Perfusion 2025-01

Page 1


1 2025

Kreislauf- und Stoffwechselerkrankungen in Klinik und Praxis

Jahrgang 38, Heft 1

März 2025

VERL AG PERFUSION

Offizielles Organ der Deutschen Gesellschaft für Arterioskleroseforschung

Current Contents/ Clinical Medicine

ORIGINAL PAPER

Synergistic treatment of heavily calcified no dilatable coronary stenosis by combination of super-high-pressure balloon and intravascular lithotripsy – a case report

FOREN

Forum antithromboticum:

Effektive Behandlung mit VKA: Neue Evidenz zu bewährten Antikoagulanzien

Forum diabeticum:

• Insulin icodec – eine Injektion des Basalinsulins deckt den Bedarf für eine ganze Woche

• 8.000 der 400.000 neuen Demenz-Fälle pro Jahr gehen auf das Konto von Diabetes

• Semaglutid 1 mg 1 × pro Woche senkt das Risiko für schwere renale und kardiovaskuläre Ereignisse bei Typ-2-Diabetes

Forum Gerinnnungsstörungen:

• Von-Willebrand-Erkrankung: Physiologische Therapie mit hochreinem VWF ab Geburt möglich

• Neu zur Behandlung der Hämophilie: Marstacimab, der erste Antikörper gegen den Tissue Factor Pathway Inhibitor

Forum nephrologicum:

InspeCKD-Studie zeigt relevante Versorgungslücken bei Patienten mit erhöhtem Risiko für eine chronische Nierenkrankheit

Forum haematologicum:

Sutimlimab bei Kälteagglutinin-Krankheit: Die erste zugelassene Therapie nimmt Langzeitfolgen in Angriff

REDAKTIONELLER TEIL

Mitteilungen, Kongressberichte

Aktuelles Wissen für Ihre Praxis Gerinnungsmanagement mit Marcumar®

Die Prävention von Blutgerinnseln ist eine zentrale Aufgabe in der alltäglichen Gesundheitsversorgung von rund 1 Million Patienten in Deutschland, die auf Gerinnungshemmer angewiesen sind.1

Für Ärzte: Viatris Connect

Entdecken Sie unser exklusives Serviceportal für Sie als medizinisches Fachpersonal

Erhalten Sie Zugriff auf:

Aktuelle Forschungsergebnisse zur medikamentösen Therapie

Fortbildungen und Veranstaltungen

Updates zu den neuesten Entwicklungen im Gerinnungsmanagement

Bleiben Sie immer auf dem neuesten Stand –für eine optimale Patientenversorgung!

Für Ihre Patienten: www.marcumar.de

Wissen

schafft Vertrauen – geben Sie Ihren Patienten fundierte Informationen an die Hand

Auf unserer Patienten-Website können sich Ihre Patienten umfassend informieren über:

Blutgerinnung

Gerinnungshemmer

Therapiemöglichkeiten mit Marcumar ®

Zudem stehen hilfreiche Materialien zum Download oder zur Bestellung bereit. Diese Website unterstützt Sie in der Kommunikation und Beratung Ihrer Patienten!

Viatris – Ihr verlässlicher Partner im Gerinnungsmanagement

Mehr erfahren auf www.marcumar.de

1 Deutsche Herzstiftung: Medikamente zur Blutverdünnung. Verfügbar unter: Blutverdünner – wie wirken sie? | Herzstiftung (letzter Zugriff: 12. Sept 2024)

Marcumar ® Wirkst.: Phenprocoumon. Zusammens.: 1 Tabl. enth. 3,0 mg Phenprocoumon. Sonst. Bestandt. m. bekannt. Wirkung: Lactose (80 mg/Tabl.). Sonst. Bestandt.: Lactose Monohydrat, Magnesiumstearat (Ph.Eur.), Maisstärke, Talkum. Anw.: Behandl. u. Prophylaxe v. Thrombose u. Embolie. Langzeitbehandl. d. Herzinfarktes bei erhöhtem Risiko f. thromboembolische Komplikationen. Hinweise: Bei Reinfarktprophylaxe in d. Posthospitalphase ist d. Nutzen e. Langzeitantikoagulation gg. das Blutungsrisiko abzuwägen. Die gerinnungshemmende Wirkung v. Phenprocoumon setzt nach ca. 36 bis 72 Std. ein. Für e. rasche Antikoagulation muss d. Therapie m. Heparin eingeleitet werden. Gegenanz.: Überempfindlichk. gg. d. Wirkstoff od. e. d. sonst. Bestandt. Erkr., bei denen Blutungsrisiko mögl. ther. Benefit überwiegt, z.B. hämorrhag. Diathesen, schw. Leberparenchymerkr., manifeste Niereninsuff., schw. Thrombozytopenie. Erkr. mit Verdacht auf Läsion d. Gefäßsyst., z.B.: frischer apoplekt. Insult, Endokarditis, Perikarditis, Hirnarterienaneurysma, dissezierendes Aortenaneurysma, GIT-Ulzera, OP a. Auge, Retinopathien m. Blutungsrisiko, Traumen od. chirurg. Eingr. am ZNS. Brennende Schm. i. den Großzehen m. gleichzeit. Verfärb. (purple toes) unter d. Einnahme. Kavernöse Lungen-TBC. Nach Urolog. OP solange Blutungsneigung besteht. Ausgedehnte off. Wunden (auch nach OP). Schwangerschaft (Ausnahme: absolute Indikation z. Antikoagulation b. lebensbedrohl. Heparin-Unverträglichkeit). Diagnost. od. therap. Verfahren m. Risiko f. unkontrollierbare Blutungen. Nebenw.: Sehr häufig: Blutungen. Gelegentlich: Brennende Schm. i. d. Großzehen m. gleichzeit. Verfärb. d. Großzehen (purple toes). Selten: Hämorrhag. Anämie, reversible Alopecia diffusa, Urtikaria, Exanthem, Pruritus, Dermatitis. Sehr selten: Hepatitiden, Ikterus, Leberversagen m. erforderl. Lebertransplantation od. m. Todesfolge, Leberparenchymschäden. Nicht bekannt: Hypersensitivität (z.B. Henoch-Schonlein Vasculitis, allerg. Dermatitis); GIT-Stör. wie z.B. Übelk., Appetitmind., Erbrechen, Diarrhoe; Kalziphylaxie; schw. Hautnekrosen manchmal letal (Purpura fulminans) od. m. Folge e. dauerh. Behind.; allerg. Hautreaktion; Entwicklung e. Osteopenie/Osteoporose nach längerer Anw. (Monate) bei dazu disponierten Pat.. Hinweise: Bei Hautnekrosen n. Beginn d. Antikoagulanzientherapie, die v. lok. Thrombosen od. Mikrozirkulation begleitet sein können: Unterbrechung d. Marcumar-Therapie m. Vitamin K1 u. Umstellung a. Heparin. Bei Purpura sollte differenzialdiagnostisch eine Thrombozytopenie od. eine allerg. bedingte Vasculitis in Erwägung gezogen werden. Auftretende Blutungen können im Einzelfall lebensbedrohlich sein od. Schäden hinterlassen, wie z.B. Lähmungen n. einer Nervenschädigung. Unter d. Therapie kann die Freisetzung v. Material aus atheromatösen Plaques sowie das Risiko f. Komplikationen durch systemische Cholesterol-Mikroembolisation einschließl. „purple toes syndrome“ erhöht sein. Eine Beendigung d. Therapie muss dann erwogen werden. Unter Langzeittherapie sollten regelmäßige Leberfkt.-prüfungen durchgeführt werden, da in seltenen Fällen Leberparenchymschäden auftreten können. Weitere Hinweise siehe Fachinformation. Warnhinweis: Enthält Lactose. Verschreibungspflichtig. Stand: Januar 2023 Viatris Healthcare GmbH, Lütticher Straße 5, 53842 Troisdorf

Mehr erfahren auf Viatris Connect

Hitler’s Female Physicians – Women

Doctors During the Third Reich and Their Crimes Against Humanity

My new book initially describes the German medical profession’s rapid descent into inhumanity that occurred during the Third Reich. Then, in its main section, it details the lives and actions of 38 female physicians who were involved in the atrocities that were the consequences of this development.

Both the nature and the severity of the crimes committed by the female physicians vary greatly. Some ‘merely’ promoted the Nazi ideology of race hygiene and thus became instrumental in the elimination of what the Nazis called ‘human ballast’. They might not have committed crimes as such but they certainly induced others to do so. Those women who actually participated in the murders can be differentiated into several categories. Some of them did it because they were misled to believe “euthanasia” had become legal, while failing to consider that what the Nazis had chosen to call “euthanasia” was, in fact, murder. Others seemed to have killed with considerable enthusiasm. And others again were nothing short of sadistic monsters torturing prisoners of concentration camps. All these categories have in common that they blatantly violated the ethical norms that, even though not yet formalised, had long and firmly been enshrined in medicine.

The thought of 38 women doctors being in one way or another involved in Nazi crimes may seem shocking to some readers. To assume that brutality and violence are not feminine characteristics and that women are incapable of mass murder has obvious appeal: it allows for the hope that at least half of the human race will not devour the other and safeguard the future of the humanity. Yet,

it also creates a false shield against a confrontation with disconcerting realities. Others might argue that the number 38 is insignificant compared to the much larger number of male doctors who committed crimes during that period.

However, to put the figure of 38 into context, we ought to consider firstly that my research almost certainly failed to generate a complete list of implicated female physicians. Secondly, women were grossly underrepresented in the German medical profession. If we account for this factor, their proportion does not differ significantly from that of male doctors who became guilty of criminal acts.

Studying the information about the crimes of male physicians, we cannot fail to realize that the crimes committed by these doctors were often more severe than that of their female colleagues. Does this perhaps indicate that brutality and violence are, after all, not feminine characteristics? It would be comforting to think so, yet I fear that other explanations might be more important. It is clear from reading the 38 biographies that the female physicians were mostly young and inexperienced. Consequently, they tended to be employed in relatively subordinate positions and often found themselves on the receiving end of orders from their male superiors. Thus they usually had less power and less opportunity than their male colleagues for committing crimes against humanity.

The question what drove these female doctors to committing atrocities on vulnerable patients in their care is important but far from easy to answer. Based on the biographies reviewed in this book, it seems obvious that different motivations played a role and that generalisations would be problematic.

Soon after the war, the courts seemed to have become increasingly slow and reluctant in the prosecution of the Nazi crimes. One might even sense a general feeling of shame and embarrassment about the Third Reich resulting in a collective urge to forget that besieged the German people. In some instances, this may well have impeded the will to punish the perpetrators. Many of the physicians, even those who admitted murdering patients during the Nazi era, were thus permitted to continue practising medicine. Some even made prominent careers, while others received prestigious awards. Significant areas of German medicine, such as psychiatry, were during the first post-war decades dominated by doctors who had been members of the Nazi party. The German medical profession tended to turn a blind eye to these developments, and whenever new horrific details emerged of past monstrosities, the predominant feeling was one of embarrassment. I was born in 1948, and when I studied medicine in Munich during the 1970s, some of the ‘doctors of infamy’ became my teachers, either in person or through the textbooks they had published. My generation had the option to ignore all this by insisting “it has nothing to do with me”. Most of us did exactly that. However, some took a different path, and it is not least thanks to their research that today we know more about the involvement of the German medical profession in the horrors of the Nazi period. If my book can make even just a small contribution to this still ongoing task, the laborious and often depressing process of writing it will have been worthwhile.

Ernst, Emeritus Professor, University of Exeter

Prof. Dr. med. E. Ernst, Exeter, U.K.

Heft 1

März 2025

Offizielles Organ

der Deutschen Gesellschaft für Arterioskleroseforschung

Current Contents/Clinical Medicine

10 Forum antithromboticum

12, 15, 17 Forum diabeticum 20, 22 Forum Gerinnungsstörungen

24 Forum nephrologicum

26 Forum haematologicum

11, 27, Mitteilungen

28, 31

29 Kongressberichte

INHALT

EDITORIAL

1 Hitlers Ärztinnen – Medizinerinnen im Dritten Reich und ihre Verbrechen gegen die Menschlichkeit

E. Ernst

ORIGINALARBEIT

4 Synergistische Behandlung einer stark verkalkten, nicht dilatierbaren Koronarstenose durch die Kombination von Superhochdruckballon und intravaskulärer Lithotripsie – ein Fallbericht

M. Jamaković, A. Karić, Z. Hrgović, I. Stašević

10 Forum antithromboticum

12, 15, 17 Forum diabeticum 20, 22 Forum coagulation disorders

24 Forum nephrologicum

26 Forum haematologicum 11, 27, Informations 28, 31

29 Congress Reports

CONTENTS

EDITORIAL

1 Hitler’s Female Physicians – Women Doctors During the Third Reich and Their Crimes Against Humanity

E. Ernst

ORIGINAL PAPER

4 Synergistic treatment of heavily calcified no dilatable coronary stenosis by combination of super-high-pressure balloon and intravascular lithotripsy – a case report

M. Jamaković, A. Karić, Z. Hrgović, I. Stašević

Awiqli ® – das Wocheninsulin bietet

ein überzeugendes Sicherheitsprofil bei Typ 2 Diabetes†,‡,1

10 %

mehr Patient:innen gelangten in 12 Monaten zum HbA1c-Zielwert < 7 %

ohne klinisch relevante oder schwere Hypoglykämie in den vorherigen 12 Wochen‡,° vs. Insulin glargin 100 E/ml1

Jetzt QR-Code scannen und mehr über Awiqli® erfahren.

† Unter Awiqli® in Kombination mit NIAD geringe Rate an klinisch relevanten oder schweren Hypoglykämien°, mit weniger als einem Ereignis pro Patientenjahr; Raten klinisch relevanter oder schwerer Hypoglykämien° lagen in Woche 52 bei 0,30 Ereignissen pro Patientenjahr unter Awiqli® versus 0,16 Ereignisse pro Patientenjahr unter Insulin glargin 100 E/ml (geschätztes Ratenverhältnis: 1,64; 95 % Konfidenzintervall, 0,98 bis 2,75) und in Woche 83 (Extensionsphase) bei 0,30 Ereignissen pro Patientenjahr unter Awiqli® versus 0,16 Ereignissen pro Patientenjahr unter Insulin glargin 100 E/ml (geschätztes Ratenverhältnis: 1,63; 95 % Konfidenzintervall, 1,02 bis 2,61). 10 % mehr Patient:innen gelangten in 12 Monaten zum HbA1c-Zielwert < 7 % ohne klinisch relevante oder schwere Hypoglykämie in den vorherigen 12 Wochen vs. Insulin glargin 100 E/ml (geschätzter Anteil: 52,6 % vs. 42,6 %, geschätzte Mittelwerte zu Woche 52; zusätzliches, vordefiniertes exploratorisches Studienergebnis).1 ‡ ONWARDS 1: randomisierte, offene, treat-to-target Phase 3a Studie; Awiqli® (n = 492) vs. Insulin glargin 100 E/ml (n = 492). Studienteilnehmer:innen waren insulinnaive Patient:innen mit Typ 2 Diabetes mellitus. Die antidiabetische Nicht-Insulin-Begleittherapie durfte in derselben Dosis beibehalten werden, mit Ausnahme von Gliniden oder Sulfonylharnstoffen (bei der Randomisierung abgebrochen). 175 von 984 (18 %) wurden mit GLP-1 Rezeptoragonisten behandelt. HbA1c-Ausgangswert bei Studienbeginn: 8,50 % für Awiqli®; 8,44 % für Insulin glargin 100 E/ml.1 Primärer Endpunkt: Nicht-Unterlegenheit und Überlegenheit bzgl. der HbA1c-Veränderung gegenüber dem Ausgangswert nach 52 Wochen.1

° Eine klinisch relevante Hypoglykämie war definitionsgemäß ein Plasmaglucosewert von weniger als 54 mg/dl (3,0 mmol/l). Eine schwere Hypoglykämie war definitionsgemäß eine Hypoglykämie, die mit einer schweren kognitiven Beeinträchtigung einherging und bei der Fremdhilfe erforderlich war.1 CI, Konfidenzintervall; HbA1c, glykiertes Hämoglobin; NIAD, Nicht-Insulin-Antidiabetika

Referenzen

1 Rosenstock J et al. N Engl J Med 2023;389(4):297–308.

Awiqli® 700 Einheiten/ml Injektionslösung im Fertigpen. Wirkstoff: Insulin icodec. Zusammensetzung: Arzneilich wirksamer Bestandteil: 700 Einheiten/ml Insulin icodec, hergestellt durch rekombinante DNS-Technologie in Saccharomyces cerevisiae. Sonstige Bestandteile: Glycerol, Metacresol, Phenol, Zinkacetat, Natriumchlorid, Salzsäure (zur Einstellung des pH-Werts), Natriumhydroxid (zur Einstellung des pH-Werts), Wasser für Injektionszwecke. Anwendungsgebiete: Behandlung des Diabetes mellitus bei Erwachsenen. Art der Anwendung: Awiqli® ist ein Basalinsulin zur einmal wöchentlichen Verabreichung. Die Verabreichung sollte immer am gleichen Wochentag erfolgen. Zur subkutanen Injektion in das Abdomen, den Oberschenkel oder den Oberarm. Awiqli ® darf nicht intravenös angewendet werden, da dies zu schweren Hypoglykämien führen kann. Awiqli® darf nicht intramuskulär angewendet werden, da sich dadurch die Resorption verändern kann. Awiqli® darf nicht aus der Patrone des Fertigpens in eine Spritze aufgezogen werden. Bei Patienten mit Diabetes mellitus Typ 1 muss dieses Arzneimittel mit Bolusinsulin kombiniert werden. Bei Patienten mit Diabetes mellitus Typ 2 kann dieses Arzneimittel sowohl allein als auch in jeder Kombination mit oralen Antidiabetika, GLP-1-Rezeptoragonisten und Bolusinsulin angewendet werden. Wenn Insulin icodec zusätzlich zu Sulfonylharnstoffen angewendet wird, sollte eine Beendigung der Therapie mit Sulfonylharnstoffen oder eine Reduktion der Sulfonylharnstoff-Dosis in Betracht gezogen werden. Awiqli® ist nicht für Patienten geeignet, die neu mit Typ 1 Diabetes diagnostiziert wurden. Patienten mit Typ 2 Diabetes: Die empfohlene Anfangsdosis beträgt 70 Einheiten, gefolgt von einer individuellen Dosisanpassung. Bei der Umstellung von täglich verabreichtem Basalinsulin entspricht die empfohlene Dosis Awiqli® der täglichen Basalinsulin-Gesamtdosis multipliziert mit 7. Für die erste Injektion (Dosis in Woche 1) wird eine zusätzliche einmalige Aufsättigungsdosis von 50 % Awiqli® empfohlen, falls ein schnelleres Erreichen der Blutzuckerkontrolle angestrebt wird. Für Patienten mit Typ 1 Diabetes wird diese Dosis immer empfohlen (nur für die erste Injektion). Die einmalige Aufsättigungsdosis darf ab der zweiten Injektion nicht mehr gegeben werden. Gegenanzeigen: Überempfindlichkeit gegen Insulin icodec oder einen der sonstigen Bestandteile. Vorsicht bei der Kombination mit Pioglitazon (Spontanmeldungen von Herzinsuffizienz). Nicht während der Schwangerschaft und Stillzeit anwenden. Warnhinweise: Arzneimittel für Kinder unzugänglich aufbewahren. Verwenden Sie nur klare, farblose Lösung. Darf nur von einer Person verwendet werden. Nebenwirkungen: Sehr häufig: Hypoglykämie. Häufig: Reaktionen an der Injektionsstelle (blaue Flecken, Blutungen, Schmerzen oder Unbehagen, Rötungen, Schwellungen oder Juckreiz; Peripheres Ödem (Schwellungen aufgrund von Flüssigkeitseinlagerungen). Gelegentlich: Überempfindlichkeitsreaktionen (Unwohlsein, Atembeschwerden, Herzrasen, Schwindelgefühl, Übelkeit, Erbrechen, lokale Reaktionen, Schwitzen, Bewusstlosigkeit. Selten: Lipodystrophie (Lipoatrophie, Lipohypertrophie, kutane Amyloidose). Verschreibungspflichtig. Novo Nordisk A/S, Novo Allé, 2880 Bagsværd, Dänemark.

