



















![]()





















Pattern hair loss affects more than your appearance - it impacts how you feel every day. Dr. Valerie Callender, a Board Certified Dermatologist, is conducting a clinical research study evaluating an oral medication for hair loss. We are currently enrolling males and females ages 18-65 with mild to moderate alopecia. See if you qualify!
Please contact: Callender Center for Clinical Research 301-352-1520 www.callenderskin.com 12200 Annapolis Rd Suite 315 Glenn Dale, MD 20769







By Todd Bickling, DMD Bright Time Dental
When most people think of a dental cleaning, they picture polished teeth and fresher breath. But regular dental cleanings and exams do far more than just brighten your smile—they play a vital role in your overall health.
The mouth is often called the


“gateway to the body,” and for good reason. Plaque and tartar buildup harbor harmful bacteria that can enter the bloodstream, increasing inflammation and potentially impacting other organs. Numerous studies have linked gum disease (periodontitis) to serious health conditions like heart disease, stroke, diabetes, and even Alzheimer’s disease.
During a dental exam, your dentist checks not only for cavities and gum disease but also for signs of oral cancer, infections, bone loss, and even systemic conditions like anemia and autoimmune disorders, which can first manifest in the mouth. Early detection can lead to early intervention—saving both money and lives.
Regular cleanings also reduce
Please see “Hidden Health,” page 65
explains this is “Nature Wants you to be Fat” by Richard Johnson MD that I encourage many of my patients to read, and be freed of blaming themselves for their predicament.
Per recently published data, the U.S. adult obesity rate stands at 42.4%, the first time the national rate has passed the 40% mark. The national adult obesity rate has increased by 26% since 2008.
In my view, for each person there is a safe way to lose weight and to keep it off. In order to do so there are a few issues that must be addressed
First, are there underlying medical issues which make it difficult to lose weight? Examples of this are undiagnosed sleep apnea, hypothyroidism, anemia, and other nutritional deficiencies. Without a thorough evaluation to reveal these issues attempts to lose weight are almost guaranteed to fail. As well menopause and other
Please see “Lose Weight,” page 62

At the Minimally Invasive Vascular Center (also known as MIVC) we have long been committed to addressing the vascular devastation that is rampant in our community. Each year cardiovascular disease is the world’s largest killer; killing more Americans than cancer. If you have painful legs, wounds that won’t heal, varicose veins, leg swelling, history of smoking, or have a family history of vascular problems and/ or are over the age of 50, you may suffer from poor circulation. Poor circulation may be responsible for causing erectile dysfunction in as much as 50 to 70 percent of men who develop the condition. Now we are happy to add expanded services! Our goal is to extend the healthy lifespan of our patients by using a comprehensive, integrative approach to achieve the most effective results. We believe that Beauty Is a Reflection of Health and Wellness. We want you to be as beautiful on the outside as you are healthy on the inside.
• Primary Care
• Wound Care
• Comprehensive Weight-Loss (including injectables)
• Aesthetics
• Age Spots
• Cellulite
• BOTOX® Cosmetic
• Fillers
• Microneedling w/PRP and Exosomes
• PRP Hair Restoration
• Spider Veins
• Body Contouring
• CoolSculpting
• Laser
• CoolTouch Laser
• Laser Hair Removal
• Laser Pigment Removal
• Laser Skin Resurfacing
• Laser Skin Tightening
• Skin Treatments
• Acne Scars
• PRP Injections
• Chemical Peels
• HydraFacial
• Microdermabrasion
• Sun Damage
• Vascular Procedures
• Arteriograms
• Atherectomy
• Balloon Angioplasty
• Radiofrequency Ablation – Veins
• Venogram
• Uterine Fibroid Embolization
• Coil Embolization
• Sexual Enhancement
• Hormone Therapy
• Gainswave
• P-shot/O-shot


The articles below are provided by local health professionals for the benefit of the public. Please contact them for advice and services.
4 | The Hidden Health Benefits Of Regular Dental Cleanings and Exams | By Todd Bickling, DMD 4 | Are You Trying, and Failing, To Lose Weight? | By Alan Weiss, MD
7 | Diabetes & Gum Disease: A Critical Health Connection | By Marc P. Stanard, DDS
8 | Understanding Kidney Stones: Causes, Symptoms, and Treatment Options | By Mara Holton, MD
| Massage Therapy and Weight Loss | Submitted By Elon Roshell Day Spa & Health
| Eat Better and Get Healthy With Great-Fitting Dentures | By Karl A. Smith, DDS, MS
| The Conscious Mind and the Subconscious Mind | By Toni Greene, Owner
| Your One-Stop Solution For a Healthy Smile | Submitted By Total Dental Care
| Medical Adult Day Centers Are Essential | By Maryland Association for Medicine Adult Day Services
14 | TMJ Pain: What Is the Cause | By Jeffrey L. Brown, DDS
16 | All-On-Four Dental Implants | Submitted By Sivakumar Sreenivasan, DMD, MDS 17 | Chiropractic and Exercise For Optimal Health | By Alicia Kovach, DC 17 | Benefits Of Weight Loss Surgery | By Etwar McBean, MD, FACS
18 | Exercise and Your Feet: Preventing Injuries As You Get Active | By Gary Feldman, DPM, FACFAS
| Dietary Myths Demystified | By Holly Dunbar, LMT, Herbalist RH (AHG)
| The Mirror Lies – But Movement Tells the Truth | By Dr. Tiffany Daniel
21 | Foot and Ankle Injuries | By Howard Horowitz, DPM
22 | Weight Loss With Semaglutide | Submitted by New Day Vitality Hormone Center
22 | Invisalign | By Judy Yu, DMD, MBA
25 | Metabolism, Muscle, and Midlife: Why Strength Training Matters For Women | By Milca Kaplan, NP
26 | Ensuring Healthy Smiles and Sound Sleep For Your Child | By Lynda Dean-Duru, DDS
28 | Designing a Weight Loss and Lifestyle Plan That Works For You! | By Anne C. Crowley, MAc, LAc
34-45 | Featured Dental Health + Weight Control, Exercise and Nutrition
46 | Social Workers and Dementia Care | By Steven Watson, LCSW-C, APHSW-C
48 | Depression and Aging Adults | By Joyce Abramson, RNMS
48 | Your Child’s First Dental Visit | By Janet V. Johnson, MD
50 | How Sleep Affects Weight Control | By Annapolis Asthma, Pulmonary & Sleep Specialists
50 | The Truth About Weight Loss Injections – And a Natural Alternative | By Dawn Cutillo, Founder
56 | Traditional Chinese Medicine For Epilepsy | By Quansheng Lu, CMD, PhD, LAc
56 | Cornes and Calluses: Part Two | By Ademuyiwa Adetunji, DPM
57 | The Silent Dental Disease | Submitted by E. Taylor Meiser, DDS
57 | Coping With Nasal Allergies | Submitted By Kensington Pharmacy
58 | Acupuncture: A Promising Approach For Dental Pain Relief | By Brittney de Vicq, MAc, LAc
58 | Embracing Holistic Dentistry For a Healthier Smile and Body | By Gena Schultheis, DDS



at

Your Health Magazine is on a mission. There are far too many people, insured or not, who do not go to the doctor when they should, and in millions of cases, don’t know who they should go to, or why.
People are encouraged to buy a new house, car, cell phone or big screen TV, and those companies make themselves very visible and their products easily attainable.
Information about, and from, local healthcare providers is not easy to find, and many times those services are difficult to access.
Information and encouragement always lowers fear and trepidation about anything, and this is especially true in healthcare. While general information is available on web-sites, specific information from local providers is almost impossible for people to find. This is one of the key reasons chronic and episodic conditions are not cared for. It is our mission to:
Make A Difference By Empowering and Encouraging People To Live Healthier By Going To the Doctor When They Should.
There is a lot of evidence that the health professionals who participate in Your Health Magazine have helped many people over the years. We at Your Health Magazine salute you!
G. Scott Hunter, Editor-in-Chief
If you would like to find out how you can participate in one of our upcoming editions, please contact the office nearest you.
MARYLAND & WASHINGTON, DC OFFICE One Town Center 4201 Northview Drive, Suite 102 Bowie, MD 20716 Office (301) 805-6805 • Fax (301) 805-6808 info@yourhealthmagazine.net
VIRGINIA OFFICE Office (301) 805-6805
© Your Health Magazine, 2025. The magazine and all of its contents are protected by copyright. For permission to reproduce any materials in this magazine, contact info@yourhealthmagazine.net

By Marc P. Stanard, DDS, PC
The connection between diabetes and gum disease is a significant concern for both patients and healthcare providers. These two conditions can impact each other in a cycle that can be challenging to manage, making awareness and proactive care essential.
Gum disease, or periodontal disease, involves the inflammation and infection of the gums and surrounding tissues that support your teeth. This condition ranges from gingivitis (mild gum inflammation) to periodontitis (a severe form that can lead to tooth loss). People with diabetes, particularly when it’s poorly controlled, have a higher risk of developing gum disease. High blood sugar levels in diabetic patients provide an
environment where bacteria can flourish, leading to infections in the mouth. Additionally, diabetes slows down the healing process, making it harder for the body to recover from infections, including those affecting the gums.
Gum disease can make it more difficult for those with diabetes to control their blood sugar levels. The infection triggers an inflammatory response in the body, which can increase blood sugar levels and complicate diabetes management. This increased blood sugar creates a vicious cycle, where uncontrolled diabetes can lead to worsening gum disease and vice versa, increasing the risk of complications such as cardiovascular disease, kidney damage, and vision problems.
For individuals with diabetes, maintaining good oral hygiene is crucial to prevent gum disease. Regular dental check-ups and professional cleanings are essential in identifying

and treating gum disease early. Daily brushing and flossing help remove plaque, the sticky film of bacteria that can contribute to gum infections. Additionally, controlling blood sugar levels is vital for managing both diabetes and gum disease. Collaborating with healthcare providers to monitor and maintain blood sugar levels can significantly reduce the risk of developing gum disease. It’s equally important for patients with diabetes to inform their dentists about their condition to ensure they receive appropriate and comprehensive oral care.
Understanding the intricate relationship between diabetes and gum disease highlights the need for an integrated approach to health management. By working closely with their healthcare teams and dentists, patients can develop effective strategies to manage both conditions. This holistic approach not only helps prevent complications but also promotes overall well-being.

Managing diabetes and gum disease requires a proactive and comprehensive approach. With the right care, individuals can mitigate the risks and enjoy a healthier life.
Maintaining good dental hygiene is crucial, and Dr. Marc Stanard, a periodontist and specialist in surgical implant dentistry, can help you achieve healthy teeth comfortably. We offer a wide range of specialized procedures and services to cater to your periodontal needs, such as bone surgery, scaling, and root planing, gum grafts, crown lengthenings, and sinus lifts.
Marc P. Stanard, DDS
• We provide advanced, affordable dental care tailored to meet your unique needs.
• Our team offers oral hygiene instruction and education on gum disease, bone loss, and other dental health conditions.
• Dr. Marc Stanard has decades of experience and a passion for his work, and he’s earned numerous designations, affiliations, and awards, including Top DDS by Washingtonian and high ratings on Google and Yelp.
• Our office is friendly and welcoming, making it the perfect place to receive top-quality dental care.

By Mara Holton, MD Anne Arundel Urology
Kidney stones are a common and painful condition that affect millions of people worldwide. They occur when certain substances in urine— such as calcium, oxalate, and uric acid—crystallize and stick together, forming hard deposits. These stones can range in size from a grain of sand to a golf ball, and depending on their size, they may pass on their own or require medical or surgical treatment.
Kidney stones are solid pieces of material that form in the kidneys when the concentration of certain minerals in your urine becomes too high. The stones may stay in the kidney or travel through the urinary tract, which includes the ureters (the tubes that carry urine from the kidneys to the bladder), the bladder, and the urethra (the tube that carries urine out of the body).
There are several types of kidney stones, classified based on their
composition:
1. Calcium Stones: The most common type, typically made of calcium oxalate or calcium phosphate. Oxalate is a naturally occurring substance found in some foods.
2. Uric Acid Stones: More common in people who don’t drink enough fluids, have a high-protein diet, or have gout.
3. Struvite Stones : These can form after a urinary tract infection and grow quickly.
4. Cystine Stones: Rare, occurring in



people with a hereditary disorder called cystinuria.
Kidney stones form when your urine contains more crystal-forming substances than the fluid in your urine can dilute. Risk factors for developing kidney stones include:
• Dehydration: Not drinking enough water can lead to concentrated urine, making it easier for stones to form.
• Diet: A diet high in salt, protein, and sugar can increase your risk. Foods high in oxalates, such as spinach, nuts, and chocolate, can also contribute.
• Family Or Personal History : If someone in your family has had kidney stones, you’re more likely to develop them.
• Medical Conditions : Conditions like gout, hyperparathyroidism, and urinary tract infections can increase your risk.
• Medications: Certain medications, such as diuretics, antacids, or medications for seizures, may increase the likelihood of stone formation.
Symptoms of kidney stones may not be noticeable until the stone begins to move within the kidney or into the ureter. When this happens, symptoms can include:
• Severe Pain: Often in the back or side, below the ribs. The pain may spread to the lower abdomen and groin.
• Painful Urination: You may feel discomfort or a burning sensation when urinating.
• Blood In the Urine: Your urine may appear pink, red, or brown.
• Cloudy or Foul-Smelling Urine: This could indicate an infection.
• Nausea and Vomiting : These symptoms often accompany the pain.
• Frequent Urination: You may feel an urgent need to urinate more often than usual.
• Fevers & Infection : In some cases, stones can be associated with bladder, kidney or even systemic infections such as sepsis.
To continue reading this article, please visit: https://yhm.news/AAUrology2




Looking for a natural way to boost your health and wellbeing?
Come experience our natural health and wellness spa services, including:
• Cryo For Skin – Anti-Aging Skin Tightening Now Available!
• Salt Cave & space available for Family and Small Group Spa Events
• Massage Therapy • NEW Hyperbaric Chamber
• Oxygen Therapy • Red Light Therapy • Halo Therapy
• Infrared Sauna • Ionic Bath • Salt Cave
WEDNESDAYS • 12:30 – 3:00 PM
Join our natural health sessions focused on whole foods, lifestyle education, and community support. We explore the 9 Pillars of Health by Barbara O’Neill, offer samples and recipes, and provide weigh-ins and accountability from a faith-based perspective.
Visit us today to discover the benefits of natural health and wellness services for yourself. Book an appointment now and enjoy a relaxing and rejuvenating experience at our spa.



