Maryland July 2024

Page 1

Makinga Difference Virginia •Maryland•Washington D C 34 Years 1990•2024 Celebrating 50 CENTS View Latest Editions Scan Me!
Renuka Jain, DPT, COMT Physical Therapy Jaimi Jackson Owner, Hair Salon La Vergne AndreHayes, DPM, Podiatry Brent C. White, Jr. DDS, Dentistry Pam Lauer Optician Howard Horowitz DPM, Poditatry Marny Fetzer, MD, CPE Hospice & Palliative Medicine Deborah Cheryl Mallu, DVM, CVA, MAc, Veterinary Sonja Richmond, MD Hospice & Palliative Medicine Paul V. Beals, MD, CCN Conventional/Alternative Shawn Samad, DDS Cosmetic Dentistry Alicia Kovach, DC Chiropractic Kristina Anderson, DC Chiropractic Aric Adlam, DC Chiropractic Robin R. Robinson AuD, Audiology E. Taylor Meiser, Jr. DDS, Dentistry Janet V. Johnson, MD Pediatrics Karl A. Smith, DDS MS, Periodontics Alan Weiss, MD Integrative Medicine Judy Yu, DMD, MBA Dentistry Kim Weiss, RN Registered Nurse Paul A. Samakow Attorney Krystle Dean-Duru, DDS Pediatric Dentistry Lynda Dean-Duru, DDS Pediatric Dentistry Suzan Ebrahimi, MD Gastroenterology Sivakumar Sreenivasan, DMD Maxillofacial Surgery Christina Prieto Salon/Studio Mary B. Alexander, DDS DMSc, Periodontics Patrick C. Winters DC, Chiropractic Craig A. Smith, DDS General Dentistry Sonia Hinds, APRN, PMH-BC Nurse-Psychotherapist Paul J. Winters DC, Chiropractic Gwen Beverly, NonSurgical Hair Restoration Tina L. Penny, PT Physical Therapy David E. Harmon, Jr. DDS, MSD, Orthodontics Julia Brewer, Owner Pet Nutrition Rami Makhoul, MD Colon and Rectal Surgery Matthew Skancke, MD Colon and Rectal Surgery Beth Albaneze, MA, CTRS CPRP, Mental Health Nataliya Lakiza, PhD Home Health Care Toni Greene, Owner Hypnosis/Yoga Angel Wood, DACM LAc, Acupuncture James A. Cleaver Esq., Lawyer Jeffrey L. Brown, DDS TMJ & Sleep Disorders Derrick A. Martin, PT DPT, Physical Therapy Ademuyiwa Adetunji DPM, Podiatry Jayshree Shah, PTA Physical Therapy Assistant Angela V. McClain, PTA Physical Therapy Assistant Jeffrey R. Kaplan, MD Internal Medicine Dr. Anver Khan Pain Management Mimi Quade, Owner Mastectomy Fitter Jenifer Cushing, AuD Audiology Alexander Pitts-Kiefer MD, Pain Management Netsere Tesfayohannes, MD Pain Management Renee Bovelle, MD Ophthalmology Sharron Sample, CEO Medical Cannabis Chika Lillian Ojukwu OD, FABCO, Optometry Eva Duckett, MD Radiology Alexander C. Nnabue OD, PA, Optometry Laura Chylinski AuD, Audiology Michael Whalen, MD Urologic Oncology Irene Cady-Harrington Nursing Services Rupen Baxi, MD OB/GYN Burton Katzen, DPM Podiatry Hadi M. Rassael, DO Cosmetic Surgery Ashley Pimperl, MSN, CRNP OB/GYN Nurse Practitioner Rachelle Polk, Owner Wellness Coach Gena Schultheis, DDS Holistic Dentistry
WWW.YOURHEALTHMAGAZINE.NET • MARYLAND EDITION • JULY 2024
You Articles & Advice From Local Doctors! PLUS: Beauty & Skin Care • Dental Implants Weight Loss • Children’s Health Senior Living • & More! • Health Directory page 64
Christa Bellanca, LCSW-C Social Worker
Health Professionals Near
IN OUR NEXT EDITION: Womens’ Health & Women In Healthcare
Richee Berry, DDS Pediatric Dentistry Jabari Martin, MD Orthopedics Sabrina Milanovich, Master Psychic, Spiritual Healer

The mission of the Washington Open MRI is to provide the highest quality diagnostic imaging with the most patient comfort in a professional environment. Our vision at Washington Open MRI is to bring greater awareness of the unique capabilities of our Stand-Up/Sit-Down positional MRI.

We were the World’s First positional MRI center, and only available at Washington Open MRI. This unique technology provides MRI results that ARE truly superior to all others available today.

We have been providing this unique experience for our patients in a non-claustrophobic environment for almost 30 years, and for most patients, you can watch TV during your MRI scan!

301-805-6805 page 2 | Your HEALTH Magazine
An MRI? • No claustrophobia! • We’re Always Open For YouWatch TV During your Scan • Six locations close to you • “The Better MRI at Any Angle”™ The world’s most advanced postional MRI available only at Call us today 1-866-674-2727
Need
A Message From Our CEO – Phyllis Newfield... WashingtonOpenMRI.com Rockville • Oxon Hill Chevy Chase • Owings Mills
Maryland Edition | page 3 www.YourHEALTHMagazine.net

Understanding Cervical Spine Disorders

• Cervical spondylosis: cartilage and vertebrae wear out abnormally

• Cervical herniated disc: discs between the vertebrae rupture, protrude, or bulge out

• Degenerative disc disease: discs between the vertebrae break down

• Cervical spinal stenosis: spinal canal narrows around the spinal cord

• Cervical myelopathy: spinal cord damage caused by stenosis or degeneration

Cervical spine disorders refer to medical conditions affecting the cervical vertebrae—the seven small bones that form the neck portion of the spine. These vertebrae support the head’s weight and allow for its movement. Unfortunately, these disorders can lead to a wide range of symptoms and significantly impact daily life. Understanding these conditions, their symptoms, and when to seek medical attention is crucial for effective management and treatment.

Common cervical spine disorders include:

• Cervical radiculopathy: pinched nerve or compression

Symptoms of cervical spine disorders may vary depending on the specific disorder but commonly include neck pain, stiffness, radiating pain, numbness or tingling, weakness, and headaches. Neck pain can be persistent or intermittent, while stiffness can reduce flexibility and make it difficult to move the neck. Radiating pain may spread to the shoulders, arms, or hands. Numbness or tingling sensations are often felt in the arms and hands, and weakness can result in a loss of strength in these

Please see “Cervical Spine,” page 66

301-805-6805 page 4 | Your HEALTH Magazine 703 Giddings Avenue • West Annapolis* 410-263-2571 2002 Medical Parkway, Suite 615 • Annapolis 410-573-2822 Visit us at www.mcnellyoptical.com for online specials Providing the Finest Eyewear & Personalized Service Since 1929 Superior Quality • Outstanding Selection EMERGENCY REPAIRS Lab on Premises* ZEISS PENTAX SHAMIR INDO VARILUX HOYA CONVENIENT LOCATIONS: OPTICIANS CERTIFIED OPTICIANS Healthy Teeth & Gums for the WholeFamily! Dr. Craig Smith is committed to health through dentistry, ensuring you have optimal oral health which contributes to your overall health and well-being. Quality service, advanced technology and a passionate commitment to education means patients receive the best that dentistry has to offer. Whitening Special ONLY $339 A $500 Value. Limited time offer. New Patient Special ONLY $139 • Examination • X-Rays • Cleaning* • Consultation A $265 Value. Limited time offer. *Unless gum disease is present. 301-446-1784 7201 Hanover Parkway, Suite A, Greenbelt, MD Dr. Craig A. Smith • Family Dentistry
Maryland Edition | page 5 www.YourHEALTHMagazine.net Call Today To Make Your Appointment 301.652.5933 / 410.822.1222 LYNCH PLASTIC SURGERY 5530 Wisconsin Avenue, Suite #1440 Chevy Chase, MD 20815 8615 Commerce Drive, Suite #5 Easton, MD 21601 www.lynchplasticsurgery Dr. Sheilah Lynch is a Board Certified Plastic Surgeon with over 20 years experience. Brown University Residency – Plastic Surgery Georgetown University Fellowship – Breast & Cosmetic Surgery Consider Your Surgeon’s Credentials... Have the Confidence To Bare It All! Consider a Consultation for Tummy Tuck with LIPO 360 BEFORE AFTER BEFORE AFTER BEFORE AFTER BEFORE AFTER BEFORE AFTER BEFORE AFTER Check out our website for more before & after photos!

In This Edition…

The articles below are provided by local health professionals for the benefit of the public. Please contact them for advice and services.

4 | Understanding Cervical Spine Disorders | By Amin Amini, MD, MS, FAANS

7 | Look and Feel Your Best At Any Age | By Hema Sundaram, MA, MD, FAAD

11 | Do I Need A Periodontist? | By Karl A. Smith, DDS, MS 12 | Your One-Stop Solution For a Healthy Smile | Submitted By Total Dental Care 13 | Chiropractic and Exercise For Optimal Health | By Alicia Kovach, DC 13 | Can Burn Wounds Bleed? | By Paul Samakow, Attorney 14 | TMJ Disorder and Exercise | By Jeffrey L. Brown, DDS 16 | All-On-Four Dental Implants | Submitted By Sivakumar Sreenivasan, DMD, MDS

17 | Estrogen May Offer Protection Against Delirium | Submitted by New Day Vitality Hormone Center

18 | Discover Your Perfect Full Arch Dental Solution | By Judy Yu, DMD, MBA

20 | Caring For Your Children’s Feet | By Howard Horowitz, DPM

20 | Contraception and Pregnancy Prevention: Key To Women’s Health | By Ashley Pimperl, MSN, CRNP

21 | Building a Healthy Smile From the Start | By Dawn L. Tyler, DDS

22 | Inflammation: The Cause of Many Health Problems | By Alan Weiss, MD 24 | Keeping Maryland Residents Connected | By Maryland Relay/Telecommunications

30-41 | Meet Your Local Health Professionals

42 | Orthodontics: Questions and Answers | By Jacqueline Brown Bryant, DDS, MS, PC

42 | A Journey Of Healing | Submitted By Elon Roshell Day Spa & Health, LLC

44 | Kyphoplasty: A Breakthrough Treatment For Vertebral Compression Fractures | By Dr. Anver Khan

44 | Nurturing Healthy Sleep Habits In Infants and Toddlers | By Lisa Boynes Sindass, MD

46 | Play Therapy and Child Development | By Sonia Hinds

46 | Mental Illness: Myths Vs. Facts | By Joyce Abramson, RNMS

48 | Genicular Ablation For Knee Pain | By Madhavi Chada, MD

48 | The Ultimate Healing: Restoring Body, Mind & Spirit | By Sabrina Milanovich

50 | Meditate Or Medicate? | By Toni Greene, Owner

50 | Importance Of Regular Foot Check-Ups | By Ademuyiwa Adetunji, DPM

51 | Gum Disease Treatment Options | Submitted by E. Taylor Meiser, DDS

51 | Could Your Child Have Head Lice? | Submitted By Kensington Pharmacy

52 | Feel Better Fast With Tuina Massage | By Ming Xu, LAc, DAOM

52 | Relieving Menstrual Discomfort – A Holistic Approach | By Quansheng Lu, CMD, PhD, LAc

53 | Bariatric Surgery: Dr.’s Cover the Insurance Coverage Option | By Etwar McBean, MD, FACS

53 | Living With ALS: How Supportive Care Can Help | By Ashley Kinnally, MSN, NP-C, ACHPN

54 | Lyme Disease: Recognize the Signs and Symptoms | By Thomas K. Lo, DC

54 | Children Need Cheerleaders | By Janet V. Johnson, MD

58 | Enhanced Underinsured Coverage | By James A. Cleaver, Esq.

58 | The Mighty Egg / Metformin Use In PCOS | By Yemi Adesanya-Famuyiwa, MD

59 | Depression and Hormones in Older Women | Submitted By Empowered Connections, LLC

Your Health Magazine is on a mission. There are far too many people, insured or not, who do not go to the doctor when they should, and in millions of cases, don’t know who they should go to, or why. People are encouraged to buy a new house, car, cell phone or big screen TV, and those companies make themselves very visible and their products easily attainable.

Information about, and from, local healthcare providers is not easy to find, and many times those services are difficult to access.

Information and encouragement always lowers fear and trepidation about anything, and this is especially true in healthcare. While general information is available on web-sites, specific information from local providers is almost impossible for people to find. This is one of the key reasons chronic and episodic conditions are not cared for. It is our mission to:

Make A Difference By Empowering and Encouraging People To Live Healthier By Going To the Doctor When They Should.

There is a lot of evidence that the health professionals who participate in Your Health Magazine have helped many people over the years. We at Your Health Magazine salute you!

If you would like to find out how you can participate in one of our upcoming editions, please contact the office nearest you.

MARYLAND & WASHINGTON, DC OFFICE One Town Center 4201 Northview Drive, Suite 102 Bowie, MD 20716 Office (301) 805-6805 • Fax (301) 805-6808 info@yourhealthmagazine.net

VIRGINIA OFFICE Office (301) 805-6805 production@yourhealthmagazine.net

© Your Health Magazine, 2024. The magazine and all of its contents are protected by copyright. For permission to reproduce any materials in this magazine, contact publish@yourhealthmagazine.net

EDITOR-IN-CHIEF

Gregory Scott Hunter SALES & MARKETING CONSULTANT Mili Parra

MANAGING EDITOR

Heather L. Mahoney PRODUCTION & DESIGN ADMIN ASSISTANT

Alison Doner – MD

301-805-6805 page 6 | Your HEALTH Magazine
SERVING MARYLAND & VIRGINIA Since 1990
Articles and information about health professionals is available at www.YourHealthMagazine.net Articles and Information from Doctors & Other Practitioners Who Treat WOMEN! In the next edition of Your Health Magazine... If you are a health professional who would like to be included in this special WOMEN’S issue, contact us today: 301-805-6805 • info@yourhealthmagazine.net Women’s Health Your Health Magazine is here to Help People Find the Healthcare They Need! Information from local doctors lowers the barriers to getting better healthcare and living healthier. It Makes a Difference! PLUS next month’s edition will have Profiles of WOMEN In Health Care Latest editions now available online: www.YourHealthMagazine.net

Look and Feel Your Best At Any Age

If you ever look in the mirror and realize that what you see doesn’t reflect the real you, you may wish to check out some new strategies that can balance how we look with how we feel, empowering us to feel our best at any age.

The secrets are three innovative technologies – radiofrequency, ultrasound and laser resurfacing. And the key is to select the right technology for the right purpose.

You may be familiar with older or original radiofrequency treatments such as Thermage and Exilis Elite. Now, there are next-generation lasers such as Exilis Ultra, Ultherapy or Sofwave, CORE (CO2RE) Laser, and GentleMax. They feature an innovative combination of laser energies to tighten your skin, smooth wrinkles, fade sunspots, scars and spider veins, and remove unwanted hair. Some can even remove unwanted fat to re-contour your chin and body, and treat cellulite. The results are stunning, scar-free, typically take only minutes, and require little or no down time.

The science behind this breakthrough technology is fascinating. The Exilis Ultra is the first laser to combine radiofrequency and ultrasound energies, to give better and faster results. The Exilis Ultra has a unique, dual-treatment capability—for your own individualized combination of skin tightening that stimulates new collagen and elastin, and fat removal. Exilis Ultra achieves dramatic re-contouring of your face, jawline, arms, abdomen, legs

including knees, buttocks, and any other areas where restoring your skin’s youthful resilience and removing unwanted fatty deposits is needed. Treatment is completely painless and feels like a hot stone massage. The combination of Exilis Ultra with lasers for cellulite, stretch marks and skin tightening, or with liposuction can give significant improvement and drop clothing sizes in key areas such as your abdomen, waistline, hips and thighs.

Ultherapy and Sofwave are revolutionary energy devices, which harness the power of ultrasound for non-surgical lifting of your face, chin, chest, buttocks, arms and other regions. Ultherapy and Sofwave specifically target the muscles as well as the deep layers of the skin, stimulating new collagen, tightening and lifting. Results are typically achieved after only one treatment session. Customized combinations of these treatments offer advanced body sculpting.

The CORE (CO2RE) laser is a unique fractional resurfacing laser that can be specifically customized for all face and body types to treat wrinkles, sunspots and other pigmentation, scars including acne scars, prominent pores and stretch marks. The Syneron Triniti and Elos systems rejuvenate all three layers of your skin on your face, neck, chest, arms and other areas during the same session by targeting wrinkles, loose skin, skin discolorations and broken blood vessels. These systems combine intense pulsed light (IPL) and infrared energy with radiofrequency. The advantage of combining those treatments is faster and much more precise than with older lasers – and it is more comfortable, often not even requiring numbing cream. The combination also allows all skin types, from lighter to darker skin, to be treated without risk of burning or scarring. You can usually return to regular activities immediately, including social events. The eMatrix, the world’s first radiofrequency fractional laser, is used to treat deeper wrinkles and scars. It is precisely individualized to address your own unique pattern of aging more efficiently and at a lower cost than with older fractional lasers. The GentleMax is a versatile laser that offers

quick, painless hair removal for all skin types and can be set to also tighten skin and improve its tone and texture.

These treatments are designed to look completely natural, prevent deepening of wrinkles and stimulate long-term collagen and elastin production. They are effective, long lasting and cost-efficient. Patients are often amazed at how young they look after these treatments. Their skin is not only lifted, smoother and tighter, but also has a beautiful glow.

A new and important area of wellness is feminine rejuvenation. Today’s woman in her 40s, 50s, 60s or beyond has every expectation that the second half of her life will be as vibrant, active and productive as the first. Childbirth, the years leading up to menopause, or menopause itself can cause concerns that impact quality of life such as leakage of urine when coughing or sneezing, vaginal dryness, or less satisfying sexual activity. These concerns were rarely discussed previously, but now can be addressed in many women by non-surgical treatment with the CORE Intima laser. There is no recovery time, and patients typically report dramatic improvements in their sense of wellbeing and quality of life. The difference between the CORE Intima and radiofrequency treatments that are advertised for feminine rejuvenation is that the CORE Intima is a true laser,

offering quicker, longer-lasting treatment with fuller results. The first step is to have a consultation with an expert in feminine rejuvenation with lasers, who will then devise the most appropriate treatment plan in collaboration with your gynecologist.

The American Board of Medical Specialties recognizes four core qesthetic specialties that are properly qualified to perform cosmetic procedures like these, as well as fillers and Botox. These core four specialties are dermatology, plastic surgery, facial plastic surgery, and oculoplastic surgery. Some core aesthetic specialists evolve to the point of serving as researchers, international trainers and teachers for the latest technologies and techniques. They may also be selected to serve as Principal Investigators for FDA studies of new technologies, and to create educational programs for doctors worldwide.

Qualifications matter. For the best and safest results, select a board certified dermatologist or plastic surgeon who has specific training in these procedures and with whom you feel comfortable. A board certified dermatologist or plastic surgeon understands how to use the most modern technologies to lift your face and how to combine your face and body lasers with other treatments, including skin-lifting fillers like Juvederm, Voluma, Restylane and Sculptra – or even your own natural fat.

Maryland Edition | page 7 www.YourHEALTHMagazine.net
At the offices of DR. HEMA SUNDARAM, MA, MD, FAAD Board Certified Dermatologist and Dermatologic Surgeon International Teacher and Researcher in Advanced Dermatology and Plastic Surgery Technologies NOW ENROLLING FOR STUDIES OF LIP FILLERS, ACNE & SKIN TIGHTENING Follow us on Instagram: @twicebornbeauty & @drhemasundaram Email our clinic at dermdc@gmail.com or call Fairfax, VA 703-641-9666 / Rockville, MD 301-984-3376 DO YOU SUFFER FROM THINNING LIPS?

Advanced Sleep Treatment

*ARE YOU LOOKING FOR A SIMPLE SNORING SOLUTION? WE NOW OFFER RAPID SNORING RELIEF IN JUST 2 VISITS!*

Have you or your loved one tried but can not tolerate CPAP? Let Dr. Tomenko and her trained team help you.

Get The Uninterrupted Sleep You Deserve!

Dentists are often the first line of defense against sleep apnea and snoring. Dr. Tomenko works closely with physicians to screen and treat different types of Obstructive Sleep Apnea.

Common Symptoms Of Sleep Apnea Include:

• Daytime drowsiness

• Restless sleep or insomnia

• Morning headaches

• Difficulty concentrating

• Poor memory

• Loud snoring

• Nighttime choking or gasping

• Irritability or moodiness

• Dry mouth or sore throat upon waking

• Frequent trips to the bathroom

• Impotence

Who’s Eligible?

• Women 18-65 y/o

• Protective style wearers

• Natural hair wearers

• Hair loss conditions

• Dandruff

• Dry Scalp

Why Participate?

• Help us develop effective solutions tailored to the unique needs of curly hair

• Contribute to cutting-edge research aimed at hair and scalp health

• Receive personalized care and attention from our expert dermatologists

• Receive compensation for your time and commitment to the study

CONTACT US TO LEARN MORE AND SEE IF YOU QUALIFY Callender Center for Clinical Research 12200 Annapolis Road, Suite #315, Glenn Dale, MD 20769 301-249-0970 ext. 1520 clinicalresearch@CallenderSkin.com

Specialized Services

While many people will visit ENT specialists for treatment, dentists are one of the first lines of defense against sleep apnea for screening and, when appropriate, treatment. People are likely to visit their dentist at a regular six-month appointment before a physical exam with their physician. Dr. Tomenko works closely with physicians to treat different types of Obstructive Sleep Apnea.

Dr. Tomenko and her team can guide patients through the process, from diagnosis to treatment. Most people don’t realize that CPAP is NOT the only treatment option for Sleep Apnea.

Sleep apnea is a common condition that affects around 18 million Americans.

Our treatment programs are designed to help you feel better and get back to a pain free life as quickly as possible! We have over 15 years of helping people gain pain relief. We provide one-on-one, individualized treatments for our patients as well as tips to empower you to maintain a healthy and pain free life for yourself. We offer appointments within 24 hours, weekend appointments, and flexible scheduling!

301-805-6805 page 8 | Your HEALTH Magazine Ekaterina Tomenko, DDS Dentistry 240-705-8333
Suite
TomenkoFamilyDentistry.com AdvancedSleepTreatmentCo.com
10230 New Hampshire Avenue
#330, Silver Spring, MD
ARE YOU A WOMAN THAT IS EMBRACING YOUR NATURALLY CURLY HAIR? Your hair and scalp health matters! Clinical Trial Opportunity
10300-B Baltimore National Pike, Ellicott City, MD 21042 4920-A Waterloo Road, Ellicott City, MD 21043 410-988-5171 | www.Revive-PT.com
Our Specialized Services Include: • (TMJ) Jaw Pain Relief • Neck and Back Pain Relief • Orthopaedic and Sports Injury Treatment • Pre/Post-Surgical Rehab Solutions • Women’s Health RENEW YOUR STRENGTH, RESTORE YOUR LIFE
Maryland Edition | page 9 www.YourHEALTHMagazine.net

&

Hair Medic

Call Hair Medic to regain your natural look or to enhance your look to what you’ve always dreamed of

We provide private treatment rooms for a personal and confidential one-on-one experience.

We also service clients with existing hair replacement systems. No membership fees

Other Services & Products Offered:

• Scalp Analysis • Shampooing/Conditioning

• Care for Chemotherapy/Radiation

• Wig Lingerie • Turbans/Scarves • Fashionable

• Sleep Caps • Hair Coloring • Cutting • Relaxing • Perming

• Nutritional Supplements • High Frequency Therapy

• A Variety of Therapeutic Scalp Treatments

• No more embarrassing hair moments!

• No more “wiggy” looking wigs!

• No more uncomfortable wigs!

Hair Loss Problems Solved! Treat it like its your own natural flowing hair. Hand made, designed for persons experiencing hair loss or to enhance your natural look.

301-805-6805 Phone: 240-401-4755 Bowie, MD near the Bowie Town Center Non-Surgical Hair Restoration and Scalp Therapy
looked
losing
VOTED 1 of the Top 5 Experts on Non-Surgical Hair Replacement by the National Hair Society SUMMER SPECIAL $50 OFF Any Full Wig Some restrictions may apply. Offers expires 7/31/24
Before
After Gallery Did you think you would never look as natural as you
before
your hair?
having.

Do I Need A Periodontist?

A periodontist is a dentist who specializes in the prevention, diagnosis, and treatment of periodontal (gum) disease, and in the placement of dental implants. They are experts in the treatment of oral inflammation as they complete three additional years of education beyond dental school in order to treat periodontal problems. They are familiar with the latest techniques for diagnosing and treating periodontal disease, and are also trained in performing cosmetic periodontal procedures and managing complex health conditions.

What is periodontal disease, and am I at risk of developing it? The term “periodontal” simply means “around the tooth.” Periodontal disease affects the gums and bones supporting the teeth. Periodontal disease is generally attributed to “out-of-control” mouth bacteria. Factors, such as smoking or tobacco use, poor nutrition, stress or pregnancy, may also put you at risk of developing gum disease. One in two people have some form of periodontal concern that should be addressed.

Is periodontal disease contagious? Although it is not an airborne disease, research has indicated that the bacteria that cause gum disease can be passed through saliva. Therefore, families and couples who may be in close contact with a person with gum disease are also at risk. We recommend being screened for periodontal disease regularly if you are potentially at risk, particularly if you have a family history of periodontal disease or tooth loss.

My gums bleed when I brush. Is this normal? Healthy gums should not bleed when you brush your teeth. This is one of the early signs of gum disease. Other signs of gum disease include red, swollen or tender gums; sores in your mouth; gums that have pulled away from the teeth; persistent bad breath; pus between the teeth and gums (leaving bad breath); loose or separating teeth; a change in the way the teeth fit together or new spaces; and a change in the fit of partial dentures. If you have any of these symptoms, you should schedule an appointment with an experienced periodontist for a complete periodontal screening.

What is a typical periodontal treatment? Periodontists treat very minor periodontal issues to more problematic periodontal concerns, such as those with severe gum disease or a complex medical history that includes diabetes or cardiac issues. They offer a wide range of treatments, such as deep cleaning, correcting thick or overgrown

and growing new bone around your teeth. In addition, periodontists are specially trained in the placement and repair of dental implants. What happens at my first visit? During your first visit, the periodontist will review your complete medical and dental history. It is extremely important that you share all of the medications that you are taking, or if you’re being treated for any condition that can affect your periodontal care, such as heart disease, diabetes,

pregnancy, or lupus. Your periodontist will examine your gums, and check to see if there is any gum or bone loss, assesses how your teeth fit together when biting, and will check to see if any of your teeth are loose. He or she will also use a host of diagnostic tools to evaluate the stability and foundation of your gums and teeth. X-rays are generally taken to observe the health of the bone below the gum line. This is usually a simple and painless process that can give the periodontist

a great amount of data to ensure overall dental health and wellness. Do I need a periodontist? The likely answer is that if you are age 35+, have a family history of tooth and gum issues, have any systemic illness, and/or are considering braces or spending a great deal of money on cosmetic dentistry, it is a good idea to complete a thorough periodontal evaluation right away. Early detection can save you much time and dollars in your dental future.

Our patients mean the world to

(and they love to refer to us as friends and family). My team works together to ensure your visit is enjoyable, and that your treatment is gentle and pain-free. We are deeply committed to help you prevent and treat periodontal (gum) disease, and to enhance your smile to improve your overall health.

Maryland Edition | page 11 www.YourHEALTHMagazine.net
Meet Your Smile’s New Best Friend! Dr. Karl A. Smith, Periodontist A Dentist with Super Powers 601 Post Office Road, Suite #1-B, Waldorf, MD 301-638-4867 2500 N. Van Dorn Street, Suite #128, Alexandria, VA 703-894-4867 www.Dr.KarlSmith.com
us
$209 New Patient Special Includes Initial Exam, Full Mouth Digital Film, Consultation with Dr. Smith (Reg. $428) New Patient appointments available daily! – Dental Implants To Restore Your Beautiful Smile – Caring & Kind Dentist & Team – State-of-the-Art Equipment – Laser Periodontic Therapy – Affordable Gum Treatment
Insurance Accepted & Filed
Ultra-Sterile Environment
No Referral Needed
Comfortable Sedation Dentistry

Your One-Stop Solution For a Healthy Smile

Submitted By Total Dental Care

Maintaining optimal dental health is crucial for overall well-being, and finding a dental office that offers comprehensive care under one roof is a game-changer. Total Dental Care is a well-established dental practice that takes pride in providing detailed and comprehensive services in various specialties, ensuring patients receive topnotch care for their unique dental needs.

General Dental Services: Total Dental Care excels in offering a wide array of general dental services, including routine check-ups, cleanings, and preventive care. Our experienced team focuses on early detection and intervention to prevent dental issues from escalating.

Specialized Services: Whether you require orthodontic adjustments, periodontal treatments, Invisalign, dental implants, prosthodontics, oral

surgery, extractions, root canals and endodontic treatments, or restorative and cosmetic dentistry, Total Dental Care has you covered. Our specialists are experts in their respective fields, ensuring you receive tailored treatments for your specific dental concerns.

Cutting-Edge Technology: Total Dental Care stays at the forefront of dental technology, offering services such as digital intra-oral cameras, cone-beam CT scanners, and teeth-ina-day. Our committment to utilizing advanced techniques ensures effective and efficient treatments while minimizing complications.

Sedation Options: Understanding the anxiety some patients may feel, Total Dental Care offers laughing gas, oral sedation and IV general anesthesia options. Our goal is to create a comfortable and stress-free environment, catering to the individual needs of each patient. Whether you’re

Please see “Healthy Smile,” page 61

301-805-6805 page 12 | Your HEALTH Magazine General and Cosmetic Dentistry • Orthodontics • Implants Periodontics • Oral Surgery • Endodontics • Prosthodontics Children’s Dentistry • Sedation Dentistry 20680 Seneca Meadows Parkway, Suite #218, Germantown, MD 20876 www.TotalDentalCareMD.com WELCOME TO TOTAL DENTAL CARE! We provide all dental services under one roof. We look forward to having you as a patient and thank you for selecting us for your dental care needs. We focus on the needs of each patient to provide an EXCEPTIONAL patient experience in a relaxing, modern and caring environment. Your Family’s One Stop Dental Shop For convenient one stop dentistry for you and your family, call today: 240-813-9111 Asha Narendra DDS General/Cosmetic Karthik Cherukuri DDS General Dentist S. Sreenivasan DMD, MDS Oral/Maxillofacial Bhavana Mistry DDS General Dentist Anil Manda DMD Endodontist Mary B. Alexander DDS, DMS Periodontist

Chiropractic and Exercise For Optimal Health

If you’ve ever wondered about the link between chiropractic care and exercise, you’re not alone. Exercise is vital for enhancing physical, mental, and emotional well-being. When combined with chiropractic care, it becomes essential for managing low back pain and promoting overall health.

Cardiovascular and strengthen-

ing exercises are crucial for managing low back pain. However, individuals with a history of heart problems should consult both their chiropractor and primary care physician to ensure they can safely engage in cardiovascular activities.

Before starting any exercise program, patients should get specific instructions from their primary care physician and chiropractor about which exercises are suitable for their condition. This personalized approach ensures a safe and effective routine.

Strengthening exercises targeting the core muscles can fortify the back and reduce the frequency of back pain episodes. Fortunately, many core-strengthening activities can be done at the gym or at home without significant equipment costs.

