Maryland October 2025 Edition

Page 1


Michael Whalen, MD Urologic Oncology Jeffrey L. Brown, DDS TMJ & Sleep Apnea Treatment
Rami Makhoul, MD Metro Colorectal Surgery Matthew Skancke, MD Metro Colorectal Surgery

At the Minimally Invasive Vascular Center (also known as MIVC) we have long been committed to addressing the vascular devastation that is rampant in our community. Each year cardiovascular disease is the world’s largest killer; killing more Americans than cancer. If you have painful legs, wounds that won’t heal, varicose veins, leg swelling, history of smoking, or have a family history of vascular problems and/ or are over the age of 50, you may suffer from poor circulation. Poor circulation may be responsible for causing erectile dysfunction in as much as 50 to 70 percent of men who develop the condition. Now we are happy to add expanded services! Our goal is to extend the healthy lifespan of our patients by using a comprehensive, integrative approach to achieve the most effective results. We believe that Beauty Is a Reflection of Health and Wellness. We want you to be as beautiful on the outside as you are healthy on the inside.

• Primary Care

• Wound Care

• Comprehensive Weight-Loss (including injectables)

• Aesthetics

• Age Spots

• Cellulite

• BOTOX® Cosmetic

• Fillers

• Microneedling w/PRP and Exosomes

• PRP Hair Restoration

• Spider Veins

• Body Contouring

• CoolSculpting

• Laser

• CoolTouch Laser

• Laser Hair Removal

• Laser Pigment Removal

• Laser Skin Resurfacing

• Laser Skin Tightening

• Skin Treatments

• Acne Scars

• PRP Injections

• Chemical Peels

• HydraFacial

• Microdermabrasion

• Sun Damage

• Vascular Procedures

• Arteriograms

• Atherectomy

• Balloon Angioplasty

• Radiofrequency Ablation – Veins

• Venogram

• Uterine Fibroid Embolization

• Coil Embolization

• Sexual Enhancement

• Hormone Therapy

• Gainswave

• P-shot/O-shot

In This Edition…

The articles below are provided by local health professionals for the benefit of the public. Please contact them for advice and services.

7 | Kyphoplasty: Treatment For Spinal Compression Fractures | By Netsere Tesfayohannes, MD, ABA, ABAP

8 | Detecting and Preventing Urologic Cancers: What You Need To Know | By Kari Bailey, MD

10 | Understanding GYN Cancers: What Every Woman Should Know | By Rupen Baxi, MD 11 | Cancer and Periodontal Disease | By Karl A. Smith, DDS, MS

12 | Your One-Stop Solution For a Healthy Smile | Submitted By Total Dental Care

13 | The Role Of Occupational Therapy In Recovery | By Kaitlyn Berry

14 | Innovative Treatments For TMJ | By Jeffrey L. Brown, DDS

16 | All-On-Four Dental Implants | Submitted By Sivakumar Sreenivasan, DMD, MDS

17 | A Tiny Camera With a Big Job: Capsule Endoscopy For Kids | By Ahmet Aybar, MD

18 | Cancer: Improving the Odds | By Alan Weiss, MD

18 | Cancer and Chiropractic Care | By Alicia Kovach, DC

19 | Gallstones: A Common Cause For Abdominal Pain | By Etwar McBean, MD, FACS

20 | Is Massage Safe For Cancer Patients? | By Holly Dunbar, CMT, RH (AGH)

21 | What Is a Hammertoe? | By Howard Horowitz, DPM

22 | Colon Cancer Risk Reduced In Women Using HRT | Submitted by New Day Vitality Hormone Center

22 | How Cannabis May Help With Cancer | By Sharron Sample, CEO

23 | It’s Time To Rethink Water Fluoridation | By Elizabeth Shin, DDS

24 | A Journey Of Healing | Submitted By Elon Roshell Day Spa & Health

24 | Facing Cancer: The Emotional Journey | By Maureen Vernon, PhD

26 | How Metabolic and Hormonal Health Shape Cancer Risk | By Milca Kaplan, NP

27 | Keeping Maryland Residents Connected | By Maryland Relay/Telecommunications

38 | Restoring Confidence From the Roots Up | Submitted By Purely Hair Trichology

30-38 | Featured Cancer Professionals + New Technology

44 | Get the Flu Shot: Take the Lead In Your Health | By Janet V. Johnson, MD

44 | Trichology Support For Chemo Patients | By Jaimi Jackson, Certified Trichologist, Owner

47 | Acupuncture: A Path Of Hope For Cancer Patients | By Tierra Hardin, DOM, LAc

48 | How Nature-Informed Counseling Supports the Grief Journey | By Roberta P. Rook, MA, LCPC

52 | Prevention Starts With You: Everyday Habits That Fight Cancer | By Dr. Tiffany Daniel

54 | Embracing Holistic Dentistry For a Healthier Smile and Body | By Gena Schultheis, DDS

56 | Sleep and Cancer Prevention | By Annapolis Asthma, Pulmonary & Sleep Specialists

57 | Essential Oils and Acupuncture | By Brittney de Vicq, MAc, LAc

57 | Acupuncture For Side Effects Of Cancer | By Quansheng Lu, CMD, PhD, LAc

58 | Cancers Of the Legs and Feet | By Ademuyiwa Adetunji, DPM

58 | Recovery and Mental Illness | By Joyce Abramson, RNMS

59 | Screening Tests For Oral Cancer | Submitted by E. Taylor Meiser, DDS

59 | Over-the-Counter Medicines and Drug Interactions | Submitted By Kensington Pharmacy

Your Health Magazine is on a mission. There are far too many people, insured or not, who do not go to the doctor when they should, and in millions of cases, don’t know who they should go to, or why.

People are encouraged to buy a new house, car, cell phone or big screen TV, and those companies make themselves very visible and their products easily attainable.

Information about, and from, local healthcare providers is not easy to find, and many times those services are difficult to access.

Information and encouragement always lowers fear and trepidation about anything, and this is especially true in healthcare. While general information is available on web-sites, specific information from local providers is almost impossible for people to find. This is one of the key reasons chronic and episodic conditions are not cared for. It is our mission to:

Make A Difference By Empowering and Encouraging People To Live Healthier By Going To the Doctor When They Should.

There is a lot of evidence that the health professionals who participate in Your Health Magazine have helped many people over the years. We at Your Health Magazine salute you!

If you would like to find out how you can participate in one of our upcoming editions, please contact the office nearest you.

MARYLAND & WASHINGTON, DC OFFICE One Town Center 4201 Northview Drive, Suite 102 Bowie, MD 20716 Office (301) 805-6805 • Fax (301) 805-6808 info@yourhealthmagazine.net

VIRGINIA OFFICE Office (301) 805-6805 info@yourhealthmagazine.net

© Your Health Magazine, 2025. The magazine and all of its contents are protected by copyright. For permission to reproduce any materials in this magazine, contact info@yourhealthmagazine.net.

The content in Your Health Magazine and provided on yourhealthmagazine. net is for informational and educational purposes only and is not intended as a substitute for professional medical advice, diagnosis, or treatment. Always consult with a qualified healthcare provider before starting any exercise program, making changes to your health routine, or acting on any health-related information found on the Internet, or anywhere else.

In the United States this year, 700,000 people and one out of every four post-menopausal women will suffer from a painful bone injury called a vertebral compression fracture. This common type of bone injury results in the collapse of a vertebra, a type of bone that makes up the spine. Although there is a safe, effective, and minimally invasive therapy available, two-thirds of these fractures fail to be diagnosed. This is unfortunate, as missing this condition can result in under-treated pain, limitations on daily activities, breathing problems, and dependence on dangerous pain medications.

Bone density in both women and men starts to decrease after age forty, but the loss of density greatly accel erates after women enter menopause and can progress to osteoporosis, a disease characterized by very low bone density. Although most compres sion fractures occur in patients with osteoporosis, one-third of vertebral compression fractures occur in patients without osteoporosis.

If a fracture occurs suddenly, patients can experience sudden severe back pain that often wraps around the sides and is felt in the chest. Because of this, it is sometimes confused with diseases of the heart or the lungs. The pain is often worse when standing, sitting-up, or walking around. If very severe, the patient can have trouble breathing.

Kyphoplasty Treatment For Spinal Compression Fractures

kyphoplasty that can quickly, safely, and effectively treat a patient’s pain without the long-term use of opioids and other pain medications.

If an acute compression fracture is present on an MRI, a patient should be referred to a pain management physician or another physician who performs kyphoplasty. This procedure can often be performed in a doctor’s office, preventing the need for an overnight stay in a hospital. On the day of the procedure, the patient is given a medicine to relax and then is asked to lie on their belly. An x-ray machine

is then used to locate the fractured bone and a narrow tube is placed into it through a very small opening in the skin. A small balloon is inflated within the bone to create a small space and the fracture is then filled with bone cement. The entire procedure can take as little as 45 minutes. Many patients feel immediate pain relief and are able to return to their daily lives the day after the procedure. However, some patients may take a week or longer to feel better.

Kyphoplasty most successfully reduces a patient’s pain within two

Patients who have symptoms of a fracture should see their doctor for evaluation. After an examination that suggests a vertebral compression fracture, they will often be sent for an MRI. This imaging shows the level of the fracture and also reveals whether it is old or new. Some doctors treat compression fractures with pain medicine, physical therapy, and bracing. However, many cases continue to cause severe pain and long-lasting health effects unless treated more definitively. Unfortunately, many patients and physicians are not aware that there is a minimally invasive procedure called

weeks following a fracture. Unfortunately, if the window of opportunity is passed, the pain can become more challenging to treat and further complications can occur.

If you think you or someone you care about is experiencing symptoms of a vertebral compression fracture, be reassured that there are safe, effective, and minimally invasive therapies available. Schedule an initial pain evaluation at Georgetown Pain Management to determine if you’re eligible for kyphoplasty or other pain therapies. Most insurances are accepted and new patient evaluations are currently being scheduled. As awareness of this condition increases and more patients are offered kyphoplasty as a minimally-invasive therapy, it is hopeful that fewer patients will have to live with the severe pain that results from vertebral compression fractures and can return to their full lives more quickly and comfortably than before.

Netsere Tesfayohannes, MD, ABA, ABAP Medical Director

Detecting and Preventing Urologic Cancers What You Need To Know

Urologic malignancies encompass a range of cancers that affect the urinary system, including the kidneys, bladder, ureters, prostate, and testicles. These cancers present challenges in diagnosis, treatment, and management, making awareness and education essential for both patients and healthcare providers.

Types Of Urologic Malignancies

Kidney Cancer: Renal cell carcinoma (RCC) is the most common type

of kidney cancer. Risk factors include smoking, obesity, and hypertension. Symptoms may include blood in urine, persistent back pain, and unexplained weight loss. Early detection is crucial, often achieved through imaging studies such as ultrasound or CT scans.

Bladder Cancer : This is characterized by malignant growths in the bladder lining. The most common symptom is hematuria (blood in urine). Risk factors include smoking, exposure to certain chemicals, and chronic bladder infections. Diagnosis

often involves cystoscopy and biopsy, while treatment may include surgery, chemotherapy, or immunotherapy.

Prostate Cancer: One of the most prevalent cancers among men, prostate cancer typically grows slowly and may not present symptoms in early stages. Risk factors include age, family history, and race. Screening methods like PSA (prostate-specific antigen) tests are vital for early detection. Treatments vary from active surveillance to surgery and radiation therapy.

Innovative Treatments

Testicular Cancer : Although rare, testicular cancer is the most common cancer in young men aged 15 to 35. Symptoms might include a lump in the testicle, swelling, or discomfort. Self-examinations are encouraged for early detection as early stage cancers have cure rates above 90%. Treatment usually involves surgery, and may involve chemotherapy and radiation.

Ureteral Cancer : This malignancy affects the ureters, the tubes connecting kidneys to the bladder. Symptoms can be similar to those of kidney or bladder cancer. Diagnosis often requires imaging and biopsy. Treatment options depend on the stage and location of the cancer.

Risk Factors and Prevention

Understanding risk factors is crucial for prevention and early detection. Modifiable factors include lifestyle choices such as smoking cessation, maintaining a healthy weight, and regular exercise. Additionally, awareness of family history can guide individuals in discussing screening options with their healthcare providers.

Diagnosis and Treatment

Diagnosis of urologic malignancies typically involves a combination of physical exams, imaging tests, and laboratory tests. Biopsies are often necessary to confirm the presence of cancer. Once diagnosed, treatment plans are tailored to the individual’s needs and may involve surgery, radiation therapy, chemotherapy, or targeted therapies.

The Importance Of Early Detection

Early detection significantly improves the prognosis for patients with all types of cancer, including urologic malignancies. Regular check-ups and discussions about risk factors and symptoms with healthcare professionals based on your individual lifestyle and habits. For instance, men over 50 or those with a family history of prostate cancer should consider regular screenings with PSA and/or DRE.

Kari Bailey, MD

Understanding GYN Cancers What Every Woman Should Know

cervical, ovarian, uterine (endometrial), vaginal, and vulvar cancers. While each cancer type presents differently, they all share one important truth: early detection can save lives.

Cervical Cancer

Gynecologic cancers include malignancies that develop in a woman’s reproductive organs—most commonly

Once a leading cause of cancer death in women, cervical cancer has become far more preventable with regular Pap tests and HPV vaccination. Precancerous changes are often

detected before cancer develops, making routine screening critical. Warning signs may include abnormal bleeding between periods, after intercourse, or after menopause.

Ovarian Cancer

Often called the “silent killer,” ovarian cancer can progress without obvious symptoms until it is advanced. However, persistent bloating, pelvic pain, difficulty eating, and urinary

OASIS WOMEN’S CENTER

urgency or frequency should never be ignored. Because there is no reliable screening test, awareness of symptoms and family history is key. Women with genetic mutations such as BRCA1 or BRCA2 face higher risk and should discuss preventive strategies with their providers.

Uterine (Endometrial) Cancer

This is the most common gynecologic cancer in the United States. Abnormal uterine bleeding—especially postmenopausal bleeding—is the hallmark warning sign. Obesity, diabetes, and long-term unopposed estrogen use increase risk. Fortunately, when detected early, endometrial cancer is highly treatable.

woman’s

Vaginal and Vulvar Cancers

Though rare, cancers of the vagina and vulva are important to recognize. They are often associated with HPV infection and may present as itching, burning, persistent sores, or unusual discharge. Any changes in these areas warrant evaluation.

Taking Charge Of Your Health

Gynecologic cancers remind us of the importance of regular checkups, open conversations with healthcare providers, and attention to bodily changes. Screening tools such as Pap smears, HPV testing, and ultrasounds, combined with genetic counseling when appropriate, provide powerful opportunities for early diagnosis. Women should also be aware of their family history, maintain a healthy lifestyle, and seek care promptly when something feels wrong. Awareness not only increases the likelihood of early detection but also empowers women to advocate for themselves.

Cancer and Periodontal Disease

Can a dental exam save your life? Regular dental appointments are strongly encouraged so that your dentist may look for any unhealthy conditions and catch them before they become big problems with even bigger costs.

Loss of teeth and increased cost of dental procedures are not the only reasons to see a dentist today. It is now clear that gum disease should be added to the list of factors that cause unhealthy body conditions. There is an extremely high risk of developing heart disease, diabetes, liver disease, blood diseases, heart attack, and stroke. With the latest research there is now evidence to add cancer to the list of gum disease related illnesses. According to the Center for Disease Control and Prevention (CDC), 47.2% of adults who are over 30 years of age in the United States have some type of periodontitis. With age, this rate increases, so that 70.1% of U.S. adults over 65 years old have this disease. Dental patients with moderate forms of gum disease have an overall 14% increased risk of developing cancer according to recent studies.

If you have any form of gum disease, even mild gingivitis, the normal act of brushing your teeth or chewing allows bacteria to enter your blood stream. The blood stream then carries the bacteria throughout the body. Studies have also found that gum disease is linked to a higher chance of pancreatic, lung, kidney and blood cancers in both smokers and nonsmokers. There was a 33% increase in the risk of lung cancer.

There was a 50% rise in the chance of kidney cancer and a 38% rise in pancreatic cancer. Blood cancers such as leukemia rose by 30% among men with gum disease. In another study it was found that for each millimeter of bone loss in chronic periodontitis, a serious form of gum disease, there was a four times the increase in head and neck cancer.

Searching for a precise connection goes on and will hopefully one day lead us to a cure but for now it is thought that untreated gum disease can trigger a substantial reduction in the immune response and cause damage to the immune system. This in turn makes it easier for the cancer to grow. It is also possible that the bacteria from the gum disease could be directly causing the cancer themselves. Further studies will be done in the coming months and years.

It is now clear that gum disease should be added to the list of factors that cause unhealthy body conditions.

What can be done today? See a periodontist. A periodontist is a special dentist that can determine your level of periodontal disease and help determine your risk factors. A referral is not required. Patients with a recent cancer diagnosis should see a periodontist prior to starting chemotherapy or radiation. They can help catch and treat these bacteria early to lower your risk in later years. Call a periodontist today and set up a complete periodontal evaluation. It just might save your life.

– Dental Implants To Restore Your Beautiful Smile

– Caring & Kind Dentist & Team

– State-of-the-Art Equipment

– Laser Periodontic Therapy

– Affordable Gum Treatment

– Insurance Accepted & Filed

– Ultra-Sterile Environment

– No Referral Needed

– Comfortable Sedation Dentistry

Includes Initial Exam, Full

Our patients mean the world to us (and they love to refer to us as friends and family). My team works together to ensure your visit is enjoyable, and that your treatment is gentle and pain-free. We are deeply committed to help you prevent and treat periodontal (gum) disease, and to enhance your smile to improve your overall health.

Healthy Teeth & Gums for the WholeFamily!

