ViewLatest Editions GREAT Information From Local Doctors To Help You Live Healthier! 34 Years 1990 • 2024 Makinga Difference Virginia • Maryland•Washing to n D C Celebrating MENTAL HEALTH AWARENESS ACUPUNCTURE PEDIATRIC DENTISTRY RIGHT AGE FOR COSMETIC SURGERY SPINAL COMPRESSION DENTAL IMPLANTS SENIOR DEPRESSION May 2024 Washington DC Health Directory Page 40 PAGES 22-27 Ghassan Jacklis, DDS Dentistry Janice Trent, AuD Audiology Shawn Samad, DDS Oral Surgery Michael Rogers, DDS Complete Health Dentistry Featured Professionals SPECIAL FOCUS ACTIVE Aging Dont Miss Next Month Featuring Your Local PAIN MANAGEMENT & REHAB Professionals Asaafa Fana, PhD, RN SkinCare LOCAL DOCTORS & ARTICLES at YOURHEALTHMAGAZINE.NET 50 CENTS Plus... Renee Bovelle, MD Ophthalmology Claiborne M. Callahan, MD Ophthalmology Deborah Y. Wilson-Umanzor, MD Ophthalmology Jacqueline D. Griffiths, MD Ophthalmology MAY IS HEALTHY VISION MONTH Jeffrey L. Brown, DDS TMJ & Sleep Apnea Sivakumar Sreenivasan, DMD Oral and Maxillofacial Surgeon
Would you like to regain your confidence and smile back with teeth that are perfectly fitted and stable in one day under IV sedation?
Does that sound too good to be true?!
Please visit our Instagram page, YouTube and website to gain insight with this revolutionary procedure: Full
301-805-6805 2 | Your HEALTH Magazine Are You Tired Of Dentures and Many
To Dentists ?
Today: 703-566-1990 1016 North Highland Street | Arlington, VA 22201
Trips
Schedule
Dental
(“Teeth In One Day” )
Mouth
Implants
Regain your confidence and smile back! Pashapouroralfacialsurgery www.drpashapour.com Dr. pashapour
www.yourhealthmagazine.net Washington, DC Edition I 3
Ensuring Healthy Smiles and Sound Sleep For Your Child
By Lynda Dean-Duru, DDS Ashburn Children’s Dentistry
Proper breathing during sleep is crucial for the overall well-being of children, yet many parents may not be fully aware of potential issues related to Sleep-Related Breathing Disorders (SRBD), which includes pediatric obstructive sleep apnea (OSA).
SRBD refer to disturbances in normal breathing patterns during sleep,
ranging from common snoring to more severe pauses in breathing known as apnea events. These interruptions can lead to sleep deprivation and a variety of health complications. In the case of children, untreated SRDB can result in developmental, behavioral, and emotional challenges, potentially leading to conditions like allergies, ADD/ADHD, and depression.
Pediatric OSA, a condition where the airway is partially or completely
Dr.
Dr.
blocked during sleep, is often caused by enlarged tonsils or adenoids and a lack of tongue space. It differs from adult OSA, as it may manifest alongside behavioral issues and daytime sleepiness in children.
The Importance Of Proper Sleep and Open Airways For Children
During the first 18 months of a child’s life, crucial growth and developmental milestones occur, many of which are related to facial develop-
ment. Ensuring proper breathing is essential for a child’s health and development, impacting facial features, jaw development, and overall growth. Mouth breathing can set off a chain reaction of issues, altering the growth of the lower and upper jaws, midface, and nasal bones, ultimately affecting the child’s facial balance.
Pediatric Sleep-Related Breathing Disorders (SRBD) and OSA Symptoms
Children with SRDB may present a range of symptoms, including:
• Difficulty falling or staying asleep
• Sleepwalking, night terrors, and other parasomnias
• Excessive daytime sleepiness
• Mouth breathing, dry lips, bad breath
• Dark circles under the eyes
• Tonsil and adenoid problems
• Snoring
• Teeth grinding
• Bed-wetting
• Inner ear infections
• Limited tongue/lip mobility
• Hyperactivity
• Difficulty concentrating
• Selective eating habits
• Bedwetting
Preventative & Comprehensive Dental Care
• Regular Dental Exams
• Professional Teeth Cleanings
• Dentistry for Children with Special Healthcare Needs
• Digital X-Rays
• CBCT (Cone Beam Computed Tomography)
• Icon® Cavity Prevention
• Myofunctional Orthodontics
• Infant & Child Frenectomy
• Bebe Munchee® Tool Child Growth & Development
Cosmetic & Restorative Care
• Tooth-Colored Fillings
• Dental Crowns
• Teeth Whitening
• Fluoride Treatment
• Sealants
• Pediatric Sedation Dentistry
• Laser Dentistry
• Baby Root Canal (Pulpotomy)
• StemSave™
• Mouthguards
• Tooth Extraction & Space Maintainers
• BabyLase™
• Sleep Apnea & Sleep Airway Treatments
• Lumineers
• Snap-On Smile®
In the case of pediatric OSA, symptoms may involve snoring, breathing pauses, restlessness, and coughing or choking episodes during sleep.
Dentist’s Role
Contrary to conventional belief, pediatric dentists with specialized training are well-equipped to address symptoms related to sleep and airway conditions. The airway, mode of breathing, and malocclusion are closely interconnected and should be addressed early and holistically by dentists. Advanced technology, such as cone beam 3D imaging, allows dentists to effectively diagnose airway issues and guide proper growth and development. Early intervention is essential in guiding proper growth and development.
Convenient at-home sleep study tests are now available to diagnose pediatric sleep apnea and breathing issues. These tests provide comprehensive, accurate data for proper diagnoses.
Treatment goals encompass the elimination of detrimental habits, guiding optimal cranial, jaw, and facial development, preventing dental misalignment, and enhancing airway health and oxygen sufficiency. Various therapies, including oral appliances, myofunctional therapy and positive airway pressure therapy, can effectively alleviate symptoms.
301-805-6805 4 | Your HEALTH Magazine
Call:
Suite #225, Ashburn,
20147
Schedule your child’s appointment today!
703-723-8440 44025 Pipeline Plaza,
VA
www.kidzsmile.com
Lynda Dean-Duru
Krystle Dean-Duru
www.yourhealthmagazine.net Washington, DC Edition I 5
In This Edition…
The articles below are provided by local health professionals for the benefit of the public. Please contact them for advice and services.
far too many people,
or not, who do not go to
doctor when they should, and in millions of cases, don’t know who they should go to, or why.
People are encouraged to buy a new house, car, cell phone or big screen TV, and those companies make themselves very visible and their products easily attainable.
Information about, and from, local healthcare providers is not easy to find, and many times those services are difficult to access.
Information and encouragement always lowers fear and trepidation about anything, and this is especially true in healthcare. While general information is available on web-sites, specific information from local providers is almost impossible for people to find. This is one of the key reasons chronic and episodic conditions are not cared for. It is our mission to:
Make A Difference By Empowering and Encouraging People To Live Healthier By Going To the Doctor When They Should.
There is a lot of evidence that the health professionals who participate in Your Health Magazine have helped many people over the years. We at Your Health Magazine salute you!
©
Drive, Suite 102 Bowie, MD 20716 Office (301) 805-6805 • Fax (301) 805-6808 info@yourhealthmagazine.net
VIRGINIA OFFICE Office (301) 805-6805 production@yourhealthmagazine.net
301-805-6805 6 | Your HEALTH Magazine
Articles and information about health professionals is available at www.YourHealthMagazine.net 4 | Ensuring Healthy Smiles and Sound Sleep For Your Child | By Lynda Dean-Duru, DDS 7 | Healthy Mind In a Healthy Body | Submitted by Me Time Healing 8 | Toothache 101: Symptoms and Causes | By Elizabeth Shin, DDS 9 | May Marks Celiac Awareness Month | By Carolyn Haeler, Founder 9 | Should Burn Wounds Be Covered? | Submitted By Samakow Law 11 | Ways To Check On a ‘Mama’ In Your Life | By Priya K. Tahim, MA, LPC, NCC 12 | Understanding the Importance Of Splinting Periodontally Involved Teeth | By Marc P. Stanard, DDS 13 | Spring Foot Care: Managing Sweaty Feet | By Lubrina Bryant, DPM 16 | All-On-Four Dental Implants | Submitted By Sivakumar Sreenivasan, DMD, MDS 17 | Why Does My Back Ache? | By Deeni Bassam, MD, DABPM 18 | Mold: A Growing Problem | By Vinny Gigliotti, CEO 20 | Foot Wound Care With Vaporox VHT: A Breakthrough Solution | By Ademuyiwa Adetunji, DPM 22-27 | Featured Active Aging + Vision and Eye Care Professionals 28 | TMJ and Vision Disorders Is There a Connection? | By Jeffrey L. Brown, DDS 29 | Spinal Compression Fracture Treatment Options | By Madhavi Chada, MD 29 | Keeping Our Children Safe | By Janet V. Johnson, MD 30 | Grateful For the Air We Breathe | By Yemi Adesanya-Famuyiwa, MD 31 | Dental Care For Mature Citizens | By Karl A. Smith, DDS, MS 32 | Acupuncture For Rhinitis and Asthma | By Quansheng Lu, CMD, PhD, LAc 34 | Vision Correction - iDesign Advanced WaveScan Studio | By Jacqueline D. Griffiths, MD 38 | Understanding Soft Tissue Grafting | By Alfonso Patron, DDS 41 | Am I The Right Age For Cosmetic Surgery? | By Hema Sundaram, MA, MD, FAAD
& WASHINGTON, DC OFFICE One Town Center 4201 Northview
MARYLAND
Your Health Magazine, 2024. The magazine and all of its contents are protected by copyright. For permission to reproduce any materials in this magazine, contact publish@yourhealthmagazine.net
Health Magazine is on a
Your
mission. There are
insured
the
Scott Hunter, Editor-in-Chief
you would like to find out how you can participate in one of our upcoming
please contact the office nearest you. SERVING MARYLAND & VIRGINIA Since 1990 EDITOR-IN-CHIEF Gregory Scott Hunter SALES & MARKETING CONSULTANT Mili Parra MANAGING EDITOR Heather L. Mahoney PRODUCTION & DESIGN ADMIN ASSISTANT Alison Doner – MD Articles and Information from Doctors & Other Providers Who Can Help You Live PAIN FREE! In the next edition of Your Health Magazine... If you are a health professional who would like to be included in this special PAIN issue, contact us today: 301-805-6805 • info@yourhealthmagazine.net PAIN Management & Rehabilitation Latest editions available online: www.YourHealthMagazine.net If You Are Suffering From Any Type Of Pain Be Sure To Check Out Next Month’s Special Pain & Rehab Issue. Your Health Magazine is here to Help People Find the Healthcare They Need! Information from local doctors lowers the barriers to getting better healthcare and living healthier. It Makes a Difference! MAGAZINE
G.
If
editions,
Healthy Mind In a Healthy Body
Submitted by Me Time Healing
Did you know that mind and body are connected? We generally tend to think that mind and body are two different concepts. But they can affect each other positively or negatively.
Mind and Body Are Connected, They Complete Each Other.
When we talk about this connection, we talk about our thoughts, emotions, beliefs, behaviors, our point of views, our conscious and how powerfully they are affecting our biological system.
Have you ever wondered why some of our biological symptoms appear when everything seems great? Our mind can affect our physiological well-being and on the other hand, our psychological well-being can be affected by our physiological wellbeing, like what we eat, how much we sleep, etc. Most of our bodily dysfunctions are derived from our automated thoughts.
We generally tend to think that mind and body are two different concepts. But they can affect each other positively or negatively.
Our Body and Mind Should Be In Harmony For the Optimal Health That We Desire.
But how and why are they connected? Our brain, peripheral nervous system, endocrine and immune system, our emotions and all the organs in our body share the same chemical language and through this they are constantly in communication. Let’s think that our body is an organization. A big one! Each organ is a manager of their own system, but they are all connected to a director. If managers and directors lose their communication somehow, the likelihood of unhealthiness will increase. Because the cause of most of the diseases are the failure of this organization. Without the proper information flow through mind and body the elec-
trical functions fail, and brain can’t operate properly in some areas of the body. Since we talked about the technical part, we can surely talk about how we can find the harmony.
First, the balance should be established with awareness. We should realize that our body is a vehicle. In order to get this vehicle running, we should invest in it. The more we invest in our body, the more we invest in our mind and vice versa. How to improve your mental health? During an event we hardly recognize what is going on around us, or while we are
doing something like driving, cooking, eating, or exercising, the same thing applies. So, to stop for a minute while you are reading this blog and try to recognize everything happening around you. The voices, the colors, the fragrances of the space around you & then focus your attention on your body, assess your body, see if you are feeling any discomfort? This is a small version of an awareness exercise. But if you practice this frequently, in time you’ll learn how your body reacts to certain stimuli around you and how it recognizes patterns of thinking in that
specific moment.
Second, take care of yourself. Make time for yourself. If you get too busy to take care of your needs, you might disturb the communication of your body and mind. How to improve your physical health? We need to have some “Me Time” for emotional and physical well-being. You can build your own self-care systems. You can start by asking yourself about your needs and wishes. This doesn’t mean that you are becoming selfish; this means you are positively affecting your mind and body each day!
www.yourhealthmagazine.net Washington, DC Edition I 7
Healing Without Borders Is Our Global Promise! 301-200-2397 info@metimehealing.com www.MeTimeHealing.com MeTime Healing provides fast access to mental well-being in an affordable & convenient virtual setting by expert mental health professionals! EXPERT CARE PROVIDERS YOU CAN TRUST! Tap into a large network of compassionate, accredited, and experienced Care Providers, who can help you with a range of issues including depression, anxiety, worries, stress, self-compassion, relationships, sleep deprivation, grief, and more. Our client centered approach ensures the best quality and ethical online therapy and counseling at all times!
Toothache 101 Symptoms and Causes
By Elizabeth Shin, DDS Bethesda Chevy Chase Pediatric Dentistry
What Is a Toothache and What Are the Symptoms and Common Causes?
A toothache is a throbbing pain that is usually due to tooth decay or tooth infection, such as tooth abscesses and tooth root inflammation. If you suspect your child has a toothache, be
sure to schedule an appointment with their pediatric dentist immediately!
The Most Common Symptoms of a Toothache Are:
• a throbbing pain
• bad breath
• sensitivity to hot and cold
• pain when chewing
• pain when swallowing
• pain when breathing through the nose
• red and swollen gums / gum inflammation
Common Causes of Toothaches
• tooth decay
• tooth infection
• tooth abscesses
• tooth root inflammation
• temporomandibular joint dysfunction
Leading The Way In Pediatric
We provide expert pediatric dentistry to help your child improve and maintain oral health and hygiene, repair and address problematic teeth, and treat teeth, tongue and gum issues that require immediate attention. Partner with our Pediatric Dentist in Bethesda and Chevy Chase to help your child achieve lifelong oral health.
Throughout life, good oral health has a very positive impact on your child’s general health, self-confidence, and discipline. We believe early positive experiences with oral health and hygiene – at the dentist and at home – set the stage for a life filled with good health, love, and success.
