Washington DC October 2024

Page 1


Michael Whalen, MD Urologic Oncology
Rami Makhoul, MD and Matthew Skancke, MD
Rex Hoang, DMD General Dentistry
Evan Taff, Owner Mental Health Rehab Service

COSMETIC SURGERY

• Breast Augmentation

• Abdominoplasty (Tummy Tuck)

• Liposuction

• Hair Transplants

• Mommy Makeover

• Facial Surgery

NON-INVASIVE TREATMENTS

• Botox®, Dysport® , Xeomin®*

• BellaFill®

• Juvederm*

• Restylane®*

• TempSure Envi

• Endermologie

• Zerona

• Lipolight

LASER TREATMENT

• Hair Removal

• Vein Treatment

• Laser Resurfacing

WELLNESS SERVICES

• Bioidentical Hormones (BHRT)

• ED Treatment for Men

4407 Willard Avenue Chevy Chase, MD 20815 (Across from the Friendship Heights Metro)

• Medical Weight Loss NON-INVASIVE BODY CONTOURING

Zerona® - The first non-invasive body contouring procedure to effectively remove excess fat. AND

Edermologie Lipo Massage Cellulite Treatment Combined Package of 6 Each - $499.00

In the United States this year, 700,000 people and one out of every four post-menopausal women will suffer from a painful bone injury called a vertebral compression fracture. This common type of bone injury results in the collapse of a vertebra, a type of bone that makes up the spine. Although there is a safe, effective, and minimally invasive therapy available, two-thirds of these fractures fail to be diagnosed. This is unfortunate, as missing this condition can result in under-treated pain, limitations on daily activities, breathing problems, and dependence on dangerous pain medications.

Bone density in both women and men starts to decrease after age forty, but the loss of density greatly accel erates after women enter menopause and can progress to osteoporosis, a disease characterized by very low bone density. Although most compres sion fractures occur in patients with osteoporosis, one-third of vertebral compression fractures occur in pa tients without osteoporosis.

If a fracture occurs suddenly, patients can experience sudden severe back pain that often wraps around the sides and is felt in the chest. Because of this, it is sometimes confused with diseases of the heart or the lungs. The pain is often worse when standing, sitting-up, or walking around. If very severe, the patient can have trouble breathing.

Kyphoplasty Treatment For Spinal Compression Fractures

kyphoplasty that can quickly, safely, and effectively treat a patient’s pain without the long-term use of opioids and other pain medications.

If an acute compression fracture is present on an MRI, a patient should be referred to a pain management physician or another physician who performs kyphoplasty. This procedure can often be performed in a doctor’s office, preventing the need for an overnight stay in a hospital. On the day of the procedure, the patient is given a medicine to relax and then is asked to lie on their belly. An x-ray machine

is then used to locate the fractured bone and a narrow tube is placed into it through a very small opening in the skin. A small balloon is inflated within the bone to create a small space and the fracture is then filled with bone cement. The entire procedure can take as little as 45 minutes. Many patients feel immediate pain relief and are able to return to their daily lives the day after the procedure. However, some patients may take a week or longer to feel better.

Kyphoplasty most successfully reduces a patient’s pain within two

Patients who have symptoms of a fracture should see their doctor for evaluation. After an examination that suggests a vertebral compression fracture, they will often be sent for an MRI. This imaging shows the level of the fracture and also reveals whether it is old or new. Some doctors treat compression fractures with pain medicine, physical therapy, and bracing. However, many cases continue to cause severe pain and long-lasting health effects unless treated more definitively. Unfortunately, many patients and physicians are not aware that there is a minimally invasive procedure called

weeks following a fracture. Unfortunately, if the window of opportunity is passed, the pain can become more challenging to treat and further complications can occur.

If you think you or someone you care about is experiencing symptoms of a vertebral compression fracture, be reassured that there are safe, effective, and minimally invasive therapies available. Schedule an initial pain evaluation at Georgetown Pain Management to determine if you’re eligible for kyphoplasty or other pain therapies. Most insurances are accepted and new patient evaluations are currently being scheduled. As awareness of this condition increases and more patients are offered kyphoplasty as a minimally-invasive therapy, it is hopeful that fewer patients will have to live with the severe pain that results from vertebral compression fractures and can return to their full lives more quickly and comfortably than before.

Do Something About Your PAIN

Netsere Tesfayohannes, MD, ABA, ABAP Medical Director

In This Edition…

Health: A New Model | By Evan Taff, Owner

| Detecting and Preventing Urologic Cancers | By Kari Bailey, MD 19 | Future Fertility: A Case For Funding | By Yemi Adesanya-Famuyiwa, MD 23 | Leading the Way in Advanced Root Canal Care | By Angela Noguera

BabyLase™: The Gentle Solution For Infant Tongue Tie and Lip Tie | By Lynda Dean-Duru, DDS 32 | Acupuncture For Side Effects Of Cancer | By Quansheng Lu, CMD, PhD, LAc

Roshell Day Spa & Health, LLC

39 | Oral Cancer: What You Need To Know | By Marvette Thomas, DDS

Your Health Magazine is on a mission. There are far too many people, insured or not, who do not go to the doctor when they should, and in millions of cases, don’t know who they should go to, or why.

People are encouraged to buy a new house, car, cell phone or big screen TV, and those companies make themselves very visible and their products easily attainable.

Information about, and from, local healthcare providers is not easy to find, and many times those services are difficult to access.

Information and encouragement always lowers fear and trepidation about anything, and this is especially true in healthcare. While general information is available on web-sites, specific information from local providers is almost impossible for people to find. This is one of the key reasons chronic and episodic conditions are not cared for. It is our mission to:

Make A Difference By Empowering and Encouraging People To Live Healthier By Going To the Doctor When They Should.

There is a lot of evidence that the health professionals who participate in Your Health Magazine have helped many people over the years. We at Your Health Magazine salute you!

If you would like to find out how you can participate in one of our upcoming editions, please contact the office nearest you.

MARYLAND & WASHINGTON, DC OFFICE One Town Center 4201 Northview Drive, Suite 102 Bowie, MD 20716 Office (301) 805-6805 • Fax (301) 805-6808 info@yourhealthmagazine.net

VIRGINIA OFFICE Office (301) 805-6805 info@yourhealthmagazine.net

© Your Health Magazine, 2024. The magazine and all of its contents are protected by copyright. For permission to reproduce any materials in this magazine, contact info@yourhealthmagazine.net

EDITOR-IN-CHIEF

Gregory

You probably know family and friends whose lives were cut short by heart disease or cancer. Then you ask yourself “Is there any way to keep that from happening to me?” The answer is “yes.” Today there is a simple non-invasive test that can often identify these illnesses in their earliest stages, when they can most effectively be treated and cured.

It’s called the Virtual Physical. The Virtual Physical takes less than twenty minutes and is a safe, painless, high-speed full Body, Heart and Colon scan. It has already saved many lives by uncovering many illnesses like cancer, heart disease, aneurysms, and tumors.

The Virtual Physical is a test that gives you the advantage in finding diseases and abnormalities at their early stages, long before symptoms occur.

Make the choice that could save your Life.

Isn’t that refreshing? Is it a better idea to focus on health -vs- an outdated, invasive fear-based strategy – year after year? We think so.

For most Americans, the word

October Is Breast HEALTH Awareness Month!

Cancer is constantly bombarding someone in our inner circle.

It is scary, very emotional and ugly. We are fearful for ourselves, our family, our friends and neighbors.

The word Mammogram also has a negative connotation for most - pain, fear, the “what if they find something” factor.

There are other options for women!

Thermography screenings are the best breast test you probably have

never heard of. The technology has been around for over 50 years. The screening is very easy, safe, affordable and performed without harm – (no compression, no radiation) or fear driven. It is information driven.

The more information you have, the better the outcome. It has always been our philosophy.

For most of our women clients, it is their go-to test along with their yearly physicals. For a few others, it is their main breast diagnostic tool –

along with an occasional ultrasound (or mammogram).

What Is Thermography?

Thermography is infrared imaging for the breasts and body that is a non-invasive method to determine stagnant fluid, inflammatory processes and vascularity that may be occurring – years before other tests can see it. This scan looks at temperature and symmetry of each breast to determine if activity is present.

How Can We Reduce Our Risk Factor?

There are many easy techniques to help and promote breast health.

Although there are a few things that can’t be eliminated (like family gene mutations), there are many we can avoid or reduce – such as estrogen use (HRT, birth control) smoking, poor diets – and yes, radiation exposure.

Preventative measures include: Eliminating (or reducing) sugar, soda, alcohol and carbohydrates. An alkaline/anti-inflammatory diet is ideal. Dry brushing underarms toward the chest area can break up lymphatic congestion - and an essential oil protocol (including frankincense, lavender and lemon) can reduce tenderness, inflammation and fibrocystic activity.

We have a full list of preventatives to share (just ask)! We are truly dedicated to women’s health and education!

Normal findings
Suspicious findings

Non-Urgent Medical Transport

Safe and Reliable Access To Healthcare

Non-urgent medical transportation (NEMT) plays a crucial role in ensuring that individuals can access routine medical appointments and services, especially for those who face mobility challenges or chronic conditions. This type of transportation is designed to assist patients who need help traveling to their medical appointments but do not require emergency care.

Ambulatory transport is one of the primary services provided. This type of service is tailored for individuals who are generally mobile but might need some assistance getting in and out of vehicles or navigating obstacles like curbs and stairs. Vehicles used for ambulatory transport are often equipped with features that facilitate easy entry and exit, ensuring a smoother experience for passengers.

For individuals who rely on wheelchairs, whether manual or electric, wheelchair transport services are essential. These services use specially equipped vehicles that can accommodate and secure wheelchairs during travel. This includes vehicles with ramps or lifts to help wheelchairs enter and exit safely, as well as securement systems to ensure the wheelchair remains stable throughout the journey.

Stretcher transport is another critical service for those who are bedridden or unable to sit up. This service involves transporting patients lying on a stretcher, typically with the help of two attendants to ensure their comfort and safety. Vehicles for stretcher transport are specially designed to secure the stretcher and provide a smooth ride, which is essential for patients with more severe mobility limitations.

Please see “Medical Transport,” page 38

Must be D.C to D.C pick up • Transportation is Curb to Curb Wheelchair transport: Weight with a patient must be no more than 225lbs.

The Truth About Hypnotherapy

Tobacco Related Habits, and Cancer You Can Stop Smoking, Vaping Or Chewing Tobacco

out of four lung cancer deaths, as well as other cancers and chronic diseases.

Consider this:

• Cigarette smoking causes three

• There are 7,000 chemicals in a cigarette, at least 100 of them are known cancer causing agents.

• A recent study concluded that smoking attributable deaths will

remain relatively stable at approximately 450,000 until 2030.

