ViewLatest Editions GREAT Information From Local Doctors To Help You Live Healthier! 34 Years 1990 • 2024 Makinga Diference Virginia • Maryland•Washing to n D C Celebrating Health Directory Page 40 READ ABOUT BEAUTY & SKIN CARE PEDIATRIC DENTISTRY INFLAMMATION FERTILITY SCIATICA DENTAL IMPLANTS SENIOR LIVING 50 CENTS LOCAL HEALTH PROFESSIONALS In Our Next Edition, Meet Your LOCAL DOCTORS & ARTICLES at YOURHEALTHMAGAZINE.NET Biographical Profiles of Local Doctors & Practitioners
Bethesda Chevy Chase Pediatric
iTero™ Fairlington Dental Hearing Aids Janice Trent, AuD ALF (Advanced Light Force) Therapy Sleep & TMJ Therapy HEALTH TECHNOLOGY Pages 22-23 Washington DC | June 2024 PAIN Management & Rehabilitation Special Focus... PAGES 24-29
Tongue-Ties and Frenectomies
Dentistry
Michael Rogers, DDS Complete Health Dentistry
Featured Professionals
Toni Greene, Owner Hypnosis/Yoga
Anthony Noya, DC Chiropractor
Benjamin Atanga, CEO Stretch Therapy
Lubrina Bryant, DPM Podiatry
Jeffrey L. Brown, DDS TMJ & Sleep Apnea
Sivakumar Sreenivasan, DMD Oral and Maxillofacial Surgeon
Shawn Samad, DDS Oral Surgery
Ron Murray, PhD Integrative Healthcare
301-805-6805 2 | Your HEALTH Magazine Are You Tired Of Dentures and Many Trips To Dentists ? Schedule Today: 703-566-1990 1016 North Highland Street | Arlington, VA 22201 Would you like to regain your confidence and smile back with teeth that are perfectly fitted and stable in one day under IV sedation? Does that sound too good to be true?! Please visit our Instagram page, YouTube and website to gain insight with this revolutionary procedure: Full Mouth Dental Implants (“Teeth In One Day” ) Regain your confidence and smile back! Pashapouroralfacialsurgery www.drpashapour.com Dr. pashapour
www.yourhealthmagazine.net Washington, DC Edition I 3
By Netsere Tesfayohannes, MD, ABA, ABAP Georgetown Pain Managment
In the United States this year, 700,000 people and one out of every four post-menopausal women will suffer from a painful bone injury called a vertebral compression fracture. This common type of bone injury results in the collapse of a vertebra, a type of bone that makes up the spine. Although there is a safe, effective, and minimally invasive therapy available, two-thirds of these fractures fail to be diagnosed. This is unfortunate, as missing this condition can result in under-treated pain, limitations on daily activities, breathing problems, and dependence on dangerous pain
Kyphoplasty Treatment For Spinal Compression Fractures
medications.
Bone density in both women and men starts to decrease after age forty, but the loss of density greatly accelerates after women enter menopause and can progress to osteoporosis, a disease characterized by very low bone density. Although most compression fractures occur in patients with osteoporosis, one-third of vertebral compression fractures occur in patients without osteoporosis.
If a fracture occurs suddenly, patients can experience sudden severe
back pain that often wraps around the sides and is felt in the chest. Because of this, it is sometimes confused with diseases of the heart or the lungs. The pain is often worse when standing, sitting-up, or walking around. If very severe, the patient can have trouble breathing.
Patients who have symptoms of a fracture should see their doctor for evaluation. After an examination that suggests a vertebral compression fracture, they will often be sent for an MRI. This imaging shows the level of the fracture and also reveals whether it
Do Something About Your PAIN
is old or new. Some doctors treat compression fractures with pain medicine, physical therapy, and bracing. However, many cases continue to cause severe pain and long-lasting health effects unless treated more definitively. Unfortunately, many patients and physicians are not aware that there is a minimally invasive procedure called kyphoplasty that can quickly, safely, and effectively treat a patient’s pain without the long-term use of opioids and other pain medications.
If an acute compression fracture is present on an MRI, a patient should be referred to a pain management physician or another physician who performs kyphoplasty. This procedure can often be performed in a doctor’s office, preventing the need for an overnight stay in a hospital. On the day of the procedure, the patient is given a medicine to relax and then is asked to lie on their belly. An x-ray machine is then used to locate the fractured bone and a narrow tube is placed into it through a very small opening in the skin. A small balloon is inflated within the bone to create a small space and the fracture is then filled with bone cement. The entire procedure can take as little as 45 minutes. Many patients feel immediate pain relief and are able to return to their daily lives the day after the procedure. However, some patients may take a week or longer to feel better.
Kyphoplasty most successfully reduces a patient’s pain within two weeks following a fracture. Unfortunately, if the window of opportunity is passed, the pain can become more challenging to treat and further complications can occur.
If you think you or someone you care about is experiencing symptoms of a vertebral compression fracture, be reassured that there are safe, effective, and minimally invasive therapies available. Schedule an initial pain evaluation at Georgetown Pain Management to determine if you’re eligible for kyphoplasty or other pain therapies. Most insurances are accepted and new patient evaluations are currently being scheduled. As awareness of this condition increases and more patients are offered kyphoplasty as a minimally-invasive therapy, it is hopeful that fewer patients will have to live with the severe pain that results from vertebral compression fractures and can return to their full lives more quickly and comfortably than before.
301-805-6805 4 | Your HEALTH Magazine
Netsere Tesfayohannes, MD, ABA, ABAP Medical Director
Cervical Selective Nerve Root Block • Cervical Facet • Dekompressor Discectomy Discography • Facet Joint Injection • Facet Joint Syndrome • Herniated Discs • Sciatica CONVENIENT LOCATIONS IN GREENBELT & WASHINGTON DC 7500 Greenway Center Drive, Suite 940, Greenbelt, MD 20770 2021 K Street, NW, Suite 605, Washington, DC 20037 Surgery Center: 7300 Hanover Drive, Suite 204, Greenbelt, MD 20770 For a consultation or to refer a patient please call 301.718.1082 gtpain.com At Georgetown Pain Management, we distinguish ourselves by offering same-week evaluations, and emergency service within 1-4 days of initial inquiry. We pride ourselves by providing cutting-edge university-quality service in an effective, private setting.
www.yourhealthmagazine.net Washington, DC Edition I 5
In This Edition…
articles below are provided by local health professionals for the benefit of the public. Please contact them for advice and services.
Cheryl Mallu, DVM, CVA, MAc
Skancke, MD & Rami Makhoul, MD
Dental Implants | Submitted By Sivakumar Sreenivasan, DMD, MDS
17 | Pervasiveness Of Pain | By Deeni Bassam, MD, DABPM
19 | Retina Screening: Do You Need To Have One Done? | By Jacqueline D. Griffiths, MD 20 | How To Love Yourself: You Are Your Own Best Investment | Submitted By Empowered Connections, LLC
| Featured Pain Management & Rehab +
29 | Enhancing Pain Management Through Holistic Therapies | By Carole A. Berberich, LAc, LMT, LPN
30 | Chinese Acupuncture For Shoulder Pain | By Quansheng Lu, CMD, PhD, LAc
30 | Let’s Get Physical: Making Physical Activity a Part Of Your Family Life | By Janet V. Johnson, MD
33 | New Solutions For Dentures and Dental Implants | By Karl A. Smith, DDS, MS
34 | The Ultimate Healing: Restoring Body, Mind & Spirit | By Sabrina Milanovich
36 | Empowering Your Fertility Journey | By Yemi Adesanya-Famuyiwa, MD
38 | Nurturing Healthy Smiles | By Gina Pham, DDS
Meet Your Local Health Professionals
Your Health Magazine is on a mission. There are far too many people, insured or not, who do not go to the doctor when they should, and in millions of cases, don’t know who they should go to, or why. People are encouraged to buy a new house, car, cell phone or big screen TV, and those companies make themselves very visible and their products easily attainable.
Information about, and from, local healthcare providers is not easy to find, and many times those services are difficult to access.
Information and encouragement always lowers fear and trepidation about anything, and this is especially true in healthcare. While general information is available on web-sites, specific information from local providers is almost impossible for people to find. This is one of the key reasons chronic and episodic conditions are not cared for. It is our mission to:
Make A Difference By Empowering and Encouraging People To Live Healthier By Going To the Doctor When They Should.
There is a lot of evidence that the health professionals who participate in Your Health Magazine have helped many people over the years. We at Your Health Magazine salute you!
G. Scott Hunter, Editor-in-Chief
If you would like to find out how you can participate in one of our upcoming editions, please contact the office nearest you.
MARYLAND & WASHINGTON, DC OFFICE One Town Center 4201 Northview Drive, Suite 102 Bowie, MD 20716 Office (301) 805-6805 • Fax (301) 805-6808 info@yourhealthmagazine.net
VIRGINIA OFFICE Office (301) 805-6805 info@yourhealthmagazine.net
© Your Health Magazine, 2024. The magazine and all of its contents are protected by copyright. For permission to reproduce any materials in this magazine, contact publish@yourhealthmagazine.net
EDITOR-IN-CHIEF
Gregory Scott Hunter
301-805-6805
The
Articles and information about health professionals is available
www.YourHealthMagazine.net 4 |
8 |
Fun –
9 | Sciatica
9
10
11 |
12 | Managing Pain After Periodontal
13 | Safe Callus
Corn Treatments
14 | Chlorine-Free Steam Sauna: Reduces Pain & Inflammation
PEMF Expert 16 | All-On-Four
at
Kyphoplasty: Treatment For Spinal Compression Fractures | By Netsere Tesfayohannes, MD, ABA, ABAP 7 | What To Expect From a Holistic Veterinary Hospital Visit | By Deborah
Why The Tooth Fairy Is Very
and Important! | By Elizabeth Shin, DDS
Treatment Options | By Madhavi Chada, MD
| Can Burn Wounds Bleed? | Submitted By Samakow Law
| The Revolution of Robotic Surgery | By Matthew
Ways To Be Present | By Priya Kaur Tahim, MA, LPC, NCC
and Implant Surgeries | By Marc P. Stanard, DDS
and
| By Lubrina Bryant, DPM
| By gLou Stevens, Ret. RN,
22-29
Technology
SERVING MARYLAND & VIRGINIA Since 1990
SALES & MARKETING CONSULTANT Mili Parra MANAGING EDITOR Heather L. Mahoney PRODUCTION & DESIGN ADMIN ASSISTANT Alison Doner
Biographical profiles to help people learn more about their local health professionals. In the next edition of Your Health Magazine... Your Health Magazine is here to Help People Find the Healthcare They Need! Information from local doctors lowers the barriers to getting better healthcare and living healthier... It Makes a Difference! TMJ & SLEEP DISORDERS Jeffrey L. Brown, DDS Sleep & TMJ Therapy Dr. Jeffrey Brown grew up in the state of Maine and went to Bowdoin College, where he gradu- ated Magna Cum Laude in 1982. He accepted early decision into the Georgetown School of Dentistry, and graduated from there in 1986. While at Georgetown, Dr. Brown worked in the Neurology Department as an assistant on a project that involved studying the regeneration of nerve tissue in the spinal column after major trauma. Upon graduation from Georgetown Dental School, Dr. Brown worked for a short time as an associate in a practice in Falls Church, VA. From there, he moved on and built his own practice in the Fairlington neighborhood in Arlington, VA, creating one of the largest practices ever seen on the East Coast. Dr. Brown took a short sabbatical to help raise his four young children and to continue his education. It was then that he began the process of understanding sleep apnea and how it correlates to TMJ treatment. His knowledge in the combined fields of TMJ, sleep and orthodon- tics has given him a perspective unlike most other practitioners who perform basic dentistry. In addition, Dr. Brown has also learned the advanced techniques involved in expanding an airway so that both children and adults can breathe better. His training continued over time at the famous Sleep Medicine Center near the Emory University Hospital. He is a certified Fellow of the American Academy of Craniofacial Pain, awarded the Level of Legacy with the ALF Interface Academy and holds memberships with many academies. In 2013, Dr. Brown met Dr. Brendan Stack and was immediately impressed with the success Dr. Stack had in treating TMJ cases and being able to repair so many damaged lives. For Dr. Brown, helping people by dealing with their debilitating TMJ issues became his second calling. And, as they say, the rest is history! 2841 Hartland Road Suite #301 Falls Church, VA 703-821-1103 SleepandTMJTherapy.com If you are a health professional who would like to be included in this special issue, contact us today: 301-805-6805 • info@yourhealthmagazine.net Full Editions Now Available Online www.YourHealthMagazine.net
By Deborah Cheryl Mallu DVM, CVA, MAc
Holistic Veterinary Healing
What To Expect From a Holistic Veterinary Hospital Visit
behaviors and lifestyle while also performing the physical exam. Pet owners can prepare themselves for the visit by writing down some notes regarding:
• Your pet’s daily routine
In today’s world, “alternative medicine” has been accepted by most human beings. Many alternative practices have been recognized as being legitimate and have even become the norm in mainstream healthcare. When it comes to our pets, however, non-traditional forms of healthcare are often not considered simply because pet owners are not familiar with these types of treatments.
A holistic veterinary offers only the best holistic care for your pet. If you are not sure what a holistic veterinary hospital can offer your pet, we invite you to read on to learn more about this exciting and effective philosophy of treatment.
The Holistic Pet Care Philosophy
The goal as holistic veterinarians is to stop any problems before they start. They help pet owners adjust their pet’s lifestyles so that their pets can enjoy a longer and healthier life without suffering from illness and disease.
With that said, a number of pets that are seen are already suffering from various ailments and issues. When they see these pets, they take a “holistic” approach. They consider every aspect of your pet when determining what could be causing the issue and what the best form of treatment is. Apart from looking at the actual wound or pain point affecting your pet, they consider:
• Other physical areas of your pet which may be contributing to the health problem
• Your pet’s environment and how that can be impacting their health
• Your pet’s emotional response to the injury and their stress level
A veterinary hospital strives to provide a treatment that is not only as minimally invasive as possible, but that is also empathetic and understanding of the unique needs of your pet.
What To Expect From Holistic Pet Care
A visit to a holistic veterinary clinic will be a bit different from a traditional vet visit. They ask a number of questions regarding your pet’s
• What your pet eats and in what quantities
• Notable changes in your pet’s behavior
• Notable changes in your pet’s toileting habits or stool
Holistic pet veterinary clinics will use this information to determine the best form of treatment for your pet. In some situations, they may opt for traditional types of treatment and remedies. However, they also have a number of alternative solutions which are often just as effective and even safer for your pet than conventional medicines. Some common treatments you can expect from a holistic vet include:
• Chiropractic care
• Acupuncture
• Herbal remedies
• Nutritional therapy and guidance
• UVB Ozone Therapy
Regardless of the type of vet you see, it is in everyone’s best interest that your pet gets well and returns to a happy and healthy state. The benefit that we see in choosing a holistic veterinary hospital is that they provide you with more options for the treatment of your pet.
Types of physical HOLISTIC PET CARE
Alternative Therapies: Incorporating practice such as acupuncture, chiropractic care, and physical therapy.
Natural Remedies: Using herbal medicine and homeopathy for preventive and therapeutic purposes.
Massage and Bodywork: Providing massages and other physical therapies to enhance well-being.
www.yourhealthmagazine.net Washington, DC Edition I 7
Germantown Square Shopping Center, Lower Level 12627 Wisteria Drive, Suite C & D, Germantown, MD 240-715-6570 HolisticVeterinaryHealing.com Holistic Veterinary Healing, where your pets will find a whole-listic approach to their healthcare.
Deborah Cheryl Mallu DVM, CVA, MAc
Why The Tooth Fairy Is Very Fun –
By Elizabeth Shin, DDS Bethesda Chevy Chase Pediatric Dentistry
The tooth fairy is a fun and important figure for children. She represents a key stage in a child’s journey into the world of oral health and hygiene. By leaving a small gift (usually money) under a child’s pillow after they lose a tooth, the tooth fairy encourages
and Important!
children to take care of their teeth and to look forward to future dental visits.
