




















![]()





















By Jacqueline D. Griffiths, MD
New View Eye Center
Preventive eye care is important to everyone because eye conditions and diseases that can destroy you and your family’s healthy vision can strike at any time in life, from newborn to old age. Read below for suggested guidelines on when you and your family should have your eyes checked. Infants and toddlers should be screened for common eye problems, such as strabismus (crossed eyes) and Amblyopia (lazy eye) during their regular pediatric appointments. Vision testing is recommended for all children starting at around three years of age.
Most children and teenagers have healthy eyes, but they still need to take care of their vision by wearing protective eyewear when playing sports, doing yard work, working with chemicals, or taking part in other activities that could cause an eye injury.
Even young adults and middleaged individuals can be affected by eye problems, so preventive measures should be taken to detect eye diseases early and to protect eye from injury. These individuals should have a complete eye exam at least once between the ages of 20 and 29, at least twice between the ages of 30 and 39 and every two to four years between the ages of 40 and 65.
Seniors over age 65 should have a complete eye exam by their Eye M.D. every one to two years for cataracts, glaucoma, age-related macular degeneration, diabetic retinopathy, and other eye conditions.
The suggested examination guidelines are:
• Ages zero to two: screening during regular pediatric appointments
• Ages three to five: screening every one to two years during regular primary care appointments
• Ages six to 19: schedule examinations as needed
• Ages 20 to 29: one examination
• Ages 30 to 39: two examinations
• Ages 40 to 65: examination every
two to four years
• Ages 65 and over: examination every one to two years
But check with your Eye M.D. to see how often you should have a complete eye exam if any of the following risk factors affect your eyes:
• History of eye injury
• Diabetes
• Family history of eye problems
• African American over age 40
Protecting your eyes from accidents, early detection, and treatment of eye problems are the best ways to keep your healthy vision throughout life. If you and your family are at risk for eye disease or experience any eye problems, visit your Eye M.D. promptly.
Find out what it takes to preserve your vision and prevent common eye problems. How many of these questions about vision can you answer correctly?
1. Which of the following habits can weaken your eyes?
a. Watching television sitting too close to the screen
b. Smoking
c. Reading in dim light
d. Not wearing prescription lenses if you need them
2. Which vitamin(s) should you take to protect your eyes if they’re sensitive to light?
a. B1
b. B2
c. B12
d. All of the above
3. Eating which of the following foods helps prevent and alleviate conjunctivitis?
a. Apples
b. Broccoli
c. Eggs
d. Yogurt
4. Menopause can cause dry eyes.
a. True
b. False
5. Eating which food prevents macular degeneration?
a. Eggs
b. Bran
c. Mushrooms
d. Spinach
6. Which of the following minerals should you take to relieve an eyelid twitch?
a. Copper
b. Iron
c. Magnesium
d. Zinc
7. When is it most important to wear sunglasses?
a. During the summer
b. From 8 a.m. to 10 a.m.
c. From 10 a.m. to 2 p.m.
d. During the winter
8. Which of the following drugs makes your eyes more sensitive to sunlight?
a. Antibiotics
b. Aspirin
c. Oral contraceptives
d. All of above
9. Taking high doses of zinc can cause macular degeneration.
a. True
b. False
10. A poorly functioning liver can cause glaucoma.
a. True
b. False Answers on Page 38
Fast Fact #1:
Your eyes use more oxygen than any other tissue in your body.
Fast Fact #2:
Make Healthy Choices. More than 13 million Americans have age-related macular degeneration, a leading cause of blindness. Age, smoking, high blood pressure, and exposure to sunlight increase your risk of developing this disease.
Fast Fact #3:
Rest your eyes. Computer vision syndrome symptoms include sore eyes, blurred vision, and headaches. To avoid this syndrome, reduce screen glare and take a five-minute computer break every 20 minutes.

Griffiths,
Jacqueline D. Griffiths M.D. earned her undergraduate degree at Yale and her medical degree from the University of Michigan. Her Ophthalmology residency was completed at Georgetown University Medical Center.
Dr. Griffiths has been in private practice since 1994. She started her own practice and laser center, NewView Laser EyeTM in 1999 where she serves as the Medical Director. NewView’s Mission is to provide Excellence in Ophthalmologic services by giving personalized attention to every patient.
Dr. Griffiths is Board Certified and began performing laser vision correction practically from its inception in this country. She has performed thousands of cases and participated with the CRS-USA LASIK trials to get the LASIK procedure approved by the FDA.
In addition to offering CustomVue LASIK and EpiLase, NewView offers CKSM, no-stitch cataract surgery, annual eye exams, contact lenses, glaucoma and diabetic screening exams, and cosmetic services including Botox, Restylane, Radiesse, Juvederm, and eyelid surgery. NewView Optical offers affordable high quality frames and lenses for the entire family (ages 5 and older).
Dr. Griffiths is the former Ophthalmology Section Chief of Reston Hospital Department of Surgery, the former Chief of Ophthalmology for the Reston Ambulatory Surgical Center in Reston, VA as well as Loudoun Hospital in Leesburg, VA, Diplomate of the American Board of Ophthalmology, a Fellow of the American Academy of Ophthalmology, a member of the American Society of Cataract and Refractive Surgery, the Washington National Eye Center and others.


By Ali Ghatri, DDS Let’s Smile Dental
In dentistry, great care doesn’t come from the dentist alone—it’s the result of a coordinated effort by an entire team. Among the most essential members of that team are clinical assistants. These professionals work behind the scenes and chairside to ensure every visit is smooth, safe, and as comfortable as possible for the patient. Their experience and compassion make a meaningful difference in the quality of care patients receive.
Clinical assistants are often the first to welcome patients into the treatment room, helping to ease anxiety and set a reassuring tone. For children, teens, and adults alike, a calming presence and clear communication go a long way in reducing fear and creating a positive dental experience. An assistant who is both knowledgeable and empathetic can build trust quickly—something that’s especially important in longer or more complex treatments.
Their technical skills are equally vital. From preparing and sterilizing instruments to taking impressions, digital scans, and radiographs, clinical assistants help ensure procedures are accurate and efficient. Their attention to detail supports the dentist in delivering everything from preventive cleanings and fillings to surgical procedures and orthodontic care. When every second counts and precision matters, a trained assistant is indispensable.
Beyond clinical work, these team members also play a key role in
patient education. They teach proper brushing and flossing techniques, answer questions about treatment, and offer guidance on maintaining oral health at home. This kind of education is a powerful tool—it helps patients make informed decisions and reinforces the importance of preventive care.
In practices that offer a range of
services—including orthodontics, oral surgery, pediatric and general dentistry—assistants must be versatile and well-trained. Their ability to anticipate the needs of both the patient and the provider helps create a seamless experience from start to finish. It also allows the dentist to focus fully on diagnosis and treatment, knowing that every other detail is
being expertly managed. Ultimately, the presence of skilled, caring clinical assistants elevates every aspect of dental care. Their dedication often goes unnoticed, but their impact is unmistakable—ensuring that each patient receives not just treatment, but thoughtful attention, comfort, and support along the way.


Discover a world of comprehensive dental care at Let’s Smile Dental, your trusted destination for superior oral health in Northern Virginia. With nine conveniently located offices, our skilled team of professionals is dedicated to providing a spectrum of specialized services, all under one roof.
At Let’s Smile Dental, our providers share a common mission: delivering the highest quality care to our valued patients. Through seamless collaboration and a patient-centric approach, our doctors ensure a positive experience and ultimate smile satisfaction. Choose Let’s Smile Dental – where your smile is our priority!

SERVING MARYLAND & VIRGINIA Since 1990
Your Health Magazine is on a mission. There are far too many people, insured or not, who do not go to the doctor when they should, and in millions of cases, don’t know who they should go to, or why.
People are encouraged to buy a new house, car, cell phone or big screen TV, and those companies make themselves very visible and their products easily attainable.
Information about, and from, local healthcare providers is not easy to find, and many times those services are difficult to access.
Information and encouragement always lowers fear and trepidation about anything, and this is especially true in healthcare. While general information is available on web-sites, specific information from local providers is almost impossible for people to find. This is one of the key reasons chronic and episodic conditions are not cared for. It is our mission to:
Make A Difference By Empowering and Encouraging People To Live Healthier By Going To the Doctor When They Should.
There is a lot of evidence that the health professionals who participate in Your Health Magazine have helped many people over the years. We at Your Health Magazine salute you!
G. Scott Hunter, Editor-in-Chief
If you would like to find out how you can participate in one of our upcoming editions, please contact the office nearest you.
MARYLAND & WASHINGTON, DC OFFICE One Town Center 4201 Northview Drive, Suite 102 Bowie, MD 20716 Office (301) 805-6805 • Fax (301) 805-6808 info@yourhealthmagazine.net
VIRGINIA OFFICE Office (301) 805-6805 info@yourhealthmagazine.net
© Your Health Magazine, 2025. The magazine and all of its contents are protected by copyright. For permission to reproduce any materials in this magazine, contact info@yourhealthmagazine.net
EDITOR-IN-CHIEF
Gregory Scott Hunter