Your One-Stop Solution For a Healthy Smile

Submitted By Total Dental Care

Maintaining optimal dental health is crucial for overall well-being, and finding a dental office that offers comprehensive care under one roof is a game-changer. Total Dental Care is a well-established dental practice that takes pride in providing detailed and comprehensive services in various specialties, ensuring patients receive topnotch care for their unique dental needs.

General Dental Services: Total Dental Care excels in offering a wide array of general dental services, including routine check-ups, cleanings, and preventive care. Our experienced team focuses on early detection and intervention to prevent dental issues from escalating.

Specialized Services: Whether you require orthodontic adjustments, periodontal treatments, Invisalign, dental implants, prosthodontics, oral

surgery, extractions, root canals and endodontic treatments, or restorative and cosmetic dentistry, Total Dental Care has you covered. Our specialists are experts in their respective fields, ensuring you receive tailored treatments for your specific dental concerns.

Cutting-Edge Technology: Total Dental Care stays at the forefront of dental technology, offering services such as digital intra-oral cameras, cone-beam CT scanners, and teethin-a-day. Our commitment to utilizing advanced techniques ensures effective and efficient treatments while minimizing complications.

Sedation Options: Understanding the anxiety some patients may feel, Total Dental Care offers laughing gas, oral sedation and IV general anesthesia options. Our goal is to create a comfortable and stress-free environment, catering to the individual

Please see “Healthy Smile,” page 62

The Role Of Occupational Therapy In Recovery

Breast Cancer Awareness Month is a reminder not only to prioritize early detection, but also to support those navigating treatment and recovery. While medical teams focus on curing cancer, rehabilitation specialists play a vital role in helping patients regain function, independence, and quality of life.

Working with an Occupational Therapist (OT) who specializes in oncology rehabilitation and is a Certified Lymphedema Therapist (CLT) can

be beneficial before, during, and after treatment. Before surgery, chemotherapy, or radiation, an OT can educate patients on exercises, signs/symptoms of fibrosis or lymphedema, and strategies to reduce complications and support recovery. During treatment, OTs help manage fatigue, neuropathy, scar tissue, and swelling while teaching energy conservation and adaptive techniques to maintain daily routines.

After treatment, long-term side effects such as lymphedema, pain, reduced range of motion, and “chemo brain” can interfere with daily life. An OT/CLT provides personalized interventions including manual lymph drainage, skin care, compression garment guidance, exercise programs, and cognitive strategies to restore balance and confidence.

Cancer rehabilitation is about more than healing the body—it’s about empowering survivors to live fully. Partnering with an oncology rehab OT ensures that every step of the journey is supported, from diagnosis through survivorship.

Revolutionizing Health Care

ONCOLOGY RELATED CONDITIONS:

• Lymphedema

• Chemotherapy Induced Peripheral Neuropathy (CIPN)

• Neural Tension Relief

• Axillary Web Syndrome (AWS) aka Cording

• Fine motor needs

• Pain

• Weakness

• Chronic Fatigue

• Decreased range of motion

• Radiation fibrosis

• Scar tissue restrictions

• Breast Capsular Contracture

• Skin care

• Nutrition ...and more

277 Peninsula Farm Road, Building 3, Suite “I”, Arnold, MD 21012 (Located within Inspire Wellness Center) www.MagothyTherapy.com • kbarry@magothytherapy.com 202-681-1779

ACCEPTING NEW PATIENTS

Call now to find out if the ABC Custom Breast Prosthesis is right for you.

Some insurance companies may cover the cost of a custom breast prosthesis. Give us a call so that we can discuss your options.

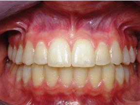
Innovative Treatments For TMJ

There are many innovative approaches used to address maxillary and jaw concerns. The approach is focused more on holistic treatments like Appliance Therapy, Nuebie Machine, Laser Therapy, and Massage Therapy but there is another treatment to help. Whether waiting for treatment effects to happen or adjunctive to current

treatment, there is another route which is Botox injections. Our holistic treatment approach is outlined below, the technologies and what one can expect.

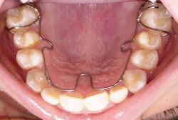
The Modified Gelb appliance aims to decompress the tissues of the jaw joint and allow the discs to go back into position. Its purpose is to eliminate adverse loading forces and stabilize both TM joints and reduce the pressure on the nerves and blood vessels within the fossa (jawbone sock-

ets). This helps restore physiological function, decreasing pain, increasing the range of motion, and decreasing joint sounds.

The ALF appliance is a lightweight wire appliance that applies light forces to the maxilla. When the levels of the cranial bones (the sphenoid, mastoids, and occiput) are uneven, this can torque and twist the cranium into an unnatural position causing discomfort to the body. The appliance realigns malpositioned segments of the maxillary complex.

We Are NOT Your Typical Dental Office

The Neubie is an electrical stimulation device that sends direct current signals precisely to where the pain is being experienced or to the limited movement of the muscle area. The system will “reset” neurological patterns to help “re-teach” the body to the correct optimal state or function. This helps with increasing range of motion, reducing spasms, increasing blood flow, relieving pain, and more.

Laser therapy is the use of photobiomodulation technology. The nonthermal laser results in therapeutic treatment for musculoskeletal injuries, alleviating pain, and chronic or degenerative conditions. The light source is placed in contact with the skin, resulting in the restoration of normal cell function and enhancement of the body’s healing processes.

Dr. Jeffrey Brown has limited his practice to focus only on TMJ Disorders, Craniofacial Pain Management and Sleep Apnea. By fixing slipped discs in the jaw joints, Dr. Brown can significantly reduce the pain patients experience in the head/neck region and other symptoms associated with jaw joint problems. Sleep & TMJ Therapy may be able to improve the quality of life for you or a loved one – we encourage you to contact us with any questions or concerns.

“Dr. Brown and his staff are absolutely wonderful. I was diagnosed with Dystonia. I could not turn my head and had a ton of pain. My doctors offered no help and no advice besides Meds and Botox. Since having the appliance I have NO pain and I can turn my head. I would highly recommend them to anyone. I feel Dr. Brown and his staff really care about their patients and helping them to get better. They do not just numb the symptoms but fix the problem. Thank you from the bottom of my heart. I feel like the old me again!”

- D. Thomas

“My daughter has been treated by Dr. Stack and Dr. Brown for the last 2 1/2 years, and we are very fortunate to have found them. Prior to that she was being treated by a neurologist at a Children’s hospital. She was on medications for tics and associated muscle pain, OCD/repetitive thoughts, sleeplessness and more (all possibly associated with Tourettes). Drs. Stack and Brown installed spacers to alleviate pressure on nerve bundles in the jaw, and subsequently braces to complete the process. Her symptoms have diminished significantly. She is off medication, her tics have all but disappeared, she can concentrate better in school, and she is once again cheerful and relaxed.”

Massage Therapy gently works the muscles of the head and neck region to stimulate blood flow and the release of toxins. This allows the muscles to heal faster and provides much-needed relief to sore and tense muscles.

Botox treatment is an adjunctive treatment to our appliance therapy. It is used as a means to relax the tension within the jaw muscles and help alleviate the symptoms of pain. These trigger points are defined as a knot or tightness within the muscle when it fails to relax. This causes irritation with the surrounding nerves and can cause referred pain (pain felt in another part of the body). An advantage is that normal function (speaking, eating, or swallowing) is unaffected. The procedure is non-surgical, and impairment is not a concern for driving. The procedure begins with a complete review of health history, and the target area is marked.

Our team is here to support you through these steps, ensuring each aspect of your treatment is clear and effective. Always consult your doctor, as some of these treatments are restricted by certain medical conditions.

Jeffrey L. Brown, DDS
Jeffrey L. Brown, DDS

Back pain is the second most common reason people visit physicians in the US, with neck pain close behind. The spine and adjacent tissues are pivotal in nearly all major bodily movements.

Chiropractic services are used most often to treat neuromusculoskeletal complaints, including but no limited to back pain, neck pain, pain in the joints of the arms or legs, and headaches.

Our Doctors are Nationally FMSCA Certified. Done by appointments only. Call today to schedule! Drug and Alcohol Testing also Available.

Since opening in 2003, Winters Chiropractic & Physical Therapy has remained dedicated to providing expert chiropractic, physical therapy, and DOT/CDL services. Our doctors provide tailored treatments that ensure you make the most gains at a comfortable, steady pace. The ultimate goal of any chiropractic or physical therapy program is to restore your physical health to its previous form. With our small practice, we have the advantage of maintaining personal relationships without compromising our ability to provide advance care.

The Only Non-invasive Laser Device With FDA Approved, IRB, and Clinically Proven Results For: Fat Reduction, Aesthetics, Cellulite Elimination, Weight Reduction, and Inch Loss.

• Natural, safe, laser light energy is pulsed and absorbed by the subcutaneous tissue.

• Supercharges the body’s metabolism through ATP synthesis to burn fat as energy.

• Waste products are expelled from the body via sweat, urine and respiratory exhaustion.

• The body continues to burn fat for up to 4 hours after treatment.

• Collagen and elastin production is increased within the skin layers to rejuvenate and repair skin cells addressing cellulite, skin laxity and stretch-marks.

Implants

Can just four implants replace all of the teeth on the top or the bottom of your mouth? Thanks to advances in dental implant technology, that answer is a resounding yes.

Tooth loss is extremely common among adults, especially as we age. Rather than living with the discomfort and hassles of dentures, many people are opting for what is called “all-onfour” dental implant restoration.

An implant is a small titanium

screw that fits inside your jawbone and replaces the root-part of a missing tooth. Minor surgery is required to insert the implants. Once the implant is in place, a crown is attached to give you a highly realistic-looking and functional prosthetic tooth.

You do not need a dental implant for each and every one of your missing teeth. All you need is four precisely placed implants on the top of your mouth, and four on the bottom, to restore your full smile. That’s the beauty of the all-on-four. And because the implant is made of titanium, it has the unique ability to fuse to living bone and function as part of it. So eventually, the dental implant becomes part of the jawbone and serves as a strong, longlasting foundation for your new teeth.

Besides ensuring that your implants are permanently fixed in place, this bone fusion has another important benefit: it prevents future bone loss in the jaw. This helps to maintain a more youthful facial structure – and better

Please see “All-On-Four,”

A Tiny Camera With a Big Job Capsule Endoscopy For Kids

Evaluating the small intestine has historically been one of the greatest challenges in gastroenterology. Traditional endoscopy and colonoscopy provide excellent visualization of the upper and lower digestive tract, but the middle segment—the small intestine—remains difficult to examine. For children, who often require careful, minimally invasive approaches, this limitation can delay diagnosis and treatment. Capsule endoscopy has transformed this field, and one of the most advanced tools available today is the CapsoCam Plus® system.

especially valuable for conditions that affect the small bowel. Children with suspected Crohn’s disease, unexplained abdominal pain, irondeficiency anemia, or obscure gastrointestinal bleeding may benefit from capsule endoscopy when other tests are inconclusive. The 360-degree field of view allows clinicians to detect subtle ulcers, inflammation, vascular malformations, or other abnormalities that might otherwise remain hidden.

An important advantage of CapsoCam Plus ® is its patient-friendly design. For many children, the idea of a lengthy hospital procedure or an-

esthesia can be intimidating. Capsule endoscopy eliminates the need for recovery time and often allows the child to resume normal daily activities while the study is underway. Because the capsule stores images internally rather than transmitting them to external receivers, children do not need to wear wires or recording devices, further reducing discomfort and selfconsciousness.

Nutritional health is also closely tied to small bowel function. Malabsorption, celiac disease, and inflammatory disorders can all interfere with growth and development. By

providing direct visual evidence of small intestinal health, CapsoCam Plus® supports timely and accurate diagnosis, which is essential for guiding dietary and medical management in young patients.

While capsule endoscopy does not replace all traditional procedures, it has become a powerful complement to other diagnostic methods. In pediatric care, where minimizing invasiveness is a priority, CapsoCam Plus ® offers a modern solution to a long-standing challenge, helping clinicians better understand and treat gastrointestinal conditions in children.

– Expert Pediatric GI Care

CapsoCam Plus ® is a capsule endoscopy technology designed to capture high-resolution, 360-degree images of the gastrointestinal tract as it passes naturally through the digestive system. Unlike traditional scopes, this method requires no sedation or invasive instruments. The child swallows a capsule about the size of a large vitamin, which contains miniature cameras, LED lights, and data storage. As it moves through the intestines, the capsule records tens of thousands of images that can later be retrieved and reviewed by the physician. In pediatric gastroenterology and nutrition, CapsoCam Plus ® is

At Annapolis Pediatric Gastroenterology and Nutrition, we specialize in diagnosing and treating digestive challenges in children from infancy to early adulthood. Our board-certified team, led by Dr. Ahmet Aybar, delivers compassionate care tailored to your child’s unique needs.

Why Choose Us?

Comprehensive Services: Treatment for conditions such as Crohn’s Disease, GERD, Ulcerative Colitis, Celiac Disease, and more.

Trusted Expertise: Procedures performed at Anne Arundel Medical Center by Dr. Aybar, a renowned pediatric gastroenterologist.

Family-Centered Care: We take the time to listen, explain, and provide guidance for every step of your journey. Capsule endoscopy has transformed this field, and one of the most advanced tools available today is the CapsoCam Plus® system.

Cancer: Improving the Odds

Cancer remains one of the leading causes of death in the United States.

In 2025, the American Cancer Society estimates 2,041,910 new cancer cases and 618,120 deaths will occur in the U.S.

The most common cancers differ by gender:

• Men: prostate, lung, and colorectal cancer.

• Women: breast, lung, and colorectal cancer.

A lesser-known fact is that lung

cancer is the leading cause of cancer death in women, claiming more lives each year than breast cancer.

Genetics and Risk

The genes we inherit play a significant role in cancer risk. While we cannot change our DNA, research shows that lifestyle choices and proactive medical care can dramatically influence both the likelihood of developing cancer and the chances of survival.

Weight, Activity, and Nutrition

Excess body weight is one of the strongest modifiable risk factors for cancer. About 74% of U.S. adults have overweight or obesity, including 40% with obesity. Maintaining a healthy weight lowers the risk of several cancers, including colorectal, breast (postmenopausal), kidney, and pancreatic cancer.

Physical inactivity also increases cancer risk. Regular exercise not only helps prevent several cancers but also improves survival after a diagnosis. Diet matters as well: eating a col-

Please see “Cancer,” page 62

Cancer and Chiropractic Care

Chiropractors

muscle, and joint discomfort, all without resorting to pharmaceuticals or surgical interventions. Employing a gentle, non-invasive, manual technique, they adeptly manipulate various joints within the body, particularly focusing on the spine.

Chiropractic therapy emerges

as a potent solution to mitigate and ease joint and muscle pain, often aggravated by procedures like surgery, chemotherapy, or radiation therapy. By realigning the spine and other joints through chiropractic adjustments, nerve function is reinstated. This comprehensive approach also tackles an array of symptoms, including but not limited to back pain, neck pain, headaches, sciatic nerve discomfort, difficult mobility, queasiness, and neuropathy (pain or numbness in extremities).

Engaging in chiropractic care additionally cultivates stress reduction, bolstered mobility, heightened flexibility, enhanced strength, and optimized function. This multi-faceted approach significantly enhances the quality of life and overall well-being.

Recently, the American Chiropractic Association (ACA) prominently featured the Cancer Treatment Centers of America (CTCA) in the cover story of its August 2013 edition of ACA News

Alicia Kovach, DC Aric Adlam, DC Kristina Anderson, DC
By Alicia Kovach, DC Kovach Chiropractic

Gallstones A Common Cause For Abdominal Pain

located on the right side of the abdomen under the rib cage. Pain can often radiate around to the back and to the right shoulder. Associated symptoms may include nausea, vomiting, or abdominal bloating. Symptoms are often aggravated by meals especially fatty or greasy meals.

The frequency of abdominal pain varies. Pain may be sporadic occurring infrequently, it may be intermittent occurring on a frequent and predictable basis, or it can be constant occurring almost daily. The pain typically occurs after meals when the gallbladder is contracting. At other times, the pain may be present due to underlying inflammation of the gallbladder regardless of meals.

AD PROOF

advertisement must be noted and faxed to YourHEALTH at (301) 805-6808 on or before the due otherwise the ad will be printed as shown below.

Gallstones are like small pebbles or stones that form within the gallbladder. They are typically made up of cholesterol or bile salts. The gallbladder is a sac-like organ on the right side of the abdomen. The gallbladder is connected to the liver, drains into the intestine and functions in digestion.

REQUIRED. Please check the appropriate box, sign and fax back to YourHEALTH.

____ Ad okay with changes indicated ____ Please call to discuss ad design Signature (REQUIRED)_______________________________________________Date_______________ proof your ad. Check for correct addresses, phone #’s and spelling of all names.

Gallstones are often present without symptoms. When symptoms develop, it is often in the form of abdominal pain

The pain of gallstones can vary in severity from mild pain to severe pain. For many people, the pain is mild and tolerable. In other instances, the pain can be severe and debilitating. It can be severe enough to warrant hospitalization. Gallstones can also lead to other

Please see “Gallstones,” page 62

ThunderBird Dental Office affectionately known as the ThunderBird, has been providing dentures and denture repairs for over 40 years. Our dental lab is on our premises which allows us to deliver same day repairs and relines. We also perform extractions for immediate dentures. Our service is prompt and personalized

Is Massage Safe For Cancer Patients?

Skilled massage can offer many benefits to cancer patients in the midst of treatment or on the road to recovery. Clinical research outcomes report that massage can reduce many of the common complaints such as nausea, pain, depression, anxiety, and fatigue. Because of the special

Holly Dunbar, LMT, Herbalist RH (AHG), Certified Aromatherapist

We welcome John Colein, LMT to our growing practice, offering therapeutic massage, reflexology, prenatal massage, hot stone, and manual lymphatic drainage services

concerns of cancer patients, specialized training in oncology massage is important, and the patient needs to also communicate well with the therapist to adjust the treatments as needed.