Awiqli® ist eine eingetragene Marke der Novo Nordisk A/S, Dänemark.

Stand: Mai 2024

M. Jamaković, A. Karić, Z. Hrgović, I. Stašević: Synergistic treatment of heavily calcified no dilatable coronary stenosis by combination of super-high-pressure balloon and intravascular lithotripsy – a case report

ORIGINAL PAPER

Synergistic treatment of heavily calcified no dilatable coronary stenosis by combination of super-high-pressure balloon and intravascular lithotripsy –a case report

Mesud Jamaković1, Alen Karić2, Zlatko Hrgović3, Ina Stašević4

1 Clinic for Diseases of the Heart, Blood Vessels and Rheumatism, Clinical Centre University of Sarajevo, Sarajevo, Bosnia and Herzegovina

2 Clinic for Cardiovascular Surgery, Clinical Centre University of Sarajevo, Sarajevo, Bosnia and Herzegovina

3 Goethe University, Frankfurt, Germany

4 Catholic University of Croatia, Zagreb, Croatia

PERFUSION 2025; 38: 4 – 9

The progression of atherosclerotic coronary disease can lead to coronary calcification. Plaque rupture and erosion – common causes of acute coronary syndrome – are significantly less calcified than stable fibrous calcific plaques. The coronary calcium burden is therefore greater in stable plaques than in unstable plaques. Its presence predicts a worse clinical outcome and is associated with increased mortality and the occurrence of post-procedural major adverse cardiovascular events (MACE) [1, 2]. Coronary calcification predicts future adverse events independently of other cardiovascular risk factors [3]. The treatment of calcified coronary lesions is one of the most challenging interventions in invasive cardiology. Severely calcified arteries are significantly more difficult to dilate than non-calcified arteries. In addi-

Summary

Introduction: Dilatation and percutaneous coronary intervention in heavily calcified lesions is particularly demanding and represents one of the major challenges in the daily work of interventional cardiologist.

Aim: To emphasise the importance of the surgeon’s competence, experience and skills in the use of various new techniques and devices and their use in different combinations to treat complex coronary lesions and situations.

Case report: The patient was admitted for acute non-ST elevation myocardial infarction (NSTEMI). Invasive coronary angiography revealed a two-vessel disease with borderline stenosis of the left anterior descending artery (LAD), and occluded right coronary artery (RCA). Multiple attempts to dilate a heavily calcified stenosis in the middle RCA failed. In the second intervention, the lesion was successfully overcome by intravascular lithotripsy with 80 intravascular pulses and ultra-high pressure balloon inflation. The procedure was successfully completed with the implantation of two drug-eluting stents.

Conclusion: The technical improvement of devices in interventional cardiology significantly increases the probability of success in PCI procedures. The combination of different, highly efficient devices available today and their synergistic effect may be a successful strategy even for inaccessible lesions.

Key words: percutaneous coronary interventions, heavily calcified lesions, occlusion of the right coronary artery (RCA), stenosis of the left anterior descending artery (LAD), intravascular lithotripsy

Zusammenfassung

Einleitung: Die Dilatation und perkutane Koronarintervention bei stark verkalkten Läsionen ist besonders anspruchsvoll und stellt eine der größten Herausforderungen in der täglichen Arbeit des interventionellen Kardiologen dar.

Zielsetzung: Hervorhebung der Bedeutung von Kompetenz, Erfahrung und Fertigkeiten des Operateurs bei der Anwendung verschiedener neuer Techniken und Geräten sowie deren Einsatz in unterschiedlichen Kombinationen zur Behandlung komplexer Koronarläsionen.

Kasuistik: Der Patient wurde wegen eines akuten Nicht-ST-Hebungs-Myokardinfarkts (NSTEMI) aufgenommen. Die invasive Koronarangiographie ergab eine Zwei-Gefäß-Erkrankung mit einer grenzwertigen Stenose des Ramus interventricularis anterior (LAD) und einer okkludierten rechten Koronararterie (RCA). Mehrere Versuche, eine stark verkalkte Stenose in der mittleren RCA zu dilatieren, schlugen fehl. Bei der zweiten Intervention wurde die Läsion erfolgreich durch intravaskuläre Lithotripsie mit 80 intravaskulären Impulsen und Aufblasen eines Ultrahochdruckballons überwunden. Der Eingriff wurde mit der Implantation von zwei medikamentenfreisetzenden Stents erfolgreich abgeschlossen. Schlussfolgerung: Die technische Verbesserung der Geräte in der interventionellen Kardiologie erhöht die Erfolgswahrscheinlichkeit bei PCI-Eingriffen erheblich. Die Kombination verschiedener, hocheffizienter Geräte, die heute zur Verfügung stehen, und deren synergetische Wirkung können selbst bei unzugänglichen Läsionen eine erfolgreiche Strategie sein.

Schlüsselwörter: perkutane Koronarinterventionen, stark verkalkte Läsionen, Verschluss der rechten Koronararterie (RCA), Stenose des Ramus interventricularis anterior (LAD), intravaskuläre Lithotripsie

tion, the primary goal is to prepare the lesion and create an adequate lumen, which will allow a stent implantation and optimal expansion. Suboptimal stent expansion is a risk factor for instent thrombosis, instent restenosis, myocardial infarction and potentially fatal outcome. Lesion preparation is sometimes performed with semi-compliant and non-compliant balloons, but in a considerable number of cases more aggressive devices are required. These include a rot ablation (rotational or orbital atherectomy), intravascular lithotripsy (IVL), ultra-high pressure balloon dilatation (OPN), the use of cutting and scoring balloons, and laser atherectomy [4–8].

Case report

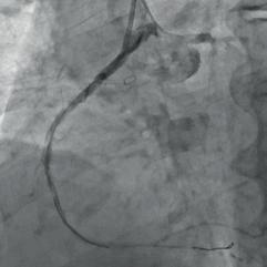
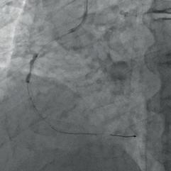
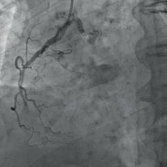
The patient was admitted to the intensive care unit with findings consistent with a diagnosis of NSTEMI. The onset of symptoms was one day prior. Previous medical history included arterial hypertension, dyslipidaemia and positive family history of cardiovascular disease. The electrocardiogram performed on admission was unremarkable except for the presence of a Q wave and a negative T wave in lead III. Laboratory tests revealed an elevated level of high-sensitivity troponin level (938, reference range 0 – 14 ng/L). Invasive coronary angiography revealed two-vessel disease with borderline (50 – 60 %) stenosis of the mid-LAD and a severely calcified, totally occluded right coronary artery (RCA) (Fig. 1).

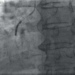
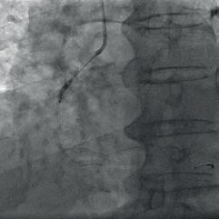
After medical preparation, PCI of the RCA was started. In a standard procedure the RCA was opened and multiple dilatations of the vessel were performed (Fig. 2a). After predilection, a diffusely altered vessel with a sub-occlusive stenosis of the middle RCA was identified. The lesions were sequentially dilated with non-compliant balloons, but a critical, calcified lesion in the middle RCA could not be dilated. The lesion was then attempted to be dilated with an ultra-high pressure balloon (OPN NC 2.5  15 mm Super High Pressure Balloon; SIS Medical AG, Frauenfeld, Switzerland). A slightly undersized OPN balloon was used in relation to the vessel diameter. The OPN balloon was sequentially inflated, resulting in a persistent dog bone appearance at the site of the lesion (Fig. 2b). Finally, at a pressure of 50 at-

M. Jamaković, A. Karić, Z. Hrgović, I. Stašević:

treatment of heavily calcified no dilatable coronary stenosis by combination of super-high-pressure balloon and intravascular lithotripsy – a case report

a non-compliant balloon.

Figure 1: Initial appearance of the RCA in the LAO view. Figure 2a: RCA dilatation with
Figure 2b: RCA dilatation with an OPN NC balloon
Figure 2c: Large dissection and vessel occlusion after balloon rupture.
M. Jamaković, A. Karić, Z. Hrgović, I. Stašević: Synergistic

A.

Z.

I.

Synergistic treatment of heavily calcified no dilatable coronary stenosis by combination of super-high-pressure balloon and intravascular lithotripsy – a case report

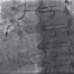
Figure 3a: Repeated dilatation with the NC balloon.
Figure 3b: RCA treated with an IVL balloon.
Figure 3c: RCA dilatation with a NC balloon after IVL. Figure 4: Final result after stent implantation.
M. Jamaković,
Karić,
Hrgović,
Stašević:

M. Jamaković, A. Karić, Z. Hrgović, I. Stašević: Synergistic treatment of heavily calcified no dilatable coronary stenosis by combination of super-high-pressure balloon and intravascular lithotripsy – a case report

mospheres, the balloon ruptured, resulting in abrupt vessel occlusion and haemodynamic deterioration of the patient with hypotension and bradycardia. After medical stabilisation, flow was partially restored through the RCA with a clearly visible large dissection flap in the middle portion of the vessel (Fig. 2c). The patient was clinically stabilised and the procedure was terminated. A few months later we decided to do a second procedure. This time we found a marked deterioration of the RCA, which was critically stenosed in a mid-portion. After a difficult wire crossing, multiple dilations were performed with different semi-compliant and non-compliant balloons throughout the RCA (Fig. 3a). We then decided to treat the lesion with intravascular lithotripsy, but the IVL balloon failed to cross the lesion. Subsequently,

Devices and methods

Semi-compliant balloon

Non-compliant balloon

Ultra-high pressure balloon (OPN NC)

Intravascular lithotripsy (IVL)

Cutting and scoring balloons

Rotational atherectomy

Orbital atherectomy

Laser atherectomy

the entire middle RCA was treated by multiple dilations with smaller OPN NC balloons (2.0  15 mm and 2.0  10 mm, applied >30 inflations at 35 – 40 atmospheres) in order to create space for IVL balloon delivery. After these aggressive dilations, a 3.0  12 mm IVL balloon (Skockwave) was finally advanced and multiple (80 in total) intravascular pulses were delivered throughout the middle RCA (Fig. 3b) with improved angiographic appearance. After partial dissection of the severely calcified stenosis, we performed additional inflation with non-compliant 2.5  15 mm and 3.0  20 mm balloons (Fig. 3c) and finally achieved a satisfactory result.

Due to the possibility of of recoil and the significant risk of vessel reocclusion, we decided to implant two drug-eluting stents – distal-

Advantages

Easy to use, low cost, widely available, very good deliverability

Easy to use, low cost, widely available, good deliverability

Easy to use, relatively low cost, moderate efficacy

High success rate, very low complication rate, convenient to use

Easy to use, acceptable price, readily available

High success rate even in very challenging stenoses, especially in long lesions

ly 3.0  26 mm and proximally 3.0  33 mm with minimal overlap. The stents were expanded and a very good angiographic result was achieved with TIMI 3 flow (Fig. 4). The patient was discharged one day later and is doing well. Control coronary angiography for borderline stenosis of the mid LAD with functional assessment of severity is planned.

Discussion

Calcified lesions are a real challenge in the interventional treatment of coronary disease. The impact of this type of coronary stenosis is even greater in the setting of acute coronary syndrome. In the case of non-balloon patent lesions, a more aggressive strategy – such as the use of ultra-high pressure balloons,

Disadvantages

Very low success rate

Low success rate

Inability to treat very difficult lesions, rigid, risk of rupture at very high pressure

Very expensive, not available in all catheterisation laboratories, rigid, often cannot be used in very narrow stenoses

Low to moderate efficacy, rigid, often cannot be delivered in tight stenoses

Very expensive, not available in all catheterisation laboratories, not suitable for tortuous vessels, risk of serious complications, difficult to use

High success rate, especially for long lesions

High success rate

Table 1: Advantages and disadvantages of devices used to treat calcified lesions.

Very expensive, not available in all catheterisation laboratories, not suitable for tortuous vessels, risk of serious complications, complicated application

Very expensive, very rarely available, not suitable for tortuous vessels, risk of serious complications, complicated application

M. Jamaković, A. Karić, Z. Hrgović, I. Stašević: Synergistic treatment of heavily calcified no dilatable coronary stenosis by combination of super-high-pressure balloon and intravascular lithotripsy – a case report

cutting and scoring balloons, rot ablation, laser atherectomy and intravascular lithotripsy – should be planned.

Such complex procedures carry a significant risk of complications such as coronary dissection, abrupt vessel closure with subsequent myocardial infarction, coronary perforation with tamponade and death. In an attempt to overcome these difficult lesions, a variety of strategies and devices have been used. Some of these are listed in Table 1.

Although a number of observational studies of these techniques are available, randomised trials of clinical outcomes in patients with severe calcified lesions and head-tohead comparisons are still lacking. Several prospective, randomised trials (e.g. Short-Cut, SONAR, BALI, VICTORY, ISAR-WAVE) are underway to determine whether one calcium-modifying technique is superior to another, and results will be available soon [9, 10]. The choice of method also depends on the availability of specific equipment, operator experience and personal preference. To minimise the risk of complications during these procedures and to achieve a safe and satisfactory angiographic result, it seems prudent to combine the use of different devices. To suc-

cessfully manage these potential complications, catheterisation laboratories should be equipped with covering stents, coils, snares, etc.

Conclusion

Technical improvements in interventional cardiology devices have significantly increased the likelihood of procedural success. The combination of different, highly effective devices available today can be a winning strategy even in intractable lesions. In the case we describe, a heavily calcified and resistant lesion in the RCA was successfully treated by sequential use of a combination of ultra-high pressure balloons (OPN NC) and intravascular lithotripsy, with an excellent final result.

4 Secco GG, Buettner A, Parisi R et al. Clinical experience with very highpressure dilatation for resistant coronary lesions. Cardiovasc Revasc Med 2019;20:1083-1087

5 Dini CS, Tomberli B, Mattesini A et al. Intravascular lithotripsy for calcific coronary and peripheral artery stenosis. EuroIntervention 2019;15:714-721

6 Wong B, El-Jack S, Newcombe R et al. Shockwave intravascular lithotripsy for calcified coronary lesions: first realworld experience. J Invasive Cardiol 2019;31:46-48

7 Abdel-Wahab M, Toelg R, Byrne RA et al. High-speed rotational atherectomy versus modified balloons prior to drugeluting stent implantation in severely calcified coronary lesions. Circ Cardiovasc Interv 2018;11:e007415

8 Kassimis G, Raina T, Kontogiannis N et al. How should we treat heavily calcified coronary artery disease in contemporary practice? From atherectomy to intravascular lithotripsy. Cardiovasc Revasc Med 2019;20:1172-1183

9 Cassese S, Simonetti F, Covarrubias HAA et al. Intracoronary stenting and additional results achieved by shockWAVE coronary lithotripsy: design and rationale of ISAR-WAVE trial. Am Heart J 2024;282:1-12

References

1 Jinnouchi H, Sato Y, Sakamoto A et al. Calcium deposition within coronary atherosclerotic lesion: implications for plaque stability. Atherosclerosis 2020; 306:85-95

2 Sorini Dini C, Nardi G, Ristalli F et al. Contemporary approach to heavily calcified coronary lesions. Interv Cardiol 2019;14:154-163

3 Onnis C, Virmani R, Kawai K et al. Coronary artery calcification: current concepts and clinical implications. Circulation 2024;149:251-266

10 Riley RF, Patel MP, Abbott JD et al. SCAI expert consensus statement on the management of calcified coronary lesions. J Soc Cardiovasc Angiogr Interv 2024;3:101259

Address for correspondence: Mesud Jamaković, MD

Clinical Centre University of Sarajevo Bolnička 25, Sarajevo 71000, Bosnia and Herzegovina

E-Mail: dr_jamakovic@yahoo.com

Vitamin-K-Antagonisten (VKA) stellen eine wesentliche Therapiesäule im Bereich der Antikoagulation dar. Da auch direkte orale Antikoagulanzien (DOAK) inzwischen breit eingesetzt werden, ist für eine effektive und sichere Antikoagulation ein differenziertes Vorgehen basierend auf der zugrunde liegenden Indikation wichtig.