What Is The Tooth Fairy and What Does She Do?
The tooth fairy is a mythical creature who is said to leave gifts under children’s pillows in exchange for their lost teeth. It is believed that she originated from Europe, where she was known as la petite souris (the little mouse). The tradi-
tion of the tooth fairy is thought to have started in the early 19th century, and it has since become a widely accepted part of childhood folklore in many countries around the world.
The Tooth Fairy performs some very fun and useful functions, such as:
• Collecting baby teeth from under a child’s pillow
• Leaving children small gifts in ex-
Leading The Way In Pediatric Dentistry!
We provide expert pediatric dentistry to help your child improve and maintain oral health and hygiene, repair and address problematic teeth, and treat teeth, tongue and gum issues that require immediate attention. Partner with our Pediatric Dentist in Bethesda and Chevy Chase to help your child achieve lifelong oral health.
Throughout life, good oral health has a very positive impact on your child’s general health, self-confidence, and discipline. We believe early positive experiences with oral health and hygiene – at the dentist and at home – set the stage for a life filled with good health, love, and success.
change for lost teeth
• Helping children to think about their teeth
• Providing parents with an opportunity to talk with their children about healthy teeth and oral hygiene.
• Supplying a very fun topic for parents to discuss with their children as they anticipate the Tooth Fairy’s visit.
• Reminding parents to book an appointment with their child’s pediatric dentist for a checkup
• Giving children an exciting story to tell their pediatric dentist
The tooth fairy is also said to bring good luck to children! What’s more, she is also said to bring happiness and joy into children’s lives, and the lives of the children’s parents as well.
Why Is The Tooth Fairy Important For Children?
The tooth fairy is important for children because she helps them learn about oral health and hygiene. By leaving a small gift under a child’s pillow after they lose a tooth, the tooth fairy encourages children to focus on their teeth. This is a great opportunity / teachable moment for parents to discuss oral health and hygiene with their children and help them look forward to their dental next visit. Most importantly, the Tooth Fairy and the various traditions that parents create surrounding her visits are super fun for everyone.
Does
The Tooth Fairly Leave Gifts Other Than Money?
The tooth fairy leaves a variety of things under the pillow, depending on what she decides to give the child. Most commonly, she leaves money, but she has also been known to leave small safe presents, including new toothbrushes, dental floss, children’s books about the tooth fairy and visiting the pediatric dentist, and other fun stuff like that. Fortunately, the Tooth Fairy is very creative and always comes up with excellent gift ideas that she knows each child will love.
Can the Tooth Fairy Get Children Excited About Visiting the Dentist?
A visit from the Tooth Fairy is an excellent opportunity to get your child excited about visiting the dentist! You can explain to your child that their pediatric dentist loves the Tooth Fairy! Remember, fun is the secret ingredient to your child’s lifelong oral health, and many priceless memories that you’ll forever share with them.
301-805-6805 8 | Your HEALTH Magazine
4825 Bethesda Avenue, Suite #220, Bethesda, MD 20814 301-941-7374 smile@bccpediatricdentistry.com BCCPediatricDentistry.com
Elizabeth Shin DDS
Pediatric Partial Denture to Replace Missing Teeth
Sciatica Treatment Options
By Madhavi Chada, MD Synergy Spine and Pain Center
The sciatic nerve is the largest single nerve in the human body; it runs from each side of the lower spine through deep in the buttock into the back of the thigh and all the way down to the foot. It serves a vital role in connecting the spinal cord with the leg and foot muscles.
Sciatica is nerve pain from irritation of the sciatic nerve. Sciatica pain is typically felt from the low back to behind the thigh and radiating down below the knee. Treatments for sciatica
depend on the underlying cause and the severity of the pain.
For severe or ongoing flare-ups of sciatic nerve pain, the condition may need to be treated so it does not get worse over time.
Readily available non-surgical remedies and regular exercise will go a long way toward relieving the pain most people experience.
For others, when the pain is severe or does not get better on its own, a more structured treatment approach, and possibly surgery, may be the best option for finding pain relief and preventing or minimizing future pain and/ or dysfunction.
Non-surgical Treatment
For Sciatica
The goals of non-surgical sciatica treatments are to relieve pain and any neurological symptoms caused by a compressed nerve root. There is a broad range of options available for sciatica treatment. One or more of the treatments below are usually recommended in conjunction
Please see “Sciatica,” page 39
• Herniated Disc
• Facet Syndrome
• Spinal Stenosis
• Osteoarthritis
• Bursitis
• Knee Pain
• Hip Pain
us online
Fibromyalgia
Complex Regional Pain Syndrome (CRPS) • Occipital Neuralgia • Vertebral Compression Fractures
and
www.yourhealthmagazine.net Washington, DC Edition I 9 INTERVENTIONAL PAIN MANAGEMENT SPECIALISTS Don’t Let PAIN Control Your Life Madhavi Chada, MD - Triple Board Certified Physician Glenn Dale: 240-929-6652 | Ft. Washington: 240-260-3828 | Silver Spring: 240-641-5922 12150 Annapolis Road, Ste 209, Glenn Dale, MD 20769 10709 Indian Head Hwy, MD-210, Suite D, Fort Washington, MD 20744 11233 Lockwood Drive, Silver Spring, MD 20901
•
•
Pain Conditions We Treat: Visit
a
of
SynergySpineMD.com ABIM certified in Internal Medicine; ABA certified in Anesthesiology and Pain Medicine
Myofascial Pain
•
for
full list
descriptions
the treatments we offer.
By Matthew Skancke, MD & Rami Makhoul, MD Metro Colon and Rectal Surgery
Colorectal surgery has entered a new era of advancement, thanks to the remarkable innovation of robotic surgery. This cutting-edge technology has not only reduced the risk of complications but also revolutionized the recovery
The Revolution of Robotic Surgery In Colorectal Procedures
Smaller Incisions,
process for patients.
In this article, we will explore how robotic surgery is transforming the landscape of colorectal procedures, making them safer and more efficient.
The Robotic Revolution
Robotic surgery has made significant strides since its inception in the
Faster Recovery
late 1990s when the first procedure was performed in the United States. Today, it has become a staple in the field of surgery, with around 400,000 robotic-assisted procedures conducted annually. As multi-armed robotic systems gain popularity, the applications for this technology continue to expand.
Minimal Incisions,
Maximum Benefits
One of the key advantages of robotic colorectal surgery is the minimal invasiveness it offers. Patients typically require only three or four small incisions, each averaging just two centimeters in length. This not only reduces the risk of infection but also accelerates the healing process, leaving little to no scarring behind.
Reduced Risk Of Complications
Another remarkable benefit of robotic surgery is the significantly lower rate of blood transfusions during the procedure compared to traditional open surgery. Patients who undergo robotic colorectal surgery experience nearly zero percent transfusion rates, contributing to a safer surgical experience.
Swift Recovery
The speed of recovery after a colorectal procedure can be a critical factor in a patient’s overall well-being. While recovery timelines can vary depending on the specific procedure and individual health, robotic surgery consistently leads to shorter hospital stays compared to open surgery. Patients typically experience less pain and a quicker return to their normal diet and bowel function.
Personalized Care
It’s important to note that each patient’s experience with robotic colorectal surgery is unique. Factors such as the type of procedure and individual health can influence the recovery process. However, the overall trend points toward a smoother, faster, and less painful recuperation period.
Looking Ahead
As technology continues to advance, the field of robotic surgery is expected to evolve even further. These innovations will likely improve patient outcomes and expand the range of conditions that can be treated with robotic assistance.
Robotic surgery has ushered in a new era of colorectal procedures, offering patients minimally invasive options that reduce the risk of complications and expedite recovery. With smaller incisions, lower transfusion rates, and shorter hospital stays, robotic colorectal surgery is transforming healthcare, ensuring a brighter and healthier future for those in need of these life-changing procedures.
301-805-6805 10 | Your HEALTH Magazine
Shady Grove Office 15001 Shady Grove Road Suite #100, Rockville, MD 20850 240-702-0122 Bethesda Office 10215 Fernwood Road Suite #102, Bethesda, MD 20817 240-858-6764 MCRSDocs.com Our practice has been providing quality care to the Washington Metro community for over 25 years. Our physicians are board-certified in colon and rectal surgery and have specialty training in the diagnosis and treatment of colon and rectal diseases and disorders. Our mission is to provide you with exceptional service in a friendly and professional environment.
By Priya K. Tahim, MA, LPC, NCC Kaur Counseling
Life often moves faster than we think. Time doesn’t stop just because we aren’t prepared to move forward. We have to learn to slow down, in order to appreciate the moments before they pass us by.
Why is being present so important? Being present allows you to cherish moments with loved ones, manage anxiety/stress in real time, focus on what brings you joy or creates stress, etc…Being present allows you to remain in control of your reactions, emotions, expectations and realities.
Here are a few ways of practicing being present:
1. Focusing on the current moment, rather than focusing on what could be, or what should be. If you are constantly living in the “what comes next” you’ll find that you miss out on what’s in front of you. When you find your mind wandering in the future, try to refocus on something in front of you. For example: who you are with, what you are doing, how are you feeling, etc.
2. Body scan meditations are a great way to help focus on how your body is presently feeling. If we can be in tune with how our body is making us feel, we are more likely to be in control of how our mind is feeling.
3. Unplug. Get off social media or put your phone on ‘do not disturb’ and really try to focus on the energy around you.
4. Practice gratitude. It’s a small way to help evaluate things in your life that make you feel grateful. If you can point out little things that make you feel happy, blessed, or thankful-it
Ways To Be Present
will allow you to stay within the current feeling you are in.
5. Ask yourself If the thought that is going through you mind is something you are in control of. Often, our anxieties get the best of us by forcing us to think about the unknown. A way to help minimize that is to ask yourself what exactly you can control in the situation. From there, you can assess what is in your control.
www.yourhealthmagazine.net Washington, DC Edition I 11
Kaur Counseling supports individuals, couples and families through their journey of empowerment, love, growth and happiness. 2168 Wisconsin Avenue, NW Washington, DC 20007 Virtual Offices: Washington, DC, Virginia & Texas info@KaurCounseling.org 214-507-2248 KaurCounseling.org Kaur Counseling works to serve individuals, families and couples’ from diverse backgrounds who suffer from depression, anxiety, re-building intimacy, marital conflict, familial conflict, PCOS, Infertility, low self-esteem, imposter syndrome, divorce/uncoupling, parenting and more. Therapy can be an intimidating process, and our goal is to provide an open, safe environment to help instill support, understanding and empowerment throughout your therapeutic journey. Whether you’re looking to build confidence as an individual or within your relationships, together we can build the tools you need to succeed.
By Marc P. Stanard, DDS, PC
Managing Pain After Periodontal and Implant Surgeries A Guide To Optimal Recovery
Pain management is a crucial aspect of post-operative care following periodontal and implant surgeries. While these procedures are essential for restoring oral health, they can sometimes cause discomfort. Understanding how to effectively manage pain can significantly improve the recovery process and enhance the overall experience for patients.
After periodontal or implant surgeries, it’s common to experience varying degrees of pain and discomfort. This discomfort is typically a result of tissue trauma, inflammation, and the body’s natural healing response. However, with the right strategies, patients can minimize pain and promote a smoother recovery.
One of the primary methods for
managing post-operative pain is medication. Nonsteroidal anti-inflammatory drugs (NSAIDs) such as ibuprofen are often prescribed to reduce pain and inflammation. These medications work by blocking the production of prostaglandins, which are substances in the body that cause pain and swelling. Extra strength acetaminophen (TYLENOL) is often combined with NSAIDs for a dual synergistic effect. Acetaminophen is thought to work upon the central nervous system by elevating the body’s tolerance to pain and reducing fever by helping your body reduce excess heat. By combining these two drugs, an analgesic level comprobable to what low narcotics afford is achieved to manage low to moderate pain. It’s essential to follow the prescribed dosage and frequency to maximize effectiveness while minimizing the risk of side effects.
In addition to medication, there are several non-pharmacological techniques that can help alleviate pain and promote
P. Stanard, DDS
healing. Applying ice packs to the affected area can help numb the area and reduce swelling. Patients should be cautious not to apply ice directly to the skin to avoid ice burns. Instead, wrapping the ice pack in a cloth and applying it for 15-20 minutes at a time can provide relief. After 48 hours, moist heat is then utilized to further manage post-operative swelling. Natural medicaments such as arnica and aloe vera for possible bruising or soreness and black tea for residual bleeding can also be utilized to good effect for post surgical sequelae.
Maintaining proper oral hygiene is also crucial for managing pain after periodontal and implant surgeries. Gentle brushing and flossing around the surgical site can help prevent infection and promote healing. However, patients should be careful to avoid brushing too vigorously, as this can irritate the surgical site and increase discomfort.
Furthermore, adhering to any postoperative instructions provided by the
Periodontist
dental surgeon is essential for optimal recovery. This may include dietary restrictions, activity limitations, and follow-up appointments. By following these guidelines, patients can minimize the risk of complications and expedite the healing process.
It’s essential for patients to communicate openly with their dental care team regarding their pain levels and any concerns they may have. Dentists and periodontists can provide personalized recommendations and adjustments to the pain management plan based on the individual needs of each patient.
Effective pain management is essential for promoting a smooth recovery following periodontal and implant surgeries. By utilizing a combination of medication, non-pharmacological techniques, proper oral hygiene, and communication with dental professionals, patients can minimize discomfort and achieve optimal oral health outcomes.
Maintaining good dental hygiene is crucial, and Dr. Marc Stanard, a periodontist and specialist in surgical implant dentistry, can help you achieve healthy teeth comfortably. We offer a wide range of specialized procedures and services to cater to your periodontal needs, such as bone surgery, scaling, and root planing, gum grafts, crown lengthenings, and sinus lifts.
Why you should choose Dr. Marc Stanard:
• We provide advanced, affordable dental care tailored to meet your unique needs.
• Our team offers oral hygiene instruction and education on gum disease, bone loss, and other dental health conditions.
• Dr. Marc Stanard has decades of experience and a passion for his work, and he’s earned numerous designations, affiliations, and awards, including Top DDS by Washingtonian and high ratings on Google and Yelp.
• Our office is friendly and welcoming, making it the perfect place to receive top-quality dental care.
301-805-6805 12 | Your HEALTH Magazine
Contact us today to schedule an appointment and experience the benefits of our specialized periodontal care.
Call: (202) 887-5441 1350 Connecticut Avenue, NW, Suite #305 • Washington, DC 20036 wdcperioimplant.com
In Washington, DC Marc
Safe Callus and Corn Treatments
Exploring Over-the-Counter and Podiatrist Options
By Lubrina Bryant, DPM District Podiatry, PLLC
Calluses and corns are common foot conditions that can cause discomfort and pain. While over-thecounter treatments offer convenience, it’s essential to understand the benefits of seeking professional care from a podiatrist. In this article, we will explore both over-the-counter and podiatrist-recommended treatments for calluses and corns, emphasizing the advantages of consulting a podiatrist.
Over-the-Counter Treatments
Over-the-counter treatments for calluses and corns are readily available and can provide temporary relief. These treatments often include medicated pads, cushions, creams, and ointments. While they may soften the skin and alleviate discomfort, they do not address the underlying cause of the problem. It is important to follow the instructions carefully and discontinue use if any adverse reactions occur.
Benefits Of Podiatrist Care
• Accurate Diagnosis: Podiatrists are foot specialists who can accurately diagnose the cause of calluses and corns. They can differentiate between corns and calluses and identify any underlying foot conditions contributing to their development. This allows for targeted treatment plans tailored to the individual’s specific needs.