• Poisons in cigarette smoke can damage or change a cell’s DNA, which may lead to a cell beginning to grow out of control and creating a cancer tumor. They also weaken the body’s immune system, mak-

ing it harder to kill cancer cells.

• Smoking can cause cancer almost anywhere in your body, including the blood, bladder, cervix, colon, rectum, esophagus, kidney, renal pelvis, larynx, liver, lungs, trachea, bronchus, mouth, throat, pancreas, and stomach.

How Hypnosis Helps You

Hypnotherapy is more comprehensive and arguably more beneficial than most other methods of releasing this habit. Habit cessation sessions generally include:

1. A Pre-work Ritual. You may be asked to throw away everything related to the habit and change the environment in which you engage in the habit.

2. An Educational Component. This helps to refresh your memory about the risks of continuing the bad habit and the benefits of releasing it.

3. The Goal Analysis. The hypnotherapist interviews you about your personal experience with the habit in detail so that they can customize the hypnosis to fit your unique history, behavior and attitudes.

4. The Hypnosis. You will be guided into a state of relaxation and focused concentration, where your mind is more open to suggestion. If you are in agreement with the suggestions, you are more likely to accept and follow through with them.

Therapeutic suggestions commonly address:

• early associations with the habit (reasons for starting)

• negative aspects of the habit

• secondary gains

• advantages and disadvantages of releasing this habit

• what you might miss about the habit

• beliefs about cravings and withdrawal

• help you imagine your happy future without the habit

It is beneficial to record the hypnosis and listen to it every day for a week and then as needed.

Quitting a tobacco related habit is one of the most significant steps you can take toward improving your health and reducing your risk of cancer.

Understanding Periodontal Disease

Etiology, Risk Factors, and Why It Can’t Be Cured

Periodontal disease, often referred to as gum disease, is a chronic inflammatory condition that affects the tissues surrounding and supporting the teeth. Its progression can lead to severe consequences such as tooth loss, bone destruction, and systemic health issues. Understanding the etiology and risk factors of periodontal disease is key to managing and preventing its progression, though achieving a complete cure remains elusive.

Etiology Of Periodontal Disease

The primary cause of periodontal disease is the accumulation of bacterial plaque on the teeth and gums. Plaque forms when bacteria mix with saliva and food particles, creating a sticky film that clings to the tooth surfaces. When not properly removed through regular brushing and flossing, plaque hardens into tartar (calculus), which can only be removed by a dental professional. The presence of tartar under the gumline irritates the gums, triggering an inflammatory response that leads to gingivitis, the early stage of periodontal disease. If left untreated, gingivitis can progress to periodontitis, where the inflammation affects not only the gums but also the supporting structures of the teeth, including the bone. The body’s immune response to the bacterial infection results in tissue breakdown and bone loss, ultimately leading to tooth instability.

Risk and Compounding Factors

While plaque buildup is the pri-

mary cause, several risk factors can increase an individual’s susceptibility to periodontal disease. These include:

• Poor oral hygiene: Inadequate brushing and flossing allow plaque to accumulate.

• Tobacco and Vaping use: Smoking and chewing tobacco are major risk factors that worsen gum disease.

• Genetics: Some people are genetically predisposed to gum disease despite maintaining good oral hygiene.

• Systemic conditions: Diabetes, heart disease, obesity, and autoimmune disorders can increase the likelihood of developing periodontal disease.

• Hormonal changes: Pregnancy, menopause, and puberty can increase gum sensitivity and inflammation.

• Medications: Certain medications that cause dry mouth reduce saliva flow, increasing plaque buildup. Other medicines combined with poor home care may cause the overgrowth of gums leading to

gross inflammation and loss of supporting bone around the teeth.

• Stress: Periods of prolonged stress increase the level of cortisol that results in elevated levels of systemic inflammation causing the worsening of the severity of bone loss and making treatment less efficacious.

The Concept Of a Cure: Why Periodontal Disease Cannot Be “Cured”

Periodontal disease is a chronic condition, meaning it can be managed but not completely cured. Treatment focuses on controlling infection, reducing inflammation, and preventing further damage. Once bone loss occurs, it cannot regenerate naturally. Maintenance through regular dental visits, improved oral hygiene, and lifestyle changes are essential to keeping the disease in check.

In essence, while periodontal disease can be controlled, the damage it causes is often irreversible, making prevention and early treatment critical in maintaining oral health.

Periodontist In Washington, DC

Maintaining good dental hygiene is crucial, and Dr. Marc Stanard, a periodontist and specialist in surgical implant dentistry, can help you achieve healthy teeth comfortably. We offer a wide range of specialized procedures and services to cater to your periodontal needs, such as bone surgery, scaling, and root planing, gum grafts, crown lengthenings, and sinus lifts.

Why you should choose Dr. Marc Stanard:

• We provide advanced, affordable dental care tailored to meet your unique needs.

• Our team offers oral hygiene instruction and education on gum disease, bone loss, and other dental health conditions.

• Dr. Marc Stanard has decades of experience and a passion for his work, and he’s earned numerous designations, affiliations, and awards, including Top DDS by Washingtonian and high ratings on Google and Yelp.

• Our office is friendly and welcoming, making it the perfect place to receive top-quality dental care.

Gout is a common yet painful form of arthritis that occurs when excess uric acid in the blood forms sharp crystals in the joints, typically affecting the big toe. These sudden flare-ups can cause intense pain, swelling, and redness, making even the lightest pressure unbearable. Managing gout effectively involves a combination of lifestyle changes, dietary adjustments, and medical treatments to prevent flare-ups and reduce long-term complications.

Understanding the Causes Of Gout

Uric acid is a byproduct of the breakdown of purines, which are substances found in certain foods and beverages, including red meat, shellfish, and alcohol. Normally, uric acid is dissolved in the blood and eliminated through the kidneys. However, when the body produces too much or fails to excrete enough, uric acid accumulates and forms crystals in the joints, leading to gout attacks.

Lifestyle Modifications

One of the most effective ways to manage gout is by making lifestyle changes. Weight management is crucial, as excess weight increases uric acid production. Regular physical activity, particularly low-impact exercises such as swimming and cycling, can improve joint mobility and reduce the risk of gout attacks.

Staying hydrated is another important strategy. Drinking plenty of water helps flush out excess uric acid, preventing it from crystallizing in the joints. Aim for at least 8 glasses of water a day, and avoid sugary drinks, which can increase uric acid levels.

Dietary Adjustments

Diet plays a significant role in managing gout. To prevent flare-ups, limit the intake of purine-rich foods such as red meat, organ meats, and certain types of seafood. Alcohol, particularly beer, can also increase uric acid levels and should be con-

Managing Gout: A Guide To Relief and Prevention

sumed in moderation or avoided altogether.

Instead, focus on a diet rich in vegetables, fruits, and whole grains. Cherries, in particular, have been shown to reduce uric acid levels and decrease the frequency of gout attacks. Low-fat dairy products can also help lower uric acid levels, making them a good alternative protein source.

Medical Treatments

For those who experience frequent or severe gout attacks, medi-

cations may be necessary. Nonsteroidal anti-inflammatory drugs (NSAIDs), corticosteroids, and colchicine are commonly prescribed to reduce pain and inflammation during flare-ups. Longterm medications such as allopurinol or febuxostat can help lower uric acid levels and prevent future attacks. By adopting these strategies, you can effectively manage gout and lead a healthier, more com-

UltraClear Laser Can Correct Numerous Skin Concerns

WellMedica Cosmetic Laser Surgery Center is delighted to offer their patients the latest innovation in noninvasive laser treatments to produce a more youthful and healthy appearance with noticeable results in just one session. Dima Ali, MD, founder of Reston’s premier aesthetic laser practice, recently introduced the UltraClear, the first and only cold fiber laser to hit the

market and become available to leading cosmetic surgeons.

As a renowned expert in agereversal technologies, Dr. Dima prides herself on incorporating aesthetic innovations into her practice. Her newest technological advance, the UltraClear System is FDA cleared to improve a broad range of skin concerns, ranging from facial lines, sun damage and scars to deep wrinkles, crinkles around the eyes and age spots from the hairline to the neck with utmost safety, high patient comfort and minimal downtime. The advanced laser technology, which perfectly balances cold and thermal laser energy, is suitable for all skin tones and all ages, delivering an exceptionally rewarding patient experience.

“I’m excited to empower our amazing community with personalized treatment options that restore their inner health and rejuvenates their outer appearance with true harmony and balance,” said Dr. Dima, who has served the Reston community for 25

years. “The versatility of UltraClear makes it ideal for treating a vast array of skin conditions, notably line, age spots, acne scars and discoloration, by effecting multiple skin layers to generate healthy new skin cells. It is also a fantastic solution for prejuvenation and age-reversing 20-minute lunchtime treatments that helps stimulate deep collagen remodeling and elastin synthesis on all skin colors and age groups.”

Dr. Dima Ali is Board Certified by the American Board of Laser Surgery and the American Board of Anti-Aging Medicine, as well as a Fellow of several professional organizations. Her patients praise her for her compassion, professionalism, and artistic ability to restore youthful beauty with natural-looking results. A peer teacher and in-demand invited guest speaker, Dr. Dima has been featured in the media, including CBS News, Dermatology Times, Vogue, YourHEALTH, Healthy Aging and Life & Style Magazine

Dima Ali, MD

Dr. Dima Ali is the Founder and Medical Director of WellMedica Aesthetic & Anti-Aging Medicine in Reston, VA, a practice focused exclusively on cosmetic dermatology, laser surgery, anti-aging medicine as well as promoting, advancing and standardizing the field of Aesthetic Medicine.

Dr. Dima has over 20 years experience of proven excellence as an educator and expert in technological and aesthetic innovations and is known for treating many of Washington DC’s political elite. Her areas of expertise include aesthetic laser surgery, skin tightening technologies, non-invasive body contouring, fat grafting, advanced dermal filling, neurotoxins, chemical peels, sclerotherapy, vaginal rejuvenation, skincare formulations and bio-identical hormone replacement therapy. She is a graduate of the George Washington School of Medicine and is Board Certified by the American Board of Laser Surgery. Dr. Dima is a Fellow of the American Academy of Laser Medicine and Surgery, a speaker for The American Academy of Cosmetic Surgery, a Faculty member of both The American Society of Cosmetic Physicians and The American Academy of Aesthetic Medicine. She has been nominated five times for the Aesthetic Awards and holds the title for ‘Best Overall Facial Makeover.’ She is a Key Opinion Leader and Trainer for industry leaders such as Venus Concept, Syneron-Candela, Suneva Medical, Thermi Aesthetics and Nova Threads. Dr. Dima also serves as an expert in laser related litigation.

When a patient goes to their TMJ doctor, it is vitally important to make sure that certain technologies are used in order to get a good diagnosis and even greater treatment. In this article we will be looking at the merits of the dedicated Tesla coil, the x-rays to look at the jaw joints, the digital impression scanner, and the ever so important computer.