• tooth grinding
How To Treat Toothaches
If you suspect your child has a toothache, be sure to schedule an appointment with their dentist immediately! In the meantime, there are a few things you can do at home to help relieve the pain:
• Apply a cold compress to the area of toothache
• Take ibuprofen or acetaminophen for pain relief
• Rinse the mouth with warm water
• Gently brush the teeth and gums with a toothbrush
Prevention Tips For Toothaches
There are a few things you can do to help prevent toothaches in your children:
• Make sure they brush their teeth twice a day with fluoride toothpaste.
• Floss their teeth once a day.
• Take them for regular dental checkups.
• If they are prone to tooth decay, have them drink fluoridated water and eat fluoride-rich foods.
Let’s Review What We’ve Learned About Toothaches
A toothache is a throbbing pain that is usually due to tooth decay or tooth infection. If you suspect your child has a toothache, be sure to schedule an appointment with a pediatric dentist immediately! We reviewed a few things you can do at home to help relieve the pain. We also discussed some common symptoms and causes of toothaches and a few things you can do at home to prevent them such as brushing teeth twice a day with fluoride toothpaste, flossing once a day, taking children for regular dental checkups.
Now you know more about toothaches! If you have any questions, please don’t hesitate to ask your favorite dentist.
301-805-6805 8 | Your HEALTH Magazine
Suite #220,
20814 301-941-7374 smile@bccpediatricdentistry.com BCCPediatricDentistry.com
4825 Bethesda Avenue,
Bethesda, MD
Elizabeth Shin DDS
Dentistry!
Pediatric Partial Denture to Replace Missing Teeth
May Marks Celiac Awareness Month
Here Are Tips From Master Gluten Free Baker
Carolyn Haeler, Founder, MIGHTYLICIOUS Gluten Free Cookie Co.
The month of May marks Celiac Awareness Month. It’s an important time of year to acknowledge that more than 25% of Americans are on gluten free diets – that’s 3.1 million people. People used to think gluten-free meant flavor-free? But the Gluten free food landscape has evolved over the years, as consumers demand better tasting, quality products.
To that end, there’s a new cookie in town, and it’s taking the snack world by storm.
Say hello to Mightylicious, the hand-crafted cookie that truly has it all: amazing flavor, perfect texture, clean ingredients—everything you want in a cookie except the gluten.
What sets these decadent cookies apart from the rest is their surprising deliciousness. Everyone is singing the praises of Mightylicious, not just people with celiac disease and healthconscious snackers, but anyone who simply can’t resist a good cookie.
Behind every Mightylicious cookie is the belief that allergenfriendly treats shouldn’t sacrifice taste or texture. These soft-baked delights are 100% free of gluten, wheat, rye, barley, and RBST. The entire line is made from all-natural, non-GMO and kosher certified ingredients.
So how did MIGHTYLICIOUS Gluten Free Cookies come about? Its founder, Carolyn Haeler was diagnosed with Celiac, and that’s when she set out to find a good Gluten-free cookie. But what she found was tasteless and crumbled entirely after one bite.
That’s when she realized there had to be a better way, and as one smart cookie herself, she was determined to create a cookie that was gluten-free, healthy, and above all, irresistibly delicious. She gave up her lucrative
position to start MIGHTYLICIOUS.
After much trial and error, she came up with just the right recipe, and today is a master Gluten-free baker.
Her new MIGHTYLICIOUS gluten-free cookies are soft and delicious, available in seven varieties including 4 vegan options: New Double Dutch Chocolate Chip, Oatmeal Raisin Vegan, Chocolate Chip and Grandma Arline’s Oatmeal Coconut.
Also available are Brown Butter Chocolate Chip and Brown Butter Shortbread (both dairy), and Salted Peanut Butter (grain and dairy-free). These decadent Gluten Free cookies will knock your taste bud socks off! Here are Haeler’s tips for baking better Gluten Free.
How to Bake Better with these Gluten-Free Tips from MIGHTYLICIOUS:
1. Use gluten-free flours: Avoid flours containing gluten such as wheat, barley, spelt, triticale and rye. Some good gluten-free options include blends, rice flour, almond, coconut, tapioca flour, and potato starch.
2. Use xanthan gum or guar gum: Gluten-free flours lack the elasticity and structure that gluten provides, so adding a binder like xanthan or guar gum can help to hold the ingredients together and give your baked goods a better texture.
3. Use a gluten-free baking mix: If you’re new to gluten-free baking, using a pre-made gluten-free baking mix can be a terrific way to get started.
4. Add extra liquid : Gluten-free flour tends to absorb more liquid than regular flour, so you may need to add more liquid to your recipes to compensate. This can help to keep your baked goods moist and prevent them from becoming dry and crumbly.
5. Use fresh ingredients: When baking gluten-free, use fresh ingredients. Fresh food retains minerals & vitamins, which contribute to strong gut-health.
6. Don’t overmix: Overmixing can cause gluten-free baked goods to become tough and dry. Mix your
Please see “Celiac Awareness,” page 18
www.yourhealthmagazine.net Washington, DC Edition I 9
301-805-6805 10 | Your HEALTH Magazine CALL 301-352-1523 Callender Dermatology & Cosmetic Center 12200 Annapolis Road, Suite #315 • Glenn Dale, MD 20769 www.CallenderSkin.com
By Priya K. Tahim, MA, LPC, NCC Kaur Counseling
Did you know that May is Maternal Mental Health month? This month is dedicated to spreading awareness and bringing light to mother’s who suffer from postpartum mood and anxiety disorders or perinatal mood disorders (PMD).
Around the world, an average of one in five mothers experience some form of PMD, that are not just “baby blues” as some may assume. Often, these disorders go unnoticed, due to the lack of understanding of what PMD actually is. The dangers of PMD going unnoticed can result in a lack of bonding between mother/ child/family units, depression, suicidal ideations, isolation, etc.
Below are a few ways you can check on a new “Mama” in your life:
1. Offering to help watch the baby, so mama can get some rest while the baby sleeps, is a way to help support a new mom. However, if a mama is having difficulty sleeping when the baby is sleeping, or unwinding in a way that instills relaxation-this could be a sign of a PMD.
2. Encourage a new mama to check in with other moms. While, it’s important to be emotionally supportive of your partner, connecting with other moms can allow shared experiences to develop. This allows a new mom to feel understood, supported and that she isn’t in this journey alone.
3. If you start to observe a new mama isolating herself from the family, or newborn, ask if there is anything she needs. Sometimes it could be preparing a meal, or taking care of household chores-so she doesn’t have to. Creating space for her to heal physically, can help her also heal emotionally. Being a physical support to help on tasks that anyone can do (cooking, cleaning, being present, offering to babysit, etc…) can help create space for her to rest.
4. Ask her the simple question of “how are you” can help assess how someone is doing, and if more
Ways To Check On a ‘Mama’ In Your Life
help is needed. Observe for signs of anxiety, depression or suicidal ideations/intent. Women can go through man changes, especially hormonally, which can increase symptoms of anxiety and depression. Checking in with a new mom, can help determine when to reach out for more help.
These are not limited to the only
ways you can check on someone who may suffer from PMD, these are a few variations to help notice signs.
It’s completely normal to have some ups and downs in those first 6-8 weeks of bringing a newborn home. However, if the downs seem to linger longer, this could be a sign to reach out for more help. Below are a few resources to obtain support:
1. Post-Partum Support International provides resources, support groups, and a therapist directory on it’s website: https://www.postpartum.net/resources
2. Hand to Hold https://handtohold. org/nicu-family-support/mymentalhealthmatters
3. Suicide and Crisis lifeline: https://988lifeline.org
www.yourhealthmagazine.net Washington, DC Edition I 11
Kaur Counseling supports individuals, couples and families through their journey of empowerment, love, growth and happiness. 2168 Wisconsin Avenue, NW Washington, DC 20007 Virtual Offices: Washington, DC, Virginia & Texas info@KaurCounseling.org 214-507-2248 KaurCounseling.org
Therapy
provide an open, safe environment
understanding and empowerment throughout your therapeutic journey. Whether
to build confidence as an individual or within your relationships,
we can build the tools you need to succeed.
Kaur Counseling works to serve individuals, families and couples’ from diverse backgrounds who suffer from depression, anxiety, re-building intimacy, marital conflict, familial conflict, PCOS, Infertility, low self-esteem, imposter syndrome, divorce/uncoupling, parenting and more.
can be an intimidating process, and our goal is to
to help instill support,
you’re looking
together
Strengthening Smiles
Understanding the Importance Of Splinting Periodontally Involved Teeth
By Marc P. Stanard, DDS, PC
Periodontal disease affects millions worldwide, jeopardizing not just the health of teeth but the overall well-being of individuals. Among the treatment modalities available, splinting of periodontally involved teeth emerges as a significant strategy in preserving dental health and function. Splinting involves bonding multiple teeth together to provide stability and support, thereby preventing further damage and facilitating healing.
Understanding the role and benefits of splinting is crucial for both patients and dental professionals in combating periodontal disease effectively.
Periodontal disease, characterized by inflammation and infection of the gums and surrounding tissues, often leads to tooth mobility— a distressing symptom indicating significant tissue and bone loss. Tooth mobility not only affects chewing and speaking but also poses a threat of tooth loss if left untreated. Splinting offers a solution by redistributing forces among the connected teeth, reducing individual tooth stress and enhancing overall stability.
The process of splinting begins with a comprehensive assessment of the patient’s periodontal condition. Once the severity of mobility and bone loss is determined, suitable splinting techniques are chosen. Common methods include using
wires, resin materials, or a combination of both to connect the affected teeth. These splints can be temporary or permanent, depending on the patient’s needs and the clinician’s recommendation.
One of the primary benefits of splinting is its ability to preserve natural dentition. By stabilizing mobile teeth, splints prevent further movement, allowing the periodontal tissues to heal. This not only improves the functionality of the teeth but also enhances the patient’s quality of life, restoring confidence in their smile.
Moreover, splinting aids in maintaining proper occlusion—the alignment of teeth when the jaw is closed. By preventing excessive movement of periodontally involved teeth, splints help preserve occlusal stability, preventing complications such as TMJ disorders and premature wear of teeth.
For patients undergoing peri-
odontal treatment, understanding the importance of splinting is essential. While it may seem daunting at first, splinting offers a promising solution for stabilizing compromised teeth and preventing further deterioration. However, proper oral hygiene practices, including regular brushing, flossing, and professional cleanings, remain integral in maintaining the longevity of splinted teeth.
Splinting of periodontally involved teeth serves as a valuable tool in the management of periodontal disease. By providing stability, preserving dentition, and maintaining occlusal harmony, splints contribute significantly to improving oral health and restoring smiles. Consulting with a knowledgeable dental professional can help individuals make informed decisions regarding their periodontal treatment, ensuring a brighter, healthier future for their teeth and gums.
Maintaining good dental hygiene is crucial, and Dr. Marc Stanard, a periodontist and specialist in surgical implant dentistry, can help you achieve healthy teeth comfortably. We offer a wide range of specialized procedures and services to cater to your periodontal needs, such as bone surgery, scaling, and root planing, gum grafts, crown lengthenings, and sinus lifts.
Why you should choose Dr. Marc Stanard:
• We provide advanced, affordable dental care tailored to meet your unique needs.
• Our team offers oral hygiene instruction and education on gum disease, bone loss, and other dental health conditions.
• Dr. Marc Stanard has decades of experience and a passion for his work, and he’s earned numerous designations, affiliations, and awards, including Top DDS by Washingtonian and high ratings on Google and Yelp.
• Our office is friendly and welcoming, making it the perfect place to receive top-quality dental care.
301-805-6805 12 | Your HEALTH Magazine
Contact us today to schedule an appointment and experience the benefits of our specialized periodontal care. Periodontist In Washington, DC Marc P. Stanard, DDS Call: (202) 887-5441 1350 Connecticut Avenue, NW, Suite #305 • Washington, DC 20036 wdcperioimplant.com
Spring Foot Care: Managing Sweaty Feet
By Lubrina Bryant, DPM District Podiatry, PLLC
As spring brings warmer weather and blossoming flowers, it also heralds the return of foot-related challenges, including plantar hyperhidrosis, or excessive sweating of the feet. This condition can dampen the joy of springtime activities, but with the right approach, you can enjoy the season to its fullest.
Springtime activities often involve shedding winter layers and embracing lighter footwear, making plantar hyperhidrosis more noticeable and potentially uncomfortable. The combination of rising temperatures and increased outdoor excursions can exacerbate sweating, leading to damp feet and heightened discomfort.
The causes of plantar hyperhidrosis, including overactive sweat glands, genetic predisposition, hormonal changes, and environmental factors, remain relevant during springtime. As you prepare to enjoy outdoor adventures and embrace seasonal activities, it’s essential to consider strategies for managing excessive foot sweating.
First and foremost, consulting a podiatrist is paramount for accurate diagnosis and tailored treatment recommendations. Your podiatrist can assess your symptoms, identify contributing factors, and devise a comprehensive management plan to address your specific needs.
Incorporating proactive foot care practices into your springtime routine can help alleviate the discomfort associated with plantar hyperhidrosis. Here are some tips to keep your feet feeling fresh and dry amidst the springtime blooms:
Choose Breathable Footwear: Opt for shoes made of breathable materials, such as mesh or canvas, to promote air circulation and minimize moisture buildup. Avoid tight-fitting or non-breathable footwear, which can trap sweat and exacerbate symptoms.
Wear Moisture-Wicking Socks: Select moisture-wicking socks designed to draw moisture away from
the skin and promote evaporation. Look for socks made of synthetic fibers or merino wool, which can help keep your feet dry and comfortable during springtime activities.
Proper Foot Hygiene: Maintain good hygiene by washing your feet daily with mild soap and warm water. Dry your feet thoroughly, paying special attention to the spaces between your toes, where moisture can accumulate. Applying foot powder or antifungal sprays can help absorb excess moisture and prevent fungal infections.
Use Antiperspirant Products:
Consider using over-the-counter or prescription-strength antiperspirant products specifically formulated for feet. These products can help reduce sweating by blocking sweat gland activity and keeping your feet drier for longer periods.
Rotate Footwear: Alternate between different pairs of shoes to allow each pair to fully dry out between wears. Consider inserting cedar shoe trees or moisture-absorbing shoe inserts into your footwear to help eliminate odors and moisture.
Stay Hydrated: While it may
seem counterintuitive, staying hydrated can actually help regulate sweating by maintaining proper fluid balance in the body. Drink plenty of water throughout the day to support overall health and hydration.
By incorporating these springtime foot care practices into your routine and seeking guidance from a podiatrist, you can effectively manage plantar hyperhidrosis and enjoy all that spring has to offer with confidence and comfort. Don’t let excessive sweating dampen your springtime spirit!
