Maryland July 2025 Edition

Page 1


E. Taylor Meiser, Jr. DDS, Dentistry
Alicia Kovach, DC Chiropractic
Aric Adlam, DC Chiropractic
Robin R. Robinson, AuD Audiology
Kristina Anderson, DC Chiropractic
Karl. A. Smith, DDS MS, Periodontist
S. Sreenivasan, DMD Maxillofacial Surgery
Paul J. Winters DC, Chiropractic
Patrick C. Winters DC, Chiropractic
Brent C. White, Jr. DDS, Dentistry
Mary B. Alexander, DDS DMSc, Periodontics
Nataliya Lakiza, PhD Home Health Care
Howard Horowitz, DPM Poditatry
Judy Yu, DMD, MBA Dentistry
Janet V. Johnson, MD Pediatrics
Kim Weiss, RN Registered Nurse
Alan Weiss, MD Integrative Medicine
Craig A. Smith, DDS General Dentistry
Gary Feldman, DPM Foot & Ankle Surgeon
Sonja Richmond, MD Hospice & Palliative
Marny Fetzer, MD, CPE Hospice & Palliative
Pam Lauer Optician
Renee Bovelle, MD Ophthalmology
Anne Crowley, LAc, Dipl Ac Acupuncture Physician Cht
Namita K. Thapar-Dua, DDS, Mobile Dentistry
Julia Brewer Pet Nutrition
David E. Harmon, Jr. DDS, MSD, Orthodontics
Alexander Pitts-Kiefer MD, Pain Management
Netsere Tesfayohannes, MD Pain Management
Hadi M. Rassael, DO Cosmetic Surgery
Matthew Skancke, MD Colon & Rectal Surgery
Rami Makhoul, MD, FASCRS FACS, Colon & Rectal Surgery
Mimi Quade, Owner Mastectomy Fitter Ahmet Aybar, MD, FAAP Pediatric Gastroenterologist
David Oria, DO Physical Medicine & Rehab
David Alexander, AuD CCC-A, Audiologist
Deborah Y. Wilson-Umanzor MD, Ophthalmology
Stephany Porter, ND, FABNO Naturopathic Doctor
Ghassan Jacklis, DMD Dentistry
Janice R. Trent AuD, Audiology
Dr. Anver Khan Pain Management
Nicole Haskins, CRNP RN, Nurse Practitioner
Jonathan Johnson, MD Aesthetics & Wound Care
Evan Taff, Owner Mental Health Rehab
Beth Albaneze, CPRP Mental Health
Rachel Allen, President Natural Beauty
Richee Berry, DDS Pediatric Dentistry
Deana Moody, DDS Dentistry
Lubrina Bryant, DPM Podiatry
Fana Asaafa, PhD, RN Skin Care
Christa Bellanca LCSW-C, Social Worker
Leticia Moreno, BCBA Behavior Analyst La Vergne Andre-Hayes DPM, Podiatry
Angela Onwuanibe, MD MPH, Psychiatrist Troy Sukhu, MD Urology
Lynda Dean-Duru, DDS Pediatric Dentistry
Krystle Dean-Duru, DDS Pediatric Dentistry
Claiborne M. Callahan MD, Ophthalmology
Michael Rogers, DDS Dentistry
Jacqueline D. Griffiths MD, Ophthalmology
Brenda E. Howard, DMD Family & Cosmetic Dentistry Mabir R. Sugatan, CEO Aesthetics Michael Matthews, DPM Podiatry Paul Bannen, MD Medical Oncology Frederick P. Smith, MD Medical Oncology
Tulani K. WashingtonPlaskett, MD, Cardiology
Sharron Sample, CEO Medical Cannabis
Michael Whalen, MD Urology & Urologic Surgery
Maureen Vernon, PhD Counseling
Jeffrey L. Brown, DDS TMJ & Sleep Disorders
Grace Dennis, Stylist Beauty Salon Owner

At the Minimally Invasive Vascular Center (also known as MIVC) we have long been committed to addressing the vascular devastation that is rampant in our community. Each year cardiovascular disease is the world’s largest killer; killing more Americans than cancer. If you have painful legs, wounds that won’t heal, varicose veins, leg swelling, history of smoking, or have a family history of vascular problems and/ or are over the age of 50, you may suffer from poor circulation. Poor circulation may be responsible for causing erectile dysfunction in as much as 50 to 70 percent of men who develop the condition. Now we are happy to add expanded services! Our goal is to extend the healthy lifespan of our patients by using a comprehensive, integrative approach to achieve the most effective results. We believe that Beauty Is a Reflection of Health and Wellness. We want you to be as beautiful on the outside as you are healthy on the inside.

• Primary Care

• Wound Care

• Comprehensive Weight-Loss (including injectables)

• Aesthetics

• Age Spots

• Cellulite

• BOTOX® Cosmetic

• Fillers

• Microneedling w/PRP and Exosomes

• PRP Hair Restoration

• Spider Veins

• Body Contouring

• CoolSculpting

• Laser

• CoolTouch Laser

• Laser Hair Removal

• Laser Pigment Removal

• Laser Skin Resurfacing

• Laser Skin Tightening

• Skin Treatments

• Acne Scars

• PRP Injections

• Chemical Peels

• HydraFacial

• Microdermabrasion

• Sun Damage

• Vascular Procedures

• Arteriograms

• Atherectomy

• Balloon Angioplasty

• Radiofrequency Ablation – Veins

• Venogram

• Uterine Fibroid Embolization

• Coil Embolization

• Sexual Enhancement

• Hormone Therapy

• Gainswave

• P-shot/O-shot

In This Edition…

The articles below are provided by local health professionals for the benefit of the public. Please contact them for advice and services.

8 | Understanding Benign Prostatic Hyperplasia (BPH) | By Troy Sukhu, MD

11 | New Solutions For Dentures and Dental Implants | By Karl A. Smith, DDS, MS

12 | Breaking the Silence: Hair Loss In Black Women and What You Can Do | By Rachel Allen, President 12 | Your One-Stop Solution For a Healthy Smile | Submitted By Total Dental Care 13 | Caring For a Loved One With Alzheimer’s? | By Maryland Association for Medicine Adult Day Services

14 | TMJ Disorder and Exercise | By Jeffrey L. Brown, DDS

16 | Understanding Achilles Tendon Injuries | By Gary Feldman, DPM, FACFAS

17 | What Parents Should Know About Flouride | Submitted by Dr. Camps Pediatric Dental Center

18 | Inflammation: The Cause Of Many Health Problems | By Alan Weiss, MD

18 | Discover Your Perfect Full Arch Dental Solution | By Judy Yu, DMD, MBA

19 | Chiropractic and Exercise For Optimal Health | By Alicia Kovach, DC

20 | Essential Oils To Relieve Pain | By Holly Dunbar, LMT, Herbalist RH (AHG)

21 | Caring For Your Children’s Feet | By Howard Horowitz, DPM

22 | Boost Your Weight Loss Efforts: Check Your Hormones | Submitted by New Day Vitality Hormone Center

22 | Bariatric Surgery: Dr.’s Cover the Insurance Coverage Option | By Etwar McBean, MD, FACS 24 | All-On-Four Dental Implants | Submitted By Sivakumar Sreenivasan, DMD, MDS

26 | Midlife Weight Gain? Check Your Thyroid | By Milca Kaplan, NP

26 | A Journey Of Healing | By Elambert Richardson

27 | Keeping Maryland Residents Connected | By Maryland Relay/Telecommunications

27 | Embracing Summer Memories… and Making New Ones | By Maureen Vernon, PhD

29 | A Complete Contouring Solution | By Jonathan Johnson, MD

30-42 | Meet Your Local Health Professionals

44 | Contraception and Pregnancy Prevention: Key To Women’s Health | By Ashley Pimperl, MSN, CRNP

44 | The Ultimate Healing: Restoring Body, Mind & Spirit | By Sabrina Milanovich

46 | Regain Control and Find Joy Again | By Angela Onwuanibe, MD, MPH

48 | What Our Chief Medical Officer Wants You To Know About Hospice | By Elizabeth Schuman

50 | Relieving Menstrual Discomfort – A Holistic Approach | By Quansheng Lu, CMD, PhD, LAc

50 | How To Keep Weight Off When Your GLP-1 Plan Is Over | By Anne C. Crowley, Acupuncture Physician

53 | Unlocking the Secret To Managing Hair Loss In Women | By Jaimi Jackson, Owner

56 | Understanding Common Sleep Disorders | By Annapolis Asthma, Pulmonary & Sleep Specialists

56 | Ideal Medical School Graduation Gift: An Egg Freezing Voucher | By Yemi Adesanya-Famuyiwa, MD

57 | Children Need Cheerleaders | By Janet V. Johnson, MD

58 | Mental Illness: Myths Vs. Facts | By Joyce Abramson, RNMS

58 | Importance OF Regular Foot Check-Ups | By Ademuyiwa Adetunji, DPM

59 | Gum Disease Treatment Options | Submitted by E. Taylor Meiser, DDS

59 | Could Your Child Have Head Lice? | Submitted By Kensington Pharmacy

66 | What Is Cupping Therapy | By Brittney de Vicq, MAc, LAc

Your Health Magazine is on a mission. There are far too many people, insured or not, who do not go to the doctor when they should, and in millions of cases, don’t know who they should go to, or why.

People are encouraged to buy a new house, car, cell phone or big screen TV, and those companies make themselves very visible and their products easily attainable.

Information about, and from, local healthcare providers is not easy to find, and many times those services are difficult to access.

Information and encouragement always lowers fear and trepidation about anything, and this is especially true in healthcare. While general information is available on web-sites, specific information from local providers is almost impossible for people to find. This is one of the key reasons chronic and episodic conditions are not cared for. It is our mission to:

Make A Difference By Empowering and Encouraging People To Live Healthier By Going To the Doctor When They Should.

There is a lot of evidence that the health professionals who participate in Your Health Magazine have helped many people over the years. We at Your Health Magazine salute you!

If you would like to find out how you can participate in one of our upcoming editions, please contact the office nearest you. SERVING MARYLAND & VIRGINIA Since 1990

MARYLAND & WASHINGTON, DC OFFICE One Town Center 4201 Northview Drive, Suite 102 Bowie, MD 20716 Office (301) 805-6805 • Fax (301) 805-6808 info@yourhealthmagazine.net

VIRGINIA OFFICE Office (301) 805-6805 info@yourhealthmagazine.net

© Your Health Magazine, 2025. The magazine and all of its contents are protected by copyright. For permission to reproduce any materials in this magazine, contact publish@yourhealthmagazine.net

EDITOR-IN-CHIEF

Gregory Scott Hunter

Heather L. Mahoney

Understanding Benign Prostatic Hyperplasia (BPH)

What is BPH?

Benign Prostatic Hyperplasia (BPH), commonly known as an enlarged prostate, is a condition that affects millions of men, particularly as they age. The prostate gland, located just below the bladder, tends to grow larger over time, which can lead to uncomfortable urinary symptoms.

Symptoms Of BPH:

• Frequent or urgent need to urinate

• Increased frequency of urination at night (nocturia)

• Difficulty starting urination

• Weak urine stream or a stream that stops and starts

• Dribbling at the end of urination

• Inability to completely empty the bladder

Why Choose Treatment For BPH?

Living with BPH can significantly impact your quality of life. The symptoms can interfere with daily activities, disrupt sleep, and lead to complications such as urinary tract infections or bladder damage. Seeking treatment can help alleviate these symptoms and improve your overall well-being.

Treatment Options: There are

Innovative Treatments

various treatment options available for BPH, ranging from medications to minimally invasive procedures and surgery. Some of the most effective treatments include:

• Medications: Alpha blockers and 5-alpha reductase inhibitors can help relax the prostate muscles and reduce its size.

• Minimally Invasive Procedures: Techniques like Urolift, Rezum, and the Optilume BPH Catheter System offer relief with fewer side effects and quicker recovery times.

• Surgery: For more severe cases, surgical options such as Transurethral Resection of the Prostate (TURP) can provide significant symptom relief. Patient Testimonials: Many men have found relief from BPH symptoms through various treatments. Here are some experiences:

• John’s TURP Experience: “After struggling with BPH symptoms for years, TURP provided me with the relief I needed. The recovery was smooth, and I can finally sleep through the night without frequent trips to the bathroom”.

• Mike’s Aquablation Journey: “Aquablation was a game-changer for me. The minimally invasive procedure was quick, and I experienced minimal discomfort. My urinary symptoms have improved dramatically”. Take Control of Your Health Don’t let BPH control your life. Consult with your healthcare provider to explore the best treatment options for you. With the right approach, you can manage your symptoms and enjoy a better quality of life.

Troy Sukhu, MD

“BeBalanced gave me my life back! By learning about my body, lowering stress and sugar, and balancing my hormones naturally, I have lost 50 pounds to date. I finally feel like I am living again. Although the weight loss was amazing, my anxiety reduced, sleep issues improved, and my digestive issues and hot flashes were eliminated. I have more energy and I feel better in my own skin. Almost all joint pain has been eliminated. Through this journey, I got my confidence back. Most importantly, I got me back!

Thank you BeBalanced!”

– Susan, Crofton client

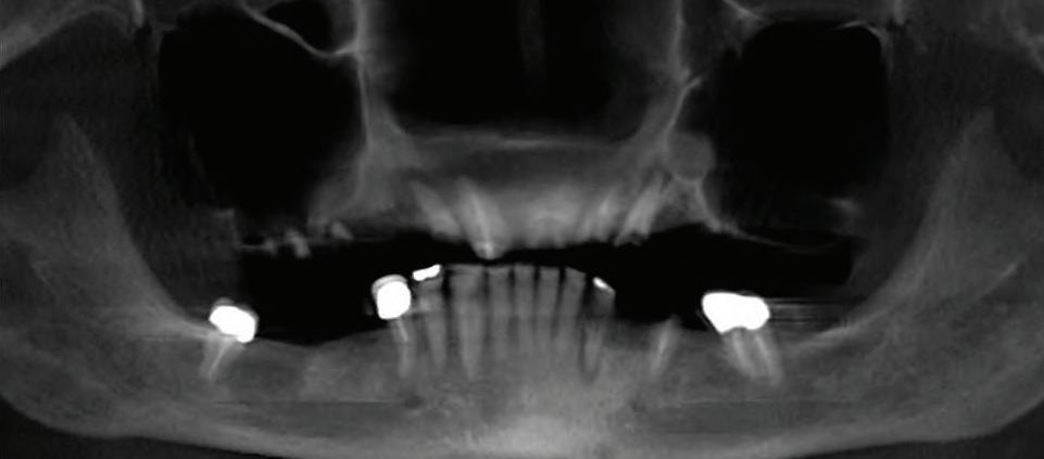
New Solutions For Dentures and Dental Implants

Dentures are a good replacement option for patients who are missing all of their teeth, but only if they fit well.

Why Are My Dentures Loose?

Impact on the bone by continuous hitting and pressure of a denture against the jaw every time you eat can make the bone underneath the denture go away. This causes the denture to become loose and slip. It may create the need for using paste or other means to hold the denture in place. Slipping dentures can make eating certain foods very difficult for patients. This happens most often with lower dentures.

How Can Dentures Fit Well For a Long Time?

Dental implants can be placed under the denture. Implants have offered the possibility of fully replacing teeth for over 30 years and are very safe and effective. When you make the denture stable by “snapping” it onto dental implants, you can provide a better level of comfort for the denture-wearer, and create new strength for eating the foods patients love.

Dentures are a good replacement option for patients who are missing all of their teeth, but only if they fit well.

Dental implants are very much like your natural teeth. They are quite easy to get used to, and they can reduce the amount of stress to the bone and jaw by helping provide an anchor for support. The implant acts as a natural root to help prevent additional bone deterioration and helps to deliver long lasting function.

Does Every

Denture-Wearer Qualify?

This depends on the amount of bone loss that has already taken place. If the denture has been in place for many years and the ridge of bone under it is very thin, you may need to have a special scan done to decide if you are a candidate for the procedure. This scan will also look for any other defects that may be present to make sure you are healthy. Since implants are meant to last for a very long time, your health and wellness are important to the outcome.

How Long Does a Patient Have To Go Without Teeth?

Never. The denture is fitted to the implants, the same day the implants are placed. Typically, you are back to normal or better eating by day two or three.

Do Dental Implants Hurt?

Most patients have little to no dis-

comfort. The surgery is done in one day, typically in just a few hours. There are sedation options available for this procedure for those patients who want to relax through the procedure.

Is Treatment Expensive?

The cost of treatment varies depending on the number of implants, if a new denture needs to be made, if the patient desires sedation, or if

there needs to be more bone added to have a good result. Costs are variable and should be weighed against factors such as the education of the doctor, the results from other patient experiences, and the quality of the product you are receiving.

Discover the difference dental implants can make for you. Schedule an appointment today!

– Dental Implants To Restore Your Beautiful Smile

– Caring & Kind Dentist & Team

– State-of-the-Art Equipment

– Laser Periodontic Therapy

– Affordable Gum Treatment

– Insurance Accepted & Filed

– Ultra-Sterile Environment

– No Referral Needed

– Comfortable Sedation Dentistry

Our patients mean the world to us (and they love to refer to us as friends and family). My team works together to ensure your visit is enjoyable, and that your treatment is gentle and pain-free. We are deeply committed to help you prevent and treat periodontal (gum) disease, and to enhance your smile to improve your overall health.

Breaking the Silence Hair Loss In Black Women and

What You Can Do

Hair is more than just a style –it’s a form of identity, culture, and confidence. So when women begin to notice thinning or excessive shedding, it can be emotionally distressing. While hair loss affects women of all backgrounds, Black women experience it at disproportionately high rates – and often for different reasons than their counterparts.

What Causes Hair Loss In Women?

Hair loss in women can result from a variety of causes, including genetics, hormonal changes (such as menopause or thyroid issues), autoimmune conditions like alopecia areata, stress, and poor nutrition. But for many Black women, hair loss is often linked to traction alopecia – a condition caused by repeated tension on the hair follicles due to tight styles such as braids, weaves, locs, or ponytails. Over time, these styles can damage the follicles and lead to permanent hair loss if not addressed early.

Chemical treatments, such as relaxers and permanent dyes, can also weaken hair shafts and contribute to breakage and thinning. Additionally, central centrifugal cicatricial alopecia (CCCA) – a type of scarring alopecia that starts at the crown and spreads outward – is more common in Black women than in any other group. CCCA can lead to irreversible hair loss if left untreated.

Please see “Hair Loss,” page 66

Your One-Stop Solution For a Healthy Smile

Submitted By Total Dental Care

Maintaining optimal dental health is crucial for overall well-being, and finding a dental office that offers comprehensive care under one roof is a game-changer. Total Dental Care is a well-established dental practice that takes pride in providing detailed and comprehensive services in various specialties, ensuring patients receive topnotch care for their unique dental needs.

General Dental Services: Total Dental Care excels in offering a wide array of general dental services, including routine check-ups, cleanings, and preventive care. Our experienced team focuses on early detection and intervention to prevent dental issues from escalating.

Specialized Services: Whether you require orthodontic adjustments, periodontal treatments, Invisalign, dental implants, prosthodontics, oral

surgery, extractions, root canals and endodontic treatments, or restorative and cosmetic dentistry, Total Dental Care has you covered. Our specialists are experts in their respective fields, ensuring you receive tailored treatments for your specific dental concerns.

Cutting-Edge Technology: Total Dental Care stays at the forefront of dental technology, offering services such as digital intra-oral cameras, cone-beam CT scanners, and teethin-a-day. Our commitment to utilizing advanced techniques ensures effective and efficient treatments while minimizing complications.

Sedation Options: Understanding the anxiety some patients may feel, Total Dental Care offers laughing gas, oral sedation and IV general anesthesia options. Our goal is to create a comfortable and stress-free environment, catering to the individual

Please see “Healthy Smile,” page 62

Caring For a Loved One With Alzheimer’s? You Have Options – and Support

Over seven million Americans are currently living with Alzheimer’s, which results in about 1 in 9 people aged 65 and older. In Maryland alone, there are 127,200+ adults living with dementia, or 12.9% of the population. Studies indicate that people survive an average of four to eight years after a diagnosis of Alzheimer’s dementia, yet some live as long as 20 years. (Source: Alzheimer’s Association 2025 Fact and figures)

If your loved one receives or is suffering from a memory disorder, there are several things you can do to help them: create a supportive environment and consistent routine, encourage daily cognitive engagement, provide emotional support and understanding, and address potential denial or refusal of help. It is also just as important for families and caregivers to seek help and take care of themselves.

Since people are living longer post diagnosis, a new level of care is required from their family members or caregivers. And when those in need of consistent medical care are not able to be tended to by family or caregivers due to jobs, children, busy schedules, etc., there is a costeffective solution nearby.

Maryland’s Medical Adult Day Centers offer a unique environment where individuals receive personal and nursing care, participate in therapeutic activities, enjoy meals, form friendships, and gain a sense of community. They are an option for individuals who prefer to age at home but need assistance during the day. With over 120+ centers in Maryland, many of whom provide transportation, there is sure to be a location near you.

Other benefits of Medical Adult Day Services include: Professional Medical Supervision

Licensed nurses and trained staff monitor health conditions, administer medications, and provide therapy services to prevent complications and hospital visits.

Engaging Social Activities

From music and art therapy to exercise and group outings, participants stay active, engaged, and connected— combating isolation and loneliness.

Cost-Effective Alternative to Nursing Homes

More affordable than full-time nursing care, adult medical day care allows your loved one to receive

quality care during the day while returning home at night.

Support For Family Caregivers

Get the relief you need without compromising your loved one’s well-being. Flexible programs allow caregivers to continue working or manage other responsibilities.

Safe & Secure Environment

All centers provide nutritious meals, transportation services, and personalized care plans tailored to your loved one’s needs.

Visit a center near you and see for yourself what a Medical Adult Day Center can do for your loved one. Learn more at www.md-mads. org.

TMJ Disorder and Exercise

When is comes to TMD (temporomandibular joint disorder), there are many things that a person has to consider when looking for successful treatment. With TMD, most of the time the articular discs that cover the condyles (the cartilage on top of the jaw bones) are

displaced and will pinch nerves and blood vessels. This leads to head and neck pain. Oftentimes too, when a person has TMD their cervical spine (neck) is compressed, so now you have more nerve compression as well. Since the C spine and TMJ work together, one can greatly affect the other.

So now let’s discuss the ramifications of exercise and how it

can and will affect the outcome of TMD treatment. When a person runs, as you can well imagine, the neck takes a pounding which compresses the spinous processes. This can, and will, in turn affect the TM joints. This is why running during TMD treatment is really not recommended. An alternative to running is the elliptical machine. This is a no impact device that allows for a great cardiovascular workout with no compaction to the neck. You have to keep your mind on improving the health of those joints and cervical spine.

We Are NOT Your Typical Dental Office

Another aspect of exercise is weightlifting of course. Most people really do not want to hear that they should not be lifting weights during their course of TMD treatment. The reason for this is that when you lift something fairly heavy, this pulls on the neck muscles – the sternocleidomastoids. These muscles connect directly into the jaw joint and will pull on a displaced disc. You can well imagine that is not a good thing. Another factor is that lifting above shoulder level causes the body to pull more on the neck than it should. This can hurt the joints as well. Once again, this type of exercise will compromise your ability to heal.

Dr. Jeffrey Brown has limited his practice to focus only on TMJ Disorders, Craniofacial Pain Management and Sleep Apnea. By fixing slipped discs in the jaw joints, Dr. Brown can significantly reduce the pain patients experience in the head/neck region and other symptoms associated with jaw joint problems. Sleep & TMJ Therapy may be able to improve the quality of life for you or a loved one – we encourage you to contact us with any questions or concerns.

“Dr. Brown and his staff are absolutely wonderful. I was diagnosed with Dystonia. I could not turn my head and had a ton of pain. My doctors offered no help and no advice besides Meds and Botox. Since having the appliance I have NO pain and I can turn my head. I would highly recommend them to anyone. I feel Dr. Brown and his staff really care about their patients and helping them to get better. They do not just numb the symptoms but fix the problem. Thank you from the bottom of my heart. I feel like the old me again!”

- D. Thomas

“My daughter has been treated by Dr. Stack and Dr. Brown for the last 2 1/2 years, and we are very fortunate to have found them. Prior to that she was being treated by a neurologist at a Children’s hospital. She was on medications for tics and associated muscle pain, OCD/repetitive thoughts, sleeplessness and more (all possibly associated with Tourettes). Drs. Stack and Brown installed spacers to alleviate pressure on nerve bundles in the jaw, and subsequently braces to complete the process. Her symptoms have diminished significantly. She is off medication, her tics have all but disappeared, she can concentrate better in school, and she is once again cheerful and relaxed.”

Now let’s bring up a four-letter word that comes up quite often: GOLF. So here you are newly retired, living in a house at the country club, new to the game, or just looking to a retirement in place where you can play golf every day of the week. Along comes the TMJ specialist who tells you not to play until you are better. You have a choice: Get better or not. One path means that you must take a hiatus from using those amazing Ping custom-made clubs and telling your friends about the hole in one you got. The choice is to sit at home and use the elliptical machine and get better.