• Customized Treatment: Podiatrists provide personalized treatment options based on the severity, location, and cause of the calluses and corns. They may employ various techniques such as debridement (removal of dead skin), trimming, or shaving of corns and calluses, while also addressing any contributing biomechanical or structural issues.
• Preventative Measures: A podiatrist can offer valuable advice on preventive measures to avoid future occurrences. They can recommend appropriate footwear, orthotic devices, and provide guidance on foot care and hygiene. This comprehensive ap-
proach helps reduce the likelihood of callus and corn recurrence.
• Addressing Underlying Conditions: Calluses and corns can be symptomatic of an underlying foot deformity, such as bunions or hammertoes. Podiatrists can identify and treat these conditions, providing long-term relief and preventing further complications.
• Professional Expertise: Podiatrists
undergo extensive training and possess in-depth knowledge of foot anatomy and conditions. They stay updated on the latest advancements in foot care and treatment options. By consulting a podiatrist, patients benefit from their expertise and specialized care, ensuring optimal outcomes.
While over-the-counter treatments may provide temporary relief for calluses and corns, it is crucial to recognize the value of consulting
a podiatrist. Podiatrists offer accurate diagnosis, customized treatment plans, preventative measures, and expertise that go beyond mere symptom management. Seeking professional care from a podiatrist ensures comprehensive foot care and addresses the root causes of calluses and corns, leading to long-term relief and improved foot health. When it comes to your feet, trusting a podiatrist is the safest and most effective choice.
www.yourhealthmagazine.net Washington, DC Edition I 13
We Provide Foot Care For the Whole Family 1647 Benning Road, NE Suite #301, Washington, DC 20002 202-388-5303 www.DistrictPodiatry.com From routine checkups to minor foot surgery, Lubrina Bryant, DPM is a podiatrist who is equipped to handle all your foot and ankle needs. SERVICES INCLUDE: • Routine Foot Care • Diabetic Foot Care • Wart Removal • Ingrown Toenails • Foot, Ankle or Heel Pain • Toenail Fungus • Bunions Our feet are important in our everyday lives. The problem is that we tend to neglect them. When this becomes a habit, it can cause significant trouble. Ignoring foot problems can mean pain, limited mobility, and expensive doctor’s visits. On the other hand, if feet are cared for and looked after regularly, they will perform without pain or complication. DISTRICT PODIATRY, PLLC
By Dr. gLou Stevens, Ret. RN, PEMF Expert, Spa Director
Numerous studies have been conducted to verify the prevalence
Chlorine-Free Steam Sauna Reduces Pain & Inflammation
and impact of pain on older adults.
The data revealed that older adults ages ≥65 years were dealing with some form or bothersome pain in various parts of their body (knees, hips, hands, shoulders, neck and lower back). The report also indicated that the prevalence of pain was higher in women and in older adults dealing with obesity, musculoskeletal conditions, and
depressive symptoms.
One study showed the link between pain and the lack of regular exercise. Sitting for long periods of time also contributes to promoting pain.
Another aspect to consider is chronic pain. Chronic inflammation that persists over a long period of time due to stress that’s associated with an illness is harmful because it can lead to health problems like heart disease, different forms of arthritis, and cancer.
At Mobile Medi Sauna, we offer safe and effective cellular healing solutions through the use of Pulse Electro-Magnetic Frequencies (PEMF) Powered Sauna Therapy. And best of all, we come to you! For immediate service call us at
to schedule a FREE consultation.
There are tons of prescribed medications for pain and over-the-counter pain products. Health food stores offer natural remedies, and medical marijuana is accepted as a pain relief product for several illnesses. The deadliest pain products that came on the scene about 20 years ago for pain relief are opioids.
Then we have several hands-on treatments such as acupuncture, physical/occupation therapy, chiropractic, etc. – but have you ever considered how helpful a steam sauna can be in alleviating your pain?
Chlorine-free steam heat can open
up your body’s blood and lymphatic systems increasing blood flow and lymph fluid to the areas where you’re experiencing pain. Steam saunas can open both the inside and outside of your body. Blood flow and lymph fluids lubricate stiff joints and increase blood flow. Joints become more flexible, decreasing painful movements. The source of your stress that’s causing inflammation is also gradually being reduced thereby enabling your body to experience a calm that permeates your mind, body and soul. No more pain.
What About My Bathroom?
The steam produced by a standard home heating system will not produce the temperature that’s necessary to have a positive impact on all your body’s systems. Nor is bathroom steam able to stop joint pain or inflammation. The opposite is true. One scientific reports links chlorinated water to numerous health problems like heart disease, diabetes, arthritis, fibromyalgia, and cancer. Sitting in the chlorinated steam produced in your bathroom is actually hazardous to your health.
301-805-6805 14 | Your HEALTH Magazine
Just For You Mobile Medi Sauna Services Improve Your Health with Our Monthly
Service
“Medi Sauna”
240-350-2835
www.yourhealthmagazine.net Washington, DC Edition I 15
Submitted By Sivakumar Sreenivasan, DMD, MDS
Dental Implant Center of Rockville
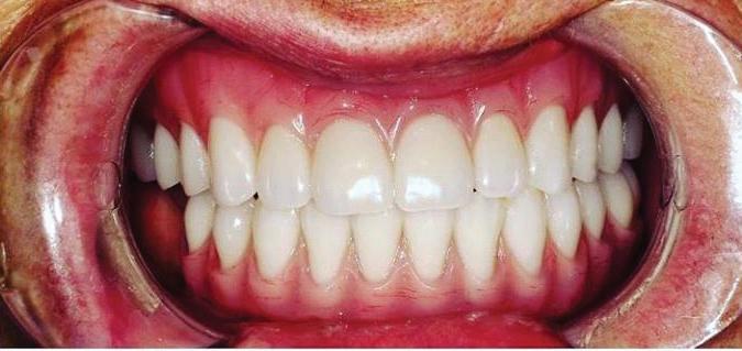
Can just four implants replace all of the teeth on the top or the bottom of your mouth? Thanks to advances in dental implant technology, that answer is a resounding yes.
Believe it or not, tooth loss is extremely common among adults, especially as we age. In fact, more than 35 million people in America are missing all of their upper and/or lower teeth. Rather than living with the discomfort and hassles of dentures, many people are opting for what is called “all-onfour” dental implant restoration.
All-On-Four: One Full Arch Of Teeth, Four Dental Implants
To fully understand this remark-
A Reason To Smile Again
able technique for replacing teeth, you should first understand what a dental implant is. An implant is a small titanium screw that fits inside your jawbone and replaces the root-part of a missing tooth. Minor surgery is required to insert the implants. Once the implant is in place, a crown is attached to give you a highly realistic-looking and functional prosthetic tooth.
Here’s where it gets really interesting: You do not need a dental implant for each and every one of your missing teeth. All you need is four precisely placed implants on the top of your mouth, and four on the bottom, to restore your full smile. That’s the beauty of the all-on-four. And because the implant is made of titanium, it has the unique ability to fuse to living bone and function as part of it. So eventually, the dental implant becomes part of the jawbone and serves as a strong, long-lasting foundation for your new teeth.
Besides ensuring that your implants are permanently fixed in place,
Missing Teeth or Tired of Wearing Dentures?
Thanks to advances in dental implant technology, just four implants can replace all of the teeth on the top or the bottom of your mouth.
this bone fusion has another important benefit: it prevents future bone loss in the jaw. This helps to maintain a more youthful facial structure – and better oral health. But perhaps the biggest surprise about the all-on-four is how quickly it can transform your life.
What’s The All-On-Four Dental Implant Procedure Like?
It can be scary to get implants for the first time. Most of that fear is probably due to the uncertainty, so here is the step-by-step process for getting an All-On-Four dental implant.
First, your dentist will want to make sure your comfortable, so either local or general anesthesia will be administered.
Second, the dentist or surgeon will prepare your mouth for the implants, which involves removing your remaining teeth that are failing. They will then remove any diseased or infected tissue from your jaw and gums.
Next, they will begin the implantation process. This means they will
insert the titanium screws into your jawbone. Most likely, they will place two implants toward the front of your mouth and two towards the back of your mouth so the “anchors” can evenly bare the force of the denture.
After the implants have been placed, they will thoroughly clean the surgical sites and suturing all the incisions. Then you’ll be taken to a recovery room where you can relax and take time to wake up from the anesthesia.
How Do You Know If The All-On-Four Procedure Is The Right Option For You?
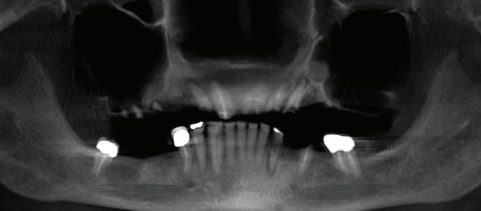
At your All-On-Four consultation, you’ll receive a 3D CT Scan. This scan will help determine if you need implants and assist your doctors in creating your treatment plan. So if you want to learn more about dental implants, simply schedule a consultation with an All-On-Four provider. It’s the best way to find out how dental implants can change your life.
301-805-6805 16 | Your HEALTH Magazine All-On-4: Same Day Smiles CALL TODAY TO GET YOUR OLD SMILE BACK! 301.294.8700 Dental Implant Center of Rockville 77 South Washington Street, Suite #205 Rockville, MD 20850 • www.DrSreeni.com Courtesy 3D Planning For Implants When patients bring a 3D scan with them to or have one taken in the office. Appointment needs to be scheduled before June 15, 2024
All-On-Four Dental Implants
By Deeni Bassam, MD, DABPM The Spine Care Center
The International Association for the Study of Pain defines pain as “an unpleasant sensory and emotional experience associated with actual or potential tissue damage, or described in terms of such damage”.
Webster’s dictionary defines pain as “localized physical suffering associated with bodily disorder (as a disease or an injury); also a basic bodily sensation induced by a noxious stimulus, received by naked nerve endings, characterized by physical discomfort (as pricking, throbbing, or aching), and typically leading to evasive action.”
As one can see, coming up with a sensible definition of pain may be difficult but for the individual patient suffering from chronic pain the definition becomes quite easy.
Pain is the single most common reason for a visit to the doctor. The American Pain Foundation estimates that there are 50 million people suffering from chronic pain each year. The rates of chronic pain in the elderly approach 50%.
Coming up with a sensible definition of pain may be difficult but for the individual patient suffering from chronic pain the definition becomes quite easy.
When considering both the direct costs of chronic pain (doctor visits, medications, treatments, hospitalizations, etc.) along with the indirect costs, such as lost productivity, the total cost of chronic pain to society has been estimated to be around $100 billion per year. When one further considers that each chronic pain patient is likely close with and sometimes dependant on at least two other people then the total number of people affected by chronic pain reaches 150
Pervasiveness Of Pain
million; a figure that is approximately half of the total U.S. population.
Acute pain is often an important warning sign that something is wrong. It is almost always a signal of some underlying pathology that may need medical attention. On the other hand, chronic pain (that lasting greater than six months) does not always have an underlying or easily discernible pathology. It can persist long after the offending insult has been removed or cured.
Often, the dysfunction in chronic pain lies in the nervous system itself and cannot be detected on conventional imaging such as MRI. This can lead to a great deal of frustration on the part of the patient, as well as loved ones and healthcare providers.
Most often, successful treatment of chronic pain will employ multiple modalities including pharmacological, physiological, psychological, and interventional in order to address the multiple causes and
effects of daily persistent pain. A balanced approach without overreliance on any one tool leads to the best outcomes.
The time to talk with your physician about your pain is when that pain consistently interferes with your ability to perform simple daily tasks such as bathing or cooking.
Treatments exist which can lessen your suffering, allowing you to get back to the tasks at hand in daily life.
www.yourhealthmagazine.net Washington, DC Edition I 17
ADVENTIST MEDICAL GROUP PRIMARY CARE SERVICES FOR YOU
Choose Adventist Medical Group Primary Care in Fort Washington, Maryland, to provide a full range of primary care services for adults.
Learn to better manage your health and prevent illnesses with personalized care from our experienced, primary care providers. Our specialists in family medicine and internal medicine work as a team to deliver expert care when you need:
• Same-day Sick Visits
• Women’s and Men’s Health and Wellness Exams
• Health Physicals, Health Maintenance and Preventive Care
• Geriatric (Senior) Wellness Exams
• Vaccinations and Immunizations, including Flu Shots
• Health Management for:
• Asthma and Allergies
• High Blood Pressure
• High Cholesterol
• Diabetes
• Heart Disease
You also benefit from coordinated care that helps you effectively handle all aspects of your health—from preventive medicine and preoperative appointments to management of chronic health conditions.
To schedule an appointment, please call 240-724-6018
10709 Indian Head Highway, Suite D1 Fort Washington, Maryland 20744 AdventistMedicalGroup.org
301-805-6805 18 | Your HEALTH Magazine
Ogechi Anyaoku, MD, MSPH (Internal Medicine)
Nicole Haskins, CRNP, RN (Family Nurse Practitioner)
Retina Screening:
Do You Need To Have One Done?
By Jacqueline D. Griffiths, MD
Many of us have heard the saying “your eyes are the window to your health”. This is true because many health conditions are first detected in the Retina (the retina captures the light that enters your eye and helps translate it into the images you see).
It is well known that diabetes and high blood pressure can damage blood vessels, which then causes damage to your retina. Inflammatory conditions can also cause damage. Eye injuries can damage your retina and the macula.
Why Is Retinal Screening Important and Is It Worth It?
Signs of high blood pressure or hypertension, diabetes, brain tumors, and some forms of cancer are first evident in the retina. This is well before other signs appear throughout the body. Detecting such health issues early is vital in treating them. Finding retinal disorders as early as possible is critical to potentially preventing serious disease progression and even vision loss. In addition
to helping detect diseases early, retinal images provide a permanent and historical record of changes in your eye. With today’s electronic medical records applications, these images can be compared side-by-side, year after year, to discover even subtle changes and help monitor your health.
Is
Retinal
Screening Better Than Dilation?
While dilation still constitutes a complete eye exam, retinal imaging for screening or to follow diseases, provides a complete picture of not only your eye health but also your health in general.
How Often Should You Have a Dilated Retinal Exam?
Retina exams are part of any comprehensive eye exam no matter what your age. But unless you need glasses or have other eye conditions, you may not be seeing an eye doctor regularly. If you don’t, you should start getting eye exams at least every 2-4 years. While screening retinal imaging is not covered by insurance, it will be covered if following a known retinal disease.
D. Griffiths M.D. earned her undergraduate degree at Yale and her medical degree from the University of Michigan. Her Ophthalmology residency was completed at Georgetown University Medical Center.
Dr. Griffiths has been in private practice since 1994. She started her own practice and laser center, NewView Laser EyeTM in 1999 where she serves as the Medical Director. NewView’s Mission is to provide Excellence in Ophthalmologic services by giving personalized attention to every patient.
Dr. Griffiths is Board Certified and began performing laser vision correction practically from its inception in this country. She has performed thousands of cases and participated with the CRS-USA LASIK trials to get the LASIK procedure approved by the FDA.
In addition to offering CustomVue LASIK and EpiLase, NewView offers CKSM, no-stitch laser cataract surgery, annual eye exams, contact lenses, glaucoma and diabetic screening exams, and cosmetic services including Botox, Restylane, Radiesse, Juvederm, and eyelid surgery. NewView Optical offers affordable high quality frames and lenses for the entire family (ages 5 and older).