For years a myth persisted that massage was an absolute no-no for cancer patients. Massage schools perpetuated this standard based on a flawed theory, which research and clinical experience has since disproven. The theory was that because massage has the ability to increase circulation, it may increase the risk of spreading the cancer. Research has since not been able to substantiate the claim that massage increases circulation. It may be more accurate to say that massage therapy has circulatory intent, but even with this assumption, the act of metastasis of cancer cells is much more complex than simply dislodging cells from a primary site and circulating them. Avoidance of the primary and secondary tumor sights, and careful use of appropriate pressure are necessary adjustments needed for safe massage of cancer patients.

Massage is still possible, and

may be of great benefit, during chemotherapy, but again very careful guidelines must be followed. Remember that massage has been shown to decrease symptoms of many of the most common symptoms of treatment nausea, pain, depression, anxiety, and fatigue. But timing is everything during active treatment. Chemotherapy actually leaves the body quickly, but it is very powerful medicine that can have lingering side effects for weeks, and even years. A patient in a very depleted state should never receive a massage with “circulatory intent,” i.e no deep

Please see “Cancer Patients,” page 65

Holly Dunbar, CMT, RH (AGH)

What Is a Hammertoe?

What Is a Hammertoe?

A hammertoe is a contracture – or bending – of the toe at the first joint of the digit, called the proximal interphalangeal joint. This bending causes the toe to appear like an upside-down V when looked at from the side. Any toe can be involved, but the condition usually affects the second through fifth toes, known as the lesser digits. There are two different types: Flexible Hammertoes

These are less serious because they can be diagnosed and treated while still in the developmental stage. They are called flexible hammertoes because they are still moveable at the joint.

Rigid Hammertoes

This variety is more developed and more serious than the flexible condition. Rigid hammertoes can be seen in patients with severe arthritis, for example, or in patients who wait too long to seek professional treatment. The tendons in a rigid hammertoe have become tight, and the joint misaligned and immobile, making surgery the usual course of treatment. Symptoms

• Pain upon pressure at the top of the bent toe from footwear.

• The formation of corns on the top of the joint.

• Redness and swelling at the joint contracture.

• Restricted or painful motion of the toe joint.

Please see “Hammertoe,” page 63

Direct: (301) 365-6940

Fax: (301) 365-6941

Let Charles Feitel help you with your next space requirement. His professionalism and medical expertise are unsurpassed. Call now!! Charles L. Feitel

Email: cfeitel@medicalanddentalspace.com

Colon Cancer Risk Reduced 38% In Women Using HRT

Among postmenopausal women, hormone replacement therapy (HRT) use was associated with a 38% reduction in overall colorectal cancer (CRC) risk, according to a study published in Journal of the National Cancer Institute (JNCI) Spectrum (October 2020).

Another study published in BMC Cancer (2020) found that even in patients diagnosed with CRC, the current use of HRT is associated with lower risks of both CRC-specific mortality and overall mortality. This research was a metaanalysis of four randomized control trials and 16 observational studies and included 10,013 colorectal cancer survivors.

Colorectal cancer is the third most common cause of cancer mortality in women. An American adult has about a six percent chance of developing CRC in his/her lifetime. Most CRC is preventable through

regular screening but early detection also helps catch any cancer at more successfully treatable stages. In fact, the five-year survival for stage 1 colon and rectum cancer is 90.1%.

The JNCI study results indicate that both estrogen-only and estrogen plus progestin HRT formulations reduce CRC risk but CRC risk reduction was not seen in past HRT users. And “although this study includes populations in many locales, the participants were predominantly white, and therefore, these findings may not be generalizable to other racial and ethnic groups.”

Although some studies have determined minor variations in HRT impact on subtypes of colorectal tumors, the underlying mechanisms of how HRT impacts CRC requires further study. It is important to note that only 39.4% of CRC cases are diagnosed at the local stage. About one-third of

Please see “HRT,” page 62

How Cannabis May Help With Cancer

Medical cannabis can help alleviate symptoms associated with a variety of physical and psychological conditions and has been shown to be especially therapeutic for individuals with cancer.

Cannabis and Cancer

Cannabis contains active compounds known as cannabinoids, which include THC and CBD. They are able to activate receptors throughout the body in much the same way as naturally occurring chemicals in our endocannabinoid system.

These capabilities enable can -

nabis products to affect physiological functioning, alleviating many symptoms, and decreasing tumor activity.

Research On the Effects Of Cannabis On Cancer

As cannabis legalization becomes more widespread and accepted, we see more support for current studies on cannabis as medicine at the national and international level—studies that were simply not sanctioned in prior years.

What Symptoms Can Cannabis Treat?

The areas about which most agree, include:

• Relief from nausea associated with chemotherapy.

• Reduction of pain and inflammation.

• Help with sleep

• Help with the psychological and physical discomfort associated with cancer

For More Information

There is a wealth of information online. Many dispensaries have educational information available via their websites, and provide printed literature on-site.

Let me start with something important: I’m not against fluoride.

In fact, I’ve used it every day in my dental practice for almost 30 years—across hospitals, universities, the military, private clinics, and even on Native American reservations. I’ve seen fluoride varnish reverse early cavities, and fluoride toothpaste strengthen enamel in the children who needed it most.

But now, like many health professionals who care deeply about children’s well-being, I’m asking a serious question: Is putting fluoride into everyone’s tap water still the best way to protect our kids’ teeth?

It might have made sense 80 years ago. But with everything we now know— about fluoride, nutrition, modern health risks, and exposure sources—it’s time to take another look.

A Strange Origin: From Industrial Waste To Public Health Policy

Fluoride didn’t enter public water systems because of dentistry. It began as industrial pollution.

In the early 1900s, major corporations like ALCOA (Aluminum Company of America), DuPont, and fertilizer manufacturers were facing lawsuits. Their factories were releasing toxic fluoride gases that damaged crops, sickened livestock, and harmed communities nearby.

Meanwhile, a dentist in Colorado— Dr. Frederick McKay—noted that patients had unusual brown stains on their teeth. Oddly, those teeth were less prone to cavities. By 1931, ALCOA chemist H.V. Churchill found the cause: natural water in some areas contained fluoride—up to 13.7 parts per million (ppm).

Suddenly, fluoride wasn’t just a pollutant. It had a potential upside.

Then came the pivot. In 1939, Dr. Gerald Cox of the Mellon Institute— closely tied to ALCOA—suggested adding fluoride to drinking water to prevent tooth decay.This wasn’t driven by public demand—it served an industrial purpose.

Dr. H. Trendley Dean at the National Institutes of Health later promoted fluoridation. But his research would eventually be criticized for poor design, missing control groups, and cherry-picked data. Investigative journalist Christopher Bryson, in The Fluoride Deception, highlighted how politics and flawed research helped launch a national policy.

In 1945, Grand Rapids, Michigan, became the first U.S. city to fluoridate its water—not with medical-grade fluoride,

It’s Time To Rethink Water Fluoridation

but with an industrial byproduct of fertilizer manufacturing.

The public was never consulted. What the Science Actually Supports: Topical Fluoride Works Fluoride used on the teeth— in toothpaste or varnish—does work. It reverses early decay, strengthens enamel, and protects against acid attacks. That’s why pediatric dentists like me use it every day.

But swallowed fluoride? That’s a different story.

Drinking fluoride doesn’t do much to prevent cavities between teeth—the most common and hardest kind to reach in children.

Does Water Fluoridation Still Make Sense?

Despite nearly 80 years of water fluoridation, here’s what we see:

• Over 1 in 5 children (ages 6–11) in the U.S. have untreated cavities.

• Countries like Sweden, Germany, the Netherlands, and Japan don’t fluoridate their water—and yet have similar or better dental health outcomes.

• These countries emphasize topical fluoride, education, and access to care—not mass exposure through drinking water.

Even in affluent communities, interproximal decay—cavities between teeth—is on the rise.Water fluoridation does little to prevent these.

Fluoride Exposure Is Coming From Everywhere

Today’s children are exposed to fluoride from multiple sources:

• Swallowed toothpaste (especially in toddlers)

• Foods and drinks made with fluoridated water

• Tea, processed juices, and infant formula

• Pesticides on produce

• Mechanically processed meats

Depending on diet and behavior:

• Infants may ingest 1.2–1.6 mg/day

• Children: 1.6–2.2 mg/day

• Adults: up to 2.9 mg/day—or more in hot weather or during exercise.

Fluoride is quickly absorbed in the gut, but only partially excreted. In children (with immature kidneys) and in adults with kidney disease, much more fluoride is retained in the body.Over time, it accumulates—in the bones, brain, and pineal gland.

And It’s Not Just Swallowing

– It’s Bathing, Showering, and Washing

Fluoride exposure doesn’t only come through drinking water.

A 1984 study found that up to 64% of water-borne contaminants—including fluoride—can enter the body through the skin during activities like showering, bathing, and hand-washing.

While European health authorities argue that dermal absorption is minimal under typical pH levels, other experts note that repeated exposure through warm

water may increase uptake, especially in vulnerable individuals.

In short, fluoride exposure isn’t limited to what we drink. It touches every part of daily life.

So...Who Oversees The Fluoride That Goes Into Our Water?

Oversight of fluoride in tap water is fragmented—and unclear:

• The EPA sets a maximum contaminant limit (4.0 mg/L), but it doesn’t promote or regulate fluoridation programs.

• The FDA regulates fluoride in toothpaste and supplements—but not in municipal water systems.

• The CDC offers guidelines (currently 0.7 mg/L), but has no enforcement authority—fluoridation decisions are left to local and state agencies.

And the fluoride used? It’s not pharmaceutical-grade. It’s fluorosilicic acid, an industrial waste product captured from fertilizer plant smokestacks.

Federal law doesn’t require each shipment to be tested. Trace levels of arsenic, lead, and radionuclides have occasionally been detected—even if below legal thresholds.

No single agency is fully responsible for its quality or safety.

What About Low-Income Communities?

Supporters often say fluoridation helps poor children. But here’s the reality:

• Baltimore, MD has fluoridated water— and high rates of childhood decay.

• Los Angeles has been fluoridated since 1961—yet low-income areas still face a dental health crisis.

• Detroit and Cleveland, both fluoridated, show similar patterns.

The issue isn’t lack of fluoride. It’s lack of education, prevention, access to care, and nutrition counseling.

The Bigger Picture:

Diet, Development, and Decay

Children today eat softer, more processed foods. They chew less. That affects more than digestion—it changes their faces:

• Smaller jaws

• Narrower dental arches

• Crowded or rotated teeth

• Harder-to-clean spaces between teeth

These structural changes make interproximal cavities more likely—regardless of fluoride.

And yet, policy still centers around fluoridation. We’re missing the forest for the trees.

Who Really Benefits?

• Fertilizer manufacturers — They profit by selling fluorosilicic acid, a byproduct that would otherwise require costly disposal. Turning industrial waste into a revenue stream provides substantial financial benefit.

• Chemical distributors — They buy fluoride compounds at low cost and resell them to municipal water systems at a markup as part of their treatment contracts.

• Public agencies — By promoting fluoridation as a low-cost preventive measure, agencies maintain the appearance of an inexpensive public health policy, even though dental costs have continued to rise.

Importantly, despite common belief, aluminum companies do not profit from municipal water fluoridation. ALCOA, the largest U.S. aluminum producer, sold its fluoride production facility over 70 years ago and no longer benefits from these sales.

Is There a Smarter Approach?

Many countries already know:

• Use fluoride varnish at dental visits

• Apply silver diamine fluoride to stop small cavities

• Offer supervised brushing programs in schools

• Provide parent education on bottle use and nutrition

• Improve access to care for underserved children

These strategies are ethical, efficient, and effective.

Final Thoughts: Awareness First Fluoride is a fascinating story—part science, part history, and part public policy. What began as an industrial challenge grew into one of the largest public health experiments in history. Along the way, we’ve learned much about fluoride’s benefits, its limitations, and its risks.

This article isn’t meant to demand change or push an agenda. It’s meant to share what we know now—so that parents, communities, and health professionals can have more informed conversations.

A good comparison is antibiotics. When used properly, antibiotics can save lives and prevent suffering. But when they’re given too broadly, too often, or in the wrong way, they can cause harm—such as antibiotic resistance or unintended side effects. Fluoride, too, can be extremely beneficial when used topically and in controlled doses. But applying it universally through drinking water exposes people in ways that may not be necessary or even optimal today.

The truth is layered: fluoride can help, but it is not a one-size-fits-all solution. By understanding its history, its biology, and the many sources of exposure, we can better place it in context with modern nutrition, preventive care, and overall child health.

Ultimately, the goal is not alarm, but awareness. With knowledge, families can ask better questions, weigh the evidence, and make thoughtful decisions for their children and their communities.

References will be supplied upon request.

For more information, contact Dr. Shin at 301-941-7374 or visit the website at BCCPediatricDentistry.com

Body with Our Natural Health and Wellness Spa

Looking for a natural way to boost your health and wellbeing?

Come experience our natural health and wellness spa services, including:

• Cryo For Skin – Anti-Aging Skin Tightening Now Available!

• Salt Cave & space available for Family and Small Group Spa Events

• Massage Therapy • NEW Hyperbaric Chamber

• Oxygen Therapy • Red Light Therapy • Halo Therapy

• Infrared Sauna • Ionic Bath • Salt Cave

WELLNESS

WEDNESDAYS • 12:30 – 3:00 PM

Join our natural health sessions focused on whole foods, lifestyle education, and community support. We explore the 9 Pillars of Health by Barbara O’Neill, offer samples and recipes, and provide weigh-ins and accountability from a faith-based perspective.

Visit us today to discover the benefits of natural health and wellness services for yourself. Book an appointment now and enjoy a relaxing and rejuvenating experience at our spa.

Welcome to our new massage therapist, Kelsey! Schedule a massage with her today.

A Journey Of Healing

Elambert Richardson’s journey to founding Elon Roshell Day Spa & Health is a remarkable story of resilience, healing, and dedication to helping others. Richardson’s path began with a profound personal struggle and evolved into creating a sanctuary of well-being that includes innovative treatments like a unique salt cave.

Richardson, once a preschool teacher, faced a debilitating injury that altered the course of her life. Despite extensive physical therapy, her pain persisted, leading to depression and a diagnosis of fibromyalgia. Her doctor presented her with a stark choice: find a way to live or succumb to her condition. This critical moment propelled Richardson to seek healing beyond conventional methods.

Richardson shared another poignant aspect of her struggle: the hostile work environment that led to her depression and ultimately, PTSD. She recounts instances of mistreatment, including being ostracized by colleagues and subjected to demeaning messages. Despite enduring chronic pain and emotional distress, Richardson finds solace in helping others and is embarking on a journey of healing by sharing her story.

Integrative Oncology

Are you or a loved one navigating cancer or a chronic illness? Discover a patient-centered approach that blends the best of modern medicine with natural, evidence-based therapies. With over 25 years as a naturopathic oncologist, I specialize in:

• Bringing harmony to your health care team so you feel supported and understood.

• Easing side effects naturally to improve quality of life during treatment.

• Rebuilding and strengthening your body post-therapy for lasting resilience.

• Supporting the whole person—body, mind, and spirit.

Integrative oncology means working alongside your conventional care to help you feel stronger, more balanced, and more in control of your healing journey. Compassion. Experience. Whole-person care.

The Bodhi Clinic 410-923-8888

Book Your Consultation Today! Locations in Annapolis and Columbia, MD www.BodhiClinic.com

A pivotal turning point came with her reading of “The Ministry of Healing,” a book that highlighted the therapeutic power of helping others. This revelation ignited her determination to overcome her depression and explore a career in healthcare. Richardson began volunteering at her children’s school, pursued higher education, and ultimately found her calling in massage therapy.

Overcoming Adversity

Richardson’s journey was further challenged by the COVID-19 pandemic, which forced her business to close for 15 months. During this time, she also contracted the virus, requiring oxygen therapy. Remarkably, this treatment pro-

Please see “Elon Roshell,” page 65

Facing Cancer

The Emotional Journey

A cancer diagnosis changes everything in an instant. The word alone can stir emotions of fear, disbelief, anger, and sadness. For patients and their families, it is more than a medical condition—it is a crisis that touches every part of life, from daily routines to the deepest sense of identity and hope.

Just as with other life-altering events, the human mind tries to make sense of the diagnosis. We may ask “Why me?” or “What did I do wrong?”

These questions rarely have satisfying answers, yet they are part of the natural struggle to regain some sense of control. In the meantime, emotions may shift from shock to determination, from despair to resilience—sometimes all within the same day.

Loved ones, too, carry the weight of uncertainty. Watching someone you care about face cancer can bring feelings of helplessness. Not knowing what to say or how to offer support can be as painful as the diagnosis itself. Some people withdraw, not out of lack of caring, but because they are afraid of saying or doing the wrong thing. Others may overcompensate, trying to “fix” what cannot be fixed. Both reactions are normal responses to the stress of crisis.

Unfortunately, unhealthy coping strategies—such as denial, isolation, or reliance on alcohol and substances—can deepen distress rather than bring relief. Healthier approaches often begin with something simple: allowing yourself to talk, listen, and

Elambert during that time of great sadness, and now. Finding rest, happiness, and restoration!

Considering Neck Lift Surgery?

Reduce Signs of Aging and Treat Sagging Skin!

A neck lift can be performed for men and women of varying ages who are often frustrated by changes of the appearance of their neck and jawline. Depending on your age, a neck lift can be a short one-hour procedure to remove fat or a 3-hour procedure to remove fat, visible neck bands, and excess skin.

Neck Lift Surgery Can:

Remove Excess Skin (Cervicoplasty)

Liposuction to Remove Excess Fat

Remove or Alter Neck Muscles (Platysmaplasty)

Liposuction can be performed alone or with surgical removal of the fat under the chin through a small incision under the chin.

