Washington DC April 2025 Edition

Page 1


Nakia Waldron, LE Skincare Expert
Jonathan Johnson, MD, MBA, CWSP Aesthetics & Wound Care
Sivakumar Sreenivasan, DMD Oral and Maxillofacial Surgeon
Rex Hoang, DMD Dental Spa
Elizabeth “Andie” Shin, DDS Pediatric Dentistry
Mary B. Alexander, DDS, DMSC Periodontist
Jeffrey L. Brown, DDS TMJ & Sleep Apnea
Rupen Baxi, OB/GYN OB/GYN
Michael Rogers, DDS General Dentistry
Mara Holton, MD Urology
Angela Marshall, MD Comprehensive Women’s Health Lubrina Bryant, DPM Podiatry
Karl A. Smith, DDS, MS Periodontist

Urologic health is a vital component of overall well-being, yet it is often overlooked—especially when it comes to women. Women’s urologic health involves the care and maintenance of the urinary tract and reproductive organs, and addressing the unique challenges that women face in this area is essential

Women’s Urologic Health Understanding, Prevention, and Care

for long-term health and quality of life.

Common Urologic Conditions In Women

1. Urinary Tract Infections (UTIs): UTIs are among the most common urologic issues affecting women. Due to the shorter length of the female urethra, bacteria can more easily reach the bladder, leading to infections. Symptoms include a burning sensation during urination, frequent urges to urinate, and cloudy or strong-smelling urine. Prompt treatment with antibiotics and good hygiene practices can help prevent recurrent infections.

2. Overactive Bladder (OAB):

OAB is characterized by a sudden and frequent need to urinate, sometimes accompanied by leakage. It can be caused by factors like weakened pelvic muscles, nerve damage, or hormonal changes. Treatment options include lifestyle modifications, pelvic floor exercises, medications, and in some cases, surgical interventions.

3. Urinary Incontinence: Incontinence, or the involuntary loss of urine, affects women of all ages but becomes more common after childbirth and menopause. Stress incontinence (leakage during physical activity) and urge incontinence (a sudden, intense need

Innovative Treatments

to urinate) are the most common types. Treatments range from physical therapy and bladder training to medications and surgical procedures.

4. Interstitial Cystitis (IC): Also known as painful bladder syndrome, IC is a chronic condition causing bladder pressure, pain, and frequent urination. Though its exact cause is unclear, treatments focus on symptom relief through dietary changes, physical therapy, medications, and bladder instillations.

5. Pelvic Organ Prolapse: This condition occurs when the muscles and tissues supporting the pelvic organs weaken, causing organs like the bladder, uterus, or rectum to drop into the vaginal canal. Symptoms include pressure, discomfort, and difficulty with urination or bowel movements. Treatment may include pelvic floor exercises, pessaries, or surgery.

Prevention and Care

Maintaining urologic health involves a combination of lifestyle choices, preventive care, and regular medical check-ups. Here are some key strategies:

• Stay Hydrated: Drinking enough water helps flush bacteria from the urinary tract and supports overall kidney function.

• Practice Good Hygiene: Wiping from front to back, wearing breathable cotton underwear, and avoiding harsh soaps can reduce the risk of infections.

• Strengthen Pelvic Floor Muscles: Kegel exercises can help prevent incontinence and support bladder control.

• Maintain a Healthy Diet: Limiting bladder irritants like caffeine, spicy foods, and acidic beverages can help manage symptoms of overactive bladder and IC.

• Regular Medical CheckUps: Annual visits to a gynecologist or urologist can help catch potential issues early and ensure comprehensive care.

When To See a Urologist

Women should consult a urologist if they experience recurring UTIs, incontinence, pelvic pain, or any other persistent urinary symptoms. Early diagnosis and intervention can prevent complications and improve quality of life. Women’s urologic health is an essential but often under-discussed aspect of medical care. By understanding common conditions, taking preventive measures, and seeking timely medical advice, women can maintain better urinary health and overall well-being.

• Migraines

• Fatigue

• Dehydration

• Immunity Boost

• Weight Loss • Athletic Activity • Anti-aging

• Hangover Recovery

• Altitude Sickness

• NAD+

• Seasonal Allergies

• Sun Exposure At Prime

In This Edition…

Today! | Submitted By Let’s Smile Dental

| Surrogacy: A Journey Through Time and Across Cultures | By Yemi Adesanya-Famuyiwa, MD

20 | Brushing Away Winter Blues: Fun Spring-Themed Oral Hygiene Tips For Kids | By Elizabeth Shin, DDS

| Chinese Medicine For Infertility | By Quansheng Lu, CMD, PhD, LAc

| Ensuring Healthy Smiles and Sound Sleep For Your Child | By Lynda Dean-Duru, DDS

| Advancements In Total Ankle Replacement | By Gary Feldman, DPM, FACFAS

43 | How To Get an A! – Tips For Studying Anatomy and Physiology | Submitted by ScholarsHub.net

Your Health Magazine is on a mission. There are far too many people, insured or not, who do not go to the doctor when they should, and in millions of cases, don’t know who they should go to, or why.

People are encouraged to buy a new house, car, cell phone or big screen TV, and those companies make themselves very visible and their products easily attainable.

Information about, and from, local healthcare providers is not easy to find, and many times those services are difficult to access.

Information and encouragement always lowers fear and trepidation about anything, and this is especially true in healthcare. While general information is available on web-sites, specific information from local providers is almost impossible for people to find. This is one of the key reasons chronic and episodic conditions are not cared for. It is our mission to:

Make A Difference By Empowering and Encouraging People To Live Healthier By Going To the Doctor When They Should.

There is a lot of evidence that the health professionals who participate in Your Health Magazine have helped many people over the years. We at Your Health Magazine salute you!

G. Scott Hunter, Editor-in-Chief

If you would like to find out how you can participate in one of our upcoming editions, please contact the office nearest you.

MARYLAND & WASHINGTON, DC OFFICE One Town Center 4201 Northview Drive, Suite 102 Bowie, MD 20716 Office (301) 805-6805 • Fax (301) 805-6808 info@yourhealthmagazine.net

VIRGINIA OFFICE Office (301) 805-6805 info@yourhealthmagazine.net

© Your Health Magazine, 2025. The magazine and all of its contents are protected by copyright. For permission to reproduce any materials in this magazine, contact info@yourhealthmagazine.net

EDITOR-IN-CHIEF

Gregory Scott Hunter

Lose Years Off Your Face In Just One Hour

Wrinkles may come with age, but so does wisdom. Whether your eye

lids are carrying excess skin, or your wrinkles have taken over your forehead, or your smile is outlined with parentheses, there are a number of procedures available to improve your look and feel.

Consult with your doctor to determine what products and procedures are best for the look you want to achieve. Such procedures can be surgical and non-surgical.

Procedures To Consider:

Blepharoplasty

As we age, the delicate skin around the eyes can appear puffy or saggy. Eyelid skin stretches, muscles weaken, and the normal deposits of protective fat around the eye bulge.

The surgical procedure to remove excess eyelid tissues (skin, muscle, or fat) is called blepharoplasty. Ophthalmologists are trained to perform this procedure during their medical residency.

Blepharoplasty can be performed on the upper eyelid, lower eyelid, or both. The surgery is performed for either cosmetic or functional reasons. Sometimes excess upper eyelid tissue obstructs the upper visual field or can weigh down the eyelid and produce tired-feeling eyes. Most often, people choose blepharoplasty to improve their appearance by making the area around their eyes firmer. When blepharoplasty is performed to improve vision, rather than for cosmetic reasons only, it may be covered by insurance.

Botox and Xeomin

Did you know that ophthalmologists have been using botulinum toxin (Botox) since its experimental trials began in Florida in 1986? In 1989 the FDA approval signaled the use of botulinum toxin as a safe and effective treatment for use in the eyelids, eyebrows, and facial muscles for certain medical conditions. Ophthalmologists actually discovered its wrinkle reducing effects.

Both products are non-surgical FDA approved treatments that can temporarily smooth moderate to severe frown lines in the forehead, between the brows, and the “crow’s feet” on the side of the eyes in men and women ages 18 to 65.

Radiesse, Juvederm (Voluma & XC), Belotero

We live in exciting times when it comes to the science of beauty. Injectable fillers can replace the lost collagen and volume, giving us the full cheeks and firm skin of youth.

That’s something all those expensive creams, lotions, and serums just can’t deliver. In fact, it was ophthalmologists that discovered and reported one side effect of Lumigan – it increased eye lash length, while also darkening and thickening.

Jacqueline D. Griffiths M.D. earned her undergraduate degree at Yale and her medical degree from the University of Michigan. Her Ophthalmology residency was completed at Georgetown University Medical Center.

Dr. Griffiths has been in private practice since 1994. She started her own practice and laser center, NewView Laser EyeTM in 1999 where she serves as the Medical Director. NewView’s Mission is to provide Excellence in Ophthalmologic services by giving personalized attention to every patient.

Dr. Griffiths is Board Certified and began performing laser vision correction practically from its inception in this country. She has performed thousands of cases and participated with the CRS-USA LASIK trials to get the LASIK procedure approved by the FDA.

In addition to offering CustomVue LASIK and EpiLase, NewView offers CKSM, no-stitch cataract surgery, annual eye exams, contact lenses, glaucoma and diabetic screening exams, and cosmetic services including Botox, Restylane, Radiesse, Juvederm, and eyelid surgery. NewView Optical offers affordable high quality frames and lenses for the entire family (ages 5 and older).

Dr. Griffiths is the former Ophthalmology Section Chief of Reston Hospital Department of Surgery, the former Chief of Ophthalmology for the Reston Ambulatory Surgical Center in Reston, VA as well as Loudoun Hospital in Leesburg, VA, Diplomate of the American Board of Ophthalmology, a Fellow of the American Academy of Ophthalmology, a member of the American Society of Cataract and Refractive Surgery, the Washington National Eye Center and others.

Pain Management and Recovery Advanced Therapies For Chronic Pain Relief

Chronic pain affects millions of people worldwide, making everyday activities challenging and reducing overall quality of life. While traditional pain management often relies on medi-

cations, advanced non-invasive therapies are gaining popularity for their effectiveness in reducing pain, promoting healing, and improving mobility. Some of the most promising therapies include Targeted Cryotherapy, Vibration Therapy, Red Light Therapy, Compression Therapy, Assisted Stretch Therapy, and EMS (Electro Muscle Stimulation).

1. Targeted Cryotherapy

Cryotherapy involves exposing the body to extremely cold temperatures to reduce inflammation, numb

pain, and accelerate muscle recovery. Unlike whole-body cryotherapy, targeted cryotherapy focuses on specific areas of discomfort, providing concentrated relief. This method is particularly effective for joint pain, arthritis, and sports injuries by constricting blood vessels and reducing swelling.

2. Vibration Therapy

Vibration therapy uses oscillating vibrations to stimulate blood flow, relax muscles, and improve flexibility. By activating muscles

Customized Cryotherapy and Wellness Services

Cryotherapy,

Red Light Therapy

Detox, boost circulation, and reduce stress. Red Light Therapy relieves pain from injuries or chronic conditions like fibromyalgia while flushing out toxins, strengthening immunity, and improving blood flow. Enjoy faster healing and healthier, glowing skin.

Vibration Plate

Enhance circulation, improve muscle recovery, and boost lymphatic drainage with our vibration plate therapy. This low-impact treatment stimulates muscles, reduces soreness, and increases flexibility, making it ideal for recovery, pain relief, and overall wellness. Feel energized, balanced, and stronger with every session.

