Washington DC November 2024

Page 1


Urwashi Dubey, DDS General Dentistry
Rex Hoang, DMD General Dentistry
Lindsay MacDougall, LAc Acupuncture
Jeffrey L. Brown, DDS Sleep & TMJ Therapy
Lubrina Bryant, DPM Podiatry
Toni Greene, Owner Hypnosis and Yoga
Mary B. Alexander, DDS, DMSC General Dentistry
Sivakumar Sreenivasan, DMD Oral and Maxillofacial Surgeon
Farangis M. Habib MD, MHSc, FAAP Pediatrician
Marc P. Stanard, DDS, PC Periodontics/Implants

COSMETIC SURGERY

• Breast Augmentation

• Abdominoplasty (Tummy Tuck)

• Liposuction

• Hair Transplants

• Mommy Makeover

• Facial Surgery

NON-INVASIVE TREATMENTS

• Botox®, Dysport® , Xeomin®*

• BellaFill®

• Juvederm*

• Restylane®*

• TempSure Envi

• Endermologie

• Zerona

• Lipolight

LASER TREATMENT

• Hair Removal

• Vein Treatment

• Laser Resurfacing

WELLNESS SERVICES

• Bioidentical Hormones (BHRT)

• ED Treatment for Men

4407 Willard Avenue Chevy Chase, MD 20815 (Across from the Friendship Heights Metro)

• Medical Weight Loss NON-INVASIVE BODY CONTOURING

Zerona® - The first non-invasive body contouring procedure to effectively remove excess fat. AND

Edermologie Lipo Massage Cellulite Treatment Combined Package of 6 Each - $499.00

In the United States this year, 700,000 people and one out of every four post-menopausal women will suffer from a painful bone injury called a vertebral compression fracture. This common type of bone injury results in the collapse of a vertebra, a type of bone that makes up the spine. Although there is a safe, effective, and minimally invasive therapy available, two-thirds of these fractures fail to be diagnosed. This is unfortunate, as missing this condition can result in under-treated pain, limitations on daily activities, breathing problems, and dependence on dangerous pain medications.

Bone density in both women and men starts to decrease after age forty, but the loss of density greatly accel erates after women enter menopause and can progress to osteoporosis, a disease characterized by very low bone density. Although most compres sion fractures occur in patients with osteoporosis, one-third of vertebral compression fractures occur in pa tients without osteoporosis.

If a fracture occurs suddenly, patients can experience sudden severe back pain that often wraps around the sides and is felt in the chest. Because of this, it is sometimes confused with diseases of the heart or the lungs. The pain is often worse when standing, sitting-up, or walking around. If very severe, the patient can have trouble breathing.

Kyphoplasty Treatment For Spinal Compression Fractures

kyphoplasty that can quickly, safely, and effectively treat a patient’s pain without the long-term use of opioids and other pain medications.

If an acute compression fracture is present on an MRI, a patient should be referred to a pain management physician or another physician who performs kyphoplasty. This procedure can often be performed in a doctor’s office, preventing the need for an overnight stay in a hospital. On the day of the procedure, the patient is given a medicine to relax and then is asked to lie on their belly. An x-ray machine

is then used to locate the fractured bone and a narrow tube is placed into it through a very small opening in the skin. A small balloon is inflated within the bone to create a small space and the fracture is then filled with bone cement. The entire procedure can take as little as 45 minutes. Many patients feel immediate pain relief and are able to return to their daily lives the day after the procedure. However, some patients may take a week or longer to feel better.

Kyphoplasty most successfully reduces a patient’s pain within two

Patients who have symptoms of a fracture should see their doctor for evaluation. After an examination that suggests a vertebral compression fracture, they will often be sent for an MRI. This imaging shows the level of the fracture and also reveals whether it is old or new. Some doctors treat compression fractures with pain medicine, physical therapy, and bracing. However, many cases continue to cause severe pain and long-lasting health effects unless treated more definitively. Unfortunately, many patients and physicians are not aware that there is a minimally invasive procedure called

weeks following a fracture. Unfortunately, if the window of opportunity is passed, the pain can become more challenging to treat and further complications can occur.

If you think you or someone you care about is experiencing symptoms of a vertebral compression fracture, be reassured that there are safe, effective, and minimally invasive therapies available. Schedule an initial pain evaluation at Georgetown Pain Management to determine if you’re eligible for kyphoplasty or other pain therapies. Most insurances are accepted and new patient evaluations are currently being scheduled. As awareness of this condition increases and more patients are offered kyphoplasty as a minimally-invasive therapy, it is hopeful that fewer patients will have to live with the severe pain that results from vertebral compression fractures and can return to their full lives more quickly and comfortably than before.

Do Something About Your PAIN

Netsere Tesfayohannes, MD, ABA, ABAP Medical Director

In This Edition…

Fallopian Tubes | By Yemi Adesanya-Famuyiwa, MD 21 | The Psychological Benefits Of Cosmetic Dentistry | By Michael Rogers, DDS

| Consulting Hypnosis | By Toni Greene, Owner

| Beauty, Skin Care and Gorgeous Smiles Featured

SERVING MARYLAND & VIRGINIA Since 1990

Your Health Magazine is on a mission. There are far too many people, insured or not, who do not go to the doctor when they should, and in millions of cases, don’t know who they should go to, or why.

People are encouraged to buy a new house, car, cell phone or big screen TV, and those companies make themselves very visible and their products easily attainable.

Information about, and from, local healthcare providers is not easy to find, and many times those services are difficult to access.

Information and encouragement always lowers fear and trepidation about anything, and this is especially true in healthcare. While general information is available on web-sites, specific information from local providers is almost impossible for people to find. This is one of the key reasons chronic and episodic conditions are not cared for. It is our mission to:

Make A Difference By Empowering and Encouraging People To Live Healthier By Going To the Doctor When They Should.

There is a lot of evidence that the health professionals who participate in Your Health Magazine have helped many people over the years. We at Your Health Magazine salute you!

If you would like to find out how you can participate in one of our upcoming editions, please contact the office nearest you.

MARYLAND & WASHINGTON, DC OFFICE One Town Center 4201 Northview Drive, Suite 102 Bowie, MD 20716 Office (301) 805-6805 • Fax (301) 805-6808 info@yourhealthmagazine.net

VIRGINIA OFFICE Office (301) 805-6805 info@yourhealthmagazine.net

© Your Health Magazine, 2024. The magazine and all of its contents are protected by copyright. For permission to reproduce any materials in this magazine, contact info@yourhealthmagazine.net

EDITOR-IN-CHIEF

Gregory Scott Hunter

Recurrent Urinary Tract Infections In Women Understanding, Prevention, and Management

Recurrent urinary tract infections (UTIs) are a common health issue for many women, affecting quality of life and overall well-being. Furthermore, patients with recurrent UTI are at higher risk of more serious infections which may require IV antibiotics, hospitalization and even progress to sepsis. A UTI occurs when bacteria enter the urinary tract and, while many patients experience common symptoms such as burning with urination and urinary frequency or visible blood in their urine, other symptoms may include fever, chills, flank pain, lower abdominal pain, or pressure as well as urinary incontinence.

While most women may experience a UTI at some point, some suffer from recurrent infections, defined as experiencing two or more UTIs within six months, or three or more within a year.

Causes and Risk Factors

Several factors contribute to the development of recurrent UTIs in women:

1. Anatomy: Women have shorter urethras than men, allowing bacteria easier access to the bladder.

2. Hormonal Changes: Fluctuations in hormones, especially during menopause, can affect the urinary tract’s mucosal lining, leading to increased susceptibility to infections.

3. Sexual Activity: Sexual intercourse can introduce bacteria into the urinary tract.

4. Contraceptive Methods: Certain forms of contraception, like spermicides and diaphragms, can increase UTI risk.

5. Preexisting Conditions: Conditions such as diabetes, urinary tract abnormalities, and kidney stones can predispose patients to recurrent infections as well as symptoms commonly confused with UTI. Proper diagnosis and treatment of underlying causes can, in some cases, eliminate the UTI symptoms

permanently.

Symptoms

The symptoms of UTIs are often quite painful and include:

• Frequent and urgent need to urinate

• Burning sensation during urination

• Cloudy or strong-smelling urine

• Pelvic pain

• Blood in the urine

If left untreated, UTIs can have adverse affects on the urinary tract, including the kidneys and, in rare cases, may even result in permanent organ

damage.

Prevention Strategies

Patients can take several steps to prevent recurrent UTIs:

1. Hydration: Drinking plenty of water helps dilute urine and flush out bacteria.

2. Urination Habits: Urinating regularly throughout the day and especially after sexual intercourse can help remove bacteria that may have entered the urethra.

3. Wipe Properly: Always wipe from

front to back after using the toilet to minimize bacterial spread.

4. Avoid Irritants: Limit the use of feminine hygiene products, douches, and perfumed soaps that can irritate the urethra.

5. Cranberry Products: Some studies suggest that cranberry juice or supplements may help prevent UTIs by preventing bacteria from adhering to the bladder wall.

To

Innovative Treatments

A Pediatric Dentist Guide To Choosing the Best Toothpaste For Kids

When it comes to our children, we all want what’s best for them, especially in their formative years. Oral health is no exception, and choosing the right toothpaste can play a pivotal role in setting them up for a lifetime of healthy smiles. This guide aims to provide an

in-depth comparison of different types of children’s toothpaste available on the market, helping parents make informed decisions for children aged 2 to 14.

1. Organic Vs. Non-Organic Toothpaste

• Composition: Organic toothpaste is made from naturally derived ingredients and avoids synthetic chemicals. Non-organic versions might include artificial components

for flavor, texture, and preservation.

• Sweetener: Organics typically use natural sweeteners like stevia or xylitol, while non-organics might include these or opt for artificial sweeteners.

• Pros of Organic: Free from artificial chemicals and dyes, often excludes Sodium Lauryl Sulfate (SLS), which can cause mouth ulcers.

• Cons of Organic: Generally more

Leading The Way In Pediatric Dentistry!

and

to help

Dentist

child achieve

expensive and may lack fluoride, crucial for cavity prevention.

• Pros of Non-Organic: Usually contains fluoride, providing a broader range of flavors and properties.

• Cons of Non-Organic: Potential inclusion of artificial colors and preservatives.

2. Fluoride vs. Fluoride-Free Toothpaste

• Composition: Fluoride toothpaste may contain sodium fluoride or stannous fluoride, while fluoride-free versions do not include this ingredient.

• Pros of Fluoride: Effective in reducing dental cavities and helping remineralize weakened tooth enamel.

• Cons of Fluoride : Risks dental fluorosis if swallowed regularly in large amounts by young children.

• Pros of Fluoride-Free : Safer for young children who can’t spit properly.

• Cons of Fluoride-Free: Lacks the anti-cavity benefits of fluoride.

3. Nanohydroxyapatite

• Composition: A calcium phosphate compound, an alternative to fluoride.

• Pros : Rebuilds enamel, reduces sensitivity, and is non-toxic.

• Cons : Less available and often pricier than fluoride toothpastes.

4. Charcoal-Infused Toothpaste

• Composition : Includes activated charcoal, purported to whiten teeth and remove stains.

• Pros : May help remove surface stains.

• Cons: Abrasive nature could wear down enamel, and long-term safety and effectiveness are unclear.

5. Flavored Toothpaste (Fruit, Bubblegum, etc.)

• Composition : Contains flavoring agents to enhance palatability for children.

• Pros: Makes brushing more enjoyable, encouraging regular use.

• Cons: Some flavors might be artificial.