Dr. Griffiths is the former Ophthalmology Section Chief of Reston Hospital Department of Surgery, the former Chief of Ophthalmology for the Reston Ambulatory Surgical Center in Reston, VA as well as Loudoun Hospital in Leesburg, VA, Diplomate of the American Board of Ophthalmology, a Fellow of the American Academy of Ophthalmology, a member of the American Society of Cataract and Refractive Surgery, the Washington National Eye Center and others.
www.yourhealthmagazine.net Washington, DC Edition I 19 Optical Insight
Healthy Retina
Consumer’s Research Council of America Voted “Top Ophthalmologist” Washingtonian Magazine Health & Beauty Magazine Jacqueline D. Griffiths, MD Selected as a “Super Doctor” Washington Post Magazine Voted “Top Ophthalmologist” Washingtonian Magazine & Northern Virginia Magazine Reston: 703-834-9777 Leesburg: 703-777-1244 www.drjdg.com www.NewViewEye.com
Diseased Retina
Jacqueline
See Better, Live Better Our mission is to provide Excellence in ophthalmology services by providing Personalized care to every patient! 12110 Sunset Hills Road, Suite #50, Reston, VA 20190 – 703-834-9777 20 Davis Avenue, SW, Leesburg, VA 20175 – 703-777-1244 www.NewViewEye.com • Custom LASIK, & PRK • Advanced Cataract Surgery • Multifocal Implants • Annual Eye Exams • Contact Lens Exams • Glaucoma Management • Laser Floater Removal • Optical • Eyelid Surgery • Belotero • Radiesse™ • Juvederm™ • Botox / Xeomin • Diabetes Management
New View
Eye Center
How To Love Yourself You Are Your Own Best Investment
Submitted
By
Empowered Connections, LLC
I’m sure you’ve heard this before somewhere, but I think it bears repeating because so many of us women don’t follow this and instead, we give everyone everything and leave little for ourselves.
I know the buzz is all about “selfcare” right now, but I want to offer you
a deeper thought process behind this. Your Are Your Own Best Investment. Your Best Asset.
There is no one on this planet who is as invested in your success than yourself!
No one will ever love you more than you love yourself or care for you more than you care for yourself. This
means that you are responsible for creating the life you have and the life you want.
You are the only one who knows your dreams and hopes and can reach them.
Only you my dear.
Look, this is barring of course any unhealthy/toxic/dysfunctional relationships you may be in now. While I still believe you have the power to leave this situation, I recognize that this may take more than a pep talk, which I totally get.
Globally speaking, you do have all the power within yourself to reach your goals and to better your situation. Is there anyone more worth it than you? Is there anyone who is going to champion yourself more than you?
I would say NO.
You know yourself best which means you have so much more power than you’re possibly using.
Want to make money? Can you ask for that raise? Can you go to college and start on your degree?
Want to feel better? Can you look at your day and make better choices that make you feel better? (Less diet coke and more water, for example?)
In a relationship that makes you feel crazy and exhausted all the time? Can you break things off with this person or at least have a conversation with them about how defeated you’re feeling?
Not getting enough sleep? Can you look at your sleep habits and try new habits that may help you sleep more and better?
Do you see the common denominator in all of these challenges? YOU!
As Glinda the Good Witch from The Wizard of Oz always says (and our favorite motto here at EC), “You’ve always had the power my dear!”
All it takes is you taking a step forward in the direction you’d like to go in. Just one little one, every day, consistently and over time you will begin to BE the change you’ve always dreamed of.
No one else can do that for you and remember (I like to tell my clients this), the time is going to pass by anyways so why not make it count?
We also recognize though that sometimes we need an extra set of eyes on us to remind us if we have blinders on or have some speed bumps coming ahead. You need a partner in the investing of your own best asset (YOU, MY LOVE)!
301-805-6805 20 | Your HEALTH Magazine
www.yourhealthmagazine.net Washington, DC Edition I 21 3450 Old Washington Road Suite #103, Waldorf, MD 20602 CookandSiuMD.com Start Losing Weight In 3 Easy Steps! CALL FOR RISK-FREE APPOINTMENT! 301-472-4290 Nearly 100% Financing Available Complete Medical Intake so your Medical Doctor can develop the best treatment plan for you.
with Doctor a licensed Doctor with weight loss experience will review your information. Receive Medication Receive your GLP-1 medication in the mail every month. Free shipping directly to your door. WITH OUR SEMAGLUTIDE PROTOCOL 4 Month Supply – Self Injections Supplies – Initial Consultation Only $396.00 per Month ($99.00 per Week) No Hidden Fees – No Insurance Needed Suppress Appetite Improve Health Lose Weight
Meet
The latest technology in hearing aids will include advances in sound processing to manage loudness input, background noise, and speech intelligibility. This is accomplished with a sophisticated array of microphones that can reduce background noise while allowing meaningful speech to be intelligible. In many cases, this is possible when the speech is coming from different directions such as from the front, side or behind of the individual.
What type of hearing aid is most appropriate is contingent on the degree of hearing loss, issues related to word processing and/or understanding, and lifestyle.
While there are many situations where an OTC hearing aid is appropriate for an adult with mild to moderate hearing loss there are other situations where a prescriptively fit hearing aid is better to meet listening needs.
To achieve an optimal hearing aid fitting, start with a hearing evaluation by a licensed audiologist who can recommend appropriate over-the-counter hearing aids or cost-effective prescription hearing aids.
Note: While most OTC hearing aids are not covered, many prescription hearing aids are covered by medical insurances.
the Sweet
BabyLase™ is the most advanced and gentle treatment available for infant tongue tie and lip tie. This method is easier on both mother and child when compared with more traditional surgical approaches.
Babies, and especially newborn infants, should always receive the gentlest, most effective treatment we can provide. For this reason, we have invested in the revolutionary BabyLase system, which offers a non-surgical alternative for releasing oral soft tissues that interfere with proper nursing. This laser-assisted approach is the most sophisticated treatment available for correcting infant tongue tie and lip tie. The mild
warmth of the light produced by BabyLase can help tighten restrictive tissue to soften and relax into a more functional position. Furthermore, treatment with BabyLase technology offers additional benefits including the reduction of discomfort and inflammation, as well as stimulation of natural blood flow and the nervous system—all of which aid in comprehensive whole-health healing and re-integration of the treated tissue.
ICARE EIDON – ULTRA-WIDEFIELD DETAILS IN HIGH DEFINITION
It’s the perfect retinal imaging system that provides TrueColor and widefield views in multiple imaging modalities. iCare EIDON provides unsurpassed image quality and a unique, live, confocal view of the retina in a dilation-free operation.
The iCare EIDON’s Ultra-widefield feature helps to preserve the sharpness and details even in the periphery, facilitating improved and early diagnosis.
KEY FEATURES
• Widefield, ultra-high-resolution imaging • Capability to image through cataract and media opacities
• Dilation-free operation
WHAT ARE THE BENEFITS OF RETINAL PHOTOGRAPHS?
A healthy retina is essential for maintaining clear vision and overall eye function. These photographs can be used to evaluate the health of the optic nerve, vitreous, macula, retina and surrounding blood vessels to diagnose conditions such as:
• Macular Degeneration
• Hypertensive Retinopathy
• Vitreous Detachments
• Diabetic Eye Disease
• Macular Holes
• Glaucoma
301-805-6805 22 | Your HEALTH Magazine
NEW TECHNOLOGY – Over-the-counter or Prescription Hearing Aids? 301-429-2920 HearingHealthcareServices.com 10111 Martin Luther King Jr. Highway, Suite #102, Bowie, MD 6196 Oxon Hill Road, Suite #240, Oxon Hill, MD Hear
(((Sounds))) of Life
Technology
Janice Trent, AuD
Call Today To Schedule: 703-723-8440 44025 Pipeline Plaza, Suite #225, Ashburn, VA info@KidzSmile.com • www.KidzSmile.com
Our pediatric dentists want your child to have a healthy and fulfilling life full of beautiful smiles! To get your child started on a journey toward optimal oral health and whole body wellness, please contact our practice to schedule a discovery session!
12110 Sunset Hills Road, Suite #50, Reston, VA 20190 703-834-9777 20 Davis Avenue, SW, Leesburg, VA 20175 703-777-1244 www.NewViewEye.com
Technology
Goodbye Goopy Impressions
ALF ( Advanced Light Force) THERAPY
for jaw surgery
Our ALF appliances are certified by Dr. Darick Nordstrom. He has personally instructed our ALF-certified technicians on the proper design and fabrication techniques to ensure that each technician is capable of creating authentic ALF appliances worthy of certification. The seal below is his stamp of approval.
Tongue-tie (ankyloglossia) is a condition present at birth that restricts the tongue’s range of motion.
With tongue-tie, an unusually short, thick or tight band of tissue (lingual frenulum) tethers the bottom of the tongue’s tip to the floor of the mouth, so it may interfere with breast-feeding. Someone who has tongue-tie might have difficulty sticking out his or her tongue. Tongue-tie can also affect the way a child eats, speaks and swallows.
Sometimes tongue-tie may not cause problems. Some cases may require a simple surgical procedure for correction.
Dr. Brown is highly trained in ALF (Advanced Light Force) therapy. He has over 500 hours in ALF therapy training and has lectured around the world teaching ALF techniques with Dr. Nordstrom, the creator of the ALF appliances. The ALF appliances are thin, conservative appliances that can be used on the upper and lower arches. They hide behind the teeth, are removable and are basically invisible when being worn. This innovative treatment approach is used to address neurological, orthodontic and orthopedic issues, and the benefits are vast. Each appliance is unique to the patient and designed by the doctor to achieve specific goals relating to health, beauty and function. No ALF appliance is the same, and treatment is pain-free.
Tongue-Ties and Frenectomies
SYMPTOMS:
Signs and symptoms of tongue-tie include:
• Difficulty lifting the tongue to the upper teeth or moving the tongue from side to side
• Trouble sticking out the tongue past the lower front teeth
• A tongue that appears notched or heart shaped when stuck out
CAUSES:
Typically, the lingual frenulum separates before birth, allowing the tongue free range of motion. With tongue-tie, the lingual frenulum remains attached to the bottom of the tongue. Why this happens is largely unknown, although some cases of tongue-tie have been associated with certain genetic factors.
WHEN TO SEE A DOCTOR:
• Your baby has signs of tongue-tie that cause problems, such as having trouble breast-feeding
• A speech-language pathologist thinks your child’s speech is affected by tongue-tie
• Your older child complains of tongue problems that interfere with eating, speaking or reaching the back teeth
• You’re bothered by your own symptoms of tongue-tie
RISK FACTORS:
Although tongue-tie can affect anyone, it’s more common in boys than girls. Tongue-tie sometimes runs in families.
www.yourhealthmagazine.net Washington, DC Edition I 23
With the Cadent
digital impression system, Dr. Michael Rogers takes a highly accurate digital im-
for your sleep appliances, TMJ appliances, and Invisalign™ clear aligners, completely eliminating
uncomfortable tray and putty impression. What’s more, iTero technology all but guarantees a perfect fit
your aligners
so you spend less time at the dentist’s office and more time enjoying your new smile. Perfect Fit: iTero™ for Sleep & TMJ Appliances! Get the Perfect Fit for Your Smile – Try iTero™ Today! Available At Fairlington Dental: Schedule Now: 703-671-1001 4850 31st Street South, Suite A • Arlington, VA 22206 FairlingtonDental.com
iTero™
pression
the
for
or appliance,
A Unique and Sophisticated Approach To Orthodontics and Wellness ALF Therapy has proven to be an extremely valuable tool for those patients who have:
A need for facial guidance
Palate expansion • Narrow palates • Breathing issues • TMJ dysfunction • Craniofacial pain • Crowded/crooked teeth • An avoidance for extractions • Crossbite, overbite or underbite • Cranial asymmetry • Sleeping problems — snoring • Recommendations
•
•
2841 Hartland Road, Suite #301, Falls Church, VA 22043 • www.sleepandtmjtherapy.com • 703-821-1103
Airway before ALF Treatment; red
very serious airway
Airway after ALF treatment, full resolution of this 30-year-old patient’s
Call Today To Schedule: 301-329-8047 4825 Bethesda Avenue, Suite #220, Bethesda, MD 20814 smile@BCCPediatricDentistry.com • BCCPediatricDentistry.com
shows
constriction.
symptoms.
Featured Health Professionals
Benjamin Atanga, CEO
Meet Benjamin Atanga
Benjamin Atanga, a visionary entrepreneur, coach, and educator, has forged a remarkable path in the realms of holistic wellness and stretch therapy. With over 19 years of entrepreneurial experience, Atanga’s journey is a testament to his unwavering commitment to promoting fitness, health, and wellness.
A graduate of Bowie State University with a degree in Behavioral Science, Atanga’s athletic background as a former NCAA-CIAA football player laid the foundation for his passion for physical fitness. Following his collegiate career, he delved into the realm of personal training, eventually transitioning into rehabilitative training and holistic stretch therapy.
In 2016, Atanga co-founded StretchWorkz™, a pioneering project aimed at revolutionizing the approach to stretch massage therapy. Under his leadership, StretchWorkz™ expanded to five locations across the DC Metro Area, offering partner-assisted stretching that combines the benefits of yoga, physical therapy, and massage.
In 2020, Atanga further solidified his legacy with the establishment of The Stretch Loft, a black-owned holistic wellness center dedicated to releasing stored tension, trauma, and stress through stretch therapy. Rooted in integrity, respect, and community, The Stretch Loft provides an uplifting and empowering experience, fostering physical and mental well-being. The Stretch Loft’s services help to:
• Reduce anxiety and trauma from the body
• Release tension and stress
• Increase flexibility and range of motion
• Sleep better and increase blood flow
• Leave you feeling balanced, centered and rejuvenated Driven by a deep-seated belief in the transformative power of holistic healing, Atanga has also founded The Stretch Loft Academy, where he mentors and certifies aspiring practitioners in the art of stretch therapy. His mission to uplift and heal extends beyond business, as Atanga remains dedicated to humanitarian efforts and fostering connections within his community.
As a father, son, and avid traveler, Atanga’s journey is a testament to the boundless possibilities that arise from a steadfast dedication to one’s passion and purpose. With his visionary leadership and commitment to holistic wellness, Benjamin Atanga continues to inspire and empower individuals worldwide on their path to optimal health and vitality.
TMJ & Sleep Apnea Treatment
Meet Jeffrey L. Brown
Dr. Brown’s practice focuses on TMJ, sleep apnea and orthodontics. This allows Dr. Brown and his team to provide individualized, focused care for patients dealing with these specific issues. Every day, his practice helps patients of all ages with facial development, sleep issues, chronic headaches, migraines, neck pain, movement disorders, and much more. His training also includes multiple disciplines involving the cranial bones in the skull, and the discs in the jaw joints. Through treatment, Dr. Brown is able to reduce these symptoms, align cranial bones, avoid extractions, and greatly reduce the need for traditional braces.
His expertise allows him to identify issues early on which promotes proper facial development using dental appliances. If there is an internal imbalance, whether an adult or child, the body does not develop or function properly. When the cranial bones are lined up correctly, patients are able to function, sleep and generally live better.
With that in mind, the team at Sleep & TMJ Therapy takes a whole-body approach when treatment planning. They work hand in hand with physical therapists and osteopathic doctors for a better success rate. Dr. Brown is devoted to helping patients of all ages live a symptom free life.
Degrees & Certifications
Dr. Brown earned his degree from Georgetown Dental School and completed residencies with Emory University Hospital for Dental Sleep Medicine and the ALF Appliance Therapy Institute.
Outside the Office
When not seeing patients, Dr. Brown is a sought-after speaker. He has lectured all over the world, including D.C., Dubai, Seoul, London, Norway and Toronto. He has also been featured on Channel 9’s Good Morning Washington, several podcasts, and numerous magazines and journals.
Professional Affiliations
Dr. Brown is a diplomate of the American Academy of Craniofacial Pain, a member of the American Academy of Dental Sleep Medicine, American Academy of Gnathological Orthopedic, Academy of Integrative Pain Management American Dental Association, a Fellow of the American Academy of Craniofacial Pain, and Legacy Provider for the ALF Interface Academy.
Do you have TMD or Sleep Apnea?