In patients with vertical bands in the neck, a platysmaplasty can be performed to reduce the appearance of the bands.

Sometimes a chin implant is recommended to improve the overall contour and help with excess skin.

Tired, Gaining Weight, and Just Not You Anymore? It Might Not Be You—It Might Be Your Hormones.

Feel Like Something’s Off? You’re Not Alone. At MetroBest Health, we specialize in identifying and treating the real root causes of fatigue, weight gain, low libido, mood swings, and thinning hair—especially in midlife women and men. If you’ve been dismissed, misdiagnosed, or told “it’s just aging,” it’s time for a second opinion.

Virtual and In-Office Appointments Available Book Online at MetroBestClinic.com

Or Call/Text: 202-754-8877

9650 Santiago Rd #2, Columbia, MD 21045 Don’t wait—your best life is just one appointment away.

FREE Skinny Shot

If you mention Your Health Magazine Offer Expires 10/31/25

Beyond the Pink Ribbon

How Metabolic and Hormonal Health Shape Cancer Risk

When we talk about cancer awareness, the conversation often centers around screenings—and while early detection saves lives, true prevention starts much earlier. Long before a lump or lab result, the body often sends signals that something is out of balance.

Weight and Cancer:

More Than a Cosmetic Concern Research shows that excess weight increases the risk for at least 13 types of cancer, including breast, uterine, colorectal, kidney, and pancreatic. But it’s not just the number on the scale that matters—it’s what’s driving the weight gain.

Insulin resistance, inflammation, and hormonal imbalances are all common contributors to stubborn weight—and they also create an internal environment where cancer is more likely to take hold.

The Role Of Hormones In Women’s Health

During perimenopause and menopause, estrogen and progesterone levels fluctuate in ways that can increase cancer risk. Estrogen dominance—too much estrogen relative to

Please see “Pink Ribbon,” page 65

Keeping Maryland Residents Connected

Imagine how different your life would be if you were unable to use a telephone to keep in touch with family or friends, make appointments, or conduct business. This is a challenge faced by millions of people who are deaf, hard of hearing, late-deafened, DeafBlind or have difficulty speaking.

According to the Hearing Loss Association of America, 20% of adults in the United States live with some degree of difficulty hearing. For those over the age of 65, one out of every three people can benefit from Maryland Relay services.

Maryland Relay is a free public service that makes it possible for people who have difficulty hearing or speaking to place and receive telephone calls. Accessible anywhere in the state by dialing 7-1-1, Maryland Relay provides a wide array of services to meet the diverse needs of its users, including:

• Traditional Relay (TTY) for those who are deaf, hard of hearing, latedeafened or have difficulty speaking. Also known as a text telephone, a TTY has a keyboard, which allows the user to type his/her side of the conversation, and a text screen to read the other person’s responses.

• Hearing Carry-Over (HCO), Speech-to-Speech (STS), and Visually Assisted STS for those who can hear clearly, but have difficulty speaking or being understood over the telephone. With HCO, the user types his/her side of the conversation on a TTY or HCO phone. With STS, the user speaks with his/her own voice, and a Maryland Relay Operator revoices everything he/ she says, as needed, to the other person. With Visually Assisted STS, Maryland Relay Operators are able to use both speech and visual cues to facilitate conversations for users via a live video connection.

• Voice Carry-Over (VCO) for Relay users who have difficulty hearing but prefer to use their own voice in phone conversations. VCO callers use a VCO phone or TTY to speak to the other person while a Maryland Relay Operator types the other person’s response.

• Captioned Telephone, which allows users who are hard-of-hearing to read captions of phone conversations while they listen to what the other person says.

• Remote Conference Captioning (RCC), which provides captions

of what all participants are saying during conference calls.

• Braille TTY for Relay users who are DeafBlind. A Braille TTY includes a keyboard, which allows the user to type his/her side of the conversation, and a Braille display for reading the other person’s responses.

In addition to the services available through Maryland Relay, people in Maryland who have difficulty using a telephone may also qualify for assistive telecommunications equipment, provided by the State through the Maryland Accessible Telecommunications (MAT) program. Qualified MAT program applicants must meet specific financial requirements and will participate in a free evaluation to ensure they receive the best equipment for their individual needs.

If you, or a loved one, have difficulty hearing or speaking over the phone, there are services and equipment available to keep you connected. To learn more about Maryland Relay and the MAT program, please visit mdrelay.org.

Beauty, Skin Care & Gorgeous Smiles

Attention: Local Health Professionals

Beauty, Skin Care & Gorgeous Smiles Professionals - This Is Your Month To Publish an Article or Be Featured On the Cover Space Is Limited! CALL TODAY! 301-805-6805

Editions in Maryland, Virginia and Washington, DC

DR. LARRY BRYANT:

MARYLAND’S PREMIER ORAL SURGEON

The Oral Surgery Legacy of Dr. Larry Bryant

When patients face some of the most traumatic and life-altering moments of their lives, Dr. Larry Bryant is there—combining surgical precision with heartfelt compassion. As Chief of Facial Trauma at the University of Maryland Capital Region Medical Center in Largo, a Level II trauma center, Dr. Bryant leads a skilled team available 24/7 for facial reconstruction and trauma care.

At his private practice, Bryant Oral & Facial Surgery, he specializes in dentoalveolar surgery—the surgical treatment of the teeth, jawbone, and surrounding tissues. Known for his expertise and dedication, Dr. Bryant has become one of Maryland’s most respected oral and maxillofacial surgeons, offering patients cutting-edge care and innovative treatment options in a welcoming, patient-centered environment.

15% Discount

For First Time New Patients Expires 10/31/25

A Calling Discovered Early

Dr. Bryant’s journey began in 1975 during a summer program at Harvard University. Although he had already planned to attend dental school, it was during a clinical rotation at Massachusetts General Hospital that he discovered his passion for surgery. Interacting with specialists who treated the jaw and face, he realized his true calling.

After graduating with honors from Howard University College of Den-

tistry, he completed his oral and maxillofacial surgery training at Woodhull Medical and Mental Health Center in New York, followed by a fellowship in orthognathic surgery and dental implantology at Montefiore Medical Center.

For over two decades, Dr. Bryant has served the Bowie-Mitchellville community in Prince George’s County, Maryland, providing outstanding care to patients across Maryland, Washington, D.C., and Virginia.

DR. LARRY BRYANT, DDS

BRYANT

ORAL & FACIAL SURGERY

GLENN DALE, MD

301-249-0553

TeethXpress:

Restoring Smiles in a Day

“Technology has transformed dental care,” says Dr. Bryant—and his practice is proof. One of the most exciting advancements is TeethXpress, a same-day solution that replaces a full arch of teeth using four to six strategically placed implants and a fixed hybrid prosthesis.

Unlike removable dentures that can shift, cause discomfort, or require adhesives, TeethXpress offers a permanent, natural-looking solution that preserves jawbone health and allows patients to eat, speak, and smile with confidence—all in a single visit. For many, it’s a life-changing alternative to the insecurity and inconvenience of traditional dentures.

Patients walk in with missing or failing teeth and leave the same day with a secure, radiant smile. There’s no waiting period, no temporary dentures, and no dietary restrictions. Just immediate results and restored selfesteem.

Advanced Imaging for Same-Day Implants

Bryant Oral & Facial Surgery uses state-of-the-art Cone Beam Computed Tomography (CBCT) to make same-day dental implants possible. CBCT provides high-resolution, 3D imaging of the mouth and jaw, allowing for precise planning and customized implant placement. It’s this technology that enables the team to deliver such reliable, efficient, and comfortable results.

Using this data, the lab crafts custom prosthetics tailored to each patient— resulting in a fit that feels natural and looks flawless.

Are You a Candidate for TeethXpress?

According to Dr. Bryant, ideal candidates for TeethXpress are patients who are just beginning to lose their teeth and have sufficient bone density. Those with medical conditions such as controlled diabetes, high blood pressure, or even certain autoimmune diseases may still qualify for the procedure. The key is a comprehensive, individualized evaluation.

Each treatment plan is uniquely designed to suit a patient’s dental history, health profile, and long-term goals. Even those who have been told they’re not candidates for traditional implants may find success with TeethXpress.

A Global Mission of Care

Each year, Dr. Bryant travels to **Malawi—one of the world’s poorest countries—**where he volunteers as part of the Smiling Surgeons team. With just one oral surgeon serving over 22 million people, the need is immense. Dr. Bryant and his colleagues provide life-altering care for patients with advanced oral diseases, facial injuries, and tumors, offering

BEFORE AFTER

hope and healing in areas with limited access to modern healthcare.

More Than a Surgeon

Outside the operating room, Dr. Bryant is a devoted grandfather, an avid swimmer, and an active member of his church’s leadership team. His commitment to service—**at home, in his practice, and around the world— **sets a high standard in the field of oral and maxillofacial surgery.

Whether performing complex trauma care, pioneering implant technology, or giving back to underserved communities, Dr. Larry Bryant is more than a surgeon—he’s a force for healing, innovation, and compassion.

Technology

All-On-4 Dental Implants: A Reason To Smile Again

All-on-Four: One Full Arch Of Teeth, Four Dental Implants

To fully understand this remarkable technique for replacing teeth, you should first understand what a dental implant is. An implant is a small titanium screw that fits inside your jawbone and replaces the root-part of a missing tooth. Minor surgery is required to insert the implants. Once the implant is in place, a crown is attached to give you a highly realistic-looking and functional prosthetic tooth. Here’s where it gets really interesting: You do not need a dental implant for each and every one of your missing teeth. All you need is four precisely placed implants on the top of your mouth, and four on the bottom, to restore your full smile. That’s the beauty of the all-on-four. And because the implant is made of titanium, it has the unique ability to fuse to living bone and function as part of it. So eventually, the dental implant becomes part of the jawbone and serves as a strong, long-lasting foundation for your new teeth.

Besides ensuring that your implants are permanently fixed in place, this bone fusion has another important benefit: it prevents future bone loss in the jaw. This helps to maintain a more youthful facial structure – and better oral health. But perhaps the biggest surprise about the all-on-four is how quickly it can transform your life.

What’s The All-on-Four Dental Implant Procedure Like?

It can be scary to get implants for the first time. Most of that fear is probably due to the uncertainty, so here is the step-by-step process for getting an All-on-Four dental implant.

First, your dentist will want to make sure your comfortable, so either local or general anesthesia will be administered.

Second, the dentist or surgeon will prepare your mouth for the implants, which involves removing your remaining teeth that are failing. They will then remove any diseased or infected tissue from your jaw and gums.

Next, they will begin the implantation process. This means they will insert the titanium screws into your jawbone. Most likely, they will place two implants toward the front of your mouth and two towards the back of your mouth so the “anchors” can evenly bare the force of the denture.

After the implants have been placed, they will thoroughly clean the surgical sites and suturing all the incisions. Then you’ll be taken to a recovery room where you can relax

the anesthesia.

MINI IMPLANTS

Mini dental implants are about half the size in diameter of a regular dental implant. This offers many benefits, and they can also be used in situations where regular implants cannot. If an implant needs to be placed in a narrow space, mini implants are the preferred method because of their smaller size.

A main use for mini implants is to install a full upper or lower denture. A series of mini implants (4-6) are placed along the gum line and they serve as the base of the denture. Rather than placing a single implant for a single tooth, an entire lower or upper set of teeth are directly attached to the gum line. The small size of mini implants often means that no incision needs to be made to place the implant. They can usually be inserted right through the gum into the bone. This eliminates the need for a recovery period, and the restoration can usually be placed a short time after.

Mini implants are also less expensive than regular implants. Only your dentist knows if mini implants are right for you, so call for your consultation today.

While there are many situations where an OTC hearing aid is appropriate for an adult with mild to moderate hearing loss there are other situations where a prescriptively fit hearing aid is better to meet listening needs.

To achieve an optimal hearing aid fitting, start with a hearing evaluation by a licensed audiologist who can recommend appropriate over-the-counter hearing aids or cost-effective prescription hearing aids.

Note: While most OTC hearing aids are not covered, many prescription hearing aids are covered by

Brent C. White, Jr., DDS ThunderBird Dental Office

The Only Non-invasive Laser Device With FDA Approved, IRB, and Clinically Proven Results For: Fat Reduction, Aesthetics, Cellulite Elimination, Weight Reduction, and Inch Loss.

• Natural, safe, laser light energy is pulsed and absorbed by the subcutaneous tissue.

• Supercharges the body’s metabolism through ATP synthesis to burn fat as energy.

• Waste products are expelled from the body via sweat, urine and respiratory exhaustion.

• The body continues to burn fat for up to 4 hours after treatment.

• Collagen and elastin production is increased within the skin layers to rejuvenate and repair skin cells addressing cellulite, skin laxity and stretch-marks.

ALF ( Advanced Light Force) THERAPY

ALF Therapy has proven to be an extremely valuable tool for those patients who have:

• A need for facial guidance

• Palate expansion

• Narrow palates

• Breathing issues

• TMJ dysfunction

• Craniofacial pain

• Crowded/crooked teeth

• An avoidance for extractions

• Crossbite, overbite or underbite

• Cranial asymmetry

• Sleeping problems — snoring

• Recommendations for jaw surgery

Our ALF appliances are certified by Dr. Darick Nordstrom. He has personally instructed our ALF-certified technicians on the proper design and fabrication techniques to ensure that each technician is capable of creating authentic ALF appliances worthy of certification. The seal below is his stamp of approval.

Dr. Brown is highly trained in ALF (Advanced Light Force) therapy. He has over 500 hours in ALF therapy training and has lectured around the world teaching ALF techniques with Dr. Nordstrom, the creator of the ALF appliances. The ALF appliances are thin, conservative appliances that can be used on the upper and lower arches. They hide behind the teeth, are removable and are basically invisible when being worn. This innovative treatment approach is used to address neurological, orthodontic and orthopedic issues, and the benefits are vast. Each appliance is unique to the patient and designed by the doctor to achieve specific goals relating to health, beauty and function. No ALF appliance is the same, and treatment is pain-free.

of dealing with frustrating oral health issues? At Fairlington Dental, we use the state-of-theart Bristle Oral Health Test to uncover the root causes of conditions like: • Chronic Bad Breath • Inflamed Gums • Tooth Decay • Gum Recession Our non-invasive saliva test profiles over 700 bacteria and fungi, providing you with a personalized, actionable care plan.

Airway before ALF Treatment; red shows very serious airway constriction.
Airway after ALF treatment, full resolution of this 30-year-old patient’s symptoms.

Featured Health Professionals

Local Professionals Empowering and Encouraging People To Live Healthier

Comprehensive Cancer Teatments For Men & Women

Christian Hague, MD

Dr. Christian Hague is a native of Pennsylvania where he completed his Urology training before coming to Maryland to begin his Career.

Dr. Hague earned his undergraduate degree at Juniata College and his Medical degree at Geisinger Commonwealth School of Medicine. He completed his Urologic Residency at Penn State Hershey Medical center in Hershey, PA.

Dr. Hague is interested in many aspects of urology, with a special focus on endoscopic management of kidney stones, benign prostatic hyperplasia (BPH), and benign scrotal conditions.

In his free time, Dr. Hague enjoys traveling, cooking, fitness, and exploring the outdoors.

Dr. Hague joined the AA Urology team in September of this year.

Caroline Elangwe DNP, FNP-C

Caroline’s deep compassion for caring for others inspired her nursing career, which began in 2003 as a Nursing and Medication Assistant and LPN through the University of the District of Columbia. She later earned her RN from Hocking College and completed her BSN (2020), MSNFNP (2022), and DNP (2024) at Walden University. With over 22 years of bedside nursing experience in Telemetry, Medical-Surgical, and Pediatric Primary Care, she is valued for her clinical expertise and compassionate approach. Multilingual in English, French, Pidgin English, and Oroko, Caroline also cherishes her family life, faith, gardening, music, and travel.

Erin Hays, MD

Dr. Erin Hays grew up in Bethesda, MD. She received her undergraduate degree from Vanderbilt University before attending medical school at University of Maryland where she graduated with honors. She then moved down the road to DC and completed her Urologic Residency at Georgetown University Hospital.

Dr. Hays has experience treating a broad range of urologic conditions in both men and women. She holds specific interest in the management of benign prostatic hyperplasia, kidney stones, erectile dysfunction, and urinary incontinence.

In her free time Dr. Hays enjoys biking, playing tennis, and needlepointing.

Dr. Hays joined the AA Urology team in September of this year.

Rachelle Chery, CRNP

Rachelle is a compassionate Certified Registered Nurse Practitioner with a strong background in patient-centered care. Originally from Haiti, she moved to the U.S. at 15 and began her nursing journey at Medgar Evers College, earning her Associate Degree in 2014 and BSN in 2018. She gained experience in long-term care and later at Upper Chesapeake Medical Center, where she spent six years in acute and hospital-based care. Rachelle earned her MSN from Walden University and is Board Certified as a Nurse Practitioner. Fluent in English and Haitian Creole, she is passionate about preventive medicine, patient education, family, and travel.

Belkis Lopez, CRNP

Belkis was born in the Dominican Republic and raised in Bayonne, NJ, where she developed a deep appreciation for diverse cultures. Fluent in English and Spanish, she connects easily with patients and families from all backgrounds. She earned

To Come her Nursing degree from Bloomfield College and built her career in Anne Arundel County, gaining extensive experience in medical-surgical and general surgical units at Johns Hopkins Bayview and Anne Arundel Medical Center. Passionate about comprehensive care, she later earned her Master’s as a Family Nurse Practitioner from Chamberlain University. Outside work, Belkis enjoys family, church, weightlifting, baking, travel, and her German Shepherds.

