












![]()













By Jeffrey L. Brown, DDS Sleep & TMJ Therapy
Believe it or not, most of the research out there shows that women are more prone to TMD (Temporomandibular Disorders) issues than men. There are a few theories on this that might be interesting to investigate. First of all, women are regarded as generally being more sensitive than men and even more nurturing. This
might explain why they would feel more pain or be more aware if there is a problem with the body. And being the nurturer in the family means being more aware of not only their own pain, but the pain of others. Maybe this is why the new patients that we see are mostly women.
Another factor with women experiencing more TMD is that the disease process known as EDS (Ehler Danlos


Syndrome) is far more common in women than men. In fact, the most common subtype of EDS (hEDS- hypermobile EDS) shows that 90% of the patients are women. This number is staggering. And with the more common forms of EDS, it turns out that the prevalence is roughly 70% women and only 30% men have it. Again, this is a remarkable difference that exists in a disease process that greatly affects

• Certified Fellow of the American Academy of Craniofacial Pain
• Over 30 Years Experience
• Graduate of Georgetown School of Dentistry

Dr. Jeffrey Brown has limited his practice to focus only on TMJ Disorders, Craniofacial Pain Management and Sleep Apnea. By fixing slipped discs in the jaw joints, Dr. Brown can significantly reduce the pain patients experience in the head/neck region and other symptoms associated with jaw joint problems. Sleep & TMJ Therapy may be able to improve the quality of life for you or a loved one – we encourage you to contact us with any questions or concerns.
“Dr. Brown and his staff are absolutely wonderful. I was diagnosed with Dystonia. I could not turn my head and had a ton of pain. My doctors offered no help and no advice besides Meds and Botox. Since having the appliance I have NO pain and I can turn my head. I would highly recommend them to anyone. I feel Dr. Brown and his staff really care about their patients and helping them to get better. They do not just numb the symptoms but fix the problem. Thank you from the bottom of my heart. I feel like the old me again!”
- D. Thomas
“My daughter has been treated by Dr. Stack and Dr. Brown for the last 2 1/2 years, and we are very fortunate to have found them. Prior to that she was being treated by a neurologist at a Children’s hospital. She was on medications for tics and associated muscle pain, OCD/repetitive thoughts, sleeplessness and more (all possibly associated with Tourettes). Drs. Stack and Brown installed spacers to alleviate pressure on nerve bundles in the jaw, and subsequently braces to complete the process. Her symptoms have diminished significantly. She is off medication, her tics have all but disappeared, she can concentrate better in school, and she is once again cheerful and relaxed.” - Susan
For more reviews, search “Sleep & TMJ Therapy” on Google!
TMD. With EDS the ligaments and joints are all looser than they should be so the discs on top of the jaw bones (the condyles) are far more likely to slip off or become displaced. So along with joint laxity, the EDS patient has to contend with a much higher risk of developing TMD problems. According to many of the doctors who treat EDS, joint laxity is a much more common disorder (disease) than previously thought and is far more prevalent amongst our people than anyone really realizes. What this means for the TMD patient is that they have another problem to contend with potentially and a higher need for treatment exists. Maybe this is why so many people are hurting, have displaced discs, and are not all that aware of the problem? Many people show up at the doctor’s office not really sure why they are aching, have headaches, jaw pain, neck pain, or even tremors when all along it’s a TMD problem that can and should be dealt with.
Women also have the added problem as they age, their estrogen levels begin to drop. During menopause the lower levels of estrogen predispose the jaw joints to degenerate and this can increase alveolar bone loss. The bone loss means the structure of the jaw joint is breaking down which will mean the disc can slip off the condyle more readily and TMD issues begin to take place: headaches, neck pain, etc. Regardless of the situation, it does seem that women are more prone to TMD problems and should have a proper professional diagnose their condition and treat it before it becomes more complicated and even more painful. Seek out a doctor who treats the TMD problem on a daily basis and take charge of your life!

By Marc P. Stanard, DDS, PC
When it comes to oral health, many people are familiar with the link between pregnancy and gum disease. However, fewer realize that hormonal changes during menopause also play a critical role in women’s gum and bone health. As women live longer, understanding and addressing these changes is essential for maintaining oral health into later life.
During menopause, estrogen levels decline significantly. Es -
trogen helps regulate the health of the bones throughout the body, including the jawbone that supports the teeth. As estrogen drops, postmenopausal women face an increased risk of osteopenia and osteoporosis, which can weaken the jawbone and contribute to tooth loss. Research shows that women with osteoporosis are more likely to experience periodontal attachment loss — the destruction of the structures that anchor teeth securely in place.
In addition to changes in bone density, menopause can lead to reduced salivary flow, known as dry mouth or xerostomia. Saliva plays a vital protective role in the mouth, helping to neutralize harmful acids, control bacteria, and protect soft tissues. A dry mouth environment makes it easier for plaque to accumulate along the gumline, increasing the risk of gum inflammation (gingivitis) and progression

to periodontal disease.
Some women also experience burning mouth syndrome during menopause, characterized by a burning or tingling sensation in the gums, tongue, or other oral tissues, which may exacerbate discomfort and discourage regular oral hygiene.
These changes mean that postmenopausal women should be especially vigilant about their oral health. Professional periodontal care, regular dental check-ups, and meticulous at-home oral hygiene are essential. In some cases, a periodontist may recommend treatment strategies to protect the jawbone or manage dry mouth symptoms, such as saliva substitutes or fluoride treatments.
Importantly, collaboration between medical and dental providers is key. For women undergoing osteoporosis treatment with medications such as bisphosphonates, spe-

cial precautions may be necessary before dental surgery, extractions or implant placement. In summary, menopause brings hormonal changes that can significantly affect the gums, jawbone, and overall oral health. With preventive care and attention, women can protect their smiles and maintain good oral health well beyond their reproductive years.
Maintaining good dental hygiene is crucial, and Dr. Marc Stanard, a periodontist and specialist in surgical implant dentistry, can help you achieve healthy teeth comfortably. We offer a wide range of specialized procedures and services to cater to your periodontal needs, such as bone surgery, scaling, and root planing, gum grafts, crown lengthenings, and sinus lifts.
• We provide advanced, affordable dental care tailored to meet your unique needs.
• Our team offers oral hygiene instruction and education on gum disease, bone loss, and other dental health conditions.
• Dr. Marc Stanard has decades of experience and a passion for his work, and he’s earned numerous designations, affiliations, and awards, including Top DDS by Washingtonian and high ratings on Google and Yelp.
• Our office is friendly and welcoming, making it the perfect place to receive top-quality dental care.



Your Health Magazine is on a mission. There are far too many people, insured or not, who do not go to the doctor when they should, and in millions of cases, don’t know who they should go to, or why.
People are encouraged to buy a new house, car, cell phone or big screen TV, and those companies make themselves very visible and their products easily attainable.
Information about, and from, local healthcare providers is not easy to find, and many times those services are difficult to access.
Information and encouragement always lowers fear and trepidation about anything, and this is especially true in healthcare. While general information is available on web-sites, specific information from local providers is almost impossible for people to find. This is one of the key reasons chronic and episodic conditions are not cared for. It is our mission to:
Make A Difference By Empowering and Encouraging People To Live Healthier By Going To the Doctor When They Should.
There is a lot of evidence that the health professionals who participate in Your Health Magazine have helped many people over the years. We at Your Health Magazine salute you!
G. Scott Hunter, Editor-in-Chief
If you would like to find out how you can participate in one of our upcoming editions, please contact the office nearest you.
MARYLAND & WASHINGTON, DC OFFICE One Town Center 4201 Northview Drive, Suite 102 Bowie, MD 20716 Office (301) 805-6805 • Fax (301) 805-6808 info@yourhealthmagazine.net
VIRGINIA OFFICE Office (301) 805-6805 info@yourhealthmagazine.net

© Your Health Magazine, 2025. The magazine and all of its contents are protected by copyright. For permission to reproduce any materials in this magazine, contact info@yourhealthmagazine.net

By Ali Ghatri, DDS Let’s Smile Dental
Dental implant procedures are complex and require the expertise of multiple dental professionals, each contributing their unique skills to achieve a successful and long-lasting result.
The general dentist typically serves as the primary point of contact. They initiate the diagnostic process, evaluate overall oral health, and determine whether the patient is a candidate for implants. The general dentist also handles initial care such as extractions, treatment of decay, or periodontal therapy. Once the need for collaboration is identified, the dentist coordinates referrals to the appropriate specialists.
An orthodontist may be involved early in the planning process, particularly if teeth have shifted into the space of a missing tooth or if bite alignment needs correction. Strategic tooth movement is often essential before implant placement, especially since implants, once placed, are immovable. Orthodontists use tools like braces or clear aligners to create optimal spacing and alignment, not just for aesthetics, but also to ensure the long-term success of the implant.
The oral surgeon is responsible for the surgical phase of treatment. This includes placing the titanium implant post into the jawbone with precision, sometimes performing additional procedures such as bone grafting or sinus lifts when necessary. Their goal is to ensure a solid foundation for the future res-
toration while minimizing surgical risk and promoting proper healing. In some cases, the oral surgeon may also consult with a periodontist to manage the health and shape of the gum tissue surrounding the implant. This is especially important in patients with a history of gum disease or when aesthetics are a priority in the smile zone.
Once the foundation is secure, the general dentist may work with a prosthodontist to design and place the final restoration—typically a crown, bridge, or denture. Prosthodontists specialize in restoring function and appearance with highprecision prosthetic teeth.
While collaboration between providers was introduced in the
first article, this second part highlights the distinct roles each professional plays during the process. The timing and sequence of care matter, and it’s often the general dentist who coordinates this multidisciplinary effort to ensure that every stage of treatment is integrated, efficient, and tailored to the patient’s needs.


Discover a world of comprehensive dental care at Let’s Smile Dental, your trusted destination for superior oral health in Northern Virginia. With nine conveniently located offices, our skilled team of professionals is dedicated to providing a spectrum of specialized services, all under one roof.
At Let’s Smile Dental, our providers share a common mission: delivering the highest quality care to our valued patients. Through seamless collaboration and a patient-centric approach, our doctors ensure a positive experience and ultimate smile satisfaction. Choose Let’s Smile Dental – where your smile is our priority!
Alexandria, VA 703-658-3000 Fairfax, VA 703-719-5828 Fredericksburg, VA 540-785-4494
Herndon, VA 703-719-5828 Purcellville, VA 540-338-9400
Reston, VA 703-719-5828
New Cosmetic Dentistry of Fairfax
4210 Fairfax Corner Avenue, West
Suite #240, Fairfax, VA 703-968-4300

