Dent Unique 3/2022

Page 1

Grundstein für erfolgreiche Karrieren Österreichische Post AG MZ14Z039972M Universitätszahnklinik Wien, Sensengasse 2a, 1090 Wien 3 | 2022 Plattenepithelkarzinom im zahnärztlichen Alltag – 4 Optimierung der Weichgewebsregeneration – 8 Kongress „Dentistry 4.0“ in Wien – 12 Das Journal der Universitätszahnklinik Wien MASTERKURSE

Sehr geehrte Leser:innen!

Unser Journal DentUnique gibt Ihnen einen exklusiven Einblick in die Tätig keiten an der Universitätszahnklinik Wien.

Wir berichten über aktuelle For schungserkenntnisse, schildern Patient:innenfälle und informieren über die zahlreichen Weiterbildungs möglichkeiten an der Universitäts zahnklinik Wien.

Am 2. und 3. Juni des nächsten Jah res steht die Universitätszahnklinik Wien in einem ganz besonderen Rampenlicht: Der internationale Kon gress „Dentistry 4.0“ findet – nach coronabedingten Verschiebungen –endlich statt. Nationale und inter nationale Speaker werden in Vor trägen über aktuelle Entwicklungen in der Zahnmedizin berichten, in interessanten Workshops wird so wohl Wissenschaftler:innen als auch Praktiker:innen Wissenswertes haut nah vermittelt. Nähere Informationen finden Sie in dieser Ausgabe.

Apropos Rampenlicht: Die Master kurs-Programme an der Universi tätszahnklinik Wien genießen in ternational einen ausgezeichneten Ruf. Univ.-Prof.in Priv.-Doz.in Dr.in Henriette Löffler-Stastka, Curricu lumdirektorin Universitätslehrgänge und Postgraduelle Programme an der Medizinischen Universität Wien, be stätigt im Interview mit DentUnique

den herausragenden Output dieser Programme – und erzählt, welche weiteren Schritte zum Ausbau dieser Lehrgänge geplant sind.

Bedeutsames kommt auch aus dem Fachbereich Orale Chirurgie und Implantologie der Universitätszahn klinik Wien: Hier wird über eine For schungsarbeit zum Thema Optimie rung der Weichgewebsregeneration von allogenen CAD/CAM-Knochen blocktransplantaten mit Platelet-Rich Fibrine (PRF) berichtet.

Im zweiten Teil der Praxisberichterstat tung über eine umfassende Behand lung eines Plattenepithelkarzinoms schildert ein Zahnärzt:innen-Team der Universitätszahnklinik Wien den Prozess einer erfolgreichen protheti schen Versorgung.

Wir möchten Sie mit dem Journal DentUnique an unserem klinischen Alltag teilhaben lassen und freuen uns auf eine gute Zusammenarbeit mit Ih nen – zum Wohle der Patient:innen!

Impressum: Medieninhaber/Herausgeber: Universitätszahnklinik Wien GmbH, 1090 Wien, Sensengasse 2a, Tel.: +43 1/400 70, Fax: +43 1/400 70-3039, E-Mail: office-unizahnklinik@meduniwien.ac.at, www.unizahnklinik-wien.at Herausgeber: Geschäftsführer Univ.-Prof. DDr. Andreas Moritz und Thomas Stock Erscheinungsort: Wien Auflage: 4.000 Verlag: Albatros Media, H. Wollner Straße 20, 2602 Blumau, office@albatros-media.at, www.albatros-media.at Redaktion: Mag.a Erika Hofbauer (Leitung), Barbara Duras Grafik & Produktion: Albatros Media Verlagsleitung: Otto Koller Designkonzept: Albatros Media Lektorat: Mag.a Eva Kainrad Coverfoto: Universitätszahnklinik Wien/Fuchs Fotos: Falls nicht anders angegeben: Universitätszahnklinik Wien Druck: Druckerei Janetschek GmbH, 3860 Heidenreichstein

Offenlegung gemäß § 25 Mediengesetz

Die Universitätszahnklinik Wien GmbH ist eine 100-%-Tochtergesellschaft der Medizinischen Universität Wien, www.meduniwien.ac.at/homepage/info/impressum. Grundlegende Richtung des Magazins: DentUnique informiert ZahnärztInnen, Studierende und MitarbeiterInnen der Universitätszahnklinik Wien über Forschung, Fallstudien, Weiterbildungsangebote und die Tätigkeiten der Institution.

2 DentUnique 3/2022
Univ.-Prof. DDr. Andreas Moritz, Vorstand

In den Kalender

Save the Date: Dentistry 4.0 – International, Interdisciplinary Conference of Innovative Technologies in Dentistry

Datum: 2. und 3. Juni 2023 Ort: Universitätszahnklinik Wien, Van-Swieten-Saal Sensengasse 2a, 1090 Wien Weitere Infos: www.dentistryvienna.com

Save the Date: Vienna Orthodontic Symposium

Leitung Symposium: Ao. Univ.-Prof. DDr. Erwin Jonke Vortragender: Prof. Dr. Renato Cocconi (Italy) Nikolaos Perakis, DDS, LMD Datum: 27. Oktober 2023, 12–18 Uhr 28. Oktober 2023, 8.30–17 Uhr

Vortragssprache: Englisch Ort: Universitätszahnklinik Wien, Sensengasse 2a, 1090 Wien Information: Maria Strobl, +43 1/40070-4301 Anmeldung: maria.strobl@meduniwien.ac.at ZFP-Fortbildung: 16 Punkte

DentUnique 3/2022 3 Plattenepithelkarzinom im zahnärztlichen Alltag 08 Optimierung der Weichgewebsregeneration 10 Auf dem Weg zur digitalen oralen Pathologie 12 Kongress „Dentistry 4.0“ in Wien 13 Internationale Auszeichnung für die Universitätszahnklinik Wien 14 Masterkurse 16 Teilnehmer:innen der Masterkurse berichten 17 Langzeitseminare über ein Semester 18 Zeitreise Viagra 19 Neue Forschungsmitarbeiterin am Competence Center Periodontal Research 21 Medizinhistorisches Museum in neuem Glanz 22 Krebsforschungslauf 2022: 200.000 Euro für die Forschung 04 08 17 14
10 13 21 18

Plattenepithelkarzinom im zahnärztlichen Alltag

Teil 2 des Berichts über die Behandlung eines Plattenepithelkarzinoms beschäftigt sich mit der prothetischen Versorgung.

Wie in DentUnique (Ausgabe 01-2021) ausführlich berichtet, wurde ein 72-jähriger Patient mit einer schriftlichen Überweisung vom niedergelassenen Zahnarzt mit Verdacht auf Epulis in der Region von 34 im März 2020 auf der Notfallambulanz der Universitätszahnklinik in Wien vorstellig. Der Patient gab zusätzlich an, dass er seit Jänner bereits mehrere zahnärztliche Ambulatorien besucht habe. Im Jänner wurde aufgrund starker Schmerzen bei einem niedergelassenen Zahnarzt eine Wurzelkanalbehandlung an Zahn 34 begonnen und der Patient antibiotisch abgeschirmt (1 g Augmentin wurde zehn Tage eingenommen), jedoch brachten Wurzelkanalbehandlung und Antibiotika-Gabe keine Besserung hinsichtlich der Schwellung zwischen Zahn 33 und 34.

Abb. 1a

aus der „Tasche“ wurde sorgfältig exkochleiert, die Extraktionsalveole mit Betaisodona und Kochsalzlösung gespült und ein 300-%-Jodoformstreifen gelegt. Schlussendlich wurde die Wunde mit einer Situationsnaht und einem Aufbisstupfer versorgt. Zur Schmerzmedikation wurden Novalgin-Tropfen rezeptiert, die Mundhygiene-Instruktionen erteilt und eine Chlorhexidin-Spülung für zehn Tage empfohlen. Eine Kontrolle sollte in zwei bis drei Monaten stattfinden oder bei Bedarf, wenn die Schwellung nicht abklingen sollte.

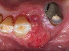
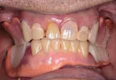
Zum Zeitpunkt der Erstaufnahme (Abb. 1a, März 2020) in der Notfallambulanz der Universitätszahnklinik Wien gab der Patient keine Schmerzen an, jedoch eine seit mehreren Wochen zunehmende Schwellung, bukkal- und lingualseitig zwischen Zahn 33 und 34. Beim Patienten wurde eine detaillierte klinische Untersuchung durchgeführt und eine sehr starke Klopfdolenz des Zahnes 34 sowie Sondierungstiefen von über 12 mm, Blutung auf Sondierung und Mobilitätsgrad II diagnostiziert. Im Kleinröntgenbild wurde ein Knochenverlust beobachtet (Abb. 1b). Der Patient wurde über die Nichterhaltungswürdigkeit des Zahnes 34 aufgeklärt und der Zahn wurde in derselben Sitzung restlos entfernt. Das Granulationsgewebe Abb. 2

Zwei Wochen nach dem Erstbesuch und der Zahnentfernung kam der Patient erneut in die Ambulanz und gab an,

Abb. 1b

dass die Schwellung in der Region 34 nach wie vor vorhanden sei und die Schmerzen seit der Zahnentfernung noch stärker geworden seien. Am 16.4.2020, nur drei Wochen nach der Erstaufnahme, wurde der Patient durch Dr. Domic (Abteilung für Orale Chirurgie) begutachtet. Der Patient gab an, trotz Zahnextraktion und Nachbehandlung zunehmende Schmerzen und eine granulomatöse und hyperplastische Schwellung in der Region von 34 zu haben. Die granulomatöse Schwellung in der Region von 34 wurde fotodokumentiert (Abb. 2 u. 3) und der Patient wurde über die Notwendigkeit einer sofortigen Biopsie aufgeklärt.