Welcome to our new massage therapist, Kelsey! Schedule a massage with her today.
Submitted By Elon Roshell Day Spa & Health
When most people think about weight loss, they think diet and exercise — and rightly so. But what many don’t realize is that massage therapy can play a valuable supportive role in helping individuals stay on track and achieve their goals.
First, massage helps with muscle recovery. Regular exercise, especially for those who are just starting a fitness routine, often leads to muscle soreness, stiffness, and fatigue. These aches can discourage consistency, which is critical for weight loss. By promoting blood circulation and reducing tension in sore muscles, massage can speed up recovery, decrease discomfort, and help people maintain their workout schedules.
Second, massage therapy is a powerful tool for stress management. Stress is one of the lesser-discussed barriers to successful weight control. Chronic stress leads to elevated cor-
tisol levels, which can contribute to weight gain, particularly around the abdomen. It can also trigger emotional eating and poor sleep — both of which undermine healthy habits. Regular massage sessions promote relaxation and lower stress hormones, supporting both physical and mental well-being.
Massage therapy also enhances body awareness and mindfulness. As people begin to reconnect with their bodies through touch and therapeutic care, they may become more attuned to how their body feels and functions. This can encourage healthier behaviors, greater respect for their wellness journey, and improved motivation to exercise and eat well.
In addition, massage can support circulation and lymphatic flow, which helps the body remove waste products and reduces swelling. While it’s not a substitute for physical activity, this improved circulation can enhance feelings of lightness and vitality, en-
leave
hungry, weak, and right back where you started?
not a
It’s a learned behavior. You don’t need quick fixes — you need real change. No more crash diets.
Crash diets may promise fast results, but they come at a cost: Nutrient Deficiencies – Low Energy – Muscle Loss Slower Metabolism – Weight Regain
• Learn Sustainable Habits that Last • Eat smart — no starving • Move consistently — not obsessively • Build daily routines — not temporary willpower




By Karl A. Smith, DDS, MS
Dentures are a good replacement option for patients who are missing all of their teeth, but only if they fit well. What Makes Dentures Loose?
Impact on the bone by continuous hitting of a denture against the jaw every time you eat can make the bone underneath the denture go away. This causes the denture to become loose and slip. It may create the need for using paste or other means to hold the denture in place. Slipping dentures can make eating certain foods very difficult for patients.
How Can Dentures Fit Well
For A Long Time?
Dental implants can be placed under the denture. Implants have offered the possibility of fully replacing teeth for over 30 years and are very safe and effective. When you make the denture stable by “snapping” it onto dental implants, you can provide a better level of comfort for the denture-wearer, and create new strength for eating the foods patients love.
Dental implants are very much like your natural teeth. They are quite easy to get used to, and they can reduce the amount of stress to the bone and jaw by helping provide an anchor for support. The implant acts as a natural root to help prevent additional bone deterioration and helps to deliver long lasting function.
Does Every Denture-Wearer Qualify?
This depends on the amount of bone loss that has already taken place. If the denture has been in place for many years and the ridge of bone under it is very thin, you may need to have a special scan done to decide if you are a candidate for the procedure. This scan will also look for any other defects that may be present to make sure you are healthy.
Since implants are meant to last for a very long time, your health and
wellness are important to the outcome. How Long Does a Patient Have To Go Without Teeth?
Never. The denture is fitted to the implants, the same day the implants are placed. Typically, you are back to normal or better eating by day two or three.
Most patients have little to no discomfort. The surgery is done in one day, typically in about two hours. There are sedation options available for this procedure for those patients who want to relax through the procedure.
Is Treatment Expensive?
The cost of treatment varies depending on the number of implants, if a new denture needs to be made,

if the patient desires sedation, or if there needs to be more bone added to have a good result. Costs are variable and should be weighed against factors such the education of the doctor, the results from other patient experiences, and the quality of the product you are receiving. Discover the difference dental implants can make for you.

– Dental Implants To Restore Your Beautiful Smile
– Caring & Kind Dentist & Team
– State-of-the-Art Equipment
– Laser Periodontic Therapy
– Affordable Gum Treatment
– Insurance Accepted & Filed
– Ultra-Sterile Environment
– No Referral Needed
– Comfortable Sedation Dentistry
Includes Initial




Our patients mean the world to us (and they love to refer to us as friends and family). My team works together to ensure your visit is enjoyable, and that your treatment is gentle and pain-free. We are deeply committed to help you prevent and treat periodontal (gum) disease, and to enhance your smile to improve your overall health.


By Toni Greene, Owner
Our thoughts are the seeds from which our actions, habits, and ultimately our lives grow. These thoughts arise through the interaction of the conscious and subconscious minds – two powerful forces that shape our

reality. Understanding how each part of the mind works helps us become more aware of how we influence our own lives, intentionally or not.
The conscious mind is the part of our mind responsible for active thinking and decision-making. It’s what we use when we analyze a situation, plan a day, or make a choice. The conscious mind is logical and aware, and it operates while we are awake. It deals with everything we are currently focused on—our thoughts, observations, and judgments. However, while powerful, the conscious mind is only a small part of our mental processes – often said to be just about 5%.
The subconscious mind, on the other hand, runs silently in the background. It stores all our memories,
Please see “Thinking,” page 62








Maintaining optimal dental health is crucial for overall well-being, and finding a dental office that offers comprehensive care under one roof is a game-changer. Total Dental Care is a well-established dental practice that takes pride in providing detailed and comprehensive services in various specialties, ensuring patients receive topnotch care for their unique dental needs.
General Dental Services: Total Dental Care excels in offering a wide array of general dental services, including routine check-ups, cleanings, and preventive care. Our experienced team focuses on early detection and intervention to prevent dental issues from escalating.
Specialized Services: Whether you require orthodontic adjustments, periodontal treatments, Invisalign, dental implants, prosthodontics, oral
surgery, extractions, root canals and endodontic treatments, or restorative and cosmetic dentistry, Total Dental Care has you covered. Our specialists are experts in their respective fields, ensuring you receive tailored treatments for your specific dental concerns.
Cutting-Edge Technology: Total Dental Care stays at the forefront of dental technology, offering services such as digital intra-oral cameras, cone-beam CT scanners, and teethin-a-day. Our commitment to utilizing advanced techniques ensures effective and efficient treatments while minimizing complications.
Sedation Options: Understanding the anxiety some patients may feel, Total Dental Care offers laughing gas, oral sedation and IV general anesthesia options. Our goal is to create a comfortable and stress-free environment, catering to the individual
Please see “Healthy Smile,” page 62
Submitted By Maryland Association For Medical Adult Day Services
For medical professionals and caregivers, finding safe, effective, and affordable care options for patients with physical disabilities is a growing challenge. Medical Adult Day Centers offer a proven solution that bridges the gap between home care and institutional care—providing comprehensive medical oversight and therapeutic support in a community-based setting.
These centers deliver critical services for individuals with chronic illnesses, mobility limitations, and complex health needs. Daily nursing care, medication management, and chronic disease monitoring help stabilize health conditions and reduce avoidable hospital visits. In fact, Medical Adult Day Services (MADS) have been shown to lower emergency room utilization and prevent costly readmissions, making them a valuable partner in care coordination.
For caregivers, the benefits are equally profound. Structured programs give family members peace of mind, knowing their loved ones are in a safe, medically supervised environment while they attend to work or other responsibilities. This respite reduces caregiver stress and burnout—key factors in maintaining long-term home care arrangements.
Beyond the medical aspect, these programs foster mental and emotional well-being through social engagement, therapeutic activities, and access to mental health resources. For clients with physical disabilities, these opportunities for interaction and stimulation can significantly improve quality of life and slow functional decline. Physical, occupational, and speech therapies are often available on-site which go a long way in promoting mobility and functional independence. And perhaps most importantly, MADS locations provide a safe environment. All facilities are designed to accommodate wheelchairs, assistive devices, and provide fall-prevention measures.
However, continued access to these services relies on sustained Medicaid funding in Maryland. For many families, Medicaid is the only
way to afford this level of care. Without it, individuals may be forced into nursing homes or other institutional settings—choices that often compromise independence and quality of life while costing the healthcare system more.
As medical professionals, you play a critical role in advocating
for the services your patients need. Supporting funding for Medical Adult Day Centers ensures a care continuum that prioritizes prevention, dignity, and community integration. By referring patients to these programs and educating families about their benefits, you help preserve an option that is both clinically effective
and cost-conscious. To learn more, visit md-mads. org or connect with a local center to see firsthand the impact of these services and learn how they can benefit those you care about. Together, we can keep Maryland’s most vulnerable patients healthy, engaged, and at home where they belong.

By Jeffrey L. Brown, DDS Sleep & TMJ Therapy
Living with TMJ (temporomandibular joint) pain can be challenging but understanding its causes and seeking professional care are key steps toward finding relief. The pain is real and affects everything surrounding jaw muscles to other parts of the body. Whether your discomfort stems
from difficulty with everyday activities like eating or speaking, or other long-term impacts on overall health like migraines or hearing difficulties, the underlying factors need to be addressed and identified early. This can prevent long-term complications and improve your quality of life.
TMJ disorder’s (TMD) most common symptoms include bruxism (chronic teeth grinding and clenching), jaw pain, clicking or popping sounds,




Jeffrey L. Brown, DDS
limited jaw movement, misaligned bite (missing teeth or abnormalities), headaches, earaches, connective tissue disorders (EDS, arthritis, or Lupus), and even neck and back pain. It is important to figure out what is causing these symptoms as one type of appliance or therapy may not be the correct path to solve the problem. Typically, the most common symptom is popping and clicking that is heard. This means the disc that sits on top of the condyle is slipping off when the jaw opens and pops back into place when the jaw closes. The second most common is bruxism. This is the group of muscles surrounding your jaw that function in speaking, grinding, and eating. The muscle tension can stem from your body naturally trying to get the disc back in place. The ear symptoms (pain, congestion, or ringing) generally are caused by the jaw being misaligned and the disc pushing against the ear canal or the jaw joint itself. The key to successful treatment is to know the cause first. Every patient’s situation is unique and involves careful evaluation and discussion.
Achieving a proper diagnosis and an effective treatment plan will involve a number of diagnosis methods. The combination of techniques to identify the root cause of TMD include:
Dr. Jeffrey Brown has limited his practice to focus only on TMJ Disorders, Craniofacial Pain Management and Sleep Apnea. By fixing slipped discs in the jaw joints, Dr. Brown can significantly reduce the pain patients experience in the head/neck region and other symptoms associated with jaw joint problems. Sleep & TMJ Therapy may be able to improve the quality of life for you or a loved one – we encourage you to contact us with any questions or concerns.
“Dr. Brown and his staff are absolutely wonderful. I was diagnosed with Dystonia. I could not turn my head and had a ton of pain. My doctors offered no help and no advice besides Meds and Botox. Since having the appliance I have NO pain and I can turn my head. I would highly recommend them to anyone. I feel Dr. Brown and his staff really care about their patients and helping them to get better. They do not just numb the symptoms but fix the problem. Thank you from the bottom of my heart. I feel like the old me again!”
- D. Thomas
“My daughter has been treated by Dr. Stack and Dr. Brown for the last 2 1/2 years, and we are very fortunate to have found them. Prior to that she was being treated by a neurologist at a Children’s hospital. She was on medications for tics and associated muscle pain, OCD/repetitive thoughts, sleeplessness and more (all possibly associated with Tourettes). Drs. Stack and Brown installed spacers to alleviate pressure on nerve bundles in the jaw, and subsequently braces to complete the process. Her symptoms have diminished significantly. She is off medication, her tics have all but disappeared, she can concentrate better in school, and she is once again cheerful and relaxed.”
- Susan
Medical/Dental History and Symptom Review: The history of the patient provides possible understanding of any conditions causing the joint or bite problems. Understanding the onset, frequency, and severity of symptoms helps narrow down potential causes.
Physical Examination: The provider will evaluate tenderness throughout the muscles (head, neck and shoulders), and alignment, as well as listening for any sounds.
Imaging Needs: CBCT X-Rays are used to see the bone (head and neck) showing any possible causes. The MRI is used to see the soft tissue. How the disc behaves in the open and closed positions. Knowing the structure of the joints and surrounding tissues is critical with treatment.
Bite Analysis: Alignment and occlusion (how your teeth meet when biting) are evaluated to determine if a misaligned bite is contributing to the issue.
Don’t let TMJ pain hold you back from enjoying life’s simplest pleasures. TMD is complex but it is treatable most of the time without surgery. Reach out to your dentist to get a referral to a specialist. Your journey to wellness begins here.
Back pain is the second most common reason people visit physicians in the US, with neck pain close behind. The spine and adjacent tissues are pivotal in nearly all major bodily movements.
Chiropractic services are used most often to treat neuromusculoskeletal complaints, including but no limited to back pain, neck pain, pain in the joints of the arms or legs, and headaches.





Our Doctors are Nationally FMSCA Certified. Done by appointments only. Call today to schedule! Drug and Alcohol Testing also Available.
Since opening in 2003, Winters Chiropractic & Physical Therapy has remained dedicated to providing expert chiropractic, physical therapy, and DOT/CDL services. Our doctors provide tailored treatments that ensure you make the most gains at a comfortable, steady pace. The ultimate goal of any chiropractic or physical therapy program is to restore your physical health to its previous form. With our small practice, we have the advantage of maintaining personal relationships without compromising our ability to provide advance care.

The Only Non-invasive Laser Device With FDA Approved, IRB, and Clinically Proven Results For: Fat Reduction, Aesthetics, Cellulite Elimination, Weight Reduction, and Inch Loss.

• Natural, safe, laser light energy is pulsed and absorbed by the subcutaneous tissue.
• Supercharges the body’s metabolism through ATP synthesis to burn fat as energy.
• Waste products are expelled from the body via sweat, urine and respiratory exhaustion.
• The body continues to burn fat for up to 4 hours after treatment.
• Collagen and elastin production is increased within the skin layers to rejuvenate and repair skin cells addressing cellulite, skin laxity and stretch-marks.






Submitted By Sivakumar Sreenivasan, DMD, MDS Dental Implant Center of Rockville
screw that fits inside your jawbone and replaces the root-part of a missing tooth. Minor surgery is required to insert the implants. Once the implant is in place, a crown is attached to give you a highly realistic-looking and functional prosthetic tooth.

Can just four implants replace all of the teeth on the top or the bottom of your mouth? Thanks to advances in dental implant technology, that answer is a resounding yes.
Tooth loss is extremely common among adults, especially as we age. Rather than living with the discomfort and hassles of dentures, many people are opting for what is called “all-onfour” dental implant restoration.
An implant is a small titanium



You do not need a dental implant for each and every one of your missing teeth. All you need is four precisely placed implants on the top of your mouth, and four on the bottom, to restore your full smile. That’s the beauty of the all-on-four. And because the implant is made of titanium, it has the unique ability to fuse to living bone and function as part of it. So eventually, the dental implant becomes part of the jawbone and serves as a strong, longlasting foundation for your new teeth.
Besides ensuring that your implants are permanently fixed in place, this bone fusion has another important benefit: it prevents future bone loss in the jaw. This helps to maintain a more youthful facial structure – and better
Please see “All-On-Four,” page 63



If you’ve ever wondered about the connection between chiropractic care and exercise, you’re not alone. Exercise plays a crucial role in enhancing physical, mental, and emo-
tional well-being. When combined with chiropractic care, exercise becomes an integral part of managing low back pain and promoting overall health.
When it comes to low back pain management, cardiovascular and strengthening exercises are key. However, it’s essential for individuals with a history of heart problems to consult both their chiropractor and primary care physician to ensure they can safely engage in cardiovascular fitness-promoting activities.
Fax
Month : :
Due Date :
Before embarking on any exercise program, patients should receive specific instructions from their primary care physician and chiropractor


Please see “Optimal Health,” page 62 From : : : YourHEALTH Magazine Design Shop, Heather L. Mahoney date: : : :




Any changes to this advertisement must be noted and faxed to YourHEALTH at (301) 805-6808 on date, otherwise the ad will be printed as shown below.
YOUR APPROVAL IS REQUIRED. Please check the appropriate box, sign and fax back to

By Etwar McBean, MD, FACS The Bariatric & Hernia Institute, PC
Many Americans struggle with their weight and its bad effects on health. The typical history is that of someone making several attempts to lose weight with efforts including fad diets, commercial diets, diet pills, exercise programs and boot camps. The person often will lose a modest amount of weight for a short time and then regain the weight and sometimes more once the effort stops.
Weight loss surgery offers an option for long-term weight loss that is sustainable for individuals that are committed to being healthy and adopting a healthy lifestyle. Weight
Ad okay as is ____ Ad okay with changes indicated ____ Please call
Customer/Authorized Signature (REQUIRED)_______________________________________________Date_______________ Please proof your ad. Check for correct addresses, phone #’s and
loss surgery is typically reserved for someone that is at least 100 pounds overweight and experiencing the health complications of obesity. It is also recommended for obese persons trying to avoid the development of health problems.
Common weight loss surgeries include the gastric bypass, sleeve gastrectomy or “gastric sleeve”, and the gastric band. Success depends on daily lifestyle changes that focus on small, protein-based meals with low caloric intake. Additionally, regular physical activity, support groups and routine office visits are necessary. Below are some benefits of weight loss surgery.
The benefits of weight loss surgery start almost immediately after surgery. There is usually early weight loss, which continues for up to two years. Patients lose over 100 pounds on average.
Many health conditions are reversed after surgery. Diabetic patients, for example, have an immediate reduction or even cessation of Please see “Benefits,” page 62








By Gary Feldman, DPM, FACFAS The Center For Advanced Orthopaedics
Regular exercise is essential for maintaining a healthy weight, supporting cardiovascular fitness, and improving overall well-being. But as people increase their activity levels — whether starting a new fitness routine or returning after a break — the feet and ankles can become vulnerable to injury. Understanding how to protect foot health during exercise is
key to staying active and injury-free.
The feet bear the entire weight of the body with every step, and high-impact activities like running or jumping amplify that force. Even walking programs can cause strain over time if foot mechanics or footwear are not addressed properly. Common exercise-related foot injuries include plantar fasciitis (heel pain), Achilles tendonitis, stress fractures, and ankle sprains.
Proper footwear is a critical first line of defense. Shoes should fit well, provide adequate arch support, and be appropriate for the activity. Running shoes, for example, offer different cushioning and support than walking shoes or court shoes. Old or worn-out shoes lose their shockabsorbing ability and may increase injury risk — most athletic shoes should be replaced every 300–500 miles of use.