Provide Foot Care For the Whole
www.yourhealthmagazine.net Washington, DC Edition I 13
We
Family 1647 Benning Road, NE Suite #301, Washington, DC 20002 202-388-5303 www.DistrictPodiatry.com From routine checkups to minor foot surgery, Lubrina Bryant, DPM is a podiatrist who is equipped to handle all your foot and ankle needs. SERVICES INCLUDE: • Routine Foot Care • Diabetic Foot Care • Wart Removal • Ingrown Toenails • Foot, Ankle or Heel Pain • Toenail Fungus • Bunions Our feet are important in our everyday lives. The problem is that we tend to neglect them. When this becomes a habit, it can cause significant trouble. Ignoring foot problems can mean pain, limited mobility, and expensive doctor’s visits. On the other hand, if feet are cared for and looked after regularly, they will perform without pain or complication. DISTRICT PODIATRY, PLLC
Dr. Wolcott received his DDS degree from the University of Maryland School of Dentistry & keeps up-to-date on the latest dental trends through continued education. He has over 25 years of experience in the placement & restoration of broken, damaged & missing teeth.
Dr. Poupard, who is fluent in French, received dual DDSs from Paris Descartes University & University of Maryland School of Dentistry, where she also completed a one–year residency in General Dentistry. Dr. Poupard actively embraces new & improving technology & advances in dentistry through continuing education.
Dr. Centty, who is fluent in Spanish, received dual DDSs from Cayetano Heredia University & University of Maryland School of Dentistry, where she also received her MS & a certificate in Advanced General Dentistry. Dr. Centty remains abreast of the latest changes in dentistry to provide patients with state-of-the-art care.
301-805-6805 14 | Your HEALTH Magazine Experience the Difference of Truly Personal Dental Care! A Renewed Focus on Care & Convenience for Your Whole Family!
Open 7:30am-7pm!
Walk In! You’re Always Welcome! 1734 Elton Road, Suite #231 Silver Spring, MD 20903 301-637-2020 HillandaleSmiles.com Affordable Dental Coverage For Uninsured Patients As Low as $16.67/mo. Call Today for more details.
www.yourhealthmagazine.net Washington, DC Edition I 15
Submitted By Sivakumar Sreenivasan, DMD, MDS Dental Implant Center of Rockville
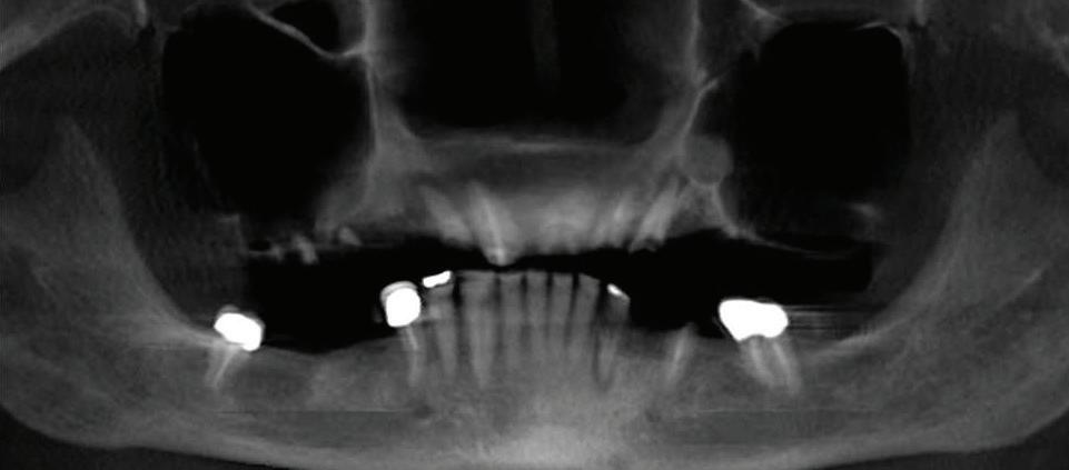
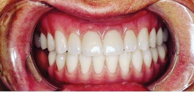
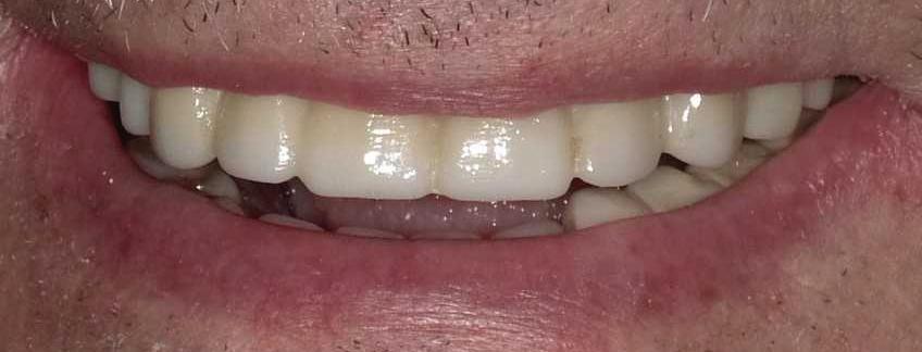
Can just four implants replace all of the teeth on the top or the bottom of your mouth? Thanks to advances in dental implant technology, that answer is a resounding yes.
Believe it or not, tooth loss is extremely common among adults, especially as we age. In fact, more than 35 million people in America are missing all of their upper and/or lower teeth. Rather than living with the discomfort and hassles of dentures, many people are opting for what is called “all-onfour” dental implant restoration.
All-On-Four:
One Full Arch Of Teeth, Four Dental Implants
To fully understand this remark-
A Reason To Smile Again All-On-Four
able technique for replacing teeth, you should first understand what a dental implant is. An implant is a small titanium screw that fits inside your jawbone and replaces the root-part of a missing tooth. Minor surgery is required to insert the implants. Once the implant is in place, a crown is attached to give you a highly realistic-looking and functional prosthetic tooth.
Here’s where it gets really interesting: You do not need a dental implant for each and every one of your missing teeth. All you need is four precisely placed implants on the top of your mouth, and four on the bottom, to restore your full smile. That’s the beauty of the all-on-four. And because the implant is made of titanium, it has the unique ability to fuse to living bone and function as part of it. So eventually, the dental implant becomes part of the jawbone and serves as a strong, long-lasting foundation for your new teeth.
What’s The All-On-Four Dental Implant Procedure Like?
It can be scary to get implants for the first time. Most of that fear is probably due to the uncertainty, so here is the step-by-step process for getting an All-On-Four dental implant.
First, your dentist will want to make sure your comfortable, so either local or general anesthesia will be administered.
Second, the dentist or surgeon will prepare your mouth for the implants, which involves removing your remaining teeth that are failing. They will then remove any diseased or infected tissue from your jaw and gums.
Besides ensuring that your implants are permanently fixed in place, this bone fusion has another important benefit: it prevents future bone loss in the jaw. This helps to maintain a more youthful facial structure – and better oral health. But perhaps the biggest surprise about the all-on-four is how quickly it can transform your life.
After the implants have been placed, they will thoroughly clean the surgical sites and suturing all the incisions. Then you’ll be taken to a recovery room where you can relax and take time to wake up from the anesthesia.
How Do You Know If The All-On-Four Procedure Is The Right Option For You?
At your All-On-Four consultation, you’ll receive a 3D CT Scan. This scan will help determine if you need implants and assist your doctors in creating your treatment plan. So if you want to learn more about dental implants, simply schedule a consultation with an All-On-Four provider. It’s the best way to find out how dental implants can change your life.
Next, they will begin the implantation process. This means they will insert the titanium screws into your jawbone. Most likely, they will place two implants toward the front of your mouth and two towards the back of your mouth so the “anchors” can evenly bare the force of the denture.
301-805-6805 16 | Your HEALTH Magazine All-On-4: Same Day Smiles CALL TODAY TO GET YOUR OLD SMILE BACK! 301.294.8700 Dental Implant Center of Rockville 77 South Washington Street, Suite #205 Rockville, MD 20850 • www.DrSreeni.com Courtesy 3D Planning For Implants When patients bring a 3D scan with them to or have one taken in the office. Appointment needs to be scheduled before May 15, 2024 Missing Teeth or Tired of Wearing Dentures? Thanks to advances in dental implant technology, just four implants can replace all of the teeth on the top or the bottom of your mouth.
Dental Implants
By Deeni Bassam, MD, DABPM The Spine Care Center
Question: In the last week, have you had any pain affecting your muscles, joints, neck, or back which has affected your ability to carry out the activities of daily living?
Back pain is a very common problem that affects almost everyone. When the pain is severe enough to keep you from performing simple activities of daily living it may be time to see a specialist for an explanation and treatment plan.
In a recent European study approximately 67 million people reported pain during the week. In general, around 50% of the population reports pain at one or more locations in their bodies. Back pain is the most common site for pain in younger and middle aged adults. Knee pain is the most common in older people. Over the last 10 to 15 years, significant advancements have been made in the understanding and causes of back pain, its accurate diagnosis, and effective minimally invasive treatments.
Back pain is a very common problem that affects almost everyone
When pain becomes too much to live with on a daily basis, a visit with a spine specialist can help shed light on the causes which would allow for targeted, directed, and effective treatment.
There are, generally speaking, three main areas of the spine which can cause clinically significant pain. These three structures, listed in order of incidence, are the discs, the bones, and the joints of the spine. Degeneration of these structures begins in our early 20’s and continues throughout our lifetimes. We are simply living much longer as human beings than our
Why Does My Back Ache?
spines were meant to last.
Degenerative disc disease is as common as getting a grey hair and the rate at which degeneration occurs is influenced by many factors including genetics, physical activity level, core muscle development, bone density, and smoking. Degeneration of these areas alone is a natural consequence of aging and is not enough to cause pain. Rather it is the inflammation of these structures that is felt by us as pain.
Degenerative structures of the
spine are more prone to become aggravated and inflamed causing us great pain, stiffness, and disability.
A spine specialist can help identify the degenerative area(s) of your spine which are causing you pain, allowing for an accurate diagnosis and treatment plan to be initiated.
Treatment can range from simple activity modification, medications to reduce the pain and inflammation, injections to identify the pain generator and deliver targeted anti-inflammatory,
and surgery to stabilize lax structures if all else fails. In modern medicine, surgery should be seen as the last intervention to be offered rather than the first.
Your doctor should be able to help you better understand the causes of pain in your particular case and implement a treatment plan that eliminates or reduces the inflammation at the degenerative areas allowing for you to more easily achieve your activities of daily living.
www.yourhealthmagazine.net Washington, DC Edition I 17
By Vinny Gigliotti, CEO Environmental Solutions, Inc.
Most people are familiar with mold, but few know exactly what it
Mold: A Growing Problem
Indoor Air Quality Inspections
is, what causes it, and the negative effects it can have on a home. Mold is made of tiny fungi particles that feed off organic material. For mold to grow, it needs a food source, a certain temperature, and moisture. When these conditions are present, molds can germinate and colonize. How fast growth occurs depends on the combination of conditions. Spores can germinate after 24-48 hours, and in some cases as few at 12 hours. Since
Job Specific Protocols Consulting Project Management
Testing for: Mold, Asbestos, Allergens, Lead, Radon, VOC’s, Bacteria, Formaldehyde, & more.
Serving Residential & Commerical Properties in MD, DC, and VA
info@esi4u.com (410) 867-6262 www.esi4u.com
Indoor environments offer an ample food supply—drywall, wood, insulation, paper. When these materials become damp or wet, settled spores can become growing molds. This is why mold is such a concern following leaks and flooding. Molds may colonize in 1 to 12 days depending on the type of mold.
The musty odors produced by molds are known by scientists as Microbial Volatile Organic Compounds (MVOC’s.) Some MVOC’s produce musty and moldy odors, which result from the chemical changes taking place during the mold life process. Odors from MVOC’s are a sign that mold is actively growing and so may indicate a level of mold contamination requiring remediation.
Mycotoxins, the fungal toxins mold spores release, can cause adverse health effects. The most common symptoms are respiratory issues, congestion, sore throat, difficulty breathing, and skin and eye irritation. The risk of negative
health conditions is greater for some people, such as:
• Children
• The elderly
• Those with asthma or allergies
• Those with weakened immune systems, such as those who have undergone chemotherapy
Environmental testing can provide insight into the content of the breathable air in your home, and therefore can help prevent prolonged exposure to hazardous materials. If you had a recent leak or flooding, have visible or suspected mold growth, or simply want peace of mind regarding the air quality of your home, air sampling by an environmental professional is highly recommended.
Environmental testing is also recommended if you are moving into a new space. This will help determine what the previous tenants left behind, such as allergens or bacteria, as well as help determining how safe the building is for occupancy.
CeliaC awareness
ingredients until just combined and avoid overworking the dough.
7. Adjust baking times and temperatures : Gluten-free baked goods may require different baking times and temperatures than their gluten-containing counterparts. Check your baked goods often by sight, NOT opening the oven, (which will drop the temperature and ruin your baking). Overcooking will make your baked goods dry & crumbly.
8. Stop the sticking. Gluten-free baked goods can stick to baking pans more easily than regular baked goods. Use non-stick baking spray or parchment paper help to prevent your baked goods from sticking.
9. Let baked goods cool: Glutenfree baked goods can be more delicate than regular baked goods, so it’s important to let them cool before removing them from the pan or slicing them. Ten minutes to cool is good.
10. Experiment and have fun: With a little trial and error you can make all your old family favorite recipes gluten-free.
More tips:
1. Store gluten-free and gluten-con -
taining foods in separate places.
2. Keep cooking surfaces and food storage areas clean.
3. Wash dishes and cooking equipment thoroughly.
4. Consider keeping dedicated serving pieces, cutting boards, cookware, etc. for gluten-free food prep.
5. Opt for restaurants with gluten-free menus; Use a gluten-free restaurant app.
All Mightylicious cookies are certified gluten-free, Kof-K Kosher, and non-GMO. (6.4 oz bag, MSRP: $7.99)
Find Mightylicious online and in retail outlets including Walmart (231 outlets nationwide), AMAZON, Whole Foods, Costco, King’s, Price Chopper, and more.
Coming soon: Mightylicious Gluten Free Flour.
301-805-6805 18 | Your HEALTH Magazine
and peace
staying
Your Care. Your Way. Our Services are designed to make life safer and more enjoyable: • Personal care and hygiene • Meal Preparation • Shopping • Light Housekeeping • Laundry
Activity and Appointment Assistance
Companionship
Medication Reminders
Exercise assistance
today to discuss
1977, AT HOME CARE, INC. has helped thousands of persons enjoy the pleasure
of
at home.