By Anne C. Crowley, Acupuncture Physician, Health and Life Coach Sarasota Acupuncture Center
Understanding our Five Element Constitutional Type is a Magical Key into the window of healing both physically and mentally. Let’s explore the characteristics of the Wood/ Spring Element. See if you resonate with this. It may be your constitutional type!
With the bursting of Spring energy in nature, comes the bursting of Spring energy in us. Even before the bulbs pop out, there is this feeling of “on your mark, get set...” The trees are whispering this and our bodies are also feeling this.
Buds are popping! Pow! Not a slow motion, but a very sudden motion occurs. Humans are also moving, and moving quickly. While the season brings all of its beauty of green and rebirth, it also can bring this tension and at its peak, anger. Healthy wood energy is assertive and charges through to accomplish its goals. It is much like the blade of grass pushing against the concrete––push, push against unbeatable odds, and then finally finding a way around the obstacles.
The liver meridian in the wood element is about planning and creating a vision for the future. “Great Esteem” is a point on the liver meridian that is about taking up one’s own space, standing on your own, and pulling back when needed. It’s about taking responsibility for ourselves and doing it with majesty and esteem like a huge tree in the forest.
The gallbladder meridian in wood is about carrying out the plans, making decisions and using determination to follow through and get the job done. Tom Hanks’ character in Saving Private Ryan represents this gallbladder energy. Decision after decision had to be made; there was no choice in the matter. “Foot Above Tears” is a point on the gallbladder meridian that helps clear the mind so that a good decision can be made. It helps people to rise above the com-
plaint, the tears of frustration when obstacles get in the way. It can help someone fighting back tears to express their anger.
Tips for Spring:
• Start a new project.
• Begin an exercise program.
• Notice frustration––can you navigate around the obstacles?
• Notice your ability to bend and be pliable, as well as to stand tall and firm.
• Explore your creativity––write a poem or short story, draw a picture, paint and decorate a room.
• Take Yoga class––keep muscles supple and flexible.
• Make a plan, set goals and time to accomplish them.


By Mariam Alimi, MSN, FNP Impressions MediSpa
Aging, genetics, and environmental factors can cause the skin to lose volume and elasticity, leading to wrinkles, sagging, and hollow areas. Dermal fillers provide a non-surgical solution to restore volume, smooth lines, and enhance facial contours. This minimally invasive treatment offers natural-looking results with little to no downtime.
Dermal fillers are injectable substances that add volume and smooth wrinkles. Most fillers contain hyaluronic acid (HA), a naturally occurring substance in the skin that helps retain moisture and elasticity. Other types include calcium hydroxylapatite (Radiesse), poly-L-lactic acid (Sculptra), and polymethyl methacrylate (PMMA), each suited for different areas and effects.
Benefits Of Dermal Fillers
• Wrinkle Reduction – Fillers soften fine lines and deep creases, such as nasolabial folds and marionette lines.
• Volume Restoration – Aging causes volume loss in the cheeks, temples, and under the eyes, which fillers effectively restore.
• Lip Enhancement – Fillers create fuller, more defined lips.
• Jawline & Chin Contouring –They enhance facial symmetry by refining the jawline and chin.
• Hand Rejuvenation – Fillers restore volume to aging hands, reducing wrinkles and visible veins.
The Procedure
The treatment takes about 30 to 45 minutes. A trained provider injects the filler using a fine needle or cannula. A numbing agent may be applied for comfort. Results are immediate, with continued improvement as the filler settles.
When administered by a licensed professional, dermal fillers are safe with minimal risks. Temporary side effects may include mild swelling, redness, and bruising, which usually resolve within a few days. Choosing an experienced injector ensures natural, balanced results.
The longevity of dermal fillers varies. Hyaluronic acid fillers typically last 6 to 18 months, while collagen-stimulating fillers like Sculptra can last up to two years.
Dermal fillers are ideal for those seeking natural-looking enhancements without surgery. A consulta-
tion with a qualified provider can help determine the best approach based on your facial structure and aesthetic goals.
With dermal fillers, achieving a youthful, refreshed look is easier than ever. Whether restoring volume, smoothing wrinkles, or enhancing features, this treatment provides a safe and effective way to look and feel your best.




COSMETIC SURGERY
• Breast Augmentation
• Abdominoplasty (Tummy Tuck)
• Liposuction
• Hair Transplants
• Mommy Makeover
• Facial Surgery
NON-INVASIVE TREATMENTS
• Botox®, Dysport® , Xeomin®*
• BellaFill®
• Juvederm*
• Restylane®*
• TempSure Envi
• Endermologie
• Zerona
• Lipolight
LASER TREATMENT
• Hair Removal
• Vein Treatment
• Laser Resurfacing
WELLNESS SERVICES
• Bioidentical Hormones (BHRT)
• ED Treatment for Men


4407 Willard Avenue Chevy Chase, MD 20815 (Across from the Friendship Heights Metro)
• Medical Weight Loss NON-INVASIVE BODY CONTOURING Zerona® - The first non-invasive body contouring procedure to effectively remove excess fat. AND
Edermologie Lipo Massage Cellulite Treatment Combined Package of 6 Each - $499.00
By Karl A. Smith, DDS, MS
If you’re a baby boomer, born between 1946 and 1964, there are so many reasons to focus on and improve your oral health. Periodontal (gum) disease risks rise with age and can lead to a host of physical problems. There is no better day than today to get a checkup by a dentist specially trained in knowing the links between your mouth and body health.
Boomers grew up in a time of prosperity, education, and opportunity. This generation has a greater need for oral treatment than any other. The Centers for Disease Control reports that 70% of Americans 65 and older have chronic gum disease. Surveys suggest that growing up in a time of plenty may have led to a taste for a diet rich in carbohydrates and sugar. This has caused enamel erosion and gingivitis.
Research also shows that boomers can do better to protect their oral health. One survey shows only 40% of older people use mouthwash, 34% brush their teeth only once a day, and 47% say they often skip flossing.
When age-related conditions like arthritis or joint pain make proper brushing and flossing more difficult, it exacerbates the problem further.
Another reason to take care of your mouth as you age is the growing connection between gum disease and Alzheimer’s disease. More than 6 million Americans over 65 have been diagnosed with this form of dementia, a number projected to more than double by 2050.
A 2019 National Institutes of Health study published in the Journal of Alzheimer’s Disease shows the bacteria that cause gingivitis, the earliest form of periodontal disease, are also connected to several forms of dementia. One species of bacteria is believed to migrate from gum infections through the bloodstream and into the brain. There, they release enzymes that can destroy nerve cells, leading to memory loss and Alzheimer’s.
The relationship between de-
mentia and gum disease goes the other way, too: People with memory loss may neglect their oral health and a mild problem may turn into something much more severe.
Research is underway to develop a drug that can block bad bacterial enzymes and slow the progression of dementia. Until then, it is imperative to take extra care of your teeth and gums as you age.
• Brush twice a day, floss once or twice a day, and visit your perio-
dontist for a checkup.
• Cut out sugary foods and beverages. Use the artificial sweetener xylitol, which is shown to starve harmful bacteria and reduce plaque buildup.
• Dry mouth lowers oral pH, increasing the risk of tooth decay and gum disease. Talk to us about special alcohol-free oral rinses, lozenges, and other preventive measures.
• Swish with water after eating and consuming sweet and acidic drinks.

• Resolve to adopt a healthier diet and lifestyle for overall good health. Studies show this alone may lower your risk for Alzheimer’s disease by up to 60%.
Aging does not mean gum disease and related health problems are inevitable. Baby boomers are known for being proactive about health care when they have the right information. Call us today for a no-charge phone consultation to answer any questions you may have. We are happy to do our part and help you improve your oral health in your golden years.





(and they love to refer to us as friends and family).
team works together to ensure your visit is enjoyable, and that your treatment is gentle and pain-free.
deeply committed to help you prevent and treat periodontal (gum) disease, and to enhance your smile to improve your overall health.


By Marc P. Stanard, DDS, PC
As we age, our medical needs often become more complex—so does our medication regimen. For seniors, maintaining oral health isn’t just about brushing and flossing; it’s also about understanding how medications can affect the gums, teeth, and surrounding structures.
Many commonly prescribed medications, including those for
high blood pressure, anxiety, depression, allergies, and Parkinson’s disease, can significantly impact oral health. One of the most prevalent side effects is xerostomia, or dry mouth. Saliva plays a critical role in protecting the teeth and gums by neutralizing acids, washing away food particles, and providing disease-fighting substances. When saliva production decreases, the risk of periodontal disease increases.
Dry mouth doesn’t just lead to discomfort—it creates an environment where harmful bacteria thrive. This can accelerate gum disease, promote tooth decay, and compromise existing dental work. Periodontitis, the advanced form of gum disease, is particularly concerning in older adults because it can lead to bone loss and tooth loss if left untreated.

In addition to dry mouth, certain medications can cause gingival enlargement—a condition in which the gum tissue becomes overgrown and inflamed. This is most commonly associated with medications such as calcium channel blockers, immunosupressants, and a common anti-epileptc/seizure drug. Enlarged gums make it more difficult to clean the teeth properly, increasing the likelihood of plaque buildup and infection.
Patients taking anticoagulants or blood thinners may also face increased bleeding during routine oral hygiene or periodontal treatments. While these medications are essential for managing cardiovascular health, it’s important for dental professionals to collaborate with physicians to ensure safe and effective care.
The good news is that awareness and proactive care can significantly reduce the oral health risks associated with medication use. Seniors should inform their dental provider of all medications they are taking—prescription or over-the-counter—and schedule regular periodontal evaluations. Customized treatment plans, fluoride therapy, salivary substitutes, and meticulous home care can help counteract the effects of medication and preserve oral health well into the golden years.
As a periodontist, I’ve seen firsthand how early intervention and ongoing care can dramatically improve not just oral health—but quality of life. By addressing the oral side effects of medication, we can help our senior patients stay healthier, more comfortable, and more confident in their smiles.
Maintaining good dental hygiene is crucial, and Dr. Marc Stanard, a periodontist and specialist in surgical implant dentistry, can help you achieve healthy teeth comfortably. We offer a wide range of specialized procedures and services to cater to your periodontal needs, such as bone surgery, scaling, and root planing, gum grafts, crown lengthenings, and sinus lifts.
• We provide advanced, affordable dental care tailored to meet your unique needs.
• Our team offers oral hygiene instruction and education on gum disease, bone loss, and other dental health conditions.
• Dr. Marc Stanard has decades of experience and a passion for his work, and he’s earned numerous designations, affiliations, and awards, including Top DDS by Washingtonian and high ratings on Google and Yelp.
• Our office is friendly and welcoming, making it the perfect place to receive top-quality dental care.