This problem occurs whether it’s golf, tennis, or pickleball. You must make a choice and live with it for some time. This is not permanent but when you get back into it, you may find your stroke, and strength improved. As you can see, dealing with TMD takes some effort. For some folks it means sacrificing their normal activities so it’s good to understand all this before treatment begins.

Jeffrey L. Brown, DDS
Jeffrey L. Brown, DDS

Back pain is the second most common reason people visit physicians in the US, with neck pain close behind. The spine and adjacent tissues are pivotal in nearly all major bodily movements.

Chiropractic services are used most often to treat neuromusculoskeletal complaints, including but no limited to back pain, neck pain, pain in the joints of the arms or legs, and headaches.

Our Doctors are Nationally FMSCA Certified. Done by appointments only. Call today to schedule! Drug and Alcohol Testing also Available.

Since opening in 2003, Winters Chiropractic & Physical Therapy has remained dedicated to providing expert chiropractic, physical therapy, and DOT/CDL services. Our doctors provide tailored treatments that ensure you make the most gains at a comfortable, steady pace. The ultimate goal of any chiropractic or physical therapy program is to restore your physical health to its previous form. With our small practice, we have the advantage of maintaining personal relationships without compromising our ability to provide advance care.

The Only Non-invasive Laser Device With FDA Approved, IRB, and Clinically Proven Results For: Fat Reduction, Aesthetics, Cellulite Elimination, Weight Reduction, and Inch Loss.

• Natural, safe, laser light energy is pulsed and absorbed by the subcutaneous tissue.

• Supercharges the body’s metabolism through ATP synthesis to burn fat as energy.

• Waste products are expelled from the body via sweat, urine and respiratory exhaustion.

• The body continues to burn fat for up to 4 hours after treatment.

• Collagen and elastin production is increased within the skin layers to rejuvenate and repair skin cells addressing cellulite, skin laxity and stretch-marks.

Understanding Achilles Tendon Injuries

The Achilles tendon – the largest and strongest tendon in the human body – plays a critical role in walking, running, and jumping. But despite its strength, it’s also one of the most frequently injured tendons, particularly in active adults and weekend athletes. Understanding how these injuries occur, how they’re treated,

and when to seek help can make a significant difference in recovery and long-term mobility.

Achilles tendon injuries typically fall into two categories: tendonitis and tears or ruptures. Tendonitis is an overuse injury caused by repetitive stress, often from sudden increases in activity, improper footwear, or poor biomechanics. It usually begins with pain or stiffness in the back of the heel, especially during or after activity. Left untreated, it can progress and weaken the tendon over time.

A more severe injury – a partial or complete rupture – can occur suddenly, often during a forceful movement like pushing off to run or jump. Patients may feel a sharp pain or hear a popping sound, followed by difficulty walking or bearing weight. A complete rupture typically results in a noticeable gap above the heel and a

Please see “Achilles Tendon,” page 62

Fluoride: What Parents Should Know About This Natural Cavity Fighter

When it comes to keeping your child’s smile healthy, daily brushing and flossing are essential–but there’s another powerful ally in cavity prevention: fluoride. Found in many dental products and water sources, fluoride is a safe, natural mineral that strengthens teeth and helps prevent tooth decay.

What Is Fluoride and How Does It Work?

Fluoride is naturally present in water, soil, and certain foods. It helps to rebuild weakened enamel and makes teeth more resistant to acid attacks caused by sugars and bacteria. For children, fluoride can even strengthen developing teeth before they come in.

Why Fluoride Is Important

For Children

Tooth decay is one of the most common chronic childhood conditions, yet it’s highly preventable. Regular exposure to fluoride can significantly reduce the risk of cavities. Fewer cavities mean fewer dental visits, less discomfort, and healthier smiles that last into adulthood.

Common Sources Of Fluoride For Kids

Toothpaste: Most children’s toothpaste contains fluoride. Use a small smear for toddlers and a peasized amount for older kids.

Drinking Water: Many public water systems include fluoride. If your child primarily drinks bottled or filtered water, fluoride exposure may be lower.

Fluoride Treatments: Dentists may apply a fluoride varnish or gel during routine checkups for added protection.

Supplements: In areas without fluoridated water, a dentist may recommend fluoride supplements, especially for young children.

Is Fluoride Safe?

Yes, when used appropriately. Leading health organizations–including the American Dental Association and the Centers for Disease Control and Prevention–endorse fluoride as a safe and effective tool for cavity prevention. As with any health product, moderation is key. Dental professionals provide guidance to ensure your child gets the right amount.

What About Fluorosis?

Dental fluorosis is a cosmetic condition caused by excessive fluoride

during tooth development. It typically appears as faint white spots on the enamel and is usually very mild. Using the correct amount of fluoride toothpaste and monitoring intake helps prevent this condition.

Tips For Using Fluoride at Home

• Supervise brushing to ensure the proper amount of toothpaste is used.

• Know your water source–ask your dentist if you’re unsure about fluoride levels.

• Keep up with regular dental visits for personalized fluoride recommendations.

• Avoid overuse; more is not always better.

Dispelling Common Fluoride Myths

“Fluoride is unnatural.” It’s actually a mineral found in nature.

“Only kids with cavities need it.” Fluoride is preventive, not just corrective.

“Natural toothpaste is safer.” Fluoride toothpaste is clinically proven to prevent cavities. Discuss options with your dentist before switching.

A Partner In Your Child’s Dental Health

Fluoride is just one part of a strong preventive care plan. Pediatric dental professionals are here to guide parents and support healthy smiles through education, gentle care, and age-appropriate treatments.

Want to ensure your child is getting the right amount of fluoride? Schedule a dental visit to discuss personalized recommendations based on age, oral health, and your local water source.

With the right tools and expert care, your child’s smile is well on its way to a bright, healthy future.

both parents and patients in dental hygiene. We strive to treat each patient and parent as we would our own family members.

Our practice offers your child the most up-to-date pediatric

• Dental Care for Children of All Ages (Infants to Adolescents)

• Accepts most insurance plans

• Preventive Care: Gentle cleanings, oral hygiene guidance, sealants, and nutritional counseling

• Emergency Care: Urgent treatment for broken teeth, trauma, and dental pain

• Specialized training in caring for patients with special healthcare needs

• Hospital sedation available for eligible patients

• Treatment of tooth decay with appropriate restorations: composite (white) fillings, crowns, nerve treatments, and extractions

• Educational daycare and classroom visits available upon request

• Diverse team happy to share their languages: Spanish, Italian, Farsi, Arabic, and Portuguese (Translation service available upon request)

• “Camps Cares” – community engagement and philanthropy initiative

Dentistry

• Cosmetic Dentistry

• Crowns and Bridges

• Dental Implants

• Dentures

• Extractions

• General Dentistry

• Invisalign

• Periodontal Treatment

• Tooth-Colored Fillings

Inflammation The Cause Of Many Health Problems

Inflammation is a normal physical response to various harmful stimuli, such as infections, irritants and trauma. When appropriately regulated and short lived, inflammation is crucial to maintaining our survival.

However chronic uncontrolled inflammation can result in destruction of tissues and lead to chronic disease. Tests that may reveal chronic inflammation include the sedimentation rate

and C-reactive protein. Examples of diseases which may result from or cause chronic inflammation include coronary artery disease, certain cancers, diabetes, rheumatoid arthritis, acne, asthma and celiac disease. Other conditions which contribute to inflammation include diabetes, osteoporosis, periodontitis, obesity and chronic fatty liver disease. Most of the chronic diseases we currently deal with in our society have at least an element of inflammation.

The conventional medical model dictates determining the disease at hand and then prescribing the matching medicine. This can help turn down the volume on the inflammatory response, for example using steroids, but does not deal with the roots of the disease.

So what are the underlying causes of inflammation?

Chronic infections causing inflammation including bacterial, viral, fungal

Please see “Inflammation,” page 65

Affordability

In the past, individuals missing multiple teeth had limited options beyond uncomfortable and ill-fitting dentures. However, with the introduction of dental implants, removable dentures have become a viable choice. Although dentures may require adhesives and fall short of replicating the natural form and function of teeth, they offer affordability and easy removal for cleaning.

Four Implant Overdenture Secure and Functional

Stabilized overdentures resemble traditional removable dentures, but with a significant improvement in stability. By utilizing four locators on the underside of your denture plate, they securely attach to implant abutments. These snap-on dentures eliminate rocking, shifting, or rubbing, as the implants keep the appliance firmly in place. Overdentures enhance stability and functionality to approximately

Chiropractic and Exercise For Optimal Health

If you’ve ever wondered about the link between chiropractic care and exercise, you’re not alone. Exercise is vital for enhancing physical, mental, and emotional well-being. When combined with chiropractic care, it becomes essential for managing low back pain and promoting overall health.

Cardiovascular and strengthening exercises are crucial for manag-

ing low back pain. However, individuals with a history of heart problems should consult both their chiropractor and primary care physician to ensure they can safely engage in cardiovascular activities.

Before starting any exercise program, patients should get specific instructions from their primary care physician and chiropractor about which exercises are suitable for their condition. This personalized approach ensures a safe and effective routine.

Strengthening exercises targeting the core muscles can fortify the back and reduce the frequency of back pain episodes. Fortunately, many core-strengthening activities can be done at the gym or at home without significant equipment costs.

For tailored core stabilization exercises, consult your chiropractor. Adding cardiovascular activities to your routine offers additional benefits, such as pro-

Please see “Optimal Health,” page 24

• Spinal Decompression - Non-surgical treatment for chronic low back pain sufferers

• Aqua Massage - Provides a relaxing and therapeutic massage, while fully clothed

• Cold Laser Therapy - A non-intrusive alternative to acupuncture and surgery, can help many pain conditions

• Physical Therapy Modalities

Technique Specialties:

• Activator Method

• Thompson Technique

• Myofascial Release

• Massage Therapy

• Ultrasound

• Custom Orthotics

• Infrared Light Pad

Alicia Kovach, DC Aric Adlam, DC Kristina Anderson, DC
By Alicia Kovach, DC Kovach Chiropractic

Essential Oils To Relieve Pain

Essential oils extracted from plants have been utilized since antiq-

uity for beauty, skin care, medicine, first aid, and to ease pain.

Many consumers have utilized essential oils unwittingly in balms and liniments intended to relieve pain and soreness. Most pre-pack

Holly Dunbar, LMT, Herbalist RH (AHG), Certified Aromatherapist

We welcome John Colein, LMT to our growing practice, offering therapeutic massage, reflexology, prenatal massage, hot stone, and manual lymphatic drainage services

aged balms intended for a mass market have a relatively low essential oil content, however, and therefore may only be marginally effective at relieving pain.

This article will explore the use of three essential oils known for their pain relieving properties, and how one may utilize them in home care to best suit one’s individual needs.

Clove oil is one of the oldest used essential oils, having been in cultivation for over two thousand years. Clove bud oil is strongly analgesic, producing a temporary numbing sensation that dulls the nerves and eases pains of all kinds.

Dentists and oral surgeons still employ the oil for toothaches. Greatly diluted, as clove oil can be irritating if applied too strong, clove is one of the best oils to use for arthritic pain, rheumatism, and muscular aches and pains. One to three drops in a tablespoon of carrier oil such as sesame, grapeseed, or olive will produce an instant massage oil to rub into affected areas. Because of its potential to irritate, this oil should not be used too strong, on children or the frail elderly, and never in the bath.

Another oil yielded from the spice kingdom is ginger, which also possesses a spicy warm smell that will instantly cause salivation when deeply inhaled. This warm and invigorating quality will convey if massaged into congested areas lacking circulation.

Ginger, like clove, is good for arthritic or other joint pains, particularly pain that is worse in cold or damp weather. Those taking ginger as an internal remedy for arthritis may find concurrent use of the plant oil will bring even greater relief. Diluted ginger oil is also effective for stomach or gas pain, rubbed in a clockwise direction on the stomach. The same dilution ratio, and cautions described above apply to this oil, as it is a potential irritant.

Caring For Your Children’s Feet

You worry about your children’s teeth, eyes, and other parts of the body. But what do you do about your child’s feet – those still-developing feet which have to carry the entire weight of the body through a lifetime?

Many adult foot ailments have their origins in childhood and are present at birth. Periodic professional attention and regular foot care can minimize these problems in later life.

Neglecting foot health invites problems in other parts of the body,

such as the legs and back. There can also be undesirable personality effects.

A child with troublesome feet walks awkwardly and usually has poor posture.

As a result, the child may become shy and introverted, avoid athletics and social functions. Consulting with a podiatrist, pediatrician and other medical specialists can help resolve these related problems.

Your Baby’s Feet

The human foot – one of the most complicated parts of the body – has 26 bones, and is laced with ligaments, muscles, blood vessels and nerves. Because the feet of young children are soft and pliable, abnormal pressure can easily cause deformities.

A child’s feet grow rapidly during the first year, reaching almost half their adult foot size. This is why foot specialists consider the first year to be the most important in the development of the feet.

Please see “Children’s Feet,” page 24

ThunderBird Dental Office affectionately known as the ThunderBird, has been providing dentures and denture repairs for over 40 years. Our dental lab is on our premises which allows us to deliver same day repairs and relines. We also perform extractions for immediate dentures.

Direct: (301) 365-6940

6701 Democracy Blvd., Suite 300 Bethesda , MD 20817 CHARLES L. FEITEL

Fax: (301) 365-6941

Email: cfeitel@medicalanddentalspace.com

Let Charles Feitel help you with your next space requirement. His professionalism and medical expertise are unsurpassed. Call now!!

Boost Your Weight Loss Efforts

advertisement must be noted and faxed to

PROOF

Did you know that sex hormones impact many weight-related processes? From metabolism and muscle mass to sleep patterns and food cravings, sex hormones are crucial pieces in the weight-loss puzzle. Here’s how estrogen, progesterone and testosterone link to the battle of the bulge:

Sex hormones impact sleep. Estrogen impacts the human thermostat and the resulting hot flashes and night sweats can wreak havoc on sleep. Progesterone, a sleep-promoting hormone, also diminishes through menopause.

or before the due otherwise the ad will be printed as shown below.

Belly fat blooms. Even without weight gain, middle-aged bodies start changing shape. For women, declining estrogen causes fat to be stored in the belly, not thighs and backsides. Belly

fat is especially detrimental to our health. It produces toxins that interfere with insulin metabolism. The resulting ebb and flow of blood sugar impacts appetite and energy levels as well as is associated with Type 2 diabetes.

Muscle matters. It’s a physiological fact that muscle burns more calories than fat tissue does. This makes muscle mass a key factor in weight loss. But menopause messes with muscle – even if nutrition and exercise stay constant. Testosterone (yes, it’s found in females) decreases as much as 50% in the years from our mid-20s to our mid-40s. Decreasing estrogen diminishes muscle mass, too.

Cortisol counts. For peri- and postmenopausal women, changing hormones influence how their bodies respond to exercise. Estrogen and

Please see “Weight Loss,” page 65

Bariatric Surgery

Dr.’s

Cover the Insurance Coverage Option

Insurance companies understand the importance of providing coverage for bariatric surgery, a lifechanging procedure aimed at weight loss. However, it’s crucial to note that the coverage may vary across different plans within a particular company. For individuals considering this transformative surgery, it becomes vital to explore whether their enrolled plan offers the desired coverage. Furthermore, specific criteria need to be met to ensure approval of coverage from these plans.

Essential Requirements

Bariatric surgeries, including gastric bypass and sleeve gastrectomy, are typically reserved for individuals who are morbidly obese and experiencing health complications associated with obesity. Insurance coverage is generally provided when a person is at least 100 pounds over their ideal weight, indicated by a body mass index (BMI) of 40 or higher. Moreover, individuals with a BMI ranging between 35 and 40 can also qualify for coverage if they have obesity-related health issues like diabetes, hypertension, or sleep apnea requiring treatment.

Support From Primary Care Physician

Having support from a primary care physician is a crucial aspect, as insurance companies seek recommendations for bariatric surgery from personal physicians. This recommendation serves as a valuable validation for insurance coverage.

Documented History Of Weight Loss Efforts

To meet the requirements of

Please see “Bariatric Surgery,” page 63

ADVENTIST MEDICAL GROUP

PRIMARY CARE SERVICES FOR YOU

Choose Adventist Medical Group Primary Care in Fort Washington, Maryland, to provide a full range of primary care services for adults.

Learn to better manage your health and prevent illnesses with personalized care from our experienced, primary care providers. Our specialists in family medicine and internal medicine work as a team to deliver expert care when you need:

• Same-day Sick Visits

• Women’s and Men’s Health and Wellness Exams

• Health Physicals, Health Maintenance and Preventive Care

• Geriatric (Senior) Wellness Exams

• Vaccinations and Immunizations, including Flu Shots

• Health Management for:

• Asthma and Allergies

• High Blood Pressure

• High Cholesterol

• Diabetes

You also benefit from coordinated care that helps you effectively handle all aspects of your health—from preventive medicine and preoperative appointments to management of chronic health conditions.

• Heart Disease To schedule an appointment, please call 240-724-6018 10709 Indian Head Highway, Suite D1 Fort Washington, Maryland 20744 AdventistMedicalGroup.org

Nicole Haskins, CRNP, RN (Family Nurse Practitioner)

Can just four implants replace all of the teeth on the top or the bottom of your mouth? Thanks to advances in dental implant technology, that answer is a resounding yes.

Tooth loss is extremely common among adults, especially as we age. Rather than living with the discomfort and hassles of dentures, many people are opting for what is called “all-onfour” dental implant restoration.

An implant is a small titanium

screw that fits inside your jawbone and replaces the root-part of a missing tooth. Minor surgery is required to insert the implants. Once the implant is in place, a crown is attached to give you a highly realistic-looking and functional prosthetic tooth.

You do not need a dental implant for each and every one of your missing teeth. All you need is four precisely placed implants on the top of your mouth, and four on the bottom, to restore your full smile. That’s the beauty of the all-on-four. And because the implant is made of titanium, it has the unique ability to fuse to living bone and function as part of it. So eventually, the dental implant becomes part of the jawbone and serves as a strong, longlasting foundation for your new teeth.

Besides ensuring that your implants are permanently fixed in place, this bone fusion has another important benefit: it prevents future bone loss in the jaw. This helps to maintain a more youthful facial structure – and better

Please see “All-On-Four,” page 62

Optimal H ealtH

moting digestion, maintaining muscle tone, and enhancing circulation. Even a brisk walk around the block is a convenient and effective cardiovascular activity for any fitness level.

If you’re looking for guidance on starting an exercise routine to alleviate back pain, consult your local chiropractor. They can provide per-

sonalized recommendations based on your specific needs and goals. Unlock the benefits of combining chiropractic care and exercise to improve your overall health, reduce back pain, and embrace a more vibrant and active lifestyle. Take the first step and consult your chiropractor today.

CH ildren’s F eet

Here are some suggestions to help you assure that this development proceeds normally:

• Look carefully at your baby’s feet. If you notice something that does not look normal to you, seek professional care immediately.

• Cover baby’s feet loosely. Tight covers restrict movement and can retard normal development.

• Provide opportunities to exercise the feet.

• Change the baby’s position several times a day.

Starting to Walk

When the child first begins to walk, shoes are not necessary indoors. Of course, when walking outside or on

in

rough surfaces, babies’ feet should be protected in lightweight, flexible footwear made of natural materials.

Growing Up

As a child’s feet continue to develop, it may be necessary to change shoe and sock size every few months to allow room for the feet to grow. Although foot problems result mainly from injury, deformity, illness, or hereditary factors, improper footwear can aggravate preexisting conditions.

The feet of young children are often unstable because of muscle problems which make walking difficult or uncomfortable. A thorough examination by a podiatrist may detect an underlying defect or condition.

Tired, Gaining Weight, and Just Not You Anymore? It Might Not Be You—It Might Be Your Hormones. Feel Like Something’s Off? You’re Not Alone. At MetroBest Health, we specialize in identifying and treating the real root causes of fatigue, weight gain, low libido, mood swings, and thinning hair—especially in midlife women and men. If you’ve been dismissed, misdiagnosed, or told “it’s just aging,” it’s time for a second opinion.

Virtual and In-Office Appointments Available Book Online at MetroBestClinic.com

Or Call/Text: 202-754-8877

9650 Santiago Rd #2, Columbia, MD 21045 Don’t wait—your best life is just one appointment away.

FREE Skinny Shot

If you mention Your Health Magazine Offer Expires 7/31/25

Midlife Weight Gain? Check Your Thyroid

Thyroid function plays a crucial role in metabolism, making it a key factor in weight management—especially for women in midlife. Hormonal changes during perimenopause and menopause can impact thyroid health, leading to symptoms such as fatigue, weight gain, and difficulty losing weight.

The thyroid gland regulates how the body uses energy. When it functions optimally, metabolism runs

smoothly. However, in cases of hypothyroidism—where the thyroid is underactive—metabolism slows, often resulting in unexplained weight gain and low energy. Hashimoto’s disease, an autoimmune condition, can further impair thyroid function, making weight management more difficult.

Midlife women are particularly vulnerable to thyroid dysfunction due to shifting hormone levels. Recognizing signs of imbalance—like fatigue, cold sensitivity, hair thinning, dry skin, and constipation—is essential. If these symptoms persist, medical evaluation is critical.

Diagnosis typically involves blood tests:

• TSH (Thyroid Stimulating Hormone) – Elevated levels may indicate hypothyroidism.

• Free T3 and T4 – Measure active

Please see “Thyroid Health,” page 63

A Journey Of Healing

Elambert Richardson’s journey to founding Elon Roshell Day Spa & Health is a remarkable story of resilience, healing, and dedication to helping others. Richardson’s path began with a profound personal struggle and evolved into creating a sanctuary of well-being that includes innovative treatments like a unique salt cave.

Richardson, once a preschool teacher, faced a debilitating injury that altered the course of her life. Despite extensive physical therapy, her pain persisted, leading to depression and a diagnosis of fibromyalgia. Her doctor presented her with a stark choice: find a way to live or succumb to her condition. This critical moment propelled Richardson to seek healing beyond conventional methods.

Richardson shared another poignant aspect of her struggle: the hostile work environment that led to her depression and ultimately, PTSD. She recounts instances of mistreatment, including being ostracized by colleagues and subjected to demeaning messages. Despite enduring chronic pain and emotional distress, Richardson finds solace in helping others and is embarking on a journey of healing by sharing her story.

A pivotal turning point came with her reading of “The Ministry of Healing,” a book that highlighted the therapeutic power of helping others. This revelation ignited her determination to overcome her depression and explore a career in healthcare. Richardson began volunteering at her children’s school, pursued higher education, and ultimately found her calling in massage therapy. Overcoming Adversity Richardson’s journey was further challenged by the COVID-19 pandemic, which forced her business to close for 15 months. During this time, she also contracted the virus, requiring oxygen therapy. Remarkably, this treatment pro-

Please see “Elon Roshell,” page 63

Elambert during that time of great sadness, and now. Finding rest, happiness, and restoration!

Keeping Maryland Residents Connected

Imagine how different your life would be if you were unable to use a telephone to keep in touch with family or friends, make appointments, or conduct business. This is a challenge faced by millions of people who are deaf, hard of hearing, late-deafened, DeafBlind or have difficulty speaking.

According to the Hearing Loss Association of America, 20% of adults in the United States live with some degree of difficulty hearing. For those over the age of 65, one out of every three people can benefit from Maryland Relay services.

Maryland Relay is a free public service that makes it possible for people who have difficulty hearing or speaking to place and receive telephone calls. Accessible anywhere in the state by dialing 7-1-1, Maryland Relay provides a wide array of services to meet the diverse needs of its users, including:

• Traditional Relay (TTY) for those who are deaf, hard of hearing, latedeafened or have difficulty speaking. Also known as a text telephone, a TTY has a keyboard, which allows the user to type his/her side of the conversation, and a text screen to read the other person’s responses.

• Hearing Carry-Over (HCO), Speech-to-Speech (STS), and Visually Assisted STS for those who can hear clearly, but have difficulty speaking or being understood over the telephone. With HCO, the user types his/her side of the conversation on a TTY or HCO phone. With STS, the user speaks with his/her own voice, and a Maryland Relay Operator revoices everything he/ she says, as needed, to the other person. With Visually Assisted STS, Maryland Relay Operators are able to use both speech and visual cues to facilitate conversations for users via a live video connection.

• Voice Carry-Over (VCO) for Relay users who have difficulty hearing but prefer to use their own voice in phone conversations. VCO callers use a VCO phone or TTY to speak to the other person while a Maryland Relay Operator types the other person’s response.

• Captioned Telephone, which allows users who are hard-of-hearing to read captions of phone conversations while they listen to what the other person says.

• Remote Conference Captioning (RCC), which provides captions

of what all participants are saying during conference calls.

