from UCLA after graduating cum laude from Harvard University. Prior to entering private practice, he served a general practice residency at Sepulveda Veteran’s Hospital. Dr. Rogers has invested significant time into ongoing education, seeking to learn emerging dental technologies and techniques in the areas of cosmetic dentistry, implant dentistry, sleep apnea treatment, orthodontics, temporomandibular joint (TMJ) disorders, and safe amalgam replacement. His most recent training in airway management has allowed him to offer a cure for sleep apnea using an intraoral device known as the DNA appliance. He is a member of the International Academy of Oral Medicine and Toxicology, American Academy of Dental Sleep Medicine, American Academy of Craniofacial Pain, and also of Mercury-Free Dentists. He has served as a guest author for TMJ News & Views, and when that publication ceased, began his own quarterly newsletter. You may have seen one of his television interviews on “A New Me” or the local PBS station, or seen his articles and features in Ladies’ Home Journal, Arlington Magazine, and New Beauty.
Dr. Rogers is an active participant in the community as a sponsor for Encore Theater, Little League of Alexandria, Abingdon Elementary, and the local Fairlington Farmer’s Market. He and his wife Terri enjoy spending time with their daughter Megan and her husband Corey traveling around the country and the Caribbean.
Tareq Salameh, DDS
FamilyOriented Dental Practice
Dr. Tareq Salameh is most passionate about providing top-quality dental care for everyone. What he enjoys the most about his work is providing what his patients need with precision care. Dr. Salameh loves what he does and looks forward to his work and patients every day.
Dr. Salameh loves getting to know his patients, but most importantly he enjoys being able to provide them with the dental care they need. At the end of the day, he enjoys seeing them leave with a smile knowing he was able to take care of their pain or discomfort or perfect a tooth they had a small insecurity about.
Excellence In Education
Dr. Salameh has more than 15 years of experience practicing in the dental field and has been practicing since he graduated from the University of Colorado School of Dentistry.
Dr. Salameh is a member of the ADA, the primary source for the latest advancements in research and technology in the field of dentistry and oral health. He chooses to participate in continuing education because he’s passionate about dentistry and learning about the newest technology and information the dental field has to offer. There are constant advancements and discoveries in dentistry, and he wants to be up-to-date on those advancements so that he is fully informed and always ready when providing dental care to his patients.
Outside the Office
When Dr. Salameh isn’t working, you’ll find him at home spending quality time with his friends and family. In his free time, he enjoys watching historical and national geographic documentaries, reading, or playing a match of soccer with fellow dentist friends after work.
A Focus On Community
Dr. Salameh is dedicated to his community. He helps his community by providing free dental services for underserved prospective patients a couple of days a month –not only because they need assistance and healthcare provided to them, but because he enjoys helping those in need and striving to help whoever he can in any way.
In fact, he chose to join the oral healthcare field because he saw that it was a healthcare service not being provided enough to underserved communities and he is here to change that!
www.yourhealthmagazine.net Virginia Edition I 31
Professionals Local Professionals Empowering and Encouraging People To Live Healthier 4850
Street South Suite A, Arlington, VA 703-936-4166
Featured Health
31st
FairlingtonDental.com We Understand the Connection Between a Healthy Smile and a Healthy Body.
10620 Crestwood Drive Suite A, Manassas, VA 703-361-2911 manassasmoderndentistry@gmail.com Meet Tareq Salameh www.Manassas-ModernDentistry.com
Featured Health Professionals
Paul A. Samakow, PC
8230 Old Courthouse Road
#430
Corner, VA
Meet Paul A. Samakow
Paul Samakow has been a trial attorney exclusively representing injury survivors and their families since 1980. His national burn injury practice has taken him to numerous parts of the country representing the interests of burn injury survivors.
He is the author of Twice Burned, a critically acclaimed book describing compensation rights for burn survivors, A Handbook for Caregivers of Patients with Burn Injuries, describing “Compassion Fatigue” and information to help deal with that issue, and numerous other papers dealing with specific burn related safety and compensation topics, including information for firefighters who are injured in the line of duty. His burn injury articles in Your Health Magazine have educated their readers and many have reached out to Mr. Samakow for more information.
Mr. Samakow is a proud member of the American Burn Association, The American Justice Association’s Burn Injury Group, and the Washington, D.C. Firefighter’s Burn Foundation.
Mr. Samakow’s website has numerous safety tips that can be printed from the site or downloaded, all for free. The website is: www.nationalburnattorney.com. Paul can be reached directly on his mobile phone at 703-472-7688.
Paul is married, the father of two wonderful young women, both attorneys, and two beautiful grandchildren. He is an accomplished tennis player and former professional photographer.
Garima K. Talwar, DDS, MS
Esthetique Dentistry 44345 Premier Plaza Suite # 220, Ashburn, VA 703-729-6222
Advanced Dental Care 1602 Village Market Boulevard SE, Suite #130 Leesburg, VA 571-455-0466
Dr. Garima Talwar brings 25 years of experience in Full Mouth Reconstruction and Implant Dentistry to the DC Tristate area.
Her dedication to cosmetic and full mouth reconstructive dentistry has won her many patients and their testimonials are self evident of their life changing experiences. She has been recognized as one of the best Prosthodontists by Top Dentist’ and Washingtonian Magazine and by her peers.
Dr. Talwar has been trained at leading centers in the world, including the US, England and India. She completed her training and masters in Prosthodontics from the School of Dentistry, University of Maryland. She is Assistant Professor at the Post Graduate Program of Prosthodontics at School of Dentistry, University of Maryland and Clinical Instructor in Prosthodontics and Oral and Maxillofacial Surgery at Johns Hopkins Hospital Baltimore, MD. She maintains her private practices in Virginia – Ashburn and Leesburg.
703-288-3130 32 | Your HEALTH Magazine
Empowering and Encouraging
Live Healthier
703-472-7688
Local Professionals
People To
Suite
Tyson’s
www.NationalBurnAttorney.com
EsthetiqueDentistryAshburn.com AdvancedDentalCareLeesburg.com Board Certified Prosthodontist Specializing in Reconstructive, Cosmetic and Implant Dentistry
Meet Garima K. Talwar
Featured Health Professionals
Ron Murray, PhD
Hamzah Alghazali, DDS
Areas of Focus: Chronic or Unresolved Pain, Asthma, Concussion, Traumatic Brain
Practice Philosophy: Based on years of practice, I have found that the human body has a natural inclination to find its way home, to restore an equilibrium that constitutes health. Through Manual Regulation Therapy, (MRT), I help promote, enhance, and assist the wisdom of the body toward natural healing.
Treatments: Manual Regulation Therapy (MRT) combines mind-body therapy, biological medicine and energy medicine for a wide range of health issues including Traumatic Brain Injury, Concussion, Chronic Pain, Asthma, Calming Autonomic Nervous System Fight or Flight Stress Response and more. Peptide bioregulators and pleo-sanum homeopathic remedies.
Ron’s initial training started with a physiotherapist degree specializing in osteopathic manipulation, after which he earned a second degree as a Traditional Naturopath. Upon completing his third degree, Doctor of Integrative Medicine, Ron Murray, Ph.D., taught a fluid approach to cranial manipulation as a Faculty Member for 10 years, earning distinction as Instructor Emeritus of Clinical Medical Education at Capital University of Integrative Medicine.
Ron Murray was trained in advanced forms of cranial, visceral, somato emotional release, lymphatic, energetic and psychoemotional work. The integration of this work led him to understand that there is a gelatinous fluid system that continues throughout the body. It also proved that all structures in the body are uniquely tied together to form a system called the extracellular matrix which connects every cell with every other cell, then cells to organs, then organs to the organism or human body. It is by gentle manipulation of this matrix that Ron gets such extraordinary results.
What Patients Say:
“No one could find the source of my pain. It was severe and unexplained but Ron was the first person to finally understand the source of my pain and began to treat me. For the first time I have had a significant reduction in the pain level and have gotten my life back....” Ebony
“I visit Ron Murray on a routine basis for tune-ups. My body feels balanced after a session. He helped me with sinus and respiratory issues.” Mac, Northern Virginia, Engineer
“Ron Murray has helped me literally from head to toe and everything in between. He eliminated my tension headaches, corrected repetitive hand and shoulder injuries, and accelerated healing from foot surgery, even when I was up to my knee in a cast.” F.P., DC Metro Area, Musician
Meet Hamzah Alghazali
Dr. Ghazali is dedicated to advancing the field of dentistry and enhancing the oral well-being of his patients.
His commitment is evident in the pursuit of excellence, as demonstrated by his completion of the Advanced Education in General Dentistry (AEGD) post-graduate program at Columbia University, where he earned his Doctor of Dental Surgery degree (DDS). Dr. Ghazali’s training has endowed him with advanced skills and expertise.
With a wealth of experience, Dr. Ghazali offers a broad spectrum of dental services, including cosmetic veneers, smile makeovers, crown and bridge, Invisalign, restorative dentistry, root canal treatments, cavity prevention, caries management, and periodontal assessments. He stays at the forefront of dental technology to ensure his patients receive cutting-edge dental care.
Dr. Ghazali is dedicated to a patient-centered approach, striving to deliver the same level of care to his patients as he would to his own family. Committed to prevention-focused and exceptional care, he aims to forge enduring relationships with his patients in a warm, welcoming, and comfortable environment.
Attentive to his patients’ needs, Dr. Ghazali creates personalized treatment plans, empowering patients to make informed decisions about their dental health.
