
TÓRAX. SIGNOS Y PATRONES RADIOLÓGICOS. V. PLEURA.

Revisado y modificado 15-7-2024




![]()


Revisado y modificado 15-7-2024




*Algunos signos tienen más de una diapositiva.

*En el modo “Presentación” se puede acceder a cada signo con un click sobre el nombre.
2. ÍNDICE
3 ANATOMÍA Y FIOSIOLOGÍA
5. ANATOMÍA PLEURAL. ESTUDIO CONVENCIONAL
6. ANATOMÍA PLEURAL. TC
7. AIRE EN ESPACIO PLEURAL
8. AMILOIDOSIS PLEURAL
9. CALCIFICACIÓN PLEURAL
10. COÁGULO CENTINELA. SIGNO DEL
11. DERRAME PLEURAL UNILATERAL. DATOS
12. DERRAME PLEURAL. CAUSAS
13. DERRAME PLEURAL. CRITERIOS DE LIGHT
14. DERRAME PLEURAL . DISTRIBUCIÓN TÍPICA
15. DERRAME PLEURAL. DISTRIBUCIÓN ATÍPICA
16. DERRAME PLEURAL. HALLAZGOS EN DECÚBITO SUPINO
17. DERRAME PLEURAL. DENSIDAD POR TC
17 DERRAME PLEURAL BILATERAL. CAUSAS
19. DERRAME PLEURAL UNILATERAL. CAUSAS
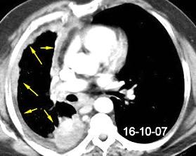
20. DERRAME PLEURAL UNILATERAL. INFECCIÓN

21. DERRAME PLEURAL TUBERCULOSO
22. DERRAME PLEURAL UNILATERAL, NEOPLASIA
23. DERRAME PLEURAL UNILATERAL, METÁSTASIS
24. DERRAME PLEURAL UNILATERAL, HONGOS. ART. REUMATOIDE
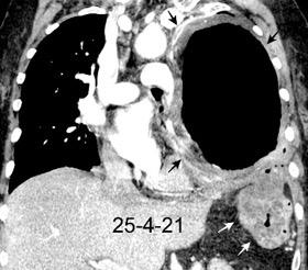
25. DERRAME PLEURAL. TRAUMA
26. DERRAME PLEURAL UNILATERAL. ENF. SUBDIAFRAGMÁTICA
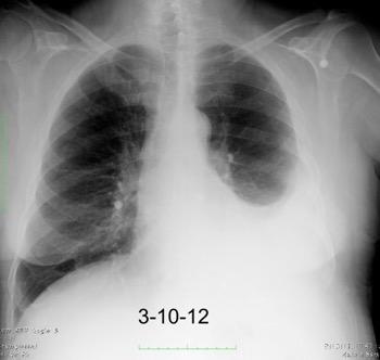
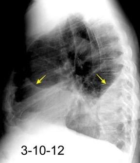
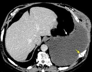
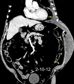
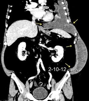
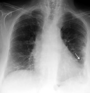
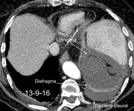
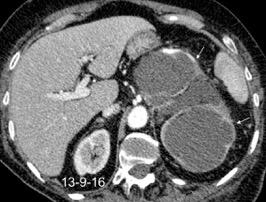
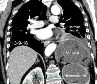
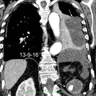
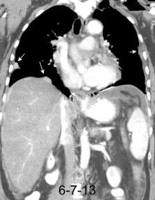
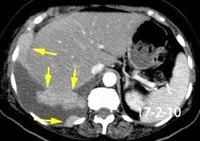
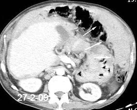
27. DERRAME PLEURAL IZQUIERDO. URINOMA
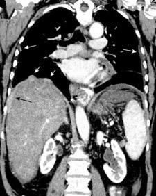
28.DERRAME PLEURAL IZQUIERDO. PANCREATITIS AGUDA
29. DERRAME PLEURAL IZQUIERDO. SÍND. DE AFECTACIÓN POSTCARDIACA
30. DERRAME IZQUIERDO. SÍNDROME DE BOERHAAVE
31. DERRAME PLEURAL VERSUS ASCITIS
32. EMPIEMA PLEURAL. FASES
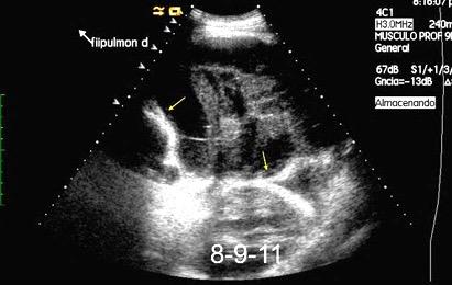
33. EMPIEMA PLEURAL. ULTRASONIDOS EN
34. EMPIEMA PLEURAL. SIGNOS EN TC.
36. EMPIEMA. ENGROSAMIENTO PLEURA PARIETAL. SIGNO DEL
37. EMPIEMA. PLEURA SEPARADA. SIGNO DE LA
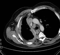
38. EMPIEMA PLEURAL. TEP
*Esquina superior derecha.
”Retorno al índice”
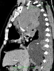
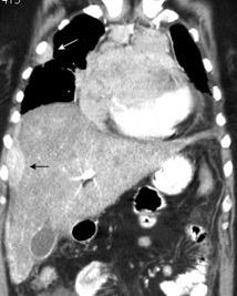
39. EMPIEMA DE ORIGEN SUBDIAFRAGMÁTICO
40. EMPIEMA PLEURAL. ORIGEN HEPÁTICO
41. EMPIEMA. ESPONDILODISCITIS AGUDA
42. EMPIEMA PLEURAL. EMPIEMA NECESITATIS.
43. EMPIEMA PLEURAL. INFILTRACIÓN GRASA
44. EMPIEMA TUBERCULOSO CRÓNICO
45. EMPIEMA PLEURAL. TUMOR SOBRE
46. EMPIEMA CRÓNICO. COSTILLAS GRANDES
47. EMPIEMA PLEURAL.CALCFICACIONES
48. EMPIEMA PLEURAL VERSUS ABSCESO PULMONAR.
49. ENDOMETRIOSIS
50. ENGROSAMIENTO PLEURAL DIFUSO. FIBROTÓRAX
51. ENGROSAMIENTO DIFUSO: MESOTELIOMA MALIGNO
52 .ESPLENOSIS TORÁCICA
53. FIBROTÓRAX NO COMPLICADO
55. FIBROTÓRAX APICAL
56. FIBRO-HIDROTÓRAX POSTPUNCIÓN
57. FÍSTULA BRONCOPULMONAR

58. HEMANGIOENDOTELIOMA EPITELIOIDE

59. HEMATOCRITO EN ESPACIO PLEURAL, SIGNO DEL
61. HEMATOPOYESIS EXTRAMEDULAR
62. HEMOTÓRAX. ESPONTÁNEO. CAUSAS
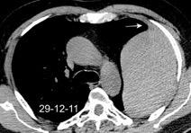
63. HEMOTÓRAX. ANEURISMA ASI ROTO.
64. HEMOTÓRAX. EHLERS-DANLOS
65. HIDRONEUMOTÓRAX. TRAUMA. ENDOMETRIOSIS
66. INVASIÓN PLEURAL DIRECTA
69. INVASIÓN DIRECTA. T. DE PANCOAST
70. LÍNEA NEGRA EN MICROLITIASIS ALVEOLAR. , SIGNO
71. LINFOMA NH PLEURAL
73. LIPOMA PLEURAL
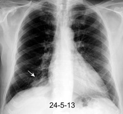
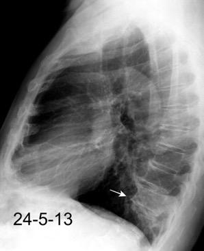
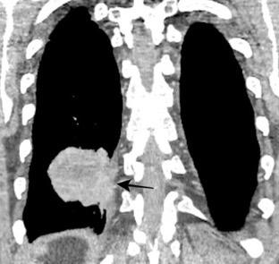
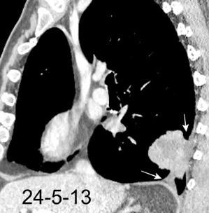
74. MASA PLEURAL. MIELOMA
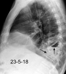
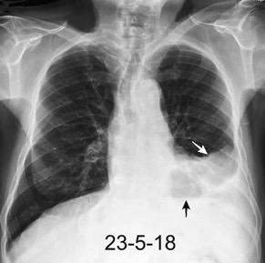
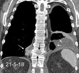
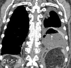
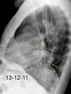
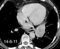
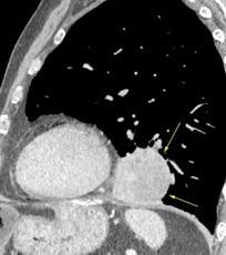
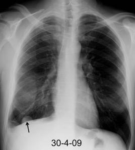
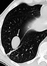
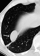
75. MASA PLEURAL MÓVIL. PLEUROLITO
76. MASA PLEURAL. MESOTELIOMA FIBROSO BENIGNO
77. MASA PLEURAL. MESOTELIOMA FIBROSO MALIGNO
78. MASA PLEURAL. MESOTELIOMA MALIGNO. HALLAZGOS
79. MESOTELIOMA MALIGNO. TIPOS
80. MESOTELIOMA MALIGNO EPITELIOIDE
81. MESOTELIOMA MALIGNO. CORAZA PLEURAL
82. MESETA. SIGNO DE LA
83. METÁSTASIS PLEURALES
86. METÁSTASIS PLEURAL EN TIMOMA. “DROP METASTASIIS”
87. NEUMOTÓRAX ESPONTÁNEO
88. NEUMOTÓRAX CATAMENIAL

89. NEUMOTÓRAX. SÍNDROMES POROSOS
90. NEUMOTÓRAX A TENSIÓN
91. NEUMOTÓRAX EN ESPIRACIÓN
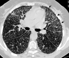
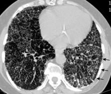
92. PLACAS PLEURALES
94. QUILOTÓRAX
95.QUISTE HIDATÍDICO PLEURAL
96. SARCOMA SINOVIAL
97. SURCO PROFUNDO , SIGNO DE
98. TEXTILOMA PLEURAL
99. TROMBOEMBOLISMO PULMONAR
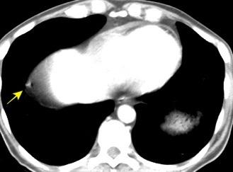
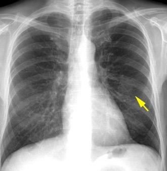
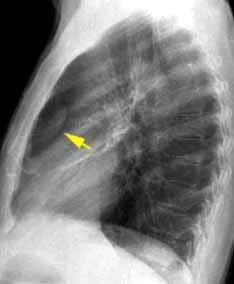
100. TUMOR FANTASMA
102. TUMOR FANTASMA. HEMATOCELE
103. V DE NACLERIO.SIGNO DE LA.

Pleura parietal

Pleura visceral
Líquido
pleural

Capilar sistémico

Capilar pulmonar
Neergard. 1927
Circulación de líquido pleural. (ley de Starling), Diferencia entre la presión hidrostática y la osmótica coloidal. Neergard. 1927
Producción: Pl. Parietal (zonas altas)
Reabsorción:
Linfáticos
Líquido en la pleura “normal”+/- 1-5 mL ¡Olvido del papel de los linfáticos!


1.Pl. Parietal: Zonas bajas Superf. diafragmática Zona mediastínica
2.Pl. Visceral (gradiente de presión)
3. Mecanismos celulares
Miserocchi. 1997.Zocchi. 2002



Lubricación entre el pulmón y pared torácica asegurada por moléculas de surfactante con carga eléctrica similar en ambas pleuras. (“efecto grafito”)
Pleura “parietal” radiológica (TC)


Líquido en la pleura “normal : 0,3 mL. Kg de líquido hipo-oncótico. Se produce en la pleura parietal. La reabsorción por los estomata linfáticos de la parte baja y diafragmática de la pleura parietal
1. Proximidad de microvasos a la superficie pleural
2. Estomas entre las células. Sahn 1990
Costilla
Im. JG. Radiology 1989
Miserocchi G.. Physiology and pathophysiology of pleural fluid turnover. Eur. J. Respir.1997
Pleura visceral
Pleura parietal

Células mesoteliales
Capa f ibroelástica
Paquete graso
Fascia endotorácica Grasa Intercostal + vasos
Musc. Intercostal interna
Músculos Intercostales . más profunda

Miserocchi G. Mechanisms controlling the volume ofpleural fluid and extravascular lung wáter. Eur Respir Rev 2009
La pleura “no es visible en las radiografías PA y lateral
Se puede inferir la “normalidad “pleural si son visibles:


Senos costodiafragmáticos lateral y posteriores profundos y sin obliteración.
Cisuras interlobares (cuando son visibles), como una línea nítida, como trazada a lápiz. Contorno cardiovascular bien definido.