• Braille TTY for Relay users who are DeafBlind. A Braille TTY includes a keyboard, which allows the user to type his/her side of the conversation, and a Braille display for reading the other person’s responses.

In addition to the services available through Maryland Relay, people in Maryland who have difficulty using a telephone may also qualify for assistive telecommunications equipment, provided by the State through the Maryland Accessible Telecommunications (MAT) program. Qualified MAT program applicants must meet specific financial requirements and will participate in a free evaluation to ensure they receive the best equipment for their individual needs.

If you, or a loved one, have difficulty hearing or speaking over the phone, there are services and equipment available to keep you connected. To learn more about Maryland Relay and the MAT program, please visit mdrelay.org.

Embracing Summer Memories… and Making New Ones

Summer has a way of stirring up memories – some warm and joyful, others bittersweet. A familiar scent, a song on the radio, or the feeling of sun on your skin can bring you back to childhood adventures, family trips, or long-forgotten moments. These memories can be comforting—or unexpectedly emotional.

As the seasons change, so do we. And while reminiscing can be soothing, it can also bring a sense of loss: people who are no longer with us, traditions that have faded, or the passing of time itself. It’s okay to feel a mix of emotions. Grief and joy often live side by side in the same memory.

Yet summer also invites us to live in the present. Longer days and warmer evenings give us opportunities to create new moments – ones that may become the cherished memories of tomorrow. Whether it’s a walk through your neighborhood, a weekend getaway, or simply an ice cream cone shared with a friend, meaningful moments don’t need to be extravagant. They just need to be real.

For those who struggle with anxiety, depression, or a sense of disconnection, this time of year can feel isolating rather than joyful. Social media often shows curated images of

Please see “Summer Memories,” page 63

The CARE Practice

A Complete Contouring Solution

Transform Your Body With 360 Liposuction

• Have stubborn fat deposits that don’t respond to diet and exercise

• Are close to their ideal weight but want better definition

If you’ve struggled with stubborn fat that won’t go away despite diet and exercise, 360 liposuction might be the ultimate solution for achieving the sculpted body you desire. Unlike traditional liposuction, which focuses on specific areas, 360 liposuction provides a comprehensive, full-body contouring approach to enhance your natural shape from every angle.

What Is 360 Liposuction?

360 liposuction, also known as Lipo 360, is an advanced body contouring procedure that targets multiple areas of the midsection, including the:

• Abdomen

• Flanks (love handles)

• Lower back

• Upper back

• Waistline

By addressing fat deposits around the entire torso, this technique creates a more balanced, 360-degree transformation, enhancing the natural curves of the body.

How Does 360 Liposuction Work?

The procedure uses advanced liposuction techniques to gently remove excess fat while sculpting a smoother, more contoured appearance. Depending on your needs, your provider may use:

• Tumescent liposuction (a minimally invasive approach using local anesthesia)

• Laser-assisted liposuction (to help tighten the skin)

• Power-assisted liposuction (for more precise fat removal)

Since 360 liposuction treats multiple areas at once, it creates a dramatic yet natural-looking transformation.

Who Is a Good Candidate

For

360 Liposuction?

Ideal candidates for 360 liposuction include individuals who:

• Have good skin elasticity to ensure smooth contouring

• Want a more sculpted waistline, flatter stomach, and toned back It is not a weight-loss proce-

dure but rather a body sculpting method for those seeking enhanced curves and definition.

Recovery and Results

Recovery from 360 liposuction is typically quicker than traditional liposuction because modern techniques are less invasive. Patients can expect:

• Mild swelling and bruising for

the first few weeks

• Compression garments to help shape the body and reduce swelling

• Visible results within a few weeks, with final results appearing after 3-6 months

Most patients return to work within a week, depending on the extent of the procedure.

Meet Your Local Health Professionals

ACUPUNCTURE

Angel Wood, DACM, LAc

Doctor of Chinese Medicine and Acupuncture/Eastern Medicine Modalities of Natural Healing

Dr. Angel is a Traditional Naturopath, offering virtual natural wholistic wellness support.

Board Certified Natural Health Practitioner, Voice BioAnalysis - Let your voice tell you what your body knows.

Degrees, Training and Certificates: Doctor of Acupuncture and Chinese Medicine, Pacific College of Oriental Medicine. Graduated from the University of Maryland Medical School in Bio-Genetics Engineering/Medical Research Technology. Holds a Masters Degree in Acupuncture and a 2nd Masters Degree in Oriental Medicine and Chinese Herbs. A graduate of Tai Sophia Institute of Natural Healing. Board Certified Natural Health Practitioner.

Conditions Treated By Dr. Wood: Specialize in Natural Gut Health, building the immune system through rebalancing the intestinal tract. Pain management, fertility, female medical conditions (fibroids, painful menstrual cramps, etc.), male medical conditions, impotence, high blood pressure, diabetes, high cholesterol, vertigo, stroke, assist cancer patients, stress management, preventative medicine, weight management, nutrition, foot & heel pain, many more medical conditions. For more information see my website and the World Health Organization. Most major health insurances accepted.

AESTHETICS AND WOUND CARE

Jonathan Johnson, MD, MBA, CWSP

Capital Surgical Center – Comprehensive Wound Care Services

Dr. Jonathan Johnson, MD, MBA, CWSP, is a Board Certified Plastic Surgeon and Wound Care Specialist with over 20 years of experience. He is the founder of Capital Surgical Center and Comprehensive Wound Care Services in Washington, DC, where he blends advanced surgical skills with a strong focus on patient-centered care.

Greenway Center

Speciality: Chinese Medicine gut wellness, offering colonics and other treatments. You will receive individualized and expert care in all gut-related issues. Natural Healing–Also offering colorpuncture, reflexology, acupressure and Chinese Herbal consult. Facial rejuvenation & cosmetic makeup. Also offering Light Therapy & Sound Therapy. Call me for details. Treat all ages – elderly, infants, children and adults

Mission Statement: There are many parts to the human body, not just physical. The human body consists of the physical part, the mental part, and the soul part. The body can not and will not heal properly if the whole person is not receiving balance. All areas of the person’s body must be addressed for overall healing to take form naturally. My training, skills and expertise in Western and Eastern medicine will offer you a unique approach in Mind, Body and Soul Healing.

Call for

• A 5-Element Constitutional Diagnosis to heal many areas of your life.

Ask Dr. Crowley about her Weight Loss Program and GLP-1 Support

ACUPUNCTURE PHYSICIAN

Anne Crowley, Acupuncture Physician, DiplAc, Cht

Sarastoa Acupuncture Center

Anne is committed to healing so that her patients feel a lasting sense of well being. She is skilled in pain relief, calming mental anxieties, and assisting patients in making lasting life changes. Her sincere commitment is to bring her patients a sense of deep peace in their lives, and in turn, pave the way for more joy and vitality.

Anne does this through practicing 5 Element Acupuncture, the Balance Method, Chinese Herbology, and Health and Life Coaching. She continues to attend workshops to expand on these Asian healing arts. Anne also brings Colorpuncture, Light Therapy, Chinese Herbal Medicine, and Nutritional remedies into her treatment plan. She is committed to teaching patients how to maximize their health at home, work and in every aspect of their lives.

Anne offers on line coaching to bring about any of her healing methods. She has expertise in women’s health, fertility, and weight loss, including support

Anne offers a weight loss program designed to help clients from the inside out. She specializes in assisting people during and after their GLP-1 journey.

AESTHETICS

Mabir R. Sugatan was born in Barranquilla, Colombia with an innate ability for beauty and glamor. She inherited her talents, as both parents were in the industry and introduced her to the field at a young age. After finishing her studies in fashion design, she turned her focus towards aesthetics, where she completed studies at the International School of European Aesthetics in 1995. An industry leader in the field of Aesthetics, and an International Master Medical Aesthetician & Licensed Aesthetic Educator, Mabir has, for the past 30 years, trained Doctors, Nurses, and Estheticians within the non-invasive cosmetic industry.

Ever since we first opened the doors to Healthydermis, Mabir and her team of experts have been privileged to guide thousands of patients, including Miss. Virginia and Miss Delaware, towards achieving incredible cosmetic results. Our dedicated team of experts are always here to help you reach your aesthetic dreams and will always be more than happy to assist you in any possible way.

Capital Surgical Center Suite #802 Call: 202-861-2252

Comprehensive Wound Care Services Suite #804 Call: 202-861-2971

CapitalSurgicalCenter.com CWSWounds.com

Certified by the American Board of Wound Management and the American Academy of Aesthetic Medicine, Dr. Johnson trained as a Sylvester J. Carter Fellow in hand and plastic surgery at Lincoln Medical and Mental Health Center. He is widely recognized for his work in both wound healing and aesthetic medicine, frequently speaking at national conferences to share his expertise. Through Comprehensive Wound Care Services, he provides compassionate care for chronic wounds, especially in nursing homes across Washington, DC, Georgetown, and Foggy Bottom. At Capital Surgical Center, his aesthetic practice focuses on cosmetic procedures that enhance natural beauty and restore confidence.

Dr. Johnson holds an MBA in healthcare finance from Johns Hopkins University’s Carey Business School and is a member of the Maryland Society of Physician Entrepreneurs. He also serves on the board of the Capital Youth Empowerment Program, a nonprofit supporting inner-city youth.

AUDIOLOGY

David Alexander, AuD, CCC-A

Bethesda Audiology Center

Dr. Alexander brings a unique blend of military precision, academic excellence, and compassionate care to his practice. His mission is to help patients regain their hearing, confidence, and independence—so they can fully engage with the world around them.

Dr. Alexander’s life and career have been defined by a passion for service—whether serving the country, the community, or his patients. Upon graduation from Loyola University Maryland in 2002, Dr. Alexander served in the US Army for 9 years on Active Duty as a Blackhawk helicopter pilot.

Driven to continue serving others, Dr. Alexander transitioned to the Army Reserves to pursue his calling as an audiologist. He earned his Doctorate in Audiology from The University of South Dakota in 2015 and has since become a licensed audiologist with extensive experience treating patients of all ages.

AUDIOLOGY

Robin R. Robinson, AuD

Hearing Solutions Audiology Center

Dr. Robinson founded Hearing Solutions Audiology Center to provide the excellence that patients deserve when it comes to their hearing health. With emphasis on diagnostics and aural rehabilitation with advanced technology instruments, Dr. Robinson has been practicing for over 20 years and is Board Certified in Audiology by the American Board of Audiology.

She received her doctoral degree in Audiology from the Arizona School of Health Sciences and her Master’s and Bachelor’s of Science degrees from Radford University in Virginia, graduating with Magna Cum Laude honors. As an audiologist, Dr. Robinson has worked for large medical hospitals, as well as, ENT specialists, but she enjoys the personalization and patient care she is able to provide in a private practice like Hearing Solutions.

HearSolutions.com

As a native Virginian, Dr. Robinson still enjoys outdoor activities such as boating and kayaking on the weekends. When Dr. Robinson and her husband aren’t attending their children’s sporting events, they can usually be found enjoying the waterways of Maryland.

Meet Your Local Health Professionals

Hear the Sweet (((Sounds))) of Life

AUDIOLOGY

Janice R. Trent, AuD

Hearing Healthcare Services, LLC

Dr. Trent has a passion for helping people. She has practiced Audiology since 1984, in a number of clinical settings. Her diverse career has included 16 years of teaching and clinical supervision at Howard University, Washington, DC and Temple University, Philadelphia, PA. Dr. Trent has also worked as a clinical audiologist in hospital settings and private ENT practices.

Education: Clinical Doctoral Degree – Audiology, University of Florida, Gainesville, FL

Master of Education – Audiology, Northeastern University, Boston, MA Bachelor of Science – Communication Sciences and Disorders, Hampton University, Hampton, VA

Dr. Trent holds her Maryland State Licensure in Audiology. She is a Certified Clinical Audiologist (CCC-A) through the American SpeechLanguage-Hearing Association (ASHA). Presently, she serves on the Board of Directors for ASHA as Vice President for Audiology Practice.

Grace and Elegance Beauty Salon & Non-Surgical Hair Restoration Specialist Appointments Only

S - 410-266-3305

C - 410-530-6384

228 Obrecht Road Millersville, MD 21108 gmdennis@verizon.net graceandeleganceinc.com

BEAUTY SALON OWNER

Grace Dennis, Stylist

Grace and Elegance Beauty Salon

Grace Dennis is the owner and founder of Grace and Elegance Beauty Salon, serving the Anne Arundel County community since 1991.

With over 30 years of experience in cosmetology, Grace is known for her expertise in both classic and cutting-edge hair techniques, from everyday cuts to advanced services like micro-linking and nonsurgical hair replacement.

A lifelong learner, she has trained across the country, constantly refining her craft to better serve her diverse clientele. Grace takes pride in providing not just a service, but an experience — where every woman feels heard, cared for, and confident in her beauty. Her salon is built on professionalism, integrity, and a deep understanding of how transformative great hair can be.

Whether you’re facing hair loss, a difficult texture, or just want a new look, Grace combines expert care with warm, personalized service to help you look and feel your best.

$10 off (New Clients Only) Hair Services and Scalp Analysis for Hairloss Clients

BEHAVIOR ANALYST

Leticia Moreno is a dedicated Board Certified Behavior Analyst and CEO/ Clinical Director of Within Me Therapy, a pediatric behavioral practice. With over a decade of experience, she specializes in evidence-based behavior analysis for children and adults with autism and developmental disabilities.

Leticia began her career as a special education teacher and earned her Master’s in Early Childhood Development/Applied Behavior Analysis from the Catholic University of America. She has since worked across home, school, and clinical settings, with a strong focus on early intervention and parent training.

Known for her compassionate and collaborative approach, Leticia partners closely with families and caregivers to create individualized treatment plans tailored to each client’s unique needs and goals. She is committed to ongoing professional development and is currently pursuing a PhD in Applied Behavior Analysis.

Leticia is passionate about helping individuals thrive and believes in the power of behavior analysis to transform lives.

CARDIOLOGY

www.KovachChiropractic.com

Dr. Washington-Plaskett, a native of Fort Washington, MD, completed her Medical training at Meharry Medical College, followed by Internal Medicine at Morehouse School of Medicine and Advanced Cardiology training at Boston Medical Center, including Interventional Cardiology. Inspired by her parents’ dedication to medicine, she is passionate about serving others through her work as a Cardiologist.

Her clinical interests include coronary artery disease, women’s cardiovascular health, and addressing health disparities. She emphasizes the challenges women face in recognizing heart attack symptoms, aiming to improve awareness and prevention. With coronary heart disease affecting over 20 million Americans, her focus is on empowering patients with the knowledge and tools needed for better cardiovascular health. Dr. Washington is excited to deliver compassionate, high-quality care to patients in Southern Maryland, helping them navigate their journey toward improved heart health. Tulani

CHIROPRACTIC Aric Adlam, DC

Dr. Aric Adlam was born and raised in the suburbs of Detroit, MI where he started receiving chiropractic care at the age of 2 years old. After a traumatic football injury threatened his future athletic career at the age of 16, Dr. Adlam turned down a risky spinal surgery for an all chiropractic approach. After missing only half of a football season instead of the predicted 2 years; Dr. Adlam was back on the field. More importantly, Dr. Adlam had decided during that time that he had found his calling in life and decided to pursue a career as a Chiropractor.

Dr. Adlam received an undergraduate Bachelor of Science degree with an emphasis in Biological Sciences before entering chiropractic school. He then continued his education at Life University College of Chiropractic in Marietta, GA where he received his Doctorate of Chiropractic degree, fulfilling his dream of becoming a Chiropractor.

Dr. Adlam is highly trained in the diagnosis and treatment of soft tissue injuries often encountered in the spine, extremities and the rest of the body. He has extensive experience with the current state of the art spine rehabilitation technology and diagnostic equipment used in the treatment of spine related injuries. He has had success in treating many patients who have dealt with chronic neck and low back pain for years as well as headache sufferers that found no relief in the traditional medical model. He has extensive expertise in the treatment of whiplash injuries that often result from automobile accidents. Dr. Adlam is also well trained in the diagnosis and treatment of bulging discs in the low back and neck utilizing the latest treatment methods available.

Dr. Adlam comes from a history of highly competitive sports and takes pride in getting the high performance athlete to the weekend warrior back in the game safely and effectively. He looks forward to bringing the patients of Kovach Chiropractic and Wellness Center the best chiropractic care possible.

CHIROPRACTIC

Kristina Anderson, DC

Kovach Chiropractic and Wellness Center

Dr. Kristina Anderson was born and raised in northern New Jersey. She completed her undergraduate studies at the University of Maryland, College Park where she received her Bachelor’s degree in Kinesiology. She then went on to receive her Doctor of Chiropractic degree and Masters in Applied Clinical Nutrition at New York Chiropractic College. Since graduating, Dr. Anderson has received certifications including Rocktape, Dry Needling, Active Release Technique, FAKTR (Functional and Kinetic Treatment with Rehab), and the Webster Technique. After having to take time off from Track and Field in high school due to quadriceps tendinitis, she understands the importance of quality rehabilitation and care and continues to educate herself to better assist her patients. Throughout her career as a chiropractor, Dr. Anderson has worked with a variety of patients including athletes, perinatal, postnatal, personal injury, adolescents, and geriatric. Dr. Anderson works tediously to ensure that maximum therapeutic benefit is achieved.

Outside of work Dr. Anderson enjoys reading, watching stand-up comedy, musicals, and traveling with her husband.

Meet Your Local Health Professionals

CHIROPRACTIC

Alicia Kovach, DC

Kovach Chiropractic and Wellness Center

Degrees/Training: Graduate of Palmer College of Chiropractic, DRX Training, Activator, Myofascial Release, Board Certified Physical Therapy and Webster Certification. Trained in the Thompson Technique, as well as in the latest evidence based Chiropractic treatments for Pediatric and Pregnancy Care.

Associations: Maryland Chiropractic Association, International Chiropractic Pediatric Association

Areas of Interest: Maternity Care, Pediatric Care, Worker’s Compensation, Personal Injury, Spinal Decompression for Herniated Discs

Hobbies: Dr. Kovach enjoys spending time with her son, Colton, and her family and friends. She also enjoys staying active running and is an avid sports fan.

Inspiration: Helping people restore their health naturally on a daily basis.

Most Memorable Moment: Through the use of the chiropractic care and other wellness modalities, she has seen patients go from extreme back and/or neck pain to little or no pain and the ability to return to a productive life. Patients injured through automobile accidents or work related accidents that could hardly function daily in their jobs have been able to return to work and daily activities pain free. Best Health Advice: Pay attention to your body and don’t ignore the subtle signals. Those subtle signals can lead to a quicker recovery.

CHIROPRACTIC

Patrick C. Winters, DC

Winters Chiropractic and Physical Therapy

Dr. Winters earned his Doctorate of Chiropractic in December 1996. After graduating from NWCC, he moved to Northern Virginia and practiced in a multidisciplinary office. Today, he co-owns Winters Chiropractic & Physical Therapy.

Dr. Winters holds licenses to practice in MD, VA, MN, and ND, and is licensed to practice Chiropractic & Physical Therapy. This licensure allows him to perform joint manipulation of the spine and extremities. He has achieved a variety of post-graduate certifications including:

19529

COLON AND RECTAL SURGERY

MD, FASCRS, FACS Metro Colon and Rectal Surgery, PC

After completing his fellowship in Colon and Rectal Surgery at the prestigious Robert Wood Johnson University Hospital-Rutgers University, Rami Makhoul, MD, joined Holy Cross Hospital in 2014 to serve patients in the DC Metropolitan area. In January 2018, he joined Metro Colon and Rectal Surgery, PC.

Upon graduating from medical school, Dr. Makhoul first completed his Internship in General Surgery at the University of Massachusetts Medical School. He then completed his Residency training in General Surgery at the George Washington University Hospital in Washington, DC. During his Residency training at GW, Dr. Makhoul spent a year in clinical research where he published much of his work in colon and rectal cancer, and the use of Robotic Surgery in various abdominal procedures. He continued with his passion for research and published peer-reviewed articles during his Fellowship training. Several of his works were presented at national conferences including the American Society of Colon and Rectal Surgery, and the Society of American and Gastrointestinal and Endoscopic Surgeons annual conferences.

Dr. Makhoul diagnoses and treats various diseases of the colon, rectum, anus, and other parts of the GI tract using national standards and guidelines. He has a special interest in treating colon and rectal cancer using advanced surgical minimally invasive techniques including robotics, laparoscopy, transanal total mesorectal excision and transanal endoscopic microsurgery.

As part of his commitment to surgical training and education, Dr. Makhoul serves as a Clinical Instructor of Surgery at the George Washington University. Dr. Makhoul holds the position of Cancer Liaison Physician for Holy Cross Health, where he manages and oversees clinically related cancer activities in collaboration with the Commission on Cancer and American Cancer Society. When he is away from the office, Dr. Makhoul may be found spending time with his family. He also enjoys skiing, running, scuba diving, tennis, and traveling.

COLON AND RECTAL SURGERY

Matthew Skancke, MD

Metro Colon and Rectal Surgery, PC

29770 Three Notch Road Suite #205 Charlotte Hall, MD 301-884-3423

101 Centennial Street Suite A, LaPlata, MD

301-934-9762

www.DocWinters.com

• The prestigious American Medical Association Impairment & Disability Evaluation Certification

• The National Academy of Disability Evaluating Professionals Certification-CDE 1 Certified Disability Examiner

• The National Board of Forensic Chiropractors CertificationImpairment/Disability/Functional Capacity Evaluations

• The National Board of Chiropractic Examiners Certification - Parts I-IV and Physical Therapy

• Maryland Board of Chiropractic & Massage Therapy Examiners

CHIROPRACTIC

Paul J. Winters, DC

Winters Chiropractic and Physical Therapy

Dr. Winters earned his Doctorate of Chiropractic in December 1996. After graduating from NWCC, he moved to Northern Virginia and practiced in a multidisciplinary office. In 1998, he moved to Waldorf, MD and teamed up with HEALTHSOUTH®. Today, he co-owns Winters Chiropractic & Physical Therapy.

Dr. Winters holds licenses to practice in MD, VA, PA, and MN, and is licensed to practice Chiropractic & Physical Therapy. This licensure allows him to perform joint manipulation of the spine and extremities. He is also licensed to perform Commercial Driver License Physicals, venipuncture, x-rays, and refer for any diagnostic test which may help determine a patient’s diagnosis such as an MRI and CT scan. He has achieved a variety of post-graduate certifications including:

• The prestigious American Medical Association Impairment & Disability Evaluation Certification

• The National Academy of Disability Evaluating Professionals Certification-CDE 1 Certified Disability Examiner

• The National Board of Forensic Chiropractors Certification - Impairment/Disability/ Functional Capacity Evaluations

• The National Board of Chiropractic Examiners Certification - Parts I-IV and Physical Therapy

• Maryland Board of Chiropractic & Massage Therapy Examiners

• The Federal Motor Carriers Safety Administration - Certified Medical

(CME)

Dr. Matthew Skancke is a Colon and Rectal Surgeon serving Maryland, Virginia and Washington, DC. Dr. Skancke grew up in Great Falls, VA earning his undergraduate degree in electrical and biomedical engineering at the University ofVirginia’s engineering school. After engineering school he spent three years working for a Swiss based GPS company U-blox America while going to night school to finish his pre-medical degree. He then attended medical school at the University of North Carolina at Chapel Hill where he did basic science research of mesenchymal stem cells to progress the field of regenerative medicine. Dr. Skancke continued his General Surgery training at the George Washington University Hospital and subsequently did his Colon and Rectal Surgery Fellowship at the Cleveland Clinic.

During his training, Dr. Skancke has published over 24 peer reviewed publications, authored three book chapters, and presented over 45 times at national conferences in medicine and surgery. He has participated in clinical trials of bench top and mechanical sciences and is a member of the American College of Surgeons and the American Society of Colon and Rectal Surgeons. Dr. Skancke is Board Certified in General Surgery by ABS and Colon and Rectal Surgery (ABCRS) and is an active member of the American Society of Colon and Rectal Surgeons Quality and Safety National committee.

Outside of work, Dr. Skancke has found a new love for French cooking and North Carolina barbeque. To offset these vices, Dr. Skancke also enjoys running and powerlifting in his free time.

COSMETIC SURGERY

Millennium Medical’s primary goal is to attend to the need of every patient. The practice has an extensive array of treatment options, including cosmetic surgery, Botox, fillers, laser treatments, and health and wellness.

As the founder of Millennium Medical, Dr. Rassael graduated from George Washington University in 1986 with a BS in chemistry and zoology and subsequently obtained his graduate degree in Physiology at Georgetown University. He obtained his Medical degree from the New York College of Osteopathic Medicine in 1994. Thereafter, he received two years of Surgical Training at Saint Agnes Hospital which included two months of cosmetic surgery training at the world-renowned Johns Hopkins Burn Center in Baltimore, MD.