•
•
•
•
Call
your personal situation. 301-421-0200 Visit us online at AtHomeCareInc.com
From page 9
www.yourhealthmagazine.net Washington, DC Edition I 19 3450 Old Washington Road Suite #103, Waldorf, MD 20602 CookandSiuMD.com Start Losing Weight In 3 Easy Steps! CALL FOR RISK-FREE APPOINTMENT! 301-472-4290 Nearly 100% Financing Available Complete Medical Intake so your Medical Doctor can develop the best treatment plan for you. Meet with Doctor a licensed Doctor with weight loss experience will review your information. Receive Medication Receive your GLP-1 medication in the mail every month. Free shipping directly to your door. WITH OUR SEMAGLUTIDE PROTOCOL 4 Month Supply – Self Injections Supplies – Initial Consultation Only $396.00 per Month ($99.00 per Week) No Hidden Fees – No Insurance Needed Suppress Appetite Improve Health Lose Weight
Foot Wound Care With Vaporox VHT
A Breakthrough Solution
By Ade Adetunji, DPM Largo Foot & Ankle
Taking care of our feet is crucial, especially as we grow older. For seniors, foot wounds can be more than just a hassle; they can significantly affect mobility and overall wellbeing. But here’s the good news: there’s a revolutionary solution on the horizon that’s changing the way we heal those stubborn foot wounds. Enter Vaporox VHT - your new best friend in podiatric wound care. Imagine a therapy that gently
Vaporox VHT gets results - and fast. Say goodbye to those long weeks of waiting for your wounds to heal.
coaxes your wounds to heal faster and more effectively. That’s exactly what Vaporox VHT does. It’s like giving your feet a breath of fresh air, quite literally! This cutting-edge therapy delivers oxygen straight to the wound site, creating the perfect environment for healing to happen.
Now, you might be wondering, “What makes Vaporox VHT so special?” Well, let’s break it down. First off, it’s incredibly easy to use. There are no complicated procedures or painful treatments involved. Your podiatrist simply applies the Vaporox VHT device to the affected area, and that’s it! You can sit back, relax, and let the healing begin.
But the best part? Vaporox VHT gets results - and fast. Say goodbye to those long weeks of waiting for your wounds to heal. With Vaporox
VHT on your side, you’ll notice improvements in no time. That means less time worrying about your feet and more time doing the things you love.
And here’s something else to smile about: Vaporox VHT is safe and gentle. You won’t have to worry about any harsh chemicals or unpleasant side effects. It’s all about giving your feet the TLC they deserve, without any added stress or discomfort.
But don’t just take our word for it. Countless seniors, just like you, have experienced the amazing benefits of Vaporox VHT firsthand. They’ve seen their wounds heal faster, felt the difference in their mobility, and regained a sense of independence they thought they’d lost.
So, if you’re tired of dealing with stubborn foot wounds that just won’t seem to go away, it’s time to give Vaporox VHT a try. Talk to your podiatrist today and ask them about incorporating Vaporox VHT into your treatment plan. Trust us - your feet will thank you for it!
Vaporox VHT isn’t just another wound care solution; it’s a gamechanger for seniors looking to reclaim their foot health and get back to doing the things they love. With its easy-to-use design, fast-acting results, and gentle approach to healing, Vaporox VHT is the perfect partner for your podiatric journey. So why wait? Step into healing today with Vaporox VHT and take the first step towards happier, healthier feet!
301-805-6805 20 | Your HEALTH Magazine Diabetic Foot Wound? Ade Adetunji, DPM Schedule Now: 301-386-5453 1450 Mercantile Lane, Suite #151, Largo, MD 20774 www.LargoFoot.com • feetforlife@largofoot.com Let us help with VAPOROX
is a low-frequency, non-contact, non-thermal ultrasound treatment, and it has arrived at Largo Foot & Ankle.
can help!
Delivered exclusively at Largo Foot & Ankle!
VAPOROX VHT
If you have a lower extremity wound we
This new treatment is FDA-cleared tech that has been clinically validated as a safe and effective adjunctive treatment for healing nine type of skin wounds.
Just Lose Weight MD is a multifaceted weight loss center providing a comprehensive medical weight loss programs designed to assist patients in losing significant amounts of weight quickly and safely. Besides helping our patients lose pounds, we also provide them the support, education and resources that are necessary to maintain a healthy weight for the rest of their lives. We are all about getting healthy and staying healthy!
www.yourhealthmagazine.net Washington, DC Edition I 21 Takoma Park Office: 7513 New Hampshire Avenue Takoma Park, MD
Tues.-Fri. 10am-6pm; Sat. 8am-2pm Rockville Office: 12250 Rockville Pike, Suite #208 Rockville, MD 20852 301-603-2811 Mon., Wed., Thurs., & Fri. 11am -7pm Chevy Chase Office: 5530 Wisconsin Avenue, Suite #800 Chevy Chase, MD 20815 240-750-3635 Call For Opening Days and Hours Fairfax Office: 8505 Arlington Boulevard Suite # 270 , Fairfax, VA 22031 NOW OPEN! LOSE WEIGHT MD Visit Our Website: www.JustLoseWeightMD.com www.JustLoseWeightMD.com Easy Ways To Lose Weight
• Customized Plans
Affordable • No Contracts
No Hidden Fees •
Control Appetite • Eliminate Cravings
Burn Fat • More Energy
20912 301-434-0075
Why We Are Unique
•
•
Programs Run By Doctors • Long-term Weight Loss • Feel & Look Younger • FDA Approved Medications •
•
Who We Are
Lose Weight Our Services PLUS IV HYDRATION & VITAMIN THERAPY OPTIMAL WELLNESS IV THERAPY INFUSION • Brain Fog/Mental Clarity • Glowing Skin/Acne • Energy/Get Up and Go • Detox/Meyer’s • Immune Boost/Migraine Relief • IBS • High Dose Vitamin C • Quench/Hydration • Super Immune/Post COVID EFFORTLESSLY CHANGE YOUR WAISTLINE BODY CONTOURING PERMANENT – NON-SURGICAL FAT REMOVAL NO DOWNTIME Here are some of our Weight Loss Medications: Appetite Suppressants – Semaglutide – Ozempic – HCG – Mega Injections B12 Complex Injections – Lipo Fat Burner Injections – B5 Injections
check our website for individual plans! Mention YourHEALTH Magazine and get 10% off all Initial Plans
Easy Ways To
Please
Featured Health Professionals
Jeffrey L. Brown, DDS
TMJ & Sleep Apnea Treatment
Meet Jeffrey L. Brown
Dr. Brown’s practice focuses on TMJ, sleep apnea and orthodontics. This allows Dr. Brown and his team to provide individualized, focused care for patients dealing with these specific issues. Every day, his practice helps patients of all ages with facial development, sleep issues, chronic headaches, migraines, neck pain, movement disorders, and much more. His training also includes multiple disciplines involving the cranial bones in the skull, and the discs in the jaw joints. Through treatment, Dr. Brown is able to reduce these symptoms, align cranial bones, avoid extractions, and greatly reduce the need for traditional braces. His expertise allows him to identify issues early on which promotes proper facial development using dental appliances. If there is an internal imbalance, whether an adult or child, the body does not develop or function properly. When the cranial bones are lined up correctly, patients are able to function, sleep and generally live better.
With that in mind, the team at Sleep & TMJ Therapy takes a whole-body approach when treatment planning. They work hand in hand with physical therapists and osteopathic doctors for a better success rate. Dr. Brown is devoted to helping patients of all ages live a symptom free life.
Degrees & Certifications
Dr. Brown earned his degree from Georgetown Dental School and completed residencies with Emory University Hospital for Dental Sleep Medicine and the ALF Appliance Therapy Institute.
Outside the Office
When not seeing patients, Dr. Brown is a sought-after speaker. He has lectured all over the world, including D.C., Dubai, Seoul, London, Norway and Toronto. He has also been featured on Channel 9’s Good Morning Washington, several podcasts, and numerous magazines and journals.
Professional Affiliations
Dr. Brown is a diplomate of the American Academy of Craniofacial Pain, a member of the American Academy of Dental Sleep Medicine, American Academy of Gnathological Orthopedic, Academy of Integrative Pain Management American Dental Association, a Fellow of the American Academy of Craniofacial Pain, and Legacy Provider for the ALF Interface Academy.
Do you have TMD or Sleep Apnea?
TMD Symptoms: Noise in the jaw joints when opening and closing your mouth, difficulty chewing, limited opening, tender facial muscles, ear ringing, uncomfortable bite, jaw locking, headaches, migraines, dizziness, vision issues as well as pain in the jaw area which can radiate to the ears, head, neck, shoulders, and back.
Sleep Apnea Symptoms: Snoring, waking up gasping for air, feeling tired and irritable in the morning, difficulty controlling weight, concentration problems, morning headaches, episodes of not breathing, waking with a sore throat, forgetfulness and mood changes.
If you believe you may be suffering from TMD or Sleep Apnea, don't wait... Call today to schedule a consultation with Dr. Brown: 703-821-1103.
Why Not ‘Grow’ New Ones?
Dental implants are the ideal way to replace lost teeth. From the front of the mouth, where they are most visible, to the back, where they provide stability to chew a full variety of foods, implants can help you recapture a beautiful and healthy smile. Unlike bridges or removable dentures, which sit on top of the gums, dental implants are placed under the gums. The “tooth” placed on an implant appears life-like, because it comes through the gums just like the original did –it’s like growing a new tooth! Implants can be used to replace any number of lost teeth. Even people with no teeth can benefit from implants, because they can replace their dentures with teeth that don’t move around when they talk and don’t need to be taken out at night. Because we handle the entire process from implant placement to crown fabrication, there’s no need to be referred to another office.
301-805-6805 22 | Your HEALTH Magazine
Local Professionals Empowering and Encouraging People To Live Healthier
2841 Hartland Road Suite #301 Falls Church, VA 703-821-1103
www.SleepandTMJTherapy.com
4850 31st Street, South Suite A, Arlington, VA 703-936-4166 Michael Rogers, DDS
FairlingtonDental.com
MISSING TEETH?
, 10111 Martin Luther King Jr. Highway, Suite #102 Bowie, MD
Janice Trent, AuD
6196 Oxon Hill Road
Suite #240, Oxon Hill, MD 301-429-2920
Meet Janice Trent
Dr. Trent has a passion for helping people. She has practiced Audiology since 1984, in a number of clinical settings. Her diverse career has included 16 years of teaching and clinical supervision at Howard University, Washington, DC and Temple University, Philadelphia, PA. Dr. Trent has also worked as a clinical audiologist in hospital settings and private ENT practices.
Education:
Clinical Doctoral Degree – Audiology-University of Florida, Gainesville, FL
Master of Education – Audiology- Northeastern University, Boston, MA
Bachelor of Science – Communication Sciences and Disorders – Hampton University, Hampton, VA
Dr. Trent holds her Maryland State Licensure in Audiology. She is a Certified Clinical Audiologist (CCC-A) through the American Speech-Language-Hearing Association (ASHA). Presently, she serves on the Board of Directors for ASHA as Vice President for Audiology Practice.
www.yourhealthmagazine.net Washington, DC Edition I 23
Local Professionals Empowering and Encouraging People To Live Healthier
Featured Health Professionals
HearingHealthcareServices.com
Hear the Sweet (((Sounds))) of Life 11200 Rockville Pike • Suite #125, Rockville, MD Schedule Today: 301-881-6666 WhiteFlintDental.com WHITE FLINT DENTAL ASSOCIATES Rockville’s Premier Dental Clinic Dr. Ghassan Jacklis and his dedicated team want you to feel comfortable in our office, and to know that when you come here, you will receive outstanding dental care and personalized service. Our associates have been working together for years, with many years of advanced training, which has allowed us to perfect our communication and better serve you. • Member - District of Columbia Dental Society • University of Pennsylvania Dental School Alumnus • Fellowship in Hospital Dentistry and Oral Surgery (Johns Hopkins University) • Specializes in Ceramic Implants and Prostheses WE MOVED!!! Come see us at our new modern clinic where we are utilizing the latest advancements in technology. General Dentistry Dental Implants Crowns & Bridges Dental Fillings Root Canal Therapy Full & Partial Dentures Periodontal Treatment Mouthguards Botox Dermal Fillers Teeth Whitening Porcelain Veneers
DENTAL IMPLANT CENTER OF ROCKVILLE
Sivakumar Sreenivasan, DMD
Oral and Maxillofacial Surgeon
Diplomate, American Board of Oral & Maxillofacial Surgery
DMD, MDS • OMFS, MD, PA
77 South Washington Street
Suite #205, Rockville, MD
301-294-8700
www.OMFSMD.com
Meet Dr. Sreenivasan:
Dr. Sreeni came to the United States as an Oral and Maxillofacial Surgeon in the year 1990 and put himself through dental school again at Boston University and Oral and Maxillofacial Surgery residency at University of Medicine and Dentistry of New Jersey.
As an Oral and Maxillofacial Surgeon, Dr. Sreeni manages a wide variety of problems relating to the Mouth, Teeth and Facial Regions. He practices a full scope of Oral and Maxillofacial Surgery with expertise ranging from Corrective Jaw Surgery to Wisdom Teeth Removal. His passion is in implant surgery and he is well known for same day placement of implants following teeth removal be it for single teeth or a complete “makeover” (Smile in a day). He can also diagnose and treat Facial Pain, Facial Injuries and TMJ disorders and perform Bone Grafting and Sinus lift procedures.
Dr. Sreeni completed a residency in Anesthesiology at Mount Sinai Hospital, New York in 1994 and has worked as an Attending providing anesthesia services for children and adults in the ambulatory out-patient center of the hospital.
Dr. Sreeni is an Advanced Cardiac Life Support instructor with the Adventist group. He is also certified in Pediatric advanced life support and is very capable of handling emergencies that could possibly arise in the office. Dr. Sreeni’s staff are trained in assisting with IV Sedation/General Anesthesia within our state of the art office setting. Patients are continuously monitored during and after surgery. The goal of our office is to provide professional service with compassion and an understanding of the patients’ perspective.
Dr. Fana Assafa, PHD, DNP, RN is a world-renowned expert in treating skin of color population and pigmentary disorders for melanin-rich tones. With impressive credentials in the field of Aesthetic Medicine from prestigious educational institutions including continued education from Harvard Medical School.
• Advanced Injectables
•
•
•
•
• Women’s Intimate Wellness
301-805-6805 24 | Your HEALTH Magazine
Local Professionals Empowering and Encouraging People To Live Healthier
Featured Health Professionals
Boost Your
Get the smile you deserve!
Asaafa, PhD, RN FanaSkincare.com
of
Dermatology and Laser Surgery
Confidence.
, 8716 Georgia Avenue Silver Spring, MD 20910 301-476-3322 www.FanaSkincare.com Fana
Director
Aesthetic
• Remove Unwanted Scars & Dark Spots
• Laser Hair Removal
• Chemical Peels
• Medical Facials
Ultrasound
• Radiofrequency, PRP,
& Body
• Face
Clearing
• Complexion
Advanced Skin Tightening
Medical Grade
Care Products
Skin
Removal & Body Contouring
• Non-Invasive Body Fat
Glutathione Injections
Online Skin Consultations
Shawn Samad, DDS
301-951-9500
www.BethesdaDentalGroup.com
301-464-8707
www.TheBowieDentalGroup.com
301-953-3081
www.LaurelPinesDental.com
Meet Dr. Shawn Samad
Raised in Severna Park, MD, Dr. Shawn Samad is the proud son of Fred and Mary Samad, a working class couple that raised their children in a humble household. Dr. Samad grew up to be an avid sports fan. He still plays soccer regularly and is a HUGE Ravens fan!
He went to college in Westminster, MD, where he received his Bachelor of Science degree with majors in Biology and Chemistry with a special focus on Physics. He then continued his education at UMBC where he worked on a Masters degree in Biology. And finally attended University of Maryland School of Dentistry where he received his Doctor of Dental Surgery (DDS) degree.