By Mara Holton, MD Anne Arundel Urology
Urologic health is a vital component of overall well-being, yet it is often overlooked—especially when it comes to women. Women’s urologic health involves the care and maintenance of the urinary tract and reproductive organs, and addressing the unique challenges that women face in this area is essential
for long-term health and quality of life.
Urologic
1. Urinary Tract Infections (UTIs): UTIs are among the most common urologic issues affecting women. Due to the shorter length of the female urethra, bacteria can more easily reach the bladder, leading to infections. Symptoms include a burning sensation during urination, frequent urges to urinate, and cloudy or strong-smelling urine. Prompt treatment with antibiotics and good hygiene practices can help prevent recurrent infections.
2. Overactive Bladder (OAB):
OAB is characterized by a sudden and frequent need to urinate, sometimes accompanied by leakage. It can be caused by factors like weakened pelvic muscles, nerve damage, or hormonal changes. Treatment options include lifestyle modifications, pelvic floor exercises, medications, and in some cases, surgical interventions.
3. Urinary Incontinence: Incontinence, or the involuntary loss of urine, affects women of all ages but becomes more common after childbirth and menopause. Stress incontinence (leakage during physical activity) and urge incontinence (a sudden, intense need


to urinate) are the most common types. Treatments range from physical therapy and bladder training to medications and surgical procedures.
4. Interstitial Cystitis (IC): Also known as painful bladder syndrome, IC is a chronic condition causing bladder pressure, pain, and frequent urination. Though its exact cause is unclear, treatments focus on symptom relief through dietary changes, physical therapy, medications, and bladder instillations.
5. Pelvic Organ Prolapse: This condition occurs when the muscles and tissues supporting the pelvic organs weaken, causing organs like the bladder, uterus, or rectum to drop into the vaginal canal. Symptoms include pressure, discomfort, and difficulty with urination or bowel movements. Treatment may include pelvic floor exercises, pessaries, or surgery.
Prevention and Care
Maintaining urologic health involves a combination of lifestyle choices, preventive care, and regular medical check-ups. Here are some key strategies:
• Stay Hydrated: Drinking enough water helps flush bacteria from the urinary tract and supports overall kidney function.
• Practice Good Hygiene: Wiping from front to back, wearing breathable cotton underwear, and avoiding harsh soaps can reduce the risk of infections.
• Strengthen Pelvic Floor Muscles: Kegel exercises can help prevent incontinence and support bladder control.
• Maintain a Healthy Diet: Limiting bladder irritants like caffeine, spicy foods, and acidic beverages can help manage symptoms of overactive bladder and IC.
• Regular Medical CheckUps: Annual visits to a gynecologist or urologist can help catch potential issues early and ensure comprehensive care.
When To See a Urologist Women should consult a urologist if they experience recurring UTIs, incontinence, pelvic pain, or any other persistent urinary symptoms. Early diagnosis and intervention can prevent complications and improve quality of life. Women’s urologic health is an essential but often under-discussed aspect of medical care. By understanding common conditions, taking preventive measures, and seeking timely medical advice, women can maintain better urinary health and overall well-being.

By E. Richard Hughes, DDS
Edentulous means lacking teeth. The complete loss of teeth (edentulism) due to gum disease and tooth decay can have severe consequences on your health. Complete dentures are an unacceptable substitute for natural teeth due to slippage, discomfort and inefficient chewing. Dental implants for endetulous patients are typically the best solution.
Edentulism is a complex condition due to the interaction between the disease and aspects that do not depend on the disease itself, such as biologic and patient factors. Edentulism presents socioeconomic problems to the worldwide health care systems.
Numerous studies have proved that the absence of teeth can impact the systemic health of patients in the following ways:
• Patients may reduce consumption of fruits and vegetables, fiber and carotene and they may increase the consumption of foods rich in cholesterol and saturated fats. This may lead to cardiovascular diseases such as hypertension, stroke, aortic valve sclerosis and coronary problems.
• There may be an increase in gastric and duodenal ulcers, pancreatic tumors, upper gastrointestinal tract tumors and kidney problems due to the lack of antioxidants that control the inflammatory cascade.
• There is an increased risk of insulin resistance and type-2 diabetes, due to the increases fat and long chain carbohydrate consumption.
• People may decrease daily physical and social activity.
• People may develop sleep disorders, such as sleep apnea.
Diet appears to play a decisive role in the relationship between edentulism and general health. There
are studies that report a significant decrease in blood concentrations in vitamins A, C, folate and beta carotene in edentulous versus those with teeth.
It is abundantly clear that a compromised or absent dentition has consequences, such as the restriction on the choice of foods, choking on food, poor digestion, alteration of taste, change in chewing efficiency, discomfort and premature facial aging. The selfimage issues associated with edentulism
adversely impact on ones socialization.
Studies show that 39% of the elderly edentulous patients cannot eat the food they want, 29% report a decrease in satisfaction from food and 14% avoid eating with other people.
Dental implant treatment can tremendously improve all the abovementioned issues.
You deserve the best, so take a new bite out of life.

1. Have You Lost One or More of Your Teeth?
2. Are You Embarrassed by Your Smile or Missing Teeth?
3. Are You Tired of the Daily Hassles of Denture Wear?
4. Do You Have Bone Loss Where Teeth Were Pulled?
5. Do You Have Pain of Discomfort When Chewing?


At the Minimally Invasive Vascular Center (also known as MIVC) we have long been committed to addressing the vascular devastation that is rampant in our community. Each year cardiovascular disease is the world’s largest killer; killing more Americans than cancer. If you have painful legs, wounds that won’t heal, varicose veins, leg swelling, history of smoking, or have a family history of vascular problems and/ or are over the age of 50, you may suffer from poor circulation. Poor circulation may be responsible for causing erectile dysfunction in as much as 50 to 70 percent of men who develop the condition. Now we are happy to add expanded services! Our goal is to extend the healthy lifespan of our patients by using a comprehensive, integrative approach to achieve the most effective results. We believe that Beauty Is a Reflection of Health and Wellness. We want you to be as beautiful on the outside as you are healthy on the inside.
• Primary Care
• Wound Care
• Comprehensive Weight-Loss (including injectables)
• Aesthetics
• Age Spots
• Cellulite
• BOTOX® Cosmetic
• Fillers
• Microneedling w/PRP and Exosomes
• PRP Hair Restoration
• Spider Veins
• Body Contouring
• CoolSculpting
• Laser
• CoolTouch Laser
• Laser Hair Removal
• Laser Pigment Removal
• Laser Skin Resurfacing
• Laser Skin Tightening
• Skin Treatments
• Acne Scars
• PRP Injections
• Chemical Peels
• HydraFacial
• Microdermabrasion
• Sun Damage
• Vascular Procedures
• Arteriograms
• Atherectomy
• Balloon Angioplasty
• Radiofrequency Ablation – Veins
• Venogram
• Uterine Fibroid Embolization
• Coil Embolization
• Sexual Enhancement
• Hormone Therapy
• Gainswave
• P-shot/O-shot


By Karl A. Smith, DDS, MS
A smile is the first impression that communicates a woman’s happiness and confidence; if you wish to keep your winning smile out in front, you will want to take special care of what’s behind it – your periodontal (gum) health.
Periodontal health is connected to a woman’s overall health. As your health care needs change throughout your life, during puberty, pregnancy, and menopause, your oral care needs may change.
Hormonal fluctuations during these times may affect your gum tissue and the underlying bone that support your teeth. These changes may increase your susceptibility to periodontal disease and require you to take special care of your oral health.
Gum Care During Puberty
When a young woman enters puberty, the production of sex hormones, such as progesterone and estrogen increase. Studies show that these elevated hormone levels may cause gum sensitivity and lead to a greater reaction to any irritation, including food particles and plaque. During this time, the gums can become swollen, turn red, and may feel tender.
Menstruation and Gingivitis
During menstruation, some women may experience gingivitis. This condition may cause gingival (gum) bleeding, redness or swelling of the gums, sores on the inside of the lip and cheek, a slight burning sensation or gum discomfort. It is important to maintain good oral health during these hormonal fluctuations. However, in some cases, periodontal treatment and antimicrobial agents may be recommended to ensure that your periodontal health is at its best.
Pregnancy and Gum Disease
If you are pregnant, or planning to become pregnant, you need to know that your periodontal health can affect your pregnancy and ultimately the health of your baby. Studies have shown that any infection, including gum infection during pregnancy, may put you at a significant risk of delivering a preterm, low birth weight baby.
If you are already pregnant and have been diagnosed with periodontal disease by your general dentist, a simple non-surgical procedure called scaling and root planning performed by an experienced periodontist may significantly reduce your chances of complications.
Medications Including Oral Contraceptives
Birth control pills may make you susceptible to oral health con-
ditions that affect pregnant women. Synthetic hormones in the oral contraceptives are designed to mimic pregnancy and may cause your gums to turn red, bleed, and swell.
Also some commonly prescribed medications such as antidepressants and certain heart medications may cause dry mouth, increased plaque build-up and enlarged gum tissue. These conditions frequently result in bacterial infections under the gum line causing bleeding gums and bad breath. Make an appoint-
ment and speak with your periodontist if you are experiencing these symptoms.
During menopause or postmenopause, you may notice a change in the way your mouth looks or feels. You may, for example, experience discomfort including pain, burning sensations in the gums tissue, mouth sores or apthous ulcers, and altered tastes. Saliva substitutes are available from your periodontist to help

lessen the effects of a “dry” mouth that many women experience. Postmenopausal women may significantly reduce tooth loss by controlling their periodontal disease, especially if diagnosed with osteoporosis.
Diligent at-home oral hygiene, professional cleanings, and periodontal evaluations are an essential part of your overall health care.
Make an appointment for a periodontal evaluation with an experienced periodontist today.

– Dental Implants To Restore Your Beautiful Smile
– Caring & Kind Dentist & Team
– State-of-the-Art Equipment
– Laser Periodontic Therapy
– Affordable Gum Treatment
– Insurance Accepted & Filed
– Ultra-Sterile Environment
– No Referral Needed
– Comfortable Sedation Dentistry


Our patients mean the world to us (and they love to refer to us as friends and family). My team works together to ensure your visit is enjoyable, and that your treatment is gentle and pain-free. We are deeply committed to help you prevent and treat periodontal (gum) disease, and to enhance your smile to improve your overall health.





By Lubrina Bryant, DPM District Podiatry, PLLC
Experiencing pain in the pinky toe can be discomforting, yet understanding the causes behind it can offer clarity and relief. One common culprit is wearing ill-fitting footwear, particularly shoes that are too narrow or have inadequate toe space, which can compress the pinky toe and lead to friction and discomfort. Additionally, repetitive activities such as running or walking long distances can strain the muscles and joints in the pinky toe, resulting in pain and inflammation. Injuries such as stubbing the toe or dropping a heavy object on it can also cause acute pain and swelling.
Moreover, conditions like bunions or hammertoes can affect the alignment of the toes, putting extra pressure on the pinky toe and causing pain over time. Understanding the diverse causes of pinky toe pain empowers individuals to take proactive measures, such as wearing properly fitting shoes, and practicing good foot hygiene. If your pinky toe hurts, it is suggested that you contact a podiatrist who can determine what the cause is, and offer appropriate treatment options.
Toe pain can disrupt your daily activities. If you have any concerns, contact Dr. Lubrina Bryant of District Podiatry, PLLC. Our doctor can provide the care you need to keep you pain-free and on your feet.
Most severe toe pain is caused due to a sports injury, trauma from dropping something heavy on the toe, or bumping into something rigid. Other problems can develop over time for various reasons.
Toe pain can be caused by one or more ailments. The most common include:
• Trauma
• Sports injury
• Wearing shoes that are too tight
• Arthritis
• Gout
• Corns and calluses
• Hammertoe
• Bunions
• Blisters
• Ingrown toenails
• Sprains
• Fractures (broken bones)
• Dislocations
• Severe pain
• Persistent pain that lasts more than a week
• Signs of infection
• Continued swelling
• Pain that prevents walking
• Diagnosis
In many cases the cause of toe pain is obvious, but in others, a podiatrist may want to use more advanced methods to determine the problem. These can range from simple visual inspections and sensation tests to Xrays and MRI scans. Prior medical history, family medical history, and any recent physical traumatic events will all be taken into consideration
for a proper diagnosis. Treatment
Treatments for toe pain and injuries vary and may include shoe inserts, padding, taping, medicines, injections, and in some cases, surgery. If you believe that you have broken a toe, please see a podiatrist as soon as possible. If you have any questions please feel free to contact our office located in Washington, D.C . We offer the newest diagnostic tools and technology to treat your foot and ankle needs.


feet are important in our everyday lives. The problem is that we tend to neglect them. When this becomes a habit, it can cause significant trouble. Ignoring foot problems can mean pain, limited mobility, and expensive doctor’s visits. On the other hand, if feet are cared for and looked after regularly, they will perform without pain or complication.
Northern Virginia families now have a new option for high-quality, compassionate dental care with the grand opening of SmileWorld Pediatric Dentistry in Lorton. The new office is led by Dr. April Toyer, a Board Certified Pediatric Dentist and well-known local provider, whose longstanding reputation for excel -
lence began at Lifetime Dental Care in Woodbridge.
With the opening of SmileWorld, Dr. Toyer builds on years of experience treating children with a calm, reassuring approach that puts both kids and parents at ease. The Lorton office represents her deep commitment to making dentistry less
stressful—and even enjoyable—for children, while giving families access to the highest standard of pediatric care available in the region.
This new practice is specifically designed with children in mind. From the colorful, welcoming atmosphere to child-sized amenities and sensory-friendly accommoda -

tions, every detail at SmileWorld aims to reduce fear and create positive associations with dental care.