6. Xylitol-Enhanced

• Composition: Contains xylitol, a natural sweetener with dental benefits.

• Pros: Reduces decay-causing bacteria and is less likely to cause cavities than sugary toothpastes.

• Cons : Typically more expensive than standard toothpaste.

To continue reading this article, please visit: https://yhm.news/BCCPD2

Using Brain Waves To Teach the Mind To Stay Calm and Balanced

Many of us have heard about chemical imbalances in the brain. Indeed, drugs are prescribed to treat many mental health conditions. But did you know that our brain cells also use electricity to communicate?

When our neurons send electrical signals to each other, electrical energy is emitted from our brain. Scientists have been studying this brain activity for decades. Brain waves are measured by placing sensors on the scalp, and displaying the readings through a computer. It turns out that brains make different electrical frequencies depending on what functions they are doing at the time. Different waves are emitted when we sleep or daydream, when we study or think through problems, and when we’re calm or meditative.

Neurofeedback is the process

of measuring and displaying brain activity in real time. It is similar to biofeedback, wherein people can change their body temperature or heart rate when they see readings from their own bodies. This feedback loop allows our bodies to change and adjust through conscious and subconscious effort. When the brain sees what it is doing, it self-adjusts. It can train itself to be more balanced, efficient, and resilient.

Over the years, studies of neurofeedback have demonstrated that showing the brain how it is working can help improve sleep, reduce worrying and rumination, and decrease feelings of stress. People who have tried neurofeedback report feelings of calm and focus. In addition, specific neurofeedback protocols have been developed for treating ADHD, PTSD, anxiety, depression, and seizures. Some people decide to try neurofeedback to reduce stress and improve sleep without resorting to habit-forming medications. And neurofeedback can be a valuable complement to traditional talk therapy for improved mental health.

A neurofeedback session is simple and can be quite relaxing. After having sensors placed on the scalp, the client relaxes in a comfortable chair as the computer reads the brain waves, like an EKG captures a heart’s electrical activity. The computer then

Please see “Brain Waves,” page 39

Distracted? Stressed? Overwhelmed? Burned out? Train your brain and get more out of life

Call To Schedule An Appointment!

Why train your brain?

Brain training allows your brain to see what it is doing and adjust and re-balance in response. Also known as neurofeedback, it is a non-invasive way to promote wellness and continued growth.

We are certified providers of NeurOptimal® brain training. With more than 20 years and millions of hours of use worldwide, NeurOptimal® is a safe, time-tested, and effective brain training system. Call or Email Us Today!

Office sessions in Friendship Heights by appointment Visit www.BrainSpaNeurofeedack.com Call or Text: 202-480-0010 Email: BrainSpaMaryland@gmail.com

Colorectal cancer is the third most common cancer among women, yet it remains a condition that many overlook until it’s too late. The good news is that with early detection, colorectal cancer can often be treated successfully. This is why regular screenings, particularly for women approaching or over the age of 50, are crucial.

Why Early Detection Matters

Early detection significantly increases the chances of survival. Colorectal cancer begins as small polyps in the colon or rectum, which may not show any immediate symptoms. These polyps can be removed during routine screenings, preventing them from becoming cancerous.

Women, in particular, should prioritize getting screened around age 50, or earlier if they have a family history of colorectal cancer. A colonoscopy is one of the most effective screening methods, allowing doctors to detect and remove polyps before they turn into cancer.

Risk Factors Women Should Know

Several risk factors increase the likelihood of developing colorectal cancer. Age is one of the most significant, with the risk increasing as women grow older, particularly after 50. Family history plays a major role, as well as personal history of inflammatory bowel diseases like Crohn’s or ulcerative colitis. Additionally, a diet high in red or processed meats, smoking, and a sedentary lifestyle all contribute to an increased risk of colorectal cancer.

Symptoms Women Often Overlook

Colorectal cancer symptoms are often subtle, making it easy to ignore or attribute them to less serious conditions. Women may experience changes in bowel habits, such as diarrhea or constipation, that persist for more than a few days. Blood in the stool, unexplained weight loss, abdominal pain, or persistent fatigue are also warning signs. Women should never dismiss

Colorectal Cancer In Women

The Importance of Early Detection & Screening

these symptoms, especially if they continue over time, and seek medical evaluation immediately.

Reducing Risk Through Lifestyle Changes

While some risk factors like age and genetics cannot be controlled, lifestyle choices can significantly reduce

the risk of colorectal cancer. A diet rich in fiber from fruits, vegetables, and whole grains is associated with a lower risk. Regular physical activity, maintaining a healthy weight, limiting alcohol consumption, and avoiding smoking are all important strategies for reducing the likelihood of develop-

ing colorectal cancer.

Regular screenings, healthy habits, and paying attention to potential symptoms are vital in the fight against colorectal cancer. Early detection saves lives, so don’t wait—schedule that colonoscopy and take control of your health.

Feel Confident Entrusting Your Health In Our Hands

Our practice has been providing quality care to the Washington Metro community for over 25 years. Our physicians are board-certified in colon and rectal surgery and have specialty training in the diagnosis and treatment of colon and rectal diseases and disorders. Our mission is to provide you with exceptional service in a friendly and professional environment.

&

Hair Medic

Call Hair Medic to regain your natural look or to enhance your look to what you’ve always dreamed of

We provide private treatment rooms for a personal and confidential one-on-one experience.

We also service clients with existing hair replacement systems. No membership fees

Other Services & Products Offered:

• Scalp Analysis • Shampooing/Conditioning

• Care for Chemotherapy/Radiation

• Wig Lingerie • Turbans/Scarves • Fashionable

• Sleep Caps • Hair Coloring • Cutting • Relaxing • Perming

• Nutritional Supplements • High Frequency Therapy

• A Variety of Therapeutic Scalp Treatments

• No more embarrassing hair moments!

• No more “wiggy” looking wigs!

• No more uncomfortable wigs!

Treat it like its your own natural flowing hair. Hand made, designed for persons experiencing hair loss or to enhance your natural look.

Preventing Gum Inflammation Protect Your Smile and Improve Your Overall Health

Inflammation in the gums is a leading cause of periodontal disease, a condition that can not only ruin your smile but also affect your overall health. Understanding the causes of gum inflammation and how to prevent it is crucial to maintaining both a beautiful smile and optimal oral health.

Causes Of Gum Inflammation

Gum inflammation, also known as gingivitis in its early stages,

occurs when the soft tissues surrounding your teeth become irritated or swollen. The primary cause of inflammation is plaque buildup – a sticky film of bacteria that forms on teeth. If plaque is not removed through regular brushing and flossing, it hardens into tartar, which can only be removed by a dentist or dental hygienist.

Bacteria within plaque and tartar irritate the gums, triggering an immune response that leads to inflammation. This is your body’s way of trying to fight off the bacterial infection. However, if left untreated, gingivitis can advance to periodontitis, a more severe form of gum disease that can lead to tooth loss and bone deterioration.

Other causes of gum inflammation include poor oral hygiene, smoking, hormonal changes (such as pregnancy or menopause), certain medications, medical conditions like

diabetes, (which can reduce your body’s ability to fight infection), a dry mouth caused by mouth breathing, poor fitting fillings and crowns, and chronic food impaction between your teeth.

Consequences Of Unresolved Inflammation

If gum inflammation is not addressed, it can have serious consequences. Not only will it cause red, swollen, and bleeding gums, but over time, it can lead to receding gums, deep pockets between the teeth and gums, loose teeth, and eventual tooth loss. Moreover, chronic inflammation in the mouth has been linked to systemic health issues, including heart disease, stroke, Alzheimer’s disease, diabetes, and respiratory problems.

Preventing and Resolving Gum Inflammation

The good news is that gum inflammation is preventable and

treatable. Maintaining a consistent oral hygiene routine that includes brushing twice a day, flossing daily using a mouth rinse, and visiting your dentist regularly for cleanings and check-ups is essential in preventing plaque buildup.

In addition, a balanced diet rich in vitamins C and D can promote healthy gums, while quitting smoking, vaping, smokeless tobacco use, and reducing stress can significantly reduce your risk of developing gum disease. If gum inflammation is already present, early intervention through professional cleanings and improved home care can reverse gingivitis and prevent further damage.

A healthy, inflammation-free mouth not only enhances your smile but also contributes to better overall health. Taking steps to prevent gum disease will ensure that your smile stays bright and your body remains in top shape.

Periodontist In Washington, DC

Maintaining good dental hygiene is crucial, and Dr. Marc Stanard, a periodontist and specialist in surgical implant dentistry, can help you achieve healthy teeth comfortably. We offer a wide range of specialized procedures and services to cater to your periodontal needs, such as bone surgery, scaling, and root planing, gum grafts, crown lengthenings, and sinus lifts.

Why you should choose Dr. Marc Stanard:

• We provide advanced, affordable dental care tailored to meet your unique needs.

• Our team offers oral hygiene instruction and education on gum disease, bone loss, and other dental health conditions.

• Dr. Marc Stanard has decades of experience and a passion for his work, and he’s earned numerous designations, affiliations, and awards, including Top DDS by Washingtonian and high ratings on Google and Yelp.

• Our office is friendly and welcoming, making it the perfect place to receive top-quality dental care.

Red feet in elderly individuals can be indicative of several underlying health issues. One common cause is peripheral artery disease, where reduced blood flow leads to inflammation and redness. Venous insufficiency is another condition where poor circulation results in blood pooling and skin discoloration.

Diabetes can also cause red feet due to poor blood circulation and increased susceptibility to infections. Skin conditions, such as eczema or psoriasis, may lead to redness and irritation, while infections like cellulitis can cause inflammation and a reddened appearance.

Addressing these symptoms promptly is essential for managing the underlying conditions effectively. If you are a senior or are caring for an elderly person, it is suggested that you schedule regular appointments with a podiatrist who can monitor foot health.

Proper foot care is something many older adults forget to consider. If you have any concerns about your feet and ankles, contact your local podiatrist. Your doctor can provide the care you need to keep you pain-free and on your feet.

The Elderly and Their Feet

As we age we start to notice many changes in our body, but the elder population may not notice them right away. Medical conditions may prevent the elderly to take notice of their foot health right away. Poor vision is a lead contributor to not taking action for the elderly.

Common Conditions

• Neuropathy – can reduce feeling in the feet and can hide many lifethreatening medical conditions.

• Reduced Flexibility – prevents the ability of proper toenail trimming, and foot cleaning. If left untreated, it may lead to further medical issues.

• Foot Sores – amongst the older population can be serious before they are discovered. Some of the problematic conditions they may

Conditions Causing Red Feet In Elderly People

face are:

• Gouging toenails affecting nearby toe

• Shoes that don’t fit properly

• Pressure sores

• Loss of circulation in legs & feet

• Edema & swelling of feet and ankles

Susceptible Infections

Diabetes and poor circulation can cause general loss of sensitivity over the years, turning a simple cut into a serious issue.

If you have any questions please feel free to contact your local podia-

trist. They will be able to offer the newest diagnostic and treatment technologies for all your foot and ankle needs.

We Provide Foot Care

feet

in

everyday lives. The problem is that we tend to neglect them. When this becomes a habit, it can cause significant trouble. Ignoring foot problems can mean pain, limited mobility, and expensive doctor’s visits. On the other hand, if feet are cared for and looked after regularly, they will perform without pain or complication.

