





















![]()























Pattern hair loss affects more than your appearance - it impacts how you feel every day. Dr. Valerie Callender, a Board Certified Dermatologist, is conducting a clinical research study evaluating an oral medication for hair loss. We are currently enrolling males and females ages 18-65 with mild to moderate alopecia. See if you qualify!
Please contact: Callender Center for Clinical Research 301-352-1520 www.callenderskin.com 12200 Annapolis Rd Suite 315 Glenn Dale, MD 20769


By Marc P. Stanard, DDS, PC
bacteria are irritating the gum tissue.
Red, Swollen, or Tender Gums
Gum disease is one of the most common oral health problems in adults. In its earliest stages, it can develop silently, without pain or obvious discomfort. Left untreated, gum disease can progress to advanced periodontal disease, leading to bone loss, receding gums, loose teeth, and even tooth loss. Early detection and treatment are the keys to protecting your smile and your overall health.
One of the earliest and most common signs of gum disease is bleeding when brushing or flossing. Healthy gums should not bleed easily. While many people dismiss this as “brushing too hard,” it’s often a sign of inflammation – a warning that
Healthy gums are typically pale pink and firm. If they become red, puffy, or sore, it may indicate gingivitis, the first stage of gum disease. This inflammation is your body’s immune response to plaque buildup along the gumline.
Bacteria that cause gum disease release toxins and odors. If you have chronic bad breath or a bad taste in your mouth despite good oral hygiene, gum disease could be the culprit.
Gum Recession
When gums begin to pull away from the teeth, the roots can become exposed, leading to sensitivity and increased risk of decay. Receding gums are a clear warning sign that the supporting tissues may be breaking down. Loose or Shifting Teeth
Advanced gum disease can dam-


age the bone and ligaments that hold your teeth in place. If your bite feels different or teeth are starting to move, immediate evaluation is critical.
The earlier gum disease is diagnosed, the easier it is to treat – often with non-surgical therapy and improved home care. Ignoring symptoms allows the disease to progress, increasing the likelihood of needing surgical
intervention and risking your overall health. Research has linked periodontal disease to systemic conditions such as diabetes, heart disease, and stroke. If you notice any of these warning signs, schedule an evaluation as soon as possible. With timely treatment and ongoing maintenance, you can preserve your gums, protect your teeth, and safeguard your health for years to come.
Maintaining good dental hygiene is crucial, and Dr. Marc Stanard, a periodontist and specialist in surgical implant dentistry, can help you achieve healthy teeth comfortably. We offer a wide range of specialized procedures and services to cater to your periodontal needs, such as bone surgery, scaling, and root planing, gum grafts, crown lengthenings, and sinus lifts.
Marc P. Stanard, DDS
• We provide advanced, affordable dental care tailored to meet your unique needs.
• Our team offers oral hygiene instruction and education on gum disease, bone loss, and other dental health conditions.
• Dr. Marc Stanard has decades of experience and a passion for his work, and he’s earned numerous designations, affiliations, and awards, including Top DDS by Washingtonian and high ratings on Google and Yelp.
• Our office is friendly and welcoming, making it the perfect place to receive top-quality dental care.






Your Health Magazine is on a mission. There are far too many people, insured or not, who do not go to the doctor when they should, and in millions of cases, don’t know who they should go to, or why.
People are encouraged to buy a new house, car, cell phone or big screen TV, and those companies make themselves very visible and their products easily attainable.
Information about, and from, local healthcare providers is not easy to find, and many times those services are difficult to access.
Information and encouragement always lowers fear and trepidation about anything, and this is especially true in healthcare. While general information is available on web-sites, specific information from local providers is almost impossible for people to find. This is one of the key reasons chronic and episodic conditions are not cared for. It is our mission to:
Make A Difference By Empowering and Encouraging People To Live Healthier By Going To the Doctor When They Should.
There is a lot of evidence that the health professionals who participate in Your Health Magazine have helped many people over the years. We at Your Health Magazine salute you!
G. Scott Hunter, Editor-in-Chief
If you would like to find out how you can participate in one of our upcoming editions, please contact the office nearest you.
MARYLAND & WASHINGTON, DC OFFICE One Town Center 4201 Northview Drive, Suite 102 Bowie, MD 20716 Office (301) 805-6805 • Fax (301) 805-6808 info@yourhealthmagazine.net
VIRGINIA OFFICE Office (301) 805-6805 info@yourhealthmagazine.net
© Your Health Magazine, 2025. The magazine and all of its contents are protected by copyright. For permission to reproduce any materials in this magazine, contact info@yourhealthmagazine.net


By Jacqueline D. Griffiths, MD New View Eye Center
Do your eyes feel gritty and burn sometimes? Does the slightest bit of air make your eyes tear excessively? Does smoke make you tear like crazy? Have your eyes become more sensitive to light? Have you become less able to wear your soft contacts as long as you used to? If the answer to these questions is yes, you may have dry eye syndrome.
Dry eye is a condition that affects millions of people every day. It is often a normal part of the aging process. It is estimated that nearly 75% of people over the age of 65 will experience some form of dry eye syndrome. It can be both a seasonal problem or a chronic problem for some. While it occurs in both men and women, it is more common in women who are pregnant or post-menopausal. People who have chronic allergies and contact lens wearers have a greater risk of developing dry eyes. Other causes include exposure to environmental conditions, injuries to the eye, or general health problems. For example, people with arthritis and diabetes are more prone to dry eye. Some other specific causes of dry eye include:
• Sun
• Wind
• Cold
• Dry air
• Indoor heating and air conditioning
• Computer screens
• High altitudes
• Eye surgery
Computer vision syndrome is a recently recognized entity that has evolved with the increasing popularity of computers in businesses, schools
and at home. More and more, we use computers in our daily activities.
Oftentimes, we stare at the screen all day, forgetting to blink, which is the necessary way the eye replenishes the cornea with fluid. The decrease in blinking only causes an increase in dryness, fatigue, light sensitivity, burning, and eyestrain over time. Dry eye syndrome can be the result unless some preventative steps are taken ahead of time.
Dry eye syndrome is literally the eye’s inability to lubricate and tear correctly or adequately. Oddly enough, some people who have dry eye syndrome actually tear excessively. Unfortunately, the pH or acidity of their tears is altered so that the eyes still feel dry and itchy, causing them to tear continuously.
The use of certain medications can also alter the eye’s ability to lubricate. Some of the most common medications are:
• Antihistamines
• Decongestants
• Blood pressure medication
• Antidepressants
• Anti-anxiety medication
Certain types of diseases can also alter the eyes, these include:
• Thyroid deficiencies
• Sjogrens syndrome
• Rheumatoid arthritis
• Autoimmune disorders (i.e. lupus, HIV)
• Bell’s palsy
• Myasthenia gravis
Treatment
Your doctor may prescribe one or more of the following treatments:
• Artificial teardrops. There are many to choose from. Ask your eye doctor for recommendations.

• Ointments and gels placed in the eyes to lubricate. These generally last longer than drops. They can blur the vision for a time during the first few minutes after instillation. These are generally needed less often than drops.
• Temporarily or permanently plugging the tear ducts while manually replacing the tears with drops or ointments. This is a very effective way to keep your own tears around longer to lubricate the eyes and decrease the number and frequency of artificial tears necessary to treat the dry eye problem.
• Hormone replacement , if due to menopause.
• Change in birth control prescription, if applicable.
• Change contact lens to one more appropriate for a person with dry eye syndrome. Some contact lenses absorb water.
Therefore, if you are not making enough tears in the first place, and you are wearing a contact lens that absorbs a lot of water to itself and away from your eye, you are effectively making your dry eye worse. Ask your eye doctor for details especially if you find that you can’t wear your contacts more than a few hours before you have to take them out.
In addition to this, some natural products such as oral flaxseed oil have been shown to be quite useful for patients with dry eye syndrome. Most patients can get this at their local health food store. Normally, doses range from 1000mg to 3000mg orally a day with meals for effective relief of symptoms.

Jacqueline D. Griffiths M.D. earned her undergraduate degree at Yale and her medical degree from the University of Michigan. Her Ophthalmology residency was completed at Georgetown University Medical Center.
Dr. Griffiths has been in private practice since 1994. She started her own practice and laser center, NewView Laser EyeTM in 1999 where she serves as the Medical Director. NewView’s Mission is to provide Excellence in Ophthalmologic services by giving personalized attention to every patient.
Dr. Griffiths is Board Certified and began performing laser vision correction practically from its inception in this country. She has performed thousands of cases and participated with the CRS-USA LASIK trials to get the LASIK procedure approved by the FDA.
In addition to offering Custom LASIK and PRK, NewView offers Laser Assisted Cataract Surgery, Multifocal IOLs, annual eye exams, glaucoma and diabetic screening exams, and cosmetic services including Botox, Restylane, Radiesse, Juvederm, and eyelid surgery. NewView Optical offers affordable high quality frames and lenses for the entire family (ages 5 and older).
Dr. Griffiths is the former Ophthalmology Section Chief of Reston Hospital Department of Surgery, the former Chief of Ophthalmology for the Reston Ambulatory Surgical Center in Reston, VA as well as Loudoun Hospital in Leesburg, VA, Diplomate of the American Board of Ophthalmology, a Fellow of the American Academy of Ophthalmology, a member of the American Society of Cataract and Refractive Surgery, the Washington National Eye Center and others.