For tailored core stabilization exercises, consult your chiropractor. Adding cardiovascular activi-

Please see “Optimal Health,” page 61

• Spinal Decompression - Non-surgical treatment for chronic low back pain sufferers

• Aqua Massage - Provides a relaxing and therapeutic massage, while fully clothed

• Cold Laser Therapy - A non-intrusive alternative to acupuncture and surgery, can help many pain conditions

• Physical Therapy Modalities

Technique Specialties:

• Activator Method

• Thompson Technique

• Myofascial Release

• Massage Therapy

• Ultrasound

• Custom Orthotics

• Infrared Light Pad

Maryland Edition | page 13 www.YourHEALTHMagazine.net Offering a Full-Range of Chiropractic and Wellness Services: Why Suffer If You Don’t Have To?
Now Accepting New Patients – Call now to schedule your appointment: 410-697-3566 959 Annapolis Road, Gambrills, MD 21054 www.kovachchiropractic.com Accepts Most Insurance Policies Now Offering Dry Needling
Alicia Kovach, DC Aric Adlam, DC Kristina Anderson, DC By Alicia Kovach, DC Kovach Chiropractic

TMJ Disorder and Exercise

When is comes to TMD (temporomandibular joint disorder), there are many things that a person has to consider when looking for successful treatment. With TMD, most of the time the articular discs that cover the condyles (the cartilage on top of the jaw bones) are

displaced and will pinch nerves and blood vessels. This leads to head and neck pain. Oftentimes too, when a person has TMD their cervical spine (neck) is compressed, so now you have more nerve compression as well. Since the C spine and TMJ work together, one can greatly affect the other.

So now let’s discuss the ramifications of exercise and how it

can and will affect the outcome of TMD treatment. When a person runs, as you can well imagine, the neck takes a pounding which compresses the spinous processes. This can, and will, in turn affect the TM joints. This is why running during TMD treatment is really not recommended. An alternative to running is the elliptical machine. This is a no impact device that allows for a great cardiovascular workout with no compaction to the neck. You have to keep your mind on improving the health of those joints and cervical spine.

We Are NOT Your Typical Dental Office

Dr. Jeffrey Brown has limited his practice to focus only on TMJ Disorders, Craniofacial Pain Management and Sleep Apnea. By fixing slipped discs in the jaw joints, Dr. Brown can significantly reduce the pain patients experience in the head/neck region and other symptoms associated with jaw joint problems. Sleep & TMJ Therapy may be able to improve the quality of life for you or a loved one – we encourage you to contact us with any questions or concerns.

“Dr. Brown and his staff are absolutely wonderful. I was diagnosed with Dystonia. I could not turn my head and had a ton of pain. My doctors offered no help and no advice besides Meds and Botox. Since having the appliance I have NO pain and I can turn my head. I would highly recommend them to anyone. I feel Dr. Brown and his staff really care about their patients and helping them to get better. They do not just numb the symptoms but fix the problem. Thank you from the bottom of my heart. I feel like the old me again!”

- D. Thomas

“My daughter has been treated by Dr. Stack and Dr. Brown for the last 2 1/2 years, and we are very fortunate to have found them. Prior to that she was being treated by a neurologist at a Children’s hospital. She was on medications for tics and associated muscle pain, OCD/repetitive thoughts, sleeplessness and more (all possibly associated with Tourettes). Drs. Stack and Brown installed spacers to alleviate pressure on nerve bundles in the jaw, and subsequently braces to complete the process. Her symptoms have diminished significantly. She is off medication, her tics have all but disappeared, she can concentrate better in school, and she is once again cheerful and relaxed.”

Another aspect of exercise is weightlifting of course. Most people really do not want to hear that they should not be lifting weights during their course of TMD treatment. The reason for this is that when you lift something fairly heavy, this pulls on the neck muscles – the sternocleidomastoids. These muscles connect directly into the jaw joint and will pull on a displaced disc. You can well imagine that is not a good thing. Another factor is that lifting above shoulder level causes the body to pull more on the neck than it should. This can hurt the joints as well. Once again, this type of exercise will compromise your ability to heal.

Now let’s bring up a four-letter word that comes up quite often: GOLF. So here you are newly retired, living in a house at the country club, new to the game, or just looking to a retirement in place where you can play golf every day of the week. Along comes the TMJ specialist who tells you not to play until you are better. You have a choice: Get better or not. One path means that you must take a hiatus from using those amazing Ping custom-made clubs and telling your friends about the hole in one you got. The choice is to sit at home and use the elliptical machine and get better.

This problem occurs whether it’s golf, tennis, or pickleball. You must make a choice and live with it for some time. This is not permanent but when you get back into it, you may find your stroke, and strength improved. As you can see, dealing with TMD takes some effort. For some folks it means sacrificing their normal activities so it’s good to understand all this before treatment begins.

301-805-6805 page 14 | Your HEALTH Magazine
• Certified Fellow of the American Academy of Craniofacial Pain • Over 30 Years Experience • Graduate of Georgetown School of Dentistry (1986) Schedule Your Appointment Today: 703-821-1103 2841 Hartland Road, Suite #301, Falls Church, VA 22043 • www.sleepandtmjtherapy.com • Jaw
and
• Migraines • Craniofacial Pain • Sleep
• Orthodontics We Can Help With:
Jeffrey L. Brown, DDS
Pain, Clicking or Popping
Head, Neck
Shoulder Pain
Apnea
Jeffrey L. Brown, DDS
Maryland Edition | page 15 www.YourHEALTHMagazine.net

Face The Future

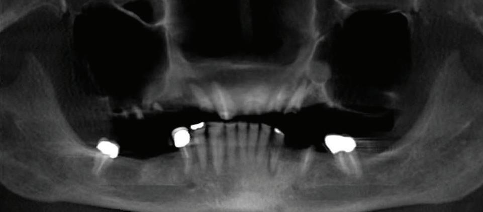
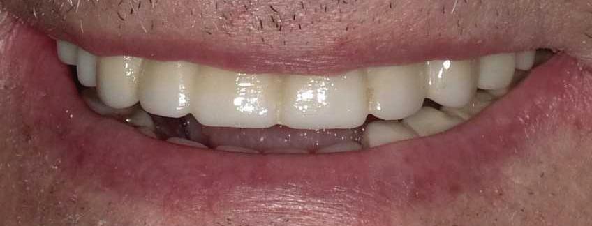
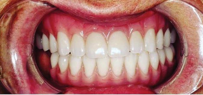
Can just four implants replace all of the teeth on the top or the bottom of your mouth? Thanks to advances in dental implant technology, that answer is a resounding yes.

Tooth loss is extremely common among adults, especially as we age. Rather than living with the discomfort and hassles of dentures, many people are opting for what is called “all-onfour” dental implant restoration.

An implant is a small titanium screw

that fits inside your jawbone and replaces the root-part of a missing tooth. Minor surgery is required to insert the implants. Once the implant is in place, a crown is attached to give you a highly realisticlooking and functional prosthetic tooth. You do not need a dental implant for each and every one of your missing teeth. All you need is four precisely placed implants on the top of your mouth, and four on the bottom, to restore your full smile. That’s the beauty of the all-on-four. And because the implant is made of titanium, it has the unique ability to fuse to living bone and function as part of it. So eventually, the dental implant becomes part of the jawbone and serves as a strong, long-lasting foundation for your new teeth.

Besides ensuring that your implants are permanently fixed in place, this bone fusion has another important benefit: it prevents future bone loss in the jaw. This helps to maintain a more youthful facial structure – and better oral health. But perhaps the biggest

Please see “All-On-Four,” page 61

301-805-6805 page 16 | Your HEALTH Magazine Since 1977, AT HOME CARE, INC. has helped thousands of persons enjoy the pleasure and peace of staying at home. Your Care. Your Way. Our Services are designed to make life safer and more enjoyable: • Personal care and hygiene • Meal Preparation • Shopping • Light Housekeeping • Laundry • Activity and Appointment Assistance • Companionship • Medication Reminders • Exercise assistance Call today to discuss your personal situation. 301-421-0200 Visit us online at AtHomeCareInc.com All-On-4: Same Day Smiles CALL TODAY TO GET YOUR OLD SMILE BACK! 301.294.8700 Dental Implant Center of Rockville 77 South Washington Street, Suite #205 Rockville, MD 20850 • www.DrSreeni.com Courtesy 3D Planning For Implants When patients bring a 3D scan with them to or have one taken in the office. Appointment needs to be scheduled before July 15, 2024 Missing Teeth or Tired of Wearing Dentures? Thanks to advances in dental implant technology, just four implants can replace all of the teeth on the top or the bottom of your mouth. All-On-Four Dental
Implants
At the offices of DR. HEMA SUNDARAM, MA, MD, FAAD Board Certified Dermatologist and Dermatologic Surgeon International Teacher and Researcher in Advanced Dermatology and Plastic Surgery Technologies
New Acne and Hidradenitis Suppurativa Studies with Board Certified Dermatologist Follow us on Instagram: @twicebornbeauty & @drhemasundaram If you are a woman 20 years of age or older and are living with mild to moderate facial acne, you may be eligible to participate in a new clinical study with approved treatments. Email our clinic at dermdc@gmail.com with subject line ACNE STUDY or call Fairfax, VA 703-641-9666 / Rockville, MD 301-984-3376

Estrogen May Offer Protection Against Delirium

Delirium is common among women with urinary tract infections (UTIs)—especially those who have experienced menopause. According to a 2019 study in Menopause Review, more than 50% of postmenopausal females develop recurrent UTIs.

Investigators from Cedars-Sinai, working with laboratory mice, have been able to prevent symptoms of UTI-induced delirium with estrogen.

“I think it is a major step toward a clinical trial of estrogen in human patients with UTIs,” said Shouri Lahiri, MD, director of the Neurosciences Critical Care Unit and Neurocritical Care Research at Cedars-Sinai and senior author of the study published in Journal of Neuroinflammation.

In previous studies, Lahiri’s team found a connection between delirium and a protein called interleukin 6 (IL-

6). A UTI causes this protein to travel through the blood to the brain, causing symptoms such as disorientation and confusion. Estrogen is a known suppressor of that protein, so the investigators designed experiments to test its effects on UTI-induced delirium.

The researchers compared preand “postmenopausal” mice with UTIs and observed their behavior in several types of specialized environments. They found that the mice in which menopause had been induced exhibited symptoms of delirium, such as anxiousness and confusion, while the others did not.

But after treating the “postmenopausal” mice with estrogen, levels of the damaging protein in the blood and delirium-like behavior were greatly reduced.

The investigators also looked at the direct effects of estrogen on neurons, using what Lahiri called a “UTI in a dish.”

Please see “Delirium,” page 65

Maryland Edition | page 17 www.YourHEALTHMagazine.net
ThunderBird
affectionately known as the ThunderBird, has been providing dentures and denture repairs for over 40 years. Our dental lab is on our premises which allows us to deliver same day repairs and relines. We also perform extractions for immediate dentures. Our service is prompt and personalized and our price is right, so come on in! 301.843.6171 thunderbirddentaloffice.com 6 Post Office Road Suite #104, Waldorf, MD 20602 Monday-Thursday: 8:00 am-2:30 pm
Dentures & Denture Repairs
Dental Office
HORMONE CENTER 410-793-512 1300 Ritchie Hwy., Suite B, Arnold, MD 21012 8133 Elliott Rd., Suite 205, Easton, MD 21607 newdayvitality.com Got hormones? They’re about so much more than sex. Studies show they impact insulin sensitivity, brain function and form, skin aging, and muscle building, to name a few. Call 410-793-5212 for your FREE consultation with a Bioidentical Hormone Specialist.

Discover Your Perfect Full Arch Dental Solution

Embrace Comfort and Affordability

In the past, individuals missing multiple teeth had limited options beyond uncomfortable and ill-fitting dentures. However, with the introduction of dental implants, removable dentures have become a viable choice. Although dentures may require adhesives and fall short of replicating the natural form and function of teeth, they offer affordability and easy removal for cleaning.

Four Implant Overdenture

Secure and Functional

Your dental arch, whether on the top or bottom, plays a crucial role in your oral health. When the majority of your teeth are missing or reach a point where replacement is recommended, a full arch replacement becomes necessary. Fortunately, there are more options available now than ever before for comprehensive full arch treatment.

Removable Dentures

Stabilized overdentures resemble traditional removable dentures, but with a significant improvement in stability. By utilizing four locators on the underside of your denture plate, they securely attach to implant abutments. These snap-on dentures eliminate rocking, shifting, or rubbing, as the implants keep the appliance firmly in

Please see “Full Arch,” page 61

301-805-6805 page 18 | Your HEALTH Magazine Dental Care for Patients of All Ages We Look Forward to Meeting You • Children’s Dentistry • Cosmetic Dentistry
Crowns and Bridges
Dental Implants
Dentures
Extractions
General Dentistry
Invisalign
Periodontal Treatment
Tooth-Colored Fillings 410-360-0440 | dentalfxmd.com 8667 Fort Smallwood Rd., Pasadena, MD 21122 Schedule an Exam Today! Dentistry by Dr. Judy Yu
FX
Dental

• Natural, safe, laser light energy is pulsed and absorbed by the subcutaneous tissue.

• Supercharges the body’s metabolism through ATP synthesis to burn fat as energy.

• Waste products are expelled from the body via sweat, urine and respiratory exhaustion.

• The body continues to burn fat for up to 4 hours after treatment.

• Collagen and elastin production is increased within the skin layers to rejuvenate and repair skin cells addressing cellulite, skin laxity and stretch-marks.

Maryland Edition | page 19 www.YourHEALTHMagazine.net Charlotte Hall – 29770 Three Notch Road – Ph: 301-884-3423 La Plata – 101 Centennial Street, Suite A – Ph: 301-934-9762 Monday-Thursday 10AM-7PM, Friday 9:30AM-5PM www.DocWinters.com
The Only Non-invasive Laser Device With FDA Approved, IRB, and Clinically Proven Results For: Fat Reduction, Aesthetics, Cellulite Elimination, Weight Reduction, and Inch Loss.

Direct: (301) 365-6940

Fax: (301) 365-6941

Email: cfeitel@medicalanddentalspace.com

CHARLES L. FEITEL

“The Medical Expert In The Washington Metropolitan Area Commercial Real Estate Market”

Caring For Your Children’s Feet

You worry about your children’s teeth, eyes, and other parts of the body. But what do you do about your child’s feet – those still-developing feet which have to carry the entire weight of the body through a lifetime?

Many adult foot ailments have their origins in childhood and are present at birth. Periodic professional attention and regular foot care can minimize these problems in later life.

Neglecting foot health invites problems in other parts of the body,

such as the legs and back. There can also be undesirable personality effects.

A child with troublesome feet walks awkwardly and usually has poor posture.

As a result, the child may become shy and introverted, avoid athletics and social functions. Consulting with a podiatrist, pediatrician and other medical specialists can help resolve these related problems.

Your Baby’s Feet

The human foot – one of the most complicated parts of the body – has 26 bones, and is laced with ligaments, muscles, blood vessels and nerves. Because the feet of young children are soft and pliable, abnormal pressure can easily cause deformities.

A child’s feet grow rapidly during the first year, reaching almost half their adult foot size. This is why foot specialists consider the first year to be the most important in the development of the feet.

Please see “Children’s Feet,” page 61

Contraception and Pregnancy Prevention Key To Women’s Health

Contraception is a critical component of women’s health, offering control over reproductive choices and preventing unintended pregnancies. Effective contraception reduces the need for abortion, which, while a necessary option, can sometimes lead to complications affecting future reproductive health.

Types Of Contraception

A wide variety of contraceptive methods are available, each with different effectiveness rates and suitability depending on individual needs and lifestyles. These include:

Barrier Methods: Condoms, diaphragms, and cervical caps physically block sperm from reaching the egg. They also offer protection against sexually transmitted infections (STIs).

Hormonal Methods: Birth control pills, patches, injections, vaginal rings, and implants release hormones to prevent ovulation. They are highly effective when used correctly and can also regulate menstrual cycles and reduce menstrual cramps.

Intrauterine Devices (IUDs): These are small devices inserted into the uterus. Available in hormonal and

Please see “Contraception,” page 66

301-805-6805 page 20 | Your HEALTH Magazine OASIS WOMEN’S CENTER ADVANCED GYN SURGICAL CARE AT OASIS WOMEN’S CENTER, OUR MISSION IS TO IMPROVE LIVES THROUGH EDUCATION, PERSONALIZED MEDICINE AND ADVANCED SURGICAL OPTIONS • Minimally Invasive Surgery • General GYN • Cancer Risk Assessment • Contraception • Menopausal Medicine • Adolescent Care Our Services Include: Offering same day or next day appointments. Request a consultation with Dr. Baxi. Schedule an Appointment Today | 240-616-3934 | owcmd.com 7501 Greenway Center Drive, Suite #410, Greenbelt, MD 20770 15005 Shady Grove Road, Suite #220, Rockville, MD 20850 Ashley Pimperl MSN, CRNP FNP-C Nurse Practitioner and GYN Specialist Appointments/Info at www.bowiefootandankle.com Howard Horowitz, DPM Medicine & Surgery of the Foot Location: 14999 Health Center Drive, Suite #112 • Bowie, MD • 301-464-5900 Gentle Care for You and Your Feet • Bunions • Hammer Toes • Ingrown Nails • Heel Pain • Diabetic Foot Care • Fractures/Sprains • Plantar Warts • Orthotics • Computerized gait & balance analysis • Sports Medicine • Joint Pain/Instability • On-site X-Rays & soft tissue imaging Serving Area for over 20 Years Board Certified Evening Appointments Most Insurance Accepted
you with your next space requirement. His professionalism and medical expertise are unsurpassed. Call now!!
6701 Democracy Blvd., Suite 300 Bethesda
Let Charles Feitel help
Charles L. Feitel Company
, MD 20817

Building a Healthy Smile From the Start

Orthodontic care is essential for preventing and treating dental misalignment during a child’s developmental years. Crooked teeth and bite problems in children can cause much more than self-esteem issues. Malocclusion (the abnormal alignment of teeth) may also lead to improper facial development, airway issues, speech impediments, and jaw discomfort.

Orthodontists provide various treatments to ensure children develop healthy, aligned teeth and jaws. These services include:

Airway Health and Interceptive Orthodontics – Interceptive orthodontics focuses on addressing developmental issues early to prevent more complex problems later. Airway health is a crucial aspect, as proper alignment can ensure a child breathes easily. Conditions like sleep apnea can be linked to orthodontic issues, and early intervention can help mitigate these risks.

Oral Myofunctional Therapy

This therapy targets the muscles used for chewing and swallowing. Problems like tongue thrusting or improper swallowing patterns can affect dental alignment and facial development. Oral myofunctional therapy helps retrain these muscles, promoting proper function and preventing malocclusion.

Clear Aligners – For children with mild to moderate alignment issues, clear aligners can be an effective and aesthetically pleasing option. These removable trays gradually shift teeth into their correct positions without the visibility of traditional braces. Clear aligners are particularly popular among older children and teenagers.

Braces – Traditional braces are still one of the most effective treatments for a wide range of orthodontic problems. Modern braces are more comfortable and less noticeable than ever before. They work by applying steady pressure to the teeth, gradually moving them into alignment.

Signs Your Child May Need Orthodontic Care

Parents should be aware of certain signs that indicate a need for an orthodontic consultation. These include:

Crooked Teeth: Visible misalignment of the teeth.

Overbite or Underbite: When the upper or lower teeth protrude excessively.

Tongue Thrusting: Pushing the tongue against the teeth when swallowing.

Thumb Sucking: A habit that can cause alignment issues if it persists beyond early childhood.

Benefits Of Early Intervention

Early orthodontic treatment offers numerous benefits:

Improved Oral Health: Properly aligned teeth are easier to clean, reducing the risk of cavities and gum disease.

Enhanced Facial Development: Correcting alignment issues can lead to more balanced facial growth.

Better Functionality: Proper

Boosted Self-Esteem: A straight

If your child shows signs of orthodontic issues, scheduling a consultation with an orthodontist is crucial. Early intervention can prevent more severe problems, ensuring your child develops a healthy, beautiful smile that will

Maryland Edition | page 21 www.YourHEALTHMagazine.net
301-494-8656 10208 Lake Arbor Way • Mitchellville, MD 20721 Learn More: MagnoliaKidFriendlyDental.com Dentistry Designed for Kids and Special Needs Making Visits Fun! • Partnering With Parents Stress-Free For All • Extended Hours Is your little one scared or anxious about visiting the dentist? At Magnolia Kid Friendly Dental, we work exclusively with children and special needs patients. Their smiles have unique needs, and we’re here to help at every stage. Our approach is simple. We take our time, listen to their needs, and make sure to have fun along the way! Preventive Dentistry • Restorative Dentistry • Orthodontics • Cosmetic & Laser Education • Prevention • Modern Technology • and More! Together, we can solve small problems before they turn into big ones and start healthy dental habits young. Call today to schedule your child’s appointment!
alignment improves chewing,
ing,
breathing.
speak-
and
smile can enhance
child’s confidence
a
and social interactions.
a lifetime.
last
Dawn L. Tyler, DDS

Inflammation The Cause Of Many Health Problems

Inflammation is a normal physical response to various harmful stimuli, such as infections, irritants and trauma. When appropriately regulated and short lived, inflammation is crucial to maintaining our survival.

However chronic uncontrolled inflammation can result in destruction of tissues and lead to chronic disease. Tests that may reveal chronic inflammation include the sedimentation rate and C-reactive protein. Examples of diseases which may result from or cause chronic inflammation include coronary artery disease, certain can-

cers, diabetes, rheumatoid arthritis, acne, asthma and celiac disease. Other conditions which contribute to inflammation include diabetes, osteoporosis, periodontitis, obesity and chronic fatty liver disease. Most of the chronic diseases we currently deal with in our society have at least an element of inflammation.

The conventional medical model dictates determining the disease at hand and then prescribing the matching medicine. This can help turn down the volume on the inflammatory response, for example using steroids, but does not deal with the roots of the disease.

So What Are the Underlying Causes Of Inflammation?

Chronic infections causing inflammation including bacterial, viral, fungal and parasitic infections – the COVID-19 pandemic was a stark reminder of the acute and chronic impact of this form of inflammation. Studies have even shown that plaque on arteries can contain bacterial DNA. Some of these infections can be hidden, especially in areas like the sinuses

Please see “Inflammation,” page 61

301-805-6805 page 22 | Your HEALTH Magazine Conventional and Integrative care to Schedule Your Appointment Today! 410-266-3613 annapolisintegrativemedicine.com Alan Weiss, MD Board Certified, American Board of Internal Medicine American Board of Anti Aging Medicine 1819 Bay Ridge Ave, Suite 180 • Annapolis, MD 21403
Dr. Angel Wood Dr. Angel Wood is a Chinese Medicine Doctor who specializes in Integrative Natural Medicine that deals with gastroenterological disorders. She has created a line of products that helps to re-balance the intestinal flora, while assisting in supporting the immune system. Board Certified Natural Health Practitioner Licensed Acupuncturist, Certified Colon-hydro Therapist (Colonic), Ionic foot bath, Spiritual Wellness Better digestive health can help with many conditions, including: Allergies/Asthma • Headaches • Acne and Rashes Immune Health • Weight Loss Constipation/Diarrhea Re-Balance Your Eating • Aching Joints Food Allergies/Sensitivites Holistic Doctor Supervised Intestinal Support that helps heal the root of your gut discomfort. Eastern Medicine • Greenbelt, MD • 240-755-5925 Magnificent Body Personal Trainer • 240-423-4389 Natural Pain Relief • www.angelofcolonics.com Accepts Most Insurances as well as HSA (FSA) GOT GUT ISSUES? ABSORPTION, ENDOCRINE, GUT FLORA SUPPORT FORMULAS I offer colon hydrotherapy in my private medical practice. STOMACH/DIGESTION PROBLEMS? Are You Suffering With: Bloating? Colitis? Constipation? Crohns? Diarrhea? Gas? Heart Burn? IBS? Weight Issues? If you answered yes to any of the questions, call Dr. Angel today for help VIRTUAL MEDICINE TREATMENT PROTOCOL OVER THE PHONE SAY GOODBYE TO IMPOTENCE, AND SAY HELLO TO LASTING ERECTIONS! We approach Erectile Dysfunction from an all-natural perspective. We incorporate acupuncture with other state of the art energy support systems to help restore vitality in your life. Schedule with us today to get the natural support you need!
Maryland Edition | page 23 www.YourHEALTHMagazine.net 3450 Old Washington Road Suite #103, Waldorf, MD 20602 CookandSiuMD.com Start Losing Weight In 3 Easy Steps! CALL FOR RISK-FREE APPOINTMENT! 301-472-4290 Nearly 100% Financing Available Complete Medical Intake so your Medical Doctor can develop the best treatment plan for you. Meet with Doctor a licensed Doctor with weight loss experience will review your information. Receive Medication Receive your GLP-1 medication in the mail every month. Free shipping directly to your door. WITH OUR SEMAGLUTIDE PROTOCOL 4 Month Supply – Self Injections Supplies – Initial Consultation Only $396.00 per Month ($99.00 per Week) No Hidden Fees – No Insurance Needed Suppress Appetite Improve Health Lose Weight

Keeping Maryland Residents Connected

Imagine how different your life would be if you were unable to use a telephone to keep in touch with family or friends, make appointments, or conduct business. This is a challenge faced by millions of people who are deaf, hard of hearing, late-deafened, DeafBlind or have difficulty speaking.

According to the Hearing Loss Association of America, 20% of adults in the United States live with some degree of difficulty hearing. For those over the age of 65, one out of every three people can benefit from Maryland Relay services.

Maryland Relay is a free public service that makes it possible for people who have difficulty hearing or speaking to place and receive telephone calls. Accessible anywhere in the state by dialing 7-1-1, Maryland Relay provides a wide array of services to meet the diverse needs of its users, including:

• Traditional Relay (TTY) for those who are deaf, hard of hearing, late-

deafened or have difficulty speaking. Also known as a text telephone, a TTY has a keyboard, which allows the user to type his/her side of the conversation, and a text screen to read the other person’s responses.

• Hearing Carry-Over (HCO), Speech-to-Speech (STS), and Visually Assisted STS for those who can hear clearly, but have difficulty speaking or being understood over the telephone. With HCO, the user types his/her side of the conversation on a TTY or HCO phone. With STS, the user speaks with his/her own voice, and a Maryland Relay Operator revoices everything he/ she says, as needed, to the other person. With Visually Assisted STS, Maryland Relay Operators are able to use both speech and visual cues to facilitate conversations for users via a live video connection.

• Voice Carry-Over (VCO) for Relay users who have difficulty hearing but prefer to use their own voice in phone conversations. VCO callers use a VCO phone or TTY to speak to the other person while a Maryland Relay Operator types the other person’s response.

• Captioned Telephone, which allows users who are hard-of-hearing to read captions of phone conversations while they listen to what the other person says.

• Remote Conference Captioning (RCC), which provides captions of what all participants are saying during conference calls.

• Braille TTY for Relay users who are DeafBlind. A Braille TTY includes a keyboard, which allows the user to type his/her side of the conversation, and a Braille display for reading the other person’s responses. In addition to the services available through Maryland Relay, people in Maryland who have difficulty using a telephone may also qualify for assistive telecommunications equipment, provided by the State through the Maryland Accessible Telecommunications (MAT) program. Qualified MAT program applicants must meet specific financial requirements and will participate in a free evaluation to ensure they receive the best equipment for their individual needs.

If you, or a loved one, have difficulty hearing or speaking over the phone, there are services and equipment available to keep you connected. To learn more about Maryland Relay and the MAT program, please visit mdrelay.org. 12200

301-805-6805 page 24 | Your HEALTH Magazine
Annapolis
Suite #315 Glenn Dale, MD 20769 301-352-1520 clinicalresearch@CallenderSkin.com
Road,

ADVENTIST MEDICAL GROUP

PRIMARY CARE SERVICES FOR YOU

Choose Adventist Medical Group Primary Care in Fort Washington, Maryland, to provide a full range of primary care services for adults.

Learn to better manage your health and prevent illnesses with personalized care from our experienced, primary care providers. Our specialists in family medicine and internal medicine work as a team to deliver expert care when you need:

• Same-day Sick Visits

• Women’s and Men’s Health and Wellness Exams

• Health Physicals, Health Maintenance and Preventive Care

• Geriatric (Senior) Wellness Exams

• Vaccinations and Immunizations, including Flu Shots

• Health Management for:

• Asthma and Allergies

• High Blood Pressure

• High Cholesterol

• Diabetes

• Heart Disease

You also benefit from coordinated care that helps you effectively handle all aspects of your health—from preventive medicine and preoperative appointments to management of chronic health conditions.

To schedule an appointment, please call 240-724-6018

10709 Indian Head Highway, Suite D1 Fort Washington, Maryland 20744 AdventistMedicalGroup.org

Maryland Edition | page 25 www.YourHEALTHMagazine.net
Ogechi Anyaoku, MD, MSPH (Internal Medicine) Nicole Haskins, CRNP, RN (Family Nurse Practitioner)

• Cataract Surgery

• LASIK

• Dry Eye (Low Light Therapy, IPL)

• Diabetic Retinopathy

• Macular Degeneration

• Glaucoma

• Pterygium

• Glasses and Contacts

• Sports Vision Enhancements

• Optical Boutique

301-805-6805 page 26 | Your HEALTH Magazine When They Need A Doctor. Schedule Your Appointment Today 301.431.0431 Accepting Emergencies & New Patients • 2045 University Blvd East Ste 100, Hyattsville, MD 20783 • 831 University Blvd East Ste 11, Silver Spring, MD 20903 • 8630 Fenton Street, Suite 130, Silver Spring, MD 20910
See Clearly, Live Brightly
Saman Ghahremani, M.D. Mehrak Marzban, M.D. Peter Warzusin, M.D. Priyanka Patel, O.D. Hares Banuwal, O.D.
Maryland Eye Care Center, we are passionate and dedicated to providing exceptional service by combining three unique elements of patient care: technology, proficiency, and a
touch. Comprehensive Eye Exam for the Whole Family Serving Our Community for 20 Years in 3 Convenient Locations
At
loving
Maryland Edition | page 27 www.YourHEALTHMagazine.net
301-805-6805 page 28 | Your HEALTH Magazine
Maryland Edition | page 29 www.YourHEALTHMagazine.net Featured Health Professionals Local Professionals Empowering and Encouraging People To Live Healthier EIHMD.COM Decreases Inflammation Recover Quicker From Injuries Reduces Pain Improves Performance Feel Rejuvenated Improves Sleep Reduces Fatigue Produces Collagen Boost Metabolism Maryland Cryotherapy utilizes cutting-edge therapy technology to improve performance and boost your body’s natural recovery processes! MDCRYO.COM MILLERSVILLE 410-729-2200 LANHAM 301-577-6556 REPAIR • RECOVER • REJUVENATE MILLERSVILLE 410-451-2653 Effective Integrative Healthcare provides a wide variety of services that make them a one-stop shop for healthcare: Habla Español Immune + Energy Boosting –Effective Vitamin IV Therapy NEW – Triple Immune Boost Shot Vitamin Shots • Medical Weight Loss Chiropractic • Physical Therapy Acupuncture • Massage Bio-Identical Hormone Pellets & more – all under one roof! Our Experienced Teams Will Help You Feel Better This Summer!

ACUPUNCTURE

Angel Wood, DACM, LAc

Doctor

Board

Conditions

nutrition, foot & heel pain, many more medical conditions. For more information see my website and the World Health Organization. Most major health insurances accepted. Natural Healing–Also offering colorpuncture, reflexology, acupressure and Chinese Herbal consult. Facial rejuvenation & cosmetic makeup. Also offering Light Therapy & Sound Therapy. Call me for details. Treat all ages – elderly, infants, children and adults

7525 Greenway Center Drive, Suite #213

Mission Statement: There are many parts to the human body, not just physical. The human body consists of the physical part, the mental part, and the soul part. The body can not and will not heal properly if the whole person is not receiving balance. All areas of the person’s body must be addressed for overall healing to take form naturally. My training, skills and expertise in Western and Eastern medicine will offer you a unique approach in Mind, Body and Soul Healing.

ATTORNEY

Paul A. Samakow

Samakow

Law

Paul Samakow has been a trial attorney exclusively representing injury survivors and their families since 1980. His national burn injury practice has taken him to numerous parts of the country representing the interests of burn injury survivors.

He is the author of Twice Burned, a critically acclaimed book describing compensation rights for burn survivors, A Handbook for Caregivers of Patients with Burn Injuries, describing “Compassion Fatigue” and information to help deal with that issue, and numerous other papers dealing with specific burn related safety and compensation topics, including information for firefighters who are injured in the line of duty.

His burn injury articles in Your Health Magazine have educated their readers and many have reached out to Mr. Samakow for more information.

Mr. Samakow is a proud member of the American Burn Association, The American Justice Association’s Burn Injury Group, and the Washington D.C. Firefighter’s Burn Foundation.