Pleura “normal”


La pleura “normal” no se visualiza en los estudios de TC.
(En el esquema se corresponde con la línea azul entre el espacio extrapleural verde y el pulmón morado)

En estudios de TCAR puede verse la banda de grasa extrapleural adyacente a la pleura parietal



Procedimientos pleurales
Toracentesis, Biopsia pleural, etc.
Trauma
Fístula broncopleural Infección pulmonar Tumor Infección por anaerobios
Introducción accidental por punción


24 hrs



Fístula broncopleural


Trauma




Anaerobios (raro)





Secundaria: Lesión inflamatoria crónica: Crohn, Artritis reumatoide, Reiter, Sjögren, Dermatomiositis, Tb Vasculitis. Lupus, etc.
1978.Cirugía del ángulo esplénico del colon´
AP: Infiltración plasmocitaria


Enfermedad rara. Se presenta como derrame pleural o como masas que pueden calcificar. Primaria. Displasia monoclonal de células plasmáticas. (30% mieloma múltiple).





Georgiades CS et al. Amyloidosis: Review and CT Manifestations. Radiographics 2004


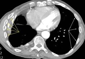
Exposición a asbestos
Empiema
Exudado pleural
Metástasis
Hemotórax
Pleurodesis
Post-radiación
Tumor fibroso




Cavidad residual en empiema crónico







Signo del Masa pleural Coágulo


Pleurolito
Bolas de fibrina
Textilomas
Esplenosis
Endometrioma
Silicomas
Q. hidatídico
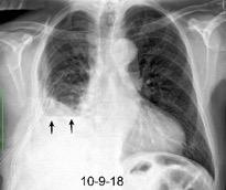
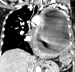
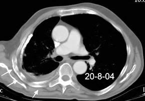
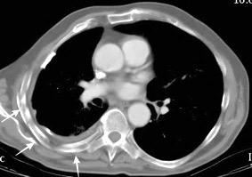
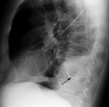
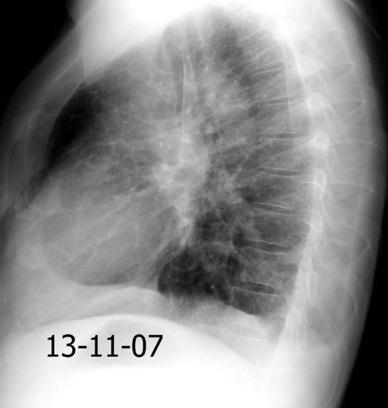
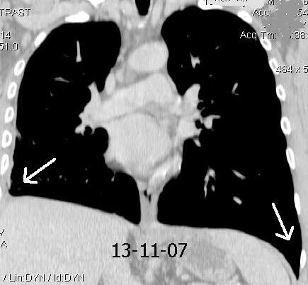
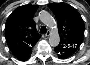
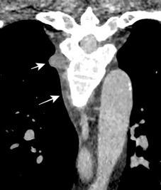
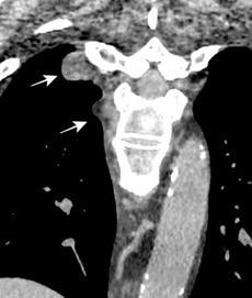
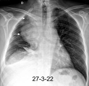
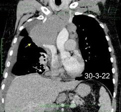
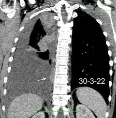
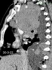
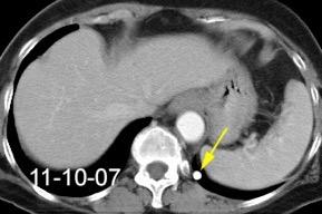
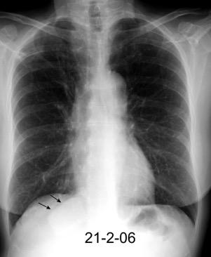
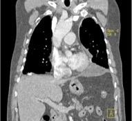
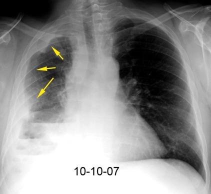
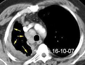
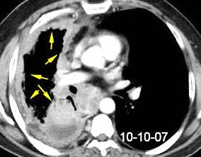
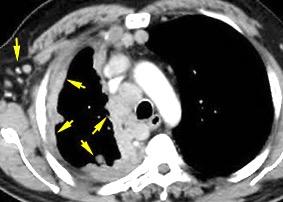
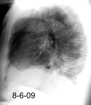
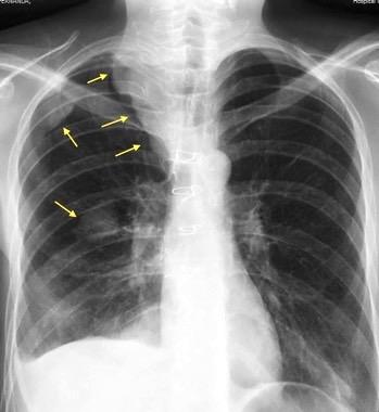
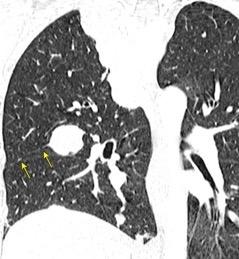
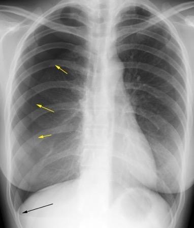
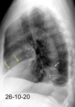
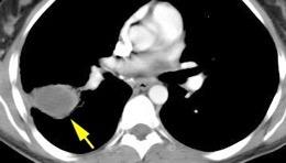
Shock hipovolémico tras puñalada.
Hemotórax



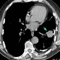
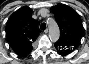
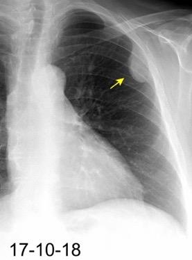
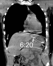
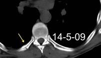
Coágulo centinela






Pedrosa I et al. Intercostal artery injury manifested by a sentinel pleural clot. Emerg Radiol 2001









El derrame pleural es un problema habitual con más de 50 causas reconocidas, que incluye enfermedades pleurales locales, lesiones sistémicas, disfunción de órganos y drogas.

Sahn SA citado por Hooper C et al.

Como el diagnóstico diferencial es amplio se requiere una investigación sistemática.
La recuperación del derrame es un proceso largo porque el mecanismo linfático aunque muy adaptable puede no conseguir igualar el aumento en la tasa de filtrado.
Hooper C et al. Investigation of a unilateral pleural effusion in adults: British Thoracic Society pleural disease guideline 2010. Thorax 2010.
Miserocchi G.. Physiology and pathophysiology of pleural fluid turnover. Eur. J. Respir.1997



Derrame pleural: Cuando la filtración excede el flujo linfático pleural máximo. (+/- 700 mL/día)
Formación de líquido aumentada


> Presión hidrostática (Fallo cardiaco)
< Presión osmótica (ej. Cirrosis, hipoalbuminemia)
> Permeabilidad capilar (Infecc, Neopl.)
Pasage de líquido intra-abdominal (Cirrosis)
< Presión espacio pleural (ej:Atelect.)
Absorción de líquido disminuida
Obstrucción linfática

Elevación Presión sistémica (drenaje linfático alterado) Sínd. VCS
Lai-Fook, SJ. Pleural Mechanics and Fluid Exchange. Physiol Rev 2004; Miserocchi G. Mechanisms controlling the volume of pleural fluid and extravascular lung wáter. Eur Respir Rev 2009




Criterios de Light. Es un exudado si uno o más criterios siguientes se cumplen:

Proteínas del líquido pleural partidas por las proteínas del suero es >0,5

Lactato de dehidrogenasa (LDH) del líquido pleural partida por la LDH del suero es > 0,6
Lactato de deshidrogenasa (LDH) del líquido pleural es > 2/3 de los
límites más altos del valor normal de la LDH del suero

Nota. Estos criterios no son fiables si la proteína del suero es anormal o si la proteína del líquido pleural es cercana a 30g/l
25% de trasudados son clasificados erróneamente como exudados

Light RW et al. Ann Intern Med 1972./ Li D et al. Modern day management of a unilateral pleural effusion . Clinical Medicine 2021. Porcel JM and Light RW. Pleural Fluid Analysis: Are Light's Criteria Still Relevant After Half a Century?. Clin Chest Med. 2021.












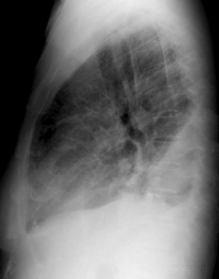
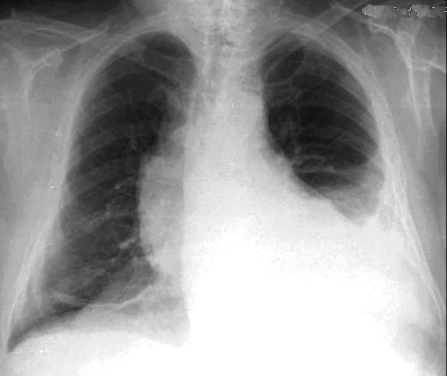
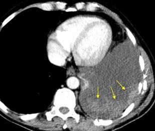
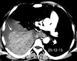
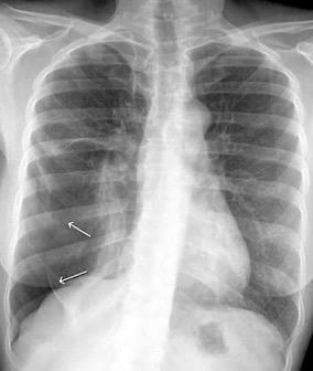
500 cc. Borramiento diafragmático

1000 cc
Distribución atípica

En el espacio subpulmonar
(El líquido tiende a acumularse donde el pulmón tiene más “elastic recoil”

Los hallazgos radiológicos dependen de.
1. Cantidad de líquido


2. Su distribución. (dependiente de la posición)
3. Si es libre o está tabicado (formación de fibrina)
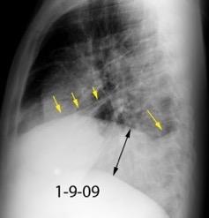
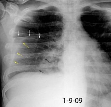
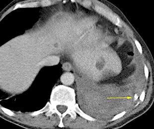
Líquido libre Líquido “subpulmonar”


Desplazamiento caudal del fundus

Aumento de la distancia fundusdiafragma




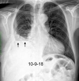
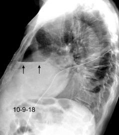
Signos en decúbito supino
175 cc









Dec. supino
Líquido en cisura horizontal y accesoria derecha


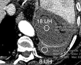
Colección pleural
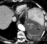
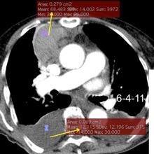
Hemorrágica………….30-70 UH
Extravasación iv. con sangrado activo……….>90 UH
“Simpático”………….,,,,<15 UH
Durso AM et al. Penetrating Thoracic Injury. Radiol Clin N Am 2015.