TMD Symptoms: Noise in the jaw joints when opening and closing your mouth, difficulty chewing, limited opening, tender facial muscles, ear ringing, uncomfortable bite, jaw locking, headaches, migraines, dizziness, vision issues as well as pain in the jaw area which can radiate to the ears, head, neck, shoulders, and back.
Sleep Apnea Symptoms: Snoring, waking up gasping for air, feeling tired and irritable in the morning, difficulty controlling weight, concentration problems, morning headaches, episodes of not breathing, waking with a sore throat, forgetfulness and mood changes. If you believe you may be suffering from TMD or Sleep Apnea, don't wait... Call today to schedule a consultation with Dr. Brown: 703-821-1103.
301-805-6805 24 | Your HEALTH Magazine
Local Professionals Empowering and Encouraging People To Live Healthier 2841 Hartland Road Suite #301 Falls Church, VA 703-821-1103 Jeffrey L. Brown, DDS
www.SleepandTMJTherapy.com
, 6309 Baltimore Avenue Suite #203, Riverdale, MD 202-897-1013
www.TheStretchLoft.net
Featured Health Professionals
Michael Rogers, DDS
Michael Rogers, DDS, is pleased to be able to offer beautiful smiles to his neighbors in Arlington and the surrounding communities. Dr. Rogers earned his dental degree from UCLA after graduating cum laude from Harvard University. Prior to entering private practice, he served a general practice residency at Sepulveda Veteran’s Hospital. Dr. Rogers has invested significant time into ongoing education, seeking to learn emerging dental technologies and techniques in the areas of cosmetic dentistry, implant dentistry, sleep apnea treatment, orthodontics, temporomandibular joint (TMJ) disorders, and safe amalgam replacement. His most recent training in airway management has allowed him to offer a cure for sleep apnea using an intraoral device known as the DNA appliance. He is a member of the International Academy of Oral Medicine and Toxicology, American Academy of Dental Sleep Medicine, American Academy of Craniofacial Pain, and also of Mercury-Free Dentists. He has served as a guest author for TMJ News & Views, and when that publication ceased, began his own quarterly newsletter. You may have seen one of his television interviews on “A New Me” or the local PBS station, or seen his articles and features in Ladies’ Home Journal, Arlington Magazine, and New Beauty. Dr. Rogers is an active participant in the community as a sponsor for Encore Theater, Little League of Alexandria, Abingdon Elementary, and the local Fairlington Farmer’s Market. He and his wife Terri enjoy spending time with their daughter Megan and her husband Corey traveling around the country and the Caribbean.
Shawn Samad, DDS
Meet Dr. Shawn Samad
Raised in Severna Park, MD, Dr. Shawn Samad is the proud son of Fred and Mary Samad, a working class couple that raised their children in a humble household. Dr. Samad grew up to be an avid sports fan. He still plays soccer regularly and is a HUGE Ravens fan!
He went to college in Westminster, MD, where he received his Bachelor of Science degree with majors in Biology and Chemistry with a special focus on Physics. He then continued his education at UMBC where he worked on a Masters degree in Biology. And finally attended University of Maryland School of Dentistry where he received his Doctor of Dental Surgery (DDS) degree.
Although he has achieved one of the highest educational degrees, he still continuously partakes in Continuing Education (CE) regularly to learn about all of the newest, latest, and greatest techniques and technology. He has received extensive training and experience in Cosmetic Dentistry, Endodontics (Root Canals), Oral Surgery, Implantology, and Invisalign Orthodontics. His belief is Knowledge is Success!!
And it must be mentioned that his office is filled to the teeth (Pun intended) with world class, state of the art, technology in a modern and sophisticated office layout. Dr. Samad’s motto in his work is, “Changing lives, one tooth at a time.” Come on in and meet him. You won’t be disappointed! The Bowie Dental Group
www.yourhealthmagazine.net Washington, DC Edition I 25
Local Professionals Empowering and Encouraging People To Live Healthier 4850 31st Street South Suite A, Arlington, VA 703-936-4166
Meet
FairlingtonDental.com We Understand the Connection Between a Healthy Smile and a Healthy Body.
Michael Rogers
7508 Wisconsin Avenue Ground Level, Bethesda, MD 301-951-9500 www.BethesdaDentalGroup.com 4373 Northview Drive Bowie, MD 301-464-8707 www.TheBowieDentalGroup.com 14333 Laurel Bowie Road Suite #100, Laurel, MD 301-953-3081 www.LaurelPinesDental.com
DENTAL IMPLANT CENTER OF ROCKVILLE
Sivakumar Sreenivasan, DMD
Oral and Maxillofacial Surgeon
Diplomate, American Board of Oral & Maxillofacial Surgery
DMD, MDS • OMFS, MD, PA
77 South Washington Street Suite #205, Rockville, MD
www.OMFSMD.com
Meet Dr. Sreenivasan:
Dr. Sreeni came to the United States as an Oral and Maxillofacial Surgeon in the year 1990 and put himself through dental school again at Boston University and Oral and Maxillofacial Surgery residency at University of Medicine and Dentistry of New Jersey.
As an Oral and Maxillofacial Surgeon, Dr. Sreeni manages a wide variety of problems relating to the Mouth, Teeth and Facial Regions. He practices a full scope of Oral and Maxillofacial Surgery with expertise ranging from Corrective Jaw Surgery to Wisdom Teeth Removal. His passion is in implant surgery and he is well known for same day placement of implants following teeth removal be it for single teeth or a complete “makeover” (Smile in a day). He can also diagnose and treat Facial Pain, Facial Injuries and TMJ disorders and perform Bone Grafting and Sinus lift procedures.
Dr. Sreeni completed a residency in Anesthesiology at Mount Sinai Hospital, New York in 1994 and has worked as an Attending providing anesthesia services for children and adults in the ambulatory out-patient center of the hospital.
Dr. Sreeni is an Advanced Cardiac Life Support instructor with the Adventist group. He is also certified in Pediatric advanced life support and is very capable of handling emergencies that could possibly arise in the office. Dr. Sreeni’s staff are trained in assisting with IV Sedation/General Anesthesia within our state of the art office setting. Patients are continuously monitored during and after surgery. The goal of our office is to provide professional service with compassion and an understanding of the patients’ perspective.
Toni Greene, Owner
Toni’s Happy Hour Yoga
HAPPY HOUR YOGA ON “ZOOM”
Your Space, Your Energy, Your Sacredness Yoga on a more relaxed, deeper level at home.
like themselves and be themselves and most of all accept and forgive themselves. “I’m here for you”.
Specialized Degrees: Hypnotherapy, G.I.A. of America Gem (stone specialist), Advanced Yoga Training in Rishikesh India, continuing yearly training of Yoga and Ayurveda in Rishikesh India. Certified Astrologer – Charts interpreted for as little as $49. The Big 3: Sun, Moon, Rising Ascendant.
Associations: Nath - (National Association of Transpersonal Hypnotherapists), NGH - (National Guild of Consulting Hypnotist), Y.A. (Yoga Alliance)
Areas of Interest: Hypnosis for Everything, (Fears, Phobias, Nail biting and more), Ayurveda Yoga, Yoga for Couples, Yoga for Diabetes, Yoga Teachers Training, and Life Coaching.
Hypnosis is a very useful tool to use in alleviating or diminishing pain in the body by at least 50% to not having pain at all. Hypnosis is a process whereby you are lead into a deep state of relaxation. In this state of deep relaxation you become aware of the pain. In hypnosis you are put in a hypnotic trance. In this trance it is suggested that you become aware of your breathing; breathing is emphasized to help regulate your sympathetic nervous system.
The sympathetic nervous system is the system in the body that serves to accelerate the heart rate, constrict blood vessels and raise blood pressure. It also becomes out of balance because of our unawareness of our thoughts, and actions. Pain and disease in the body has a lot to do with the imbalances in the body due to our diet and lifestyle. Mental or physical stress and an unhealthy diet, including refined sugars, fried food and over indulgence in food and drink, can cause pain in the body as well. This is a major cause of inflammation in the body that causes pain.
Acidic foods, and left over or stale foods, build up toxins in the body and can cause pain and inflammation in the joints that cause joint pain such as arthritis, burning sensation, swollen ankles, knees, and legs. Hypnosis will help you through the hypnotic suggestion so that you are mindful of the foods you eat and the thoughts we think. Stress in the body and mind is intimately related with causing pain in the body.
We use hypnosis in controlling the thoughts to manage or alleviate the pain in the body. With positive suggestions to you in a hypnotic state (trance), you will be reminded to be mindful of the new suggested way of eating with awareness, and you will realize as a result of awareness the lack of pain in the body. Hypnosis is a useful, natural tool that can be used to manage pain, stop over eating, smoking, phobias and more. Hypnosis is used to ease the pain of surgery or excessive pills taken for pain management.
When the conscious part of the brain is temporarily relaxed the person focuses on relaxing and letting go of distracting thoughts, thereby allowing the mind to slow down the pulse and respiration. When the pulse and respiration is slowed, the heart rate and respiration is then slowed causing relief in the body and mind and the pain is released or just simply gone.
When using hypnosis for pain management there may need to be a series of sessions. There are different levels of pain, and discomfort we carry in the body and mind. The sessions can vary depending on the severity of the discomfort in the body and mind.
Hypnosis is a pain-free technique used in healing the body and mind. Hypnosis only requires your participation and willingness and it will happen, the pain will be gone from the body, or three degrees milder, or more. Give it a try.
301-805-6805 26 | Your HEALTH Magazine
Professionals Local Professionals Empowering and Encouraging People To Live Healthier
Featured Health
301-294-8700
Boost Your Confidence. Get the smile you deserve! 6504 Old Branch Avenue Temple Hills, MD 20748 301-449-8664
yhm.news/Happy-Hour-Yoga
Mission:
help people to be comfortable in their own skin, to love themselves,
Meet Toni Nandini Greene
To
Foot doctor Lubrina Bryant, DPM is dedicated to getting to the root of your foot or ankle problem. District Podiatry, PLLC specializes in general foot and ankle care. Having chronic foot and ankle pain can affect the quality of your life and finding the right foot and ankle specialist can be just as difficult. We know how hectic life can be and we are committed to making our practice and care convenient and accessible.
From routine checkups to minor foot surgery, Lubrina Bryant, DPM is a podiatrist who is equipped to handle all your foot and ankle needs.
Services Include: Routine Foot Care, Diabetic Foot Care, Wart Removal, Ingrown Toenails, Foot, Ankle or Heel Pain, Toenail Fungus, and Bunions.
www.yourhealthmagazine.net Washington, DC Edition I 27 Featured Health Professionals Local Professionals Empowering and Encouraging People To Live Healthier NoyaChiropractic.com Anthony Noya, DC 4708 Wisconsin Avenue, NW Suite #101, Washington, DC 202-237-1399 DO YOU STRUGGLE WITH... – HEADACHES – LOW BACK PAIN – DIGESTIVE ISSUES – SCIATICA – SLEEP PROBLEMS – NECK PAIN – SHOULDER PAIN ASK THE EXPERTS A simple conversation with an expert could be the start of your solution. CONSULT With An Expert TEST Don’t Guess ANALYZE The Results CORRECT The Problem 1647 Benning Road, NE Suite #301 Washington, DC 202-388-5303 Meet Lubrina Bryant www.DistrictPodiatry.com
ACCEPT MOST INSURANCE PLANS AND WELCOME NEW PATIENTS!
WE
Lubrina Bryant, DPM You Don’t Have To Live With Foot Pain
Featured Health Professionals
Ron Murray, PhD
Seokju Kim, LAc
JOIN US IN WELCOMING SEOKJU TO THE TEAM
Practice Philosophy: Based on years of practice, I have found that the human body has a natural inclination to find its way home, to restore an equilibrium that constitutes health. Through Manual Regulation Therapy, (MRT), I help promote, enhance, and assist the wisdom of the body toward natural healing. Treatments: Manual Regulation Therapy (MRT) combines mind-body therapy, biological medicine and energy medicine for a wide range of health issues including Traumatic Brain Injury, Concussion, Chronic Pain, Asthma, Calming Autonomic Nervous System Fight or Flight Stress Response and more. Peptide bioregulators and pleo-sanum homeopathic remedies.
Ron’s initial training started with a physiotherapist degree specializing in osteopathic manipulation, after which he earned a second degree as a Traditional Naturopath. Upon completing his third degree, Doctor of Integrative Medicine, Ron Murray, Ph.D., taught a fluid approach to cranial manipulation as a Faculty Member for 10 years, earning distinction as Instructor Emeritus of Clinical Medical Education at Capital University of Integrative Medicine.
Ron Murray was trained in advanced forms of cranial, visceral, somato emotional release, lymphatic, energetic and psychoemotional work. The integration of this work led him to understand that there is a gelatinous fluid system that continues throughout the body. It also proved that all structures in the body are uniquely tied together to form a system called the extracellular matrix which connects every cell with every other cell, then cells to organs, then organs to the organism or human body. It is by gentle manipulation of this matrix that Ron gets such extraordinary results.
What Patients Say:
“No one could find the source of my pain. It was severe and unexplained but Ron was the first person to finally understand the source of my pain and began to treat me. For the first time I have had a significant reduction in the pain level and have gotten my life back....” Ebony
“I visit Ron Murray on a routine basis for tune-ups. My body feels balanced after a session. He helped me with sinus and respiratory issues.” Mac, Northern Virginia, Engineer
“Ron Murray has helped me literally from head to toe and everything in between. He eliminated my tension headaches, corrected repetitive hand and shoulder injuries, and accelerated healing from foot surgery, even when I was up to my knee in a cast.” F.P., DC Metro Area, Musician
With a specialty in Pain management, Mr. Seokju Kim brings his knowledge and skills to Noble Integrative Health. Mr. Kim is a Maryland and Virginia board-licensed acupuncturist and certified by the National Certification Commission for Acupuncture and Oriental Medicine (NCCAOM). Raised in South Korea within a family deeply rooted in Korean medicine, Seokju was inspired by his acupuncturist father’s practice from a young age. Through treatments with herbal medicine and acupuncture, he witnessed firsthand the positive effects of these therapies, sparking his passion for healthcare.
With a keen interest in the healthcare field, Seokju pursued a degree in Sports Science, focusing on biomechanics, human anatomy, musculoskeletal systems, and physical therapy techniques. This academic journey provided him with a profound understanding of the human body and enhanced his ability to deliver exceptional care.
Upon completing his bachelor’s degree, he embarked on a journey to the United States to follow in his father’s footsteps. He graduated from the Virginia University of Integrative Medicine with a Master’s degree in Oriental Medicine to delve deeper into acupuncture and Chinese herbal medicine, and completed a successful internship. He embarked on a mission to blend his academic expertise with his family’s legacy in healthcare.
With years of experience at a physical therapy & acupuncture clinic in Northern Virginia, where he has treated a wide range of musculoskeletal and neurological disorders, headache, and internal health issues including indigestion and sleep disorders, he has further developed a comprehensive understanding of patient care.
Seokju is committed to staying at the forefront of his field, integrating modern musculoskeletal treatment techniques with Korean medicine and Traditional Chinese Medicine (TCM). Additionally, he is proficient in various forms of Integrative medicine, including cupping therapy, tui-na, and Chinese herbal medicine.
Seokju prioritizes patient-centered care and tailors healthcare plans to alleviate pain and enhance overall well-being. He is deeply committed to advancing patient care through the utilization of cutting-edge technology, evidence-based medicine, and collaborative interdisciplinary approaches. His ultimate goal is to help patients relieve pain, improve their quality of life, and foster balanced and healthy lifestyles.