Degrees: BS in Psychology, MDiv; Doctorate in Christian Education, EdD
Certificates: Behavioral Health and Nutrition, Personal & Small Group Fitness Instructor, Certified Health & Wellness Coach, IIN Alumni, MRT & SEL(F) Instructor,
Yoga 500 Level and Zumba Instructor
Training: Mindful Movement and Breathwork
Areas of Interest: Healthy Eating and Regular Exercise
Specialties: Nutrition, Meal Planning, Weight Loss, Rehabilitation and Maintenance, and Standards for Excellence Licensed Consultant
Practice Philosophy: Your Health is Your Wealth
Host monthly Therapeutic Horticulture and Mental Health Awareness Workshops.
Give An Hour, Ambassador supporting veterans and their families.
Veteran Yoga Project Coordinator.
Mental Health First Aid Certified. Veteran Yoga Project Coordinator.
Hobbies: Reading, Researching Preventive Measures for Autoimmune Diseases and other Health Conditions plus Advocate for Veterans and Mental Health Awarenes
137 National Plaza Suite #300, Oxon Hill, MD www.ctldomGroup.com 202-498-5678


What if one clinic could transform how you sleep, feel, and look—starting now?
At Optimal Sleep & Weight Loss Clinic, we combine cutting-edge medicine with personalized care to help you reclaim your health, confidence, and energy.
Get Results That Show – Sleep Through the Night Feel Sexy, Strong, and Energized – Enhance Your Look Personalized Attention
Let us guide you to the healthy, vibrant version of yourself – with a plan built just for you.


By Dr. Tiffany Daniel Live To Day Wellness
In a world where filters and likes can shape how we see ourselves, let’s take a moment to return to truth: your body is more than a reflection—it’s a vessel of resilience, strength, and grace.
As we enter the season of cooler breezes and warmer meals, September is a perfect time to reset—not just our routines, but our relation-
ship with our bodies. The journey to body confidence doesn’t begin in the mirror. It begins in motion.
When was the last time you celebrated your body for what it could do instead of what it looks like?
Body confidence doesn’t come from dropping a size—it comes from climbing stairs without pain. From dancing in the kitchen without getting winded. From finishing that walk, that class, that set—and realizing you did more than you thought you could.
That’s where we find real power.
So let’s redefine “results.” It’s not about a flatter stomach—it’s about stronger legs that carry you longer. Not a number on the scale— but a morning where your joints don’t ache like they used to. And yes, it’s about self-love, but more
Please see “Mirror Lies,” page 35

By Pascal Ngongmon, MD, MHA Optimal Sleep & Weight Loss Clinic
Obesity is a chronic disease that affects more than a third of adults in the United States. Many weight loss programs and diets recommend increasing protein intake, but why is protein so important, and how much do we actually need?
What Are the Benefits of a High-Protein Diet?
A high-protein diet can support weight loss in several key ways:
1. Reduced Appetite – Protein takes longer to digest than other
macronutrients, helping you feel full for longer and potentially leading to reduced calorie consumption. A higher protein intake increases satiety hormones like GLP-1, peptide YY, and cholecystokinin, while lowering hunger hormones like ghrelin. One study showed that when overweight men consumed 25% of their daily calories from protein, their cravings decreased by 60%.
2. Boosted Metabolism – Protein helps regulate your metabolism by supporting enzymes and hormones that are critical for energy production. When you consume more protein, you increase the efficiency of your metabolism, which means your body burns more calories throughout the day.
3. Burn More Calories – Protein has a higher thermic effect compared to other macronutrients. This means your body expends more energy to process protein. While not all sources agree on the exact numbers, it’s clear that protein has a thermic effect of 20-30%, compared to carbohydrates
Please see “Sleep Matters,” page 35


At Mosaic Dental with locations in Sterling and Falls Church, we combine cutting-edge technology, expert care, and personalized attention to help you achieve the confident, healthy smile you deserve. Our Comprehensive Services Include:
• Invisalign® & Cosmetic Dentistry to redesign your smile
• Dental Implants for a natural, permanent solution
• Emergency Care to quickly alleviate pain and discomfort
• Restorative Services such as crowns, root canals, and periodontal treatments for long-lasting oral health
• Extractions and Oral Surgery to safely and efficiently remove problematic teeth and oral surgery for complex dental procedures and treatments
• Flexible Payment Options to make care accessible for everyone—insured or not Meet Dr. Anu Beri, our Board Certified Periodontist with advanced training from Boston University. With over 20 years of experience, Dr. Beri is renowned for her compassionate, patient-focused care and her ability to communicate complex procedures clearly. She takes pride in educating her patients, helping them explore their options, and guiding them to informed decisions. Dr. Beri specializes in implants, bone grafting, gum surgery, wisdom teeth extractions, and much more.


Submitted By Elon Roshell Day Spa & Health
When most people think about weight loss, they think diet and exercise — and rightly so. But what many don’t realize is that massage therapy can play a valuable supportive role in helping individuals stay on track and



Looking for a natural way to boost your health and wellbeing?
Come experience our natural health and wellness spa services, including:
• Cryo For Skin – Anti-Aging Skin Tightening Now Available!
• Salt Cave & space available for Family and Small Group Spa Events
• Massage Therapy • NEW Hyperbaric Chamber
• Oxygen Therapy • Red Light Therapy • Halo Therapy
• Infrared Sauna • Ionic Bath
• Salt Cave
Join our natural health sessions focused on whole foods, lifestyle education, and community support. We explore the 9 Pillars of Health by Barbara O’Neill, offer samples and recipes, and provide weigh-ins and accountability from a faith-based perspective.
Visit us today to discover the benefits of natural health and wellness services for yourself. Book an appointment now and enjoy a relaxing and rejuvenating experience at our spa.


Welcome to our new massage therapist, Kelsey! Schedule a massage with her today.
achieve their goals.
First, massage helps with muscle recovery. Regular exercise, especially for those who are just starting a fitness routine, often leads to muscle soreness, stiffness, and fatigue. These aches can discourage consistency, which is critical for weight loss. By promoting blood circulation and reducing tension in sore muscles, massage can speed up recovery, decrease discomfort, and help people maintain their workout schedules.
Second, massage therapy is a powerful tool for stress management. Stress is one of the lesser-discussed barriers to successful weight control. Chronic stress leads to elevated cortisol levels, which can contribute to weight gain, particularly around the abdomen. It can also trigger emotional eating and poor sleep — both of which undermine healthy habits. Regular massage sessions promote relaxation and lower stress hormones, supporting both physical and mental well-being.
Massage therapy also enhances body awareness and mindfulness. As people begin to reconnect with their bodies through touch and therapeutic care, they may become more attuned to how their body feels and functions. This can encourage healthier behaviors, greater respect for their wellness journey, and improved motivation to exercise and eat well.
In addition, massage can support circulation and lymphatic flow, which helps the body remove waste products and reduces swelling. While it’s not a substitute for physical activity, this improved circulation can enhance feelings of lightness and vitality, encouraging clients to stay active.
Finally, massage may help reduce minor aches, postural imbalances, and areas of tightness that can lead to injury — making it easier for individuals to keep moving safely and effectively.
In short, while massage therapy does not directly cause weight loss, it can support individuals in many key areas: reducing pain, decreasing stress, improving recovery, and encouraging consistency in exercise routines. For anyone pursuing a healthier lifestyle, massage can be a valuable part of their wellness plan.

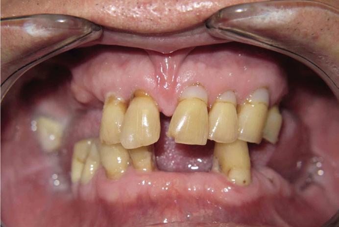
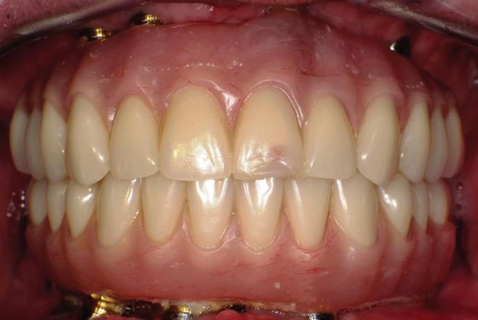
By Karl A. Smith, DDS, MS
Dentures are a good replacement option for patients who are missing all of their teeth, but only if they fit well. What Makes Dentures Loose?
Impact on the bone by continuous hitting of a denture against the jaw every time you eat can make the bone underneath the denture go away. This causes the denture to become loose and slip. It may create the need for using paste or other means to hold the denture in place. Slipping dentures can make eating certain foods very difficult for patients. How Can Dentures Fit Well
For A Long Time?
Dental implants can be placed under the denture. Implants have offered the possibility of fully replacing teeth for over 30 years and are very safe and effective. When you make the denture stable by “snapping” it onto dental implants, you can provide a better level of comfort for the denture-wearer, and create new strength for eating the foods patients love.
Dental implants are very much like your natural teeth. They are quite easy to get used to, and they can reduce the amount of stress to the bone and jaw by helping provide an anchor for support. The implant acts as a natural root to help prevent additional bone deterioration and helps to deliver long lasting function.
Does Every Denture-Wearer Qualify?
This depends on the amount of bone loss that has already taken place. If the denture has been in place for many years and the ridge of bone under it is very thin, you may need to have a special scan done to decide if you are a candidate for the procedure. This scan will also look for any other defects that may be present to make sure you are healthy.
Since implants are meant to last for a very long time, your health and
wellness are important to the outcome.
How Long Does a Patient Have To Go Without Teeth?
Never. The denture is fitted to the implants, the same day the implants are placed. Typically, you are back to normal or better eating by day two or three.
Do Dental Implants Hurt?
Most patients have little to no discomfort. The surgery is done in one day, typically in about two hours. There are sedation options available for this procedure for those patients who want to relax through the procedure.
Is Treatment Expensive?
The cost of treatment varies depending on the number of implants, if a new denture needs to be made,

if the patient desires sedation, or if there needs to be more bone added to have a good result. Costs are variable and should be weighed against factors such the education of the doctor, the results from other patient experiences, and the quality of the product you are receiving.
Discover the difference dental implants can make for you.

–
–
–
–


Our patients mean the world to us (and they love to refer to us as friends and family). My team works together to ensure your visit is enjoyable, and that your treatment is gentle and pain-free. We are deeply committed to help you prevent and treat periodontal (gum) disease, and to enhance your smile to improve your overall health.