Outside of his professional endeavors, he enjoys tennis, biking, hiking, and cherishing moments with family and friends. Actively engaged in the dental community, Dr. Ghazali maintains memberships in the American Dental Association and the American Academy of Esthetic Dentistry.
www.yourhealthmagazine.net Virginia Edition I 33
Local Professionals Empowering and Encouraging People To Live Healthier , 5225 Wisconsin Avenue, NW Suite #402 Washington, DC 20015 202-237-7000
Injury,
Headaches, Fibromyalgia, Post-surgical Pain
NIHAdc.com Integrative Healthcare Practitioner At: 8711 Digges Road Manassas, VA 703-368-9777
GalleriaDentalArts.com Redefine Your Dental Experience
Featured Health Professionals
Padmaja Yalamanchili, DDS
General & Cosmetic Dentistry
Meet Dr. Padmaja Yalamanchili
For over 18 years, Padmaja Yalamanchili, DDS, has been serving patients throughout Northern Virginia with her extensive dental expertise, personalized one-on-one care and stateof-the-art dental technology. She and the entire team at her practice Dr. Padmaja Yalamanchili, DDS, PC in Fairfax, VA are committed to helping patients achieve their healthiest, most beautiful smiles. She is well-reputed in the area, and she emphasizes on preventive dentistry.
Dr. Yalamanchili graduated with her Doctor of Dental Surgery degree from the New York University College of Dentistry in Kips Bay, Manhattan. This prestigious New York City institution is the third oldest dental college in the country and is a global leader in top-tier dental care and innovation. After earning her degree, Dr. Yalamanchili committed herself to serving patients throughout Northern Virginia with her clinical expertise and personalized care. She offers each patient her extensive knowledge and takes the time to customize a care plan to their specific oral health needs and smile goals. She serves patients of all ages through this tailored one-on-one approach. In fact, the rapport she builds with each patient leaves many fondly referring to her as “Dr. Y.” Dr. Yalamanchili is a member of the American Dental Association, Virginia Dental Association, and Northern Virginia Dental Society.
Dr. Yalamanchili is fluent in English, Hindi, and Telugu. When she’s not serving patients, you can find her spending time with her husband and two children, cooking, reading, watching a Bollywood movie, or practicing Bikram yoga.
Our Goal Is to Provide You With Lasting Pain Relief and Restoring You To Good Health
Specializing In the Treatment Of: Back Problems • Neck Pain • Knee Pain • Shoulder Injuries
Dr. Ward first graduated from the University of Florida in 1993. He then entered chiropractic school and graduated from Life University in 1997 with a doctorate in chiropractic. He has trained extensively in physical rehabilitation, functional conditioning and the management of injuries.
Training and Certificates: Dr. Erik A. Ward is licensed by The American Board of Chiropractic Sport Physicians as a Certified Chiropractic Sports Physician, The American Strength and Condition Avocations as a Certified Strength and Conditioning Specialist, and is an L-2 Certified CrossFit Coach. Dr. Ward is also certified in ART (Active Release Technique), Dry Needling and Kinesiology Taping.
Accomplishments: Dr. Ward has been noted in the who’s who of Northern Virginia in 2004 and 2008 for his practices with the Washington Redskins, the Washington Wizards and the Potomac Professional Rugby League. Dr. Ward not only treats athletes but is an athlete himself. He is an L-2CrossFit coach, has completed 3 IronMan triathlon’s, qualified for the2017 USA Triathlon National Championship and qualified for the 2019 Spartan World Championship.
This same dedication is also evident in the treatment Dr. Ward provides to his patients.
To offer the most advanced and innovative treatment combining both traditional and alternative health care in a caring, ethical and professional environment.
-Dr. Ward
ABOUT OUR PRACTICE
At NOVA Pain and Rehab Center, our goal is to provide you with lasting pain relief and restoring you to good health through chiropractic, functional rehabilitation and massage therapy, along with hands on education all in one facility. We utilize the latest in technology to help determine where and why you are having your pain. We incorporate an active rehabilitation program from the start of your care, making the exercises both functional for everyday activity and easy to perform at home. Our goal with every patient is achieve a faster and longer lasting recovery. This 360° approach gives our patients the absolute best outcome in the shortest period of time.
703-288-3130 34 | Your HEALTH Magazine
Local Professionals Empowering and Encouraging People To Live Healthier Purcellville 703-376-3797 Arlington 703-535-8887 Erik A. Ward, DC, CSCS, CCSP www.NOVAPainandRehab.com
Meet Erik A. Ward
10875 Main Street Suite #103, Fairfax, VA 703-591-4010
www.FairfaxFamilyDentist.com
www.yourhealthmagazine.net Virginia Edition I 35 Garima K. Talwar, DDS, MS Board Certified Prosthodontist Specializing in Reconstructive and Implant Dentistry Dr. Garima Talwar specializes in Full Mouth Reconstructive and Implant Dentistry. She brings 25 years of experience to Northern Virginia, and has been recognized as one of the best Prosthodontists by “Top Dentist” and Washingtonian magazine, and by her peers. Her state-of-the-art facilities in Asburn and Leesburg offer comprehensive Full Mouth Reconstruction with laser-assisted procedures and oral/intravenous sedation. (703) 729-6222 44345 Premier Plaza • Suite 220, Ashburn, VA EsthetiqueDentistryAshburn.com (571) 455-0466 1602 Village Market Bouleavard, SE • Ste 130, Leesburg, VA AdvancedDentalCareLeesburg.com IN-OFFICE LABORATORY & TECHNICIAN
Deeni Bassam, MD
Deeni Bassam, MD, has more than 15 years of experience in treating back pain. He has cared for tens of thousands of patients in the Washington, D.C. area by performing interventional spinal procedures that offer relief from pain. If you have a spinal problem, then chances are he’s treated it successfully, hundreds, if not thousands of times. His high-quality care has earned him repeated recognition as a “Top Doctor” in the Washingtonian and Northern Virginia Magazine.
Degrees, Training & Certifications: Dr. Bassam is a native of northern Virginia and earned his medical degree from the University of Virginia School of Medicine. He completed his Residency in Anesthesia at New York Hospital – Cornell Medical
Center. He completed his Fellowship at Texas Tech Health Science Center, one of the most respected interventional pain management programs in the nation. In 2005, Dr. Bassam returned home to northern Virginia and founded The Spine Care Center in Manassas. He is Board Certified by the American Board of Anesthesiology, with a Certificate of Added Qualification in Pain Management. He was the first doctor in Virginia to perform the Mild® procedure for lumbar spinal stenosis and is one of the only physicians in the area who implants intrathecal pain pumps.
Areas of Expertise: Epidural Steroid Injections, Spinal Cord Stimulator Placements, Radiofrequency Ablations, and many other minimally invasive spinal procedures.
Personal Interests & Hobbies: Dr. Bassam and his wife are raising their four kids in Northern Virginia. In his free time, he enjoys horseback riding, reading, and scuba diving.
Practice Philosophy: The Spine Care Center is a comprehensive, multi-specialty medical group that provides world-class minimally invasive surgical and non-surgical treatments for both acute and chronic conditions of the spine. We are committed to helping you restore function and relieve pain.
Trained At the World Renowned Cleveland Clinic
Arjun Ramesh, MD
Arjun Ramesh, MD is trained in both pain management and anesthesiology and joined The Spine Care Center in 2020 after completing his fellowship at the world-renowned Cleveland Clinic!
Dr. Ramesh is originally from the Northern Virginia area. He earned his undergraduate degree at the University of Virginia with a major in Biology and Chemistry and a minor in Philosophy. He then obtained his medical degree in 2015 at the University of Virginia.
Dr. Ramesh went to Chicago where he completed his anesthesiology training at Rush University Medical Center. During his time in Chicago, he developed an interest in pain manage-
ment and subsequently completed a fellowship in pain management at the Cleveland Clinic in Ohio, where he was trained by leading experts in the field.
During his training Dr. Ramesh gained expertise in all aspects of pain management including medical and interventional management. He is able to provide minimally invasive pain management procedures utilizing both fluoroscopic and ultrasound guidance. He was also involved with research trials for cutting edge spinal cord stimulators and peripheral nerve stimulators.
Dr. Ramesh has authored several peer reviewed articles and written multiple textbook chapters relating to pain management. He provides a full suite of interventional, non-interventional, and implantable therapies and tailors each treatment plan to the individual patient to provide the best possible outcome. As he is trained in both anesthesiology and pain management, he is able to offer sedation during interventional procedures to provide a more comfortable experience. Dr. Ramesh possesses the type of professionalism, skill, training and expertise needed to be a top spine doctor at The Spine Care Center.
PerformedPersonally20,000+ Spinal Procedures
Usman Zafar, MD
Usman Zafar, MD is Board Certified in both Anesthesia and Pain Management, and he joined The Spine Care Center in Manassas in 2015.
Originally from Pottsville, PA, he began his academic career in the city of Philadelphia. In 2003 he gained acceptance to the accelerated seven year dual degree program at Drexel University and graduated Cum Laude in 2006 with a B.S. degree in Biology before completing his Medical Degree in 2010. After medical school he spent one year at Hahnemann University Hospital in Philadelphia, completing his medical internship prior to his Residency. Dr. Zafar then furthered his medical education at Tufts Medical Center in Boston where he spent three years completing an Anesthesiology Residency. It was
during these years that he first gained experience treating patients with acute and chronic pain conditions. This experience ultimately led him to pursue a Fellowship in Interventional Pain Management.
Dr. Zafar completed his Interventional Pain Fellowship at Mount Sinai-Roosevelt Hospital in New York City in 2015, where he learned various multimodal techniques for treating pain, including fluoroscopic and ultrasound guided spine and joint injections, spinal cord stimulation and radiofrequency ablations.