301-805-6805 28 | Your HEALTH Magazine
Local Professionals Empowering and Encouraging People To Live Healthier , 7307 Baltimore Avenue Suite #208, College Park, MD 240-512-8627
NobleIntegHealth.com , 5225 Wisconsin Avenue, NW Suite #402 Washington, DC 20015 202-237-7000
Areas of Focus: Chronic or Unresolved Pain, Asthma, Concussion, Traumatic Brain Injury, Headaches, Fibromyalgia, Post-surgical Pain
NIHAdc.com
Healthcare
At:
Integrative
Practitioner
Local Professionals Empowering and Encouraging People To Live Healthier
Carole A. Berberich LAc, LMT, LPN
Carole,
Founder of East-West Healing Arts
Carole is a local graduate of PMTI in Washington, DC and MITCM in Bethesda, MD. Prior to training in Eastern and Western Massage and Acupuncture she worked as a hospital nurse in the ICU step down unit and Orthopedic Neurology Floor. She additionally did in home and hospice care through several healthcare agencies. Caring for her mom at home for over 10 years was a chance to experience cherished moments with one another. She has trained in Biofeedback, Visual Imagery Stress Reduction Techniques as well as Therapeutic Touch.
East-West Healing Arts is located in Uptown Washington, DC across from the National Zoo. We offer the very best in health care modalities ranging from relaxation techniques to injury assessment and rehab accompaniment. Specializing in Soft Tissue Manipulation and drawing from Eastern and Western disciplines we offer Acupuncture, Deep Barefoot Shiatsu, Thai Massage, Swedish, AIS Specialized Stretching & Strengthening and Craniosacral, an osteopathic technique, to highlight a few.
Biofeedback and Hypnosis to help you achieve a deeper state and make lifestyle or habit changes for medical or personal enhancement are part of our services offered. Our practitioners are certified and/or licensed and skilled.
www.EastWestHealing-Arts.com
Enhancing Pain Management Through Holistic Therapies
In the realm of pain management, conventional methods often include medications and physical therapy. However, a holistic approach integrating various alternative therapies has garnered attention for its effectiveness in alleviating discomfort and promoting overall well-being. Among these, Assisted Stretching, Acupuncture, Barefoot Massage, On-Site AIS Stretching (Active Isolated Stretching), and Chair Massage stand out for their remarkable benefits.
Assisted Stretching: Assisted stretching involves a trained therapist guiding an individual through a series of stretches, targeting specific muscle groups. This technique improves flexibility, range of motion, and circulation, reducing muscle tension and enhancing relaxation. By elongating muscles and releasing tightness, assisted stretching aids in relieving pain associated with muscular imbalances, injuries, and chronic conditions such as fibromyalgia and arthritis.
Acupuncture: Originating from traditional Chinese medicine, acupuncture involves the insertion of thin needles into specific points on the body to stimulate energy flow and restore balance. This ancient practice has shown efficacy in managing various types of pain, including musculoskeletal, neuropathic, and chronic pain conditions. Acupuncture promotes the release of endorphins, the body’s natural pain-relieving hormones, and
modulates the nervous system, reducing sensitivity to pain signals.
Barefoot Massage: Barefoot massage, also known as Ashiatsu, utilizes the therapist’s feet to deliver deep tissue massage strokes. The broad pressure and gravity-assisted techniques of barefoot massage allow for effective penetration into muscle tissue, targeting knots, adhesions, and tension. This form of massage improves circulation, loosens tight muscles, and enhances lymphatic drainage, promoting pain relief and relaxation.
On-Site AIS Stretching (Active Isolated Stretching) offered in-Corporate or In-Home Setting: Active Isolated Stretching (AIS) is a dynamic stretching technique that focuses on isolating specific muscle groups and gradually lengthening them to improve flexibility and mobility. On-site AIS stretching, performed by a trained therapist, offers targeted stretches tailored to individual needs, addressing areas of tightness and discomfort. By promoting proper alignment and enhancing muscle function, AIS stretching contributes to pain reduction and prevention of injuries.
Chair Massage offered On-Site in-Corporate or in-Home Setting individually or with group: Chair massage is a convenient and accessible form of massage therapy performed while the client is seated on a specialized chair. This technique targets tension in the upper body, including the neck, shoulders, back, and arms, common areas prone to stress and discomfort. Chair massage helps relax muscles, alleviate muscle pain and stiffness, and reduce stress levels, enhancing overall comfort and well-being.
Incorporating these holistic therapies into a comprehensive pain management plan can offer significant relief from discomfort while promoting relaxation and rejuvenation. Whether used individually or in combination, these alternative approaches provide valuable tools for enhancing physical and emotional wellbeing, empowering individuals to live healthier, more vibrant lives.
www.yourhealthmagazine.net Washington, DC Edition I 29 Featured Health Professionals
By Carole A. Berberich LAc, LMT, LPN
East-West Healing Arts 3000 Connecticut Avenue, NW Suite #139, Washington, DC 202-483-7081 Carole@eastwesthealing-arts.com
East-West Healing Arts
Meet Carole A. Berberich
Chinese Acupuncture For Shoulder Pain
By Quansheng Lu, CMD, PhD, LAc
Wholelife Chinese Medicine & Acupuncture Center
More than 3,000 years ago, the origins of Chinese acupuncture took root, becoming an integral aspect of traditional Chinese medicine (TCM). This therapeutic practice involves the insertion of fine needles into specific points on the skin to promote healing.
By targeting these points, acupuncture aims to restore the flow of energy along the body’s meridians, which, according to theory, becomes obstructed, leading to discomfort.
Shoulder pain ranks among the most prevalent symptoms, stemming from various common causes such as tendon inflammation, adhesive capsulitis, instability, arthritis, and fractures.
Wholelife Acupuncture & Fitness Center
Quansheng Lu, CMD, PhD, L.Ac www.wholelifeherb.com • luquansheng@gmail.com 301-340-1066 • fax: 301-340-1090
Guest professor, Henan University of Traditional Chinese Medicine (TCM) Chief TCM Physician, WFCMS; M.S. in TCM, Beijing University of TCM PhD in integrated medicine, China Academy of Chinese Medical Sciences Fellowship, Georgetown University & Children’s National Medical Center 3 patents, 8 books of TCM, 30 papers, 30+ years of experience in TCM
Low back pain • eczema • arthritis
allergies
cough
insomnia
paralysis obesity • nephritis
hepatitis
infertility
PMS • side effects of cancer treatment 416 Hungerford Drive, #300 Rockville, MD 20850 5022 Dorsey Hall Drive, #101 Ellicott City, MD 21042
Doesn't Your Child Deserve the Best?
While less frequent, shoulder pain can also result from tumors, infections, or nerve-related issues.
Does Acupuncture Alleviate Shoulder Pain?
Research from June 2009, conducted at Johns Hopkins Bayview Medical Center, examined the efficacy of acupuncture in managing shoulder pain. In a single-blind randomized trial, adults experiencing shoulder pain for at least eight weeks due to osteoarthritis or rotator cuff tendonitis were assessed. Thirty-one participants were divided into three treatment groups: individualized acupuncture based on TCM principles, standardized acupuncture targeting typical shoulder pain points, and sham acupuncture without needle penetration.
Following six weeks of treatment, improvements in the total Shoulder Pain and Disability Index (SPADI) scores were observed across all groups. However, clinically significant changes were only evident in the first two groups. Consequently, acupuncture emerges as a potentially effective
therapy for chronic shoulder pain. Why Does Acupuncture Sometimes Fail To Yield Results?
The practice of traditional Chinese medicine, encompassing acupuncture and herbal remedies, is intricate and requires extensive training. Optimal treatment outcomes hinge on identifying the correct acupuncture point formula and precise point locations. Without this precision, acupuncture may not deliver desired results.
Is Acupuncture Safe?
Overall, acupuncture is considered a safe treatment option. Potential side effects include dizziness, localized bleeding, dermatitis, nerve injury, or increased pain, particularly in cases where practitioners lack adequate training. Therefore, the expertise of a welltrained and experienced acupuncturist is crucial for both efficacy and safety.
Let’s Get Physical Making Physical Activity a Part Of Your Family Life
By Janet V. Johnson, MD Loving Care Pediatrics
While enjoying the health benefits of regular exercise, kids who are physically fit sleep better. They are also better able to handle physical and emotional challenges, such as: from running to catch a bus to studying for a test.
There Are a Lot Of Ways To Get the Physical Activity You Need
•
•
•
become overweight
• decrease the risk of developing type 2 diabetes
• lower blood pressure and blood cholesterol levels
• have a better outlook on life
Make sure your child or adolescent is doing three types of physical activity: aerobic activity, muscle strengthening and bone strengthening. To meet the guidelines for aerobic activity, basically anything counts, as long as it’s done at a moderate- or vigorous-intensity for at least 10 minutes at a time for about 60 minutes a day. Many of the physical activities fall under more than one type of activity. For example, if your child is on a basketball team and practices with their teammates daily they are not only doing vigorous-intensity aerobic activity but also bone-strengthening. It’s easy to fit each type of activity into your child’s schedule.
301-805-6805 30 | Your HEALTH Magazine
•
•
•
•
•
•
•
Loving Care Pediatrics Janet V. Johnson, MD Board Certified in Pediatrics and Adolescent Medicine Fellow of the American Academy of Pediatrics 3311 Toledo Terrace Suite C-201, Hyattsville, Maryland 20782 Mon–Fri, 9:00 am–5:00 pm | Office: (301) 403-8808 or Alt: (301) 403-1341 Iwas born and raised in Brooklyn, New masters at Long Island University in Brooklyn New York and completed my medical degree at State University of New York at Buffalo, School of Medicine in 1991. My postdoctoral training was received at Howard University/District of Columbia Hospitals combined Residency Program, Department of Pediatrics in Washington, DC completed in June 1994. I served as Chief Resident for the Department of Pediatrics, January 1994. I obtained Continuity Clinic Awards from 1991 to 1993 based on partic ipation and involvement in community clinics during my residency training. I am Licensed in Maryland, Board Certified in Pediatrics and Adolescent Medicine and a Fellow of the American Academy of Pediatrics. I have been in Private Practice for 22 years. I practice general pediatrics: examining, diagnosing and treating most of the diseases of children from birth to 21 years of age. With referral to specialists when the need arise. The practice is certified by the Prince George’s Health Department to administer Yellow Fever Vaccination. The practice provides vaccines for overseas travel to those individuals traveling out of the country and in need of an official certificate of vaccination (Yellow Book). many others, please call the office at 301403-8808 to schedule a visit. We look forward to seeing you at Loving Care Pediatrics— Janet Johnson MD and Staff. In addition, I am dedicated to volunteering my time to community outreach projects, youth groups, health fairs, various church functions and committee boards as well as for those who are less fortunate. Donating of my talents, time and treasures and giving back and serving those who are in need. I am an active member in The Prince George’s Community Advisory Group and served as the Medical Director for the Mid-Maryland Mission of Mercy two day free Dental Clinic sponsored by Catholic Charities Archdiocese of Washington in August 2013. Practice Philosophy Janet Johnson MD and Travel Health Medicine is committed to servicing its patients, parents and community by providing excellent and compassionate health care service to a culturally diverse population that promotes the dignity and well-being of the people we serve. Vision Statement Janet Johnson and Travel Health Medicine goal is to be recognized in the community it serves for compassionate patient service, and clinical excellence. To create a caring environment with a commitment to foster a work environment where individual diversity is valued and recognized, also where the Integrity: We are consistent and honest in word and deed. Commit to the highest standards of ethical conduct, respect, competence and safety. Quality: We provide service excellence in meeting client expectations. We ensure commitment to excellence for our patient and communities. Respect: We behave in a way that honors self and others. There is respect for diversity and individual differences. We embrace that diversity of individuals, ideas and expressions so as to achieve better multicultural understanding of our fellow man. Collaboration: Cultivate positive relationships while embracing diversity. Our Staff From left to right: Ama, Medical Assistant; Dr. Johnson; May, Medical Assistant. Insurances Accepted Aetna, CareFirst Blue Cross, Blue Choice, Amerigroup, Americhoice, United Health Care, Teamsters, Tricare, Maryland Medicaid, and Other Major Insurers to be recognized in the community it serves for compassionate patient service, and clinical excellence. To create a caring environment with a commitment to foster a work environment where individual diversity is valued and recognized, also where the satisfaction
patients
their
our
action,
medicine
recognized
honored
uniquely noble pursuit. Our Vision is Call today to make an appointment! 301-403-8808
Quansheng Lu, CMD, PhD, LAc
of all
regardless of
background is the fundamental goal of
every
with the practice of
being
and
as a
Board Certified in Pediatrics and Adolescent Medicine by the American Academy of Pediatrics Fellow of the American Academy of Pediatrics
can benefit from regular exercise.
who are
will:
Everyone
Kids
active
have stronger muscles
and bones
have a leaner body
control body fat
because exercise helps
be less likely to
Please see “Get Physical,” page 39
www.yourhealthmagazine.net Washington, DC Edition I 31 Takoma Park Office: 7513 New Hampshire Avenue Takoma Park, MD 20912 301-434-0075 Tues.-Fri. 10am-6pm; Sat. 8am-2pm Rockville Office: 12250 Rockville Pike, Suite #208 Rockville, MD 20852 301-603-2811 Mon., Wed., Thurs., & Fri. 11am -7pm Chevy Chase Office: 5530 Wisconsin Avenue, Suite #800 Chevy Chase, MD 20815 240-750-3635 Call For Opening Days and Hours Fairfax Office: 8505 Arlington Boulevard Suite # 270 , Fairfax, VA 22031 NOW OPEN! LOSE WEIGHT MD Visit Our Website: www.JustLoseWeightMD.com www.JustLoseWeightMD.com Easy
Why We Are Unique • Customized Plans • Affordable • No Contracts • No Hidden Fees • Programs Run By Doctors • Long-term Weight Loss • Feel & Look Younger • FDA Approved Medications • Control Appetite • Eliminate Cravings • Burn Fat • More Energy
We Are Just Lose Weight MD is a multifaceted weight loss center providing a comprehensive medical weight loss programs designed to assist patients in losing significant amounts of weight quickly and safely. Besides helping our patients lose pounds, we also provide them the support, education and resources that are necessary to maintain a healthy weight for the rest of their lives. We are all about getting healthy and staying healthy! Easy Ways To Lose Weight Our Services PLUS IV HYDRATION & VITAMIN THERAPY OPTIMAL WELLNESS IV THERAPY INFUSION • Brain Fog/Mental Clarity • Glowing Skin/Acne • Energy/Get Up and Go • Detox/Meyer’s • Immune Boost/Migraine Relief • IBS • High Dose Vitamin C • Quench/Hydration • Super Immune/Post COVID EFFORTLESSLY CHANGE YOUR WAISTLINE BODY CONTOURING PERMANENT – NON-SURGICAL FAT REMOVAL NO DOWNTIME Here are some of our Weight Loss Medications: Appetite Suppressants – Semaglutide – Ozempic – HCG – Mega Injections B12 Complex Injections – Lipo Fat Burner Injections – B5 Injections Please check our website for individual plans! Mention YourHEALTH Magazine and get 10% off all Initial Plans
Ways To Lose Weight
Who
•
•
• Prevent
• Lose
• Better control your eating behavior
• Know which healthy foods you should eat
• Control your blood pressure
• Improve your health overall
• Manage your blood sugar
• Lower your cholesterol
301-805-6805 32 | Your HEALTH Magazine 1300 Mercantile Lane, Suite #129-37, Largo, MD 20774 www.GHNutritionServices.com Good Health NUTRITION SERVICES LLC Take Charge of Your HEALTH! Call Today! 301-341-4680 LEARN HOW TO…
menopause with diet
Manage
optimally during pregnancy
Eat
cancer with diet
weight
and keep it off
Discover the power of personalized nutrition! Dr. Florence Omerennah, Registered Dietitian/ Diabeties Educator, will work with you to build your personalized nutritional assessment, creating an individualized plan that works for you.
New Solutions For Dentures and Dental Implants
By Karl A. Smith, DDS, MS
Dentures are a good replacement option for patients who are missing all of their teeth, but only if they fit well.
