
























![]()


























Time marches on and there is not anything we can do about that. But there is a difference between chronological age (how many years you’ve been on the earth) and biological age. Another way of thinking of biological age is how old (or young) you look and feel for your age. And while nothing beats having good genes, there are definitely steps you can take to avoid or slow down the ravages of time.
First and foremost is getting good restorative sleep. Over time we
develop habits and patterns of sleep that may not promote health. Poor sleep quality negatively impacts our brain health, immune system and cardiovascular health and is a major risk factor for developing dementia. The onset of menopause and its male equivalent “andropause” are notorious for causing sleep disruption. Overuse of caffeine, cutting back time allotted for sleep, using medications and alcohol to get to sleep, and not diagnosing or even ignoring medical sleep disorders such as sleep apnea are all issues to consider and to discuss with a physician,
Next is diet. As we get older we become less able to manage sugar and easily digested simple carbohydrates as found in breads and pastas, as well as other grains and some fruits. We tend to become somewhat insulin resistant, which creates a vicious circle of obesity causing more insulin resistance and inflammation, etc.
Many people who are overweight, inflamed or just don’t feel
Please see “Aging Gracefully,” page 62



At the Minimally Invasive Vascular Center (also known as MIVC) we have long been committed to addressing the vascular devastation that is rampant in our community. Each year cardiovascular disease is the world’s largest killer; killing more Americans than cancer. If you have painful legs, wounds that won’t heal, varicose veins, leg swelling, history of smoking, or have a family history of vascular problems and/ or are over the age of 50, you may suffer from poor circulation. Poor circulation may be responsible for causing erectile dysfunction in as much as 50 to 70 percent of men who develop the condition. Now we are happy to add expanded services! Our goal is to extend the healthy lifespan of our patients by using a comprehensive, integrative approach to achieve the most effective results. We believe that Beauty Is a Reflection of Health and Wellness. We want you to be as beautiful on the outside as you are healthy on the inside.
• Primary Care
• Wound Care
• Comprehensive Weight-Loss (including injectables)
• Aesthetics
• Age Spots
• Cellulite
• BOTOX® Cosmetic
• Fillers
• Microneedling w/PRP and Exosomes
• PRP Hair Restoration
• Spider Veins
• Body Contouring
• CoolSculpting
• Laser
• CoolTouch Laser
• Laser Hair Removal
• Laser Pigment Removal
• Laser Skin Resurfacing
• Laser Skin Tightening
• Skin Treatments
• Acne Scars
• PRP Injections
• Chemical Peels
• HydraFacial
• Microdermabrasion
• Sun Damage
• Vascular Procedures
• Arteriograms
• Atherectomy
• Balloon Angioplasty
• Radiofrequency Ablation – Veins
• Venogram
• Uterine Fibroid Embolization
• Coil Embolization
• Sexual Enhancement
• Hormone Therapy
• Gainswave
• P-shot/O-shot


The articles below are provided by local health professionals for the benefit of the public. Please contact them for advice and services.
4 | Aging Gracefully: What You Can Do About It | By Alan Weiss, MD
8 | Women’s Urologic Health: Understanding, Prevention, and Care | By Mara Holton, MD 10 | Sleep Apnea: The Silent Threat To Your Health | By Annapolis Asthma, Pulmonary & Sleep Specialists 11 | Your Beautiful Smile Investment Is Protected | By Karl A. Smith, DDS, MS
| Your One-Stop Solution For a Healthy Smile | Submitted By Total Dental Care
| Your Smile & TMD | By Jeffrey L. Brown, DDS
| Understanding Eosinophilic Esophagitis In Children | By Ahmet Aybar, MD 16 | All-On-Four Dental Implants | Submitted By Sivakumar Sreenivasan, DMD, MDS
18 | Understanding Your Five Element Constitutional Type | By Anne C. Crowley, Acupuncture Physician
18 | Invisalign | By Judy Yu, DMD, MBA
19 | Chiropractic Care For Your Child | By Alicia Kovach, DC 20 | Advancements In Total Ankle Replacement | By Gary Feldman, DPM, FACFAS
22 | A Revolutionary Approach To Women’s Health and Beauty | By Elambert Richardson 24 | Add Some Spring To Your Weight Loss Efforts | By Molly McKinney, FNP-BC
24 | Effects Of Obesity On Health | By Etwar McBean, MD, FACS
25 | What Is Shockwave Therapy? | By Howard Horowitz, DPM
26 | Ensuring Healthy Smiles and Sound Sleep For Your Child | By Lynda Dean-Duru, DDS
28 | Breaking the Cycle | By James Lynch, MD
30-40 | Featured Beauty, Skin Care & Gorgeouse Smiles + Women’s Health
43 | Volunteers Are Vital Members Of the Hospice Clinical Team | By Monica Hastings, RN, BSN, CHPN
43 | Brushing Away Winter Blues: Fun Spring-Themed Oral Hygiene Tips For Kids | By Elizabeth Shin, DDS
45 | The Holistic Approach To Tongue Ties and Airway Health | By Gena Schultheis, DDS
46 | Children’s Health and Spring Time | By Janet V. Johnson, MD
46 | Contraception and Pregnancy Prevention: Key To Women’s Health | By Ashley Pimperl, MSN, CRNP
48 | How Compliance Changes In 2025 Protect Patients | Submitted By MedPro - Medical Billing
48 | Menopause and Medical Cannabis | By Sharron Sample, CEO
52 | Dieting And Exercising And Not Seeing Results? | By Rachelle Polk, Owner
56 | Chinese Medicine For Infertility | By Quansheng Lu, CMD, PhD, LAc
56 | Essentials Oils and Acupuncture | By Brittney de Vicq, MAc, LAc
57 | Psychiatric Disabiliies and Employment | By Joyce Abramson, RNMS
57 | Poor Circulation In Feet: Part Two | By Ademuyiwa Adetunji, DPM
57 | Cosmetic Dentistry | Submitted by E. Taylor Meiser, DDS
58 | Over-the-Counter Medicines and Drug Interactions | Submitted By Kensington Pharmacy
58 | Surrogacy: A Journey Through Time and Across Cultures | By Yemi Adesanya-Famuyiwa, MD
59 | Wellness Lymphatic Massage For Recovery and Lipedema | By Kaitlyn Berry


SERVING MARYLAND & VIRGINIA Since 1990
Your Health Magazine is on a mission. There are far too many people, insured or not, who do not go to the doctor when they should, and in millions of cases, don’t know who they should go to, or why.
People are encouraged to buy a new house, car, cell phone or big screen TV, and those companies make themselves very visible and their products easily attainable.
Information about, and from, local healthcare providers is not easy to find, and many times those services are difficult to access.
Information and encouragement always lowers fear and trepidation about anything, and this is especially true in healthcare. While general information is available on web-sites, specific information from local providers is almost impossible for people to find. This is one of the key reasons chronic and episodic conditions are not cared for. It is our mission to:
Make A Difference By Empowering and Encouraging People To Live Healthier By Going To the Doctor When They Should.
There is a lot of evidence that the health professionals who participate in Your Health Magazine have helped many people over the years. We at Your Health Magazine salute you!
G. Scott Hunter, Editor-in-Chief
If you would like to find out how you can participate in one of our upcoming editions, please contact the office nearest you.
MARYLAND & WASHINGTON, DC OFFICE One Town Center 4201 Northview Drive, Suite 102 Bowie, MD 20716 Office (301) 805-6805 • Fax (301) 805-6808 info@yourhealthmagazine.net
VIRGINIA OFFICE Office (301) 805-6805 info@yourhealthmagazine.net
© Your Health Magazine, 2025. The magazine and all of its contents are protected by copyright. For permission to reproduce any materials in this magazine, contact publish@yourhealthmagazine.net
EDITOR-IN-CHIEF
Gregory Scott Hunter


By Mara Holton, MD Anne Arundel Urology
Urologic health is a vital component of overall well-being, yet it is often overlooked—especially when it comes to women. Women’s urologic health involves the care and maintenance of the urinary tract and reproductive organs, and addressing the unique challenges that women face in this area is essential
for long-term health and quality of life.
Common Urologic Conditions In Women
1. Urinary Tract Infections (UTIs): UTIs are among the most common urologic issues affecting women. Due to the shorter length of the female urethra, bacteria can more easily reach the bladder, leading to infections. Symptoms include a burning sensation during urination, frequent urges to urinate, and cloudy or strong-smelling urine. Prompt treatment with antibiotics and good hygiene practices can help prevent recurrent infections.
2. Overactive Bladder (OAB):
OAB is characterized by a sudden and frequent need to urinate, sometimes accompanied by leakage. It can be caused by factors like weakened pelvic muscles, nerve damage, or hormonal changes. Treatment options include lifestyle modifications, pelvic floor exercises, medications, and in some cases, surgical interventions.
3. Urinary Incontinence: Incontinence, or the involuntary loss of urine, affects women of all ages but becomes more common after childbirth and menopause. Stress incontinence (leakage during physical activity) and urge incontinence (a sudden, intense need


to urinate) are the most common types. Treatments range from physical therapy and bladder training to medications and surgical procedures.
4. Interstitial Cystitis (IC): Also known as painful bladder syndrome, IC is a chronic condition causing bladder pressure, pain, and frequent urination. Though its exact cause is unclear, treatments focus on symptom relief through dietary changes, physical therapy, medications, and bladder instillations.
5. Pelvic Organ Prolapse: This condition occurs when the muscles and tissues supporting the pelvic organs weaken, causing organs like the bladder, uterus, or rectum to drop into the vaginal canal. Symptoms include pressure, discomfort, and difficulty with urination or bowel movements. Treatment may include pelvic floor exercises, pessaries, or surgery.
Prevention and Care
Maintaining urologic health involves a combination of lifestyle choices, preventive care, and regular medical check-ups. Here are some key strategies:
• Stay Hydrated: Drinking enough water helps flush bacteria from the urinary tract and supports overall kidney function.
• Practice Good Hygiene: Wiping from front to back, wearing breathable cotton underwear, and avoiding harsh soaps can reduce the risk of infections.
• Strengthen Pelvic Floor Muscles: Kegel exercises can help prevent incontinence and support bladder control.
• Maintain a Healthy Diet: Limiting bladder irritants like caffeine, spicy foods, and acidic beverages can help manage symptoms of overactive bladder and IC.
• Regular Medical CheckUps: Annual visits to a gynecologist or urologist can help catch potential issues early and ensure comprehensive care.
When To See a Urologist
Women should consult a urologist if they experience recurring UTIs, incontinence, pelvic pain, or any other persistent urinary symptoms. Early diagnosis and intervention can prevent complications and improve quality of life. Women’s urologic health is an essential but often under-discussed aspect of medical care. By understanding common conditions, taking preventive measures, and seeking timely medical advice, women can maintain better urinary health and overall well-being.



Dr. Wolcott received his DDS degree from the University of Maryland School of Dentistry & keeps up-to-date on the latest dental trends through continued education. He has over 25 years of experience in the placement & restoration of broken, damaged & missing teeth.


Dr. Poupard, who is fluent in French, received dual DDSs from Paris Descartes University & University of Maryland School of Dentistry, where she also completed a one–year residency in General Dentistry. Dr. Poupard actively embraces new & improving technology & advances in dentistry through continuing education.
Dr. Centty, who is fluent in Spanish, received dual DDSs from Cayetano Heredia University &
of Dentistry, where she also



Training, Degrees:
• UCLA (University of California – Los Angeles) – Internal Medicine Residency
• Georgetown University – Gastroenterology Fellowship
Dr. Ebrahimi specializes in the diagnosis and treatment of the digestive tract:
• SCREENING COLONOSCOPY
• Esophagus
• Small Intestine
• Liver
• Nutrition
• Obesity
• Stomach
• Colon/Rectum
• Pancreas
• Weight Loss
• Hemorrhoids
• Gallbladder and Biliary Tree
• Gastrointestinal Malignancy
Practice Locations
7247 Hanover Parkway, Greenbelt, MD 20770
Phone: 301-345-5877 Fax: 301-345-5608 Fax: 301-238-7964

Submitted By Annapolis Asthma, Pulmonary & Sleep Specialists
Sleep apnea is a serious sleep disorder that affects millions of people worldwide, often without them even realizing it. This condition occurs when breathing repeatedly stops and starts during sleep, leading to poor oxygen levels and disrupted rest. If left untreated, sleep apnea can contribute to severe health problems, including heart disease, high blood pressure, and diabetes.
Types Of Sleep Apnea
There are three main types of sleep apnea:
1. Obstructive Sleep Apnea (OSA):
The most common form, caused by a physical blockage of the airway, typically due to relaxed throat muscles.
2. Central Sleep Apnea (CSA): A less common form where the brain fails to send the correct signals to the muscles that control breathing.
3. Complex Sleep Apnea Syndrome:
A combination of both OSA and CSA, requiring specialized treatment. Symptoms and Risks
Many people with sleep apnea are unaware they have it. Common symptoms include:
• Loud snoring
• Gasping or choking during sleep
• Daytime fatigue
• Difficulty concentrating
• Morning headaches
• Irritability or mood swings
Risk factors include obesity, smoking, excessive alcohol consumption, nasal congestion, and family history. Men are more likely to develop sleep apnea, though postmenopausal women are also at increased risk.
Diagnosis and Treatment
If you suspect sleep apnea, a sleep study (polysomnography) can confirm the diagnosis. Treatments vary based on severity and type, but common options include:
• CPAP Therapy (Continuous
Please see “Sleep Apnea,” page 63
Over 70 million Americans suffer from sleep disorders. Sleep problems affect both sexes, all races and all age groups.
Left untreated, sleep disorders can pose serious threats to your health. Heart attack, heart failure, irregular heartbeats, stroke, diabetes, hypertension, acid reflux, attention deficit disorder and depression are conditions associated with sleep problems.
At Annapolis Asthma, Pulmonary & Sleep Specialists, we provide expert diagnosis and treatment to help you achieve restful, healthy sleep.



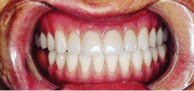
By Karl A. Smith, DDS, MS
Hollywood stars know the power of a beautiful smile. Celebrities seem to have perfect teeth, but just like the rest of us, they’ve had a little help from their dentist.
If periodontal tooth and gum issues are not treated in advance of beautiful cosmetics, you may be wasting your time and money. Periodontics are the foundation of a healthy smile and can make the money you spend on beautiful teeth last many years longer.
Opened wide in a positive way, your smile can help make new friends, close a business deal, cheer up a broken heart and ensure that other people feel good about you. How you feel about your smile, directly relates to how much you actually use it.
Do you like your smile? If not, you may be missing out on a beautiful and healthy smile that will give you the self-confidence you deserve. And, it goes one step further, healthy teeth and gums are the foundation of a healthy body – as your oral health directly impacts your overall health.
Advanced dentistry and good periodontal (gum) care can help you achieve the ultimate show-stopping smile. Dental implants will give you back your smile with natural looking and fully functional teeth that best replace your own. Gum grafting can reduce a “gummy smile” to show more of your teeth and open up your beautiful smile.
Laser treatments that utilize less invasive procedures can control and eliminate periodontal disease to help save your natural teeth and gums. An experienced periodontist can provide you with countless options for improving your smile and keeping your gums and teeth healthy for life.
The effect of a missing tooth is not only devastating to your smile, but it’s detrimental to your long-term oral and medical health. It’s not just about unsightly gaps; people missing teeth lose supportive gum tissue and the bone that surrounds other teeth, and eventually the supporting bone in the jaw begins to dissolve. Studies show that people with all of their teeth can live on average 10 years longer than people with missing teeth.
Having gaps where teeth are missing affects the way the jaw closes as the remaining teeth begin to tilt and drift into the gaps. Food can become trapped in these spaces, increasing the risk of decay and gum disease. The tilting and drifting can also cause problems for the opposing teeth as your bite becomes off-balanced and you may begin to experience jaw and joint problems.
Without the support of your teeth and facial bones, your face will begin
to look prematurely aged. Lost teeth affect what you eat and how you swallow and process food and how you speak and function on a daily basis.
The good news is that an experienced periodontist has the advanced training beyond their regular dental degree to prevent, diagnose and treat periodontal (gum) disease with the most advanced laser therapy to help keep your smile healthy and beautiful. A periodontist can also offer personalized solutions to replace your

missing teeth, repair your damaged gums, and prevent or rebuild bone that may have been lost.
Your teeth provide much more function than just the ability to chew. They are necessary for the health of the gum and jaw tissues as they provide a strong foundation for a truly beautiful smile. Take control of your preventative dental health. Make an appointment for a complete periodontal evaluation with an experienced periodontist today. You will be glad you did.