During this training, he had the opportunity to learn the surgical skills necessary to perform body and facial surgery. He continued his training at AFIP/Walter Reed Medical Center in Washington, DC, where he completed his Otolaryngology and Endocrine Pathology Fellowship in 1998. Due to his passion for cosmetic surgery, Dr. Rassael has continued to fine tune his surgical techniques, including the art of facial and body contouring surgery. His training alongside many renowned surgeons has made him an exceptional cosmetic surgeon.

His practice also continues to strive to offer the latest technological services in the field of cosmetic surgery. His training alongside many renowned surgeons as well as his years of experience, makes him an exceptional cosmetic surgeon.

37 Old Solomons Island Road, Annapolis, MD 410-224-4411 www.LighthouseFamilyDentistry.com

Dr. Ghassan Jacklis and his dedicated team want you to feel comfortable in our office, and to know that when you come here, you will receive outstanding dental care and personalized service. Our associates have been working together for years, with many years of advanced training, which has allowed us to perfect our communication and better serve you.

DENTISTRY

E. Taylor Meiser, Jr., DDS

Lighthouse Family Dentistry

Degrees/Training: DDS, University of Maryland Dental School; General Practice Residency, San Diego Naval Hospital; Prosthodontics Residency, Naval Dental School, Bethesda; U.S. Navy Dental Corps Officer, Commander, USN, (retired).

Professional Memberships: American Dental Association, Maryland State Dental Association, Anne Arundel County Dental Society, Annapolis Dental Study Club, Chesapeake Implant Study Club, University of Maryland Alumni Association.

Practice Philosophy: To follow the “Golden Rule” in all aspects of professional dental care, providing outstanding quality dentistry in a caring, comfortable and comprehensive manner. Lighthouse Family Dentistry will “Light Up Your Smile.”

DENTISTRY

Degrees/Training: Bachelor of Science, Ohio State University, Columbus, OH, Dental Hygiene, Pre-Dentistry; University of Maryland Dental School, Doctor of Dental Surgery, Baltimore, MD; Pete Dawson Center, Tampa, FL; Zimmer Institute

Professional Memberships/Associations: Academy of General Dentistry; American Dental Association

Areas of Interest: Preventative, Cosmetic, Endodontic and Prosthetic Dentistry

Practice Philosophy: To provide patients with state-of-the-art treatment together with personal attention and compassionate care. My expertise and concern for my patients ensures that they receive effective care in a warm and friendly environment.

Our Practice: White Plains Comprehensive Family Dentistry welcomes you to their new practice in the White Plains, MD. We offer complete dental exams and procedures for the entire family.

Whether you are having a dental emergency or it’s time for your yearly checkup, stop in and see our friendly and professional staff today.

DENTISTRY

Michael Rogers, DDS, is pleased to be able to offer beautiful smiles to his neighbors in Arlington and the surrounding communities.

Dr. Rogers earned his dental degree from UCLA after graduating cum laude from Harvard University. Prior to entering private practice, he served a general practice residency at Sepulveda Veteran’s Hospital. Dr. Rogers has invested significant time into ongoing education, seeking to learn emerging dental technologies and techniques in the areas of cosmetic dentistry, implant dentistry, sleep apnea treatment, orthodontics, temporomandibular joint (TMJ) disorders, and safe amalgam replacement. His most recent training in airway management has allowed him to offer a cure for sleep apnea using an intraoral device known as the DNA appliance.

He is a member of the International Academy of Oral Medicine and Toxicology, American Academy of Dental Sleep Medicine, American Academy of Craniofacial Pain, and also of Mercury-Free Dentists. He has served as a guest author for TMJ News & Views, and when that publication ceased, began his own quarterly newsletter. You may have seen one of his television interviews on “A New Me” or the local PBS station, or seen his articles and features in Ladies’ Home Journal, Arlington Magazine, and New Beauty.

Dr. Rogers is an active participant in the community as a sponsor for Encore Theater, Little League of Alexandria, Abingdon Elementary, and the local Fairlington Farmer’s Market. He and his wife Terri enjoy spending time with their daughter Megan and her husband Corey traveling around the country and the Caribbean.

C. White, Jr., DDS ThunderBird Dental Office

ThunderBird Dental Office, affectionately known as the ThunderBird, has been providing dentures and denture repairs for over 40 years. Our dental lab is on our premises which allows us to deliver same day repairs and relines. We also perform extractions for immediate dentures. Our service is prompt and personalized and our price is right, so come on in!

Education: Graduate of Howard University College of Dentistry in Washington, D.C.

Completed General Practice Residency at Saint Elizabeths Hospital in Washington, D.C.

Served as a Civilian Dentist at Ft. Meade Army Base, Ft. Meade, MD

Served as Clinical Director at Oak Hill Juvenile Detention Center, Laurel, MD

Member Of: ADA American Dental Association and MSDA Maryland State Dental Association

herself and her team in our ever-changing field. She attended the Temple University School of Dentistry in Philadelphia, PA, where she received her DMD and was honored in the Temple University Gallery of Success. Her undergraduate degree, a B.A. in Chemistry, was attained at Goucher College in Towson,

Academy of

as the Public Information Officer on the board of the Maryland Academy of

Dentists (AGD), and the Maryland Academy of General Dentists. She

Dentists (MAGD). Additionally,

is

in Forensic Dentistry through the Armed Forces Institute of Pathology at

Center and has served on the Maryland State Committee for Oral Cancer Awareness. Dr. Yu served on The Anne Arundel County Oral Task Force aiming to increase access to care for the adult population.

She is committed to the overall health of her patients and works with her team to educate clients about the importance of oral care and how the pathology in the oral cavity is directly linked to one’s general health, including periodontal disease and its relationship with heart disease. A humanitarian at heart, Dr. Yu truly enjoys giving back to the community. She currently chairs the Northern Anne Arundel County Chamber of Commerce Health/Wellness Committee. She is also a board member of the Alumni Association of Goucher College. Dr. Yu also chaired the McDonogh Parent Association’s Parent Education Committee. She was involved with the Healthy Anne Arundel Coalition to “Make Health Happen.” You will often find Dr. Yu volunteering for Missions of Mercy, donating dental services to the public or volunteering at her church by cooking for Heaven’s Kitchen.

FAMILY AND COSMETIC DENTISTRY

Brenda E. Howard, DMD

Bethesda

6710A Rockledge Drive Suite #130 Bethesda, MD 20817

Germantown

19847 Century Boulevard Suite #205

Germantown, MD 20874

301-515-0900

www.DrGaryFeldman.com

FOOT AND ANKLE SURGEON

Gary Feldman, DPM, FACFAS

Maryland Orthopedic Specialists

Dr. Feldman is a Board-Certified Foot and Ankle Podiatrist by ABFAS in advanced surgical training from St. Agnes Medical Center in Philadelphia.

A University of Maryland and Pennsylvania College of Podiatric Medicine graduate, he specializes in diabetic limb salvage, pediatric disorders, foot and ankle reconstruction, and advanced procedures such as PRP therapy, ultrasound-guided treatments, and total ankle replacement surgery.

With over 28 years in private practice, Dr. Feldman has a strong interest in sports medicine. He’s served as team physician for high school teams, DC United, and GWU athletics, and was a part-time editor for The Physician and Sports Medicine journal.

He is a partner at Maryland Orthopaedic Specialists and is on staff at Shady Grove Adventist Hospital and Chevy Chase Surgical Center. Dr. Feldman also trains residents through the MedSTAR/Georgetown University system.

A Montgomery County native, he enjoys running, cycling, and family time— and is a lifelong fan of the Washington Capitals and Commanders.

GENERAL DENTISTRY

Craig A. Smith, DDS

Degrees, Training, and Certificates: Doctor of Dental Surgery (DDS) – Howard University College of Dentistry; 2 Year General Practice Residency; Chief Resident – Harlem Hospital Center (Affiliate of Columbia University)

Professional Memberships/Associations: National Dental Association

Areas of Interest: Root Canal Therapy, Implants, Crown and Bridge, and Cosmetic Bonding Hobbies: Motorcycling, boating and spending time with family and friends.

HAIR DESIGNER

Rachel Allen, President

Rachel Allen is the President of the nonprofit Natural Beauty Hair Designers Professional Training Center, Inc. and has been the owner of Natural Beauty Hair Salon since 1992, dedicating over three decades to improving lives through education, mentorship, and community support. Under her leadership, the nonprofit organization has become a cornerstone for community outreach and workforce training in Maryland and the Washington Metropolitan Area.

Natural Beauty Hair Designers Professional Training Center provides vital services, including educational programs, workforce development, and mentoring for disadvantaged, foster care, and adoptive youth. Focused on empowering individuals interested in the hair care industry, Rachel’s organization equips participants with the skills and confidence needed to build successful careers.

Rachel is passionate about fostering opportunities for underserved populations and creating pathways to independence and success. Through her unwavering commitment, the Training Center continues to transform lives, enhancing the quality of life for residents in

HOME HEALTH CARE

Nataliya Lakiza, PhD

Founder and Director Of Chevy Chase Home Care Degrees and Training: PhD in Demography/Gerontology, MS in Economics

Certificates From: Georgetown University, American University and New York University

Professional Memberships and Associations: IUSSP – International Union for the Scientific Study of Population, National Council on Aging (US).

Areas of Interest: Traveling, Fitness, Camping, Health Nutrition, Reading and Exploring the Internet.

Family: Son – Co-Owner

CHCHhomecare@yahoo.com 202-374-1240 www.CHCHhomecare.com

7201 Hanover Parkway Suite A, Greenbelt, MD

301-446-1784

www.CraigASmithDDS.com

Additional: The vast majority of the general public do not understand that some diseases first manifest in the mouth. That’s why patient information is so crucial. Stressing the importance of healthy teeth and gums through regular recall visits is a good start.

Practice Philosophy: Your smile is very important. It is my mission to give my patients the smile they desire through education, dedication and a gentle touch.

Services: Live in/out, short, long, nights, 24/7. Help at home, nursing home or hospital. We Bring Our Hearts To Your Place!

Dr. Marny Fetzer joined Hospice of the Chesapeake in July 2023 as Chief Medical Officer. Dr. Fetzer previously served as the System Medical Director for Palliative Care and Hospice Services at Ascension Health in Mount Prospect, Illinois, and has been in the palliative and

through the

fellowship at

of

Dr. Fetzer is

in

Feinberg School of

and Palliative

Hospice and

and has

and published extensively about the field for the

She became a Certified Hospice Medical Director (HMDC) in 2018 and earned her credentials as a Certified Physician Executive (CPE) from the American Academy of Physician Leadership in 2021. Dr. Fetzer’s primary medical specialty is Emergency Medicine, and she practiced at Advocate Lutheran General Hospital, a Level 1 Trauma Center located in Park Ridge, Illinois, prior to pursuing Hospice and Palliative Medicine fellowship.

Dr. Fetzer earned her B.A. Cum Laude in Communications from Loyola University Chicago and attended the Loyola University Medical Center Stritch School of Medicine. She is currently pursuing a Master of Business Administration from University of Massachusetts Amherst with an anticipated graduation in August 2025.

As Chief Medical Officer, Dr. Fetzer provides leadership and strategic direction to the medical team which includes physicians and nurse practitioners. As a member of the Hospice of the Chesapeake executive leadership team, she also shares the responsibility of implementing strategic goals and effecting cultural change across the organization.

Meet Your Local Health Professionals

Locations in Waldorf, Prince Frederick, Pasadena and Largo, MD

877-462-1101

www.HospiceChesapeake.org

HOSPICE AND PALLIATIVE MEDICINE

Sonja Richmond, MD

Hospice of the

Chesapeake

Degrees, Training and Certificates: Board Certified in Internal Medicine by the ABIM, Board Certified Hospice Medical Director by the HMDCB, Registered Yoga Teacher, Yin Yoga Certified, Ayurveda Certified.

George Washington University School of Medicine; George Washington University Residency Internal Medicine; University of Virginia, BA.

Professional Memberships and Associations: American Academy of Hospice and Palliative Medicine, National Medical Association

Family, Hobbies and Interests: My daughters, bonus daughter and son, husband, dog and all of their respective activities keep me on my toes. I enjoy practicing and teaching yoga, reading books, fashion, and watching Rocky movies.

Practice Philosophy: I live by the words of Maya Angelou, “People will forget what you said, people will forget what you did, but people will never forget how you made them feel.”

IMPLANT DENTISTRY

E. Richard Hughes, DDS

Degrees, Training & Certifications: Dr. Hughes received his Bachelor of Science in Microbiology from the University of Maryland in College Park, MD. He graduated from Meharry Medical College School of Dentistry in Nashville, TN with a degree as a Doctor of Dental Surgery. His Post Doctorate Certificate in Oral Implantology is from Howard University of Dentistry in Washington, DC. Dr. Richard Hughes is a fellow of the American Academy of Implant Dentistry and the American Academy of Implant Prosthodontics, and Board Certified by the American Board of Oral Implantology/Implant Dentistry. He is also a reviewer for the Journal of Oral Implantology, and is on the surgical staff of INOVA Loudoun Hospital in Leesburg, VA. Dr. Hughes, with 21 years of experience in implant dentistry, is a national and international lecturer on numerous topics about implant dentistry, an implant surgical demonstrator and clinical investigator.

Special Interests: Dental Implants, Cosmetic Dentistry, Restorative Dentistry

MASTECTOMY FITTER

Mimi Quade, Owner

Fran’s Nu Image

Degrees, Training and Certificates: Bachelor of Science Degree, Health Planning and Administration, Penn State University.

Certified Fitter – Mastectomy, American Board for Certification in Orthotics, Prosthetics and Pedorthics, Inc.; Juzo Certified Fitter, Compression Garments; 30 years experience in the provision of medical equipment and supplies, management/sales/service.

Family: Husband, Chris and Son, Jimmy

Hobbies: Sudoku and Reading.

Practice Philosophy: Customer care is our priority!

Fran’s Nu Image is a facility accredited by the American Board for Certification

MAXILLOFACIAL SURGERY Sivakumar Sreenivasan, DMD

Total Dental Care

Dr. Sreeni came to the United States as an Oral and Maxillofacial Surgeon from India in the year 1990 and put himself through dental school again at Boston University and an Oral and Maxillofacial Surgery Residency at the University of Medicine and Dentistry of New Jersey.

46440 Benedict Drive Suite #201, Sterling VA 703-444-1152

www.SterlingImplantDentist.com

Professional Memberships & Affiliations: Part One Test Construction Committee, American Board of Oral Implantology/Implant Dentistry; Oral Examiner, American Board of Oral Implantology/Implant Dentistry; Board of Directors, The American Academy of Implant Prosthodontics; Editorial Advisory Board, Journal of Implant and Advanced Clinical Dentistry; Infection Control Committee and Cancer Committee, INOVA Loudoun Hospital, Leesburg, VA; on the Board of Trustees of the American Academy of Implant Dentistry Practice Philosophy: You'll love the personal attention we give to your comfort and appearance. And, you'll appreciate our use of the latest materials, modern treatment techniques and our pleasant relaxed environment.

Patient Testimonials: "Dr. Hughes is the Picasso with dental implant and cosmetic procedures. Thank you for my new smile."

"Dr. Hughes, you gave me better health and a new bite out of life."

INTEGRATIVE MEDICINE

Alan Weiss, MD

Annapolis Integrative Medicine, LLC

Degrees: Bachelor of Arts – University of Virginia, Doctor of Medicine –McGill University.

Post-Graduate Training: University of Hawaii Internship in Medicine, St. Elizabeth’s Hospital (Boston) Residency in Internal Medicine, Board

Certified Internal Medicine by the ABIM, Fellow American Academy of Anti-Aging Medicine

Practice Philosophy: Combining the best of conventional treatments, natural approaches and alternative strategies.

Areas of Interest:

• Expert treatment of chronic fatigue syndrome and fibromyalgia

• Nutritional strategies and weight loss, including HCG protocol

• Bio-Te Hormone Replacement

• Addressing thyroid problems and adrenal fatigue using natural and holistic therapies

• Intravenous therapies

• Combining the best of conventional and holistic therapies to address chronic and complex health care issues

• Anti-Aging protocols using Botox, Dysport and Peptide Therapy

20680 Seneca Meadows Parkway, Suite #218 Germantown, MD 240-813-9111

www.TotalDentalCareMD.com

As an Oral and Maxillofacial Surgeon, Dr. Sreeni manages a wide variety of problems relating to the Mouth, Teeth and Facial Regions. He graduated from dental school in India in the year 1984. His passion is in implant surgery and he is well known for same day placement of implants following teeth removal, be it for single teeth or a complete “makeover” (Smile In a Day). He can also diagnose and treat Facial Pain, Facial Injuries and TMJ disorders and perform Bone Grafting and Sinus lift procedures.

Dr. Sreeni completed a Residency in Anesthesiology at Mount Sinai Hospital, NY in 1994 and has worked as an Attending, providing anesthesia services for children and adults in the ambulatory out-patient center at Mount Sinai Hospital. Dr. Sreeni is an Advanced Cardiac Life Support instructor with the Adventist group. He is also certified in Pediatric advanced life support and is very capable of providing anesthesia for both adults and children in state of the art office settings with advanced monitoring for your safety. Dr. Sreeni’s staff are well trained in assisting with IV Sedation/General Anesthesia. The goal of our office is to provide professional service with compassion and an understanding of the patients’ perspective.

DMD

Dental Implant Center of Rockville

Dr. Sreeni came to the United States as an Oral and Maxillofacial Surgeon from India in the year 1990 and put himself through dental school again at Boston University and an Oral and Maxillofacial Surgery Residency at the University of Medicine and Dentistry of New Jersey.

As an Oral and Maxillofacial Surgeon, Dr. Sreeni manages a wide variety of problems relating to the Mouth, Teeth and Facial Regions. He graduated from dental school in India in the year 1984. His passion is in implant surgery and he is well known for same day placement of implants following teeth removal, be it for single teeth or a complete “makeover” (Smile In a Day). He can also diagnose and treat Facial Pain, Facial Injuries and TMJ disorders and perform Bone Grafting and Sinus lift procedures.

Dr. Sreeni completed a Residency in Anesthesiology at Mount Sinai Hospital, NY in 1994 and has worked as an Attending, providing anesthesia services for children and adults in the ambulatory out-patient center at Mount Sinai Hospital. Dr. Sreeni is an Advanced Cardiac Life Support instructor with the Adventist group. He is also certified in Pediatric advanced life support and is very capable of providing anesthesia for both adults and children in state of the art office settings with advanced monitoring for your safety. Dr. Sreeni’s staff are well trained in assisting with IV Sedation/General Anesthesia. The goal of our office is to provide professional service with compassion and an understanding of the patients’ perspective.

Meet Your Local Health Professionals

MEDICAL ONCOLOGY

Paul Bannen, MD

Board Certified in Medical Oncology by the ABIM. He received his medical degree from University of Missouri-Columbia School of Medicine and completed his Internal Medicine Residency at University of Texas Health Science Center. He then went on to complete his Fellowship at Georgetown University.

Board Certification: Internal Medicine and Medical Oncology Awards: 2024 Washingtonian Top Doctor

MEDICAL ONCOLOGY

Chitra Rajagopal, MD

Board Certified in Medical Oncology by the ABIM. She received her Medical degree from Madras Medical College and completed her Internal Medicine Residency and Fellowship at Georgetown University.

Board Certifications: Internal Medicine and Medical Oncology

Awards: 2024 Washingtonian Top Doctor

MEDICAL ONCOLOGY

Holly Dushkin, MD

Board Certified in Medical Oncology by the ABIM. She received her medical degree from Temple University School of Medicine and completed her Residency at Temple University Hospital. She went on to complete her Fellowship at Fox Chase Cancer Center.

Board Certification: Internal Medicine and Medical Oncology

MEDICAL ONCOLOGY

Frederick P. Smith, MD

Board Certified in Medical Oncology by the ABIM. A native of Burma, Dr. Smith attended Niagara University in New York and later attended St. Louis University Medical School. Following medical school, he completed Residency and Oncology Fellowship at Georgetown University - Lombardi Cancer Center. Dr. Smith has been in practice in the D.C. metropolitan area for many years and has been an integral advocate in the community to promote access to clinical research.

Board Certification: Medical Oncology Awards: 2024 Washingtonian Top Doctor

WHEN CANCER HITS HOME, YOU’RE NOT ALONE.

If you’re facing cancer, we’re here for you. RCCA’s expert oncologists and hematologists bring the latest cancer therapies, treatment strategies and clinical trials to convenient, community-based care centers near your home.

Our expert oncologists and hematologists offer cutting-edge, compassionate care for solid tumors, blood-based cancers and noncancerous blood disorders.

RCCA’s doctors and medical staff treat those who are newly diagnosed, are in the midst of treatment or have completed active treatment and have a question or need follow-up care.

To schedule an appointment call 844-346-7222 or visit www.RCCA.com

Meet Your Local Health Professionals

MEDICAL CANNABIS

Sharron Sample, CEO Dispensary Works, LLC

Sharron Sample, CEO of Dispensary Works in White Plains, MD, retired from the position of Chief Information Office, Earth Science, NASA in 2008 after a long and rewarding career. She never envisioned the legalization of cannabis for medicine and that she might play a role in making it available to others.

In 2014, son, Robert and nephew, Steve, made Sharron aware of the plans for legalization and began to educate her on the science of cannabis as medicine. She was particularly impressed with the ways it was helping to reduce or eliminate seizures in children and adults. Together, they opened Dispensary Works on May 10, 2018, and have found it to be one of the most gratifying accomplishments of their careers.

“We continue our commitment to making the best cannabis product available to medical patients, as part of their overall health management. Since the change to adult use in Maryland, we strive to provide safe product and the best customer service to all."

Native to Maryland, Sharron, Rob, and Steve continue to be "greatly rewarded by patient reports of improved relief for medical conditions, from minor improvements to life-changing transformations."

Headquarters in Montgomery County PO Box 776, Olney, MD

301-346-6732

HouseCallsTotalWellness.com balbaneze@housecallstotalwellness.com

MENTAL HEALTH

Beth Albaneze, MA, CTRS, CPRP

Certified Therapeutic Recreation Therapist

Certified Rehabilitation Practitioner

Personalized wellness at home Changing care in MD/DC

Revolutionizing Mental Health with Home Care

Meeting you where you are comfortable, avoid going to office, all services by expert professionals under one umbrella, a unique approach, bringing mental health specialists to you for medical case management, referrals, advocacy and resources for young adults to senior citizens.

Customized goals for every life challenge, options for smooth transitioning to community, declutter assistance, choosing a facility, social/recreational options.

Online or personal coaching – Navigating the mental health maze

Social, Vocational, Educational Recovery Accommodations and housing options

A team approach for all acute or chronic issues

Award winning, credentialed, decades of experience, meeting people where they are at 301-346-6732 balbaneze@housecallstotalwellness.com

MENTAL HEALTH REHAB

Evan Taff is a multifaceted professional, serving as a realtor with EXP Realty and The Karen Rollings Team, a certified life coach, certified med technician, and musician. At Transition House, Evan handles intakes, daily administration, and coordination of clients, working with individuals and families to navigate life’s challenges before, during, and after services or housing placement. He uses intentional and reflective dialogue to help clients find their voice and advocates for housing without discrimination. Evan’s strategies and techniques provide guidance for clients to explore their path without judgment or expectation, offering support during the risk-taking process of discovery.

MOBILE DENTISTRY

Namita K. Thapar-Dua, DDS Senior Smile

Dr. Namita K. Thapar-Dua (formerly known as Dr. Chaudhary) is a different kind of dentist. She takes time to listen to the patients (even with Alzheimer's) and provide them with the best care she can. Rather than rushing through dental visits, Dr. Thapar-Dua listens, talks, and serves her patients by investing in long-term relationships.

A Magna Cum Laude graduate of the University of Maryland’s prestigious Baltimore College of Dental Surgery, Dr. Thapar-Dua completed a general practice Residency with the Veteran’s Affairs Medical Center in Washington, DC. She is continually dedicated to advanced, postdoctoral study. Advanced training allows her to provide patients with a health-centered and aesthetically pleasing approach to family dental care.

Formerly, Dr. Thapar-Dua co-owned The Mobile Dentist, which serviced more than 50 senior living communities throughout Maryland and the DC area. Having spent a large portion of her career focusing on the special needs of senior patients, Dr. Thapar-Dua’s experience in geriatric dental care is profound. To go beyond mobile dentistry, Dr. Thapar-Dua introduced SENIOR Smile, a service that takes the dental office into senior centers and residences to provide comfortable, personalized dental care.

NATUROPATHIC DOCTOR

Stephany Porter, ND, FABNO

The Bodhi Clinic

Dr. Porter is a Board Certified Naturopathic Oncologist, functional medicine practitioner, and transformational coach who treats the whole person not just symptoms. She is dedicated to finding the root cause of illness and optimizing metabolic health by identifying and addressing imbalances at the cellular and systemic level to promote optimal health. Schedule a free consult 410-923-8888 and visit www.BodhiClinic. com for events, workshops, blogs, and more.

NURSE PRACTITIONER

Nicole received her bachelor’s degree in nursing from the University of Virginia School of Nursing and continued her education to receive a Master of Science in Nursing – Family Health Nurse Practitioner from Virginia Commonwealth University.