Compression Therapy

Boost circulation, reduce muscle soreness, and speed up recovery with compression therapy. This dynamic treatment enhances blood flow, decreases inflammation, and helps flush out toxins, making it ideal for athletes, injury recovery, and overall wellness. Feel refreshed, rejuvenated, and ready to move.

through rapid contractions, it helps alleviate stiffness, reduce pain sensitivity, and promote healing. This therapy is beneficial for individuals suffering from fibromyalgia, neuropathy, and muscle tightness.

3. Red Light Therapy

Red light therapy (RLT) utilizes low-wavelength red light to penetrate the skin and stimulate cellular repair. It enhances circulation, reduces inflammation, and boosts collagen production, making it an effective treatment for joint pain, muscle injuries, and even skin conditions. RLT is particularly beneficial for individuals with chronic pain conditions such as arthritis and tendonitis.

4. Compression Therapy

Compression therapy involves using controlled pressure to improve circulation and reduce swelling in the limbs. This therapy is widely used for conditions like lymphedema, deep vein thrombosis (DVT), and muscle recovery. By enhancing blood flow and oxygen delivery to muscles, compression therapy speeds up recovery and minimizes discomfort from prolonged standing or sitting.

5. Assisted Stretch Therapy

Assisted stretching, performed by a trained professional, enhances flexibility, reduces stiffness, and improves mobility. It targets tight muscles and joints, helping to relieve tension and chronic pain caused by poor posture, injuries, or repetitive strain. Assisted stretch therapy is particularly useful for individuals with lower back pain, sciatica, and post-surgical rehabilitation.

6. EMS

(Electro Muscle Stimulation)

EMS therapy uses electrical impulses to stimulate muscle contractions, aiding in pain relief, muscle re-education, and recovery. It is commonly used in physical therapy and rehabilitation to strengthen weakened muscles, reduce spasms, and prevent atrophy. EMS is highly beneficial for those with conditions such as multiple sclerosis, arthritis, and post-injury recovery.

For individuals suffering from chronic pain, integrating these therapies into a personalized recovery plan can provide significant relief without the risks associated with medications. Whether used separately or in combination, these innovative techniques support long-term pain management, allowing individuals to regain mobility and improve their quality of life. Always consult with a healthcare professional to determine the best approach for your specific needs.

Your Beautiful Smile Investment Is Protected by Complete Periodontal Health

Hollywood stars know the power of a beautiful smile. Celebrities seem to have perfect teeth, but just like the rest of us, they’ve had a little help from their dentist.

If periodontal tooth and gum issues are not treated in advance of beautiful cosmetics, you may be wasting your time and money. Periodontics are the foundation of a healthy smile and can make the money you spend on beautiful teeth last many years longer.

Opened wide in a positive way, your smile can help make new friends, close a business deal, cheer up a broken heart and ensure that other people feel good about you. How you feel about your smile, directly relates to how much you actually use it.

Do you like your smile? If not, you may be missing out on a beautiful and healthy smile that will give you the self-confidence you deserve. And, it goes one step further, healthy teeth and gums are the foundation of a healthy body – as your oral health directly impacts your overall health.

Advanced dentistry and good periodontal (gum) care can help you achieve the ultimate show-stopping smile. Dental implants will give you back your smile with natural looking and fully functional teeth that best replace your own. Gum grafting can reduce a “gummy smile” to show more of your teeth and open up your beautiful smile.

Laser treatments that utilize less invasive procedures can control and eliminate periodontal disease to help save your natural teeth and gums. An experienced periodontist can provide you with countless options for improving your smile and keeping your gums and teeth healthy for life.

Are You Missing Teeth?

The effect of a missing tooth is not only devastating to your smile, but it’s detrimental to your long-term oral and medical health. It’s not just about unsightly gaps; people missing teeth lose supportive gum tissue and the bone that surrounds other teeth, and eventually the supporting bone in the jaw begins to dissolve. Studies show that people with all of their teeth can live on average 10 years longer than people with missing teeth.

Having gaps where teeth are missing affects the way the jaw closes as the remaining teeth begin to tilt and drift into the gaps. Food can become trapped in these spaces, increasing the risk of decay and gum disease. The tilting and drifting can also cause problems for the opposing teeth as your bite becomes off-balanced and you may begin to experience jaw and joint problems.

Without the support of your teeth and facial bones, your face will begin to look prematurely aged. Lost teeth affect

what you eat and how you swallow and process food and how you speak and function on a daily basis.

The good news is that an experienced periodontist has the advanced training beyond their regular dental degree to prevent, diagnose and treat periodontal (gum) disease with the most advanced laser therapy to help keep your smile healthy and beautiful. A periodontist can also offer personalized solutions to replace your missing teeth, repair your damaged

gums, and prevent or rebuild bone that may have been lost.

Your teeth provide much more function than just the ability to chew. They are necessary for the health of the gum and jaw tissues as they provide a strong foundation for a truly beautiful smile. Take control of your preventative dental health. Make an appointment for a complete periodontal evaluation with an experienced periodontist today. You will be glad you did.

mean the world to us (and they love to refer to us as friends and family). My team works together to ensure your visit is enjoyable, and that your treatment is gentle and pain-free. We are deeply committed to help you prevent and treat periodontal (gum) disease, and to enhance your smile to improve your overall health.

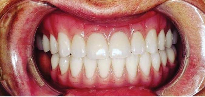
Restoring Smiles With Surgical Dental Implant Placement

replacement tooth, such as a crown, bridge, or denture.

Missing teeth can affect not only your smile but also your ability to speak and chew properly. Dental implants are a long-term solution that closely mimics natural teeth, offering both aesthetic and functional benefits. Understanding the surgical implant placement process can help individuals considering this option make an informed decision.

What Is Surgical Implant Placement?

Dental implant placement is a minor surgical procedure designed to replace missing teeth with artificial roots made of titanium. The implant is inserted into the jawbone, where it naturally integrates through a process called osseointegration. This provides a sturdy foundation for a

The procedure is typically performed in multiple stages. First, the periodontist surgically places the implant into the jawbone. Over the next few months, the bone fuses with the implant, ensuring a secure fit. Once the healing process is complete, an abutment is attached, followed by a custom-made crown that blends seamlessly with the surrounding teeth.

Who Is a Candidate For Dental Implants?

Most healthy adults with missing teeth can be candidates for dental implants, but certain factors influence eligibility. Ideal candidates should have:

• Sufficient jawbone density to support the implant, and vertical and horizontal dimensions to accommodate the proper sized implant that best represents the missing tooth.

• Sufficient spacing to allow for crown, bridge, or denture fabrication on top of the proposed implant.

• Healthy gums free of active periodontal disease

• Good overall health, as conditions like uncontrolled diabetes and smoking/vaping may affect healing

• A commitment

to

maintaining oral hygiene

For those with inadequate bone volume, bone grafting procedures can often prepare the jaw for implant placement.

What To Expect During Recovery

After the surgical placement of an implant, mild swelling, discomfort, or bruising may occur, but these symptoms typically subside within a few days. Patients are advised to follow post-surgical care guidelines, such as:

Periodontist

• Eating soft foods while the implant site heals

• Practicing good oral hygiene to prevent infection

• Attending follow-up visits to monitor healing progress

The healing process generally takes a few months, allowing the implant to fully integrate with the bone before the final restoration is placed. Once complete, the implant functions like a natural tooth, providing stability and durability for years to come.

A Long-Term Investment In Oral Health

Dental implants not only restore a confident smile but also help maintain facial structure and prevent bone loss associated with missing teeth. For those seeking a permanent and natural-looking tooth replacement, consulting with a qualified periodontist can help determine the best path forward.

Maintaining good dental hygiene is crucial, and Dr. Marc Stanard, a periodontist and specialist in surgical implant dentistry, can help you achieve healthy teeth comfortably. We offer a wide range of specialized procedures and services to cater to your periodontal needs, such as bone surgery, scaling, and root planing, gum grafts, crown lengthenings, and sinus lifts.

Why you should choose Dr. Marc Stanard:

• We provide advanced, affordable dental care tailored to meet your unique needs.

• Our team offers oral hygiene instruction and education on gum disease, bone loss, and other dental health conditions.

• Dr. Marc Stanard has decades of experience and a passion for his work, and he’s earned numerous designations, affiliations, and awards, including Top DDS by Washingtonian and high ratings on Google and Yelp.

• Our office is friendly and welcoming, making it the perfect place to receive top-quality dental care.

Is Toenail Fungus Contagious?

The toenails can look disfigured with a severe case of toenail fungus. It is caused by the human papillomavirus (HPV) and is considered to be highly contagious. This virus lives and thrives in warm and moist environments, such as public swimming pools, shower rooms, or similar areas.

Some of the symptoms that are associated with toenail fungus can include yellowed nails that can become brittle, and the affected nails may emit an odor. It is beneficial to implement certain methods that are successful in preventing toenail fungus. These can consist of wearing appropriate shoes, such as flip flops or water shoes, and refraining from sharing shoes, socks, and towels.

Toenail fungus does not improve without medical attention. If you have developed this condition, it is suggested that you confer with a podiatrist who can guide you toward the correct treatment options, which may include prescribed medicine.

If left untreated, toenail fungus may spread to other toenails, skin, or even fingernails. If you suspect you have toenail fungus it is important to seek treatment right away. For more information about treatment, contact Dr. Lubrina Bryant of District Podiatry, PLLC. Our doctor can provide the care you need to keep you painfree and on your feet.

Symptoms

• Warped or oddly shaped nails

• Yellowish nails

• Loose/separated nail

• Buildup of bits and pieces of nail fragments under the nail

• Brittle, broken, thickened nail

Treatment

If self-care strategies and overthe-counter medications does not help your fungus, your podiatrist may give you a prescription drug instead. Even if you find relief from your toenail fungus symptoms, you

may experience a repeat infection in the future.

Prevention

In order to prevent getting toenail fungus in the future, you should always make sure to wash your feet with soap and water. After washing, it is important to dry your feet thoroughly especially in between the toes. When trimming your toenails, be sure to trim straight across instead of in a rounded shape. It is crucial not to cover up discolored nails with nail polish because that will prevent

your nail from being able to “breathe”.

In some cases, surgical procedure may be needed to remove the toenail fungus. Consult with your podiatrist about the best treatment options for your case of toenail fungus.

If you have any questions, please contact your local podiatrist. They can offer the newest diagnostic and treatment technologies for all your foot care needs.

We Provide Foot Care

Breaking the Cycle

SGB Offers New Hope For Women With PTSD/Anxiety

Post-traumatic stress disorder (PTSD) and Anxiety are important women’s health issues. PTSD may be mistakenly associated with military veterans or first responders only. Many are unaware, though, that women have a two to three times higher risk of developing PTSD compared to men. Women are more likely to experience certain types of trauma, such as sexual assault, domestic violence, and medical trauma, all of which can lead to chronic stress

One innovative treatment, Stellate Ganglion Block (SGB), has been used for over 15 years to treat PTSD and anxiety symptoms. Numerous clinical studies published in the medical literature since 1990 have demonstrated SGB’s usefulness in treating women who suffer from anxiety or the lasting effects of trauma.

Understanding the Fight-or-Flight Response

The autonomic nervous system plays a key role in regulating how the body responds to stress. In

cases of PTSD and chronic anxiety, the sympathetic nervous system— responsible for the “fight-or-flight” response—can become overactive, leading to persistent symptoms such as hypervigilance, feeling on edge, irritability, and sleep disturbances. Traditional treatments, such as therapy and medication, can be effective, but some individuals continue to struggle with symptoms.

How SGB Works

Calm the body. Calm the mind.

SGB is a medical procedure that involves injecting a long-acting anesthetic along the stellate ganglion, a cluster of nerves in the neck that influences the body’s stress response. By temporarily “turning off” these nerves, SGB helps reset the nervous system, allowing it to return to a more balanced state. Research has shown that this can lead to long-term improvements in anxiety, PTSD, and other stress-related disorders.