After being hand selected to join The Spine Care Center and trained directly by Dr. Bassam, Dr. Zafar has safely performed thousands of interventional spine procedures. By being Board Certified in Anesthesia as well as Pain Management, he can offer a more comfortable experience by providing mild sedation when performing spinal procedures.
Dr. Zafar’s goals are simple: to provide his patients with a safe, comfortable, and effective interventional spine procedure. Not only to treat painful conditions, but also to improve function and the quality of life for patients.
His dedication to quality spinal care has recently earned him recognition as a Top Doctor in Washingtonian magazine.
Faisal A. Siddiqui,
MD
Faisal Siddiqui, MD, FACS, is a Board Certified and highly-skilled Spine Surgeon with more than 15 years of experience performing minimally invasive spine surgeries. He has helped thousands of patients find relief from back pain with safe, effective surgical treatments. He currently works at The Spine Care Center in Manassas, where he uses his expertise to help patients find relief for their back pain.
Originally from Ohio, Dr. Siddiqui earned his medical degree from Vanderbilt Medical School, where he graduated with honors. He completed a residency in orthopedic surgery at Strong Memorial Hospital at the University of Rochester Medical Center, where he was recognized as Resident of the Year and given the Alfred P. Sloan Foundation humanitarian award.
After residency, Dr. Siddiqui sought out additional specialty training in spine surgery. He completed his fellowship training at the Charlotte Spine Center at Carolinas Medical Center. During his fellowship, he learned how to treat back pain and injuries by using the most minimally invasive surgical procedures possible. Thousands of Minimally Invasive SpinePerformedSurgeries
In 2007, Dr. Siddiqui joined The Spine Care Center in Manassas. He and Dr. Bassam imbued the practice with the principle that surgery should only be used for patients who have no other choices for meaningful pain relief. Before deciding to operate on a patient, Dr. Siddiqui ensures they are a good candidate for surgery and that the surgery can be performed safely with minimal risk. Patients are more likely to experience lasting pain relief, less risk of infection and blood loss, and faster recovery times as a result of his minimally invasive techniques. His careful approach to spinal care helps all of his patients receive the most effective and least invasive treatment for their painful condition.
Dr. Siddiqui’s specialized training has also allowed him to bring new procedures to the Washington, DC area. He was one of the first surgeons in northern Virginia to perform the minimally invasive TranS1® and extreme lateral interbody fusion (XLIF) spinal fusion procedures using computer-assisted navigation. During his career, he has performed thousands of procedures, ranging from complex 10-hour surgeries for traumatic spine injuries to 45-minute minimally invasive endoscopic procedures. He is dedicated to a lifetime of learning and continues to undergo additional training to give his patients access to the latest, groundbreaking surgeries.
Dr. Siddiqui is a recognized expert in spine surgery and has been repeatedly awarded Top Doctor distinctions from both Washingtonian magazine and Northern Virginia magazine. Throughout his career, he has had original orthopedic and spine surgery research published in numerous peer-reviewed medical journals. He also routinely gives lectures to other physicians and medical professionals on minimally invasive spine surgery and has trained multiple physicians in the D.C. area to perform the latest procedures in the field.
In his free time, Dr. Siddiqui enjoys being with his wife and two children. His hobbies include golfing and skiing.
703-288-3130 36 | Your HEALTH Magazine 8525 Rolling Road, Suite #200, Manassas, VA 20110 703-705-4471 • SpineCareVA.com If you suffer from a spine problem, chances are that the spinal experts at The Spine Care Center have successfully treated a similar problem
OF TIMES!
THOUSANDS
PerformedPersonally35,000+ Spinal Procedures
www.yourhealthmagazine.net Virginia Edition I 37 Takoma Park Office: 7513 New Hampshire Avenue Takoma Park, MD 20912 301-434-0075 Tues.-Fri. 10am-6pm; Sat. 8am-2pm Rockville Office: 12250 Rockville Pike, Suite #208 Rockville, MD 20852 301-603-2811 Mon., Wed., Thurs., & Fri. 11am -7pm Chevy Chase Office: 5530 Wisconsin Avenue, Suite #800 Chevy Chase, MD 20815 240-750-3635 Call For Opening Days and Hours Fairfax Office: 8505 Arlington Boulevard Suite # 270 , Fairfax, VA 22031 NOW OPEN! LOSE WEIGHT MD Visit Our Website: www.JustLoseWeightMD.com www.JustLoseWeightMD.com Easy Ways To Lose Weight Why We Are Unique • Customized Plans • Affordable • No Contracts • No Hidden Fees • Programs Run By Doctors • Long-term Weight Loss • Feel & Look Younger • FDA Approved Medications • Control Appetite • Eliminate Cravings • Burn Fat • More Energy
We Are
Lose Weight MD is a multifaceted weight loss center providing a comprehensive medical weight loss programs designed to assist patients in losing significant amounts of weight quickly and safely. Besides helping our patients lose pounds, we also provide them the support, education and resources that are necessary to maintain a healthy weight for the rest of their lives. We are all about getting healthy and staying healthy! Easy Ways To Lose Weight Our Services PLUS IV HYDRATION & VITAMIN THERAPY OPTIMAL WELLNESS IV THERAPY INFUSION • Brain Fog/Mental Clarity • Glowing Skin/Acne • Energy/Get Up and Go • Detox/Meyer’s • Immune Boost/Migraine Relief • IBS • High Dose Vitamin C • Quench/Hydration • Super Immune/Post COVID EFFORTLESSLY CHANGE YOUR WAISTLINE BODY CONTOURING PERMANENT – NON-SURGICAL FAT REMOVAL NO DOWNTIME Here are some of our Weight Loss Medications: Appetite Suppressants – Semaglutide – Ozempic – HCG – Mega Injections B12 Complex Injections – Lipo Fat Burner Injections – B5 Injections Please check our website for individual plans! Mention YourHEALTH Magazine and get 10% off all Initial Plans
Who
Just
Get
Rose Ferguson, C.Ht, NBC-HWC Integrative Hypnotherapy 571-248-0695 bit.ly/GHHCwellbeing
Alternative Solutions For Pain Control
By Rose Ferguson, C. Ht. Integrative Hypnotherapy
Hypnosis has been shown to be highly effective in managing pain, especially chronic pain.
Pain relief through hypnosis often involves using therapeutic imagery. By visualizing a serene, calming, natural setting, your parasympathetic nervous system is activated. This system plays a crucial role in helping the body recover from stress. Guided
NEW STUDIES OF ACNE, LIP FILLERS, SKIN AGING & OTHER TREATMENTS
Starting This Year at Our National Research Centers
• Acne / Breakouts
• Lip Fillers
• Skin Lifting
• Skin Tightening
• Pores
• Fine Lines
At the offices of DR. HEMA SUNDARAM, MA, MD, FAAD
Board Certified Dermatologist
Honorary Senior Lecturer in Musculoskeletal and Dermatological Sciences, School of Biological Sciences, University of Manchester, United Kingdom
Now enrolling for studies & evaluations of Acne, Lip Volumization, Exosomes and Other Treatments. Space is Limited. Email dermdc@gmail.com NOW for details with subject line STUDIES AND EVALUATIONS
** Summer Makeover Packages ** call Fairfax, VA 703-641-9666 or Rockville, MD 301-984-3376 Interest-Free Financing Available
Follow us on Instagram: @twicebornbeauty & @drhemasundaram
imagery has been proven to reduce tension, blood pressure, and heart rate. The aim of guided imagery is to shift the mind’s focus away from discomfort towards healing and tranquility.
This state of relaxation boosts endorphins, which act as the body’s natural pain relievers. Endorphins, also known as the “feel good” chemicals, help decrease stress levels.
While most research on hypnosis and pain management emphasizes its pain-relieving effects, hypnosis offers various other advantages such as enhanced sleep quality, reduced anxiety, and an improved quality of life.
For individuals dealing with chronic pain, another beneficial option is health coaching. A health and wellness coach can take the
Please see “Pain Control,” page 46
Swollen Toe Or Ankle? It Could Be a Gout Attack
What Is Gout?
Have you ever been awakened at night by a hot, painful feeling in your big toe or ankle? Did the painful joint appear swollen and red (inflamed)? These can be symptoms of a gout attack. Gout is a disease that affects the joints. Left untreated, it can lead to painful foot deformities and even kidney problems.
Gout is caused from excess uric acid, a waste product made by the body. The uric acid forms crystals that collect in the joints, bringing on a gout
attack. If you have many gout attacks, crystals may form large deposits called tophi.
The good news is that by treating gout early, you can relieve the pain and help prevent future problems. Gout can usually be treated with medication and proper diet. In severe cases, surgery may be needed.
Treating
Gout Attacks
The first step is having a doctor physically examine you. Your doctor will want to know where and how often you feel pain, about your diet, other medications you are taking and how much alcohol you drink.
X-rays may be taken to check for tophi or changes in your bones. Your doctor may take some fluid from your joint to check for uric acid crystals. A blood sample may also be taken.