By Lubrina Bryant, DPM District Podiatry, PLLC
As spring brings warmer weather and blossoming flowers, it also heralds the return of foot-related challenges, including plantar hyperhidrosis, or excessive sweating of the feet. This condition can dampen the joy of springtime activities, but with the right approach, you can enjoy the season to its fullest.
Springtime activities often involve shedding winter layers and embracing lighter footwear, making plantar hyperhidrosis more noticeable and potentially uncomfortable. The combination of rising temperatures and increased outdoor excursions can exacerbate sweating, leading to damp feet and heightened discomfort.
The causes of plantar hyperhidrosis, including overactive sweat glands, genetic predisposition, hormonal changes, and environmental factors, remain relevant during springtime. As you prepare to enjoy outdoor adventures and embrace seasonal activities, it’s essential to consider strategies for managing excessive foot sweating.
First and foremost, consulting a podiatrist is paramount for accurate diagnosis and tailored treatment recommendations. Your podiatrist can assess your symptoms, identify contributing factors, and devise a comprehensive management plan to address your specific needs.
Incorporating proactive foot care practices into your springtime routine can help alleviate the discomfort associated with plantar hyperhidrosis. Here are some tips to keep your feet feeling fresh and dry amidst the springtime blooms:
Choose Breathable Footwear: Opt for shoes made of breathable materials, such as mesh or canvas, to promote air circulation and minimize moisture buildup. Avoid tight-fitting or non-breathable footwear, which can trap sweat and exacerbate symptoms.
Wear Moisture-Wicking Socks: Select moisture-wicking socks designed to draw moisture away from
the skin and promote evaporation. Look for socks made of synthetic fibers or merino wool, which can help keep your feet dry and comfortable during springtime activities.
Proper Foot Hygiene: Maintain good hygiene by washing your feet daily with mild soap and warm water. Dry your feet thoroughly, paying special attention to the spaces between your toes, where moisture can accumulate. Applying foot powder or antifungal sprays can help absorb excess moisture and prevent fungal infections.
Use Antiperspirant Products:
Consider using over-the-counter or prescription-strength antiperspirant products specifically formulated for feet. These products can help reduce sweating by blocking sweat gland activity and keeping your feet drier for longer periods.
Rotate Footwear: Alternate between different pairs of shoes to allow each pair to fully dry out between wears. Consider inserting cedar shoe trees or moisture-absorbing shoe inserts into your footwear to help eliminate odors and moisture.
Stay Hydrated: While it may
seem counterintuitive, staying hydrated can actually help regulate sweating by maintaining proper fluid balance in the body. Drink plenty of water throughout the day to support overall health and hydration. By incorporating these springtime foot care practices into your routine and seeking guidance from a podiatrist, you can effectively manage plantar hyperhidrosis and enjoy all that spring has to offer with confidence and comfort. Don’t let excessive sweating dampen your springtime spirit!


feet are important in our everyday lives. The problem is that we tend to neglect them. When this becomes a habit, it can cause significant trouble. Ignoring foot problems can mean pain, limited mobility, and expensive doctor’s visits. On the other hand, if feet are cared for and looked after regularly, they will perform without pain or complication.


Dr. Gary Feldman is a surgeon and podiatrist specialized in the treatment of various orthopaedic conditions of the foot and ankle.




By Gary Feldman, DPM, FACFAS
As we age, staying mobile becomes one of the most important factors in maintaining independence, mental sharpness, and overall wellbeing. Yet, the foundation of that mobility — our feet and ankles — often doesn’t get the attention it deserves. With age, the risk of foot and ankle problems increases, making awareness and preventative care essential.
One of the most common agerelated changes is the natural loss of fat padding on the soles of the feet. This can lead to increased pressure on bones and joints, contributing to pain during walking or standing. Additionally, tendons and ligaments lose elasticity, which can reduce balance and flexibility. Arthritis, particularly osteoarthritis, frequently affects the foot and ankle joints in older adults, causing stiffness, swelling, and discomfort that can discourage physical activity.
Another concern is reduced circulation, especially in individuals with

diabetes or vascular conditions. Poor blood flow can delay healing and increase the risk of infections or ulcers. Even mild foot injuries in older adults should be monitored closely.
Falls are a leading cause of injury among seniors, and foot problems are often a hidden contributor. Pain, instability, or improperly fitting shoes can affect gait and balance, raising fall risk significantly. Regular foot assessments and appropriate footwear can help maintain both comfort and safety.
Exercise is one of the best ways to support foot and ankle health — but it must be done wisely. Lowimpact activities like walking, swimming, and resistance training help maintain strength, joint function, and circulation without putting excessive strain on the feet. Stretching exercises focused on the calves, Achilles tendon, and plantar fascia can also help improve mobility and prevent stiffness.
Routine foot care matters, too. Keeping toenails trimmed, moisturizing dry skin, and checking daily for cuts, blisters, or swelling can prevent minor issues from becoming serious problems. Any new or persistent foot pain should be evaluated, as early treatment is often simpler and more effective.
Healthy feet are essential for healthy aging. By understanding the changes that come with age and taking simple steps to care for your feet and ankles, you can stay active, mobile, and independent for years to come.


Submitted By Sivakumar Sreenivasan, DMD, MDS
Dental Implant Center of Rockville
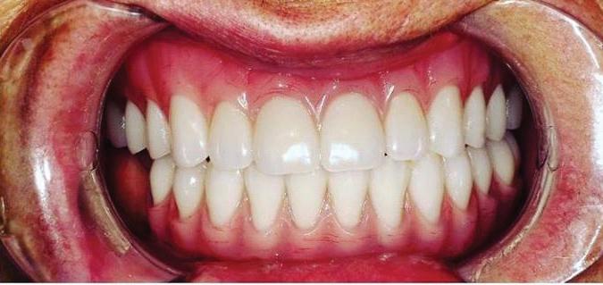
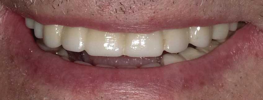
Can just four implants replace all of the teeth on the top or the bottom of your mouth? Thanks to advances in dental implant technology, that answer is a resounding yes.
Believe it or not, tooth loss is extremely common among adults, especially as we age. In fact, more than 35 million people in America are missing all of their upper and/or lower teeth. Rather than living with the discomfort and hassles of dentures, many people are opting for what is called “all-onfour” dental implant restoration.
All-On-Four: One Full Arch Of Teeth, Four Dental Implants
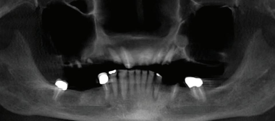
To fully understand this remark-
able technique for replacing teeth, you should first understand what a dental implant is. An implant is a small titanium screw that fits inside your jawbone and replaces the root-part of a missing tooth. Minor surgery is required to insert the implants. Once the implant is in place, a crown is attached to give you a highly realistic-looking and functional prosthetic tooth.
Here’s where it gets really interesting: You do not need a dental implant for each and every one of your missing teeth. All you need is four precisely placed implants on the top of your mouth, and four on the bottom, to restore your full smile. That’s the beauty of the all-on-four. And because the implant is made of titanium, it has the unique ability to fuse to living bone and function as part of it. So eventually, the dental implant becomes part of the jawbone and serves as a strong, long-lasting foundation for your new teeth.
Besides ensuring that your implants are permanently fixed in place,


Missing Teeth or Tired of Wearing Dentures?
Thanks to advances in dental implant technology, just four implants can replace all of the teeth on the top or the bottom of your mouth.
this bone fusion has another important benefit: it prevents future bone loss in the jaw. This helps to maintain a more youthful facial structure – and better oral health. But perhaps the biggest surprise about the all-on-four is how quickly it can transform your life.
What’s The All-On-Four Dental Implant Procedure Like?
It can be scary to get implants for the first time. Most of that fear is probably due to the uncertainty, so here is the step-by-step process for getting an All-On-Four dental implant.
First, your dentist will want to make sure your comfortable, so either local or general anesthesia will be administered.
Second, the dentist or surgeon will prepare your mouth for the implants, which involves removing your remaining teeth that are failing. They will then remove any diseased or infected tissue from your jaw and gums.
Next, they will begin the implantation process. This means they will



insert the titanium screws into your jawbone. Most likely, they will place two implants toward the front of your mouth and two towards the back of your mouth so the “anchors” can evenly bare the force of the denture.
After the implants have been placed, they will thoroughly clean the surgical sites and suturing all the incisions. Then you’ll be taken to a recovery room where you can relax and take time to wake up from the anesthesia.
How Do You Know If The All-On-Four Procedure Is The Right Option For You?
At your All-On-Four consultation, you’ll receive a 3D CT Scan. This scan will help determine if you need implants and assist your doctors in creating your treatment plan. So if you want to learn more about dental implants, simply schedule a consultation with an All-On-Four provider. It’s the best way to find out how dental implants can change your life.