Stellate Ganglion Block (SGB) provides clinically significant relief of Anxiety and PTSD symptoms.

An

appointment

with Dr.

Lynch is much more than just a procedure.

He takes time to listen and to explain all about the procedure and why it is so helpful to so many. Stellate Ganglion Block (SGB) is part of the healing process, which involves work you may do in talk therapy or other treatment modalities. Dr. Lynch shares his experience from thousands of patient interactions providing insight into how SGB may help accelerate your improvement. As a world expert in SGB, he is a resource for you, your family, and your other clinicians.

Applications For Women’s Health

While SGB has been primarily studied in the context of PTSD, its benefits extend beyond trauma-related anxiety. Many women who experience high levels of stress, severe anxiety, or even medical conditions such as long COVID have reported significant relief after undergoing SGB treatment. Additionally, studies suggest that SGB may help reduce vasomotor symptoms, such as hot flashes, in menopausal women.

What To Expect From the Procedure

The SGB procedure takes less than 10 minutes and is performed under ultrasound guidance to ensure precision and safety. Most patients experience symptom relief within 30 minutes to a few days, with effects lasting for months or even longer. Unlike medications that require daily use, SGB offers a potential long-term solution with minimal side effects.

A Step Toward Healing

For women struggling with anxiety or PTSD, stellate ganglion block is an innovative approach to symptom management. Adding this safe, simple outpatient procedure offers a valuable option to complement other treatments such as talk therapy. As evidence has accumulated over the past 15 years, SGB has become a vital tool in the broader effort to improve mental health care for women.

James Lynch, MD

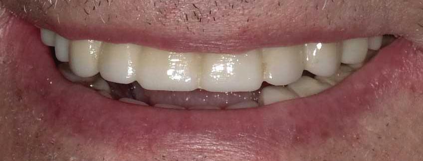
Can just four implants replace all of the teeth on the top or the bottom of your mouth? Thanks to advances in dental implant technology, that answer is a resounding yes.

Believe it or not, tooth loss is extremely common among adults, especially as we age. In fact, more than 35 million people in America are missing all of their upper and/or lower teeth. Rather than living with the discomfort and hassles of dentures, many people are opting for what is called “all-onfour” dental implant restoration.

All-On-Four: One Full Arch Of Teeth, Four Dental Implants

To fully understand this remark-

A Reason To Smile Again

able technique for replacing teeth, you should first understand what a dental implant is. An implant is a small titanium screw that fits inside your jawbone and replaces the root-part of a missing tooth. Minor surgery is required to insert the implants. Once the implant is in place, a crown is attached to give you a highly realistic-looking and functional prosthetic tooth.

Here’s where it gets really interesting: You do not need a dental implant for each and every one of your missing teeth. All you need is four precisely placed implants on the top of your mouth, and four on the bottom, to restore your full smile. That’s the beauty of the all-on-four. And because the implant is made of titanium, it has the unique ability to fuse to living bone and function as part of it. So eventually, the dental implant becomes part of the jawbone and serves as a strong, long-lasting foundation for your new teeth.

Besides ensuring that your implants are permanently fixed in place,

Missing Teeth or Tired of Wearing Dentures?

Thanks to advances in dental implant technology, just four implants can replace all of the teeth on the top or the bottom of your mouth.

this bone fusion has another important benefit: it prevents future bone loss in the jaw. This helps to maintain a more youthful facial structure – and better oral health. But perhaps the biggest surprise about the all-on-four is how quickly it can transform your life.

What’s The All-On-Four Dental Implant Procedure Like?

It can be scary to get implants for the first time. Most of that fear is probably due to the uncertainty, so here is the step-by-step process for getting an All-On-Four dental implant.

First, your dentist will want to make sure your comfortable, so either local or general anesthesia will be administered.

Second, the dentist or surgeon will prepare your mouth for the implants, which involves removing your remaining teeth that are failing. They will then remove any diseased or infected tissue from your jaw and gums.

Next, they will begin the implantation process. This means they will

insert the titanium screws into your jawbone. Most likely, they will place two implants toward the front of your mouth and two towards the back of your mouth so the “anchors” can evenly bare the force of the denture.

After the implants have been placed, they will thoroughly clean the surgical sites and suturing all the incisions. Then you’ll be taken to a recovery room where you can relax and take time to wake up from the anesthesia.

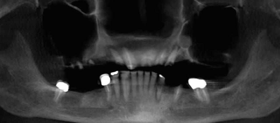
How Do You Know If The All-On-Four Procedure Is The Right Option For You?

At your All-On-Four consultation, you’ll receive a 3D CT Scan. This scan will help determine if you need implants and assist your doctors in creating your treatment plan. So if you want to learn more about dental implants, simply schedule a consultation with an All-On-Four provider. It’s the best way to find out how dental implants can change your life.

Hyperbaric Oxygen Therapy

(HBOT) is emerging as a transformative wellness tool in women’s health. By delivering oxygen at higher-thannormal atmospheric pressure, HBOT enhances cellular function, boosts skin health, and supports overall wellbeing. This non-invasive therapy has long been recognized for its healing capabilities, but its applications in beauty and longevity are now gaining widespread attention.

How HBOT Enhances Beauty and Wellness

During an HBOT session, individuals enter a sealed chamber where pure oxygen is delivered under increased atmospheric pressure. This heightened oxygen availability allows the body to optimize healing, combat signs of aging, and rejuvenate skin at a cellular level. Unlike topical treatments, HBOT works from the inside out, making it an ideal holistic approach to beauty and well-being.

Key Benefits For Women’s Health and Beauty

HBOT offers a multitude of benefits specifically suited for women looking to enhance their natural beauty and maintain optimal health. Some of its most remarkable effects include:

• Skin Rejuvenation and AntiAging: Oxygen is essential for collagen production and skin regeneration. HBOT promotes tissue repair, reducing fine lines, wrinkles, and age-related damage, leading to a more youthful complexion.

• Hormonal Balance and Wellness: Oxygen therapy supports cellular function, which can assist in regulating hormones. This makes HBOT beneficial for women experiencing hormonal shifts due to pregnancy, menopause, or other life changes.

• Improved Circulation and Detoxification: HBOT enhances blood flow, helping to flush out toxins and impurities that contribute to dull skin, breakouts, and inflammation.

• Accelerated Healing and Recovery: Whether recovering from cosmetic procedures, childbirth, or injury, HBOT speeds up the healing process, reducing downtime and discomfort.

Hyperbaric Oxygen Therapy A Revolutionary Approach To Women’s Health and Beauty

• Hair and Scalp Health: Oxygen therapy has been explored for its role in promoting hair growth and scalp circulation, making it a potential solution for women experiencing hair thinning or loss.

• Boosted Energy and Vitality: Many women experience chronic

fatigue due to stress, poor sleep, or nutritional deficiencies. HBOT helps increase energy levels by optimizing oxygen utilization in the body.

A Natural Solution For Radiant Health

With advancements in chamber technology, HBOT is now more ac-

cessible, offering a safe, relaxing, and effective way for women to support their health and beauty. Whether used as part of an anti-aging regimen, a recovery tool, or a wellness routine, HBOT stands out as a holistic solution for achieving radiant skin, balanced health, and overall vitality.

Hyperbaric Chamber, Now Available!

COSMETIC SURGERY

• Breast Augmentation

• Abdominoplasty (Tummy Tuck)

• Liposuction

• Hair Transplants

• Mommy Makeover

• Facial Surgery

NON-INVASIVE TREATMENTS

• Botox®, Dysport®, Xeomin®*

• BellaFill®

• Juvederm*

• Restylane®*

• TempSure Envi

• Endermologie

• Zerona

• Lipolight

LASER TREATMENT

• Hair Removal

• Vein Treatment

• Laser Resurfacing

WELLNESS SERVICES

• Bioidentical Hormones (BHRT)

• ED Treatment for Men

• Medical Weight Loss

4407 Willard Avenue Chevy Chase, MD 20815 (Across from the Friendship Heights Metro)

Achieve Your Dream Smile Today!

Let’s Smile Dental or traditional braces should be your first step. This will allow your cosmetic dentist to work with properly positioned teeth, ensuring the best possible size, shape, and symmetry for your veneers, crowns, or bridges. Skipping this step may lead to an unnatural-looking smile that doesn’t function as well as it should.

A beautiful smile can boost your confidence and improve your overall appearance, but achieving your dream smile with cosmetic dentistry requires careful planning and preparation. Before undergoing procedures like veneers, crowns, bridges, or implants, it’s essential to follow a structured approach to ensure your oral health is in top condition and that the final results meet your expectations. Here’s a step-by-step guide to preparing for your smile transformation.

Step 1: Comprehensive Dental Examination and Cleaning

Before considering any cosmetic dentistry, you must schedule a thorough examination with your general dentist. Your dentist will assess the overall health of your teeth and gums, identify any underlying issues, and perform a professional cleaning. Healthy gums and teeth are the foundation of any cosmetic procedure, and untreated problems like cavities, gum disease, or infections can compromise your results. Addressing these concerns early ensures that your dental work lasts longer and remains in the best possible condition.

Step 2: Prioritize the Health Of Your Teeth and Gums

Cosmetic dentistry is not just about aesthetics; it’s about function and longevity. Your dentist may recommend periodontal treatment, cavity fillings, or root canal therapy if necessary. These treatments help prevent complications that could arise after cosmetic enhancements. Neglecting dental health before undergoing procedures can lead to poor results and may require additional costly treatments down the line.

Step 3: Consult With an Orthodontist

Many people assume that veneers and crowns can correct all smile imperfections, but if your teeth are not in their proper positions, cosmetic procedures alone won’t be enough to achieve optimal results. Misaligned incisors or crooked teeth may require orthodontic treatment before proceeding with cosmetic enhancements. If teeth are improperly positioned, veneers or crowns must be adjusted to fit, which can lead to a compromised final result in terms of both aesthetics and functionality.

Step 4: Consider Orthodontic Treatment First

If your teeth need alignment, orthodontic solutions like Invisalign

Step 5:

Ensure Collaboration Between Specialists

Achieving the best smile involves teamwork. Your orthodontist, cosmetic dentist, and any other specialists in-

volved (such as an oral surgeon for implants) must communicate and coordinate their treatment plans. The orthodontist needs to understand your final cosmetic goals before adjusting your teeth so that the cosmetic dentist can achieve the best aesthetic and functional outcomes.

Step 6: Don’t Rush the Process Patience is key when it comes to cosmetic dentistry. While you may be eager to achieve your perfect smile, rushing the process can lead to poor results. Give all specialists involved

enough time to assess your case, provide their input, and ensure that each phase of your treatment aligns with the overall plan. A team-based approach guarantees the most natural and long-lasting outcome for your smile transformation.

By following these steps, you can ensure that your cosmetic dental work enhances both the health and beauty of your smile. Prioritizing oral health, proper alignment, and specialist collaboration will set the stage for a stunning and lasting result.

SMILE

Discover a world of comprehensive dental care at Let’s Smile Dental, your trusted destination for superior oral health in Northern Virginia. With nine conveniently located offices, our skilled team of professionals is dedicated to providing a spectrum of specialized services, all under one roof. At Let’s Smile Dental, our providers share a common mission: delivering the highest quality care to our valued patients. Through seamless collaboration and a patient-centric approach, our doctors ensure a positive experience and ultimate smile satisfaction. Choose Let’s Smile Dental – where your smile is our priority!