By Jeffrey L. Brown, DDS Sleep & TMJ Therapy
Living with TMJ (temporomandibular joint) pain can be challenging but understanding its causes and seeking professional care are key steps toward finding relief. The pain is real and affects everything surrounding jaw muscles to other parts of the body. Whether your discomfort stems
from difficulty with everyday activities like eating or speaking, or other long-term impacts on overall health like migraines or hearing difficulties, the underlying factors need to be addressed and identified early. This can prevent long-term complications and improve your quality of life.
TMJ disorder’s (TMD) most common symptoms include bruxism (chronic teeth grinding and clenching), jaw pain, clicking or popping sounds,




Jeffrey L. Brown, DDS
limited jaw movement, misaligned bite (missing teeth or abnormalities), headaches, earaches, connective tissue disorders (EDS, arthritis, or Lupus), and even neck and back pain. It is important to figure out what is causing these symptoms as one type of appliance or therapy may not be the correct path to solve the problem. Typically, the most common symptom is popping and clicking that is heard. This means the disc that sits on top of the condyle is slipping off when the jaw opens and pops back into place when the jaw closes. The second most common is bruxism. This is the group of muscles surrounding your jaw that function in speaking, grinding, and eating. The muscle tension can stem from your body naturally trying to get the disc back in place. The ear symptoms (pain, congestion, or ringing) generally are caused by the jaw being misaligned and the disc pushing against the ear canal or the jaw joint itself. The key to successful treatment is to know the cause first. Every patient’s situation is unique and involves careful evaluation and discussion.
Achieving a proper diagnosis and an effective treatment plan will involve a number of diagnosis methods. The combination of techniques to identify the root cause of TMD include:
Dr. Jeffrey Brown has limited his practice to focus only on TMJ Disorders, Craniofacial Pain Management and Sleep Apnea. By fixing slipped discs in the jaw joints, Dr. Brown can significantly reduce the pain patients experience in the head/neck region and other symptoms associated with jaw joint problems. Sleep & TMJ Therapy may be able to improve the quality of life for you or a loved one – we encourage you to contact us with any questions or concerns.
“Dr. Brown and his staff are absolutely wonderful. I was diagnosed with Dystonia. I could not turn my head and had a ton of pain. My doctors offered no help and no advice besides Meds and Botox. Since having the appliance I have NO pain and I can turn my head. I would highly recommend them to anyone. I feel Dr. Brown and his staff really care about their patients and helping them to get better. They do not just numb the symptoms but fix the problem. Thank you from the bottom of my heart. I feel like the old me again!”
- D. Thomas
“My daughter has been treated by Dr. Stack and Dr. Brown for the last 2 1/2 years, and we are very fortunate to have found them. Prior to that she was being treated by a neurologist at a Children’s hospital. She was on medications for tics and associated muscle pain, OCD/repetitive thoughts, sleeplessness and more (all possibly associated with Tourettes). Drs. Stack and Brown installed spacers to alleviate pressure on nerve bundles in the jaw, and subsequently braces to complete the process. Her symptoms have diminished significantly. She is off medication, her tics have all but disappeared, she can concentrate better in school, and she is once again cheerful and relaxed.”
- Susan
Medical/Dental History and Symptom Review: The history of the patient provides possible understanding of any conditions causing the joint or bite problems. Understanding the onset, frequency, and severity of symptoms helps narrow down potential causes.
Physical Examination: The provider will evaluate tenderness throughout the muscles (head, neck and shoulders), and alignment, as well as listening for any sounds.
Imaging Needs: CBCT X-Rays are used to see the bone (head and neck) showing any possible causes. The MRI is used to see the soft tissue. How the disc behaves in the open and closed positions. Knowing the structure of the joints and surrounding tissues is critical with treatment.
Bite Analysis: Alignment and occlusion (how your teeth meet when biting) are evaluated to determine if a misaligned bite is contributing to the issue.
Don’t let TMJ pain hold you back from enjoying life’s simplest pleasures. TMD is complex but it is treatable most of the time without surgery. Reach out to your dentist to get a referral to a specialist. Your journey to wellness begins here.

By Lubrina Bryant, DPM District Podiatry, PLLC
Pain in the big toe joint can stem from various conditions, with arthritis, bunions, and extensor tendonitis being common culprits. Arthritis in the big toe joint often leads to inflammation and stiffness, resulting in discomfort and limited movement. A bunion, characterized by a bony protrusion at the base of the big toe, can cause significant pain due to misalignment and increased pressure on the joint. Extensor tendonitis occurs when the tendons responsible for lifting the toe become inflamed, leading to pain and difficulty in movement.
Each condition can contribute to discomfort and mobility issues, making early diagnosis and appropriate treatment essential for effective management and relief. If you have pain in your big toe, it is suggested that you consult a podiatrist who can accurately diagnose the cause and offer you appropriate treatment solutions.
Toe pain can disrupt your daily activities. If you have any concerns, contact your local podiatrist immediately. A podiatrist can provide the care you need to keep you pain-free and on your feet.
Most severe toe pain is caused due to a sports injury, trauma from dropping something heavy on the toe, or bumping into something rigid. Other problems can develop over time for various reasons.
Toe pain can be caused by one or more ailments. The most common include:
• Trauma
• Sports injury
• Wearing shoes that are too tight
• Arthritis
• Gout
• Corns and calluses
• Hammertoe
• Bunions
• Blisters
• Ingrown toenails
• Sprains
• Fractures (broken bones)
• Dislocations
When To See a Podiatrist
• Severe pain
• Persistent pain that lasts more than a week
• Signs of infection
• Continued swelling
• Pain that prevents walking
In many cases the cause of toe pain is obvious, but in others, a podiatrist may want to use more advanced methods to determine the problem. These can range from simple visual inspections and sensation tests to Xrays and MRI scans. Prior medical history, family medical history, and any recent physical traumatic events will all be taken into consideration for a proper diagnosis.
Treatments for toe pain and injuries vary and may include shoe inserts, padding, taping, medicines, injections, and in some cases, surgery. If you believe that you have broken a toe, please see a podiatrist as soon as possible.
If you have any questions please feel free to contact your local podiatrist. They can offer the newest diagnostic tools and technology to treat your foot and ankle needs.


Our feet are important in our everyday lives. The problem is that we tend to neglect them. When this becomes a habit, it can cause significant trouble. Ignoring foot problems can mean pain, limited mobility, and expensive doctor’s visits. On the other hand, if feet are cared for and looked after regularly, they will perform without pain or complication.
Saving
Tired of diets that leave you hungry, weak, and right back where you started? Weight loss is not a punishment. It’s a learned behavior. You don’t need quick fixes — you need real change. No more crash diets.
Crash diets may promise fast results, but they come at a cost: Nutrient Deficiencies – Low Energy – Muscle Loss
• Learn Sustainable Habits that
• Eat
• Move consistently — not obsessively
• Build daily routines — not temporary willpower You can nourish your body while burning fat — the right way. You can feel stronger, not just smaller. Start today. Fuel your goals. Change your life.


Services

By Lynda Dean-Duru, DDS Ashburn Children’s Dentistry
Proper breathing during sleep is crucial for the overall well-being of children, yet many parents may not be fully aware of potential issues related to Sleep-Related Breathing Disorders (SRBD), which includes pediatric obstructive sleep apnea (OSA).
SRBD refer to disturbances in normal breathing patterns during sleep, ranging from common snoring to more severe pauses in breathing known as apnea events. These interruptions can lead to sleep deprivation and a variety of health complications. In the case of
Implants, Implant Crowns, Invisalign, CEREC, Crowns, Root Canals, Cosmetic Dentistry, iTero Digital Scanner, Tooth-Colored Fillings and Extractions.

Dr. Afreen
children, untreated SRDB can result in developmental, behavioral, and emotional challenges, potentially leading to conditions like allergies, ADD/ADHD, and depression.
Pediatric OSA, a condition where the airway is partially or completely blocked during sleep, is often caused by enlarged tonsils or adenoids and a lack of tongue space. It differs from adult OSA, as it may manifest alongside behavioral issues and daytime sleepiness in children.
The Importance
Sleep
During the first 18 months of a child’s life, crucial growth and developmental milestones occur, many of which are related to facial development. Ensuring proper breathing is essential for a child’s health and development, impacting facial features, jaw development, and overall growth. Mouth breathing can set off a chain reaction of issues, altering the growth of the lower and upper jaws, midface, and nasal bones, ultimately affecting
Please see “Healthy Smiles,” page 35
Same Day Appointments Emergencies Welcome All Digital Technology
Convenient Hours: Open Evenings and Weekends Comfortale, Relaxing Atmosphere
General and Cometic Dentistry Nitrous Oxide Sedation All Major PPO Insurance Plans

Alliances, Smiles



Submitted By Sivakumar Sreenivasan, DMD, MDS Dental Implant Center of Rockville
Can just four implants replace all of the teeth on the top or the bottom of your mouth? Thanks to advances in dental implant technology, that answer is a resounding yes.
Tooth loss is extremely common among adults, especially as we age. Rather than living with the discomfort
and hassles of dentures, many people are opting for what is called “all-onfour” dental implant restoration.
An implant is a small titanium screw that fits inside your jawbone and replaces the root-part of a missing tooth. Minor surgery is required to insert the implants. Once the implant is in place, a crown is attached to give you a highly realistic-looking and functional prosthetic tooth.
You do not need a dental implant for each and every one of your missing

9010 Lorton Station Boulevard, Suite #260, Lorton, VA 22079
Secondary Location Opening Soon: 7617 Little River Turnpike, Suite #900, Annandale, VA 22003
*we offer complimentary consultations*
Specializing in treatments for adults and children. Our office offers a wide range of appliances including traditional braces, clear braces and Invisalign. We are equipped with state of the art technology to ensure our patients receive the best treatment.
teeth. All you need is four precisely placed implants on the top of your mouth, and four on the bottom, to restore your full smile. That’s the beauty of the all-on-four. And because the implant is made of titanium, it has the unique ability to fuse to living bone and function as part of it. So eventually, the dental implant becomes part of the jawbone and serves as a strong, longlasting foundation for your new teeth.
Besides ensuring that your implants are permanently fixed in place, this bone fusion has another important benefit: it prevents future bone loss in the jaw. This helps to maintain a more youthful facial structure – and better oral health. But perhaps the biggest surprise about the all-on-four is how quickly it can transform your life.
What’s The All-On-Four Dental Implant Procedure Like?
First, either local or general anesthesia will be administered.
Second, the dentist or surgeon will prepare your mouth for the implants, which involves removing your remaining teeth that are failing. They will then remove any diseased or infected tissue from your jaw and gums.