Where dental fear ends and healthy smiles begin.
At SmileWorld Pediatric Dentistry, we make going to the dentist a joy – not a fear. From toddlers to teens, our kid-friendly, anxiety-free care helps every child feel safe, seen, and celebrated.
Led by Dr. April Toyer, a Board Certified Pediatric Dentist with a gift for connecting with kids (even the anxious ones!), we’re here to build lifelong confidence – one smile at a time.
“Our mission is to give every child a healthy smile and a positive foundation for lifelong dental habits,” says Dr. Toyer. “We’ve created a space that feels safe, comfortable, and even fun.”
SmileWorld offers comprehensive pediatric dental services, including infant exams, cleanings, fluoride treatments, sealants, space maintainers, crowns, extractions, frenectomies, and emergency dental care. For children who need extra support, the practice also offers nitrous oxide (laughing gas) and in-office IV sedation, administered safely and with parental guidance. The goal is always the same: to make visits efficient, stress-free, and tailored to each child’s needs.
Dr. Toyer completed her dental training at the University of Maryland and her Pediatric Residency at Howard University. She is a Diplomate of the American Board of Pediatric Dentistry, an active member of the Virginia Dental Association House of Delegates, and serves as a consultant for the American Academy of Pediatric Dentistry’s Committee on Sedation and Anesthesia. With SmileWorld now open in Lorton, Dr. Toyer expands access to families throughout the area—including Woodbridge, Alexandria, Springfield, and beyond—who are seeking specialized dental care in a supportive, kid-centered environment. The new office is now accepting new patients and most major insurance plans, with flexible scheduling and payment options available.
Parents looking for a dental provider who combines clinical excellence with genuine care will find exactly that at SmileWorld Pediatric Dentistry—where every smile matters, and every child is treated with the patience, expertise, and kindness they deserve.


By Jacqueline D. Griffiths, MD New View Eye Center
From major league stadiums to small-town courts, America’s favorite pastimes make great memories for many. But for more than 42,000 athletes, those memories are ruined by eye injuries, the vast majority of which were preventable.
Injuries range from abrasions of the cornea and bruises of the eyelids to internal eye injuries, such as retinal detachments and internal bleeding. Many of these injuries lead to vision loss and permanent blindness.
The thousands of eye injuries each year aren’t only from basketball, baseball, football and hockey. Soccer, tennis, golf and water sports are also dangerous to the eyes. Each activity has its own specific protective eyewear, so when selecting eyewear make sure it is appropriate for your sport.
Today’s athletes can choose from various types of sturdy, lightweight and effective eyewear. When properly fitted, eyewear does not hinder performance and can prevent 90% of sports eye injuries.
So when participating in sports, be sure to:
• Select protective eyewear that is appropriate for the sport
• Be sure eyewear has polycarbonate lenses or shields
• Have eyewear properly fitted by an eye care professional Eye Safety For Children
Accidents resulting in eye injuries can happen to anyone. More than half of all eye injuries occur in people under the age of 25. Of the 100,000 eye injuries that occur annually, 40% occur during sports or recreational activities. In the 5-14 age group, baseball is the number one cause of sports-related injuries. In the 15-24 age group, basketball is the most common cause of eye injuries, with injuries caused by contact with fingers and elbows. Perhaps the most startling statistic is that 90% of all eye injuries could be prevented.
It is important for parents to familiarize themselves with potentially dangerous situations at home and in school and to insist that their children use protective eyewear when participating in sports or other hazardous activities.
Eye Safety At Home and In the Yard
To provide the safest environment for your children, select games and toys that are appropriate for their age and responsibility level.
Provide adequate supervision and instruction when your children handle potentially dangerous items, such as pencils, scissors, forks and penknives. Be aware that even common household items such as paper clips, bungee cords, wire coat hangers, rubber bands and

fishhooks can cause serious eye injury. Avoid projectile toys such as darts, bows and arrows, and missile firing toys. Do not allow your children to play with non-powder rifles, pellet guns or BB guns. They are extremely dangerous and have been reclassified as firearms and removed from toy departments.
Keep all chemicals and sprays such as sink cleaners or oven cleaners, out of reach of small children. Do not allow children to ignite fireworks or stand near others who are doing so. All fireworks are potentially dangerous for children of all ages.
Do not allow children in the yard while a lawn mower is in use. Stones and debris thrown from moving blades can cause severe eye injuries.
Demonstrate the use of appropriate protective eyewear to children by always wearing protective eyewear yourself while using power tools, rotary mowers, line lawn trimmers, or while hammering. Children will learn by your example.
Whatever your game, whatever your age, you need to protect your eyes. See your eye care professional today for appropriate protective eyewear.
When an Injury Does Occur
It is always best to have an ophthalmologist examine the eyes as soon as possible when an injury does occur. The seriousness of an eye injury may not be immediately obvious.

Jacqueline D. Griffiths M.D. earned her undergraduate degree at Yale and her medical degree from the University of Michigan. Her Ophthalmology residency was completed at Georgetown University Medical Center.
Dr. Griffiths has been in private practice since 1994. She started her own practice and laser center, NewView Laser EyeTM in 1999 where she serves as the Medical Director. NewView’s Mission is to provide Excellence in Ophthalmologic services by giving personalized attention to every patient.
Dr. Griffiths is Board Certified and began performing laser vision correction practically from its inception in this country. She has performed thousands of cases and participated with the CRS-USA LASIK trials to get the LASIK procedure approved by the FDA.
In addition to offering Custom LASIK and PRK, NewView offers Laser Assisted Cataract Surgery, Multifocal IOLs, annual eye exams, glaucoma and diabetic screening exams, and cosmetic services including Botox, Restylane, Radiesse, Juvederm, and eyelid surgery. NewView Optical offers affordable high quality frames and lenses for the entire family (ages 5 and older).
Dr. Griffiths is the former Ophthalmology Section Chief of Reston Hospital Department of Surgery, the former Chief of Ophthalmology for the Reston Ambulatory Surgical Center in Reston, VA as well as Loudoun Hospital in Leesburg, VA, Diplomate of the American Board of Ophthalmology, a Fellow of the American Academy of Ophthalmology, a member of the American Society of Cataract and Refractive Surgery, the Washington National Eye Center and others.


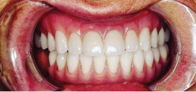
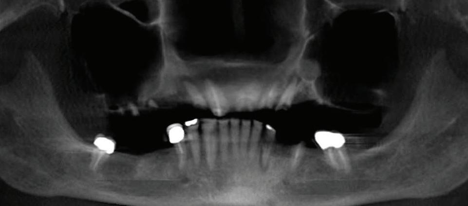
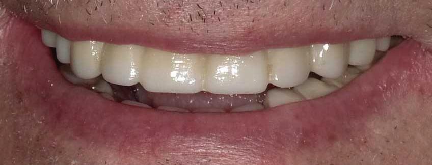
Submitted By Sivakumar Sreenivasan, DMD, MDS
Dental Implant Center of Rockville
Can just four implants replace all of the teeth on the top or the bottom of your mouth? Thanks to advances in dental implant technology, that answer is a resounding yes.
Believe it or not, tooth loss is extremely common among adults, especially as we age. In fact, more than 35 million people in America are missing all of their upper and/or lower teeth. Rather than living with the discomfort and hassles of dentures, many people are opting for what is called “all-onfour” dental implant restoration.
All-On-Four: One Full Arch Of Teeth, Four Dental Implants
To fully understand this remark-
able technique for replacing teeth, you should first understand what a dental implant is. An implant is a small titanium screw that fits inside your jawbone and replaces the root-part of a missing tooth. Minor surgery is required to insert the implants. Once the implant is in place, a crown is attached to give you a highly realistic-looking and functional prosthetic tooth.
Here’s where it gets really interesting: You do not need a dental implant for each and every one of your missing teeth. All you need is four precisely placed implants on the top of your mouth, and four on the bottom, to restore your full smile. That’s the beauty of the all-on-four. And because the implant is made of titanium, it has the unique ability to fuse to living bone and function as part of it. So eventually, the dental implant becomes part of the jawbone and serves as a strong, long-lasting foundation for your new teeth.
Besides ensuring that your implants are permanently fixed in place,


Missing Teeth or Tired of Wearing Dentures?
Thanks to advances in dental implant technology, just four implants can replace all of the teeth on the top or the bottom of your mouth.
this bone fusion has another important benefit: it prevents future bone loss in the jaw. This helps to maintain a more youthful facial structure – and better oral health. But perhaps the biggest surprise about the all-on-four is how quickly it can transform your life.
What’s The All-On-Four Dental Implant Procedure Like?
It can be scary to get implants for the first time. Most of that fear is probably due to the uncertainty, so here is the step-by-step process for getting an All-On-Four dental implant.
First, your dentist will want to make sure your comfortable, so either local or general anesthesia will be administered.
Second, the dentist or surgeon will prepare your mouth for the implants, which involves removing your remaining teeth that are failing. They will then remove any diseased or infected tissue from your jaw and gums.
Next, they will begin the implantation process. This means they will



insert the titanium screws into your jawbone. Most likely, they will place two implants toward the front of your mouth and two towards the back of your mouth so the “anchors” can evenly bare the force of the denture.
After the implants have been placed, they will thoroughly clean the surgical sites and suturing all the incisions. Then you’ll be taken to a recovery room where you can relax and take time to wake up from the anesthesia.
How Do You Know If The All-On-Four Procedure Is The Right Option For You?
At your All-On-Four consultation, you’ll receive a 3D CT Scan. This scan will help determine if you need implants and assist your doctors in creating your treatment plan. So if you want to learn more about dental implants, simply schedule a consultation with an All-On-Four provider. It’s the best way to find out how dental implants can change your life.