Orthodontists: Ali Ghatri, DDS – Manhal Eliliwi, DDS Owais Naeem, DDS – John Ji, DMD
Pediatric Dentists: Abeer Zletni, DDS – Cindy Choi, DDS
Ashley Kato, DDS – Zeina Estephan, DDS – Kevin Do, DDS
Jackie Liu, DDS – Reham Alnajjar, DDS
Family & Cosmetic Dentists: Oscar Dominguez, DDS
Joseph Alwan, DDS
Oral Surgeon: Inja Niloy, DDS – Paul Park, DDS
Dental Anesthesiologist: Babak Razmazma, DDS

Surrogacy A Journey Through Time and Across Cultures

Surrogacy has been a beacon of hope for countless individuals and couples around the world. This process involves one woman carrying and giving birth to a child on behalf of another individual or couple who, for various reasons, cannot conceive or carry a pregnancy themselves.

Surrogacy has deep historical roots. In Roman society, where infertility was a prevailing concern, infertile

women could seek the help of fertile women, known as “maters,” to carry a child on their behalf. Legally, the child born belonged to the husband and wife who commissioned the surrogacy.

In ancient Greece, infertile couples turned to close relatives, often sisters, to serve as surrogate mothers. The child born in this context was recognized as the offspring of the intended parents.

However, it’s essential to acknowledge that these ancient practices, while resembling modern surrogacy, were distinct due to the absence of contemporary assisted reproductive technologies and genetic connections.

In ancient China and ancient Africa explicit evidence of surrogacy is limited. It’s plausible that surrogacylike practices existed but were not extensively documented.

In the modern era, surrogacy has taken on two primary forms:

1. Traditional Surrogacy: This meth-

Please see “Surrogacy,” page 38

Brushing Away Winter Blues Fun Spring-Themed Oral Hygiene Tips For Kids

As the winter blues fade away and spring brings new energy, it’s the perfect time to refresh your child’s oral hygiene routine! Making dental care fun can help kids develop lifelong habits while ensuring their smiles stay bright and healthy. Here are some creative, spring-themed tips to get your little ones excited about

brushing and flossing.

1. Brighten Up With a SpringThemed Toothbrush

Start the new season with a fresh toothbrush featuring fun spring designs like flowers, butterflies, or bright colors. Let your child pick their favorite one—having a toothbrush they love can make brushing more enjoyable!

2. Sing a Springtime Brushing Song

Turn brushing into a musical event with a fun, spring-themed song! Play cheerful tunes like Here Comes the Sun or make up a silly song about brushing away “sugar bugs” to keep kids engaged for the full two minutes.

3. Create a Spring Brushing Chart

Use a printable or handmade chart decorated with flowers, rainbows, or baby animals. Give your child stickers

Please see “Oral Hygiene,” page 38

Where Science Meets Compassion

Our mission is to assist our patients in creating the families of their dreams, whether it be at the present or to maintain the possibility in the future.

Medical Director Dr. Famuyiwa, a double board certified fertility specialist and an advocate for personalized holistic fertility care, is at the forefront of providing state-of-the-art care based on emerging and advanced new technologies in the most compassionate of manners.

Cosmetic dentistry has become increasingly popular, not just for enhancing smiles but also for improving the emotional well-being of patients. Modern advancements in dental care allow individuals to transform their appearance, which can have profound effects on their self-confidence and overall mental health. Here, we explore the psychological benefits that come with receiving cosmetic dental treatments.

Boost In Self-Confidence

One of the most immediate psychological effects of cosmetic dentistry is a significant boost in self-confidence. Many people feel self-conscious about their teeth, whether due to discoloration, gaps, or misalignment. These insecurities can affect how they interact with others, sometimes causing them to

The Psychological Benefits Of Cosmetic Dentistry

hide their smile or avoid social situations altogether.

When imperfections are corrected through treatments such as teeth whitening, veneers, or aligners, patients often report feeling more confident in their appearance. This newfound confidence helps them engage more fully in social activities and professional settings, leading to an improved quality of life.

Reduction In Anxiety and Stress

Living with dental issues can cause chronic anxiety, especially if one is worried about the appearance of their teeth in everyday interactions. This constant preoccupation can lead to stress, even in simple tasks like speaking or smiling.

Cosmetic dentistry can alleviate these concerns by providing a sense of relief and assurance that your smile looks its best. With fewer worries about how their teeth are perceived, patients tend to experience reduced stress and feel more at ease in social environments.

Enhanced

Social Life

Our smile is one of the first things

people notice about us. If we are proud of our smile, we tend to smile more often, which can positively influence how others perceive and engage with us. People who undergo cosmetic dental procedures often find themselves more willing to engage socially, both in personal and professional environments. They no longer feel the need to hide their teeth, allowing them to enjoy social interactions more freely and authentically.

A bright, healthy-looking smile can also enhance first impressions, whether during job interviews, on dates, or when meeting new people. This improved social confidence can open doors to new opportunities, leading to both personal and professional growth.

Positive Body Image and Mental Health

The connection between appearance and mental health is welldocumented. Feeling good about how we look can significantly impact how we feel about ourselves overall. When individuals address cosmetic concerns with their teeth, they often report a

more positive body image, which can contribute to a healthier state of mind. Cosmetic dentistry not only improves the physical appearance of teeth but also provides an emotional uplift. Patients are more likely to embrace their full appearance and experience fewer insecurities, promoting better mental health and a more positive outlook on life.

Long-Term Psychological Effects

In the long term, the psychological benefits of cosmetic dentistry can be life-changing. Enhanced selfesteem, reduced anxiety, and improved social interactions can lead to a happier, more fulfilling life. People who feel good about their appearance are more likely to take care of their overall health, both physically and mentally. The journey to improved dental aesthetics can also promote feelings of accomplishment and pride. Seeing the transformation unfold can be incredibly rewarding, reinforcing the value of self-care and personal investment in one’s well-being.

At Fairlington Dental, we understand the connection between a healthy smile and a healthy body. As a result, we look at the whole person to discover the reasons a patient may have gum disease or a bad bite. A number of studies link heart disease and other serious conditions to the presence of periodontal (gum) disease. This research makes it vital that we take a Complete Health approach to your dental care. Dr. Rogers will listen to you, conduct a careful assessment, and carefully explain your proposed customized wellness plan. He will then take the time to answer all of your questions. You become a partner in your oral health goals!

Our team has mastered the techniques of gentle dentistry and is skilled at helping patients with any level of apprehension relax and grow comfortable with visiting the dentist. Anxiety and tension have a variety of sources, so it’s important for us to listen to your concerns as well as your goals and history. Then we address your anxieties and proceed with gentle treatment only when you’re ready. We deliver all of this in an office that is environmentally aware, while you enjoy a variety of spa-like amenities during your visit. One of our greatest joys is helping patients smile again, especially those who may not have seen a dentist in a while. You’ll be amazed at how the quality of life can change! We strive to create a partnership with you that starts the moment you walk through our door.

ADVENTIST MEDICAL GROUP

PRIMARY CARE SERVICES FOR YOU

Choose Adventist Medical Group Primary Care in Fort Washington, Maryland, to provide a full range of primary care services for adults.

Learn to better manage your health and prevent illnesses with personalized care from our experienced, primary care providers. Our specialists in family medicine and internal medicine work as a team to deliver expert care when you need:

• Same-day Sick Visits

• Women’s and Men’s Health and Wellness Exams

• Health Physicals, Health Maintenance and Preventive Care

• Geriatric (Senior) Wellness Exams

• Vaccinations and Immunizations, including Flu Shots

• Health Management for:

• Asthma and Allergies

• High Blood Pressure

• High Cholesterol

• Diabetes

• Heart Disease

You also benefit from coordinated care that helps you effectively handle all aspects of your health—from preventive medicine and preoperative appointments to management of chronic health conditions.

To schedule an appointment, please call 240-724-6018

10709 Indian Head Highway, Suite D1 Fort Washington, Maryland 20744 AdventistMedicalGroup.org

Nicole Haskins, CRNP, RN (Family Nurse Practitioner)

Rex Hoang, DMD

Your One Destination For

Meet Rex Hoang

Rex Hoang, DMD, PC, has been the president of his family-run business, DC Dental Spa, in Washington, DC for over 28 years, and gets great satisfaction from helping his patients achieve beautiful, healthy smiles. Dr. Rex has extensive training and experience in general dentistry, periodontology, endodontology, oral surgery, dental implants, sleep apnea and cosmetic dentistry.

Dr. Rex earned his title of Doctor of Medicine in Dentistry from The University of Pennsylvania School of Dental Medicine in 1990, and to stay up-to-date in the latest dental practices and technologies, Dr. Rex regularly attends continuing education courses. Recently, his continuing education took him to the Dominican Republic, where he provided dental implants to disadvantaged community members. He believes in delivering the very best care for his patients’ needs while being sensitive to their comfort levels and concerns, and a love for dentistry runs in the Hoang family. Of his five children, two have joined him in the field of dentistry. Dr. Rex’s son Dylan is currently pursuing dentistry in school, and Dr. Rex is looking forward to him joining the practice upon graduation.

Outside of dentistry, Dr. Rex has many interests and hobbies, including piano and guitar. He also stays active playing golf, tennis and practicing martial arts.

Dr. Hoang Leads Charitable Mission to Laos & Vietnam

Dr. Hoang, his wife and daughter traveled to Laos and Vietnam. On this trip prepared food and money was donated to those people of need. Dr Hoang’s family personally prepared the food, visited and spoke with the local communities and had a wonderful experience.

TMJ & Sleep Apnea Treatment

Dr. Brown’s practice focuses on TMJ, sleep apnea and orthodontics. This allows Dr. Brown and his team to provide individualized, focused care for patients dealing with these specific issues. Every day, his practice helps patients of all ages with facial development, sleep issues, chronic headaches, migraines, neck pain, movement disorders, and much more. His training also includes multiple disciplines involving the cranial bones in the skull, and the discs in the jaw joints. Through treatment, Dr. Brown is able to reduce these symptoms, align cranial bones, avoid extractions, and greatly reduce the need for traditional braces. His expertise allows him to identify issues early on which promotes proper facial development using dental appliances. If there is an internal imbalance, whether an adult or child, the body does not develop or function properly. When the cranial bones are lined up correctly, patients are able to function, sleep and generally live better.

With that in mind, the team at Sleep & TMJ Therapy takes a whole-body approach when treatment planning. They work hand in hand with physical therapists and osteopathic doctors for a better success rate. Dr. Brown is devoted to helping patients of all ages live a symptom free life.

Degrees & Certifications

Dr. Brown earned his degree from Georgetown Dental School and completed residencies with Emory University Hospital for Dental Sleep Medicine and the ALF Appliance Therapy Institute.

Outside the Office

When not seeing patients, Dr. Brown is a sought-after speaker. He has lectured all over the world, including D.C., Dubai, Seoul, London, Norway and Toronto. He has also been featured on Channel 9’s Good Morning Washington, several podcasts, and numerous magazines and journals.

Professional Affiliations

Dr. Brown is a diplomate of the American Academy of Craniofacial Pain, a member of the American Academy of Dental Sleep Medicine, American Academy of Gnathological Orthopedic, Academy of Integrative Pain Management American Dental Association, a Fellow of the American Academy of Craniofacial Pain, and Legacy Provider for the ALF Interface Academy.

Do you have TMD or Sleep Apnea?

TMD Symptoms: Noise in the jaw joints when opening and closing your mouth, difficulty chewing, limited opening, tender facial muscles, ear ringing, uncomfortable bite, jaw locking, headaches, migraines, dizziness, vision issues as well as pain in the jaw area which can radiate to the ears, head, neck, shoulders, and back.