Next, they will insert the titanium screws into your jawbone. Most likely, they will place two implants toward the front of your mouth and two towards the back of your mouth so the “anchors” can evenly bare the force of the denture.
After the implants have been placed, they will thoroughly clean the surgical sites and suturing all the incisions. Then you’ll be taken to a recovery room where you can relax and take time to wake up from the anesthesia.
Schedule a consultation with an All-On-Four provider. It’s the best way to find out how dental implants can change your life.



deserve.


By Mara Holton, MD Anne Arundel Urology
Kidney stones are a common and painful condition that affect millions of people worldwide. They occur when certain substances in urine— such as calcium, oxalate, and uric acid—crystallize and stick together, forming hard deposits. These stones can range in size from a grain of sand to a golf ball, and depending on their size, they may pass on their own or require medical or surgical treatment.
Kidney stones are solid pieces of material that form in the kidneys when the concentration of certain minerals in your urine becomes too high. The stones may stay in the kidney or travel through the urinary tract, which includes the ureters (the tubes that carry urine from the kidneys to the bladder), the bladder, and the urethra (the tube that carries urine out of the body).
There are several types of kidney stones, classified based on their composition:
1. Calcium Stones: The most common type, typically made of calcium oxalate or calcium phosphate. Oxalate is a naturally occurring substance found in some foods.
2. Uric Acid Stones: More common in people who don’t drink enough fluids, have a high-protein diet, or have gout.
3. Struvite Stones: These can form after a urinary tract infection and grow quickly.
4. Cystine Stones: Rare, occurring in people with a hereditary disorder called cystinuria.
Causes Of Kidney Stones
Kidney stones form when your urine contains more crystal-forming substances than the fluid in your urine can dilute. Risk factors for developing kidney stones include:
• Dehydration: Not drinking enough water can lead to concentrated urine, making it easier for stones to form.
• Diet: A diet high in salt, protein, and sugar can increase your risk. Foods high in oxalates, such as spinach, nuts, and chocolate, can also contribute.
• Family Or Personal History: If someone in your family has had kidney stones, you’re more likely to develop them.
• Medical Conditions: Conditions like gout, hyperparathyroidism, and
urinary tract infections can increase your risk.
• Medications: Certain medications, such as diuretics, antacids, or medications for seizures, may increase the likelihood of stone formation.
Symptoms Of Kidney Stones
Symptoms of kidney stones may not be noticeable until the stone begins to move within the kidney or into the ureter. When this happens, symptoms can include:
• Severe Pain: Often in the back or side, below the ribs. The pain may spread to
the lower abdomen and groin.
• Painful Urination: You may feel discomfort or a burning sensation when urinating.
• Blood In the Urine: Your urine may appear pink, red, or brown.
• Cloudy or Foul-Smelling Urine: This could indicate an infection.
• Nausea and Vomiting : These symptoms often accompany the pain.
• Frequent Urination: You may feel an urgent need to urinate more often than usual.

• Fevers & Infection : In some cases, stones can be associated with bladder, kidney or even systemic infections such as sepsis.
To continue reading this article, please visit: https://yhm.news/AAUrology2




ARLINGTON OFFICE 2955 S. Glebe Road, Arlington, VA
PURCELLVILLE OFFICE 17337 Pickwick Drive, Unit A, Purcellville, VA
info@novarehab.com


At Fairlington Dental, we understand the connection between a healthy smile and a healthy body. As a result, we look at the whole person to discover the reasons a patient may have gum disease or a bad bite. A number of studies link heart disease and other serious conditions to the presence of periodontal (gum) disease. This research makes it vital that we take a Complete Health approach to your dental care. Dr. Rogers will listen to you, conduct a careful assessment, and carefully explain your proposed customized wellness plan. He will then take the time to answer all of your questions. You become a partner in your oral health goals!
Our team has mastered the techniques of gentle dentistry and is skilled at helping patients with any level of apprehension relax and grow comfortable with visiting the dentist. Anxiety and tension have a variety of sources, so it’s important for us to listen to your concerns as well as your goals and history. Then we address your anxieties and proceed with gentle treatment only when you’re ready. We deliver all of this in an office that is environmentally aware, while you enjoy a variety of spa-like amenities during your visit. One of our greatest joys is helping patients smile again, especially those who may not have seen a dentist in a while. You’ll be amazed at how the quality of life can change! We strive to create a partnership with you that starts the moment you walk through our door.

By Erik A. Ward, DC, CSCS, CCSP NOVA Weight Loss Solutions
Semaglutide and Tirzepatide (GLP-1) are compound medications used to assist with weight loss treatment. They have demonstrated their efficacy in reducing appetite and food intake through clinical trials. By activating brain receptors responsible for hunger and satiety, they induce a sensation of fullness and diminishes the desire to eat. Common brand names are: Mounjaro, Ozempic & Wegovy. In weight loss trials, individuals administered with semaglutide or tirzepatide medications experienced significant reductions in body weight
and BMI compared to those who received a placebo. This medication is injected once a week and complements a reduced-calorie diet and increased physical activity.
There have been several antiobesity medications that help to suppress appetite and achieve weight loss, but GLP-1 for weight loss performs on an whole new level. Early studies of 2000 adults compared people using this medication plus changes to their diet with people who made the same lifestyle changes without using the medication. After 48 weeks, half of the participants using GLP-1 lost 20% of their body weight and nearly a third lost 25%. Participants who only incorporated lifestyle changes lost about 2.4% of their body weight.
Micro-dosing of this medication has also show to be very effective in helping to lose weight and tone the body. Micro-dosing is taking GLP1 in smaller doses than what would be normally prescribed for standard care. This solution is for the person who wants to lose 5% to 8% of their body weight and tone specific areas of the body.

By Michael Rogers, DDS Fairlington Dental
Your mouth is more than just teeth. It is a vital part of your overall health and well-being. Integrative dentistry recognizes this connection by combining traditional dental care with a holistic approach that considers your entire body. This method goes beyond treating symptoms and









focuses instead on understanding how your oral health impacts and is impacted by your overall wellness.
Why
Oral health is closely linked to systemic health. Conditions like gum disease have been associated with heart disease, diabetes, and respiratory issues. Integrative dentistry addresses these links by evaluating your dental health in the broader context of your body’s systems. This comprehensive perspective allows for more personalized care that supports both your mouth and your overall health.
In addition, integrative dentistry emphasizes safe biocompatible materials and minimally invasive techniques. For example, it considers alternatives to traditional mercury fillings and uses advanced diagnos

Laser assisted treatments for bone regeneration and implant procedures.
Reducing chance of root canal by 90% and keeping the tooth nerve alive
Complete disinfection of surgical sites and clearing of jaw infections
Clearing the inflammation and infection of the gums
Obstructive sleep apnea treatment with NightLaser procedure reduces snoring and enhances upper airway soft tissue function.
TMJ joint and muscle inflammation reduction
No need for injections or numbing during the filling process.
Gum disease, Cold sore and ulcer elimination
Laser application reduces dentin sensitivity and disinfects tooth during tooth restoration.



Northern Virginia families now have a new option for high-quality, compassionate dental care with the grand opening of SmileWorld Pediatric Dentistry in Lorton. The new office is led by Dr. April Toyer, a Board Certified Pediatric Dentist and well-known local provider, whose longstanding reputation for excel -
lence began at Lifetime Dental Care in Woodbridge.
With the opening of SmileWorld, Dr. Toyer builds on years of experience treating children with a calm, reassuring approach that puts both kids and parents at ease. The Lorton office represents her deep commitment to making dentistry less
stressful—and even enjoyable—for children, while giving families access to the highest standard of pediatric care available in the region.
This new practice is specifically designed with children in mind. From the colorful, welcoming atmosphere to child-sized amenities and sensory-friendly accommoda -

tions, every detail at SmileWorld aims to reduce fear and create positive associations with dental care.


dental fear ends and healthy smiles begin.
At SmileWorld Pediatric Dentistry, we make going to the dentist a joy – not a fear. From toddlers to teens, our kid-friendly, anxiety-free care helps every child feel safe, seen, and celebrated.
Led by Dr. April Toyer, a Board Certified Pediatric Dentist with a gift for connecting with kids (even the anxious ones!), we’re here to build lifelong confidence – one smile at a time.
“Our mission is to give every child a healthy smile and a positive foundation for lifelong dental habits,” says Dr. Toyer. “We’ve created a space that feels safe, comfortable, and even fun.”
SmileWorld offers comprehensive pediatric dental services, including infant exams, cleanings, fluoride treatments, sealants, space maintainers, crowns, extractions, frenectomies, and emergency dental care. For children who need extra support, the practice also offers nitrous oxide (laughing gas) and in-office IV sedation, administered safely and with parental guidance. The goal is always the same: to make visits efficient, stress-free, and tailored to each child’s needs.
Dr. Toyer completed her dental training at the University of Maryland and her Pediatric Residency at Howard University. She is a Diplomate of the American Board of Pediatric Dentistry, an active member of the Virginia Dental Association House of Delegates, and serves as a consultant for the American Academy of Pediatric Dentistry’s Committee on Sedation and Anesthesia. With SmileWorld now open in Lorton, Dr. Toyer expands access to families throughout the area—including Woodbridge, Alexandria, Springfield, and beyond—who are seeking specialized dental care in a supportive, kid-centered environment. The new office is now accepting new patients and most major insurance plans, with flexible scheduling and payment options available.
Parents looking for a dental provider who combines clinical excellence with genuine care will find exactly that at SmileWorld Pediatric Dentistry—where every smile matters, and every child is treated with the patience, expertise, and kindness they deserve.