Urogénico……………….< 15 UH

Entérico.. ………………+/- 15UH
Biliar, Quiloso……………..<0 UH
Urinoma

Hemotórax

Quilotórax

Absceso pared en empiema Tb

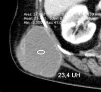
Derrame no complicado + hematoma mediastínico


68 UH
Empiema pleural post-trauma
12UH


Abramowitz1 Y et al. Pleural Effusion: Characterization with CT Attenuation Values and CT Appearance .AJR 2008






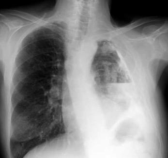
Frecuencia: 46% de los pacientes con fallo congestivo. Marel. Chest. 1993
Derrame pleural
5. Síndrome de Meigs 6. Mesotelioma 7. Nefropatías 8. Cirrosis
Puchalski JT et al. Etiologies of bilateral pleural effusions. Respir Med. 2013


Bilateral………88% ( “< lado izdo.”) Lado derecho…8% Lado izdo.………4%



Trasudados
Muy frecuentes
Fallo cardiaco
Cirrosis hepática
Menos frecuentes

Hipoalbuminemia
Diálisis peritoneal
Hipotiroidismo
Sínd. nefrótico
Estenosis mitral
Raros
Pericarditis constrictiva
Urinotórax
Sind. de Meigs





Causas frecuentes
T. maligno

Derrame metaneumónico
Tuberculosis
Menos frecuentes
TEP
Artritis reumatoide, etc
Asbestos
Pancreatitis

Post-IAM
Post- by-pass coronario
Raras
Drogas
Infección por hongos


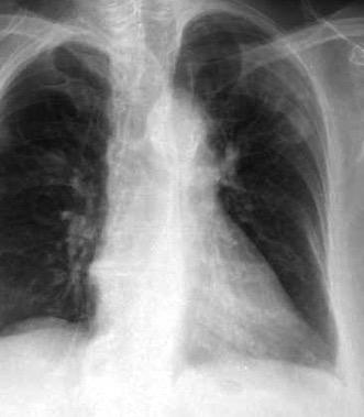
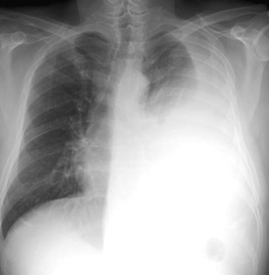
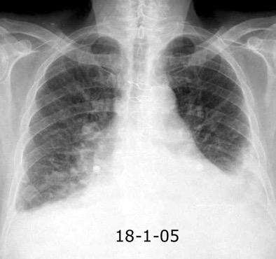
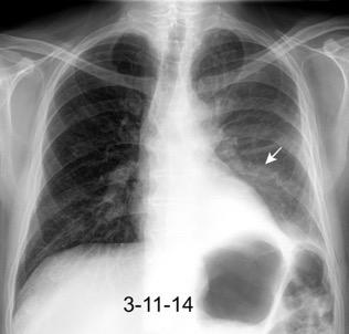
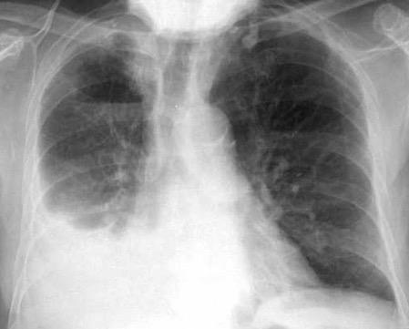
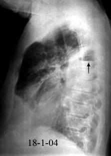
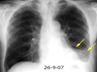
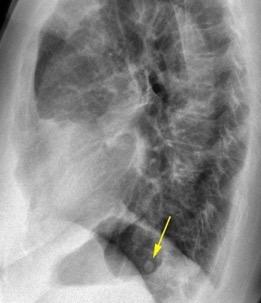
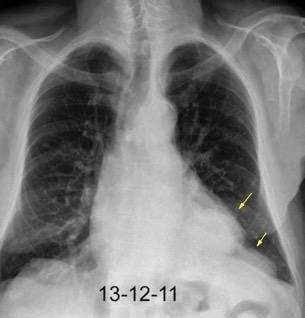
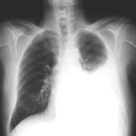
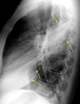
Neumonía a neumococos base izda. con derrame que aumenta.
Broncograma en lateral y en US.





(36-66% en ingresados)
Tuberculosis
Actinomices
Nocardia





16-18% en Tb post-primaria
66 pacientes con
Tb pleural probada


Ocasionalmente nivel hidro-aéreo por fístula broncopleural Consolidación........3% Ganglios……….....39%
Derrame...................65-98.5%
Lesiones pleurales. ........38 %
Afect. cisura interlobar….9%
Pl. mediastínica........... 1.5%
Afect. pulmonar 26/66 … 39%
Cambios fibróticos..........17%
Cavitación ......................12%
Nódulos heterogéneos.....6%











Neoplasia (60%)


Ca. Broncogénico.26-49%
Linfoma……………10-28%
Metástasis mama…8-24%
Metástasis ovario…10%
Mesotelioma

Hooper








Metástasis: Pulmón, Mama
Ovario, Tum. GI.
Otros: Timoma, Ca. de células renales, Melanoma.


Carcinoma de mama con derrame pleural e implantes metastáticos










Makis W et al. Spectrum of Malignant Pleural and Pericardial Disease on FDG PET/CT. AJR. 2012

Hongos
Aspergillus
Candida
Mucor

Criptococosis






4. Enfermedades del colágeno/vascular
Artritis reumatoide (en 3%)
Lupus eritematoso (en 15-74%)
Wegener (en 50%)








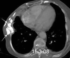
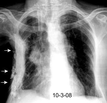
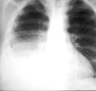
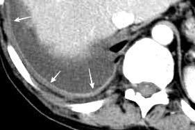
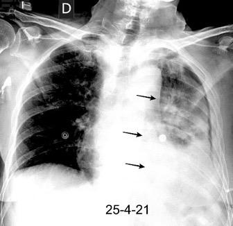
Hernia pleural con derrame en la pared abdominal y fracturas costales







Ioannidis O et al. Transdiaphragmatic Intercostal Hernia. An Unusual Hepatic Injury After a Car Accident: A Case Report and Review of the Literature . Discoveries 2021, /IDetorakis EE et al. Intercostal lung herniation - The role of imaging . Radiology Case. 2014

5. Enfermedd
subdiafragmática
Absceso subfrénico
Ascitis
Endometriosis

Sínd. de Meigs
6. Drogas
Amiodarona
Ciclofosfamida
Mesalamina
Metrotrexate,
Nitrofurantoina
� -bloqueantes
Morelock. S Chest 1999




Absceso subfrénico







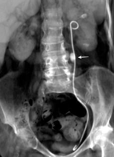
Enfermedad subdiafragmática Urinoma
Raro. Trasudado.

Orina en espacio pleural


Causas en 78 casos
Trauma……..66
Postcirugía 16
Obstrucción…21 aguda con cálculo e hidronefrosis..12









Freitas A et al. Pleural Effusion Secondary to Obstructive Uropathy: A Case of Urinothorax. Eur J Case Rep Intern Med. 2020/ Toubes ME et al. Urinothorax: a systematic review. J Thorac Dis 2017;

Hidronefrosis con cálculo ureteral

Lesiones supradiafragmáticas
Rotura esofágica espontánea
Aneurisma disecante

Aórtica traumática
Conducto torácico
Post-injerto de coronarias “Postcardiac injury”


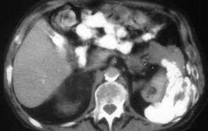
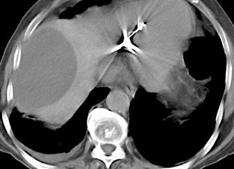
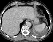
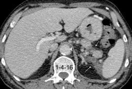
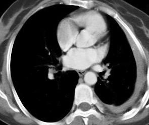
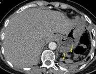
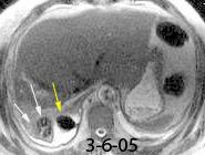
Pancreatitis aguda.




Lesiones infradiafragmáticas
Pancreatitis. (lado izquierdo.68%)
Neoplasia gástrica/pancreática.



Ortiz-Morales CM et al. Radiology of acute pancreatitis today: the Atlanta classification and the current role of imaging in its diagnosis and treatment . Radiologia (Engl Ed) . 2019
Dahnert 2017 Pancreatitis aguda


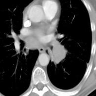
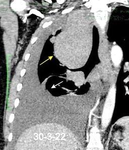
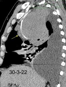
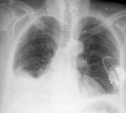
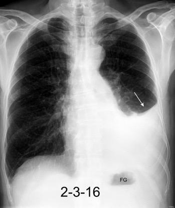
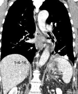
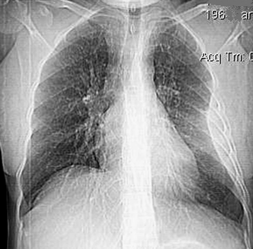
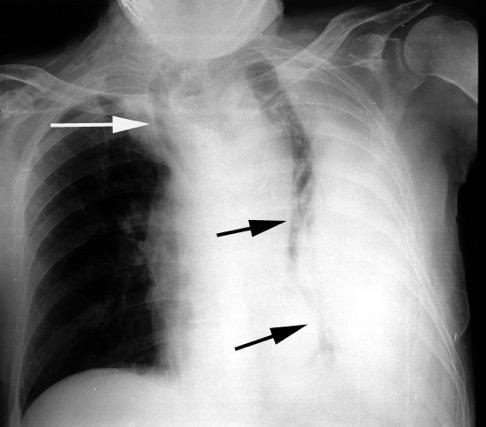
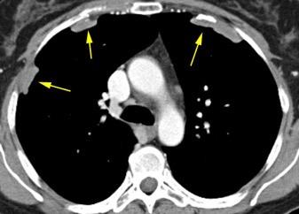
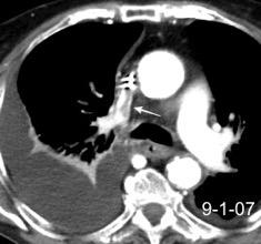
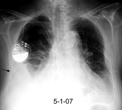
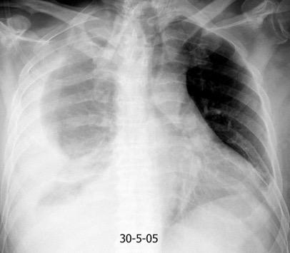
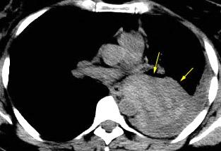
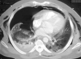
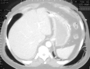
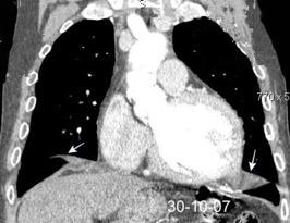
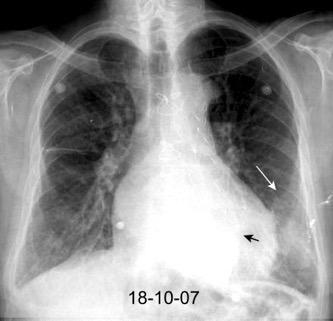
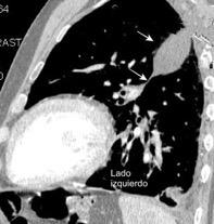
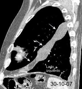
Síndrome de afectación postcardiaca (postcardiac injury)

Post infarto 1-7 % (Dressler)
Trauma cerrado Implantación marcapasos

Cirugía cardiaca. 17-31% (Post.pericardiotomía)

3707 pacientes 29 Derrames (0,78%) > de 25% del hemitórax
Todas menos 2 Izdos.


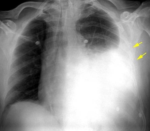
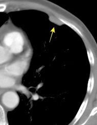
Angioplastia
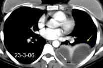
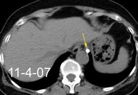
By-pass coronario 21-10-03


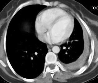
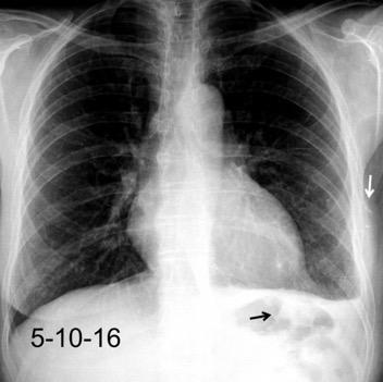
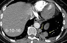
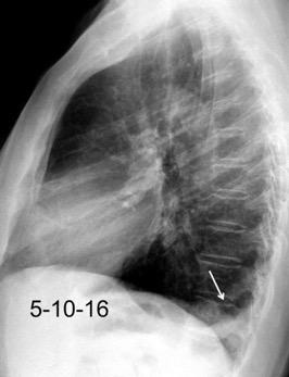
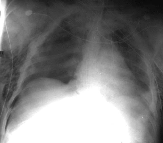
Rotura esofágica
Laceración transmural espontánea.