By Holly Dunbar
LMT, Herbalist RH (AHG)
New Moon Bodywork and Botanicals
As an herbalist, I may routinely spend half a consultation talking about dietary choices, and then recommend appropriate herbs. Clients are often surprised, and even relieved, to hear of some of my suggestions, which are based upon principles of Chinese medicine and other holistic practices.
Myth #1 – Drinking a Lot Of Water Before a Meal Will Fill You Up
Excess water before or during a meal dilutes the digestive enzymes, which are essential to breaking down food. Without sufficient enzymes, the digestive process is slowed and can result in gas, bloating, constipation, and/or diarrhea. This is especially true if the water is very cold. Ice water or other cold drinks further hamper the actions of the spleen and stomach to transform and transport food. It is best to only sip liquids dur-
ing a meal, and drink larger quantities apart from meals.
#2
In a static laboratory evaluation, raw foods will contain more vitamins and enzymes, however this does not translate to what our bodies can actually absorb. Many foods contain a harder cellulose layer, which our bodies cannot digest and spend a great deal of energy attempting to break down. Lightly cooked food is more digestible as the cellulose layer is softened, and the available nutrients in that food more easily absorbed.
Our bodies, and especially certain organ systems, need fat to thrive, but it is important to choose the proper types of fat. The American diet too heavily emphasizes vegetable oils rich in Omega 6 fatty acids, and hydrogenated oils, which can ultimately lead to inflammation. Our diets are also heavy in animal fats, but too much saturated fat cannot be blamed as the sole dietary culprit in diseases such as heart disease. The rate of heart disease is concurrent with the increased use of hydrogenated oils, prevalent in snack and pre-packaged foods. Emphasizing the consumption of omega 3 oils such as in fatty fish and walnuts, and using olive oil primarily for cooking will improve




Degrees: BS in Psychology, MDiv; Doctorate in Christian Education, EdD
Certificates: Behavioral Health and Nutrition, Personal & Small Group Fitness Instructor, Certified Health & Wellness Coach, IIN Alumni, MRT & SEL(F) Instructor,
Yoga 500 Level and Zumba Instructor
Training: Mindful Movement and Breathwork
Areas of Interest: Healthy Eating and Regular Exercise
Specialties: Nutrition, Meal Planning, Weight Loss, Rehabilitation and Maintenance, and Standards for Excellence Licensed Consultant
Practice Philosophy: Your Health is Your Wealth Host monthly Therapeutic Horticulture and Mental Health Awareness Workshops.
Give An Hour, Ambassador supporting veterans and their families.
Veteran Yoga Project Coordinator.
Mental Health First Aid Certified.
Veteran Yoga Project Coordinator.
Hobbies: Reading, Researching Preventive Measures for Autoimmune Diseases and other Health Conditions plus Advocate for Veterans and Mental Health Awarenes
137 National Plaza Suite #300, Oxon Hill, MD www.ctldomGroup.com 202-498-5678


By Dr. Tiffany Daniel Live To Day Wellness
In a world where filters and likes can shape how we see ourselves, let’s take a moment to return to truth: your body is more than a reflection—it’s a vessel of resilience, strength, and grace.
As we enter the season of cooler breezes and warmer meals, September is a perfect time to reset—not just our routines, but our relation-
ship with our bodies. The journey to body confidence doesn’t begin in the mirror. It begins in motion.
When was the last time you celebrated your body for what it could do instead of what it looks like?
Body confidence doesn’t come from dropping a size—it comes from climbing stairs without pain. From dancing in the kitchen without getting winded. From finishing that walk, that class, that set—and realizing you did more than you thought you could.
That’s where we find real power.
So let’s redefine “results.” It’s not about a flatter stomach—it’s about stronger legs that carry you longer. Not a number on the scale— but a morning where your joints don’t ache like they used to. And yes, it’s about self-love, but more
Please see “Mirror Lies,” page 65


By Howard Horowitz, DPM Bowie Foot & Ankle
Broken bones, dislocations, sprains, contusions, infections, and other serious injuries can occur at any time. Early attention is vitally important. Whenever you sustain a foot or ankle injury, you should seek immediate treatment from a podiatric physician. There are lots of myths about foot and ankle injuries. Some of them follow:
Myths
• “It can’t be broken, because I can

move it.” False; this widespread idea has kept many fractures from receiving proper treatment. The truth is that often you can walk with certain kinds of fractures.
• “If you break a toe, immediate care isn’t necessary.” False; a toe fracture needs prompt attention. If X-rays reveal it to be a simple, displaced fracture, care by your podiatric physician usually can produce rapid relief. However, X-rays might identify a displaced or angulated break. In such cases, prompt realignment of the fracture by your podiatric physician will help prevent improper or incomplete healing. Often, fractures do not show up in the initial X-ray. It may be necessary to X-ray the foot a second time, seven to ten days later.
• “If you have a foot or ankle injury, soak it in hot water immediately.” False; don’t use heat or hot water on an area suspect for fracture, sprain, or dislocation.
Please see “Foot Injuries,” page 63


6701 Democracy Blvd., Suite 300 Bethesda , MD 20817

Direct: (301) 365-6940
Fax: (301) 365-6941
Email: cfeitel@medicalanddentalspace.com
Let Charles Feitel help you with your next space requirement. His professionalism and medical expertise are unsurpassed. Call now!!



Submitted by New Day Vitality Hormone Center
Semaglutide injections are part of a prescription-based, medically supervised weight loss program which also incorporates healthy eating and exercise.
Originally prescribed for patients with type 2 diabetes, semaglutide is used to help with weight loss in those who are overweight or obese and also suffer from high blood pressure, high cholesterol or type 2 diabetes.
Semaglutide (known under the brand names Ozempec and Wegovy) targets areas of the brain that regulate appetite and food intake. It also helps the pancreas release the right amount of insulin when blood

Dental FX
Invisalign clear aligners are designed to correct mild to moderate alignment issues, including:
• Overcrowded teeth
• Twisted teeth
• Overlapping teeth
• Bite issues
Additionally, these aligners are virtually invisible and do not detract from your smile. If you – like most of us – can’t picture yourself in metal and wire braces, change the picture.
Imagine instead your teeth straightening over time, and most people not even aware that you’re undergoing orthodontics. With Invisalign, you live your best life during treatment, and after – it does not have to be one or the other.
How Invisalign Works
The first part of the process calls
sugar levels are high, smoothing out the extreme highs and lows that negatively impact hunger and metabolism.
Sixty to 70 percent of midlife women experience weight gain as they approach menopause. Unfortunately, throughout perimenopause, the rate of fat gain doubles and lean mass declines. In addition, fat distribution shifts and body composition changes, leading to an increased risk of cardio-metabolic disorders, including high blood pressure and obesity.
According to a large doubleblind, placebo-controlled study of semaglutide effectiveness published in New England Journal of Medicine, adults who received
Please see “Semaglutide,” page 65
for a friendly chat and exam with your Invisalign dentist, who will examine your teeth, take x-rays, and talk to you about your smile. Your dentist will want to know what you hope to achieve, and this exam and chat helps determine whether Invisalign is the best option for you.
If Invisalign is the right choice, impressions are taken of your smile, and the Invisalign lab uses these models to design your Invisalign clear aligners. Every couple of weeks, you change to a new aligner until you have exhausted the supply, and your new smile is ready for the world. You will be given an accurate estimate of how long you will need Invisalign therapy. Following therapy, you are supplied with a custom retainer to remind your teeth that “straight is their new normal.”
Aside from straight teeth and renewed confidence, Invisalign contributes to better oral health. Brushing and flossing are more productive. A straight bite helps eliminate wear on your teeth that can lead to cavities. During therapy, you can remove your aligners when brushing and flossing, or eating and drinking. This approach contributes to better oral care throughout treatment. With traditional metal braces, you have to work hard to clean around brackets and wires.


Choose Adventist Medical Group Primary Care in Fort Washington, Maryland, to provide a full range of primary care services for adults.
Learn to better manage your health and prevent illnesses with personalized care from our experienced, primary care providers. Our specialists in family medicine and internal medicine work as a team to deliver expert care when you need:
• Same-day Sick Visits
• Women’s and Men’s Health and Wellness Exams
• Health Physicals, Health Maintenance and Preventive Care
• Geriatric (Senior) Wellness Exams
• Vaccinations and Immunizations, including Flu Shots
• Health Management for:
• Asthma and Allergies
• High Blood Pressure
• High Cholesterol
• Diabetes
You also benefit from coordinated care that helps you effectively handle all aspects of your health—from preventive medicine and preoperative appointments to management of chronic health conditions.
• Heart Disease To schedule an appointment, please call 240-724-6018 10709 Indian Head Highway, Suite D1 Fort Washington, Maryland 20744 AdventistMedicalGroup.org


By Milca Kaplan, NP
As women move through their 40s and 50s, many notice that maintaining a healthy weight becomes more difficult—even if they’re eating the same and staying active. This is not your imagination: hormonal shifts during perimenopause and menopause, combined with natural muscle loss, can slow metabolism and change body
composition.
Why Muscle Matters
More Than Ever
Muscle is metabolically active tissue—it burns calories even at rest. But after age 30, women naturally lose muscle mass at a slow but steady rate, accelerating during midlife. Less muscle means fewer calories burned, contributing to weight gain, particularly around the abdomen.
Estrogen decline also affects insulin sensitivity and fat distribution, making it easier to gain fat and harder to lose it. For women, this can feel like an uphill battle.
The Solution:
Build and Preserve Muscle
Strength training isn’t just for athletes—it’s essential for every woman, Please see “Strength Training,” page 63

Tired, Gaining Weight, and Just Not You Anymore? It Might Not Be You—It Might Be Your Hormones.
Feel Like Something’s Off? You’re Not Alone.
At MetroBest Health, we specialize in identifying and treating the real root causes of fatigue, weight gain, low libido, mood swings, and thinning hair—especially in midlife women and men.
If you’ve been dismissed, misdiagnosed, or told “it’s just aging,” it’s time for a second opinion. Virtual and In-Office Appointments Available Book Online at MetroBestClinic.com Or Call/Text: 202-754-8877
9650 Santiago Rd #2, Columbia, MD 21045
Don’t wait—your best life is just one appointment away. FREE Skinny Shot

If you mention Your Health Magazine Offer Expires 9/30/25


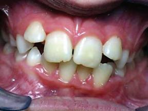
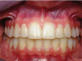
By Lynda Dean-Duru, DDS Ashburn Children’s Dentistry
Proper breathing during sleep is crucial for the overall well-being of children, yet many parents may not be fully aware of potential issues related to Sleep-Related Breathing Disorders (SRBD), which includes pediatric obstructive sleep apnea (OSA).
SRBD refer to disturbances in normal breathing patterns during sleep, ranging from common snoring to more severe pauses in breathing known as apnea events. These interruptions can lead to sleep deprivation and a variety of health complications. In the case of children, untreated SRDB can result in developmental, behavioral, and emotional challenges, potentially leading to conditions like allergies, ADD/ADHD, and depression.
Pediatric OSA, a condition where the airway is partially or completely



• Regular Dental Exams
• Professional Teeth Cleanings
• Dentistry for Children with Special Healthcare Needs
• Digital X-Rays
• CBCT (Cone Beam Computed Tomography)
• Icon® Cavity Prevention
• Myofunctional Orthodontics
• Infant & Child Frenectomy
blocked during sleep, is often caused by enlarged tonsils or adenoids and a lack of tongue space. It differs from adult OSA, as it may manifest alongside behavioral issues and daytime sleepiness in children.
Children with SRDB may present a range of symptoms, including:
• Difficulty falling or staying asleep
• Sleepwalking, night terrors, and other parasomnias
During the first 18 months of a child’s life, crucial growth and developmental milestones occur, many of which are related to facial development. Ensuring proper breathing is essential for a child’s health and development, impacting facial features, jaw development, and overall growth. Mouth breathing can set off a chain reaction of issues, altering the growth of the lower and upper jaws, midface, and nasal bones, ultimately affecting the child’s facial balance.
• Excessive daytime sleepiness
• Mouth breathing, dry lips, bad breath
• Dark circles under the eyes
• Tonsil and adenoid problems
• Snoring
• Teeth grinding
• Bed-wetting
• Inner ear infections
• Limited tongue/lip mobility
• Hyperactivity
• Difficulty concentrating
• Selective eating habits
• Bedwetting
In the case of pediatric OSA, symptoms may involve snoring, breathing pauses, restlessness, and coughing or choking episodes during sleep.
• Fluoride Treatment • Sealants
• Pediatric Sedation Dentistry • Laser Dentistry
• Baby Root Canal (Pulpotomy)
• StemSave™ • Mouthguards
• Tooth Extraction & Space Maintainers
• Bebe Munchee® Tool Child Growth & Development • BabyLase™ • Sleep Apnea & Sleep Airway Treatments
• Tooth-Colored Fillings
• Dental Crowns
• Teeth Whitening Cosmetic & Restorative Care
• Lumineers • Snap-On Smile®

Contrary to conventional belief, pediatric dentists with specialized training are well-equipped to address symptoms related to sleep and airway conditions. The airway, mode of breathing, and malocclusion are closely interconnected and should be addressed early and holistically by dentists. Advanced technology, such as cone beam 3D imaging, allows dentists to effectively diagnose airway issues and guide proper growth and development. Early intervention is essential in guiding proper growth and development.
Convenient at-home sleep study tests are now available to diagnose pediatric sleep apnea and breathing issues. These tests provide comprehensive, accurate data for proper diagnoses.
Treatment goals encompass the elimination of detrimental habits, guiding optimal cranial, jaw, and facial development, preventing dental misalignment, and enhancing airway health and oxygen sufficiency. Various therapies, including oral appliances, myofunctional therapy and positive airway pressure therapy, can effectively alleviate symptoms.