When it comes to getting a really great MRI of your TM joints, it is really important to be sure that the imaging center has a Tesla coil dedicated for this kind of work because it is so sensitive and can allow us to see the articular discs much better than some older technology. In too many cases, the MRI is done with an inferior machine and the reading is simply not that precise. This will often lead to a misdiagnosis and a path of treatment that costs lots of money, time, and frustration.

Another piece of technology in getting proper TMJ treatment involves the x-ray equipment. It is important first of all to go with “green” technology, i.e. low dose radiation and three-dimensional imaging. The 3-D imaging comes in really handy when the doctor wants to see what’s going on behind and around the corners of various bones, especially the condyle or jaw bone. This information helps when trying to correlate to the findings of the MRI; do the slipped discs make sense and is that why the jaw bone has shifted in that direction?

A very fun and very special advancement when it comes to doing braces to finish up a TMJ patient is the digital impression system. This system basically uses a camera to videotape the teeth and the computer effectively “stitches” all the videos together to show the lab what the teeth look like. In addition, the digital impressions are the most accurate way to see the teeth and jaw bones. Then, the braces manufacturer

Why TMJ Technology Is So Important

uses a device to “cut’ each bracket to the best fit possible for every individual tooth. This means that each bracket is custom made, by hand (the hand of a computer guided laser that is) to the proper tip and torque needed to achieve the best result in the shortest time possible. Think of it like GPS for your trip up to Canada

the computer will design the least difficult, quickest, and most efficient path to get you there.

Let’s not forget to give mention to our old friend, the computer, which has advanced so much in recent years that we have become used to it running on terabytes, not kilobytes, of storage and how fast

We

the processors have become. Without the computer, we could not show the patient the wonderful world of digital x-rays and show them how their progress has changed. The computer and all these other technologies have surely changed our world, and made treatment better and easier for patients.

NOT Your Typical Dental Office

Dr. Jeffrey Brown has limited his practice to focus only on TMJ Disorders, Craniofacial Pain Management and Sleep Apnea. By fixing slipped discs in the jaw joints, Dr. Brown can significantly reduce the pain patients experience in the head/neck region and other symptoms associated with jaw joint problems. Sleep & TMJ Therapy may be able to improve the quality of life for you or a loved one – we encourage you to contact us with any questions or concerns.

“Dr. Brown and his staff are absolutely wonderful. I was diagnosed with Dystonia. I could not turn my head and had a ton of pain. My doctors offered no help and no advice besides Meds and Botox. Since having the appliance I have NO pain and I can turn my head. I would highly recommend them to anyone. I feel Dr. Brown and his staff really care about their patients and helping them to get better. They do not just numb the symptoms but fix the problem. Thank you from the bottom of my heart. I feel like the old me again!” -

“My daughter has been treated by Dr. Stack and Dr. Brown for the last 2 1/2 years, and we are very fortunate to have found them. Prior to that she was being treated by a neurologist at a Children’s hospital. She was on medications for tics and associated muscle pain, OCD/repetitive thoughts, sleeplessness and more (all possibly associated with Tourettes). Drs. Stack and Brown installed spacers to alleviate pressure on nerve bundles in the jaw, and subsequently braces to complete the process. Her symptoms have diminished significantly. She is off medication, her tics have all but disappeared, she can concentrate better in school, and she is once again cheerful and relaxed.” - Susan

Jeffrey L. Brown, DDS

Take Charge of Your HEALTH!

LEARN HOW TO…

• Manage menopause with diet

• Eat optimally during pregnancy

• Prevent cancer with diet

• Lose weight and keep it off

Dietitian who

answer all your nutrition questions and guide you to a program specifically for you. We will work with your doctor to help you succeed in your

• Better control your eating behavior

• Know which healthy foods you should eat

• Control your blood pressure

• Improve your health overall

• Manage your blood sugar

• Lower your cholesterol

Dr. Florence Omerennah – Registered Dietitian/Diabetes Educator

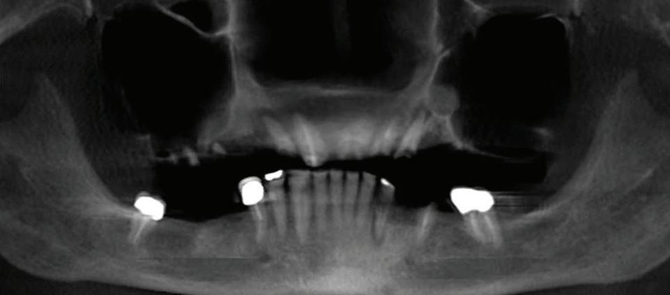
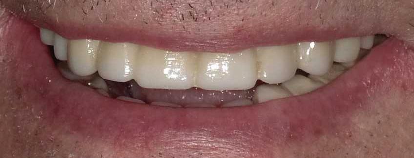
Can just four implants replace all of the teeth on the top or the bottom of your mouth? Thanks to advances in dental implant technology, that answer is a resounding yes.

Believe it or not, tooth loss is extremely common among adults, especially as we age. In fact, more

than 35 million people in America are missing all of their upper and/ or lower teeth. Rather than living with the discomfort and hassles of dentures, many people are opting for what is called “all-on-four” dental implant restoration.

All-On-Four: One Full Arch Of Teeth, Four Dental Implants

To fully understand this remarkable technique for replacing teeth, you should first understand what a dental implant is. An implant is a small titanium screw that fits inside your jawbone and replaces the root-part of a missing tooth. Minor surgery is required to insert the implants. Once the implant is in place, a crown is attached to give you a highly realistic-looking and functional prosthetic tooth.

Here’s where it gets really interesting: You do not need a dental

Please see “All-On-Four,” page 38

There Is No Health Without Mental Health A New Model

Residential placement for individuals with chronic emotional challenges and wraparound services in the Metro MD/DC area.

Transition House offers a model for statewide residential placement and home-based behavioral health services. We provide services for adults and seniors dealing with anxiety, depression, post-traumatic stress, obsessive-compulsive disorder, autism spectrum disorders, schizophrenia, bipolar disorder, aging-related issues, and the onset of mental health and medical diagnoses. Our mission is to bridge the gap between crisis centers, hospitals, and long-term housing solutions, offering a holistic and compassionate approach to mental health care.

Wraparound resources are offered to individuals and/or families, from finding housing to utilizing our specialists in nursing, medication management, and coaching/therapy. Our goal is to provide the emotional and practical support needed to prevent extreme isolation and escalated mental health challenges.

Individuals can be in their own homes, a facility, or a Transition House residence and still benefit from a normalized environment that prevents escalation of their acute or chronic emotional challenges. Utilizing daily activities such as fitness, recreational therapy, nurse visits, Zoom sessions with doctors, and daily life coaching enables individuals to maintain a quality of life, whether they

need 24/7 care or flexible supervision.

We believe that everyone deserves the opportunity to lead a fulfilling life, regardless of the challenges they face, and we are committed to providing the support needed to achieve this. Casedirected coaching is crucial for families in turmoil due to their loved one’s mental health challenges. Care management at the residence helps mentor individuals, ultimately increasing their motivation and coping skills. Consultation and coordination with the entire team enable clients to receive individualized assessments and ongoing evaluation for measurable outcomes. Whether residential placement with mental health services is short or long term, Transition House focuses on supporting families to prevent turmoil and giving people a chance to explore their potential. Family coaching and regular residential sessions foster effective living with others.

Holistic sessions offer a wellrounded approach to care for seniors needing a more monitored living arrangement. Dedicated case management, focusing on respite, calm, reiki, and mental stimulation, ensures continued daily living enrichment. Organized team meetings with doctors and psychiatrists are essential when adjusting care plans. Transition House case management professionals assist in mediating, advocating, installing advanced technology, switching doctors if necessary, and advocating on behalf of individuals and families to existing programs and/or professionals. The variety of specialists under the Transition House umbrella creates an interdisciplinary, innovative residential model that can be implemented in any setting, no matter where a person lives. Individualized lifestyle planning fosters motivation and intrinsic rewards at any age.

For more information, call 301201-3940, email evan@livingthroughchange.com, or visit us online at livingthroughchange.com.

Detecting and Preventing Urologic Cancers What You Need To Know

Urologic malignancies encompass a range of cancers that affect the urinary system, including the kidneys, bladder, ureters, prostate, and testicles. These cancers present unique challenges in diagnosis, treatment, and management, making awareness and education essential for both patients and healthcare providers.

Types Of Urologic Malignancies

Kidney Cancer: Renal cell carcinoma (RCC) is the most common type of kidney cancer. Risk factors include smoking, obesity, and hypertension. Symptoms may include blood in urine, persistent back pain, and unexplained weight loss. Early detection is crucial, often achieved through imaging studies such as ultrasound or CT scans.

Bladder Cancer : This is characterized by malignant growths in the bladder lining. The most common symptom is hematuria (blood in urine). Risk factors include smoking, exposure to certain chemicals, and chronic bladder infections. Diagnosis often involves cystoscopy and biopsy, while treatment may include surgery, chemotherapy, or immunotherapy.

Prostate Cancer: One of the most prevalent cancers among men, prostate cancer typically grows slowly and may not present symptoms in early stages. Risk factors include age, family history, and race. Screening methods like PSA (prostate-specific antigen) tests are vital for early detection. Treatments vary from active surveillance to surgery and radiation therapy.

Testicular Cancer : Although rare, testicular cancer is the most common cancer in young men aged 15 to 35. Symptoms might include a lump in the testicle, swelling, or discomfort. Self-examinations are encouraged for early detection as early stage cancers have cure rates above 90%. Treatment usually involves surgery, and may involve chemotherapy and radiation.

Ureteral Cancer : This malignancy affects the ureters, the tubes connecting kidneys to the bladder. Symptoms can be similar to those of kidney or bladder cancer. Diagnosis often requires imaging and biopsy. Treatment options depend on the stage and location of the cancer.

Risk Factors and Prevention

Understanding risk factors is crucial for prevention and early detection. Modifiable factors include lifestyle choices such as smoking cessation, maintaining a healthy weight, and reg-

ular exercise. Additionally, awareness of family history can guide individuals in discussing screening options with their healthcare providers.

Diagnosis and Treatment

Diagnosis of urologic malignancies typically involves a combination of physical exams, imaging tests, and laboratory tests. Biopsies are often necessary to confirm the presence of cancer. Once diagnosed, treatment plans are tailored to the individual’s needs and may involve surgery, radiation therapy, chemotherapy, or targeted therapies.

The Importance Of Early Detection

Early detection significantly improves the prognosis for patients with all types of cancer, including urologic malignancies. Regular check-ups and discussions about risk factors and symptoms with healthcare professionals based on your individual lifestyle and habits. For instance, men over 50 or those with a family history of prostate cancer should consider regular screenings with PSA and/or DRE.