Excesos en comida y/o bebida









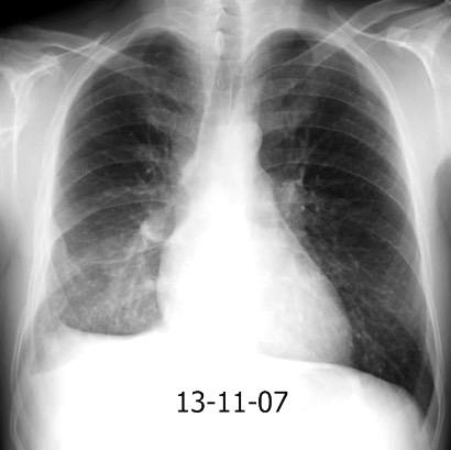
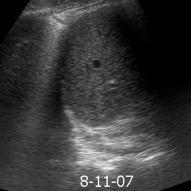
Marzo 2014: Perforación longitudinal distal secundaria a episodio de vómito (síndrome de Boerhaave). Derrame pleural izdo. que evoluciona a empiema.
Wang C-T et al. Tension hydropneumothorax in a Boerhaave syndrome patient: A case report . World J Emerg Med, 2021. Katabathina V et al. Nonvascular, nontraumatic mediastinal emergencies in adults:a comprehensive review of imaging findings. Radiographics. 2011.






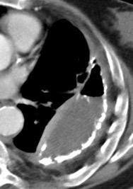
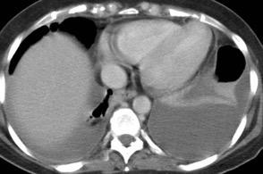
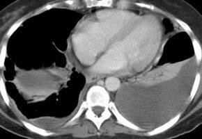
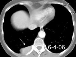
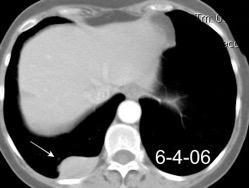
Naidich DP et al. Computed tomography of the diaphragm: peridiaphragmatic fluid localization.J Comput Assist Tomogr1983.





En el corte axial, el líquido pleural se sitúa por detrás

“Pus” en el espacio pleural




Fase temprana 30-48 horas
> PMN sin pus franco ph entre 7,0 y 7,2
Glucosa > 40 mg/l
b. Fase tardía. Pus franco pH < 7,0
Excepción: Inf. por Proteus mirabilis (desdoblamiento de la urea)
Glucosa < 40 mg/l

Nivel hidroaéreo o burbujas Brims FJH et al. Empyema thoracis: new insights into an old disease. Eur Respir Rev. 2010





Colección densa (base costal)
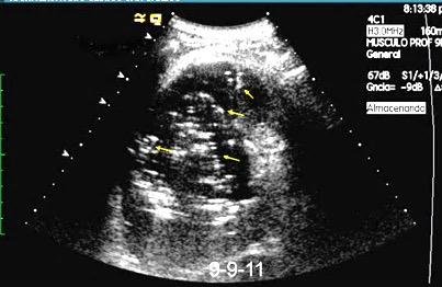
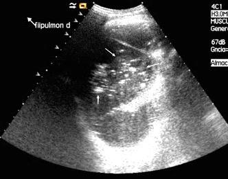
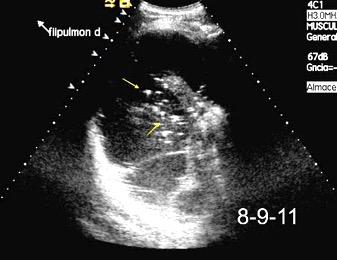
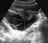
Patrón ecográfico de empiema
Anecoico.....0%. (0 de 47)
Complejo no septado no hiperecoico... ……………..0% (0 de 36)





Complejo, no septado hiperecoico......100% (2/2)
Complejo septado …35% (11 de 31)
Ecogénico homogéneo .... 100% (2 de 2)




Wang T et al. Value of ultrasonography in determining the nature of pleural effusion. Analysis of 582 cases. Medicine 2022.
Chih-Yen Tu et al. Chest Ultrasound Study Pleural Effusions in Febrile Medical ICU. Chest 2004
Yang W,et al. Infectious pleural effusion status and treatment progress. J Thorac Dis. 2017;

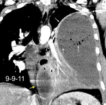
Signos radiológicos TC



Hallifax RJ et al. State-of-the-art: Radiological investigation of pleural disease Respiratory Medicine 2017

Nivel hidroaéreo o burbujas
Forma lenticular o elíptica Ángulos obtusos
> Grasa Extrapleural (60-80%)
Situación no gravitacional (no siempre)
Compresión de estructuras pulmonares
Límite muy bien definido Tabicación






Patrón ecográfico de empiema
Empiema

Forma lenticular o elíptica Ángulos obtusos
El derrame paraneumónico se convierte en complicado en 5-10% de los casos


Nivel hidroaéreo o burbujas






Hallifax RJ et al. State-of-the-art: Radiological investigation of pleural disease Respiratory Medicine 2017



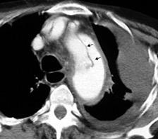
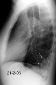
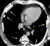
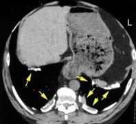
Engrosamiento de la pleura parietal 36/ 59 exudados (61%) 56% de D. paraneumónicos 100% de empiemas Especificidad.. 96%.



Exudado versus trasudado.




Aquino SL, et al. Pleural exudates and transudates: diagnosis with contrast-enhanced CT. Radiology 1994
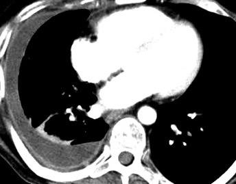
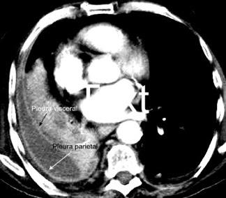
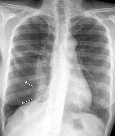
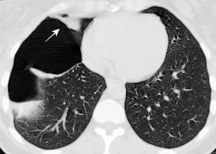
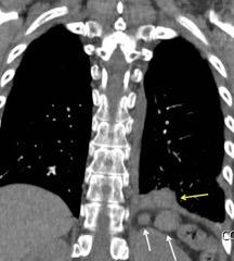
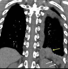
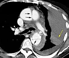
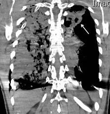
Signo de la Pleura separada “Split pleural sign”
Capas pleurales de grosor uniforme realzadas por el contraste


Dr. César Pedrosa



No específico de empiema. Indica “exudado”. 68% de pacientes con empiema pleural.

Capas pleurales de grosor uniforme
Realce grasa extrapleural (30%)
> Grasa Extrapleural. (60-80%)
Kraus GJ. Split pleural sign. Radiology 2007



Pleural visceral 50%
Pleural parietal 100%

Walker CM et al. Imaging Pulmonary Infection: Classic Signs and Patterns. AJR. 2014/Stark DD, et al. Differentiating lung abs cess and empyema: radiography and computed tomography. AJR. 1983



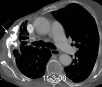
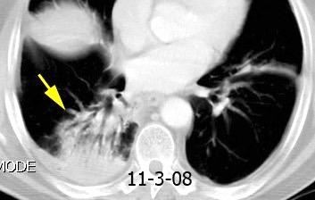
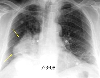
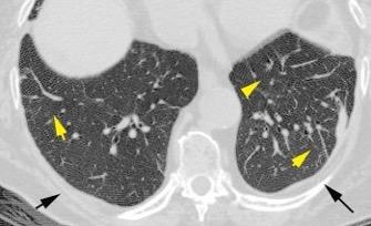
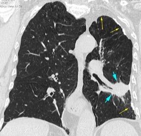
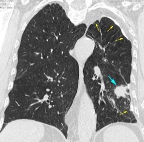
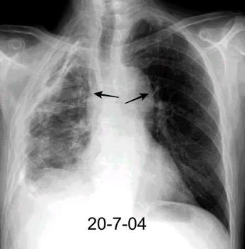
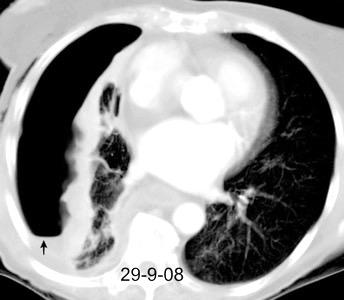
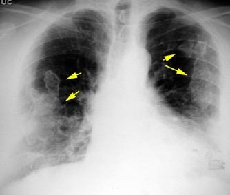
Tromboembolismo pulmonar.

Frecuencia del derrame:

Rx: 32%. TC: 47%


Unilateral. 85%






< 1/3 del hemitórax: 90%

Todos exudados

58% con eritrocitos





21% tabicación lo que causa demora en el diagnóstico




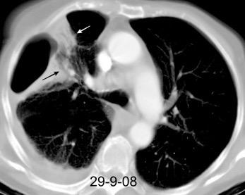
TEP. Empiema pleural. Atelectasia redonda

Porcel JM et al. Analysis of pleural effusions in acute pulmonary embolism: radiological and pleural fluid data from 230 patients. Respirology 2007/ Iguchi T et al. Desquamation of the subpleural lung parenchyma caused by empyema after pulmonary embolism: A case report. Respirol Case Rep. 2022 .



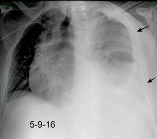
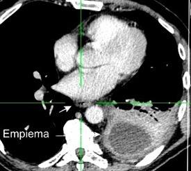
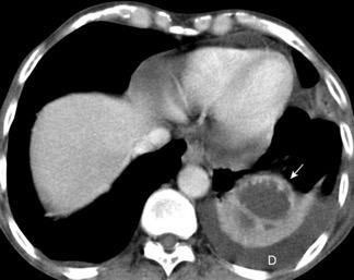
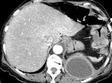
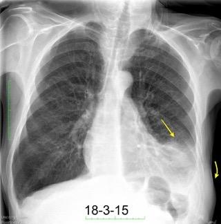
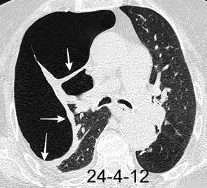
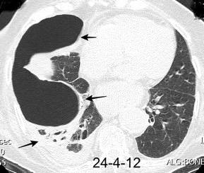
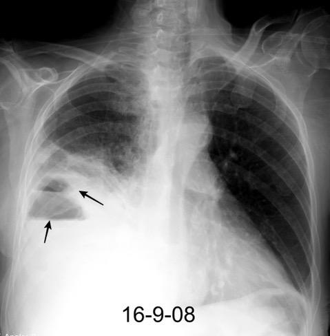
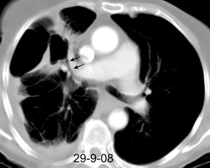
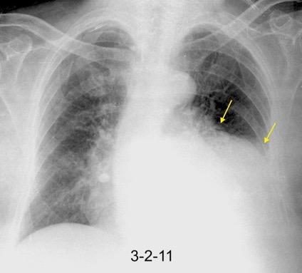
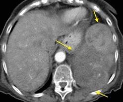
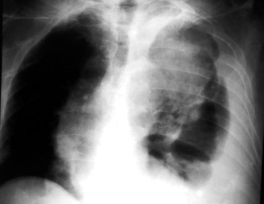
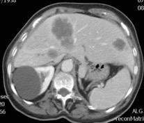
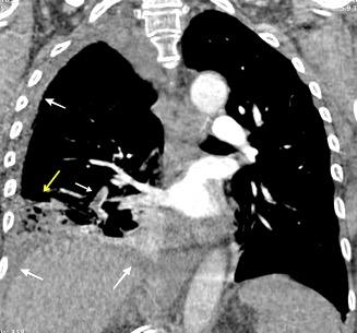
Absceso secundario a perforación de carcinoma. 3-4%. En flexura esplénica puede tener absceso subfrénico o empiema.