Sleep Apnea Symptoms: Snoring, waking up gasping for air, feeling tired and irritable in the morning, difficulty controlling weight, concentration problems, morning headaches, episodes of not breathing, waking with a sore throat, forgetfulness and mood changes. If you believe you may be suffering from TMD or Sleep Apnea, don't wait... Call today to schedule a consultation with Dr. Brown: 703-821-1103.

Jeffrey L. Brown

Featured Health Professionals

Elizabeth “Andie” Shin, DDS

Meet Elizabeth “Andie” Shin

Dr. Shin is the founder and president of BCC Pediatric Dentistry. She is a Board-Certified Pediatric Dentist with more than 20 years of practice experience. Among other awards and recognitions, Dr. Shin has been selected by her peers as a Washingtonian Top Pediatric Dentist and a Bethesda Magazine Top Pediatric Dentist. Dr. Shin’s experience spans a diverse range of locations, settings, and organizations. She was Associate Professor of Pediatric Dentistry for the Advanced Post-Graduate Pediatric Dentistry Residency at the University of Southern California (USC). Dr. Shin practiced pediatric dentistry at a Native American Reservation in Montana. After 911, she joined the Army and served as an active-duty military officer and pediatric dentist at Walter Reed Army Medical Center, in Washington DC. Dr. Shin was also the first Korean-American female to hold the position as the division head of the Pediatric Dentistry and Orthodontic Dental Clinic at the Children’s Hospital of Los Angeles. These and other positions throughout the years have provided Dr. Shin with invaluable pediatric dentistry experience and unique expertise. Most of all she loves children, likes to make them laugh, and is constantly trying to learn more about them and their accomplishments. That includes her patients and her son, daughter, grandkids, and your child too!

See Dr. Shin’s Article on Page 20

Jonathan Johnson, MD, MBA, CWSP

Excellence in Aesthetics & Wound Care

The Expertise of Dr. Jonathan Johnson

Dr. Jonathan Johnson, MD, MBA, CWSP, is a distinguished plastic surgeon and the owner of Capital Surgical Center and Comprehensive Wound Care Services in Washington, DC. With over 20 years of experience, Dr. Johnson specializes in both advanced wound care and aesthetic medicine, blending his surgical expertise with a commitment to patient-centered care. Board certified by both the American Board of Wound Management and the American Academy of Aesthetic Medicine, Dr. Johnson is highly regarded for his dual focus on wound healing and aesthetic procedures. As a Sylvester J. Carter Fellow in hand and plastic surgery, he trained at the prestigious Lincoln Medical and Mental Health Center, where he gained extensive experience in reconstructive wound care and aesthetic enhancements. His expertise has led him to speak at numerous national conferences, educating fellow physicians on the latest advancements in both specialties.

Through Comprehensive Wound Care Services, Dr. Johnson provides compassionate and effective treatment to patients suffering from chronic, non-healing wounds, particularly in nursing homes across Washington, DC, Georgetown, and Foggy Bottom. His aesthetic practice at Capital Surgical Center offers innovative cosmetic procedures designed to enhance natural beauty and restore confidence.

In addition to his medical credentials, Dr. Johnson holds an MBA in healthcare finance from Johns Hopkins University’s Carey Business School. He is a member of the Maryland Society of Physician Entrepreneurs. Dedicated to community service, he serves on the board of directors for the Capital Youth Empowerment Program, a nonprofit supporting inner-city youth development.

Featured Health Professionals

Michael Rogers, DDS

4850 31st Street South Suite A, Arlington, VA 703-936-4166

Meet Michael Rogers

Michael Rogers, DDS, is pleased to be able to offer beautiful smiles to his neighbors in Arlington and the surrounding communities. Dr. Rogers earned his dental degree from UCLA after graduating cum laude from Harvard University. Prior to entering private practice, he served a general practice residency at Sepulveda Veteran’s Hospital. Dr. Rogers has invested significant time into ongoing education, seeking to learn emerging dental technologies and techniques in the areas of cosmetic dentistry, implant dentistry, sleep apnea treatment, orthodontics, temporomandibular joint (TMJ) disorders, and safe amalgam replacement. His most recent training in airway management has allowed him to offer a cure for sleep apnea using an intraoral device known as the DNA appliance. He is a member of the International Academy of Oral Medicine and Toxicology, American Academy of Dental Sleep Medicine, American Academy of Craniofacial Pain, and also of Mercury-Free Dentists. He has served as a guest author for TMJ News & Views, and when that publication ceased, began his own quarterly newsletter. You may have seen one of his television interviews on “A New Me” or the local PBS station, or seen his articles and features in Ladies’ Home Journal, Arlington Magazine, and New Beauty

Dr. Rogers is an active participant in the community as a sponsor for Encore Theater, Little League of Alexandria, Abingdon Elementary, and the local Fairlington Farmer’s Market. He and his wife Terri enjoy spending time with their daughter Megan and her husband Corey traveling around the country and the Caribbean.

With a passion for glowing, healthy skin and a mission to empower confidence, Nakia Waldron is a trusted esthetician serving the DMV area. As the founder of 1014 Skin Lounge in Largo, MD, Nakia provides expert skincare solutions tailored to meet the unique needs of her clients.

A graduate of the Institute of Epidermal Sciences, Nakia is a Certified Face Reality Acne Expert and a dedicated Waxing Specialist, helping clients achieve smooth, blemish-free skin. She carries Skinscript products, ensuring her treatments are backed by highquality, professional-grade skincare. From customized facials to advanced acne treatments, her holistic approach blends science with self-care, giving each client a transformative experience. Beyond her expertise in esthetics, Nakia is an entrepreneur and mentor, creating a welcoming space where skincare meets education. She is dedicated to helping individuals of all skin types embrace their natural beauty through personalized regimens and professional guidance.

Connect with Nakia and experience the 1014 Skin Lounge difference through her TikTok and Instagram (@1014skinlounge), where she shares expert tips, client transformations, and insights into her thriving skincare business. Whether you’re struggling with acne, need a flawless wax, or want to elevate your skincare routine, Nakia is your go-to esthetician for results-driven care!

• Basic Facial Treatments

• Chemical Peels

• Corrective Treatments

• Eye Brow Waxing

• Facial Kit

• Massages

• Training Courses

• Waxing Services

Featured Health Professionals

Local Professionals

and Encouraging People To Live Healthier

Mary B. Alexander, DDS, DMSC

Under One Roof

20680 Seneca Meadows Parkway, Suite #218

Germantown, MD

Meet Mary B. Alexander

Dr. Mary Alexander, periodontist, obtained a Bachelor of Science degree in Biology from the University of South Carolina and continued her education in dentistry at the University of Maryland School of Dental Surgery where she received her DDS degree. Prior to and during her dental studies, Dr. Alexander received funding and support from the National Institutes of Dental Research for her involvement in the periodontal research. After obtaining her DDS degree Dr. Alexander spent one year at the Veteran’s Administration Hospital, in general practice residency focusing her training in the area of anxiety patient management. She then attended Harvard University and earned her clinical specialty in periodontics and a doctorate in medical science. Her doctoral research was focused in the study of bone function and metabolic disease of the bone.

Dr. Alexander received extensive training in dental implantology, periodontal plastic surgery, bone regenerative procedures and sedation dentistry. All aspects of Dr. Alexander’s training are incorporated in her periodontal practice assuring patient’s thorough and comprehensive periodontal treatment.

Sivakumar Sreenivasan, DMD DENTAL IMPLANT CENTER OF ROCKVILLE

Oral and Maxillofacial Surgeon

Diplomate, American Board of Oral & Maxillofacial Surgery

DMD, MDS • OMFS, MD, PA

77 South Washington Street Suite #205, Rockville, MD

301-294-8700

www.OMFSMD.com

Meet Dr. Sreenivasan:

Dr. Sreeni came to the United States as an Oral and Maxillofacial Surgeon in the year 1990 and put himself through dental school again at Boston University and Oral and Maxillofacial Surgery residency at University of Medicine and Dentistry of New Jersey.

As an Oral and Maxillofacial Surgeon, Dr. Sreeni manages a wide variety of problems relating to the Mouth, Teeth and Facial Regions. He practices a full scope of Oral and Maxillofacial Surgery with expertise ranging from Corrective Jaw Surgery to Wisdom Teeth Removal. His passion is in implant surgery and he is well known for same day placement of implants following teeth removal be it for single teeth or a complete “makeover” (Smile in a day). He can also diagnose and treat Facial Pain, Facial Injuries and TMJ disorders and perform Bone Grafting and Sinus lift procedures.

Dr. Sreeni completed a residency in Anesthesiology at Mount Sinai Hospital, New York in 1994 and has worked as an Attending providing anesthesia services for children and adults in the ambulatory out-patient center of the hospital.

Dr. Sreeni is an Advanced Cardiac Life Support instructor with the Adventist group. He is also certified in Pediatric advanced life support and is very capable of handling emergencies that could possibly arise in the office. Dr. Sreeni’s staff are trained in assisting with IV Sedation/General Anesthesia within our state of the art office setting. Patients are continuously monitored during and after surgery. The goal of our office is to provide professional service with compassion and an understanding of the patients’ perspective.

Featured Health Professionals

Karl A. Smith, DDS, MS

Comfortable Sedation, Laser Periodontics & Implant Dentistry

Meet Periodontist, Karl A. Smith, DDS, MS

Dr. Smith is a dentist who also specializes in treatment of gum disease, cosmetic smile enhancement procedures, and dental implants to replace teeth that are missing. Although no one likes to go to the dentist, he strives to make your visits as comfortable and pleasant as possible. He strongly believes that value and comfort is an important part of quality dental care. The right to choose a dentist and provider of care is an important freedom. Referrals from patients and friends of the practice are welcome. We also work closely on referral from your family dentist, but a referral is not required to visit our office. Everyone that is interested in keeping their teeth for a lifetime should see a periodontist for screening.

Dr. Smith’s colleagues describe him as a gentle, easy-going person that provides expert care to patients. People come from near and far to experience the comfort of his office and patient-oriented team. He has been consistently voted by his peers a Top Dentist in Washingtonian Magazine , and Northern Virginia Magazine

WHAT TO EXPECT ON A VISIT

WITH DR. SMITH:

Dr. Smith says that “From the first phone call you will be treated with care and concern for your unique dental condition. Every question you have ever had about your dental health will be covered as well as any financial considerations you may have. It is my goal to care for each and every person that comes through my doors and to exceed your expectations from a dental office. I promise to always give you honesty and accuracy when it comes to your treatment. I will never start treatment without your full knowledge, understanding, and acceptance of your condition.”

Degrees, Training and Certificates:

Doctor of Dental Surgery Degree from the University of California, Los Angeles 1981. General Practice in the U.S. Air Force Dental Corps.. Successfully completed three additional years of advanced training in the specialty of Periodontics, Dental Anesthesia and Implants in 1992 at the University of Texas Health Science Center, San Antonio and Wilford Hall USAF Medical Center. Retired from the U.S. Air Force as a Lieutenant Colonel in 1996. Fellowship in the Academy of General Dentistry and in DOCS, a sedation organization for dentists.

Shady Grove Road Suite #220, Rockville, MD

Greenway Center

Meet Dr. Rupen Baxi

Dr. Baxi is a Board Certified, Fellowship-trained GYN surgeon specializing in minimally invasive surgery. He completed his General Surgery internship at the Jewish Hospital of Cincinnati and an Obstetrics & Gynecology residency at Oakland University William Beaumont School of Medicine. He was awarded the Special Resident in Minimally Invasive Surgery Award by the AAGL. He then completed a fellowship in minimally invasive GYN surgery at Mohawk Valley Health System, earning COEMIG certification.