By Troy Sukhu, MD Anne Arundel Urology
The prostate, a male organ located below the bladder and wrapping 360 degrees around the urethra, can enlarge with age, restricting urinary flow. This condition, known as
benign prostatic hyperplasia (BPH), often leads to symptoms such as frequent urination, weak urinary stream, and urinary tract infections. Treatment focuses on reducing prostate size and improving urinary flow.
Symptoms Of Enlarged Prostate
Symptoms range from mild to severe, often developing gradually over years but potentially worsening after surgery or other triggers. Common symptoms include:
• Weak urine stream
• Difficulty starting urination
• Incomplete bladder emptying
• Frequent urination, especially at night
• Sudden urge to urinate
• Dribbling or leaking urine
• Straining to urinate
• Recurrent urinary tract infections
Evaluation Methods
Diagnosing an enlarged prostate involves assessing symptoms and determining the severity of urinary blockage. Common tests include:
• Physician evaluation and symptom questionnaires (e.g., IPSS)
• Rectal exam


• PSA blood test
• Cystoscopy (camera-based urethra and bladder examination)
• UroCuff test (measures blockage severity)
• Trans-rectal ultrasound (prostate size assessment)
Treatment Options
Treatment is tailored to individual needs and symptoms, often progressing from lifestyle changes to medical or surgical interventions.
Behavioral Modifications
Simple changes, like reducing evening fluid intake and limiting caffeine or alcohol, can alleviate symptoms.
Medications
Alpha-blockers (e.g., Flomax, Rapaflo): Relax prostate muscles to improve urine flow but may cause side effects like sexual dysfunction or blood pressure changes.
5-alpha-reductase inhibitors (e.g., Proscar, Avodart): Shrink the prostate, potentially enhancing urinary flow, with side effects including erectile dysfunction and breast tenderness.
Office-Based Procedures
UroLift®: A minimally invasive procedure that lifts obstructing prostate tissue out of the way. It is quick, safe, and preserves sexual function, offering long-lasting relief.
Surgical Procedures
Trans-Urethral Resection of the Prostate (TURP): Removes obstructing tissue using electric cautery through the urethra. Though highly effective, it requires significant recovery and may alter sexual function.
Greenlight Laser Prostatectomy: Similar to TURP but uses a laser to vaporize tissue, offering comparable benefits and side effects.
DaVinci Suprapubic Prostatectomy: For very large prostates, this laparoscopic surgery removes obstructing tissue. While highly effective, it involves a more invasive approach with longer recovery times.
BPH is a common condition with a wide range of treatment options. Early diagnosis and a tailored treatment plan can greatly improve quality of life while minimizing complications. Consult a urologist to explore the best option for your needs.

By Ashley Pimperl MSN, CRNP, FNP-C Oasis Advanced GYN Surgery
Women’s reproductive health is a complex field, with conditions like fibroids, abnormal bleeding, and endometriosis affecting many women globally. Understanding these conditions is crucial for early diagnosis, effective management, and maintaining overall well-being.
Fibroids, also known as uterine leiomyomas or myomas, are non-cancerous growths that develop in or on the uterus. They vary in size and number, and while some women may be asymptomatic, others experience significant symptoms. Common symptoms include heavy menstrual bleeding, prolonged periods, pelvic pain, frequent urination, and complications during pregnancy.
The exact cause of fibroids is unknown, but factors such as genetics, hormones (particularly estrogen and progesterone), and lifestyle can influence their development. Treatment options range from watchful waiting for smaller, asymptomatic fibroids to medications that regulate hormones and reduce symptoms. In severe cases, surgical interventions like myomectomy or hysterectomy may be necessary.
Abnormal uterine bleeding (AUB) refers to any deviation from normal menstrual patterns, including heavy menstrual bleeding (menorrhagia), bleeding between periods, or prolonged menstruation. AUB can be caused by various factors, including hormonal imbalances, fibroids, polyps, and underlying medical conditions like thyroid disorders or clotting issues.
Diagnosing AUB often involves a comprehensive evaluation, including medical history, physical examination, blood tests, and imaging studies like ultrasound. Treatment depends on the underlying cause and may include hormonal therapies, nonsteroidal anti-inflammatory
drugs (NSAIDs), or surgical procedures such as dilation and curettage (D&C) or endometrial ablation.
Endometriosis
Endometriosis is a chronic condition where tissue similar to the lining inside the uterus (endometrium) grows outside the uterus, commonly on the ovaries, fallopian tubes, and pelvic
lining. This misplaced tissue responds to menstrual cycle hormones, causing inflammation, pain, and the formation of scar tissue (adhesions).
Symptoms of endometriosis include severe menstrual cramps, chronic pelvic pain, pain during intercourse, and infertility. The exact cause of endometriosis is unclear, but factors like retrograde menstruation,
genetics, and immune system issues are believed to contribute.
Diagnosis is often challenging and may require laparoscopy, a minimally invasive surgical procedure. Treatment options include pain management with NSAIDs, hormonal therapies to reduce or eliminate menstruation, and surgical removal of endometrial tissue. In severe cases, a hysterectomy may be considered.






By Yemi Adesanya-Famuyiwa, MD Montgomery Fertility Center
As a fertility doctor, I am always looking for ways to help my patients optimize their chances of conception. While medical interventions can be effective in some cases, I always emphasize the importance of adopting a holistic approach that includes taking advantage of the benefits of nature.


Studies have shown that exposure to nature can have a salubrious effect on our overall well being, and this is especially true for those who are trying to conceive. Fresh air, sunlight, and natural environments can all play a vital role
in regulating hormonal imbalances, reducing stress levels, and improving the quality of sperm and eggs.
As a doctor, I am always grateful for the power of nature to heal and rejuvenate our bodies and minds. Whether it’s taking a walk in the park, going for a hike, or simply sitting outside and breathing in the fresh air, these small moments can have a significant impact on my patients’ fertility outcomes.
Therefore, I encourage my patients to appreciate the value of nature in their quest for parenthood. By embracing a healthy, holistic lifestyle and taking care of their bodies, minds, and the environment around them, they can optimize their chances of conception and enjoy the benefits that come with embracing nature.
While medical treatments and procedures are essential, taking advantage of the benefits of nature can significantly impact fertility outcomes. As a doctor, I am always grateful for the power of nature to heal and rejuvenate, and I encourage my patients to embrace it on their journey towards parenthood.
Prevously publised on Medium.com

Our mission is to assist our patients in creating the families of their dreams, whether it be at the present or to maintain the possibility in the future.
Medical Director Dr. Famuyiwa, a double board certified fertility specialist and an advocate for personalized holistic fertility care, is at the forefront of providing state-of-the-art care based on emerging and advanced new technologies in the most compassionate of manners.
A neck lift can be performed for men and women of varying ages who are often frustrated by changes of the appearance of their neck and jawline. Depending on your age, a neck lift can be a short one-hour procedure to remove fat or a 3-hour procedure to remove fat, visible neck bands, and excess skin.
Excess Skin (Cervicoplasty)
Liposuction to Remove Excess Fat Remove or Alter Neck Muscles (Platysmaplasty)
Liposuction can be performed alone or with surgical removal of the fat under the chin through a small incision under the chin.
In patients with vertical bands in the neck, a platysmaplasty can be performed to reduce the appearance of the bands.
Sometimes a chin implant is recommended to improve the overall contour and help with excess skin.
























By Dr. Tiffany Daniel Live To Day Wellness
Spring is nature’s gentle invitation to start fresh. The days are longer, the air feels lighter, and the budding trees seem to whisper, “It’s time to move.” After a season of hibernation—both physical

and emotional—walking is one of the simplest, most powerful ways to reconnect with your body, clear your mind, and embrace the season of renewal.
Unlike high-intensity workouts that can feel daunting or hard to sustain, walking is gentle yet
effective. It gets your heart rate up, supports weight management, reduces stress, and strengthens your muscles—all while being kind to your joints. But walking does more than improve physical health. It gives your mind space to breathe.
Degrees: BS in Psychology, MDiv; Doctorate in Christian Education, EdD
Certificates: Behavioral Health and Nutrition, Personal & Small Group Fitness Instructor, Certified Health & Wellness Coach, IIN Alumni, MRT & SEL(F) Instructor,
Yoga 200Level and Zumba Instructor
Training: Mindful Movement and Breathwork
Areas of Interest: Healthy Eating and Regular Exercise
Specialties: Nutrition, Meal Planning, Weight Loss, Rehabilitation and Maintenance, and Standards for Excellence Licensed Consultant
Practice Philosophy: Your Health is Your Wealth
Hosts a monthly women veterans peer support group with Peer Outreach Solutions, Inc., (Posi) for Sista’s of the Posi.
Give An Hour, Ambassador supporting veterans and their families.
Veteran Yoga Project, State Director for Yoga - MRT
Breathe for Change, Yoga Instructor Yoga - SEL(F)
Mental Health First Aid Certified
Hobbies: Reading, Researching
Preventive Measures for Autoimmune Diseases and other Health Conditions plus Advocate for Veterans and Mental Health
Awarenes
137 National Plaza Suite #300, Oxon Hill, MD www.ctldomGroup.com 202-498-5678


In fact, studies show that walking outdoors can lower cortisol levels, ease symptoms of anxiety and depression, and even enhance creativity. Add in a dose of sunshine and you’re also boosting your Vitamin D levels, which supports bone health and immune function.
Spring is an ideal time to begin or reboot a walking routine. Start small. Ten minutes a day can lead to big shifts. Take a stroll through your neighborhood, a local park, or even just around your block. Leave the headphones behind once in a while and tune into the sounds around you—birds chirping, leaves rustling, your own footsteps grounding you in the present.
Try turning your walk into a moving meditation. Focus on your breath, notice the rhythm of your stride, and allow yourself to just be. Walking is one of the most accessible forms of mindfulness we have—and it’s free.
And remember, every step counts. Whether you’re walking to clear your head, to reach a health goal, or simply to enjoy a blooming cherry tree, your movement matters.
So this spring, instead of making drastic fitness resolutions, lace up your sneakers and step into something lighter. Your body, mind, and spirit will thank you.