Abb. 3

4 DentUnique 3/2022

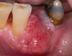
Nach Gabe einer Lokalanästhesie wurden mit einem Kauter eine partielle Exzision der granulomatösen Schleimhautveränderung und im Anschluss eine Biopsie durchgeführt. Die Wunde wurde mit einem Hämostyptikum (Tabotamp®) versorgt (Abb. 4 u. 5) und der Patient wurde in einer Woche zur Kontrolle, inklusive Nahtentfernung und histologischer Befundbesprechung, einbestellt.

Eine Woche nach der Biopsie stand der histologische Befund zur Verfügung. Dieser zeigte mikroskopisch die Anteile eines exulzerierten, mäßig differenzierten Plattenepithelkarzinoms der Stufe G2 nach Weltgesundheitsorganisation (WHO)-Klassifizierung. Generell sind alle Tumore nach dieser Klassifizierung in vier Graden je nach Abnormalität/ Unregelmäßigkeit der Tumorzellen aufgeteilt:

1. GX, Grad nicht definierbar

2. G1, gut differenzierbare Zellen (niedrige Abnormalität)

3. G2, mäßig differenzierbare Zellen (mittelmäßige Abnormalität)

4. G3, schlecht differenzierbare Zellen (hohe Abnormalität)

5. G4, nicht differenzierbare Zellen (hohe Abnormalität)

Nach telefonischer Rücksprache mit der Abteilung für Mund-, Kiefer- und Gesichtschirurgie des Allgemeinen Krankenhauses in Wien wurde der Patient am gleichen Tag stationär aufgenommen.

Daraufhin erfolgten Vorstellung bei der „Tumorsprechstunde“ und weite re Behandlung auf der Abteilung für Mund-, Kiefer- und Gesichtschirurgie im Allgemeinen Krankenhaus.

Etwa zwei Wochen nach der histologischen Befundbesprechung mit dem Patienten und zehn Tage nach der Vorstellung bei der Tumorsprechstunde wurde auf Empfehlung des Tumorboards ein Operationstermin vereinbart. Zusätzliche Untersuchungen inklusive Computertomographie (CT) der Kopfund Halsregion sowie des Abdomens ergaben folgende TNM-Klassifizierung des Tumors:

Abb. 4

1. T2 (große Ausdehnung des Tumors, T0–T4)

2. N0 (Ausdehnung des Tumors in regionale Lymphknoten, N0–N3)

3. M0 (0 keine, 1 Metastasen vorhanden)

Das Tumorboard empfahl eine chirurgische Tumorresektion, seitliche Halsdissektion (links) und die Deckung mit einem Zungenlappen (Abb. 6). Ein Teil des Alveolarfortsatzes mit dem Tumor inklusive dreier Zähne (31, 32, 33) wurde reseziert. Makroskopisch zeigte sich ein maximal 1 cm breiter bis an das Periost reichender Tumor, ohne Infiltration des Kieferknochens. Insgesamt sechs resezierte regionale Lymphknoten zeigten reguläre Architektur. Mikroskopisch zeigte sich ein eindeutiger Übergang des regulären Epithels mit Formationen eines invasiv wachsenden, malignen epithelialen Tumorgewebes mit nestund strangartiger Architektur. Der Tumor zeigte eine maximale Ausdehnung von 2,2 cm bei einer Tiefenausdehnung von 1 cm.

Prothetische Rehabilitation nach Resektion

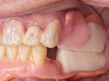
Der Patient wurde im Zuge der Tumornachsorge wieder an der Universitätszahnklinik Wien vorstellig. Am Beginn der prothetischen Fallplanung wurden montierte Situationsmodelle erstellt und ein aktueller Röntgenstatus erhoben. Intraoral bestätigte sich, dass der resezierte Bereich mittels eines Zungentransplantates gedeckt wurde.

Da der Patient bereits bestehende alte

Abb. 5

Modellgussprothesen für den Oberkiefer und den Unterkiefer hatte, wurden diese herangezogen und als Immediatersatz erweitert sowie unterfüttert. Während der Planung entschied sich das behandelnde Ärzt:innen-Team sowohl im Ober- als auch Unterkiefer für eine teleskopierende Metallgerüstprothese. Zahn 11 wurde mittels Adhäsivtechnik aufgebaut und darüber hinaus für Zahn 21 eine Einzelzahnzirkonkrone geplant. Um eine adäquate Retention der Kronen gewährleisten zu können, wurden an fünf Zähnen gegossene Stiftaufbauten eingegliedert (Abb. 6 u. 7).

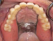
Abb. 6: Intraorale Ansicht Unterkiefer nach Tumorresektion, Deckung mit Zungenlappen und nach Beschliff

DentUnique 3/2022 5
Abb. 7: Intraorale Ansicht Oberkiefer nach Beschliff

Nach erfolgter Meisterabformung beider Kiefer erfolgte eine Überabformung der angefertigten Transferkäppchen mit einem individuell angefertigten Abformlöffel. Somit konnte dem zahntechnischen Labor eine präzise Schleimhautabformung zur Verfügung gestellt werden. Insbesondere wurde dabei auf die Detailtreue des resezierten Bereiches im Unterkiefer geachtet.

Anschließend an die Bissnahme mittels Bissschablonen und die gemeinsame Begutachtung der

Wachsaufstellung (Abb. 8–10) erhielt das zahntechnische Labor die Freigabe zur Erstellung der Primärund Sekundärteleskope mit Gerüsten. Diese wurden insbesondere auf ihre Passgenauigkeit und Schaukelfreiheit im Kiefer überprüft. Des Weiteren wurde bei der Erstellung auf eine Unterspülbarkeit des transplantierten Gebietes geachtet. Nach erfolgter Wachsaufstellung auf Gerüst wurde die Fertigstellung der Teleskopprothesen und der Einzelzahnzirkonkrone in

Auftrag gegeben. Für Zahn 11 wurde vom zahntechnischen Labor ein entsprechendes Mock-up mit Schiene zur Übertragung erstellt (Abb. 11–23). Anschließend an die komplikationslose Eingliederung der Arbeit erfolgte eine Kontrolle sieben Tage nach erfolgter Übergabe (Abb. 24, Seite 7). Nach der Durchführung von minimalen Korrekturen an der Okklusion wurde der Patient in den Recall entlassen.•

6 DentUnique 3/2022
Abb. 8: Wachsaufstellungsprobe frontal Abb. 10: Wachsaufstellungsprobe lateral Abb. 9: Wachsaufstellungsprobe lateral
Abb. 11: Fertigstellung Abb. 12: Fertigstellung Abb. 13: Fertigstellung Abb. 14: Fertigstellung Abb. 16: Fertigstellung Abb. 15: Fertigstellung

Abb.

Abb.

Abb.

Abb. 22: Profil lächelnd Abb. 21:

Abb.

Abb. 24: Kontrollpanoramaröntgen nach erfolgter Eingliederung

Das Team

Dr. med. dent. Danijel Domic Fachbereich für Orale Chirurgie Universitätszahnklinik Wien

Dr. med. dent. Edmund Benjamin Kukla CCU – Comprehensive Center Unit Universitätszahnklinik Wien

DentUnique 3/2022 7
17: Nach erfolgter Eingliederung Oberkiefer 19: Frontalansicht nach Eingliederung 18: Nach erfolgter Eingliederung Unterkiefer Abb. 20: Frontalansicht lächelnd Frontalansicht lächelnd 23: Profil lächelnd

Optimierung der Weichgewebsregeneration

Von allogenen CAD/CAM-Knochenblocktransplantaten mit Platelet-Rich Fibrin (PRF).