Choose Adventist Medical Group Primary Care in Fort Washington, Maryland, to provide a full range of primary care services for adults.
Learn to better manage your health and prevent illnesses with personalized care from our experienced, primary care providers. Our specialists in family medicine and internal medicine work as a team to deliver expert care when you need:
• Same-day Sick Visits
• Women’s and Men’s Health and Wellness Exams
• Health Physicals, Health Maintenance and Preventive Care
• Geriatric (Senior) Wellness Exams
• Vaccinations and Immunizations, including Flu Shots
• Health Management for:
• Asthma and Allergies
• High Blood Pressure
• High Cholesterol
• Diabetes
• Heart Disease
You also benefit from coordinated care that helps you effectively handle all aspects of your health—from preventive medicine and preoperative appointments to management of chronic health conditions.
To schedule an appointment, please call 240-724-6018 10709 Indian Head Highway, Suite D1 Fort Washington, Maryland 20744 AdventistMedicalGroup.org

Michael Rogers, DDS, is pleased to be able to offer beautiful smiles to his neighbors in Arlington and the surrounding communities. Dr. Rogers earned his dental degree from UCLA after graduating cum laude from Harvard University. Prior to entering private practice, he served a general practice residency at Sepulveda Veteran’s Hospital. Dr. Rogers has invested significant time into ongoing education, seeking to learn emerging dental technologies and techniques in the areas of cosmetic dentistry, implant dentistry, sleep apnea treatment, orthodontics, temporomandibular joint (TMJ) disorders, and safe amalgam replacement. His most recent training in airway management has allowed him to offer a cure for sleep apnea using an intraoral device known as the DNA appliance. He is a member of the International Academy of Oral Medicine and Toxicology, American Academy of Dental Sleep Medicine, American Academy of Craniofacial Pain, and also of Mercury-Free Dentists. He has served as a guest author for TMJ News & Views, and when that publication ceased, began his own quarterly newsletter. You may have seen one of his television interviews on “A New Me” or the local PBS station, or seen his articles and features in Ladies’ Home Journal, Arlington Magazine, and New Beauty Dr. Rogers is an active participant in the community as a sponsor for Encore Theater, Little League of Alexandria, Abingdon Elementary, and the local Fairlington Farmer’s Market. He and his wife Terri enjoy spending time with their daughter Megan and her husband Corey traveling around the country and the Caribbean.



Dr. Brown’s practice focuses on TMJ, sleep apnea and orthodontics. This allows Dr. Brown and his team to provide individualized, focused care for patients dealing with these specific issues. Every day, his practice helps patients of all ages with facial development, sleep issues, chronic headaches, migraines, neck pain, movement disorders, and much more. His training also includes multiple disciplines involving the cranial bones in the skull, and the discs in the jaw joints. Through treatment, Dr. Brown is able to reduce these symptoms, align cranial bones, avoid extractions, and greatly reduce the need for traditional braces.
His expertise allows him to identify issues early on which promotes proper facial development using dental appliances. If there is an internal imbalance, whether an adult or child, the body does not develop or function properly. When the cranial bones are lined up correctly, patients are able to function, sleep and generally live better.
With that in mind, the team at Sleep & TMJ Therapy takes a whole-body approach when treatment planning. They work hand in hand with physical therapists and osteopathic doctors for a better success rate. Dr. Brown is devoted to helping patients of all ages live a symptom free life.
Degrees & Certifications
Dr. Brown earned his degree from Georgetown Dental School and completed residencies with Emory University Hospital for Dental Sleep Medicine and the ALF Appliance Therapy Institute.
Outside the Office
When not seeing patients, Dr. Brown is a sought-after speaker. He has lectured all over the world, including D.C., Dubai, Seoul, London, Norway and Toronto. He has also been featured on Channel 9’s Good Morning Washington, several podcasts, and numerous magazines and journals.
Professional Affiliations
Dr. Brown is a diplomate of the American Academy of Craniofacial Pain, a member of the American Academy of Dental Sleep Medicine, American Academy of Gnathological Orthopedic, Academy of Integrative Pain Management American Dental Association, a Fellow of the American Academy of Craniofacial Pain, and Legacy Provider for the ALF Interface Academy.
Do you have TMD or Sleep Apnea?
TMD Symptoms: Noise in the jaw joints when opening and closing your mouth, difficulty chewing, limited opening, tender facial muscles, ear ringing, uncomfortable bite, jaw locking, headaches, migraines, dizziness, vision issues as well as pain in the jaw area which can radiate to the ears, head, neck, shoulders, and back.
Sleep Apnea Symptoms: Snoring, waking up gasping for air, feeling tired and irritable in the morning, difficulty controlling weight, concentration problems, morning headaches, episodes of not breathing, waking with a sore throat, forgetfulness and mood changes. If you believe you may be suffering from TMD or Sleep Apnea, don't wait... Call today to schedule a consultation with Dr. Brown: 703-821-1103.

Dr. Smith is a dentist who also specializes in treatment of gum disease, cosmetic smile enhancement procedures, and dental implants to replace teeth that are missing. Although no one likes to go to the dentist, he strives to make your visits as comfortable and pleasant as possible. He strongly believes that value and comfort is an important part of quality dental care. The right to choose a dentist and provider of care is an important freedom. Referrals from patients and friends of the practice are welcome. We also work closely on referral from your family dentist, but a referral is not required to visit our office. Everyone that is interested in keeping their teeth for a lifetime should see a periodontist for screening.
Dr. Smith’s colleagues describe him as a gentle, easy-going person that provides expert care to patients. People come from near and far to experience the comfort of his office and patient-oriented team. He has been consistently voted by his peers a Top Dentist in Washingtonian Magazine , and Northern Virginia Magazine
WHAT TO EXPECT ON A VISIT
WITH DR. SMITH:
Dr. Smith says that “From the first phone call you will be treated with care and concern for your unique dental condition. Every question you have ever had about your dental health will be covered as well as any financial considerations you may have. It is my goal to care for each and every person that comes through my doors and to exceed your expectations from a dental office. I promise to always give you honesty and accuracy when it comes to your treatment. I will never start treatment without your full knowledge, understanding, and acceptance of your condition.”
Degrees, Training and Certificates:
Nov 11-15 & Be Entered to Win 4 Free Commanders Tickets
Doctor of Dental Surgery Degree from the University of California, Los Angeles 1981. General Practice in the U.S. Air Force Dental Corps. Successfully completed three additional years of advanced training in the specialty of Periodontics, Dental Anesthesia and Implants in 1992 at the University of Texas Health Science Center, San Antonio and Wilford Hall USAF Medical Center. Retired from the U.S. Air Force as a Lieutenant Colonel in 1996. Fellowship in the Academy of General Dentistry and in DOCS, a sedation organization for dentists. 6035 Burke Centre Parkway Suite #200, Burke, VA

A native of New Jersey, Dr. Stephen Price attended the University of Connecticut on a football scholarship, and earned his Doctorate of Dental Surgery from Georgetown University School of Dentistry in 1973.
For over 50 years Dr. Stephen Price has been doing procedures such as implant placements, full mouth reconstruction, porcelain crowns, and surgical extractions. He is most proud of all of the smiles that he has created in patients that have completely changed their lives. says Dr. Price and his team set themselves apart in the industry by listening to their patients’ wishes and needs, and understanding their apprehension. They go the extra mile to make them feel comfortable during treatment, and treat their patients like family.
In 2017 Dr. Price, an Elite Invisalign® provider and a Certified Invisalign® instructor, was honored as the best treatment winner at the Invisalign® Summit in Maryland. He is a member of the American Dental Association, the Northern Virginia Dental Society, and the Virginia Dental Society.



Skill and compassion go hand in hand when providing exceptional patient care. As a dental professional, Dr. Wilson stays up to date on the latest advancements in dentistry in order to provide the most current treatment options for her patients. As a doctor, she recognizes that her patients are unique individuals who have placed a great deal of trust in her and her team. That is just one reason why she values each and every patient relationship.
Dr. Wilson has an enduring passion for the practice of dentistry! She is committed to educating her patients on their unique oral health concerns and creating a comprehensive dental care plan that works for them. Dr. Wilson takes time to listen to each patient’s concerns, forging a real partnership with the goal of good oral health. She loves helping patients with dental fears become dental fans.
She appreciates the time you’ve taken to find out more about her dental practice, and the many services she and her team provide to help you achieve optimum oral health: Preventative Care • Exams and Cleanings • Fluoride Treatment • Oral Cancer Exam • Porcelain Veneers • Porcelain Crowns • Dental Implants • Cosmetic Dentistry • Invisalign • Periodontal Disease Treatment • Tooth Extractions




• Cosmetic dentistry
• Pediatric dentistry
• Sedation dentistry for kids
• Invisalign for kids and Adults
• Braces
• Implants and oral surgery
• Comprehensive dental care through one trusted practice
• “Privately owned for 30 years”
• Quality, results-oriented doctors
• Supporting many local teams and associations
540-785-4494 – Herndon: 703-719-5828
Purcellville: 540-338-9400 – Reston: 703-719-5828 Springfield: 703-719-5828
At Let’s Smile, we’re proud to be a privately owned, multi-specialty dental practice serving patients of all ages. With multiple convenient locations across the DMV, we offer comprehensive care under one roof, making high-quality dentistry and orthodontics more accessible than ever.
Our experienced team provides everything from general cleanings and braces to cosmetic dentistry, implants, and oral surgery — all delivered with the latest technologies and a personalized approach that puts our patients first.
As the founder of Let’s Smile, I’ve been practicing orthodontics since 1994. This year, we celebrate 30 years of creating beautiful, healthy smiles and are honored to be a Diamond Plus Invisalign® provider, placing us among the top practices in the country. Many local dentists even trust us with their own families — a testament to the quality of care we provide.
We look forward to welcoming you to Let’s Smile and helping you achieve the smile of your dreams!