Choose Adventist Medical Group Primary Care in Fort Washington, Maryland, to provide a full range of primary care services for adults.
Learn to better manage your health and prevent illnesses with personalized care from our experienced, primary care providers. Our specialists in family medicine and internal medicine work as a team to deliver expert care when you need:
• Same-day Sick Visits
• Women’s and Men’s Health and Wellness Exams
• Health Physicals, Health Maintenance and Preventive Care
• Geriatric (Senior) Wellness Exams
• Vaccinations and Immunizations, including Flu Shots
• Health Management for:
• Asthma and Allergies
• High Blood Pressure
• High Cholesterol
• Diabetes
• Heart Disease
You also benefit from coordinated care that helps you effectively handle all aspects of your health—from preventive medicine and preoperative appointments to management of chronic health conditions.
To schedule an appointment, please call 240-724-6018
10709 Indian Head Highway, Suite D1 Fort Washington, Maryland 20744 AdventistMedicalGroup.org


Dr. Brown’s practice focuses on TMJ, sleep apnea and orthodontics. This allows Dr. Brown and his team to provide individualized, focused care for patients dealing with these specific issues. Every day, his practice helps patients of all ages with facial development, sleep issues, chronic headaches, migraines, neck pain, movement disorders, and much more. His training also includes multiple disciplines involving the cranial bones in the skull, and the discs in the jaw joints. Through treatment, Dr. Brown is able to reduce these symptoms, align cranial bones, avoid extractions, and greatly reduce the need for traditional braces. His expertise allows him to identify issues early on which promotes proper facial development using dental appliances. If there is an internal imbalance, whether an adult or child, the body does not develop or function properly. When the cranial bones are lined up correctly, patients are able to function, sleep and generally live better.
With that in mind, the team at Sleep & TMJ Therapy takes a whole-body approach when treatment planning. They work hand in hand with physical therapists and osteopathic doctors for a better success rate. Dr. Brown is devoted to helping patients of all ages live a symptom free life.
Degrees & Certifications
Dr. Brown earned his degree from Georgetown Dental School and completed residencies with Emory University Hospital for Dental Sleep Medicine and the ALF Appliance Therapy Institute.
Outside the Office
When not seeing patients, Dr. Brown is a sought-after speaker. He has lectured all over the world, including D.C., Dubai, Seoul, London, Norway and Toronto. He has also been featured on Channel 9’s Good Morning Washington, several podcasts, and numerous magazines and journals.
Professional Affiliations
Dr. Brown is a diplomate of the American Academy of Craniofacial Pain, a member of the American Academy of Dental Sleep Medicine, American Academy of Gnathological Orthopedic, Academy of Integrative Pain Management American Dental Association, a Fellow of the American Academy of Craniofacial Pain, and Legacy Provider for the ALF Interface Academy.
Do you have TMD or Sleep Apnea?
TMD Symptoms: Noise in the jaw joints when opening and closing your mouth, difficulty chewing, limited opening, tender facial muscles, ear ringing, uncomfortable bite, jaw locking, headaches, migraines, dizziness, vision issues as well as pain in the jaw area which can radiate to the ears, head, neck, shoulders, and back.
Sleep Apnea Symptoms: Snoring, waking up gasping for air, feeling tired and irritable in the morning, difficulty controlling weight, concentration problems, morning headaches, episodes of not breathing, waking with a sore throat, forgetfulness and mood changes. If you believe you may be suffering from TMD or Sleep Apnea, don't wait... Call today to schedule a consultation with Dr. Brown: 703-821-1103.
10111 Martin Luther King Jr. Highway, Suite #102 Bowie, MD
6196 Oxon Hill Road Suite #240, Oxon Hill, MD

Dr. Trent has a passion for helping people. She has practiced Audiology since 1984, in a number of clinical settings. Her diverse career has included 16 years of teaching and clinical supervision at Howard University, Washington, DC and Temple University, Philadelphia, PA. Dr. Trent has also worked as a clinical audiologist in hospital settings and private ENT practices.
Education:
Clinical Doctoral Degree – Audiology-University of Florida, Gainesville, FL
Master of Education – Audiology- Northeastern University, Boston, MA
Bachelor of Science – Communication Sciences and Disorders – Hampton University, Hampton, VA
Dr. Trent holds her Maryland State Licensure in Audiology. She is a Certified Clinical Audiologist (CCC-A) through the American Speech-Language-Hearing Association (ASHA). Presently, she serves on the Board of Directors for ASHA as Vice President for Audiology Practice.


Dr. Alexander brings a unique blend of military precision, academic excellence, and compassionate care to his practice. His mission is to help patients regain their hearing, confidence, and independence—so they can fully engage with the world around them. Dr. Alexander’s life and career have been defined by a passion for service—whether serving the country, the community, or his patients.
Upon graduation from Loyola University Maryland in 2002, Dr. Alexander served in the US Army for 9 years on Active Duty as a Blackhawk helicopter pilot. Driven to continue serving others, Dr. Alexander transitioned to the Army Reserves to pursue his calling as an audiologist. He earned his Doctorate in Audiology from The University of South Dakota in 2015 and has since become a licensed audiologist with extensive experience treating patients of all ages.


Rex Hoang, DMD, PC, has been the president of his family-run business, DC Dental Spa, in Washington, DC for over 28 years, and gets great satisfaction from helping his patients achieve beautiful, healthy smiles. Dr. Rex has extensive training and experience in general dentistry, periodontology, endodontology, oral surgery, dental implants, sleep apnea and cosmetic dentistry.
Dr. Rex earned his title of Doctor of Medicine in Dentistry from The University of Pennsylvania School of Dental Medicine in 1990, and to stay up-to-date in the latest dental practices and technologies, Dr. Rex regularly attends continuing education courses. Recently, his continuing education took him to the Dominican Republic, where he provided dental implants to disadvantaged community members. He believes in delivering the very best care for his patients’ needs while being sensitive to their comfort levels and concerns, and a love for dentistry runs in the Hoang family. Of his five children, two have joined him in the field of dentistry. Dr. Rex’s son Dylan is currently pursuing dentistry in school, and Dr. Rex is looking forward to him joining the practice upon graduation.
Outside of dentistry, Dr. Rex has many interests and hobbies, including piano and guitar. He also stays active playing golf, tennis and practicing martial arts.
Dr. Hoang Leads Charitable Mission to Laos & Vietnam
Dr. Hoang, his wife and daughter traveled to Laos and Vietnam. On this trip prepared food and money was donated to those people of need. Dr Hoang’s family personally prepared the food, visited and spoke with the local communities and had a wonderful experience.


Oral and Maxillofacial Surgeon
Diplomate, American Board of Oral & Maxillofacial Surgery
DMD, MDS • OMFS, MD, PA
77 South Washington Street Suite #205, Rockville, MD
www.OMFSMD.com

Meet Dr. Sreenivasan:
Dr. Sreeni came to the United States as an Oral and Maxillofacial Surgeon in the year 1990 and put himself through dental school again at Boston University and Oral and Maxillofacial Surgery residency at University of Medicine and Dentistry of New Jersey.
As an Oral and Maxillofacial Surgeon, Dr. Sreeni manages a wide variety of problems relating to the Mouth, Teeth and Facial Regions. He practices a full scope of Oral and Maxillofacial Surgery with expertise ranging from Corrective Jaw Surgery to Wisdom Teeth Removal. His passion is in implant surgery and he is well known for same day placement of implants following teeth removal be it for single teeth or a complete “makeover” (Smile in a day). He can also diagnose and treat Facial Pain, Facial Injuries and TMJ disorders and perform Bone Grafting and Sinus lift procedures.
Dr. Sreeni completed a residency in Anesthesiology at Mount Sinai Hospital, New York in 1994 and has worked as an Attending providing anesthesia services for children and adults in the ambulatory out-patient center of the hospital.
Dr. Sreeni is an Advanced Cardiac Life Support instructor with the Adventist group. He is also certified in Pediatric advanced life support and is very capable of handling emergencies that could possibly arise in the office. Dr. Sreeni’s staff are trained in assisting with IV Sedation/General Anesthesia within our state of the art office setting. Patients are continuously monitored during and after surgery. The goal of our office is to provide professional service with compassion and an understanding of the patients’ perspective.

Dr. Mary Alexander, periodontist, obtained a Bachelor of Science degree in Biology from the University of South Carolina and continued her education in dentistry at the University of Maryland School of Dental Surgery where she received her DDS degree. Prior to and during her dental studies, Dr. Alexander received funding and support from the National Institutes of Dental Research for her involvement in the periodontal research.
After obtaining her DDS degree Dr. Alexander spent one year at the Veteran’s Administration Hospital, in general practice residency focusing her training in the area of anxiety patient management. She then attended Harvard University and earned her clinical specialty in periodontics and a doctorate in medical science. Her doctoral research was focused in the study of bone function and metabolic disease of the bone.
Dr. Alexander received extensive training in dental implantology, periodontal plastic surgery, bone regenerative procedures and sedation dentistry. All aspects of Dr. Alexander’s training are incorporated in her periodontal practice assuring patient’s thorough and comprehensive periodontal treatment.