(and they love to refer to us as friends and family).
team works together to ensure your visit is enjoyable, and that your treatment is gentle and pain-free.
deeply committed to help you prevent and treat periodontal (gum) disease, and to enhance your smile to improve your overall health.



Maintaining optimal dental health is crucial for overall well-being, and finding a dental office that offers comprehensive care under one roof is a game-changer. Total Dental Care is a well-established dental practice that takes pride in providing detailed and comprehensive services in various specialties, ensuring patients receive top-notch care for their unique dental needs.
General Dental Services: Total Dental Care excels in offering a wide array of general dental services, including routine check-ups, cleanings, and preventive care. Our experienced team focuses on early detection and intervention to prevent dental issues from escalating.










Specialized Services: Whether you require orthodontic adjustments, periodontal treatments, Invisalign,
dental implants, prosthodontics, oral surgery, extractions, root canals and endodontic treatments, or restorative and cosmetic dentistry, Total Dental Care has you covered. Our specialists are experts in their respective fields, ensuring you receive tailored treatments for your specific dental concerns.
Cutting-Edge Technology: Total Dental Care stays at the forefront of dental technology, offering services such as digital intra-oral cameras, cone-beam CT scanners, and teethin-a-day. Our commitment to utilizing advanced techniques ensures effective and efficient treatments while minimizing complications.
Sedation Options: Understanding the anxiety some patients may feel, Total Dental Care offers laughing gas, oral sedation and IV general anesthesia options. Our goal is to create a comfortable and stress-free envi-
Please see “Healthy Smile,” page 62

By Jeffrey L. Brown, DDS Sleep & TMJ Therapy
It is almost impossible to maintain a nice smile when you are hurting, and especially when that pain comes from TMD (Temporomandibular Disorder). When the discs in the jaw joints are out of place, they can and will pinch nerves and blood vessels in the jaw joints. This is a concept that few doctors understand as it was
never taught in school. Such training often requires extensive post-graduate education, and oftentimes that can be very hard to find!
As a patient, you should be aware that there are many ways to treat the TMJ disorder. To figure out which one(s) are right for you, the first step is diagnosing. A proper diagnosis is where it all starts and that means a very good MRI (soft tissue) and CBCT x-ray of the joints. From there, your



course of treatment might include orthotic (non-surgical dental oral appliance treatment), physical therapy, osteopathy, dry needling, acupuncture, massage, and even laser therapy.

L.
At our office, we most frequently use appliance therapy to make space for the displaced discs to return into the socket. Along with your appliances, we oftentimes do massage or laser therapy. This is a specialty treatment. Our massage therapist incorporates the Fotona laser to achieve good energy deep into the tissues to maximize healing. It quite honestly feels “wonderful” according to our patients.
When a patient wears an orthotic appliance on their lower teeth, this allows the displaced discs the chance to get back into proper position within the socket. This takes time. Most cases the displacements occurred over the course of years and it often takes a year for those discs to go back into place, if they will at all. In the event that they do not go back where they belong, a minor surgery can be done to put them back into the joints. This is called plication.
Dr. Jeffrey Brown has limited his practice to focus only on TMJ Disorders, Craniofacial Pain Management and Sleep Apnea. By fixing slipped discs in the jaw joints, Dr. Brown can significantly reduce the pain patients experience in the head/neck region and other symptoms associated with jaw joint problems. Sleep & TMJ Therapy may be able to improve the quality of life for you or a loved one – we encourage you to contact us with any questions or concerns.
“Dr. Brown and his staff are absolutely wonderful. I was diagnosed with Dystonia. I could not turn my head and had a ton of pain. My doctors offered no help and no advice besides Meds and Botox. Since having the appliance I have NO pain and I can turn my head. I would highly recommend them to anyone. I feel Dr. Brown and his staff really care about their patients and helping them to get better. They do not just numb the symptoms but fix the problem. Thank you from the bottom of my heart. I feel like the old me again!”
- D. Thomas
“My daughter has been treated by Dr. Stack and Dr. Brown for the last 2 1/2 years, and we are very fortunate to have found them. Prior to that she was being treated by a neurologist at a Children’s hospital. She was on medications for tics and associated muscle pain, OCD/repetitive thoughts, sleeplessness and more (all possibly associated with Tourettes). Drs. Stack and Brown installed spacers to alleviate pressure on nerve bundles in the jaw, and subsequently braces to complete the process. Her symptoms have diminished significantly. She is off medication, her tics have all but disappeared, she can concentrate better in school, and she is once again cheerful and relaxed.”
- Susan

The other appliance that is used is the ALF. This little wire has the ability to open up the palate which makes it easier to breathe. It can also lower a high palatal vault which allows better nasal breathing. When a person breathes through their nose more, this allows for better production of nitric oxide which helps the body to heal better. It also helps level the cranial bones to some extent and thus reduce asymmetry of the skull. This little device really is amazing. Admittedly, it takes years of training to get a handle on it, but it is well worth it.
Ultimately, when a TMD case has healed or improved enough to not need surgery, it is time to finish up so you do not need to wear appliances any longer. This can be accomplished either by orthodontics or prosthodontics. The purpose is to support your jaw joints and the discs in the correct anatomical position. It is important that you understand the mechanism of how this works so choose your provider carefully and do your research! Your smile is worth it.

By Ahmet Aybar, MD Annapolis Pediatric Gastroenterology and Nutrition
collect tissue samples to check for eosinophil levels.
Allergy Testing: Identifying specific triggers through skin or blood tests can help guide treatment.
Treatment Options
Managing EoE involves reducing inflammation and avoiding triggers:
Eosinophilic esophagitis (EoE) is a chronic inflammatory condition of the esophagus that affects both children and adults. In children, it can lead to feeding difficulties, poor growth, and significant discomfort. Understanding this condition is crucial for early diagnosis and effective management to ensure your child’s well-being.
What Is Eosinophilic Esophagitis?
EoE occurs when eosinophils, a type of white blood cell involved in allergic reactions, accumulate in the esophagus. This buildup leads to inflammation, which can cause pain, swelling, and difficulty swallowing. EoE is often triggered by allergic reactions to specific foods or environmental allergens.
Symptoms Of EoE In Children
Children with EoE may experience a variety of symptoms depending on their age.
• Infants and Toddlers:
• Feeding difficulties
• Vomiting
• Failure to thrive (inadequate weight gain or growth)
• Older Children and Teens:
• Difficulty swallowing (dysphagia)
• Food getting stuck in the esophagus (impaction)
• Chest or abdominal pain
• Persistent heartburn or acid reflux that doesn’t respond to medications
Causes and Risk Factors
The exact cause of EoE is not understood, but it is strongly linked to allergic reactions. Common triggers include:
Food Allergens: Milk, eggs, wheat, soy, nuts, and shellfish are frequent culprits.
Environmental Allergens: Pollen, dust mites, and pet dander can contribute to symptoms.
Genetic Factors: A family history of EoE, asthma, or other allergic conditions increases the likelihood of developing EoE.
Diagnosis Of EoE
Diagnosing EoE involves a combination of clinical evaluation, allergy testing, and endoscopic procedures: Endoscopy and Biopsy: A gastroenterologist will examine the esophagus with a flexible tube and
Dietary Management: Elimination diets, such as the six-food elimination diet (SFED), can identify and remove problematic foods.
Medications: Proton pump inhibitors (PPIs) and corticosteroids (topical or oral) are commonly used to reduce inflammation. A new emerging
therapy using Dupixent has proven to be very effective eliminating the need for strict dietary restrictions.
Allergy Therapy: In some cases, immunotherapy may be recommended to address environmental allergens.
The Role Of Long-Term Care EoE is a chronic condition, requiring ongoing management to prevent complications such as esophageal narrowing (strictures). Regular follow-ups with a pediatric gastroenterologist are essential to monitor symptoms and adjust treatment as needed.
Supporting Your Child
Living with EoE can be challeng-
ing, especially for children who must adhere to strict dietary restrictions. Here are ways to support them:
Educate Your Child: Teach them about safe foods and how to recognize symptoms.
Work with a Dietitian: Professional guidance ensures your child gets the necessary nutrients while avoiding allergens.
Join Support Groups: Connecting with other families facing similar challenges can provide encouragement and resources.




At Annapolis Pediatric Gastroenterology and Nutrition, we specialize in diagnosing and treating digestive challenges in children from infancy to early adulthood. Our board-certified team, led by Dr. Ahmet Aybar, delivers compassionate care tailored to your child’s unique needs.
Comprehensive Services: Treatment for conditions such as Crohn’s Disease, GERD, Ulcerative Colitis, Celiac Disease, and more.
Trusted Expertise: Procedures performed at Anne Arundel Medical Center by Dr. Aybar, a renowned pediatric gastroenterologist.
Family-Centered Care: We take the time to listen, explain, and provide guidance for every step of your journey.
or visit us at 130 Lubrano
Suite #212, Annapolis, MD 21401 to schedule your appointment today.
Family Wellness Services
• Natural and Herbal Remedy Consults
• Family Planning
• Childbirth Education
• Natural Healing Education
Women’s Health/Womb Wellness
• Birth/Postpartum Doula Services
• Fertility Support
• Womb Meditation
• Womb Massage
• Vaginal/Yoni Steams
Spiritual and Mental Wellness
• Etheric Touch Sessions
• Reiki Sessions
Coming Soon:
• House Blessings
• Divinations
• Doula Training begins January 2024 for In Person Classes
Shirleta Henson McKann 410-265-9393
319 Crain Highway, S. Glen Burnie, MD 21061
Walk-In Hours Every Tuesday 4pm-7pm
Facebook: DReM’s Legacy Holistic Wellness Center
Instagram: @drems.legacy.holistic.wellness


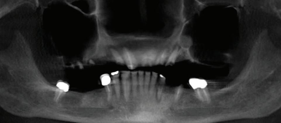
Submitted By Sivakumar Sreenivasan, DMD, MDS Dental Implant Center of Rockville
Can just four implants replace all of the teeth on the top or the bottom of your mouth? Thanks to advances in dental implant technology, that answer is a resounding yes.
Tooth loss is extremely common among adults, especially as we age. Rather than living with the discomfort and hassles of dentures, many people are opting for what is called “all-onfour” dental implant restoration.
An implant is a small titanium





screw that fits inside your jawbone and replaces the root-part of a missing tooth. Minor surgery is required to insert the implants. Once the implant is in place, a crown is attached to give you a highly realistic-looking and functional prosthetic tooth.
You do not need a dental implant for each and every one of your missing teeth. All you need is four precisely placed implants on the top of your mouth, and four on the bottom, to restore your full smile. That’s the beauty of the all-on-four. And because the implant is made of titanium, it has the unique ability to fuse to living bone and function as part of it. So eventually, the dental implant becomes part of the jawbone and serves as a strong, longlasting foundation for your new teeth.
Besides ensuring that your implants are permanently fixed in place, this bone fusion has another important benefit: it prevents future bone loss in the jaw. This helps to maintain a more youthful facial structure – and better
Please see “All-On-Four,” page 62



Choose Adventist Medical Group Primary Care in Fort Washington, Maryland, to provide a full range of primary care services for adults.
Learn to better manage your health and prevent illnesses with personalized care from our experienced, primary care providers. Our specialists in family medicine and internal medicine work as a team to deliver expert care when you need:
• Same-day Sick Visits
• Women’s and Men’s Health and Wellness Exams
• Health Physicals, Health Maintenance and Preventive Care
• Geriatric (Senior) Wellness Exams
• Vaccinations and Immunizations, including Flu Shots
• Health Management for:
• Asthma and Allergies
• High Blood Pressure
• High Cholesterol
• Diabetes
• Heart Disease
You also benefit from coordinated care that helps you effectively handle all aspects of your health—from preventive medicine and preoperative appointments to management of chronic health conditions.
To schedule an appointment, please call 240-724-6018
10709 Indian Head Highway, Suite D1 Fort Washington, Maryland 20744 AdventistMedicalGroup.org

By Anne C. Crowley, Acupuncture Physician, Health and Life Coach Sarasota Acupuncture Center
Understanding our Five Element Constitutional Type is a Magical
Key into the window of healing both physically and mentally.
Unlocking which element you fall into can lead to more energy, vitality and health both mentally and physi-
Learn the Magical Keys of Your Constitutional Type: Wood, Fire, Earth, Metal, Water to Make Major Transformations in All Areas of Your Life.
5 Element Constitutional Coaching Has Helped with: Anxiety and Stress Management • Weight Loss Relationships • Fertility • Anti-Aging • Pain Management

CONTACT ANNE FOR YOUR FIRST CONSULT ON YOUR 5 ELEMENT TYPE AND GET A PLAN TO WALK AWAY WITH AND START MOVING FORWARD!
Herbal Consults are also available! – anne@sarasotaacupuncture.com www.SarastoaAcupunctureCenter.com – 301-752-2398 (text or call)
Want to Lose Weight? Email Anne to learn about her exclusive Weight Loss video series!
cally. You will see the strengths and weaknesses of your element, and ways to dance with them to live your most fulfilling life. When you gain a deeper understanding of your own element you will see how to best interact with the elements of those closest to you.
Wood/Spring: Meridians Liver, the Planner, Visionary; Gallbladder, the general who executes the plans. Wood likes things moving smoothly. Otherwise there is anger, frustration, disappointment. Wood wants to move forward!
Fire/Summer: Meridians Heart, the Supreme Controller, Small Intestine in charge of filtering major heart decisions, the Heart Protector which filters insults to the heart, the Triple Heater which is the outside ambassador to the heart. Fire is about compassion, friendships, love and romance.
Earth/Late Summer: Earth is
about reaping your harvest, it’s about giving and receiving. Often we are giving too much and not willing to receive. The meridians are Spleen (Pancreas), about transporting our food, about good metabolism. The Stomach meridian is about disseminating information as we do with food. When things aren’t moving smoothly we have upsets to the digestive and elimination process.
Metal/Autumn: Metal is about honoring the preciousness in life and feeling the grief we must ultimately bear. The season shows the beauty and the letting go of the magnificent fall leaves. It is the Lung meridian of Taking in the Inspiration, the breath, and The Large Intestine meridian of letting go of what no longer serves us.
Water/Winter: Water is the
Please see “Five Elements,” page 65
•
•
•
•
•
•
•



Dental FX
Invisalign clear aligners are designed to correct mild to moderate alignment issues, including:
• Overcrowded teeth
• Twisted teeth
• Overlapping teeth
• Bite issues
Additionally, these aligners are virtually invisible and do not detract from your smile. If you – like most of us – can’t picture yourself in metal and wire braces, change the picture.
Imagine instead your teeth straightening over time, and most people not even aware that you’re
undergoing orthodontics. With Invisalign, you live your best life during treatment, and after – it does not have to be one or the other.
How Invisalign Works
The first part of the process calls for a friendly chat and exam with your Invisalign dentist, who will examine your teeth, take x-rays, and talk to you about your smile. Your dentist will want to know what you hope to achieve, and this exam and chat helps determine whether Invisalign is the best option for you. If Invisalign is the right choice, impressions are taken of your smile, and the Invisalign lab uses these models to design your Invisalign clear aligners. Every couple of weeks, you change to a new aligner until you have exhausted the supply, and your new smile is ready for the world. You will be given an accurate estimate of how long you will need Invisalign therapy
Following therapy, you are supplied with a custom retainer to remind your teeth that “straight is their new normal.”
The Benefits Of Invisalign
Aside from straight teeth and

By Alicia Kovach, DC Kovach Chiropractic
an increasing number of parents are turning to chiropractors to address their children’s everyday health concerns. Common issues like allergies, bed-wetting, asthma, colic, ear infections, stomach-aches, sore throats, colds, and numerous other childhood ailments prompt this growing trend as children undergo their developmental stages.
The primary objective of chiropractic care is to eliminate any interference that may disrupt the natural
healing power flowing through the body. It is essential to grasp that chiropractors do not target specific diseases or conditions. Instead, the knowledge and expertise of a chiropractor are utilized to examine the child’s spine for misalignments that may hinder nervous system function, consequently impacting overall bodily functions.
A frequently posed question to chiropractors is whether the chiropractic adjustment causes discomfort for the child. The unequivocal answer is no. Chiropractors specializing in pediatric care employ highly specific and gentle techniques tailored for children. Adjustments for very young children can be as subtle as a featherlight touch, often going unnoticed by the young patient.
Parents of children who have undergone regular chiropractic care often report witnessing improvements in behavior, attitude, sleeping habits, and an overall enhanced immune system. Chiropractic care for children estab-
Please see “Chiropractic Care,” page 62














By Gary Feldman, DPM, FACFAS The Center For Advanced Orthopaedics
What Is Ankle Joint Replacement Surgery?
Ankle joint replacement, or total ankle arthroplasty, is a surgical procedure to relieve pain and restore mobility in individuals with severe arthritis unresponsive to conservative
treatments. It aims to enhance movement and improve quality of life.
This procedure may also be recommended for elderly patients with severe fractures due to osteoporosis or in cases of tumors in the ankle joint.
What Is Ankle Arthritis?
The ankle joint connects the leg and foot, allowing movement. It consists of the tibia and fibula bones articulating with the talus, covered in cartilage for smooth motion. Damage to this cartilage results in arthritis, leading to pain and limited function. Causes include infection, fractures, connective tissue disorders, excessive stress, rheumatoid arthritis, and osteoarthritis. How Is Ankle Arthritis Diagnosed?
Diagnosis involves a medical
Please see “Replacement,” page 62


Loves bike rides with Mom. Can’t wait to do it more.