Im Zuge implantatprothetischer Rehabilitationen wird bei Vorlie gen einer reduzierten bukko-oralen Alveolarkammbreite bzw. auch der (in geringem Maße) -höhe eine vorangehen de knöcherne, latero-vertikale Augmen tation durchgeführt, um eine erfolgreiche ossäre Verankerung des Implantats wie auch ein ansprechendes ästhetisches Ergebnis nach abgeschlossener prothe tischer Versorgung anzustreben (siehe Abb. 1–8). Hierfür stehen verschiedene augmentative Operationstechniken zur Verfügung, wobei die autologe Blockaugmentation bislang am häufigsten angewandt wird. Obwohl autologe Knochenblöcke nach wie vor als „Gold standard“ gelten, kommen allogene, personalisierte, CAD/CAM-gefräste Knochenblöcke aufgrund ihrer hohen Passgenauigkeit vermehrt bei 3D-kom plexen Knochendefekten zum Einsatz. Gewonnen werden allogene Knochen blöcke vor allem aus Femurköpfen (nach sorgfältigster Spender:innen-Auswahl und Aufbereitung) von Patient:innen, welche eine Hüft-Endoprothese benö tigen. Diese Blöcke werden mithilfe des zuvor durchgeführten DVTs/CTs dem Defekt kongruent (3D-CAD) digital geplant und anschließend maschinell (3D-CAM) gefräst. Im Zuge des Eingriffs entfällt so der Vorgang der Blockentnah me, was wiederum zu einer deutlichen Verkürzung der OP-Dauer führt und in einer ausgeprägten Verminderung post operativer Beschwerden und möglicher Komplikationsquellen resultiert. Da der allogene Block dem Empfängerbett bereits (je nach Bildqualität) optimal angepasst ist, entfällt im Vergleich zur

Abb. 1: Intraoperative Ansicht des komplexen Defektes 21 nach Entfernung eines Wurzelspit zen-resezierten Zahnes nach Monaten

Abb. 3: Fixierung des kongruenten, allogenen Knochenblocks mit einer Osteosynthese schraube stabilisiert

autologen Blockaugmentation meist eine zeitintensive Adaptierung des Augmenta tes an das Empfängerbett. Postoperativ konnte im Rahmen lateraler Augmentationen mittels allogener Kno chenblocktransplantate allerdings eine deutlich höhere Rate an Wundheilungs störungen/Komplikationen – vor allem Schleimhautdehiszenzen – beobachtet

Abb. 4a–4b: „Biologisierung“ einer Kollagen membran mit der flüssigen Phase des PRFs (a), auf den Block aufgelagert (a) und die viskösprämembranöse Phase (b) des PRFs nach Abtrennen des überschüssigen Blutkoagulums vor dem Pressvorgang

werden. Für ein komplikationsloses Einheilen des Knochenblocks ist eine suffiziente Wundheilung des umgeben den Weichgewebes notwendig.

Ziel der laufenden klinischen Obser vanzuntersuchung ist eine Optimierung durch Verwendung des aus Eigenblut gewonnenen „Platelet-Rich Fibrin“ (PRF). Dabei werden der Patientin oder

8 DentUnique 3/2022
Patient:innen-individualisierter Knochenblock (allogen)

Abb. 5: Zwei PRF-Membranen über die Kolla genmembran (Block unterhalb) gelegt

dem Patienten vor dem Eingriff 100 bis 200 ml Blut in zwei verschiedenen Ampullen abgenommen. Diese werden während des Eingriffs wenige Minuten lang nach dem Protokoll von Chakroun (LIT!) zentrifugiert, wodurch eine flüssige und eine viskös-prämembranöse Phase des PRFs, abhängig von der verwendeten Ampulle, gewonnen werden kann. Die flüssige Phase wird dabei sowohl zur Rehydrierung und Bioaktivierung des ge friergetrockneten Spender:innen-Blocks als auch zur Benetzung der verwendeten Kollagenmembran benutzt. Pro Ampulle kann aus der gallertigen Phase binnen weniger Minuten eine ca. 1 x 2 cm große Membran gepresst werden. Diese wird zwischen Kollagenmembran und Weichgewebe eingebracht. Der Einsatz dieser beiden Phasen des PRFs kann

Abb. 6: Nach sechs Monaten abgeheilter Situs der augmentierten Region bei Implantation

Abb. 7: Inseriertes Implantat mit sowohl bukkal als auch palatinal suffizientem Knochenangebot

Abb. 8a: Kontrolle nach Implantat-Insertion

eventuell zu einer schnelleren Einhei lung des allogenen Blocks führen, vor allem steht allerdings ein eventueller positiver Effekt auf die Weichgewebs heilung des OP-Gebiets zur eventuellen Reduktion der Wundheilungsstörungen im Vordergrund. Dieser Effekt wird ak

tuell in der vorgestellten Untersuchung an der Abteilung für orale Chirurgie der Universitätszahnklinik Wien evaluiert, Patient:innen können bei Interesse (noch) eingeschlossen werden.•

Das Team

Ao. Univ.-Prof. DDr. Christian Ulm

Leiter des Fachbereichs Orale Chirurgie Universitätszahnklinik Wien

Univ.-Prof. DDr. Werner Zechner

Stv. Leiter des Fachbereichs Orale Chirurgie Universitätszahnklinik Wien

Dr. med. dent. Tobias Lang Fachbereich Orale Chirurgie Universitätszahnklinik Wien

DentUnique 3/2022 9
Abb. 8b: Radiologische Kontrolle nach Implantat-Insertion

Auf dem Weg zur digitalen oralen Pathologie

Bereits seit ihrer Diplom- bzw. Masterarbeit arbeiten Michael Edelmayer und Klara Janjić gemeinsam an Forschungsprojekten an der Universitätszahnklinik Wien und konnten vor etwa einem Jahr erfolgreich ihre ersten eigenen Projekte zu dem Forschungsfokus starten, der ihnen ganz besonders am Herzen liegt –der oralen Pathologie.

Während Zähne für gewöhn lich im Mittelpunkt der zahnärztlichen Behand lung stehen, ist es wichtig, auch der Mundschleimhaut regelmäßig Auf merksamkeit zu schenken. Mehrere Fachgebiete wie die Dermatologie und die Hals-Nasen-Ohren-Heilkunde können an der Behandlung von Mund schleimhauterkrankungen beteiligt sein. Spezialist:innen für die orale Patholo gie gibt es jedoch nur wenige. Um die Grenze zwischen einer unbedenklichen und einer pathologischen Veränderung der Mundschleimhaut zu erkennen, bedarf es entsprechender Expertise und Erfahrung, die häufig fehlt, wenn der behandelnde Arzt, die behandelnde Ärztin nicht täglich mit solchen Erkran kungen konfrontiert ist. Der Weg zu einer adäquaten Diagnose gestaltet sich daher für Patient:innen schwierig, wobei gerade bei einer Mundschleimhauterkrankung wie der oralen Dysplasie, die sich in mehr als 10 Prozent der Fälle im weiteren Verlauf zu einem bösartigen Tumor entwickeln kann, die Früherken nung eine wichtige Voraussetzung für eine erfolgreiche Behandlung ist.

Start für Forschungsprojekt

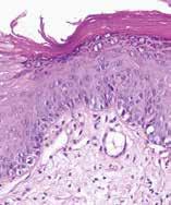
Die Diagnostik in der oralen Pathologie basiert hauptsächlich auf histologischen Auswertungen nach entnommener Biop sie aus der betroffenen Region der Mund schleimhaut. Die Beurteilung dieser Ge

Abb. 1: Für die Diagnostik in der oralen Pathologie werden routinemäßig Biopsien von auffäl ligen Regionen in der Mundschleimhaut entnommen. Diese Hämatoxylin und Eosin gefärbte Histologie einer Biopsie zeigt von links nach rechts Regionen mit gesunder Mundschleimhaut sowie mittel- und hochgradiger oraler Dysplasie.

websschnitte erfolgt anschließend durch eine:n Histopatholog:in in Anlehnung an die aktuellen Richtlinien der WHO zur Klassifizierung oraler Dysplasie-Grade. Diese Richtlinien führen allerdings nur qualitative Merkmale veränderter Gewe bearchitektur an und können daher von den unterschiedlichen Spezialist:innen nur subjektiv interpretiert werden. Um diese Hindernisse in Zukunft überwinden zu können, startet im Jänner 2023 dank einer Förderung durch die Österreichi sche Forschungsförderungsgesellschaft

(FFG) ein neues Forschungsprojekt, in dessen Rahmen ein Deep-Learningbasierter Algorithmus für die Klassifizie rung von oralen Dysplasie-Graden auf digitalen Gewebsschnitten entwickelt werden soll. Dafür werden histologische Schnitte von gesunder Mundschleimhaut und Mundschleimhaut mit verschiedenen Graden der oralen Dysplasie sowie ora lem Plattenepithelkarzinom gesammelt und digitalisiert. Daraus werden mithilfe computergestützter Methoden und der Gewebezytometrie annotierte Datensätze

10 DentUnique 3/2022

erstellt, aus welchen Gewebemerkmale extrahiert werden, die mit einer gesun den oder pathologischen Gewebearchi tektur im Zusammenhang stehen. Diese Merkmale sollen dann in quantitativen numerischen Daten ausgegeben werden. Anschließend wird die Leistungsfähigkeit von bereits entwickelten Deep-Learningbasierten Algorithmen für die Klassifizie rung oraler Dysplasie-Grade optimiert und angepasst. Mithilfe weiterer DeepLearning-basierter Modelle werden außerdem Verallgemeinerbarkeit und Interpretierbarkeit für die Klassifizierung oraler Dysplasie-Grade in histologischen Bildern verbessert werden.