A Healthy TMJ Means a Healthy Smile

When the jaw joint- the TMJ- is not properly aligned and the discs that cover the top of the jaw bones (the condyles) are displaced, this creates a lot of inflammation that affects the entire body. So many people experi-

ence TMD – Temporomandibular Disorder- and yet are completely unaware that it exists. TMD can manifest as headaches, neck pain, back pain, throat pain, swallowing problems, tremors/ twitches, and many other symptoms. When a person has TMD it can affect their whole body and the pain from the damaged joint leaves a person feeling tired, in pain, irritable, and generally

in bad shape.

So, what does a person need to do to figure it out? The first step is to find someone who can get a good MRI of the jaw joints and see if the discs in the joints have been displaced. If so, then you need to figure out how to treat the problem. Think of it like this: if your kneecap is slipped off to

We Are NOT Your Typical Dental Office

the side, then it just plain hurts to walk with that little meniscus slipped away from where it should be. The jaw joint disc is the same way- if displaced, it can and will rub against nerves and blood vessels in the area and cause radiating problems that can actually travel through the entire body.

This may seem strange, but a displaced articular disc has been observed to correlate directly with the ACL injury in the opposite side knee. This is a very common injury, but the way it works is that the displaced TMJ disc causes an asymmetry in the cranial structures, and this radiates all the way down to the knee. In other words, the head bone is connected to the ankle bone. Such a displacement can really cause your smile to go sideways into a frown.

Dr. Jeffrey Brown has limited his practice to focus only on TMJ Disorders, Craniofacial Pain Management and Sleep Apnea. By fixing slipped discs in the jaw joints, Dr. Brown can significantly reduce the pain patients experience in the head/neck region and other symptoms associated with jaw joint problems. Sleep & TMJ Therapy may be able to improve the quality of life for you or a loved one – we encourage you to contact us with any questions or concerns.

“Dr. Brown and his staff are absolutely wonderful. I was diagnosed with Dystonia. I could not turn my head and had a ton of pain. My doctors offered no help and no advice besides Meds and Botox. Since having the appliance I have NO pain and I can turn my head. I would highly recommend them to anyone. I feel Dr. Brown and his staff really care about their patients and helping them to get better. They do not just numb the symptoms but fix the problem. Thank you from the bottom of my heart. I feel like the old me again!”

- D. Thomas

“My daughter has been treated by Dr. Stack and Dr. Brown for the last 2 1/2 years, and we are very fortunate to have found them. Prior to that she was being treated by a neurologist at a Children’s hospital. She was on medications for tics and associated muscle pain, OCD/repetitive thoughts, sleeplessness and more (all possibly associated with Tourettes). Drs. Stack and Brown installed spacers to alleviate pressure on nerve bundles in the jaw, and subsequently braces to complete the process. Her symptoms have diminished significantly. She is off medication, her tics have all but disappeared, she can concentrate better in school, and she is once again cheerful and relaxed.”

- Susan

One of the more recent observations in regard to TMD is that the displaced disc in the jaw joint can actually contribute to shoulder injuries. That is right- if the articular discs are out of place, then the condyles may be too deep in the socket, and this is a signal to the body that the power to your arms should be cut off. By doing something called the ‘arm strength test’ it can readily be determined if the condyles are too deep in the sockets. This simple test involves pressing down on the arm when it is out to the side or up in the air and then assessing the same strength point but with the jaw propped open just a bit with cotton rolls or even a pencil. The results are quite interesting and will definitely make most people smile.

As you can guess by now, if the TM joints are healthy then this really helps the entire body become healthier. This is where the healthy joints make healthy smiles.

Jeffrey L. Brown, DDS
Jeffrey L. Brown, DDS

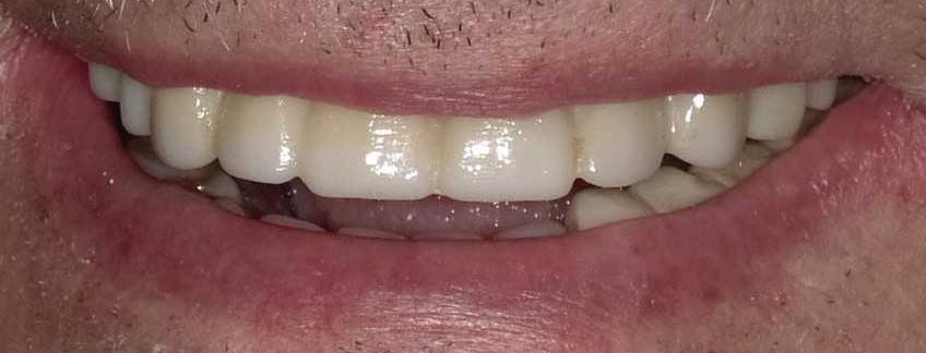
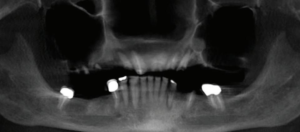
Can just four implants replace all of the teeth on the top or the bottom of your mouth? Thanks to advances in dental implant technology, that answer is a resounding yes.

Believe it or not, tooth loss is extremely common among adults, especially as we age. In fact, more than 35 million people in America are missing all of their upper and/or lower teeth. Rather than living with the discomfort and hassles of dentures, many people are opting for what is called “all-onfour” dental implant restoration.

All-On-Four: One Full Arch Of Teeth, Four Dental Implants

To fully understand this remark-

A Reason To Smile Again

able technique for replacing teeth, you should first understand what a dental implant is. An implant is a small titanium screw that fits inside your jawbone and replaces the root-part of a missing tooth. Minor surgery is required to insert the implants. Once the implant is in place, a crown is attached to give you a highly realistic-looking and functional prosthetic tooth.

Here’s where it gets really interesting: You do not need a dental implant for each and every one of your missing teeth. All you need is four precisely placed implants on the top of your mouth, and four on the bottom, to restore your full smile. That’s the beauty of the all-on-four. And because the implant is made of titanium, it has the unique ability to fuse to living bone and function as part of it. So eventually, the dental implant becomes part of the jawbone and serves as a strong, long-lasting foundation for your new teeth.

Besides ensuring that your implants are permanently fixed in place,

Missing Teeth or Tired of Wearing Dentures?

Thanks to advances in dental implant technology, just four implants can replace all of the teeth on the top or the bottom of your mouth.

this bone fusion has another important benefit: it prevents future bone loss in the jaw. This helps to maintain a more youthful facial structure – and better oral health. But perhaps the biggest surprise about the all-on-four is how quickly it can transform your life.

What’s The All-On-Four Dental Implant Procedure Like?

It can be scary to get implants for the first time. Most of that fear is probably due to the uncertainty, so here is the step-by-step process for getting an All-On-Four dental implant.

First, your dentist will want to make sure your comfortable, so either local or general anesthesia will be administered.

Second, the dentist or surgeon will prepare your mouth for the implants, which involves removing your remaining teeth that are failing. They will then remove any diseased or infected tissue from your jaw and gums.

Next, they will begin the implantation process. This means they will

insert the titanium screws into your jawbone. Most likely, they will place two implants toward the front of your mouth and two towards the back of your mouth so the “anchors” can evenly bare the force of the denture.

After the implants have been placed, they will thoroughly clean the surgical sites and suturing all the incisions. Then you’ll be taken to a recovery room where you can relax and take time to wake up from the anesthesia.

How Do You Know If The All-On-Four Procedure Is The Right Option For You?

At your All-On-Four consultation, you’ll receive a 3D CT Scan. This scan will help determine if you need implants and assist your doctors in creating your treatment plan. So if you want to learn more about dental implants, simply schedule a consultation with an All-On-Four provider. It’s the best way to find out how dental implants can change your life.

Germantown Square Shopping Center, Lower Level 12627 Wisteria Drive, Suite C & D, Germantown, MD 240-715-6570

HolisticVeterinaryHealing.com

Meet Deborah Mallu, DVM, CVA, MAc

I knew I wanted to be a veterinarian since I was five years old. At 14, I began working in veterinary clinics, and caring for pets has been my lifelong passion. I earned my DVM from The Ohio State University in 1977. After ten years in clinical practice, I sought a new approach to pet health, discovering veterinary acupuncture in 1988, and became certified by the International Veterinary Acupuncture Society, opening the door to holistic medicine.

In 1993, I sold my practice and moved to Sedona, AZ, embarking on a spiritual journey where I became a Tibetan Buddhist nun from 2002 to 2023. I believe in the equality of all life and aim to relieve suffering. In 1994, I pursued Energy Healing and completed a self-healing journey.

After volunteering during Hurricane Katrina, I worked with Tara’s Babies Animal Sanctuary and Garuda Aviary Parrot Sanctuary. In 2006, I returned to Maryland, joining Veterinary Holistic Care, and later co-founded Holistic Veterinary Healing in 2013. I earned my Master’s in Human Acupuncture in 2010, treating both hu man and animal patients until 2016, when I dedicated myself to animal care after the passing of my partner, Dr. Kitty Raichura. I am certified in Medical Ozone Therapy and a Fear Free Practitioner. I live in Germantown with my two dogs, Bodhi and Jack, and enjoy time with friends, family, and my pets.

Meet Ying Ngo, DVM, CVA

I’ve always had a passion for medicine, growing up with a background in Traditional Chinese Medicine (TCM). As a child, my dad taught me Gua Sha and acupressure to help with his back pain, sparking my interest in various healing modalities. Though I loved animals, I initially thought medical school was the only path to practice medicine. Before discovering veterinary medicine, I worked in acupuncture clinics, shadowed at hospitals, volunteered with the Red Cross at Walter Reed, and conducted research at UMD and the FDA.

In 2015, I was introduced to Traditional Chinese Veterinary Medicine (TCVM) by Dr. Allison Marshall, and I immediately knew I wanted to pursue veterinary medicine. After two years of shadowing veterinary acupuncturists and a lab animal medicine clinician, I earned a Bachelor’s in Biomedical Engineering in 2017 and attended the Virginia-Maryland College of Veterinary Medicine (VMCVM).

I’ve developed a strong interest in integrative medicine, surgery, pathology, and exotics. I also worked in the Clinical Pathology lab and participated in research at VMCVM. In 2020, I began my acupuncture (CVA) training with Chi University and completed my DVM in 2021. My goal is to combine holistic and conventional medicine to provide the best care for animals.

In my free time, I enjoy spending time with family, playing golf, spoiling my pet rat, and performing lion dances with my troupe, Choy Wun, especially during Lunar New Year.

Meet Susan Jones, DVM, CVA

My journey in veterinary medicine began at age 5 when I received a kitten, only to lose her in a tragic accident. This inspired me to pursue a career in saving pets. I attended veterinary summer programs at Tuskegee University and Michigan State, earned my Biology degree from UMBC in 2003, and graduated from TUSVM in 2007.

I worked in Las Vegas for three years, gaining experience in routine care, emergency medicine, surgery, and dentistry. My interest in holistic medicine grew after learning about Osteopathy, which led to various trainings, though I could only apply them in limited ways in general practice.

For the past 10 years, I’ve balanced raising two kids with working in general practice, honing my skills in internal medicine, surgery, and dentistry. Four years ago, I began pursuing my goal of becoming an acupuncturist. I’ve since obtained Level II Reiki attunement and completed advanced training in Food Therapy, Acupuncture, and Herbal Medicine at Chi University. I’m now a Certified Veterinary Acupuncturist, with plans to further my certifications in holistic therapies.

In my spare time, I enjoy playing board games with my kids, watching soccer, listening to podcasts, and bingewatching shows with my husband.