Innovative Treatments

Future Fertility: A Case For Funding

Cancer Diagnosis and Future Fertility

A cancer diagnosis is arguably one of the most devastating things that can happen in the person’s life. It causes an incredible amount of stress both emotionally, physically, and financially.

What’s even more devastating is to have this diagnosis made in one’s twenties right after their marriage. The diagnosis of cancer and its subsequent treatment can impact future fertility. This leads to another devastating problem to process at that time-impending future infertility. Infertility has been

likened to loss of a loved one. In this case, the loss is of a loved one that has yet to be born. The loss felt is no different than if a live born child had passed away.

The combined pain of a new onset cancer diagnosis and subsequent treatment with the potential for future infertility is doubly devastating.

The unfortunate conundrum is that many young cancer patients are now left to financially bear the cost of medical care as well as the cost of fertility preservation. While there are resources sometimes for medical treatment, most resources do not factor in the fact that patients will need multiple doctors’ visits, will need copayments and deductibles met, will need to purchase medications, and pay for transportation to and from care centers. All these factors combined also impacts their ability to work during the time of such treatment. This doubly impacts their financial status because they cannot also work and earn money during such a time.

Fertility Preservation

Added to this problem is the need for fertility preservation. The unfortu-

nate fact is that most insurance plans do not cover fertility preservation treatment. Depending on the resources of the patient and their socio economic status, if they are even on Medicaid, they will find that Medicaid has no

fundings whatsoever for fertility treatment or preservation. Most additional charitable organizations set up to support fertility do not include fertility preservation for cancer patients.

Please see “Future Fertility,” page 38

Brain training allows your brain to see what it is doing and adjust and re-balance in response.

Also known as neurofeedback, it is a non-invasive way to promote wellness and continued growth.

We are certified providers of NeurOptimal® brain training. With more than 20 years and millions of hours of use worldwide, NeurOptimal® is a safe, time-tested, and effective brain training system. Call or Email Us

Office sessions in Friendship Heights by appointment

Visit www.BrainSpaNeurofeedack.com Call or Text: 202-480-0010

Email: BrainSpaMaryland@gmail.com

Where Science Meets Compassion

Our mission is to assist our patients in creating the families of their dreams, whether it be at the present or to maintain the possibility in the future.

Medical Director Dr. Famuyiwa, a double board certified fertility specialist and an advocate for personalized holistic fertility care, is at the forefront of providing state-of-the-art care based on emerging and advanced new technologies in the most compassionate of manners.

&

Hair Medic

We provide private treatment rooms for a personal and confidential one-on-one experience.

We also service clients with existing hair replacement systems. No membership fees

Other Services & Products Offered:

• Scalp Analysis • Shampooing/Conditioning

• Care for Chemotherapy/Radiation

• Wig Lingerie • Turbans/Scarves • Fashionable

• Sleep Caps • Hair Coloring • Cutting • Relaxing • Perming

• Nutritional Supplements • High Frequency Therapy

• A Variety of Therapeutic Scalp Treatments

Call Hair Medic to regain your natural look or to enhance your look to what you’ve always dreamed of having. Hair Loss Problems Solved!

• No more embarrassing hair moments!

• No more “wiggy” looking wigs!

• No more uncomfortable wigs!

Treat it like its your own natural flowing hair. Hand made, designed for persons experiencing hair loss or to enhance your natural look.

Technology

1100 Straight Stairlift

The Stairlift Designed for Your Everyday

The Handicare 1100 Straight Stairlift features next-generation technology with an ultra-streamlined design that takes up less space on your stairs. The Patented Multi-Drive System will ensure your stairlift is operating at peak levels at all times with no reduction in performance ever.

With the 1100, we eliminated the traditional tooth rack model and invested in a Friction Drive System. With no gear rack, we achieved a quieter, smoother, more robust stairlift that’s much easier to maintain. The modern aesthetic combined with stylish design allows the 1100 to blend into any environment, becoming a complementary piece in your home.

For users with impaired mobility, installing a stairlift can offer many benefits. Some of these benefits can include:

Increased Independence

Helps To Reduce Accidents

BabyLase™ is the most advanced and gentle treatment available for infant tongue tie and lip tie. This method is easier on both mother and child when compared with more traditional surgical approaches.

Babies, and especially newborn infants, should always receive the gentlest, most effective treatment we can provide. For this reason, we have invested in the revolutionary BabyLase system, which offers a non-surgical alternative for releasing oral soft tissues that interfere with proper nursing. This laser-assisted approach is the most sophisticated treatment available for correcting infant tongue tie and lip tie. The mild

warmth of the light produced by BabyLase can help tighten restrictive tissue to soften and relax into a more functional position. Furthermore, treatment with BabyLase technology offers additional benefits including the reduction of discomfort and inflammation, as well as stimulation of natural blood flow and the nervous system—all of which aid in comprehensive whole-health healing and re-integration of the treated tissue.

To get your child started on a journey toward optimal oral

laser light energy is pulsed and absorbed by the subcutaneous tissue.

• Supercharges the body’s metabolism through ATP synthesis to burn fat as energy.

• Waste products are expelled from the body via sweat, urine and respiratory exhaustion.

• The body continues to burn fat for up to 4 hours after treatment.

• Collagen and elastin production is increased within the skin layers to rejuvenate and repair skin cells addressing cellulite, skin laxity and stretch-marks.

ALF ( Advanced Light Force

ALF Therapy has proven to be an extremely valuable tool for those patients who have:

• A need for facial guidance

• Palate expansion

• Narrow palates

• Breathing issues

• TMJ dysfunction

• Craniofacial pain

• Crowded/crooked teeth

• An avoidance for extractions

• Crossbite, overbite or underbite

• Cranial asymmetry

• Sleeping problems — snoring

• Recommendations for jaw surgery

Our ALF appliances are certified by Dr. Darick Nordstrom. He has personally instructed our ALF-certified technicians on the proper design and fabrication techniques to ensure that each technician is capable of creating authentic ALF appliances worthy of certification. The seal below is his stamp of approval.

Dr. Brown is highly trained in ALF (Advanced Light Force) therapy. He has over 500 hours in ALF therapy training and has lectured around the world teaching ALF techniques with Dr. Nordstrom, the creator of the ALF appliances. The ALF appliances are thin, conservative appliances that can be used on the upper and lower arches. They hide behind the teeth, are removable and are basically invisible when being worn. This innovative treatment approach is used to address neurological, orthodontic and orthopedic issues, and the benefits are vast. Each appliance is unique to the patient and designed by the doctor to achieve specific goals relating to health, beauty and function. No ALF appliance is the same, and treatment is pain-free.

Tongue-tie (ankyloglossia) is a condition present at birth that restricts the tongue’s range of motion.

With tongue-tie, an unusually short, thick or tight band of tissue (lingual frenulum) tethers the bottom of the tongue’s tip to the floor of the mouth, so it may interfere with breast-feeding. Someone who has tongue-tie might have difficulty sticking out his or her tongue. Tongue-tie can also affect the way a child eats, speaks and swallows.

Sometimes tongue-tie may not cause problems. Some cases may require a simple surgical procedure for correction.

Ultrasound Provides Cutting-edge Precision for Joint Injections

Our specialists at All Star use ultrasound to safely and precisely guide injections directly to the source of your pain.

Why Choose Ultrasound-Guided Injections over Old Fashioned Blind Injections?

• Better Results with Less Pain: With accurate needle placement, you experience less pain with the injection and better outcomes afterward.

• Accuracy Matters: Research shows that ultrasound-guided injections results in a 95% success rate, compared to 83% success for “blind” injections.

• Experience Matters. Dr. Lynch has 15+ years of experience using ultrasound guidance to provide precise regenerative injection therapies for arthritis, tendinitis, sprains, and strains.

Don’t let musculoskeletal pain control your life. Reclaim your mobility and enjoy everyday activities again with our state-of-the-art regenerative treatments.

Call Today for a Consultation with Dr. Lynch: 443-808-1808

Tongue-Ties and Frenectomies

Signs and symptoms of tongue-tie include:

• Difficulty lifting the tongue to the upper teeth or moving the tongue from side to side

• Trouble sticking out the tongue past the lower front teeth

• A tongue that appears notched or heart shaped when stuck out

CAUSES:

Typically, the lingual frenulum separates before birth, allowing the tongue free range of motion. With tongue-tie, the lingual frenulum remains attached to the bottom of the tongue. Why this happens is largely unknown, although some cases of tongue-tie have been associated with certain genetic factors.

WHEN TO SEE A DOCTOR:

• Your baby has signs of tongue-tie that cause problems, such as having trouble breast-feeding

• A speech-language pathologist thinks your child’s speech is affected by tongue-tie

• Your older child complains of tongue problems that interfere with eating, speaking or reaching the back teeth

• You’re bothered by your own symptoms of tongue-tie RISK FACTORS:

Although tongue-tie can affect anyone, it’s more common in boys than girls. Tongue-tie sometimes runs in families.

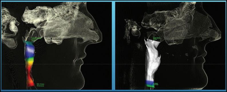
Airway before ALF Treatment; red shows very serious airway constriction.
Airway after ALF treatment, full resolution of this 30-year-old
James Lynch, MD NOW ACCEPTING NEW PATIENTS!

DC Endodontic Center

Leading the Way in Advanced Root Canal Care

At DC Endodontic Center, Dr. Angela Noguera and her team are dedicated to providing exceptional endodontic care through cutting-edge technology and a patient-centered approach. Centrally located in Washington, DC, this esteemed practice combines more than 20 years of experience with state-of-the-art advancements to ensure the highest standard of care for their patients.

Dr. Noguera, a board-certified endodontist, is recognized for her extensive expertise and dedication to the field. She received her dental education from Universidad Metropolitana in Barranquilla, Colombia, and furthered her studies in the U.S. at the University of Maryland. Dr. Noguera achieved Diplomate status with the American Board of Endodontics in 1994, marking her commitment to excellence in her specialty.

Innovative Technology At DC Endodontic Center

DC Endodontic Center is proud to offer several advanced equipment that set their practice apart:

• GentleWave® Procedure: This groundbreaking technology revolutionizes root canal treatment with its advanced combination of fluid dynamics and sound waves. The GentleWave® System cleans and disinfects the root canal system more thoroughly than traditional methods, significantly reducing the risk of treatment failure and preserving more of the natural tooth structure.

• Surgical Microscope: The use of a dental operating microscope allows Dr. Noguera to visualize intricate details of root canal anatomy, enhancing the precision of treatments such as locating root fractures, performing root-end surgery, and removing separated instruments. This tool enables the team to save teeth that might have otherwise been lost

• TDO Software: The practice utilizes TDO Software, which manages patient records electronically, making the office paperless and streamlining communication with referring dentists. This HIPAAcompliant system facilitates secure access to medical history and consent forms, ensuring efficient and confidential patient care.