As a nurse and nurse practitioner, she has over 20 years of combined experience. Her experiences in healthcare include family practice, occupational health and nursing home/rehabilitation.

Nicole believes in patient and family education as a vital tool in disease prevention and control as well as empowering them to actively participate in their own healthcare. In her free time, she enjoys spending time with family and friends, high intensity interval training and running.

OPHTHALMOLOGY

Renee Bovelle, MD

Envision Eye & Laser Center

Board Certified, Ophthalmology by the American Board of Ophthalmology

Board Certified Ophthalmologist who has performed thousands of laser, ophthalmic, cataract, cornea and BOTOX procedures. Owner and Medical Director of Envision Eye and Laser. Trained at Wellesley College, UCLA School of Medicine, Yale University and the LSU Eye Center. Named a 2021 Washingtonian TOP DOCTOR by her peers. Selected as the Millennial EYE Outstanding Female Leader in Ophthalmology for the March/April 2021 Issue.

A commitment to excellence in ophthalmic training and surgical technique, coupled with her expertise with state-of-the-art technology, has enabled Dr. Bovelle to earn her patients’ confidence and trust. Her practice emphasizes disease prevention, overall wellness, and patient education. She is committed to treating all of her patients with compassion and caring. She offers each patient an individualized treatment plan, and is dedicated to helping patients make informed decisions about medical, surgical, and aesthetic treatments.

Served as assistant professor of Ophthalmology at Louisiana State University, and worked at the National Institutes of Health. Current Director of the Cornea Service at Howard University Hospital Department of Ophthalmology.

Her work has been published in medical textbooks and ophthalmology journals in the U.S. and internationally. Donates her time to caring for the poor by participating in health fairs and medical mission trips.

She holds academic appointments at Howard University Hospital, Ross University School of Medicine and University of Maryland Capital Region Medical Center. Holds leadership positions in ophthalmic and other medical associations. Currently, she represents the Maryland Society of Eye Physicians and Surgeons (MSEPS) as a counselor to the American Academy of Ophthalmology and is on the MedChi legislative council. Under her leadership, MSEPS received the 2021 Star Award for innovative delivery of education and value to society members.

20 Davis Avenue, SW Leesburg, VA

703-777-1244

12110 Sunset Hills Road

Suite #50, Reston, VA

703-834-9777

www.NewViewEye.com

OPHTHALMOLOGY

Claiborne M. Callahan, MD NewView Eye Center

A native of Leesburg, VA, Claiborne M. Callahan, MD graduated with distinction from The University of Virginia in 1996. In 2000, she graduated from The University of Virginia School of Medicine. She completed her Ophthalmology Residency at Tulane University in 2004.

Prior to joining NewView Eye Center, Dr. Callahan was in private practice in Virginia, Florida, and Alabama. Her knowledge, experience and patientcentered focus allows her to spend quality time with each patient to diagnose, educate and treat them. She understands that patients have a choice with whom to entrust their eye care needs, and she prides herself on adhering to the highest ethical standards in the practice of medicine.

Dr. Callahan has performed thousands of cataract surgeries, as well as laser, glaucoma and eyelid plastic surgeries. She has treated a myriad of eye conditions throughout her career. She is committed to ongoing education and stays current with diagnoses and treatments. She attends several educational and training meetings yearly to remain in the forefront of ophthalmology advancements.

She is a Diplomate of the America Board of Ophthalmology, a Fellow of the American Academy of Ophthalmology, and others.

OPHTHALMOLOGY

Dr. Griffiths is one of this area's most experienced surgeons and offers state-of-the-art Laser Vision Correction, Cataract Removal, Multifocal Lens Implants, and Comprehensive Ophthalmology. She has helped thousands of patients who struggle with their vision. Her knowledge, compassion, and attention to detail are the reasons she was voted by her peers to be one of this area’s most elite physicians. Degrees, Training & Certifications:

Dr. Griffiths is a Board Certified Ophthalmologist. She received her undergraduate degree from Yale and her medical degree from the University of Michigan. She then completed her Ophthalmology Residency at Georgetown University Medical Center.

Professional Memberships & Affiliations:

Dr. Griffiths is the immediate past Ophthalmology Section Chief of Reston Hospital Department of Surgery, the former Chief of Ophthalmology for the Reston Ambulatory Surgical Center in Reston, VA as well as Loudoun Hospital in Leesburg, VA, Diplomate of the American Board of Ophthalmology, a Fellow of the American Academy of Ophthalmology, a member of the American Society of Cataract and Refractive Surgery, the Washington National Eye Center and others. "Top Ophthalmologist" Washingtonian and NorthernVirginia

OPHTHALMOLOGY

Deborah Y. Wilson-Umanzor, MD

Eye One Surgical Associates

If you have cataracts, glaucoma, or want to check the health of your eyes, Dr. WilsonUmanzor is the Eye Specialist for you.

Experience matters. Compassionate

703 Giddings Avenue Suite #L6 West Annapolis, MD 410-263-2571

Sajak Pavilion 2002 Medical Parkway Suite #615, Annapolis, MD 410-573-2822 www.McNellyOptical.com

OPTICIAN

McNelly Optical, Inc.

As manager of McNelly Optical in the Sajak Pavilion, my goal is to set our store apart from other optical outlets through the quality of the customer experience and our attention to detail. Our boutique caters to clients that desire quality eyewear that doesn't look like everyone else's. My staff and I will consult oneon-one in frame selection offering advice both in fashion and suitability to the patient's prescription. We will make recommendations for the best results. As independent opticians, we depend upon our expertise to attract referrals from local eye specialists who often send us their most challenging cases. I hold a degree in business administration. I completed an opticians apprenticeship and became certified by the American Board of Opticianry in 1978. I have worked throughout many different areas of the optical industry in both retail and wholesale. I spent 25 years with prominent French frame manufacturer Logo Paris. I also represented the luxury eyewear lines for Cartier and Tag Heuer in the Eastern United States. I returned to my retail roots in 2012 and joined the management team at McNelly Optical Co. in 2017. I am a native Annapolitan with a passion for the sea shore. I am married with 2 adult sons and enjoy traveling.

ORTHODONTICS

Degrees, Training and Certificates: Master of Science in Dentistry in Orthodontics; DDS and BS from Case Western Reserve University in Cleveland, OH

Professional Memberships/Associations: President Mid-Atlantic Society of Orthodontists; Assistant Clinical Professor at the University of Maryland, Department of Orthodontics; Adjunct Assistant Professor at Case Western Reserve University, Department of Orthodontics, Cleveland OH; American Association of Orthodontists; Member, Board of Directors Mid-Atlantic Society of Orthodontists; Past President of the Maryland Society of Orthodontics; Alpha Phi Alpha Fraternity, Inc.; Former Member of Bishop McNamara High School’s Board of Directors; Former Member, Board of Directors Prince George’s Community College Education Foundation Areas of Interest: Building and networking computers, golf, and football Family/Hobbies/Interests: Children, Kennedy and David III; Wife: Shonda W. Harmon, MBA, MPA

Meet Your Local Health Professionals

Chesapeake

Spine & Pain

Interventions and Therapies

110 Hospital Road Suite #211

Prince Frederick, MD

410-656-2869

ChesapeakeSpineAndPain.com

7500 Greenway Center Drive, Suite #940 Greenbelt, MD

2021 K Street, NW Suite #605 Washington, DC

301-718-1082

www.GTPain.com

PAIN MANAGEMENT

Dr. Anver Khan

Chesapeake Spine & Pain

Dr. Anver Khan was born and raised in Maryland. He attended the University of Maryland followed by the Edward Via College of Osteopathic medicine. He trained in Anesthesiology with further fellowship specialization in interventional pain management at the prestigious Johns Hopkins School of Medicine.

Board Certifications:

American Board of Anesthesiology | Pain Medicine

American Board of Anesthesiology | Anesthesiology

Education & Credentials:

Residency Program: Johns Hopkins School of Medicine | Anesthesiology

Fellowship Program: Johns Hopkins School of Medicine | Pain Management

PAIN MANAGEMENT

Alexander Pitts-Kiefer, MD

Georgetown Pain Management

Degrees, Training, and Certificates: I am the attending physician at Georgetown Pain Management. I was a Clinical Fellow in Pain Medicine at Massachusetts General Hospital / Harvard Medical School and completed training in acute and chronic pain evaluation and diagnosis, medication management, fluoroscopic- and ultrasoundguided interventional techniques, and advanced implantable therapies. I completed Anesthesiology Residency at Georgetown University Hospital in Washington, DC and received my Medical degree from Weill Cornell Medical College in New York City. My professional interests include the clinical care of patients with chronic pain through a balanced, multidisciplinary approach, as well as medical education, humanism in medicine, and medical humanities.

Professional Memberships/Associations: Board Certified, Anesthesiology. American Academy of Pain Medicine, American Medical Association, American Society of Anesthesiologists, American Society of Regional Anesthesia and Pain Medicine, District of Columbia Society of Anesthesiologists, International Anesthesia Research Society, Massachusetts Society of Anesthesiologist, North American Neuromodulation Society Spine Intervention Society

PAIN MANAGEMENT

PEDIATRIC DENTISTRY

I am a Board Certified Pediatric Dentist by the ABPD. As a pediatric dentist since 2005, I enjoy providing care and motivation to my patients, while learning from their unique perspectives. Interacting with young kids, pre-teens, and teenagers keeps me young at heart and energized.

I completed a Bachelor of Science at Morgan State University, a Doctorate of Dental Surgery at the University of Maryland, and a Pediatric Dental Certificate at Howard University. I stay current with advancements in pediatric dentistry through continuing education, including courses in traditional orthodontics, aligner training, and laser dentistry.

I offer a range of services from “needle-free” laser dentistry to orthodontics and assistance for infants and toddlers with lip- and tongue-tie issues. I am a member of the American Academy of Pediatric Dentistry, American Dental Association, Diplomat of the American Board of Pediatric Dentistry, American Black Women in Dentistry, and Mommy Dentists in Business.

Beyond the office, I participate in community outreach, promoting education and healthy lifestyles. Raised in Yonkers, NY, I’ve lived in Upper Marlboro for almost 20 years with my husband and our two daughters. I enjoy supporting my daughters’ cheerleading, bike riding, power walking, and relaxing with a good book.

genes. My mother, Dr. Lynda Dean-Duru, also a pediatric dentist, was my first inspiration towards family dentistry. Having started my journey in family care working as a pediatric dental assistant at Ashburn Children’s Dentistry, I spent many summers as my mother’s mentee.

Bringing you university quality care with private practice efficiency and compassion.

Degrees, Training, and Certificates: MD - University of WisconsinMadison 1997. Completed his training at Hospital of the University of Pennsylvania, with specialized training in Interventional Pain Management at the renowned Cleveland Clinic Foundation.

Medical Director - Georgetown Pain Mangaement

Professional Memberships/Associations: Selected to become the Program Director of the Interventional Pain Management Center at Georgetown University Hospital, where he is currently serving as a Section Chief and an Assistant Professor of Pain Medicine at Georgetown University Hospital. Associate Member in Washington Metro Pain Institute.

healing art she deployed while

and knowing

and the power of proactive

for

I

a career specializing in

dentistry. It is an honor to join my mother in practice at Ashburn Children’s Dentistry where I get to fulfill my commitment to helping each child and parent have a positive and transformative dental experience, with compassion and fun! Having matured as an integrative laser pediatric dental surgeon and absorbing the ethos of Ashburn Children’s Dentistry, I work tirelessly to stay abreast of emerging research, and improve the quality of life for children by learning from the world’s leading researchers and clinicians. Through these means, we are continually integrating critical aspects of oral structure, craniofacial development, and its impact on the pediatric airway in the service of providing optimal patient outcomes. Caring for children is so powerful and rewarding and with that, understanding the importance of utilizing gentle and minimal intervention therapies. Treating the source of their issues—instead of the symptoms—and focusing on early prevention, has been critical to my role in educating parents and assisting their blossoming child’s development into a healthy and resilient adult. hold an undergraduate degree from Columbia University in New York, where I studied Psychology. received a Doctorate of Dental Surgery from Virginia Commonwealth University in Richmond, VA and completed my Pediatric Residency at Interfaith Department of Dental Medicine in Brooklyn, NY, where I served in a leadership role as Chief Resident. Board Certified by the ABPD, am a proud Diplomate of the American Board of Pediatric Dentistry. When not helping my young patients build happy smiles, enjoy spending time with family and friends, growing in my faith, improving my dancing skills, learning boxing moves, traveling — and cheering on Washington sports teams!

“Dr. Krystle,” as she is known by her patients, is thrilled to join her mom, Dr. Lynda, in practice. Patients and parents compliment her fun, compassionate approach. They are also impressed by her commitment to helping each child and parent have a positive dental experience. Having matured as a dental surgeon, she is constantly working to enhance her capabilities in the field.

Dr. Lynda Dean-Duru over the last twenty years has built one of the most progressive pediatric

practices in Northern

Based in Ashburn, her Ashburn Children’s Dentistry practice serves thousands of families and stays on the cutting edge of Integrative wholistic airway-focused preventative dentistry.

For Dr. Dean-Duru, the pathway to dentistry stemmed from her childhood experience with a dentist in her native Nigeria. As the eldest of nine children (including seven brothers), she witnessed a total transformation in the health of one of her little brothers after his aches and pains were totally resolved under the care of a well-trained dentist. She determined, as a result of that experience, to extend that kind of care to others as her life’s calling.

Her decades of study and practice have led Dr. Lynda to this focus. She holds her dentistry degree from the University of Benin, her General Practice Residency from Howard University Hospital, her Pediatric Dentistry Specialty Training from Children’s National Medical Center, her Board Certification from the American Board of Pediatric Dentistry, and her Fellowship Laser Certification from the Academy of Laser Dentistry. She has undertaken numerous continuing education courses in Orthodontic training and is a fellow of the United States Dental Institute and a member of the prestigious Gnathos Orthodontic education group in Atlanta, GA. She holds a Certification in Orofacial Myology from the International Association of Orofacial Myology (IAOM). She has completed all 3 levels of the ALF Education Institute (Advanced Light Force Functionals (Quantum ALF) program, ALF Interface Academy Foundations, Genesis, Grow, Smilelase (Oralase / Babylase), Airway Collaborative Mini Residency, Pediatric Airway Mini Residency and other courses.

She is a member of numerous professional and civic associations and provides tens of thousands of dollars in pro bono screenings and procedures along with other community service in Northern Virginia every year.

Dr. Dean-Duru and her family live in the Ashburn/Leesburg area. Her daughter, Krystle, followed in her footsteps as a Pediatric Dentist.

Meet Your Local Health Professionals

PEDIATRIC GASTROENTEROLOGIST

Ahmet Aybar, MD, FAAP

Annapolis Pediatric Gastroenterology and Nutrition

Every patient and their parents are given the time they need during a consultation at Annapolis Pediatric Gastroenterology and Nutrition to fully understand what’s happening and ask any questions they may have. If your child needs to undergo any procedures, Dr. Aybar performs them at the Anne Arundel Medical Center in Annapolis, MD.

A Board Certified Pediatrician, be the ABP), who specializes in pediatric gastroenterology after finishing his Fellowship at University of Maryland. Dr. Aybar was born in Turkiye, and received his Medical degree from the University of Istanbul. He completed an Internship in pediatrics and adolescent medicine at the Cleveland Clinic Foundation Children’s Hospital and a Residency in pediatrics at Sinai Hospital in Baltimore, Maryland, where he served as chief resident. After finishing up his pediatric GI fellowship, Dr. Aybar has been seeing patients referred by their primary care doctors all around Maryland in his Annapolis office for the past 15 years.

PEDIATRICS

Janet V. Johnson, MD

Loving Care Pediatrics

Dr. Janet V. Johnson was born in Brooklyn, NY. She received her undergraduate degree in Biology at Hunter College in Manhattan, NY. She pursued a career in research medicine as a research assistant at Downstate Medical School in the Department of Gastroenterology. Obtaining her masters degree in Physiology at Long Island University in Brooklyn, NY. Dr. Johnson received her Medical degree from State University of New York at Buffalo School of Medicine in 1991. She completed her Internship and Residency at Howard University/ DC General Hospital in 1994. After becoming Board Certified in Pediatrics by the American Board of Pediatrics, Dr. Johnson worked as an Emergency Room Pediatric Physician at DC General Hospital and for a local pediatrician before she began her practice: Loving Care Pediatrics in Hyattsville, MD in 1998. She is continuing to pursue CME credits to maintain board certification. Concurrently, she serves as a Clinical Instructor to nursing students at Howard University Family Nurse Practitioner (FNP) Program; John Hopkins Family Nurse Practitioner (FNP) Program; Marymount Family Nurse Practitioner (FNP) Program; and University of Maryland Baltimore Family Nurse Practitioner (FNP) Program. She also serves as a Clinical Instructor for medical assistant students at Stratford University; Fortis College, Brightwood College and Career Technical Institute. She is a Fellow of the American Academy of Pediatrics (FAAP). Dr. Johnson is also a member of the Prince George’s Community Advisory Group (CAG), Washington Adventist Health Ministry Network and the Medical Advisory Committee for Amerigroup Insurance. Dr. Johnson has given lectures on Teen Suicide and Teen Awareness on HIV/AIDS to youth groups in Washington, DC and continues to publish articles in Washington Woman’s Journal and Your Health Magazine in Prince George’s County. She served as Medical Director of the Mid-Maryland Mission of Mercy and Health Equity Festival, which provides free dental care. She annually gives talks “Suicide Is Not an Option” and “Teen HIV/AIDS Awareness” to a group for youth summer program in Washington, DC. She integrates Christian prayer into her practice when appropriate and regularly incorporates

and

Dr. Mary Alexander, periodontist, obtained a Bachelor of Science degree in Biology from

University of

Carolina and continued her education in dentistry at

University of Maryland School of Dental Surgery where she received her DDS degree. Prior to and during her dental studies, Dr. Alexander received funding and support from the National Institutes of Dental Research for her involvement in the periodontal research.

After obtaining her DDS degree Dr. Alexander spent one year at the Veteran’s Administration Hospital, in general practice residency focusing her training in the area of anxiety patient management. She then attended Harvard University and earned her clinical specialty in periodontics and a doctorate in medical science. Her doctoral research was focused in the study of bone function and metabolic disease of the bone.

Dr. Alexander received extensive training in dental implantology, periodontal plastic surgery, bone regenerative procedures and sedation dentistry. All aspects of Dr. Alexander’s training are incorporated in her periodontal practice assuring patient’s thorough and comprehensive periodontal treatment.

PERIODONTICS

Karl A. Smith, DDS, MS

Periodontal Care can save your life!

Let me help you live healthier than ever before.

As a periodontist, Dr. Karl Smith specializes in periodontics and implantology. Periodontists are experts in treatment of gum disease, establishing and maintaining periodontal health, cosmetic smile enhancement procedures, and dental implants to replace teeth that are missing. Although no one really likes to go to the dentist, we strive to make your visits with us as comfortable and pleasant as possible. Patients’ comfort is an important part of quality dental care. If you aren’t safe and comfortable you won’t go and going is just a good thing for your body!

Degrees, Training and Certificates: Doctor of Dental Surgery Degree from the University of California, Los Angeles 1981. After graduation immediately entered General Practice in the U.S. Air Force Dental Corps. Successfully completed three additional years of advanced training in the specialty of Periodontics, Dental

Fellowship in the Academy of General Dentistry and in DOCS, an organization for sedation dentistry.

Dr. Smith’s colleagues describe him as a gentle, easy-going person, and people come from near and far to experience the comfort and safety of his office and patient-oriented team. He is consistently rated by his peers as a Top Dentist 2010-2022 in Virginia Living, Washingtonian Magazine, and Northern Virginia Magazine.

His patient’s say: “I’d give 10 stars if I could. Dr. Smith is so kind, caring and explains everything so that you understand. His assistants are thorough, knowledgeable and gentle.”

PET NUTRITION

Julia Brewer, Owner

Crunchies Natural Pet Foods

• Voted “Best Pet Food Store” by the Washingtonian, What’s Up Magazines, Bay Weekly’s Best of the Bay, Capital Gazette and Bowie Blade newspapers.

• Specific recommendations for your pet based on age, weight, lifestyle and health concerns.

2421 Crofton Lane Suite #11, Crofton, MD 410-721-5432

www.Crunchies.com

• Over 30 lines of natural foods and treats to choose from.

• Vitamins, toys, beds, grooming supplies, flea & tick natural repellents and more!

Philosophy: Giving your pet the best health possible for a long & healthy life through natural nutrition.

PHYSICAL MEDICINE AND REHABILITATION David Oria, DO

Dr. David Oria is Board Certified in Physical Medicine & Rehabilitation, by the ABPMR, with specialty training in Brain Injury Medicine. He has developed successful treatment protocols for patients recovering from concussion, stroke, migraine headaches and muscle spasticity. Dr. Oria’s expertise include chronic injury management, musculoskeletal injuries, neuromuscular disorders, spinal cord injuries, and other conditions including carpal tunnel syndrome, sciatica, and fibromyalgia.

Dr. Oria enthusiastically couples current advancements in rehabilitation treatments such as interventional injections and Botox Therapy with his extensive knowledge of musculoskeletal disease.

Dr. Oria graduated from the University of California in Los Angeles CA (UCLA), completing his medical training at Midwestern University and Physical Medicine & Rehabilitation Training at Lincoln Medical Center in New York City, Sinai Hospital in Baltimore MD, and Fellowship training in Brain Injury in Washington DC at Georgetown/National Rehabilitation Hospital.

Dr. Oria brings his expertise to Fort Washington, MD at Nat’l Medical Rehabilitation, focusing on neuro-rehabilitation, neuromuscular disease, interventional pain treatments and Brain Injury Care.

For more information, visit us at www.rehabmedonline.com or call (301) 248-8900 to schedule with Dr. Oria today!

Meet Your Local Health Professionals

Highly Effective Treatment for Nail Fungus. Now available in the comfort of your home!

Just 20-minute sessions, twice a month for 5 months.

PODIATRY

La Vergne Andre-Hayes, DPM

Loving Hands Podiatry

Before entering Podiatry School, Dr. Andre visited some local podiatrist to find out what Podiatrists do. She found out that they didn’t like to perform house calls and that she needed to fill that void – taking the Podiatry office to the patient!

Since Dr. Andre offers direct care, you can schedule an appointment as often as necessary – in the comfort, privacy, safety and convenience of your home or office.

One of the treatments she offers is a treatment for Neuropathy. Neuropathy is numbness, tingling, burning, shooting pain in the feet or hands and is usually treated with drugs - which are not very effective and have side effects. People with neuropathy may fall and need to stop driving because they cannot sense whether they are pressing on the brake or gas.

The treatment she offers is safe, effective, non-invasive and non pharmacologic. This treatment is also effective for circulation issues, inflammation, joint pain and last but not least peripheral neuropathy. Her practice philosophy is “Non-invasive (without surgery or injections) pain elimination so that you can enjoy and participate in the activities of daily living – driving, sports etc.

Ingrown toenails treated on the same day, thick ugly nails, corns and calluses are also conditions she addresses in the comfort, convenience, safety and privacy of the home or office.

Call Today for an Appointment!

WE’VE MOVED!!!

1140 Varnum Street, NE Suite #30 Washington, DC

202-388-5303 www.DistrictPodiatry.com

PODIATRY

Lubrina Bryant, DPM

District Podiatry, PLLC

Foot doctor Lubrina Bryant, DPM is dedicated to getting to the root of your foot or ankle problem.

District Podiatry, PLLC specializes in general foot and ankle care. Having chronic foot and ankle pain can affect the quality of your life and finding the right foot and ankle specialist can be just as difficult. We know how hectic life can be and we are committed to making our practice and care convenient and accessible. We accept most insurance plans and welcome new patients!

From routine checkups to minor foot surgery, Lubrina Bryant, DPM is a podiatrist who is equipped to handle all your foot and ankle needs.

Services Include: Routine Foot Care, Diabetic Foot Care, Wart Removal, Ingrown Toenails, Foot, Ankle or Heel Pain, Toenail Fungus, and Bunions.

PODIATRY

Howard Horowitz, DPM

Bowie Foot and Ankle

Dr. Horowitz has been practicing in the Bowie area for over 25 years. He graduated from the Illinois College of Podiatric Medicine with a Doctorate of Podiatric Medicine and did his postgraduate training in podiatric medicine and surgery in association with the Podiatry Group of Greater New York and the New York College of Podiatric Medicine. Dr. Horowitz remained in New York for an additional two years to practice with several of his training program’s attending doctors in order to further hone his medical and surgical skills.

Dr. Horowitz enjoys the general nature of his practice and sees patients of all ages with a variety of foot problems. He especially enjoys dealing with the orthopedic nature of many podiatric problems, whether they be of recent onset or long standing. He has found that chronic problems affecting the ankle, knee, hip or back, can often be traced to recent symptoms within the foot, or vice versa. Dr. Horowitz continues to expand his knowledge in podiatric medicine, in an effort to bring advances in treatment and technology to his patients.