Deborah Mallu, DVM, CVA, MAc Ying Ngo, DVM, CVA
Susan Jones, DVM, CVA

The Marvelous Fallopian Tubes

reproduction:

During ovulation, a mature egg is released from one of the ovaries. The fimbriae at the end of the fallopian tubes help capture the egg, drawing it into the tube.

Understanding the Female Reproductive System Is Crucial For Appreciating the Wonders Of Life Creation.

The fallopian tubes, also known as uterine tubes, are a pair of slender, tube-like structures located on either side of the uterus. They are approximately 10–14 centimeters long and are lined with ciliated epithelial cells, cells that have fine hair-like extension on their top surface. The fallopian tubes consist of several sections, including the infundibulum (the funnel-shaped end), fimbriae (finger-like projections), ampulla (the middle and widest part), isthmus (the narrow portion), and the uterine opening.

The primary functions of the fallopian tubes are vital for successful

The fallopian tubes provide an optimal environment for fertilization to occur. The cilia lining the tubes create a gentle current that propels the egg towards the uterus, while also helping to move sperm in the opposite direction. Think of the tube as a conveyor belt that is in constant motion to move the eggs and embryo towards the uterus.

The fallopian tubes assist in the movement of sperm towards the egg. Sperm can survive in the fallopian tubes for several days, awaiting the arrival of the egg.

Ovulation is the process in which a mature egg is released from the ovary. During this phase, the fimbriae sweep over the surface of the ovary, capturing the egg and guiding it into the fallopian tube. Once inside the fallopian tube, the egg begins its journey towards the uterus, aided by the coordinated movements of the cilia.

If sperm are present in the fallopian tubes at the time of ovulation,

they can meet and fertilize the egg. This remarkable union typically occurs in the ampulla, the widest part of the fallopian tube. Once fertilized, the newly formed embryo continues its passage towards the uterus for implantation and further development.

Although the fallopian tubes are designed for the journey of the fertilized egg, complications can arise. One such complication is an ectopic pregnancy, where the fertilized egg implants outside the uterus, most commonly in the fallopian tubes. Ectopic pregnancies can be dangerous and require immediate medical attention.

Diagnostic procedures can help identify any blockages or abnormalities in the fallopian tubes. Hysterosalpingography (HSG) is a common test where a dye is injected into the uterus and fallopian tubes, allowing X-ray imaging to evaluate their structure and function. Laparoscopy is another procedure that uses a small camera to examine the reproductive organs, including the fallopian tubes.

Various disorders can affect the fallopian tubes, such as blockages, infections, and tubal ligation (a permanent form of birth control). Fertility

treatments like in vitro fertilization (IVF) can bypass fallopian tuberelated issues. Additionally, surgical interventions, such as tubal ligation reversal or tubal reanastomosis, can restore fertility in some cases.

Maintaining the health of the fallopian tubes is crucial for optimal reproductive health. Any dysfunction or blockage in the fallopian tubes can lead to difficulties in conceiving. Regular check-ups and open discussions with healthcare providers ensure that any potential issues are detected and addressed promptly.

The fallopian tubes are truly remarkable structures that contribute significantly to the miracle of life. From capturing and transporting the egg to providing an ideal environment for fertilization, their role is indispensable in the process of reproduction. Understanding the importance of the fallopian tubes empowers individuals to take charge of their reproductive health and seek timely medical assistance when needed. Let us appreciate the marvels of the fallopian tubes and the intricate journey they enable towards creating new life.

Previously published on Medium.com

Where Science Meets Compassion

Our mission is to assist our patients in creating the families of their dreams, whether it be at the present or to maintain the possibility in the future.

Medical Director Dr. Famuyiwa, a double board certified fertility specialist and an advocate for personalized holistic fertility care, is at the forefront of providing state-of-the-art care based on emerging and advanced new technologies in the most compassionate of manners.

• Natural, safe, laser light energy is pulsed and absorbed by the subcutaneous tissue.

• Supercharges the body’s metabolism through ATP synthesis to burn fat as energy.

• Waste products are expelled from the body via sweat, urine and respiratory exhaustion.

• The body continues to burn fat for up to 4 hours after treatment.

• Collagen and elastin production is increased within the skin layers to rejuvenate and repair skin cells addressing cellulite, skin laxity and stretch-marks.

Cosmetic dentistry has become increasingly popular, not just for enhancing smiles but also for improving the emotional well-being of patients. Modern advancements in dental care allow individuals to transform their appearance, which can have profound effects on their self-confidence and overall mental health. Here, we explore the psychological benefits that come with receiving cosmetic dental treatments.

Boost In Self-Confidence

One of the most immediate psychological effects of cosmetic dentistry is a significant boost in self-confidence. Many people feel self-conscious about their teeth, whether due to discoloration, gaps, or misalignment. These insecurities can affect how they interact with oth-

The Psychological Benefits Of Cosmetic Dentistry

ers, sometimes causing them to hide their smile or avoid social situations altogether.

When imperfections are corrected through treatments such as teeth whitening, veneers, or aligners, patients often report feeling more confident in their appearance. This newfound confidence helps them engage more fully in social activities and professional settings, leading to improved quality of life.

Reduction In Anxiety and Stress

Living with dental issues can cause chronic anxiety, especially if one is worried about the appearance of their teeth in everyday interactions. This constant preoccupation can lead to stress, even in simple tasks like speaking or smiling.

Cosmetic dentistry can alleviate these concerns by providing a sense of relief and assurance that your smile looks its best. With fewer worries about how their teeth are perceived, patients tend to experience reduced stress and feel more at ease in social environments.

Enhanced Social Life

Our smile is one of the first things people notice about us. If we are proud of our smile, we tend to smile more often, which can positively influence how others perceive and engage with us. People who undergo cosmetic dental procedures often find themselves more willing to engage socially, both in personal and professional environments. They no longer feel the need to hide their teeth, allowing them to enjoy social interactions more freely and authentically.

A bright, healthy-looking smile can also enhance first impressions, whether during job interviews, on dates, or when meeting new people. This improved social confidence can open doors to new opportunities, leading to both personal and professional growth.

Positive Body Image and Mental Health

The connection between appearance and mental health is welldocumented. Feeling good about how we look can significantly impact how

we feel about ourselves overall. When individuals address cosmetic concerns with their teeth, they often report a more positive body image, which can contribute to a healthier state of mind.

Cosmetic dentistry not only improves the physical appearance of teeth but also provides an emotional uplift. Patients are more likely to embrace their full appearance and experience fewer insecurities, promoting better mental health and a more positive outlook on life.

Long-Term Psychological Effects

In the long term, the psychological benefits of cosmetic dentistry can be life-changing. Enhanced selfesteem, reduced anxiety, and improved social interactions can lead to a happier, more fulfilling life. People who feel good about their appearance are more likely to take care of their overall health, both physically and mentally. The journey to improved dental aesthetics can also promote feelings of accomplishment and pride. Seeing the

Please see “Cosmetic,” page 39

SHARE YOUR SMILE SHARE YOUR SMILE

ZINA ALATHARI, DMD

Dr. Zina Alathari is a graduate of Tufts University School of Dental medicine. In addition to her general dentistry training, Dr. Alathari takes continuing education each year in advanced clinical procedures and technologies. Her wide range of service to the public has given her experience to understad each patients individual needs.

Consulting Hypnosis

There are many ways of healing. Healing is an awareness that you sense from your inner self (subconscious mind), that tells you that you need to explore what’s happening within yourself internally and consciously. Mind, body, and spirit (the soul) all need healing. The mind tells you what you are experiencing in the given moment. The body reacts as the mind releases the thought. The thought can be positive or negative, and the thought sends the message to the body organs, and then the organs respond to the thought. Consulting hypnosis – helping everyday normal people with everyday

Implants, Implant Crowns, Invisalign, CEREC, Crowns, Root Canals, Cosmetic Dentistry, iTero Digital Scanner, Tooth-Colored Fillings and Extractions.

Dr. Afreen Sayeed

normal problems – can help you with problems or situations by helping the way you interpret the thought and then respond to the thought. The thoughts that bring fear often affect the kidneys, and the thoughts that trigger anger often affect the liver and heart.

The organs reside in the body and mind by way of the body systems. The systems are managed, controlled, balanced, repaired, or healed according to the thoughts you are having about that system and the methods you choose to heal or repair that system.

Often you will hear people say that the doctor can’t seem to find their problem. Whether the doctors find or don’t find the cause of your pain (mental, physical emotional, or spiritual) it is uncomfortable. You simply want relief. You want the doctors to tell you something so that the thought can trigger an emotion in certain organs to heal or not.

Consulting hypnosis can help you sort out everyday problems such as the thoughts that surround COVID-19, or your children, spouse, boss, or whomever – the consulting hypnotist can help you sort things out.

Please see “Hypnosis,” page 39

Alliances, Smiles

By Toni Greene, Owner Happy Hour Yoga on Zoom!

ADVENTIST MEDICAL GROUP PRIMARY CARE SERVICES FOR YOU

Choose Adventist Medical Group Primary Care in Fort Washington, Maryland, to provide a full range of primary care services for adults.

Learn to better manage your health and prevent illnesses with personalized care from our experienced, primary care providers. Our specialists in family medicine and internal medicine work as a team to deliver expert care when you need:

• Same-day Sick Visits

• Women’s and Men’s Health and Wellness Exams

• Health Physicals, Health Maintenance and Preventive Care

• Geriatric (Senior) Wellness Exams

• Vaccinations and Immunizations, including Flu Shots

• Health Management for:

• Asthma and Allergies

• High Blood Pressure

• High Cholesterol

• Diabetes

• Heart Disease

You also benefit from coordinated care that helps you effectively handle all aspects of your health—from preventive medicine and preoperative appointments to management of chronic health conditions.

To schedule an appointment, please call 240-724-6018

10709 Indian Head Highway, Suite D1 Fort Washington, Maryland 20744 AdventistMedicalGroup.org

Ogechi Anyaoku, MD, MSPH (Internal Medicine)
Nicole Haskins, CRNP, RN (Family Nurse Practitioner)

Featured Health Professionals

Local Professionals Empowering and Encouraging People To Live Healthier

Jeffrey L. Brown, DDS

TMJ & Sleep Apnea Treatment

Meet Jeffrey L. Brown

Dr. Brown’s practice focuses on TMJ, sleep apnea and orthodontics. This allows Dr. Brown and his team to provide individualized, focused care for patients dealing with these specific issues. Every day, his practice helps patients of all ages with facial development, sleep issues, chronic headaches, migraines, neck pain, movement disorders, and much more. His training also includes multiple disciplines involving the cranial bones in the skull, and the discs in the jaw joints. Through treatment, Dr. Brown is able to reduce these symptoms, align cranial bones, avoid extractions, and greatly reduce the need for traditional braces. His expertise allows him to identify issues early on which promotes proper facial development using dental appliances. If there is an internal imbalance, whether an adult or child, the body does not develop or function properly. When the cranial bones are lined up correctly, patients are able to function, sleep and generally live better.

With that in mind, the team at Sleep & TMJ Therapy takes a whole-body approach when treatment planning. They work hand in hand with physical therapists and osteopathic doctors for a better success rate. Dr. Brown is devoted to helping patients of all ages live a symptom free life.

Degrees & Certifications

Dr. Brown earned his degree from Georgetown Dental School and completed residencies with Emory University Hospital for Dental Sleep Medicine and the ALF Appliance Therapy Institute.

Outside the Office

When not seeing patients, Dr. Brown is a sought-after speaker. He has lectured all over the world, including D.C., Dubai, Seoul, London, Norway and Toronto. He has also been featured on Channel 9’s Good Morning Washington, several podcasts, and numerous magazines and journals.