• CBCT 3D Imaging: DC Endodontic Center employs Cone Beam Computed Tomography (CBCT), providing three-dimensional imaging of teeth and surrounding structures. This technology enhances diagnostic accuracy and treatment planning, allowing for the detection of issues that might be missed with traditional X-rays. The Kodak 9000 CBCT machine used in the office offers high-resolution images with minimal radiation exposure.

• NOMAD Portable X-Ray: The NOMAD Portable x-ray system offers flexibility and comfort, reducing the time the sensor needs to be in the patient’s mouth while lowering radiation levels. This innovation ensures accurate positioning and enhances patient convenience.

• The Wand™ – Painless Anesthesia: Traditional dental injections can cause discomfort, but The Wand™ provides a virtually painless experience. This system delivers anesthesia in a slow, steady

flow, making the injection process more comfortable and efficient.

• Digital Radiography (CDR): The practice uses advanced CDR technology to produce high-quality dental images directly on a chairside monitor. This method reduces radiation exposure, shortens chairside time, and eliminates the need for chemical development, making it both patient-friendly and environmentally conscious.

At DC Endodontic Center, Dr. Noguera and her team are committed to integrating the latest technological advancements to enhance patient care. Their dedication to excellence ensures that every patient receives the most effective and comfortable treatment possible. To experience top-tier endodontic care, schedule an appointment today by calling 202-835-3636 or emailing info@DCEndoCenter.com.

WHY CHOOSE GENTLEWAVE®?

• Ultracleaning Technology: Eliminates bacteria & debris from even the smallest spaces.

• Conserves Tooth Structure: Preserves more of your natural tooth than traditional methods.

• Certified Expertise: Dr. Noguera is fully certified and ready to answer your questions.

Dr. Angela Noguera Board Certified Endodontist
Surgical Microscope
The Wand

Featured Health Professionals

Rami Makhoul, MD

Meet Rami Makhoul

After completing his fellowship in Colon and Rectal Surgery at Robert Wood Johnson University Hospital-Rutgers University, Rami Makhoul, MD, joined Holy Cross Health Hospital in 2014 to serve patients of the DMV area.

Upon graduating from medical school, Dr. Makhoul first completed his internship in General Surgery at the University of Massachusetts Medical School. He, then, completed his residency training in General Surgery at the George Washington University Hospital in Washington, DC.

During his residency training at GW, he spent a year in clinical research where he published some of his work on colon and rectal cancer, and the use of Robotic Surgery in various abdominal procedures performed in the Colon and Rectal Surgery field. He continued with his passion for research and published peer-reviewed articles during his fellowship training. Several of his work, was presented at national conferences including the American Society of Colon and Rectal Surgery, and the Society of American and Gastrointestinal and Endoscopic Surgeons annual conferences.

Dr. Makhoul diagnoses and treats various diseases of the colon, rectum, anus, and other parts of the GI tract using national standards and guidelines. He has a special interest in treating colon and rectal cancer using advanced surgical minimally invasive techniques including robotic, laparoscopic, and transanal minimally invasive surgery. Dr. Makhoul is Board Certified in both General Surgery and Colon and Rectal Surgery and is an active member of the American Society of Colon and Rectal Surgeons education committee.

As part of his commitment to surgical training and education, Dr. Makhoul serves as a Clinical Instructor of Surgery at the George Washington University. Dr. Makhoul is currently the chairman of the Department of Surgery at Holy Cross Hospital in Silver Spring. He also holds the position of Cancer Liaison Physician for Holy Cross Health, where he manages and overlooks clinically related cancer activities in collaboration with the Commission on Cancer and American Cancer Society. When he is away from the office, Dr. Makhoul may be found spending time with his family. Dr. Makhoul enjoys skiing, cycling, scuba diving, tennis, and traveling.

Matthew Skancke, MD

Meet Matthew Skancke

Dr. Matthew Skancke is a colon and rectal surgeon serving Maryland, Virginia and Washington, DC. Dr. Skancke grew up in Great Falls, VA earning his undergraduate degree in electrical and biomedical engineering at the University of Virginia’s engineering school. After engineering school he spent three years working for a Swiss based GPS company U-blox America while going to night school to finish his premedical degree. He then attended medical school at the University of North Carolina at Chapel Hill where he did basic science research of mesenchymal stem cells to progress the field of regenerative medicine. Dr. Skancke continued his General Surgery training at the George Washington University Hospital and subsequently did his Colon and Rectal Surgery Fellowship at the Cleveland Clinic.

During his training, Dr. Skancke has published over 24 peer reviewed publications, authored three book chapters, and presented over 45 times at national conferences in medicine and surgery. He has participated in clinical trials of bench top and mechanical sciences and is a member of the American College of Surgeons and the American Society of Colon and Rectal Surgeons. Dr. Skancke is Coard Certified in General Surgery and Colon and Rectal Surgery and is an active member of the American Society of Colon and Rectal Surgeons Quality and Safety National committee.

Outside of work, Dr. Skancke has found a new love for French cooking and North Carolina barbeque. To offset these vices, Dr. Skancke also enjoys running and powerlifting in his free time.

Featured Health Professionals

Michael Whalen, MD

GW Urology - Foggy Bottom South Pavilion 2150 Pennsylvania Ave., NW, Suite #3-417 Washington, DC 20037

Associate Professor of Urology | Chief, Urologic Oncology Director, Genitourinary Multi-Disciplinary Clinic | Site Director, National Cancer Institute Fellowship in Urologic Oncology | Urology Residency Research Mentor

Dr. Michael J. Whalen, MD, is an accomplished Associate Professor of Urology and Director of Urologic Oncology at the George Washington University School of Medicine. A graduate of Harvard College and Columbia College of Physicians & Surgeons, he completed residencies at New York Presbyterian Hospital-Columbia University Medical Center. Dr. Whalen holds board certification in Urology and underwent specialized fellowship training in Robotic and Minimally Invasive Urologic Oncology at Mount Sinai Hospital and Urologic Oncology at Yale-New Haven Hospital.

Renowned for expertise in urological cancers, Dr. Whalen excels in both major open and minimally invasive surgeries, including pioneering the supine-position robotic retroperitoneal lymphadenectomy for advanced testicular cancer. His clinical focus spans prostate, bladder, kidney, and testis cancers, utilizing advanced techniques like robotic surgery with the DaVinci system and transperineal prostate fusion biopsy.

Apart from clinical practice, Dr. Whalen is actively involved in clinical outcomes research, contributing to numerous peer-reviewed journals. Recognized as a dedicated mentor, he received the Teacher of the Year award from Urology residents in 2019. Acknowledged for excellence, Dr. Whalen was awarded the Commission on Cancer, Cancer Liaison Program Outstanding Performance Award in 2021 and listed as one of Washingtonian’s Top Doctors in 2023. His commitment extends to education and cutting-edge clinical trials, solidifying his reputation as a leading figure in urology.

Evan Taff is a multifaceted professional, serving as a realtor with EXP Realty and The Karen Rollings Team, a certified life coach, certified med technician, and musician. At Transition House, Evan handles intakes, daily administration, and coordination of clients, working with individuals and families to navigate life’s challenges before, during, and after services or housing placement. He uses intentional and reflective dialogue to help clients find their voice and advocates for housing without discrimination. Evan’s strategies and techniques provide guidance for clients to explore their path without judgment or expectation, offering support during the risk-taking process of discovery.

Meet Evan Taff
Meet Michael Whalen

Featured Health

Rex Hoang, DMD

Your One Destination For All Of Your Dental Care Needs

Meet Rex Hoang

Rex Hoang, DMD, PC, has been the president of his family-run business, DC Dental Spa, in Washington, DC for over 28 years, and gets great satisfaction from helping his patients achieve beautiful, healthy smiles. Dr. Rex has extensive training and experience in general dentistry, periodontology, endodontology, oral surgery, dental implants, sleep apnea and cosmetic dentistry.

Dr. Rex earned his title of Doctor of Medicine in Dentistry from The University of Pennsylvania School of Dental Medicine in 1990, and to stay up-to-date in the latest dental practices and technologies, Dr. Rex regularly attends continuing education courses. Recently, his continuing education took him to the Dominican Republic, where he provided dental implants to disadvantaged community members. He believes in delivering the very best care for his patients’ needs while being sensitive to their comfort levels and concerns, and a love for dentistry runs in the Hoang family. Of his five children, two have joined him in the field of dentistry. Dr. Rex’s son Dylan is currently pursuing dentistry in school, and Dr. Rex is looking forward to him joining the practice upon graduation.

Outside of dentistry, Dr. Rex has many interests and hobbies, including piano and guitar. He also stays active playing golf, tennis and practicing martial arts.

Dr. Hoang Leads Charitable Mission to Laos & Vietnam

Dr. Hoang, his wife and daughter traveled to Laos and Vietnam. On this trip prepared food and money was donated to those people of need. Dr Hoang’s family personally prepared the food, visited and spoke with the local communities and had a wonderful experience.

Paul V. Beals, MD, CCN

Paul V. Beals

Dr. Beals specializes in holistic therapy for cancer and heart disease and is an expert in chronic lime disease.

Degrees, Certifications and Professional Memberships:

Board Certified in Family Practice

Certified Clinical Nutritionist (CCN)

MD, Temple Medical School, Philadelphia PA

Member of the American College of Advancement in Medicine (ACAM) – Certified Chelation Therapist

Member of ILADS, International Lyme Associated Disease Society

Others:

Rotating internship, Harrisburg PA

Flight surgeon in the U.S. Air Force

Former volunteer instructor, Georgetown Medical School, introductory course on Alternative Medicine

Frequent guest on national TV and radio talk shows discussing complementary and alternative medicine

35 years in practice

We Go The Extra Mile By Giving You The Best Of Both Worlds: Conventional and Alternative Medicine

Holistic Medicine Nutrition

We believe in eating healthy food as close to its natural state as possible for the best health for you and your family. Our holistic nutrition includes unrefined, unprocessed, and organic whole foods.

Holistic Therapy Diabeties and Heart Disease

Our committed and professional staff will provide medical care to a family as a whole, with the main aim of working towards excellence, sincerity and a quality health care services. Holistic Therapy is very effective amongst heart and vascular patients.

Chronic Lyme Disease Treatment

Chronic Lyme Disease is part of our most prized specialties. Lyme disease is a common underlying cause of chronic illness. Dr. Beals is able to test for and treat these root problems of illness using both conventional methods and complementary therapies.

LabCorp On Site

With our LabCorp services, you have opportunities as our patient to participate in tests that can improve the quality of your life. You are entitled to carrying out our lab test which ranges from routine tests such as cholesterol tests and blood tests. This helps to diagnose some genetic diseases such as cancer and some other uncommon diseases.

Family Practice Medicine

Our committed and professional staff will provide medical care to a family as a whole, with the main aim of working towards excellence, sincerity and quality health care services.