Mr. Samakow’s website has numerous safety tips that can be printed from the site or downloaded, all for free. The website is: www.nationalburnattorney.com. Paul can be reached directly on his mobile phone at 703-472-7688.

Paul is married, the father of two wonderful young women, both attorneys, and two beautiful grandchildren. He is an accomplished tennis player and former professional photographer.

Chylinski,

Dr. Chylinski was drawn to the field of Audiology as a young middle schooler when she was first introduced to a classmate with a profound hearing loss. She knew instantly that she wanted to work in hearing healthcare. She received her Bachelors of Science degree in Communication Sciences and Disorders in 2017 from California University of Pennsylvania, where she was an executive and founding member of the American Sign Language Club on campus. She then received her Doctor of Audiology degree at Towson University in Maryland in May 2021. She holds her American Speech & Language Association (ASHA)’s clinical competency in Audiology (CCC-A).

LOCATIONS IN: Prince Frederick, Waldorf, Solomons Medical Center, Greenbelt, Leonardtown 443-295-7100 FreedomHearing.com

Laura has been working in private practice since she graduated in 2021. She has a special interest in pediatric and adult diagnostics, appropriate hearing device selection and maintenance, and cochlear implants. Dr. Chylinski has the experience of clinical rotations in ENT settings as well as educational audiology and private practice, including time as a student at Freedom Hearing Center. She has a passion for educating patients and family members regarding hearing loss and helping them understand how hearing can impact their overall health and wellness.

Dr. Chylinski enjoys spending time with her family; including her husband, daughter, and dog. They like to travel, enjoy new restaurants, and are learning the ropes of boating. Community service has been a large part of her life since she was young. She was born and raised in Calvert County, MD and looks forward to providing services to the community that raised her.

AUDIOLOGY

Dr. Jenifer Cushing is the co-founder and Audiologist at Live Better Hearing + Balance, Maryland’s premiere, family-owned audiology and hearing health practice.

In 2007, Dr. Cushing and her husband, Dr. Ross Cushing, founded Live Better Hearing in a small office in Montgomery Village with one simple, but powerful mission: To help people live better lives through better hearing.

Today, Live Better Hearing + Balance is one of the most respected hearing health care practices in the country with more than 6,000 verified 5-star patient reviews across 25 hearing clinics. If you are looking for a hearing test, new hearing aids, balance testing, tinnitus treatment, or other hearing health care services,

5-Star

EDUCATION:

ODENTON

410-672-1233

SEVERNA PARK 410-672-1244

EDGEWATER 410-956-2555

CATONSVILLE

410-788-1266

HearSolutions.com

AUDIOLOGY

Robin R. Robinson, AuD

Hearing Solutions Audiology Center

Dr. Robinson founded Hearing Solutions Audiology Center to provide the excellence that patients deserve when it comes to their hearing health. With emphasis on diagnostics and aural rehabilitation with advanced technology instruments, Dr. Robinson has been practicing for over 20 years and is Board Certified by the American Board of Audiology. She received her doctoral degree in Audiology from the Arizona School of Health Sciences and her Master’s and Bachelor’s of Science degrees from Radford University in Virginia, graduating with Magna Cum Laude honors. As an audiologist, Dr. Robinson has worked for large medical hospitals, as well as, ENT specialists, but she enjoys the personalization and patient care she is able to provide in a private practice like Hearing Solutions.

As a native Virginian, Dr. Robinson still enjoys outdoor activities such as boating and kayaking on the weekends. When Dr. Robinson and her husband aren’t attending their children’s sporting events, they can usually be found enjoying the waterways of Maryland.

CHIROPRACTIC

Aric Adlam, DC

Kovach Chiropractic and Wellness Center

Dr. Aric Adlam was born and raised in the suburbs of Detroit, MI where he started receiving chiropractic care at the age of 2 years old. After a traumatic football injury threatened his future athletic career at the age of 16, Dr. Adlam turned down a risky spinal surgery for an all chiropractic approach. After missing only a half of a football season instead of the predicted 2 years; Dr. Adlam was back on the field. More importantly, Dr. Adlam had decided during that time that he had found his calling in life and decided to pursue a career as a Chiropractor.

Dr. Adlam received an undergraduate Bachelor of Science degree with an emphasis in Biological Sciences before entering chiropractic school. He then continued his education at Life University College of Chiropractic in Marietta, GA where he received his Doctorate of Chiropractic degree, fulfilling his dream of becoming a Chiropractor.

Dr. Adlam is highly trained in the diagnosis and treatment of soft tissue injuries often encountered in the spine, extremities and the rest of the body. He has extensive experience with the current state of the art spine rehabilitation technology and diagnostic equipment used in the treatment of spine related injuries. He has had success in treating many patients who have dealt with chronic neck and low back pain for years as well as headache sufferers that found no relief in the traditional medical model. He has extensive expertise in the treatment of whiplash injuries that often result from automobile accidents. Dr. Adlam is also well trained in the diagnosis and treatment of bulging discs in the low back and neck utilizing the latest treatment methods available.

Dr. Adlam comes from a history of highly competitive sports and takes pride in getting the high performance athlete to the weekend warrior back in the game safely and effectively. He looks forward to bringing the patients of Kovach Chiropractic and Wellness Center the best chiropractic care possible.

Making a Difference By Empowering and Encouraging People To Live Healthier Meet Your Local Health Professionals page 30 | YourHEALTH Magazine 301-805-6805 Making a Difference By Empowering and Encouraging People To Live Healthier page 30 | YourHEALTH Magazine 301-805-6805
Of Natural Medicine, Specializing In Eastern Medicine Gut Health
Engineer-
Masters Degree
graduate
Tai Sophia Institute
Natural Healing. Board
Natural
Certified Natural Health Practitioner, Voice BioAnalysis - Let your voice tell you what your body knows. Degrees, Training and Certificates: Doctor of Acupuncture and Chinese Medicine, Pacific College of Oriental Medicine. Graduated from the University of Maryland Medical School in Bio-Genetics
ing/Medical Research Technology. Holds a Masters Degree in Acupuncture and a 2nd
in Oriental Medicine and Chinese Herbs. A
of
of
Certified
Health Practitioner.
the immune system through
men-
high cholesterol,
weight
Treated By Dr. Wood: Specialize in Natural Gut Health, building
rebalancing the intestinal tract. Pain management, fertility, female medical conditions (fibroids, painful
strual cramps, etc.), male medical conditions, impotence, high blood pressure, diabetes,
vertigo, stroke, assist cancer patients, stress management, preventative medicine,
management,
Dr. Angel and NP Milca are offering a holistic approach to hormone therapy for women and men. We are utilizing eastern and western medicine to correct your metabolic hormonal imbalances to improve your symptoms and quality of life – thus allowing your inner child to shine through. Our program consists of a complete and comprehensive holistic evaluation including labs, and personalized treatment plan.
Greenbelt,
240-755-5925 AngelOfColonics.com
MD
8230 Old Courthouse Road Suite #430 Tyson’s Corner, VA 703-472-7688 www.NationalBurnAttorney.com
make an appointment with Dr. Cushing to receive the expertise and compassion you need to achieve optimal hearing health.
Review From Dexter F.: Dr. Cushing is awesome. The best audiologist I’ve come across. Her empathy and attention to detail makes my hearing experience all the much
better.
Maryland,
Park
Maryland
Jenifer Cushing, AuD Live Better Hearing + Balance Office Locations In: Annapolis – Baltimore Chevy Chase – Ellicott City Frederick – Montgomery Village Pasadena – Pikesville Potomac – Rockville Silver Spring Leisure World Silver Spring Hillandale Timonium – Waldorf 888-432-7505 LiveBetterHearing.com
• Au.D., University at Buffalo • B.A. Hearing Speech Science, University of
College
LICENSES AND CERTIFICATIONS:
Audiology License and District of Columbia Audiology License
959 Annapolis Road Gambrills, MD 410-697-3566 www.KovachChiropractic.com
AUDIOLOGY
Center, LLC
Laura
AuD Freedom Hearing

CHIROPRACTIC

Kristina Anderson, DC

Kovach Chiropractic and Wellness Center

Dr. Kristina Anderson was born and raised in northern New Jersey. She completed her undergraduate studies at the University of Maryland, College Park where she received her Bachelor’s degree in Kinesiology. She then went on to receive her Doctor of Chiropractic degree and Masters in Applied Clinical Nutrition at New York Chiropractic College.

959 Annapolis Road

MD 410-697-3566

www.KovachChiropractic.com

Since graduating, Dr. Anderson has received certifications including Rocktape, Dry Needling, Active Release Technique, FAKTR (Functional and Kinetic Treatment with Rehab), and the Webster Technique. After having to take time off from Track and Field in high school due to quadriceps tendinitis, she understands the importance of quality rehabilitation and care and continues to educate herself to better assist her patients.

Throughout her career as a chiropractor, Dr. Anderson has worked with a variety of patients including athletes, perinatal, postnatal, personal injury, adolescents, and geriatric. Dr. Anderson works tediously to ensure that maximum therapeutic benefit is achieved.

Outside of work Dr. Anderson enjoys reading, watching stand-up comedy, musicals, and traveling with her husband.

CHIROPRACTIC

Alicia

Kovach, DC

Kovach Chiropractic and Wellness Center

Degrees/Training: Graduate of Palmer College of Chiropractic, DRX Training, Activator, Myofascial Release, Board Certified Physical Therapy and Webster Certification.

Trained in the Thompson Technique, as well as in the latest evidence based Chiropractic treatments for Pediatric and Pregnancy Care

Associations: Maryland Chiropractic Association, International Chiropractic Pediatric Association

Areas of Interest: Maternity Care, Pediatric Care, Worker’s Compensation, Personal Injury, Spinal Decompression for Herniated Discs

Hobbies: Dr. Kovach enjoys spending time with her son, Colton, and her family and friends. She also enjoys staying active running and is an avid sports fan.

Inspiration: Helping people restore their health naturally on a daily basis.

Most Memorable Moment: Through the use of the chiropractic care and other wellness modalities, she has seen patients go from extreme back and/or neck pain to little or no pain and the ability to return to a productive life. Patients injured through automobile accidents or work related accidents that could hardly function daily in their jobs have been able to return to work and daily activities pain free.

Best Health Advice: Pay attention to your body and don’t ignore the subtle signals. Those subtle signals can lead to a quicker recovery.

CHIROPRACTIC

Paul J. Winters, DC

Winters Chiropractic and Physical Therapy

Dr. Winters earned his Doctorate of Chiropractic in December 1996. After graduating from NWCC, he moved to Northern Virginia and practiced in a multidisciplinary office. In 1998, he moved

Functional Capacity Evaluations

• The National Board of Chiropractic Examiners Certification - Parts I-IV and Physical Therapy

• Maryland Board of Chiropractic & Massage Therapy Examiners

The Federal Motor Carriers Safety Administration - Certified Medical Examiner (CME)

his work in colon and rectal cancer, and the use of Robotic Surgery in various abdominal procedures. He continued with his passion for research and published peer-reviewed articles during his Fellowship training. Several of his works were presented at national conferences including the American Society of Colon and Rectal Surgery, and the Society of American and Gastrointestinal and Endoscopic Surgeons annual conferences.

Dr. Makhoul diagnoses and treats various diseases of the colon, rectum, anus, and other parts of the GI tract using national standards and guidelines. He has a special interest in treating colon and rectal cancer using advanced surgical minimally invasive techniques including robotics, laparoscopy, transanal total mesorectal excision and transanal endoscopic microsurgery.

As part of his commitment to surgical training and education, Dr. Makhoul serves as a Clinical Instructor of Surgery at the George Washington University. Dr. Makhoul holds the position of Cancer Liaison Physician for Holy Cross Health, where he manages and oversees clinically related cancer activities in collaboration with the Commission on Cancer and American Cancer Society.

When he is away from the office, Dr. Makhoul may be found spending time with his family. He also enjoys skiing, running, scuba diving, tennis, and traveling.

www.KovachChiropractic.com

CHIROPRACTIC

Dr. Winters earned his Doctorate of Chiropractic in December 1996. After graduating from NWCC, he moved to Northern Virginia and practiced in a multidisciplinary office. Today, he co-owns Winters Chiropractic & Physical Therapy. Dr. Winters holds licenses to practice in MD, VA, MN, and ND, and is licensed to practice Chiropractic & Physical Therapy. This licensure allows him to perform joint manipulation of the spine and extremities. He has achieved a variety of post-graduate certifications including:

• The prestigious American Medical Association Impairment & Disability Evaluation Certification

• The National Academy of Disability Evaluating Professionals Certification-CDE 1 Certified Disability Examiner

• The National Board of Forensic Chiropractors CertificationImpairment/Disability/Functional Capacity Evaluations

• The National Board of Chiropractic Examiners Certification - Parts I-IV and Physical Therapy

• Maryland Board of Chiropractic & Massage Therapy Examiners

American Society of Colon and Rectal Surgeons. Dr. Skancke is Board Certified in General Surgery and Colon and Rectal Surgery and is an active member of the American Society of Colon and Rectal Surgeons Quality and Safety National committee. Outside of work, Dr. Skancke has found a new love for French cooking and North Carolina barbeque. To offset these vices, Dr. Skancke also enjoys

Making a Difference By Empowering and Encouraging People To Live Healthier Meet Your Local Health Professionals Making a Difference By Empowering and Encouraging People To Live Healthier Maryland Edition | page 31 www.YourHEALTHMagazine.net COLON AND RECTAL SURGERY Matthew Skancke, MD Metro Colon and Rectal Surgery, PC Dr. Matthew Skancke is a colon and rectal surgeon serving Maryland, Virginia and Washington, DC. Dr. Skancke grew up in Great Falls, VA earning his undergraduate degree in electrical and biomedical engineering at the University of Virginia’s engineering school. After engineering school he spent three years working for a Swiss based GPS company U-blox America while going to night school to finish his pre-medical degree. He then attended medical school at the University of North Carolina at Chapel Hill where he did basic science research of mesenchymal stem cells to progress the field of regenerative medicine. Dr. Skancke continued his General Surgery training at the George Washington University Hospital and subsequently did his Colon and Rectal Surgery Fellowship at the Cleveland Clinic. During his training, Dr. Skancke has published over 24 peer reviewed publications, authored three book chapters, and presented over 45 times at national conferences in medicine and surgery. He has participated in clinical trials of bench top and mechanical sciences and is a member of the American College of Surgeons and the
time. 15001 Shady Grove Road Suite #100, Rockville, MD 240-702-0122 301-681-6437 10215 Fernwood Road Suite #102, Bethesda, MD 240-858-6764 ColonRectalDocs.com COLON AND RECTAL SURGERY Rami Makhoul, MD, FASCRS, FACS Metro Colon and Rectal Surgery, PC After completing his fellowship in Colon and Rectal Surgery at the prestigious Robert Wood Johnson University Hospital-Rutgers University, Rami Makhoul, MD, joined Holy Cross Hospital in 2014 to serve patients in the DC Metropolitan area. In January 2018, he joined Metro Colon and Rectal Surgery, PC. Upon graduating from medical school, Dr. Makhoul first completed his internship in General Surgery at the University of Massachusetts Medical School. He then completed his residency training in General Surgery at the George Washington University Hospital in Washington, DC. During his Residency training at GW, Dr. Makhoul spent a year in clinical research where he published much of
running and powerlifting in his free
19529 Doctors Drive Germantown, MD 4701 Randolph Road Suite #203, Rockville, MD 10215 Fernwood Road Suite #102, Bethesda, MD 301-681-6437 ColonRectalDocs.com
to Waldorf, MD and teamed up with HEALTHSOUTH®. Today, he co-owns Winters Chiropractic & Physical Therapy. Dr. Winters holds licenses to practice in MD, VA, PA, and MN, and is licensed to practice Chiropractic & Physical Therapy. This licensure allows him to perform joint manipulation of the spine and extremities. He is also licensed to perform Commercial Driver License Physicals, venipuncture, x-rays, and refer for any diagnostic test which may help determine a patient’s diagnosis such as an MRI and CT scan. He has achieved a variety of post-graduate certifications including:
The prestigious American Medical Association Impairment & Disability Evaluation Certification
The National Academy of Disability Evaluating Professionals Certification-CDE 1 Certified Disability Examiner The National Board of Forensic Chiropractors Certification - Impairment/Disability/
29770 Three Notch Road Suite #205 Charlotte Hall, MD 301-884-3423 101 Centennial Street Suite A, LaPlata, MD 301-934-9762 www.DocWinters.com
Patrick C. Winters, DC Winters Chiropractic
Physical Therapy
and
29770 Three Notch Road Suite #205 Charlotte Hall, MD 301-884-3423 101 Centennial Street Suite A, LaPlata, MD 301-934-9762 www.DocWinters.com
959 Annapolis Road Gambrills, MD 410-697-3566
Gambrills,

CONVENTIONAL/ ALTERNATIVE MEDICINE

Paul V. Beals, MD, CCN

Dr. Paul V. Beals, MD, CCN is a family physician and certified clinical nutritionist whose sole aim is to care for his patients to the best of his ability at ALL times.

Dr. Beals is a member of ILAD, the International Lyme & Associated Diseases Society and uses ILADs protocols and complementary medicine to treat Lyme Disease. Another area of his expertise is non-toxic, non-invasive therapies for cancer and cardiovascular disease.

Dr. Beals is dedicated to help patients who are in dire need of medical attention in one aspect or the other. His team approaches patients who are looking for holistic, non-toxic options and adopt a lot of medical strategies ranging from self-motivation, nutrition, and some other therapies to improve the mental, physical and emotional well being of the patient.

Dr. Beals strongly believes in educating the individual on the treatment options available and appropriate to the individual’s needs and health. He draws on his experience as an alternative medicine doctor and integrated family physician to give his patients the very best medical care. His specialties include: Chronic Lyme Disease, Heart Disease Treatment, Holistic Cancer Therapy, Hormonal Issues, Diabetes, Chronic Fatigue Syndrome, Autoimmune Diseases and Arthritis. Dr. Beals utilizes, but doesn’t limit himself to, conventional medicine like drugs and surgery. Rather he offers his patients “the best of both worlds.” 120 Sallitt Drive, Suite F

DrPaulVBeals.com

COSMETIC SURGERY

Hadi M. Rassael, DO

Millennium Medical

Millennium Medical’s primary goal is to attend to the need of every patient. The practice has an extensive array of treatment options, including cosmetic surgery, Botox, fillers, laser treatments, and health and wellness.

As the founder of Millennium Medical, Dr. Rassael graduated from George Washington University in 1986 with a BS in chemistry and zoology and subsequently obtained his graduate degree in physiology at Georgetown University. He obtained his medical degree from the New York College of Osteopathic Medicine in 1994. Thereafter, he received two years of surgical training at Saint Agnes Hospital which included two months of cosmetic surgery training at the world-renowned Johns Hopkins Burn Center in Baltimore, MD.

During this training, he had the opportunity to learn the surgical skills necessary to perform body and facial surgery. He continued his training at AFIP/Walter Reed Medical Center in Washington, DC, where he completed his Otolaryngology and Endocrine Pathology fellowship in 1998. Due to his passion for cosmetic surgery, Dr. Rassael has continued to fine tune his surgical techniques, including the art of facial and body contouring surgery. His training alongside many renowned surgeons as well as his years of experience, makes him an exceptional cosmetic surgeon.

His practice also continues to strive to offer the latest technological services in the field of cosmetic surgery.

COSMETIC DENTISTRY

Shawn Samad, DDS

Bethesda Dental Group

Dr. Shawn Samad, raised in Severna Park, MD, hails from a modest background with parents Fred and Mary. He grew up passionate about sports, particularly soccer and is an enthusiastic Ravens supporter.

His academic journey includes a Bachelor of Science in Biology and Chemistry from a college in Westminster, MD, with a focus on Physics. Furthering his education, he pursued a Master’s degree in Biology at UMBC before attaining his Doctor of Dental Surgery (DDS) degree from the University of Maryland School of Dentistry.

DENTISTRY

E. Taylor Meiser, Jr., DDS

Lighthouse Family Dentistry

Degrees/Training: DDS, University of Maryland Dental School; General Practice Residency, San Diego Naval Hospital; Prosthodontics Residency, Naval Dental School, Bethesda; U.S. Navy Dental Corps Officer, Commander, USN, (retired).

Professional Memberships: American Dental Association, Maryland State Dental Association, Anne Arundel County Dental Society, Annapolis Dental Study Club, Chesapeake Implant Study Club, University of Maryland Alumni Association.

Practice Philosophy: To follow the “Golden Rule” in all aspects of professional dental care, providing outstanding quality dentistry in a caring, comfortable and comprehensive manner. Lighthouse Family Dentistry will “Light Up Your Smile.”

Brent C. White, Jr., DDS

ThunderBird Dental Office 6

ThunderBird Dental Office, affectionately known as the ThunderBird, has been providing dentures and denture repairs for over 40 years. Our dental lab is on our premises which allows us to deliver same day repairs and relines. We also perform extractions for immediate dentures. Our service is prompt and personalized and our price is right, so come on in! Education: Graduate of Howard University College of Dentistry in Washington, D.C.

Completed General Practice Residency at Saint Elizabeths Hospital in Washington, D.C.

Served as a Civilian Dentist at Ft. Meade Army Base, Ft. Meade, MD

Served as Clinical Director at Oak Hill Juvenile Detention Center, Laurel, MD

Member Of: ADA American Dental Association and MSDA Maryland State Dental Association

14333 Laurel Bowie Road Suite #100, Laurel, MD 301-953-3081

www.LaurelPinesDental.com

204 Main Street, Laurel, MD 301-725-4884 LaurelDentist.com

Despite achieving a high educational level, Dr. Samad remains committed to continuous learning through regular Continuing Education (CE) courses, staying abreast of the latest techniques and technologies. He holds expertise in Cosmetic Dentistry, Endodontics, Oral Surgery, Implantology, and Invisalign Orthodontics, emphasizing the importance of knowledge for success.

His dental office boasts cutting-edge technology and a sophisticated layout, reflecting his dedication to modern dentistry. Dr. Samad’s professional motto revolves around “Changing lives, one tooth at a time,” inviting individuals to experience his exceptional dental care firsthand.

team to educate clients about the importance of oral care and how the pathology in the oral cavity is directly linked to one’s general health, including periodontal disease and its relationship with heart disease. A humanitarian at heart, Dr. Yu truly enjoys giving back to the community. She currently chairs the Northern

Making a Difference By Empowering and Encouraging People To Live Healthier Meet Your Local Health Professionals page 32 | YourHEALTH Magazine 301-805-6805 Making a Difference By Empowering and Encouraging People To Live Healthier page 32 | YourHEALTH Magazine 301-805-6805 DENTISTRY Judy Yu, DMD, MBA Dental FX Dr. Judy Yu is an artist with a passion for perfecting smiles and boosting confidence. She is a true advocate of education. Dr. Yu strives to educate herself and her team in our ever-changing field. She attended the Temple University School of Dentistry in Philadelphia, PA, where she received her DMD and was honored in the Temple University Gallery of Success. Her undergraduate degree, a B.A. in Chemistry, was attained at Goucher College in Towson, MD, where she was a Dean’s Scholar. She completed her Executive M.B.A. at Loyola University in Timonium, MD. Dr. Yu is currently a member of the American Dental Association (ADA), Maryland State Dental Association (MSDA), the Academy of General Dentists (AGD), and the Maryland Academy of General Dentists. She served as the Public Information Officer on the board of the Maryland Academy of General Dentists (MAGD). Additionally, she is certified in Forensic Dentistry through the Armed Forces Institute of Pathology at Walter Reed Medical Center and has served on the Maryland State Committee for Oral Cancer Awareness. Dr. Yu served on The Anne Arundel County Oral Task Force aiming to increase access to care for the adult population. She is committed to the overall health of her patients and works with her
Chamber
Commerce Health/Wellness
Alumni Association
Goucher College.
also chaired
McDonogh Parent
Parent
Committee.
was involved
Healthy
“Make Health Happen.” You will often find Dr. Yu volunteering for Missions of Mercy, donating dental services to the public or volunteering at her church by cooking for Heaven’s Kitchen. 8667 Fort Smallwood Road Pasadena, MD 410-360-0440 www.DentalFXMD.com NOW OFFERING DERMAL FILLERS
Anne Arundel County
of
Committee. She is also a board member of the
of
Dr. Yu
the
Association’s
Education
She
with the
Anne Arundel Coalition to
DENTISTRY
Post Office Road Suite #104, Waldorf, MD 301-843-6171 ThunderbirdDentalOffice.com
37 Old Solomons Island Road, Annapolis, MD 410-224-4411 www.LighthouseFamilyDentistry.com
– The Bowie Dental Group Laurel Pines Dental Group – Laurel Dentist 7508 Wisconsin Avenue Ground Level, Bethesda, MD 301-951-9500
4373 Northview Drive, Bowie, MD 301-464-8707
www.BethesdaDentalGroup.com
www.TheBowieDentalGroup.com
Stevensville, MD 410-604-6344
4407 Willard Avenue Chevy Chase, MD 301-389-5084 www.AnythingCosmetic.com

Meet Your Local Health Professionals

GASTROENTEROLOGY

Suzan Ebrahimi, MD

Training, Degrees:

• UCLA (University of California – Los Angeles) –Internal Medicine Residency

• Georgetown University – Gastroenterology Fellowship

Dr. Ebrahimi specializes in the diagnosis and treatment of the digestive tract.

HOLISTIC DENTISTRY

7247

SCREENING COLONOSCOPY, Esophagus, Stomach, Small Intestine, Colon/Rectum, Liver, Pancreas, Nutrition, Weight Loss, Obesity, Hemorrhoids, Gallbladder and Biliary Tree, and Gastrointestinal Malignancy

GENERAL DENTISTRY

Craig A. Smith, DDS

Degrees, Training, and Certificates: Doctor of Dental Surgery (DDS) – Howard University College of Dentistry; 2 Year General Practice Residency; Chief Resident – Harlem Hospital Center (Affiliate of Columbia University)

Professional Memberships/Associations: National Dental Association

Areas of Interest: Root Canal Therapy, Implants, Crown and Bridge, and Cosmetic Bonding

Hobbies: Motorcycling, boating and spending time with family and friends.

Additional: The vast majority of the general public do not understand that some diseases first manifest in the mouth. That’s why patient information is so crucial. Stressing the importance of healthy teeth and gums through regular recall visits is a good start.

Practice Philosophy: Your smile is very important. It is my mission to give my patients the smile they desire through education, dedication and a gentle touch.

Dr. Gena Schultheis, an esteemed general, cosmetic, and implant dentist, adopts a natural, holistic approach, employing non-toxic materials and natural remedies for healing and pain prevention. With a commitment to staying abreast of dental innovations, she ensures minimally invasive yet effective care. Her extensive credentials include membership in esteemed dental associations such as the American Dental Association®, American Academy of Cosmetic Dentistry, and Holistic Dental Association. Dr. Schultheis began her career in the U.S. Air Force, achieving the rank of captain and earning accolades for her service. Educationally, she holds certificates in various dental specialties and actively contributes to dental discourse through blogging and articles. Committed to community service, she volunteers and educates on oral health’s systemic impact. In her leisure, Dr. Schultheis indulges in yoga, hiking, and family time, balancing her professional rigor with personal interests. Her multifaceted engagement reflects a dedication to dental excellence, holistic principles, and community well-being.

HOME HEALTH CARE

Nataliya Lakiza, PhD

Founder and Director Of Chevy Chase Home Care Degrees and Training: PhD in Demography/Gerontology, MS in Economics

Certificates From: Georgetown University, American University and New York University

Professional Memberships and Associations: IUSSP – International Union for the Scientific Study of Population, National Council on Aging (US).

Areas of Interest: Traveling, Fitness, Camping, Health Nutrition, Reading and Exploring the Internet.

Family: Son – Co-Owner

CHCHhomecare@yahoo.com 202-374-1240 www.CHCHhomecare.com

Services: Live in/out, short, long, nights, 24/7, Help at home, nursing home or hospital.

We Bring Our Hearts To Your Place!

HOSPICE AND PALLIATIVE MEDICINE

Degrees, Training and Certificates: Board Certified in Hospice and Palliative Medicine.

Northwestern University Feinberg School of Medicine, Fellow; University of Illinois, Chicago, Emergency Medicine, Chief Resident; Loyola University Chicago Stritch School of Medicine, MD; Loyola University Chicago, BA.

Professional Memberships and Associations: American Academy of Hospice and Palliative Medicine, American Association for Physician Leadership, American Board of Emergency Medicine, American College of Emergency Physicians, Center to Advance Palliative Care, National Hospice and Palliative Care Organization, National Partnership for Hospice Innovation.

Family, Hobbies and Interests: My daughter, husband, and two dogs keep me busy! In any free time that is left I enjoy being outside, pilates, cooking and reading.

Practice Philosophy: A person’s wellness journey is informed by their own unique priorities. I work to meet patients where they are, and honor what is important to them. Care planning and symptom control work best when there is a shared understanding of what is important to the patient. I love what I do!

Making a Difference By Empowering and Encouraging People To Live Healthier
Making a Difference By Empowering and Encouraging People To Live Healthier Maryland Edition | page 33 www.YourHEALTHMagazine.net
Marny Fetzer, MD, CPE, HMDC, FACEP
of the Chesapeake 90 Ritchie Highway Pasadena, MD 9500 Medical Center Drive Suite #250, Largo, MD 2505 Davis Road Waldorf, MD 877-462-1101 410-987-2003
Hospice
www.HospiceChesapeake.org
Gena Schultheis, DDS Annapolis Green Dental – Maryland Holistic Dentistry 1017 Generals Highway Crownsville, MD 410-923-2586 10415 Southern Maryland Boulevard, Dunkirk, MD 410-257-7200 www.MarylandHolisticDentistry.com 2331 Forest Drive, Suite E Annapolis, MD 737 East College Parkway Annapolis, MD 410-224-4500 AnnapolisGreenDental.com HAIR SALON Jaimi Jackson, Owner Jai’Stylz Hair Spa and Salon • Licensed Hair Care Provider • Certified Trichologist • Owner, Beyond The Strandz Wellness Clinic and Jai’Stylz Hair Spa & Salon MY #1 GOAL IS TO PROVIDE YOU, THE CLIENT, WITH HEALTHY HAIR IN ADDITION TO THE LATEST HAIR TRENDS. I specialize in Healthy Hair, Hair Loss, Silk Press, Natural Hair, Relaxers, Short Hair, Scalp Detox, Colors and Treatments that protect, rebuild and tame various hair types. With nearly 3 decades of experience, I graduated from Dudley’s Beauty College in Washington, DC. I received my Masters of Professional Cosmetology Degree at the National Institute of Cosmetology with the National Beauty Culturalists League. I dedicate
education,
hair industry.
featured in:
eMagine Magazine
Sophisticate’s Black Hair Magazine
Beauty News Newspaper
numerous hours to continued
product knowledge and advanced classes to stay abreast in this constant evolution of the
I have been
hair loss, scalp care, scalp detoxing, scalp analysis, long, medium,
short length hair, highlights, haircuts, coloring, textured hair, relaxers, curls, evening, bridal, up-do’s, weaves, children, senior hair and more. 5000 Pennsylvania Avenue (off Spaulding Avenue) Suite J, Suitland, MD 301-967-4044 JaiStylz.com
My services include
and
7201 Hanover Parkway Suite A, Greenbelt, MD 301-446-1784
Hanover Parkway Suite A, Greenbelt, MD 301-345-5877

Locations in Waldorf, Prince Frederick, Pasadena and Largo, MD 877-462-1101

www.HospiceChesapeake.org

HOSPICE AND PALLIATIVE MEDICINE

Sonja Richmond, MD

Hospice of the Chesapeake

Degrees, Training and Certificates: Board Certified in Internal Medicine, Board Certified Hospice Medical Director, Registered Yoga Teacher, Yin Yoga Certified, Ayurveda Certified.

George Washington University School of Medicine; George Washington University Residency Internal Medicine; University of Virginia, BA.

Professional Memberships and Associations: American Academy of Hospice and Palliative Medicine, National Medical Association

Family, Hobbies and Interests: My daughters, bonus daughter and son, husband, dog and all of their respective activities keep me on my toes. I enjoy practicing and teaching yoga, reading books, fashion, and watching Rocky movies.