A daily long-term control medication can reduce levels of uric acid. This may help prevent gout attacks. Other medications can help relieve pain and swelling during an attack. Medication may reduce pain and
Please see “Gout Attack,” page 46
703-288-3130 38 | Your HEALTH Magazine Dr. Edward S. Pozarny Diplomate, American Board of Foot and Ankle Surgery Certified in Foot and Ankle Surgery Don’t Walk In Pain Anymore! Relief Is Now More Convenient Than Ever Before! Relief Is Now More Convenient Than Ever Before! Don’t Walk In Pain Anymore! Schedule Your Appointment Today! 703-820-1472 MEMBER www.ArlingtonPodiatry.com Most Insurance Accepted! Sé Habla Español! 611 S. Carlin Springs Road, Suite #512 • Arlington, VA 22204 ( Office next to Urgent Care Facility) OPEN All Precautions are being taken to ensure your safety & protection from COVID-19
Empower Yourself To Transform Your Life!
support to manage stress, optimize your health,
become the best version of you. Take the
FREE Consultation.
and
first step with a
Arlington Podiatry Center
Follow @YourHealthDMV
www.yourhealthmagazine.net Virginia Edition I 39
Don’t Let PAIN Control Your Life
•
•
•
• Bursitis
• Knee
• Hip
Sciatica Treatment Options
By Madhavi Chada, MD Synergy Spine and Pain Center
The sciatic nerve is the largest single nerve in the human body; it runs from each side of the lower spine through deep in the buttock into the back of the thigh and all the way down to the foot. It serves a vital role in connecting the spinal cord with the leg and foot muscles.
Sciatica is nerve pain from irritation of the sciatic nerve. Sciatica pain is typically felt from the low back to behind the thigh and radiating down below the knee. Treatments for sciatica
depend on the underlying cause and the severity of the pain.
For severe or ongoing flare-ups of sciatic nerve pain, the condition may need to be treated so it does not get worse over time.
Readily available non-surgical remedies and regular exercise will go a long way toward relieving the pain most people experience.
For others, when the pain is severe or does not get better on its own, a more structured treatment approach, and possibly surgery, may be the best option for finding pain relief and preventing or minimizing future pain and/ or dysfunction.
Non-surgical Treatment
For Sciatica
The goals of non-surgical sciatica treatments are to relieve pain and any neurological symptoms caused by a compressed nerve root. There is a broad range of options available for sciatica treatment. One or more of the treatments below are usually recommended in conjunction
Please see “Sciatica,” page 46
Ensuring Healthy Smiles and Sound Sleep For Your Child
By Lynda Dean-Duru, DDS Ashburn Children’s Dentistry
Proper breathing during sleep is crucial for the overall well-being of children, yet many parents may not be fully aware of potential issues related to Sleep-Related Breathing Disorders (SRBD), which includes pediatric obstructive sleep apnea (OSA).
SRBD refer to disturbances in normal breathing patterns during sleep, ranging from common snoring to more severe pauses in breathing known as
apnea events. These interruptions can lead to sleep deprivation and a variety of health complications. In the case of children, untreated SRDB can result in developmental, behavioral, and emotional challenges, potentially leading to conditions like allergies, ADD/ADHD, and depression.
Pediatric OSA, a condition where the airway is partially or completely blocked during sleep, is often caused by enlarged tonsils or adenoids and a lack of tongue space. It differs from adult OSA, as it may manifest alongside behavioral issues and daytime sleepiness in children.
The Importance Of Proper Sleep and Open Airways For Children
During the first 18 months of a child’s life, crucial growth and developmental milestones occur, many of which are related to facial development. Ensuring proper breathing is essential for
Please see “Healthy Smiles,” page 47
703-288-3130 40 | Your HEALTH Magazine Schedule your child’s appointment today! Call: 703-723-8440 44025 Pipeline Plaza, Suite #225, Ashburn, VA 20147 www.kidzsmile.com Regular Dental Exams Professional Teeth Cleanings • Dentistry for Children with Special Healthcare Needs • Digital X-Rays CBCT (Cone Beam Computed Tomography) Icon® Cavity Prevention Preventative & Comprehensive Dental Care Fluoride Treatment Sealants • Pediatric Sedation Dentistry • Laser Dentistry • Baby Root Canal (Pulpotomy) StemSave™ Mouthguards Tooth Extraction & Space Maintainers Myofunctional Orthodontics Infant & Child Frenectomy Bebe Munchee® Tool Child Growth & Development BabyLase™ Sleep Apnea & Sleep Airway Treatments • Tooth-Colored Fillings • Dental Crowns • Teeth Whitening Cosmetic & Restorative Care
Krystle Dean-Duru • Lumineers • Snap-On Smile®
Dr. Lynda Dean-Duru Dr.
INTERVENTIONAL PAIN MANAGEMENT SPECIALISTS
Madhavi Chada, MD - Triple Board Certified Physician Glenn Dale: 240-929-6652 | Ft. Washington: 240-260-3828 | Silver Spring: 240-641-5922 12150 Annapolis Road, Ste 209, Glenn Dale, MD 20769 10709 Indian Head Hwy, MD-210, Suite D, Fort Washington, MD 20744 11233 Lockwood Drive, Silver Spring, MD 20901
Herniated Disc
•
Facet Syndrome
Spinal Stenosis
Osteoarthritis
Pain
Pain
Myofascial Pain
Fibromyalgia
Complex Regional Pain Syndrome
Neuralgia
Pain Conditions We Treat: Visit us online for a full list and descriptions of the treatments we offer. SynergySpineMD.com ABIM certified in Internal Medicine; ABA certified in Anesthesiology and Pain Medicine
•
•
•
(CRPS) • Occipital
• Vertebral Compression Fractures
What were your goals at the beginning of the year? Have you met your goals? Are you moving in the right direction? Is it hard to stay on track?
Losing “stubborn fat” is hard and as you get older – it just gets harder and harder. You might go to the gym five days a week, sweat on the treadmill for an hour, and see maybe a pound or two drop in a month. Is that really worth your time?
Or... imagine going to a medical facility, laying down, spending 35 minutes relaxing, then getting up and finding out you’ve lost two inches around your waist. Which do you prefer? What if you could keep doing that and losing more and more fat until you looked like you did years ago?
If you have any interest in this and how it works when it comes to inch loss, you should stop what you’re doing and call the office for an appointment immediately. This new treatment technology uses a special laser therapy to trick your mitochondria (in your fat cells) to release their fat contents.
If you eat better, drink plenty of water, stay away from sugars, and carbohydrates, this can lead to permanent fat loss without surgery. Here’s a heads up. If you have tried liposuction in the past – you know that when you “regain the weight” it goes to different place(s) – making your body look distorted and then unfortunately, you’re back to where you started, only worse. With this technology we don’t destroy your fat cells. What we do is we simply drain the contents of the fat cells so you lose the inches and look good again.
“Lose 3.5 Inches From Your Waist, Hips or Thighs In 32 Minutes...”
(Non Invasive Body Sculpting) “Patients Lose an Average Of 3.5 Inches From Your Waist, Hips and Thighs In 32 Minutes...”
(Non Invasive Body Sculpting)
www.yourhealthmagazine.net Virginia Edition I 41 • No Pain • No Surgery • No Downtime • No Dieting • No Exercise (Lose 2” on Your First Visit OR You Don’t Pay!) CALL FOR RISK-FREE APPOINTMENT! 301-472-4290 3450 Old Washington Road, Suite #103 Waldorf, MD 20602 CookandSiuMD.com Nearly 100% Financing Available
50-70% OFF!
By Swathi Reddy, DMD
All Smiles Orthodontics
Malocclusion is the number one reason people seek orthodontic treatment. There are many different forms of malocclusion, such as:
Commonly Treated Orthodontic Problems
• Crowding: Crowding can cause poor jaw alignment, impacted teeth, or teeth growing behind or in front of one another, resulting in poor biting relationships and undesirable appearance. Crowding only gets worse over time. Crowded teeth are harder to clean then straight teeth, which may lead to cavities and tooth decay.
• Overjet Or Protruding Upper Teeth: When the upper front teeth
Great Smiles Start Here
9010 Lorton Station Blvd., Suite 260, Lorton, VA 22079 *we offer complimentary consultations*
stick out too far forward, or the lower teeth don’t extend enough this is called protrusion. Thumb and finger sucking habits can also cause a protrusion of the upper front teeth. Significant dental protrusion can cause speech and chewing problems and can be unsightly.
• Deep Overbite: A deep overbite or deep bite occurs when the lower incisor (front) teeth bite too close or into the gum tissue behind the upper teeth. A deep bite can contribute to excessive wear of the incisor teeth, bone and gum tissue damage.
• Open Bite: An open bite results when the upper and lower incisor teeth do not touch when biting down. This open space causes all the chewing pressure to be placed on the back teeth. This excessive biting pressure and rubbing together of the back teeth makes chewing less efficient which can lead to digestive problems and significant tooth wear.
• Spacing: Spacing is too much room between the teeth. Spacing can occur if teeth are missing, small, or if the
dental arches are wide. The most common complaint from patients with excessive spacing is cosmetic. Closure of dental spacing not only improves the look of the front teeth but it also prevents “food traps” from developing between the back teeth.
• Crossbite: A crossbite exists when the upper teeth in the back are fitting on the inside of the lower teeth. This is often caused by the upper jaw being too narrow. Correction of this situation is important at a young age so that the upper jaw continues to grow properly. Expanders are usually used to correct this, and give excellent results.
• Underbite Or Lower Jaw Protrusion: An underbite exists when the top front teeth are hitting behind the bottom front teeth. Underbites are best treated at a young age so that the upper jaw continues to grow properly. Orthodontic treatment is a viable option to correct these malocclusions. If you think, you or your child has developed any of these bite problems, now is the time to start looking for orthodontists.