Foot doctor Lubrina Bryant, DPM is dedicated to getting to the root of your foot or ankle problem.
District Podiatry, PLLC specializes in general foot, ankle and leg care. Having chronic foot and ankle pain can affect the quality of your life and finding the right foot and ankle specialist can be just as difficult. We know how hectic life can be and we are committed to making our practice and care convenient and accessible.
WE ACCEPT MOST INSURANCE PLANS AND WELCOME NEW PATIENTS!
From routine checkups to minor foot surgery, Lubrina Bryant, DPM is a podiatrist who is equipped to handle all your foot and ankle needs.
Services Include: Routine Foot Care, Diabetic Foot Care, Wart Removal, Ingrown Toenails, Foot, Ankle or Heel Pain, Toenail Fungus, and Bunions.

Dr. Marc Stanard specializes in surgical and non-surgical periodontics, extractions, and dental implants. He is a graduate of Georgetown University School of Dentistry where he received his DDS in 1989. Dr. S. continued his studies at Emory University School of Dentistry and the Veteran’s Affairs Medical Center/Marquette School of Dentistry earning after four additional years his postgraduate specialization certificates. There are few things in life more important than keeping your teeth happy and healthy. That’s why Dr. Marc Stanard, a specialist in periodontics and surgical implant dentistry, is devoted to making it easy, comfortable, and even fun to take care of your teeth. When you come in for a check-up or procedure, he’ll take the time to listen to what’s bothering you and walk you through every step of the treatment he recommends. Whether you’re here for a gum graft or a different specialized procedure, you can relax knowing you’re in caring and experienced hands. With decades of experience and a passion for his work, there’s no one better equipped to handle your periodontal care than Marc P. Stanard, DDS, PC. We specialize in all aspects of periodontal therapy, extractions, implants, and more. We provide high-quality, comfortable, advanced, and affordable dental care. Please schedule your appointment today with us for dental care services in our friendly office!

2112 F Street, NW Washington DC
Capital Surgical Center Suite #802
Call: 202-861-2252
Comprehensive Wound Care Services Suite #804 Call: 202-861-2971
Dr. Jonathan Johnson, M.D., MBA, CWSP, is a distinguished plastic surgeon and the owner of Capital Surgical Center and Comprehensive Wound Care Services in Washington, DC. With over 20 years of experience, Dr. Johnson specializes in both advanced wound care and aesthetic medicine, blending his surgical expertise with a commitment to patient-centered care.
Board certified by both the American Board of Wound Management and the American Academy of Aesthetic Medicine, Dr. Johnson is highly regarded for his dual focus on wound healing and aesthetic procedures. As a Sylvester J. Carter Fellow in hand and plastic surgery, he trained at the prestigious Lincoln Medical and Mental Health Center, where he gained extensive experience in reconstructive wound care and aesthetic enhancements. His expertise has led him to speak at numerous national conferences, educating fellow physicians on the latest advancements in both specialties.
Through Comprehensive Wound Care Services, Dr. Johnson provides compassionate and effective treatment to patients suffering from chronic, non-healing wounds, particularly in nursing homes across Washington, DC, Georgetown, and Foggy Bottom. His aesthetic practice at Capital Surgical Center offers innovative cosmetic procedures designed to enhance natural beauty and restore confidence.
In addition to his medical credentials, Dr. Johnson holds an MBA in healthcare finance from Johns Hopkins University’s Carey Business School. He is a member of the Maryland Society of Physician Entrepreneurs. Dedicated to community service, he serves on the board of directors for the Capital Youth Empowerment Program, a nonprofit supporting inner-city youth development.

12200 Annapolis Road Suite #116 Glenn Dale, MD 20769 EnvisionEyeandLaser.com

Board Certified, Ophthalmology by the American Board of Ophthalmology
Degrees, Training and Certificates: UCLA Medical School; Yale University Hospital for Residency; Louisiana State University for Cornea and Refractive Fellowship
Professional Memberships/Associations: American Academy of Ophthalmology; American Society of Cataract and Refractive Surgery; International Society of Refractive Surgery
Areas of Interest: All laser custom LASIK; Cataract Surgery; Botox; Dermal Fillers; Cornea Comprehensive Ophthalmology
Practice Philosophy: Envision Eye and Laser is committed to delivering superior ophthalmic care with state-of-the-art technology and patient education in a caring, compassionate environment. We cater to a diverse population of adults and work with your primary care physician to improve the quality of your overall health and life. Your best vision is our focus.


Dr. Griffiths is one of this area's most experienced surgeons and offers stateof-the-art Laser Vision Correction, Cataract Removal, Multifocal Lens Implants, and Comprehensive Ophthalmology. She has helped thousands of patients who struggle with their vision. Her knowledge, compassion, and attention to detail are the reasons she was voted by her peers to be one of this area’s most elite physicians.
Degrees, Training & Certifications
Dr. Griffiths is a Board Certified Ophthalmologist. She received her undergraduate degree from Yale and her medical degree from the University of Michigan. She then completed her Ophthalmology residency at Georgetown University Medical Center.
Professional Memberships & Affiliations
Dr. Griffiths is the immediate past Ophthalmology Section Chief of Reston Hos


A native of Leesburg, VA, Claiborne M. Callahan, MD graduated with distinction from The University of Virginia in 1996. In 2000, she graduated from The University of Virginia School of Medicine. She completed her Ophthalmology Residency at Tulane University in 2004.
Prior to joining NewView Eye Center, Dr. Callahan was in private practice in Virginia, Florida, and Alabama. Her knowledge, experience and patientcentered focus allows her to spend quality time with each patient to diagnose, educate and treat them. She understands that patients have a choice with whom to entrust their eye care needs, and she prides herself on adhering to the highest ethical standards in the practice of medicine.

pital Department of Surgery, the former Chief of Ophthalmology for the Reston Ambulatory Surgical Center in Reston, VA as well as Loudoun Hospital in Leesburg, VA, Diplomate of the American Board of Ophthalmology, a Fellow of the American Academy of Ophthalmology, a member of the American Society of Cataract and Refractive Surgery, the Washington National Eye Center and others.
Dr. Callahan has performed thousands of cataract surgeries, as well as laser, glaucoma and eyelid plastic surgeries. She has treated a myriad of eye conditions throughout her career. She is committed to ongoing education and stays current with diagnoses and treatments. She attends several educational and training meetings yearly to remain in the forefront of ophthalmology advancements.
She is a Diplomate of the America Board of Ophthalmology, a Fellow of the American Academy of Ophthalmology, and others.

• Custom LASIK & PRK
• Laser Cataract Surgery
• Multifocal Implants
• Annual Eye Exams
• Diabetes Management
• Glaucoma Management
• Laser Floater Removal
•




Degrees and Training: PhD in Demography/Gerontology, MS in Economics
Certificates From: Georgetown University, American University and New York University
Professional Memberships and Associations: IUSSP – International Union for the Scientific Study of Population, National Council on Aging (US).
Areas of Interest: Traveling, Fitness, Camping, Health Nutrition, Reading and Exploring the Internet.
Family: Son – Co-Owner
Services: Live in/out, short, long, nights, 24/7, Help at home, nursing home or hospital.
To help ELDERLY to remain at their homes and in the life’s mainstream of their choice as long and independently as possible. As well as deliver personal attention and assistance to the senior patients while at the hospitals, nursing and assisted living facilities.
To support a fast and successful recovery for PEOPLE OF ALL AGES (including youth and middle-aged patients) during and after their hospitalization, after surgery, at time of illness, infirmity, loneliness – at their homes or in medical facilities.
While providing care for our patients – we ARE GIVING PEACE OF MIND FOR THEIR FAMILIES.



By Jonathan Johnson, MD Capital Surgical Center
achieving the sculpted body you desire. Unlike traditional liposuction, which focuses on specific areas, 360 liposuction provides a comprehensive, full-body contouring approach to enhance your natural shape from every angle.
What Is 360 Liposuction?
360 liposuction, also known as Lipo 360, is an advanced body
contouring procedure that targets multiple areas of the midsection, including the:
• Abdomen
• Flanks (love handles)
• Lower back
• Upper back
• Waistline
By addressing fat deposits

around the entire torso, this technique creates a more balanced, 360-degree transformation, enhancing the natural curves of the body.
How Does 360 Liposuction Work?
The procedure uses advanced liposuction techniques to gently remove excess fat while sculpting a smoother, more contoured appearance. Depending on your needs, your provider may use:
• Tumescent liposuction (a minimally invasive approach using local anesthesia)
• Laser-assisted liposuction (to help tighten the skin)
• Power-assisted liposuction (for more precise fat removal)
Since 360 liposuction treats multiple areas at once, it creates a dramatic yet natural-looking transformation.
Who Is a Good Candidate For 360 Liposuction?
Ideal candidates for 360 liposuction include individuals who:
• Have stubborn fat deposits that don’t respond to diet and exercise
• Are close to their ideal weight but want better definition
• Have good skin elasticity to ensure smooth contouring
• Want a more sculpted waistline, flatter stomach, and toned back It is not a weight-loss procedure but rather a body sculpting method for those seeking enhanced curves and definition.
Recovery from 360 liposuction is typically quicker than traditional liposuction because modern techniques are less invasive. Patients can expect:
• Mild swelling and bruising for the first few weeks
• Compression garments to help shape the body and reduce swelling
• Visible results within a few weeks, with final results appearing after 3-6 months
Most patients return to work within a week, depending on the extent of the procedure.