Aktuelle Erkenntnisse zu Wirksamkeit und Sicherheit

Laut einem aktuellen systematischen Review gibt es in bestimmten Fällen Unterschiede im Wirksamkeits- und/oder Sicherheitsprofil von DOAK gegenüber VKA; es ist kein Zusatznutzen vorhanden, oder Nutzen und Risiken sind noch unklar (Tab. 1) [1]. Die indikationsabhängige, teilweise überlegene Wirksamkeit von VKA könnte auf unterschiedlichen Wirkmechanismen beruhen. Während VKA mehrere Gerinnungsfaktoren im intrinsischen und extrinsischen Aktivierungsweg sowie der gemeinsamen Endstrecke der Koagulation hemmen, wirken DOAK nur über die Gerinnungsfaktoren Xa oder IIa (Thrombin) der gemeinsamen Endstrecke. Entsprechend können VKA für eine effektivere Therapie sorgen sowie eine gezielte Behand-

Effektive Behandlung mit VKA: Neue Evidenz zu bewährten Antikoagulanzien

lung ermöglichen, wenn die Blutgerinnung über von DOAK nicht abgedeckte Aktivierungswege ausgelöst wird (z.B. bei Patienten mit mechanischen Herzklappen oder beim Antiphospholipid-Syndrom).

Anhand deutscher Krankenkassendaten zeigt sich unter VKA für bestimmte Patientenpopulationen ein geringeres Risiko für Mortalität, Schlaganfall, transitorische ischämische Attacken, arterielle Embolie, Herzinfarkt sowie schwerwiegende unerwünschte kardiale und zerebrovaskuläre Ereignisse, ohne konsistente Ergebnisse zum Blutungsrisiko [2, 3, 4]. Allerdings zeigt die FRAIL-AF Studie, dass bei gut eingestellten, älteren Patienten mit Vorhofflimmern (≥75 Jahre, n = 1.330) ein Wechsel von VKA zu DOAK zu einem erhöhten Blutungsrisiko führen kann (HR:

Indikation

Empfohlene Behandlung basierend auf aktueller Evidenz

DOAK weniger wirksam oder sicher bzw. ohne Zusatznutzen im Vergleich zum Behandlungsstandard

Mechanische Herzklappen

Rheumatische Herzerkrankungen mit Vorhofflimmern

Thrombotisches AntiphospholipidSyndrom

VKA

VKA

VKA

Transkatheter-Aortenklappenersatz Acetylsalicylsäure und Clopidogrel

Embolischer Schlaganfall unklaren Ursprungs Acetylsalicylsäure

Linksventrikuläres Hilfssystem VKA und niedrig dosierte Acetylsalicylsäure

Unklare Wirksamkeit und Sicherheit von DOAK

Linksventrikuläre Thromben VKA oder DOAK

Katheter-assoziierte tiefe Venenthrombose Niedermolekulares Heparin oder VKA

Splanchnische Venenthrombose DOAK

Zerebrale Sinusthrombose VKA

Terminale Niereninsuffizienz

VKA oder DOAK nach individueller Entscheidung

Tabelle 1: Anwendungsfälle für Antikoagulanzien, modifiziert nach [1].

1,69; 95%-KI: 1,23 – 2,32), ohne signifikanten Einfluss auf thromboembolische Ereignisse (HR: 1,26; 95%-KI: 0,60 – 2,61) [5]. Analog zu Hochrisikosituationen bei DOAK wird das perioperative Management unter einer individuellen Abwägung des Blutungs- und Thromboembolie-Risikos festgelegt [6].

Fazit

Aus aktueller Evidenz abzuleitende Vorteile von VKA sind relevant für die individuelle Therapieentscheidung. Zudem wird die langfristige Patientenbetreuung bei VKA durch die individuelle Dosisanpassung und ein aktives Gerinnungsselbstmanagement vereinfacht.

Dr. rer. nat. Dajana Parganlija, Köln

Literatur

1 Bejjani A et al. J Am Coll Cardiol 2024; 83:444-465

2 Engelbertz C et al. J Intern Med 2024; 296:362-376

3 Mueller S et al. Pragmat Obs Res 2018; 1:9:1-10

4 Paschke LM et al. BMC Medicine 2020;18:254

5 Joosten LPT et al. Circulation 2024; 149:279-289

6 Steffel J et al. Europace 2021;23:16121676

Der Beitrag wurde mit freundlicher Unterstützung der Mylan Germany GmbH (A Viatris Company) erstellt.

TORCH-PlusRegister: Evaluation von RealWorld-Daten zur Kardiomyopathie

Das Deutsche Zentrum für HerzKreislauf-Forschung (DZHK) und das forschende Pharmaunternehmen Bristol Myers Squibb haben sich zusammengeschlossen, um im Rahmen des TORCH-Plus-Registers die Behandlung der hypertrophen obstruktiven Kardiomyopathie (HOCM) zu untersuchen, zu optimieren und an die individuellen Bedürfnisse der Patienten anzupassen. Bei dieser chronischen, progredient verlaufenden Erkrankung des Herzmuskels wird der linksventrikuläre Ausflusstrakt durch den vergrößerten Herzmuskel verengt, sodass sich das Risiko für Vorhofflimmern, Schlaganfall, Herzinsuffizienz und – wenn auch selten – plötzlichen Herztod erhöhen kann. Allerdings sind die Behandlungsmöglichkeiten begrenzt und es besteht ein hoher medizinischer Bedarf an innovativen therapeutischen Interventionen.

Mavacamten auf dem Prüfstand

Im Fokus der Forschungskollaboration steht die wissenschaftliche Beobachtung von Patienten, denen im klinischen Alltag Mavacamten (Camzyos®), ein neuartiges Medikament zur Behandlung der HOCM, verschrieben wurde. Dabei werden Effektivität, Verträglichkeit, Nebenwirkungen sowie mögliche Wechselwirkungen mit

anderen Medikamenten erfasst und ausgewertet. Ziel ist es, diese Daten unter „Real-life“-Bedingungen zu evaluieren.

Umfassende Datenbasis für klinische Studien

Das TORCH-Plus-Register des DZHK ist das weltweit größte prospektive Register seiner Art. Seit 2014 erfasst es an über 20 klinischen Standorten in Deutschland systematisch und anonymisiert medizinische Daten von inzwischen mehr als 4.000 Patienten mit Herzmuskelerkrankungen, die sich nicht auf einen vorausgegangenen Herzinfarkt zurückführen lassen und bei denen eine erbliche Veranlagung oder eine Entzündung des Herzmuskels zugrunde liegen kann.

„Das Register bietet eine einzigartige und umfassende Datenbasis für klinische Studien und Forschungsvorhaben, um neue Therapien langfristig zu evaluieren und bestehende Behandlungsmethoden weiterzuentwickeln“, erläutert Professor Benjamin Meder, wissenschaftlicher Leiter des TORCH-Registers und des Instituts für Cardiomyopathien am Universitätsklinikum Heidelberg. „Es hat sich zu einem wertvollen und effektiven Instrument in der kardiologischen Forschung entwickelt. Dies ist nur durch die vielen mitwirkenden Wissenschaftler und Zentren möglich, denen der besondere Dank gilt. Auch Zentren außerhalb des DZHK sind herzlich eingeladen, am neuen TORCH-Modul teilzunehmen.“

Diabetes Typ 2 ist die häufigste Form des Diabetes und macht etwa 90 % der Diabeteserkrankungen aus [1]. In Deutschland sind mindestens 8,9 Millionen Menschen davon betroffen [2], rund 1,5 Millionen davon werden mit Insulin behandelt [3]. Dies wird notwendig, wenn sich der Diabetes nicht mehr durch eine Standardtherapie kontrollieren lässt, sodass der Patient auf eine Insulintherapie umgestellt werden muss, die eine adäquate Blutzuckerkontrolle ermöglicht und damit das Risiko für mögliche Komplikationen reduzieren kann. Jedoch ist es oft schwierig, den Patienten von der Notwendigkeit einer Insulintherapie zu überzeugen, denn die Betroffenen haben häufig Angst vor den vielen notwendigen, womöglich schmerzhaften Injektionen und den negativen Auswirkungen dieser komplexen Therapie auf ihren gewohnten Alltag. Aber auch wenn der Einstieg in die Insulintherapie gelungen ist, führen die Einschränkungen durch die täglichen Injektionen und die Einhaltung der Injektionszeitfenster oft dazu, dass die Patienten sich nicht immer an den Behandlungsplan halten – bei einer Umfrage gaben 33,2 % der Patienten an, dass sie im letzten Monat an mindestens einem Tag die Insulintherapie ausgelassen haben, im Durchschnitt waren es 3,3 Tage [4].

Um die Therapieadhärenz zu verbessern, wünschen sich daher sowohl die Patienten als auch die Ärzte eine ausreichende Blutzuckerkontrolle mit Insulin ohne tägliche Injektionen und einen Behandlungsplan, der sich in das

FORUM DIABETICUM

Insulin icodec – eine Injektion des Basalinsulins deckt den Bedarf für eine ganze Woche

Alltagsleben einfügen lässt, sodass die Lebensqualität erhalten bleibt [5]. All diese Kriterien erfüllt Insulin icodec (Awiqli®), das erste Wocheninsulin, das seit September 2024 für die Behandlung von Erwachsenen mit Diabetes Typ 1 und Typ 2 verfügbar ist. Insulin icodec wird einmal wöchentlich subkutan mit einem FlexTouch® Fertigpen injiziert und kann so den basalen Insulinbedarf für eine ganze Woche decken [6].

Albumin als natürlicher Insulinspeicher und eine innovative Formulierung ermöglichen die 1 × wöchentliche Anwendung

Anders als herkömmliche Basalinsuline bildet Insulin icodec kein subkutanes Depot. Stattdessen nutzt es aufgrund seiner besonderen Moleküleigenschaften das Hormonträgermolekül Albumin als natürlichen Insulinspeicher (Abb. 1). Die Wirkstoffabgabe aus diesem Speicher erfolgt langsam und kontinuierlich über 24 Stunden, eine Woche lang, was zu einer annähernd

gleichmäßigen glukosesenkenden Wirkung über einen Zeitraum von einer Woche führt [7].

Die gute Löslichkeit von Insulin icodec erlaubt zudem eine Formulierung mit 700 E/ml, sodass das wöchentliche Injektionsvolumen von Insulin icodec mit dem täglichen Injektionsvolumen herkömmlicher Basalinsuline mit einer Konzentration von 100 E/ml 7  pro Woche vergleichbar ist [8]. Wie pharmakologische Untersuchungen bei Menschen mit Typ2-Diabetes zeigen, lässt sich durch die Behandlung mit Insulin icodec eine vergleichbare glukosesenkende Wirkung im Steady State (nach 3 – 4 wöchentlichen Dosen) über eine Woche erzielen wie mit einer entsprechenden täglichen Dosis Basalinsulin glargin von 100 E/ ml (Abb. 2) [8]. Rechnerisch sind dadurch 86 % weniger Injektionen erforderlich als bei der täglichen Injektion von Basalinsulin*.

* Tägliche Injektion = 365 Injektionen/ Jahr; wöchentliche Injektion = 52 Injektionen/Jahr. 52/365 = 14,2 %, d.h. 86 % weniger Injektionen mit wöchentlich 1  Insulin icodec 700 E/ml im Vergleich zu täglichen Injektionen mit einem Basalinsulin mit 100 E/ml.

• Die wichtigsten Attribute bezüglich einer Insulintherapie sind für Patient:innen mit Typ 2 Diabetes: Nebenwirkungen, Wirksamkeit und Dosierungsfrequenz.9

FORUM DIABETICUM

• Die geringere Anzahl an Injektionen hat das Potenzial, Erwachsenen mit Typ 2 Diabetes den Behandlungsbeginn zu erleichtern, die Adhärenz zu erhöhen10,11, die Lebensqualität zu verbessern und Patient:innen zu helfen, ihre Behandlungsziele zu erreichen.10 der Menschen mit Typ 2 Diabetes entwickeln unter herkömmlicher

Molekülstruktur von Insulin icodec

AustauschvondreiAminosäuren

•Hohe molekulare Stabilität durch verminderten enzymatischen Abbau

•Langsame Rezeptor-vermittelte Clearance

•Hohe Löslichkeit

Insulintherapie Lipodystrophien, die durch häufiges Injizieren an derselben Körperstelle auftreten können.12,§ 34 %

‡ Interne Berechnung Novo Nordisk Pharma GmbH: Tägliche Injektion = 365 Injektionen/Jahr; wöchentliche Injektion = 52 Injektionen/Jahr (52/365 = 14,2 % = 86 % weniger Injektionen im Vergleich zu täglichen Injektionen (ebenso bezogen auf das Injektionsvolumen ggü. einem Basalinsulin mit 100 E/ml))

Entfernung des terminalen Threonins

§ 33,6 % der Patient:innen mit Basal-Bolus-Therapie, 20 % mit Mischinsulin-Therapie, 18,9 % mit Basalinsulin-Therapie

Wirkweise von Insulin icodec:

Spacer

• Insulin icodec nutzt das Hormonträgermolekül Albumin als natürlichen Insulinspeicher.2

• Keine Bildung eines subkutanen Depots wie bei herkömmlichen Basalinsulinen mit täglicher Anwenung.

•StarkeBindungsneigunganAlbumin

•Langsame Rezeptor-vermittelte Clearance

• Die Wirkstoffabgabe erfolgt langsam und kontinuierlich, was zu einer annähernd gleichmäßigen glukose senkenden Wirkung über einen Zeitraum von einer Woche führt.2

Abbildung 1: Durch den Austausch von 3 Aminosäuren in der A- und B-Kette des Insulinmoleküls und das Anhängen einer C20Fettsäure über einen Spacer an die B-Kette (an Position B29; die Aminosäure B30 wurde vorher entfernt) besitzt Insulin icodec eine hohe Bindungsneigung an Albumin, eine hohe Molekülstabilität gegenüber enzymatischem Abbau sowie eine hohe Löslichkeit [7].

Wirkprofil-Modell von Insulin icodec im Vergleich zu herkömmlichem Basalinsulin (bei vergleichbarer Dosierung)

Glukosesenkender Effekt (AU)

Glucosesenkende Wirkung

MontagDienstagMittwochDonnerstag

FreitagSamstagSonntag

Zeit (Tage)

Insulin icodec 700 E/ml

Abbildung 2: Insulin icodec hat eine Halbwertszeit von etwa einer Woche, was eine einmal wöchentliche Anwendung ermöglicht. Dabei erzielt das Wocheninsulin eine annähernd gleichmäßige glukosesenkende Wirkung über den Zeitraum von einer Woche, wie sie durch die tägliche Injektion eines herkömmlichen Basalinsulins erreicht werden kann [8].

FORUM DIABETICUM

ONWARDS 1

Geschätzte Differenz –0,19 [–0,36 bis –0,03] –0,21 [–0,34 bis –0,08] Zeit im Zielbereich (3,9–10,0 mmol/l) Wochen 48–52

Geschätzte Differenz 4,27 [1,92 bis 6,62]; p<0,001

Tabelle 1: In den beiden Studien ONWARDS 1 und ONWARDS 2 ewies sich Insulin icodec bei Patienten mit Typ-2-Diabetes hinsichtlich der erzielten glykämischen Kontrolle – gemessen an der Veränderung des HbA1c in Woche 52 bzw. 26 – den beiden herkömmlichen Basalinsulinen als nicht unterlegen [9, 11].

Umfangreiches

Studienprogramm belegt die effektive glykämische Kontrolle

Die Wirksamkeit und Sicherheit von Insulin icodec wurden im Vergleich zu den herkömmlichen täglich verabreichbaren Basalinsulinen (Insulin degludec, Insulin glargin 100 E/ml) im Phase-IIIaStudienprogramm ONWARDS untersucht. Dieses umfasst 6 klinische Studien, an denen weltweit mehr als 4.000 Erwachsene mit Typ-2oder Typ-1-Diabetes teilgenommen haben [9 – 14]. Primärer Endpunkt war jeweils die Nicht-Unterlegenheit der Blutzuckerkontrolle unter Insulin icodec im Vergleich zu herkömmlichen Basalinsulinen, gemessen an der Veränderung des HbA1c in Woche 52 bzw. 26. Alle Studien erreichten ihren primären Endpunkt [9 – 14].

Von besonderer Relevanz sind die beiden Studien ONWARDS 1 und

ONWARDS 3 für den Einstieg in die Insulinbehandlung bei Insulinnaiven Erwachsenen mit Typ-2-Diabetes [9, 11].

In der 52-wöchigen offenen Studie ONWARDS 1, in der 984 insulinnaive Patienten mit Typ-2-Diabetes randomisiert entweder mit Insulin icodec oder Insulin glargin 100 E/ml behandelt wurden, kam es bei einem HbA1c-Ausgangswert von 8,50 % für Insulin icodec und 8,44 % für Insulin glargin 100 E/ml unter der Therapie mit Insulin icodec zu einer effektiven Senkung des HbA1c um –1,55 % im Verlauf von 12 Monaten gegenüber –1,35 % unter Insulin glargin 100 E/ml (p = 0,02) [9]. Dabei verbrachten die an Typ-2-Diabetes erkrankten Studienteilnehmer in der Insulin-icodec-Gruppe durchschnittlich mehr Zeit im glykämischen Zielbereich (Time in Range = 3,9 – 10,0 mmol/l) als die in der Insulin-glargin-Gruppe (p < 0,001) (Tab. 1) [9].

In der 26-wöchigen Doppelblindstudie ONWARDS 3 erhielten 588 insulinnaive Patienten mit Typ2-Diabetes randomisiert entweder Insulin icodec oder Insulin degludec (100 E/ml). Auch in dieser Studie erwies sich das Wocheninsulin hinsichtlich der effektiven glykämischen Kontrolle dem herkömmlichen Basalinsulin als nicht unterlegen (Tab. 1) [11].

In beiden ONWARDS-Studien waren unter Insulin icodec in Kombination mit Nicht-InsulinAntidiabetika nur geringe Raten an klinisch relevanten oder schweren Hypoglykämien zu verzeichnen, mit weniger als einem Ereignis pro Patientenjahr [9, 11].

Fazit

Das einmal wöchentlich mit dem FlexTouch® Fertigpen subkutan injizierte Insulin icodec (Awiqli®) hat

sich in klinischen Studien den täglich zu verabreichenden herkömmlichen Basalinsulinen als nicht unterlegen erwiesen. Das Wocheninsulin bietet Patienten mit Typ-2-Diabetes eine einfachere Therapie, die sich problemlos in den Alltag einfügen lässt. Wie Studiendaten gezeigt haben, bevorzugen Patienten mit Typ-2-Diabetes Insulin icodec im Vergleich zum zuvor angewendeten herkömmlichen Basalinsulin aufgrund der geringeren Injektionshäufigkeit. Auch der Einstieg in eine Insulinbehandlung kann damit leichter gelingen [15].