Professional Affiliations

Dr. Brown is a diplomate of the American Academy of Craniofacial Pain, a member of the American Academy of Dental Sleep Medicine, American Academy of Gnathological Orthopedic, Academy of Integrative Pain Management American Dental Association, a Fellow of the American Academy of Craniofacial Pain, and Legacy Provider for the ALF Interface Academy.

Do you have TMD or Sleep Apnea?

TMD Symptoms: Noise in the jaw joints when opening and closing your mouth, difficulty chewing, limited opening, tender facial muscles, ear ringing, uncomfortable bite, jaw locking, headaches, migraines, dizziness, vision issues as well as pain in the jaw area which can radiate to the ears, head, neck, shoulders, and back.

Sleep Apnea Symptoms: Snoring, waking up gasping for air, feeling tired and irritable in the morning, difficulty controlling weight, concentration problems, morning headaches, episodes of not breathing, waking with a sore throat, forgetfulness and mood changes. If you believe you may be suffering from TMD or Sleep Apnea, don't wait... Call today to schedule a consultation with Dr. Brown: 703-821-1103.

Sivakumar Sreenivasan, DMD DENTAL IMPLANT CENTER OF ROCKVILLE

Oral and Maxillofacial Surgeon

Diplomate, American Board of Oral & Maxillofacial Surgery

DMD, MDS • OMFS, MD, PA

77 South Washington Street Suite #205, Rockville, MD

301-294-8700

www.OMFSMD.com

Meet Dr. Sreenivasan:

Dr. Sreeni came to the United States as an Oral and Maxillofacial Surgeon in the year 1990 and put himself through dental school again at Boston University and Oral and Maxillofacial Surgery residency at University of Medicine and Dentistry of New Jersey.

As an Oral and Maxillofacial Surgeon, Dr. Sreeni manages a wide variety of problems relating to the Mouth, Teeth and Facial Regions. He practices a full scope of Oral and Maxillofacial Surgery with expertise ranging from Corrective Jaw Surgery to Wisdom Teeth Removal. His passion is in implant surgery and he is well known for same day placement of implants following teeth removal be it for single teeth or a complete “makeover” (Smile in a day). He can also diagnose and treat Facial Pain, Facial Injuries and TMJ disorders and perform Bone Grafting and Sinus lift procedures.

Dr. Sreeni completed a residency in Anesthesiology at Mount Sinai Hospital, New York in 1994 and has worked as an Attending providing anesthesia services for children and adults in the ambulatory out-patient center of the hospital.

Dr. Sreeni is an Advanced Cardiac Life Support instructor with the Adventist group. He is also certified in Pediatric advanced life support and is very capable of handling emergencies that could possibly arise in the office. Dr. Sreeni’s staff are trained in assisting with IV Sedation/General Anesthesia within our state of the art office setting. Patients are continuously monitored during and after surgery. The goal of our office is to provide professional service with compassion and an understanding of the patients’ perspective.

Featured Health Professionals

Mary B. Alexander, DDS, DMSC

Rex Hoang, DMD

20680 Seneca Meadows Parkway, Suite #218 Germantown, MD

Meet Mary B. Alexander

Dr. Mary Alexander, periodontist, obtained a Bachelor of Science degree in Biology from the University of South Carolina and continued her education in dentistry at the University of Maryland School of Dental Surgery where she received her DDS degree. Prior to and during her dental studies, Dr. Alexander received funding and support from the National Institutes of Dental Research for her involvement in the periodontal research. After obtaining her DDS degree Dr. Alexander spent one year at the Veteran’s Administration Hospital, in general practice residency focusing her training in the area of anxiety patient management. She then attended Harvard University and earned her clinical specialty in periodontics and a doctorate in medical science. Her doctoral research was focused in the study of bone function and metabolic disease of the bone.

Dr. Alexander received extensive training in dental implantology, periodontal plastic surgery, bone regenerative procedures and sedation dentistry. All aspects of Dr. Alexander’s training are incorporated in her periodontal practice assuring patient’s thorough and comprehensive periodontal treatment.

Meet Rex Hoang

Rex Hoang, DMD, PC, has been the president of his family-run business, DC Dental Spa, in Washington, DC for over 28 years, and gets great satisfaction from helping his patients achieve beautiful, healthy smiles. Dr. Rex has extensive training and experience in general dentistry, periodontology, endodontology, oral surgery, dental implants, sleep apnea and cosmetic dentistry.

Dr. Rex earned his title of Doctor of Medicine in Dentistry from The University of Pennsylvania School of Dental Medicine in 1990, and to stay up-to-date in the latest dental practices and technologies, Dr. Rex regularly attends continuing education courses. Recently, his continuing education took him to the Dominican Republic, where he provided dental implants to disadvantaged community members. He believes in delivering the very best care for his patients’ needs while being sensitive to their comfort levels and concerns, and a love for dentistry runs in the Hoang family. Of his five children, two have joined him in the field of dentistry. Dr. Rex’s son Dylan is currently pursuing dentistry in school, and Dr. Rex is looking forward to him joining the practice upon graduation.

Outside of dentistry, Dr. Rex has many interests and hobbies, including piano and guitar. He also stays active playing golf, tennis and practicing martial arts.

Dr. Hoang Leads Charitable Mission to Laos & Vietnam

Dr. Hoang, his wife and daughter traveled to Laos and Vietnam. On this trip prepared food and money was donated to those people of need. Dr Hoang’s family personally prepared the food, visited and spoke with the local communities and had a wonderful experience.

Urwashi Dubey, DDS

BUILDING HEALTHY SMILES

Presenting Dr. Urwashi Dubey, a distinguished luminary and esteemed graduate of NYU Dental School, adorned with illustrious honors in oral and maxillofacial pathology, pharmacology, and medicine. Their academic trajectory stands as a testament to unwavering dedication and a thirst for knowledge, epitomizing a commitment to the pinnacle of dentistry. Hailing originally from the vibrant tapestry of New Delhi, India, Dr. Dubey brings a culturally enriched perspective to our esteemed practice. Proficient in both the mellifluous cadence of English and the poetic rhythm of Hindi, they effortlessly navigate linguistic nuances, fostering profound connections with patients from diverse walks of life.

Dr. Dubey’s unwavering dedication to providing unparalleled care is palpable in every interaction. Their fervent passion for dentistry propels them to exceed expectations, placing the holistic well-being of their patients at the forefront. With a harmonious blend of expertise and genuine empathy, Dr. Dubey cultivates enduring relationships built on trust and compassion.

At the heart of Dr. Dubey’s practice lies an unwavering commitment to personalized attention and uncompromising quality. Patients can rest assured that their dental journey will be adorned with the hallmark of excellence, meticulously tailored to their unique needs and desires. Dr. Urwashi Dubey stands as a beacon of distinction in the realm of dentistry, a cherished asset to our practice, and a steadfast ally in the pursuit of optimal oral health.

Dr. Marc Stanard specializes in surgical and non-surgical periodontics, extractions, and dental implants. He is a graduate of Georgetown University School of Dentistry where he received his DDS in 1989. Dr. S. continued his studies at Emory University School of Dentistry and the Veteran’s Affairs Medical Center/Marquette School of Dentistry earning after four additional years his postgraduate specialization certificates. There are few things in life more important than keeping your teeth happy and healthy. That’s why Dr. Marc Stanard, a specialist in periodontics and surgical implant dentistry, is devoted to making it easy, comfortable, and even fun to take care of your teeth. When you come in for a check-up or procedure, he’ll take the time to listen to what’s bothering you and walk you through every step of the treatment he recommends. Whether you’re here for a gum graft or a different specialized procedure, you can relax knowing you’re in caring and experienced hands.

With decades of experience and a passion for his work, there’s no one better equipped to handle your periodontal care than Marc P. Stanard, DDS, PC. We specialize in all aspects of periodontal therapy, extractions, implants, and more. We provide high-quality, comfortable, advanced, and affordable dental care. Please schedule your appointment today with us for dental care services in our friendly office!

Meet Marc P. Stanard

Featured Health Professionals

Lindsay MacDougall, LAc

Meet Lindsay MacDougall

I realized that medicine needed more sustainable approaches to address the complex symptoms that women, in particular, experience. The moment I received my first acupuncture treatment, I knew I was meant to become an acupuncturist. At 22, while living in France as a school teacher, I began suffering from debilitating migraines. Emotional stress, a breakup, and adjusting to life abroad compounded my physical symptoms. My hair was falling out, I gained weight, and my periods stopped. The migraines became unbearable, and I felt constantly anxious, depressed, and overwhelmed.

Back in the U.S., a visit to an OB-GYN left me feeling misunderstood. A friend recommended acupuncture, and that decision changed my life. From the moment I entered the acupuncturist’s room, I felt heard. Her approach, asking questions about my body and life, felt deeply compassionate. The acupuncture itself was a revelation— painless and calming. My migraines quickly diminished, and my menstrual cycle returned to normal.

We look for health in nature’s expression of the five elements from the ancient Classical Chinese medical texts. Recognizing that women do not have an outlet for their bodies to feel in a somatically healing setting for various vagal nerve dysfunctions, I developed my FEMM course, short for my Feminine Energy Metabolic Method as well as FEMM Dating Course for those single or married, because I truly believe women become empowered through relationship.

My method with FEMM integrates our own softer healing creativity with the critical mind so we can dynamically move forward in present day life obstacles, which includes industrial and corporate systems that can be damaging to women’s bodies at scale today. Through forging a strong relationship to ourselves, to others, our bodies and our health, I believe empowering women on all fronts is how we will achieve ecological and economic sustainability for our planet into the next generation.

Meet Dr. Farangis M. Habib

Farangis Habib, MD, MHSc, FAAP, is a dedicated Pediatrician at Virginia Pediatric Group, serving children in Great Falls and Herndon, VA. Born in Tehran, Iran, Dr. Habib earned her medical degree from Dow Medical College in Karachi, Pakistan, in 1981. She completed pediatric training in hospitals across Karachi, London, Dublin, and the USA.

Dr. Habib pursued public health training at Harvard and obtained a Tropical Medicine Certificate from Johns Hopkins in 2000. In 2001, she earned a Master of Health Science in molecular microbiology and immunology from Johns Hopkins.

After working in allied health fields for over a decade, she completed her Pediatrics Residency at Toledo Children’s Hospital and became boardcertified. She practiced in Ohio, Fredericksburg, and Reston before joining Virginia Pediatric Group in 2017.

A Graduate Fellow of the Andrew Weil Center for Integrative Medicine (2023), Dr. Habib is trained in mental health care for children and adolescents. She is a member of several professional organizations and speaks multiple languages, including English, Farsi, Hindi, Dari, and basic French and Arabic.

Dr. Habib lives in northern Virginia with her husband and enjoys chess, cooking, Persian poetry, calligraphy, and traditional music.

Featured Health

Toni Greene, Owner

Meet Toni Nandini Greene

Consulting Hypnosis

Healing is an awareness that you sense from your inner self (subconscious mind), that tells you that you need to explore what’s happening within yourself internally and consciously. Mind, body, and spirit (the soul) all need healing. The mind tells you what you are experiencing in the given moment. The body reacts as the mind releases the thought. The thought can be positive or negative, and the thought sends the message to the body organs, and then the organs respond to the thought.

Consulting hypnosis – helping everyday normal people with everyday normal problems – can help you with problems or situations by helping the way you interpret the thought and then respond to the thought. The thoughts that bring fear often affect the kidneys, and the thoughts that trigger anger often affect the liver and heart.