Knows it’s time to make a change. And CalvertHealth has a plan.
Has carried extra weight for years. Now, she’s ready to let it go.
Carrying excess weight can feel overwhelming, but it doesn’t have to de ne your life.
With CalvertHealth’s Non-Surgical Weight Management, you’ll have an expert-led team guiding your transformation every step of the way.
Now Treating Patients in Prince Frederick and Waldorf!

Our team will work with you to design a personalized plan that may include:
Lifestyle Guidance: Sustainable habits for long-term success
Dietary Support: Nutritional advice to fuel your journey
Medical Solutions: Weight-loss medications to jump-start your transformation






Hyperbaric Oxygen Therapy (HBOT) is emerging as a transformative wellness tool in women’s health. By delivering oxygen at higher-than-normal atmospheric pressure, HBOT enhances cellular function, boosts skin health, and supports overall well-being. This non-invasive therapy has long been recognized for its healing capabilities, but
its applications in beauty and longevity are now gaining widespread attention. How HBOT Enhances Beauty and Wellness
During an HBOT session, individuals enter a sealed chamber where pure oxygen is delivered under increased atmospheric pressure. This heightened oxygen availability allows the body to optimize healing, combat signs of aging, and rejuvenate skin at a cellular level. Unlike topical treatments, HBOT works from the inside out, making it an ideal holistic approach to beauty and well-being.
Key Benefits For Women’s Health and Beauty
HBOT offers a multitude of benefits specifically suited for women looking to enhance their natural beauty and maintain optimal health. Some of its most remarkable effects include:
Please see “Women’s Health,” page 65







By Molly McKinney, FNP-BC New Day Vitality Hormone Center
If your New Year’s resolution to lose weight hasn’t been going as well as you’d hoped, don’t give up yet! Did you know that sex hormones impact many weight-related processes? From metabolism and muscle mass to sleep patterns and food cravings, sex hormones are crucial pieces in the weight-loss puzzle.
If you’re concerned about trying hormone replacement therapy (HRT), the latest medical research supports that HRT is safe for almost all women and does not increase all-cause mortality.
Now, here’s how estrogen, progesterone and testosterone link to the battle of the bulge:
Sex Hormones Impact Sleep. Estrogen impacts the human thermostat and the resulting hot flashes and night
sweats can wreak havoc on sleep. Progesterone, a sleep-promoting hormone, also diminishes through menopause.
Belly Fat Blooms. Even without weight gain, middle-aged bodies start changing shape. For women, declining estrogen causes fat to be stored in the belly, not thighs and backsides. And belly fat is bad. It produces toxins that interfere with insulin metabolism. The resulting drastic ebb and flow of blood sugar impacts appetite and energy levels and is associated with Type 2 diabetes.
Muscle Matters . It’s a physiological fact that muscle burns more calories than fat tissue does. This makes muscle mass a key factor in weight loss. But menopause messes with muscle – even if nutrition and exercise stay constant. Testosterone (yes, it’s found in females) decreases

By Etwar McBean, MD, FACS The Bariatric & Hernia Institute, PC
Most individuals that suffer from obesity have a long history of gradual weight gain over many years that has been difficult to manage. The excess weight affects most organ systems of the body over time. Most people know about the common effects such as diabetes and high blood pressure but there are many other effects.
Cardiovascular disease can manifest as high blood pressure, heart failure, coronary artery disease with chest pains and a risk of early heart attacks, and leg swelling from disorders of the veins.
Respiratory disease is perhaps
one of the most overlooked problems associated with obesity. Many individuals who are struggling with their weight also struggle with shortness of breath when active. They get winded if they walk long distances, run, or even climb a flight of stairs. Others have problems such as sleep apnea that is often undiagnosed.
There are many metabolic effects such as a predisposition to diabetes mellitus that can be very difficult to control and at times requiring a combination of insulin and tablets. Other metabolic problems include high cholesterol and gout.
The gastrointestinal system can be affected with problems such as heartburn (reflux, GERD), gallbladder disease, and fatty liver disease.
The bones and joints are affected in the vast number of people with obesity. Many people have arthritis with complaints of pain in the knees or hips. Some folks will get severe back pain that limits their daily activities. Others are disabled by the severity of the arthritis.
Conditions in other body sys-
Please see “Obesity,” page 63

By Howard Horowitz, DPM Bowie Foot & Ankle
In Western medicine, we are most familiar with treatment via medication or surgery. However, there is another mode of medical treatment: physical medicine. It is less heralded in the West and used mostly for some chronic musculoskeletal conditions (MSK). For example, sometimes physical therapy (PT) may be recommended if drug therapy fails and before (or after) MSK surgery. PT is a form of physical medicine; the application of some external

physical force to the body to effect some diminishing of symptoms and/or speed healing. Massage therapy is ancient. The adage RICE/rest, ice, compression, elevation is still commonly employed for a sprained, swelling ankle. At physical therapy, aside from exercises and tissue manipulation, the therapist may apply electrical stimulation or deep heat through ultrasound to the injured tissue.
“Shockwave” for chronic MSK problems was originally developed in Europe decades ago. It involves not an electric shock but pressure wave pulses of specific frequency and intensity sent through the targeted tissue. When first used in the U.S., the device was the size of a large cabinet and cost a quarter million dollars and therefore was often rented for a session and brought to the doctor’s office. The energy pulses were quite high intensity so the therapy was performed under some form of anesthesia and in one session.
Fast forward to today and the types
Please see “Shockwave,” page 63

lab is on our premises which allows us to deliver same day repairs and relines. We also perform extractions for immediate dentures.
Our service is prompt and personalized and our price is right, so come on in!



By Lynda Dean-Duru, DDS Ashburn Children’s Dentistry
Proper breathing during sleep is crucial for the overall well-being of children, yet many parents may not be fully aware of potential issues related to Sleep-Related Breathing Disorders (SRBD), which includes pediatric obstructive sleep apnea (OSA).
SRBD refer to disturbances in normal breathing patterns during sleep, ranging from common snoring to more severe pauses in breathing known as apnea events. These interruptions can lead to sleep deprivation and a variety of health complications. In the case of children, untreated SRDB can result in developmental, behavioral, and emotional challenges, potentially leading to conditions like allergies, ADD/ADHD, and depression.
Pediatric OSA, a condition where the airway is partially or completely



blocked during sleep, is often caused by enlarged tonsils or adenoids and a lack of tongue space. It differs from adult OSA, as it may manifest alongside behavioral issues and daytime sleepiness in children.
Children with SRDB may present a range of symptoms, including:
• Difficulty falling or staying asleep
• Sleepwalking, night terrors, and other parasomnias
During the first 18 months of a child’s life, crucial growth and developmental milestones occur, many of which are related to facial development. Ensuring proper breathing is essential for a child’s health and development, impacting facial features, jaw development, and overall growth. Mouth breathing can set off a chain reaction of issues, altering the growth of the lower and upper jaws, midface, and nasal bones, ultimately affecting the child’s facial balance.
• Excessive daytime sleepiness
• Mouth breathing, dry lips, bad breath
• Dark circles under the eyes
• Tonsil and adenoid problems
• Snoring
• Teeth grinding
• Bed-wetting
• Inner ear infections
• Limited tongue/lip mobility
• Hyperactivity
• Difficulty concentrating
• Selective eating habits
• Bedwetting
In the case of pediatric OSA, symptoms may involve snoring, breathing pauses, restlessness, and coughing or choking episodes during sleep.
& Comprehensive Dental Care
• Regular Dental Exams
• Professional Teeth Cleanings
• Dentistry for Children with Special Healthcare Needs
• Digital X-Rays
• CBCT (Cone Beam Computed Tomography)
• Icon® Cavity Prevention
• Myofunctional Orthodontics
• Infant & Child Frenectomy
• Bebe Munchee® Tool Child Growth & Development
• Fluoride Treatment
• Sealants
• Pediatric Sedation Dentistry
• Laser Dentistry
• Baby Root Canal (Pulpotomy)
• StemSave™
• Mouthguards
• Tooth Extraction & Space Maintainers
• BabyLase™
• Sleep Apnea & Sleep Airway Treatments
• Tooth-Colored Fillings
• Dental Crowns
• Teeth Whitening Cosmetic & Restorative Care
• Lumineers
• Snap-On Smile®

Contrary to conventional belief, pediatric dentists with specialized training are well-equipped to address symptoms related to sleep and airway conditions. The airway, mode of breathing, and malocclusion are closely interconnected and should be addressed early and holistically by dentists. Advanced technology, such as cone beam 3D imaging, allows dentists to effectively diagnose airway issues and guide proper growth and development. Early intervention is essential in guiding proper growth and development.
Convenient at-home sleep study tests are now available to diagnose pediatric sleep apnea and breathing issues. These tests provide comprehensive, accurate data for proper diagnoses.
Treatment goals encompass the elimination of detrimental habits, guiding optimal cranial, jaw, and facial development, preventing dental misalignment, and enhancing airway health and oxygen sufficiency. Various therapies, including oral appliances, myofunctional therapy and positive airway pressure therapy, can effectively alleviate symptoms.



• Natural, safe, laser light energy is pulsed and absorbed by the subcutaneous tissue.
• Supercharges the body’s metabolism through ATP synthesis to burn fat as energy.
• Waste products are expelled from the body via sweat, urine and respiratory exhaustion.
• The body continues to burn fat for up to 4 hours after treatment.
• Collagen and elastin production is increased within the skin layers to rejuvenate and repair skin cells addressing cellulite, skin laxity and stretch-marks.


By James Lynch, MD responses.
Post-traumatic stress disorder (PTSD) and Anxiety are important women’s health issues. PTSD may be mistakenly associated with military veterans or first responders only. Many are unaware, though, that women have a two to three times higher risk of developing PTSD compared to men. Women are more likely to experience certain types of trauma, such as sexual assault, domestic violence, and medical trauma, all of which can lead to chronic stress
One innovative treatment, Stellate Ganglion Block (SGB), has been used for over 15 years to treat PTSD and anxiety symptoms. Numerous clinical studies published in the medical literature since 1990 have demonstrated SGB’s usefulness in treating women who suffer from anxiety or the lasting effects of trauma.
The autonomic nervous system plays a key role in regulating how the body responds to stress. In
cases of PTSD and chronic anxiety, the sympathetic nervous system— responsible for the “fight-or-flight” response—can become overactive, leading to persistent symptoms such as hypervigilance, feeling on edge, irritability, and sleep disturbances. Traditional treatments, such as therapy and medication, can be effective, but some individuals continue to struggle with symptoms.

James Lynch, MD
SGB is a medical procedure that involves injecting a long-acting anesthetic along the stellate ganglion, a cluster of nerves in the neck that influences the body’s stress response. By temporarily “turning off” these nerves, SGB helps reset the nervous system, allowing it to return to a more balanced state. Research has shown that this can lead to long-term improvements in anxiety, PTSD, and other stress-related disorders.

An appointment with Dr. Lynch is much more than just a procedure.
He takes time to listen and to explain all about the procedure and why it is so helpful to so many. Stellate Ganglion Block (SGB) is part of the healing process, which involves work you may do in talk therapy or other treatment modalities. Dr. Lynch shares his experience from thousands of patient interactions providing insight into how SGB may help accelerate your improvement. As a world expert in SGB, he is a resource for you, your family, and your other clinicians.
While SGB has been primarily studied in the context of PTSD, its benefits extend beyond trauma-related anxiety. Many women who experience high levels of stress, severe anxiety, or even medical conditions such as long COVID have reported significant relief after undergoing SGB treatment. Additionally, studies suggest that SGB may help reduce vasomotor symptoms, such as hot flashes, in menopausal women.
The SGB procedure takes less than 10 minutes and is performed under ultrasound guidance to ensure precision and safety. Most patients experience symptom relief within 30 minutes to a few days, with effects lasting for months or even longer. Unlike medications that require daily use, SGB offers a potential long-term solution with minimal side effects.
For women struggling with anxiety or PTSD, stellate ganglion block is an innovative approach to symptom management. Adding this safe, simple outpatient procedure offers a valuable option to complement other treatments such as talk therapy. As evidence has accumulated over the past 15 years, SGB has become a vital tool in the broader effort to improve mental health care for women.


At Outreach, we believe that mental health is just as important as physical health. Whether you’re struggling with anxiety, depression, or other emotional challenges, we offer a safe, compassionate space where you can begin your journey to healing.
We understand that life can feel overwhelming, but there is hope. Our team of caring professionals is here to support you every step of the way with personalized mental health counseling and medication management.
Our compassionate addiction services provide personalized care, tailored treatment, and a supportive community to help you or your family regain control of their lives. Whether you’re seeking outpatient counseling, detox support, or long-term recovery solutions, we’re here to walk this journey with you—because your health, happiness, and future matter.
Reach out today and take the first step toward lasting wellness. It’s time to prioritize your wellbeing.


Dr. Brown’s practice focuses on TMJ, sleep apnea and orthodontics. This allows Dr. Brown and his team to provide individualized, focused care for patients dealing with these specific issues. Every day, his practice helps patients of all ages with facial development, sleep issues, chronic headaches, migraines, neck pain, movement disorders, and much more. His training also includes multiple disciplines involving the cranial bones in the skull, and the discs in the jaw joints. Through treatment, Dr. Brown is able to reduce these symptoms, align cranial bones, avoid extractions, and greatly reduce the need for traditional braces. His expertise allows him to identify issues early on which promotes proper facial development using dental appliances. If there is an internal imbalance, whether an adult or child, the body does not develop or function properly. When the cranial bones are lined up correctly, patients are able to function, sleep and generally live better.
With that in mind, the team at Sleep & TMJ Therapy takes a whole-body approach when treatment planning. They work hand in hand with physical therapists and osteopathic doctors for a better success rate. Dr. Brown is devoted to helping patients of all ages live a symptom free life.
Degrees & Certifications
Dr. Brown earned his degree from Georgetown Dental School and completed residencies with Emory University Hospital for Dental Sleep Medicine and the ALF Appliance Therapy Institute.
Outside the Office
When not seeing patients, Dr. Brown is a sought-after speaker. He has lectured all over the world, including D.C., Dubai, Seoul, London, Norway and Toronto. He has also been featured on Channel 9’s Good Morning Washington, several podcasts, and numerous magazines and journals.
Professional Affiliations
Dr. Brown is a diplomate of the American Academy of Craniofacial Pain, a member of the American Academy of Dental Sleep Medicine, American Academy of Gnathological Orthopedic, Academy of Integrative Pain Management American Dental Association, a Fellow of the American Academy of Craniofacial Pain, and Legacy Provider for the ALF Interface Academy.
Do you have TMD or Sleep Apnea?
TMD Symptoms: Noise in the jaw joints when opening and closing your mouth, difficulty chewing, limited opening, tender facial muscles, ear ringing, uncomfortable bite, jaw locking, headaches, migraines, dizziness, vision issues as well as pain in the jaw area which can radiate to the ears, head, neck, shoulders, and back.
Sleep Apnea Symptoms: Snoring, waking up gasping for air, feeling tired and irritable in the morning, difficulty controlling weight, concentration problems, morning headaches, episodes of not breathing, waking with a sore throat, forgetfulness and mood changes.
If you believe you may be suffering from TMD or Sleep Apnea, don't wait... Call today to schedule a consultation with Dr. Brown: 703-821-1103.