By Anne C. Crowley, Acupuncture Physician, Health Coach Sarasota Acupuncture Center
So how do you “lose weight,” I mean REALLY lose weight? You have to be motivated. And what motivates you? Is it a condition, a person, or is it your internal compass? Whatever it is you have to want to lose weight more than anything else, more than the thing that is holding you back.
Stop here and list three things that are holding you back. No judgement, not good or bad. Now, what is the one thing, that if it changed, would shift everything?
Start small. Pick an exercise you like to do. Now, it can’t require an ideal spring day or fall cool down. It has to be every day. And if the weather isn’t conducive, you do it or an alternative exercise inside during that period. Setting up an exercise schedule, even if it is walking around the block after work, it’s telling your mind and body you mean business.
Then there is nutrition. Ask yourself what a person who loves their body and feels good about themselves would put in their body for nourishment.
Things in our lives will need our attention, like jobs, a partner, children, pets. All are vying for our precious 24 hours. Could one of these hours be for your physical fitness so
you can live a healthy life for yourself and your loved ones?
In my own life, when I moved to Florida from Maryland, the weather completely changed. For six months of the year I couldn’t walk outside in the day or a lot of evenings. I was a night owl so my day was really getting started around 10 am. and ended late. I didn’t have the gym with friends and neighbors I had known for years. Some had even become my patients so my whole world was a community around fitness. Everything changed in Florida.
After four years of not being able to shed the weight I was accumulating, I made a decision to change my diet and do an exercise that I enjoyed that was easy for me. I set my alarm for 6 am. I see sunrises with
my dogs, drink my two cups of coffee, and relax. Then up to get my electrolytes ready, ear buds, knee protectors, shorts, sunglasses, breathable hat. All the gear. I wave to people I don’t even know, pet a dog, and say a few words to neighbors. I found all this sparks me, and it opened up a new world to me. Forty-five minutes of a cardio walk, closing the green ring, and a mindset and diet change, I lost 27 lbs.
Find your routine and get moving. What is your goal and how do you want to get there? With my virtual health coaching, I guide clients through designing their plan and seeing it through.
I wish you all the success in your weight, fitness and lifestyle goals.










When patients face some of the most traumatic and life-altering moments of their lives, Dr. Larry Bryant is there—combining surgical precision with heartfelt compassion. As Chief of Facial Trauma at the University of Maryland Capital Region Medical Center in Largo, a Level II trauma center, Dr. Bryant leads a skilled team available 24/7 for facial reconstruction and trauma care.
At his private practice, Bryant Oral & Facial Surgery, he specializes in dentoalveolar surgery—the surgical treatment of the teeth, jawbone, and surrounding tissues. Known for his expertise and dedication, Dr. Bryant has become one of Maryland’s most respected oral and maxillofacial surgeons, offering patients cutting-edge care and innovative treatment options in a welcoming, patient-centered environment.
15% Discount
For First Time New Patients Expires 9/30/25
Dr. Bryant’s journey began in 1975 during a summer program at Harvard University. Although he had already planned to attend dental school, it was during a clinical rotation at Massachusetts General Hospital that he discovered his passion for surgery. Interacting with specialists who treated the jaw and face, he realized his true calling.
After graduating with honors from Howard University College of Den-
tistry, he completed his oral and maxillofacial surgery training at Woodhull Medical and Mental Health Center in New York, followed by a fellowship in orthognathic surgery and dental implantology at Montefiore Medical Center.
For over two decades, Dr. Bryant has served the Bowie-Mitchellville community in Prince George’s County, Maryland, providing outstanding care to patients across Maryland, Washington, D.C., and Virginia.


DR. LARRY BRYANT, DDS
BRYANT ORAL & FACIAL SURGERY
GLENN DALE, MD
301-249-0553
TeethXpress:
Restoring Smiles in a Day
“Technology has transformed dental care,” says Dr. Bryant—and his practice is proof. One of the most exciting advancements is TeethXpress, a same-day solution that replaces a full arch of teeth using four to six strategically placed implants and a fixed hybrid prosthesis.
Unlike removable dentures that can shift, cause discomfort, or require adhesives, TeethXpress offers a permanent, natural-looking solution that preserves jawbone health and allows patients to eat, speak, and smile with confidence—all in a single visit. For many, it’s a life-changing alternative to the insecurity and inconvenience of traditional dentures.
Patients walk in with missing or failing teeth and leave the same day with a secure, radiant smile. There’s no waiting period, no temporary dentures, and no dietary restrictions. Just immediate results and restored selfesteem.
Bryant Oral & Facial Surgery uses state-of-the-art Cone Beam Computed Tomography (CBCT) to make same-day dental implants possible. CBCT provides high-resolution, 3D imaging of the mouth and jaw, allowing for precise planning and customized implant placement. It’s this technology that enables the team to deliver such reliable, efficient, and comfortable results.
Using this data, the lab crafts custom prosthetics tailored to each patient— resulting in a fit that feels natural and looks flawless.
According to Dr. Bryant, ideal candidates for TeethXpress are patients who are just beginning to lose their teeth and have sufficient bone density. Those with medical conditions such as controlled diabetes, high blood pressure, or even certain autoimmune diseases may still qualify for the procedure. The key is a comprehensive, individualized evaluation.
Each treatment plan is uniquely designed to suit a patient’s dental history, health profile, and long-term goals. Even those who have been told they’re not candidates for traditional implants may find success with TeethXpress.
Each year, Dr. Bryant travels to **Malawi—one of the world’s poorest countries—**where he volunteers as part of the Smiling Surgeons team. With just one oral surgeon serving over 22 million people, the need is immense. Dr. Bryant and his colleagues provide life-altering care for patients with advanced oral diseases, facial injuries, and tumors, offering


BEFORE AFTER

hope and healing in areas with limited access to modern healthcare.
Outside the operating room, Dr. Bryant is a devoted grandfather, an avid swimmer, and an active member of his church’s leadership team. His commitment to service—**at home, in his practice, and around the world— **sets a high standard in the field of oral and maxillofacial surgery.
Whether performing complex trauma care, pioneering implant technology, or giving back to underserved communities, Dr. Larry Bryant is more than a surgeon—he’s a force for healing, innovation, and compassion.















ThunderBird Dental Office, affectionately known as the ThunderBird, has been providing dentures and denture repairs for over 40 years. Our dental lab is on our premises which allows us to deliver same day repairs and relines. We also perform extractions for immediate dentures. Our service is prompt and personalized and our price is right, so come on in!
Graduate of Howard University College of Dentistry in Washington, D.C.
Completed General Practice Residency At Saint Elizabeths Hospital in Washington, D.C.
Served as a Civilian Dentist at Ft. Meade Army Base, Ft. Meade, Maryland
Served as Clinical Director at Oak Hill Juvenile Detention Center, Laurel, Maryland
Member Of:

Dr. Smith is a dentist who also specializes in treatment of gum disease, cosmetic smile enhancement procedures, and dental implants to replace teeth that are missing. Although no one likes to go to the dentist, he strives to make your visits as comfortable and pleasant as possible. He strongly believes that value and comfort is an important part of quality dental care.
The right to choose a dentist and provider of care is an important freedom. Referrals from patients and friends of the practice are welcome. We also work closely on referral from your family dentist, but a referral is not required to visit our office. Everyone that is interested in keeping their teeth for a lifetime should see a periodontist for screening.
Dr. Smith’s colleagues describe him as a gentle, easy-going person that provides expert care to patients. People come from near and far to experience the comfort of his office and patient-oriented team. He has been consistently voted by his peers a Top Dentist in Washingtonian Magazine , and Northern Virginia Magazine
WITH DR. SMITH:
Dr. Smith says that “From the first phone call you will be treated with care and concern for your unique dental condition. Every question you have ever had about your dental health will be covered as well as any financial considerations you may have. It is my goal to care for each and every person that comes through my doors and to exceed your expectations from a dental office. I promise to always give you honesty and accuracy when it comes to your treatment. I will never start treatment without your full knowledge, understanding, and acceptance of your condition.”
Doctor of Dental Surgery Degree from the University of California, Los Angeles 1981. General Practice in the U.S. Air Force Dental Corps. Successfully completed three additional years of advanced training in the specialty of Periodontics, Dental Anesthesia and Implants in 1992 at the University of Texas Health Science Center, San Antonio and Wilford Hall USAF Medical Center. Retired from the U.S. Air Force as a Lieutenant Colonel in 1996. Fellowship in the Academy of General Dentistry and in DOCS, a sedation organization for dentists.

Dr. Craig Smith is committed to health through dentistry, ensuring you have optimal oral health which contributes to your overall health and well-being.
Quality service, advanced technology and a passionate commitment to education means patients receive the best that dentistry has to offer.
Dr. Smith’s Philosophy: Always listen to the patient and in turn respond in an educational manner so that the patient will understand.
Degrees, Training, and Certificates: Doctor of Dental Surgery (D.D.S.) - Howard University College of Dentistry; 2 Year General Practice Residency; Chief Resident - Harlem Hospital Center (Affiliate of Columbia University); Certified Invisalign Provider
Professional Memberships: National Dental Association
Areas of Interest: All phases of dentistry - cosmetic, implant, crowns and bridges, root canals, veneers, preventive care, Invisalign and whitening.
Hobbies: Mountain biking, racquetball, golfing, and boating. My interests are to continue to deliver quality dentistry and to further reach out to the community to help to increase the peace.
Additional: Many patients do not understand the importance of a healthy mouth, as health problems could arise. I want to educate all of my patients on health through dentistry.


Dr. Kempler is a highly trained, Board Certified Prosthodontist. She earned her dental degree from the University of Maryland in 2008, graduating Summa Cum Laude and was the valedictorian of her class. She completed her three-year specialty training in Prosthodontics at the University of Maryland in 2011. During her training she received multiple awards and lectured about dental implants and cosmetic dentistry at numerous national meetings. Dr. Kempler conducted her research project for her master’s degree on the accuracy of implant impressions. She was a Clinical Assistant Professor at the University of Maryland from 2011-2015 helping mentor many residents. She has been selected by her peers to be a Washingtonian Top Dentist from 2021 to 2025.
In her private practice, Dr. Kempler offers a range of services, including cosmetic procedures, veneers, dental implants, dentures, teeth in a day and general dentistry. Her office is equipped with the latest digital technology, including an in-office CT scan, an intra-oral digital scanner, implant planning software to provide top-quality dental care.
In her free time, Dr. Kempler enjoys traveling, photography and spending time with her family.


Dr. Brown’s practice focuses on TMJ, sleep apnea and orthodontics. This allows Dr. Brown and his team to provide individualized, focused care for patients dealing with these specific issues. Every day, his practice helps patients of all ages with facial development, sleep issues, chronic headaches, migraines, neck pain, movement disorders, and much more. His training also includes multiple disciplines involving the cranial bones in the skull, and the discs in the jaw joints. Through treatment, Dr. Brown is able to reduce these symptoms, align cranial bones, avoid extractions, and greatly reduce the need for traditional braces. His expertise allows him to identify issues early on which promotes proper facial development using dental appliances. If there is an internal imbalance, whether an adult or child, the body does not develop or function properly. When the cranial bones are lined up correctly, patients are able to function, sleep and generally live better.
With that in mind, the team at Sleep & TMJ Therapy takes a whole-body approach when treatment planning. They work hand in hand with physical therapists and osteopathic doctors for a better success rate. Dr. Brown is devoted to helping patients of all ages live a symptom free life.
Degrees & Certifications
Dr. Brown earned his degree from Georgetown Dental School and completed residencies with Emory University Hospital for Dental Sleep Medicine and the ALF Appliance Therapy Institute.
Outside the Office
When not seeing patients, Dr. Brown is a sought-after speaker. He has lectured all over the world, including D.C., Dubai, Seoul, London, Norway and Toronto. He has also been featured on Channel 9’s Good Morning Washington, several podcasts, and numerous magazines and journals.
Professional Affiliations
Dr. Brown is a diplomate of the American Academy of Craniofacial Pain, a member of the American Academy of Dental Sleep Medicine, American Academy of Gnathological Orthopedic, Academy of Integrative Pain Management American Dental Association, a Fellow of the American Academy of Craniofacial Pain, and Legacy Provider for the ALF Interface Academy.
Do you have TMD or Sleep Apnea?
TMD Symptoms: Noise in the jaw joints when opening and closing your mouth, difficulty chewing, limited opening, tender facial muscles, ear ringing, uncomfortable bite, jaw locking, headaches, migraines, dizziness, vision issues as well as pain in the jaw area which can radiate to the ears, head, neck, shoulders, and back.
Sleep Apnea Symptoms: Snoring, waking up gasping for air, feeling tired and irritable in the morning, difficulty controlling weight, concentration problems, morning headaches, episodes of not breathing, waking with a sore throat, forgetfulness and mood changes.
If you believe you may be suffering from TMD or Sleep Apnea, don't wait... Call today to schedule a consultation with Dr. Brown: 703-821-1103.


Dr. Bickling is a graduate of McDaniel College in Westminster, MD & Tufts University in Boston. Dr. Bickling has served Maryland residents for 25 years with ONE goal in mind – to give the best possible dental service, at the most affordable prices & the most convenient appointments.
At Bright Time Dental, it’s the mission of our caring team to provide the highest level of convenience & personalized care for your entire family. We are your one-stop location for all aspects of safe & modern dentistry & we want to do our part to keep you healthy through your entire life!

Dr. Mary Alexander, periodontist, obtained a Bachelor of Science degree in Biology from the University of South Carolina and continued her education in dentistry at the University of Maryland School of Dental Surgery where she received her DDS degree. Prior to and during her dental studies, Dr. Alexander received funding and support from the National Institutes of Dental Research for her involvement in the periodontal research. After obtaining her DDS degree Dr. Alexander spent one year at the Veteran’s Administration Hospital, in general practice residency focusing her training in the area of anxiety patient management. She then attended Harvard University and earned her clinical specialty in periodontics and a doctorate in medical science. Her doctoral research was focused in the study of bone function and metabolic disease of the bone.
Dr. Alexander received extensive training in dental implantology, periodontal plastic surgery, bone regenerative procedures and sedation dentistry. All aspects of Dr. Alexander’s training are incorporated in her periodontal practice assuring patient’s thorough and comprehensive periodontal treatment.




an Oral and Maxillofacial Surgeon in the year 1990 and put himself through dental school again at Boston University and Oral and Maxillofacial Surgery residency at University of Medicine and Dentistry of New Jersey.
As an Oral and Maxillofacial Surgeon, Dr. Sreeni manages a wide variety of problems relating to the Mouth, Teeth and Facial Regions. He practices a full scope of Oral and Maxillofacial Surgery with expertise ranging from Corrective Jaw Surgery to Wisdom Teeth Removal. His passion is in implant surgery and he is well known for same day placement of implants following teeth removal be it for single teeth or a complete “makeover” (Smile in a day). He can also diagnose and treat Facial Pain, Facial Injuries and TMJ disorders and perform Bone Grafting and Sinus lift procedures.
Dr. Sreeni completed a Residency in Anesthesiology at Mount Sinai Hospital, New York in 1994 and has worked as an Attending providing anesthesia services for children and adults in the ambulatory outpatient center of the hospital.
Dr. Sreeni is an Advanced Cardiac Life Support instructor with the Adventist group. He is also certified in Pediatric advanced life support and is very capable of handling emergencies that could possibly arise in the office. Dr. Sreeni’s staff are trained in assisting with IV Sedation/ General Anesthesia within our state of the art office setting. Patients are continuously monitored during and after surgery. The goal of our office is to provide professional service with compassion and an understanding of the patients’ perspective.


Dr. Shin is the founder and president of BCC Pediatric Dentistry. She is a Board-Certified Pediatric Dentist with more than 20 years of practice experience. Among other awards and recognitions, Dr. Shin has been selected by her peers as a Washingtonian Top Pediatric Dentist and a Bethesda Magazine Top Pediatric Dentist. Dr. Shin’s experience spans a diverse range of locations, settings, and organizations. She was Associate Professor of Pediatric Dentistry for the Advanced Post-Graduate Pediatric Dentistry Residency at the University of Southern California (USC). Dr. Shin practiced pediatric dentistry at a Native American Reservation in Montana. After 911, she joined the Army and served as an active-duty military officer and pediatric dentist at Walter Reed Army Medical Center, in Washington DC. Dr. Shin was also the first Korean-American female to hold the position as the division head of the Pediatric Dentistry and Orthodontic Dental Clinic at the Children’s Hospital of Los Angeles. These and other positions throughout the years have provided Dr. Shin with invaluable pediatric dentistry experience and unique expertise. Most of all she loves children, likes to make them laugh, and is constantly trying to learn more about them and their accomplishments. That includes her patients and her son, daughter, grandkids, and your child too!