Consulting hypnosis can help you sort out everyday problems. Hypnosis helps you to become aware of your state of mind such as your thoughts, feelings, and emotions that can get trapped in the body, in your organs. A consulting hypnotist helps you to identify the state (fear, anger, sadness, depression, or love) and release it, without the use of drugs or surgery.

Going to see a consulting hypnotist is like going to talk with a friend, a person who has everyday problems too, and who has the tools to teach you how to not just cope but live.

Foot doctor Lubrina Bryant, DPM is dedicated to getting to the root of your foot or ankle problem. District Podiatry, PLLC specializes in general foot and ankle care. Having chronic foot and ankle pain can affect the quality of your life and finding the right foot and ankle specialist can be just as difficult. We know how hectic life can be and we are committed to making our practice and care convenient and accessible.

From routine checkups to minor foot surgery, Lubrina Bryant, DPM is a podiatrist who is equipped to handle all your foot and ankle needs. Services Include: Routine Foot Care, Diabetic Foot Care, Wart Removal, Ingrown Toenails, Foot, Ankle or Heel Pain, Toenail Fungus, and Bunions.

Rockville’s Premier Dental Clinic

Dr. Ghassan Jacklis and his dedicated team want you to feel comfortable in our office, and to know that when you come here, you will receive outstanding dental care and personalized service. Our associates have been working together for years, with many years of advanced training, which has allowed us to perfect our communication and better serve you.

DDS

Meet Padmaja Yalamanchili

For over 18 years, Padmaja Yalamanchili, DDS, has been serving patients throughout Northern Virginia with her extensive dental expertise, personalized one-on-one care and state-of-the-art dental technology. She and the entire team at her practice Dr. Padmaja Yalamanchili, DDS, PC in Fairfax, VA are committed to helping patients achieve their healthiest, most beautiful smiles. She is wellreputed in the area, and she emphasizes on preventive dentistry.

Dr. Yalamanchili graduated with her Doctor of Dental Surgery degree from the New York University College of Dentistry in Kips Bay, Manhattan. This prestigious New York City institution is the third oldest dental college in the country and is a global leader in toptier dental care and innovation.

After earning her degree, Dr. Yalamanchili committed herself to serving patients throughout Northern Virginia with her clinical expertise and personalized care. She offers each patient her extensive knowledge and takes the time to customize a care plan to their specific oral health needs and smile goals. She serves patients of all ages through this tailored one-on-one approach. In fact, the rapport she builds with each patient leaves many fondly referring to her as “Dr. Y.”

Dr. Yalamanchili is a member of the American Dental Association, Virginia Dental Association, and Northern Virginia Dental Society. Dr. Yalamanchili is fluent in English, Hindi, and Telugu. When she’s not serving patients, you can find her spending time with her husband and two children, cooking, reading, watching a Bollywood movie, or practicing Bikram yoga.

Prior to entering private practice, he served a general practice residency at Sepulveda Veteran’s Hospital. Dr. Rogers has invested significant time into ongoing education, seeking to learn emerging dental technologies and techniques in the areas of cosmetic dentistry, implant dentistry, sleep apnea treatment, orthodontics, temporomandibular joint (TMJ) disorders, and safe amalgam replacement. His most recent training in airway management has allowed him to offer a cure for sleep apnea using an intraoral device known as the DNA appliance. He is a member of the International Academy of Oral Medicine and Toxicology, American Academy of Dental Sleep Medicine, American Academy of Craniofacial Pain, and also of Mercury-Free Dentists. He has served as a guest author for TMJ News & Views, and when that publication ceased, began his own quarterly newsletter. You may have seen one of his television interviews on “A New Me” or the local PBS station, or seen his articles and features in Ladies’ Home Journal, Arlington Magazine, and New Beauty. Dr. Rogers is an active participant in the community as a sponsor for Encore Theater, Little League of Alexandria, Abingdon Elementary, and the local Fairlington Farmer’s Market. He and his wife Terri enjoy spending time with their daughter Megan and her husband Corey traveling around the country and the Caribbean.

Featured Health Professionals

Local Professionals Empowering and Encouraging People To Live Healthier

Renee Bovelle, MD Ophthalmology

Board Certified, Ophthalmology by the American Board of Ophthalmology

Degrees, Training and Certificates: UCLA Medical School; Yale University Hospital for Residency; Louisiana State University for Cornea and Refractive Fellowship

Professional Memberships/Associations: American Academy of Ophthalmology; American Society of Cataract and Refractive Surgery; International Society of Refractive Surgery

Areas of Interest: All laser custom LASIK; Cataract Surgery; Botox; Dermal Fillers; Cornea Comprehensive Ophthalmology

Practice Philosophy: Envision Eye and Laser is committed to delivering superior ophthalmic care with state-of-the-art technology and patient education in a caring, compassionate environment. We cater to a diverse population of adults and work with your primary care physician to improve the quality of your overall health and life. Your best vision is our focus.

Mara Holton, MD

Dr. Mara Holton grew up in Maryland and has practiced with AA Urology for more than a decade since completing her residency.

Dr. Holton earned her undergraduate degree from The University of Vermont before attending medical school at Temple University in Philadelphia. She then completed her general surgery internship and urologic surgery residency at University of Maryland Medical System. While in residency, Dr. Holton practiced the full breadth of urologic training and surgery. Additionally, while there, she spent a year doing research dedicated to interstitial cystitis / pelvic pain alongside leaders in the field.

In clinical practice, Dr. Holton treats all urologic conditions but has a special interest in female incontinence and pelvic floor dysfunction along with the noninvasive treatment of kidney stones. She is trained in the all of the most current and minimally invasive options to facilitate patients ability to recover from procedures quickly so that they can get back to their lives and families.

As the managing partner of her group, Dr. Holton has overseen the expansion of AA Urology over the past several years and is excited by the growing presence of the group while maintaining the practice ethos of compassionate care in our communities. She is also very involved in the advancement of independent physician practices as a critical resource for patients and participates in advocacy as a board member of national organizations, including the Large Urology Group Practice Association.

In her free time, Dr Holton enjoys traveling, hiking and spending time with her family and dogs.

Polycystic Ovarian Syndrome (PCOS) is a complex condition where the ovaries produce excessive levels of

Acupuncture For PCOS

male hormones and develop numerous small cysts. While its exact origins remain somewhat elusive, it’s a prevalent gynecological endocrinopathy that affects approximately 6-8% of women in their reproductive years.

This condition’s impact on women’s reproductive health is undeniable, as it can lead to an astonishing 75% of anovulatory infertility and is a contributing factor to increased rates of early pregnancy loss. Beyond its gynecological aspect, PCOS brings additional

Wholelife Acupuncture & Fitness Center

Quansheng Lu, CMD, PhD, L.Ac www.wholelifeherb.com • luquansheng@gmail.com 301-340-1066 • fax: 301-340-1090

Guest professor, Henan University of Traditional Chinese Medicine (TCM) Chief TCM Physician, WFCMS; M.S. in TCM, Beijing University of TCM PhD in integrated medicine, China Academy of Chinese Medical Sciences Fellowship, Georgetown University & Children’s National Medical Center 3 patents, 8 books of TCM, 30 papers, 30+ years of experience in TCM

Low back pain • eczema • arthritis

allergies

cough • insomnia • paralysis obesity • nephritis

hepatitis

infertility

PMS • side effects of cancer treatment 416 Hungerford Drive, #300 Rockville, MD 20850 5022 Dorsey Hall Drive, #101 Ellicott City, MD 21042

Doesn't Your Child Deserve the Best?

Loving Care Pediatrics Janet V. Johnson, MD

metabolic challenges, including insulin resistance (IR), impaired glucose tolerance, and dyslipidemia.

PCOS is not solely a gynecological concern; it extends its influence from puberty to postmenopause, making it a persistent concern throughout a woman’s life.

Therefore, it is crucial not only to address the immediate complaints of PCOS patients but also to prioritize their long-term health, particularly those with obesity and/or IR. Timely and effective interventions are paramount to mitigate the adverse consequences associated with PCOS.

Polycystic Ovarian Syndrome (PCOS) is a complex condition where the ovaries produce excessive levels of male hormones and develop numerous small cysts

Conventional medical treatments

for PCOS encompass prescription medications, surgical options, and lifestyle modifications.

Studies on acupuncture in PCOS, though non-randomized, indicate a low incidence of adverse events, no heightened risk of multiple pregnancies, and cost-effectiveness.

Acupuncture’s potential impact on beta-endorphin production, which in turn may influence gonadotropinreleasing hormone (GnRH) secretion, suggests a role in ovulation induction and fertility enhancement.

Recent research has highlighted traditional Chinese medicine’s capacity to regulate gonadotropin-releasing hormone, induce ovulation, enhance uterine blood flow, and address menstrual irregularities associated with PCOS. Additionally, it has shown promise in aiding individuals with infertility linked to polycystic ovarian syndrome, as well as those grappling with anxiety, stress, and immunological disorders. However, it is imperative to seek out a well-trained professional acupuncturist to achieve optimal outcomes.

Teen Suicide

Teen suicide is a concerning issue that ranks as the third leading cause of death among teenagers. Every 17 minutes, a teenager tragically succeeds in taking their own life. These statistics underscore the gravity of the problem and emphasize the importance of understanding who may be at risk and how to offer assistance.

Teenagers often grapple with thoughts of death, making it crucial to take suicide attempts seriously. The

National Institute of Mental Health estimates that for every completed suicide, there may be as many as 25 suicide attempts that go unreported. Recognizing that a teen’s suicide attempt is a plea for help is vital in preventing future, potentially fatal attempts.

Several strong risk factors contribute to teenage suicide, including aggressive or disruptive behavior, substance abuse, and depression. These factors often intensify the turbulent emotions experienced during adolescence, fostering a sense of hopelessness and despair. Acknowledging these feelings as legitimate and offering support is critical in the battle against teen suicide.

Access to firearms is another risk factor to consider, given that they are involved in over half of teen suicides. Limiting access to firearms and ammunition for teenagers expressing suicidal thoughts is an essential safety measure. Understanding warning signs is paramount, as studies indicate that four out of five teen suicide attempts are preceded by clear indicators. These warning signs encompass neglect of

Please see “Teen Suicide,” page 39

Why Choose A Facial Plastic Surgeo n?

Why Choose A Facial Plastic Surgeo n?

Why Choose A Facial Plastic Surgeo n?

When you look in the mirror, what you see often affects how you feel.

Signs of premature aging, a scar from an accident or a birth defect can cause unhappiness for some. A facial plastic surgeon can, in many cases, make you feel more comfortable and confident about your appearance. It’s all about choosing the one that’s right for you.

When you look in the mirror, what you see often affects how you feel. Signs of premature aging, a scar from an accident or a birth defect can cause unhappiness for some. A facial plastic surgeon can, in many cases, make you feel more comfortable and confident about your appearance. It’s all about choosing the one that’s right for you.

When you look in the mirror, what you see often affects how you feel. Signs of premature aging, a scar from an accident or a birth defect can cause unhappiness for some. A facial plastic surgeon can, in many cases, make you feel more comfortable and confident about your appearance. It’s all about choosing the one that’s right for you.

Dr. Taylor is an expert who is trained to perform cosmetic and reconstructive surgery and procedures on the face, head and neck. He has had six years of surgical training specializing in the face, head and neck, a fellowship in Facial Plastic and Reconstructive Surgery and 30 years of experience. Establishing a relationship, defining expectations ahead of time with his patients along with Dr. Taylor’s skill and experience are all-important factors that ensure successful results and satisfied patients.