Brigitte Söllner, Erlangen

Literatur

1 International Diabetes Federation. IDF Diabetes Atlas 10th Edition. https://diabetesatlas.org/

2 Seidel-Jacobs E et al. In: Deutscher Gesundheitsbericht Diabetes 2024. 2023:8-13

3 Siegel EG et al. In: Deutscher Gesundheitsbericht Diabetes 2024. 2023:207215

4 Peyrot M et al. Diabet Med 2012;29: 682-689

5 Aberle J. MMW Fortschr Med 2023; 165:3-11

6 Fachinformation Awiqli®, aktueller Stand

7 Kjeldsen TB et al. J Med Chem 2021; 64:8942-8950

8 Nishimura E et al. BMJ Open Diabetes Res Care 2021;9:e002301

9 Rosenstock J et al. N Engl J Med 2023 389:297-308

10 Philis-Tsimikas A et al. Lancet 2023;11: 414-425

11 Lingvay I et al. JAMA 2023;330:228237

12 Mathieu C et al. Lancet 2023;401:19291940

13 Bajaj HS et al. Ann Intern Med 2023; 176:1476-1485

14 Russell-Jones D et al. Lancet 2023;402: 1636-1647

15 Polonsky W et al. 59th EASD Annual Meeting of the European Association for the Study of Diabetes. Diabetologia 2023; 66 (Sonderheft 1):1-536

FORUM DIABETICUM

8.000 der 400.000 neuen DemenzFälle pro Jahr gehen

auf das Konto von Diabetes

Jedes Jahr entwickeln ca. 400.000 Menschen in Deutschland eine Demenz – und das Deutsches Zentrum für Neurodegenerative Erkrankungen e.V. (DZNE) warnt: Die Zahl der von einer Demenz Betroffenen wird Prognosen zufolge kontinuierlich von heute 1,8 Millionen auf bis zu 2,7 Millionen im Jahr 2050 ansteigen [1]. Auch die Rate des Diabetes Typ 2 erhöht sich rasant, bis 2050 könnte sich die Zahl der Betroffenen womöglich verdoppeln [2].

Was viele nicht wissen: Es besteht ein Zusammenhang zwischen beiden Erkrankungen: Menschen mit Diabetes haben ein erhöhtes Demenz-Risiko, allein 2 % aller Demenz-Fälle treten bei Menschen mit Diabetes auf. 2021 kam eine große populationsbasierte Studie aus Großbritannien sogar zu dem Schluss: Je früher man an einem Typ-2-Diabetes erkrankt, umso höher ist die Wahrscheinlichkeit, später eine Demenz zu entwickeln [3]. Die DiabetesTyp-2-Prävention ist somit auch eine aktive Demenz-Prävention. Ein gesunder Lebensstil beeinflusst daher nicht nur das Diabetes-Risiko, sondern auch andere DemenzRisikofaktoren wie Cholesterin oder Bluthochdruck.

Fast die Hälfte aller Demenzfälle wäre vermeidbar

Bislang sind 14 Risikofaktoren für Demenz bekannt, die prinzipiell modifizierbar sind und durch medizinische Vorsorge und gesunde Lebensgewohnheiten zum Teil persönlich beeinflusst werden können [4]. Dazu gehören unter anderem Bluthochdruck, Übergewicht, Sehstörungen, Schwerhörigkeit, Fettstoffwechselstörungen, soziale Isolation – und eben auch Diabetes mellitus. Bei Beseitigung aller 14 Risiken wären rund 45 % aller Demenz-Erkrankungen, also fast die Hälfte, vermeidbar – oder könnten zumindest deutlich hinausgezögert werden.

„Die Prävention von Diabetes mellitus ist somit ein Investment in die eigene Hirngesundheit“, erklärt Professor Peter Berlit, Generalsekretär der Deutschen Gesellschaft für Neurologie (DGN). „Wer mit Ernährungsumstellung und viel Bewegung seinen Lebensstil gesundheitsbewusst gestaltet, um Diabetes zu vermeiden, beugt gleichzeitig anderen Erkrankungen und Faktoren vor, die eine Demenz begünstigen, wie z.B. Übergewicht, hohe Blutfettwerte oder Bluthochdruck. Der additive Effekt auf das De-

menz-Risiko ist dann viel größer als nur die besagten 2 %.“

Wie schädigt Diabetes das Gehirn und führt zu einer Demenz?

Diabetes kann auf ganz unterschiedliche Weise das Gehirn schädigen:

• durch Veränderungen an den Gehirngefäßen, denn Diabetes führt zu Gefäßverkalkungen,

• durch Beeinträchtigung des Zucker- und Insulinstoffwechsels im Gehirn und

• durch Hypoglykämien bei einer Diabetestherapie, z.B. mit Insulin.

Auch ein instabiler BlutzuckerLangzeitwert HbA1c ist mit einem höheren Demenz-Risiko verbunden [5].

Manche Stoffwechseleigenschaften des Diabetes schädigen das Gehirn direkt – ohne Vermittlung durch den Blutzucker: Bei Diabetes-Typ-2 wurde die Abnahme der Expression von Glukosetransportern ( GLUT1 und GLUT-3) in verschiedenen Hirnregionen beobachtet, auch die Zunahme von Sauerstoffradikalen sowie mitochondriale Veränderungen, die im Zusammenhang mit den pathophysiologischen Veränderungen bei Demenz stehen könnten [6]. Entsprechend wurden

FORUM DIABETICUM

bereits moderne Antidiabetika, die SGLT2-Inhibitoren, daraufhin getestet, ob sie auch das DemenzRisiko von Menschen mit Diabetes senken können. Eine aktuelle koreanische Studie gibt Hoffnung, denn die medikamentöse Intervention reduzierte dort das Demenz-Risiko um 21 % [7].

Ein weiterer demenzfördernder Effekt läuft über den Insulinstoffwechsel im Gehirn, wo es zu einer Art Insulinresistenz der Hirnzellen kommen kann. Dies hat negative Auswirkungen auf die Abbauvorgänge der Eiweißstoffe. Manche Forschergruppen sprechen daher bei der Alzheimer-Demenz vom „Diabetes Typ 3“ [8].

Der Zusammenhang zwischen Diabetes und Demenz hat aber auch eine umgekehrte Einflusskomponente: Eine beginnende Demenz wirkt sich oft negativ auf die Diabetesbehandlung aus, weil die Betroffenen ihre Therapie und ihre Lebensstilfaktoren schlechter handhaben können [9].

Diabetes-Prävention ist DemenzPrävention

Die Prävention bleibt die wichtigste Säule im Kampf gegen Demenz-Erkrankungen. „Diabetes-Prävention ist weitgehend auch Demenz-Prävention. Die Deutsche Diabetes

Stiftung hat 11 Präventionsmaßnahmen zusammengetragen, die die Deutsche Hirnstiftung mitträgt [10]. Die aufgeführten Maßnahmen entsprechen zu großen Teilen unseren Empfehlungen für den Erhalt der Gehirngesundheit bis ins hohe Alter. Was wir allerdings noch zusätzlich zur Demenz-Prävention empfehlen, sind soziale Interaktionen und Aktivitäten, die das Gehirn fördern und fordern, z.B. das Erlernen einer Fremdsprache, eines Musikinstruments oder komplexer Schrittfolgen beim Tanzen“, betont Professor Frank Erbguth, Präsident der Deutschen Hirnstiftung.

DZNE, DGN

Literatur

1 https://www.dzne.de/aktuelles/hintergrund/faktenzentrale/

2 Diabetes Collaborators. Lancet 2023; 402:203-234

3 Barbiellini Amidei C et al. JAMA 2021; 325:1640-1649

4 Livingston G et al. Lancet 2024;404: 572-628

5 Underwood PC et al. JAMA Netw Open 2024;7:e2425354

6 Rojas M et al. World J Diabetes 2021; 12:745-766

7 Kim HK et al. Neurology 2024;103: e209805

8 Janoutová J et al. Cent Eur J Public Health 2022;30:139-143

9 Erbguth F. Der Diabetologe 2015;11: 300-308

10 https://www.diabetesstiftung.de/11tipps-zur-praevention

Eine der häufigsten mikrovaskulären Komplikationen bei Typ-2-Diabetes ist die chronische Nierenerkrankung (chronic kidney disease, CKD) – schätzungsweise 40 % der Menschen mit Typ-2-Diabetes leiden darunter [1]. Diese Erkrankung kann die Lebensqualität der Betroffenen stark einschränken [2] und erhöht das Risiko für Niereninsuffizienz [2], kardiovaskuläre Erkrankungen [2] und Mortalität [3]. Für die Behandlung der CKD empfehlen die Leitlinien u.a. die Gabe von kardio- bzw. nephroprotektiven Medikamenten wie z.B. ReninAngiotensin-Aldosteron-System (RAAS)-Hemmern, Hemmern des Sodium-Glucose Cotransporters-2 (SGLT-2-Inhibitoren) oder den nichtsteroidalen Aldosteronantagonisten Finerenon [4, 5].

Semaglutid

FORUM DIABETICUM

Semaglutid 1 mg 1 × pro Woche senkt das Risiko für schwere renale und kardiovaskuläre Ereignisse bei Typ-2-Diabetes

Wie aktuelle Daten der klinischen Studie FLOW zeigen, kann auch der Glukagon-like Peptide-1 Rezeptoragonist (GLP-1 RA) Semaglutid (Ozempic®) zusätzlich zur Standardtherapie mit RAAS-Hemmern und/oder SGLT-2-Inhibitoren bei Menschen mit Typ-2-Diabetes und komorbider CKD zu einer Reduktion des Risikos für schwerwiegende renale, kardiovaskuläre Ereignisse sowie der Mortalität beitragen [6].

Semaglutid (Ozempic®) ist ein Analogon zum humanen Glucagonlike Peptide 1 (GLP-1). Dieses physiologische Hormon hat mehrere Aufgaben bei der Glukose- und Appetitregulierung sowie im kardiovaskulären System. Wie das natürliche Peptidhormon bindet Semaglutid an den GLP-1-Rezeptor und erzielt dadurch ähnliche Effekte, nur mit einer verlängerten Halbwertszeit. Diese beträgt etwa 7 Tage, wodurch eine Gabe 1 pro Woche ermöglicht wird [7].

Semaglutid ist zugelassen zur Behandlung des unzureichend kontrollierten Diabetes mellitus Typ 2 bei Erwachsenen als Zusatz zu Diät und körperlicher Aktivität:

• als Monotherapie, wenn die Anwendung von Metformin aufgrund einer Unverträglichkeit oder Kontraindikation ungeeignet ist oder

• zusätzlich zu anderen Arzneimitteln zur Behandlung des Diabetes mellitus.

Semaglutid wird 1 pro Woche unabhängig von den Mahlzeiten mit einem Fertigpen verabreicht. Es ist als Pen zur mehrmaligen Injektion in den Dosierstufen 0,25 mg, 0,5 mg und 1 mg erhältlich [7].

Verlangsamung des Nierenfunktionsverlusts und Senkung der Mortalität

In die doppelblinde, randomisierte, placebokontrollierte Parallelgruppen-Überlegenheitsstudie FLOW wurden insgesamt 3.533 Erwachsene mit Typ-2-Diabetes (HbA1c ≤10 %) und einer CKD* eingeschlossen [6]. Die Studienteilnehmer erhielten zusätzlich zu ihrer Standardtherapie 1 wöchentlich 1,0 mg Semaglutid subkutan (n = 1.767) oder Placebo (n = 1.766). Primärer Endpunkt war das Auftreten eines schweren renalen Ereignisses, definiert als

• beginnendes Nierenversagen, definiert als Dialyse, Nierentransplantation oder persistierende eGFR <15 ml/min/1,73 m2 für mindestens 28 Tage

• anhaltende eGFR-Reduktion ≥50 % für mindestens 28 Tage

• Tod durch Nieren- oder HerzKreislauf-Erkrankungen

* Definiert durch eine geschätzte glomeruläre Filtrationsrate (eGFR) von 50 – 75 ml/min/1,73 m2 Körperoberfläche sowie einen Albumin-Kreatinin-Quotient im Urin (UACR) von >300 bis <5000 mg/g oder eine eGFR von 25 bis <50 ml/min/1,73 m2 sowie einen UACR von >100 bis <5000 mg/g.

FORUM DIABETICUM

Abbildung 1:

Die wichtigsten Ergebnisse der Nieren-Endpunktstudie bei Typ 2 Diabetes1

Absolute Risikoreduktion für den primären kombinierten Nierenendpunkt Die wichtigsten Ergebnisse der Nieren-Endpunktstudie bei Typ 2 Diabetes1

Abbildung 1:

Absolute Risikoreduktion eines schwerwiegenden renalen Ereignisses:

Absolute Risikoreduktion für den primären kombinierten Nierenendpunkt

Absolute Risikoreduktion eines schwerwiegenden renalen Ereignisses: Primärer kombinierter Nierenendpunkt

Primärer kombinierter Nierenendpunkt

Hazard Ratio 0,76 (95 % KI, 0,66–0,88) p = 0,0003

Hazard Ratio 0,76 (95 % KI, 0,66–0,88) p = 0,0003

Semaglutid

Semaglutid 1 mg reduzierte das Risiko für schwere Nierenereignisse um

Semaglutid 1 mg reduzierte das Risiko für schwere Nierenereignisse um

24 %

– 24 %

Abbildung 1: Grafik von Novo Nordisk nach Daten von Perkovic V et al. 20241

Zeit seit Randomisierung (Monate)

Abbildung 1: Grafik von Novo Nordisk nach Daten von Perkovic V et al. 20241

Abbildung 1: In der FLOW Studie bei Patienten mit Typ-2-Diabetes und CKD reduzierte Semaglutid das Risiko für schwere Nierenereignisse (primärer kombinierter Endpunkt) im Vergleich zur Placebo-Behandlung um 24 % (jeweils zusätzlich zur Standardtherapie verabreicht) [6].

Abbildung 2:

Um ein schweres Nierenereignis zu verhindern, müssen über den Zeitraum von drei Jahren 20 Patient:innen behandelt werden (NNT).

NNT = 20

= 20

Abbildung 2:

Jährlicher Abfall des eGFR (berechnet mit Serumkreatinin): Bestätigender sekundärer Endpunkt

Um ein schweres Nierenereignis zu verhindern, müssen über den Zeitraum von drei Jahren 20 Patient:innen behandelt werden (NNT).

Jährlicher Abfall des eGFR (berechnet mit Serumkreatinin): Bestätigender sekundärer Endpunkt

Jährlicher Abfall des eGFR (berechnet mit Serumkreatinin): Bestätigender sekundärer Endpunkt

Jährlicher Abfall des eGFR (berechnet mit Serumkreatinin): Bestätigender sekundärer Endpunkt

Beobachteter Mittelwert

Beobachteter Mittelwert

ETD in Woche 104 = 1,16 ml/min/1,73m2/Jahr (95 % KI, 0,86–1,47) p < 0,001

ETD in Woche 104 = 1,16 ml/min/1,73m2/Jahr (95 % KI, 0,86–1,47) p < 0,001

Semaglutid –2,19

Semaglutid –2,19

–3,36

Placebo –3,36

Semaglutid 1 mg verlangsamte den jährlichen Verlust der Nierenfunktion durchschnittlich um 1,16 ml/min/ 1,73 m2

Semaglutid 1 mg verlangsamte den jährlichen Verlust der Nierenfunktion durchschnittlich um 1,16 ml/min/ 1,73 m2

Abbildung 2: Grafik von Novo Nordisk nach Daten von Perkovic V et al. 20241

Abbildung 3:

Abbildung 2: Auch beim Abfall der eGFR, einem sekundären Endpunkt der FLOW-Studie, schnitt Semaglutid signifikant besser ab: Mit –2,19 versus –3,36 ml/min/1,73 m2/Jahr verlangsamte es den jährlichen Verlust der Nierenfunktion um durchschnittlich 1,16 ml/min/1,73 m2 im Vergleich zu Placebo [6].

Abbildung 2: Grafik von Novo Nordisk nach Daten von Perkovic V et al. 20241

Abbildung 3:

CV-Tod, nicht-tödlicher Myokardinfarkt (MI) oder nicht-tödlicher Schlaganfall (MACE): Bestätigender sekundärer Endpunkt

CV-Tod, nicht tödlicher Myokardinfarkt (MI) oder MACE: Bestätigender sekundärer Endpunkt

CV-Tod, nicht-tödlicher Myokardinfarkt (MI) oder nicht-tödlicher Schlaganfall (MACE): Bestätigender sekundärer Endpunkt

Konfirmatorische sekundäre Endpunkte waren ein eGFR-Slope (jährlicher Abfall der eGFR von Randomisierung bis Studienende),

CV-Tod, nicht tödlicher Myokardinfarkt (MI) oder MACE: Bestätigender sekundärer Endpunkt

Hazard Ratio 0,82 (95 % KI, 0,68–0,98) p = 0,029

Hazard Ratio 0,82 (95 % KI, 0,68–0,98) p = 0,029

schwerwiegende kardiovaskuläre Ereignisse (nicht tödlicher Myokardinfarkt, nicht tödlicher Schlaganfall oder kardiovaskulärer Tod)

Semaglutid 12,0 %

sowie Tod jeglicher Ursache [6]. Die Studie erreichte den primären Endpunkt: Das Risiko eines schwerwiegenden renalen Ereignisses

Semaglutid 12,0 %

Semaglutid 1 mg reduzierte das Risiko für MACE um

Semaglutid 1 mg reduzierte das Risiko für MACE um

18 %

18 %

FORUM DIABETICUM

(Wochen)

Abbildung 2: Grafik von Novo Nordisk nach Daten von Perkovic V et al. 20241

Abbildung 3:

CV-Tod, nicht-tödlicher Myokardinfarkt (MI) oder nicht-tödlicher Schlaganfall (MACE): Bestätigender sekundärer Endpunkt

CV-Tod, nicht tödlicher Myokardinfarkt (MI) oder MACE: Bestätigender sekundärer Endpunkt

Anteil der Studien- teilnehmer:innen

Hazard Ratio 0,82 (95 % KI, 0,68–0,98) p = 0,029

Semaglutid 12,0 %

Semaglutid 1 mg reduzierte das Risiko für MACE um

18 %

Abbildung 3: In der Semaglutid-Gruppe war das Risiko für schwere kardiovaskuläre Ereignisse (MACE) um 18 % niedriger als in der Placebo-Gruppe [6].