Photo

Featured Health Professionals

Local Professionals Empowering and Encouraging People To Live Healthier

Rami Makhoul, MD

Meet Rami Makhoul

After completing his fellowship in Colon and Rectal Surgery at Robert Wood Johnson University Hospital-Rutgers University, Rami Makhoul, MD, joined Holy Cross Health Hospital in 2014 to serve patients of the DMV area.

Upon graduating from medical school, Dr. Makhoul first completed his internship in General Surgery at the University of Massachusetts Medical School. He, then, completed his residency training in General Surgery at the George Washington University Hospital in Washington, DC.

During his residency training at GW, he spent a year in clinical research where he published some of his work on colon and rectal cancer, and the use of Robotic Surgery in various abdominal procedures performed in the Colon and Rectal Surgery field. He continued with his passion for research and published peer-reviewed articles during his fellowship training. Several of his work, was presented at national conferences including the American Society of Colon and Rectal Surgery, and the Society of American and Gastrointestinal and Endoscopic Surgeons annual conferences.

Dr. Makhoul diagnoses and treats various diseases of the colon, rectum, anus, and other parts of the GI tract using national standards and guidelines. He has a special interest in treating colon and rectal cancer using advanced surgical minimally invasive techniques including robotic, laparoscopic, and transanal minimally invasive surgery. Dr. Makhoul is Board Certified in both General Surgery and Colon and Rectal Surgery and is an active member of the American Society of Colon and Rectal Surgeons education committee.

As part of his commitment to surgical training and education, Dr. Makhoul serves as a Clinical Instructor of Surgery at the George Washington University. Dr. Makhoul is currently the chairman of the Department of Surgery at Holy Cross Hospital in Silver Spring. He also holds the position of Cancer Liaison Physician for Holy Cross Health, where he manages and overlooks clinically related cancer activities in collaboration with the Commission on Cancer and American Cancer Society. When he is away from the office, Dr. Makhoul may be found spending time with his family. Dr. Makhoul enjoys skiing, cycling, scuba diving, tennis, and traveling.

Matthew Skancke, MD

Meet Matthew Skancke

Dr. Matthew Skancke is a colon and rectal surgeon serving Maryland, Virginia and Washington, DC. Dr. Skancke grew up in Great Falls, VA earning his undergraduate degree in electrical and biomedical engineering at the University of Virginia’s engineering school. After engineering school he spent three years working for a Swiss based GPS company U-blox America while going to night school to finish his premedical degree. He then attended medical school at the University of North Carolina at Chapel Hill where he did basic science research of mesenchymal stem cells to progress the field of regenerative medicine. Dr. Skancke continued his General Surgery training at the George Washington University Hospital and subsequently did his Colon and Rectal Surgery Fellowship at the Cleveland Clinic.

During his training, Dr. Skancke has published over 24 peer reviewed publications, authored three book chapters, and presented over 45 times at national conferences in medicine and surgery. He has participated in clinical trials of bench top and mechanical sciences and is a member of the American College of Surgeons and the American Society of Colon and Rectal Surgeons. Dr. Skancke is Coard Certified in General Surgery and Colon and Rectal Surgery and is an active member of the American Society of Colon and Rectal Surgeons Quality and Safety National committee.

Outside of work, Dr. Skancke has found a new love for French cooking and North Carolina barbeque. To offset these vices, Dr. Skancke also enjoys running and powerlifting in his free time.

Featured Health Professionals

Michael Whalen, MD

Meet Michael Whalen

Associate Professor of Urology | Chief, Urologic Oncology Director, Genitourinary Multi-Disciplinary Clinic | Site Director, National Cancer Institute Fellowship in Urologic Oncology | Urology Residency Research Mentor

Dr. Michael J. Whalen, MD, is an accomplished Associate Professor of Urology and Director of Urologic Oncology at the George Washington University School of Medicine. A graduate of Harvard College and Columbia College of Physicians & Surgeons, he completed residencies at New York Presbyterian Hospital-Columbia University Medical Center. Dr. Whalen holds Board Certification in Urology, by the American Board of Urology, and underwent specialized fellowship training in Robotic and Minimally Invasive Urologic Oncology at Mount Sinai Hospital and Urologic Oncology at Yale-New Haven Hospital.

Renowned for expertise in urological cancers, Dr. Whalen excels in both major open and minimally invasive surgeries, including pioneering the supine-position robotic retroperitoneal lymphadenectomy for advanced testicular cancer. His clinical focus spans prostate, bladder, kidney, and testis cancers, utilizing advanced techniques like robotic surgery with the DaVinci system and transperineal prostate fusion biopsy.

Apart from clinical practice, Dr. Whalen is actively involved in clinical outcomes research, contributing to numerous peer-reviewed journals. Recognized as a dedicated mentor, he received the Teacher of the Year award from Urology residents in 2019. Acknowledged for excellence, Dr. Whalen was awarded the Commission on Cancer, Cancer Liaison Program Outstanding Performance Award in 2021 and listed as one of Washingtonian’s Top Doctors in 2023. His commitment extends to education and cutting-edge clinical trials, solidifying his reputation as a leading figure in urology.

TMJ & Sleep Apnea Treatment

Dr. Brown’s practice focuses on TMJ, sleep apnea and orthodontics. This allows Dr. Brown and his team to provide individualized, focused care for patients dealing with these specific issues. Every day, his practice helps patients of all ages with facial development, sleep issues, chronic headaches, migraines, neck pain, movement disorders, and much more. His training also includes multiple disciplines involving the cranial bones in the skull, and the discs in the jaw joints. Through treatment, Dr. Brown is able to reduce these symptoms, align cranial bones, avoid extractions, and greatly reduce the need for traditional braces.

His expertise allows him to identify issues early on which promotes proper facial development using dental appliances. If there is an internal imbalance, whether an adult or child, the body does not develop or function properly. When the cranial bones are lined up correctly, patients are able to function, sleep and generally live better.

With that in mind, the team at Sleep & TMJ Therapy takes a whole-body approach when treatment planning. They work hand in hand with physical therapists and osteopathic doctors for a better success rate. Dr. Brown is devoted to helping patients of all ages live a symptom free life.

Degrees & Certifications

Dr. Brown earned his degree from Georgetown Dental School and completed residencies with Emory University Hospital for Dental Sleep Medicine and the ALF Appliance Therapy Institute.

Outside the Office

When not seeing patients, Dr. Brown is a sought-after speaker. He has lectured all over the world, including D.C., Dubai, Seoul, London, Norway and Toronto. He has also been featured on Channel 9’s Good Morning Washington, several podcasts, and numerous magazines and journals.

Professional Affiliations

Dr. Brown is a diplomate of the American Academy of Craniofacial Pain, a member of the American Academy of Dental Sleep Medicine, American Academy of Gnathological Orthopedic, Academy of Integrative Pain Management American Dental Association, a Fellow of the American Academy of Craniofacial Pain, and Legacy Provider for the ALF Interface Academy.

Do you have TMD or Sleep Apnea?

TMD Symptoms: Noise in the jaw joints when opening and closing your mouth, difficulty chewing, limited opening, tender facial muscles, ear ringing, uncomfortable bite, jaw locking, headaches, migraines, dizziness, vision issues as well as pain in the jaw area which can radiate to the ears, head, neck, shoulders, and back.

Sleep Apnea Symptoms: Snoring, waking up gasping for air, feeling tired and irritable in the morning, difficulty controlling weight, concentration problems, morning headaches, episodes of not breathing, waking with a sore throat, forgetfulness and mood changes.

If you believe you may be suffering from TMD or Sleep Apnea, don't wait... Call today to schedule a consultation with Dr. Brown: 703-821-1103.

Featured Health Professionals

Eeyah Holistic Spa

EeyahHolisticSpa.com

Premier Oncology Spa in Maryland

10632 Little Patuxent Parkway, Suite #100 Columbia, MD 21044

(Back Parking Lot, Outside Entrance)

Sophia Tadé, Owner

Eeyah, pronounced “e-yaa”, is rooted in Yoruba heritage (Ìyá). It means “the nurturing one,” “the provider,” “the mother.” It also speaks of a borrowed vessel to bring new life, a figure of deep commitment and care.

Eeyah Holistic Spa is an award-winning, faith-based sanctuary devoted to nurturing body, mind, and spirit. We specialize in oncology spa services, holistic facials, and body treatments that blend plant-based traditions with advanced therapies, including HydraFacial, DMK Enzyme Therapy, LED Light Therapy, Massage, and Waxing. With compassion and expertise, our therapists support clients on their wellness journey, particularly those navigating cancer care with oncology-safe products, education, and tailored protocols.

We are honored to serve as the official oncology spa partner of the Johns Hopkins Claudia Mayer/Tina Broccolino Cancer Resource Center in Howard County, providing free oncology-safe skincare treatments that bring relief, comfort and care to patients and their families during some of their most difficult seasons.

Recognized as a DMK Silver Certified Paramedical Clinic and HydraFacial Connect Master Clinic, uphold the highest standards of holistic care, guided by Christian values. Our work has earned multiple honors, including Best Wellness Spa of Howard County 2024, 2nd Best Wellness Center of Howard County 2025, and Best of Baltimore Spa 2023 & 2025, and features in The Baltimore Sun , The Baltimore Times , Clarksville Neighborhood Magazine , and VoyageBaltimore

Maureen Vernon, PhD

Meet Maureen Vernon

Dr. Maureen Vernon has been helping adults, children, couples, and families learn positive coping strategies to address their emotional needs. As a Board Licensed Psychologist for 25+ years, she continues to offer her services as a private therapist; divorce/ child custody evaluator and mediator; parenting coordinator; conducting forensic and abuse assessments; and conflict resolution consulting.

Degrees & Training: PhD in Psychology and Evaluation- Catholic University of America, Washington, D.C.; Master of Science in Counseling/Clinical Psychology- Loyola University of Maryland. Professional Memberships: American Psychological Association; Maryland Psychological Association; Association of Family & Conciliation Courts; Professional Academy of Custody Evaluators; Anne Arundel County Psychological Association; Interests & Hobbies: Movies, college sports (Notre Dame & Villanova), her yellow lab Keenan, studying history, and travel.

Volunteer Highlights: Beans & Bread; Boy’s Town; St. Mary’s Annapolis; AA County Social Services Holiday Sharing; St. Vincent DePaul; AAMC Pediatric ER; and Backpacks for Kids.

Professional Statement: Life can be challenging and there are times when we could all use a little extra help…If you are feeling anxious, alone, struggling to manage all the demands of your life, or experiencing problems with your spouse, child, parent, sibling, friend, or coworker – you can trust that I will listen and offer the tools to improve those relationships.

HELP FOR HAIR LOSS

Grace Dennis Grace and Elegance Beauty Salon

Hair loss can be one of the hardest parts of facing cancer treatment. Whether caused by chemotherapy, radiation, or stress, it affects not only appearance but confidence and self-esteem. Grace Dennis understands these challenges and has dedicated her salon to providing supportive, compassionate care for those experiencing thinning or loss of hair.

With more than 30 years of expertise in advanced hair solutions, Grace offers non-surgical hair replacement, micro-linking, protective styles, and other personalized services to help restore a natural look. Her approach is not just about hair—it’s about helping clients feel like themselves again during a difficult journey.

Grace combines professional skill with warmth and understanding, creating a safe space where every client feels cared for and supported. For anyone coping with hair loss, her goal is to bring back comfort, dignity, and confidence—because everyone deserves to look in the mirror and feel beautiful.

Degrees/Training: DDS, University of Maryland Dental School; General Practice Residency, San Diego Naval Hospital; Prosthodontics Residency, Naval Dental School, Bethesda; U.S. Navy Dental Corps Officer, Commander, USN, (retired).

Professional Memberships: American Dental Association, Maryland State Dental Association, Anne Arundel County Dental Society, Annapolis Dental Study Club, Chesapeake Implant Study Club, University of Maryland Alumni Association.

Practice Philosophy: To follow the “Golden Rule” in all aspects of professional dental care, providing outstanding quality dentistry in a caring, comfortable and comprehensive manner. Lighthouse Family Dentistry will “Light Up Your Smile.”

Featured Health Professionals

Local Professionals Empowering and Encouraging People To Live Healthier

Renee Bovelle, MD Ophthalmology

Degrees, Training and Certificates: UCLA Medical School; Yale University Hospital for Residency; Louisiana State University for Cornea and Refractive Fellowship

Professional Memberships/Associations: American

Academy of Ophthalmology; American Society of Cataract and Refractive Surgery; International Society of Refractive Surgery

Areas of Interest: All laser custom LASIK; Cataract Surgery; Botox; Dermal Fillers; Cornea Comprehensive Ophthalmology

Practice Philosophy: Envision Eye and Laser is committed to delivering superior ophthalmic care with state-of-the-art technology and patient education in a caring, compassionate environment. We cater to a diverse population of adults and work with your primary care physician to improve the quality of your overall health and life. Your best vision is our focus.

Dr. Washington-Plaskett completed her medical school training at Meharry Medical College in Nashville, TN. She completed her Internal Medicine training at Morehouse School of Medicine in Atlanta, GA. She went on to pursue her Cardiology training at Boston Medical Center in Boston, MA where she also decided to stay and complete an additional year of training in Interventional Cardiology. She is a native of Fort Washington, MD and was eager to come back to familiar roots to start her career as a Cardiologist.

Dr. Washington’s interest in medicine started early as both her parents were in the medical field. Her inspiration is derived from the sacrifice of her parents as well as countless other health care workers that dedicate their careers in service to others.

Her specific interests in Cardiology include coronary artery disease and prevention, women’s cardiovascular health, and health disparities. Coronary heart disease or disease of the arteries that supply the heart is highly prevalent in the US with an estimated 20.5 million Americans with the diagnosis 2. Among women, it is often difficult to recognize the signs and symptoms of a heart attack and can often get overlooked1

Dr. Washington looks forward to working with and delivering care to the patients within the southern Maryland area. She truly believes knowledge is power and arming patients with the knowledge and tools necessary to guide them through their journey to better cardiovascular health.

Featured Health Professionals

Local Professionals Empowering and Encouraging People To Live Healthier

Restoring Confidence From the Roots Up Purely Hair Trichology

Trichology is the scientific study of the hair and the scalp. It is a paramedical field that focuses on a holistic approach to identifying and helping manage hair loss and scalp disorders.

For many people, hair loss can lead to a profound sense of loss that causes them to question their sense of self. It can affect self-esteem and impact personal and professional relationships.

About the Founder

Janice Brice is the founder of Purely Hair Trichology. She has spent twenty-five years in the hair industry as a master stylist, color specialist, and salon owner.

Hair loss affects confidence, relationships, and how others see you. It’s not just cosmetic – it’s a medical condition with real causes and solutions.

At Purely Hair Trichology, Certified Trichologist

Janice Brice uses advanced scalp analysis, mineral testing, and holistic evaluations to uncover the root cause of hair loss.

With over 25 years of expertise, she provides personalized treatment that restores both hair and confidence.

Her personal journey with hair loss began after many years behind the chair, when she suffered from hair loss due to chemical exposure from hair color. Wanting to understand why and how to recover her hair, she returned to academics and enrolled as a Hair Loss Practitioner, later becoming a Certified Trichologist.

Her Training and Approach

Janice is educated in the biological systems that can affect hair density and scalp health, including:

• Digestive system

• Cardiovascular system

• Immune system

• Hormonal system

Her holistic approach begins with an in-depth consultation, which includes:

• Microscopic scalp examination to identify causes and types of hair loss

• Recommendations for hair tissue mineral analysis to get to the root of the problem

• Review of blood work related to hair loss

Back to Basics Program

Janice has developed a program called Back to Basics that teaches essential scalp and hair care practices, including:

• How to properly care for your scalp

• How to select the correct brush, how often to use it, and how to clean it

• How often to wash your hair – especially since people experiencing hair loss often reduce brushing and washing out of fear more hair will come out

• The program also addresses lifestyle, medications, and diet as part of a complete approach to healthier hair and scalp care.

Credentials

• Certified Graduate from the Texas Institute of Trichology

• Certified Hair Loss Practitioner

• Root Cause Trichology (certified to read blood work)

• Licensed Cosmetologist

• Licensed Esthetician

• Microblade Artist

ADVENTIST MEDICAL GROUP

PRIMARY CARE SERVICES FOR YOU

Choose Adventist Medical Group Primary Care in Fort Washington, Maryland, to provide a full range of primary care services for adults.

Learn to better manage your health and prevent illnesses with personalized care from our experienced, primary care providers. Our specialists in family medicine and internal medicine work as a team to deliver expert care when you need:

• Same-day Sick Visits

• Women’s and Men’s Health and Wellness Exams

• Health Physicals, Health Maintenance and Preventive Care

• Geriatric (Senior) Wellness Exams

• Vaccinations and Immunizations, including Flu Shots

• Health Management for:

• Asthma and Allergies

• High Blood Pressure

• High Cholesterol

• Diabetes

• Heart Disease To schedule an appointment, please call 240-724-6018

You also benefit from coordinated care that helps you effectively handle all aspects of your health—from preventive medicine and preoperative appointments to management of chronic health conditions.

Nicole Haskins, CRNP, RN (Family Nurse Practitioner)

COSMETIC SURGERY

• Breast Augmentation

• Abdominoplasty (Tummy Tuck)

• Liposuction

• Hair Transplants

• Mommy Makeover

• Facial Surgery

NON-INVASIVE TREATMENTS

• Botox®, Dysport®, Xeomin®*

• BellaFill®

• Juvederm*

• Restylane®*

• TempSure Envi

• Endermologie

• Zerona

• Lipolight LASER TREATMENT

• Hair Removal

• Vein Treatment

• Laser Resurfacing

WELLNESS SERVICES

• Bioidentical Hormones (BHRT)

• ED Treatment for Men

• Medical Weight Loss

4407 Willard Avenue Chevy Chase, MD 20815 (Across from the Friendship Heights Metro)

Doesn't Your Child Deserve the Best?