Dr. Smith is a dentist who also specializes in treatment of gum disease, cosmetic smile enhancement procedures, and dental implants to replace teeth that are missing. Although no one likes to go to the dentist, he strives to make your visits as comfortable and pleasant as possible. He strongly believes that value and comfort is an important part of quality dental care.
The right to choose a dentist and provider of care is an important freedom. Referrals from patients and friends of the practice are welcome. We also work closely on referral from your family dentist, but a referral is not required to visit our office. Everyone that is interested in keeping their teeth for a lifetime should see a periodontist for screening.
Dr. Smith’s colleagues describe him as a gentle, easy-going person that provides expert care to patients. People come from near and far to experience the comfort of his office and patient-oriented team. He has been consistently voted by his peers a Top Dentist in Washingtonian Magazine , and Northern Virginia Magazine
WITH DR. SMITH:
Dr. Smith says that “From the first phone call you will be treated with care and concern for your unique dental condition. Every question you have ever had about your dental health will be covered as well as any financial considerations you may have. It is my goal to care for each and every person that comes through my doors and to exceed your expectations from a dental office. I promise to always give you honesty and accuracy when it comes to your treatment. I will never start treatment without your full knowledge, understanding, and acceptance of your condition.”
“Please call my office to ask about our
Doctor of Dental Surgery Degree from the University of California, Los Angeles 1981. General Practice in the U.S. Air Force Dental Corps.. Successfully completed three additional years of advanced training in the specialty of Periodontics, Dental Anesthesia and Implants in 1992 at the University of Texas Health Science Center, San Antonio and Wilford Hall USAF Medical Center. Retired from the U.S. Air Force as a Lieutenant Colonel in 1996. Fellowship in the Academy of General Dentistry and in DOCS, a sedation organization for dentists.

Only Non-invasive Laser Device With FDA Approved, IRB, and Clinically Proven Results For:


• Natural, safe, laser light energy is pulsed and absorbed by the subcutaneous tissue.
• Supercharges the body’s metabolism through ATP synthesis to burn fat as energy.
• Waste products are expelled from the body via sweat, urine and respiratory exhaustion.
• The body continues to burn fat for up to 4 hours after treatment.
• Collagen and elastin production is increased within the skin layers to rejuvenate and repair skin cells addressing cellulite, skin laxity and stretch-marks.


Dr. Shin is the founder and president of BCC Pediatric Dentistry. She is a Board-Certified Pediatric Dentist with more than 20 years of practice experience. Among other awards and recognitions, Dr. Shin has been selected by her peers as a Washingtonian Top Pediatric Dentist and a Bethesda Magazine Top Pediatric Dentist. Dr. Shin’s experience spans a diverse range of locations, settings, and organizations. She was Associate Professor of Pediatric Dentistry for the Advanced Post-Graduate Pediatric Dentistry Residency at the University of Southern California (USC). Dr. Shin practiced pediatric dentistry at a Native American Reservation in Montana. After 911, she joined the Army and served as an active-duty military officer and pediatric dentist at Walter Reed Army Medical Center, in Washington DC. Dr. Shin was also the first Korean-American female to hold the position as the division head of the Pediatric Dentistry and Orthodontic Dental Clinic at the Children’s Hospital of Los Angeles. These and other positions throughout the years have provided Dr. Shin with invaluable pediatric dentistry experience and unique expertise. Most of all she loves children, likes to make them laugh, and is constantly trying to learn more about them and their accomplishments. That includes her patients and her son, daughter, grandkids, and your child too!
Dr. Shin’s Article on Page 43

Dr. Craig Smith is committed to health through dentistry, ensuring you have optimal oral health which contributes to your overall health and well-being.
Quality service, advanced technology and a passionate commitment to education means patients receive the best that dentistry has to offer.
Dr. Smith’s Philosophy: Always listen to the patient and in turn respond in an educational manner so that the patient will understand.
Degrees, Training, and Certificates: Doctor of Dental Surgery (D.D.S.) - Howard University College of Dentistry; 2 Year General Practice Residency; Chief Resident - Harlem Hospital Center (Affiliate of Columbia University); Certified Invisalign Provider
Professional Memberships: National Dental Association
Areas of Interest: All phases of dentistry - cosmetic, implant, crowns and bridges, root canals, veneers, preventive care, Invisalign and whitening.
Hobbies: Mountain biking, racquetball, golfing, and boating. My interests are to continue to deliver quality dentistry and to further reach out to the community to help to increase the peace.
Additional: Many patients do not understand the importance of a healthy mouth, as health problems could arise. I want to educate all of my patients on health through dentistry.


ThunderBird Dental Office, affectionately known as the ThunderBird, has been providing dentures and denture repairs for over 40 years. Our dental lab is on our premises which allows us to deliver same day repairs and relines. We also perform extractions for immediate dentures. Our service is prompt and personalized and our price is right, so come on in!
Graduate of Howard University College of Dentistry in Washington, D.C.
Completed General Practice Residency At Saint Elizabeths Hospital in Washington, D.C.
Served as a Civilian Dentist at Ft. Meade Army Base, Ft. Meade, Maryland
Served as Clinical Director at Oak Hill Juvenile Detention Center, Laurel, Maryland
Member Of: ADA American Dental Association
MSDA Maryland State Dental Association
20680 Seneca Meadows Parkway, Suite #218

Dr. Mary Alexander, periodontist, obtained a Bachelor of Science degree in Biology from the University of South Carolina and continued her education in dentistry at the University of Maryland School of Dental Surgery where she received her DDS degree. Prior to and during her dental studies, Dr. Alexander received funding and support from the National Institutes of Dental Research for her involvement in the periodontal research. After obtaining her DDS degree Dr. Alexander spent one year at the Veteran’s Administration Hospital, in general practice residency focusing her training in the area of anxiety patient management. She then attended Harvard University and earned her clinical specialty in periodontics and a doctorate in medical science. Her doctoral research was focused in the study of bone function and metabolic disease of the bone.
Dr. Alexander received extensive training in dental implantology, periodontal plastic surgery, bone regenerative procedures and sedation dentistry. All aspects of Dr. Alexander’s training are incorporated in her periodontal practice assuring patient’s thorough and comprehensive periodontal treatment.


Oral and Maxillofacial Surgeon
Diplomate, American Board of Oral & Maxillofacial Surgery
DMD, MDS • OMFS, MD, PA
77 South Washington Street Suite #205, Rockville, MD 301-294-8700
www.OMFSMD.com

Dr. Sreeni came to the United States as an Oral and Maxillofacial Surgeon in the year 1990 and put himself through dental school again at Boston University and Oral and Maxillofacial Surgery residency at University of Medicine and Dentistry of New Jersey.
As an Oral and Maxillofacial Surgeon, Dr. Sreeni manages a wide variety of problems relating to the Mouth, Teeth and Facial Regions. He practices a full scope of Oral and Maxillofacial Surgery with expertise ranging from Corrective Jaw Surgery to Wisdom Teeth Removal. His passion is in implant surgery and he is well known for same day placement of implants following teeth removal be it for single teeth or a complete “makeover” (Smile in a day). He can also diagnose and treat Facial Pain, Facial Injuries and TMJ disorders and perform Bone Grafting and Sinus lift procedures.
Dr. Sreeni completed a residency in Anesthesiology at Mount Sinai Hospital, New York in 1994 and has worked as an Attending providing anesthesia services for children and adults in the ambulatory out-patient center of the hospital.
Dr. Sreeni is an Advanced Cardiac Life Support instructor with the Adventist group. He is also certified in Pediatric advanced life support and is very capable of handling emergencies that could possibly arise in the office. Dr. Sreeni’s staff are trained in assisting with IV Sedation/General Anesthesia within our state of the art office setting. Patients are continuously monitored during and after surgery. The goal of our office is to provide professional service with compassion and an understanding of the patients’ perspective.

Dr. William Baca is a seasoned chiropractor with 24 years of experience and board certification, practicing in Maryland with physical therapy privileges. His journey into chiropractic began as a young patient following a judo injury, sparking a lifelong commitment to holistic care. After serving as a radar operator in the Navy and working as an EMT, he earned his Doctorate in Chiropractic from Palmer College in 1999. Dr. Baca practiced in Nevada before rejoining the Navy as an Aerospace and Operational Physiologist, all while continuing patient care. Now based in Solomons, he adopts a “whole person” approach to address the root causes of pain. Dr. Baca has a dedicated patient base, including weekly visits to the Amish and Mennonite community. He and his wife, Kellie, run Baca Chiropractic Services, a flexible, home-based practice that prioritizes personalized care.


15005 Shady Grove Road Suite #220, Rockville, MD 7501 Greenway Center Drive, Suite #410 Greenbelt, MD

Dr. Baxi is a Board Certified, Fellowship-trained GYN surgeon specializing in minimally invasive surgery. He completed his General Surgery internship at the Jewish Hospital of Cincinnati and an Obstetrics & Gynecology residency at Oakland University William Beaumont School of Medicine. He was awarded the Special Resident in Minimally Invasive Surgery Award by the AAGL. He then completed a fellowship in minimally invasive GYN surgery at Mohawk Valley Health System, earning COEMIG certification.
Dr. Baxi has numerous publications in the Journal of Minimally Invasive Gynecology and has presented at major national meetings. He has received the Arnold P. Gold Foundation “Teaching and Humanism in Medicine” Award and serves as a site director for OB/GYN residency at Doctor’s Community Hospital. His practice emphasizes exceptional surgical care and compassionate patient treatment. Dr. Baxi’s philosophy is to treat patients with the same respect and care he would expect for himself.

Comprehensive Women’s Health (CWH), located in Silver Spring and Glen Dale, Maryland, offers personalized primary and concierge care, including health optimization, chronic care, preventive services, weight loss, and medispa treatments.
Recognizing the deep uncertainty many in our community are facing due to recent government layoffs, CWH recently launched Comprehensive Essential Care. This is primary care for people who have lost their insurance or are burdened by the high costs of traditional insurance. The program offers affordable and predictable pricing that covers essential healthcare needs.
CWH also puts women first by leading in medical innovation. The practice was one of the first in Maryland to introduce BioFire SpotFire that detects up to 15 viruses and bacteria in under 15 minutes. In addition to medical care, CWH provides cutting-edge non-invasive treatments such as Morpheus and CoolSculpting for aesthetic goals.
Founded and led by Dr. Angela Marshall, a board-certified Internist, CWH has been a trusted resource for women’s healthcare for over 20 years. Dr. Marshall has been repeatedly recognized as a “Top Doctor’ by Washingtonian Magazine and is the author of Dismissed: Tackling the Biases That Undermine Our Health Care.
CWH continues to redefine inclusive, accessible, and comprehensive healthcare and is now accepting new primary and concierge patients, as well as men for its weight loss program and medispa services.


Dr. Robinson founded Hearing Solutions Audiology Center to provide the excellence that patients deserve when it comes to their hearing health. With emphasis on diagnostics and aural rehabilitation with advanced technology instruments, Dr. Robinson has been practicing for over 20 years and is board certified by the American Board of Audiology. She received her doctoral degree in Audiology from the Arizona School of Health Sciences and her Master’s and Bachelor’s of Science degrees from Radford University in Virginia, graduating with Magna Cum Laude honors. As an audiologist, Dr. Robinson has worked for large medical hospitals as well as ENT specialists, but she enjoys the personalization and patient care she is able to provide in a private practice like Hearing Solutions. As a native Virginian, Dr. Robinson still enjoys outdoor activities such as boating and kayaking on the weekends. When Dr. Robinson and her husband aren’t attending their children’s sporting events, they can usually be found enjoying the waterways of Maryland.



Dr. Mara Holton grew up in Maryland and has practiced with AA Urology for more than a decade since completing her residency.
Dr. Holton earned her undergraduate degree from The University of Vermont before attending medical school at Temple University in Philadelphia. She then completed her general surgery internship and urologic surgery residency at University of Maryland Medical System. While in residency, Dr. Holton practiced the full breadth of urologic training and surgery. Additionally, while there, she spent a year doing research dedicated to interstitial cystitis / pelvic pain alongside leaders in the field.
In clinical practice, Dr. Holton treats all urologic conditions but has a special interest in female incontinence and pelvic floor dysfunction along with the noninvasive treatment of kidney stones. She is trained in the all of the most current and minimally invasive options to facilitate patients ability to recover from procedures quickly so that they can get back to their lives and families.
As the managing partner of her group, Dr. Holton has overseen the expansion of AA Urology over the past several years and is excited by the growing presence of the group while maintaining the practice ethos of compassionate care in our communities. She is also very involved in the advancement of independent physician practices as a critical resource for patients and participates in advocacy as a board member of national organizations, including the Large Urology Group Practice Association.
In her free time, Dr Holton enjoys traveling, hiking and spending time with her family and dogs.


Degrees, Training and Certificates: Master of Science in Dentistry in Orthodontics; DDS and BS from Case Western Reserve University in Cleveland, OH
Professional Memberships/Associations: Assistant Clinical Professor at the University of Maryland, Department of Orthodontics; Adjunct Assistant Professor at Case Western Reserve University, Department of Orthodontics, Cleveland OH; American Association of Orthodontists; President Mid-Atlantic Society of Orthodontists; Past President of the Maryland Society of Orthodontics; Alpha Phi Alpha Fraternity, Inc.; Former Member of Bishop McNamara High School’s Board of Directors; Former member Prince George’s County Community Education Foundation Board of Directors.
Areas of Interest: Building and networking computers, golf, and football
Family/Hobbies/Interests: Children, Kennedy and David III; Wife: Shonda W. Harmon, MBA, MPA




Meet E. Taylor Meiser, Jr.
Degrees/Training: DDS, University of Maryland Dental School; General Practice Residency, San Diego Naval Hospital; Prosthodontics Residency, Naval Dental School, Bethesda; U.S. Navy Dental Corps Officer, Commander, USN, (retired).
Professional Memberships: American Dental Association, Maryland State Dental Association, Anne Arundel County Dental Society, Annapolis Dental Study Club, Chesapeake Implant Study Club, University of Maryland Alumni Association.
Practice Philosophy: To follow the “Golden Rule” in all aspects of professional dental care, providing outstanding quality dentistry in a caring, comfortable and comprehensive manner. Lighthouse Family Dentistry will “Light Up Your Smile.”



Dr. Judy Yu is an artist with a passion for perfecting smiles and boosting confidence. She is a true advocate of education. Dr. Yu strives to educate herself and her team in our ever-changing field.
She attended the Temple University School of Dentistry in Philadelphia, PA, where she received her DMD and was honored in the Temple University Gallery of Success. Her undergraduate degree, a B.A. in Chemistry, was attained at Goucher College in Towson, MD, where she was a Dean’s Scholar. She completed her Executive M.B.A. at Loyola University in Timonium, MD.
Dr. Yu is currently a member of the American Dental Association (ADA), Maryland State Dental Association (MSDA), the Academy of General Dentists (AGD), the Maryland Academy of General Dentists. She served as the Public Information Officer on the board of the Maryland Academy of General Dentists (MAGD). Additionally, she is certified in Forensic Dentistry through the Armed Forces Institute of Pathology at Walter Reed Medical Center and has served on the Maryland State Committee for Oral Cancer Awareness. Dr. Yu served on The Anne Arundel County Oral Task Force aiming to increase access to care for the adult population.
She is committed to the overall health of her patients and works with her team to educate clients about the importance of oral care and how the pathology in the oral cavity is directly linked to one’s general health, including periodontal disease and its relationship with heart disease.
A humanitarian at heart, Dr. Yu truly enjoys giving back to the community. She currently chairs the Northern Anne Arundel County Chamber of Commerce Health/Wellness Committee. Dr. Yu also chaired the McDonogh Parent Association’s Parent Education Committee. She was involved with the Healthy Anne Arundel Coalition to “Make Health Happen.” You will often find Dr. Yu volunteering for Missions of Mercy, donating dental services to the public or volunteering at her church by cooking for Heaven’s Kitchen.