Why Are My Dentures Loose?
Impact on the bone by continuous hitting and pressure of a denture against the jaw every time you eat can make the bone underneath the denture go away. This causes the denture to become loose and slip. It may create the need for using paste or other means to hold the denture in place. Slipping dentures can make eating certain foods very difficult for patients. This happens most often with lower dentures.
How Can Dentures Fit Well For a Long Time?
Dental implants can be placed under the denture. Implants have offered the possibility of fully replacing teeth for over 30 years and are very safe and effective. When you make the denture stable by “snapping” it onto dental implants, you can provide a better level of comfort for the denture-wearer, and create new strength for eating the foods patients love.
Dentures are a good replacement option for patients who are missing all of their teeth, but only if they fit well.
Dental implants are very much like your natural teeth. They are quite easy to get used to, and they can reduce the amount of stress to the bone and jaw by helping provide an anchor for support. The implant acts as a natural root to help prevent additional bone deterioration and helps to deliver long lasting function.
Does Every Denture-Wearer Qualify?
This depends on the amount of bone loss that has already taken place. If the denture has been in place for many years and the ridge of bone under it is very thin, you may need to have a special scan done to decide if you are a candidate for the procedure. This scan will also look for any other defects that may be present to make sure you are healthy. Since implants are meant to last for a very long time, your health and wellness are important to the outcome.
How Long Does a Patient Have To Go Without Teeth?
Never. The denture is fitted to the implants, the same day the implants are placed. Typically, you are back to normal or better eating by day two or three.
Do Dental Implants Hurt?
Most patients have little to no dis-
comfort. The surgery is done in one day, typically in just a few hours. There are sedation options available for this procedure for those patients who want to relax through the procedure.
Is Treatment Expensive?
The cost of treatment varies depending on the number of implants, if a new denture needs to be made, if the patient desires sedation, or if
there needs to be more bone added to have a good result. Costs are variable and should be weighed against factors such as the education of the doctor, the results from other patient experiences, and the quality of the product you are receiving.
Discover the difference dental implants can make for you. Schedule an appointment today!
– Dental Implants To Restore Your Beautiful Smile
– Caring & Kind Dentist & Team
– State-of-the-Art Equipment
– Laser Periodontic Therapy
– Affordable Gum Treatment
– Insurance Accepted & Filed
– Ultra-Sterile Environment
– No Referral Needed
– Comfortable Sedation Dentistry
Initial
Our patients mean the world to us (and they love to refer to us as friends and family). My team works together to ensure your visit is enjoyable, and that your treatment is gentle and pain-free. We are deeply committed to help you prevent and treat periodontal (gum) disease, and to enhance your smile to improve your overall health.
www.yourhealthmagazine.net Washington, DC Edition I 33 Meet Your Smile’s New Best Friend! Dr. Karl A. Smith, Periodontist A Dentist with Super Powers www.Dr.KarlSmith.com
$209 New Patient Special Includes
Exam, Full Mouth Digital Film, Consultation with Dr. Smith (Reg. $428) New Patient appointments available daily!
2500 N. Van Dorn Street, Suite #128, Alexandria, VA 703-894-4867 601 Post Office Road, Suite #1-B, Waldorf, MD 301-638-4867
The Ultimate Healing: Restoring Body, Mind & Spirit
By Sabrina Milanovich Psychic Meditation Center
Energy Quantum Healing
Energy quantum healing operates on the principle that the body’s innate energy field extends beyond its physical boundaries, connecting
with the Earth’s magnetic field and traversing various dimensions within the spiritual realm.
This method focuses on identifying and rectifying congested negative energy, facilitating the restoration of a harmonious flow of positive energy throughout the entire human
energy system. By addressing imbalances and disturbances within this system, energy quantum healing aims to integrate the body, mind, and soul in order to foster holistic health and facilitating the healing process. Practitioners believe that resolving energy field disturbances can prevent potential physical manifestations of
illness in the future.
Holistic Therapies Meditation, sound immersion, aura, chakra balancing and healing exert a tangible impact on the body, constituting a form of vibrational medicine that may influence heart rate, blood pressure, and brain wave patterns. Sound waves, in particular, emit vibrations that are thought to penetrate and interact with the physical body and its major systems, accessing the aura and chakra systems to alleviate spiritual blockages and alleviate tension and stress. Sessions incorporating meditation, sound immersion, and healing techniques have been shown to alleviate physical discomfort in certain individuals, as well as mitigate anxiety and depression, and address emotional imbalances and past traumas.
Energy quantum healing operates on the principle that the body’s innate energy field extends beyond its physical boundaries
Keep in mind that these therapies are complementary and should be used in conjunction with conventional medical care.
Intuitive Guidance
Intuitive readings can offer an understanding of various life situations, shedding light on your life path, and providing guidance on aligning your goals with your destiny. Anticipate receiving insights aimed at addressing challenges and identifying opportunities. Gain clarity on personal growth and navigating life’s complexities, empowering you to make informed decisions and pursue positive changes.
301-805-6805 34 | Your HEALTH Magazine 410-381-5151 7262 Cradelrock Way, South, Columbia, MD Same Day Appointments Available • Must Be 18+ Years Old A Unique Blend Of Psychic Services, Meditation Practices & Healing Services Hope to educate & inspire. Empowering a community to come together and build a more conscious world. Tarot & Intuitive Readings Soulmate Specialist Restoring Love & Creating Pathways To Your Soulmate Spiritual Healing Services Chakra & Aura Balancing / Cleansing Life Path Manifesting Crystal & Sound Healing
What were your goals at the beginning of the year? Have you met your goals? Are you moving in the right direction? Is it hard to stay on track?
Losing “stubborn fat” is hard and as you get older – it just gets harder and harder. You might go to the gym five days a week, sweat on the treadmill for an hour, and see maybe a pound or two drop in a month. Is that really worth your time?
Or... imagine going to a medical facility, laying down, spending 35 minutes relaxing, then getting up and finding out you’ve lost two inches around your waist. Which do you prefer? What if you could keep doing that and losing more and more fat until you looked like you did years ago?
If you have any interest in this and how it works when it comes to inch loss, you should stop what you’re doing and call the office for an appointment immediately. This new treatment technology uses a special laser therapy to trick your mitochondria (in your fat cells) to release their fat contents.
If you eat better, drink plenty of water, stay away from sugars, and carbohydrates, this can lead to permanent fat loss without surgery. Here’s a heads up. If you have tried liposuction in the past – you know that when you “regain the weight” it goes to different place(s) – making your body look distorted and then unfortunately, you’re back to where you started, only worse. With this technology we don’t destroy your fat cells. What we do is we simply drain the contents of the fat cells so you lose the inches and look good again.
“Lose 3.5 Inches From Your Waist, Hips or Thighs In 32 Minutes...”
Invasive Body Sculpting)
(Non Invasive Body Sculpting)
www.yourhealthmagazine.net Washington, DC Edition I 35 • No Pain • No Surgery • No Downtime • No Dieting • No Exercise (Lose 2” on Your First Visit OR You Don’t Pay!) CALL FOR RISK-FREE APPOINTMENT! 301-472-4290 3450 Old Washington Road, Suite #103 Waldorf, MD 20602 CookandSiuMD.com Nearly 100% Financing Available
(Non
“Patients Lose an Average Of 3.5 Inches From Your Waist, Hips and Thighs In 32 Minutes...”
50-70% OFF!
Empowering Your Fertility Journey A Personalized Pretest Initiative Accessible Through Your Primary Doctor
By Yemi Adesanya-Famuyiwa, MD Montgomery Fertility Center
As a fertility specialist committed to making the fertility journey more accessible, I am excited to introduce a groundbreaking initiative that empowers individuals and couples right from the start. Our comprehensive Pretest Initiative is designed to be seamlessly integrated into your healthcare routine, with specific tests that can be conducted by your primary doctor before your initial fertility consultation. In this article post, I will unveil the tests included in our initiative, emphasizing their accessibility through your trusted
primary care provider.
The Pretest Initiative: Tests Conducted By Your Primary Doctor Ovarian Reserve Testing:
• Anti-Mullerian Hormone (AMH) Test: Measures ovarian reserve and can be easily performed by your primary doctor during a routine blood test.
• Follicle-Stimulating Hormone (FSH) Test: Assess ovarian function with a simple blood test, often available through your primary care provider.
Hormonal Profiling:
• Thyroid Function Tests: Evaluate the impact of the thyroid on fertility through blood tests, a routine examination that your primary doctor can facilitate.
• Prolactin Levels: Measure prolactin levels with a straightforward blood test, typically part of routine hormonal assessments done by primary care providers.
• Genetic Carrier Screening: Identify potential genetic disorders
through a blood test, often offered by primary care providers as part of routine genetic screenings. Most patients are unaware that they may be carriers of genetic conditions that they may pass on to their children.
Male Fertility Testing:
• Semen Analysis: Evaluate male fertility potential through a semen analysis, a test your primary care provider can order for you. An abnormal semen analysis may also be the first sign of more serious underlying health issues.
• Infectious Disease Screening, STD Testing: Ensure the absence of sexually transmitted infections with routine testing, a service readily provided by primary care doctors during check-ups. Tests for HIV antibody, Hepatitis B antigen, Hepatitis C antibody, and a syphilis screen can be obtained from your local health department.
Pelvic Ultrasound:
• Schedule a pelvic ultrasound through your primary care provider to assess the health of the uterus
and ovaries, checking for structural abnormalities or and noting how many antral follicles you have. This may portend how easy or not it will be to get eggs from you.
Diagnostic Imaging:
• Hysterosalpingography (HSG): If necessary, coordinate with your primary doctor to schedule an HSG, a diagnostic imaging test available at many healthcare facilities. This will let you know if your tubes are blocked or if you have any abnormalities with the inside of your womb.
Taking the First Step: What Patients Can Expect Consultation and Personalized Planning:
• Schedule a consultation with your primary care provider to discuss your fertility goals and determine the most relevant pretesting plan based on your unique circumstances.
Education and Informed Consent:
• Receive detailed information about each test, its purpose, and potential
Please see “Fertility Journey,” page 39
Where Science Meets Compassion
Our mission is to assist our patients in creating the families of their dreams, whether it be at the present or to maintain the possibility in the future.
Medical Director Dr. Famuyiwa, a double board certified fertility specialist and an advocate for personalized holistic fertility care, is at the forefront of providing state-of-the-art care based on emerging and advanced new technologies in the most compassionate of manners.
301-805-6805 36 | Your HEALTH Magazine 3202 Tower Oaks Blvd, Suite 370 Rockville, MD 20852 | 301-946-6962 | MontgomeryFertilityCenter.com
Washington, DC Edition I 37
Nurturing Healthy Smiles The Significance Of Preventive Care and Establishing a Pediatric Dental Home For Children
By Gina Pham, DDS
ShiningStars Pediatric Dentistry and Orthodontics
Maintaining optimal oral health is crucial for children’s overall wellbeing and development. Establishing a pediatric dental home and embracing preventive care are key pillars in ensuring a lifetime of healthy smiles.
The Foundation:
Pediatric Dental Home
A pediatric dental home serves as
a central hub for a child’s oral health journey. This concept, endorsed by the American Academy of Pediatric Dentistry, emphasizes a consistent, comprehensive, and family-centered approach to dental care. By choosing a pediatric dental home, parents ensure that their child receives continuous, coordinated, and age-appropriate oral health care from infancy through adolescence.
Early Start for Lasting Impact:
Preventive Care
Preventive care lies at the heart of
pediatric dentistry, focusing on stopping dental issues before they begin. Regular dental check-ups, starting as early as the eruption of the first tooth, help in identifying potential problems and establishing a foundation for lifelong oral health. These early visits also allow parents to receive guidance on proper oral hygiene practices, including toothbrushing techniques and dietary recommendations.
Building Healthy Habits:
Oral Hygiene at Home
Parents play a vital role in foster-
ing good oral hygiene habits at home. Teaching children the importance of brushing and flossing daily instills a routine that will serve them well into adulthood. Additionally, parents should be mindful of their child’s diet, limiting sugary snacks and beverages that contribute to tooth decay. A pediatric dental home serves as a valuable resource, offering guidance on age-appropriate oral care practices and nutritional advice.
Preventing Tooth Decay: Dental Sealants and Fluoride
Dental sealants and fluoride treatments are powerful tools in the arsenal against tooth decay. Sealants, applied to the chewing surfaces of molars, create a protective barrier against bacteria and food particles. Fluoride, whether through toothpaste, varnish, or water, strengthens tooth enamel, making it more resistant to decay. A pediatric dental home can administer these preventive measures, significantly reducing the risk of cavities.
Empowering Parents: Education and Communication
A pediatric dental home serves not only as a treatment center but also as an educational resource. Dentists in these settings prioritize communication with parents, ensuring they are well-informed about their child’s oral health needs. Educational materials, discussions about developmental milestones, and guidance on managing oral habits like thumb-sucking contribute to a collaborative approach between parents and dental professionals.
In conclusion, the establishment of a pediatric dental home and a commitment to preventive care form the cornerstone of pediatric dental health. By embracing these principles, parents empower their children to develop lifelong oral health habits, fostering beautiful smiles that last a lifetime. Regular check-ups, coupled with effective home care and preventive treatments, create a comprehensive strategy to ensure optimal oral health for the youngest members of our communities.
301-805-6805 38 | Your HEALTH Magazine
Gina Pham, DDS
Sciatica
with specific exercises.
Heat/Ice
For acute sciatic pain, heat and/or ice packs are readily available and can help alleviate the leg pain, especially in the initial phase. Usually ice or heat is applied for approximately 20 minutes, and repeated every two hours. Most people use ice first, but some find more relief with heat. The two may be alternated. It is best to apply ice with a cloth or towel placed between the ice and skin to avoid an ice burn.
Pain Medications
Over-the-counter or prescription medications are often effective in reducing or relieving sciatica pain. Nonsteroidal anti-inflammatory drugs (such as ibuprofen or naproxen), or oral steroids can reduce the inflammation that is usually part of the cause of pain. Muscle relaxants or narcotic medica-
From page 9
tions may also be prescribed for the short term (a few days and up to two weeks) to alleviate pain.
Epidural Steroid Injections
If the pain is severe, an epidural steroid injection can reduce inflammation. Unlike oral medications, an injection goes directly into the painful area around the sciatic nerve to address the inflammation that may be causing pain.
While the effects tend to be temporary (providing pain relief for as little as one week or up to a year), and it does not work for everyone, an epidural steroid injection can be effective in relieving acute sciatic pain. Importantly, it can provide sufficient relief to allow a patient to progress with a conditioning and exercise program.
It is always advisable to have a qualified medical professional oversee any type of sciatica treatment.
get p hySical
There are many things you can do to get and keep your child active physically, that can help shape their behavior and attitude toward physical activity. Start by choosing physical activities you and your child enjoy and that match your child’s abilities, it will help ensure that you both stick with them. Encourage them to be physically active for one hour or more each day, with activities ranging from informal, active play to organized sports. If you’re not sure where to start, here are some examples.
• Physical activity should be a part of the family’s daily routine.
• Set a positive example by leading an active lifestyle yourself.
• Be positive about the physical activ-
From page 30
ities in which your child participates and encourage them to be interested in new activities.
• Make physical activity fun. Fun activities can be anything that your child enjoys, structured or nonstructured sports.
• After dinner, encourage your child to find fun activities with friends and family.
• Always provide protective equipment and ensure that the physical activity is developmentally and age-appropriate.
If your child has a chronic health condition or other symptoms be sure to talk with the doctor about the types of physical activity that are right for them.
F ertility Journey
outcomes. Your primary care provider will guide you through the process and answer any questions you may have.
Preparing Physically and Emotionally:
• Implement lifestyle modifications based on guidance from your primary doctor to optimize test results and enhance overall reproductive health.