Iwas born and raised in Brooklyn, New

masters at Long Island University in Brooklyn New York and completed my medical degree at State University of New York at Buffalo, School of Medicine in 1991.

Loving Care Pediatrics

Janet V. Johnson, MD

Board Certified in Pediatrics and Adolescent Medicine Fellow of the American Academy of Pediatrics 3311 Toledo Terrace Suite C-201, Hyattsville, Maryland 20782 Mon–Fri, 9:00 am–5:00 pm | Office: (301) 403-8808 or Alt: (301) 403-1341

Vision is

Get the Flu Shot Take the Lead In Your Health

most prevalent in the coming year. There are two basic types of viruses that can cause the flu – strain A and B. Both types can be potentially serious. “Trivalent” vaccines protect against two A strains and one B strain of flu, while newer quadrivalent vaccines protect against two A and two B strains.

My postdoctoral training was received at Howard University/District of Columbia Hospitals combined Residency Program, Department of Pediatrics in Washington, DC completed in June 1994. served as Chief Resident for the Department of Pediatrics, January 1994. I obtained Continuity Clinic Awards from 1991 to 1993 based on partic ipation and involvement in community clinics during my residency training.

many others, please call the office at 301403-8808 to schedule a visit. We look forward to seeing you at Loving Care Pediatrics— Janet Johnson MD and Staff.

Everyday Preventive Actions

In addition, I am dedicated to volunteering my time to community outreach projects, youth groups, health fairs, various church functions and committee boards as well as for those who are less fortunate. Donating of my talents, time and treasures and giving back and serving those who are in need. I am an active member in The Prince George’s Community Advisory Group and served as the Medical Director for the Mid-Maryland Mission of Mercy two day free Dental Clinic sponsored by Catholic Charities Archdiocese of Washington in August 2013.

to be recognized in the community it serves for

To create a caring environment with a commitment to foster a work environment where individual diversity is valued and recognized, also where the satisfaction of all patients regardless of their background is the fundamental goal of our every action, with the

I am Licensed in Maryland, Board Certified in Pediatrics and Adolescent Medicine and a Fellow of the American Academy of Pediatrics.

being recognized and honored as a uniquely noble pursuit.

I have been in Private Practice for 22 years. I practice general pediatrics: examining, diagnosing and treating most of the diseases of children from birth to 21 years of age. With referral to specialists when the need arise. The practice is certified by the Prince George’s Health Department to administer Yellow Fever Vaccination. The practice pro vides vaccines for overseas travel to those individuals traveling out of the country and in need of an official certificate of vaccination (Yellow Book).

I make every attempt to ensure medical care to my patients is as convenient as possible. If your child becomes ill during the night you may contact the office via the answering ser vice and speak with me for an emergent next day appointment. We also have same day appointments. Most insurances are accepted including: Aetna, Care first Blue Cross, Blue Choice, Amerigroup, Americhoice United Health care, Teamsters, Tricare, most govern ment plans, Maryland Medicaid, self-pay, and

Practice Philosophy Janet Johnson MD and Travel Health Medicine is committed to servicing its patients, parents and community by providing excellent and compassionate health care service to a culturally diverse population that promotes the dignity and well-being of the people we serve.

Vision Statement Janet Johnson and Travel Health Medicine goal is to be recognized in the community

Integrity: We are consistent and honest in word and deed. Commit to the highest standards of ethical conduct, respect, competence and safety.

Quality: We provide service excellence in meeting client expectations. We ensure commitment to excellence for our patient and communities.

Everyone over the age of six months old needs and should have a flu vaccine every year. The vaccines are available as an intradermal, intramuscular shot and as a nasal spray. They begin to arrive in doctors’ offices, pharmacies and clinics by mid-September. Every year, scientists design the vaccine to protect against the types of flu viruses that are expected to be the

The flu virus can spread by direct contact, such as sharing drinks, or through indirect contact, such as when an infected person sneezes on their hands and touches an object like the lunchroom microwave door. The influenza virus can live for 2-8 hours on surfaces.

In addition to getting vaccinated, the following recommendations should be considered:

• Avoid contact with sick people.

• Cover sneezes and coughs.

• Wash hands to reduce the spread of

Please see “Flu Shot,” page 63

Trichology Support For Chemo Patients

Hair loss is one of the most visible and emotionally difficult side effects of chemotherapy. While regrowth usually occurs after treatment ends, the experience can be distressing and often raises questions about how to best care for the scalp during and after cancer treatment. This is where trichology—the science of hair and scalp health—plays an important role.

A trichologist is a specialist trained in the study of hair and scalp disorders.

While not a medical doctor, a trichologist can assess scalp conditions, identify contributing factors behind hair loss, and recommend appropriate care strategies. For chemotherapy patients, this expertise provides targeted support to manage both the physical and emotional challenges of hair loss.

Scalp Care During Chemotherapy

Chemotherapy can leave the scalp dry, sensitive, or inflamed. Gentle care strategies are essential, including:

• Scalp detoxification and exfoliation to remove buildup, unclog follicles, and improve circulation.

• Hydration therapies that restore moisture and soothe irritation.

• Specialized scalp treatments to maintain balance and reduce discomfort while hair follicles are under stress. These approaches do not interfere with medical treatment but instead create a healthier environment for the scalp, helping patients feel more comfortable during the process.

Please see “Trichology,” page 65

At Noble Integrative Health, our mission has always been to facilitate healing—one “point” at a time. Over the years, I have witnessed firsthand how acupuncture and traditional medicine can transform the lives of those battling cancer. Yet, one of the greatest barriers many patients face is not the treatment itself—it’s access.

That is why I established Noble Integrative Health Foundation, a nonprofit 501(c)(3) dedicated to ensuring that cancer patients without insurance or financial means can still receive acupuncture treatments. This foundation was born from both professional insight and a personal calling: no one should be denied supportive care simply because they cannot afford it.

The Value Of Acupuncture In Cancer Care

Acupuncture, a core practice of Traditional Chinese Medicine (TCM), has become increasingly recognized in oncology care. For patients undergoing chemotherapy or radiation, side effects such as nausea, neuropathy, fatigue, and pain can make daily living overwhelming.

Studies show that acupuncture can:

• Reduce chemotherapy-induced nausea and vomiting, helping patients restore appetite and energy.

• Relieve neuropathy and pain, reducing dependency on medications with heavy side effects.

• Combat fatigue and improve sleep quality, restoring vitality for everyday life.

• Ease anxiety and stress, offering emotional resilience during an often-overwhelming journey.

What makes acupuncture so powerful is that it addresses the whole person – body, mind, and spirit. By integrating this ancient practice into modern cancer care, patients experience not only symptom relief but also a greater sense of balance, hope, and strength.

A Mission Of Compassion and Access

Through Noble Integrative Health

Acupuncture: A Path Of Hope For Cancer Patients

Foundation, we are expanding access to integrative oncology care for underserved communities in Maryland and beyond. Our programs focus on:

• Subsidized or free acupuncture sessions for cancer patients without coverage.

• Community health education on integrative cancer care.

• Collaborations with cancer centers and hospitals, bridging Eastern and

Western medicine.

Our vision is simple yet profound: to make integrative oncology care a right—not a privilege.

An Invitation To Join Us

Every needle placed in acupuncture carries the possibility of easing pain, restoring sleep, or calming fear. With the support of our foundation, every treatment also carries the promise of equity and access.

Whether you are a patient seeking support, a healthcare partner ready to collaborate, or a community member who wishes to donate, your involvement matters. Together, we can ensure that cancer patients—regardless of circumstance—receive the holistic, compassionate care they deserve. For more information or to support our mission, visit www.nihfinc. org or call (240) 512-8627.

Dr. Hardin has launchedanonprofitdedicatedorganization toproviding acupuncture treatment tocancerpatientswho are uninsured or unable to afford care. This initiative aims to ensure thateveryonebattling cancer has access tothe theytherapiessupportive need.

How Nature-Informed Counseling Supports the Grief Journey

Frontiers in Psychology found that 20 minutes a day with a goal of two hours a week spent in nature can lower stress hormone levels.

There are a lot of reminders in nature about the life cycle. Look at a fallen tree with mushrooms growing from its trunk.

For someone who is coping with the loss of someone special, that may be a great first step. The next step to make the most of healing time in nature is to take part in nature-informed grief therapy. It is a type of counseling that incorporates what we’ve learned about the benefits of being in nature

into a care plan for grief clients. Here are three ways nature-informed therapy can help heal a grieving heart.

Nature Is Cyclical

There are a lot of reminders in nature about the life cycle. Look at a fallen tree with mushrooms growing from its trunk. That can show that life can come from death. New life from old growth can be beautiful. Change and loss has a purpose in nature. And so, too, in our lives.

Nature Doesn’t Have Goals

When I am with a group taking a walk, it isn’t a fitness walk. We don’t need to do so many steps in an hour. It’s about being together, finding things that speak to us in our grief process and sharing. In nature therapy, we learn that it isn’t always how we want things to be in. A sudden storm changes our path. How do we deal with our own distress?

Nature Has Metaphors

Nature has messages all around us. When we disconnect from the human-made world, we can see things in the natural world that can illustrate our grief process. One metaphor a client discovered was in a stream. She said it was like grief because there were calm spots which then led to water going over rocks and the stream being kind of broken up. As a facilitator, it is my job to give grievers a space to find these metaphors and it’s easy when we’re in nature.

Human Beings, Not Human Doings

When they get out in nature, grievers can find themselves slowing down and being in the moment. They become human beings and not human doings. We need that when we’re grieving. Healing comes from being present with your emotions. A nature-informed therapist can support grievers as they become more aware of their new path without their person.

Janay Taylor, MSN, CRNP and Maurice Taylor, NREMT-P

Located in scenic Southern Maryland, Studio 5 Hair Gallery is well known in the medical community for customized solutions for hair loss. We provide the finest synthetic and human hair wigs, hair extensions, and top-of-the-head hairpieces. For over 12 years, Studio 5 Hair Gallery has served its clients with compassion and excellence. call 301.884.3553 for your appointment today! Please mention this Flier when setting up your appointment.

GWEN BEVERLY Owner, Medical Hair Loss Specialist

Prevention Starts With You Everyday Habits That Fight Cancer

When we hear the word cancer, fear often follows. But what if we shifted that fear into action? What if, instead of feeling helpless, we embraced the power we do have—every single day?

Cancer doesn’t always begin with a diagnosis. It can start with years of inflammation, poor nutrition, unmanaged stress, and toxic habits. The good news? You can start making changes right now to tip the scale in your favor.

Let’s start with the basics: what you put on your plate mat-

ters. Choose whole foods that fight inflammation—leafy greens, berries, beans, garlic, and cruciferous vegetables like broccoli and cabbage. These foods are packed with antioxidants that protect your cells from damage. Limit red meat, processed foods, and sugary drinks that have been linked to higher

Dr. Tiffany Daniel, EdD

Degrees: BS in Psychology, MDiv; Doctorate in Christian Education, EdD

Yoga 500 Level and Zumba Instructor

Training: Mindful Movement and Breathwork

Areas of Interest: Healthy Eating and Regular Exercise

Specialties: Nutrition, Meal Planning, Weight Loss, Rehabilitation and Maintenance, and Standards for Excellence Licensed Consultant

Practice Philosophy: Your Health is Your Wealth

Host monthly Therapeutic Horticulture and Mental Health Awareness Workshops.

Give An Hour, Ambassador supporting veterans and their families. Veteran Yoga Project Coordinator.

Mental Health First Aid Certified.

Hobbies: Reading, Researching Preventive Measures for Autoimmune Diseases and other Health Conditions plus Advocate for Veterans and Mental Health Awarenes

Certificates: Behavioral Health and Nutrition, Personal & Small Group Fitness Instructor, Certified Health & Wellness Coach, IIN Alumni, MRT & SEL(F) Instructor, 137 National Plaza Suite #300, Oxon Hill, MD www.ctldomGroup.com

cancer risk.

Hydration is another powerhouse tool. Your body needs water to flush out toxins and support cellular health. Aim for half your body weight in ounces every day—and more if you’re active. Ditch sugary sodas and opt for green tea or lemon water when you need something flavorful.

Now let’s talk movement. You don’t need to run marathons. But you do need to move. Physical activity helps regulate hormones, reduce inflammation, and boost immune function. Just 30 minutes of walking, five days a week, can lower your risk for several cancers.

Equally important? Managing your stress. Chronic stress weakens the immune system and contributes to disease. Take 10 minutes each day to breathe. Meditate. Journal. Stretch. Pray. Whatever brings you peace—do more of that.

And don’t ignore the value of routine screenings. Early detection saves lives. Whether it’s a mammogram, colonoscopy, or skin check, make these appointments non-negotiable. Listen to your body. If something feels “off,” don’t wait.

This isn’t about fear. It’s about empowerment. You don’t need to overhaul your life overnight. You just need to commit to showing up for yourself—one meal, one walk, one mindful breath at a time.

So today, make one small change. Replace the chips with carrots. Take the stairs. Schedule that overdue check-up. Because the truth is, you have more control than you think.

Prevention doesn’t start in a lab. It starts at your kitchen table. It starts in your sneakers. It starts in your mind.

It starts with you.

Dr. Tiffany Daniel

Gena Schultheis, DDS

Dr. Gena Schultheis is a skilled general, cosmetic, and implant dentist known for her natural, holistic approach to care. She uses biocompatible, non-toxic materials and natural remedies to support healing and minimize discomfort, always staying current with the latest minimally invasive dental techniques.

A former U.S. Air Force Captain, Dr. Schultheis earned the Air Force Commendation Medal for her service. She received her dental degree from the University of Maryland Baltimore College of Dental Surgery in 2005 and completed advanced training through a Residency in General Dentistry. She holds certifications in implant dentistry, orthodontics, cosmetic dentistry, laser dentistry, and SMART mercury removal. She is also a certified provider for ClearCorrect, Six Month Smiles® , Lumineers ®, and Snap-On Smile ®

Dr. Schultheis is a board member of the Holistic Dental Association and a member of several organizations, including the American Dental Association ®, American Academy of Cosmetic Dentistry, and the Eco-Dentistry Association. She actively volunteers through Free Day of Dentistry, participates in environmental initiatives, and educates the medical community on oral-systemic health links.

Outside the office, she enjoys yoga, hiking, skiing, and spending time with her husband and three children. She also writes for Your Health Magazine and blogs about holistic dentistry.

Embracing Holistic Dentistry

For a Healthier Smile and Body

Dental health goes beyond a beautiful smile; it plays a crucial role in maintaining overall wellbeing. Holistic dentistry is a comprehensive approach that considers the interconnection between oral health and the body’s systemic conditions. By prioritizing natural treatments and minimizing invasive procedures, holistic dentistry aims to promote long-term health. This article explores the philosophy behind holistic dentistry and highlights some of the services offered in this approach.

Dentistry and Overall Health: The mouth serves as a gateway to the body, and studies show strong correlations between oral health and systemic conditions like heart disease, stroke, diabetes, and Alzheimer’s. Holistic dentists recognize this connection and strive to address health issues through a comprehensive approach. This includes considering the impact of dental treatments on the body, choosing safe materials, and utilizing natural treatment options.

Natural, Holistic Treatments: Holistic dentistry offers a range of services designed to prioritize patient health and minimize environmental impact. Some of these treatments include:

• SMART (Safe Mercury Amalgam Removal Technique) amalgam removal

• Chemical-free cleanings

• Metal-free dental materials (crowns, bridges, veneers)

• Ozone therapy for bacteria elimination

• Biocompatibility testing

• Fluoride-free tooth remineralization

• Minimally invasive laser treatment for gum disease

• Cold lasers for TMJ pain

• Natural teeth whitening

• Second opinions to avoid root canal therapy and more advance techniques for when a root canal is needed

• Supplements and natural remedies for oral health and pain prevention

Airway Dentistry: Holistic dentistry extends to addressing airway-related issues, recognizing the impact of breathing on overall health. Airway dentistry includes treatments for sleep-disordered breathing conditions like obstructive sleep apnea and snoring. By improving breathing patterns, holistic dentists aim to alleviate symptoms of neurological disorders and chronic diseases.

ClearCorrect and Invisalign: For those seeking discreet orthodontic solutions, ClearCorrect and Invisalign offer comfortable and nearly invisible options for straightening teeth. These systems use clear aligners that are removable for easy maintenance of oral hygiene.

TruDenta® and Myofunctional Therapy: TruDenta® is a holistic approach to treating chronic headaches and migraines by addressing the root causes. Myofunctional therapy, on the other hand, focuses on correcting tongue and facial muscle functions, addressing issues like airway obstruction, TMJ disorders, and speech impediments.

Eco-Friendly Dentistry: Annapolis Green Dental is committed to eco-friendly practices, minimizing waste, reducing water and energy consumption, and using nontoxic materials. The office follows green dentistry principles to create a healthier environment for both patients and the planet.

Sleep and Cancer Prevention Why Rest Is a Critical Part of Long-Term Health

Pulmonary

Sleep Specialists

Getting enough sleep is essential to feeling alert and functioning well — but its benefits go far deeper. Quality sleep plays a vital role in supporting the immune system, regulating hormones, and reducing inflammation. In recent years, growing evidence has also shown that poor sleep may increase the risk of certain types of cancer.

One of the key connections between sleep and cancer lies in the body’s circadian rhythm — the internal clock that regulates sleep-wake cycles, hormone production, and cellular repair. When this rhythm is disrupted, either by chronic sleep deprivation or irregular sleep schedules, the body’s natural defense systems may become compromised. For example, night shift

work, which exposes people to light at night and alters melatonin production, has been classified as a probable carcinogen by the World Health Organization due to its potential link to breast and other cancers.

Melatonin, the hormone produced in darkness to help induce sleep, also acts as a powerful antioxidant. It helps regulate immune function and may protect cells from DNA damage. Suppressed melatonin levels — which can occur from staying up late or sleeping with artificial light in the room — have been associated with an increased risk of breast and prostate cancers.