Practice Philosophy: I live by the words of Maya Angelou, “People will forget what you said, people will forget what you did, but people will never forget how you made them feel.”

HYPNOSIS/YOGA

Toni Nandini Greene, Owner

Happy Hour Yoga

Mission: To help people to be comfortable in their own skin, to love themselves, like themselves and be themselves and most of all accept and forgive themselves.

“I’m here for you”.

Specialized Degrees: Hypnotherapy, G.I.A. of America Gem (stone specialist), Advanced Yoga Training in Rishikesh India, continuing yearly training of Yoga and Ayurveda in Rishikesh India. Certified Astrologer – Charts interpreted for as little as $49. The Big 3: Sun, Moon, Rising Ascendant.

Associations: Nath - (National Association of Transpersonal Hypnotherapists), NGH - (National Guild of Consulting Hypnotist), Y.A. (Yoga Alliance)

Areas of Interest: Hypnosis for Everything, (Fears, Phobias, Nail biting and more), Ayurveda Yoga, Yoga for Couples, Yoga for Diabetes, Yoga Teachers Training, and Life Coaching.

Hypnosis is a very useful tool to use in alleviating or diminishing pain in the body by at least 50% to not having pain at all. Hypnosis is a process whereby you are lead into a deep state of relaxation. In this state of deep relaxation you become aware of the pain. In hypnosis you are put in a hypnotic trance. In this trance it is suggested that you become aware of your breathing; breathing is emphasized to help regulate your sympathetic nervous system.

INTEGRATIVE MEDICINE

Alan Weiss, MD

Annapolis Integrative Medicine, LLC

Degrees: Bachelor of Arts – University of Virginia, Doctor of Medicine –McGill University.

Post-Graduate Training: University of Hawaii Internship in Medicine, St. Elizabeth’s Hospital (Boston) Residency in Internal Medicine, Board Certified Internal Medicine, Fellow American Academy of Anti-Aging Medicine Practice Philosophy: Combining the best of conventional treatments, natural approaches and alternative strategies.

Areas of Interest:

• Expert treatment of chronic fatigue syndrome and fibromyalgia

• Nutritional strategies and weight loss, including HCG protocol

• Bio-Te Hormone Replacement

• Addressing thyroid problems and adrenal fatigue using natural and holistic therapies

• Intravenous therapies

• Combining the best of conventional and holistic therapies to address chronic and complex health care issues

• Anti-Aging protocols using Botox, Dysport and Peptide Therapy

INTERNAL MEDICINE

Jeffrey R. Kaplan, MD SignatureMD

Jeffrey R. Kaplan, MD was born in Geneva, Switzerland where his father worked for the World Health Organization. Dr. Kaplan graduated with an International Baccalaureate from the International School (1974).

Moving to London, England he studied biology and medicine, obtaining a BSc (with honors) in Zoology from King’s College, London (1978) and MBBS from St. Bartholomew’s Hospital Medical College (1982).

SignatureMD.com/conciergedoctors/jeffrey-r-kaplan-mdellicott-city-md

Following medical and surgical ‘house jobs’ (internships) in Plymouth and Hastings, England he worked as a Resident at the American Hospital in Paris, France (1983). Wishing to pursue further medical education in the U.S., Dr. Kaplan was accepted and completed his Residency in Internal Medicine in Canton, Ohio (1984-7). On visiting his brother in Baltimore (currently a Professor of Neurology at Johns Hopkins) he was attracted by the setting and purchased his first house in Federal Hill in 1989, where he still resides.

Dr. Kaplan is certified by the American Board of Internal Medicine since 1988, and has run his own solo Internal Medicine practice in Ellicott City since 2002. He currently has a concierge medical practice and is able to give immediate access to his patients and also all the time required to take care of their personalized requests.

LAWYER

James A. Cleaver, Esq. Alexander & Cleaver Professional Association

James “Jim” Cleaver is President of Alexander & Cleaver, P.A. Jim co-founded the firm in 1984 with Gary R. Alexander. He works primarily in the field of personal injury. In this role, Jim is the firm’s primary litigator and negotiator in personal injury cases, using his vast experience and knowledge acquired over parts of the past four decades to achieve results for clients. It is no surprise to colleagues and clients that Jim has been designated a Super Lawyer in personal injury cases, was named one of Maryland’s top trial lawyers, and was selected by the prestigious Million Dollar Advocacy Forum. Jim has also spoken to various groups including Continuing Education for Paralegals and Members of the Metropolitan Washington Auto Body Association.

MASTECTOMY FITTER

Mimi Quade, Owner

Fran’s Nu Image

Degrees, Training and Certificates: Bachelor of Science Degree, Health Planning and Administration, Penn State University.

Certified Fitter – Mastectomy, American Board for Certification in Orthotics, Prosthetics and Pedorthics, Inc.; Juzo Certified Fitter, Compression Garments; 30 years experience in the provision of medical equipment and supplies, management/ sales/service.

Family: Husband, Chris and Son, Jimmy Hobbies: Sudoku and Reading.

Practice Philosophy: Customer care is our priority! Fran’s Nu Image is a facility accredited by the American Board for Certification

Making a Difference By Empowering and Encouraging People To Live Healthier
page 34 | YourHEALTH Magazine 301-805-6805 Making a Difference By Empowering and Encouraging People To Live Healthier page 34 | YourHEALTH Magazine 301-805-6805
Meet Your Local Health Professionals
11705 Berry Road Suite #303 Barley Professional Bldg. Waldorf, MD 301-843-9282 www.FransNuImage.com
6710 Oxon Hill Road Suite #330 Oxon Hill, MD 301-292-3300 www.Alexander-Cleaver.com
Suite
Ellicott City,
5116 Dorsey Hall Drive
A
MD 410-964-9300
1819 Bay Ridge Avenue Annapolis, MD 410-266-3613 AnnapolisIntegrativeMedicine.com
6504 Old Branch Avenue Temple Hills, MD 301-449-8664 Toni’s Happy Hour Yoga
410-987-2003

Meet Your Local Health Professionals

MAXILLOFACIAL SURGERY

Sivakumar Sreenivasan, DMD

Dental Implant Center of Rockville

Dr. Sreeni came to the United States as an Oral and Maxillofacial Surgeon from India in the year 1990 and put himself through dental school again at Boston University and an Oral and Maxillofacial Surgery Residency at the University of Medicine and Dentistry of New Jersey.

As an Oral and Maxillofacial Surgeon, Dr. Sreeni manages a wide variety of problems relating to the Mouth, Teeth and Facial Regions. He graduated from dental school in India in the year 1984. His passion is in implant surgery and he is well known for same day placement of implants following teeth removal, be it for single teeth or a complete “makeover” (Smile In a Day). He can also diagnose and treat Facial Pain, Facial Injuries and TMJ disorders and perform Bone Grafting and Sinus lift procedures.

Dr. Sreeni completed a Residency in Anesthesiology at Mount Sinai Hospital, NY in 1994 and has worked as an Attending, providing anesthesia services for children and adults in the ambulatory out-patient center at Mount Sinai Hospital.

Dr. Sreeni is an Advanced Cardiac Life Support instructor with the Adventist group. He is also certified in Pediatric advanced life support and is very capable of providing anesthesia for both adults and children in state of the art office settings with advanced monitoring for your safety. Dr. Sreeni’s staff are well trained in assisting with IV Sedation/General Anesthesia. The goal of our office is to provide professional service with compassion and an understanding of the patients’ perspective.

MEDICAL CANNABIS

Sharron Sample, CEO Dispensary Works, LLC

Sharron Sample, CEO of Dispensary Works in White Plains, MD, retired from the position of Chief Information Office, Earth Science, NASA in 2008 after a long and rewarding career. She never envisioned the legalization of cannabis for medicine and that she might play a role in making it available to others.

In 2014, son, Robert and nephew, Steve, made Sharron aware of the plans for legalization and began to educate her on the science of cannabis as medicine. She was particularly impressed with the ways it was helping to reduce or eliminate seizures in children and adults. Together, they opened Dispensary Works on May 10, 2018, and have found it to be one of the most gratifying accomplishments of their careers.

“We are committed to providing the best cannabis product to patients as part of their overall health plan, ensuring their needs continue to be met as we enter into the adult-use market on July 1, 2023."

Native to Maryland, Sharron, Rob, and Steve continue to be "greatly rewarded by patient reports of improved relief for medical conditions, from minor improvements to life-changing transformations."

Studies

happen

Gwen acquired her

She

technique

and

She also provides other methods for less progressive hair loss

She

and hair).

Gwen's mission is to provide the most progressive solutions to this ever growing problem of hair loss in our society with GMO's, Cancer chemicals and life stressors.

More and more people are desperate to find solutions to this devastating problem of hair loss. We are here to help and give you back your life.

“It’s

ways to help someone they care about.

To order a copy of From Helpless to Hopeful: Addressing a Loved One’s Challenges and Changes, go to: HouseCallsTotalWellness.com

Sonia Hinds is a Registered Nurse-Psychotherapist and Registered Play Therapist Supervisor. She is retired from the Army Nurse Corps and served as a Commissioned Corps Officer in the U.S. Public Health Service where she was detailed to Saint Elizabeths Hospital for 20 years.

Ms. Hinds is the Founder and Executive Director of Barstow Acres, a 501c3 non-profit agency for at-risk children and families. She is also the Founder and Director of Chesapeake Beach Professional Seminars.

She received her undergraduate degree at Wagner College and graduate degree at Howard University. Ms. Hinds also holds a certificate from the Washington School of Psychiatry in child and adolescent psychotherapy.

NURSING SERVICES

At Home Care, Inc. provides private duty nursing services in the Metropolitan Washington area and was founded in 1977 by Irene Cady-Harrington. Her background prior to At Home Care, Inc. was with an agency that screened and referred Administrative & Sales personnel to employment opportunities. She worked in that position from 1963 until 1977. Home care was in it's formative beginnings in 1977 and Irene decided to specialize in health care placement. Her Liberal arts education with an emphasis in Psychology together with the experience of growing up with a Nurse Grandmother who owned a rest home (today’s assisted living) made for an easy segway into healthcare agency administration.

Making a Difference By Empowering and Encouraging People To Live Healthier
Making a Difference By Empowering and Encouraging People To Live Healthier Maryland Edition | page 35 www.YourHEALTHMagazine.net
Irene Cady-Harrington At Home Care, Inc. 15304 Spencerville Court Burtonsville, MD 301-421-0200 AtHomeCareInc.com
NURSE-PSYCHOTHERAPIST
Sonia Hinds, APRN, PMH-BC, RPT-S Barstow Acres Children’s Center 590 Main Street Prince Frederick, MD 410-414-9901 www.ChildrenCenter.net NON-SURGICAL HAIR RESTORATION
Gwendolyn Bonifant Beverly is the Owner/Stylist Non-Surgical Hair Loss Specialist at Studio 5 Hair Gallery, with 20 years of experience in her field.
loss
education, licenses and certifications across the United States and Europe. She provides the community with non-surgical solutions to every stage of hair
and thinning. Hair Loss Issues: Alopecia, Genetic Hair Loss/Scaring, Stress, Weight Loss Surgery, Chemotherapy, Radiation, Chemical Burns, Auto Immune Diseases.
has mastered the
of bonding medical grade adhesive and tapes to attach a hair system to the head for a natural grow appearance that is applied and reapplied and removed in salon every 4-5 weeks for maintenance and hygiene purposes.
extension
solutions: Clip In Hair Toppers/Wigs and various
methods.
well
test)
hair, skin
scalp
also provides Epigenetic testing through Cell
being (hair follicle strand
for
and nail health. As well as, Tricology Testing for hair regrowth (Tricology is the study of
Gwen Beverly Studio 5 Hair Gallery 30051 Point Lookout Road Mechanicsville, MD 301-884-3553 www.Studio5Salon.com studio5hairgallery@gmail.com MENTAL HEALTH Beth Albaneze, MA, CTRS, CPRP Headquarters in Montgomery County PO Box 776, Olney, MD 301-346-6732 HouseCallsTotalWellness.com info@housecallstotalwellness.com Certified Therapeutic Recreation Therapist Certified Rehabilitation Practitioner
have shown that the U.S. is in the middle of a mental health crisis, and experts say there is an immediate need for integrated mental health services. In her new book, From Helpless to Hopeful: Addressing a Loved One’s Challenges and Changes, respected Maryland recreation therapist Beth Albaneze explains how to navigate both mental health challenges and the system that treats them.
such an important time for people to have a tool like this,” Ms. Albaneze
health issues are so widespread right now that even people who haven’t experienced such challenges themselves know someone who is having a hard
designed to help laypeople
appropriate resources to help
experiencing an emotional and/or life shift.
guidance
Ms.
says. “Mental
time.” The book is
find
a loved one who is
The
is delivered alongside
Albaneze’s personal anecdotes as well as case studies from her many decades of helping clients find creative and effective
Help for Navigating Mental Health Challenges During Nationwide Crisis New book offers guidance for weathering life
no matter when they
Go to Amazon For More Information
changes,
10766 DeMarr Road Unit 3A, White Plains, MD 240-585-5220 DispensaryWorks.com
Street, Suite #205 Rockville, MD 301-294-8700 www.OMFSMD.com
77 South Washington

7501 Greenway Center Drive, Suite #410 Greenbelt, MD

15005 Shady Grove Road Suite #210, Rockville, MD 240-616-3934

OasisGYNInstitute.com

Greenbelt, MD

15005 Shady Grove Road Suite #210, Rockville, MD 240-616-3934

OasisGYNInstitute.com

OB/GYN

Rupen Baxi, MD Oasis Advanced GYN Surgery

Dr. Baxi is a Board Certified, Fellowship-trained GYN surgeon specializing in minimally invasive surgery. He completed his General Surgery Internship at the Jewish Hospital of Cincinnati and an Obstetrics & Gynecology Residency at Oakland University William Beaumont School of Medicine. He was awarded the Special Resident in Minimally Invasive Surgery Award by the AAGL. He then completed a Fellowship in Minimally Invasive GYN Surgery at Mohawk Valley Health System, earning COEMIG certification.

Dr. Baxi has numerous publications in the Journal of Minimally Invasive Gynecology and has presented at major national meetings. He has received the Arnold P. Gold Foundation “Teaching and Humanism in Medicine” Award and serves as a site director for OB/GYN Residency at Doctor’s Community Hospital. His practice emphasizes exceptional surgical care and compassionate patient treatment. Dr. Baxi's philosophy is to treat patients with the same respect and care he would expect for himself.

Ashley Pimperl, MSN, CRNP, FNP-C Oasis Advanced GYN Surgery

Ashley Pimperl is a Board Certified Nurse Practitioner. A native of Alabama, Ashley graduated from Faulkner State with her RN in 2013. She initially dedicated a majority of her time and efforts to caring for acutely-ill patients at the hospital bedside. Though a fulfilling endeavor, Pimperl knew there was a specific demographic she desired to serve. Upon completion of her Master’s of Science in Nursing at George Mason University and subsequently becoming a CRNP, she made the decision to devote herself to the betterment of women’s health. She is excited to work with women of all ages, backgrounds and needs.

Ashley is passionate about improving women’s health with outcomes based treatment options. She prides herself on providing care that is both patient specific and patient involved in a holistic and empathetic manner to every patient, every time. She is proud to be an Oasis health care provider!

OPTICIAN

Pam Lauer

McNelly Optical, Inc.

As manager of McNelly Optical in the Sajak Pavilion, my goal is to set our store apart from other optical outlets through the quality of the customer experience and our attention to detail. Our boutique caters to clients that desire quality eyewear that doesn't look like everyone else's. My staff and I will consult oneon-one in frame selection offering advice both in fashion and suitability to the patient's prescription. We will make recommendations for the best results. As independent opticians, we depend upon our expertise to attract referrals from local eye specialists who often send us their most challenging cases.

I hold a degree in business administration. I completed an opticians apprenticeship and became certified by the American Board of Opticianry in 1978. I have worked throughout many different areas of the optical industry in both retail and wholesale. I spent 25 years with prominent French frame manufacturer Logo Paris. I also represented the luxury eyewear lines for Cartier and Tag Heuer in the Eastern United States. I returned to my retail roots in 2012 and joined the management team at McNelly Optical Co. in 2017. I am a native Annapolitan with a passion for the sea shore. I am married with 2 adult sons and enjoy traveling.

Clinton: 301-877-1770

Greenbelt: 301-614-3937

Hyattsville: 301-434-3937

Mitchellville: 301-324-9500

Silver Spring: 301-681-9797

Frederick: 301-694-7557

www.VisualEyesGroup.com

and BOTOX procedures. Owner and Medical Director of Envision Eye and Laser. Trained at Wellesley College, UCLA School of Medicine, Yale University and the LSU Eye Center. Named a 2021 Washingtonian TOP DOCTOR by her peers. Selected as the Millennial EYE Outstanding Female Leader in Ophthalmology for the March/April 2021 Issue.

A commitment to excellence in ophthalmic training and surgical technique, coupled with her expertise with state-of-the-art technology, has enabled Dr. Bovelle to earn her patients’ confidence and trust. Her practice emphasizes disease prevention, overall wellness, and patient education. She is committed to treating all of her patients with compassion and caring. She offers each patient an individualized treatment plan, and is dedicated to helping patients make informed decisions about medical, surgical, and aesthetic treatments.

Served as assistant professor of Ophthalmology at Louisiana State University, and worked at the National Institutes of Health. Current Director of the Cornea Service at Howard University Hospital Department of Ophthalmology.

Her work has been published in medical textbooks and ophthalmology journals in the U.S. and internationally. Donates her time to caring for the poor by participating in health fairs and medical mission trips. She holds academic appointments at Howard University Hospital, Ross University School of Medicine and University of Maryland Capital Region Medical Center. Holds leadership positions in ophthalmic and other medical associations. Currently, she represents the Maryland Society of Eye Physicians and Surgeons

OPTOMETRY

Alexander C. Nnabue, OD, PA

Visual Eyes

Degrees, Training, and Certificates: Educated in both Africa and the United States, Dr. Nnabue holds two degrees as Doctor of Optometry. Graduating from Imo State University (1988) and then from Pennsylvania College of Optometry (1994). Dr. Nnabue has received numerous awards and citations for the excellence he brings to the optometry industry. Board Certified in treatment and management of ocular disease in Maryland, Washington, DC and Pennsylvania. Professional Memberships and Associations: He is a member of the American Optometric Association and Maryland Optometric Association.

Practice Philosophy: Dr. Nnabue’s passion for providing quality eye health care to all including the underserved, has lead him to lead biannual “Medical Mission” trips to Africa. These “Medical Missions” are life changing not only for the people receiving care, but for the medical team that take part in these missions.

Dr. Chika L. Ojukwu, popularly known as “Dr. Chika” has been in practice as an Optometrist for more than 15 years. After graduating from Optometry School, she practiced in Africa for about 4 years where she was involved in the treatment and management of tropical ocular diseases. She served as an Assistant with Kaiser Permanente Vision Center in Washington, DC before joining WalMart Vision Center in Waldorf, Maryland where she was an Independent Doctor of Optometry for 8 years prior to opening Chika Eye Care, one of the leading optical outfits/eye care centers in Southern Maryland.

Certifications and Associations: National Contact Lens Examiners Certificate, Certified in the Treatment and Management of Ocular Diseases, Maryland Optometric Association, American Optometric Association, American Optometric Society Inspiration: The primary aim is provision of the best eye care to my patients.

Family/Hobbies/Interests: A dedicated wife and mother of four beautiful children (two boys and a set of identical twin girls), she enjoys shopping, playing table tennis (ping-pong), church activities and spending time with her family.

My Best Health Advice: Maintaining healthy eyesight is vital to a high quality of life.

Making a Difference By Empowering and Encouraging People To Live Healthier
page 36 | YourHEALTH Magazine 301-805-6805 Making a Difference By Empowering and Encouraging People To Live Healthier page 36 | YourHEALTH Magazine 301-805-6805 OPTOMETRY
Meet Your Local Health Professionals
Chika Lillian Ojukwu, OD, FABCO Chika Eye Care Chika Eye Care “Our Focus Is On Your Vision” 122 Smallwood Village Center Waldorf, MD 20602 240-419-3846 240-419-3852 www.ChikaEyeCare.com
703 Giddings Avenue Suite #L6 West Annapolis, MD 410-263-2571 Sajak Pavilion 2002 Medical Parkway Suite #615, Annapolis, MD 410-573-2822 www.McNellyOptical.com OPHTHALMOLOGY Renee Bovelle, MD Envision Eye & Laser Center Board Certified, Ophthalmology by the American Board of Ophthalmology Board Certified Ophthalmologist who has performed thousands of laser, ophthalmic, cataract, cornea
(MSEPS) as a counselor to the American Academy of
on the MedChi legislative council. Under her leadership, MSEPS received the 2021 Star Award for innovative delivery of education and value to society members. 12200 Annapolis Road Suite #116 Glenn Dale, MD 301-805-4664 www.EnvisionEyeandLaser.com OB/GYN NURSE PRACTITIONER
Ophthalmology and is
7501 Greenway Center Drive, Suite #410

Meet Your Local Health Professionals

ORTHODONTICS

David E. Harmon, Jr., DDS, MSD Harmon Orthodontics

Degrees, Training and Certificates: Master of Science in Dentistry in Orthodontics; DDS and BS from Case Western Reserve University in Cleveland, OH

Professional Memberships/Associations: President Mid-Atlantic Society of Orthodontists; Assistant Clinical Professor at the University of Maryland, Department of Orthodontics; Adjunct Assistant Professor at Case Western Reserve University, Department of Orthodontics, Cleveland OH; American Association of Orthodontists; Member, Board of Directors MidAtlantic Society of Orthodontists; Past President of the Maryland Society of Orthodontics; Alpha Phi Alpha Fraternity, Inc.; Former Member of Bishop McNamara High School’s Board of Directors; Former Member, Board of Directors Prince George’s Community College Education Foundation Areas of Interest: Building and networking computers, golf, and football Family/Hobbies/Interests: Children, Kennedy and David III; Wife: Shonda W. Harmon, MBA, MPA

ORTHOPEDICS

Jabari Martin, MD Martin Orthopedic and Wellness

Dr. Jabari Martin is a Board Certified Orthopedic Surgeon and Sports Medicine Specialist in Greenbelt, MD. He has dedicated his career to providing patients of all ages the best care in the treatment, diagnosis and prevention of bone, joint, ligament, tendon and muscle health.

With over 10 years of experience in his field, Dr. Martin is known for his compassionate and caring approach to patient care, which emphasizes the importance of whole-body healing and wellness. Having personally experienced orthopedic issues as a young athlete, he knows the importance of proper care and healing. Above all, Dr. Martin is deeply committed to helping his patients achieve optimal health and wellness, and he works closely with them to promote a well balanced approach to healing that incorporates nutrition, exercise, stress management, and other lifestyle factors.

Chesapeake Spine & Pain

110 Hospital Road

ChesapeakeSpineAndPain.com

PAIN MANAGEMENT

Dr. Anver Khan

Chesapeake Spine & Pain

Dr. Anver Khan was born and raised in Maryland. He attended the University of Maryland followed by the Edward Via College of Osteopathic medicine. He trained in Anesthesiology with further fellowship specialization in interventional pain management at the prestigious Johns Hopkins School of Medicine.

Board Certifications:

American Board of Anesthesiology | Pain Medicine

American Board of Anesthesiology | Anesthesiology

Education & Credentials: Residency Program: Johns Hopkins School of Medicine | Anesthesiology Fellowship Program: Johns Hopkins School of Medicine | Pain Management

PAIN MANAGEMENT

Alexander Pitts-Kiefer, MD

Georgetown Pain Management

7300 Hanover Drive

Suite #204, Greenbelt, MD

www.GTPain.com

Degrees, Training, and Certificates: I am the attending physician at Georgetown Pain Management. I was a Clinical Fellow in Pain Medicine at Massachusetts General Hospital / Harvard Medical School and completed training in acute and chronic pain evaluation and diagnosis, medication management, fluoroscopic- and ultrasoundguided interventional techniques, and advanced implantable therapies. I completed anesthesiology residency at Georgetown University Hospital in Washington, DC and received my medical degree from Weill Cornell Medical College in New York City. My professional interests include the clinical care of patients with chronic pain through a balanced, multidisciplinary approach, as well as medical education, humanism in medicine, and medical humanities.

Professional Memberships/Associations: Board Certified, Anesthesiology. American Academy of Pain Medicine, American Medical Association, American Society of Anesthesiologists, American Society of Regional Anesthesia and Pain Medicine, District of Columbia Society of Anesthesiologists, International Anesthesia Research Society, Massachusetts Society of Anesthesiologist, North American Neuromodulation Society Spine Intervention Society

PAIN MANAGEMENT

Netsere "Dr. Net" Tesfayohannes, MD, ABA, ABAP

Georgetown Pain Management

Bringing you university quality care with private practice efficiency and compassion.

Degrees, Training, and Certificates: MD - University of Wisconsin-Madison 1997. Completed his training at Hospital of the University of Pennsylvania, with specialized training in Interventional Pain Management at the renowned Cleveland Clinic Foundation.

Medical Director - Georgetown Pain Mangaement

Professional Memberships/Associations: Selected to become the Program Director of the Interventional Pain Management Center at Georgetown University Hospital, where he is currently serving as a Section Chief and an Assistant Professor of Pain Medicine at Georgetown University Hospital. Associate Member in Washington Metro Pain Institute.

PEDIATRIC DENTISTRY

I am a Board Certified Pediatric Dentist. As a pediatric dentist since 2005, I enjoy providing care and motivation to my patients, while learning from their unique perspectives. Interacting with young kids, pre-teens, and teenagers keeps me young at heart and energized.

I completed a Bachelor of Science at Morgan State University, a Doctorate of Dental Surgery at the University of Maryland, and a Pediatric Dental Certificate at Howard University. I stay current with advancements in pediatric dentistry through continuing education, including courses in traditional orthodontics, aligner training, and laser dentistry.

I offer a range of services from “needle-free” laser dentistry to orthodontics and assistance for infants and toddlers with lip- and tongue-tie issues. I am a member of the American Academy of Pediatric Dentistry, American Dental Association, Diplomat of the American Board of Pediatric Dentistry, American Black Women in Dentistry, and Mommy Dentists in Business.

Beyond the office, I participate in community outreach, promoting education and healthy lifestyles. Raised in Yonkers, NY, I’ve lived in Upper Marlboro for almost 20 years with my husband and our two daughters. I enjoy supporting my daughters’ cheerleading, bike riding, power walking, and relaxing with a good book.

Making a Difference By Empowering and Encouraging People To Live Healthier
Making a Difference By Empowering and Encouraging People To Live Healthier Maryland Edition | page 37 www.YourHEALTHMagazine.net
#940,
2021 K. Street, NW Suite #605 Washington, DC 301-718-1082
7500 Greenway Center Drive Suite
Greenbelt, MD
Hanover Drive Suite #204, Greenbelt, MD 7500 Greenway Center Drive Suite #940, Greenbelt, MD 2021 K. Street, NW Suite #605 Washington, DC 301-718-1082
7300
www.GTPain.com
Suite #211 Prince
Frederick, MD 410-656-2869
Interventions and Therapies
10264 Lake Arbor Way Mitchellville, MD 301-333-3900 www.HarmonOrtho.com
Temple Hills Office 4467 Old Branch Avenue Suite #106, Temple Hills, MD Greenbelt Office 7525 Greenway Center Drive Suite #214, Greenbelt, MD White Plains Office 4255 Altamont Place Suite #201, White Plains, MD 301-381-2750 www.MartinOrthopedicWellness.com
Richee Berry, DDS Berry Children’s Dental of Bowie 4449 Mitchellville Road Bowie, MD 301-383-0959 www.BerryChildrenDental.com

PEDIATRIC DENTISTRY

we are continually integrating critical aspects of oral structure, craniofacial development, and its impact on the pediatric airway in the service of providing optimal patient outcomes. Caring for children is so powerful and rewarding and with that, understanding the importance of utilizing gentle and minimal intervention therapies. Treating the source of their issues—instead of the symptoms—and focusing on early prevention, has been critical to my role in educating parents and assisting their blossoming child’s development into a healthy and resilient adult. I hold an undergraduate degree from Columbia University in New York, where I studied Psychology. I received a Doctorate of Dental Surgery from Virginia Commonwealth University in Richmond, VA and completed my Pediatric Residency at Interfaith Department of Dental Medicine in Brooklyn, NY, where I served in a leadership role as Chief Resident. Board Certified, I am a proud Diplomate of the American Board of Pediatric Dentistry. When not helping my young patients build happy smiles, I enjoy spending time with family and friends, growing in my faith, improving my dancing skills, learning boxing moves, traveling — and cheering on Washington sports teams! “Dr. Krystle,” as she is known by her patients, is thrilled to join her mom, Dr. Lynda, in practice. Patients and parents compliment her fun, compassionate approach. They are also impressed by her commitment to helping each child and parent have a positive dental experience. Having matured as a dental surgeon, she is constantly working to enhance her capabilities in the field.

PEDIATRIC DENTISTRY

Dr. Mary Alexander, periodontist, obtained a Bachelor of Science degree in Biology from the University of South Carolina and continued her education in dentistry at the University of Maryland School of Dental Surgery where she received her DDS degree. Prior to and during her dental studies, Dr. Alexander received funding and support from the National Institutes of Dental Research for her involvement in the periodontal research.

After obtaining her DDS degree Dr. Alexander spent one year at the Veteran’s Administration Hospital, in general practice residency focusing her training in the area of anxiety patient management. She then attended Harvard University and earned her clinical specialty in periodontics and a doctorate in medical science. Her doctoral research was focused in the study of bone function and metabolic disease of the bone.

Dr. Alexander received extensive training in dental implantology, periodontal plastic surgery, bone regenerative procedures and sedation dentistry. All aspects of Dr. Alexander’s training are incorporated in her periodontal practice assuring patient’s thorough and comprehensive periodontal treatment.

wholistic airway-focused preventative dentistry. For Dr. Dean-Duru, the pathway to dentistry stemmed from her childhood experience with a dentist in her native Nigeria. As the eldest of nine children (including seven brothers), she witnessed a total transformation in the health of one of her little brothers after his aches and pains were totally resolved under the care of a well-trained dentist. She determined, as a result of that experience, to extend that kind of care to others as her life’s calling.

Her decades of study and practice have led Dr. Lynda to this focus. She holds her dentistry degree from the University of Benin, her General Practice residency from Howard University Hospital, her Pediatric Dentistry Specialty Training from Children’s National Medical Center, her Board Certification from the American Board of Pediatric Dentistry, and her Fellowship Laser Certification from the Academy of Laser Dentistry. She has undertaken numerous continuing education courses in Orthodontic training and is a fellow of the United States Dental Institute and a member of the prestigious Gnathos Orthodontic education group in Atlanta, GA. She holds a Certification in Orofacial Myology from the International Association of Orofacial Myology (IAOM). She has completed all 3 levels of the ALF Education Institute (Advanced Light Force Functionals (Quantum ALF) program, ALF Interface Academy Foundations, Genesis, Grow, Smilelase (Oralase / Babylase), Airway Collaborative Mini Residency, Pediatric Airway Mini Residency and other courses.

She is a member of numerous professional and civic associations and provides tens of thousands of dollars in pro bono screenings and procedures along with other community service in Northern Virginia every year.

Dr. Dean-Duru and her

safe and comfortable you won’t go and going is just a good thing for your body!

Degrees, Training and Certificates: Doctor of Dental Surgery Degree from the University of California, Los Angeles 1981. After graduation immediately entered General Practice in the U.S. Air Force Dental Corps. Successfully completed three additional years of advanced

in the

of Periodontics, Dental Anesthesia and Implants in

and

at the

of

Air Force as a Lieutenant Colonel after four years of reserve and fifteen years of meritorious world-wide active duty service in 1996. Fellowship in the Academy of General Dentistry and in DOCS, an organization for sedation dentistry.