Integrative Cancer Support

The goal of integrative holistic medicine is to work with the patient as the center of the medical team and combine both traditional and complementary treatments to restore the patient to a better state of health. Whereas traditional medicine will focus on only treating the tumor.

Bladder Cancer: From early detection to advanced treatments, including endoscopic surgery and intravesical therapy.

Prostate Cancer: Tailored treatment plans using the latest in radiation therapy, surgical options, and active surveillance.

Testicular Cancer: Comprehensive care from diagnosis to survivorship, with a focus on preserving quality of life.

Board-Certified Specialists with extensive experience in urologic oncology.

State-of-the-Art Technology ensuring precise and effective treatments.

Kidney Cancer: Innovative approaches such as robotic and minimally invasive surgeries to preserve kidney function and ensure rapid recovery.

Adrenal Tumors: Expert diagnosis and treatment of both benign and malignant adrenal growths.

Personalized Care tailored to your unique needs and diagnosis.

Compassionate Support throughout your cancer journey, from diagnosis to recovery and beyond.

Featured Health Professionals

Swathi M. Reddy, DMD

Orthodontics

Dr. Reddy has been serving the Lorton area for over 14 years as a fulltime orthodontist. She graduated Dental School with high honors from Boston University School of Dental Medicine. She has a deep desire to learn and treat patients in the field of Orthodontics and has pursued further specialty training in the field of Orthodontics and Dentofacial Orthopedics.

Dr. Reddy was invited to join the clinic faculty at UNLV, School of Dental Medicine. Before entering private practice, Dr. Reddy worked as a faculty member at UNLV, School of Dental Medicine, Orthodontics Residency Program

Professional Memberships

Dr. Reddy is an active member of many organizations, including American Dental Association, Virginia Dental Association, American Association of Orthodontics, Southern Association of Orthodontics and Northern Virginia Orthodontic Study Club.

ALL SMILES ORTHODONTICS

Why Choose Us?

Our practice’s top priority is to provide you with the highest quality orthodontic care in a friendly, comfortable environment.

We offer the latest in equipment and technology such as 3D Scanner and dentures, digital X-rays, clear aligners, braces and retainer program. These are to ensure that you receive the most effective care possible.

We recognize that every patient has different needs, and we pride ourselves in the courteous service we deliver to each person who walks through our doors. We welcome children and adults to our office. Adults have become a larger percentage of our patient-pool in recent years.

Dr. Reddy and her staff are committed to helping you achieve the smile you deserve – a healthy, beautiful one that you will be proud of. We would welcome the opportunity to earn your trust and deliver you the best service in the industry.

Meet Craig A. Smith

Dr. Craig Smith is committed to health through dentistry, ensuring you have optimal oral health which contributes to your overall health and well-being.

Quality service, advanced technology and a passionate commitment to education means patients receive the best that dentistry has to offer.

Dr. Smith’s Philosophy: Always listen to the patient and in turn respond in an educational manner so that the patient will understand.

Degrees, Training, and Certificates: Doctor of Dental Surgery (D.D.S.) - Howard University College of Dentistry; 2 Year General Practice Residency; Chief Resident - Harlem Hospital Center (Affiliate of Columbia University); Certified Invisalign Provider

Professional Memberships: National Dental Association

Areas of Interest: All phases of dentistry - cosmetic, implant, crowns and bridges, root canals, veneers, preventive care, Invisalign and whitening.

Hobbies: Mountain biking, racquetball, golfing, and boating. My interests are to continue to deliver quality dentistry and to further reach out to the community to help to increase the peace.

Additional: Many patients do not understand the importance of a healthy mouth, as health problems could arise. I want to educate all of my patients on health through dentistry.

Featured

Michael Rogers, DDS

4850 31st Street South

Meet Michael Rogers

Michael Rogers, DDS, is pleased to be able to offer beautiful smiles to his neighbors in Arlington and the surrounding communities. Dr. Rogers earned his dental degree from UCLA after graduating cum laude from Harvard University. Prior to entering private practice, he served a general practice residency at Sepulveda Veteran’s Hospital. Dr. Rogers has invested significant time into ongoing education, seeking to learn emerging dental technologies and techniques in the areas of cosmetic dentistry, implant dentistry, sleep apnea treatment, orthodontics, temporomandibular joint (TMJ) disorders, and safe amalgam replacement. His most recent training in airway management has allowed him to offer a cure for sleep apnea using an intraoral device known as the DNA appliance. He is a member of the International Academy of Oral Medicine and Toxicology, American Academy of Dental Sleep Medicine, American Academy of Craniofacial Pain, and also of Mercury-Free Dentists. He has served as a guest author for TMJ News & Views, and when that publication ceased, began his own quarterly newsletter. You may have seen one of his television interviews on “A New Me” or the local PBS station, or seen his articles and features in Ladies’ Home Journal, Arlington Magazine, and New Beauty

Dr. Rogers is an active participant in the community as a sponsor for Encore Theater, Little League of Alexandria, Abingdon Elementary, and the local Fairlington Farmer’s Market. He and his wife Terri enjoy spending time with their daughter Megan and her husband Corey traveling around the country and the Caribbean.

Dr. Ghassan Jacklis and his dedicated team want you to feel comfortable in our office, and to know that when you come here, you will receive outstanding dental care and personalized service. Our associates have been working together for years, with many years of advanced training, which has allowed us to perfect our communication and better serve you.

Ensuring the best care for newborns is of utmost importance, especially when it comes to addressing conditions like tongue tie and lip tie that can affect proper nursing. Traditional surgical approaches can be overwhelming for both mother and child, but now there is a revolutionary alternative known as BabyLase™. This advanced laser-assisted treatment offers a gentle and effective solution for releasing oral soft tissues, providing numerous benefits for infants and their caregivers. Let’s explore how BabyLase™ has transformed the landscape of treating tongue tie and lip tie in newborns.

A Non-Surgical Approach

BabyLase™ represents a significant departure from traditional surgical methods. Instead of using incisions or sutures, this innovative system utilizes laser technology to gently release restrictive oral tissues. The mild warmth produced by the laser helps relax and soften the tissue, allowing it to assume a more functional position without the need for invasive procedures. This non-surgical approach not only minimizes discomfort for the infant but also offers a more convenient and less stressful experience for both mother and child.

Enhanced Healing and Comfort

One of the key advantages of BabyLase™ treatment is its ability to promote comprehensive healing and comfort. The laser’s gentle light not only releases the restrictive tissues but also stimulates natural blood flow and the nervous system. This stimulation aids in reducing discomfort and inflammation, facilitating the healing process. By addressing the underlying issues and promoting whole-health healing, BabyLase™ ensures that infants experience a smoother recovery and improved nursing outcomes.

Improved Nursing Experience

Tongue tie and lip tie can significantly impact a baby’s ability to breastfeed properly, leading to frustration and challenges for both the infant and the mother. BabyLase™ provides an effective solution by releasing the restrictive tissues and allowing for improved mobility and functionality

BabyLase™ The Advanced and Gentle Solution For Infant Tongue Tie and Lip Tie

of the tongue and lips. By addressing these concerns, BabyLase™ enhances the nursing experience, enabling infants to latch more easily, extract milk efficiently, and promote better milk production for the mother.

Long-Term Benefits

BabyLase™ not only provides immediate relief but also offers longterm benefits for infants. By resolving tongue tie and lip tie early on, potential issues such as speech diffi-

culties, dental problems, and feeding challenges can be prevented or minimized. The gentle and precise nature of BabyLase™ ensures that infants can achieve optimal oral function and development, setting them up for a healthier and more comfortable future.

BabyLase™ is a game-changer in the field of infant tongue tie and lip tie treatment. By offering a nonsurgical, gentle, and effective solution, it revolutionizes the way we approach

these conditions in newborns. With improved healing, enhanced comfort, and better nursing outcomes, BabyLase™ empowers both infants and their caregivers to overcome the challenges associated with tongue tie and lip tie. By investing in this innovative technology, we can provide newborns with the most advanced and gentle treatment available, ensuring their well-being and setting them on a path to optimal oral health.

Dr. Lynda Dean-Duru
Dr. Krystle Dean-Duru

Acupuncture For Side Effects Of Cancer

Acupuncture, an ancient practice dating back over 3,000 years, holds a prominent position within the realm of traditional Chinese medicine (TCM). Its core technique involves the delicate insertion of slender needles into specific points on the skin, meticulously chosen for their therapeutic potential.

In the realm of Chinese medicine, the concept driving acupuncture revolves around the unimpeded flow of vital energy along intricate channels known as “meridians.” According

Wholelife Acupuncture & Fitness Center

Quansheng Lu, CMD, PhD, L.Ac www.wholelifeherb.com • luquansheng@gmail.com 301-340-1066 • fax: 301-340-1090

Guest professor, Henan University of Traditional Chinese Medicine (TCM) Chief TCM Physician, WFCMS; M.S. in TCM, Beijing University of TCM PhD in integrated medicine, China Academy of Chinese Medical Sciences Fellowship, Georgetown University & Children’s National Medical Center 3 patents, 8 books of TCM, 30 papers, 30+ years of experience in TCM

Low back pain • eczema • arthritis

insomnia

paralysis obesity

nephritis

hepatitis

416 Hungerford Drive, #300 Rockville, MD 20850

side effects of cancer treatment

5022 Dorsey Hall Drive, #101 Ellicott City, MD 21042

Doesn't Your Child

pursuit.

to this doctrine, when these energy pathways encounter obstructions, discomfort inevitably ensues.

The Merits Of Acupuncture

Statistics from the Centers for Disease Control and Prevention unveil that annually, more than eight million Americans turn to acupuncture to address an array of health issues. Research has illuminated the efficacy of acupuncture in managing various non-cancer-related conditions, including but not limited to back pain, persistent headaches, osteoarthritis, hypertension, infertility, and the vexing specter of hot flashes. Furthermore, acupuncture shines as a safe and welltolerated option for ameliorating the side effects frequently accompanying conventional cancer treatments.

Relief From Cancer-Related Pain

An astounding 40% of individuals navigating the early or intermediate stages of cancer, and a staggering 90% grappling with advanced cancer, grapple with moderate to severe pain. Acupuncture emerges as a valuable player in the quest to alleviate cancerrelated discomfort. A recent study, featured in the Journal of Clinical

Oncology , underscored the marked reduction in pain and functional impairment experienced by those receiving acupuncture, in stark contrast to their counterparts subjected to standard care.

Mitigating the Impact Of Chemo-Radiation Therapy Side Effects

The preliminary evidence signals acupuncture’s potential efficacy in alleviating a gamut of side effects triggered by chemotherapy and radiation therapy, encompassing nausea, vomiting, fatigue, pain, leukopenia, radiation-induced xerostomia, insomnia, and anxiety. Intriguingly, acupuncture appears to outshine the antidepressant venlafaxine in terms of reducing these side effects while maintaining a more favorable adverse effect profile. Moreover, a separate trial hints at acupuncture’s role in diminishing vasomotor symptoms in breast cancer patients undergoing adjuvant tamoxifen therapy.