Professional Affiliations: American Podiatric Medical Association, Maryland Podiatric Medical Association and American Academy of Podiatric Sports Medicine Special Interests: Biomechanical Gait Analysis, Orthopedics, Surgery Board Certifications: Podiatric Surgery - American Board of Medical Specialties in Podiatry; Podiatric Orthopedics -

PREMIER

PODIATRY

Michael Matthews, DPM

The Podiatry Center

Dr. Matthews is a specialist in sports related injuries of the foot and ankle, and minimally invasive regenerative medicine techniques. You can expect decreased pain as soon as your first visit!

Dr. Matthews is a southern California native, and grew up an avid surfer and snowboarder. He completed his residency with the Harvard Medical School at Mount Auburn Hospital, where he also served is clinical faculty in the Harvard Medical School. After residency Dr. Matthews pursued further training at the elite Weil Foot and Ankle Advanced Surgical Reconstructive Fellowship in Chicago, where he further honed his sports medicine and minimally invasive surgical techniques.

Dr. Matthews is an avid researcher, and one of the most published authors in his field. He regularly presents at national conferences, teaching the techniques and findings of his cutting edge research. He practices a protocoled approach to common problems to ensure the highest patient satisfaction possible, and utilizes advanced surgical techniques only when absolutely necessary.

In his free time, Dr. Matthews enjoys traveling, golfing, yoga, tennis, and all that the DC area has to offer!

PSYCHIATRIST

Angela Onwuanibe, MD, MPH

Solutions For Mindfulness, PA

Dr. Angela Onwuanibe is a Board Certified Psychiatrist, by the American Board of Psychiatry and Neurology, with over 24 years of experience in Psychiatry and Psychopharmacology. After earning her Medical Degree and completing her Residency at Georgetown University, Dr. Onwuanibe also earned a Masters of Public Health and Finance from the University of London in 1994. She has worked as the Medical Director for Solutions for Mindfulness, where she leads a collaborative care model that has enhanced psychiatric services in Columbia, MD.

In addition to her work at SFM, Dr. Onwuanibe is passionate about advocacy and mental health care disparities. Her extensive experience also includes working with the State of Maryland Forensic Services for over 10 years, where she worked with individuals with significant mental illness in the legal system. As the Group Medical Chair, she continues her advocacy for quality care, crisis solutions, and collaborative patient care at SFM. 6310 Stevens Forest Road Suite #210

www.SolutionsForMinds.com

PSYCHOLOGICAL COUNSELING

Dr. Maureen Vernon has been helping adults, children, couples, and families learn positive coping strategies to address their emotional needs. As a Board Licensed Psychologist for 25+ years, she continues to offer her services as a private therapist; divorce/child custody evaluator and mediator; parenting coordinator; conducting forensic and abuse assessments; and conflict resolution consulting.

Degrees & Training: PhD

Professional

Arundel County Psychological Association Interests & Hobbies: Movies, college sports (Notre Dame & Villanova), her yellow lab Keenan, studying history, and travel.

Volunteer Highlights: Beans & Bread; Boy’s Town; St. Mary’s Annapolis; AA County Social Services Holiday Sharing; St. Vincent DePaul; AAMC Pediatric ER; and Backpacks for Kids. Professional Statement: Life can be challenging and there are times when we could all use a little extra help…If you are feeling anxious, alone, struggling to manage all the demands of your life, or experiencing problems with your spouse, child, parent, sibling, friend, or coworker – you can trust that I will listen and offer the tools to improve those relationships.

Meet Your Local Health Professionals

REGISTERED NURSE

Kim Weiss, RN

Annapolis Integrative Medicine, LLC

Kim has had a wide variety of experience as a nurse, from ICU service to Oncology nursing, and is an expert with IV therapies and is committed to her patients being comfortable, safe and well informed.

1819 Bay Ridge Avenue Annapolis, MD

410-266-3613

AnnapolisIntegrativeMedicine.com

Kim has been utilizing IV therapies very safely and therapeutically with over 25 years as an IV Nurse, has been administering nutritional and integrative IV’s in many different settings and practices throughout Maryland and Massachusetts. She is able to tailor these therapies to meet individual needs and requirements. Many people can benefit from these therapies and they can jumpstart your road to recovery and health.

Treatments Offered Include:

• IV Therapies: Vitamin C Drips, Meyers Cocktails, Glutathione, Mineral IV's,

• Alpha Lipoic Drips, B12/MIC injections

• Botox/Dysport

• Morpheus8, Votiva (vaginal rejuvenation, especially for urinary incontinence)

• Traditional Microneedling treatments

• VIPeels including NEW BODY PEELS

• Heidelberg PH Capsule Testing

SKIN CARE

Dr. Fana Assafa, PHD, DNP, RN is a world-renowned expert in treating skin of color population and pigmentary disorders for melanin-rich tones. With impressive credentials in the field of Aesthetic Medicine from prestigious educational institutions including continued education from Harvard Medical School. Advanced Injectables • Remove Unwanted Scars & Dark Spots

Laser Hair Removal • Chemical Peels • Medical Facials

Radiofrequency, PRP, Ultrasound • Face & Body Complexion Clearing • Advanced Skin Tightening

Medical Grade Skin Care Products

Non-Invasive Body Fat Removal & Body Contouring

Glutathione Injections • Online Skin Consultations

Women’s Intimate Wellness

SOCIAL WORKER

In therapy with me, expect a blend of warmth, authenticity, and laughter as foundational elements. Establishing a secure, trusting relationship is my priority, seeing healing emerge through connection. Embracing Dolly Parton’s insight that “laughter through tears is my favorite emotion,” I avoid taking myself too seriously, recognizing that defensiveness hinders growth – a lesson learned through experience and parenting.

Raised by a resilient single mother, I inherited values of strength, perseverance, and compassion. These principles not only shape my therapeutic practice but also form the core of our Betty Center’s ethos. My unique journey from journalism to social work after raising my children led me to obtain my Masters in Social Work at 47.

My personality encompasses contrasts — I relish yoga, loud concerts, and the outdoors as much as quiet moments with family, books, and cozy cups of tea. I’m a devoted reader, a passionate Washington football fan, and an adept cook (but not a baker!). Additionally, I indulge in true crime podcasts and Dateline/48 Hours, though that’s our little secret.

In therapy, I specialize in aiding individuals navigating transitions: divorce, empty-nesting, and other major life changes. My expertise lies in addressing anxiety, depression, ADHD, trauma, and relational challenges, employing diverse evidence-based methods tailored to each client’s needs. I believe in a personalized approach, fostering a secure therapeutic relationship where you feel truly heard and understood.

Education: I hold an MSW from the University of Maryland (2017) and a BA in Communications with a Women’s Studies Minor from the University of Delaware, graduating Magna Cum Laude in 1992.

TMJ & SLEEP DISORDERS

Jeffrey L. Brown, DDS

Sleep & TMJ Therapy

Dr. Jeffrey Brown grew up in the state of Maine and went to Bowdoin College, where he graduated Magna Cum Laude in 1982. He accepted early decision into the Georgetown School of Dentistry, and graduated from there in 1986. While at Georgetown, Dr. Brown worked in the Neurology Department as an assistant on a project that involved studying the regeneration of nerve tissue in the spinal column after major trauma.

Upon graduation from Georgetown Dental School, Dr. Brown worked for a short time as an associate in a practice in Falls Church, VA. From there, he moved on and built his own practice in the Fairlington neighborhood in Arlington, VA, creating one of the largest practices ever seen on the East Coast.

Dr. Brown took a short sabbatical to help raise his four young children and to continue his education. It was then that he began the process of understanding sleep apnea and how it correlates to TMJ treatment. His knowledge in the combined fields of TMJ, sleep and orthodontics has given him a perspective unlike most other practitioners who perform basic dentistry. In addition, Dr. Brown has also learned the advanced techniques involved in expanding an airway so that both children and adults can breathe better. His training continued over time at the famous Sleep Medicine Center near the Emory University Hospital. He is a certified Fellow of the American Academy of Craniofacial Pain, awarded the Level of Legacy with the ALF Interface Academy and holds memberships with many academies.

In 2013, Dr. Brown met Dr. Brendan Stack and was immediately impressed with the success Dr. Stack had in treating TMJ cases and being able to repair so many damaged lives. For Dr. Brown, helping people by dealing with their debilitating TMJ issues became his second calling. And, as they say, the rest is history!

UROLOGIST

Troy Sukhu, MD AA Urology

Dr. Troy Sukhu is originally a Maryland native who is thrilled to have the opportunity to give back to the Maryland community through a patient-centered approach. Dr. Sukhu earned his undergraduate degree from the University of Pennsylvania prior to attending the University of Virginia for medical school. He then completed his Urologic Surgery Residency at The University of North Carolina in Chapel Hill where he had extensive training in open, laparoscopic/ robotic, and endoscopic surgeries. Dr. Sukhu is a Board Certified in Urology by ABU. Dr. Sukhu is listed as an author on over 30 research papers and abstracts, and has presented at various regional and national conferences.

Dr. Sukhu treats all areas of urology but his main areas of focus are laparoscopic/ robotic surgery for kidney and prostate cancer, treatment of benign prostatic hyperplasia (BPH), minimally invasive treatment and prevention of kidney stones, and men’s health including erectile dysfunction and Peyronie’s disease. He strives to utilize cutting-edge technologies to achieve the best outcomes possible for his patients. Outside of work, he enjoys spending time with his wife and children. Dr. Sukhu is an avid Washington D.C. and Maryland sport fan, enjoys being outdoors, and is always looking forward to trying new restaurants.

Urology | Chief, Urologic Oncology Director, Genitourinary Multi-Disciplinary Clinic | Site Director, National Cancer Institute Fellowship in Urologic Oncology | Urology Residency Research Mentor Dr. Michael J. Whalen, MD, is an accomplished Associate Professor of Urology and Director

Urologic Oncology at the George Washington University School of Medicine. A graduate of Harvard College and Columbia College of Physicians & Surgeons, he completed Residencies at New York Presbyterian Hospital-Columbia University Medical Center. Dr. Whalen holds board certification in Urology (ABU) and underwent specialized Fellowship training in Robotic and Minimally Invasive Urologic Oncology at Mount Sinai Hospital and Urologic Oncology at Yale-New Haven Hospital. Renowned for expertise in urological cancers, Dr. Whalen excels in both major open and minimally invasive surgeries, including pioneering the supine-position robotic retroperitoneal lymphadenectomy for advanced testicular cancer. His clinical focus spans prostate, bladder, kidney, and testis cancers, utilizing advanced techniques like robotic surgery with the DaVinci system and transperineal prostate fusion biopsy.

Apart from clinical practice, Dr. Whalen is actively involved in clinical outcomes research, contributing to numerous peer-reviewed journals. Recognized as a dedicated mentor, he received the Teacher of the Year award from Urology Residents in 2019. Acknowledged for excellence, Dr. Whalen was awarded the Commission on Cancer, Cancer Liaison Program Outstanding Performance Award in 2021 and listed as one of Washingtonian’s Top Doctors in 2020-2024. His commitment extends to education and cutting-edge clinical trials, solidifying his reputation as a leading figure in urology.

Considering Neck Lift Surgery?

Reduce Signs of Aging and Treat Sagging Skin!

A neck lift can be performed for men and women of varying ages who are often frustrated by changes of the appearance of their neck and jawline. Depending on your age, a neck lift can be a short one-hour procedure to remove fat or a 3-hour procedure to remove fat, visible neck bands, and excess skin.

Neck Lift Surgery Can:

Remove Excess Skin (Cervicoplasty) • Liposuction to Remove Excess Fat

Remove or Alter Neck Muscles (Platysmaplasty)

Liposuction can be performed alone or with surgical removal of the fat under the chin through a small incision under the chin.

In patients with vertical bands in the neck, a platysmaplasty can be performed to reduce the appearance of the bands.

Sometimes a chin implant is recommended to improve the overall contour and help with excess skin.

OASIS WOMEN’S CENTER

ADVANCED GYN SURGICAL CARE

AT OASIS WOMEN’S CENTER, OUR MISSION IS TO IMPROVE LIVES THROUGH EDUCATION, PERSONALIZED MEDICINE AND ADVANCED SURGICAL OPTIONS

Our Services Include:

• Minimally Invasive Surgery

• General GYN

• Cancer Risk Assessment

• Contraception

• Menopausal Medicine

• Adolescent Care

Schedule an Appointment Today | 240-616-3934

Offering same day or next day appointments. Request a consultation with Dr. Baxi.

Contraception and Pregnancy Prevention Key To Women’s Health

Contraception is a critical component of women’s health, offering control over reproductive choices and preventing unintended pregnancies. Effective contraception reduces the need for abor-

tion, which, while a necessary option, can sometimes lead to complications affecting future reproductive health.

Types Of Contraception

A wide variety of contraceptive methods are available, each with different effectiveness rates and suitability depending on individual needs and lifestyles. These include:

Barrier Methods: Condoms, diaphragms, and cervical caps physically block sperm from reaching the egg. They also offer protection against sexually transmitted infections (STIs).

Hormonal Methods: Birth control pills, patches, injections, vaginal rings, and implants release hormones to prevent ovulation. They are highly effective when used correctly and can

Please see “Contraception,” page 63

The Ultimate Healing Restoring Body, Mind & Spirit

Energy Quantum Healing

Energy quantum healing operates on the principle that the body’s innate energy field extends beyond its physical boundaries, connecting with the Earth’s magnetic field and traversing various dimensions within the spiritual realm.

This method focuses on identifying and rectifying congested negative energy, facilitating the restoration of a harmonious flow of positive energy throughout the entire human energy system. By addressing imbalances and disturbances within this system, energy quantum healing aims to integrate the body, mind, and soul in order to foster holistic health and facilitating the healing process. Practitioners believe that resolving energy field disturbances can prevent potential physical manifestations of illness in the future.

Holistic Therapies

Meditation, sound immersion, aura, chakra balancing and healing exert a tangible impact on the body, constituting a form of vibrational medicine that may influence heart

rate, blood pressure, and brain wave patterns. Sound waves, in particular, emit vibrations that are thought to penetrate and interact with the physical body and its major systems, accessing the aura and chakra systems to alleviate spiritual blockages and alleviate tension and stress. Sessions incorporating meditation, sound immersion, and healing techniques have been shown to alleviate physical discomfort in certain individuals, as well as mitigate anxiety and depression, and address emotional imbalances and past traumas.

Keep in mind that these therapies are complementary and should be used in conjunction with conventional medical care.

Intuitive Guidance

Intuitive readings can offer an understanding of various life situations, shedding light on your life path, and providing guidance on aligning your goals with your destiny. Anticipate receiving insights aimed at addressing challenges and identifying opportunities. Gain clarity on personal growth and navigating life’s complexities, empowering you to make informed decisions and pursue positive changes.

Regain Control and Find Joy Again

Do you feel like depression is holding you back from the things you once loved? Does every day feel like a struggle just to get through?

Depression is a serious medical condition that can leave you feeling sad, helpless, and overwhelmed. It affects not only your emotions but also your energy, motivation, and ability to enjoy life. Good news is that depression is treatable, and with the right support, you can reclaim your mental wellness.

Your Mental Health Matters

DReM’s Legacy Holistic Wellness Center

(located inside of Hol-Body Yoga Studio)

Family Wellness Services

• Natural and Herbal Remedy Consults

• Family Planning

• Childbirth Education

• Natural Healing Education

Women’s Health/Womb Wellness

• Birth/Postpartum Doula Services

• Fertility Support

• Womb Meditation

• Womb Massage

• Vagi/Yeni Steams

Spiritual and Mental Wellness

• Etheric Touch Sessions

• Reiki Sessions

Coming Soon:

• House Blessings

• Divinations

• Doula Training begins October 2025 for in person and virtual classes

Shirleta Henson McKann 443-265-9393 319 Crain Highway S. Glen Burnie, MD 21061 Open on Tuesdays by appointment only

Facebook: DReM’s Legacy Holistic Wellness Center

Instagram: @drems.legacy.holistic.wellness

Understanding Depression

Depression is more than just feeling sad—it’s a persistent condition that impacts how you think, feel, and function. Symptoms may include:

• Persistent sadness or emptiness

• Loss of interest in favorite activities

• Fatigue or low energy

• Difficulty concentrating

• Changes in appetite and sleep patterns

• Feelings of hopelessness or guilt

If these symptoms interfere with your daily life, you must seek help.

Effective Treatment Options

There is no one-size-fits-all treatment for depression, but multiple treatment options can help:

1. Therapy for Depression

Counseling and psychotherapy, such as Cognitive Behavioral Therapy (CBT), can help you identify negative thought patterns and develop healthier coping strategies.

2. Medication Management

Antidepressant medications can help balance brain chemicals that regulate mood. Our psychiatrists will work with you to find the right medication assisted treatment and dosage for your needs.

3. NeuroStar TMS Therapy

For those who don’t respond to traditional treatments, Transcranial Magnetic Stimulation (TMS) is a noninvasive, FDA-approved therapy (Also an FDA approved treatment for bipolar depression) that stimulates brain activity to relieve depression symptoms.

4. Lifestyle & Holistic Approaches

Regular exercise, proper nutrition, and mindfulness practices are some of the natural treatment for depression which helps to improve mood and mental well-being significantly.

Depression Screening & Diagnosis

Early detection is key to effective treatment. The PHQ-2 questionnaire, a short two-question screening tool, helps identify individuals who may be experiencing depression. If a patient screens positive, a more detailed PHQ-9 assessment is conducted to determine the severity and appropriate treatment plan.

Studies have validated the effectiveness of PHQ-2 as a screening tool (Gilbody, Richards, Brealey, & Hewitt, 2007). If you or someone you know may be struggling with depression, a

Please see “Regain Control,” page 65

Parent Support Group: You Are Not Alone

Are you the parent or caregiver of a young adult struggling with emotional or mental health challenges? Join a supportive, non-judgemental space where you can connect with others who understand. What We Offer:

Parent Support & Share Experience Coping Tools & Resources

Understanding the Mental Health System Beth receiving the Governors Citation Award Emotional Relief Throught Connections with Families of Young Adults Living With: Chronic Mental Illness, depression, bipolar, schizophrenia, OCD, autism, emotional deregulation or instability. Anxiety, trauma, other long-term chanllenges

We’re launching our first Parent Support Group now. Timing and format will be based on what works best for YOU. In-person or

Take Charge of Your HEALTH!

LEARN HOW TO…

• Manage menopause with diet

• Eat optimally during pregnancy

• Prevent cancer with diet

Our Individual Nutrition section will give you the opportunity to speak to our Registered Dietitian who will answer all your nutrition questions and guide you to a program specifically for you. We will work with your doctor to help you succeed in your health journey.

• Lose weight and keep it off

• Better control your eating behavior

• Know which healthy foods you should eat

• Control your blood pressure

• Improve your health overall

• Manage your blood sugar

• Lower your cholesterol

What Our Chief Medical Officer Wants You To Know About Hospice

At its core, hospice isn’t as much about endings as it is about living, said Chief Medical Officer Dr. Marny Fetzer. Admittedly, choosing hospice is a big decision. But, considering hospice earlier in the process helps people facing serious illness make the most

of the time they do have, to embrace life as fully as possible.

Hospice addresses a patient’s discomfort and symptoms, as well as social, emotional and spiritual needs. Here, Dr. Fetzer tackles three misconceptions about living with serious illness and choosing hospice care.

Hospice Is Not About Giving Up

Hospice is not about stopping everything. It’s about providing the best care possible, giving patients and families choices in what comes next.

The question is, how do you want to live the rest of your life? We meet patients where they are and administer care based on goals our patients have. That could mean everything from seeing a grandchild get married to bringing in medical equipment for a patient to watch the sunrise from a cherished window view. It’s different for every patient and family.

Hospice Is About

More Than the Patient

Life doesn’t stop for caregivers. Our team can help with logistical issuesmanaging paperwork, obtaining durable medical equipment, caring for someone with a specific medical condition, and changing medical regimens. Through education and anticipatory guidance, we help caregivers address complexities of serious illness. Every person is an ecosystem with family, friends, community groups, even pets. Those relationships amplify with a health issue.

Hospice Is More Than a Place

Hospice is wherever you call home. For most of us, it would mean our residence, or perhaps a nursing home, assisted living facility or hospital.

When warranted, patients with profound medical requirements or whose caregivers need respite care turn to our inpatient care centers in Pasadena or Waldorf. Hospice is a medical benefit covered by Medicare, Medicaid, and most private insurance plans. In addition to physicians, there are nurses, certified nursing assistants, social workers, spiritual care providers (often called chaplains), grief counselors and volunteers, all of whom believe in this life-affirming work. We provide the right level of care for patients based on medical needs and personal goals.

Located in scenic Southern Maryland, Studio 5 Hair Gallery is well known in the medical community for customized solutions for hair loss. We provide the finest synthetic and human hair wigs, hair extensions, and top-of-the-head hairpieces. For over 12 years, Studio 5 Hair Gallery has served its clients with compassion and excellence. call 301.884.3553 for your appointment today! Please mention this Flier when setting up your appointment.

GWEN BEVERLY Owner, Medical Hair Loss Specialist

Relieving Menstrual Discomfort – A Holistic Approach

Dysmenorrhea, a prevalent issue among women globally, is characterized by periodic pain during, before, or after menstrual periods. This pain is caused by abnormal uterine contractions due to an excess of harmful prostaglandins.

For some women, these pains can be intense enough to disrupt daily activities for several days each month.

Common symptoms of dysmenorrhea include cramping, lower abdominal pain, lower back pain, and a pulling sensation in the inner thighs. Additionally, women may experience headaches, dizziness, vomiting, nausea, diarrhea, or constipation.

Wholelife Acupuncture & Fitness Center

Quansheng Lu, CMD, PhD, L.Ac www.wholelifeherb.com • luquansheng@gmail.com 301-340-1066 • fax: 301-340-1090

Guest professor, Henan University of Traditional Chinese Medicine (TCM) Chief TCM Physician, WFCMS; M.S. in TCM, Beijing University of TCM PhD in integrated medicine, China Academy of Chinese Medical Sciences Fellowship, Georgetown University & Children’s National Medical Center 3 patents, 8 books of TCM, 30 papers, 30+ years of experience in TCM

Low back pain • eczema • arthritis • allergies • cough • insomnia • paralysis obesity • nephritis • hepatitis • infertility • PMS • side effects of cancer treatment 416 Hungerford Drive, #300 Rockville, MD 20850 5022 Dorsey Hall Drive, #101 Ellicott City, MD 21042

There are two types of dysmenorrhea: primary and secondary. Primary dysmenorrhea occurs without any physical abnormalities and typically begins within three years of the onset of menstruation. Contributing factors include allergies, poor diet, high estrogen levels, being overweight, smoking, and stress. Many experts link the uterine muscle contractions to prostaglandins, which are hormone-like substances involved in pain and inflammation. Secondary dysmenorrhea, however, results from gynecological conditions such as endometriosis, fibroids, and pelvic inflammatory disease (PID).

In Chinese medicine, pain is seen as a symptom of an underlying issue, which can stem from either an excess pattern or a deficiency pattern. Excess patterns involve blockages of Qi and blood or the retention of heat, dampness, or wind. Deficiency patterns arise from insufficient Qi and blood or an imbalance in the kidney and liver.

Practitioners of Chinese medicine

use acupuncture and herbal medicine to treat dysmenorrhea. Their strategies include expelling wind, dissipating cold, eliminating dampness, moving Qi, invigorating blood, nourishing the blood, clearing heat, and tonifying the kidneys.

A recent review examined the effectiveness and safety of acupuncture for treating primary dysmenorrhea. The review included ten trials with data from 944 participants, with six trials focusing on acupuncture and four on acupressure. The results showed that acupuncture provided better pain relief compared to a placebo.

In Chinese medicine, ginger has long been used to alleviate dysmenorrhea due to its anti-inflammatory, spasmolytic, and circulatory properties. Ginger inhibits cyclooxygenase and lipoxygenase enzymes, which

Please see “Menstrual,” page 63

How To Keep Weight Off When Your GLP-1 Plan Is Over

Center

Many clients have benefited both physically and emotionally from going on a course of GPL-1 Treatments. It gives them a headstart and the motivation to keep losing weight.

Not only that, GLP-1 medications have had some very positive side effects, like improved digestion and sleep.

So many fear gaining weight after the recommended course of treatment is over. And it has been reported that patients have gained weight slowly after the treatment is over.

Learn the Magical Keys of Your Constitutional Type: Wood, Fire, Earth, Metal, Water to Make Major Transformations in All Areas of Your Life.

5 Element Constitutional Coaching Has Helped with: Anxiety and Stress Management • Weight Loss Relationships • Fertility • Anti-Aging • Pain Management

CONTACT ANNE FOR YOUR FIRST CONSULT ON YOUR 5 ELEMENT TYPE AND GET A PLAN TO WALK AWAY WITH AND START MOVING FORWARD!