Dr. Smith’s colleagues describe him as a gentle, easy-going person, and people come from near and far to experience the comfort and safety of his office and patient-oriented team. He is consistently rated by his peers as a Top Dentist 2010-2022 in Virginia Living, Washingtonian Magazine, and Northern Virginia Magazine. His patient’s say:

• Voted “Best Pet Food Store” by the Washingtonian, What’s Up Magazines, Bay Weekly’s Best of the Bay, Capital Gazette and Bowie Blade newspapers.

• Specific recommendations for your pet based on age, weight, lifestyle and health concerns.

• Over 30 lines of natural foods and treats to choose from.

• Vitamins, toys, beds, grooming supplies, flea & tick natural repellents and more!

Philosophy: Giving your pet the best health possible for a long & healthy life through natural nutrition.

Making a Difference By Empowering and Encouraging People To Live Healthier
page 38 | YourHEALTH Magazine 301-805-6805 Making a Difference By Empowering and Encouraging People To Live Healthier page 38 | YourHEALTH Magazine 301-805-6805 PET NUTRITION Julia Brewer, Owner Crunchies Natural Pet Foods
Meet Your Local Health Professionals
2421 Crofton Lane Suite #11, Crofton, MD 410-721-5432 www.Crunchies.com PERIODONTICS Karl A. Smith, DDS, MS Periodontal Care can save your life! Let me help you live healthier than ever before. As a periodontist, Dr. Karl Smith specializes in periodontics and implantology. Periodontists are experts in treatment of gum disease, establishing and maintaining periodontal health, cosmetic smile enhancement procedures, and dental implants to replace teeth that are missing. Although no one really likes to go to the dentist, we strive to make your visits with us as comfortable and pleasant as possible. Patients’ comfort is an important part of quality dental care. If you aren’t
training
specialty
1992
University
Texas Health Science Center, San Antonio
Wilford Hall USAF Medical Center. Retired from the U.S.
“I’d give 10 stars if I could. Dr. Smith is so kind, caring and explains everything so that you understand. His assistants are thorough, knowledgeable and gentle.” 601 Post Office Road Suite #1-B, Waldorf, MD 301-638-4867 2500 N. Van Dorn Street Suite #128, Alexandria, VA 703-894-4867 www.DrKarlSmith.com PEDIATRICS Janet V. Johnson, MD Loving Care Pediatrics Dr. Janet V. Johnson was born in Brooklyn, NY. She received her undergraduate degree in Biology at Hunter College in Manhattan, NY. She pursued a career in research medicine as a research assistant at Downstate Medical School in the Department of Gastroenterology. Obtaining her masters degree in Physiology at Long Island University in Brooklyn, NY. Dr. Johnson received her medical degree from State University of New York at Buffalo School of Medicine in 1991. She completed her internship and residency at Howard University/DC General Hospital in 1994. After becoming Board Certified by the American Board of Pediatrics, Dr. Johnson worked as an Emergency Room Pediatric Physician at DC General Hospital and for a local pediatrician before she began her practice: Loving Care Pediatrics in Hyattsville, MD in 1998. She is continuing to pursue CME credits to maintain board certification. Concurrently, she serves as a Clinical Instructor to nursing students at Howard University Family Nurse Practitioner (FNP) Program; John Hopkins Family Nurse Practitioner (FNP) Program; Marymount Family Nurse Practitioner (FNP) Program; and University of Maryland Baltimore Family Nurse Practitioner (FNP) Program. She also serves as a Clinical Instructor for medical assistant students at Stratford University; Fortis College, Brightwood College and Career Technical Institute. She is a Fellow of the American Academy of Pediatrics (FAAP). Dr. Johnson is also a member of the Prince George’s Community Advisory Group (CAG), Washington Adventist Health Ministry Network and the Medical Advisory Committee for Amerigroup Insurance. Dr. Johnson has given lectures on Teen Suicide and Teen Awareness on HIV/AIDS to youth groups in Washington, DC and continues to publish articles in Washington Woman’s Journal and Your Health Magazine in Prince George’s County. She served as Medical Director of the Mid-Maryland Mission of Mercy and Health Equity Festival, which provides free dental care. She annually gives talks “Suicide Is Not an Option” and “Teen HIV/AIDS Awareness” to a group for youth summer program in Washington, DC. She integrates Christian prayer into her practice when appropriate and regularly incorporates social justice topics into her magazine articles. Practice Philosophy: I am committed to serving my patients, parents and community by providing excellent and compassionate health care service to a culturally diverse population that promotes the dignity and wellbeing of the people we serve. Loving Care Pediatrics 3311 Toledo Terrace Suite #C-201 Hyattsville, MD 301-403-8808
Dr. Lynda Dean-Duru over the last twenty years has built one of the most progressive pediatric dental practices in Northern Virginia. Based in Ashburn, her Ashburn Children’s Dentistry practice serves thousands of families and stays on the cutting edge of Integrative
family live in the Ashburn/Leesburg area. Her daughter, Krystle, followed in her footsteps as a Pediatric Dentist. Lynda
Ashburn Children's Dentistry 44025 Pipeline Plaza Suite #225, Ashburn, VA 703-723-8440 www.KidzSmile.com
Dean-Duru, DDS
Family dentistry has been a way of life for me, and the passion for caring for children is in my genes. My mother, Dr. Lynda Dean-Duru, also a pediatric dentist, was my first inspiration towards family dentistry. Having started my journey in family care working as a pediatric dental assistant at Ashburn Children’s Dentistry, spent many summers as my mother’s mentee. Watching what seemed like magical healing art she deployed while treating her patients and knowing the need and the power of proactive preventive dental health for children, I chose a career specializing in pediatric dentistry. It is an honor to join my mother in practice at Ashburn Children’s Dentistry where get to fulfill my commitment to helping each child and parent have a positive and transformative dental experience, with compassion and fun! Having matured as an integrative laser pediatric dental surgeon and absorbing the ethos of Ashburn Children’s Dentistry, I work tirelessly to stay abreast of emerging research, and improve the quality of life for children by learning from the world’s leading researchers and clinicians. Through these means,
Krystle Dean-Duru, DDS Ashburn Children's Dentistry 44025 Pipeline Plaza Suite #225, Ashburn, VA 703-723-8440 www.KidzSmile.com
PERIODONTICS
Mary B. Alexander, DDS, DMSc Total Dental Care 20680 Seneca Meadows Parkway, Suite #218 Germantown, MD 240-813-9111 www.TotalDentalCareMD.com

Meet Your Local Health Professionals

PHYSICAL THERAPY

Renuka Jain, DPT, COMT

Revive

Physical Therapy

Education: Doctorate in Physical Therapy from Massachusetts General Hospital, Boston, MA.

Special Credentials: In addition to receiving her Doctorate in Physical Therapy (DPT), Renuka is certified in COMT, a highly renowned Maitland Australian Technique to treat orthopedic conditions. Renuka is also a Reiki level 1 & 2 practitioner who additionally specializes in soft tissue techniques, joint mobilization, treatment of TMJ, neurological dysfunctions, headaches, Cervical Spine, Lumbar Spine, pre/post natal care and adolescent sports medicine. She has served as a Clinical Instructor for students from Massachusetts General Hospital, Boston University, George Washington University, University of Maryland and Andrews University Michigan.

What I like most about Revive Physical Therapy: Helping patients to achieve their goals.

PHYSICAL THERAPY

Derrick A. Martin, PT, DPT

Fyzical Therapy & Balance Centers

Dr. Martin’s quest to be the best can be seen in his personal and professional growth. He started as a Physical Therapist aide and now has his Doctorate in Physical Therapy.

Dr. Martin has been in the physical therapy profession for over 35 years and is skilled in deep dry needling techniques, cupping, kinesio-taping, and other orthopedic manual therapy techniques. Dr. Martin is a thinking therapist. His main goal is to improve mobility, function, and improve his patient’s way of life. Dr. Martin’s dedication to physical therapy has his patients returning 90% of the time or referring friends and family members which is a testament to the type of care rendered at his offices

4000 Mitchellville Road Suite B430, Bowie, MD

240-334-2300

www.Fyzical.com/Bowie

Dr. Martin started Absolute Therapies in 2009 so he can help fellow service members and give back to the profession that he has serviced for over 32 years.

He franchised with Fyzical Therapy and Balance Centers in 2019 to expand his knowledge base into vestibular and balance rehabilitation.

Dr. Martin says treating patients is not a job to him, but an enjoyment and a blessing to give of what the Lord gave him.

PHYSICAL THERAPY

Tina L. Penny, PT

Fyzical Therapy & Balance Centers

Tina L. Penny, PT, is a distinguished physical therapist who recently joined Fyzical Therapy and Balance Center in Waldorf, MD. With over 23 years of diverse experience, Tina graduated with honors in 2001 and specializes in respiratory, developmental, rehabilitative, and restorative services.

3200 Crain Highway Suite #103, Waldorf, MD 240-419-5101

www.Fyzical.com/ Crain-Hwy-Waldorf-MD

At Fyzical, Tina is part of a compassionate team dedicated to achieving optimal health and wellness through personalized care. She provides a range of services including balance therapy, vestibular rehabilitation, orthopedic and neurological rehab, pediatric therapy, sports injury rehab, and more, ensuring each patient receives a unique treatment plan tailored to their specific needs.

PHYSICAL THERAPY ASSISTANT

Angela V. McClain, PTA

Fyzical Therapy & Balance Centers

Angela V. McClain, PTA, recently joined the team at Fyzical Therapy and Balance Center in Waldorf, MD. She brings extensive experience in physical therapy and patient care. Angela holds an Associate of Science degree from Pima Medical Institute in Seattle and has a background in Health Services from Howard University.

3200

www.Fyzical.com/ Crain-Hwy-Waldorf-MD

Her professional journey includes significant roles such as a Physical Therapy Tech and Exercise Specialist, where she conducted treatments like cryo-compression and electrical stimulation, managed patient exercise programs, and participated in advanced workshops. Angela’s skills extend to assisting with therapeutic exercises, facilitating patient communication, and maintaining clinical environments.

She is proficient in a range of therapeutic techniques, including mobility and ROM treatments, taping, and aquatic therapy. Angela’s dedication to patient recovery and her ability to manage multiple responsibilities simultaneously make her a valuable asset to the Fyzical Therapy team.

PHYSICAL THERAPY ASSISTANT Jayshree Shah, PTA

Fyzical Therapy & Balance Centers

Jayshree Shah, a dedicated Physical Therapy Assistant, recently joined Fyzical Therapy and Balance Center in Lanham, MD. As a PTA, Jayshree offers a wide range of services including balance therapy, vestibular rehabilitation, orthopedic rehab, and neurological rehab. She also provides specialized care in pediatric therapy, sports injury rehab, worker’s compensation, and concussion management.

9841 Greenbelt Road Suite #103, Lanham, MD 301-220-2316

www.Fyzical.com/Lanham

Jayshree is skilled in hand therapy, pelvic floor therapy, TMJ management, and ergonomic and postural training. She is committed to delivering personalized programs tailored to each patient, ensuring optimal health and wellness. Her expertise also includes gait training, customized foot orthotics, and various stimulation therapies.

PODIATRY

Howard Horowitz, DPM

Bowie Foot and Ankle

Dr. Horowitz has been practicing in the Bowie area for over 25 years. He graduated from the Illinois College of Podiatric Medicine with a Doctorate of Podiatric Medicine and did his postgraduate training in podiatric medicine and surgery in association with the Podiatry Group of Greater New York and the New York College of Podiatric Medicine. Dr. Horowitz remained in New York for an additional two years to practice with several of his training program’s attending doctors in order to further hone his medical and surgical skills.

Dr. Horowitz enjoys the general nature of his practice and sees patients of all ages with a variety of foot problems. He especially enjoys dealing with the orthopedic nature of many podiatric problems, whether they be of recent onset or long standing. He has found that chronic problems affecting the ankle, knee, hip or back, can often be traced to recent symptoms within the foot, or vice versa. Dr. Horowitz continues to expand his knowledge in podiatric medicine, in an effort to bring advances in treatment and technology to his patients.

Professional Affiliations: American Podiatric Medical Association, Maryland Podiatric Medical Association and American Academy of Podiatric Sports Medicine Special Interests: Biomechanical Gait Analysis, Orthopedics, Surgery

Making a Difference By Empowering and Encouraging People To Live Healthier
Making a Difference By Empowering and Encouraging People To Live Healthier Maryland Edition | page 39 www.YourHEALTHMagazine.net
4920-A Waterloo Road Ellicott City, MD 443-364-3015 10300-B Baltimore National Pike, Ellicott City, MD 410-988-5171 Revive-PT.com
Suite #103, Waldorf,
240-419-5101
Crain Highway
MD
Board Certifications: Podiatric Surgery - American Board
Medical Specialties in Podiatry; Podiatric Orthopedics - American Board of Podiatric Orthopedics and Medicine 14999 Health Center Drive Suite #112, Bowie, MD 301-464-5900 www.BowieFootandAnkle.com
of

Meet Your Local Health Professionals

PODIATRY

Ademuyiwa Adetunji, DPM

Largo Foot & Ankle Health & Ambulatory Surgical Center

Diabetic Foot Wound? Let us help with VAPOROX

VAPOROX VHT is a low-frequency, non-contact, non-thermal ultrasound treatment, and it has arrived at Largo Foot & Ankle.

If you have a lower extremity wound we can help!

This new treatment is FDA-cleared tech that has been clinically validated as a safe and effective adjunctive treatment for healing nine type of skin wounds.

1450 Mercantile Lane Suite #151 Upper Marlboro, MD 301-386-5453

www.LargoFoot.com

Delivered Exclusively At Largo Foot & Ankle!

All professionals at Largo Foot & Ankle Health and Ambulatory Surgical Center maintain the highest levels of accreditation and pursue ongoing education to stay abreast of the latest trends in the medical field. Read on to learn more about our staff’s experience and training.

Dr. Ademuyiwa Adetunji graduated from Des Moines University College of Podiatry Medicine and Surgery and completed his 2-year residency program at the VA hospital in Baltimore. He is a podiatrist specializing in the foot and ankle care of patients for over 20 years in the Largo area. He has particular interests in wound care, diabetic feet, and foot injuries. Dr. Adetunji is the Chief of Podiatry at the University of Maryland Capital Region Medical Center in Largo. Dr. Adetunji maintains his health by Church activities, farming, and family affairs.

PODIATRY

La Vergne Andre-Hayes, DPM

Loving Hands Podiatry

Before entering Podiatry School, Dr. Andre visited some local podiatrist to find out what Podiatrists do. She found out that they didn’t like to perform house calls and that she needed to fill that void – taking the Podiatry office to the patient!

Since Dr. Andre offers direct care, you can schedule an appointment as often as necessary – in the comfort, privacy, safety and convenience of your home or office.

One of the treatments she offers is a treatment for Neuropathy. Neuropathy is numbness, tingling, burning, shooting pain in the feet or hands and is usually treated with drugs - which are not very effective and have side effects. People with neuropathy may fall and need to stop driving because they cannot sense whether they are pressing on the brake or gas.

The treatment she offers is safe, effective, non-invasive and non pharmacologic.

This treatment is also effective for circulation issues, inflammation, joint pain and last but not least peripheral neuropathy. Her practice philosophy is “Non-invasive (without surgery or injections) pain elimination so that you can enjoy and participate in the activities of daily living – driving, sports etc.

Ingrown toenails treated on the same day, thick ugly nails, corns and calluses are also conditions she addresses in the comfort, convenience, safety and privacy of the home or office.

LOCATIONS: (3) Annapolis, Bowie, Catonsville, Chestertown, Easton, Fulton (Maple Lawn), Glen Burnie, Lutherville/Towson, Stevensville, White Marsh 855-455-8900

RADIOLOGY

Welcome Home Dr. Eva Duckett, MD

Dr. Duckett returns to CMI as Director of Women's Imaging

Clinical Focus/Specialty: Women’s Imaging

Credentials: Board Certification: American Board of Radiology 1995 and National Board of Medical Examiners 1991

Fellowship: Hospital of the University of Pennsylvania – Philadelphia, PA – 1995-1996

Residency: Howard University Hospital – Washington DC – 1991-1995

Medical Degree: Howard University Hospital – Washington DC – 1990

• Bowie Mammography returns with 3D Hologic machine

• 3D Mammography now offered in Annapolis, Bowie, & Easton

REGISTERED NURSE

Kim Weiss, RN

Annapolis Integrative Medicine, LLC

Kim has had a wide variety of experience as a nurse, from ICU service to Oncology nursing, and is an expert with IV therapies and is committed to her patients being comfortable, safe and well informed.

Kim has been utilizing IV therapies very safely and therapeutically with over 25 years as an IV Nurse, has been administering nutritional and integrative IV’s in many different settings and practices throughout Maryland and Massachusetts. She is able to tailor these therapies to meet individual needs and requirements. Many people can benefit from these therapies and they can jumpstart your road to recovery and health.

www.LovingHandsPodiatry.com

EDUCATION: Dr. Katzen attended The Bullis Preparatory school where he served as captain of the baseball team, the George Washington University, and the Temple University School of Podiatric Medicine graduating in 1971. Following graduation, he served a surgical residency at the prestigious Grand Community Hospital for special surgery in Detroit, Michigan.

Dr. Katzen has served as Chairman of the Department of Podiatric surgery at The Southern Maryland Hospital Center and The Greater Southeast Community Center. He has served as President of the Academy of Minimally Invasive Foot and Ankle surgery. He also is a fellow and associate professor of the academy and a clinical lab instructor at the biannual LSU Medical Center seminar for minimally invasive surgery. He was honored in 2023 to receive The Temple University Gallery of Success award awarded to aTemple graduate each year for his innovations in minimally invasive foot and ankle surgery and his many years of service to the alumni association including as its president from 2018-2022.

Dr. Katzen is Board Certified in Minimally Invasive Foot and Ankle Surgery, procedures which allow many common foot and ankle procedures to be performed with the use of a fluoroscope through a small incision with minimal trauma, scaring and down time.

PERSONAL: Dr. Burton J. Katzen is a native Washingtonian who comes from a medical family.

His father, Dr. Bernard Katzen practiced family medicine for 50 years in Southeast Washington. His brother is an oncologist, his nephew is a radiologist, and he has cousins who are oncologists, dentists, and hematologists.

Dr. Katzen has coached many different youth sports, but his first love has always been baseball. He coached baseball for 18 years, including 8 years as the head coach of American Legion Post 105. He’s been married to his wife, Wendy for 50 years and has two grown children. His son Adam graduated and played baseball at Lehigh University, and his daughter was The Washington Post athlete of the week while in high school and was a unanimous all Ivy softball player while attending the University of Pennsylvania. He is also a competitive tennis player, but his number one hobby at this time is his budding 5 athletic granddaughters, Blake, Brynn, Charly, Bryce, and Emery. www.MDFootDr.com

Treatments Offered Include:

• IV Therapies: Vitamin C Drips, Meyers Cocktails, Glutathione, Mineral IV's,

• Alpha Lipoic Drips, B12/MIC injections

• Botox/Dysport

• Morpheus8, Votiva (vaginal rejuvenation, especially for urinary incontinence)

• Traditional Microneedling treatments

• VIPeels including NEW BODY PEELS

• Heidelberg PH Capsule Testing

Christina Prieto

Christina Josephs Salon & Studio

Christina Prieto graduated from Towson University with a Bachelor’s Degree in Communication and Business. After college, she worked with a cosmetic company developing a makeup and skin care line, where she went to labs and met with chemists to create a line that would enhance women’s natural beauty. She then worked for a national photography company as a lead makeup artist, helping to open the first glamour photo studio on the east coast. She then traveled, opening franchises around the country, before partnering with a salon owner to incorporate Hot Shots, the first hair photography studio in the area. She later created Christina Joseph Salon, named after her and her first born son.

The salon has been located in Millersville, MD for almost 36 years. Haircuts, coloring, baylage, Brazilian blow outs, hair extensions, wedding packages, spray tanning and their signature Hot Shots and Glamour Girl Birthday parties are among a few of the services offered.

Making a Difference By Empowering and Encouraging People To Live Healthier
page 40 | YourHEALTH Magazine 301-805-6805 Making a Difference By Empowering and Encouraging People To Live Healthier page 40 | YourHEALTH Magazine 301-805-6805
SALON/STUDIO 8268 Veteran’s Highway Millersville, MD 410-987-7700 ChristinaJosephSalon.com
1819 Bay Ridge Avenue Annapolis, MD 410-266-3613 AnnapolisIntegrativeMedicine.com
Eva
Chesapeake Medical
Duckett, MD
Imaging
www.CMIRAD
.net PODIATRY
Burton Katzen, DPM Metro Foot Care Center Marlow Heights Diagnostic Center 4302 St. Barnabas Road Temple Hills, MD 301-423-9494 www.MDFootDr.com
OFFICE ADDRESS. THIS DOCTOR COMES TO YOU! 301-323-5652
NO

Meet Your Local Health Professionals

2009 Tidewater Colony Drive, Suite B1 Annapolis MD 301-615-1117

www.BettyCenterConnect.com

SOCIAL WORKER

Christa Bellanca, LCSW-C Betty Center, LLC

In therapy with me, expect a blend of warmth, authenticity, and laughter as foundational elements. Establishing a secure, trusting relationship is my priority, seeing healing emerge through connection. Embracing Dolly Parton’s insight that “laughter through tears is my favorite emotion,” I avoid taking myself too seriously, recognizing that defensiveness hinders growth – a lesson learned through experience and parenting.

Raised by a resilient single mother, I inherited values of strength, perseverance, and compassion. These principles not only shape my therapeutic practice but also form the core of our Betty Center’s ethos. My unique journey from journalism to social work after raising my children led me to obtain my Masters in Social Work at 47.

My personality encompasses contrasts — I relish yoga, loud concerts, and the outdoors as much as quiet moments with family, books, and cozy cups of tea. I’m a devoted reader, a passionate Washington football fan, and an adept cook (but not a baker!). Additionally, I indulge in true crime podcasts and Dateline/48 Hours, though that’s our little secret.

In therapy, I specialize in aiding individuals navigating transitions: divorce, empty-nesting, and other major life changes. My expertise lies in addressing anxiety, depression, ADHD, trauma, and relational challenges, employing diverse evidence-based methods tailored to each client’s needs. I believe in a personalized approach, fostering a secure therapeutic relationship where you feel truly heard and understood.

Education: I hold an MSW from the University of Maryland (2017) and a BA in Communications with a Women’s Studies Minor from the University of Delaware, graduating Magna Cum Laude in 1992.

SPIRITUAL HEALER

Sabrina Milanovich, Master Psychic Psychic Meditation Center

Professional Master Psychic with Over 20 Years of Experience

Are you feeling frustrated, lost, confused, or lonely? Unsure of where to turn or who to trust? I am here to provide clarity and guidance.

With my extensive experience and intuitive abilities, I can offer you the answers and solutions you seek.

Columbia, MD 410-381-5151

PsychicMeditationCenter.com

I have dedicated my life to helping individuals through my psychic and spiritual gifts, providing insights that lead to meaningful change. Whether you are facing personal challenges or seeking direction in life, I am here to support you every step of the way.

Call now to achieve inner peace and find the clarity you need to move forward with confidence. Your journey to a better, more fulfilled life begins here.

UROLOGIC ONCOLOGIST

Dr. Jeffrey Brown grew up in the state of Maine and went to Bowdoin College, where he graduated Magna Cum Laude in 1982. He accepted early decision into the Georgetown School of Dentistry, and graduated from there in 1986. While at Georgetown, Dr. Brown worked in the Neurology Department as an assistant on a project that involved studying the regeneration of nerve tissue in the spinal column after major trauma.

Upon graduation from Georgetown Dental School, Dr. Brown worked for a short time as an associate in a practice in Falls Church, VA. From there, he moved on and built his own practice in the Fairlington neighborhood in Arlington, VA, creating one of the largest practices ever seen on the East Coast.

Dr. Brown took a short sabbatical to help raise his four young children and to continue his education. It was then that he began the process of understanding sleep apnea and how it correlates to TMJ treatment. His knowledge in the combined fields of TMJ, sleep and orthodontics has given him a perspective unlike most other practitioners who perform basic dentistry.

In addition, Dr. Brown has also learned the advanced techniques involved in expanding an airway so that both children and adults can breathe better. His training continued over time at the famous Sleep Medicine Center near the Emory University Hospital. He is a certified Fellow of the American Academy of Craniofacial Pain, awarded the Level of Legacy with the ALF Interface Academy and holds memberships with many academies.

In 2013, Dr. Brown met Dr. Brendan Stack and was immediately impressed with the success Dr. Stack had in treating TMJ cases and being able to repair so many damaged lives. For Dr. Brown, helping people by dealing with their debilitating TMJ issues became his second calling. And, as they say, the rest is history!

Dr. Michael J. Whalen, MD, is an accomplished Associate Professor of Urology and Director of Urologic Oncology at the George Washington University School of Medicine. A graduate of Harvard College and Columbia College of Physicians & Surgeons, he completed Residencies at New York Presbyterian Hospital-Columbia University Medical Center. Dr. Whalen holds board certification in Urology and underwent specialized fellowship training in Robotic and Minimally Invasive Urologic Oncology at Mount Sinai Hospital and Urologic Oncology at Yale-New Haven Hospital. Renowned for expertise in urological cancers, Dr. Whalen excels in both major open and minimally invasive surgeries, including pioneering the supine-position robotic retroperitoneal lymphadenectomy for advanced testicular cancer. His clinical focus spans prostate, bladder, kidney, and testis cancers, utilizing advanced techniques like robotic surgery with the DaVinci system and transperineal prostate fusion biopsy. Apart from clinical practice, Dr. Whalen is actively involved in clinical outcomes research, contributing to numerous peer-reviewed journals. Recognized as a dedicated mentor, he received the Teacher of the Year award from Urology residents in 2019. Acknowledged for excellence, Dr. Whalen was awarded the Commission on Cancer, Cancer Liaison Program Outstanding Performance Award in 2021 and listed as one of Washingtonian’s Top Doctors in 2023. His commitment extends to education and cutting-edge clinical trials, solidifying his reputation as a leading figure in urology.

Germantown Square Shopping Center Lower Level 12627 Wisteria Drive Suite C & D

Germantown, MD 240-715-6570 HolisticVeterinaryHealing.com

VETERINARIAN

Deborah Cheryl Mallu, DVM, CVA, MAc Holistic Veterinary Healing

Since age 5, my passion for veterinary care has guided me. At 14, I embarked on my journey, working in veterinary clinics. Graduating from The Ohio State University with a DVM degree in 1977, I've devoted my life to caring for both pets and their families. After a decade in clinical practice, I sought new avenues due to concerns about pets' health. In 1988, I delved into veterinary acupuncture, earning certification from the International Veterinary Acupuncture Society. This led me into holistic medicine, where I gained certification in homeopathy and underwent training with Dr. Richard Pitcairn.

In 1993, I sold my practice in Maryland and pursued spirituality in Sedona, AZ, becoming a Tibetan Buddhist nun until 2023. Embracing the belief in the equality of all life, I dedicated myself to alleviating suffering.

Returning to Maryland in 2006, I co-founded Holistic Veterinary Healing in 2013. Recognizing the interconnectedness of human and animal health, I pursued a Master's degree in Human Acupuncture in 2010. Since 2016, I've focused solely on animal patients, certified in Medical Ozone Therapy and as a Fear Free Practitioner. Residing in Germantown with my dogs, I cherish moments with family and friends, enjoy farm visits, and find solace in meditation and watching my dogs.

WELLNESS COACH

Rachelle Polk, Owner

Annapolis

Hi there, I’m Rachelle, Owner of BeBalanced Annapolis. BeBalanced has been life-changing for me. First as a client in 2017 after years of searching for answers to what I thought was perimenopause. Insomnia, hot flashes, night sweats, digestive issues, and stubborn weight gain, to name a few. The answer? All-natural hormone balancing! Our Becoming Balanced program taught me how to naturally balance my hormones through supplementation, nutrition, stress management, and other techniques. The outcome, I lost 30 lbs., felt healthier than I had in years, and I’ve kept it that way! And now as an Owner and Wellness Coach, I have the honor of joining other women and men on their journey to Becoming Balanced! I’m looking forward to joining you on your journey!

Making a Difference By Empowering and Encouraging People To Live Healthier
Making a Difference By Empowering and Encouraging People To Live Healthier Maryland Edition | page 41 www.YourHEALTHMagazine.net
1667 Crofton Center Suite #8A, Crofton, MD 21114 410-923-7200 BeBalancedCenters.com/ location/Annapolis/
BeBalanced
Michael Whalen, MD GW Medical Faculty Associates GW Urology - Foggy Bottom South Pavilion 2150 Pennsylvania Avenue NW, Suite #3-417 Washington, DC 20037 202-741-3121 GWDocs.com TMJ & SLEEP DISORDERS Jeffrey L. Brown, DDS Sleep & TMJ Therapy
2841 Hartland Road Suite #301 Falls Church, VA 703-821-1103 SleepandTMJTherapy.com

Longing For A Beautiful Smile?

Call for a Complimentary Consultation

Orthodontics for Adults & Children

We Specialize in: Damon Braces, Damon Clear, Invisalign, Invisalign Teen, Clear Aligner Therapy, STb (Lingual Braces), Insignia, Early treatment & growth modifications, and Minor Tooth movement for periodontal patients.

301-587-8750

8737 Colesville Road, Suite #301 • Silver Spring, MD 20910 www.smileconstructors.com • info@smileconstructors.com

8737 Colesville Road, Suite #301 • Silver Spring, MD 20910 www.smileconstructors.com • info@smileconstructors.com

NEW STUDIES OF ACNE, LIP FILLERS AND SKIN TIGHTENING

Starting This Year at Our National Research Centers

• Acne / Breakouts

• Lip Fillers

• Skin Lifting • Skin Tightening

• Pores • Fine Lines

At the offices of DR. HEMA SUNDARAM, MA, MD, FAAD

Board Certified Dermatologist and Dermatologic Surgeon International Teacher and Researcher in Advanced Dermatology and Plastic Surgery Technologies

Now enrolling for studies & evaluations of Acne, Lip Volumization, Exosomes and Other Treatments. Space is Limited. Email dermdc@gmail.com NOW for details with subject line STUDIES AND EVALUATIONS

** Summer Makeover Packages ** call Fairfax, VA 703-641-9666 or Rockville, MD 301-984-3376 Interest-Free Financing Available

Follow us on Instagram: @twicebornbeauty & @drhemasundaram

Orthodontics

Questions and Answers

Orthodontists, the experts in orthodontic treatment, undergo extensive specialized education and training beyond dental school. This additional 2-3 years of training equips them with the knowledge and skills necessary to diagnose, straighten teeth, and align jaws accurately. It’s important to note that only those with this advanced education can rightfully call themselves orthodontists.

Wondering when the ideal time is for an orthodontic consultation? According to the American Association

of Orthodontists, it is recommended to schedule a consultation with an orthodontist by the age of seven. At this stage, orthodontists can detect subtle issues with jaw growth and emerging permanent teeth, even while some baby teeth are still present. Early treatment can effectively prevent more serious problems from developing and potentially shorten and simplify future treatment. Delaying until all permanent teeth have erupted may prove to be too late.

During a consultation, an orthodontist can achieve remarkable results that may not be attainable once facial and jaw growth is complete. They may also recommend monitoring the child’s growth and development and commencing treatment at the appropriate time using suitable appliances.

The exciting news is that there are numerous options available today that weren’t accessible in the past. Gone are the days of traditional braces with headgears or elastics. Extractions and expanders are used sparingly. Damon® self-ligating braces offer shorter

Please see “Orthodontics,” page 61

A Journey Of Healing

Elambert Richardson’s journey to founding Elon Roshell Day Spa & Health is a remarkable story of resilience, healing, and dedication to helping others. Richardson’s path began with a profound personal struggle and evolved into creating a sanctuary of well-being that includes innovative treatments like a unique salt cave.

Richardson, once a preschool teacher, faced a debilitating injury that altered the course of her life. Despite extensive physical therapy, her pain persisted, leading to depression and a diagnosis of fibromyalgia. Her doctor presented her with a stark choice: find a way to live or succumb to her condition. This critical moment propelled Richardson to seek healing beyond conventional methods.

Richardson shared another poignant aspect of her struggle: the hostile work environment that led to her depression and ultimately, PTSD. She recounts instances of mistreatment, including being ostracized by colleagues and subjected to demeaning messages. Despite enduring chronic pain and emotional distress, Richardson finds solace in helping others and is embarking on a journey of healing by sharing her story.