Dr. Mary Alexander, periodontist, obtained a Bachelor of Science degree in Biology from the University of South Carolina and continued her education in dentistry at the University of Maryland School of Dental Surgery where she received her DDS degree. Prior to and during her dental studies, Dr. Alexander received funding and support from the National Institutes of Dental Research for her involvement in the periodontal research. After obtaining her DDS degree Dr. Alexander spent one year at the Veteran’s Administration Hospital, in general practice residency focusing her training in the area of anxiety patient management. She then attended Harvard University and earned her clinical specialty in periodontics and a doctorate in medical science. Her doctoral research was focused in the study of bone function and metabolic disease of the bone.
Dr. Alexander received extensive training in dental implantology, periodontal plastic surgery, bone regenerative procedures and sedation dentistry. All aspects of Dr. Alexander’s training are incorporated in her periodontal practice assuring patient’s thorough and comprehensive periodontal treatment.




dental school again at Boston University and Oral and Maxillofacial Surgery residency at University of Medicine and Dentistry of New Jersey.
As an Oral and Maxillofacial Surgeon, Dr. Sreeni manages a wide variety of problems relating to the Mouth, Teeth and Facial Regions. He practices a full scope of Oral and Maxillofacial Surgery with expertise ranging from Corrective Jaw Surgery to Wisdom Teeth Removal. His passion is in implant surgery and he is well known for same day placement of implants following teeth removal be it for single teeth or a complete “makeover” (Smile in a day). He can also diagnose and treat Facial Pain, Facial Injuries and TMJ disorders and perform Bone Grafting and Sinus lift procedures.
Dr. Sreeni completed a Residency in Anesthesiology at Mount Sinai Hospital, New York in 1994 and has worked as an Attending providing anesthesia services for children and adults in the ambulatory outpatient center of the hospital.
Dr. Sreeni is an Advanced Cardiac Life Support instructor with the Adventist group. He is also certified in Pediatric advanced life support and is very capable of handling emergencies that could possibly arise in the office. Dr. Sreeni’s staff are trained in assisting with IV Sedation/ General Anesthesia within our state of the art office setting. Patients are continuously monitored during and after surgery. The goal of our office is to provide professional service with compassion and an understanding of the patients’ perspective.


At Smileworld Pediatric and Adolescent Dentistry in Lorton, VA, we’re proud to have April Toyer, DDS, FAAPD, as a leading board-certified pediatric dentist dedicated to delivering exceptional care for children of all ages.
Dr. April brings a unique blend of expertise, warmth, and dedication that truly sets her apart. A proud “army brat” who settled in Bowie, Maryland, she earned her degree in biology and bioethics from the University of Virginia. It was during her time volunteering at the Charlottesville Free Clinic that she discovered her passion for dentistry and helping others. She went on to earn her dental degree from the University of Maryland, where she also participated in the Pediatric Dentistry Clerkship program—an experience that solidified her love for working with children.
Dr. April completed her pediatric dental residency at Howard University, where she received specialized training in child-focused behavior guidance, restorative care, and dental outpatient surgery under general anesthesia. She became a Diplomate of the American Board of Pediatric Dentistry in 2011, a distinction that represents the highest level of credentialing in pediatric dentistry. Her certification assures parents that she meets the rigorous standards of excellence in care for infants, children, teens, and patients with special health care needs.
Whether your child needs routine preventive care, cavity treatment, or support with dental anxiety, Dr. April brings a calm, caring presence and a child-centered approach to every visit. She believes in the power of prevention and is passionate about educating families on how to build lifelong healthy habits.
Beyond the office, Dr. April is a wife, mother, and creative spirit who enjoys writing, playing piano, marital arts, swimming, and spending time with her family. She is actively involved in organized dentistry, serving in the House of Delegates for the Virginia Dental Association and consulting on the Committee of Sedation and Anesthesia for the American Academy of Pediatric Dentistry.
At Smileworld Pediatric and Adolescent Dentistry, Dr. April Toyer doesn’t just treat smiles—she builds trust, confidence, and lasting relationships with every family she serves. Come meet Dr. April and experience the difference in pediatric dental care. Your child’s healthiest smile starts here!





Mabir R. Sugatan was born in Barranquilla, Colombia with an innate ability for beauty and glamor. She inherited her talents, as both parents were in the industry and introduced her to the field at a young age.
After finishing her studies in fashion design, she turned her focus towards aesthetics, where she completed studies at the International School of European Aesthetics in 1995.
An industry leader in the field of Aesthetics, and an International Master Medical Aesthetician & Licensed Aesthetic Educator, Mabir has, for the past 30 years, trained Doctors, Nurses, and Estheticians within the non-invasive cosmetic industry.
Ever since we first opened the doors to Healthydermis, Mabir and her team of experts have been privileged to guide thousands of patients, including Miss Virginia and Miss Delaware, towards achieving incredible cosmetic results.
Our dedicated team of experts are always here to help you reach your aesthetic dreams and will always be more than happy to assist you in any possible way.







Your Space, Your Energy, Your Sacredness Yoga on a more relaxed, deeper level at home.
Mission: To help people to be comfortable in their own skin, to love themselves, like themselves and be themselves and most of all accept and forgive themselves. “I’m here for you”.
Specialized Degrees: Hypnotherapy, G.I.A. of America Gem (stone specialist), Advanced Yoga Training in Rishikesh India, continuing yearly training of Yoga and Ayurveda in Rishikesh India. Certified Astrologer – Charts interpreted for as little as $49. The Big 3: Sun, Moon, Rising Ascendant. Associations: Nath - (National Association of Transpersonal Hypnotherapists), NGH - (National Guild of Consulting Hypnotist), Y.A. (Yoga Alliance) Areas of Interest: Hypnosis for Everything, (Fears, Phobias, Nail biting and more), Ayurveda Yoga, Yoga for Couples, Yoga for Diabetes, Yoga Teachers Training, and Life Coaching..
How Hypnosis Can Help with Weight Loss
For many people, losing weight isn’t just about diet and exercise—it’s about changing habits and beliefs. Hypnosis offers a unique approach by targeting the subconscious mind, where behaviors like emotional eating, cravings, and self-sabotage often begin.
During hypnosis, individuals enter a relaxed, focused state where the mind becomes more open to suggestion. A certified hypnotherapist can use this state to help reframe negative thinking around food, body image, and selfcontrol. For example, you might be guided to visualize yourself making healthy food choices, feeling full after smaller portions, or enjoying movement instead of dreading exercise.
Hypnosis can also address the root causes of overeating, such as stress, boredom, or emotional triggers. Over time, it may reduce cravings for sugar or processed foods and reinforce healthier habits, making weight loss feel more natural and less forced.
While hypnosis isn’t a magic fix or a replacement for a healthy lifestyle, it can be a powerful complement to traditional weight loss strategies. By shifting your mindset, hypnosis can help you stay motivated, overcome plateaus, and stick with your goals for the long term.
For many, weight loss begins not on the plate—but in the mind.

Dr. Reddy has been serving the Lorton area for over 14 years as a fulltime orthodontist. She graduated Dental School with high honors from Boston University School of Dental Medicine. She has a deep desire to learn and treat patients in the field of Orthodontics and has pursued further specialty training in the field of Orthodontics and Dentofacial Orthopedics.
Dr. Reddy was invited to join the clinic faculty at UNLV, School of Dental Medicine. Before entering private practice, Dr. Reddy worked as a faculty member at UNLV, School of Dental Medicine, Orthodontics Residency Program
Professional Memberships
Dr. Reddy is an active member of many organizations, including American Dental Association, Virginia Dental Association, American Association of Orthodontics, Southern Association of Orthodontics and Northern Virginia Orthodontic Study Club.
Our practice’s top priority is to provide you with the highest quality orthodontic care designed just for you.
We offer the latest in equipment and technology such as 3D Scanner, digital X-rays, clear aligners, braces and retainer program. These are to ensure that you receive the most effective care possible.
We recognize that every patient has different needs, and we pride ourselves in the courteous service we deliver to each person who walks through our doors. We welcome children and adults to our office.
Dr. Reddy and her staff are committed to helping you achieve the smile you deserve – a healthy, beautiful one that you will be proud of. We would welcome the opportunity to earn your trust and deliver you the best service in the industry.



For over 18 years, Padmaja Yalamanchili, DDS, has been serving patients throughout Northern Virginia with her extensive dental expertise, personalized one-on-one care and state-of-the-art dental technology. She and the entire team at her practice Dr. Padmaja Yalamanchili, DDS, PC in Fairfax, VA are committed to helping patients achieve their healthiest, most beautiful smiles. She is wellreputed in the area, and she emphasizes on preventive dentistry.
Dr. Yalamanchili graduated with her Doctor of Dental Surgery degree from the New York University College of Dentistry in Kips Bay, Manhattan. This prestigious New York City institution is the third oldest dental college in the country and is a global leader in toptier dental care and innovation.
After earning her degree, Dr. Yalamanchili committed herself to serving patients throughout Northern Virginia with her clinical expertise and personalized care. She offers each patient her extensive knowledge and takes the time to customize a care plan to their specific oral health needs and smile goals. She serves patients of all ages through this tailored one-on-one approach. In fact, the rapport she builds with each patient leaves many fondly referring to her as “Dr. Y.”
Dr. Yalamanchili is a member of the American Dental Association, Virginia Dental Association, and Northern Virginia Dental Society. Dr. Yalamanchili is fluent in English, Hindi, and Telugu. When she’s not serving patients, you can find her spending time with her husband and two children, cooking, reading, watching a Bollywood movie, or practicing Bikram yoga.


Dr. Ghassan Jacklis and his dedicated team want you to feel comfortable in our office, and to know that when you come here, you will receive outstanding dental care and personalized service. Our associates have been working together for years, with many years of advanced training, which has allowed us to perfect our communication and better serve you. •







Ophthalmology by
Degrees, Training and Certificates: UCLA Medical School; Yale University Hospital for Residency; Louisiana State University for Cornea and Refractive Fellowship
Professional Memberships/Associations: American
Academy of Ophthalmology; American Society of Cataract and Refractive Surgery; International Society of Refractive Surgery
Areas of Interest: All laser custom LASIK; Cataract Surgery; Botox; Dermal Fillers; Cornea Comprehensive Ophthalmology
Practice Philosophy: Envision Eye and Laser is committed to delivering superior ophthalmic care with state-of-the-art technology and patient education in a caring, compassionate environment. We cater to a diverse population of adults and work with your primary care physician to improve the quality of your overall health and life. Your best vision is our focus.