Empiema pleural secundario a carcinoma de la flexura esplénica (masa visible)
Lian R et al. Empyema caused by a colopleural fistula. Medicine (Baltimore) 2017/Osada T,, et al. Thoracic empyema associated with recurrent colon cancer: report of a case and review of the literature. Dis Colon Rectum 2001

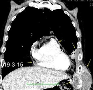
Quiste hidatídico.


Comunica con el hiato esofágico y el espacio pararrenal anterior.

Colecciones “inflamatorias” abdominales llegan al tórax vía el hiato esofágico o por vía transdiafragmática




Afectación transdiafragmática: 5,6-43,7% de quistes hepáticos. “Área desnuda” del hígado.
Panda A et al. “Straddling Across Boundaries”. Thoracoabdominal Lesions: Spectrum and Pattern Approach. Curr Probl Diagn Radiol. 2015 Área desnuda. El hígado en contacto directo con el tendón central del diafragma. Contiene el hiato de VCI.
Pedrosa I et al. Hydatid Disease: Radiologic and Pathologic Features and Complications. Radiographics 2000



Tuberculosis
Piogénica
Estafilococo..5-16%
Brucella….7,5-30%
Estreptococo..
Enterococo...5-20%
Hongos
Parásitos





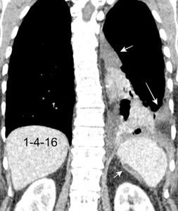
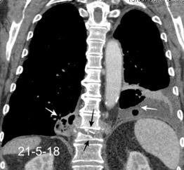
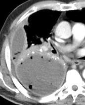
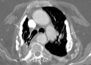
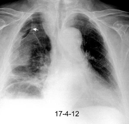
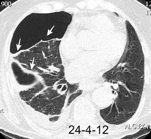
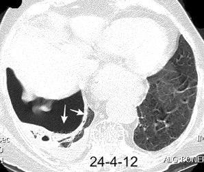
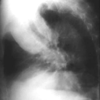
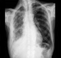
Empiema pleural izquierdo. Absceso del LID. Espondilodiscitis D11-D12.







Potsios C et al. Pyogenic Spondylodiscitis due to Streptococcus constellatus in an Immunocompromised Male Patient: A case Report and Review of the Literature. Case Reports in Infectious Diseases. 2019
Infección pleural que se disemina a la pared torácica y piel. (Puede drenar espontáneamente)
Organismos: Micobacteria tuberculosa, intracelular.

Actinomices
Estreptococo
Estafilococo (raro)
Signo específico:


Expansión parietal con la tos







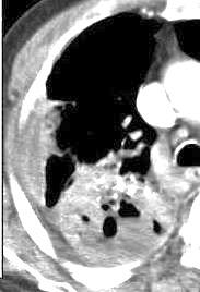
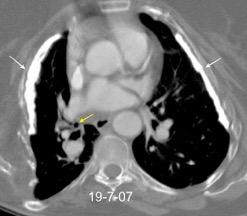
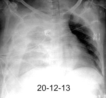
Consolidación basal izquierda. Derrame pericárdico. Empiema pulmonar y absceso en pared costal
Crouch A et al. Spontaneous Rupture of Empyema Necessitans in the Emergency Department. Cureus 2021.
Almeida BJ, et al.. Empyema necessitans: After recent thoracostomy in an immunocompromised patient. Respirology Case Reports. 2023;

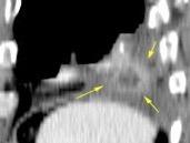
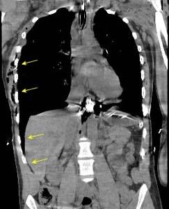
Infiltración grasa


Inflamación pleural
Exudado/ Empiema


Enf. relacionada con asbestos
Neoplasia
Metástasis Ca. de pulmón NCP
Mieloma múltiple
Imitadores
Lipoma
Lesiones sistémicas
Obesidad
Uso crónico glucocorticoides

Capa baja densidad ¿caseum/ histiocitos?
Capa densa Fascia endotorácica Grasa
Santamarina MG et al. Multidetector CT for Evaluation of the Extrapleural Space. Radiographics 2017
Empiema Tb crónico

Pleura parietal parcialm. calcific.


Pleura Visceral con Ca++
Progresión a empiema
Pleuritis Tb primaria
Extensión directa de ganglios torácicos o foco subdiafragmático

Diseminación hematógena
Postneumectomía



Combinación de infección pleural y reacción “efusiva” de hipersensibilidad.
< 80% hallazgos pulmonares. Colección con calcificaciones. Micronódulos en intersticio subpleural y broncovascular con engrosamiento septal. Respuesta paradójica frecuente.






Vorsted MJ et al. Tuberculous pleural effusions: advances and controversias. J Thorac Dis 2015/ Wen P et al. Risk factors for tuberculous empyema in pleural tuberculosis patients. Sci Rep. 2019.

Especialmente TB)
Raro Ca. epidermoide
(> de 25 años de duración
Tipos
Linfoma

Ca. Epidermoide
Mesotelioma
Histiocitoma fibroso maligno Liposarcoma /Rabdomiosarcoma
Angiosarcoma
Adenocarcinoma



Minami M et al.Radiology. 1991. Kim. HY et al. Radiographics. 2001.





TB 25 años antes



Costillas “aumentadas de tamaño”
Causa más frecuente: Empiema crónico tuberculoso. Enfermedad pleural crónica y de larga duración










Tb con paquipleuritis calcificada, Hidroneumotórax. Cavidad apical conectada a pleura. Atelectasia redonda
Eyler WR et l. Rib enlargement in patients with chronic pleural disease . AJR 1996

Pleura engrosada > 2 mm
Rx. 50%
TC. 60%
Engrosamiento > 10 mm

20-46%
Fibrotórax difuso uniforme 5-55%.





Shaw JA et al. Tuberculous pleural effusion. Respirology 2019.
Kim HY et al. Thoracic Sequelae and Complications of Tuberculosis. Radiographics 2001




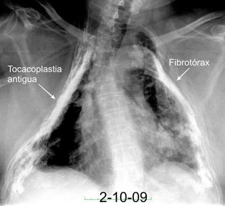
Paquipleuritis calcificada bilateral. En en lado derecho toracoplastia extensa con muñón residual pulmonar con bronquiectasias.











Absceso pulmonar por Neiseria y Est. Viridans. “Borde mal definido”.
Cavidad en el centro de la densidad

Empiema pleural en adicto. “Borde bien definido”.
Cavidad en el ápice


DD et al . Differentiating abscess and empiema: Radiography and computed tomography. AJR.1983

Hª. de infertilidad, neumotórax espontáneo.
(24 horas antes y 72 horas después de la menstruación)

Edad de presentación
35 +/- 0,6 años
Presentación:
Neumotórax………73%
Hemotórax…………14%
Hemoptisis……………7%
Nódulos pulmonares.6%






Fernandes de Paula MC et al. Focal pleural tumorlike conditions: Nodules and masses beyondmesotheliomas and metastasis. Respiratory Medicine 2015. Joseph J. Thoracic endometriosis: revisiting the association between clinical presentation and thoracic pathology based on thoracoscopic findings in 110 patients . Am J Med. 1996





















Fibrosis generalizada secundaria, casi siempre a post-empiema dando lugar a restricción y volumen pulmonar reducido.
Calcifica ocasionalmente. (Tb)



Redución de volumen

Fibrosis.
Basado en Kanne JP. Diffuse Pleural Thickening. Stern-Gurney. Expertdd.Chest. Mairsys. 2011 Fibrotórax .


Mesotelioma maligno (MM)
Asociado a la exposición a asbestos en 80% de los casos. Riesgo de MM en expuestos al asbestos: 10%




Derrame pleural unilateral: 30-80%
Engrosamiento pleural difuso: 60%








Afectación transdiafragmática
Masas pleurales: 45-60%
Nickell LT et al. Multimodality Imaging for Characterization, Classification, and Staging of Malignant Pleural Mesothelioma.
Radiographics 2014

Trasplante de tejido esplénico a la cavidad torácica.
Causas:

1. Trauma
2.Esplenectomía
3. Diseminación hematógena
4. ¿Hipoxia?
RX: Antiguas fracturas costales (bajas izquierdas) “Ausencia” del bazo)
Rotura esplénica . Esplenosis abdominal..+/- 76% Torácica.. +/- 18%.

(Requiere rotura diafragmática adicional)










1. No complicado
a. Difuso. 1. Simple
1. No complicado
a. Difuso
1. Simple

2. Con placas
b. Focal
1. Apical
2. Complicado
a. Cavidad residual
b. Neumonía
c. Micetoma.
d. Tumor
> densidad a lo largo de la pared costal
Obliteración del ángulo costofrénico


Calcificación pleural
Reducción del volumen pulmonar







1. No complicado a. Difuso. 1. Simple Causas
Trauma

Empiema postneumonía
Tuberculosis
Asbestosis
Artritis reumatoide
Tumor
Metástasis
Mesotelioma maligno
Pleurodesis
VIH+. 1 mes antes derrame pleural en el curso de una

infección




Huggins







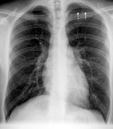
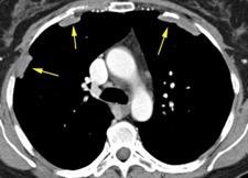
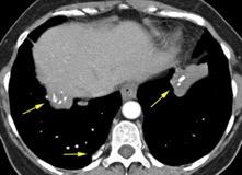
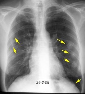
Casquete apical “normal”
Menor de 5 ms. de grosor.
Borde bien definido, (a menudo ondulado).Cuando bilateral, asimétrico con frecuencia. McLoud T et al. The apical cap. AJR.1981


258 tórax de rutina en adultos
Casquete unilateral...11,2%
Casquete bilateral.....12,2%
< de 45 años......6,2% > de 45 años....15,9%
Renner RR et al Semin Roentgenol.1977





Historia de Tb...............15 Signos pleurales ipsilaterales…................9 TCAR. Grasa extrapleural engrosada . (3-25mm) Pleura engrosada. ( 2-3mmm) Bronquiectasias Atelectasias. Im. JG. Radiology 1991 Neumotórax


Pulmón no “expandible”
Fibrosis de la pleura visceral

Frecuente en derrame maligno e inflamatorio









Saha BK et al. Non-expandable lung: an underappreciated cause of post-thoracentesis basilar pnemothorax. BMJ Case Rep 2020/ Albores J. et al. . Images in clinical medicine. Trapped lung . N Engl J Med .. 2015/Huggins JT et al. Unexpandable lung from pleural disease. Respirology 2017






Empiema con visualización de la fístula




Chatha N et al. Management of necrotizing pneumonia and pulmonary gangrene: A case series and review of the literatura.
Can Respir J 2014


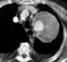
Tumores vasculares que van hasta el angiosarcoma.







El hemangiopericitoma es indistinguible clínicamente del TFP y también histológicamente. La clasificación de tumores del 2002 (WHO) los llama a todos TFP.
Gengler C et al. Histopathology. 2006/ Fletcher CDM. Histopathology 2005 Motoori K et al. RSNA.2012



En el hemotórax, los elementos formes de la sangre tienden a depositarse en la parte más declive











Polireddy K et al. Blunt thoracic trauma: role of chest radiography and comparison with CT findings and literature review . Emerg Radiol 2022.


Neumo-Hemotórax
Sin fracturas: 6,7%

1-2 fracturas: 24,9% + de 3 fracturas:81,4%
Colección pleural
Hemorrágica.30-70 UH
Extravasación iv con sangrado activo.>90 UH “Simpático”..<15 UH
Urogénico…< 15 UH
Entérico.. +/- 15UH
Biliar, quiloso..<0 UH
5% de los traumas cerrados







Khoriati A, et al. Journal of Emergencies, Trauma, and Shock. 2013 .
Polireddy K et al. Blunt thoracic trauma: role of chest radiography and comparison with CT—findings and literature review . Emerg Radiol 2022.

Durso AM et al. Penetrating Thoracic Injury. Radiol Clin N Am 2015.