Although he has achieved one of the highest educational degrees, he still continuously partakes in Continuing Education (CE) regularly to learn about all of the newest, latest, and greatest techniques and technology. He has received extensive training and experience in Cosmetic Dentistry, Endodontics (Root Canals), Oral Surgery, Implantology, and Invisalign Orthodontics. His belief is Knowledge is Success!!
And it must be mentioned that his office is filled to the teeth (Pun intended) with world class, state of the art, technology in a modern and sophisticated office layout. Dr. Samad’s motto in his work is, “Changing lives, one tooth at a time.” Come on in and meet him. You won’t be disappointed!
301-699-1882
Georgetown University Hospital, Pasquerilla Bldg. Lower Level 3800 Reservoir Road, NW Washington, DC 202-339-0001
The Bowie Dental Group , 6510 Kenilworth Avenue Suite #1300, Riverdale, MD
Deborah Y. Wilson-Umanzor, M.D., is a Board Certified, Glaucoma FellowshipTrained Ophthalmologist who treats your vision as if it’s the most precious thing in the world. Using the most advanced diagnostic equipment, she will comprehensively analyze your vision problems. Her training and over 25 years of experience with state-of-the-art treatment techniques mean you get the most efficient, accurate and comfortable care. Dr. Wilson-Umanzor’s philosophy is simple; she will do everything necessary to ensure you receive the most advanced and innovative eyecare possible. Whether you are being treated for glaucoma, the removal of cataracts or getting a complete eye exam, Dr. WilsonUmanzor will provide you with unique solutions that are far from ordinary yet are close to home in Riverdale or Washington, DC.
EDUCATION
• Duke University School of Medicine –Medical School, Graduated with Honors
• Georgetown University –Fellowship in Glaucoma and Anterior Segment Laser
Specialist in cataract, glaucoma, and anterior segment surgery. Accepting new patients.
Fluent in Spanish
www.yourhealthmagazine.net Washington, DC Edition I 25
Local Professionals Empowering and Encouraging People To Live Healthier
Featured Health Professionals
7508 Wisconsin Avenue Ground Level, Bethesda, MD
4373 Northview Drive Bowie, MD
14333 Laurel Bowie Road Suite #100, Laurel, MD
Y. Wilson-Umanzor, MD
Deborah
Meet Deborah Y. Wilson-Umanzor www.EyeOneSurgical.com
Experience matters. Compassionate innovative care.
Renee Bovelle, MD Ophthalmology
12110 Sunset Hills Road Suite #50, Reston, VA 20190
703-834-9777
301-805-4664
12200 Annapolis Road Suite #116
Glenn Dale, MD 20769
Meet Dr. Bovelle
Board Certified, Ophthalmology by the American Board of Ophthalmology
Degrees, Training and Certificates: UCLA Medical School; Yale University Hospital for Residency; Louisiana State University for Cornea and Refractive Fellowship
Professional Memberships/Associations: American Academy of Ophthalmology; American Society of Cataract and Refractive Surgery; International Society of Refractive Surgery
Areas of Interest: All laser custom LASIK; Cataract Surgery; Botox; Dermal Fillers; Cornea Comprehensive Ophthalmology
Practice Philosophy: Envision Eye and Laser is committed to delivering superior ophthalmic care with state-of-the-art technology and patient education in a caring, compassionate environment. We cater to a diverse population of adults and work with your primary care physician to improve the quality of your overall health and life. Your best vision is our focus.
20 Davis Avenue, SW Leesburg, VA 20175 703-777-1244
Dr. Griffiths is one of this area's most experienced surgeons and offers stateof-the-art Laser Vision Correction, Cataract Removal, Multifocal Lens Implants, and Comprehensive Ophthalmology. She has helped thousands of patients who struggle with their vision. Her knowledge, compassion, and attention to detail are the reasons she was voted by her peers to be one of this area’s most elite physicians. Degrees, Training & Certifications
Dr. Griffiths is a Board Certified Ophthalmologist. She received her undergraduate degree from Yale and her medical degree from the University of Michigan. She then completed her Ophthalmology residency at Georgetown University Medical Center.
Professional Memberships & Affiliations
•
• Annual
• Diabetes
Dr. Griffiths is the immediate past Ophthalmology Section Chief of Reston Hospital Department of Surgery, the former Chief of Ophthalmology for the Reston Ambulatory Surgical Center in Reston, VA as well as Loudoun Hospital in Leesburg, VA, Diplomate of the American Board of Ophthalmology, a Fellow of the American Academy of Ophthalmology, a member of the American Society of Cataract and Refractive Surgery, the Washington National Eye Center and others.
301-805-6805 26 | Your HEALTH Magazine
Local Professionals Empowering and Encouraging People To Live Healthier
Featured Health Professionals
EnvisionEyeandLaser.com Your Best Vision Is Our Focus
Jacqueline D. Griffiths, MD www.NewViewEye.com
Meet Jacqueline D. Griffiths
Voted “Top Ophthalmologist”
Magazine, and Northern Virginia Magazine
as a “Super Doctor”
Post Magazine
LASIK & PRK
Cataract Surgery
Washingtonian
Selected
Washington
• Custom
• Laser
Multifocal Implants
Eye Exams
Management
Management
Laser Floater Removal
Optical
Surgery
• Juvederm
Offering:
• Glaucoma
•
•
• Eyelid
• Belotero • Radiesse
• Botox
Meet Claiborne M. Callahan
A native of Leesburg, VA, Claiborne M. Callahan, MD graduated with distinction from The University of Virginia in 1996. In 2000, she graduated from The University of Virginia School of Medicine. She completed her Ophthalmology Residency at Tulane University in 2004.
Prior to joining NewView Eye Center, Dr. Callahan was in private practice in Virginia, Florida, and Alabama. Her knowledge, experience and patientcentered focus allows her to spend quality time with each patient to diagnose, educate and treat them. She understands that patients have a choice with whom to entrust their eye care needs, and she prides herself on adhering to the highest ethical standards in the practice of medicine.
Dr. Callahan has performed thousands of cataract surgeries, as well as laser, glaucoma and eyelid plastic surgeries. She has treated a myriad of eye conditions throughout her career. She is committed to ongoing education and stays current with diagnoses and treatments. She attends several educational and training meetings yearly to remain in the forefront of ophthalmology advancements.
She is a Diplomate of the America Board of Ophthalmology, a Fellow of the American Academy of Ophthalmology, and others.
Gustavo’s Natural Skin Care with organic ingredients combines the power of plants with ancient knowledge and up-to-the-minute technology and science. Our ingredients are founded on the knowledge of skin varieties and natural advances from the botanical world. Our entire formulations offer active botanicals and phytonutrients in each product. By using the most beneficial botanicals in an optimal combination, we can deliver healing results for the most particular, super sensitive and challenging skin types.
Our goal is to make your daily routine with our products specifically picked out for you as stress-free and healthy as possible. PETA and Cancer Center Approved.
•
•
•
•
•
•
•
•
•
•
•
•
www.yourhealthmagazine.net Washington, DC Edition I 27 Featured Health
Local Professionals Empowering and Encouraging People To Live Healthier
MD
Professionals
12110 Sunset Hills Road Suite #50, Reston, VA 20190 703-834-9777 20 Davis Avenue, SW Leesburg, VA 20175 703-777-1244 Claiborne M. Callahan,
www.NewViewEye.com
Custom LASIK & PRK
Laser Cataract Surgery
Multifocal Implants
Annual
Exams
Eye
Diabetes Management
Glaucoma Management
Laser Floater Removal
Optical
Eyelid
•
Surgery
Belotero
Radiesse
Juvederm
Botox Offering: Voted “Best Eye Doctor” Leesburg Today ORGANIC
SKIN CARE
a FREE CONSULTATION with GUSTAVO, our creator and owner to get personalized product suggestions and free samples! Buy Online Now: GUSTAVO LLC .com 15% OFF Your Next Order
Schedule
By Jeffrey L. Brown, DDS Sleep & TMJ Therapy
If you ask most doctors if there
TMJ and Vision Disorders
Is There a Connection?
is a connection between TMD (Temporomandibular Disorder) and vision, they will say there is not. However, if you really think about it, there can most certainly be a connection. The reason is the articular discs (jaw joint discs) are out of place, and inflammatory reaction sets into the body causing problems. This inflam-
mation can work its way throughout the entire body and will have a negative effect on many systems. Did you know that TMJ disorder correlates with many disease states and even to cancer? One of the overlapping symptoms of oral cancer is jaw pain. Going further, if you have slipped discs in the jaw joints, this might
We Are NOT Your Typical
Dental Office
We Can Help With:
• Jaw Pain, Clicking or Popping
• Head, Neck and Shoulder Pain
• Migraines
• Craniofacial Pain
• Sleep Apnea
• Orthodontics
Dr. Jeffrey Brown has limited his practice to focus only on TMJ Disorders, Craniofacial Pain Management and Sleep Apnea. By fixing slipped discs in the jaw joints, Dr. Brown can significantly reduce the pain patients experience in the head/neck region and other symptoms associated with jaw joint problems. Sleep & TMJ Therapy may be able to improve the quality of life for you or a loved one – we encourage you to contact us with any questions or concerns.
“Dr. Brown and his staff are absolutely wonderful. I was diagnosed with Dystonia. I could not turn my head and had a ton of pain. My doctors offered no help and no advice besides Meds and Botox. Since having the appliance I have NO pain and I can turn my head. I would highly recommend them to anyone. I feel Dr. Brown and his staff really care about their patients and helping them to get better. They do not just numb the symptoms but fix the problem. Thank you from the bottom of my heart. I feel like the old me again!”
- D. Thomas
“My daughter has been treated by Dr. Stack and Dr. Brown for the last 2 1/2 years, and we are very fortunate to have found them. Prior to that she was being treated by a neurologist at a Children’s hospital. She was on medications for tics and associated muscle pain, OCD/repetitive thoughts, sleeplessness and more (all possibly associated with Tourettes). Drs. Stack and Brown installed spacers to alleviate pressure on nerve bundles in the jaw, and subsequently braces to complete the process. Her symptoms have diminished significantly. She is off medication, her tics have all but disappeared, she can concentrate better in school, and she is once again cheerful and relaxed.”
- Susan
affect the eyes and your vision can be compromised with blurry vision. Another poorly understood aspect of vision disorder can also correlate to distortion of the cranial bones. Research indicates that around 95% of us have bones in the skull that are not in alignment – i.e. they are distorted to some extent. Oftentimes, it is the sphenoid bone that goes right behind the eyes that is not level. When the sphenoid is not level as it should be, this will have the effect of making the eyes uneven which could cause distortion to your vision. If you ever notice that the frames of your glasses – the arm of the eyeglasses for example – are not level when you take your glasses off, it could be due to an uneven sphenoid bone. So now imagine you are walking down the street and your head is tilted to one side. This makes the eyes tilt as well and you can feel dizzy from this experience. Another observation might be that one eye is forward relative to the other due to a different kind of cranial distortion. This means one eye is ahead of the other. This will also cause potential eye problems due to the imbalances.
What does a person do about these issues? Well, maybe it’s a simple matter of vision correction: glasses, contacts, Lasik, etc. But what about a way to correct these imbalances? This is where the ALF wire steps in. This little wire is so gentle and ever so lightly levels the bones of the cranium while opening up a bit of the ‘tight’ areas in the skull. The leveling effect will help the bones become even and the eyes respond accordingly. The effect of opening takes pressure off the skull and even the eyes. This might help with vision distortions from the imbalances.
What does all this mean? It is often not as simple as seeing the optometrist and getting vision correction. It might also be logical to discuss with an ALF dentist if the cranial bones have some degree of distortion and if this can be corrected as well! This may not seem to be in the normal realm of what we normally would consider, but when you think about it, it really makes sense!
301-805-6805 28 | Your HEALTH Magazine
Jeffrey L. Brown, DDS
• Certified Fellow of the American Academy of Craniofacial Pain
• Over 30 Years Experience
Your Appointment Today: 703-821-1103 2841 Hartland Road, Suite #301, Falls Church, VA 22043 • www.sleepandtmjtherapy.com
• Graduate of Georgetown School of Dentistry (1986) Schedule
Spinal Compression Fracture Treatment Options
By Madhavi Chada, MD Synergy Spine and Pain Center
A compression fracture is a collapse of a vertebra. It may be due to trauma or due to a weakening of the vertebra (compare with burst fracture). This weakening is seen in patients with osteoporosis or osteogenesis imperfecta, lytic lesions from metastatic or primary tumors, or infection.
Along with back pain, spinal compression fractures can also cause:
• Pain that gets worse when you stand or walk but with some relief when you lie down
• Trouble bending or twisting your body
• Loss of height
• A curved, stooped shape to your spine Treatments
Treatments include conservative measures such as bracing, NSAIDS and muscle relaxers for 4-6 weeks. Sometimes interventional procedures such as kyphoplasty or vertebroplasty can be considered for early relief.
Kyphoplasty
Kyphoplasty, similar to vertebroplasty, is designed to stop the pain caused by a spinal fracture, to stabilize the bone, and to restore some or all of the lost vertebral body height caused by a compression fracture(s).
During kyphoplasty a small incision is made in the back through which the doctor places a narrow tube. Using Please see “Spinal Compression,” next page
Keeping Our Children Safe
By Janet V. Johnson, MD Loving Care Pediatrics
Here are eight things to do to protect your children from getting injuries:
• Supervise children at all times and intervene when there is inappropriate behavior such as pushing or shoving.
• Make sure playground equipment is age appropriate. Maximum fall height should be five feet for preschool-aged children and seven feet for school aged children.
• Swing seats should be made of plastic or rubber. Metal or wood should be avoided.
• Avoid any equipment that has open-
•
•
•
•
•
•
•
•
•
•
•
ings that could entrap a child’s head.
• Make sure you can clearly see your children on the playground.
• Remove tripping hazards such as tree stumps, or rocks.
• Avoid playgrounds with asphalt, concrete, grass, and solid surfaces under the equipment. Look for surfaces of hardwood fiber, mulch chips, pea gravel, fine sand or rubber to a depth of at least nine inches.
• Wear appropriate protective gear during sports activities (for example, shin guards for soccer, a hard-shell helmet for baseball or football, body padding for ice hockey, and helmet when on a bike or skateboarding).
Overall, summertime play for children can be great fun. But it’s important to keep in mind prevention strategies and safety tips.