Dr. Vikram Chauhan offers a patient-centric approach at a state-ofthe-art dental facility, creating beautiful smiles that are both aesthetically pleasing and functional. From dental implants, Teeth-in-a-Day, and full-mouth reconstruction to crowns and veneers, Dr. Chauhan is uniquely qualified to meet all your dental needs at his beautiful office in Vienna, VA.
Your Cosmetic, Restorative, and Implant Dentist in Vienna, VA, Dr. Vikram Chauhan, was born in Fairfax, Virginia. After completing his undergraduate degree in biology, he enrolled in the dental program at the Tufts University School of Dental Medicine, where he earned his Doctor of Medical Dentistry in 2018. He then attended the general dentistry residency program at Cabell Huntington Hospital through Marshall University in Huntington, WV. After completing his residency, Dr. Chauhan returned to Virginia and, in 2022, purchased his first practice in Vienna.
Dr. Vikram Chauhan takes pride in his expertise in implant dentistry. He has completed over 500 hours of implant-focused continuing education, including the 300-hour American Academy of Implant Dentistry-affiliated DC Maxicourse.
Additionally, Dr. Chauhan is licensed by the Virginia Dental Board to provide IV conscious sedation, making him one of the select few restorative dentists in Virginia certified and licensed to administer IV sedation.
When it comes to dental technology, we spare no expense. Dentistry in all its forms is continually changing, and we desire to remain abreast of the latest changes and advancements. This is why we proudly offer an array of technologies to improve the patient experience. Intraoral cameras, digital impression systems, digital X-rays, and even cone beam scanners are just a few of the state-of-the-art instruments and technologies offered in our dental office.


By Quansheng Lu, CMD, PhD, LAc Wholelife Chinese Medicine & Acupuncture Center
Over countless millennia, Traditional Chinese Medicine has unfurled its therapeutic embrace within the heart of China, casting its influence across horizons, notably igniting a luminous ascent in Europe and the

United States. An ever-swelling throng now turns its gaze toward the realm of Chinese medicine and its kindred spirit, Complementary and Alternative Medicine (CAM), seeking the nurturing touch of holistic healthcare. Painted upon the canvas of statistics by the National Center for Complementary and Alternative Medicine (NCCAM), the year 2007 witnessed a
Quansheng Lu, CMD, PhD, L.Ac www.wholelifeherb.com • luquansheng@gmail.com 301-340-1066 • fax: 301-340-1090
Guest professor, Henan University of Traditional Chinese Medicine (TCM) Chief TCM Physician, WFCMS; M.S. in TCM, Beijing University of TCM PhD in integrated medicine, China Academy of Chinese Medical Sciences Fellowship, Georgetown University & Children’s National Medical Center 3 patents, 8 books of TCM, 30 papers, 30+ years of experience in TCM
Low back pain • eczema • arthritis • allergies • cough • insomnia • paralysis obesity • nephritis • hepatitis • infertility • PMS • side effects of cancer treatment 416 Hungerford Drive, #300 Rockville, MD 20850 5022 Dorsey Hall Drive, #101 Ellicott City, MD 21042


and recognized, also where the satisfaction of all patients regardless of their background is the fundamental goal of our every action, with the practice of medicine being
and
as

remarkable transformation, with 38% of adults, 44% of those aged 50-59, and even 12% of the youthful cohort embarking on a CAM journey.
Within this multifaceted tapestry of medical exploration, epilepsy emerges as a poignant narrative thread, tracing its roots back to the ancient pages of the Chinese Medicine Classic, the Huang Di Nei Jing, penned more than two millennia ago. The venerable tradition of Chinese herbal medicine and the refined choreography of acupuncture stand as the principal pillars of this ancient healthcare symphony.
In the gallery of recent studies, a vibrant tableau of promise takes shape, capturing the potential of Chinese medicine’s potent blend of herbal alchemy and acupuncture in the treatment of epilepsy. Woven within this tapestry are the age-old remedies, with herbal blessings bestowed upon humanity since the dawn of antiquity. Consider, for instance, tian ma, the esteemed root of Gastrodia, a staple within China’s pharmacopeia,

renowned for its role in addressing epilepsy and other maladies.
The annals of medical history unveil an intriguing trio of cases, where individuals grappling with intractable epilepsy found solace through the traditional herbal formulation Bu-yanghuan-wu-tang. Echoing through the corridors of time are the resounding endorsements from reviewers, spotlighting studies that illuminate the potential anticonvulsant properties of Chinese herbal remedies like Qingyangsen and Zhenxianling, offering a harmonious note of hope with fewer dissonant side effects compared to conventional antiepileptic medications.
In the elaborate mosaic of healing, acupuncture emerges as a poignant brushstroke, gracefully wielded by Traditional Chinese Medicine.
Please see “Epilepsy,” page 35

By Janet V. Johnson, MD Loving Care Pediatrics
“First visit by first birthday.” This is the view of the American Academy of Pediatric Dentistry. Pediatricians agree. The American Academy of Pediatrics suggests that children who are at risk of early childhood cavities visit a pediatric dentist by age one. Studies have shown that preschoolaged children are getting more cavities. More than one in four children in the United States has had at least one cavity by the age of one. Many kids get cavities as early as age two.
To prevent early childhood cavities, parents first have to find out their child’s risk of developing cavities. They also need to learn how to manage diet, hygiene and fluoride to prevent problems.
But cavities aren’t all that parents need to learn about their child’s dental health. The age one dental visit lets parents discuss the following important facts
How to care for an infant’s or toddler’s mouth
1. Proper use of fluoride
2. Oral habits, including finger and thumb sucking
3. Ways to prevent accidents that could damage the face and teeth
4. Teething and milestones of development
5. The link between diet and oral health
After this first visit, the pediatric dentist will suggest a schedule of follow-up visits. In the past, dentists typically called for visits every six
Please see “Pediatric Dentist,” page 35

A neck lift can be performed for men and women of varying ages who are often frustrated by changes of the appearance of their neck and jawline. Depending on your age, a neck lift can be a short one-hour procedure to remove fat or a 3-hour procedure to remove fat, visible neck bands, and excess skin.
Remove Excess Skin (Cervicoplasty) • Liposuction to Remove Excess Fat
Remove or Alter Neck Muscles (Platysmaplasty)
Liposuction can be performed alone or with surgical removal of the fat under the chin through a small incision under the chin.
In patients with vertical bands in the neck, a platysmaplasty can be performed to reduce the appearance of the bands.
Sometimes a chin implant is recommended to improve the overall contour and help with excess skin.
Facelift (MACS LIFT)
























importantly—it’s about self-trust.
Build that trust with movement. Start with 15 minutes of walking each morning or stretch before bed. Try resistance bands or bodyweight exercises at home. You don’t need fancy equipment—you need consistency, intention, and the willingness to show up for yourself.
Nutrition, too, is part of this confidence equation. Feed your body to fuel it, not punish it. Eat meals that nourish—lean protein, complex carbs, healthy fats, and a rainbow of produce. Drink your water, not to shrink, but to thrive.
And remember—comparison is the thief of joy. Someone else’s
six-pack doesn’t cancel out your progress. Confidence grows when we stop chasing someone else’s version of beauty and start honoring our own.
As we embrace fall, don’t cover up your body out of shame. Wrap it in movement. Fuel it with care. Speak to it with kindness.
Your body has carried you this far—and it deserves your respect.
This season, don’t wait to feel good about your body.
Move with it. Eat for it. Believe in it.
Because the mirror may lie— but movement always tells the truth.
(5-10%) and fat (0-3%). For example, when you eat 100 calories from protein, your body burns 20-30% of those calories just processing the protein.
4. Muscle Building – Protein plays a key role in muscle growth and repair, helping you maintain muscle mass while losing weight. Muscle tissue accounts for around 25% of your resting metabolic rate. Combining protein intake with resistance training can help prevent muscle loss, which is a common issue for people who lose weight. Maintaining muscle mass keeps your metabolism high and lowers the chances of regaining weight. How Much Protein Is Optimal?
The recommended daily intake of protein is 46 grams for adult women and 56 grams for adult men, which is sufficient to prevent deficiency.
Anecdotal accounts intertwine with mouse studies, suggesting the potential efficacy of acupuncture against epileptic seizures and the cellular toll they bear. A Norwegian chapter adds to this tapestry, where a trial involving 29 individuals grappling with unyielding epilepsy explored the potential of acupuncture, revealing promising but
FroM page 8
However, individuals aiming to lose weight may require more.
Many experts recommend that protein should make up 30% of your daily caloric intake for weight loss. Alternatively, you can calculate your protein needs based on body weight, aiming for 0.7 to 1 gram of protein per pound of lean body mass (or 1.5 to 2.2 grams per kilogram). Athletes and individuals with specific fitness goals may need higher protein levels. Is a High-Protein Diet Right for Me?
A high-protein diet may not be suitable for everyone. For instance, individuals with chronic kidney disease should be cautious, as a high-protein diet could worsen kidney function. Always consult with your healthcare provider before starting a high-protein diet.
FroM page 32
not yet statistically significant results.
The choreography of healing, however, often calls for a dual performance, harmonizing herbal medicine with acupuncture in a synergistic dance. Typically spanning 3-6 months, this therapeutic pas de deux seeks to mend the discordant notes of epilepsy, crafting a melody of health and vitality.
months. However, this schedule may vary according to each child’s needs and risks. As the child grows, the dental team can help you, the parent, learn how to prevent common oral problems.
Before leaving the office, you should have a clear idea about
1. Your child’s development
FroM page 32
2. Your responsibilities
3. Follow-up care by the dentist
4. Your child’s likelihood of having problems with cavities or bite
You should have your questions answered. You also should know what you and the dentist can do together to make sure your child has excellent oral health.
the child’s facial balance. Pediatric Sleep-Related Breathing Disorders (SRBD) and OSA Symptoms
Children with SRDB may present a range of symptoms, including:
• Difficulty falling or staying asleep
• Sleepwalking, night terrors
• Excessive daytime sleepiness
• Mouth breathing, dry lips, bad breath
• Dark circles under the eyes
• Tonsil and adenoid problems
• Snoring, teeth grinding
• Inner ear infections
• Limited tongue/lip mobility
• Hyperactivity, difficulty concentrating
• Selective eating habits
• Bedwetting
In the case of pediatric OSA, symptoms may involve snoring, breathing pauses, restlessness, and coughing or choking episodes during sleep.
Dentist’s Role
Contrary to conventional belief, pediatric dentists with specialized training are well-equipped to ad -
dress symptoms related to sleep and airway conditions. The airway, mode of breathing, and malocclusion are closely interconnected and should be addressed early and holistically by dentists. Advanced technology, such as cone beam 3D imaging, allows dentists to effectively diagnose airway issues and guide proper growth and development. Early intervention is essential in guiding proper growth and development.
Convenient at-home sleep study tests are now available to diagnose pediatric sleep apnea and breathing issues. These tests provide comprehensive, accurate data for proper diagnoses.
Treatment goals encompass the elimination of detrimental habits, guiding optimal cranial, jaw, and facial development, preventing dental misalignment, and enhancing airway health and oxygen sufficiency. Various therapies, including oral appliances, myofunctional therapy and positive airway pressure therapy, can effectively alleviate symptoms.
tics to detect problems early. This approach prioritizes your safety and long-term well-being.
What
Choosing integrative dentistry means partnering with a dental team that listens carefully to your health history, lifestyle, and concerns. The goal is to tailor treatment plans that not only fix dental issues but also promote healing and prevent future problems.
This approach often involves collaboration with other health professionals, such as nutritionists or physicians, to ensure that your dental care supports your full-body health. It also includes education on how diet, sleep, and habits affect your oral condition.