Abbildung 4:

Tod jeglicher Ursache: Bestätigender sekundärer Endpunkt

Tod jeglicher Ursache: Bestätigender sekundärer Endpunkt

Anteil der Studien- teilnehmer:innen

Hazard Ratio 0,80 (95 % KI, 0,67–0,95) p = 0,01

Semaglutid 1 mg reduzierte das Risiko für Tod jeglicher Ursache um

Semaglutid 12,8 %

Abbildung 4: Unter der Semaglutid-Therapie war das Sterberisiko an jeglichen Ursachen um 20 % niedriger als unter Placebo [6].

Zusammenfassung:

war in der Semaglutid-Gruppe um 24 % geringer als in der PlaceboGruppe (331 vs. 410 Erstereignisse; HR: 0,7; 95%-KI: 0,66 – 0,88; p = 0,0003) (Abb. 1). Die Number Needed to Treat (NNT) betrug 20. Das heißt, um ein schweres Nierenereignis zu verhindern, müssen über den Zeitraum von 3 Jahren 20 Patienten behandelt werden [6].

Auch hinsichtlich der sekundären Endpunkte erwies sich die Behandlung mit Semaglutid der PlaceboBehandlung als überlegen:

In der FLOW Studie bei Menschen mit Typ 2 Diabetes und CKD reduzierte Semaglutid das Risiko für schwere Nierenereignisse um 24 %, verlangsamte den jährlichen Verlust der Nierenfunktion um durchschnittlich 1,16 ml/min/1,73 m2, reduzierte das MACE-Risiko um 18 % und das Risiko für Tod jeglicher Ursache um 20 %. Die Studie war auf etwa 5 Jahre ausgelegt.2 Aufgrund positiver Ereignisse in der Verum-Gruppe konnte diese vorzeitig beendet werden, die mediane Beobachtungszeit betrug somit 3,4 Jahre.1

• Der Abfall der eGFR war unter Semaglutid im Durchschnitt um 1,16 ml/min/1,73m2/Jahr (95%-KI: 0,86–1,47; p < 0,001) langsamer als unter Placebo (–2,19 vs. –3,36 ml/min/1,73 m2/Jahr) (Abb. 2).

Ergebnisse der FLOW Studie1 im Kontext:

Das allgemeine Sicherheitsprofil von Semaglutid 1 mg in der FLOW Studie war vergleichbar mit dem Zeit seit Randomisierung (Monate)

• Das Risiko für schwere kardiovaskuläre Ereignisse war um 18 % geringer (212 vs. 254 Ereignisse; HR: 0,82; 95%-KI: 0,68 – 0,98; p = 0,029) (Abb. 3).

Semaglutid 1 mg ist der einzige GLP-1 RA mit nachgewiesener Risikoreduktion für schwere Nierenereignisse bei Patient:innen mit Typ 2 Diabetes und CKD.

• Auch das Risiko für Tod jeglicher Ursache war um 20 % niedriger als in der Placebo-Gruppe (227 vs. 279 Ereignisse; HR:

0,80; 95%-KI: 0,67 – 0,95; p = 0,01) (Abb. 4).

Günstiges Nutzen-Risiko-Profil

Mit 49,6 % gegenüber 53,8 % traten schwerwiegende unerwünschte Ereignisse in der Semaglutid-Gruppe bei weniger Studienteilnehmern auf als in der Placebo-Gruppe. Damit war das allgemeine Sicherheitsprofil von Semaglutid 1 mg 1 pro Woche in der FLOW-Studie vergleichbar mit den in früheren klinischen Studien mit Semaglutid beobachteten Daten zur Sicherheit [7].

Die Studie war ursprünglich auf etwa 5 Jahre ausgelegt [8]. Aufgrund der positiven Ergebnisse in der Verum-Gruppe konnte die Studie vorzeitig beendet werden, die mediane Beobachtungszeit betrug somit 3,4 Jahre [6].

Brigitte Söllner, Erlangen

FORUM GERINNUNGSSTÖRUNGEN

Von-Willebrand-Erkrankung: Physiologische Therapie mit hochreinem VWF ab Geburt möglich

Literatur

1 Alicic RZ et al. Clin J Am Soc Nephrol 2017;12:2032-2045

2 Shubrook JH et al. Postgrad Med 2022;134:376-387

3 Afkarian M et al. J Am Soc Nephrol 2013;24:302-308

4 de Boer IH et al. Diabetes Care 2022;45:3075-3090

5 Stevens P et al. Kidney International 2024;105 (Suppl 4S):117-314

6 Perkovic V et al. N Engl J Med 2024;391:109-121. doi: 10.1056/NEJMoa2403347 und Supplementary Appendix

7 Fachinformation Ozempic®, aktueller Stand

8 Rossing P et al. Nephrol Dial Transplant 2023;38:2041-2051

Die Von-Willebrand-Erkrankung (VWE) ist die häufigste Blutgerinnungsstörung des Menschen. Ursache ist ein fehlender oder defekter Von-Willebrand-Faktor (VWF) [1]. Dieses Plasmaprotein ist für die anfängliche Adhäsion von Blutplättchen an Gefäßverletzungen und für die Stabilisierung von Faktor VIII (FVIII) im Blutkreislauf verantwortlich. Der bei der VWE auftretende FVIII-Mangel kann heute physiologisch durch die Substitution des VWF durch den hochreinen aus Plasma gewonnenen Von-Willebrand-Faktor Willfact®, korrigiert werden, der sowohl die primäre Hämostase initiiert als auch den Faktor VIII vor einem vorzeitigen Abbau schützt [2]. Seit August 2024 ist Willfact® auch für Kinder unter 6 Jahren zugelassen, kann also bereits ab der Geburt gegeben werden [3]. Ziel ist ein FVIII-Plasmaspiegel von mindestens 0,4 I.E./ ml, um eine Blutgerinnung sicherzustellen. Der Vorteil der Therapie mit Willfact® ist, dass sich der FVIII-Spiegel im Median bereits mehrere Stunden nach der Infusion des VWF normalisiert [4], sodass bei der prophylaktischen Dauertherapie keine zusätzliche Substitution mit FVIII erforderlich ist – es wird physiologisch nur der fehlende oder dysfunktionale VWF ersetzt. Eine

zusätzliche Gabe von FVIII ist nur dann notwendig, wenn bei schweren Traumata oder vor Operationen eine sofortige hämostatische Kontrolle erforderlich ist.

Langzeitdaten belegen ein exzellentes Sicherheits- und Wirksamkeitsprofil

Real-Word-Langzeitdaten von Jugendlichen und Erwachsenen aus über 25 Jahren zeigen, dass die Substitution des VWF bei allen Typen der Von-Willebrand-Erkrankung wirksam und gut verträglich ist. So lag in einer prospektiven Beobachtungsstudie unter der Prophylaxe mit Willfact® die mediane, annualisierte Blutungsrate (ABR) für wiederkehrende Gelenkblutungen, die bei 44 % der VWE-Patienten der Grund für die Langzeitprophylaxe waren, bei lediglich 0,8 Blutungen pro Jahr [5]. Für wiederkehrende gastrointestinale Blutungen (bei 41 % der Patienten der Prophylaxegrund) betrug die ABR nur 1,1 [5].

Auch im pädiatrischen Setting wirksam und sicher

Bei Kindern mit VWE gestaltet sich die Behandlung besonders schwie-

FORUM GERINNUNGSSTÖRUNGEN

Willfact®

Willfact® verhält sich wie der körpereigene Von-Willebrand-Faktor. Um ein physiologisches, plasmatisches VWF-Konzentrat herzustellen, muss VWF von FVIII getrennt werden, ohne die molekulare Integrität des VWF zu beeinträchtigen und so seine Funktionalität zu bewahren. Dazu wird Willfact® u.a. durch eine Kombination von Ionenaustauscher- und Affinitätschromatographie aus dem mit Lösungsmitteln/Detergenzien behandelten Kryopräzipitat fraktioniert.

Drei aufeinanderfolgende Verfahren gewährleisten die Sicherheit des hochreinen VWF-Konzentrats:

• Virusinaktivierung/-eliminierung mittels S/D-Verfahren

• Nanofiltration 35 nm

• Trockenerhitzung auf 80°C über 72 Stunden

Das pharmakokinetische Profil von Willfact® wird durch diese 3 Virusinaktivierungs-/eliminierungsschritte nicht verändert.

rig, da häufig ungeplante Aktivitäten mit einem hohen Verletzungsrisiko zu Blutungen führen, sodass neben der Bedarfsbehandlung meist auch eine Langzeitprophylaxe zur Prävention von Langzeitfolgen erforderlich ist.

Dass die physiologische Therapie mit dem hochreinen VWF Willfact® auch bei Neugeborenen, Kleinkindern und Kindern wirksam und sicher ist, zeigen die Ergebnisse einer prospektiven, offenen, nicht kontrollierten pädiatrischen PhaseIII-Studie [6], in die 9 Kinder um Alter von <6 Jahren mit schwerer VWE (VWF:RCo <20 IU/dl) eingeschlossen wurden. Die mittlere Dosis pro Infusion betrug 54 IU/kg, wobei die erste Dosis so berechnet wurde, dass damit eine individuellen Erholung mit dem VWF:RCoZielwert von 100 IE/dl erreicht werden konnte. Alle Patienten erhielten mindestens eine Dosis Willfact® und wurden mindestens 18 Monate (bis zu 4 Jahre) lang nachbeobachtet.

Primärer Wirksamkeitsendpunkt war die Gesamtbewertung der hämostatischen Wirksamkeit durch den Prüfer anhand einer 4-PunkteSkala (ausgezeichnet – die Blutung stoppte sofort; gut – die Blutung stoppte innerhalb der erwarteten Zeitspanne; mäßig – Blutungen konnten nur schwer kontrolliert werden; keine – die Blutung wurde nicht kontrolliert).

Die Studie erbrachte die folgenden Ergebnisse [6]:

• Von den insgesamt 62 kleineren und größeren Blutungsereignissen, die mit Willfact® behandelt wurden, wurde das Ergebnis bei 90,3 % als ausgezeichnet oder gut bewertet, bei 9,7 % zeigte sich eine „moderate“ Reaktion. Die meisten Blutungsereignisse (89 %) konnten mit einer (73 %) oder zwei (16 %) Infusionen kontrolliert werden. Die zusätzliche Gabe von FVIII war nur bei einem Patienten erforderlich.

• Eine Langzeitprophylaxe mit Willfact® benötigten 2 Patienten

mit VWD Typ 3 im Alter von 2 und 4 Jahren. Einer davon erhielt über 4 Jahre 624 Infusionen, wodurch sich die Anzahl und der Schweregrad der zu Beginn zahlreichen an Hämatome deutlich verringerten. Der andere Patient wurde erst einen Monat vor Studienende eingeschlossen und erhielt einmal wöchentlich eine, d.h. insgesamt 5 Infusionen. In diesem kurzen Behandlungszeitraum traten keine Blutungsepisoden auf.

• Bei den 9 eingeschlossenen Patienten wurden über im Median 19 Monate und nach 770 kumulierten Expositionstagen und 775 Gaben keine unerwünschten Ereignisse im Zusammenhang mit Willfact® berichtet und keine Inhibitoren nachgewiesen.

Aufgrund dieser überzeugenden Daten wurde Willfact® auch für die Behandlung von Neugeborenen, Kleinkindern und Kindern zugelassen, und zwar sowohl in der Bedarfsbehandlung bei Blutungen, im operativen Setting wie auch in der Langzeitprophylaxe – und das für alle VWE-Typen.

Brigitte Söllner, Erlangen

Literatur

1 James PD et al. Genet Med 2011; 13:365-376

2 Miesbach W et al. Eur J Haematol 2015;95:449-454

3 Fachinformation Willfact®, aktueller Stand

4 Goudemand J et al. J Thromb Haemost 2005;3:2219-2227

5 Goudemand J et al. J Thromb Haemost 2020;18:1922-1933

6 Gouider E et al. Blood Transfusion 2023;21:83-92

FORUM GERINNUNGSSTÖRUNGEN

Neu zur Behandlung der Hämophilie:

Marstacimab, der erste Antikörper gegen den Tissue Factor Pathway Inhibitor

Der häufigste Behandlungsansatz für die Hämophilie A und B ist seit Jahrzehnten die Faktorersatztherapie, bei der die fehlenden Gerinnungsfaktoren substituiert werden – FVIII bei Hämophilie A und FIX bei Hämophilie B. Dadurch erhöhen sich die Spiegel der Gerinnungsfaktoren im Körper auf ein Niveau, das die Gerinnung verbessert und zu weniger Blutungen führt. Trotz erheblicher Fortschritte in der Hämophiliebehandlung in den letzten Jahren leiden viele Betroffene aber weiterhin unter wiederholten Blutungsepisoden und benötigen unter Umständen mehrmals wöchentlich intravenöse Infusionen [1]. Der aktuelle Standard zur Behandlung der Hämophilie bedeutet zudem für die Patienten eine zeitaufwendige Vorbereitung und Verabreichung von intravenösen Infusionen. Diese Belastung kann dazu führen, dass das vorgegebene Prophylaxeschema nicht eingehalten wird oder eingehalten werden kann und ein erhöhtes Blutungsrisiko den Patienten gefährdet [2].

Mit Marstacimab (Hympavzi®) ist seit November 2024 ein neuer Antikörper zur Routineprophylaxe von Blutungsepisoden zugelassen, der

das Potenzial hat, das natürliche Gleichgewicht zwischen Blutung und Gerinnung wiederherzustellen und dazu nur einmal wöchentlich subkutan mittels Fertigpen mit einer fixen Dosierung appliziert wird. Eingesetzt werden kann Marstacimab bei Patienten ab 12 Jahren mit einem Körpergewicht von mindestens 35 kg, die unter schwerer Hämophilie A (definiert als FVIIIAktivität <1%) oder schwerer Hämophilie B (definiert als FIX-Aktivität <1 %) ohne Hemmkörper leiden [3]. Marstacimab ist bislang der erste und einzige in der EU verfügbare Antikörper gegen den Tissue Factor Pathway Inhibitor (TFPI). Wie die Ergebnisse der Zulassungsstudie BASIS belegen, bietet diese neue Behandlungsoption einen zuverlässigen Blutungsschutz und kann aufgrund der einfachen einmal wöchentlichen Anwendung dazu beitragen, die Therapielast der Patienten zu verringern [4].

Signifikante Senkung der annualisierten Blutungsrate

Die Zulassung von Marstacimab in der EU beruht auf einer Auswer-

tung der BASIS-Studie mit 116 Teilnehmern mit schwerer Hämophilie A oder B ohne Hemmkörper. Die offene, multizentrischen PhaseIII-Studie BASIS (NCT03938792) untersuchte die Wirksamkeit und Sicherheit von Marstacimab bei bei Jugendlichen und Erwachsenen im Alter von 12 bis <75 Jahren mit schwerer Hämophilie A (definiert als FVIII-Aktivität <1 %) oder mittelschwerer bis schwerer Hämophilie B (definiert als FIX-Aktivität ≤2 %) mit oder ohne Hemmkörper [4].

Nach dem Screening traten die Studienteilnehmer in eine 6-monatige Beobachtungsphase ein und wurden nach Art ihrer Faktorersatzbehandlung eingeteilt in die Kategorien intravenöse Bedarfsbehandlung mit FVIII oder FIX oder Routineprophylaxe. Teilnehmer, die die Beobachtungsphase abgeschlossen hatten, gingen in eine 12-monatige aktive Behandlungsphase über. Sie erhielten eine Prophylaxe mit Marstacimab, beginnend mit einer subkutanen Initialdosis von 300 mg, gefolgt von einer subkutanen einmal wöchentlichen Erhaltungsdosis von 150 mg mit der Möglichkeit einer Dosiseskalation auf 300 mg

FORUM GERINNUNGSSTÖRUNGEN

Marstacimab

Marstacimab (Hympavzi®) ist ein humaner monoklonaler Antikörper gegen den Tissue Factor Pathway Inhibitor (TFPI). Dabei handelt es sich um ein natürliches Antikoagulationsprotein, das die Blutgerinnung hemmt. Marstacimab bindet an die Kunitz-Domäne 2 des TFPI und blockiert damit dessen Fähigkeit, den Faktor Xa zu hemmen. Da die inhibitorische Aktivität des TFPI neutralisiert wird, ist eine gesteigerte FXa- und Thrombinproduktion möglich, sodass sich das bei Hämophilie A (FVIII-Mangel) oder Hämophilie B (FIX-Mangel) gestörte Gleichgewicht der Hämostase wieder herstellen kann und sich die Gerinnung verbessert.

Marstacimab ist zugelassen für Patienten ab 12 Jahren mit einem Körpergewicht von mindestens 35 kg, die unter schwerer Hämophilie A (FVIII-Aktivität <1 %) oder schwerer Hämophilie B (FIX-Aktivität <1 %) ohne Hemmkörper leiden. Es wird nach einer subkutanen Initialdosis von 300 mg einmal wöchentlich subkutan in einer Erhaltungsdosis von 150 mg verabreicht.

Marstacimab ist für die Anwendung unter Anleitung einer medizinischen Fachkraft bestimmt. Nach entsprechender Einweisung in die Technik zur Verabreichung subkutaner Injektionen kann das Arzneimittel vom Patienten selbst oder einer Betreuungsperson injiziert werden [3].

einmal wöchentlich. Nach Abschluss der aktiven Behandlungsphase konnten die Patienten an der Langzeit-Verlängerungsstudie teilnehmen.

Primärer Wirksamkeitsendpunkt war die annualisierte Blutungsrate (ABR) für behandelte Blutungen, getestet wurde auf Überlegenheit gegenüber der intravenösen Bedarfstherapie und Nicht-Unterlegenheit gegenüber der Routineprophylaxe.

Der primäre Sicherheitsendpunkt beinhaltete die Inzidenz und Schwere von unerwünschten Ereignissen (UE) sowie Nebenwirkungen von besonderem Interesse.

Die Wirksamkeit wurde anhand von Daten von 116 Patienten mit

schwerer Hämophilie A oder B ohne Hemmkörper ausgewertet. Während des 12-monatigen Behandlungszeitraums führte Marstacimab bei diesen Patienten im Vergleich zur Routineprophylaxe mit FVIII oder FIX zu einer signifikanten Reduktion der annualisierten Blutungsrate (ABR) für behandelte Blutungen um 35,2 % (ABR 5,08 vs. 7,85; p = 0,0376). Damit wurden sowohl die Nichtunterlegenheit als auch die Überlegenheit von Marstacimab gegenüber der Routineprophylaxe belegt.