Herbal Consults are also available! – anne@sarasotaacupuncture.com www.SarastoaAcupunctureCenter.com – 301-752-2398 (text or call) Want to Lose Weight? Email Anne to learn about her exclusive Weight Loss video series!

My mission is “How to Prevent this From Happening.”

As soon as you go on the drug, start a healthy program for yourself.

One client noticed she lost her sweet tooth the same night she started the shots. The next day as she had been phasing in, she began walking three miles in the morning at a cardio pace. She calls it “closing the green ring” on the Apple App. At first the watch had set goals for her of 40 mins cardio, then it kept asking her if she wanted to change her goals. Soon after she did 50 minutes cardio.

She has completed this walk almost every morning for three months, despite having to get up much earlier for her wake up.

Over the three months she had lost 20 lbs, a stubborn weight that due to schedules and changing routines, would not go off, no matter what she did.

While GLP-1 is the kickstart, lifestyle changes are key to keeping the weight off.

She also changed her diet on day one of administering the drug. Even in social gatherings, she kept to the low carb diet she wanted, even at an Italian restaurant. Yes, you can do it!

Now, there was another step she had to add. This was a much harder step because it required (for the most part) her leaving the house or her neighborhood. She had to start lifting weights. This is an important step when losing any weight but particularly with GLP-1 treatments.

Lifting weights will make the scale go up which is scary for most people. You can decide when you want to integrate this. And what will happen is your body will look better and your strength will increase. So there is a real positive trade off to this.

I’ve been working with weight

Please see “GLP-1 Plan,” page 65

Quansheng Lu, CMD, PhD, LAc
Anne C. Crowley Acupuncture Physician

Unlocking the Secret To Managing Hair Loss In Women

lution to hair loss, and they can be customized to match the natural hair color and style.

Hair loss is a common problem that affects both men and women. However, it is not often discussed in women, and it can have a significant impact on their self-esteem and quality of life. In this article, we will discuss the causes of hair loss in women, its impact, and ways to manage it.

Causes Of Hair Loss In Women

There are several causes of hair loss in women, and it is essential to identify the underlying cause to determine the best course of treatment. Some common causes of hair loss in women are:

• Hormonal Changes: Hormonal changes, such as those that occur during pregnancy, menopause, and thyroid disorders, can cause hair loss.

• Hereditary Factors: Hair loss can be inherited from parents, especially if there is a history of baldness in the family.

• Medical Conditions: Certain medical conditions, such as alopecia areata, scalp infections, and trichotillomania, can cause hair loss.

• Nutritional Deficiencies: Deficiencies in iron, vitamin D, and other essential nutrients can lead to hair loss.

• Medications: Certain medications, such as chemotherapy drugs, can cause hair loss.

Impact Of Hair Loss In Women

Women often associate their hair with their femininity and beauty, and losing their hair can be devastating. Women with hair loss may avoid social situations and feel self-conscious about their appearance. They may also experience anxiety and depression, which can further exacerbate their hair loss.

Ways To Manage Hair Loss In Women

Fortunately, there are several ways to manage hair loss in women. Here are some options:

• Hair Transplants: Hair transplants involve taking hair from one part of the scalp and transplanting it to the balding area.

• Wigs and Hairpieces: Wigs and hairpieces can provide a quick so-

• Lifestyle Changes: Eating a balanced diet, getting regular exercise, and managing stress can help promote hair growth.

• Hair Care: Using gentle hair care products, avoiding tight hairstyles, and limiting the use of hot styling tools can help prevent further hair loss.

Hair loss is not a one size fits all problem. It is essential to identify the

underlying cause of hair loss to determine the best course of treatment. With the right treatment and management, women can restore their hair and regain their confidence. If you are experiencing hair loss, speak to a hair care professional to determine the best course of action.

DR. LARRY BRYANT:

MARYLAND’S PREMIER ORAL SURGEON

TRANSFORMING SMILES AND LIVES

Precision. Compassion. Innovation.

The Oral Surgery Legacy of Dr. Larry Bryant

Whenpatients face some of the most traumatic and life-altering moments of their lives, Dr. Larry Bryant is there—combining surgical precision with heartfelt compassion. As Chief of Facial Trauma at the University of Maryland Capital Region Medical Center in Largo, a Level II trauma center, Dr. Bryant leads a skilled team available 24/7 for facial reconstruction and trauma care.

At his private practice, Bryant Oral & Facial Surgery, he specializes in dentoalveolar surgery—the surgical treatment of the teeth, jawbone, and surrounding tissues. Known for his expertise and dedication, Dr. Bryant has become one of Maryland’s most respected oral and maxillofacial surgeons, offering patients cutting-edge care and innovative treatment options in a welcoming, patient-centered environment.

A Calling Discovered Early

Dr. Bryant’s journey began in 1975

during a summer program at Harvard University. Although he had already planned to attend dental school, it was during a clinical rotation at Massachusetts General Hospital that he discovered his passion for surgery. Interacting with specialists who treated the jaw and face, he realized his true calling.

After graduating with honors from Howard University College of Dentistry, he completed his oral and max-

illofacial surgery training at Woodhull Medical and Mental Health Center in New York, followed by a fellowship in orthognathic surgery and dental implantology at Montefiore Medical Center.

For over two decades, Dr. Bryant has served the Bowie-Mitchellville community in Prince George’s County, Maryland, providing outstanding care to patients across Maryland, Washington, D.C., and Virginia.

DR.

LARRY BRYANT, DDS

BRYANT

ORAL & FACIAL SURGERY

GLENN DALE, MD

301-249-0553

TeethXpress:

Restoring Smiles in a Day

“Technology has transformed dental care,” says Dr. Bryant—and his practice is proof. One of the most exciting advancements is TeethXpress, a same-day solution that replaces a full arch of teeth using four to six strategically placed implants and a fixed hybrid prosthesis.

Unlike removable dentures that can shift, cause discomfort, or require adhesives, TeethXpress offers a permanent, natural-looking solution that preserves jawbone health and allows patients to eat, speak, and smile with confidence—all in a single visit. For many, it’s a life-changing alternative to the insecurity and inconvenience of traditional dentures.

Patients walk in with missing or failing teeth and leave the same day with a secure, radiant smile. There’s no waiting period, no temporary dentures, and no dietary restrictions. Just immediate results and restored selfesteem.

Advanced Imaging for Same-Day Implants

Bryant Oral & Facial Surgery uses state-of-the-art Cone Beam Computed Tomography (CBCT) to make same-day dental implants possible. CBCT provides high-resolution, 3D imaging of the mouth and jaw, allowing for precise planning and customized implant placement. It’s this technology that enables the team to deliver such reliable, efficient, and comfortable results.

Using this data, the lab crafts custom prosthetics tailored to each patient— resulting in a fit that feels natural and looks flawless.

Are You a Candidate for TeethXpress?

According to Dr. Bryant, ideal candidates for TeethXpress are patients who are just beginning to lose their teeth and have sufficient bone density. Those with medical conditions such as controlled diabetes, high blood pressure, or even certain autoimmune diseases may still qualify for the procedure. The key is a comprehensive, individualized evaluation.

Each treatment plan is uniquely designed to suit a patient’s dental history, health profile, and long-term goals. Even those who have been told they’re not candidates for traditional implants may find success with TeethXpress.

A Global Mission of Care

Each year, Dr. Bryant travels to **Malawi—one of the world’s poorest countries—**where he volunteers as part of the Smiling Surgeons team. With just one oral surgeon serving over 22 million people, the need is immense. Dr. Bryant and his colleagues provide life-altering care for patients with advanced oral diseases, facial injuries, and tumors, offering

BEFORE AFTER

hope and healing in areas with limited access to modern healthcare.

More Than a Surgeon

Outside the operating room, Dr. Bryant is a devoted grandfather, an avid swimmer, and an active member of his church’s leadership team. His commitment to service—**at home, in his practice, and around the world— **sets a high standard in the field of oral and maxillofacial surgery.

Whether performing complex trauma care, pioneering implant technology, or giving back to underserved communities, Dr. Larry Bryant is more than a surgeon—he’s a force for healing, innovation, and compassion.

Understanding Common Sleep Disorders

Annapolis Asthma, Pulmonary & Sleep Specialists

Many adults struggle to get the recommended 7 to 9 hours of sleep each night. While improving sleep habits — like maintaining a regular bedtime — can help, some individuals continue to experience poor-quality rest due to underlying sleep disorders. These conditions often go unrecognized, yet they can have serious effects on overall health and daily functioning.

Snoring is one of the most common sleep-related concerns. While it may seem harmless, chronic or loud snoring can signal deeper issues, such as obstructive sleep apnea (OSA). Snoring results when airflow is partially blocked during sleep, causing vibration of the tissues in the throat. If the airway becomes fully blocked, breathing temporarily stops — a key feature of OSA.

Obstructive sleep apnea is marked by repeated pauses in breathing throughout the night. These interruptions disrupt sleep cycles and often leave individuals feeling exhausted during the day. OSA has been linked to high blood pressure, heart disease, and other serious health concerns.

Insomnia involves difficulty falling or staying asleep. It may be acute, triggered by temporary stress or lifestyle changes, or chronic, lasting months or years. Insomnia affects both mental and physical health, often contributing to irritability, memory issues, and weakened immunity.

Sleep paralysis occurs when a person wakes up and becomes consciously aware but cannot move or speak. These episodes are usually brief but can be distressing. In some cases, they are associated with other sleep disorders, such as narcolepsy.

Please see “Sleep Disorders,” page 62

Ideal Medical School Graduation Gift An Egg Freezing Voucher

It is quite remarkable that caregivers need care and loving compassion. While the rate of infertility is oft quoted as one in eight women; many are unaware that infertility affects one in four female doctors. Among female doctors, female doctors in surgical specialties have an even higher rate of infertility. What is further intriguing is that among

female surgeons, those in the otolaryngology specialty were found in a recent study to have the highest rate of infertility in comparison to general surgery and orthopedics.

Factors that contribute to this finding include the fact that female doctors are graduating from medical school around their peak fertility period. They matriculate into residency training that can last anywhere from one to six years. Should they choose to sub specialize they may tag on additional years of training. It is not just the length of training that is involved. Training, especially in surgical fields can involve long work hours. Orthopedic and trauma residents and fellows may have long overnight hours in the operating room. Think 12 plus hours per week of operating time.

Female physicians end up utilizing fertility services at an increasing rate. For comparison, while 11% of

Please see “Egg Freezing,” page 65

Over 70 million Americans suffer from sleep disorders. Sleep problems affect both sexes, all races and all age groups.

Left untreated, sleep disorders can pose serious threats to your health. Heart attack, heart failure, irregular heartbeats, stroke, diabetes, hypertension, acid reflux, attention deficit disorder and depression are conditions associated with sleep problems.

At Annapolis Asthma, Pulmonary & Sleep Specialists, we provide expert diagnosis and treatment to help you achieve restful, healthy sleep.

Children Need Cheerleaders

By providing encouragement and love, individuals can unlock their potential and thrive, leading to the development of their self-esteem. When we continuously uplift and affirm our children by saying, “I see your capabilities, and you have succeeded,” they gain the confidence to conquer any subject or task, instilling a belief in their abilities to excel in all areas of life.

These elements contribute to nurturing a child’s self-confidence and belief in themselves.

In our society today, it is common for individuals to criticize themselves and their children constantly. This pattern often stems from their own upbringing, which involved constant criticism, belittlement, and abuse. Unfortunately, some insensitive parents label their children as “losers,” “lazy,” “dumb,” or “cowards,” causing lasting wounds and self-doubt.

Attraction

Fostering a child’s self-esteem requires warmth, love, encouragement, and positive reinforcement.

Parents often place irrational expectations on their children, failing to recognize and appreciate their unique talents and abilities. It is essential for parents to encourage their children to succeed by acknowledging their Godgiven talents and not expecting them to conform to something they are not capable of or have no interest in. Forcing a child with a musical inclination into a sports team they dislike, such as football or soccer, is counterproductive and undermines their self-esteem.

A common mistake parents make is

Please see “Cheerleaders,” page 65

Doesn't Your Child Deserve the Best?

Iwas born and raised in Brooklyn, New

masters at Long Island University in Brooklyn New York and completed my medical degree at State University of New York at Buffalo, School of Medicine in 1991.

Loving Care Pediatrics

Janet V. Johnson, MD

many others, please call the office at 301403-8808 to schedule a visit. We look forward to seeing you at Loving Care Pediatrics— Janet Johnson MD and Staff.

My postdoctoral training was received at Howard University/District of Columbia Hospitals combined Residency Program, Department of Pediatrics in Washington, DC completed in June 1994. I served as Chief Resident for the Department of Pediatrics, January 1994. I obtained Continuity Clinic Awards from 1991 to 1993 based on partic ipation and involvement in community clinics during my residency training.

I am Licensed in Maryland, Board Certified in Pediatrics and Adolescent Medicine and a Fellow of the American Academy of Pediatrics.

In addition, I am dedicated to volunteering my time to community outreach projects, youth groups, health fairs, various church functions and committee boards as well as for those who are less fortunate. Donating of my talents, time and treasures and giving back and serving those who are in need. I am an active member in The Prince George’s Community Advisory Group and served as the Medical Director for the Mid-Maryland Mission of Mercy two day free Dental Clinic sponsored by Catholic Charities Archdiocese of Washington in August 2013.

to be recognized in the community it serves for compassionate patient service, and clinical

To create a caring environment with a commitment to foster a work environment where individual diversity is valued and recognized, also where the satisfaction of all patients regardless of their background is the fundamental goal of our every action, with the practice of medicine being recognized and honored as a uniquely noble pursuit.

I have been in Private Practice for 22 years. I practice general pediatrics: examining, diagnosing and treating most of the diseases of children from birth to 21 years of age. With referral to specialists when the need arise. The practice is certified by the Prince George’s Health Department to administer Yellow Fever Vaccination. The practice provides vaccines for overseas travel to those individuals traveling out of the country and in need of an official certificate of vaccination (Yellow Book).

I make every attempt to ensure medical care to my patients is as convenient as possible. If your child becomes ill during the night you may contact the office via the answering service and speak with me for an emergent next day appointment. We also have same day appointments. Most insurances are accepted including: Aetna, Care first Blue Cross, Blue Choice, Amerigroup, Americhoice United Health care, Teamsters, Tricare, most government plans, Maryland Medicaid, self-pay, and

Practice Philosophy Janet Johnson MD and Travel Health Medicine is committed to servicing its patients, parents and community by providing excellent and compassionate health care service to a culturally diverse population that promotes the dignity and well-being of the people we serve.

Vision Statement Janet Johnson and Travel Health Medicine goal is to be recognized in the community it serves for compassionate patient service, and clinical excellence. To create a caring environment with a commitment to foster a work environment where individual diversity is valued and recognized, also where the satisfaction of all patients regardless of their background is the fundamental goal of our every action, with the practice of medicine being recognized and honored as a uniquely noble pursuit.

Company Values Core Values These core values bring to life our mission and place special demands on how we behave.

Integrity: We are consistent and honest in word and deed. Commit to the highest standards of ethical conduct, respect, competence and safety.

Quality: We provide service excellence in meeting client expectations. We ensure commitment to excellence for our patient and communities.

Respect: We behave in a way that honors self and others. There is respect for diversity and individual differences. We embrace that diversity of individuals, ideas and expressions so as to achieve better multicultural understanding of our fellow man.

Collaboration: Cultivate positive relationships while embracing

Commitment:

Where Science Meets Compassion

Our mission is to assist our patients in creating the families of their dreams, whether it be at the present or to maintain the possibility in the future.

Medical Director Dr. Famuyiwa, a double board certified fertility specialist and an advocate for personalized holistic fertility care, is at the forefront of providing state-of-the-art care based on emerging and advanced new technologies in the most compassionate of manners.

Mental Illness: Myths Vs. Facts

It’s unfortunate that individuals diagnosed with a mental illness often feel reluctant to discuss it due to feelings of embarrassment or shame, unlike how they would approach other medical conditions. The fear of potential avoidance or job loss further discourages them from seeking help, highlighting the pervasive stigma surrounding mental illness.

However, it’s crucial to recognize

another important fact: stigma and myths are rooted in fear of the unknown and a lack of understanding or information. This can be addressed by disseminating knowledge and utilizing it to gain a better understanding and manage the situation effectively.

Thanks to advancements in technology, scientists have discovered that many mental illnesses stem from imbalances in specific brain chemicals. Therefore, it is more appropriate to refer to these conditions as brain chemistry

Center - This is a program that provides support from peers for both mental health and substance use disorders for people actively working on their recovery.

FOOT PROBLEMS?

disorders, which should be treated like physical illnesses. Examples of brain chemistry disorders include depression, bipolar disorders, anxiety and panic disorders, schizophrenia, and others.

Similar to diabetes, restoring or achieving a chemical balance is a fundamental aspect of regaining one’s health. Ongoing progress in fields such as brain imaging, molecular biology, and genetic engineering allows scientists to expand their knowledge and develop more effective treatments.

It is crucial to understand that brain chemistry disorders are not a result of personal willpower, poor parenting, or character flaws. They are biological conditions that can affect individuals from all walks of life, regardless of their socioeconomic status, education level, or background. By collectively educating ourselves about the facts and available resources for assistance, we can challenge and dispel the myths and stigma surrounding mental illness.

Local libraries offer directories of agencies providing various mental health services, including the Mental Health Service Provider Directory for the tri-county area and the Charles County Directory of Human Services, which lists other services alongside mental health resources. Furthermore, information is readily available on the internet under mental health and mental illness. By asking questions, seeking knowledge, and embracing understanding, we can overcome fear and work towards a more inclusive and supportive society.

Foot Check-Ups

The primary perception that the sun is solely responsible for causing skin cancer holds true for many types of skin cancers, as they are commonly found on sun-exposed areas of the body. However, it is important to note that this is not the case for skin cancers that develop on the feet. Skin cancers of the feet are influenced by various factors such as exposure to chemicals, chronic inflammation or irritation, inherited traits, and viruses. While regular check-ups for foot abnormalities are crucial, it is unfortunate that the skin of the feet often goes unnoticed during routine

medical examinations. Let’s explore the different types of skin cancers that can occur on the legs and feet:

Basal cell carcinoma is frequently observed on sun-exposed skin surfaces, but its occurrence on the feet is relatively uncommon. Compared to other types of cancers, basal cell carcinoma is less aggressive and tends to cause local damage without spreading beyond the skin. On the legs and feet, basal cell cancers often resemble non-cancerous skin tumors or benign ulcers.

Squamous cell carcinoma is the most prevalent form of skin cancer affecting the feet. Initially, it remains confined to the skin, but in advanced stages, it can spread. It typically begins as a small scaly bump or plaque, sometimes appearing inflamed. Recurrent cracking or bleeding may be experienced. Squamous cell cancer can resemble other foot conditions like plantar warts, fungal infections, eczema, ulcers, or common dermatological conditions.

Malignant melanoma is one of the most dangerous types of skin cancers. Early detection is crucial for

Please see “Foot Check-Ups,” page 62

Joyce Abramson, RNMS

Gum Disease Treatment Options

Soft tissue management offers a non-surgical approach to effectively control periodontal disease. It is important to note that while there is no cure for periodontal disease, it can be effectively managed and controlled through appropriate measures.

So, what exactly is soft tissue management? It is a personalized plan designed to eliminate infection in the gums and root surfaces. Your dentist, hygienist, and you will work together to determine the most suitable plan for

your specific needs.

The hygienist will play a crucial role in performing treatments aimed at eliminating infection, providing recommendations to enhance your daily oral hygiene practices, and guiding you towards achieving and maintaining oral health.

One significant aspect of soft tissue management is root planing, which involves treating the diseased root surfaces located below the gum line. Unlike a routine dental cleaning, which primarily focuses on cleaning teeth above the gum line, root planing specifically targets the removal of tartar and plaque below the gum line, detoxifying the root surfaces affected by the disease.

So, what are the goals your dentist aims to achieve through soft tissue management? They include having gums that are healthy and do not bleed, fresher breath and taste, gums that are not red, swollen, or tender, knowledge on how to maintain

Please see “Gum Disease,” page 63

At Kensington Pharmacy, in addition to having your prescriptions filled with speed and accuracy, you will experience one of the best services and notice the difference.

With 14 employees, Kensington Pharmacy gives a special attention to each customer that they deserve. Stop by and experience the difference.

Could Your Child Have Head Lice?

Submitted by Kensington Pharmacy

Head lice, these tiny insects, take up residence on people’s scalps and make their way into their hair. By biting the scalp, head lice feed on human blood. The issue of head lice has persisted for thousands of years, even evident in Egyptian mummies. Remarkably, head lice affect more school-aged children than all other contagious illnesses combined, excluding the common cold.

Initially, it may not be immediately apparent that your child has head lice. It takes about 4-6 weeks for the body’s immune system to develop sensitivity to the bites. During this period, a female louse can lay 6-10 nits per day. These nits take approximately two weeks to hatch, mature, and commence laying more eggs. By the time you detect an infestation, multiple generations of lice may already be residing in your child’s hair.

You might suspect your child

has head lice if they exhibit the following indications:

• Expressing discomfort from a tickling sensation or sensing movement in the hair.

• Experiencing itching due to a reaction to the lice bites.

• Demonstrating irritability.

• Developing sores on the head as a result of scratching.

Scratch marks on the scalp, particularly behind the ears or at the nape of the neck, serve as telltale signs of a head lice infestation.

How Can You Eliminate Head Lice?

It is advisable to seek treatment if even a single nit is found. There are two effective methods for eliminating lice: manually removing the nits using a comb and employing a special shampoo. The most effective approach is a combination of both. To learn how to comb out nits and treat your child’s belongings and home, you can consult your pharmacist, Please see “Head Lice,” page 65

KENSINGTON PHARMACY

Owned by a local family of pharmacists

The Tunc Family: From Left: Melike, Pinar, Huseyin and Zeynep

• Prescription Refills via On-line or Phone 24 hours a day

• Flu Shots, Shingles and Pneumavac Vaccines

• Prescription Plans including Medicare Part-D and Part-B, CVS-Caremark

• Transfer Of Your Prescriptions

• Compounding Specialists

• Wide Vitamin Selection

• Blisterpacking For Assisted Living Facilities

• BOIRON Homeopathic Remedies

• Greeting Cards, Select Books and Gifts

• Wide Home Health Care Selection Wheelchairs, Canes, Walkers, Medical Legsupport, Arthritis and Sport Aids, Bath Aids

• Toys and Books for Children

• And More

EQUITY FOR ALL

a ll-On-FOur

oral health. But perhaps the biggest surprise about the all-on-four is how quickly it can transform your life.

What’s The All-On-Four Dental Implant Procedure Like?

First, either local or general anesthesia will be administered.

Second, the dentist or surgeon will prepare your mouth for the implants, which involves removing your remaining teeth that are failing. They will then remove any diseased or infected tissue from your jaw and gums. Next, they will insert the titanium screws into your jawbone. Most likely,

they will place two implants toward the front of your mouth and two towards the back of your mouth so the “anchors” can evenly bare the force of the denture.

After the implants have been placed, they will thoroughly clean the surgical sites and suturing all the incisions. Then you’ll be taken to a recovery room where you can relax and take time to wake up from the anesthesia.

Schedule a consultation with an All-On-Four provider. It’s the best way to find out how dental implants can change your life.

aCH illes tendOn

loss of strength when trying to push off the foot.

Early diagnosis is essential. For mild cases of tendonitis, rest, ice, physical therapy, and changes in activity can reduce inflammation and promote healing. In some cases, immobilization or supportive orthotics may be recommended. If conservative treatment fails, or the tendon is severely damaged, surgery may be necessary to remove scar tissue or repair the tendon. For Achilles tendon ruptures, treatment depends on the severity of the injury and the patient’s activity level. Nonsurgical treatment with casting or bracing may be effective for some patients, particularly older adults or those with lower activity de-

F ull a rCH

60% compared to natural teeth. They are relatively affordable and easy to clean. However, some individuals may find them uncomfortable and experience sore spots on gum tissue. While they offer stability, they may still exhibit slight movement during chewing or speaking, requiring relines for improved fit and comfort as jaw bone deteriorates.

All-On-4 Implant Fixed Bridge Permanence and Enhanced Functionality

All-On-4 implant fixed bridges provide a permanent restoration solution. Unlike overdentures, All-On-4 appliances never need to be removed, significantly improving functionality to approximately 90% compared to natural teeth. Additional benefits include the elimination of bone grafting, the ability for your dentist to provide a temporary bridge on the same day as surgery, preservation of bone and soft tissue, and a decay-free experi-

H ealtH y smile

needs of each patient. Whether you’re undergoing a complex procedure or a routine dental treatment, your peace of mind is our priority.

Patient-Centric Approach: At Total Dental Care, we prioritize your comfort with a patient-focused approach, offering amenities such as heated chairs with massage features, ensuring a relaxed experience. Our team is dedicated to fostering a positive dental experience, emphasizing

communication and education to empower patients in making informed decisions about their oral health.