COSMETIC SURGERY
• Breast Augmentation
• Abdominoplasty (Tummy Tuck)
• Liposuction
• Hair Transplants
• Mommy Makeover
• Facial Surgery
NON-INVASIVE TREATMENTS
• Botox®, Dysport®, Xeomin®*
• BellaFill®
• Juvederm*
• Restylane®*
• TempSure Envi
• Endermologie
• Zerona
• Lipolight
LASER TREATMENT
• Hair Removal
• Vein Treatment
• Laser Resurfacing
WELLNESS SERVICES
• Bioidentical Hormones (BHRT)
• ED Treatment for Men
• Medical Weight Loss


4407 Willard Avenue Chevy Chase, MD 20815 (Across from the Friendship Heights Metro)


Choose Adventist Medical Group Primary Care in Fort Washington, Maryland, to provide a full range of primary care services for adults.
Learn to better manage your health and prevent illnesses with personalized care from our experienced, primary care providers. Our specialists in family medicine and internal medicine work as a team to deliver expert care when you need:
• Same-day Sick Visits
• Women’s and Men’s Health and Wellness Exams
• Health Physicals, Health Maintenance and Preventive Care
• Geriatric (Senior) Wellness Exams
• Vaccinations and Immunizations, including Flu Shots
• Health Management for:
• Asthma and Allergies
• High Blood Pressure
• High Cholesterol
• Diabetes
• Heart Disease
You also benefit from coordinated care that helps you effectively handle all aspects of your health—from preventive medicine and preoperative appointments to management of chronic health conditions.
To schedule an appointment, please call 240-724-6018 10709 Indian Head Highway, Suite D1 Fort Washington, Maryland 20744 AdventistMedicalGroup.org

reproduction:
During ovulation, a mature egg is released from one of the ovaries. The fimbriae at the end of the fallopian tubes help capture the egg, drawing it into the tube.
By Yemi Adesanya-Famuyiwa, MD Montgomery Fertility Center
Understanding the Female Reproductive System Is Crucial For Appreciating the Wonders Of Life Creation.
The fallopian tubes, also known as uterine tubes, are a pair of slender, tube-like structures located on either side of the uterus. They are approximately 10–14 centimeters long and are lined with ciliated epithelial cells, cells that have fine hair-like extension on their top surface. The fallopian tubes consist of several sections, including the infundibulum (the funnel-shaped end), fimbriae (finger-like projections), ampulla (the middle and widest part), isthmus (the narrow portion), and the uterine opening.
The primary functions of the fallopian tubes are vital for successful
The fallopian tubes provide an optimal environment for fertilization to occur. The cilia lining the tubes create a gentle current that propels the egg towards the uterus, while also helping to move sperm in the opposite direction. Think of the tube as a conveyor belt that is in constant motion to move the eggs and embryo towards the uterus.
The fallopian tubes assist in the movement of sperm towards the egg. Sperm can survive in the fallopian tubes for several days, awaiting the arrival of the egg.
Ovulation is the process in which a mature egg is released from the ovary. During this phase, the fimbriae sweep over the surface of the ovary, capturing the egg and guiding it into the fallopian tube. Once inside the fallopian tube, the egg begins its journey towards the uterus, aided by the coordinated movements of the cilia.
If sperm are present in the fal-

lopian tubes at the time of ovulation, they can meet and fertilize the egg. This remarkable union typically occurs in the ampulla, the widest part of the fallopian tube. Once fertilized, the newly formed embryo continues its passage towards the uterus for implantation and further development.
Although the fallopian tubes are designed for the journey of the fertilized egg, complications can arise. One such complication is an ectopic pregnancy, where the fertilized egg implants outside the uterus, most commonly in the fallopian tubes. Ectopic pregnancies can be dangerous and require immediate medical attention.
Diagnostic procedures can help identify any blockages or abnormalities in the fallopian tubes. Hysterosalpingography (HSG) is a common test where a dye is injected into the uterus and fallopian tubes, allowing X-ray imaging to evaluate their structure and function. Laparoscopy is another procedure that uses a small camera to examine the reproductive organs, including the fallopian tubes.
Various disorders can affect the fallopian tubes, such as blockages, infections, and tubal ligation (a per-
manent form of birth control). Fertility treatments like in vitro fertilization (IVF) can bypass fallopian tuberelated issues. Additionally, surgical interventions, such as tubal ligation reversal or tubal reanastomosis, can restore fertility in some cases.
Maintaining the health of the fallopian tubes is crucial for optimal reproductive health. Any dysfunction or blockage in the fallopian tubes can lead to difficulties in conceiving. Regular check-ups and open discussions with healthcare providers ensure that any potential issues are detected and addressed promptly.
The fallopian tubes are remarkable structures that contribute significantly to the miracle of life. From capturing and transporting the egg to providing an ideal environment for fertilization, their role is indispensable in the process of reproduction. Understanding the importance of the fallopian tubes empowers individuals to take charge of their reproductive health and seek timely medical assistance when needed. Let us appreciate the marvels of the fallopian tubes and the intricate journey they enable towards creating new life. Previously published on Medium.com

Our mission is to assist our patients in creating the families of their dreams, whether it be at the present or to maintain the possibility in the future.
Medical Director Dr. Famuyiwa, a double board certified fertility specialist and an advocate for personalized holistic fertility care, is at the forefront of providing state-of-the-art care based on emerging and advanced new technologies in the most compassionate of manners.














Dr. Brown’s practice focuses on TMJ, sleep apnea and orthodontics. This allows Dr. Brown and his team to provide individualized, focused care for patients dealing with these specific issues. Every day, his practice helps patients of all ages with facial development, sleep issues, chronic headaches, migraines, neck pain, movement disorders, and much more. His training also includes multiple disciplines involving the cranial bones in the skull, and the discs in the jaw joints. Through treatment, Dr. Brown is able to reduce these symptoms, align cranial bones, avoid extractions, and greatly reduce the need for traditional braces. His expertise allows him to identify issues early on which promotes proper facial development using dental appliances. If there is an internal imbalance, whether an adult or child, the body does not develop or function properly. When the cranial bones are lined up correctly, patients are able to function, sleep and generally live better.
With that in mind, the team at Sleep & TMJ Therapy takes a whole-body approach when treatment planning. They work hand in hand with physical therapists and osteopathic doctors for a better success rate. Dr. Brown is devoted to helping patients of all ages live a symptom free life.
Degrees & Certifications
Dr. Brown earned his degree from Georgetown Dental School and completed residencies with Emory University Hospital for Dental Sleep Medicine and the ALF Appliance Therapy Institute.
Outside the Office
When not seeing patients, Dr. Brown is a sought-after speaker. He has lectured all over the world, including D.C., Dubai, Seoul, London, Norway and Toronto. He has also been featured on Channel 9’s Good Morning Washington, several podcasts, and numerous magazines and journals.
Professional Affiliations
Dr. Brown is a diplomate of the American Academy of Craniofacial Pain, a member of the American Academy of Dental Sleep Medicine, American Academy of Gnathological Orthopedic, Academy of Integrative Pain Management American Dental Association, a Fellow of the American Academy of Craniofacial Pain, and Legacy Provider for the ALF Interface Academy.
Do you have TMD or Sleep Apnea?
TMD Symptoms: Noise in the jaw joints when opening and closing your mouth, difficulty chewing, limited opening, tender facial muscles, ear ringing, uncomfortable bite, jaw locking, headaches, migraines, dizziness, vision issues as well as pain in the jaw area which can radiate to the ears, head, neck, shoulders, and back.
Sleep Apnea Symptoms: Snoring, waking up gasping for air, feeling tired and irritable in the morning, difficulty controlling weight, concentration problems, morning headaches, episodes of not breathing, waking with a sore throat, forgetfulness and mood changes.
If you believe you may be suffering from TMD or Sleep Apnea, don't wait... Call today to schedule a consultation with Dr. Brown: 703-821-1103.

Mairi Rothman is a certified nurse-midwife and one of the first Doctors of Midwifery in the United States. Her path to midwifery began after the birth of her first child and a career as a professional dancer and choreographer. Inspired by the power and beauty of childbirth, she became a Bradley childbirth educator and ultimately completed her midwifery training at the Frontier School of Midwifery and Family Nursing in 1996. Mairi has personally experienced birth in a range of settings—from hospitals to home births—which deeply informs her philosophy of care.
In 2007, she co-founded M.A.M.A.S. (Metro Area Midwives & Allied Services) in Takoma Park, Maryland, to provide personalized, evidencebased home birth services rooted in autonomy, cultural sensitivity, and respect. Alongside her midwife colleagues, she offers holistic healthcare throughout the lifespan for women and people assigned female at birth. Services include:
• Comprehensive prenatal, labor, and postpartum care
• Home birth support with continuous, individualized attention
• Lactation consultations and breastfeeding support
• Newborn care during the first six weeks of life
• Well-body GYN care and family planning
• Fertility counseling and at-home IUI services
• Perimenopause and menopause support, including group circles
• Primary and urgent care for common health concerns
Mairi believes every person deserves informed, compassionate, and accessible care.

Oral and Maxillofacial Surgeon
Diplomate, American Board of Oral & Maxillofacial Surgery
DMD, MDS • OMFS, MD, PA
77 South Washington Street Suite #205, Rockville, MD
301-294-8700
www.OMFSMD.com

Meet Dr. Sreenivasan:
Dr. Sreeni came to the United States as an Oral and Maxillofacial Surgeon in the year 1990 and put himself through dental school again at Boston University and Oral and Maxillofacial Surgery residency at University of Medicine and Dentistry of New Jersey.
As an Oral and Maxillofacial Surgeon, Dr. Sreeni manages a wide variety of problems relating to the Mouth, Teeth and Facial Regions. He practices a full scope of Oral and Maxillofacial Surgery with expertise ranging from Corrective Jaw Surgery to Wisdom Teeth Removal. His passion is in implant surgery and he is well known for same day placement of implants following teeth removal be it for single teeth or a complete “makeover” (Smile in a day). He can also diagnose and treat Facial Pain, Facial Injuries and TMJ disorders and perform Bone Grafting and Sinus lift procedures.
Dr. Sreeni completed a residency in Anesthesiology at Mount Sinai Hospital, New York in 1994 and has worked as an Attending providing anesthesia services for children and adults in the ambulatory out-patient center of the hospital.
Dr. Sreeni is an Advanced Cardiac Life Support instructor with the Adventist group. He is also certified in Pediatric advanced life support and is very capable of handling emergencies that could possibly arise in the office. Dr. Sreeni’s staff are trained in assisting with IV Sedation/General Anesthesia within our state of the art office setting. Patients are continuously monitored during and after surgery. The goal of our office is to provide professional service with compassion and an understanding of the patients’ perspective.


Dr. Shin is the founder and president of BCC Pediatric Dentistry. She is a Board-Certified Pediatric Dentist with more than 20 years of practice experience. Among other awards and recognitions, Dr. Shin has been selected by her peers as a Washingtonian Top Pediatric Dentist and a Bethesda Magazine Top Pediatric Dentist. Dr. Shin’s experience spans a diverse range of locations, settings, and organizations. She was Associate Professor of Pediatric Dentistry for the Advanced Post-Graduate Pediatric Dentistry Residency at the University of Southern California (USC). Dr. Shin practiced pediatric dentistry at a Native American Reservation in Montana. After 911, she joined the Army and served as an active-duty military officer and pediatric dentist at Walter Reed Army Medical Center, in Washington DC. Dr. Shin was also the first Korean-American female to hold the position as the division head of the Pediatric Dentistry and Orthodontic Dental Clinic at the Children’s Hospital of Los Angeles. These and other positions throughout the years have provided Dr. Shin with invaluable pediatric dentistry experience and unique expertise. Most of all she loves children, likes to make them laugh, and is constantly trying to learn more about them and their accomplishments. That includes her patients and her son, daughter, grandkids, and your child too!


Dr. Lori Picco is pleased to announce that she is in the process of establishing her own independent practice within Capital Women’s Care. While her new office is being prepared, she will continue to see patients at her current location: 2120 L Street NW, Suite 700, Washington, DC 20037, and welcomes both new and existing patients.
Appointments can still be scheduled during this transition period by calling 202-331-9293.
Dr. Picco grew up in upstate New York and earned her Bachelor of Arts degree from the University of Rochester, where she graduated magna cum laude with a dual major in Biology and Psychology and was inducted into Phi Beta Kappa. She remained at the University of Rochester for medical school, then completed her Residency in Obstetrics and Gynecology at Georgetown University Hospital. Board Certified in Obstetrics and Gynecology, Dr. Picco is a fellow of the American College of Obstetricians and Gynecologists and a member of the Georgetown Clinical Society. She is dedicated to providing compassionate, individualized care and looks forward to continuing to serve women in the Washington, DC community as she transitions to independent practice.