Aessopos A et al. Extramedullary Hematopoiesis-Related Pleural Effusion: The Case of β-Thalassemia.
The Annals of Thoracic Surgery. 2006

Colección de sangre en la cavidad pleural
2. Espontáneo


Telangiectasia hemorrágica hereditaria

Secuestro (intra y extra)
Rotura de adherencia
Patología abdominal (Q. pancreático, Aneurisma abdominal)
Neoplasias (1ª y 2ª)

Discrasias sanguíneas (incluye anticoagulantes)
TEP con infarto
Infecciones necrotizantes
Tuberculosis
Enfisema bulloso
FAV
Aneurisma roto
Neurofibromatosis 1
1/ Bhalla S et al. CT of Nontraumatic Thoracic Aortic Emergencies. Semin Ultrasound CT MRI. 2005/ Zeiler J et al. Hemothorax: A review of literature. Clin Pulm Med. 2020 .





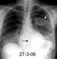
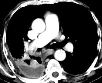
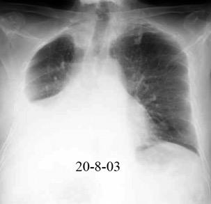
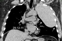
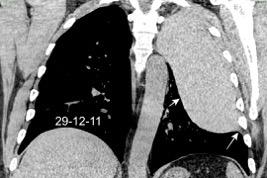
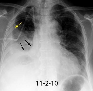
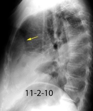
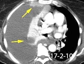
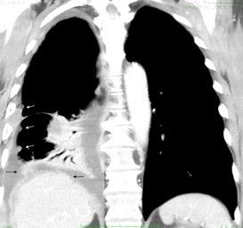
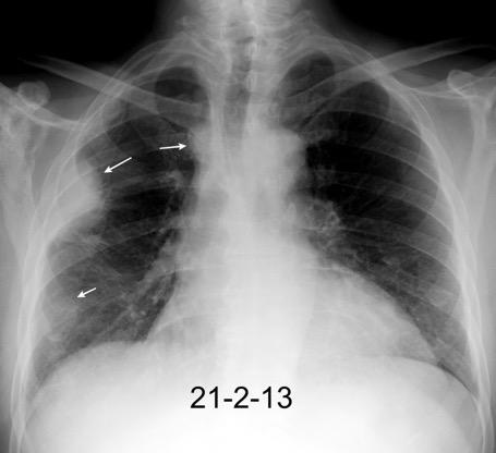
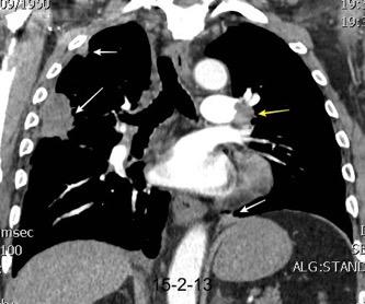
Hematoma pleural después de cateterismo.








Rotura de aneurisma de arteria subclavia Aneurisma “deshinchado” Hemotórax



Fallece en el acto de tomar esta radiografía. La mayoría ateroescleróticos. Más frecuente a la derecha.La rotura: 32-47% de las muertes.
Sun J et al. Isolated True Subclavian Aneurysm without Aberrant Subclavian Artery or Coarctation of Descending Aorta. Annals of Vascular Surgery 2021
Johansson G, et al. Ruptured thoracic aortic aneurysms: a study of incidence and mortality rates. J Vasc. Surg. 1995;

Dr. César Pedrosa







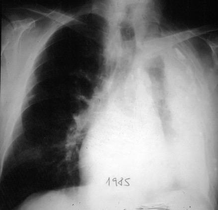
Chohan K et al. A review of respiratory manifestations and their management in Ehlers-Danlos syndromes and hypermobility spectrum disorders. Chronic Respiratory Disease. 2021 Hemotórax frecuente por rotura arterial. Enfermedad del tejido conectivo con hipermovilidad articular, textura de piel anormal y fragilidad del tejido conectivo. (Especialmente en el subtipo vascular)



Ehler Danlos vascular tipo IV. Hemoptisis con hemotórax y hematoma mediastínico. Embolización. 4º día: Fallece por rotura de la arteria esplénica.






Lado derecho > 90% (excepto nódulos)
Trauma Sensibilidad de Tórax PA para neumotórax > 90% > 50% pueden pasar desapercibidos en Rx. Dec. supino.

Presentación: Neumotórax………73% Hemotórax…………14% Hemoptisis……………7% Nódulos pulmonares.6%

Lewis BT et al. Imaging Manifestations of Chest Trauma. Radiographics 2021
Walker CM et al. Tumor-like conditions of the pleura. AJR. 2012

Tawfik A et al. Transdiaphragmatic Pathologies: Anatomical Background and Spread of Disease on Cross-sectional Imaging. Current Problems in Diagnostic Radiology. 2021. Índice



Ciudad MJ et al. Neumotórax catamenial. Hallazgos radiológicos Radiología 2007

Hallazgos en TC de invasión local Fiabilidad diagnóstica: 62,7-72,3%.
Valor predictivo positivo: 41,1%-56,4%.

La predicción basada en TC es un falso positivo en casi 50% de los casos









Adenocarcinoma poco diferenciado predominio acinar.
Kim H et al. CT-defined Visceral Pleural Invasion in T1 Lung Adenocarcinoma: Lack of Relationship to Disease-Free Survival. Radiology 2019

Hallazgos en TC de invasión local Fiabilidad diagnóstica: 62,7-72,3%.




Du X et al. The Value of 18F-FDG PET/CT in the Diagnosis of Tuberculous Pleurisy and in the Differential Diagnosis between Tuberculous Pleurisy and Pleural Metastasis from Lung Adenocarcinoma. Contrast Media & Molecular Imaging. 2022









Adenocarcinoma pulmonar
Kim H et al. CT-defined Visceral Pleural Invasion in T1 Lung Adenocarcinoma: Lack of Relationship to Disease-Free Survival. Radiology 2019














De los pacientes con Tumor de Pancoast
1,7% tienen una radiografía de tórax normal









Fletcher F et al. The normal chest radiograph in bronchial carcinoma. Br Med J. 1976






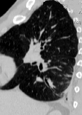
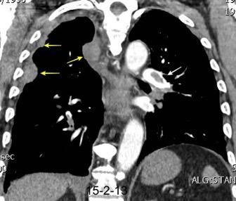
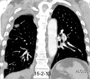
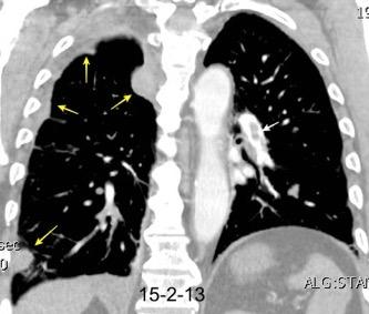
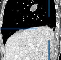
Microlitiasis alveolar con cambios “quísticos” subpleurales En ocasiones aparece como una capa de densidad grasa.

Línea negra visible en la periferia de los pulmones, entre la caja torácica y el pulmón. En TCAR parece existir una capa sutil quística en el espacio subpleural.






Felson B. The Roentgen diagnosis of disseminated pulmonary alveolar diseases. Semin Roentgenol 1967; Kosciuk P et al. Pulmonary alveolar microlithiasis. Eur Respir Rev 2020

Tipos más importantes: 1. Con derrame pleural (HIV+)
2. Asociado a piotórax

3. Secundario
a. Derrame pleural
b. Con ganglios y afectación pleural secundaria










El más frecuente de los linfomas no-Hodgkin.25-30% de todos los linfomas. Frecuentemente extranodal. La mayoría secundarios.
Zhang X, et al. A rare case of indolent B cell lymphoma with massive pleural effusion as the initial presentation. Ann Palliat Med 202/ Bligh MP et al. Spectrum of CT Findings in Thoracic Extranodal Non-Hodgkin Lymphoma. Radiographics 2017
Zhang X, et al. A rare case of indolent B cell lymphoma with massive pleural effusion as the initial presentation. Ann Palliat Med 202/ Bligh MP et al. Spectrum of CT Findings in Thoracic Extranodal Non-Hodgkin Lymphoma. Radiographics 2017


Presentación habitual: nódulos o masas pulmonares sólidas. Cavitación frecuente. Ganglios mediastínicos









Derrame pleural el signo más frecuente. (20%).. Implantes sólidos en el líquido pleural frecuentes. (A menudo pasan desapercibidos

Paes FM, et al. FDG PET/CT of extranodal involvement in non-Hodgkin lymphoma and Hodgkin disease. RadioGraphics 2010.
Bligh MP et al. Spectrum of CT Findings in Thoracic Extranodal Non-Hodgkin Lymphoma. Radiographics 2017


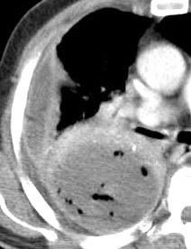
-113 UH




Habitualmente asintomáticos. Cuando son grandes: dolor Pueden presentar cambios con la posición



















Parte del mieloma extra-óseo (10-16% de los MM)
Hall MN et al. Imaging of Extraosseous Myeloma: CT, PET/CT, and MRI Features. AJR. 2010






Coágulo
Pleurolito
Bolas de fibrina
Textilomas
Esplenosis
Endometrioma
Silicomas
Q. hidatídico


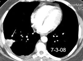
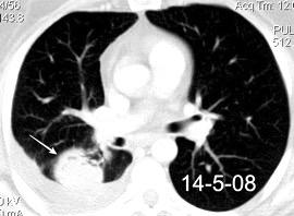
Nódulo calcificado libre, móvil en la cavidad pleural. Raro. Prevalencia: 0,086% de 12.835 con 2 TC.
Más frecuente a la izquierda (75%)



Bhayana R et .Bilateral Mobile Thoracolithiasis al. Journal of Radiology Case Reports. Radiology Case. 2014.
Kinoshita F et al. Thoracolithiasis: 11 cases with a calcified intrapleural loose body. J Thorac Imaging 2010.



Tumores benignos
Lipoma/Lipoblastoma
Tumor adenomatoideo
Mesotelioma fibroso solitario
Mesotelioma multiquístico
Schwanoma
Tumor fibroso calcificante
Walker CM et al. Tumor-like conditions of the pleura. AJR. 2012

Truong M, et al. Localized fibrous tumor of the pleura. AJR 2000






Edad media : 50-60 años
Asintomático……50%
Benignos-. 2/3
Hipoglucemia episódica. 2-4%

Pleura visceral….80%
Pleura parietal….20%
Artropatía hipertrófica …..20-35%




Mesotelioma difuso maligno.
T. Mesotelial focal
Otros
Mesotelioma papilar

T. adenomatoideo.
Sarcoma pleural
Linfoproliferativos
1. Linfoma primario con derrame
2. Linfoma asociado a empiema

10-30% de los tumores fibrosos pleurales. Indistinguible de los benignos





Walker CM et al. Tumor-like conditions of the pleura. AJR. 2012

Diagnóstico basado en hallazgos histológicos: hipercelularidad, mitosis, pleomorfismo, hemorragia y necrosis. Jeon et al. Journal of Cardiothoracic Surgery 2014






Ganglios Exposición asbesto


Derrame pleural Engrosamiento pleural





Pérdida de volumen

Invasión abdominal Invasión local
Metástasis
Bonde A et al. Mesotheliomas and Benign Mesothelial Tumors: Update on Pathologic and Imaging Findings Radiographics 2023

3 TIPOS
1. Epitelioide…….. 55-65% (confusión con AdenoCa)
2. Sarcomatoide…10-15% (confusión con sarcoma verdadero)

3. Bifásico………….20-35%

Edad: 50-70 años
80-90% hombres 80% exposición asbestos
Supervivencia media: 6 meses.
2 años..34%. 5 años. 11%

Exposición a asbestos: > 90%de mesotelioma pleural 33-50% de mesotelioma peritoneal




Kato K. et al. HRCT Findings of Asbestosis Revisited; Radiologic and Pathologic Correlations. Exhibit. RSNA 2012/ / Karpathiou G et al. Pleural neoplastic pathology. Respiratory Medicine 2015 Mesotelioma epitelioide

Mesotelioma epitelioide

Postmortem. 318 pacientes. Diseminación extratorácica. 55,4% Hígado. 31,9% Bazo. 10.8% Tiroides. 6,9% Cerebro. 3%.