Interdisziplinäre Zusammenarbeit

Das Projekt ist beispielhaft für die Wich tigkeit interdisziplinärer Zusammenarbeit für innovative Forschung und wird von ei nem Konsortium akademischer und einem industriellen Partner unter der Leitung von Dr.in Klara Janji Klinische Forschung, Universitätszahn klinik Wien) durchgeführt. Univ.-Ass. Ing. DDr. Michael Edelmayer (Leiter der Spezialambulanz für Mundschleimhauterkrankungen, Universitätszahnklinik Wien) spielt als Experte für orale Patho logie ebenfalls eine tragende Rolle in dem Projekt und wird von klinischer Seite durch Dr. Babak Itzlinger-Monshi (Dermatologe und Histopathologe, Klinik Landstraße) und Univ.-Prof.in Dr.in Xiaohui Rausch-Fan (Leiterin des Zentrums für Klinische Forschung, Universitätszahnklinik Wien) unterstützt. Das Unternehmen Tissue Gnostics bietet nicht nur eine breite Palette an Systemen für Gewebezytometrie und digitale Pathologie an, sondern zeichnet sich auch durch seine aktiven Tätigkeiten als

ein essenzieller Teil des Teams. Das Projekt bietet außerdem die Möglichkeit, eine Postdoc-Position im Bereich der Computerwissenschaft zu besetzen, die durch einen weiteren erfahrenen Wissenschaftler (Amirreza Mahbod, PhD, Danube Private University) aus diesem Bereich betreut wird.

Unterstützung bei Diagnosen

Nach erfolgreichem Abschluss des Projektes schaffen die Ergebnisse eine Basis für ein Entscheidungsunterstüt zungssystem zur Klassifizierung oraler

Das Team

verschiedenen Bereichen bei einer re produzierbaren und objektiven Diagnose unterstützen kann. Zukünftige Studien über orale Dysplasien könnten anhand dieser Unterstützung Daten objektiv vergleichen. Basierend auf den erhobe nen Daten im Projekt könnten außerdem völlig neue Richtlinien für die Einteilung der Schweregrade der oralen Dysplasie diskutiert werden, die im Gegensatz zu den aktuellen Richtlinien numerische Werte und Referenzbereiche angeben können, die ebenfalls objektiv und repro duzierbar sind.•

Ing. DDr. Michael Edelmayer Leiter der Spezialambulanz für Mundschleimhauterkrankungen Fachbereich Orale Chirurgie, Zentrum für klinische Forschung Universitätszahnklinik Wien

Dr.in Klara Janjić, MSc Postdoc Zentrum für klinische Forschung Competence Center Periodontal Research Universitätszahnklinik Wien

DentUnique 3/2022 11

„Veranstaltung für High-End-Zahnärzt:innen“

Am 2. und 3. Juni 2023 findet an der Universitätszahnklinik Wien der Kongress „Dentistry 4.0“ mit nationalen und internationalen Expert:innen der Zahnmedizin statt.

Die Kongress-Premiere an der Universitätszahnklinik Wien soll mit „Dentistry 4.0“ eine Fachveranstaltung der Superlative werden. Davon ist Klinikvorstand Univ.Prof. DDr. Andreas Moritz überzeugt: „Es wird im Juni an diesen zwei Tagen einfach das Neueste geboten, was in Sachen digitale Technologie in der Zahnmedizin aktuell ist oder auch in Zukunft von Bedeutung sein wird.“ Es sei gelungen – trotz widriger coronabedingter Umstände –, hochkarätige Speaker aus dem In- und Ausland für den Kongress zu gewinnen. Die rund 30 nationalen und internationalen Expert:innen werden aus ihren jewei ligen Fachbereichen zu innovativen Technologien vor allem in der digitalen Zahnmedizin Interessantes zu berichten haben, denn, so Klinikvorstand Moritz: „Die Digitalisierung ist das Thema der Zukunft in der Zahnmedizin.“

Hochkarätiges Programm

Der Universitätszahnklinik Wien wird es an diesen Veranstaltungstagen zusätzlich möglich sein, einem großen Fachpubli kum zu zeigen, wie Forschung und Leh re sowie der zahnmedizinische Praxisalltag modern ablaufen und nach dem neuesten Stand der Technik funktionie ren. Denn die digitale Revolution in der Zahnmedizin kommt in raschem Tempo heran. Diese Entwicklung bringt einer seits viele Vorteile für Zahnärzt:innen und ihre Patient:innen, bedeutet aber auch große Umwälzungen und Probleme im künftigen zahnmedizinischen Alltag. „Dentistry 4.0” will dabei sowohl

die visionäre als auch praxisorientierte Bedeutung der Digitalisierung beleuch ten sowie das Potenzial, aber auch mögliche Gefahren der künstlichen Intelligenz (KI) in zahnmedizinischen Anwendungsbereichen betrachten. Daher sollen in einem vielfältigen und abwechslungsreichen wissenschaftli chen Programm die künftigen Heraus forderungen erörtert werden. In Vorträ gen werden die geladenen Expert:innen über die jüngsten Entwicklungen in den verschiedensten Bereichen der Zahnmedizin berichten und den Status quo von Wissenschaft und Forschung den Teilnehmer:innen näherbringen. In Vorlesungen und Praxisworkshops, die beispielsweise Fälle aus der Chirurgie technik, Kieferorthopädie und Parodon tologie aufgreifen, wird Wissenswertes hautnah vermittelt.

Praktischer Nutzen

Neben dem hohen wissenschaftlichen Anspruch soll also auch die praktische Anwendung der neuesten Techni ken im Fokus des Kongresses für die Besucher:innen stehen, wie Klinik vorstand Moritz betont: „Für jeden Fachbereich wird etwas dabei sein! Es wird hochinteressante Workshops oder auch Sezierkurse geben – die Teilnehmer:innen können sich das Neueste vom Neuen aussuchen, egal ob man als Wissenschaftler:in, Praktiker:in oder Jungforscher:in dabei ist.“ Apropos Jungforscher:innen: Junge Kolleg:innen können sich ebenfalls profilieren. Im Rahmen sogenannter Poster-Bewerbe (siehe Info-Box) können sie ihre Arbei ten präsentieren, die dann von einer

Jury prämiert werden. Moritz: „So hat dieser Kongress für sie sicher einen grö ßeren Wert als eine reine Vortragsveran staltung.“ Der Klinikvorstand ist davon überzeugt, dass noch weitere Kongres se dieser Art in Wien folgen werden: „Wir wollen, dass Digitalisierung hier ein Standbein bekommt. Wir sind bei diesem Thema sehr weit vorne und glau ben, dass das auf jeden Fall die Zukunft sein wird.“ Er wünscht sich, dass „viele Leute kommen, vor allem viele junge! Das ist eine Veranstaltung für High-EndZahnärzt:innen!“•

Nähere Infos und Anmeldung: https://www.dentistryvienna.com/

Bewerbe für Jungforscher:innen

Zusätzlich zu den Vorträgen und Vorlesungen wird es auch Kurz-Bewerbe für ehrgeizige Jungforscher:innen geben. In sogenannten PosterBewerben können sich Interessierte in der Kategorie Grundlagenforschung oder Klinische Forschung mit einer Kurz-Präsentation anmelden. Eine hochkarätig besetzte Jury wird dann die Gewinner:innen ermitteln. Die drei besten Präsentationen aus den Kategorien werden schließlich mit einem Preis ausgezeichnet.

12 DentUnique 3/2022

Internationale Auszeichnung für die Universitätszahnklinik Wien European Orthodontic Society Research Grant

Eine essentielle Voraussetzung der kieferorthopädischen Zahnbewegung ist eine durch mechanische Kräfte verursachte, aseptische Entzündungsreaktion im Parodont, deren genaue immunologische Prozesse Gegenstand zahlreicher Studien sind. Aufgrund fehlender paradontaler Gewebeproben wurden die Entzündungsreaktionen im Verlauf kieferorthopädischer Behandlungen bisher größtenteils nur anhand löslicher immunologischer Faktoren (z. B. Zytokine) im Speichel oder der Sulkusflüssigkeit verfolgt, ohne Veränderungen der Leukozytenzusammensetzung im Parodont direkt messen zu können. Das Ziel dieser Pilotstudie ist, den Einfluss von Multibracketbe handlungen auf die Leukozytenzusammensetzung im Speichel zu untersuchen. Dies soll zu einem genaueren und direkten Einblick in die immunzellulären Vorgänge der Entzündungsreaktion im Verlauf der kieferorthopädischen Behandlung führen. Werden immunzelluläre Änderungen detektiert, ist geplant, in weiterführenden Studien zu untersuchen, ob diese Veränderungen mit bestimmten klinischen Parametern korrelieren und so als Biomarker für Komplikationen während einer kieferorthopädi schen Therapie fungieren können.