By Quansheng Lu, CMD, PhD, LAc Wholelife Chinese Medicine & Acupuncture Center
Acupuncture, originating from ancient Chinese traditions, has garnered substantial attention in Western societies in recent decades. This practice entails delicately inserting fine needles into precise points on the body to stimulate healing responses and restore equilibrium. Over time, acupuncture has demonstrated effectiveness in addressing various ailments, notably rhinitis and asthma.

Rhinitis, a condition characterized by inflammation of nasal passages, manifests through symptoms like congestion, runny nose, sneezing, and itchiness. This ailment encompasses two primary forms: allergic and non-allergic. Allergic rhinitis stems from immune reactions to allergens such as pollen, dust, or animal dander, while non-allergic rhinitis can arise from irritants like smoke, pollution, or strong odors.
Asthma, a chronic respiratory disorder, involves inflammation and
Quansheng Lu, CMD, PhD, L.Ac www.wholelifeherb.com • luquansheng@gmail.com 301-340-1066 • fax: 301-340-1090
Guest professor, Henan University of Traditional Chinese Medicine (TCM) Chief TCM Physician, WFCMS; M.S. in TCM, Beijing University of TCM PhD in integrated medicine, China Academy of Chinese Medical Sciences Fellowship, Georgetown University & Children’s National Medical Center 3 patents, 8 books of TCM, 30 papers, 30+ years of experience in TCM
Low back pain • eczema • arthritis • allergies
cough • insomnia • paralysis obesity • nephritis • hepatitis • infertility • PMS • side effects of cancer treatment 416 Hungerford Drive, #300 Rockville, MD 20850
5022 Dorsey Hall Drive, #101 Ellicott City, MD 21042



constriction of airways, leading to breathing difficulties. Its symptoms encompass coughing, wheezing, chest tightness, and breathlessness, triggered by various factors including allergies, physical activity, cold air, or stress.
Acupuncture’s efficacy in treating both rhinitis and asthma has been established through research. Traditional Chinese medicine attributes these conditions to imbalances in the body’s energy or “qi,” which acupuncture addresses by stimulating specific points to restore balance and facilitate healing.
Studies published in respected journals such as Allergy and the Journal of Alternative and Complementary Medicine have highlighted acupuncture’s effectiveness in alleviating symptoms of allergic and non-allergic rhinitis. Participants receiving acupuncture reported significant improvements in nasal congestion, runny nose, and itchiness compared to sham treatments.
Similarly, research published in the Journal of Allergy and Clinical Immunology underscores acupuncture’s positive impact on asthma management. Participants receiving acupuncture experienced notable reductions in symptoms like coughing, wheezing, and breathlessness,

Quansheng Lu, CMD, PhD, LAc
alongside improvements in lung function.
Beyond its therapeutic benefits, acupuncture offers a safe and non-invasive alternative for managing rhinitis and asthma. Unlike medications that may entail side effects or prove ineffective for some individuals, acupuncture boasts minimal adverse effects and can be tailored to each patient’s unique requirements.
Acupuncture emerges as a viable and secure treatment avenue for addressing rhinitis and asthma. If you’re grappling with these conditions and seek a natural, non-invasive solution, acupuncture presents a promising option. It’s advisable to consult with a licensed acupuncturist to explore whether acupuncture aligns with your needs and preferences.

By Janet V. Johnson, MD Loving Care Pediatrics
Here are eight things you can do to protect your child from getting injuries:
• Supervise children at all times and intervene when there is inappropriate behavior such as pushing or shoving.
• Make sure playground equipment is age appropriate. Maximum fall height should be five feet for preschool-aged children and seven feet for school aged children.
• Swing seats should be made of plastic or rubber. Metal or wood
should be avoided.
• Avoid any equipment that has openings that could entrap a child’s head.
• Make sure you can clearly see your children on the playground.
• Remove tripping hazards such as tree stumps, or rocks.
• Avoid playgrounds with asphalt, concrete, grass, and solid surfaces under the equipment. Look for surfaces of hardwood fiber, mulch chips, pea gravel, fine sand or rubber to a depth of at least nine inches.
• Wear appropriate protective gear during sports activities (for example, shin guards for soccer, a hard-shell helmet for baseball or football, body padding for ice hockey, and helmet when on a bike or skateboarding).
Overall, summertime play for children can be great fun. But it’s important to keep in mind prevention strategies and safety tips.
Pool Safety
Here are five tips for keeping your
Please see “Children Safe,” page 38



Articles and Information from Doctors & Other Providers Who Can Help You Live PAIN FREE!

Back Pain?
Headaches?
Migraines? Arthritis?
Joint Pain?
Nerve Pain?
Sciatica?
Toothache?

If you are suffering from any type of pain be sure to check out next month’s special Pain & Rehab issue. Your Health Magazine is here to Help People Find the Healthcare They Need! Information from local doctors lowers the barriers to getting better healthcare and living healthier. It Makes a Difference! We publish articles and practice information for local doctors every month in the Magazine, on our Website, and on Social Media (@YourHealthDMV). Latest editions available online www.YourHealthMagazine.net
Attn: Doctors & Practitioners –DO YOU TREAT PAIN? Call today to submit an article and your information to be published in this special PAIN & REHAB issue – Space Is Limited.
child safe before heading to the pool this summer, as drowning is the leading cause of accidental death for children younger than five in the United States:
• Swim lessons. The American Academy of Pediatrics (AAP) supports swimming lessons for most children four years and older. The decision to enroll your child in swimming lessons should be based on the child’s developmental readiness.
• Never leave children alone in or near the pool or spa, even for a moment.
• Avoid inflatable swimming aids
1. B. How close you sit to the television, low light reading, and not wearing your glasses won’t weaken your vision, reports Prevent Blindness America, a nonprofit eye health group in Schaumburg, IL. But studies show that breathing cigarette smoke can indirectly damage your eyes.
2. D. B vitamins reduce your light sensitivity. Take 25 to 50 mg of B1, 25 to 100 mg of B2 and 1000 to 2000 mcg of B12 daily.
3. D. The healthy bacteria L. acidophilus in yogurt combats the bacteria that causes conjunctivitis. Eat 1 1/2 cups of yogurt with active cultures daily.
4. A. Women’s tears contain high levels of the hormone prolactin, which decline after menopause, resulting in dry eyes. To help reverse this problem, be sure to get enough potassium (500 mg daily), a mineral that metabolizes fluid. Also, take vitamin B complex (50 mg daily). B vitamins, especially folic acid and B6, are crucial for tear production.
5. D. Spinach contains lutein, a plant pigment that prevents macular degeneration. Each day, eat four to eight ounces of cooked Spinach, or take



such as “floaties.”
• Whenever infants or toddlers are in or around water, an adult (preferably one who knows how to swim and perform CPR) should be within arm’s length, providing “touch supervision.”
• Remove all toys from the pool after use so children aren’t tempted to reach for them.
Now is the time to plan for family summer activities, many of which may require an annual health visit prior to participation.


two to six mg of lutein in capsule form.
6. C. Muscle spasms trigger twitches in your eyelids. For relief, take up to 400 mg of magnesium (a known muscle relaxant) twice daily. If a twitch persists, also take 50 mg of vitamin B6 daily.
7. C. It’s crucial to wear sunglasses between 10 a.m. and 2 p.m., even on cloudy or winter days. Look for ones that block 100 percent of UVA and UVB rays.
8. D. Antibiotics, aspirin, and oral contraceptives make your eyes sensitive to light. Wear sunglasses if your medication’s label includes a photosensitization warning.
9. B. Taking the mineral zinc doesn’t cause macular degeneration. In fact, a recent study published in the Archives of Ophthalmology reported that high doses of zinc (80 mg daily), taken in addition to vitamin C (500 mg), vitamin E (400 IU), and beta carotene (15 mg), slow its progression.
10. A. A qi, or life energy, deficiency in the liver can cause glaucoma, according to traditional Chinese medicine. The Chinese herbal formula hsaio yao wan improves liver energy.