Dr. Trent has a passion for helping people. She has practiced Audiology since 1984, in a number of clinical settings. Her diverse career has included 16 years of teaching and clinical supervision at Howard University, Washington, DC and Temple University, Philadelphia, PA. Dr. Trent has also worked as a clinical audiologist in hospital settings and private ENT practices.



Education:
Clinical Doctoral Degree – Audiology-University of Florida, Gainesville, FL
Master of Education – Audiology- Northeastern University, Boston, MA
Bachelor of Science – Communication Sciences and Disorders – Hampton University, Hampton, VA
Dr. Trent holds her Maryland State Licensure in Audiology. She is a Certified Clinical Audiologist (CCC-A) through the American Speech-Language-Hearing Association (ASHA). Presently, she serves on the Board of Directors for ASHA as Vice President for Audiology Practice.

Life Can Be Challenging and There Are Times When We Could All Use a Little Extra Help......

Dr. Maureen Vernon has been helping adults, children, couples, and families learn positive coping strategies to address their emotional needs. As a Board Licensed Psychologist for 25+ years, she continues to offer her services as a private therapist; divorce/ child custody evaluator and mediator; parenting coordinator; conducting forensic and abuse assessments; and conflict resolution consulting.
Degrees & Training: PhD in Psychology and Evaluation- Catholic University of America, Washington, D.C.; Master of Science in Counseling/Clinical Psychology- Loyola University of Maryland.
Professional Memberships: American Psychological Association; Maryland Psychological Association; Association of Family & Conciliation Courts; Professional Academy of Custody Evaluators; Anne Arundel County Psychological Association; Interests & Hobbies: Movies, college sports (Notre Dame & Villanova), her yellow lab Keenan, studying history, and travel.
Volunteer Highlights: Beans & Bread; Boy’s Town; St. Mary’s Annapolis; AA County Social Services Holiday Sharing; St. Vincent DePaul; AAMC Pediatric ER; and Backpacks for Kids.
Professional Statement: Life can be challenging and there are times when we could all use a little extra help…If you are feeling anxious, alone, struggling to manage all the demands of your life, or experiencing problems with your spouse, child, parent, sibling, friend, or coworker – you can trust that I will listen and offer the tools to improve those relationships.

12200 Annapolis Road Suite #116 Glenn Dale, MD 20769
EnvisionEyeandLaser.com

Board Certified, Ophthalmology by the American Board of Ophthalmology
Degrees, Training and Certificates: UCLA Medical School; Yale University Hospital for Residency; Louisiana State University for Cornea and Refractive Fellowship
Professional Memberships/Associations: American Academy of Ophthalmology; American Society of Cataract and Refractive Surgery; International Society of Refractive Surgery
Areas of Interest: All laser custom LASIK; Cataract Surgery; Botox; Dermal Fillers; Cornea Comprehensive Ophthalmology
Practice Philosophy: Envision Eye and Laser is committed to delivering superior ophthalmic care with state-of-the-art technology and patient education in a caring, compassionate environment. We cater to a diverse population of adults and work with your primary care physician to improve the quality of your overall health and life. Your best vision is our focus.


• Member - District of Columbia Dental Society
• University of Pennsylvania Dental School Alumnus
• Fellowship in Hospital Dentistry and Oral Surgery (Johns Hopkins University)
• Specializes in Implants and Prostheses
Dr. Ghassan Jacklis and his dedicated team want you to feel comfortable in our office, and to know that when you come here, you will receive outstanding dental care and personalized service. Our associates have been working together for years, with many years of advanced training, which has allowed us to perfect our communication and better serve you.







Dr. Washington-Plaskett completed her medical school training at Meharry Medical College in Nashville, TN. She completed her Internal Medicine training at Morehouse School of Medicine in Atlanta, GA. She went on to pursue her Cardiology training at Boston Medical Center in Boston, MA where she also decided to stay and complete an additional year of training in Interventional Cardiology. She is a native of Fort Washington, MD and was eager to come back to familiar roots to start her career as a Cardiologist.
Dr. Washington’s interest in medicine started early as both her parents were in the medical field. Her inspiration is derived from the sacrifice of her parents as well as countless other health care workers that dedicate their careers in service to others.
Her specific interests in Cardiology include coronary artery disease and prevention, women’s cardiovascular health, and health disparities. Coronary heart disease or disease of the arteries that supply the heart is highly prevalent in the US with an estimated 20.5 million Americans with the diagnosis 2. Among women, it is often difficult to recognize the signs and symptoms of a heart attack and can often get overlooked1
Dr. Washington looks forward to working with and delivering care to the patients within the southern Maryland area. She truly believes knowledge is power and arming patients with the knowledge and tools necessary to guide them through their journey to better cardiovascular health.


















By Monica Hastings, RN, BSN, CHPN, Director of Hospice Operations, Hospice of the Chesapeake
There once was a hospice patient who had a difficult past. It’s reflected in how she treated her family. When she wasn’t harsh towards them, she would shut down, locking them out from her world. As she grew closer to her end, she shared that she wanted to open up to her family, especially her grandchildren. She wanted them to remember her. But she didn’t know where to begin.
There once was a volunteer assigned to this patient. The intention was to provide this lonely woman company and support. Soon they built a beautiful rapport. One day, the patient shared with the volunteer that she had so much she wanted to say to her family. It turned out the volunteer was a professional writer. Together, the two women wrote beautiful letters to her family. The letters answered nagging questions like, “Does she care? Does she even like me? Does she see me?” The answer was a resounding, “Yes.”
With the help of that volunteer, her family got to see her in a different way. It helped them resolve a lot of the grief and anguish. They got to know her a little better and know their importance to her before she died. For me, it was one of the more profound experiences that I’ve had in my hospice career.
Hospice nurses, certified nursing assistants, social workers and chaplains spend more time with their patients than many other specialties. But the kind of time and commitment this professional writer gave to this patient could only have come from a volunteer.
Volunteers are a meaningful part of hospice’s holistic support and care.
They help the clinical team do a better, more complete job. They can provide information about family dynamics, patient experiences and even symptom management. We’ve learned so much about the personality of patients through reading volunteer notes. It’s often important and exciting information that didn’t come up in the conversation with the nurse or social worker.
For someone who thinks becoming a hospice volunteer is “too sad,” remember there are always sad times in life. But this gift of true connection with others is sacred. It fills us with joy and purpose. The people I have the privilege of working with say they’re made better because of these relationships with patients and families. Our volunteers not only help the hospice team, they help bring peace and comfort to patients and families.

By Elizabeth Shin, DDS Bethesda Chevy Chase Pediatric Dentistry
As the winter blues fade away and spring brings new energy, it’s the perfect time to refresh your child’s oral hygiene routine! Making dental care fun can help kids develop lifelong habits while ensuring their smiles stay bright and healthy. Here are some creative, spring-themed tips to get
your little ones excited about brushing and flossing.
1. Brighten Up With a SpringThemed Toothbrush
Start the new season with a fresh toothbrush featuring fun spring designs like flowers, butterflies, or bright colors. Let your child pick their favorite one—having a toothbrush they love can make brushing more enjoyable!
2. Sing a Springtime Brushing Song
Turn brushing into a musical event with a fun, spring-themed song! Play cheerful tunes like Here Comes the Sun or make up a silly song about brushing away “sugar bugs” to keep kids engaged for the full two minutes.
3. Create a Spring Brushing Chart
Use a printable or handmade chart decorated with flowers, rainbows, or
Please see “Oral Hygiene,” page 66




By Gena Schultheis, DDS
Annapolis Green Dental
• TMJ and Jaw Pain Therapy –Addressing jaw joint dysfunction related to tongue posture and oral muscle tension.
A tongue tie, or ankyloglossia, occurs when the thin tissue under the tongue (lingual frenulum) is too short or tight, restricting movement. While often associated with breastfeeding difficulties in infants—such as poor latch and nipple pain—it can also impact speech, dental development, and airway function throughout life. A holistic approach to tongue ties considers not just the mouth but the entire body, including airway health, posture, and overall wellness.
Tongue ties can contribute to a wide range of symptoms beyond feeding difficulties. In infants, they may cause reflux, excessive gas, prolonged feeding times, and poor weight gain. As children grow, unresolved tongue ties can lead to speech delays, difficulty pronouncing certain sounds, and even picky eating due to sensitivity to food textures.
In adulthood, tongue ties can contribute to jaw tension, TMJ disorders, poor sleep quality, snoring, mouth breathing, and even chronic headaches or neck pain. Since the tongue plays a crucial role in airway function, restricted movement can impact breathing patterns, leading to long-term health concerns.
A Holistic Perspective On Oral and Airway Health
At our office, we take a wholebody approach to oral health by evaluating how tongue ties affect airway development, posture, and overall function. Some of the holistic services we offer include:
• Tongue Tie Evaluations and CO2 Laser Treatment – Using advanced laser technology, we perform tongue tie releases with minimal discomfort and faster healing times.
• Myofunctional Therapy – Exercises designed to strengthen the tongue and facial muscles to improve breathing, chewing, and speaking.
• Sleep and Airway Assessments – Identifying issues like mouth breathing, snoring, and restless sleep that may be connected to oral structure and tongue positioning.
• Pediatric Feeding and Speech Support – Helping babies and children with feeding difficulties and speech development issues related to tongue ties.
• Comprehensive Dental Care with

a Functional Focus – Looking beyond cavities and gum health to consider how the mouth impacts wholebody wellness.
We have the ability to use CO2 lasers at our office in Crownsville, allowing us to release tongue ties in infants and babies without the need for anesthesia. This advanced laser technology reduces scar tissue formation and, when combined with our guided stretching and exercises, significantly lowers the risk of reattachment.





Therapy, Second









Iwas born and raised in Brooklyn, New masters at Long Island University in Brooklyn New York and completed my medical degree at State University of New York at Buffalo, School of Medicine in 1991.
Board Certified in Pediatrics and Adolescent Medicine Fellow of the American Academy of Pediatrics 3311 Toledo Terrace Suite C-201, Hyattsville, Maryland 20782 Mon–Fri, 9:00 am–5:00 pm | Office: (301) 403-8808 or Alt: (301) 403-1341
many others, please call the office at 301403-8808 to schedule a visit. We look forward to seeing you at Loving Care Pediatrics— Janet Johnson MD and Staff.

Allergic rhinitis or hay fever may be due to outdoor allergens, such as tree pollens, grasses and weeds and is a common problem in infants and children. Allergic rhinitis symptoms usually occur during certain times of the year for children. Other children may have perennial allergies, with problems occurring year round from exposure to indoor allergens, such as dust mites, pets, second hand smoke and molds.
By Janet V. Johnson, MD Loving Care Pediatrics
My postdoctoral training was received at Howard University/District of Columbia Hospitals combined Residency Program, Department of Pediatrics in Washington, DC completed in June 1994. I served as Chief Resident for the Department of Pediatrics, January 1994. I obtained Continuity Clinic Awards from 1991 to 1993 based on partic ipation and involvement in community clinics during my residency training.

In addition, I am dedicated to volunteering my time to community outreach projects, youth groups, health fairs, various church functions and committee boards as well as for those who are less fortunate. Donating of my talents, time and treasures and giving back and serving those who are in need. I am an active member in The Prince George’s Community Advisory Group and served as the Medical Director for the Mid-Maryland Mission of Mercy two day free Dental Clinic sponsored by Catholic Charities Archdiocese of Washington in August 2013.
to be recognized in the community it serves for compassionate patient service,
To create a caring environment with a commitment to foster a work environment where individual diversity is valued and recognized, also where the satisfaction of all patients regardless of their background is the fundamental goal of our every action, with the
I am Licensed in Maryland, Board Certified in Pediatrics and Adolescent Medicine and a Fellow of the American Academy of Pediatrics.
I have been in Private Practice for 22 years. I practice general pediatrics: examining, diagnosing and treating most of the diseases of children from birth to 21 years of age. With referral to specialists when the need arise. The practice is certified by the Prince George’s Health Department to administer Yellow Fever Vaccination. The practice pro vides vaccines for overseas travel to those individuals traveling out of the country and in need of an official certificate of vaccination (Yellow Book).
I make every attempt to ensure medical care to my patients is as convenient as possible. If your child becomes ill during the night you may contact the office via the answering ser vice and speak with me for an emergent next day appointment. We also have same day appointments. Most insurances are accepted including: Aetna, Care first Blue Cross, Blue Choice, Amerigroup, Americhoice United Health care, Teamsters, Tricare, most govern ment plans, Maryland Medicaid, self-pay, and
Practice Philosophy Janet Johnson MD and Travel Health Medicine is committed to servicing its patients, parents and community by providing excellent and compassionate health care service to a culturally diverse population that promotes the dignity and well-being of the people we serve.
Vision Statement Janet Johnson and Travel Health Medicine goal is to be recognized in the community
Integrity: We are consistent and honest in word and deed. Commit to the highest standards of ethical conduct, respect, competence and safety.
Quality: We provide service excellence in meeting client expectations. We ensure commitment to excellence for our patient and communities.

Respect: We behave in a way that honors self and others. There is respect for diversity and individual differences. We embrace that diversity of individuals, ideas and expressions so as to achieve


ADVANCED GYN SURGICAL CARE
AT OASIS WOMEN’S CENTER, OUR MISSION IS TO IMPROVE LIVES THROUGH EDUCATION, PERSONALIZED MEDICINE AND ADVANCED SURGICAL OPTIONS

• Minimally Invasive Surgery
• General GYN
• Cancer Risk Assessment
• Contraception
• Menopausal Medicine

• Adolescent Care Our Services Include:
For most children spring means more outdoor activities. For their parents, this means being extra vigilant to keep your child safe and healthy. Learning about spring allergies and using insect repellents safely can help you keep your child healthy and safe during the season.
Allergies
Allergies can cause your child to have a lot of sneezing, along with a clear runny or stuffy nose, itchy and watery eyes and a cough, especially when they have spent a lot of time outside playing.
Having uncontrolled allergies can put your child at risk for getting a secondary sinus infection, ear infections, make asthma symptoms worse and for having poor concentration at school.
The best treatment for allergic rhinitis is to avoid what your child is allergic to by following prevention and environmental controls. Some medications that are used to control the symptoms of allergic rhinitis include decongestants, antihistamines and steroids. Prescription allergy medications include the newer, non-sedating antihistamines and topical steroids.
Please see “Children’s Health,” page 63

By Ashley Pimperl MSN, CRNP, FNP-C Oasis Advanced GYN Surgery
Contraception is a critical component of women’s health, offering control over reproductive choices and preventing unintended pregnancies. Effective contraception reduces the need for abortion, which, while a necessary option, can sometimes lead to complications affecting future
reproductive health.
Types Of Contraception
A wide variety of contraceptive methods are available, each with different effectiveness rates and suitability depending on individual needs and lifestyles. These include:
Barrier Methods: Condoms, diaphragms, and cervical caps physically block sperm from reaching the egg. They also offer protection against sexually transmitted infections (STIs).
Hormonal Methods: Birth control pills, patches, injections, vaginal rings, and implants release hormones to prevent ovulation. They are highly effective when used correctly and can also regulate menstrual cycles and reduce menstrual cramps.
Intrauterine Devices (IUDs): These are small devices inserted into
Please see “Contraception,” page 63


599/lb.
raw walnut halves reg. $6.99/lb.• limit 5 lbs
David’s Natural Market • Gambrills • 410-987-1533 With this coupon. Not valid with other offers. Offer expires 04/30/2025
799/lb. mixed nuts reg. $9.95/lb.• limit 5 lbs
David’s Natural Market • Gambrills • 410-987-1533
With this coupon. Not valid with other offers. Offer expires 04/30/2025
10%off equal exchange bulk coffee
David’s Natural Market • Gambrills • 410-987-1533 With this coupon. Not valid with other offers. Offer expires 04/30/2025
20%off shampoo, body lotion, & other beauty products excludes sale items
David’s Natural Market • Gambrills • 410-987-1533
With this coupon. Not valid with other offers. Offer expires 04/30/2025
20%off vitamins, herbal remedies & homeopathic supplements excludes sale items
David’s Natural Market • Gambrills • 410-987-1533
With this coupon. Not valid with other offers. Offer expires 04/30/2025
David’s Natural Market • Gambrills • 410-987-1533 With this coupon. Not valid with other offers. Offer expires 04/30/2025