Dentistry

DentUnique 3/2022 13 Preliminary Program • Workshops • Cadaver Course • Keynote Lectures • Short Talks • Postersession • Company Exhibition Top Speakers have been invited
4.0
Interdisciplinary Conference of Innovative Technologies in Dentistry - Vienna, Austria in cooperation with various national and international societies for Esthetic Dentistry, Implantology, Pediatric Dentistry, Maxillofacial Surgery, Periodontology, Laser Applications and the Consortium for Oral Surgery, Medicine and Radiology. www.unizahnklinik-wien.at Save the Date June 2 – 3, 2023
International,
Preisträger v. l. n. r.: Assoz. Univ.-Prof. DDr. Erwin Jonke, DDr. Michael Nemec, PhD, Christian Behm, BSc, MSc, PhD, Assoz. Prof. Priv.-Doz. Dr. Oleh Andrukhov Preisträger v. l. n. r.: Ao. Univ.-Prof. DDr. Erwin Jonke, DDr. Michael Nemec, PhD, Christian Behm, BSc, MSc, PhD, Assoc. Prof. Priv.-Doz. Dr. Oleh Andrukhov

Grundstein für eine internationale Karriere“

Univ.-Prof.in Priv.-Doz.in Dr.in Henriette Löffler-Stastka, Curriculumdirektorin für Universitätslehrgänge und Postgraduelle Programme der Medizinischen Universität Wien, spricht im Interview mit DentUnique über die Bedeutung postgradueller Lehrgänge gerade im zahnmedizinischen Bereich und verrät Pläne über den weiteren Ausbau dieser Programme.

DentUnique: Aus- und Weiterbildung ist gerade im medizinischen Bereich unab dingbar. Was sind Ihrer Meinung nach die großen Stärken von postgraduellen Weiterbildungsformen bzw. Masterkur sen?

Univ.-Prof.in Priv.-Doz.in Dr.in Henriette Löffler-Stastka: Generell besteht für die postgraduelle Weiterbildung ein gesellschaftlicher Auftrag, der auch eine positive Wertschöpfung hat. Dies spie gelt sich vor allem in der Etablierung neuer und im Wachstum wissensinten siver Branchen wider. Auf individueller Ebene erhöht die postgraduelle Weiter bildung die Einkommen und weist einen nachhaltigen Effekt auf die Lebenszufrie denheit auf.

DentUnique: An der Universitätszahn klinik Wien gibt es eine Reihe heraus ragender Angebote im postgraduellen Bereich. Wie kann dieses hohe Niveau gehalten bzw. sogar immer weiter ge steigert werden? Was ist das „Geheimnis des Erfolges“?

Löffler-Stastka: Durch die Einbindung in die Qualitätssicherungsmaßnah men entsprechend österreichischem Hochschul-Qualitätssicherungsgesetz (HS-QSG) sind laufend Überprüfun gen, Nachjustierungen und Neuaus richtungen von Qualifikationsprofilen, den entsprechenden Lernzielen und

Lernzielniveaus verpflichtend. Die gute Vernetzung und regelmäßige Abstimmung von Lehrgangs- und Programmleiter:innen mit den operati ven Organen und auch den universitäts internen Kontrollorganen ermöglichen die optimale Ausrichtung: Inhaltlich werden die Anforderungen der Stakehol der berücksichtigt und in didaktischer Hinsicht moderne Lernmethoden. Der Effekt ist ein Kompetenzzuwachs, der von Programmabsolvent:innen und Arbeitgeber:innen attestiert wird.

DentUnique: Die Masterkurs-Program me der Universitätszahnklinik Wien genießen international einen ausge zeichneten Ruf. Was ist Ihrer Meinung nach der USP?

Löffler-Stastka: Die international aus gerichteten postgraduellen Programme der Universitätszahnklinik Wien bieten als Alleinstellungsmerkmal eine hohe forschungsgeleitete Spezialisierungs möglichkeit, die vor allem international gefragt ist. Durch adäquate Bedarfsund Angebotsabstimmung, flexible Orientierung an den Bedürfnissen der Teilnehmer:innen und durch eine hohe wissenschaftlich fundierte Kompetenz in der Professor:innenschaft setzen sich die Programme durch. Das „Commitment“ der Lehrenden zu einem an traditionel len Universitäten üblichen Reüssieren in Klinik, Forschung und Lehre kann als

Univ.-Prof.in Priv.-Doz.in Dr.in Henriette Löffler-Stastka, Curriculumdirektorin Universitätslehrgänge und Postgraduelle Pro gramme der Medizinischen Universität Wien besonderes Qualitätskriterium genannt werden.

DentUnique: Vor Kurzem wurde das Diplomstudium Zahnmedizin an der Universitätszahnklinik Wien erfolgreich und ohne Auflagen akkreditiert. Dieses Gütesiegel bescheinigt dem Curriculum internationale Qualität und Einhaltung qualitätssichernder Kriterien. Gibt es Pläne, wonach auch die Masterkurse des Hauses diesem Akkreditierungsver fahren unterzogen werden?

14 DentUnique 3/2022
„Optimaler
© MedUniWien/Mattern
Foto:

Löffler-Stastka: Im Rahmen des genann ten Audit-Verfahrens wurde auch die Postgraduelle Weiterbildung auf die Einhaltung der Standards and Guidelines for Quality Assurance in the European Higher Education Area (ESG) überprüft und konnte ohne Auflagen erfolgreich abschließen. Dies wurde in bereits seit mehreren Jahren laufenden Prozessen vorbereitet, u. a. wurden die Curricula beispielsweise an moderne Lernzielbeschreibungen und Qualifika tionsprofildarstellungen angepasst oder Prozessabläufe transparent gemacht und verbindliche Kennzahlen nachjustiert.

DentUnique: Was bedeutet dann im Zuge dessen das Gütesiegel für diese Programme?

Löffler-Stastka: Das Gütesiegel, die Qualitätsstrategie der Programme, die Integration in die Steuerungsinstrumente der Medizinischen Universität Wien,

die Beteiligung von Interessengruppen stellen eine spürbare Qualitätskultur und die Umsetzung der gemeinsamen, anspruchsvollen Qualitätsziele dar. Dies wird immer wieder auch von anderen Ländern und Behörden als Nachweis für Zertifizierungen und Berufsberechtigun gen verlangt.

DentUnique: Gibt es darüber hinaus Pläne, das Masterkurs-Programm an der Universitätszahnklinik Wien zu erwei tern? Welche Bereiche könnten noch gut geschaffen werden bzw. „fehlen“?

Löffler-Stastka: Ja, die flexible Gestal tung und Kombinierungsmöglichkeit von „Parodontologie mit Endodontolo gie“ oder die Novellierung des „Esthe tic Dentistry“-Programmes sowie die forcierte Einbindung des internationalen Arbeitsmarktes im Programm „Master of Dental Science Prosthodontics – Inter disciplinary Therapy Concepts“ sind

erste Schritte eines erweiterten Angebo tes. Ergänzend könnten aufgrund der an der Universitätszahnklinik der MedUni Wien vorhandenen Expertise Program me in den Bereichen „Orthodontics“ oder „Dental Technology“ geschaffen werden.

DentUnique: Welche Möglichkeiten stehen den Absolvent:innen nach solch einer Weiterbildung offen?

Löffler-Stastka: Die Einbindung von Internationalisierungsaspekten und gesellschaftlichen Zielsetzungen in das Qualitätsmanagementsystem ermög licht gerade den Absolvent:innen der englischsprachigen Weiterbildungspro gramme (z. B. im ULG Periodontology and Implantology) mit der forschungs geleiteten Spezialisierung den optima len Grundstein für eine internationale Karriere.•

Weiterbildungsmöglichkeiten an der Universitätszahnklinik der MedUni Wien

In postgradualen akademischen Lehrgängen können Zahnärzt:innen wichtige Kenntnisse und Fertigkeiten für eine Spezialisierung erwerben. An der Universitätszahnklinik der MedUni Wien arbeiten die Zahnärzt:innen als Spezialist:innen in den verschiedenen Fachbereichen und Spezialambulanzen. Um diese Spezialisierung, die vor allem in komplexeren Fällen nötig ist, zu erreichen, stehen den Mediziner:innen an der Universitätszahnklinik der MedUni Wien hochwertige Weiterbildungsmöglichkeiten zur Verfügung. (Absolvent:innen berichten davon auf der folgenden Seite.) Die Qualität dieser Programme steht europaweit an der Spitze.