Pool Safety
Here are five tips for keeping your child safe before heading to the pool this summer, as drowning is the leading cause of accidental death for
Please see “Children Safe,” next page
well as for those who are less fortunate. Donating of my talents, time and treasures and giving back and serving those who are in need. I am an active member in The Prince George’s Community Advisory Group and served as the Medical Director for the Mid-Maryland Mission of Mercy two day free
www.yourhealthmagazine.net Washington, DC Edition I 29
INTERVENTIONAL PAIN MANAGEMENT SPECIALISTS Don’t Let PAIN Control Your Life Madhavi Chada, MD - Triple Board Certified Physician Glenn Dale: 240-929-6652 | Ft. Washington: 240-260-3828 | Silver Spring: 240-641-5922 12150 Annapolis Road, Ste 209, Glenn Dale, MD 20769 10709 Indian Head Hwy, MD-210, Suite D, Fort Washington, MD 20744 11233 Lockwood Drive, Silver Spring, MD 20901
Herniated Disc
Facet Syndrome
Spinal Stenosis
Osteoarthritis
Bursitis
Knee Pain
Hip Pain
Myofascial Pain
•
Fibromyalgia
Complex Regional Pain Syndrome (CRPS)
Occipital Neuralgia
Vertebral Compression Fractures Pain Conditions We Treat: Visit us online for a full list and descriptions of the treatments we offer. SynergySpineMD.com ABIM certified in Internal Medicine; ABA certified in Anesthesiology and Pain Medicine
Attraction Loving Care Pediatrics Janet V. Johnson, MD Board Certified in Pediatrics and Adolescent Medicine Fellow of the American Academy of Pediatrics 3311 Toledo Terrace Suite C-201, Hyattsville, Maryland 20782 Mon–Fri, 9:00 am–5:00 pm | Office: (301) 403-8808 or Alt: (301) 403-1341 Iwas born and raised in Brooklyn, New masters at Long Island University in Brooklyn New York and completed my medical degree at State University of New York at Buffalo, School of Medicine in 1991. My postdoctoral training was received at Howard University/District of Columbia Hospitals combined Residency Program, Department of Pediatrics in Washington, DC completed in June 1994. I served as Chief Resident for the Department of Pediatrics, January 1994. I obtained Continuity Clinic Awards from 1991 to 1993 based on partic ipation and involvement in community clinics during my residency training. I am Licensed in Maryland, Board Certified in Pediatrics and Adolescent Medicine and a Fellow of the American Academy of Pediatrics. I have been in Private Practice for 22 years. I practice general pediatrics: examining, diagnosing and treating most of the diseases of children from birth to 21 years of age. With referral to specialists when the need arise. The practice is certified by the Prince George’s Health Department to administer Yellow Fever Vaccination. The practice provides vaccines for overseas travel to those individuals traveling out of the country and in need of an official certificate of vaccination (Yellow Book). many others, please call the office at 301403-8808 to schedule a visit. We look forward to seeing you at Loving Care Pediatrics— Janet Johnson MD and Staff. In addition, I am dedicated to volunteering my time to community outreach projects, youth groups, health fairs, various church functions and committee boards as
Dental Clinic sponsored by Catholic Charities Archdiocese of Washington in August 2013. Practice Philosophy Janet Johnson MD and Travel Health Medicine is committed to servicing its patients, parents and community by providing excellent and compassionate health care service to a culturally diverse population that promotes the dignity and well-being of the people we serve. Vision Statement Janet Johnson and Travel Health Medicine goal is to be recognized in the community it serves for compassionate patient service, and clinical excellence. To create a caring environment with a commitment to foster a work environment where individual diversity is valued and recognized, also where the Integrity: We are consistent and honest in word and deed. Commit to the highest standards of ethical conduct, respect, competence and safety. Quality: We provide service excellence in meeting client expectations. We ensure commitment to excellence for our patient and communities. Respect: We behave in a way that honors self and others. There is respect for diversity and individual differences. We embrace that diversity of individuals, ideas and expressions so as to achieve better multicultural understanding of our fellow man. Collaboration: Cultivate positive relationships while embracing diversity. Our Staff From left to right: Ama, Medical Assistant; Dr. Johnson; May, Medical Assistant. Insurances Accepted Aetna, CareFirst Blue Cross, Blue Choice, Amerigroup, Americhoice, United Health Care, Teamsters, Tricare, Maryland Medicaid, and Other Major Insurers to be recognized in the community it serves for compassionate patient service, and clinical excellence. To create a caring environment with a commitment to foster a work environment where individual diversity is valued and recognized, also where the satisfaction of all patients regardless of their background is the fundamental goal of our every action, with the practice of medicine being recognized and honored as a uniquely noble pursuit. Our Vision is Call today to make an appointment! 301-403-8808 Doesn't Your Child Deserve the Best? Board Certified in Pediatrics and Adolescent Medicine by the American Academy of Pediatrics Fellow of the American Academy of Pediatrics
Grateful For the Air We Breathe
By Yemi Adesanya-Famuyiwa, MD Montgomery Fertility Center
As a fertility doctor, I am always looking for ways to help my patients optimize their chances of conception. While medical interventions can be effective in some cases, I always emphasize the importance of adopting a holistic approach that includes taking advantage of the benefits of nature.
Studies have shown that exposure to nature can have a salubrious effect on our overall well being, and this is especially true for those who are trying to conceive. Fresh air, sunlight, and natural environments can all play a vital role
in regulating hormonal imbalances, reducing stress levels, and improving the quality of sperm and eggs.
As a doctor, I am always grateful for the power of nature to heal and rejuvenate our bodies and minds. Whether it’s taking a walk in the park, going for a hike, or simply sitting outside and breathing in the fresh air, these small moments can have a significant impact on my patients’ fertility outcomes.
Therefore, I encourage my patients to appreciate the value of nature in their quest for parenthood. By embracing a healthy, holistic lifestyle and taking care of their bodies, minds, and the environment around them, they can optimize their chances of conception and enjoy the benefits that come with embracing nature.
While medical treatments and procedures are essential, taking advantage of the benefits of nature can significantly impact fertility outcomes. As a doctor, I am always grateful for the power of nature to heal and rejuvenate, and I encourage my patients to embrace it on their journey towards parenthood.
Prevously publised on Medium.com
spinal Compression
fluoroscopy to guide the tube to the correct position, a path is created through the back into the fracture area through the pedicle of the involved vertebrae.
Using fluoroscopy images, the doctor inserts a special balloon through the tube and into the vertebrae and then gently inflates this balloon. As the balloon inflates it elevates the compression of the vertebra and creates a cavity inside the vertebrae, which is filled with a cementlike material called polymethylmethacrylate (PMMA). This material hardens quickly, stabilizing the bone.
The procedure takes about one
From page 29
hour for each vertebra involved. Patients will be observed closely in the recovery room immediately following the kyphoplasty procedure for about 1-3 hours. Patients should not drive until they are given approval by their doctor.
Risks and Side Effects
The potential risks or side effects are very low and include infection, bleeding, allergic reaction, and prolonged increases in pain. Your physician will use x-ray guidance and sterile techniques to reduce these risks, as well as to reduce the risk of nerve damage and spinal headache.
Children sa F e
children younger than five in the US:
• Swim lessons. The American Academy of Pediatrics (AAP) supports swimming lessons for most children four years and older. The decision to enroll your child in swimming lessons should be based on the child’s developmental readiness.
• Never leave children alone in or near the pool or spa, even for a moment.
• Avoid inflatable swimming aids such as “floaties.”
From page 29
• Whenever infants or toddlers are in or around water, an adult (preferably one who knows how to swim and perform CPR) should be within arm’s length, providing “touch supervision.”
• Remove all toys from the pool after use so children aren’t tempted to reach for them.
Now is the time to plan for family summer activities, many of which may require an annual health visit prior to participation.
Where Science Meets Compassion
Our mission is to assist our patients in creating the families of their dreams, whether it be at the present or to maintain the possibility in the future.
Medical Director Dr. Famuyiwa, a double board certified fertility specialist and an advocate for personalized holistic fertility care, is at the forefront of providing state-of-the-art care based on emerging and advanced new technologies in the most compassionate of manners.
301-805-6805 30 | Your HEALTH Magazine 3202 Tower Oaks Blvd, Suite 370 Rockville, MD 20852 | 301-946-6962 | MontgomeryFertilityCenter.com
Dental Care For Mature Citizens
By Karl A. Smith, DDS, MS
If you’re a baby boomer, born between 1946 and 1964, there are so many reasons to focus on and improve your oral health. Periodontal (gum) disease risks rise with age and can lead to a host of physical problems. There is no better day than today to get a checkup by a dentist specially trained in knowing the links between your mouth and body health.
Higher Risk Of Periodontal Disease
Boomers grew up in a time of prosperity, education, and opportunity. This generation has a greater need for oral treatment than any other. The Centers for Disease Control reports that 70% of Americans 65 and older have chronic gum disease. Surveys suggest that growing up in a time of plenty may have led to a taste for a diet rich in carbohydrates and sugar. This has caused enamel erosion and gingivitis.
Research also shows that boomers can do better to protect their oral health. One survey shows only 40% of older people use mouthwash, 34% brush their teeth only once a day, and 47% say they often skip flossing.
When age-related conditions like arthritis or joint pain make proper brushing and flossing more difficult, it exacerbates the problem further.
Periodontal Disease and Alzheimer’s
Another reason to take care of your mouth as you age is the growing connection between gum disease and Alzheimer’s disease. More than sixmillion Americans over 65 have been diagnosed with this form of dementia, a number projected to more than double by 2050.
A 2019 National Institutes of Health study published in the Journal of Alzheimer’s Disease shows the bacteria that cause gingivitis, the earliest form of periodontal disease, are also connected to several forms of dementia. One species of bacteria is believed to migrate from gum infections through the bloodstream and into the brain. There, they release enzymes that can destroy nerve cells, leading to memory loss and Alzheimer’s.
The relationship between dementia and gum disease goes the other way, too: People with memory loss may neglect their oral health and a mild problem may turn into something much more severe.
Protecting Oral Health As You Age Research is underway to develop
a drug that can block bad bacterial enzymes and slow the progression of dementia. Until then, it is imperative to take extra care of your teeth and gums as you age.
• Brush twice a day, floss once or twice a day, and visit your periodontist for a checkup.
• Cut out sugary foods and beverages. Use the artificial sweetener xylitol, which is shown to starve harmful bacteria and reduce plaque buildup.
• Dry mouth lowers oral pH, increasing the risk of tooth decay and gum disease. Talk to us about special alcohol-free oral rinses, lozenges, and other preventive measures.
• Swish with water after eating and consuming sweet and acidic drinks.
• Resolve to adopt a healthier diet and lifestyle for overall good
health. Studies show this alone may lower your risk for Alzheimer’s disease by up to 60%.
Aging does not mean gum disease and related health problems are inevitable. Baby boomers are known for being proactive about health care when they have the right information. Call us today for a no-charge phone consultation to answer any questions you may have. We are happy to do our part and help you improve your oral health in your golden years.
– Dental Implants To Restore Your Beautiful Smile
– Caring & Kind Dentist & Team
– State-of-the-Art Equipment
– Laser Periodontic Therapy
– Affordable Gum Treatment
– Insurance Accepted & Filed
– Ultra-Sterile Environment
– No Referral Needed
– Comfortable Sedation Dentistry
Our patients mean the world to us (and they love to refer to us as friends and family). My team works together to ensure your visit is enjoyable, and that your treatment is gentle and pain-free. We are deeply committed to help you prevent and treat periodontal (gum) disease, and to enhance your smile to improve your overall health.
www.yourhealthmagazine.net Washington, DC Edition I 31 Meet Your Smile’s New Best Friend! Dr. Karl A. Smith, Periodontist A Dentist with Super Powers 601 Post Office Road, Suite #1-B, Waldorf, MD 301-638-4867 2500 N. Van Dorn Street, Suite #128, Alexandria, VA 703-894-4867 www.Dr.KarlSmith.com
New Patient Special Includes Initial Exam, Full Mouth Digital Film, Consultation with Dr. Smith (Reg. $428) New Patient appointments available daily!
$209
Acupuncture For Rhinitis and Asthma
By Quansheng Lu, CMD, PhD, LAc Wholelife Chinese Medicine & Acupuncture Center
Acupuncture, originating from ancient Chinese traditions, has garnered substantial attention in Western societies in recent decades. This practice entails delicately inserting fine needles into precise points on the body to stimulate healing responses and restore equilibrium. Over time, acupuncture has demonstrated effectiveness in addressing various ailments, notably rhinitis and asthma.
Rhinitis, a condition characterized by inflammation of nasal passages, manifests through symptoms like congestion, runny nose, sneezing, and itchiness. This ailment encompasses two primary forms: allergic and non-allergic. Allergic rhinitis stems from immune reactions to allergens such as pollen, dust, or animal dander, while non-allergic rhinitis can arise from irritants like smoke, pollution, or strong odors.
Asthma, a chronic respiratory disorder, involves inflammation and constriction of airways, leading to breathing difficulties. Its symptoms encompass coughing, wheezing, chest tightness, and breathlessness, triggered by various factors including allergies, physical activity, cold air, or stress.
Acupuncture’s efficacy in treating both rhinitis and asthma has
been established through research. Traditional Chinese medicine attributes these conditions to imbalances in the body’s energy or “qi,” which acupuncture addresses by stimulating specific points to restore balance and facilitate healing.
Studies published in respected journals such as Allergy and the Journal of Alternative and Complementary Medicine have highlighted acupuncture’s effectiveness in alleviating symptoms of allergic and non-allergic rhinitis. Participants receiving acupuncture reported significant improvements in nasal congestion, runny nose, and itchiness compared to sham treatments.
Similarly, research published in the Journal of Allergy and Clinical Immunology underscores acupuncture’s positive impact on asthma management. Participants receiving acupuncture experienced notable reductions in symptoms like coughing, wheezing, and breathlessness, alongside improvements in lung function.
Beyond its therapeutic benefits, acupuncture offers a safe and non-invasive alternative for managing rhinitis and asthma. Unlike medications that may entail side effects or prove ineffective for some individuals, acupuncture boasts minimal adverse effects and can be tailored to each patient’s unique requirements.
Acupuncture emerges as a viable and secure treatment avenue for addressing rhinitis and asthma. If you’re grappling with these conditions and seek a natural, non-invasive solution, acupuncture presents a promising option. It’s advisable to consult with a licensed acupuncturist to explore whether acupuncture aligns with your needs and preferences.
Wholelife Acupuncture & Fitness Center
Quansheng Lu, CMD, PhD, L.Ac
www.wholelifeherb.com
• luquansheng@gmail.com
301-340-1066 • fax: 301-340-1090
Guest professor,
of TCM, 30 papers, 30+ years of experience in TCM
#101 Ellicott City, MD 21042
301-805-6805 32 | Your HEALTH Magazine
TCM
in TCM, Beijing University of TCM
in integrated medicine, China Academy of Chinese Medical Sciences Fellowship, Georgetown University & Children’s National Medical Center
patents, 8 books
Henan University of Traditional Chinese Medicine (TCM) Chief
Physician, WFCMS; M.S.
PhD
3
Low back pain • eczema • arthritis • allergies • cough • insomnia • paralysis obesity • nephritis • hepatitis • infertility • PMS • side effects of cancer treatment
Hungerford Drive, #300 Rockville, MD 20850
Dorsey Hall Drive,
416
5022
– Vanquish Adipose Tissue Melting – Venus Legacy Radio Frequency Skin Tightening – Fractional Pixel Laser – CoolTone Muscle Stimulation – Nano Fractional RF Needling MD – IPL Laser – Clear Lift Laser – Diamond Glow – NEW Bliss Body Contouring 2106-B Gallows Road, Vienna, VA 22182 703-992-9290 AstoriaLaserClinic.com MOTHER’S DAY SPECIAL 60% Off ONE TREATMENT OF YOUR CHOICE: Limited time, call today for your free consultation.
www.yourhealthmagazine.net Washington, DC Edition I 33
Vision Correction - iDesign Advanced WaveScan Studio
By Jacqueline D. Griffiths, MD New View Eye Center
The iDesign® Advanced WaveScan Studio is the most personalized laser vision correction available.