Submitted By MedPro - Medical Billing and Practice Solutions








The healthcare landscape is gearing up for significant compliance changes in 2025 that aim to enhance patient care while streamlining medical billing processes. For healthcare providers in Virginia and Maryland, these updates aren’t just regulatory obligations, they’re opportunities to deliver better transparency, accuracy, and security for patients.
One of the most notable updates is the increasing emphasis on itemized billing. This means patients will now receive a clear breakdown of costs for treatments and procedures, helping them make informed
financial decisions. Additionally, the use of specific billing codes ensures greater accuracy, minimizing errors and reducing cases of overcharges. For patients, this translates to fewer billing disputes and a more transparent healthcare experience.
To stay compliant, providers are encouraged to adopt AI-powered coding tools and practice management software. These technologies streamline workflows and cut down on administrative errors, ultimately improving efficiency for both providers and patients.
The updated HIPAA Security Rule introduces stricter measures to protect patient data against cyberattacks—a
Please see “Improve Care,” page 65

By Sharron Sample, CEO Dispensary Works
The proliferation of medical cannabis in the United States has contributed to an increasing number of menopausal women using the drug to relieve symptoms.
Recent research found 1 in 4 female veterans use medical cannabis to relieve anxiety and depression, improve sleep, and relieve pain associated with menopause.
We look forward to continuing studies to increase the knowledge of the effects of cannabis for these conditions
and others. As cannabis use for medical conditions continues to increase in number, the long list of benefits that researchers are still discovering may include menopause relief.
New Study On Menopause and Medical Cannabis
New research, published in the journal, Menopause, studied more than 250 perimenopausal and postmenopausal women who were recruited through targeted ads about women’s health and cannabis use. Over 83% of study participants said they regularly used cannabis to treat menopauserelated symptoms. Most of the study participants stated that cannabis is used to help improve sleep and mood and decrease anxiety symptoms. It’s important to note that the study had a built-in bias since participants were recruited because of their interest in cannabis. While the study may have a built-in bias, it doesn’t take away the fact that common symptoms of menopause are the same symptoms we’ve seen proven to be helped by
Please see “Menopause,” page 66
Back pain is the second most common reason people visit physicians in the US, with neck pain close behind. The spine and adjacent tissues are pivotal in nearly all major bodily movements.
Chiropractic services are used most often to treat neuromusculoskeletal complaints, including but no limited to back pain, neck pain, pain in the joints of the arms or legs, and headaches.






Drug and Alcohol Testing also Available.
Since opening in 2003, Winters Chiropractic & Physical Therapy has remained dedicated to providing expert chiropractic, physical therapy, and DOT/CDL services. Our doctors provide tailored treatments that ensure you make the most gains at a comfortable, steady pace. The ultimate goal of any chiropractic or physical therapy program is to restore your physical health to its previous form. With our small practice, we have the advantage of maintaining personal relationships without compromising our ability to provide advance care.




Studio 5 Hair Gallery Specializing in Restoring & Enhancing
Your Hair’s Natural Beauty

Custom Cranial Prosthesis • Lace Front Units Men’s & Women’s Hair Systems • Extensions
Located in scenic Southern Maryland, Studio 5 Hair Gallery is well known in the medical community for customized solutions for hair loss. We provide the finest synthetic and human hair wigs, hair extensions, and top-of-the-head hairpieces. For over 12 years, Studio 5 Hair Gallery has served its clients with compassion and excellence. call 301.884.3553 for your appointment today! Please mention this Flier when setting up your appointment. Whether your hair loss is temporary, due to medical treatment or long-term due to
Studio 5 Hair Gallery hair replacement specialists are empathetic to your needs at this difficult time and will do everything possible to make you feel comfortable.












By Rachelle Polk, Owner BeBalanced Hormone Weight Loss Centers
If you’re like most of the women who walk through our doors, you’ve tried everything to lose weight. You’re eating right, working out at the gym faithfully and yet, the scale isn’t moving. You try eating less, swear off
carbs, and increase your exercise – only to be left feeling burnt out, and defeated. You might also be feeling hopeless, like nothing will ever work.
What’s worse, you might also not be sleeping well, your mood is all over the place, your focus is cloudy, you’re snapping at your kids or husband, and don’t know why.
So, you go to your doctor who might tell you, “It’s just your age,” or “This is a normal part of getting older.” Maybe you are recommended medications to help you lose weight, birth control to help your PMS, synthetic prescriptions to help your hot flashes, or antidepressants to help your anxiety – all which come with a long list of

Empowering women & men with the tools, skills, and knowledge to be happy, be healthy, be you again. Balance hormones naturally, don’t replace them!
• The average weight lost in the first 30 days of the Becoming Balanced program is 18.01 lbs.!
• 97% of our Clients said the Becoming Balanced program was manageable!
• 62% Clients maintained their weight loss for 12 months or more!
Note: The national average percentage of people who lose weight and keep the weight off for over a year is only 20%.




Rachelle
negative side effects.
But you know your body. You know something is “off,” and you want to take a more natural approach, but you don’t know where to start. BeBalanced can help!
Hormones impact everything in your body, including your weight. Every aspect of your metabolism is regulated by hormones. So, no matter how much you exercise or what you eat, if your hormones are out of balance, losing weight will be a struggle.
Why? Stress! Like most Americans, you are bombarded with stress daily. Stress from work, finances, a busy family life – the list goes on and on. Not only does stress impact your mental wellbeing, but it can also wreak havoc on your hormones.
Aside from the traditional forms of stress we experience daily, there are other sources of stress that can impact your ability to lose weight such as overexercising, processed foods, chemicals in your household products, artificial lights, eating foods (even healthy foods) that your body is sensitive to, and inflammation (pain).
At BeBalanced we address the root cause of hormone imbalances through a holistic approach, focused on eliminating stressors through a whole-foods diet, natural supplementation, and relaxation techniques. On average, our clients lose 15-21 pounds in just 30 days, plus nearly 70% say they experience improvements in their PMS and menopausal symptoms.
Ready to learn more? Schedule your free consultation today!









Quansheng Lu, CMD, PhD, L.Ac www.wholelifeherb.com • luquansheng@gmail.com 301-340-1066 • fax: 301-340-1090
Guest professor, Henan University of Traditional Chinese Medicine (TCM) Chief TCM Physician, WFCMS; M.S. in TCM, Beijing University of TCM PhD in integrated medicine, China Academy of Chinese Medical Sciences Fellowship, Georgetown University & Children’s National Medical Center 3 patents, 8 books of TCM, 30 papers, 30+ years of experience in TCM
Low back pain • eczema • arthritis • allergies • cough • insomnia • paralysis obesity • nephritis • hepatitis • infertility • PMS • side effects of cancer treatment
416 Hungerford Drive, #300 Rockville, MD 20850
5022 Dorsey Hall Drive, #101 Ellicott City, MD 21042

Committed to Healing to Achieve Lasting Well-Being
de Vicq, Mac, lac www.westaNNapolisacupuNcture.coM
Now acceptiNg aetNa, aNd Blue cross/care First. practiciNg iN MarylaNd siNce 2004. 703 GiddinGs Avenue suite u3, AnnApolis, Md 21401 treat health coNcerNs with acupuNture
• CHRONIC FATIGUE
• DEPRESSION
• BACK PAIN
• JOINT PAIN

• ASTHMA
• STRESS


By Quansheng Lu, CMD, PhD, LAc Wholelife Chinese Medicine & Acupuncture Center
Acupuncture, an integral part of traditional Chinese medicine (TCM) with a rich history spanning over 2,500 years, has emerged as a therapeutic practice renowned for its diverse benefits. This ancient technique involves delicately inserting fine needles into specific points on the body to facilitate energy flow and foster healing. Recognized for its efficacy in pain relief, stress reduction, and overall health enhancement, acupuncture has garnered increasing attention as a complementary remedy for infertility.
Globally affecting millions, infertility poses a significant challenge, with estimates suggesting that 10-15% of couples in China encounter fertility issues. Within the realm of TCM, Chinese acupuncture for infertility adopts a holistic approach, striving to harmonize the body’s energy and reinstate reproductive health. Rooted in TCM principles, infertility is perceived as a disruption in the natural flow of energy within the body.
The acupuncture process for infertility entails the precise insertion of fine needles into designated points, believed to regulate energy and blood flow to the reproductive organs. Typically lasting up to 30 minutes, this session may elicit sensations like tingling or warmth in the patient.
Research indicates that acupuncture can positively impact fertility by balancing hormone levels, enhancing blood circulation to the uterus and ovaries, and mitigating stress—an acknowledged impediment to fertility. Particularly ben-
Please see “Infertility,” page 63




Essential oils are an ancient and recently popular modality used in holistic healing. The tradition of using essential oils in healing can be found around the world in many ancient cultures. Recently there has been a surge in the interest of using essential oils for physical health and emotional well being.
Acupuncture and essential oils make a wonderful combination. The
use of oils on acupuncture points and meridians can create a profound healing experience. Each oil has an energetic quality and when they are paired with the appropriate acupuncture point they can create a powerful healing response.
The essential oils can be used to relax, stimulate, warm or cool. For example, lavender, a well known essential oil, can be used for a variety of ailments. Lavender has a pleasant pungent odor and when used on the appropriate acupuncture points it can calm headaches, relieve muscle spasms and alleviate anxiety. The quality of the Lavender essential oil is relaxing and cooling. It moves the physiological symptom through the acupuncture point and meridian as opposed to suppressing it.
The essential oil can be applied on an acupuncture point during an acupuncture treatment. A small drop of oil is applied topically on one or

By Joyce Abramson, RNMS
Charles County Freedom Landing
Employment, for most of us, has a practical and symbolic significance. Work is a mechanism used to provide basic needs of food, shelter, and clothing. Work often satisfies intangible needs as well. It offers structure, a way to meet people and an opportunity to contribute to society.
Unfortunately, those labeled mentally ill have in many cases not been able to benefit from employment. Obstacles occur for this group both as individuals and in society. The unemployment rate among persons with severe psychiatric illness is estimated to be 85%. There are employers who have a negative perception of work ability
when a person experiences a mental illness. Many people fear or misunderstand symptoms of the illness.
The barriers on an individual level depend on the person’s limitations and the demands of a specific work setting. While it is necessary to take caution with generalizations, certain areas of functional limitations can occur.
There may be difficulty with duration of concentration, screening out environmental stimuli, managing time pressures and deadlines, initiating interpersonal contacts, and responding to negative feedback.
Although there are some barriers, many people successfully pursue employment. Some obstacles can be eliminated or reduced with simple workplace accommodations. Minor work modifications in work patterns or interpersonal communication can make a tremendous difference in utilization of job skills.
Often these modifications are very simple and may be free. Included are some examples to illustrate this point. Arranging for work requests to be in writing if verbal instructions are difficult; providing positive feedback along with comments for needed im-

By Ademuyiwa Adetunji, DPM
Largo Foot & Ankle Health
Poor blood circulation in the legs and the feet can cause various health problems. The buildup of plaque causes the arteries to harden and narrow. This condition, which is called atherosclerosis, results in a reduction of blood flow to the legs and feet and is commonly referred to as poor circulation.
Proper blood flow throughout the body is an indispensable req-
provements and permitting flexibility in scheduling once or twice a month to permit attendance at doctor’s or therapy appointments are examples of workplace accommodations for persons with a psychiatric diagnosis.Another service is available through many programs. Following an assessment of a person’s skills and interests, supported employment services provide a job coach.
When the person has the skills to work, and an appropriate job is available, the person applies for the posi-
tion. If hired, the job coach can help with the transition into the workforce.
As the person becomes more comfortable with the job, the job coach reduces involvement. This is still an option that may enhance the opportunity for the employee to sustain successful employment.
Other people will need no special workplace modifications or supported employment. They will perform well with support from family and friends who say job well done.

A psychiatric rehabilitation program offering a day component, residential, vocational and in-home support services. Let us show you how to move from the solitude of symptoms to the freedom of achievement.

NOW OFFERING: Wellness and Recovery
Community Center - This is a program that provides support from peers for both mental health and substance use disorders for people actively working on their recovery.
uisition for a healthy life. The right amount of blood flow is needed for various bodily functions like movement of the limbs, functioning of various organs, etc. Poor blood circulation is mostly found to occur in the extremities, especially the feet. Last month’s article discussed causes and symptoms of poor circulation and peripheral arterial disease (PAD). This month we will focus on treatment and prevention.
Your podiatric physician can do a simple test to determine if you have Poor blood circulation/PAD. The test is called an ABI, or ankle-brachial index. It compares the blood pressure in your ankles with the blood pressure in your arm. If your ABI is abnormal, your podiatric physician may order other tests to determine the extent of your PAD.
PAD can be treated with lifestyle changes, medicines, and surgical procedures if necessary. Medical treatment options include:
• programs to stop smoking
Please see “Poor Circulation,” page 62

Submitted by E. Taylor Meiser, DDS Lighthouse Family Dentistry
Who doesn’t want to look their best? Who doesn’t want a good-looking smile? Your family dentist is the key professional who can help you have a healthy bright smile you are happy with and others like to look at. Take the cosmetic dentistry self-assessment test.
1. Are my teeth as bright and white as I’d like them to be?
2. Are my teeth different colors?
3. Are my fillings and crowns showing their age? (And mine?)
4. Are my teeth uneven, crowded, overlapped, spaced, or crooked?
5. Are my gums healthy or are they
bleeding or receding?
6. Are any of my teeth loose or missing allowing the remaining teeth to shift position and changing my bite?
7. Do stains on my teeth refuse to come off with whitening toothpastes or even a hygienist cleaning and polishing?
8. Is my bridgework chipped, loose, or no longer match the other teeth?
9. Is my removable partial denture wearing out? Are the teeth chipped or worn? Does it fit as well as it used to?
10. Do I like my smile? Do others? Your dentist can offer many treatment options to help make your smile all it could be. Modern techniques, new and improved materials and advanced technologies can achieve superior results for all ages. Every smile can be improved. Your unique situation and dental needs will be determined after your dentist does a comprehensive dental exam and has a face-to-face personal consultation and discussion to understand your special desires and expectations.
Cosmetic dentistry and total oral health are not totally separate nor is one always unrelated to the other. Some Please see “Cosmetic,” page 63
Submitted by Kensington Pharmacy
Every day, millions of Americans use over-the-counter medicines for relief from headache or arthritis pain, coughs and colds, flu, and upset stomach. These over-the-counter medicines are effective, widely available, convenient, and cost-effective.
It is important to treat all of your medicines seriously and read all of the instructions carefully. This can help you avoid problems that may occur with all medications, including over-the-counter medicines.
Drug-drug interactions happen when a drug interacts, or interferes, with another drug. This changes the way one or both of the drugs act in the body, or causes unexpected side effects. The drugs involved can be prescription medications or over-thecounter medicines. They can even be
things like vitamins and herbal products.
Sometimes when two drugs interact, the overall effect of one or both of the drugs may be greater than desired. For example, both aspirin and blood thinners like warfarin (Coumadin®) help to prevent blood clots from forming. Using these medications together may cause excessive bleeding.
Other times, the overall effect of one or both of the drugs may be less than desired. For example, certain antacids can prevent many medicines from being absorbed into the bloodstream. If this happens, the medicine may not work as well or it may not work at all.
Drug-food interactions happen when a prescription medication or overthe-counter medicine interacts, or interferes, with something you eat or drink.
Please see “OTC Medications,” page 65

At Kensington Pharmacy, in addition to having your prescriptions filled with speed and accuracy, you will experience one of the best services and notice the difference.
With 14 employees, Kensington Pharmacy gives a special attention to each customer that they deserve. Stop by and experience the difference.