A pivotal turning point came with her reading of “The Ministry of Healing,” a book that highlighted the therapeutic power of helping others. This revelation ignited her determination to overcome her depression and explore a career in healthcare. Richardson began volunteering at her children’s school, pursued higher education, and ultimately found her calling in massage therapy. Overcoming Adversity Richardson’s journey was further challenged by the COVID-19 pandemic, which forced her business to close for 15 months. During this time, she also contracted the virus, requiring oxygen therapy. Remarkably, this treatment pro-

Please see “Elon Roshell,” page 66

301-805-6805 page 42 | Your HEALTH Magazine
301-587-8750
Rejuvenate Your Mind and Body with Our Natural Health and Wellness Spa Looking for a natural way to boost your health and wellbeing? Come experience our natural health and wellness spa services, including: • Oxygen Therapy • Red Light Therapy • Halo Therapy • Infrared Sauna • Ionic Bath • Salt Cave Elon Roshell Day Spa & Health, LLC 230 West Dares Beach Road, Suite #103, Prince Frederick, MD 20678 443-968-8807 text 443-624-4252 ERMassageTherapy.com We have a Salt Cave & space available for Family and Small Group Spa Events, and Massage Therapy Visit us today to discover the benefits of natural health and wellness services for yourself. Book an appointment now and enjoy a relaxing and rejuvenating experience at our spa. Oye Parker Elambert Richardson Hyperbaric Chamber, Now Available! We are actively seeking faith-based natural health practitioners! Elambert Richardson – Owner Oye Parker – License Cosmetologist offering: Eyelash Extensions Natural Henna Brow Tinting Body Waxing • Facials Certified Permanent Make Up Artist for Eye Brows & Lips
Elambert during that time of great sadness, and now. Finding rest, happiness, and restoration!

UltraSlim is the safest, most effective non-invasive fat loss device – and the only device with same-day results. The mechanism of action is our patented photobiomodulation of the adipocyte, resulting in lipolysis. In IRB clinical trials, patients lost an average of 1,580cc of fat during their first $500 treatment – 40 times more fat loss than the 39.6cc with CoolSculpting three weeks after treatment. UltraSlim works for all patients, with no restrictions for skin tone or BMI. With three FDA clearances (Risk Group 1 with no adverse outcomes), five indications For Use, and nine patents, there is nothing else like UltraSlim.

“Lose 3.5 Inches From Your Waist, Hips or Thighs In 32 Minutes...” (Non Invasive Body Sculpting)

“New Mom Libny lost 36 pounds of fat with twelve 32-minute UltraSlim treatments”

(Non Invasive Body Sculpting)

Maryland Edition | page 43 www.YourHEALTHMagazine.net • No Pain • No Surgery • No Downtime • No Dieting • No Exercise (Lose 2” on Your First Visit OR You Don’t Pay!) CALL FOR RISK-FREE APPOINTMENT! 301-472-4290 3450 Old Washington Road, Suite #103 Waldorf, MD 20602 CookandSiuMD.com Nearly 100% Financing Available
50-70% OFF!

Spine & Pain

Kyphoplasty A Breakthrough Treatment For Vertebral Compression Fractures

use

of the

• Spinal Cord Stimulation (SCS)

• Epidural Steroid Injections

• Facet Joint Injections

• Radiofrequency Ablation

technologies and techniques

• Medial Branch Blocks

• Sacroiliac Joint Injections

• Kyphoplasty

• Selective Nerve Root Blocks

• Sympathetic blocks

• Celiac Plexus Blocks

• Joint Injections

• Peripheral Nerve Stimulation

• Minimally Invasive Lumbar Decompression (MILD)

Vertebral compression fractures (VCFs) can be a source of significant pain and disability, particularly among older adults and those with osteoporosis. These fractures, often caused by weakened bones, can lead to a forward curvature of the spine (kyphosis), height loss, and chronic pain. Fortunately, kyphoplasty has emerged as a highly

• SPROUT Program (NEWBORN Baby Care from a Pediatrician at Your Door!)

• Pediatrics (0 to 20)

• Holistic Wellness (for all ages)

• Homeopathy • Supplements

• Medical Cannabis

MD

effective minimally invasive procedure for treating VCFs and restoring both function and quality of life for patients.

Kyphoplasty is a specialized vertebral augmentation procedure designed to stabilize fractured vertebrae and alleviate pain associated with VCFs. During the procedure, a small incision is made, and a narrow tube is inserted into the fractured vertebra under fluoroscopic guidance. Through this tube, a balloon-like device called a bone tamp is then gently inflated to create a void within the fractured bone.

Once the desired height is achieved, the balloon is deflated and removed, leaving behind a cavity. This void is then filled with bone cement, which hardens quickly, stabilizing the fracture and restoring vertebral height. By restoring vertebral body height and reducing kyphosis, kyphoplasty helps to relieve pain, improve mobility, and prevent

Please see “Kyphoplasty,” page 66

Nurturing Healthy Sleep Habits In Infants and Toddlers

As a devoted mother, ensuring your little one gets the right amount of quality sleep is a cornerstone of their overall well-being. Understanding and fostering healthy sleep habits in infants and toddlers are essential aspects of parenting that contribute to their growth and development.

Understanding Sleep Needs: For infants, sleep is crucial for physical and cognitive development. New-

borns typically sleep for 14-17 hours a day, gradually decreasing as they grow. Toddlers, aged 1-2 years, still need 11-14 hours, including naps. Recognizing and meeting these agespecific sleep requirements lays the foundation for a healthy sleep routine.

Establishing a Bedtime Routine:

A consistent bedtime routine signals to your child that it’s time to wind down. Engage in calming activities such as reading a bedtime story, gentle lullabies, or a warm bath. This routine helps create a predictable and comforting environment, promoting better sleep.

Creating a Comfortable Sleep Environment: Ensure your child’s sleep space is conducive to rest. Maintain a comfortable room temperature, use soft and breathable bedding, and minimize distractions. A tranquil sleep environment sets the stage for peaceful and uninterrupted sleep.

Screen Time and Sleep: Limit

Please see “Sleep Habits,” page 66

301-805-6805 page 44 | Your HEALTH Magazine 110 Hospital Road, Suite #211, Prince Frederick, MD 20678 410-656-2869 www.ChesapeakeSpineandPain.com Taking Care Of Your Pain Management Treatments We
We
below:
Provide
state
art
while practicing evidence based medicine to deliver the highest level of medical care to our patients. Some of the therapies we provide are mentioned
Chesapeake
Interventions and Therapies
Care For Children
Families Our Service Programs
Trusted Medical MD
&
301.477.3151 • TrustedMedicalMD.com 7525 Greenway Center Drive, Suite #215, Greenbelt,
20770
MD
Maryland Edition | page 45 www.YourHEALTHMagazine.net Takoma Park Office: 7513 New Hampshire Avenue Takoma Park, MD 20912 301-434-0075 Tues.-Fri. 10am-6pm; Sat. 8am-2pm Rockville Office: 12250 Rockville Pike, Suite #208 Rockville, MD 20852 301-603-2811 Mon., Wed., Thurs., & Fri. 11am -7pm Chevy Chase Office: 5530 Wisconsin Avenue, Suite #800 Chevy Chase, MD 20815 240-750-3635 Call For Opening Days and Hours Fairfax Office: 8505 Arlington Boulevard Suite # 270 , Fairfax, VA 22031 NOW OPEN! LOSE WEIGHT MD Visit Our Website: www.JustLoseWeightMD.com www.JustLoseWeightMD.com Easy Ways To Lose Weight Why We Are Unique • Customized Plans • Affordable • No Contracts • No Hidden Fees • Programs Run By Doctors • Long-term Weight Loss • Feel & Look Younger • FDA Approved Medications • Control Appetite • Eliminate Cravings • Burn Fat • More Energy
We Are
Lose Weight MD is a multifaceted weight loss center providing a comprehensive medical weight loss programs designed to assist patients in losing significant amounts of weight quickly and safely. Besides helping our patients lose pounds, we also provide them the support, education and resources that are necessary to maintain a healthy weight for the rest of their lives. We are all about getting healthy and staying healthy! Easy Ways To Lose Weight Our Services PLUS IV HYDRATION & VITAMIN THERAPY OPTIMAL WELLNESS IV THERAPY INFUSION • Brain Fog/Mental Clarity • Glowing Skin/Acne • Energy/Get Up and Go • Detox/Meyer’s • Immune Boost/Migraine Relief • IBS • High Dose Vitamin C • Quench/Hydration • Super Immune/Post COVID EFFORTLESSLY CHANGE YOUR WAISTLINE BODY CONTOURING PERMANENT – NON-SURGICAL FAT REMOVAL NO DOWNTIME Here are some of our Weight Loss Medications: Appetite Suppressants – Semaglutide – Ozempic – HCG – Mega Injections B12 Complex Injections – Lipo Fat Burner Injections – B5 Injections Please check our website for individual plans! Mention YourHEALTH Magazine and get 10% off all Initial Plans
Who
Just

400 Potomac Street

A psychiatric rehabilitation program offering a day component, residential, vocational and in-home support services.

Let us show you how to move from the solitude of symptoms to the freedom of achievement.

NOW OFFERING: Wellness and Recovery

Community Center - This is a program that provides support from peers for both mental health and substance use disorders for people actively working on their recovery.

Play Therapy and Child Development

Play is not just a pastime; it’s a language, through which children explore, express, and make sense of their emotions. For children grappling with mental health challenges, this language becomes even more vital. Play therapy is a transformative approach to facilitate emotional healing and foster healthy development.

Play therapy offers a safe and nurturing environment where children can freely express their thoughts, feelings, and experiences under the guidance of a trained therapist. Unlike traditional talk therapy, play therapy provides a developmentally appropriate avenue for children to communicate and process their inner world.

Through various play techniques such as storytelling, role-playing, art, and games, children can externalize their internal struggles, fears, and traumas. By engaging in play, they gain a sense of mastery and control over their

experiences, empowering them to confront and navigate their emotions in a supportive therapeutic setting.

One of the key benefits of play therapy is its ability to address a wide range of mental health concerns, including anxiety, depression, trauma, behavioral disorders, and attachment issues.

Moreover, play therapy promotes holistic development by targeting not just symptoms but underlying emotional needs. By fostering self-awareness, empathy, and problem-solving skills, it equips children with valuable tools for navigating life’s challenges and forming healthy relationships.

Research consistently underscores the effectiveness of play therapy in improving children’s emotional well-being and behavioral functioning. Studies have shown that children who participate in play therapy exhibit reductions in anxiety, depression, and disruptive behaviors, along with improvements in self-esteem and social skills.

Mental Illness Myths Vs. Facts

It’s unfortunate that individuals diagnosed with a mental illness often feel reluctant to discuss it due to feelings of embarrassment or shame, unlike how they would approach other medical conditions. The fear of potential avoidance or job loss further discourages them from seeking help, highlighting the pervasive stigma surrounding mental illness.

However, it’s crucial to recognize another important fact: stigma and myths are rooted in fear of the un -

known and a lack of understanding or information. This can be addressed by disseminating knowledge and utilizing it to gain a better understanding and manage the situation effectively.

Thanks to advancements in technology, scientists have discovered that many mental illnesses stem from imbalances in specific brain chemicals. Therefore, it is more appropriate to refer to these conditions as brain chemistry disorders, which should be treated like physical illnesses. Examples of brain chemistry disorders include depression, bipolar disorders, anxiety and panic disorders, schizophrenia, and others.

Similar to diabetes, restoring or achieving a chemical balance is a fundamental aspect of regaining one’s health. Ongoing progress in fields such as brain imaging, molecular biology, and genetic engineering allows scientists to expand their knowledge and develop more effective treatments. It is crucial to understand that brain chemistry disorders are not a

Please see “Mental Illness,” page 63

301-805-6805 page 46 | Your HEALTH Magazine
PO Box 939, La Plata, MD • 301-932-2737 • 301-870-3969 • Fax 301-932-2803
1300 Mercantile Lane, Suite #129-37, Largo, MD 20774 www.GHNutritionServices.com We Accept Insurance. Good Health NUTRITION SERVICES LLC Take Charge of Your HEALTH! Call Today! 301-341-4680 LEARN HOW TO… • Manage menopause with diet • Eat optimally during pregnancy
Prevent cancer with diet
Lose weight and keep it off
Better control your eating behavior
Know which healthy foods you should eat
Control your blood pressure
Improve your health overall
Manage your blood sugar
Lower your cholesterol GOOD HEALTH NUTRITION SERVICES: Saving Lives Through Education & Empowerment Our Individual Nutrition section will give you the opportunity to speak to our Registered Dietitian who will answer all your nutrition questions and guide you to a program specifically for you. We will work with your doctor to help you succeed in your health journey.
Maryland Edition | page 47 www.YourHEALTHMagazine.net

Don’t Let PAIN Control Your Life

• Herniated Disc

• Facet Syndrome

• Spinal Stenosis

• Osteoarthritis

• Bursitis

• Knee Pain

• Hip Pain

• Myofascial Pain

• Fibromyalgia

• Complex Regional Pain Syndrome (CRPS)

• Occipital Neuralgia

• Vertebral Compression Fractures

Genicular Ablation For Knee Pain

Genicular ablation is an innovative option for treating knee pain without surgery. Usually it is preceded by a diagnostic block with local anesthetic agent. If adequate pain relief is confirmed, patients may proceed for radiofrequency ablation (RFA) or neurotomy.

The Genicular RFA procedure is

performed with specialized RF needles which will be placed on the target, the genicular nerve branches of the knee. After confirming the placement of needles with fluoroscopic guidance, RFA will be performed where the tips of the needles will be heated to 80oC (176oF) for 90 seconds. This will disrupt the nerves which transmit pain from the joint. This procedure is performed under mild sedation with local anesthesia.

The pain relief from this procedure may last anywhere from 6-12 months.

Risks and Side Effects

There are few risks associated with genicular RFA, but they tend to be rare. The potential risks include, immediate or delayed allergic reaction to anesthetics /contrast, infection, bleeding, temporary increase in pain and transient facial flushing.

The Ultimate Healing Restoring Body, Mind & Spirit

Energy Quantum Healing

Energy quantum healing operates on the principle that the body’s innate energy field extends beyond its physical boundaries, connecting with the Earth’s magnetic field and traversing various dimensions within the spiritual realm.

This method focuses on identifying and rectifying congested negative energy, facilitating the restoration of a harmonious flow of positive energy throughout the entire human energy system. By addressing imbalances and disturbances within this system, energy quantum healing aims to integrate the body, mind, and soul in order to foster holistic health and facilitating the healing process. Practitioners believe that resolving energy field disturbances can prevent potential physical manifestations of illness in the future.

Holistic Therapies

Meditation, sound immersion, aura, chakra balancing and healing exert a tangible impact on the body, constituting a form of vibrational medicine that may influence heart

rate, blood pressure, and brain wave patterns. Sound waves, in particular, emit vibrations that are thought to penetrate and interact with the physical body and its major systems, accessing the aura and chakra systems to alleviate spiritual blockages and alleviate tension and stress. Sessions incorporating meditation, sound immersion, and healing techniques have been shown to alleviate physical discomfort in certain individuals, as well as mitigate anxiety and depression, and address emotional imbalances and past traumas.

Keep in mind that these therapies are complementary and should be used in conjunction with conventional medical care.

Intuitive Guidance

Intuitive readings can offer an understanding of various life situations, shedding light on your life path, and providing guidance on aligning your goals with your destiny. Anticipate receiving insights aimed at addressing challenges and identifying opportunities. Gain clarity on personal growth and navigating life’s complexities, empowering you to make informed decisions and pursue positive changes.

301-805-6805 page 48 | Your HEALTH Magazine
INTERVENTIONAL PAIN MANAGEMENT SPECIALISTS
Madhavi Chada,
Triple Board Certified Physician Glenn
Ft. Washington: 240-260-3828 | Silver Spring: 240-641-5922 12150 Annapolis Road, Ste 209, Glenn Dale, MD 20769 10709 Indian Head Hwy, MD-210, Suite D, Fort Washington, MD 20744 11233 Lockwood Drive, Silver Spring, MD 20901
MD -
Dale: 240-929-6652 |
Pain Conditions We Treat: Visit us online for a full list and descriptions of the treatments we offer. SynergySpineMD.com ABIM certified in Internal Medicine; ABA certified in Anesthesiology and Pain Medicine
410-381-5151 7262 Cradelrock Way, South, Columbia, MD Same Day Appointments Available • Must Be 18+ Years Old A Unique Blend Of Psychic Services, Meditation Practices & Healing Services Hope to educate & inspire. Empowering a community to come together and build a more conscious world. Tarot & Intuitive Readings Soulmate Specialist Restoring Love & Creating Pathways To Your Soulmate Spiritual Healing Services Chakra & Aura Balancing / Cleansing Life Path Manifesting Crystal & Sound Healing
Maryland Edition | page 49 www.YourHEALTHMagazine.net Area’s Largest Gluten-Free Selection Natural Foods • 100% Organic Produce Diet & Nutrition • Vitamins & Supplements NEW YOU FOR THE SUMMER $599/lb. raw walnut halves reg. $6.99/lb.• limit 5 lbs
Natural Market • Gambrills • 410-987-1533 With this coupon. Not valid with other offers. Offer expires 07/31/24 $799/lb. mixed nuts reg. $9.95/lb.• limit 5 lbs David’s Natural Market • Gambrills • 410-987-1533 With this coupon. Not valid with other offers. Offer expires 07/31/24 20%off shampoo, body lotion, & other beauty products excludes sale items David’s Natural Market • Gambrills • 410-987-1533 With this coupon. Not valid with other offers. Offer expires 07/31/24 10%off equal exchange bulk coffee David’s Natural Market • Gambrills • 410-987-1533 With this coupon. Not valid with other offers. Offer expires 07/31/24 20%off vitamins, herbal remedies & homeopathic supplements excludes sale items David’s Natural Market • Gambrills • 410-987-1533 With this coupon. Not valid with other offers. Offer expires 07/31/24 www.davidsnaturalmarket.com 871 Annapolis Road, Gambrills (Route 175) • 410-987-1533 Store Hours: Mon.-Fri. 8-8 • Sat. 9-7 • Sun. 10-7 CBD Products Elderberry Supplements IMMUNE BOOSTING! 10%off produce David’s Natural Market • Gambrills • 410-987-1533 With this coupon. Not valid with other offers. Offer expires 07/31/24 Fresh, Local, Certified, Organic Produce Best Natural Market For 23 Years
David’s

HAPPY HOUR YOGA HAPPY HOUR YOGA

on “ZOOM”

Your Space, Your Energy, Your Sacredness Yoga on a more relaxed, deeper level at home.

Monday and Wed 10:30am-11:30am

Tuesday and Friday 6pm to 7pm

Wednesday Yoga Nidra Meditation 6pm to 7pm Yoga Saturday Morning 8:30am to 9:30am

Certified Astrologer – Charts interpreted for as little as $49. The Big 3: Sun, Moon, Rising Ascendant Join Today – $59.00 Unlimited For the Month - includes meditation call for more information - 301-535-9787

Meditate Or Medicate?

Meditation can help prevent the need for medication for certain physical and mental issues. To meditate, we must upgrade our thinking and understand what drives our actions. Your body, like a vehicle, can be upgraded through self-awareness and meditation.

How Does One Upgrade Oneself? By knowing oneself. Meditation fosters self-awareness. The body is your vehicle, and the mind is a crucial part of it. Thoughts influence emotions, which in turn affect the body, especially the organs. To upgrade the mind is to upgrade the body, as they control your thoughts, emotions, and actions.

Anxiety and depression often stem from our imaginations. Our thoughts dictate our emotions, causing reactions to present situations. Through meditation, we can control our thinking and imagination, allowing us to respond more calmly to the present moment. Situations are interpreted by our mind, affecting our emotions, actions, and reactions.

Please see “Meditate,” page 63

Of Regular Foot Check-Ups

The primary perception that the sun is solely responsible for causing skin cancer holds true for many types of skin cancers, as they are commonly found on sun-exposed areas of the body. However, it is important to note that this is not the case for skin cancers that develop on the feet.

Skin cancers of the feet are influenced by various factors such as exposure to chemicals, chronic inflammation or irritation, inherited traits, and viruses. While regular check-ups for foot abnormalities are crucial, it is unfortunate that the skin of the feet often goes unnoticed during routine

medical examinations.

Let’s explore the different types of skin cancers that can occur on the legs and feet:

Basal cell carcinoma is frequently observed on sun-exposed skin surfaces, but its occurrence on the feet is relatively uncommon. Compared to other types of cancers, basal cell carcinoma is less aggressive and tends to cause local damage without spreading beyond the skin. On the legs and feet, basal cell cancers often resemble non-cancerous skin tumors or benign ulcers.

Squamous cell carcinoma is the most prevalent form of skin cancer affecting the feet. Initially, it remains confined to the skin, but in advanced stages, it can spread. It typically begins as a small scaly bump or plaque, sometimes appearing inflamed. Recurrent cracking or bleeding may be experienced. Squamous cell cancer can resemble other foot conditions like plantar warts, fungal infections, eczema, ulcers, or common dermatological conditions.

Malignant melanoma is one of the most dangerous types of skin cancers. Early detection is crucial for

Please see “Foot Check-Ups,” page 63

301-805-6805 page 50 | Your HEALTH Magazine
FOOT PROBLEMS? Ade Adetunji, DPM Largo • 301-386-5453 • Whirlpool Available • Diabetic Foot Care • Foot Exfoliation • Orthotics • Bunions, Hammertoes • Ingrown Nails • Warts Most Insurance Plans Accepted • Visa, Mastercard and Most Cards Accepted Out Patient Surgery, Ambulatory Surgical Center and Hospital Surgery Evening Appointments Available • www.AdeAdetunji.com 1450 Mercantile Lane, Suite 151 • Largo, MD 20774 www.largofoot.com • feetforlife@largofoot.com • Heel Spurs • X-Rays • PAD Test Now offering Dr. Remedy Enriched Nail Polish, a healthier alternative to traditional nail polishes. Strengthen and protect your nails against fungus, discoloration, cracking and brittleness – problems that can be caused by the chemicals found in commercial nail polish. Great for fungus nails; brittle, discolored nails; if you have an allergy to chemicals in commercial nail polish, or if you’re pregnant. Also great for children! Importance
Now acceptiNg aetNa, aNd Blue cross/care First practiciNg iN MarylaNd siNce 2004. 703 GiddinGs Avenue suite u3, AnnApolis, Md 21401 treat health coNcerNs with acupuNture • ASTHMA • STRESS • CHRONIC FATIGUE • DEPRESSION • BACK PAIN • JOINT PAIN BrittNey de Vicq, Mac, lac www.westaNNapolisacupuNcture.coM 410-375-9716 Committed to Healing to Achieve Lasting Well-Being “Gentle Dentistry At Its Best” Dr. E. Taylor Meiser, Jr., DDS, PA Retired Navy Dentist - 30 years experience We accept all PPO’s • Hablamos Español 37 Old Solomons Island Road, Annapolis www.lighthousefamilydentistry.com Call For New Patient Specials 410-224-4411

Gum Disease Treatment Options

Soft tissue management offers a non-surgical approach to effectively control periodontal disease. It is important to note that while there is no cure for periodontal disease, it can be effectively managed and controlled through appropriate measures.

So, what exactly is soft tissue management? It is a personalized plan designed to eliminate infection in the gums and root surfaces. Your dentist, hygienist, and you will work together to determine the most suitable plan for

your specific needs.

The hygienist will play a crucial role in performing treatments aimed at eliminating infection, providing recommendations to enhance your daily oral hygiene practices, and guiding you towards achieving and maintaining oral health.

One significant aspect of soft tissue management is root planing, which involves treating the diseased root surfaces located below the gum line. Unlike a routine dental cleaning, which primarily focuses on cleaning teeth above the gum line, root planing specifically targets the removal of tartar and plaque below the gum line, detoxifying the root surfaces affected by the disease.

So, what are the goals your dentist aims to achieve through soft tissue management? They include having gums that are healthy and do not bleed, fresher breath and taste, gums that are not red, swollen, or tender, knowledge on how to maintain good oral hygiene

Please see “Gum Disease,” page 63

At Kensington Pharmacy, in addition to having your prescriptions filled with speed and accuracy, you will experience one of the best services and notice the difference.

With 14 employees, Kensington Pharmacy gives a special attention to each customer that they deserve. Stop by and experience the difference.

Could Your Child Have Head Lice?

Submitted by Kensington Pharmacy

Head lice, these tiny insects, take up residence on people’s scalps and make their way into their hair. By biting the scalp, head lice feed on human blood. The issue of head lice has persisted for thousands of years, even evident in Egyptian mummies. Remarkably, head lice affect more school-aged children than all other contagious illnesses combined, excluding the common cold.

Initially, it may not be immediately apparent that your child has head lice. It takes about 4-6 weeks for the body’s immune system to develop sensitivity to the bites. During this period, a female louse can lay 6-10 nits per day. These nits take approximately two weeks to hatch, mature, and commence laying more eggs. By the time you detect an infestation, multiple generations of lice may already be residing in your child’s hair.

You might suspect your child has head lice if they exhibit the following

indications:

• Expressing discomfort from a tickling sensation or sensing movement in the hair.

• Experiencing itching due to a reaction to the lice bites.

• Demonstrating irritability.

• Developing sores on the head as a result of scratching.

Scratch marks on the scalp, particularly behind the ears or at the nape of the neck, serve as telltale signs of a head lice infestation.

How Can You Eliminate Head Lice?

It is advisable to seek treatment if even a single nit is found. There are two effective methods for eliminating lice: manually removing the nits using a comb and employing a special shampoo. The most effective approach is a combination of both. To learn how to comb out nits and treat your child’s belongings and home, you can consult your pharmacist, healthcare provider, or school nurse. Please see “Head Lice,” page 63

KENSINGTON PHARMACY

Owned by a local family of pharmacists

The Tunc Family: From Left: Melike, Pinar, Huseyin and Zeynep

• Prescription Refills via On-line or Phone 24 hours a day

• Flu Shots, Shingles and Pneumavac Vaccines

• Prescription Plans including Medicare Part-D and Part-B, CVS-Caremark

• Transfer Of Your Prescriptions

• Compounding Specialists

• Wide Vitamin Selection

• Blisterpacking For Assisted Living Facilities

• BOIRON Homeopathic Remedies

• Greeting Cards, Select Books and Gifts

• Wide Home Health Care Selection Wheelchairs, Canes, Walkers, Medical

Legsupport, Arthritis and Sport Aids, Bath Aids

• Toys and Books for Children

• And More

Maryland Edition | page 51 www.YourHEALTHMagazine.net
From Our Family To Yours
Kensington Pharmacy Offers 301-933-6165 3737 University Blvd W., Kensington, Maryland 20895 http://kensingtonrx.com/ email: mypharmacist@kensingtonrx.com OPEN HOURS: Mon-Fri 8a-6p Sat 9a-4p, Sun Closed Free Prescription Delivery

YourHEALTH Magazine Design Shop, Heather L. Mahoney

Wholelife

Acupuncture & Fitness Center

Feel Better Fast With Tuina Massage

AD PROOF

Principles Of Tuina Massage. Tuina (pronounced “twee-nah”) translates to “push and grasp,” which aptly describes the physical manipulations involved in this massage therapy. The practice is based on the TCM theory of meridians, which are channels through which the body’s vital energy, or qi, flows. According to this theory, blockages or imbalances in the flow of qi can cause various health issues. Tuina aims to restore the balance and smooth flow of qi by stimulating specific acupoints along these meridians using finger acupressure.

Quansheng Lu, CMD, PhD, L.Ac www.wholelifeherb.com • luquansheng@gmail.com 301-340-1066 • fax: 301-340-1090

advertisement must be noted and faxed to YourHEALTH at (301) 805-6808 on or before the due otherwise the ad will be printed as shown below.

Guest professor, Henan University of Traditional Chinese Medicine (TCM) Chief TCM Physician, WFCMS; M.S. in TCM, Beijing University of TCM PhD in integrated medicine, China Academy of Chinese Medical Sciences Fellowship, Georgetown University & Children’s National Medical Center 3 patents, 8 books of TCM, 30 papers, 30+ years of experience in TCM

Low back pain

eczema

arthritis

allergies

cough

insomnia • paralysis obesity • nephritis

hepatitis

REQUIRED. Please check the appropriate box, sign and fax back to YourHEALTH. ____ Ad okay with changes indicated ____ Please call to discuss ad design Signature (REQUIRED)_______________________________________________Date_______________ proof your ad. Check for correct addresses, phone #’s and spelling of all names.

infertility • PMS • side effects of cancer treatment 416 Hungerford Drive, #300 Rockville, MD 20850 5022 Dorsey Hall Drive, #101 Ellicott City, MD 21042

Chinese Tuina Massage: A Holistic Healing Practice. Chinese Tuina massage is a therapeutic technique that has been practiced for thousands of years. Rooted in the principles of Traditional Chinese Medicine (TCM), Tuina massage operates on the foundational concepts of meridians and acupoints. These principles are central to understanding how Tuina can bring about profound health benefits, including pain relief and alleviation of anxiety and depression.

Benefits Of Tuina Massage. One of the primary benefits of Tuina massage is pain relief. It is particularly effective for managing different types of pain, whether sharp, dull, stabbing, burning, distending, or related to stiffness and numbness. The technique’s efficacy in pain management stems from its ability to target the root causes of pain, which often lie in the disrupted flow of qi and tension within the muscles and connective tissues. Tuina massage is also

Please see “Tuina Massage,” page 66

Relieving Menstrual Discomfort – A

Holistic Approach

Dysmenorrhea, a prevalent issue among women globally, is characterized by periodic pain during, before, or after menstrual periods. This pain is caused by abnormal uterine contractions due to an excess of harmful prostaglandins. For some women, these pains can be intense enough to disrupt daily activities for several days each month.

Common symptoms of dysmenorrhea include cramping, lower abdominal pain, lower back pain, and a pulling sensation in the inner thighs. Additionally, women may experience headaches, dizziness, vomiting, nausea, diarrhea, or constipation.

There are two types of dysmenorrhea: primary and secondary. Primary dysmenorrhea occurs without any physical abnormalities and typically begins within three years of the onset of menstruation. Contributing factors include allergies, poor diet, high estrogen levels, being overweight, smoking, and stress. Many experts link the uterine muscle contractions to prostaglandins, which are hormone-like substances involved in pain and inflammation. Secondary dysmenorrhea, however, results from gynecological conditions such as endometriosis, fibroids, and pelvic

Please see “Menstrual Pain,” page 63

301-805-6805 page 52 | Your HEALTH Magazine
Empowering and Encouraging People To Live Healthier Makes a Difference! (301) 805-6805 • fax (301) 805-6808 Take the first step to improve your overall health. Learn more by attending one of our FREE educational information seminars OR schedule your first appointment today! Considering Weight Loss Surgery? 240.206.8506 www.tbhinstitute.com Greenbelt and Silver Spring, Maryland

Bariatric Surgery

Dr.’s Cover the Insurance Coverage Option

Insurance companies understand the importance of providing coverage for bariatric surgery, a lifechanging procedure aimed at weight loss. However, it’s crucial to note that the coverage may vary across different plans within a particular company. For individuals considering this transformative surgery, it becomes vital to explore whether their enrolled plan offers the desired coverage. Furthermore, specific criteria need to be met to ensure approval of coverage from these plans.

Essential Requirements

Bariatric surgeries, including gastric bypass and sleeve gastrectomy, are typically reserved for individuals who are morbidly obese and experiencing health complications associated with obesity. Insurance coverage is generally provided when a person is at least 100 pounds over their ideal weight, indicated by a body mass index (BMI) of 40 or higher. Moreover, individuals with a BMI ranging between 35 and 40 can also qualify for coverage if they have obesity-related health issues like diabetes, hypertension, or sleep apnea requiring treatment.

Support From Primary Care Physician

Having support from a primary care physician is a crucial aspect, as insurance companies seek recommendations for bariatric surgery from personal physicians. This recommendation serves as a valuable validation for insurance coverage.