Dr. Baxi has numerous publications in the Journal of Minimally Invasive Gynecology and has presented at major national meetings. He has received the Arnold P. Gold Foundation “Teaching and Humanism in Medicine” Award and serves as a site director for OB/GYN residency at Doctor’s Community Hospital. His practice emphasizes exceptional surgical care and compassionate patient treatment. Dr. Baxi’s philosophy is to treat patients with the same respect and care he would expect for himself.

Featured Health Professionals

Local Professionals Empowering and Encouraging People To Live Healthier

Mara Holton, MD

Dr. Mara Holton grew up in Maryland and has practiced with AA Urology for more than a decade since completing her residency.

Dr. Holton earned her undergraduate degree from The University of Vermont before attending medical school at Temple University in Philadelphia. She then completed her general surgery internship and urologic surgery residency at University of Maryland Medical System. While in residency, Dr. Holton practiced the full breadth of urologic training and surgery. Additionally, while there, she spent a year doing research dedicated to interstitial cystitis / pelvic pain alongside leaders in the field.

In clinical practice, Dr. Holton treats all urologic conditions but has a special interest in female incontinence and pelvic floor dysfunction along with the noninvasive treatment of kidney stones. She is trained in the all of the most current and minimally invasive options to facilitate patients ability to recover from procedures quickly so that they can get back to their lives and families.

As the managing partner of her group, Dr. Holton has overseen the expansion of AA Urology over the past several years and is excited by the growing presence of the group while maintaining the practice ethos of compassionate care in our communities. She is also very involved in the advancement of independent physician practices as a critical resource for patients and participates in advocacy as a board member of national organizations, including the Large Urology Group Practice Association.

In her free time, Dr Holton enjoys traveling, hiking and spending time with her family and dogs.

Annapolis – Glen Burnie Greenbelt – Odenton – Bowie

Comprehensive Women’s Health

Leading Women’s Health with Innovation and Personalization at CWH

Comprehensive Women’s Health (CWH), located in Silver Spring and Glen Dale, Maryland, offers personalized primary and concierge care, including health optimization, chronic care, preventive services, weight loss, and medispa treatments.

Recognizing the deep uncertainty many in our community are facing due to recent government layoffs, CWH recently launched Comprehensive Essential Care. This is primary care for people who have lost their insurance or are burdened by the high costs of traditional insurance. The program offers affordable and predictable pricing that covers essential healthcare needs.

CWH also puts women first by leading in medical innovation. The practice was one of the first in Maryland to introduce BioFire SpotFire that detects up to 15 viruses and bacteria in under 15 minutes. In addition to medical care, CWH provides cutting-edge non-invasive treatments such as Morpheus and CoolSculpting for aesthetic goals.

Founded and led by Dr. Angela Marshall, a board-certified Internist, CWH has been a trusted resource for women’s healthcare for over 20 years. Dr. Marshall has been repeatedly recognized as a “Top Doctor’ by Washingtonian Magazine and is the author of Dismissed: Tackling the Biases That Undermine Our Health Care.

CWH continues to redefine inclusive, accessible, and comprehensive healthcare and is now accepting new primary and concierge patients, as well as men for its weight loss program and medispa services.

Dr. Angela Marshall, MD, FACP (center), flanked by PA Christina Neal (left), and Dr. Marcia Parris (right).

Foot doctor Lubrina Bryant, DPM is dedicated to getting to the root of your foot or ankle problem.

District Podiatry, PLLC specializes in general foot, ankle and leg care. Having chronic foot and ankle pain can affect the quality of your life and finding the right foot and ankle specialist can be just as difficult. We know how hectic life can be and we are committed to making our practice and care convenient and accessible.

From routine checkups to minor foot surgery, Lubrina Bryant, DPM is a podiatrist who is equipped to handle all your foot and ankle needs.

Services Include: Routine Foot Care, Diabetic Foot Care, Wart Removal, Ingrown Toenails, Foot, Ankle or Heel Pain, Toenail Fungus, and Bunions.

Degrees, Training and Certificates: UCLA Medical School; Yale University Hospital for Residency; Louisiana State University for Cornea and Refractive Fellowship

Professional Memberships/Associations: American Academy of Ophthalmology; American Society of Cataract and Refractive Surgery; International Society of Refractive Surgery

Areas of Interest: All laser custom LASIK; Cataract Surgery; Botox; Dermal Fillers; Cornea Comprehensive Ophthalmology

Practice Philosophy: Envision Eye and Laser is committed to delivering superior ophthalmic care with state-of-the-art technology and patient education in a caring, compassionate environment. We cater to a diverse population of adults and work with your primary care physician to improve the quality of your overall health and life. Your best vision is our focus.

Lynda Dean-Duru, DDS

44025 Pipeline Plaza Suite #225, Ashburn, VA

info@kidzsmile.com

About Lynda Dean-Duru

Dr. Lynda Dean-Duru pursues pediatric dentistry with a passion rooted in her fascinating personal story.

For Doctor Lynda, the pathway to dentistry started during her own childhood experience with a dentist’s impact in her native Nigeria. As the eldest of nine children (including seven brothers), she witnessed a total transformation in the health of one of her little brothers after his aches and pains were totally resolved under the care of a well-trained dentist. As a result of this transformative experience, young Lynda determined to extend that kind of care to others as her life’s calling. She went on to earn her dentistry degree from the University of Benin, her General Practice residency from Howard University Hospital, her Pediatric Dentistry Specialty Training from Children’s National Medical Center, Board Certification from the American Board of Pediatric Dentistry, and her Fellowship Laser Certification from the Academy of Laser Dentistry.

Doctor Lynda has undertaken much continuing education in Orthodontic training and is a fellow of the United States Dental Institute and a member of the prestigious Gnathos education group in Atlanta, Georgia. She holds a certification in Oral Myology from the International Association of Oral Myology (IAOM). She has completed levels 1 and 2 of the Advanced Light force functionals (ALF) therapy, ALF Interface Academy Foundations, Genesis, and other courses.

Doctor Lynda is part of an Integrative team of healthcare providers seeking to deliver optimal health to our pediatric population by education, awareness, and collaborative care. She also has a special interest in treatment that focuses on infants’ breastfeeding and prevention of sleep apnea in children.

She is a member of numerous professional and civic associations and provides tens of thousands of dollars in pro bono screenings and procedures along with other community service in Northern Virginia every year.

Ashburn Children’s Dentistry

About Krystle Dean-Duru

Family dentistry has been a way of life for me, and the passion for caring for children is in my genes. My mother, Dr. Lynda Dean-Duru, also a pediatric dentist, was my first inspiration towards family dentistry. Having started my journey in family care working as a pediatric dental assistant at Ashburn Children’s Dentistry, I spent many summers as my mother’s mentee. Watching what seemed like magical healing art she deployed while treating her patients and knowing the need and the power of proactive preventive dental health for children, I chose a career specializing in pediatric dentistry. It is an honor to join my mother in practice at Ashburn Children’s Dentistry where I get to fulfill my commitment to helping each child and parent have a positive and transformative dental experience, with compassion and fun! Having matured as an integrative laser pediatric dental surgeon and absorbing the ethos of Ashburn Children’s Dentistry, I work tirelessly to stay abreast of emerging research, and improve the quality of life for children by learning from the world’s leading researchers and clinicians. Through these means, we are continually integrating critical aspects of oral structure, craniofacial development, and its impact on the pediatric airway in the service of providing optimal patient outcomes. Caring for children is so powerful and rewarding and with that, understanding the importance of utilizing gentle and minimal intervention therapies. Treating the source of their issues—instead of the symptoms—and focusing on early prevention, has been critical to my role in educating parents and assisting their blossoming child’s development into a healthy and resilient adult.

I hold an undergraduate degree from Columbia University in New York, where I studied Psychology. I received a Doctorate of Dental Surgery from Virginia Commonwealth University in Richmond, Virginia and completed my Pediatric Residency at Interfaith Department of Dental Medicine in Brooklyn, New York, where I served in a leadership role as Chief Resident. Board certified, I am a proud Diplomate of the American Board of Pediatric Dentistry.

When not helping my young patients build happy smiles, I enjoy spending time with family and friends, growing in my faith, improving my dancing skills, learning boxing moves, traveling — and cheering on Washington sports teams!

“Dr. Krystle,” as she is known by her patients, is thrilled to join her mom, Dr. Lynda, in practice. Patients and parents compliment her fun, compassionate approach. They are also impressed by her commitment to helping each child and parent have a positive dental experience. Having matured as a dental surgeon, she is constantly working to enhance her capabilities in the field.

Featured Health Professionals

Local Professionals Empowering and Encouraging People To Live Healthier

Janice Trent, AuD

Meet Janice Trent

Dr. Trent has a passion for helping people. She has practiced Audiology since 1984, in a number of clinical settings. Her diverse career has included 16 years of teaching and clinical supervision at Howard University, Washington, DC and Temple University, Philadelphia, PA. Dr. Trent has also worked as a clinical audiologist in hospital settings and private ENT practices. Education:

Clinical Doctoral Degree – Audiology-University of Florida, Gainesville, FL

Master of Education – Audiology- Northeastern University, Boston, MA

Bachelor of Science – Communication Sciences and Disorders – Hampton University, Hampton, VA

Dr. Trent holds her Maryland State Licensure in Audiology. She is a Certified Clinical Audiologist (CCC-A) through the American Speech-Language-Hearing Association (ASHA). Presently, she serves on the Board of Directors for ASHA as Vice President for Audiology Practice.

Springfield 703-719-5828 Reston 703-719-5828

Fairfax 703-719-5828

Fredericksburg 540-785-4494

Purcellville 540-338-9400

Alexandria 703-658-3000

Herndon 703-719-5828

At Let’s Smile, we are proud to be a privately owned, multispecialty dental practice. We bring together all aspects of dentistry and orthodontics for both children and adults under one roof. With multiple convenient locations throughout the DMV area, we make high-quality dental care easily accessible to our patients. Our dedicated team prioritizes not only exceptional dental results but also the overall experience of our patients, ensuring personalized care at every step of their journey.

As the founder of Let’s Smile, I have been practicing as an orthodontist since 1994, and next year will mark 30 years of creating beautiful, healthy smiles for our community. We are honored to be a Blue Diamond Invisalign® provider, placing us among the top practices in the country. In fact, many local dentists trust us with their own families’ care, a testament to the high standards we maintain.

We look forward to welcoming you to Let’s Smile and helping you achieve the smile of your dreams!

Considering Eyelid Surgery?

If excessive upper eyelid skin interferes with your vision, eyelid lift procedures can also widen your visual field if it has partially blocked your sight. The blepharoplasty eyelid lift procedure is a very popular surgery that creates a more youthful and rested appearance in your eyes and overall facial appearance.

Natural-Looking Results

With

A Surgical Eyelid Lift

Many patients are looking for different options to help remove or decrease heavy, drooping eyelids. In most cases, eyelid lift procedures (also called blepharoplasty) can help remove the excessive, sagging upper or lower eyelid skin to look more refreshed, youthful and alert.

Chinese Medicine For Infertility

Acupuncture, an integral part of traditional Chinese medicine (TCM) with a rich history spanning over 2,500 years,

has emerged as a therapeutic practice renowned for its diverse benefits. This ancient technique involves delicately inserting fine needles into specific points on the body to facilitate energy flow and foster healing. Recognized for its efficacy in pain relief, stress reduction, and overall health enhancement, acupuncture has garnered increasing attention as a complementary remedy for infertility.