Total Dental Care stands as a beacon of excellence in dental health, providing total solutions for patients seeking comprehensive, detail-oriented care. Experience the difference with our wide range of services and patient-focused approach, ensuring your journey to a healthy smile is seamless and satisfying.

essential Oils

FrOm page 16

mands. However, for younger or more active individuals, surgical repair often offers a quicker return to function and a lower risk of re-rupture.

Recovery from Achilles injuries, whether surgical or not, requires time and commitment. Physical therapy is critical to regain strength, flexibility, and balance. Rushing the healing process can lead to re-injury or chronic weakness.

Achilles tendon injuries can be painful and frustrating — but with the right treatment approach, most patients can return to their normal activities and avoid long-term complications. Paying attention to early warning signs and seeking care promptly are key steps toward a full recovery.

FrOm page 18

ence with a remarkable 95% success rate over 30 years. With their natural appearance, you can confidently enjoy your favorite foods. Cleaning fixed bridges is a breeze, just like cleaning natural teeth within your mouth.

Traditional 6-8 Implant Support Fixed Bridge Uncompromising Quality

For a more traditional approach, a fixed bridge supported by 6-8 implants is an excellent choice. This permanent restoration replaces both the roots and teeth, preserving bone and soft tissue. Functionality is elevated to approximately 90% compared to natural teeth, and cleaning becomes as simple as caring for natural teeth within your mouth. Whatever your preference, there is a perfect full arch dental solution for you. Consult with your dentist to explore the options that best suit your needs and regain the confidence and functionality of a complete, beautiful smile.

Rosemary essential oil is a circulation tonic, rejuvenates liver function, is an anti-oxidant, tonic, memory inducer, diuretic, and more. For pain, rosemary is helpful for headaches and tension in the neck and shoulders. It is also valuable in easing the pain of gout, arthritis, sore muscles following a workout, and neuralgic pains.

Rosemary can be added to a carrier oil, or even aloe vera gel, and used as a rub.

Approximately 6-10 drops can be added per tablespoon depending

on the strength desired. Rosemary can also be added to the bath, 5-8 drops, to help the circulation and emerge from the tub more energized.

Adding these oils to the family medicine cabinet can prove a valuable external aid for all kinds of ailments, including aches and pains.

Judicious use of essential oils can reduce the need for pain medication, further protecting the health and longevity of the internal organs that must process over the counter and prescription medicines.

sleep disOrders

Narcolepsy is characterized by extreme daytime sleepiness and sudden episodes of falling asleep, sometimes without warning. People with narcolepsy may also experience sleep paralysis, vivid hallucinations during sleep transitions, and muscle weakness triggered by emotions (cataplexy).

Circadian rhythm disorders occur when the body’s internal clock is misaligned with the external environment. Common examples include jet lag or shift work sleep disorder. These disruptions can make it difficult to fall asleep or wake up at desired times.

FrOm page 56

Restless leg syndrome (RLS) causes uncomfortable sensations in the legs that create an overwhelming urge to move them, especially at night. This can interfere with falling asleep and lead to fragmented sleep.

Chronic fatigue syndrome (CFS) causes persistent, unexplained tiredness that does not improve with rest. While it may be linked to other conditions like sleep apnea, CFS can also occur independently.

Recognizing the signs of sleep disorders is an important step toward better rest and better health.

FOOt CH eCk-ups

ensuring patient survival. Melanomas can occur on the skin of the foot or beneath the toenail. They can be found on the soles and tops of the feet. As melanoma grows, it tends to penetrate deeper into the skin, posing a serious threat as it may spread through the lymphatic and blood vessels.

Malignant melanoma typically starts as a small brown-black spot or bump, although approximately one-third of cases lack brown pigment and appear pink or red. These tumors may resemble ordinary moles at first glance, but closer examination often reveals asymmetry, irregular

FrOm page 58

borders, changes in color, and/or a diameter exceeding six millimeters. Melanomas can be mistaken for benign moles, blood blisters, ingrown nails, plantar warts, ulcers caused by poor circulation, foreign bodies, or bruises.

In summary, while sun exposure remains a significant factor in many skin cancers, it is not the primary cause for those occurring on the feet. Skin cancers of the feet are influenced by various factors, and it is essential to be aware of the different types and seek professional medical attention if any abnormalities are observed.

FrOm page 20

BariatriC surgery

most insurance companies, individuals must demonstrate a documented history of weight loss efforts. Bariatric surgery is typically not offered as the first line of treatment, making it necessary for patients to have previously engaged in a medically supervised weight loss program. This program can be overseen by a primary care physician, a weight management specialist, or a dietitian. Patients are expected to maintain a documented history of at least six months, with consecutive monthly visits. Those

who demonstrate weight loss during this period are more likely to receive insurance coverage.

Psychological Evaluation

The insurance requirements include a comprehensive psychological evaluation to ensure that patients are mentally prepared for the lifechanging procedure. This evaluation also aims to identify any underlying issues that may hinder the success of the surgery. By addressing these concerns beforehand, patients can have a

summer m emOries

summer fun, making it easy to compare and feel like you’re missing out. But it’s important to remember that your experience is valid, and you don’t have to meet anyone else’s expectations of what “summer happiness” should look like.

Emotional health includes allowing yourself to feel what you feel, while also staying open to connection and growth. If summer brings up unresolved grief, old regrets, or current stressors, talking to a mental health professional can help you understand those feelings and work through them with compassion and perspective.

You don’t need a perfect vacation or a picture-perfect plan. Sometimes, the most healing thing you can do is be present. Take a breath. Watch the sunset. Say yes to a spontaneous mo-

ment. Start a new tradition, no matter how small. Honor the memories you hold – and give yourself permission to make new ones.

Psychological counseling can provide insights and a deeper understanding of the emotions that surface during seasonal transitions. It also offers healthy coping tools to help manage grief, loneliness, and unmet expectations – so you can make more empowering choices. While we cannot change the past or control every future outcome, we can learn to honor our memories while staying open to growth, healing, and joy in the present moment.

elOn rOsH ell

vided significant relief from her chronic pain. “The oxygen was so good. I mean, that was the first thing that, really like, I had no pain,” she recounted.

A Vision Of Wellness

After her recovery, Richardson experienced a life-changing dream that inspired her to create a comprehensive health and wellness center in Calvert County. This vision became Elon Roshell Day Spa & Health, featuring an array of services designed to promote natural health and wellness, including an oxygen bar, hyperbaric chamber, and a signature salt cave.

The salt cave is a central feature of Richardson’s spa. Constructed with real salt bricks, the cave offers a serene environment where visitors can experience the benefits of inhaling medicalgrade salt. These benefits range from improved skin health and respiratory relief to overall relaxation. “It’s good for your skin. If you have eczema, it’s good for different skin conditions. Also your

thyroid hormones.

• Thyroid antibody tests – Identify autoimmune thyroid disorders such as Hashimoto’s.

Treatment may include thyroid hormone replacement therapy, such as levothyroxine, to restore hormone levels and relieve symptoms.

Lifestyle adjustments also play a key role:

• Nutrition: Emphasize whole foods rich in iodine, selenium, and zinc. Avoid processed foods and excess sugar to reduce inflammation.

• Exercise: Engage in a mix of car-

dio and strength training to boost metabolism.

• Stress Management: Use mindfulness, meditation, or yoga to lower cortisol levels, which can impact thyroid health. These changes not only support thyroid function but also help address stubborn weight issues.

Understanding the link between thyroid health and weight is empowering. With the right diagnosis, treatment plan, and lifestyle strategy, midlife women can regain control over their metabolism and well-being.

COntraCeptiOn

also regulate menstrual cycles and reduce menstrual cramps.

Intrauterine Devices (IUDs):

These are small devices inserted into the uterus. Available in hormonal and non-hormonal (copper) forms, IUDs offer long-term protection (3 to 10 years) with a high efficacy rate.

Emergency Contraception:

Pills taken after unprotected sex to prevent pregnancy. They are not intended for regular use but can be a crucial backup method.

Sterilization: Permanent methods like tubal ligation for women or vasectomy for men, suitable for those who are certain they do not want future pregnancies.

Importance Of Contraception

FrOm page 26

lungs. For me, I have asthma. And after having this, I haven’t had to really carry my inhaler,” Richardson explained.

Elon Roshell Day Spa & Health offers a variety of wellness services, including massage therapy, facials, waxing, oxygen therapy, red light therapy, infrared sauna, and ionic foot baths. This holistic approach addresses both physical and mental well-being, providing a comprehensive healing experience.

Elambert Richardson also hosts a weekly Wellness Wednesday event at the spa. For just $25, attendees can experience the salt cave and participate in free small group health and wellness events. These events, largely led by Jeanette Umstead, a health coach at the spa, focus on Bible-based teachings of the 8 laws of health. These teachings emphasize principles such as a plantbased diet and the importance of rest, believed to contribute to long lifespan and overall well-being when followed.

Preventing unintended pregnancies is essential for a woman’s health and well-being. Unplanned pregnancies can lead to physical, emotional, and financial stress, impacting a woman’s life significantly.

m enstrual

contribute to menstrual cramps. Another common Chinese medicine ingredient for treating dysmenorrhea is peach kernel.

By integrating traditional Chinese

gum disease

good oral hygiene effectively, reduced pocket depths, and control over the progression of periodontal disease.

To ensure the success of this treatment, your dentist relies on your cooperation as the patient. This involves completing the periodontal therapy as prescribed, thoroughly cleaning all tooth surfaces twice a day, and adhering to regular re-care visits. For patients with adult periodontitis, sup-

While abortion remains a necessary and legal option, it is a medical procedure that can have complications. These may include infection, heavy bleeding, and injury to the uterus or other organs, which can affect future pregnancies and necessitate additional OB/GYN procedures. For example, scar tissue from an abortion can complicate subsequent childbirth or lead to issues like ectopic pregnancies. Promoting Prevention Education and access to contraception are fundamental in reducing the need for abortion. Comprehensive sex education that includes information about contraceptive options and their proper use is crucial. Healthcare providers play a vital role in counseling women on the most suitable methods based on their health, lifestyle, and reproductive goals. Regular check-ups and open communication with healthcare providers help ensure that women are using the most effective and appropriate contraception, leading to better health outcomes and fewer unintended pregnancies.

FrOm page 50

medicine practices such as acupuncture and herbal remedies, women can find relief from dysmenorrhea and improve their well-being during menstrual cycles.

FrOm page 59

portive three-month re-care visits are particularly essential for the successful outcome of the therapy.

By actively participating in soft tissue management and following your dentist’s recommendations, you can effectively control periodontal disease, maintain your oral health, and enjoy the benefits of healthier gums and fresher breath.

Reach out to Dr. Vernon at The Care Practice to learn new skills to become the best version of yourself.

HEALTH DIRECTORY

ACUPUNCTURE

Eastern Medical Holistic Healing Center – Angel Wood – 240-755-5925 –www.Acupuncture4Wellness.Webs.com.

West Annapolis Acupuncture – Brittney de Vicq, LAc, MAc – 410-375-9716 – BrittneyAcupuncture.com – Annapolis, MD.

CHINESE MEDICINE & ACUPUNCTURE

Quansheng Lu, CMD, PhD, LAc – www.WholelifeHerb. com – 301-340-1066.

CHIROPRACTIC

Kovach Chiropractic & Wellness Center – Alicia Kovach, DC – 410-697-3566.

Effective Integrative Healthcare – Crofton 410-774-0644 – Millersville 410-729-2200 –Lanham 301-577-6556.

DENTISTRY

Cosmetic Dental FX – Judy Yu, DMD, MBA – 410-3600440 – www.DentalFXMD. com – Pasadena, MD.

Lighthouse Family Dentistry –E. Taylor Meiser, DDS – 410224 4411 – Annapolis, MD. Karl A. Smith, DDS – Waldorf, MD – 301-638 -4867. Craig A. Smith, DDS – 7201 Hanover Parkway, Suite A, Greenbelt, MD – 301-4461784 – www.craigasmithdds. com.

EYE CARE

McNelly Optical, Inc. – 410263-2692 – www.McNellyOptical.com – Annapolis, MD.

FERTILITY

Montgomery Women’s Fertility Center – 301-946-6962 –MontgomeryFertilityCenter. com – Rockville, MD.

HOME CARE

At Home Care, Inc. – 301421-0200 – AtHomeCareInc. com – Since 1977.

HORMONES

New Day Vitality Hormone Center – 410-793-5212 –Arnold, MD and Easton, MD – NewDayVitality.com.

INTEGRATIVE MEDICINE

Alan Weiss, MD, Annapolis Integrative Medicine – 410266-3613 – 1616 Forest Drive, Suite #3, Annapolis, MD 21403.

MEDICAL SPACE

Charles Feitel Company – 301571-9333 – www.MedicalandDentalSpace.com.

MEDICARE

Perry L. Johnson – Local Medicare Specialist – 301-793-4571 pjohnson.perry@gmail.com.

MENTAL HEALTH SERVICES

Charles Co. Freedom Landing, Inc. – 301-932-2737 or 301-870-3969.

House Calls, LLC – 301346-6732 – CallingOnBeth@ gmail.com – www.CallingOnBeth.net.

NEUROLOGY

Charles C. Reel, MD – Maryland Gait and Balance Disorder Center – Charlotte Hall, MD – 301-290-0395.

PAIN MANAGEMENT

Georgetown Pain Management – Netsere Tesfayohannes, MD, ABA, ABAP – 301-718-1082 – 8120 Woodmont Ave., Ste 560, Bethesda, MD – 7300 Hanover Dr., Ste 204, Greenbelt, MD.

Newbridge Spine and Pain Center – 301-638-4400 –www.NewbridgeSpine.com.

PHYSICAL THERAPY/ REHABILITATION

Active Physical Therapy. Various Locations across Maryland and Washington, DC. Active-physicaltherapy.com.

PODIATRY

Bowie Foot Care – Howard Horowitz, DPM – 301-4645900.

Largo Foot and Ankle Health Center – Ade Adetunji, DPM – 301 386 5453.

PRIMARY CARE

Loving Care – Janet Johnson, MD – Hyattsville, MD – 301-403-8808.

PROSTHETICS

Metro Prosthetics – 301-4590999 – www.MetroProsthetics.com

RETIREMENT VILLAGE

Brooke Grove Retirement Village – 18100 Slade School Road, Sandy Spring, MD 20860 – 301-260-2320 – www.bgf.org.

SENIOR CARE

Chevy Chase Home Care. Help at a time you need it most. Any Ages. Any situations. Any shifts. MD, DC, VA – www.CHCHHomeCare. com – 202-374-1240.

St. Mary’s Nursing & Rehabilitation Center – 301-475-8000 – Leonardtown, MD – www. StMarysNursingCenter.com.

UROLOGY

AA Urology – IR Center , 600 Ridgely Avenue, Suite #120, Annapolis, MD – Annapolis , 600 Ridgely Avenue, Suites #222-223, Annapolis, MD – East Campus Surgery Center, 600 Ridgely Avenue, Suite #130, Annapolis, MD – AA Urology – Odenton, 1106 Annapolis Road, Suite #250, Odenton, MD.

UROLOGY

Glen Burnie , 305 Hospital Drive, Suite #303, Glen Burnie, MD – Bowie, 4201 Northview Drive, Suite #201, Bowie, MD – West Campus Surgery Center, 7855 Walker Drive, Suite #102, Greenbelt, MD –Greenbelt, 7855 Walker Drive, Suite #100, Greenbelt, MD. VETERANS

Charlotte Hall Veterans Home – 301-884-8171 – Waldorf, MD. WEIGHT LOSS

The Bariatric and Hernia Institute – Dr. Etwar McBean – 240-206-8506 – www.TBHInstitute.com.

YOGA

Toni’s Happy Hour Yoga and Holistic Wellness Center –Toni Greene, Owner – 301449-8664.

SUBSCRIBING IS EASY:

1) Call 301-805-6805 with your name, contact info, and credit card payment for $24, or

2) Simply mail this form along with your check for $24: Your Health Magazine 4201 Northview Dr. Suite 102 Bowie, MD • 20716

n F lammatiOn

and parasitic infections – the COVID-19 pandemic is a stark reminder of the acute and chronic impact of this form of inflammation. Studies have even shown that plaque on arteries can contain bacterial DNA. Some of these infections can be hidden, especially in areas like the sinuses and roots of teeth, and can be difficult to detect, as the bacteria that causes Lyme disease has proven to be difficult to detect. Considering that there may be infectious causes of chronic disease (including chronic stomach or intestinal issues) is the first step to doing the testing to find them.

Food allergies and intolerances can also provoke inflammation. Two of the most well known are wheat and gluten, but numerous people are also intolerant of other foods such as corn, soy and dairy. Chronic exposure to foods that provoke inflammation can cause pain, either in specific joints or diffusely, fogginess,

abdominal pain, weight gain and other issues. The worst component of foods that contribute to inflammation is sugar.

Other sources of chronic inflammation include autoimmune disease, and finally there are toxic environmental substances that can provoke inflammation including mercury and mold exposure.

A few simple changes can help reduce inflammation. Reducing and managing stress and optimizing sleep can make a big difference. Reducing sugar and refined flours can help, and a trial off of wheat and gluten can help a surprising number of people. Safe and widely available supplements that can be helpful include fish and krill oil, curcumin and plant derived enzymes.

Seeking help from a knowledgeable physician to determine the presence root causes of inflammation can help greatly with a wide variety of health conditions.

CH eerleaders

imposing a uniform standard on all their children. However, King Solomon’s wisdom advises parents to educate each child according to their individual inclinations. Every child possesses distinct strengths, tendencies, and unique abilities. We should never evaluate or compare one child to another, as each child should be guided in a way that is suitable for their own growth. Comparing a child to their sibling or anyone else can be considered a form of verbal abuse. Instead, children should be raised to embrace and celebrate their individuality.

Parents have a significant role in instilling self-confidence and selfesteem in their children through the immeasurable love and attention they provide. These tools for life far surpass what any academic degree in education can offer. It is the responsibility of parents to educate their children and impart moral values.

Here are four steps to effectively encourage success:

1. Offer focused attention: Take the time to prioritize each child individually. They cherish moments

FrOm page 57

of undivided attention. Designate special days or activities for each child to create treasured memories.

2. Provide individual affirmation: Help your children discover their strengths and guide them in developing their skills. Understand each child’s unique personality, addressing both their positive and negative aspects. Tailor your approach to meet each child’s individual needs.

3. Express genuine appreciation: Avoid cultivating bitterness in your children. Acknowledge their achievements and let them know what they have done well. Show parental support, assuring them that you are on their team. While addressing mistakes is important, do not allow them to become the sole focus. Ensure your children know that you are proud of their accomplishments.

4. Embrace physical affection: Offer hugs, share laughter, and enjoy quality time together. These gestures of physical affection foster strong bonds and create a positive atmosphere for growth and development.

egg F reezing

woman in the general population may seek fertility treatment another study found that 34% of female doctors had fertility problems. Of these 77-84% will utilize fertility medications and assisted reproductive technology. In addition, the incidence of miscarriages and pregnancy complications have also been found to be higher in doctors. Some who have

healthcare provider, or school nurse. Two types of shampoo, available without a prescription, can be used. One type utilizes a pesticide to eradicate the nits, while the other employs a pesticide-free cosmetic cleanser to eliminate lice and aid in dissolving the glue that attaches the nits to the hair shaft. If you are uncertain about which treatment to choose or how to use it, don’t hesitate to ask your pharmacist or healthcare provider. It is crucial to always follow the directions provided when using any liceremoval product.

Preventing Head Lice Reinfestation

Reinfestation is always a possibility. If the source of the original infestation is not addressed—for example, a classroom with many infested children—reinfestation is likely.

Remember that each day brings a new risk of encountering a fresh infestation. For at least two weeks after treatment, diligently inspect all fam-

WeigHt lOss

progesterone help modulate the stress hormone cortisol, which tells the body if it should be storing fat or burning it. When cortisol is released in larger doses during long periods of intense exercise, the lower levels of estrogen and progesterone in women over 40 can’t counteract cortisol shouting “store fat!” Therefore, 40+ females who exercise should limit higher intensity sessions to less than sixty minutes to maximize cortisol’s “burn fat, build muscle” messages. (How high is high? High intensity exercise makes talking

glp-1 p lan

loss clients for years. I too have lost a lot of weight particularly after a long stretch in school, tied to a computer.

What is key here is having control of your own body and not some outside force, like food or sedentary temptations having control.

I have a weight loss program designed to look at the inner work

ily members daily. If you discover head lice on your child, notify their school, camp, and childcare provider. Inquire about their “nit policy” and determine when your child can safely return to the classroom. Inform other parents in your neighborhood as well. While reporting an infestation may seem embarrassing, it is the most effective way to ensure that the problem is resolved at its source. Teach your child not to share or borrow personal items such as combs, headbands, hair ribbons, scarves, hats, headphones, sports helmets, towels, blankets, and stuffed toys. Educate them about avoiding headto-head contact with other children. Additionally, store clothing (like hats, hooded jackets, and scarves) and personal items (such as pillows, bedding, combs, brushes, and stuffed toys) in a manner that prevents them from touching. Request that your child’s school or daycare adopts the same practice, including not sharing cubbies or lockers among children.

FrOm page 22

very difficult, limiting you to just two or three words at a time.)

As you can see, sex hormones impact men and women’s health from head to toe. The latest medical research shows hormone replacement therapy (HRT) is safe for almost all women and does not increase all-cause mortality. Now’s the time to consider HRT for help with the physical and mental tribulations of diminishing sex hormones. Find an expert to discuss how HRT can help improve your health and restore your vitality today.

FrOm page 50

behind this, and to implement small lifestyle changes as you go.

Coaching is available also for this program or individual sessions as you map out your own plan.

For those of you considering this, I acknowledge your courage and push for a long, healthy, happy life.

had pregnancy loses may not have time to recover nor do they have workplace support.

Female physicians trying to start their own families face unique challenges and need support both from their piers and from medical institutions.

Previously published on Medium.com

r egain COntrOl

professional evaluation is the next step. Start Your Journey Toward Healing

Depression does not have to define your life. At Solutions for Mindfulness, we provide personalized treatment plans to help you regain control,

FrOm page 46

improve total mental wellness, and rediscover joy. If you are searching for “treatment for depression near me”, you are at the right place.

Schedule an appointment today to explore the best treatment options for you. Your journey to healing starts here!

Women’s Health

Your Health Magazine is here to Help People Find the Healthcare They Need! Information from local doctors lowers the barriers to getting better healthcare and living healthier.

We publish articles and practice information for local doctors every month in the Magazine, on our Website, (www.Your Health Magazine.net), and on Social Media (@YourHealthDMV).

OB/GYN Cardiology

Dermatology

Varicose Veins

PLUS WOMEN In Health Care...

Cupping is a treatment method that uses glass, plastic or silicone cups to create suction to pull the skin and muscles. The suction and negative pressure provided by cupping can loosen muscles, encourage blood flow, alleviate stagnation, reduce pain and sedate the nervous system. Cupping is used to relieve back and neck pain, shoulder pain, stiff muscles, fatigue, and a variety of other musculoskeletal injuries.

H air lOss

What Can You Do About It?

The first step is to identify the cause. If you’re experiencing sudden or patchy hair loss, or if the scalp feels sore or inflamed, it’s important to see a dermatologist or trichologist. Early diagnosis can help preserve your hair and prevent further damage.

Adopting a gentle hair care routine can also make a significant difference. Avoid tight hairstyles and limit the use of heat and chemicals. Opt for protective styles that don’t stress the scalp, and give your hair breaks between styles.

A healthy diet rich in iron, vitamin D, and biotin can also support hair

There are two different types of cupping methods commonly used. The first type is “retained” or “stationary cupping”; this is when the cups stay in one location for the duration of the treatment.

The second type of cupping is “sliding” or “running cupping”; this is when the cups are moved over certain affected areas. Running cupping can feel more intense but has the ability to move out more stagnation, resolve pain, and affect change in a shorter period of time. Depending on the cupping style being used and the conditions being treated, cups will stay on a patient anywhere from 5-15 minutes.

In order to receive the best possible cupping treatment make sure that your acupuncturist has received certification from a nationally recognized organization in cupping therapy such as the International Cupping Therapy Association.

health. In some cases, your doctor may recommend treatments like topical minoxidil, corticosteroid injections, or oral medications to slow or reverse hair loss.

Final Thoughts

Hair loss is a complex and deeply personal issue, especially for Black women who may have experienced years of cultural or societal pressure around their hair. But with education, awareness, and early care, it’s possible to reclaim both healthy hair and selfconfidence

Email us at nbhdtraining@gmail. com to reserve a spot for our inperson conversational talk about black women in hair loss.

By Brittney de Vicq, MAc, LAc West Annapolis Acupuncture

Turn static files into dynamic content formats.

Create a flipbook
Issuu converts static files into: digital portfolios, online yearbooks, online catalogs, digital photo albums and more. Sign up and create your flipbook.