Your Space, Your Energy, Your Sacredness Yoga on a more relaxed, deeper level at home.
Mission: To help people to be comfortable in their own skin, to love themselves, like themselves and be themselves and most of all accept and forgive themselves. “I’m here for you”.
Specialized Degrees: Hypnotherapy, G.I.A. of America Gem (stone specialist), Advanced Yoga Training in Rishikesh India, continuing yearly training of Yoga and Ayurveda in Rishikesh India. Certified Astrologer – Charts interpreted for as little as $49. The Big 3: Sun, Moon, Rising Ascendant. Associations: Nath - (National Association of Transpersonal Hypnotherapists), NGH - (National Guild of Consulting Hypnotist), Y.A. (Yoga Alliance) Areas of Interest: Hypnosis for Everything, (Fears, Phobias, Nail biting and more), Ayurveda Yoga, Yoga for Couples, Yoga for Diabetes, Yoga Teachers Training, and Life Coaching..
For many people, losing weight isn’t just about diet and exercise—it’s about changing habits and beliefs. Hypnosis offers a unique approach by targeting the subconscious mind, where behaviors like emotional eating, cravings, and self-sabotage often begin.
During hypnosis, individuals enter a relaxed, focused state where the mind becomes more open to suggestion. A certified hypnotherapist can use this state to help reframe negative thinking around food, body image, and selfcontrol. For example, you might be guided to visualize yourself making healthy food choices, feeling full after smaller portions, or enjoying movement instead of dreading exercise.
Hypnosis can also address the root causes of overeating, such as stress, boredom, or emotional triggers. Over time, it may reduce cravings for sugar or processed foods and reinforce healthier habits, making weight loss feel more natural and less forced.
While hypnosis isn’t a magic fix or a replacement for a healthy lifestyle, it can be a powerful complement to traditional weight loss strategies. By shifting your mindset, hypnosis can help you stay motivated, overcome plateaus, and stick with your goals for the long term.
For many, weight loss begins not on the plate—but in the mind.


Alicia Kovach, DC
Degrees/Training: Graduate of Palmer College of Chiropractic, DRX Training, Activator, Myofascial Release, Board Certified Physi cal Therapy and Webster Certification. Trained in the Thompson Technique, as well as in the latest evidence based Chiropractic treatments for Pediatric and Pregnancy Care Associations: Maryland Chiropractic Association, International Chiropractic Pediatric Association Areas of Interest: Maternity Care, Pediatric Care, Worker’s Com pensation, Personal Injury, Spinal Decompression for Herniated Discs
Hobbies: Sports Fan, Swimming, Running and spending time with her family Inspiration: Helping people restore their health naturally on a daily basis.
Most Memorable Moment: Through the use of the chiropractic care and other wellness modalities, she has seen patients go from extreme back and/or neck pain to little or no pain and the ability to return to a productive life. Patients injured through automo bile accidents or work related accidents that could hardly func tion daily in their jobs have been able to return to work and daily activities pain free.
Best Health Advice: Pay attention to your body and don’t ignore the subtle signals. Those subtle signals can lead to a quicker recovery.
Cancer Patients:
Chiropractic treatment can relieve pain and stiffness in your joints and muscles caused or intensified by surgery, chemotherapy or radiation therapy. Call our office today to find out if Chiropractic care may be right for you.

Dr. Aric Adlam was born and raised in the suburbs Michigan where he started receiving chiropractic of 2 years old. After a traumatic football injury future athletic career at the age of 16, Dr. Adlam risky spinal surgery for an all chiropractic approach. only a half of a football season instead of the predicted Dr. Adlam was back on the field. More importantly, decided during that time that he had found his calling decided to pursue a career as a Chiropractor.
Dr. Adlam received an undergraduate Bachelor of with an emphasis in Biological Sciences before practic school. He then continued his education at College of Chiropractic in Marietta, GA where he received torate of Chiropractic degree, fulfilling his dream Chiropractor.
Dr. Adlam is highly trained in the diagnosis and treatment tissue injuries often encountered in the spine, extremities rest of the body. He has extensive experience with state of the art spine rehabilitation technology equipment used in the treatment of spine related had success in treating many patients who have dealt ic neck and low back pain for years as well as headaches that found no relief in the traditional medical model. tensive expertise in the treatment of whiplash injuries result from automobile accidents. Dr. Adlam is also the diagnosis and treatment of bulging discs in the neck utilizing the latest treatment methods available. Dr. Adlam comes from a history of highly competitive and takes pride in getting the high performance weekend warrior back in the game safely and effectively. forward to bringing the patients of Kovach Chiropractic ness Center the best chiropractic care possible.




Dr. Kristina Anderson was born and raised in northern New Jersey. She completed her undergraduate studies at the University of Maryland, College Park where she received her Bachelor’s degree in Kinesiology. She then went on to receive her Doctor of Chiropractic degree and Masters in Applied Clinical Nutrition at New York Chiropractic College.
Since graduating, Dr. Anderson has received certifications including Rocktape, Dry Needling, Active Release Technique, FAKTR (Functional and Kinetic Treatment with Rehab), and the Webster Technique. After having to take time off from Track and Field in high school due to quadriceps tendinitis, she understands the importance of quality rehabilitation and care and continues to educate herself to better assist her patients.
Throughout her career as a chiropractor, Dr. Anderson has worked with a variety of patients including athletes, perinatal, postnatal, personal injury, adolescents, and geriatric. Dr. Anderson works tediously to ensure that maximum therapeutic benefit is achieved. Outside of work Dr. Anderson enjoys reading, watching stand-up comedy, musicals, and traveling with her husband.



• Natural, safe, laser light energy is pulsed and absorbed by the subcutaneous tissue.
• Supercharges the body’s metabolism through ATP synthesis to burn fat as energy.
• Waste products are expelled from the body via sweat, urine and respiratory exhaustion.
• The body continues to burn fat for up to 4 hours after treatment.
• Collagen and elastin production is increased within the skin layers to rejuvenate and repair skin cells addressing cellulite, skin laxity and stretch-marks.
Hall 29770 Three Notch Road – Ph: 301-884-3423
Plata 101 Centennial Street, Suite A – Ph: 301-934-9762 Monday-Thursday 10AM-7PM, Friday 9:30AM-5PM

Degrees/Training: DDS, University of Maryland Dental School; General Practice Residency, San Diego Naval Hospital; Prosthodontics Residency, Naval Dental School, Bethesda; U.S. Navy Dental Corps Officer, Commander, USN, (retired).
Professional Memberships: American Dental Association, Maryland State Dental Association, Anne Arundel County Dental Society, Annapolis Dental Study Club, Chesapeake Implant Study Club, University of Maryland Alumni Association.
Practice Philosophy: To follow the “Golden Rule” in all aspects of professional dental care, providing outstanding quality dentistry in a caring, comfortable and comprehensive manner. Lighthouse Family Dentistry will “Light Up Your Smile.”



Dr. Gena Schultheis is a skilled general, cosmetic, and implant dentist known for her natural, holistic approach to care. She uses biocompatible, non-toxic materials and natural remedies to support healing and minimize discomfort, always staying current with the latest minimally invasive dental techniques.
A former U.S. Air Force Captain, Dr. Schultheis earned the Air Force Commendation Medal for her service. She received her dental degree from the University of Maryland Baltimore College of Dental Surgery in 2005 and completed advanced training through a Residency in General Dentistry. She holds certifications in implant dentistry, orthodontics, cosmetic dentistry, laser dentistry, and SMART mercury removal. She is also a certified provider for ClearCorrect, Six Month Smiles ® , Lumineers ®, and Snap-On Smile ® .
Dr. Schultheis is a board member of the Holistic Dental Association and a member of several organizations, including the American Dental Association ® , American Academy of Cosmetic Dentistry, and the Eco-Dentistry Association. She actively volunteers through Free Day of Dentistry, participates in environmental initiatives, and educates the medical community on oral-systemic health links.
Outside the office, she enjoys yoga, hiking, skiing, and spending time with her husband and three children. She also writes for Your Health Magazine and blogs about holistic dentistry.

12200 Annapolis Road Suite #116 Glenn Dale, MD 20769
EnvisionEyeandLaser.com

Board Certified, Ophthalmology by the American Board of Ophthalmology
Degrees, Training and Certificates: UCLA Medical School; Yale University Hospital for Residency; Louisiana State University for Cornea and Refractive Fellowship
Professional Memberships/Associations: American Academy of Ophthalmology; American Society of Cataract and Refractive Surgery; International Society of Refractive Surgery
Areas of Interest: All laser custom LASIK; Cataract Surgery; Botox; Dermal Fillers; Cornea Comprehensive Ophthalmology
Practice Philosophy: Envision Eye and Laser is committed to delivering superior ophthalmic care with state-of-the-art technology and patient education in a caring, compassionate environment. We cater to a diverse population of adults and work with your primary care physician to improve the quality of your overall health and life. Your best vision is our focus.


Dr. Judy Yu is an artist with a passion for perfecting smiles and boosting confidence. She is a true advocate of education. Dr. Yu strives to educate herself and her team in our ever-changing field.
She attended the Temple University School of Dentistry in Philadelphia, PA, where she received her DMD and was honored in the Temple University Gallery of Success. Her undergraduate degree, a B.A. in Chemistry, was attained at Goucher College in Towson, MD, where she was a Dean’s Scholar. She completed her Executive M.B.A. at Loyola University in Timonium, MD.
Dr. Yu is currently a member of the American Dental Association (ADA), Maryland State Dental Association (MSDA), the Academy of General Dentists (AGD), the Maryland Academy of General Dentists. She served as the Public Information Officer on the board of the Maryland Academy of General Dentists (MAGD). Additionally, she is certified in Forensic Dentistry through the Armed Forces Institute of Pathology at Walter Reed Medical Center and has served on the Maryland State Committee for Oral Cancer Awareness. Dr. Yu served on The Anne Arundel County Oral Task Force aiming to increase access to care for the adult population.
She is committed to the overall health of her patients and works with her team to educate clients about the importance of oral care and how the pathology in the oral cavity is directly linked to one’s general health, including periodontal disease and its relationship with heart disease. A humanitarian at heart, Dr. Yu truly enjoys giving back to the community. She currently chairs the Northern Anne Arundel County Chamber of Commerce Health/Wellness Committee. Dr. Yu also chaired the McDonogh Parent Association’s Parent Education Committee. She was involved with the Healthy Anne Arundel Coalition to “Make Health Happen.” You will often find Dr. Yu volunteering for Missions of Mercy, donating dental services to the public or volunteering at her church by cooking for Heaven’s Kitchen.

aaybar@kidsgastro.com

Every patient and their parents are given the time they need during a consultation at Annapolis Pediatric Gastroenterology and Nutrition to fully understand what’s happening and ask any questions they may have. If your child needs to undergo any procedures, Dr. Aybar performs them at the Anne Arundel Medical Center in Annapolis, MD.
A Board Certified Pediatrician who specializes in pediatric gastroenterology after finishing his Fellowship at University of Maryland. Dr. Aybar was born in Turkiye, and received his medical degree from the University of Istanbul. He completed an Internship in Pediatrics and Adolescent Medicine at the Cleveland Clinic Foundation Children’s Hospital and a Residency in Pediatrics at Sinai Hospital in Baltimore, MD, where he served as Chief Resident. Dr. Aybar gained valuable experience working in several Baltimore Metropolitan Area hospitals as a pediatrician in the emergency department and as a pediatric hospitalist.



Dr. Washington-Plaskett completed her medical school training at Meharry Medical College in Nashville, TN. She completed her Internal Medicine training at Morehouse School of Medicine in Atlanta, GA. She went on to pursue her Cardiology training at Boston Medical Center in Boston, MA where she also decided to stay and complete an additional year of training in Interventional Cardiology. She is a native of Fort Washington, MD and was eager to come back to familiar roots to start her career as a Cardiologist.
Dr. Washington’s interest in medicine started early as both her parents were in the medical field. Her inspiration is derived from the sacrifice of her parents as well as countless other health care workers that dedicate their careers in service to others.
Her specific interests in Cardiology include coronary artery disease and prevention, women’s cardiovascular health, and health disparities. Coronary heart disease or disease of the arteries that supply the heart is highly prevalent in the US with an estimated 20.5 million Americans with the diagnosis 2. Among women, it is often difficult to recognize the signs and symptoms of a heart attack and can often get overlooked1
Dr. Washington looks forward to working with and delivering care to the patients within the southern Maryland area. She truly believes knowledge is power and arming patients with the knowledge and tools necessary to guide them through their journey to better cardiovascular health.

Degrees/Training: Bachelor of Science, Ohio State University, Columbus, OH, Dental Hygiene, Pre-Dentistry; University of Maryland Dental School, Doctor of Dental Surgery, Baltimore, MD; Pete Dawson Center, Tampa, FL; Zimmer Institute
Professional Memberships/Associations: Academy of General Dentistry; American Dental Association
Areas of Interest: Preventative, Cosmetic, Endodontic and Prosthetic Dentistry
Practice Philosophy: To provide patients with state-ofthe-art treatment together with personal attention and compassionate care. My expertise and concern for my patients ensures that they receive effective care in a warm and friendly environment.
Our Practice: White Plains Comprehensive Family Dentistry welcomes you to their new practice in White Plains, MD. We offer complete dental exams and procedures for the entire family.
Whether you are having a dental emergency or it’s time for your yearly check-up, stop in and see our friendly and professional staff today.

10111 Martin Luther King Jr. Highway, Suite #102 Bowie, MD
6196 Oxon Hill Road Suite #240, Oxon Hill, MD

Dr. Trent has a passion for helping people. She has practiced Audiology since 1984, in a number of clinical settings. Her diverse career has included 16 years of teaching and clinical supervision at Howard University, Washington, DC and Temple University, Philadelphia, PA. Dr. Trent has also worked as a clinical audiologist in hospital settings and private ENT practices.
Education:
Clinical Doctoral Degree – Audiology-University of Florida, Gainesville, FL
Master of Education – Audiology- Northeastern University, Boston, MA
Bachelor of Science – Communication Sciences and Disorders – Hampton University, Hampton, VA
Dr. Trent holds her Maryland State Licensure in Audiology. She is a Certified Clinical Audiologist (CCC-A) through the American Speech-Language-Hearing Association (ASHA). Presently, she serves on the Board of Directors for ASHA as Vice President for Audiology Practice.









Namita K. Thapar-Dua (Chaudhary) Providing Mobile Dental Care

Servicing Senior Living Communities and Homebound persons in their private homes of any age. (In Maryland, Virginia and parts of D.C.)