42nd Street
East-West Highway Suite #507
Ruthie Arbit is a seasoned therapist, educator, and national leader in the treatment of perinatal and pediatric mental health. She is the Founder and Director of Arbit Counseling -- a psychotherapy and pharmacology practice based in Washington, D.C., with specialized expertise in family mental health. Ruthie teaches, writes, and contributes to mental health research; she has been published in a number of acclaimed publications and presents at national conferences. She is also on the Board of Washington DC’s Postpartum Support International Chapter.
Arbit Counseling offers trauma-informed, evidence-based care for families navigating a range of mental health challenges and parenting concerns. The team consists of award-winning authors, clinicians, and researchers who bring extensive expertise in gold-standard, evidence-based modalities—including CBT, ERP, EMDR, Circle of Security, SPACE, and more.
Arbit Counseling approaches every client with warmth, flexibility, and deep respect for their lived experience. We offer thoughtful, research-backed care to help families heal, grow, and thrive.



we’re proud to have April Toyer, DDS, FAAPD, as a leading Board Certified Pediatric Dentist dedicated to delivering exceptional care for children of all ages.
Dr. April brings a unique blend of expertise, warmth, and dedication that truly sets her apart. A proud “army brat” who settled in Bowie, MD, she earned her degree in biology and bioethics from the University of Virginia. It was during her time volunteering at the Charlottesville Free Clinic that she discovered her passion for dentistry and helping others. She went on to earn her dental degree from the University of Maryland, where she also participated in the Pediatric Dentistry Clerkship program—an experience that solidified her love for working with children.
Dr. April completed her Pediatric Dental Residency at Howard University, where she received specialized training in child-focused behavior guidance, restorative care, and dental outpatient surgery under general anesthesia. She became a Diplomate of the American Board of Pediatric Dentistry in 2011, a distinction that represents the highest level of credentialing in Pediatric Dentistry. Her certification assures parents that she meets the rigorous standards of excellence in care for infants, children, teens, and patients with special health care needs.
Whether your child needs routine preventive care, cavity treatment, or support with dental anxiety, Dr. April brings a calm, caring presence and a child-centered approach to every visit. She believes in the power of prevention and is passionate about educating families on how to build lifelong healthy habits.
Beyond the office, Dr. April is a wife, mother, and creative spirit who enjoys writing, playing piano, marital arts, swimming, and spending time with her family. She is actively involved in organized dentistry, serving in the House of Delegates for the Virginia Dental Association and consulting on the Committee of Sedation and Anesthesia for the American Academy of Pediatric Dentistry.
At Lifetime Dental Care and now Smileworld Pediatric and Adolescent Dentistry, Dr. April Toyer doesn’t just treat smiles—she builds trust, confidence, and lasting relationships with every family she serves.
Come meet Dr. April and experience the difference in pediatric dental care. Your child’s healthiest smile starts here!

Foot doctor Lubrina Bryant, DPM is dedicated to getting to the root of your foot or ankle problem.
District Podiatry, PLLC specializes in general foot and ankle care. Having chronic foot and ankle pain can affect the quality of your life and finding the right foot and ankle specialist can be just as difficult. We know how hectic life can be and we are committed to making our practice and care convenient and accessible. We accept most insurance plans and welcome new patients!
From routine checkups to minor foot surgery, Lubrina Bryant, DPM is a podiatrist who is equipped to handle all your foot and ankle needs.
Services Include: Routine Foot Care, Diabetic Foot Care, Wart Removal, Ingrown Toenails, Foot, Ankle or Heel Pain, Toenail Fungus, and Bunions.
Where You Can Find Me Making A Difference:
District Podiatry, PLLC
WE’VE MOVED!!! 1140 Varnum Street, NE Suite #30, Washington, DC P: 202-388-5303 • www.DistrictPodiatry.com



Jodi Lynch is a seasoned healthcare administrator with a diverse background in managing various medical organizations, ranging from chiropractic care to orthodontics. Renowned for her commitment to delivering exceptional patient care, Jodi has a reputation for always putting patients first. After dedicating over 20 years to focusing on her family and supporting the military, Jodi has returned to healthcare as the Operations Manager for our practice.
Jodi is passionate about advocating for trauma survivors, regardless of their trauma history. With her extensive experience in brain health advocacy, she has seen firsthand the transformative effects of Stellate Ganglion Block (SGB) treatment on individuals suffering from PTSD and anxiety. Her dedication to veteran brain health has led her to actively engage with several organizations. She has served as a Family Advocate for the University of North Carolina THRIVE Program’s Spousal/Family Support Group and as a member of the Military Special Operations Family Collaborative’s SOF Family Health Advisory Board.
For over 28 years, Jodi has been a steadfast advocate for the military community, veterans, and their families, drawing from her experience as a military spouse. Her greatest accomplishment, however, is raising her three remarkable children: Captain Kaela Lynch, a US Army pilot; James Lynch, an astrophysicist; and Lieutenant Junior Grade Maria Lynch, a US Navy nurse. Jodi is excited to be part of our care team, where she continues her lifelong commitment to providing hope and support to those in need.
Where You Can Find Me Making A Difference:

Janet V. Johnson was born in Brooklyn, NY. She received her undergraduate degree in Biology at Hunter College in Manhattan, NY. She pursued a career in research medicine as a research assistant at Downstate Medical School in the Department of Gastroenterology. Obtaining her masters degree in Physiology at Long Island University in Brooklyn, NY. Dr. Johnson received her medical degree from State University of New York at Buffalo School of Medicine in 1991. She completed her Internship and Residency at Howard University/DC General Hospital in 1994.
After becoming Board Certified by the American Board of Pediatrics, Dr. Johnson worked as an Emergency Room Pediatric Physician at DC General Hospital and for a local pediatrician before she began her practice: Loving Care Pediatrics in Hyattsville, MD in 1998. She is continuing to pursue CME credits to maintain board certification. Concurrently, she serves as a Clinical Instructor to nursing students at Howard University Family Nurse Practitioner (FNP) Program; John Hopkins Family Nurse Practitioner (FNP) Program; Marymount Family Nurse Practitioner (FNP) Program; and University of Maryland Baltimore Family Nurse Practitioner (FNP) Program. She also serves as a Clinical Instructor for medical assistant students at Stratford University; Fortis College, Brightwood College and Career Technical Institute. She is a Fellow of the American Academy of Pediatrics (FAAP). Dr. Johnson is also a member of the Prince George’s Community Advisory Group (CAG), Washington Adventist Health Ministry Network and the Medical Advisory Committee for Amerigroup Insurance. Dr. Johnson has given lectures on Teen Suicide and Teen awareness on HIV/AIDS to youth groups in Washington, DC and continues to publish articles in Washington Woman’s Journal and Your Health Magazine in Prince George’s County. She served as Medical Director of the Mid-Maryland Mission of Mercy and Health Equity Festival, which provides free dental care. She annually gives talks “Suicide Is Not an Option” and “Teen HIV/AIDS Awareness” to a group for youth summer program in Washington, DC. She integrates Christian prayer into her practice when appropriate and regularly incorporates social justice topics into her magazine articles.
special interest in flatfoot reconstruction, sports medicine, foot and ankle trauma, and arthritis. She also has specialized training in arthroscopic and minimally invasive techniques.
Dr. Hammond went on to complete her 3-year surgical Residency training at Inova Fairfax Medical Campus in Northern Virginia, one of the most prestigious podiatric surgical programs in the country. While there, she served as Chief Resident and performed over 2,000 procedures and gained vast experience in all areas of foot and ankle surgery. Whether it is conservative care or surgical intervention, Dr. Hammond strives to deliver personalized and compassionate care. She understands the importance of tailoring medical care to the individual. She will work with you to coordinate the best treatment plan, supported by the latest technology and evidence-based medicine.
Dr. Hammond is an active member of the American College of Foot and Ankle Surgeons and The American Podiatric Medical Association.
Dr. Hammond enjoys spending her free time traveling, working out, and being outdoors. She is also a big foodie and enjoys exploring local restaurants with family and friends. She is excited to return to her MoCo roots and practice in a region where she can treat patients and deliver high-quality care that supports a long-term active and healthy lifestyle.


Board Certified Prosthodontist
Specializing in Reconstructive, Cosmetic and Implant Dentistry
Dr. Garima Talwar brings 25 years of experience in Full Mouth Reconstruction and Implant Dentistry to the DC Tristate area.
Her dedication to cosmetic and full mouth reconstructive dentistry has won her many patients and their testimonials are self evident of their life changing experiences. She has been recognized as one of the best Prosthodontists by Top Dentist’ and Washingtonian Magazine and by her peers.
Dr. Talwar has been trained at leading centers in the world, including the US, England and India. She completed her training and masters in Prosthodontics from the School of Dentistry, University of Maryland. She is Assistant Professor at the Post Graduate Program of Prosthodontics at School of Dentistry, University of Maryland and Clinical Instructor in Prosthodontics and Oral and Maxillofacial Surgery at Johns Hopkins Hospital Baltimore, MD. She maintains her private practices in Virginia – Ashburn and Leesburg. Where You Can Find Me Making A Difference:

Board Certified, Ophthalmology by the American Board of Ophthalmology
Board Certified Ophthalmologist who has performed thousands of laser, ophthalmic, cataract, cornea and BOTOX procedures. Owner and Medical Director of Envision Eye and Laser. Trained at Wellesley College, UCLA School of Medicine, Yale University and the LSU Eye Center. Named a 2021 Washingtonian TOP DOCTOR by her peers. Selected as the Millennial EYE Outstanding Female Leader in Ophthalmology for the March/April 2021 Issue.

Dr. Trent has a passion for helping people. She has practiced Audiology since 1984, in a number of clinical settings. Her diverse career has included 16 years of teaching and clinical supervision at Howard University, Washington, DC and Temple University, Philadelphia, PA. Dr. Trent has also worked as a clinical audiologist in hospital settings and private ENT practices.
Education: Clinical Doctoral Degree – Audiology-University of Florida, Gainesville, FL
Master of Education – Audiology- Northeastern University, Boston, MA Bachelor of Science – Communication Sciences and Disorders – Hampton University, Hampton, VA
Dr. Trent holds her Maryland State Licensure in Audiology. She is a Certified Clinical Audiologist (CCC-A) through the American Speech-Language-Hearing Association (ASHA). Presently, she serves on the Board of Directors for ASHA as Vice President for Audiology Practice.
You Can Find Me Making A Difference:


Namita K. Thapar-Dua (formerly known as Dr. Chaudhary) is a different kind of dentist. She takes time to listen to the patients (even with Alzheimer's) and provide them with the best care she can. Rather than rushing through dental visits, Dr. Thapar-Dua listens, talks, and serves her patients by investing in long-term relationships.

A commitment to excellence in ophthalmic training and surgical technique, coupled with her expertise with state-of-the-art technology, has enabled Dr. Bovelle to earn her patients’ confidence and trust. Her practice emphasizes disease prevention, overall wellness, and patient education. She is committed to treating all of her patients with compassion and caring. She offers each patient an individualized treatment plan, and is dedicated to helping patients make informed decisions about medical, surgical, and aesthetic treatments. Served as assistant professor of Ophthalmology at Louisiana State University, and worked at the National Institutes of Health. Current Director of the Cornea Service at Howard University Hospital Department of Ophthalmology. Her work has been published in medical textbooks and ophthalmology journals in the U.S. and internationally. Donates her time to caring for the poor by participating in health fairs and medical mission trips. She holds academic appointments at Howard University Hospital, Ross University School of Medicine and University of Maryland Capital Region Medical Center. Holds leadership positions in ophthalmic and other medical associations. Currently, she represents the Maryland Society of Eye Physicians and Surgeons (MSEPS) as a counselor to the American Academy of Ophthalmology and is on the MedChi legislative council. Under her leadership, MSEPS received the 2021 Star Award for innovative delivery of education and value to society members.