Enhancing Quality Of Life

Acupuncture has the power to

Please see “Side Effects,” page 38

Get the Flu Shot

Take the Lead In Your Health

Everyone over the age of six months old needs and should have a flu vaccine every year. The vaccines are available as an intradermal, intramuscular shot and as a nasal spray. They begin to arrive in doctors’ offices, pharmacies and clinics by midSeptember.

Every year, scientists design the vaccine to protect against the types of

flu viruses that are expected to be the most prevalent in the coming year. There are two basic types of viruses that can cause the flu – strain A and B. Both types can be potentially serious. “Trivalent” vaccines protect against two A strains and one B strain of flu, while newer quadrivalent vaccines protect against two A and two B strains.

Everyday Preventive Actions

The flu virus can spread by direct contact, such as sharing drinks, or through indirect contact, such as when an infected person sneezes on their hands and touches an object like the lunchroom microwave door. The influenza virus can live for 2-8 hours on surfaces.

In addition to getting vaccinated, the following recommendations should be considered:

• Avoid contact with sick people.

Please see “Flu Shot,” page 38

Cancer and Periodontal Disease

Can a dental exam save your life? Regular dental appointments are strongly encouraged so that your dentist may look for any unhealthy conditions and catch them before they become big problems with even bigger costs.

Loss of teeth and increased cost of dental procedures are not the only reasons to see a dentist today. It is now clear that gum disease should be added to the list of factors that cause unhealthy body conditions. There is an extremely high risk of developing heart disease, diabetes, liver disease, blood diseases, heart attack, and stroke. With the latest research there is now evidence to add cancer to the list of gum disease related illnesses. According to the Center for Disease Control and Prevention (CDC), 47.2% of adults who are over 30 years of age in the United States have some type of periodontitis. With age, this rate increases, so that 70.1% of U.S. adults over 65 years old have this disease. Dental patients with moderate forms of gum disease have an overall 14% increased risk of developing cancer according to recent studies.

If you have any form of gum disease, even mild gingivitis, the normal act of brushing your teeth or chewing allows bacteria to enter your blood stream. The blood stream then carries the bacteria throughout the body. Studies have also found that gum disease is linked to a higher chance of pancreatic, lung, kidney and blood cancers in both smokers and nonsmokers. There was a 33% increase in the risk of lung cancer.

There was a 50% rise in the chance of kidney cancer and a 38% rise in pancreatic cancer. Blood cancers such as leukemia rose by 30% among men with gum disease. In another study it was found that for each millimeter of bone loss in chronic periodontitis, a serious form of gum disease, there was a four times the increase in head and neck cancer.

Searching for a precise connection goes on and will hopefully one day lead us to a cure but for now it is thought that untreated gum disease can trigger a substantial reduction in the immune response and cause damage to the immune system. This in turn makes it easier for the cancer to grow. It is also possible that the bacteria from the gum disease could be directly causing the cancer themselves. Further studies will be done in the coming months and years.

It is now clear that gum disease should be added to the list of factors that cause unhealthy body conditions.

What can be done today? See a periodontist. A periodontist is a special dentist that can determine your level of periodontal disease and help determine your risk factors. A referral is not required. Patients with a recent cancer diagnosis should see a periodontist prior to starting chemotherapy or radiation. They can help catch and treat these bacteria early to lower your risk in later years. Call a periodontist today and set up a complete periodontal evaluation. It just might save your life.

– Dental Implants To Restore Your Beautiful Smile

– Caring & Kind Dentist & Team

– State-of-the-Art Equipment

– Laser Periodontic Therapy

– Affordable Gum Treatment

– Insurance Accepted & Filed

– Ultra-Sterile Environment

– No Referral Needed

– Comfortable Sedation Dentistry

Includes Initial Exam,

Our patients mean the world to us (and they love to refer to us as friends and family). My team works together to ensure your visit is enjoyable, and that your treatment is gentle and pain-free. We are deeply committed to help you prevent and treat periodontal (gum) disease, and to enhance your smile to improve your overall health.

A Journey of Healing

Elambert Richardson’s journey to founding Elon Roshell Day Spa & Health is a remarkable story of resilience, healing, and dedication to helping others. Richardson’s path began with a profound personal struggle and evolved into creating a sanctuary of well-being that includes innovative treatments like a unique salt cave.

Richardson, once a preschool teacher, faced a debilitating injury that altered the course of her life. Despite extensive physical therapy, her pain persisted,

leading to depression and a diagnosis of fibromyalgia. Her doctor presented her with a stark choice: find a way to live or succumb to her condition. This critical moment propelled Richardson to seek healing beyond conventional methods.

Richardson shared another poignant aspect of her struggle: the hostile work environment that led to her depression and ultimately, PTSD. She recounts instances of mistreatment, including being ostracized by colleagues and subjected to demeaning messages.

Despite enduring chronic pain and emotional distress, Richardson finds solace in helping others and is embarking on a journey of healing by sharing her story.

A pivotal turning point came with her reading of “The Ministry of Healing,” a book that highlighted the therapeutic power of helping others. This revelation ignited her determination to overcome her depression and explore a career in healthcare. Richardson began volunteering at her children’s school, pursued higher education, and ultimate-

Elambert during that time of great sadness, and now. Finding rest, happiness, and restoration!

ly found her calling in massage therapy. Overcoming Adversity

Richardson’s journey was further challenged by the COVID-19 pandemic, which forced her business to close for 15 months. During this time, she also contracted the virus, requiring oxygen therapy. Remarkably, this treatment provided significant relief from her chronic pain. “The oxygen was so good. I mean, that was the first thing that, really like, I had no pain,” she recounted.

A Vision Of Wellness

After her recovery, Richardson experienced a life-changing dream that inspired her to create a comprehensive health and wellness center in Calvert County. This vision became Elon Roshell Day Spa & Health, featuring an array of services designed to promote natural health and wellness, including an oxygen bar, hyperbaric chamber, and a signature salt cave.

The salt cave is a central feature of Richardson’s spa. Constructed with real salt bricks, the cave offers a serene environment where visitors can experience the benefits of inhaling medicalgrade salt. These benefits range from improved skin health and respiratory relief to overall relaxation. “It’s good for your skin. If you have eczema, it’s good for different skin conditions. Also your lungs. For me, I have asthma. And after having this, I haven’t had to really carry my inhaler,” Richardson explained.

Elon Roshell Day Spa & Health offers a variety of wellness services, including massage therapy, facials, waxing, oxygen therapy, red light therapy, infrared sauna, and ionic foot baths. This holistic approach addresses both physical and mental well-being, providing a comprehensive healing experience.

Elambert Richardson also hosts a weekly Wellness Wednesday event at the spa. For just $25, attendees can experience the salt cave and participate in free small group health and wellness events. These events, largely led by Jeanette Umstead, a health coach at the spa, focus on Bible-based teachings of the 8 laws of health. These teachings emphasize principles such as a plantbased diet and the importance of rest, believed to contribute to long lifespan and overall well-being when followed.

A ll-On-FOur

implant for each and every one of your missing teeth. All you need is four precisely placed implants on the top of your mouth, and four on the bottom, to restore your full smile. That’s the beauty of the all-on-four. And because the implant is made of titanium, it has the unique ability to fuse to living bone and function as part of it. So eventually, the dental implant becomes part of the jawbone and serves as a strong, long-lasting foundation for your new teeth.

Besides ensuring that your implants are permanently fixed in place, this bone fusion has another important benefit: it prevents future bone loss in the jaw. This helps to maintain a more youthful facial structure – and better oral health. But perhaps the biggest surprise about the all-on-four is how quickly it can transform your life.

What’s The All-On-Four Dental Implant Procedure Like?

It can be scary to get implants for the first time. Most of that fear is probably due to the uncertainty, so here is the step-by-step process for getting an All-On-Four dental implant.

First, your dentist will want to make sure your comfortable, so either local or general anesthesia will be administered.

Second, the dentist or surgeon will prepare your mouth for the implants, which involves removing your remaining teeth that are failing. They will then remove any diseased or infected tissue from your jaw and gums.

Next, they will begin the implantation process. This means they will insert the titanium screws into your jawbone. Most likely, they will place two implants toward the front of your mouth and two towards the back of your mouth so the “anchors” can evenly bare the force of the denture.

After the implants have been placed, they will thoroughly clean the surgical sites and suturing all the incisions. Then you’ll be taken to a recovery room where you can relax and take time to wake up from the anesthesia.

How Do You Know If The All-On-Four Procedure Is The Right Option For You?

At your All-On-Four consultation, you’ll receive a 3D CT Scan. This scan will help determine if you need implants and assist your doctors in creating your treatment plan. So if you want to learn more about dental implants, simply schedule a consultation with an All-On-Four provider. It’s the best way to find out how dental implants can change your life.

F uture F ertility

Herein lies the problem. Where are such patients to turn to for help? Fertility clinics can subsidize some of this treatment, unfortunately there are limiting factors such as payments for independent anesthesia services, payments for medications (which price continues to rise by the day), and payment for FDA required donor screening if those patients choose to freeze their eggs or sperm not knowing if they

Side eFF ectS

infuse cancer patients with renewed energy and a heightened sense of wellbeing. A study scrutinizing the quality of life among breast cancer patients, two years post-acupuncture treatment for hot flashes, unearthed encouraging findings. Those treated with acupuncture reported fewer incidents of hot flashes and exhibited a more optimistic outlook on life.

Navigating the Safety Labyrinth

F lu ShOt

• Cover sneezes and coughs.

• Wash hands to reduce the spread of germs. Everyone should wash their hands frequently to reduce the risk of transmitting germs to others.

• If you are sick, ill with the flu or flu-like symptoms stay home from school or work to prevent the spreading of flu to others.

will need a surrogate in the future. It is almost like a double penalty imposed by the current regulations to have the additional cost of the FDA screening that is uncompensated and unfunded. I ask therefore where should such patients turn to if traditional charitable fertility organizations will not even cover them?

Previously published on Medium.com

FrOm pAge 32

Though generally regarded as safe, acupuncture can occasionally induce dizziness, localized internal bleeding, dermatological reactions, nerve sensitivity, or heightened discomfort, especially when administered by inadequately trained practitioners. The pivotal role of a proficient and skilled acupuncturist cannot be overstated in achieving optimal treatment outcomes.

Treatment Options

Of the treatment options available, prescription antivirals may help make your illness milder or may help you feel better faster.

Safety is a paramount concern in non-urgent medical transportation. It is vital for transport staff to be trained and certified in CPR, AED, and first aid to manage any potential medical emergencies that may arise during the trip. Furthermore, maintaining high standards of service quality is important. This involves regularly evaluating and improving service based on feedback from patients and healthcare providers.