Im Vergleich zur Bedarfsbehandlung senkte Marstacimab die mediane ABR für behandelte Blutungen um 91,6 % und war mit einer ABR von 3,18 der On-demand-Therapie

mit einer ABR von 38,00 signifikant überlegen (p < 0,0001). Das Sicherheitsprofil entsprach den Ergebnissen der Phase-I/II-Studien. Die häufigsten Nebenwirkungen waren Reaktionen an der Injektionsstelle, Kopfschmerzen, Pruritus und Hypertonie. Es wurden keine Todesfälle, thrombotische Ereignisse oder therapiebedingte Studienabbrüche berichtet [4].

Brigitte Söllner, Erlangen

Literatur

1 Srivastava A et al. WFH guidelines for the management of hemophilia, 3rd Edition. Haemophilia 2020;26:1-158

2 De Moerloose P et al. A survey of adherence to haemophilia therapy in six European countries: results and recommendations. Haemophilia 2008;14: 931- 938

3 Fachinformation Hympavzi®; Stand: November 2024

4 ClinicalTrials.gov, NCT 03938792

24

Patienten mit Herzinsuffizienz, Typ-2-Diabetes und arterieller Hypertonie tragen ein erhöhtes Risiko, an einer chronischen Nierenkrankheit (chronic kidney disease, CKD) zu erkranken. Jedoch wissen lediglich etwa 10 % der Betroffenen von ihrer Erkrankung [1]. Wie eine aktuelle Auswertung der InspeCKDStudiendaten verdeutlicht, bestehen trotz des erhöhten Risikos bundesweit in hausärztlichen Praxen Defizite in Bezug auf Screening, Diagnose und Behandlung der CKD bei diesen Patienten [2, 3, 4].

Studiendesign und Studienpopulation

Ziel der InspeCKD-Studie war es, anhand von Behandlungs- und Abrechnungsdaten (u. a. Demografie, Laborparameter, Diagnosen, Medikation und Verordnungen) die Versorgungssituation (einschließlich der CKD-spezifischen Labordiagnostik) von CKD-Risikopatienten in deutschen Hausarztpraxen zu analysieren. In die retrospektive Querschnittstudie flossen vollständig anonymisierte elektronische Daten aus der Routineversorgung von 448.837 erwachsenen Patienten aus 1.244 hausärztlichen Praxen mit einer durchschnittlichen Behandlungsdauer von 1,7 Jahren ein. Die Patienten litten unter kardiorenalen Grunderkrankungen (Hypertonie: 76 %, kardiovaskuläre Erkrankung/ CVD: 35 %, Diabetes mellitus: 32 %, Kombination aus Hypertonie, CVD und Diabetes mellitus: 7,5 %) und wiesen somit ein erhöhtes Risiko für CKD auf [2].

FORUM NEPHROLOGICUM

InspeCKD-Studie zeigt relevante Versorgungslücken bei Patienten mit erhöhtem Risiko für eine

chronische Nierenkrankheit

Chronische Nierenkrankheit (CKD)

Die CKD ist eine progressive, lebensbedrohliche Erkrankung und mit einem erhöhten Risiko für kardiovaskuläre Ereignisse und vorzeitigen Tod assoziiert. Hauptursachen der CKD sind in den Industrienationen Diabetes mellitus und Bluthochdruck. Daher empfiehlt die nephrologische Fachgesellschaft „Kidney Disease: Improving Global Outcomes“ (KDIGO) in ihren Leitlinien, Patienten mit Hypertonie, Diabetes mellitus und kardiovaskulären Erkrankungen systematisch mittels Laboruntersuchungen auf chronische Nierenkrankheiten zu screenen.

Zu den diagnostischen Kriterien für eine CKD gehören eine geschätzte glomeruläre Filtrationsrate (estimated glomerular filtration rate, eGFR) <60 ml/min/1,73 m2 und/oder ein Marker für eine Nierenschädigung, wie beispielsweise ein Albumin-Kreatinin-Quotient im Urin (urine albumin-creatinine ratio, UACR) >30 mg/g [5].

Unzureichende Diagnostik und Behandlung

Die Datenauswertung ergab, dass nur eine Minderheit der Risikopatienten eine CKD-spezifische Diagnostik erhielt. So wurde die geschätzte glomeruläre Filtrationsrate (eGFR) nur bei 45,5 % der Patienten mindestens einmal im Beobachtungszeitraum bestimmt [6]. Bei lediglich 7,9 % erfolgte ein Harnstreifentest und bei 0,4 % wurde das Albumin-KreatininVerhältnis (UACR) bestimmt [2]. Einzig bei 28,6 % der Patienten war die Labordiagnostik ausrei-

chend, um eine CKD diagnostizieren zu können. Eine CKD gemäß KDIGO-Definition traf für 18,8 % zu [2]. Von diesen Patienten wurde jedoch nur bei 16,5 % eine CKD nach ICD-10-Kodierung erfasst, während 83,5 % ohne eine entsprechende Diagnose blieben [2]. Versäumnisse wurden auch in puncto Behandlung festgestellt: Der Anteil der Patienten, die eine leitliniengemäße CKD-Therapie erhielten, war gering: Nach 6 Monaten wurden lediglich 9,7 % der Patienten mit einem RAAS-Inhibitor plus SGLT2-Inhibitor behandelt [2].

Optimierungsbedarf in allen Risikogruppen

Mit Blick auf die unterschiedlichen Risikogruppen zeigte sich bei all diesen Patienten in Bezug auf Screening, Diagnose und Therapie Verbesserungsbedarf. Bei bestehender Herzinsuffizienz wurde eine eGFR-Testung mindestens einmal im Beobachtungszeitraum bei 48,5 % der Patienten durchgeführt [6]. Bei 81,8 % der Patienten, die gemäß ICD10-Kodierung eine CKD aufwiesen, erfolgte keine CKD-Diagnose [3]. Von den Patienten mit diagnostizierter CKD erhielten nach 6 Monaten lediglich 14,1 % eine leitliniengerechte Therapie bestehend aus RAAS-Inhibitor plus SGLT2-Inhibitor [6]. Ähnliche Defizite wurden im Kollektiv der Patienten mit Diabetes Typ 2 beobachtet. Entgegen der Empfehlung der Nationalen Versorgungsleitlinie für Typ-2-Diabetes erhielt ein Großteil der Patienten bisher keine ausreichende Diagnostik zur Früherkennung einer CKD in der hausärztlichen Versorgung. Bei lediglich 53,5 % der Typ-2-Diabetiker wurde mindestens einmal im Beobachtungszeitraum eine eGFR-Bestimmung vorgenommen und nur bei 0,9 % wurde mindestens eine UACR-Messung durchgeführt [4]. Bei 79,2 % der Patienten blieb eine CKD undiagnostiziert. Von denjenigen, die neu mit CKD diagnostiziert wurden, erhielten nach 26 Wochen 14,7 % eine leitliniengerechte Therapie mit RAASInhibitor plus SGLT2-Inhibitor [4]. Bei den 340.076 Patienten mit arterieller Hypertonie wurde bei 43,4 %

FORUM NEPHROLOGICUM

die eGFR bestimmt, der Anteil derer mit UACR-Bestimmung lag bei unter 0,3% [6]. Trotz Vorliegen einer laborchemischen CKD blieben 86,6 % der Patienten in Bezug auf eine CKD ohne entsprechende Diagnose. Von den neu diagnostizierten Patienten erhielten lediglich 1,3 % initial eine leitlinienkonforme Therapie mit RAAS-Inhibitor plus SGLT2-Inhibitor; nach 6 Monaten waren es 8,5 % [7].

Administrative Hürden abbauen und Screening ausbauen

Hinweise darauf, weshalb das CKD-Screening in den Hausarztpraxen oftmals unzureichend ist, lieferte eine kürzlich erfolgte repräsentative Doc-Check-Umfrage unter 150 niedergelassenen Allgemeinmedizinern, praktisch tätigen Ärzten und Internisten [8]. Dabei wurden der zeitliche, administrative und personelle Aufwand als Hauptgründe aufgeführt (55 %), gefolgt von hohen Kosten für labordiagnostische Untersuchungen (53 %) [8].

Fazit

Trotz des administrativen und personellen Aufwands muss sichergestellt werden, dass Patienten in der hausärztlichen Praxis basierend auf ihrem individuellen Risikoprofil auf CKD gescreent werden. Denn nur durch das Screening und die darauf basierende frühzeitige und leitliniengerechte Behandlung mit einem RAAS-Inhibitor plus

SGLT2-Inhibitor* lassen sich das Voranschreiten der Erkrankung und das Risiko für kardiovaskulärer Komplikationen minimieren. Fabian Sandner, Nürnberg

Literatur

1 National Institutes of Health, National Institute of Diabetes and Digestive and Kidney Diseases. Kidney Disease Stats; https://www.niddk.nih.gov/health-information/health-statistics/kidney-disease

2 Wanner C et al. Die InspeCKD-Studie –Die chronische Nierenkrankheit in deutschen Hausarztpraxen: Prävalenz, Diagnose und medikamentöse Therapie bei CKD-Risikopatienten. Präsentation FV25, DGfN 2024

3 Mader F et al. Diagnosis and treatment of cardiorenal patients in German primary care practices – The InspeCKD Study. Präsentation, DGK Herztage 2024

4 Stahl P et al. InspeCKD-Studie – Status quo des Screenings und Monitorings der chronischen Nierenkrankheit (CKD) bei Patienten mit Typ-2-Diabetes in deutschen Hausarztpraxen, Poster P07.08, Diabetes Kongress der DDG 2024

5 KDIGO Diabetes Work Group. Kidney Int 2022;102:S1-S127

6 Wanner C et al. MMW Fortschritte Med 2024;166:9-17

7 Wanner C et al. CKD diagnosis and treatment in patients with hypertension in German primary care – the InspeCKD Study. Präsentation, ASN Kidney Week, San Diego

8 Repräsentative Online-Umfrage von DocCheck Insights im Auftrag der AstraZeneca GmbH unter 150 niedergelassenen Allgemeinmedizinern, praktischen Ärzten und Internisten, durchgeführt vom 17.06. bis 02.07.2024

* Dapagliflozin (Forxiga®) war 2012 der erste SGLT2-Inhibitor, der eine Zulassung zur Behandlung des Typ-2-Diabetes mellitus erhielt. Mittlerweile kommt Dapagliflozin auch bei der Behandlung der symptomatischen, chronischen Herzinsuffizienz sowie bei der chronischen Niereninsuffizienz zum Einsatz und ist damit der einzige SGLT-2-Inhibitor, dem der Gemeinsame Bundesausschuss einen Zusatznutzen über das gesamte Indikationsspektrum hinweg bestätigt hat.

Die Kälteagglutinin-Krankheit (CAD) ist eine seltene Form der autoimmunen hämolytischen Anämie, bei der autoreaktive IgMAntikörper gebildet und in der Folge fälschlicherweise gesunde rote Blutkörperchen zerstört werden. Die Folgen der komplementvermittelten, chronischen Hämolyse können von einer ausgeprägten Fatigue bis hin zu schweren, transfusionsbedürftigen Anämien reichen [1, 2, 3]. Langfristig haben die Betroffenen ein erhöhtes Thromboembolie- und Mortalitätsrisiko [4, 5]. Geschätzt leiden 12.000 Menschen in den USA, Europa und Japan an CAD.

Bislang gab es zur Behandlung der hämolytischen Krisen keine schnell wirkenden und weniger toxischen Therapien, auf die die Patienten dauerhaft ansprechen. Mit Sutimlimab (Enjaymo®) steht nun erstmals eine zugelassene Therapie zur Verfügung, die diese therapeutische Lücke schließen kann. Der monoklonale Antikörper hemmt selektiv die C1-vermittelte Hämolyse, ohne die anderen Komplementwege zu blockieren, und ist indiziert zur Behandlung der hämolytischen Anämie bei Erwachsenen mit CAD [6]. Im Gegensatz

FORUM HAEMATOLOGICUM

Sutimlimab bei Kälteagglutinin-

Krankheit:

Die erste zugelassene Therapie nimmt Langzeitfolgen in Angriff

zu bisherigen Off-Label-Therapien hat Sutimlimab das Potenzial, auch die Langzeitfolgen der Erkrankung zu adressieren. Erste Hinweise aus der Studienpopulation, die eine Verringerung von Thromboembolien nahelegen, könnten in Zukunft durch Real-World-Daten des neuen CADENCE-Registers untermauert werden [7].

Studiendaten weisen auf eine Verringerung des Thromboembolie-Risikos hin

Bislang kamen zur Behandlung der CAD vor allem Transfusionen und nebenwirkungsreiche Rituximabbasierte Regime im Off-LabelUse zum Einsatz. Laut aktuellen Real-World-Daten aus den USA führt Rituximab bei CAD zu einer kurzfristigen Normalisierung des Hämoglobin-Wertes (mediane Ansprechdauer: 44 Tage) bei hoher Relapse-Rate (68,3 %). Auf das Thromboembolie-Risiko hatte Rituximab keinen Einfluss [8]. Mit dem C1s-Inhibitor Sutimlimab wurden in den beiden 26-wöchigen zulassungsrelevanten PhaseIII-Studien bereits ab der ersten Behandlungswoche eine rasche

und anhaltende Verbesserung des Hb-Spiegels sowie eine Transfusionsfreiheit erreicht, unabhängig vom bisherigen Transfusionsbedarf [2, 3]. Da das Risiko für thromboembolische Ereignisse mit der Schwere der hämolytischen Anämie zunimmt [5], könnte sich die spezifische Hemmung der C1vermittelten Hämolyse auch auf das Thromboembolie-Risiko auswirken. Dass das zutrifft, legt eine erste Post-hoc-Analyse der Sutimlimab-Studiendaten nahe (n = 66), wonach die Thromboembolie-Rate von 12,1 % bei Studienbeginn auf 7,6 % nach der Therapie mit Sutimlimab gesunken ist [7].

Globales Register untersucht Langzeiteffekte

Im CADENCE-Register (Cold Agglutinin Disease Real World Evidence), dem ersten weltweiten Register für Patienten mit Kälteagglutinin-Krankheit (CAD) and -Syndrom (CAS), werden seit 2022 prospektive Daten zum natürlichen Krankheitsverlauf, zu krankheitsbezogenen Symptomen und Komplikationen sowie zur Lebensqualität der Betroffenen gesammelt.

Laut einer aktuellen Interimsanalyse erhielten 49 % Prozent der CADPatienten vor Einschluss in das Register mindestens eine Transfusion, 34 % wurden mit Rituximab behandelt [9]. In einigen Jahren wird sich zeigen, ob sich die neue, spezifische Therapieoption mit Sutimlimab auch langfristig auf das Thromboembolie- und Mortalitätsrisiko auswirkt. Aber schon jetzt profitieren die Patienten davon, dass eine zugelassene Therapieoption zur Verfügung steht – mit einer Verbesserung der Anämie und Fatigue, weniger belastenden Transfusionen und keinen nebenwirkungsreichen Off-Label-Therapien mehr.

Fabian Sandner, Nürnberg

Initiative „Prevent the 1st Event“

Literatur

1 Berentsen S et al. J Blood Med 2019; 10:93-103

2 Röth A et al. N Engl J Med 2021;384: 1323-1334

3 Röth A et al. Blood 2022;140:980-991

4 Bylsma LC et al. Blood Adv. 2019; 3:2980-2985

5 Broome CM et al. Res Pract Thromb Haemost 2020;4:628-635

6 Fachinformation Enjaymo®, Stand: März 2024

7 Röth A et al. Poster PB1458, ISTH Congress 2023, Montreal, Kanada

8 Piatek C et al. HemaSphere 2024; 8:2969-2971

9 Michel M et al. HemaSphere 2024;8: 2855-2856

Kardiovaskuläre Erkrankungen sind die häufigste Todesursache in Deutschland. Hauptrisikofaktor dafür sind nach wie vor erhöhte LDLCholesterin-Werte – 2022 erreichten zwei Drittel der Menschen mit akutem Koronarsyndrom (ACS) ihre LDL-C-Zielwerte nicht. Um das Risiko für kardiovaskuläre Ereignisse dauerhaft zu minimieren, müssen die Zielwerte aber nicht nur möglichst frühzeitig erreicht, sondern das LDL-Cholesterin auch anhaltend gesenkt werden, wenn nötig, mit einer intensivierten Therapie. Um diesen wissenschaftlich belegten Zusammenhang zu verdeutlichen, hat Sanofi die Kampagne „Prevent the 1st Event“ initiiert. Deren Ziel ist es, das erste kardiovaskuläre Ereignis zu verhindern. Im Fokus stehen dabei z.B. Menschen mit einer pAVK bzw. einer KHK mit und ohne Diabetes, bei denen es bisher nicht zu einem akuten Ereignis wie einem Myokardinfarkt oder einer instabilen Angina pectoris bzw. einem Schlaganfall gekommen ist. Ihr LDL-C-Zielwert liegt entsprechend der ESC/EASLeitlinie zur Behandlung von Dyslipidämien aus dem Jahr 2019 bei <55 mg/dl (<1,4 mmol/l) und der LDL-C-Ausgangswert sollte um ≥50 % gesenkt werden.

Studiendaten sprechen für den Einsatz von Alirocumab

Lassen sich die LDL-C-Zielwerte mit oralen lipidsenkenden Therapien nicht erreichen, können PCSK9-

Inhibitoren wie Alirocumab (Praluent®) zum Einsatz kommen. Wissenschaftliche Evidenz für die Wirksamkeit dieses Antikörpers liefern unter anderem aktuelle Daten vom EAS-Kongress 2024: Sie zeigen, dass Patienten mit arteriosklerotischen kardiovaskulären Erkrankungen (ASCVD), mit KHK und Typ-2-Diabetes oder schwerer KHK, aber ohne ACS oder Schlaganfall, die trotz maximal verträglicher Statin-Therapie zu Beginn der Studie LDL-C-Werte >70 mg/dl hatten, unter Alirocumab ihr LDLCholesterin deutlich stärker senken konnten als die Kontrollgruppe. Die LDL-C-Senkung bei Patienten mit ASCVD, aber ohne ischämisches Ereignis, die mit dem PCSK9-Inhibitor erreicht wurde, führte zu einem signifikant geringeren Risiko für ein schwerwiegendes ischämisches Ereignis. Der PerProtokoll-Analyse zufolge lag die kumulative Inzidenz von schweren kardiovaskulären Ereignissen mit PCSK9-Inhibitor bei 12,2 % gegenüber 24,5 % ohne PCSK9-Inhibitor. Ausgewertet wurden dafür die Daten von über 45.000 Patienten. Ein hoher LDL-C-Spiegel kann bereits bei Kindern zu einer frühen Manifestation einer Atherosklerose und damit zu einem erhöhten kardiovaskulären Risiko führen. Seit über einem Jahr können auch Kinder und Jugendliche ab einem Alter von 8 Jahren mit einer heterozygoten familiären Hypercholesterinämie mit Alirocumab behandelt werden, wenn sie ihren LDL-CZielwert mit einer oralen lipidsenkenden Therapie nicht erreichen.