By Yemi Adesanya-Famuyiwa, MD Montgomery Fertility Center
Surrogacy has been a beacon of hope for countless individuals and couples around the world. This process involves one woman carrying and giving birth to a child on behalf of another individual or couple who, for various reasons, cannot conceive or carry a pregnancy themselves.
Surrogacy has deep historical roots. In Roman society, where infertility was a prevailing concern,
infertile women could seek the help of fertile women, known as “maters,” to carry a child on their behalf. Legally, the child born belonged to the husband and wife who commissioned the surrogacy.
In ancient Greece, infertile couples turned to close relatives, often sisters, to serve as surrogate mothers. The child born in this context was recognized as the offspring of the intended parents.
However, it’s essential to acknowledge that these ancient practices, while resembling modern surrogacy, were distinct due to the absence of contemporary assisted reproductive technologies and genetic connections.
In ancient China and ancient Africa explicit evidence of surrogacy is limited. It’s plausible that surrogacylike practices existed but were not extensively documented.
In the modern era, surrogacy has
Please see “Surrogacy,” page 65
• Prescription Refills via On-line or Phone 24 hours a day
• Flu Shots, Shingles and Pneumavac Vaccines
• Prescription Plans including Medicare Part-D and Part-B, CVS-Caremark
• Transfer Of Your Prescriptions
• Compounding Specialists
• Wide Vitamin Selection
• Blisterpacking For Assisted Living Facilities
• BOIRON Homeopathic Remedies
• Greeting Cards, Select Books and Gifts
• Wide Home Health Care Selection Wheelchairs, Canes, Walkers, Medical Legsupport, Arthritis and Sport Aids, Bath Aids
• Toys and Books for Children
• And More

By Kaitlyn Berry Magothy Therapy & Welness
Lymphatic massage is gaining widespread recognition for its ability to enhance recovery, reduce swelling, and improve overall wellness. This gentle, rhythmic massage technique stimulates the lymphatic system, which is responsible for removing toxins, excess fluids, and waste from the body. It is particularly beneficial for individuals recovering from aesthetic procedures and those suffering
from Lipedema.
Post-Aesthetic Procedure Recovery
Many aesthetic procedures, such as liposuction, tummy tucks, and facelifts, cause temporary swelling, fluid retention, and discomfort. Lymphatic massage can significantly speed up recovery by:
• Reducing Swelling and Bruising: By encouraging the drainage of excess fluids, lymphatic massage helps minimize post-procedure swelling and discoloration.
• Enhancing Healing: Proper lymphatic flow boosts circulation, bringing oxygen and nutrients to the treated area, promoting faster tissue regeneration.
• Preventing Fibrosis: In some cases, after surgery, hard lumps or fibrosis can form due to fluid accumulation. Lymphatic massage helps break down these deposits, ensuring smoother results.
Please see “Lipedema,” page 66


A time to recognize the invaluable role occupational therapists (OTs) play in helping people of all ages live fuller, more independent lives. Occupational therapy is a holistic, client-centered profession that focuses on enabling individuals to participate in meaningful daily activities—whether that means regaining mobility after an injury, managing a chronic condition, or adapting to life changes.
OTs work across a variety of settings, including hospitals, rehabilitation centers, schools, and private practices. They assist individuals recovering from strokes, surgery, or cancer treatment, support children with developmental delays, and help older adults maintain their independence at home. Beyond physical rehabilitation, OTs also address cognitive and emotional challenges, offering strategies for memory care, stress management, and sensory regulation.
For those with lymphedema or lipedema, occupational therapist can obtain additional credentialing to become a certified lymphedema therapist (CLT). An OT that is a CLT can provide essential tools such as manual lymphatic drainage, compression therapy, and exercise programs to reduce swelling and discomfort. Post-surgical clients can benefit from specialized lymphatic massage and recovery techniques as well.
With a focus on personalized care, occupational therapy empowers individuals to regain strength, adapt to challenges, and enhance their overall well-being. This April, let’s celebrate the life-changing impact of OTs and the many ways they help people thrive.
277 Peninsula Farm Road, Building 3, Suite “I”, Arnold, MD 21012 (Located within Inspire Wellness Center)
www.MagothyTherapy.com • kbarry@magothytherapy.com 202-681-1779

Our mission is to assist our patients in creating the families of their dreams, whether it be at the present or to maintain the possibility in the future.
Medical Director Dr. Famuyiwa, a double board certified fertility specialist and an advocate for personalized holistic fertility care, is at the forefront of providing state-of-the-art care based on emerging and advanced new technologies in the most compassionate of manners.
If excessive upper eyelid skin interferes with your vision, eyelid lift procedures can also widen your visual field if it has partially blocked your sight. The blepharoplasty eyelid lift procedure is a very popular surgery that creates a more youthful and rested appearance in your eyes and overall facial appearance.
Many patients are looking for different options to help remove or decrease heavy, drooping eyelids. In most cases, eyelid lift procedures (also called blepharoplasty) can help remove the excessive, sagging upper or lower eyelid skin to look more refreshed, youthful and alert.
























ronment, catering to the individual needs of each patient. Whether you’re undergoing a complex procedure or a routine dental treatment, your peace of mind is our priority.
Patient-Centric Approach:
At Total Dental Care, we prioritize your comfort with a patient-focused approach, offering amenities such as heated chairs with massage features, ensuring a relaxed experience. Our team is dedicated to fostering a positive dental experience, emphasizing
From Page 12
communication and education to empower patients in making informed decisions about their oral health.
Total Dental Care stands as a beacon of excellence in dental health, providing total solutions for patients seeking comprehensive, detail-oriented care. Experience the difference with our wide range of services and patient-focused approach, ensuring your journey to a healthy smile is seamless and satisfying.
well find that they really are just eating too many calories or simply the wrong kind. Educating yourself on the right way to eat (versus the SAD – standard American diet) can be both enlightening and life-changing. One way to gauge your body’s metabolic activities is to have your doctor check your c-reactive protein level to measure inflammation, and if blood sugar is an issue, consider having a glucose tolerance test and check insulin levels.
Evaluating and optimizing hormone status can be instrumental in maintaining youth. Areas to focus on are thyroid issues which can produce fatigue and dulling. A phenomenon called “adrenal fatigue” is becoming more recognized as a real issue and testing and treating this can make a big difference for people. Optimizing hormone levels in men and women (testosterone, estrogen and progesterone) can afford great changes in energy and vitality.
The health and functioning of our gastrointestinal tract is critical to our aging well. You simply cannot be well or age optimally if you have an digestive issue. Signs that you have a problem are chronic diarrhea,
renewed confidence, Invisalign contributes to better oral health. Brushing and flossing are more productive. A straight bite helps eliminate wear on your teeth that can lead to cavities. During therapy, you can remove
oral health. But perhaps the biggest surprise about the all-on-four is how quickly it can transform your life.
What’s The All-On-Four Dental Implant Procedure Like?
First, either local or general anesthesia will be administered.
Second, the dentist or surgeon will prepare your mouth for the implants, which involves removing your remaining teeth that are failing. They will then remove any diseased or infected tissue from your jaw and gums.
From Page 4
constipation, bloating, discomfort with eating, heartburn or pain in your abdomen. While some people have very difficult issues to deal with like inflammatory bowel disease, many people are afflicted with what are called functional bowel issues such as small intestinal bacterial overgrowth and leaky gut that are easily remedied when under the right care.
Finally, working on maintaining and improving physical health is critical and if you don’t do that chances are you will not age as well. The areas to focus on are cardiovascular/aerobic health, strength, balance, and flexibility. People often focus on one or two of these areas but not all. Putting in the time and effort (safely) will pay off; ignore this at your own peril! And for those of you waiting to feel like exercising, please consider that is unlikely to happen, so just do it anyway.
Being evaluated and treated by a doctor trained in functional and integrative medicine can support you in uncovering and treating issues that will then allow you to age gracefully and lead an active and fulfilling life as long as possible.
From Page 18
your aligners when brushing and flossing, or eating and drinking. This approach contributes to better oral care throughout treatment. With traditional metal braces, you have to work hard to clean around brackets and wires.
lishes a robust foundation for family wellness. Throughout pregnancy, birth, and childhood, embracing the chiropractic lifestyle offers benefits for the greater health and well-being of both parents and children.
From Page 19
Furthermore, children of all ages actively participating in sports can also derive benefits from chiropractic care. It has played a pivotal role in minimizing injuries and aiding athletes in performing at their optimal level.
Next, they will insert the titanium screws into your jawbone. Most likely,
they will place two implants toward the front of your mouth and two towards the back of your mouth so the “anchors” can evenly bare the force of the denture.
After the implants have been placed, they will thoroughly clean the surgical sites and suturing all the incisions. Then you’ll be taken to a recovery room where you can relax and take time to wake up from the anesthesia.
Schedule a consultation with an All-On-Four provider. It’s the best way to find out how dental implants can change your life.
history review, physical examination, and imaging studies such as Xrays or MRI to assess joint damage.
Conservative treatments include oral medications and joint injections. If these fail, total ankle replacement may be recommended to restore function and alleviate pain.
Under general anesthesia, an incision is made over the ankle. The surgeon retracts muscles, tendons, and ligaments to access the joint. Damaged bone is removed, and the remaining bone is reshaped to fit a prosthetic joint. A bone graft may be used to stabilize the tibia and fibula. The prosthetic components are secured with bone cement and screws. The soft tissues are repositioned, and the incision is closed with sutures.
Recovery rarely requires a hospital stay. Patients go home right after surgery. The ankle is immobilized with splints, and weight-bearing is restricted for at least six weeks, requiring crutches. A drain may be used for blood removal and is taken out within one to two days. Sutures are removed after 10-15 days, and proper wound care is essential. Physical therapy is started early to regain motion and strength. A healthy lifestyle, including smoking cessation and a balanced diet, supports recovery.
Risks and Complications
Potential complications include infection, fractures, prosthetic dislocation, nerve or blood vessel damage, blood clots, loosening of components, persistent pain, instability, and stiffness. Advances in surgical techniques and prosthetic designs have improved success rates, offering many patients better mobility and pain relief.
• blood pressure control
• lowering cholesterol
• managing high blood sugar (diabetes)
• medications to prevent clotting
• healthy diet and
• exercise programs
A variety of surgical treatment options are available depending on the location and severity of the artery blockage. Your podiatric physician can refer you to the appropriate specialist for these procedures. Poor circulation in feet is something that seems very minor, but should not be ignored if the problem persists. If the symptoms are severe and/or persis-
tent, you must consult your doctor immediately. Take care to stay warm and avoid being immobile for longer periods of time. Proper and timely treatment can address this problem and prevent further complications.
When to Visit a Podiatrist
Do not ignore leg pain. It is important to discuss any leg or thigh pain that you are having with your podiatric physician since it could be a warning sign of a serious disease such as PAD.
Early detection of PAD can offer an opportunity to treat risk factors that can slow the progression of the disease and decrease the chance of heart attack and stroke.
tems include menstrual irregularities, infertility, polycystic ovarian disease, stress incontinence, depression, and fibromyalgia.
This partial list of health effects, along with others, combine to negatively affect quality of life. Many people with obesity require multiple medications, require frequent medical care or hospitalizations, they face higher health care costs and tend to have decreased
of devices have expanded, and the size and cost of the machines have dramatically diminished. Today, the most common device in North America produces a ‘radial’ pressure wave (EPAT, by Curamedix). This type of wave is most effective with soft tissue; chronically inflamed ligaments around joints, tendons, and peripheral nerves (Morton’s Neuroma in the foot). ‘Focused’ shockwave (FSW) is similar to the original device but lower intensity. It is most effective where soft tissue is anchored to bone; chronic inflamed areas of tendon or liga-
productivity because of their health.
Effective weight management requires a committed, sustainable approach to lifestyle and behaviors that promote weight loss over time. Diets, exercise routines, medications, and surgery are all tools that can be used as a part of a long-term plan for weight management. Effective weight management will help avoid and even reverse many of the health effects of obesity.
From Page 25
ment ‘insertion’ to bone (chronic plantar fasciitis, insertional Achilles/peroneal/ tibial tendonitis in the foot). These devices are tabletop in size and require no anesthesia, and treatment is delivered over 3 -5 sessions lasting 10-15 minutes with intensity adjustable to the patient’s tolerance during each session.
Devices from Curamedix/Storz from Germany are the devices used in most research studies in the US, and their effectiveness in treating chronic MSK problems is impressive. Combining both EPAT and FSW brings the best results.
To be effective, your child should be using these medications every day. They will not work as well if just used on an as needed basis.
If your child does not improve with these interventions, then their doctor will consider having your child see an allergy specialist for skin testing to figure out what your child is allergic to and to possibly start immunotherapy injections (allergy shots).
Safe Usage Of Insect Repellents
Many safe and effective insect repellents are available that you can use to protect your child, including those that use DEET, citronella, or soybean oil. Remember to only use products that are approved for
Positive Airway Pressure): The most effective treatment for OSA, delivering a steady flow of air to keep airways open.
• Oral Appliances: Devices that reposition the jaw and tongue to improve airflow.
• Lifestyle Changes: Weight loss, avoiding alcohol, and sleeping on your side can reduce symptoms.
• Surgery: In severe cases, procedures like tissue removal or jaw repositioning may be necessary.
the uterus. Available in hormonal and non-hormonal (copper) forms, IUDs offer long-term protection (3 to 10 years) with a high efficacy rate.
Emergency Contraception: Pills taken after unprotected sex to prevent pregnancy. They are not intended for regular use but can be a crucial backup method.
Sterilization: Permanent methods like tubal ligation for women or vasectomy for men, suitable for those who are certain they do not want future pregnancies.
Preventing unintended pregnancies is essential for a woman’s health and well-being. Unplanned pregnancies can lead to physical, emotional, and financial stress, impacting a woman’s life significantly.
While abortion remains a necessary and legal option, it is a medical procedure that can have complications.
From Page 46
children, follow the manufacturer’s instructions and wash off the insect repellents when you return indoors.
Insect repellents with DEET are probably the best and most commonly used. DEET is absorbed through your child’s skin, and it is generally safe as long as the product has less than 10% DEET. So you may consider limiting how much you put on younger children, wash it off as soon as possible, and apply it more to clothing than skin.
DEET insect repellents are effective for several hours, they do wash off with water and sweat, and you should reapply them to be most effective but always follow the product’s instructions to be safe.
From Page 10
Ignoring sleep apnea can lead to life-threatening complications. It significantly increases the risk of heart attacks, strokes, and even workplace or driving accidents due to daytime drowsiness.
If you or a loved one experiences symptoms of sleep apnea, seek medical attention. Proper treatment can improve sleep quality, boost overall health, and enhance daily life. Don’t let sleep apnea go undiagnosed—your health depends on it.
These may include infection, heavy bleeding, and injury to the uterus or other organs, which can affect future pregnancies and necessitate additional OB/GYN procedures. For example, scar tissue from an abortion can complicate subsequent childbirth or lead to issues like ectopic pregnancies. Promoting Prevention Education and access to contraception are fundamental in reducing the need for abortion. Comprehensive sex education that includes information about contraceptive options and their proper use is crucial. Healthcare providers play a vital role in counseling women on the most suitable methods based on their health, lifestyle, and reproductive goals.
Regular check-ups and open communication with healthcare providers help ensure that women are using the most effective and appropriate contraception, leading to better health outcomes and fewer unintended pregnancies.
From Page 57
cosmetic procedures, i.e. whitening (bleaching) are mainly just that – for esthetics only – but other cosmetic procedures – orthodontics (braces, teeth straightening) have very significant effects on the overall health of your teeth, gums, and occlusion (bite) for a lifetime.
Most dental insurances do not cover cosmetic procedures. Dental insurance usually covers only things that are decayed, infected, or broken. Read your insurance coverage carefully and
eficial for women undergoing fertility treatments, acupuncture has demonstrated stress-reduction capabilities.
Moreover, acupuncture seamlessly integrates with conventional fertility treatments, such as in vitro fertilization (IVF). Studies have indicated that incorporating acupuncture can elevate IVF success rates by up to 65%, influencing factors like egg quality, hormone regulation, and the risk of miscarriage.
TCM philosophy attributes infertility to imbalances in the body’s energy flow. A skilled acupuncturist employs a combination of acupuncture, herbal medicine, and lifestyle adjustments to rectify these imbalances and nurture reproductive health. Tailoring treatments to individual needs, considering factors like age, overall health, and underlying medical conditions, underscores the personalized nature of Chinese acupuncture for infertility.
be prepared to pay out of pocket for uncovered cosmetic procedures. It is definitely worth it to get a healthy, bright and appealing smile you are not ashamed of. Go the extra mile and see your family dentist for more than a cleaning and cavity check. Ask what modern cosmetic dentistry can do for you. Who doesn’t want to look their best? A good looking smile can be yours with the help of your family dentist and other dental professionals.
From Page 56
As a time-tested, non-invasive practice, Chinese acupuncture for infertility has withstood the test of centuries. It serves as a viable alternative or complement to conventional treatments for couples grappling with infertility. However, it is crucial to seek the services of a licensed and experienced acupuncturist specializing in infertility for optimal results. Chinese acupuncture presents a holistic and effective approach to addressing infertility. Operating on the principles of energy regulation, improved blood circulation, and stress reduction, acupuncture stands as a safe and natural option, either independently or in conjunction with mainstream fertility treatments like IVF. For those navigating infertility challenges, exploring acupuncture as a therapeutic avenue holds promise for a safe and nurturing solution.
Eastern Medical Holistic Healing Center – Angel Wood – 240-7555925 – www.Acupuncture4Wellness.Webs.com.
West Annapolis Acupuncture –Brittney de Vicq, LAc, MAc – 410375-9716 – BrittneyAcupuncture. com – Annapolis, MD.
CHINESE MEDICINE & ACUPUNCTURE
Quansheng Lu, CMD, PhD, LAc – www.WholelifeHerb.com – 301340-1066.
Kovach Chiropractic & Wellness Center – Alicia Kovach, DC –410-697-3566.
Effective Integrative Healthcare –Crofton 410-774-0644 – Millersville 410-729-2200 – Lanham 301-5776556.
DENTISTRY
Cosmetic Dental FX – Judy Yu, DMD, MBA – 410-360-0440 –www.DentalFXMD.com – Pasadena, MD.
Lighthouse Family Dentistry –E. Taylor Meiser, DDS – 410-224 4411 – Annapolis, MD.
Karl A. Smith, DDS – Waldorf, MD – 301-638 -4867.
Craig A. Smith, DDS – 7201 Hanover Parkway, Suite A, Greenbelt, MD – 301-446-1784 – www. craigasmithdds.com.
DERMATOLOGY
Hema A. Sundaram, MD – Dermatology, Cosmetic & Laser Surgery – 11119 Rockville Pike, Suite #205, Rockville – 301-984-3376 – Also in Fairfax, VA.
EYE CARE
McNelly Optical, Inc. – 410-2632692 – www.McNellyOptical.com – Annapolis, MD.
FERTILITY
Montgomery Women’s Fertility Center – 301-946-6962 – MontgomeryFertilityCenter.com –Rockville, MD.
HOME CARE
At Home Care, Inc. – 301-4210200 – AtHomeCareInc.com –Since 1977.
New Day Vitality Hormone Center – 410-793-5212 – Arnold, MD and Easton, MD – NewDayVitality.com.
HYPNOSIS
Toni’s Happy Hour Yoga and Holistic Wellness Center – 301449-8664.
INTEGRATIVE MEDICINE
Alan Weiss, MD, Annapolis Integrative Medicine – 410-266-3613 – 1616 Forest Drive, Suite #3, Annapolis, MD 21403.
LAWYER
Alexander & Cleaver – 6710 Oxon Hill Road, Suite #330, Oxon Hill, MD 20745 – 301-292-3300 –alexander-cleaver.com.
MEDICAL SPACE
Charles Feitel Company – 301571-9333 – www.MedicalandDentalSpace.com.
MEDICARE
Perry L. Johnson – Local Medicare Specialist – 301-793-4571 pjohnson.perry@gmail.com.
MENTAL HEALTH SERVICES
Charles Co. Freedom Landing, Inc. – 301-932-2737 or 301-870-3969. House Calls, LLC – 301-346-6732 – CallingOnBeth@gmail.com –www.CallingOnBeth.net.
NEUROLOGY
Charles C. Reel, MD – Maryland Gait and Balance Disorder Center – Charlotte Hall, MD – 301-2900395.
PAIN MANAGEMENT
Georgetown Pain Management – Netsere Tesfayohannes, MD, ABA, ABAP – 301-718-1082 –8120 Woodmont Ave., Ste 560, Bethesda, MD – 7300 Hanover Dr., Ste 204, Greenbelt, MD. Newbridge Spine and Pain Center – 301-638-4400 – www.NewbridgeSpine.com.
PHYSICAL THERAPY/ REHABILITATION
Active Physical Therapy. Various Locations across Maryland and Washington, DC. Activephysicaltherapy.com.
PODIATRY
Bowie Foot Care – Howard Horowitz, DPM – 301-464-5900.
Largo Foot and Ankle Health Center – Ade Adetunji, DPM –301 386 5453.
PRIMARY CARE
Loving Care – Janet Johnson, MD – Hyattsville, MD – 301403-8808.
PROSTHETICS
Metro Prosthetics – 301-459-0999 – www.MetroProsthetics.com
RETIREMENT VILLAGE
Brooke Grove Retirement Village – 18100 Slade School Road, Sandy Spring, MD 20860 – 301260-2320 – www.bgf.org.
Chevy Chase Home Care. Help at a time you need it most. Any Ages. Any situations. Any shifts. MD, DC, VA – www.CHCHHomeCare.com – 202-374-1240.
St. Mary’s Nursing & Rehabilitation Center – 301-475-8000 – Leonardtown, MD – www.StMarysNursingCenter.com.
SPA (MEDICAL)
Luminox Healthcare Services –240-553-7970 – LuminoxHealth. com.
UROLOGY
AA Urology – IR Center , 600 Ridgely Avenue, Suite #120, Annapolis, MD 21401 – Annapolis , 600 Ridgely Avenue, Suites #222-223, Annapolis, MD 21401 – East Campus Surgery Center , 600 Ridgely Avenue, Suite #130, Annapolis, MD 21401
AA Urology – Odenton, 1106 Annapolis Road, Suite #250, Odenton, MD 21113 – Glen Burnie, 305 Hospital Drive, Suite #303, Glen Burnie, MD 21061 – Bowie, 4201 Northview Drive, Suite #201, Bowie, MD 20716 – West Campus Surgery Center , 7855 Walker Drive, Suite #102, Greenbelt, MD 20770 – Greenbelt, 7855 Walker Drive, Suite #100, Greenbelt, MD 20770.
Charlotte Hall Veterans Home –301-884-8171 – Waldorf, MD.
WEIGHT LOSS
The Bariatric and Hernia Institute –Dr. Etwar McBean – 240-206-8506 – www.TBHInstitute.com.
YOGA
Toni’s Happy Hour Yoga and Holistic Wellness Center – Toni Greene, Owner – 301-449-8664.