A Magna Cum Laude graduate of the University of Maryland’s prestigious Baltimore College of Dental Surgery, Dr. Thapar-Dua completed a general practice Residency with the Veteran’s Affairs Medical Center in Washington, DC. She is continually dedicated to advanced, postdoctoral study. Advanced training allows her to provide patients with a health-centered and aesthetically pleasing approach to family dental care. Formerly, Dr. Thapar-Dua co-owned The Mobile Dentist, which serviced more than 50 senior living communities throughout Maryland and the DC area. Having spent a large portion of her career focusing on the special needs of senior patients, Dr. Thapar-Dua’s experience in geriatric dental care is profound. To go beyond mobile dentistry, Dr. Thapar-Dua introduced SENIOR Smile, a service that takes the dental office into senior centers and residences to provide comfortable, personalized dental care.
Where You Can Find Me Making A Difference: Senior Smile
301-875-7477 • SRSmile.com 20528 Boland Farm Road, Suite #215


Dr. Mary Alexander, periodontist, obtained a Bachelor of Science degree in Biology from the University of South Carolina and continued her education in dentistry at the University of Maryland School of Dental Surgery where she received her DDS degree. Prior to and during her dental studies, Dr. Alexander received funding and support from the National Institutes of Dental Research for her involvement in the periodontal research.
After obtaining her DDS degree Dr. Alexander spent one year at the Veteran’s Administration Hospital, in general practice residency focusing her training in the area of anxiety patient management. She then attended Harvard University and earned her clinical specialty in periodontics and a doctorate in medical science. Her doctoral research was focused in the study of bone function and metabolic disease of the bone.
Dr. Alexander received extensive training in dental implantology, periodontal plastic surgery, bone regenerative procedures and sedation dentistry. All aspects of Dr. Alexander’s training are incorporated in her periodontal practice assuring patient’s thorough and comprehensive periodontal treatment.


Dr. Griffiths is one of this area's most experienced surgeons and offers state-of-the-art Laser Vision Correction, Cataract Removal, Multifocal Lens Implants, and Comprehensive Ophthalmology. She has helped thousands of patients who struggle with their vision. Her knowledge, compassion, and attention to detail are the reasons she was voted by her peers to be one of this area’s most elite physicians. Degrees, Training & Certifications: Dr. Griffiths is a Board Certified Ophthalmologist. She received her undergraduate degree from Yale and her medical degree from the University of Michigan. She then completed her Ophthalmology Residency at Georgetown University Medical Center.
Professional Memberships & Affiliations: Dr. Griffiths is the immediate past Ophthalmology Section Chief of Reston Hospital Department of Surgery, the former Chief of Ophthalmology for the Reston Ambulatory Surgical Center in Reston, VA as well as Loudoun Hospital in Leesburg, VA, Diplomate of the American Board of Ophthalmology, a Fellow of the American Academy of Ophthalmology, a member of the American Society of Cataract and Refractive Surgery, the Washington National Eye Center and others. "Top Ophthalmologist" Washingtonian and NorthernVirginia Magazine
Where You Can Find Me Making A Difference: NewView Eye Center • www.NewViewEye.com P: 703-834-9777 12110 Sunset Hills Road, Suite #50 , Reston, VA P: 703-777-1244 • 20 Davis Avenue,


Dr. Fana Assafa, DNP, Ph.D., RN, CCLS, is an internationally recognized expert in aesthetic dermatology and laser therapy with over 20 years of experience. As the Founder and CEO of Fana Skin Care and the creator of FANA-bnatural, a global FDA-monitored skincare line, she leads innovations in skin care and longevity. Dr. Fana’s clinic in Silver Spring, MD specializes in culturally sensitive dermatologic care, particularly for ethnic skin, and has treated over 50,000 patients worldwide, including royals and diplomats. Known for her expertise in anti-aging treatments, liquid facelifts, laser procedures, and gut-skin hyperpigmentation, she also trains physicians globally as Lead Clinical Instructor at the American Institute of Aesthetic and Laser Medicine. Dr. Fana is a Fellow of the American Society for Laser Medicine & Surgery, a Certified Wellness Coach, and regularly speaks at global conferences. Her services include non-surgical facelifts, advanced skin treatments, and wellness programs.
Where You Can Find Me Making A Difference:


A native of Leesburg, VA, Claiborne M. Callahan, MD graduated with distinction from The University of Virginia in 1996. In 2000, she graduated from The University of Virginia School of Medicine. She completed her Ophthalmology Residency at Tulane University in 2004.
Prior to joining NewView Eye Center, Dr. Callahan was in private practice in Virginia, Florida, and Alabama. Her knowledge, experience and patient-centered focus allows her to spend quality time with each patient to diagnose, educate and treat them. She understands that patients have a choice with whom to entrust their eye care needs, and she prides herself on adhering to the highest ethical standards in the practice of medicine.
Dr. Callahan has performed thousands of cataract surgeries, as well as laser, glaucoma and eyelid plastic surgeries. She has treated a myriad of eye conditions throughout her career. She is committed to ongoing education and stays current with diagnoses and treatments. She attends several educational and training meetings yearly to remain in the forefront of ophthalmology advancements. She is a Diplomate of the America Board of Ophthalmology, a Fellow of the American Academy of Ophthalmology, and others.
Where You Can Find Me Making A Difference:


• Licensed Hair Care Provider and Certified Trichologist
• Owner, Beyond The Strandz Wellness Clinic and Jai’Stylz Hair Spa & Salon
Leading the Cosmetology industry for nearly 3 decades, Jaimi specializes in Hair Care, Scalp Disorders, Hair Loss, Silk Press, Natural Hair, Relaxers, Short Hair, Scalp Detoxification, Colors and Treatments that protect, rebuild and tame various hair types in the Washington, D.C. metropolitan area.
Jaimi Jackson is a Certified Trichologist, Licensed Hair Care Provider, and Owner of Beyond The Strandz Wellness Clinic and Jai’Stylz Hair Spa & Salon.
A Trichologist is a specialist who focuses on Trichology – the science dealing with the study of diseases or problems related to the hair and scalp, as well as their treatments.
A Trichologist does not diagnose; we suggest and recommend because we are not medical doctors.
Our restorative hair treatments can heal and moisturize hair from the inside out, which results in healthier hair!
Our scalp treatment is catered toward those experiencing thinning hair and scalp dryness. We focus on targeting problems and offer solutions with a treatment plan that anyone with any scalp or hair condition will benefit. The treatment rejuvenates the scalp by removing dead skin cells, unclogging follicles, and improving overall scalp circulation!
WE ASSIST YOU IN TAKING A PROACTIVE APPROACH TO HAIR AND SCALP CARE.
Where You Can Find Me Making A Difference: Beyond the Strandz Wellness Clinic @Jai’Stylz
P: 301-967-4044 • jaistylz.com/hair-loss/
5000 Pennsylvania Avenue (off Spaulding Ave.)
Suite J, Suitland, MD



Dr. Afreen Sayeed graduated from the University of Texas School of Dentistry at Houston and studied Ethics and Philosophy at St. John’s University in New York. With years of experience treating patients of all ages, she focuses on building trusting, genuine relationships and delivering modern, high-quality dental care.
Dr. Sayeed is passionate about improving her patients’ overall health and confidence through healthy teeth and beautiful smiles. She believes dentistry should be pain-free, stress-free, clinically effective, and affordable. Her training allows her to manage even the most complex dental cases with compassion and precision. She stays current with the latest advancements in implants, Invisalign, and CEREC technology through continuing education. This enables her to offer a full range of treatment options and provide patients with personalized, comprehensive care plans.
Dr. Sayeed emphasizes preventive care and patient education as the foundation of long-term oral health. Her approach to conservative dentistry prioritizes prevention over intervention—focusing on regular cleanings, sealants, and patient awareness to avoid unnecessary procedures.
With special expertise in pediatric and adolescent dentistry, Dr. Sayeed brings a gentle, thoughtful approach that benefits patients of all ages. She is committed to exceeding expectations and helping every patient achieve lifelong oral wellness.
You Can Find Me Making A Difference:

Dr. Propoggio grew up in Pittsburgh, PA and graduated from Allegheny College (Meadville, PA) with a degree in Biology and Theatre Arts. Dr. Propoggio received her Doctorate of Dental Medicine from the University of Pennsylvania in Philadelphia, PA. Concurrently, she received her Master of Science in Education from the University of Pennsylvania Graduate School of Education. Following graduation, Dr. Propoggio completed a one-year post-graduate Residence program at Allegheny General Hospital (West Penn Allegheny Health System) in Pittsburgh, PA.
Dr. Propoggio is an active member of the Academy of Cosmetic Dentistry, the Academy of Laser Dentistry, the Academy of General Dentistry, and the Academy of Microscope Dentistry. Dr. Propoggio is persistent in furthering her dental education and believes that continuing education is paramount to providing quality dental treatment. Dr. Propoggio has received a significant amount of post-graduate training at the Dawson Center for Dental Studies. She has also achieved certification in laser dentistry through the Academy of Laser Dentistry (ALD).
Dr. Propoggio enjoys all aspects of general dentistry and strives to always produce beautiful dentistry that is functionally correct. The greatest personal reward she receives in her profession comes from the many underprivileged patients whom she treats at the Loudoun Adult Dental Clinic on Tuesday nights and in her own office. Dr. Propoggio serves on a planning committee and hopes to see a full-service adult dental clinic become a reality in Loudoun County. Dr. Propoggio also volunteers her care to patients from the Ruritan Charities.
Dr. Propoggio is married and the mother of twin daughters. She enjoys being a member of the Loudoun/Fairfax Mothers of Multiples organization. Dr. Propoggio is a member of the Kennedy Center and enjoys the performing arts. She also likes to swim, travel, read, exercise and cook.


For over 18 years, Padmaja
DDS, has been serving patients throughout Northern Virginia with her extensive dental expertise, personalized one-on-one care and state-of-the-art dental technology. She and the entire team at her practice Dr. Padmaja Yalamanchili, DDS, PC in Fairfax, VA are committed to helping patients achieve their healthiest, most beautiful smiles. She is well-reputed in the area, and she emphasizes on preventive dentistry.
Dr. Yalamanchili graduated with her Doctor of Dental Surgery degree from the New York University College of Dentistry in Kips Bay, Manhattan. This prestigious New York City institution is the third oldest dental college in the country and is a global leader in top-tier dental care and innovation.
After earning her degree, Dr. Yalamanchili committed herself to serving patients throughout Northern Virginia with her clinical expertise and personalized care. She offers each patient her extensive knowledge and takes the time to customize a care plan to their specific oral health needs and smile goals. She serves patients of all ages through this tailored one-on-one approach. In fact, the rapport she builds with each patient leaves many fondly referring to her as “Dr. Y.” Dr. Yalamanchili is a member of the American Dental Association, Virginia Dental Association, and Northern Virginia Dental Society.
Dr. Yalamanchili is fluent in English, Hindi, and Telugu. When she’s not serving patients, you can find her spending time with her husband and two children, cooking, reading, watching a Bollywood movie, or practicing Bikram yoga.
Where You Can Find Me Making A Difference:

Dr. Wright earned her undergraduate degree in 1990 from Boston College in Biology. In 1994, she completed her graduate studies at Boston University. Her studies continued in Washington, DC at Howard University. There, she completed the Advanced Education Program in General Dentistry in 1996.
Dr. Wright began her dental career in private practice, then ventured into Public and School-Based Health Centers from 1997-2002. In 2001, she re-entered the private practice arena. After seven years as an associate, Dr. Wright decided to create the WrightSmileCenter of Woodbridge.
Current Memberships include the following: American Dental Association, National Dental Association, Northern Virginia Dental Society, Old Dominion Dental Society.
Her mission is to motivate patients who seek quality dental treatment in a comfortable, friendly and modern environment. Our focus will be to educate and excite patients about dental health and improve their overall appearance and wellness.
Dr. Wright and her husband, Bernard, are the proud parents of one son. She enjoys cooking, traveling, crafts, singing, and encouraging others.
Where You Can Find Me Making A Difference: Wright Smile Center of Woodbridge P: 703-878-7883