MITTEILUNGEN

rFVIII Esperoct® jetzt auch für Kinder mit Hämophilie A zugelassen

Versorgungsstandard bei der Behandlung der Hämophilie A sind derzeit Faktorersatzprodukte mit verlängerter Halbwertszeit wie beispielsweise der rekombinante FVIII Turoctocog alfa pegol (Esperoct®). Durch die im Januar 2025 erteilte Zulassungserweiterung von Esperoct® zur Behandlung und Prophylaxe von Blutungen bei Patienten aller Altersgruppen mit Hämophilie A haben jetzt auch die von dieser Blutgerinnungsstörung betroffenen Kinder unter 12 Jahren die Möglichkeit einer effektiven Prophylaxe – und das von Anfang an.

Die pädiatrische Zulassung basiert auf den Ergebnissen der pathfinder™-Studien für vorbehandelte Patienten (PTP) unter 12 Jahren und für zuvor unbehandelte Patienten (PUP) unter 6 Jahren mit Hämophilie A. In diesen Studien führte die Behandlung mit Esperoct® zu einer effektiven Prophylaxe mit einer niedrigen annualisierten Blutungsrate (ABR) [1, 2].

Leitlinienkonforme Blutungsprophylaxe bei vorbehandelten Kindern unter 12 Jahren

In der einarmigen PTP-Studie (pathfinder™5) wurden die teilnehmenden 68 <12 Jahre alten Kinder etwa 5 Jahre lang mit Esperoct® behandelt. Im 5. Behandlungsjahr wurden 4 % mittlere FVIII-

Turoctocog alfa pegol

Turoctocog alfa pegol (Esperoct®) ist ein rekombinanter Faktor VIII mit einer gegenüber Standard-FVIII-Produkten 1,6-fach verlängerten Halbwertszeit. Zugelassen ist der rFVIII zur Behandlung und Prophylaxe von Blutungen bei Patienten aller Altersgruppen mit Hämophilie A (angeborener FVIII-Mangel). Esperoct® steht in verschiedenen Wirkstärken zur Verfügung – insbesondere die kleinen Wirkstärken mit 500 I.E., 1000 I.E. und 1500 I.E. unterstützen die Behandlung von Kindern mit Hämophilie A. Außerdem hat Esperoct® als einziger rFVIII mit verlängerter Halbwertszeit eine Stabilität für bis zu 3 Monaten bei bis zu 40 °C. Diese Temperaturstabilität ermöglicht es, das Faktorprodukt sowohl im Alltag als auch auf Reisen immer mitzuführen – was vor allem bei behandlungsbedürftigen Kindern ein großer Vorteil ist.

Talspiegel bei einer medianen Gesamt-ABR von 0,81 erreicht – die Leitlinien empfehlen 3 – 5 % FVIIITalspiegel. Die ABR verringerte sich mit jedem Behandlungsjahr. Im 5. Jahr hatten 70 % der Kinder keine Blutungsereignisse. Bei der Behandlung von Blutungen erwies sich Esperoct® ebenfalls als effektiv: Bei 81,6 % der behandelten Blutungsepisoden wurde eine „ausgezeichnete“ oder „gute“ Hämostase erzielt. Alle Zielgelenke der teilnehmenden Kinder wurden geheilt. Die Langzeitbehandlung war gut verträglich, es kam weder zur Bildung von FVIII-Hemmkörpern noch zu thromboembolischen Ereignissen [1].

Auch bei zuvor unbehandelten Kindern unter 6 Jahren wirksam

Auch die in die einarmige PUPStudie (pathfinder™6) eingeschlossenen 81 <6 Jahre alten Kinder sprachen gut auf die im Mittel 2,5 Jahre dauernde Behandlung mit Esperoct® an. Die mediane GesamtABR lag bei 1,35. Eine erfolgreiche

Hämostase konnte bei 91,9 % der mit Esperoct® behandelten Blutungen erreicht werden. Bei größeren Operationen lag die hämostatische Erfolgsrate bei 100 % und bei kleineren Operationen bei 83,3 %. Die Ergebnisse zur Sicherheit entsprachen den Erwartungen. Die Bildung von Hemmkörpern glich derjenigen, die für andere rekombinante und aus Plasma gewonnene Produkte berichtet wurde. Es traten keine thromboembolischen Ereignisse sowie keine anaphylaktischen oder schwerwiegenden Überempfindlichkeitsreaktionen auf [2].

Quellen

1 Trakymiene SŠ et al. Long-term safety and efficacy of N8-GP in previously treated pediatric patients with hemophilia A: Final results from pathfinder5. J Thromb Haemost 2020;18:15-20

2 Kenet Get al. The immunogenicity, safety, and efficacy of N8-GP in previously untreated patients with severe hemophilia A: pathfinder6 end-of-trial results. J Thromb Haemost 2023;21: 3109-3116

KONGRESSE

Typ-1-Diabetes –durch Früherkennung akute Komplikationen vermeiden und wertvolle Zeit gewinnen

Die Autoimmunerkrankung Typ1-Diabetes (T1D) entwickelt sich bereits Monate bis Jahre vor dem Auftreten klinischer Symptome. Um akute Komplikationen zu vermeiden und wertvolle Zeit zu gewinnen, ist eine frühe Diagnose unerlässlich – darüber waren sich die Referenten auf der diesjährigen Highlight-Pressekonferenz von Sanofi einig. „Wir müssen bereits ganz am Anfang handeln, am besten noch bevor erste Autoimmunprozesse beginnen“, appellierte Dr. Jantje Weiskorn, Fachärztin für Kinder- und Jugendmedizin in Hannover. Die Diagnose, so Weiskorn, kommt aber meist aus heiterem Himmel und ereilt die Betroffenen und ihre Familien oft plötzlich und unvorbereitet, da rund 9 von 10 Patienten keine nahen Verwandten mit T1D haben. Häufig wird die Krankheit aber erst im fortgeschrittenen Stadium entdeckt, wenn sich bereits Symptome manifestiert haben.

Meist vergeht wertvolle Zeit bis zur Diagnose

Schätzungen zufolge hat etwa eines von 350 Kindern einen noch unentdeckten T1D im Frühstadium. Bevor erste klinische Symptome sichtbar werden, können Jahre vergehen – wertvolle Zeit, die nicht nur für eine adäquate Therapie verloren

geht, sondern auch den Betroffenen und ihren Familien fehlt, um sich auf das Leben mit der Erkrankung vorzubereiten. Für die Entwicklung eines T1D gibt es laut Weiskorn verschiedene begünstigende Faktoren. So spielt die genetische Veranlagung eine Rolle, aber auch frühkindliche Infektionen könnten die Autoimmunreaktion triggern. Die insulinproduzierenden Betazellen werden nach und nach zerstört. Hat sich der Diabetes manifestiert, werden die Kinder meist mit den typischen Symptomen vorstellig: sehr starker Durst und häufiger Harndrang, Gewichtsverlust, aber auch der „süßliche“ Atem. Häufig geht die Diagnose einher mit schwerwiegenden Komplikationen wie einer diabetischen Ketoazidose, einer lebensbedrohlichen Stoffwechselentgleisung.

Typ-1-Diabetes lässt sich schon früh nachweisen

„Dabei kann ein Diabetes Typ 1 durch den Nachweis von Inselautoantikörpern im Blut schon in den frühen Stadien diagnostiziert werden, noch bevor Symptome und Komplikationen auftreten“, betonte Weiskorn. In ihrem Vortrag stellte sie außerdem Früherkennungsstudien und deren positive Effekte vor. Diese Studien setzen an unterschiedlichen Punkten in der zeitlichen Entwicklung des T1D an. So identifiziert das Freder1k-Neugeborenen-Screening anhand des genetischen Risikos Kinder bis zum Alter von 6 Wochen, die anschließend an Präventionsstudien wie der AVAnT1A-Studie teilnehmen können. Mit EDENT1FI hat sich eine Forschungsplattform aus Vertretern der

akademischen Forschung, Industrie und Patientenorganisationen mit dem Ziel zusammengeschlossen, T1D zukünftig bereits im Frühstadium stoppen zu können. Auch die vom Helmholtz Munich initiierte Fr1da-Früherkennungsstudie zum Nachweis von Inselautoantikörpern ist in dieses Projekt eingebettet.

Frühe Diagnose kann langfristige Folgen und psychische Belastung reduzieren

„Durch die Früherkennung soll vor allem eine diabetische Ketoazidose (DKA) verhindert und der optimale Zeitpunkt für die Insulintherapie festgelegt werden“, erläuterte Weiskorn. Denn eine DKA verursacht Hirnveränderungen und kognitive Auffälligkeiten, auch noch bis zu 4 Jahre nach der Stoffwechselentgleisung. Außerdem zeigen Kinder mit DKA über Jahre hinweg eine schlechtere glykämische Kontrolle und das Auftreten einer DKA ist selbst ein Risikofaktor für eine erneute DKA. Bei den Kindern, die an der Fr1da-Früherkennungsstudie teilnahmen, verlief die klinische Manifestation deutlich milder. Durch regelmäßiges Monitoring und entsprechende Interventionen reduzierte sich die DKA-Rate um das 10-Fache, sodass lediglich 2,5 % der Kinder bei der klinischen Diagnose eine DKA aufwiesen. Weitere Vorteile waren eine bessere Betazell-Restfunktion, höhere C-Peptid-Werte sowie niedrigere HbA1c- und Nüchternglukose-Werte.

Auch die psychologische Komponente spielt nach der Diagnose des T1D eine bedeutende Rolle, wie Professor Othmar Moser, Bayreuth,

in seinem Vortrag erläuterte. „Da die Erkrankung den Alltag stark beeinflussen und einschränken kann, ist es wichtig, möglichst viel über T1D zu wissen, um mit den Herausforderungen umgehen zu können. Das bringt Sicherheit und verbessert die Diabetes-assoziierte Lebensqualität. Damit verringert sich auch die psychische Belastung der Familie bei der späteren Manifestation.“

Früherkennungsprogramme etablieren, Schulungen anbieten

„Wir kommen dem Schritt, ein flächendeckendes Früherkennungsprogramm zu haben, immer näher“, sagte Moser. Hierbei ist es zentral, dass weiterhin mehr Aufklärung betrieben wird und Schulungen angeboten werden, und zwar sowohl für die Betroffenen als auch für die behandelnden Ärzte. Für eine bessere Koordination der Versorgung müssen Diabetologen, Endokrinologen und Primärversorger enger zusammenarbeiten. Außerdem sollten die Familien entsprechende psychologische Unterstützung bekommen. Helfen kann hierbei der 2024 veröffentlichte Leitfaden zur Überwachung Inselautoantikörper-positiver Menschen im T1DFrühstadium. „Ich bin fest davon überzeugt, dass die Zeit, die man durch die Frühdiagnose gewinnt, zusammen mit Schulungen und Monitoring ein essenzieller Faktor sein kann, ein Leben lang gut mit Typ-1-Diabetes zu leben“, betonte Moser abschließend.

Elisabeth Wilhelmi, München

Lipidmanagement in Deutschland: Diskrepanz zwischen Leitlinienempfehlungen und klinischer Praxis

Im Rahmen eines Symposiums von Sanofi anlässlich der DGK Herztage 2024 wurden neue RealWorld-Daten aus Deutschland zur Zielwert-Erreichung mit Blick auf das LDL-Cholesterin (LDL-C) vorgestellt.

„Klinische Studien haben überzeugende Daten zur Reduktion des kardiovaskulären Risikos durch eine LDL-C-Reduktion geliefert. Diese Erkenntnisse sind als Empfehlungen zu LDL-C-Zielwerten in die aktuelle ESC/EAS-Leitlinie eingeflossen. Allerdings zeigen Real-World-Daten eine Diskrepanz zwischen den Leitlinienempfehlungen und der klinischen Praxis.“ Mit dieser Zusammenfassung zum Status quo des Lipidmanagements in Deutschland eröffnete Professor Andrea Bäßler, Regensburg, das Symposium, auf dem namhafte Experten Studienergebnisse und aktuelle Real-World-Daten zur Versorgungssituation mit lipidsenkenden Therapien – darunter Inhibitoren der Proproteinkonvertase-Subtilisin/Kexin-Typ-9 (PCSK9-Inhibitoren) – sowie zum Nutzen einer frühen, intensiven LDL-C-Reduktion nach einem akuten Koronarsyndrom (ACS) präsentierten und diskutierten.

Neue Real-World-Daten zur LDL-C-Zielwert-Erreichung in Deutschland

Professor Ulrich Laufs, Leipzig, machte darauf aufmerksam, dass

Deutschland bei der Lebenserwartung in Industrieländern vor den Vereinigten Staaten auf dem zweitletzten Platz steht. Verantwortlich für die hierzulande geringere Lebenserwartung sind in erster Linie kardiovaskuläre Erkrankungen. Laufs merkte hierzu an: „Neben Rauchen und Hypertonus gehört das LDL-C zu den entscheidenden modifizierbaren Risikofaktoren für kardiovaskuläre Erkrankungen. Eine LDL-C-Senkung auf die empfohlenen Zielwerte vermindert dagegen das kardiovaskuläre Risiko. Dieser Nutzen der LDL-C-Reduktion bleibt über die Lebenszeit erhalten“.

Eine aktuelle Auswertung der ACS EuroPath-Studie aus dem Jahr 2022 für Deutschland zeigt, dass nur 6 % der eingeschlossenen deutschen ACS-Patienten den empfohlenen LDL-C-Zielwert von <55 mg/dl (<1,4 mmol/l) 16 Wochen nach dem Ereignis erreichten. Bei den Patienten aus anderen europäischen Ländern waren es 20 %. Dabei können lipidsenkende Kombinationstherapien mit einem hochdosierten Statin, Ezetimib und PCSK9-Inhibitoren den LDL-C-Wert um bis zu 85 % senken.

Lebensstilinterventionen wie körperliche Aktivität oder eine mediterrane Ernährung haben zweifellos positive Effekte auf die Gesundheit, beeinflussen jedoch kaum den LDL-C-Wert.

In der ACS EuroPath-Studie wurde die LDL-C-Zielwert-Erreichung in den Jahren 2018 und 2022 bei 2.650 Patienten mit einem ACS aus 6 europäischen Ländern mit den Empfehlungen der jeweils aktuellen ESC/EAS-Leitlinie verglichen.

Kongresse / Mitteilungen

Stabilisierung atherosklerotischer Plaques im Rahmen eines intensivierten Lipidmanagements

Professor Sebastian Buß, Heidelberg, erläuterte die Hintergründe für die Reduktion des kardiovaskulären Risikos durch eine starke LDL-C-Senkung und stellte die Ergebnisse der Bildgebungsstudie PACMAN-AMI vor. In dieser Studie wurde der Einfluss des PCSK9Inhibitors Alirocumab (Praluent®) auf die arteriosklerotischen Plaques in den Gefäßen von Patienten nach einem ACS mithilfe des intravaskulären Ultraschalls und der optischen Kohärenztomografie untersucht. „Die PACMAN-AMI-Studie liefert mechanistische Daten. Sie zeigt, wie eine frühe und hochintensive LDL-C-Senkung arteriosklerotische Plaques stabilisiert“, erläuterte Buß und ergänzte: „Im Vergleich zu Placebo verminderten sich unter Alirocumab nach 52 Wochen das Atheromvolumen und der Lipidkern der Plaques signifikant. Gleichzeitig nahm die Dicke der fibrösen Plaque-Kappe signifikant stärker zu.“ Die Anwendung und Ergebnisse dieser Studie liegen außerhalb der Zulassung von Alirocumab.

Neue Real-World-Daten zum Nutzen einer frühen LDL-CWert-Reduktion nach ACS

Professor Ursula Rauch-Kröhnert, Berlin, stellte Real-World-Daten der europäischen SANTORINIStudie vor und betonte die Bedeutung von lipidsenkenden Therapien: „Nach den Ergebnissen der SANTORINI-Studie dominieren

in Deutschland lipidsenkende Monotherapien mit einem Anteil von 59,5 %. Nur 19,9 % der deutschen Patienten wurden mit Kombinationstherapien behandelt. Dagegen haben in Spanien und Portugal 40 % bzw. 45,9 % der Patienten Kombinationstherapien erhalten. Gleichzeitig ist in Deutschland die Persistenz für die Lipidtherapie gering, wie eine aktuelle Analyse von Verordnungsdaten belegt. Bei Statinen beträgt sie nach 3 Jahren 20,6 %. Die injizierbaren PCSK9Inhibitoren schneiden mit 50,9 % besser ab. Mit Interesse werden derzeit weitere deutsche Real-WorldDaten zur Therapie mit Alirocumab (300 mg monatlich) aus der Studie MARS-NIS erwartet.“

Neue Real-World-Daten zur Lipidtherapie aus Italien unterstreichen die Bedeutung einer frühen, intensiven LDL-C-Reduktion nach einem ACS. Wie eine Auswertung des AT-Target-IT-Registers zeigt, sank unter einer früh initiierten PCSK9Inhibitor-Therapie der LDL-CWert bei der ersten Kontrolluntersuchung 37 Tage nach dem ACS um 69,8 %. Zu diesem Zeitpunkt erreichten 68,3 % der Patienten den empfohlenen LDL-C-Zielwert. Bei ihnen war die Inzidenz für schwere kardiovaskuläre Ereignisse signifikant geringer als bei den ACSPatienten, die den LCL-C-Zielwert nicht so früh erreichten. Ähnliches belegen die jüngsten Daten des schwedischen SWEDEHEARTRegisters: Ein frühes und anhaltendes Erreichen des empfohlenen LDL-C-Zielwerts nach einem ACS reduziert das Risiko für schwere kardiovaskuläre Ereignisse stärker als eine spätere LDL-C-ZielwertErreichung.