703-288-3130 42 | Your HEALTH Magazine Gentle Dentistry in a Relaxed Environment A Reason to SMILE Same Day Appointments Emergencies Welcome All Digital Technology Convenient Hours: Open Evenings and Weekends Comfortale, Relaxing Atmosphere General and Cometic Dentistry Nitrous Oxide Sedation All Major PPO Insurance Plans Accepted Financing Available Always Accepting New Patients Schedule on ZocDoc DENTISTRY 11213-A Lee Highway, Fairfax, VA Located mext to Walmart in the Fairfax Center Plaza 703-591-4111 SamfarFamilyDentistry.com Proud to be in network with PPO plans: Delta Dental, MetLife, United Concordia, United Healthcare, Aetna, GEHA, CIGNA, Anthem, BlueCross BlueShield, United Healthcare, Guardian, Principal Ameritas, DentaQuest, Dominion Dental, Connection Dental, Himan, Assurant/Dental Health Alliances, Smiles for Children. Dr. Afreen Sayeed Services provided include: Implants, Implant Crowns, Invisalign, CEREC,
Root Canals, Cosmetic Dentistry, iTero Digital Scanner, Tooth-Colored Fillings and Extractions. Schedule an appointment for you and your family today! Call Today! 703.337.4414 Or Visit AllSmilesBraces.com Specializing
adults
office offers a wide range of appliances including traditional braces, clear braces and Invisalign. We are equipped with state of the art technology to ensure our patients receive the best treatment.
Crowns,
in treatments for
and children. Our
www.yourhealthmagazine.net Virginia Edition I 43
By Marc P. Stanard, DDS, PC
Managing Pain After Periodontal and Implant Surgeries A Guide To Optimal Recovery
Pain management is a crucial aspect of post-operative care following periodontal and implant surgeries. While these procedures are essential for restoring oral health, they can sometimes cause discomfort. Understanding how to effectively manage pain can significantly improve the recovery process and enhance the overall experience for patients.
After periodontal or implant surgeries, it’s common to experience varying degrees of pain and discomfort. This discomfort is typically a result of tissue trauma, inflammation, and the body’s natural healing response. However, with the right strategies, patients can minimize pain and promote a smoother recovery.
One of the primary methods for
managing post-operative pain is medication. Nonsteroidal anti-inflammatory drugs (NSAIDs) such as ibuprofen are often prescribed to reduce pain and inflammation. These medications work by blocking the production of prostaglandins, which are substances in the body that cause pain and swelling. Extra strength acetaminophen (TYLENOL) is often combined with NSAIDs for a dual synergistic effect. Acetaminophen is thought to work upon the central nervous system by elevating the body’s tolerance to pain and reducing fever by helping your body reduce excess heat. By combining these two drugs, an analgesic level comprobable to what low narcotics afford is achieved to manage low to moderate pain. It’s essential to follow the prescribed dosage and frequency to maximize effectiveness while minimizing the risk of side effects.
In addition to medication, there are several non-pharmacological techniques that can help alleviate pain and promote
Marc P. Stanard, DDS
healing. Applying ice packs to the affected area can help numb the area and reduce swelling. Patients should be cautious not to apply ice directly to the skin to avoid ice burns. Instead, wrapping the ice pack in a cloth and applying it for 15-20 minutes at a time can provide relief. After 48 hours, moist heat is then utilized to further manage post-operative swelling. Natural medicaments such as arnica and aloe vera for possible bruising or soreness and black tea for residual bleeding can also be utilized to good effect for post surgical sequelae.
Maintaining proper oral hygiene is also crucial for managing pain after periodontal and implant surgeries. Gentle brushing and flossing around the surgical site can help prevent infection and promote healing. However, patients should be careful to avoid brushing too vigorously, as this can irritate the surgical site and increase discomfort.
Furthermore, adhering to any postoperative instructions provided by the
dental surgeon is essential for optimal recovery. This may include dietary restrictions, activity limitations, and follow-up appointments. By following these guidelines, patients can minimize the risk of complications and expedite the healing process.
It’s essential for patients to communicate openly with their dental care team regarding their pain levels and any concerns they may have. Dentists and periodontists can provide personalized recommendations and adjustments to the pain management plan based on the individual needs of each patient.
Effective pain management is essential for promoting a smooth recovery following periodontal and implant surgeries. By utilizing a combination of medication, non-pharmacological techniques, proper oral hygiene, and communication with dental professionals, patients can minimize discomfort and achieve optimal oral health outcomes.
Periodontist In Washington, DC
Maintaining good dental hygiene is crucial, and Dr. Marc Stanard, a periodontist and specialist in surgical implant dentistry, can help you achieve healthy teeth comfortably. We offer a wide range of specialized procedures and services to cater to your periodontal needs, such as bone surgery, scaling, and root planing, gum grafts, crown lengthenings, and sinus lifts.
Why you should choose Dr. Marc Stanard:
• We provide advanced, affordable dental care tailored to meet your unique needs.
• Our team offers oral hygiene instruction and education on gum disease, bone loss, and other dental health conditions.
• Dr. Marc Stanard has decades of experience and a passion for his work, and he’s earned numerous designations, affiliations, and awards, including Top DDS by Washingtonian and high ratings on Google and Yelp.
• Our office is friendly and welcoming, making it the perfect place to receive top-quality dental care.
703-288-3130 44 | Your HEALTH Magazine
Contact us today to schedule an appointment and experience the benefits of our specialized periodontal care.
Call: (202) 887-5441 1350 Connecticut Avenue, NW, Suite #305 • Washington, DC 20036 wdcperioimplant.com
Virginia Edition I 45
CEREC
turing (CAM) to create crowns in a single appointment. Not only that, but they allow for a better bite and more natural teeth for patients.
CEREC crowns fit perfectly. They look and feel like a real tooth thanks to computer-aided technology.
At your appointment, your dentist will use a small camera to create a 3D digital impression of your mouth. A milling unit is then utilized to create the ceramic crown. The dentist will then paint and glaze each tooth to match the rest of your mouth. Once this is complete, the dentist can bond the tooth into your
mouth in a matter of minutes. It’s that quick and easy.
The entire process should only take about two hours. The CEREC crowns are created with advanced accuracy and precision, look and feel like a real tooth, and every step of the process is much more comfortable for the patient.
You won’t need to wear a temporary crown or have uncomfortable impressions of your mouth taken. Plus, you will experience much less post-operative sensitivity. And don’t forget, you only need to schedule a single appointment.
DEntal tEChnology
an anesthetic that numbs your entire lip. This is a more accurate and safer delivery of anesthesia. The STA works immediately, whereas the typical anesthetic can take 8-12 minutes, and lasts as long as traditional anesthesia. This technology has been clinically proven to provide a pain-free injection.
75% Reduction in Radiation
Introducing digital X-rays, available at our practice. With this technology, an image is taken of your mouth with a digital sensor and downloaded into our computer, where it is immediately available. We can also view your entire mouth in one shot, including the upper and lower jaws, with panoramic digital X-rays. These methods result in 75% less radiation than conventional X-rays. No more waiting for images to develop and no more chemical waste to pollute the environment.
Intra-Oral Camera Makes You a Part Of the Team
The intra-oral camera is an amazing device. It is a miniature video camera that displays a close-up picture of the inside of your mouth. You can see for yourself what work needs to be done and which teeth are doing
fine. You then become a participant in each dental decision. You’ll love how this works.
Three-Dimensional Dentistry
Think of this as a three-dimensional X-ray that is far more accurate than traditional X-rays, takes much less time, and does all this with much less radiation exposure.
A great advantage of using ultra cone beam images when diagnosing patients and evaluating treatment options is the dentist’s ability to clearly see the patient’s anatomy in 3-D, instead of flat, two-dimensional images. This leads to much greater accuracy for all dental treatment, especially implant placement and any oral surgeries.
Artifical Intelligence (AI)
AI is now available for dentistry, making diagnosis more accurate and predictable. It can catch small cavities the dentist may miss and make very accurate measurements of bone level and gum recession. In the future we expect AI to be a common do-diagnosis tool among leading dentists. Nothing beats an easier, more comfortable dental visit! Schedule your dental appointment today.
pain ContRol
time to understand your unique pain experience and its impacts on your life, and develop a plan to assist you. Coaching can help you stay motivated to adopt healthy habits like following an anti-inflammatory diet or adhering to physical therapy and exercise regimens.
Living with chronic pain can feel very isolating. Those struggling with pain or long-term health conditions sometimes hesitate to seek the mental and emotional sup-
lasER DEntistRy
Disorder (TMJ), Bell’s Palsy, and Mucositis are conditions that can greatly benefit from laser therapy.
• TMJ Treatment: Lasers are utilized to reduce inflammation and pain associated with TMJ disorders. The precision of laser beams allows for targeted treatment, providing relief to patients experiencing jaw pain and restricted jaw movement.
• Bell’s Palsy Support: Laser therapy has shown promise in the treatment of Bell’s Palsy, a condition affecting facial muscles. By stimulating cellular activity and promoting blood circulation, lasers contribute to the recovery process, aiding in facial muscle rehabilitation.
sCiatiCa
with specific exercises.
Heat/Ice
For acute sciatic pain, heat and/or ice packs are readily available and can help alleviate the leg pain, especially in the initial phase. Usually ice or heat is applied for approximately 20 minutes, and repeated every two hours. Most people use ice first, but some find more relief with heat. The two may be alternated. It is best to apply ice with a cloth or towel placed between the ice and skin to avoid an ice burn.
Pain Medications
Over-the-counter or prescription medications are often effective in reducing or relieving sciatica pain. Nonsteroidal anti-inflammatory drugs (such as ibuprofen or naproxen), or oral steroids can reduce the inflammation that is usually part of the cause of pain. Muscle relaxants or narcotic medica-
FRom pagE 38
port they require for fear of invalidation. A coach specializing in pain comprehends the physical, social, and psychological effects of persistent health issues and collaborates with clients to address these various aspects. With a coach’s guidance, many individuals start to feel more empowered regarding their well-being. When individuals have a say in their treatment plan, they are more likely to adhere to it and experience progress.