Documented History Of Weight Loss Efforts

To meet the requirements of most insurance companies, individuals must demonstrate a documented history of weight loss efforts. Bariat-

ric surgery is typically not offered as the first line of treatment, making it necessary for patients to have previously engaged in a medically supervised weight loss program. This program can be overseen by a primary care physician, a weight management specialist, or a dietitian. Patients are expected to maintain a documented history of at least six months, with consecutive monthly visits. Those who demonstrate weight loss during this period are more likely to receive insurance coverage.

Psychological Evaluation

The insurance requirements include a comprehensive psychological evaluation to ensure that patients are mentally prepared for the lifechanging procedure. This evaluation also aims to identify any underlying issues that may hinder the success of the surgery. By addressing these concerns beforehand, patients can have a

Please see “Bariatrics,” page 63

Living With ALS: How Supportive Care Can Help People Take Control

With all the difficulties that come with amyotrophic lateral sclerosis, or ALS, losing control of one’s body is perhaps the scariest. This progressive degenerative neurological disease destroys the motor neurons which power voluntary movements and muscle control. Over time, little by little, the patient loses control of all functions,

taking away their ability to speak, eat, move and breathe.

Taking control of how to live with their disease is why ALS patients should seek supportive care from the moment of diagnosis. Also known as palliative care, supportive care is not hospice care, but rather a medical specialty that collaborates with a patient’s primary care physician, neurologist and other specialists to help you manage symptoms. Supportive care will be by your side as you walk the journey of this rare and often rapid debilitating illness. As a nurse practitioner, I work with my care team and ALS patients to help manage pain like muscle cramps and nerve tingling and offer therapies and medicine that can help maintain function and strength as long as possible.

ALS doesn’t solely affect a patient but their loved ones, too. We help caregivers learn to feed, assist in physical therapy, and other help with

Please see “Living With ALS,” page 65

Maryland Edition | page 53 www.YourHEALTHMagazine.net

DO YOU SUFFER FROM THESE SYMPTOMS?

• Severe fatigue

• Low sex drive

• Difficulty losing weight

• Depression, mood swings

• Joint and muscle pain

• Headaches

• Dry skin, brittle nails

• Itchy scalp, hair loss

• Irregular periods, hot flashes

• PMS symptoms

• Sleep problems

• Difficulty tolerating cold

• Constipation

• Allergies

• Brain fog

• Puffiness in face & extremities

Lyme Disease Recognize the Signs and Symptoms

Lyme disease is caused by the bacterium Borrelia burgdorferi and is transmitted to humans through the bite of infected blacklegged ticks.

What Are the Symptoms Of Lyme Disease?

Early signs and symptoms of Lyme disease (3-30 days) after a tick bite are fever, chills, headache, fatigue, muscle and joint aches, and swollen lymph nodes. The erythema migrans (EM) rash occurs in approximately 70-80% of infected persons with Lyme’s beginning at the site

Doesn't Your Child Deserve the Best?

as a uniquely noble pursuit.

of a tick bite after a delay of 3-30 days (average is about seven days). It expands gradually over a period of days reaching up to 12 inches or more across. Sometimes it will clear as it enlarges, resulting in a target or “bull’s-eye” appearance.

Later signs and symptoms (days to months) of untreated Lyme infection include severe headaches and neck stiffness, additional EM rashes on other areas of the body, arthritis with severe joint pain and swelling, particularly in the knees and other large joints. More symptoms are facial palsy, intermittent pain in tendons, muscles, joints, and bones, heart palpitations or an irregular heartbeat, episodes of dizziness or shortness of breath, inflammation of the brain and spinal cord, nerve pain, shooting pains, numbness and tingling in the hands or feet and problems with shortterm memory can occur at later stages.

A few things to note about Lyme’s are that a small bump or redness at the site of a tick bite that occurs immediately and resembles a mosquito bite is common. This irritation generally Please see “Lyme Disease,” page 65

Children Need Cheerleaders

By providing encouragement and love, individuals can unlock their potential and thrive, leading to the development of their self-esteem. When we continuously uplift and affirm our children by saying, “I see your capabilities, and you have succeeded,” they gain the confidence to conquer any subject or task, instilling a belief in their abilities to excel in all areas of life.

Fostering a child’s self-esteem requires warmth, love, encouragement, and positive reinforcement.

These elements contribute to nurturing a child’s self-confidence and belief in themselves.

In our society today, it is common for individuals to criticize themselves and their children constantly. This pattern often stems from their own upbringing, which involved constant criticism, belittlement, and abuse. Unfortunately, some insensitive parents label their children as “losers,” “lazy,” “dumb,” or “cowards,” causing lasting wounds and self-doubt.

Parents often place irrational expectations on their children, failing to recognize and appreciate their unique talents and abilities. It is essential for parents to encourage their children to succeed by acknowledging their Godgiven talents and not expecting them to conform to something they are not capable of or have no interest in. Forcing a child with a musical inclination into a sports team they dislike, such as football or soccer, is counterproductive and undermines their self-esteem.

A common mistake parents make is

Please see “Cheerleaders,” page 65

301-805-6805 page 54 | Your HEALTH Magazine Have you been tested for hypothyroidism? Are your results in the “normal” range but you’re still feeling off? Our Functional Nutrition Protocol Can Help!
CALL FOR A FREE CONSULTATION 7310 GROVE ROAD, SUITE 107 FREDERICK, MD 21704 240-651-1650 • doctorlo.com Advanced Chiropractic Nutritional Healing Center Dr. Thomas Lo, DC Loving Care Pediatrics Janet V. Johnson, MD Board Certified in Pediatrics and Adolescent Medicine Fellow of the American Academy of Pediatrics 3311 Toledo Terrace Suite C-201, Hyattsville, Maryland 20782 Mon–Fri, 9:00 am–5:00 pm | Office: (301) 403-8808 or Alt: (301) 403-1341 Iwas born and raised in Brooklyn, New masters at Long Island University in Brooklyn New York and completed my medical degree at State University of New York at Buffalo, School of Medicine in 1991. My postdoctoral training was received at Howard University/District of Columbia Hospitals combined Residency Program, Department of Pediatrics in Washington, DC completed in June 1994. I served as Chief Resident for the Department of Pediatrics, January 1994. I obtained Continuity Clinic Awards from 1991 to 1993 based on partic ipation and involvement in community clinics during my residency training. I am Licensed in Maryland, Board Certified in Pediatrics and Adolescent Medicine and a Fellow of the American Academy of Pediatrics. I have been in Private Practice for 22 years. I practice general pediatrics: examining, diagnosing and treating most of the diseases of children from birth to 21 years of age. With referral to specialists when the need arise. The practice is certified by the Prince George’s Health Department to administer Yellow Fever Vaccination. The practice provides vaccines for overseas travel to those individuals traveling out of the country and in need of an official certificate of vaccination (Yellow Book). many others, please call the office at 301403-8808 to schedule a visit. We look forward to seeing you at Loving Care Pediatrics— Janet Johnson MD and Staff. In addition, I am dedicated to volunteering my time to community outreach projects, youth groups, health fairs, various church functions and committee boards as well as for those who are less fortunate. Donating of my talents, time and treasures and giving back and serving those who are in need. I am an active member in The Prince George’s Community Advisory Group and served as the Medical Director for the Mid-Maryland Mission of Mercy two day free Dental Clinic sponsored by Catholic Charities Archdiocese of Washington in August 2013. Practice Philosophy Janet Johnson MD and Travel Health Medicine is committed to servicing its patients, parents and community by providing excellent and compassionate health care service to a culturally diverse population that promotes the dignity and well-being of the people we serve. Vision Statement Janet Johnson and Travel Health Medicine goal is to be recognized in the community it serves for compassionate patient service, and clinical excellence. To create a caring environment with a commitment to foster a work environment where individual diversity is valued and recognized, also where the
We are consistent and honest in word and deed. Commit to the highest standards of ethical conduct, respect, competence and safety. Quality: We provide service excellence in meeting client expectations. We ensure commitment to excellence for our patient and communities. Respect: We behave in a way that honors self and others. There is respect for diversity and individual differences. We embrace that diversity of individuals, ideas and expressions so as to achieve better multicultural understanding of our fellow man. Collaboration: Cultivate positive relationships while embracing diversity. Our Staff From left to right: Ama, Medical Assistant; Dr. Johnson; May, Medical Assistant. Insurances Accepted Aetna, CareFirst Blue Cross, Blue Choice, Amerigroup, Americhoice, United Health Care, Teamsters, Tricare, Maryland Medicaid, and Other Major Insurers to be recognized in the community it serves for compassionate patient service, and clinical excellence. To create a caring environment with a commitment to foster a work environment where individual diversity is valued and recognized, also where the satisfaction of all patients
Our Vision is Call today to make an appointment! 301-403-8808
Integrity:
regardless of their background is the fundamental goal of our every action, with the practice of medicine being recognized and honored
Board Certified in Pediatrics and Adolescent Medicine by the American Academy of Pediatrics Fellow of the American Academy of Pediatrics

Back pain is the second most common reason people visit physicians in the US, with neck pain close behind. The spine and adjacent tissues are pivotal in nearly all major bodily movements.

Chiropractic services are used most often to treat neuromusculoskeletal complaints, including but no limited to back pain, neck pain, pain in the joints of the arms or legs, and headaches.

Drug and Alcohol Testing also Available.

Since opening in 2003, Winters Chiropractic & Physical Therapy has remained dedicated to providing expert chiropractic, physical therapy, and DOT/CDL services. Our doctors provide tailored treatments that ensure you make the most gains at a comfortable, steady pace. The ultimate goal of any chiropractic or physical therapy program is to restore your physical health to its previous form. With our small practice, we have the advantage of maintaining personal relationships without compromising our ability to provide advance care.

Maryland Edition | page 55 www.YourHEALTHMagazine.net Choose from one of our two convenient locations. www.docwinters.com Charlotte Hall 29770 Three Notch Road Ph: 301-884-3423 Monday-Thursday 10AM-7PM Friday 9:30AM-5PM La Plata 101 Centennial Street, Suite A Ph: 301-934-9762 Monday-Thursday 10AM-7PM Friday 9:30AM-5PM
DOT/CDL Physicals $120 Our Doctors are Nationally FMSCA Certified. Done by appointments only. Call today to schedule!

Regenexx® non-surgical regenerative orthopedic procedures for arthritis, joint injuries, and spine pain are now available near you!

Connect with Dr. Zed and the All Star team at our convenient offices in Annapolis, Glen Burnie, or Bowie.

To learn more or schedule an evaluation, visit our website at allstarpainmanagement.com or call (443) 808-1808.

301-805-6805 page 56 | Your HEALTH Magazine
Zvezdomir Zamfirov, MD (Dr. Zed)
Maryland Edition | page 57 www.YourHEALTHMagazine.net A rechargeable hearing device for morning news to late night tv 410-672-1233 2654 Brandermill Boulevard Gambrills 410-672-1244 479 Jumpers Hole Road, Suite #203A Severna Park 410-956-2555 9 Lee Airpark Drive, Suite #500B Edgewater

Enhanced Underinsured Coverage

You’ve just been in a serious motor vehicle crash. Through no fault of your own your car is a total loss and you’ve been seriously injured. Your future is filled with extensive medical treatment and your doctor has taken you out of work. To top it off you’ve just discovered the other driver has “cut rate” insurance. What do you do?

“Underinsured” motorist coverage is a claim under your own auto-

mobile insurance policy for benefits over and above the limits of the other driver’s coverage. There’s one catch: it’s only available if your policy limits exceed the liability limits of the at fault driver. Otherwise, stated, your insurance company gets a credit for the amount of coverage the other driver’s insurance policy. For years, Maryland prohibited “stacking”, adding the limits of you underinsured coverage to the other driver’s liability coverage.

Effective July 1, 2018, you can purchase what is called “enhanced underinsured motorist coverage”. The effect is to raise your underinsured benefits up to the amount of your liability policy. Otherwise stated, your insurance cannot subtract the amount of the other driver’s liability limits from your underinsured coverage.

Why is this important? In my view, because of the internet, more and more consumers are going to the

Please see “Underinsured,” page 65

The Mighty Egg Metformin Use In PCOS

The human egg (aka oocyte) is the largest cell in the human body. It has the largest cytoplasmic content yet only half the DNA of a regular (somatic) cell. It is about 100 microns or 0.1mm, roughly the diameter of a hair strand. For comparison the human red blood cell is 6-8 microns. Compared to the human sperm, the egg is 10 times larger. Have you ever wondered why the egg has to be so large?

The human egg is derived from approximately 1,000 precursor cells

found in the hind gut of the human embryo.

These initial cells develop into the primary egg cell that are rapidly multiplied to 6-7 million egg cells by the time the embryo is five months old. The fascinating part about the human egg is that the vast majority of eggs die before a child is born.

Have you ever wondered why the egg has to be so large?

It is the grandmother of all cells. It is like an acorn that yields the mighty oak tree! It acquires it gigantic size during its stage of quiescence after a child is born and before puberty.

During this stage it builds up and acquires all the necessary ingredients as well as a store house of mitochondria aka the nuclear power house that provides the burst of energy necessary for cell division.

The genetic content of the human egg is responsible for directing the path of development after the egg has been fertilized by the human sperm. This

Please see “Mighty Egg,” page 65

Injured in an Auto Accident? Let’s build your case!

301-805-6805 page 58 | Your HEALTH Magazine

Depression and Hormones In Older Women

A woman is two times as likely to experience depression than a man. Meanwhile, more than 10% of older adults experience depression. Therefore, it’s not a surprise that women between the ages of 45-64 are at a high risk of having a mood disorder during perimenopause and menopause. Hormones help regulate body functions that impact a woman’s mood. If this delicate process is out of balance, depression symptoms can appear.

How Shifting Hormone Levels Can Cause Emotional Reactions

The unexplained appearance of anxiety, sadness, and irritability could point to a decrease in serotonin. At the same time, should a woman experience a drop in testosterone levels, she’s also experiencing anxiety, sadness, and irritability. In addition, signs could include a reduced sex drive and low overall energy.

All of the above could become the precursor to a depressive episode.

The Correlation Between Depression and Hormones In Older Women

During perimenopause – the time leading up to menopause – a woman’s reproductive hormones begin changing levels. This process is euphemistically called “going through the changes.” Perimenopause is when a woman’s menstrual cycle becomes decidedly irregular. This could refer to the cycle becoming less frequent, closer together, longer, or shorter, and more. The perimenopause process is believed to leave women more susceptible to being diagnosed with major depression. During this time, serotonin levels decline. Since this chemical is responsible for happiness and well-being, it makes sense that less serotonin causes one’s mood to be more depressed.

Simultaneously, hormones like Please see “Depression,” page 65

Our mission is to assist our patients in creating the families of their dreams, whether it be at the present or to maintain the possibility in the future.

Medical Director Dr. Famuyiwa, a double board certified fertility specialist and an advocate for personalized holistic fertility care, is at the forefront of providing state-of-the-art care based on emerging and advanced new technologies in the most compassionate of manners.

Maryland Edition | page 59 www.YourHEALTHMagazine.net 3202 Tower Oaks Blvd, Suite 370 Rockville, MD 20852 | 301-946-6962 | MontgomeryFertilityCenter.com Where Science Meets Compassion

Studio 5 Hair Gallery Specializing in Restoring & Enhancing

Your Hair’s Natural Beauty

Located in scenic Southern Maryland, Studio 5 Hair Gallery is well known in the medical community for customized solutions for hair loss. We provide the finest synthetic and human hair wigs, hair extensions, and top-of-the-head hairpieces. For over 12 years, Studio 5 Hair Gallery has served its clients with compassion and excellence. call 301.884.3553 for your appointment today! Please mention this Flier when setting up your appointment.

Custom Cranial Prosthesis • Lace Front Units Men’s & Women’s Hair Systems • Extensions

your hair loss is temporary, due to

Studio 5 Hair Gallery hair replacement specialists are empathetic to your needs at this difficult time and will do everything possible to make you feel comfortable.

301-805-6805 page 60 | Your HEALTH Magazine HAIR GALLERY 301.884.3553 • Studio5Salon.com Solutions for Thinning Hair and Hair Loss for Men, Women and Children 301.884.3553 • Studio5Salon.com
treatment
to alopecia, hormonal or trichotillomania,
solutions
Whether
medical
or long-term due
we have a wide variety of
Systems
Non-Surgical Solutions for Thinning Hair and Hair Loss of Women, Men and Children. 30051 Point Lookout Road, Mechanicsville, MD 20659 Private Rooms
Available
Services Provided for Medical & Genetic Hair Loss Wigs/Full Lace Wigs • Integration
Are
For Your Convenience
GWEN BEVERLY Owner, Medical Hair Loss Specialist

A ll-On-FOur

surprise about the all-on-four is how quickly it can transform your life.

What’s The All-On-Four Dental Implant Procedure Like?

First, either local or general anesthesia will be administered.

Second, the dentist or surgeon will prepare your mouth for the implants, which involves removing your remaining teeth that are failing. They will then remove any diseased or infected tissue from your jaw and gums.

Next, they will insert the titanium screws into your jawbone. Most likely,

they will place two implants toward the front of your mouth and two towards the back of your mouth so the “anchors” can evenly bare the force of the denture.

After the implants have been placed, they will thoroughly clean the surgical sites and suturing all the incisions. Then you’ll be taken to a recovery room where you can relax and take time to wake up from the anesthesia.

Schedule a consultation with an All-On-Four provider. It’s the best way to find out how dental implants can change your life.

i n F lA mm AtiOn

and roots of teeth, and can be difficult to detect, as the bacteria that causes Lyme disease has proven to be difficult to detect. Considering that there may be infectious causes of chronic disease (including chronic stomach or intestinal issues) is the first step to doing the testing to find them.

Food allergies and intolerances can also provoke inflammation. Two of the most well known are wheat and gluten, but numerous people are also intolerant of other foods such as corn, soy and dairy. Chronic exposure to foods that provoke inflammation can cause pain, either in specific joints or diffusely, fogginess, abdominal pain, weight gain and other issues. The worst component of foods that contribute to inflammation is sugar.

Full A rCH

place. Overdentures enhance stability and functionality to approximately 60% compared to natural teeth. They are relatively affordable and easy to clean. However, some individuals may find them uncomfortable and experience sore spots on gum tissue. While they offer stability, they may still exhibit slight movement during chewing or speaking, requiring relines for improved fit and comfort as jaw bone deteriorates.

All-On-4 Implant Fixed Bridge Permanence and Enhanced Functionality

All-On-4 implant fixed bridges provide a permanent restoration solution. Unlike overdentures, All-On-4 appliances never need to be removed, significantly improving functionality to approximately 90% compared to natural teeth. Additional benefits include the elimination of bone grafting, the ability for your dentist to provide a temporary bridge on the same day as surgery, preservation of bone and

Other sources of chronic inflammation include autoimmune disease, and finally there are toxic environmental substances that can provoke inflammation including mercury and mold exposure.

A few simple changes can help reduce inflammation. Reducing and managing stress and optimizing sleep can make a big difference. Reducing sugar and refined flours can help, and a trial off of wheat and gluten can help a surprising number of people. Safe and widely available supplements that can be helpful include fish and krill oil, curcumin and plant derived enzymes.

Seeking help from a knowledgeable physician to determine the presence root causes of inflammation can help greatly with a wide variety of health conditions.

FrOm pAge 18

soft tissue, and a decay-free experience with a remarkable 95% success rate over 30 years. With their natural appearance, you can confidently enjoy your favorite foods. Cleaning fixed bridges is a breeze, just like cleaning natural teeth within your mouth.

Traditional 6-8 Implant Support Fixed Bridge Uncompromising Quality

For a more traditional approach, a fixed bridge supported by 6-8 implants is an excellent choice. This permanent restoration replaces both the roots and teeth, preserving bone and soft tissue. Functionality is elevated to approximately 90% compared to natural teeth, and cleaning becomes as simple as caring for natural teeth within your mouth.

Whatever your preference, there is a perfect full arch dental solution for you. Consult with your dentist to explore the options that best suit your needs and regain the confidence and functionality of a complete, beautiful smile.

H eA ltH y Smile

undergoing a complex procedure or a routine dental treatment, your peace of mind is our priority.

Patient-Centric Approach:

At Total Dental Care, we prioritize your comfort with a patient-focused approach, offering amenities such as heated chairs with massage features, ensuring a relaxed experience. Our team is dedicated to fostering a positive dental experience, emphasizing

12

communication and education to empower patients in making informed decisions about their oral health.

Total Dental Care stands as a beacon of excellence in dental health, providing total solutions for patients seeking comprehensive, detail-oriented care. Experience the difference with our wide range of services and patient-focused approach, ensuring your journey to a healthy smile is seamless and satisfying.

CH ildren’S F eet

Here are some suggestions to help you assure that this development proceeds normally:

• Look carefully at your baby’s feet. If you notice something that does not look normal to you, seek professional care immediately.

• Cover baby’s feet loosely. Tight covers restrict movement and can retard normal development.

• Provide opportunities to exercise the feet.

• Change the baby’s position several times a day.

Starting to Walk

When the child first begins to walk, shoes are not necessary indoors. Of course, when walking outside or

on rough surfaces, babies’ feet should be protected in lightweight, flexible footwear made of natural materials.

Growing Up

As a child’s feet continue to develop, it may be necessary to change shoe and sock size every few months to allow room for the feet to grow. Although foot problems result mainly from injury, deformity, illness, or hereditary factors, improper footwear can aggravate preexisting conditions. The feet of young children are often unstable because of muscle problems which make walking difficult or uncomfortable. A thorough examination by a podiatrist may detect an underlying defect or condition.

OrtHOdOntiCS

treatment times, enhanced comfort, smaller size, and reduced monthly visits. Advanced technologies such as patient-specific brackets, computerassisted precision bracket placement, and custom wires eliminate the need for time-consuming adjustments.

Temporary Anchorage Devices (TADS) or mini implant screws provide effective results without resorting to jaw surgery. Clear aligners, a popular alternative, are not braces in the conventional sense. They consist of a series of removable aligners that gently guide teeth into their desired positions.

For those seeking aesthetic options, lingual braces can be placed be-

FrOm pAge 42

hind the teeth, while clear or invisible braces offer a great choice for adults who prefer a discreet appearance. Minor gum laser procedures can reshape the smile line, remove excess gum tissue, and uncover slow-emerging teeth, thereby expediting the achievement of a beautiful smile. Imagine going through high school without braces.

Today’s braces can provide individuals aged six and above with a healthy, beautiful, and stable smile. As orthodontists, our expertise lies in helping adults, teenagers, and children attain properly aligned teeth, well-balanced jaws, and overall good dental health. It’s never too early or too late to pursue straight teeth and reap the benefits they bring.

Optim A l H eA ltH

ties to your routine offers additional benefits, such as promoting digestion, maintaining muscle tone, and enhancing circulation. Even a brisk walk around the block is a convenient and effective cardiovascular activity for any fitness level.

If you’re looking for guidance on starting an exercise routine to alleviate back pain, consult your local

FrOm pAge 13

chiropractor. They can provide personalized recommendations based on your specific needs and goals.

Unlock the benefits of combining chiropractic care and exercise to improve your overall health, reduce back pain, and embrace a more vibrant and active lifestyle. Take the first step and consult your chiropractor today.

Maryland Edition | page 61 www.YourHEALTHMagazine.net
FrOm
pAge 16
FrOm
pAge
FrOm pAge 20
FrOm pAge 22
301-805-6805 page 62 | Your HEALTH Magazine

gum diSeASe

effectively, reduced pocket depths, and control over the progression of periodontal disease.

To ensure the success of this treatment, your dentist relies on your cooperation as the patient. This involves completing the periodontal therapy as prescribed, thoroughly cleaning all tooth surfaces twice a day, and adhering to regular re-care visits. For patients with adult periodontitis, sup-

HeA d liCe

Two types of shampoo, available without a prescription, can be used. One type utilizes a pesticide to eradicate the nits, while the other employs a pesticide-free cosmetic cleanser to eliminate lice and aid in dissolving the glue that attaches the nits to the hair shaft. If you are uncertain about which treatment to choose or how to use it, don’t hesitate to ask your pharmacist or healthcare provider. It is crucial to always follow the directions provided when using any liceremoval product.

Preventing Head Lice Reinfestation

Reinfestation is always a possibility. If the source of the original infestation is not addressed—for example, a classroom with many infested children—reinfestation is likely.

Remember that each day brings a new risk of encountering a fresh infestation. For at least two weeks after treatment, diligently inspect all family members daily. If you discover

FrOm pAge 51

portive three-month re-care visits are particularly essential for the successful outcome of the therapy.

By actively participating in soft tissue management and following your dentist’s recommendations, you can effectively control periodontal disease, maintain your oral health, and enjoy the benefits of healthier gums and fresher breath.

FrOm pAge 51

head lice on your child, notify their school, camp, and childcare provider. Inquire about their “nit policy” and determine when your child can safely return to the classroom. Inform other parents in your neighborhood as well. While reporting an infestation may seem embarrassing, it is the most effective way to ensure that the problem is resolved at its source.

Teach your child not to share or borrow personal items such as combs, headbands, hair ribbons, scarves, hats, headphones, sports helmets, towels, blankets, and stuffed toys. Educate them about avoiding headto-head contact with other children. Additionally, store clothing (like hats, hooded jackets, and scarves) and personal items (such as pillows, bedding, combs, brushes, and stuffed toys) in a manner that prevents them from touching. Request that your child’s school or daycare adopts the same practice, including not sharing cubbies or lockers among children.

m enStruA l pA in

inflammatory disease (PID).

In Chinese medicine, pain is seen as a symptom of an underlying issue, which can stem from either an excess pattern or a deficiency pattern. Excess patterns involve blockages of Qi and blood or the retention of heat, dampness, or wind. Deficiency patterns arise from insufficient Qi and blood or an imbalance in the kidney and liver.

Practitioners of Chinese medicine use acupuncture and herbal medicine to treat dysmenorrhea. Their strategies include expelling wind, dissipating cold, eliminating dampness, moving Qi, invigorating blood, nourishing the blood, clearing heat, and tonifying the kidneys.

A recent review examined the effectiveness and safety of acupuncture for treating primary dysmenorrhea. The review included ten trials with

m editAte

Ask yourself: “What am I thinking?” and “Why am I thinking this?”

Our imagination often drives our emotions, leading to anxiety and depression. While we can’t change the past, we can shape our future by living in the present. The Bhagavad Gita states, “When we think about yesterday, it brings tears. When we think about the future, it brings fears. When you live in the present moment, it brings awareness, happiness, and cheer.”

Focus on the now. What are you feeling and thinking at this moment? What emotions are tied to your awareness? Which organ is being affected? Emotions result from your thoughts. So, should you meditate or medicate?

Meditation can reduce the need for medication. While medication benefits many, spending 10 to 20 minutes meditating daily, morning and night, enhances awareness and control over thoughts, feelings, and emotions. Meditation helps manage medication reliance. Both meditation and medication impact the body, mind, and soul.

Meditation calms the mind, increases security within oneself, and raises awareness of words, actions,

and deeds. It can mitigate or better control the need for medication. Engage in meditation practices like prayer, listening to uplifting music, or focusing on your breath. The quality of your breathing influences your thoughts and reactions.

The beauty of thoughts is their flexibility; you can change them with focused breathing, controlling your thoughts, feelings, and emotions in the past, present, and future. Meditation grounds you in the here and now, bringing awareness to your words, actions, and thoughts.

To calm the mind with meditation, use mantras, prayers, affirmations, hymns, chanting, or spiritual singing. These techniques lead to peace, calm, and tranquility, fostering a sense of safety within yourself. Upgrade yourself to ensure your body and mind perform optimally. Your thoughts shape your life—what are you thinking, eating, saying, and doing?

A Simple Meditation Technique

Try this one-minute yogic breath: Inhale for a count of 20, hold for a count of 20, exhale for a count of 20, and repeat as needed.

m entA l i llne SS

FrOm pAge 52

data from 944 participants, with six trials focusing on acupuncture and four on acupressure. The results showed that acupuncture provided better pain relief compared to a placebo.

In Chinese medicine, ginger has long been used to alleviate dysmenorrhea due to its anti-inflammatory, spasmolytic, and circulatory properties. Ginger inhibits cyclooxygenase and lipoxygenase enzymes, which contribute to menstrual cramps. Another common Chinese medicine ingredient for treating dysmenorrhea is peach kernel.

By integrating traditional Chinese medicine practices such as acupuncture and herbal remedies, women can find relief from dysmenorrhea and improve their well-being during menstrual cycles.

result of personal willpower, poor parenting, or character flaws. They are biological conditions that can affect individuals from all walks of life, regardless of their socioeconomic status, education level, or background. By collectively educating ourselves about the facts and available resources for assistance, we can challenge and dispel the myths and stigma surrounding mental illness.

Local libraries offer directories of agencies providing various mental

FrOm pAge 46

health services, including the Mental Health Service Provider Directory for the tri-county area and the Charles County Directory of Human Services, which lists other services alongside mental health resources. Furthermore, information is readily available on the internet under mental health and mental illness. By asking questions, seeking knowledge, and embracing understanding, we can overcome fear and work towards a more inclusive and supportive society.

FOOt CH eCk-upS

ensuring patient survival. Melanomas can occur on the skin of the foot or beneath the toenail. They can be found on the soles and tops of the feet. As melanoma grows, it tends to penetrate deeper into the skin, posing a serious threat as it may spread through the lymphatic and blood vessels.

Malignant melanoma typically starts as a small brown-black spot or bump, although approximately one-third of cases lack brown pigment and appear pink or red. These tumors may resemble ordinary moles at first glance, but closer examination often reveals asymmetry, irregular

borders, changes in color, and/or a diameter exceeding six millimeters. Melanomas can be mistaken for benign moles, blood blisters, ingrown nails, plantar warts, ulcers caused by poor circulation, foreign bodies, or bruises.

In summary, while sun exposure remains a significant factor in many skin cancers, it is not the primary cause for those occurring on the feet. Skin cancers of the feet are influenced by various factors, and it is essential to be aware of the different types and seek professional medical attention if any abnormalities are observed.

Maryland Edition | page 63 www.YourHEALTHMagazine.net
FrOm pAge 50
FrOm pAge 50

HEALTH DIRECTORY

ACUPUNCTURE

Eastern Medical Holistic Healing Center – Angel Wood – 240-7555925 – www.Acupuncture4Wellness. Webs.com.

West Annapolis Acupuncture –Brittney de Vicq, LAc, MAc – 410375-9716 – BrittneyAcupuncture. com – Annapolis, MD.

CHINESE MEDICINE & ACUPUNCTURE

Quansheng Lu, CMD, PhD, LAc – www.WholelifeHerb.com – 301340-1066.

CHIROPRACTIC

Kovach Chiropractic & Wellness Center – Alicia Kovach, DC – 410697-3566.

Effective Integrative Healthcare –Crofton 410-774-0644 – Millersville 410729-2200 – Lanham 301-577-6556.

DENTISTRY

Cosmetic Dental FX – Judy Yu, DMD, MBA – 410-360-0440 – www. DentalFXMD.com – Pasadena, MD.

Lighthouse Family Dentistry –E. Taylor Meiser, DDS – 410-224 4411 – Annapolis, MD.

Karl A. Smith, DDS – Waldorf, MD –301-638 -4867.

DERMATOLOGY

Hema A. Sundaram, MD – Dermatology, Cosmetic & Laser Surgery – 11119 Rockville Pike, Suite #205, Rockville – 301-984-3376 – Also in Fairfax, VA.

EYE CARE

McNelly Optical, Inc. – 410-263-2692 – www.McNellyOptical.com – Annapolis, MD.

FERTILITY

Montgomery Women’s Fertility Center – 301-946-6962 – MontgomeryFertilityCenter.com – Rockville, MD.

HEALTH AND WELLNESS

Taylored 4 Life Wellness, Inc. – Gregory Taylor, MS – 301-979-9010 – Taylored4LifeWellness.com – Largo, MD.

HOME CARE

At Home Care, Inc. – 301-421-0200 – AtHomeCareInc.com – Since 1977.

HORMONES

New Day Vitality Hormone Center – 410-793-5212 – Arnold, MD and Easton, MD – NewDayVitality.com. HYPNOSIS

Toni’s Happy Hour Yoga and Holistic Wellness Center – 301-449-8664.