Postgraduate

Education

in Endodontology and Periodontology: Die Weiterbildung zur Spezialisierung in der Endodontie und Parodontologie steht in diesem Kurs im Fokus.

Postgraduate Education in Esthetic Dentistry:

Hier wird das gesamte theoretische und praktische Wissensspektrum für die Spezialisierung in ästhetischer Zahnheilkunde vermittelt.

Postgraduate Education in Periodontology and Implantology:

In diesem Lehrgang erhalten die Absolvent:innen das breite Fachwissen für die Spezialisierung in Parodontologie und Implantologie.

Universitätslehrgang Prothetik (MDSc): Fachwissen und Fertigkeiten auf dem gesamten Gebiet der Prothetik und der Funktionsstörungen werden in diesem Kurs gelehrt.

Doctor of Philosophy (PhD): Dieses interdisziplinäre Themenprogramm ermöglicht den Erwerb aller Fähigkeiten für eine reife, international wettbewerbsfähige wissenschaftliche Tätigkeit.

Weitere Infos zu aktuellen Terminen: https://www.unizahnklinik-wien.at/ studium-aus-weiterbildung/weiterbildungzahnaerztinnen/

DentUnique 3/2022 15

Teilnehmer:innen der Masterkurse berichten

DDr. Manuel Reinisch M.A. und Dr.in Melinda Seeland-Csitàri absolvieren den Kurs „Post graduate Education in Periodontology and Implantology“. Für beide war die Weiterentwicklung ihres professionellen Know-hows wichtig für ihren Arbeitsalltag mit Patient:innen. „Ich denke, dass lebens lange Fortbildung nach dem Motto ,Man lernt nie aus‘ ein wesentlicher Bestand teil des Zahnarztberufs ist“, meint etwa Manuel Reinisch. „Sowohl Diagnose als auch Therapiemethoden entwickeln sich laufend und mir ist es wichtig, auf einem zeitgemäßen Niveau tätig zu sein. Auf der einen Seite profitieren meine Patient:innen von einer ,State of the Art‘-Versorgung und anderseits beruhigt es mich, wenn ich meine Behandlungen an praxiserprobten und evidenzbasierten Leitlinien orientie re.“ Ähnlich sieht dies Melinda SeelandCsitàri: „Weiterbildung, neue und neueste Kenntnisse zu sammeln, war mir immer wichtig. Ich war immer neugierig und hungrig nach neuem Wissen. Ich habe dabei gerne viel Zeit und Geld in diesen Weg investiert.“

Pluspunkte des Kurses „Ich habe mich für diesen Kurs entschie den, weil ich nach einer mehrjährigen Ausbildung in den Fachbereichen Paro dontologie und Implantologie suchte. In diesem Lehrgang gelingt eine optimale Mischung aus Theorie und Praxis. Sezier kurse, Live-OPs und Hands-on-Übungen haben mich darauf vorbereitet, die erlernten Techniken auch in der eigenen Ordination anzuwenden. Jedes der acht Module dauert jeweils eine Woche –diese Modalität lässt sich für mich ideal berufsbegleitend realisieren“, begründet Manuel Reinisch sein Interesse. Am besten gefiel ihm dabei der internationale Charakter des Kurses: „Die Unterrichts sprache ist Englisch und wir sind eine Gruppe von 24 Zahnärzt:innen aus rund 15 unterschiedlichen Ländern. Über die

auf hohem fachlichen Niveau austau schen kann: „Wir lernen viel voneinan der“, so Melinda Seeland-Csitàri.•

Dr.in Melinda Seeland-Csitàri

Studium Zahnmedizin – Zahnmedizinische Universität Szeged (Ungarn): 1997–2002. Postgraduale Weiterbildung Zahn- und Mundkrankheiten auf der Zahnmedizinischen Universität Szeged (Ungarn): 2002–2006.

Postgraduale Weiterbildung Konservierende Zahnmedizin und Prothetik auf der Zahnme dizinischen Universität Budapest: 2006–2008. Praxisgemeinschaft Privatklinik in Ungarn: 2002–2015. Privatpraxis in Ungarn: 2011–2015. Privatpraxis in Österreich: seit 2015.

DDr. Manuel Reinisch M.A.

Studium Humanmedizin: 2016 Studium Zahnmedizin: 2019 Studium für angewandte Ethik (Medizinethik): 2020

Vertretungszahnarzt: 2019–2020 Wahlzahnarzt seit 2020

16 DentUnique 3/2022
Foto: © Klaudia Holcmann

Mehr Praxis – weniger Theorie

Ab Februar 2023 wird es jeweils über ein Semester (18 Tage) Langzeitseminare des Fachbereichs für Orale Chirurgie geben.

Schwerpunkte:

Erlernen aktueller Grundlagen und Techniken der

• Implantologie inkl. Knochenaugmentationen (SinusLift, GBR, Blockaugmentationen)

• mikrochirurgischen Wurzelspitzenresektionen

• Entfernung retinierter und dystoper Zähne

• Kieferhöhlendeckungen, Zystektomien etc.

Das Langzeitseminar umfasst die Teilnah me an den Morgenbesprechungen sowie

Beratungsgesprächen, die Assistenz bei oralchirurgischen Eingriffen sowie die Teilnahme bei der Konzepterstellung komplexer Fälle.

Details:

• Kursgebühr beträgt je Kurs 3.600 Euro

• Beginn Februar 2023

• Gesamtdauer je Seminar: ein Semester / 18 Tage

• Kurs findet 1 x wöchentlich (nach Vereinbarung) von 07.30 bis ca. 13.30 Uhr statt

• Kursort Fachbereich für Orale Chirurgie

Die Kursleitung haben Ao. Univ.-Prof. DDr. Christian Ulm und Univ.-Prof. DDr. Werner Zechner.

Anmeldungen und Infos:

Oralechirurgie-kurse@meduniwien. ac.at oder telefonisch unter +43 1 40070-4101 – Fr. Kneidinger www.unizahnklinik-wien.at

Course-Leader: Ao. Univ.-Prof. DDr. Erwin Jonke University Clinic of Dentistry Dept. Orthodontics Medical University of Vienna

ORTHODONTIC SYMPOSIUM

Online-Registration www.kfo-wien.at

DentUnique 3/2022 17
Strategies in Class III Following the Digital Pathway Digital Ortho-Prostho Planning
Maria Strobl Office-Management +43 1 40070 4301 maria.strobl@meduniwien.ac.at Friday, October 27, 2023 (12:00 – 18:00) Saturday, October 28, 2023 (8:30 – 17:00) VIENNA
Renato Cocconi, MD, DDS, Prof. Nikolaos Perakis, DDS, LMD

Das frühe Viagra

Das Foto zeigt einen Zahnraub an einem Verstorbenen, dies mal an einem Gehenkten. Das Bild ist ein Blatt aus „Los Caprichos“ (Die unbeschwerten Launen), einem Bilderzyklus von 80 Darstellungen des berühmten spanischen Maler fürsten Francisco de Goya (1746–1828). Nach seiner vollständigen Ertaubung im Jahr 1792 war er, anders als der Titel vermuten ließe, heftig mit sozialkritischen Themen beschäftigt: Bei dieser Horrorszene handelt es sich um eine im Spanien des 18. Jh.s weitverbreitete Unsitte, die dem Aberglauben des einfachen Volkes entsprang. Zähnen wurden magische Kräfte und Libido steigern de Wirkung zugeschrieben, aber nur, wenn sie den Gehenkten ei genhändig entrissen wurden. Wenn eine Leiche lange am Seil hing, mag das wohl für alle Sinne ekelhaft ge wesen sein. Eine Stellungnahme aus dem Prado lautete: „Ohne diese In

gredienz gelingt nichts. Traurig, dass das Volk an solchen Unsinn glaubt.“

Das alles scheint weit in der Vergan genheit zu liegen, doch wenn man heutige Werbung zu diesem Thema hernimmt, scheinen Potenz und Libido steigernde Mittelchen noch immer einen hohen Stellenwert einzunehmen.

Da man heute kaum mehr an „hängen gebliebene“ Leichen herankommt, muss man halt mit den Errungenschaften der chemischen Industrie vorliebnehmen. Trotzdem begegnet man auch heute noch vielerorts der angeblichen zuvor erwähnten Wirkung zermahlener Hörner bedrohter Tierarten, essbarer Vogelnester (China), des Wunder krautes Ashwagandha (Indien), der Rinde des Catuaba-Baumes (Brasi lien), des vorher entgifteten Kugelfisches (Japan) oder der Macawurzel aus Peru. Als „asiatisches Viagra“ gilt Tongkat Ali aus der Wurzel des

Universitätszahnklinik Wien im Fußballfieber

Am 21. September trafen die Fußballmannschaften der Univer sitätszahnklinik Wien (FC Dent) und der Medizinischen Universität Wien (SK Med) zum zweiten Mal zu einem Freundschaftsspiel zusammen. Das erste Spiel im Jahr 2018 konnte der FC Dent damals klar mit 3:0 für sich entschei den. Bei der diesjährigen Revanche musste sich das Team der Universitäts zahnklinik Wien der Mannschaft der MedUni mit 0:3 geschlagen geben.