“Enfermedad Intersticial pulmonar” 0,6%



Kato K. et al. HRCT Findings of Asbestosis Revisited; Radiologic and Pathologic Correlations. Exhibit. RSNA 2012/ / Karpathiou G et al. Pleural neoplastic pathology. Respiratory Medicine 2015
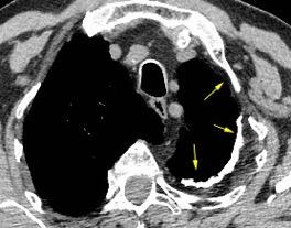
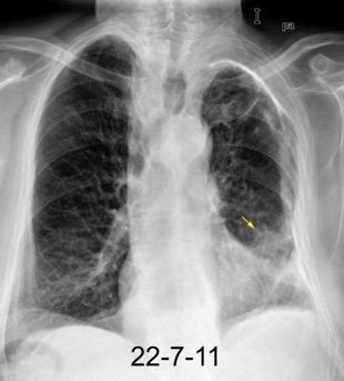
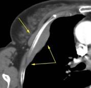
Masa nodular de densidad de partes blandas que se extiende por las superficies pleurales, incluyendo las cisuras y que a menudo produce una “coraza” circunferencial










Kato K. et al. HRCT Findings of Asbestosis Revisited; Radiologic and Pathologic Correlations. Exhibit. RSNA 2012// Karpathiou G et al. Pleural neoplastic pathology. Respiratory Medicine 2015


Table mountain sign. También “Tafelberg”
La afectación pleural por asbestosis se presenta con placas pleurales, que frecuentemente remedan las “mesetas” que se forman en algunas zonas montañosas













Metástasis

Ca. de pulmón. 40%
Ca. de mama. 20%
Linfoma 10%
Desconocido..10%
Ovario/Estómago
Timoma invasivo
Riñón
Derrame pleural 1ª causa. Fallo izquierdo 2ª. Metástasis








Ewing de pared costal Metástasis pleurales de carcinoma renal



Metástasis
Otros:, timo, páncreas, tiroides, GI, riñón.









Carcinoma de vejiga
















Diseminación por el espacio pleural.
Nódulos o masas, casi siempre ipsilaterales con el lado del tumor

Derrame pleural es infrecuente, incluso en presencia de metástasis pleurales extensas.




metástasis


Timoma recidivado en espacio costovertebral superior.


Benveniste MFK et al. Role of Imaging in the Diagnosis, Staging, and Treatment of Thymoma. Radiographics 2011 Metástasis cisural y superficie diafragmática

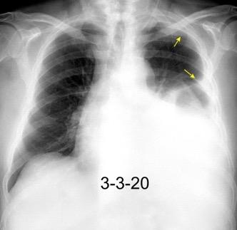
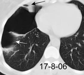
Visualización de la pleura visceral separada de la parietal por aire Borde externo Convexo Localización: Ápex pulmonar




a. Espontáneo.........60,3%
Primario...........69,8%
Secundario.......30,2%
Primario. .91%. Fumadores o ex-fumadores
b. Traumático.........36,6%
c. Iatrogénico........6,1%



Otras causas Traumático (Incluye yatrogénico)
Enf. infecciosa Neumocistis, Tb, Neumonía necrotizante
Enf. intersticial
Enf. tejido conectivo Tumor maligno

Neumotòrax. (Bullas)
Noppen M. Spontaneous pneumothorax: epidemiology, pathophysiology and cause. Eur Respir Rev. 2010
Neumotórax espontáneo. Más frecuente manifestación de endometriosis torácica.(72-73%)



Asociado a endometriosis torácica y pélvica (84%)
Episodio menos de 72 horas después de la menstruación. Mujeres: 30-40 años. (se ha visto en menores).
Tendencia a la recurrencia





Visouli AN et al. Catamenial pneumothorax. J Thorac Dis 2014. /Forster C et al. Evolutive diaphragmatic lesions causing recurrent catamenial pneumothorax . Thorax 2022
Grupo de síndromes que tienen en común la diseminación de enfermedad desde la cavidad peritoneal al espacio pleural.
Síndrome de Meigs



Implante pleural en Endometriosis

Neumotórax catamenial
Carcinoma ovárico
Ascitis
Quilotórax asociado a linfoma abdominal

Más frecuentes en el lado derecho. (>90%). Área tendinosa. 30-40% de pacientes con endometriosis tienen fenestraciones del diafragma.


Presentación: Neumotórax………73% Hemotórax…………14% Hemoptisis……………7% Nódulos pulmonares.6%

Tawfik A et al. Trans-diaphragmatic Pathologies: Anatomical Background and Spread of Disease on Cross-sectional Imaging. Current Problems in Diagnostic Radiology. 2021.


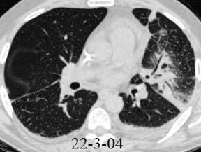
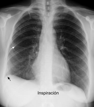
El aire penetra en inspiración en el espacio pleural. No sale en espiración. Desplazamiento importante de mediastino y silueta cardiovascular.


Atropellado. Neumotórax bilateral.
TC: contusión pulmonar severa. Enfisema subcutáneo. Signo del surco profundo










M. Bradley et al. Value of routine expiratory chest films in the diagnosis of pneumothorax.Arch Emerg Med.1991, F. Schramel, et al. Expiratory chest radiographs do not improve visibility of small apical pneumothoraces by enhanced contrast.Eur Respir J. 1996,









Sospecha de neumotórax Neumotórax


Enf.pleural debida a asbestos. Empiema previo
Hemotórax previo
Derrame pleural
Metástasis
Mesotelioma
Pleurodesis (Talco)










Placas en Asbestos. 20-30 años post-exposición
Simétricas. Pleura parietal.
Diafragmáticas. (Patognomónicas)
Basado en Stern EJ. Pleural Plaques. Stern-Gurney. Expertdd.Chest. Mairsys. 2011


Exposición a asbestos 20-30 años post-exposición. Simétricas. Pleura parietal. 6ª-9ª costillas






Diafragmáticas. (Patognomónicas). (56,5%)
Pared 93,4%. Mediastino 15,7%.
No calcificadas: 30,3%
Calcificadas parcialmente. 50%
Bilaterales..88,2%
Mazzei MA et al. Incidental and Underreported Pleural Plaques at Chest CT: Do Not Miss Them Asbestos Exposure Still Exist.Biomed Research International. 2017
Basado en Stern EJ. Pleural Plaques. Stern-Gurney. Expertdd.Chest. Mairsys. 2011



Roach HD et al. Asbestos: when the dust settles an imaging review of asbestos-related disease., Radiographics. 2002
Causas de quilotórax
Neoplasia: linfoma, metástasis
Trauma
Otros: Tb, Sarcoidosis,
Linfangioleleiomiomatosis

Cirrosis, amiloidosis






Obstrucción venas centrales
Causas de seudoquilotórax
Tb
Artritis reumatoide
Empiema mal tratado
Trombosis de VCS y aurícula dcha. (trombo pegado a catéter). Marcapasos. Ins. cardiaca crónica.
Líquido pleural: características de quilotórax.



Hooper C et al. Investigation of a unilateral pleural effusion in adults: British Thoracic Society pleural disease guideline 2010.
Derrame pleural agudo. Migración transdiafragmática ocurre en 0,6-16% de casos. (área desnuda)














Pronóstico pobre Metástasis a hígado, hueso, pulmón y cerebro en 20% de los casos.
Raro de origen pleural puro
Adultos jóvenes/ maduros.
Media: 47 años

Dolor torácico. (A veces, hemoptisis, fiebre.)








Granville L et al. Review and Update of Uncommon Primary Pleural Tumors. Arch Pathol Lab Med 2005/ Karpathiou G et al. Pleural neoplastic pathology. Respiratory Medicine 2015



Mecanismos:
1. Penetración de aire tras fractura costal.
2. Compresión torácica. (Trauma, resucitación)
3. Efecto “paperbag”.

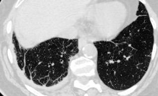
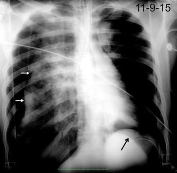
Visible en radiografías en decúbito supino de los pacientes con neumotórax por la acumulación de aire en el seno costofrénico.






“Deep sulcus sign”. Seno costofrénico aumentado en anchura y profundidad
Polireddy K et al. Blunt thoracic trauma: role of chest radiography and comparison with CT findings and literature review . Emerg Radiol 2022.

Kumaresh A et al. Back to Basics – ‘Must Know’ Classical Signs in Thoracic Radiology. Thoracic Radiology. J Clin Imaging Sci 2015.
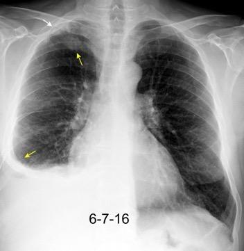
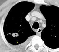
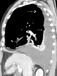
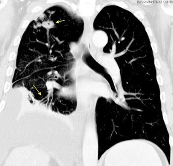
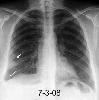
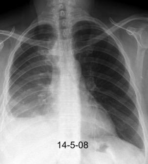
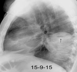
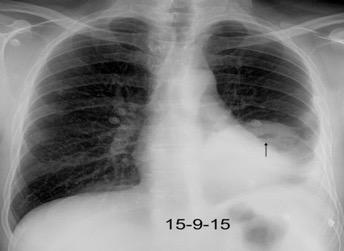
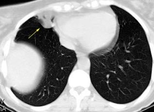
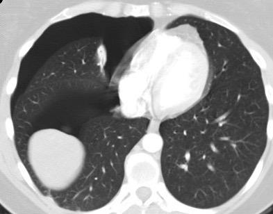
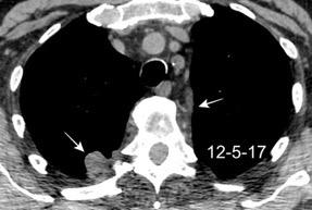
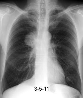
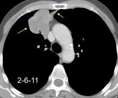
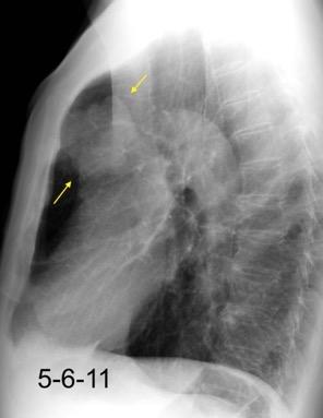
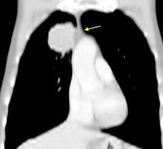
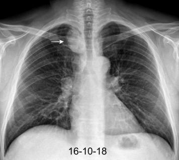
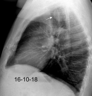
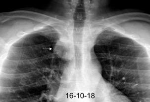
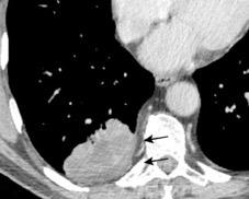
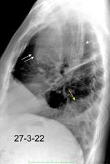
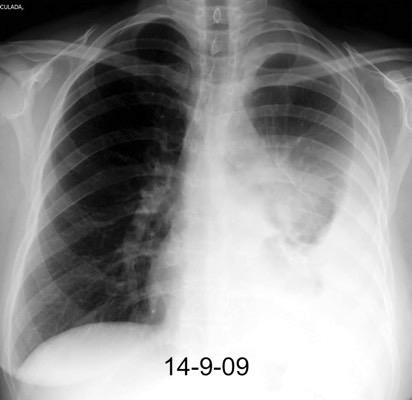
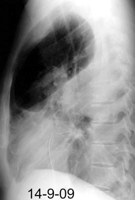
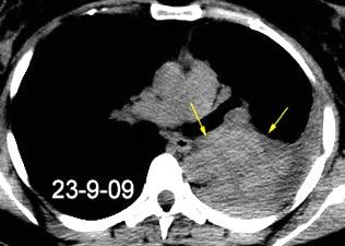
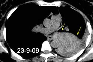
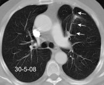
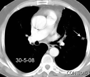
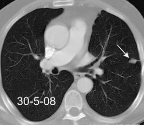
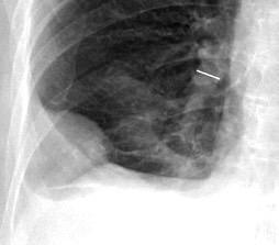
Nefrectomia derecha en 1996 por adenocarcinoma renal. Reseccion de metastasis pulmonar en LSI de carcinoma renal. Sospecha de nueva metástasis.