GERALD M. MARLIN, DMD, MSD
At Elite Prosthetic Dentistry, our “dream team” delivers an extraordinary blend of clinical precision and genuine care. Led by Gerald M. Marlin, D.M.D., M.S.D., a renowned specialist with over 3,700 successful implant procedures and a history of crafting crowns that last over 35 years, we are the trusted choice for adults seeking implant, cosmetic, and reconstructive dentistry in the Washington, DC metropolitan area. Why Choose Elite Prosthetic Dentistry?
• Expertise in saving teeth, problem-solving failing restorations, and addressing TMJ issues. Proven success in implant therapy, offering long-term results with minimal bone loss.
• Comprehensive care, including surgical implant placement, bone grafting, and custom restorations—all performed in our state-of-the-art office.
• An in-house laboratory ensuring efficiency and precision for veneers, crowns, and implant restorations.
• A warm, caring environment supported by a highly skilled team with an average tenure with us of 14+ years, complemented by oral and IV sedation protocols.
With a commitment to advanced digital technology and artistry, Dr. Marlin works closely with each patient to deliver “simply radiant, simply natural” results. Our crowns last more than three times the national average, and our implants boast a >97% success rate over 20 years. Your journey to a revitalized smile begins here. Contact us today to schedule your consultation and experience the difference of truly exceptional dental care.
Prosthodontist specializing in cosmetic, implant, and reconstructive dentistry, including crowns, veneers, and dentures.
DESIGNATIONS, AFFILIATIONS, and AWARDS
Invented and Patented an Implant Restoration System, Academy of Osseointegration, American College of Prosthodontics, American Academy of Periodontology, American Dental Association, DC Dental Society, Bethesda Magazine Top Dentist, Washingtonian Top Dentist for 22 years
4400 Jenifer Street, NW, Suite 220 Washington, DC 20015
202.244.2101
Concierge@eliteprostheticdentistry.com
EliteProstheticDentistry.com
ACUPUNCTURE
Eastern Medical Holistic Healing Center, Angel Wood, 240755-5925. www.acupuncture4wellness.webs.com
ALTERNATIVE HEALTHCARE
Holistic Family Health - Thermal Imaging, Herndon, VA. 703-635-6324 For More information visit www.fhtid.com
BEAUTY/SKIN
A Better You, Dr. ClarkeBennett, 410-672-2742.
BREAST HEALTH
University of Maryland Charles Regional Medical Center. 11340 Pembrooke Square, Suite 202, Waldorf, MD 20603. 240-607-2010. UMCharlesRegional.org
CHINESE MEDICINE & ACUPUNCTURE
Wholelife Chinese Medicine & Acupuncture, 301-526-9898, 416 Hungerford Dr., Rockville www.wholelifeherb.com
DENTAL IMPLANTS
Dental Implants Center of Rockville – Dr. Sreenivasan Sivakumar, DMD, MSD –301-294-8700 – 77 South Washington Street, Suite #205, Rockville, MD 20850 – www.DrSreeni.com.
Karl A Smith, DDS, 2550 N. Van Dorn St., Suite #128, Alexandria, VA. Call 703-894-4867, Visit www.drkarlsmith.com
Richard Hughes, DDS, 703444-1152, 46440 Benedict Dr., Suite #201, Sterling, VA. www. SterlingImplantDentist.com
Marc P. Stanard, DDS – 202887-5441 – 1350 Connecticut Avenue, NW, Suite #305, Washington, DC 20036 – wdcperioimplant.com.
EYE CARE
Visual Eyes, Alexander Nnabue OD, 301-324- 9500.
FERTILITY
Montgomery Women’s Fertility Center – 301-946-6962 – MontgomeryFertilityCenter. com – Rockville, MD.
HOLISTIC WELLNESS COACH
Nutrition Lifestyle Digestion and More – Lisa@LisaThorne.Me – Text 269861-7565.
HYPNOSIS/YOGA
Toni’s Happy Hour Yoga and Holistic Wellness Center • 6504 Old Branch Avenue, Temple Hills, MD 20748 • 301-449-8664.
(Each line approximately 3-4 words)
MEDICAL SPACE
Charles L. Feitel Company, 301-571-9333, www.medicalanddentalspace.com.
MENTAL HEALTH SERVICES
House Calls, LLC. 301-3466732. callingonbeth@gmail. com. www.CallingOnBeth.net.
Nutritional Healing Center, Thomas K. Lo, DC, MA, 240-651-1650, 7310 Grove Road, Suite 107, Frederick, MD 21704. doctorlo.com.
Good Health Nutrition Services,LLC – 1300 Mercantile Lane, Suite 129-37, Largo, MD 20774 – 301-341-4680 –www.ghnutritionservices.com
– We accept Insurance.
OPHTHALMOLOGY
NewView Laser Eye Center – Jacqueline D. Griffiths, MD – Reston (703) 834-9777 – Visit us at www.NewViewEye.com.
All Smiles Orthodontics – 9010 Lorton Station Blvd., Suite #260, Lorton, VA 22079 – www. AllSmilesBraces.com – For info call us at 703 337-4414.
To Order: Include you NAME, ADDRESS, PHONE, EMAIL AND WHAT HEADING YOU WISH TO BE LISTED UNDER, AND ANY SPECIAL OFFER OR TEXT TO INCLUDE. We will prepare a proof and email to you for approval.
Email your information to: info@yourhealthmagazine.net or Fax to: (301) 805-6808. Call (301) 805-6805 for assistance.
MARYLAND/WASHINGTON, DC OFFICE
4201 Northview Drive, Suite #102, Bowie, MD 20716 phone: (301) 805-6805 • fax: (301) 805-6808 • email: Info@YourHealthMagazine.net VIRGINIA OFFICE phone: (703) 288-3130 • fax: (703) 288-3174 • email: Publish@YourHealthMagazine.net

Loving Care, Janet Johnson, MD – 301-403-8808.
PHYSICAL THERAPY/ REHABILITATION
Active Physical Therapy. Various Locations across Maryland and Washington, DC. Active-physicaltherapy.com.
Largo Foot and Ankle Health Center, Ade Adetunji, DPM, 301-386-5453.
District Podiatry – Lubrina Bryant, DPM – 202-388-5303 – 1140 Varnum Street, Suite #30, Washington, DC 20017 – www.DistrictPodiatry.com.
Chevy Chase Home Care. Help at a time you need it most. Any Ages. Any situations. Any shifts. MD, DC, VA. www.CHCHhomecare. com 202-374-1240.
AA Urology – Odenton, 1106 Annapolis Road, Suite #250, Odenton, MD 21113 – Glen Burnie, 305 Hospital Drive, Suite #303, Glen Burnie, MD 21061 – Bowie, 4201 Northview Drive, Suite #201, Bowie, MD 20716 – West Campus Surgery Center, 7855 Walker Drive, Suite #102, Greenbelt, MD 20770 – Greenbelt , 7855 Walker Drive, Suite #100, Greenbelt, MD 20770.






SUBSCRIBING IS EASY:
1) Call 301-805-6805 with your name, contact info, and credit card payment for $24, or
2) Simply mail this form along with your check for $24:
Your Health Magazine 4201 Northview Dr. Suite 102 Bowie, MD • 20716




Now you can get the latest issues delivered directly to your home!
• Health articles and advice
• Doctors near YOU!
• Maryland, Washington, DC & Virginia editions
• Only $24 for a year’s subscription (12 issues)!


















Your HEALTH Magazine publishes and distributes health information people need. We produce special sections to focus on particular health topics each month, and profiles of local health professionals. It Makes a Difference! Here’s what you can look forward to:
June PAIN MANAGEMENT and REHABILITATION – Professionals to help you and your family with chronic pain. Chronic pain is debilitating with significant consequences for the sufferer, their loved ones and their employers. Educating people about pain and where they can get help. Will include Profiles from your Local Pain Management Health Professionals.
July MEET YOUR LOCAL HEALTH PROFESSIONALS – Biographical profiles of a wide variety of local health professionals (Primary Care, Specialists, Integrative, Fitness, and more), highlighting their credentials, expertise, education, practice philosophy, areas of interest, and more!
August WOMEN’S HEALTHCARE and WOMEN IN HEALTHCARE – All the information women need about health, plus profiles to highlight the important women involved in all areas of healthcare – from physicians and nurses to pharmacists and office support staff. Will include Profiles from your Local Women Healthcare Professionals.
September DENTAL HEALTH plus WEIGHT CONTROL, EXERCISE AND NUTRITION – Dentists, Cosmetic Dentistry, TMJ, Periodontics, Orthodontics, Oral Surgeons, Endodontics, and more! Gyms, nutrition and diet plans, weight loss, surgical alternatives, to help affect America’s out-of-control weight problems. Will include Profiles and Information from your Local Dental Health and Exercise and Nutrition Professionals.
October CANCER AWARENESS and HEALTH TECHNOLOGY – Professionals to help with prevention, early detection and surviving cancer. Information for men and women, and their families, and professionals who can provide help! Will include Profiles from your Local Cancer Health Professionals.

If you are a Health Professional interested in including your

Submitted by ScholarsHub.net
Pursuing a career in healthcare can be deeply rewarding, but the cost of education is a significant challenge for many students. Fortunately, a wide range of scholarships are available to support aspiring nurses, doctors, and therapists. These scholarships can help reduce the financial burden and make it easier for students to focus on their training and future careers in service to others.
Nursing students have access to a large number of scholarships, both nationally and locally. The HRSA Nursing Scholarship Program, for example, offers funding in exchange for service in highneed areas. Many state-level nursing associations and hospitals also sponsor scholarships for residents pursuing RN, BSN, or advanced degrees in nursing. Academic merit, financial need, and commitment to working in underserved commu
nities are common eligibility factors.
Medical education is among the most expensive, but scholarships do exist—especially for students from underrepresented backgrounds or those committed to working in primary care. The National Health Service Corps (NHSC) Scholarship Program provides full tuition and a living stipend for students who agree to work in Health Professional Shortage Areas after graduation. Many medical schools also offer institutional scholarships based on need or academic excellence, so it’s important to explore options at each individual school.
Aspiring occupational therapists, physical therapists, speechlanguage pathologists, and mental health counselors can also find targeted scholarships. For example, the American Occupational Therapy Foundation and the American
Speech-Language-Hearing Foundation both offer annual awards. Some scholarships are tied to specific graduate programs or geographic areas, while others are open to students nationwide. Many prioritize applicants with a strong record of volunteerism or community involvement.
For
Start early, and apply broadly. Many scholarships have early deadlines or require essays, transcripts, and recommendation letters. Tailor your applications to show not just academic potential but also a commitment to helping others and contributing to the healthcare profession. Keeping a calendar of deadlines and requirements can help you stay organized throughout the process.
Scholarships can significantly reduce student loan debt and increase access to life-changing careers in healthcare. With persistence and planning, future nurses, doctors, and therapists can find the support they need to succeed.