FRom pagE 22
• Mucositis Management: Cancer patients undergoing chemotherapy often experience mucositis, inflammation of the oral mucous membranes. Laser therapy offers a noninvasive way to manage mucositis by promoting tissue repair and reducing pain, enhancing the overall quality of life for patients undergoing cancer treatment.
Laser dentistry represents a paradigm shift in dental care, offering painless procedures and therapeutic solutions for a range of conditions. As technology continues to evolve, the future of dentistry looks brighter, promising even more comfort and efficiency for patients seeking oral health and overall well-being.
tions may also be prescribed for the short term (a few days and up to two weeks) to alleviate pain.
Epidural Steroid Injections
If the pain is severe, an epidural steroid injection can reduce inflammation. Unlike oral medications, an injection goes directly into the painful area around the sciatic nerve to address the inflammation that may be causing pain. While the effects tend to be temporary (providing pain relief for as little as one week or up to a year), and it does not work for everyone, an epidural steroid injection can be effective in relieving acute sciatic pain. Importantly, it can provide sufficient relief to allow a patient to progress with a conditioning and exercise program.
It is always advisable to have a qualified medical professional oversee any type of sciatica treatment.
gout attaCk
prevent attacks in the future. There are also some things you can do at home to relieve symptoms, such as resting and elevating the painful joint.
Who Is At Risk For Gout?
Men are more likely to have gout than women. But women can also be affected, mostly after menopause. Some health problems, such as obesity and high cholesterol make gout more likely.
Medications, such as diuretics (water pills), alcohol consumption and certain foods can trigger gout attacks.
Foods to avoid if you have gout:
• Alcohol (beer, red wine)
• Certain meats (red meat, processed meat, turkey)
• Organ meats (kidney, liver, sweetbread)
• Shellfish (lobster, crab, shrimp, scallop, mussel)
• Certain fish (anchovy, sardine, herring, mackerel) Prevention
Here are some things you can do to prevent gout attacks:
• Avoid alcohol and foods that trigger gout.
• Take any long-term control medications prescribed by your doctor.
• Lose weight if you need to.
• Control blood pressure and cholesterol.
• Drink plenty of water to help flush uric acid from your body.
703-288-3130 46 | Your HEALTH Magazine
FRom pagE 13
FRom pagE 18
FRom pagE 38
FRom pagE 40
slEEp a pn Ea
breathing, or crowded teeth. These symptoms not only affect daily life but can also worsen sleep-related breathing disorders like snoring and sleep apnea.
Myofunctional therapy, also known as orofacial myofunctional therapy, is a specialized form of treatment aimed at improving muscle function and coordination in the oral and facial regions. Through a series of exercises and techniques, myofunctional therapy targets the underlying causes of snoring and sleep apnea by strengthening the muscles of the mouth and throat, promoting proper breathing patterns, and optimizing tongue posture.
By addressing the root cause of sleep-related breathing disorders, myofunctional therapy offers a holistic approach to treatment that complements other interventions such as CPAP therapy or oral appliances. Research has shown that myofunc -
tional therapy can effectively reduce snoring severity and improve sleep apnea symptoms, leading to better sleep quality and overall well-being.
In addition to therapy, lifestyle modifications may also be recommended to support the treatment process. These may include avoiding alcohol and sedatives before bedtime, maintaining a healthy weight, and practicing good sleep hygiene habits.
Overall, myofunctional therapy plays a vital role in the management of snoring and sleep apnea by addressing underlying muscle dysfunction and promoting optimal breathing patterns. By incorporating this specialized form of therapy into comprehensive treatment plans, healthcare professionals can provide individuals with effective solutions for improving sleep quality and reducing the impact of sleep-related breathing disorders on their lives.
Wom En’s h Ealth
the universe. This energy flows throughout the body and along the meridians that connect all acupuncture points. The acupuncture points act as reserves of Qi that can be accessed to help the body naturally heal and prevent dis-ease. Promoting smooth, unobstructed flow of Qi is essential in improving health and well-being.
Ways Acupuncture Can Support Women’s Health
Menstrual Issues: Acupuncture allows blood to flow more freely, helping to regulate cycles and alleviate pains associated with menstruation such as cramps, headaches, fatigue, and swelling. It can also help with conditions such as endometriosis, PMS, and other menstrual irregularities.
Menopause and Perimenopause: Eastern Medicine is proven very effective in treating the hormonal fluctuations that occur with menopause. From hot flashes and night sweats, to heart palpitations, anxiety and vaginal dryness, acupuncture offers a safe, and natural solution for women experiencing these symptoms.
Fertility: Studies have shown that acupuncture treatments help promote relaxation, reduce stress, and direct blood flow to the reproductive organs by balancing the endocrine system and regulating the nervous system.
h Ealthy smilE s
a child’s health and development, impacting facial features, jaw development, and overall growth. Mouth breathing can set off a chain reaction of issues, altering the growth of the lower and upper jaws, midface, and nasal bones, ultimately affecting the child’s facial balance.
Pediatric Sleep-Related Breathing Disorders (SRBD) and OSA Symptoms
Children with SRDB may present a range of symptoms, including:
• Difficulty falling or staying asleep
• Sleepwalking, night terrors, and other parasomnias
• Excessive daytime sleepiness
• Mouth breathing, dry lips, bad breath
• Dark circles under the eyes
• Tonsil and adenoid problems
• Snoring
• Teeth grinding
• Bed-wetting
• Inner ear infections
• Limited tongue/lip mobility
• Hyperactivity
• Difficulty concentrating
FRom pagE 18
Pregnancy and Postpartum: Acupuncture can help relieve morning sickness as well as low back and pelvic pain associated with pregnancy. Treatments are also effective when it comes to postpartum support – increasing milk supply and treating postpartum depression.
Skin Rejuvenation: By generating a supply of fresh blood and oxygen to the face and entire body, acupuncture stimulates the lymphatic and circulatory systems and nourishes the skin from the inside out.
Sleep Disturbances: Research studies have shown that acupuncture is proficient in improving quality and duration of sleep.
Mental Health: Acupuncture treatments help with managing stress, lowering blood pressure, easing anxiety and panic attacks as well as feelings of depression. It can be just as effective as antidepressant medications without any of the side effects.
Pain Relief and Addiction Recovery: Clinical studies indicate that acupuncture has been helpful in reducing pain in those experiencing migraines, digestive issues, physical sprains and strains,TMJ, allergies and a plethora of other pain-related issues. It is also effective in treating the challenges of dependencies and cravings, helping to let go of addictive habits and behaviors.
ing pauses, restlessness, and coughing or choking episodes during sleep.
Dentist’s Role
Contrary to conventional belief, pediatric dentists with specialized training are well-equipped to address symptoms related to sleep and airway conditions. The airway, mode of breathing, and malocclusion are closely interconnected and should be addressed early and holistically by dentists. Advanced technology, such as cone beam 3D imaging, allows dentists to effectively diagnose airway issues and guide proper growth and development. Early intervention is essential in guiding proper growth and development.
Convenient at-home sleep study tests are now available to diagnose pediatric sleep apnea and breathing issues. These tests provide comprehensive, accurate data for proper diagnoses.
• Selective eating habits
• Bedwetting
In the case of pediatric OSA, symptoms may involve snoring, breath-
Treatment goals encompass the elimination of detrimental habits, guiding optimal cranial, jaw, and facial development, preventing dental misalignment, and enhancing airway health and oxygen sufficiency. Various therapies, including oral appliances, myofunctional therapy and positive airway pressure therapy, can effectively alleviate symptoms.
www.yourhealthmagazine.net Virginia Edition I 47
FRom pagE 40
FRom pagE 19
yourhealthmagazine.net /signup Join Our Email List! The latest articles, videos and advice from your Maryland, Washington, DC & Virginia Doctors. GO TO:
HEALTH DIRECTORY
ACUPUNCTURE
Active Care Chir opractic & Acupuncture, 10680, Main Street, Suite 275, Fairfax VA 2 2030, 7 03-539-8822 www.ActiveCareClinic.com
Wholelife Chinese Medicine & Acupuncture, 301-526-9898, 416 Hungerford Dr., Rockville www.WholelifeHerb.com
ALLERGY & ASTHMA
Allergy & Asthma Centers 703339-1660 9010 Lorton Station Blvd, Ste. 210 Lorton www AllergyAsthmaDoctors.com
BEAUTY & SKIN CARE
Alya Salon & Spa, 139 Park Street SE, Vienna VA 703-2812592 www.AlyaSalon.com
Healthydermis 571-502-0202 www.MyHealthydermis.com. Locations in Oakton and Gainesville, VA.
COSMETIC SURGERY
Bitar Cosmetic Surgery Institute. George John Bitar, MD, 703-206-0506 (VA, DC, MD)
COUNSELING
Loudoun Counseling & Coaching, LLC, 21155 Whitfield Place, Suite #202, Sterling, VA. 571-375-0668, www LoudounCounselingCoaching.com
DENTAL CARE
Richard Hughes, DDS, 703444-1152, 46440 Benedict Drive Suite 201 Sterling, VA. www.SterlingImplantDentist. com
DENTAL CARE
Dental Dynamic W ellness, 703-775-0002, 20755 Williamsport Place, Suite #300, Ashburn, VA 20147. For more info please visit our website today at www.DynamicDentalWellness.com
Karl A Smith, DDS, 2550 N. Van Dorn Street, Suite #128 Alexandria, VA. Call 703-894-4867. Visit www.DrKarlSmith.com
Lifetime Dental Care, April Toyer, DDS, 14573 Potomac Mills Road, Woodbridge, VA 2 2192. 7 03-499-9779 www.LifetimeDentalCareVA. com
Awesome Smiles Dental Center – 6468 Trading Square, Haymarket, VA – 571-261-2600 – AwesomeSmilesVA.com.