Vision is more than just seeing better or farther, it is about being surrounded in detail – immersed in each moment – captivated by every part, of every thing. The iDesign procedure gives your doctor the ability to deliver a truly personalized LASIK or PRK procedure, designed specifically for you.
The iDesign procedure offers:
• Next generation LASIK/PRK platform that measures the eye inside and out to enable highly precise personalized vision correction.
• The only available LASIK platform indicated for monovision LASIK in presbyopic myopic patients
• 25 times more precise than the traditional way of measuring refractive errors, which relying on subjective input
iDesign Measurement
Your vision is complex. It relies on multiple, interconnected parts of your eye to create what you see. That’s what makes the iDesign procedure so
personalized: The system measures both inside and out.
• Wavefront analysis measures how light travels inside your eye and creates what you see, detailing the imperfections in your vision.
• Corneal topography scans the outside surface of your eye, measuring and analyzing every tiny variation in curvature and elevation to help guide the laser during your treatment.
• These two measurements together create a completely personalized treatment plan.
iDesign Vision Correction
Your personalized Measurement and Analysis: iDesign takes over 1,200 measurements of your eye and maps each data point to create a custom procedure plan designed just for you — all in only three seconds.
Your One-Of-a-Kind Procedure: Using this custom procedure plan, the laser is able to correct your vision to your exact needs in only a few minutes. No one in the world will receive the same procedure.
Your New Vision: Once the treatment is over, you’ll immediately notice the difference. After one hour, you’ll begin to see more clearly, and
within a day, you can return to your normal routine.
The procedure is combined with the Star S4 IR® excimer laser’s exclusive technology providing you with very precise treatment:
• Iris registration technology provides a noncontact, automated method to correctly align and center treatment while allowing for instant re-registration in the event of intraoperative movement
• Variable repetition rate (VRR) delivers Fourier-reconstructed shapes with optimized ablation time while minimizing thermal impact on the cornea
• Variable spot scanning (VSS) technology incorporates an array of varying laser pulse diameters to ensure an accurate match between target and ablation shapes
• ActiveTrak 3-D™ active eye tracking technology follows the eye’s motions in three dimensions to capture more than 99.4% of eye movements
• ActiveTrak™ automatic centering technology locates and automatically sets the treatment center in relation to the pupil center
Consumer’s Research Council
Jacqueline D. Griffiths M.D. earned her undergraduate degree at Yale and her medical degree from the University of Michigan. Her Ophthalmology residency was completed at Georgetown University Medical Center.
Dr. Griffiths has been in private practice since 1994. She started her own practice and laser center, NewView Laser EyeTM in 1999 where she serves as the Medical Director. NewView’s Mission is to provide Excellence in Ophthalmologic services by giving personalized attention to every patient.
Dr. Griffiths is Board Certified and began performing laser vision correction practically from its inception in this country. She has performed thousands of cases and participated with the CRS-USA LASIK trials to get the LASIK procedure approved by the FDA.
In addition to offering CustomVue LASIK and EpiLase, NewView offers CKSM, no-stitch cataract surgery, annual eye exams, contact lenses, glaucoma and diabetic screening exams, and cosmetic services including Botox, Restylane, Radiesse, Juvederm, and eyelid surgery. NewView Optical offers affordable high quality frames and lenses for the entire family (ages 5 and older).
Dr. Griffiths is the immediate past Ophthalmology Section Chief of Reston Hospital Department of Surgery, the former Chief of Ophthalmology for the Reston Ambulatory Surgical Center in Reston, VA as well as Loudoun Hospital in Leesburg, VA, Diplomate of the American Board of Ophthalmology, a Fellow of the American Academy of Ophthalmology, a member of the American Society of Cataract and Refractive Surgery, the Washington National Eye Center and others.
Reston: 703-834-9777
Leesburg:
703-777-1244
www.drjdg.com
www.NewViewEye.com
301-805-6805 34 | Your HEALTH Magazine Optical Insight
of America Voted “Top Ophthalmologist” Washingtonian Magazine Health & Beauty Magazine Jacqueline D. Griffiths, MD Selected as a “Super Doctor” Washington Post Magazine Voted “Top Ophthalmologist” Washingtonian Magazine & Northern Virginia Magazine
See Better, Live Better Our mission is to provide Excellence in ophthalmology services by providing Personalized care to every patient! 12110 Sunset Hills Road, Suite #50, Reston, VA 20190 – 703-834-9777 20 Davis Avenue, SW, Leesburg, VA 20175 – 703-777-1244 www.NewViewEye.com • Custom LASIK, & PRK • Advanced Cataract Surgery • Multifocal Implants • Annual Eye Exams • Contact Lens Exams • Glaucoma Management • Laser Floater Removal • Optical • Eyelid Surgery • Belotero • Radiesse™ • Juvederm™ • Botox / Xeomin • Diabetes Management
www.yourhealthmagazine.net Washington, DC Edition I 35 Enjoy a unique & relaxing dental experience Excellent Dental Care For The Entire Family New Patient Cleaning Special Includes: Routine Cleaning, Examination & 4 Bitewing X-rays. If necessary, full set of X-rays only $70 additional NOW $125 Reg. $425 Save $300 Coupon must be presented for Special Offers Located in Ashburn Village 44110 Ashburn Village Shopping Plaza, Suite #166, Ashburn, VA 20147 703-997-1482 www.LansFamilyDentistry.com • Cosmetic Dentistry Including Veneers • Restorative Dentistry • Hygiene & Preventative Care • Dentures & Implants • Crowns & Bridges • Teeth Whitening • Orthodontics For Adults & Children • Invisalign for Adults & Teens • Children’s Dentistry • Evening & Saturday Hours • Emergencies Welcome • Financing Available
301-805-6805 36 | Your HEALTH Magazine Call Today To Make Your Appointment 301.652.5933 / 410.822.1222 LYNCH PLASTIC SURGERY 5530 Wisconsin Avenue, Suite #1440 Chevy Chase, MD 20815 8615 Commerce Drive, Suite #5 Easton, MD 21601 www.lynchplasticsurgery Dr. Sheilah Lynch is a Board Certified Plastic Surgeon with 20 years experience. Brown University Residency – Plastic Surgery Georgetown University Fellowship – Breast & Cosmetic Surgery Consider Your Surgeon’s Credentials...
What were your goals at the beginning of the year? Have you met your goals? Are you moving in the right direction? Is it hard to stay on track?
Losing “stubborn fat” is hard and as you get older – it just gets harder and harder. You might go to the gym five days a week, sweat on the treadmill for an hour, and see maybe a pound or two drop in a month. Is that really worth your time?
Or... imagine going to a medical facility, laying down, spending 35 minutes relaxing, then getting up and finding out you’ve lost two inches around your waist. Which do you prefer? What if you could keep doing that and losing more and more fat until you looked like you did years ago?
If you have any interest in this and how it works when it comes to inch loss, you should stop what you’re doing and call the office for an appointment immediately. This new treatment technology uses a special laser therapy to trick your mitochondria (in your fat cells) to release their fat contents.
If you eat better, drink plenty of water, stay away from sugars, and carbohydrates, this can lead to permanent fat loss without surgery. Here’s a heads up. If you have tried liposuction in the past – you know that when you “regain the weight” it goes to different place(s) – making your body look distorted and then unfortunately, you’re back to where you started, only worse. With this technology we don’t destroy your fat cells. What we do is we simply drain the contents of the fat cells so you lose the inches and look good again.
www.yourhealthmagazine.net Washington, DC Edition I 37 • No Pain • No Surgery • No Downtime • No Dieting • No Exercise (Lose 2” on Your First Visit OR You Don’t Pay!) CALL FOR RISK-FREE APPOINTMENT! 301-472-4290 3450 Old Washington Road, Suite #103 Waldorf, MD 20602 CookandSiuMD.com Nearly 100% Financing Available
“Lose 3.5 Inches From Your Waist, Hips or Thighs In 32 Minutes...”
Invasive Body Sculpting) “Patients Lose an Average Of 3.5 Inches From Your Waist, Hips and Thighs In 32 Minutes...”
Invasive Body Sculpting) 50-70% OFF!
(Non
(Non
Understanding Soft Tissue Grafting
By Alfonso Patron, DDS Implant Logyca
A Key To Periodontal Health
Soft tissue grafting, often referred to as gum grafting, is a crucial procedure in periodontal dentistry aimed at restoring and maintaining gum health. Periodontal health is essential not only for a beautiful smile but also for overall oral well-being. Understanding soft tissue grafting and its significance can empower individuals to take proactive steps in preserving their gum health.
What Is Soft Tissue Grafting?
Soft tissue grafting involves tak-
ing tissue from one area of the mouth, often the palate, and grafting it onto another area where gum recession has occurred. Gum recession exposes the roots of the teeth, leading to sensitivity, aesthetic concerns, and increased susceptibility to decay and other dental issues. Soft tissue grafting helps to cover exposed roots, restore gum tissue, and prevent further recession.
Types Of Soft Tissue Grafts
Improving Your Oral Health, Smile, and Quality Of Life
Our goal is to provide each patient with a compassionate and comprehensive treatment in our state-of-the-art facilities. We strive to exceed your expectations and to ensure your satisfaction in improving your oral health, smile, and quality of life.
Implant Logyca offers a friendly and comfortable atmosphere, treating each patient with individualized care. We offer conscious sedative sedation for your comfort along with different array of entertainments for distraction. We also provide educational materials so you can familiarize yourself with the procedure. At Implant Logyca our office is committed to providing you with the highest quality of care possible.
Free Gingival Grafts: Similar to connective tissue grafts, but the tissue is taken directly from the surface of the palate. This type of graft is often used for individuals with thin gums.
Connective Tissue Grafts: This is the most common type of soft tissue grafting. A small flap of tissue is taken from beneath the surface of the palate and stitched to the recipient site, covering the exposed roots.
Pedicle Grafts: In this technique, instead of completely removing tissue from the donor site, a flap of tissue adjacent to the recipient area is partially cut and stretched over the exposed roots. This method is suitable for individuals with enough gum tissue near the affected area.
Why Soft Tissue Grafting Matters
Improved Aesthetics: Gum recession can lead to an uneven gum line and exposed roots, affecting the appearance of your smile. Soft tissue grafting restores a natural gum line, enhancing the aesthetics of your smile.
Reduced Sensitivity: Exposed tooth roots can be extremely sensitive to hot, cold, and touch. By covering these roots with grafted tissue, sensitivity is significantly reduced, improving comfort during eating, drinking, and brushing.
Prevention Of Further Damage: Gum recession can lead to more severe dental issues if left untreated, such as tooth decay, root damage, and even tooth loss. Soft tissue grafting halts the progression of gum recession, preserving both gum and tooth structure.
Enhanced Oral Health: Healthy gums are the foundation of a healthy mouth. By restoring gum tissue through grafting, individuals can maintain better oral hygiene, reducing the risk of periodontal disease and other dental problems.
Soft tissue grafting is a valuable procedure for restoring and maintaining periodontal health. By addressing gum recession promptly with grafting techniques, individuals can enjoy improved aesthetics, reduced sensitivity, and long-term oral health benefits. If you’re experiencing gum recession or have concerns about your gum health, consult with your dentist to explore the possibility of soft tissue grafting and take proactive steps towards a healthier smile.
301-805-6805 38 | Your HEALTH Magazine
1600 Wilson Boulevard Suite #960, Arlington, VA 22209
703-465-5080 www.ImplantLogyca.com
HEALTH DIRECTORY
ACUPUNCTURE
Eastern Medical Holistic Healing Center, Angel Wood, 240-755-5925. www. acupuncture4wellness.webs. com
ALTERNATIVE HEALTHCARE
Holistic Family Health - Thermal Imaging, Herndon, VA. 703-635-6324 For More information visit www.fhtid.com
BEAUTY/SKIN
A Better You, Dr. ClarkeBennett, 410-672-2742. Essences of Jamal of DC – 202839-0657. Worlds Best SheaButter, Rose-Water Butter, Hemp Seed Oil, Nag Champa Incense, Sage Smudge Sticks, Jumbo Incense Sticks, TeaTree Oil. Price List Available. 202-839-0657.
BREAST HEALTH
University of Maryland
Charles Regional Medical Center. 11340 Pembrooke Square, Suite 202, Waldorf, MD 20603. 240-607-2010.
UMCharlesRegional.org
CHINESE MEDICINE & ACUPUNCTURE
Wholelife Chinese Medicine & Acupuncture, 301-526-9898, 416 Hungerford Dr., Rockville www.wholelifeherb.com
DENTISTRY
Karl A Smith, DDS, 2550 N. Van Dorn St., Suite #128, Alexandria, VA. Call 703-894-4867, Visit www.drkarlsmith.com
DENTISTRY
Richard Hughes, DDS, 703444-1152, 46440 Benedict Drive Suite #201, Sterling, VA. www.SterlingImplantDentist. com
EYE CARE
Visual Eyes, Alexander Nnabue OD, 301-324- 9500
HOLISTIC WELLNESS
COACH
Nutrition Lifestyle Digestion and More – Lisa@LisaThorne.Me – Text 269861-7565.
HYPNOSIS
Toni’s Happy Hour Yoga and Holistic Wellness Center • 6504 Old Branch Avenue, Temple Hills, MD 20748 • 301-449-8664
MEDICAL SPACE
Charles L. Feitel Company, 301-571-9333, www.medicalanddentalspace.com
MENTAL HEALTH SERVICES
House Calls, LLC. 301-3466732. callingonbeth@gmail. com. www.CallingOnBeth.net.
NUTRITION
Nutritional Healing Center, Thomas K. Lo, DC, MA, 240-651-1650, 7310 Grove Road, Suite 107, Frederick, MD 21704. doctorlo.com
OPHTHALMOLOGY
NewView Laser Eye Center – Jacqueline D. Griffiths, MD – Reston (703) 834-9777 or (800) 294-1001 – Visit us at www.NewViewEye.com
ORAL & FACIAL SURGERY
Northern Virginia Surgical Arts 703-998-3971, 611 South Carlin Springs Road, Ste 308, Arlington, VA 22204 For more information visit us online at www.novasurgicalarts.com
The Maryland Oral Surgery Group, Dr. Sharon Russell. 301-967-0183. www.THEMOSG.com.
ORTHODONTICS
All Smiles Orthodontics. 9010 Lorton Station Blvd Suite 260, Lorton VA 22079 www. allsmilesbraces.com For more info call us at 703 337-4414
Jacqueline Brown Bryant DDS, MS, PC, Damon, Clear Braces & Invisalign for Adults And Children. Silver Spring, Maryland 20910 www.smileconstructors. com 301-587-8750
PEDIATRICS
Loving Care, Janet Johnson, MD – Hyattsville, MD – 301403-8808
PHYSICAL THERAPY/ REHABILITATION
Active Physical Therapy. Various Locations across Maryland and Washington, DC. Active-physicaltherapy. com.