Poor sleep also affects immune surveillance, which is the body’s ability to detect and eliminate abnormal cells before they grow uncontrollably. Chronic insomnia, fragmented sleep, Please see “Cancer Prevention,” page 63

Over 70 million Americans suffer from sleep disorders. Sleep problems affect both sexes, all races and all age groups.

Left untreated, sleep disorders can pose serious threats to your health. Heart attack, heart failure, irregular heartbeats, stroke, diabetes, hypertension, acid reflux, attention deficit disorder and depression are conditions associated with sleep problems.

At Annapolis Asthma, Pulmonary & Sleep Specialists, we provide expert diagnosis and treatment to help you achieve restful, healthy sleep.

Essential Oils and Acupuncture

Essential oils are an ancient and recently popular modality used in holistic healing. The tradition of using essential oils in healing can be found around the world in many ancient cultures. Recently there has been a surge in the interest of using essential oils for physical health and emotional

well being.

Acupuncture and essential oils make a wonderful combination. The use of oils on acupuncture points and meridians can create a profound healing experience. Each oil has an energetic quality and when they are paired with the appropriate acupuncture point they can create a powerful healing response.

The essential oils can be used to relax, stimulate, warm or cool. For example, lavender, a well known essential oil, can be used for a variety of ailments. Lavender has a pleasant pungent odor and when used on the appropriate acupuncture points it can calm headaches, relieve muscle spasms and alleviate anxiety. The quality of the Lavender essential oil is relaxing and cooling. It moves the physiological symptom through the acupuncture point and meridian as

Acupuncture, an ancient practice dating back over 3,000 years, holds a prominent position within the realm of traditional Chinese medicine (TCM). Its core technique involves the delicate insertion of slender needles into specific points on the skin, meticulously chosen for their therapeutic potential.

In the realm of Chinese medicine, the concept driving acupuncture revolves around the unimpeded flow of vital energy along intricate channels known as “meridians.” According to this doctrine, when these energy pathways encounter obstructions, discomfort inevitably ensues.

The Merits Of Acupuncture

Statistics from the Centers for Disease Control and Prevention unveil that annually, more than eight mil-

opposed to suppressing it.

The essential oil can be applied on an acupuncture point during an acupuncture treatment. A small drop of oil is applied topically on one or more points as part of the acupuncture treatment. Essential oil blends can also be custom made for a client so that they may use the oils at home to continue the treatment. The acupuncturist can create a custom blend of several different oils specific to the

client’s health issue and then the client can apply the oil twice a day for usually two weeks. It is very important to work with an acupuncturist who has received proper training in using essential oils in relationship with acupuncture. It is also important to use essential oils that have been made using the highest standards. The quality of the oil is paramount to receiving a good effect from the treatment.

Now acceptiNg aetNa, aNd Blue cross/care First. practiciNg iN MarylaNd siNce 2004. 703 GiddinGs Avenue suite u3, AnnApolis, Md 21401

Acupuncture For Side Effects Of Cancer

lion Americans turn to acupuncture to address an array of health issues. Research has illuminated the efficacy of acupuncture in managing various non-cancer-related conditions, including but not limited to back pain, persistent headaches, osteoarthritis, hypertension, infertility, and the vexing specter of hot flashes. Furthermore, acupuncture shines as a safe and welltolerated option for ameliorating the side effects frequently accompanying conventional cancer treatments.

Relief From Cancer-Related Pain

An astounding 40% of individuals navigating the early or intermediate stages of cancer, and a staggering 90% grappling with advanced cancer, grapple with moderate to severe pain. Acupuncture emerges as a valuable player in the quest to alleviate cancerrelated discomfort. A recent study, featured in the Journal of Clinical Oncology , underscored the marked reduction in pain and functional impairment experienced by those receiving acupuncture, in stark contrast to their counterparts subjected to

standard care.

Mitigating the Impact Of Chemo-Radiation Therapy

Side Effects

The preliminary evidence signals acupuncture’s potential efficacy in alleviating a gamut of side effects triggered by chemotherapy and radiation therapy, encompassing nausea, vomiting, fatigue, pain, leukopenia,

radiation-induced xerostomia, insomnia, and anxiety. Intriguingly, acupuncture appears to outshine the antidepressant venlafaxine in terms of reducing these side effects while maintaining a more favorable adverse effect profile. Moreover, a separate trial hints at acupuncture’s role in diminishing vasomotor symptoms

Please see “Effects Of Cancer,” page 63

Brittney de Vicq, MAc, LAc West Annapolis Acupuncture

Cancers Of the Legs and Feet

fact that it

the feet.

Skin cancers of the feet are more related to exposure to chemicals, chronic inflammation or irritation, inherited traits and viruses. Regular foot check-ups for abnormalities is very important, but unfortunately the skin of the feet is often overlooked

during routine medical examinations. Types Of Skin Cancers Of the Legs and Feet

Basal cell carcinoma frequently appears on sun-exposed skin surfaces. This is less with the feet. This is one of the less aggressive cancers in the body. It can cause local damage but rarely spreads beyond the skin. On the legs and feet, basal cell cancers often resemble non-cancerous skin tumors or benign ulcers.

Squamous cell carcinoma is the most common form of cancer of the skin of the feet. This form is mostly confined to the skin during the early stages but can spread during the advanced stages. It usually begins as a small scaly bump or plaque, which might possibly appear inflamed.

Sometimes there will be a history of recurrent cracking or bleeding. Squamous cell cancer can possibly resemble a plantar wart, a fungal infection, eczema, an ulcer, or any other common dermatological condition of the foot.

Malignant melanoma is one of the deadliest types of skin cancers known. This type of skin cancer must be discovered very early to ensure patient survival.

Melanomas may occur on the skin of the foot or sometimes underneath the toenail. They are found on the soles and on the tops of the feet. As a melanoma grows it will tend to extend deeper into the skin. This becomes very serious because it may spread through the body through the lymphatic and blood vessels.

Malignant melanoma commonly begins as a small brown-black spot or bump, but in about a third of the cases, this skin cancer will lack brown pigment and thus appear pink or red. These tumors may look like common moles; however, close inspection will usually demonstrate asymmetry, irregular borders, alterations in color, and/or a diameter of more than six mm. Melanomas may resemble benign moles, blood blisters, ingrown nails, plantar warts, ulcers caused by poor circulation, foreign bodies or bruises.

Recovery and Mental Illness

It is important to understand that persons with a disability don’t get rehabilitated in the way cars get tuned up or repaired. They are not passive recipients of services. They experience themselves as recovering a new sense of self and purpose which goes beyond the limits of their disability. Rehabilitation refers to the services made available so persons with disabilities may learn to adapt to their world. Recovery refers to real life experiences as people accept and overcome the challenge of the disability. It is the kindling of hope followed by action.

Recovery is a process, not an end product. It is marked by a growing acceptance of personal limitations from which grow unique possibilities. For many it becomes an attitude, a way of life, a way to approach daily challenges.

If possible, those of us working in rehabilitation would love to manufacture the spirit of recovery and hand it to those who attend our programs as we greet them at the door. We cannot. However, all of us can work to create an environment which will nurture recovery.

To recover, people with a psychiatric disability must be willing to try and fail, and try again. A program is fail proof when a person feels he can always come back, pick up where he left off and try again. The person is welcomed, valued, and wanted.

A second point is understanding that each person’s recovery is unique. Each person is an individual and must find his own special formula for what promotes recovery or does not help. A wide variety of options are useful to the person i.e.: skills groups, social interactions, work, and self help groups.

Please see “Mental Illness,” page 63

Screening Tests For Oral Cancer

A physical examination for oral cancer may be done during a routine oral examination by your dentist. All areas of the mouth are checked for oral cancer including the high-risk areas of the mouth such as the floor of the mouth, the front and sides of the tongue, and the soft palate. The exam will also include looking for lesions on the mucous membranes. The dentist or hygienist will also physically palpate areas of the head and neck to feel for any suspicious lumps or bumps in the soft tissue.

In addition to the physical examination, an oral cancer screening should be routine at least once a year and performed by your general dentist. Make sure your general dentist offers an oral cancer screening test in addition to the examination they will give you. This is the only way to win the battle against oral cancer.

Regular Dental Check-ups Are Important

Regular check-ups, including an examination of the entire mouth, are essential in the early detection of cancerous and pre-cancerous conditions. You may have a very small, but dangerous, oral spot or sore and not be aware of it.

Your dentist will carefully examine the inside of your mouth and tongue and in some patients may notice a flat, painless, white or red spot or a small sore. Although most of these are harmless, some are not. Harmful oral spots or sores often look

Please see “Screening Tests,” page 63

addition to having your prescriptions filled with speed and accuracy, you will experience one of the best services and notice the difference.

With 14 employees, Kensington Pharmacy gives a special attention to each customer that they deserve. Stop by and experience the difference.

Over-the-Counter Medicines and Drug Interactions

Submitted by Kensington Pharmacy

Every day, millions of Americans use over-the-counter medicines for relief from headache or arthritis pain, coughs and colds, flu, and upset stomach. These over-the-counter medicines are effective, widely available, convenient, and cost-effective. It is important to treat all of your medicines seriously and read all of the instructions carefully. This can help you avoid problems that may occur with all medications, including over-the-counter medicines.

Drug-drug interactions happen when a drug interacts, or interferes, with another drug. This changes the way one or both of the drugs act in the body, or causes unexpected side effects. The drugs involved can be prescription medications or over-the-

counter medicines. They can even be things like vitamins and herbal products.

Sometimes when two drugs interact, the overall effect of one or both of the drugs may be greater than desired. For example, both aspirin and blood thinners like warfarin (Coumadin®) help to prevent blood clots from forming. Using these medications together may cause excessive bleeding.

Other times, the overall effect of one or both of the drugs may be less than desired. For example, certain antacids can prevent many medicines from being absorbed into the bloodstream. If this happens, the medicine may not work as well or it may not work at all.

Drug-food interactions happen when a prescription medication or

Please see “Medicines,” page 63

• Prescription Refills via On-line or Phone 24 hours a day

• Flu Shots, Shingles and Pneumavac Vaccines

• Transfer Of Your Prescriptions

• Blisterpacking For Assisted Living Facilities

• BOIRON Homeopathic Remedies

• Greeting Cards, Select Books and Gifts

• Wide Home Health Care Selection Wheelchairs, Canes, Walkers, Medical Legsupport, Arthritis and Sport Aids, Bath Aids

• Toys and Books for Children

• And More

Ways To Lose Weight

EQUITY FOR ALL

y Smile

needs of each patient. Whether you’re undergoing a complex procedure or a routine dental treatment, your peace of mind is our priority.

Patient-Centric Approach:

At Total Dental Care, we prioritize your comfort with a patient-focused approach, offering amenities such as heated chairs with massage features, ensuring a relaxed experience. Our team is dedicated to fostering a positive dental experience, emphasizing

CanCeR

orful variety of vegetables and fruits, limiting processed and red meats, cutting back on saturated fats, and keeping alcohol intake low all reduce cancer risk. Alcohol alone accounts for about 5% of U.S. cancer cases and 4% of cancer deaths.

Vitamin D and Other Factors

Vitamin D deficiency is common, particularly among people with darker skin, since melanin reduces vitamin D production from sunlight. However, randomized trials show vitamin D supplementation does not reduce overall cancer incidence, though some studies suggest a small reduction in cancer mortality. It is best to discuss vitamin D testing and supplementation with your physician if you may be at risk of deficiency.

Tobacco use remains the single largest preventable cause of cancer, while environmental exposures (such as certain chemicals and radiation) also contribute to risk.

Improving Your Odds

Here are steps you can take to lower your risk and improve survival:

• Live a healthy lifestyle. Eat a wide variety of fruits and vegetables, limit red and processed meat, exercise regularly, avoid smoking, and drink alcohol only in moderation.

• Stay up to date on screenings:

o Breast cancer: Mammogram every 2 years for women ages 40–74.

o Colorectal cancer: Screening starting at age 45, with colonoscopy or other approved tests. However those with a family history of colon cancer or other signs or symptoms should consider earlier screening. I refer younger people for screening who have a family history, abdominal pain, iron deficiency or blood in their stool, and weight loss.

o Lung cancer: Annual low-dose CT for adults 50–80 with ≥20 pack-year smoking history who currently smoke or quit within the past 15 years. And non smokers

communication and education to empower patients in making informed decisions about their oral health.

Total Dental Care stands as a beacon of excellence in dental health, providing total solutions for patients seeking comprehensive, detail-oriented care. Experience the difference with our wide range of services and patient-focused approach, ensuring your journey to a healthy smile is seamless and satisfying.

may also want to consider screening for Lung Cancer given the rise in this cancer in people with no history of smoking.

o Prostate cancer: Men ages 55–69 should discuss PSA testing with their doctor; routine screening is not recommended after age 70. However I test people regularly and think this is the best path.

o Cervical cancer: Women ages 21–29 should have cytology every 3 years; ages 30–65 may choose cytology every 3 years, HPV testing every 5 years, or both every 5 years.

o Skin cancer: The evidence is insufficient to recommend routine full-body screening for asymptomatic adults, but any new or changing skin lesion should be evaluated promptly.

• Know your family history. If cancer runs in your family, talk with your doctor about earlier or additional testing, and consider genetic counseling.

• Maintain a healthy weight. Weight loss can lower cancer risk, and new medical therapies now make weight management more achievable.

• Listen to your body. If you notice a lump, new pain, or a persistent change in your health, don’t ignore it. Early detection gives you the best chance at effective, potentially curative treatment. You must advocate for yourself and feel free and empowered to get a second opinion if you are still concerned or not satisfied with the evaluation and recommendations you have received.

Final Thoughts

While we cannot control our genetics, we can control many of the factors that influence cancer risk. By maintaining a healthy lifestyle, keeping up with recommended screenings, and seeking care promptly when something feels wrong, we can greatly improve our odds against cancer

oral health. But perhaps the biggest surprise about the all-on-four is how quickly it can transform your life.

What’s The All-On-Four Dental Implant Procedure Like?

First, either local or general anesthesia will be administered.

Second, the dentist or surgeon will prepare your mouth for the implants, which involves removing your remaining teeth that are failing. They will then remove any diseased or infected tissue from your jaw and gums.

Next, they will insert the titanium screws into your jawbone. Most likely,

R

they will place two implants toward the front of your mouth and two towards the back of your mouth so the “anchors” can evenly bare the force of the denture.

After the implants have been placed, they will thoroughly clean the surgical sites and suturing all the incisions. Then you’ll be taken to a recovery room where you can relax and take time to wake up from the anesthesia. Schedule a consultation with an All-On-Four provider. It’s the best way to find out how dental implants can change your life.

CH i RopR aCTiC Ca R e FRom page

Within CTCA, chiropractic practitioners collaborate seamlessly within interdisciplinary teams alongside surgeons and oncologists, providing vital support to cancer patients during their treatment trajectories. This patient-centric methodology stems from a simple yet profound inquiry: “If your own mother faced cancer, how would you desire her treatment to unfold?” Founded by Richard J. Stephenson, who personally experienced the loss of his mother to cancer, CTCA envisions a holistic and all-encompassing approach, augmenting advanced treatments with comprehensive care.

A decade ago, chiropractic physicians integrated into CTCA’s staff in response to patient demand, leading to the provision of comprehensive,

gallSTone S

problems that can be painful as well. Acute inflammation of the gallbladder may cause severe pain leading to hospitalization and urgent surgery. An obstruction of the ducts leading from the liver may occur and if there is associated infection, patients may have pain, fever and jaundice. Gallstones can also affect the pancreas leading to pancreatitis with associated abdominal and back pain accompanied by vomiting. Many of these complications require hospitalization for management.

Gallstones are diagnosed using abdominal imaging studies such as abdominal ultrasound or CT scan. At times, they are diagnosed during stud-

HRT

adults aged 50 or older (about 22 million people) have not been screened as recommended.

18

unified treatment within a single establishment. In cases where patients express discomfort due to chemotherapy-induced headaches, the treatment team might initially recommend a chiropractic adjustment instead of introducing yet another medication. The CTCA model has significantly reshaped the perspectives of oncologists, surgeons, and healthcare practitioners nationwide when it comes to the care of cancer patients. Anchored in the concept of “Whole-Person Cancer Treatment,” coupled with an atmosphere of empathy and nurture, often referred to as the “Mother Standard of Care,” patients receive invaluable support throughout their treatment journeys.

ies done for something else. Management of gallstones can be conservative with observation if there are no associated symptoms and they were diagnosed incidentally. Recommendations typically include avoidance of fatty or greasy meals to limit occurrence of symptoms. Medications have not been proven effective in eliminating gallstones. If symptoms are present then the management is traditionally a minimally invasive surgery to remove the gallbladder and the stones within. Management is typically individualized based on the patient, the clinical presentation, and the patient’s health status.

FRom page 22

HRT is safe for almost all women according to the latest medical research (Mayo Clinic: The Menopause Solution, 2018) and does not increase all-cause mortality (Journal of the American Medical Association, Sept. 12, 2018). Talk to your doctor or a hormone specialist about the benefit/risk value of hormone replacement therapy today!

301-805-6805 page 62 | Your HEALTH Magazine

FRom page 18
FRom page 19

• Pain in the ball of the foot at the base of the affected toe.

How Do You Get a Hammertoe?

A hammertoe is formed due to an abnormal balance of the muscles in the toes. This causes increased pressures on the tendons and joints of the toe, leading to its contracture.

What Can You Do For Relief?

• Apply a commercial, non-medicated hammertoe pad around the bony

prominence of the hammertoe. This will decrease pressure on the area.

• Wear a shoe with a deep toe box.

• If the hammertoe becomes inflamed and painful, apply ice packs several times a day to reduce swelling.