K. Thapar-Dua, DDS 20528 Boland Farm Road, Suite #215, Germantown, MD 20876 Email: reception@srsmile.com – Website: www.SrSmile.com Fax #: 301-637-3222


Michael Rogers, DDS, is pleased to be able to offer beautiful smiles to his neighbors in Arlington and the surrounding communities. Dr. Rogers earned his dental degree from UCLA after graduating cum laude from Harvard University. Prior to entering private practice, he served a general practice residency at Sepulveda Veteran’s Hospital. Dr. Rogers has invested significant time into ongoing education, seeking to learn emerging dental technologies and techniques in the areas of cosmetic dentistry, implant dentistry, sleep apnea treatment, orthodontics, temporomandibular joint (TMJ) disorders, and safe amalgam replacement. His most recent training in airway management has allowed him to offer a cure for sleep apnea using an intraoral device known as the DNA appliance. He is a member of the International Academy of Oral Medicine and Toxicology, American Academy of Dental Sleep Medicine, American Academy of Craniofacial Pain, and also of Mercury-Free Dentists. He has served as a guest author for TMJ News & Views, and when that publication ceased, began his own quarterly newsletter. You may have seen one of his television interviews on “A New Me” or the local PBS station, or seen his articles and features in Ladies’ Home Journal, Arlington Magazine, and New Beauty.
Dr. Rogers is an active participant in the community as a sponsor for Encore Theater, Little League of Alexandria, Abingdon Elementary, and the local Fairlington Farmer’s Market. He and his wife Terri enjoy spending time with their daughter Megan and her husband Corey traveling around the country and the Caribbean.

(located inside of Hol-Body Yoga Studio)
Family Wellness Services
• Natural and Herbal Remedy Consults
• Family Planning
• Childbirth Education
• Natural Healing Education
Women’s Health/Womb Wellness
• Birth/Postpartum Doula Services
• Fertility Support
• Womb Meditation
• Womb Massage
• Vagi/Yeni Steams
Spiritual and Mental Wellness
• Etheric Touch Sessions
• Reiki Sessions
Coming Soon:
• House Blessings
• Divinations
• Doula Training begins October 2025 for in person and virtual classes
Shirleta Henson McKann 443-265-9393
319 Crain Highway S. Glen Burnie, MD 21061
Open on Tuesdays by appointment only
Facebook: DReM’s Legacy Holistic Wellness Center
Instagram: @drems.legacy.holistic.wellness


By Steven Watson
LCSW-C,
APHSW-C, Psychosocial
Clinical Practice Specialist Hospice of the Chesapeake
Dementia is a disease that is frustrating, confusing and scary—not only for the patient, but also for the family members caring for them. The journey for these caregivers comes with long-term emotional strain and changing family dynamics.
For families whose loved ones are hospice patients, specialized support comes from a clinical team that includes a nurse, physician, certified

nursing assistant, chaplain, volunteers, and social worker. Let’s take a closer look at the role of a hospice social worker in dementia care.
Social workers offer critical emotional support and help caregivers navigate complex and often difficult family dynamics. For example, an adult child may feel unsure, awkward or even guilty about stepping into the role of decision-maker for their parent. A social worker helps them recognize the importance of what they’re doing and reassures them that it’s okay to prioritize self-care.
Since dementia caregiving can be a 24/7 responsibility, social workers are often the ones to connect families with essential resources such as respite care, home care aides and community programs designed to ease the load.
Dementia caregivers also face the daily challenge of managing memoryrelated behaviors—confusion, forgetfulness, wandering or agitation. Social workers are familiar with many practical tools that can help keep a loved one safe at home. They also assess a patient’s home for safety hazards, offering ways to make it more secure.
In memory care or assisted living facilities, a caregiver’s role may shift from daily hands-on care to advocacy. Even in these settings, families play a key role. Hospice social workers help bridge communication between families and facility staff to ensure care remains consistent and centered on the patient’s needs.
Perhaps one of the most powerful things a social worker provides is simply being there—what many call the “Ministry of Presence.” Caregivers often feel alone or hesitant to express their deeper emotions. A social worker’s calm, non-judgmental presence can offer immense comfort.
Most dementia caregivers are facing a long journey. People with dementia can live 8 to 10 years after diagnosis and tends to progress slowly. This brings something called anticipatory grief. This happens when caregivers start mourning their loved one long before they die. Hospice social workers are skilled counselors in grief care. Ultimately, social workers help caregivers balance their own wellbeing with ensuring their loved ones get compassionate, well-coordinated care. By offering guidance, advocacy and emotional support, they become invaluable partners for families navigating the challenges of dementia caregiving.



By Joyce Abramson, RNMS Charles County Freedom Landing
Depression is a major health concern in our country and discriminates against no particular group. The
disease affects all races, ages and has no regard for income. The focus of this article, however, is the expanding number of older folks who may experience depression.
Although adults 60 years and older compose 13% of the U.S. population, the use of mental health services is below the expected limit of use. Older Americans are disproportionately likely to commit suicide. Individuals over 65 account for 20% of all suicide deaths, with white males

A psychiatric rehabilitation program offering a day component, residential, vocational and in-home support services.

Let us show you how to move from the solitude of symptoms to the freedom of achievement.
OFFERING: Wellness and Recovery Community Center - This is a program that provides support from peers for both mental health and substance use disorders for people actively working on their recovery.


background is the fundamental goal of our every action, with the practice of medicine being recognized and honored as a uniquely noble pursuit.

being particularly susceptible.
Up to 5% of those persons over 65 suffer from some form of depression. This does not include the normal experiences of sadness, loss, or grief that all people feel as part of living. Major depression is persistent and can interrupt people’s ability to function. Depression should not be considered a normal phenomenon of growing older.
Both health care providers and the patient may have difficulty recognizing the signs of depression.
The National Institute of Mental Health has listed a few questions to consider when discussing general health concerns and the possibility of depression.
If some of these feelings or symptoms are persistent, lasting more than several weeks, and occur more often than not, talk about them with your healthcare provider. This may provide the best way to properly diagnose the problem and have a positive result ––feeling better.
Ask yourself if you are feeling nervous or “empty”, guilty or worthless, very tired or slowed down, don’t enjoy
things the way you used to, restless or irritable, as if no one loves you, life is not worth living. Are you sleeping more or less than usual, eating more or less than usual, having persistent headaches, stomach aches or chronic pain?
Some of these symptoms may be present with other illnesses as well, however, the possibility of depression should not be overlooked.
New technologies reveal that in depression neural circuits in the brain that control mood, thinking, sleep, etc. can fail to function properly and that the chemicals used by the brain to communicate are out of balance.
Antidepressant medications and psychotherapy are effective treatment for depression. More than 80% of people with depression improve when they receive appropriate treatment. This includes the older population.
Your primary care provider, local office on aging or local mental health providers are resources where additional information may be gathered on available services.

By Janet V. Johnson, MD Loving Care Pediatrics
“First visit by first birthday.” This is the view of the American Academy of Pediatric Dentistry. Pediatricians agree. The American Academy of Pediatrics suggests that children who are at risk of early childhood cavities visit a pediatric dentist by age one. National studies have shown that preschool-aged children are getting more cavities. More than one in four children in the United States has had at least one cavity by the age of one. Many kids get cavities as early as age two.
To prevent early childhood cavi-
ties, parents first have to find out their child’s risk of developing cavities. They also need to learn how to manage diet, hygiene and fluoride to prevent problems.
But cavities aren’t all that parents need to learn about their child’s dental health. The age one dental visit lets parents discuss the following important facts
How to care for an infant’s or toddler’s mouth
1. Proper use of fluoride
2. Oral habits, including finger and thumb sucking
3. Ways to prevent accidents that could damage the face and teeth
4. Teething and milestones of development
5. The link between diet and oral health
After this first visit, the pediatric dentist will suggest a schedule of follow-up visits. In the past, dentists typically called for visits every six months. However, this schedule may vary according to each child’s needs
Please see “Dental Visit,” page 62




Annapolis Asthma, Pulmonary & Sleep Specialists
Sleep and weight control are deeply connected — yet many people overlook this relationship when trying to manage their weight. While diet and exercise rightly receive much attention, poor sleep can undermine even the best efforts at healthy living.
One key reason sleep matters is its effect on appetite-regulating hormones. When sleep is restricted, levels of ghrelin, the “hunger hormone,” rise, while levels of leptin, the hormone that signals fullness, decline. This imbalance can lead to increased cravings, overeating, and poor food choices, especially a preference for calorie-dense and carbohydrate-rich foods.
Inadequate sleep also affects metabolism. Studies have shown that even a few nights of poor sleep can
impair insulin sensitivity, making it harder for the body to regulate blood sugar levels. Over time, this increases the risk of weight gain and type 2 diabetes. Chronic sleep deprivation may also slow metabolism overall, reducing the number of calories burned at rest.
Beyond hormones and metabolism, fatigue itself can reduce the likelihood of engaging in physical activity. When people feel tired, they may be less motivated to exercise or may cut workouts short, further contributing to weight gain over time.
Sleep disorders such as obstructive sleep apnea (OSA) are particularly relevant. OSA is more common in individuals with excess weight, but it also contributes to difficulty losing weight by fragmenting sleep, lowering
Please see “Healthy Living,” page 63

By Dawn Cutillo Founder of BeBalanced Natural Weight Loss Centers
Semaglutide injections like Ozempic and Wegovy have exploded in popularity as a new weight loss “solution.” These medications curb appetite and regulate blood sugar by mimicking a hormone called GLP-1. But while many are quick to jump on board, the long-term story is less glamorous.
Studies show users may lose up to 15% of their body weight over 68 weeks – but nearly half of that is lean body mass like muscle and bone, not just fat. Even more concerning, up to 75% of users regain the weight once the injections stop. Many also report side effects like nausea and fatigue.
Natural, holistic approaches to weight loss – especially those tailored to women over 40 – may offer a gentler and more sustainable alterna-
tive. These approaches often focus on working with the body’s unique chemistry to support hormone balance, gut health, and insulin sensitivity. Addressing common roadblocks like stress, poor sleep, inflammation, and hormonal shifts may improve outcomes without the side effects associated with medications.
Individuals who follow natural hormone-focused wellness programs experience benefits such as moderate weight loss, improved mood and energy, reduced bloating, and better sleep. Some people also explore these approaches while using semaglutide to support muscle preservation or to prepare for transitioning off the medication. If you’re frustrated with shortterm fixes or unsure about what happens after the injections end, know that there are non-medication-based strategies that aim to promote balance and long-term wellness.
Over 70 million Americans suffer from sleep disorders. Sleep problems affect both sexes, all races and all age groups.
Left untreated, sleep disorders can pose serious threats to your health. Heart attack, heart failure, irregular heartbeats, stroke, diabetes, hypertension, acid reflux, attention deficit disorder and depression are conditions associated with sleep problems.
At Annapolis Asthma, Pulmonary & Sleep Specialists, we provide expert diagnosis and treatment to help you achieve restful, healthy sleep.






“BeBalanced gave me my life back! By learning about my body, lowering stress and sugar, and balancing my hormones naturally, I have lost 50 pounds to date. I finally feel like I am living again. Although the weight loss was amazing, my anxiety reduced, sleep issues improved, and my digestive issues and hot flashes were eliminated. I have more energy and I feel better in my own skin. Almost all joint pain has been eliminated. Through this journey, I got my confidence back. Most importantly, I got me back!
Thank you BeBalanced!”
– Susan, Crofton client


Located in scenic Southern Maryland, Studio 5 Hair Gallery is well known in the medical community for customized solutions for hair loss. We provide the finest synthetic and human hair wigs, hair extensions, and top-of-the-head hairpieces. For over 12 years, Studio 5 Hair Gallery has served its clients with compassion and excellence. call 301.884.3553 for your appointment today! Please mention this Flier when setting up your appointment.














COSMETIC SURGERY
• Breast Augmentation
• Abdominoplasty (Tummy Tuck)
• Liposuction
• Hair Transplants
• Mommy Makeover
• Facial Surgery
NON-INVASIVE TREATMENTS
• Botox®, Dysport®, Xeomin®*
• BellaFill®
• Juvederm*
• Restylane®*
• TempSure Envi
• Endermologie
• Zerona
• Lipolight LASER TREATMENT
• Hair Removal
• Vein Treatment
• Laser Resurfacing
WELLNESS SERVICES
• Bioidentical Hormones (BHRT)
• ED Treatment for Men
• Medical Weight Loss


the Friendship Heights Metro)







By Quansheng Lu, CMD, PhD, LAc Wholelife Chinese Medicine & Acupuncture Center
Over countless millennia, Traditional Chinese Medicine has unfurled its therapeutic embrace within the

heart of China, casting its influence across horizons, notably igniting a luminous ascent in Europe and the United States. An ever-swelling throng now turns its gaze toward the realm of Chinese medicine and its kindred spirit, Complementary and Alternative Medicine (CAM), seeking the nurturing touch of holistic healthcare. Painted upon the canvas
Wholelife Acupuncture & Fitness Center
Quansheng Lu, CMD, PhD, L.Ac www.wholelifeherb.com • luquansheng@gmail.com
Guest professor, Henan University of Traditional Chinese Medicine (TCM) Chief TCM Physician, WFCMS; M.S. in TCM, Beijing University of TCM PhD in integrated medicine, China Academy of Chinese Medical Sciences Fellowship, Georgetown University & Children’s National Medical Center 3 patents, 8 books of TCM, 30 papers, 30+ years of experience in TCM
back pain
nephritis
eczema
Hungerford Drive, #300 Rockville, MD 20850




of statistics by the National Center for Complementary and Alternative Medicine (NCCAM), the year 2007 witnessed a remarkable transformation, with 38% of adults, 44% of those aged 50-59, and even 12% of the youthful cohort embarking on a CAM journey.
Within this multifaceted tapestry of medical exploration, epilepsy emerges as a poignant narrative thread, tracing its roots back to the ancient pages of the Chinese Medicine Classic, the Huang Di Nei Jing, penned more than two millennia ago. The venerable tradition of Chinese herbal medicine and the refined choreography of acupuncture stand as the principal pillars of this ancient healthcare symphony.
In the gallery of recent studies, a vibrant tableau of promise takes shape, capturing the potential of Chinese medicine’s potent blend of herbal alchemy and acupuncture in the
treatment of epilepsy. Woven within this tapestry are the age-old remedies, with herbal blessings bestowed upon humanity since the dawn of antiquity. Consider, for instance, tian ma, the esteemed root of Gastrodia, a staple within China’s pharmacopeia, renowned for its role in addressing epilepsy and other maladies.
The annals of medical history unveil an intriguing trio of cases, where individuals grappling with intractable epilepsy found solace through the traditional herbal formulation Bu-yanghuan-wu-tang. Echoing through the corridors of time are the resounding endorsements from reviewers, spotlighting studies that illuminate the potential anticonvulsant properties of Chinese herbal remedies like Qingyangsen and Zhenxianling, offering a harmonious note of hope with fewer dissonant side effects compared to conventional antiepileptic medications.
Please see “Epilepsy,” page 65

Part Two
Last month’s article focused on the symptoms and diagnosis of corns and calluses. This month’s article will focus on prevention and treatment.
Prevention
In most cases, you can help to prevent corns and calluses by wearing shoes that fit properly. In particular, choose low-heeled, comfortable shoes that have enough space around the toes. Wear socks to cushion any areas of unusual rubbing or pressure. Use doughnut-shaped pads that fit over a corn and decrease pressure and friction.
Treatment
If your corns and calluses are painful, your podiatrist will shave
away some of the thickened skin to relieve pain and pressure in the affected area. Although many people can do this themselves, podiatrists can make sure the procedure is done safely. Your podiatrist also may recommend that you modify your footwear to prevent your problem from returning. For example, pads or “donuts” made of moleskin, lamb’s wool, foam or felt will cushion the affected area. Corrective shoe inserts will redistribute the forces that cause friction and pressure inside your shoes, relieving some of the stress on your feet when you walk. Your podiatrist may ask you to return regularly to have your feet examined and your corns and calluses shaved, if necessary. You also can minimize corns by regularly rubbing them with a pumice stone, which is available in most podiatrist offices.
Foot surgery may be necessary to treat corns and calluses that keep returning and are not relieved by padding, shoe inserts and periodic shaving. Never try to shave or cut a corn or callus on your own.
Instead, use a pumice stone to trim it down safely. Also, you can use nonprescription medications to dissolve corns and calluses. These Please see “Calluses,” page 63