1) Call 301-805-6805 with your name, contact info, and credit card payment for $24, or
2) Simply mail this form along with your check for $24: Your Health Magazine 4201 Northview Dr. Suite 102 Bowie, MD • 20716
301-805-6805
more points as part of the acupuncture treatment. Essential oil blends can also be custom made for a client so that they may use the oils at home to continue the treatment. The acupuncturist can create a custom blend of several different oils specific to the client’s health issue and then the client can apply the oil twice a day for usually two weeks.
taken on two primary forms:
1. Traditional Surrogacy: This method involves the surrogate mother using her own egg to conceive the child through artificial insemination. However, traditional surrogacy has become less common due to its legal complexities and the preference for a genetic link between the child and the intended parents.
2. Gestational Surrogacy: Gestational surrogacy, the prevalent form today, entails the surrogate mother carrying a child conceived using the egg and sperm of the intended parents or donors. This method ensures a clear genetic connection between the child and the intended parents. Surrogacy laws vary significantly
It is very important to work with an acupuncturist who has received proper training in using essential oils in relationship with acupuncture. It is also important to use essential oils that have been made using the highest standards. The quality of the oil is paramount to receiving a good effect from the treatment.
critical issue given recent high-profile breaches. Requirements such as mandatory multifactor authentication, data encryption, and network segmentation help ensure that sensitive patient information remains secure. This reassures patients that their private data is wellprotected, fostering trust in healthcare institutions.
Medical providers should conduct regular security audits and train staff in robust cybersecurity practices to meet these requirements.
Guidance For Providers
To ensure seamless compliance with the 2025 regulations, healthcare providers can take the following steps:
• Regularly update staff on new transparency requirements and the No Surprises Act to eliminate hidden costs.
• Improve cybersecurity defenses through advanced measures like data encryption and multifactor authentication.
across different countries and regions, requiring all parties involved to seek legal counsel to fully comprehend their rights and responsibilities. Ethical considerations in surrogacy revolve around issues of informed consent, autonomy, and the welfare of everyone involved, particularly the child. Ensuring that the surrogate mother fully understands and willingly consents to the process, along with receiving fair compensation, is paramount.
Surrogacy is a profoundly emotional journey. Open and honest communication among all parties, supplemented by mental health support when needed, is vital to navigate the emotional peaks and valleys inherent in surrogacy.
Prevously publised on SoMeDocs Magazine
Drug-disease interactions happen when a prescription medication or over-the-counter medicine interacts, or interferes, with a disease or condition that you have. For example, decongestants, which are found in many cold remedies, may cause your blood pressure to go up. This may be dangerous for people with high blood pressure.
Your risk of having a drug interaction depends in large part on how many medicines you are taking. Fortunately most of these interactions can be prevented. By taking a few simple steps, you can protect your health and avoid serious problems.
Read the labels of all over-thecounter medicines. Look for the section called “Drug Interaction Precaution.” If you don’t see it, don’t assume that no interactions will occur. Read all the information carefully to be sure.
Tell all of the doctors and pharmacists you visit about all of the prescription medications and overthe-counter medicines you use. Use a Personal Medication Record to write down information about the medicines that you use. Be sure to include
From Page 58
those you take every day as well as those you use only once in a while. If you use vitamins or herbal products, be sure to write them down, too.
Before taking any new medication, talk to your doctor or pharmacist. Ask whether it is safe to take the new medicine with other prescription medications, over-the-counter medicines, vitamins, or herbal products that you are taking. Ask if there are any foods, drinks, or medications you should avoid while taking the new medicine. Never use prescription medicines that belong to another person, even if that person seems to have the same health problem you have.
Ask your doctor or pharmacist for advice on over-the-counter medicines. Your doctor or pharmacist will help you choose the medicine that best meets all of your health needs. If you can, buy your over-the-counter medicines at the same pharmacy where you have your prescriptions filled. That way, the pharmacist can check your records to see if the overthe-counter medicines you buy could interact with the prescription medications you take.
The compliance updates also expand access to care by continuing the momentum of telehealth services. Medicare now permanently reimburses telehealth consultations at similar rates to in-person visits, allowing patients in rural areas or with mobility challenges to receive quality care without needless travel. Additionally, new insurance coverage guidelines mandate coverage for a greater range of services, effectively reducing outof-pocket costs.
F• Hire experts to train teams in the use of updated billing codes and itemized statements.
The 2025 compliance changes prioritize patient-centered care by emphasizing billing accuracy, data security, and expanded access. For healthcare providers, these updates ensure operational efficiency and foster better patient trust.
By staying ahead of these changes, Virginia and Maryland’s healthcare providers can meet compliance requirements while delivering exceptional care.
deepest yin element. Nature wants us to go inward and listen. The meridians are Kidney, the life force, and Bladder, the water system or distributor of the life force. Water energy comes into play with back pain, knee pain, and spinal issues. It also plays a major part in fertility issues.
Learning the Five Elements in
From Page 18
my acupuncture and herbal studies has changed my life in deeper ways than I thought possible. It is my goal to share that with my clients to bring them a deeper understanding of themselves and their relationship to their loved ones. After a consult with me, my clients have an action plan to work with to live their life to the fullest.
• Skin Rejuvenation and AntiAging: Oxygen is essential for collagen production and skin regeneration. HBOT promotes tissue repair, reducing fine lines, wrinkles, and age-related damage, leading to a more youthful complexion.
• Hormonal Balance and Wellness: Oxygen therapy supports cellular function, which can assist in regulating hormones. This makes HBOT beneficial for women experiencing hormonal shifts due to pregnancy, menopause, or other life changes.
• Improved Circulation and Detoxification: HBOT enhances blood flow, helping to flush out toxins and impurities that contribute to dull skin, breakouts, and inflammation.
• Accelerated Healing and Recovery: Whether recovering from cosmetic procedures, childbirth, or injury, HBOT speeds up the healing process, reducing downtime and discomfort.
From Page 22
• Hair and Scalp Health: Oxygen therapy has been explored for its role in promoting hair growth and scalp circulation, making it a potential solution for women experiencing hair thinning or loss.
• Boosted Energy and Vitality: Many women experience chronic fatigue due to stress, poor sleep, or nutritional deficiencies. HBOT helps increase energy levels by optimizing oxygen utilization in the body.
With advancements in chamber technology, HBOT is now more accessible, offering a safe, relaxing, and effective way for women to support their health and beauty. Whether used as part of an anti-aging regimen, a recovery tool, or a wellness routine, HBOT stands out as a holistic solution for achieving radiant skin, balanced health, and overall vitality.

Namita K. Thapar-Dua (Chaudhary)

baby animals. Give your child stickers to place on the chart each time they brush and floss. At the end of the week, reward them with a fun (non-sugary) treat like a trip to the park!
4. Turn Toothbrushing Into a Garden Adventure
Get creative with storytelling! Pretend their toothbrush is a watering can, and their teeth are little flowers that need to be “watered” to grow strong and healthy. Or imagine their toothbrush is a butterfly gently cleaning each tooth. This playful approach turns a daily task into an exciting adventure.
5. Spring Into a Healthy Snack Routine
Swap out cavity-causing winter treats for tooth-friendly spring snacks
medical cannabis use.
Researchers believe that there are many systems in the body that are affected by the endocannabinoid system. The endocannabinoid system is found to be activated by THC and CBD. Other systems include:
• pain perception


• body temperature
• memory
• Supporting Detoxification: The body naturally detoxifies through the lymphatic system, and massage accelerates this process, reducing inflammation and discomfort.
Most plastic surgeons and aesthetic professionals recommend lymphatic massage as part of a post-surgical care plan, often starting within the first week after a procedure. Regular sessions can dramatically improve results and patient comfort.
Lipedema is a chronic condition that primarily affects women, causing abnormal fat accumulation in the legs, arms, and hips. It can lead to pain, swelling, and limited mobility. While there is no definitive cure, lymphatic massage plays a crucial role in managing symptoms by:
• Reducing Fluid Retention: Lipedema is often accompanied by swelling due to impaired lymphatic function. Gentle massage helps stimulate drainage, alleviating discomfort.
• Easing Pain and Tenderness: The
like crunchy carrots, apples, and strawberries. These natural, vitaminrich foods help keep teeth strong while promoting overall health.
6. Plan a “Spring Cleaning” Dental Visit
Spring is a great time to schedule a dental checkup! Regular visits ensure your child’s teeth are developing properly and help prevent potential issues before they start. A “spring cleaning” at the dentist will keep their smile shining all season long.
By incorporating these fun, seasonal ideas, you can help your child shake off the winter blues and embrace healthy habits with excitement. A little creativity goes a long way in making oral hygiene a joyful part of their daily routine. Here’s to bright, happy smiles this spring!
• mood
• hunger
• stress
• sleep
• metabolism
• immunological response
• Reproduction
Local dispensaries, through web sites, or in-person visits, provide a wealth of knowledge on available products and their methods of consumption.
massage technique is soothing and can help decrease sensitivity in affected areas.
• Improving Mobility: By decreasing swelling and fluid buildup, individuals often experience enhanced flexibility and movement.
• Complementing Other Treatments: When combined with compression therapy, a healthy diet, and exercise, lymphatic massage can greatly improve quality of life for those with Lipedema.
A Gentle Yet Powerful Wellness Treatment
Whether used for post-aesthetic recovery or Lipedema management, lymphatic massage offers significant health and wellness benefits. Performed by a trained therapist, this specialized technique supports the body’s natural detoxification processes, enhances healing, and promotes overall well-being. If you’re recovering from a cosmetic procedure or struggling with Lipedema, consider incorporating lymphatic massage into your wellness routine for optimal results.