Dr. Taylor is an expert who is trained to perform cosmetic and reconstructive surgery and procedures on the face, head and neck. He has had six years of surgical training specializing in the face, head and neck, a fellowship in Facial Plastic and Reconstructive Surgery and 21 years of experience. Establishing a relationship, defining expectations ahead of time with his patients along with Dr. Taylor’s skill and experience are all-important factors that ensure successful results and satisfied patients.

When you look in the mirror, what you see often affects how you feel. Signs of premature aging, a scar from an accident or a birth defect can cause unhappiness for some. A facial plastic surgeon can, in many cases, make you feel more comfortable and confident about your appearance. It’s all about choosing the one that’s right for you.

Dr. Taylor is an expert who is trained to perform cosmetic and reconstructive surgery and procedures on the face, head and neck. He has had six years of surgical training specializing in the face, head and neck, a fellowship in Facial Plastic and Reconstructive Surgery and 21 years of experience. Establishing a relationship, defining expectations ahead of time with his patients along with Dr. Taylor’s skill and experience are all-important factors that ensure successful results and satisfied patients.

ng with Care & Compassion for Optimal Results

Healing, Enhancing, Advancing with Care & Compassion for Optimal Results

Nonsurgical Services

Dr. Taylor is an expert who is trained to perform cosmetic and reconstructive surgery and procedures on the face, head and neck. He has had six years of surgical training specializing in the face, head and neck, a fellowship in Facial Plastic and Reconstructive Surgery and 21 years of experience. Establishing a relationship, defining expectations ahead of time with his patients along with Dr. Taylor’s skill and experience are all-important factors that ensure successful results and satisfied patients.

Reconstructive Surgical Procedures

Cosmetic Surgical Procedures

Rhinoplasty (Nose Reshaping)

Blepharoplasty (Eyelid lift)

Facelift

Facial implants: Chin/Cheek

Browlift

Facial implants: Chin/Cheek

Nonsurgical Services

Obagi Skin Care System

Facial Fillers: Restylane/Perlane

Split Earlobe Repair

Reconstructive Surgical Procedures

Management & Excision of keloids

Obagi Skin Care System

Microdermabrasion

Facial Fillers: Restylane/Perlane

Cosmetic Surgical Procedures

Botox/Dysport

Rhinoplasty (Nose Reshaping)

Otoplasty (for protruding ears)

Blepharoplasty (Eyelid lift)

Facelift

Otoplasty (for protruding ears)

Healing, Enhancing, Advancing with Care & Compassion for Optimal Results

Nonsurgical Services

Microdermabrasion

Xeomin

Botox/Dysport

Radiesse/Restylane

Obagi Skin Care System

Facial Fillers: Restylane/Perlane

Split Earlobe Repair

Skin Cancer removal and reconstruction

Management & Excision of keloids

Reconstructive Surgical Procedures

Skin Cancer removal and reconstruction

Split Earlobe Repair

Management & Excision of keloids

Browlift

Facial implants: Chin/Cheek

Otoplasty (for protruding ears)

Xeomin

Radiesse/Restylane

Microdermabrasion

Botox/Dysport

Xeomin

301.897.LVLV (5858)

Radiesse/Restylane

Skin Cancer removal and reconstruction

The Champlain Building 6410 Rockledge Drive, Bethesda, MD www.levisageface.com

301.897.LVLV (5858) The Champlain Building 6410 Rockledge Drive, Bethesda, MD www.levisageface.com

301.897.LVLV (5858)

301.897.LVLV (5858) 10215 Fernwood Road, Suite #401, Bethesda, MD 20817 www.LevisageFace.com

The Champlain Building 6410 Rockledge Drive, Bethesda, MD www.levisageface.com

Duane J Taylor, M D

Dentistry Is Expensive. Make the Investment Last.

A radiant smile can be your most valuable asset. It’s the universal language of happiness, a key to leaving a lasting impression, and a source of confidence. However, the journey to maintaining a beautiful smile extends beyond just pearly whites. The foundation of a captivating smile lies in complete periodontal health. Taking care of your gums before spending on other dental procedures is essential for safeguarding your investment in a beautiful smile.

The Hidden Power of Healthy Gums: When we think about an attractive smile, we often focus on the appearance of our teeth. While having straight, white teeth is undeniably important, they are only part of the equation. Healthy gums play a vital role in framing and supporting your teeth, and enhancing your overall smile.

The Visual Balance: Picture a piece of art in an exquisite frame. The frame complements and enhances the artwork’s beauty, making it stand out. Similarly, your gums serve as a frame for your teeth. When your gums are healthy, they provide an even and symmetrical backdrop that highlights the brilliance of your teeth. Conversely, gum issues like inflammation, recession, or disease can disrupt this harmony and detract from the way your smile looks.

Gum Health and Confidence: Beyond aesthetics, your smile is a reflection of your confidence. People with healthy gums tend to smile more freely, knowing that their gums are not a source of embarrassment. On the other hand, individuals with gum problems may feel self-conscious about their smile, impacting their self-esteem.

The Consequences Of Neglect: Neglecting periodontal health can have far-reaching consequences. Periodontal disease, commonly known as gum disease, is a prevalent condition that can wreak havoc on your smile. It starts as gingivitis, causing redness, swelling, and bleeding of the gums. Left untreated, it can progress to periodontitis, leading to gum recession, tooth mobility, and even tooth loss.

The Domino Effect: Gum disease isn’t just a localized issue. It can have systemic effects on your overall health. Research has shown links between gum disease and various health conditions, including heart disease, diabetes, and respiratory illnesses.

By neglecting your gum health, you might unknowingly be putting your general well-being at risk.

Protecting Your Smile Investment: Now that we understand the importance of complete periodontal health, let’s explore how you can protect your beautiful smile investment:

Regular Dental Checkups: Make sure to stay on schedule for regular dental checkups with your dentist and hygienist. They can detect early signs of gum disease and provide guidance on proper oral hygiene

practices.

Daily Oral Care: Maintain a consistent oral care routine, including brushing, flossing, and using an antiseptic mouthwash. This helps remove plaque and bacteria that can lead to gum problems.

Healthy Lifestyle Choices: A balanced diet, regular exercise, and avoiding tobacco products contribute to both gum and overall health.

Professional Treatments: If you have gum issues, consult a periodontist, a specialist in gum health. They

can provide advanced treatments like deep cleaning or gum surgery when necessary.

Awareness: Stay informed about the importance of gum health and be proactive in addressing any issues promptly.

Your smile is a precious asset that deserves the best possible care. Complete periodontal health is the hidden foundation that ensures your smile remains beautiful, confident, and radiant. By prioritizing your gum health alongside your teeth, you’re making a long-term investment in a smile that will continue to light up your world and save you many dollars over your lifetime. So, remember, when it comes to your smile, it’s not just about the teeth; it’s about ensuring total gum wellness.

Our patients mean the world to us (and they love to refer to us as friends and family). My team works together to ensure your visit is enjoyable, and that your treatment is gentle and pain-free. We are deeply committed to help you prevent and treat periodontal (gum) disease, and to enhance your smile to improve your overall health.

Revitalize Your Body With Zen Well Drip Hydration

Are you tired of feeling sluggish, looking dull, or struggling to recover from workouts? Zen Well Studio offers a refreshing solution: IV hydration therapy. By delivering essential vitamins and minerals directly into your bloodstream, we help your body recharge, rejuvenate, and reach opti-

mal health. Why Choose IV Hydration?

• Maximum Absorption: Nutrients bypass the digestive system for direct cellular benefits.

• Rapid Results: Experience immediate improvements in energy, mood, and overall well-being.

• Tailored Treatments: Our diverse range of drips caters to various

health goals. Our IV Drip Menu

Unleash your inner glow with these specialized drips:

• Myer’s Cocktail: Relieve stress, combat fatigue, and restore balance.

• Skinny Drip: Boost metabolism, burn fat, and kickstart weight loss.

• Allure: Enhance hair, skin, and nails for a radiant complexion.

Healing Your Mind, Body, & Soul

Zen Well Studio is an inclusive, one-stop health and wellness haven dedicated to providing our communities with essential tools necessary to promote healing of the mind, body, and soul. We curate Soul Care Sessions by using a variety of approaches including activation coaching, laser skin care, yoga, sound healing, Reiki, IV Hydration and Employee Wellness Programs and more. Schedule your free 30-minute consultation to see how our team can help you achieve overall health.

• Immunity: Strengthen defenses against illness and infection.

• Enliven: Fuel your body for peak performance and reduced inflammation.

• Rescue: Soothe hangover symptoms and jet lag discomfort.

Beyond IV Drips:

Our Injection Bar

In addition to our popular IV drips, Zen Well Studio offers a variety of targeted injections to address specific concerns:

• B12

• Glutathione

• Metabolism Boost

• Vitamin D

• Tri-Immune

• Simple Hydration

Customize Your Experience

We understand that everyone’s needs are unique. That’s why we offer a selection of additives to personalize your infusion:

• Glutathione

• B-Complex Vitamins

• Vitamin B12

List of Services:

• Corporate and Community Health & Wellness Programs

• Senior Living Wellness

• Health & Wellness Coaching

• Biometric Screening

• IV Hydration Therapy

• Vitamin Injections • Aesthetics

• Guided Meditation • Sound Healing

• Reiki Energy Healing

• Yoga + Pilates Mat/Reformer

• Vitamin C

• Lipo (MIC)

• Magnesium

• Taurine

• Zinc

What To Expect

Your comfort is our top priority. Our expert nurses will guide you through the process, ensuring a relaxing and beneficial experience. An average session lasts approximately 45 minutes.

Important: IV hydration is generally safe, but it’s essential to consult with our team to determine if it’s suitable for you. Certain medical conditions may have contraindications. Ready to revitalize your body? Schedule your IV hydration session today and discover the difference.

Janine Horne

Cryo-Slimming is an innovative technique that uses cold temperatures to target fat cells, aiding in weight loss and body contouring. This non-

Understanding Cryo-Slimming For Weight Loss: An Overview

invasive method has gained popularity due to its ability to reduce fat in stubborn areas without surgery or downtime. Unlike traditional weight loss treatments, Cryo-Slimming focuses on breaking down fat cells through a process called cryolipolysis, which relies on the body’s natural metabolic processes to eliminate the cells. The fat cells are removed by the lymphatic system and the client can lose up to

1-2 inches of fat per session.

How Does Cryo-Slimming Work?

Cryo-Slimming, often performed in wellness centers or specialized clinics, involves applying cold temperatures to specific areas of the body where fat reduction is desired. During a session, the skin and underlying fat are exposed to cold temperatures, causing fat cells to crystallize and break down. These cells are then naturally processed and

removed by the body over time. The procedure itself is relatively painless, with most patients experiencing a slight cooling sensation during treatment.

Because fat cells are more sensitive to cold than other types of cells, Cryo-Slimming effectively targets these fat deposits without damaging surrounding tissues, including skin, muscles, and nerves. This method has become a sought-after alternative for those who want to address localized fat deposits in areas such as the abdomen, thighs, or arms.

Benefits Of Cryo-Slimming

One of the main advantages of Cryo-Slimming is that it is a nonsurgical procedure. Unlike liposuction or other invasive treatments, CryoSlimming does not require incisions, anesthesia, or a lengthy recovery period. Patients can typically return to their normal activities immediately after a session. Additionally, the results develop gradually over the following weeks as the body metabolizes the fat cells, leading to a more natural-looking transformation.