Globally affecting millions, infertility poses a significant challenge, with estimates suggesting that 10-15% of

Wholelife Acupuncture & Fitness Center

Quansheng Lu, CMD, PhD, L.Ac www.wholelifeherb.com • luquansheng@gmail.com 301-340-1066 • fax: 301-340-1090

Guest professor, Henan University of Traditional Chinese Medicine (TCM) Chief TCM Physician, WFCMS; M.S. in TCM, Beijing University of TCM PhD in integrated medicine, China Academy of Chinese Medical Sciences Fellowship, Georgetown University & Children’s National Medical Center 3 patents, 8 books of TCM, 30 papers, 30+ years of experience in TCM

Low back pain • eczema • arthritis • allergies • cough • insomnia • paralysis obesity • nephritis • hepatitis • infertility • PMS • side effects of cancer treatment 416 Hungerford Drive, #300 Rockville, MD 20850 5022 Dorsey Hall Drive, #101 Ellicott City, MD 21042

Doesn't Your Child

Loving Care Pediatrics Janet V. Johnson, MD

where the

of all patients regardless of their background is the fundamental goal of

with the practice of medicine being

couples in China encounter fertility issues. Within the realm of TCM, Chinese acupuncture for infertility adopts a holistic approach, striving to harmonize the body’s energy and reinstate reproductive health. Rooted in TCM principles, infertility is perceived as a disruption in the natural flow of energy within the body.

The acupuncture process for infertility entails the precise insertion of fine needles into designated points, believed to regulate energy and blood flow to the reproductive organs. Typically lasting up to 30 minutes, this session may elicit sensations like tingling or warmth in the patient.

Research indicates that acupuncture can positively impact fertility by balancing hormone levels, enhancing blood circulation to the uterus and ovaries, and mitigating stress—an acknowledged impediment to fertility. Particularly beneficial for women undergoing fertility treatments, acupuncture has demonstrated stress-reduction capabilities.

Moreover, acupuncture seamlessly integrates with conventional fertility

treatments, such as in vitro fertilization (IVF). Studies have indicated that incorporating acupuncture can elevate IVF success rates by up to 65%, influencing factors like egg quality, hormone regulation, and the risk of miscarriage.

TCM philosophy attributes infertility to imbalances in the body’s energy flow. A skilled acupuncturist employs a combination of acupuncture, herbal medicine, and lifestyle adjustments to rectify these imbalances and nurture reproductive health. Tailoring treatments to individual needs, considering factors like age, overall health, and underlying medical conditions, underscores the personalized nature of Chinese acupuncture for infertility.

As a time-tested, non-invasive practice, Chinese acupuncture for infertility has withstood the test of centuries. It serves as a viable alternative or complement to conventional treatments for couples grappling with infertility. However, it is crucial to seek the services of a licensed and

Please see “Infertility,” page 38

Children’s Health and Spring Time

For most children spring means more outdoor activities. For their parents, this means being extra vigilant to keep your child safe and healthy. Learning about spring allergies and using insect repellents safely can help you keep your child healthy and safe.

Allergies

Allergies can cause your child to have a lot of sneezing, along with a clear runny or stuffy nose, itchy and watery eyes and a cough, especially when they have spent a lot of time outside playing.

Allergic rhinitis or hay fever may be due to outdoor allergens, such as tree pollens, grasses and weeds and is a common problem in infants and chil-

dren. Allergic rhinitis symptoms usually occur during certain times of the year for children. Other children may have perennial allergies, with problems occurring year round from exposure to indoor allergens, such as dust mites, pets, second hand smoke and molds.

Having uncontrolled allergies can put your child at risk for getting a secondary sinus infection, ear infections, make asthma symptoms worse and for having poor concentration at school.

The best treatment for allergic rhinitis is to avoid what your child is allergic to by following prevention and environmental controls. Some medications that are used to control the symptoms of allergic rhinitis include decongestants, antihistamines and steroids. Prescription allergy medications include the newer, non-sedating antihistamines and topical steroids.

To be effective, your child should be using these medications every day. They will not work as well if just used on an as needed basis.

If your child does not improve with these interventions, then their doctor will consider having your child see an allergy specialist for skin test-

Please see “Children’s Health,” page 38

Ensuring Healthy Smiles and Sound Sleep For Your Child

Proper breathing during sleep is crucial for the overall well-being of children, yet many parents may not be fully aware of potential issues related to Sleep-Related Breathing Disorders (SRBD), which includes pediatric obstructive sleep apnea (OSA).

SRBD refer to disturbances in normal breathing patterns during sleep,

ranging from common snoring to more severe pauses in breathing known as apnea events. These interruptions can lead to sleep deprivation and a variety of health complications. In the case of children, untreated SRDB can result in developmental, behavioral, and emotional challenges, potentially leading to conditions like allergies, ADD/ADHD, and depression.

Pediatric OSA, a condition where the airway is partially or completely

Dr. Lynda Dean-Duru

Dr. Krystle Dean-Duru

blocked during sleep, is often caused by enlarged tonsils or adenoids and a lack of tongue space. It differs from adult OSA, as it may manifest alongside behavioral issues and daytime sleepiness in children.

The Importance Of Proper Sleep and Open Airways For Children

During the first 18 months of a child’s life, crucial growth and developmental milestones occur, many of which are related to facial develop-

ment. Ensuring proper breathing is essential for a child’s health and development, impacting facial features, jaw development, and overall growth. Mouth breathing can set off a chain reaction of issues, altering the growth of the lower and upper jaws, midface, and nasal bones, ultimately affecting the child’s facial balance.

Pediatric Sleep-Related Breathing Disorders (SRBD) and OSA Symptoms

Children with SRDB may present a range of symptoms, including:

• Difficulty falling or staying asleep

• Sleepwalking, night terrors, and other parasomnias

• Excessive daytime sleepiness

• Mouth breathing, dry lips, bad breath

• Dark circles under the eyes

• Tonsil and adenoid problems

• Snoring

• Teeth grinding

• Bed-wetting

• Inner ear infections

• Limited tongue/lip mobility

• Hyperactivity

• Difficulty concentrating

• Selective eating habits

• Bedwetting

Preventative & Comprehensive Dental Care

• Regular Dental Exams

• Professional Teeth Cleanings

• Dentistry for Children with Special Healthcare Needs

• Digital X-Rays

• CBCT (Cone Beam Computed Tomography)

• Icon® Cavity Prevention

Child Growth & Development

• Myofunctional Orthodontics

• Infant & Child Frenectomy

• Bebe Munchee® Tool

Cosmetic & Restorative Care

• Tooth-Colored Fillings

• Dental Crowns

• Teeth Whitening

• Fluoride Treatment

• Sealants

• Pediatric Sedation Dentistry

• Laser Dentistry

• Baby Root Canal (Pulpotomy)

• StemSave™

• Mouthguards

• Tooth Extraction & Space Maintainers

• BabyLase™

• Sleep Apnea & Sleep Airway Treatments

• Lumineers

• Snap-On Smile®

In the case of pediatric OSA, symptoms may involve snoring, breathing pauses, restlessness, and coughing or choking episodes during sleep.

Dentist’s Role

Contrary to conventional belief, pediatric dentists with specialized training are well-equipped to address symptoms related to sleep and airway conditions. The airway, mode of breathing, and malocclusion are closely interconnected and should be addressed early and holistically by dentists. Advanced technology, such as cone beam 3D imaging, allows dentists to effectively diagnose airway issues and guide proper growth and development. Early intervention is essential in guiding proper growth and development.

Convenient at-home sleep study tests are now available to diagnose pediatric sleep apnea and breathing issues. These tests provide comprehensive, accurate data for proper diagnoses.

Treatment goals encompass the elimination of detrimental habits, guiding optimal cranial, jaw, and facial development, preventing dental misalignment, and enhancing airway health and oxygen sufficiency. Various therapies, including oral appliances, myofunctional therapy and positive airway pressure therapy, can effectively alleviate symptoms.

Rockville’s Premier Dental Clinic

• Member - District of Columbia Dental Society

Dr. Ghassan Jacklis and his dedicated team want you to feel comfortable in our office, and to know that when you come here, you will receive outstanding dental care and personalized service. Our associates have been working together for years, with many years of advanced training, which has allowed us to perfect our communication and better serve you.

Surrogacy

od involves the surrogate mother using her own egg to conceive the child through artificial insemination. However, traditional surrogacy has become less common due to its legal complexities and the preference for a genetic link between the child and the intended parents.

2. Gestational Surrogacy: Gestational surrogacy, the prevalent form today, entails the surrogate mother carrying a child conceived using the egg and sperm of the intended parents or donors. This method ensures a clear genetic connection between the child and the intended parents. Surrogacy laws vary significantly across different countries and regions,

i n F ertility

experienced acupuncturist specializing in infertility for optimal results.

Chinese acupuncture presents a holistic and effective approach to addressing infertility. Operating on the principles of energy regulation, improved blood circulation, and stress reduction, acupunc-

requiring all parties involved to seek legal counsel to fully comprehend their rights and responsibilities. Ethical considerations in surrogacy revolve around issues of informed consent, autonomy, and the welfare of everyone involved, particularly the child. Ensuring that the surrogate mother fully understands and willingly consents to the process, and receiving fair compensation, is critical.

Surrogacy is a profoundly emotional journey. Open and honest communication among all parties, supplemented by mental health support when needed, is vital to navigate the emotional peaks and valleys inherent in surrogacy.

From page 34

ture stands as a safe and natural option, either independently or in conjunction with mainstream fertility treatments like IVF. For those navigating infertility challenges, exploring acupuncture as a therapeutic avenue holds promise for a safe and nurturing solution.

oral Hygiene

to place on the chart each time they brush and floss. At the end of the week, reward them with a fun (non-sugary) treat like a trip to the park!

4. Turn Toothbrushing Into a Garden Adventure

Get creative with storytelling! Pretend their toothbrush is a watering can, and their teeth are little flowers that need to be “watered” to grow strong and healthy. Or imagine their toothbrush is a butterfly gently cleaning each tooth. This playful approach turns a daily task into an exciting adventure.

5. Spring Into a Healthy Snack Routine

Swap out cavity-causing winter treats for tooth-friendly spring snacks like crunchy carrots, apples, and

From page 20

strawberries. These natural, vitaminrich foods help keep teeth strong while promoting overall health.

6. Plan a “Spring Cleaning” Dental Visit

Spring is a great time to schedule a dental checkup! Regular visits ensure your child’s teeth are developing properly and help prevent potential issues before they start. A “spring cleaning” at the dentist will keep their smile shining all season long. By incorporating these fun, seasonal ideas, you can help your child shake off the winter blues and embrace healthy habits with excitement. A little creativity goes a long way in making oral hygiene a joyful part of their daily routine. Here’s to bright, happy smiles this spring!

cH ildren’S H

ing to figure out what your child is allergic to and to possibly start immunotherapy injections (allergy shots).

Safe Usage Of Insect Repellents

Many safe and effective insect repellents are available that you can use to protect your child, including those that use DEET, citronella, or soybean oil. Remember to only use products that are approved for children, follow the manufacturer’s instructions and wash off the insect repellents when you return indoors.

Insect repellents with DEET are

From page 34

probably the best and most commonly used. DEET is absorbed through your child’s skin, and it is generally safe as long as the product has less than 10% DEET. So you may consider limiting how much you put on younger children, wash it off as soon as possible, and apply it more to clothing than skin. DEET insect repellents are effective for several hours, they do wash off with water and sweat, and you should reapply them to be most effective but always follow the product’s instructions to be safe.

Advancements In Total Ankle Replacement

What Patients Need to Know

What Is Ankle Joint

Replacement

Surgery?

Ankle joint replacement, or total ankle arthroplasty, is a surgical procedure to relieve pain and restore mobility in individuals with severe arthritis unresponsive to conservative treatments. It aims to enhance movement and improve quality of life.

This procedure may also be recommended for elderly patients with severe fractures due to osteoporosis or in cases of tumors in the ankle joint.