Nach einer pandemiebedingten Pause waren die Ärzt:innen und Studierenden hoch motiviert, wieder den USI-Sportplatz stürmen zu kön nen – diesmal in gemischten Teams: Damen und Herren standen gemeinsam

spannende Spiel lockte zahlreiche Fans und Zuschauer:innen an. Diese feuerten die beiden Mannschaften an und trafen

und Austausch mit den Spieler:innen zusammen. Wir freuen uns schon auf nächstes Jahr!

18 DentUnique 3/2022
gleichnamigen Baumes. Sollte Ihr Medizinmann das alles nicht vorrä tig haben, nicht verzweifeln: Auch Kakaobohnen sollen helfen! DDr. Johannes Kirchner, Kustos des Zahnmuseums Wien Foto: © wikipedia

Frauenkarriere am Competence Center Periodontal Research

Mit Mai 2022 hat das Kompetenzzentrum zur Erforschung von parodontalen Erkrankungen im Competence Center Periodontal Research (Universitätszahnklinik Wien) im fachlichen Bereich personelle Verstärkung bekommen.

Die Biochemikerin Vera Maierhofer, die an der Moskauer Akademie für Veterinärmedizin und Biotechnologie studierte und ein Doktoratsstudium in Biologie absolvierte, begann im Oktober 2018 als Volontärin in der Forschungsgruppe von Assoz. Prof. Priv.-Doz. Dr. Oleh Andrukhov.

Zu Beginn ihrer Tätigkeit am Com petence Center Periodontal Research widmete sie sich dem Forschungsthema „Wirkung von IL-17 auf die Expression von proinflammatorischen Zytokinen in humanen parodontalen Ligamentzel len“. Mit Juli 2019 stieg Vera Maierhofer zur Projektmitarbeiterin im Competence Center Periodontal Research auf und erhielt schließlich im Frühjahr einen unbefristeten Vertrag. Der Forschungsfo kus lag ab diesem Zeitpunkt vorwiegend auf der Untersuchung von verschie denen Implantat-Oberflächen, zudem beschäftigte sie sich mit den Wirkungen verschiedener immunmodulatorischer Faktoren auf dentale Stammzellen.

Die Tätigkeiten von Vera Maierhofer sind vielfältig. Sie ist an der Planung und Durchführung verschiedener zellbiologischer Experimente und der Organisation der Laborroutine beteiligt. Außerdem ist sie eine große Stütze bei der Betreuung von Diplomand:innen und Doktorand:innen. In den letzten Jahren hat sie einige neue Labortechni ken etabliert, die für verschiedene von FWF und ITI Foundation unterstützte

Projekte von entscheidender Bedeutung sind. Der Leiter des Competence Center for Periodontal Research, Prof. An drukhov, freut sich sehr über den Input von Maierhofer zum Laboralltag und betrachtet ihren Beitrag als wesentlich für die Weiterentwicklung des Labors und die Bewerbung neuer Drittmittel projekte.

Vera Maierhofer freut sich über diese weitere Karrierechance: „Ich bin sowohl Prof. Andrukhov als auch Prof.in RauschFan sowie der Klinikleitung für diese tatkräftige Unterstützung dankbar.“ Weiters möchte sie die Nostrifizierung ihres Titels beantragen.•

Berufliche Erfahrung seit 05/2022

Laborantin im Competence Center for Perio dontal Research an der Universitätszahnklinik Wien 10/2018 – 05/2022

Volontärin im Competence Center for Perio dontal Research an der Universitätszahnklinik Wien

Mitarbeit am Projekt „Wirkung von IL-17 auf die Expression von proinflammatorischen Zytokinen in humanen parodontalen Liga mentzellen“

Nach ihrem erfolgreich abgeschlossenen PhD-Studium hat Vera Maierhofer in verschiedenen Forschungslabors in China (2008–2010}, USA {2005–2006} und Estland {2001–2002} gearbeitet.

DentUnique 3/2022 19
Vera Maierhofer, PhD und Assoz. Prof. Priv.-Doz. Dr. Oleh Andrukhov

Visuelle Biologie in der oralen Medizin

Die visuelle Wahrnehmung der Biologie ist ein zentrales Anliegen dieses Buchprojekts. Im Zentrum stehen kolorierte, rasterelektronische Bilder, die in Kooperation mit Eye of Science erstellt wurden. Der Text beschreibt den aktu ellen Stand der Forschung, Aspekte der Zellfunktion, der Zellkommunikation und der klinischen Relevanz. So werden zum Beispiel anhand von Zellen des Immun systems oder der Zahngewebe Wachs tums- und Umbauprozesse inhaltlich wie visuell dargestellt.

Um eine Interaktion mit den Buchin halten zu ermöglichen, wird das Buch von einer Augmented-Reality-App (AR Osteoclast) begleitet. Diese ermöglicht den Leser:innen, den Prozess des Kno chenumbaus virtuell zu erleben, indem ein 3D-„Game“ via Smartphone gespielt wird. Hierbei wird das virtuelle Objekt via Smartphone im realen Raum platziert.

Dieses Mixed-Reality-Erlebnis wurde in Kooperation mit dem Game Technology Center der ETH Zürich kreiert.

In der modernen universitären Lehre ist es eine Chance, neue Medien mit klassischen Medien wie dem Buch zu kombinieren. Die Wissensvermittlung für Medizin-, Zahnmedizin- und Naturwis senschaftsstudierende sowie für weitere Interessierte hat durch solche Ansätze die Möglichkeit, die Inhalte moderner Wis senschaft klar und attraktiv zu gestalten.

Weitere Infos:

Reinhard Gruber, Bernd Stadlinger, Hend rik Terheyden (Hrsg.) Cell-to-Cell Communication: Cell-Atlas –Visual Biology in Oral Medicine, Reihe: Cell-to-Cell Communication, Volume 7, 1. Auflage 2022 mit Unterstützung von E.M.S. und der Swiss Dental Academy ISBN 978-1-78698-107-3

Bereits im April 2022 wurde das Buch „Visual Biology in Oral Medicine“ veröffentlicht. Die Editoren sind Prof. Dr. Reinhard Gruber (Medizinische Univer sität Wien), Prof. DDr. Bernd Stadlinger (ZZM, Universität Zürich) und Prof. DDr. Hendrik Terheyden (Helios Klinikum Kassel und Universität Kiel). Das Buch ist in Form eines Zellatlas der oralen Gewebe konzipiert, wobei im ersten Teil des Buchs die klassischen Zelltypen und im zweiten Teil Organsysteme und Modellsysteme der Zellkommunikation vorgestellt werden. Jedes Kapitel wurde von einem Grundlagenforscher zusammen mit einem kli nisch tätigen Forscher verfasst. Insgesamt haben 47 universitäre Autoren aus 13 Ländern mitgewirkt.

Webtipps:

MAM Mundpflegeprodukte: Mit Experten entwickelt.

Gute Mundhygienegewohnheiten sind wesentlich für ein gesundes Leben. Um von Anfang an die perfekte Unterstützung zu geben, hat sich MAM mit mehr als 20 medizinischen Experten und mehr als 1.300 MAM Konsumenten zusammengetan. Das Ergebnis ist das einzigartige Mundpflegeproduktsortiment, mit dem das Zäh neputzen zu einer sicheren und angenehmen Erfahrung wird

Die Vorteile unserer neuen MAM Mundpflegeprodukte

Das weiche Mikrofasermaterial des Oral Care Rabbit reinigt sanft den Mund des Babys, bevor der erste Zahn erscheint, und hilft, das Baby schon früh an eine gute Mundhygiene zu gewöhnen. Die weichen Borsten der ergonomischen Massaging Brush reinigen und massieren das empfindliche Zahnfleisch und die ersten Zähne. Mit ihrem kleinen Bürstenkopf kann die Training Brush die Ba ckenzähne leicht erreichen. Der extra lange Griff ermöglicht es Eltern und Babys, die Bürste gemeinsam zu halten und das rich tige Zähneputzen zu lernen.

Die ergonomische und rutschfeste Baby‘s Brush hilft sicher bei der Entwicklung von eigenständigen Zahnputzfähigkeiten. Sicherheitsschild für alle Bürsten: Der aufsetzbare Sicherheits schild ist eine Sicherheitsinnovation, die hilft, die Bürste in einem sicheren Abstand zum hinteren Mundbereich des Babys zu halten.

Brushy App: Es gibt eine kostenlose Brushy App für iOS und And roid, mit der das Zähneputzen den Babys und ihren Eltern mehr Spaß macht.