Effective communication be-

tween transport providers, medical staff, and caregivers is also essential. Clear communication helps coordinate care and ensures that the specific needs of patients are met efficiently.

Compassionate care is a significant aspect of non-urgent medical transportation. Providers who approach their role with empathy contribute to a more supportive and respectful experience, making the journey more comfortable for patients.

Know the F.A.C.T.S.

The flu symptoms can be mild or severe, and can come on suddenly – be sure you know your flu treatment options so you can be prepared. Symptoms generally appear 1-4 days after exposure to the virus.

• F – Fever

• A – Aches

• C – Chills

• T – Tiredness

• S – Sudden Onset

Antivirals are prescription medications that actively attack the flu virus and stop it from spreading to the rest of your body. In order to be effective, antiviral medications must be taken within the first 48 hours of onset of flu symptoms.

Antivirals For Flu Prevention

Not only can antivirals help treat the flu once you have it, they can also help prevent you from getting the flu if you are exposed to the virus. For example, if a family member is diagnosed with the flu, taking an antiviral can help stop you from becoming infected.

Oral Cancer: What You Need To Know

Although oral cancer may not get as much attention as some more widely-known types of cancer, that doesn’t mean it’s any less deadly. In the U.S., oral cancer is responsible for one death every hour. Oral cancer is dangerous because it isn’t usually detected until it has reached an advanced stage. At that point, the odds aren’t great: only about 6 in 10 people will survive after five years of treatment.

If there were a simple test that could give you an early warning, would you take it? The good news is – there is. Early detection increases

the survival rate of oral cancer to 80% or better and can truly save lives. Oral cancer screenings are part of regular dental checkups.

Oral cancer examinations are fast and painless. It identifies small changes in the lining tissues of the mouth, lips and tongue. The screening is primarily a visual and tactile (touch) examination. If necessary, a small tissue sample can be retrieved for further laboratory testing.

Who’s At Risk For Developing Oral Cancer?

Oral cancer used to be thought of as an older person’s disease, and it still mostly affects those over 40. But today, younger people form the fastest-growing segment among oral cancer patients. This is primarily due to the spread of the sexually transmitted human papilloma virus (HPV16).

Other major risk factors apply, including: Being middle aged or older, a moderate to heavy drinker or a longtime tobacco user. Chronic exposure to the sun, long known to cause skin cancer, is associated with cancers of the

lips. Genetic factors also play a role.

Detecting Oral Cancer

Oral cancer screenings are part of dental checkups – another reason why you should be examined regularly. Screenings include a visual assessment of your lips, tongue, and the inside of your mouth, including a check for red or white patches or unusual sores. Palpation (pressed with fingers) detects the presence of lumps and swellings. Lights, dyes, or other procedures may also help check any suspect areas. If anything appears to be out of the ordi-

Implants, Implant Crowns, Invisalign, CEREC, Crowns, Root Canals, Cosmetic Dentistry, iTero Digital Scanner, Tooth-Colored Fillings and Extractions.

Dr. Afreen Sayeed

nary, a biopsy can be easily performed. Abnormal sores or color changes in the tissue of your mouth, lips and tongue, may be symptoms of oral cancer – most, however, are completely benign. Sores or other unusual changes that haven’t gone away by themselves after 2-3 weeks should be examined. Remember, the only way to accurately diagnose oral cancer is through a laboratory report. Early diagnosis, aided by thorough screenings at your regular dental checkups, is one of the best defenses against oral cancer.

HEALTH DIRECTORY

ACUPUNCTURE

Eastern Medical Holistic Healing Center, Angel Wood, 240755-5925. www.acupuncture4wellness.webs.com

ALTERNATIVE HEALTHCARE

Holistic Family Health - Thermal Imaging, Herndon, VA. 703-635-6324 For More information visit www.fhtid.com

BEAUTY/SKIN

A Better You, Dr. ClarkeBennett, 410-672-2742. Essences of Jamal of DC – 202839-0657. Worlds Best SheaButter, Rose-Water Butter, Hemp Seed Oil, Nag Champa Incense, Sage Smudge Sticks, Jumbo Incense Sticks, TeaTree Oil. Price List Available. 202-839-0657 – JamalofDC@ gmail.com.

BREAST HEALTH

University of Maryland Charles Regional Medical Center. 11340 Pembrooke Square, Suite 202, Waldorf, MD 20603. 240-607-2010. UMCharlesRegional.org

CHINESE MEDICINE & ACUPUNCTURE

Wholelife Chinese Medicine & Acupuncture, 301-526-9898, 416 Hungerford Dr., Rockville www.wholelifeherb.com

DENTISTRY

Karl A Smith, DDS, 2550 N. Van Dorn St., Suite #128, Alexandria, VA. Call 703-894-4867, Visit www.drkarlsmith.com

DENTISTRY

Richard Hughes, DDS, 703444-1152, 46440 Benedict Drive Suite #201, Sterling, VA. www.SterlingImplantDentist. com

EYE CARE

Visual Eyes, Alexander Nnabue OD, 301-324- 9500. HOLISTIC WELLNESS COACH

Nutrition Lifestyle Digestion and More – Lisa@LisaThorne.Me – Text 269861-7565.

HYPNOSIS

Toni’s Happy Hour Yoga and Holistic Wellness Center • 6504 Old Branch Avenue, Temple Hills, MD 20748 • 301-449-8664.

MEDICAL SPACE

Charles L. Feitel Company, 301-571-9333, www.medicalanddentalspace.com.

MENTAL HEALTH SERVICES

House Calls, LLC. 301-3466732. callingonbeth@gmail. com. www.CallingOnBeth.net.

NUTRITION

Nutritional Healing Center, Thomas K. Lo, DC, MA, 240-651-1650, 7310 Grove Road, Suite 107, Frederick, MD 21704. doctorlo.com.

Good Health Nutrition Services,LLC – 1300 Mercantile Lane, Suite 129-37, Largo, MD 20774 – 301341-4680 – www.ghnutritionservices.com – Dr. Florence

Omerennah – Registered Dietitian/Diabetes Educator

– We accept Insurance.

OPHTHALMOLOGY

NewView Laser Eye Center – Jacqueline D. Griffiths, MD – Reston (703) 834-9777 – Visit us at www.NewViewEye.com.

ORAL & FACIAL

SURGERY

Northern Virginia Surgical Arts – 703-998-3971 – 611 South Carlin Springs Road, Suite #308, Arlington, VA 22204 For more info visit us online at www.NOVASurgicalArts.com.

ORTHODONTICS

All Smiles Orthodontics – 9010 Lorton Station Blvd., Suite #260, Lorton, VA 22079 – www. AllSmilesBraces.com – For info call us at 703 337-4414.

To Order: Include you NAME, ADDRESS, PHONE, EMAIL AND WHAT HEADING YOU WISH TO BE LISTED UNDER, AND ANY SPECIAL OFFER OR TEXT TO INCLUDE. We will prepare a proof and email to you for approval.

Email your information to: info@yourhealthmagazine.net or Fax to: (301) 805-6808. Call (301) 805-6805 for assistance.

WASHINGTON, DC EDITION

MARYLAND/WASHINGTON, DC OFFICE

4201 Northview Drive, Suite #102, Bowie, MD 20716 phone: (301) 805-6805 • fax: (301) 805-6808 • email: Info@YourHealthMagazine.net VIRGINIA OFFICE phone: (703) 288-3130 • fax: (703) 288-3174 • email: Publish@YourHealthMagazine.net

ORTHODONTICS

Jacqueline Brown Bryant DDS, MS, PC, Damon, Clear Braces & Invisalign for Adults And Children. Silver Spring, Maryland 20910 www.smileconstructors. com 301-587-8750 .

PEDIATRICS

Loving Care, Janet Johnson, MD – Hyattsville, MD – 301403-8808.

PHYSICAL THERAPY/ REHABILITATION

Active Physical Therapy. Various Locations across Maryland and Washington, DC. Active-physicaltherapy.com.

PODIATRY

Arlington Podiatry Center, Edward S. Pozarny, DPM 703-820-1472. 611 S. Carlin Springs Road, Suite #512, Arlington VA.

SENIOR CARE

Chevy Chase Home Care. Help at a time you need it most. Any Ages. Any situations. Any shifts. MD, DC, VA. www.CHCHhomecare. com 202-374-1240.

YOGA

Toni’s Happy Hour Yoga and Holistic Wellness Center –6504 Old Branch Avenue, Temple Hills, MD 20748 –301-449-8664.

SUBSCRIBING

1) Call 301-805-6805 with your name, contact info, and credit card payment for $24, or

2) Simply mail this form along with your check for $24:

Your Health Magazine 4201 Northview Dr. Suite 102 Bowie, MD • 20716

Now you can get the latest issues delivered directly to your home!

• Health articles and advice

• Doctors near YOU!

• Maryland, Washington, DC & Virginia editions

• Only $24 for a year’s subscription (12 issues)!

Ready To Get Healthy?

Your HEALTH Magazine publishes and distributes health information people need. We produce special sections to focus on particular health topics each month, and profiles of local health professionals. It Makes a Difference! Here’s what you can look forward to:

November BEAUTY, SKIN CARE, & GORGEOUS SMILES – Dermatology, Aesthetics, Body Contouring, Plastic and Cosmetic Surgery, the Latest Lasers, Anti-Aging, Weight Loss, Cosmetic Dentistry, Eye Wear, and more! Will include Profiles and Information from your Local Beauty and Dental Health Professionals.

December HEALTHY HOLIDAYS plus NEW YEAR, NEW YOU! – Professionals to help you and your family have a happy, healthy Holiday Season, plus professionals to help you lose weight, get fit, and eat better in the New Year! Will include Profiles from your Local Healthy Holiday & New Year Health Professionals.

January MEET YOUR LOCAL HEALTH PROFESSIONALS – Biographical profiles of a wide variety of local health professionals (Primary Care, Specialists, Integrative, Fitness, and more), highlighting their credentials, expertise, education, practice philosophy, areas of interest, and more!

February CARDIO HEALTH and DIABETES – Professionals to help you keep your Heart Healthy, Diet in check, Diabetes under control, Quit Smoking, and Sleep Sound. Will include Information and Profiles from your Local Heart, Stroke, Diabetes, and Fitness Professionals.

March COMPLEMENTARY and INTEGRATIVE HEALTHCARE – Chiropractic, Hypnotherapy, Holistic Healthcare, Nutritional Therapy, Acupuncture, Yoga, Physical Therapy, and much more! Will include Profiles from your Local Integrative Health Professionals.

If you are a Health Professional interested in including your

Turn static files into dynamic content formats.

Create a flipbook
Issuu converts static files into: digital portfolios, online yearbooks, online catalogs, digital photo albums and more. Sign up and create your flipbook.
Washington DC October 2024 by Your Health Magazine - Issuu