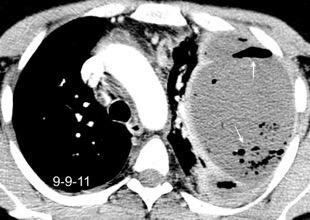
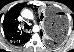
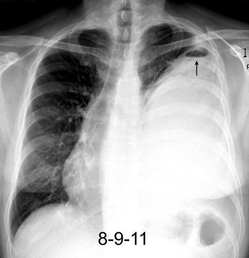
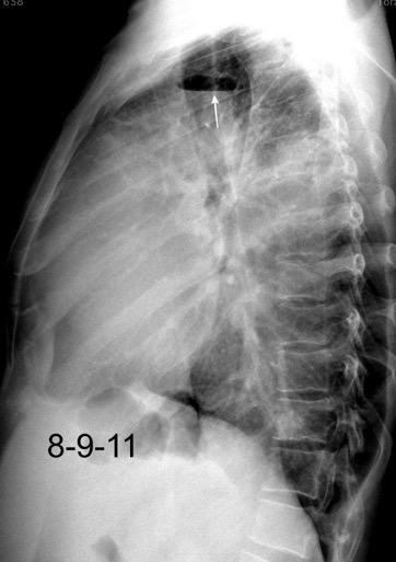
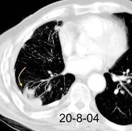
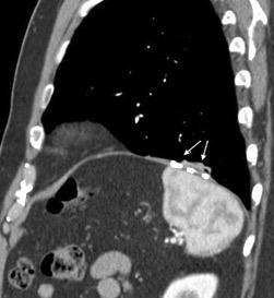
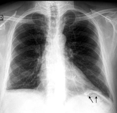
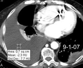
Granuloma de cuerpo extrano por hilo de sutura en situación cisural





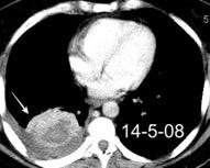
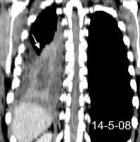
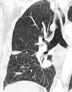
Madan Ret al. Intrathoracic gossypiboma. AJR 2007/Anderson JM et al. FOREIGN BODY REACTION TO BIOMATERIALS. Semin Inmunol 2008/Okazaki M et al. Two cases of granuloma mimicking local recurrence after pulmonary segmentectomy. Journal of Cardiothoracic Surgery. 2020


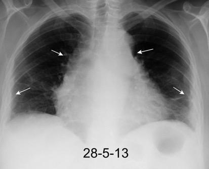
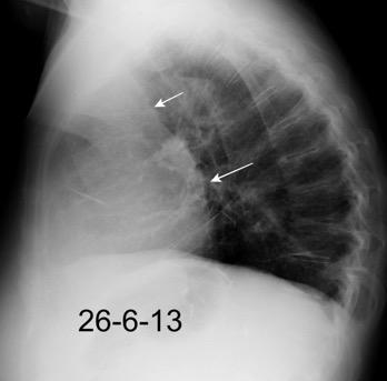
Derrame pleural 43-48% de pacientes con embolismo.
< 1/3 de hemitórax: 90%.(puede haber en lado opuesto).

Siempre exudados.

75% de los pacientes con TEP y derrame pleural tienen dolor pleurítico.
La disnea desproporcionada


Joroba de Hampton










Hallazgo muchas veces incidental.
En relación con trasudados tabicados. Insuficiencia cardiaca
Hipoalbuminemia
Cirrosis / Fallo renal.











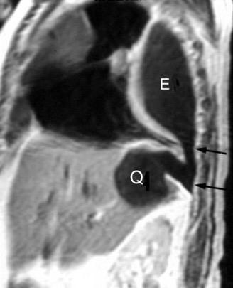
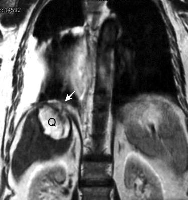
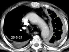
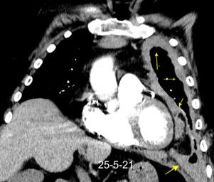
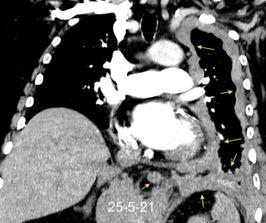
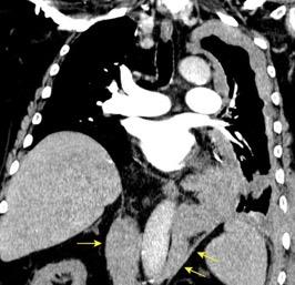
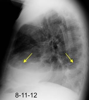
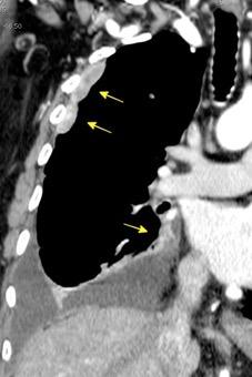
Operado aneurisma (prótesis). Líquido tabicado en cisuras

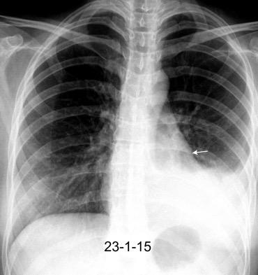
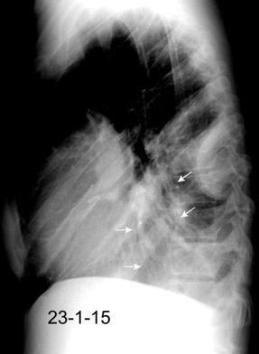
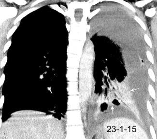
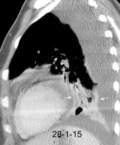
Fernandes de Paula MC et al. Focal pleural tumorlike conditions: Nodules and masses beyond mesotheliomas and metastasis. Respiratory Medicine 2015.
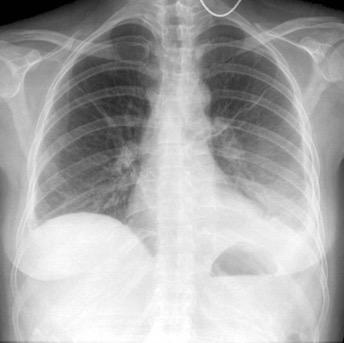
Derrame pleural “encapsulado”



“Tumor fantasma”










Asociado a fallo cardiaco. ( “Pleuritis adhesiva”). Buch KP. Chest. 2000














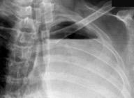
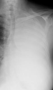
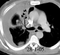
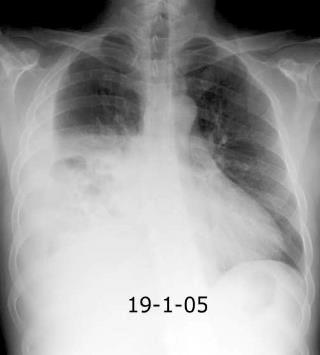
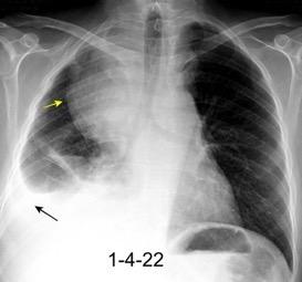
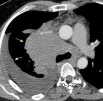
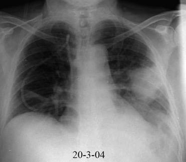
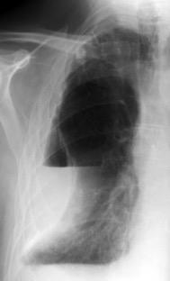
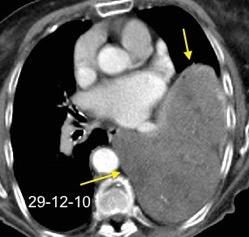
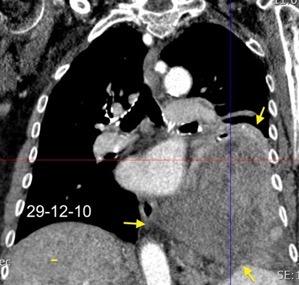
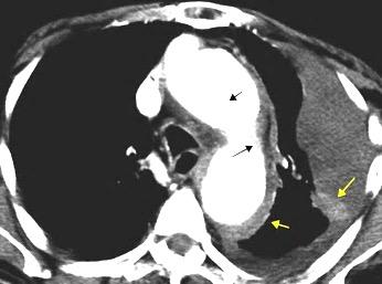
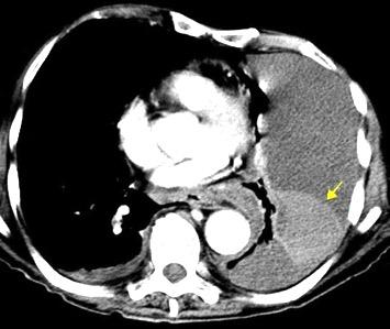
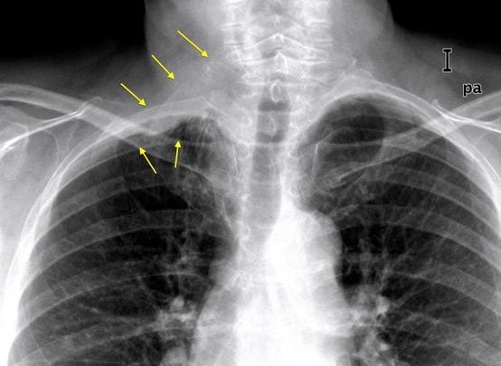
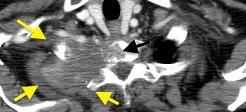
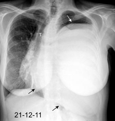
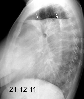
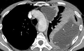
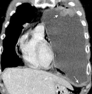
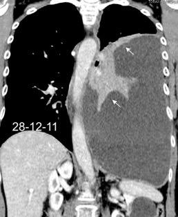
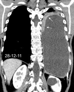
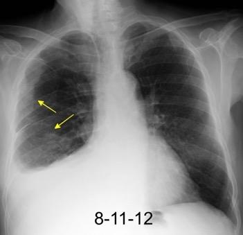
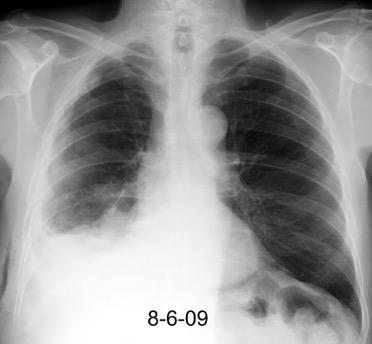
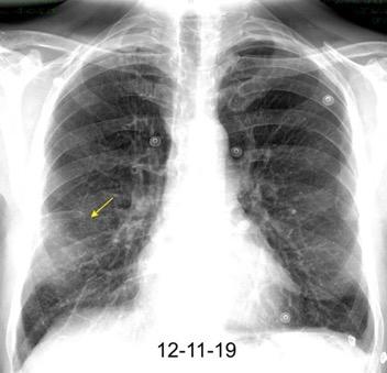
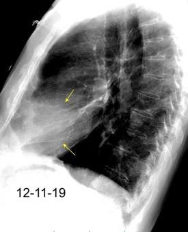
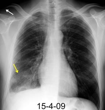
Caída bicicleta. Separación acromioclavicular. Fracturas costales múltiples. Contusión pulmonar basal basal con evolución a hematoma


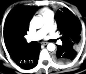
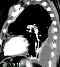
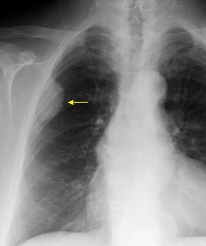
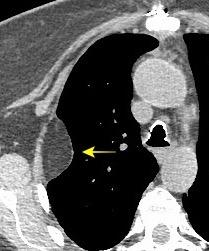
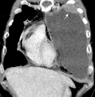
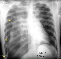
Signo de la existencia de neumomediastino. Producido por la intersección del aire mediastínico (aorta) y del aire extrapleural (diafragma)