Submitted by E. Taylor Meiser, DDS
Lighthouse Family Dentistry
Bacteria from dental plaque not only attacks the soft tissue, but will eventually attack the bone causing teeth to fall out. The most common strain of bacteria in dental plaque can cause blood clots that induce heart attacks when they enter into the blood stream. Additional studies presented that dental plaque is linked to:
• A potentially fatal disease called infective endocarditis in which the sac around the heart becomes infected with bacteria
• Lung infections in people with chronic lung diseases such as chronic obstructive pulmonary disease.
• Weakened immune systems that can slow wound healing and diminish a person’s response to vaccines against hepatitis B and influenza.
• A higher risk of giving birth to premature, low birth weight infants.
Treating gum disease has become more important than ever due to these findings. Soft tissue management is a non-surgical approach to control the infection of the gums and root surfaces. There is no cure for gum disease; it can only be managed or controlled.
Your hygienist will perform the treatment, also known as scaling and root planing, to treat the infection, make recommendations to help you effectively clean your teeth daily, and guide you through the efforts to achieve and maintain optimum oral heath.
Scaling and root planing is the
Please see “Dental Disease,” page 63

Kensington Pharmacy, in addition to having your prescriptions filled with speed and accuracy, you will experience one of the best services and notice the difference.
With 14 employees, Kensington Pharmacy gives a special attention to each customer that they deserve. Stop by and experience the difference.
Submitted by Kensington Pharmacy
Do you have a nasal allergy?
Nasal allergies cause the lining of your nose to become swollen and inflamed. Do you have:
• A runny nose with a thin, watery discharge?
• Nasal itching and congestion?
• Red, itching eyes?
• Sneezing?
• Drainage from your nose down the back of your throat?
If so, you may be a nasal allergy sufferer. Your pharmacist can help you decide whether to see a doctor or whether to treat your symptoms yourself.
The next question to ask yourself is if your allergies are perennial, seasonal, or both?
Many different triggers can cause nasal allergies.
Perennial Triggers
• Dust mites
• Animal hair or dander
• Indoor mold
Because these triggers are present all the time, these allergies are said to be perennial.
Seasonal Triggers
• Pollen from trees
• Ragweed
• Grass
• Weeds
Because these triggers are around only during certain times of the year, these allergies are said to be seasonal. Some people suffer from both perennial and seasonal allergies. They may have symptoms all year round, but they tend to be worse during certain seasons.
How Do I Avoid the Triggers That Cause My Nasal Allergies?
Avoiding triggers entirely probably is not possible. But you can do a number of things to minimize them. Talk to your doctor or pharmacist about specific products – such as filters and bedding covers – that can help you clear your environment of triggers.
Please see “Nasal Allergies,” page 65
• Prescription Refills via On-line or Phone 24 hours a day
• Flu Shots, Shingles and Pneumavac Vaccines
• Prescription Plans including Medicare Part-D and Part-B, CVS-Caremark
• Transfer Of Your Prescriptions
• Compounding Specialists
• Wide Vitamin Selection
• And More Kensington Pharmacy
• Blisterpacking For Assisted Living Facilities
• BOIRON Homeopathic Remedies
• Greeting Cards, Select Books and Gifts
• Wide Home Health Care Selection Wheelchairs, Canes, Walkers, Medical Legsupport, Arthritis and Sport Aids, Bath Aids
• Toys and Books for Children

By Brittney de Vicq, MAc, LAc West Annapolis Acupuncture
pain management options.
Dental pain can range from mild discomfort to severe agony, often requiring immediate attention and relief. While traditional dental interventions are effective, some individuals seek alternative methods to manage pain. Acupuncture, a practice rooted in ancient Chinese medicine, has gained recognition as a complementary therapy for dental pain. By understanding its principles and applications, individuals can make informed decisions regarding
Understanding Acupuncture: Acupuncture involves the insertion of fine needles into specific points on the body to stimulate the flow of energy, known as Qi, along meridians. In dental pain management, acupuncturists focus on acupoints located around the face, jaw, and head region. By stimulating these points, acupuncture aims to rebalance the body’s energy and promote pain relief.
Dental Pain Relief Mechanisms: Acupuncture’s pain-relieving effects in dental procedures can be attributed to several mechanisms. Firstly, acupuncture stimulates the release of endorphins, natural painkillers that provide a sense of wellbeing. Secondly, it influences the

Committed to Healing to Achieve
de Vicq, Mac, lac www.westaNNapolisacupuNcture.coM
treat health coNcerNs with acupuNture
• CHRONIC FATIGUE
• DEPRESSION
• BACK PAIN
• JOINT PAIN
• ASTHMA
• STRESS
Now acceptiNg aetNa, aNd Blue cross/care First. practiciNg iN MarylaNd siNce 2004. 703 GiddinGs Avenue suite u3, AnnApolis, Md 21401




autonomic nervous system, reducing inflammation and promoting relaxation, which can alleviate dental pain. Lastly, acupuncture may help modulate pain signals within the central nervous system, effectively reducing the perception of pain.
Clinical Applications: Acupuncture has shown promise in various dental conditions, including toothaches, temporomandibular joint (TMJ) disorders, post-operative pain, and dental anxiety. For toothaches, acupuncture can provide temporary relief by reducing inflammation and desensitizing the affected area. In TMJ disorders, acupuncture can help alleviate muscle tension and promote relaxation, reducing pain and improving jaw function. Additionally, acupuncture has been used as an adjunct therapy to manage post-operative dental pain and as a calming technique for patients experiencing dental anxiety.
Acupuncture treatment for dental pain is highly individualized. Acupuncturists consider the patient’s specific dental condition, pain severity, and medical history to develop a personalized treatment plan. The number of sessions required may vary, depending on the individual’s response and the nature of the dental issue being addressed.
Acupuncture presents a promising alternative for dental pain relief, offering a holistic approach that complements traditional dental interventions. By stimulating the body’s natural healing mechanisms, acupuncture can effectively reduce dental pain, improve oral health, and enhance overall well-being. Individuals seeking additional pain management options can consider acupuncture as a complementary therapy in consultation with their dental healthcare providers.

By Gena Schultheis, DDS Annapolis Green Dental
Dental health goes beyond a beautiful smile; it plays a crucial role in maintaining overall well-being. Holistic dentistry is a comprehensive approach that considers the interconnection between oral health and the body’s systemic conditions. By prioritizing natural treatments and minimizing invasive procedures, holistic dentistry aims to promote long-term health. This article explores the philosophy behind holistic dentistry and highlights some of the services offered in this approach.
Dentistry and Overall Health: The mouth serves as a gateway to the body, and studies show strong correla-
tions between oral health and systemic conditions like heart disease, stroke, diabetes, and Alzheimer’s. Holistic dentists recognize this connection and strive to address health issues through a comprehensive approach. This includes considering the impact of dental treatments on the body, choosing safe materials, and utilizing natural treatment options.
Natural, Holistic Treatments: Holistic dentistry offers a range of services designed to prioritize patient health and minimize environmental impact. Some of these treatments include:
• SMART (Safe Mercury Amalgam Removal Technique) amalgam removal
• Chemical-free cleanings
• Metal-free dental materials (crowns, bridges, veneers)
• Ozone therapy for bacteria elimination
• Biocompatibility testing
• Fluoride-free tooth remineralization
• Minimally invasive laser treatment for gum disease




A neck lift can be performed for men and women of varying ages who are often frustrated by changes of the appearance of their neck and jawline. Depending on your age, a neck lift can be a short one-hour procedure to remove fat or a 3-hour procedure to remove fat, visible neck bands, and excess skin.
Remove Excess Skin (Cervicoplasty) • Liposuction to Remove Excess Fat
Remove or Alter Neck Muscles (Platysmaplasty)
Liposuction can be performed alone or with surgical removal of the fat under the chin through a small incision under the chin.
In patients with vertical bands in the neck, a platysmaplasty can be performed to reduce the appearance of the bands.
Sometimes a chin implant is recommended to improve the overall contour and help with excess skin.
Lift
Facelift (MACS LIFT)
Eyelid Lift