Conclusion
Our Pretest Initiative is designed
Meet Your Local Health Professionals
Next month’s edition of Your Health Magazine will include a special section with Biographical Profiles to help people learn more about their Local Health Professionals.
Your Health Magazine is here to Help People Find the HealthCare They Need!
Information from local doctors lowers the barriers to getting better healthcare and living healthier.
Every month we publish articles, videos, and practice information from local providers in the magazine, on our website, plus Social Media . . . It Makes a Difference!
From page 36
with accessibility in mind, utilizing tests that can be seamlessly integrated into your routine through your primary care provider. By taking these specific tests, you are proactively shaping the path to parenthood with the convenience and familiarity of your trusted healthcare professional. Together, let’s embark on this journey towards building the family you’ve always dreamed of, with the support of your primary doctor. Prevously publised on Medium.com
www.yourhealthmagazine.net Washington, DC Edition I 39
Follow @YourHealthDMV
In the next edition... 301-805-6805 info@yourhealthmagazine.net
Latest editions now available online www.YourHealthMagazine.net DON’T GET LEFT OUT! If you are a Health Professional don’t get left out of this special issue – contact us today. Space is limited:
HEALTH DIRECTORY
ACUPUNCTURE
Eastern Medical Holistic Healing Center, Angel Wood, 240-755-5925. www. acupuncture4wellness.webs. com
ALTERNATIVE HEALTHCARE
Holistic Family Health - Thermal Imaging, Herndon, VA. 703-635-6324 For More information visit www.fhtid.com
BEAUTY/SKIN
A Better You, Dr. ClarkeBennett, 410-672-2742. Essences of Jamal of DC – 202839-0657. Worlds Best SheaButter, Rose-Water Butter, Hemp Seed Oil, Nag Champa Incense, Sage Smudge Sticks, Jumbo Incense Sticks, TeaTree Oil. Price List Available. 202-839-0657.
BREAST HEALTH
University of Maryland Charles Regional Medical Center. 11340 Pembrooke Square, Suite 202, Waldorf, MD 20603. 240-607-2010.
UMCharlesRegional.org
CHINESE MEDICINE & ACUPUNCTURE
Wholelife Chinese Medicine & Acupuncture, 301-526-9898, 416 Hungerford Dr., Rockville www.wholelifeherb.com
DENTISTRY
Karl A Smith, DDS, 2550 N. Van Dorn St., Suite #128, Alexandria, VA. Call 703-894-4867, Visit www.drkarlsmith.com
DENTISTRY
Richard Hughes, DDS, 703444-1152, 46440 Benedict Drive Suite #201, Sterling, VA. www.SterlingImplantDentist. com
EYE CARE
Visual Eyes, Alexander Nnabue OD, 301-324- 9500
HOLISTIC WELLNESS COACH
Nutrition Lifestyle Digestion and More – Lisa@LisaThorne.Me – Text 269861-7565.
HYPNOSIS
Toni’s Happy Hour Yoga and Holistic Wellness Center • 6504 Old Branch Avenue, Temple Hills, MD 20748 • 301-449-8664
MEDICAL SPACE
Charles L. Feitel Company, 301-571-9333, www.medicalanddentalspace.com
MENTAL HEALTH SERVICES
House Calls, LLC. 301-3466732. callingonbeth@gmail. com. www.CallingOnBeth.net.
NUTRITION
Nutritional Healing Center, Thomas K. Lo, DC, MA, 240-651-1650, 7310 Grove Road, Suite 107, Frederick, MD 21704. doctorlo.com
OPHTHALMOLOGY
NewView Laser Eye Center – Jacqueline D. Griffiths, MD – Reston (703) 834-9777 or (800) 294-1001 – Visit us at www.NewViewEye.com
ORAL & FACIAL SURGERY
Northern Virginia Surgical Arts 703-998-3971, 611 South Carlin Springs Road, Ste 308, Arlington, VA 22204 For more information visit us online at www.novasurgicalarts.com
The Maryland Oral Surgery Group, Dr. Sharon Russell. 301-967-0183. www.THEMOSG.com.
ORTHODONTICS
All Smiles Orthodontics. 9010 Lorton Station Blvd Suite 260, Lorton VA 22079 www. allsmilesbraces.com For more info call us at 703 337-4414
Jacqueline Brown Bryant DDS, MS, PC, Damon, Clear Braces & Invisalign for Adults And Children. Silver Spring, Maryland 20910 www.smileconstructors. com 301-587-8750
PEDIATRICS
Loving Care, Janet Johnson, MD – Hyattsville, MD – 301403-8808
PHYSICAL THERAPY/ REHABILITATION
Active Physical Therapy. Various Locations across Maryland and Washington, DC. Active-physicaltherapy. com.
PODIATRY
Arlington Podiatry Center, Edward S. Pozarny, DPM 703-820-1472. 611 S. Carlin Springs Road, Suite #512, Arlington VA.
PODIATRY
Largo Foot and Ankle Health Center, Ade Adetunji, DPM, 301 386 5453
SENIOR CARE
Chevy Chase Home Care. Help at a time you need it most. Any Ages. Any situations. Any shifts. MD, DC, VA. www.CHCHhomecare. com 202-374-1240
YOGA
Toni’s Happy Hour Yoga and Holistic Wellness Center –6504 Old Branch Avenue, Temple Hills, MD 20748 –301-449-8664
(Each
To Order: Include you NAME, ADDRESS, PHONE, EMAIL AND WHAT HEADING YOU WISH TO BE LISTED UNDER, AND ANY SPECIAL OFFER OR TEXT TO INCLUDE. We will prepare a proof and email to you for approval.
Email your information to: info@yourhealthmagazine.net or Fax to: (301) 805-6808. Call (301) 805-6805 for assistance.
WASHINGTON, DC EDITION
MARYLAND/WASHINGTON, DC OFFICE
4201 Northview Drive, Suite #102, Bowie, MD 20716
phone: (301) 805-6805 • fax: (301) 805-6808 • email: Info@YourHealthMagazine.net VIRGINIA OFFICE phone: (703) 288-3130 • fax: (703) 288-3174 • email: Publish@YourHealthMagazine.net
SUBSCRIBING IS EASY:
1) Call 301-805-6805 with your name, contact info, and credit card payment for $24, or
2) Simply mail this form along with your check for $24:
Your Health Magazine 4201 Northview Dr. Suite 102 Bowie, MD • 20716
Now you can get the latest issues delivered directly to your home!
• Health articles and advice
• Doctors near YOU!
• Maryland, Washington, DC & Virginia editions
• Only $24 for a year’s subscription (12 issues)!
301-805-6805 40 | Your HEALTH Magazine
Order Information: 3 line listing $30.00 for 6 months, $5.00 for each additional line. 10 line listing for 6 months is $65.00.
line approximately 3-4 words)
OF HEALTH PROFESSIONALS ORDERING
Today! Your Health Magazine is available at local grocery stores, pharmacies, and convenience stores, including: Giant • Safeway • Harris Teeter • CVS • 7-11 • and more locations near you! FREE Information From Local Doctors To Help You Live Healthier! LOCAL DOCTORS & ARTICLES at WWW.YOURHEALTHMAGAZINE.NET 30 Years Celebrating o Prince George’s County April 2020 FREE FEATURED PROFESSIONALS N E W DOCTORSOFFICES & PRACTICES DON’T MISS NEXT MONTH’S EDITION FEATURING PLUS... NEW Technology In Todays Doctor’s Office Beauty Skin Care & Gorgeous Smiles SPECIAL FOCUS Page 32-35 A. Smith, Smith, DDS, Harmon, Jr., DDS, DIRECTORY OF HEALTH PROFESSIONALS PAGE 64 PLUS READ ABOUT HEARING LOSS CHIROPRACTIC CARE KNEE PAIN WEIGHT LOSS BREAST IMPLANTS MEDICAL CANNABIS MELANOMA Brent Dentistry Melo Solutions Jeffery Dormu, Vascular Surgery CDC Guidelines Fact Sheet PAGE 47
DIRECTORY
Subscribe
CHECK EDITION ($24 each edition): MARYLAND VIRGINIA WASHINGTON, DC NAME:___________________________ STREET: _________________________ CITY: _________________________ STATE:_______ ZIP:_____________ PHONE: _________________________
EMAIL: _________________________
www.yourhealthmagazine.net Washington, DC Edition I 41
Health Professionals Near You
Ready To Get Healthy?
Your HEALTH Magazine publishes and distributes health information people need. We produce special sections to focus on particular health topics each month, and profiles of local health professionals. It Makes a Difference!
July MEET YOUR LOCAL HEALTH PROFESSIONALS – Biographical profiles of a wide variety of local health professionals (Primary Care, Specialists, Integrative, Fitness, and more), highlighting their credentials, expertise, education, practice philosophy, areas of interest, and more!
August WOMEN’S HEALTHCARE and WOMEN IN HEALTHCARE – All the information women need about health, plus profiles to highlight the important women involved in all areas of healthcare – from physicians and nurses to pharmacists and office support staff. Will include Profiles from your Local Women Healthcare Professionals.
September DENTAL HEALTH plus WEIGHT CONTROL, EXERCISE AND NUTRITION – Dentists, Cosmetic Dentistry, TMJ, Periodontics, Orthodontics, Oral Surgeons, Endodontics, and more! Gyms, nutrition and diet plans, weight loss, surgical alternatives, to help affect America’s out-of-control weight problems. Will include Profiles and Information from your Local Dental Health and Exercise and Nutrition Professionals.
October CANCER AWARENESS and HEALTH TECHNOLOGY – Professionals to help with prevention, early detection and surviving cancer. Information for men and women, and their families, and professionals who can provide help! Will include Profiles from your Local Cancer Health Professionals.
November BEAUTY, SKIN CARE, & GORGEOUS SMILES – Dermatology, Aesthetics, Body Contouring, Plastic and Cosmetic Surgery, the Latest Lasers, Anti-Aging, Weight Loss, Cosmetic Dentistry, Eye Wear, and more! Will include Profiles and Information from your Local Beauty and Dental Health Professionals.
301-805-6805 42 | Your HEALTH Magazine
Here’s
to:
what you can look forward
We Can Help! Pick up a copy of Your Health Magazine at Washington DC, Maryland, and Northern Virginia grocery stores, pharmacies, convenience centers, doctor offices, libraries, spas, salons, and more! Or Read Online: www.YourHealthMagazine.net 301-805-6805 • publish@yourhealthmagazine.net
Health Professional interested
practice information
the magazine
If you are a
in including your
in
and online, contact us today:
Articles & Advice From Local Doctors! PLUS: Beauty & Skin Care • Dental Implants Sports Eye Safety • Children’s Health Senior Living • & More! • Health Directory page 40 MakingaD ence Vignia •M y and Washing on D C 33 Years 1990•2023 Celebrating View Latest Editions Scan Me!
WWW.YOURHEALTHMAGAZINE.NET • WASHINGTON DC • JULY 2023 50 CENTS IN OUR NEXT EDITION: Womens’ Health & Women In Healthcare Janet V. Johnson, MD Pediatrics Pete Goller, BS, CP Prosthetics Kyle Wilhelm, BS, CO Prosthetics Jed Newhardt, BS, CPO Prosthetics Gelareh Naenifard DC, Chiroprctor Tuesday Cook, MD Bariatric Surgery Lynda Dean-Duru, DDS Children’s Dentistry Lubrina Bryant, DPM Podiatry Krystle Dean-Duru, DDS Children’s Dentistry Michael Rogers, DDS Dentistry Scott Turner, MD, PhD Alzheimer’s Treatment Elizabeth “Andie” Shin, DDS Pediatric Dentistry Madhavi Chada, MD Pain Management Desiree Holmes Scherini BCH, Hypnotherapy Matthew Skancke, MD Colon and Rectal Surgery Rami Makhoul, MD, FASCRS Colon and Rectal Surgery Lisa Hadley, MD, JD Psychiatrist Jeffrey L. Brown, DDS TMJ & Sleep Disorders Beth Albaneze, MA, CTRS CPRP, Mental Health Tiffany Daniel Wellness Mark Matolak, Owner Lift and Stair Chairs Susan Brennan, RN, BSN IBCLC, Breastfeeding Deeni Bassam, MD Expert Spine Physician Sivakumar Sreenivasan DMD, Maxillofacial Surgery Arjun Ramesh, MD Expert Spine Physician Usman Zafar, MD Expert Spine Physician Barbara J. Brown, PhD Mental Health David Patrick Wright RM, Chakra Balancing Alexander C. Nnabue OD, PA, Optometry Ghassan Jacklis, DMD Dentistry E. Taylor Meiser, Jr. DDS, Dentistry Angel Wood, DACM LAc, Acupuncture Dr. Melo Forchu Wellness Solutions Cheryle Baptiste, DDS Dentistry Sarah Merritt, MD Pain Management Hadi M. Rassael, DO Cosmetic Surgery Alison F. Parker, DC Chiropractor Garima K. Talwar, DDS MS, Prosthodontics Harshit Aggarwal, DDS MSD, Prosthodontics Brent C. White, Jr. DDS, Dentistry Cheryl Y. Lee, DDS Dentistry Keisha Church, MSN APRN, Aesthetics Marc P. Stanard, DDS PC, Periodontics Claiborne M. Callahan MD, Ophthalmology Padmaja Yalamanchil DDS, General Dentistry Mudit Sharma, MD Spine Surgery Zina Alathari, DMD Dentistry Bonnie Mazaris, RYTT-200 Energy Healings YoRiQi Ike Lans, DDS Dentistry Jennifer Phung Make-Up Artist Sheri Salartash, DDS MAGD, Dentistry Mohammad Komaily DC, Chiropractor E. Richard Hughes, DDS Implant Dentistry Aramesh Darvishian, DDS General Cosmetic Dentistry Jacqueline D. Griffiths MD, Ophthalmology Joy Cheriel Brown Hypnosis Vikram Chauhan DMD, Dentistry Peter C. Jones, MPH OTR/L, Public Health Priya Ghadge, MD Family Medicine Sereda Fowlkes Health Coach Levi Pearson, III, MD MBA, Pain Management Laura Deter, Owner Health Coach Sharon Hawkins, CRNP Nurse Practitioner Toni Greene, Owner Hypnosis/YOGA Howard Horowitz, DPM Podiatry Larry W. Bryant, DDS, PA Oral and Facial Surgery Swathi M. Reddy DMD, Orthodontics Mimi Quade, Owner Mastectomy Fitter Yemi Adesanya-Famuyiwa MD, FACOG, Fertility Craig A. Smith, DDS General Dentistry Renee Bovelle, MD Ophthalmology Jaimi Jackson, Owner Hair Salon
Dr. Wolcott received his DDS degree from the University of Maryland School of Dentistry & keeps up-to-date on the latest dental trends through continued education. He has over 25 years of experience in the placement & restoration of broken, damaged & missing teeth.
Dr. Poupard, who is fluent in French, received dual DDSs from Paris Descartes University & University of Maryland School of Dentistry, where she also completed a one–year residency in General Dentistry. Dr. Poupard actively embraces new & improving technology & advances in dentistry through continuing education.
Dr. Centty, who is fluent in Spanish, received dual DDSs from Cayetano Heredia University & University of Maryland School of Dentistry, where she also received her MS & a certificate in Advanced General Dentistry. Dr. Centty remains abreast of the latest changes in dentistry to provide patients with
www.yourhealthmagazine.net Washington, DC Edition I 43 Experience the Difference of Truly Personal Dental Care! A Renewed Focus on Care & Convenience for Your Whole Family! Open 7:30am-7pm!
Walk In! You’re Always Welcome! 1734 Elton Road, Suite #231 Silver Spring, MD 20903 301-637-2020 HillandaleSmiles.com Affordable Dental Coverage For Uninsured Patients As Low as $16.67/mo. Call Today for more details.
state-of-the-art care.