Elisabeth Wilhelmi, München

MITTEILUNGEN

Langzeit-Daten zu Mavacamten bestätigen Wirksamkeits- und Sicherheitsprofil

Die hypertrophe obstruktive Kardiomyopathie (HOCM) ist eine chronische, progredient verlaufende Erkrankung, bei der der linksventrikuläre Ausflusstrakt, über den das Blut das Herz verlässt, durch den vergrößerten Herzmuskel verengt wird. In der Folge steigt das Risiko für Vorhofflimmern, Schlaganfall, Herzinsuffizienz und – wenn auch selten – plötzlichen Herztod. Mavacamten (Camzyos®) zielt als erster und einziger zugelassener kardialer Myosin-Inhibitor auf die der HOCM zugrundeliegende Pathophysiologie. Der Wirkstoff wurde bereits in die Leitlinienempfehlungen der ESC und der American Health Association bzw. des American College of Cardiology aufgenommen und ist indiziert, wenn die Symptome nach der Erstlinientherapie weiter fortbestehen. Damit ist Mavacamten als ein weiterer Behandlungsstandard für die symptomatische HOCM anerkannt.

Anhaltende Verbesserung der echokardiografischen Parameter und Biomarker

Auf dem Kongress der European Society of Cardiology (ESC) wurden neue Langzeit-Ergebnisse aus der EXPLORER-LTE-Kohorte der MAVA-LTE (long-term extension)Studie vorgestellt. Die LTE-Studie erhebt Langzeitdaten zu Mavacam-

ten bei erwachsenen Patienten mit symptomatischer HOCM (NYHAKlasse II–III). Zum Zeitpunkt der Datenanalyse waren 211 von 231 Patienten, die in die MAVA-LTEStudie aufgenommen wurden und zu der auch die EXPLORER-LTEKohorte gehört, mit Mavacamten behandelt worden; 185 Patienten hatten Woche 156 und 99 Patienten Woche 180 erreicht. Die Daten zeigen, dass sich bei den Patienten nach bis zu 180 Wochen kontinuierlicher Behandlung mit Mavacamten die echokardiografischen Parameter und Biomarker konsistent und anhaltend verbessert hatten:

• In Woche 156 wie auch in Woche 180 zeigten sich eine Verringerung des Spitzengradienten des linksventrikulären Ausflusstrakts nach Valsalva-Manöver um 55,3 mmHg und eine Abnahme des mittleren LVOT-Spitzengradienten in Ruhe um 40,2 mmHg (Woche 156) bzw. 40,3 mmHg (Woche 180).

• Der mittlere Volumenindex des linken Vorhofs verbesserte sich vom Ausgangswert bis zur Woche 144 und 180 und nahm um 3,5 ml/m2 bzw. 5,5 ml/m2 ab.

• Die mittlere linksventrikuläre Auswurffraktion (LVEF) reduzierte sich bis zur Woche 180 um 11 %; der Mittelwert (63,9 %) blieb im Normalbereich.

• Die medianen NT-proBNP-Werte gingen in Woche 156 um 504 ng/l und in Woche 180 um 562 ng/l zurück.

Auch die körperliche Leistungsfähigkeit (gemessen an der Verbesserung der NYHA-Klasse) nahm zu, wobei in Woche 180 die meisten Patienten (66,3 %) die NYHAKlasse I erreichten. Ein vollstän-

diges Ansprechen (definiert als das Erreichen der NYHA-Klasse I und eines LVOT-Spitzengradienten von ≤30 mmHg nach ValsalvaManöver) wurde bei 108 Patienten (46,8 %) beobachtet. Der Behandlungserfolg aus Patientensicht wurde anhand des HCM Symptom Questionnaire Shortness of Breath gemessen. Die Ergebnisse zeigen eine rasche Verbesserung der Atemnot im Vergleich zum Ausgangswert während der ersten 12 Wochen der Behandlung, die bis zu den Wochen 156 und 180 anhielt. Das Sicherheitsprofil von Mavacamten entsprach über einen Zeitraum von bis zu 3,5 Jahren dem etablierten Sicherheitsprofil, wobei keine neuen Sicherheitssignale festgestellt wurden. Bei insgesamt 20 Patienten (8,7 %) kam es zu einer vorübergehenden Verringerung der LVEF <50 %. Nach einer Unterbrechung der Behandlung erholten sich alle wieder auf eine LVEF ≥50 % und 14 Patienten nahmen die Behandlung mit Mavacamten wieder auf.

Aufruf zum Handeln:

Verbesserung der Adhärenz bei der medikamentösen

HypertonieBehandlung

Hypertonie ist die führende vermeidbare Ursache für vorzeitige Morbidität und Mortalität aufgrund von Herz-Kreislauf-Erkrankungen und betrifft weltweit mehr als 1,5 Milliarden Menschen. Obwohl die Erkrankung leicht zu diagnostizieren ist und wirksame Therapie-

Mitteilungen

maßnahmen zur Verfügung stehen, liegt die globale Erfolgsquote der Blutdruckkontrolle selbst in den fortschrittlichsten Ländern nur bei etwa 35 %. Ein wesentlicher Faktor ist dabei die unzureichende Adhärenz, d.h. die mangelhafte Therapietreue der Betroffenen. Insbesondere bei der Hypertonie, oft als „stiller Killer“ bekannt, ist dies ein relevantes Problem, da sie meist keine Symptome verursacht, aber eine lebenslange Behandlung mit oft mehreren Medikamenten erfordert. Trotz langfristiger Behandlungskosten ist die medikamentöse Therapie der Hypertonie eine der kosteneffektivsten und wirkungsvollsten Maßnahmen, um das Risiko für kardiovaskuläre Erkrankungen, Schlaganfälle und Nierenerkrankungen nachhaltig zu senken.

Wissenschaft und ärztliches Handeln vereinen

Anlässlich des internationalen Kongresses der International Society of Hypertension (ISH) am 22. September in Cartagena, Kolumbien, wurde die „Cartagena-Erklärung“ als Aufruf zum Handeln herausgebracht, um die Adhärenz bei der Behandlung von Hypertonie weltweit zu verbessern. Zu diesem Zweck wird die ISH mit anderen gleichgesinnten medizinischen, wissenschaftlichen und Patientengesellschaften oder -vereinigungen zusammenarbeiten, um Aktionspläne auf politischer, wirtschaftlicher, wissenschaftlicher, verhaltensbezogener und industrieller Ebene sowie für alle Interessengruppen zu entwickeln und zu koordinieren. Vor diesem Hintergrund hat das

Pharmaunternehmen Servier eine Initiative ins Leben gerufen, um das Bewusstsein für die Bedeutung der Therapietreue zu stärken und eine nachhaltige Verbesserung der Adhärenz bei der Behandlung von Hypertonie zu erreichen.

Stärkung von Engagement und Bewusstsein

In den aktuellen Leitlinien wird ebenfalls mehr Spielraum hinsichtlich einer stärkeren Individualisierung der Blutdruckzielwerte gegeben: Der in den Leitlinien festgelegte Zielwert von 130/80 mmHg muss entsprechend den vorliegenden Begleiterkrankungen und individuellen Voraussetzungen angepasst werden. Zahlreiche Gesundheitsfachkräfte, medizinische und wissenschaftliche Gesellschaften, Betroffene und sowie die Industrie folgen nun dieser Initiative und beschlossen, einen „Welttag der Adhärenz“ zu veranstalten. Dieser Tag wird zum ersten Mal am 27. März 2025 stattfinden und soll von medizinischen, wissenschaftlichen und Patientenorganisationen genutzt werden, um das Bewusstsein für Adhärenz in ihrem jeweiligen Bereich und weltweit zu schärfen sowie nachhaltig eine optimale Behandlung von Hypertonie und die Prävention von kardiovaskulären Erkrankungen zu gewährleisten. Auch Servier wird den Welttag der Adhärenz aktiv unterstützen und die gegründete Initiative weiter begleiten, um den Behandlungserfolg bei Hypertonie weltweit zu verbessern.

IMPRESSUM

OFFIZIELLES ORGAN DER DEUTSCHEN GESELLSCHAFT FÜR ARTERIOSKLEROSEFORSCHUNG

Herausgeber:

Univ.-Prof. Dr. Dr. Edzard Ernst, Emeritus Professor of Complementary Medicine, University of Exeter, Peninsula Medical School,Salmon Pool Lane, Exeter EX2 4SG, UK

Prof. Dr. med. Wolfgang Koenig Deutsches Herzzentrum München Technische Universität München Lazarettstraße 36 80636 München

Wissenschaftlicher Beirat:

Prof. Dr. med. T. von Arnim (Kardiologie), München

Prof. Dr. med. G. V. R. Born (Arterioskleroseforschung), London

Prof. Dr. med. C. Diehm (Angiologie), Karlsbad

Priv.-Doz. Dr. med. Dr. phil. C. Drosde (Kardiologie), Freiburg

Dr. med. J. Dyerberg MD, Ph. D. (Klin. Chemie), Aalborg Sygehus, Dänemark

Univ.-Prof. Dr. med. H. W. Eichstädt, (Kardiologie), Berlin

Doz. Dr. rer. nat. F.-D. Ernst (Hämorheologie), Dresden

Dr. med. J. Gehring (Kardiologie, Rehabilitation), München

Prof. Dr. med. J. D. Gruß (Gefäßchirurgie), Kassel

Prof. Dr. J. Harenberg (Hämostaseologie), Mannheim

Prof. Dr. med. L. Heilmann (Gynäkologie), Rüsselsheim

Prof. Dr. med. H. M. Hoffmeister (Kardiologie), Solingen

Prof. Dr. med. H. U. Janka (Diabetologie), München

Dr. med. J. Janzen MPhil (Pathologie), Bern, Schweiz

Prof. Dr. med. L. Kollár M.D., PhD (Gefäßchirurgie), Universität Pécs, Ungarn

Prof. Dr. med. M. Marshall (Phlebologie), Rottach Egern

Prof Dr. med. J. Matsubara (Chirurgie), Ishikawa, Japan

Prof. Dr. med. G. Mchedlishvilli (Mikrozirkulation), Tbilisi, Georgien

Prof. Dr. med. V. Mitrovic (Kardiologie, Klinische Pharmakologie), Bad Nauheim

Prof. Dr. med. H. Mörl (Angiologie), Mannheim

Prof. Dr. med. F. J. Neumann (Kardiologie), Bad Krozingen

Prof. Dr. med. K. L. Resch (Medizin-Statistik), Bad Elster

Prof. Dr. med. G. Rettig (Kardiologie), Homburg

PD Dr. med. Rainer Röttgen (Radiologie), Berlin

Prof. Dr. med. G. Schmid-Schönbein (Biomechanik), La Jolla, USA

Prof. Dr. med. H. Schmid-Schönbein (Physiologie), Aachen

Prof. Dr. med. A. Schrey (Pharmakologie), Düsseldorf

Prof. Dr. med. H. Sinzinger (Nuklearmedizin), Wien, Österreich

Prof. Dr. med. T. Störk (Kardiologie, Angiologie), Göppingen

Prof. Dr. med. I. Szirmai M.D. (Neurologie), Universität Budapest, Ungarn

Prof. Dr. med. G. Trübestein (Angiologie), Bonn

Prof. Dr. med. B. Tsinamdzvrishvili (Kardiologie, Hypertonie), Tbilisi, Georgien

Prof. Dr. med. W. Vanscheidt (Dermatologie), Freiburg

Prof. Dr. med. H. Weidemann (Kardiologie, Sozialmedizin), Bad Krozingen PERFUSION

Schriftleitung:

Univ.-Prof. Dr. Dr. Edzard Ernst, Emeritus Professor of Complementary Medicine, University of Exeter, Peninsula Medical School, Salmon Pool Lane, Exeter EX2 4SG, UK

E-Mail: Edzard.Ernst@pms.ac.uk

Tel: +44 (0) 1392 726029

Fax: +44 (0) 1392 421009

Die Zeitschrift erscheint 6-mal im Jahr; Jahresabonnement 27,–; Einzelheft 5,50, inklusive MwSt., zuzüglich Versandspesen. Der Abonnementpreis ist im voraus zahlbar. Stornierungen sind bis 6 Wochen vor Ablauf eines Kalenderjahres möglich. Abonnementbestellungen direkt beim Verlag.

Geschäftsführerin:

Sibylle Michna Anschrift wie Verlag

Chefredaktion: Brigitte Söllner (verantwortlich) Anschrift wie Verlag

Herstellung/Layout:

HGS5 – Rolf Wolle (verantwortlich) Schwabacherstr. 117, 90763 Fürth

Werbung, Beratung, Verkauf: Sibylle Michna (verantwortlich) Anschrift wie Verlag

Die Annahme von Werbeanzeigen impliziert nicht die Empfehlung durch die Zeitschrift; die in den Beiträgen zum Ausdruck gebrachten Meinungen und Auffassungen drücken nicht unbedingt die der Herausgeber, des wissenschaftlichen Beirates oder des Verlages aus. Der Verlag behält sich alle Rechte, insbesondere das Recht der Vervielfältigung jeglicher Art, sowie die Übersetzung vor. Nachdruck, auch auszugsweise, nur mit Genehmigung des Verlages.

Erfüllungsort: Puschendorf

Gerichtsstand: Fürth

Fälle höherer Gewalt, Streik, Aussperrung und dergleichen entbinden den Verlag von der Verpflichtung auf Erfüllung von Aufträgen und Leistungen von Schadensersatz.

Anmerkung der Redaktion: Zur besseren Lesbarkeit werden in der PERFUSION personenbezogene Bezeichnungen, die sich auf das männliche oder weibliche Geschlecht beziehen, grundsätzlich nur in der männlichen Form verwendet. Damit wird keine Diskriminierung des Geschlechts ausgedrückt.

Satz: Rolf Wolle, Schwabacherstr. 117, 90763 Fürth

Druck und Verarbeitung: DRUCK_INFORM_W.R. Roland Welker Austraße 7, 96114 Hirschaid

PERFUSION is listed in Current Contents/Clinical Medicine (CC/CM) and listed in The Genuine Article.

Verlag PERFUSION GmbH

Storchenweg 20 90617 Puschendorf

Telefon: 09101/990 11 10 Fax: 09101/990 11 19 www.Verlag-Perfusion.de E-Mail: perfusion@t-online.de

Wenn Alltag Erfolgsgeschichte werden kann.

CAMZYOS® geht HOCM an der Ursache an und verbessert die Lebensqualität* und Leistungsfähigkeit# im Alltag.1,2 CAMZYOS®. Mehr Lebensqualität bei HOCM.1,2

www.hypertrophekardiomyopathie.de CAMZYOS 2,5 mg, 5 mg, 10 mg, 15 mg Hartkapseln. Wirkstoff: Mavacamten; Zusammensetzung: 2,5 mg bzw. 5 mg bzw. 10 mg bzw. 15 mg Mavacamten. Sonst. Bestandteile: Siliciumdioxid-Hydrat, Mannitol, Hypromellose, Croscarmellose-Natrium, Magnesiumstearat, Gelatine, Titandioxid, Eisenoxide, Schellack, Propylenglycol, Ammoniak-Lösung, Kaliumhydroxid. Anwendungsgebiete: CAMZYOS wird angewendet bei erwachsenen Patienten zur Behandlung der symptomatischen (NYHA Klasse II – III) hypertrophen obstruktiven Kardiomyopathie (HOCM). Gegenanzeigen: Überempfindlichkeit gg. den Wirkstoff o.e.d. sonst. Bestandteile. Schwangerschaft und bei gebärfähigen Frauen, die keine zuverlässige

Empfängnisverhütung anwenden; gleichzeitige Behandlung mit starken CYP3A4-Inhibitoren (Patienten mit CYP2C19-Metabolisierer-Phänotyp „langsam“ und nicht bestimmtem CYP2C19Phänotyp); gleichzeitige Behandlung mit Kombination starker CYP2C19-Inhibitor und starker CYP3A4-Inhibitor. Nebenwirkungen: Sehr häufig: Schwindel; Dyspnoe. Häufig: Synkope; Systolische Dysfunktion. Weitere Hinweise: siehe Fachinformation. Verschreibungspflichtig. Pharmazeutischer Unternehmer: Bristol-Myers Squibb Pharma EEIG, Plaza 254 - Blanchardstown Corporate Park 2 - Dublin 15, D15 T867, Irland. Stand: V02

HOCM: hypertrophe obstruktive Kardiomyopathie; KCCQ: Kansas City Cardiomyopathy Questionnaire; NYHA: New York Heart Association; Peak-VO2: maximale Sauerstoffaufnahme. CAMZYOS® wird angewendet bei erwachsenen Patient : innen zur Behandlung der symptomatischen (NYHA-Klasse II – III) hypertrophen obstruktiven Kardiomyopathie.4

In der EXPLORER-HCM Studie mit n = 251 Patient : innen erreichten den kombinierten primären Endpunkt 37 % der Patient : innen im CAMZYOS®-Arm vs. 17 % im Placebo-Arm.¹

* gemessen in der EXPLORER-HCM Studie mittels Kansas City Cardiomyopathy Questionnaire, KCCQ Overall Score mit einem Unterschied zwischen den Gruppen von + 9,1 (95 % KI 5,5 bis 12,8; p < 0,0001) zugunsten von CAMZYOS® in Woche 30.²

# gemessen im kombinierten primären Endpunkt der EXPLORER-HCM Studie, bestehend aus Erfassung des Peak-VO₂ und der NYHA-Klasse mit einem Unterschied von 19,4 % (95 % KI 8,7 bis 30,1; p = 0,0005) zugunsten von CAMZYOS®.¹

Referenzen: 1 Olivotto I, Oreziak A, Barriales-Villa R, et al. Mavacamten for treatment of symptomatic obstructive hypertrophic cardiomyopathy (EXPLORER-HCM): a randomised, double-blind, placebocontrolled, phase 3 trial. Lancet. 2020;396(10253):759 – 769. 2 Spertus JA, Fine JT, Elliott P, et al. Mavacamten for treatment of symptomatic obstructive hypertrophic cardiomyopathy (EXPLORER-HCM): health status analysis of a randomised, double-blind, placebo-controlled, phase 3 trial. Lancet. 2021;397(10293):2467 – 2475. 3 Anlage 3 zur Vereinbarung nach § 130b Abs. 1 Satz 1 SGB V zwischen dem GKV-Spitzenverband und der Bristol-Myers Squibb GmbH & Co. KGaA zum Arzneimittel CAMZYOS® (Wirkstoff: Mavacamten) bezüglich der Anerkennung einer Praxisbesonderheit. 4 CAMZYOS® (Mavacamten) Fachinformation, aktueller Stand.

Turn static files into dynamic content formats.

Create a flipbook
Issuu converts static files into: digital portfolios, online yearbooks, online catalogs, digital photo albums and more. Sign up and create your flipbook.