Chin Implant







Nose Reshaping






















needs of each patient. Whether you’re undergoing a complex procedure or a routine dental treatment, your peace of mind is our priority.
Patient-Centric Approach: At Total Dental Care, we prioritize your comfort with a patient-focused approach, offering amenities such as heated chairs with massage features, ensuring a relaxed experience. Our team is dedicated to fostering a positive dental experience, emphasizing
beliefs, emotions, habits, and experiences – everything that isn’t in our current awareness but still influences our behavior. The subconscious doesn’t reason like the conscious mind; it simply records and responds. It accepts everything we feed it, especially through repeated thoughts and emotional experiences, and uses that information to guide our automatic reactions, intuition, and sense of identity.
Thoughts – especially the ones we repeat often – create patterns in the subconscious. When we consistently think a certain way, whether positively or negatively, our subconscious begins to accept those thoughts as truths. For instance, if someone repeatedly thinks, “I’m not good enough,” the subconscious absorbs that idea and shapes behavior to match that belief – often without the person even realizing it. In contrast, positive affirmations like “I am capable and worthy” can create empowering internal programming when practiced regularly.
This connection between thought and the subconscious is what makes our mind so influential over our lives. The subconscious acts like a magnet, drawing into our lives the situations, people, and experiences that align with
their diabetic medications. Many will not need to go back on these medications. Other conditions that are reversed or have significant improvement include high blood pressure, high cholesterol, sleep apnea, acid reflux and arthritis.
Better Quality of Life
Individuals experience increased energy, increased stamina and better mood. For many, it means no more shortness of breath when walking, being able to walk farther distances, reduction in the joint and back pains that have been present for
page 62 | Your HEALTH Magazine
from page 12
communication and education to empower patients in making informed decisions about their oral health.
Total Dental Care stands as a beacon of excellence in dental health, providing total solutions for patients seeking comprehensive, detail-oriented care. Experience the difference with our wide range of services and patient-focused approach, ensuring your journey to a healthy smile is seamless and satisfying.
from page 12
our dominant thoughts and beliefs. This is why people often say, “Change your thoughts, change your life.” By becoming aware of what we’re thinking and reprogramming our subconscious with supportive, loving, and empowering beliefs, we can shift the direction of our lives.
Tools like meditation, visualization, hypnosis, and affirmations are effective ways to communicate with the subconscious. These practices quiet the conscious mind and open the gateway to the subconscious, allowing us to plant new mental seeds that align with our goals and desires.
Our conscious thoughts shape our subconscious beliefs, and together they direct the path of our lives. By taking responsibility for what we think and nurturing our inner world with intention, we become active participants in the creation of our life experience – rather than passive observers. Everything we have or don’t have, and everything we do, started as a thought.
Look at your thoughts… wow!! And the good thing about thoughts is, you can always change them. So don’t get stuck in your thoughts. Change your thoughts like a remote control –simply change the channel.
from page 17
years, or simply getting more restful sleep at night. There is a greater tendency to engage in social events and feeling comfortable, especially so with children and grandchildren.
Decreased Health Costs
Improved health means cutting down on daily medication needs, spending less on medications, and decreased need for medical visits and hospitalizations. Improved health also means avoiding health complications that may be waiting over the next 5-10 years or further into the future.
hormonal issues in men and women can interfere with metabolism. Also many common medications such as antidepressants and proton pump inhibitors (acid reducers) can make it hard to lose weight.
Are you exercising? Typically, exercise is 20-30% of the equation when it comes to weight loss. Remember, muscle burns calories much more than fat. For every extra pound of muscle you put on, your body uses around 50 extra calories a day. If you have lost muscle mass from not exercising or from medical reasons (like chronic steroid use) it may take very few calories to maintain your body weight. This is why some people claim, truthfully, that they hardly eat, but can’t lose weight.
Once these issues are looked at, for the vast majority of people with weight issues, weight gain is a function of excess calories, simple carbohydrates and insulin resistance. Insulin is a hormone in our body that converts sugars into fat (triglycerides), and drives that fat into fat cells and blocks the exit of fat from fat cells. Countless patients with a lifetime of weight struggles, or new issues as they age, who get these is-
and risks. As the child grows, the dental team can help you, the parent, learn how to prevent common oral problems.
Before leaving the office, you should have a clear idea about 1. Your child’s development 2. Your responsibilities
sues addressed find that weight loss becomes much easier.
Be aware of and reduce the carbohydrates and sugars in your diet. As well intermittent fasting can augment this process by reducing the period of time when people eat during the day. And then finally using supplements and medications to reduce insulin resistance will help. This includes a new class of medications called Glucagon-like peptide-1 receptor agonists, also known as GLP-1 receptor agonists, can make a remarkable difference in getting weight off. Medications that recieved much publicity such as Ozempic and Mounjaro can address the underlying biochemistry and “food noise”—the obsession with food that haunts many people. Also the complex biochemistry of hunger and feeling full that are mostly a function of our brain chemisty can be adressed with these medications
So the critical hing to know is that there are answers to getting the weight off. Even if this has been a long-term struggle, you should not give up and find a doctor who can help you.
from page 48
3. Follow-up care by the dentist
4. Your child’s likelihood of having problems with cavities or bite
You should have your questions answered. You also should know what you and the dentist can do together to make sure your child has excellent oral health.
regarding the appropriate exercises for their condition. This personalized approach ensures a safe and effective exercise routine.
By focusing on strengthening exercises that target the core musculature, individuals can fortify their back muscles and reduce the frequency of back pain episodes. Fortunately, there is a wide range of corestrengthening activities that can be performed in a gym or even at home without significant equipment costs.
To find core stabilization exercises tailored to your needs, consult your chiropractor. Additionally, incorporating cardiovascular activities into your routine offers additional benefits. These activities promote proper digestion, maintain muscle
from page 17
tone, and enhance circulation. For instance, a brisk walk around the block, regardless of your fitness level, is a convenient and popular cardiovascular activity.
If you’re seeking guidance on initiating an exercise routine to alleviate back pain, look no further than your local chiropractor. They possess the expertise to help you get started and provide personalized recommendations based on your specific needs and goals.
Unlock the power of chiropractic care and exercise in tandem to improve your overall health, reduce back pain, and embark on a journey towards a more vibrant and active lifestyle. Take the first step and consult your chiropractor today.
Gradually increasing activity levels helps the body adapt to new stresses. Sudden changes, like dramatically increasing mileage or intensity, raise the risk of overuse injuries. Incorporating rest days and cross-training — such as swimming or cycling — can reduce repetitive stress on the feet and ankles.
Warming up before exercise and stretching after workouts can help maintain flexibility in the foot and ankle muscles and tendons. Special attention should be paid to stretching the calves, Achilles tendon, and plantar fascia, which all play a role in supporting foot function during movement.
Weight management itself plays an important role. Carrying excess
page 18
body weight increases the load on the feet and may contribute to conditions like arthritis or tendonitis over time. Even modest weight loss can reduce strain on the feet with every step.
If foot or ankle pain develops, it’s important not to ignore it. Early attention to minor injuries — including rest, ice, and supportive care — can prevent them from becoming chronic problems. When pain persists or interferes with activity, medical evaluation is recommended. In some cases, surgical intervention may be needed to address significant injuries or structural problems.
By taking proactive steps to protect their feet, individuals can safely enjoy the many benefits of an active lifestyle.
a ll- on-four
oral health. But perhaps the biggest surprise about the all-on-four is how quickly it can transform your life.
What’s The All-On-Four
Dental Implant Procedure Like?
First, either local or general anesthesia will be administered.
Second, the dentist or surgeon will prepare your mouth for the implants, which involves removing your remaining teeth that are failing. They will then remove any diseased or infected tissue from your jaw and gums.
Next, they will insert the titanium screws into your jawbone. Most likely,
from page 16
they will place two implants toward the front of your mouth and two towards the back of your mouth so the “anchors” can evenly bare the force of the denture.
After the implants have been placed, they will thoroughly clean the surgical sites and suturing all the incisions. Then you’ll be taken to a recovery room where you can relax and take time to wake up from the anesthesia.
Schedule a consultation with an All-On-Four provider. It’s the best way to find out how dental implants can change your life.
especially in midlife. Resistance exercise (using weights, resistance bands, or body weight) helps preserve lean muscle mass, improve bone density, and support a healthy metabolism.
Even two or three sessions per week can:
• Boost resting metabolic rate
• Improve insulin sensitivity
• Reduce visceral fat (the unhealthy fat around organs)
• Enhance strength, confidence, and mobility
Exercise alone won’t maintain muscle; nutrition plays a critical role. Many women don’t consume enough protein, especially as they age. Protein needs actually increase with age due to decreased muscle-building efficiency.
Women should aim for:
• High-quality protein at every meal: poultry, fish, eggs, dairy, beans, lentils
Heat promotes blood flow, causing greater swelling. An ice bag wrapped in a towel has a contracting effect on blood vessels, produces a numbing effect, and prevents swelling and pain.
• “Applying an elastic bandage to a severely sprained ankle is adequate treatment.” False; ankle sprains often mean torn or severely overstretched ligaments, and they should receive immediate care.
• “The terms ‘fracture,’ ‘break,’ and ‘crack’ are all different.” False; all of those words are proper in describing a broken bone.
If an injury or accident does oc-
Hfrom page 25
• Adequate caloric intake to fuel workouts and recovery
• Nutrients that support muscle and bone health: calcium, vitamin D, magnesium, and iron
Takeaway For Women
If you’re struggling with weight gain in midlife despite watching your diet and exercising, it’s time to think differently:
• Prioritize strength training over endless cardio
• Assess your protein intake and overall nutrition
• Consider whether thyroid health may be a hidden factor
• Be kind to yourself—your body’s needs are changing, but you can adapt.
You’re not fighting your body— you’re learning how to care for it in this new chapter. Strength, energy, and a healthy metabolism are possible at every age with the right approach.
cur, the steps you can take to help yourself until you can reach your podiatric physician are easy to remember if you can recall the word “rice.”
• Rest. Restrict your activity and get off your foot/ankle.
• Ice. Gently place a plastic bag of ice wrapped in a towel on the injured area in a 20-minute-on, 40-minute-off cycle.
• Compression. Lightly wrap an Ace bandage around the area, taking care not to pull it too tight.
• Elevation. To reduce swelling and pain, sit in a position that allows you to elevate the foot/ankle higher than your waist.
oxygen levels, and increasing fatigue. This creates a cycle: poor sleep can contribute to weight gain, and weight gain can worsen sleep apnea.
Improving sleep quality is an important and often overlooked part of a successful weight control plan. Prioritizing consistent bedtimes, limiting caffeine and alcohol in the evening, creating a restful sleep environment, and addressing underlying sleep disorders can all help.
For individuals struggling with both sleep problems and weight man-
from page 50
agement, it’s important to recognize that treating one may help improve the other. If symptoms such as snoring, daytime sleepiness, or frequent awakenings are present, evaluation for conditions like sleep apnea should be considered.
Good sleep is more than rest — it’s a foundational pillar of overall health, supporting appetite control, metabolism, energy levels, and ultimately, success in maintaining a healthy weight.
treatment of the diseased root surfaces below the gum line. This differs from a routine prophylaxis (cleaning) because it emphasizes cleaning below the gum line where the plaque thrives. Scaling and root planing focuses on eliminating tartar and plaque and detoxifies the root surfaces where the disease occurs before it reaches the bone where it is not reversible.
What your dentist hopes to accomplish with soft tissue management:
• Gums that do not bleed. Healthy gums do not bleed. Bleeding is a
treatments commonly contain salicylic acid, which may cause irritations, burns, or infections that are more serious than the corn or callus. However, people with diabetes, poor circulation, reduced feeling or no flexibility, eyesight should avoid these products. When To Call a Professional Make an appointment to see your
sign of infection.
from page 57
• Fresher breath and taste.
• Gums that are pink, firm, and knife edge inter dental papilla.
• Reducing pocket depth.
• Control of gum disease. Patients with gum disease are placed on a three-month re-care. This is a requirement for successful therapy. Studies have shown that within three months the plaque recycles itself. It is very important for those who have gum disease to receive routine treatment.
from page 56
podiatrist if you have painful corns or calluses. If you have diabetes or poor circulation, examine your feet every day. For the best view, use a mirror to inspect the soles of your feet and the skin folds between your toes. If you see an area of redness, swelling, bleeding, blisters or any other problem, call your doctor/podiatrist promptly.
ACUPUNCTURE
Eastern Medical Holistic Healing Center – Angel Wood – 240-755-5925 –www.Acupuncture4Wellness.Webs.com.
West Annapolis Acupuncture – Brittney de Vicq, LAc, MAc – 410-375-9716 – BrittneyAcupuncture.com – Annapolis, MD.
CHINESE MEDICINE & ACUPUNCTURE
Quansheng Lu, CMD, PhD, LAc – www.WholelifeHerb. com – 301-340-1066.
CHIROPRACTIC
Kovach Chiropractic & Wellness Center – Alicia Kovach, DC – 410-697-3566.
Effective Integrative Healthcare – Crofton 410-774-0644 – Millersville 410-729-2200 –Lanham 301-577-6556.
DENTISTRY
Cosmetic Dental FX – Judy Yu, DMD, MBA – 410-3600440 – www.DentalFXMD. com – Pasadena, MD.
Lighthouse Family Dentistry –E. Taylor Meiser, DDS – 410224 4411 – Annapolis, MD. Karl A. Smith, DDS – Waldorf, MD – 301-638 -4867. Craig A. Smith, DDS – 7201 Hanover Parkway, Suite A, Greenbelt, MD – 301-4461784 – www.craigasmithdds. com.
EYE CARE
McNelly Optical, Inc. – 410263-2692 – www.McNellyOptical.com – Annapolis, MD.
FERTILITY
Montgomery Women’s Fertility Center – 301-946-6962 –MontgomeryFertilityCenter. com – Rockville, MD.
HOME CARE
At Home Care, Inc. – 301421-0200 – AtHomeCareInc. com – Since 1977.
New Day Vitality Hormone Center – 410-793-5212 –Arnold, MD and Easton, MD – NewDayVitality.com.
INTEGRATIVE MEDICINE
Alan Weiss, MD, Annapolis Integrative Medicine – 410266-3613 – 1616 Forest Drive, Suite #3, Annapolis, MD 21403.
MEDICAL SPACE
Charles Feitel Company – 301571-9333 – www.MedicalandDentalSpace.com.
Perry L. Johnson – Local Medicare Specialist – 301-793-4571 pjohnson.perry@gmail.com.
MENTAL HEALTH SERVICES
Charles Co. Freedom Landing, Inc. – 301-932-2737 or 301-870-3969.
House Calls, LLC – 301346-6732 – CallingOnBeth@ gmail.com – www.CallingOnBeth.net.
Charles C. Reel, MD – Maryland Gait and Balance Disorder Center – Charlotte Hall, MD – 301-290-0395.
PAIN MANAGEMENT
Georgetown Pain Management – Netsere Tesfayohannes, MD, ABA, ABAP – 301-718-1082 – 8120 Woodmont Ave., Ste 560, Bethesda, MD – 7300 Hanover Dr., Ste 204, Greenbelt, MD.
Newbridge Spine and Pain Center – 301-638-4400 –www.NewbridgeSpine.com.
PHYSICAL THERAPY/ REHABILITATION
Active Physical Therapy. Various Locations across Maryland and Washington, DC. Active-physicaltherapy.com.
Bowie Foot Care – Howard Horowitz, DPM – 301-4645900.
Largo Foot and Ankle Health Center – Ade Adetunji, DPM – 301 386 5453.
PRIMARY CARE
Loving Care – Janet Johnson, MD – Hyattsville, MD – 301-403-8808.
PROSTHETICS
Metro Prosthetics – 301-4590999 – www.MetroProsthetics.com
Brooke Grove Retirement Village – 18100 Slade School Road, Sandy Spring, MD 20860 – 301-260-2320 – www.bgf.org.
Chevy Chase Home Care. Help at a time you need it most. Any Ages. Any situations. Any shifts. MD, DC, VA – www.CHCHHomeCare. com – 202-374-1240.
St. Mary’s Nursing & Rehabilitation Center – 301-475-8000 – Leonardtown, MD – www. StMarysNursingCenter.com.
UROLOGY
AA Urology – IR Center , 600 Ridgely Avenue, Suite #120, Annapolis, MD – Annapolis , 600 Ridgely Avenue, Suites #222-223, Annapolis, MD – East Campus Surgery Center, 600 Ridgely Avenue, Suite #130, Annapolis, MD – AA Urology – Odenton, 1106 Annapolis Road, Suite #250, Odenton, MD.
Glen Burnie , 305 Hospital Drive, Suite #303, Glen Burnie, MD – Bowie, 4201 Northview Drive, Suite #201, Bowie, MD – West Campus Surgery Center, 7855 Walker Drive, Suite #102, Greenbelt, MD –Greenbelt, 7855 Walker Drive, Suite #100, Greenbelt, MD. VETERANS
Charlotte Hall Veterans Home – 301-884-8171 – Waldorf, MD. WEIGHT LOSS
The Bariatric and Hernia Institute – Dr. Etwar McBean – 240-206-8506 – www.TBHInstitute.com.
Toni’s Happy Hour Yoga and Holistic Wellness Center –Toni Greene, Owner – 301449-8664.










for $24, or 2) Simply mail this form along with your check for $24:
Health Magazine 4201 Northview Dr. Suite 102 Bowie, MD • 20716
How Can I Control My Symptoms?
Seasonal and perennial nasal allergies can be treated effectively using medications. Many are available without a prescription. Talk to your doctor or pharmacist to determine which one of these is best for you.
Antihistamines:
• Oral medications (taken by mouth)
• Nasal sprays
How it might help:
• Reduces itching, sneezing, eye irritation, and runny nose.
What to keep in mind:
• Not effective for nasal congestion.
• May cause drowsiness.
• Antihistamine nasal sprays may leave a bad taste in the mouth.
Decongestants:
• Oral medications (taken by mouth)
• Nasal sprays
How it might help: Reduces nasal congestion.
What to keep in mind:
4
• Can cause difficulty sleeping, loss of appetite, or excessive nervousness.
• Decongestant nasal sprays may temporarily reduce nasal congestion but can cause even more severe congestion if used for more than 3-5 days or more often than recommended.
Cromolyn Sodium Nasal Spray:
How it might help: Effective in some people for controlling symptoms of nasal allergies.
What to keep in mind:
• Works only if used before nasal symptoms appear.
• Won’t work during an active allergy attack
Corticosteroid Nasal Spray:
How it might help:
• Highly effective treatment of nasal allergies.
• Used as the primary preventive treatment for patients with moderate to severe allergies.
What to keep in mind:
• May cause nasal dryness.
• As an oral medication, can be taken over the short term (3-7 days) for treatment of severe symptoms.
• Cold lasers for TMJ pain
• Natural teeth whitening
• Second opinions to avoid root canal therapy and more advance techniques for when a root canal is needed
• Supplements and natural remedies for oral health and pain prevention
Airway Dentistry: Holistic dentistry extends to addressing airwayrelated issues, recognizing the impact of breathing on overall health. Airway dentistry includes treatments for sleep-disordered breathing conditions like obstructive sleep apnea and snoring. By improving breathing patterns, holistic dentists aim to alleviate symptoms of neurological disorders and chronic diseases.
ClearCorrect and Invisalign: For those seeking discreet orthodontic solutions, ClearCorrect and Invisalign offer
In the elaborate mosaic of healing, acupuncture emerges as a poignant brushstroke, gracefully wielded by Traditional Chinese Medicine. Anecdotal accounts intertwine with mouse studies, suggesting the potential efficacy of acupuncture against epileptic seizures and the cellular toll they bear. A Norwegian chapter adds to this tapestry, where a trial involving 29 individuals grappling with unyield-
the risk of chronic bad breath (halitosis), tooth loss, and painful dental emergencies. And for people with diabetes, maintaining oral health can help stabilize blood sugar levels and reduce complications.
Think of your six-month dental visit as a wellness check, not just a
importantly—it’s about self-trust.
Build that trust with movement. Start with 15 minutes of walking each morning or stretch before bed. Try resistance bands or bodyweight exercises at home. You don’t need fancy equipment—you need consistency, intention, and the willingness to show up for yourself.
Nutrition, too, is part of this confidence equation. Feed your body to fuel it, not punish it. Eat meals that nourish—lean protein, complex carbs, healthy fats, and a rainbow of produce. Drink your water, not to shrink, but to thrive.
from page 58
comfortable and nearly invisible options for straightening teeth. These systems use clear aligners that are removable for easy maintenance of oral hygiene.
TruDenta® and Myofunctional Therapy: TruDenta® is a holistic approach to treating chronic headaches and migraines by addressing the root causes. Myofunctional therapy, on the other hand, focuses on correcting tongue and facial muscle functions, addressing issues like airway obstruction, TMJ disorders, and speech impediments.
Eco-Friendly Dentistry: Annapolis Green Dental is committed to ecofriendly practices, minimizing waste, reducing water and energy consumption, and using non-toxic materials. The office follows green dentistry principles to create a healthier environment for both patients and the planet.
from page 56
ing epilepsy explored the potential of acupuncture, revealing promising but not yet statistically significant results.
The choreography of healing, however, often calls for a dual performance, harmonizing herbal medicine with acupuncture in a synergistic dance. Typically spanning 3-6 months, this therapeutic pas de deux seeks to mend the discordant notes of epilepsy, crafting a melody of health and vitality.
cleaning. It’s a small investment of time with a big return: better health, early detection of disease, and a confident smile.
So, the next time you consider skipping your dental appointment, remember—it’s not just about teeth. It’s about taking care of your whole body.
from page 20
six-pack doesn’t cancel out your progress. Confidence grows when we stop chasing someone else’s version of beauty and start honoring our own.
As we embrace fall, don’t cover up your body out of shame. Wrap it in movement. Fuel it with care. Speak to it with kindness.
Your body has carried you this far—and it deserves your respect. This season, don’t wait to feel good about your body. Move with it. Eat for it. Believe in it.
And remember—comparison is the thief of joy. Someone else’s
Because the mirror may lie— but movement always tells the truth.
anyones health.
Myth #4 – Carbohydrates Will Make You Fat
Eating bagels, white bread, snack foods, and relying too heavily on pasta will certainly add extra pounds, and ultimately encourage diabetes as well. But the right type of carbohydrates provide a slow, sustained release of energy that prevents blood sugar spikes and keeps
from page 19
us feeling satisfied. Brown and wild rice, barley, oatmeal, and other whole grains, as well as beans can be the staples of a very healthy diet. They are rich in fiber, which absorbs excess fats and cholesterol in the gut, and can be very beneficial to weight loss and general health. A look at traditional diets, of which whole grains and beans of some kind are a cornerstone, reveal some of the healthiest and leanest populations on this earth.
from page 22
semaglutide injections lost an average of 12.4% of their initial body weight compared to individuals who received placebo. Losing 5% to 10% of body weight has been associated with a reduced risk of cardiovascular disease in adult patients with obesity or those who are overweight.
couraging clients to stay active.
Finally, massage may help reduce minor aches, postural imbalances, and areas of tightness that can lead to injury — making it easier for individuals to keep moving safely and effectively.
In short, while massage therapy
If your weight loss efforts need a boost, consider weekly semaglutide injection therapy.
from page 10
does not directly cause weight loss, it can support individuals in many key areas: reducing pain, decreasing stress, improving recovery, and encouraging consistency in exercise routines. For anyone pursuing a healthier lifestyle, massage can be a valuable part of their wellness plan.