INTEGRATIVE MEDICINE

Alan Weiss, MD, Annapolis Integrative Medicine – 410-266-3613 – 1616 Forest Drive, Suite #3, Annapolis, MD 21403.

Taylor Integrative Health – Janay Taylor – 410-292-0483.

MEDICAL SPACE

Charles L. Feitel Company – 301-571-9333 – www.MedicalandDentalSpace.com.

MENTAL HEALTH SERVICES

Charles Co. Freedom Landing, Inc. –301-932-2737 or 301-870-3969.

House Calls, LLC – 301-346-6732 –CallingOnBeth@gmail.com – www. CallingOnBeth.net.

Luminox Healthcare Services – 240553-7970 – LuminoxHealth.com.

MRI

Washington Open MRI, Inc. – 6 Locations: 15005 Shady Grove Road, Suite #110, Rockville, MD 20850; 7399 Hanover Parkway, Greenbelt, MD 20770; 6196 Oxon Hill Road, Suite #110, Oxon Hill, MD 20745; 5530 Wisconsin Avenue, Suite #529, Chevy Chase, MD 20815; 9135 Piscataway Road, Suite #106, Clinton, MD 20735; 25 Crossroads Drive, Suite #180, Owings Mills, MD 21117 – www.WashingtonOpenMRI.com – 301-908-8279.

NEUROLOGY

Charles C. Reel, MD – Maryland Gait and Balance Disorder Center –Charlotte Hall, MD – 301-290-0395.

NUTRITION

Nutritional Healing Center – Thomas K. Lo, DC, MA – 240-651-1650 – 7310 Grove Road, Suite #107, Frederick, MD 21704 – DoctorLo.com

ORTHODONTICS

Jacqueline Brown Bryant DDS, MS, PC – Damon, Clear Braces & Invisalign for Adults And Children – Silver Spring, MD 20910 – www.SmileConstructors.com – 301-587-8750

PAIN MANAGEMENT

Georgetown Pain Management – Netsere Tesfayohannes, MD, ABA, ABAP – 301-718-1082 – 8120 Woodmont Ave., Ste 560, Bethesda, MD – 7300 Hanover Dr., Ste 204, Greenbelt, MD. Newbridge Spine and Pain Center – 301-638-4400 – www.NewbridgeSpine.com.

PAIN MANAGEMENT

Metropolitan Pain & Spine – Dr. Levi Pearson, III, MD, MBA – 9501 Old Annapolis Road, Suite #305, Ellicott City, MD 21042 – www.MetropolitanSpine.com – 410-772-6312.

Pain & Rehab Center, LLC – Dr. Gelareh Naenifard, DC – 5855 Allentown Road, Suite #19, Suitland, MD 20746 – www.PainRehabCenterMD. com – 301-925-2013.

PODIATRY

Bowie Foot Care – Howard Horowitz, DPM – 301-464-5900.

Largo Foot and Ankle Health Center – Ade Adetunji, DPM – 301 386 5453.

PRIMARY CARE

Loving Care – Janet Johnson, MD – Hyattsville, MD – 301-403-8808.

PROSTHETICS

Metro Prosthetics – 301-459-0999 –www.MetroProsthetics.com

SENIOR CARE

Chevy Chase Home Care. Help at a time you need it most. Any Ages. Any situations. Any shifts. MD, DC, VA – www. CHCHHomeCare.com – 202-374-1240.

St. Mary’s Nursing & Rehabilitation Center – 301-475-8000 – Leonardtown, MD – www.StMarysNursingCenter.com.

SPA (MEDICAL)

Luminox Healthcare Services – 240-5537970 – LuminoxHealth.com.

Millennium MediSpa – 301-652-9005 – www.AnythingCosmetic.com.

VETERANS

Charlotte Hall Veterans Home – 301884-8171 – Waldorf, MD.

WEIGHT LOSS

The Bariatric and Hernia Institute –Dr. Etwar McBean – 240-206-8506 – www.TBHInstitute.com.

YOGA

Toni’s Happy Hour Yoga and Holistic Wellness Center – Toni Greene, Owner – 301-449-8664.

1) Call 301-805-6805 with your name, contact info, and credit card payment for $24, or

2) Simply mail this form along with your check for $24: Your Health Magazine 4201 Northview Dr. Suite 102 Bowie, MD • 20716

Maryland & Virginia editions

Only $24 for a year’s subscription (12 issues)!

301-805-6805

page 64 | Your HEALTH Magazine
HowardCounty-Catonsville ion age www.YourHEALTHMagazine.net Directory of HealtH Professionals CUPUNCTURE Edgewater uncture, 4315,443-540-33 Rd., Suite Edgewate www.Edgewater Acupuncture Mindful SteveSmith,MEd, Columbi H22,Columbia;www.mindfulhealing.biz 0-312-5500, .smartcoachcenter.comLLERGY/ASTHM henbaum,MD, 53-8 www.allergyhcare.com Alternative 301-2755571,8241 Silver SpringMD,TransitionalMedicine, ter443. 1265,www. itionalmedic Park Baltimore;Rd.,Owing Mills; Montpelie Laurel. HearingHealthcare ices,Janice Au.D.,CCC/A,FAAA,301LutherKing Sui Hearing2036 Laurel301-604-3177 Waldorf 932-423 4040. Founder PRACT Marlene 410-655-8900, Courtstown, www.drmahip HealthChiropractic,Adam7939 Blvd, 215,WhiteMarsh410-931-2156, idealhealthbaltimordrlisagordoLisaGordon,410-71Columbia,Chiropractic, PatuxentPkwy #220,Columbi chiroca comcast.net Richard’s Hands, 443-469-5475,n34redd@gmail.com insured,ff555@gmail.com; request.DENT Aesthetic10025GovernorWarfieldPkwy ColumbiaBloomer, -663-1 drbloomer Colum Shadi Ghozati,410-872-01037226 Deforumbiagatewaydenti DentalDesign tudio, Coronel, 3419City;410-480www. entaldesignstudio.co City DamianBlum,DMD,410-465-3224,10132 ottcitysmi www arylandlutions.com 0-461-6655,2850 NorthRidge, City; 1111Universit Blvd. West,Suite Spring;www. reellicottcity.DentalCare, 730 Pike,Manchester,410-374-488 alcare.net Pearl LiyaGoitom DDS,410-799-1793, MeadowidgeCenter idge www.pearlsmilesdental.com AGN BalumImaging,olumbia;443-91 700, www.balumimaging.comiagnostic 4-9400, uarryLakeBuilding w.virtualphysical.com ETARY NSULTANT Simmons,OptimalHealth 443-852-100 877-572-3444, ww.optimalhealtbridge Elkind Shea,301-495-6665 TRANSPLA ears Kiely, EALTH Simmons, 443-852-1000,877 2-3444 ww.optimalhealthbridgeEvelynFrank, 5130, 9055Chevrole 202, Ellicott 210 info@myskintherapycenter. Quiet Time Hypnos PrivateSessions,ProfessionalTraining,licott 443-812 www. qthypnosis.com ABLECENTERRuscombe Center vate.PracticerentlyAvailable 0-3677300.www.ruscombe.org.410-461-2055, Corporateww.rightathome.n Colum CenterForIntegrat cine,410-934-344Elkridge; ealth.com,ether@ccimh Millennium Practice 410-740Columb Parkway Columbia, 1-495-6665. Roeder Silv Spring BaltimoreFACP, NCMP, Suite#103,Towson,337-07 SPEC VisionSpecialists Maryland Virginia, Azman, www.lowvisionmd. Fac Spa,ColumbiaDobbinandandStone.com anscendentalcolumbia@tm.org,Meditation641-45 PuraVida osmetic Leslie MD, 8170 Fulton;www.puravidamedspa. ENTALHEALTH Jemima 4830, ltimore MED443-598-2454.Forbes,8821ColumbiatalitybynatureColumbia,UTR Advanced iropractic HealingCente410-721-3338 GlobalHealth,240-583-0Nutrition Ellicott 410-935-6069 ee24fit.comTowson, -449-2830, ww.drhormozi.com MarylandOncology atology,410CharterDrive,Suite020,Columbia.www.mdonc.LaserMD,Chesapeake Center, napolis, Maryland hange Sykesville;landretina.co onticGroup, 549-95 5961ExchangeDr., 114-1 Sykesville; w.baltimoreorodonticgroup.comOrthodontic Ann GreelyOrtho.com Defin Harrison (41 321-8144,120 aper Pho w.bracedesign.comMANAGEMENT Maryland Institue, hryn Hodges,410-266 O Solomons sland Annapolis; ww.mdMarylandPain6085, Blvd,Suite Fulton, 410-7517246; ingtonRoad, 207,Westmin 21157;www. mdpainandspine.co nneth 9077600 205 owson, MANAGEMENT Maryland SportsMedicine Lane, Clarksville, 21029, w.mdspinesports.com etropolitan11055Little Columbia; Spring;politanpainpa. onalSpine Pain enters; generalquestionsregard703914-8000. nline: eatingpain.co Rehabilitatio 410-644-8500, Wilken www.setonpainrehab.co MPLANTS DMD, Sfondouri PeriodontoDiplomate, 410-721-7801ERMANEN anentMake-Up,um/LifeMed gloriabrennan@rizon.net,www.permanentmd.com HARMACY TowsonPharmacy Road,Suite.towsonpharmac 410-823-1818.CAL REHABherapy,410-381-1574,GuilfordRoad,RPhysicalTherapy.comherapy,Renuka PT, 300-BBaltimore City;410-988www.revive-pt ShapePhysicalTherapy, 410-465-550 Frederick www.cyclemillofmd.com JamesChappell, Ritchie SevernaPark. MetamorphosisPilatykesville; 0-795-1201, rphsispilates.com PLAST SURGERY Advance Soueid Luthervill 21093,www.advancedplasticsurgery. Baltimore Cente Surgery LLC, RandolphCapone DonaldKress, North, North Street, Metamorphosis Surgery, DanMarkmann,www.discoverthebea STHET etro arsh HealthCenter, piperCircle, Suite0365,www.metropr etics. itedFacility. novativePsychiatry Dr. 443-542-0773, umb 21045, columbiapsychmdREFLEX Reflexology,Certifi Acupoint/ ReflexologTimonium, 303-1676 aska@aol.com 00,www.opt nsed -BondedWoodlands8-2139,1320Windlass rive,www.woodlandCARE TherapyCenter,EvelynFrank, Chevrolet Ellicott myskintherapycenter.com Welln Meadowridge.yatesmdaestheti Suite Elkridge,MD21075. Maryland Solutions,Damia224,10132 imore Pike,Ellicott ww.marylandsleepsolutions.com Restorationwww.centerforvei 826 Washing MD 21157.410-840-4545 ASCULA ERY Maryland rofessionals, (8346 AnnapoColum Clarks301-654-VE Chase Office, Appoiments@MDVeinProfessionals www.MDVeinProfessionals.comnimallyInvasive1496Reisterstown Baltimore, 855-803mallyinvasivevascularcenters.com Lakhanpal, JaimeMarquez, errilynJutton Jhav Center Catonsville, reenbelt,umbia,Ellicott Takoma Washington0-0930www.centerforvein.coCenterFACS,826Washingt Westminster and 410-840-0023 w.theveincenterofmaryland.com ERANS Waldorf WayneAnder Shape 410-280-3520ELLNESS obb,Coach,Lane@ LaneCobb. 443-756-8391, LaneCobb.
.
CHOOSE SKIN HEALTH: DR. HEMA SUNDARAM Offering Free Skin Cancer Screenings in ROCKVILLE and FAIRFAX In collaboration with the CHOOSE SKIN HEALTH program of the American Society for Dermatologic Surgery, local dermatologic surgeon and international educator, Dr. Hema Sundaram, has joined the fight against skin cancer by offering free and potentially lifesaving skin cancer screenings in Rockville, MD and Fairfax, VA. Schedule a free skin cancer screening by calling 703-641-966 or 301-984-3376 today. Subscribe Today! Your Health Magazine is available at local grocery stores, pharmacies, and convenience stores, including: Giant • Safeway • Harris Teeter • CVS • 7-11 • & more FREE Information From Local Doctors To Help You Live Healthier! LOCAL DOCTORS & ARTICLES at WWW.YOURHEALTHMAGAZINE.NET 30 Years M e Celebrating wL n Prince George’s County April 2020 FREE FEATURED PROFESSIONALS N E W DOCTORS, OFFICES & PRACTICES PLUS... NEW Technology In Todays Doctor’s Office Beauty Skin Care & Gorgeous Smiles Page 32-35 Craig A. Smith, DDS DIRECTORY OF HEALTH PROFESSIONALS PAGE 64 PLUS READ ABOUT HEARING LOSS CHIROPRACTIC CARE KNEE PAIN WEIGHT LOSS BREAST IMPLANTS MEDICAL CANNABIS MELANOMA Dentistry Vascular Surgery CDC Guidelines Fact Sheet PAGE 47 Now
delivered
home! • Health
advice •
you can get the latest issues
directly to your
articles and
Doctors near YOU!
SUBSCRIBING IS EASY:
CHECK EDITION
each edition): MARYLAND VIRGINIA WASHINGTON DC NAME:___________________________ STREET: _________________________ CITY: _________________________ STATE:_______ ZIP:_____________ PHONE: _________________________ EMAIL: _________________________
($24

living WitH A lS

daily activities. Caregivers can call us to ask questions and most importantly, talk with someone who will encourage them, give guidance and help them to know they are doing it right. Our social worker can connect caregivers with community resources like support groups or access to funds or resources.

The goals of care change frequently over the trajectory of the disease. As a nurse practitioner, I help families keep their advance directives and MOLSTs, or medical orders of life-sustaining treatments, up to date as the illness progresses. We guard the quality of life by

delirium

“When we added estrogen to the cocktail, it mitigated the injury. So, we showed that there are at least two ways that estrogen helps reduce symptoms of delirium,” said Lahiri. It protects the neurons directly, as well as reduces IL-6 protein levels in the blood.

“This work is an important step

being honest and building a trust with the patient and family by having frequent conversations as new symptoms develop. By being realistic about the disease and its trajectory, the patient and family can better decide what will help them meet their overall goals.

This is a rare disease that has no cure, but research specialists around the world are making new discoveries all the time. Supportive care is on the side of aggressively treating and participating in efforts to find a cure. We’re here for the long haul to give you the support you need for both quality and quantity of life.

FrOm pAge 17

in determining whether modulating immune response via estrogen replacement or other means is a more effective treatment,” said Nancy Sicotte, MD, chair of the Department of Neurology and the Women’s Guild Distinguished Chair in Neurology at Cedars-Sinai.

underinSured

internet to shop for insurance. They often buy the cheapest coverage. They do not sit down with an experienced lawyer or insurance agent and take time to ask, “what happens if I cannot work or my health insurance pays only a portion of the medical bills”. This can and often does result in a serious loss of benefits to innocent drivers or

migHty egg

fertilized egg has to undergo a process of rapid cell division within the space of only a few days. The energy required for this process is enormous. This process is fueled by the store house of energy accumulated in the egg.

depre SSiOn

progesterone and estrogen decrease. This combines with the side effects of lower serotonin to make women feel less able to handle stress that they’d previously manage with relative ease. All of these hormonal shifts can be responsible for sleep disturbances. Anyone experiencing poor sleep is at up to 10 times the risk for depression as someone with healthy sleep patterns.

Another factor to consider is the time of life we’re discussing here. Women in their 40s and 50s have entered a life stage that could include empty nest syndrome, aging parents, financial/career problems, and new health concerns. It can be quite the recipe for depressive

lyme diSeASe

goes away in 1-2 days and is not a sign of Lyme disease.

A rash with a very similar appearance to EM occurs with Southern Tick-associated Rash Illness (STARI), but is not Lyme disease.

Ticks can spread other organisms that may cause a different type of rash.

How Do Ticks Transmit Lyme Disease?

The blacklegged tick (or deer tick) spreads Lyme disease in the northeastern, mid-Atlantic, and northcentral United States. The westernblacklegged tick spreads the disease on the Pacific Coast.

Ticks attach themselves to any part of the body and are often found in hard-to-see areas, such as the groin, armpits, and scalp. In most cases, the

BA ri AtriCS

clearer path to a successful outcome. Additional Medical Evaluation

FrOm pAge 58

passengers seriously injured in motor vehicle accidents.

Your local attorney can advise you on all the new Maryland Laws that have just become effective. Call them for an appointment to bring in your auto liability insurance policy for a legal consultation and get some up to the minute advice.

FrOm pAge 58

As a matter of fact, the entire orchestra of events that occurs before the human zygote’s own DNA can take over the process of division, is regulated by the RNA contained in the human egg. Originally published on Medium.com

FrOm pAge 59

episodes – especially if you’ve ever been diagnosed with depression in your life.

Menopause-Related Depression Can Be Treated

If you experience symptoms during perimenopause, talk with your doctors about them. Medical choices might include hormonal medications like an estrogen patch, a low-dose oral contraceptive pill, and more. Meanwhile, there are medications commonly used to treat the symptoms of a depressive episode. An excellent starting point is to connect with an experienced therapist to learn more about this unique convergence of symptoms and factors.

tick is attached for 36-48 hours or more before the Lyme disease bacterium can be transmitted.

Most people are infected through the bites of immature ticks called nymphs. Nymphs are tiny (less than two mm) and difficult to see; they feed during the spring and summer months.

Adult ticks also transmit Lyme disease, but are much larger and are more likely to be removed before they have had time to transmit the bacteria.

Adult deer ticks are most active during the cooler months of the year.

Ticks not known to transmit Lyme disease include Lone star ticks, the American dog tick, the Rocky Mountain wood tick, and the brown dog tick.

Next month’s article will discuss ways to limit your exposure to ticks.

Commitment To Long-Term Success

In some cases, patients may need to undergo additional medical evaluations, investigations, and procedures to determine their suitability as surgical candidates. For instance, a sleep study might be required to diagnose untreated sleep apnea. The evaluation process for bariatric surgery is usually outlined after a consultation with a specialized bariatric program.

It’s crucial to understand that the results of bariatric surgery heavily depend on utilizing the procedures as tools and making a long-term commitment to lifestyle changes that promote weight loss and overall health. With a dedication to this transformative journey, individuals can maximize the benefits of the surgery and achieve a healthier and fulfilling life.

CH eerleA derS

imposing a uniform standard on all their children. However, King Solomon’s wisdom advises parents to educate each child according to their individual inclinations. Every child possesses distinct strengths, tendencies, and unique abilities. We should never evaluate or compare one child to another, as each child should be guided in a way that is suitable for their own growth. Comparing a child to their sibling or anyone else can be considered a form of verbal abuse. Instead, children should be raised to embrace and celebrate their individuality.

Parents have a significant role in instilling self-confidence and selfesteem in their children through the immeasurable love and attention they provide. These tools for life far surpass what any academic degree in education can offer. It is the responsibility of parents to educate their children and impart moral values.

Here are four steps to effectively encourage success:

1. Offer focused attention: Take the time to prioritize each child individually. They cherish moments

FrOm pAge 54

of undivided attention. Designate special days or activities for each child to create treasured memories.

2. Provide individual affirmation: Help your children discover their strengths and guide them in developing their skills. Understand each child’s unique personality, addressing both their positive and negative aspects. Tailor your approach to meet each child’s individual needs.

3. Express genuine appreciation: Avoid cultivating bitterness in your children. Acknowledge their achievements and let them know what they have done well. Show parental support, assuring them that you are on their team. While addressing mistakes is important, do not allow them to become the sole focus. Ensure your children know that you are proud of their accomplishments.

4. Embrace physical affection: Offer hugs, share laughter, and enjoy quality time together. These gestures of physical affection foster strong bonds and create a positive atmosphere for growth and development.

Maryland Edition | page 65 www.YourHEALTHMagazine.net
FrOm pAge 53
FrOm pAge
53
FrOm pAge 54

COntr ACeptiOn

non-hormonal (copper) forms, IUDs offer long-term protection (3 to 10 years) with a high efficacy rate.

Emergency Contraception: Pills taken after unprotected sex to prevent pregnancy. They are not intended for regular use but can be a crucial backup method.

Sterilization: Permanent methods like tubal ligation for women or vasectomy for men, suitable for those who are certain they do not want future pregnancies.

Importance Of Contraception

Preventing unintended pregnancies is essential for a woman’s health and well-being. Unplanned pregnancies can lead to physical, emotional, and financial stress, impacting a woman’s life significantly.

While abortion remains a necessary and legal option, it is a medical procedure that can have complications. These may

kypHOplASty

further collapse of the affected vertebra.

One of the primary benefits of kyphoplasty is its ability to provide rapid and sustained pain relief for patients with VCFs. Clinical studies have shown that patients experience significant reductions in pain scores immediately following the procedure, with continued improvement in pain and function over time. This rapid relief can have a profound impact on patients’ quality of life, allowing them to return to daily activities and enjoy a better overall sense of well-being.

Moreover, kyphoplasty offers several advantages over traditional conservative treatments, such as bed rest, pain medications, and bracing. While these treatments may provide temporary relief, they do not address the underlying

Sleep H ABitS

screen time close to bedtime. The blue light emitted by screens can interfere with the production of melatonin, the sleep-inducing hormone. Encourage activities that promote relaxation instead, fostering a restful transition to sleep.

Recognizing Sleep Disorders: Stay vigilant for signs of sleep disorders, such as snoring, restless sleep, or frequent night waking. If you observe persistent irregularities, consult with a professionals to rule out any underlying issues affecting your child’s sleep.

Importance Of Daytime Naps: Naps play a vital role in a child’s sleep routine. Ensure your child has age-appropriate daytime naps, as they contribute to overall sleep

include infection, heavy bleeding, and injury to the uterus or other organs, which can affect future pregnancies and necessitate additional OBGYN procedures. For example, scar tissue from an abortion can complicate subsequent childbirth or lead to issues like ectopic pregnancies.

Promoting Prevention

Education and access to contraception are fundamental in reducing the need for abortion. Comprehensive sex education that includes information about contraceptive options and their proper use is crucial. Healthcare providers play a vital role in counseling women on the most suitable methods based on their health, lifestyle, and reproductive goals.

Regular check-ups and open communication with healthcare providers help ensure that women are using the most effective and appropriate contraception, leading to better health outcomes and fewer unintended pregnancies.

elOn rOSH ell

vided significant relief from her chronic pain. “The oxygen was so good. I mean, that was the first thing that, really like, I had no pain,” she recounted.

A Vision Of Wellness

After her recovery, Richardson experienced a life-changing dream that inspired her to create a comprehensive health and wellness center in Calvert County. This vision became Elon Roshell Day Spa & Health, featuring an array of services designed to promote natural health and wellness, including an oxygen bar, hyperbaric chamber, and a signature salt cave.

The salt cave is a central feature of Richardson’s spa. Constructed with real salt bricks, the cave offers a serene environment where visitors can experience the benefits of inhaling medicalgrade salt. These benefits range from improved skin health and respiratory relief to overall relaxation. “It’s good for your skin. If you have eczema, it’s good

tuinA

cause of the fracture or prevent further vertebral collapse. In contrast, kyphoplasty not only stabilizes the fracture but also helps to restore vertebral height and alignment, reducing the risk of future fractures and complications.

Additionally, kyphoplasty is a minimally invasive procedure with a low risk of complications, making it a safe and effective option for many patients. The procedure can typically be performed on an outpatient basis, allowing patients to return home the same day and resume normal activities shortly thereafter. Compared to more invasive surgical interventions, kyphoplasty offers faster recovery times, fewer complications, and improved outcomes for patients with VCFs.

FrOm pAge 44

needs. A well-rested child is likely to have an easier time settling into a consistent nighttime sleep routine.

Parental Self-Care: Remember, your well-being matters too. Prioritize self-care, seek support when needed, and ensure you are well-rested to better support your child’s sleep routine. By understanding and implementing these strategies, you can contribute to your child’s overall health and happiness. Nurturing healthy sleep habits in infants and toddlers is an invaluable gift that will positively impact their growth, development, and your journey as a mother. Sweet dreams await both you and your little one!

for different skin conditions. Also your lungs. For me, I have asthma. And after having this, I haven’t had to really carry my inhaler,” Richardson explained.

Elon Roshell Day Spa & Health offers a variety of wellness services, including massage therapy, facials, waxing, oxygen therapy, red light therapy, infrared sauna, and ionic foot baths. This holistic approach addresses both physical and mental well-being, providing a comprehensive healing experience.

Elambert Richardson also hosts a weekly Wellness Wednesday event at the spa. For just $25, attendees can experience the salt cave and participate in free small group health and wellness events. These events, largely led by Jeanette Umstead, a health coach at the spa, focus on Bible-based teachings of the 8 laws of health. These teachings emphasize principles such as a plantbased diet and the importance of rest, believed to contribute to long lifespan and overall well-being when followed.

m ASSAge

known for its powerful effects in reducing anxiety and depression.

The Expertise Of a Tuina Master. Typically, it takes about ten years for a practitioner to master the skills and knowledge necessary to perform Tuina effectively. An experienced Tuina therapist can identify issues within the body through a gentle touch. They can detect nodules or tension points that indicate blockages in the meridians. By applying focused finger pressure on these points, the therapist can help to release the tension and restore the smooth flow of qi. This process often brings instant relief and can address various medical issues over time.

Instant and Lasting Results. The results of a Tuina massage can be

both immediate and lasting. Many people report feeling significant relief right after a session. This immediate effect is one of the reasons why Tuina massage is so beloved. The therapy not only provides quick relief from discomfort but also contributes to long-term health benefits by addressing the underlying imbalances in the body.

Choosing a Professional. A skilled Tuina master can make a significant difference in the effectiveness of the treatment. In Maryland, there are several reputable acupuncture clinics where you can find such professionals. These clinics offer the expertise of Tuina masters who are adept at diagnosing and treating a variety of health issues through this ancient practice.

CerviCA l Spine

areas. Headaches usually originate from the neck base and spread forward. It’s important to seek medical advice if you experience severe or persistent neck pain, pain that radiates into the shoulders or arms, numbness, tingling, or weakness in the arms or hands, difficulty with balance or coordination, or symptoms that do not improve with rest and over-thecounter pain medications.

Both nonsurgical treatment options and surgery are available to treat many of the conditions that affect the cervical spine. The choice depends on the cause and severity of the issue. If surgery is required, minimally

invasive spine surgery can often be an option. Unlike traditional open surgery, which involves one large incision, minimally invasive surgery is performed through one or more smaller incisions. Working through smaller incisions causes much less damage to muscles and soft tissues than a single long incision. Understanding cervical spine disorders and recognizing their symptoms are essential steps towards seeking appropriate treatment. Early consultation with an experienced neurosurgeon can lead to more effective management and better outcomes, allowing you to maintain a healthier, more active lifestyle.

301-805-6805 page 66 | Your HEALTH Magazine
FrOm pAge 42
FrOm pAge 52
FrOm pAge 20
FrOm pAge 4
FrOm pAge 44
Maryland Edition | page 67 www.YourHEALTHMagazine.net

Our Care for You Is More Than Skin Deep…

Your skin is the largest organ in your body and, together with your hair and nails, the mirror of everything that’s happening internally. After over twenty years as a fellowship-trained, Board Certified dermatologist and as a cosmetic surgeon, I am completely convinced of the positive effects of integrating medical and cosmetic treatments to balance how you look with how you feel. When that balance is missing or has been lost with age, how we look doesn’t represent who we really are inside. Others may assume that an older, stressed or worried appearance means a lack of ideas, energy and creativity. This impacts us both personally and professionally. The greatest joy of my profession is restoring the inner-outer balance for the women and men who consult me. They find it an exhilarating experience to look in the mirror, and love the reflection that’s looking back.

My team and I offer you breakthrough technology, advanced science and true artistry in a warm, compassionate and emotionally intelligent environment. We stay on the cutting edge, serving as national research and training centers - in many cases, the only centers in the mid-Atlantic and East - for expert treatment of skin, hair and nail conditions and state of-the-art techniques including lasers, fillers, Botox, fat grafting, platelet-rich plasma (PRP), chemical peels, liposuction and body contouring and vaginal rejuvenation.

My mission in my North American and global research is to elucidate the scientific basis of new and emerging technologies, and how this science can be applied to achieve the best and safest procedural outcomes. As a Principal Investigator for studies of new technologies, a national and international teacher of dermatologists and plastic surgeons, and one of a handful of experts serving as an advisor and director of advanced medical education programs, I’m confident that you will achieve the best possible results when you entrust your face and body to our hands. As a daily practitioner of yoga, I understand the value of a holistic approach. Above all, my team and I promise to give you straight answers. We’ll steer you through the hype and jargon, and help you restore the inner-outer balance that empowers us in every aspect of our lives.

Dr. Hema Sundaram, MA, MD, FAAD • Board Certified in Dermatology

• Fellow and Visiting Professor for the American Society for Dermatologic Surgery (ASDS) • Fellow of the American Academy of Dermatology.

• Premier medical training at Cambridge University (England), University of Chicago and NIH.

• Internationally recognized physician teacher, researcher and author.

• International Speaker and Course Director at Dermatology and Plastic Surgery Academies.

• International Physician Trainer and Advisor.

• North American Chairperson of the Global Aesthetics Alliance and Global Aesthetics Consensus Group for Procedural Safety.

• Author of book chapters and scientific papers in plastic surgery and dermatology academy journals.

• Author of “Face Value: The Truth About Beauty and a Guilt-Free Guide To Finding It” - selected for the National Press Club Authors’ Night.

• Quoted as an expert in leading publications including The New York Times, USA Today, Prevention, Good Housekeeping, Allure, Marie Claire, Essence, Cosmopolitan, Self and Woman’s World.

• Medical Advisor to Fitness magazine and for tv and radio shows.

• Charities supported include Skin Cancer Foundation, Breast Cancer Awareness and The Leukemia & Lymphoma Society.

Choose Skin and Hair Health Join us for our Summer Specials Call Now to Reserve Your Appointment Additional special offers on all our services including: Exilis Ultra, Botox, Dysport, Jeuveau, Xeomin, Juvederm, Restylane, Radiesse, Belotero, Sculptra, Platelet-Rich Plasma, Hair Restoration, Fat Grafting, Fraxel, Ulthera, eMatrix Sublative, Laser Lipo, all other Lasers, DermaSweep MD, Chemical Peels, Skin Care Products Discover VBeam Perfecta, GentleMax Pro, CO2RE and CO2RE Intima – our Newest Lasers for Pain-Free Hair Removal, Facial and Leg Veins, Scars, Stretch Marks, Sunspots & Pigmentation and Birthmarks, Facial Aging and Total Body Rejuvenation www.doctorhema.com Follow us on Instagram: @twicebornbeauty and @drhemasundaram Se Habla Español • Now Open Saturdays SEE PAGE 7 FOR MORE INFORMATION Call: 301-984-DERM or 703-641-9666 Fairfax (3376) HEMA A. SUNDARAM, MA, MD, FAAD BOARD CERTIFIED DERMATOLOGIST TIFFANY DINH, PA-C, CERTIFIED PHYSICIAN ASSISTANT Dermatology, Cosmetic & Laser Surgery for Women and Men Rockville/Bethesda Interest-Free Financing Available • FREE PARKING “Nobody else does fillers like you do” - HJ, patient for 17 years “I will never trust my face to anyone else. You are a true artist!” - NK, patient for 12 years Dr.
MA, MD, FAAD NOW OFFERING PRP PLATELET RICH PLASMA for HAIR RESTORATION Expert French Cannulas for Safe and Bruise-Free Filler Injections Through commitment to research and education, Dr. Sundaram has been involved in pivotal studies of many of the advanced aesthetic technologies available in North America, and teaches them nationally and internationally to dermatologists and plastic surgeons National Research Center Before & After Facial Contouring Before & After 1st 2 sessions of PRP Hair Restoration @DrHemaSundaram @DrHemaSundaram Before & After Nonsurgical Neck Restoration @DrHemaSundaram @DrHemaSundaram
Hema Sundaram,

Turn static files into dynamic content formats.

Create a flipbook
Issuu converts static files into: digital portfolios, online yearbooks, online catalogs, digital photo albums and more. Sign up and create your flipbook.
Maryland July 2024 by Your Health Magazine - Issuu