What Is Ankle Arthritis?

The ankle joint connects the leg and foot, allowing movement. It consists of the tibia and fibula bones articulating with the talus, covered in cartilage for smooth motion. Damage to this cartilage results in arthritis, leading to pain and limited function. Causes include infection, fractures, connective tissue disorders, excessive stress, rheumatoid arthritis, and osteoarthritis.

How Is Ankle Arthritis Diagnosed?

Diagnosis involves a medical history review, physical examination, and imaging studies such as X-rays or MRI to assess joint damage.

Treatment Options For Ankle Arthritis

Conservative treatments include oral medications and joint injections. If these fail, total ankle replacement may be recommended to restore function and alleviate pain.

How Is an Ankle Joint Replacement Performed?

Under general anesthesia, an incision is made over the ankle. The surgeon retracts muscles, tendons, and ligaments to access the joint. Damaged bone is removed, and the remaining bone is reshaped to fit a prosthetic joint. A bone graft may be used to stabilize the tibia and fibula. The prosthetic components are secured with bone cement and screws. The soft tissues are repositioned, and the incision is closed with sutures.

Postoperative Care

Recovery rarely requires a hospital stay. Patients go home right after surgery. The ankle is immobilized with splints, and weight-bearing is restricted for at least six weeks, requiring crutches. A drain may be used for blood removal and is taken out within one to two days. Sutures are removed after 10-15 days, and proper wound care is essential. Physical therapy is started early to regain motion and strength. A healthy lifestyle, including smoking cessation and a balanced diet, supports recovery.

Risks and Complications

Potential complications include infection, fractures, prosthetic dislocation, nerve or blood vessel damage, blood clots, loosening of components, persistent pain, instability, and stiffness. Advances in surgical techniques and prosthetic designs have improved success rates, offering many patients better mobility and pain relief.

HEALTH DIRECTORY

ACUPUNCTURE

Eastern Medical Holistic Healing Center, Angel Wood, 240755-5925. www.acupuncture4wellness.webs.com

ALTERNATIVE HEALTHCARE

Holistic Family Health - Thermal Imaging, Herndon, VA. 703-635-6324 For More information visit www.fhtid.com

BEAUTY/SKIN

A Better You, Dr. ClarkeBennett, 410-672-2742.

BREAST HEALTH

University of Maryland Charles Regional Medical Center. 11340 Pembrooke Square, Suite 202, Waldorf, MD 20603. 240-607-2010. UMCharlesRegional.org

CHINESE MEDICINE & ACUPUNCTURE

Wholelife Chinese Medicine & Acupuncture, 301-526-9898, 416 Hungerford Dr., Rockville www.wholelifeherb.com

DENTAL IMPLANTS

Dental Implants Center of Rockville – Dr. Sreenivasan Sivakumar, DMD, MSD –301-294-8700 – 77 South Washington Street, Suite #205, Rockville, MD 20850 – www.DrSreeni.com.

DENTISTRY

Karl A Smith, DDS, 2550 N. Van Dorn St., Suite #128, Alexandria, VA. Call 703-894-4867, Visit www.drkarlsmith.com

Richard Hughes, DDS, 703444-1152, 46440 Benedict Dr., Suite #201, Sterling, VA. www. SterlingImplantDentist.com

Marc P. Stanard, DDS – 202887-5441 – 1350 Connecticut Avenue, NW, Suite #305, Washington, DC 20036 – wdcperioimplant.com.

EYE CARE

Visual Eyes, Alexander Nnabue OD, 301-324- 9500.

FERTILITY

Montgomery Women’s Fertility Center – 301-946-6962 – MontgomeryFertilityCenter. com – Rockville, MD.

HOLISTIC WELLNESS COACH

Nutrition Lifestyle Digestion and More – Lisa@LisaThorne.Me – Text 269861-7565.

HYPNOSIS/YOGA

Toni’s Happy Hour Yoga and Holistic Wellness Center • 6504 Old Branch Avenue, Temple Hills, MD 20748 • 301-449-8664.

MEDICAL SPACE

Charles L. Feitel Company, 301-571-9333, www.medicalanddentalspace.com.

MENTAL HEALTH SERVICES

House Calls, LLC. 301-3466732. callingonbeth@gmail. com. www.CallingOnBeth.net.

NUTRITION

Nutritional Healing Center, Thomas K. Lo, DC, MA, 240-651-1650, 7310 Grove Road, Suite 107, Frederick, MD 21704. doctorlo.com.

NUTRITION

Good Health Nutrition Services,LLC – 1300 Mercantile Lane, Suite 129-37, Largo, MD 20774 – 301-341-4680 –www.ghnutritionservices.com

– We accept Insurance.

OPHTHALMOLOGY

NewView Laser Eye Center – Jacqueline D. Griffiths, MD – Reston (703) 834-9777 – Visit us at www.NewViewEye.com.

ORTHODONTICS

All Smiles Orthodontics – 9010 Lorton Station Blvd., Suite #260, Lorton, VA 22079 – www. AllSmilesBraces.com – For info call us at 703 337-4414.

Order Information: 3 line listing $30.00 for 6 months, $5.00 for each additional line. 10 line listing for 6 months is $65.00. (Each line approximately 3-4 words)

To Order: Include you NAME, ADDRESS, PHONE, EMAIL AND WHAT HEADING YOU WISH TO BE LISTED UNDER, AND ANY SPECIAL OFFER OR TEXT TO INCLUDE. We will prepare a proof and email to you for approval.

Email your information to: info@yourhealthmagazine.net or Fax to: (301) 805-6808. Call (301) 805-6805 for assistance.

WASHINGTON, DC EDITION

MARYLAND/WASHINGTON, DC OFFICE

4201 Northview Drive, Suite #102, Bowie, MD 20716 phone: (301) 805-6805 • fax: (301) 805-6808 • email: Info@YourHealthMagazine.net VIRGINIA OFFICE phone: (703) 288-3130 • fax: (703) 288-3174 • email: Publish@YourHealthMagazine.net

PEDIATRICS

Loving Care, Janet Johnson, MD – 301-403-8808.

PHYSICAL THERAPY/ REHABILITATION

Active Physical Therapy. Various Locations across Maryland and Washington, DC. Active-physicaltherapy.com.

PODIATRY

Largo Foot and Ankle Health Center, Ade Adetunji, DPM, 301-386-5453.

District Podiatry – Lubrina Bryant, DPM – 202-388-5303 – 1140 Varnum Street, Suite #30, Washington, DC 20017 – www.DistrictPodiatry.com.

SENIOR CARE

Chevy Chase Home Care. Help at a time you need it most. Any Ages. Any situations. Any shifts. MD, DC, VA. www.CHCHhomecare. com 202-374-1240.

UROLOGY

AA Urology – Odenton, 1106 Annapolis Road, Suite #250, Odenton, MD 21113 – Glen Burnie, 305 Hospital Drive, Suite #303, Glen Burnie, MD 21061 – Bowie, 4201 Northview Drive, Suite #201, Bowie, MD 20716 – West Campus Surgery Center, 7855 Walker Drive, Suite #102, Greenbelt, MD 20770 – Greenbelt , 7855 Walker Drive, Suite #100, Greenbelt, MD 20770.

SUBSCRIBING IS EASY:

1) Call 301-805-6805 with your name, contact info, and credit card payment for $24, or

2) Simply mail this form along with your check for $24:

Your Health Magazine 4201 Northview Dr. Suite 102 Bowie, MD • 20716

you can get the latest issues delivered directly to your home!

Health articles and advice

Doctors near YOU!

Maryland, Washington, DC & Virginia editions

Only $24 for a year’s subscription (12 issues)!

Ready To Get Healthy?

Your HEALTH Magazine publishes and distributes health information people need. We produce special sections to focus on particular health topics each month, and profiles of local health professionals. It Makes a Difference! Here’s what you can look forward to:

May ACTIVE AGING – Stay Vibrant at Any Age! – Healthy aging is about staying active, independent, and engaged. From fitness and nutrition to brain health and preventive care, learn how to maintain your vitality and well-being as you age. Discover resources for seniors, including retirement planning, mobility solutions, and expert advice on living life to the fullest. Plus, Profiles of Your Senior Health and Wellness Professionals.

HEALTHY VISION MONTH – Professionals to help you and your family with your eye care including New Technology, LASIK, Eye Glasses, Contacts, Other Vision Appliances, Surgery, Children, Adults and Seniors! Will include Profiles from your Local Vision & Eye Care Health Professionals.

June PAIN MANAGEMENT and REHABILITATION – Professionals to help you and your family with chronic pain. Chronic pain is debilitating with significant consequences for the sufferer, their loved ones and their employers. Educating people about pain and where they can get help. Will include Profiles from your Local Pain Management Health Professionals.

July MEET YOUR LOCAL HEALTH PROFESSIONALS – Biographical profiles of a wide variety of local health professionals (Primary Care, Specialists, Integrative, Fitness, and more), highlighting their credentials, expertise, education, practice philosophy, areas of interest, and more!

August WOMEN’S HEALTHCARE and WOMEN IN HEALTHCARE – All the information women need about health, plus profiles to highlight the important women involved in all areas of healthcare – from physicians and nurses to pharmacists and office support staff. Will include Profiles from your Local Women Healthcare Professionals.

If you are a Health Professional interested in including your

How To Get an A! – Tips For Studying Anatomy and Physiology

Submitted by ScholarsHub.net

Mastering anatomy and physiology is crucial for anyone pursuing a healthcare career. These subjects form the foundation of medical knowledge, providing an understanding of the body’s structure and function. Success requires strategic study habits, active learning, and efficient memorization techniques.

Effective Study Strategies

Pre-Class Preparation: Read chapters before lectures, review dia-

grams, and highlight key terms.

Break Down Material: Study one body system at a time and divide topics into manageable sections.

Time Management: Allocate study hours, take short breaks, and use a study schedule.

Self-Assessment: Use review questions, create a question bank, and practice recall with flashcards.

Memorization Techniques

Flashcards: Write terms on one side, definitions on the other, and re-

view in spaced intervals.

Mnemonics: Use acronyms like RICE (Rest, Ice, Compression, Elevation) and SCALP for skull bones.

Teach-Back Method: Explain concepts out loud or teach a friend.

Visual Learning: Draw structures, label diagrams, and connect concepts to real-world applications.

Mastering Medical Terminology

Anatomy terms follow predictable patterns:

Prefixes: Hyper- (excessive), Hypo- (deficient), Brady- (slow), Tachy- (fast).

Root Words: Cardio (heart), Neuro (nerve), Osteo (bone).

Suffixes: -itis (inflammation), -ectomy (removal), -emia (blood condition).

Understanding these patterns helps decode complex terms quickly.

The Importance Of Hands-On Learning

Attending lectures and labs reinforces theoretical knowledge with

practical experience. Engage in: Dissections & Models: Gain 3D visualization of structures.

Case Studies: Apply concepts to clinical scenarios.

Study Groups: Discuss topics, test each other, and share insights.

Optimizing Your Study Environment

Lighting and Focus: Study in well-lit, distraction-free spaces.

Structured Sessions: Follow a study routine with fixed topics.

Active Recall: Regularly test your memory to reinforce retention.

Plan For Exam Success

• Take timed practice tests.

• Use past exams for familiarization.

• Focus on high-yield topics.

• Stay well-rested before test day. For detailed guides, course information, study tips, and academic success strategies, visit ScholarsHub. net – your go-to resource for excelling in education!

Turn static files into dynamic content formats.

Create a flipbook
Issuu converts static files into: digital portfolios, online yearbooks, online catalogs, digital photo albums and more. Sign up and create your flipbook.