PODIATRY
Arlington Podiatry Center, Edward S. Pozarny, DPM 703-820-1472. 611 S. Carlin Springs Road, Suite #512, Arlington VA.
PODIATRY
Largo Foot and Ankle Health Center, Ade Adetunji, DPM, 301 386 5453
SENIOR CARE
Chevy Chase Home Care. Help at a time you need it most. Any Ages. Any situations. Any shifts. MD, DC, VA. www.CHCHhomecare. com 202-374-1240
YOGA
Toni’s Happy Hour Yoga and Holistic Wellness Center –6504 Old Branch Avenue, Temple Hills, MD 20748 –301-449-8664
301-805-6805 40 | Your HEALTH Magazine
Order Information: 3 line listing $30.00 for 6 months, $5.00 for each additional line. 10 line listing for 6 months is $65.00. (Each line approximately 3-4 words) To Order: Include you NAME, ADDRESS, PHONE, EMAIL AND WHAT HEADING YOU WISH TO BE LISTED UNDER, AND ANY SPECIAL OFFER OR TEXT TO INCLUDE. We will prepare a proof and email to you for approval.
Fax to: (301)
Call (301) 805-6805 for assistance. WASHINGTON, DC EDITION MARYLAND/WASHINGTON, DC OFFICE 4201 Northview Drive, Suite #102, Bowie, MD 20716 phone: (301) 805-6805 • fax: (301) 805-6808 • email: Info@YourHealthMagazine.net VIRGINIA OFFICE phone: (703) 288-3130 • fax: (703) 288-3174 • email: Publish@YourHealthMagazine.net DIRECTORY OF HEALTH PROFESSIONALS ORDERING Subscribe Today! Your Health Magazine is available at local grocery stores, pharmacies, and convenience stores, including: Giant • Safeway • Harris Teeter • CVS • 7-11 • and more locations near you! FREE Information From Local Doctors To Help You Live Healthier! LOCAL DOCTORS & ARTICLES at WWW.YOURHEALTHMAGAZINE.NET 30 Years Celebrating o Prince George’s County April 2020 FREE FEATURED PROFESSIONALS N E W DOCTORSOFFICES & PRACTICES DON’T MISS NEXT MONTH’S EDITION FEATURING PLUS... NEW Technology In Todays Doctor’s Office Beauty Skin Care & Gorgeous Smiles SPECIAL FOCUS Page 32-35 A. Smith, Smith, DDS, Harmon, Jr., DDS, DIRECTORY OF HEALTH PROFESSIONALS PAGE 64 PLUS READ ABOUT HEARING LOSS CHIROPRACTIC CARE KNEE PAIN WEIGHT LOSS BREAST IMPLANTS MEDICAL CANNABIS MELANOMA Brent Dentistry Melo Solutions Jeffery Dormu, Vascular Surgery CDC Guidelines Fact Sheet PAGE 47 Now you can get the latest issues delivered directly to your home! • Health articles and advice • Doctors near YOU! • Maryland, Washington, DC & Virginia editions • Only $24 for a year’s subscription (12 issues)! SUBSCRIBING IS EASY: 1) Call 301-805-6805 with your name, contact info, and credit card payment for $24, or 2) Simply mail this form along with your check for $24: Your Health Magazine 4201 Northview Dr. Suite 102
MD • 20716 CHECK EDITION ($24 each edition): MARYLAND VIRGINIA WASHINGTON, DC NAME:___________________________ STREET: _________________________ CITY: _________________________ STATE:_______ ZIP:_____________ PHONE: _________________________ EMAIL: _________________________
Email your information to: info@yourhealthmagazine.net or
805-6808.
Bowie,
By Hema Sundaram, MA, MD, FAAD Sundaram Dermatology
This is a question I receive often from patients, and it’s also frequently asked on social media. In fact, there is no “right age” to have cosmetic surgery because we all age at different rates and have different ideas of what constitutes aging gracefully. But there is a right time – when we’re ready to fix something that bothers us. There is also a right reason – when there is a need to balance how we look with how we feel.
Our faces send messages that impact us profoundly, both personally and professionally. For example, permanent frown lines can make us look angry when we’re not, undereye bags convey tiredness, and a downturned mouth looks sad. Spider veins and sunspots make our faces look old and weather-beaten. And it’s the same for our bodies. These “error messages” are easily corrected by a dermatologist or plastic surgeon expert using today’s non-surgical technology.
Recent surveys show that more men and women are choosing no-downtime fixes to look good on Zoom as well as in person, to keep their professional edge, and to achieve balance so that how they look truly reflects how they feel. This inner-outer balance is important for both social and workplace interactions.
The most advanced dermatologists and plastic surgeons are doing cutting-edge research, publishing in renowned medical journals, and teaching globally how to combine state-of-the-art non-surgical techniques for the best results with no scarring and little or no recovery. This new, minimally-invasive approach is increasingly popular and, when properly performed, can give long-lasting results. More importantly, it gives natural results so that your face looks refreshed and restored rather than tweaked.
Ultherapy is a revolutionary new ultrasound technology to non-surgically lift your face and tighten your cheeks, jawline, neck
Am I The Right Age For Cosmetic Surgery?
and chest (decolletage). It can also lift and tighten buttocks, knees, arms and other body zones in preparation for summer. eMatrix and eTwo are innovative radiofrequency lasers that stimulate your skin through a unique process called sublative rejuvenation, producing new collagen and elastin to remove wrinkles and scars and tighten your skin.
The Exilis Ultra is another new laser technology that dramatically lifts and tightens the skin on your face and body by creating new collagen and elastin. This naturally lifts your face, including your eyebrows, and contours your body. The secret of Exilis Ultra is focused radiofrequency energy combined with ultrasound. This can simultaneously tighten your skin and remove unwanted fat from the chin, abdomen, arms, legs and other areas. In just a few quick and painless sessions, Exilis Ultra can take inches off your waistline, abdomen, buttocks and other areas, and can also improve cellulite.
The breakthrough Syneron Triniti laser system can rejuvenate all three layers of your skin in one session. The Triniti removes spider veins, sunspots, discolorations and wrinkles, improves prominent pores and tightens your skin. The CO2RE laser dramatically improves wrinkles, pigmentation, enlarged pores, scars and stretch marks for all skin tones from light to dark, and with minimal recovery time. The VBeam Perfecta laser treats birthmarks, rosacea, acne scars, leg veins, blood vessels on the face and body, sunspots, and even warts.
With summer approaching, the focus is also on hair removal. The newest and fastest hair laser is the GentleMax Pro. It is painless and gives rapid results for all areas of the body and face. Hair laser not only liberates you from razors, creams and other temporary hair removal, but can also free you of ingrown hairs and acne.
When expertly injected, the neuromodulators Botox, Dysport, Jeuveau, Xeomin or Daxxify safely smooth frown and worry lines, crow’s feet, and mouth and neck wrinkles, while preserving your normal facial expressions. For anyone who worries about looking unnatural with Botox, the key is to get your treatment from a real expert who understands how to reshape your face and preserve natural expressions rather than the dreaded Botox face-freeze or angry-looking “Dr. Spock”
eyebrows.
Under-eye bags and lines around your mouth disappear, thinning lips can be restored, your jawline and neck lifted and your whole face can be subtly yet dramatically reshaped by new techniques with natural fillers like Voluma, Volbella, Restylane, Juvederm, Belotero, Radiesse and Sculptra. Your own natural fat can be added to replenish stem cells and transform your skin contour and radiance. The key here is to avoid an unnatural “filler face”. There is a world of difference between sophisticated and natural-looking filler techniques and overdone, over-plump lips and cheeks.
A new addition is the so-called “Vampire Facelift”, which combines platelet rich plasma (PRP) with micro needling to harness your body’s own powers of rejuvenation. Scientific research shows that PRP is also an effective way to treat hair loss.
The philosophy of total rejuvenation and better quality of life at all ages has now extended to feminine (vaginal) rejuvenation that can be done nonsurgically with advanced lasers and fillers. Studies show this can have important benefits including relief of mild to moderate stress incontinence (urine leakage when coughing, sneezing etc.), vaginal dryness, and restoring more normal appearance and function in conditions such as LS & A
(lichen sclerosus et atrophicus). For feminine rejuvenation, the CO2RE Intima laser achieves rapid and long-lasting results and has been described as a more comprehensive and longlasting treatment than non-laser devices like radiofrequency.
The American Board of Medical Specialties recognizes four specialties as having the right knowledge and training to perform cosmetic procedures – dermatology, plastic surgery, oculoplastic surgery and facial plastic surgery. Your dermatologist or plastic surgeon will be most expert if they are engaged in scientific research, direct sessions and teach at the national dermatology and plastic surgery academies, and have publications that can be found under their names on Pubmed at https:// pubmed.ncbi.nlm.nih.gov/
Your doctor should be able to offer you a wide variety of advanced procedures from which to choose, and create a customized plan to address your individual needs. Looking as good as you feel can bring a new appreciation of life, and how important it is to make the most of every day. The author Gertrude Stein wrote that “we are always the same age inside.” With the right technology in the right hands, we can reflect our inner youth and vibrancy, and empower ourselves to live life to the fullest at any age.
www.yourhealthmagazine.net Washington, DC Edition I 41
NEW STUDIES OF ACNE, LIP ENHANCEMENT, EXOSOMES, AND OTHER TREATMENTS Now enrolling for studies & evaluations of Acne, Lip Volumization, Exosomes and Other Treatments. Space is Limited. Email dermdc@gmail.com NOW for details with subject line STUDIES AND EVALUATIONS ** Spring Makeover Packages ** call Fairfax, VA 703-641-9666 or Rockville, MD 301-984-3376 Interest-Free Financing Available Follow us on Instagram: @twicebornbeauty & @drhemasundaram At the offices of DR. HEMA SUNDARAM, MA, MD, FAAD Board Certified Dermatologist Honorary Senior Lecturer in Musculoskeletal and Dermatological Sciences, School of Biological Sciences, University of Manchester, United Kingdom Now Enrolling for Studies & Evaluations of Acne, Skin Tightening and Fat Removal If you are in good health and interested to volunteer for any of these studies, call Rockville, MD 301-984-3376/ Fairfax, VA 703-641-9666 or email us at dermdc@gmail.com with subject line “STUDIES”. Follow us on Instagram: @twicebornbeauty & @drhemasundaram ** Spring Makeover Packages ** Call 301-984-3376 or 703-641-9666 Interest-Free Financing Available At the offices of DR. HEMA SUNDARAM, MA, MD, FAAD Board Certified Dermatologist Honorary Senior Lecturer in Musculoskeletal and Dermatological Sciences, School of Biological Sciences, University of Manchester, United Kingdom At the offices of DR. HEMA SUNDARAM, MA, MD, FAAD Board Certified Dermatologist Honorary Senior Lecturer in Musculoskeletal and Dermatological Sciences, School of Biological Sciences, University of Manchester, United Kingdom NOW ENROLLING FOR STUDIES OF LIP ENHANCEMENT, ACNE AND SKIN TIGHTENING Follow us on Instagram: @twicebornbeauty & @drhemasundaram Email our clinic at dermdc@gmail.com or call Fairfax, VA 703-641-9666 / Rockville, MD 301-984-3376
To Get Healthy?
Can
June PAIN MANAGEMENT and REHABILITATION – Professionals to help you and your family with chronic pain. Chronic pain is debilitating with significant consequences for the sufferer, their loved ones and their employers. Educating people about pain and where they can get help. Will include Profiles from your Local Pain Management Health Professionals.
July MEET YOUR LOCAL HEALTH PROFESSIONALS – Biographical profiles of a wide variety of local health professionals (Primary Care, Specialists, Integrative, Fitness, and more), highlighting their credentials, expertise, education, practice philosophy, areas of interest, and more!
August WOMEN’S HEALTHCARE and WOMEN IN HEALTHCARE – All the information women need about health, plus profiles to highlight the important women involved in all areas of healthcare – from physicians and nurses to pharmacists and office support staff. Will include Profiles from your Local Women Healthcare Professionals.
September DENTAL HEALTH plus WEIGHT CONTROL, EXERCISE AND NUTRITION – Dentists, Cosmetic Dentistry, TMJ, Periodontics, Orthodontics, Oral Surgeons, Endodontics, and more! Gyms, nutrition and diet plans, weight loss, surgical alternatives, to help affect America’s out-of-control weight problems. Will include Profiles and Information from your Local Dental Health and Exercise and Nutrition Professionals.
October CANCER AWARENESS and HEALTH TECHNOLOGY – Professionals to help with prevention, early detection and surviving cancer. Information for men and women, and their families, and professionals who can provide help! Will include Profiles from your Local Cancer Health Professionals.
If you are a Health Professional interested in including your practice information in the magazine and online, contact us today:
301-805-6805 42 | Your HEALTH Magazine Your
Or
• publish@yourhealthmagazine.net
HEALTH Magazine publishes and distributes health information people need. We produce special sections to focus on particular health topics each month, and profiles of local health professionals. It Makes a Difference! Here’s what you can look forward to: Ready
We
Help! Pick up a copy of Your Health Magazine at Washington DC, Maryland, and Northern Virginia grocery stores, pharmacies, convenience centers, doctor offices, libraries, spas, salons, and more!
Read Online: www.YourHealthMagazine.net 301-805-6805
ViewLates Editions GREAT Information From Local Doctors To Help You Live Healthier! 33Years 1990•2023 Makinga Diference Virginia M ryand Washng to D C Celebrating Featured Professionals Keita Vanterpool, DC Chiropractor Washington DC | June 2023 PAIN Health Directory Page 40 Sarah A. Merritt, MD Pain Management Levi Pearson, III, MD Pain Management READ ABOUT PEDIATRIC DENTISTRY INFLAMMATION AESTHETICS ALZHEIMER’S TREATMENT WHIPLASH DIAGNOSIS SENIOR LIVING EGG FREEZING EYE FLOATERS DENTAL IMPLANTS 50 CENTS Management & Rehabilitation Special Focus... PAGES 24-30 LOCAL HEALTH PROFESSIONALS In Our Next Edition, Meet Your LOCAL DOCTORS & ARTICLES at YOURHEALTHMAGAZINE.NET Weight-Bearing Open MRI & Digital Motion X-rays Washington Open MRI Mini Implants Thunderbird Dental AviClear Barry J. Cohen, MD Science Meets Compassion Yemi Adesanya-Famuyiwa, MD Biographical Profiles of Local Doctors & Practitioners HEALTH TECHNOLOGY Pages 31 & 44 Dr. Melo Forchu Wellness Solutions Sivakumar Sreenivasan, DMD Oral and Maxillofacial Surgeon The Spine Care Center Bassam, MD Zafar, MD Arjun Ramesh, MD Faisal Siddiqui, MD Natalia Kayloe, MD Integrated Neurology Services
www.yourhealthmagazine.net Washington, DC Edition I 43 Buy One Get 50% Off 2nd Pair of Complete Eyeglasses