• Avoid heels

• A loose-fitting pair of shoes can also help protect the foot while reducing pressure on the affected toe.

• See your physician if pain persists.

CanCeR p R even Tion

or untreated sleep disorders may impair this process, reducing the body’s cancer-fighting capabilities.

In addition, sleep influences inflammation throughout the body. Long-term sleep deprivation can lead to elevated inflammatory markers, which are linked to a higher risk of many chronic conditions — including cancer. Poor sleep is also associated with weight gain and insulin resistance, both of which increase the risk of developing obesity-related cancers, such as colorectal, endometrial, and

F lu SHoT

germs. Everyone should wash their hands frequently to reduce the risk of transmitting germs to others.

• If you are sick, ill with the flu or flu-like symptoms stay home from school or work to prevent the spreading of flu to others.

Know the F.A.C.T.S.

The flu symptoms can be mild or severe, and can come on suddenly – be sure you know your flu treatment options so you can be prepared. Symptoms generally appear 1-4 days after exposure to the virus.

• F – Fever

• A – Aches

• C – Chills

• T – Tiredness

• S – Sudden Onset

It is important to recognize the value of support that comes from others seeking recovery from mental illness. It is difficult to convince oneself there is no hope when others around you are struggling and making progress.

Finally, attitudes are vital in providing an environment for recovery. Attitudes sometimes imply a we/they

kidney cancers.

FRom page 56

Prioritizing sleep isn’t just about feeling well-rested — it’s a proactive strategy for long-term health. Maintaining a regular sleep schedule, creating a dark and quiet environment, and seeking help for ongoing sleep issues are all steps that support better rest and may reduce the risk of future disease. While no single factor determines cancer risk, sleep is an often-overlooked contributor that deserves attention — not only during treatment, but also as part of everyday prevention.

FRom page 44

Treatment Options

Of the treatment options available, prescription antivirals may help make your illness milder or may help you feel better faster.

Antivirals are prescription medications that actively attack the flu virus and stop it from spreading to the rest of your body. In order to be effective, antiviral medications must be taken within the first 48 hours of onset of flu symptoms.

Antivirals For Flu Prevention

Not only can antivirals help treat the flu once you have it, they can also help prevent you from getting the flu if you are exposed to the virus. For example, if a family member is diagnosed with the flu, taking an antiviral can help stop you from becoming infected.

page 58

approach. We are normal and they behave in a strange manner.

In reality, all of us are human and have behaved in a strange manner or differently at times in our lives. In accepting this common humanity, people can work together to improve their lives. Recovery is a process each of us uses to some extent including those diagnosed with a mental illness.

eCTS oF CanCeR

in breast cancer patients undergoing adjuvant tamoxifen therapy.

Enhancing Quality Of Life

Acupuncture has the power to infuse cancer patients with renewed energy and a heightened sense of well-being. A study scrutinizing the quality of life among breast cancer patients, two years post-acupuncture treatment for hot flashes, unearthed encouraging findings. Those treated with acupuncture reported fewer incidents of hot flashes and exhibited a

more optimistic outlook on life. Navigating the Safety Labyrinth Though generally regarded as safe, acupuncture can occasionally induce dizziness, localized internal bleeding, dermatological reactions, nerve sensitivity, or heightened discomfort, especially when administered by inadequately trained practitioners. The pivotal role of a proficient and skilled acupuncturist cannot be overstated in achieving optimal treatment outcomes.

SCR eening Te STS

identical to those that are harmless, but testing can tell them apart. If you have a sore with a likely cause, your dentist may treat it and ask you to return for re-examination.

Your dentist may notice a spot or sore that looks harmless and does not have a clear cause. To ensure that a spot or sore is not dangerous, your dentist may choose to perform a test or a biopsy.

Here is why screening and early detection are so important. In order for your dentist to do a biopsy, they need to actually see the lesion. Once

m ediCine S

over-the-counter medicine interacts, or interferes, with something you eat or drink.

Drug-disease interactions happen when a prescription medication or over-the-counter medicine interacts, or interferes, with a disease or condition that you have. For example, decongestants, which are found in many cold remedies, may cause your blood pressure to go up. This may be dangerous for people with high blood pressure.

Your risk of having a drug interaction depends in large part on how many medicines you are taking. Fortunately most of these interactions can be prevented. By taking a few simple steps, you can protect your health and avoid serious problems.

Read the labels of all over-thecounter medicines. Look for the section called “Drug Interaction Precaution.” If you don’t see it, don’t assume that no interactions will occur. Read all the information carefully to be sure.

Tell all of the doctors and pharmacists you visit about all of the prescription medications and overthe-counter medicines you use. Use a

FRom page 59

a dentist can actually see a lesion with their eyes, it may be a later stage cancerous lesion. A screening enables your dentist to find these suspicious lesions much earlier, which can mean the difference between life and death. Suggest that your dentist use one of the new screening technologies available today such as Vizilite Plus in addition to their visual examination so that these can be found much earlier in their development. Let’s all work together so we can win this battle against oral cancer.

FRom page 59

Personal Medication Record to write down information about the medicines that you use. Be sure to include those you take every day as well as those you use only once in a while. If you use vitamins or herbal products, be sure to write them down, too.

Before taking any new medication, talk to your doctor or pharmacist. Ask whether it is safe to take the new medicine with other prescription medications, over-the-counter medicines, vitamins, or herbal products that you are taking. Ask if there are any foods, drinks, or medications you should avoid while taking the new medicine. Never use prescription medicines that belong to another person, even if that person seems to have the same health problem you have. Ask your doctor or pharmacist for advice on over-the-counter medicines. Your doctor or pharmacist will help you choose the medicine that best meets all of your health needs. If you can, buy your over-the-counter medicines at the same pharmacy where you have your prescriptions filled. That way, the pharmacist can check your records to see if the over-the-counter medicines you buy could interact with the prescription medications you take.

HEALTH DIRECTORY

ACUPUNCTURE

Eastern Medical Holistic Healing Center – Angel Wood – 240-755-5925 –www.Acupuncture4Wellness.Webs.com.

West Annapolis Acupuncture – Brittney de Vicq, LAc, MAc – 410-375-9716 – BrittneyAcupuncture.com – Annapolis, MD.

CHINESE MEDICINE & ACUPUNCTURE

Quansheng Lu, CMD, PhD, LAc – www.WholelifeHerb. com – 301-340-1066.

CHIROPRACTIC

Kovach Chiropractic & Wellness Center – Alicia Kovach, DC – 410-697-3566.

Effective Integrative Healthcare – Crofton 410-774-0644 – Millersville 410-729-2200 –Lanham 301-577-6556.

DENTISTRY

Cosmetic Dental FX – Judy Yu, DMD, MBA – 410-3600440 – www.DentalFXMD. com – Pasadena, MD.

Lighthouse Family Dentistry –E. Taylor Meiser, DDS – 410224 4411 – Annapolis, MD. Karl A. Smith, DDS – Waldorf, MD – 301-638 -4867. Craig A. Smith, DDS – 7201 Hanover Parkway, Suite A, Greenbelt, MD – 301-4461784 – www.craigasmithdds. com.

EYE CARE

McNelly Optical, Inc. – 410263-2692 – www.McNellyOptical.com – Annapolis, MD.

FERTILITY

Montgomery Women’s Fertility Center – 301-946-6962 –MontgomeryFertilityCenter. com – Rockville, MD.

HOME CARE

At Home Care, Inc. – 301421-0200 – AtHomeCareInc. com – Since 1977.

HORMONES

New Day Vitality Hormone Center – 410-793-5212 –Arnold, MD and Easton, MD – NewDayVitality.com.

INTEGRATIVE MEDICINE

Alan Weiss, MD, Annapolis Integrative Medicine – 410266-3613 – 1616 Forest Drive, Suite #3, Annapolis, MD 21403.

MEDICAL SPACE

Charles Feitel Company – 301571-9333 – www.MedicalandDentalSpace.com.

MEDICARE

Perry L. Johnson – Local Medicare Specialist – 301-793-4571 pjohnson.perry@gmail.com.

MENTAL HEALTH SERVICES

Charles Co. Freedom Landing, Inc. – 301-932-2737 or 301-870-3969.

House Calls, LLC – 301346-6732 – CallingOnBeth@ gmail.com – www.CallingOnBeth.net.

NEUROLOGY

Charles C. Reel, MD – Maryland Gait and Balance Disorder Center – Charlotte Hall, MD – 301-290-0395.

PAIN MANAGEMENT

Georgetown Pain Management – Netsere Tesfayohannes, MD, ABA, ABAP – 301-718-1082 – 8120 Woodmont Ave., Ste 560, Bethesda, MD – 7300 Hanover Dr., Ste 204, Greenbelt, MD.

Newbridge Spine and Pain Center – 301-638-4400 –www.NewbridgeSpine.com.

PHYSICAL THERAPY/ REHABILITATION

Active Physical Therapy. Various Locations across Maryland and Washington, DC. Active-physicaltherapy.com.

PODIATRY

Bowie Foot Care – Howard Horowitz, DPM – 301-4645900.

Largo Foot and Ankle Health Center – Ade Adetunji, DPM – 301 386 5453.

PRIMARY CARE

Loving Care – Janet Johnson, MD – Hyattsville, MD – 301-403-8808.

PROSTHETICS

Metro Prosthetics – 301-4590999 – www.MetroProsthetics.com

RETIREMENT VILLAGE

Brooke Grove Retirement Village – 18100 Slade School Road, Sandy Spring, MD 20860 – 301-260-2320 – www.bgf.org.

SENIOR CARE

Chevy Chase Home Care. Help at a time you need it most. Any Ages. Any situations. Any shifts. MD, DC, VA – www.CHCHHomeCare. com – 202-374-1240.

St. Mary’s Nursing & Rehabilitation Center – 301-475-8000 – Leonardtown, MD – www. StMarysNursingCenter.com.

UROLOGY

AA Urology – IR Center , 600 Ridgely Avenue, Suite #120, Annapolis, MD – Annapolis , 600 Ridgely Avenue, Suites #222-223, Annapolis, MD – East Campus Surgery Center, 600 Ridgely Avenue, Suite #130, Annapolis, MD – AA Urology – Odenton, 1106 Annapolis Road, Suite #250, Odenton, MD.

UROLOGY

Glen Burnie , 305 Hospital Drive, Suite #303, Glen Burnie, MD – Bowie, 4201 Northview Drive, Suite #201, Bowie, MD – West Campus Surgery Center, 7855 Walker Drive, Suite #102, Greenbelt, MD –Greenbelt, 7855 Walker Drive, Suite #100, Greenbelt, MD. VETERANS

Charlotte Hall Veterans Home – 301-884-8171 – Waldorf, MD. WEIGHT LOSS

The Bariatric and Hernia Institute – Dr. Etwar McBean – 240-206-8506 – www.TBHInstitute.com.

YOGA

Toni’s Happy Hour Yoga and Holistic Wellness Center –Toni Greene, Owner – 301449-8664.

SUBSCRIBING IS EASY:

1) Call 301-805-6805 with your name, contact info, and credit card payment for $24, or

2) Simply mail this form along with your check for $24:

Health Magazine 4201 Northview Dr. Suite 102 Bowie, MD • 20716

p ink R ibbon

progesterone—can stimulate breast and endometrial tissue abnormally. Low thyroid function and adrenal stress can further disrupt the hormonal landscape, making weight management, fatigue, and mood issues more pronounced.

Monitoring hormone levels and addressing imbalances can be a proactive way to reduce long-term risk while improving day-to-day wellbeing.

Men’s Health and Missed Signals

For men, symptoms like fatigue, decreased libido, erectile dysfunction, or hair thinning are often chalked up to aging—but these can also be signs of underlying metabolic or hormonal dysfunction.

Low testosterone, high estrogen, insulin resistance, and chronic inflam-

mation can all contribute to cancer development over time, particularly in the prostate, colon, and pancreas. These early warning signs shouldn’t be ignored.

Functional Testing

For the Bigger Picture

Standard labs don’t always tell the whole story. Functional and preventive testing can uncover early indicators of chronic inflammation, nutrient deficiencies, and hormone imbalances—issues that may not yet meet a diagnostic threshold but still increase long-term cancer risk.

By identifying and addressing these subtle dysfunctions early, patients can take more control of their health trajectory, rather than waiting for a diagnosis to dictate the path forward.

elon RoSH ell

vided significant relief from her chronic pain. “The oxygen was so good. I mean, that was the first thing that, really like, I had no pain,” she recounted.

A Vision Of Wellness

After her recovery, Richardson experienced a life-changing dream that inspired her to create a comprehensive health and wellness center in Calvert County. This vision became Elon Roshell Day Spa & Health, featuring an array of services designed to promote natural health and wellness, including an oxygen bar, hyperbaric chamber, and a signature salt cave.

The salt cave is a central feature of Richardson’s spa. Constructed with real salt bricks, the cave offers a serene environment where visitors can experience the benefits of inhaling medical-grade salt. These benefits range from improved skin health and respiratory relief to overall relaxation. “It’s good for your skin. If you have eczema, it’s good for different skin conditions. Also your lungs. For me,

TR iCHology

Supporting Hair Regrowth

Once chemotherapy is complete, a trichologist can use tools such as microscopic scalp imaging and low-level laser light therapy to monitor progress and stimulate follicles. These methods support early regrowth, help strengthen new hair, and reduce the likelihood of ongoing thinning.

Whole-Body Considerations

Because hair loss is influenced by more than just the scalp, trichologists also review contributing factors such

FaCing CanCeR

connect. Sharing fears, frustrations, and small victories with others who understand can make the journey less overwhelming.

Psychological counseling provides a safe space to process the complicated emotions that accompany cancer. Counseling does not erase fear or sadness, but it helps people recognize patterns of thinking and behavior that may either block or strengthen resilience. It offers tools for communication, stress management, and emotional regulation—skills that can improve quality of life even when circumstances feel uncertain.

It is important to remember that while no one chooses cancer, each person can choose how to respond emotionally. Hope can coexist with fear. Gratitude can live beside grief. Meaningful moments—a conversation, a laugh, or even the comfort of silence—can shine through the darkness.

We cannot always change the diagnosis, but we can learn to care for the emotional self alongside the physical body. In doing so, we remind ourselves and each other that healing is not only medical—it is also deeply human.

CanCeR paTienTS

FRom page 24

I have asthma. And after having this, I haven’t had to really carry my inhaler,” Richardson explained.

Elon Roshell Day Spa & Health offers a variety of wellness services, including massage therapy, facials, waxing, oxygen therapy, red light therapy, infrared sauna, and ionic foot baths. This holistic approach addresses both physical and mental well-being, providing a comprehensive healing experience.

Elambert Richardson also hosts a weekly Wellness Wednesday event at the spa. For just $25, attendees can experience the salt cave and participate in free small group health and wellness events. These events, largely led by Jeanette Umstead, a health coach at the spa, focus on Bible-based teachings of the 8 laws of health. These teachings emphasize principles such as a plantbased diet and the importance of rest, believed to contribute to long lifespan and overall well-being when followed.

page 44

as nutrition, lifestyle, and overall wellness. Many cancer patients face nutritional deficiencies during treatment, which can further impact hair and scalp health. A trichology consultation ensures these areas are considered as part of a personalized care plan.

Emotional Impact

Beyond the physical side effects, hair loss can significantly affect selfimage. Having a plan in place for scalp health and regrowth provides reassurance and a sense of control at a time when much feels uncertain.

tissue, Swedish massage should not be over-vigorous, pressure should be very light to moderate, and perhaps a shorter session is indicated.

As the field of oncology massage grows, it is heartening to know there are other options for cancer patients. Massage therapy ranks high on complimentary therapies that patients report were of benefit during treatment and recovery. For a patient seeking

a skilled therapist it is important to keep the following in mind when interviewing a therapist their years in doing massage generally, experience and training in working with cancer patients, and other therapies they may be trained in including energy work or lymph drainage. With careful communication between therapist and client, massage therapy may prove to be a very healing experience.

FRom

Ready To Get Healthy?

Your HEALTH Magazine publishes and distributes health information people need. We produce special sections to focus on particular health topics each month, and profiles of local health professionals. It Makes a Difference! Here’s what you can look forward to:

November BEAUTY, SKIN CARE, & GORGEOUS SMILES – Dermatology, Aesthetics, Body Contouring, Plastic and Cosmetic Surgery, the Latest Lasers, Anti-Aging, Weight Loss, Cosmetic Dentistry, Eye Wear, and more! Will include Profiles and Information from your Local Beauty and Dental Health Professionals.

December HEALTHY HOLIDAYS plus NEW YEAR, NEW YOU! – Professionals to help you and your family have a happy, healthy Holiday Season, plus professionals to help you lose weight, get fit, and eat better in the New Year! Will include Profiles from your Local Healthy Holiday & New Year Health Professionals.

January MEET YOUR LOCAL HEALTH PROFESSIONALS – Biographical profiles of a wide variety of local health professionals (Primary Care, Specialists, Integrative, Fitness, and more), highlighting their credentials, expertise, education, practice philosophy, areas of interest, and more!

February CARDIO HEALTH and DIABETES plus MENTAL HEALTH – Professionals to help you keep your Heart Healthy, Diet in check, Diabetes under control, Quit Smoking, and Sleep Sound. Will include Information and Profiles from your Local Heart, Stroke, Diabetes, and Fitness Professionals.

March COMPLEMENTARY and INTEGRATIVE HEALTHCARE – Chiropractic, Hypnotherapy, Holistic Healthcare, Nutritional Therapy, Acupuncture, Yoga, Physical Therapy, and much more! Will include Profiles from your Local Integrative Health Professionals.

If you are a Health Professional interested in including your practice

in the magazine and online, contact us today:

Turn static files into dynamic content formats.

Create a flipbook
Issuu converts static files into: digital portfolios, online yearbooks, online catalogs, digital photo albums and more. Sign up and create your flipbook.