3985 Prince William Parkway, Suite #103, Woodbridge, VA www.WrightSmileCenter.com

Since age 5, my passion for veterinary care has guided me. At 14, I embarked on my journey, working in veterinary clinics. Graduating from The Ohio State University with a DVM degree in 1977, I've devoted my life to caring for both pets and their families. After a decade in clinical practice, I sought new avenues due to concerns about pets' health. In 1988, I delved into veterinary acupuncture, earning certification from the International Veterinary Acupuncture Society. This led me into holistic medicine, where I gained certification in homeopathy and underwent training with Dr. Richard Pitcairn. In 1993, I sold my practice in Maryland and pursued spirituality in Sedona, AZ, becoming a Tibetan Buddhist nun until 2023. Embracing the belief in the equality of all life, I dedicated myself to alleviating suffering. Returning to Maryland in 2006, I co-founded Holistic Veterinary Healing in 2013. Recognizing the interconnectedness of human and animal health, I pursued a Master's degree in Human Acupuncture in 2010. Since 2016, I've focused solely on animal patients, certified in Medical Ozone Therapy and as a Fear Free Practitioner. Residing in Germantown with my dogs, I cherish moments with family and friends, and find solace in meditation and loving my dogs.
Where You Can Find Me Making A Difference:
Holistic Veterinary Healing
P: 240-715-6570
12627 Wisteria Drive, Suite C & D, Germantown, MD


Degrees, Training & Certifications: Dr. Swathi M. Reddy, DMD received her DMD from Goldman School of Dental Medicine, Boston University. She graduated with high honors and was inducted into the Omicron Kappa Upsilon National Dental Honor Society. She received additional training to be a specialist in Orthodontics and Dentofacial Orthopedics at University of Nevada.
Professional Memberships: Dr. Swathi M. Reddy, DMD is an active member of many organizations, including the American Association of Orthodontists, American Dental Association, Northern Virginia Dental Society, Southern Association of Orthodontics, and Virginia Dental Association.
Best Health Advice: It is recommended by the AAO (American Association of Orthodontics) that all children get a check-up with an orthodontist no later than age 7. An orthodontist can identify any problems with emerging teeth and jaw growth, even while some baby teeth are still present.
Services: We now create custom clear aligners onsite using Advanced 3D Printing – faster, precise, and made just for you. All Smiles Orthodontics offers complimentary consultations with convenient office hours and flexible payment plans with interest free financing.
Practice Philosophy: “My philosophy is to provide the best orthodontic treatment at the most appropriate age. It is important to analyze each patient’s specific needs, because in-depth planning leads to superior results and higher patient satisfaction. I strive to maintain a balanced and harmonious facial appearance with a functional bite, in addition to providing a long-lasting beautiful smile.”
– Dr. Swathi M. Reddy, DMD
Where You Can Find Me Making A Difference:


Growing up with a background in Traditional Chinese Medicine, I discovered my passion for integrative veterinary medicine early on. My father introduced me to Gua Sha and acupressure massage, sparking my fascination with healing modalities. Initially pursuing human medicine, I worked in acupuncture clinics, volunteered at Walter Reed, and conducted research at UMD and FDA.
In 2015, I encountered Traditional Chinese Veterinary Medicine (TCVM) through Dr. Allison Marshall, a veterinarian certified in acupuncture. Inspired, I pursued veterinary medicine, earning a Bachelor’s in Biomedical Engineering at VCU in 2017 and completing my DVM at Virginia-Maryland College of Veterinary Medicine in 2021.
I specialize in integrative medicine, blending holistic and conventional approaches to provide optimal care. Certified in veterinary acupuncture (CVA) through Chi University, I also have experience in pathology, surgery, and exotics.
In my free time, I enjoy lion dancing, spending time with family, and exploring new foods.
Where You Can Find Me Making A Difference:
Holistic Veterinary Healing
P: 240-715-6570
12627 Wisteria Drive, Suite C & D, Germantown, MD










GERALD M. MARLIN, DMD, MSD
At Elite Prosthetic Dentistry, our “dream team” delivers an extraordinary blend of clinical precision and genuine care. Led by Gerald M. Marlin, D.M.D., M.S.D., a renowned specialist with over 3,700 successful implant procedures and a history of crafting crowns that last over 35 years, we are the trusted choice for adults seeking implant, cosmetic, and reconstructive dentistry in the Washington, DC metropolitan area. Why Choose Elite Prosthetic Dentistry?
• Expertise in saving teeth, problem-solving failing restorations, and addressing TMJ issues. Proven success in implant therapy, offering long-term results with minimal bone loss.
• Comprehensive care, including surgical implant placement, bone grafting, and custom restorations—all performed in our state-of-the-art office.
• An in-house laboratory ensuring efficiency and precision for veneers, crowns, and implant restorations.
• A warm, caring environment supported by a highly skilled team with an average tenure with us of 14+ years, complemented by oral and IV sedation protocols.
With a commitment to advanced digital technology and artistry, Dr. Marlin works closely with each patient to deliver “simply radiant, simply natural” results. Our crowns last more than three times the national average, and our implants boast a >97% success rate over 20 years. Your journey to a revitalized smile begins here. Contact us today to schedule your consultation and experience the difference of truly exceptional dental care.
Prosthodontist specializing in cosmetic, implant, and reconstructive dentistry, including crowns, veneers, and dentures.
DESIGNATIONS, AFFILIATIONS, and AWARDS
Invented and Patented an Implant Restoration System, Academy of Osseointegration, American College of Prosthodontics, American Academy of Periodontology, American Dental Association, DC Dental Society, Bethesda Magazine Top Dentist, Washingtonian Top Dentist for 22 years
4400 Jenifer Street, NW, Suite 220 Washington, DC 20015
202.244.2101
Concierge@eliteprostheticdentistry.com
EliteProstheticDentistry.com










Stone Springs MedSpa by LMG combines the medical expertise Loudoun Medical Group is known for with advanced aesthetic technology and luxurious treatments for a fresh take on skin and body care services. Stone Springs goes beyond a day spa, offering the solutions and results of a true medical spa. Our experienced providers, many with clinical backgrounds, create pampering, personalized and medically-focused treatment plans with non-surgical, minimally-invasive, and dermatologic procedures that enhance your skin, face, and body.


By Gary Feldman, DPM, FACFAS
The Center For Advanced Orthopaedics
Footwear plays a significant role in both style and self-expression, but it also has a major impact on foot health— especially for women. Unfortunately, many popular shoe styles can contribute to pain, deformity, and long-term joint issues if worn regularly. Understanding how different types of footwear affect the feet can help prevent problems and reduce the need for more serious interventions down the road.
High heels are among the most problematic shoes when it comes to foot health. Elevating the heel shifts the body’s weight forward, placing excessive pressure on the forefoot and toes. Over time, this can lead to issues such as bunions, hammertoes, neuromas, and even stress fractures. High heels
also shorten the Achilles tendon and strain the ankle, which may contribute to balance issues or ankle injuries.
Flats, while often assumed to be a healthier choice, can also pose risks if they lack proper support. Shoes with thin, unsupportive soles do little to absorb shock or stabilize the arch. This can lead to plantar fasciitis (inflammation of the heel and arch), arch collapse, and chronic heel pain. Flats without cushioning or structure can also aggravate existing foot conditions.
Flip-flops are another common culprit, especially in warmer months. These sandals typically offer no arch support, cushioning, or heel stability. The lack of structure causes the foot to work harder to stay in the shoe, increasing the risk of tendinitis, foot fatigue, and injury. Extended wear can lead to problems in the knees, hips, and back due to altered gait and poor alignment.
Choosing shoes with supportive soles, a wide toe box, proper arch support, and a low heel can significantly reduce foot strain. Rotating footwear and avoiding long hours in unsupportive shoes can also help protect foot health.
In cases where pain or deformity persists, conservative treatments like orthotics, physical therapy, or activity








By Quansheng Lu, CMD, PhD, LAc Wholelife Chinese Medicine & Acupuncture Center
What Does Lower Back Pain Entail?
Approximately 80% of adults in the United States experience lower back pain at some stage in their lives. Acute back pain typically lasts from a few days to a few weeks, while chronic

back pain can persist for over three months. Various factors can cause lower back pain, with muscle strain and degenerative disc disease being the most common culprits.
In accordance with traditional Chinese medicine theory, external factors like extreme weather, injury, and excessive sexual activity can lead to a blockage of Qi and blood. This blockage
Quansheng Lu, CMD, PhD, L.Ac www.wholelifeherb.com • luquansheng@gmail.com 301-340-1066 • fax: 301-340-1090
Guest professor, Henan University of Traditional Chinese Medicine (TCM) Chief TCM Physician, WFCMS; M.S. in TCM, Beijing University of TCM PhD in integrated medicine, China Academy of Chinese Medical Sciences Fellowship, Georgetown University & Children’s National Medical Center 3 patents, 8 books of TCM, 30 papers, 30+ years of experience in TCM
Low back pain • eczema • arthritis • allergies • cough • insomnia • paralysis obesity • nephritis • hepatitis • infertility • PMS • side effects of cancer treatment 416 Hungerford Drive, #300 Rockville, MD 20850 5022 Dorsey Hall Drive, #101 Ellicott City, MD 21042


is
and recognized, also where the satisfaction of all patients regardless of their background is the fundamental goal of our every action, with the practice of medicine being
and
as

is believed to manifest as low back pain when it occurs in the lower back. Traditional Chinese Medicine (TCM) encompasses various modalities, including Chinese herbal medicine, acupuncture, moxibustion, cupping, scrapping, tui-na, qi-gong, and exercises. Acupuncture and Chinese herbal medicine are the primary components of TCM.
Can Acupuncture Effectively Alleviate Lower Back Pain?
Lower back pain significantly impacts daily activities and is the second most common reason for seeking medical attention. Previous studies have shown widespread use of acupuncture for treating lower back pain. A metaanalysis was conducted to evaluate the effectiveness of acupuncture in this regard. The analysis included 33 randomized, controlled trials that met the inclusion criteria. The trials were categorized based on the nature of the pain (acute or chronic), style of acupuncture, and type of control group used. For the primary outcome of short-term relief from chronic pain, the meta-analyses revealed that acupuncture was significantly more

effective than sham treatment and no additional treatment. The study concluded that acupuncture may effectively relieve chronic low back pain.
How Many Acupuncture Sessions Are Required and How Often?
For acute back pain, usually 1-3 sessions are recommended, while for chronic back pain, the number of sessions typically ranges from 6 to 16, depending on the individual situation. Twice-weekly sessions are advised for optimal treatment outcomes.
Is Acupuncture a Safe Treatment?
Yes, acupuncture is considered a safe therapeutic approach. However, there may be occasional side effects such as dizziness, localized internal bleeding, dermatitis, nerve damage, and increased pain, particularly if the acupuncturist is not adequately trained.