While Cryo-Slimming is not a substitute for a healthy diet and regular exercise, it can be a helpful tool for individuals looking to enhance their weight loss efforts. It is particularly useful for those struggling with fat in specific areas that may not respond well to traditional weight loss methods.

Considerations

It’s important to note that CryoSlimming may not be suitable for everyone. Individuals with certain medical conditions or sensitivities to cold should consult a healthcare provider before pursuing this treatment. Like any cosmetic procedure, realistic expectations are key, as results can vary depending on individual factors such as age, metabolism, and lifestyle.

Cryo-Slimming is a safe and effective way to target stubborn fat, but it should be viewed as part of a comprehensive approach to health and wellness.

DMV Chill Cryo offers services that pair very well with the Cryo-Slimming to achieve the goal such as Vibration Therapy, Red-Light Therapy, Wood Therapy and most importantly the Brazilian Lymphatic Massage.

Brain Waves

communicates the brain waves back to the person, through music, images, or a video game. At Brain Spa neurofeedback, we use a non-invasive neurofeedback protocol called NeurOptimalTM. This protocol provides feedback through music. The brain picks up changes in the music that indicate that the brain has shifted into different waves. The brain can train itself to be more flexible, or shift and adjust to be more efficient. The overall goal is for the brain to learn to use the

Teen suicide

personal hygiene, physical complaints arising from emotional distress, declining academic performance, loss of interest in school and extracurricular activities, risky behavior, boredom, and more. Recognizing these signs can be a life-saving intervention. Preventing teen suicide requires unwavering vigilance and support. It is

cosmeTic

transformation unfold can be incredibly rewarding, reinforcing the value of self-care and personal investment in one’s well-being.

Cosmetic dentistry goes beyond aesthetics. It has the potential to transform lives by improving not only how individuals look but also

Hypnosis

Hypnosis helps you to become aware of your state of mind such as your thoughts, feelings, and emotions that can get trapped in the body, in your organs. A consulting hypnotist helps you to identify the state (fear, anger, sadness, depression, or love) and release it, without the use of drugs or surgery.

Going to see a consulting hypnotist is like going to talk with a friend, a person who has everyday problems too, and who has the tools to teach you

From page 9

entire range of brain waves efficiently. Brain training is client-led. Clients decide how often and for how long they want to do brain training. Most people benefit from weekly sessions for 10 to 20 sessions. Over time, the brain learns how to rebalance by itself. Anyone and everyone can benefit from brain training. In our busy and stressful world, brain training can help us be more calm and resilient in our lives, at school, and at work.

From page 32

imperative for guardians to convey love and support to teenagers, letting them know they are not alone in their struggles. Additionally, educating oneself about the signs of suicidal thoughts and feelings is crucial, as is seeking professional help when needed. Together, we can work towards reducing the devastating impact of teen suicide on our youth.

From page 21

how they feel about themselves. From boosting self-confidence to alleviating anxiety, the psychological benefits of cosmetic dental treatments can lead to long-term improvements in mental and emotional health. By investing in their smiles, patients often unlock a new level of self-assurance, allowing them to live life to the fullest.

From page 22

how to not just cope but live.

Often our creative imagination in our thoughts helps us to create make-believe situations. But what’s not imagined is the effect it has on your organs and your systems. What is imagined is you feeling whole and complete to go about living your life in the reality that you have healed. What is real and not imagined is going to see a consulting hypnotist, and that it does help.

HEALTH DIRECTORY

ACUPUNCTURE

Eastern Medical Holistic Healing Center, Angel Wood, 240755-5925. www.acupuncture4wellness.webs.com

ALTERNATIVE HEALTHCARE

Holistic Family Health - Thermal Imaging, Herndon, VA. 703-635-6324 For More information visit www.fhtid.com

BEAUTY/SKIN

A Better You, Dr. ClarkeBennett, 410-672-2742. Essences of Jamal of DC – 202839-0657. Worlds Best SheaButter, Rose-Water Butter, Hemp Seed Oil, Nag Champa Incense, Sage Smudge Sticks, Jumbo Incense Sticks, TeaTree Oil. Price List Available. 202-839-0657 – JamalofDC@ gmail.com.

BREAST HEALTH

University of Maryland Charles Regional Medical Center. 11340 Pembrooke Square, Suite 202, Waldorf, MD 20603. 240-607-2010. UMCharlesRegional.org

CHINESE MEDICINE & ACUPUNCTURE

Wholelife Chinese Medicine & Acupuncture, 301-526-9898, 416 Hungerford Dr., Rockville www.wholelifeherb.com

DENTISTRY

Karl A Smith, DDS, 2550 N. Van Dorn St., Suite #128, Alexandria, VA. Call 703-894-4867, Visit www.drkarlsmith.com

DENTISTRY

Richard Hughes, DDS, 703444-1152, 46440 Benedict Drive Suite #201, Sterling, VA. www.SterlingImplantDentist. com

EYE CARE

Visual Eyes, Alexander Nnabue OD, 301-324- 9500. HYPNOSIS

Toni’s Happy Hour Yoga and Holistic Wellness Center • 6504 Old Branch Avenue, Temple Hills, MD 20748 • 301-449-8664.

MEDICAL SPACE

Charles L. Feitel Company, 301-571-9333, www.medicalanddentalspace.com.

MENTAL HEALTH SERVICES

House Calls, LLC. 301-3466732. callingonbeth@gmail. com. www.CallingOnBeth.net.

NUTRITION

Nutritional Healing Center, Thomas K. Lo, DC, MA, 240-651-1650, 7310 Grove Road, Suite 107, Frederick, MD 21704. doctorlo.com.

(Each line approximately 3-4 words)

NUTRITION

Good Health Nutrition Services,LLC – 1300 Mercantile Lane, Suite 129-37, Largo, MD 20774 – 301341-4680 – www.ghnutritionservices.com – We accept Insurance.

OPHTHALMOLOGY

NewView Laser Eye Center – Jacqueline D. Griffiths, MD – Reston (703) 834-9777 – Visit us at www.NewViewEye.com.

ORAL & FACIAL

SURGERY

Northern Virginia Surgical Arts – 703-998-3971 – 611 South Carlin Springs Road, Suite #308, Arlington, VA 22204 For more info visit us online at www.NOVASurgicalArts.com.

ORTHODONTICS

All Smiles Orthodontics – 9010 Lorton Station Blvd., Suite #260, Lorton, VA 22079 – www. AllSmilesBraces.com – For info call us at 703 337-4414.

Jacqueline Brown Bryant DDS, MS, PC, Damon, Clear Braces & Invisalign for Adults And Children. Silver Spring, Maryland 20910 www.smileconstructors. com 301-587-8750 .

To Order: Include you NAME, ADDRESS, PHONE, EMAIL AND WHAT HEADING YOU WISH TO BE LISTED UNDER, AND ANY SPECIAL OFFER OR TEXT TO INCLUDE. We will prepare a proof and email to you for approval.

Email your information to: info@yourhealthmagazine.net or Fax to: (301) 805-6808. Call (301) 805-6805 for assistance.

WASHINGTON, DC EDITION

MARYLAND/WASHINGTON, DC OFFICE

4201 Northview Drive, Suite #102, Bowie, MD 20716 phone: (301) 805-6805 • fax: (301) 805-6808 • email: Info@YourHealthMagazine.net VIRGINIA OFFICE phone: (703) 288-3130 • fax: (703) 288-3174 • email: Publish@YourHealthMagazine.net

PEDIATRICS

Loving Care, Janet Johnson, MD – Hyattsville, MD – 301403-8808.

PHYSICAL THERAPY/ REHABILITATION

Active Physical Therapy. Various Locations across Maryland and Washington, DC. Active-physicaltherapy.com.

PODIATRY

Arlington Podiatry Center, Edward S. Pozarny, DPM 703-820-1472. 611 S. Carlin Springs Road, Suite #512, Arlington VA.

PODIATRY

Largo Foot and Ankle Health Center, Ade Adetunji, DPM, 301-386-5453.

SENIOR CARE

Chevy Chase Home Care. Help at a time you need it most. Any Ages. Any situations. Any shifts. MD, DC, VA. www.CHCHhomecare. com 202-374-1240.

YOGA

Toni’s Happy Hour Yoga and Holistic Wellness Center –6504 Old Branch Avenue, Temple Hills, MD 20748 –301-449-8664.

SUBSCRIBING IS EASY:

1) Call 301-805-6805 with your name, contact info, and credit card payment for $24, or

2) Simply mail this form along with your check for $24:

Your Health Magazine 4201 Northview Dr. Suite 102 Bowie, MD • 20716

Now you can get the latest issues delivered directly to your home!

• Health articles and advice

• Doctors near YOU!

• Maryland, Washington, DC & Virginia editions

• Only $24 for a year’s subscription (12 issues)!

Ready To Get Healthy?

Your HEALTH Magazine publishes and distributes health information people need. We produce special sections to focus on particular health topics each month, and profiles of local health professionals. It Makes a Difference! Here’s what you can look forward to:

December HEALTHY HOLIDAYS plus NEW YEAR, NEW YOU! – Professionals to help you and your family have a happy, healthy Holiday Season, plus professionals to help you lose weight, get fit, and eat better in the New Year! Will include Profiles from your Local Healthy Holiday & New Year Health Professionals.

January MEET YOUR LOCAL HEALTH PROFESSIONALS – Biographical profiles of a wide variety of local health professionals (Primary Care, Specialists, Integrative, Fitness, and more), highlighting their credentials, expertise, education, practice philosophy, areas of interest, and more!

February CARDIO HEALTH and DIABETES – Professionals to help you keep your Heart Healthy, Diet in check, Diabetes under control, Quit Smoking, and Sleep Sound. Will include Information and Profiles from your Local Heart, Stroke, Diabetes, and Fitness Professionals.

March COMPLEMENTARY and INTEGRATIVE HEALTHCARE – Chiropractic, Hypnotherapy, Holistic Healthcare, Nutritional Therapy, Acupuncture, Yoga, Physical Therapy, and much more! Will include Profiles from your Local Integrative Health Professionals.

April BEAUTY, SKIN CARE, & GORGEOUS SMILES – Dermatology, Aesthetics, Body Contouring, Plastic and Cosmetic Surgery, the Latest Lasers, Anti-Aging, Weight Loss, Cosmetic Dentistry, Eye Wear, and more! Will include Profiles and Information from your Local Beauty and Dental Health Professionals.

If you are a Health Professional interested in including your

As a leader in the wig and hair restoration industry for over 20 years, we know that hair loss is a personal—and often emotional—experience. When you walk through the door at Bravadas Wigs & Hair Restoration, you’ll find a welcoming, private studio that is focused on one goal: help you feel good about your hair.

Serving men and women across the country, Bravadas has one of the largest selections of high-quality wigs and hair toppers. At select locations, we also offer hair extensions, hair systems for men and women, trichological treatments, and laser hair therapy.

Wigs

For progressive hair loss; easily change up your style.

Toppers

For thinning hair or partial hair loss; cover a widening part.

Extensions

For thinning hair or partial hair loss; fill in length and volume.

Women’s Hair System

Lasting, non-invasive solutions for women’s hair loss.

Men’s Hair System

Lasting, non-invasive solutions for men’s hair loss.

Prevention & Regrowth

Treatments and products to slow down or stop hair loss.

Turn static files into dynamic content formats.

Create a flipbook
Issuu converts static files into: digital portfolios, online yearbooks, online catalogs, digital photo albums and more. Sign up and create your flipbook.