Ike V Lans, DDS – 44110 Ashburn Shopping Plaza, Suite #166, A shburn, VA 20147 – 703-729-1400 – LansFamilyDentistry.com
Smile W onders – 1 1790 Sunrise V alley D rive, Suite #105, Reston, VA 20191 – 571-350-3663 – www.SmileWonders.com.
DENTAL CARE
The Dental Spa – 12351 Dillingham Square Woodbridge, VA 22192 – 703580-8288 – www.TheDentalSpaOfVirginia.com
DERMATOLOGY
Hema S undaram, M D. Dermatology, Cosmetic & Laser Surgery Fairfax. 703-641-9666 also in Bethesda/Rockville. HEALTH AND WELLNESS
Discover how scientific studies have shown that fiber and antioxidants can counteract the physiological effects of junk food and promote cholesterol and weight control with less dietary restriction: https://scholar harvard.edu/iblog/health-newsachieving-cholesterol-andweight-control-less-restriction.
HOLISTIC WELLNESS
COACH
Nutrition Lif estyle Digest ion and More – Lisa@LisaThorne. Me – Text 269-861-7565.
INTEGRATIVE HYPERBARIC & WOUND CARE
Holistic Family Health - Thermal I maging, Herndon, VA. 703-635-6324 For More information visit www.fhtid.com
NEUROLOGY
Loudoun Neurology Associates, PC – 703- 729-1900 –19420 Golf Vista Plaza, Suite #340, Leesburg, VA 20176 –www.loudounneuro.com
Order Information: 3 line listing $30.00 for 6 months, $5.00 for each additional line. 10 line listing for 6 months is $65.00. (Each line approximately 3-4 words)
To Order: Include you NAME, ADDRESS, PHONE, EMAIL AND WHAT HEADING YOU WISH TO BE LISTED UNDER, AND ANY SPECIAL OFFER OR TEXT TO INCLUDE. We will prepare a proof and email to you for approval.
Email your information to: info@yourhealthmagazine.net or Fax to: (301) 805-6808. Call (703) 288-6805 for assistance.
NORTHERN VIRGINIA EDITION
MARYLAND/WASHINGTON, DC OFFICE
4201 Northview Drive, Suite #401, Bowie, MD 20716
phone: (301) 805-6805 • fax: (301) 805-6808 • email: Info@YourHealthMagazine.net VIRGINIA OFFICE phone: (703) 288-3130 • fax: (703) 288-3174 • email: Publish@YourHealthMagazine.net
OPEN MRI
Washington Open MRI, Inc. –866-674-2727 – WashingtonOpenMRI.com – Greenbelt, Rockville, Oxon Hills, Chevy Chase, Clinton and Owings Mills.
OPHTHALMOLOGY
NewView Laser Eye Center, Jacqueline D. Grif fiths, MD. Reston 703-8349777 or 800-294-1001
For more information visit us at www.NewViewEye.com
ORTHODONTICS
All Smiles Orthodontics. 9010 Lorton Station Bouleard, Suite #260, Lorton, VA 22079. www. AllSmilesBraces.com. For nore information call us at 703-337-4414
PODIATRY
Arlington Podiatry Center, Edward S. Pozarny, DPM – 703820-1472 – Arlington, VA.
SENIORS
Chevy Chase Home Care. Help at time you need it most. Any Ages. Any situations. Any shifts. MD, DC, VA. 202-374-1240 www.CHCHHomecare.com
SLEEP & TMJ THERAPY
Sleep & TMJ Therapy – 2841 Hartland Rd., #301, Falls Church, VA 22043 – www.Sleepandtmjtherapy.com – 703-821-1103.
SPINAL CARE
The Spine Care Center, 8525 Rolling Road, Suite #200, Manassas, VA – 703-257-2266 or visit www.SpineCareVA.com
703-288-3130 48 | Your HEALTH Magazine
DIRECTORY OF HEALTH PROFESSIONALS ORDERING
Your Health Magazine is available at local grocery stores, pharmacies, and convenience stores, including: Giant • Safeway • Harris Teeter • CVS • 7-11 • and more locations near you! FREE Information From Local Doctors To Help You Live Healthier! LOCAL DOCTORS & ARTICLES at WWW.YOURHEALTHMAGAZINE.NET 30 Years Celebrating d n Prince George’s County April 2020 FREE FEATURED PROFESSIONALS N E W DOCTORSOFFICES & PRACTICES DON’T MISS NEXT MONTH’S EDITION FEATURING PLUS... NEW Technology In Todays Doctor’s Office Beauty Skin Care & Gorgeous Smiles SPECIAL FOCUS Page 32-35 Craig A. Smith, Dentistry Smith, Harmon, Dentistry DIRECTORY OF HEALTH PROFESSIONALS PAGE 64 PLUS READ ABOUT HEARING LOSS CHIROPRACTIC CARE KNEE PAIN WEIGHT LOSS BREAST IMPLANTS MEDICAL CANNABIS MELANOMA DDS Dentistry Solutions Jeffery Vascular Surgery CDC Guidelines Fact Sheet PAGE 47 Now you can get the latest issues delivered directly to your home! • Health articles and advice • Doctors near YOU! • Maryland, Washington, DC & Virginia editions • Only $24 for a year’s subscription (12 issues)! SUBSCRIBING IS EASY: 1) Call 301-805-6805 with your name, contact info, and credit card payment for $24, or 2) Simply mail this form along with your check for $24: Your Health Magazine 4201 Northview Dr. Suite 102 Bowie, MD • 20716 CHECK EDITION ($24 each edition): MARYLAND VIRGINIA WASHINGTON, DC NAME:___________________________ STREET: _________________________ CITY: _________________________ STATE:_______ ZIP:_____________ PHONE: _________________________ EMAIL: _________________________
Subscribe Today!
www.yourhealthmagazine.net Virginia Edition I 49 Contact our Award-Winning Team for a FREE ESTIMATE: 703-772-1836 www.AETileVA.com aetileandmarble@gmail.com DOING IT RIGHT FROM THE START MAKES ALL THE DIFFERENCE! YOUR FULL SERVICE, CUSTOM TILE AND MARBLE INSTALLATION PROVIDER SERVICING NORTHERN VIRGINIA RESIDENTS GET IN TOUCH WITH A&E TODAY! 703-772-1836 KITCHEN TILE, MARBLE AND FLOORING INSTALLATION From Countertops and Backsplashes to Floors, we’ll make your kitchen your favorite room in the house. BATHROOMS Custom tiling, counters tubs and basins make your bathroom uniquely yours. AND MORE A & E Tile and Marble will transform almost any room in your home into the space you’ve been dreaming of. From fireplaces to countertops and floors, we’re ready to make your vision a reality.
Health Professionals Near You
Ready To Get Healthy?
Your HEALTH Magazine publishes and distributes health information people need. We produce special sections to focus on particular health topics each month, and profiles of local health professionals. It Makes a Difference!
July MEET YOUR LOCAL HEALTH PROFESSIONALS – Biographical profiles of a wide variety of local health professionals (Primary Care, Specialists, Integrative, Fitness, and more), highlighting their credentials, expertise, education, practice philosophy, areas of interest, and more!
August WOMEN’S HEALTHCARE and WOMEN IN HEALTHCARE – All the information women need about health, plus profiles to highlight the important women involved in all areas of healthcare – from physicians and nurses to pharmacists and office support staff. Will include Profiles from your Local Women Healthcare Professionals.
September DENTAL HEALTH plus WEIGHT CONTROL, EXERCISE AND NUTRITION – Dentists, Cosmetic Dentistry, TMJ, Periodontics, Orthodontics, Oral Surgeons, Endodontics, and more! Gyms, nutrition and diet plans, weight loss, surgical alternatives, to help affect America’s out-of-control weight problems. Will include Profiles and Information from your Local Dental Health and Exercise and Nutrition Professionals.
October CANCER AWARENESS and HEALTH TECHNOLOGY – Professionals to help with prevention, early detection and surviving cancer. Information for men and women, and their families, and professionals who can provide help! Will include Profiles from your Local Cancer Health Professionals.
November BEAUTY, SKIN CARE, & GORGEOUS SMILES – Dermatology, Aesthetics, Body Contouring, Plastic and Cosmetic Surgery, the Latest Lasers, Anti-Aging, Weight Loss, Cosmetic Dentistry, Eye Wear, and more! Will include Profiles and Information from your Local Beauty and Dental Health Professionals.
and
703-288-3130 50 | Your HEALTH Magazine
Here’s
can
to:
what you
look forward
We Can Help! Pick up a copy of Your Health Magazine at Washington DC, Maryland, and Northern Virginia grocery stores, pharmacies, convenience centers, doctor offices, libraries, spas, salons, and more! Or Read Online: www.YourHealthMagazine.net 301-805-6805 • publish@yourhealthmagazine.net
Health Professional interested
practice information
the magazine
online,
us today:
If you are a
in including your
in
contact
Articles & Advice From Local Doctors! PLUS: Beauty & Skin Care • Dental Implants Sports Eye Safety • Children’s Health Senior Living • & More! • Health Directory page 48 MakingaDif e ence Virginia Ma y nd Wash g to D 33 Years 1990•2023 Celebrating View Latest Editions Scan Me!