By Janet V. Johnson, MD Loving Care Pediatrics
The American Academy of Pediatrics (AAP) suggests limiting a child’s screen time, including TV, movies, video games, and computer games, to one or two hours per day. It is also advisable to encourage your child to engage in reading activities.
Looking to foster a love for reading? Control screen time, start early, read books aloud together, visit the library, and set a positive example. These are the best recommendations, but here are a few creative ideas and quick tips
to inspire both new and seasoned readers. During the summer, encourage your child to read at least four books for fun, which can help improve their reading speed and comprehension.
Capture Their Interest In the Story
Begin by reading aloud together to capture their interest in the story. For long car trips, play audio recordings of books.
Spark their curiosity by reading aloud something you think they might find interesting, and then share an intriguing tidbit that would entice them to read with curiosity and delight.
Make It Social and Fun
For children who are just learning to read, have them read aloud to a pet, stuffed animal, or younger siblings who are not yet mobile.
Turn reading aloud into a game and have everyone, including children, guess what will happen next.
Use Books As Treats
Make reading a reward and let kids
Please see “Reading,” page 38




feel the excitement. Create reading areas with themes. Have a mystery book box or bag where you hide new books, and the child has to guess the theme, title, or series before opening the surprise. Instead of money, have the tooth fairy bring books for each lost tooth.
Explore Beyond Books
Keep a variety of quick reads in the car for your child to enjoy and share funny stories and facts with you while traveling.
Mix up the media. Children nowadays have the privilege of accessing books on computers, e-readers, audio books, tablets, as well as traditional paper versions. Find out what works best for your child’s personality.
Read and Write
Encourage your child to write to
their favorite author and share their thoughts about a good book they’ve recently finished. Motivate your child to create their own stories to accompany their drawings and write their own tales.
Bring Books To Life
Choose a character and dive into the book by acting out the roles and imagining how they would interact with one another. Add sound effects while reading aloud, and involve your child in providing appropriate background noises like closing doors, howling sounds, or footsteps.
Switch it Up - When reading aloud old favorites or classic stories, change the storyline to see if your child can catch you. Swap words or rename characters to match friends and family members.
From page 35
modification may offer relief. However, when structural damage becomes severe or limits mobility, surgery may be necessary. Surgical procedures can address conditions like bunions, hammertoes, neuromas, or chronic tendon problems—restoring function and improving quality of life.
While style matters, long-term foot health deserves equal attention. By making smart footwear choices and addressing problems early, women can stay active, comfortable, and pain-free.

A neck lift can be performed for men and women of varying ages who are often frustrated by changes of the appearance of their neck and jawline. Depending on your age, a neck lift can be a short one-hour procedure to remove fat or a 3-hour procedure to remove fat, visible neck bands, and excess skin.
Remove Excess Skin (Cervicoplasty)
Liposuction to Remove Excess Fat
Remove or Alter Neck Muscles (Platysmaplasty)
Liposuction can be performed alone or with surgical removal of the fat under the chin through a small incision under the chin.
In patients with vertical bands in the neck, a platysmaplasty can be performed to reduce the appearance of the bands.
Sometimes a chin implant is recommended to improve the overall contour and help with excess skin.
























ACUPUNCTURE
Eastern Medical Holistic Healing Center, Angel Wood, 240755-5925. www.acupuncture4wellness.webs.com
ALTERNATIVE HEALTHCARE
Holistic Family Health - Thermal Imaging, Herndon, VA. 703-635-6324 For More information visit www.fhtid.com
BEAUTY/SKIN
A Better You, Dr. ClarkeBennett, 410-672-2742.
BREAST HEALTH
University of Maryland Charles Regional Medical Center. 11340 Pembrooke Square, Suite 202, Waldorf, MD 20603. 240-607-2010. UMCharlesRegional.org
CHINESE MEDICINE & ACUPUNCTURE
Wholelife Chinese Medicine & Acupuncture, 301-526-9898, 416 Hungerford Dr., Rockville www.wholelifeherb.com
DENTAL IMPLANTS
Dental Implants Center of Rockville – Dr. Sreenivasan Sivakumar, DMD, MSD –301-294-8700 – 77 South Washington Street, Suite #205, Rockville, MD 20850 – www.DrSreeni.com.
Karl A Smith, DDS, 2550 N. Van Dorn St., Suite #128, Alexandria, VA. Call 703-894-4867, Visit www.drkarlsmith.com
Richard Hughes, DDS, 703444-1152, 46440 Benedict Dr., Suite #201, Sterling, VA. www. SterlingImplantDentist.com
Marc P. Stanard, DDS – 202887-5441 – 1350 Connecticut Avenue, NW, Suite #305, Washington, DC 20036 – wdcperioimplant.com.
EYE CARE
Visual Eyes, Alexander Nnabue OD, 301-324- 9500.
FERTILITY
Montgomery Women’s Fertility Center – 301-946-6962 – MontgomeryFertilityCenter. com – Rockville, MD.
HOLISTIC WELLNESS COACH
Nutrition Lifestyle Digestion and More – Lisa@LisaThorne.Me – Text 269861-7565.
HYPNOSIS/YOGA
Toni’s Happy Hour Yoga and Holistic Wellness Center • 6504 Old Branch Avenue, Temple Hills, MD 20748 • 301-449-8664.
MEDICAL SPACE
Charles L. Feitel Company, 301-571-9333, www.medicalanddentalspace.com.
MENTAL HEALTH SERVICES
House Calls, LLC. 301-3466732. callingonbeth@gmail. com. www.CallingOnBeth.net.
Nutritional Healing Center, Thomas K. Lo, DC, MA, 240-651-1650, 7310 Grove Road, Suite 107, Frederick, MD 21704. doctorlo.com.
Good Health Nutrition Services,LLC – 1300 Mercantile Lane, Suite 129-37, Largo, MD 20774 – 301-341-4680 –www.ghnutritionservices.com
– We accept Insurance.
OPHTHALMOLOGY
NewView Laser Eye Center – Jacqueline D. Griffiths, MD – Reston (703) 834-9777 – Visit us at www.NewViewEye.com.
All Smiles Orthodontics – 9010 Lorton Station Blvd., Suite #260, Lorton, VA 22079 – www. AllSmilesBraces.com – For info call us at 703 337-4414.
To Order: Include you NAME, ADDRESS, PHONE, EMAIL AND WHAT HEADING YOU WISH TO BE LISTED UNDER, AND ANY SPECIAL OFFER OR TEXT TO INCLUDE. We will prepare a proof and email to you for approval.
Email your information to: info@yourhealthmagazine.net or Fax to: (301) 805-6808. Call (301) 805-6805 for assistance.
MARYLAND/WASHINGTON, DC OFFICE
4201 Northview Drive, Suite #102, Bowie, MD 20716 phone: (301) 805-6805 • fax: (301) 805-6808 • email: Info@YourHealthMagazine.net VIRGINIA OFFICE phone: (703) 288-3130 • fax: (703) 288-3174 • email: Publish@YourHealthMagazine.net

Loving Care, Janet Johnson, MD – 301-403-8808.
PHYSICAL THERAPY/ REHABILITATION
Active Physical Therapy. Various Locations across Maryland and Washington, DC. Active-physicaltherapy.com.
Largo Foot and Ankle Health Center, Ade Adetunji, DPM, 301-386-5453.
District Podiatry – Lubrina Bryant, DPM – 202-388-5303 – 1140 Varnum Street, Suite #30, Washington, DC 20017 – www.DistrictPodiatry.com.
Chevy Chase Home Care. Help at a time you need it most. Any Ages. Any situations. Any shifts. MD, DC, VA. www.CHCHhomecare. com 202-374-1240.
AA Urology – Odenton, 1106 Annapolis Road, Suite #250, Odenton, MD 21113 – Glen Burnie, 305 Hospital Drive, Suite #303, Glen Burnie, MD 21061 – Bowie, 4201 Northview Drive, Suite #201, Bowie, MD 20716 – West Campus Surgery Center, 7855 Walker Drive, Suite #102, Greenbelt, MD 20770 – Greenbelt , 7855 Walker Drive, Suite #100, Greenbelt, MD 20770.






SUBSCRIBING IS EASY:
1) Call 301-805-6805 with your name, contact info, and credit card payment for $24, or
2) Simply mail this form along with your check for $24:
Your Health Magazine 4201 Northview Dr. Suite 102 Bowie, MD • 20716




Now you can get the latest issues delivered directly to your home!
• Health articles and advice
• Doctors near YOU!
• Maryland, Washington, DC & Virginia editions
• Only $24 for a year’s subscription (12 issues)!




















Your HEALTH Magazine publishes and distributes health information people need. We produce special sections to focus on particular health topics each month, and profiles of local health professionals. It Makes a Difference! Here’s what you can look forward to:
September DENTAL HEALTH plus WEIGHT CONTROL, EXERCISE AND NUTRITION – Dentists, Cosmetic Dentistry, TMJ, Periodontics, Orthodontics, Oral Surgeons, Endodontics, and more! Gyms, nutrition and diet plans, weight loss, surgical alternatives, to help affect America’s out-of-control weight problems. Will include Profiles and Information from your Local Dental Health and Exercise and Nutrition Professionals.
October CANCER AWARENESS and HEALTH TECHNOLOGY – Professionals to help with prevention, early detection and surviving cancer. Information for men and women, and their families, and professionals who can provide help! Will include Profiles from your Local Cancer Health Professionals.
November BEAUTY, SKIN CARE, & GORGEOUS SMILES – Dermatology, Aesthetics, Body Contouring, Plastic and Cosmetic Surgery, the Latest Lasers, Anti-Aging, Weight Loss, Cosmetic Dentistry, Eye Wear, and more! Will include Profiles and Information from your Local Beauty and Dental Health Professionals.
December HEALTHY HOLIDAYS plus NEW YEAR, NEW YOU! – Professionals to help you and your family have a happy, healthy Holiday Season, plus professionals to help you lose weight, get fit, and eat better in the New Year! Will include Profiles from your Local Healthy Holiday & New Year Health Professionals.
January MEET YOUR LOCAL HEALTH PROFESSIONALS – Biographical profiles of a wide variety of local health professionals (Primary Care, Specialists, Integrative, Fitness, and more), highlighting their credentials, expertise, education, practice philosophy, areas of interest, and more!

If you are a Health Professional interested in

Submitted by ScholarsHub.net
With the rise of remote work and online education, virtual meetings and classes have become part of daily life—but many people quickly discover that endless video calls can be exhausting. This phenomenon, commonly called “Zoom fatigue,” is more than simple tiredness. It reflects the unique mental load of processing nonverbal cues, staying constantly
on-camera, and dealing with technical distractions. Fortunately, you can take practical steps to reduce fatigue and maintain energy throughout your virtual day.
Video meetings demand intense focus to interpret faces and voices on screen. Delays, glitches, and reduced body language add to cognitive strain. Being on camera also makes
people more self-conscious, leading to “performance fatigue.” Recognizing these stressors can help you develop strategies to manage them.
Avoid scheduling back-to-back virtual meetings whenever possible. Build in short breaks between sessions to rest your eyes, stretch, and reset your mind. If you can influence meeting duration, encourage keeping them concise and purposeful. Even five minutes between calls can make a difference.
Constantly being on camera contributes to self-monitoring fatigue. Where appropriate, turn off your camera when it’s not essential—for example, during long presentations or when listening to a lecture. If leading a meeting, set norms that allow participants to turn cameras off periodically.
A comfortable setup can reduce strain. Use a chair that supports good posture, position your camera at eye
level, and ensure good lighting to avoid squinting. Reduce glare on your screen and use headphones to improve audio clarity while minimizing background noise.
Engage Mindfully
Multitasking during video meetings can increase mental fatigue. Resist the temptation to check emails or scroll social media during calls. Staying present helps you process information efficiently and reduces the time needed to review what you may have missed later.
Reduce Visual Overload
Gallery view, where you see many faces at once, can be overwhelming. Switch to speaker view to minimize distractions when appropriate. Shrinking the video window can also help reduce the intensity of staring at a screen full of faces. By proactively managing your approach to virtual meetings and classes, you can avoid falling into the “Zoom fatigue” trap and protect your energy, focus, and well-being throughout the day.