FroM page 19
By focusing on prevention, early detection, and gentle care, integrative dentistry can help reduce inflammation, improve immune function, and enhance your quality of life. It is a patient-centered philosophy designed to create lasting health, not just quick fixes.
Integrative dentistry means looking beyond your teeth to care for your whole health. It is a guiding principle in everything we do. Using advanced diagnostic tools and a personalized approach, we work with you to understand how your oral health fits into your overall wellness. Whether treating chronic conditions or providing routine care, our focus is on safe, effective treatments that support your long-term health goals.
ACUPUNCTURE
Eastern Medical Holistic Healing Center, Angel Wood, 240755-5925. www.acupuncture4wellness.webs.com
ALTERNATIVE HEALTHCARE
Holistic Family Health - Thermal Imaging, Herndon, VA. 703-635-6324 For More information visit www.fhtid.com
BEAUTY/SKIN
A Better You, Dr. ClarkeBennett, 410-672-2742.
BREAST HEALTH
University of Maryland Charles Regional Medical Center. 11340 Pembrooke Square, Suite 202, Waldorf, MD 20603. 240-607-2010. UMCharlesRegional.org
CHINESE MEDICINE & ACUPUNCTURE
Wholelife Chinese Medicine & Acupuncture, 301-526-9898, 416 Hungerford Dr., Rockville www.wholelifeherb.com
DENTAL IMPLANTS
Dental Implants Center of Rockville – Dr. Sreenivasan Sivakumar, DMD, MSD –301-294-8700 – 77 South Washington Street, Suite #205, Rockville, MD 20850 – www.DrSreeni.com.
Karl A Smith, DDS, 2550 N. Van Dorn St., Suite #128, Alexandria, VA. Call 703-894-4867, Visit www.drkarlsmith.com
Richard Hughes, DDS, 703444-1152, 46440 Benedict Dr., Suite #201, Sterling, VA. www. SterlingImplantDentist.com
Marc P. Stanard, DDS – 202887-5441 – 1350 Connecticut Avenue, NW, Suite #305, Washington, DC 20036 – wdcperioimplant.com.
EYE CARE
Visual Eyes, Alexander Nnabue OD, 301-324- 9500.
FERTILITY
Montgomery Women’s Fertility Center – 301-946-6962 – MontgomeryFertilityCenter. com – Rockville, MD.
HOLISTIC WELLNESS COACH
Nutrition Lifestyle Digestion and More – Lisa@LisaThorne.Me – Text 269861-7565.
HYPNOSIS/YOGA
Toni’s Happy Hour Yoga and Holistic Wellness Center • 6504 Old Branch Avenue, Temple Hills, MD 20748 • 301-449-8664.
(Each line approximately 3-4 words)
MEDICAL SPACE
Charles L. Feitel Company, 301-571-9333, www.medicalanddentalspace.com.
MENTAL HEALTH SERVICES
House Calls, LLC. 301-3466732. callingonbeth@gmail. com. www.CallingOnBeth.net.
Nutritional Healing Center, Thomas K. Lo, DC, MA, 240-651-1650, 7310 Grove Road, Suite 107, Frederick, MD 21704. doctorlo.com.
Good Health Nutrition Services,LLC – 1300 Mercantile Lane, Suite 129-37, Largo, MD 20774 – 301-341-4680 –www.ghnutritionservices.com
– We accept Insurance.
OPHTHALMOLOGY
NewView Laser Eye Center – Jacqueline D. Griffiths, MD – Reston (703) 834-9777 – Visit us at www.NewViewEye.com.
All Smiles Orthodontics – 9010 Lorton Station Blvd., Suite #260, Lorton, VA 22079 – www. AllSmilesBraces.com – For info call us at 703 337-4414.
To Order: Include you NAME, ADDRESS, PHONE, EMAIL AND WHAT HEADING YOU WISH TO BE LISTED UNDER, AND ANY SPECIAL OFFER OR TEXT TO INCLUDE. We will prepare a proof and email to you for approval.
Email your information to: info@yourhealthmagazine.net or Fax to: (301) 805-6808. Call (301) 805-6805 for assistance.
MARYLAND/WASHINGTON, DC OFFICE
4201 Northview Drive, Suite #102, Bowie, MD 20716 phone: (301) 805-6805 • fax: (301) 805-6808 • email: Info@YourHealthMagazine.net VIRGINIA OFFICE phone: (703) 288-3130 • fax: (703) 288-3174 • email: Publish@YourHealthMagazine.net

Loving Care, Janet Johnson, MD – 301-403-8808.
PHYSICAL THERAPY/ REHABILITATION
Active Physical Therapy. Various Locations across Maryland and Washington, DC. Active-physicaltherapy.com.
Largo Foot and Ankle Health Center, Ade Adetunji, DPM, 301-386-5453.
District Podiatry – Lubrina Bryant, DPM – 202-388-5303 – 1140 Varnum Street, Suite #30, Washington, DC 20017 – www.DistrictPodiatry.com.
Chevy Chase Home Care. Help at a time you need it most. Any Ages. Any situations. Any shifts. MD, DC, VA. www.CHCHhomecare. com 202-374-1240.
AA Urology – Odenton, 1106 Annapolis Road, Suite #250, Odenton, MD 21113 – Glen Burnie, 305 Hospital Drive, Suite #303, Glen Burnie, MD 21061 – Bowie, 4201 Northview Drive, Suite #201, Bowie, MD 20716 – West Campus Surgery Center, 7855 Walker Drive, Suite #102, Greenbelt, MD 20770 – Greenbelt , 7855 Walker Drive, Suite #100, Greenbelt, MD 20770.






SUBSCRIBING IS EASY:
1) Call 301-805-6805 with your name, contact info, and credit card payment for $24, or
2) Simply mail this form along with your check for $24:
Your Health Magazine 4201 Northview Dr. Suite 102 Bowie, MD • 20716




Now you can get the latest issues delivered directly to your home!
• Health articles and advice
• Doctors near YOU!
• Maryland, Washington, DC & Virginia editions
• Only $24 for a year’s subscription (12 issues)!






Your smile is more than just teeth — it’s how you greet the world. Whether you’re tired of covering your mouth in photos, hiding stained or crooked teeth, or feeling discomfort when you chew, Smiles International can help you take back your confidence and restore a radiant, youthful smile.
From routine care to advanced cosmetic dentistry, our experienced team delivers natural-looking results in a modern, comfortable environment.
We specialize in:
• Invisalign® clear aligners for discreet straightening
• Teeth Whitening for a brighter, more youthful smile
• Veneers and smile makeovers to fix chips, gaps, and discoloration
• Complete family dental care — all in one place





Submitted
by ScholarsHub.net
In recent years, researchers have uncovered a fascinating connection between our digestive system and our brain—known as the gut-brain axis. This complex communication network links the gastrointestinal tract and the central nervous system, influencing not only digestion but also mood, cognition, and overall health.
The gut and brain communicate through multiple pathways, includ-
ing the vagus nerve, the immune system, and biochemical signaling via gut bacteria (the microbiome). This means that what happens in your gut can affect your brain—and vice versa. For example, stress can cause digestive issues, and an unhealthy gut can contribute to anxiety or brain fog.
The gut is home to trillions of microbes—bacteria, viruses, and fungi—that play essential roles in breaking down food, producing vitamins, and supporting immune function.
Many of these microbes also produce neurotransmitters like serotonin, dopamine, and gammaaminobutyric acid (GABA), which are critical for regulating mood and mental health. In fact, about 90% of the body’s serotonin is produced in the gut.
An imbalance in gut bacteria, known as dysbiosis, has been linked to conditions such as depression, anxiety, and even neurodegenerative diseases. Chronic inflammation in the gut can trigger immune responses that affect brain function, potentially contributing to mood disorders and cognitive decline.
Supporting a healthy gut can have far-reaching effects on brain health. Eating a diet rich in fiber, fruits, vegetables, fermented foods, and whole grains promotes the growth of beneficial bacteria. Limiting processed foods, added sugars, and excessive alcohol helps prevent harmful bacterial overgrowth. Regular exercise, stress management, and adequate sleep also play key roles in maintaining a balanced gut microbiome.
Scientists are exploring the potential of probiotics (beneficial bacteria) and prebiotics (fiber that feeds good bacteria) as therapeutic tools for mental health. While more research is needed, early studies suggest that improving gut health could become part of treatment plans for certain psychological conditions.
The gut-brain axis is a powerful reminder that mental and physical health are deeply connected. By caring for your digestive system, you may be doing more than supporting healthy digestion—you could also be boosting your mood, sharpening your focus, and protecting your brain for the long term. A healthy gut truly is the foundation for a healthy mind.