WWW.YOURHEALTHMAGAZINE.NET • NORTHERN VIRGINIA • JULY 2023 50 CENTS IN OUR NEXT EDITION: Womens’ Health & Women In Healthcare Karl. A. Smith, DDS MS, Periodontics Ike Lans, DDS Dentistry Zina Alathari, DMD Dentistry Jacqueline D. Griffiths MD, Ophthalmology Mudit Sharma, MD Spine Surgery Claiborne M. Callahan MD, Ophthalmology Bonnie Mazaris, RYTT-200 Energy Healings & YoRiQi Jennifer Phung Make-Up Artist Daphne King, EdD LCSW, Mentl Health April Toyer, DDS, FAAPD Pediatric Detistry Sheri Salartash, DDS MAGD, Dentistry Leonard Toyer, Jr., DDS Pediatric Detistry Michael Rogers, DDS Dentistry Janice Isabella E. Dionisio DMD, Dentistry Keisha Church, MSN APRN, Aesthetics Sarah Lascano, Owner Energy Medicine Swathi M. Reddy DMD, Orthodontics Jeffrey L. Brown, DDS TMJ & Sleep Disorders Tesfaye Tetemke, MD, FACP Primary Care & Aviation Medicine Maureen O’Dea, MD Ophthalmology Lynda Dean-Duru, DDS Children’s Dentistry Krystle Dean-Duru, DDS Children’s Dentistry Raja Gupta, DDS Dentistry Scott Turner, MD, PhD Alzheimer’s Treatment E. Richard Hughes, DDS Implant Dentistry Madhavi Chada, MD Pain Management Joy Cheriel Brown Hypnosis Laura Deter, Owner Health Coach Vikram Chauhan DMD, Dentistry Garima K. Talwar, DDS MS, Prosthodontics E. Taylor Meiser, Jr. DDS, Dentistry Kyle S. Scholnick, DPM Podiatric Dermatology Zahra Kavianpour, DDS FCCDS, Family Dentistry Stephen A. Price, DDS Cosmetic Dentistry Dawn Devaney Gammon OD, FAAO, Optometry Deeni Bassam, MD Expert Spine Physician Seddigheh Feisee, MD Aesthetics & Anti-Aging Arjun Ramesh, MD Expert Spine Physician Usman Zafar, MD Expert Spine Physician Padmaja Yalamanchil DDS, General Dentistry Tontra Lowe, DDS Dentistry Patti Lee, BSN, FNP, MSN Health & Wellness Mohammad Komaily DC, Chiropractor Ruba Chowdhury Colon Hydrotherapy John Hattingh, CP Prosthetist Aramesh Darvishian, DDS General Cosmetic Dentistry Thu-Nga Ortega DDS, Dentistry Harshit Aggarwal, DDS MSD, Prosthodontics Laina Poulakos, Owner Aromatherapy & Herbology Erik A. Ward, DC, CSCS Chiropractor Mary Nalls, PT, MPT, Pelvic Floor Physical Therapy Marvette Thomas, DDS, Family & Cosmetic Dentistry Emilie Duke, LME Esthetician Rifhat Khan, DDS, Family & Cosmetic Dentistry Ayesha Hussain Aesthetics Amir Ahmadiyar, DC Acupuncture/Chiropractor Susan Brennan, RN, BSN IBCLC, Breastfeeding David Patrick Wright RM, Chakra Balancing Cheryle Baptiste, DDS Dentistry Alison F. Parker, DC Chiropractor Cheryl Y. Lee, DDS Dentistry Erika LeBaron, DO, MSN Integrative & Osteopathic Marc P. Stanard, DDS PC, Periodontics Yemi Adesanya-Famuyiwa MD, FACOG, Fertility Levi Pearson, III, MD MBA, Pain Management Barbara J. Brown, PhD Mental Health Elizabeth “Andie” Shin, DDS Pediatric Dentistry Richard Hilburn, MD Geriatrics Edward Pozarny, DPM FACFAS, Podiatrist Sereda Fowlkes Health Coach Michelle Fisher, Owner Aesthetics Gregory Cardinal, DPM Podiatry/House Calls
Our Care for You Is More Than Skin Deep…
Facial and Leg Veins, Scars, Stretch Marks, Sunspots & Pigmentation and Birthmarks, Facial Aging and Total Body Rejuvenation
Exilis Ultra, Botox, Dysport, Jeuveau, Xeomin, Juvederm, Restylane, Radiesse, Belotero, Sculptra, Platelet-Rich Plasma, Hair Restoration, Fat Grafting, Fraxel, Ulthera,
Your skin is the largest organ in your body and, together with your hair and nails, the mirror of everything that’s happening internally. After over twenty years as a fellowship-trained, Board Certified dermatologist and as a cosmetic surgeon, I am completely convinced of the positive effects of integrating medical and cosmetic treatments to balance how you look with how you feel. When that balance is missing or has been lost with age, how we look doesn’t represent who we really are inside. Others may assume that an older, stressed or worried appearance means a lack of ideas, energy and creativity. This impacts us both personally and professionally. The greatest joy of my profession is restoring the inner-outer balance for the women and men who consult me. They find it an exhilarating experience to look in the mirror, and love the reflection that’s looking back.
My team and I offer you breakthrough technology, advanced science and true artistry in a warm, compassionate and emotionally intelligent environment. We stay on the cutting edge, serving as national research and training centers - in many cases, the only centers in the mid-Atlantic and East - for expert treatment of skin, hair and nail conditions and state of-the-art techniques including lasers, fillers, Botox, fat grafting, platelet-rich plasma (PRP), chemical peels, liposuction and body contouring and vaginal rejuvenation.
My mission in my North American and global research is to elucidate the scientific basis of new and emerging technologies, and how this science can be applied to achieve the best and safest procedural outcomes. As a Principal Investigator for studies of new technologies, a national and international teacher of dermatologists and plastic surgeons, and one of a handful of experts serving as an advisor and director of advanced medical education programs, I’m confident that you will achieve the best possible results when you entrust your face and body to our hands. As a daily practitioner of yoga, I understand the value of a holistic approach.
Above all, my team and I promise to give you straight answers. We’ll steer you through the hype and jargon, and help you restore the inner-outer balance that empowers us in every aspect of our lives.
Dr. Hema Sundaram, MA, MD, FAAD • Board Certified in Dermatology
• Fellow and Visiting Professor for the American Society for Dermatologic Surgery (ASDS) • Fellow of the American Academy of Dermatology.
• Premier medical training at Cambridge University (England), University of Chicago and NIH.
• Internationally recognized physician teacher, researcher and author.
• International Speaker and Course Director at Dermatology and Plastic Surgery Academies.
• International Physician Trainer and Advisor.
• North American Chairperson of the Global Aesthetics Alliance and Global Aesthetics Consensus Group for Procedural Safety.
• Author of book chapters and scientific papers in plastic surgery and dermatology academy journals.
• Author of “Face Value: The Truth About Beauty and a Guilt-Free Guide To Finding It” - selected for the National Press Club Authors’ Night.
• Quoted as an expert in leading publications including The New York Times, USA Today, Prevention, Good Housekeeping, Allure, Marie Claire, Essence, Cosmopolitan, Self and Woman’s World.
• Medical Advisor to Fitness magazine and for tv and radio shows.
• Charities supported include Skin Cancer Foundation, Breast Cancer Awareness and The Leukemia & Lymphoma Society.
www.yourhealthmagazine.net Virginia Edition I 51
Choose Skin and Hair Health Join us for our Summer Specials Call Now to Reserve Your Appointment Additional special offers on all our services including:
eMatrix Sublative, Laser Lipo, all other Lasers, DermaSweep MD, Chemical Peels, Skin Care Products Discover VBeam Perfecta, GentleMax Pro, CO2RE and CO2RE Intima – our Newest Lasers for Pain-Free Hair Removal,
www.doctorhema.com Follow us on Instagram:
and
Se Habla Español • Now Open Saturdays SEE PAGE 4 FOR MORE INFORMATION Call: 301-984-DERM or 703-641-9666 Fairfax (3376) HEMA A. SUNDARAM, MA, MD, FAAD BOARD CERTIFIED DERMATOLOGIST TIFFANY DINH, PA-C, CERTIFIED PHYSICIAN ASSISTANT Dermatology, Cosmetic & Laser Surgery for Women and Men Rockville/Bethesda Interest-Free Financing Available • FREE PARKING “Nobody else does fillers like you do” - HJ, patient for 17 years “I will never trust my face to anyone else. You are a true artist!” - NK, patient for 12 years
@twicebornbeauty
@drhemasundaram
NOW OFFERING PRP PLATELET RICH PLASMA for HAIR RESTORATION
Dr. Hema Sundaram, MA, MD, FAAD
Through commitment to research and education, Dr. Sundaram has been involved in pivotal studies of many of the advanced aesthetic technologies available in North America, and teaches them nationally and internationally to dermatologists and plastic surgeons National
Center Before & After Facial Contouring Before & After 1st 2 sessions of PRP Hair Restoration @DrHemaSundaram @DrHemaSundaram Before & After Nonsurgical Neck Restoration @DrHemaSundaram @DrHemaSundaram
Expert French Cannulas for Safe and Bruise-Free Filler Injections
Research
FREE - In Office Teeth Whitening Welcome 7am–6pm! For New Patients. Call for details. Trusted Dental Care for the Whole Family 703-687-3255 AvinDentalCare.com Better Health & a Beautiful Smile Insured patients pay nothing out of pocket for services below. FREE Cleaning & Exam for Children FREE Exam for Adults FREE Second Opinion Evaluation Scan QR Code to Schedule an Appointment Dr. Maryam Avin, DDS 19366 Diamond Lake Drive Leesburg, VA 20176 We are located in the Lansdowne Town Center