Weiter Informationen über das neue Mundpflegesortiment finden Sie unter mambaby.com

20 DentUnique 3/2022
Für den Aufbau einer lebenslangen, gesunden Mundhygiene.
°BPA/BPS free: All MAM products are made from materials free of BPA and BPS.
BPA BPS free
MIT EXPERTEN ENTWICKELT
3
verschiedene Zahnbürsten Mit Sicherheitsschild!
MAM_MSC_oral_care_range_creative_a5_quer.indd 1 10.08.22 11:42
Teamwork mit medizinischen Experten für höchste Sicherheit. Erst nach Freigabe durch medizinische Experten ist eine MAM Innovation bereit für das Baby-Leben.

Josephinum: Medizinhistorisches Museum in neuem Glanz

Nach vierjähriger Renovierung ist das Josephinum wieder für Besucher:innen zu gänglich. Auf rund 1.000 m2 Ausstellungsfläche beherbergt das medizinhistorische Museum der MedUni Wien eine neu konzipierte Ausstellung, die einen Bogen von der Gründungszeit des Hauses bis zur heutigen Hightech-Medizin spannt.

Die größte Attraktion des Josephi nums stellen die weltberühmten anatomischen Wachsmodelle dar (Abb. 1). Kaiser Joseph II. hatte die Sammlung in Florenz angekauft und in der von ihm 1785 gegründeten „militär-chirurgischen Josephs-Akademie“ zu Lehrzwecken präsentiert. Nach der Sanierung sind die Wachsmodelle nun wieder in historischer Aufstellung in ihren Originalvitrinen aus Rosenholz und mundgeblasenem, vene zianischem Glas zu sehen. Zu weiteren Highlights des Josephinums gehören die chirurgische Instrumentensammlung von Alessandro Giovanni Brambilla aus dem 18. Jahrhundert (Abb. 2) oder das erste Endoskop der Welt aus dem Jahr 1806. Auch das denkmalgeschützte Gebäu de wurde umfassend saniert und an die Ansprüche eines modernen Museumsbe triebs angepasst (Abb. 3).•

Öffnungszeiten:

Mittwoch, Freitag, Samstag & Feiertag 10–18 Uhr

Donnerstag 10–20 Uhr

Weitere Infos auf: www.josephinum.ac.at

DentUnique 3/2022 21
Abb. 1: Anatomische Wachsmodelle
Abb.
Foto: © Josephinum/Reiner Riedler Foto: © Josephinum_Bene Croy Foto: © Josephinum/Alexander Ablogin
Abb. 2: Chirurgische Instrumentensammlung
3: Das Josephinum nach umfassender Sanierung

Krebsforschungslauf 2022

200.000 Euro wurden für die Forschung erlaufen.

I nsgesamt rund 3.000 Läufer:innen unterstützten mit ihrer Teilnahme die Krebsforschung an der Medizinischen Universität Wien. So wurden beim diesjährigen 16. Krebsforschungslauf 200.000 Euro für die Wissenschaft erlaufen. Die Spendengelder fließen wie jedes Jahr zu 100 Prozent in Projekte der Initiative Krebsforschung der MedUni Wien. Auf diese Weise konnten seit Bestehen des Charity-Events im Jahr 2007 bereits über 60 wissenschaftliche Arbeiten zur Verbesserung von Diagnose und Therapie von Tumorerkrankungen unterstützt werden.

Mit den aktuellen Spendeneinnahmen werden 14 weitere aussichtsreiche Projekte von MedUni-Wien-Wissenschaftler:innen gefördert. Diese zielen vorrangig darauf

ab, die Entwicklung personalisierter Therapien im Rahmen der Krebsforschung voranzutreiben.

Zu den Forschungsprojekten:

App alarmiert Lebensretter:innen der MedUni Wien

Über die „Lebensretter“-App werden Ersthelfer:innen alarmiert, wenn sich in ihrer Nähe ein Herz-Kreislauf-Stillstand ereignet. Studierende werden damit nicht nur zu einer guten Tat, sondern auch zu einem guten Training motiviert, um in entscheidenden Situationen professionell helfen zu können.

„Jede Sekunde, in der das Herz nicht schlägt und das Gehirn nicht mehr mit Sauerstoff versorgt wird, ist kritisch fürs Überleben“, sagt Till Buschhorn vom ÖHProjektteam „Lebensretter an der MedUni Wien“. Schon nach einer Minute treten Gehirnschäden auf, nach zehn Minuten sind diese irreversibel. Durch rasche und professionelle Erste Hilfe könnten viele der rund 12.000 Menschen, die jährlich in Österreich nach einem plötzlichen

Herzstillstand versterben, gerettet werden.

verfügt und sich als „Lebensretter“ registrieren möchte, erhält über die App Antworten auf häufige Fragen zu ErsteHilfe-Maßnahmen, eine Anleitung zur

und App-Download:

22 DentUnique 3/2022
Foto: © MedUni Wien/Kawka Inbetriebnahme eines Defibrillators und ein Metronom zur Unterstützung bei der Foto: © Yannic Abulesz

Gut zu wissen

Universitätszahnklinik Wien, Sensengasse 2a, 1090 Wien

ANFAHRT:

Öffentliche Verkehrsmittel

• 37/38/40/41/42 von Schottentor –Haltestelle: Schwarzspanierstraße

• 40/41/42 von Währinger Straße –Volksoper – Haltestelle: Sensengasse

• 5/33 Haltestelle: Lazarettgasse

• 43/44 Haltestelle: Lange Gasse (kurzer Fußmarsch durch das Alte AKH)

Mit dem Auto Gebührenpflichtige BOE-Parkgarage in der Sensengasse 3. Beachten Sie bitte die Kurzparkzone in ganz Wien.

KONTAKTE:

Zentrale Aufnahme

Tel.: +43 1/400 70-2000

E-Mail: aufnahme-unizahnklinik@ meduniwien.ac.at

Notambulanz mit Traumaversorgung

Tel.: +43 1/400 70-2023

E-Mail: notfallambulanz-unizahnklinik@ meduniwien.ac.at

KLINISCHE FACHBEREICHE:

• Unit und Zahnerhaltung

• Unit 1: Tel.: +43 1/400 70, DW: 2111, 2112, 2113

• Unit 2: Tel.: +43 1/400 70, DW: 2114, 2115, 2116

• CCUnit: Tel.: +43 1/400 70-2117

• Kieferorthopädie

Tel.: +43 1/400 70-4321 Tel.: +43 1/400 70-4301

E-Mail: kfo-unizahnklinik@ meduniwien.ac.at

• Kinderzahnheilkunde

Tel.: +43 1/400 70-2820 Tel.: +43 1/400 70-2825

E-Mail: kinder-unizahnklinik@ meduniwien.ac.at

• Orale Chirurgie

Tel.: +43 1/400 70-4121 Tel.: +43 1/400 70-4101

E-Mail: oralechirurgie-unizahnklinik@ meduniwien.ac.at

• Parodontologie

Tel.: +43 1/400 70-4720

E-Mail: parodontologie-unizahnklinik@ meduniwien.ac.at

• Prophylaxe Center

Tel.: +43 1/400 70-4720

E-Mail: prophylaxecenterunizahnklinik@meduniwien.ac.at

• Prothetik

Tel.: +43 1/400 70-4930

E-Mail: prothetik-unizahnklinik@ meduniwien.ac.at

• Radiologie

Tel.: +43 1/400 70-2420

E-Mail: radiologie-unizahnklinik@ meduniwien.ac.at

• Postgraduate Master

Tel.: +43 1/400 70-5401

Tel.: +43 1/400 70-5402

E-Mail: dentalmaster@ meduniwien.ac.at

ÖFFNUNGSZEITEN:

Immer nach Terminvereinbarung!

• Zentrale Aufnahme: Mo.–Fr., 7.30–13 Uhr

• Notambulanz mit Traumaversorgung: Mo.–So., 8–13 Uhr

• Kieferorthopädie: Mo.–Do., 8–17 Uhr, Fr., 8–12 Uhr nach Terminvereinbarung

• Wichtiger Hinweis

Zutritt für Patient:innen nur mit gültigem 2,5-G-Nachweis (geimpft, genesen, PCR – gilt auch für Kinder ab dem 12. Geburtstag).

Das Tragen einer FFP2-Maske ohne Ventil ist im gesamten Gebäude verpflichtend.

www.unizahnklinik-wien.at

Besuchen Sie uns auch auf

www.unizahnklinik-wien.at

Besuchen Sie uns auch auf

DentUnique 3/2022 23

ALLES FÜR DEN JOB ZUM FAIREN PREIS

Alles für Praxis und Labor. Markenqualität zum fairen Preis. www.plurashop.at

24 DentUnique 3/2022

Turn static files into dynamic content formats.

Create a flipbook
Issuu converts static files into: digital portfolios, online yearbooks, online catalogs, digital photo albums and more. Sign up and create your flipbook.